КСС. Костно-суставная система. Дегенеративно-дистрофические поражения позвоночника
Дифференциальная рентгенодиагностикаМ. К. МИХАИЛОВ, Г. И. ВОЛОДИНА, Е. К. ЛАРЮКОВА
Учебное пособие подготовлено кафедрами рентгенологии (зав. кафедрой — проф. М. К. Михайлов) и рентгенологии-радиологии (зав кафедрой — проф. Г. И. Володина) Казанского государственного института усовершенствования врачей.
ДЕГЕНЕРАТИВНО-ДИСТРОФИЧЕСКИЕ ПОРАЖЕНИЯ ПОЗВОНОЧНИКА
До настоящего времени не потеряла своего значения классификация Шморля (1932), согласно которой выделяются следующие формы дегенеративно-дистрофических поражений позвоночника: хрящевые узлы тел позвонков и дисков, спондилоз, спондилоартроз, остеохондроз.
Целесообразно напомнить строение межпозвонкового диска. Последний состоит: из двух гиалиновых пластинок, каждая из которых прилежит к замыкательной пластинке тела позвонка, равна ей по величине (исключение составляют шейные позвонки) и как бы вставлена в костный краевой кант (последний хрящём не покрыт), желатинозного ядра и фиброзного кольца.
Хрящевые узлы тел позвонков возникают в связи с дегенеративными изменениями гиалиновых пластинок, через трещины и разрывы которых студенистое ядро проникает в губчатое вещество позвонка; чаще наблюдаются в грудном отделе позвоночника и крайне редко — в шейном отделе. При рентгенологическом исследовании хрящевые узлы выявляются в виде краевой узуры с ободком склероза вокруг.
Узлы Шморля — это одиночные с ровными контурами узуры. Если узуры множественные, расположены на ограниченном участке, имеют волнистый контур — их относят к узлам Поммера.
В ряде случаев хрящевые узлы, проходя через губчатое вещество, могут отсекать часть его, чаще в области передне-верхнего угла тела позвонка. На боковых рентгенограммах выявляется прерывистость верхнего и переднего контура тела позвонка, и на этом уровне виден треугольной формы фрагмент костной ткани.
Хрящевые узлы дисков — результат выпадения студенистой части ядра через дегенеративно измененное фиброзное кольцо. Если трещины в нем возникают по сагиттальной плоскости — то наблюдается сдавление спинного мозга (дискомедулярный конфликт), если же трещина в фиброзном кольце локализуется парасагиттально, то пролабирующая часть студенистого ядра суживает межпозвонковое отверстие, вступая в конфликт с корешком (диско-корешковый конфликт).
При рентгенологическом исследовании на боковых рентгенограммах может не выявляться пролабировавшая не обызвествленная часть студенистого ядра. Однако выявляются косвенные симптомы в виде заострения задне-нижнего угла краниально расположенного позвонка. В дальнейшем наблюдается развитие экзостоза, который контурирует с выпавшей частью диска. Степень снижения высоты межпозвонкового диска зависит от величины выпавшей части студенистого ядра.
Деформирующий спондилоз — следствие первичных дегенеративных изменений фиброзного кольца при сохранившейся эластичности желатинозного ядра. Студенистое ядро вытесняет фиброзное кольцо, вызывает напряжение и последующее обызвествление передней продольной связки в месте ее прикрепления к позвонку. Образовавшиеся остеофиты «растут» как бы отступя от краевых замыкательных пластинок. По форме напоминают клюв, направлены краниально и каудально. Высота дисков не меняется, замыкательные пластинки не уплотняются, не отмечается расшатанности позвонковых сегментов.
Деформирующий спондилоартроз выражается в разрастании краев суставных поверхностей в местах наибольших нагрузок. Разрастания больше выражены по краям нижних суставных отростков. За счет этого происходит соскальзывание верхнего суставного отростка вперед и сужение межпозвонкового отверстия.
Остеохондроз возникает при первичном поражении студенистого ядра, его высыхании, потере тургора. В дальнейшем поражается фиброзное кольцо и гиалиновые пластинки. Возникают уплощение диска, костные краевые разрастания, подвывих в межпозвонковом суставе и уменьшение расстояния между двумя соседними корнями дужек.
Однако в чистом виде описанные выше изменения встречаются не часто и рентгенологически бывает трудно провести границу между отдельными формами дегенеративных изменений позвоночника. Поэтому на современном уровне большинства авторов применяют термин остеохондроз, как объединяющее понятие дегенеративных изменений позвоночника, в основе которых лежат дегенеративные изменения диска.
Большое внимание к этому тяжелому состоянию было привлечено более 20 лет назад. В это время во всем мире отмечалась волна подъема заболеваемости остеохондрозом. Остеохондроз — это длительное заболевание, имеющее стадийное течение.
Остеохондроз может развиваться в любом отделе позвоночника, но чаще страдает шейный отдел позвоночника. Болеют в основном люди молодого и среднего возраста, т. е. группа людей, которые принимают активное участие в трудовой производительной деятельности.
В течении остеохондроза выделяют 4 стадии.
I стадия — внутридисковое перемещение пульпозного ядра.
II стадия — неустойчивость позвонкового диска.
III стадия — полный разрыв диска.
IV стадия — распространение дегенеративного процесса на другие элементы межпозвонкового сочленения.
Краткая рентгено-анатомическая характеристика шейного отдела позвоночника
Латерально-краниальные участки тел III—VII шейных позвонков вытянуты вверх в виде сагитальностоящих пластинок. Широким основанием они переходят в губчатую ткань тела позвонка, а к вершине истончаются. На прямой рентгенограмме они выглядят в виде двух углов, обращенных вершинами кверху, и ограничивают с боков межпозвонковый диск. Вытянутые кверху участки тела носят название крючковидных отростков. Место сочленения крючковидных отростков с нижним участком тела вышележащего позвонка — сустав Люшка (по имени автора, описавшего его в конце прошлого столетия) или унко-вертебральное сочленение (в норме 2 мм). Тотчас под унко-вертебральным сочленением располагается поперечный отросток с отверстием для сосудов и нервов.
Краниальная поверхность позвонка представляется вогнутой, а каудальная—выпуклой. На боковой рентгенограмме — изображение правого и левого крючковидных отростков совпадают с задними 2/3 диска и как бы наслаиваются на него. Задние края полулунных отростков располагаются на одном уровне с задней поверхностью тела. На заднюю часть тела по
звонка накладывается тень поперечного отростка. Позади дугообразной линии задних границ тел позвонков и до линии оснований остистых отростков находится проекция позвоночного канала. В этой области на рентгенограмме видны дужки и суставные отростки (напоминают ромб, передний угол ромба в норме не заходит за линию заднего края тела). Между тенями суставных отростков определяются косо-направленные суставные щели.
Остеохондроз шейного отдела позвоночника
Рентгенологическому исследованию принадлежит ведущая роль в выявлении характера и протяженности процесса. Рентгенограммы шейного отдела позвоночника проводят в прямой, боковой и косых проекциях. В начальных стадиях заболевания целесообразны функциональные исследования — рентгенограммы при максимальном разгибании и сгибании шейного отдела позвоночника.
В I стадии остеохондроза пульпозное ядро теряет свое центральное расположение и вколачивается в трещины фиброзного кольца. Снаружи диск еще цел. Долго может отмечаться бессимптомное течение. Клинические симптомы появляются когда пульпозное ядро начинает оказывать раздражающее действие на нервные элементы, расположенные в периферических отделах фиброзного кольца (чувствительные Шарпеевские волокна), в мягких тканях, окружающих тела позвонков и в продольных связках.
Раздражение этих нервных окончаний вызывает боли в пораженном диске — дискалгию. Эти боли могут быть отраженными и симулировать целый ряд заболеваний. В клинике определяется локальная болезненность на уровне пораженного диска — дискалгия. Отмечается отраженная боль (при поражении шейного отдела позвоночника, когда сдавливается VI корешок, за счет которого осуществляется иннервация плечевого пояса). Могут появляться боли в руке по типу невритов, артритов, а также боли в области сердца, симулирующие стенокардию. Могут наблюдаться миотонические рефлексы — напряжение мышц (фиксируется болезненный сегмент позвоночника, уменьшается его подвижность), а также ангиоспастические рефлексы (за счет раздражения нервных окончаний мелкие и средние артерии суживаются, что ведет к нарушению трофики).
Рентгенологически изменения при I стадии остеохондроза не выявляются.
II стадия остеохондроза характеризуется дегенеративными изменениями пульпозного ядра и возникновением трещин фиброзного кольца. Это приводит к нарушению его фиксационной функции.
На рентгенограммах еще не выявляется значительного уменьшения высоты межпозвонкового диска. Однако связки, которые находятся в норме в натянутом состоянии, несколько ослабевают и происходит соскальзывание вышележащего позвонка.
Во II стадии выявляются следующие рентгенологические симптомы: выпрямление физиологического лордоза; может отмечаться симптом струны, т. е. выпрямление лордоза на уровне нескольких позвонков, а в других отделах лордоз сохранен, симптом ложного спондилолистеза или соскальзывания, или симптом лесенки (когда линия, проведенная по задним контурам тел позвонков имеет уступы).
В шейном отделе позвоночника могут наблюдаться подвывихи позвонков. Нарушается параллелизм суставных поверхностей. Суставная щель в межпозвонковом суставе имеет треугольную форму. Подвывих может возникать при разгибании шеи. При этом передний угол верхне-суставного отростка нижележащего позвонка наслаивается на тень нижнезаднего угла тела вышележащего позвонка. В этих случаях может развиваться сдавление позвоночной артерии. Все описанные изменения удается выявить лишь на боковых рентгенограммах. На рентгенограммах с функциональной нагрузкой (в положениях сгибания и разгибания шейного отдела позвоночника) эти симптомы выявляются более отчетливо. II стадия может продолжаться 2—3 года и завершается полным разрывом диска.
III стадия — полного разрыва диска. На рентгенограммах в прямой проекции следует обращать внимание на деформацию крючковидных отростков. Отмечается их удлинение, заострение, утолщение. Крючковидные отростки могут отклоняться латерально. При двустороннем латеральном отклонении крючковидных отростков определяется деформация, напоминающая форму кастрюли. В зарубежной литературе при этом применяется выражение «симптом кастрюли». Суставная щель в суставе Люшка суживается.
Определяется также симптом утолщения или уплотнения замыкательных пластинок тел позвонков, склероз их. Склерозирование замыкательных пластинок тел позвонков развивается за счет дегенерации диска, не выполняющего свою буферную функцию. На костную ткань падает большая нагрузка и она склерозируется.
На прямых рентгенограммах может определяться обызвествление щитовидного хряща. Обызвествление последнего выражено на стороне более грубой деформации унко-вертебральных сочленений (А. Ю. Ратнер).
На боковых рентгенограммах также определяется склероз замыкательных пластинок и удается выявить уменьшение высоты межпозвонкового диска. Степень уменьшения высоты межпозвонкового диска можно характеризовать следующим образом: если высота нижележащего диска равна высоте вывышележащего — это незначительная степень уменьшения последнего. В норме высота хрящевых дисков увеличивается сверху вниз. Если нижележащий диск незначительно меньше вышележащего — это средняя степень. И если, нижележащий диск в 2 раза меньше вышележащего — это выраженная степень уменьшения высоты межпозвонкового диска.
На боковых рентгенограммах выявляется скошенность передних углов тел позвонков (результат давления плотного диска, при сгибании шеи, на передне-верхний угол тела позвонка). В ряде случаев приходится наблюдать плотную, бесструктурную треугольной формы тень, вершина которой обращена в сторону межпозвонкового диска, а основание выступает за передние контуры тел позвонков, обусловленную обызвествлением краевого отдела фиброзного кольца на месте бывших трещин в нем.
Важным косвенным симптомом дегенерации межпозвонковых дисков являются вентральные и дорзальные экзостозы (заострение передних и задних рентгеновских углов тел позвонков). Однако последние отличаются от экзостозов при деформирующем спондилозе тем, что имеют меньшие размеры, расположены горизонтально, являются как бы продолжением замыкательных пластинок тел позвонков и лучше выявляются на боковых рентгенограммах.
На косых рентгенограммах выявляется межпозвонковое отверстие. Оно представляется суженным (за счет уменьшения высоты диска) и деформированным (за счет задних экзостозов). IV стадия остеохондроза шейного отдела позвоночника характеризуется распространением дегенеративного процесса на другие элементы межпозвонкового сочленения.
В шейном отделе позвоночника развивается артроз унко-вертебрального сочленения. Разрастания в области сустава Люшка вызывают сдавление позвоночной артерии, что клинически проявляется расстройствами мозгового кровообращения («синдром позвоночной артерии», «шейная мигрень»).
На прямых рентгенограммах может определяться артроз в суставе Люшка двух типов: артроз деформирующего типа и артроз склерозирующего типа.
При артрозе деформирующего типа костные разрастания развиваются вдоль всего свободного края полулунного отростка. Последний заостряется, удлиняется, отклоняется латерально, принимает горизонтальное положение. Такое же направление приобретают костные разрастания другой сочленованной поверхности сустава Люшка.
При артрозе склерозирующего типа полулунный отросток увеличивается, становится круглым, массивным, структура его уплотняется, костные разрастания в отростке отсутствуют. Они формируются вокруг суставных площадок в теле вышележащих позвонков. На косых рентгенограммах выявляется сужение межпозвонковых отверстий за счет пролябирования в них задних унко-вертебральнных разрастаний. Вступая в конфликт с корешками спинномозговых нервов, последние вызывают синдром их компрессии, т. е. шейный радикулит.
Следует отметить, что положение полулунных отростков может влиять на степень снижения высоты диска при остеохондрозе. При их вертикальном положении, при снижении тургора пульпозного ядра, вышележащий позвонок не может опуститься, он как бы опирается на полулунные отростки. Развивается артроз в суставе Люшка, а высота диска на рентгенограммах может длительно оставаться обычной, хотя имеет место его выраженная дегенерация.
При косом расположении полулунных отростков, снижение тургора пульпозного ядра быстро приводит к снижению высоты диска, и вышележащий позвонок опускается в седловину краниальной площадки нижележащего позвонка благодаря развернутым полулунным отросткам. При этом на ранних стадиях дегенерации диска выявляется снижение его высоты.
Остеохондроз грудного отдела позвоночника
Механизм изменений в грудном отделе позвоночника такой же, как и в шейном. Однако часто наблюдается дегенерация гиалинового хряща с образованием узлов Шморля или узлов Поммера. Пульпозное ядро пролабирует через тело позвонка, может отсекать его часть, доходя до продольной связки. Часто происходит полный разрыв фиброзного кольца и пролабирование пульпозного ядра кзади (что связано с особенностью строения связочного аппарата).
Передняя продольная связка охватывает передне-боковые поверхности тел позвонков, прочно соединяется с ними, а с дисками связана рыхло. Задняя продольная связка идет по задней поверхности тел позвонков и дисков в полости позвоночного канала, рыхло соединяясь с телами позвонков и прочно — с дисками. Межостистые связки соединяют обращенные друг к другу поверхности остистых отростков, у верхушки их сливаясь с надостистой связкой. Желтые связки соединяют дужки и суставные отростки. В ряде случаев удается выявить обызвествление задней грыжи диска. Но чаще обызвествленный хрящ не выявляется, а выявляются косвенные симптомы остеохондроза в виде задних экзостозов. При раздражении передней связки — образуются передние экзостозы. За счет возникновения патологических рефлексов происходит ограничение подвижности и обызвествление над- и межостистых связок.
На прямой рентгенограмме могут выявляться следующие симптомы: снижение высоты диска, уплотнение замыкательных пластинок тел позвонков, образование узлов Шморля, разрастание рентгеновских углов в виде клювика и рожка (обусловленные обызвествлением связок). Экзостозы в области верхнего и нижнего угла двух соседних позвонков могут соприкасаться с образованием «мостика». Обызвествление межостистых и надостистых связок выявляется в виде плотной линейной тени на уровне остистых отростков 3—4 позвонков.
На боковой рентгенограмме удается более четко видеть снижение высоты диска, субхондральный склероз. Четко выявляются остеофиты, имеющие горизонтальный ход, компактную структуру и не достигающие больших размеров.
При пролябировании пульпозного ядра через тело позвонка выявляются узлы Шморля и узлы Поммера. Отмечается прерывистость замыкательных пластинок тела позвонка с наличием треугольной формы костного фрагмента, окаймленного корковым слоем. На боковой рентгенограмме выявляются передние и задние экзостозы, сужение диаметра спинно-мозгового канала на уровне задних экзостозов. (В норме сагитальный размер позвоночного канала достигает 14 мм).
В поясничном отделе позвоночника выявляются те же рентгенологические симптомы, которые присущи грудному отделу позвоночника. Часто развивается спондилолистез, более отчетливо выявляемый при функциональных нагрузках. Характерно развитие спондилоартроза.
radiomed.ru
Грыжи,защемление,сужение канала — Неврология — Здоровье Mail.Ru
анонимно
Здравствуйте. Меня зовут Кузнецова Ольга. Мне 26 лет. Я мама годовалого сына. У меня уже много лет очень сильно болит поясница справа и правая нога по задней стороне до колена, от колена по боковой стороне (как лампасы на брюках) через щиколотку и до мизинца и безимянного пальца на ноге. Парез правой стопы (висит) и сохнет икра ноги. Хожу скрюченая вправо. Много лечилась амбулаторно, были сделаны 3 операции. Но улучшений нет. Устала существовать на сильных обезболивающих,а так хочется жить и радоваться долгожданному сыночку. Очень надеюсь избавится от болией и судорог. Я уже не тешу себя что смогу вылечиться на 100 %, мне хотя бы убрать скрюченность (выпрямиться) и убрать боли… В 1998 г. (мне было 11) у меня был компрессионный перелом позвоночника Д4-Д5,перелом копчика S1-S2. После этой травмы сильно болела поясница, спала, только подложив валик по поясницу. Постепенно начала болеть правая нога до колена. Так я терпела до 2005 г. (Мне было 18)-25.01.2005 г. сделала мрт: Определен задний, центральный и правосторонний пролапс диска L4-L5 (7,8-8мм) с компрессией дурального мешка. Узел Шморля верхней поверхности L1. 2 мрт 11.02.2005 г.: На поясничных спандилограммах в 2-х проэкциях лордоз уплощен, вертикальная ось минимально нарушена: правосторонний сколиоз без ротации, с вершиной в грудном отделе. Высота межпозвонковых дисков Высота межпозвонковых дисков L3-4 — L5-S1 снижена, с наибольшим поражением L4-5. Компенсаторные приспособления слабо выражены: субхондральный склероз, уплощение замыкательных пластин, площадок суженных дуго-отросчатых сочлений. Скошенность передних углов тел соответствующих позвонков. В сагиттальной плоскости при стандартной укладке тела L3,L4,L5 позвонков лестнично смещены кзади на 3-4-4 мм соответственно, без спондилолиза, но с выраженной перестройкой дуги L5 (зоны Лоозера). Полулунные широкие нишеподобные дефекты каудальных замыкательных пластин L1,L4,L5, слабо склерозированные по контурам-грыжи Поммера. Крестцово-подвздошные сочления прослеживаются на всем протяжении, без патологических изменений. Прозрачность тел позвонков не повышена.Заключение: Поясничные остеохондроз, дуго-отросчатый артроз 2-3-й стадии-L3-4 – L5-S1. Правосторонний сколиоз 1-й степени с вершиной в грудном отделе. Грыжи Поммера L1,L4,L5. Лестничный ретросподилолистез в сегментах L3-4,L4-5,L5-S1, без спондилолиза, но с зонами выраженной патологической перестройки дуги L5. Амбулаторное лечение без эффекта. 05.09.2006 мрт: На серии МР томограмм взвешенных по Т1 и Т2 в двух проэкциях лордоз значительно сглажен.Высота межпозвонковых дисков L1-L2,L4-S1 и сигналы от них по Т2 снижены,высота остальных дисков исследуемой зоны сохранена,сигналы от остальных дисков по Т2 не изменены.Дорзальные грыжи дисков: медианно-парамедианная L4/5 размером 0,7 см,вертикальным размером 1,1 см,распростроняющаяся в межпозвонковые отверстия с обеих сторон, с компрессией прилежащих секторов дурального мешка; Медианно-парамедианная правосторонняя L5/S1 размером 0,5 см,распростроняющаяся преимущественно в правое межпозвонковое отверстие с сужением просвета правого корешкового канала,минимальный эффективный поперечный размер корешкового канала справа 0,2 см,слева 0,4 см с умеренной компрессией прилежащих секторов дурального мешка. Дорзальные протрузии дисков: медианная L1/2 размером 0,2 см, с небольшой деформацией переднего контура прилежащих секторов дурального мешка. Просвет спинного канала сужен в сагиттальной плоскости на уровне L4-S1 дисков,эффективный переднее-задний размер позвоночного кангала на уровне L4/5 диска-1,2 см;L5/S1 диска-1,1 см. Сигнал от структур спинного мозга (по Т1 и Т2 )не изменен. Определяется узуративный дефект (грыжа Шморля) в теле L1 позвонка. Форма и размеры остальных тел позвонков обычные, костный мозг в телах позвонкок не изменен. Заключение: МР картина дистрофических изменений пояснично-крестцового отдела позвоночника,осложненных грыжеобразованием (L4-S1) протрузий диска L1/2. 20.09.2006 произведена операция:микродискэктомия Л4-Л5,Л5-С1 справа, удаление грыжи дисков Л4-Л5,Л5-С1. В послеоперационном периоде сохраняются боли в правой ноге тянущего характера. Окончательный диагноз: остеохондроз Л4-Л5, Л5-С1, парамедиальная грыжа дисков справа. Поясница и правая нога так и продолжала болеть. Я забеременела и на 36-37 неделе боли уже были не выносимы. 23.05.2012 г. сделали кесарево со спинальной анестезией. Анестезиолог долго не могла попасть в нужное место, кололи в позвоночник 5-6 раз. После родов меня скрючило в право,т.е. мое туловище все наклонилось в правую сторону. Правая нога сала простреливать и болеть до кончиков пальцев. Повисла стопа. Нога стала мерзнуть. 05.06.2012 сделала мрт: Состояние после микродискэктомии L4-5,L5-S1 справа, удаления грыж дисков L4-5,L5-S1 в 2006 г. На серии МР — томограмм пояснично-крестцового отдела позвоночника, взвешенных по Т1 и Т2 в 3-х проэкциях поясничный лордоз выпрямлен. Правосторонний сколиоз. Суставные щели крестцово-подвздошных сочлений симметричны. Замыкательные пластинки позвонков L1,L4,L5 неровные с вертикальными протрузиями соответствующих межпозвоночных дисков. В остальном высота, форма и структура позвонков — без существенных особенностей. Задняя продольная связка не утолщена. Желтые связки не оссифицированы, не гипертрофированы. Межпозвонковые диски L1-2,L4-S1 с признаками дегенеративно-дистрофических изменений: высота их снижена, структура не однородна. Отмечаются: • задняя медианная протрузия межпозвоночного диска L1-2 размером о,25 см; • широкая правосторонняя заднее — латеральная грыжа межпозвоночного диска L4-5 размером 0,41 см, значительно суживающая правое межпозвонковое отверстие и компремирующая нервный корешок; • широкая правосторонняя заднее – латеральная протрузия межпозвоночого диска L5-S1 размером до 0,35 см, умеренно суживающая правое межпозвонковое отверстие. Конус спинного мозга с четкими ровными контурами,однородной структуры. Дуральный мешок компремирован на уровне грыжи, умеренно деформирован по переднему контуру на уровне протрузий,дуральное пространство проходимо. Оболочки мозга не утолщены, структура субарахноидального пространства однородна. Имеются послеоперационные рубцовые изменения мягких тканей на уровне L4-S1. Заключение. Состояние после микродискэктомии L4-5,L5-S1 справа, удаления грыж дисков L4-5, L5-S1 в 2006 году. МР-признаки остеохондроза пояснично-крестцового отдела позвоночника. Грыжа (рецидив) межпозвоночного диска L4-5 с правосторонним диско-корешковым конфликтом. Протрузии межпозвоночных дисков L1-2, L5-S1. Грыжи Шморля межпозвоночных дисков L1-2, L5-S1. 31.07.2012 г. Была произведена операция. Расширенная интерламинэктомия L4-5 справа, радикулолиз L5, удаление грыжи и диска L4 справа. После данной операции уменя «отказали» обе ноги. То есть чувствительности вообще не было, я передвигала их руками. Через сутки была сделана повторная операция. 02.08.2012 г. Декомпрессивная расширенная интерламинэктомия L5-S1 справа, радикулолиз S1 справа. Клинический диагноз: Поражение межпозвонковых дисков. Рецидив грыжи L4 справа. Стеноз на L4-5,L5-S1. Корешковый синдром L5,S1 справа с двигательными, чувствительными и рефлекторными нарушениями. Состояние после микродикэктомии L4-5, L5-S1 в 2006 г. После данной операции левая нога «заработала»-стала все ощущать, в правую вернулась сильная боль, стопа висела и не «слушалась»,не могла пошевелить пальцами ноги. После этого лечилась амбулаторно. Дали 2 группу инвалидности на год. 12.11.2012 г. Заключение ЭМГ-исследования: ЭНМГ признаки снижения скорости проведения импульсов по передним L5-S2 корешкам и относительное снижение скорости по задним корешкам L5-S2 справа с вторичной (?) аксонопатией правого малоберцового нерва,получено так же увеличение соотношения Н/М при Н-рефлексе справа, что может свидетельствовать о поражении пирамидных путей? Комментарий невролога: Выявлены ЭНМГ признаки как вовлечение в патологический процесс корешков п/кр отдела спинного мозга справа, так и возможное вовлечение в патологический процесс пирамидных путей справа. Полученные данные необходимо соотнести с клинической картиной. 18.03.2013 мрт: на серии МР томограмм взвешенных по Т1 и Т2 в двух трех проэкциях. В анамнезе-операции на L4-S1. Высота тел поясничных позвонков не снижена, очаговых изменений МР-сигнала не выявлено. Высота межпозвонковых дисков L4-S1 снижена, сигналы от этих дисков по Т2 снижены; высота остальных межпозвонковых дисков не изменена, сигналы от всех дисков пояснично-крестцового отдела позвоночника по Т2 несколько снижены. Определяются передние краевые костные разрастания в телах L4-L5 позвонков,контуры замыкательных пластинок неровные, уплотнены, с узуративными изменениями, субхондральный фиброз в смежных отделах тел L4-L5 позвонков, грыжи Шморля в телах L1,Д4 позвонков. Визуализируются признаки периартикулярного фиброза и гипертрофии фасеток дугоотростчатых суставов на уровне L3-S1 сегментов. Костный позвоночный канал не сужен в сагиттальной плоскости. Дорзальные грыжи дисков: • медианно-парамедианная билатеральная грыжа диска L4/5 размером 0,7 см,вертикальным размером до 1,0 см, распространяющаяся в межпозвонковые отверстия с обеих сторон, больше вправо, с компрессией и деформацией прилежащих секторов дурального мешка,минимальный эффективный сагиттальный размер позвоночного канала на уровне грыжи сужен-0,9 см; • медианно-парамедианная правосторонняя грыжа диска L5/S1 размером 0,5 см, распростроняющаяся в правое межпозвонковое отверстие; минимальный эффективный сагиттальный размер позвоночного канала сужен – 1,1 см. Дорзальне протрузии дисков: • диффузная протрузия диска L3/4 размером до 0,3 см, распростроняющаяся в межпозвонковые отверстия с обеих сторон; минимальный эффективный сагиттальный размер позвоночного канала на уровне протрузии не сужен. Сигнал от структур спинного могза (по Т1 и Т2) не изменен. Заключение: МР – признаки остеохондроза пояснично-крестцового отдела позвоночника. Спондилез, спондилоартроз L4-S2 сегментов. Грыжи дисков L4-5L5-S1. Протрузия диска L3-4. Грыжи Шморля L1,L4.
health.mail.ru
симптомы, лечение и фото МРТ
Многие люди очень пугались при получении заключения МСКТ или МРТ, в которых содержались фразы типа узел Шморля, множественные грыжи Шморля и т.п. Данная статья призвана успокоить особо впечатлительных людей, а также помочь разобраться в вопросе, что же это такое.
Содержание:
Общие сведения
Для начала следует сказать, что структурно данное образование представляет собой проникновение ткани межпозвонкового диска непосредственно в костную ткань позвонка. Разобрав строение позвоночника, можно понять, что при этом не может даже теоретически происходить вовлечения нервных корешков, а, следовательно, у грыжи Шморля нет симптомов, а само образование, по правде говоря, не является заболеванием, а всего лишь одним из структурных проявлений дегенеративных изменений позвоночника.

