Киста молочной железы: фото и описание
Самое опасное и распространенное заболевание у женщин – киста молочной железы. Фото молочных желез с новообразованиями визуально отличаются от здоровой груди.
Киста молочной железы является доброкачественным новообразованием и развивается у женщины при гормональном дисбалансе. Это полость с жидким содержимым (секрет молочной железы), образованная вследствие расширения млечного протока.
Что такое киста молочной железы?

Молочная железа состоит из железистой ткани, которая окружена подкожной жировой клетчаткой. Всю толщу железы разделяют соединительнотканные тяжи, которые разделяют железистую ткань на множество крупных долей (около 20). В груди присутствует большое количество лимфатических и кровеносных сосудов.
Секрет молочной железы выводится наружу через протоки, которые сходятся в один и открываются в соске. При расширении этих протоков и отеке груди, вызванном чрезмерной выработкой эстрогена, происходит закупорка протока секретом и его инкапсуляция.
Для кисты характерно:
- отсутствие симптомов на начальной стадии заболевания, позже появляются жжение и боль в груди;
- наличие других дисгормональных патологий в половой системе женщины;
- визуально и на фото заметно изменение формы груди при большом размере опухоли;
- капсула может иметь тонкие или плотные стенки, в зависимости от того, как давно она появилась.
Кисты чаще всего появляются у женщин в возрасте 35-60 лет. Бездетные женщины в большей степени подвержены развитию патологий в молочной железе и половой системе.
Это связано с нарушениями в работе репродуктивной системы, функционирование которой угнетается гормональными таблетками или частыми абортами.
Какие бывают опухоли
Различают кисты гормонального и негормонального характера. В первом случае новообразование возникает при закупорке протоков с обеих сторон. Проток расширяется, в нем происходит застой секрета, который покрывается плотной фиброзной капсулой. Гормональные опухоли появляются при чрезмерной выработке яичниками эстрогена, он, в свою очередь, вызывает отек груди и расширение млечного протока.Капсула наполнена содержимым прозрачного или коричневатого цвета, и имеет густую, жидкую или желеобразную консистенцию. Размер опухоли варьируется от нескольких миллиметров до 5 см. Большие капсулы могут вызывать изменение формы груди. Они развиваются при нарушениях гормонального баланса и могут способствовать развитию раковой опухоли.
Негормональные кисты развиваются, когда млечный проток закупоривается секретом, вырабатываемым сальными железами. Жировые капсулы не вызывают изменения гормонального фона, и не провоцируют появление онкологии в женской груди.
Диагностируются преимущественно однокамерные кисты, имеющие одну полость с жидким содержимым. Если внутри таких образований появляются перегородки, они превращаются в солитарные опухоли, имеющие внутри капсулы несколько жидкостных полостей.
Разновидности кист
Внешние или внутренние факторы могут провоцировать появление разных видов новообразований в груди.
- Атипичные новообразования характеризуются наличием внутриполостных разрастаний. Они имеют овальную или круглую форму, окружены фиброзной капсулой. Содержимое капсулы – жидкость, которая заполняет расширенный проток и закупоривает его.
- Фиброзные кисты часто являются злокачественными и способствуют развитию рака груди. Женщины в климактерическом периоде больше остальных подвержены появлению злокачественных новообразований в груди. Для фиброзных опухолей характерно наличие гроздеподобных уплотнений в груди, выделения из сосков, болезненность и повышенная чувствительность в предменструальном периоде.
- Солитарная киста имеет округлую форму, она эластична, а полость заполнена жидкостью. Чаще всего такая опухоль обнаруживается только в одной груди и отличается большим размером полости. Чем дольше она находится в груди, тем более плотной становится ее капсула.
- Протоковая киста является предраковым заболеванием. Она представляет собой наросты, углубляющиеся вглубь молочной железы. Характеризуется наличием кровянистых, зеленоватых или прозрачных выделений из соска. Боль при пальпации груди не ощущается, однако обнаруживаются небольшие уплотнения в месте млечных протоков.
- Многокамерные кисты обнаруживаются при УЗИ осмотре. Они развиваются при слиянии и разрастании однокамерных капсул. Заболевание является очень опасным для женского организма, так как способно перерасти в злокачественную опухоль.
Любые новообразования в груди требуют тщательной диагностики и эффективного лечения. Фото ультразвукового исследования молочных желез позволит врачу более точно поставить диагноз и определить опасность, которую несет здоровью женщины данная киста.
Причины появления новообразований
Главными факторами, предрасполагающими к развитию опухолей, являются:- частые стрессы и переживания;
- длительные умственные нагрузки;
- восприимчивость к проблемам;
- эмоциональное перенапряжение.
Самую большую опасность для эндокринной системы представляют аборты. Именно хирургическое или медикаментозное прерывание беременности вызывает сильный гормональный сбой, который влечет за собой развитие кист в молочной железе.
Важную роль играет и правильное питание. Эстроген содержится в жировых клетках, поэтому при наличии лишнего веса или ожирения у женщины повышается риск развития гормонозависимых заболеваний.
Секретированию эстрогена способствует чрезмерное количество ультрафиолета или тепловых процедур.
Чем опасны новообразования в груди
Доброкачественные опухоли, представленные небольшими уплотнения в груди, не несут большой опасности для женского здоровья. Такие новообразования в редких случаях перерождаются в злокачественные и провоцируют развитие рака груди.
Чтобы предотвратить такое развитие заболевания врачи рекомендуют сразу удалять даже небольшие уплотнения в груди, которые не приносят сильного дискомфорта. Опухоли не рассасываются самостоятельно, поэтому важно вовремя диагностировать и устранить их, не запуская заболевание.
Рекомендуем прочитать:
grud03.ru
лечение, удаление кисты, причины, симптомы, признаки, фото
Киста – доброкачественное новообразование, которое может возникать в различных органах. В молочных железах женщины также могут произойти структурные изменения. Несмотря на доброкачественность процесса, наличие кисты нарушает функционирование органа и может привести к серьезным осложнениям.
А теперь остановимся на этом подробнее.
Содержание статьи:
Что такое «киста молочной железы»?
Кистой называется полость, которая окружена капсулой из соединительной ткани и содержит внутри жидкую субстанцию. Киста образуется в самих протоках железистого органа и в основном возникает на фоне фиброзно-кистозной мастопатии.
Капсула с жидкостью может выявляться как в одной молочной железе, так и в двух сразу. На первых этапах заболевание протекать бессимптомно, а капсула может менять свои размеры, в соответствии с гормональным женским циклом. Со временем появляется локальный дискомфорт, чувство наполненности, жжения и боли. Кистозная полость может увеличиваться в размерах, но особенно опасно, если внутри нее начинает образовываться гнойное содержимое.
Киста редко переходи в рак молочной железы. Однако повышает вероятность его появления у пациентки. Наиболее частыми последствиями кисты являются гормональные нарушения, которые проявляются проблемами с зачатием, сбоями менструального цикла и другими симптомами.
Обычная киста представляет собой полость с содержимым негнойного характера. Механизм ее образования заключается в увеличении одного из протоков железы и скоплении в нем секрета. Постепенно формируется фиброзная капсула округлой формы. Размер новообразования может быть от нескольких миллиметров до нескольких сантиметров. Полости легко прощупываются квалифицированным специалистом, а также при самоосмотре груди.
Обычная киста имеет гладкие внутренние стенки. Если она представляет собой атипичное новообразование, то внутри полости могут обнаруживаться разрастания. Когда кист возникает много, заболевание называется поликистоз. Они представляют собой многокамерные скопления, а из-за большого количества капсул кистозная ткань занимает половину тканей молочной железы.
Одним из факторов, который влияет на появление кисты и ее последующее развитие, является гормональный фон женщины. При избытке эстрогенов размер кисты увеличивается. Провоцирующими факторами выступают сопутствующие заболевания в области гинекологии – воспалительные процессы,
zdorrov.com
лечение, симптомы, причины, удаление :: SYL.ru
Киста в груди — проблема достаточно распространенная. Более того, статистические исследования показали, что от подобного недуга чаще всего страдают молодые женщины детородного возраста. Так чем же вызвано появление подобного новообразования? Является ли киста серьезной угрозой для здоровья? Существуют ли эффективные методы лечения? Ответы на эти вопросы интересуют многих представительниц прекрасного пола.
Что представляет собой киста в молочной железе?

