Как ставят коронку на зуб: установка на корень зуба
Протезирование используется в случае если зуб разрушен и спасти его уже нельзя. Установке коронки предшествует целый ряд мероприятий, нацеленный на подготовку ротовой полости к протезированию.
В каких случаях требует установка?
Каждому человеку не обойтись без информации о том, в каких случаях обязательно ставят коронку на зуб.
Коронка устанавливается на место удаленного резца. Также существуют некоторые ситуации, при которых без этой конструкции обойтись нельзя:
- если зубная эмаль разрушена, но корень здоров и может выполнять функцию опоры для протеза;
- эмаль подвержена быстрому стиранию;
- сильный пародонтоз.
В случае когда корень сохранен, а эмаль разрушена, коронка устанавливается на корень. Установка зубной коронки непосредственно на корень зуба требует дополнительных мер для придания жесткости. В этом случае также могут использоваться штифты.
Если эмаль быстро стирается, установка имплантата на зубы поможет их сохранить.
При пародонтозе, когда наблюдается расшатывание зубов, применяют временные конструкции, которые устанавливаются для защиты на время лечения заболевания.
Помимо вышеперечисленных случаев, имплантаты также применяют в случае неэстетичного внешнего вида зубов пациента. В этом случае коронка играет чисто косметическую роль.
Виды протезов
В современной стоматологии используются следующие виды зубных коронок:
- из металла;
- из металлокерамики;
- из фарфора или керамики.
Металлические конструкции – это самый простой и доступный вид протезирования. Они отличаются исключительной надежностью и долговечностью. Единственный минус – неэстетичный внешний вид, поэтому такие «золотые зубы» предпочтительно устанавливать в том случае, если их невидно при разговоре или улыбке.
Металлокерамические протезы характеризуются высоким качеством, надежностью и привлекательным внешним видом. Они сохраняют устойчивость к стиранию максимально приближенную к показателям зубной эмали.
Керамические или фарфоровые протезы характеризуются красивым внешним видом. Такие коронки долговечны, однако не способны выдерживать сильную механическую нагрузку, из-за чего их предпочтительно устанавливать на передние зубы. Минус применения таких конструкций заключается в их дороговизне.
Как ставят коронку на зуб расскажет врач. Он же поможет подобрать оптимальный вариант протеза для конкретного случая.
Подготовка к установке
Прежде чем перейти к описанию того, как устанавливают коронку или протез на зуб, следует разобраться во всех нюансах подготовки. Именно от этого зависит, будут ли впоследствии возникать осложнения при ношении протеза.
Подготовка к установке зубных имплантатов состоит из нескольких важных этапов.
- Тщательная диагностика и выбор материала будущего протеза.
- При наличии каких-либо заболеваний ротовой полости, необходимо пройти лечение – устранить кариес, вылечить воспаление десен, заменить старые пломбы.
- При установке металлокерамических коронок потребуется проведение процедуры депульпации, которая подразумевает удаление нерва с целью минимизации рисков воспаления пульпы вокруг зуба.
- Удаление поврежденного зуба, на место которого планируется установка коронки. Подготовка к протезированию.
- Подготовка оттисков, основываясь на которые изготавливается протез.
- Предварительная примерка конструкции.
Подготовка к протезированию заключается в обточке зубов с помощью бормашины. Эта процедура может принести неприятные болевые ощущения в случае, если нерв не был удален. При этом можно попросить врача об уколе анестезии.
Обточка предполагает снятие твердой ткани на месте будущего протеза.
Процесс подготовки к протезированию требует времени. В некоторых случаях перед окончательной установкой коронки, врач может предложить пациенту походить несколько недель с временным имплантатом.
Как врачи вставляют коронки на зубы можно узнать непосредственно в клинике. Не следует опасаться этого процесса.
Процесс установки конструкции
Многих интересует, больно ли ставить коронку и насколько неприятен этот процесс, а также как ставят металлическую или металлокерамическую коронку на зуб? Неприятные ощущения могут сопровождать этап подготовки к установке протеза. При этом можно попросить врача сделать анестезию.
Конструкция крепится на специальный цемент. Как в конкретном случае ставится коронка – зависит от исходного состояния зуба. В зависимости от особенностей, коронка устанавливается либо на штифт, либо на вкладку.
При использовании первого метода, штифт устанавливается непосредственно в запломбированный канал, а сверху крепится коронка с помощью пломбирующего цемента. Этот способ используется в случае если корень сохранен.
Использование вкладок подразумевает установку отлитого из металла корня, который покрывается протезом.
Окончательная установка имплантата проводится после того, как пациент несколько недель походит с временным протезом и привыкнет к нему. Это время необходимо для того, чтобы выявить реакцию соседних зубов на протез.
Врач снимает временный протез и тщательно очищается его от остатков закрепляющего материала. Затем покрывает цементирующим материалом, который плотно фиксирует конструкцию. После этой процедуры снять протез будет невозможно без повреждения его формы.
Сам процесс установки коронки на любой зуб безболезненный, болевые ощущения сопровождают только этап подготовки к протезированию.
Снятие протеза
Как врачи на зуб одевают коронку – это понятно, но также следует знать, как проходит процесс снятия конструкции, который может понадобиться в следующих случаях:
- в случае дискомфорта при ношении коронки;
- если были допущены ошибки при установке или изготовлении протеза;
- повреждение имплантата;
- воспалительный процесс в тканях под коронкой.
Современные протезы имеют длительный срок эксплуатации – минимум 10 лет. По истечении этого срока рекомендуется снять и заменить конструкцию. Для этого используются стоматологические диски, с помощью которых протез распиливается. Этот процесс довольно сложный, длительный и болезненный, поэтому может понадобиться анестезия.
Существует возможность снятия конструкции без повреждения. Для этого применяются ультразвуковые методы. Под воздействием ультразвука пломбирующий цемент, которым крепится конструкция, разрушается. Процесс снятия коронки может проводить только квалифицированный врач.
Возможные осложнения
Коронка – это инородная конструкция, которая вставляется на место удаленного зуба, поэтому процесс протезирования может вызвать некоторые осложнения:
- стоматит;
- кариозное повреждение опорных зубов;
- аллергия на материал конструкции.
Стоматит развивается на фоне сильного давления коронки на десну. Из-за давления нарушается кровообращение и начинается процесс отмирания ткани. При возникновении такой реакции необходимо срочно посетить врача. Проблема решается путем формирования небольшого зазора между имплантатом и десной.
При недостаточной гигиене под протез могут попадать остатки пищи, которые провоцируют рост популяции болезнетворных микроорганизмов. В результате может начаться распространение кариеса на соседние зубы. Проблема также может появиться из-за неправильной установки протеза или неправильной подготовке к установке конструкции.
Аллергическая реакция может возникнуть не сразу после установки, а спустя несколько недель. Как правило, это сопровождается образованием сыпи на слизистой оболочке ротовой полости.
proekt-n.ru
Коронка на корень зуба
Вслучаекогдазубная эмаль разрушена, а корень зуба здоров, возможно установить коронку непосредственно на сам корень.Для того чтобы установить коронку на корень зуба использует культевую вкладку. Она представляет собой конструкцию в виде зуба, которую изготавливают по индивидуальному макету. И с помощью нее крепится коронка.
В ходе установки культевой вкладки используют специальный цементный материал, который препятствует образованию трещин и обеспечивает герметичность зуба.Также преимуществом культевой вкладки является то, что она равномерно распределяет нагрузку на весь зуб, что и делает этот зуб лучше выдерживающим жевательную нагрузку. Поэтому, такой зуб немного надежнее и прочнее в отличии от зуба который устанавливается с помощью штифта.
