Содержание

LE клетки (клетки красной волчанки)

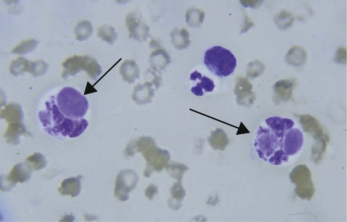
LE-клетки – дефектные нейтрофилы с ядерными включениями лизированных ими лейкоцитов. Название этим клеткам дано по первым буквам латинского названия системной красной волчанки (Lupus erythematosus), т. к. впервые были выявлены у пациентов с этим заболеванием. Самый высокий процент обнаружения LE-клеток при СКВ, но они также появляются у больных другими системными заболеваниями:

  • ревматоидный артрит,
  • дерматомиозит,
  • системная склеродермия.

Образование LE-клеток следствие нарушения иммунной системы, свидетельство ее аутоагрессии и обусловлено присутствием в крови LE-фактора.

LE-фактор – комплекс специфических циркулирующих иммунных комплексов (ЦИК) с антинуклеарной активностью, которые разрушают не только ядерный материал клеток-защитников, но и оседают на суставных поверхностях, стенках сосудов, задерживаются в почках (люпус нефрит) и оказывают повреждающее действие на эти ткани.

Исследование необходимо проводить до начала кортикостероидной терапии.

Взятие материала для исследования проводится строго натощак.

Анализ на LE-клетки является показателем степени тяжести и активности процесса, а также успешности лечения СКВ.

Отрицательный результат исследования не исключает возможность данного заболевания. LE-клетки обнаруживаются в раннем периоде болезни, а также при выраженном нефротическом синдроме и потере с мочой большого ко­личества белка.
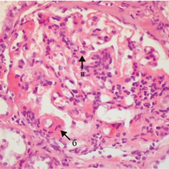
Волчаночный фактор может содержаться в пунктате костного мозга, в белко­вых жидкостях (экссудаты, мочевой белок при поражениях почек). Частота обнаружения LE-клеток у больных острой системной красной волчанкой колеблется от 40 до 95 %. У больных системной красной волчанкой можно обнаружить, во-первых, волчаночные клетки, во-вто­рых, свободное ядерное вещество (гематоксилиновые тельца, тельца Харгрейвса) и, в-тре­тьих, «розетки» — скопление нейтрофилов вокруг волчаночных клеток. Чаще волчаночные клетки находят при обострении заболевания. Появление их в большом количестве — прогностически неблагоприятный признак.

При улучшении состояния больного в процессе его лечения количество LE-клеток уменьшается, а иногда они и совсем исчезают.

Появление LЕ-клеток в крови может наблюдаться при:

  • · ревматоидном артрите
  • · активном гепатите
  • · склеродермии
  • · лекарственном волчаночноподобном синдроме

LE-феномен наблюдается, хотя и редко (до 10 % случаев), при плазмоцитоме, тяжелых поражениях печени, острых лейкозах, остром ревматизме, эритродермиях, милиарном тубер­кулезе, пернициозной анемии, при непереносимости антибиотиков — пенициллина и осо­бенно апресолина (гидролизина), при узелковом периартериите, гемолитической анемии, тромбоцитопенической пурпуре. При этих заболеваниях единичные волчаночные клетки об­наруживаются непостоянно.

LE-клетки в крови в норме отсутствуют.

Исследование феномена «клетки красной волчанки»

АНМО «Ставропольский краевой клинический консультативно-диагностический центр»:

355017, г. Ставрополь, ул. Ленина 304

(8652) 951-951, (8652) 35-61-49 (факс)

(8652) 951-951, (8652) 31-51-51 (справочная служба)

Посмотреть подробнее

Обособленное подразделение «Диагностический центр на Западном обходе»:

355029 г. Ставрополь, ул. Западный обход, 64

(8652) 951-951, (8652) 31-51-51 (контактный телефон)

(8652) 31-68-89 (факс)

Посмотреть подробнее

Клиника семейного врача:

355017 г. Ставрополь, пр. К. Маркса, 110 (за ЦУМом)

(8652) 951-951, (8652) 31-51-51 (контактный телефон)

(8652) 31-50-60 (регистратура)

Посмотреть подробнее

Невинномысский филиал:

357107, г. Невинномысск, ул. Низяева 1

(86554) 95-777, 8-962-400-57-10 (регистратура)

Посмотреть подробнее

Обособленное структурное подразделение в г. Черкесске :

369000, г. Черкесск, ул. Умара Алиева 31

8(8782) 26-48-02, +7-988-700-81-06 (контактные телефоны)

Посмотреть подробнее

Обособленное структурное подразделение в г. Элисте :

358000, г. Элиста, ул. Республиканская, 47

8(989) 735-42-07 (контактные телефоны)

Посмотреть подробнее

ЗАО «Краевой клинический диагностический центр»:

355017 г. Ставрополь, ул. Ленина 304

(8652) 951-951, (8652) 35-61-49 (факс)

(8652) 951-951, (8652) 31-51-51 (справочная служба)

Посмотреть подробнее

Обособленное структурное подразделение на ул. Савченко, 38 корп. 9:

355021, г. Ставрополь, ул. Савченко, 38, корп. 9

8 (8652) 316-847 (контактный телефон)

Посмотреть подробнее

Обособленное структурное подразделение на ул. Чехова, 77 :

355000, г. Ставрополь, ул. Чехова, 77

8(8652) 951-943 (контактный телефон)

Посмотреть подробнее

Обособленное структурное подразделение в г. Михайловске:

358000, г. Михайловск, ул. Ленина, 201 (в новом жилом районе «Акварель»).

8(988) 099-15-55 (контактный телефон)

Посмотреть подробнее

Анализ крови на LE — клетки

Общая характеристика

LE-клетки – нейтрофильные лейкоциты, содержащие фагоцитированный гомогенный ядерный материал. Формирование LE-клеток происходит при наличии LE-фактора в плазме крови и других биологических жидкостях. LE-фактор при взаимодействии с ядром лейкоцита вызывает деполимеризацию ядерного хроматина, освобождение ядерного материала из клетки с последующим его фагоцитозом нейтрофильными лейкоцитами.
LE-клетки могут быть обнаружены в крови при системной красной волчанке и некоторых других аутоиммунных заболеваниях.

Показания для назначения

Диагностика СКВ, аутоиммунных заболеваний

Маркер

Маркер аутоиммунных процессов (системной красной волчанки и некоторых др. аутоиммунных заболеваний).

Клиническая значимость

LE-клетки обнаруживаются при СКВ и некоторых других аутоиммунных заболеваниях.


Состав показателей:

Анализ крови на LE — клетки
: Микроскопический
Диапазон измерений: 0-0

Референтные значения:

Возраст

Комментарии

Выполнение возможно на биоматериалах:

Биологический материал

Условия доставки

Контейнер

Объем

цельная ВК/Na-Cit

Условия доставки:

24 час.

при температуре от 2 до 25 градусов Цельсия

Контейнер:

Вакутейнер с цитратом натрия

Объем:

1.8 Миллилитров

Правила подготовки пациента

Стандартные условия подготовки (если иное не определено врачом): За 2 дня Перед исследованием прием гепарина, непрямых антикоагулянтов. За 4 часа Выдержать голодание, исключить жирную пищу. Можно пить воду.

Вы можете добавить данное исследование в корзину на этой странице

Интерференция:

  • Не обнаружена.
  • Не обнаружена.

Интерпретация:

  • СКВ, ревматоидный артрит, активный гепатит, склеродермия, лекарственный волчаночноподобный синдром.

Правила подготовки к диагностическим исследованиям

Правила подготовки к диагностическим исследованиям

Правила подготовки к исследованию крови

Пациент должен воздержатся от физических нагрузок, приема алкоголя и лекарств (по возможности), изменений в питании в течении 24 ч до взятия крови (общий анализ крови, биохимические анализы крови, серологические анализы на сифилис).

Необходимо:

  • Не есть после ужина;
  • Лечь спать накануне в обычное время и встать не позднее чем за 1 час до взятия крови;
  • Утром после подъема воздержаться от курения.

Если пациент испытывает трудности с отменой лекарств, то обязательно сообщить об этом лечащему врачу. Кровь на анализы сдаются утром до приема лекарств.

Кровь следует сдавать до проведения рентгенологического, эндоскопического или ректального исследования или физиотерапевтических процедур.

Непосредственно перед взятием крови на анализы необходимо исключить физическое напряжение (бег, подъем по лестнице), эмоциональное возбуждение. Поэтому непосредственно перед процедурой следует отдохнуть 10-15 минут и успокоится.

Правила подготовки к исследованию эякулята (спермограмма),
исследованию секрета простаты

В течение 72-96 ч. не иметь половых связей, не употреблять алкоголь, лекарственные средства (особенно антибиотики) перед сдачей спермограммы.

Перед исследованием секрета простаты 48-72 ч. не иметь половых связей.

Правила подготовки к исследованию на инфекции,
передающиеся половым путем

  1. Кровь из вены (ИФА сифилис, РПГА сифилис, РИФ сифилис, РМП сифилис, ИФА хламидии, ИФА герпес и пр.) берется натощак.
  2. Перед взятием мазков и соскобов из уретры у мужчин рекомендуется не мочиться не менее 2 ч.
  3. Перед взятием соскобов с головки, крайней плоти не рекомендуется осуществлять туалет половых органов.
  4. Перед взятием мазков из половых путей у женщин не рекомендуется осуществлять ежедневные процедуры интимной гигиены.
  5. В период менструации забор материала не осуществляется.

Правила подготовки к исследованиям кожи

  1. Соскоб на демодекс с кожи, лица, туловища, ресничного края век

Необходимая диагностика демодекоза заключается в исследовании двух основных анализов — соскоба на демодекс кожи и ресничной пробы.

Подготовка к анализу на клеща демодекс: рекомендовано в течение 7-10 дней исключить использование косметических средств для лица (любых средств для умывания, кремов, пудры и т.п.).

В течение трех дней перед тем, как отправиться на анализы, а также в день забора материала, запрещено умываться, пользоваться декоративной косметикой (в том числе тушь для ресниц), и использовать средства личной гигиены с высоким содержанием щелочи.

При нарушении данных правил высока вероятность ошибки при диагностике демодекса.

  1. Соскоб с гладкой кожи и волосистой части головы на грибок

Накануне исследования не использовать местно, на очаг поражения, мазевые и дезинфицирующие средства.

  1. Соскоб на грибы с ногтевых пластин стоп и кистей

За 5-7 дней перед исследованием не использовать местные противогрибковые средства (мази, капли, лаки).

  1. Исследование на LE (волчаночные) клетки

Исследование проводить утром, натощак. Накануне исследования исключить жирную пищу, алкоголь.

  1. Осмотр кожи туловища и волосистой части головы под лампой ВУДА

Перед исследованием не использовать косметические и гигиенические средства.

  1. Соскоб на чесоточного клеща

Перед исследованием не использовать мазевые средства.

Клинико-диагностическая лаборатория | ГБУ ШП

Телефон: 8(35253) 6-89-26

Исполняющая обязанности заведующей КДЛ — Фалькова Анна Ивановна: врач клинической лабораторной диагностики, высшая категория

  • Часы приёма граждан по личным вопросам пн. с 13.00 до 15.00

Старший фельдшер лаборант: Чижова Лариса Анатольевна, фельдшер-лаборант, первая категория

Приём анализов:

пн — пт: с 8.00 до 11.00

сб-вс: выходной

  1. Общий анализ крови — 81 кабинет
  2. Общий анализ мочи, кал, макрота — 80 кабинет
  3. Сахар крови — 79 кабинет

Кровь на биохимическре исследование — 1 кабинет пн-пт: с 8.30 — 10.00, сб-вс: выходной

Правила сбора биологического материала

Исследование крови

При исследовании крови необходимо помнить, что все процессы жизнедеятельности подвержены значительным вариациям под влиянием внешних факторов, таких как смена времени суток и года, приём пищи, изменение солнечной активности. 

Биохимический состав биологических жидкостей подвержен индивидуальным колебаниям у различных людей, отражая влияние пола, возраста, характера питания, образа жизни. 

Морфологический состав крови колеблется на протяжении суток. Поэтому осуществлять забор крови целесообразно в одно и то же время суток.  

Вечером не следует употреблять жирную пищу, а утром натощак, до приёма лекарственных средств, сдать кровь. 

В зависимости от цели исследования забор крови для лабораторного анализа осуществляют из пальца (капиллярная кровь) и из вены (венозная кровь).

  • Этот анализ необходим для: количественного и качественного изучения форменных элементов крови (эритроцитов, лейкоцитов, тромбоцитов), определения количества в крови гемоглобина и скорости оседания эритроцитов (СОЭ). Такой анализ называют общим анализом крови.
  • В ряде случаев из пальца берут кровь для определения содержания в крови глюкозы,  свёртываемости крови и времени кровотечения.

Кровь из вены берёт процедурная медицинская сестра посредством пункции в большинстве случаев локтевой вены.

  • Этот анализ необходим для количественного изучения биохимических показателей крови (печёночных проб, ревматологических проб, содержания глюкозы, фибриногена, мочевины, креатинина и др. ), обнаружения возбудителей инфекции (взятие крови на гемокультуру и определение чувствительности к антибиотикам), антител к ВИЧ и др.
  • Объём забираемой из вены крови зависит от количества определяемых компонентов — обычно из расчёта 1-2 мл на каждый вид исследования.

Биохимические и гематологически исследования

  • Взятие крови проводится натощак. За 12 часов до исследования необходимо воздержаться от приема пищи, алкоголя и курения, прием препаратов оговаривается с лечащим врачом. 
  • За 20-30 минут ограничить физическую и эмоциональную активность.  
  • Не рекомендуется проводить забор крови для исследований непосредственно после физиотерапевтических процедур, рентгеновского обследования, после приема алкоголя, наркотиков (за исключением специального обследования на присутствие этих компонентов в крови).
  • Очень важно, чтобы пациент точно следовал указанным рекомендациям т.к. только в этом случае будут получены достоверные результаты исследований крови.

Исследование мочи

Утром необходимо подмыть наружные половые органы и промежность тёплой водой с мылом в определённой последовательности (область лобка, наружные половые органы, промежность, область заднего прохода) и вытереть насухо кожу в таком же порядке. После гигиенической процедуры пациент должен выпустить начальную порцию мочи в унитаз,  а затем собрать в банку  150-200 мл мочи (так называемая средняя порция струи мочи). Наиболее информативным яв­ляется анализ мочи, собранной утром после сна, т. к. первая утренняя порция мочи обычно самая концентрированная.

Ёмкости с крышкой для сбора мочи должны быть подготовлены заранее: вымыты раствором детергента или мылом, ополоснуты не менее 3 раз для удаления остатков моющего вещества и тщательно высушены. Собранная для исследования моча должна быть доставлена в лабораторию не позднее чем через 1 ч после сбора. Хранение мочи до проведения анализа допускается только в холодильнике максимум в течение 1,5 часов.

Особенности сбора мочи при различных методах исследования

  • Общий анализ мочи: после гигиенической процедуры в чистую ёмкость собирают среднюю порцию мочи (150-200 мл).
  • Проба по Нечипоренко: после гигиенической процедуры в чистую ёмкость собирают среднюю порцию мочи (40 мл).
  • Проба Зимницкого: пациент должен в 6 ч утра помочиться в унитаз, после этого последовательно собирать мочу в пронумерованные ёмкости, меняя их каждые 3 ч. Если мочи в течение 3 ч не оказывается, ёмкость остаётся пустой. Все восемь ёмкостей должны быть промаркированы с указанием номера порции и времени сбора мочи.
  • Бактериологическое исследование мочи: после гигиенической процедуры  собрать 10-15 мл мочи из средней порции в стерильную пробирку и немедленно закрыть её пробкой.
  • Сбор суточной мочи:  пациент должен в 8 ч утра помочиться в унитаз, затем собирать мочу в градуированную ёмкость или трёхлитровую банку в течение суток до 8 ч утра следующего дня включительно. Если планируется анализ суточной мочи на глюкозу, белок и др., после сбора мочи нужно измерить общее количество мочи и указать его в направлении, затем тщательно размешать деревянной палочкой всю мочу и отлить во флакон 100-150 мл мочи для лаборатории.

Исследование мокроты

Чтобы собрать мокроту, пациент должен в 8 ч утра натощак почистить зубы и тщательно прополоскать рот кипячёной водой. Затем нужно сделать несколько глубоких вдохов или дождаться позыва на кашель, после чего откашлять мокроту (в объёме 3-5 мл) в заранее приготовленную чистую сухую градуированную банку и закрыть её крышкой. Для сбора мокроты с целью бактериологического исследования выдают стерильную ёмкость; в этом случае нужно предупредить пациента, чтобы он не касался краёв посуды руками или ртом. При сборе мокроты на атипичные клетки необходимо немедленно доставить материал в лабораторию, так как опухолевые клетки быстро разрушаются.

Исследование кала

Подготовка пациента для сдачи кала состоит из следующих этапов:

  • Отмена медикаментов: за 2-3 дня до исследования пациенту следует отменить лекарственные средства, примеси которых могут влиять на внешний вид каловых масс, помешать микроскопическому исследованию и усилить перистальтику кишечника (препараты висмута, железа, бария сульфат, пилокарпин, эфедрин, активированный уголь, слабительные средства, препараты, вводимые в ректальных свечах, приготовленных на жировой основе, масляные клизмы).
  • Коррекция пищевого режима: при копрологическом  исследовании пациенту за 5 дней до сдачи кала назначают пробную диету, содержащую точно дозированный набор продуктов.
  • При анализе кала на скрытую кровь пациенту за 3 дня до сдачи кала назначают молочно-растительную диету и исключают железосодержащие продукты (мясо, печень, рыбу, яйца, томаты, зелёные овощи, гречневую кашу), так как они могут выступать катализаторами в реакциях, используемых для обнаружения крови. 

  • Сбор кала осуществляется в чистые сухие пластиковые или стеклян­ные контейнеры с герметично закрывающимися крышками. Недопустимо доставлять кал на исследование в спичечных или картонных коробках. 

