Все про молочні зуби
Хоч діти і народжуються без зубів (зазвичай), проте їх зачатки формуються ще під час перебування дитини у маминому животику. Їх ріст і розвиток залежить від генетичних факторів, харчування мами під час вагітності тощо.
Скільки молочних зубів
Молочних зубів 20. Звичайно, вони не виростають усі відразу. Свій час і місце має кожен молочний зубчик. Маленька шпаргалка допоможе вам орієнтуватись у цих поняттях.
Такі цифри подає підручник з дитячої стоматології, але медицина наука не точна, а діти не комп’ютери. У когось перший зубчик виростає у 4 міс, а у когось аж в 10. До того ж, запізнене прорізування зубів не завжди свідчить про брак мікро- та макроелементів. Воно може бути спадковим. Інколи зубчики розташовуються асиметрично, — це теж не страшно. Коли проріжуться усі – ситуація може виправитись.
Приблизно в шість рочків молочні зуби почнуть замінюватись на постійні.
Що робити коли ріжуться зуби
Я практично не зустрічала мам, які не помічали процесу прорізування зубів у своїх дітей. Як не крути, а без дискомфорту та нездужання не обходиться.
Мало того, що у дитини збільшується слиновиділення, вона все тягне до рота і гризе, — та вона ще й стає неспокійною, дратівливою, погано спить, погано їсть і т.д. Може навіть підніматись температура, з’являється діарея.
Щоб допомогти дитині — придбайте спеціальне кільце-гризачок, масажуйте ясна, змазуйте анестезуючими гелями (моїм дітям найкраще підійшов Камістад – і знеболює і екстракт ромашки запалення знімає), при температурі дайте жарознижуючий препарат із дитячої аптечки, витирайте слину або просто одягніть слинявчик (слина, яка стікає по підборіддю і шиї може спричинити висипання).
Чи є у молочних зубів корені
Молочні зуби на вигляд такі ж як і постійні, тільки меншого розміру. І корені у них є. Звичайно, молочні зуби мають свої особливості, які зумовлюють швидке протікання карієсу та його ускладнень (пульпіт, періодонтит).
Коли починати чистити молочні зуби
Як стоматолог, я б радила вам починати ще до того, як виросте перший зубчик. Спочатку нехай дитина масажує ясна м’якою щіточкою, а коли виросте перший зубик – заодно і очищатиме його. Для дітей виробляють спеціальні зубні щітки, відповідно до віку. Їх можна знайти у кожній аптеці.
Чи потрібно лікувати молочні зуби
Однозначно – так. По-перше: хворий зуб є постійним джерелом інфекції в організмі дитини. Каріозні зуби можуть бути причиною частих захворювань верхніх дихальних шляхів.
По-друге: щоб добре пережовувати їжу потрібні здорові зуби. Якщо дитина не зможе нормально їсти – організм не буде отримувати необхідних поживних речовин.
По-третє: неліковані зуби швидко руйнуються, доводиться їх видаляти. Але кожен зубчик має для цього свій час. Завчасно видалені зуби часто стають причиною затримки росту щелепи, а коли приходить час виростати постійним зубам – виявляється, що для них немає достатньо місця. Саме тоді починаються проблеми з прикусом, пластинки і брекети.
В кінці кінців по-четверте: дитина з гарною посмішкою (здоровими зубами) почуває себе більш впевнено, вільно, розкуто. Така дитина не соромиться виявляти свої емоції.
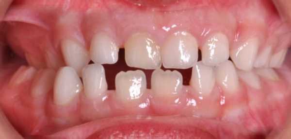
Чи мають бути між зубами щілини
В нормальному здоровому прикусі проміжків між зубами бути не повинно. За рахунок контактних точок між зубками рівномірно розподіляється жувальне навантаження по всій зубній дузі – зубики не перевантажуються. Буває щілина між передніми різцями, — вона називається діастемою. Діастема часто спадкова – тому вважається фізіологічною нормою.
В молочному прикусі зубки відразу після прорізування стоять близько один до одного, без щілин. Але ближче до 4 років, між зубками з’являються щілини. Це теж нормально. Вони називаються треми. Пов’язано це з тим, що щелепа росте, готуючись вмістити 32 постійних зуба – тому відстань між молочними зубами збільшується. А сприяє росту щелепи активне пережовування твердої їжі.
Якщо у дитини у п’ятилітньому віці проміжків між зубами нема, — це свідчить про те, що щелепа відстає у рості, а значить, скоріше за все, постійні зуби не матимуть місця. В такому випадку слід звернутися до стоматолога.
Карієс молочних зубів
Карієс – розм’якшення і руйнування емалі зубів. Через особливості будови молочних зубів (тонкі шари тканин, великий судинно-нервовий пучок – пульпа, широкі кореневі канали тощо) карієс перебігає дуже швидко і практично відразу ускладнюється пульпітами і періодонтитами. Сприяє цьому відсутність гігієни і постійне поглинання солодощів та солодких напоїв із пляшечки. Крім того в молочних зубах часто зустрічаються аномальні перебіги каріозних процесів:
- пришийковий карієс, коли емаль руйнується навколо шийки зуба відразу біля ясен. Тонкі шари твердих тканин зубчика швидко розм’якшуються і при накушуванні зубчик може повністю відламатись)
- площинний карієс, коли емаль розм’якшується на всій поверхні зуба.
- блискавичний карієс, коли зубчик руйнується за рекордно короткі терміни, і відразу виникають ускладнення: ви ще не встигли подумати, що може полікувати треба, а дитина на ранок вже підпухла.
