подробно и достоинствах всех видов протезирования
Зубные протезы – вынужденная необходимость, если свои зубы существенно повреждены или вовсе утрачены. Протезы нужны не только как эстетическая замена природным зубам, но и как восстановление физиологически важных функций челюсти. Не зря врачи говорят: вовремя не вставил зуб, могут возникнуть постоянные головные боли. Отчаиваться, если свои зубы потеряны или серьезно повреждены, не нужно – современное протезирование максимально позволяет восстановить утраченные зубы и их функции.

Какие зубные протезы лучше поставить
Почему многие боятся протезирования
Содержание статьи
Начать можно с важного психологического момента. Многие пациенты, особенно люди молодого возраста, болезненно воспринимают само слово «протез». Искусственная конструкция, к которой придется привыкать, которая не обладает пожизненной гарантией, дорогостоящая к тому же… Именно такие ассоциации рождаются с этим словом, пугают и настораживают.

Пластиночный протез
На проблему можно посмотреть иначе – протезы позволяют внешне сделать зубы более привлекательными, чем они были от природы. Конечно, лучше своего здорового зуба быть не может, даже самый дорогой протез не будет обладать на 100% теми же функциями. Но если стоит вопрос протезирования, то назад пути нет – делайте новые, пусть и искусственные зубы, но со спокойным, здравым отношением к происходящему. Вы восстановите правильную жевательную нагрузку на зубы, не будет проблем с прикусом, как следствие, риск патологий ЖКТ тоже упадет.

Протезы восстановят жевательную нагрузку
Наконец, современные протезы возвращают человеку улыбку, которая является неизменным атрибутом молодости и здоровья. Главное, обратиться в хорошую клинику, к высококвалифицированному специалисту, которому вы можете доверять.
Еще один психологический нюанс: протезирование сопряжено с некоторым дискомфортом. Коронковая часть зуба обтачивается, при необходимости в зуб вставляются специальные вкладки. Какое-то время придется походить с такими зубами, пока изготавливаются протезы. Не все спокойно переносят новость о такой необходимости, переживают и нервничают.

Обточенные передние зубы
Но стоит понимать: протезирование – вопрос и здоровья, и красоты. Люди после пластических операций далеко не сразу могут полюбоваться эффектом, долгое время восстанавливаются, бывают на виду в неприглядном виде. Потому походить до двух-трех недель «без улыбки», возможно, используя платочек во время разговора с собеседником – не самый худший вариант. Все здравомыслящие, деликатные люди войдут в ваше положение, и не смутят своим любопытством. А на менее тактичных разве стоит обращать внимание?

Красивая улыбка после протезирования
Что такое зубной протез
Протезом называется специальная конструкция, которая заменяет зуб. Сам протез с максимальной точностью реабилитирует физиологию и анатомию системы зубов и челюстей. А еще протез возвращает пациенту улыбку, и очень часто – еще более привлекательную, чем до проблем с зубами.

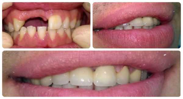
Фотография до и после протезирования
Есть миф – что протезы жутко неудобные, к ним так и не удается полностью привыкнуть. Даже со съемными конструкциями это случается не так уж и часто, а с постоянными протезами – еще реже. Времени на адаптацию много не потребуется.

Протезирование зубов
Зубные протезы можно поставить, если зубы утрачены полностью или же частично. Само протезирование включает в себя ряд этапов: подготовку полости рта, лечение зубов (если понадобится), обтачивание зубов и изготовление вкладок, снятие слепка, изготовление протеза, примерку, фиксацию.
Несъемные зубные протезы
Несъемные зубные протезы
Несъемные протезы, безусловно, намного удобнее съемных. Если есть возможность ставить именно такие, то, конечно, несъемные будут лучшим выбором.

Микропротез зуба
Данные конструкции представлены коронками, удобными мостовидными протезами и современными микропротезами. Описание каждого вида представлены в таблице.
Вид | Описание | Какие бывают |
---|---|---|
Коронки | Конструкция закрепляется на разрушенное основание зуба и защищает его от повреждений. | Могут быть металлическими, металлокерамическими, керамическими, циркониевыми или алюминиевыми. Как временный вариант рассматриваются и пластмассовые аналоги. |
Мостовидные протезы | Это спаянные друг с другом коронки. Ставятся при отсутствии сразу нескольких зубов. | Выделяют следующие типы: опирающиеся на свой зуб, на имплантат, адгезивный вариант. |
Микропротезирование | Это самый современный метод – мягкий, щадящий и в большей степени способствующий сохранению зубов. | Вкладки – вариант восстановления зуба, когда цел только корень. Виниры – это пластины, которые закрывают внешнюю часть зуба. Люминиры –так называют тончайшие виниры. Протезы на микрозамочках – конструкции, которые не требуют предварительной обточки зубов. |
Если поврежден только один зуб, потребуется одиночная коронка. Она крепится на зуб, восстанавливая его форму и функцию. Если зуб утрачен полностью, потребуется либо имплантат, который вживляются в костную ткань, либо мостовидный протез.

Одиночная коронка на импланте
Какие коронки лучше
Самым приемлемым вариантом в отношении цена/качество/доступность являются металлокерамические коронки. Это конструкция с металлическим основанием, на которое нанесена керамическая масса. Такой зуб будет очень похож на натуральный аналог. По отдельной цветовой палитре подбирается оптимальный цвет нового зуба, в целом, конструкция выглядит максимально натурально. Это прочные коронки, отличить которые от собственных зубов обыватель вряд ли сможет.

Металлокерамические коронки
Более хрупкими считаются керамические коронки. Потому их рекомендовано ставить на передних зубах, а вот на жевательных потребуются конструкции прочнее. Внешне это еще более выигрышный вариант, чем металлокерамика – от собственного зуба не отличишь. Такие коронки всегда совместимы с тканями десны, в чем большое их преимущество.

Керамические коронки
Коронки из диоксида циркония по всем показателям совершенны – и внешняя их составляющая, и эксплуатационные характеристики. Но не все пациенты могут себе позволить такой вариант: конструкция стоит очень дорого. Если хочется что-то дешевле, это могут быть коронки из оксида алюминия, которые немного уступают циркониевым в прочности.

Коронки из оксида алюминия

Коронка из диоксида циркония
Что такое адгезивный мостовидный протез
Стоит подробнее рассказать о такой современной стоматологической технологии, как адгезивное протезирование. Адгезивный мост – это возможность восстановить один зуб без травмирующей обточки рядом находящихся зубов. Протез крепится на смежные зубы при помощи каркаса, стекловолоконных и композитных материалов. На смежных зубах подготавливают маленькие уступы, на них и фиксируется конструкция.

Адгезивный мостовидный протез
Такое протезирование уместно в случае восстановления зубных единиц, если на них нет значительной жевательной нагрузки. Примечательно, что такое протезирование – это вопрос одного сеанса в кабинете врача. Если сравнивать с имплантацией, установка адгезивного протеза обойдется пациенту дешевле.
Но есть и негативные моменты: соседние зубы, которые служат опорой протезу, становятся более подверженными кариесу. Это связано с тем, что должная гигиеническая обработка теперь проблематична. Также может просесть костная ткань на месте, где стоит протез.
Врач-ортопед, который и занимается протезированием, может предложить пациенту более приемлемые варианты восстановления зуба – микропротезирование. Устранить внешние дефекты зуба могут виниры – пластины, накладываемые на некрасивую зубную поверхность. Для их изготовления используют керамику или диоксид циркония.

Виниры
Съемные зубные конструкции
Но есть варианты, когда несъемные протезы установить невозможно. Тогда в стоматологии используют либо целиком съемные протезы, либо частично съемные.

