причины, симптомы, лечение и гимнастика (фото)
Дата публикации статьи:
Дата обновления статьи:
Автор статьи: Бургута Александра, врач акушер-гинеколог, высшее медицинское образование по специальности «Лечебное дело».
Содержание статьи:
Артроз плечевого сустава – заболевание, вызванное дистрофическими изменениями хрящевой и прилежащей костной ткани. Данная патология склонна к хроническому прогрессирующему течению, на поздних стадиях вызывает деформацию и стойкое нарушение функций руки. Заболевание распространено широко и повсеместно, однако не безнадежно. Лечить данную болезнь необходимо длительно, но при правильном его проведении можно рассчитывать на хороший результат.

Плечевой сустав – самый подвижный в человеческом организме
Распространенность и причины плечевого артроза
В основном артроз плечевого сустава поражает людей старших возрастных групп, чаще мужчин. Среди жителей развитых стран в 55-летнем возрасте болеют примерно 10% населения, а среди 65-летних – уже 70% . Деформация сустава развивается у 60 – 70 % больных.
Специалисты называют 3 основные причины возникновения болезни:
Избыточная, несоразмерная нагрузка на плечо в течение длительного времени. Например, она может быть у людей, занятых тяжелым ручным трудом (штукатуры, строители).
Врожденный или приобретенный дефект суставных структур (хрящи, связки и пр.). При этом обычная нагрузка на руки воспринимается организмом как чрезмерная, происходит быстрый износ хряща.
Нарушение обмена веществ, приводящее отложению кристаллов солей в суставной полости или нарушение питания хрящевой ткани.
Не последнюю роль играет наследственность, поскольку артроз плечевого сустава, как правило, носит семейный характер. Если болеют родители – вероятность развития патологии у детей (рано или поздно) значительно выше, чем в семьях здоровых людей.
Также причинами болезни могут быть:
- перенесенные травмы или постоянная небольшая травматизация на протяжении месяцев и лет (например, из-за постоянных больших спортивных нагрузок) – развивается так называемый посттравматический артроз плечевого сустава;
- острые и хронические воспаления суставов – артриты.
К артрозу плеча почти всегда присоединяется артроз субакромиального сустава (соединение плечевой кости и акромиального отростка лопатки).

Симптомы, развитие заболевания
Как развивается артроз плечевого сустава? Можно выделить 3 стадии процесса.
Болезнь 1 степени характеризуется ноющими болями в плечевой области, часто усиливающимися по ночам. Объем движений не ограничен, но их максимальная амплитуда, особенно отведение руки назад, вызывает боль. На этом этапе распознать болезнь помогает рентген: на снимке обнаруживается характерный “симптом кольца” – изображение суставной впадины имеет вид овального кольца. Начальный период заболевания может длиться несколько лет или месяцев.
Вторая степень уже имеет более яркие симптомы. Боль в области плеча и лопатки становится сильной и постоянной, при движениях рукой слышен характерный хруст. Объем движений ограничивается за счет болезненности и мышечного спазма, особенно затруднительно отведение руки назад. Существует медицинский тест, когда врач просит больного соединить руки за спиной в замок: здоровый человек делает это без труда, а для страдающего артрозом плеча это движение не только болезненно, но и часто невозможно из-за ограничения подвижности
Также на второй стадии артроза на рентгеновском снимке отмечаются симптомы: сужение суставной щели, появление остеофитов (костных наростов) и утолщение суставных поверхностей костей. Можно заметить и некоторую атрофию мышц в области плеча.
Симптомы 3 степени – это уже выраженная деформация и постоянная боль. Движения рукой очень сильно ограничены, возможно только небольшое качание вперед-назад. Подъем и отведение руки полностью невозможно, сустав значительно деформируется. На теле больного хорошо видны костные выступы, особенно в области соединения плеча и лопатки. Положение руки – вынужденное, то есть человек держит руку в наименее болезненном положении.
Артроз плечевого сустава 3 степени развивается не у всех: часто развитие патологии останавливается на одной из предыдущих стадий, и она длительно протекает без прогрессирования. Опасность перехода на последний этап существует больше у тех людей, кто продолжает чрезмерно нагружать пораженный сустав (например, при невозможности смены работы или нежелания уходить из профессионального спорта).

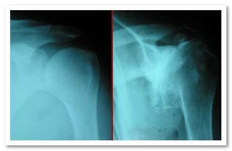
На фото – рентген-снимок. Слева – норма, справа – очень маленькая суставная щель в плече
Лечение
Лечить артроза плеча нужно долго. На начальных стадиях, пока функция сустава не нарушена – проводится курсовое консервативное лечение. В его задачи входят:
- обезболивание – важный момент в терапии, поскольку из-за боли человек старается ограничить движения в пораженном плече, а это еще больше усиливает патологический процесс;
- восстановление и защита хрящевой ткани;
- снятие воспаления – как фактора, осложняющего течение заболевания;
- восстановление объема движений в плече.
Врач подбирает различные медикаменты в зависимости от формы и стадии болезни. В том числе это нестероидные противовоспалительные средства, гормоны, которые вводятся непосредственно в суставную полость (чтобы они не оказывали действия на весь организм). Из обезболивающих препаратов применяют различные анальгетики (обезболивающие) внутрь, в виде инъекций, а так же наружно (кремы или мази). Для восстановления хряща назначают препараты с хондроитином.
Немаловажную роль играет диета. Необходимо ограничить потребление соленых и острых продуктов, употреблять больше пищи, содержащей натуральный коллаген – строительный материал для хрящевой ткани. Это, прежде всего, рыба семейства лососевых, свежая зелень, мясо птицы (особенно индейка), морепродукты (креветки, крабы, морской лук и морская капуста).
Как лечить артроз плечевого сустава в период ремиссии? Хороший эффект оказывает мануальная терапия, массаж, физиотерапия и гимнастика. Физкультуру можно выполнять в домашних условиях, для этого не требуется много времени: начинать следует с 5 минут и постепенно доводить занятия до 20 минут в день. Вот несколько простых и эффективных упражнений:
Качание рукой. Сядьте на стул, свесьте и расслабьте руку. Подвигайте ей назад и вперед, не сгибая в локте. Начинайте с 10 повторов упражнения каждой рукой.
Подъем и опускание плечевого пояса. Сидя на стуле, одновременно и поочередно поднимайте и опускайте плечи. Выполните 10 раз.
Вращение плечами. Выполняйте по 5 – 10 вращающих движений обоими плечами вперед и назад.
Как лечить артроз плечевого сустава, если консервативные меры оказались не эффективны? Остается только операция – установка протеза. Но при данной форме артроза (в отличие от других – например, артрозе суставов ног) необходимость в оперативном вмешательстве возникает не часто. Берегите свое здоровье и не доводите болезни до стадий и симптомов, при которых неоперативных вариантов лечения у вас не будет.
Автор статьи: Бургута Александра, врач акушер-гинеколог, высшее медицинское образование по специальности «Лечебное дело».Реклама:
Реклама:Владелец и ответственный за сайт и контент: Афиногенов Алексей.
sustavzdorov.ru
Артроз плечевого сустава — лечение, симптомы, степени, лечебная гимнастика, народные средства, диета, отзывы, фото, видео
На протяжении всей жизни наши суставы подвергаются повышенным нагрузкам. Но мудрая природа в данном случае не слишком хорошо позаботилась о них и не создала для питания хрящевой ткани собственную сосудистую систему.
Результат налицо — при малейших нарушениях питания хряща развивается заболевание, именуемое артрозом.
Артроз плечевого сустава представляет собой заболевание, вызванное дистрофическими изменениями хрящевой, а также прилежащей костной ткани плечевого сустава.
Как правило, оно имеет активно прогрессирующее хроническое течение, во время которого происходит все большее истончение хряща, обнажение прилежащих к нему костей и образование костных разрастаний.
Подобные осложнения могут со временем заблокировать сустав полностью и сделать его неподвижным, что обязательно повлечет нарушение функций конечности.

