живот, фото, УЗИ, вес плода
31 неделя беременности — это седьмой акушерский месяц. Если взглянуть на календарь беременности -> беременность по неделям, то с момента зачатия прошло 211-217 дней. Большая часть пути пройдена, буквально через 7-9 недель можно будет прижать к сердцу маленькое чудо! 31 неделя беременности – очень важный период для организма как ребенка, так и будущей матери. На 31 неделе беременности будущей маме нужно быть бдительной и следить за всеми протекающими изменениями в ее организме, о которых пойдет речь в данной статье.31 неделя беременности. Развитие, размер и вес плода
31 неделя беременности — время стремительных и активных трансформаций в организме плода. Рассмотрим подробно, что происходит с малышом на 31 неделе беременности:
- Формируется жировая ткань. Плод активно растет, формируется подкожный жир, благодаря которому не будет видно подкожных вен, кожа приобретет нежно-бежевый оттенок.
- Младенец быстро набирает массу – это его основная задача в третьем триместре беременности. Дети рождаются с весом в среднем 3,7 килограмм и ростом 50-55 сантиметров. На 31 неделе беременности ребенок весит примерно 1,6 килограмм и размер плода составляет 30-33 сантиметра в длину.
- Активно развивается ЦНС (центральная нервная система). Младенец начинает различать свет и тьму, развивается сосательный рефлекс.
- Малыш двигается не так активно, как раньше, но и не так смещен в движениях, как на поздних сроках. Чаще всего именно на 31 неделе беременности ребенок поворачивается головой в сторону матки, что является самой удобной позицией во время родов. Однако плод может повернуться раньше или позже, а может и вовсе принять другое, удобное ему, положение.
- Начинают хорошо функционировать почки. Моча выводится в околоплодные воды.
- Ноготочки достигают края пальцев.
- Ребенок на 31 неделе беременности уже может различать звуки. Он начинает запоминать голоса вокруг него, слушать музыку. Малыш может недовольно ворочаться или успокаиваться, если его ничего не будет смущать.
Очень важно контролировать свой эмоциональный фон. Мозг маленького человечка активно формируется, он уже начинает что-то понимать. И самое важное для него – эмоции и состояние матери. Ребенок пока ничего не знает, для него весь мир – женщина, которая его носит.
31 неделя беременности: шевеления, прибавка в весе, ощущения.
На 31 неделе беременности, как уже было сказано ранее, ребенок стремительно набирает вес. Будущая мама в этот момент также набирает вес. Прибавка в весе на 31 неделе составляет около 300 грамм. От момента зачатия до 31 недели беременности женщина набирает приблизительно 7-12 кг. Средний показатель – 9 кг.
Необходимо тщательно следить за своим весом. Женщина еще на ранних сроках должна скорректировать свое питание, чтобы не кормить ребенка вредной пищей. Правильное питание – это не диета, а образ жизни.
Читайте также: Правильное питание при беременности. Что можно и нельзя есть
Из-за набора веса малыша, размеров живота, прибавки в весе становится все тяжелее передвигаться, во время сна тяжело принять удобное положение тела, дыхание становится более тяжелым, глубоким. Изжога на 31 неделе беременности может стать причиной дополнительного дискомфорта. Если на предыдущих неделях изжога появлялась изредка, то на этой неделе она может быть весьма ощутимой.
На 31 неделе беременности следует внимательно следить за шевелениями. Если вы чувствуете, что во время шевелений происходят неприятные ощущения – это сигнал того, что ребеночку не хватает в достаточном количестве кислорода. Частота шевелений на 31 неделе беременности должна составлять приблизительно 1-2 раза в час. Если шевелений не наблюдается в течении 1-2 часов – это тревожный знак. Желательно обратиться к лечащему врачу за консультацией.
Следите также за отечностью ног, давлением и вашим повседневным самочувствием. К утру отечность ног должна сходить, а усталость не должна быть на протяжении всего дня в течение долгого времени. Когда нужно обратиться к врачу:
- заносит на поворотах
- частые боли в голове
- ноги сводят судорги
- рябит или темнее в глазах
Фото живота. Как выглядит живот на 31 неделе беременности
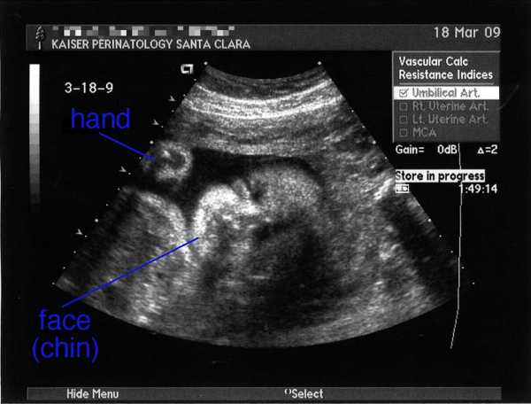
УЗИ на 31 неделе беременности
На 31 неделе беременности с помощью УЗИ можно будет определить положение ребенка, его предположительный рост и вес во время родов. Именно сейчас можно понять, будут ли роды проходить естественным путем или с помощью кесарева сечения. Однако, решение может измениться по ходу беременности: никто не может дать 100%-ных гарантий правильности развития плода.
Очень увлекательно наблюдать за действиями младенца в утробе: он уже не маленькое пятно, похожее на персик, а человек, который что-то умеет и знает. Можно увидеть, как он сосет пальчик, играет с пуповиной. Если малыш сосет палец на правой руке, то, скорее всего, родится правша, если левой – то левша.
На 31 неделе беременности можно с вероятностью 99% говорить о половой принадлежности ребенка, если, конечно, родители не хотят сделать себе сюрприз. На самом деле совсем не важно, кто это будет, девочка или мальчик, главное, чтобы малыш родился здоровым.
Важность УЗИ неоспорима. Иногда будущие матери отказываются от исследования, аргументируя это тем, что раньше женщины рожали и без него. Но сейчас наука идет вперед, с помощью этих недолгих манипуляций можно предсказать болезни или возможные нарушения в организме малыша. Отказываясь от врачебной помощи, будущая мать рискует здоровьем и жизнью своего ребенка.
Фото УЗИ на 31 неделе беременности

