причины развития, лечение и профилактика
- Специфика течения остеопороза в костях ног
- Основные причины развития остеопороза ног
- Лечение и профилактика остеопороза ног
Остеопороз — это заболевание опорно-двигательного аппарата, развивающееся вследствие нарушения обменных процессов в костной ткани. При этом заболеваний наблюдаются структурные изменения в тканях, это приводит к тому, что кости становятся очень хрупкими. Истончение костной ткани становится предрасполагающим фактом для развития сложных переломов. При развитии остеопороза ног самыми уязвимыми становятся головка бедра и кости стоп. Перелом ослабленных костей может произойти из-за малейшего механического воздействия, в том числе падения или резкого поворота.
Снижение устойчивости к механическим нагрузкам явно наблюдается у больных, возраст которых превышает 50 лет, в то время как у молодых людей эта патология встречается крайне редко. Остеопороз — это системное метаболическое заболевание, деформирующее кости изнутри, поэтому, как правило, внешних проявлений изменения строения костей не наблюдается. Так как на протяжении долгого времени это заболевание развивается скрыто, в большинстве случаев его диагностируют только после получения травмы, то есть перелома кости в ноге.
Специфика течения остеопороза в костях ног

Остеопороз влияет на все кости имеющиеся в организме, но самые яркие клинические проявления этого заболевания наблюдаются в областях, где костная ткань подвергается наибольшей механической нагрузке. Это заболевание приводит к тому, что из костной ткани вымывается значительное количество кальция и фосфора. Этот процесс может быть растянут на долгие годы и начальных стадиях не имеет каких-либо выраженных симптомов, позволяющих заподозрить истончение костной ткани.
Костная ткань даже в здоровом состоянии представляет собой пористую структуру, но при остеопорозе ткани костей становятся слишком рыхлым. Перелом кости, имеющей дефектную структуру, является большой проблемой, так как восстановить функциональность кости в дальнейшем очень проблематично. Все дело в том, что костная ткань в этом случае очень плохо срастается. Несмотря на то что существует большое количество методик лечения остеопороза, редко когда удается полностью восстановить костные структуры. Проблема заключается не только в самых имениях структуры костей, но и в старческих изменениях метаболизма.
Остеопороз до момента появления серьезных переломов протекает почти бессимптомно, но все же некоторые маркеры, указывающие на проблемы с костной тканью, имеются. Во-первых, многие больные остеопорозом отмечают, что в какой-то период своей жизни начали ощущать ломоту в ногах при изменении погоды. Во-вторых, у большинства больных остеопорозом нередко наблюдаются судороги икроножных мышц разной интенсивности. Как правило, судороги наблюдаются ночью во время долгого пребывания в состоянии покоя.
Основные причины развития остеопороза ног
К основной группе риска заболеваемости остеопорозом относятся женщины, вступившие в период менопаузы. Это заболевание не зря считается старческим, так как встречается преимущественно у пожилых людей, то есть женщин старше 50 лет и мужчин, перешедших границу 70 лет. Возраст существенно увеличивает риск развития этого заболевания опорно-двигательного аппарата. Можно выделить как внешние, так и внутренние причины развития остеопороза.
- Гормональные изменения. Период менопаузы у женщин знаменует начало старения организма. Главным изменением, имеющим место в этот период, является изменение гормонального фона. Снижение количества женских гормонов негативно отражается на всем организме, а не только на репродуктивной системе.
- Болезни эндокринной системы.
- Авитаминоз. Снижение уровня содержания кальция и витамина D может приводить к развитию остеопороза.
- Сахарный диабет и другие метаболические заболевания.
- Вредные привычки. Алкоголь и курение приводит к тому, что из организма выводится значительное количество полезных веществ. Кроме того, эти привычки приводят к атрофии ворсинок, находящихся в кишечнике и отвечающих за всасывание полезных микроэлементов.
- Неправильный образ жизни.
- Отягощенный семейный анамнез. До сих пор не понятны пути передачи остеопороза на генетическом уровне, но как показывает практика, у большинства женщин, страдающих от этого заболевания, имеются родственники с аналогичным диагнозом. Считается, что семейная предрасположенность к заболеваниям опорно-двигательного аппарата передается на уровне механизмов метаболизма. Таким образом, у женщин одной семьи в одном и том же возрасте могут наблюдаться одинаковые процессы снижения уровня кальция и других полезных веществ в организме.
Понять, что именно вызвало развития остеопороза ног, далеко не всегда представляется возможным. В большинстве случае заболеваемости имеют место сочетание предрасполагающих факторов, к примеру, неправильного питания, периода менопаузы и сидячий образ жизни. Конечно, остановить процесс старения в настоящее время не представляется возможным, но все же можно снизить риск развития болезни, если исключить все внешние факторы развития этого заболевания.
Лечение и профилактика остеопороза ног
Лечение назначается после проведения ряда специфических исследований, позволяющих определить степень разрушения костной ткани. Наиболее точным средством определения плотности костей и диагностирования остеопороза является денситометрия, представляющая собой аналог рентгеновского исследования. Это исследование может определить остеопороз даже на самых ранних сроках развития этого заболевания, то есть при потере 3% костной ткани. Лечение остеопороза может быть назначено после подтверждения диагноза на основе анализов сыворотки крови и мочи, а также компьютерной томографии.
В первую очередь лечение остеопороза предполагает назначение препаратов, способствующих устранению процесса вымывания кальция из кальция и способствующих образованию новой костной ткани. Лечение этого процесса осуществляется антирезорбитными и анаболическими препаратами, которые позволяют стимулировать костеобразование. В лечении остеопороза широко используются гормональные препараты, позволяющие устранить главную причину внутренней деформации костей ног. Нельзя лечить остеопороз без приема кальция и витамина D, которые необходимы для восстановления плотности костной ткани. Кроме того, не последнюю роль в лечение остеопороза играет физиотерапия и изменение образа жизни. Стоит отметить, что физиотерапия и правильное питание не только способствуют восстановлению костной ткани, но и являются важнейшими элементами профилактики остеопороза.
Обязательно перед лечением болезней консультируйтесь с врачом. Это поможет учесть индивидуальную переносимость, подтвердить диагноз, убедиться в правильности лечения и исключить негативные взаимодействия препаратов. Если вы используете рецепты без консультации с врачом, то это полностью на ваш страх и риск. Вся информация на сайте представлена для ознакомительных целей и не является лечебным пособием. Вся ответственность за применение лежит на вас.
artrozmed.ru
Остеопороз симптомы и лечение, виды и степени болезни, диагностика, профилактика
Распространенной патологией костной ткани является остеопороз, симптомы и лечение которого должен знать каждый человек.
Данное состояние характеризуется разрушением костей, снижением их прочности, повышением хрупкости и изменением строения тканей, что становится причиной частых переломов. Особенностью заболевания является отсутствие яркой клинической картины.
Разрушение костной ткани — физиологический процесс, как и минерализация. В норме наблюдается их баланс.

Данные процессы обеспечиваются слаженной работой остеобластов и остеокластов.
В основе развития остеопороза лежит недостаточная минерализация или усиление процесса разрушения тканей.
В группу риска входят женщины старше 50 лет. К 70 годами распространенность этой патологии у женщин достигает 50%, что обусловлено гормональными изменениями.
Мужчины болеют намного реже. Остеопороз требует комплексного подхода к лечению и при игнорировании симптомов может привести к осложнениям. Наиболее частым из них является перелом шейки бедра.
Симптомы остеопороза
Остеопороз у женщин и мужчин годами может протекать бессимптомно. После 50 лет жалобы возникают лишь в 30% случаев. Часто это становится причиной запоздалой или ошибочной диагностики.
Многие врачи принимают остеопороз за артрит или остеоартроз. Нередко диагноз ставится уже при развитии осложнений в виде патологических переломов.

Остеопения и остеопороз — это синонимы. При данной патологии возможны следующие симптомы:
- боль в костях в различных участках тела;
- быстрая утомляемость;
- поражение зубов;
- наличие зубного налета;
- седина в раннем возрасте;
- учащенное сердцебиение;
- частые переломы;
- судороги преимущественно в ночное время;
- уменьшение роста.
Главное проявление заболевания — тупая, ноющая боль. Она может усиливаться при резкой смене климатических условий. Первые признаки остеопороза остаются незамеченными.
Наряду с симптомами разрушения костной ткани могут присутствовать проявления главного заболевания.
Это могут быть: увеличение щитовидной железы, диспепсия, симптомы нарушения функции почек, надпочечников, проявления красной волчанки и ревматизма. В данном случае речь идет о вторичном остеопорозе.
Рук и ног
Первыми поражаются верхние и нижние конечности. Часто развивается остеопороз стопы.
Он характеризуется постоянной, слабой или средней интенсивности болью в ноге. Нередко изменяются ногтевые пластинки.
Они могут расслаиваться или становиться хрупкими, как при грибковой инфекции.
При длительном течении заболевания и отсутствии лечения возникает деформация стоп. Это затрудняет передвижение и повседневную деятельность.