Различают разборную и литую культевую вкладку. Первая применяется в случаях, когда зуб имеет несколько каналов, некоторые штифты которых делают съемными, для лучшего вхождения в каналы зуба. Разборная вкладка при качественном изготовлении и грамотно установке идеально подойдет к форме зуба.
Литая вкладка чаще применяется, когда зуб имеет один канал, либо два канала, расположенных параллельно.
Такая вкладка изготавливается под давлением и высокой температуры. Используется литая вкладка чаще чем разборная, за счет упрощенной технологии изготовления.
Изготавливают вкладки из керамики, серебра, золота, и циркония. Керамические вкладки чаще используют из для восстановления передних зубов. Золотые и серебряные вкладки отличаются тем, что менее подвержены коррозии и разрушению.
Серебряные обладают хорошим бактерицидными свойствами, однако от них могут зубы со временем потемнеть.
Запишитесь на бесплатную консультацию стоматолога-ортопеда по телефону 200-35-37. Вы узнаете квалифицированное мнение специалиста и сможете принять правильное решение по восстановлению зуба
Сделать закладку или поделиться с друзьями информацией:
выберите специалиста для бесплатной консультации
Плюхин Дмитрий ВладимировичГлавный врач ГК «Стоматологическая практика» Кандидат медицинских наук Хирург-имплантолог Стоматолог-ортопед Главный врач клиники «СП-Центр»
запишитесь на бесплатную консультацию прямо сейчас
ответы на часто задаваемые вопросы в наших статьях
Ортопедическая стоматологияВернуть былую целостность и привлекательность зубам поможет ортопедическая стоматология. Специалисты этого направления диагностируют, проводят лечение и профилактику аномалий и дефектов органов же…
Коронка на зубКогда может понадобиться установка коронки? Частично или полностью разрушена коронковая часть зуба (то есть его видимая сторона). При операции по протезированию или имплантации зубов. …
В повседневной жизни мы, к сожалению, очень редко задумываемся о том, что нужно беречь зубы и регулярно посещать стоматолога, чтобы предупредить возможные заболевания. И порой наша халатность выходит …
Депульпировать зуб под коронку Перед тем, как установить на больной зуб протез (например, коронку), его, в некоторых случаях, нужно препарировать. Что же это значит? То, что стоматологу будет необходимо обточить зуб под будущую кор… Коронка на зуб мудростиТак называемые «зубы мудрости» (на деле же это обычные зубы) всегда получают особое внимание и отношение со стороны стоматологов. Стоит их вообще вырывать или все же нет? Этот вопрос не имеет однознач…
Зуб под коронкой сгнилК сожалению, не только дети сталкиваются с проблемой выпадения зубов, но и взрослые, причём с возрастом тенденция к потере зубов только возрастает. Какой же тип протезирования выбрать? В этой статье м…
Цельнолитная коронка на зубВ данной статье речь пойдет еще об одном виде коронок — цельнолитной. Такая коронка выполняется из различных сплавов. методом цельного литья получается данный протез, который способен реставрировать т…
xn--80aaxhbinjjglg.xn--p1ai
восстановление штифтом и культевидной вкладкой, установка, фото, видео
Коронкой называется несъемная конструкция, представляющая собой один из видов протезирования. К ее установке прибегают в случаях, когда зуб имеет большой процент разрушения и лечение с использованием пломбирования не представляется возможным. Также коронки устанавливаются при выраженной аномалии одного или нескольких зубов в эстетических целях.
В любом случае это достаточно сложная стоматологическая процедура, требующая определенного времени и манипуляций. Поэтому возникновение у пациентов множества вопросов, связанных с ней, вполне закономерно.
Показания к установке
Решение об установке коронки может быть принято только после консультации стоматолога, а зачастую для этого требуется еще и рентгенографическое исследование. Обычно такие протезы ставятся при определенных условиях:
- Чаще всего к установке коронки прибегают при сильном разрушении зуба (около 70% и более). В этом случае пломбирование, наращивание и прочие методы лечения уже недостаточно эффективны, они не позволяют правильно распределять жевательную нагрузку и со временем могут привести к расколу основания зуба. Установленная коронка сможет защитить зуб от дальнейшего разрушения и позволит ему полноценно выполнять жевательную функцию.
- Врожденные или приобретенные зубочелюстные аномалии, исправление которых при помощи брекет-систем и других корректирующих устройств невозможно.
- Необходимость установки мостовидного протеза. В этом случае коронки ставятся на здоровые зубы, служащие опорой для протезной конструкции.
- Потеря одного или нескольких зубов в результате травмы при условии, что у них сохранились здоровые корни.
- В случае, когда эмаль зуба подвержена сильной стертости, на него устанавливается коронка для защиты от дальнейшего разрушения и воздействия прочих негативных факторов.
- При сильном изменении цвета зубной эмали, когда исправление ситуации при помощи виниров и люминиров невозможно.
Стоматолог в целях сохранения или предотвращения дальнейшего разрушения жевательного элемента может порекомендовать установку коронок и в некоторых других случаях.
Установка коронки от «А» до «Я»
Установка коронки на зуб проходит в несколько этапов. Это непростая процедура, требующая не одного визита к стоматологу.
Подготовительный этап
На первом этапе производится полный осмотр ротовой полости, выясняется состояние зубов, в случае необходимости делаются рентгеновские снимки. По итогам обследования стоматолог дает рекомендации по протезированию и составляется подробный план лечения.
После этого начинается подготовка зуба к установке на него коронки.
Это крайне важный момент в процессе протезирования, требующий очень ответственного отношения:
- В первую очередь проблемный зуб подвергается депульпации и обточке. При обтачивании с зуба снимают наружный слой твердых тканей, по толщине он равен толщине устанавливаемой коронки. В зависимости от устанавливаемого протеза это может быть незначительный слой или достаточно толстый.
Осуществляется лечение жевательных элементов, пораженных кариесом. Пломбируются каналы зубов, производится чистка от зубного налета и камня.- Если протез предстоит устанавливать на один из передних зубов (однокорневой), то из него непременно удаляется нерв. Это необходимо для того, чтобы в процессе обточки исключить вероятность ожога пульпы. При установке коронок на многокорневые зубы этого не требуется, так как риск ожога при их обточке минимален.
- Если зуб очень сильно разрушен, то стоматолог сначала удаляет из него нерв и пломбирует каналы, затем при помощи пломбировочного материала восстанавливает его коронковую часть.
- Если протезированию подвергается живой зуб, то его обточку осуществляют под местной анестезией.
Лабораторный этап
На фото слепок под мостовидный протез
По окончании подготовительного этапа стоматолог при помощи специальной вязкой массы снимает слепки с зубных рядов пациента. На их основании сначала создаются гипсовые модели зубов, а затем и сами коронки.
Процесс изготовления протезов занимает достаточно много времени, поэтому на этот период пациенту предлагаются временные коронки из пластмассы.
В случае протезирования передних зубов они скроют неприглядные обточенные культи. Кроме того, жевательные элементы в таком состоянии очень уязвимы к механическому воздействию и инфицированию. Временные протезы помогут защитить подготовленные к установке зубы и позволят им полноценно выполнять жевательную функцию.
Примерка и фиксация
Перед завершающим этапом изготовления коронки непременно производится ее примерка пациенту. Это необходимо для оценки качества работы, плотности прилегания протеза и выявления возможных неточностей. В случае необходимости протез дорабатывается.
Перед окончательной установкой коронки на зуб, последняя фиксируется на временный цемент и носится на протяжении некоторого времени.
Обычно этот период составляет от двух недель до месяца. Это необходимо для того чтобы проследить реакцию зуба на установку протеза, проверить не нарушается ли прикус у пациента, не испытывает ли он дискомфорт.
По окончании пробного периода протез легко снимается стоматологом, весь временный цемент тщательно удаляется, и коронка устанавливается на постоянной основе. Этот шаг осуществляется при условии отсутствия каких-либо жалоб пациента в период временной фиксации.
Способы восстановления коронковой части