Возможные проблемы в женском организме
На 31 неделе беременные женщины часто испытывают многие неудобства:
- начинает болеть спина и суставы, особенно у тех, кто раньше страдал подобными недугами. Следует больше отдыхать и меньше напрягаться;
- появляются неприятные отеки. Используйте старый метод борьбы с ними – нужно принять горизонтальное положение и положить ноги на подушку;
- если ощущаются сильные боли внизу живота, которые имеют нарастающий характер и появляются кровавые выделения, следует в незамедлительном порядке вызывать скорую помощь. Это может свидетельствовать о преждевременных родах или отслойки плаценты. Ребенок еще совсем маленький и ему рано появляться на свет, но своевременная медицинская помощь позволит спасти жизнь недоношенного малыша;
- токсикоз в третьем триместре – тоже не самый лучший показатель. Он может свидетельствовать о гипоксии плода из-за того, что околоплодные воды плохо выводят результат продуктов обмена. Из-за столь продолженного токсикоза у женщины нарушается водный баланс в организме и происходит обезвоживание;
- часто наблюдаются проблемы с зубами. Во время вынашивания организм не получает необходимое количество питательных веществ, он должен распределять ресурсы еще и на ребенка. Кальций, витамин А поступают в недостаточном количестве. Эмаль зубов разрушается, а лечить зубы, используя наркоз, запрещено. Все это может плохо отразится на нервной системе малыша и матери.
Чиатйте также: Лучшие витамины для беременных. Какие витамины лучше пить?
На 31 неделе беременности плод достаточно большой. Он давит на внутренние органы, из-за чего они могут плохо функционировать. Также у женщины меняется гормональный фон. Все это может спровоцировать затруднения со стулом: запор или диарею. Это все очень серьезно, даже если на первый взгляд так не кажется.
Читайте также: Тошнота и токсикоз при беременности. Когда начинается токсикоз
Длительный запор может даже спровоцировать преждевременные роды. Клизмы, лекарства и другие препараты в большинстве случаев беременным противопоказаны, так как это может навредить малышу. Первое, что нужно сделать – это пересмотреть свой рацион питания. От запоров хорошо помогают отруби, свежие овощи и фрукты.
Во время беременности женщина сталкивается со многими проблемами, которые нарушают ее эстетическую красоту. Могут появляться пигментные пятна, прыщи, папилломы, кожа может быть слишком сухой, отечной.
Выделения на 31 неделе беременности
В норме на 31 неделе беременности выделения светлого или светло-серого цвета. Выделения на 31 неделе беременности должны быть однородными и не иметь запаха. Количество выделений значительно возрастает за счет притока крови в половые органы.
Если выделения на 31 неделе беременности резко меняют свой цвет на зеленый или желтый, имеют творожистый вид, неприятный запах – это те сигналы, когда необходима медицинская консультация и обследование. Зеленый и желтый цвет выделений говорят об инфекционных заболеваниях. Творожистые выделения обусловлены появлением молочницы.
Читайте также: Лечение молочницы у женщин
Кровянистые, алые, коричневые и темно-коричневые выделения говорят о преждевременных родах или отслойки плаценты. Любые кровянистые выделения на 31 неделе беременности – тревожный сигнал. Необходимо незамедлительно обратиться за врачебной помощью.
Рекомендации для будущих мамочек на 31 неделе беременности
На 31 неделе беременности активно растет грудь, подготавливаясь к процессу грудного вскармливания. Поэтому в это время будущим мамам очень важно поддерживать в организме водно-солевой баланс. Нужно ограничить количество соленой пищи, пить больше чистой воды. Это очень важно для здоровья ребенка и правильного его формирования.
Также довольно распространена проблема сильного выпадения волос, зачастую из-за стресса и недостатка питательных веществ. Если женщина вынашивает девочку, волосы выпадают более активно. Этому есть научное объяснение. Развиваясь, девочка использует больше женских гормонов матери, а мальчик – мужские.
Все активные методы по борьбе с выпадением волос нужно отложить на время после родов. Но есть кое-что, что разрешено даже женщинам в положении:
- Массаж головы для стимулирования прилива крови к луковицам волос.
- Маски для волос из натуральных не жгучих продуктов.
- Корректировка питания.
Во время беременности нужно тщательно следить за своим здоровьем, так как теперь женщина отвечает не только за свою жизнь, но и за жизнь своего ребенка. Иммунитет, как и метаболизм будущей мамы не настолько крепкий, как до беременности. Много витаминов, полезных микроэлементов, веществ, которые необходимы организму, уходят на формирование и развитие плода.
Простуду, кашель и насморк теперь подхватить гораздо легче, а вылечить сложнее. Большинство препаратов по борьбе с ОРВИ имеют противопоказания, в которых сказано, что беременным их употреблять нельзя. Для профилактики простудных заболеваний можно придерживаться простых рекомендаций:
- Тепло одеваться, особенно в холодное время года. Избегать сквозняков, переохлаждения и нахождения в комнате с открытыми окнами в холодное время года.
- Пить комплекс витаминов, поддерживающих иммунную систему.
- Не пить холодные жидкости, ограничить употребление мороженого и освежающих напитков.
- Соблюдать постельный режим, пить больше теплой жидкости, правильно питаться и сильно не переутомляться.
Если же опасности не удалось миновать, нужно сразу же обратиться к врачу, не прибегая к самолечению. Не принимайте лекарства без рекомендаций врача: даже привычные анальгин и парацетамол во время беременности могут нанести вред здоровью будущего малыша. Не стоит увлекаться и средствами народной медицины, лучше положиться на рекомендации квалифицированного специалиста.
Часто задаваемые вопросы женщин, находящихся на 31 неделе беременности
Вопрос: Набрала 10 килограмм, а еще только 31 неделя беременности? Это нормально?
Ответ: В среднем, женщина к 31 неделе беременности набирает 7-12 килограмм. Если вы не чувствуете никаких неудобств или болей, все в порядке. Необходимо следить за своим питанием и придерживаться рекомендаций врача.
Вопрос: У меня ребенок лежит поперечно и шея обвита пуповиной? Его здоровью что-нибудь угрожает? Будут ли делать кесарево сечение?
Ответ: На 31 неделе беременности рано говорить о том, как будут проходить роды. Ребенок может еще не раз перевернуться. Более точно способ проведения родов можно будет определить на 36 неделе.
Вопрос: Очень сильная головная боль, что делать?
Ответ: Лучше всего обратиться к врачу. Если головная боль сильная и долго не проходит, это плохой признак, который может свидетельствовать о серьезных нарушениях. На 31 неделе беременности от простой головной боли можно выпить цитрамон и горячий чай с лимоном.
Читайте также: Как избавиться от головной боли при беременности
Вопрос: Можно ли совершать продолжительные поездки на 31 неделе беременности?
Ответ: Можно, но нежелательно, особенно поездки длительностью больше 4 часов. Но если поездки не избежать, нужно по мере возможности создать комфортную обстановку.
Вопрос: Обязательно ли делать УЗИ на 31 неделе беременности, если делали 10 недель назад?
Ответ: Плановые УЗИ делаются в каждом триместре. Процедура может выявить патологии и другие проблемы. В третьем триместре УЗИ проводится с 30 по 36 неделю в зависимости от того, когда УЗИ делалось ранее. Точные сроки проведения УЗИ на 3-м триместре устанавливает лечащий врач
Вопрос: Нужно ли собирать сумку в роддом на 31 неделе беременности?
Ответ: 31 неделя беременности – ранний, но возможный срок для родов. Обычно женщины рожают ближе к 38-40 неделям. Но сумку можно собрать заранее, так как зачастую нельзя сказать наверняка, когда ребенок решит родиться.
Читайте также: Список вещей в роддом. Что нужно брать в роддом. Сумка в роддом
31 неделя беременности — видео
Узнайте больше про следующие недели беременности: 32 неделя беременности, 33 неделя беременности, 34 неделя беременности, 35 неделя беременности, 36 неделя беременности
babyrebenok.ru
Срок беременности 31 неделя — плод, вес, выделения, живот, роды, узи
31 неделя беременности – сколько месяцев?
К родам остается 10 недель, если считать идеальное 40-недельное вынашивание. Но на практике в предполагаемую дату рожают далеко не все женщины, так что точно неизвестно, сколько еще осталось. Вы уже отходили немало – 7,5 акушерских месяцев. И теперь начинается 31-я неделя беременности. Малыш готовится показать себя миру.
Плод (пол ребенка)
Ребенок на 31 неделе беременности уже достаточно зрелый, но его развитие не прекращается. Он сейчас активно наращивает мышечную массу: вес ребенка может уже превышать 1,5 кг, а размер составляет в среднем 40 см, чтобы родиться крепышом. Однако внутренние органы и системы тоже не отстают и продолжают совершенствоваться. Поджелудочная железа уже вырабатывает инсулин, но одновременно продолжают размножаться ее клетки. И дальше развивается печень – теперь она будет способна очищать детскую кровь от токсических веществ.
Легкие активно готовятся к выполнению своих функций. Продолжается выработка сурфактанта – вещества, которое предотвращает слипание пока что пустых альвеолярных мешков. Это позволит им «надуться», когда ребенок сделает свой первый вдох.
Не прекращает своего развития мозг: на 31 неделе беременности между нервными клетками налаживаются связи, нервные волокна окружаются защитными оболочками.
Ребеночек уже давно вас чувствует, реагирует на перепады настроения, на ваши эмоции. Он слышит звуки (причем не только внутриутробные, но и различает уже голоса), имеет развитое обоняние и неплохо видит. А на 31 недельке появляется еще и так называемый «роговичный рефлекс»: детка непременно зажмурится, если заденет роговичку глаза. А задеть уже есть чем: к концу этой недели ноготки практически дойдут до края подушечки пальца.
Пол ребенка уже давно известен, но половые органы все еще оформляются: яички мальчика пока еще не опустились в мошонку, а у девочки открытыми остаются половые губы. Пупочек у крохи тоже еще не на месте, да и кожица все еще полупрозрачная – в общем, посидеть в животике еще немного не мешало бы. А мама, тем временем, уже начинает считать недельки до родов. Запаситесь терпением – пока что рановато…
Ощущения на 31 неделе беременности
Конечно, вы немного устали. Носить груз становится все тяжелее, порою не хватает воздуха для вдоха, вам постоянно жарко и вы потеете, а любимые позы для сна уже недоступны. На 31 неделе беременности мама чувствует себя неуклюже и неловко: многих простых манипуляций она уже не может выполнять самостоятельно. Самочувствие тоже начинает ухудшаться: пищеварительная система дает сбой, голова болит и кружится, может даже рябить в глазах. Если вас «заносит», а ко всему возникают или усиливаются отеки, судороги и понижается или повышается давление, то с визитом к гинекологу не медлите. В любом случае появляться в поликлинике теперь придется чаще, также нужно повторно пройти главных специалистов и сдать все анализы, в том числе мазки на инфекции. Врач должен удостовериться в том, что вы абсолютно здоровы, ведь не за горами роды. И если возникнет какая-то непредвиденная проблема, ее необходимо будет решить заранее. Одна из наиболее часто возникающих в третьем триместре – молочница, которую непременно нужно вылечить еще до родов.
Вообще старайтесь поберечь себя, чтобы к знаменательному дню вы были в состоянии полной боевой готовности. Придерживайтесь уже известных рекомендаций, которые помогут устранить множество неприятностей: займитесь профилактикой отеков и запоров, соблюдайте гигиену, держите под контролем эмоции, не нарушайте принципов здорового питания.
Сейчас с удвоенной силой могут нарастать изжоги, поэтому если вы еще не нашли способ спасения от них, то придется это сделать. Да и боли становятся все сильнее и ощутимее. Все дискомфортные ощущения на поздних сроках только усиливаются…
Боли
Позвоночник, крестец, тазовые кости и коленные суставы испытывают все большую нагрузку. Ваш вес постоянно увеличивается, животик продолжает расти, и это не проходит бесследно. Очень важно научиться облегчать свое состояние и предотвращать сильные боли и усталость. Не выпячивайте животик вперед, садитесь только на стульчики со спинкой, не ходите подолгу, не спите на спине, старайтесь в течение дня отдыхать по мере необходимости, обязательно гуляйте каждый день – свежий воздух жизненно необходим.
Боль в спине и пояснице во многом может облегчить и даже предупредить ношение бандажа. Но, во-первых, не всем беременным можно носить бандаж, во-вторых, если предлежание ребенка ягодичное или поперечное, то бандаж будет препятствовать возможному перевороту малыша вниз головкой. В общем, посоветуйтесь с врачом: он же порекомендует вам, как правильно выбрать и носить дородовой бандаж.
В третьем триместре повышается риск развития геморроя. Поэтому боль в области ануса не стоит оставлять без внимания.
Многие женщины жалуются на боль в промежности на 31 неделе беременности. Вообще, кости таза сейчас размягчаются под воздействием гормона релаксина. Они как будто бы разъезжаются в стороны. Но если болит лобковая кость, то об этом нельзя молчать.
Головная боль может возникнуть по 1001 причине. Но если она сильная и резкая, да еще и сопровождается потемнением в глазах, судорогами и отеками (которые не исчезают к утру), то речь идет, скорее всего, об эклампсии, хотя до такого доходит нечасто: обычно, гестоз выявляют на более ранней стадии.
Тревожным признаком является также боль в животе. Если она не связана с работой пищеварительных органов, то скажите о болях своему гинекологу: в норме живот болеть не должен.
Вес на 31 неделе беременности
Чтобы лишний раз не провоцировать проблем с перевариванием пищи, не отступайте от общих рекомендаций к питанию на 31 неделе беременности. Многие мамы думают, будто на самом деле питание не столь важно, следует сказать, очень напрасно. Ваш рацион, режим приема и способ приготовления пищи влияет практически на все: отеки, головокружения, судороги в икроножных мышцах, молочница, изжоги, запоры, вздутия, кожный зуд – все напрямую связано с тем, что и как вы едите. Что уж говорить о весе, который и без того с каждым днем возрастает. Причем прибавка в идеале должна состоять почти полностью из околоплодных вод, увеличившихся объемов крови, веса ребенка, матки и плаценты, веса растущей груди, и только в очень незначительной степени жирового запаса мамы, который будет израсходован во время родов и периода грудного вскармливания младенца.
Так что аппетит следует держать под контролем до самого последнего дня, и особенно в третьем триместре. Вес на 31 неделе беременности может увеличиться по сравнению с исходными показателями максимум на 11,7-12,5 кг. Не морите себя голодом, если вы немного вышли за рамки – отклонения вполне возможны, ведь всех под одну гребенку грести нельзя. Но при существенных отклонениях от установленных норм врач должен установить причину нарушения и помочь вам ее устранить. Возможно, придется себя несколько ограничивать в питании. Может быть, будет достаточно лишь уменьшить потребление соли. Значительно хуже, если чрезмерный вес на 31 неделе беременности сопровождается повышенным давлением и отеками: в таком случае нужно лечить гестоз.
Секс
Некоторые мамы и папы после 30 недели беременности начинают постепенно сворачивать свою половую активность. Несомненно, эмоциональное и физическое состояние «беременной» пары постоянно меняется, это в значительной степени касается, естественно, женщины. Но нередко именно мужчины начинают избегать интимной близости на поздних сроках.
Это будет полезно знать обоим родителям: если медицинских противопоказаний к сексу нет, мама чувствует себя отлично и занятия любовью не вызывают у нее никакого дискомфорта, то секс на 31 неделе беременности не возбраняется. При соблюдении осторожности он не навредит малышу, поскольку его защищает надежная броня в виде лобковой кости и толстой стенки матки.
Пусть вас не пугают возможные скудные кровянистые выделения после секса, но в следующий раз будьте поаккуратней. Проникновения и фрикции должны быть неглубокими, плавными и бережными. Самые любимые, безопасные и удобные позы на 30-х неделях – с проникновением сзади. По-другому будет уже неудобно: животик становится реальным препятствием к телесной близости в прямом смысле этого слова.
Живот
Именно живот – главный «виновник» вашего неважного самочувствия. Но он же – временное жилище карапуза, так что все внимание сейчас вертится вокруг живота. Во время каждого визита к гинекологу он осматривает ваш живот, измеряет его, слушает, щупает – поработать уже есть с чем. Возможно, вы не замечаете, но непременно ощущаете, что он увеличивается буквально по дням – это необходимо, ребеночек набирает вес.
Из-за стремительного роста живот нередко чешется, ведь кожа сильно натягивается. Если растяжкам суждено быть, то ничто вас не спасет, но это вовсе не значит, что за кожей не нужно ухаживать: непременно увлажняйте кожу кремом или оливковым маслом.
Ваш животик сейчас, как карта: поскольку места для ребеночка внутри остается все меньше, то вы частенько будете иметь честь лицезреть различные детские «детальки» на этой карте – там ручка, а здесь ножка, а вот попа или головка.
Многие мамы ощущают ритмичные вздрагивания живота на 31 неделе беременности – это икает малыш.
УЗИ
О том, чем занят ребеночек в ожидании встречи с мамой, можно узнать во время прохождения УЗИ на 31 неделе беременности. На таком сроке уже отчетливо виден не только пол ребенка, но и его «досуг»: он сосет пальчик, заглатывает амниотическую жидкость, играет с пуповиной, может закрывать личико ручками или улыбаться! Но, конечно, главное значение имеет не это (точнее не только это), а другие показатели: сердцебиение плода, его параметры, расположение. Уже сейчас узист непременно обратит внимание не только на то, как лежит ребенок, но и проверит, не запутался ли он в пуповине.
Во время УЗИ на 31 неделе беременности проводится также допплерография сосудов: это необходимо для оценки маточно-плацентарного и фетоплацентарного кровообращения.
Также специалист осмотрит состояние и количество околоплодных вод, степень зрелости плаценты, размеры матки.
Именно на 30, 31 или 32 неделю припадает третье обязательное УЗИ в период беременности, но у многих оно уже будет четвертым, пятым или даже больше – в последнее время врачи считают, что лучше перестраховаться, когда в этом есть необходимость, и уточнить, все ли в порядке с деткой и ничего ли не угрожает беременности. Поэтому вполне вероятно, что к родам вам придется проходить УЗИ еще, и не раз. Будьте спокойны на этот счет.
Матка на 31 неделе беременности
Во время прохождения УЗИ обязательным образом будет осмотрена матка: ее состояние и размеры. Она уже довольно большая, ведь ребенок быстро растет, и матка старается не отставать. Это приносит определенные неудобства женщине: лежать и сидеть в некоторых позах становится невозможно, поскольку матка давит на полую вену, перекрывая ток крови к сердцу.
Матка в 31 неделю беременности возвышается на уровне 31 см над лобковым симфизом или 11 см над пупком. Время от времени она сокращается, тренируясь перед родами, в процессе чего шейка матки постепенно размягчается и укорачивается. Вы это чувствуете несильными болями внизу живота, он как будто каменеет на короткое время (от 30 секунд до 2 минут) и снова расслабляется. Это так называемые схватки Брекстона-Хигса, и они не представляют опасности.
Иногда женщина может ощущать определенный дискомфорт во время тренировочных схваток (хотя в большинстве случаев они вполне безболезненны): просто лягте на левый бок и подождите, пока процесс остановится. Если вы уже знакомы с дыхательными техниками, которые будете применять в родах, то это отличный повод потренироваться. Если нет, то освойте их, чтобы облегчить себе работу в будущем.
Но когда схваткообразные боли нарастают, усиливаются и учащаются, необходимо срочно вызывать скорую помощь. Нельзя терять ни секунды, если отошли околоплодные воды или началось кровотечение.
Выделения
Околоплодные воды могут подтекать небольшими порциями или изливаться потоком. Второго симптома приближающихся родов вы не пропустите, но в первом случае женщина не всегда способна распознать подтекание. Воды в норме должны быть прозрачными и жидкими, без запаха. Сегодня в аптеках продают специальные тесты для определения подтекания вод в домашних условиях. В клинических условиях женщине тоже могут провести подобное исследование, и в случае подтверждения подозрений ее положат в больницу. Поэтому такие выделения должны вас насторожить.
Третий триместр – время полного медицинского обследования перед родами. Это в первую очередь касается половых инфекций, поскольку они представляют угрозу беременности в целом и малышу в частности. Вот почему гинеколог снова возьмет у вас мазок из влагалища на определение патогенной флоры.
Очень часто у будущих мам на поздних сроках обостряется молочница. Чтобы этого избежать, не забывайте о рекомендациях к питанию: они остаются в силе до самого конца, и контроль потребления мучных и сладких изделий – одна из главных. Также откажитесь от использования ежедневных прокладок – лучше чаще меняйте нижнее белье, которое, к слову, должно быть исключительно натуральным!
О развитии молочницы свидетельствуют белые творожистые или слизистые выделения, пахнущие пивом, дрожжами или рыбой. Такие выделения обычно доставляют женщине жуткий дискомфорт: раздражение и отечность половых органов, зуд, жжение, боль. Кандидоз непременно следует вылечить еще до родов, поскольку во время прохождения ребенка родовыми путями произойдет и его заражение, а это чревато последствиями.
Вы должны обращать внимание на выделения на 31 неделе беременности, поскольку риск заражения другими половыми инфекциями сохраняется достаточно высоким. Любые изменения белей – их цвета, консистенции, запаха, и особенно появление дополнительных подозрительных признаков, – необходимо перепроверить, сдав мазок из влагалища.
Появление следов крови на нижнем белье тоже должно насторожить. Иногда кровить начинает анальная трещина или воспаленные геморроидальные узлы. Небольшое количество крови из влагалища в норме может выделяться после полового акта или в течение нескольких часов после гинекологического обследования. Но также кровотечение разной интенсивности (в том числе мазня) могут свидетельствовать об угрозе преждевременных родов, особенно в сопровождении других симптомов и предвестников, например, тянущих болей, отдающих в поясницу.
Роды на 31 неделе беременности
При возникновении любых намеков на возможное начало родов (в третьем триместре это уже не выкидыш) необходимо реагировать очень оперативно и приложить все возможные усилия для сохранения беременности. Очень важно, чтобы ребенок дождался положенного срока или пробыл в мамином животике как можно дольше из отведенного ему времени. Потому как его развитие еще не закончено, и это главным образом касается дыхательной системы: легкие ребенка не функциональны, и он не сможет дышать самостоятельно, если родится сейчас.
Тем не менее, если по каким-то причинам роды произойдут на 31 неделе беременности, то малыш сможет выжить – и это главное. У него уже налажена система теплорегуляции (маленькое тельце способно сохранять тепло и поддерживать его на стабильном уровне, что просто необходимо для жизни), пищеварительная система готова принимать и переваривать первую настоящую пищу, в целом он во многом уже самодостаточный и напоминает обычного новорожденного.
Более того, вы должны понимать, что преждевременные роды происходят не просто так. Только в случае какой-то угрозы или сильного дискомфорта ребеночек пытается поскорее появиться на свет. И если это случилось на 31 неделе, то не расстраивайтесь. Настройтесь на выхаживание малютки – он нуждается в тепле и заботе, как никто другой.
В целом о родах сейчас говорить еще достаточно рано. Но они вполне могут произойти преждевременно. Поэтому уже с 31 недели беременности не рекомендуется далеко уезжать от дома. Выходя в декретный отпуск, вы получите также обменную карту на руки. Вместе с паспортом и медицинской страховкой ее необходимо носить теперь за собой повсеместно. Карта содержит самую главную информацию о течении беременности и ваших индивидуальных особенностях в плане родов, а это поможет принимающему их врачу провести свою работу максимально правильно.
beremennost.net
31 неделя беременности — развитие плода, фото, узи, живот и шевеления на 31 неделе
Ну вот и подходит к концу седьмой месяц беременности. Обычно к этому моменту мамочка уже вышла в декрет, а это означает, что у нее появилось больше времени для отдыха и подготовки к родам — ведь они уже не за горами! Если к этому моменту вы еще не определились, где появится на свет ваш малыш — самое время заняться поисками родильного дома и человека, который поможет вам и вашему ребенку. Также это время весьма благоприятно для того, чтобы вы с будущим папой малыша начали ходить на курсы молодых родителей — информация не забудется до родов, а вы будете хорошо к ним подготовлены.
31 акушерская неделя беременности — это уже семь месяца и три недели (один акушерский месяц включает четыре недели).
Что происходит?
Плод на 31 неделе беременности

