причины, симптомы, диагностика и лечение
Холецистит – различные по этиологии, течению и клиническим проявлениям формы воспалительного поражения желчного пузыря. Сопровождаются болью в правом подреберье, отдающей в правую руку и ключицу, тошнотой, рвотой, диареей, метеоризмом. Симптомы возникают на фоне эмоционального стресса, погрешностей в питании, злоупотребления алкоголем. Диагностика основывается на данных физикального осмотра, ультразвукового исследования желчного пузыря, холецистохолангиографии, дуоденального зондирования, биохимического и общего анализа крови. Лечение включает диетотерапию, физиотерапию, назначение анальгетиков, спазмолитиков, желчегонных средств. По показаниям выполняют холецистэктомию.
Общие сведения
Холецистит — воспалительное заболевание желчного пузыря, которое сочетается с моторно-тонической дисфункцией желчевыводящей системы. У 60-95% пациентов болезнь сопряжена с наличием желчных конкрементов. Холецистит является наиболее распространенной патологией органов брюшной полости, составляет 10-12% от общего количества заболеваний этой группы. Воспаление органа выявляется у людей всех возрастов, чаще страдают пациенты среднего возраста (40-60 лет). Болезнь в 3-5 раз чаще поражает лиц женского пола. Для детей и подростков характерна бескаменная форма патологии, тогда как среди взрослого населения преобладает калькулезный холецистит. Особенно часто заболевание диагностируется в цивилизованных странах, что обусловлено особенностями пищевого поведения и образа жизни.
Холецистит
Причины холецистита
Основное значение в развитии патологии имеет застой желчи и инфекция в желчном пузыре. Болезнетворные микроорганизмы могут проникать в орган гематогенно и лимфогенно из других очагов хронической инфекции (пародонтоз, отит и др.) или контактным путем из кишечника. Патогенная микрофлора чаще представлена бактериями (стафилококками, кишечной палочкой, стрептококками), реже вирусами (гепатотропными вирусами С, В), простейшими (лямблиями), паразитами (аскаридами). Нарушение утилизации желчи из желчного пузыря возникает при следующих состояниях:
- Желчнокаменная болезнь. Холецистит на фоне ЖКБ встречается в 85-90% случаев. Конкременты в желчном пузыре становятся причиной стаза желчи. Они закупоривают просвет выходного отверстия, травмируют слизистую оболочку, вызывают изъязвления и спайки, поддерживая процесс воспаления.
- Дискинезия желчевыводящих путей. Развитию патологии способствует функциональное нарушение моторики и тонуса билиарной системы. Моторно-тоническая дисфункция приводит к недостаточному опорожнению органа, камнеобразованию, возникновению воспаления в желчном пузыре и протоках, провоцирует холестаз.
- Врожденные аномалии . Риск холецистита повышается при врожденных искривлениях, рубцах и перетяжках органа, удвоении либо сужении пузыря и протоков. Вышеперечисленные состояния провоцируют нарушение дренажной функции желчного пузыря, застой желчи.
- Другие заболевания желчевыводящей системы. На возникновение холецистита оказывают влияние опухоли, кисты желчного пузыря и желчных протоков, дисфункция клапанной системы билиарного тракта (сфинктеров Одди, Люткенса), синдром Мириззи. Данные состояния могут вызывать деформацию пузыря, сдавление протоков и формирование стаза желчи.
Помимо основных этиологических факторов существует ряд состояний, наличие которых увеличивает вероятность появления симптомов холецистита, влияя как на утилизацию желчи, так и на изменение ее качественного состава. К таким состояниям можно отнести дисхолию (нарушение нормального состава и консистенции пузырной желчи), гормональную перестройку в период беременности, менопаузы. Развитию ферментативного холецистита способствует регулярный заброс ферментов поджелудочной железы в полость пузыря (панкреатобилиарный рефлюкс). Холецистит часто возникает на фоне неправильного питания, злоупотребления алкоголем, табакокурения, адинамии, сидячей работы, наследственной дислипидемии.
Патогенез
Основным патогенетическим звеном холецистита принято считать стаз пузырной желчи. Вследствие дискинезии билиарных путей, обтурации желчевыводящего протока снижается барьерная функция эпителия слизистой пузыря, устойчивость его стенки к воздействию патогенной флоры. Застойная желчь становится благоприятной средой для размножения микробов, которые образуют токсины и способствуют миграции в очаг воспаления гистаминоподобных веществ. При катаральном холецистите в слизистом слое возникает отек, утолщение стенки органа за счет инфильтрации ее макрофагами и лейкоцитами.
Прогрессирование патологического процесса приводит к распространению воспаления на подслизистый и мышечный слои. Снижается сократительная способность органа вплоть до пареза, еще больше ухудшается его дренажная функция. В инфицированной желчи появляется примесь гноя, фибрина, слизи. Переход воспалительного процесса на соседние ткани способствует формированию перивезикального абсцесса, а образование гнойного экссудата приводит к развитию флегмонозного холецистита. Вследствие нарушения кровообращения возникают очаги кровоизлияния в стенке органа, появляются участки ишемии, а затем и некроза. Данные изменения свойственны гангренозному холециститу.
Классификация
В гастроэнтерологии существует несколько классификаций заболевания, каждая из которых имеет большое значение, дает специалистам возможность отнести те или иные клинические проявления к определенному типу болезни и выбрать рациональную тактику лечения. С учетом этиологии различают два вида холецистита:
- Калькулезный. В полости органа обнаруживаются конкременты. На долю калькулезного холецистита приходится до 90% всех случаев болезни. Может сопровождаться интенсивной симптоматикой с приступами желчной колики или продолжительное время протекать бессимптомно.
- Некалькулезный (бескаменный). Составляет 10% от всех холециститов. Характеризуется отсутствием конкрементов в просвете органа, благоприятным течением и редкими обострениями, обычно связанными с алиментарными погрешностями.
В зависимости от выраженности симптомов и типа воспалительно-деструктивных изменений холецистит может быть:
- Острым. Сопровождается выраженными признаками воспаления с бурным началом, яркой симптоматикой и явлениями интоксикации. Боль, как правило, интенсивная, носит волнообразный характер.
- Хронический. Проявляется постепенным медленным течением без выраженных симптомов. Болевой синдром может отсутствовать или иметь ноющий, слабоинтенсивный характер.
По степени тяжести клинических проявлений выделяют следующие формы болезни:
- Легкая. Характеризуется слабоинтенсивным болевым синдромом продолжительностью 10-20 мин, который купируется самостоятельно. Нарушения пищеварения выявляются редко. Обострение возникает 1-2 раза в год, продолжается не более 2 недель. Функция других органов (печени, поджелудочной железы) не изменена.
- Средней тяжести. Болезненные ощущения стойкие с выраженными диспепсическими нарушениями. Обострения развиваются чаще 3 раз в год, длятся более 3-4 недель. Отмечаются изменения в работе печени (повышение АЛТ, АСТ, билирубина).
- Тяжелая. Сопровождается резко выраженным болевым и диспепсическим синдромами. Обострения частые (чаще 1 раза в месяц), продолжительные (более 4 недель). Консервативное лечение не обеспечивает существенного улучшения самочувствия. Функция соседних органов нарушена (гепатит, панкреатит).
По характеру течения воспалительно-деструктивного процесса различают:
- Рецидивирующее течение. Проявляется периодами обострения и полной ремиссией, во время которой проявления холецистита отсутствуют.
- Монотонное течение . Типичным признаком является отсутствие ремиссий. Пациенты жалуются на постоянные болезненные ощущения, дискомфорт в правых отделах живота, расстройство стула, тошноту.
- Перемежающееся течение. На фоне постоянных слабовыраженных проявлений холецистита периодически возникают обострения разной степени тяжести с явлениями интоксикации и желчной коликой.
Симптомы холецистита
Клинические проявления зависят от характера воспаления, наличия или отсутствия конкрементов. Хронический холецистит встречается чаще острого и обычно имеет волнообразное течение. В период обострения при бескаменной и калькулезной форме появляется приступообразная боль разной интенсивности в правой части живота, иррадиирущая в правое плечо, лопатку, ключицу. Болезненные ощущения возникают в результате неправильного питания, тяжелых физических нагрузок, сильного стресса. Болевой синдром часто сопровождается вегето-сосудистыми нарушениями: слабостью, потливостью, бессонницей, неврозоподобными состояниями. Помимо болей наблюдается тошнота, рвота с примесью желчи, нарушения стула, вздутие живота.
Больные отмечают повышение температуры тела до фебрильных значений, озноб, чувство горечи во рту или отрыжку горьким. В тяжелых случаях обнаруживаются симптомы интоксикации: тахикардия, одышка, гипотония. При калькулезной форме на фоне стойкого холестаза наблюдается желтушность кожи и склер, кожный зуд. В фазе ремиссии симптомы отсутствуют, иногда отмечается дискомфорт и тяжесть в районе правого подреберья, расстройства стула и тошнота. Периодически может возникать холецистокардиальный синдром, характеризующийся болями за грудиной, тахикардией, нарушением ритма.
Острый бескаменный холецистит диагностируется достаточно редко, проявляется эпизодическими тянущими болями в подреберье справа после переедания, употребления алкогольных напитков. Данная форма болезни чаще протекает без нарушения пищеварения и осложнений. При острой калькулезной форме преобладают симптомы холестаза (боль, кожный зуд, желтушность, горьковатый привкус во рту).
Осложнения
При продолжительном течении может наблюдаться переход воспаления на близлежащие органы и ткани с развитием холангита, плеврита, панкреатита, пневмонии. Отсутствие лечения или поздняя диагностика при флегмонозной форме болезни приводят к эмпиеме желчного пузыря. Переход гнойно-воспалительного процесса на близлежащие ткани сопровождается формированием околопузырного абсцесса. При перфорации стенки органа конкрементом или гнойном расплавлении тканей происходит излитие желчи в брюшную полость с развитием разлитого перитонита, который при отсутствии экстренных мероприятий может закончиться летальным исходом. При попадании бактерий в кровоток возникает сепсис.
Диагностика
Основной трудностью верификации диагноза принято считать определение типа и характера заболевания. Первым этапом диагностики является консультация гастроэнтеролога. Специалист на основании жалоб, изучения анамнеза болезни, проведения физикального обследования может установить предварительный диагноз. При осмотре выявляются положительные симптомы Мерфи, Кера, Мюсси, Ортнера-Грекова. Для определения вида и степени тяжести болезни проводятся следующие обследования:
- УЗИ желчного пузыря. Является основным диагностическим методом, позволяет установить размер и форму органа, толщину его стенки, сократительную функцию, наличие конкрементов. У пациентов с хроническим холециститом визуализируются утолщенные склерозированные стенки деформированного желчного пузыря.
- Фракционное дуоденальное зондирование. В ходе процедуры производят забор трех порций желчи (А,В,С) для микроскопического исследования. С помощью данного метода можно оценить моторику, цвет и консистенцию желчи. С целью обнаружения возбудителя, вызвавшего бактериальное воспаление, определяют чувствительность флоры к антибиотикам.
- Холецистохолангиография. Позволяет получить информацию о работе желчного пузыря, билиарного тракта в динамике. При помощи рентгеноконтрастного метода обнаруживают нарушение двигательной функции желчевыводящей системы, конкременты и деформацию органа.
- Лабораторное исследование крови. В острый период в ОАК выявляется нейтрофильный лейкоцитоз, ускорение СОЭ. В биохимическом анализе крови отмечается повышение уровня АЛТ, АСТ, холестеринемия, билирубинемия и др.
В сомнительных случаях для изучения работы билиарного тракта дополнительно выполняют гепатобилисцинтиграфию, ФГДС, МСКТ желчного пузыря, диагностическую лапароскопию. Дифференциальную диагностику холецистита проводят с острыми заболеваниями, сопровождающимися болевым синдромом (острым панкреатитом, аппендицитом, перфоративной язвой желудка и 12-перстной кишки). Клинику холецистита следует отличать от приступа почечной колики, острого пиелонефрита, правосторонней пневмонии.