На фото вкладка в зуб под коронку
В случае, когда зуб разрушен очень сильно, перед установкой коронки требуется восстановление его части, расположенной на поверхности десны.
Это возможно осуществить двумя способами:
- Штифт. Такое восстановление осуществляется путем ввинчивания в запломбированный канал зуба штифта. Затем на него ставится пломба из специального материала. Только после этого зуб обтачивается.
- Культевидная вкладка. Более надежным и желательным является восстановление при помощи культевидной вкладки. Она представляет собой конструкцию, имеющую корневую и коронковую части и изготавливается специалистами зубопротезной лаборатории. Корневая часть зубной вкладки необходима для фиксации в каналах зуба, а коронковая уже подготовлена для установки протеза.

На фото показана установка культевидной вкладки под коронку зуба
Особенности изготовления и установки штампованных коронок
Для изготовления штампованных коронок необходим клинический и лабораторный этап. Клинический включает в себя:
После этого следует лабораторный этап, во время которого на основании слепка изготавливается гипсовая модель зубов пациента. Затем на нее наносят расплавленный воск для придания коронке анатомической формы, после чего изготавливается гипсовый штамп.
В последующем он заменяется штампом из легкосплавного металла и подбирается наиболее подходящая металлическая гильза, которой придается нужная форма при помощи винтового пресса.
В завершение осуществляется полировка и шлифовка коронки, и она передается в стоматологическую клинику.
Штампованные коронки имеют очень тонкие стенки, поэтому для их установки требуется стачивание совсем небольшого слоя зубной эмали. Их установка возможна в случаях, когда сохранилось хотя бы 30-40% коронковой части зуба. При изготовлении используется сталь, реже золото.
Сначала металлический протез устанавливается временно и наблюдается реакция зуба на него. Если пациент не испытывает дискомфорта, протез имеет правильную форму, достаточно плотно прилегает к культе и не вызывает нарушения прикуса, то он снимается и очищается от временного цемента.
После этого штампованная коронка устанавливается на постоянной основе на стеклоиономерный или цинк-фосфатный цемент.
Что интересует пациентов чаще всего?
Больно ли ставить коронку?
Любая стоматологическая процедура вызывает у большинства пациентов некоторый дискомфорт.
В процессе установки коронок на зубы самым неприятным является начальный этап – подготовительный, на котором зубы сверлятся, прочищаются и пломбируются корневые каналы, осуществляется обточка под протез.
Но учитывая тот факт, что коронки чаще всего устанавливаются на мертвые зубы, вероятность болезненных ощущений сводится к нулю. Если же протезированию подвергается здоровый, живой зуб, то все манипуляции на подготовительном этапе осуществляются с использованием местных анестетиков. Сама же установка коронки проходит абсолютно безболезненно.
Сколько длится процедура?
Установка коронки – процесс достаточно длительный. Обусловлено это тем, что осуществляется он в несколько этапов.
Для подготовительного этапа обычно достаточно 1 – 2 посещений стоматолога, но может потребоваться и больше. Время визитов напрямую зависит от состояния протезируемого зуба.
Лабораторное изготовление коронки занимает много времени. Этот процесс очень сложный и может длиться несколько недель.
После того как коронка готова она устанавливается пациенту при помощи временного цемента на 2-4 недели. Только после этого протез фиксируется окончательно. Таким образом, от первого визита к стоматологу до получения конечного результата может пройти 1-2 месяца, а в некоторых случаях больше.
Можно ли ставить коронки на живые зубы?
Коронки могут быть установлены на живые зубы в случаях, если они не однокорневые и их состояние не требует удаления нерва. А также это возможно при мостовидном протезировании с установкой коронок на здоровые опорные жевательные элементы.
Установка коронок на зубы требует достаточно много времени. Но современный уровень стоматологии позволяет провести эту процедуру совершенно безболезненно, а устанавливаемые протезы на вид совершенно не отличаются от настоящих зубов и способны полноценно выполнять жевательную функцию.
dentazone.ru
больно ли, этапы установки, процесс подготовки зуба
Протезирование зубов коронками – это ответственный процесс, так как помимо эстетической привлекательности улыбки, за счет коронок восстанавливаются и жевательные функции зубов. Ставить коронку на зуб не больно, но эта процедура длится в течение нескольких недель, а то и месяцев – большая часть времени уходит на изготовление протеза. К тому же полученный результат зависит от многих факторов, главный – компетентность специалиста. Поэтому каждый, кто решился на установку коронок, должен знать, как проводятся основные этапы протезирования.