Наиболее опасна остеопения шейки бедра. Это наиболее узкая часть кости, которая располагается между ее головкой и телом. При остеопорозе она часто ломается.
С подобной проблемой сталкиваются женщины преклонного возраста (старше 65 лет). Признаками повреждения шейки бедра являются:
- укорочение конечности на стороне поражения;
- усиленный поворот больной ноги наружу;
- выраженная боль в паховой области.
Боли при остеопорозе в ногах на ранних стадиях могут отсутствовать. В случае повреждения сосудов на фоне перелома может развиться асептический некроз головки кости.
Инвалидность при остеопорозе ног чаще всего обусловлена повреждением шейки бедра. Наряду с нижними конечностями часто поражаются верхние. В процесс могут вовлекаться кости кистей, плеча и предплечья. Симптомы те же, что и при повреждении стоп.
Поражение верхних конечностей бывает односторонним или двусторонним. Если своевременно не лечить остеопороз пальцев рук, то возможен перелом лучевой кости.
Реже повреждается шейка плечевой кости. Подобные переломы заживают медленно и требуют длительной иммобилизации.
Позвоночника
Нередко происходит разрушение костей позвоночника. У таких людей появляются следующие симптомы:
- Боль в спине.
- Сутулость.
- Снижение роста.
- Ограничение подвижности.
- Наличие горба.
- Складки по бокам живота.
Сутулость проявляется выдвижением вперед головы, выпячиванием живота, опущенными плечами, круглой спиной, выступающими лопатками и запавшей грудной клеткой.

Иногда больные предъявляют жалобы на тяжесть в груди. Со временем у таких людей развивается остеопоротическая спондилопатия.
Частое осложнение заболевания — компрессионные переломы позвонков в различных отделах.
Суставов
Нередко наблюдается разрушение суставных поверхностей костей. Это становится причиной двигательных расстройств.
По своей клинической картине данная патология напоминает деформирующий остеоартроз.
Тяжело протекает остеопороз тазобедренного сустава. Он осложняется переломом шейки кости.

Общими признаками данной патологии являются:
- боль;
- скованность движений;
- ощущение хруста;
- отечность тканей;
- уменьшение объема движений;
- деформация сустава.
Чаще всего при данной форме заболевания поражаются бедренная кость и колено. Реже диагностируется остеопороз плечевого сустава со схожей симптоматикой.
Иногда появляются признаки остеопороза локтевого сустава.
Патологические переломы
В результате потери костной ткани часто развиваются патологические переломы. Это нарушение целостности кости в области максимальной хрупкости.
Отличительной особенностью патологических переломов шейки бедра от простых считается то, что они возникают при незначительной силе травмирующего фактора.
Повреждение костей происходит при слабом ударе или падении с небольшой высоты. С подобной проблемой чаще сталкиваются люди пожилого и старческого возраста.

