симптомы, причины, лечение и прогноз
Поджелудочная железа – один из важнейших органов человеческого организма. От того насколько хорошо она функционирует зависит общее состояние человека.
К сожалению, ПЖ крайне уязвима перед многими болезнями, развитие которых способно подставить под угрозу жизнь пациента. Одним из таких патологических проявлений и являются полипы поджелудочной железы.
Что такое полипозные образования?

Итак, что такое полипы в поджелудочной железе, почему и от чего они появляются? Прежде чем ответить на этот вопрос, следует обратить внимание на один важный нюанс.
Полипы являются доброкачественными новообразованиями, которые способны формироваться на слизистых тканях различных внутренних органах. Они могут быть как единичными, так собранными в группы, то есть, множественными. Однако вне зависимости от их количества, от них нужно избавляться из-за их способности перерастать в злокачественные опухоли.
Для полипов свойственно:
- Формируются исключительно в протоке ПЖ.
- На ранних стадиях протекают бессимптомно.
- Развиваются очень медленно.
Полипы способны проявляться везде где присутствуют слизистые оболочки, например, в кишечнике, желудке и так далее, особенно в органах, имеющих полую структуру.
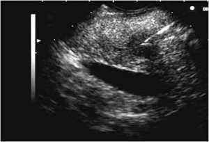
Обратите внимание, поджелудочная железа не относится к полым органам, ее основа — паренхиматозная ткань, поэтому полипы в ней появляются не часто. Тем не менее, все же иногда встречаются и в основном в поджелудочных протоках. Кроме этого, их очень трудно обнаружить, так как для них характерно бессимптомное присутствие, особенно в начале их формирования. Правда, на УЗИ они прекрасно обнаруживаются.
Некоторые медики придерживаются мнение, что в природе вообще не существует такого понятия, как полипы в поджелудочной железе. Под этой терминологией чаще всего подразумевается киста, однако это образование никак не может быть полипом по очень простой причине, у него совершенно иная этиология. Киста – это небольшая полость в том или ином органе, наполненная жидкостью.
Виды полипов

Как бы там не было, наросты на поджелудочной железе, то есть в ее протоках, хотя и редко, но возникают. Они бывают:
- Врожденные (онтогенетические). Для них характерно множественное присутствие, они часто совмещаются с поликистозом почек, легких, печени и других органов.
- Пролиферативные. Формируются вследствие пролиферации эпителия протоков и фиброзом тканей поджелудочной железы. В основном такие полипы многокамерны.
- Ретенционные. Образовываются при передавливании протоков рубцом, кистой, опухолью либо увеличенным органом. Для таких наростов характерна солитарность и большой размер. Однако в медицине известны случаи, когда подобные новообразования присутствовали во множественном числе.
- Псевдокисты (ложные). Чаще всего наблюдаются у людей с тяжелой формой геморрагического панкреатита в местах некроза тканей.
Самая главная опасность таких полипов кроется в том, что они способны перерождаться в злокачественные опухоли, провоцируют появление кишечной непроходимости и желтухи, а также могут привести к ряду осложнений:
- Усугубление течения панкреатита.
- Железодефицитная анемия.
- Холестаз.
- Образование свищей.
- Внутренние кровотечения.
- Развитие гнойников.
- Повреждение (разрыв) селезенки.
- Перитонит.
Поэтому так важно более внимательно отнестись к своему здоровью, и при малейших отклонениях в своем самочувствии обращаться за врачебной консультацией.
Причины появления полипов в организме

Как уже упоминалось выше, полипы в поджелудочной железе — достаточно нечастое явление, но все-таки они имеют место быть. Как правило, чаще всего встречаются у людей, которые перешли рубеж сорокалетнего возраста.
Какие именно факторы способствуют появлению этих новообразований? Среди причин, провоцирующие полипы в поджелудочной железе следует назвать:
- Генетическая предрасположенность.
- Врожденное деформирование протоки ПЖ.
- Тяжелая травма.
- Неблагоприятная экология.
- Сдавливание другим органом либо рубцом вследствие травмы или из-за болезни этого органа.
- Как осложнение инфекционных болезней.
- Псевдокиста, как следствие панкреатита.
- Злоупотребление алкоголем.
- Неправильное питание.
- Присутствие воспалительных процессов.
Полипы в поджелудочной железе, как и другие ее патологии можно предупредить, если придерживаться здорового образа жизни, то есть не пить спиртные напитки, отказаться от курения, более внимательно отнестись к тому, что именно присутствует в рационе питания. Не заниматься самолечением и не принимать какие-либо лекарства без разрешения доктора. Дело в том, что некоторые медикаменты могут дать ряд осложнений.
Симптомы наличия наростов

Ввиду того, что для полипозных разрастаний свойственно тихое и скрытное протекание, чаще всего они обнаруживаются случайным образом, при аппаратном обследовании пациента либо дают о себе знать, когда уже давно и обстоятельно обосновались в протоках ПЖ. В этом случае, они начинают препятствовать оттоку секрета железы, а также давить на близко расположенные органы, тем самым значительно ухудшая самочувствие человека.
В этом случае больной начинает жаловаться на следующие недомогания:
- Слабость.
- Снижение функций пищеварительного процесса.
- Проблемы с опорожнением кишечника.
- Ноющая и постоянная боль вверху живота.
- Устойчивая жажда.
- Рези в брюшной полости.
- Тошнота.
- Частые позывы к мочеиспусканию.
- Потеря веса.
- Ухудшение общего самочувствия.
В некоторых эпизодах наблюдалась очень стремительная потеря массы тела, а при запущенных стадиях наростов поджелудочной железы отмечалась некорректная работа многих внутренних органов.
Особенности проведения диагностики при подозрении на полип
Для подтверждения присутствия либо отсутствия полипов, врач назначает ряд анализов и обследование на медицинских аппаратах:
- УЗИ.
- Биохимический анализ крови.
- МРТ.
- Биопсия.
- КТ.
- Ангиография.
- Сцинтиграфия.
По результатам вышеуказанных исследований и назначается дальнейшее лечение, при этом оно во многом будет зависеть от того, какие размеры у полипа. Итак, как лечить полипы в поджелудочной железе?
В чем заключается терапия
Лечение наростов осуществляется исключительно хирургическим путем. Однако могут использоваться и консервативные методы, если размер полипов до 2 мм, но в этом случае нарост остается на месте и требует постоянного врачебного наблюдения и регулярного выполнения УЗИ (1 раз в месяц). В других случаях, когда полип больше 2 мм, осуществляется операция.
Если на протяжении года замечается его бурный рост, а его размеры 10 мм и более, то поднимается вопрос о срочной операции, которую также проводят и в тех случаях, если больной жалуется на боль и другой неприятный дискомфорт.
Следует сказать, на сегодняшний день существует три разновидности операционного вмешательства. Какой именно вариант будет применен в конкретном случае, во многом определяется индивидуальным течением патологии:
- Традиционная резекция. Делается косой разрез на брюшной поверхности.
- Видеолапароскопическая резекция. Разрез не делается, вмешательство осуществляется при помощи видеокамеры.
- Открытая лапароскопическая резекция. Делаются микроскопические разрезы.
- Также может быть применена так называемая энуклеация, которая показана при полипах размером не больше 20 мм.
Помимо этого, возможно назначение такой операции, как рентгенэндоваскулярная эмболизация артерий. При ее проведении перекрываются кровеносные сосуды, подпитывающие нарост, в результате этого он лишается условий для своего существования и отмирает.
Такие операции достаточно сложны из-за чрезвычайной хрупкости паренхимы и анатомического расположения самой ПЖ.
Дальнейшее лечение
Последующее лечение выполняется под контролем гастроэнтеролога. Вероятность рецидивных моментов после скальпеля хирурга присутствует, поэтому пациент должен соблюдать все врачебные рекомендации.
Исходя из причины генезиса полипа, больному могут быть назначены лекарства, понижающие показатель глюкозы или способные подавлять гиперсекрецию желудка:
Также важным моментом в послеоперационный период и в дальнейшей терапии является соблюдение специального питания.
Лечебная диета и рецепты нетрадиционной медицины