  • Кал не должен содержать посторонних примесей (мочи, отделяемого  мочепо­ловых органов). Нельзя собирать фекалии после клизм. Если необходимо знать точное количество испражнений, то пустую емкость перед сбором и после сбора материала взвешивают.

  • Пациенту рекомендуется помочиться в унитаз, далее путем естественной де­фекации в подкладное судно или горшок собираются испражнения (следить, что­бы не попала моча). Для исследования достаточно 10-15 г кала. Кал, взятый из разных мест собирается в чистую, сухую ем­кость.

  • Для паразитологических исследований кала специальной подготовки не тре­буется. Ложечкой собирают 10-15 гр. теплого кала, взятого из разных мест.

  • Кал следует доставить в лабораторию в течение 8 ч после сбора (в условиях стационара — в течение 1 ч). Исследуют кал не позднее 8-12 ч после его выделения, а до этого его сохраняют при температуре от 3 до 5 °С. Наиболее точное представление о функциональном состоянии пищеварительного тракта даёт трёхкратное исследование фекалий.

Перечень биохимических исследований

 1. Сахар мочи        

 2. Глюкоза крови

 3. Остаточный азот  

4. АЛТ (Аламинаминотрансфераза)              

 5. Холестерин

 6. Билирубин общий             

 7. Билирубин по фракциям            

 8. Общий белок                   

 9. Кальций крови      

10. Амилаза мочи                   

11. Тимоловая                                

12. АСТ (Аспартатаминотрансфераза)            

13. Железо                             

14. О.С.С. Железа (Общеэелезо-связывающая способность железа)

15. Мочевина                              

16.Щелочная фосфатаза             

17. Бэта – липопротеиды                                    

18. Альбумины                                                                                       

19. Гликозилированный  гемоглобин                   

20. Креатинин                    

21. Триглицериды                                                    

22. Фосфор неорганический                             

23. Мочевая кислота 

24. ЛПВП (Липопротеиды высокой плотности)                            

25. ЛПНП (Липопротеиды низкой плотности)                                               

26. ГГТ (Гаммаглютомил трасфераза)                                                           

27. Амилаза крови                                                 

                             Перечень гематологических исследований

1.Общий анализ крови                                    

2.Ретикулоциты                              

3.Лейкоциты                                                

4.Базофильная зернистость                       

5.Волчаночные клетки                                        

6.Кровь на малярийный плазмодий                

7.Гемоглобин                                             

8.Эритроциты                                       

9.СОЭ (Скорость оседания эритроцитов)                                                                    

                        Перечень химико-микроскопических исследований

1.Исследования желчи                                      

2.Мокрота                                                  

3.Кал на я/глист                                       

4. Соскоб                                                              

5.Копроскопия                                                      

6.Кал на скрытую кровь                            

7.Исследование мочи                  

8.Удельный вес мочи                      

9.Белок Б-Джонса                     

10.Количественные исследования мочи:

         -по Нечипоренко                                     

         -по Земницкому                                        

11.Моча на сахар                              

         -на уробилин                                    

         -на белок /количественно/      

         -на белок /качественно/                        

12.Мазки на флору, гонококки                        

13.Моча на ацетон                                        

                          Перечень коагулогических исследований

1. ПТИ  (Протронгиновый индекс)                     

2. Фибриноген                

3. Время свёртываемости          

4. Длительность кровотечения                         

5. МНО  (Международная нормализованая отношение)            

9. Тромбоциты            

                          Перечень иммунологических исследований

1. Ревматоидный фактор                

2. С – реактивный белок                   

3. Антистрептолизин                    

4. Резус фактор и группа крови        

5. Э.Д.С. (Экспересс диагностика сифилиса)                                             

Перечень микробиологических исследований

1.КУМ   (Кислотоустойчивые лейкобактерии туберкулёза)                                               

Вопрос от: Анна — Клиника Здоровье 365 г. Екатеринбург

Вопрос Ревматологу

Вопрос от Анна

Телефон:

Вопрос: Здравствуйте! А у меня история такая, у меня часто проявлялось на носу и рядом красное пятно, когда поем горячее, алкоголь, волнение. ..но оно быстро проходило и я как то не зацикливалась на этом. В ноябре перед д.р я сходила на несколько сеанцев в солярия, в последний раз вышла..смотрю опять пятно, думаю ну жарко-пройдет скоро как обычно, но не тут то было, оно не прошло и стало разрастаться(((((Теперь я хожу с краснючим пятном на переносице, пятна пошли справа и от ноздри к губе, короче с правой стороны страшно смотреть без косметических корректирующих средств(((Я пошла в КВД на меня долго смотрел врач, сказал наверное это купероз так как внутри этих пятен мелкие сосуды,потом говорит а может это и СКВ(синдром красной волчанки)я ужаснулась.Он отправил меня к заведующей и та…посмотрев сказала что это не волчанка а розацеа, прописала мне мазь АЗЕЛИК(причем ее нигде не продают только в КВД)я так поняла что это тот же скинорен только наш и дешевле.Мазь я не купила, т.к нет прыщей, просто краснючие большие пятна с сосудиками внутри.Пошла я в Мед.центр, посмотрела врач,сказала РПОЗАЦЕА похоже, сделали одну процедуру фотокоагуляции сначало вроде ка кто сразу стало светлее, но на втрой день все вернулось обратно,врач сказала что одного раза просто мало,вот пойду на второй сеанс!!!Мазями сказала не мазать, просто правильно питаться. ..не курить.Сделала вторую фотовспышку,улучшений вроде нет,но пятна вродекаксветлеют немного внутри.я сама сдала анали зы кое какие,скажите стоит ли ориентироваться на их заключение и исключить СКВ,или нужно что то еще сдать,помогите пожалуйста. Скажите что как…. 1.Кровь на LE-клетки Аутоимунная паталогия «Розетки»-нет Гематоксилиновые тельца Харгрейвса-нет Волчаночные клетки-нет 2.Антитела к двухцепочной ДНК(анти-dsDNA),скрининг Концентрация 2.315МЕ/мл(значение,это у меня) а 0.000-25.000(референсные значения,т.е норма как я поняла,в хеликсе сдавала) Спасибо заранее!!!!

Ответ:  

Здравствуйте, Анна.

Это хорошо, что у Вас отрицательные лабораторные пробы, но окончательный ответ я бы смог дать Вам только после приёма. Посоветуйтесь с дерматологом. Если они сомневаются насчёт волчанки, тогда лучше сходить к ревматологу.

Врач ревматолог Сидорович М.Ю. 

Назад

Клинико-диагностическая лаборатория

Создано отделение в 1933 году.

КДЛ располагается  на первом этаже главного корпуса ГБУЗ СО «ГБ №1 г. Нижний Тагил».

 

Контактный телефон: (3435) 31-19-62 (главный корпус, ул. Максарева, 5).

 

 График работы: круглосуточно.

 

Коллектив лаборатории состоит из высококвалифицированных специалистов, которые владеют современными методами исследований.

 

Заведующая КДЛ: 

Чернова Ольга Сергеевна (биолог) – высшая категория.

 

Старший лаборант:

Соломаха Ирина Викторовна –  высшая категория.

 

Врачи:

1.Шелест Людмила Иосифовна – врач лаборант – высшая категория

2. Шмакова Ольга Владимировна – биолог – высшая категория

3. Кравчук Наталья Николаевна – биолог – первая категория

4. Ощепкова Марина Александровна – биолог – без категории

 

Средний медицинский персонал:

1.Савон Ольга Николаевна – лабораторный  техник – высшая категория.

2. Шешукова Яна Андреевна — лабораторный  техник – высшая категория.

3. Агапова Елена Николаевна – фельдшер-лаборант – высшая категория.

4. Мартемьянова Елена Сергеевна – фельдшер-лаборант – высшая категория.

5. Древицкая Марина Леонидовна – лабораторный техник, без категории

6. Тесленко Елена Геннадьевна – лабораторный  техник – высшая категория.

7. Завьялова Елена Витальевна – лаборант — высшая категория.

8. Харламова Надежда Владимировна – лабораторный  техник – высшая категория.

9. Токаренко Анастасия Михайловна – фельдшер-лаборант – высшая категория.

10. Зайцева Вероника Юрьевна – фельдшер-лаборант – высшая категория.

11. Покорская Лидия Владимировна – лабораторный техник – высшая категория.

12. Первушина Ксения Александровна — лабораторный техник-вторая категория..

13. Гусак Григорий Игоревич — лабораторный  техник-вторая категория..

14. Казаковцева Наталья Сергеевна – лабораторный техник – высшая категория.

15. Савин Михаил Игоревич — лабораторный техник, без категории

Персонал лаборатории всегда рад помочь пациентам и предлагает населению следующие услуги:

Биохимические исследования

-общий белок, белковые фракции крови

-мочевина, креатинин, проба Реберга, мочевая кислота.

-ферменты крови  (АСТ, АЛТ, ЛДГ, КФК-МБ, амилаза, липаза, тропанинТ, щелочная фосфотаза, ГГТП).

-глюкоза крови, тест толерантности к глюкозе.

-биллирубин и его фракции

-липидный спектр (холестерин, триглицериды, ЛПВП, ЛПНП, индекс атерогенности).

-электролиты крови и мочи (натрий, калий, хлор, кальций).   

-исследование гемостаза (ПТИ, МНО, АчТВ, РФМК, фибриноген, Д-димер)  

-кислотно-щелочное состояние.

                                     Общеклинические исследования:

Исследования крови

 -клинический  анализ крови с микроскопией лейкоцитарной  формулы и СОЭ

-тромбоциты

-длительность кровотечения

-свертываемость крови

-волчаночные клетки( в лейкоконцентрате)

Исследования мочи

-общий анализ мочи с микроскопией осадка

-анализ мочи по Нечипоренко

-анализ мочи по Земницкому

-амилаза в суточной моче

-глюкоза в моче

Исследования кала

-копрограмма

-анализ кала на яйца гельминтов

-анализ кала на цисты и вегетативные формы простейших

-анализ кала на скрытую кровь

-энтеробиоз

Исследования мокроты

-общий анализ мокроты с микроскопией нативного препарата

Исследования ликвора

-общий анализ ликвора с микроскопией нативного препарата

Исследования выпотных жидкостей

-общий анализ с микроскопией нативного препарата

Микроскопическое исследование отделяемого мочеполовых органов женщин.

 

 

 Цитологические исследования

-исследование мазков (соскобов) с поверхности шейки матки (наружного маточного зева) и цервикального канала на атипию.

-исследование гормонального фона

-исследование материала полученного при эндоскопии, оперативном вмешательстве.

-исследование пунктатов, промывных вод, выпотных жидкостей, мокроты. 

 

Иммунологические и серологические исследования.

-кардиолипиновый антиген

-ревматоидный фактор

-реакция Малена

-стрептолизин-0(АСЛО-0)

-С-реактивный белок

-хеликобактер пилори.

      В настоящее время отделение располагает современным диагностическим оборудованием для выполнения  исследований.

Как волчанка влияет на иммунную систему: Центр волчанки Джона Хопкинса

Иммунная система представляет собой сложную сеть клеток, тканей и органов, которая помогает защитить организм от захватчиков (бактерий, вирусов, грибковых инфекций и паразитов). Обычно иммунная система развивается только для воздействия на чужеродные вещества, а клетки иммунной системы, пытающиеся бороться с клетками организма, в процессе развития отсеиваются. Однако при волчанке и других аутоиммунных заболеваниях иммунная система начинает распознавать и атаковать «я».Иными словами, клетки иммунной системы начинают повреждать собственные ткани организма. Это явление похоже на «дружественный огонь» и может вызвать необратимые рубцы, что в конечном итоге ставит под угрозу функцию определенных органов и систем в организме. Было установлено, что определенные клетки и процессы иммунной системы играют роль в развитии волчанки.

Т-клетки, В-клетки и антитела

Группа лейкоцитов, называемых лимфоцитами, играет ключевую роль в иммунном ответе человека.Лимфоциты включают клетки, называемые В-клетками и Т-клетками, которые отвечают за выявление и борьбу с инфекциями у здоровых людей.

Антигены – это вещества, вызывающие реакцию Т- и В-клеток в организме. Когда Т-клетка распознает определенный антиген, она связывается с этим веществом и вырабатывает химические вещества, называемые цитокинами. Затем цитокины вызывают размножение В-клеток, и некоторые из этих В-клеток превращаются в плазматические клетки, секретирующие антитела (иммуноглобулины). [Ответ В-клеток называется «гуморальным» ответом; Активация Т-клеток называется «клеточно-опосредованным» иммунным ответом.] Эти антитела затем циркулируют в кровотоке, так что, когда они снова сталкиваются с антигеном, они связываются с ним, образуя комплекс, на который затем воздействуют другие клетки иммунной системы, пытаясь уничтожить захватчика. Обычно остатки этих комплексов удаляются из организма с помощью системы удаления мусора, в которой участвует селезенка.

Т-клетки классифицируются как Т-киллеры, Т-хелперы или Т-супрессоры. Т-киллеры обладают способностью распознавать и уничтожать инфицированные клетки в организме.Однако хелперные Т-клетки могут идентифицировать только вирусы, поглощенные особыми клетками, называемыми макрофагами. Макрофаг представляет антиген Т-хелперной клетке, которая в ответ производит цитокины, стимулирующие размножение В-клеток и высвобождение антител.

У здоровых людей массы клеток, которые собираются в инфицированных или поврежденных участках тела, производят факторы, помогающие бороться с инфекцией. Этот процесс вызывает некоторое воспаление и повреждение здоровых тканей, но обычно иммунная система обладает другими факторами, помогающими контролировать этот воспалительный процесс.У людей с волчанкой и В-клетки, и Т-клетки становятся сверхактивными. Двумя основными последствиями такой повышенной активности являются выработка аутоантител (антитела, которые распознают и разрушают собственные клетки организма) и воспаление, которое может привести к долговременному необратимому рубцеванию.

Выработка аутоантител у людей с волчанкой и другими аутоиммунными заболеваниями заставляет иммунную систему нацеливаться на разрушение собственных клеток организма. Например, около 98% людей с волчанкой обладают антинуклеарными антителами (АНА), которые могут атаковать нуклеиновый материал ваших клеток. Кроме того, у некоторых людей могут быть антифосфолипидные антитела, которые повреждают белки, связанные с фосфолипидами в мембранах ваших клеток. Эти аутоантитела связаны с осложнениями беременности, инсультом, сердечными приступами и другими тромбами.

Кроме того, регуляторные Т-клетки, которые должны контролировать систему, дефицитны при СКВ.

Нейтрофилы

Нейтрофилы являются наиболее распространенным типом лейкоцитов в организме; в то время как лимфоциты участвуют в продолжающемся иммунном ответе, нейтрофилы являются первой линией атаки против захватчиков.Воспаление у здорового человека обычно сигнализирует о том, что иммунная система организма правильно реагирует на патогены, поврежденные клетки, раздражители или травмы. Однако при волчанке нейтрофилы вызывают усиление воспаления из-за определенных взаимодействий между плазмой крови человека и другими клетками иммунной системы (в частности, комплементом, цитокинами и молекулами клеточной адгезии). Несмотря на то, что усиленное воспаление может вызывать боль и дискомфорт, основной проблемой воспаления является потенциальное долговременное необратимое рубцевание.Важно, чтобы вы и ваш врач обсудили лекарства для сдерживания воспалительных процессов, связанных с волчанкой, чтобы свести к минимуму долговременное повреждение важных органов.

Цитокины

Цитокины представляют собой сигнальные молекулы, участвующие в регуляции иммунного ответа человека. Одни цитокины усиливают иммунный ответ, другие ослабляют его. У некоторых людей с волчанкой и подобными аутоиммунными заболеваниями соотношение провоспалительных и противовоспалительных цитокинов выше, чем у здоровых людей, что приводит к несбалансированному механизму регуляции.

Хотя общая причинно-следственная связь между цитокинами и волчанкой еще не изучена, некоторые цитокины, называемые интерферонами и интерлейкинами, связаны с заболеванием. Однако в целом перепроизводство таких молекул приводит к тому, что иммунная система становится сверхактивной, что приводит к усилению воспаления и повреждению тканей.

Дополнение

Белки комплемента взаимодействуют последовательно, чтобы очистить организм от иммунных комплексов. Дефицит определенных белков комплемента связан с волчанкой.Кроме того, поскольку белки комплемента расходуются во время воспалительных процессов, низкий уровень комплемента может указывать на активность волчанки.

Источники

  • Дин, Джиллиан С. и др. «Цитокины и системная красная волчанка». Энн Реум Дис 2000; 59: 243–251.
  • «Системная красная волчанка». Отчеты об углубленном обучении пациентов. Эд. Харви Саймон. 21 января 2008 г. Медицинский центр Университета Мэриленда. 25 июня 2009 г. .
  • Уоллес, Дэниел Дж. Книга о волчанке: руководство для пациентов и их семей. 1 ст изд. Нью-Йорк: Oxford University Press, 1995.

Причины, типы, симптомы, лечение и исход

Обзор

У людей с волчанкой может появиться сыпь на лице. Этот симптом волчанки часто описывается как похожий на бабочку.

Что такое волчанка?

Системная красная волчанка (СКВ), обычно называемая просто волчанкой, представляет собой хроническое аутоиммунное заболевание, которое может вызывать отек (воспаление) и боль во всем теле.Когда у вас аутоиммунное заболевание, иммунная система вашего организма борется сама с собой. Иммунная система должна бороться с возможными угрозами для организма, например с инфекциями, но в данном случае она атакует здоровые ткани.

Если у вас волчанка, вы можете испытывать боль в суставах, повышенную чувствительность кожи и сыпь, а также проблемы с внутренними органами (мозгом, легкими, почками и сердцем). Многие из ваших симптомов могут возникать и исчезать волнами, часто называемыми вспышками. Иногда симптомы волчанки могут быть легкими или незаметными (это означает, что они находятся в стадии ремиссии).В других случаях вы можете испытывать серьезные симптомы заболевания, которые сильно влияют на вашу повседневную жизнь.