Съемные зубные протезы
Частично-съемные конструкции
- Нейлоновые – подойдут для восстановления малых участков зубного ряда. Это слишком эластичные конструкции, не распределяющие должным образом жевательную нагрузку. Стоят протезы достаточно дорого, но вот коррекции не подлежат. Вариант, который подойдет далеко не всем.
Мягкие нейлоновые протезы
- Акриловые – самые популярные, довольно легкие протезы. При этом зубы уже обтачивать не требуется, крепятся они при помощи малых крючков. Делаются такие протезы из специальной акрил-пластмассы. Плюс ее в том, что противопоказаний она не имеет. По цене эти протезы доступны большинству пациентов.
Акриловые съемные протезы
- Акрифри (либо же безакриловые протезы) – конструируются из акриловых смол. Более совершенны, нежели акриловые аналоги. Они точнее дифференцируют жевательную нагрузку, имеют приличную прочность, а еще они очень плотно прилегают к десне. При наличии собственных зубов, таковой протез фиксируется на резиновые крючки. Но если собственных зубов нет, фиксаторами выступают аналоги присоски. Точнее, крепится протез по принципу присоски.
Зубные протезы Акри-Фри
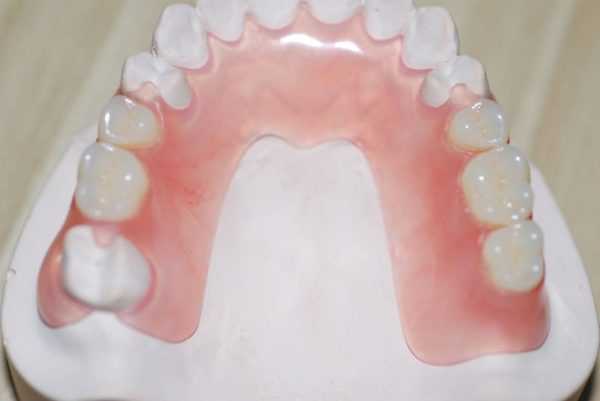
- Бюгельные протезы – это литой каркас из металла, который покрыт аккуратным акриловым слоем. На этом каркасе устанавливаются искусственные зубы. Данная конструкция дает возможность полноценного распределения жевательной нагрузки. Такой вариант очень компактный, в отличие от других аналогов. Крепление выполняют с помощью замочков, крючков, а также телескопических коронок.
Бюгельный протез
Полностью съемные протезы – вариант для пациентов, потерявших все свои зубы. База, где крепятся новые зубы, может быть нейлоновой, пластмассовой, металлопластмассовой. А сами зубы бывают акриловыми, полиуретановыми, нейлоновыми.
Фиксироваться съемный протез может на присоски – приспособление, повторяющее рельеф самой десны. Он практически присасывается к самой десне. Если его фиксировать кремом, то смещаться не будет. Покрыть поверхность составом надо непосредственно перед надеванием.

