причины, симптомы, диагностика и лечение
Киста головного мозга – довольно опасный для человека диагноз, после установления которого необходимо строго соблюдать все предписания и рекомендации лечащего врача. Если заболевание было выявлено на ранних стадиях и пациент выполняет все указания, то в большинстве случаев удается предотвратить проявление нежелательных осложнений. Кистообразная опухоль может находиться в любом месте черепной коробки: именно от этого в большей мере и зависят развитие патологии и особенности лечения.
Что это такое?
Киста в головном мозге – это объемное доброкачественное образование внутри черепной коробки, которое имеет вид полости, заполненной жидкостью. Нередко оно имеет скрытое субклиническое течение, не сопровождающееся постепенным увеличением габаритов. В основном подозрение на появление кисты внутри головы возникает, если человек страдает эпилептическими пароксизмами либо внутричерепной гипертензией. Одной из особенностей данного заболевания головного мозга является то, что у значительной доли пациентов проявляются симптомы, соответствующие очагу образования кисты – это означает, что для диагностики достаточно всего лишь КТ и МРТ, а также нейросонографии для обследования новорожденного младенца или уже подросшего ребенка.
Многие современные нейрохирурги утверждают, что при правильном подходе к лечению локальное скопление жидкости во внутримозговом веществе либо оболочках не представляет слишком большой опасности ни для взрослого пациента, ни для ребенка.

Маленькие по размеру образования обычно отличаются субклиническим течением и поэтому их выявляют совершенно случайно путем нейровизуализирующего обследования головы. Если же киста имеет достаточно большие объемы, то из-за ограниченного интракраниального пространства она может стать причиной развития внутричерепной гипертензии, впоследствии чего произойдет сильное сдавливание соседних мозговых структур.
Клинически значимые размеры этого доброкачественного образования значительно варьируются и зависят от места его возникновения, а также компенсаторных возможностей кисты. Например, у маленького ребенка черепные кости более податливые, за счет чего латентное течение заболевания на протяжении долгого времени не сопровождается выраженной ликворной гипертензией.
Диагностировать образование можно в самые разные периоды человеческой жизни: начиная с рождения и заканчивая пожилым возрастом. Одна из специфических особенностей болезни заключается в том, что даже врожденная киста в голове у взрослого пациента чаще всего обнаруживается после достижения им 30-50-летнего возраста, а не в младенчестве.
Классификация
Кисты, которые образуются внутри оболочек головного мозга, разделяют на несколько видов по месту их локализации:
- Арахноидальные – это заполненные жидкостью пазухи, возникающие между двумя соседними мозговыми оболочками;
- Внутримозговые – доброкачественные опухоли, месторасположением которых является толща тканей левого или правого полушария головного мозга.
Кроме того, специалисты классифицируют кисты и по происхождению:
- Врожденные – следствие значительного нарушения внутриутробного развития плода. Также распространенной причиной болезни в данном случае может стать гибель большей части тканей мозга из-за внутриродовой асфиксии;
- Приобретенные – этот вид кисты развивается, как правило, вследствие получения различных травм головы, сильных кровотечений либо воспалительных процессов, имеющих разную природу.

Еще одна классификация основана на особенностях тканей, из которых была сформирована обнаруженная киста:
- Арахноидальная – киста, напоминающая небольшое сферическое образование, внутри которого находится спинномозговая жидкость. Следует отметить, что женщины страдают от нее гораздо реже, чем мужчины. Если опухоль не увеличивается со временем, то врачи не проводят пациенту оперативное вмешательство: осуществляется только регулярное наблюдение с целью выявления возможных изменений. В противном случае нельзя пренебрегать хирургическим методом удаления образования.
- Киста коллоидального типа – она представляет собой доброкачественное образование, развитие которого начинается еще при формировании центральной нервной системы (ЦНС). Обычно заболевание протекает без каких-либо симптомов до той поры, пока не достигнет критических параметров. После этого начинается блок оттока жидкости, которая проходит через головной мозг, и зачастую развивается гидроцефалия. В таких условиях назначается срочная операция, чтобы убрать опасную опухоль.
- Дермоидальную кисту еще нередко называют дермоидом – это аномалия развития человеческого головного мозга, при котором зародышевые клетки, предназначающиеся для формирования тканей лобной, височной и других частей фронтальной стороны лица, продолжают оставаться между спинным и головным мозгом. Тут поможет только хирургия.
- Эпидермоидная (эпидермоид) – разновидность кисты, характерной особенностью которой является формирование из зародышевых клеток, требующихся человеку для развития кожи, ногтей и волос. Избавиться от нее с помощью медикаментозных средств невозможно, необходим лишь хирургический способ устранения этого сплетения;
- Пинеальная киста – шишковидное тело, которое может иметь разные размеры. Ее диагностируют примерно у 1-4% пациентов. Характерным симптомом заболевания является возникновение достаточно сильной головной боли в случае поднятия глаз кверху, но у большинства людей киста не вызывает дискомфорта.
Причины возникновения
К факторам, которые оказывают влияние на появление врожденной кисты головного мозга, относятся практически все неблагоприятные воздействия на плод в антенатальный период беременности. Наиболее распространенными причинам развития болезни называют следующие:
- Проникновение в кровь плода различных внутриутробных инфекций;
- Фетоплацентарная недостаточность;
- Если женщина в период вынашивания ребенка принимала лекарственные препараты, которые оказывают тератогенное действие;
- Резус-конфликт;
- Гипоксия плода;
- Травма во время родов;
- Если внутриутробное развитие ребенка происходило в условиях отравления наркотическими средствами, никотином либо спиртными напитками;
- Если у будущей матери диагностировали хроническую декомпенсированную болезнь.
Киста приобретенного типа имеет другие причины развития:
- Получение черепно-мозговой травмы в любом возрасте;
- Нанесение достаточно сильного удара в затылочную и теменную область;
- Перенесение разных заболеваний воспалительной этиологии, к которым относятся арахноидит, энцефалит, менингит, а также абсцесс головного мозга;
- Ряд острых нарушений внутримозговой циркуляции крови, наступающих после приступа геморрагического либо ишемического инсульта, церебрального паралича тела, субарахноидального кровоизлияния в мозг;
- Постинсультное осложнение;
- Лакунарный инсульт и инфаркт мозга;
- Субэпидермальная ишемия;
- Постгеморрагическое осложнение.
Нередко приобретенная опухоль имеет паразитарное происхождение (при парагоминозе, эхинококкозе, церебральном тениозе).
Врачи выделяют тип образования с ятрогенным происхождением. Фактором, вызывающим его, называют послеоперационные осложнения. Кроме того, в голове могут протекать дегенеративные либо дистрофические процессы, провоцирующие замещение кистой церебральных тканей.
Дополнительно медики выделяют ряд факторов, которые «заставляют» доброкачественное кистозное образование постоянно расти, приводя к серьезным осложнениям:
- Различные нейроинфекции;
- Всевозможные травмы головы разной степени тяжести;
- Протекание воспалительных процессов внутри черепной коробки, вне зависимости от их природы;
- Развитие гидроцефалии;
- Сосудистые нарушения, включая инсульт и ухудшение венозного оттока из черепной полости.
Симптомы заболевания
Киста головного мозга зачастую имеет следующие симптомы:
- Часто повторяющиеся и продолжительные приступы головной боли;
- Регулярные головокружения;
- Внутри черепной коробки ощущается сильная пульсация в левом и правом полушарии, которая практически всегда мучает пациента;
- Мешает полноценно жить чувство давления, а также распирания в голове;
- Заметное ухудшение координации движений всех частей тела;
- Нарушение слуха и появление постороннего шума в ушах;
- Ухудшение зрения, которое может проявляться размытостью объектов и их раздвоением;
- Возникновение галлюцинаций;
- Значительное снижение уровня чувствительности поверхности кожных покровов;
- Паралич;
- Парез верхних и нижних конечностей;
- Развитие рассеянного склероза;
- Базальный пневмосклероз;
- Аневризма кровеносных сосудов;
- Довольно частые эпилептические припадки;
- Выраженный тремор верхних и нижних конечностей;
- Частые потери сознания;
- Приступы тошноты, обычно сопровождающиеся рвотой;
- Отсутствие полноценного сна.
Специалисты утверждают, что если опухоль обладает клинически незначимыми параметрами, то в большинстве случаев полностью отсутствуют какие-либо из множественных признаков заболевания. Однако при достижении полостью крупных объемов за короткий промежуток времени проявляется характерная клиническая картина, особенности которой определяются локализацией опухоли, силой сдавливания окружающих ее тканей и степенью ухудшения оттока церебральной мозговой жидкости.
Особенности диагностики
На сегодняшний день основными методами диагностики и последующего прогноза данной болезни являются МРТ (магнитно-резонансная томография) и КТ. Полученная томограмма показывает состояние всех составляющих мозга (эпифиза, мозжечка, гипофиза, нервных ганглий и других частей). С ее помощью можно увидеть место расположения перивентрикулярного глиозного очага и атрофических рубцовых следов внутри головного мозга без вскрытия черепной коробки, оценить их форму, размеры и интраселлярный рост.
Кроме того, данные способы обследования позволяют сделать дифференциальную диагностику промежуточного состояния между доброкачественной кистой и злокачественной опухолью. После внутривенного введения специального контрастного вещества его продукт накапливается в опухолевых тканях, а киста при этом не становится контрастной.