Поэтому при первых признаках недуга, не дожидаясь развития необратимых изменений, следует обращаться к врачу и приступать к лечению.
Заболевание является достаточно распространенным. Лечение его длительное, но при правильном проведении и своевременном начале можно рассчитывать на положительный результат.
Непосредственной причиной, вызывающей развитие болезни, является ухудшение питания хрящевой ткани в данном суставе.

Это может происходить под влиянием следующих факторов:
- воздействие травм и физических нагрузок;
- негативное влияние инфекций;
- возрастные изменения;
- несбалансированное питание;
- нарушение обмена веществ;
- сопутствующие заболевания сустава;
- наследственность.
Плечевой сустав, наряду с локтевым, является одним из самых подвижных в теле человека.
Обратная сторона этой ценной особенности — его повышенный травматизм.
Поэтому среди всех причин болезни на первом месте стоят травмы, а посттравматический артроз плечевого сустава является самой распространенной формой заболевания.
Его может вызвать даже небольшое, но постоянно повторяющееся в течение нескольких месяцев или лет, травмирование.

Самым частым видом травм, приводящих к артрозам, являются вывихи.
Наиболее часто заболевают люди старших возрастных категорий, преимущественно мужчины.
Если среди 55-летних доля страдающих этим заболеванием равна 10%, то среди 65-летних она уже составляет 70%, что связано с физиологическим ухудшением питания хрящевой ткани в пожилом возрасте.
Среди заболевших значительную часть составляют также пациенты, длительно подвергающее плечо избыточным нагрузкам: обычно это люди занятые тяжелым физическим трудом — строители, штукатуры, грузчики, а также спортсмены.

Поэтому наиболее часто встречается артроз правого плечевого сустава.
Безусловным фактором риска является и наличие в данной области каких-либо иных заболеваний, например, артрита.
Но чаще артроз вызывается сочетанием нескольких причин под влиянием перечисленных провоцирующих моментов.
Болезнь, начавшись исподволь, медленно развиваясь и проявляясь лишь незначительными признаками, может неожиданно и резко заявить о себе после тяжелой физической работы или переохлаждения.
Это связано с тем, что в хрящевой ткани отсутствуют нервные окончания и кровеносные сосуды и ее проявления возникают тогда, когда патологический процесс уже выйдет за пределы сустава.
В этом случае больной ощущает следующие симптомы:
- боль в плече, которая усиливается при движениях руки в сторону и назад, что является обязательным признаком заболевания;
- болезненные ощущения при пальпации нижнего края ключицы или лопатки;
- припухлость и покраснение сустава;
- повышение температуры;
- хруст в суставе при его движениях;
- ограничение подвижности сустава.

Иногда наблюдается нетипичная локализация болей, может болеть, например, не плечо, а локоть или рука.
Поэтому так важно для больного пройти полное своевременное обследование.
В развитии заболевания различают несколько стадий. Набор симптомов значительно не зависит от них, но существенно отличается степень их выраженности.
Первая стадия
Является началом болезни.
Для нее характерны утомляемость, незначительные боли в плече при движениях, небольшие ограничения подвижности при отведении рук.
При этом на рентгеновских снимках наблюдается так называемый «симптом кольца», когда изображение суставной впадины принимает вид овального кольца.
Этот период болезни может длиться от нескольких месяцев до нескольких лет.

Вторая стадия
Характеризуется усилением болевых ощущений при движениях, а также возникновением их в покое.
В суставах появляется хруст, движения становятся еще более ограниченными, при этом самым затруднительным является отведение руки назад.
На снимках отмечается сужение суставной щели, утолщение суставных поверхностей, а также появление остеофитов.

Третья стадия
Предусматривает полное изнашивание хряща, боли постоянного характера, еще большую скованность при движениях сустава.
Подъем и отведение руки назад становятся полностью невозможными.
На теле пациента появляются хорошо заметные костные выступы. Больному приходится держать руку в вынужденном положении, которое наименее болезненно для него.

Из доступных движений остается лишь покачивание вперед-назад.
Лечение такого состояния может быть только оперативным, в противном случае больным грозит инвалидность.
Страдаете от шпор на пятках? На нашем сайте вы можете узнать, чем лечить шпоры на пятках.Чем лечить эпикондилит локтевого сустава? Смотрите здесь.
Что такое синовит коленного сустава? Ответ вы найдете в этой статье.
Для постановки диагноза, определения формы и стадии заболевания на основании жалоб пациента назначается ряд необходимых исследований.
Среди них обязательными являются лабораторные и биохимические анализы крови, которые подтверждают наличие воспалительного процесса и в ряде случаев устанавливают его природу, например, ревматизм.
Важным и необходимым является такой вид исследований, как рентген, который позволяет обнаружить деформацию сустава на самых ранних этапах болезни.
Для получения более точных изображений применяют магнито — резонансную томографию.

Часто доктора в виде теста, позволяющего диагностировать заболевание, предлагают пациенту завязать сзади фартук.
Это позволяет установить степень болевых ощущений при отведении рук назад.
Затем предлагается выполнить расчесывание задней части головы, что демонстрирует степень болей и подвижности сустава при движениях руки в области затылка. Если эти движения не вызывают болевых ощущений у пациента, значит они вызваны другими причинами.
При артрозах плечевого сустава на первых двух стадиях применяется консервативное лечение, и только в случае отсутствия результата проводится оперативное вмешательство.
Такие консервативные методы включают:
- медикаментозную терапию;
- лечение народными способами;
- физиотерапию;
- санаторно-курортное лечение;
- массажи;
- иглоукалывание;
- лечебную гимнастику;
- соответствующую диету.
Перед началом лечения важно обеспечить больному суставу покой, что гораздо проще выполнить, если наблюдается артроз левого плечевого сустава.
Самым эффективным является лечение начальных стадий болезни, когда еще нет рубцовых изменений, а ткань пока не утратила способность регенерировать.
Но обычно при этом дискомфорт еще незначителен, болевые ощущения позволяют себя терпеть и к врачу пациенты обращаются чаще всего с опозданием.

Фото: ортез для иммобилизации плечевого сустава
Пациенту в дальнейшем будет также необходим щадящий режим.
Именно у тех больных, которые после лечения продолжают нагружать плечевой пояс, развитие заболевания на ранних стадиях остановить не удается.
Поэтому оно достигает последней степени, когда без операции обойтись невозможно.
Лечение медикаментами
Медикаментозная терапия является неотъемлемой частью лечения всех видов артроза.
Для достижения эффекта медикаменты назначаются в самых различных формах:
- внутримышечные, внутривенные и внутрисуставные инъекции;
- средства для внутреннего применения-таблетки и капсулы;
- средства для наружного применения-мази, гели, жидкости для компрессов.

