симптомы, лечение препаратами и народными средствами
Недифференцированные артриты
Воспаление суставов на ногах является ответной реакцией организма на травматические повреждения и проникновение инфекционных агентов. Каждый пятый человек хотя бы раз в жизни страдал этим заболеванием. В группе риска люди старшей возрастной категории, после 50 лет. Это объясняется дегенеративными изменениями в суставах и снижением их эластичности, что приводит к возникновению воспалительного процесса. Среди провоцирующих факторов выделяют повышенные нагрузки на нижние конечности, неправильное питание, злоупотребление алкоголем, травматические повреждения, избыточный вес, инфекционные и другие заболевания внутренних органов, метаболические нарушения, предшествующие дегенеративные изменения, эндокринные патологии, аутоиммунные сбои и многое другое.
1
Симптомы
Воспаление суставов ног обусловлено аутоиммунными реакциями или инфекционными возбудителями. Патологический процесс характеризуется как артрит, который, в отличие от артроза, имеет ярко выраженную клиническую картину. Среди всех симптомов можно выделить несколько основных:
- Отек мягких тканей. В проекции пораженного сустава определяется припухлость, которая объясняется наличием воспаления. Мягкие ткани могут увеличиваться в несколько раз.
- Болевой синдром. Воспаление практически всегда протекает при выраженном дискомфорте. В зависимости от степени распространенности процесса будет отличаться и характер боли. При гнойном она резко выражена, человек отмечает пульсацию. При дегенеративных изменениях в стадии обострения в покое она может не проявляться, но малейшие движения приведут к значительному усилению неприятных ощущений. Для некоторых заболеваний характерны именно ночные боли, возрастающие ближе к утру.
- Гиперемия. Этот симптом характеризует выраженное воспаление, которое проявляется покраснением кожи в проекции сустава. Усиленный приток крови в зону поражения приводит к повышению местной температуры, кожа над патологическим очагом на ощупь будет горячей.
- Снижение двигательной активности. Практически все воспалительные процессы сопровождаются нарушением деятельности, что объясняется отеком наружных и внутренних мягких тканей. Человек чувствует скованность в воспаленном суставе, еще до появления неприятных и болезненных ощущений. Нередко возникает хромота на больную ногу, а через некоторое время (при развитии хронического воспаления) пораженная конечность укорачивается.
- Анкилоз. Этот симптом характеризуется как полная неподвижность сустава, он появляется в результате длительного заболевания при отсутствии или несостоятельности терапии.
- Деформация. При долгом воспалительном процессе внешне сустав приобретает новое положение по отношению к здоровому. Деформация объясняется наличием деструктивных изменений, которые являются необратимыми.
Гнойный инфекционный артрит сопровождается пульсацией и резкими подергиваниями внутри пораженного сустава. Наряду с местными симптомами, развиваются общие, такие как утомляемость, слабость, повышение температуры тела, головная боль и даже тошнота и рвота, что объясняется интоксикацией организма.

Деформация правого коленного сустава
Оказание первой помощи при переломах различных видов
1.1
Подагрический артрит
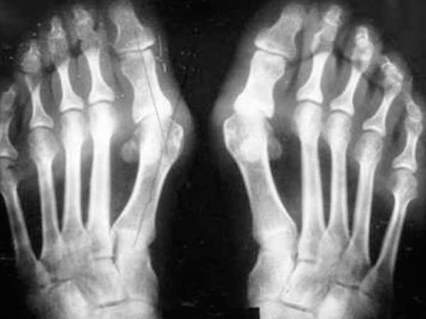
Одним из самых распространенных заболеваний, поражающих суставы ног, является подагра. Она характеризуется приступообразными болями, проявляющимися преимущественно в ночное время. Патогенез заболевания обусловлен накоплением кристаллов мочевой кислоты в хрящевой ткани. Это вызвано нарушением обмена веществ и метаболическим дисбалансом. Болезнь тяжело поддается лечению. Даже при условии комплексный терапии удается достичь только ее стойкой ремиссии. Воспалительный процесс носит практически постоянный характер, что приводит к выраженной деформации суставов. Обострение начинается с поражения большого пальца стопы, после чего оно переходит на другие.
Отличается выраженным и быстрым началом, зачастую без очевидного провоцирующего фактора. Кожа над суставом отекает, воспаляется, повышается ее локальная температура, а любые движения становятся практически невозможными. Нередко заболевание сопровождается общими симптомами в виде слабости, увеличения температуры тела и головных болей.
Развитие подагрического артрита большого пальца стопы
Упражнения для позвоночника в домашних условиях
1.2
Ревматоидный артрит
Ревматоидный артрит является аутоиммунным заболеванием, которое не уступает по своей распространенности подагре. Иммунитет человека по какой-то причине начинает отвергать собственные клетки организма, атакуя их, воспаление развивается как следствие этого механизма. Ревматоидный артрит носит системный характер и поражает одновременно несколько суставов. В процессе развития заболевания появляется выраженная деформация, а визуально участки искажены.
Среди отличительных симптомов можно выделить симметричность процесса. Поражаются одновременно одни и те же суставы обеих конечностей, например, оба колена, голеностопа и т. д. Пациенты отмечают утреннюю скованность в подверженных заболеванию частях, предварительно им необходимо выполнить разминку или даже самомассаж. В отличие от других поражений суставов, при ревматоидном артрите пациент чувствует облегчение только во второй половине дня. Наряду с локальными изменениями, больные отмечают общую утомляемость, слабость, потерю веса, снижение аппетита и дискомфорт в окружающих мышцах, вплоть до болевых ощущений.

Симметричность процесса при ревматоидном артрите
Причины, симптомы, методы лечения и профилактики остеохондроза
1.3
Остеоартрит
Если воспалился тазобедренный или коленный сустав у пожилого человека, то скорее всего это остеоартрит. В некоторых медицинских источниках этот патологический процесс считается острой фазой остеоартроза. Сам по себе артроз протекает медленно, постоянно прогрессирует и приводит к разрастанию хрящевых тканей. При наличии провоцирующих факторов в виде ударов, переохлаждений или в периоды сезонных обострений происходит воспаление окружающих мягких тканей. Это состояние характеризуется как остеоартрит.
Отличительными особенностями этой патологии является утренняя скованность, которая быстро проходит после небольшой разминки. В покое боли практически не беспокоят, возникают только после интенсивной физической активности — при условии большой нагрузки на пораженный сустав. Пациенты чувствуют крепитацию, при застарелых формах хруст слышен и снаружи. За счет сужения внутрисуставной щели между хрящевыми поверхностями и снижения объема синовиальной жидкости чувствуются напряжение и дискомфорт.

1.4
Туберкулез и ревматизм
Поражение хрящевых структур в результате заражения туберкулезной палочкой объясняется внелегочными формами болезни. Чаще всего страдают крупные суставы, которые имеют хорошее кровоснабжение, в группу риска попадают коленные и тазобедренные. Спровоцировать обострение способны переохлаждение, травмы и чрезмерные физические нагрузки. Боль носит постоянный характер, патология тяжело поддается лечению.
Ревматизм является системным заболеванием. В ходе болезни поражаются все соединительные ткани, суставы — не исключение. Считается, что основной причиной является наследственная предрасположенность и перенесенные инфекционные патологии, вроде пневмонии, тонзиллита и т. д. Заболевание начинается остро, характеризуется выраженным болевым синдромом и резко нарастающим отеком.