Также нередко проводится эндоскопия и доплеровское ультразвуковое сканирование кровеносных сосудов с целью исследования их состояния, кровоснабжения тканей мозга, выявления локализации ишемии, в которой и активизируется образование кист.
Для уточнения диагноза врач может назначить пациенту ЭКГ и Эхо-КГ, использующиеся для проверки наличия симптомов сердечной недостаточности, присутствия сбоев в работе сердца, приводящих к ухудшению кровоснабжения всех частей мозга и появлению зон ишемии.
Постоянное измерение артериального давления дает специалисту возможность определить серьезность риска развития приступа инсульта, который может быть не только причиной возникновения так называемой «послеинсультной кисты», но и смертельно опасной для человеческой жизни.
Бывает, что пациентам назначаются и другие анализы:
- Проведение анализов крови для точного определения причины заболевания;
- Определение маркеров воспаления;
- Выявление различных аутоиммунных процессов, негативно сказывающихся на общем состоянии организма;
- Исследование степени свертываемости крови;
- Определение концентрации холестерина в крови;
- Наличие инфекций в организме пациента.
Лечение
Если у человека диагностирована киста головного мозга, необходимо подобрать лечение, которое будет максимально эффективным и позволит полностью вылечить данное заболевание, приостановить увеличения размеров кисты, а также предотвратить возникновение каких-либо осложнений.
Способ лечения болезни зависит от локализации образования и его размеров. Если параметры кисты соответствуют установленным нормам и не несут опасности для человеческой жизни, то, как правило, назначается традиционная терапия: гомеопатия с применением индивидуально подобранных препаратов, к которым у пациента нет никаких противопоказаний. Достаточно часто назначаются лекарства, содержащие железо. Такие медикаменты способствуют укреплению кровеносных сосудов и улучшению кровоснабжения.

Если киста постепенно увеличивается в размерах, оказывая повышенное давление на соседние части головного мозга, то не следует ждать, пока она рассосется самостоятельно. Подобный случай, как и заметное ухудшение самочувствия пациента, является показанием к хирургическому вмешательству и проведению операции с помощью лазера. Данная процедура позволяет полностью избавиться от полости, наполненной жидкостью.
Многие люди занимаются лечением народными средствами. Согласно результатам многочисленных исследований, положительно влияют на лечение заболевания средства, приготовленные на основе девясила и лопуха. Они замедляют рост кисты, улучшают кровообращение, нормализуют внутричерепное давление. Кроме того, часто врачи рекомендуют человеку, в головном мозге которого выявлена киста, соблюдать сбалансированное диетическое питание.
Киста головного мозга считается одним из достаточно распространенных заболеваний. Даже с учётом, что это доброкачественное образование, оно может привести к серьезным последствиям. Поэтому за кистой даже маленького объема требуется постоянное наблюдение. Чтобы вылечиться и забыть о данной проблеме, пациенту необходимо строго соблюдать все назначения лечащего врача. Таким образом, можно избежать хирургического вмешательства и обойтись только лекарственными препаратами и средствами народной медицины.
vsepromozg.ru
МРТ кист головного мозга | МРТ головного мозга

МРТ головного мозга. Арахноидальная киста полюса левой височной доли. Цветовая обработка.
Кисты головного мозга – это аномалии его развития. При МРТ в СПб мы видим задачу в дифференциальной диагностике с кистозными формами опухолей. При МРТ головного мозга некоторые виды кист, особенно дермоидные, сами напоминают опухоль.
Эпидермоидные кисты (эпидермоиды) – доброкачественные врождённые образования. Они происходят из эктопических эпидермальных клеток и развиваются в период закрытия, в 3-5 нед. эмбриогенеза, как следствие неполного разделения нейрональной и покровной эктодермы. Частота составляет около 1% от внутричерепных образований. Обычно диагностируются в возрасте 25 – 45 лет. Локализация эпидермоидов может быть любой, но типичная – мосто-мозжечковый угол (третье по частоте образование этой области), предмостовая цистерна, параселлярная область, четверохолмие и желудочковая система, очень редко в полушариях, спинном мозге и интрадиплоидно. Растут они интра- или экстрадурально, экспансивно, медленно, сдавливая ствол мозга, внутричерепные нервы, но не разрушая кость. Иногда захватывают сосуды и нервы. По характеру роста их можно отнести к опухолевидным образованиям. Вокруг эпидермоидов нередко развивается асептическое воспаление, а при разрыве содержимое (жир, кератин) прорывается в ликворные пространства. Клинические проявления зависят от локализации и масс-эффекта.
При МРТ головного мозга картина неспецифическая и зависит от содержимого кисты. Если она не содержит жира, топри МРТ головного мозга эпидермоидная киста имеет ликворную интенсивность сигнала. В таком случае эпидермоидная киста трудно отличима от арахноидальной, хотя, как правило, не столь однородная. На FLAIR томограммах и диффузионно-взвешенных МРТ головного мозга содержимое эпидермоидов светлее ликворного. Жировое содержимое, такие эпидермоиды еще называют холестеатомой, приводит к высокому сигналу на Т1-зависимых МРТ головного мозга. Видимо, он обусловлен липидами, но не холестеролом. На Т2-взвешенных МРТ головного мозга он менее интенсивен чем ликвор. Контуры эпидермоидов на МРТ всегда четкие. Холестеатомы составляют всего 3-5% от эпидермоидов. В 15-20% случаев встречается кальцификация по переферии кисты. Редко наблюдается усиление стенок кисты при МРТ головного мозга с контрастированием.

МРТ головного мозга. Т2-взвешенная аксиальная МРТ. Эпидермоидная киста в области предмостовой цистерны слева.
Дермоидные кисты встречаются реже эпидермоидных, составляя около 0,3 % от внутричерепных образований. Обычно выявляются в возрасте между 10 и 20 годами. Морфологически от эпидермоидов их отличает наличие эктодермальных элементов – волосяных фолликулов, потовых желёз и т.д. Типично они расположены по средней линии (в отличие от эпидермоидов, которые чаще внеосевые): в супраселлярной цистерне, субфронтально, вокруг моста и, очень редко парапинеально, периорбитально, в IV желудочке, в области конского хвоста и интрадиплоидно. От эпидермоидных кист на МРТ головного мозга их отличает только выраженная неоднородность структуры, кроме того, они всегда яркие на Т1-зависимых МРТ головного мозга за счёт большого содержания липидов. При разрыве и прорыве в субарахноидальное пространство в нём появляется уровень, на Т1-зависимых МРТ головного мозга светлый жир плавает на ликворе.

МРТ головного мозга. Т1-взвешенная аксиальная МРТ. Прорыв дермоидной кисты в субарахноидальное пространство.
Эпендимальные кисты встречаются очень редко. Они представляют собой врождённую отшнуровку внутри желудочков или цистернах. При МРТ головного мозга контур кисты четкий, сигнал ликворной интенсивности или чуть светлее за счет отсутствия пульсации и примеси белка, структура однородная. В отличие от кист прозрачной перегородки при МРТ головного мозга видно, что она не расщеплена, а смещена.