Какие бывают виды волчанки?

Существует несколько различных типов волчанки. Наиболее часто встречается системная красная волчанка. Другие типы волчанки включают:

  • Кожная красная волчанка : Этот тип волчанки поражает кожу — кожный термин означает кожу. Люди с кожной красной волчанкой могут испытывать проблемы с кожей, такие как чувствительность к солнцу и сыпь.Выпадение волос также может быть симптомом этого состояния.
  • Медикаментозная волчанка : Эти случаи волчанки вызываются некоторыми лекарствами. Люди с лекарственной волчанкой могут иметь многие из симптомов системной красной волчанки, но обычно они носят временный характер. Часто этот тип волчанки проходит, как только вы прекращаете прием лекарства, которое ее вызывает.
  • Неонатальная волчанка : Редкий тип волчанки, неонатальная волчанка — это состояние, обнаруживаемое у младенцев при рождении. Дети, рожденные с неонатальной волчанкой, имеют антитела, которые были переданы им от их матерей, которые либо болели волчанкой во время беременности, либо могут заболеть в более позднем возрасте. Не у каждого ребенка, рожденного от матери, больной волчанкой, будет заболевание.

Кто болеет волчанкой?

Волчанка может быть у каждого. Это может случиться с женщинами, мужчинами, детьми и даже новорожденными. Это гораздо чаще встречается у женщин, чем у мужчин, причем около 90% диагностированных случаев приходится на женщин репродуктивного возраста. Эксперты затрудняются оценить, сколько людей в Соединенных Штатах болеют волчанкой, потому что ее трудно диагностировать. Волчанка имеет широкий спектр симптомов, которые также могут быть признаками других заболеваний.Из-за этого могут быть люди с волчанкой, у которых на протяжении всей жизни не диагностируют заболевание.

Волчанка также более характерна для некоторых этнических групп. Афроамериканки, латиноамериканки, азиатки и коренные американки более склонны к развитию этого заболевания, чем женщины европеоидной расы.

Ваш риск заболеть волчанкой также увеличивается, если у вас есть член семьи, больной волчанкой или другим аутоиммунным заболеванием.

Волчанка чаще встречается у женщин?

Волчанка гораздо чаще встречается у женщин, причем девять из 10 случаев встречаются у женщин.Часто женщин диагностируют в возрасте от 15 до 44 лет — в репродуктивном возрасте. Несмотря на то, что причина волчанки неизвестна, считается, что определенную роль в этом состоянии может играть гормон эстроген.

Что волчанка делает с телом?

Волчанка может поражать различные части тела. Это может вызвать боли, а также серьезные осложнения для ваших основных органов. Поскольку волчанка является аутоиммунным заболеванием, она заставляет ваше тело атаковать себя. Это может привести к повреждению органов с течением времени.

Части тела, которые могут быть поражены волчанкой, могут включать кожу, кровь, суставы, почки, мозг, сердце и легкие.

  • Кожа : Проблемы с кожей являются общим признаком волчанки. У некоторых людей с волчанкой появляется красная сыпь на щеках и переносице. Поскольку расположение этой сыпи совпадает с обычными отметинами волка, много лет назад этой болезни дали название «волчанка» (волк на латыни). Другие проблемы с кожей, которые могут возникнуть, включают крупную красную круглую сыпь (бляшки), на которой могут образоваться рубцы (так называемая дискоидная волчанка).Кожные высыпания обычно усиливаются под воздействием солнечных лучей. Выпадение волос и язвы во рту также распространены.
  • Кровь : Вовлечение крови может происходить с другими симптомами или без них. У людей с волчанкой может наблюдаться опасное снижение количества эритроцитов, лейкоцитов или тромбоцитов (клеток, которые помогают сворачивать кровь). Иногда изменения показателей крови могут способствовать возникновению симптомов усталости (низкое количество эритроцитов, анемия), серьезных инфекций (низкое количество лейкоцитов) или легких кровоподтеков (низкое количество тромбоцитов).Однако у многих людей нет симптомов, указывающих на аномалии крови, поэтому важно периодически сдавать анализы крови, чтобы выявить какие-либо проблемы. Сгустки крови чаще встречаются при волчанке. Сгустки часто возникают в ногах (сгусток в вене, называемый тромбозом глубоких вен), легких (сгусток в легком, называемый легочной эмболией) или головном мозге (инсульт). Сгустки крови, которые развиваются у больных волчанкой, могут быть связаны с продукцией антифосфолипидных антител. Эти антитела представляют собой аномальные белки, которые могут повышать склонность крови к свертыванию.
  • Суставы : Артрит очень распространен у людей, страдающих волчанкой. Может быть боль с отеком или без него. Скованность и боль могут быть особенно неприятными по утрам. Артрит может быть проблемой всего от нескольких дней до недель или может быть постоянным признаком болезни. К счастью, артрит обычно не калечит.
  • Почки : Поражение почек у людей с волчанкой потенциально опасно для жизни и может наблюдаться у половины больных волчанкой.Проблемы с почками могут стать очевидными, когда больные волчанкой чувствуют себя больными артритом, имеют сыпь, лихорадку и потерю веса. Реже заболевание почек может возникать при отсутствии других симптомов волчанки. Заболевание почек само по себе обычно не вызывает симптомов до тех пор, пока оно не достигнет поздних стадий. Важно своевременно диагностировать заболевание почек и проводить соответствующее лечение. Самые ранние признаки заболевания почек очевидны при анализе мочи, называемом анализом мочи.
  • Мозг : К счастью, вовлечение головного мозга у людей с волчанкой встречается редко.Когда он присутствует, он может вызывать спутанность сознания, депрессию, судороги и, редко, инсульты.
  • Сердце и легкие : Поражение сердца и легких часто вызывается воспалением оболочки сердца (перикарда) и легких (плевры). Когда эти структуры воспаляются, у вас могут появиться боли в груди, нерегулярное сердцебиение и накопление жидкости вокруг легких (плеврит или плеврит) и сердца (перикардит).

Симптомы и причины

Что вызывает волчанку?

Причина волчанки в настоящее время неизвестна.Исследователи все еще работают над тем, чтобы узнать больше о причине возникновения волчанки. Хотя точная причина неизвестна, есть факторы, которые могут играть роль в этом состоянии. Возможные факторы, которые могут вызвать волчанку, включают:

  • Гормональные изменения : Женщины чаще страдают волчанкой, чем мужчины, и это может быть частично связано с такими гормонами, как эстроген. Волчанка часто наблюдается у женщин репродуктивного возраста (от 15 до 44 лет), когда уровень эстрогена выше.
  • Факторы окружающей среды : Различные аспекты окружающей среды также могут увеличить риск заболевания волчанкой.Такие факторы, как количество солнечного света, которому вы подвергаетесь, лекарства, которые вы принимаете, вирусы, которым вы могли подвергаться, или даже стресс, могут быть возможными причинами волчанки. Курение в анамнезе также может быть возможной причиной волчанки.
  • Ваш семейный анамнез : Возможно, волчанка связана с генетическим фактором. Если у вас есть члены семьи, больные волчанкой, риск заболевания увеличивается.

Каковы симптомы волчанки?

Волчанка может сопровождаться самыми разнообразными симптомами. Не у всех с волчанкой будет одинаковый набор симптомов. Кроме того, многие из этих симптомов совпадают с симптомами других заболеваний. Это одна из трудностей диагностики волчанки.

Симптомы волчанки могут развиваться медленно. Со временем вы можете заметить новые симптомы. Тяжесть ваших симптомов также может меняться со временем. Иногда симптомы могут едва присутствовать (в стадии ремиссии), а иногда они могут обостряться. Обострение — это когда симптом внезапно становится более серьезным, чем раньше.

Симптомы волчанки могут включать:

Каковы симптомы волчанки у женщин?

Большинство людей с диагнозом волчанка — женщины. Женщины, как правило, испытывают общие симптомы волчанки, но у них также могут быть осложнения, поражающие различные части тела. Эти осложнения могут включать проблемы с почками (чаще встречаются у афроамериканок и латиноамериканок, чем у других групп), остеопороз и болезни сердца.

Что такое волчаночная сыпь?

Кожная сыпь является одним из частых симптомов волчанки. Сыпь при волчанке часто возникает в результате длительного пребывания на солнце и обычно длится от нескольких дней до нескольких недель. У вас может быть сыпь на лице, руках или запястьях. Когда у вас есть сыпь на лице, она обычно распространяется через переносицу и на каждую из ваших щек. Это часто называют «сыпью в виде бабочки» из-за формы на вашем лице.

Кожная сыпь может вызывать дискомфорт и зуд. Эти высыпания могут иногда исчезать через короткий промежуток времени. Однако некоторые высыпания и язвы на коже могут оставаться постоянными.

Почему волчанка вызывает выпадение волос?

Одним из осложнений волчанки может быть повреждение кожи и выпадение волос. У людей с волчанкой могут образовываться рубцы на коже и волосистой части головы из-за сыпи. Это может привести к истончению и выпадению волос. Вы также можете испытывать выпадение волос как побочный эффект некоторых лекарств для лечения волчанки — выпадение волос может быть побочным эффектом стероидов. Если ваши волосы редеют или выпадают, поговорите со своим лечащим врачом. Иногда смена лекарств может помочь решить эту проблему.Ваш врач может также порекомендовать использовать мягкие шампуни (детский шампунь).

Почему волчанка вызывает увеличение или потерю веса?

Многие люди с волчанкой могут терять вес. Это может быть вызвано лекарствами, которые используются для лечения волчанки, или дискомфортом самого заболевания. С другой стороны, некоторые люди могут набрать вес, если обнаружат, что малоподвижны из-за боли в суставах. При волчанке важно соблюдать здоровую диету. Поговорите со своим лечащим врачом и, возможно, с диетологом (специалистом по питанию), чтобы определить наилучшую для вас диету.

Диагностика и тесты

Как диагностируется волчанка?

Процесс диагностики волчанки может быть длительным и трудным. Симптомы, которые могут возникнуть при волчанке, могут совпадать с симптомами других состояний, например диабета и артрита. Для развития симптомов волчанки также может потребоваться время, что усложняет диагностику заболевания.

Ваш лечащий врач обычно начинает с семейного анамнеза, чтобы узнать, есть ли волчанка в вашей семье.Затем ваш врач захочет обсудить любые симптомы, которые вы испытали. После разговора с вами о ваших симптомах ваш врач обычно проводит некоторые лабораторные анализы. Эти тесты ищут такие вещи, как низкий уровень клеток крови, анемия и другие отклонения.

Поставщик также может провести тест на антинуклеарные антитела (ANA). Этот тест ищет антитела — белки в вашем организме, которые защищают от болезней — которые могут быть признаком того, что у вас аутоиммунное заболевание. Люди с системной красной волчанкой обычно дают положительный результат на ANA.

Означает ли положительный тест на антинуклеарные антитела (ANA) наличие у меня волчанки?

Положительный результат теста только на антинуклеарные антитела не означает, что у вас волчанка. Тест на ANA положительный у большинства людей с волчанкой, но он также положительный у многих людей, у которых нет волчанки. Из-за этого одного положительного результата ANA недостаточно для диагностики волчанки. Прежде чем ставить диагноз волчанки, ваш врач, как правило, ищет как минимум три других клинических признака (включая симптомы и семейный анамнез).

Управление и лечение

Как лечится волчанка?

То, как ваш врач лечит волчанку, может зависеть от нескольких факторов, в том числе:

  • Симптомы и осложнения, которые вы испытываете.
  • Серьезность вашего дела.
  • Ваш возраст.
  • Тип лекарств, которые вы принимаете.
  • Ваше общее состояние здоровья.
  • Ваша история болезни.

Волчанка — это пожизненное (хроническое) заболевание, требующее регулярного лечения.Целью лечения является достижение ремиссии ваших симптомов (не активной) и ограничение ущерба, который болезнь наносит вашим органам. К сожалению, волчанка непредсказуема, и то, как это состояние влияет на вас, может меняться со временем. Вам нужно будет регулярно посещать своего поставщика медицинских услуг и адаптировать свой план лечения в соответствии с вашими симптомами.

Некоторым людям с легкими проявлениями волчанки может потребоваться ограниченное лечение. У этих людей могут быть симптомы, за которыми наблюдают и следят, чтобы убедиться, что они не ухудшаются, но в настоящее время они не нуждаются в лечении.Другим может потребоваться агрессивный план лечения. Эти люди, как правило, имеют более серьезные осложнения (например, осложнения на сердце, легкие или почки). Ваш лечащий врач обсудит с вами наилучшие варианты лечения с учетом ваших симптомов, осложнений и истории болезни.

Какие самые распространенные лекарства от волчанки?

Лекарства, которые можно использовать для лечения волчанки, включают:

  • Стероиды (кортикостероиды, включая преднизолон): Стероидные кремы можно наносить непосредственно на сыпь.Использование кремов обычно безопасно и эффективно, особенно при легкой сыпи. Использование стероидных кремов или таблеток в низких дозах может быть эффективным при легких или умеренных проявлениях волчанки. Стероиды также могут быть использованы в более высоких дозах, когда внутренние органы находятся под угрозой. К сожалению, высокие дозы также чаще всего вызывают побочные эффекты.
  • Гидроксихлорохин (Plaquenil®) : Это лекарство обычно используется, чтобы держать под контролем легкие проблемы, связанные с волчанкой, такие как заболевания кожи и суставов.Он также используется для лечения усталости и язв во рту.
  • Азатиоприн (Имуран®): Лекарство, первоначально использовавшееся для предотвращения отторжения трансплантированных органов, обычно используется для лечения более серьезных проявлений волчанки.
  • Метотрексат (Rheumatrex®): Это лекарство является еще одним химиотерапевтическим препаратом, который используется для подавления иммунной системы. Его использование становится все более популярным при кожных заболеваниях, артрите и других неопасных для жизни формах заболеваний, которые не реагируют на такие лекарства, как гидроксихлорохин или низкие дозы преднизолона.
  • Циклофосфамид (Cytoxan®) и микофенолата мофетил (CellCept®): Эти препараты являются химиотерапевтическими препаратами, оказывающими очень сильное воздействие на снижение активности иммунной системы. Они используются для лечения более тяжелых форм волчанки, особенно волчанки, поражающей почки.
  • Белимумаб (Benlysta®): Это лекарство представляет собой моноклональное антитело, которое снижает активность лейкоцитов (лимфоцитов), вырабатывающих аутоантитела. Аутоантитела важны, поскольку они вызывают повреждение тканей.Белимумаб используется для лечения волчанки, которая не поражает почки и не отвечает на другие виды лечения.
  • Ритуксимаб (Rituxan®) : Это лекарство также представляет собой моноклональное антитело, которое снижает активность лейкоцитов (лимфоцитов), вырабатывающих аутоантитела. Иногда его используют для лечения волчанки, не поддающейся другим видам лечения.

Перспективы/прогноз

Можно ли вылечить волчанку?

В настоящее время нет лекарства от волчанки. Лечение волчанки направлено на контроль ваших симптомов и ограничение ущерба, который болезнь наносит вашему телу. Состоянием можно управлять, чтобы свести к минимуму влияние волчанки на вашу жизнь, но оно никогда не исчезнет.

Можно ли умереть от волчанки?

В большинстве случаев смерть вызывается не непосредственно волчанкой, а симптомами и повреждением органов. Такие проблемы, как повреждение почек, сердечно-сосудистые заболевания и инфекции, могут нанести серьезный вред и быть опасными для жизни.

Заразна ли волчанка?

Волчанка не заразна и не может передаваться от одного человека к другому при прикосновении, чихании или кашле.

Жить с

Могу ли я забеременеть, если у меня волчанка?

Женщины с волчанкой могут забеременеть. Однако существует риск неблагоприятного исхода беременности (выкидыша) у людей с волчанкой. Если вы планируете забеременеть в будущем, начните говорить со своим лечащим врачом за несколько месяцев до зачатия во время предварительной консультации. Вашему поставщику может потребоваться скорректировать ваши лекарства от волчанки, чтобы убедиться, что они безопасны для беременности.

Если у меня волчанка, передам ли я ее своим детям?

Волчанка может быть вызвана генетическим фактором.Ваш риск заболеть волчанкой увеличивается, если у вас есть другие члены семьи с этим заболеванием. Мать с волчанкой может передать ее своему ребенку. Однако это происходит не всегда и не часто. Некоторые женщины с волчанкой рожают ребенка с этим заболеванием, а другие нет. Если у вас есть семейная история волчанки или вы сами болеете волчанкой и думаете о беременности, поговорите со своим лечащим врачом.

Что я могу сделать, чтобы предотвратить обострение волчанки?

Хотя саму волчанку нельзя предотвратить, вы можете внести изменения в свою повседневную жизнь, чтобы избежать обострений ваших симптомов.Вот несколько вещей, которые можно попробовать:

  • Избегайте пребывания на солнце : Для многих больных волчанкой пребывание на солнце может быть проблемой. Старайтесь не выходить на улицу в часы пик, когда светит солнце, носите защитную одежду (с длинными рукавами и шляпу с полями) и наносите солнцезащитный крем.
  • Оставаться в движении : Боль в суставах может вызвать у вас желание сесть и отдохнуть, но на самом деле могут помочь легкие упражнения.
  • Поддержание здоровых привычек : Несколько привычек, о которых следует помнить, включают здоровый выбор в отношении пищи, достаточное количество сна и сокращение стресса в вашей жизни.Существует также сильная связь между волчанкой и сердечными заболеваниями. Убедитесь, что вы работаете со своей медицинской командой, чтобы снизить риск возникновения проблем с сердцем.

Записка из клиники Кливленда

Если вы испытываете симптомы волчанки, обратитесь к своему лечащему врачу. Диагностика волчанки может занять много времени из-за широкого спектра симптомов и медленного нарастания симптомов с течением времени. Постановка диагноза — это первый шаг к управлению состоянием и улучшению качества жизни.

Причины, типы, симптомы, лечение и исход

Обзор

У людей с волчанкой может появиться сыпь на лице. Этот симптом волчанки часто описывается как похожий на бабочку.