Первичный прием в стоматологии
Коронка ставится на зуб не сразу, сперва необходимо пройти несколько подготовительных этапов. Один из них – первичный осмотр и консультация стоматолога. Во время первого приема врач проводит обследование ротовой полости, определяет проблемные зубы, собирает анамнез. Затем назначается рентгенографическое обследование, с помощью которого выявляются патологии зубной ткани, воспалительные процессы в опорных единицах.
Специалист выясняет наличие факторов, которые могут повлиять на процесс установки коронки на зуб или стать противопоказанием к протезированию:
- аллергическая реакция на определенные препараты или материалы;
- беременность;
- опухолевые новообразования;
- хронические патологии;
- заболевания внутренних органов;
- расстройство ЦНС.
С учетом пожеланий пациента и составленной клинической картины врач определяет план лечения. Перед протезированием проводится экстракция зубных единиц без нервов («мертвых»). Постепенно разрушаясь, они способствуют развитию различных нарушений, которые негативно влияют на состояние коронок и укорачивают их эксплуатационный срок. Помимо этого, проводятся лечебные процедуры, в ходе которых устраняются воспалительные процессы, затронувшие костную или десневую ткань.
На этом же этапе осуществляется подробное консультирование пациента и согласование вида зубных конструкций. Доктор подбирает оптимальный вариант протезирования, учитывая физиологические особенности конкретного пациента, объясняя свой выбор, согласовывая стоимость.
В зависимости от клинического случая и финансовых возможностей пациента может быть рекомендована установка коронки, изготовленной из металлокерамики, пластмассы, керамики. Самыми недорогими, но и недолговечными, являются пластмассовые и керамические изделия. В большинстве случаев, стоматологи рекомендуют поставить металлокерамику, что обусловлено:
- Высоким показателем износостойкости.
- Созданием эстетической привлекательности, не меняющейся со временем.
- Особенностями конструктива. Зубные техники делают каркас металлокерамической коронки на зуб из сплава медицинских или чистых драгоценных металлов (золота).
- Металлокерамическое изделие обладает высокими гипоаллергенными свойствами и биосовместимостью с тканями организма.
- Приемлемая стоимость.
Посмотреть, как выглядят зубы до и после установки металлокерамики, можно на фото:
Подготовка зуба под коронку, этапы установки
Этап протезирования, предшествующий установке коронки на зуб, требует особого профессионализма. Нередко подготовка начинается с удаления нерва в проблемной зубной единице. Показаниями к проведению депульпации являются:
- кариес в запущенной стадии;
- неправильное положение;
- поражение кариесом одного или нескольких корней;
- анатомические особенности зубной единицы;
- воспаление периодонта, пульпы.
Депульпация всегда проводится, когда нужно поставить коронку на однокорневой передний зуб. Такая операция необходима, так как в процессе обтачивания зуба по форме коронки врач может обжечь пульпу. Единицы с несколькими корнями не требуют удаления нерва, поскольку вероятность ожога пульпы при их обтачивании минимальна.
На подготовительном этапе протезирования проводятся лечебные процедуры, пломбируются каналы, производится профессиональная чистка зубных единиц от налета и твердых отложений. К моменту обтачивания и установки протезов зубы должны быть здоровыми и чистыми, не допускается наличие очагов воспаления в ротовой полости, раздражение десневой ткани.
Если опорная единица сильно разрушена, то после удаления нерва и пломбировки каналов стоматолог восстанавливает коронковую часть с помощью специального материала. Это необходимо для создания необходимой основы для успешного протезирования.
Восстановление коронковой части зуба
Подготовка к протезированию включает восстановление коронковой части, эта процедура необходима для создания основы, на которую будет крепиться коронка зуба. Значительное разрушение костной ткани при сохраненном корне требует установки штифта или культевой вкладки.
Штифт необходим, когда твердые зубные ткани повреждены более чем на 50%. Процесс его установки выглядит следующим образом: в запломбированный канал корня вкручивается прочный стержень, на стержень наносится пломбировочный материал, воссоздающий необходимую основу для крепежа коронки. После наращивания искусственной ткани, она обтачивается под протез.

В полностью разрушенный зуб вставляется культевая вкладка, благодаря которой становится возможной установка искусственной коронки на сохраненный корень зуба. Культевая вкладка представляет собой крепление, которое изготавливается из гипоаллергенного и биосовместимого металла. Конструкцию вставляют в зубной канал и закрепляют специальным цементным раствором, а затем наращивают стенки канала и коронковую часть для фиксации протеза.

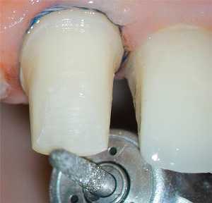
Обтачивание
Подготовка зуба под коронку включает его обтачивание. Препарирование зуба заключается в снятии верхнего слоя твердой ткани, толщина которого зависит от устанавливаемой коронки и варьирует от 1,5 до 2 мм. Специалист обтачивает твердые ткани до получения основы или «культи», на которую в будущем крепят коронку. Полученная основа используется для изготовления слепка, по которому изготавливается будущий протез.
Процесс обтачивания необходим для придания проблемной зубной единице нужной формы для последующего протезирования. Для обточки зуба применяется бормашина или алмазный бор.

Обточенные зубы
Процесс обтачивания безболезненный, но дискомфортный. Безболезненность достигается с помощью местных обезболивающих средств. Неприятные и дискомфортные ощущения возникают только при обработке зубных единиц с нервами, придание нужной формы «мертвым» зубам происходит без возникновения боли, обезболивающие препараты в этом случае могут не применяться.
В ходе процедуры из обточенного зуба формируется «культя», по которой делается слепок для изготовления протеза. Полученная коронка устанавливается на подготовленные зубы.
Лабораторный этап
Коронка на зуб делается в специальной лаборатории в следующем порядке:
- Сперва делают каркасную основу конструкции. Каркас может быть изготовлен из медицинских сплавов, обладающих высокой износостойкостью и долговечностью, или соединений драгоценных металлов (платина, золото), которые обладают гипоаллергенностью и биосовместимостью с тканями организма.
- Следующий этап включает послойное нанесение на каркасную основу керамического покрытия. Керамическая масса наносится по форме оттиска, снятого с обточенной основы или восстановленной коронковой части. Такой способ нанесения обеспечивает максимальное соответствие изделия «культе», точную посадку закрепляемой коронки.
- Изготовленный протез подвергается специальной обработке – обжигается в печи при температуре до 900 градусов. Этот этап изготовления обеспечивает быструю адгезию и выраженное взаимодействие компонентов протеза, за счет чего достигается его высокая прочность и устойчивость к внешним негативным воздействиям.

Для изготовления постоянной коронки требуется время, поэтому на этот период пациенту устанавливают временные протезы из прочной пластмассы.
Как изготавливаются коронки, показано в видео:
Примерка и фиксация коронок
Прежде чем установить постоянный протез на зубы, необходимо провести ряд обязательных манипуляций:
- Примерку, которая обязательно назначается во время изготовления постоянной коронки. Процедура проводится для оценки соответствия каркасной основы необходимым параметрам, точности ее посадки на обточенную культю. В ряде случаев вносятся необходимые корректировки.
- Временную установку постоянного протеза. Коронка ставится на подготовленную основу и фиксируется временным цементом. Процедура необходима для привыкания к протезу, выявления комфортного или дискомфортного состояния при ношении. Временные модели позволяют определить наличие воспалительных процессов, выявить нарушения, допущенные в ходе лечения и пломбирования каналов. В процессе ношения временного протеза могут выявиться распространенные дефекты: неплотная посадка коронки, завышенный прикус.
- Окончательную фиксацию коронки. Период ношения временных протезов составляет от 2 недель до 1 месяца. В случае отсутствия жалоб специалист снимает протезы и очищает основу от временного цемента. После снятия коронки вставляют обратно на зубы и фиксируют постоянным цементом.