Информация для врачей. В МКБ 10 нет диагноза, а, следовательно, и кода, под которым можно зашифровать грыжу Шморля грудного, шейного или поясничного отделов позвоночника. Чаще всего данное образование является случайной рентгенологической находкой. Множественные мелкие грыжи Шморля могут являться косвенным признаком болезни Шейермана-Мау, дегенеративного заболевания позвоночника, развивающегося в молодом возрасте.
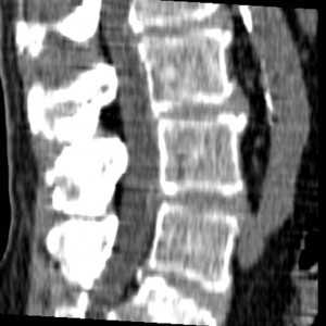
*Грыжа Шморля на МРТ снимке.
Причин для формирования узлов Шморля достаточно много. Чаще всего, они формируются при снижении плотности костной ткани (например, при остеопорозе). Также часто причиной являются вертикальные нагрузки, травмы позвоночника, сколиоз и иные нарушения осанки. Иногда имеет место наследственная предрасположенность.
Симптомы
Симптомы грыжи Шморля являются, чаще всего, субъективными ощущениями других проблем с позвоночником, однако часто люди боятся самого термина и уверены, что вся вина лежит именно на этом неведомом и страшном сочетании слов. Единственное проявление данного образования может заключаться в ограничении движений в позвоночнике. Со временем развитие узлов может привести к более тяжелым изменениям в позвоночнике, в том числе развитие протрузий и грыж межпозвонковых диска.
Лечение
Лечения грыжи Шморля не требуют, ведь симптоматика во всех случаях не может быть связана с данной проблемой позвонков. Однако следует помнить о том, что данные образования могут являться «первым звоночком» серьезных проблем с позвоночником. Чтобы их избежать, можно придерживаться лекарственных, физиотерапевтических, мануальных методов лечения, а также занятий ЛФК и соблюдении общих рекомендаций.
Медикаментозное лечение направлено на предотвращение дальнейших изменений позвоночника. С этой целью назначаются препараты – хондропротекторы, Данная группа препаратов направлена на восстановлении нормального состава хрящевой ткани. Среди препаратов широкое распространение получили Алфлутоп, Артра, Терафлекс, Стопартроз, а также многие другие. При имеющемся остеопорозе следует прибегать к препаратам, восстанавливающим костную структуру (в частности, препараты кальция).
Физиопроцедуры позволяют купировать проявления других проблем с позвоночником, а также направлены на снижение воспалительных и дегенеративных изменений (прежде всего, магнитные поля).
Мануальная терапия и массаж при грыжах Шморля позвоночника может проводиться при отсутствии противопоказаний. Цель данного лечебного воздействия заключается в укреплении мышц спины, питании тканей позвонков, исправлении, насколько возможно, осанки, предотвращения формирования стойких дегенеративных изменений.
Комплекс лечебной физкультуры должен выполняться регулярно всеми людьми, у которых есть заболевания позвоночного столба. Лечебная физкультура при грыже Шморля укрепляет мышечный корсет, снижая, тем самым, нагрузку на позвонки. Укрепление мышц спины, а также активные движения приводят к улучшению микроциркуляции всех структур, что также влияет на снижение риска развития дегенеративных проявлений.
К общим рекомендациям следует отнести простые советы по ограничению и правильному принятию физической нагрузки. Не стоит поднимать предметы тяжелее 10 килограммов, особо из положения в наклон. Также следует избегать переохлаждений и вертикальных нагрузок. При движении в скоростных лифтах желательно перед началом подъема облокотиться спиной о стенку кабинки. Постель должна по возможности быть твердой, ни в коем случае не на пружинах.
В заключение следует ещё раз сказать о том, что грыжа Шморля не является самостоятельным заболеванием, бояться его не надо. При наличии симптомов следует искать другие причины, которые могли привести к их возникновению. Также, при случайном обнаружении узлов, следует более пристально отнестись к своему здоровью и здоровью позвоночника в частности.
Автор статьи: Алексей Борисов (врач-невролог)
Практикующий врач-невролог. Окончил Иркутский государственный медицинский университет. Работает в факультетской клинике нервных болезней. Подробнее…neurosys.ru
Грыжа Шморля поясничного отдела позвоночника: симптомы и особенности лечения
Чем отличается грыжа Шморля от обычной в понимании большинства из нас межпозвоночной грыжи? Во-первых, здесь речь идет не столько о заболевании, сколько о рентгенологическом термине, который впервые был предложен немецким медиком Христианом Шморлем. На снимке ученый увидел продавливание хрящевых тканей замыкательных пластин внутрь тела нижнего либо верхнего позвонка, прямо в губчатую кость. Этой патологии приписывают генетическую природу происхождения, потому формируется она чаще всего в раннем детстве на фоне активного выделения гормона роста.
Чем отличается от обыкновенной межпозвоночной грыжи