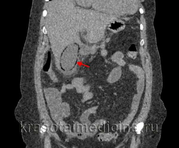
КТ органов брюшной полости. Острый эмфизематозный холецистит – скопление газа по периферии в виде «ободка».
Лечение холецистита
Основу лечения острого и хронического некалькулезного холецистита составляет комплексная медикаментозная и диетотерапия. При часто рецидивирующей калькулезной форме болезни или при угрозе развития осложнений прибегают к оперативному вмешательству на желчном пузыре. Основными направлениями в лечении холецистита признаны:
- Диетотерапия. Диета показана на всех стадиях болезни. Рекомендовано дробное питание 5-6 раз в день в вареном, тушеном и запечённом виде. Следует избегать больших перерывов между приемами пищи (более 4-6 часов). Пациентам рекомендуется исключить алкоголь, бобовые, грибы, жирное мясо, майонез, торты.
- Медикаментозная терапия. При остром холецистите назначают обезболивающие, спазмолитические препараты. При выявлении патогенных бактерий в желчи применяют антибактериальные средства, исходя из вида возбудителя. Во время ремиссии используют желчегонные препараты, стимулирующие желчеобразование (холеретики) и улучшающие отток желчи из органа (холекинетики).
- Физиотерапия. Рекомендована на всех этапах болезни с целью обезболивания, уменьшения признаков воспаления, восстановления тонуса желчного пузыря. При холецистите назначают индуктотермию, УВЧ, электрофорез.
Удаление желчного пузыря осуществляют при запущенных холециститах, неэффективности консервативных методов лечения, калькулезной форме заболевания. Широкое применение нашли две техники удаления органа: открытая и лапароскопическая холецистэктомия. Открытую операцию выполняют при осложненных формах, наличии механической желтухи и ожирении. Видеолапароскопическая холецистэктомия является современной малотравматичной методикой, использование которой позволяет снизить риск послеоперационных осложнений, сократить реабилитационный период. При наличии конкрементов возможно нехирургическое дробление камней с помощью экстракорпоральной ударно-волновой литотрипсии.
Прогноз и профилактика
Прогноз заболевания зависит от степени тяжести холецистита, своевременной диагностики и грамотного лечения. При регулярном приеме лекарственных препаратов, соблюдении режима питания и контроле обострений прогноз благоприятный. Развитие осложнений (флегмона, холангит) значительно ухудшает прогноз болезни, может вызывать серьезные последствия (перитонит, сепсис). Для профилактики обострений следует придерживаться основ рационального питания, исключить алкогольные напитки, вести активный образ жизни, осуществлять санацию очагов воспаления (гайморит, тонзиллит). Больным хроническим холециститом рекомендовано ежегодно проходить УЗИ гепатобилиарной системы.
www.krasotaimedicina.ru
Хронический холецистит
Определение. Хронический холецистит (ХХ) – заболевание, проявляющееся хроническим воспалительным процессом в желчном пузыре.
МКБ10: К81.1 – Хронический холецистит.
Этиология. В подавляющем большинстве случаев ХХ является калькулезным. Длительно существующий бескаменный хронический холецитист большая редкость — не более 5% случаев. ХХ часто возникает как бескаменный, переходя в дальнейшем в калькулезную форму. Причиной бескаменного холецистита является бактериальная инфекция, проникающая ретроградно по желчным ходам или гематогенным путем. ХХ может являться осложнением желчнокаменной болезни – полифакторного невоспалительного обменно-дистрофического заболевания с формированием холестериновых или пигментных конкрементов в желчных путях.
Патогенез. В патогенезе ХХ ведущую роль играет воспалительный процесс в стенке желчного пузыря, поддерживаемый бактериальной инфекцией. В результате воспалительно-склеротического процесса нарушается секреция слизи эпителиальными клетками слизистой оболочки желчного пузыря, что приводит к дестабилизации коллоидного состояния сгущенной пузырной желчи, созданию условий для появления желчных конкрементов. Кальцинатные камни формируются в процессе инкапсуляции очагов бактериальной инфекции. Благодаря указанным обстоятельствам бескаменный хронический холецистит долго существовать не может и, как правило, переходит в калькулезную форму. При хроническом холецистите в желчном пузыре обычно формируются известковые (кальцинатные) или известково-пигментные камни с небольшим содержанием холестерина.
При обострении хронического холецистита вызванном активацией бактериальной инфекции в желчном пузыре формируется реактивный гепатит, проявляющийся умеренной гипербилирубинемией, повышением активности печеночных ферментов. Может возникать регионарный лимфаденит в воротах печени, вызывающий нарушение транспорта желчи по внепеченочным протокам.
Обострение хронического холецистита с последующим распространением инфекции по желчным ходам может приводить к возникновению хронического холангита внутри- и внепеченочных желчных протоков, проявляющегося постоянной иктеричностью склер, зудом кожных покровов. В результате хронического воспаления может сформироваться стриктура протока большого дуоденального соска.
Выход конкрементов из желчного пузыря с последующей обструкцией протока большого дуоденального соска является одной из наиболее частых причин возникновения обтурационной желтухи, острого панкреатита.
Следует отметить, что болевой синдром при ХХ обусловлен повышением тонуса пузырной стенки, раздражением покрывающей его брюшины. Воспаление, раздражение камнями слизистой пузыря болевых ощущений не вызывает.
Клиническая картина. Заболевание может протекать в следующих формах: латентной, диспепсической, хронической болевой и хронической рецидивирующей с желчной коликой.
При латентной форме ХХ больные не замечают этого заболевания. Ультразвуковое исследование органов брюшной полости по другому поводу позволяет выявить у них признаки хронического бескаменного или калькулезного холецистита. Такая форма болезни характерна для дисциплинированных людей с правильным режимом питания без злоупотреблений и вредных привычек.
Больные с диспепсической формой ХХ предъявляют жалобы на чувство тяжести в эпигастральной области, в правом подреберье. Их беспокоят изжога, метеоризм. Стул неустойчивый с чередованием запоров и поносов. Обострения наступают после употребления жирной, жареной, острой пищи. У таких больных ХХ часто сочетается с желудочной и кишечной диспепсией.
Хроническая болевая форма ХХ проявляется постоянными ноющими болями в правом подреберье и в эпигастрии с иррадиацией в спину, в правую лопатку. Боли усиливаются после жареной, жирной, острой пищи. Больные периодически замечают у себя субфебрилитет не связанный с простудными заболеваниями. Как правило, в таких случаях ХХ сочетается с регионарным дуоденитом-папиллитом, дисфункцией сфинктера большого дуоденального соска.
Характерной особенностью хронической рецидивирующей формы с желчными коликами являются приступы острых, пронзающих болей (колики) в правом подреберье или в эпигастральной области с иррадиацией в спину, в правую лопатку. Длительность болевого приступа от нескольких минут до нескольких суток. Вместе с болью возникают тошнота, рвота с примесью желчи в рвотных массах. Может повышаться температура тела. Приступы бывают спонтанными, но иногда больной связывает их возникновение с физическим напряжением, эмоциональным стрессом, погрешностями в питании. Этот вариант заболевания типичен для калькулезного поражения желчевыводящей системы.
Можно выделить еще и стенокардитический вариант ХХ с клинической и ЭКГ симптоматикой, напоминающей ИБС.
Для больных ХХ характерны жалобы на общую слабость, раздражительность, пониженный эмоциональный тонус. Их беспокоит горечь, сухость во рту. Некоторые замечают у себя перебои ритма, колющие боли в области сердца.