Диета при полипе поджелудочной железы подразумевает стол №5, при этом в первые послеоперационные дни разрешается кушать только тщательно протертую пищу.
Диетическое питание:
- Позволяет нормализовать рабочие функции организма за минимальное время.
- Предупреждает появление и развитие болезнетворных бактерий.
- Повышает иммунитет.
- Способствует нормальному функционированию всех органов.
Врач предоставляет пациенту индивидуальный список разрешенных и запрещенных к употреблению продуктов питания. Основополагающим правилом такой диеты является абсолютное исключение из питания копченостей, жирных и тяжелых блюд, кислой и пряной пищи, а также продуктов, богатых на углеводы.
В отношении лечения полипов в поджелудочной железе народными средствами, то врачи настоятельно рекомендуют воздержаться от применения таких рецептов. Их использование может усугубить течение болезни и привести к различным осложнениям. Терапия должна быть только та, которую назначил именно врач.
По поводу того, насколько может быть позитивным прогноз на излечение, то многое зависит от того насколько своевременно были обнаружены новообразования ПЖ. Как правило, в большинстве случаев он благоприятен. Полипы очень редко перерождаются в злокачественные опухоли, но вероятность развития желтухи и непроходимости кишечника принуждает врачей советовать их удаление.
Заключение
Во избежание развития каких-либо заболеваний, в том числе и полипа, необходимо регулярно обследоваться у врача. Чем раньше будет обнаружена патология, тем выше вероятность быстрого выздоровления, тем самым предупреждая развитие различных осложнений.
В том случае, если УЗИ показало полип, не стоит отчаиваться. При постоянном медицинском контроле и своевременной терапии на начальных своих стадиях эти наросты полностью излечиваются, без каких-либо осложнений и рецидивных эпизодов.
Однако пациент должен понимать, если безответственно отнестись к лечению, тем самым позволяя полипу развиваться дальше, то подвергает себя опасности. В этом случае терапия будет долгой, сложной, а шансы на выздоровление существенно снижаются.
opankreatite.ru
его разновидности, причины, симптомы и методы лечения.
Поджелудочная относится к важному органу человека. Оттого как хорошо будет налажена ее работа будет зависеть состояние организма в целом. Однако поджелудочный орган уязвимый по отношению ко многим патологиям, иногда формирование негативно отражается на жизни больного. К такой болезни относят полип поджелудочной железы.

полип в поджелудочной железе
Что такое полипозные образования
Полипы на поджелудочной – новообразования доброкачественного течения, которые имеют медленный рост и развиваются только в протоках. Бывает полип применяют в качестве условного обозначения, подразумевая кисту поджелудочной железы, гемангиому, липому, фиброму. Данное применение терминологии неправомерное, ведь данное новообразование представлено разрастанием клеток слизистой оболочки, внутри полого органа. У него имеется разное гистологическое строение, исходя из типа клеток, из которых он возникает.
Появление подобных новообразований невозможно в тканях поджелудочной железы, так как она относится к паренхиматозному органу, и состоит из железистой ткани. В ней нет полости и клетки слизистого эпителия, которые представлены основой образования.
Возникновение полипов наблюдается в вирсунговом протоке органа, но при учете величины канала, нарост не всегда выявляется, а симптоматически он не дает о себе знать.
Особенность полипов.
- Формирование новообразований в поджелудочной фиксируется лишь в ее протоке, в другом участке разрастание невозможно.
- Течение бессимптомное на этапе развития и на ранней стадии.
- Развитие медленное.
- Фиксируется в редких случаях.

формирование новообразований
К полипам органа условно относят кисты, что является неверным. В свою очередь кисты разделяют:
- истинные;
- псевдокисты;
- цистаденомы – образования доброкачественного течения из эпителия канала;
- аденокарциномы – со злокачественным выростом.
Псевдокиста является последствием изменений тканей поджелудочной, либо результатом бытовой, ятрогенной травматизации.
К наросту поджелудочной также относят и злокачественные выросты внутри железы. Это будет разращение одного из видов клеток островков Лангерганса, которые синтезируют отдельные виды гормонов. Каждое из них будет иметь определенные признаки. Их диагностика проходит при помощи лабораторного и функционального способов обследования.
Если самочувствие нарушается, нужно сразу обращаться к доктору.
Виды полипов
Полипы в поджелудочной хотя и редкое явление, но все же возникают. Их разделяют на следующие виды:
- врожденные (онтогенетические) – полипы множественного присутствия, которые способны совмещаться с поликистозом почек, печени, легких;
- пролиферативные – развиваются за счет пролиферации эпителия каналов и разрастания соединительной паренхимы поджелудочной. Зачастую это образования, которые являются многокамерными;
- ретенционные – возникают в результате передавливания каналов опухолью, рубцом, увеличенным органом. Для подобных наростов свойственна солидарность и большая величина. Есть случаи, что полипы данного вида фиксировались во множественном числе;
- псевдокисты (ложные) – в основном развиваются у лиц с тяжелым течением геморрагической формы панкреатита в зоне некроза паренхимы.

псевдокиста поджелудочной
Основной угрозой полипов является перерождение в опухоли злокачественного течения, которые ведут к появлению непроходимости кишечника, желтушности.
Не исключены осложнения, которые вызывают полипы.
- Кровопотеря внутренних органов.
- Холестаз.
- Железодефицитная анемия.
- Появление гнойниковых образований.
- Разрыв селезенки.
- Осложнение панкреатита поджелудочной.
- Развитие перитонита.
Потому важно следить за здоровьем и обращать на незначительные отклонения от нормального самочувствия, обращаясь сразу за врачебной помощью.
Причины появления полипов в организме
Присутствие полипов в поджелудочной железе обусловлено рядом причин.
- Генетическая предрасположенность.
- Вредные привычки.
- Экология.
- Заболевания органов воспалительного течения (панкреатит).
- Нерациональный рацион, переедание.
- Травматизация — в особенности перенесенное хирургическое лечение.
- Кровопотери внутри организма.