Малыш продолжает расти, а значит, за эту неделю мамочка наберет около 300 грамм. Необходимо внимательно следить за своим состоянием — нет ли отеков, не превышаете ли вы нормальную прибавку в весе для этого срока.
Малыш активно растет — еженедельно он набирает около 200г, и на 31 неделе беременности вес ребенка составляет около 1500г (диапазон веса 1400–1600г), а рост больше 40см.
Вместе с малышом растут и его органы — мозг в этот момент активно увеличивается, достигая отметки 25% от взрослого, все органы созревают. Начинает накапливаться подкожная жировая клетчатка, которая в дальнейшем будет отвечать за поддержание стабильной температуры малыша.
Ребенок начинает активно мочиться — это означает, что его почки начали работать и выводить из организма ненужные вещества самостоятельно, хотя большая их часть, конечно, все еще выводится мамой.
В легких начинает вырабатываться специальное вещество, ответственное за раскрытие легких после рождения малыша — сурфактант. Именно поэтому у малышей, родившихся после 31 недели беременности, гораздо больше шансов — ведь их органы уже потихоньку начинают функционировать.
Цвет глазок малыша на 31 неделе беременности по-прежнему голубой, но постепенно в радужке начинает скапливаться пигмент. Несмотря на это, при рождении цвет глазок вашего малыша, скорее всего, будет светлым, а настоящий оттенок глазки приобретут в течение нескольких месяцев после рождения.
Ребенок хорошо реагирует на свет, может жмуриться, если на животик попадает яркий свет, а его зрачки активно реагируют на смену освещения.
Живот на 31 неделе беременности