В период обострения ХХ у некоторых больных появляется иктеричность склер. Язык часто обложен серовато-коричневатым налетом. Живот мягкий, чувствительный в правом подреберье. Печень может быть умеренно увеличенной, выступать из под правой реберной дуги на 1-3 см. Ее край закруглен, эластичный, чувствительный. Эти сдвиги являются свидетельством формирования реактивного холангиогенного гепатита.
При объективном исследовании можно выявить ряд классических желчепузырных симптомов, типичных для обострения хронического холецистита:
Симптом Керра – появление болей при глубокой пальпации живота в правом подреберье в проекции желчного пузыря.
Симптом Мерфи – непроизвольное прекращение вдоха при давлении в правом подреберье в проекции желчного пузыря.
Симптом Боаса – болезненная точка на 8-9 см вправо от остистого отростка XII грудного позвонка.
Симптом Мюсси (френикус-симптом) – болезненность при давлении между ножками правой грудино-ключично-сосцевидной мышцы.
Симптом Йонаша – болезненность при давлении ниже затылочного бугра.
Симптом Лапине – болезненность при поколачивании живота ниже края правой реберной дуги при задержке дыхания на вдохе.
Диагностика.
Общий анализ крови: в период ремиссии нормальный. При обострении умеренный нейтрофильный лейкоцитоз, увеличенная СОЭ.
Биохимический анализ крови: в период ремиссии нормальный. При обострении повышенное содержание билирубина, щелочной фосфатазы, трансаминаз (АЛТ и АСТ), серомукоида, фибрина, альфа-2-глобулина.
Дуоденальное зондирование: в пузырной фракции кислая реакция, снижена относительная плотность, много хлопьев слизи, лейкоцитов, скоплений эпителиальных клеток, кристаллов жирных кислот; повышено содержание аминотрансфераз и сиаловых кислот, снижено – холевой кислоты, липидного комплекса, билирубина.
ФГДС – гиперемия, отек слизистой в области большого дуоденального соска (регионарный дуоденит-папиллит).
Ультразвуковое исследование: желчный пузырь деформирован, с утолщенной, уплотненной стенкой. Тонус стенки желчного пузыря увеличен. На дне слой желчного осадка. В полости могут присутствовать конкременты. Пальпация пузыря под контролем ультразвукового изображения вызывает болевые ощущения. При выраженном обострении определяется значительное утолщение, нечеткость контуров стенки желчного пузыря, вызванные воспалительным отеком субсерозной клетчатки пузырной стенки. В ложе желчного пузыря может появляться локальное скопление жидкости.
ЭКГ: выявляются признаки суправентрикулярной или желудочковой экстрасистолии.
Дифференциальный диагноз. Проводится с мочекаменной болезнью протекающей с почечными коликами, гепатитом, язвой желудка и 12-перстной кишки, панкреатитом.
В отличие от желчной колики, при правосторонней почечной колике поясничная и локализованная в правом подреберье боль никогда не иррадиирует в правую лопатку, а распространяется вниз по ходу правого мочеточника в пах, в лобок, в мочеиспускательный канал. Сопровождается изменениями мочевого осадка, чего не бывает при ХХ.
Острый или обострение хронического гепатита сопровождаются более выраженными расстройствами самочувствия больных, более глубокими нарушениями метаболизма. При гепатите в связи с уменьшением или полным отсутствием секреции печенью желчи пузырь спадается, тонус его стенки резко снижается. Эти изменения легко выявляются при УЗИ. По этой же причине все желчепузырные симптомы у больных с острым гепатитом становятся отрицательными.
В отличие от ХХ при язве желудка или 12-перстной кишки назначение антисекреторных препаратов (блокаторы протонной помпы, Н2-гистаминовых рецепторов) вызывает в подавляющем большинстве случаев ликвидацию болевого синдрома.
Для острого панкреатита, чаще всего вызванного калькулезной обструкцией просвета большого дуоденального соска, характерны опоясывающие боли в пояснице, рвота, не облегчающая состояние больного. В крови и моче повышается активность альфа-амилазы. При УЗИ выявляются признаки отека тканей поджелудочной железы, расширение ее вирсунгова протока.
План обследования.
Общий анализ крови.
Общий анализ мочи.
Биохимический анализ крови: билирубин, холестерин, трансаминазы, щелочная фосфатаза, альфа-амилаза, серомукоид, фибрин, общий белок и белковые фракции.
ФГДС с осмотром большого дуоденального соска.
Дуоденальное зондирование с биохимическим исследованием состава желчи: трансаминаз, сиаловых кислот, холевой кислоты, липидного комплекса, билирубина.
УЗИ желчевыводящей системы, печени, поджелудочной железы.
ЭКГ.
Лечение. Больным рекомендуются не острые малокалорийные блюда преимущественно растительного происхождения, с небольшим количеством жиров, содержащие достаточное количество клетчатки. Крайне необходимо обеспечить дробный режим питания – 5-6 приемов в день. Нельзя делать длительных перерывов между приемами пищи. Употреблять пищу следует небольшими порциями, обязательно в медленном темпе.
Для лечения больных с калькулезным поражением желчного пузыря можно применить зерновые отруби. 1-3 чайные ложки отрубей заваривают в стакане крутым кипятком за 15-20 минут до еды. Перед употреблением воду сливают. Распаренные отруби принимают внутрь во время еды 3 раза в день.
Применение холелитолитических препаратов — урсодезоксихолевой кислоты – урсофалк или хенодезоксиксихолевой кислоты – хенофалк, при хроническом калькулезном холецистите малоэффективно, так как они содействуют растворению холестериновых камней, но не кальцинатных, образующихся при воспалении желчного пузыря.
При болях применяются спазмолитические препараты:
Папаверин гидрохлорид 0,04 – по 1 таблетке 1-4 раза в день при коликах (при передозировке препарат может замедлять проводимость в сердце вплоть до полной АВ-блокады).
Но-шпа 0,04 – по 1 таблетке 1-4 раза в день при коликах.
С целью восстановления нормальной секреции и выведения желчи применяют желчегонные препараты: экстракты бессмертника, кукурузных рыльцев, барбариса, шиповника, холевой кислоты и др. Самым распространенным и достаточно эффективным препаратом из этой группы является аллохол – комплекс из экстрактов чеснока, крапивы и активированного угля. Его принимают по 1-2 драже 3-4 раза в день.
При обострении ХХ с лихорадкой, воспалительными отклонениями в общем и биохимическом анализах крови следует применять антибактериальные препараты:
Доксициклина гидрохлорид – 0,1 – по 1 капсуле 2 раза в день 6 дней.
Метациклин 0,3 – по 1 таблетке 3 раза в день 6 дней
Фуразолидон 0,05 – по 1 таблетке 4 раза в день 6 дней.
Больным с калькулезным холециститом, даже если он протекает без желчных колик, показано хирургическое лечение. Холецистэктомия позволяет устранить риск механической желтухи, острого панкреатита, вторичного билиарного цирроза печени, опухолевого поражения желчного пузыря. В настоящее время лучшим хирургическим методом лечения калькулезного холецистита является лапароскопическая холецистэктомия. При направлении больного на плановое хирургическое лечение необходимо максимально скомпенсировать клинические проявления заболевания консервативными методами: полностью устранить активный воспалительный процесс, болевой синдром, диспепсические расстройства. Если операция выполняется на фоне постоянных болевых ощущений в правом подреберье и в эпигастрии, эти боли, как правило, сохраняются и после успешно выполненной операции. Должно действовать правило: «»Здоровым» пришел на операцию холецистэктомии, здоровым выписался из хирургического отделения».
Прогноз. Прогноз при соблюдении диетологических рекомендаций, своевременно выполненной операции холецистэктомии при калькулезном поражении желчных путей благоприятный.
studfiles.net
симптомы и лечение, диета №5, причины, виды