Что такое волчанка?

Системная красная волчанка (СКВ), обычно называемая просто волчанкой, представляет собой хроническое аутоиммунное заболевание, которое может вызывать отек (воспаление) и боль во всем теле. Когда у вас аутоиммунное заболевание, иммунная система вашего организма борется сама с собой.Иммунная система должна бороться с возможными угрозами для организма, например с инфекциями, но в данном случае она атакует здоровые ткани.

Если у вас волчанка, вы можете испытывать боль в суставах, повышенную чувствительность кожи и сыпь, а также проблемы с внутренними органами (мозгом, легкими, почками и сердцем). Многие из ваших симптомов могут возникать и исчезать волнами, часто называемыми вспышками. Иногда симптомы волчанки могут быть легкими или незаметными (это означает, что они находятся в стадии ремиссии). В других случаях вы можете испытывать серьезные симптомы заболевания, которые сильно влияют на вашу повседневную жизнь.

Какие бывают виды волчанки?

Существует несколько различных типов волчанки. Наиболее часто встречается системная красная волчанка. Другие типы волчанки включают:

  • Кожная красная волчанка : Этот тип волчанки поражает кожу — кожный термин означает кожу. Люди с кожной красной волчанкой могут испытывать проблемы с кожей, такие как чувствительность к солнцу и сыпь. Выпадение волос также может быть симптомом этого состояния.
  • Медикаментозная волчанка : Эти случаи волчанки вызываются некоторыми лекарствами.Люди с лекарственной волчанкой могут иметь многие из симптомов системной красной волчанки, но обычно они носят временный характер. Часто этот тип волчанки проходит, как только вы прекращаете прием лекарства, которое ее вызывает.
  • Неонатальная волчанка : Редкий тип волчанки, неонатальная волчанка — это состояние, обнаруживаемое у младенцев при рождении. Дети, рожденные с неонатальной волчанкой, имеют антитела, которые были переданы им от их матерей, которые либо болели волчанкой во время беременности, либо могут заболеть в более позднем возрасте.Не у каждого ребенка, рожденного от матери, больной волчанкой, будет заболевание.

Кто болеет волчанкой?

Волчанка может быть у каждого. Это может случиться с женщинами, мужчинами, детьми и даже новорожденными. Это гораздо чаще встречается у женщин, чем у мужчин, причем около 90% диагностированных случаев приходится на женщин репродуктивного возраста. Эксперты затрудняются оценить, сколько людей в Соединенных Штатах болеют волчанкой, потому что ее трудно диагностировать. Волчанка имеет широкий спектр симптомов, которые также могут быть признаками других заболеваний.Из-за этого могут быть люди с волчанкой, у которых на протяжении всей жизни не диагностируют заболевание.

Волчанка также более характерна для некоторых этнических групп. Афроамериканки, латиноамериканки, азиатки и коренные американки более склонны к развитию этого заболевания, чем женщины европеоидной расы.

Ваш риск заболеть волчанкой также увеличивается, если у вас есть член семьи, больной волчанкой или другим аутоиммунным заболеванием.

Волчанка чаще встречается у женщин?

Волчанка гораздо чаще встречается у женщин, причем девять из 10 случаев встречаются у женщин.Часто женщин диагностируют в возрасте от 15 до 44 лет — в репродуктивном возрасте. Несмотря на то, что причина волчанки неизвестна, считается, что определенную роль в этом состоянии может играть гормон эстроген.

Что волчанка делает с телом?

Волчанка может поражать различные части тела. Это может вызвать боли, а также серьезные осложнения для ваших основных органов. Поскольку волчанка является аутоиммунным заболеванием, она заставляет ваше тело атаковать себя. Это может привести к повреждению органов с течением времени.

Части тела, которые могут быть поражены волчанкой, могут включать кожу, кровь, суставы, почки, мозг, сердце и легкие.

  • Кожа : Проблемы с кожей являются общим признаком волчанки. У некоторых людей с волчанкой появляется красная сыпь на щеках и переносице. Поскольку расположение этой сыпи совпадает с обычными отметинами волка, много лет назад этой болезни дали название «волчанка» (волк на латыни). Другие проблемы с кожей, которые могут возникнуть, включают крупную красную круглую сыпь (бляшки), на которой могут образоваться рубцы (так называемая дискоидная волчанка).Кожные высыпания обычно усиливаются под воздействием солнечных лучей. Выпадение волос и язвы во рту также распространены.
  • Кровь : Вовлечение крови может происходить с другими симптомами или без них. У людей с волчанкой может наблюдаться опасное снижение количества эритроцитов, лейкоцитов или тромбоцитов (клеток, которые помогают сворачивать кровь). Иногда изменения показателей крови могут способствовать возникновению симптомов усталости (низкое количество эритроцитов, анемия), серьезных инфекций (низкое количество лейкоцитов) или легких кровоподтеков (низкое количество тромбоцитов). Однако у многих людей нет симптомов, указывающих на аномалии крови, поэтому важно периодически сдавать анализы крови, чтобы выявить какие-либо проблемы. Сгустки крови чаще встречаются при волчанке. Сгустки часто возникают в ногах (сгусток в вене, называемый тромбозом глубоких вен), легких (сгусток в легком, называемый легочной эмболией) или головном мозге (инсульт). Сгустки крови, которые развиваются у больных волчанкой, могут быть связаны с продукцией антифосфолипидных антител. Эти антитела представляют собой аномальные белки, которые могут повышать склонность крови к свертыванию.
  • Суставы : Артрит очень распространен у людей, страдающих волчанкой. Может быть боль с отеком или без него. Скованность и боль могут быть особенно неприятными по утрам. Артрит может быть проблемой всего от нескольких дней до недель или может быть постоянным признаком болезни. К счастью, артрит обычно не калечит.
  • Почки : Поражение почек у людей с волчанкой потенциально опасно для жизни и может наблюдаться у половины больных волчанкой. Проблемы с почками могут стать очевидными, когда больные волчанкой чувствуют себя больными артритом, имеют сыпь, лихорадку и потерю веса. Реже заболевание почек может возникать при отсутствии других симптомов волчанки. Заболевание почек само по себе обычно не вызывает симптомов до тех пор, пока оно не достигнет поздних стадий. Важно своевременно диагностировать заболевание почек и проводить соответствующее лечение. Самые ранние признаки заболевания почек очевидны при анализе мочи, называемом анализом мочи.
  • Мозг : К счастью, вовлечение головного мозга у людей с волчанкой встречается редко.Когда он присутствует, он может вызывать спутанность сознания, депрессию, судороги и, редко, инсульты.
  • Сердце и легкие : Поражение сердца и легких часто вызывается воспалением оболочки сердца (перикарда) и легких (плевры). Когда эти структуры воспаляются, у вас могут появиться боли в груди, нерегулярное сердцебиение и накопление жидкости вокруг легких (плеврит или плеврит) и сердца (перикардит).

Симптомы и причины

Что вызывает волчанку?

Причина волчанки в настоящее время неизвестна.Исследователи все еще работают над тем, чтобы узнать больше о причине возникновения волчанки. Хотя точная причина неизвестна, есть факторы, которые могут играть роль в этом состоянии. Возможные факторы, которые могут вызвать волчанку, включают:

  • Гормональные изменения : Женщины чаще страдают волчанкой, чем мужчины, и это может быть частично связано с такими гормонами, как эстроген. Волчанка часто наблюдается у женщин репродуктивного возраста (от 15 до 44 лет), когда уровень эстрогена выше.
  • Факторы окружающей среды : Различные аспекты окружающей среды также могут увеличить риск заболевания волчанкой.Такие факторы, как количество солнечного света, которому вы подвергаетесь, лекарства, которые вы принимаете, вирусы, которым вы могли подвергаться, или даже стресс, могут быть возможными причинами волчанки. Курение в анамнезе также может быть возможной причиной волчанки.
  • Ваш семейный анамнез : Возможно, волчанка связана с генетическим фактором. Если у вас есть члены семьи, больные волчанкой, риск заболевания увеличивается.

Каковы симптомы волчанки?

Волчанка может сопровождаться самыми разнообразными симптомами.Не у всех с волчанкой будет одинаковый набор симптомов. Кроме того, многие из этих симптомов совпадают с симптомами других заболеваний. Это одна из трудностей диагностики волчанки.

Симптомы волчанки могут развиваться медленно. Со временем вы можете заметить новые симптомы. Тяжесть ваших симптомов также может меняться со временем. Иногда симптомы могут едва присутствовать (в стадии ремиссии), а иногда они могут обостряться. Обострение — это когда симптом внезапно становится более серьезным, чем раньше.

Симптомы волчанки могут включать:

Каковы симптомы волчанки у женщин?

Большинство людей с диагнозом волчанка — женщины. Женщины, как правило, испытывают общие симптомы волчанки, но у них также могут быть осложнения, поражающие различные части тела. Эти осложнения могут включать проблемы с почками (чаще встречаются у афроамериканок и латиноамериканок, чем у других групп), остеопороз и болезни сердца.

Что такое волчаночная сыпь?

Кожная сыпь является одним из частых симптомов волчанки.Сыпь при волчанке часто возникает в результате длительного пребывания на солнце и обычно длится от нескольких дней до нескольких недель. У вас может быть сыпь на лице, руках или запястьях. Когда у вас есть сыпь на лице, она обычно распространяется через переносицу и на каждую из ваших щек. Это часто называют «сыпью в виде бабочки» из-за формы на вашем лице.

Кожная сыпь может вызывать дискомфорт и зуд. Эти высыпания могут иногда исчезать через короткий промежуток времени. Однако некоторые высыпания и язвы на коже могут оставаться постоянными.

Почему волчанка вызывает выпадение волос?

Одним из осложнений волчанки может быть повреждение кожи и выпадение волос. У людей с волчанкой могут образовываться рубцы на коже и волосистой части головы из-за сыпи. Это может привести к истончению и выпадению волос. Вы также можете испытывать выпадение волос как побочный эффект некоторых лекарств для лечения волчанки — выпадение волос может быть побочным эффектом стероидов. Если ваши волосы редеют или выпадают, поговорите со своим лечащим врачом. Иногда смена лекарств может помочь решить эту проблему.Ваш врач может также порекомендовать использовать мягкие шампуни (детский шампунь).

Почему волчанка вызывает увеличение или потерю веса?

Многие люди с волчанкой могут терять вес. Это может быть вызвано лекарствами, которые используются для лечения волчанки, или дискомфортом самого заболевания. С другой стороны, некоторые люди могут набрать вес, если обнаружат, что малоподвижны из-за боли в суставах. При волчанке важно соблюдать здоровую диету. Поговорите со своим лечащим врачом и, возможно, с диетологом (специалистом по питанию), чтобы определить наилучшую для вас диету.

Диагностика и тесты

Как диагностируется волчанка?

Процесс диагностики волчанки может быть длительным и трудным. Симптомы, которые могут возникнуть при волчанке, могут совпадать с симптомами других состояний, например диабета и артрита. Для развития симптомов волчанки также может потребоваться время, что усложняет диагностику заболевания.

Ваш лечащий врач обычно начинает с семейного анамнеза, чтобы узнать, есть ли волчанка в вашей семье.Затем ваш врач захочет обсудить любые симптомы, которые вы испытали. После разговора с вами о ваших симптомах ваш врач обычно проводит некоторые лабораторные анализы. Эти тесты ищут такие вещи, как низкий уровень клеток крови, анемия и другие отклонения.

Поставщик также может провести тест на антинуклеарные антитела (ANA). Этот тест ищет антитела — белки в вашем организме, которые защищают от болезней — которые могут быть признаком того, что у вас аутоиммунное заболевание. Люди с системной красной волчанкой обычно дают положительный результат на ANA.

Означает ли положительный тест на антинуклеарные антитела (ANA) наличие у меня волчанки?

Положительный результат теста только на антинуклеарные антитела не означает, что у вас волчанка. Тест на ANA положительный у большинства людей с волчанкой, но он также положительный у многих людей, у которых нет волчанки. Из-за этого одного положительного результата ANA недостаточно для диагностики волчанки. Прежде чем ставить диагноз волчанки, ваш врач, как правило, ищет как минимум три других клинических признака (включая симптомы и семейный анамнез).

Управление и лечение

Как лечится волчанка?

То, как ваш врач лечит волчанку, может зависеть от нескольких факторов, в том числе:

  • Симптомы и осложнения, которые вы испытываете.
  • Серьезность вашего дела.
  • Ваш возраст.
  • Тип лекарств, которые вы принимаете.
  • Ваше общее состояние здоровья.
  • Ваша история болезни.

Волчанка — это пожизненное (хроническое) заболевание, требующее регулярного лечения. Целью лечения является достижение ремиссии ваших симптомов (не активной) и ограничение ущерба, который болезнь наносит вашим органам. К сожалению, волчанка непредсказуема, и то, как это состояние влияет на вас, может меняться со временем. Вам нужно будет регулярно посещать своего поставщика медицинских услуг и адаптировать свой план лечения в соответствии с вашими симптомами.

Некоторым людям с легкими проявлениями волчанки может потребоваться ограниченное лечение. У этих людей могут быть симптомы, за которыми наблюдают и следят, чтобы убедиться, что они не ухудшаются, но в настоящее время они не нуждаются в лечении.Другим может потребоваться агрессивный план лечения. Эти люди, как правило, имеют более серьезные осложнения (например, осложнения на сердце, легкие или почки). Ваш лечащий врач обсудит с вами наилучшие варианты лечения с учетом ваших симптомов, осложнений и истории болезни.

Какие самые распространенные лекарства от волчанки?

Лекарства, которые можно использовать для лечения волчанки, включают:

  • Стероиды (кортикостероиды, включая преднизолон): Стероидные кремы можно наносить непосредственно на сыпь. Использование кремов обычно безопасно и эффективно, особенно при легкой сыпи. Использование стероидных кремов или таблеток в низких дозах может быть эффективным при легких или умеренных проявлениях волчанки. Стероиды также могут быть использованы в более высоких дозах, когда внутренние органы находятся под угрозой. К сожалению, высокие дозы также чаще всего вызывают побочные эффекты.
  • Гидроксихлорохин (Plaquenil®) : Это лекарство обычно используется, чтобы держать под контролем легкие проблемы, связанные с волчанкой, такие как заболевания кожи и суставов.Он также используется для лечения усталости и язв во рту.
  • Азатиоприн (Имуран®): Лекарство, первоначально использовавшееся для предотвращения отторжения трансплантированных органов, обычно используется для лечения более серьезных проявлений волчанки.
  • Метотрексат (Rheumatrex®): Это лекарство является еще одним химиотерапевтическим препаратом, который используется для подавления иммунной системы. Его использование становится все более популярным при кожных заболеваниях, артрите и других неопасных для жизни формах заболеваний, которые не реагируют на такие лекарства, как гидроксихлорохин или низкие дозы преднизолона.
  • Циклофосфамид (Cytoxan®) и микофенолата мофетил (CellCept®): Эти препараты являются химиотерапевтическими препаратами, оказывающими очень сильное воздействие на снижение активности иммунной системы. Они используются для лечения более тяжелых форм волчанки, особенно волчанки, поражающей почки.
  • Белимумаб (Benlysta®): Это лекарство представляет собой моноклональное антитело, которое снижает активность лейкоцитов (лимфоцитов), вырабатывающих аутоантитела. Аутоантитела важны, поскольку они вызывают повреждение тканей.Белимумаб используется для лечения волчанки, которая не поражает почки и не отвечает на другие виды лечения.
  • Ритуксимаб (Rituxan®) : Это лекарство также представляет собой моноклональное антитело, которое снижает активность лейкоцитов (лимфоцитов), вырабатывающих аутоантитела. Иногда его используют для лечения волчанки, не поддающейся другим видам лечения.

Перспективы/прогноз

Можно ли вылечить волчанку?

В настоящее время нет лекарства от волчанки.Лечение волчанки направлено на контроль ваших симптомов и ограничение ущерба, который болезнь наносит вашему телу. Состоянием можно управлять, чтобы свести к минимуму влияние волчанки на вашу жизнь, но оно никогда не исчезнет.

Можно ли умереть от волчанки?

В большинстве случаев смерть вызывается не непосредственно волчанкой, а симптомами и повреждением органов. Такие проблемы, как повреждение почек, сердечно-сосудистые заболевания и инфекции, могут нанести серьезный вред и быть опасными для жизни.

Заразна ли волчанка?

Волчанка не заразна и не может передаваться от одного человека к другому при прикосновении, чихании или кашле.

Жить с

Могу ли я забеременеть, если у меня волчанка?

Женщины с волчанкой могут забеременеть. Однако существует риск неблагоприятного исхода беременности (выкидыша) у людей с волчанкой. Если вы планируете забеременеть в будущем, начните говорить со своим лечащим врачом за несколько месяцев до зачатия во время предварительной консультации. Вашему поставщику может потребоваться скорректировать ваши лекарства от волчанки, чтобы убедиться, что они безопасны для беременности.

Если у меня волчанка, передам ли я ее своим детям?

Волчанка может быть вызвана генетическим фактором.Ваш риск заболеть волчанкой увеличивается, если у вас есть другие члены семьи с этим заболеванием. Мать с волчанкой может передать ее своему ребенку. Однако это происходит не всегда и не часто. Некоторые женщины с волчанкой рожают ребенка с этим заболеванием, а другие нет. Если у вас есть семейная история волчанки или вы сами болеете волчанкой и думаете о беременности, поговорите со своим лечащим врачом.

Что я могу сделать, чтобы предотвратить обострение волчанки?

Хотя саму волчанку нельзя предотвратить, вы можете внести изменения в свою повседневную жизнь, чтобы избежать обострений ваших симптомов. Вот несколько вещей, которые можно попробовать:

  • Избегайте пребывания на солнце : Для многих больных волчанкой пребывание на солнце может быть проблемой. Старайтесь не выходить на улицу в часы пик, когда светит солнце, носите защитную одежду (с длинными рукавами и шляпу с полями) и наносите солнцезащитный крем.
  • Оставаться в движении : Боль в суставах может вызвать у вас желание сесть и отдохнуть, но на самом деле могут помочь легкие упражнения.
  • Поддержание здоровых привычек : Несколько привычек, о которых следует помнить, включают здоровый выбор в отношении пищи, достаточное количество сна и сокращение стресса в вашей жизни.Существует также сильная связь между волчанкой и сердечными заболеваниями. Убедитесь, что вы работаете со своей медицинской командой, чтобы снизить риск возникновения проблем с сердцем.

