Узел с Кровотоком в Щитовидной Железе: Что Нужно Знать
Статья посвящена узловым новообразованиям щитовидной железы. Наиболее подробно описан узел с кровотоком в щитовидной железе.
Также здесь рассмотрены причины, по которым изменяется интенсивность кровотока, как во всем органе, так и в отдельных, патологически измененных его частях. Информацию дополняют видео в этой статье, а также подборка фото материалов.

Изменение интенсивности кровотока в узловых новообразованиях щитовидной железы
Изменение силы кровотока в тканях щитовидной железы чаще всего выявляется при помощи различных методик УЗ-исследования. К примеру, интранодулярный и перинодулярный кровоток можно оценить при помощи цветового доплерского картирования (ЦДК) либо энергетической доплерографии (ЭДК).
Если выявляется рост либо падение интенсивности этого показателя, первое, что нужно сделать, — исследовать содержание тиреоидных гормонов. Ведь такой результат исследования еще не является окончательным диагнозом, это просто повод для того, чтобы, заподозрив начавшиеся либо наступившие патологические изменения, приступить к более глубокому обследованию.
Методика исследования кровотока glandula thyreoidea
Оценка снабжения кровью щитовидки является значимой частью диагностики ее патологических изменений. Не так давно этот параметр можно было измерить, лишь проводя ангиографию.
В наше время его оценка проводится на доработанном аппарате УЗ-исследований, в котором реализован допплеровский эффект. В его основе лежит свойство ультразвуковых колебаний отражаться от объектов, пребывающих в движении.
Поскольку все форменные элементы крови постоянно движутся, поэтому они отражают ультразвуковые волны отличным от неподвижных окружающих тканей способом. Поэтому допплеровский метод УЗ-исследования помогает легко определять скорость движения крови и степень снабжения ею железы.
Обычно, повышенный кровоток в щитовидной железе означает наличие определенных патологических процессов. Такая мера применяется организмом для того, чтобы решить назревающую проблему либо удовлетворить возросшие потребности органа, работающего в усиленном режиме.

Значительное усиление кровотока в обеих долях щитовидной железы
В каких случаях усиливается кровоток в glandula thyreoidea?
Повышение интенсивности кровотока в щитовидке свидетельствует о наличии определенных проблем.
Он может отличаться неоднородностью, то есть рост скорости кровообращения отмечается на отдельных участках щитовидки:
- по краям узлов;
- равномерно лишь в одной доле;
- только в самих новообразованиях;
- равномерно распределяться по обеим долям органа.
Чаще всего увеличение кровообращения указывает на интенсификацию работы железы, а значит с ростом производства тиреоидных гормонов.
Возможными причинами этого явления могут быть:
Интересно! Усиленный кровоток в тканях glandula thyreoidea иногда называют «пожаром в щитовидной железе» либо «щитовидным адом».
Узлы коллоидного типа, как правило, не представляют опасности для жизни человека, кроме случаев, когда эти новообразования разрастаются до таких размеров, что начинают давить на окружающие важные для жизни анатомические структуры. В таких новообразованиях усиление кровотока наблюдается только по их краям (ободках). Эти особенности указывают на то, что вокруг узла имеется капсула.

Коллоидный узел при ультразвуковом исследовании
Если кровоток усилен внутри обнаруженного узла, это указывает на отсутствие капсулы, что характерно для злокачественного течения. Когда повышена интенсивность либо в центральной части узла, либо по его периферии это указывает на активно функционирующие новообразования, активно синтезирующие тиреоидные гормоны.
Как на это реагирует весь организм?
Такие трансформации тканей glandula thyreoidea предполагают три сценария, по которым могут развиваться события:
- Железа работает нормально, гормональный фон не меняется;
- Функции усиливаются, количество гормонов возрастает;
- Функция падает, концентрация гормонов уменьшается.
При реализации первого сценария, при условии доброкачественного течения, новообразования не угрожают жизни человека и, в большинстве случаев, лечение не проводится.