Когда ребенок растет, его мягкие ткани вытягиваются быстрее, а костные далеко не всегда идут в ногу с темпами развития мышечной массы и связочного аппарата, поэтому их величины могут незначительно отставать. В результате этого процесса происходит формирование пустот внутри каждого позвонка. По прошествии времени в губчатые тела, которыми по сути и являются эти пустоты, продавливаются замыкательные позвоночные пластины. Грыжа Шморля отличается от обычного межпозвоночного образования:
- местом расположения;
- патологической реакцией, в которую не вовлечены сосудисто-нервные сплетения;
- отсутствием сдавливания спинномозгового вещества и корешков;
- скудностью клинических проявлений по причине формирования патологии с участием только позвоночных тел и межпозвоночных дисков;
- возникновением преимущественно в детском и юношеском возрасте.
Опасна ли эта болезнь
В первую очередь, обнаруженную на рентгеновском снимке грыжу Шморля можно считать предвестником формирования межпозвоночной грыжи в будущем, так как без соответствующей терапии по мере своего прогрессирования она быстро истончает позвонки, делает их незащищенными и слабыми к воздействию физических факторов (ударов, длительной ходьбы, подъема тяжести). Следствием данной патологии может стать компрессионный перелом позвоночника.
Учитывая, что в процесс развития заболевания вовлекается межпозвоночный диск, со временем происходит его проваливание в грыжевой мешок, а это существенно мешает амортизационным функциям позвоночного столба. В тяжелых случаях именно этот фактор способен привести к инвалидности. Кроме того, грыжа Шморля позвонков любого из отделов (поясничного, грудного, шейного) является причиной увеличения компрессии на межпозвоночные суставы. У юных пациентов, страдающих данной болезнью, нередко диагностируют дегенеративные изменения в суставах, которые свидетельствуют о начальной стадии артроза.
Собственно, своими осложнениями и опасна такая патология, как грыжа Шморля. Пренебрегая необходимостью терапии при отсутствии клинических проявлений, пациент рискует столкнуться с необратимыми последствиями. В большинстве случаев такая проблема выявляется при случайном рентгенологическом исследовании, что можно считать огромным везением для пациентов.