Записка из клиники Кливленда

Если вы испытываете симптомы волчанки, обратитесь к своему лечащему врачу. Диагностика волчанки может занять много времени из-за широкого спектра симптомов и медленного нарастания симптомов с течением времени. Постановка диагноза — это первый шаг к управлению состоянием и улучшению качества жизни.

Передача сигналов Toll-подобных рецепторов в В-клетках при системной красной волчанке

  • 1.

    Crickx, E., Weill, JC, Reynaud, CA & Mahevas, M. неудачи и перспективы на будущее. Почки, внутр. 97 , 885–893 (2020).

    КАС пабмед Google Scholar

  • 2.

    Shen, P. & Fillatreau, S. Антитело-независимые функции B-клеток: фокус на цитокины. Нац. Преподобный Иммунол. 15 , 441–451 (2015).

    КАС пабмед Google Scholar

  • 3.

    Davis, M.L.R. et al. Ассоциации однонуклеотидных полиморфизмов толл-подобного рецептора (TLR)-4 и прогрессирования заболевания ревматоидным артритом: обсервационное когортное исследование. Междунар. Иммунофармак. 24 , 346–352 (2015).

    КАС пабмед Google Scholar

  • 4.

    Алзабин, С. и др. Изучение роли эндосомальных толл-подобных рецепторов при артрите, индуцированном коллагеном у мышей, выявило потенциальную роль TLR7 в поддержании заболевания. Артрит Рез. тер. 14 , R142 (2012).

    КАС пабмед ПабМед Центральный Google Scholar

  • 5.

    Ruprecht, C.R. & Lanzavecchia, A. Стимуляция Toll-подобных рецепторов как третий сигнал, необходимый для активации наивных В-клеток человека. евро. Дж. Иммунол. 36 , 810–816 (2006).

    КАС пабмед Google Scholar

  • 6.

    Jiang, W. et al. Стимуляция TLR9 заставляет наивные В-клетки пролиферировать и достигать усиленной антигенпрезентирующей функции. евро. Дж. Иммунол. 37 , 2205–2213 (2007).

    КАС пабмед Google Scholar

  • 7.

    Лампропулу, В.и другие. TLR-активированные В-клетки подавляют аутоиммунитет, опосредованный Т-клетками. Дж. Иммунол. 180 , 4763–4773 (2008).

    КАС пабмед Google Scholar

  • 8.

    Ли, Ю. Х., Чой, С. Дж., Джи, Дж. Д. и Сонг, Г. Г. Связь между полиморфизмом толл-подобных рецепторов и системной красной волчанкой: обновление метаанализа. Волчанка 25 , 593–601 (2016).

    КАС пабмед Google Scholar

  • 9.

    Мохан, К. и Путтерман, К. Генетика и патогенез системной красной волчанки и волчаночного нефрита. Нац. Преподобный Нефрол. 11 , 329–341 (2015).

    КАС пабмед Google Scholar

  • 10.

    Писиткун П. и др. Аутореактивные В-клеточные ответы на РНК-родственные антигены из-за дупликации гена TLR7. Наука 312 , 1669–1672 (2006).

    КАС пабмед Google Scholar

  • 11.

    Гарсия-Ортис, Х. и др. Ассоциация вариации числа копий TLR7 с восприимчивостью к системной красной волчанке у детей в мексиканском населении. Энн. Реум. Дис. 69 , 1861–1865 (2010).

    КАС пабмед Google Scholar

  • 12.

    Conrad, D. F. et al. Происхождение и функциональное влияние вариации числа копий в геноме человека. Природа 464 , 704–712 (2010).

    КАС пабмед Google Scholar

  • 13.

    Wang, C.M. et al. Генетические вариации toll-подобных рецепторов (TLR 3/7/8) связаны с системной красной волчанкой у населения Тайваня. Науч. 4 , 3792 (2014).

    ПабМед ПабМед Центральный Google Scholar

  • 14.

    Souyris, M. et al. TLR7 избегает инактивации Х-хромосомы в иммунных клетках. Науч. Иммунол. 3 , eaap8855 (2018). В этой статье документально подтвержден тот факт, что TLR7 избегают полной инактивации на молчащей Х-хромосоме у женщин, что приводит к гендерным различиям в ее экспрессии, что может способствовать более высокой заболеваемости СКВ у женщин, чем у мужчин .

    ПабМед Google Scholar

  • 15.

    Марджери-Мьюир А. А., Банделл К., Нельсон Д., Groth, DM & Wetherall, JD. Гендерный баланс у пациентов с системной красной волчанкой. Аутоиммун. 16 , 258–268 (2017).

    ПабМед Google Scholar

  • 16.

    Scofield, R.H. et al. Синдром Клайнфельтера (47, XXY) у мужчин с системной красной волчанкой: поддержка представления о влиянии дозы гена от Х-хромосомы. Ревматоидный артрит. 58 , 2511–2517 (2008).

    ПабМед ПабМед Центральный Google Scholar

  • 17.

    Ханна Казазян, Н. и др. Аутоиммунитет волчанки и метаболические параметры усугубляются при ожирении, вызванном диетой с высоким содержанием жиров, из-за передачи сигналов TLR7. Фронт. Иммунол. 10 , 2015 (2019).

    ПабМед ПабМед Центральный Google Scholar

  • 18.

    Bekeredjian-Ding, I.B. et al. Плазмацитоидные дендритные клетки контролируют чувствительность TLR7 наивных В-клеток через IFN I типа. Дж. Иммунол. 174 , 4043–4050 (2005).

    ПабМед Google Scholar

  • 19.

    Deane, J.A. et al. Контроль экспрессии толл-подобного рецептора 7 необходим для ограничения аутоиммунитета и пролиферации дендритных клеток. Иммунитет 27 , 801–810 (2007).

    КАС пабмед ПабМед Центральный Google Scholar

  • 20.

    Уолш, Э.Р. и др. Двойная передача сигналов рецепторами врожденного и адаптивного иммунитета необходима для индуцированного TLR7 аутоиммунитета, опосредованного В-клетками. Проц. Натл акад. науч. США 109 , 16276–16281 (2012).

    КАС пабмед Google Scholar

  • 21.

    Christensen, S. R. et al. Toll-подобный рецептор 7 и TLR9 диктуют специфичность аутоантител и играют противоположные воспалительные и регуляторные роли в мышиной модели волчанки. Иммунитет 25 , 417–428 (2006).

    КАС пабмед Google Scholar

  • 22.

    Fairhurst, A. M. et al. Аутоиммунные фенотипы Yaa обусловлены сверхэкспрессией TLR7. евро. Дж. Иммунол. 38 , 1971–1978 (2008).

    КАС пабмед ПабМед Центральный Google Scholar

  • 23.

    Jackson, S.W. et al. Противоположное влияние внутренних сигналов TLR7 и TLR9 В-клеток на репертуар аутоантител и системное воспаление. Дж. Иммунол. 192 , 4525–4532 (2014).

    КАС пабмед ПабМед Центральный Google Scholar

  • 24.

    Miyake, K. Толл-подобные рецепторы, чувствительные к нуклеиновым кислотам: вне поиска лигандов. Доп. Наркотик Делив. 60 , 782–785 (2008).

    КАС пабмед Google Scholar

  • 25.

    Тран, Н. Л., Манзин-Лоренци, К. и Сантьяго-Рабер, М.L. Делеция Toll-подобного рецептора 8 ускоряет аутоиммунитет в мышиной модели волчанки посредством механизма, зависящего от толл-подобного рецептора 7. Иммунология 145 , 60–70 (2015).

    КАС пабмед ПабМед Центральный Google Scholar

  • 26.

    Desnues, B. et al. TLR8 на дендритных клетках и TLR9 на В-клетках сдерживают опосредованный TLR7 спонтанный аутоиммунитет у мышей C57BL/6. Проц. Натл акад. науч. США 111 , 1497–1502 (2014).

    КАС пабмед Google Scholar

  • 27.

    Tilstra, J.S. et al. Присущая В-клеткам экспрессия TLR9 является защитной при мышиной волчанке. Дж. Клин. Вкладывать деньги. 130 , 3172–3187 (2020).

    КАС пабмед ПабМед Центральный Google Scholar

  • 28.

    Umiker, B.R. et al. Дозировка Х-сцепленного толл-подобного рецептора 8 определяет гендерные различия в развитии системной красной волчанки. евро. Дж. Иммунол. 44 , 1503–1516 (2014).

    КАС пабмед ПабМед Центральный Google Scholar

  • 29.

    Eckl-Dorna, J. & Batista, F.D. Опосредованное BCR поглощение антигена, связанного с лигандом TLR9, стимулирует пролиферацию В-клеток и образование антигенспецифических плазматических клеток. Кровь 113 , 3969–3977 (2009).

    КАС пабмед Google Scholar

  • 30.

    Viglianti, G.A. et al. Активация аутореактивных В-клеток с помощью двухцепочечной ДНК CpG. Иммунитет 19 , 837–847 (2003).

    КАС пабмед Google Scholar

  • 31.

    Lau, C.M. et al. РНК-ассоциированные аутоантигены активируют В-клетки за счет комбинированного взаимодействия рецептора В-клеточного антигена/Toll-подобного рецептора 7. Дж. Экспл. Мед. 202 , 1171–1177 (2005).

    КАС пабмед ПабМед Центральный Google Scholar

  • 32.

    Christensen, S.R. et al. Толл-подобный рецептор 9 контролирует выработку аутоантител к ДНК при волчанке мышей. Дж. Экспл. Мед. 202 , 321–331 (2005).

    КАС пабмед ПабМед Центральный Google Scholar

  • 33.

    Nundel, K. et al. Присущая клеткам экспрессия TLR9 в аутореактивных В-клетках ограничивает BCR/TLR7-зависимые ответы. Дж. Иммунол. 194 , 2504–2512 (2015).

    ПабМед ПабМед Центральный Google Scholar

  • 34.

    Сони, К. и др. Внутренняя передача сигналов TLR7 В-клетками необходима для развития спонтанных зародышевых центров. Дж. Иммунол. 193 , 4400–4414 (2014).

    КАС пабмед ПабМед Центральный Google Scholar

  • 35.

    Fukui, R. et al. Unc93B1 ограничивает системное летальное воспаление, организуя доставку toll-подобных рецепторов 7 и 9. Иммунитет 35 , 69–81 (2011).

    КАС пабмед Google Scholar

  • 36.

    Фукуи Р. и др. Unc93B1 смещает ответы toll-подобных рецепторов на нуклеиновую кислоту в дендритных клетках в сторону восприятия ДНК, но против восприятия РНК. Дж. Экспл. Мед. 206 , 1339–1350 (2009).

    КАС пабмед ПабМед Центральный Google Scholar

  • 37.

    Майер, О., Лю, Б., Кройк, Л.С.М., Кроган, Н. и Бартон, Г.М. UNC93B1 рекрутирует синтенин-1 для подавления передачи сигналов TLR7 и предотвращения аутоиммунитета. Природа 575 , 366–370 (2019). В этой статье описывается механизм, участвующий в прекращении передачи сигналов TLR7, и его важность для предотвращения системного аутоиммунитета .

    КАС пабмед ПабМед Центральный Google Scholar

  • 38.

    Leeb, T. et al. Миссенс-вариант, поражающий С-концевой хвост UNC93B1 у собак с эксфолиативной кожной красной волчанкой (ECLE). Гены 11 , 159 (2020).

    КАС ПабМед Центральный Google Scholar

  • 39.

    Ясутомо, К. и др. Мутация DNASE1 у людей с системной красной волчанкой. Нац. Жене. 28 , 313–314 (2001).

    КАС пабмед Google Scholar

  • 40.

    Napirei, M. et al. Особенности системной красной волчанки у мышей с дефицитом Dnase1. Нац. Жене. 25 , 177–181 (2000).

    КАС пабмед Google Scholar

  • 41.

    Casciola-Rosen, L. A., Anhalt, G. & Rosen, A. Аутоантигены, нацеленные на системную красную волчанку, сгруппированы в две популяции поверхностных структур на апоптотических кератиноцитах. Дж. Экспл. Мед. 179 , 1317–1330 (1994).

    КАС пабмед Google Scholar

  • 42.

    Shao, W.H. & Cohen, P.L. Нарушения клиренса апоптотических клеток при системной красной волчанке. Артрит Рез.тер. 13 , 202 (2011).

    ПабМед ПабМед Центральный Google Scholar

  • 43.

    Negishi, H. et al. Идентификация U11snRNA как эндогенного агониста TLR7-опосредованного иммунного патогенеза. Проц. Натл акад. науч. США 116 , 23653–23661 (2019).

    КАС пабмед Google Scholar

  • 44.

    Greiling, T.M. et al.Комменсальные ортологи человеческого аутоантигена Ro60 как триггеры аутоиммунитета при волчанке. Науч. Перевод Мед. 10 , eaan2306 (2018). В этой работе подчеркивается потенциальная роль иммунного перекрестного распознавания само- и комменсально экспрессируемого бактериями Ro60 в запуске SLE .

    ПабМед ПабМед Центральный Google Scholar

  • 45.

    Richardson, C. et al. Молекулярные основы аутореактивности В-клеток 9G4 при системной красной волчанке человека. Дж. Иммунол. 191 , 4926–4939 (2013).

    КАС пабмед ПабМед Центральный Google Scholar

  • 46.

    Richardson, C.T. et al. Нарушение толерантности В-клеток при ОВИН. Фронт. Иммунол. 10 , 2881 (2019).

    КАС пабмед ПабМед Центральный Google Scholar

  • 47.

    Jenks, S.A. et al. Отдельные эффекторные В-клетки, индуцируемые нерегулируемым толл-подобным рецептором 7, вносят вклад в патогенные ответы при системной красной волчанке. Иммунитет 52 , 203 (2020).

    КАС пабмед ПабМед Центральный Google Scholar

  • 48.

    Schickel, J. N. et al. Самореактивные В-клетки IgG, экспрессирующие Vh5-34, распознают комменсальные бактерии. Дж. Экспл. Мед. 214 , 1991–2003 (2017).

    КАС пабмед ПабМед Центральный Google Scholar

  • 49.

    Якоби, А.М. и др. Корреляция между циркулирующими плазматическими клетками CD27high и активностью заболевания у пациентов с системной красной волчанкой. Ревматоидный артрит. 48 , 1332–1342 (2003).

    ПабМед Google Scholar

  • 50.

    Tipton, C.M. et al. Разнообразие, клеточное происхождение и аутореактивность увеличения популяции клеток, секретирующих антитела, при острой системной красной волчанке. Нац. Иммунол. 16 , 755–765 (2015).

    КАС пабмед ПабМед Центральный Google Scholar

  • 51.

    Клинман, Д. М. и Стейнберг, А. Д. Системное аутоиммунное заболевание возникает в результате активации поликлональных В-клеток. Дж. Экспл. Мед. 165 , 1755–1760 (1987).

    КАС пабмед Google Scholar

  • 52.

    Jenks, S.A. et al. Отдельные эффекторные В-клетки, индуцируемые нерегулируемым толл-подобным рецептором 7, вносят вклад в патогенные ответы при системной красной волчанке. Иммунитет 49 , 725–739 e726 (2018). В этой публикации подразумевается роль TLR7 в дифференцировке субпопуляций эффекторных В-клеток, вовлеченных в СКВ .

    КАС пабмед ПабМед Центральный Google Scholar

  • 53.

    Дженкс, С. А., Кэшман, К. С., Вудрафф, М. К., Ли, Ф. Э. и Санс, И. Экстрафолликулярные реакции у людей и СКВ. Иммунол. 288 , 136–148 (2019).

    КАС пабмед ПабМед Центральный Google Scholar

  • 54.

    Натт, С. Л., Ходжкин, П. Д., Тарлинтон, Д. М. и Коркоран, Л. М. Генерация секретирующих антитела плазматических клеток. Нац. Преподобный Иммунол. 15 , 160–171 (2015).

    КАС пабмед Google Scholar

  • 55.

    Wang, S. et al. IL-21 стимулирует экспансию и дифференцировку плазматических клеток аутореактивных CD11c hi T-bet + В-клеток при СКВ. Нац. коммун. 9 , 1758 (2018).

    ПабМед ПабМед Центральный Google Scholar

  • 56.

    Buchta, C.M. & Bishop, G.A. TRAF5 отрицательно регулирует передачу сигналов TLR в B-лимфоцитах. Дж. Иммунол. 192 , 145–150 (2014).

    КАС пабмед Google Scholar

  • 57.

    Краус, З. Дж., Накано, Х. и Бишоп, Г. А.TRAF5 является критическим медиатором сигналов in vitro и функций LMP1 in vivo, вирусного онкогенного миметика CD40. Проц. Натл акад. науч. США 106 , 17140–17145 (2009 г.).

    КАС пабмед Google Scholar

  • 58.

    Zumaquero, E. et al. IFNγ индуцирует эпигенетическое программирование человеческих В-клеток T-bet hi и способствует дифференцировке, индуцированной TLR7/8 и IL-21. eLife 8 , e41641 (2019).

    ПабМед ПабМед Центральный Google Scholar

  • 59.

    Lu, R. et al. Дисрегуляция врожденных и адаптивных медиаторов сыворотки предшествует классификации системной красной волчанки и улучшает прогностическую точность аутоантител. J. Аутоиммун. 74 , 182–193 (2016).

    КАС пабмед ПабМед Центральный Google Scholar

  • 60.

    Манро, М.Э. и др. Измененный интерферон II типа предшествует накоплению аутоантител, а повышенная активность интерферона I типа предшествует классификации системной красной волчанки. Энн. Реум. Дис. 75 , 2014–2021 (2016).

    КАС пабмед ПабМед Центральный Google Scholar

  • 61.

