что это такое, виды, причины появления, лечение
Женская грудь является уязвимым местом для различных новообразований. Их причиной становится гормональный дисбаланс, которому подвергаются женщины репродуктивного возраста. Возникновению гормонального дисбаланса может поспособствовать беременность, период лактации, а также менструация.

Киста молочной железы причисляется к частым заболеваниям, диагностирование которых в основном происходит случайно, при медицинском осмотре. Можно самостоятельно выявить у себя ее наличие, в случае больших размеров.
Определение атипичной кисты
Киста – это изначально доброкачественное новообразование, имеющее особенность переходить в злокачественное. Представляет собой небольшую полость, наполненную жидкостью.

Атипичная киста молочной железы – что это такое? Прежде всего, это образование, отличающееся от других этимологией происхождения и существования. Главным отличием является склонность к раку.
Женская грудь подвержена появлению различных видов кистозных образований:
- солитарная;
- фиброзная;
- многокамерная;
- протоковая;
- жировая;
- атипичная.

Разновидности
Различные виды кисты отличаются следующим:
- Солитарная киста молочной железы представляет собой капсулу, заполненную жидкостью, которая может быть различного цвета.
- Фиброзная киста – являет собой пазуху, наполненную жидкостью, которая может выделяться из сосков.
- Многокамерная – множество небольших образований, которые в последующем могут слиться воедино.
- Протоковая – образование в предраковом состоянии. Достоверных данных о переходе в рак не выявлено.
- Жировая – доброкачественная опухоль, в виде полости, заполненной молоком. Появиться может во время беременности либо при кормлении грудью.

Атипичная киста молочной железы обладает особенностью разрастаться внутрь. Образуется как правило в протоках и склонна к воспалениям. Размеры варьируются от 2 мм до 5 см. Образование в виде одной опухоли является простой, а сложная киста молочной железы являет собой новообразование в виде нескольких, либо множества небольших кисточек.
Симптомы
Симптоматика обуславливается ее размерами. Небольшие по размеру образования, как правило, не сопровождаются никакими симптомами, и выявляются случайно, при осмотре врачом или проведении маммографии. Более крупные образования можно пальпировать самостоятельно. Нередки случаи их увеличения в период менструации.
Симптомы атипичной кисты нельзя назвать специфическими, так как они характерны для различного вида кист.
Часто встречающиеся симптомы:
- ощущение зуда различной степени;
- изменение кожных покровов;
- нарастание лимфатических узлов в подмышечных впадинах;
- искажение молочной железы;
- чувство дискомфорта в области груди;
- боль, усиливающаяся в период менструации;
- выделения из сосков;
- повышение температуры.

Причины развития
Способствующие образованию кисты в молочной железе причины до конца не изучены. Выделены наиболее вероятные. Чаще всего ее возникновение происходит под влиянием неправильного функционирования гормональной системы.
Гормональная система регулируется центральной нервной системой, и под влиянием угнетающих факторов она дает сбои. В момент сбоя яичники выделяют эстрогенов больше положенного, что запускает механизм разрастания ткани молочной железы или ее отек. Разрастания способствуют закупориванию грудных протоков, что ведет к образованию новообразований.
Возникшее новообразование в грудной железе причин образования имеет немного:- Неправильное функционирование эндокринной системы (отклонения в работе щитовидной железы).
- Обнаружение типичных кист на поздних стадиях, продолжительное нахождение которых в молочных железах может привести к видоизменению в атипичный вид.
- Наличие вируса папилломы человека в молочных железах.
- Возрождение кист после операций по удалению.
- Инфицированная киста.
- Воспалительные процессы в груди.

Диагностика и лечение
Диагностика кисты зависит от степени ее размеров. Опытному врачу достаточно метода пальпации чтобы определить имеющиеся кисты в молочной железе, если они уже достигли средних размеров. Также врач может определить какой формы образование (округлое, овальное, либо неправильной формы). Более мелкие новообразования можно обнаружить аппаратом ультразвукового исследования или при прохождении маммографии. Аппарат УЗИ дает возможность увидеть наличие разрастаний. С помощью УЗИ определить точно ли это атипичная киста невозможно.
Маммография позволит получить данные не только о формах и количестве образований, но также сможет указать некоторые признаки характерные для атипичной кисты:
- стенкиутолщены;
- содержимое дает отражение;
- нет боковых теней;
- не появляется акустического усиления.

Может потребоваться процедура МРТ.
Биопсия потребуется в том случае, если есть подозрения на раковое образование (например, наличие папиллом).
Окончательный диагноз дает прокол образования – анализ покажет наличие или отсутвие атипичных клеток в груди.
Лечение
Лечение атипичных кист зависит от размеров. Если в груди найдено много небольших образований проводится консервативное лечение, имеющее противовоспалительный, рассасывающий характер. Но зачастую она не поддается такому лечению.

Крупные кистозные образования молочной железы (от 15 мм и более) опорожняют при помощи пункции, затем в полость вводят специальные препараты, способствующие склеиванию стенок, что предостерегает от возможного рецидива. Так же по показаниям может потребоваться полное удаление образования с частью молочной железы.
Видео
На самые частые вопросы по поводу образований в молочной железе в нашем видео ответит доктор-маммолог.
Оценить: Загрузка… Поделись ссылкой:molzheleza.ru
Рак груди — предопухолевая патология молочной железы
Дольковая (лобулярная) неоплазия молочной железы
Наиболее сложным в патологической анатомии является вопрос дифференциальной диагностики гиперпластических процессов, которые возникают па фоне гормональной стимуляции, прежде всего гиперэстрогении, и начальных формДольковая неоплазия наиболее часто развивается у женщин впредменопаузальный период (в возрасте 45-47 лет) и составляет 1-3,8% всех эпителиальных патологических процессов молочной железы.
В 0,5-4% материала биопсий, взятых по поводу доброкачественных заболеваний молочной железы, выявляют дольковую неоплазию разной степени дифференцировки. В 85% случаев дольковая неоплазия возникает мультицентрично и в 30-67% — билатерально.
Для лобулярной неоплазии характерна пролиферация мелкого эпителия, расположенного в просвете долек, со слабым межклеточным соединением, с педжетоидной реакцией или без нес.
Происходит дольковая неоплазия из эпителия концевой (терминальной) протоково-дольковой единицы молочной железы. Выраженность атипии, степень пролиферации, количество атипических митозов зависят от степени дифференцировки неоплазии.
Выделяют два типа клеток дольковой неоплазии: тип А и тип В. Тип А состоит из мономорфных эпителиальных клеток, тип В — из крупных полиморфных клеток с выраженными признаками атипии. Хотя клетки крупные, они гораздо мельче эпителия протоков.
Может быть смешанный тип, представленный сочетанием в разной пропорции клеток типа А и В.
Термины «атипическая дольковая неоплазия» и «рак in situ» используют, чтобы подчеркнуть их важное прогностическое значение и для указания степени атипии клеток в очаге поражения. Однако известны публикации, свидетельствующие об отсутствии разницы клинического течения атипической дольковой неоплазии и рака in situ, а также разницы в прогнозе дальнейшего развития на их фоне инвазивного рака.
Согласно Классификации РМЖ ВОЗ (2003) рекомендуется пользоваться термином «дольковая неоплазия», подразделяя ее на три степени и термин «дольковый ракшей».
Деление на степени дифференцировки дольковой неоплазии происходит в зависимости от выраженности клеточного полиморфизма, наличия некрозов, признаков атипии и количества митозов.
Легкая степень дольковой неоплазии (первая степень неоплазии) характеризуется сохранением альвеолярной архитектоники, пролиферацией в одной или нескольких дольках мелких мономорфных эпителиальных клеток, слабо сцепленных между собой (клетки типа А). Как правило, клетки в очаге пролиферации имеют округлое, нечетко отграниченное ядро и скудную цитоплазму.
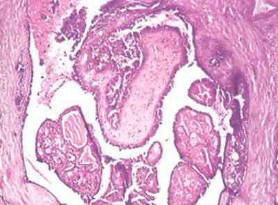
Некрозы, митозы и кальцинаты редки. Иногда отмечают очаги пролиферации и полиморфизма клеток, появляются скопления крупных клеток, но эти признаки представлены незначительно. В единичных дольках могут быть признаки апокриновой неоплазии (фото 3).

Фото 3. Легкая степень дольковой неоплазии. Общее строение дольки сохранено, однако количество долек значительно увеличено, отмечается выработка секрета, эпителий мелкий мономорфный. Гематоксилин-эозин, х 100
Умеренная дольковая неоплазия (вторая степень неоплазии) характеризуется нарастанием полиморфизма эпителия долек, появлением большего количества крупных клеток с неправильной формой ядра и обильной цитоплазмой, отмечают единичные митозы и отдельные перстневидные клетки.
Миоэпителиальные клетки чаще располагаются вдоль базальной мембраны, но могут вытесняться из обычного места расположения и примешиваться к эпителиальному пролиферату. Базальная мембрана сохранна на всем протяжении (фото 4, 5).