Матка продолжает увеличиваться, достигая 32 см над лонным симфизом. Периодически отмечаются ложные схватки — организм тренируется перед родами. Из-за увеличившегося размера матки возможны тянущие боли в животе. Боли эти не слишком интенсивны, при нарастании интенсивности и продолжительности болей необходимо обязательно обратиться к врачу.
Фото малыша, УЗИ





Правильное питание
Живот увеличился в размерах еще больше, будущая мамочка начинает испытывать дискомфорт, связанный со сдавлением внутренних органов: изжога, запоры. Кроме того, эти явления усиливаются прогестероном. Для того чтобы избежать этих неприятностей, придется немного изменить распорядок дня и диету.
Кушать нужно не менее пяти-шести раз в день, маленькими порциями — так у вас не будет чувства переполненности желудка и изжоги.
В рацион питания нужно добавить больше продуктов, облегчающих опорожнение кишечника (в основном это клетчатка) и исключить все, что вызывает метеоризм.
Ребеночек сейчас активно растет, поэтому в рационе его мамы должно быть достаточное количество питательных веществ и витаминов. Рацион питания должен быть разнообразным, обязательно включать первые блюда.
Стоит пристально следить за количеством поглощаемой пищи — на поздних сроках женщины обычно испытывают постоянное чувство голода. Однако потакать себе не стоит — ведь чем больше вы наберете веса за время беременности, тем труднее вам придется во время родов.
Шевеления плода на 31 неделе беременности

Малыш активен, но из-за того, что он уже значительно подрос, он не имеет возможности вести себя также активно, как раньше. Поэтому мамочке нужно тщательно следить за движениями плода: в женской консультации вам выдадут специальный дневник, в котором нужно будет отмечать все шевеления. В норме малыш шевелится не менее 20 раз за сутки, или 4 раза в час в период отдыха.
Ощущения мамы

В этот период организм уже начинает готовиться к родам — часто повышается тонус матки, отмечаются тренировочные схватки. В организме начинает вырабатываться гормон, который вызывает ослабление лонного сочленения, из-за чего кости таза начинают расходиться — так ребеночку будет легче родиться. Походка начинает напоминать утиную — не переживайте, после родов все вернется на круги своя.
Будущую маму часто беспокоит усталость, боли в спине и ногах. На этом этапе мамочкам рекомендуется больше отдыхать, однако значительно снижать свою активность не стоит — так вы сделаете только хуже. Нужно ежедневно совершать прогулки на свежем воздухе, заниматься специальной гимнастикой для беременных.
Если ноги слишком устают, появляются варикозно расширенные вены — попросите мужа по вечерам делать вам мягкий массаж ступней и голеней, это значительно облегчит состояние ножек и снимет усталость.
Нужно постоянно следить за весом — существенная прибавка может говорить не только о переедании, но и об отеках, что достаточно опасно на 31-ой неделе беременности. Также нужно регулярно измерять давление — именно в этом сроке оно начинает колебаться, у большинства мамочек повышаясь, а у некоторых наоборот — понижаясь.
Кроме проблем с желудком, мамы часто жалуются на выраженное головокружение и слабость в положении на спине. Это связано со сдавлением сосудов брюшной полости увеличенной маткой. Мамочкам в 31 неделю беременности не рекомендуется лежать на спине. Гораздо лучше будет отдыхать на боку или полусидя.
Часто на 31 неделе беременности мамочки жалуются на проблемы со сном — из-за большого живота, сдавливающего внутренности, им трудно заснуть, а в течение ночи еще и приходится часто вставать в туалет — мочевой пузырь также сдавливается маткой. Кроме того, на поздних сроках мамочек часто начинают мучить кошмары про беременность и малыша. Делитесь своими страхами с близкими — они поддержат вас и помогут развеять беспокойство.
Выделения на 31 неделе беременности становятся обильнее из-за усиления кровоснабжения тазовых органов. Однако они не должны сопровождаться неприятными ощущениями, иметь выраженный запах или цвет. Если у вас отмечаются кровянистые выделения — нужно срочно обратиться к врачу, это может быть признаком отслойки плаценты или начавшихся преждевременных родов. Также стоит обеспокоиться при появлении обильных водянистых выделений — подтекание околоплодных вод грозит инфекциями малышу.
В этом сроке у женщины может начать выделяться молозиво — грудь тоже готовится к появлению малыша. В этот период стоит носить с собой специальные вкладыши для груди — ведь молозиво может начать подтекать в самый неподходящий момент. Чтобы не портить себе настроение, всегда носите вкладыши в сумочке.
Боли на 31 неделе беременности
Боли могут сопровождать мамочку постоянно — это и боли в спине, и боли в ногах, и тянущие боли в животе. Если эти боли не становятся очень интенсивными, беспокоиться не стоит — на данном сроке беременности волнообразные тянущие боли в животе — это норма. Если же боль становится постоянной, матка на ощупь очень плотная — стоит обратиться к врачу, потому что постоянный повышенный тонус матки говорит о проблемах и возможности преждевременных родов.
Необходимые исследования и анализы
На этом сроке визиты к врачу осуществляются каждые две недели. На приеме гинеколог осмотрит вас, измерит размеры живота и высоту дна матки, прослушает сердцебиение плода. При необходимости врач может повторно назначить анализы мочи, крови. УЗИ на 31 неделе беременности показано только в тех ситуациях, когда есть сомнения в состоянии плода. Если же ваша беременность протекает нормально, а доктор не видит поводов для беспокойства — УЗИ повторять не нужно.
31 неделя беременности двойней проходит немного не так, как обычная беременность. Во-первых, каждый из малышей может быть меньше размерами, чем должен быть ребенок к этому сроку. Во-вторых, довольно часто беременность двойней заканчивается родами в сроке после 30 недель. Конечно, ничего приятного в этом нет, но в таком сроке детки уже достаточно сформированы и имеют все шансы вырасти здоровыми.
Еще одна проблема двойняшек — они гораздо менее подвижны, чем один малыш, а поэтому зачастую сохраняют до родов то положение, в котором находятся в 31 неделю. Перевернуть одного из малышей вряд ли удастся, поэтому в такой ситуации может понадобиться кесарево сечение.
Конечно, мамочке двойняшек нужно уделять своему состоянию и двойное внимание — ведь она должна обеспечить всем необходимым не только себя, но и сразу двух малышей. Поэтому для нее правильное питание с достаточным содержанием витаминов имеет особое значение.
Секс на 31 неделе беременности