    Gies, V. et al. Нарушение ответов TLR9 в В-клетках у пациентов с системной красной волчанкой. JCI Insight 3 , e96795 (2018).

    Центральный пабмед Google Scholar

  • 62.

    Sieber, J. et al. Активная системная красная волчанка связана со снижением продукции цитокинов В-клетками в ответ на стимуляцию TLR9. Артрит Рез. тер. 16 , 477 (2014).

    ПабМед ПабМед Центральный Google Scholar

  • 63.

    Рубцов А.В. Управляемое Toll-подобным рецептором 7 (TLR7) накопление новой популяции CD11c + B-клеток важно для развития аутоиммунитета. Кровь 118 , 1305–1315 (2011).

    КАС пабмед ПабМед Центральный Google Scholar

  • 64.

    Boneparth, A. et al. TLR7 влияет на выбор зародышевых центров при СКВ у мышей. PLoS One 10 , e0119925 (2015 г.).

    ПабМед ПабМед Центральный Google Scholar

  • 65.

    Domeier, P. P. et al. Рецептор IFN-γ и передача сигналов STAT1 в В-клетках играют центральную роль в спонтанном образовании зародышевого центра и аутоиммунитете. Дж. Экспл. Мед. 213 , 715–732 (2016).

    КАС пабмед ПабМед Центральный Google Scholar

  • 66.

    Jackson, S.W. et al. Передача сигналов рецептора IFN-гамма В-клеток способствует аутоиммунным зародышевым центрам посредством внутренней индукции BCL-6 в клетке. Дж. Экспл. Мед. 213 , 733–750 (2016).

    КАС пабмед ПабМед Центральный Google Scholar

  • 67.

    Thibault, D.L. et al. IRF9 и STAT1 необходимы для продукции аутоантител IgG и экспрессии TLR7 В-клетками у мышей. Дж. Клин. Вкладывать деньги. 118 , 1417–1426 (2008).

    КАС пабмед ПабМед Центральный Google Scholar

  • 68.

    Chodisetti, S.B. et al. Передача сигналов IFN типа II, но не типа I, необходима для стимулируемого TLR7 развития аутореактивных В-клеток и системного аутоиммунитета. Дж.Иммунол. 204 , 796–809 (2020).

    КАС пабмед Google Scholar

  • 69.

    Дорнер Т. и Липски П. Е. В-клетки: истощение или функциональная модуляция при ревматических заболеваниях. Курс. мнение Ревматол. 26 , 228–236 (2014).

    ПабМед Google Scholar

  • 70.

    Woodruff, M. et al. Экстрафолликулярные В-клеточные ответы коррелируют с нейтрализующими антителами и заболеваемостью при COVID-19. Нац. Иммунол. 21 , 1506–1516 (2020).

    ПабМед ПабМед Центральный Google Scholar

  • 71.

    Becker-Herman, S. et al. WASp-дефицитные В-клетки играют критическую, внутренне присущую клеткам роль в запуске аутоиммунитета. Дж. Экспл. Мед. 208 , 2033–2042 (2011).

    КАС пабмед ПабМед Центральный Google Scholar

  • 72.

    Тейхманн Л.Л., Шентен Д., Меджитов Р., Кашгарян М. и Шломчик М.Дж. Сигналы через адаптер MyD88 в В-клетках и дендритных клетках вносят отчетливый и синергетический вклад в иммунную активацию и повреждение тканей при волчанке. Иммунитет 38 , 528–540 (2013).

    КАС пабмед ПабМед Центральный Google Scholar

  • 73.

    Hua, Z. et al. Необходимость передачи сигналов MyD88 в В-клетках и дендритных клетках для продукции антинуклеарных антител зародышевым центром у мышей с дефицитом Lyn. Дж. Иммунол. 192 , 875–885 (2014).

    КАС пабмед Google Scholar

  • 74.

    Fillatreau, S., Sweenie, C.H., McGeachy, M.J., Gray, D. & Anderton, S.M. В-клетки регулируют аутоиммунитет, обеспечивая IL-10. Нац. Иммунол. 3 , 944–950 (2002).

    КАС пабмед Google Scholar

  • 75.

    Скапини, П.и другие. IL-10, полученный из В-клеток, подавляет воспалительное заболевание у мышей с дефицитом Lyn. Проц. Натл акад. науч. США 108 , E823–E832 (2011 г.).

    КАС пабмед Google Scholar

  • 76.

    Schweighoffer, E., Nys, J., Vanes, L., Smithers, N. & Tybulewicz, V.L.J. Сигналы TLR4 в В-лимфоцитах передаются через В-клеточный антигенный рецептор и SYK. Дж. Экспл. Мед. 214 , 1269–1280 (2017). В этой статье подразумевается роль BCR и его ключевого сигнального адаптера SYK в передаче сигналов TLR в B-клетках .

    КАС пабмед ПабМед Центральный Google Scholar

  • 77.

    Otipoby, K.L. et al. В-клеточный антигенный рецептор интегрирует сигналы адаптивного и врожденного иммунитета. Проц. Натл акад. науч. США 112 , 12145–12150 (2015).

    КАС пабмед Google Scholar

  • 78.

    Рет М. и Браммер Т. Регулирование обратной связи передачи сигналов лимфоцитов. Нац. Преподобный Иммунол. 4 , 269–277 (2004).

    КАС пабмед Google Scholar

  • 79.

    Ackermann, J.A. et al. Тирозинкиназа Syk имеет решающее значение для ответа антител В-клеток и выживания В-клеток памяти. Дж. Иммунол. 194 , 4650–4656 (2015).

    КАС пабмед ПабМед Центральный Google Scholar

  • 80.

    Bernasconi, N.L., Onai, N. & Lanzavecchia, A. Роль Toll-подобных рецепторов в приобретенном иммунитете: активация TLR9 посредством запуска BCR в наивных B-клетках и конститутивная экспрессия в B-клетках памяти. Кровь 101 , 4500–4504 (2003).

    КАС пабмед Google Scholar

  • 81.

    Юлия А. и др. Метаанализ полногеномных ассоциаций выявил пять новых локусов системной красной волчанки. Артрит Рез. тер. 20 , 100 (2018).

    ПабМед ПабМед Центральный Google Scholar

  • 82.

    Lino, A.C. et al. Ингибирующая экспрессия рецептора LAG-3 идентифицирует иммуносупрессивные естественные регуляторные плазматические клетки. Иммунитет 49 , 120–133 e129 (2018). В этой статье сообщается об идентификации подмножества естественных регуляторных плазматических клеток, подавляющих иммунитет зависимым от IL-10 образом и под управлением передачи сигналов TLR .

    КАС пабмед ПабМед Центральный Google Scholar

  • 83.

    Yanaba, K., Bouaziz, JD, Matsushita, T., Tsubata, T. & Tedder, TF Развитие и функция регуляторных В-клеток, экспрессирующих IL-10 (клетки B10), требуют разнообразия антигенных рецепторов и TLR сигналы. Дж. Иммунол. 182 , 7459–7472 (2009).

    КАС пабмед ПабМед Центральный Google Scholar

  • 84.

    Tackey, E., Lipsky, P.E. & Illei, G.G. Обоснование блокады интерлейкина-6 при системной красной волчанке. Волчанка 13 , 339–343 (2004).

    КАС пабмед ПабМед Центральный Google Scholar

  • 85.

    Абдель Галил, С. М., Эззельдин, Н. и Эль-Боши, М. Е. Роль сывороточных IL-17 и IL-6 как биомаркеров активности заболевания и предикторов ремиссии у пациентов с волчаночным нефритом. Цитокин 76 , 280–287 (2015).

    КАС пабмед Google Scholar

  • 86.

    Glaum, M.C. et al. Толл-подобный рецептор 7 индуцирует наивную дифференцировку В-клеток человека и продукцию иммуноглобулина. J. Аллергическая клиника. Иммунол. 123 , 224–230 e224 (2009).

    КАС пабмед Google Scholar

  • 87.

    Hanten, J.A. et al. Сравнение активации В-клеток человека агонистами TLR7 и TLR9. ВМС Иммунол. 9 , 39 (2008).

    ПабМед ПабМед Центральный Google Scholar

  • 88.

    Аркаткар Т. и др. IL-6, происходящий из В-клеток, инициирует спонтанное образование зародышевого центра во время системного аутоиммунитета. Дж. Экспл. Мед. 214 , 3207–3217 (2017). В этой статье показано, что образование спонтанных зародышевых центров, играющих ключевую роль в гуморальном иммунитете, контролируется продукцией IL-6 В-клетками, связывая их антителозависимую и антителонезависимую функции .

    КАС пабмед ПабМед Центральный Google Scholar

  • 89.

    Weissenberg, S.Y. et al. Идентификация и характеристика постактивированных В-клеток при системных аутоиммунных заболеваниях. Фронт. Иммунол. 10 , 2136 (2019).

    КАС пабмед ПабМед Центральный Google Scholar

  • 90.

    Keller, B. et al. Высокая экспрессия SYK вызывает конститутивную активацию CD21 low B-клеток. Дж. Иммунол. 198 , 4285–4292 (2017).

    КАС пабмед Google Scholar

  • 91.

    von Bernuth, H. et al. Пиогенные бактериальные инфекции у людей с дефицитом MyD88. Наука 321 , 691–696 (2008).

    Google Scholar

  • 92.

    Ku, C.L. et al. Селективная предрасположенность к бактериальным инфекциям у детей с дефицитом IRAK-4: в остальном IRAK-4-зависимые TLR избыточны в защитном иммунитете. Дж. Экспл. Мед. 204 , 2407–2422 (2007).

    КАС пабмед ПабМед Центральный Google Scholar

  • 93.

    Slack, E. et al. Врожденный и адаптивный иммунитет гибко взаимодействуют для поддержания мутуализма между хозяином и микробиотой. Наука 325 , 617–620 (2009).

    КАС пабмед ПабМед Центральный Google Scholar

  • 94.

    Ахмад-Неджад, П.и другие. Бактериальная CpG-ДНК и липополисахариды активируют Toll-подобные рецепторы в различных клеточных компартментах. евро. Дж. Иммунол. 32 , 1958–1968 (2002).

    КАС пабмед Google Scholar

  • 95.

    Schrezenmeier, E. & Dorner, T. Механизмы действия гидроксихлорохина и хлорохина: последствия для ревматологии. Нац. Преподобный Ревматол. 16 , 155–166 (2020).

    КАС пабмед Google Scholar

  • 96.

    Ториго, М. и др. Гидроксихлорохин эффективно подавляет воспалительные реакции В-клеток памяти человека с переключением классов посредством ингибирования толл-подобного рецептора 9. клин. Иммунол. 195 , 1–7 (2018).

    КАС пабмед Google Scholar

  • 97.

    Hjorton, K. et al. Продукция цитокинов активированными плазмоцитоидными дендритными клетками и естественными клетками-киллерами подавляется ингибитором IRAK4. Артрит Рез.тер. 20 , 238 (2018).

    ПабМед ПабМед Центральный Google Scholar

  • 98.

    Danto, S.I. et al. Безопасность, переносимость, фармакокинетика и фармакодинамика PF-06650833, селективного ингибитора киназы 4, ассоциированной с рецептором интерлейкина-1 (IRAK4), в рандомизированных исследованиях фазы 1 с однократным и многократным возрастанием дозы у здоровых добровольцев. Артрит Рез. тер. 21 , 269 (2019).

    КАС пабмед ПабМед Центральный Google Scholar

  • 99.

    Scarneo, S.A. и др. Высокоселективный ингибитор киназ 1/4, связанных с рецептором интерлейкина-1 (IRAK-1/4), определяет различные сигнальные роли IRAK-1/4 и киназы TAK1. Дж. Биол. хим. 295 , 1565–1574 (2020).

    КАС пабмед Google Scholar

  • 100.

    Браунштейн М.Дж., Кухарчик Дж. и Адамс С. Нацеливание на Toll-подобные рецепторы для лечения рака. Цель. Онкол. 13 , 583–598 (2018).

    ПабМед Google Scholar

  • 101.

    Cen, X., Liu, S. & Cheng, K. Роль Toll-подобных рецепторов в воспалении и опухолевом иммунитете. Фронт. Фармакол. 9 , 878 (2018).

    ПабМед ПабМед Центральный Google Scholar

  • 102.

    Felten, R. et al. Перечень таргетных методов лечения системной красной волчанки, находящихся в стадии клинической разработки, 2018 г. : систематический обзор испытаний. Аутоиммун. Ред. 17 , 781–790 (2018).

    ПабМед Google Scholar

  • 103.

    Дорнер Т. и Фьюри Р. Новые парадигмы системной красной волчанки. Ланцет 393 , 2344–2358 (2019).

    ПабМед Google Scholar

  • 104.

    Джавид, Н., Ясмин, Ф. и Чой, С. Толл-подобные рецепторы и соответствующие новые терапевтические средства со ссылкой на методы доставки. Фармацевтика 11 , 441 (2019).

    КАС ПабМед Центральный Google Scholar

  • 105.

    Роскоски, Р. мл. Свойства низкомолекулярных ингибиторов протеинкиназы, одобренных FDA: обновление 2020 г. Фармакол. Рез. 152 , 104609 (2020).

    КАС пабмед Google Scholar

  • 106.

    Berggren, O. et al. В-лимфоциты усиливают продукцию интерферона-альфа плазмоцитоидными дендритными клетками. Ревматоидный артрит. 64 , 3409–3419 (2012).

    КАС пабмед Google Scholar

  • 107.

    Mold, C. & Clos, T.W. С-реактивный белок ингибирует интерфероновые реакции плазмоцитоидных дендритных клеток на иммунные комплексы аутоантител. Ревматоидный артрит. 65 , 1891–1901 (2013).

    КАС пабмед ПабМед Центральный Google Scholar

  • 108.

    Гольденберг Г., Линкнер Р.В., Сингер Г. и Франкель А. Исследование по оценке безопасности и эффективности крема имихимод 3,75% при использовании после криотерапии при лечении гипертрофического актинического кератоза тыльной поверхности рук и предплечья. Дж. Клин. Эстет. Дерматол. 6 , 36–43 (2013).

    ПабМед ПабМед Центральный Google Scholar

  • 109.

    Hadley, J. et al. Результаты инициированного исследователем одиночного слепого сравнения фотодинамической терапии и 5% крема имиквимода для лечения актинических кератозов. Дерматол. Surg. 38 , 722–727 (2012).

    КАС пабмед Google Scholar

  • 110.

    Serra-Guillen, C. et al. Рандомизированное пилотное сравнительное исследование местной фотодинамической терапии метиламинолевулинатом по сравнению с имиквимодом 5% и последовательным применением обоих методов лечения у иммунокомпетентных пациентов с актиническим кератозом: клинические и гистологические результаты. Дж. Ам. акад. Дерматол. 66 , e131–e137 (2012).

    КАС пабмед Google Scholar

  • 111.

    Strohal, R., Kerl, H. & Schuster, L. Лечение актинического кератоза 5% местным имиквимодом: многоцентровое проспективное обсервационное исследование, проведенное 93 австрийскими дерматологами. Ж. Препараты Дерматол. 11 , 574–578 (2012).

    КАС пабмед Google Scholar

  • 112.

    Голлник, Х., Диршка Т., Остендорф Р., Керл Х. и Кунстфельд Р. Долгосрочные клинические результаты применения имихимода 5% крема по сравнению с диклофенаком 3% геля при актиническом кератозе на лице или волосистой части головы: объединенный анализ двух рандомизированные контролируемые испытания. Дж. Евро. акад. Дерматол. Венереол. 34 , 82–89 (2020).

    КАС пабмед Google Scholar

  • 113.

    Эллис, А. К., Цитоура, Д. С., Квинт, Д., Паули, В. и Ли, Л. А. Безопасность и фармакодинамика интраназального GSK2245035, агониста TLR7 при аллергическом рините: рандомизированное исследование. клин. Эксп. Аллергия 47 , 1193–1203 (2017).

    КАС пабмед Google Scholar

  • 114.

    Цитоура Д. и др. Ранняя клиническая оценка интраназального агониста TLR7 GSK2245035: использование трансляционных биомаркеров для контроля дозирования и подтверждения воздействия на мишень. клин. Фармакол. тер. 98 , 369–380 (2015).

    КАС пабмед Google Scholar

  • 115.

    Biggadike, K. et al. Открытие 6-амино-2-{[(1 S)-1-метилбутил]окси}-9-[5-(1-пиперидинил)пентил]-7,9-дигидро-8H-пурин-8-она ( GSK2245035), сильнодействующий и селективный интраназальный агонист толл-подобного рецептора 7 для лечения астмы. J. Med. хим. 59 , 1711–1726 (2016).

    КАС пабмед Google Scholar

  • 116.

    Casale, T.B. et al. CYT003, агонист TLR9, при персистирующей аллергической астме — рандомизированное плацебо-контролируемое исследование фазы 2b. Аллергия 70 , 1160–1168 (2015).

    КАС пабмед Google Scholar

  • 117.

    Beeh, K.M. et al. Новый агонист TLR-9 QbG10 демонстрирует клиническую эффективность при персистирующей аллергической астме. J. Аллергическая клиника. Иммунол. 131 , 866–874 (2013).

    КАС пабмед Google Scholar

  • 118.

    Jackson, S. et al. Первое исследование на людях с ингаляционным олигонуклеотидным агонистом TLR9 AZD1419 приводит к интерфероновым ответам в легких, является безопасным и хорошо переносимым. клин. Фармакол. тер. 104 , 335–345 (2018).

    КАС пабмед Google Scholar

  • 119.

    Psallidas, I. et al. Фаза 2а, двойное слепое, плацебо-контролируемое рандомизированное исследование ингаляционного агониста TLR9 AZD1419 при астме. утра. Дж. Дыхание. крит. Уход Мед. https://doi.org/10.1164/rccm.202001-0133OC (2020 г.).

    Артикул пабмед Google Scholar

  • 120.

    Gottenberg, J.E. et al. Влияние гидроксихлорохина на симптоматическое улучшение при первичном синдроме Шегрена: рандомизированное клиническое исследование JOQUER. JAMA 312 , 249–258 (2014).