Причины патологии
Современная медицина пока затрудняется объяснить, почему возникает грыжа Шморля в поясничном отделе, грудном или шейном сегменте позвоночника. Но все же большинство специалистов сходятся во мнении о причинах заболевания, которыми вполне могут быть:
- Генетическая предрасположенность пациента.
- Особенности строения замыкательных пластин.
- Быстрый рост ребенка в раннем детстве или подростковом периоде, которому сопутствует отставание роста костей при удовлетворительных показателях роста хрящевой ткани. В результате формирующиеся пустоты в позвонках заполняются хрящами.
- Дефицит кальция в костной ткани или недостаточное усвоение организмом этого микроэлемента.
- Нарушение обменных процессов в межпозвоночном диске.
- Превышенные физические нагрузки, приводящие к микротравмам позвоночника (при занятиях профессиональным спортом).
- Беременность. В период вынашивания плода у женщины усиливается нагрузка на каждый отдел позвоночного столба, но больше всего страдают грудной и поясничный отделы.
Грыжа Шморля – вполне закономерное последствие падения с большой высоты или же резкого поднятия тяжести. В пожилом возрасте причиной развития патологии позвоночника может стать деформирование костно-хрящевых структур на фоне прогрессирования остеопороза. Кстати, это заболевание, сопряженное с высоким риском переломов, встречается и у женщин среднего возраста в климактерический период.
В поясничном отделе позвоночника грыжи Шморля могут возникать из-за ухудшения кровоснабжения, что приводит к потере прочности позвонков, которые попросту продавливаются межпозвоночными структурами. Нарушение кровоснабжения хребта происходит в результате развития сутулости, кифоза, сколиоза, болезни Шейермана — Мау. Но чаще всего к подобной проблеме приводит отсутствие полноценной двигательной активности и сидячая работа.
Клиническая картина
Симптомы грыжи Шморля обычно слабо выражены или отсутствуют вовсе. Объяснить скудность клинических проявлений болезни можно тем, что это образование:
- не воздействует на нервные корешки и кровеносные сосуды;
- не провоцирует воспалительный процесс;
- не сопровождается мышечным спазмом.
Как было сказано вначале, данная патология является скорее рентгенологическим признаком и диагностируется случайно. У пациентов крайне редко возникает боль, но даже если неприятный симптом и появляется, он носит локальный кратковременный характер. Например, дискомфорт может ощущаться во время физических нагрузок и исчезает в период покоя, поэтому пациенты часто жалуются на снижение работоспособности и двигательной активности.