Секс совершенно не возбраняется — до родов еще далеко. И если у вас нет противопоказаний (многоплодная беременность, предлежание плаценты, матка в тонусе), то вы с мужем вполне можете продолжать баловать себя интимными отношениями. Конечно, следует соблюдать осторожность — секс не должен быть слишком бурным и жестким, позы лучше подбирать такие, где мужчина находится сзади; следует ограничивать глубину проникновения. Но главное — знайте, что навредить ребенку во время секса практически невозможно, поэтому не стоит отказывать себе в удовольствии из-за этого распространенного страха.
Полезное видео
Вопросы — ответы
У меня 31 неделя беременности, периодически каменеет живот и болит. Но через несколько минут это проходит. Что это такое?
На 31 неделе беременности у вас могут быть тренировочные схватки (Брекстона-Гикса) — они возникают и волнообразно распространяются по матке, затем все ощущения бесследно проходят. Обычно тренировочные схватки кратковременные (не больше двух минут), не вызывают интенсивных болей. В этом момент может быть ощущение, что живот каменеет, появляются тянущие боли внизу живота. Судя по вашему описанию, беспокоиться не о чем.
Сейчас пошла 31 неделя беременности, мало шевелится плод по сравнению с предыдущими сроками — это нормально?
Плод к 31 неделе становится более крупным по отношению к размерам матки и количеству околоплодных вод, чем раньше. Из-за того, что в матке ему становится тесно, объем движений плода уменьшается — ведь он уже не может так свободно двигаться, как раньше. Для того чтобы будущая мамочка точно понимала, все ли нормально с малышом, она должна вести дневник шевелений плода — в норме количество движений составляет 4 за час в период покоя или 10 за двенадцать часов. Если количество движений стабильно ниже этих цифр — это может указывать на гипоксию плода, необходимо обратиться к врачу.
Появилась сильная изжога, но до этого никогда таких проблем не было. Может, у меня гастрит?
К 31 неделе беременности матка достигает достаточно больших размеров, сдавливая все внутренние органы, в том числе и желудок. Из-за этого возникают тошнота и изжога. Что такое изжога — это заброс кислоты из желудка в пищевод из-за повышения давления в желудке и расслабления желудочных сфинктеров. Бороться с этим явлением тяжело, но можно — кушать по чуть-чуть и часто, во время изжоги пить молоко.
У нас с малышом подходит уже 31 неделя беременности, положение плода все еще тазовое. Я переживаю — сможет ли малыш перевернуться до родов? Можно ли как-то его перевернуть?
Вплоть до 32 недели беременности врачи считают тазовое положение вашего малыша нормальным — ведь он еще достаточно подвижен и может несколько раз в день менять свое положение в матке. Предпринимать какие-то меры для изменения положения плода стоит только после 32 недели и только под наблюдением врачей — ведь часто малышу не дают перевернуться пуповина, миоматозные узлы или другие проблемы. В такой ситуации вы можете только повредить ему, поэтому не предпринимайте никаких действий раньше 32 недели и без рекомендации врача.
www.doctorfm.ru
31 неделя беременности. Развитие плода
31 неделя беременности, все сильнее приближает вас к родам. Наконец-то большая часть пройденного пути осталась позади, но не стоит расслабляться. На этой неделе очень много интересного приготовил вам малыш, а также много испытаний для вас ваш организм.

31 неделя беременности — сколько месяцев
По плану у вас должен быть декретный отпуск. Срок беременности — семь месяцев и три недели. А с дня зачатия, именно когда сперматозоид слился с яйцеклеткой, прошло 29 недель или 211-217 дней. Осталось буквально 7-9 недель и долгожданная встреча состоится.Плод на 31 неделе беременности
Малышу почти 8 месяцев. Все органы уже сформированы, но им еще нужно совершенствоваться. Кроха все больше схож с круглощеким новорожденным. У него уже развиты рефлекторные и тактильные органы. Он чувствует боль и реагирует на прикосновения. Кроме всех тех развитий, что и на 30 неделе, у плода продолжает активно развиваться легочная ткань. В альвеолярных мешочках появились клетки эпителия, выделяющие сурфактант, которой позволяет расправить легкие и издать первый звук. Время бодрствования сменяется на сон, и наоборот. Так появляется его собственный режим, который не всегда может совпадать с маминым. Малыш моргает, прищуривает глазки, когда что-то мешает зрачку.
У плода уже увеличилось количество клеток поджелудочной железы. Она практически готова вырабатывать ферменты, которые расщепляют органические вещества. Также поджелудочная железа активно вырабатывает инсулин для самостоятельной защиты иммунитета ребенка.
Почки продолжают выводит околоплодную жидкость, которую периодически глотает малыш, печень заканчивает совершенствоваться, уже почти сформировались ее дольки, отвечающие за вывод токсинов.
Плод набрал в весе, теперь он примерно 1500-1600 граммов, длина колеблется в районе 40 см.