Патологические переломы на фоне остеопороза опасны тем, что больные долго остаются обездвиженными, что может стать причиной осложнений (застойной пневмонии, пролежней).
Полное повреждение кости со смещением наблюдается редко. Чаще всего наблюдаются крупные трещины и поперечные повреждения.
В процесс преимущественно вовлекаются трубчатые кости конечностей. При данных переломах на фоне остеопороза отсутствуют крепитация (звук, напоминающий хруст) и патологическая подвижность суставов.
Кровоизлияния возникают редко или они слабо выражены.
Причины остеопороза
Остеопороз сенильный (старческий), постменопаузальный или подростковый является мультифакторным заболеванием.
Первичная форма обусловлена физиологическими изменениями, происходящими в организме.
Факторами риска развития патологии являются:
- отягощенный семейный анамнез;
- пожилой возраст;
- женский пол;
- носительство гена, отвечающего за образование патологического коллагена;
- астенический тип телосложения;
- резкое снижение массы тела;
- низкий рост;
- позднее наступление менструального цикла;
- наличие в анамнезе большого количества беременностей и родов;
- продолжительное вскармливание ребенка грудью;
- бесплодие.
В основе развития вторичного остеопороза лежат гормональные расстройства, соматические заболевания и неправильный образ жизни. Факторами риска являются:
|
|
У мужчин преклонного возраста вымыванию кальция из костей способствует снижение функции яичек.
Остеопения тазобедренного сустава бывает вызвана бесконтрольным приемом медикаментов (системных кортикостероидов, диуретиков, антикоагулянтов, иммунодепрессантов, антибиотиков тетрациклинового ряда).
Повышает риск развития остеопороза регулярное использование средств бытовой химии.
Причиной развития заболевания может стать недостаточная минерализация костной ткани. Это наблюдается на фоне неправильного питания. Факторами риска являются:
- злоупотребление газированными напитками;
- недостаток в меню продуктов, богатых кальцием;
- употребление в большом количестве кофе;
- пристрастие к соленой и сладкой пище;
- жесткие диеты;
- избыток в рационе белков и жиров.
Остеопороз у мужчин, женщин и детей часто связан с недостаточным поступлением кальция и фосфора в организм.
За усвоение этих элементов отвечает витамин D. Суточная норма потребления кальция для взрослого человека варьируется от 800 до 1200 мг.
Во время беременности и кормления ребенка, а также при интенсивном занятии спортом этот показатель максимален.
Риск развития данной патологии увеличивается при недостаточном употреблении человеком молока, творога, йогуртов, кефира, сметаны, сыра, абрикосов, яблок, апельсинов, орехов, овощей и некоторых ягод.
Виды и степени остеопороза
Классификация остеопороза выделяет первичную и вторичную формы. Первый подразделяется на идиопатический (неуточненной этиологии), постменопаузальный (диагностируется только у женщин), подростковый и старческий.
Постменопаузальная форма развивается во время угасания половой функции, когда прекращаются менструации и изменяется гормональный фон. Это обусловливает появление признаков остеопороза у женщин после 50 лет.
Сенильная (старческая) форма заболевания диагностируется после 70 лет. Чаще всего она является результатом естественного процесса старения организма.
Идиопатическая форма диагностируется в том случае, если причину разрушения костей не удается выявить. Она может возникать у людей любого возраста.
Подростковый первичный остеопороз развивается в 12-17 лет. Причина — гормональная перестройка на фоне полового созревания.
В этот период усиливается выработка тестостерона, что может отразиться на минеральном обмене.
В том случае, если установлена прямая связь между снижением прочности костной ткани и другой патологией, диагностируется вторичный остеопороз. Он расценивается как клинический синдром.
Изменение структуры костей в период менопаузы при климаксе происходит несколькими способами.
В зависимости от типа морфологической перестройки тканей выделяют следующие виды остеопороза:
- с потерей губчатого вещества;
- с потерей коркового (кортикального) слоя;
- смешанный.
Изменение костей бывает равномерным или пятнистым (очаговым). Выделяют также заболевание первой, второй, третьей или четвертой степени.
Для справки!
Остеопороз 1 степени характеризуется отсутствием внешних симптомов.
Изменения обнаруживаются только в процессе инструментального исследования (рентгенографии, КТ или МРТ).
У таких людей могут присутствовать признаки недостатка кальция в организме в виде усиленного выпадения волос, их тусклости, сухости кожи и слизистых оболочек.
Для справки!
Остеопороз 2 степени характеризуется снижением плотности костей.
Изменения являются диффузными (равномерными). Чаще всего затрагивается только 1-на кость.
Признаки остеопороза можно выявить в области какого-то 1 отдела позвоночника. Такие больные предъявляют жалобы на постоянную боль в пояснице или лопатках. Нередко наблюдаются перебои в работе сердца.
Остеопороз 3 степени на рентгенограмме отличается выраженными признаками поражения позвоночника. Обнаруживаются участки деминерализации в виде зон просветления.
Изменяется форма позвонков больного человека. Они становятся более плоскими. Позвонки могут приобретать клиновидную форму. На этой стадии заболевания поражается несколько отделов позвоночника.
В запущенных случаях выявляется выраженный остеопороз. На снимке видны обширные зоны просветления и резкая деформация.
Рост таких людей может уменьшаться на 10 см и более. Подобные изменения приводят к резкому ограничению подвижности. Процесс самостоятельного ухода за собой затрудняется, поэтому больные требуют сторонней помощи.
Способы диагностики остеопороза
Для постановки диагноза требуются:
- Опрос пациента.
- Физикальное исследование.
- Осмотр.
- Определение плотности костей.
- Рентгенография.
- Биохимические анализы.
- Общие клинические анализы крови и мочи.
- Компьютерная или магнитно-резонансная томография.
Дополнительно проводятся специфические анализы на остеопороз. При необходимости оценивается состояние почек, надпочечников, сердца и щитовидной железы.
При подозрении на вторичную форму остеопороза может понадобиться оценка гормонального фона. С целью исключения опухолей проводится биопсия.
Выявления факторов риска
При постановке предварительного диагноза информативны результаты опроса больного. В ходе сбора анамнеза врач выявляет возможные факторы риска развития остеопороза. Определяются:
- характер питания;
- образ жизни;
- двигательный режим;
- названия ранее принимаемых лекарственных препаратов;
- наличие и количество беременностей;
- наличие вредных привычек;
- наличие вредных профессиональных факторов;
- наличие хронических заболеваний;
- условия проживания.
Все это позволяет выявить причины остеопороза у мужчин и женщин.
Инструментальные методы
Окончательный диагноз ставится на основании инструментальных исследований. Простая рентгенография не информативна на ранней стадии заболевания.
Она позволяет обнаружить нарушение минерализации только при снижении плотности кости на 25% и более. Об остеопорозе судят по интенсивности цвета кости на снимке.
Если имеются просветления, то это указывает на остеопению. Наиболее часто проводится рентгенография костей черепа, таза, конечностей и позвоночника.
При подозрении на остеопороз обязательно проводится остеоденситометрия. Этот метод высокоточный, информативный и неинвазивный. Интенсивность облучения минимальна.
При проведении денситометрии (определения плотности тканей) применяется рентгеновская и ультразвуковая методики.
Преимуществом последней является отсутствие лучевой нагрузки. Подобная процедура лучше подходит для обследования беременных. Сделать денситометрию должен уметь каждый врач.
Раньше в диагностике остеопороза широко применялась абсорбциометрия. Это исследование основано на степени поглощения костной тканью излучения. Детально оценить степень минерализации позволяют компьютерные томографы.
Лабораторные методы
В крови больных определяются:
- костный фермент щелочной фосфатазы;
- кальцитонин;
- остеокальцин;
- витамин D;
- паратогормон;
- пиридинолин;
- дезоксипиридинолин.
По содержанию остеокальцина можно судить о минерализации костей. При подозрении на деструкцию костной ткани обязательно проводится анализ на кальцитонин.
Это гормон, выделяемый щитовидной железой и способствующий усвоению кальция костной тканью. К лабораторным методам исследования при остеопорозе относится цитологический анализ.
Врач исследует клетки костной ткани. Это позволяет исключить злокачественную опухоль.
При необходимости проводится анализ на туберкулез, т. к. при данной патологии тоже часто поражаются кости. Лабораторная диагностика остеопороза в комплексе с инструментальным исследованием позволяет выявить остеопороз.
Показатели разрушения костной ткани
Существуют показатели, которые характеризуют процессы деструкции кости. К ним относятся C-концевые телопептиды и диоксипиридинолин. Последний наиболее информативен.
Диоксипиридинолин — это вещество, которое образуется в результате разрушения костей. Оно поступает в кровь и выводится из организма с мочой.
Чем сильнее распад кости, тем выше будет концентрация диоксипиридинолина. Материалом для исследования является моча больного.
Данные показатели определяются и для оценки эффективности проводимой терапии. Если лечение правильное, то концентрация этих веществ снижается.
Образования новой костной ткани
При обследовании пациентов оцениваются показатели метаболизма костной ткани. К ним относятся:
- карбокситерминальные пропептиды проколлагена I типа;
- изофермент щелочной фосфатазы;
- остеокальцин.
Данные показатели позволяют:
- оценить риск развития остеопороза;
- оценить степень минерализации костей;
- определить необходимость в лечении больных.
Остеокальцин при остеопорозе увеличивается. Это белок, который содержится внутри костей и в небольшом количестве выделяется в кровь.
В норме его концентрация у женщин после 50 лет составляет 15-46 нг/мл, а у мужчин — 15-46 нг/мл. Данные маркеры информативны на любой стадии остеопороза.
Показатели обмена кальция и фосфора
При обследовании больных обязательно оценивается содержание в крови паратгормона, кальция и фосфора.
Материалом для проведения анализов является венозная кровь больного. Паратгормон синтезируется паращитовидными железами.
При снижении уровня кальция в крови активность этого гормона повышается. Он способствует переходу кальция из клеток в кровяное русло.
У здоровых людей младше 17 лет содержание паратгормона в норме составляет 1,3-10 пмоль/л, а в более старшем возрасте — 1,3-6,8 пмоль/л.
Косвенным признаком остеопороза является изменение показателей в крови фосфора и кальция. Их уровень не является показателем состояния костной ткани, т. к. он может изменяться под действием витаминов и других веществ.
В норме содержание кальция в крови составляет 2,2-2,75 ммоль/л.
Медикаментозное лечение остеопороза
Лечение остеопороза у пожилых женщин и мужчин должно быть комплексным. Важным аспектом терапии является применение лекарств.
Главными задачами медикаментозного лечения считаются: уменьшение потери костной массы, восстановление тканей и стимуляция процесса минерализации. К лекарствам от остеопороза у женщин и мужчин относятся:
- препараты, оказывающие влияние на фосфорно-кальциевый обмен;
- эстрогены;
- бифосфонаты;
- анаболические стероиды;
- препараты кальция.