Что это такое холецистит
Холецистит (с греч. языка cholē — желчь + kýstis — пузырь) — это довольно серьезное заболевание, с опасными последствиями в случае запущенности. Болезнь характеризуется воспалением желчного пузыря, иногда наличием конкрементов в данном органе.
Избыток холестерина, соли, билирубин — все это откладывается на стенках пузыря в виде налета, хлопьев, которые постепенно растут, превращаясь в солидные образования, мешающие работе органа.
Кристаллизованные образования, камни могут находиться в желчном пузыре довольно долгое время не вызывая никаких симптомов у человека, но как только что-то спровоцирует их движение, патология обостряется, появляются сильнейшие приступы боли, при которых обязательна скорая помощь и хирургическое вмешательство.
Больше чем в половине случаев заболеваний холециститом наблюдается присутствие и желчнокаменной патологии (калькулезный холецистит). Впрочем, имеет место быть и бескаменная (некалькулезная) патология желчного пузыря.

Причины возникновения холецистита
- Наличие любых конкрементов в желчном пузыре обязательно вызовет воспаление стенок органа, поэтому желчнокаменная болезнь является самой распространённой причиной появления холецистита. Воспаление происходит из-за закупорки камнями желчного оттока.
Причина возникновения холецистита всегда одна – нарушение оттока желчи, а вот данный процесс может иметь множество поводов:
- банальное переедание. Неправильное питание в виде жареной пищи, алкоголя, жирных десертов, употребление газированных напитков непременно приведет к раздражению желчного пузыря;
- гиподинамия, сидячий образ жизни. Застой желчи в протоках может возникнуть из-за недостатка движения, поэтому при обострении холецистита рекомендовано много двигаться, но без резких передвижений, дабы не спровоцировать приступ печеночной колики;
- прочие хронические заболевания: диабет, патологии эндокринной системы, гастрит, панкреатит, дискинезия желчных протоков, ожирение и т. д.;
- наследственность;
- попадание патогенной микрофлоры в желчный пузырь: гепатит, бактериальная инфекция, паразиты, грибковые микроорганизмы;
- беременность. С наступлением беременности у женщин меняется гормональный фон, вследствие чего уменьшается эластичность и тонус гладкой мускулатуры. Потеря тонуса мышц приводит к застою желчи и затруднительному оттоку;
- воспалительные процессы в других органах, например, ангина или пневмония;
- наличие аллергии на что-нибудь;
- травма желчного пузыря;
- сильная встряска тела: прыжки, езда по кочкам, аттракционы.
Острый холецистит — симптомы, где и как болит
Желчный пузырь находится в районе подреберья справа, отсюда самой распространенной жалобой считается боль в правом боку, прямо под ребрами. При остром холецистите боль становится невыносимой, острой и жгучей, часто отдающей в лопатку или плечо. Помимо болевого синдрома приступ холецистита острого проявляется следующими признаками:
Специфические признаки острого холецистита
Воспаление желчного пузыря характеризуется:

Симптомы хронического холецистита — признаки
Хронический холецистит носит совершенно другой характер, он более разрушающе действует на сам желчный пузырь, наблюдаются атрофические изменения стенок органа.
Проявляется хроническая стадия холецистита иными симптомами:
- постоянные тянущие или режущие боли с правой стороны под ребром, может отдавать под лопатку, в руку;
- сухость слизистой рта после пробуждения, наличие горького привкуса, присутствие отрыжки;
- диарея;
- возникновения периодических приступов тошноты;
- вздутие живота.
На этом фоне пропадает аппетит.
Однако, хроническая стадия может быть осложнена приемом вредной пищи или физической встряской. Выраженность болевого синдрома зависит от наличия и состояния камней в желчном пузыре, именно они являются индикаторами боли.
Симптомы обострения холецистита:
- периодические, частые запоры;
- головная боль, похожая на мигрень;
- зуд кожных покровов;
- болевой синдром, который может быть сносным или очень сильным;
- ощущение тяжести в правом подреберье;
- неприятный привкус во рту;
- метеоризм;
- бессонница;
- раздражение, плаксивость.
Может повышаться температура, нарастают симптомы интоксикации, появляется желтушность кожных покровов.
За интенсивность болей при обострении хронического калькулезного холецистита их еще называют печеночными коликами по аналогии с почечной коликой или коликами у младенцев.
Если не обратиться за помощью, возможна перфорация перерастяженного желчного пузыря с дальнейшим развитием острого перитонита.
ВАЖНО! Снимать боль при печеночной колике грелками нельзя, воспаление еще больше увеличится, быстрее может развиться перитонит.
Диагностика воспаления желчного пузыря
При вышеописанной симптоматике назначается УЗИ, биохимический анализ крови, дуоденальное зондирование с взятием образца желчи. Наиболее информативным является лапароскопическое исследование.

Лечение холецистита
Как лечить холецистит? С чего стоит начать?
Лечение данного заболевания делится на несколько направлений, которые могут применяться как отдельно, так и совместно с другими, в зависимости от формы протекания воспаления:
- традиционная медикаментозная терапия;
- народная медицина;
- физиотерапия и тюбаж;
- хирургическое вмешательство.
Каждое направление имеет право на существование и подбирается отдельно для каждого пациента. Так, воспаление, протекающее без образования камней, лечат диетой, антибактериальными и противопаразитарными медикаментами.
Основные принципы диеты при холецистите: первое время лучше поголодать и пить теплую воду. Далее питаться нужно небольшими порциями, но часто. Исключить жареное, жирное, острое, мучное и копченое. Еду лучше готовить на пару.
В данном случае, вне обостренной стадии может назначаться лечение методом тюбажа, то есть промывания желчного пузыря от застоя желчи.
Во время обострения хронической стадии холецистита, назначается медикаментозная терапия с наблюдением в стационаре. Обычно, врачом назначаются следующие препараты:
- антибиотики;
- желчегонные;
- противорвотные средства внутримышечно;
- спазмолитики на основе дротаверина;
- седативные средства: пустырник или валерьяна;
- НПВП, например, «Баралгин».
Вне обострения, при спокойном протекании заболевания рекомендуется следующая терапия:
- диета;
- желчегонные препараты, например, «Аллохол», «Олиметин», «Холосас»;
- электрофорез и бальнеотерапия.

Хирургическое вмешательство показано пациентам с движущимися, многочисленными камнями в желчном пузыре. В случае запущенной хронической формы болезни, после неэффективной консервативной терапии.
На сегодняшний день существует две формы операции: открытая холецистэктомия и лапароскопия.
Второй метод более популярен на сегодняшний день, так как не оставляет шрамов, более безопасен и период восстановления пациента после операции занимает пару дней. Лапароскопия полностью безопасна для пациента и делается через пару маленьких проколов в брюшной области, данный метод позволяет сократить количество кровопотери до минимума.
К сожалению, лапароскопический метод не во всех случаях может быть применен. При аномалиях, спайках, больших камнях, обострении хронической запущенной стадии проводят обычную, открытую операцию.
Реабилитация больного, после проведения открытой операции значительно дольше, чем после лапароскопии от одного месяца до двух. После удаления воспаленного органа (холецистэктомии) есть риск развития постхолецистэктомического синдрома (подробнее о нем по ссылке), нужно придерживаться долго строгой диеты, желательно соблюдать все мельчайшие рекомендации врача, это избавит от риска осложнений.