Сколько спит ребенок на 31 неделе беременности
До 28 недели вынашивания у плода нет четкой фазы сна. Он пребывает в специфическом состоянии ни сна, ни бодрствования. Уже на 31 неделе совсем другая картина, малыш не только спит, у него устанавливается стадия медленного сна, когда не меняется выражение лица и ребенок не шевелится. В общей сложности на сон уходит от 16 до 20 часов.31 неделя беременности, как лежит ребенок
На данном этапе малыш в утробе может занимать головное или тазовое положение. То есть быть как положено головой к выходу или попкой. Любое положение не играет пока большой роли, потому что малыш ворочается и может поменять его в любой момент, до 34 недели у него еще есть время.Что происходит на 31 неделе беременности
Эта неделя приближает вас к родам. Матка увеличилась еще на 11 сантиметров, очень плотно прижав внутренние органы и дав еще большую нагрузку на спину и ноги. Особенно «достается» почкам и желудку. У вас может возникнуть чувство тошноты, изжога и ощущение тяжести в животе, это следствие увеличения плода и чрезмерного выделения желудочной кислоты, которая обжигает пищевод и вызывает чувство жжения и тошноты.
Почки
Сейчас, когда плод сильно увеличился в размерах, почечной системе становится тяжелее справляться со своими обязанностями, ведь через них выводится также и продукты жизнедеятельности плода, поскольку он уже умеет самостоятельно мочиться и делает он это достаточно часто. Обязательно контролируйте почки с помощью обследований у доктора, так как может развиться пиелонефрит или острая почечная недостаточность, что приведет к необратимым последствиям, если вовремя не обратить на это внимания. К тому же почкам становится тяжелее перерабатывать количество солей, жидкости, поэтому у вас могут появиться отеки.Сердце
На данном этапе сердечнососудистая система напряжена очень сильно. Приток крови женщины увеличился, сердцу тяжелее становится перегонять его по организму, может развиться гипертензия. Этот неприятный процесс необходимо контролировать и при возможности купировать с помощью врачебных подсказок. Из-за увеличения матки, сердца немного поменяло форму и легло на левую сторону, что не может не отразиться на вашем дыхании, вы можете чувствовать одышку и затрудненное дыхание даже в спокойном состоянии.Печень
На 31 неделе беременности может начаться перемена вкусовых пристрастий. Женщине может захотеться абсолютно несовместимых продуктов, так, к примеру, селедки со сладким чаем или горчицу намазать на пирожное. От всего этого желательно воздержаться, так как нагрузка на печень итак увеличена, а таким «гурманством» вы перегрузите ее окончательно. Она может увеличиться в размерах, вы можете почувствовать небольшие покалывания в правой стороне.Отеки.
На 31 неделе при неумеренном употреблении жидкости или вредной — соленой, жирной, копченой пищи в организме начнется застой жидкости. Почки просто не успевают это все выводить, начинают отекать ноги, руки и лицо.Давление
Его следует обязательно контролировать. Норма артериального давления — не выше 140 верх и не выше 90 низ. Все что превосходит эти показатели очень опасно гипертоническим кризом, который вам совершенно не нужен и опасен последствиями.Питание
Налегайте только на полезную пищу. Кушайте примерно раз 5-6 в день, небольшими порциями. Минимизируйте соль, специи, жирное, копченое, жареное и вяленое. Побольше овощей в салате, свежих фруктов. Пейте чистую воду. Поменьше чая, кофе и газированных напитков.Тонус в 31 неделю беременности
Так как матка поднимается выше пупка и уже имеет достаточно большие размеры, циркуляция крови усиливается. Могут возникать ощущения, напоминающие схватки — эти схватки называются ложными или Брекстона-Хигса. Они не опасны и возникают периодически. Если боль усиливается, появляются кровяные выделения, возможно это гипертонус, который может привести к преждевременным родам или нарушениям в развитии малыша. В таком случае необходимо обратиться к врачу.
Фото животиков на 31 неделе беременности
Норма околоплодных вод на 31 неделе беременности
Количество амниотической жидкости — очень показатель для развития малыша. Если ее слишком много или мало, развиваются различные отклонения. В зависимости от срока индекс околоплодных вод разный. Его можно определить с помощью ультразвукового исследования. Нормой на сроке в 31 неделю считается показатель в 79-163 мм.31 неделя беременности УЗИ
На 31 неделе обычно проходит плановое ультразвуковое исследование. Вместе с анализом крови на гормоны и белок можно понять состояние здоровья будущего малыша. Так же уже с большой точностью определяется пол плода. Тщательно исследуется плацента и ее состояние, количество амниотической жидкости.Беременность 31 неделя шевеления
Шевелится ребенок достаточно активно. За 12 часов он делает до 10-12 толчков. Будущей маме необходимо понаблюдать за тем, как ребенок толкается. Если частота не менее 10 и не более 12, то все нормально. При увеличенном количестве шевелений или наоборот, значительно заниженном, есть повод показаться врачу и выяснить причину.31 неделя беременности простуда как лечить
Уберечься от простуды очень сложно, ведь инфекция передается воздушно-капельным путем и быстро проникает в организм. Халатно относится к этому нельзя, ведь вирусы для малыша могут представлять опасность. При первых симптомах, необходимо вызвать врача и получить своевременное лечение. Самостоятельно пытаться лечиться травами или лекарствами недопустимо. Если женщина ожидает ребенка, то важна квалифицированная и своевременная помощь. Единственное, что можно делать самому — соблюдать постельный режим, пить теплую жидкость. Облегчить состояние при насморке можно промыванием носа раствором соли, каплями на натуральной основе. Сухой кашель унять поможет полоскание горла отварами трав — календулы, ромашки, шалфея.Несмотря на то, что вынашивать ребенка осталось недолго, следует беречь свое здоровье, избегать простуды, излишних физических нагрузок, стрессов. Стараться правильно питаться, соблюдать питьевой режим и вести подготовку к поездке в роддом.
Общие рекомендации
Следите за своим весом, переедание нежелательно, это скажется не только на вашей фигуре, но и на здоровье. Тщательно следите за давлением, не нервничайте по пустякам, старайтесь избегать стрессовых ситуаций. Если у вас появились какие-либо неприятные или болезненные ощущения, обратитесь к врачу за консультацией.40-nedel.ru
31 неделя беременности / Календарь беременности
день 1 2 3 4 5 6 7 8 9 10 11 12 13 14 15 16 17 18 19 20 21 22 23 24 25 26 27 28 29 30 31
месяц январь февраль март апрель май июнь июль август сентябрь октябрь ноябрь декабрь
mamuli.club
31 неделя беременности — вес, развитие, что происходит
Общие сведения
Началась 31 акушерская неделя беременности, а это значит, что до долгожданной встречи остаётся всё меньше времени. Для этого периода характерен более интенсивный набор веса, рост обхвата живота, появление новых ощущений, свидетельствующих о приближении родов. Если срок беременности установлен правильно, то до встречи с ребенком осталось ровно 10 недель или 2,5 календарных месяца, но, планируя роды, стоит учитывать, что лишь 40% детишек появляются на свет вовремя.
Изменения в организме женщины
Тридцать первая неделя беременности характеризуется для будущей мамы радикальными изменениями. Впереди ее ожидает несколько гормональных перестроек, значительное увеличение объемов живота и груди, более частые посещения гинеколога, к которому теперь придется наведываться еженедельно.

В этот период отмечаются следующие изменения:
- Из-за увеличения объемов жидкости в организме повышается нагрузка на почки. Если до беременности женщина страдала хроническими заболеваниями мочевыводящей системы, они почти наверняка дадут о себе знать.
- Возникают боли в нижней части спины, моча приобретает неприятный запах и темно-желтый цвет, лабораторная диагностика показывает наличие в ней солей и повышенного количества белка. Врачом, вероятнее всего, будет поставлен диагноз «пиелонефрит беременных». Запускать болезнь ни в коем случае нельзя, так как бактерия, поразившая почки, может проникнуть в плаценту и инфицировать ребенка, что чревато поражением его органов и нарушениями в развитии. Чтобы предотвратить это, могут быть назначены щадящие антибактериальные препараты, которые нейтрализуют инфекцию и при этом не нанесут вреда ребенку.
- На 31 неделе беременности происходит изменение и во внешности. Многие мамы отмечают, что их волосы и ногти быстрее растут, кожа выглядит здоровой и сияющей. Это происходит благодаря повышенной выработке эстрогена – женского полового гормона. Иногда состояние кожи, наоборот, ухудшается – на ней появляется акне, сосудистая сетка, пигментация. Подбирать косметические средства следует осторожно, после консультации с дерматологом, так как в них могут содержаться нежелательные для использования во время беременности вещества.
- Грудь увеличивается и меняет форму. Это происходит из-за роста молочных долей, которые готовятся к многомесячному кормлению ребенка. За весь период беременности грудь станет тяжелее на 0,5-1,5 кг.
Вес
Контроль веса осуществляется при каждом визите к гинекологу. В среднем к концу 31 недели беременности будущая мама должна набрать 7,5-10,5 кг. Если этого не произошло, доктор может назначить дополнительные обследования для проверки количества околоплодных вод. Оно должно составлять около 1 л, но при многоводии может превышать 2 л, а при маловодии сокращаться до 500 мл.
Беременным женщинам следует запомнить, что употребление большого количества пищи за один раз негативно сказывается на пищеварении, вызывает запоры, диарею, дисбактериоз, дает большую нагрузку на почки, способствует набору лишнего веса.
Оптимальное количество приемов еды в день – 5 раз:
- завтрак;
- второй завтрак;
- обед;
- полдник;
- ужин.
Объемы пищи при этом должны быть небольшими. Придерживаясь этого правила, даже склонная к полноте женщина без особых хлопот сможет держать свой «беременный» вес под контролем.
Живот на 31 неделе беременности
Следует знать, что 31 ая акушерская неделя характеризуется следующими параметрами:
- обхват живота достигает 85-95 см;
- высота стояния дна матки составляет 28-32 см от лобкового симфиза;
- высота стояния дна матки от уровня пупка составляет 11-12 см.
По мере роста матка будет подниматься все выше, подпирая диафрагму и ребра и доставляя женщине дискомфорт. Несмотря на то, что на 31-й неделе размер живота еще не слишком велик, он уже оказывает негативное влияние на осанку беременной. Из-за смещения центра тяжести позвоночник будущей мамы оказывается выгнутым, походка тяжелеет, появляются боли в пояснице. Однако торопиться покупать бандаж не стоит до тех пор, пока малыш не перевернется вверх ножками, а чтобы облегчить свое состояние, можно приобрести специальные компрессионные колготы для беременных.

Совсем иначе обстоят дела у беременных женщин с двойней или тройней. При многоплодной беременности живот на 31 неделе очень большой. Поэтому на этом сроке будущие многодетные мамы уже могут носить бандаж, особенно если на этом настаивает ведущий беременность врач.
Независимо от того, сколько деток вынашивает женщина, укрепить мышцы живота и спины ей поможет специальная гимнастика или йога и плавание в бассейне. Но необходимо помнить, что любые физические нагрузки должны осуществляться под присмотром инструктора и с разрешения гинеколога. Самодеятельность в этом вопросе совершенно недопустима.
Ощущения женщины
Поскольку вес ребенка в 31-ую акушерскую неделю беременности становится ещё больше, шевеления и толчки ребёнка чувствуются всё сильнее. А также маму продолжает мучить изжога. Распространенное убеждение, что изжога – это признак роста волос на голове малыша, соответствует истине лишь частично, так как помимо этой причины, существует еще несколько:
- спровоцированная гормональными изменениями слабость мышцы, отвечающей за удержание пищи в желудке;
- подпирание маткой диафрагмы и желудка, способствующее забрасыванию пищи обратно в пищевод;
- повышение уровня кислоты в желудке, которое обусловленное физиологическими изменениями.
Принимать лекарственные препараты от изжоги во время беременности не рекомендуется, так как это недомогание не несет никакой опасности малышу. Чтобы снизить неприятные ощущения, рекомендуется не стеснять дополнительно желудок тесной одеждой и свести к минимуму употребление кислой и соленой пищи.