Исхудание является проявлением второго сценария развития событий
Если развитие идет по второму сценарию, то у него проявляется симптоматика тиреотоксикоза, выражающаяся в следующем:
- исхудании;
- ощущении жара;
- треморе конечностей;
- ускоренном сердцебиении;
- нарушении менструального цикла;
- расстройствах памяти и концентрации внимания.
Третий сценарий предполагает снижение продукции тиреоидных гормонов вплоть до проявления гипотиреоза:
- зябкости;
- отечности;
- сонливости;
- наборе массы тела;
- сухости кожных покровов и волос;
- снижении мыслительных способностей.
УЗ-исследование просто укажет на наличие проблемы, а с целью уточнения диагноза врач назначит ряд дополнительных исследований, чтобы получить более полное впечатление о развивающейся патологии.

Быстрый набор веса может указывать на развитие ситуации по третьему типу
Почему недостаточно провести УЗИ?
Для получения достаточно полной информации об уровне васкуляризации glandula thyreoidea не хватает возможностей УЗ-исследования. А поскольку эти данные все же нужны, то доктор назначит либо ЦДК, либо ЭДК.
ЦДК
Данное исследование позволяет выявить, в каком направлении проходит кровоток. Разные направления движения обозначаются разными цветами: синим и красным. ЦДК позволяет разделить жидкостные новообразования и активно функционирующие кровеносные сосуды. Его результат служит для уточнения диагноза.
ЭДК
Энергетическая допплерография показывает:
- насколько интенсивно проходит кровоток в тиреоидных тканях;
- насколько велико кровенаполнение исследуемого участка.
Палитра изображения красно-коричневая либо красно-оранжевая. Чем большее количество частиц движется, тем ярче цвет картинки. Большая интенсивность кровотока указывает, в большинстве случаев, на развитие воспаления. Коричневый цвет означает малое количество частиц, находящихся в движении.
Обычное УЗ-исследование и допплерография одного и того же патологически измененного фрагмента щитовидки
Допплерография продолжается около 40 минут, чтение результата и его интерпретация занимают от 1/3 до ¼ часа. В большинстве случаев, при необходимости проверить кровоток, эндокринологи направляют на прохождение и УЗ-исследования и обеих допплерографий.
В современной аппаратуре предусмотрены все три режима работы, благодаря чему и доктор и пациент экономят время, да и цена оказывается существенно ниже, чем при раздельном прохождении исследований у нескольких специалистов. Поскольку допплерография показывает процессы, происходящие в щитовидке в онлайн режиме, то в случае стремительно прогрессирующих патологических процессов, обойтись одним обследованием не выйдет. Инструкция предполагает целый ряд исследований для динамического наблюдения за происходящим в железе.
Четыре типа кровотока
На обоих видах допплерографий в узловых новообразованиях различают четыре разновидности кровотока:
- перинодулярный;
- интранодулярный;
- пери-интранодулярный;
- отсутствие васкуляризации.
Далее все четыре рассмотрены подробнее.
Перинодулярный кровоток
Термин «перинодулярный» слагается из двух основ, — латинских слов: peri (вокруг) и nodus (узел).
Для такого вида васкуляризации характерны следующие отличительные черты:
- отсутствие сосудов внутри новообразования;
- хорошее кровоснабжение стенок узла.
Согласно статистическим данным, периферийная васкуляризация характерна для доброкачественных новообразований (до 85% узлов с таким типом кровоснабжения). Как правило, это капсулы с наполнением в виде гелеобразного коллоида либо жидкости.

Новообразование в щитовидке с перинодулярным кровотоком
Однако отмечаются весьма редкие случаи, когда перинодулярный кровоток узла щитовидной железы наблюдается при злокачественных новообразованиях, проходящих ранние этапы своего развития, до начала процесса ангиогенеза.
Интересно! И в том, и в другом случае, новообразования будут давать гипоэхогенную картину, поскольку их внутреннее содержимое, — жидкостное.