Ревматизм коленных суставов
2
Лечение
Воспаление суставов на ногах сопровождается яркой клинической картиной. В начале болезни всегда необходимо обращаться за квалифицированной медицинской помощью, только врач может достоверно определить диагноз и подобрать компетентное лечение. Большое значение имеет причина воспаления, от этого принципиально зависит тактика терапии.
2.1
Медикаментозная терапия
С целью устранения причины и снятия сопутствующих симптомов используется несколько лекарственных групп. На первом месте нестероидные противовоспалительные средства (НПВС), компоненты которых проникают внутрь хрящевой ткани, снимают воспаление и оказывают анальгезирующий эффект. Они выпускаются в уколах, таблетках и в виде препаратов для наружного применения. Последняя форма допустима к использованию в начале заболевания и до момента полного выздоровления, также назначается с целью профилактики ухудшений. В острой фазе необходимы уколы, затем курсом принимаются таблетированные препараты. Распространенными представителями НПВС являются Диклофенак, Мовалис, Аэртал и Мелоксикам.
Применение противомикробных препаратов необходимо при наличии возбудителей. Бактериальная, грибковая или вирусная инфекции предполагают обязательную их иррадикацию при помощи антибиотиков. Наличие возбудителя делает все остальное лечение симптоматическим и неэффективным. Категорически запрещено подбирать антибиотики и противовирусные препараты самостоятельно. Их назначение допустимо только квалифицированным врачом, который может выбрать из всего многообразия лекарственных средств способное справиться с конкретным микроорганизмом. Нерациональное назначение только укрепит устойчивость бактерий и вирусов, усугубит течение болезни.
Для снятия воспаления и остановки дегенеративно-деструктивных изменений показаны глюкокортикостероиды. Инъекционное введение в полость сустава допустимо даже в амбулаторно-поликлинических условиях. Они назначаются в исключительных случаях, когда воспалительный процесс не поддается лечению или имеет выраженное клиническое течение. Очень важно соблюдать режим дозирования и учитывать все возможные противопоказания. Представителями этой группы являются Дипроспан и Кеналог 40.
С целью укрепления иммунитета и нормализации метаболических процессов назначаются иммуномодуляторы. Их применение недопустимо только в развитии аутоиммунных заболеваний, вроде ревматоидного артрита, так как в этом случае необходимо подавлять защитную систему, чтобы собственные хрящевые ткани не воспринимались как чужеродные. При всех остальных патологиях эти препараты способствует укреплению организма и повышают устойчивость к инфекциям. Среди доступных и растительных форм наибольшего эффекта позволяют достичь эхинацея, шалфей, родиола розовая и одуванчик. Они часто встречаются в составе полезных сборов.
Для лечения воспаления суставов на ногах необходимо рациональное и сбалансированное питание, которое подкрепляется приемом таблетированных форм и витаминных комплексов. В медицинской практике доказано, что витамины группы B, коллагены и прочие микроэлементы существенно ускоряют процесс выздоровления. На основе этих веществ созданы БАДы и витамины, такие как Мульти-Табс, Центрум, Алфавит и прочие. Помимо них, большое значение имеют минералы, где особая роль отводится кальцию и магнию. Такие продукты, как морковь, шпинат и бананы, содержат коллагеновые волокна, что важно учитывать при подборе лечебного комплекса.
После снятия основного воспаления пациенту необходимо принимать хондропротекторы. Это препараты, способствующие восстановлению хрящевой ткани и предотвращению дальнейших дегенеративно-деструктивные изменений. Некоторые из них имеют в составе Ибупрофен или Диклофенак, параллельно способствующие снятию воспаления и отека. Среди представителей группы такие препараты, как Мовекс и Терафлекс.
2.2
Средства народной медицины
Народные средства могут использоваться только с целью снятия симптоматики и в качестве долечивания, для повышения эффективности основного курса. Использовать нетрадиционную медицину как базовую терапию нецелесообразно, так как это приведет к усугублению воспалительного процесса и стойкой нетрудоспособности. Большое значение этот способ лечения имеет в начале заболевания, когда процесс не столь выражен, с целью профилактики обострений. Наиболее популярные рецепты:
- Отвары на основе ромашки или череды способны снять воспаление и отек мягких тканей. Для приготовления потребуется 1 ст. л. сухого субстрата и 200 мл крутого кипятка. Полученному раствору необходимо дать время настояться — около часа. В приготовленном отваре нужно смочить марлю, сложенную в пару слоев, и приложить ее к месту воспаления на 20-30 минут. Выполнять процедуру следует несколько раз в день на протяжении месяца.
- Противовоспалительный отвар можно приготовить из сухих листьев зверобоя, мяты, ромашки и календулы. Для него понадобится по 1 ст. л. каждой из трав и 0,5 л воды. Все ингредиенты нужно смешать и кипятить в течение 2 минут. После этого отвар следует настоять на протяжении суток и принимать по 100 мл 2-3 раза в сутки. Курс лечения длится 10-14 дней.
- При наличии инфекционного возбудителя необходимо провести профилактическое очищение крови. Для этого потребуются сухие листья крапивы и брусники. Для приготовления отвара необходимо 500 мл крутого кипятка и по 2 ч. л. трав. Полученную смесь нужно варить 10 минут и настоять в течение суток. Принимать следует по 100 мл натощак на протяжении 2 недель.
- Выраженный болевой синдром, в том числе при гнойном артрите, хорошо поддается лечению при помощи обычного капустного листа. Перед применением его необходимо охладить, после чего приложить к месту воспаления. Компресс следует накладывать на всю ночь. С утра человек отмечает значительное уменьшение боли и дискомфорта внутри сустава. Доступность и полное отсутствие каких-либо противопоказаний делает этот метод лечения в домашних условиях востребованным и эффективным.
Практически все воспалительные заболевания суставов ног имеют циклический характер и не поддаются полному устранению. Это говорит о необходимости максимальной ответственности со стороны пациента, который должен постоянно следить за их здоровьем и применять поддерживающую терапию. Острая фаза воспаления категорически не приемлет нагревания и активного массажа, все физиотерапевтические процедуры проводятся только после снятия этой формы и в периодах ремиссии.
spina-health.com
Как снять воспаление суставов на ногах

Воспаление крупных и мелких суставов или артрит на ногах проявляется в первую очередь болью. Она указывает на серьезные нарушения в организме и тканях мышц, связочных сухожилиях, хрящах и костях ног в связи с инфекциями, травмами или нарушениями обмена веществ.
Содержание
Формы артрита
Воспаление или артрит суставов на ногах может быть первичным или вторичным. Первичный будет развиваться в виде самостоятельного недуга. Вторичный вид артрита ног сопровождает основные заболевания: ревматизм, остеопороз, артроз, подагру. При аутоиммунных нарушениях: склеродермии, красной волчанке, ревматической лихорадке организм ликвидирует ткани суставов ног, принимая их за чужеродные. Поэтому ткани деформируются и разрушаются.
Посттравматический артрит суставов ног развивается после переломов, травм, повреждений, трещин или ушибов. После перенесенной инфекционной болезни: гепатита, бруцеллеза, туберкулеза или реактивного артрита происходит поражение синовиальной сумки каждого сустава ноги: стопы, колена, тазобедренного. Током крови и лимфы инфекция разносится на все косточки и составляющие сустава: хрящи, сухожилия, мышечные и нервные ткани. При вывихе лодыжки воспаление костной системы ноги может быть обширным.
Симптомы артрита
Разнообразные формы артрита и стадии болезни затрудняют диагностику. Однако первичные воспаления суставов ног или на фоне основных заболеваний проявляются общими симптомами:
- болью: ноющей, острой, резкой или спазматической;
- припухлостью, отечностью, покраснением кожи, образованием шишки или косточки;
- нарушением функциональной работы: скованностью, окаменелостью, уменьшением подвижности и амплитуды движения;
- щелчками и хрустом, деформацией при остеофитах или подвывихах.
Диагностика и лечение
Результативное лечение суставов ног, включая народными средствами, возможно только после своевременной диагностики на основании сбора анамнеза, рентгенографии, исследования анализов: мочи и крови, включая на гормоны.
Для лечения воспаления суставов ног нужны комплексные методы и определенная система их применения.
Лечение воспаления костной системы медикаментами