Фото 4. Умеренная степень дольковой неоплазии. Отмечается пролиферация и формирование многорядного эпителия, очаги секреции. Гематоксилин-эозин, х 200

Тяжелая дольковая неоплазия (третья степень неоплазии) представлена в основном полиморфными клетками, заполняющими почти полностью просвет долек, чаще, чем в предыдущей стадии, выявляют митозы, в том числе атипические митозы, очаги некроза (фото 6).

Фото 6. Тяжелая степень дольковой неоплазии. Дольки расширены, просвет полностью заполнен эпителиальными клетками. Гематоксилин-эозин, х 100
Данную дольковую неоплазию трудно дифференцировать от рака in situ. Основное отличие тяжелой дольковой неоплазии и рака in situ в том, что последний представлен малигнизированным эпителием, по клеточному составу не отличается от долькового рака и характеризуется сохранной базальной мембраной.
Для описания атипической дольковой неоплазии часто используют термин «дольковый рак in situ». Все эти процессы имеют один морфологический код в Международном классификаторе онкологических заболеваний — 8520/2.
Рак in situ часто ассоциирован с микроинвазивным раком в окружающих участках, поэтому его исследование требует особой ответственности и внимания при установлении диагноза. Необходимо изучить большое количество срезов и края резекции. В сложных случаях для исключения инвазивного рака необходимо исследовать базальную мембрану для выявления ее целостности и доказать отсутствие нарушения миоэпителиального слоя и базальной мембраны.
Важным условием диагностики дольковой неоплазии является отсутствие инвазии опухолевыми клетками базальной мембраны. Для исключения инвазии применяют антитела, выявляющие коллаген IV типа и гладко-мышечный актин.
Рецепторы эстрогена по данным большинства авторов и нашим наблюдениям выявляют в 60-90% случаев долькового рака in situ, а рецепторы прогестерона редко.
В низкодифференцированном дольковом раке in situ может быть определена экспрессия HER2/neu и белка р53, однако это нетипично для данной патологии.

Фото 7. Дольковый рак in situ. Атипичные клетки заполняют просвет долек. Гематоксилин-эозин, х 100

Фото 8. Дольковый рак in situ. Видны микроочаги некроза в опухолевом инфильтрате. Гематоксилин-эозин, х 100
Типичным для дольковой неоплазии тяжелой степени и рака in situ является отсутствие экспрессии цитокератина СК 5/7 и Е-саdherin.
Но цитокератин высокой молекулярной массы (HMW СК 34ВЕ12) присутствует в цитоплазме клеток долькового рака in situ. Это является важным дифференциальным признаком для диагностики протокового и долькового рака.
Черездовольно длительный промежуток времен и у некоторых женщин на фоне рака in situ возникают инвазивные формы рака, но следует отметить, что дольковый рак in situ не обязательно является предраком инфильтративных форм.
Внутрипротоковые пролиферативные поражения
К ним относят простую протоковую гиперплазию, гиперплазию со слабо выраженной пролиферацией эпителия, атипическую протоковую гиперплазию и протоковый рак in situ (трех степеней дифференцировки).Существуют два классификационных подхода к оценке эпителиальных пролиферативных поражений протоков. Касательно молочной железы одновременно используют две классификационные схемы.
Таблица 1. Классификационные схемы оценки эпителиальных пролиферативных поражений протоков
| Традиционная терминология (классификация ВОЗ) | Терминология DIN |
| Простая протоковая гиперплазия | Простая протоковая гиперплазия |
| Слабо выраженная протоковая атипия | Протоковая интраэпителиальная неоплазия Gradel А |
| Атипическая протоковая гиперплазия | Протоковая интраэпителиальная неоплазия Gradel В |
| Протоковый ракin situ Gradel | Протоковая интраэпителиальная неоплазия GradeI C |
| Протоковый ракin situ Grade 2 | Протоковая интраэпителиальная неоплазия Grade 2 |
| Протоковый ракin situ Grade 3 | Протоковая интраэпителиальная неоплазия Grade 3 |
Левый столбик отражает взгляды большинства экспертов ВОЗ, терминологию, представленную справа, используют преимущественно в Северной Америке.
Нам кажется, что классификация ВОЗ более отражает сущность опухолевой трансформации, кроме того эта схема более воспроизводима и более наглядна для восприятия в реальных практических условиях.
Традиционно внутрипротоковую пролиферацию разделяют на простую протоковую гиперплазию, атипическую протоковую гиперплазию и рак in situ. Однако сложилось так, что группа рак in situ оказалась гетерогенной, в нее вошли процессы, имеющие различное клиническое проявление, различную гистологическую структуру, различные биологические маркеры и генетические аномалии.
Популяционный маммологический скрининг требует выделения патологических состояний, имеющих чрезвычайно высокий риск развития инвазивного рака молочной железы.
Результаты дальнейших клинических исследований показали, что различные внутрипротоковые пролиферации с различной частотой переходят в рак in situ и инвазивиый рак. Так, риск развития инвазивного рака молочной железы из простой протоковой гиперплазия составляет 1,5%, из атипической протоковой гиперплазии 4-5% и рака in situ 8-10%.
Термин «интраэпителиальная неоплазия» широко используют для описания патологии не только молочной железы, но и предстательной железы, шейки матки.
При этом независимо от органа поражения очень трудно провести грань между атипической гиперплазией и раком in situ. Для этого используют особенности морфологического строения, подсчет количества митозов, наличие некрозов, но в основном признаки цитологической и тканевой атипии.
Простая (обычная) протоковая гиперплазия часто возникает на фоне мастопатии и выглядит как пролиферация эпителия с признаками некоторого полиморфизма внутри протоков. Протоки располагаются неравномерно, их размеры разные.

Фото 9. Простая протоковая гиперплазия. Некоторые протоки расширены в виде кист, в отдельных протоках видны признаки апокриновой секреции, однако общее строение протоков сохранено. Гематоксилин-эозин, х 100
Характерно изменение нормальной структуры протоков, формирование расширенных, неправильной формы протоков вокруг долек нормального строения. Протоки ветвятся в виде ручейков от центра участка гиперплазии к периферии. Клеточные пролифераты могут формировать солидные участки, криброзные структуры, мостики.
Клеточный состав пролифератов полиморфный. Причем необходимо отметить, что полиморфизм клеток неопухолевый. Эпителий протоков, несмотря на различный размер ядер и разную выраженность цитоплазмы, имеет зрелый вид. Полиморфизм клеток формируется за счет наличия эпителия, находящегося в функционально различном состоянии.
В одном протоке могут отмечать клетки с выраженными признаками секрепии (часто эти клетки находятся в центре протока), а также с признаками пролиферации (чаще возле базальной мембраны). Эпителиальные клетки могут формировать 2-4 слоя. Следует отметить, что общее строение протоков сохранено, имеется четкая базальная мембрана, слой миоэпителиальных клеток.
Возможны очаги апокриновой метаплазии. Наличие такого разнообразия типов клеток является характерным для этого вида гиперплазии. Не исключается наличие микрокальцинатов и некрозов.
В случаях отсутствия истинной атипии клеток эти признаки не должны склонить патолога в сторону диагноза «атипическая гиперплазия» или «рак in situ». Следует отметить, что некрозы и микрокальцинаты часто имитируют рак in situ. Решающее значение в установлении диагноза имеют цитологические признаки истинной атипии (фото 10).