    ПабМед Google Scholar

  • 121.

    Yoon, C.H. et al. Влияние лечения гидроксихлорохином на сухость глаз у пациентов с первичным синдромом Шегрена: двойное слепое рандомизированное контрольное исследование. J. Korean Med. науч. 31 , 1127–1135 (2016).

    КАС пабмед ПабМед Центральный Google Scholar

  • 122.

    Kelly, P. N. et al. Селективные ингибиторы киназы 4, ассоциированной с рецептором интерлейкина-1, для лечения аутоиммунных заболеваний и злокачественных новообразований лимфоидной ткани. Дж. Экспл. Мед. 212 , 2189–2201 (2015).

    КАС пабмед ПабМед Центральный Google Scholar

  • 123.

    Хименес, Н. и др. Нацеливание на IRAK4 нарушает пути воспаления и задерживает развитие опухоли при хроническом лимфоцитарном лейкозе. Лейкемия 34 , 100–114 (2020).

    КАС пабмед Google Scholar

  • 124.

    Dudhgaonkar, S. et al. Селективное ингибирование IRAK4 ослабляет заболевание в моделях мышиной волчанки и демонстрирует стероидсберегающую активность. Дж. Иммунол. 198 , 1308–1319 (2017).

    КАС пабмед Google Scholar

  • 125.

    Wiese, M.D., Manning-Bennett, A.T. & Abuhelwa, A.Y. Исследовательские ингибиторы IRAK-4 для лечения ревматоидного артрита. Экспертное заключение. расследование Наркотики 29 , 475–482 (2020).

    КАС пабмед Google Scholar

  • CAR Т-клеточная иммунотерапия избавляет женщину от трудноизлечимой волчанки5 февраля 2021 г. (HealthDay News) — Впервые исследователи использовали генетически модифицированные клетки иммунной системы, чтобы перевести тяжелую волчанку в стадию ремиссии у женщины.

    Лечение, называемое CAR T-клеточной терапией, уже одобрено в Соединенных Штатах для борьбы с некоторыми случаями рака крови. Он включает в себя удаление собственных Т-клеток иммунной системы пациента, их генетическое изменение для борьбы с раком, а затем вливание их обратно пациенту.

    Здесь исследователи протестировали клеточную терапию на 20-летней женщине с тяжелой системной красной волчанкой (СКВ), аутоиммунным заболеванием, которое может вызывать поражение органов по всему телу.

    Они обнаружили, что этот подход быстро привел к ремиссии ее болезни без каких-либо значительных побочных эффектов в течение шести недель.

    Эта женщина стала первой в мире пациенткой с волчанкой, которую лечили CAR Т-клетками, сообщил исследователь доктор Георг Шетт из Университета Фридриха-Александра Эрланген-Нюрнберг в Германии.

    Это означает, что впереди еще много исследований, прежде чем терапия станет широко доступной.

    Но, судя по этому первоначальному отчету, это многообещающее направление для изучения, по словам У. S. lupus эксперты, не принимавшие участие в деле.

    «Хотя это описание случая, лечение имеет теоретический смысл», — сказал доктор Дональд Томас, ревматолог из Arthritis and Pain Associates округа PG в Гринбелте, штат Мэриленд, и автор «Энциклопедии волчанки».

    «При таком быстром, полном и безопасном ответе эту терапию следует опробовать на других пациентах с тяжелым заболеванием», — сказал Томас.

    На данный момент, отметил Шетт, пациент в этом отчете «полностью здоров» и не нуждался в лечении волчанки более четырех месяцев.Он сказал, что его команда сейчас лечит двух дополнительных пациентов с волчанкой с помощью CAR Т-клеток.

    Исследователи подробно описали новые результаты в выпуске New England Journal of Medicine от 5 августа .

    Для проведения терапии CAR Т-клетками врачи берут образец Т-клеток пациента — ключевых игроков в формировании иммунного ответа организма. Затем эти клетки генетически модифицируют в лаборатории, чтобы они были вооружены химерными антигенными рецепторами или CAR.

    Эти CAR позволяют Т-клеткам распознавать определенные маркеры или антигены на поверхности определенных бесполезных клеток, таких как раковые клетки.Как только вновь вооруженные Т-клетки будут введены обратно пациенту, они смогут начать целенаправленную атаку на вражеские клетки.

    При волчанке врагом является не опухоль, а собственная иммунная система организма: она по ошибке создает «аутоантитела», атакующие ткани организма. Наиболее распространенной формой волчанки является СКВ, которая может поражать множество органов.

    У 20-летнего мужчины в этом случае был артрит, повреждение почек и воспаление легких и сердца. Ни одно из стандартных лекарств от СКВ не помогло ей.

    Итак, Шетт и его команда обратились к Т-клеткам CAR. Они заставили Т-клетки пациента распознавать CD19, белок В-клеток, которые являются еще одним компонентом иммунной системы. Обычно эти клетки вырабатывают антитела, помогающие бороться с инфекциями; но при СКВ дисфункциональные В-клетки вырабатывают аутоантитела.

    Некоторые существующие лекарства от волчанки действуют путем истощения В-клеток, но они не помогли этому пациенту.

    Тем не менее, команда Шетта обнаружила, что в течение 44 дней после получения CAR Т-клеток аутоантитела пациентки исчезли, и ее болезнь вошла в стадию ремиссии.

    Результаты «очень наводят на размышления», по словам доктора. Джин Лин и Розалинд Рэмси-Голдман, ревматологи из Северо-Западного медицинского университета в Чикаго.

    Среди основных остающихся вопросов, по их словам, является ли это «окончательной / лечебной терапией» или ее нужно будет повторить.

    И если терапия действительно продвинется вперед, сказали Лин и Рэмси-Голдман, будет «критическим» знать, как выбрать пациентов, у которых, скорее всего, все будет хорошо. Они отметили, что терапия CAR Т-клетками стоит более 200 000 долларов за инфузию, не считая стоимости госпитализации.

    Томас сказал, что при существующих методах лечения большинство пациентов с СКВ не могут достичь и поддерживать ремиссию, поэтому потребность в новых подходах велика.

    Основная проблема, объяснил он, заключается в том, что болезнь является «гетерогенной», что означает, что ее характеристики разнообразны.

    «Ключом к лучшему лечению наших пациентов с СКВ, — сказал Томас, — было бы найти универсальную аномалию иммунной системы, а затем назначить безопасное и эффективное лечение этой общей аномалии.

    Пока неизвестно, могут ли CAR Т-клетки быть широко эффективным средством лечения. Кафедра внутренних болезней, Университет им. Фридриха-Александра, Эрланген-Нюрнберг, Германия; Джин Лин, доктор медицинских наук, преподаватель медицины/ревматологии, Северо-Западный университет, Школа медицины им. Медицинская школа Фейнберга, Чикаго; Дональд Томас мл., MD, ревматолог, Arthritis and Pain Associates округа PG, Гринбелт, Мэриленд; New England Journal of Medicin e, 5 августа 2021 г.

    Патология Т-клеток при системной красной волчанке

    Системная красная волчанка (СКВ) характеризуется выработкой широкого спектра аутоантител. Таким образом, состояние традиционно классифицировали как «В-клеточное заболевание». Однако убедительные доказательства показали, что без помощи вспомогательных Т-лимфоцитов «беспомощным» В-клеткам действительно трудно стать достаточно функциональными, чтобы вызвать воспаление, связанное с СКВ.Было признано, что Т-клетки играют решающую роль в патогенности СКВ благодаря их способности общаться и оказывать огромную помощь В-клеткам в стимулировании производства аутоантител. Недавно в Т-клетках волчанки был идентифицирован ряд фенотипических и функциональных изменений, которые повышают склонность вызывать воспаление, связанное с волчанкой. Здесь будут обсуждаться потенциальные механизмы, включающие изменения экспрессии Т-клеточных рецепторов, передачу сигналов нижестоящего пострецептора, эпигенетику и окислительный стресс, которые способствуют активации Т-клеток волчанки.Кроме того, будет показано, как регуляторные CD4+, CD8+ и Т-клетки регулируют воспаление, связанное с волчанкой. Наконец, хотя имеющиеся в настоящее время результаты клинических испытаний, оценивающих терапевтические агенты, воздействующие на Т-клетки, такие как ингибиторы кальциневрина, указывают на то, что они, по крайней мере, столь же эффективны и безопасны, как и обычные иммунодепрессанты при лечении волчаночного гломерулонефрита, несомненно, необходимы более масштабные клинические испытания, чтобы подтвердить эти предположения. но благоприятные выводы.

    1.Введение

    Системная красная волчанка характеризуется продукцией множества аутоантител, которые потенциально вызывают воспаление, связанное с иммунными комплексами, в различных тканях и органах [1]. Нарушение иммунной толерантности считается одним из основных механизмов, запускающих продукцию аутоантител В-клетками и антителообразующими клетками, что приводит к воспалению при связывании с аутоантигенами и последующему повреждению тканей [2]. Таким образом, СКВ классически считалось заболеванием, вызванным В-клетками.Недавние убедительные доказательства продемонстрировали, что Т-клетки действительно играют решающую роль в патогенезе СКВ, поскольку они усиливают выработку аутоантител, предлагая существенную помощь В-клеткам, стимулируя последние к дифференцировке, пролиферации и созреванию, в дополнение к их поддержке классом -переключение аутоантител, которые экспрессируют В-клетки [3]. Таким образом, в настоящее время считается, что СКВ является состоянием, управляемым Т-клетками, и, действительно, нацеливание на молекулы, экспрессируемые на Т-клетках, и их сигнальные пути могут быть одной из потенциальных терапевтических стратегий при СКВ.

    По сравнению со здоровыми людьми ряд исследований показал, что Т-клетки, выделенные от больных СКВ, являются аномальными в отношении их фенотипов и функций [4, 5]. Фенотипические и функциональные изменения в Т-клетках волчанки, включая увеличение популяции Th27, нарушения физиологии Т-клеточных рецепторов (TCR) и пострецепторной передачи сигналов, окислительный стресс и эпигенетические изменения приводят к преувеличению ответа TCR на стимулы и склонности к Т-клетки волчанки активируются [6].Кроме того, неспособность регуляторных CD4+ и CD8+ Т-лимфоцитов облегчить провоспалительную среду, возникающую при СКВ, способствует патогенности состояния [7, 8]. В этом кратком обзоре будет обсуждаться подробный отчет о предполагаемых механизмах, с помощью которых нарушается нормальная физиология Т-клеток, и почему регуляторные Т-клетки не могут ослабить провоспалительный ответ при СКВ. Текущее состояние клинических испытаний по оценке терапевтических средств, нацеленных на молекулы, экспрессирующиеся на Т-клетках и внутри них, для лечения СКВ будет обновлено.

    2. Т-клетки, их рецепторы и передача сигналов в норме и СКВ
    2.1. Т-клеточные рецепторы и CD3: краткое обсуждение их нормальных структур и функций

    Т-клетки распознают антигены, представленные им главным комплексом гистосовместимости антигенпрезентирующих клеток, посредством TCR, экспрессированных на их поверхности. Стимуляция TCR при связывании антигена запускает нижестоящие сигнальные пути, которые активируют различные физиологические функции Т-клеток.Большинство ТКР (95%) представляют собой гетеродимеры, состоящие из цепи и цепи (рецепторы) и закрепленные на плазматической мембране коротким цитоплазматическим хвостом [9]. Меньшую группу (15%) ТКР составляют а- и а-цепи (рецепторы), которые экспрессируются в определенных популяциях Т-клеток тимуса и периферических Т-клеток в эпителии [10, 11]. TCR связаны с CD3, который представляет собой серию полипептидов с последовательной аминокислотной последовательностью и отвечает за передачу сигнала при распознавании антигена TCR [9, 12]. CD3 состоит из четырех инвариантных полипептидов, а именно, , , , и , а комплекс CD3-TCR устроен таким образом, что четыре цепи TCR (две и две положительно заряженные цепи) связаны с двумя , двумя , одной , и одной цепные полипептиды CD3, все из которых заряжены отрицательно [9, 12]. CD3 имеет внеклеточный, трансмембранный и цитоплазматический хвосты, при этом 2 цепи (или их вариант — цепь) являются самыми длинными цитоплазматическими цепями среди остальных. Цитоплазматические части и цепи критически вовлечены в передачу сигнала TCR, поскольку они обладают активационными мотивами на основе тирозина иммунорецепторов (ITAM), которые являются мишенями фосфорилирования различными специфическими протеинкиназами в процессах передачи сигнала [13].Вкратце, ITAM фосфорилируются через несколько минут после включения TCR. Активация ITAM и последующих путей, таких как -ассоциированный белок 70 (ZAP-70), необходима для активации Т-клеток [14].

    Тесно связанный с CD3, FcR также связан с ITAM. Однако вместо стимуляции пути ZAP-70 предпочтительно используется путь тирозинкиназы селезенки (Syk) [15, 16]. Стимуляция Syk обычно приводит к более высокому притоку кальция в клетки, чем тот, который включает путь ZAP-70, вероятно, регулируемый транскрипционными факторами c-Jun и Ets2 [17].Такая «перестройка» пострецепторного нижестоящего сигнального механизма имеет сильное патологическое значение в Т-лимфоцитах волчанки (обсуждается в следующем разделе).

    2.2. Изменения в Т-клеточных рецепторах и их сигнальных путях

    Субъединицы CD3 субоптимально синтезируются в Т-клетках больных СКВ [18]. Кроме того, очевидно снижение стабильности и усиление деградации CD3 в Т-клетках волчанки [19–21]. Чтобы заменить дефицитные субъединицы CD3, рецепторы FcR реципрокно активируются и экспрессируются на Т-клетках волчанки [16].Вместо связывания с ZAP-70 для передачи сигналов субъединицами CD3 FcR связывается с путем Syk, и такая «перестроенная» нижестоящая передача сигналов обеспечивает более сильное фосфорилирование сигнальных молекул и более высокий приток кальция, что усиливает сигналы, полученные от TCR, в Т-клетках волчанки [17]. ]. Увеличение внутриклеточного кальция активирует кальциневрин в цитоплазме, который усиливает действие ядерного фактора активированных Т-клеток (NF-ATc2) за счет дефосфорилирующего действия кальциневрина [22].(См. рис. 1). Активированный NF-ATc2 изменяет экспрессию некоторых генов, в том числе гена CD40L Т-клеток волчанки, путем связывания с промотором гена CD40L [22]. CD40L представляет собой костимулирующую молекулу, экспрессируемую на Т-клетках, и ее родственное взаимодействие с CD40, экспрессируемым на В-клетках, способствует дифференцировке, пролиферации и продукции антител последних, а также переключению классов в сочетании с действием ИЛ-10 и ИЛ-21. [23].


    Другим механизмом, благодаря которому Т-клетки волчанки проявляют более низкий порог активации, является наличие предварительно агрегированных липидных рафтов на их клеточной мембране [24].Липидные рафты представляют собой богатые липидами области на клеточной поверхности, где концентрируются TCR и связанные с ними сигнальные молекулы [25, 26]. В инактивированном состоянии липидные рафты равномерно распределены по всей клеточной мембране, но в Т-клетках волчанки было продемонстрировано скопление липидных рафтов даже при их минимальной стимуляции [24, 27]. Сгруппированные липидные рафты повышают нижний порог передачи сигнала, поскольку молекулы, необходимые для активации рецепторов, физически сгруппированы в Т-клетках волчанки.Чтобы доказать эти потенциальные механизмы, внутрибрюшинное введение фармакологически активных соединений, которые нарушают (MCD) и усиливают (холерный токсин B) кластеризацию липидного рафта, продемонстрировало снижение и усиление активации Т-клеток, соответственно, в мышиной модели, склонной к волчанке [28].

    2.3. Другие аномальные сигнальные пути в Т-клетках волчанки

    Все чаще выявляются нарушения в определенных сигнальных путях в Т-клетках волчанки, которые приводят к дефектам активации Т-клеток у пациентов с СКВ.Сообщалось о нарушении зависимого от циклического аденозинмонофосфата (цАМФ) фосфорилирования из-за снижения уровня протеинкиназы А [29, 30]. Кроме того, было обнаружено нарушение активности путей, включающих протеинкиназу С и р56-лимфоцит-специфическую протеинтирозинкиназу (р56lck) [31, 32]. С другой стороны, активность протеинкиназы PKR и фосфатидилинозитол-3 киназы (PI3K) была увеличена на модели животных, склонных к волчанке [33, 34]. Фармакологическое ингибирование PI3K может улучшить течение гломерулонефрита и снизить смертность в модели MRL/мышиной волчанки [35].Активность митоген-активируемых протеинкиназ (MAP), играющая ключевую роль в пролиферации и апоптозе Т-клеток, снижена в Т-клетках больных СКВ [36]. Было показано, что у животных с дефицитом РКС (активатора МАР-киназы) развивается спонтанное волчаночноподобное заболевание [37].

    2.4. Изменения в экспрессии генов, частично обусловленные сниженным метилированием ДНК

    Как описано выше, активация CD40L в Т-клетках волчанки очевидна в результате активации NF-ATc2, вторичной по отношению к высокому потоку кальция [17, 22].Увеличение CD40L повышает экспрессию CD80 и других костимулирующих молекул на антигенпрезентирующих клетках, что еще больше усиливает стимулирующие сигналы к Т-клеткам [23]. Будучи геном, восприимчивым к СКВ, ген CD40L чувствителен к метилированию. Метилирование ДНК обычно подавляет транскрипцию и экспрессию генов. При СКВ метилирование ДНК, которое, как было показано, снижается в Т-клетках, связано с аутореактивностью Т-клеток [23]. Гипометилирование одной из Х-хромосом, которая неактивна у женщин, больных волчанкой, вызывает сверхэкспрессию мРНК CD40L и, следовательно, экспрессию CD40L на Т-клетках волчанки [23].Изменение активности MAP-киназы и PKC также вызвано гипометилированием, вторичным по отношению к дефициту ДНК-метилтрансферазы 1 в Т-клетках волчанки [23, 38].