Яка різниця між карієсом, пульпітом і періодонтитом
Карієс, пульпіт і періодонтит – це запальні процеси які виникають у зубчику чи навколо нього. Тут усе пов’язано: карієс призводить до пульпіту, пульпіт до періодонтиту… а результат – видалений зубчик.
Чи допоможе сріблення зубів від карієсу
Сріблення не є методом лікування, а скоріше методом консервації. Воно лише на деякий час зупиняє каріозний процес. Інколи зубчик дотримується до його фізіологічної зміни, інколи – ні.
При карієсі кутніх зубів, блискавичному перебігу карієсу – сріблення не допоможе. Показом для сріблення є площинний карієс, пришийковий карієс, і то лише за умови, що лікар правильно виконає усі процедури. А через півроку сріблення слід повторити.
Нехай ваші діти будуть здорові!
Понравилась статья? Поделитесь:
Похожие статьи:
Як розібратись у аналізі сечі
Страшне слово — алергія
Олія: не все золото, що блищить
Опіки — гарячі пригоди!
Яка олія корисніша?
www.detsko.com
Коли випадають молочні зуби у дітей (Схема)
Молочний комплект грає важливу роль в розвитку організму дитини. Він впливає на формування правильного присмаку, а наявність карієсу робить негативний вплив на здоров’я постійної одиниці. Необхідно знати не тільки, коли випадають молочні зуби у дітей, а й детально вивчити ознаки нормального протікання процесу, можливі порушення.

Чому випадають молочні зуби у дітей?
Спочатку у дитини нараховується 20 молочних зубів. Їх випадання і заміна на постійні відбувається через зростання щелепи. Корінні одиниці характеризуються великим розміром, тому перед початком випадання відстань між зубами починає збільшуватися.
Ознаки зміни молочних зубів на постійні
Процес зміни молочних зубів найчастіше відбувається безболісно і характеризується рядом ознак:
- Збільшення проміжку між зубами за рахунок зростання щелепи. Спостерігається орієнтовно до 5 років.
- Розсмоктування коренів в результаті формування корінних одиниць. Відбувається за 1-2 роки до моменту випадання 1 молочної одиниці.
- Розхитування. Свідчить про його швидке випаданні. При нормальному перебігу процесу немає больових відчуттів і кровоточивості.
У той час, коли розсмоктуються коріння різців, з’являються перші корінні одиниці — премоляри, розташовані за 2 молярами. Процес розсмоктування досить тривалий — біля коріння різців він триває до 2 років і 3 роки у молярів і іклів.
Після повного розсмоктування відбувається природне випадання і на цьому місці згодом виростає новий постійний зуб.
У скільки років випадають молочні зуби?
Перші молочні зуби випадають з 6 років, однак процес може зрушити внаслідок індивідуальних особливостей росту і розвитку дитини.
Орієнтовна таблиця вікової схеми випадання.
| Назва | Вік зміни, років | |
| верхній ряд | Нижній ряд | |
| Малі або 1 моляри | 9-10 | 10-12 |
| Великі або 2 моляри | 10-12 | 9-12 |
| мешканець | 9-11 | |
| центральний різець | 6-7 | |
| бічний різець | 7-8 | |
Тривалість повної зміни комплекту безпосередньо залежить від загального стану здоров’я, наявності патологій, спадковості і правильного харчування. В середньому, останні молочні зуби випадають до 14 років. На завершальному етапі виростають 3 моляри — це відбувається після 18 років.
Порядок випадання
Тимчасові зуби нерідко починають випадати в тій же черговості, в якій вони прорізувалися. Під час цього процесу спостерігається симетричність — парні молочні одиниці починають розхитуватися одночасно.
Стандартна послідовність випадання:
- Спочатку змінюються передні центральні і бічні різці обох рядів.
- Далі випадають малі моляри — спочатку верхня пара, потім нижня.
- Потім відбувається випадання верхніх і нижніх іклів.
- Наступними по черзі йдуть великі моляри нижньої щелепи.
- Останні змінюються великі моляри верхнього ряду.
Єдиного графіка випадання не існує — у кожної дитини він індивідуальний. Всі 20 молочних одиниць, які включають в себе по 8 різців і молярів, а також 4 ікла, повинні випасти в віці від 6 до 14 років.

Порядок випадання молочних зубів у дітей
Причини несвоєчасного випадання
Загальноприйнятий графік термінів випадання може відрізнятися при наявності ряду факторів.
| Раніше 5 років | Пізніше 8 років |
| Травма щелепи, отримана при падінні | рахіт |
| неправильний прикус | Генетична схильність, тривалість грудного годування, авітаміноз, якість споживаної їжі і води |
| Карієс важкої форми, що сприяє крошенію і видалення | Перенесення хвороб інфекційного типу, наявність захворювань ендокринної системи |
| неприродне розхитування | Неправильний ріст корінний одиниці |
Допустиме відхилення від загальноприйнятих термінів становить від 1 до 2 років. У хлопчиків зміна молочного комплекту на постійний відбувається пізніше, ніж у дівчаток.
Наявність неправильного прикусу може привести до погіршення роботи травного тракту і порушення функціонування м’язів, що відповідають за рух щелепи. Ознайомитися з тим, як виглядає подібна проблема у дітей можна на фото в інтернеті. Для виправлення ситуації, що виникла рекомендується звернутися до ортодонта і встановити спеціальний апарат, дія якого спрямована на корекцію напрямку росту постійного комплекту.