Силиконовые зубные протезы
Крем для фиксации съемных зубных протезов
Протезирование – процесс, который сегодня доступен большинству пациентов. При должном отношении к новым зубам они прослужат много лет. Некоторые дефекты можно корректировать прямо на протезах, без замены старых конструкций новыми протезами.
Удачного выбора и успешного протезирования!
Видео – Какие бывают протезы
expertdent.net
по цене, съемные или несъемные
Чтобы ответить на вопрос какие зубные протезы самые лучшие и сделать правильный выбор, важно принять во внимание множество факторов.
Зубные конструкции, в первую очередь, должны полностью восстановить функционал утраченных зубов.
Как правило, выбор метода протезирования опирается на преследуемую цель и финансовые возможности пациента
Протезы могут быть:
Это могут быть:
Все они различаются стоимостью и эстетическими свойствами.
Зубные протезы делятся на съемные и несъемные. Их основное отличие состоит в том, что несъемные закреплены стоматологом на зубах на продолжительный срок.
Лучшие съемные протезы
Съемные протезы классифицируются на несколько групп:
- Полные съемные
- Частично съемные
- Условно-съемные
Поскольку ассортимент съемных зубных систем достаточно разнообразен, у многих возникнет вопрос: какие же съемные зубные протезы лучше вставить? Их выбор определяется количеством уцелевших в ротовой полости зубов.
- При полной утрате зубов потребуется установка полного съемного протеза.
- Если же ортопедической конструкции будет за что «зацепиться», то для протезирования можно использовать бюгельные, которые на данный момент считаются лучшими из частично съемных.
Нейлоновые зубные протезы
Полные съемные
Единственной альтернативой протезирования зубов при адентии челюстей (одной или обеих) являются полностью съемные протезы, изготовленные из акрила или нейлона. Такие конструкции в последнее время были подвержены ряду усовершенствований, в результате которых стали менее значимыми основные их минусы, такие как неудовлетворительная эстетика и ненадежная фиксация в ротовой полости.
Изготовленные по новейшим технологиям искусственные зубы обладают прекрасными эстетическими качествами и очень высокой износостойкостью. При хорошей гигиене и правильной эксплуатации протезы могут прослужить очень долго, сохраняя свой внешний вид, плотность и цвет. Кроме того, полные съемные конструкции реально изготовить с учетом пожеланий пациента и его и индивидуальных особенностей.
Для того, чтобы съемные протезы прочно стояли в полости рта, их лучше поставить на зубные имплантаты, вживленные в челюсть. Вариант подороже ─ установить конструкции на специальных присосках, хотя их не рекомендуют ставить на более подвижную нижнюю челюсть. Современные съемные зубные конструкции, сделанные из новейших материалов, выглядят ничуть не хуже натуральных зубов, для них характерна быстрая адаптация.
Полностью съемный акриловый зубной протез нижней челюсти
Какие съемные протезы лучше — нейлоновые или акриловые? Чтобы ответить на этот вопрос, необходимо сравнить некоторые их критерии, а именно:
- Легкость и гибкость. Благодаря использованию нейлона съемные нейлоновые протезы гибкие, легкие и мягкие, но вместе с тем они очень прочные. В этом смысле акриловые значительно им уступают, имея большую вероятность поломки. Но с другой стороны, акриловая конструкция имеет небольшой вес и в течение долгого времени сохраняет форму.
- Гигиеничность. Нейлоновые конструкции не выделяют запахов, не впитывают влагу, не токсичны. Акриловые же, в противоположность нейлоновым, обладают пористостью, в результате которой на поверхности конструкций скапливаются бактерии, которые могут стать причиной воспалительных процессов.
- Эстетика. По цвету и форме протезы из нейлона соответствуют натуральным зубам и сохраняют свой вид в течение всего периода ношения. Недостаток съемных нейлоновых конструкций в том, что искусственные зубы в месте соединения просвечиваются. В случае с акриловыми съемными протезами возможно подобрать подходящие размер, цвет и форму.
- Гипоаллергенность. Нейлоновые съемные протезы имеют хорошую биосовместимость, акриловые могут вызвать общие и местные аллергические реакции.
- Стоимость. Из-за того, что нейлоновые ортопедические конструкции делают за границей, их стоимость дороже акриловых. В целом же стоимость съемных протезов, если сравнивать с имплантацией, достаточно демократична.
Частично съемные зубные
Частичные съемные системы, изготовленные на металлических или пластмассовых каркасах, помогут заполнить промежутки с утраченными зубами. Чаще всего они показаны:
- При утрате жевательных зубов.
- В качестве временной меры (при изготовлении более качественного протеза).
- При значительных дефектах зубного ряда (отсутствует несколько зубов подряд).
- В случаях, когда использование смежных зубов в качестве опоры для установки мостовидного протеза невозможно.
Виды:
Пластмассовые пластинчатые
Пластмассовые зубные конструкции стоят недорого, но при пережевывании пищи они не обеспечивают оптимального распределения механической нагрузки на десну. С другой стороны, благодаря несложным креплениям, пациент может самостоятельно извлекать их из полости рта для проведения гигиенической обработки, а затем ставить на место.
Пластинчатые пластмассовые частичные протезы используются для восстановления недостающих зубов и считаются самой простой ортопедической конструкцией, доступной по стоимости. Такие протезы своим базисом опираются на поверхность десны и, посредством металлических кламмеров (крючков), удерживаются за ближайшие к дефекту опорные зубы.
Бюгельные
Самыми надежными и достаточно удобными в использовании считаются бюгельные протезы. Для них характерна более дорогая и сложная ортопедическая конструкция. Бюгельные системы равномерно распределяют нагрузку между оставшимися во рту зубами и поверхностью челюсти.
Бюгельный протез нижней челюсти
Их основу составляет каркас (металлическая дуга со всеми функциональными, фиксирующими и крепежными элементами), где расположены искусственные зубы. Каркас зубного протеза изготавливается индивидуально методом высокоточного литья из сверхпрочных сплавов (хромокобальтовых, золотоплатиновых или титановых). Бюгельные протезы точно подгоняются к тканям ротовой полости: они удобны в эксплуатации, долговечны, очень легкие и достаточно прочные.
Бюгельные системы ставятся при частичном отсутствии зубов, а также используются в качестве лечебных аппаратов при пародонтозе, подвижности зубов.
Конструкции на телескопических коронках являются разновидностью бюгельных. Они крепятся на зубах посредством состоящей из 2-х частей коронки. Плотно удерживаясь, коронка садится одна в другую и напоминает складывающуюся подзорную трубу. Телескопические коронки показаны, когда необходим протез большого размера, который нельзя зафиксировать.
Съемные сектора и сегменты зубных рядов
Нередки в стоматологической практике случаи односторонней потери жевательных зубов. В подобных ситуациях показаны односторонние конструкции, так называемые съемные сектора, которые крепятся аттачменами или кламмерами.
Съемные иммедиат-протезы используются в стоматологии в качестве временных.
Условно-съемное протезирование
При отсутствии одного зуба, обычно жевательного, показаны керамические или пластмассовые условно-съемные протезы. Эти ортопедические конструкции к опорным зубам крепятся специальными замками, которые встроены в зубные коронки, и достать их изо рта может только врач.
Несъемные зубные протезы
Выделяют несколько разновидностей стоматологических систем, предназначенных для воссоздания недостающих зубов и восстановления жевательной функции, которые крепятся на определенном месте и не снимаются пациентом. Снять их под силу только стоматологу при помощи инструментов.
Виды:
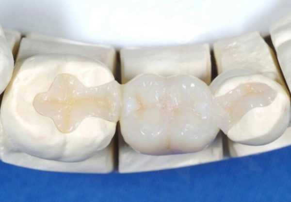
- Зубные коронки устанавливается при утрате одного либо двух стоящих рядом зубов. Коронки могут быть цельнолитыми, металлокерамическими и керамическими. Отличаются эстетичностью, удобством и долговечностью (служат до 20 лет). Перед установкой коронки депульпированный зуб обтачивается, с него снимается оттиск, по которому изготавливается и затем одевается коронка.
- Мостовидное протезирование зубов показано для восполнения одного или нескольких утраченных зубов, если рядом с ними еще есть природные зубы. Мост ставится только на 2 опоры в виде подготовленных препарированных зубов (можно установить на имплантат).
- Вкладки — это микропротезы, которые показаны для коррекции существенных дефектов зубного ряда. Вкладки могут быть металлическими (титан, золото или серебро), керамическими, композитными или пластмассовыми. Последние 2 варианта, несмотря на свою низкую стоимость, имеют хорошие качества, но они менее долговечны.
- Виниры представляют собой тонкие пластинки, которые специальным клеем крепятся на зубах. Их часто используют для ликвидации дефектов зубного ряда: потемнения зубов, нарушения прикуса, наличия отколотых зубов.