Медикаментозное лечение начинается с купирования болевого синдрома и снятия острых воспалительных явлений, которые сопровождают артроз, после чего переходят к непосредственному восстановлению хрящевой ткани.
Для этих целей назначаются лекарственные средства следующих групп:
- анальгетики;
- нестероидные противовоспалительные средства;
- кортикостероиды;
- хондропротекторы.
Среди нестероидных противовоспалительных средств наиболее часто применяются такие препараты, как диклофенак, нимесулид, ацеклофенак.
Их применяют как перорально, так и в
ruback.ru
Артроз плечевого сустава — симптомы и лечение заболевания
Суставные хрящи со временем изнашиваются, и прогрессирует опасная патология, которая при отсутствии интенсивной терапии может привести к инвалидности. Среди потенциальных диагнозов врачи не исключают артроз плечевого сустава — симптомы и лечение тесно взаимосвязаны, а начинаются проблемы со здоровьем с острой боли в плече на фоне истощения хрящевых тканей. Неприятные ощущения продолжают беспокоить больного днем и ночью, а обезболивающие препараты без определения этиологии патологического процесса обеспечивают лишь временный эффект.
Что такое артроз плечевого сустава
Болезнь склонна к хроническому течению, при бездействии дает серьезные осложнения. Чтобы избежать таких неприятностей со здоровьем, пациенты из группы риска должны внимательно изучить особенности клинической картины. Артроз плечевого сустава – это дегенеративное истощение, где в патологический процесс вовлечена не только хрящевая, но и костная ткань. Под воздействием патогенных факторов и с возрастом хрящ истончается и трескается, а в сформированные трещины проникает соль. Такие солевые отложения разрушают костную ткань, деформируют кость.
Симптомы артроза плечевого сустава
Артроз плеча может длительное время не беспокоить пациента, поскольку развивается болезнь не один год. Все начинается с острого приступа боли, который прогрессирует при чрезмерной физической нагрузке. Это первые симптомы артроза плечевого сустава, которые возникают неожиданно, но в дальнейшем становятся нормой повседневности. С каждым новым приступом движения больного все больше и больше ограничены, любое действие доставляет боль и чувство внутреннего дискомфорта. Другие симптомы характерного недуга представлены ниже:
- ограниченная подвижность сустава;
- характерный хруст при движении очага патологии;
- боль, дополненная выраженными симптомами воспаления.
1 степени
Поскольку нарушение двигательной функции прогрессирует постепенно, усугубляя общее состояние клинического больного, врачи выделяют несколько стадий артроза, где очагом патологии становится плечевой сустав. Неприятные симптомы нарастают, способствуют постановке более точного диагноза. Итак, артроз плечевого сустава 1 степени имеет следующую клиническую картину:
- незначительно изменение морфологических тканей плечевого сустава;
- болезненные ощущения только при физических нагрузках;
- скованность движений после непродолжительной стадии покоя;
- легкий дискомфорт в плеч;
- нарушенный мышечный тонус характерной зоны.

2 степени
Представленные выше признаки указанного заболевания должны насторожить пациента. В противном случае стремительно развивается артроз плечевого сустава 2 степени, при котором уже проблематично восстановить нарушенную структуру хрящевой ткани. Операция еще не требуется, но для такой клинической картины характерны следующие клинические особенности:
- изменение структуры тканей плечевого сустава;
- хруст при отведении руки в сторону;
- ограничение функциональности мышц;
- частичная атрофия мышечных структур;
- визуализация дефектов хряща.
Причины
При развитии заболевания требуется посоветоваться с врачом, пройти диагностику и только после этого преступить к консервативному лечению по медицинским показаниям. Необходимо выяснить, почему смог деформироваться сустав, что предшествовало этому патологическому процессу. Основные причины артроза плечевого сустава подробно изложены ниже:
- болезни сосудов с нарушением системного кровообращения;
- длительная физическая нагрузка на плечевой сустав;
- генетическая предрасположенность;
- нарушенный обмен веществ;
- хронические болезни эндокринной системы;
- травмы;
- обширные заболевания суставов;
- возрастные изменения хрящевой и костной ткани;
- аутоиммунные заболевания.
Лечение артроза плечевого сустава
Начать интенсивную терапию важно незамедлительно, наблюдаться у врача – продолжительный период времени. Лечение артроза плечевого сустава 1 и 2 степени консервативное, а в осложненных клинических картинах может потребоваться хирургическое вмешательство. Обязательно должны использоваться обезболивающие препараты для устранения тревожной симптоматики, но также необходимы противовоспалительные, общеукрепляющие, регенерирующие средства для применения внутрь. Продуктивное лечение плечевого артроза включает методы альтернативной медицины и лечебную диету.

Лекарствами
Важно определить, что может вызвать болевой синдром. После устранения провоцирующего фактора лечение артроза плечевого сустава лекарствами является особенно продуктивным. Ниже представлены те фармакологические группы, которые восстанавливают пораженные зоны, усиливают регенерацию тканей, облегчают обще самочувствие клинического больного:
- Хондропротекторы. Растительный состав, который восстанавливает нарушенное питание клеток. Такие лекарства должны использоваться в стадии рецидива и ремиссии, а на ранней стадии диагностирования артроза в полном объеме восстанавливают функции некогда поврежденного плечевого сустава. К хондропротекторам относятся Артра, Дона, Хондроитин, Глюкозамин.
- Нестероидные противовоспалительные препараты. При дистрофических процессах в организме убирают боль, снимают воспаление. К таковым относятся Нимесулид и Диклофенак. Очаг патологии перестает беспокоить, пациент начинает нормально передвигаться, не чувствует себя инвалидом. Хорошо зарекомендовали себя Кеналог, Гидрокортизон.
- Кортикостероиды. При лечении артроза представители этой фармакологической группы отличаются устойчивым и противовоспалительным эффектом. Если правильно использовать такие лекарства, можно заметно сократить очаги патологии, хрящевая ткань перестанет разрушаться.
Мази
Такие препараты показано втирать в пораженный плечевой сустав. Область патологии временно престает беспокоить. Лечебные мази при артрозе плечевого сустава являются дополнительной мерой при комплексном подходе к проблеме. Поскольку способ применения наружно, активные компоненты не проникают в системный кровоток, и список противопоказаний минимальный. Такие лекарственные средства уместно использовать в пожилом возрасте и при беременности, чтобы получить щадящий эффект. Это Диклофенак, Ортофен, Вольтарен, Напроксен, Индометацин, Кетопрофен.