Иммуномодуляторами проводят лечение вне зависимости от стадий и форм заболевания. Минимальный ущерб организму можно нанести нестероидными препаратами против воспаления и оперативно избавить от болевых симптомов артрита:
- мазью Диклофенак, Индовазин, гелью Вольтарен и Фастум. Также такими средствами, как: Солпафлекс, Вольтарен, Флексен, Пироксикам, Кетопрофен, Ревмоксикам, Целекоксиб, Индометацин;
- Аспирином, Ибупрофеном, Анальгином, Парацетамолом;
- Антибактериальными средствами: Цефалоспорином, Макролидом, Пенициллином (инъекциями).
Прием препаратов назначает специалист в каждом конкретном случае, подходя индивидуально в зависимости от формы и стадии артрита. При повреждении суставной хрящевой ткани ног лечение проводят лекарствами-хондопротекторами: Глюкозамином, Хондротина сульфатом, комбинированными средствами: Амбене, Артрой, Апизартроном, Терафлексом. Инолтрой. Они восстанавливают хрящи, а при обострении – защищают ткани и препятствуют их разрушению.
Чтобы лечение воспаленных суставчиков пальцев стопы было эффективным, многими специалистами рекомендуется прием БАДов, поскольку их действие направлено на восстановление и укрепление хрящей.
Особо сложные воспалительные процессы на фоне инфекционных заболеваний требуют лечения сильнодействующими антибиотиками внутривенно. При Лайм-боррелиозе вводят внутрь вены Пенициллин или Тетрациклин в течение 10-12 суток.
На фоне туберкулеза лечение коленного, сустава стопы и тазобедренного проводят терапией против туберкулеза и Стрептомицином, Этамбутолом, Рифампицином, Изониазидом, ПАСК (Парааминосалициловой кислотой). Пораженный сустав иммобилизируют гипсовой лангетой или шиной при применении оперативного вмешательства.
Болезнь Рейтера возникает на фоне бактериальных поражений, поэтому лечить следует тетрациклинами, макролидами, фторхинолами, нестероидными средствами от воспаления, десенсибилизирующими препаратами, фонофорезом Гидрокортизона.
В сумку сустава вводят глюкокортикоиды и удаляют одновременно экссудат.
При наличии хронической формы воспаления и стойких изменений в крупных суставах (колене, тазобедренном и голеностопном) и мелких суставчиках стопы, проводят лечение симптоматическими и антибактериальными средствами (Лелагилом или Плаквенилом).
Проводят лечение артритов:
- реактивных – комплексными антибактериальными, симптоматическими и средствами против воспаления. Одновременно назначается массаж, ЛФК, физиотерапия. Рекомендуется лечить с помощью бальнеологических процедур;
- аллергических – антигистаминными, нестероидными и средствами против воспаления, Хлоридом кальция и глюкокортикоидами в соответствии с показаниями;
- псориатических – нестероидными средствами против воспаления. Лечить сложные случаи следует с помощью иммунодепрессантов, витаминов, физиотерапевтических методов. Вводят в сумки суставов глюкокортикоиды. Полезно курортное лечение.
Оперативные вмешательства при артритах

При гнойном артрите в условиях стационара проводится пункция для удаления экссудата и введения в полость сумки сустава антибиотиков.
В случае прогрессирования лечение проводят оперативно:
- в полость сустава колена или стопы вводят проточный дренаж сумки и растворы антибактериальных средств;
- вскрывают сустав для удаления омертвевших масс. В случае жизненной необходимости выполняется ампутация;
- при наличии болей и выпота вводят дозы Триамценолона или Кеналога, производные кислоты гиалуроновой.
Санацию полости сустава или лаваж применяют для промываний во время артроскопических вмешательств. Проводят удаление из сустава стопы, колена, таза кусочков костной ткани и других распадающихся тканевых продуктов. После этого следует лечить лекарственными препаратами и народными средствами. Серьезные нарушения при слабом эффекте от медикаментозных средств нужно лечить эндопротезированием.
А именно:
- фиксацией искусственных суставов на костях бедра или большой берцовой;
- вживлением компонентов имплантатов и искусственных связок в мышцы и мягкие ткани.
Для удержания имплантатов костями применяют цемент полиметилметакрилатовый. Восстанавливают подвижность сустава также с помощью современных бесцементных имплантатов отечественного и зарубежного производства.
Противопоказано выполнять операцию по эндопротезированию больным с наличием заболеваний:
- психоневрологических;
- сердечно-сосудистых;
- остеомиелита острого и хронического течения;
- туберкулеза.
Физиотерапия и средства народной медицины

Лечить мануальной терапией, массажем, физиотерапией (электрофорезом, прогреваниями УВЧ, магнитотерапией, грязью, восковыми или аппликациями из парафина), ЛФК всегда предпочтительнее при сочетании с народными средствами, траволечением и очисткой тазобедренного сустава, стопы или колена.
Для очищения суставов народными методами следует:
- Смешать растительное масло (1 ст. л.) и сок клюквы, лимона или смородины (5 капель). Во рту перемещать смесь (сосать) между зубами в течение 20 минут, затем выплюнуть и прополоскать полость рта. Повторять 2 раза/сутки.
- Запарить лавровый лист (5 г) 300 мл кипятка, дать покипеть 5 мин, затем настояться в термосе 4 часа, процедить. В течение дня пить по 1 ст. л., не превышая дозу. Сделать перерыв – 1 неделю и повторить курс. Далее повторять следует 1 раз в 90 дней, затем 1 раз/год.

Мази от воспаления суставов стопы, колена, таза и бедра:
- Смешиваем народные средства: 4 части вазелина и 1 часть сока чистотела. Смесь нужно втирать в место воспаления. Для мази можно использовать в равных весовых частях размельченный сухой чистотел и вазелин.
- Смешиваем по 1 ч. л. машинное масло и сухую горчицу, добавляем 2 ч. л. живичного скипидара или живицу пихты. Пользуемся мазью после ванночек. На смазанные суставы стоп надеваем шерстяные носки, колени бинтуем шарфом. Длительность лечения и перерыв – по 3 недели.
- Пчелиный воск (100 г) смешиваем со свежей еловой живицей (100 г), добавляем несоленое сливочное масло (200 г). Греем на бане 2-3 часа, заливаем в банку и храним под крышкой. Втираем в суставы стопы, колена, бедра и таза в подогретом виде.
- Смешиваем морскую или поваренную соль (200 г) с такими народными компонентами, как горчица (50 г) и керосин до сметанообразной консистенции. Втираем в ткани вокруг суставов и над ними досуха.
- Горчицу смешиваем с любым растительным маслом и медом – по 1 ст. л., томим 15 минут на бане.
Воспаленные суставы натирают кедровой живицей (в 25%-ном растворе) 3 раза/сутки. Снимают воспаление такими народными методами, как апитерапия (укусами пчел), примочки из натертых переспелых огурцов, фиксируя бинтами на сутки.
Полезно принимать от воспаления суставов ног и болей живичные скипидарные ванны: белые и желтые, после них пить чай из ягод и листьев брусники. Для приготовления чая можно воспользоваться следующими народными средствами: семенами льна, крапивой, брусникой, календулой, зверобоем в одинаковых весовых частях. Запариваем, как чай, и выдерживаем под крышкой до остывания. Пьем 1 месяц.
Подагрический артрит можно лечить ежедневным приемом настойки в течение 10 дней (по 20-30 капель): заливаем сабельник болотный или подмаренник (медуницу) спиртом (70%) в банке, настаиваем 21 день. Настойку из сабельника можно совмещать с натиранием суставов настойкой из листьев каланхоэ. Листья нарезают и настаивают на спирту 1 неделю.
При воспалении суставов нужно придерживаться бессолевой диеты и раздельного питания. При приеме медикаментов: Индометацина, Ибупрофена, Диклофенака следует отказаться от мясных и рыбных бульонов и соусов с наличием пряностей и приправ, грибов, бобов, капусты, соленых и маринованных овощей, алкоголя и газированных напитков, чтобы исключить тошноту, рвоту и метеоризм, боли и жидкий стул.

Рацион должен состоять из обезжиренных, отварных, тушеных или паровых блюд. Красное мясо следует заменить кроликом, бараниной. Полезна постная рыба и зелень, твердый сыр, кисломолочные изделия, соки из томатов, моркови, сельдерея и капусты. Можно варить крупы грубого помола, макароны, морепродукты. Овощи и фрукты лучше употреблять оранжевых, желтых, зеленых цветов.
Вместо чая можно пить настои из таких растений, как крапива, листья брусники, семечки льна, цветки календулы и зверобоя.
Вас может заинтересовать
sustavka.ru
симптомы и лечение, народные методы
Ноги могут болеть по множеству причин. И пожалуй, самый раздражающий вид боли – продолжительная, ноющая боль в суставах. Эти неприятные ощущения вызваны воспалительными процессами.
Если воспаление суставов вовремя не лечить, оно может стать хроническим. В этом случае придется привыкать к возвращению болей при малейших колебаниях в погоде или атмосферном давлении.
Раннее распознание воспаления позволяет провести адекватное лечение. Поэтому если сустав опух, нагревается, постоянно болит и неохотно двигается – немедленно отправляйтесь к врачу. Лишь точная и своевременная диагностика позволяет избежать таких неприятных последствий, как хроническое ограничение подвижности сустава.
Грамотное лечение помогает предотвратить усугубление заболевания, и вернуть радость движения.
Симптомы