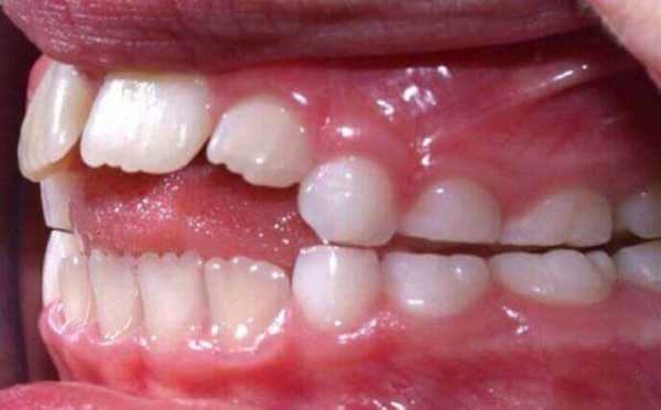
Приклад неправильного прикусу

Неправильний прикус дитячих зубів
Що робити при зміні зубів
Після випадання молочного зуба необхідно:
- Якщо є кровотеча — докласти на 2-3 хвилини до лунки шматок чистої марлі.
- Чи не годувати дитину протягом 2 годин. Наступні кілька днів віддавати перевагу супів і каш, після їжі регулярно полоскати ротову порожнину теплою водою.
- Пояснити дитині, що лунку не слід чіпати руками — це запобіжить ризик занесення інфекції і запалення ясен.
В період заміни важливо стежити за повноцінним раціоном дитини — брак кальцію, вітамінів і мінералів може зробити негативний вплив на зростання і формування корінного зуба. При необхідності рекомендується підібрати вітамінний комплекс.
При зміні молочного комплекту на корінний можуть виникнути проблеми, які вимагають підвищеної уваги:
- Акули щелепу. Особливість патологій — зростання постійного комплекту починається до моменту випадання тимчасового. За рахунок цього вони ростуть в 2 ряди. Подібний стан не є небезпечною патологією і не робить негативний вплив на формування щелепи. Якщо протягом 3 місяців не відбувається природного випадання молочного ряду, рекомендується видалити його у стоматолога.
- Яскраво виражені больові відчуття. Заміна зубів може протікати з почервонінням і набряком ясен, а також підвищенням температури. Подібний стан призводить до швидкого перевтоми і проблем зі сном через підвищеного навантаження на нервову систему. Для усунення негативної симптоматики рекомендується використовувати Дентокінд. Препарат виявляє анестезуючу і протизапальну дію.
- Виникнення гематоми на яснах. Характеризується сильним болем і утрудненням в прийомі їжі. Освіта розсмоктується природним шляхом за кілька тижнів. Для поліпшення стану дитини рекомендується кілька разів в день змащувати роздратоване місце пастою Солкосерил або гелем Камістад.
- Відсутність корінного зуба. Рідко причина може критися в загибелі зачатка, частіше свідчить про затримку у формуванні. В цьому випадку зуб може повністю залишитися всередині ясна або з’явиться на її поверхні лише частково. Подібна патологія вимагає консультації ортодонта.

Акульна щелепа не є небезпечною патологією
При виявленні карієсу, тривалому кровотечі з лунки або погіршенні самопочуття дитини слід звернутися до стоматолога.
Для зниження ризику виникнення негативних наслідків не рекомендується:
- розхитувати зуби навмисно;
- вживати в їжу гострі, кислі і надмірно тверді продукти;
- обробляти лунки після випадання засобами на спирту, перекисом водню та іншими антисептичними розчинами.
Важливо!
При заміні зубів необхідно регулярно стежити за наявністю проміжку між ними. Його відсутність призводить до зростання корінних одиниць нерівній форми. Раз в 6 місяців рекомендується відвідувати стоматолога для попередження виникнення захворювань зубів і ясен.
Своєчасне реагування на виниклі негативні симптоми, регулярне дотримання правил особистої гігієни і обробка ротової порожнини дитини при виникненні тріщин або ран сприяє безболісної зміни і правильному росту зубів.
healthday.in.ua
Молочні зуби у дітей – схема випадання
Організм дитини і дорослого має багато схожого, але так само і відмінностей. Відомо, що спочатку у дітей прорізуються тимчасові зуби, які через деякий час змінюються на постійні. Незважаючи на значну їх ідентичність, з першого погляду, можна виділити особливості в будові. Крім цього їх випадіння, також значно відрізняється від механізму втрати постійних зубів.
Будова молочних зубів
Тимчасові зуби у дітей, як і в дорослих, мають коронку, шийку і корінь. Однак навіть в анатомічній будові, не кажучи вже про гістології, можна знайти відмінності.
Молочні коронки мають менші розміри по висоті і ширині. Їх фісури (заглиблення на жувальній поверхні корінних зубів) більш глибокі, з вираженими горбиками емалі. Зокрема цим і пояснюється часте ураження фісурним карієсом.
Тимчасові коріння порівняно з постійними, більш розгалужені, але мають значно тонші стінки та укорочену довжину. У них також проходять канали і сполучна тканина – пульпа.
Основна тканина зуба представлена дентином. Вона більш м’яка і подвержанна карисогенному руйнування. Теж саме відноситься і до емалі. Основною структурною одиницею є емалеві призми. Між собою вони склеєні аморфною речовиною. У молочних зубах емалеві призми не такі міцні. Карисогенный процес, без правильної гігієни порожнини рота легко руйнує їх за короткий період.
Процес зміни зубів
Приходить час, коли організм дитини починає працювати трохи інакше і в ньому спостерігаються певні зміни. Втрата молочних зубів без патології, це фізіологічний процес, якого не уникнути.
Майбутнє кількість, як молочних, так і постійних зубів у дитини закладається ще в утробі матері. У новонародженого вони представлені у вигляді фолікул (зачатків). В нормі у дитини розвиваються 20 фолікул молочних зубів і 32 постійних.