Упражнения при артрозе плечевого сустава
При повышенной активности очага патологии врачи рекомендуют выполнять лечебную гимнастику. Эффективные упражнения при артрозе плечевого сустава предназначены для домашнего выполнения, восстанавливают былую подвижность, избавляют от невыносимого приступа боли. Воспроизводить их рекомендуется в стадии ремиссии, чтобы заметно сократить число опасных для здоровья приступов. Ниже представлен несложный тренировочный комплекс для пораженного плечевого сустава:
- Сидя на стуле, завести руки за спину и скрепить их в замок. Хорошенько потянуться назад, повторить неспешное упражнение несколько раз.
- Стоя, выполнять рывками заведение локтей за спину так, чтобы максимально вытянуть весь позвоночник.
- В положении стоя, сомкнуть руки в кистях за плечами, после чего выполнять круговые движения плеч.
- С утяжелителями рекомендуется разводить руки вправо-влево, при этом поворачивать весь корпус.
- Повышенной эффективностью обладает упражнение «Замок», когда одна рука за спину заводится с плеча, другая – со стороны талии. Необходимо хорошенько потянуться.
- В положении сидя руки разместить на коленях и расслабиться. Выполнять медленные круговые движения плечами по и против часовой стрелки.
- Поставить перед собой стул спинкой вперед, отступить на пару шагов. Удерживая спинку руками, максимально прогнуться вперед.
Физиотерапия
Дополнительные упражнения позволяют получить быстрый результат, практически мгновенное избавление от сильной боли в области поражения. Физиотерапия при артрозе плечевого сустава предусматривает не только курс массажа, но и ЛФК, парафин, лечебную физкультуру, УВЧ-терапию, инфракрасную лазеротерапию, радоновые и сероводородные ванны, воздействие ультразвуком и магнитными полями, электрофорез. Постоянное проведение процедур не требуется, хватает нескольких курсов с временным интервалом по рекомендации специалиста.
Хирургическое лечение
Если пораженная зона не перестает болеть, и характерное повреждение все чаще и чаще о себе напоминает, появляется острая необходимость в проведении срочной операции. Хирургическое лечение артроза плечевого сустава чаще предусматривает установку эндопротеза. Это инвазивный метод, который предусматривает замену поврежденных участков сустава искусственными элементами. Таким прогрессивным способом можно не только надолго забыть о боли, но и приводить руку в движение без былого дискомфорта.

Лечение артроза плечевого сустава народными средствами
Проверенные временем методы альтернативной медицины не менее эффективные на практике, но лишь дополняют основную терапию лекарствами. Перед тем как лечить плечевой сустав в домашних условиях, важно исключить риск аллергической реакции организма на растительные компоненты, грамотно подобрать надежный рецепт с положительным клиническим исходом:
- На ночь делать компресс из капустного листа, который продуктивно снимает воспаление, повышает подвижность плечевого сустава после повреждения.
- Справиться с очагами патологии при артрозе способны лечебные отвары лопуха, ромашки, календулы и крапивы. Их рекомендуется добавлять в ванну, выполнять процедуру перед сном.
- Смесь прополиса и свиного жира приводит плечевой сустав в движение без боли, а компрессы можно прикладывать н боле 2 раз за сутки.
- Эффективное лечение артроза плечевого сустава народными средствами предусматривает гирудотерапию. Процедура с пиявками усиливает кровоток проблемных зон, убирает симптомы.
Профилактика артроза
Поразить плечевой сустав характерный недуг может в любой момент, но заболеванию больше подвержены взрослые пациенты из группы риска. Чтобы этого не произошло, важно не носить тяжести, избегать длительного переохлаждения и стрессовых ситуаций. Соблюдая несложные правила профилактики артроза плечевого сустава, можно поддерживать подвижность и безболезненность всего опорно-двигательного аппарата. Если человек оказывался в группе риска, вот что важно помнить:
- Придерживаться активного образа жизни, регулярно совершать пешие прогулки на дальние расстояния.
- Предложенный выше тренировочный комплекс выполнять трижды в неделю, не лечиться с повторами упражнений.
- Контролировать собственный вес и силовые нагрузки на организм во избежание опасных рецидивов.
- Самое время навсегда переставать курить и полностью отказаться от других вредных привычек, алкоголя.
- Всячески избегать травм и сопутствующих заболеваний, поддерживать мускулатуру плечевого пояса в тонусе.
Видео: Как лечить артроз плечевого сустава
sovets.net
симптомы и лечение, причины и диагностика

Головка плечевой кости с поражением гиалинового слоя.
Артроз плечевого сустава – заболевание хрящевой и костной ткани в плечевом поясе, приводящие к дистрофическим изменениям. Иначе говоря, остеоартроз, хроническое заболевание, постепенно нарастающее и проявляющееся с возрастом. Чаще всего страдает мужская половина населения.
Дегенерация суставного хряща и структурные изменения целостности кости приводят к постоянным воспалительным процессам синовиальной оболочки. Разрушение тканей происходит медленно и до определенного момента бессимптомно. При значительном заполнении трещин хрящевой ткани солевыми отложениями появляются болевые ощущения.
Причины заболевания

Артроз плечевого сустава является следствием длительного воспалительного процесса. Без своевременного лечения, болезнь прогрессирует, что с каждым годом сказывается на качестве жизни заболевшего человека. Воспаление тканей сустава вызывает набухание хрящевой ткани, сдавливание оболочек сустава и кровеносных, лимфатических сосудов.
Нарушается трофика сустава и костной ткани, вызывающая первичные изменения хрящей, костей и прилежащих тканей. Нет одной определенной причины заболевания. Выделяют несколько основных факторов, влияющих на развитие артроза:
- Различные травмы;
- Инфекционные и вирусные поражения;
- Избыточный вес;
- Разнообразные тяжелые нагрузки на плечевой пояс;
- Наследственная предрасположенность;
- Нарушение работы эндокринной системы;
- Врожденные изменения;
- Следствие приема лекарства;
- Сосудистые заболевания;
- Пожилой возраст;
- Заболевания костно-суставной системы.

На снимке видно отсутствие суставной щели между головкой кости и впадиной.
Такое перечисление можно добавить несколькими неспецифическими причинами появления артроза сустава, которые устанавливает только врач на основании обследования.
Симптомы
При начальных стадиях артроз плечевого сустава протекает без каких-либо проявлений. Постепенно начинает появляться чувство дискомфорта. В некоторых положениях руки и тела может появиться чувство боли в плечевом суставе. Длительный сон в одном положение вызывает иррадиирущие боли в руку и лопатку.
Если человек замечает некомфортные ощущения в суставе при расчесывании волос или при одевании, когда нужно закинуть руку назад — это уже симптомы активного воспаления плеча.
- Ноющие боли, нарастающие в ночное время;
- Припухлость плеча;
- Повышение местной температуры.
Все это – характерные проявления артроза, требующие немедленного обращения к врачу и назначению противовоспалительного лекарства. Со временем симптомы могут затихнуть и тогда в суставе происходят изменения, формирующие артроз.
Первичные проявления могут длиться от месяца до года. Остановить прогрессирование артроза и вылечить сустав при такой степени поражения возможно, процессы еще обратимые. Необходимо пройти комплексное обследование.
Появление специфического хруста в плечевом в суставе означает изменение хрящевой и костной ткани, ограничивающие движение руки. Постоянная и сильная боль, спазмы мышечной ткани и ощущение жжения в соседних суставах. При рентгенографическом обследовании на снимках будет видно изменение суставных поверхностей хряща, сужение полости, сращение синовиальных оболочек между собой и другие изменения.