Воспалиться может любой сустав стопы. Причем любая инфекция, переохлаждение, большая нагрузка на ноги и даже укусы некоторых насекомых могут послужить толчком к развитию воспалительных процессов.
Медики разделяют следующие локализации воспаления суставов ног:
- Воспаление суставов стопы.
- Воспаление суставов голеностопа.
- Воспаление мениска коленного сустава.
- Воспаление тазобедренных сочленений.
Каждое из этих заболеваний способно надолго лишить человека радости движения.
Переохлаждение и инфекции нередко приводят к поражению нескольких суставов сразу.
В начале интенсивность болей может быть малой. Больные отмечают небольшое покраснение в области воспаления и легкое жжение, которое несложно проигнорировать или заглушить обезболивающими средствами. Хотя именно на этой стадии стоит начинать ударное лечение. Ведь если дать процессу развиться, даже небольшое поражение может перерасти в огромную проблему.
Воспаление, которое не лечат, постепенно начинает делать каждое движение болезненным. Область вокруг пострадавших суставов заметно краснеет и опухает, образуется отек (отек и боль в колене). Больной может избегать двигательной активности, чтобы не тревожить ногу лишний раз. Если продолжать и дальше отказываться бороться с проблемой, через какое-то время движение сустава будет полностью заблокировано.
Хронические воспаления проявляют себя точно так же, как острые, с одним различием: боль может появляться и утихать по несколько раз в месяц. При этом в «опасную» стадию процесс может и не переходить.
Эта мнимая безопасность – причина того, что тысячи людей живут с хроническим артритом и ограничиваются эпизодическим лечением симптомов. Между тем любое хроническое воспаление может перейти в острую фазу, если его не лечить.
Принципы лечения

После того как врач установит, что сустав воспалился, незамедлительно назначается лечение. Однако нередко пациент имеет противопоказания к традиционным лекарствам. Так, например, маленькие дети, аллергики и беременные женщины не могут принимать многие популярные препараты. В этом случае на помощь приходят народные средства.
Впрочем, какое бы лечение ни было выбрано, его задачи всегда одни и те же:
- Остановить болевые ощущения и предотвратить их возникновение в будущем.
- Вылечить воспалительный процесс или максимально затормозить его развитие.
- Восстановить функции сустава.
- Предотвратить развитие осложнений.
Лечение воспаления суставов проходит эффективнее, если больной создаст максимально благоприятные условия для выздоровления. Следует соблюдать режим сна и придерживаться здорового питания, по возможности больше времени проводить в движении.
Избыточный вес, страсть к курению и злоупотребление алкоголем создают дополнительную нагрузку на организм. Это мешает суставам восстанавливаться, поэтому на время лечения стоит отказаться от вредных привычек и переедания.
Медикаменты

Консервативная терапия основана на определении характера воспаления и назначении соответственных лекарственных средств. Как правило, нестероидные противовоспалительные медикаменты (Парацетамол, Диклофенак) используются в комплексе с обезболивающими. Благодаря этому пациент испытывает облегчение и восстанавливается намного быстрее.
В случаях, когда поражение особенно сильно, прописывают стероидные противовоспалительные средства (например, Кортизон) в четкой дозировке. Они обладают «ударным» действием и существенно уменьшают болевые ощущения. Но вместе с тем принимать такие препараты следует очень осторожно: они имеют массу тяжелых побочных эффектов, вплоть до язвы желудка. Поэтому обязательно придерживайтесь установленной врачом дозировки, и тогда все будет в порядке.
Многие пациенты с сильными болями в суставах имеют противопоказания к стероидным медикаментам. В этом случае назначают альтернативные сильнодействующие препараты, например, Напросин или Вольтарен.
Дополнительные лекарства

Для скорейшего восстановления двигательных функций назначают препараты, уменьшающие воспалительные процессы. Один из самых известных таких препаратов – метотрексат. Он эффективно оберегает суставы от разрушения, предотвращая усугубление воспалительных реакций.
Если воспаление отягощается подагрой, недостаточно лечить сустав – нужно также понизить уровень мочевой кислоты. Для этого принимают аллопуринол. Если же заболевание протекает на фоне инфекции, то необходимо добавить в программу лечения антибактериальные средства.
Самое простое и эффективное медикаментозное лечение при инфекционном артрите – антибиотики. Инъекции быстро останавливают воспалительные процессы, после чего сустав начинает потихоньку «приходить в себя».
Следует заметить, что лекарства ускоряют только первую стадию борьбы с заболеванием. Для дальнейшего выздоровления придется длительное время принимать укрепляющие препараты или применять различные народные средства.
Физиотерапия

Воспаление суставов стопы физиотерапевтическими процедурами не лечится, хотя для воспаленных суставов физиотерапия может быть очень полезна. Попробуем разобраться почему.
Физиотерапия – это довольно агрессивный метод лечения для больного организма. К назначаемым в восстановительный период после воспаления процедурам относятся:
- Лазеротерапия инфракрасными лучами.
- Терапия ультразвуком.
- Магнитотерапия на высоких частотах.
- УВЧ-терапия низкой степени интенсивности.
- Лечебные ванночки.
- СУФ-облучение.
Все эти методы лечения способны оказать благоприятное влияние на воспалительный процесс. При этом они отлично воздействуют на «холодные» ткани хрящей и суставов, ускоряют заживление и восстановление подвижности.
Существуют также заболевания, имеющие непосредственное отношение к воспалениям суставов и похожие осложнения. К таким заболеваниям относится остеоартроз, в борьбе с которым физиотерапия дает поразительные результаты.
Народная медицина