Зміна прикусу зазвичай починається з 5-6 років, але вона може трохи випереджати такі показники або навпаки затримуватися. Це не вважається патологією. В даний час схема випадання молочних зубів зсунута у бік випередження фізіологічних термінів. Причини цього, на думку стоматологів, полягають у наступному:
- Особливості протікання обмінних процесів у сучасних дітей;
- Вживання висококалорійної їжі;
- Зміни в протіканні нервово-психічної діяльності;
- Рано ураження карієсом та його ускладненнями твердих тканин зубів;
- Хворобами пародонту в ранньому віці;
- Травмами зубощелепної системи;
- Браком деяких мікроелементів в організмі, що росте.
Звичайно ж, в першу чергу на зміну прикусу впливають фізіологічні процеси в організмі дитини. Швидкий ріст зачатків постійних зубів провокує резорбцію (розчинення) коренів тимчасових. Вони починають розхитуватися, під впливом твердий їжі, спостерігається їх вивих і випадання.
До цього часу від коренів практично нічого не залишається. Вони майже повністю розчиняються під дією тканинної рідини в щелепи. Після того, як зуб випав, на його місці залишається незначна рана, з легким кровотечею. В домашніх умовах для його зупинки слід дати дитині стерильну марлеву серветку і попросити прикусити в області рани. При рясній кровотечі і сильних болях слід негайно звернутися до стоматолога.
Процес заміни досить довгий і триває протягом декількох років. Тільки приблизно до 14-15 років у дитини формується повний постійний прикус, але зазвичай з відсутністю третіх молярів або зубів мудрості. Вони можуть прорізуватися значно пізніше, у дорослому віці.
Послідовність випадання в молочному прикусі
Схема випадання молочних зубів, нагадує послідовність їх прорізування. Принципових відмінностей послідовності зміни на верхній або нижній щелепі не існує. Першими випадають центральні різці, і вони ж мають найбільш ранні терміни прорізування.
На звільненому місці постійний зуб може відразу не з’явитися. Якщо цього не відбувається протягом 2-3 років, то варто звернутися до лікаря і пройти рентгенологічне дослідження. Швидше за все, зачаток зуба в щелепі. Це відбувається з-за важких захворювань матері під час вагітності та дитини на ранніх термінах життя. У такій ситуації батькам варто, подбай про стан прикусу, і звернутися до ортодонта.
Коли починають змінюватися центральні різці, на альвеолярному відростку вже є постійні зуби. Це 1 моляр, він з’являється ще в 5 років. За центральними різцями йдуть бічні, які падають у віці 7-8 років. Вони мають трохи менші розміри і ростуть досить швидко. Далі часто парно розхитуються і випадають перші корінні зуби. Їх зміна спостерігається в 9-11 років. За ними йдуть другі моляри, вони міняються у віці 10-12 років. Останніми йдуть ікла. Ці зуби мають масивний корінь. Він відрізняється від інших, як завдовжки, так і шириною. Тому його випадання спостерігається пізніше всіх до 11-13 років життя дитини.
zsz.pp.ua
болять, чи треба їх лікувати, протезувати?
«Потрібно лікувати молочні зуби? Болять чи пошкоджені молочні зуби у дітей? Нешкідливі методи лікування?» – це далеко не весь перелік питань, яке виникає у батьків.
У «молочників» невеликий «термін служби». Кожен батько знає, що всі вони рано чи пізно зміняться постійними. Тому існує думка, що проводити лікування молочних зубів необов’язково. Насправді все набагато складніше. Молочні – база для здорового зростання постійних, то вони впливають на правильне формування прикусу.
Потрібно лікувати молочні зуби? Так, і не тільки лікувати, а щодня проводити профілактику захворювань, щоб вони збереглися до самостійної заміни. Потрібно старанно піклуватися про гігієну порожнини рота дитини, бо емаль у дітей не сформована повністю і патогенні мікроорганізми швидше атакують здорові тканини, викликаючи карієс.
Специфіка лікування
Причини захворювань збігаються з причинами у дорослих:
- швидкий розвиток патогенних мікроорганізмів;
- зловживання солодким і кислої їжі, особливо містить рафіновані цукру;
- недотримання правил гігієни ротової порожнини.
Сумніви про те, чи варто відразу після виявлення карієсу лікувати молочні зуби, відразу розвіються, якщо знати, до яких ускладнень це захворювання може призвести:
- карієс може призвести до пульпиту і втрати зуба;
- відсутність зубів – до неправильного формування прикусу і порушень у роботі шлунково-кишкового тракту через недостатнє пережовування їжі;
- зачаток постійного зуба може повністю зруйнуватися через поширеної інфекції.
Лікування молочних зубів специфічно, внаслідок того, що вони недостатньо мінералізовані і пульпа виявляється незахищеною. За статистикою, найчастіше уражаються карієсом молочні моляри. Їх жувальна поверхня дуже рельєфна і, тому її складно повністю відчистити. В ямках скупчуються бактерії, утворюється наліт і розвивається карієс.
Можуть сильно боліти молочні зуби, якщо карієсу не видно? Так, буває так, що дитина скаржиться на біль, але видимих ознак захворювання немає. В цьому випадку рішення про те, чи треба зараз лікувати молочні зуби, повинен прийняти стоматолог. На основі даних діагностики, він визначить локалізацію і ступінь розвитку патологічного процесу, а також розробить тактику лікування. В залежності від стадії хвороби може проводитися пломбування, який-небудь вид ампутації, протезування або видалення.