острый панкреатит
Причина кроется сразу в числе нескольких факторов, которые ведут к перерождению здоровых тканей поджелудочной.
Кроме того формирование свищей просматривается:
- вследствие сдавливания паренхимы органа рубцом, протоков опухолями, патологически укрупненными органами, расположенными рядом;
- фиброзные нарушения;
- наличие псевдокист после панкреатической болезни;
- тяжелое течение инфекции.
К основному этиологическому фактору развития нароста в поджелудочной относят хронический тип рецидивирующего панкреатита. Изменение поджелудочной за счет алкоголя, формирование камней в выводящем канале ведет образованию опухолей, ретенционных кист.
Не стоит самовольно лечить заболевание, это ухудшит положение и приведет к угрозе для жизни.
Симптомы наличия наростов
Количество, расположение и величина нароста бывает различной, как и признаки. Когда появляется полип в поджелудочной железе, симптомы будут следующими:
- диарея во время панкреатита;
- болевой дискомфорт с левого бока брюшины;
- частое желание пить;
- чувство слабости;
- рост температуры;
- полиурия.

повышенная температура
Довольно часто при патологии поджелудочной железы, полипы проявляют себя, как доходят до установленных величин, сжимая органы, расположенные рядом. По этой причине кисты небольшого размера выявляют изредка, разве, при проведении диагностирования других заболеваний.
Бывает, нарост выдвигается над кожным покровом. Тогда требуется немедленное посещение доктора. Подобное образование станет опасным, так как внезапный его разрыв окончится непредсказуемо.
При прорыве полипа человек ощущает кратковременное облегчение самочувствия.
Если не контролировать полип, спустя некоторое время он становится больше. Пациент столкнется с такими проявлениями:
- боли — нестерпимые, не проходящие;
- изменение пищеварительного процесса;
- стремительная потеря массы тела;
- нарушения в функционировании всех органов за счет падения величины поступаемых моносахаридов, аминокислот, насыщенных жирных кислот, витаминов, требуемые для естественного режима функциональности организма.
Если фиксируется сахарный диабет у женщин, мужчин 1 типа, то образование ведет к огромной угрозе. Прогноз в такой ситуации неутешительный. Чтобы выявить патологию следует идти к доктору.

сахарный диабет
Особенности проведения диагностики при подозрении на полип
Даже при регулярном обследовании это будет неэффективно, если полип на поджелудочной железе небольшого размера. Ни одна манипуляции не способна выявить образование.
При достижении внушительной величины и ухудшении самочувствия больного по причине ряда изменений, чтобы уточнить диагноз применяют следующие способы диагностирования:
- сбор анамнеза на основе жалоб;
- осмотр;
- исследования лабораторного характера;
- функциональные способы.
Чтобы исключить вероятность злокачественного перехода полипа, показана биопсия.
К лабораторным методам относят.
- Общее анализирование крови.
- Биохимическое исследование.
- Глюкоза крови.
- Онкомаркеры.

анализ крови
В качестве инструментальных методик выявления полипа используют:
- УЗИ;
- МРТ;
- КТ;
- ангиография;
- сцинтиграфия.
На основании результатов диагностики будет назначено лечение медикаментами, лечебное питание.
В чем заключается терапия
Терапию полип проводят с помощью хирургического вмешательства. При этом возможно и консервативное лечение, когда величина опухоли до 2 мм. В этой ситуации образование остается неизменным, требуется все время его наблюдать, проводя 1 раз в месяц УЗИ. Когда нарост более 2 мм, тогда делают операцию.
Если в течение года полип быстро растет, размер превышает 10 мм, то проводят срочное удаление полип, а также при жалобах на болевой дискомфорт и иные неприятные признаки.

хирургическое вмешательство
Чтобы вылечить больного пользуются одним из трех методов операции на поджелудочной железе. Какой из вариантов подходит, будет определено индивидуально.
- Резекция традиционная – проводят косой разрез на поверхности брюшины.
- Резекция видеолапароскопическая – разрез не делают, операция проходит с использованием видеокамеры.
- Лапароскопическая резекция открытого типа – делаются незначительные надрезы.
- Энуклеация – применяется, если полип размером более 20 мм.
- Рентгенэндоваскулярная эмболизация артерий – такая операция подразумевает перекрытие кровеносных сосудов, которые подпитывают полип, что ведет к его отмиранию.
- Панкреатэктомия – полностью удаляют орган либо большую его часть, если отсутствуют иные методы влияния.
Подобные хирургические вмешательства сложные по причине хрупкости тканей и анатомического нахождения поджелудочного органа.
Дальнейшее лечение
Последующая терапия под присмотром доктора. Даже после проведения операции не исключено повторение патологии. Поэтому проходится регулярное обследование полипа.
Исходя из фактора генезиса нароста, пациенту прописываются препараты, способные понизить уровень сахара либо подавляют гиперсекрецию желудка.
- Омепразол.
- Ранитидин.
- Фамотидин.

Ранитидин
Важным моментом в послеоперационном периоде и последующем лечении – придерживание специального диетического рациона.
Лечебная диета и рецепты нетрадиционной терапии
Терапия нароста в поджелудочной железе с использованием народных способов или средств не рекомендована. Их прием способен:
- привести к росту образования;
- спровоцировать негативное влияние в виде аллергии;
- ухудшить самочувствие;
- вызвать осложнения.
Поджелудочная ранимая и чувствительная, подвергается внезапным нарушениям при несущественных влияниях на нее. Поэтому терапия используется та, которая формируется и назначается врачом.
Лечебный рацион при наросте включает стол №5. После хирургического вмешательства больной должен долгое время придерживаться диеты, есть овощи, фрукты, измельчать еду и тщательно ее перетирать, убрать из питания горячее, холодное. Еда потребляется в теплом виде 6 раз в сутки, незначительными порциями. Это снизит давление на поджелудочную.

стол №5
Из питания убирают жирную, копченую, острую продукцию. При любом заболевании поджелудочной полностью отказываются от приема алкоголя.
При своевременном обнаружении полипа прогноз будет благоприятным, ведь этот нарост перерождается в редких случаях.
opodjeludochnoy.ru
причины, симптомы и методы лечения
Поджелудочная железа жизненно необходима в организме человека. Ее заболевания вызывают естественное беспокойство. Не исключение ситуация, когда диагностирован полип в поджелудочной железе.