Симптомы третей и четвертой степени артроза характеризуются сильными болями, необратимыми изменениями сустава, что приводит к изменению и частичной потери подвижности сустава. В тяжелых случаях отсутствует подвижность в плечевом суставе и возникает частичная атрофия прилежащей мышечной и сосудистой ткани.
Диагностика
Лечение артроза плечевого сустава начинается с полного обследования пациента.
Необходимо выяснить причины появления артроза плечевого сустава, является ли это системным заболеванием или симптомы указывают на поражение одного сустава.
Диагностический процесс, включает в себя:
- Осмотр пациента врачом (травматологом) и при необходимости невропатологом.
- Сбор анамнеза (причины возникновения).
- УЗИ.
- Лабораторные исследования: анализы крови и мочи.
- Рентгенологические обследования.
- Магниторезонансная томография (помогает увидеть более глубокие изменения хрящевой и костной ткани).
Как лечить артроз плечевого сустава объяснит врач после полного курса обследования и окончательной постановки диагноза.
Лечение
Основными методами лечения является:
Артроз плечевого сустава 2 степени – это хроническое заболевание, которое окончательно вылечить практически невозможно из-за дегенеративных изменений хрящевых и костных тканей. Лечение направляется на замедление процесса дегенерации плечевого сустава.
Медикаментозное лечение первоочередно направлено на устранение причины возникновения боли. Острые болевые ощущения в плечевом поясе снимаются обезболивающими препаратами: таблетки или инъекции, их применение зависит от степени боли. Одновременно назначаются противовоспалительные лекарства и хондропротекторы.
В список рекомендаций входят препараты, улучшающие микроциркуляцию крови, а также снимающие спазмы мышц. Дополнением могут стать травяные противовоспалительные сборы и гомеопатия.
Практически все люди являются правшами, поэтому чаще всего встречается артроз правого плечевого сустава. Нагрузки на плечо в период лечения и реабилитационный период должны быть ограничены.
В остром периоде назначается только медикаментозное лечение, сухое тепло, определенная диета и ограничение двигательной активности руки с больной стороны.
Применение физиотерапевтических процедур и массажа рекомендуется в период ремиссии.
Может назначаться:
- Магнитотерапия.
- Лечебные ванны.
- Грязелечение.
- Лазерная терапия.
- Сухие прогревания.
После прохождения полного курса лечения, пациент обязательно должен пройти курс обследования, чтобы оценить качество лечения и состояние плеча. Особенно в случаях изменений на фоне гормональных патологий в организме.

Лечение артроза на начальной стадии
Артроз плечевого сустава 1 степени позволяет человеку продолжать работать и чувствовать себя практически нормально. При комплексном лечении происходит достаточно быстрое восстановление, так как существует возможность применения сразу медикаментозного лечения и физиотерапевтических процедур.
Лечебная гимнастика и правильно подобранное питание помогут быстрее снять симптомы заболевания. Упражнения для гимнастики подбираются без нагрузок на плечевой пояс и направлены на восстановление двигательной функции руки. Гимнастические упражнения при артрозе выполняются под наблюдением специалиста.
После прохождения первого полного комплекса лечебной физкультуры под контролем физиотерапевта, его можно повторять в домашних условиях. Также назначаются гели и мази для местного применения. Смазывать больное место нужно в течение месяца, иногда врач продлевает лечение в зависимости от эффективности применения. В домашних условиях можно проводить сухие согревания, но никак не длительное распаривание в ванне.
Симптомы затихают быстрее, если придерживаться определенной диеты при артрозе. Рекомендуется исключить острую и соленую пищу. Важно употреблять продукты, с повышенным содержанием натурального коллагена (из которого состоят хрящи) и побольше жидкости.
Своевременное лечение и профилактика позволят ощущать себя комфортно.
sustavlive.ru
Как лечить артроз плечевого сустава?
Под артрозом плечевого сустава понимают хроническое разрушение хрящевой ткани, покрывающей сустав. Хрящевая ткань обеспечивает амортизационные свойства и гладкость скольжения сустава.
При артрозе происходит постепенная дегенерация хряща, уменьшение его толщины, а в запущенных случаях возможно полное разрушение слоя хряща с образование костных наростов (остеофитов).

Строение плечевого сустава
Причины
В основном артроз возникает у людей старше 45 лет, но иногда диагностируются и более ранние пациенты и преимущественно это спортсмены. Большой риск артроза возникает при травмах, они могут быть получены в раннем возрасте, а сам процесс дегенеративного изменения сустава может начаться через несколько десятков лет. Любые вывихи, переломы, растяжения – это факторы, способные в дальнейшем спровоцировать заболевание.
Есть также предположение, что с возрастом организм, а, в частности, ткани просто стареют и все это сказывается на суставах. В категорию риска попадают люди, у родственников которых диагностировался артроз любого вида суставов. Также одной из причин артроза является недостаток смазывающей жидкости в плечевом суставе.

Артроз плечевого сустава
Симптомы
Основным признаком заболевания является боль, но она может отличаться по локализации, интенсивности и периодичности. Все эти характеристики зависят от стадии развития, их всего три. На начальной стадии может появиться слегка заметный дискомфорт в районе ключицы, плеча или лопатки. Со временем дискомфорт прекращается, но все же периодически боль возвращается особенно после или во время физических нагрузок. Если при начальных этапах заболевания не проводятся никакие меры, то появляются серьезные проблемы с двигательной активностью рук и плечевого участка в частности. Именно поэтому важно не запускать ситуацию и, хотя полностью восстановить и обновить суставы и окружающие ткани невозможно, но приостановить процесс, снять симптоматику вполне реально.
Боль в плече при артрозе
Лечение
Задаваясь вопросом как лечить артроз плечевого сустава, выбор методики лечения принимается на основе ряда исследований, где определяется степень поражения сустава, окружающих тканей, а также индивидуальных особенностей пациента. Если обращение к врачу было несвоевременным, то возможно, что кроме консервативного лечения потребуется хирургическое вмешательство.
Лечение артроза плечевого сустава должно проходить комплексно, специалистом могут быть назначены следующие процедуры:
- Прием обезболивающих или анальгетиков, что дает возможность облегчить физическое, а в некоторой степени и моральное состояние пациента;

Хондропротектор
- Хондропротекторы. Эти препараты считаются обязательными при большинстве артрозов. Они помогают восстановить хрящевые участки и сами суставы, иногда эти соединениями называют «строителями суставов»;
- Противовоспалительные средства. Лечение артроза плечевого сустава направлено не только на снятие боли, но и сопутствующего воспаления. Для этого доктор может назначить прием препаратов внутрь или выбирается инъекционное введение лекарства прямо в проблемную область;
- Препараты вспомогательного действия, рекомендованные для увеличения эффективности лечения, ускорения снятия симптоматики;

Внутрисуставные инъекции в плечевой сустав
- Введение искусственной смазывающей жидкости в плечевой сустав;
- Физиотерапия. Как вариант: лучевое воздействие, магнитотерапия, процедуры с лазером, криотерапия суставов, а также другие инновационные воздействия;
- Массаж. Сеансы лечебного массажа должны выполняться дипломированным специалистом, чтобы не травмировать сустав. В дополнение могут быть применены мази или средства, стимулирующие циркуляцию крови, в том числе приготовленные по рецептам народной медицины;

Физиолечение плечевого сустава
- Лечебная гимнастика. Упражнения делаются с умеренной интенсивностью и нагрузками, правильная нагрузка определяется лечащим врачом.
Вышеперечисленные варианты лечения относят к консервативным методам, но в ряде случаев может потребоваться операция. Часто это результат запущенного отношения самого больного к своему состоянию. Поздняя диагностика, самолечение или долгое купирование боли – это все может привести к хирургическим манипуляциям. Поврежденную или деформированную часть сустава убирают, а на его место вживляют специальный протез. Операция осуществляется неоднократно, через 10-15 лет может потребоваться замена протеза.