Фото: так ставят постоянную коронку на зуб
Показания и противопоказания
Специалисты ставят коронку на зуб в определенных случаях:
- Одним из распространенных условий для протезирования является сильное разрушение зуба, когда костная ткань разрушена более чем на 50%. В такой ситуации жевательная нагрузка распределяется неравномерно, что может привести к повреждению зубного основания. А пломбирование и реставрация являются малоэффективными. Коронка же защищает зуб, позволяет минимизировать риск его дальнейшего разрушения, вернуть необходимые функции.
- Врожденные патологии и наследственные аномалии. Существует ряд патологий, которые невозможно исправить брекетами или другими системами коррекции.
- Отсутствие одного, двух или нескольких зубов. В последнем случае устанавливается мостовидный протез, который крепится на оставшиеся здоровые зубы – опоры для протезной конструкции.

Мостовидный протез
- Наличие болезней, которые провоцируют ускоренную стираемость эмали. В данном случае коронка является оптимальным вариантом для защиты зуба от внешних негативных факторов, она способна сохранить его жизнеспособность на длительный срок.
- Выраженное изменение цвета эмали. Установка коронок позволяет вернуть естественный цвет зубов.
- Аномальное размещение, выраженная истонченность и кривизна. Протез позволяет восстановить не только утраченную привлекательность, но и нормальное функционирование зубных единиц.
- Установка протезов помогает закрепить подвижные зубы (процедура шинирования), что необходимо для их сохранения.
Имеется и ряд противопоказаний, при которых протезирование исключается.
- Протезы не устанавливаются беременным женщинам.
- Протезирование противопоказано при тяжелых формах пародонтоза, наличии очагов воспаления и инфекции в полости рта.
Важными противопоказаниями к установке коронок являются психопатологии, нарушения в работе ЦНС, наличие опухолевых новообразований, инфекционные заболевания (ОРЗ, ОРВИ).
Больно ли ставить коронку на зуб
Ставить коронки не больно, процесс может сопровождаться лишь незначительным дискомфортом. Однако, подготовительный этап установки коронок может пройти болезненно, поскольку в этот период сверлятся зубы, очищаются и пломбируются корневые каналы, проводится обтачивание твердых тканей.
Протезирование «мертвых» зубов проходит неощутимо, так как у таких зубных единиц нет нервов, реагирующих на внешнее воздействие. Когда коронки одеваются на живые зубы, применяется качественное обезболивающее средство, которое полностью блокирует болевой синдром как на этапе подготовки, так и в процессе протезирования.
Сколько длится установка коронок
Протезирование коронками не делается за 1 день, поскольку включает несколько обязательных этапов. Сроки поэтапной установки протезов достигают 1–2 месяцев. Самый длительный этап – период изготовления зубных коронок.
Протезирование зубов является оптимальным решением не только эстетических проблем. Коронки устанавливают для того, чтобы вернуть зубам целостность и необходимую функциональность. Современные технологии, используемые в стоматологическом протезировании, позволяют сделать процесс максимально безболезненным и результативным.
stomaget.ru
Можно ли восстановить, нарастить разрушенный зуб если остался только корень
При значительных кариозных повреждениях, разрушении зубов по иным причинам вовсе необязательно от них избавляться и ставить протезирующую конструкцию. Современная стоматология владеет методами их восстановления от функций до внешнего вида, даже если от органа остался один корень.
Условия, необходимые для наращивания
Следует понимать, что наращивание или восстановление зубов подразумевает сохранение оставшейся его части.
Это означает, что для проведения манипуляции с расчетом на нужный результат необходимо соблюдение некоторых условий:
- У пациента должен быть правильный прикус. Аномалия в этой области приведет к тому, что на наращенный орган падет повышенная нагрузка. Из-за этого слишком велик риск быстрого повреждения отреставрированного зуба, что делает процедуру бессмысленной;
- Длина корня должна быть достаточной для установки приспособлений, служащих наращиванию. Иначе восстановленный зуб не будет достаточно прочным. Обычно это составляет размер, равный величине коронковой части. Толщина стенок корня тоже обязана быть не меньше 1 мм;
- Общее состояние организма должно быть приемлемым. Наращивание зубов обычно противопоказано при заболеваниях крови и нервной системы;
Отсутствие патологической подвижности зубов. Если корень может вот-вот выскочить, крепление в нему восстанавливающих материалов не будет надежным, то есть реставрация нецелесообразна; - Достаточная гигиена ротовой полости. Это обеспечит долгий срок эксплуатации наращенного зуба. Непонимание важности и плохое соблюдение очищающих процедур этому не способствует;
- Отсутствие периодонтита. Корни и окружающее их пространство должны быть здоровыми. Наличие воспаления прилегающих тканей делает рискованным восстановление. Оставшиеся части зуба при этом заболевании тоже инфицированы. Это сделает возможную реставрацию болезненной и бессмысленной. Еще хуже, если у корня зуба имеется киста. При прорыве гнойное содержимое попадает в прилежащие ткани. Лечение потребует удаления восстановительных материалов, очищения или дренажа;
- Вылечивание кариеса. Перед установкой реставрационных приспособлений и материалов необходимо от него избавиться, иначе разрушительный процесс продолжится под восстановительными приспособлениями и материалами, и тогда оставшиеся части зуба уже не спасти;
- Отсутствие вредных для зубов привычек. Если у пациента есть бруксизм, вероятно, что отреставрированные органы долго не просуществуют. То же относится к привычкам пользоваться зубами для разгрызания орехов, перекусывания ниток, открывания бутылок;
- У пациента должно быть достаточно финансовых возможностей для реставрационных мероприятий, которые довольно дороги.
Видео
Методы наращивания зубов
Орган, от которого осталась лишь его нижняя часть, нуждается прежде всего в укреплении, чтобы восстановить работоспособность. Уже затем необходимо думать о возвращении зубу его внешнего вида.
Использование штифтов
Штифт – это прочный стержень из гипоаллергенного, имеющего биологическую совместимость с человеческими тканями материала. Существуют прозрачные стекловолоконные, титановые приспособления, а также сделанные из других сплавов. Штифт предназначен для укрепления зуба, увеличения его высоты над десной и служит опорой для восстановительных конструкций или материалов.
Он позволяет сохранить функции и внешний вид даже разрушенного более, чем наполовину, зуба. Для восстановления передних органов применяются обычно стекловолоконные штифты, которые не просвечивают сквозь реставрационный материал и никак не дают знать посторонним о своем присутствии.
Восстановление зубов с их помощью происходит в несколько этапов, продолжительность которых уместится в одно посещение стоматолога:
- Оставшаяся часть органа освобождается от бактерий и кариозной ткани, если она есть, пломбируется;
- В полости делается отверстие для установки штифта. Ее размеры и конструкции должны соответствовать. Штифт на месте плотно фиксируется таким образом, чтобы его часть оставалась над десной. Ее размер не должен быть больше той, которая скрыта в глубине тканей. В зависимости от вида штифта он может закрепляться в костной ткани с помощью имеющейся на нем резьбы, или за счет специального состава. При сильном разрушении зуба первый способ предпочтительнее. Для восстановления передних хватит и одного стержня. Моляры, у которых много корней, могут быть отреставрированы с применением нескольких штифтов;
- Коронковая часть зуба восстанавливается композитными материалами, соответствующими цвету собственной эмали. Для придания более естественного вида шлифуется. Если это коренной зуб, его целесообразнее реставрировать коронкой, для которой предварительно делают слепок.
Наращивание с использованием штифтов позволяет сохранить его на 3-4 года. При этом зуб выглядит достаточно эстетично и сохраняет работоспособность.
Культевая вкладка
Принцип восстановления зуба этим способом аналогичен штифту. В корне укрепляется конструкция под названием культевая вкладка, но в отличие от него, ее изготавливают по индивидуальным параметрам пациента и в соответствии со всеми конфигурациями разрушенного органа. Подобную конструкцию делают меньшего размера, чем зуб, так как сверху ее покрывают слоями композита или коронкой. Это более дорогой по стоимости вариант восстановления, но он и
надежнее, позволяет органу долго служить, благодаря равномерному жевательному давлению. Культевая вкладка представляет собой монолитное или состоящее из двух частей приспособление из керамики, металлического сплава, циркония. Цельные конструкции обычно используют для реставрации зубов с одним корнем. Разборные предпочтительнее для наращивания многокорневых.
Процедура реставрации зуба с помощью культевой вкладки выглядит так:
- На приеме у стоматолога определяется возможность тканей выдержать установку конструкции. Затем очищаются и обрабатываются корневые каналы. С обеих челюстей снимают слепки, которые помогут выяснить форму реставрируемого зуба, а также особенности его соприкосновения с соседними органами и антагонистами. Пока изготавливают культевую вкладку на основе гипсовых моделей и вспомогательной восковой, зуб закрывают временной пломбой и коронкой;
- Следующие операции производят на втором посещении. Из корневых каналов удаляют временную пломбу, их повторно санируют, сушат. В образовавшееся пространство ставится нижняя часть вкладки. Оставшееся пустое место вновь заполняется стоматологическим материалом, который будет служить на постоянной основе. Пломба защитит корневые каналы от бактерий и прочнее удержит вкладку. Над десной к ее нижней части присоединяется верхняя. Она имеет вид культи зуба. Как только это произошло, с верхней части вкладки делают слепок, который нужен для создания коронки. Если в клинике есть современное оборудование, этот этап проходит с использованием компьютерного моделирования, что позволяет определить необходимую конфигурацию будущего зуба точнее. На установленную вкладку сажают временную коронку. Если ее не предполагается надевать, используют композитные материалы. Из них формируют верхнюю часть зуба, шлифуют и полируют;
- В третье посещение стоматолога, после изготовления коронки ее прикрепляют к вкладке с помощью стоматологического цемента. Прежде, чем зафиксировать для постоянного ношения, примеряют. Всего процесс восстановления зуба с помощью культевой вкладки займет не меньше недели.
Стоит ли наращивать зубы, если остался корень
Несмотря на множество преимуществ методик восстановления зуба, наращенные органы могут принести некоторые проблемы:
- Расшатывание корней. В большей степени это касается штифтов. Эти конструкции недостаточно плотно прилегают к тканям зуба, отчего при значительной нагрузке на них и может возникнуть такая проблема;
- Трещины и перелом зубного корня. Нагрузка на него распределена неравномерно даже при установке культевой вкладки, что может спровоцировать дальнейшее разрушение зуба. Этому же способствует то обстоятельство, что орган перед процедурой депульпируют. Зуб без нерва становится более хрупким и подверженным разрушению, а не делать этого нельзя во избежание воспаления;