Еще одно не самое приятное ощущение – подтекание мочи. У одних женщин это начинает происходить раньше, у других – позже, но так или иначе с этим симптомом приходится сталкиваться почти каждой беременной. Это происходит по вине растущей матки, которая беспощадно давит на мочевой пузырь, сокращая его объем до минимума. После родов эта проблема разрешится естественным образом, а пока можно пользоваться большими прокладками, которые защитят белье.
Узи
Врач, ведущий беременность женщины может назначить плановое УЗИ на 31 неделе беременности. Ведь третий скрининг назначается именно в период с 31 по 33 неделю.
Основной целью обследования является исключения отставания малыша в развитии. Для этого сонолог проводит фетометрию плода, затем сравнивает результат с показателями нормы.
- Бипариетальный размер – ширина головы от виска до виска на данном сроке должна соответствовать 73-87 мм;
- Лобно-затылочный размер измеряется ото лба до затылка. На 31 неделе этот размер соответствует 93-109 мм;
- Окружность живота ребёнка в среднем равна 247 -301;
- Средние показатели нормы обхвата головы равны 273-315 мм.
А также специалист измеряет длину бедренной, плечевой кости, предплечья и голени.
На УЗИ Сонолог оценивает:
- как происходит развитие головного мозга и внутренних органов малыша;
- двигательную активность, сердцебиение и частоту дыхательных движений плода;
- расположение малыша;
- объём и качество амниотической жидкости;
- толщину, месторасположение и степень зрелости плаценты;
- расположение пуповины, с целью исключения обвития ею малыша.
Плод на 31 неделе
К 31-й неделе вес плода равен приблизительно 1500-1700 г, а его рост уже 40 см.
Будущей маме следует стать еще более внимательной и осторожной, так как ребенок начинает чувствовать боль наравне с взрослым человеком. Это еще одна причина, по которой нужно избегать падений, ударов, резких движений, передавливания живота. Если малыш все-таки ощутит неприятный толчок, он ответит тем же, что незамедлительно почувствует его мама.
У младенца вырабатывается свой индивидуальный режим – мама может отметить, что периоды его сна и бодрствования ежедневно выпадают примерно на одно и то же время. Чаще всего они совпадают с режимом самой беременной женщины.

Ребенок на 31 неделе беременности все еще может находиться в матке головкой вверх, но ему постепенно становится все теснее, и со дня на день беременная женщина может почувствовать, как малыш перевернулся. Обычно это событие происходит довольно-таки ощутимо, ведь плод уже очень велик.
Главный признак того, что он принял правильное положение – удары ножками по ребрам. Малыш пытается адаптироваться к тому, что свободного пространства остается все меньше: он скрещивает ножки и подтягивает их к животу, а ручки прижимает к груди.
Младенец учится чувствовать настроение мамы, поэтому в III триместре беременную женщину следует оградить от стрессов.
Развитие плода в 31 неделю беременности продолжается и в половой системе. К этому сроку завершается развитие половых органов – у девочки появляется клитор, а в организме мальчика происходит перемещение яичек в сторону мошонки. Продолжают развиваться органы дыхания, зрения, центральная нервная система.
Выделения из половых путей
Не стоит забывать, что 31-ая неделя беременности – является самым подходящим временем для взятия у беременной женщины мазка из влагалища на определение микрофлоры, а также для выявления возможных инфекций. На этом этапе беременности большинство женщин начинают страдать от молочницы – сильно беспокоящих творожистых выделений, появление которых сопровождается зудом, а иногда и болями внизу живота.
Спровоцировать появление молочницы могут следующие факторы:
- обильное употребление сладкой и мучной пищи;
- ношение белья с высоким процентом содержания синтетики;
- некачественные повседневные прокладки.
Помимо устранения перечисленных причин, для избавления от молочницы необходимо пройти курс лечения вагинальными свечками. Препарат подбирает доктор, отталкиваясь от результатов анализов.
Если половые пути беременной женщины здоровы, то 31 неделя характеризуется выделениями, имеющими белый или едва заметный желтоватый оттенок. При этом они не должны обладать неприятным запахом.

Возможные проблемы на 31 неделе
Высока вероятность преждевременных родов. Однако при своевременном обращении в роддом врачи могут приостановить процесс и помочь будущей маме доносить малыша до окончания акушерского срока. Благодаря современным препаратам это возможно даже при частичном отхождении околоплодных вод.
Если произойдут роды на 31 неделе беременности, то шансы на благополучный исход увеличиваются только в том случае, если женщина находится в медицинском учреждении. Ведь недоношенному малышу для выживания требуется своевременная помощь с участием специального медицинского оборудования.
Поэтому каждая беременная женщина должна знать симптомы начинающихся преждевременных родов:
- продолжительные (больше часа) сокращения матки с равномерными интервалами между ними;
- тянущие боли внизу живота и в области поясницы;
- отхождение слизистой пробки, околоплодных вод.
При появлении любого из симптомов нужно немедленно вызывать скорую помощь и отправляться в стационар.
Питание
Плод на 31 неделе беременности продолжает развиваться, поэтому рацион будущей мамы должен быть насыщен питательными веществами. На первом месте, как и раньше, стоят сезонные свежие овощи и фрукты. Исключение – цитрусы. Так как они очень аллергены, их потребление стоит ограничить.

На калорийную пищу стоит налегать только в случае недобора веса; если же такой проблемы нет, то питательность суточного рациона беременной женщины должна повыситься всего на 300 ккал. Большое значение для развития плода имеет белок – пополнять его запас рекомендуется при помощи мяса, яиц, кисломолочных продуктов. А вот от цельного молока лучше отказаться – оно содержит вещества, способные вызвать аллергию не только у мамы, но и у ребенка.
На что обратить внимание
Беременность на тридцать первую неделю может осложниться различными патологиями, поэтому важно контролировать количество выпитой и выделенной организмом жидкости – оно должно быть примерно равным. Если обнаружится значительное (более 300 мл) несоответствие, то это может быть признаком начинающегося гестоза – состояния, при котором у будущей мамы появляются отеки и поднимается давление. Поскольку гестоз опасен как для здоровья самой женщины, так и для развития плода, он подлежит неотложному медикаментозному лечению.
Сколько месяцев на 31 неделе беременности
Большинство беременных женщин знают свой срок только в неделях, но многим интересно какой же у них идёт месяц на 31 неделе беременности.
У врачей для исключения путаницы принято считать срок по акушерской методике, в 1 месяце которого содержится 4 недели или 28 дней. Соответственно 31 неделя беременности – это 7 полных акушерских месяцев и 3 недели.
Если брать в расчет обычные календарные дни, то 31 неделя — это примерно 7 месяцев и 3 дня. Эмбриональный срок в этот период примерно равен 29 неделям.
Нашли ошибку? Выделите ее и нажмите Ctrl + Enter
pillsman.org
вес, рост и развитие плода, УЗИ
Содержание:Все ближе роды, вам осталось всего девять недель. Сейчас нужно всегда носить с собой обменную карту и свои документы, так как иногда роды могут начаться ранее срока. И хотя малышу еще нужно созревать и расти, если он появится сейчас – его шансы на нормальную здоровую жизнь очень велики, ему потребуется только некоторая помощь медиков. Ваше тело сильно изменилось, вам уже тяжело носить свой животик, сейчас, когда вы уже в декретном отпуске, нужно больше времени посвящать себе и малышу в животике.
31 неделя, сколько это месяцев? На 31 акушерской неделе заканчивается 7 месяц беременности. Гинекологи считают завершение 7 месяца на сроке = 30 недель и 6 дней). Продолжается 3 триместр беременности.
к содержанию ↑Вес, рост, развитие плода на 31 неделе
На этой неделе ребенок весит около 1700 гр, и в длину достигает до 41 см. Малыш весом с кокос.
К этому сроку все основные органы и системы ребенка уже сформировались и начали работать более слаженно. Сейчас же развитие малыша в основном направлено на набор веса и укрепление мышц. Темп его роста при этом несколько замедляется. Под кожей ребенка появляется жировая прослойка, вследствие чего складки и морщинки на его теле постепенно разглаживаются.
Особенно хорошо развита подкожно-жировая прослойка на щечках плода. Но если вдруг малыш начнет терять в весе, то в первую очередь жир будет уходить с этих участков, что облегчит сосание материнской груди.В дальнейшем у новорожденного подкожный жир будет выполнять терморегулирующую функцию, уберегая его от замерзания. Первородная смазка на коже малыша еще присутствует, но ее количество уменьшается.
К моменту родов большая часть ее совсем исчезнет вместе с пушком лануго, покрывающим тело ребенка. Как и на предыдущих неделях, на этом сроке активно развивается и растет головной мозг.
Продолжается процесс формирования борозд и извилин, дифференциации центров его коры. Интересно отметить, что к 31 неделе масса мозга плода составляет почти четвертую часть от массы головного мозга взрослого. Продолжают развиваться органы чувств малыша. Он может дышать, вдыхая и выдыхая околоплодные воды.
Кстати, у ребенка начинают функционировать обонятельные рецепторы, благодаря чему он может ощущать запах и даже вкус околоплодных вод, который будет зависеть, в частности, от питания беременной. Например, употребление чеснока и других пряных или острых продуктов может оказаться «не по вкусу» ребенку и вызвать его бурную реакцию.
На 31 неделе зрачки крохи по-прежнему реагируют только на свет и темноту. При воздействии слишком яркого освещения малыш даже может зажмуриться, а различать цвета он научится лишь спустя некоторое время после рождения.Также к этому сроку открываются слезные каналы, поэтому малыш уже способен плакать. В волосяном покрове и радужной оболочке глаз, определяющей цвет глаз ребенка, продолжается накопление пигмента. В радужной оболочке накопление меланина идет медленнее, поэтому многие дети рождаются со светлыми серо-голубыми глазами, а заложенный генетически цвет глаз устанавливается примерно к 6 месяцам после рождения.
В случае родов на 31 недели, ребенку потребуется хороший медицинский уход. Он будет считаться недоношенным и будет иметь шансы на выживание. У ребенка в этом возрасте легкие являются недостаточно зрелыми, а подкожно-жировой слой плохо развит. Необходимы такие процедуры, как помещение в инкубатор и искусственная вентиляция легких.
к содержанию ↑УЗИ на 31 неделе беременности
На 31-34 неделе беременные женщины проходят третье ультразвуковое сканирование. При наличии определенных показаний специалисты назначают дополнительные УЗИ. В процессе исследования на 31 неделе: определяется предлежание; выясняются значения фетометрических показателей; оценивается анатомия плода; определяется расположение плаценты, ее толщина, выявляется обвитие вокруг шеи плода; дается оценка двигательной активности плода.