К современным методам лечения остеопороза относится применение гормональных средств (эстрогенов, гестагенов, андрогенов). При выборе лекарства учитываются следующие факторы:
- фаза климактерического периода;
- переносимость компонентов лекарств;
- возраст;
- факторы риска;
- пол пациента.
Гормональная лекарственная терапия не проводится в случае тяжелых заболеваний печени и почек, тромбофлебита, маточных кровотечений, новообразований и тяжелой формы сахарного диабета.
В схему лечения остеопороза обязательно включают препараты, регулирующие минеральный обмен в костях. В эту группу входят:
- ;
- Алостин;
- Вепрена;
- Остеогенон.
Данные медикаменты выпускаются в форме таблеток, драже, спрея и раствора. Дополнительно при остеопорозе назначаются витамины (Эргокальциферол, Холекальциферол).
С целью усиления отложения солей кальция в костной ткани, синтеза белка и замедления выведения фосфора из организма назначаются анаболические стероиды.
В эту группу входит Ретаболил. Лекарство противопоказано при непереносимости, во время беременности и лактации, при простатите, нефротическом синдроме, печеночной недостаточности, раке грудных желез или простаты.
В схему лечения включают препараты кальция (кальция глюконат, хлорид кальция или лактат кальция).
Профилактика остеопороза
Чтобы снизить риск развития остеопороза, необходимо:
- полноценно питаться;
- отказаться от курения и алкогольных напитков;
- достаточно двигаться;
- принимать биологически активные добавки и витамины;
- своевременно лечить патологию почек, печени, желудка, кишечника и эндокринных желез;
- соблюдать режим труда и отдыха;
- следить за гормональным фоном;
- нормализовать вес;
- больше времени проводить на улице;
- принимать лекарства только по назначению врача.
Профилактика должна проводиться с юного возраста. Критически важными являются периоды полового созревания и постменопаузы.
Профилактика остеопороза у женщин после 50 лет сводится к полноценному питанию. Нужно есть больше продуктов, богатых кальцием.
В случае непереносимости молока рекомендуется принимать таблетированные лекарства вместе с витамином D. Важным аспектом профилактики является периодическое прохождение медицинских осмотров.
Часто задаваемые вопросы
Пациенты при постановке диагноза часто задают врачу следующие вопросы:
- возможно ли полностью вылечить заболевание;
- чем оно опасно;
- полезны ли во время лечения физиопроцедуры, гимнастика и массаж;
- как необходимо питаться.
Все это может пригодиться больным при лечении.
Какую соблюдать диету при остеопорозе?
Специальной диета при данной патологии не существует. Главными задачами лечебного питания являются:
- поступление в организм достаточного количества кальция;
- укрепление костной ткани;
- повышение усвояемости кальция.
Минералы и витамины при остеопорозе играют большую роль. Они способствуют усвоению кальция в организме. В меню больных при остеопорозе необходимо включить продукты, богатые магнием, фосфором, медью, аскорбиновой кислотой, витаминами K, A и D.
Питаться рекомендуется 4-5 раз в день. Прием пищи должен приходиться на одно и то же время каждый день.
Суточная норма белков не должна превышать 100-150 г. Больным необходимо включить в меню:
- молоко и кисломолочные продукты;
- капусту;
- злаки;
- сухофрукты;
- орехи;
- мясо;
- жирную рыбу;
- хлеб из муки грубого помола;
- бананы;
- семечки;
- яичный белок.
Медью богаты изюм, вишня и сливки. Полезно употреблять продукты, содержащие бор. Этот элемент участвует в процессе усвоения витамина D.
Бором богаты персики, виноград, бобовые, груши и свекла.
В фосфорно-кальциевом обмене активно участвует цинк. Он содержится в овсяных хлопьях, арахисе, пшенице, семенах тыквы и морепродуктах.
Ухудшают усвоение тканями кальция следующие продукты:
- крепкий чай;
- черный кофе;
- шоколад;
- говядина;
- свинина.
Их нужно ограничить в употреблении.
К какому врачу обратиться?
Лечением больных остеопорозом людей могут заниматься разные специалисты:
- ортопеды;
- эндокринологи;
- ревматологи.
Обратиться можно к любому из них. Часто требуется консультация других специалистов (гастроэнтеролога, терапевта, вертебролога).
Можно ли заниматься физкультурой?
Заниматься гимнастикой при остеопорозе можно только с разрешения лечащего врача. При этом учитывается физическая тренированность, сопутствующая патология и тяжесть заболевания. Комплекс упражнений подбирается врачом по ЛФК. Наиболее часто при остеопорозе выполняются:
- сгибание и разгибание нижних конечностей;
- повороты стоп вбок;
- сгибание и разгибание рук;
- подтягивание к груди согнутых коленей;
- приподнимание плеч над полом в положении лежа на животе;
- поочередное скрещивание ног в положении лежа на животе;
- поочередное поднятие прямых ног в положении стоя.
Каждое упражнение повторяется минимум 5 раз.
Можно ли вылечить остеопороз?
Правильное и своевременное лечение позволяет замедлить развитие болезни или приостановить его.
Многим больным приходится сменить работу ввиду снижения работоспособности и двигательных расстройств. Прогноз ухудшается при развитии осложнений (перелом шейки бедра).
Можно ли делать массаж при остеопорозе?
Больные часто обращаются к массажисту при остеопорозе. Подобное лечение является дополнением к медикаментозной терапии и диете. Массаж позволяет:
- улучшить кровообращение и умственную активность;
- уменьшить болевой синдром;
- ускорить обменные процессы;
- снять усталость мышц;
- уменьшить нервное напряжение.
Массаж рекомендуется проводить в стенах лечебного учреждения.
Рейтинг автора
Автор статьи
Практикующий гинеколог-эндокринолог, дипломированный специалист.
Написано статей
endokrinnayasistema.ru
симптомы и лечение народными средствами в домашних условиях
Остеопороз — недуг, сопровождающийся истончением и разрушением костей. Кости, становясь хрупкими, подвергаются переломам даже при незначительной травме. Особенно опасен остеопороз стопы, поскольку именно на ступни ложится основная нагрузка всей массы тела при перемещении. Важно своевременно диагностировать и начать лечить эту патологию, чтобы сохранить возможность активно двигаться и трудиться. Для этого следует знать, какие факторы могут спровоцировать развитие недуга, и как можно помочь себе в домашних условиях, доверяя проверенным средствам народной медицины.Причины развития
Риск переломов делает остеопороз нижних конечностей особо опасным заболеванием. Оно может возникать под влиянием целого ряда факторов:
- Генетическая предрасположенность. Риск заболеть остеопорозом ног выше у тех, чьи родственники страдают этим недугом.
- Избыточный вес.
- Чересчур низкая масса тела.
- Злоупотребление алкогольными напитками и табаком.
- Немалые нагрузки на стопы в течение долгого времени.
- Нехватка витамина D и кальция. Часто наблюдается у беременных женщин и людей, употребляющих мало пищи с этими элементами.
- Нарушение гормонального баланса, происходящее при сбое в работе щитовидной железы.
- Возрастные изменения в женском организме в период менопаузы и после него.
- Преклонный возраст. С таким недугом чаще сталкиваются люди, возраст которых превышает 65 лет.
- Недостаточно подвижный образ жизни — например, длительное нахождение в постели при некоторых затяжных заболеваниях.
- Частое употребление в пищу жирных мясных продуктов.
- Занятия травмирующими видами спорта.
- Чрезмерное употребление кофе.
- Прием некоторых антибактериальных средств, глюкокортикостероидов и противораковых медикаментов.
Чтобы начать своевременное лечение остеопороза голеностопного сустава и ступней, требуется провести диагностику, которая позволит врачу назначить подходящие препараты в соответствии с возрастом и состоянием пациента. Перед диагностическими процедурами специалист обращает внимание на симптомы, которые сопровождают патологию.
Как проявляется недуг
[adrotate banner=»4″]Начинающийся остеопороз стопы почти никак не проявляется, поэтому заподозрить его самостоятельно практически невозможно. Чаще всего этот недуг подозревается у пациента, когда он обращается к врачу с переломом кости. В этом случае речь идет уже о прогрессирующем заболевании.
В случае прогрессирующего остеопороза человек сталкивается с такими признаками:
- сильные болевые ощущения в состоянии покоя и при ходьбе;
- болевые ощущения при нажатии на кость;
- опухание и покраснение конечностей;
- невозможность нормально передвигаться;
- трудности с надеванием обуви в связи с возникновением боли.
Помимо этих симптомов, возникают и общие признаки недуга:
- повышенная утомляемость;
- сутулость;
- слабость во всем теле;
- раннее появление седины в волосах;
- ломкость и расслоение волос и ногтей.
Симптомы и лечение остеопороза стопы зависят от возраста пациента и степени тяжести недуга. Следует отметить, что полностью вылечить это заболевание невозможно, но если следовать рекомендациям врача, можно укрепить кости, предотвращая их дальнейшее истончение и разрушение.
Терапия
Лечение осуществляется после того, как пациент прошел соответствующее обследование. При этом врач принимает во внимание индивидуальные особенности больного, чтобы быстрее остановить стремительное развитие патологии.
Основная роль в терапии заболевании отводится применению медикаментов, которые оказывают благоприятное действие на костный метаболизм. К ним относятся:
- препараты кальция с добавлением витамина D;
- эстрогены — применяются при недуге, развивающемся в период климакса у женщин;
- бисфосфонаты — предотвращают снижение костной массы;
- гормон кальцитонин — приостанавливает разрушение костей;
- соматотропный гормон;
- флавоновые соединения;
- препараты стронция;
- соли фтора;
- оссеино-гидроксиапатитный комплекс — выступает стимулятором активности клеток, которые образуют костную ткань.
Когда болезнь запущена, и пациент жалуется на сильные боли, врач прописывает анальгетики, благодаря которым человек может жить полноценной жизнью. Выбрать то или иное средство для лечения недуга может только специалист, который реально оценивает симптомы и степень тяжести болезни.
После выявления остеопороза голеностопного сустава пациенту рекомендуется подобрать ортопедическую обувь. Она фиксирует ногу в правильном положении и снимает с сустава чрезмерную нагрузку.
На ранней стадии недуга врачи рекомендуют выполнять комплекс специальных лечебных упражнений, цель которых — не дать костям истончаться, чтобы снизился риск их переломов. Однако, в случае прогрессирования болезни лечебная гимнастика откладывается до окончания курса терапии медикаментами. На протяжении всего периода лечения важно обеспечить ногам покой, избегая длительных перемещений и физических нагрузок.
Народные методы лечения
В исцелении недуга применяются народные средства, которые позволяют восстанавливать уровень кальция в организме. Вот наиболее распространенные средства, хорошо помогающие достичь этой цели:
- Яичная скорлупа, в которой очень много кальция. Для использования в качестве целебного средства ее нужно растереть в порошок. Принимать скорлупу в порошкообразном виде следует по 0,5 чайной ложки дважды в день. Важно обращать внимание на уровень кислотности в желудке. Если у человека она повышена, лекарство запивают водой. А при пониженной кислотности — надо заливать порошок такой смесью. В стакане воды растворить 5 грамм меда или сахара и 1 чайную ложку яблочного уксуса. Чтобы укреплять и восстанавливать кости, яичную скорлупу в порошкообразном виде можно смешивать с соком лимона. Это лекарство употребляется перед едой 3 раза в день. Лечиться яичной скорлупой требуется не меньше 1 месяца.