Диета при холецистите хроническом
Лечебное питание, рассчитанное с точностью до грамма – залог скорейшего выздоровления больного человека. Диетическое питание при холецистите и после удаления желчного пузыря оговаривается как один из важнейших пунктов терапии. Такое питание нужно для нормализации и поддержания хорошей работы органов пищеварения.
При легко протекающем холецистите, пациенту назначают диету под названием «стол №5», при острых формах «стол номер 5а». Это медицинские названия прописанных диетических меню, специально подобранного для лечения данного заболевания.
Рекомендованное питание при холецистите — список продуктов:
- каши на воде, отварные овощи или приготовленные на пару, отварное мясо птицы или рыбы, пудинги, винегрет;
- молочные и овощные супы;
- из напитков: слабозаваренный чай, кисель, компот из сухофруктов, кисломолочка.
- в качестве десерта к употреблению разрешены: изюм, арбуз, дыня, сухофрукты.
В первые дни обострения хронического холецистита больному не разрешают принимать пищу, а только теплое питье. По мере ослабления мучительных симптомов, разрешается вводить в рацион протертую пищу. Еду следует принимать в определенное время, в маленьких порциях и часто.
Диета № 5 при холецистите — питание при воспалении желчного пузыря
Диета 5 стол — что можно и что нельзя — таблица (при нажатии увеличивается).

Лечение холецистита народными средствами
Из трав лучше всего себя зарекомендовал бессмертник, он входит в большинство желчегонных сборов.
- Пижма, кукурузные рыльца, бессмертник перемешиваются в равных пропорциях, каждое утро заваривается стаканом кипятка чайная ложка сбора. Настоять, выпить маленькими порциями в течение дня.
- 1 часть сока лимона смешивается с 0,3 части сока свеклы, 0,3 части сока моркови, 0,3 сока части огурца, принимается равномерно на протяжении суток. Считается, что данный состав выводит песок и мелкие конкременты.
- На литр воды берется сок одного лимона и столовая ложка соли. перемешивается и выпивается с утра натощак — для улучшения оттока желчи.
- Если обнаружены в желчи паразиты — рекомендуется отвар бессмертника (столовая ложка на стакан кипятка) держать на водяной бане полчаса, выпить в 2 приема за полчаса до приема пищи.
- Большой антипаразитарный сбор включает в себя календулу, хвощ полевой, пижму, зверобой, мяту, тысячелистник, кукурузные рыльца, мать-и-мачеху, подорожник, крапиву, шиповник, эвкалипт, березовые почки. Всех трав взять по ч. ложке, залить литром кипятка, 1 минуту прокипятить и настоять, употребить за день в три приема.
Еще о желчегонных средствах, способствующих оттоку желчи можно прочитать на сайте alter-zdrav.ru в статье Желчегонные средства при застое желчи — народные средства, продукты, массаж.
Профилактика воспаления желчного пузыря
Имея склонности к заболеванию органов пищеварительного тракта, стоит придерживаться правильных принципов питания: исключить вредные продукты, стараться употреблять меньше сладкого и жирного, жареного. Простые углеводы лучше вообще убрать из ежедневного меню.
При появлении первых звоночков (симптомов холецистита): внезапной боли в правом подреберье, тошноты среди ночи или после еды, горького привкуса или металлического во рту после пробуждения, лучше сразу обследоваться и сделать промывание желчного пузыря, чтобы промыть все протоки и возобновить работу органа с новой силой.
Холецистит – заболевание коварное, с яркой болезненной симптоматикой, это как раз тот случай, который легче предупредить, чем лечить.
alter-zdrav.ru
Хронический холецистит причины симптомы диагностика и лечение
Заболевание хронический холецистит считается одним из самых часто встречаемых среди всех остальных болезней. Основную группу людей, страдающих этим недугом, составляют женщины в возрасте старше 45 лет. Эта патология характеризуется прежде всего воспалительными процессами в желчном пузыре. Опасность состоит в том, что кроме сильных болей по причине воспаления стенок желчного пузыря в нем образуются конкременты (камни), которые потребуется удалять оперативным методом. Хронический холецистит симптомы и лечение, которого будут рассмотрены в данной статье имеет множество нюансов, о таких следует знать каждому.

Причины и виды хронического холецистита
Холецистит в хронической форме — это длительный воспалительный процесс, который требует особого внимания. Хроническая форма зачастую сопровождается проявлениями острого холецистита, это может помешать выявлению заболевания. Острый период болезни является крайне опасным для здоровья.
Среди основных причин развития хронического холецистита отмечаются:
- проникновение инфекции в организм, а также агрессивное поведение микроорганизмов, которые уже есть в органе;
- неправильное питание;
- нездоровый образ жизни;
- инфекционные болезни мочевыводящей или половой систем;
- наличие лямблий или аскарид;
- деформация органа от рождения;
- период беременности;
- развитие опухолевых новообразований в других органах;
- повреждения желчного пузыря вследствие травмирования;
- патологии эндокринной системы;
- прием оральных контрацептивов;
- частые стрессы и отсутствие полноценной двигательной активности.

РЕЦЕПТ ПРОТИВ ГЛИСТОВ
Врачи выяснили, что является самым эффективным средством от глистов! По статистике, глисты есть у каждого 5 Россиянина. Читайте скорее рецепт, который поможет очистить организм от глистов всего за 7 дней…
Читать далее >>
Также данный недуг может развиться, если в органе нарушены отток или выработка желчи. Причины развития патологии иногда накладываются друг на друга, поэтому лечить нарушение становится труднее.
Различают 2 вида хронической формы патологии. Холецистит характеризуется как бескаменный либо калькулезный. Они различаются не только по причинам, которые стали предрасполагающими факторами, а также по признакам и симптоматике развития болезни.
Факторами, которые предрасполагают калькулезный холецистит считаются:
- частое употребление жирной пищи;
- превышающий норму вес;
- инфекции;
- диабет.

Для развития бескаменного холецистита должен быть изменен состав желчи, болезнь будет развиваться, если оболочка желчного пузыря будет деформирована. Не исключено проникновение патогенных микроорганизмов через деформированные стенки органа. В этом случае патогенные бактерии могут навредить желчному пузырю при наличии сопутствующих факторов и заболеваний. Например, при воспалениях в двенадцатиперстной кишке, сниженном иммунитете или при наличии отклонений от нормы в работе печени.
Последствия при отсутствии лечения бывают весьма плачевны. Среди последствий:
- развитие цирроза, панкреатита;
- появление абсцессов;
- гепатит;
- раковые заболевания в желчном пузыре.
Важно отследить вовремя у себя признаки развивающейся патологии и обратиться к врачу для назначения соответствующего лечения.

Признаки и симптоматика хронического холецистита
Для хронической формы заболевания характерно то, что все признаки и симптомы проявляются только в период обостренного состояния. До этого момента человек не подозревает о наличии серьезной патологии у себя в организме, соответственно, — не обращается к доктору, что оттягивает момент терапии.
Симптомами развития воспаления в желчном пузыре считают:
- болезненные ощущения в правой части снизу ребер;
- отсутствие аппетита;
- рвота, тошнота, диарея или частые запоры, которые будут возникать без причин;
- горький привкус во рту, нередко может сопровождаться отрыжками с горьким привкусом;
- тяжесть в животе, сопровождаемая метеоризмом;
- в период ремиссии иногда чувствуются боли в правой лопатке.
Симптомы проявляют себя так же, как при обострённой форме болезни, поэтому терапию назначает только врач.

Существуют эхо-признаки болезни, определяемые при диагностировании методом УЗИ. Различают такие эхопризнаки хронического холецистита:
- отклонения от нормы в форме или размерах желчного пузыря;
- включения, которые имеют свободноплавающий или фиксированный характер;
- трехслойный характер стенок пузыря.
Эхо-признаки выявляются только во время квалифицированного осмотра при диагностике патологического процесса. Признаки хронического холецистита могут долгое время сопровождать человека и носить при этом периодический неострый характер.
Диагностика и лечение
Обязательным пунктом перед назначением лечения является диагностика. Проводить ее будут лабораторным и инструментальным методом, для того чтобы получить более информативные анализы. Диагностируют отклонение при помощи анализов крови, ультразвукового исследования, ФГДС, рентгеноконтрастном исследовании, исследовании желчи, анализах кала, биохимии крови.
После проведения всех необходимых исследований врач сможет назначить лечение. Сама терапия включает в себя диету, лечение препаратами, антибиотики, народную терапию, физиотерапевтические мероприятия.
При выраженном обострении больному следует находиться в стационаре. Если симптоматика проявляется слабо, то терапию можно производить в домашних условиях, соблюдая все предписания врача.
Способы терапии
Терапия при обострении отличается от той, которая проводится на стадии ремиссии, тем, что в первом случае снимаются симптомы, а также локализуется степень воспаления. Лечение в период ремиссии имеет профилактические цели. Для консервативного лечения используются комплексные препараты, благодаря которым есть возможность снизить риски появления осложнений.
Препараты для лечения хронического холецистита:
- лекарственные средства, содержащие полиферменты, например, Фестал;
- препараты, снимающие спазмы: Дротаверин, Папаверин;
- средства против расстройств желудка и рвоты, например, Церукал;
- препараты, направленные на снятие воспалительных процессов, среди которых Баралгин;
- антибиотики, а именно Оксациллин, Метранидазол или Эритромицин.