Поджелудочная железа человека
Устройство поджелудочной железы и ее роль в организме
Поджелудочная железа расположена в забрюшинном пространстве верхней части живота. Имеющая продолговатую форму, сужающуюся с одного конца, она находится за желудком. В анатомическом строении выделяют голову, тело и хвост. Четкого разграничения между ними нет и разделение условно. Ткань рыхлая, с дольчатой структурой. Соединительная прослойка испещрена кровеносными сосудами и нервами. Там же расположена и система протоков.
Орган вырабатывает комплекс пищеварительных ферментов и продуцирует ряд гормонов. Выполняет двойственную функцию внутрисекреторную и внешнесекреторную.
Экзокринная деятельность заключается в выработке панкреатического сока, содержащего в себе пищеварительные ферменты, поступающие в двенадцатиперстную кишку. В эндокринной части синтезируются гормоны инсулин и глюкагон. Повышая (глюкагон) и понижая (инсулин) уровень сахара в крови, происходит регуляция метаболизма углеводов.
Физиология поджелудочной железы такова, что ее работа непосредственно связана с другими органами системы пищеварения. Желудок при наполнении посылает импульсы, запускающие механизм выработки панкреатического сока. Печень имеет с ней единый выход в двенадцатиперстную кишку, где желчный и панкреатический протоки соединяются.
Может ли в поджелудочной железе образоваться полип?
Физиологически полипы – образования полых органов. Для образования полипа необходима слизистая оболочка, над которой происходит разрастание тканей эпителия. В поджелудочной же железе слизистый слой эпителия отсутствует. Сам орган состоит из паренхиматозной ткани. Следовательно, полипам образовываться просто негде. Исключение составляют протоки, полость которых поражается разрастаниями. Но эти случаи редки.
Ставя такой диагноз, врач может подразумевать патологическую капсулу из тканей с жидкостью внутри. Иными словами кисту.
Причины возникновения полипов
Кисты представляют собой пузырь, наполненный панкреатическим секретом. Различают истинные и ложные или псевдокисты. Внутренние стенки истинных кист выстелены эпителием, стенки псевдокист представлены фиброзной тканью.
Причины образования полипов не изучены полным образом. Врачи считают, что возникновение связано с негативным воздействием на организм. Стать причиной их появления могут:
- пагубные привычки;
- вредная пища и неправильный режим питания;
- наследственность;
- травмы органа;
- воспаления.
Кистозные образования принято делить на виды в соответствии с морфологическими признаками и причинами появления.
- Врожденные или онтогенетические. Появление объясняется наследственной предрасположенностью. Такие кисты крайне редко появляются в единственном числе. Часто сочетаются с поликистозом яичников, легких, почек.

Кистозное образование
- Пролиферативные. Разрастание тканей может достигать внушительных размеров. Доброкачественный полип может переродиться в злокачественную опухоль.
- Ретенционные. Обычно крупного размера. Реже встречаются мелкие и множественные. Образуются эти кисты из-за сдавливания протока железы. Причиной сдавливания становится опухоль, другой орган, рубец.
- Кистозные образования, вызванные глистными инвазиями или эхинококкоз. В органе появляется полый мешочек, внутри которого развиваются личинки паразита.
Симптомы заболевания
Любое заболевание поджелудочной железы опасно. Этот внутренний орган выполняет важные функции организма. Прекращение жизнедеятельности поджелудочной железы приводит к смерти человека. Именно поэтому важно обращать пристальное внимание на симптомы болезни.
Дело в том, что появление симптомов имеет вариации и зависит от особенностей заболевания и индивидуальных особенностей организма человека. На тяжесть и частоту проявления признаков болезни влияют размеры полипов, а также месторасположение патогенного элемента.
Следует пройти обследование, если в работе организма появились следующие нарушения:
- Появление периодических или регулярных болей в верхнем отделе живота. Характер боли может быть как острым, так и менее выраженным.
- Любые расстройства в системе пищеварения.
- Снижение массы тела.
- Учащенное мочеиспускание.
- Усиление чувства жажды.
- Появление общей слабости организма и быстрой утомляемости.
- Повышение температуры.
В случае появления указанных симптомов в комплексе требуется срочное обращение за медицинской помощью.

Заболевание поджелудочной железы
Методы диагностики полипов в поджелудочной железе
Оценив симптомы, врач назначает обследование, направленное на постановку или уточнение диагноза. Применяются методики, позволяющие комплексно оценить состояние железы и точно определить заболевание. Используются методы:
- клинический;
- лабораторный;
- инструментальный.
Клинический метод диагностики
Клинический метод диагностики заключается в опросе больного. Уже на стадии сбора анамнеза у доктора могут возникать предположения о болезни. Учитывая такие характеристики, как интенсивность болевого синдрома и локализация болей, можно определить, какая часть органа поражена.
Осмотр пациента, пальпация живота служат основанием постановки предварительного заключения. Иногда опухоль имеет внушительные размеры и диагностируется на стадии первичного осмотра.
Лабораторный метод диагностики
Уточнить болезнь и дать ей оценку помогают лабораторные исследования. При подозрении поражения поджелудочной железы назначают:
- биохимический и общий анализы крови и мочи;
- анализ кала на оценку фекальной эластазы и признаки не переваренных жиров и белков;
- тест на определение онкомаркеров;
- тест на определение выработки инсулина.
Инструментальный метод диагностики
Инструментальные методы позволяют наиболее точно оценить степень поражения органа, определить локацию и размеры новообразований. Дать оценку характеру и происхождению опухолей.
С помощью ультразвукового исследования оценивают общее состояние тканей, протоков, выявляют наличие опухолей, кист, рубцов.
Такой вид исследования как эндоультросонографическое проводят для более точного рассмотрения патологий.

Эндоультросонографическое исследование
Для получения полной информации о патологических образованиях, их размерах, локации и характере используется компьютерная томография.
Реже используются фиброэзофагогастродуоденоскопию (визуальный осмотр), рентгеноскопию, эндоскопическую ретроградную холангиопанкреатографию и ряд других исследований.
Лечение полипов
Лечить полипы консервативными методами невозможно. Ни одно медикаментозное средство или народный метод не могут убрать появившийся полип. Единственно возможный способ полного избавления от образования хирургический.
В случае если полип не растет стремительно и не мешает физиологической работе поджелудочной, то может быть избрана выжидательная тактика. Пациент находится под наблюдением, проходит периодические обследования. Рекомендуется щадящая диета и отказ от вредных привычек.
Когда полипы достигают больших размеров и оказывают негативное влияние на работу органа, показана операция по удалению. Оно проводится с помощью вмешательств различного типа. Выделяют следующие операции на поджелудочной:
- Часто применяемый способ – это резекция, удаляется не только образование, но и часть железы.
- Энуклеация проводится посредством лапароскопии, вылущивание опухоли происходит с сохранением органа. Операция проводится в отношении доброкачественных образований размером до 2 миллиметров.
- При эндоваскулярной эмболизации блокируются артерии и кровеносные сосуды, питающие полипы. Результатом процедуры становится полное отмирание тканей опухоли.
- Панкреатэктомия проводится только в случае невозможности использования других способов. Поджелудочная железа удаляется полностью или значительная ее часть.
Опасность полипов для здоровья
Полипы могут оставаться незамеченными в течение нескольких лет или всей жизни, никак не проявляя себя, не приносят человеку беспокойства. В ряде случаев диагностируются случайно при общем обследовании.
У заболевания ряд особенностей:
- отсутствие стремительного роста;
- отсутствие выраженных симптомов на стадии развития.
Сами образования вреда не приносят. Опасность заключается в появлении осложнений, если не назначено адекватное лечение. Патогенное воздействие проявляется как:
- перерождение в злокачественную опухоль;
- внутренние кровотечения;
- появление опасных гнойных сгустков;
- обострение хронических заболеваний;
- панкреатит;
- заболевания печени;
- перитонит;
- анемии;
- свищи.
Избежать осложнений помогает своевременная постановка диагноза, незамедлительно начатое лечение, соблюдение рекомендаций врача.
gastrotract.ru
Полипы в поджелудочной железе: причины, симптомы, лечение
В медицине полипами называют доброкачественные новообразования, которые формируются из эпителия слизистых оболочек и могут носить как единичный, так и множественный характер. Поджелудочная железа такими слизистыми не обладает, поэтому полипы в ней образоваться не могут. Однако бывают случаи, когда при обследовании врачи выявляют полипы в поджелудочной железе и назначают своим пациентам специальное лечение. Почему же так происходит? И что именно врачи подразумевают под таким диагнозом?
Особенности новообразований
Как уже было сказано, полипы не могут формироваться на поджелудочной железе, так как формируются они из эпителия слизистых оболочек, которых у этого органа нет. Поджелудочная состоит из паренхиматозной ткани, так же, как и печень, на которой не могут образовываться данные новообразования.
Единственное место, где они могут возникать, – это протоки поджелудочной. Но в этом случае они никак себя не проявляют, что значительно затрудняет диагностику. Более того, полипы поджелудочной железы редко обнаруживаются даже при ультразвуковом исследовании, так как они, как правило, имеют маленькие размеры и носят единичный характер.
Однако если данные новообразования разрастаются и носят множественный характер (локализуются в одном месте), то врачи воспринимают их за кисты. Эти образования имеют некоторые отличия от полип, так как они имеют ограниченную плотную капсулу, внутри которой находится серозная жидкость.
Киста поджелудочной – термин наиболее распространенный и собирательный, так как включает в себя следующие понятия:
- Врожденная киста. Ее формирование происходит из паренхимы железы или ее протоков, выявляется еще в детском возрасте.
- Приобретенная киста. Ее формирование происходит в результате закупорки выводных протоков железы каменистыми отложениями или опухолями.
- Дегенерационная киста. Она возникает вследствие повреждения тканей железы, например, во время оперативного вмешательства, внутреннего кровоизлияния или панкреонекроза, когда панкреатит дополняется некротическими процессами (отмиранием тканей).
Также существуют такие понятия, как пролиферационные опухоли, цистаденокарциномы и паразитарные новообразования, которые возникают в результате поражения поджелудочной железы паразитами (цистицерками, эхинококками и т.д.).