- Вероятность появления вторичного кариеса. Если он разрушил коронковую часть зуба, есть риск того, что инфекция возникнет и в его оставшейся нижней, особенно, если пломбирование каналов сделано недостаточно качественно;
- Повреждение костной ткани вокруг восстановленного зуба. Штифт или культевая вкладка в данном случае способны выступить в качестве клина, расширяющего пространство корневых
zubz.ru
В каких случаях ставят коронку на зуб: показания и противопоказания
Многие пациенты стоматологов интересуются, в каких случаях ставят коронку на зуб, можно ли обойтись без этой процедуры, что делать, если от зуба остался только корень и нужна ли коронка на зуб мудрости? С такими вопросами необходимо разобраться подробнее. Специалисты утверждают, при разрушении зуба необходимо протезирование, это позволит сохранить его от дальнейшего разрушения. На восьмерку нельзя поставить коронку, поскольку чаще всего эта единица подлежит удалению.

В чем опасность потери зуба
Ставить коронку на зуб рекомендуется многими специалистами. Протезирование позволит сохранить не только эстетику зубного ряда, но и равномерное распределение жевательной нагрузки, восстановление полноценной жевательной функции. Если треснул зуб, либо после его удаления, появляются такие негативные влияния на зубочелюстной аппарат и на весь организм:
- При утрате единицы ухудшается эффективность употребления пищи, нарушается функция ее пережевывания. В итоге переваривание еды нарушается, повышается опасность развития заболеваний пищеварительной системы и нарушений в процессах метаболизма.
- При утрате элемента возникает негативное влияние на полость рта – возникают искривления в зубном ряде, развиваются нарушения прикуса, повышается опасность развития пародонтита.
- Нарушается артикуляция.
- Человек стесняется улыбаться и общаться.

Чтобы избежать таких проблем, рекомендуется поставить коронку, не сомневаясь в том, стоит ли ставить такую конструкцию. К основным целям лечения при утрате или повреждении единиц относят:
- восстановление полноценной жевательной функции;
- предотвращение развития осложнений и различных патологий;
- повышения качества жизни человека;
- избавление от психологического дискомфорта;
- профилактика нарушений прикуса и артикуляции.
Но не при каждом дефекте зубного ряда рекомендуется ставить коронки на зубы. Все зависит от конкретной ситуации и от индивидуальных особенностей зубочелюстного аппарата пациента.
Когда показана установка
Если зуб шатается либо при треснувшем элементе, рекомендуется обращение к специалисту. Только после проведенного осмотра и оценки ситуации решается вопрос о том, будут ли ставить коронки. Почему нужно провести протезирование? Существуют определенные показания к тому, что ставят коронки:
- Необходимо ставить коронку на корень зуба при наличии патологической стираемости зубов. Это основное показание к тому, что ставится винир или коронка.
- Если имеется существенное разрушение дентина – более, чем на 70 процентов, но корень зуба остается целым, может выполнять свои полноценные функции. К примеру, у пациента запущенный кариозный процесс, восстановить разрушенную зубную коронку не предоставляется возможным, поскольку имеется сильное разрушение одной из ее стенок, восстановить с помощью пломбы такой элемент невозможно. Но если остался здоровый корень, такая процедура является возможной. В данной ситуации применяется микропротезирование с помощью вкладок или устанавливают искусственные конструкции.