Від батьків потрібно правильно налаштувати дитину психологічно. Щоб дитина відчував як можна менше страху, потрібно поговорити з ним на теми: боляче лікувати і виривати молочні зуби, що саме буде робити лікар, які результати очікуються від лікувальних процедур і т. д. Чим більше інформації отримає маленький пацієнт, тим менше буде його занепокоєння.
Пломбування
При ранньому виявленні карієсу, лікування може бути швидким і ефективним. Стоматолог завдасть фтористий лак, захищає зубну емаль і зупиняє процес руйнування. Боляче таким способом лікувати молочні зуби у дітей? Звичайно, немає. І це головний з плюсів процедури.
Коли поширився карієс дещо більше, можливе застосування препаратів на основі срібла. Метод ефективний в тому випадку, якщо немає пошкоджень зсередини. Рішення про те, чи треба лікувати таким способом зуби дитині, має бути прийняте після консультації з лікарем: після процедури емаль стане чорною, колір збережеться до природного випадання.
Лікують каріозні молочні зуби у дітей з допомогою пломбування? Так, якщо сріблення проводити вже пізно, і є внутрішні пошкодження. Лікар прибирає каріозні ділянки і ставить пломбу, яка може бути спеціальною швидковисихаючої пастою. Багатьох батьків турбує питання про те, болять під час такої процедури молочні зуби. Пломбування проводиться під місцевою анестезією, больових відчуттів немає.
Екстирпація
Коли карієс поширюється глибоко, він викликає запалення пучка судин і нервів – пульпи. Це захворювання називається пульпіт.
Чи треба при пульпіті лікувати молочні зуби дітям? Так. В сучасних клініках для цього використовують вітальну або девитальную екстирпацію. Різниця в тому, що в першому варіанті нервово-судинний пучок видаляється відразу, а в другому – спочатку умерщвляется, а на наступному прийомі видаляється.
Канали ретельно обробляються механічним і медикаментозним способом. Запалена пульпа витягується, і ранка обробляється антисептиком. Потім канали заповнюються протизапальної пастою, яка через деякий час розсмоктується.
Другий метод – вітальна ампутація. У цьому випадку видаляється тільки верхівка пульпи, а кореневу частину вводиться спеціальний лікувальний препарат. Він не тільки зберігає «нерв» живим, але і блокує біль в процесі і після лікування.
Лікувати чи при пульпіті молочні зуби у дітей вітальним або девитальним методом визначить лікар, багато що залежить від ступеня поширення запалення і практичного досвіду стоматолога.
Протезування
Протезування зубів у дітей – відновлення, зберігає функції і структуру зубного ряду, його естетичний вигляд.
Проводиться під місцевою анестезією або загальним наркозом.
Протезування молочних зубів у дітей застосовується в тих випадках, коли вони:
- втрачені з-за травми;
- зруйновані повністю з-за карієсу;
- ряд змінено з-за вираженого запалення.
Дитяче фронтальне протезування виконується з допомогою strip-коронок. Ковпачок підбирається індивідуально, наповнюється композитним складом і надівається на різець або ікло. Композит твердне під дією полімеризаційного освітлювача. Після ковпачок викидається, поверхня обробляється шліфувальною машинкою.
Моляри відновлюються з допомогою коронок з медичної сталі. Так як вони знаходяться в невидимій для оточуючих зоні, колір не має значення. Металеві коронки обходяться дешевше, чим звичайні. Завдяки такому дитячого зубного протезування, стало можливим надійне і недороге відновлення.
Незалежно від того, болять чи пошкоджені молочні зуби, необхідно регулярно відвідувати стоматолога. Часто захворювання можна виявити, тільки маючи спеціальне обладнання і відповідні знання. З раннього віку треба знайомити дитину з гігієнічними процедурами по догляду за порожниною рота, виробляти до них звичку. Тоді питання про те, чи треба лікувати хворі молочні зуби у дітей – швидше за все, не стане актуальним.
diagnoz03.in.ua
Коли випадають молочні і виростають постійні зуби?
У людей перший комплект зубів є тимчасовим і називається молочним. Термін служби цього набору, коли він повністю сформується, порівняно невеликий. Тимчасові одиниці прорізуються в грудному віці.
Зміна молочних зубів у дітей на постійні починається приблизно в 5 років, а закінчується до 15 років.
Фізіологія заміни
До 5-річного віку міжзубний простір стає ширше. Так відбувається підготовка щелепи до процесу зміни.
Якщо відстань між зубами не збільшується, то необхідно показати дитину лікарю, адже через нестачу місця вони можуть (і будуть) рости через бік десни (горизонтально) або, навпаки, усередину ротової порожнини.
Між корінням молочних знаходяться зачатки постійних, тому процес зміни починається з розсмоктування кореня молочного зуба з боку, що прилягає до зачатку. Процес розвивається від верхівки кореня і поступово досягає основи. В цей час молочний починає хитатися, а коли уражається шийка, то він випадає.
У всіх людей завжди виростає 20 молочних зубів, і випадають вони абсолютно всі. Максимум до 15 років вони повинні бути замінені постійними одиницями.
Порядок зміни молочних зубів у дітей
Процес відбувається у двох напрямках одночасно: молочні випадають, прорізуються постійні. Важливим чинником в цей період є й те, які будуть випадати першими.
Випадати молочні будуть у тому ж порядку, в якому вони виростали. Схема завжди однакова: спочатку міняються різці, за ними премоляри, а в останню чергу – ікла.
Варто відзначити, що перші моляри виростають відразу постійними і відбувається це ще до початку процесу зміни. Другі моляри виникають на порожніх місцях, які утворилися в процесі росту щелепи. Треті моляри, або зуби мудрості, у деяких людей не виростають зовсім, так як у них вже немає необхідності.