- Имплантация — это внедрение в челюстную кость искусственного корня, куда впоследствии одевается коронка.
Что выбрать: съемные или несъемные протезы
Чтобы остановиться на определенном варианте протезирования, необходимо учитывать такие факторы, как:
- Число утраченных зубов: если нет 1-2 зубов, можно вживить имплантат, установить коронку или условно-съемный протез.
- Ожидаемый результат: намного лучше съемных восстанавливают жевательную функцию несъемные зубные протезы, а вот привлекательную улыбку обеспечат виниры и условно-съемные конструкции.
- Удобство: важно помнить, что в отличие от фиксированных (несъемных) протезов, съемные конструкции необходимо иногда снимать, так как они расположены на десневой поверхности, создавая тем самым мало омываемые участки.
- Голосуем кошельком — выбираем по цене. Многие люди, конечно, мечтают сделать качественное протезирование зубов, но если выбрать лучший вариант не позволяет материальное положение, приходится останавливаться на том, что подешевле (цельнолитые металлические коронки, съемные пластиковые конструкции).
Вопрос какой установить протез, не стоит решать самому. В любом случае следует обратиться к доктору, который предложит Вам самый приемлемый вариант по соотношению стоимости и качества.
Кроме того, выбирая зубной протез, следует учесть противопоказания к определенным видам протезирования. Но на сегодняшнем этапе развития стоматологии и ортопедии можно с уверенностью утверждать, что абсолютных противопоказаний к этой процедуре не существует. Благодаря большому количеству различных методик протезирования при невозможности использования одной, можно подобрать какую-нибудь другую.
topdent.ru
их отличия, помощь в выборе
Многие из тех, кто столкнулся с проблемой отсутствия одного или нескольких зубов задумываются о том, какие зубные протезы лучше поставить. На сегодняшний день существует большое разнообразие конструкций для восстановления жевательных и эстетических функций.
Содержание статьи:
Современные виды протезов
В настоящее время существуют разнообразные виды протезов, которые отличаются по цене, материалу и способу крепления в полости рта.
Они разделяются на две крупные категории: съёмные конструкции и несъемные. Каждый вид имеет свою классификацию и значительно отличается друг от друга.
Какой протез лучше в данном конкретном случае, определяет врач исходя из того, сколько зубов отсутствует у пациента. При полной адентии (потеряны все), применяют съёмные конструкции, при наличии хотя бы нескольких оставшихся зубов, стоматологи предлагают альтернативные варианты.
Виды съёмных протезов:
- нейлоновые;
- акриловые;
- частично-съёмные на бюгелях.
Они чаще всего применяются при полном отсутствии зубов или при их малом количестве.
Несъемные изделия бывают:
- на имплантатах;
- на бюгелях;
- мостовидные;
- культевые вкладки;
- виниры и люминиры;
- коронки.
Все они могут изготавливаться из различного материала: фарфора, акрила, нейлона, керамики, металлокерамики. Материал может иметь эстетический и не очень вид, окрашиваться или нет от пищевых красителей, также важна его прочность.
Разберём все эти виды подробнее.
Съёмные конструкции
Съёмный зубной протез — это вариант для тех, у кого полностью отсутствуют зубы на верхней или нижней челюсти. Если средств на имплантацию нет, то такой вид конструкций будет самым подходящим.
Съёмные протезы делят на три вида:
- Акриловые конструкции. Применяются чаще всего в стоматологической практике, как наиболее доступный вариант. Они изготавливаются из акриловой пластмассы, которая характеризуются высокими показателями прочности. Такие протезы фиксируются в полсти рта с помощью своей способности присасываться. Акриловые конструкции имеют и свои недостатки. У них ограниченный срок службы по причине быстрого атрофирования костной ткани, а также они выделяют вредные вещества в организм. Ещё одним существенным минусом является наличие участков пористости, из-за которых коронки быстро обсеменяются болезнетворными бактериями.
- Нейлоновые конструкции. Пожалуй, самые лучшие съёмные зубные протезы. Благодаря эластичности материала, они комфортны для пациента и занимают меньше времени для адаптации. Хороший показатель прочности и абсолютная безопасность для организма, выдвигают такой вид изделия на первый план. Одним минусом таких протезов является высокая цена по сравнению с акриловыми аналогами.
- Частично-съёмные бюгельные изделия. Такой вид протезов подойдёт тем, у кого присутствует хотя бы несколько зубов в полости рта. Данная конструкция извлекается по желанию пациента, а также её можно носить регулярно.
Какие съёмные зубные протезы лучше решает врач в каждом конкретном случае. Однако, если у человека присутствует полная адентия, то выбирать приходится из небольшого количества вариантов. Однозначно лучшим считается нейлоновый протез, способный быстро восстановить жевательные и эстетические функции без вреда для организма.
Несъемное протезирование
Несъемное протезирование зубов — это вариант для тех, у кого наблюдается частичное отсутствие некоторых зубов. Такие конструкции крепятся в полости рта по-разному.
Несъемные протезы для зубов бывают следующих видов:
Коронки на имплантатах
В данном случае опорой служат титановые штифты, которые гарантируют долговечность конструкции. На имплантат может фиксироваться одна коронка или мостовидный протез.
Бюгельные изделия
Такие конструкции используются при отсутствии нескольких зубов. При этом в полости рта должно сохраниться хотя бы некоторое их количество, за которые будут цепляться кламмеры (крепления протеза). Бюгельный вариант имеет прочную металлическую дугу и пластмассовую основу, на которую крепятся искусственные зубы.
Мостовидные протезы
Для изготовления таких конструкций применяют самые разнообразные материалы в зависимости от бюджета пациента. Такой вариант требует обтачивания соседних зубов, за которые с помощью постоянного цемента будет цепляться мост и плотно фиксироваться. При этом соседние зубы, прежде всего, депульпируют.
Культевые вкладки из керамики
Используют в том случае, когда сохранена корневая система зуба, потому что именно апекс (это верхняя часть корня зуба) будет служить опорой для всей конструкции.
Коронки
Их используют в том случае, когда требуется восстановить один зуб. Коронку фиксируют на штифт, закреплённый в корневой системе либо на имплантат.
Виниры и люминиры
Тонкие накладки на зубы применяются для устранения небольшой кривизны и не эстетичности улыбки. Виниры и люминиры изготавливаются из композитных материалов или фарфора. Первый вариант толще и требует обточки зуба. Люминиры же, в свою очередь, более тонкие и не требуют снятия некоторых фрагментов эмали. Они технологичнее и дороже виниров, так как несмотря на свою тонкость, является очень прочным и более эстетичным.
Несъемные конструкции всегда занимают больше времени на изготовление и требуют тщательной примерки и подгонки по прикусу.
Восстановление зубов имплантатами
Что такое современные имплантационные системы, наверняка слышали многие. Это один из самых эффективных методов восстановления утраченных зубов. Виды имплантационных систем славятся своим разнообразием и помогают подобрать индивидуальный вариант в каждом конкретном случае.
Стоматологический рынок богат штифтами заграничного производства и абатментами, которые идут к ним в комплекте (абатмент — это связующее звено между имплантатом и протезом на нём).
Этапы протезирования на имплантах:
- Определение имплантационной системы. Её выбор зависит от состояния костной ткани пациента. По такому же принципу осуществляется выбор абатмента.
- После вживления титанового штифта, устанавливается формирователь десны, при необходимости изготавливается временная пластмассовая коронка. Пластмассовый вариант может быть установлен сразу же в стоматологическом кресле, а вот керамическая или металлокерамическая коронки требуют некоторого времени на изготовление.
- Этап адаптации. Он самый важный и самый длительный — это приживание штифта. Такой процесс занимает от 2 до 3 месяцев. В этот период происходит активное размножение костных клеток-остеобластов. Имплантат и костная ткань срастаются воедино, образуя целостную структуру. В это же время десна приобретает необходимую форму.
- После того как имплантат приживётся, происходит установка стандартного абатмента, который будет служить надёжной опорой для будущей коронки или цельной конструкции.
- Последним этапом является установка коронки.
Лариса Копылова
Стоматолог-терапевт
Современные имплантационные системы — это дорогостоящий способ лечения, однако именно он является самым долговечным и эффективным.