Эндопротез плечевого сустава
Народные способы
Некоторые рецепты народной медицины, приготовленные в домашних условиях, могут принести пользу при лечении артроза плечевого сустава, но они не являются заменителями основных традиционных методов лечения. В основном народная медицина предлагает смеси для частичного снятия воспаления, а также для стимуляции кровообращения или разогрева сустава. Применяются эфирные масла, прополис, кора крушины. Хороший лечебный эффект оказывают компрессы из листьев лопуха и белокочанной капусты. Помогают растирки медом и настойкой луковой шелухи. Перед использованием народных методов необходимо посоветоваться с лечащим врачом.

Капуста (слева), лопух (справа)
Несмотря на доступность народных рецептов, лечение артроза плечевого сустава нужно проводить комплексно. Повысить эффективность и закрепить положительную динамику лечения лучше все же проверенными традиционными медикаментами. Сейчас появляются практически универсальные средства, сочетающие в себе сразу несколько действий, например, снятие воспаления, питание и дополнительно восстановление сустава.

Мед (слева), луковая шелуха (справа)
Если уже диагностирован артроз плечевого сустава, то полностью от него избавиться уже не получиться. Необходимо периодически наблюдаться у врача, выполнять его предписания и если лечение подобрано верно, то рецидивов можно избежать. Обязательно следует беречь свои суставы, соблюдать определенную диету и не забывать использовать поддерживающие средства, тогда значительно снижается риск появления серьезных для здоровья осложнений.
« Предыдущая запись Следующая запись »
artroz-plus.ru
симптомы и лечение в домашних условиях видео
Артроз плечевого сустава, его симптомы и лечение — этому посвящена наша статья. Заболевание состоит в распадении хряща сустава и близлежащей костной материи. Это хроническое состояние, чаще диагностирующееся у немолодых людей и у силовых спортсменов (метателей диска, копья и прочих). Болезнь характеризуется существенными болями, которые локализуются не только в разрушающемся суставе, но и отдает в другие части тела. При определении у себя малейших признаков болезни необходимо посетить травматолога.

Предпосылки артроза плечевого сустава
Обычно развитию патологии способствует воспаление сустава, возникающее вследствие:
- Полученной ранее травмы или травмирования сустава перманентно. Сильную травму можно получить при ушибе или падении. Непрерывная серия мелких травм часто преследует спортсменов в тех видах спорта, в которых основная нагрузка приходится на плечевой сустав. Спортивная медицина разработала специальные приспособления для поддержки нагруженного сустава – ортрезы, но спортсмены не всегда ими пользуются.
- Заболевания кровеносных сосудов. В результате недостатка в кровоснабжении материи сустава истончаются.
- Особенностей каждодневной работы, состоящей в тяжелом физическом труде.
- Гормонального нарушения или аутоиммунного сбоя. Аутоиммунный сбой — это ситуация, когда иммунная система человека начинает атаковать свои же здоровые ткани.
- Неблагополучной со стороны состояния суставов наследственности. Дети, родители которых болеют артрозом, рождаются со слабыми суставами или с врожденной их патологией.
- Заболевания эндокринного профиля и сбоев в обмене веществ. Это ведет к недостатку фосфора и кальция. В то же время происходит накопление солевых отложений. Плечо перестает нормально функционировать.
- Последствий инфекционных заболеваний.
- Избыточного веса.
- Болезни сустава. К ним можно отнести некроз, артрит (воспаление), синовит.
- Пожилого возраста больного. С годами суставы изнашиваются, что ведет к их воспалению и разрушению.
Чтобы избежать таких неприятностей, нужно посетить ортопеда, который выпишет пациенту ортрез на подвергающийся наисильнейшей нагрузке сустав. Его надо надевать перед совершением физического труда – перестановкой мебели, вскапыванием грядок и подобными нагрузками.

Симптомы болезни
В первые месяцы и даже годы болезни деформирующий артроз плечевого сустава не имеет симптомов. Затем постепенно появляются беспокоящие боли в плече, которые больной чувствует по утрам после длительного лежания без движения. Боль беспокоит при перемене погоды на улице. Плечо ноет во время физической нагрузки. Все эти симптомы подсказывают человеку, что пора обратиться в поликлинику.
Дальнейшее развитие болезни приводит к тому, что человеку становится больно дотронуться до его плеча. Сустав болит уже в положении покоя, без нагрузки.
Постепенно нарушается возможность двигать плечом и рукой. Можно проверить себя – если больно расчесывать волосы, заводить руку за спину, скорее всего — это артроз плеча. При отсутствии своевременного лечения больной полностью теряет возможность двигать больным плечом.

Внимание! Хруст, щелканье или скрип костей сустава говорит о наличии остеофитов – солевых отложений. Сначала скрип слышит только больной, затем его могут заметить стоящие в отдалении люди. Хруст и щелчки при различных движениях с участием сустава сигналят о вероятном заболевании артрозом. Он в некоторых случаях сопровождается скрипом во всех суставах.
При воспалении сустава невооруженным глазом видны его покраснение и отечность. Иногда повышается температура тела. Если болезнь запустить, плечо затвердевает. Это происходит, потому что образуются костные наросты.
Вывод: даже незначительный ушиб плеча должен быть поводом пойти к врачу и провести обследование. Болезнь, когда она еще не зашла далеко, вылечить гораздо легче.

Стадии заболевания
Болезнь делят по протеканию и по тяжести состояния больного на 4 стадии (степени):
- 1 стадия. Плечо болит во время физических действий. Боль терпимая, ноющего типа. Она мешает больному делать движения с большой амплитудой. По завершении физических упражнений, когда сустав приходит в неподвижное состояние, боль прекращается.
- 2 стадия. Характеризуется появлением периодических обострений. Боль, как и в 1 стадии, может провоцироваться физическими действиями или чувствительным переохлаждением. Плечо болит сильно, даже незначительные шевеления сустава затруднены. Когда приступ проходит, состояние нормализуется, незначительная боль чувствуется только при вращательных движениях. Артроз плечевого сустава 2 степени не позволяет человеку причесаться больной рукой или завязать на спине пояс.
Другой признак 2 стадии артроза плеча – пощелкивание в суставе. Оно появляется, потому что уменьшается количество суставной жидкости, промежуток между хрящом и костью уменьшается, начинается трение костных и хрящевых поверхностей друг о друга. Но хруст и щелчки наблюдаются и при других болезнях. Диагностировать по ним артроз нельзя.
Следующий симптом второй стадии – при нажатии на плечо между ключицей и верхним краем лопатки чувствуется боль. Артроз плеча ведет за собой воспаление субакромиального сустава (с его помощью плечо соединяется с лопаткой). Поэтому часто плечелопаточную зону рассматривают как единое целое.