Заболевания молочных желез у женщин вряд ли можно считать редкостью. И у многих пациенток во время обследования обнаруживается киста. Что представляет собой данное образование и является ли оно опасным?
Киста, как правило, формируется в месте расширения протока железы. Постепенно это место начинается обрастать соединительнотканной капсулой, а внутри нее накапливается жидкое содержимое. Подобное новообразование может быть круглым, овальным или же иметь неправильную форму. Иногда у женщины обнаруживают одну кисту, а иногда — сразу несколько (подобное состояние называют поликистозом). Более того, полости близлежащих новообразований могут сливаться друг с другом, образуя многокамерную кисту.
Кстати, такие формирования могут иметь и разные размеры. В большинстве случаев их диаметр не превышает нескольких миллиметров. С другой стороны, у некоторых женщин обнаруживаются новообразования диаметром до пяти сантиметров.
На самом деле сегодня многие женщины сталкиваются с диагнозом «киста». Фото демонстрирует примерный внешний вид данной патологии.
Виды кистозных новообразований в молочной железе

Как уже упоминалось, киста в груди может иметь разную форму и размеры. Помимо этого, в современной медицине принято различать несколько разновидностей подобных новообразований в зависимости от причин их образования и анатомических особенностей.
- Атипичная киста формируется из-за расширения протока железы, где постепенно накапливается жидкость. Такое новообразование имеет довольно стойкую фиброзную капсулу, а на внутренней ее стенке можно заметить разрастания тканей, направленные к центру полости.
- Солитарная киста — довольно большое, но доброкачественное новообразование округлой формы с эластичной стенкой. Капсула ее становится толще со временем. Довольно часто такую кисту можно нащупать даже самостоятельно.
- Опасной считается фиброзная киста молочной железы, так как ее наличие повышает шансы развития онкологических заболеваний в будущем.
- Довольно неприятным диагнозом является и многокамерная киста, которая в большинстве случаев является результатом неправильного образа жизни и изменения гормонального фона. Такая киста состоит из множества камер и имеет тенденцию к довольно быстрому росту.
- Наиболее опасной считается протоковая киста, которая в современной онкологии считается полноценным предраковым состоянием. К счастью, такое новообразование диагностируется не чаще, чем в 1% случаев.
Основные причины появления новообразований
Ни для кого не секрет, что подобные заболевания молочной железы чаще всего являются результатом гормонального сбоя. На сегодняшний день доказано, что подобные новообразования в большинстве случаев формируются на фоне повышения уровня женских половых гормонов — эстрогенов.
В свою очередь гормональный сбой может развиваться под воздействием многих факторов внутренней или внешней среды, ведь женская эндокринная система крайне чувствительна. Довольно часто киста диагностируется у женщин в период менопаузы, реже — во время полового развития. Почему? Именно в эти моменты организм претерпевает значительные гормональные изменения.
Кроме того, колебания гормонального фона могут быть вызваны гормональной терапией (включая и прием некоторых противозачаточных средств), абортами или выкидышами (это серьезные стресс для организма), оперативными вмешательствами. Нередко заболевания молочных желез у женщин вызваны расстройствами в работе гипоталамо-гипофизарной системы, которая регулирует работу всех эндокринных желез.
С другой стороны, причины нарушения гормонального фона могут быть вполне обыденными. Например, постоянные стрессы, эмоциональные перенапряжения, длительные физические или умственные нагрузки сказываются на работе желез внутренней секреции. К факторам риска можно отнести и ожирение. Огромное значение в данном случае имеет питание. Пища, богатая холестерином, может спровоцировать повышение эстрогенов. Кроме того, киста может быть результатом злоупотребления солнечными ванными, перегреванием организма, физической травмой и т. д.
Какими симптомами сопровождается патология?

Для начала стоит отметить, что клиническая картина в данном случае зависит от количества и размера новообразований. Например, мелкую кисту обнаруживают, как правило, совершенно случайно, во время планового рентгенологического исследования. А вот кисты больших размеров можно прощупать сквозь кожу. Иногда женщины даже самостоятельно могут определить наличие твердого «комка» с гладкими краями.
Безусловно, у некоторых пациенток подобные новообразования имеют столь большие размеры, что их можно увидеть даже невооруженным взглядом — иногда они даже вызывают физические деформации груди.
В любом случае киста редко вызывает какие-то симптомы. Иногда возникает ощущение тяжести или даже болезненность в груди, причем дискомфорт в большинстве случаев связан с наступлением менструаций.
С другой стороны, кистоз может осложниться инфекцией. Патогенные микроорганизмы могут проникать в кисту вместе с током крови или лимфы, а также через микротрещинки на кожу вокруг сосков. Воспалительный процесс сопровождается повышением температуры, сильным набуханием пораженной молочной железы, а также болезненностью, которая усиливается при любом прикосновении к груди. Иногда кожа над кистой краснеет и отекает, или же приобретает синюшный оттенок. Воспаление кисты — процесс крайне неприятный и опасный. Поэтому, если киста в груди болит, нужно немедленно отправляться к лечащему врачу.
Основные методы диагностики