- Если имеется полное разрушение дентина либо этот процесс находится в очень запущенной степени, нужно ставить искусственные устройства. Если имеется только корень элемента, перед тем, как вставляют изделия, проводят имплантацию.
- При полной адентии. Такой дефект является самым частым показанием к установке протезов. В зависимости от вида дефекта, выбирается вариант протезирования. При включенном дефекте используют съемные или несъемные протезы.
- При наличии дефектов формы и цвета настоящих единиц, которые невозможно скорректировать, они выглядят неэстетично. К подобным аномалиям развития относят неправильный рост, нарушения прикуса, которые невозможно отреставрировать при помощи брекет-систем, наличие дефектов речевого аппарата вследствие неправильного положения либо неправильной формы элемента.
- При пародонтите, когда зубы шатаются или есть опасность того, что они начнут шататься. В данном случае, если поставлена коронка, оставшийся зуб можно сохранить. При пародонтите обычно устанавливают временные протезы, после излечения заболевания их придется извлечь.

- Единица может расколоться после механического повреждения, при сильных травмах челюстно-лицевого аппарата. В данном случае обязательно необходимо вставить искусственную конструкцию.
- При наличии больших межзубных промежутков, которые невозможно устранить иными способами, должна быть установлена конструкция (особенно если такая проблема наблюдается на фронтальной группе либо затрагивает клык, что нарушает эстетику улыбки. При наличии проблемы на жевательной группе, в промежутки набивается пища, вызывая воспалительные процессы в деснах).
- Если невозможно поставить виниры или люминиры для устранения стоматологических проблем.
- Если надо поставить мостовидный или бюгельный протез.
При множественных дефектах зубочелюстной системы, показано протезирование. Чем старше становится пациент, тем больше может быть дефектов, значит показаний для процедуры становится больше. В зубоврачебной практике могут применяться разные варианты реставрации, выбор изделия зависит от показаний и противопоказаний.
Когда нельзя поставить устройство
К протезированию практически отсутствуют противопоказания, поскольку методов восстановления очень много, один из них точно подойдет. Ключевой принцип реставрации – сохранить оставшийся элемент. Корневая система заполняется пломбировочным материалом. При необходимости проводится предварительная имплантация после резекции пораженных кариесом тканей.