- Овсяная каша. Это простое, но весьма действенное средство от остеопороза. Овсяные хлопья замачиваются в воде на 3 часа, после чего из них обычным способом готовится каша, которую можно есть каждый день в любых количествах.
- Целебный бальзам из аптечных настоек горца птичьего, пикульника обыкновенного и хвоща полевого, взятых и смешанных по 0,3л. Принимать лекарство надо 3 раза в день за 30 минут до еды.
- Отвары ромашки, зверобоя, окопника, пикульника. Сухие травы надо размолоть в блендере и использовать для приготовления отваров. Столовая ложка травы или смеси заваривается кипятком и томится на водяной бане 30 минут. Принимается отвар 3 раза в день за 30 минут до приема пищи. Лечиться таким средством следует 1 месяц.
- Компресс из окопника. Траву нужно измельчить, заварить кипятком из расчета стакан воды на столовую ложку растительного сырья, дать настояться 30 минут. Добавить в настой окопника 3—5 капель димексида. Использовать полученное средство в виде компресса, который позволяет снимать воспалительный процесс и боль.
Помимо использования медикаментозных и народных средств, для исцелении недуга важно организовать правильное питание. Для этого в рационе человека, страдающего хрупкостью костей, обязательно должны присутствовать продукты, богатые кальцием, витамином D, фосфором, магнием, цинком и медью. Эти элементы содержатся в кисломолочной и молочной продукции, морепродуктах, орехах, зеленых овощах, фруктах, зерновом хлебе, сухофруктах, зелени, крупах, рыбе, яйцах, мясе птиц.
Чтобы не допустить вывода кальция из организма, надо отказаться от употребления алкоголя и газированных напитков, жирных, копченых, острых и сладких продуктов. Также надо бросить курить, так как никотин не позволяет кальцию нормально усваиваться.
Недуг легче предотвратить, чем потом пытаться его вылечить. Поэтому с молодых лет важно уделять внимание профилактическим мерам. Нужно правильно организовать питание, включая в него продукты с кальцием и витамином D, заниматься бегом, плаваньем, танцами, чтобы улучшить координацию движений, совершать частые пешие прогулки, следить за своим весом, чтобы лишние килограммы не смогли послужить дополнительным фактором, приводящим к развитию остеопороза.
fitoinfo.com
Остеопороз стопы: симптомы, лечение, рекомендации
Человек научился ходить на двух конечностях уже давно, однако такой способ передвижения породил в себе немало проблем. Например, серьезно повысилась нагрузка на позвоночник и на ноги, особенно на ступни. В сочетании с интенсивным ритмом жизни, малой двигательной активностью, неправильным питанием и сопутствующими заболеваниями, могут появиться всевозможные проблемы опорно-двигательного аппарата. Одной из таких является остеопороз стопы.
Сам по себе остеопороз – это нарушение, при котором происходят значительные потери кальция, из-за чего кости становятся более ломкими и хрупкими. Он может быть как общим, так и местным, поражая лишь определенные части нашего тела, в том числе и ступни.
С заболеванием необходимо срочно бороться, и сегодня мы поговорим о том, как его выявить и лечить. Итак, что такое остеопороз стопы, какие симптомы и проявления заболевания, как проходит лечение?
Читайте также: Виды остеопороза и их особенности
Что такое остеопороз
Остеопороз – это заболевание метаболической формы, при котором отмечается нарушение обменных процессов кальция в костях. Он постепенно вымывается из них, из-за чего они утончаются, становятся более хрупкими и склонными к переломам. Развитие данной болезни может проходить в любой части нашего тела и ступни не являются исключением. Причины нарушений подобного рода довольно типичны для большинства проблем со здоровьем.
Перечислим основные из них:
- Гормональная перестройка в женском организме в постклимактерический период.
- Возрастной фактор. Особенно нарушениям подобного рода подвержены люди в возрасте 60 лет и старше.
- Недостаток кальция и витамина Д. Подобные явления часто встречаются при беременности, а также из-за неправильного питания и неполноценного рациона.
- Злоупотребление спиртными напитками, табакокурение.
- Лишний вес.
- Сидячий образ жизни, минимум двигательной активности. Также к остеопорозу склонны и лежачие больные.
- Травматичные виды спорта.
- Употребление некоторых лекарственных средств: противосудорожных препаратов, иммунодепрессантов и т. д.
- Наследственность. Доказано, что остеопорозу особенно подвержены представители европеоидной и монголоидной расы (генетическая склонность), а также люди, чьи родственники сталкивались с подобными проблемами.
Кроме того, заболевания подобного рода могут быть вызваны какими-либо сопутствующими нарушениями в организме.
Симптомы остеопороза
Одной из самых больших проблем данного заболевания является тот факт, что на начальной стадии оно практически не подает признаков. Как правило, его можно выявить только в условиях медицинского учреждения, а для этого необходимо обратиться в больницу. Зачастую остеопороз удается выявить после того, как больной вынужден обратиться к специалисту из-за какого-либо перелома. Вместе с тем травмы не становятся достоверным подтверждением данного заболевания. Врачи могут заподозрить остеопороз в случае, если голеностоп повредился без какой-либо существенной нагрузки на него.
Выявить остеопороз в домашних условиях практически невозможно, но определенные проявления все-таки есть. Первоочередной признак – сильная боль при любом воздействии на голеностопный сустав. Более того, иногда неприятные ощущения могут возникать даже в случаях, если нога находится в покое и не испытывает каких-либо нагрузок. Болевой синдром без видимой на то причины – первоочередной сигнал тревоги.
Боли могут появляться при нажатии на сустав и на кости, расположенные рядом. Также стоит отметить опухание и покраснение тканей в данной области. Больному сложно надеть обувь из-за постоянных неприятных ощущений. Также вы можете заметить и постоянный хруст в голеностопе. Если не начать своевременное лечение, проблема способна перерасти в деформацию сустава.
Читайте также: Симптомы и лечение постменопаузального остеопороза
Кроме того, отмечаются симптомы, которые характеризуют любой остеопороз. К их числу следует отнести:
- болевые ощущения в области позвоночника;
- уменьшение роста;
- сутулость.
Если вы отметили подобные проблемы, незамедлительно обратитесь к ревматологу и ортопеду! Возможно, потребуется обращение и к эндокринологу. Только своевременная диагностика и правильно подобранное лечение смогут остановить прогресс заболевания. Далее разберемся, как определяют остеопороз и как борются с нарушением.
Диагностика и лечение болезни
Перед лечением проводится углубленное обследование пациента, которое позволит подтвердить наличие заболевания и определить показания к тем или иным методам борьбы с ним. На сегодняшний день используется два основных способа диагностики:
- Рентгенография.
- Костная денситометрия.
Последний метод является самым безопасным для здоровья пациента. Он не причиняет неприятных ощущений и позволяет достоверно установить наличие нарушения в организме. Диагностика данным способом помогает добиться следующих результатов:
- определение точек с минимальной костной массой, а значит, и наиболее подверженных переломам;
- достоверное оценивание рисков переломов у больного в будущем;
- выявление уровня потерь костной массы;
- оценивание итогов использования тех или лекарственных средств.
Лечение заболевания назначается специалистом только после того, как будут получены результаты диагностических мероприятий. Помимо подтверждения диагноза, врач также может установить наличие противопоказаний к тем или иным методам лечения. Сразу же оговоримся, что остеопороз – заболевание хроническое и полностью излечиться от него невозможно. Но медицина 21 века способна остановить потери кальция и не допустить последующих потерь массы. Методы лечения могут быть следующими:
- При ярко выраженном болевом синдроме специалист прописывать анальгетики. Медикаментозные препараты данной группы предназначены для устранения болей в голеностопном суставе. Используя эти средства, пациент может существенно повысить качество жизни. Чаще всего данные препараты не входят в схему лечения остеопороза на начальных стадиях.
- Биофосфонаты. Препараты данной группы являются важнейшими при борьбе с остеопорозом стопы. Они дают возможность не допустить потерь костной массы. Кроме этих медикаментов также назначаются специальные витаминно-минеральные комплексы с повышенным содержанием кальция и витамина Д. Специалисты советуют изменить свой рацион и употреблять больше молокопродуктов, орехов и бобовых.
- Для борьбы с остеопорозом голеностопного сустава используется специальная ортопедическая обувь. Она необходима для полноценной фиксации ступни и устранения чрезмерной нагрузки.
- Заболевание на ранних стадиях лечится при помощи специальных упражнений ЛФК. Они направлены на увеличения костной массы и снижения риска травм. При прогрессе остеопороза от ЛФК отказываются, отдавая предпочтение медикаментозной терапии. При улучшении ситуации врач снова может назначить упражнения.
- Физиотерапия. Цель мероприятий – повышение плотности тканей. Для больных могут быть назначены прогревание и электростимуляция. Назначать любые физиотерапевтические процедуры должен только лечащий врач.
- Максимум покоя. Излишняя нагрузка на голеностоп может привести к травмам, а значит, следует забыть о длительных прогулках и тренировках. Нога не должна перегружаться, ведь это приводит к неприятным последствиям.
Любую болезнь лучше предотвратить, чем потом лечить. Данное правило актуально и для остеопороза стопы. Специалисты советуют проводить как можно больше времени на свежем воздухе и получать умеренные физические нагрузки. Рекомендуется много гулять, заниматься плаванием и бегом. Также хорошим способом избежать остеопороза будут танцы.
Читайте также: Профилактика и препараты для лечения остеопороза у женщин после 50
Главной причиной ломкости костей является вымывание из них кальция, поэтому рацион также должен быть сбалансирован. Употребляйте в достаточном количестве продукты, в состав которых входят кальций и витамин Д. Также возможно применение и всевозможных витаминно-минеральных комплексов и пищевых добавок, однако употреблять их без разрешения врача не стоит. Следите за своей массой, правильно питайтесь и дозируйте нагрузку! Тогда, скорее всего, вам не придется столкнуться с такой проблемой, как остеопороз стопы.
https://youtu.be/De9_TWo6ElQ
spinadoctor.ru
Остеопороз – ранние признаки и явные симптомы остеопороза суставов
Эффективность лечения любого заболевания зависит от сроков выявления и начала терапии. Остеопороз на начальных стадиях развития обычно никак себя не проявляет, и иногда диагноз устанавливается только после перелома кости.
Содержание статьи:Как определить остеопороз на ранних стадиях?
Вовремя начатое лечение остеопороза позволит остановить разрежение костной ткани, восстановить ее структуру и предотвратить осложнения- именно поэтому необходимо внимательно присмотреться к признакам начинающегося заболевания и вовремя обратиться к врачу.
Важно знать первые признаки и пройти своевременную диагностику остеопороза, чтобы при возможности устранить факторы, способствующие развитию патологии.
На ранних стадиях остеопороз проявляется:
- Болями в костях, наиболее выраженными при переменах погоды.
- Повышенной общей утомляемостью.
- Заболеваниями полости рта: появлением зубного налета и камня, пародонтозом – невоспалительным поражением околозубных тканей.
- Ранним появлением седины.
- Тахикардией – учащенным сердцебиением.
Не пропустите признаки остеопороза рук и ног!
Клинические проявления остеопороза верхних и нижних конечностей:
- Ноющие боли в костях, которые усиливаются при переменах погоды.
- Судороги в мышцах верхних и нижних конечностей в ночное время.
- Хрупкость ногтей, их расслаивание.
- Деформации конечностей, чаще всего нижних. Отмечаются при длительной патологии костной ткани.
Осложнениями остеопороза конечностей являются патологические переломы — наиболее часто встречаются переломы лучевой, плечевой кости, перелом шейки бедренной кости.