При малейшем подозрении на те или иные заболевания молочной железы стоит сразу же обратиться к врачу. Для начала специалист обязательно соберет анамнез и расспросит о жалобах на самочувствие. Далее пациентка обязана пройти некоторые дополнительные исследования.
В частности, одним из наиболее точных и одновременно доступных методов диагностики является ультразвуковое исследование молочных желез. Подобная процедура помогает определить количество и размеры новообразований, а также тщательно изучить особенности строения их внутренних стенок. Обязательным считается и рентгенография молочных желез (маммография), хотя оборудование для подобного обследования имеется далеко не в каждой клинике.
При наличии подозрений на злокачественный процесс дополнительно назначают магниторезонансную томографию. В некоторых случаях проводят и тонкоигольную аспирационную биопсию. Во время процедуры врач аккуратно прокалывает внешние ткани и стенку кисты, извлекая наружу небольшое количество ее содержимого. Образцы в дальнейшем отправляются в лабораторию для дополнительных исследований.
Естественно, крайне важно определить причину появления кисты. Поэтому женщин, как правило, направляют на осмотр к эндокринологу. Обязательным является и анализ крови на уровень половых гормонов. Стоит еще раз отметить, что только врач знает, что представляет собой киста в груди, что делать в таких случаях и как правильно ее лечить. Поэтому не стоит заниматься терапией самостоятельно, так как различные домашние средства могут лишь усугубить ситуацию.
Возможны ли осложнения?
Киста в груди — диагноз довольно распространенный. Поэтому вопрос о том, насколько опасным может быть заболевание, остается актуальным. На самом деле подобное формирование в большинстве случаев доброкачественное и не представляет собой серьезной угрозы здоровью или жизни пациентки.
С другой стороны, наличие кисты любого размера и происхождения — это повод провести соответствующее лечение. Ведь нередко болезнь осложняется инфекцией, воспалением и нагноением кисты, что уже намного опаснее. Более того, риск злокачественного перерождения тканей хоть и минимален, но все-таки существует.
Киста в груди: лечение консервативными способами
Схема терапии в данном случае назначается индивидуально. Как лечить кисту? Здесь все зависит от ее размеров, формы, а также результатов медицинских исследований. Безусловно, при необходимости женщине назначают соответствующую гормональную терапию, которая помогает предупредить появление новых образований.

Если киста маленькая (диаметр не превышает 0,5 см), то достаточно будет консервативного лечения. Довольно эффективными считаются различные биологически активные добавки, а также растительные экстракты, чаи и т. д. Если кистоз вызван стрессами, то необходим дополнительный прием мягких седативных препаратов.
Крайне важной в данном случае является и диета. В частности, стоит свести к минимуму количество животных жиров, а также уменьшить количество продуктов, богатых холестерином. В любом случае нужно попросить врача дать соответствующие рекомендации по поводу питания.
Лечение кисты также зависит от наличия тех или иных осложнений. Например, при наличии инфекции и воспалительного процесса необходима дополнительная терапия. Пациенткам назначают противовоспалительные и антибактериальные препараты.
Хирургическое лечение кисты
К сожалению, далеко не всегда подобное заболевание поддается консервативной терапии. Как лечить кисту в таких случаях? Если размер кисты превышает 0,5 см, то целесообразно проведение тех или иных хирургических процедур.
На сегодняшний день существует несколько основных методик. Например, нередко проводится пункция новообразования. Во время процедуры врач с помощью тонкой иглы прокалывает стенку кисты и извлекает наружу все ее содержимое. Данный способ самый доступный и дает хорошие результаты. Тем не менее, в послеоперационный период возможный такие осложнения, как воспаление, нагноение и повторное наполнение кисты жидкостью.

Удаление кисты можно провести и другим путем. Например, в некоторых случаях в полость образования вводят кислород или озон, что приводит к ее «схлопыванию» и склеиванию внутренних поверхностей стенок. Кстати, озон считается более эффективным средством, так как этот газ обладает антисептическими и противовоспалительными свойствами, что значительно уменьшается вероятность развития осложнений.
Удаление кисты путем хирургического рассечения внешних тканей проводится лишь в крайних случаях. Например, процедура показана при наличии большого новообразования или регистрации его быстрого роста. Такие же показания и в том случае, если нагноилась киста. Операция в таких случаях включает в себя не только иссечение данного формирования, но и промывание тканей, и очищение их от остатков гнойных масс.
Стоит отметить, что сегодня все чаще подобные операции проводятся путем лапароскопии. Эта методика позволяет удалить кисту и вместе с тем сохранить внешний вид груди, не оставляя крупных шрамов на коже.
Если во время диагностики было определено, что имело место злокачественное перерождение клеток, то врачи направляют пациентку в онкологическое отделение, где проводится полноценная противораковая терапия.
Лечение кисты с помощью средств народной медицины
Сегодня многие женщины интересуются вопросами о том, как вылечить кисту груди и можно ли сделать это самостоятельно, в домашних условиях. Стоит понимать, что пренебрегать врачебной помощью ни в коем случае не стоит, так как всегда существует риск развития опасных осложнений.
Тем не менее, некоторые домашние средства способны снять или ослабить некоторые симптомы. Например, довольно эффективной считается обычная белокочанная капуста. Капустный листок с одной стороны нужно смазать растительным маслом и приложить к груди. Сверху все покрыть хлопчатобумажной тканью и зафиксировать. Компресс желательно оставляться на ночь. Пациентки отмечают, что подобная процедура позволяет унять боль при воспалении.
Еще одним полезным и доступным лекарством является морковь. Свежий овощ нужно натереть на мелкой терке. Полученную кашицу заверните в марлю. Компресс приложить к больной груди и зафиксируйте с помощью бинтов. Несколько раз в день меняйте морковное «пюре». Длительность такой домашней терапии составляет около двух недель.
Отвар из корня лопуха также считается эффективным натуральным средством для борьбы с подобным заболеванием. Для приготовления лекарства нужно измельчить 10 г свежего корня до состояния кашицы (можно натереть на терку), после чего залить стаканом кипятка. Средство накрыть крышкой и оставить на три часа. Теперь отвар можно процедить. Принимать дважды в сутки по столовой ложке.
Пользу также могут принести компрессы из свежей свеклы, отвары из травы лопуха и зверобоя. Некоторые народные знахари рекомендуют мази из топленого масла и экстракта чистотела, смешанных в равных количествах.
В любом случае стоит понимать, что лечение кисты груди народными средствами можно начинать только с разрешения лечащего врача. Неумелое применение рецептов нетрадиционной терапии может нанести вред здоровью.
Киста молочной железы и беременность
Сегодня многие женщины интересуются вопросами о том, считается ли киста в груди препятствием для беременности и кормления. На самом деле наличие подобного новообразования не считается противопоказанием к вынашиванию ребенка. Более того, в некоторых случаях именно беременность способствует полному излечению.
Как уже упоминалось выше, причиной появления кистозных образований чаще всего являются гормональные сбои, а именно, повышение уровня эстрогена. Ни для кого не секрет, что во время беременности гормональный фон женщины резко меняется — возрастает количество вырабатываемого прогестерона, а вот уровень эстрогенов, наоборот, снижается. В медицинской практике нередко встречаются случаи, когда во время вынашивания и кормления ребенка киста рассасывается. Но стоит отметить, что подобное случается только с новообразованиями небольшого размера — большие кисты, как правило, остаются, а иногда даже увеличиваются.
В любом случае какое-то специфическое лечение, как правило, не требуется. Женщина обязана регулярно проходить медицинский осмотры, так как врач должен иметь возможность следить за поведение кисты. Что же касается лечения, то оно, как правило, сводится к правильному питанию и приему мягких гепатопротекторов. Лишь в случае интенсивного роста новообразования врач может назначить процедуру по проколу кисты и «сращиванию» ее стенок.
Профилактические мероприятия