МРТ головного мозга. Т2-взвешенная аксиальная МРТ. Эпендимальная киста.
Арахноидальные кисты представляют собой скопление ликвора между листками расщепленной паутинной оболочки. Арахноидальная киста обычно не сопровождается другими мальформациями. Незначительная часть арахноидальных кист имеет приобретенное происхождение – следствие лептоменингита, операции или кровоизлияния. Частота составляет около 1% от внутричерепных образований. Соотношение полов М:Ж, как 4:1. Типичная локализация – средняя черепная ямка (в области Сильвиевой борозды 50%), межполушарная щель, мосто-мозжечковый угол (11%), за скатом или на уровне четверохолмия (10%), в области червя мозжечка (9%), реже в области межножковой и предмостовой цистерн (3%), а также супраселлярной и хиазмальной цистерн. В зависимости от размера предложено делить кисты на 3 типа (Galassi, 2006), что однако, не имеет практического значения. Ретроцеребеллярная арахноидальная киста довольно часто встречаются за мозжечком и отличима от mega cisterna только по неизменённой задней черепной ямке. При МРТ головного мозга содержимое кисты чисто ликворное, стенки гладкие, чётко очерченные, внутри кисты могут быть перегородки. Мелкие арахноидальные кисты очень трудно увидеть при МРТ головного мозга. Меняя ширину окна и его уровень на Т1-зависимых МРТ изображениях можно заметить, что киста чуть светлее ликвора. Дифференциальная диагностика с эпидермальными кистами лучше осуществляется с помощью МРТ последовательности FLAIR. На них при МРТ головного мозга эпидермальные кисты становятся яркими, в отличие от гипоинтенсивных арахноидальных. Вероятно, вариантом арахноидальной кисты является нейроэпителиальная киста, которая при МРТ головного мозга имеет типичное расположение в области хориоидальной щели.

МРТ головного мозга. Т1-взвешенная сагиттальная МРТ. Арахноидальная киста в области большого затылочного отверстия.
Порэнцефалические кисты – врождённые кисты различной этиологии, локализующиеся в паренхиме мозга или в области сосудистого сплетения желудочков.При МРТ головного мозга они обычно округлые, с гладкими стенками. Очень часто такие кисты сочетаются с аномалиями развития: отсутствием прозрачной перегородки и полимикрогирией. Содержимое порэнцефалической кисты при МРТ головного мозга ликворное, иногда с небольшой примесью белка.
Коллоидная киста – это врождённое нейроэпителиальное образование. Коллоидная киста выстлана эпителием и имеет фиброзную капсулу. Она составляют около 1-2% объемных внутричерепных образований. Обычно диагностируются в возрасте между 30 и 50 годами. Всегда расположена в переднее-верхнем отрезке III желудочка между отверстиями Монро. Контур ее четкий, форма округлая, содержимое бывает неоднородное. Размер от 3 мм до 4 см, при больших размерах она закрывает отверстия Монро и вызывает окклюзионную гидроцефалию. Сигнал зависти от примеси белка к ликвору. При наличии белкового мукоидного содержимого киста гиперинтенсивна на Т1-взвешенных МРТ головного мозга и гипоинтенсивна на Т2-взвешенных МРТ, но встречаются варианты гиперинтенсивные на МРТ головного мозга обоих типов взвешенности кольцевидные или смешанные. При МРТ головного мозга с контрастированием усиления сигнала не наблюдается.
Киста кармана Ратке представляет собой редко встречающееся образование из остатков эмбриональной эктодермы (щель Ратке), расположенное между долями гипофиза. Выявляется в любом возрасте, но чаще в 50-60 лет. Клинические проявления связаны с масс-эффектом. При МРТ головного мозга выявляется небольшая (3-5мм) киста с четким контуром, без отека вокруг, однородная по структуре. Сигнал на МРТ головного мозга зависит от содержимого. При серозном содержимом сигнал типично жидкостный, при мукоидном киста светлая на Т1-взвешенных МРТ головного мозга. В 70-80% случаев внутри кисты выявляется неконирастирующийся узелок («пятно») – признак патогномоничный для кисты кармана Ратке. В редких случаях киста достигает больших размеров и даже выходит за пределы седла. Стенка кисты иногда усиливается при МРТ головного мозга с контрастированием. Дифференциальная диагностика при МРТ головного мозга должна проводиться с арахноидадьной и эпидермоидной кистами, тератомой, кистозной аденомой гипофиза и краниофарингиомой. Иногда при МРТ головного мозга киста кармана Ратке напоминает “пустое” турецкое седло. При маленьких размерах кисты ее на до дифференцировать на МРТ с микроаденомой гипофиза.

МРТ головного мозга. Т1-взвешенная сагиттальная МРТ. Киста кармана Ратке.
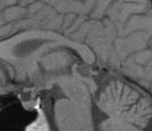
Пинеальная киста расположена в проекции шишковидной железы. Встречается с частотой 4-11%. Размеры обычно не превышают 1 см, но изредка встречаются больших размеров. В таких случаях она вызывает окклюзионную гидроцефалию. При МРТ головного мозга она имеет все признаки кисты с примесью белка в жидкости, то есть немного светлая на Т1-зависимых МРТ. Изредка встречается геморрагическое содержимое. Киста может по усиливаться периферии при МРТ головного мозга с контрастированием.

МРТ головного мозга. Т1-взвешенная сагиттальная МРТ. Пинеальная киста.
Кисты средней линии – киста прозрачной перегородки (cavum septi pellucidi), полость Верге (cavum Vergae) и киста промежуточного паруса (cavum veli interpositi) – являются нормальными структурами головного мозга плода. В течение 6 месяцев после рождения у большинства людей они запустевают, но могут и сохраниться. По-видимому, эти полости не имеют клинического значения и относятся к случайным находкам при МРТ головного мозга . Киста прозрачной перегородки (еще называют V желудочком) является медиальной стенкой боковых желудочков и ограничена спереди коленом мозолистого тела, сверху мозолистым телом и сзади столбами свода. Полость Верге представляет собой продолжение кисты прозрачной перегородки кзади и расположена между телами желудочков (рис.105). Обычно обе кисты сочетаются. Киста промежуточного паруса расположена в крыше III желудочка (tela choroidea), между треугольниками боковых желудочков на уровне отверстий Монро. Она ограничена сверху мозолистым телом, cзади цистерной четверохолмия и снизу III желудочком.
www.mri-kholin.ru
Кисты головного мозга и их диагностика | МРТ головного мозга
МРТ головного мозга. Т2-взвешенная аксиальная томограмма. Арахноидальная киста. Цветовая обработка изображения.
Кисты головного мозга в большинстве своем относятся к аномалиям развития. Некоторые образования, возникшие на почве нарушения развития, имеют сходные с кистами черты.
Эпидермоидные кисты (эпидермоиды) – доброкачественные врождённые образования. Они происходят из эктопических эпидермальных клеток и развиваются в период закрытия, в 3-5 нед. эмбриогенеза, как следствие неполного разделения нейрональной и покровной эктодермы. Частота составляет около 1% от внутричерепных образований. Обычно диагностируются в возрасте 25 – 45 лет. Локализация эпидермоидов может быть любой, но типичная – мосто-мозжечковый угол (третье по частоте образование этой области), предмостовая цистерна, параселлярная область, четверохолмие и желудочковая система, очень редко в полушариях, спинном мозге и интрадиплоидно. Растут они интра- или экстрадурально, экспансивно, медленно, сдавливая ствол мозга, внутричерепные нервы, но не разрушая кость. Иногда захватывают сосуды и нервы. По характеру роста их можно отнести к опухолевидным образованиям. Вокруг эпидермоидов нередко развивается асептическое воспаление, а при разрыве содержимое (жир, кератин) прорывается в ликворные пространства. Клинические проявления зависят от локализации и масс-эффекта.
При МРТ головного мозга картина неспецифическая и зависит от содержимого кисты. Если она не содержит жира, то имеет ликворную интенсивность сигнала . В таком случае эпидермоидная киста трудно отличима от арахноидальной, хотя, как правило, не столь однородная. На МРТ типа FLAIR и диффузионно-взвешенных МРТ изображениях содержимое эпидермоидов светлее ликворного. Жировое содержимое, такие эпидермоиды еще называют холестеатомой, приводит к высокому сигналу на Т1-взвешенных МРТ головного мозга. Видимо, он обусловлен липидами, но не холестеролом. На Т2-взвешенных МРТ головного мозга он менее интенсивен чем ликвор. Контуры эпидермоидов всегда четкие. Холестеатомы составляют всего 3-5% от эпидермоидов. В 15-20% случаев встречается кальцификация по переферии кисты. Редко наблюдается контрастирование стенок.
МРТ головного мозга. Т1-взвешенные корональная и сагиттальная МРТ. Эпидермоидная киста левой височной доли.
Дермоидные кисты встречаются реже эпидермоидных, составляя около 0,3 % от внутричерепных образований. Обычно выявляются в возрасте между 10 и 20 годами. Морфологически от эпидермоидов их отличает наличие эктодермальных элементов – волосяных фолликулов, потовых желёз и т.д. Типично они расположены по средней линии (в отличие от эпидермоидов, которые чаще внеосевые): в супраселлярной цистерне, субфронтально, вокруг моста и, очень редко парапиниально, периорбитально, в IV желудочке, в области конского хвоста и интрадиплоидно. От эпидермоидных кист на МРТ головного мозга их отличает только выраженная неоднородность структуры, кроме того, они всегда яркие на Т1-взвешенных МРТ головного мозга за счёт большого содержания липидов. При разрыве и прорыве в субарахноидальное пространство в нём появляется уровень, на Т1-взвешенных МРТ головного мозга светлый жир плавает на ликворе.
Липома представляет собой скопление в субарахноидальном пространстве зачаточных жировых клеток с примесью коллагена. Происходят липомы из остатков примитивной эмбриональной оболочки. Эта мальформация оболочек мозга связана с нарушением дифференцировки мезенхимы на мягкую мозговую оболочку и субарахноидальное пространство. Частота липомы составляет менее 0.5% от внутричерепных образований. Обычно липомы локализуется в мозолистом теле, в межполушарной щели, воронке гипофиза и гипоталамусе, реже вокруг червя мозжечка и пластины четверохолмия и мосто-мозжечковом углу и Липомы мозолистого тела сочетаются с его агенезией и в 60% случаев с распространением на сосудистое сплетение. При МРТ головного мозга липома четко очерчена, без отека вокруг и масс-эффекта, кость не разрушает. Структура образования чаще однородная, жировой интенсивности сигнала – то есть выраженно гиперинтенсивная на Т1-взвешенных МРТ и немного менее интенсивная по отношению к ликвору на Т2-взвешенных МРТ. Иногда встречаются неоднородные липомы с участками низкого сигнала от кальцинатов и сосудов, проходящих ее насквозь. При сомнениях в диагнозе надо выполнить МРТ головного мозга с подавлением жира или можно сделать КТ. На КТ липома всегда резко гиподенсна и может содержать включения кальция.