Фото 10. Простая протоковая гиперплазия. Участок апокриновой метаплазии. Гематоксилин-эозин, х 100
Критерии простой протоковой гиперплазии
Цитологические
Вариабельность форм ядер с гиперхромными округлыми и овальными ядрышками, ассиметричными нуклеолами.Гистологические
Эпителиальные клетки имеют тенденцию к беспорядочному расположению в протоках, отмечается вариабельность расстояния между ядрами, ориентация клеток нарушена, их цитоплазма нечетко очерчена, часто выявляют секрецию.Интерцеллюлярные расстояния отличаются но размеру и форме, часто отмечают щелеподобные структуры.
Иммуногистохимическое исследование подтверждает мозаичность различных паттернов клеток. Часть клеток экспрессирует цитокератин высокой молекулярной массы (СК HMW), таких как СК 5/10/14. Отмечается высокая экспрессия E-cadherin.
Количество клеток, имеющих рецептор эстрогена, выше, чем в нормальной ткани молочной железы. Cyclin DI выявлен в 11-19% случаев простой протоковой гиперплазии.
Риск развития инвазивного рака из простой протоковой гиперплазии составляет 2,6% за период наблюдения около 14 лет. Следует отметить, что такой процент инвазивного рака на фоне атипической протоковой гиперплазии формируется за 8,3 года.
В другом исследовании указывается, что в 4% случаев простая протоковая гиперплазия транформировалась в инвазивиый РМЖ за 15 лет наблюдения. Однако риск развития рака на фоне этой гиперплазии значительно ниже, чем при других вариантах гиперплазии.
Обычная протоковая гиперплазия является одним из морфологических проявлений гормональных изменений в организме женщины.
Морфофункциональные изменения, возникающие в различные периоды менструального цикла и беременности, могут симулировать обычную протоковую гиперплазию, поэтому патологоанатом должен иметь информацию о состоянии женщины, ее возрасте, наличии эндокринных и гинекологических заболеваний.
Обязательно следует выдерживать сроки взятия биопсии или проведения операции в соответствии с менструальным циклом.
Протоковая неоплазия со слабо выраженной атипией
В данном варианте протоковой неоплазии по сравнению с предыдущим более выражена пролиферация эпителия, клетки формируют в протоке от 1 до 3-5 рядов, более существенно проявление атипии клеток.
Фото 11. Протоковая неоплазия со слабо выраженной атипией. Гематоксилин-эозин, х 100
Папиллярные, криброзные, солидные пролифераты отсутствуют. Часто отмечают секрецию эпителия (цитоплазма клеток становится обильной светлой пенистой, ядро расположено ассиметрично, ближе к базальному краю) и секрет в просвете протоков (фото 12-14).

Фото 12. Протоковая неоплазия со слабо выраженной атипией. Гематоксилин-эозин, х 200

Фото 13. Протоковая неоплазия со слабо выраженной атипией. Эпителий протоков формируют микропапиллярные структуры и сосочки. Гематоксилин-эозин, х 200

Фото 14. Атипическая протоковая гиперплазия. Эпителий протоков полиморфный с гиперхромными ядрами. Гематоксилин-эозин, х 200
Возможны микрокальцинаты. Морфологическая картина при этой патологии соответствует протоковой интраэпителиальной неоплазии Gradel А.
Риск развития инвазивного рака на фоне простой протоковой атипии выше, чем на фоне простой протоковой гиперплазии.
Атипическая протоковая гиперплазия
Это заболевание характеризуется более выраженной пролиферацией эпителия, усилением признаков клеточного полиморфизма и появлением атипии разной степени выраженности. Заболевание характеризуется умеренным риском развития инвазивного рака молочной железы.В протоках отмечают равномерное распределение мономорфных клеток с округлым ядром. Эпителиальные клетки формируют папиллярные структуры, солидные группы, пучки, аркады, криброзные структуры внутри протоков. Морфологическая картина соответствует протоковой интраэпителиальной неоплазии Gradel В, местами протоки похожи на рак in situ G1.
Для атипической протоковой гиперплазии обязательны участки простой протоковой гиперплазии. Для исключения рака in situ общим требованием является взятие на исследование ткани через каждый 1 мм и исследование серийных срезов гистологического блока.
Микрокальцинаты могут отсутствовать, быть представленными фокально или на большом протяжении. Это не является ведущим фактором для установления диагноза (фото 15-19).

Фото 15. Атипическая протоковая гиперплазия. Некроз и кальцинаты в протоках. Гематоксилин-эозин, х 200

Фото 16. Атипическая протоковая гиперплазия. Эпителий протоков полиморфный с гиперхромными ядрами, формирует криброзные структуры, слева отмечается очаг некроза, во многих протоках явления секреции. Гематоксилин-эозин, х 200

Фото 17. Атипическая протоковая гиперплазия. Атипичный эпителий в протоках формирует солидные пласты, однако нет инвазии стромы. Гематоксилин-эозин, х 200

Фото 18. Тот же участок. Видны атипичные клетки с гиперхромными ядрами, нет инвазии стромы. Гематоксилин-эозин, х 400

Фото 19. Экспрессия гладкомышечного актина (клон HHF35, производство DAKO). Иммуногистохимичеокое окрашивание, система визуализации Envision, хромоген DAB. Миоэпителиальные клетки в виде непрерывной линии вдоль базальной мембраны, х 200
Рецепторы эстрогена и прогестерона выявляют в большом количестве клеток, белок ERBB2 экспрессируется крайне редко, экспрессия этого белка более характерна для рака in situ. Белок р53 не выявляют как в атипической протоковой гиперплазии, так и раке in situ.
Однако экспрессия Cyclin D1 выявлена в 27-57% случаев атипической протоковой гиперплазии. Около 90% случаев атипической протоковой гиперплазии не имеют экспрессии цитокератина высокого молекулярного веса (СК HMW), таких как СК 5/10/14, поэтому их можно использовать для дифференциальной диагностики с простой протоковой гиперплазией.
Атипическая протоковая гиперплазия имеет довольно высокий риск развития инвазивного рака молочной железы. По данным различных авторов инвазивиый рак развивается в 3,7-22% случаев атипической протоковой гиперплазии.
Важнейшим отличительным признаком любой формы протоковой интраэпителиальной неоплазии является наличие непрерывной базальной мембраны и слоя миоэпителиальных клеток. В зависимости от степени протоковой интраэпителиальной неоплазии количество эпителиальных клеток отличается.
Наиболее важная и сложная задача патологоанатома — не пропустить инвазию опухолевыми клетками базальной мембраны. Эта задача может быть выполнена только в результате кропотливого исследования большого количества срезов, отбора наиболее подозрительных на малигнизацию участков и проведения дополнительных методов окраски базальной мембраны и миоэпителиальных клеток.
Неоценимую помощь в этом оказывает иммуногистохимический метод исследования. Для маркировки миоэпителиальных клеток мы часто применяем антитела к гладкомышечному актину, которые дают четкое окрашивание, и реакция легко воспроизводима (фото 19).
Внутрипротоковая папиллома
Эти образования возможны в любом месте в пределах системы протоков от соска до терминальной дольково-протоковой единицы. Бывают доброкачественные варианты (внутрипротоковая папиллома), атипические (атипическая папиллома) и злокачественные (внутрипротоковый папиллярный рак).Среди внутрипротоковых папиллом в зависимости от локализации выделяют центральные и периферические варианты. Центральная внутрипротоковая папиллома — это одиночное образование, располагающееся, как правило, в субареолярной зоне, часто в кистозно-расширенном протоке.
Периферические внутрипротоковые папилломы чаще множественные. Большинство исследователей считают, что одиночные внутрипротоковые папилломы не имеют тенденции к малигнизации. Множественные папилломы, особенно в периферических отделах дольково-протоковой системы, склонны к озлокачествлению.
Большие затруднения возникают при диагностике центральных внутрипротоковых папиллом, так как они могут клинически сопровождаться кровянистыми выделениями из соска.
Диагностика папиллом включает обязательно маммографию, ультразвуковое исследование (УЗИ), а также цитологическое исследование выделений из соска.
Внутрипротоковая папиллома — округлое образование с четкой границей размером 3-4 см, но возможны процессы, занимающие несколько сантиметров в диаметре. Внутрипротоковая папиллома представлена сосочковыми разрастаниями, состоящими из фиброваскулярной ножки, покрытой эпителием и миоэпителием (фото 20). Часто отмечают апокринизацию эпителия.

Фото 20. Внутрипротоковая папиллома. Гематоксилин-эозин, х 200
Термин «папилломатоз» молочной железы эксперты ВОЗ рекомендуют избегать и использовать термин «множественные внутрипротоковые папилломы».
Все внутрипротоковые папилломы имеют общий морфологический код в Международном классификаторе онкологических заболеваний — 8503/0.
Центральная внутрипротоковая папиллома
Составляет 10% всех доброкачественных поражений молочной железы. Чаще выявляют у женщин среднего возраста (40-50 лет). Пальпаторные поражения — это округлые образования с четко ограниченными контурами, имеется связь с расширенным крупным протоком. Пункционная биопсия позволяет получить серозное содержимое. Размер, как правило, большой, от 3-4 мм до нескольких сантиметров.
Фото 21. Внутрипротоковая папиллома. Видны отдельные сосочки с фиброзной стромой и однорядной эпителиальной выстилкой. Гематоксилин-эозин, х 200
Гистологическое строение центральной и периферической внутрипротоковой папилломы одинаковое. Однако, учитывая большие размеры центральной папилломы, в ней можно отметить участки двух видов: протоковый и папиллярный.
Папиллярные образования представлены фиброваскулярной ножкой, покрытой двумя слоями эпителия. Протоковый компонент имеет строение описанных выше протоковых гиперплазии. Опухоли, в которых преобладает протоковый компонент и склероз стромы, обычно называют «склерозирующая папиллома».
В центральных внутрипротоковых папилломах могут быть представлены участки пролиферации миоэпителия, апокринизация эпителия, плоскоклеточная, хрящевая и костная метаплазия, внутрипротоковая пролиферация эпителия, воспалительная инфильтрация. Отсутствие клеточной атипии, инвазии стромы позволит диагностировать центральную внутри протоковую папиллому.
Особенно кропотливой работы требуют папилломы с участками, имитирующими микроинвазию. Большую помощь в таких случаях оказывает иммуногистохимическое исследование компонентов базальной мембраны и миоэпителия, Чаше для этих целей применяют антитела, выявляющие коллаген IV типа и гладкомышечный актин.
Периферическая внутрипротоковая папиллома
В отличие от центральной внутрипротоковой папилломы, эта опухоль развивается у женщин более молодого возраста. Клиническое течение чаще протекает скрыто.Большие размеры папиллом могут пальпироваться. Маммография выявляет чаше множественные узловые образования с четкими контурами, возможны микрокальцинаты.