К относительному противопоказанию к установке несъемного устройства относят плохую гигиену ротовой полости. Чем хуже пациент соблюдает все врачебные рекомендации, тем дешевле по стоимости и проще конструкция ему устанавливается на место треснутого или разрушенного элемента. Еще одним относительным противопоказанием является починка или перебазировка уже установленного ранее протеза. Такой вариант лечения будет наименее травматичным, зуб не будет трескаться, его ткани и полноценная функция сохранятся.
При беременности протезирование разрешено только во втором триместре. Устанавливать коронки беременным в первом и третьем триместре нежелательно. После родов можно проводить процедуру, грудное вскармливание не является противопоказанием.
Благодаря современным ортопедическим конструкциям, можно сохранить разрушенные элементы зубного ряда, сохранить эстетические показатели, человек не будет испытывать психологический дискомфорт – не будет стесняться общаться и улыбаться. К тому же, благодаря коронке можно восстановить полноценную жевательную функцию зубочелюстного аппарата. Какой вариант протезирования применять, решает специалист после предварительного осмотра, оценки показаний и противопоказаний. Если можно поставить протезы, начинают проводить предварительную подготовку к процедуре, если нет – выбирается другой метод восстановления зубного ряда.
tvoyzubnoy.ru
Как ставят коронку на зуб: процесс установки (видео), осложнения
Зубные коронки — самый распространенный вариант протезирования при любых дефектах зубного ряда, травме или любом другом разрушении зубов. Из нашей статьи Вы сможете узнать об особенностях различных вариантов коронок, о процессах подготовки и непосредственной установки конструкций, о тонкостях при снятии протезов, а так же о возможных осложнениях, с которыми может столкнуться пациент после протезирования.
Содержание:
Нужно ли ставить коронку на зуб
У людей, утративших один или несколько зубов, особенно в видимой зоне, не возникает вопрос «Зачем ставится зубная коронка?». Но существуют ситуации, когда возникает необходимость поставить коронку даже при наличии всех зубов:
- Естественная коронка зуба разрушена вследствие травмы или обширного кариозного процесса, но корень сохранен и может выполнять опорную функцию. В таком случае возможна установка коронки непосредственно на корень зуба с культей (при сохранении достаточного объема собственных твердых тканей). Либо необходимо применение для протезирования штифтов или вкладок, которые позволяют придать всей конструкции большую устойчивость.
- Естественные зубы пациента имеют дефекты формы или цвета и выглядят не эстетично. Зубные коронки исправляют подобные проблемы, придавая улыбке привлекательный вид.
- Все зубы сохранены, но имеется патологическая истираемость эмали. В данном случае коронка служит для защиты зубных тканей от воздействия негативных факторов.
- При заболеваниях пародонта в некоторых случаях возникает риск расшатывания зубов. При этом возможно применение временных коронок, которые смогут удержать зубы на месте до момента выздоровления.
Какие зубные коронки поставить
В настоящее время стоматологи могут предложить своим пациентам несколько вариантов зубных коронок, которые изготавливаются из различных материалов и имеют свои достоинства и недостатки.
Металлические
Зубные протезы, выполненные из различных металлов, являются классическим вариантом протезирования и применяются уже на протяжении многих десятилетий. Самый часто встречаемый вариант — золотые зубы.
Достоинства золотых коронок заключается в их долговечности, прочности и надежности. Такие элементы не подвергаются окислению, а коэффициент их истираемости максимально приближен к естественной эмали, что не вызывает повреждение зубов-антагонистов при жевании. Недостаток у таких конструкций один — крайне неэстетичный вид, поэтому их чаще устанавливают в невидимой для посторонних зоне.
Металлокерамические
Металлокерамика сочетает в себе положительные свойства как металлов, так и фарфоровых материалов. Такие коронки долговечны, прочны и имеют хорошие эстетические показатели. Стоимость их на порядок ниже, чем у цельнокерамических протезов. Недостатками являются необходимость препарирования большого объема естественных зубных тканей перед установкой, а также риск повышения коэффициента стираемости эмали на зубах-антагонистах. Кроме этого, при опущении края десны или неточном изготовлении самой коронки, возможно появление видимой полоски черного металла.
Подробнее о металлокерамике: Протезирование металлокерамическими коронками
Керамические или фарфоровые
Цельнокерамические безметалловые коронки являются самыми эстетичными. Они максимально точно имитируют естественные зубы и не теряют свои свойства даже спустя длительное время. Но керамика является достаточно хрупкой и может не выдержать большой жевательной нагрузки. Поэтому устанавливаются они чаще всего на передние зубы. Недостатком является и их высокая стоимость.
Подготовка к протезированию
Процесс подготовки к протезированию при помощи зубной коронки состоит из нескольких этапов.
- Оценка клинической картины и состояния ротовой полости пациента. На этом этапе обсуждается объем будущего вмешательства, определяется разновидность коронки и составляется план лечения.
- Если есть необходимость, то проводится лечение воспалительных заболеваний десен, пародонта, кариеса. Все старые пломбы на опорных зубах в обязательном порядке заменяются на новые.
- Если предполагается использование металлокерамики, то чаще всего проводится депульпация зуба с целью предупреждения воспалительных поражений.
- Препарирование зуба — снятие при помощи инструментов твердых тканей определенной толщины. Для металлических конструкций достаточно удаление 0,3 мм эмали и дентина, а при использовании металлокерамики обтачиваемый слой может достигать 2 мм. Кроме того, для более надежной фиксации протеза необходимо препарирование зубов с отступом.
- После того, как зубы пролечены и препарированы, делаются оттиски с помощью специальной пасты, на основе которых в зуботехнической лаборатории и изготавливаются зубные коронки.
- После изготовления протеза осуществляется несколько примерок, на которых определяется точность изготовления конструкции, ее удобство и соответствие по цвету и структуре к остальным зубам. Очень часто готовую коронку закрепляют на временный цемент до 3 месяцев. Это необходимо для того, чтобы пациент окончательно убедился в ее комфортности и правильном восстановлении жевательной функции.
На фото: процесс установки коронки на зуб
Как ставят коронку на зуб: этапы и технология установки
Установка и фиксация коронки является завершающим этапом в протезировании.
- После снятия коронки с временного цемента проводят тщательную ее очистку.
- Отпрепарированная зубная культя обрабатывается пескоструйным аппаратом для придания ее поверхности микрошероховатости.
- Проводится окончательная примерка, и врач убеждается, что зубной протез располагается правильно, не мешает свободному смыканию зубов.
- На внутреннюю поверхность коронки наносится специальный стоматологический цемент, она одевается на зуб. После этого конструкцию подвергают облучению специальной лампой, которая ускоряет процесс затвердения.
- Тщательно удаляются все излишки цементирующего состава, поскольку даже незначительное его количество может вызывать сильное раздражение и воспаление десен.
Уже через час на установленную коронку можно давать жевательную нагрузку. А в максимальное давление можно оказывать на нее через сутки.
Крепление на замках
Одним из перспективных направлений в протезировании является крепление коронок при помощи специальных замков. Такой способ позволяет обтачивать опорные зубы минимально, он облегчает процесс установки и снятия конструкций. Фиксация таких протезов начинается с закрепления при помощи цементов замочков на зубы, выполняющих функцию опоры, с последующей установкой и закреплением коронки.
Крепление на имплантаты
Такое протезирование не требует обработки соседних зубов. Сама конструкция может устанавливаться двумя способами:
- Винтовой фиксацией, когда коронка соединяется с переходником-абатментом вне полости рта. После чего вся конструкция привинчивается к импланту с помощью винта, который проходит через отверстие в протезе. После чего канал закрывается специальным пломбировочным материалом. Такой способ больше подходит для одиночных коронок.
- Цементной фиксации, когда абатмент сначала фиксируется к имплантированному корню, после чего на него с помощью цемента закрепляется коронка. Этот метод предпочтительнее, когда проводится протезирование нескольких зубов одновременно.
Как снимают коронки с зубов
Снятие зубных коронок не является простым действием, особенно когда идет речь о полном сохранении протеза с целью последующей установки его обратно на прежнее место.
Если необходимо удалить коронку из-за ее поломки, когда о ремонте не идет речь, то ее распиливают с помощью стоматологических инструментов и по частям снимают с зубной культи.
Для сохранения протеза при снятии коронки с зуба существуют специальные инструменты:
- Коронкосниматели (самая распространенная модель инструмента — крючок Коппа) — представляют собой плоские крючки, с автоматическим или ручным механизмом, который позволяет после фиксации на границе коронки с зубом приложить определенную силу и снять коронку.
- Щипцы — инструменты, позволяющие надежно зафиксировать коронку между браншами и снять ее с основания.
В современной стоматологии коронки снимаются при помощи ультразвуковых установок. При прохождении наконечником вокруг области соединения протеза с культей, ультразвук вызывает в цементе крошение и растрескивание, после чего она снимается без особого труда.
Еще одна щадящая методика для снятия коронок — использование пневмоинструментов, под действием которых так же происходит разрушение цемента и отхождение конструкции от опоры.
Осложнения после протезирования
После установки коронок на зубы, возможно возникновение осложнений:
- Протезный стоматит, возникающий вследствие чрезмерного давления протеза на мягкие ткани десны. Это вызывает нарушение кровообращения и формирование пролежней и отмирания слизистой оболочки на границе соприкосновения с коронкой. Профилактика данного осложнения заключается в формировании «промывного канала» — небольшого зазора по краю десны.
- Кариес опорных зубов. Данная проблема может возникнуть в случае незалеченной болезни на этапе подготовки, либо при некачественной гигиене полости рта, когда под протезом скапливаются налет и остатки пищи, служащие питательной средой для кариозных микроорганизмов.
- Аллергические реакции на материалы, использованные при протезировании. Первые симптомы ее могут появляться как сразу после установки протеза, так и спустя некоторое время. Основные проявления аллергии: сухость и чувство жжения в полости рта, высыпания на слизистых и кожных покровах.
- Гальванический синдром — возникает, когда в полости рта находятся протезы с использованием различных металлов. Это приводит к появлению гальванического тока, стимулирующего процессы окисления. Основные проявления осложнения: неприятный металлический привкус у слюны, недомогание, хроническая головная боль, изменение цвета коронок и соседних с ними зубов.
Появление любого из осложнений, особенно когда болит зуб под коронкой, требует срочного обращения к лечащему врачу. Промедление чревато потерей опорного зуба. Чаще всего осложнения требуют снятия и проведение повторного протезирования после лечения всех негативных реакций.
При проведении протезирования то, какие коронки устанавливать и на какие зубы решает только пациент. Но при этом в обязательном порядке следует прислушиваться к мнению лечащего врача и досконально выполнять все его рекомендации.
topdent.ru
Осуществляется лечение жевательных элементов, пораженных кариесом. Пломбируются каналы зубов, производится чистка от зубного налета и камня.