Патологический перелом – это перелом кости, который возникает при незначительном воздействии (слабый удар, падение не с высоты, нормальные нагрузки – ходьба) на кость из-за ее хрупкости.
Поскольку патологические переломы не сопровождаются такой же сильной болью, как травматические, некоторое время перелом даже остается незамеченным, человек продолжает терпеть боль и не обращается за медицинской помощью.
Наиболее опасен патологический перелом шейки бедра, так как он очень часто приводит к инвалидности.
Симптомы патологического перелома шейки бедра:
- Сильные боли в паховой области.
- Укорочение больной ноги на несколько сантиметров (до 4 см).
- Поворот ноги наружу.
Как не спутать с другими заболеваниями позвоночника?
Остеопороз существует в нескольких видах и стадиях, заболевание затрагивает все кости скелета, в том числе — и позвоночного столба. Остеопороз позвоночника также протекает латентно, без ярко выраженных болевых симптомов, очень часто ошибочно диагностируется, как остеохондроз.
Симптомы, которые могут указывать на остеопороз позвоночника:
- Боли в спине (чаще всего в грудном и поясничных отделах позвоночника).
- Нарушение осанки, как правило, сутулость.
- Уменьшение роста.
- Ухудшение подвижности позвоночника.

Осложнением остеопороза позвоночника являются компрессионные переломы позвонков. Такой перелом возникает при чрезмерном давлении на тело позвонка, однако при остеопорозе перелом возникает даже при обычных нагрузках.
Компрессионный перелом проявляется сильными болями в области позвоночника или конечностей.
Симптомы и последствия остеопороза суставов
Клинические проявления остеопороза суставов напоминают симптомы при артрозе:
- Хруст в суставе во время движения.
- Отек в области сустава.
- Деформации сустава.
- Ухудшение подвижности.
Чаще всего регистрируются остеопороз тазобедренного сустава, остеопороз коленного сустава, остеопороз плечевого сустава. Наиболее опасен остеопороз тазобедренного сустава, который может привести к перелому головки сустава и инвалидности.
www.operabelno.ru
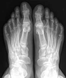
Остеопороз стопы: фото, симптомы и лечение
При остеопорозе стопы симптомы и лечение — это проблема, которая находится в поле зрения нескольких медицинских областей. Прежде всего следует обратиться к травматологу-ортопеду для постановки первичного диагноза. Однако дальнейшие действия зависят от этиологического механизма болезни, и, скорее всего, придется подключаться эндокринологу и ревматологу. Данная патология касается заболевания опорно-двигательной системы человека, но обуславливается нарушениями обменных процессов, а потому требует участия в лечении врачей разного профиля.

Сущность патологии
Остеопороз представляет собой поражение костной ткани, связанное с ее структурными изменениями в результате нарушения метаболических процессов, вызванных ухудшением обмена веществ, особенно дефицитом кальция. Его соли плохо удерживаются в костной ткани и выводятся из нее, что вызывает хрупкость и рыхлость структуры.
Остеопороз костей стопы является локальной разновидностью патологии. Данный вид остеопороза считается распространенным явлением, что вызвано огромными нагрузками, которые испытывает ступня при перемещении. В вертикальном положении тела весь вес человека приходится именно на нее. Кроме того, провоцируют болезнь и многие другие факторы.
Фото. Уменьшение силы стопы при остеопорозе
На фото можно увидеть проявления остеопороза стопы. На начальной стадии патология имеет очаговый характер, что выражается в поражении не всей костной системы ступни, а только некоторых элементов. Теряя кальций, костная ткань претерпевает существенные структурные изменения. Заметно снижается ее плотность, постепенно теряется костная масса, и сама кость истончается. Естественно, что это приводит к снижению ее прочности.
В результате таких разрушительных процессов резко возрастает риск переломов поврежденной кости, причем даже при небольших нагрузках.
Симптоматические проявления
Специфика развития остеопороза стопы состоит в том, что он может долго протекать без проявления симптомов. Это и затрудняет раннее диагностирование болезни, а человек обращается к врачу, когда костные поражения уже достигают необратимого характера. Основное проявление патологии связано с хрупкостью кости. В таких условиях даже некритические нагрузки вызывают костные переломы в области голеностопа. Резкие движения, приземление при прыжке, неудачная постановка ступни при движении могут стать причиной такого явления.
По мере прогрессирования болезни начинают проявляться характерные симптомы. Возникает болевой синдром вначале только при ходьбе (особенно по лестнице), но затем ощущается и в состоянии покоя. Усиление боли отмечается при надавливании на пораженную кость. В запущенной стадии заметна припухлость ступни и покраснение. Болевой синдром приводит к ограничениям при перемещении, вызывает изменение походки. Появляются общие признаки ухудшения состояния:
- слабость;
- сутулость;
- снижение трудоспособности;
- быстрая утомляемость;
- нарушение сна.
Развитие остеопороза приводит к уменьшению роста человека, ранней седине волос. Болезнь приобретает системный характер, что отражается на состоянии волос и ногтевых пластин.
Принципы лечения патологии
Как лечить остеопороз стопы? Лечение необходимо начинать на ранней стадии, когда костные ткани еще можно регенерировать. В целом оно основано на комплексной терапии и проводится в длительном режиме. Курс лечения должен осуществляться под контролем врача и после постановки точного диагноза. Дело в том, что симптомы остеопороза стопы во многом аналогичны суставным заболеваниям, а потому болезнь необходимо дифференцировать от артрита, артрозов и т.п.
Важная роль в комплексном лечении отводится организации правильного питания. Диетотерапия не предусматривает жестких мер, но рацион необходимо дополнить продуктами с повышенным содержанием:
- кальция;
- витамина D;
а также таких микроэлементов, как:
- магний;
- фосфор;
- медь;
- цинк.
С учетом этого рекомендуется увеличенное потребление:
- кисломолочной продукции;
- молока;
- орехов;
- бобовых культур;
- морепродуктов;
- хлеба грубого помола;
- зелени;
- овощей;
- кунжута;
- сухофруктов;
- куриных и перепелиных яиц.

Необходимо полностью отказаться от употребления:
- газированных напитков;
- алкоголя;
- продуктов повышенной жирности.
Резко ограничивается соль. Рекомендуется воздержаться от сладостей. Следует помнить, что любое питание, ведущее к прибавке массы тела, вызывает повышение нагрузок на ступню, что стимулирует развитие остеопороза. Овощи следует употреблять в свежем виде, т.к. это обеспечивает максимальное поступление витаминов и микроэлементов.
Во время проведения курса лечения необходимо позаботиться о защитных мерах. Значительный положительный эффект дает ношение ортопедической обуви, которая позволяет фиксировать ступню и голеностоп в оптимальном положении и делает нагрузки более равномерными. Помогает и применение специальных ортопедических стелек, которые устанавливаются в повседневную, обычную обувь.
На первых стадиях остеопороза эффективность лечения в значительной степени повышает регулярное проведение лечебных физических упражнений для стопы, помогающих повысить костную массу и уменьшить риск травм за счет укрепления мышц.
Физкультурный комплекс лучше выбирать при участии специалиста для выбора оптимальных нагрузок и продолжительности тренинга.
Медикаментозная терапия
Основное консервативное лечение проводится с использованием медикаментозных препаратов. В целом противоостеопоретические средства можно подразделить на 3 категории:
- снижающие рассасывание костной ткани;
- обеспечивающие увеличение костной массы;
- универсального воздействия.

Первую группу составляют противорезорбтивные препараты — бисфосфонаты и пирофосфаты. Особо выделяются следующие лекарства:
Для обеспечения прироста костной массы назначаются фторсодержащие лекарства (Оссин, Кореберон), препараты паратиреоидного типа (Терипаратид, Форстео). К универсальным средствам можно отнести:

При лечении остеопороза важно обеспечить необходимый уровень кальция, для чего назначаются кальциевые препараты. Часто применяются монопрепараты: хлорид, лактат или глицерофосфат кальция. При необходимости рекомендуются комбинированные средства с сочетанием кальция и витаминов: Элевит, Нутримакс, Компливит, Кальцинова.
Остеопороз стопы является не просто неприятным, а опасным заболеванием, способным нарушить двигательные способности человека. Лечение необходимо проводить на ранних стадиях, не дожидаясь, пока структура костных тканей будет уже необратимо поражена.
ortocure.ru
Что Такое Остеопороз: Причины, Симптомы и Лечение
Остеопороз является серьезным заболеванием, при котором костная ткань теряет свои природные свойства, такие как плотность. Причины развития недуга – нарушения процессов смены старых костных клеток новыми.
Остеопороз – заболевание заметное со временем
Это заболевание часто протекать с минимальными симптомами, но может заявить о себе резко. Есть много заболеваний, которые способны существенно снизить качество жизни человека, внося свои коррективы в образ деятельности, одно из них – остеопороз. Симптомы и лечение будут отличаться в зависимости от того, какой отдел опорно-двигательного аппарата поврежден этой болезнью.
Содержание статьи
Физиологические процессы в костной ткани и неумолимая статистика