Фото 22. Периферическая внутрипротоковая папиллома. Гематоксилин-эозин, х 200
Характерный мультицентричный рост периферической внутрипротоковой папилломы может быть на фоне внутрипротоковой гиперплазии, карциномы in situ или инвазивного рака.
Термин «микропапиллома» применяют к малым формам периферической внутрипротоковой папилломы. Часто микропапилломы выявляют в больших фокусах аденоза молочной железы.
Атипическая внутрипротоковая папиллома
Эта форма внутрипротоковой папилломы выделена из-за ее важного прогностического значения, поскольку именно на фоне атипической внутрипротоковой папилломы чаще возникают инвазивные карциномы.В отличие от описанных выше папиллом, атипическая внутрипротоковая папиллома характеризуется ядерной атипией, часто многорядностью эпителия, наличием солидных участков с некрозами, могут быть небольшие участки высокодифференцированной карциномы in situ.

Фото 23. Атипическая внутрипротоковая папиллома. Сосочки имеют грубоволокнистую соединительнотканную основу, миоэпителиальный компонент и один или несколько слоев эпителиальных клеток с гиперхромными ядрами. Гематоксилин-эозин, х 200
Если участки рака в папилломе значительные (до 90% площади), то к этой опухоли применим термин «внутрипротоковый папиллярный рак». Характерной особенностью этого рака является отсутствие инвазии опухолевых клеток через базальную мембрану в окружающую строму.
Кроме исследования большого количества срезов опухоли, исключить очаги инвазии помогает имуногистохимическое исследование с антителами к коллагену IV типа и гладкомышечному актину, а также отсутствие лимфогистиоцитарной инфильтрации в строме вокруг папилломы.
Внутрипротоковый папиллярный рак лишен (почти на всем протяжении) миоэпителиального клеточного слоя и характеризуется пролиферацией атипичного эпителия (фото 24). Часто бывает мультицентричный рост.

Фото 24. Внутрипротоковый папиллярный рак. Часть сосочков не имеет соединительной ткани в своей основе и состоит из атипичных эпителиальных клеток. Гематоксилин-эозин, х 400
Эта опухоль имеет свой морфологический код в Международном классификаторе онкологических заболеваний — 8503/2.
Захарцева, М.В. Дятел, А.В. Григорук
medbe.ru
Атипичная гиперплазия и риск рака молочной железы
По данным исследовательской группы, во главе с Dr.Lynn Hartman, онкологом из Клиники Майо, в США ежегодно проводится более 1 млн биопсий с доброкачественными результатами (не обнаруживших рак), и среди них примерно в 10% случаев обнаруживается атипичная гиперплазия.Что вызывает атипичную гиперплазию (известную также как атипия) пока неясно, но известно, что это состояние возникает, когда клетки молочной железы приобретают аномальный размер, форму, число, внешний вид и характер роста.
Хотя это состояние само по себе не является разновидностью рака молочной железы, оно обладает многими сходствами с раком на его ранних этапах развития. Последние исследования показали, что у женщин с атипичной гиперплазией риск рака молочной железы повышен в 4-5 раз, по сравнению с женщинами, имеющими нормальные клетки молочной железы.Однако, доктор Хартман и ее команда заметили, что несколько исследований, посвященных изучению абсолютного риска рака молочной железы у женщин с атипичной гиперплазией, были ограничены довольно узким интервалом времени.
Чтобы исправить эту ошибку, они провели новое исследование, и проанализировали 698 женщин, у которых была диагностирована атипичная гиперплазия клеток молочной железы путем проведения биопсии груди в клинике Майо, в период между 1967 и 2001гг.
Ученые оценили медицинскую документацию этих женщин и мониторинг их атипии. Кроме того, все женщины проходили анкетирование, в котором выявлялись факторы риска развития у них рака молочной железы.Среднее время наблюдения в исследовании составило 12,5 лет, за это время у 143 женщин развился рак молочной железы.
Анализируя эти данный, ученые заметили, что абсолютный риск развития рака молочной железы с момента биопсии увеличивался более чем на 1% в год; после 5 лет наблюдения он составил 7%, после 10 лет — 13%, после 25 лет наблюдения — 30%.Исследователи отмечают, что подобные результаты были получены также и в другом исследовании на другой группе женщин, проведенном учеными из Университета Вандербильта в Нэшвилле.
Кроме того, когда команда сравнила прикладную информацию, полученную из образцов тканей пациентов, с показателями их абсолютного риска, они заметили закономерности, позволявшие еще более точно рассчитывать этот риск.
Они обнаружили, что риск развития рака молочной железы у женщины связан со степенью атипии в биопсии пациента (которая определяется по количеству отдельных кластеров аномальных клеток молочной железы).
Среди тех женщин, у которых встречалось три или более кластеров аномальных клеток в образце биопсии груди, рак молочной железы за 25 лет наблюдения развивался у 47%; а среди женщин, у которых был лишь один кластер аномальных клеток — рак развился у 24%.
По мнению ученых, эти данные показывают, что женщины с атипичной гиперплазией тканей молочной железы, имеют высокий пожизненный риск рака молочной железы, и должны проходить регулярный скрининг на это заболевание.Ученые также рекомендуют врачам назначать таким женщинам анти-эстрогенные препараты, такие как тамоксифен, поскольку доказано, что они снижают риск рака молочной железы у женщин с атипичной гиперплазией, минимум, на 50%.
Доктор Хартман добавляет:
«Своевременно выявляя такие серьезные факторы риска рака молочной железы у женщин, мы можем не только прогнозировать индивидуальный риск рака, но и предлагать им лечение, максимально соответствующее персональной степени риска.
Мы должны сделать для этой группы женщин все возможное, чтобы снизить их риск рака. Например, регулярное проведение МРТ (магнитно-резонансной томографии) в дополнение к маммографии, а также введение анти-эстрогенной терапии. Эти меры спасут жизни очень многим женщинам с атипичной гиперплазией».
medspecial.ru
что это такое, лечение, симптомы и диагностика
Женская грудь крайне чувствительна к воздействию различных враждебных факторов. Любые патологические перемены, происходящие в организме женщины, в первую очередь сказываются на этой части тела. В тканях бюста начинают происходить аномальные процессы, зачастую приводящие к образованию кистозных полостей, среди которых самой распространенной является атипичная киста молочной железы.
Особенно часто ее диагностируют у женщин 35-45 летнего возраста. Присутствие этого новообразования требует немедленной терапии и врачебного контроля, так как она имеет склонность перерастать в злокачественную опухоль.
Что представляет собой атипичная киста