Обязателен прием успокоительных препаратов растительного происхождения, настойки валерианы или пустырника.
Терапия на время обострения требует особого внимания, особенно при сильных приступах. В случае с калькулезным хроническим заболеванием лечение препаратами не дает полноценного эффекта. Поэтому при наличии камней в желчном пузыре требуется операция. В запущенных случаях требуется полное удаление органа вместе с камнями. Такая операция называется холецистэктомия.
В остальных случаях при наличии камней производится лапароскопия. Для проведения лапароскопии в животе делается небольшое отверстие диаметром примерно 1 см. В него вводится аппарат с камерой, благодаря которой врач на экране сможет отслеживать протекающую операцию. Через несколько дней пациент может вернуться к полноценному образу жизни, а видимых и ощутимых деформаций на кожном покрове заметно не будет.
Для пациентов старше 65 лет зачастую используют оперативное вмешательство для установления иных способов для оттока желчи.

К сожалению, полностью избавиться от патологии позволяет только удаление органа.
Для того чтобы вылечить хроническую форму холецистита, так же используют иглорефлексотерапию, а так же терапию УВЧ. В слабовыраженных формах заболевания используются терапевтические мероприятия с использованием рецептов народной медицины.
После того, как пациент пройдет полный курс комплексного лечения, лучше некоторое время провести в условиях санатория, для того чтобы дать организму восстановиться и набраться сил.
Относительно питания и образа жизни, который необходимо поддерживать, важно помнить, что придется во многом себя ограничить на время, а в некоторых случаях — диетическое питание должно будет соблюдаться на протяжении всей жизни. Рацион питания и образ жизни напрямую влияют на течение терапии и длительность лечебных мероприятий. Поэтому для того чтобы как можно скорее вернуться к привычному образу жизни, не стоит нарушать рекомендации врача.
Диетическое питание
Так как питание является одним из наиболее важных пунктов терапии, стоит придерживаться диеты до полной ее отмены лечащим врачом. Главными правилами питания считаются:
- соблюдение режима;
- питание дробными порциями;
- отсутствие в рационе запрещенных продуктов.

Строго запрещено употреблять во время обострения хронического холецистита следующие продукты питания:
- жирное мясо и блюда с большим процентом жирности;
- кислые овощи и фрукты;
- жареные блюда;
- хлебобулочные изделия, свежий белый или ржаной хлеб;
- бульоны, приготовленные на мясе, грибах или рыбе.
Также запрещаются холодные напитки с газом, фаст-фуд, копченые и пряные продукты питания. Не рекомендуется есть макароны, пшенные или рассыпчатые каши, а также маринованные или соленые овощи, изделия из крема и шоколада, мороженое. Из напитков запрещено употреблять кофе, какао и крепкий чай.
Диета в этом случае используется под номером 5. Диетолог и гастроэнтеролог обязательно дадут рекомендацию по питанию во время рецидива, а также на период обостренного течения болезни.
Не рекомендуется есть холодную пищу, а также превышать уровень употребления соли более 10 граммов в сутки. Для полноценного питания требуется объем около 2,5 кг пищи в сутки, а суточная норма употребления воды составляет минимум 1,5 литра для среднестатистического человека. Норма подбирается в соответствии с параметрами пациента, поэтому для получения рекомендации по питанию нужно обращаться к диетологу.

Существуют несколько разновидностей диетического питания. Они различаются в зависимости от степени заболевания. Например, при калькулезном холецистите запрещено употреблять животные тяжелые белки.
При желчнокаменной болезни строго запрещается употреблять жирные продукты, также следует отказаться от вредных привычек в виде употребления алкогольной продукции. Лучше отказаться от курения, хотя бы на время обострения.
Примерное меню при холецистите
Существует примерное меню для каждой разновидности хронического холецистита. Именно его стоит придерживаться.
Диета для обостренной формы холецистита:
Разрешено употреблять в пищу овсянку и гречневую крупу, приготовленные на воде или на молоке. Можно питаться супами на овощном бульоне с добавлением самих овощей или риса, но в этом случае желательно, чтобы суп имел консистенцию пюре. Рекомендовано есть супы, приготовленные на молочной основе. Для основных блюд разрешается использовать нежирное мясо кролика или индюшки, но приготовление должно быть строго на пару. Из мяса можно делать котлеты или же употребить его в цельном виде, но желательно измельчить его до пюреобразной консистенции.
При желании разрешается съесть немного нежирной рыбы. Из кисломолочных продуктов допустимы пресный сыр, нежирный творог, свежее молоко, натуральная простокваша.
Блюда следует готовить на пару, в духовке, а также методом варки. Жарить и тушить не стоит, так как на продукте может образоваться корочка, что воспрепятствует переработке пищи за короткий промежуток времени.
Для периода ремиссии или при первых симптомах болезни следует придерживаться следующей диеты.
Диета для стадии ремиссии:
Утром можно съесть белковый омлет или кашу из манной крупы, сваренной на молоке. Для перекуса подойдет обезжиренный творог. Разрешены желе на фруктовой основе, картофельное пюре, овощные супы. При желании можно съесть сладкое яблоко. Разрешается съесть гречневую кашу с добавлением небольшого количества сливочного масла. Из напитков можно употреблять слабый зеленый чай, чай с добавлением шиповника, а также кисель или кефир.
Диетическое питание считается необходимым на период течения заболевания. Поэтому не стоит нарушать его, так как это приносит негативные последствия.
Важно помнить, что самостоятельно подобрать диету невозможно, так как каждый человек индивидуален. Без четких данных об определенном случае заболевания нельзя судить о состоянии организма.
Народные способы терапии
Народное лечение подходит только в том случае, когда оно согласовано с гастроэнтерологом. В остальных случаях такая терапия может навредить человеку.

Существует несколько рецептов, которые способны помочь на время заглушить неприятное проявления заболевания. Например, можно приготовить смесь из ментола, коньяка и оливкового масла. Для этого нужно взять две части коньяка, часть ментола и 3 части масла. Смешать и принимать после компрессов на лопатку от болей.
Многие рекомендуют пить обыкновенный цикорий. Он является приятным и полезным замещением запрещенного кофе и какао. При этом он повышает выделение желчи, а также поможет разойтись желчному застою.
В чаи из бессмертника, рылец кукурузы, а также в напитки из расторопши разрешается добавлять настойку из овса и ромашки. Такая смесь положительным образом влияет на воспаление и помогает избавиться от неприятных болезненных ощущений.
Можно приготовить настой из девясила. Для его приготовления достаточно взять стакан чистой прохладной воды и добавить в нее ложку мелко нарезанного корня девясила. Дать настояться несколько часов и употреблять с прополисом или небольшим количеством натурального меда.
Для лечения воспаления можно принимать по полстакана смеси из равных частей сока свеклы и лимона. Употреблять сок лучше 3 раза в сутки на протяжении недели. Он обладает сильным желчегонным эффектом, поэтому позволяет избежать застоев. Это один из наиболее известных и доступных рецептов.

Чтобы снять воспаление, можно принимать средство из сока лимона, стакана воды и ложки соли. Курс лечения таким средством составляет до 10 дней. Но эффект будет заметен уже через несколько дней.
Ложку измельченного сельдерея следует добавить в стакан чистой воды и дать настояться 3-4 часа. Процедить и употреблять по ложке трижды в сутки за полчаса до еды.
В некоторых случаях разрешено принимать аптечный настой на основе календулы. Курс терапии, а также дозировку подбирает врач в соответствии с параметрами пациента.
Лечение народными средствами будет оказывать должный эффект только в том случае, если оно подобрано правильно, при этом используются натуральные продукты. Для этого немаловажно знать, где брать качественные сборы трав или травы отдельно. Для того чтобы правильно выбрать рецепт, который принесет облегчение, а не навредит организму, рекомендуется проконсультироваться с лечащим врачом и взвесить все «за» и «против».
Такая терапия не оказывает полноценного положительного влияния на организм, если не соблюдаются остальные правила лечения, т. е. питание, режим, образ жизни, медикаментозное лечение. Категорически нельзя заниматься самолечением и использовать средства народной медицины, если не было пройдено полноценное обследование.