МРТ головного мозга. Сагиттальная Т1-взвешенная МРТ. Липома мозолистого тела.
Эпендимальные кисты встречаются очень редко. Они представляют собой врождённую отшнуровку внутри желудочков или цистернах . На МРТ головного мозга контур кисты четкий, сигнал ликворной интенсивности или чуть светлее за счет отсутствия пульсации и примеси белка, структура однородная. В отличие от кист прозрачной перегородки она не расщеплена, а смещена.
Арахноидальные кисты представляют собой скопление ликвора между листками расщепленной паутинной оболочки. Арахноидальная киста обычно не сопровождается другими мальформациями. Незначительная часть арахноидальных кист имеет приобретенное происхождение – следствие лептоменингита, операции или кровоизлияния. Частота составляет около 1% от внутричерепных образований. Соотношение полов М:Ж, как 4:1. Типичная локализация – средняя черепная ямка (в области Сильвиевой борозды 50%), межполушарная щель, мосто-мозжечковый угол (11%), за скатом или на уровне четверохолмия (10%), в области червя мозжечка (9%), реже в области межножковой и предмостовой цистерн (3%), а также супраселлярной и хиазмальной цистерн. Ретроцеребеллярная арахноидальная киста довольно часто встречаются за мозжечком и отличима от mega cisterna только по неизменённой задней черепной ямке. Содержимое кисты чисто ликворное, стенки гладкие, чётко очерченные, внутри кисты могут быть перегородки. Мелкие арахноидальные кисты очень трудно увидеть. Меняя ширину окна и его уровень на Т1-взвешенных МРТ изображениях можно заметить, что киста чуть светлее ликвора. Дифференциальная диагностика с эпидермальными кистами лучше осуществляется с помощью МРТ последовательности FLAIR. Эпидермальные кисты становятся яркими, в отличие от гипоинтенсивных арахноидальных.
Нейроглиальные (нейроэпителиальные) кисты – врождённые кисты различной этиологии, локализующиеся в паренхиме мозга или в области сосудистого сплетения желудочков. Обычно округлые, с гладкими стенками. Очень часто такие кисты сочетаются с аномалиями развития: отсутствием прозрачной перегородки и полимикрогирией. При МРТ головного мозга содержимое кист ликворное, иногда с небольшой примесью белка.
Лептоменингеальным кистам посвящена специальная статья.
Коллоидная киста – это врождённое нейроэпителиальное образование. Коллоидная киста выстлана эпителием и имеет фиброзную капсулу. Она составляют около 1-2% объемных внутричерепных образований. Обычно диагностируются в возрасте между 30 и 50 годами. При МРТ головного мозга видно, что киста всегда расположена в переднее-верхнем отрезке III желудочка между отверстиями Монро. Контур ее четкий, форма округлая, содержимое бывает неоднородное. Размер от 3 мм до 4 см, при больших размерах она закрывает отверстия Монро и вызывает окклюзионную гидроцефалию. Сигнал зависти от примеси белка к ликвору. При наличии белкового мукоидного содержимого киста гиперинтенсивна на Т1-взвешенных МРТ и гипоинтенсивна на Т2-взвешенных МРТ, но встречаются варианты гиперинтенсивные на томограммах обоих типов кольцевидные или смешанные . Контрастирования не наблюдается.
КТ и МРТ головного мозга. Коллоидная киста III желудочка.
Киста кармана Ратке представляет собой редко встречающееся образование из остатков эмбриональной эктодермы (щель Ратке), расположенное между долями гипофиза. Выявляется в любом возрасте, но чаще в 50-60 лет. Клинические проявления связаны с масс-эффектом. При головного мозга выявляется небольшая (3-5 мм) киста с четким контуром, без отека вокруг, однородная по структуре. Сигнал зависит от содержимого. При серозном содержимом сигнал типично жидкостный, при мукоидном киста светлая на Т1-взвешенных МРТ. В редких случаях киста достигает больших размеров и даже выходит за пределы седла. Стенка кисты иногда усиливается при контрастировании.
МРТ головного мозга. Т2-взвешенная корональная МРТ. Киста кармана Ратке.
Пинеальная киста расположена в проекции шишковидной железы. Встречается с частотой 4-11%. Размеры обычно не превышают 1 см, но изредка встречаются больших размеров. В таких случаях она вызывает окклюзионную гидроцефалию. При головного мозга она имеет все признаки кисты с примесью белка в жидкости, то есть немного светлая на Т1-взвешенных. Изредка встречается геморрагическое содержимое. Киста может контрастироваться по периферии.

МРТ головного мозга. Сагиттальная Т1-взвешенная МРТ. Пинеальная киста.
Кисты средней линии – киста прозрачной перегородки (cavum septi pellucidi), полость Верге (cavum Vergae) и киста промежуточного паруса (cavum veli interpositi) – являются нормальными структурами головного мозга плода. В течение 6 месяцев после рождения у большинства людей они запустевают, но могут и сохраниться, визуализируясь при этом на МРТ головного мозга. По-видимому, эти полости не имеют клинического значения и относятся к случайным находкам при томографии. Киста прозрачной перегородки (еще называют V желудочком) является медиальной стенкой боковых желудочков и ограничена спереди коленом мозолистого тела, сверху мозолистым телом и сзади столбами свода . Полость Верге представляет собой продолжение кисты прозрачной перегородки кзади и расположена между телами желудочков . Обычно обе кисты сочетаются. Киста промежуточного паруса расположена в крыше III желудочка (tela choroidea), между треугольниками боковых желудочков на уровне отверстий Монро. Она ограничена сверху мозолистым телом, cзади цистерной четверохолмия и снизу III желудочком.
При МРТ в СПб мы обращаем внимание на возможность не только врожденных, но и редких состояний, к которым относятся приобретенные кисты головного мозга, причиной которых могут быть:
- последствия ОНМК
- опухолевые кисты
- паразитарные кисты