Разновидности кист поджелудочной
Диагноз «полип поджелудочной железы» ставится в нескольких случаях – когда врач не может определить истинную форму кисты или же образование только начало свое формирование и имеет очень маленькие размеры.
Причины формирования новообразований в поджелудочной железе
Причины формирования так называемых полипов в поджелудочной железе различны. Они могут возникать в результате нарушения эмбрионального развития или на фоне травм органа. Но чаще всего такие новообразования являются следствием:
- неправильного питания;
- злоупотребления алкогольными напитками;
- курения;
- длительного приема некоторых препаратов;
- заболеваний поджелудочной железы (панкреатита, панкреонекроза, желчнокаменной болезни и т.д.).
Важно! И кисты, и полипы могут озлокачиваться! Поэтому их лечение необходимо осуществлять сразу же после постановки диагноза!
Симптомы
Как уже было сказано, полипы, формирующиеся в поджелудочной железе, не дают никакой симптоматики. А вот кисты в этом органе дают выраженные симптомы, которые требуют немедленной госпитализации больного и проведения операции.
Основными симптомами формирования кистозных образований в поджелудочной железе являются:
- боли, возникающие в левой верхней части живота;
- сухость во рту;
- слабость;
- высокая температура;
- полиурия.

Боль в левой верхней части живота – главный признак формирования кисты поджелудочной
Как правило, выраженная симптоматика возникает тогда, когда новообразование достигает больших размеров и начинает сдавливать близлежащие органы. Именно по этой причине кисты, имеющие маленькие размеры, не дают никакой симптоматики и редко выявляются во время диагностических обследованиях при других заболеваниях.
В некоторых случаях большие новообразования на поджелудочной видны невооруженным взглядом, так как выпирают над уровнем кожи. Такие кисты нельзя оставлять без внимания, даже если они не сопровождаются выраженной симптоматикой, потому что последствия этого могут быть самыми разными. Во-первых, имеется большой риск перерождения кисты в злокачественную опухоль, а во-вторых, ее оболочка может лопнуть, что приведет к излиянию ее внутреннего содержимого в брюшную полость и спровоцирует развитие абсцесса или сепсиса.
Однако отсутствие острой симптоматики при больших кистах – это большая редкость. Чаще всего при их прогрессивном росте отмечаются следующие симптомы:
- постоянные острые боли в проекции нахождения новообразования;
- пищеварительные расстройства, проявляющиеся рвотой, тошнотой, диареей и т.д.;
- истощение организма.
Возможные последствия и осложнения
Кисты, или как их еще называют, полипы, являются новообразованиями, которые могут давать следующие осложнения:
- открытие внутреннего кровотечения;
- обострение хронического панкреатита;
- перитонит;
- холестаз;
- абсцесс;
- формирование свищей;
- нагноение кисты;
- разрыв селезенки.

Перитонит, абсцесс, нагноение кисты и разрыв селезенки – эти состояния требуют проведения экстренной операции, так как они могут за считанные часы привести к летальному исходу
Все эти состояния являются весьма опасными для здоровья и жизни человека. Поэтому при выявлении полип в поджелудочной необходимо сразу же начинать их лечение. Проводить терапию народными средствами бессмысленно, так как они не дадут положительного результата. Чтобы раз и навсегда избавиться от новообразований, потребуется проведение операции.
Лечение
Полипы и кисты поджелудочной железы лечатся только хирургическим путем. Обуславливается это тем, что данные новообразования не обладают свойством к саморассасыванию под действием определенных медикаментов. Однако перед проведением операции пациентам все же назначается курс медикаментозной терапии, целью которой является профилактика возникновения послеоперационных осложнений.
Как правило, такая терапия включает в себя пятидневный курс антибактериальными и противовоспалительными препаратами. Параллельно с ними назначается диета, которая способствует снятию нагрузки с поджелудочной. За сутки до проведения операции назначается голодовка, во время которой запрещается употреблять даже воду.
Удаление полип и кист поджелудочной осуществляется двумя способоми: лапаротомическим и лапароскопическим. Последний используется в том случае, если новообразование имеет небольшие размеры. Во время хирургического вмешательства удаляется не только полип, но и близлежащие ткани железы.

Операция – единственный способ лечения полип и кист поджелудочной железы. Как именно она будет проводиться, решает врач после полного обследования пациента
Так как это приводит к нарушению функций железы, после операции пациенту назначается пожизненная терапия, которая включает в себя прием ферментных препаратов. Если во время операции были повреждены клетки поджелудочной, отвечающие за выработку инсулина, вместе с ферментными препаратами применяются сахаропонижающие средства, так как в этом случае организм теряет способность самостоятельно контролировать уровень сахара в крови. В остальном же послеоперационное лечение зависит от того, каких именно размеров были полипы, и от места их локализации.
Профилактические меры
От полип и кист поджелудочной не застрахован никто. Поэтому каждому человеку необходимо постоянно проводить профилактические мероприятия, которые позволят сохранить ему работоспособность поджелудочной железы и предупредить формирование в ней новообразований.
Профилактические мероприятия несложные и включают в себя:
- отказ от курения и употребления алкогольных напитков;
- введение активного образа жизни;
- правильное питание;
- соблюдение режима дня;
- не превышать дозировку и длительность приема лекарственных препаратов, которые были назначены врачом для лечения других заболеваний;
- своевременно проходить профилактические обследования (минимум 1 раз в год).
Подводя итоги всего вышесказанного, следует отметить, что полипы в поджелудочной образовываться не могут. И если даже врач говорит об их наличии в этом органе, то, скорее всего, он подразумевает под своими словами кисту. Ее наличие в поджелудочной является опасным и может привести к серьезным проблемам со здоровьем. Поэтому затягивать с операцией не стоит. Чем меньше киста и чем раньше она будет удалена, тем ниже риски возникновения последствий.
schsite.ru
лечение, причины, угроза жизни, симптомы, особенности, диагностика, осложнения, профилактика
Полипы в поджелудочной железе — доброкачественные новообразования, представляющие собой разрастание тканей и способные иметь одиночный или множественный характер, тенденцию к злокачественному перерождению.