Интранодулярный кровоток
Термин «интранодулярный» также слагается их основ двух латинских слов, — intra (внутрь) и nodus (узел).
Отличительными особенностями этого типа васкуляризации являются:
- отсутствие либо незначительное количество кровеносных сосудов в стенках новообразования;
- хорошее кровоснабжение, а значит, обильное питание тканей внутри узла.
Статистические данные говорят о том, что 20% новообразований с таким типом кровоснабжения являются злокачественными. А при отсутствии у них капсулы и наличии гипоэхогенности, вероятность такого неблагоприятного развития возрастает еще на 10%.

Новообразование в щитовидке с интранодулярным кровотоком
Уточнение диагноза проводится за счет выполнения тонкоигольной аспирационной биопсии (ТАБ).
Пери-интранодулярный кровоток
В новообразованиях с таким типом кровоснабжения, сосуды имеются как в капсуле, так и во внутренних тканях, благодаря чему вся опухоль получает обильное питание. Это характерно для аденом и узлов, отличающихся токсическим характером, то есть они могут не просто расти. Но и вырабатывать при этом очень большое количество тиреоидных гормонов, которые неизбежно оказываются в периферической крови.
Для такого рода «комбинированных» новообразований характерно доброкачественное течение в 85% случаев, а злокачественное, — в 15%. Так как внутреннее содержимое опухоли представляет собой желеобразные коллоид либо жидкость, то при УЗ-исследовании они будут проявлять гипоэхогенность.
Отсутствие васкуляризации
Самый благоприятный прогноз будет именно при таком результате допплерографии, говорит о наличии доброкачественного новообразования. Значит сосуды, осуществляющие питание непосредственно самого узла, отсутствуют, следовательно, развиваться он будет очень медленно либо не будет вообще.
Причины появления узлов
Почему же в щитовидной железе появляются новообразования?
Причин, способствующих этому явлению современная наука насчитывает несколько:
- Генетические аномалии развития либо травмы, приведшие к кровоизлиянию. И те, и другие способны нарушить отток коллоидных масс. В 90% подобных случаев наблюдается развитие новообразований.
- Продолжительное влияние пониженных температур, провоцирующих сосудистые спазмы в glandula thyreoidea. В результате поступление питательных веществ к клеткам железы падает, на этом фоне наблюдается падение местного иммунитета. Так же реагирует сосудистая сеть железы и в случае продолжительных отрицательных эмоциональных перегрузок. Такие сосудистые спазмы серьезно увеличивают риск развития узлов щитовидки.
- Плохая экология. Если окружающая среда содержит токсические вещества и свободные радикалы в дозах, превышающих предельно допустимые, то это может спровоцировать нарушение структуры железистых клеток щитовидки. Одним из последствий этого является начало их бесконтрольного деления. Новообразования, в основе развития которых лежат такие процессы, могут иметь как доброкачественное, так и злокачественное течение.
- Йододефицит. Если поступающие человеку в пищу продукты питания не обеспечивают его потребности в йоде, то развивается недостаточность этого элемента, отрицательно влияющая на состояние щитовидки. Это запускает определенные патологические процессы, способные при определенных условиях спровоцировать развитие новообразований.
- Радиоактивное излучение. Под воздействие ионизирующего излучения (радиации) клетки glandula thyreoidea мутируют, в результате чего развиваются различные опухолевидные образования.
- Воспалительные процессы. К примеру, тиреоидит способен спровоцировать развитие отека обеих долей щитовидки, на фоне которого формируются псевдоузлы.
- Аутоиммунные процессы. Клетки иммунитета по разным причинам могут атаковать тиреоциты, провоцируя своеобразное воспаление, приводящее к формированию новообразований.
- Гормональный дисбаланс. К примеру, аденома гипофиза способна спровоцировать развитие большого количества опухолевидных образований в щитовидке.
- Генетическая предрасположенность. Часто прослеживается наследственная обусловленность развития опухолей.