Остеопороз – проблема костей и околосуставной области
Кость человека имеет сложное и уникальное химическое строение. Биологические процессы, происходящие в ней на протяжении жизни, способствуют регулярному клеточному обновлению и изменению внутреннего строения.
Физиологические явления в костной системе, необходимые для нормального существования организма, протекают за счет постоянного разрушения ткани остеокластами (клетками, растворяющими минеральные составляющие и коллаген) и возобновление ее остеобластами (молодыми костными структурами).
Описанные биологические функции еще называют ремоделированием. Другими словами, этот процесс можно охарактеризовать так: вследствие разрушения костной ткани в кровь поступают ионы кальция, которые берут участие в восстановлении образующихся повреждений, то есть происходит круговорот минералов в организме.
Интересно знать! Согласно многочисленным исследованиям было доказано, что именно гормоны щитовидной, паращитовидной, поджелудочной и половых желез, а также коры надпочечников и гипофиз регулируют правильное ремоделирование костной ткани.
Согласно наблюдениям, приведенным в 2013 году в Российской Федерации, были опубликованы следующие факты:
- частота заболевания среди населения после 50 лет составляет около 30%;
- возрастная категория с переломом шейки бедра значительно «помолодела» — если раньше к патологии были предрасположены пожилые люди, то сейчас среди хирургических больных все чаще встречаются пациенты 40-50 лет;
- статистика сообщает, что ежеминутно на территории страны в связи с остеопорозом происходит пять переломов позвонков и пятнадцать — нижних и верхних конечностей.
- каждые пять минут регистрируется перелом шейки бедра, который опасен своей инвалидностью (человек во многих случаях прикован в постели) и высокой смертностью в первый год.
В целом, остеопороз – это одно из проявлений старения организма. Каждый человек должен знать об этом заболевании для того, чтобы суметь вовремя отдалить прогрессирование патологии и, возможно, избежать серьезных осложнений.
Причины остеопороза и факторы, предрасполагающие к заболеванию
Более половины пациентов, страдающих патологией – это женщины старше 50 лет. Заболевание может возникнуть вследствие многих причин, часть которых, к сожалению, человек создает искусственно. Сюда можно отнести курение, злоупотребление алкоголем и наркотическими средствами.
Также существуют и другие факторы, которые могут привести к остеопорозу (предлагаем ознакомиться с таблицей):
| Заболевания, связанные с нарушением всасывания микроэлементов в желудочно-кишечном тракте, в том числе грубые диеты | Всасывание кальция больше всего происходит в желудке и 12-и перстной кишке. Таким образом, если человек страдает такими хроническими патологиями, как язвенная болезнь и гастрит, то у него в разы возрастает вероятность в будущем столкнуться с остеопорозом. |
| Генетическая предрасположенность | Считается, что если в семье встречался остеопороз (например, у мамы), то высокая вероятность того, что у детей также возникнет костная патология. Этот факт имеет генетическую обусловленность, связанную с изменением гена, отвечающего за выработку коллагена и витамина D (необходим для усвоения кальция и фосфора). Из генетических патологий, приводящих к множественным переломам можно выделить наиболее тяжелую — болезнь Лобштейна-Вролика. |
| Нарушение гормонального баланса | Женщины, вступающие в менопаузу, автоматически входят в группу риска по возникновению климактерического остеопороза. Заболевание в этом случае связано со снижением выработки половых гормонов, отвечающих за продуцирование строительных клеток костной ткани. Сюда также можно отнести удаление яичников и применение кортикостероидов. |
| Возраст | Практически у всех людей в преклонном возрасте отмечается снижение плотности костей, следовательно, это приводит к их повышенной хрупкости. |
| Малоподвижный образ жизни | Костная ткань формируется под воздействием физической нагрузки. Таким образом, гиподинамия провоцирует разрушение костной ткани, что увеличивает риск возникновения перелома. |
Медицина также описывает вторичный остеопороз, развивающийся на фоне серьезных заболеваний, которые со временем приводят к костному разрушению.
Сюда можно отнести следующие патологии:
- Сахарный диабет. Высокий уровень глюкозы и недостаток инсулина ухудшают процессы минерализации костной ткани. Вместе с тем снижается синтез белка, коллагена, что также отрицательно воздействует на процесс образования кости.
- Болезнь Бехтерева. При этом заболевании остеопороз развивается по причине снижения подвижности сустава (этот фактор препятствует поступление кальция в кость). Кроме того, организм расходует поступающие минералы не на укрепление «твердой» ткани, а на формирование лишних деталей скелета.
- Онкологические заболевания. Часто при раке врач назначает химиотерапию. Доказано, что это лечение нередко вызывает активацию остеокластов. Если это рак груди или органов малого таза у женщин, то зачастую врачи настаивают на искусственном климаксе. Как известно, эстроген к определенной степени «защищает» кость, а отсутствие этого гормона напрямую приводит к разрушению скелетной ткани. Рак кости также вызывает остеопороз – вначале страдают поврежденные кости, а затем распространение метастазов приводит к тому, что в процесс вовлекаются соседние и отдаленные участки скелета.
- Ревматоидный артрит. Эта патология характеризуется тем, что организм нападает на свои собственные здоровые клетки и ткани. Если атакуются суставы, то это приводит к активным высвобождениям энзимов, которые, в свою очередь способствуют износу окружающего хряща и кости.
- Гипотиреоз. Снижение функции щитовидно железы напрямую влияет на костный метаболизм. При гипотиреозе наблюдается нарушение кальциевого метаболизма, что приводит к замедлению скелетного ремоделирования.
Следует отметить, что к остеопорозу могут привести хронические патологии крови, почек, сердца, а также болезни легких (бронхиальная астма, бронхит).
Особенности остеопороза
Симптомы остеопороза у женщин ничем не отличаются от симптомов у мужчин, но причины возникновения и течение заболевания имеют следующие особенности:
- Заболевание имеет свойство развиваться при наличии нарушений гормонального фона. Так при снижении продукции женских гормонов у женщины повышается вероятность развития заболевания и появления ломкости костей.
- Уровень гормонов снижается из-за операционных вмешательств, после удаления яичников.
- У женщин в период менопаузы, когда концентрация гормонов снижается естественным путем, кости стремительно теряют кальций. Дамы в таком возрасте склонны к переломам, а значит должны быть внимательнее к своему телу.

Дети тоже могут столкнуться с остеопорозом
Симптомы остеопороза у детей на ранних этапах не имеют особенностей. Иногда ребенок жалуется на боли в ногах и спине при длительном нахождении в вертикальном положении.
Когда заболевание прогрессирует, появляются характерные «детские» черты:
- переломы костей возникают без видимой причины, без наличия травм;
- рост ребенка ниже, чем рост его сверстников;
- поясничный прогиб сглаживается, грудной изгиб становится заметнее, живот выпячивается;
- при отклонении позвоночника в сторону по отношению к срединной линии, на спине наблюдаются кожные складки, так визуально становится понятнее с какой стороны позвонки пострадали сильнее всего.
Важно: прогноз детского остеопороза благоприятнее, чем у взрослого человека, при своевременном лечении организм ребенка восстанавливается скорее и активнее.
Часто определяется остеопороз, как симптом основного заболевания. Он сопровождает ревматоидный артрит.
В таких ситуациях уменьшение плотности костной ткани будет наблюдаться близ очагов основного заболевания. Диагностические обследования демонстрируют изменения костей рядом с пораженными суставами.
Особенности поражения тазобедренного сустава

Тазобедренные кости часто поражаются недугом
Симптомы остеопороза тазобедренного сустава имеют свои характерные особенности:
- Боль возникает в самом суставе, а также иррадиирует в близлежащие ткани. Боль отдается в ногу, точнее в колено, для специалистов это главный симптом остеопороза тазобедренного сустава. Боль распространяется и в паховую область, и на внутреннюю поверхность бедра. Редко боль отзывается даже в позвоночнике. Такая обширная площадь распространения боли объясняется глубоким расположением сустава.
- Из-за болей походка больного начинает меняться.
- По ночам у больных наступают судороги.
- При отсутствии лечения возникает изменение осанки в целом.
Остеопороз этой области приводит к перелому шейки бедра – самой уязвимой кости.
Важно: когда у пожилого человека происходит перелом шейки бедра, то это приводит к вынужденному неподвижному состоянию, пациенты в возрасте тяжело переносят этот период, частые явление – застойные процессы в легких.
Особенности поражения позвоночника