Профилактические мероприятия
Для того чтобы избежать заболевания, следует помнить несколько простых правил. Прежде всего, необходимо соблюдать режим питания, не питаться всухомятку, вести активный образ жизни, а также соблюдать гигиену и пить достаточное количество жидкости. Также лучше отказаться от пагубных привычек. Этого совета нужно придерживаться не только тем, кто уже знаком с диагнозом и симптомами холецистита в любом его проявлении, но и тем, кого данный недуг пока обошел стороной.
Важно помнить, что только опытный специалист даст рекомендации о том, как лечить хронический холецистит.
Желчный пузырь выполняет важную работу в организме, и любые отклонения в его работе будут оказывать сильное негативное влияние на человека. Хронический холецистит — лечение которого потребует много времени и сил — не стоит пускать на самотек. Такая патология зачастую оставляет след на здоровье человека, поэтому чем раньше будет выявлен недуг, тем раньше удастся избавиться от неприятных сопровождающих его факторов.
vnutrizhivota.ru
Хронический холецистит – причины, симптомы и лечение
Хронический холецистит – воспалительная патология стенок желчного пузыря, появление которой может быть спровоцировано микробами, вирусами или паразитами.
В органе могут образовываться камни, из-за чего нарушается двигательно-выделительная функция. Эта форма патологии развивается постепенно, довольно редко её диагностируют после острого воспаления патологии.
В медицинской практике хроническая форма недуга является сопутствующей патологией другим болезням, например, гастриту, панкреатиту или гепатиту.
Заболевание занесено в международный реестр всех болезней. По МКБ-10 холециститу неуточненного происхождения присвоен код К81, а его хронической форме – код К81.1.
При хроническом холецистите доктору важно определить причины развития патологии. Этиология болезни заключается в появлении камней в желчном. Это заболевание поражает стенки и затрудняет отток желчи по протокам. Клиницисты определили, что у 60% пациентов в желчи находят бактерии, которые попадают туда через проток из 12-перстной кишки, с кровью или лимфой.
К воспалительному процессу довольно часто приводят паразиты в организме или попадание ферментов поджелудочной железы в желчный пузырь. Как правило, вторая причина появляется под воздействием формирования панкреатита.
Также доктора выделили, что развитию хронической формы способствуют такие факторы:
- врождённая деформация органа;
- дискинезия желчевыводящих путей;
- травмы органа;
- опухоли;
- слабый обмен веществ;
- нарушенный режим питания;
- запоры;
- при беременности;
- аллергия;
- плохое кровоснабжение.

Факторы риска развития хронического холецистита
Опираясь на особенности течения, болезнь может быть латентной, рецидивирующей и гнойно-язвенной. В клинической практике различают определённые характеристики данной патологии.
Классификация по наличию конкремента заключается в выделении двух видов:
- с образованием камней — калькулезный;
- бескаменная.
В зависимости от течения различают две стадии:
- обострения;
- ремиссии.
По тяжести течения может быть:
- лёгким – не больше 4 обострений за год;
- средним – в среднем 3–5 обострений в год с желчными коликами;
- тяжёлым – больше 5 раз за двенадцать месяцев.
Для определения диагноза доктору нужно изучить клиническую картину. Пациенты жалуются на такие симптомы хронического холецистита:
- боли под правым ребром и в районе живота;
- тошнота и рвота;
- вздутие в верхней части живота;
- дискомфорт;
- запоры;
- отрыжка;
- горечь в ротовой полости.
Желтушность при заболевании не проявляется.
Во время пальпации больной ощущает резкую боль и мышечное сопротивление при нажатии на воспалённую область.
При калькулезной форме хронического холецистита больной жалуется на такие симптомы:
- схваткообразные приступы боли под правым ребром;
- рвоту;
- озноб;
- высокую температуру тела;
- пожелтение кожи и слизистых;
- кожный зуд.
После того как признаки хронического холецистита систематизированы, доктор осматривает больного, выставляет предположительный диагноз и направляет пациента на лабораторно-инструментальное обследование.

Диагностика хронического холецистита
Инструментальная диагностика хронического холецистита заключается в проведении:
- УЗИ;
- дуоденального зондирования;
- холецистографии;
- томографии.
Проведение УЗИ помогает подтвердить диагноз, который был поставлен на основе осмотра. Во время УЗИ живота больного, доктор определяет эхопризнаки хронического холецистита:
- увеличение или уменьшение пузыря;
- деформация стенок;
- утолщение стенок;
- неровный контур внутри органа;
- трёхслойный тип стенки.
Зондирование, как правило, проводиться в утреннее время, когда желудок «пустой». Чтобы точнее определить хронический холецистит у детей, взрослых и пожилых людей доктора используют фракционное исследование. Этот способ позволяет лучше всего выявить тип выделения желчи.
Холецистография предполагает введение контрастного вещества в желчные пути, что помогает оценить их проходимость.
Томография используется для диагностирования шеечного холецистита.
Лечение хронического холецистита занимает не один день, и не одну неделю. Для того чтобы избавиться от недуга пациенту нужно придерживаться рекомендаций доктора в отношении здорового образа жизни и питания и получать медикаментозную терапию.
Многих людей, у которых развилась патология, интересует вопрос, как лечить хронический холецистит дома и возможно ли это? Для терапии и профилактики рецидивов в домашних условиях есть верный способ – диета.
В рамках такого лечения больному нужно придерживаться простых правил питания и режима приёмов пищи:
- исключить из рациона копчёности, острые и жареные ингредиенты;
- нельзя есть консервы, колбасную продукцию;
- запрещены алкогольные напитки, газировка;
- нежелательно пить какао и есть шоколад;
- согласно диете больному разрешается употреблять жидкие блюда из фруктов и овощей;
- рекомендуются отварные овощи, каши;
- можно принимать в пищу отварное мясо;
- желательно пить чай, компот, молоко, соки и минеральные воды.
Лечебная диета заключается в употреблении щадящей пищи, которая не обладает желчегонным эффектом. Придерживаясь всех этих правил, пациент может уменьшить застой желчи и предотвратить развитие камней в органе.