На зміну впливають наступні фактори:
- Тривалість грудного вигодовування;
- Генотип малюка;
- Інфекції, перенесені дитиною;
- Наявність токсикозу у жінки в період вагітності.
Коли почнуть випадати молочні?
Вже до 5 років вони починають розхитуватися. Варто зазначити, що відхилення від строків є порушенням. Наприклад, раннє прорізування частіше всього свідчить про ендокринні розлади, а затримка в зростанні – про порушення обміну речовин, рахіті, хронічні інфекції та ін.
Таблиця зміни молочних зубів у дітей:
- 6-7 – років – перші моляри;
- 6-8 – центральні, а слідом за ними і бічні різці;
- 10-12 – премоляри;
- 9-12 – ікла;
- 11-13 – другі моляри;
- 17-25 – треті моляри.
Однак терміни можуть сильно коливатися. У одних дітей вони починають випадати раніше, у інших – пізніше. Цей процес залежить від багатьох факторів і допустимі коливання становлять від 4 до 8 років.
Крім того, важливий і порядок випадання. Серед стоматологів є термін «просторовий баланс», під яким мається на увазі те, що молочні одиниці відповідають за розташування корінних, а також за їх розташування в ротовій порожнині.
Тимчасові утримують просторовий баланс до моменту свого випадання. Раннє або пізніше випадання може призвести до розладів прорізування.
Причинами раннього випадіння можуть бути вимушене видалення зуба, травма, зростаюча пухлина, сильний тиск сусідніх зубів або аномально глибокий прикус.
Внаслідок цього порушується просторовий баланс, тобто зміна на постійні зуби утруднена змістившимися одиницями, які зайняли вільний простір. Як результат – кривизна, яка може спотворити риси обличчя, природну міміку і викликати дефекти мови. Щоб уникнути такого явища, лікар-ортодонт встановлює спеціальну утримуючу платівку.
А ось причинами пізнього випадання стає рахіт, перенесена інфекція, хронічна диспепсія, спадкова схильність або фенілкетонурія.
Часто фізіологічне запізнювання випадання робить постійні одиниці більш стійкими до карієсу, але якщо цей процес не почався до 8 років, то можливо відсутні зачатки.
Бувають випадки, коли молочні хитаються, але не випадають. При цьому поряд з ними вже з’явилися постійні, а так як їм не вистачає місця, то вони ростуть неправильно розташовуючись, виступаючи з зубного ряду. У такій ситуації необхідно звертатися до фахівця для негайної корекції.
Терміни зміни молочних зубів у дітей
Всього процес заміни займає від 5 до 8 років. Рахувати потрібно від випадіння першої одиниці і до втрати останньої. Порушення цих термінів може бути викликане генетичним фактором, якістю питної води і раціоном харчування. Вважається нормою випадання останнього тимчасового зуба до 14 років.
Виникаючі проблеми
Хоч процес зміни і є фізіологічним, але багато батьків стикаються з низкою проблем
«Акуляча щелепа». В нормі спочатку розсмоктуються коріння, потім зуби випадають (молочні), підштовхувані постійними. Але іноді цей процес дає збій і тоді постійні встигають вирости раніше, ніж випадуть молочні. Буває, що у дитини є одразу два ряди, тобто і молочні і постійні.
Стоматологи підтверджують, що таке порушення не викликає проблем у перспективі, адже після випадання молочного, постійна одиниця все ж займе своє місце. Однак батьки повинні зводити дитину на консультацію до лікаря, якщо молочний зуб не випадає протягом 3-х місяців.
Сильний дискомфорт і біль – явища, які часто зустрічаються. Можливо також підвищення температури до 38 градусів. У рідкісних випадках на краю ясен утворюється гематома червонуватого або синюватого кольору. Якщо її проколоти, то з’явиться кров’яниста рідина.
Через кілька тижнів на її місці має з’явитися зуб. Запалені ясна змащують спеціальними пастами і гелями. Однак при яскраво виражених явищах потрібно відвідати лікаря. Особливо важко проходить зміна корінних молочних зубів у дітей.
Молочний випав, але постійний не росте. Така ситуація може виникнути з двох причин. По-перше, з-за ретенції – затримки прорізування. Часткова ретенція – частина коронки прорізалася, а інша залишилася під яснами. Коли зуб сформований, видно в щелепі, але не з’являється – це повна ретенція.
Порушення може бути викликано передчасним видаленням молочного зуба, затримкою його випадіння, неправильним і занадто глибоким розташуванням зародка. По-друге, аномалія виникає через адентії – відсутність зуба.
Частковою адентією називається явище, коли в ряді немає одного або кількох одиниць. Причиною порушення є загибель зародка. Таке відбувається внаслідок патології внутрішньоутробного розвитку плоду, проте цей стан зустрічається дуже рідко.
Що робити батькам
Вже по досягненню трьох років дитину можна привчати до щоденної гігієни ротової порожнини, тобто до чищення зубів. Щітки для чищення рекомендується вибирати м’які, з округлими кінчиками щетинок. Паста використовується тільки дитяча, так як вона не викликає алергії і безпечна при ковтанні.
Після кожного прийому їжі слід полоскати рот водою. Така проста міра допоможе захиститися від карієсу.
У дитини повинен бути повноцінний раціон. Особливо важливо вживання продуктів з високим вмістом кальцію, так як емаль корінних зубів, які тільки прорізалися, спочатку недостатньо мінералізована.
Після випадання може виникнути кровоточива рана. Потрібно зробити тампон зі стерильної вати і дати малюкові його прикусити.