Протезирование на имплантатах, способствует созданию условий для качественного пережёвывания пищи и высоких показателей эстетики. Для быстрого восстановления зубов лучше прибегать к одномоментной имплантации, когда за одно посещение стоматолога происходит удаление проблемного зуба, вживление штифта и установка временной конструкции.
Более долговечного способа протезирования зубов, чем имплантация, на данный момент не изобрели. Процент отторжения штифта настолько низкий, что встречается крайне редко, ведь материал является максимально биосовместимым с твёрдыми тканями.
Что выбрать?
Самые лучшие съёмный протез тот, что имеет под собой твёрдую опору и способен равномерно распределять нагрузку, не приводя к атрофированию костной ткани. Конечно же, среди всех вариантов выигрывает имплантация. Какой вид протезирования будет применяться на штифт — это уже второй этап. Главное — это создание прочной и долговечной основы, которую могут гарантировать только имплантаты, имеющие пожизненный срок гарантии.
Если говорить о второстепенных вариантах, то протезы самые лучшие изготавливаются из керамики, фарфора, металлокерамики, которые являются безопасными для организма и не вызывают аллергических реакций.
Лучшие зубные протезы — это комбинация экологичного материала с прочной основной.
zub.dental
Какие зубные протезы лучше поставить: мнение врачей
Само понятие «зубной протез» на многих навевает ужас, но вопреки всему в жизни возникают обстоятельства, когда без его протезирования обойтись невозможно. Тогда следует вопрос: какие зубные протезы лучше поставить?
Рассмотрим этот вопрос досконально с учетом всех нюансов.
Читайте также: Как правильно ухаживать за съемными зубными протезами
Зубной протез – необходимость и эстетика
В постсоветские времена зубной протез представлял собой упрощенную ортодонтическую конструкцию незатейливого дизайна. Возможности современного протезирования достигли высот и отразились в частности на зубных протезах. На сегодняшний момент они представлены основными видами:
- съемный;
- несъемный,
- частичный.
Благодаря данным стоматологическим конструкциям ортодонты в состоянии восстановить полноценную анатомию и физиологию всей зубочелюстной системы и вернуть утраченные эстетические показатели. Правильное создание макета и окончательного варианта исключает появление дискомфорта. Ставят их, если вообще зубов нет либо они отсутствуют частично. Жевательные зубы зачастую ожидает подобного рода участь.
Процесс протезирования – это многоэтапное мероприятие, которое подразумевает:
- Подготовку – в виде санации и лечения зубов (пломбировка, снятие зубного камня, устранение последствий пародонтоза или пародонтита).
- Создание слепков с учетом анатомического строения челюсти.
- Примерка – может быть неоднократной с учетом всех «подгонов», а также устранения возможных дефектов и ошибок при конструировании.
- Завершающий этап – установка и фиксирование.
Специфика данного этапа допускает установку временного характера, при отсутствии замечаний со стороны пациента производится постоянная фиксация.
Основы правильного выбора зубных конструкций
Как уже писалось ранее, протезы представлены не только в виде разных конструкций, но и материалов, из которых они изготавливаются. Если говорить о съемных вариантах, то их протезирование целесообразно как при полном, так и частичном отсутствии зубного ряда. Они подлежат самостоятельной установке и снятию со стороны пациента. Это позволяет осуществлять постоянную гигиеническую обработку и уход, в чем их плюс, но одновременно и минус. Такие ежедневные процедуры достаточно надоедливы и обременительны.
С несъемными протезами ситуация другая, они подразумевают постоянную установку, а уход за ними не требует особых усилий. Эти основные характеристики дают им преимущества перед съемными собратьями.
Стоматологические конструкции несъемного характера подразумевают классификацию по видам:
- Коронки – протез, посредством которого восстанавливают не только анатомическую форму поврежденного зуба, но и важную жевательную функцию. Установка производится непосредственно на зуб, что препятствует его дальнейшему разрушению. Может иметь как одиночный вариант, так и мостовидный (спаянный). Исходя из материалов, используемых при их создании, делятся на:
- металлические;
- металлокерамические;
- керамические;
- на основе диоксида циркония.
- Мостовидные – используются при отсутствии нескольких зубов путем спаивания коронок. Их принадлежность к конкретному типу определяется характером установки:
- опора на собственные зубы;
- опора производится на установленные ранее имплантаты;
- крепление на соседние зубы – адгезивная конструкция (в основе – использование композитных материалов).
- Варианты микропротезирования – позволяют восстанавливать разрушенные зубы, применяя:
- вкладки – используются в случаях, когда зуб полностью разрушен, но присутствует корень, что позволяет сделать установку такой мини-коронки;
- виниры – основная цель которых – устранение эстетических дефектов. Изготавливаются из пластмассы, диоксида циркония, керамики;
- люминары – разновидность виниров, но в изготовлении используются более тонкие материалы.
Что касается съемных протезов, то они также имеют свою классификацию. Существует 2 основные группы – частично съемные и полностью съемные. К числу первой группы относятся протезы:
- акриловые – легкие, не требуют обтачки для установки;
- Акри-Фри (безакриловые) – основным преимуществом является отсутствие в составе веществ, способных вызывать раздражение десен + повышенная прочность;
- нейлоновые – эффективны при фрагментарном восстановлении;
- бюгельные (с литым металлическим каркасом) – занимают минимальное пространство в ротовой полости, имеют удобное крепление.
Вторая группа представлена полностью съемными конструкциями. Применима в случаях, когда зубы отсутствуют в полном объеме. Конструкция включает в себя базовую основу, сделанную из разных материалов – нейлона, металлопластмассы или пластмассы. Зубы также делаются из материалов на выбор.
Подводя итог, хотелось бы сказать, что окончательный выбор должен быть за врачом-ортодонтом совместно с лечащим-стоматологом + ваши личные предпочтения.
zubylechim.ru
Какой зубной протез лучше установить и почему?
Когда дело доходит до необходимости восстановления утраченных зубов, у пациентов возникает множество вопросов: какие зубные протезы лучше поставить, во сколько обойдется процедура, в какую клинику обратиться? Об особенностях выбора методики протезирования мы и поговорим в статье.
Выбор метода протезирования
Какой методике протезирования отдать предпочтение? Чтобы разобраться в этом вопросе, необходимо учесть несколько моментов:
- Количество утраченных зубов
Первое, что будет учитывать специалист перед выбором метода протезирования, это количество утраченных зубов. Для восстановления одного зуба, к примеру, идеально подойдет имплантация.
- Уровень комфорта
Учтите, что съемные изделия необходимо периодически извлекать из ротовой полости для чистки, а также дезинфекции.
- Чего вы ожидаете от протезирования
Выбор метода восстановления для передней группы зубов и для жевательной будет существенно отличаться, так как для переднего отдела челюсти важную роль играет эстетический внешний вид, а для жевательных зубов – восстановление их основных функций.
- Цена изделия
Акриловые протезы — наиболее доступные по цене изделия для протезирования при полной адентии.
Среди съемных и несъемных протезов есть как дорогие, так и бюджетные варианты, выбор достаточно широк. Поэтому каждый сможет найти оптимальное решение для себя. Кроме того, многие клиники дают возможность осуществить протезирование зубов в кредит.
Особенности выбора съемного изделия
Если вы решили установить себе съемную конструкцию, у вас наверняка возникнет масса вопросов. Какие зубные протезы поставить в таком случае? Какое изделие лучше всего справится со своей задачей? Найдите хорошего специалиста, который подберет для вас конструкцию с учетом ваших пожеланий, индивидуальных особенностей и, что важно, финансовых возможностей.
Для протезирования зубов при адентии (про полное протезирование зубов читайте здесь) стоматологи предпочитают использовать нейлоновые и акриловые изделия. Чтобы разобраться, какой вид протеза подойдет именно вам, сравните их основные характеристики:
- Гигиеничностъ материала
Акриловая пластмасса быстро собирает на себе налет, что становится причиной неприятного запаха. Нейлон же является непористым материалом, поэтому при правильном уходе этой неприятности можно избежать.
- Гибкость и легкость
Нейлон, в отличие от акрила, легкий и гибкий. Но у акрила есть один плюс: изделия долго сохраняют изначальную форму.
- Риск развития аллергии
Многочисленные отзывы пациентов свидетельствуют о высокой токсичности акриловых изделий, так как при долгом их ношении часто развивается аллергия, а также протезный стоматит. Исследования доказали, что акриловая пластмасса очень токсичная и при длительном использовании выделяет опасные для организма вещества.