Полипы в поджелудочной железе – это доброкачественные новообразования, которые имеют тенденцию к злокачественному перерождению.
Поэтому при появлении первых признаков полипоза необходимо обращаться к врачу и начинать лечение.
Особенности
Истинные полипы в поджелудочной не возникают, подобные доброкачественные образования поражают слизистые оболочки полых органов. Железа не имеет полости и слизистых оболочек, т. к. полностью состоит из паренхиматозной тканей. Поэтому полипы в этом органе формироваться не могут. В редких случаях они обнаруживаются в протоках поджелудочной железы, однако симптомов подобные заболевания не имеют. Чаще всего под термином полип подразумевают:
- фиброму;
- лейомиому;
- шванному;
- гемангиому;
- липому;
- невриному.
Отличие от кист
Доброкачественную опухоль нередко ошибочно принимают за кисту.

Доброкачественную опухоль нередко ошибочно принимают за кисту, которая представляет собой полость с жидким содержимым.
Последняя представляет собой полость с жидким содержимым, от полипа отличается:
- формированием из железистых тканей;
- инфекционным происхождением;
- возможностью появления при обтурации протоков поджелудочной железы;
- округлой формой;
- наличием плотной оболочки;
- быстрым ростом:
- низким риском злокачественного перерождения.
Причины возникновения полипов поджелудочной железы
Существует несколько провоцирующих факторов, способных повлиять на рост и развитие полипа поджелудочной железы:
- генетическая предрасположенность к неопластической трансформации тканей;
- проживание в неблагоприятной экологической обстановке;
- наличие вредных привычек. Риск появления доброкачественной опухоли выше у тех, кто курит и злоупотребляет алкоголем;
- воспалительные заболевания органа. Полипы часто возникают на фоне хронического панкреатита;неправильное питание. Заболеваниям пищеварительной системы подвержены люди, предпочитающие жирную и жареную пищу. Спровоцировать неопластические изменения в поджелудочной может недостаток клетчатки, витаминов и минералов. Негативно на состоянии органа сказывается и переедание;
- травмы брюшной полости, внутренние кровотечения;
- повышенная утомляемость на фоне чрезмерных физических нагрузок.
Симптомы
На ранних стадиях развития полипы поджелудочной железы никак не проявляют себя. Признаки возникают при достижении новообразованием крупных размеров. К ним относятся:
- болевые ощущения, связанные со сдавливанием близлежащих органов и нервных окончаний. Имеют постоянный ноющий характер, способны усиливаться при движениях. Локализация неприятных ощущений зависит от того, где сформировалась опухоль. Если полип расположен в теле поджелудочной железы, появляются боли в эпигастральной области. При поражении хвоста возникает чувство тяжести в правом подреберье;
- непроходимость кишечника. Развивается при наличии крупных опухолей, сдавливающих органы брюшной полости;
- нарушение пищеварения. Запоры сменяются диареей, после приема пищи пациент ощущает тошноту;
- субфебрильная температура;
- общая слабость.

При достижении новообразованием крупных размеров у больного начинаются проблемы с пищеварением, которые приводят к диарее или запору.
Гормонпродуцирующие опухоли оказывают негативное влияние на весь организм. Существует несколько вариантов подобных нарушений:
- избыточная выработка инсулина. Сопровождается хронической усталостью, усиленным потоотделением, раздражительностью, головокружениями и тахикардией;
- чрезмерная секреция гастрина. В этом случае на слизистых оболочках желудка и двенадцатиперстной кишки появляются множественные язвы. Пациент ощущает сильные боли в эпигастральной области, усиливающиеся на фоне голода. Наблюдается изжога, кислая отрыжка, усиление перистальтики кишечника, диарея;
- избыточное производство глюкагона. Пациент быстро теряет вес, появляются симптомы анемии. Поверхность языка становится гладкой и приобретает ярко-красный цвет. Характерным признаком считается появление кожной сыпи в виде мигрирующей эритемы. У каждого заболевшего обнаруживаются симптомы стоматита и гингивита. У женщин нарушается микрофлора влагалища. На фоне чрезмерной выработки глюкагона развивается сахарный диабет.
Диагностика
Для выявления полипов в поджелудочной необходимо проведение аппаратных и лабораторных методов исследования:
- УЗИ. С его помощью обнаруживают крупные новообразования, однако этот метод не подходит для диагностики мелких гормонпродуцирующих опухолей.
- КТ и МРТ позволяют выявить полипы любых размеров, определить их строение и локализацию.
- Сцинтиграфия и ангиография. Назначаются при подозрении на гастриномы, инсулиномы и гемангиомы.
- Тонкоигольная биопсия с последующим гистологическим исследованием. Используется для определения характера новообразования.
- Общий и биохимический анализы крови. Помогают обнаружить изменения, характерные для заболеваний поджелудочной железы.
- Анализ на онкомаркеры. При наличии доброкачественных опухолей дает отрицательный результат.

С помощью УЗИ можно обнаружить крупные новообразования в поджелудочной железе.
Лечение полипов поджелудочной железы
На основании результатов обследования врач-гастроэнтеролог подбирает наиболее эффективную терапевтическую методику. При наличии крупных полипов применяются хирургические вмешательства.
Медикаментозная терапия показана при невозможности выполнения операции.
Если новообразование имеет небольшие размеры и не выделяет гормонов, пациент остается под наблюдением и регулярно проходит обследование.
Медикаментозная терапия
Если поджелудочная железа поражена множественными гормонпродуцирующими полипами, показана симптоматическая терапия. Выбор препарата зависит от того, какой гормон вырабатывается в избыточных количествах. Чаще всего применяются средства, нормализующие уровень глюкозы в крови. При наличии гастрином назначают препараты, снижающие кислотность желудочного сока, — Омепразол, Фамотидин, Ранитидин.
Народные средства
С помощью методов альтернативной медицины избавиться от полипов невозможно, однако они устраняют неприятные симптомы и облегчают общее состояние.