Атипичная опухоль – это реакция женского организма на присутствие микробов, которые организм старается изолировать, создавая вокруг них специфическую оболочку (капсулу). Подобные опухоли относятся к доброкачественным новообразованиям. От других кист отличаются тем, что способны к внутреннему разрастанию в полости, ткани или протоках грудных желез. Кроме этого, они намного чаще обнаруживаются в левой груди, чем в правой железе.
К другим особенностям можно отнести:
- В кистозном мешочке накапливается жидкая субстанция.
- Капсулы отличаются овальной либо округлой формой.
- В 70% случаев развитие атипичной кисты протекает бессимптомно.
Главная опасность для женского здоровья состоит в том, что атипическая опухоль может сопровождаться сильным воспалением, нагноением в области своего расположения и в соседствующих с ней тканях. Помимо того может образовываться во множестве, и часто сопровождается сбоем гормонального баланса и нарушением детородных (половых) функций.
Симптоматика кистозного образования
Для этой кисты характерно бессимптомное протекание, то есть, длительное время никаких признаков, указывающих на ее присутствие, не наблюдается. Только уже на запущенной стадии начинает проявляться болезненность, а остальная клиника дает о себе знать, когда начинается гнойный процесс:
- Боль.
- Жжение.
- Неприятный дискомфорт в бюсте.
- Зуд.
- Головная боль.
- Повышенная температура.
- Увеличение подмышечных лимфатических узлов.
- Покраснение или посинение кожи грудных желез.
- Зрительное видоизменение формы больной груди (при наличии крупных кист).
В большинстве эпизодах женщины отмечают, что болезненность имеет свойство усиливаться в период менструации. При наличии всех этих аномальных признаков нужна срочная врачебная консультация.
Какие факторы провоцируют развитие атипичной опухоли?
Причины, способствующие формированию кисты, могут иметь как внешний, так внутренний характер. Самые часто встречаемые факторы:
- Гормональный сбой.
- Фиброзно-кистозная мастопатия.
Среди внешних причин:
- Стрессовые ситуации.
- Повышенная эмоциональность.
- Частое нервное напряжение.
- Ранее завершение менструального цикла.
- Длительные умственные нагрузки.
- Использование оральных контрацептивов.
- Прерывание беременности.
- Избыточный вес или его резкий сброс.
- Неправильное питание.
- Наличие образований, в которых присутствует кальций.
- Неоднократные роды.
- Присутствие папилломного вируса в организме.
- Частые выкидыши.
- Чрезмерное увлечение косметическими процедурами, при которых используется ультрафиолет и тепловой поток.
- Хирургическое вмешательство на груди.
- Механическое травмирование молочной железы.
Некорректная работа гормональной системы провоцирует разрастание и отечность тканей и эпителия протоков грудных желез. Вследствие этого может произойти закупорка протоков с дальнейшим формированием кистозных мешочков.
Разновидности кист
Подобные опухоли могут быть одиночными или множественными. В онкологии подобное явление называют поликистозом, когда в одном протоке возникает несколько полостей различного размера. При этом мелкие образования способны занимать практически большую часть груди.
Зачастую кистозная атипичность присутствует одиночно, и при своевременном обнаружении удается предупредить ее дальнейшую трансформацию в многокамерную.
Однако она еще разделяется на типы и по другим факторам, учитывая следующие параметры:
- Размер.
- Конфигурация.
- Одно- или многокамерность.
- Наличие воспаления.
- Типичность либо атипичность.
Вследствие этого, кистозные опухоли бывают нескольких видов:
- Атипичная.
- Фиброзная.
- Солитарная.
- Протоковая.
- Многокамерная.
- Жировая.
- Гнойная.
Атипичная
Имеет доброкачественную природу и формируется в протоках грудного органа, которые по каким-либо причинам расширились. Для атипических кист характерно развитие воспаления и повторное возникновение после лечения. Кроме этого, внутри них могут формироваться доброкачественные или злокачественные папилломы.
Основные причины их развития:
- Рецидив уже присутствующих капсул.
- Длительные кисты.
- Нарушение работы щитовидной железы.
- Дисфункция яичников.
- Воспалительный процесс в половых органах.
- Развитие воспаления внутри кистозной капсулы и вокруг нее.
- Возникновение папиллом и их разрастание.
Фиброзно-кистозная
Присутствие фиброзной кисты в женской груди способно привести к развитию онкологии молочных желез. Основное отличие фиброзной кисты – формируется в тканях, провоцируя их рост, что ведет к развитию полости, в которой начинает скапливаться секрет с последующим его вытеканием из сосков.
Появляется в следствие:
- Гормональных нарушений.
- Психоэмоциональной нагрузки.
Для нее характерна следующая клиника:
Женщинам из группы риска необходимо избегать длительно пребывания под солнечными лучами и крайне осторожно принимать тепловые процедуры – баня, солярий и пр. Дело в том, что тепло активизирует вырабатывание эстрогена.
Солитарная
Доброкачественное полосное образование в молочной железе, располагающееся слева или справа, жидкость которого может быть разного цвета. Основная особенность солитарной опухоли – достаточно крупный размер и округлая форма, что часто деформирует молочную железу, а ее присутствие определяется невооруженным глазом.
Отличается непроницаемой капсулой и всегда развивается исключительно в одной железе. По степени упругости кистозной шишки можно установить продолжительность ее присутствия. Не создает явной опасности для здоровья, но это не указывает на то, что она не требует соответствующего лечения.
Провоцирующие факторы:
- Наследственность.
- Сбой эндокринной системы.
- Аборты.
- Стресс.
- Ожирение.
На ее наличие указывает жжение, давящий дискомфорт и сильная тянущая боль в груди, отдающая в область шеи или лопатку вследствие передавливания кистозным разрастанием нервных окончаний. Болезненность может усиливаться во второй половине месячных, но часто исчезает после их окончания.
В группу риска попадают представительницы прекрасного пола старше 35 лет, в том числе и те женщины, у которых в анамнезе присутствуют:
- Травмы груди.
- Ранее половое созревание.
- Роды после 30 лет.
- Прерывание ГВ.
Протоковая
Обычно развивается у женщин после 45 лет. Считается, что присутствие протоковой кисты указывает на предраковое состояние организма, однако данная разновидность опухоли – крайне редкое патологическое явление. Предрасполагающими факторами к ее развитию являются:
- Гормональный сбой.
- Воспаление матки или яичников.
- Дисфункция яичников.
- Эндокринные нарушения.
- Сахарный диабет.
- Избыточный вес.
- Психоэмоциональные расстройства.
Протоковая атипичная киста формируется в протоках грудных желез, внутри которой возникают папилломные наросты. Характерный признак – выделение жидкости из сосков, которая имеет разный цвет:
- Прозрачная.
- Зеленая.
- Желтая.
- Бурая.
- Кровянистая.
Многокамерная
Представляет собой небольшие образования, которые через время объединяются в одно крупное гроздевидное уплотнение. Диагностирование многокамерной кисты возможно только при помощи УЗИ.
Ее развитие провоцируют:
- Курение.
- Алкоголь.
- Наркотики.
- Сбой обменных процессов.
- Неправильное питание.
- Стрессовые ситуации.
- Инфекционные болезни.
Может приобретать злокачественную природу.
Жировая и гнойная
Жировая атипичная киста молочной железы во время беременности или лактации — частое явление. Она развивается из-за закупоривания сальных желез и отличается доброкачественной этиологией. Стенки капсулы имеют гладкую структуру, а внутренняя полость заполнена только одним молоком.
Гнойная киста появляется вследствие перенесенных вирусных либо инфекционных заболеваний, либо в результате приема антибиотиков. Основными возбудителями являются:
- Синегнойная палочка.
- Золотистый стафилококк.
Начальную стадию гнойной кисты трудно отличить от другой патологии — нелактационного мастита.
Диагностические меры для обнаружения атипичной кисты
Диагностирование атипичной кисты начинается со сбора анамнеза и пальпации. Специалист оценивает состояние молочных желез и кожных покровов, уточняет, не увеличены ли лимфоузлы, имеются ли выделения из сосков.
Вследствие того, что кистозная опухоль имеет разный размер (от 2 мм до 8 см в диаметре), ее мелкие образования трудно диагностировать без дополнительных исследований, а вот ее более крупные экземпляры могут быть обнаружены женщиной самостоятельно.
Для уточнения диагноза назначаются:
- УЗИ.
- МРТ (в тяжелых случаях).
- Маммография.
- Пневмоцистография.
- Биопсия (при наличии папиллом).
Изучение атипичной кисты молочной железы на УЗИ позволяет рассмотреть ее внутренние стенки, а также узнать, присутствуют ли на них разрастания. Именно ультразвуковой метод подтверждает наличие кистозного образования атипичной формы.
При пневмоцистографии используют тонкую иглу, при помощи которой выкачивается жидкость, затем кисту наполняют воздухом и делают рентген, позволяющий рассмотреть внутренние стенки кистозной полости.
При маммографии устанавливается наличие особенностей, характерных для атипичной кисты:
- Утолщение ее стенок.
- Отсутствие боковых теней и акустического усиления.
- Тень, которая отбрасывается ее содержимым.
- Точное место расположения кистозной опухоли.
- Подробную информацию о ее размерах и численности (одиночная или множественная).
В виду того, что атипичное новообразование – предшественник рака, обязательно выполняется пункция, для уточнения присутствия раковых клеток.
Особенности лечения кисты
Терапия атипичной кисты зависит от результатов пункции. Если присутствие раковых клеток не подтвердилось, назначается пункционное опорожнение кистозной полости, то есть, выкачивание жидкости с дальнейшим склеротированием стенок самой капсулы.
Этот способ удаления считается одним из эффективных, позволяющий быстро убрать патологию, однако хороший результат может быть только при своевременном обращении к врачу. Если киста запущена и перешла в злокачественную форму, без оперативного вмешательства и химиотерапии не обойтись. Среди других современных методов лечения атипичной кисты, используется:
- Секторальная резекция.
- Аспирация.
- Лапароскопия.
- Медикаментозная терапия.
- Народные средства.
Хирургическое вмешательство