Третье УЗИ — это итоговый контроль за состоянием плода, его положением, оценка функциональности плаценты и выбор метода родоразрешения. Это плановое ультразвуковое исследование чаще всего показывает следующие ненормальные состояния:
- плод в поперечном положении;
- плод в косом положении;
- предлежание плаценты;
- многоводие;
- заболевания, которые ранее не были выявлены.
В ходе УЗИ также оценивается анатомия плода. Здесь указываются внутренние органы и отмечается, присуща ли им норма, нету ли каких-то патологических изменений. Также в документе даются характеристики плаценты. Они отражают ее способность снабжать плод всеми необходимыми веществами.
к содержанию ↑Ощущение и состояние беременной на 31 неделе
На 31 неделе беременности происходит изменение и во внешности. Многие мамы отмечают, что их волосы и ногти быстрее растут, кожа выглядит здоровой и сияющей. Это происходит благодаря повышенной выработке эстрогена – женского полового гормона. Иногда состояние кожи, наоборот, ухудшается – на ней появляется акне, сосудистая сетка, пигментация.
Подбирать косметические средства следует осторожно, после консультации с дерматологом, так как в них могут содержаться нежелательные для использования во время беременности вещества.
Грудь увеличивается и меняет форму. Это происходит из-за роста молочных долей, которые готовятся к многомесячному кормлению ребенка. За весь период беременности грудь станет тяжелее на 0,5-1,5 кг.
На этом сроке довольно часто возникают боли в нижней части спины, моча приобретает неприятный запах и темно-желтый цвет, лабораторная диагностика показывает наличие в ней солей и повышенного количества белка.
Врачом, вероятнее всего, будет поставлен диагноз «пиелонефрит беременных». Запускать болезнь ни в коем случае нельзя, так как бактерия, поразившая почки, может проникнуть в плаценту и инфицировать ребенка, что чревато поражением его органов и нарушениями в развитии.
Чтобы предотвратить это, могут быть назначены щадящие антибактериальные препараты, которые нейтрализуют инфекцию и при этом не нанесут вреда ребенку. Из-за увеличения объемов жидкости в организме повышается нагрузка на почки.
Если до беременности женщина страдала хроническими заболеваниями мочевыводящей системы, они почти наверняка дадут о себе знать.
По мере роста матка будет подниматься все выше, подпирая диафрагму и ребра и доставляя женщине дискомфорт. Несмотря на то, что на 31-й неделе размер живота еще не слишком велик, он уже оказывает негативное влияние на осанку беременной. Из-за смещения центра тяжести позвоночник будущей мамы оказывается выгнутым, походка тяжелеет, появляются боли в пояснице.
Однако торопиться покупать бандаж не стоит до тех пор, пока малыш не перевернется вверх ножками, а чтобы облегчить свое состояние, можно приобрести специальные компрессионные колготы для беременных.
В среднем к 31 недели беременности будущая мама должна набрать 7,5-10,5 кг. Если этого не произошло, доктор может назначить дополнительные обследования для проверки количества околоплодных вод. Оно должно составлять около 1 л, но при многоводии может превышать 2 л, а при маловодии сокращаться до 500 мл.
к содержанию ↑Возможные риски и опасности 31 недели
Что касается рисков на 31 неделе, то их достаточно, поскольку она входит в четвертый критический период беременности.
Так, если на этом этапе беременности женщина будет получать слишком мало витамина Д, в будущем это может спровоцировать развитие рахита у ребёнка. Недостаток кальция в рационе приводит к его вымыванию из стенок сосудов матери, что вызывает развитие варикозного расширения вен.
Опасность представляет превышение допустимых прибавок веса. Нередко оно приводит к послеродовому ожирению, метаболическому синдрому и даже сахарному диабету II типа.
В третьем триместре резко вырастает вероятность развития опаснейшего осложнения беременности – преэклампсии и эклампсии. Предшествует ей гестоз – состояние с неясным патогенезом и этиологией. Его главные симптомы – повышение давления, появление белка в моче и отёки.
Методов лечения этого состояния не существует, поэтому врач просто наблюдает за пациенткой и старается по возможности уменьшить симптоматику. Если осложнение прогрессирует, может начаться преклампсия.
Её симптомы – сильное повышение давления, тошнота и рвота, головная боль и характерные «мушки» перед глазами. Если нормализировать состояние не удаётся, проводится досрочное оперативное родоразрешение. Если сделать это вовремя – шансы спасти жизнь женщины и ребёнка очень высоки.
При несвоевременном обращении в больницу или слишком интенсивном нарастании симптомов врачи могут не успеть отреагировать, и тогда наступает эклампсия – судороги. Женщина может погибнуть во время приступа или после него от кровоизлияния, асфиксии или отёка лёгких. Плод также нередко погибает от гипоксии.
к содержанию ↑Рекомендации беременной на 31 неделе
Для поддержания энергии и хорошего самочувствия очень полезны пешые прогулки на свежем воздухе и умеренные физические упражнения.
Главное здесь – не переусердствовать и не доводить себя до усталости. Оптимальным вариантом физической активности на этом сроке считаются плавание, фитнес для беременных, занятия на фитболе.
- Не нужно пытаться переделать всю домашнюю работу сразу, это может плохо отразиться на самочувствии.
- Исключите любые надавливания на живот. Тесная одежда может спровоцировать спазм сосудов, что может стать причиной недостаточного набора веса ребенка и отставания в развитии. По этой же причине не рекомендуется спать на спине.
- Научитесь медленно вставать с постели. Резкие движения могут принести боль. Если следить за осанкой, можно существенно снизить болевые ощущения в спине.
- Если вас часто преследуют страхи и тревоги, поговорите с кем-то об этом. Поделившись своими тревогами, они уже не будут казаться такими серьезными.
В случае усталости ног и болей в пояснице, делайте упражнение — коленно-локтевое положение, то есть встать на четвереньки, опустив плечи и голову вниз. В такой позе расслабляется позвоночник, не чувствует нагрузка живота также помогает нормализовать тонус матки, улучшить поступление кислорода к малышу.
Не забывайте посещать врача, теперь вы ходите в женскую консультацию намного чаще. Сейчас очень важно контролировать ваш вес, артериальное давление. Следуйте всем советам вашего врача-гинеколога.
При появлении болей в районе живота, кровянистых выделений из влагалища, начала схваток нужно немедленно обратиться за медицинской помощью. Обменную карту рекомендуется всегда иметь при себе.
С 31 недели будущие мамы могут посещать курсы для беременных. В женских консультациях проводят неплохие курсы на бесплатной основе.
Секс на 31 неделе беременности
Хотя 31-я неделя «интересного положения» – достаточно серьезный срок, тем не менее, интимная близость в этот период пока еще допустима. Если физическое состояние женщины – хорошее, и нет никаких угроз для ребенка, будущие родители могут заниматься сексом без каких-либо опасений. Выбирайте только самые безопасные и удобные для вас позы.
child-blog.ru

Для поддержания энергии и хорошего самочувствия очень полезны пешые прогулки на свежем воздухе и умеренные физические упражнения.