Существуют ли способы предупреждения появления подобных новообразований? На самом деле профилактика в данном случае сводится к правилам здорового образа жизни. В частности, специалисты рекомендуют придерживаться принципов правильного питания — исключения из рациона кофе, какао, шоколада, жирных мяса и рыбы, жареных блюд. Именно эти продукты повышают уровень холестерина в крови, который является субстратом для синтеза эстрогенов.
Кроме того, хорошо на состоянии организма скажется физическая активность, будь то занятия спортом или же просто прогулки на свежем воздухе. Все инфекционные заболевания и нарушения в работе эндокринной системы должны лечиться, причем вовремя. И, конечно же, дважды в год каждая женщина должна проходить стандартный профилактический осмотр и сдавать анализы — это поможет определить наличие новообразований на ранних стадиях. Кроме того, хотя бы раз в месяц нужно проводить самостоятельно обследование груди и при обнаружении комочков или опухолей под кожей срочно обращаться к врачу.
www.syl.ru
Киста молочной железы — причины и лечение, чем опасна
Рубрика: Заболевания
Что такое киста молочной железы
Киста молочной железы — это новообразование различной природы, формирующееся в тканях или протоках железы и заполненное содержимым. Кисты также могут называть узлами, часто расценивают, как проявления кистозно-фиброзной болезни молочных желез.
Согласно данным статистики эта патология встречается у одной женщины из трех и не всегда выдает себя клиническими проявлениями. При самоосмотре груди женщина может почувствовать шарик различной консистенции и формы. Киста может быть диагностирована у женщины в любых возрастных рамках, но группой риска считается 35-55 лет. Размеры новообразования различны и варьируются от пары мм до 5 и более см.
В зависимости от индивидуальных особенностей киста может исчезнуть самостоятельно. Но это не является поводом пустить заболевание на самотек и не обращаться за медицинской помощью.
Виды кист
- Типичная киста характеризуется форму круга, овала и отсутствие внутренних выростов.
- Атипичная форма часто рецидивирует и переходит в процесс воспаления. Внутри кисты обнаруживаются доброкачественные или злокачественные наросты, усложняющие лечение и выздоровление.
- Фиброзный тип является предрасполагающим фактором в возникновении раковых опухолей тканей груди. По различным причинам соединительная ткань (фиброзная) начинает разрастаться. Со временем в ней появляются полости, которые заполняются жидкостью. Нередко эта жидкость выделяется из сосков.
- Жировая форма не проявляется болезненными симптомами, если узел не воспалился. Поражение двух желез не характерно. Киста образуется благодаря закупорке сального протока.
- Протоковая киста развивается у женщин старшего возраста, ближе к пожилому. Это состояние относят к предраку.
- Многокамерный тип кисты, при котором формируются множественные маленькие образования, соединяющиеся в одну кисту, имеющую множество карманов или камер.
- Солитарная форма подразумевает наличие только одной кисты, не имеющей камер.

Причины возникновения и предрасполагающие факторы
- Мастопатия.
- Отсутствие родов до 30 лет.
- Затяжной период грудного вскармливания или полное его отсутствие.
- Интеллектуальные и эмоциональные переутомления, регулярные стрессы, переживания, волнения. Все эти состояния вызывают серьезный гормональный сбой.
- Большое количество абортов. Аборт всегда является поводом для выброса значительного объема гормона эстрогена и, следовательно, образования кист.
- Избыточный вес.
- Плохое питание – недоедание, переедание, некачественные или вредные продукты.
- Ушибы, удары, травмы, операции на молочных железах.
- Наследственный фактор.
- Злоупотребление пребыванием на солнце, в солярии, сауне и банях.
- Длительное употребление оральных противозачаточных средств без назначения и контроля врача.
- Заболевания репродуктивной системы. Например, поликистоз яичников, эндометрит, воспаления мочеполовой системы, аднексит.
- Нарушения работы щитовидной железы.
Дифференциальная диагностика узлов МЖ

Симптомы наличия кисты в молочной железе у женщины
Заболевание не всегда тревожит женщину какими-либо проявлениями. Киста диаметром пару миллиметров может не увеличиваться многие годы, не чувствоваться во время пальпации и выдать себя только при проведении планового профилактического ультразвукового исследования или при маммографии.
При увеличении размеров клинические проявления ощущаются при прощупывании и после него, а также за несколько дней до менструаций и во второй их половине.
- Дискомфорт, тяжесть, жжение в пораженной груди.
- Усталость, головная боль.
- Ноющие боли внизу живота.
- При достижении крупных размеров новообразования симптомы могут становиться постоянными и не зависеть от менструального цикла.
- Раздражительность, повышенная нервозность без особой причины.
- Выделение из сосков жидкости разного цвета. В норме выделения должны быть желтоватого цвета или прозрачные.
- Киста более 6 см в диаметре нарушают форму груди. Пораженная железа значительно отличается от здоровой. Это становится видно невооруженным глазом.
- Сонливость и постоянная усталость приводят к ухудшению жизни пациентки. Она не в состоянии выполнять какую-либо работу, водить автомобиль и прочее.
- Грудь становится отечной.
- Кожные покровы над новообразованием меняют свой цвет. Вначале он становится красным, а затем синюшным.
При присоединении воспалительного процесса состояние женщины значительно ухудшается и требует немедленной медицинской помощи.
- Выделения становятся гнойными, кровянистыми, зеленоватыми.
- Появляется лихорадка, озноб.
- Лимфатические узлы в области подмышечных впадин становятся болезненными, как при затрагивании, так и в состоянии покоя.