Гибкий нейлоновый протез — отличная альтернатива для пациентов с аллергией на акрил.
Нейлон же является абсолютно безвредным материалом, который часто используется в качестве альтернативы акриловым конструкциям.
- Эстетические качества
Оба вида протезов имеют неплохие эстетические качества.
Нейлон намного дороже акрила, это обусловлено высоким качеством и массой преимуществ материала.
Кроме того, популярным видом съемных протезов являются бюгельные изделия. Как определиться с выбором? Для начала давайте сравним достоинства и недостатки нейлоновых, акриловых и бюгельных конструкций:
Вид протеза | Плюсы | Минусы |
Протезы из нейлона | · Оптимальный вариант для пациентов с аллергией на металлические сплавы и акриловую пластмассу. · Могут восстанавливать как один зуб, так и все элелементы челюсти при полной адентии. · Материал очень гибкий и эластичный. · Не нужно подвергать обточке соседние зубы. · Отличаются высокими эстетическими качествами. · Доступная цена. · Продолжительный срок службы – около 5-7 лет при должном уходе. | · Существует риск атрофии костной ткани при длительном применении изделия. · Нагрузка при жевании распределяется неравномерно. · После фиксации протеза нужно исключить из меню некоторые продукты и напитки. · Конструкция периодически будет проседать, что требует постоянных корректировок в кабинете стоматолога. · Для ухода за протезом необходимо приобрести специальные средства. |
Бюгельные конструкции | · Благодаря основе из металла протез надежно крепится в ротовой полости. · Демократичные цены. · Пациент имеет возможность выбрать вид крепления. · Срок службы изделия – около пяти лет. · Бюгельные протезы могут использоваться практически всегда (при отсутствии зубов во всех отделах челюсти). · Конструкцию не нужно снимать ежедневно. | · Некоторые пациенты отмечают привкус металла во рту при длительном ношении бюгельного протеза. · Если вы решили установить бюгельную конструкцию на передний отдел челюсти, будьте готовы к тому, что металлические крючки могут быть заметны при разговоре. |
Акриловые протезы | · Доступная цена. · Простота изготовления. | · Люди с повышенным рвотным рефлексом редко могут без дискомфорта носить акриловый протез. · Часты случаи аллергии и раздражения на акрил (риск повышается при длительном использовании). · Акриловые изделия очень часто натирают слизистую. · Основа протеза практически полностью закрывает небо. Поэтому у пациентов резко меняется восприятие вкуса еды. · Акрил не выдерживает высокие жевательные нагрузки. |
Вывод: наибольшее количество недостатков имеют акриловые протезы. Сейчас стоматологи стараются не работать с акриловыми пластмассами, так как это очень токсичный материал, который при длительном использовании часто провоцирует развитие аллергии. Несмотря на это, многие пациенты до сих пор выбирают акриловые изделия из-за их низкой стоимости.
Мнение эксперта. Врач-ортодонт Королев А.Ю. : «На вопрос, какие зубные протезы лучше поставить, нет однозначного ответа, так как при выборе метода протезирования учитываются многие факторы: индивидуальные особенности пациента, общее состояние здоровья, его финансовые возможности и личные предпочтения.»
Как определиться с несъемным изделием?
Если вы лишились небольшого количества зубов, здесь целесообразным будет использовать несъемные протезы: коронки, импланты, виниры, люминиры, зубные вкладки, мостовидные протезы. В этом случае специалист будет ориентироваться на величину дефекта:
Имплантация — современный и самый надежный способ восстановления зубного ряда.
- незначительные дефекты можно исправить винирами,
- более существенные недостатки целесообразно корректировать зубными вкладками,
- если отсутствует один или несколько зубов, специалисты используют мостовидные протезы или же импланты (учтите, для установки моста придется обтачивать и удалят пульпу из соседних здоровых зубов),
- импланты – идеальное решение в этом случае, так как могут восстанавливать как единичные зубы, так и быть опорой для протяженных мостовидных протезов. Важное преимущество имплантации: для восстановления зуба нет необходимости в обточке соседних здоровых зубов.
Какой зубной протез-имплант установить в таком случае? Здесь все будет решать стоматолог, учитывая следующие факторы:
- стоимость изделия: при ограниченных финансовых возможностях пациента врач будет ориентироваться на бюджетные варианты имплантов,
- есть ли возможность вживить имплант без проведения костной пластики,
- как долго будет служить изделие,
- простота установки.
Будет интересно прочитать:
24dentist.ru
какие бывают и какие лучше, цены, материалы
Красивая улыбка и ровный зубной ряд — это не только эстетика. Наличие всех зубов обеспечивает правильный прикус, полноценное пережевывание пищи, сохраняет здоровое состояние десен. Если же один или несколько зубов утрачены, то справиться с подобной проблемой не сложно: современная ортопедия предлагает множество вариантов устранения подобных дефектов.
Показания к установке зубных протезов: потеря зуба больше не проблема
Возможно, многих отпугивает само словосочетание «зубной протез», однако бояться не стоит. Сегодня в каждом конкретном случае для пациента изготавливают удобные стоматологические конструкции, которые очень скоро воспринимаются как собственные зубы. Они не доставляют никакого дискомфорта и визуально не отличаются от настоящих зубов. Зубные протезы полностью восстанавливают анатомию и физиологию зубочелюстной системы.
Протезирование необходимо при потере как одного, так и ряда зубов — некачественное пережевывание пищи может привести к проблемам желудочно-кишечного тракта, возникают дефекты при произнесении ряда звуков, беспокоят проблемы с деснами, из-за деградации костной ткани челюсти начинается постепенная деформация зубного ряда.
Как ставят зубные протезы: все дело — в профессионализме
Прежде чем приступить к протезированию, следует пролечить все зубы, избавиться от кариеса. После этого необходимо провести гигиеническую чистку зубов, в процессе которой врач снимет зубной налет и удалит камни. Все эти процедуры позволяют избавиться от очагов инфекций в ротовой полости и тем самым исключить риск воспаления во время и после процедуры протезирования.
Затем делают слепок и по нему изготавливают протез. Процедуре установке протеза предшествует «примерка» — искусственные зубы не должны вызывать неудобства, челюсти должны полностью смыкаться, а прикус — оставаться естественным. При необходимости протез «подгоняется» под ротовую полость пациента. Специалист проделывает фактически ювелирную работу, поскольку вопрос удобства зубного протеза порой решают незримые доли миллиметров.
При установке несъемных протезов, как правило, корректируется сама коронка, при установке съемных протезов — коронки, пластины, крепежные элементы.
Съемные vs несъемные зубные протезы
Само название протезов уже говорит об особенностях их конструкции. Съемные — это те, которые пациент может извлечь изо рта самостоятельно и вновь их установить. Несъемные фиксируются в ротовой полости и извлекаются врачом в случае необходимости. Первые, как правило, устанавливаются при отсутствии большого количества зубов, вторые — если утрачен один или нескольких зубов.
Уход за несъемными протезами фактически ничем не отличается от ухода за настоящими зубами. Съемный же протез нуждается в специальной гигиенической обработке, которая, впрочем, не требует больших усилий. Чтобы съемный протез не подвел в самый неподходящий момент, следует использовать специальный фиксирующий крем.
Современная ортодонтология предлагает универсальные протезы — как съемные, так и несъемные, которые отличаются удобством, легкостью, прочностью, эстетическими качествами. Их стоимость и долговечность зависят от выбранного пациентом материала.
Несъемный протез: все проблемы — по зубам
Сегодня протезирование зубов предоставляет самые широкие возможности: можно быстро и качественно устранить незначительный дефект, а можно восстановить целые зубные группы. Поговорим об этом более подробно.
Как устранить незначительные дефекты
В ряде ситуаций решением проблемы может стать микропротезирование. Оно включает в себя новейшие способы восстановления разрушенных зубов.
Один из вариантов — вкладки. Их ставят вместо пломбы, если зуб разрушен больше чем наполовину, но при этом цел его корень. Прежде чем установить коронку, ставят внутрикорневую вкладку, она и формируют основу. Чаще всего делают керамические, серебряно-палладиевые, золотосодержащие или циркониевые вкладки.
Еще один способ микропротезирования — виниры. Это тонкие и очень прочные пластины, их накладывают на внешнюю поверхность фронтальной группы зубов. Виниры полностью устраняют эстетические дефекты (трещины, неровности, измененный цвет, сколы и т.д.), они делают зубы безупречными. Обычно виниры изготавливают из керамики или диоксида циркония. Следует отметить, что циркониевые виниры отличаются высокой прочностью, но при этом и стоимость их выше.
Существуют и более тонкие виниры — люминиры. Их крепят без какой-либо предварительной механической обработки зубов, что значительно облегчает процедуру. Чаще всего их изготавливают из керамики. Люминиры дают эффект ровных белых зубов, обеспечивая тем самым безупречную улыбку.