Многие пациенты вынуждены отказываться от курса лечения противовоспалительными средствами и антибиотиками из-за индивидуальных противопоказаний. Но воспаление суставов ног нельзя оставлять не пролеченным. Поэтому приходится подыскивать альтернативу традиционному лечению.
Остановить поражение суставов и ускорить долгий процесс заживления помогут народные средства, например лечение пчелиным подмором. Рассмотрим лишь некоторые, но чаще всего рекомендуемые врачами.
- Почки сосны. Попросите родных или знакомых собрать для вас свежих почек сосны. Бросьте их в литровую банку, засыпьте небольшим количеством сахара, прикройте газетой или крышкой и поставьте настаиваться в темном углу. Через неделю лекарство будет готово. Несколько раз в день употребляйте по чайной ложке этого средства, и вскоре вы сможете заметить положительный эффект. Для скорейшего выздоровления можно также аккуратно натирать сосновым настоем больное место несколько раз в сутки.
- Еще можно приготовить насыщенный вариант настойки из почек. Для этого понадобится заполнить почками и сахаром практически всю банку: кладете почек на два сантиметра, затем сыпете сахар толстым слоем, затем снова почки и т.д.
- Настойка из ягод. Универсальными народными средствами при восстановлении после воспалений являются настои на основе растений и ягод с ярко выраженными лекарственными свойствами. Для изготовления собственного целебного настоя вам понадобятся ягоды брусники, крапива, зверобой, льняное семя и календула примерно в равных пропорциях. Бросьте все составляющие в банку, залейте кипятком и оставьте постоять в темноте на несколько дней. Употреблять внутрь по 2 чайные ложки в день в течение месяца.
Что еще можно делать? Быстро облегчить состояние при остром воспалении поможет компресс из натуральных компонентов. Приложите к пострадавшей области листья мать-и-мачехи – они «вытянут» болезнь. Весной мать-и-мачеху можно заменить свежим лопухом. Зимой выручают листья белокочанной капусты. Уже через неделю обертываний вы почувствуете себя лучше.
Лечение в домашних условиях народными средствами включают в себя огромное количество припарок, «прикладок» и притирок. Так, говяжья желчь облегчает воспаление за три дня. Разогретое льняное семя помогает унять страдания также довольно быстро. Кроме того, оно может прикладываться к больному месту продолжительное время.
Главное помнить, что народными средствами не заменяют традиционное лечение, если таковое доступно. Поэтому укрепляя организм настоями, не забудьте принять лекарства.
moyskelet.ru
виды заболеваний, симптомы и лечение
Если у человека воспаление суставов ног, то это существенно снижает его возможность нормально перемещаться. Воспаленный сустав опухает, увеличивается, кожа сильно краснеет и становится натянутой. Очень часто у пациентов увеличивается температура. При явных симптомах воспаления для диагностики нужно обращаться к врачу.
Воспаление ноги может провоцироваться разными заболеваниями. Как правило, недуг вызывается такими болезнями суставов, как:
- Ревматоидный артрит.
- Подагра.
- Остеоартроз.
- Бурсит.
Распространенные виды заболеваний
Ревматоидный артрит
Это заболевание очень часто может провоцировать воспалительный процесс сустава большого пальца на ноге. Заболевание проявляется такими симптомами:
- Горячая и красная кожа около очага воспаления.
- Опухоль возле воспаленного сустава.
- Сильная, непрекращающаяся боль в суставе.
Артрит может быть хроническим или острым. При остром артрите воспаления суставов сопровождаются сильными болезненными приступами. Во время хронического артрита симптомы могут временно пропадать. Опасней всего хронические воспаления суставов. Зачастую люди не предают значения периодическим болезненным приступам и откладывают поход к врачу. Но именно этот медленный воспалительный процесс может разрушить хрящевую ткань и весь сустав.
Диагностировать ревматоидный артрит можно как по увеличению сустава пальца, так и проведя обследование. Затем, когда человек сдаст определенные анализы и сделает рентген, врач может точно определить заболевание. Зачастую ревматоидный артрит появляется симметрично. Это обозначает, что воспаление проходит одновременно на двух ногах. Ревматоидный артрит отличается неожиданным исчезновением болевого ощущения и скованностью. Как правило, это случается после кратковременной физической нагрузки.
Причиной этого заболевания может быть нарушение функционирования иммунной системы. В данном случае она отторгает клетки организма, воспринимая их как чужеродные. Больше всего поражаются ткани суставов.
Воспаление суставов пальцев на стопе может случиться после того, как человек перенес серьезную инфекционную болезнь, так как в это время организм особенно ослаблен.
Подагра и инфекционный артрит
Очень часто причиной воспаления пальцев на стопах является инфекционный артрит. Поражение появляется из-за негативного действия инфекции на суставы. У людей с инфекционным артритом все время появляется ощущение зажатости и невозможности сгибать нормально стопу, сустав на ней становится опухшим и очень горячим. Воспаление суставов на ногах провоцирует развитие общих признаков артрита, но одновременно с ними у человека появляются и иные симптомы заболевания:
- Головокружение.
- Сильная головная боль.
- Озноб.
- Повышенная температура.
Кроме артрита, воспаление в ногах также вызывает подагра. Как правило, подвержены этому заболевания люди с наследственной расположенностью и пациенты, которые употребляют большое количество мяса. Любители мясной продукции попали в группу риска, так как в процессе болезни на суставах человека оседают некоторые вещества, появляющиеся при синтезе пуринов. А данное вещество в избытке есть в мясе. В категорию риска также попадают мужчины возрастом 30-50 лет.
Люди испытывают довольно сильные жгучие боли в ногах. Иные признаки, как правило, не проявляются. Наиболее сильные болевые приступы происходят ночью. С утра симптом в основном частично проходит. В некоторых случаях суставы могут изменять цвет и опухать. Проявление болевых ощущений может усиливаться, когда человек употребляет довольно много мяса и спиртного.
Если своевременно не обратиться за помощью к врачу и не произвести лечение, то подагра начинает сопровождаться развитием воспаления мочеполовой системы и почек.
Симптомы и причины остеоартроза
Воспаление суставов на ногах часто провоцируется остеоартрозом. Это недуг, который провоцирует появление разрушительного процесса в суставах и хрящах. Причины развития этого заболевания могут быть различные:
- Воспаление.
- Дисплазия.
- Сильная травма.
Ушиб стопы – одна из наиболее частых причин появления этой болезни. Во время внешнего повреждения палец на ноге опухает не сразу, но через время появляется воспаление. Дисплазией называется врожденное изменение формы стопы, которое за собой влечет некоторые нарушения в функционировании ноги. Воспаление, не вызванное травмой, как правило, приводит к появлению артроза и разрушению коробки сустава.
Иногда воспаление суставов на ногах, вызванное остеоартрозом, провоцируется болезнями иммунной системы. У некоторых людей болезнь может вызываться наличием в организме вирусной инфекции (гнойное воспаление, стрептококк). Очень редко бывают случаи, когда сустав воспаляется под воздействием гонореи или сифилиса.
Остеоартроз чаще всего сопровождается тупой и сильной болью, которая, как правило, появляется днем. Даже при небольшой физической нагрузке боль может нарастать. Когда нога находится продолжительное время в состоянии покоя, то симптоматика может полностью исчезать. Кроме данного симптома, у людей часто проявляется в суставах характерный хруст и скрип.
Остеоартроз – это деформирующая болезнь. Потому, кроме воспаления суставов ног, у пациентов происходит сильная деформация стопы. Часто вся сумка сустава полностью является неподвижной.
Симптомы проявления бурсита
Данный недуг часто развивается из-за травм либо повреждений, которые связаны с неудобной обувью, неправильной походкой. В итоге деформируется большой палец на стопе. В коробке сустава развивается воспалительный процесс, который часто охватывает все ткани, которые находятся рядом. Вначале начинается деформация большого пальца. Сбоку на ноге у человека нарастает характерная твердая шишка, которая совершенно безболезненна, но мешает нормально перемещаться. Если своевременно не произвести лечение, то воспаление постепенно увеличивается, и через время проявляются другие симптомы заболевания.
Очень часто бурсит появляется на почве иных деструктивных заболеваний: подагры, артроза, артрита. Иногда болезнь переходит на суставы рук, но больше всего поражаются ноги. Под действием процесса воспаления шишка на пальце увеличивается, кожа около очага воспаления становится очень горячей, натягивается и краснеет. Пациент чувствует периодически в пальце сильную боль, которая иногда переходит полностью на стопу. При сильной физической нагрузке ощущения боли нарастают и могут не заканчиваться даже в состоянии покоя.
Воспаление прогрессирует и усиливается в результате попадания в травмированные кожные участки разных бактерий.
Лечение воспалительного процесса
Чтобы уменьшить болезненные ощущения и убрать воспаление, врач назначает человеку ряд медицинских препаратов:
- Стероидные инъекции.
- Препараты, которые снимают воспаление.
- Восстанавливающие препараты.
- Нестероидные средства (таблетки, порошок, мазь).
Иногда пациенту могут прописать сильнодействующий противовоспалительный или обезболивающий препарат. Кроме медикаментозного лечения, человеку в обязательном порядке назначают специальный бандаж, который нужно носить все время. Есть несколько видов бандажей для ног. С учетом того, как сильно запущено заболевание, такой и прописывают бандаж человеку. Лечение воспаления подразумевает обязательное использование хондропротекторов. Данные препараты направлены на процесс восстановления суставной и хрящевой ткани.
Кроме того, они борются с воспалением и снимают болевой симптом. Если заболевание сильно запущено, то лечение хондропротекторами направлено на снижение в тканях деструктивного процесса. Эти препараты могут изготавливаться в форме таблеток, мазей, инъекций или порошков. Использовать эти препараты нужно все время, так как они подпитывают поврежденный сустав. Лечение этим способом довольно продолжительное и часто достигает 5 лет.
Кроме данных способов реабилитации, врач может прописать курсы массажа или специальные процедуры. Это лечение нормализует кровообращения на пораженном участке, снижает болезненные ощущения, снимает напряжение мышц и хорошо разминает ногу. Эти способы лечения могут назначаться лишь врачом. Самостоятельное лечение с помощью массажа может отрицательно сказаться на здоровье человека, поскольку на некоторых этапах развития заболевания данная мера лечения недопустима.
Если лечение не дает результата или человек обратился за помощью очень поздно, то врач может провести хирургическое лечение.
Когда воспаление сустава очень значительное, то может быть необходима его полная или частичная замена. Иначе он не сможет нормально функционировать, а воспаление перейдет на все ткани, расположенные рядом, человек начнет ощущать сильную боль не только в пальце, но и полностью на ноге. Потому человеку предлагают провести операцию, в процессе которой врач удаляет пораженный сустав и устанавливает имплантат вместо него.
Народные методы лечения
Перед тем, как начинать народные способы лечения, пациенту нужно откорректировать диету. Довольно много зависит, как пациент питается. Чрезмерное количество солей и жиров могут приводить к развитию на суставах болезненных наростов, которые в дальнейшем могут провоцировать воспаление. Если поражение ноги вызвано какой-то формой артрита, то правильное питание значительно улучшит состояние человека. Пациенту рекомендуется убрать из меню соль, жирные продукты, субпродукты, бобовые и спиртное. Употреблять можно зерновые, постное мясо, кисломолочные продукты, фрукты и овощи.
Полностью вылечить заболевания, провоцирующие в суставах процессы воспаления, возможно лишь хирургическим лечением. Если вы хотите использовать медикаментозные варианты лечения или народные способы, то необходимо осознавать, что так, вы только остановите развитие болезни и частично сможете улучшить ваше самочувствие.
- Чтобы снять отек и снизить болезненные ощущения, нужно подготовить мазь. Для чего возьмите 20 гр. мела и добавьте в него 60 мл кефира. Тщательно смешайте компоненты. Должна выйти густая смесь, похожая на мазь. Нанесите эту смесь на поврежденную область ноги и закутайте ее полиэтиленом. Оставьте этот состав на ноге на ночь.
- Также лечение невозможно без использования специальных ванн. Наберите полную ванную теплой воды. Температура обязана быть 37-39C. Добавьте в ванну 8 капель эфирного масла (календула, эвкалипт, зверобой) и 2 ч. л. оливкового масла. Эту ванну нужно принимать по 25 минут ежедневно.
- Нужно использовать отвары, имеющие противовоспалительный эффект. Чтобы приготовить порцию этого отвара, потребуется 25 гр. лепестков календулы, добавьте 0,5 л воды и дайте покипеть 8 минут. Дайте этой смеси настояться и процедите ее. Смочите кусок ткани и приложите к больному участку. Держите эту ткань, пока она полностью не просохнет.
- Применяйте примочки из лука. Потрите половину луковицы и выложите на марлю кашицу. Наложите компресс на больной сустав и держите около часа.
Подводя итог, нужно сказать, что ни в коем случае не стоит пренебрегать какими-либо симптомами появления воспаления суставов, так как в остром периоде заболевания оно успешно поддается лечению, что довольно сложно сделать, когда процесс переходит в хроническую форму.
artrit.guru
лечение нижних конечностей, симптомы и причины возникновения
Здоровое состояние опорно-двигательного столба важно для полноценной жизнедеятельности человека. Но бывает, что патология поражает ноги. Воспаление суставов на ногах является распространенным заболеванием, лечение которого осуществляется разными способами. Особенно страдают люди в преклонном возрасте. К данной болезни относится артрит стопы.
Содержание
[ Раскрыть]
[ Скрыть]
Особенности болезни
На наши стопы возлагается нагрузка, ведь они выдерживают на себе вес. За счет их осуществляется передвижение, поэтому очень часто ноги подвергаются разным недугам (в том числе и артриту). Воспалительный процесс в соединении, сопровождающийся модификацией строения, называется артритом стоп.
Наблюдается воспаление в костном сочленении больших пальцев, плюсны. Может диагностироваться одновременно с артритом голеностопа. Мало кто из нас обращает внимание на небольшой болевой синдром, неприятное ощущение при ходьбе. Оно постепенно усиливается, доставляя некоторое страдание личности.