Диагностика, фото различных образований в груди, код МКБ
Не зависимо от размеров новообразования маммолог сначала проводит пальпацию, определяет консистенцию, подвижность, болезненность кисты.
Далее назначаются такие методы диагностики, как УЗИ, рентген и маммография. Они дают более точную информацию о составе и размере кисты. Иногда проводят МРТ исследование.
Для взятия материала применяется биопсия или пункция кисты. Полученная жидкость подлежит исследованию в гистологической лаборатории для выявления природы новообразования – доброкачественное или раковое.
Код по МКБ 10 — N60.
Чем опасна киста молочной железы и что при ней строго запрещено
Возникновение кист всегда напрягает гинекологов, маммологов и прочих специалистов, что под воздействием неблагоприятных факторов, стресса, гормональных изменений, физического или химического воздействия образование переродится и там появятся раковые клетки.
Так же есть опасность нагноения при попадании инфекции с током крови при сниженном иммунитете женщины.
Так, чего же стоит избегать женщине?
- Массаж, травмы, ношение некачественных бюстгальтеров с плохо зафиксированными косточками, ушибы даже при отсутствии новообразования могут привести к серьезным последствиям. При выявленной кисте нужно особенно оберегать грудь от вышеперечисленных факторов.
- Нельзя допускать излишней сухости кожных покровов груди. От 35-40 лет рекомендуется смазывать кожу груди увлажняющими средствами или чистым оливковым маслом.
- Тепловые процедуры (баня, прогревания) могут только усугубить состояние больной, особенно если киста воспалена или болезненна.
- Нельзя загорать под прямыми солнечными лучами или в солярии без топа или бюстгальтера.
Лечение
В первую очередь пациентка проходит консультацию врача гинеколога-эндокринолога. В его задачу входит выяснить имеется ли у больной сбой гормональной системы. Именно от этого зависит дальнейший план лечения.
Консервативное лечение
Это достаточно распространенный метод и применяется в отношении новообразований небольшого диаметра.
- Гомеопатия. Мастодинон, мастопол. Эти средства препятствуют разрастанию новообразования, нормализуют гормональный фон, укрепляют защитные силы организма, восстанавливают деятельность щитовидной железы.
- Биодобавки. Кламин. В основе биологических добавок лежат растительные компоненты. Их действие заключается в предотвращении роста кисты, снятии воспаления, нормализации работы гормональной системы. Они являются отличным антиоксидантным и антиканцерогенным средством.
- Нестероидные противовоспалительные. Диклоберл, нурофен. Они устраняют не только воспаление, но и болевой симптом.
- Успокаивающие средства. Их назначают в том случае, если женщина подвержена регулярным стрессовым ситуациям, и именно они являются основной причиной развития кисты. Лучшими препаратами считаются те, что приготовлены на растительной основе. Пустырник, экстракт валерианы.
- Адаптогены. Это вещества, используемые с целью усиления противостояния организма к различным физическим, химическим, биологическим вредностям. Элеутерококк или лимонник.
- Витамины. Они не только ускоряют процесс выздоровления, но и уменьшают риск возникновения рецидива. Также к действиям витаминов можно отнести снятие отека, усиление действия прогестерона и подавление эстрогена. Особенно необходимы в это время витамины группы РР, С, Е, В, А. Компливит, витрум, мультифорт.
- Энзимы. Это группа лекарственных средств, отвечающая за жировой обмен. Они снимают боль и воспаление, укрепляют иммунитет. Вобэнзим.
- Гормональные средства. Препараты, нормализующие работу гормонов, применяются в небольших дозах. В основном используются оральные контрацептивы, такие как жанин и утрожестан. Также нередко назначаются средства в виде гелей или инъекций – прожестожель, депо-провера.
- Мочегонные. Применяются за 7 дней до начала менструального кровотечения, устраняя нагрубание груди. Гипотиазид, фуросемид, брусничный чай.

Хирургическое лечение — всегда ли нужна операция
Пункция кисты МЖ
В зависимости от ситуации операция может быть проведена как под наркозом, так и под местным обезболиванием.
Специальным устройством или шприцем происходит аспирация жидкости из кисты молочной железы. Чаще все манипуляции проводятся под контролем УЗИ. Нередко получившаяся полость может быть промыта антисептиком или заполнена лекарственным средством для скорейшего слипания стенок.
Удаление кисты молочной железы скальпелем или лазером
Назначается в основном в тех случаях, когда внутри кисты появились выросты. При помощи скальпеля удаляется не только капсула, но здоровая ткань вокруг. Если операция проводится лазером, то пучок света уничтожает только пораженную область.
Мастэктомия
Полное удаление железы происходит при множественных образованиях, не поддающихся другому лечению. На место удаленной железы может быть поставлен имплантат.
Лечение кисты молочной железы народными средствами
Народное лечение начинают только после полного обследования у маммолога, после установления диагноза, сданных анализов на гормоны эстроген и пролактин. В этом случае станет понятно, какие растительные средства стоит принимать, а какие нет.
Дозировка важна, не устаю это повторять на страницах своего сайта alter-zdrav.ru. Одно и то же вещество в различных дозах может быть полезным или оказать вред. К примеру, в маленькой концентрации компоненты, содержащиеся в корне солодки, стимулируют рост раковых клеток, а в большой — подавляют его.
Основному воздействию обязательно должны сопутствовать препараты седативного действия — пустырник, валериана, мятный чай.
Сначала добиваются восстановления нормального обмена веществ с помощью травяного сбора, в который входит ромашка лекарственная, цветы липы и бузины, листья мыты и плоды фенхеля. Бузину и мяту берем по 4 столовых ложки, остальных ингредиентов по 3.
Для заваривание берут ложку смеси и заливают 0, 5 литрами кипятка, настаивают час, настой выпивают равномерно в течение суток. Курс — 2, 5 -3 месяца.
После этого пропивают месячный курс масла черного тмина. Также рекомендуют трехмесячный курс лечения березовой чагой. Традиционно к груди прикладывают компрессы с капустными листами, менее традиционно — с натертой свеклой (на 100 гр свеклы добавляют пол столовой ложки яблочного уксуса), можно прикладывать примочки на четверть часа дважды в день с настоем зверобоя, мяты, ромашки попеременно. Для обезболивания натирают проблемное место перцем чили.
Также эффективна настойка скорлупы грецкого ореха (измельченная скорлупа 15 орехов настраиваться 10 дней на бутылке качественной водки 0,5), принимают ее каждое утро натощак по столовой ложке. Курс месяц, потом 10 дней перерыв и можно повторять.
После полугода лечения сделать контрольное УЗИ.
Профилактика
Современный ритм жизни, к сожалению, располагает к развитию многих патологий женского организма. Но все же есть возможность свести к минимуму вероятность их появления.
Это активный образ жизни, занятия гимнастикой, прогулки на свежем воздухе, правильное питание с необходимым количеством витаминов и микроэлементов, избегание излишних стрессов и волнений, регулярно проходить профилактические осмотры у врача.
alter-zdrav.ru
что такое и как ее лечить
Содержание статьи:
Что такое киста молочной железы, какие причины способствуют их образованию, виды кист, симптомы и диагностика, а также подробно о том, как лечить кисту в груди — читайте в этой статье.
Что такое киста молочной железы
Одна из самых распространенных женских патологий груди – наличие кист в тканях молочной железы. Кисты образуются в протоках и представляют собой наполненные жидкостью полости, они бывают и единичными, и множественными. Поначалу кисты могут не проявляться выраженной симптоматикой, и женщина ничего не подозревает. Со временем патология дает о себе знать неприятными ощущениями: болезненность, жжение. Причем усиливается этот дискомфорт за несколько дней до начала менструации. Если растущая киста достигает слишком больших размеров, заметно изменяется форма молочной железы. В тяжелых случаях развивается воспалительный процесс, и полость кисты может нагноиться. Формируются кисты чаще всего на фоне других гормональных нарушений, у таких пациенток повышен риск развития рака груди. Однако сами кисты перерождаются в злокачественные опухоли довольно редко.