Якщо в ротовій порожнині є запальний процес або малюк відчуває дискомфорт відзуба, який хитається, то потрібно обов’язково відвідати стоматолога.
На процес формування щелепи може вплинути багато факторів, так що навіть таблиця зміни не завжди ефективна і треба індивідуально підходити до цього питання у кожному конкретному випадку. Здорових зубів вашим діткам!
natalka.pp.ua
Скільки молочних зубів у дітей?
До 3 років у дитини має бути 20 молочних зубів. Стандартна схема появи молочних зубів приблизно така:
- 6 місяців — 2 нижніх передніх,
- 8 місяців — 2 верхніх передніх,
- 12 місяців — 2 верхніх бічних,
- 14 місяців — 2 нижніх бічних,
- 16 місяців — 4 (по 2 нижніх і верхніх) бічних передніх,
- 24 місяці — 4 (по 2 нижніх і верхніх) ікла, які з’являться між різцями і бічними,
- 25-26 місяців — останні 4 (по 2 нижніх і верхніх) задніх.
Разом до 3 років дитина повинна стати володарем 20-ти зубів.
Дуже важливо пам’ятати, що молочні зуби утворюються у малюка ще до його народження з речовин, якими харчується майбутня мама. Тому дбати про це варто починати задовго до загальноприйнятих 6 місяців, коли з’являються зубки. Однак чітких термінів їх прорізування не існує.

Молочні зуби дещо коротші і ширші, ніж їхні постійні побратими, вони можуть виростати асиметрично — але це не повинно викликати великого занепокоєння у батьків. Як правило, до двох років зубний ряд вирівнюється в результаті пережовування їжі.
Найважливішим завданням в цей час виступає турбота про здоров’я молочних зубів, які зміняться корінними. Пошкоджені зуби — розсадник несприятливих мікробів, тому їх лікування непросто потрібно, а життєво необхідно.
Крім догляду і правильного харчування, варто звертати увагу на достатню кількість твердої їжі і правильне її розжовування, адже цей процес, до всього іншого, впливає на перетравлення і подальше засвоювання в організмі. І, звичайно ж, присутність в меню таких корисних складових, як кальцій, вітаміни D, C і A, фосфор, фтор і різних інших речовин. А ось солодке краще мінімізувати — бактерії, що харчуються вуглеводами і виробляються кислотами, неймовірно швидко здатні зіпсувати емаль зубів. І якщо малюк все ж з’їв шоколадку або льодяник, то варто дати йому морквину або яблуко на закуску.
medgolos.com
Молочні зуби у дітей — схема випадання
Багатьох батьків хвилює занадто раннє або пізніше поява молочних зубів у своїх дітей. Не менше занепокоєння викликає і період зміни часових одиниць на постійні. Які молочні зуби випадають першими, в якому віці це відбувається у дітей?
Коли формуються зачатки
Перші зубні зачатки формуються у дитини ще під час внутрішньоутробного розвитку. Відбувається це 7-8 тижні вагітності. Майбутньої матері дуже важливо отримувати мікроелементи, що сприяють утворенню міцних тканин дентину і емалі, щоб у майбутньому у малюка не виникав карієс.
На 20 тижні вагітності у плода формуються зачатки постійних одиниць, які знаходяться під вже утворилися раніше тимчасовими зубками.
Причини зміни прикусу
Відразу після народження дитина харчується виключно материнським молоком, але поступово малюк переходить на тверду їжу і для цього йому потрібні зубки. Часові одиниці мають невеликий розмір, так як щелепу дитини дуже мала.
Чому випадають молочні зуби? Поступово дитина росте, а зубки залишаються колишнього розміру, для відновлення пропорцій, рівномірного розподілу жувального навантаження і формування правильного прикусу необхідна зміна прикусу. Коронки постійних одиниць значно більша і краще пристосовані до перетирання твердої їжі.
Одна з функцій молочних зубів – це орієнтир для правильного росту постійних. Якщо з якої-небудь причини тимчасовий зубик був видалений, то постійний може займати неправильне місце в ряду, мати дефекти форми коронки.
Таблиця зміни тимчасового прикусу
В якому віці зазвичай починають випадати молочні зуби? До 4 років у малюка вже прорізалися всі молочні зубки почали з’являтися постійні моляри. Приблизно в цей же час починають поступово розсмоктуватися коріння часових одиниць. Після цього коронка розхитується і випадає, звільняючи дорогу постійних зубах. Їх зростання починається з 5-7-річного віку.
Коли зазвичай випадають молочні зуби у дітей, які одиниці змінюються першими, існує певна схема?
Порядок випадіння та зміни молочних зубів у різних дітей може трохи відрізнятися. Головне, стежити, щоб постійні коронки не почали прорізуватися, коли тимчасова одиниця ще не вилучена.
У дівчаток зміна прикусу починається трохи раніше, чим у хлопчиків того ж віку, як і процес прорізування. Першими завжди розхитуються одиниці нижнього ряду, а потім випадають їх антагоністи на верхній щелепі.
Скільки молочних зубів випадає у маленьких дітей і у скільки років у дитини змінюються останні з них? Все змінюється 20 часових одиниць, закінчується процес до 13-14 років. До цього віку в роті дитини 24 зуба, з 12 на кожній щелепі.
Схема випадання молочних зубів у дітей за віком та порядок прорізування постійних:
- Центральні різці міняються у віці 5-7 років.
- Зміна бічних різців відбувається в 7-8 років.
- Наступними випадають перші премоляри, ростуть вони у 8-9 років.
- За ними слідують перші премоляри – 9-10 років.
- Потім змінюються на постійні ікла обох щелеп – 10-11 років.