    ИЛ-2 необходим для снижения поляризации наивных клеток CD4+ в сторону фенотипа Th27 [39] (см. рис. 1). Сниженная продукция IL-2, продемонстрированная у пациентов с СКВ, усиливает экспансию популяции Th27, что способствует локальному воспалению и рекрутированию иммуноцитов отчасти за счет повышенной продукции IL-17 [40].Экспрессия IL-2 Т-клетками фактически строго регулируется факторами транскрипции cAMP response element (CRE), связывающим белком (CREB) и CRE-модулятором (CREM) [41]. CREB усиливает транскрипцию гена IL-2 , тогда как CREM подавляет ее, конкурируя за сайт связывания CRE с CREB [42]. Баланс между активностью CREB и CREM, который важен для определения того, активируется или подавляется IL-2, изменяется в Т-клетках волчанки [43]. Высокое соотношение CREM и CREB в Т-клетках волчанки способствует дефициту IL-2 [43].Существует как минимум 2 предложенных механизма, объясняющих повышенную активность CREM и сниженную активность CREB в Т-клетках волчанки. Во-первых, высокие уровни антилимфоцитарных антител у пациентов с СКВ активируют кальций/кальмодулинзависимую киназу IV (CaMKIV), которая усиливает активность CREM посредством фосфорилирования [44]. Во-вторых, повышенный внутриядерный уровень протеинфосфатазы 2А (РР2А) в Т-лимфоцитах волчанки дефосфорилирует и инактивирует CREB [45, 46]. Следует отметить, что Elf-1, важный фактор транскрипции CD3, дефосфорилируется повышенным уровнем внутриядерного PP2A в Т-клетках волчанки [47].Дефосфорилированный Elf-1 не может ассоциироваться с ДНК и инициировать транскрипцию CD3, что приводит к увеличению соотношения FcR и CD3 [47], способствуя последующей активации путей Syk вместо ZAP-70 в Т-клетках волчанки [17] (см. Рисунок 1).

    Повышение окислительного стресса показано в волчаночных лимфоцитах, о чем свидетельствуют ультраструктурные изменения в виде тубулоретикулярных структур органелл в лимфоцитах больных активной волчанкой [48]. Окислительный стресс индуцирует активность оксида азота и повышение митохондриального трансмембранного потенциала, что приводит к активации протеинкиназы, называемой митохондриальным трансмембранным потенциалом и мишенью рапамицина млекопитающих (mTOR) в Т-клетках волчанки [49].Повышение активности mTOR вызывает опосредованное RAB4A подавление CD3 и приводит к высокому потоку кальция при стимуляции Т-клеток волчанки [50]. Увеличение внутриклеточного кальция активирует модулятор ответного элемента цАМФ (CREM), который ингибирует IL-2 и усиливает экспрессию IL-17. Эти изменения способствуют поляризации T h 1 в T h 17 и ингибируют CD8+ Т-клетки [51]. Активация mTOR также подавляет транскрипцию FoxP3 путем ингибирования ДНК-метилтрансферазы 1 (DNMT1), что приводит к гипометилированию промотора FoxP3 [51]. В небольшом клиническом исследовании с участием девяти пациентов с волчанкой было показано, что рапамицин, ингибитор mTOR, способен нормализовать приток кальция, вызванный активацией Т-клеток, и снизить общую активность волчанки [50]. Другие потенциальные механизмы подавления иммунного ответа mTOR будут обсуждаться в следующем разделе.

    3. Изменение количества и супрессорной активности регуляторных Т-клеток при СКВ
    3.1. CD4+ T Regulatory Cells

    CD4+ регуляторные T клетки (CD4+ Tregs) показали снижение во вторичных лимфоидных органах у мышей NZB/W F1, склонных к волчанке, по сравнению с неаутоиммунными мышами того же возраста [52].Дефицит CD4+ Treg связан с развитием волчаночноподобного заболевания, в то время как адоптивный перенос CD4+ Treg замедлял прогрессирование заболевания почек и снижал смертность у мышей NZB/W F1 [52]. Было показано, что помимо тимических CD4+ Tregs, периферически индуцированные CD4+ Tregs (CD4+ iTreg), обусловленные действием IL-2 и TGF, способны снижать уровни анти-дцДНК в сыворотке и облегчать гломерулонефрит иммунного комплекса, вторичный по отношению к снижению Т-клеточной помощи. к В-клеткам у мышей NZB/W F1 [53].

    У людей количество CD4+ Treg, как правило, было ниже у пациентов с активной СКВ по сравнению с пациентами с неактивным заболеванием и здоровыми людьми [54].Считается, что сниженный уровень forkhead box P3 (FoxP3) в CD4+ Tregs у пациентов с активной волчанкой является причиной того, что эти пациенты имеют меньшую Treg-супрессивную активность, чем их коллеги с неактивным заболеванием [55–57]. Интересно, что эффективная иммуносупрессивная терапия глюкокортикоидами и ритуксимабом восстанавливает количество функциональных Treg у пациентов с СКВ [58–60]. Несмотря на преобладающее мнение о низком количестве и функциональном качестве Treg у пациентов с СКВ, отсутствие действительно надежных маркеров, позволяющих идентифицировать и выделить подлинную популяцию Treg, делает проблему надежности и воспроизводимости исследований Treg при СКВ [61].Недавно было показано, что Helios, транскрипционный фактор, принадлежащий к семейству Ikaros, экспрессируется большинством FoxP3+ Т-клеток человека, и было продемонстрировано, что он способен усиливать экспрессию FoxP3 путем связывания с промотором FoxP3. 62]. В отличие от предыдущих результатов, которые защищали меньшее количество Treg у пациентов с волчанкой с более активным заболеванием, было показано, что популяция Foxp3+ Helios+ Treg действительно значительно увеличилась у пациентов с активной СКВ по сравнению с пациентами с неактивным заболеванием и здоровым контролем. 61, 62].Кроме того, было показано, что Т-клетки FoxP3+ Helios+, выделенные от 20 пациентов с волчанкой, имеют более низкую продукцию IL-2 и IFN по сравнению с Т-клетками FoxP3+ Helios- [62].

    3.2. CD8+ T Regulatory Cells

    Как в NZB/W F1, так и в человеческих моноклональных анти-ДНК-индуцированных экспериментальных моделях мышей экспансия CD8+ Treg с помощью толерогенного пептида подавляла продукцию анти-дцДНК, пролиферацию CD4+ Т-клеток и продукцию интерферона типа 2, вероятно, в результате TGF и FoxP3, продуцируемых CD8+ iTregs [63, 64].

    Как и в случае с CD4+ Treg, исследования количества циркулирующих CD8+ Treg у пациентов с СКВ дали противоречивые результаты [65, 66]. CD8+ Treg от пациентов с активной СКВ не подавляли эффекторные Т-клетки, в то время как CD8+ Treg от пациентов с неактивной СКВ продемонстрировали супрессивную способность, сравнимую с таковой у здоровых людей [65]. Особо следует отметить, что поскольку данные о CD8+ Treg при СКВ основаны на небольшом количестве клинических исследований, необходимы более надежные исследования для дальнейшей характеристики количества и функциональных аспектов CD8+ Treg у пациентов с СКВ.

    3.3. Регуляторные Т-клетки

    Недавно было обнаружено, что группа редких Т-клеток, которые экспрессируют высокие уровни CD25 и CD27 и низкий уровень CD45RA, обладают регуляторной и супрессорной активностью (Treg-клетки), особенно субпопуляция V1 [67]. Подсчет популяций мононуклеарных клеток периферической крови (PBMC) выявил значительно меньшее количество циркулирующих Treg-клеток у пациентов с СКВ по сравнению со здоровым контролем [67]. Кроме того, была обнаружена значительная обратная корреляция между активностью волчанки и уровнем циркулирующих Treg-клеток [67]. Эксперимент in vitro подтвердил способность Treg-клеток волчанки экспрессировать FoxP3 CD27-зависимым образом при культивировании клеток в присутствии TGF [67]. Кроме того, показано, что Treg-клетки способны подавлять пролиферацию аутологичных эффекторных клеток CD4+ в системах кокультуры [67]. Хотя это редко встречается в популяции РВМС, необходимы дальнейшие эксперименты для полной характеристики фенотипа и функции этих клеток Treg, которые могут играть важную иммунопатогенную, а также потенциальную терапевтическую роль в подавлении активности заболевания СКВ.

    4. Терапевтические испытания препаратов, воздействующих на Т-клетки при СКВ
    4.1. Ингибиторы кальциневрина

    В рандомизированных контролируемых исследованиях было доказано, что наиболее часто используемые ингибиторы кальциневрина, включая циклоспорин и такролимус, не менее эффективны и безопасны, чем обычное лечение пролиферативного и мембранозного волчаночного гломерулонефрита [68–70]. Годичное квазирандомизированное исследование показало, что частота ремиссии протеинурии составила 83%, 60% и 27% у пациентов, получавших циклоспорин, внутривенный циклофосфамид и преднизолон, соответственно, хотя частота рецидивов протеинурии была выше у пациентов, получавших циклоспорин, чем у пациентов, получавших циклоспорин. тем, кто получал циклофосфамид [68].В качестве индукционной терапии можно использовать комбинацию преднизолона и внутривенного циклофосфамида (всего шесть 4-недельных импульсов, начиная с 750/1 площади поверхности тела) или такролимуса (начиная с 0,05 мг/кг/день и постепенно титруя до минимального уровня 5). –10 нг/мл) одинаково эффективен в достижении полной почечной ремиссии [70]. Такролимус оказался более безопасным, так как нежелательные явления, включая лейкопению и желудочно-кишечные жалобы, встречались реже по сравнению с пациентами в группе циклофосфамида [70].

    4.2. Анти-CD40L

    Как обсуждалось ранее, CD40L, который сверхэкспрессируется на Т-клетках волчанки, стимулирует CD40, экспрессируемый на В-клетках, с образованием аутоантител. Таким образом, антагонизация CD40L является потенциальной терапевтической мишенью для лечения СКВ. Однако два основных клинических испытания, в которых изучалась блокада пути CD40-CD40L при лечении СКВ, не принесли результатов [71, 72]. В дополнение к неудовлетворению предварительно определенным конечным точкам исследования, неблагоприятный профиль побочных эффектов анти-CD40L, к сожалению, привел к преждевременному прекращению многоцентрового исследования II фазы BG9588 при СКВ [72].В двойном слепом плацебо-контролируемом исследовании 85 пациентов с легкой и умеренной активностью СКВ были рандомизированы для получения 6 инфузий анти-CD40L в дозах 2,5, 5 и 10 мг/кг и плацебо в дозах 0, 2, 4, 8, 12 и 16 недель [71]. После 20 недель лечения активность волчанки улучшилась во всех группах по сравнению с исходным уровнем, но статистической значимости среди разных групп не было обнаружено [71]. Также не было отмечено различий в баллах утомляемости и качестве жизни [71]. В меньшей фазе II, открытом испытании, оценивающем BG9588 в лечении 28 пациентов с пролиферативным волчаночным гломерулонефритом, возникновение 2 инфарктов миокарда у субъектов привело к преждевременному прекращению испытания, хотя значительное снижение протеинурии, гематурии и анти- Был продемонстрирован титр дцДНК с повышением уровня С3 в сыворотке [72].

    4.3. Рапамицин

    Будучи безопасным и хорошо переносимым препаратом, клинически используемым для предотвращения отторжения трансплантата, рапамицин, макролидный антибиотик, который регулирует митохондриальный трансмембранный потенциал и приток кальция, был оценен в небольшом неконтролируемом исследовании на предмет его эффективности у пациентов с СКВ [50]. У 9 пациентов с волчанкой, рефрактерных к традиционному лечению, рапамицин в дозе 2  мг в день снижал активность заболевания и потребность в преднизолоне [50]. Уровень митохондриального кальция и поток кальция, вызванный активацией Т-клеток, нормализовались у пациентов, получавших рапамицин [50].В недавнем проспективном открытом исследовании было показано, что рапамицин ингибирует продукцию ИЛ-4 и некроз двойных негативных (ДН) Т-клеток у пациентов с СКВ. Кроме того, рапамицин усиливал экспрессию FoxP3 в CD25+/CD4+ Т-клетках и размножение CD25+CD19+ В-клеток [73], что означает, что mTOR может запускать продукцию IL-4 и некроз DN Т-клеток при активной СКВ.

    4.4. N-ацетилцистеин

    Недавно в небольшом клиническом испытании было показано, что N-ацетилцистеин (NAC), предшественник глутатиона, в дозах 2.4 г и 4,8 г в день могут снизить активность волчанки и утомляемость после 3 месяцев лечения по сравнению с плацебо [74]. NAC снижал активность mTOR и усиливал апоптоз Т-клеток, что сопровождалось обратимой экспансией популяций CD4/CD8. Интересно, что NAC индуцирует экспрессию FoxP3 в клетках CD4+ Treg и снижает уровень анти-дцДНК в сыворотке [74]. Безусловно, необходимы более масштабные клинические испытания для подтверждения эффективности этого захватывающего терапевтического средства, особенно ожидается, что побочные эффекты NAC из-за иммуносупрессии будут минимальными.

    5. Заключение

    При СКВ как у мышей, так и у человека Т-клетки обнаруживаются аномальными на основании изменений их фенотипа, рецепторной и сигнальной физиологии, транскрипции генов и нарушенной супрессорной активности регуляторных лимфоцитов. Существенное участие Т-клеток в патогенезе СКВ и очевидный успех терапии, направленной на Т-клетки у пациентов с СКВ, приводят к твердому убеждению, что СКВ действительно является аутоиммунным заболеванием, управляемым Т-клетками.В то время как манипулирование В-клетками и их семействами с помощью терапии, истощающей В-клетки (BDT), кажется очень многообещающим в лечении СКВ, и утверждается, что В-клетки относительно более важны в патогенезе СКВ, чем другие иммуноциты. пролонгированные положительные эффекты БДТ на фоне значительно более короткого периода полувыведения ритуксимаба неизменно объясняют потенциальную важность участия Т-клеток в патогенезе СКВ [58, 59].

    Конфликт интересов

    Авторы заявляют об отсутствии конфликта интересов в отношении публикации данной статьи.

    Генетически модифицированные иммунные клетки уничтожают волчанку у мышей | Наука

    Волчанка может быть трудноизлечимой болезнью. Хотя многие пораженные аутоиммунным заболеванием люди живут относительно нормальной жизнью, некоторые страдают от почечной недостаточности, образования тромбов и других осложнений, которые могут быть смертельными. Теперь ученые обнаружили, что новое лечение, уничтожающее В-клетки иммунной системы, излечивает мышей от этого заболевания. Хотя работа является предварительной, она взволновала исследователей, поскольку в ней используется терапия, уже одобренная для людей с раком крови.

    «Это важная ступенька», — говорит Дженнифер Анолик, ревматолог, руководитель клиники волчанки в Медицинском центре Университета Рочестера в Нью-Йорке, которая не участвовала в этой работе.

    Эта стратегия известна как терапия химерным антигенным рецептором (CAR)-T. В нем участвуют генно-инженерные Т-клетки, стражи иммунной системы, поэтому они распознают и уничтожают определенные клетки в организме. Хотя он имеет потенциально серьезные побочные эффекты, он может спасти жизнь.Этот подход покорил мир рака в 2011 году, после того как ученые сообщили о спасении пациентов с запущенной формой лейкемии. С тех пор он был одобрен для лечения некоторых лейкозов у ​​детей и лимфом у взрослых. Хотя CAR-T-терапия может воздействовать на разные клетки, одобренные методы лечения выслеживают и уничтожают В-клетки, обнаруживая белковый маркер CD19, который почти все В-клетки имеют на своей поверхности.

    С момента появления CAR-T-терапии ученые, изучающие аутоиммунные заболевания, с интересом следили за ней, поскольку В-клетки участвуют во многих из этих заболеваний.В-клетки могут высвобождать аутоантитела, которые повреждают ткани организма и провоцируют атаки Т-клеток на ткани. В 2016 году команда из Пенсильванского университета сообщила, что CAR-T-терапия помогла мышам с редким аутоиммунным заболеванием, называемым вульгарной пузырчаткой.

    Но волчанка преподнесла загадку. Антитело под названием ритуксимаб, которое истощает В-клетки и часто назначается пациентам с ревматоидным артритом и рассеянным склерозом, не помогло многим людям с волчанкой в ​​ходе двух крупных клинических испытаний.Это «вызвало некоторую головную боль», — говорит Марко Радич, иммунолог из Центра медицинских наук Университета Теннесси в Мемфисе.

    Означают ли результаты, что В-клетки в конце концов не важны при волчанке? Ответ отрицательный, предполагает Марк Шломчик, иммунолог из Университета Питтсбурга в Пенсильвании, который не участвовал в новом исследовании. Он считает, что ритуксимаб потерпел неудачу отчасти из-за неудачного сочетания того, как работает антитело, и того, как иммунная система дает сбои при волчанке.Ритуксимабу нужны иммунные клетки, называемые макрофагами, чтобы вмешаться и помочь в разрушении В-клеток. Это работает при некоторых заболеваниях, но при волчанке эти клетки могут быть «парализованы», говорит Шломчик, и с трудом справляются с этим.

    Начните терапию CAR-T, при которой Т-клетки становятся эффективными убийцами В-клеток, не нуждаясь в помощи. Радик и его коллеги протестировали этот подход на двух моделях волчанки у мышей. После того, как мыши заболели, команда подвергла их облучению всего тела, чтобы уничтожить существующие иммунные клетки.(Люди, получающие терапию CAR-T, получают химиотерапию с той же целью.) Затем ученые ввели генетически измененные Т-клетки 41 животному.

    У 26 мышей CAR-T-клетки успешно уничтожили В-клетки с CD19 — почти все из них — и эти клетки больше никогда не появлялись. Это похоже на то, что наблюдается у больных раком, которые проходят терапию CAR-T.

    Волчаночные клетки: Диагностика системной красной волчанки

    Добавить комментарий

    Ваш адрес email не будет опубликован. Обязательные поля помечены *