Согласно медицинской статистике эта патология характерна для никогда не рожавших женщин в возрасте от 35 до 55 лет. Формирование кисты происходит так: один из протоков грудной железы расширяется, в нем постепенно накапливается секрет, образуется фиброзная капсула. То есть кисты молочных желез представляют собой ограниченные полости, которые заполнились невоспалительной жидкостью. Наличие таких кист является признаком фиброзно-кистозной мастопатии. В подавляющем большинстве случаев кисты являются доброкачественными образованиями, но иногда в них могут находиться и раковые клетки.
Киста молочной железы, код по МКБ 10
Любая киста молочной железы относится к коду N60 — доброкачественная дисплазия молочной железы. Которая в свою очередь подразделяется на:
N60.0 Солитарная киста молочной железы
N60.1 Диффузная кистозная мастопатия
N60.2 Фиброаденоз молочной железы
N60.3 Фибросклероз молочной железы
N60.4 Эктазия протоков молочной железы
N60.8 Другие доброкачественные дисплазии молочной железы
N60.9 Доброкачественная дисплазия молочной железы неуточненная
Виды кист молочных желез
Кисты молочных желез имеют разную форму: они могут быть овальными, круглыми или с неправильными очертаниями. Размеры также очень отличаются. Встречаются и маленькие кисты (меньше сантиметра) и гигантские (несколько сантиметров). Кроме того, кисты различают по количеству полостей. Бывают однокамерные и многокамерные кисты. Если в молочной железе обнаружена всего одна патологическая полость, ее называют солитарной (единичной) кистой. При наличии множества кист пациентке ставят диагноз «поликистоз молочных желез». В таких случаях разные по размеру кисты обычно сливаются и формируют большие многокамерные образования (болезнь Реклю). В итоге кистозная ткань может занять более половины грудной железы.
1. Атипичная киста молочной железы
Некоторые кисты бывают атипичными. Атипичной кистой называют образование, которое не имеет стенок и способно разрастаться внутрь. Подобные кисты образуются в месте расширения протока, склонны к рецидивированию и воспалению. В их полости встречаются доброкачественные (а иногда и злокачественные) папилломатозные образования.
2. Фиброзная киста молочной железы
Наиболее опасны в плане развития онкологических процессов фиброзные кисты молочных желез. Для фиброзной кисты характерно увеличение соединительной ткани. В результате формируют полости, содержащие жидкость, которая может даже выделяться из сосков.

Солитарная киста молочной железы
Солитарная киста по своей структуре похожа на плотную капсулу. Заполняющая ее жидкость может иметь разный цвет. Обнаруживается только в одной из молочных желез.
Многокамерная киста молочной железы
Многокамерные кисты представляют собой множественные небольшие образования, которые с течением времени начинают сливаться.
Протоковая киста молочной железы
Протоковая киста обычно диагностируется у пациенток зрелого возраста. Эту патологию относят к предраковым изменениям.
Жировая киста молочной железы
Еще одна разновидность кисты – жировая. Это доброкачественное образование наполнено молоком, имеет гладкие стенки. Оно появляется в период беременности или при лактации. Причина его возникновения – закупорка сальной железы.
Почему образуются кисты в молочной железе
Появление кист в ткани молочных желез является следствием гормональных нарушений в женском организме. К таким нарушением относятся: избыток эстрогенов, эстрогения, связанная со снижением уровня других гормонов. Кроме того, гормональный баланс может нарушиться из-за непродуманного использования гормональных контрацептивных средств.
Нередко формирование кист является следствием мастита, нарушений в работе яичников или щитовидной железы. Также опасны в этом смысле различные воспалительные процессы в женских органах (эндометрит, аднексит).
Причины появления в молочных железах кист
Итак, перечислим главные факторы, которые способствуют формированию кист в грудных железах:
— Нарушения гормонального баланса.
— Беременность, роды.
— Использование гормональных контрацептивов в течение долгого времени.
— Травмы груди, перенесенное в прошлом хирургическое вмешательство.
— Длительное воздействие ультрафиолета.
— Нервные потрясения и стрессы.
— Аборты в прошлом.
— Нарушения функции яичников (киста яичника в анамнезе).
— Проблемы в работе щитовидной железы.
— Гинекологические заболевания воспалительного характера.
— Мастит.
— Интенсивные умственные нагрузки.
— Сахарный диабет.
— Лишний вес.
— Плохое питание.
— Дискинезия желчевыводящих путей.
— Дегенеративные процессы в грудном отделе позвоночника.

Симптомы кисты молочной железы у женщин
Признаки кисты молочной железы сможет определить врач маммолог, которого надо обязательно посещать один раз в год. Маленькие кисты обычно не дают о себе знать, и пациентка не предъявляет никаких жалоб. Выявляются такие образования случайно, например, в результате плановой маммографии. Неприятные симптомы появляются лишь тогда, когда новообразование достигает более крупных размеров. Главные жалобы женщин в подобных случаях – болезненность и уплотнение грудей накануне менструации. Кроме того, возможны неприятные тянущие ощущения и даже жжение, а кисту можно определить на ощупь. При наполненных крупных кистах неприятные симптомы уже не зависят от фазы цикла, они беспокоят женщину постоянно. Деформация груди при гигантских кистах становится видимой, а кожа над образованием изменяет свой оттенок. Она краснеет и даже становится синюшной.
Если процесс осложняется воспалением, появляются такие симптомы: повышенная температура, гиперемия кожи груди, увеличение лимфатических узлов.

Способы диагностики
Заподозрить наличие кисты можно уже после простой пальпации. Не пальпируются только мелкие малозаполненные образования. При подозрении на кисту пациентку направляют на УЗИ и маммографию (рентгеновское исследование молочных желез).
Маммография – очень информативный метод, с помощью которого можно оценить точное количество образований, их форму и размеры. Ультразвуковое исследование молочной железы дает подробную картину кисты и позволяет изучить характер ее стен (есть ли внутри кисты пристеночные образования). В некоторых случаях выполняют МРТ грудных желез. Если в кисте обнаружились пристеночные папилломатозные элементы, показана биопсия под УЗИ-контролем, а также пневмокистография. Благодаря этому ткани стенок можно изучить более детально.

Полученный в результате тонкоигольной аспирационной биопсии материал отправляется на гистологию для определения его клеточного состава. Если киста неосложненная, атипичные клетки в аспирате либо не обнаруживаются совсем, либо определяются в очень незначительном количестве. Если же по результатам гистологии выявлено значительное число клеток эпителия, можно подозревать опухолевый процесс. Очень характерным признаком является темно-бурый цвет аспирата. Он может говорить о внутрипротоковой папилломе или раке груди. Кроме того, исследование аспирата помогает выявить воспаление в кисте.
Женщинам, у которых были обнаружены кисты в молочных железах, необходимы осмотр гинеколога и исследование гормонального фона.
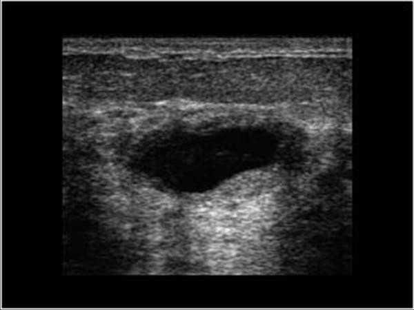
Фото кисты молочной железы
Киста молочной железы на УЗИ