- 3 стадия. Характеризуется тем, что состояние ремиссии почти совсем исчезает. Плечо свербит и днем, и ночью, в обездвиженном состоянии. Жизнь больного без обезболивающих средств кажется трудно выносимой.
На 3 стадии можно зрительно заметить деформацию плеча – в зоне крепления лопатки к плечу образуется костный выступ. Резко снижается возможность двигаться. Руку становится невероятно трудно поднять вверх или завести за спину.
В реальности до 3 стадии болезнь доходит редко. Ей болеют около 70% пожилых людей, которым более 60 лет, но обездвиженностью плечевых суставов почти никто не страдает.
Кстати: В протекании артроза есть вопросы, которые еще не совсем изучены медиками. Часто болезнь фиксируется на 2 стадии и дальше не прогрессирует. А если она дошла до 3 стадии, то поражает все суставы тела. Почему так происходит, предстоит исследовать ученым.
- 4 стадия. Сустав полностью разрушается, плечевые кости срастаются. Больной не может пошевелить рукой больного плеча. Боль не снимается даже мощными обезболивающими средствами. До этой стадии заболевание доходит у очень пожилых людей. При артрозе такой степени лечение оперативным способом – единственный выход.
Диагностика
Наиболее точным способом диагностики деформирующего артроза плеча до сих пор является проведение рентгенографии в 2 проекциях – спереди (сзади) и сбоку. Лабораторные анализы назначаются только для определения осложнений в виде воспалительных процессов. Кроме рентгенографии может быть назначено ультразвуковое обследование плеча.
В редких случаях назначают артроскопию. Она относится к оперативному вмешательству и представляет собой введение в сустав специального медицинского оборудования с миниатюрной видеокамерой, через которую можно наблюдать изнутри, насколько далеко зашел процесс разрушения суставного хряща. После такой операции больному потребуется реабилитация. Операция совершается под общим наркозом. Затем больной от 1 до 3 суток пребывает в больнице, проходя обычную послеоперационную реабилитацию – уколы антибиотиков, массаж, лечебную физкультуру. Полное восстановление происходит дома в течение 1-2 месяцев.

Чаще пациенту назначают МРТ или КТ, которые не влияют на состояние больного сустава и не требуют реабилитации после обследования. Эти процедуры являются наиболее полно освещающими картину заболевания методами исследования. КТ проигрывает тем, что больной подвергается облучению, но зато с ее помощью лучше видны участки с рентгеноконтрастными веществами.
Еще можно применить метод сцинтиграфии. Это та же рентгенография, но делается снимок всего тела, и используются контрастные вещества. Метод используют на 3 стадии болезни.
Иногда используется термография. Это метод, базирующийся на измерении длин волн инфракрасного излучения частей тела человека и его внутренних органов, он помогает выявить скрытые воспалительные процессы и наличие опухолей. Но термография не обладает достаточной точностью для использования ее результатов в диагностике новообразований. При артрозе она играет роль отсеивания других заболеваний, связанных с болями и дискомфортом в плечевом суставе.

Профилактика
Профилактика артроза плеча сводится к устранению или минимизации причин, вызывающих проявление болезни:
- устранить связанные со служебной деятельностью или с увлечением экстремальными разновидностями спорта чрезмерные нагрузки на сустав;
- минимизировать вероятность получения травмы на травмоопасных производствах, соблюдать технику безопасности;
- при ушибе плеча обязательно обращаться к травматологу и соблюдать его рекомендации;
- не запускать болезни, которые могут дать осложнение в виде артроза плеча, вовремя их лечить;
- держать в пределах нормы свой вес;
- не допускать гиподинамии, заниматься несиловой физкультурой;
- не переохлаждаться, поскольку простуда грозит артритом, а артрит артроз плечевого сустава вызывает очень часто;
- при достижении пенсионного возраста по совету врача принимать средство для восстановления костной и хрящевой материй.
Эти меры не помогут вылечить плечевой артроз, но поспособствуют торможению его нарастания.

Лечение
Лечение артроза плечевого сустава проводится консервативными способами или оперативным путем. Во втором случае разрушенный сустав заменяют на искусственный имплантат. После реабилитации пациент чувствует себя комфортно и действует больной ранее рукой совершенно свободно, без болевых ощущений. Как лечить артроз плечевого сустава, решает специалист, изучив степень разрушения сустава и рассматривая индивидуальные особенности больного.

Консервативные методики заключаются в комплексном лечении. Это:
- Прием медикаментов. Больному назначают противовоспалительные препараты и обезболивающие средства, хондропротекторы — лекарства, восстанавливающие суставные материи, миорелаксанты для восстановления движения и витаминные препараты, в которые входят фосфор, кальций, магний.
- Диета, которая предполагает увеличение в рационе продуктов, содержащих кальций и фосфор (рыба, овощи, фрукты, морепродукты). Исключают из меню блюда, содержащие большое количество соли, острые, копченые, жирные, жареные продукты.
- Массаж и физиотерапевтические процедуры. Эти процедуры назначают после завершения острого периода болезни. В качестве физиотерапии применяют ультразвуковое облучение, гирудотерапию, магнитотерапию, лазеротерапию, криотерапию. В условиях санаторно-курортного лечения с успехом применяется грязелечение.
- Рефлексотерапия (иглоукалывание).
- Лечебная физкультура.
- Разнообразные рецепты народной медицины, которые действуют в комплексе с остальными мерами, выбирают по рекомендации лечащего врача.

Способы воздействия народной медициной
В народе известно множество рецептов, помогающих снять боль при плечевом артрозе. В большей части — это мази, компрессы, лечебные ванны. Но надо понимать, что при диагнозе артроз плечевого сустава лечение народными средствами принесет только облегчение состояния, оно не способно полностью избавить от недуга.
Вот несколько рецептов:
- 1 комочек прополиса весом 3 гр мелко потолочь и перемешать с 50 гр свиного жира. Изготовленной мазью натирать больное плечо перед сном, надевая сверху майку с рукавами.
- 30 гр овсяных хлопьев кипятят в половине литра чистой воды. Отваром пропитывают марлю и укладывают компресс на больной сустав на полчаса.
- Лист белокочанной капусты прикладывают к больному месту, накрывают полиэтиленом и обматывают бинтом. Такой компресс ставят на ночь. Неплохо поможет компресс, если на капустный лист намазать мед.
- Для растираний надо приготовить настой — 50 гр девясила на полстакана водки, настаивают в темном месте 2 недели. Растирают сустав каждый вечер.
- Для приготовления лечебной ванны ее наполняют довольно горячей водой, добавляют туда лекарственные травы – мята, горчица, лопух, сенная труха. В ванне надо лежать, пока сустав не распарится. Затем растереть больное плечо и быстро лечь под теплое одеяло в кровать.
- Можно применить для лечения самодельные мази. В вазелин вмешать травы – хмель, зверобой, донник. Регулярно растирать такой мазью плечо. Постепенно больной почувствует облегчение.
Внимание! Прежде, чем лечиться своими средствами на дому, проконсультируйтесь с врачом. Пользу можно получить только при комплексном лечении артроза и ношении выписанного ортопедом ортреза.
travmaoff.ru
Артроз плечевого сустава: симптомы и лечение
Плечевой сустав всегда подвергается наибольшим нагрузкам, особенно у спортсменов и у всех тех, чья деятельность так или иначе связана с физической активностью. Если вы любите проводить ремонт своими силами, то наверное замечали, что радостное окончание ремонтного периода часто бывает омрачено болями в плечах и лопатках, которые не проходят затем очень долго: могут длиться даже год. Если не отказаться от повышенных нагрузок, и не попытаться принять хоть какие-то лечебно-профилактические меры, то боль может принять хроническую форму, и может развиться вначале плечелопаточный полиартрит, а в последствии артроз плечевого сустава.