В поясничном отделе
При пальпации области пораженного позвонка пациент может почувствовать незначительную болезненность и мышечный спазм. При этом другие неврологические и сосудистые изменения, как правило, полностью отсутствуют. Поэтому лечение грыжи Шморля поясничного отдела не является симптоматическим, т.е. направленным на устранение клинических проявлений болезни.
Патология в нижнем сегменте позвоночного столба обычно никак не проявляется, редко сопровождается мышечным гипертонусом и напряжением в области поясницы, дискомфортными ощущениями и плохой гибкостью спины. В единичных случаях грыжа Шморля вызывает боли в пояснице, иррадиирующие в ноги. Появлению симптома зачастую предшествует повышенная физическая нагрузка. Кстати, такой симптом иногда может свидетельствовать об осложнении заболевания. По мере прогрессирования патологии межпозвоночный диск может полностью провалиться в губчатую кость, что, в свою очередь, послужит основанием для нарушения функции поясничных позвонков. Если учесть, что пораженный участок значительно ослабевает, риск компрессионного перелома возрастает. Особенно опасной для пациентов с грыжей Шморля является:
- существенная боковая нагрузка на позвоночный столб;
- сильный удар в спину;
- сдавливание хребта вдоль оси.
Выявленная патология в пояснице требует серьезного и ответственного лечения. Образование может сформироваться на любом сегменте позвоночника. В поясничном отделе расположено пять позвонков. В сравнении с позвонками других отделов, эти обладают наибольшим размером. Обусловлено это физиологическими особенностями: именно на поясницу приходится максимальная весовая нагрузка. Рентгенологический диагноз врач устанавливает исходя из локализации возникновения грыжи на уровне позвонков L1, L2, L3, L4 или L5.