Киста молочной железы на МРТ

Киста молочной железы при маммографии

Чем опасна киста в молочной железе
Кисты в груди сами по себе угрозы не представляют и не слишком сильно сказываются на качестве жизни. Исключением могут являться лишь образования слишком больших размеров, которые деформируют грудь и доставляют женщине огромный дискомфорт.
Серьезные проблемы со здоровьем начинаются при развитии воспалительного процесса и нагноении кист.
Вероятность перехода кисты в рак молочной железы существует, но она невелика. В группу риска входят, прежде всего, женщины с фиброзно-кистозной мастопатией.
Лечение кисты молочной железы
При наличии в молочной железе множественных кистозных образований главная цель лечения – нормализовать гормональный фон пациентки.
Для того, чтобы составить подходящую схему лечения, женщину направляют на обследование к эндокринологу. Необходимо детально исследовать состояние эндокринной системы и выявить возможные патологии в железах внутренней секреции. Также большое значение имеет диагностика заболеваний половых органов.
Когда причина гормональных нарушений в женском организме обнаружена, пациентке назначают соответствующую терапию для коррекции гормонального фона.
Одним из распространенных методов лечения является хирургическое вмешательство. Но его во многих случаях удается избежать. Так, если образование по размерам небольшое (меньше 0,5 мм), его удалять необязательно. Пациентке назначают консервативное лечение и рекомендуют раз в год проходить осмотр у маммолога, гинеколога, эндокринолога.
При наличии крупной кисты (от полутора сантиметров) проводят тонкоигольную пункцию. Этот метод малотравматичен и достаточно эффективен. Под контролем УЗИ кисту аккуратно прокалывают и выполняют аспирацию жидкости. В освободившееся пространство вводят специальные препараты (лучше всего озон), которые способствуют облитерации кисты. Но таким методом лечатся только простые однокамерные образования без внутрипротоковых папиллом и признаков злокачественности. После процедуры женщине нужно наблюдаться у маммолога и каждые полгода проходить необходимые обследования. Это позволит вовремя выявить появление рецидива. Если операция прошла успешно, содержимое кисты удалено до конца, и в ней нет способных к росту клеток, то вероятность повторного образования кисты не превышает 20 %. Если жидкость начинает собираться снова, процедуру выполняют еще раз.


В некоторых случаях показано более радикальное лечение – резекция железы с последующей гистологией. К такой операции прибегают при многокамерных множественных образованиях, после выявления в кисте атипичного эпителия и, если у пациентки в анамнезе злокачественная опухоль груди.
Некоторые женщины боятся, что из-за кисты им могут удалить всю грудь. Это напрасный страх. Даже при гигантской кисте образование удаляют с сохранением молочной железы. Современные методы лечения кисты молочной железы позволяют не только провести операцию с максимальным эстетическим эффектом, но и сохранить возможность грудного вскармливания в будущем. Тем не менее, после секторальной резекции рубцы остаются, разрушаются протоки. Как следствие, повышается риск застойных явлений. Поэтому женщинам, планирующим рождение ребенка, оперативного вмешательства все же лучше избегать, если это, конечно, возможно.
Риск перехода кисты в рак хоть и не высок, но существует. Это значит, что лечение подобных образований надолго откладывать не стоит.
Лапароскопия (удаление кисты молочной железы)
К щадящим хирургическим методам относится лапароскопическая операция. Она позволяет своевременно удалить кисту без серьезных последствий для организма.
Лапароскопия относится к инновационным методикам и применяется в самых разных сферах медицины. Она позволяет хирургам решать самые сложные проблемы и выполнять различные манипуляции в самых труднодоступных участках. Процедуру проводят в присутствии анестезиолога с местным обезболиванием или под общим наркозом. Для доступа к новообразованию на грудной стенке делают аккуратные надрезы. В один из них вводят лапароскоп с видеокамерой, а в другой — хирургический инструмент. От камеры лапароскопа на монитор выводится изображение, и под видеоконтролем из кисты отсасывается заполняющая ее жидкость. Затем в кисту вводят специальный лекарственный раствор, под действием которого она рассасывается.
Как и любое другое оперативное вмешательство, лапароскопия требует тщательной подготовки. Перед процедурой пациентке назначают ряд обследований, включая лабораторные анализы. В течение 8 часов перед процедурой женщина не должна принимать пищу.
Главное преимущество лапароскопической операции – ее минимальная травматичность. После процедуры на коже будут заметны лишь тонкие, почти невидимые следы. Восстановление после такого вмешательства проходит быстро, а риск осложнений незначителен.
Но полностью исключить неприятные последствия, к сожалению, нельзя. Основные осложнения лапароскопии связаны с действием анестезии, случайным повреждением сосудов во время операции, появлением спаек, гематом или послеоперационной грыжи. Также возможно присоединение инфекции.
Рассасываются ли кисты в молочной железе
Многих женщин интересует вопрос: рассасываются ли кисты сами, если их не лечить? Такое случается очень редко, поэтому игнорировать новообразование (даже очень небольшое) ни в коем случае нельзя. Маленькую кисту можно вылечить консервативными методами. При крупных образованиях показана аспирация жидкости. После удаления жидкости в полость кисты вводят озон или воздух, благодаря чему ее стенки быстро разглаживаются. Этот метод помогает уточнить диагноз и предотвратить рецидив.
Народное лечение кисты молочной железы
Принять решение о народных методах лечения кист в молочных железах может только врач после тщательного обследования пациентки. При необходимости он порекомендует гомеопатические средства, растительные препараты, БАДы. Часто маммолог при незначительных кистах груди назначает курс гомеопатического препарата мастодинон (3 месяца по 1 таблетки 2 раза в день). Также сегодня большой популярностью пользуются средства на основе водорослей, в которых содержатся йодистые соединения. Широко применяются БАДы с экстрактами цветной капусты и брокколи. Часто рекомендуют и травяные сборы, составленные так, чтобы улучшалось состояние печени, нервной системы, нормализовался обмен веществ. Если началось воспаление и другие методы лечения по каким-то причинам невозможны, можно прикладывать компрессы (спиртовые и из капустных листьев). Они хорошо снимают воспаления и отеки, обладают рассасывающим действием. Но при этом нельзя забывать, что любые способы лечения (даже народные) можно применять только после консультации врача.
Разрешается ли посещение сауны и загар при кисте груди
О вреде сильного загара сейчас говорят почти все медики. Находиться под солнцем топлес, загорать в середине дня, когда солнце особенно активно, не стоит. Любительницам саун и бань также нужно соблюдать осторожность. Перегревание организма не только способствует росту кист, но и дает толчок развитию злокачественных процессов (не только в груди, но и во многих других органах).
Профилактика кисты молочной железы
Чтобы не допустить возникновения серьезных осложнений при небольших размерах кист и уменьшить неприятные ощущения, нужно соблюдать следующие правила:
— Необходимо носить бюстгальтеры, хорошо поддерживающие грудь. Такое белье поможет уменьшить ощущения дискомфорта.
— Желательно пить меньше кофе и других напитков, содержащих кофеин. До сих пор наукой не доказано, что это вещество как-то влияет на кистообразование. Но многие женщины отмечают, что при отказе от кофе и черного чая дискомфорт в груди значительно уменьшается.
— При кистах груди полезно уменьшить количество употребляемой соли. Соль способствует задержке жидкости в организме, из-за чего причиняемый кистами дискомфорт усиливается.
— Если боли слишком сильные, допустим прием обезболивающих средств, продающихся в аптеках без рецепта (парацетамол, аспирин, ибупрофен).
Хорошее средство для снятия дискомфорта – примула вечерняя (в масляных каплях). Масло содержит линолевую кислоту, которая положительно влияет на гормональный фон, благодаря чему неприятные ощущения в молочных железах проходят.
Киста грудины у женщин — фото, видео, описание
Опухоли на женской груди