Артроз плечевого сустава и методы лечения
В отличие от остальных видов, артроз плечевого сустава сравнительно молодое заболевание и может появиться в возрасте 40−45 лет. Это своего рода профессиональный недуг теннисистов, волейболистов, метателей диска и копья.
Причины плечевого артроза
- Самая частая причина — травматическое повреждение:
- вывих плеча
- растяжение связок
- ушиб и т. д
- Также играет роль семейный анамнез:
.
Если ваши бабушки и дедушки болели артрозом, значит и вы скорее всего ему подвержены - Наличие воспалительных и инфекционных процессов также способствуют развитию заболевания
Механизм возникновения плечевого артроза
- В результате нарушения обменных процессов, дефицита коллагена и важных микроэлементов начинается истончение гиалинового хряща
- В хряще происходят механические повреждения, которые замещаются солевыми наростами остеофитами
- Изменения выходят за пределы хряща:
- уплотняется субхондрональная кость и капсула
- уменьшается количество синовиальной жидкости
- Деформируются (укорачиваются) связки и мышцы сустава, что приводит к возникновению контрактур
- Уменьшается суставная щель

Симптомы плечевого артроза и его стадии
Первая стадия
- Артроз плечевого сустава вначале проявляется болью в плече, при которой невозможно делать движения большой амплитуды
- Боль обычно появляется после физических нагрузок или резких активных движений
- После того, как нагрузка с сустава снята и он находится в покое, болевые ощущения проходят
Вторая стадия
- Вторая стадия проявляется обострениями, которые тоже могут быть спровоцированы нагрузками или переохлаждениями. При этом даже небольшие по объему движения уже затруднительны
- По окончанию приступа боль стабилизируется и возникает только при определенных движениях.
.
Для выявления симптомов артроза второй степени можно пройти несложный тест:
.
Попробуйте завязать сзади на спине фартук или расчесаться. Если это сделать сложно по причине боли, то это может быть признаком артроза - Еще один симптом — это хруст в плечевом суставе при подъеме рук вверх или вращении плечами.
.
Хруст возникает по причине недостатка синовивальной жидкости, и уменьшения суставного зазора, из-за чего происходит трение сухих хрящевых поверхностей друг от друга.
.
Наличие хруста бывает при многих болезнях, и поэтому использовать этот симптом в качестве основного не стоит. - При надавливании в области плеча в месте сочленения нижнего края ключицы с акромионом лопатки возникает боль:
.
Артроз плечевого сустава тянет за собой еще одно заболевание — артроз субакромиального сустава, при помощи которого лопатка крепится к плечу. Вот почему плечелопаточная область идет единым блоком во многих заболеваниях, и болит всегда не только плечо, но и лопатка
Третья стадия
- При запущенном артрозе третьей стадии периоды ремиссии все короче, а боль может уже присутствовать и в состоянии покоя и во время ночного отдыха, что делает жизнь больного невыносимой
- Зрительно видны деформации в виде костного выступа в месте соединения плеча и лопатки
- Движения рукой резко ограничиваются:
невозможно ни поднять руку над головой, ни отвести ее в сторону или назад
Артроз в реальной жизни
Однако начавшийся артроз в реальности редко приводит к таким последствиям и симптомам. Мы можем долгие годы жить и даже не догадываться об артрозе, хотя периодически может болеть плечо и постоянно слышаться хруст.
При такой распространенности артроза (около 70% — среди тех, кому больше 60 лет) на самом деле мало больных, у кого до такой степени обездвижен плечевой пояс. Гораздо больше инвалидов по вине пояснично-крестцовых грыж.
Этот факт говорит лишь об одном:
Артроз — не до конца изученное заболевание.
И сегодня не все доктора могут ответить на вопросы:
- Почему после обострения болезнь может надолго (иногда на всю жизнь) законсервироваться на второй стадии?
- Почему дошедший до третьей стадии недуг часто поражает уже не один крупный сустав, а практически все?
Здравые мысли о природе артроза приведены в видео ниже:
Суставы — мощная адаптированная, компенсированная структура, подаренная нам природой. Поэтому в ходе даже самых неприятных дегенеративных процессов, он способен приспосабливаться, благодаря чему мы продолжаем двигаться
- Для проявления артроза в полной мере нужно включение патобиомеханической цепочки
А что может включить такую цепочку — об этом узнаете из ролика.
Несмотря на то, что это видео не касается напрямую плечевого артроза, этот научный взгляд можно подвести и под него.
Советы врача: Лечение артроза суставов
Как нужно лечить артроз плечевого сустава
Начинать лечение нужно как можно раньше, так как природа болезни спрятана внутри, и часто это — недостаток важных для костных хрящей элементов

Основные методы лечения:
- Профилактика
- Консервативное и хирургическое лечение
- ЛФК
- Народная медицина
Методы профилактики этой патологии при наличии наследственной предрасположенности, травм и воспалений это:
- прием хондропротекторов на основе хондроитина
- употребление в пищу коллагеносодержащих продуктов (студень, морскую рыбу, крабов, креветок, мясо индейки)
Консервативные методы лечения
Обычно сустав начинают лечить, когда он очень сильно болит, и первоочередная задача — умерить эту боль.
Спектр обезболивающих методов при лечении артроза очень велик:
- Прием нестероидных средств, в виде инъекций, мазей и гелей на основе: кетопрофена, индометацина, диклофенака
- Проводниковые блокады в сустав
- Лазерная и ударно волновая терапия
- Радиочастотная анестезия
- Использование миорелаксантов (мидокалма или сирдалуда) для снятия мышечного спазма
- Массаж и мануальная терапия
Прием хондропротекторов также очень важен и в лечебных целях.
Хирургическое лечение
Если консервативное лечение затянулось надолго, а эффекта нет, то больному могут предложить лечить артроз хирургическим методом:
Это — замена больного сустава искусственным (эндопротезирование)
Однако это крайняя мера, к которой прибегают весьма редко. Функциональная важность плечевого сустава высока, но все же меньше, чем у тазобедренного и коленного, без которых невозможно нормально передвигаться.

Лечебная физкультура
Лечебная физкультура — основной способ сохранить плечевой сустав работоспособным
Лечить артроз необходимо специальными упражнениями:
- Они должны быть дозированными, без излишних нагрузок
- Лечебными являются упражнения на растяжение суставов
- Выполнять их нужно плавно, без рывков и резких движений
Видео: ЛФК для плечевых суставов
Лечить артроз можно и народными методами.
Народное лечение (рецепты)
- Мазь из прополиса:
В 50 г свиного жира добавить 3 г прополиса — втирать в сустав после занятий ЛФК - Настойка для внутреннего приема: кора крушины — три ст. л. мята перечная — три ч. л., семена петрушки — две ч. л., корень одуванчика — две ч. л.
- Смесь трав залить одним литром кипятка и поставить настаиваться на ночь. Принимать по две ст. л. до завтрака
- Помогают настойки из сабельника, кукурузных рылец и т. д.
- Обертывания сенной трухой: Обертывать плечо тканью, смоченной в отваре
Выводы
Лечение артроза плечевого сустава нужно вести, сочетая полный комплекс профилактических, консервативных медицинских и народных методов. Восстановление его работоспособности — длительный и трудоемкий процесс, куда обязательно должны входить лечебная физкультура и правильное питание
Не исключается также прием биодобавок с содержанием витаминов и коллагена в одном составе.
Но пользуясь БАДами, надо помнить:
- У них есть как показания, так и противопоказания
- Это достаточно дорогие препараты, выпускаемые маркетинговыми кампаниями
- Среди продукции такого рода есть немало подделок
Видео: Лечение суставов народными методами
Оценка статьи:
Загрузка…zaspiny.ru