МРТ головного мозга. Корональная Т1-взвешенная МРТ. Многокамерные эхинококковые кисты.
Кисты головного мозга одинаково хорошо видны в высоких полях и низкопольных открытых МРТ. МРТ СПб дает место выбора выполнения МРТ.
www.mri-kholin.ru
Киста головного мозга — причины, симптомы и лечение
Киста головного мозга — локальное скопление жидкости в оболочках или веществе головного мозга. Киста малого объема, как правило, имеет субклиническое течение, выявляется случайно при нейровизуализирующем обследовании мозга. Киста большого объема из-за ограниченности внутричерепного (интракраниального) пространства приводит к внутричерепной гипертензии и сдавлению окружающих ее мозговых структур. Клинически значимый размер кист значительно варьирует в зависимости от их локализации и компенсаторных возможностей. Так, у детей раннего возраста, за счет податливости костей черепа зачастую наблюдается длительное латентное течение кист без признаков выраженной ликворной гипертензии.
Киста головного мозга может обнаруживаться в различные возрастные периоды: от новорожденности до пожилого возраста. Следует отметить, что врожденные кисты чаще проявляются в среднем возрасте (обычно в 30-50 лет), чем в детстве. Согласно общепринятой в клинической неврологии практике в отношении замерших или медленно прогрессирующих кист малого объема применяется наблюдательно-выжидательная тактика ведения.
Классификация кисты головного мозга
В зависимости от места расположения выделяют арахноидальную и внутримозговую (церебральную) кисту. Первая локализуется в мозговых оболочках и образуется за счет скопления цереброспинальной жидкости в местах их врожденной дупликатуры или спаек, сформировавшихся в результате различных воспалительных процессов. Вторая располагается во внутренних структурах головного мозга и формируется на участке погибшей в результате различных патологических процессов мозговой ткани. Отдельно выделяют также кисту шишковидной железы, кисту сосудистого сплетения, коллоидную и дермоидную кисты.
Все мозговые кисты по своему генезу классифицируются на врожденные и приобретенные. К исключительно врожденным относятся дермоидная и коллоидная киста головного мозга. В соответствии с этиологией среди приобретенных кист различают посттравматические, постинфекционные, эхинококковые, постинсультные.
Причины кисты головного мозга
Факторами, провоцирующими формирование врожденной кисты мозга, являются любые неблагоприятные воздействия на плод в антенатальном периоде. К ним относят фетоплацентарную недостаточность, внутриутробные инфекции, прием беременной лекарственных средств с тератогенным эффектом, резус-конфликт, гипоксию плода. Врожденные кисты и другие аномалии развития головного мозга могут возникнуть, если развитие плода происходит в условиях внутриутробной интоксикации при наркомании, алкоголизме, никотиновой зависимости будущей матери, а также при наличии у нее хронических декомпенсированных заболеваний.
Приобретенная киста формируется вследствие черепно-мозговой травмы, родовой травмы новорожденного, воспалительных заболеваний (менингита, арахноидита, абсцесса головного мозга, энцефалита), острых нарушений мозгового кровообращения (ишемического и геморрагического инсульта, субарахноидального кровоизлияния). Она может иметь паразитарную этиологию, например, при эхинококкозе, церебральной форме тениоза, парагонимозе Киста ятрогенного происхождения может сформироваться как осложнение операций на головном мозге. В ряде случаев различные дистрофические и дегенеративные процессы в головном мозге также сопровождаются замещением церебральных тканей кистой.
Отдельную группу составляют факторы, способные спровоцировать увеличение размеров уже имеющегося интракраниального кистозного образования. Подобными триггерами могут выступать травмы головы, нейроинфекции, воспалительные внутричерепные процессы, сосудистые нарушения (инсульты, затруднение венозного оттока из полости черепа), гидроцефалия.
Симптомы кисты головного мозга
Наиболее характерна манифестация мозговой кисты с симптомов интракраниальной гипертензии. Пациенты жалуются на практически постоянную цефалгию, ощущение подташнивания, не связанное с едой, чувство давления на глазные яблоки, понижение работоспособности. Могут отмечаться нарушения сна, шум или ощущение пульсации в голове, расстройства зрения (падение остроты зрения, двоение, сужение зрительных полей, появление фотопсий или зрительных галлюцинаций), легкая тугоухость, атаксия (головокружения, шаткость, дискоординация движений), мелкоразмашистый тремор, обмороки. При высокой внутричерепной гипертензии наблюдается повторяющаяся рвота.
В ряде случаев киста головного мозга дебютирует впервые возникшим эпилептическим пароксизмом, за которым следуют повторные эпиприступы. Пароксизмы могут носить первично-генерализованный характер, иметь вид абсансов или фокальной джексоновской эпилепсии. Очаговая симптоматика наблюдается гораздо реже общемозговых проявлений. В соответствии с локализацией кистозного образования она включает геми- и монопарезы, сенсорные расстройства, мозжечковую атаксию, стволовые симптомы (глазодвигательные расстройства, нарушение глотания, дизартрию и др.).
Осложнением кисты может являться ее разрыв, окклюзионная гидроцефалия, сдавление головного мозга, разрыв сосуда с кровоизлиянием в кисту, формирование стойкого эпилептогенного очага. У детей кисты, сопровождающиеся выраженной внутричерепной гипертензией или эписиндромом, могут обуславливать задержку психического развития с формированием олигофрении.
Отдельные виды кист головного мозга
Арахноидальная киста чаще имеет врожденный или посттравматический характер. Расположена в мозговых оболочках на поверхности мозга. Наполнена цереброспинальной жидкостью. По некоторым данным, до 4% населения имеют арахноидальные кисты головного мозга. Однако клинические проявления наблюдаются лишь в случае большого скопления жидкости в кисте, что может быть связано с продукцией ликвора выстилающими полость кисты клетками. Резкое увеличение размеров кисты угрожает ее разрывом, приводящим к смертельному исходу.
Киста шишковидной железы (пинеальная киста) — кистозное образование эпифиза. Отдельные данные свидетельствуют о том, что до 10 % людей имеют малые бессимптомные пинеальные кисты. Кисты диаметром более 1 см отмечаются намного реже и могут давать клиническую симптоматику. При достижении значительных размеров, киста шишковидной железы способна перекрывать вход в водопровод мозга и блокировать ликвороциркуляцию, обуславливая окклюзионную гидроцефалию.
Коллоидная киста составляет около 15-20% внутрижелудочковых образований. В большинстве случаев располагается в передней области III желудочка, над отверстием Монро; в отдельных случаях — в IV желудочке и в районе прозрачной перегородки. Наполнение коллоидной кисты отличается большой вязкостью. Основу клинических проявлений составляют симптомы гидроцефалии с приступообразным нарастанием цефалгии при определенных положениях головы. Возможны поведенческие расстройства, снижение памяти. Описаны случаи возникновения слабости в конечностях.
Киста сосудистого сплетения образуется при заполнении цереброспинальной жидкостью пространства между отдельными сосудами сплетения. Диагностируется в различном возрасте. Клинически проявляется редко, в отдельных случаях может давать симптоматику внутричерепной гипертензии или эпилепсии. Зачастую кисты сосудистых сплетений выявляются по данным акушерского УЗИ на 20-й неделе беременности, затем они самостоятельно рассасываются и примерно к 28-й неделе внутриутробного развития уже не обнаруживаются на УЗИ.
Дермоидная киста (эпидермоид) является аномалией эмбрионального развития, при которой клетки, дающие начало коже и ее придаткам (волосам, ногтям), остаются внутри головного мозга. Содержимое кисты наряду с жидкостью представлено элементами эктодермы (волосяными фолликулами, сальными железами и т. п.). Отличается происходящим после рождения быстрым увеличением в размерах, в связи с чем подлежит удалению.
Диагностика кисты головного мозга
Клиническая симптоматика и данные неврологического статуса позволяют неврологу заподозрить наличие интракраниального объемного образования. Для проверки слуха и зрения пациент направляется на консультацию отоларинголога и офтальмолога; проводится аудиометрия, визиометрия, периметрия и офтальмоскопия, на которой при выраженной гидроцефалии отмечаются застойные диски зрительных нервов. Повышенное внутричерепное давление можно диагностировать при помощи эхо-энцефалографии. Наличие эпилептических пароксизмов является показанием к проведению электроэнцефалографии. Однако, опираясь лишь на клинические данные, невозможно верифицировать кисту от гематомы, абсцесса или опухоли головного мозга. Поэтому при подозрении на объемное образование мозга необходимо применение нейровизуализирующих методов диагностики.
Использование УЗИ позволяет выявить некоторые врожденные кисты еще в период внутриутробного развития, после рождения ребенка и до закрытия его большого родничка диагностика возможна при помощи нейросонографии. В дальнейшем визуализировать кисту можно посредством КТ или МРТ головного мозга. Для дифференцировки кистозного образования от опухоли мозга эти исследования проводят с контрастированием, поскольку в отличие от опухоли, киста не накапливает в себе контрастное вещество. Для лучшей визуализации кистозной полости возможно введение в нее контраста путем пункции кисты. В отличие от МРТ, КТ головного мозга дает возможность судить о вязкости содержимого кисты по плотности ее изображения, что учитывается при планировании хирургического лечения. Основополагающее значение имеет не только установление диагноза, но и непрерывное наблюдение за кистозным образованием для оценки изменения его объема в динамике. При постинсультном генезе кисты дополнительно прибегают к сосудистым обследованиям: дуплексному сканированию, УЗДГ, КТ или МРТ сосудов головного мозга.
Лечение кисты головного мозга
Консервативная терапия малоэффективна. Лечение возможно только хирургическим путем. Однако большинство кист не нуждаются в активном лечении, поскольку имеют малый размер и не прогрессируют в размере. В отношении их проводится регулярное динамическое наблюдение при помощи МРТ- или КТ-контроля. Нейрохирургическому лечению подлежат кисты, клинически проявляющиеся симптомами гидроцефалии, прогрессивно увеличивающиеся в размере, осложненные разрывом, кровотечением, сдавлением мозга. Выбор метода операции и хирургического подхода осуществляется на консультации нейрохирурга.
В случаях тяжелого состояния пациента с расстройством сознания (сопор, кома) в экстренном порядке показано наружное вентрикулярное дренирование для уменьшения внутричерепного давления и сдавления мозга. В случае развития осложнений в виде разрыва кисты или кровоизлияния, а также при паразитарной этиологии кисты хирургическое вмешательство выполняется с целью радикального иссечения кистозного образования; хирургическим доступом является трепанация черепа.
В остальных случаях операция носит плановый характер и осуществляется преимущественно эндоскопическим способом. Преимуществом последнего является малая травматичность и укороченный восстановительный период. Для его осуществления необходимо лишь фрезевое отверстие в черепе, через которое выполняется аспирация содержимого кисты. С целью предупреждения повторного скопления жидкости в кистозной полости производится ряд отверстий, соединяющих ее с ликворными пространствами мозга, или осуществляется кистоперитонеальное шунтирование. Последнее предполагает имплантацию специального шунта, по которому жидкость из кисты поступает в брюшную полость.
В послеоперационном периоде проводится комплексная реабилитационная терапия, в которой при необходимости принимают участие нейропсихолог, врач ЛФК, массажист, рефлексотерапевт. Медикаментозная составляющая включает рассасывающие средства, препараты, улучшающие кровоснабжение и метаболизм головного мозга, противоотечные и симптоматические медикаменты. Параллельно с целью восстановления мышечной силы и чувствительной функции, адаптации пациента к физическим нагрузкам, проводится физиотерапия, ЛФК, массаж, рефлексотерапия.
Прогноз и профилактика кисты головного мозга
Клинически незначимая замершая киста головного мозга в большинстве случаев сохраняет свой непрогрессирующий статус и никак не беспокоит пациента в течение жизни. Своевременно и адекватно проведенное хирургическое лечение клинически значимых кист обуславливает их относительно благоприятный исход. Возможен остаточный умеренно выраженный ликворно-гипертензионный синдром. В случае формирования очагового неврологического дефицита он может иметь стойкий резидуальный характер и сохраняться после проведенного лечения. Эпилептические пароксизмы зачастую проходит после удаления кисты, но затем часто возобновляются, что обусловлено формированием спаек и другими изменениями прооперированной области мозга. При этом вторичная эпилепсия отличается резистентностью к проводимой антиконвульсантной терапии.
Поскольку приобретенная киста головного мозга зачастую является одним из вариантов разрешения инфекционных, сосудистых, воспалительных и посттравматических интракраниальных процессов, то ее профилактикой является своевременное и корректное лечение указанных заболеваний с применением нейропротекторной и рассасывающей терапии. В отношении врожденных кист профилактикой служит охранение беременной и плода от влияния различных вредоносных факторов, корректное ведение беременности и родов.
www.krasotaimedicina.ru
МРТ при кисте головного мозга
Киста головного мозга – относится к доброкачественным новообразованиям, оно представляет собой пузырек с оболочкой из фиброзной ткани, заполненный жидкостью. Кисты могут образовываться во многих органах человеческого тела, но их поведение в большинстве случаев является предсказуемым. Особенность кист головного мозга состоит в том что, они могут возникать в разных отделах и структурах мозга.
В чем состоит опасность данного образования? За счет того что киста – это доброкачественная структура, сама по себе она не опасна. Киста не прорастает в соседние ткани и на протяжении долгого времени может находиться в «спокойном» состоянии, имея совсем небольшие размеры. В этом периоде она никак не проявляет себя, человек может жить и даже не догадываться, что в его мозге есть какое-либо новообразование. Известны случаи когда кисты пропадают сами собой, без какого-либо лечения.
Однако при воздействии неблагоприятных факторов, например, при травме головы, вирусной или бактериальной инфекции, развитии серьезных системных заболеваний и т.п. киста может начать быстро увеличиваться в размерах. Это приведет к сдавливанию соседних структур мозга, что может повлечь нарушения в его работе, которые в свою очередь скажутся на состоянии органов и систем, управляемых данными структурами.
В зависимости от места локализации кисты могут наблюдаться различные отклонения – нарушения зрения, слуха, координации движения и т.п. Состояние пациента будет тем хуже, чем быстрее будет увеличиваться киста и чем больших размеров она достигнет. Последствия могут быть очень серьезными, вплоть до летального исхода при неблагоприятном стечении обстоятельств (позднее обращение за медицинской помощью, наличие осложнений, ошибочные действия врача и т.п.).
МР- диагностика кисты головного мозга
В диагностике всех видов кист (а их насчитывается до десятка, в зависимости от места расположения) МРТ имеет решающее значение, так как только с ее помощью можно определить наличие кисты даже небольшого размера, проследить за динамикой ее роста, «поймать» момент начала неблагоприятного влияния на расположенные в непосредственной близости участки и ткани. Ни один другой метод диагностики не сможет дать ответов на эти вопросы. Ни один вид анализов, ни УЗИ, ни допплеровское исследование сосудов не имеют информативности в определении наличия, расположения и размеров кист.
На снимках МРТ головного мозга кисты определяются с высокой долей вероятности. Они выглядят как темные с ровными границами округлые пятна. Поскольку злокачественные раковые образования на изображениях во многом схожи с кистозными, для определения природы новообразования , зачастую, используют контрастное вещество. За счет отсутствия сосудистых структур кисты не накапливают контраст и после его введения затемненная область так и остается темным пятном с ровным контуром.
Таким образом, после проведения процедуры магнитно-резонансного сканирования, врач на основании снимков выдаст заключение, в котором будут указаны все признаки образования – локализация, размеры, состояние соседних тканей и сосудов и т.п. На основании этих сведений лечащий врач примет решение о дальнейшем поведении в отношении кисты.
Некоторые из них, особенно те, что имеют небольшие размеры и не влияют на соседние ткани, не требуют оперативного вмешательства, могут быть устранены при помощи медикаментозных средств, улучшающих питание и кровоснабжение головного мозга, устраняющих причину основного заболевания, вызвавшего образования кисты. Кисты большого размера, которые негативно влияют на определенные участки головного мозга и вызывают симптомы нарушения его работы, требуют оперативного вмешательства.
При наличии определенных симптомов необходимо обязательно провести диагностические мероприятия на МР-томографе для того, чтобы исключить кисту или другие опасные патологии головного мозга. К ним относится: головные боли, головокружения, нарушения сна, координации движения, функций органов слуха и зрения, судороги, потери сознания и т.п.
mrt03.ru
Мрт при кисте головного мозга. Киста мозга. ZdorovayaGolova.ru
Как и что показывает МРТ головного мозга
томография головного мозга Хотя мозг изучается очень давно и тщательно, все же его работа и целый ряд функций окутаны пеленой таинственности. Это самый загадочный орган человеческого тела, который, собственно, и делает человека человеком. Единственное, чего добились ученые медики – это определение того или иного заболевания по видимым изменениям состояния ткани в определенных областях. Во многом движению вперед способствовало применение методики МРТ. Все, что показывает МРТ головного мозга, можно легко интерпретировать и объяснить, базируясь на уже известных и проверенных данных о работе центральной нервной системы.
Применение МРТ дает возможность определить внешние проявления глубинной работы мозга, его общее состояние, патологические изменения, очаги заболеваний, травмы и посттравматические изменения. Томография головного мозга показывает и состояние кровеносных сосудов, в том числе и находящихся в районе шейного отдела, а также состояние гипофиза при нарушениях общего гормонального фона или подозрения на гормональные расстройства в работе других органов и систем организма.
Когда рекомендуется МРТ головного мозга
В общих случаях отклонения в работе мозга сопровождаются заметными или незначительными отклонениями в состоянии человека, его движениях, ощущениях, поведенческих реакциях. Большинство этих симптомов объединены в группы, являющиеся определяющими при назначении томографии.
К таким симптомам можно отнести:
- Частые или постоянные боли головы, возникающие без видимых причин
- Расстройства сознания, спутанность мыслей, периодические обмороки
- Головокружения при незначительных нагрузках
- Отклонения в чувствительности лицевых нервов, покалывания, резкие боли
- Снижение слуха или зрения
На МРТ головного мозга можно увидеть причины, вызывающие такое состояние, как правило, повязанные с нарушениями кровоснабжения мозга, воспалительными процессами, возникновением опухолей или травматическими повреждениями. Для этого разработано приличное количество различных режимов исследования, каждый из которых отвечает за выявление конкретных состояний и изменений мозга и прилегающих областей.
МРТ головного мозга покажет кисты, гематомы, ишемические зоны и различного характера опухоли на любой фазе развития. С помощью ангиографии – особого типа МРТ исследуются кровеносные сосуды, снабжающие мозг кислородом и питанием. Также исследуются нервы, глазные яблоки, сосуды шейных отделов, во многом отвечающие за нормальную работу органа.
Очень информативна трактография, дающая информацию о состоянии белого вещества мозга и поражениях органа при токсических, механических или радиационных поражениях. Большое значение имеет исследование гипофиза.
Техника проведения МРТ мозга
МРТ головного мозга выявляет заболевания на любой стадии их развития с помощью использования компьютерных программ стандартного пакета. Определив характер патологии или отклонения, врач может использовать специальные, более узкоспециализированные программы, разработанные практически для каждого типа заболевания. Они помогают глубже изучить болезнь и разработать технику лечения.
проведение МРТ головного мозга Некоторые зоны головного мозга, например гипофиз, исследуется с применением техники контрастирования с помощью внутривенного введения специальных веществ. Контрастная томография используется при подозрениях на злокачественный характер опухоли.
Техника проведения МРТ мозга мало чем отличается от томографии других органов. Пациент находится в горизонтальном положении на специальном столе, который задвигается в тоннель, являющийся внутренней частью магнитной катушки. Напряженность магнитного поля при исследованиях мозга не превышает 1,5 Тл. Само исследование длится от 5 до 60 минут, зависимо от количества исследуемых зон и объема требуемой информации.
Все это время пациент должен пребывать в неподвижном состоянии, чтобы снимки получились максимально четкими и точными. Информация хранится на жестких хранителях, типа дисков или флэш-устройств и может быть воспроизведена на любом компьютере или распечатана в виде фотографий.
МРТ головного мозга показывает внутричерепное давление – давление спинномозговой жидкости, отвечающей за безопасность мозга при резких движениях и ударах и за обмен веществ в мозге. Длительное состояние повышенного давления вызывает изменения в структуре и внешнем виде отдельных зон мозга, которые легко обнаружить с помощью МРТ.
К таким изменениям относятся увеличение геометрических размеров желудочков мозга, истончение тканевых структур. В большинстве случаев качественное определение этих изменений возможно только при использовании методики контрастирования.
Первичные и вторичные опухоли различного характера также может выявить МРТ головного мозга. Первичными называются те, которые возникают непосредственно в теле мозга. Как правило, они редко выпускают метастазы и очень точно локализуются с помощью МРТ. Доброкачественные опухоли долгое время могут никак не проявляться внешне, когда злокачественные быстро прогрессируют и ярко проявляются определенными симптомами.
После обследования врач, определив характерные отклонения в работе организма, например, появление припадков эпилептического типа, сужение поля зрения, дрожь в руках или боль в ушах, должен назначить МРТ или КТ. Это делается с целью уточнения диагноза, так, как вторичные симптомы характерны и для проявления иных болезней, не связанных с опухолями головного мозга.
Очаги заболевания в головном мозге на МРТ выглядят, как зоны с нарушенной структурой и плотностью ткани. Для злокачественных опухолей характерны размытые края и наличие зон омертвения вблизи нахождения новообразования. Томография злокачественных зон проводится с применением контрастирования.
Дальнейшее развитие техники проведения МРТ и постоянное совершенствование томографов расширяет функциональность этого способа диагностики и повышает точность определения заболеваний.
Источники: http://infomrt.ru/6-chto-pokazyvaet-mrt-golovnogo-mozga.html
Комментариев пока нет!
zdorovayagolova.ru
Киста головного мозга — что это такое: виды, симптомы и прогноз
При скапливании жидкости в оболочках мозга или мозговом веществе образуется киста. Это достаточно распространенная патология, которая требует качественного лечения. Киста может образоваться в любом отделе головного мозга. Маленькие размеры кисты никак себя не проявляют, а большие могут вызвать различные неприятные симптомы. Кистозные образования больших размеров требуют хирургического вмешательства.
Содержание статьи:
Что такое киста головного мозга