Основные симптомы остеопороза позвоночника – боли
Поражение позвоночного столба считается самым сложным случаем. Ведь позвоночник – опора всего организма. Именно к нему присоединяются все конечности человека. От позвоночника отходят ребра, которые формируют полость для защиты жизненно важных органов.
Начальные стадии болезни не дают о себе знать, пока не возникают другие проблемы с позвоночником. Так при обследовании позвоночника на наличие других проблем, может быть случайно выявлен остеопороз на заре формирования недуга.
При заболевании симптомы остеопороза позвоночника будут следующими:
- Главная жалоба – сильная боль, появляющаяся при поворотах тела, поднятии тяжелых предметов, приземлении после прыжка, падениях. Боль может задерживаться на срок до 1,5 часов, потом постепенно наступает снижение интенсивности боли. Под воздействием нарушения состава кости, позвонки подвержены микроскопическим переломам. Если этих надломов становится слишком много, позвонки теряют форму и уменьшаются в объемах, уплощаются. Боли становятся постоянными, усиливаются при покашливании, чихании или при обычных движениях тела.
- Постепенно от одного позвонка деформирующие процессы передаются на другие позвонки, так стартует деформация всего позвоночного столба. Чаще всего сначала поражаются позвонки грудного и поясничного отделов. Именно эти области принимают на себя большую часть нагрузи при повседневных действиях, например, при подъемах тяжести. Более уязвимыми эти зоны делают природные изгибы. Поврежденный позвоночник меняет свой естественный строй, больной становится сутулым, есть вероятность появления горба. Деформирующие процессы нарастают.
- Со временем больные становятся заметно ниже ростом. Уменьшение бывает от 5 до 15 см. Грудная клетка сжимается, уменьшаясь в размерах, визуально руки кажутся длиннее, возникает непропорциональность. Если заболевание не лечится, дистрофические процессы прогрессируют, то тазовые кости и ребра приближаются друг к другу. Так могут возникать боли в боку.
- Сразу после микроперелома позвонка ощущается болезненность с четкой локализацией, а также при пальпации.
- Важный симптом, помогающий дифференцировать остеопороз от других проблем с позвоночником – отсутствие признаков защемления или повреждения спинного и его корешков.
Диагностика остеопороза
Обследование на наличие остеопороза может быть целенаправленным или выполняться для уточнения другого диагноза.
Основные методы
Для выявления недуга подходят методы:
- Рентгенография – дает четкую картину насыщенности костей тканями. Болезнь позвоночника определяется по состоянию позвонков, их форме, размерам, наличию позвоночных структур.
- Костная денситометрия – методика использующая рентгеновское излучение. По результатам исследования анализируется степень поглощения рентгеновских лучей костной тканью. Эта информация позволяет судить степени плотности кости. Данный метод является самым безопасным и удобным для проведения. Он информативен, с его помощью можно контролировать состояние костей, отслеживать все изменения.
- Радиоизотопное сканирование костей позволяет говорить о наличии болезни, а также выявлять наиболее пораженные места. Метод позволяет судить о степени заболевания.
Рентген – основной метод исследования
Дополнительные методы
Также существуют лабораторные методы исследования. Которые позволяют судить о качестве обменных процессов в организме больного.
Подходят следующие методы:
- клинический анализ крови и общий анализ мочи;
- анализ крови на биохимию, с уточнением содержания фосфатов, ферментов печени, билирубина и мочевины;
- определение уровня половых гормонов и щитовидной железы.
Лечение остеопороза
Терапия заболевания зависит от стадии разрушения костных тканей. Именно для этого необходимо использовать методы исследования, которые дают возможность оценить степень сохранности и разрушения клеток костей.
Зависимость терапии от выраженности болезни:
| Степень заболевания | Лечение |
| Болезнь не успела развиться в серьезное состояние. Больной не предъявляет серьезных жалоб, или заболевание было обнаружено случайно при обследовании. | Терапия будет заключаться в сохранении плотности костной ткани. Важно, чтобы пациент вел образ жизни, не способствующий получению травм и переломов конечностей. |
| Болезнь достигла стадии, когда начинает причинять беспокойство человеку. Больной жалуется на боль различного качества. | Проводится купирование болевого синдрома, чтобы облегчить жизнь больному. Профилактика сохранения костной массы на этой стадии все еще актуальна. Уделяется внимание улучшению осанки больного и мероприятия по восстановлению безболезненной подвижности позвоночного столба. |
Образ жизни

Изменение образа жизни к лучшему, поможет справиться с болезнью
Очень важную роль во время лечении любой стадии остеопороза играет стиль жизни больного. Чем больше человек будет уделять внимание своему здоровью и профилактике осложнений, тем выше вероятность, что наличие болезни не уменьшит социальную активность пациента.
Затормозить развитие остеопороза могут несколько простых правил:
- Питание должно соответствовать специальной диете. Коррекция потребляемых продуктов способна повысить поступление микроэлементов, которые помогут кальцию сохраняться в костях и даже всасываться с новой силой. Важнейшие элементы для здоровья костей – фосфор, кальций, витамин Д. Есть виды продуктов, которые наоборот, заставляют полезные элементы вымываться из организма с удвоенной силой. От употребления таких продуктов больным нужно воздерживаться. Опасные продукты – мучные изделия, сахар, газированное напитки, алкоголь, табак, вредят и тем, у кого есть лишний вес.
- Физическая активность, которая соответствует возрасту и самочувствию больного способна улучшить состояние костной ткани. Правильная нагрузка укрепит кости и разгонит метаболизм, заставляя организм получать максимальное количество полезных веществ из употребляемой пищи. Занятия помогут снизить массу тела, это уменьшит нагрузку на кости, позволит им скорее восстановиться.
- Вредные привычки несомненно наносят вред организму, влияя на все системы. Вред употребления алкоголя, курения сигарет и их электронных аналогов, всем хорошо известен. Также нужно отнести к вредным привычкам – злоупотребление стимулирующими веществами, например, кофе, крепкий чай, медицинские препараты, энергетические напитки. Эти новые вредные привычки молча подрывают защитные силы организма.
- Вредные привычки в образе жизни – беда современного человека. Несоблюдение режима сна и бодрствования, работы и отдыха, ночные смены, чрезмерное нахождение за компьютером. Эти обыденные ситуации сказываются на самочувствии негативно. Отрицательный эффект долго не дает о себе знать, усталость и переутомление накапливаются постепенно, человек привыкает к своему не здоровому состоянию.
- Увлечение опасными видами спорта способны серьезно навредить больному остеопорозом. Нужно свести к минимуму любые риски перелома костей.
Фото и видео в этой статье продемонстрируют основы здорового образа жизни.
Борьба с болевым синдромом
Если причина болей – многочисленные микропереломы, то больному потребуется длительный прием обезболивающих. Для таких целей лучше всего подходят препараты из группы нестероидных противовоспалительных. Инструкция к применению этих препаратов очень проста, а цена делает доступными каждому.

Медикаменты – основа лечения
Многим больным хорошо помогают местные препараты – гели и мази. Особенности такого метода обезболивания – прямая доставка действующего вещества в ткани. Также препарат не вступает в контакт с органами пищеварительной системы. Слизистые оболочки пищеварительных путей и клетки печени не страдают в отличие от того, когда применяются пероральные препараты.
Краткосрочный обезболивающий эффект можно получить, если принять горячий душ или ванну.
Другие медицинские препараты
Помимо снятия боли есть другие проблемы, их решать помогают следующие препараты:
- Бисфосфонаты – препараты, которые замедляют разрушающие процессы, они возобновляют выработку новых клеток костей. При регулярном использовании лекарства в два раза сокращают возможность переломов компрессионного типа.
- Кальцитонин – натуральный гормон, его синтезируют из рыб лососевой породы. После начала приема усиливается усваивание кальция. Также препарат снижает болевой синдром.
- Прием эстрогенов у женщин помогает замедлить развитие заболевания, и предотвратить возникновение осложнений.
- Дополнительный прием витаминов поможет довести поступление нужных веществ до необходимого уровня. Это пригодится, если у человека не получается наладить достаточное поступление витаминов с пищей или есть проблемы с всасыванием полезных веществ из кишечника.
Профилактика
Профилактические меры пригодятся для следующих людей:
- людям, которые недавно добились ремиссии болезни или их состояние значительно улучшилось;
- люди, у которых в роду есть заболевания костей;
- тем, кто просто заботится о своем здоровье и старается вести правильный образ жизни.
Важно: любому человеку нужно выработать хорошую привычку – всегда держать спину прямо, это залог правильного распределения нагрузки на опорно-двигательный аппарат и грамотного расположения всех внутренних органов.
Вот рекомендации, которые помогут предупредить остеопороз:
- Воздерживаться от подъема тяжестей, если нужно что-то нести, стараться распределять груз равномерно на обе руки.
- Не прыгать с высоты.
- В период гололедицы и при катании на коньках, быть осторожным и не допускать падений, особенно на область копчика.
- Обувь должна быть удобной, противостоять скольжению и иметь небольшой анатомический каблук. Желательно использовать ортопедические индивидуальные стельки, которые помогут скорректировать постановку стопы при наличии проблем с ней.
- В автомобиле нужно всегда использовать ремни безопасности.
- При необходимости длительного пребывания в вертикальном положении возможно использование специального корсета, который снимет нагрузку со спины. Важно помнить, что постоянно использовать его нельзя.
- Женщинам в ожидании ребенка нужно пользоваться поддерживающим бандажом. Его также нужно использовать при длительном нахождении на ногах.

В пожилом возрасте эта болезнь особенно опасна
Одно из самых сложопрогнозируемых заболеваний – остеопороз позвоночника. Симптомы и лечение остеопороза будет зависеть от вида и этапа заболевания.
Чем раньше был обнаружен недуг, тем больше шансов восстановит состояние костей и не допустить развития осложнений. Поэтому так важно обращаться к врачу при первых признаках проблемы, чаще всего – это боли в спине. Не нужно надеяться, что боль пройдет сама собой, только квалифицированный врач может решить эту проблемы раз и навсегда.
vash-ortoped.com