Демонстрирующее заболевание киста грудины у женщин фото выше — типичное фото при киста в грудине. Данная аномалия является опасным заболеванием доброкачественного характера, которое при развитии и формировании имеет риск превратиться в злокачественную опухоль и спровоцировать онкологический недуг.
Причины появления

Что такое киста у женщин на фото можно понять, если узнать причины данной болезни. Киста формируется в первую очередь из-за гормональных сбоев в женском организме и может появиться после приема гормональных препаратов или преждевременных родов.
Статистика и опухоли

Статистические данные говорят о том, что показанная на фото киста груди является на сегодняшний день одним из наиболее распространенных недугов женского организма. Данная аномалия регистрируется более чем в 40% случаев.
Киста грудины у женщин фото запущенной опухоли

Киста по-женски — фото выше – это в первую очередь поражение молочной железы и окружающих ее тканей. Внешне аномалия выглядит как большой нарост в виде капсулы или сумки, внутри которого находится гнойное или серозной вещество вязкого типа.
Поражения половых органов женщины

Фото симптомов кисты в паху у женщин может демонстрировать наличие временных гормональных нарушений. Также аномалия возникает при хронических недугах, связанных с нарушенным или деформированным функционированием репродуктивной системы.
Мочеполовые кисты у женщины

Нередко киста мочеиспускательного канала у женщин, фото которой тоже не редкость, может появиться из-за сопроводительных или первичных доброкачественных опухолей репродуктивной системы или гормональных нарушений.
Опухоли в женском организме

Нередко киста мочеиспускательного канала у женщин, фото которой тоже не редкость, может появиться из-за сопроводительных или первичных доброкачественных опухолей репродуктивной системы или гормональных нарушений.
Опухоли в женском организме

ВАЖНО ЗНАТЬ!
Фото грудной клетки при кисте в груди показывает, что помимо прикрепления капсулы и роста кисты на месте поражения можно наблюдать большое или среднее по размеру воспалительное заболевание, которое нередко перерастает в большой отек.
Гормональные нарушения при кисте

На вопрос о том, толстеют ли от кисты в груди, фото нередко демонстрирует положительный ответ. Набор лишних килограммов при кисте в молочных железах объясняется гормональными причинами развития заболевания.
Кисты в подмышечной зоне

Киста под мышкой у женщин на фото проявляется тогда, когда нарушен обмен веществ и железы не выполняют свои изначальные функции. Такие нарушения связаны со сбоями в работе эндокринной системы.
Паховые поражения

Киста в паховой области у женщин, фото которых хоть и мало, но также встречаются, могут появляться, опять же, из-за гормональных нарушений. Такие кисты имеют форму небольших наростов желтого или синюшного цвета.
Киста грудины у женщин фото кожных поражений

Киста у женщин на фото нередко развивается на протяжении многих лет. По мере развития патология формирует много сопутствующих заболеваний, связанных с воспалениями репродуктивных органов или систем.
Опухоли женских органов

Киста на женских органах — фото выше — является излечимой на сегодняшний день. Устраняется она, как правило, путем проведения процедуры лапароскопии и полного вырезания тела аномального типа с его придатками и жгутиками.
Как лечат опухоль при беременности

Фото кисты у беременной женщины говорят, что болезнь может подвергаться медикаментозному лечению, если при беременности есть противопоказания для проведения оперативного лечения.
Лобковые кисты

Венерические или воспалительные заболевания нередко провоцируют появления кист на лобковой части у женщин. Фото подобной аномалии чаще всего относятся именно к женской половине населения.
СОВЕТУЕМ ПОСМОТРЕТЬ:
ЗАПИШИТЕСЬ НА ПРИЕМ:

kista-guide.com
Киста молочной железы: фото, видео, описание
Как выглядит опухоль на груди?

Киста в молочных железах может возникать как внутри мягких тканей, так и поражать поверхность женской груди. Опухоль, как правило, имеет вид небольшого нарыва или твердого бугристого образования с плотными стенками. На этой странице вы можете посмотреть, как выглядят при заболевании киста молочной железы фото пациентов.
Симптоматика патологии

Сразу заметим: признаки и симптомы кисты молочной железы по фото выявить невозможно. Признаки патологии выявляются с помощью УЗИ сканирования, на котором можно увидеть не только место прикрепления капсулы, но и характер ее развития и количество пораженных областей.
УЗИ сканирование опухоли

Фото УЗИ кисты молочной железы может показать, что в некоторых случаях опухоль формируется внутри мягких тканей в виде небольших жировых или твердых узелков с твердой основой и соединительными образованиями.
Внешний вид опухоли

Как выглядит киста молочной железы фото, можно увидеть после проведения операции и отсечения капсулы от места ее прикрепления. Опухоль такого типа имеет форму небольшого мешка или мячика, внутри которого содержится серозное вещество или жировые ткани.
Побочные воспаления при кисте

Воспаление кисты молочной железы, фото которой вы наверняка уже рассмотрели, могут диагностироваться в процессе развития капсулы и увеличения ее в размерах. Вместе с воспалительной реакцией появляются аномальные боли и неприятные ощущения.
Киста молочной железы фото опухоли солитарного типа

Солитарная киста молочной железы на фото имеет форму небольшого мягкого новообразования, которое формируется преимущественно у молочной железы и может провоцировать появление побочных воспалений и скопление гноя.
Большие опухоли

Большая киста в молочной железе, фото-пример которой приведен выше, является опасной для женского организма, поскольку подвержена риску малигнизации и нередко может вызывать появление соматических недугов и заболеваний.
Как проявляется опухоль в груди?

ВАЖНО ЗНАТЬ!
Симптомы кисты молочной железы — фото выше — проявляются в то время, когда капсула опухоли начинает давить на соседние области тканей и нервные окончания и провоцировать отечность и воспаление.
Маммография при кисте

Маммография кисты молочной железы, фото которой наглядно отражает всю тяжесть проблемы, позволяет увидеть тип и характер заболевания, а также выяснить насколько велика вероятность трансформации опухоли в раковое образование.
Как лечится опухоль груди?

Лечение кисты молочной железы — фото выше — чаще всего производится путем оперативного устранения капсулы, поскольку такого рода доброкачественные опухоли нередко могут перерастать в раковые и провоцировать онкологические проблемы.
Лапароскопия

Сегодняшние технологии делают возможным лечение кисты молочной железы с помощью проведения лапароскопии – щадящего устранения капсулы без больших поражений кожи и соседних здоровых тканей.
Томография при кисте

Сканирование пораженного органа в процессе диагностики позволяет увидеть характер нанесенных повреждений и количество проблемных зон, которые нуждаются в лечении.
Большие кисты

Нередко опухоль можно диагностировать при первичном осмотре методом пальпации.
Множественные кистозные образования

В редких случаях опухоль может провоцировать распространение инфекции и появление побочных кистозных тел маленького или среднего размера.
Запущенные формы кисты

Запущенные и воспаленные опухоли могут вырастать до больших размеров и провоцировать множественные отеки в области груди и шеи.
СОВЕТУЕМ ПОСМОТРЕТЬ:
ЗАПИШИТЕСЬ НА ПРИЕМ:

kista-guide.com