Киста головного мозга – это доброкачественное образование
Киста головного мозга представляет собой объемное образование внутри черепа, которое наполнено жидкостью. Во многих случаях имеет скрытое течение без явных признаков патологии и увеличения в объеме. Обычно такая киста отличается малым размером.
Если же образование имеет большой объем, то внутричерепное пространство ограничивается, в результате сдавливаются ее мозговые структуры. Обнаружить кисту можно в любом возрасте. Пузыреобразная капсула находится в любой области головного мозга, но чаще всего локализуется в паутинообразной средней оболочке. Спровоцировать образование кисты могут различные факторы. Отмершие клетки ткани, которые заполняются жидкостью, приводят к появлению кисты в головном мозге.
С учетом места локализации и этиологии образования кистообразная полость может иметь несколько форм.
Основные виды кист головного мозга:
- Арахноидальная киста. Располагается между оболочками головного мозга. Спинномозговая жидкость там скапливается и постепенно разрушает головной мозг. Внутренняя оболочка расщепляется на несколько слоев. В результате образуется маленький «кармашек», который заполняется жидкостью. Она является доброкачественной и может долгое время протекать бессимптомно.
- Ретроцеребеллярная киста. Кистозное образование располагается в том отделе головного мозга, где произошла гибель клеток серого вещества. Для предотвращения разрушения мозга, нужно определить причины, которые спровоцировали поражение серого вещества. Возникает обычно на фоне инсультов, травм головного мозга, энцефалита и др. Прогрессирование процесса становится причиной разрушения мозга.
- Субарахноидальная киста. Такой вид достаточно сложно обнаружить. Диагностировать можно только после проведения МРТ или КТ. Чаще всего бывает врожденной. Характерным симптомом являются судороги.
- Шишковидная киста. Появляется в шишковидной железе, где соединяются два полушария. Эта железа напрямую связана с эндокринной системой. Развивается вследствие гельминтозного заболевания — эхинококкоз, непроходимости выводящего протока.
- Пинеальная киста. Доброкачественное новообразование, которое поражает эпифиз. Образуется крайне редко. Может привести к развитию таких заболеваний, как энцефалит, гидроцефалия, нарушение обменных процессов и координации движений.
- Киста сосудистых сплетений. Данный вид образования возникает на стадии внутриутробного развития. Это не свидетельствует о генетических аномалиях. Киста может образоваться при чрезмерном продуцировании ликвора сосудистым сплетением. Такая киста не перерождается в опухолевую форму, не предрасположена к росту. Диагностируется обычно до 20 недели беременности и может самостоятельно рассосаться. Редко бывают случаи, когда у новорожденного диагностируют кисту сосудистых сплетений.
- Порэнцефалическая киста. Может образоваться в любом участке на месте отмерших тканей мозгового вещества. Это один из опасных видов кисты головного мозга, который может привести к серьезным осложнениям.
- Коллоидная киста. Полость заполнена желеобразной жидкостью и состоит из эндодермальных клеток. Место локализации – третий желудочек головного мозга. Образование кисты связано с наследственными мутациями и не угрожает здоровью человека.
Только после установления причины образования кисты назначается соответствующее лечение.
Почему образуется киста