Лечение хронического холецистита
Лечение хронического холецистита напрямую зависит от его типа и силы проявления симптомов. Чтобы вылечить недуг, помимо диеты, пациенту назначаются медикаменты. Как правило, врач назначает больному такие лекарства:
- желчегонные препараты;
- спазмолитики;
- антибиотики;
- противовоспалительные.
Также используются ферментные вещества на протяжении 3 недель при каждом приёме пищи. Лечение холецистита лекарствами ещё заключается в употреблении антацидов, которые нужно пить после еды.
Для профилактики развития других патологий и облегчения состояния больного, ему назначаются физиотерапевтические процедуры. Медик направляет пациента на:
- грязевые аппликации;
- электрофорез.
Если во время диагностики у больного было выявлено наличие камней в пузыре, то доктору незамедлительно нужно начинать хирургическое вмешательство. Справиться с осложнениями можно с помощью традиционного разрезания живота — лапароскопии или чрескожной холецистостомии. Последний способ используется, если на операционный стол попал ребёнок, больной «в возрасте» или с серьёзными осложнениями. В послеоперационный период больному назначаются строгая диета и препараты для быстрого заживления и восстановления органа.
В медицине практикуется лечение народными средствами разных патологий. Однако такая нетрадиционная терапия назначается исключительно доктором после установления точного диагноза и назначения медикаментозного лечения. Народное средство в лечении хронического холецистита выступает лишь вспомогательным методом для восстановления организма и купирования боли.
Лечение холецистита народными средствами заключается в употреблении настоек, отваров из разных трав:
- одуванчик, кора крушины, листья мяты, стальник – по щепотке каждого растения перемешать с литром горячей воды, дать настояться около часа, а после этого можно употреблять перед каждым приёмом пищи по половине стакана, минимум 3 раза в сутки;
- горькая полынь, мята, листья вахты – смешать травы и залить литром горячей воды, настоять на протяжении получаса и пить по 3 столовые ложки за полчаса до приёма пищи;
- бессмертник и льнянки – залить смесь трав водой и дать настояться в течение двух часов; употреблять рекомендуется по половине стакана 4 раза в сутки через час после еды.
Народная медицина также предполагает лечение хронического холецистита соками. Для этого нужно пить соки свёклы, алоэ, морковки, редьки, огурцов.
В рамках терапии патологии больному нужно придерживаться диеты. После того как несколько недель лечебного питания прошло, народная медицина предполагает использование средств для очищения пузыря. Проводить такую процедуру можно общедоступными продуктами:
- оливковым маслом – оно эффективно растворяет излишки желчи;
- яйцами – пить яйца каждое утро можно тем людям, у которых не повышен холестерин в крови;
- чёрной редькой – средство противопоказано больным на язву и патологии почек;
- шиповником – настойку можно пить утром вместе с куриным желтком.
Хронический холецистит – тяжёлое заболевание, несвоевременное лечение которого приводит к тяжёлым последствиям и осложнениям. В организме больного может развиться:
- холангит;
- перфорация стенок пузыря;
- эмпиема органа;
- гепатит.
Для того чтобы избежать формирования болезни при беременности, в зрелом или же в юном возрасте, человеку нужно принимать профилактические меры и регулярно исследовать свой организм.
Доктора рекомендуют придерживаться правильного питания и добавлять в свой рацион такие продукты и блюда:
- хлопья;
- тыкву и тыквенный сок;
- пить яблочный сок с мёдом;
- оливковое масло;
- лимон.
На пищеварительную систему и на состояние желчного органа хорошо влияет сок грейпфрута. Медики советуют приучить себя перед каждым приёмом пищи выпивать четверть стакана натурального напитка.
okgastro.ru
Хронический холецистит — симптомы, лечение, диета при хроническом холецистите
Хронический холецистит – вяло текущее воспалительное заболевание желчного пузыря, встречающееся у жителей преимущественно развитых в экономическом отношении стран.
Холецистит – одна из наиболее распространенных патологий пищеварительной системы. Хроническая форма болезни прогрессирует медленно, может быть выявлена случайно, при обследовании органов брюшной полости, при отсутствии лечения в половине случаев становится причиной удаления желчного пузыря.
Причины хронического холецистита
К развитию вяло текущих воспалительных процессов в желчном пузыре приводит в первую очередь застой желчи, обусловленный нарушением моторной функции органа. Причиной этого могут быть эндокринные заболевания, погрешности в питании, частое употребление жирных продуктов, лишний вес, гормональные нарушения, сильный стресс.
Хронический холецистит может быть обусловлен и бактериальной инфекцией, проникшей в желчный пузырь из других органов пищеварительной системы. Воспаление его стенок вызывают стрептококки, стафилококки, кишечная палочка и другие представители патогенной микрофлоры человеческого организма.
Нарушение функций желчного пузыря, застой желчи и как следствие воспалительный процесс у некоторых людей бывает вызван врожденными аномалиями этого органа. Такие аномалии возникают во время утробного развития плода, в процессе формирования его внутренних органов. В подобном случае заболевание впервые возникает еще в раннем детстве. Так, неправильное развитие желчного пузыря является основной причиной хронического холецистита у детей.
Еще одной причиной медленно прогрессирующего заболевания являются камни. Конкременты травмируют стенки органа, вызывают их воспаление и возникновение определенных симптомов. Камни могут располагаться как в самом желчном пузыре, так и в его протоках.
Кроме того, острый холецистит без своевременного лечения может переходить в хроническую, практически незаметную для больного форму и напоминать о себе редкими приступами.
Симптомы хронического холецистита
Хронический холецистит протекает с периодами ремиссий и обострений. Обострение – это переход заболевания в его острую форму со всеми вытекающими последствиями.
К признакам хронического холецистита относятся:
- боль в правом боку. При остром холецистите боль носит ярко выраженный характер, в данном случае этот симптом не доставляет больному особых неудобств. Вяло текущее воспаление в желчном пузыре сопровождается слабо выраженной ноющей тупой болью, отдающей в лопатку и поясницу. Такая боль возникает без особой причины, может длиться сутками, затем постепенно затихает, усиливается при переедании, употреблении алкоголя;
- нарушение пищеварительного процесса. Желчь – важный элемент пищеварения. Если эта жидкость не поступает в 12-перстную кишку или поступает в недостаточном количестве, человек может столкнуться с тяжестью в животе, вздутием, тошнотой, запором или диареей;
- сухость во рту, особенно по утрам;
- горькая отрыжка. Появление привкуса горечи во рту ясно указывает на проблемы с желчным пузырем. Этот симптом появляется в момент или после приема пищи, на голодный желудок;
- субфебрильная температура тела. Это основной признак протекающего в организме воспалительного процесса. Данный симптом при хроническом холецистите наблюдается довольно часто, чем сильнее воспаление – тем дольше держится повышенная температура;
- хроническая усталость, повышенная утомляемость, слабость организма, отсутствие аппетита.
В период ремиссии воспаление желчного пузыря практически не проявляется. Его симптомы характерны и для многих патологий пищеварительной системы.
Лечение хронического холецистита
Предпочтение отдается консервативной терапии. Хронический холецистит в отличие от острой формы заболевания не требует срочных мер, поскольку в стадии ремиссии не представляет большой опасности для организма.
В качестве основного лечения пациенту назначают:
- ферменты, способствующие восстановлению пищеварения;
- антибиотики, поскольку часто заболевание связано с наличием в организме хронической бактериальной инфекции;
- нестероидные противовоспалительные средства;
- желчегонные препараты.
В лечении хронического холецистита народными средствами активно применяются целебные травы – перечная мята, багульник, тысячелистник, календула, ромашка аптечная, плоды шиповника, красной рябины. Отвары их этих трав и плодов пьют до еды, по 100 мл 3-4 раза в день. Их регулярный прием улучшает аппетит, способствует восстановлению пищеварения, оказывает на организм желчегонное и противовоспалительное действие.
Обострение хронического холецистита
При обострении заболевания необходимо немедленное обращение к специалисту. Пациенты с подозрениями на острый холецистит подлежат госпитализации. Лечение назначается с учетом состояния больного, наличия у него показаний к приему тех или иных лекарственных препаратов, хирургическому вмешательству.
На обострение холецистита указывает в первую очередь сильная боль в области желчного пузыря, резкое ухудшение самочувствия, тошнота с рвотой. Основным показанием к удалению органа (холецистэктомия) является желчнокаменная болезнь и наличие угрозы развития осложнений (перфорация, абсцесс желчного пузыря, перитонит).
Питание при хроническом холецистите
При наличии заболевания показана щадящая для пищеварительной системы диета. Эта диета предлагает питаться небольшими порциями не менее 5 раз в день, употреблять только умеренно теплую пищу, пить как можно больше минеральной воды.
В ежедневный рацион при хроническом холецистите следует включить вареные овощи, лучше в протертом виде, супы и каши из круп, нежирные молочные продукты, чай, подсушенный ржаной хлеб. При подозрениях на наличие заболевания нельзя употреблять алкоголь, соленые, копченые продукты, колбасы, жирное мясо, рыбу, сладости, сдобную выпечку.
Правильное питание позволяет избежать обострения хронического холецистита, способствует улучшению самочувствия больного.
pro-simptomy-lechenie.ru
что это такое, какова диета при лечении :: SYL.ru
Хронический холецистит
Если вы услышали такой диагноз из уст вашего доктора, то не переживайте! Да, совсем неприятно, что вы имеете заболевание, да еще и хроническое, которое влияет на процесс пищеварения. Но поверьте, если знать врага в лицо, то можно предотвратить его атаки. Давайте узнаем все самое главное и важное об этом недуге.Что такое хронический холецистит
Это одно из самых распространенных заболеваний желчного пузыря. Оно характеризуется воспалительными процессами в стенках этого органа, а действия его приводят к образованию в просветах камней. Основными причинами возникновения данной болезни являются камни и инфекции. Хронический холецистит имеет такие симптомы, как: рвота, тошнота, ноющие боли в животе или в зоне правого подреберья, горький
привкус во рту, запор или диарея, повышение температуры, постоянная отрыжка. Если такая патология влияет на наш процесс пищеварения, то, соответственно, после диагностики этого заболевания вам будет прописана диета.Лечение
Диета при хроническом холецистите входит в курс лечения болезни. Самой популярной и высокоэффективной при данном диагнозе является «Диета №5». Ее вам
пропишут вместе с определенными препаратами, которые направлены на уничтожение инфекции и снятие воспаления. Главная ее задача — уменьшить содержание холестерина в вашем организме и увеличить употребление растительной клетчатки. Такая диета запрещает употреблять следующие продукты: бульон (мясной и рыбный), колбасу, жареные и острые блюда, различные экзотические приправы, некоторые овощи (лук, чеснок, капуста, редиска, редька). Также запрещены к употреблению очень кислые ягоды (клюква, рябина), кофе, какао, газированные напитки и еда из сдобного теста. То есть, всевозможные жирные, копченые, соленые и кислые блюда. Необходимо включить в рацион: хлебобулочные изделия с отрубями, ржаной хлеб, сметану, творог, молоко, масло. Следует больше кушать всевозможные крупы, нежирные супы, макаронные изделия, отварные овощи, пить фруктовые компоты и чай. В принципе, такой полезный рацион достаточно приемлем. Он позволит приготовить множество вкусных и сытных блюд, которые пойдут на пользу вашему организму и не нанесут вреда.Причины обострения хронического холецистита
Такое неприятное дело может возникнуть достаточно внезапно. Одной из главных причин выступает неправильное и несвоевременное лечение. Так что, не шутите со своим здоровьем, ведь начальные стадии можно приостановить, а вот запущенная форма требует длительного и болезненного исцеления. Обострение хронического холецистита также может возникнуть по причине: переохлаждения, снижения иммунитета, неправильной работы желчевыводящих протоков (их сдавливание проходит при беременности), несоблюдения диеты, употребления алкоголя. Не затягивайте с лечением и придерживайтесь прописанных высококвалифицированным специалистом вам рекомендаций. Ведь хронический холецистит – нешуточное заболевание. Никто не сможет (кроме вас) помочь себе и своему здоровью!
www.syl.ru