Тяжелая экологическая обстановка является одной из причин появления узловых новообразований в щитовидной железе
Узлы, развитие которых провоцируют перечисленные выше причины, могут относиться к различным типам. И от того, насколько точно будет установлено, с какой именно патологией приходится иметь дело, тем быстрее и эффективнее будет проходить ее лечение.
Типы эхогенности узлов
В случае обнаружения узлового новообразования при пальпаторном обследовании щитовидки, эндокринолог отправляет пациента на УЗ-исследование, результатом которого является черно-белая картинка.
На этом изображении можно выделить четыре типа эхогенности опухолей, основные отличия и примеры которых приведены в следующей таблице:
Тип эхогенности | Вид на мониторе | Структура участка |
Анэхогенный (практически не отражает ультразвуковые волны) | ![]() Участки черного цвета | Кровеносный сосуд, узел с жидкостью внутри, полость с инфильтратом |
Изоэхогенный | ![]() Светло-серые участки | Содержимое новообразований имеет однородную гелеобразную консистенцию (коллоид), а поскольку здоровые фолликулы также заполнены своеобразным коллоидом, то такие опухоли практически не отличимые от здоровой ткани |
Гипоэхогенный (отражает минимальное количество ультразвуковых волн) | ![]() Темно-серые участки | Крупный кровеносный сосуд, полости, заполненные инфильтратом, узлы, кисты, заполненные гноем либо кровью |
Гиперэхогенный (отражает все ультразвуковые волны) | ![]() Светлые, почти белые участки | Узлы большой плотности, в составе которых в основном либо исключительно соединительная ткань, кальцинаты |
Дифференциальная диагностика анэхогенных и гипоэхогенных образований, а также уточнение характера процессов с помощью УЗ-исследования является достаточно сложной задачей. Помочь в решении этой проблемы могут ЦДК и ЭДК.
Комплекс этих исследований укажет на многие характеристики новообразований:
- структуру;
- плотность;
- наличие жидкости;
- присутствие твердых частиц;
- формирование новой сосудистой сети как вокруг опухоли, так и внутри нее.
Но даже совокупность признаков, свойственных злокачественным новообразованиям, таких, как ангиогенез и быстрый рост, отображаемый в виде гало, — темнейшего ореола, окружающего гипоэхогенный участок, не дает права постановки безапелляционного диагноза.
Помимо УЗ-исследования, ЭДК и ЦДК, необходимо установить клеточный состав узла, в котором кровоток усилен. Поэтому диагноз следует обязательно подтверждать при помощи тонкоигольной аспирационной биопсии. Ведь только точная диагностика является залогом быстрого и результативного лечения.
schitovidka.su
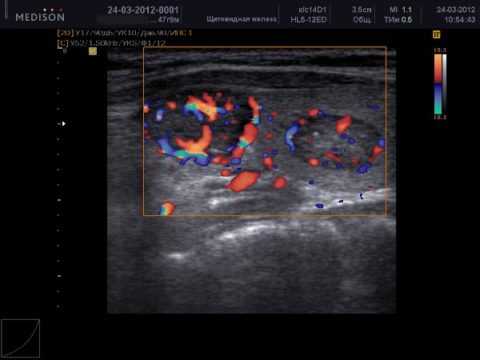
Гипоэхогенный узел со смешанным кровотоком в щитовидной железе |
Uziprosto. ru
Энциклопедия УЗИ и МРТ
Гипоэхогенные образования щитовидной железы на УЗИ: что это такое?
УЗИ занимает очень важное место в диагностике самых различных патологий человеческого организма. Обнаружив отклонение от нормы или заболевание, врач всегда выписывает направление на УЗИ в первую очередь. Таким образом, ультразвуковое исследование уже давно стало обыденным явлением в нашей повседневной жизни.