Секторальная резекция подразумевает удаление некоторой части грудной железы вместе с кистой, с дальнейшим исследованием на наличие раковых клеток. Эта операция оставляет после себя рубцы, что в будущем может привести к невозможности вскармливания грудью, так как при секторальном вмешательстве нарушается целостность молочных протоков. Женщинам, которые планируют забеременеть, данное лечебное вмешательство противопоказано.
Под аспирацией имеется в виду введение в кистозную полость тончайшего катетера, так называемого канюля, посредством которого и откачивается жидкость (ее отправляют на выявление кровянистых вкраплений). Их присутствие требует сдачу дополнительных анализов, для исключения злокачественной онкологии.
Лапараскопия является сложной операцией, во время которой выполняется два надреза для введения лапароскопа и хирургического инструмента. В ходе операции осуществляется вытягивание кистозной жидкости, а затем вводятся лекарства с рассасывающим эффектом.
Консервативная терапия
Для лечения атипичной кисты назначаются и медикаментозные средства:
- Гормональные (Тамоксифен, Бромкриптин, Утрожестан).
- Гомеопатические (Мастодинон).
- Фитопрепараты (Кламин, Индинол и Фитиолон).
- Диуретики (Фуросемид, Триампур).
- Средства для восстановления правильного обмена (Вобэнзим).
- Антибиотики (Цефелим, Цефтриаксон).
- Витамины (Мультифорт, Витрум).
Однако консервативная терапия эффективна только в тех случаях, если кистозное образование не больше 0,5 см. в размерах.
В отношении народных средств, то лечить кисту с их помощью необходимо только с согласия врача. Обычно они назначаются как сопутствующие средства для повышения и закрепления оперативного либо медикаментозного лечения. Хорошо себя зарекомендовали рецепты нетрадиционной медицины:
- Корень лопуха. Взять 100 г измельченного корня растения, смешать с медом (100 г), касторовым маслом (100 мл), лимонным соком (2 лимона). Полученную смесь выложить на х/б ткань и приложить к больному месту, лучше на ночь. Утром компресс убрать, а больной участок смазать мазью Апилак. Длительность курса – 2 недели.
- Чесночно-сливочное масло. Взять в одинаковых пропорциях чеснок и сливочное масло. Чеснок выдавить через пресс, соединить с маслом, перемешать. Полученную кашицу нанести на больное место, накрыть пленкой, одеть бюстгальтер. Компресс делать каждую ночь до тех пор, пока не почувствуется облегчение.
- Настойка из алоэ. Листья столетника перемолоть, потребуется 0,5 стакана. Взять по стакану красного вина и меда. Все компоненты смешать, настоять в течение 5-ти дней. Употреблять до завтрака по 1 ст.л.
Дальнейший прогноз
При своевременном лечении, прогноз в отношении здоровья пациентки вполне благоприятен, а вероятность рецидивных моментов снижается к нулю.Если оно было начато с опозданием, то присутствует риск перерождение доброкачественных клеток в злокачественные.
Женщина должна знать, что не стоит запускать болезнь на самотек, ведь только квалифицированная врачебная помощь поможет избежать неприятных последствий. В профилактических целях не стоит лениться и регулярно осматриваться у профильных специалистов, в том числе и у маммолога.
Заключение
Атипичная киста считается одной из опасных разновидностей кистозных опухолей из-за высокого процента перехода в злокачественную форму. Во избежание этого опасного процесса необходимо своевременно посещать кабинет маммолога и соблюдать все его рекомендации. Только внимательное отношение к своему здоровью поможет избежать серьезных последствий.
Загрузка…zdrav-grud.ru
что это такое, причины появления, лечение
Одним из самых распространенных женских заболеваний считается атипичная киста молочной железы. Само по себе новообразование представляет собой полость с жидкостью. Киста чаще всего является доброкачественным образованием, но за ней нужно внимательно следить, так как встречаются случаи, когда болезнь приобретает злокачественный характер.
Она может долгое время не проявлять себя, но через некоторое время женщина начнет чувствовать определенные неприятные симптомы. Часто боли усиливаются во время либо незадолго до начала критических дней. Чаще всего яркие симптомы возникают, когда содержимое кисты приводит к нагноению.
На появление кисты в женской груди могут повлиять различные факторы. Сама по себе полость образуется при временном расширении протоков железы. Здесь происходит накопление секрета, который после преобразуется в гнойную жидкость. Капсула может иметь различную форму, но очень многое зависит от того, к какому типу относится новообразование.
Существует несколько видов кисты, в том числе и атипичных форм. Они требуют особого внимания, так как они имеют свойство перерастать в злокачественные образования.
Киста молочной железы может быть единичной либо множественной. При поликистозе молочной железы происходит объединение мелких образований, которые могут занимать половину всей груди. Чаще всего клетки подобных полостей являются доброкачественными, но исключать вероятность появления онкологии нельзя.
Киста молочной железы может быть и сальной. Она возникает по причине закупорки сальных желез и не связана с секреторной жидкостью. Эта проблема решается быстро и особых хлопот и поводов для беспокойства не вызывает.
Атипичная киста молочной железы может образоваться по нескольким причинам. Чаще всего подобное явление происходит на фоне патологий работы щитовидной железы, мастита, дисфункции яичников и воспаления половых органов.
Симптомы кисты в молочных железах
Вне зависимости от того, о каком типе новообразования идет речь, оно будет проявляться практически всегда одинаковыми признаками. Если полость имеет небольшой размер, то она не является большой проблемой для пациентки и часто длительное время ничем не выдает своего присутствия. Однако после увеличения полости всегда начинаются серьезные проблемы.
Первым признаком наличия кисты в женском организме является тянущая боль в молочных железах, которая усиливается во время критических дней.
Если новообразование крупное, а особенно это касается некоторых видов атипичных образований, то на груди могут виднеться характерные бугорки. Их можно легко почувствовать пальцами. Полости огромных размеров могут даже деформировать грудь. Визуально одна грудь может быть больше другой, либо появляется характерное выпирание.
Иногда некоторые типы атипичной кисты приводят к посинению кожи, появлению жжения и к сильному покраснению кожного покрова.
Особенно явно проявляется новообразование в стадии воспаления. Тут не исключается появление лихорадки, сильной боли в груди и красноты кожи. Региональные лимфоузлы в данном случае увеличиваются. Все это говорит о том, что нужно срочно обратиться к врачу.
Почему появляется киста?
Атипичная либо обычная киста молочной железы может появиться у представительницы прекрасного пола в любом возрасте. Это не редкость для женщин, у которых часто случаются гормональные сбои. К примеру, чрезмерная выработка эстрогена может привести к появлению кисты в молочных железах. Но не нужно паниковать, если врач обнаружил подобную неприятность. В некоторых случаях эти доброкачественные опухоли даже не требуют специального лечения. За ними наблюдают, а когда воспаление все же произойдет, удаляют само новообразование.
Причины появления фиброзно-кистозной полости могут быть различными, однако главной является гормональный сбой. В свою очередь вызван он может быть различными факторами, в том числе и серьезной психоэмоциональной нагрузкой. Это говорит о том, что те женщины, которые часто подвергаются стрессам, живут в состоянии нервного напряжения и мало отдыхают, в значительно большей степени подвержены появлению кисты молочной железы.
Специалисты выделяют несколько важных факторов, которые могут повлиять на то, что в грудной железе появляются кистозные образования. Сюда нужно отнести чрезмерную интеллектуальную нагрузку, психоэмоциональное напряжение, частые стрессы и переживания, а также неумение расслабляться. Все это приводит к нарушению гормонального фона и становится причиной появления кисты, в том числе и атипичной.
Существенным ударом по эндокринной системе является аборт. Женщины, которые проходят через подобные процедуры, больше других подвержены проблемам с яичниками, а это провоцирует выработку эстрогенов.
Избыточный вес и неправильное питание всегда провоцируют развитие кисты. Жировая ткань способствует выработке эстрогена, а нарушенный обмен веществ, вызванный плохими продуктами, увеличивает секрецию внутренних органов, в том числе и молочных желез.
Если представительница прекрасного пола находится в группе риска, ей стоит избегать длительного времяпровождения на солнце и осторожно относиться к тепловым процедурам. Тепло провоцирует выработку эстрогена, поэтому воспалительные процессы в кисте чаще всего случаются в летний период.
Особенности атипичной кисты
Подобные новообразования имеют склонность к разрастанию. Как правило, киста переходит в разряд атипичной после того, как длительное время пробудет в теле пациентки. Причины разрастания полости могут заключаться в наличии воспалительного процесса, папиллом, возникающих из-за ВПЧ, и при рецидиве уже вылеченной болезни.