Существует целый ряд причин, которые могут спровоцировать развитие кисты
Кисты могут быть врожденными или приобретенными. Первичные кисты образуются у новорожденных при родовой травме, недоношенности, патологии плода, перенесенной внутриутробной инфекции.
Причинами вторичных или приобретенных кист, т.е. приобретенными в результате перенесенных заболеваний являются:
- Воспалительно-инфекционные заболевания
- Травмы головного мозга
- Менингит
- Недостаточность мозгового кровообращения
- Проведенные операции в полости черепа
- Изменения дегенеративного характера в головном мозге
При воздействии вышеперечисленных факторов образуется пузырь с жидкостью. Он замещает разрушенные клетки. Следует отметить, что рост кисты будет продолжаться, если негативные факторы продолжают воздействовать. Это может быть воспалительная реакция в головном мозге, увеличение давления в кистозной полости, после инсульта, склероз, осложнения после сотрясения.
Кисты небольшого размера могут не беспокоить долгое время и их выявляют только при случайном проведении обследования.
Симптоматика зависит от локализации кисты в головном мозге, а также причины вызвавшей ее образование. Симптомы проявляются не ярко, однако при увеличении кисты в размерах могут наблюдаться следующие признаки:
- Частые головные боли
- Головокружение
- Периодическая потеря сознания
- Шум в ушах
- Тошнота
- Рвота
- Нарушение чувствительности кожи
- Судорожные припадки
- Обмороки
Также может наблюдаться расстройство зрения, нарушение координации, онемение конечностей. Обычно такие признаки появляются, если образование начинает прогрессировать. Такие симптомы наблюдаются при расположении кисты в области мозжечка.
У грудничков на патологию мозга могут указывать такие признаки, как пульсирующий родничок, срыгивание фонтаном, вялость конечностей. Если наблюдаются вышеперечисленные симптомы, то нужно посетить врача, который назначит необходимое обследование. Не стоит упускать это без внимания, иначе патология может привести к очень серьезным последствиям.
Опасность кисты головного мозга
Опасность кисты зависит от формы, вида и места ее локализации
При правильной постановке диагноза и назначения эффективного лечения хирургическое вмешательство не понадобится.
Возможные осложнения, которые могут возникнуть при несвоевременном лечении:
- Нарушение вестибулярного препарата.
- Отставание в развитии детей.
- Потеря слуха.
- Развитие гидроцефалии.
Также возможно нарушение речи и чувствительности, паралич конечностей, судорожные припадки, непроизвольное мочеиспускание.
Ретроцеребеллярная киста может привести к отмиранию клеток, в результате чего высок риск возникновения злокачественной опухоли. В более тяжелых случаях возможен летальный исход, когда происходит паралич дыхательного или сосудистого центра. В большинстве случае это наблюдается, если киста расположена в стволе головного мозга.
Диагностика патологии
МРТ – эффективная диагностика головного мозга
Невролог определить наличие полостного образования может по клинической симптоматике, а также после комплексного обследования.
Чтобы диагностировать кистообразную полость в головном мозге, назначаются следующие инструментальные методы:
- Магнитно-резонансная томография
- Компьютерная томография
- Доплеровское сканирование сосудов головы
- Эхоэнцефалография
МРТ и КТ – это одни из современных методов обследования, благодаря которым можно с точностью определить кистозное образование и отличить его от опухоли. С этой целью вводят контраст. Кроме того, можно выявить место локализации, форму и размер кисты.
Доплеровское исследование позволяет обнаружить сужение сосудов и определить зоны ишемии, где произошло образование кисты. При дефиците кровоснабжения поражается мозговое вещество.
Больше информации о кисте головного мозга можно узнать из видео:
Обследование должно быть комплексным и включать биохимический анализ крови, электрокардиограмму, оценку артериального давления и т.д. Анализы позволяют обнаружить увеличение уровня холестерина и свертываемости крови. Эти причины влияют на закупорку сосудов, поэтому также могут спровоцировать образование кисты.
В случае подозрения на нейроинфекции, рассеянный склероз показана сдача анализа на аутоиммунные заболевания и инфекции. Оценка артериального давления также очень важна в диагностике кисты головного мозга. Частые скачки давления могут стать причиной инсульта или внутримозгового кровоизлияния, а это и провоцирует образование кисты. Способ лечения подбирается с учетом причины, спровоцировавшей появление кистозного образования.
Методы лечения