- Ну і останніми випадають перші моляри – 12-13 років.
Останніми з’являються треті моляри – це зуби мудрості. Прорізаються вони у кожної людини в різному віці, у деяких вони, взагалі, можуть не з’явитися. У середньому останні моляри ростуть з 16 до 35 років.
За такою схемою відбувається зміна тимчасового прикусу на постійний. Допускаються незначні відхилення від зазначеного порядку, але коли виникають значні порушення необхідно проконсультуватися з дитячим стоматологом і ортопедом.
Чому залежать терміни зміни зубів
На випадання молочних зубів у дітей та їх своєчасну зміну впливають:
- незбалансоване харчування дитини;
- неякісна питна вода;
- перенесені інфекційні, вірусні захворювання;
- генетична схильність;
- наявність хронічних захворювань внутрішніх органів;
- перенесені матір’ю під час вагітності інфекційні хвороби.
По мірі росту дитини змінюються розміри щелепи, між коронками з’являються проміжки. Це природний процес, який не повинен викликати занепокоєння. Коли, навпаки, ці щілини не збільшуються, варто показати малюка стоматолога, так як це може бути симптомом неправильного зростання зачатків постійних одиниць.
Якщо зуби не випадають вчасно
Чому в зазначений термін не випадають молочні зуби у дитини і не ростуть нові? Причиною може бути ретенція або адентія зубних зачатків постійних одиниць.
Ретенцией називається неповне прорізування коронки або її знаходження глибоко в десні. Таке може відбуватися через передчасного видалення тимчасового зубика малюка або неправильне розташування зачатка в кісткових тканинах.
Ще одна причина – загибель зубного зачатка. Це може відбутися при запальних процесах у кореня молочного зуба. Викликає захворювання глибокий карієс, пульпіт, періодонтит, гнійний періостит. Абсолютна адентія зустрічається досить рідко, вона викликана порушенням внутрішньоутробного розвитку плода.
У скільки років починають випадати перші молочні зуби, ікла у дітей, якщо часові одиниці прорізалися пізно? У таких дітей змінюватися зубки можуть значно пізніше, чим у однолітків. Але коли зміна зубів не відбувається до 9 років, необхідно проконсультуватися з лікарем.
Чому відбувається затримка росту постійних одиниць?
рахіт;- вроджений сифіліс;
- порушення гормонального балансу;
- дефіцит кальцію і фтору в організмі;
- інтоксикація організму;
- авітаміноз;
- захворювання щитовидної залози;
- порушення обміну речовин.
До факторів ризику відносять травми, неправильне положення зубних зачатків, запальні захворювання тканин альвеолярного відростка, брак місця в ряду.
Порушення в роботі ендокринної системи можуть викликати затримку зміни тимчасового прикусу, коронки з’являються не парно і в неправильному порядку. При цьому нижня щелепа у дитини недорозвинена, відбувається порушення пропорцій обличчя, малюк малорухомий. При своєчасно розпочатому лікуванні фізичний розвиток дітей прискорюється, і він наздоганяє своїх однолітків.
При гіперфункції надниркових залоз спостерігається прискорена зміна тимчасового прикусу, коронки мають дуже великі розміри, щелепи сильно розвинені.
Як виглядають випали молочні зуби? Це коронка з пульпою без кореня.
Проблеми при зміні прикусу
Коли зазвичай починають випадати молочні зуби у дітей, і чому у дитини нові коронки вилазять поверх старих? Паралельний ріст коронок в два ряди називають акульими зубами. Таке відбувається при уповільненому розсмоктуванні коренів молочних одиниць.
Акулячі зуби у маленьких дітей зазвичай не викликають великих проблем, після видалення тимчасових коронок постійні займають своє належне місце.
Іноді на місці випавшого зубика запалюються ясна, з’являється припухлість або гематома. У таких випадках дитину необхідно показати стоматолога. Після розтину слизової оболонки і відтоку скопилася рідини прорізається постійна коронка.
У скільки років зазвичай випадає перший молочний зуб і що робити, якщо відбувається затримка? Починаючи з 5-6 років необхідно ретельно стежити за станом зубів у малюка, вчасно видаляти хитаються одиниці. Давайте дитині тверду їжу: яблука, груші, горіхи або моркву. Коли відбувається значна затримка росту, з’являються акулячі зуби, слід відвідати стоматолога.
Іноді зміна прикусу може відбуватися несиметрично, часто це пов’язано з індивідуальними особливостями дитини чи раніше проведеним стоматологічним лікуванням. Запломбовані одиниці погано розхитуються, часто їх доводиться видаляти в кабінеті лікаря.
Чому ростуть криві зуби
Іноді постійні зуби можуть з’являтися неправильної форми, навіть якщо їх попередники були рівними. Це може відбуватися, коли коронці не вистачає місця в зубному ряду, так як постійні одиниці більші тимчасових. Ще однією причиною може стати звичка дитину смоктати палець або гризти які-небудь предмети. Батьки повинні відучувати малюка від таких занять, щоб у подальшому сформувався правильний прикус.
У випадках виникнення дефектів зубного ряду, дитину потрібно показати лікарю-ортодонта для корекції порушень.
Коли у дітей випадають перші і останні молочні зуби, до скількох років це зазвичай відбувається? Відповісти на ці питання зможе дитячий стоматолог після проведеного огляду, збору анамнезу з урахуванням індивідуальних особливостей розвитку малюка. При необхідності лікар зробить рентгенівський знімок і проведе лікування, пояснить причину порушення схеми прорізування, дасть корисні рекомендації.
diagnoz03.in.ua
рахіт;