Когда коронки — оптимальный выход
Коронки ставят на настоящий зуб, если он сильно разрушен. В этом случае его залечивают, обтачивают, затем делают слепок и с помощью специального, стоматологического, цемента крепят коронку. Это позволяет сохранить зуб и защитить его от дальнейшего разрушения. При изготовлении коронок используют разные материалы.
- Металлические коронки сейчас используют все реже и реже, так как они не очень эстетичны — сразу заметно, что зуб вставной. Однако на задних зубах такие коронки будут незаметными. Делают их из стали, из стали с напылением «под золото», из золотых, палладиевых и хромокобальтовых сплавов. Цена зависит от сплава. Преимущество подобных коронок заключается лишь в прочности и в минимальной обточке зуба перед протезированием.
- Металлокерамические коронки изготавливают из металла и керамической массы. К керамике добавляют хромокобальтовый или хромоникелевый сплав. В более дорогостоящем варианте это может быть золотопалладиевый или золотоплатиновый сплав. Такие коронки отличаются прочностью и эстетикой. Так как опытный врач делает коронки, учитывая цвет соседних настоящих зубов, это позволяет создать абсолютную иллюзию естественного зубного ряда. Недостатком является то, что перед протезированием приходится снимать большое количество ткани с зуба, так как стенка коронки сама по себе довольно толстая.
- Керамические коронки более хрупкие по сравнению с металлокерамическими, по этой причине их не желательно ставить на жевательные зубы, но они хорошо выполняют свои функции и на передних зубах. Керамические коронки изготавливают из прессованной стеклокерамики, к которой для прочности добавляют кристаллы лейцита. При правильном выборе цвета, керамические коронки не отличаются от естественных зубов, кроме того, они биосовместимы с тканями десны и не вызывают аллергию.
- Коронки из диоксида циркония, как и металлокерамические, отличаются высокой прочностью, они также характеризуются хорошей биосовместимостью и при этом очень легки. Диоксидциркониевые коронки выглядят естественно, так как их светонепроницаемость близка к характеристикам настоящих зубов. Ставить такие коронки можно на передние, боковые и задние зубы — изделия легко справятся с любой нагрузкой, а рядом с настоящими зубами будут незаметны. При этом их стоимость выше по сравнению с конструкциями из керамики и металлокерамики.
- Коронки из оксида алюминия — достойная альтернатива диоксидциркониевым коронкам. Материал не вызывает аллергии и отличается высокими эстетическими качествами. Структурные свойства оксида алюминия позволяют изготовить коронку максимально точно соответствующую зубному слепку. При этом оксидалюминиевые коронки чуть менее прочны по сравнению с циркониевыми. Поэтому если нагрузка на протезируемые зубы небольшая, то можно выбрать оксидалюминиевые коронки, причем их цена будет ниже, чем на оксидциркониевые.
Мостовидные несъемные зубные протезы: сложно, но можно
При отсутствии как одного, так и нескольких зубов возможна установка моста — зуба или спаянных нескольких зубов, крепящихся разными способами.
- С опорой на собственные зубы. В этом случае мост устанавливают на собственные сохранившиеся зубы. Их обтачивают под коронку и на них крепят мост.
- С опорой на имплантаты. Мост устанавливается на ввинченные и уже прижившиеся имплантаты, то есть производится крепление на два имплантата нескольких соединенных коронок — точно так же, как в случае крепления на собственные зубы.
- Адгезивная мостовидная конструкция. Подобное протезирование представляет собой восстановление одного зуба с помощью крепления протеза на соседние зубы. При этом используются стекловолоконные и композитные материалы и прочный каркас. Соседние зубы не обтачивают под корень, в них лишь делают небольшие уступы, к которым крепится конструкция. Данный способ оптимален для протезирования зубов, на которые не производится большая нагрузка (передние, боковые). Процедура выполняется за один прием, по стоимости это гораздо дешевле имплантации. Но следует помнить, что адгезивная конструкция подвергает риску возникновения кариеса соседние зубы, так как их гигиеническая обработка затрудняется. Кроме того, на месте протезирования давление на десну прекращается, что ведет к проседанию костной ткани на этом участке.
Съемный зубной протез: выбор есть!
Частично съемные зубные протезы крепятся к десне и к оставшимся зубам. Их изготавливают из разных материалов.
- Акриловые зубные протезы весьма популярны. Они очень легкие. Для установки не надо обтачивать зубы, так как они крепятся с помощью специальных крючков. Акриловая пластмасса, из которой их делают, не имеет противопоказаний. Цены на эти протезы невысокие.
- Акрифри — это более усовершенствованный по сравнению с акрилом материал. Подобные протезы используют при восстановлении любого количества зубов.
- Нейлоновые зубное протезы — это тонкие пластины цвета десны. На них установлены искусственные зубы. Протез надевается на соседние зубы, не требуя их обработки. Нейлон отличается высокой гибкостью и прочностью.
- Бюгельные зубные протезы — это металлические каркасы, покрытые акрилом. На каркасы установлены искусственные зубы. Металлическая конструкция равномерно распределяет нагрузку при жевании. Из всех рассмотренных конструкций бюгельный протез занимает меньше места во рту. Крепится такой протез с помощью крючков, микрозамков или телескопических коронок.
Полностью съемные
Съемный протез ориентирован на тех пациентов, которые полностью утратили зубы. Он состоит из базовой части, на которой расположены зубы, изготовленные из тех же материалов, что и частично съемные протезы. Фиксируются съемные протезы нижеследующими способами.
Протез на присосках — это эластичная конструкция, которая повторяет рельеф десны и фактически присасывается к ней.
Можно зафиксировать протез с помощью крема. Крем наносят на поверхность протеза перед тем, как надеть его на десны.
Как мы убедились, современная ортопедия предлагает широкий спектр вариантов протезирования зубов. При полной или частичной потере зубов всегда можно найти оптимальное решение. Главное — выбрать надежную клинику и профессионального стоматолога-ортопеда.
www.pravda.ru
Зубные протезы при полном отсутствии зубов: виды, какой лучше, установка
К сожалению, полная потеря зубов – это не редкость в наше время, однако протезы при полном отсутствии зубов помогут решить эту проблему.
Сегодня существует несколько способов протезирования, которые зависят от возможностей бюджета пациента и его индивидуальных особенностей.
Какие же протезы возможно установить, если во рту не осталось ни одного зуба?
Чем опасна полная потеря зубов?
В мире практически нет таких людей, которых не коснулась проблема кариеса и разрушения зубов.
Поначалу человек пытается решить ее, ходит на сеансы к стоматологу, ищет наилучшие решения, однако со временем происходит привыкание к этой ситуации, и чаще всего проблема так и остается нерешенной до появления осложнений.
Всем известно, что наш организм совершенен, а утрата любого его органа рано или поздно приведет к нежелательным последствиям.
Со временем работа организма перестраивается, отсутствие какого-то органа компенсируется другим.
То же самое происходит и в ротовой полости: нагрузка удаленного зуба распределяется между последними зубами, и их работа усложняется.
Разные группы зубов выполняют свою функцию. Так, передние помогают откусывать пищу, а боковые измельчают продукты и формируют из них пищевой комок необходимой консистенции.
Отсутствие хотя бы одного зуба в зубном ряду заметно сказывается на внешности человека. Кожа в месте отсутствующего зуба становится не такой упругой, как раньше, появляются морщины. Нижняя треть лица искажается.
После того как зуб был удален, кость атрофируется и истончается, из-за чего нарушается питание в ткани.
Проявляется этот процесс снижением количества сосудов в том месте, где был удален зуб, и ослаблением структуры кости. В результате таких процессов зубы могут смещаться, прикус нарушается.
Из-за недостатка зубов нарушается тонус мышц, образуются морщины, щеки могут впадать внутрь, а овал лица изменяется.
Если зубы были удалены спереди, то губы впадают внутрь, носогубная складка углубляется, опускаются уголки рта. Все это приводит к асимметрии лица, тонус мышц ослабевает, появляются признаки старения.
Основная функция зубов – измельчение пищи. Если еда недостаточно пережевана, то это может вызывать трудности в пищеварении и разнообразные заболевания органов ЖКТ.
Недостаточно пережеванная и непереваренная пища плохо усваивается организмом, возникает нехватка полезных веществ, витаминов, микроэлементов. Все это сказывается на общем состоянии организма и его защитных способностях.
Кроме того, отсутствие зубов влияет и на речь человека. Из-за нехватки зубов артикуляция нарушается, иногда человек не может выговаривать отдельные звуки.
Разновидности съемного протезирования
Сегодня медицина предлагает разнообразные методы протезирования людей с адентией. Бывают зубные протезы съемные и несъемные.