Фиброзная
Самой опасной атипичной кистой является фиброзная. Именно такой вид образования чаще всего переходит в разряд злокачественных, поэтому требует предельного внимания и быстрого лечения.
Фиброзная киста может быть непролиферативной и пролиферативной. Подобную проблему можно определить по наличию в груди уплотнений и характерным выделениям из сосков.
Некоторые женщины в большей степени подвержены риску появления фиброзного новообразования. Сюда стоит отнести представительниц прекрасного пола в климактерическом периоде и женщин с очень слабой иммунной системой.
Солитарная
В отличие от фиброзной, солитарная киста молочной железы не опасна, так как является доброкачественным атипичным образованием. Но это не говорит о том, что она не заслуживает внимания. Самолечением заниматься не стоит, а вот проконсультироваться с врачом по поводу кисты нужно обязательно.
Особенностью солитарной кисты является ее большой размер и округлая форма. Наличие подобной полости с жидкостью может деформировать грудь, и это будет заметно невооруженным глазом.
Чаще всего солитарная киста образуется по причине плохой наследственности, при нарушении работы эндокринной системы, вследствие абортов, ожирения и сильного стресса.
В группе риска находятся представительницы прекрасного пола, которым более 35 лет. Повышенного внимания заслуживают травмы молочных желез, раннее половое созревание, роды после 30 и отказ от кормления грудью.
Солитарную кисту можно определить по сильной боли в груди, которая в основном проявляется в первой половине менструального цикла. Помимо тянущей и ноющей боли может ощущаться жжение и давление в молочных железах. Чаще всего после критических дней боли исчезают.
Часто солитарные образования имеют достаточно большой размер, поэтому их можно легко нащупать пальцами.

Протоковая
Протоковая атипичная киста может появиться абсолютно в любом возрасте, но значительно чаще с подобной проблемой сталкиваются женщины после 45 лет.
Это очень опасное новообразование, которое является предвестником раковой опухоли. Если ее вовремя выявить, то можно предотвратить развитие многих неприятных сценариев.
По сути, протоковая киста молочной железы является папилломой, расположенной внутри органа. То есть, это небольшие наросты, которые могут стать большой проблемой для женщины. Сама по себе киста является доброкачественной опухолью, но она очень часто перерастает в онкологию, поэтому с ней необходимо бороться.
Появление кисты протокового типа может быть связано с гормональными нарушениями, дисфункцией яичников, воспалительными процессами в матке либо яичниках, с эндокринными недугами и сахарным диабетом. В группе риска находятся женщины с избыточным весом и психоэмоциональными расстройствами.
Явным признаком такой кисты будет появление выделений из сосков. Они могут быть зеленоватыми, желтыми либо кровянистыми. Определить протоковую полость методом пальпации можно не всегда.
Многокамерная
Еще одним видом атипичного образования является многокамерный вариант. Предполагает разрастание на несколько небольших полостей, которые после могут слиться в одну. Определить многокамерную кисту можно при помощи ультразвукового обследования.
В основном с подобной проблемой сталкиваются женщины, которые неправильно питаются, курят, злоупотребляют алкоголем, живут в постоянном стрессе и нервном перенапряжении. На развитие подобного недуга может повлиять гормональный сбой, прием лекарственных препаратов и инфекционное заболевание.
Лечение кисты в груди
Часто для избавления от атипичной кисты назначают медикаментозные препараты либо пункцию. Последний случай предусматривает выкачивание жидкости из полости и склеротирование ее стенок. Это хороший метод, который позволяет быстро решить проблему.
Но подобные варианты возможны только в том случае, если вовремя обратиться к врачу. Если киста перейдет в стадию злокачественной опухоли, без операции и химиотерапии уже будет не обойтись.
Видео
Из данного видео вы узнаете о причинах возникновения кисты в молочной железе, а также методы её лечения.
comments powered by HyperCommentsgrud.guru
Атипичная киста молочной железы: виды, симптомы и лечение
С каждым годом число заболеваний женской груди растет. Такой рост связан со многими причинами: экология, стрессы, невнимательное отношение к здоровью, плохое питание и другими. Зачастую женщины игнорируют первые симптомы заболевания, чем усугубляют ситуацию. Поэтому решающее значение в сохранении здоровья играет знание о болезни.
Атипичная киста молочной железы очень распространенное заболевание среди женщин всех возрастов. Представляет собой полостное образование с жидкостью внутри. Этой жидкостью может являться кровь или гной. Киста бывает множественной и одиночной. Прогноз при атипичной кисте практически всегда благоприятный. Имеется небольшая вероятность перерождения опухоли в раковое новообразование, но это происходит крайне редко и при достижении узлом больших размеров.

Особенности и виды атипичной кисты
Как и большинство заболеваний груди, киста не дает о себе знать долгое время. Вследствие чего происходит дальнейшее развитие заболевания. Выявить его поможет только врач. Поэтому так важно проходить профилактические осмотры и делать маммографию не реже 1-2 раз в год.
Кисты могут воспаляться и появляться повторно после их удаления, то есть рецидивировать. Вместе с атипичной кистой может появляться и папиллома — доброкачественная опухоль кожи.
Различают несколько видов атипичной кисты:
- Солитарная. Представляет собой капсулу с жидкостью разного цвета внутри. Капсула становится плотнее со временем при отсутствии лечения. Главный ее признак – сильные боли в железе.
- Протоковая. Болеют этим видом кисты женщины в возрасте. Капсула образуется в протоках молочных желез. Наблюдаются выделения из соска. К счастью встречается довольно редко.
- Многокамерная. Кисты маленького размера разбросаны по всей железе, которые затем объединяются в одну гроздь.
- Жировая. Болезнь беременных и кормящих матерей. Расположена в сальных железах и заполнена молоком.

Симптомы атипичной кисты грудной железы
Как мы выяснили, на ранних стадиях болезнь практически не проявляет себя. Если женщина внимательна к своему здоровью, то благодаря тщательному само обследованию, может заметить у себя некоторые признаки атипичной кисты груди:
- наличие мягких, подвижных узлов в молочных железах
- перед месячными узлы увеличиваются и становятся слишком чувствительными
- ранее замеченные узлы уменьшаются в размерах после менструации
- узлы стали болезненны и вызывают длительный дискомфорт в груди
- на месте уплотнения или вокруг него может быть изменен цвет кожи
- при запущенном случае может быть изменена форма молочной железы

Причины патологии
Главной причиной появления и развития атипичных новообразований являются гормоны, а точнее дисбаланс эстрогенов и прогестеронов. Также патология может образоваться из-за:
- мастита — частого явления у женщин
- неправильного использования контрацептивов
- нарушений работы репродуктивной системы
- беременности и родов
- сильных и умеренных травм груди
- некачественно проведенных операций на груди
- стрессов — стрессы провоцируют многие заболевания, и не только молочных желез
- нарушений в работе щитовидной железы (опять же из-за дисбаланса гормонов)
- неправильного питания
- большого веса
Причин возникновения атипичной кисты – много. В списке выше представлены наиболее вероятные. Стоит также отметить, если женщине больше 35 лет и на ее счету нет беременностей и родов. Это является еще одной и весьма важной причиной развития множества заболеваний груди и половой системы в целом.
Техника самоосмотра
Для своевременного выявления заболевания необходимо каждой женщине уметь осматривать и пальпировать свою грудь, хотя бы один раз в месяц. Делать это лучше всего в один и тот же день, на 6-12 день после менструации. Проведением этой процедуры может овладеть каждая женщина. И проведя у зеркала 5 минут, можно иметь здоровую грудь до самой старости.
Техника самостоятельного осмотра груди:
- Встать перед зеркалом, дать оценку внешнему виду: состояние сосков, цвет кожи, форма груди, симметрия.
- На груди не должно быть язв, трещин на соске, видимых линий, впадин и тому подобного.
- Внимательно рассмотрим соски: не должно быть никаких выделений (осмотрим одежду и нижнее белье), цвет ореолы не должен измениться.
- Высоко поднять руки. Посмотреть форму в приподнятом положении прямо и с боков. Форма не меняется, грудь должна слегка потянуться вслед за руками.
- Встать ровно, руки прижать к бедрам, напрягая мышцы груди и сжав молочные железы. При таком положении становятся видны уплотнения.
- Поднять одну руку вверх, а другой пропальпировать (прощупать) противоположную железу. Также поступить с другой железой.
- Оценить пальпацию: имеются ли узлы, впадины, болезненна ли эта процедура, если да, то в каких местах.
- Осмотреть и ощупать лимфоузлы: не вызывает ли боль пальпация подмышечных лимфоузлов.