Поражение грудного отдела
Грыжа Шморля в грудном отделе позвоночника может формироваться на любом уровне, однако на этом участке позвоночного столба патология встречается намного реже, чем в пояснице или в области шеи. Чаще всего она развивается в пределах позвонков Th8-Th22 и протекает бессимптомно, поскольку поражается только костная ткань, а нервные корешки при этом не затрагиваются абсолютно.
Поначалу болевой синдром может полностью отсутствовать, но по мере роста грыжевого образования пациент может заметить повышенную утомляемость всего тела, напряжение в области грудного отдела.
Лечение грыжи Шморля сводится к устранению вторичных признаков патологии – нарушений работы внутренних органов. При увеличении ее размеров нередко возникает учащенное сердцебиение, одышка. Через какое-то время присоединяются боли в спине, которые становятся ощутимыми во время любой двигательной активности и снижаются, как только пациент расслабится, примет лежачее положение. Боль может отдавать в руки, проявляясь онемением и покалыванием в плече, локте.
Грыжа Шморля в шейном отделе позвоночника
На этом участке позвоночного столба патология чаще развивается ввиду мягкости шейных позвонков. При небольших размерах образование в шейном отделе может не проявляться, но, как только патология начнет прогрессировать, у больного возникнет слабость, снизится работоспособность, приобретет постоянный характер болезненность в области шейно-плечевого воротника. Чаще всего развитие заболевания бывает обусловлено изменением величины грыжи или присоединением дополнительных осложнений, связанных с нарушением мозгового кровообращения. Пациенты с грыжей Шморля в шейном отделе часто жалуются на сильную головную боль и сонливость.

Как распознать болезнь
Первичная диагностика грыжи Шморля базируется на принципах:
- подробного описания жалоб пациентом – присутствие болевого синдрома, его точная или приблизительная локализация, взаимосвязь симптомов с физическими нагрузками или пребыванием в состоянии покоя;
- сбора анамнеза – важно выяснить, страдает ли кто-то из близких родственников грыжей, были ли у пациента ранее травмы позвоночника и т.д.;
- визуального осмотра и пальпации вдоль хребта – врач оценивает состояние позвоночного столба, включая возможные искривления или отечности мягких тканей.
К обязательным методам обследования при подозрении на это заболевание позвоночника относят рентгенографию. К слову, это основополагающий метод для постановки диагноза. Более информативной альтернативой ему является МРТ, КТ. Также вертебролог может направить пациента к ортопеду и невропатологу для получения консультации.

Лечение грыжи Шморля
Позвоночник с выявленными узуративными дефектами требует проведения комплексной терапии с учетом пола, возраста пациента, особенностей его профессиональной деятельности, степени тяжести патологического процесса. Учитывается также течение сопутствующих хронических заболеваний. Начиная лечение грыжи Шморля грудного или поясничного отдела, доктор ставит перед собой следующие задачи:
- Устранить болевой синдром (при наличии).
- Запустить обменные процессы в костной ткани.
- Улучшить кровообращение в мышцах спины.
- Восстановить гибкость позвоночного столба.
- Устранить мышечный спазм путем приема миорелаксирующих средств.
- Не допустить развития осложнений.
В преимущественном числе случаев терапия заболевания позвоночника осуществляется консервативно. Целью лечения грыжи Шморля поясничного отдела является укрепление костно-мышечного аппарата, достичь которого можно при соблюдении ряда рекомендаций и врачебных предписаний.
Специальных лекарственных средств, которые предназначены для терапии этой болезни позвоночника, не существует. Однако бороться с симптомами можно с помощью противовоспалительных и обезболивающих препаратов. При грыже Шморля пациентам назначают:
- «Диклоберл»;
- «Нимесил»;
- «Мовалис»;
- «Диклофенак»;
- «Ибупрофен»;
- «Доларен».
Помимо этих препаратов, иногда используются средства для укрепления костного скелета. К ним относят кальцийсодержащие средства (например, «Кальцитонин», «Алостин», «Миакальцик»), рыбий жир. Важно учитывать, что медикаменты, укрепляющие костную ткань, могут негативно сказаться на работе почек, поэтому перед лечением грыжи Шморля поясничного отдела стоит убедиться в отсутствии противопоказаний, проконсультировавшись с врачом.
При грыже данного типа хирургическое лечение не проводят, но в случае осложнения, которое является прямым показанием к оперативному вмешательству, конечное решение об операции принимается пациентом. Если грыжа Шморля трансформировалась в межпозвоночную грыжу или произошел компрессионный перелом позвоночника, в результате чего существенно ухудшилось состояние больного, операция станет единственным способом предупредить инвалидность.

Дополнительные меры терапии и профилактики
Помимо медикаментозного лечения немаловажное значение для пациента имеет сбалансированное и рациональное питание. Рацион, направленный на укрепление костной ткани, должен состоять из белковых продуктов. Употреблять необходимо кисломолочные напитки, молоко, нежирные сорта мяса и рыбы, сыр тофу. При этом поступление соли в организм нужно минимизировать. При болезнях позвоночника, в том числе и грыже Шморля, следует держать свой вес под контролем, так как лишняя масса тела – это дополнительная нагрузка на позвоночный спину. Кроме того, для больного важно:
- Не заниматься видами спорта, предполагающими езду на мотоцикле, прыжки в воду, подъем и перенос тяжестей.
- Регулярно выполнять поддерживающие упражнения из лечебно-физкультурного комплекса. Этот метод позволяет укрепить мышцы спины и улучшить ее гибкость.
- Пройти курс лечебного массажа. С каждым сеансом пациент сможет почувствовать себя лучше, так как массаж нормализует кровообращение и болевой синдром, снимая спазм мышц спины.
- Вести здоровый образ жизни, не допускающий курения и употребления спиртных напитков. Вредные привычки приводят к нарушению кровообращения и трофики тканей.
Лечение грыжи Шморля народными средствами является малоэффективным, но в некоторых случаях врачи рекомендуют дополнять медикаментозную терапию применением натуральных составов для миорелаксации и устранения дискомфортных ощущений в пораженном отделе позвоночника.
fb.ru
Грыжа Шморля — что это такое, множественные, мелкие, центральные, интракорпоральные
Часто можно встретить ситуацию, когда человека направляют на рентген или компьютерную томографию позвоночника, после прохождения которой врач выдает ему заключение: «Грыжа Шморля».
Невропатолог или травматолог на такое описание смотрят, как кажется человеку, слишком легкомысленно, обычно не бросаясь его госпитализировать или назначать огромное количество различных медикаментов.
Поэтому такой пациент начинает искать информацию относительно данной патологии в Сети, и задача нашей статьи – дать наиболее полную информацию относительно этого рентгенологического признака, которым, а вовсе не страшным заболеванием, является грыжа Шморля.
Это, еще раз повторимся, – рентгенологический признак, обозначающий изменения структуры межпозвоночного диска и тела позвонка.
Это выпячивание особой хрящевой ткани, выстилающей тела позвонков, в тело выше- или нижележащего позвонка.
Тонкий гиалиновый хрящ называется замыкательной пластинкой, он находится сверху и снизу межпозвоночного диска.

После такой деформации в тело позвонка, покрытого сверху или снизу вышеуказанной гиалиновой хрящевой тканью, внедряется пульпозное ядро межпозвоночного диска.
Ничего общего с грыжей межпозвоночного диска, его протрузией и остеохондрозом грыжа Шморля не имеет: такое нарушение структуры хряща и кости не сдавливает спинномозговых нервов и не передавливает спинной мозг – оно ограничено телами позвонков.
Формируется такое вдавливание хряща в кость чаще всего в один из периодов активного вытягивания ребенка, которое происходит в 14-17 лет.
В это время губчатое вещество растущей кости, не успевая за ростом всего тела, становится более мягким. Сюда и проникает хрящевая ткань замыкательной пластинки, которая в этот период гораздо более прочная.
Таким образом, формируется клиновидное выпячивание хряща, обращенное вершиной внутрь поврежденного позвонка, основание которого «лежит» на межпозвонковом диске.