У пациента изменяется походка, особа может начать хромать, испытывает сильную боль, происходит нарушение суставной структуры. В таком случае желательно придерживаться предписаний доктора, применять комплексное лечение.
Классифицируется патология на следующие виды:
- Посттравматическую;
- Ревматоидную;
- Подагрическую;
- Инфекционную.
Имеет артрит ног хроническую и острую фазу протекания заболевания. Последняя форма характеризуется выраженной симптоматикой. Хроническая обладает вялым протеканием и слабовыраженными симптомами. Следует отметить существование облитерирующего артрита ног, так как он может привести к ампутации правой (левой) конечности, в конечном итоге — к инвалидности.
Причины возникновения
Почему воспаляются суставы и что делать в такой ситуации? Источники возникновения болезни разные, ведь каждый отрицательный процесс в биосистеме является основой для развития артрита ног. Факторы, которые вызывают патологию, делятся на вторичные и первичные. Повреждением самого сустава характеризуются первичные факторы, а вторичные проявляются в соответствии наличия другого заболевания.
Основные причины:
- Травмирование;
- Инфекция;
- Нарушение метаболизма;
- Врожденная патология;
- Сбой в работе эндокринной системы;
- Аутоиммунный процесс;
- Нарушение костной материи.

Кроме вышеперечисленных причин на возникновение недуга могут влиять такие факторы:
- Переохлаждение;
- Слабая иммунная система;
- Чрезмерная физическая нагрузка;
- Беременность.
Подвергаются риску:
- Спортсмены – они постоянно испытывают нагрузку на стопы ног.
- Пациенты – переболевшие инфекцией, вирусом.
- Особи, которым больше 55 лет.
- Люди со слабым иммунитетом.
Симптомы недуга
Существуют клинические признаки, которые выражены в разной степени. Чем бы ни был спровоцирован артрит нижних конечностей, именно его симптомы принуждают человека обращаться за медицинской помощью.
К ним относят:
- Отек;
- Повышенная температура тела;
- Боль;
- Покраснение локализованного места;
- Ограничение подвижности;
- Нарушение функционирования.

Абсолютно каждый воспалительный процесс сопровождается болевыми ощущениями. Они бывают едва заметными или же невыносимыми при ходьбе, малейшем передвижении, или даже в состоянии покоя. Болевой синдром предоставляет дискомфорт при шевелении пальцев правой или левой ноги, а в некоторой ситуации утруждает стояние на них. Боль становится сильной, постоянной с прогрессом болезни.
Если воспалился сустав на ноге, то заметить это возможно по внешнему показателю. Значительно меняется внешний вид сустава нижней конечности. Пораженное соединение отечное, горячее на ощупь, кожный покров имеет блеск, покрасневшее.
Для артрита характерно сбой работоспособности поврежденного сустава. Болевой синдром может развиваться на фоне необратимых модифицированных изменениях, обладает временным характером. При этом ограничена подвижность, невозможно сгибание ноги.
Диагностика
При возникшей боли стоит обратиться в поликлинику за медицинской помощью к ортопеду, ревматологу. Доктор осматривает пациента, проводит опрос, выслушивает жалобы. Осмотр стопы заключается в оценке и анализировании деформации сочленения, подвижности и степени боли. Диагностировать артрит стопы не затруднительно.

Основными способами диагностики суставов являются УЗИ, МРТ, КТ. Чтобы выяснить настоящую и точную причину артрита проводят общий анализ крови. Для определения состояния синовиальной жидкости совершают пункцию сочленений.
Методы лечения
Как лечить артрит нижних конечностей? Оптимальный и верный метод лечения сможет подобрать и назначить только специалист. Исходя из проведенных анализов, присутствующих симптомов врач назначает лечебную терапию.
Основные цели терапии:
- замедление развивающего процесса;
- ликвидация болевого признака;
- улучшение самочувствия;
- восстановление суставной функции;
- устранение осложнения.

Медикаменты
Грамотное лечение назначает доктор, в зависимости от причин и симптомов применяются лекарственные препараты. Зачастую используются противовоспалительные, обезболивающие средства.
- Нестероидные противовоспалительные медикаменты помогают устранить воспаление косной поверхности с отеком, понизить болевой синдром, способствуют возобновлению строения. К ним относят: Напроксен, Ибупрофен, Диклофенак.
- Обезболивающие препараты рекомендуются для избавления сильной боли. Их выписывает лечащий врач, здесь также актуально согревающие мази, гели. Применяется часто Нурофен, Кеторолак, Доларен.
- Хондропротекторы улучшают хрящевую материю, приостанавливают развитие болезни, наполняют костные ткани строительным веществом. В эту группу входят: Дона, Структум, Хондроитин, Артрон, Алфлутоп.
Учтите, что все эти препараты действенные только на ранней фазе патологии.
Народная терапия
Рекомендуют после посещения доктора приступать к лечению. Лечить артрит стоп в домашних условиях может быть опасно. Прежде всего стоит посоветоваться с медработником, чтобы дополнить консервативное лечение народными средствами, и не навредить себе. Основной задачей нетрадиционной медицины является снятие отека, острой боли.