Наиболее простой способ протезирования – полный съемный протез, который доступен практически каждому пациенту. Врачи предлагают акриловые и нейлоновые протезы при полном отсутствии всех зубов.
Основное преимущество такого протеза – его низкая цена. Изделие будет по карману практически каждому пациенту. Однако протез имеет и множество недостатков.
Во-первых, конструкция плохо держится на мягких тканях. Фиксируется изделие за счет вакуума, присасываясь к деснам.
Когда человек двигает челюстью, мягкие ткани тоже двигаются, под присоску попадает воздух, из-за чего протез уже не так крепко держится на деснах.
Еще один недостаток протеза – это его немаленькие размеры. Из-за этого пациенту приходится долго привыкать к этой конструкции, временно могут нарушиться дикция и восприятие вкуса.
Пластмассовые челюсти, а особенно акриловые, при больших жевательных нагрузках могут трескаться и даже ломаться.
После таких повреждений имплант нужно чинить в специальной лаборатории, на ремонт уходят не только деньги, но и время.
Полный съемный протез с фиксацией на шаровидные импланты – это протез со специальными фиксаторами, на которых он надежно закреплен.
Фиксаторы состоят из пластиковой матрицы и шаровидного абатмента. Матрицу прикрепляют к самой челюсти, а шаровидный элемент крепят к импланту.
Когда пациент надевает челюсть, матрица защелкивается на шаровидном элементе и конструкция надежно фиксируется во рту. Чтобы протез был хорошо закреплен и не сдвигался с места, нужно использовать как минимум два импланта.
Такой вид челюсти неплохо держится на деснах, он не смещается и не спадает. Кроме того, такой вариант протеза на основе имплантов – один из самых доступных для пациентов.
Однако конструкция имеет и недостатки. Детали из пластмассы, которые прикрывают десну и небо, достаточно крупные, поэтому некоторое время пациент привыкает к новым ощущениям, может нарушиться дикция.
В протезе нет каркаса жесткости, он полностью сделан из пластмассы, поэтому может покрыться трещинами и разломами.
Импланты, на которых крепится конструкция, выдерживают всю нагрузку. Если не придерживаться рекомендаций врача и использовать протез неправильно, имплант можно перегрузить, из-за чего страдает костная ткань под ним. Такое небрежное отношение к протезу может привести к потере челюсти.
Съемный протез с балочной фиксацией на имплантах при адентии – это наиболее комфортный и надежный способ протезирования рта без зубов.
Делать такую челюсть достаточно сложно – как врач, так и зубной техник должны обладать обширными знаниями и умениями.
Чтобы сделать и отфрезеровать балочную систему, необходимо современное высокоточное оборудование. Состоит конструкция из самой балки на имплантах и из матрицы из пластика, которую помещают в съемную часть протеза.
Чтобы жевательная нагрузка была распределена равномерно, пациенту устанавливают 4 импланта в передней части челюсти.
Такой протез отлично держится на деснах: благодаря наличию балки протез не смещается, что особенно важно для пациента.
Нагрузки распределяются оптимально, поэтому импланты не нагружаются и окружающие ткани остаются в нормальном состоянии.
Видео:
Челюсти сделаны на основе металлического каркаса, поэтому они довольно прочные. Кроме того, балочная конструкция отлично удерживает протез, поэтому для его изготовления идет минимальное количество пластмассы. Десны и небо остаются открытыми.
Главный недостаток такого протезирования – его высокая цена. Этот метод самый дорогой среди съемного протезирования, однако результат от работы того стоит.
Челюсть нужно снимать дважды в день во время гигиенических процедур.
Несъемное протезирование
Самый популярный и продвинутый – «Все-на-четырех», в названии которого указан и главный принцип этого метода.
Такую челюсть быстро делать, она удобна для пациента, к тому же финансово доступна. Протез в этом случае несъемный и фиксируется на 4 опорных имплантах.
Такое протезирование никак не влияет на пищевые вкусы пациента или дикцию, не вызывает никаких неприятных явлений.
Задние импланты при такой технологии вживляют под наклоном, поэтому вертикальное восстановление кости не требуется.
Это говорит о том, что такое протезирование выполняется достаточно быстро и не затягивается.
Эта новейшая технология позволяет выполнить протезирование совершенно пустого рта по точному плану, который доктор составляет заранее.
Процесс установки такого импланта проходит в 4 этапа:
- при первом визите врач делает рентген челюсти, подробно консультирует пациента и снимает слепки, при этом подбирают и тон зубов;
- при втором посещении врач смоделирует жевательные плоскости и сформирует правильную поддержку губы;
- во время третьего визита врач осуществит необходимую коррекцию и даст рекомендации по дальнейшему лечению;
- на последнем сеансе врач установит протез, который будет изготовлен по индивидуальным параметрам пациента.
Еще один вариант – это несъемный протез из металлокерамики на имплантах при полном отсутствии зубов.
Для установки такой челюсти врач особым образом размещает во рту пациента четыре или больше импланта, которые будут выполнять роль опоры для стационарного протеза.
Такая конструкция значительно удобнее пластмассовых съемных аналогов, так как по ощущениям она больше всего напоминает натуральные зубы.
В металлокерамических конструкциях нет добавок из пластмассы, поэтому они получаются комфортными и компактными.
Если у пациента наблюдается дефицит десны в некоторых местах, то ее восполняют керамикой, которую красят в цвет мягких тканей.
Основное преимущество такого протеза – удобство использования. Его не нужно снимать каждый день.
Кроме того, при носке не нарушаются дикция и вкусовые ощущения. Мягкие ткани во рту остаются полностью открытыми, что очень важно.
Металлокерамические протезы очень прочные, выполненные на основе хром-кобальтового каркаса, который устойчив к повреждениям и деформации. Кроме того, протез прослужит много лет, оставаясь в своем первоначальном виде.
Металлокерамика отлично имитирует естественный зубной ряд, что выглядит очень эстетично.
Техник с большим опытом может сделать так, что разницы между вставными и собственными деснами практически не будет видно посторонним людям.
Главный недостаток таких протезов – их высокая цена. Для изготовления таких зубов необходимо специальное оборудование и высокая квалификация зубного техника и доктора.
Поэтому в итоге работа стоит достаточно дорого, а позволить себе ее может не каждый. Однако натуральный вид протеза и его качество намного превосходят пластмассовые съемные аналоги.
Еще один минус протеза – наличие металла, на который у некоторых пациентов может возникнуть аллергия. Однако такие случаи встречаются очень редко.
Новейший способ протезирования – несъемная челюсть на основе диоксида циркония, которая крепится на импланты.
Видео:
Это инновационный, биосовместимый, удобный и эстетичный вид протезирования рта без зубов. Данный материал очень прочный, при этом вся конструкция достаточно легкая, намного меньше металлической.
Материал позволяет создать максимально натуральную имитацию зубов и десен, протез будет выглядеть «живым» и естественным.
Крепится такой протез по тому же принципу, что и металлокерамический, но по всем другим параметрам он намного его превосходит.
Какой протез выбрать?
Если пациент столкнулся с проблемой полного отсутствия зубов, то самое главное в этом случае – выбрать правильный вид протезирования.
Последние годы пациенты все чаще отдают предпочтение протезированию с опорой на импланты.
Такая конструкция надежно закреплена во рту и не выпадет во время разговора или еды, в то же время со съемным протезом такое происходит достаточно часто.
Врачи рекомендуют закреплять съемные протезы специальными гелями, однако это решение подходит далеко не всем: гели могут вызвать аллергическую реакцию у пациента, да и помогают они только тогда, когда расстояние между протезом и десной минимальное.
Важно отметить, что существуют методы, которые позволяют улучшить фиксацию и стабилизацию съемного протеза, но каким бы опытным не был врач, съемный протез все равно заметно ухудшает качество жизни пациента.
Кроме того, при ношении вставной челюсти костная ткань со временем атрофируется, поэтому в дальнейшем имплантация может быть затруднена.
Видео:
Еще один минус ношения полных съемных протезов – рвотный рефлекс, который является индивидуальной реакцией организма на чужеродное тело.
Часто рвотный рефлекс у пациента настолько сильный, что еще во время снятия слепков пациент ощущает сильный дискомфорт. В таком случае врач должен поставить вопрос о резонности установки съемного протеза.
Что касается протезирования с имплантами, то пациент намного лучше может измельчать пищу, что сказывается на состоянии ЖКТ и всего организма, а вот обладатели съемных протезов часто жалуются на дискомфорт в желудке и кишечнике.
Современная стоматология позволяет восстановить красоту и здоровье ротовой полости даже если зубов совсем не осталось. Зубной протез при полном отсутствии зубов выбирают в зависимости от материальных возможностей пациента и от возможностей клиники, в которую тот обратился.
ozubkah.ru