Второй опасный для развития узлов Шморля период – пожилой возраст, когда у человека снижается минеральная плотность костей, развивается остеопороз.
Поскольку структуры центральной и периферической нервной системы в этом случае не сдавливаются, ведь разрушается только кость позвонка, симптомы у грыжи Шморля выражены слабо или отсутствуют на начальных этапах.
Но такая патология позвонков создает предпосылки для формирования других, более серьезных заболеваний позвоночника, поэтому при ее обнаружении лечение обязательно.
Предрасполагают к развитию грыж Шморля многие факторы, которые можно условно разделить на внешние, зависящие от факторов окружающей среды, и внутренние, развившиеся в самом организме.
К первым относятся:
- резкое одномоментное действие на позвоночник силы большой интенсивности;
- постоянное поднятие тяжестей;
- систематические мелкие травмы структур самого позвоночника и тех, которые его окружают, которые особенно часто возникают при занятиях спортом (аэробика, прыжки в воду).
Патологии организма, предрасполагающие к развитию узелков Шморля:
- врожденные дефекты гиалинового хряща замыкательных пластин или губчатой ткани позвонков;
- остеопороз;
- быстрый скачок роста ребенка;
- нарушение минерального обмена;
- кифоз;
- сколиоз;
- патология Шейермана-Мау, при которой позвоночник подростка деформируется в виде кифоза, склонного к прогрессированию;
- нарушение кровоснабжения позвоночника;
- беременность.

По рентгенологической картине грыжи Шморля могут быть описаны различным образом, рассмотрим вкратце каждый из видов этого рентгенологического признака.
Множественные грыжи
Нахождение нескольких дефектов узурации (так описывают рентгенологи грыжи Шморля) является косвенным признаком патологии Шейермана, то есть такого тяжелого дегенеративного заболевания, которое формируется по неизвестным причинам у подростков, характеризуется развитием прогрессирующего грудного кифоза, поясничного гиполордоза.
Другими причинами являются генетическая предрасположенность хрящевой и костной ткани позвоночника, недостаток в организме кальция.
Такие грыжи зачастую становятся причиной нарушений двигательной способности позвоночника, могут быть бессимптомными.
Однако они могут и проявляться такими признаками:
- боль в спине, уменьшающаяся в горизонтальном положении тела;
- сглаживание поясничного и грудного изгибов позвоночника;
- сутулость;
- повышенная утомляемость спины.

Фото: множественные грыжи Шморля
В некоторых случаях случайно обнаруженные у подростка множественные грыжи могут самостоятельно исчезать к взрослому возрасту.
Мелкие грыжи
Занимающие небольшой объем позвоночные грыжи Шморля имеют врожденную причину развития – нарушение строения межпозвоночного диска.
Центральные грыжи
Это вид грыжи, классифицируемый по ее локализации в суставе между телами позвонков.
Обычно это – бессимптомная патология, которая является находкой на рентгенограмме. Хорошо поддается лечению на специальных тренажерах.
Борьба с ней важна по той причине, чтобы подобный дефект не превратился в межпозвоночную грыжу.

Фото: центральная грыжа Шморля
Интракорпоральные грыжи
Сам термин обозначает, что узел Шморля находится внутри тела позвонка.
Такие грыжи образуются вследствие внедрения в губчатую костную ткань выше- или нижележащего позвонка студенистого ядра (так называется желеобразный центр межпозвоночного диска).
Из-за этого замыкательная пластина разрушается, а вокруг грыжи костная ткань уплотняется и изменяет свою структуру, формируя участок остеосклероза.
Глубокие грыжи
Если хрящевая ткань глубоко, то есть до середины позвонка или более, проникла в тело (это уже «дело рук» межпозвоночного диска), развиваются глубокие хрящевые узлы.
Развивается такое состояние в основном у тех, кто страдает остеопорозом.
Патология склонна к прогрессированию и развитию таких осложнений как:
- провал диска;
- компрессионный перелом позвонка.

Фото: компрессионый перелом позвонка
Если вы увидели в описании своего рентгеновского снимка именно слово «глубокие грыжи Шморля», вам показано проводить срочное лечение, а до того – никаких физических нагрузок и спортивных тренировок.
Передняя грыжа
Развивается, как видно из названия, в передних отделах тела позвонка, который может находиться как выше, так и ниже.
Такие грыжи приводят к развитию симптомов, в частности боли в спине, которая может беспокоить только при физических нагрузках или наблюдаться постоянно.
При этой патологии отмечается нарушения движения туловища.

Чаще всего такие грыжи образуются между 2 и 3 поясничными позвонками, но могут развиваться и в других отделах, в частности, в шейном.
В последнем случае выпрямляется местный лордоз, шея начинает постоянно болеть.
В половине случаев кроме передних грыж шейного отдела компенсаторно развиваются задние грыжи в том же отделе.
Хрящевая грыжа
Этот термин обозначает, что выпячивание в тело позвонка образовано хрящевой тканью. То есть словосочетание «хрящевая грыжа» и «грыжа Шморля» – просто синонимы.
Задняя грыжа
Этот термин говорит о том, что грыжа расположена в задних отделах позвонка, в некоторых случаях они развиваются не за счет замыкательной пластинки, а вследствие внедрения в позвонок отслоенной, утолщенной и обызвествленной задней связки, которая проходит по задней поверхности тел позвонков.

Единичная грыжа
Одна грыжа Шморля развивается у 2/3 пациентов с такой рентгенологической находкой.
Обычно она не проявляется никакой симптоматикой, но если появляются такие же образования и в других отделах, нарушается подвижность столба, он искривляется.
Единичные грыжи находят обычно в пояснично-крестцовом отделе у пожилых людей, в грудном – у более молодых.

Грыжи замыкательных пластинок
Это продавливание или проваливание хрящевых пластинок, выстилающих поверхности тел позвонков, в губчатое вещество позвонка, лежащего выше или ниже.
Такие грыжи формируются обычно в подростковом возрасте, и обусловлены или стремительным ростом ребенка, или/и индивидуальными особенностями строения самой пластинки.
Грыжи каудальной пластинки
Грыжа Шморля нижней замыкательной пластинки – это внедрение гиалинового хряща, покрывающего нижележащий позвонок, в структуру его тела.
Под влиянием продолжающейся нагрузки и действия силы тяжести внутрь тела позвонка выдавливается также пульпозное ядро межпозвоночного диска.
Если меры по устранению давления не приняты, возникает следующая ситуация:
- губчатая кость позвонка атрофируется, гиалиновая пластинка является следующим за ней слоем, и одновременно «скорлупой» для находящегося внутри участка пульпозного ядра;
- иногда к такому образованию прорастают кровеносные сосуды, что приводит к фиброзированию грыжи и развитию блока двух соседних позвонков (они как бы срастаются между собой).

Увеличиваться такая грыжа Шморля будет до тех пор, пока в пульпозном ядре имеется достаточное количество жидкости, обеспечивающего его эластичность.
Постановка диагноза производится на основании:
- Жалоб человека на болевые ощущения в спине, которые стихают лежа, усиливаются при физической нагрузке.
- Анамнеза жизни: наличие травм позвоночника, резкий скачок роста в подростковом возрасте, занятие специфичными для этой патологии видами спорта.
- Осмотра позвоночника на предмет его искривления, локальной напряженности мышц, отека паравертебральных тканей.
- Инструментальных методов: рентгенографии, компьютерной и ядерно-магнитной томографии.
- Консультации смежных специалистов: ортопеда, вертебролога, невролога.