С помощью методов альтернативной медицины избавиться от полипов невозможно, однако они устраняют неприятные симптомы заболевания. К примеру, можно употреблять настой из бессмертника.
Наиболее эффективными считаются:
- компрессы из простокваши. Ткань пропитывают кислым молоком, накладывают на эпигастральную область, накрывают полиэтиленовой пленкой и теплой тканью;
- смесь из чеснока, лимона и петрушки. 1 кг лимонов, 300 г чеснока и 300 г петрушки измельчают и перемешивают. Препарат принимают по 1 ч. л. 3 раза в день, запивая теплой водой;
- настой бессмертника. 3-5 г травы измельчают и заливают 0,5 л холодной воды, оставляют на ночь. Принимают по 1 стакану 1 раз в день в течение месяца;
- настой бессмертника и ромашки. Для приготовления потребуется 2 ст. л. трав, смешанных в равных пропорциях, и 200 мл кипятка. Препарат настаивают полчаса, процеживают и принимают по 100 мл 3 раза в день перед едой. Курс лечения — 14-21 день.
Диета
Принципы правильного питания при полипах поджелудочной железы будут следующими:
- потребление пищи небольшими порциями 5-6 раз в день. Завтрак, обед и ужин должны начинаться по расписанию. Это снижает нагрузку на орган, подготавливая его к очередному приему пищи;
- исключение из рациона жирных и жареных блюд, полуфабрикатов и консервов. Пищу отваривают, готовят на пару или тушат. Полезно нежирное мясо и рыба;
- постепенное введение продуктов в меню.

Пищу, которая будет полезной для поджелудочной железы, лучше всего готовить на пару.
Хирургическое удаление
Операция — единственный способ, позволяющий полностью устранить полип. Существуют следующие типы вмешательств:
- Резекция. Представляет собой удаление поврежденного участка поджелудочной железы вместе с опухолью. Этот метод эффективен при наличии крупных новообразований.
- Энуклеация. Применяется при наличии полипов на поверхности поджелудочной железы.
- Эндоваскулярная эмболизация артерий. Операция направлена на прекращение кровотока по сосудам, питающим опухоль. Способствует гибели тканей полипа, отличается высокой эффективностью и минимальной травматичностью.
Возможные осложнения
Полипы в поджелудочной оказывают патогенное влияние на весь организм.

Полипы в поджелудочной оказывают патогенное влияние на весь организм. При отсутствии лечения у человека может развиться анемия.
При отсутствии лечения появляются осложнения:
- нагноение и воспаление органа;
- злокачественные опухоли;
- свищи;
- присоединение бактериальных инфекций;
- разрыв селезенки;
- анемия;
- желтуха;
- холестаз;
- перитонит.
Прогноз жизни
При своевременном обнаружении и удалении полипа прогноз благоприятный. Шансы на выздоровление резко снижаются при злокачественном перерождении опухоли. Ухудшают прогноз осложнения в виде механической желтухи и кишечной непроходимости.
Профилактические меры
Избежать появления полипов в поджелудочной железе помогает профилактика заболеваний данного органа и нормализация пищеварения. Для этого необходимо правильно питаться, отказываться от вредных привычек, принимать лекарства только по назначению врача.
О самом главном ПОДЖЕЛУДОЧНАЯ ЖЕЛЕЗА
Поджелудочная железа: строение, функции, кровоснабжение, иннервация, регионарные лимфаузлы
podzhelud.info
народное лечение, причины, как вылечить
Полипы в поджелудочной железе представляют собой доброкачественные образования, отличающиеся медленным ростом. Классические полипы, вызванные ВПЧ, не могут разрастаться в поджелудочной железе, так как в этом органе нет больших полостей, покрытых слизистыми оболочками.

Причины появления полипов
Среди этиологических факторов, способствующих развитию доброкачественных образований в поджелудочной железе, особо выделяется генетическая предрасположенность к неопластическому перерождению тканей. Вредные привычки, в том числе частое употребление алкоголя и табакокурение, вносят свой неблагоприятный вклад в развитие полипов в этом органе. Было обнаружено, что подобные новообразования чаще выявляются у людей, которые проживают в мегаполисах и экологически неблагоприятных зонах.
Создают предпосылки для развития полипов в поджелудочной железе и различные воспалительные заболевания. Довольно часто подобные образования выявляются на фоне хронической формы панкреатита. Предрасполагает к появлению полипов в поджелудочной железе и неправильное питание. Если основу рациона человека составляют продукты с повышенным содержанием жиров и углеводов, но при этом с крайне низким включением витаминов, микроэлементов и растительной клетчатки, он автоматически попадает в группу риска. Когда речь идет полипах в поджелудочной железе, причины их появления уходят корнями в нерегулярный прием пищи и переедание.
Возникновению подобных образований могут способствовать травмы органа. Особенно опасными считаются проведенные ранее хирургические вмешательства. Кроме того, в некотором роде появлению полипов поджелудочной железы способствуют внутренние кровотечения. У большинства больных выявляется сочетание факторов, способствующих перерождению тканей этого органа.
Симптомы разрастания полипов в поджелудочной железе
Многие типы доброкачественных опухолей, разрастающихся в тканях железы, не проявляются явными признаками. Как правило, симптомы наблюдаются при увеличении полипов в поджелудочной железе до крупных размеров. Такие образования сдавливают окружающие здоровые ткани. Это зачастую приводит к появлению постоянной ноющей боли в области правого подреберья.
Нередко неприятные ощущения усиливаются при изменении положении тела.
Большой полип поджелудочной железы может оказывать компрессионное давление на кишечник, становясь причиной непроходимости. Появление выраженных симптомов обычно наблюдается, если доброкачественное образование способно вырабатывать гормоны. Наиболее часто имеется повышенная секреция инсулина, гастрина и глюкагона.
Избыточный титр этих гормонов может провоцировать следующие симптомы:
- сильная слабость;
- повышенная потливость;
- приступы головокружения;
- тахикардия;
- множественные язвы на слизистой кишечника и желудка;
- изжога;
- отрыжка кислым;
- диарея;
- потеря веса;
- анемия;
- сыпь по типу мигрирующей эритемы;
- грибковые и бактериальные инфекции;
- сахарный диабет.
Эти признаки обычно появляются только в ситуациях, когда опухоль достигает значительных размеров. Мелкие полипы, как правило, не доставляют человеку какого-либо дискомфорта. Нередко подобные образования обнаруживаются случайно при диагностике других патологических состояний.
Диагностика полипов поджелудочной железы
Выявлением подобной проблемы должен заниматься гастроэнтеролог. Такие доброкачественные образования быстро определяются, когда сопровождаются выраженной симптоматикой. В остальных случаях диагностика во многом затруднена, так как у пациента нет четких жалоб, которые лечащий врач, собирающий анамнез, может учесть и установить характер проблемы. Для определения состояния поджелудочной железы требуется ультразвуковое исследование. Если крупные образования не выявляются, может потребоваться проведение МРТ или КТ.
Эти обследования позволяют более интенсивно и детально рассмотреть весь орган.
В некоторых случаях необходимой мерой является обследование поджелудочной железы с помощью ангиографии или сцинтиграфии. Они считаются необходимыми при подозрении на разрастание гастриномы, инсуломы или гемангиомы. Чтобы исключить вероятность злокачественного перерождения тканей, может быть показано проведение биопсии.
Лечение полипов поджелудочной железы
Ни народные, ни медикаментозные средства не способны имеющиеся образования вылечить. Если полипы в железе не отличаются крупными размерами и не продуцируют гормонов, лечащим гастроэнтерологом может быть рекомендована выжидательная позиция.
Учитывая, что подобные опухоли отличаются крайне медленным ростом, не всегда они становятся причиной появления выраженной симптоматики даже через десятилетия. Если полип достиг больших размеров, медлить с оперативным лечением не стоит, так как убрать образование менее радикальными методами и избавить пациента от неприятных ощущений другими способами не представляется возможным.
Лечение полипов возможно при вмешательствах разного типа. Это может быть:
- энуклеация;
- резекция;
- эндоваскулярная эмболизация артерий.
Каждый метод имеет свои преимущества. Энуклеация позволяет удалять полипы до 20 мм, располагающиеся на поджелудочной железе. Важным требованием для проведения такого оперативного вмешательства является исключение злокачественного перерождения.
При выполнении резекции удаляется часть поджелудочной железы, в которой присутствует полип. Это вмешательство является травматичным и проводится, как правило, только в случаях, когда опухоль выделяет слишком большое количество гормонов или же есть риск ее малигнизации.
Эндоваскулярная эмболизация предполагает блокирование кровеносных сосудов, питающих опухоль. Это приводит к уменьшению полипа, а затем и к полному омертвению его тканей. Обычно в качестве эмболизрующего материала используется окклюдер или гидрогель. Этот метод воздействия является малоинвазивным.
medicalok.ru
Полипы в поджелудочной железе: причины и симптомы
Полипы в поджелудочной железе – это патобразования, которые возникают при разрастании эпителиальной ткани. Внешне выглядят, как неправильный овал или капля. Образование врастает в орган или же может крепиться к нему при помощи ножки. Подобные образования чаще всего доброкачественные, но из-за длительного нахождения в организме и воздействия некоторых факторов, могут перерождаться в злокачественные. Из статьи узнаем, что такое полипы поджелудочной железы, причины и лечение, симптомы недуга.
Полипы в поджелудочной железе: особенности и отличия