Диагностика
Если результаты пальпации не устраивают или они оказались неинформативны, то необходимо обратиться к врачу. Маммолог проведет осмотр, ощупает железы на наличие уплотнений и оценить состояние лимфоузлов.
В любом случае врач назначит маммографию. В качестве дополнительного обследования назначается УЗИ и МРТ молочных желез.
Данные методы обследования весьма информативны и зачастую помогают выявить множество заболеваний груди. Они позволяют получить информацию об имеющейся опухоли, ее содержимом и размере. Узнать точное ее расположение и количество кист, в случае если она множественна.
В некоторых случаях назначают биопсию. Проводят ее под местным наркозом, поэтому женщина может ощущать лишь дискомфорт или ничего не чувствовать вовсе. Время проведения зависит от расположения и размера опухоли. Обычно при атипичной кисте молочной железы этот вид обследования проводят при не информативности других методов.

Методы лечения атипичной кисты
Применяется 3 метода лечения кисты:
- консервативный
- хирургическая операция
- народная медицина
Каким будет лечение, определяет именно врач. Хотя при данном заболевании хирургическое вмешательство производят крайне редко.
После осмотра и взятии необходимых анализов, врач проводит пункцию опухоли. Для этого берется тонкая, длинная игла и вводится в полость новообразования для выведения скопившейся жидкости. После этой процедуры на коже остается небольшой рубец. На дальнейшую функцию вскармливания пункция никак не влияет.
Оперативное лечение применяют в том случае, если опухоль достигла больших размеров. В этом случае ее удаляют, так как она может перерасти в онкологию (рак).
Зачастую прибегают именно к консервативной терапии. Суть её состоит в нормализации гормонального фона. Поэтому женщину могут отправить к эндокринологу, особенно при наличии видимых проблем (сахарный диабет, заболевание щитовидной железы).
Народную медицину применяют только при разрешении лечащего врача. Лечение народными средствами подразумевает использование натуральных продуктов. Лечебный эффект могут иметь настойки из лопуха и зверобоя, местно, для снятия боли могут быть применены компрессы из капусты. Также применяют лечебные чаи.

Профилактика атипической кисты женской груди
Любое заболевание легче предупредить, чем вылечить.
Для этого необходимо придерживаться нескольких правил:
- Выбирать правильное нижнее белье. Бюстгальтер не должен сдавливать и натирать грудь. Носить рекомендуется удобный и хорошо поддерживающий грудь.
- Некоторые женщины отмечают уменьшение ощущения дискомфорта в груди после отказа от крепких напитков (кофе и черного чая). Но данный метод не доказан и ничем кроме слов женщин не подкрепляется. Если имеется дискомфорт в груди, можно опробовать этот метод.
- Уменьшить количество соли в пище. Соль способствует задержки воды в организме, поэтому боль и дискомфорт могут усилиться. Следует не только меньше класть соль в пищу, но и отказаться от продуктов, содержащих много соли: колбасы, соленая и копченая рыба, консервы и другое.
- Применять обезболивающие препараты при сильных болях в груди.
- Вести здоровый образ жизни и высыпаться.
progrud.com
Атипичная киста молочной железы — симптомы и лечение. Признаки, причины возникновения кисты. Фото, видео.
Уплотнения в груди — это еще не патология, но они пугают женщин, особенно тех, у кого в роду были пострадавшие от рака молочной железы.
К счастью, не все образования в груди имеют злокачественную природу, в том числе и кисты — полости, наполненные жидкостью без признаков воспалительного процесса. Они формируются в расширениях млечных протоков, от чего те закупориваются накопленным секретом и после инкапсулируются.
От железистого эпителия их отделяет плотная капсула. Она состоит из нормальных соединительнотканных клеток, но бывают и случаи их перерождения. Тогда возможно и изменение природы кисты — из доброкачественной в раковую. Вероятность таких преобразований выше в случае с атипичной кистой, которая отличается от типичной тем, что клетки ее капсулы не гладкие, а разрастаются по направлению внутрь полости.
Характеристика и симптомы атипичных образований в груди
Атипичная киста молочной железы — распространенное состояние, особенно у нерожавших женщин после 35 лет. В 70% случаев женщины с подобными уплотнениями в груди не испытывают никакого дискомфорта. Болезненность отсутствует, даже когда кисты достигают в диаметре 1 см и легко прощупываются.
В предменструальный период кистозные полости вместе с молочными железами несколько увеличиваются в размерах. В это время женщина в состоянии самостоятельно методом пальпации выявить затверделые образования в груди. Треть женщин с подобной патологией в груди жалуется на неприятные симптомы:
- увеличенные лимфоузлы в области подмышечных впадин;
- покраснение кожи;
- повышение температуры тела до 38° C;
- жжение, боль, зуд в груди;
- характерные бугорки или даже выпирание молочной железы.
По мнению специалистов, именно атипичная форма кисты молочной железы может переродиться в злокачественную опухоль.
Причины патологии
Атипичные уплотнения в груди появляются как рецидив в ответ на удаление образований с типичными признаками. Они могут быть вызваны гормональным дисбалансом, что, в свою очередь, часто связано с чрезмерной интеллектуальной нагрузкой, психоэмоциональным перенапряжением, частыми переживаниями, стрессовыми ситуациями, неумением женщины расслабляться.
Ударом по эндокринной системе обычно становится аборт со всеми вытекающими последствиями. Кисту провоцирует вирус папилломы, проникший в млечные протоки. При длительном существовании в груди типичные кисты перерождаются в атипичные. И, наконец, пусковым механизмом такого перерождения становится воспалительный процесс в самой полости.
Обнаружение атипичной кисты
Маленькие уплотнения размером в 2—3 мм при пальпации практически не выявляются. Гигантские полостные образования вызывают деформацию близлежащих тканей и сопровождаются болезненностью. Они обычно обнаруживаются гинекологом при медицинском осмотре.
Для более детального обследования врач назначает маммографию — высокоинформативный метод, позволяющий обнаружить образования вне зависимости от глубины их локализации. На маммограмме проблемный участок виден в высоком разрешении и в разных проекциях.
Для прицельного и полного осмотра назначают УЗИ груди. Сканирование ультразвуком позволяет выявить мельчайшие кисты, рассмотреть их структуру, идентифицировать полостное образование. Ультразвуковое сканирование помогает оценить также состояние окружающих грудь лимфоузлов.
При необходимости врач может назначить пункционную биопсию. Метод позволяет выяснить, какой жидкостью наполнена полость. Для этого кисту прокалывают тонкой иглой и производят эвакуацию содержащейся в ней субстанции.
Параллельно проводится лабораторное исследование состояния эндокринной системы. Без улучшения гормонального фона киста может вернуться или же сформироваться в другом месте. Только после анализа всей полученной информации врачом ставится диагноз и подбирается соответствующая тактика лечения.
Лечение
Атипичная киста молочной железы требует лечения. Она редко рассасывается сама по себе, то есть вскрывается. Мелкие кисты устраняют методами консервативного лечения, подразумевающими коррекцию работы желез внутренней секреции и нормализацию гормонального фона.
Со средними и крупными кистами борются при помощи тонкоигольной пункции. Через прокол в железе удаляют ее содержимое. После в пустую полость вводят химическое соединение, способствующее плотному склеиванию ее стенок (склеротерапия).
Молочная железа — орган с повышенной чувствительностью к стрессам. Седативная терапия восстановит психоэмоциональное состояние женщины и избавит от патологических новообразований в груди.
В незначительной коррекции нуждается и рацион с минимумом жиров и максимумом клетчатки. Для повышения настроения и активизации метаболизма полезна физическая нагрузка и прогулки на свежем воздухе.
Хирургическое лечение кисты
При наличии патологических разрастаний или перерожденных клеток кисту удаляют, каких бы размеров она ни была. Хирургической резекции подлежат и множественные образования.
Во время операции вместе с кистой удаляется и окружающий ее сектор. В течение нескольких дней из раны по специальной трубочке стекает жидкость. Удаленные ткани еще во время операции отправляются на гистологическое исследование.
По получению его результатов принимается решение о дальнейшем ходе операции. Если сценарий негативный, то удалению подлежит молочная железа с прилежащими к ней лимфоузлами.
Лечение проводят и при помощи гомеопатических средств с оптимальным набором лечебных трав для улучшения у женщины состояния иммунной системы, психоэмоциональной сферы и метаболизма в целом. В дальнейшем пациентка находится под врачебным наблюдением и проходит регулярное обследование.
При любом уплотнении в груди нельзя просто сидеть дома и бояться. Надо без промедления обращаться к специалисту, который выяснит природу образования и назначит адекватное лечение, чтобы грудь была украшением женщины, а не источником проблем со здоровьем.
Статьи по теме:
comments powered by HyperCommentswww.kistynet.ru
Лечение кисты в груди