Основной метод диагностики патологии – рентгенография, которая в данном случае называется спондилографией. Ее картина изменяется в зависимости от возраста.
Компьютерная томография и МРТ применяются для уточнения диагноза.
Типичные признаки грыжи Шморля – узуративные дефекты.
Этим термином называют неровности запирательной пластинки или наличие специфических «карманов», которы
ruback.ru
Размеры позвоночной грыжи и показания к операции
- Инфо
- Публикации
- Размеры позвоночной грыжи и показания к операции
В зависимости от места поражения, различают грыжу межпозвонкового диска шейного, грудного и поясничного отдела позвоночника.
Лечение грыжи межпозвонкового диска может быть консервативным либо хирургическим, при выборе метода лечения врачи обычно обращают внимание на размер грыжи. Для определения размера грыжи диска используют различные виды обследования – рентгенографию, компьютерную и магнитно-резонансную томографию. Так как сама грыжа – это объемное образование, специалисты используют три размера, однако наиболее важным показателем является размер протрузии (выпячивания).
Для грыжи диска шейного отдела небольшой размер протрузии – это 1-2 мм, большой размер протрузии – 5-6 мм. Для грыжи диска грудного и поясничного отдела показатели следующие: небольшой размер протрузии – 1-5 мм, средний размер протрузии – 6-8 мм, большой размер протрузии – свыше 9 мм. По мнению большинства специалистов, при грыжах небольшого и среднего размера показано консервативное лечение, в то время как при наличии грыжи большого размера пациенту необходима хирургическая операция. Кроме этого, абсолютным показанием к хирургической операции являются серьезные неврологические расстройства (недержание мочи и кала), связанные с грыжей межпозвонкового диска.
Межпозвоночная грыжа – это одно из сложных и серьезных заболеваний позвоночного столба, при котором наблюдается смещение поврежденного межпозвоночного диска и выпячивание его за пределы своих границ.
Основная опасность грыжи заключается в вероятности сужения канала позвоночника, в результате которого происходит сильное и длительное сдавливание оболочки спинного мозга и отростков (нервных корешков). Этот процесс вызывает отек и воспаление окружающих тканей: сначала появляется ощущение дискомфорта и быстрое утомление, а затем больной начинает чувствовать боль в месте, где проходят нервные окончания и в области возникновения позвоночной грыжи.
В зависимости от стадии формирования и размера назначают консервативный и оперативный методы лечения. Для диагностики заболевания позвоночной грыжи чаще всего проводят магнитно-резонансное обследование пораженного диска. Этот метод достаточно безопасен и предоставляет наиболее полную информацию о точном размере протрузии или межпозвоночных грыж. Также могут для определения размера грыжи использовать компьютерную томографию и рентгенографию.
Различают следующие размеры:
· пролабирование – грыжа смещается от 2 до 3 мм;
· протрузия – смещение межпозвоночной грыжи на 5-15 мм;
· экструзия – полное выпадение межпозвоночного диска.
Размеры межпозвоночной грыжи или протрузии грудного и поясничного отделов позвоночника:
· 1-5 мм – маленькая протрузия;
· 6-8 мм – грыжа среднего размера;
· 9-12 мм – межпозвоночная грыжа большого размера;
· более 12 мм – секвестрированная грыжа или выпадение (большой пролапс).
По мнению специалистов, немедленное оперативное вмешательство требуется при размерах протрузии 9-12 мм и более, только в том случае если присутствуют симптомы сдавливания элементов «конского хвоста» и спинного мозга.
Размеры протрузии шейного отела позвоночника:
· 1-2 мм – маленький размер протрузии;
· 3-4 мм – среднего размера протрузия;
· 5-6 мм – большая межпозвоночная грыжа;
· 6-7 мм и более – протрузия очень большого размера.
Операция шейного отдела позвоночника показана людям, у которых размер протрузии 6-7 мм и более, в остальных же случаях достаточно амбулаторного лечения. Целью хирургического вмешательства является устранение сдавливания структур спинного мозга межпозвоночной грыжи большого размера, а также маленького при наличии стеноза позвоночника. Стоит отметить, что своевременное обращения за помощью к квалифицированным специалистам и правильно назначенное лечение поможет справиться с болезнью в 95 % случаев.
Читайте так же
Отзывы наших пациентов
Врачи клиники Бобыря: стаж работы от 10 лет
Торопцев Д.А. Кандидат медицинских наук, мануальный терапевт, рефлексотерапевт, невролог. Сорокин С.Д. Мануальный терапевт, рефлексотерапевт, дефанотерапевт, вертебролог. Животов А.А. Мануальный терапевт, дефанотерапевт, невролог, ортопед. Бабий А.С. Мануальный терапевт дефанотерапевт, детский хирург ортопед.www.spina.ru
Что такое грыжа Шморля позвоночника?
Болезненные ощущения в позвоночнике могут наблюдаться у людей разного возраста. Причиной некоторых из них может оказаться грыжа Шморля. Она представляет собой изменение межпозвонкового диска в виде прорыва его хрящевой ткани в тело позвонка. Этот тип грыжи не имеет резко выраженных симптомов и обнаруживается чаще всего случайно на рентгеновских снимках. Происхождение такой грыжи может быть связано с наследственной предрасположенностью.
Симптомы грыжи Шморля и её отличие от межпозвоночной грыжи
Грыжа Шморля является заболеванием имеющим практически бессимптомное течение. Периодически возникающие незначительные боли в области грудного или поясничного отдела позвоночника часто трактуются как результат чрезмерной физической нагрузки.
Главным отличием грыжи Шморля от межпозвоночной грыжи является принцип её происхождения. В процессе развития межпозвоночной грыжи пульпозное ядро, находящееся в центре межпозвонкового диска, постепенно смещается, что приводит к повреждению, а затем и к разрыву фиброзного кольца. При появления же грыжи Шморля прочная хрящевая ткань диска вдавливается в тело позвонка, что не представляет опасности для здоровья и работоспособности человека и не причиняет особых физических неудобств, потому что не оказывает непосредственного воздействия на нервные окончания.
Способы обнаружения грыжи данного типа
Рентгеновский снимок позволяет абсолютно точно установить наличие грыжи Шморля. Иногда для диагностики этого заболевания используют компьютерную томографию и МРТ. Можно также попробовать обнаружить грыжу путём прощупывания позвоночника. Поскольку при грыже Шморля не образуются сосудистые изменения, воспаления и отёки, нет ярко выраженных мышечных спазмов, то при надавливании пальцами в области локализации грыжи будет ощущаться небольшая напряжённость мышц и лёгкая болезненность. Но чтобы таким способом установить присутствие указанной проблемы, нужно быть талантливым и опытным специалистом.
Существует ли лечение грыжи Шморля?
Как уже было сказано — заболевание не представляет серьёзной опасности для человека, соответственно в медицине не существует его специализированного лечения. Имеются лишь определённые процедуры, которые позволяют убрать сами симптомы, в частности болевые ощущения. Далее представлен перечень процедур, который поможет укрепить мышцы спины и избавиться от болевых ощущений:
- мануальная терапия
- специальный массаж
- иглоукалывание
- физиотерапевтические процедуры
- лечебная физкультура
- вытяжение позвоночника
- плавание
Помимо перечисленных методов допускается использование обезболивающих мазей и компрессов в болезненной области. При более сильных болях возможно употребление анальгетиков. Если заболевание возникло в результате травмы позвонка, следует принимать препараты, содержащие витамин D и кальций, для укрепления костной ткани. Случается, что патология может появиться и у детей в период активного роста. Чтобы этого не случилось, в качестве профилактических мер рекомендуется принимать рыбий жир. Люди ведущие активный образ жизни и профессионально занимающиеся спортом, при наличии грыжи данного типа должны ограничить свои физические нагрузки. Им также следует обратиться к неврологу для более подробного обследования и проведения профилактического лечения.
Возможные последствия
Грыжа Шморля имеет свойство увеличиваться в размерах, симптомом её увеличения иногда становится появление чувства сильной физической усталости. Со временем недуг также может привести к образованию межпозвоночной грыжи, но пока грыжа не достигла больших размеров, она сигнализирует лишь о неблагоприятной обстановке в позвоночнике, которую не стоит оставлять без внимания.
При тяжёлых физических нагрузках с упором на позвоночник, наличие такой грыжи может привести к возникновению компрессионного перелома тела позвонка. Присутствие грыжи Шморля создаёт опасность развития остеопороза. Это заболевание обычно возникает у людей старше 45 лет, с началом старения организма. Остеопороз может развиться у женщин в период климакса, а также во время беременности. Поэтому если своевременно установить верный диагноз и регулярно предпринимать необходимые профилактические меры, то можно сохранить свою работоспособность до глубокой старости и избежать возникновения тяжёлых последствий.
yourspine.ru