Правильное и эффективное лечение может назначить только врач!
При диагностировании патологии, но его бессимптомном течении, лечение не проводится, однако постоянно нужно наблюдаться у невролога. Врач может назначить медикаментозное лечение.
Консервативная терапия направлена на устранение первопричины заболевания.
- Из препаратов назначают ноотропные средства: Пирацетам, Ноотропил и др. Эти лекарственные препараты помогают нормализовать кровоснабжение в тканях головного мозга.
- При диагностировании арахноидальной кисты для ее устранения используют рассасывающие препараты: Карипаин, Лонгидаза.
- Если патология спровоцирована аутоиммунным заболеванием или инфекцией, то ликвидируют очаги инфекционного процесса, принимают препараты, снижающие аутоиммунную агрессию и восстанавливающие иммунную систему.
- При нарушении мозгового кровообращения применяют препараты для нормализации уровня холестерина, артериального давления и предотвращения свертываемости крови. Длительность приема препаратов около 3 месяцев. При этом курс повторяется 2 раза в год.
Если медикаментозное лечение не принесло положительных результатов, то проводится операция.
Хирургическое вмешательство
Киста проявляется тревожными симптомами – нужно ее удалить!
Если симптоматика нарастает, киста увеличивается в размерах, то это прямое показание к хирургическому методу лечения.
Удалить кисту можно одним из трех способов:
- Шунтирование. Данный метод предполагает выведение жидкости через дренажную трубку. Врач делает отверстие в черепе и вводит через него трубку. Один конец трубки выводится в оболочку мозга а другой — в брюшную полость. Этот способ отмечается высоким риском заражения и развитием осложнений. Вывод шунта запрещается в область брюшины или в иную область при наличии в нем инфекционного процесса. При инфекционном поражении желудочков, головного мозга, кровяного русла, а также пороках сердца, проведение шунтирования противопоказано.
- Трепанация черепа. Процедура проводится следующим образом: рассекают участок кожи и удаляют часть кости черепа. Благодаря этому можно получить доступ к оболочке и тканям головного мозга. Нейрохирург удаляет кисту. После этого раны ушивают и проводят дренирование. Далее если есть необходимость, делают пластику черепа с использованием титановых пластин.
- Эндоскопия. Безопасный способ удаления кистозного образования. В черепе делают прокол и вводят эндоскоп со встроенной камерой. Проникая во внутримозговую полость, нейрохирург удаляет жидкость из кисты. Стенки постепенно начнут самостоятельно рассасываться. Ход операции хирург наблюдает на мониторе. Эндоскопический метод не имеет противопоказаний. Единственным недостатком этой операции является то, что проводить можно не для всех форм кистозного образования.
Нужно знать, что после операции по удалению кисты, также могут возникнуть некоторые осложнения: гидроцефалия, энцефалит. В субдуральном пространстве может скапливаться излишнее количество жидкости, а это явный признак сдавления тканей головного мозга. Воспаление серого вещества может наблюдаться при шунтировании.
Своевременно проведенное хирургическое вмешательство позволит избежать серьезных последствий.
При отсутствии у пациента осложнений после операции срок госпитализации составляет около 4-5 дней. После выписки нужно регулярно посещать невролога.
После проведения хирургической операции назначается поддерживающая терапия. Пациенту нежелательно садиться за руль, из-за отсутствия полноценной реакции. Исключается тяжелая физическая нагрузка и поднятие тяжестей более 3 кг. Постепенно разрешается заниматься легкими физическими нагрузками, начиная с пешей прогулки.
Прогноз и профилактика
Прогноз во многих случаях благоприятный, если будет своевременно выявлена киста головного мозга.
Для поддержания здоровья головного мозга следует регулярно соблюдать физическую активность, правильно питаться, отказаться от вредных привычек. При настораживающих симптомах необходимо незамедлительно обратиться к невропатологу.
Важно придерживаться следующих рекомендаций:
- Людям, достигшим 40 летнего возраста, следует регулярно посещать невролога и кардиолога.
- Не допускать переохлаждения организма.
- Своевременно лечить инфекционные заболевания.
- Уровень холестерина поддерживать в норме.
- Следить за показателями кровяного давления.
Киста головного мозга не всегда влечет за собой серьезные последствия. Важно наблюдаться у квалифицированного специалиста, который поставит точный диагноз и будет следить за развитием кистозного образования.
Заметили ошибку? Выделите ее и нажмите Ctrl+Enter, чтобы сообщить нам.
diagnozlab.com