Рассмотрим некоторые рецепты народных средств:
- Мазь. Возьмите чайную ложечку скипидара, один свежий желток – все взбить. Добавить в смесь чайную ложку яблочного уксуса. Полученная мазь хорошо снимает боль, отечность. Мазать пораженный сустав дважды в день.
- Магниевая соль – прикладывается на больное место на 15- 20 минут, отлично справляется с болевым синдромом.
- Отвар из смородины. Ягоды черной смородины проварить около 20 минут, затем остудить, процедить отвар и пить по 3 столовых ложки в сутки. Снимает приступы.
- Лимонный компресс – подогреть воду в сосуде, добавить в нее сок из половины фрукта. Затем опустить в раствор марлю и наложить ее на больной сустав. Помогает снять болевые ощущение.
- Крапивная повязка. На ночь прикладывают свежее растение на сочленение, сверху обматывают теплой тканью, чтобы повязка держалась. Длительность сеанса – от 3 до 4 процедур.
ЛФК
К основному лечению хорошо бы выполнять упражнения. Ознакомимся с самым простым комплексом занятий:

- Лечь на спину, при этом колена согнуты, далее выпрямите ноги и разведите их в стороны. После снова вернитесь в начальное положение.
- Лежа на спине, следует потянуть стопу на себя, и отвести ее обратно. Руки по швам, дыхание равномерное.
- Лягте на спину, согните ноги в коленном суставе, подтяните пятки к себе, не отрывая их от поверхности пола.
- Лечь набок, отводите правую ногу в сторону, затем возвращайтесь в прежнюю позу. Это же упражнение выполните с левой ногой.
Видео «Лечебный комплекс при артрите»
В данном видео приведены простые примеры занятий, которые вы можете посмотреть и совершать дома.
prospinu.com
Воспаление сустава на ноге: лечение, симптомы и фото
Содержание статьи:
При воспалении в крови человека увеличивается количество белых клеток и других химических элементов, которые подавляют инфекции, вирусы и другие патогенные микроорганизмы. Другими словами, воспаление – это ответная, защитная реакция организма на угрозу.
Но при таких заболеваниях суставов, как артрит или артроз, часто защитная реакция возникает ошибочно, когда никакой реальной угрозы не существует, по причине сбоя в работе иммунной системы. В этом случае воспаление необходимо лечить, чтобы предохранить здоровые клетки от разрушения.
Заболевания такого рода классифицируются как аутоиммунные. Организм воспринимает некоторые клетки собственных тканей как чужеродные и начинает уничтожать их.
Если рассматривать воспаление суставов ног, то в этом случае все патологии по клинической картине и этиологии можно разделить на две основные категории:
- Артриты;
- Артрозы.
Заболевание обеих групп могут быть первичными, то есть, возникшими самостоятельно, или вторичными – возникшими как следствие другой болезни.
Какие суставы ног подвержены воспалению
Воспаление может поражать любые суставы нижних конечностей, как крупные, так и мелкие, в том числе и пятки.
Страдают все элементы сустава – связки, хрящи, сухожилия, кости, — и мышечные ткани, окружающие его.
Происходят дегенеративные изменения тканей, сустав деформируется, теряет свои функции и в итоге разрушается.
По локализации воспаления выделяют такие виды патологии:
- Воспаление коленного сустава. Является самым распространенным, так как этот сустав имеет сложное строение, очень уязвим ввиду своего анатомического расположения и интенсивных нагрузок. На начальной стадии симптомы выражены очень слабо, если лечение проводится своевременно, болезнь редко приводит к инвалидности. Наблюдается преимущественно у женщин среднего возраста с избыточной массой тела.
- Воспаление голеностопа. Этот сустав должен выдерживать массу всего тела, к тому же постоянно задействован при ходьбе и любом другом движении. Важность этого сочленения не переоценить – если нарушаются его функции, подвижность человека резко ограничивается.
- Воспаление суставов стоп и пятки. Этому виду болезни подвержены люди пожилого возраста, часто носит хронический характер, потому лечить его очень тяжело. Особенно сильные боли и дискомфорт пациент испытывает, если воспалились пятки.
- Воспаление сустава большого пальца стопы. Этот вид является отдельной категорией, так как его лечение требуется особого подхода. Может развиться в любом возрасте, обычно по причине переохлаждения. Боли при таком воспалении резкие и мучительные, пациент не может нормально передвигаться.
- Воспаление тазобедренного сустава. Течение болезни длительное и болезненное. Если ее не лечить, боли со временем не дают покоя даже при отсутствии нагрузок и движения, нарушают ночной отдых. Диагностируется у людей, страдающих врожденной дисплазией тазобедренного сустава и другими генетически обусловленными аномалиями в развитии сустава.
Общие симптомы для всех категорий и видов воспаления суставов:
- Боли разной интенсивности, которые могут резко возникать и временно стихать;
- Местное повышение температуры в области пораженного сустава или пятки;
- Отечность и покраснение в очаге воспаления.
Боль становится главной причиной ограничения подвижности человека – он просто боится задействовать пораженный сустав.
Потому лечение в первую очередь направлено на устранение болевого синдрома.
Какие факторы провоцируют воспаление ног
Воспаление суставов нижних конечностей может развиться по причине инфекции, травмы, аллергической реакции, иногда его вызывают укусы ядовитых насекомых. Предпосылками к патологии являются такие факторы:
- Избыточный вес.
- Сбой иммунной системы.
- Нарушения обмена веществ.
- Наследственность.
- Неправильно подобранная обувь, высокий каблук.
- Физические перегрузки.
Часто болезнь протекает в скрытой форме, выявить ее можно только при тщательном обследовании.
Своевременные диагностика и лечение помогут избежать осложнений и остановить патологии на ранней стадии развития.
Признаком каких болезней является воспаление суставов
Воспаление суставов и пятки может развиться по самым разным причинам, но есть болезни, которые всегда сопровождаются воспалительным процессом в суставных тканях
Артрит. В этом случае болезни вызываются попаданием инфекции в сустав или нарушением обменных процессов, вследствие чего питание сустава ухудшается. Лечить нужно первопричину, ставшую толчком к формированию патологии. Медикаментозное лечение включает:
- антибиотикотерапию,
- анальгетики,
- курс противовоспалительных препаратов,
- иногда гормоны,
- дополнительно назначаются различные физиопроцедуры и лечебная физкультура.
Рекомендовано курортно-санаторное лечение. В тяжелых случаях проводятся хирургические операции по иссечению поврежденной суставной капсулы, удалению и замене искусственными разрушенные фрагменты сустава. Применяются такие методы как артропластика, артродез, артротомия.
Артроз. Заболевание хронического характера, при котором изменяется структура суставных тканей. Часто развивается после травм (переломов, повреждений хряща), перенесенных инфекционных заболеваний (туберкулез, сифилис, бруцеллез), интоксикации организма, постоянных физических нагрузок (у спортсменов, танцоров, грузчиков).
Лечение проводится с использованием:
- гормональных лекарств из группы адренокортикотропных,
- полезно делать при артрозе массаж,
- физиотерапевтические процедуры (ультразвук, прогревания),
- упражнения из суставной гимнастики,
- в запущенной форме проводятся артродез или артропластика.
Подагра. При таком заболевании в суставах скапливается мочевая кислота, нарушается пуриновый обмен, поражаются не только суставы, но и почки. Сустав буквально распухает и теряет подвижность, при этом пациент испытывает сильные, жгучие боли и дискомфорт.
Чаще страдают мужчины в возрасте от 40 лет. Болезнь протекает хронически, с острыми приступами, во время которых быстро нарастают боли (обычно в области большого пальца стопы, реже в области пятки), отмечается сильная отечность и покраснение конечности.
Причинами обострения могут стать длительное пребывание на холоде, ушиб, употребление алкоголя и пищи, богатой пуринами (преимущественно мясные, копченые, жареные продукты).
Лечение в период ремиссии базируется на диете и обильном питье, способствующем растворению и выведению мочекислых соединений, в период обострения подагру следует лечить такими препаратами как реопирин, колхицин, индоцид кетазон.
Бурсит коленного сустава. Это воспаление суставной сумки, вызванное травмами, механическими повреждениями, аллергическими реакциями или инфекцией.
Чаще страдает коленный сустав, при этом сустав может опухать и краснеть, температура повышается, пациент при ходьбе припадает на больную конечность.
Протекает остро, в первые дни лечение проводится с помощью холодных компрессов и давящих повязок, затем наоборот, нужно делать согревающие компрессы и физиопроцедуры, и применять мази с рассасывающим эффектом.