Полипы в поджелудочной железе, что это значит? Начать нужно с того, что такого понятия не существует.
Поджелудочная – это орган, который состоит из паренхимы и стромы, поэтому в нем анатомически не предусмотрено наличие просвета. Поэтому и условий для появления полипа нет. Если это и случается, то редко, образования почти не проявляются клинически, а т.к. имеют небольшой размер, выявить их достаточно сложно.
Из-за этого киста поджелудочной железы часто может быть перепутана при диагностике с полипом. Первое образование имеет четкие границы и наполнено жидкостью внутри.
Почему в ПЖ появляются полипы?
Любое образование без четкой этиологии в ПЖ называют полипом. Но, если анатомически отсутствует возможность развития новообразования, то говорить стоит о кисте поджелудочной железы, чаще всего образование формируется на внешней стороне органа.
Основные характеристики полипов:
- расположение только в протоках;
- медленное развитие;
- отсутствие явной симптоматики.
Среди причин возникновения наростов:
- воспаления в железе и разрастание тканей;
- панкреонекроз;
- ухудшение оттока панкреатического сока из-за давления опухоли;
- наличие вредных привычек;
- травмы и операции на железе;
- генетика и наследственность.
Типы крупных образований в ПЖ
Наросты в железе обычно классифицируют, согласно определенным характеристикам, так они бывают:
- врожденными – множественные, со скрещенной комбинацией и кистозом других структур;
- полиферативными – образовываются из-за полиферации протоков и фиброзных образований, образования многокамерные;
- ретенционными – появляются из-за сдавливания протоков агентами (киста, опухоль), тогда полипы находятся вдали друг от друга, но крупного размера;
- псевдокисты – достаточно частое явление, отмечается при наличии у человека геморрагического панкреатита, к его развитию приводит некроз тканей.

именно кисты с доброкачественными характеристиками вызывают подозрение на наличие полипов.
Различия полипов и кисты
Чтобы поставить точный диагноз, нужно знать о различиях полипов и кист. В первом случае речь идет о разрастании соединительной ткани, внутри нет жидкости. Киста состоит из эпителиального слоя, иногда формируется из других тканей, внутри есть полость с жидкостью.
Если образуются любые новые проявления и подозрения на недуг, нужно обратиться к врачу для диагностики.
Клинические проявления полипов
Полипы почти никак не проявляются, но при наличии некоторых симптомов лучше пройти обследование:
- рвота, отрыжка, диарея или запор;
- утомляемость;
- снижение веса, которое происходит достаточно быстро;
- гипертермия;
- учащенные позывы к мочеиспусканию.
Если в поджелудочной железе полипы, симптомы могут быть разнообразны, так как недостаток ферментов плохо сказывается на работе некоторых органов. Поэтому будьте внимательны и к сопутствующим жалобам.
Опасность недуга
Каждое образование, даже доброкачественное считается опасным для организма из-за:
- малигнизации или перерождения в злокачественное образование;
- ущемления ножки полипа, что вызывает кровотечение и острую боль;
- нарушений в работе некоторых органов пищеварения. Это может быть тошнота, рвота, постоянная боль, секреторная недостаточность.
Как следствие, развивается застойное гниение, холецистит, острый панкреатит.
Диагностика и постановка диагноза
Зачастую врачи прибегают к трем типам диагностики – аппаратным, клиническим и гистологическим исследованиям. Также врач собирает анамнез, проводит внешний осмотр с пальпацией, так как иногда полип очень крупный и он легко прощупывается.
Лабораторные исследования включают клинические и биохимию крови, когда состояние организма изучается по результатам анализов крови, мочи, кала. Речь идет о таких тестах:
- биохимия и клиника крови;
- анализ кала на эластазу;
- анализ на гормоны;
- инсулиновый тест.
Инструментальные техники позволяют визуализировать органы, получить четкую картинку и обнаружить любые нарушения. Поэтому врач может назначать:
- УЗИ;
- МРТ / КТ;
- эндоскопию;
- сцинтиграфию.

Варианты лечения
Консервативное лечение при обнаружении полипов не используется, врачи сразу назначают операцию по удалению наростов. Если полип медленно растет и развивается, не оказывает вреда здоровью, то может использоваться выжидательная методика с постоянным контролем состояния.
Одновременно назначается особенная диета и необходим полный отказ от вредных привычек. Если образование имеет большой размер, ухудшает работу соседних органов и риски перерождения в злокачественную опухоль, операцию проводят в срочном порядке.
Основные типы хирургического вмешательства:
- резекция образования и части паренхимы;
- лапороскопия, когда удаляется только полип;
- эмоблизация, когда перевязывают кровеносные сосуды;
- панкреэктамия – полное удаление железы.
Метод резекции полипов и удаления кисты поджелудочной железы определяются только специалистом на основании анализов.
Диета
Огромное значение в процессе терапии имеет диета, очень важно исключить продукты, которые стимулируют выработку желудочного сока, то есть, копчености, жирные блюда, жареные и с консервантами.
Разрешены следующие продукты:
- черствый хлеб или сухари;
- молочка;
- диетическое мясо;
- крупы и макароны;
- овощи и фрукты;
- нежирный сыр;
- сухофрукты.
Профилактика также включает соблюдение диеты и отказ от вредных привычек. Но при малейшем ухудшении здоровья, нужно срочно обратиться в больницу.
Поделиться ссылкой:
infamedik.ru