Заболевания суставов в запущенной форме могут привести к полной потере способности самостоятельно передвигаться.
Потому при первых же симптомах необходимо обращаться к врачу и неукоснительно делать все, что он порекомендует после определения точного диагноза.
Как предотвратить воспаления суставов ног
С помощью профилактических мер можно существенно снизить риск воспаления коленного сустава, тазобедренного, голеностопного, стопы или пятки.
- Поддержание иммунитета. Это закаливание, занятия спортом, пребывание на свежем воздухе, курс приема витаминно-минеральных комплексов и имуномодуляторов.
- Сбалансированное питание – в рационе должны преобладать свежие овощи, фрукты, злаки, избегать нужно сдобы, кондитерских изделий, жирного мяса, полуфабрикатов и копченостей. Нельзя переедать, чтобы не набирать лишние килограммы.
- Здоровый образ жизни. Алкоголь и курение сильно влияют на питание, структуру и функциональность суставов. Негативно сказываются стрессы, переутомление, большие физические нагрузки, отсутствие полноценного отдыха, так же, как и напротив, отсутствие физической активности.
Если есть склонность к суставным заболеваниям или человек просто в возрасте, рекомендуется регулярно посещать ревматолога или артролога для профилактического осмотра, сдавать анализы, чтобы вовремя обнаружить повышение мочевой кислоты в крови.
Все эти меры помогут не допустить развития воспаления и не дать ему перейти в тяжелую форму.
Народные средства при воспалении суставов
Народная медицина в данном случае хороша тем, что почти все средства доступны и не имеют таких побочных эффектов и противопоказаний, как медикаментозные препараты. Эффект проявляется медленно, зато такие рецепты можно использовать длительное время без ущерба для здоровья и бюджета.
- Жидкая мазь на скипидаре. Соединить один желток, чайную ложку скипидара и чайную ложку яблочного уксуса. Смесь втирать в пораженные участки.
- Примочки из прополиса. Лоскуток ткани закладывают в улей на несколько месяцев, затем накладывается на больные суставы или пятки.
- Отвар из брусники. Две ложки листьев заливают стаканом кипятка и на медленном огне кипятят четверть часа. Затем пьют в течение дня как чай.
Все рецепты нужно применять ежедневно не менее одного месяца. Рекомендуется не нарушать пропорции при приготовлении.
sustav.info
Воспаление суставов на ногах: как снять (лечение)
Вряд ли кто-то станет спорить с тем фактом, что человеческая стопа является уникальным биомеханическим механизмом, который обеспечивает человеку возможность ходить в прямом положении. Ежедневно на эту часть тела приходится невероятная нагрузка, и нужно стараться сохранить ее здоровье. В каждой стопе расположено 30 костей, а также 28 суставов. При малейшем затрагивании патологическим процессом одной или нескольких из данных структур, возникают сложности, напрямую связанные с проблемным ношением любимой обуви, болью различной степени и даже деформацией стопы.
Воспаление суставов не относится к определенным категориям людей по возрасту, профессии или образу жизни. Они могут коснуться абсолютно любого человека и в совершенно любом возрасте.
Чтобы не столкнуться с осложнениями, которые возможны при таком заболевании, необходимо ознакомиться с видами болезни суставов ног и способами их лечения.
Что такой артрит и артроз
Все известные болезни суставов на ногах можно разделить условно на такие группы:
- Артрит.
- Артроз.
Артритом называют воспаления суставов на ногах, которые зачастую происходят из-за попадания внутрь них инфекции (через кожу, с кровью). Эта болезнь также может быть отдельной патологией или симптомом другой болезни (Лайма, ревматизм, боррелиоз).
Для артрита характерны:
- воспаление суставов;
- болевые разноуровневые ощущения;
- отеки;
- иногда повышенная температура;
- покраснение кожи около воспаленного сустава.
Чем в более запущенной форме находится воспаление, тем сильнее оно оказывает влияние на состояние человека в целом, ведь иногда оно провоцирует даже интоксикацию организма.
Артрозом называют заболевания, которые поражают хрящи, околосуставные ткани. Они могут быть вызваны такими процессами, как истончение и стирание. В основном такая болезнь касается людей с лишним весом, расстроенным обменом веществ, различными травмами связок, суставов, пожилых людей. К тому же неудобная обувь также может развить это воспаление, несущее с собой деформацию суставов стопы, и тогда уже лечение откладывать нельзя.
Как диагностировать болезнь
При малейшем воспалении сустава на ноге человеку стоит не откладывая обратиться к врачу, ведь своевременно оказанная медицинская помощь увеличивает шансы на положительный исход болезни.
Читайте также: На что могут указывать боли в суставах рук и ног
Врачи диагностируют воспаление, используя при этом рентген, магнитно-резонансная томография, анализы. При запущенном случае вполне может потребоваться проведение артроскопии (хирургический осмотр сустава методом введения эндоскопа через небольшой разрез).
Когда диагноз поставлен, врач назначает соответствующее лечение.
Воспаление суставов ног: лечение
Исходя из степени заболевания, существуют определенные врачебные предписания, которых необходимо придерживаться максимально точно:
- Так, при остром проявлении артрита больной должен находиться в полном покое. Если диагностировано двустороннее заболевание, то пациент должен соблюдать строгий постельный режим. При инфекционном характере заболевания, врач назначает антибиотики, гормоны, нестероидные противовоспалительные средства. Кстати, гормоны вводятся непосредственно в воспаленный сустав, так он гораздо быстрее обеспечивает противовоспалительный эффект.
- При заболевании, связанном со сбоем иммунной системы (аутоиммунное), врачи приписывают специальные препараты для ног, нормализующие иммунную реакцию. Поместно применяются гели, лечебные мази, ставятся компрессы, проводятся растирания.
- Если врач поставил диагноз «подагра», в этом случае необходимо использовать препараты, предусматривающие образование мочевой кислоты.
- Если воспаление протекает хронически, то в ходе ремиссии назначаются процедуры для поддержания суставов в подвижном состоянии и защиты от развития контрактур. Такими являются массажи, мануальная терапия, тепловые и лечебные процедуры, гимнастика, комплексное санаторное лечение.
- При обнаружении артроза больному предписывается полная разгрузка больных суставов, а также препараты, целью которых является нормализация кровообращения и процессов обмена внутри суставов, защита и восстановление тканей хряща. Дополнительно назначаются массажи, лечебная гимнастика, мануальная терапия и физиотерапия (ударно-волновая, лазеротерапия, фонофорез).
Однако если пациент обратился за помощью уже на серьезной стадии заболевания, то у врачей остается только один выход – хирургическое вмешательство.
Операции делятся на такие основные группы:
- Остеотомия – создаются искусственные переломы и рассечения костей, которые в дальнейшем фиксируются с целью исправления деформации суставов и улучшения их работоспособности.
- Артродез – полное обездвижение сустава с целью восстановления его опорной способности и функциональности.
- Артропластика – создание новых поверхностей суставов, а также прокладки между ними. Для этого используются ткани пациента.
Поэтому если возможность оказаться на операционном столе не радует, то необходимо при малейших признаках воспаления обратиться за соответствующей медицинской помощью.
Лечение домашними средствами
В некоторых случаях можно поэкспериментировать и попробовать на себе лечение больных суставов народными способами.
Так, в лечении подагры применяются лавровые листы, для которых характерны выводящие из организма соли свойства. Необходимо взять 30 листиков и залить двумя стаканами кипятка, подержать на плите минут пять. Полученный отвар нужно отстоять в термосе 3-4 часа. Принимать лечебный напиток следует на протяжении 12 часов маленькими глотками. Однако здесь есть один важный момент: перед процедурой нужно хорошо очистить кишечник, иначе можно вызвать обратную реакцию в виде аллергического выброса. При активном растворении солей, как правило, учащается мочеиспускание. Пить настойку на лавровом листе нужно 3 дня, далее – неделю отдохнуть, а после снова повторить курс. В год таким самолечением можно заниматься не более одного-двух раз.
Воспаление также лечится с помощью такого средства: пылеобразный мел смешать с простоквашей, кефиром, а далее наносят на воспалившийся сустав, укутывают пленкой и накладывают повязку. Оставить такой компресс нужно на всю ночь.
В народе существует достаточно много средств и методов лечения больных и воспаленных суставов, среди них сок капусты, чистотела, овсянка и другие. Но нужно помнить, что любое самолечение нуждается в предварительной консультации лечащего врача.
sustavsovet.ru