Специфика современности, последние статистические данные и тенденции заболеваемости показывают, что на данный момент прогрессируют патологии щитовидной железы самого различного толка. Поэтому и УЗИ щитовидной железы сегодня процедура очень важная и, что самое главное для здоровья пациентов, довольно распространенная, многие люди стараются проходить такую диагностику регулярно.
Но что же из себя представляет щитовидная железа? Какие бывают образования в ней? Чем опасно гипоэхогенное образование щитовидной железы? Чем примечателен гипоэхогенный узел щитовидной железы? О каких патология говорит наличие гипоэхогенного образования?
Важно отметить, что видит специалист-диагност на УЗИ, на что обращает внимание и какие параметры анализирует. Щитовидная железа — это орган, состоящий из правой доли, левой доли и перешейка. Так же немаловажен осмотр близлежащих лимфоузлов. В норме орган проводит ультразвуковую волну и не отражает ее. Орган имеет свою чёткую капсулу, форму, обладает четкими контурами.
Что такое гипоэхогенность и каковы ее разновидности?
Эхогенность – это способность тканей проводить ультразвуковую волну. Плотность ткани бывает разной и проницаемость ультразвуковых волн будет также разной. Можно выделить следующие показатели данного явления: изоэхогенность, гипоэхогеность, гиперэхогенность, анэхогенность. Изоэзхогенность — это нормальное состояние железы, выглядит на картинке как однородный серый цвет. Другими словами, это норма и переживать не стоит. Гипоэхогенность имеет более тёмную окраску на мониторе, которая иногда приближается к чёрному. Такой окраской характеризуются менее плотные ткани. Жидкость отражает волну и выглядит как совершенно чёрное изображение. Чаще всего жидкость ограничена гипоэхогенной капсулой и, конечно, при исследовании будет окрашена белым.
Нормальная щитовидная железа на УЗИ
Также при исследовании оценивается качество железы. Существует понятие зернистости, оценивается однородность щитовидной железы, насколько четкими контурами она обладает. Кроме того, врач оценивает наличие типично и аномально расположенных сосудов, что особенно важно, когда речь заходит об объемных образованиях, так как одна из задач таких исследований — выявить патологические сосуды в объёмном образовании.
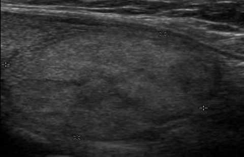
Итак, гипоэхогенное образование — это образование, имеющее более темную окраску, нежели сам орган в целом.
Какие же бывают объёмные гипоэхогенные образования (узлы)?
Конечно, стоит отметить эхографическую картину, исходя из поставленного диагноза.
Гипоэхогенные образования щитовидной железы на УЗИ
Диффузный зоб
Диффузный зоб, как правило, характеризуется увеличением железы в целом и проявляется анэхогенным образованием на фоне средней зернистости железы. В составе диффузного зоба содержатся множественные образования (так называемые кисты). По качеству они могут быть разными: как гипоэхогенными, так и гиперэхогенными, чаще всего они сливаются и не имеют чёткой формы. Безусловно, очень важно отследить каждый узел отдельно, ибо большое количество узлов не гарантия их одинакового происхождения. Многоузловые формы также не говорят о доброкачественности процесса. Конечно, особенно значимо оценивать цветное дуплексное картирование (кровоток). При зобе сосуды несколько увеличены в размере, что и обуславливает увеличение железы.
Гипоплазия
Очередная патология – гипоплазия щитовидной железы: это уменьшение органа по сравнению с нормой. На УЗИ чаще все структура не изменена, изменению подлежат только размеры (гипоплазия – размеры меньше нормы). Гиперплазия щитовидной железы – это в свою очередь увеличение размеров. Увеличение размеров железы чаще всего возникает за счет объемного образования, но бывает и в связи с гормональным дисбалансом. При осмотре ультразвуком иногда отмечается и сниженная эхогенность как следствие патологии.
Очаговое поражение
Следующей аномалией идет очаговое поражение щитовидной железы. С одной стороны, можно стать заложником стереотипов и подумать, что гиперплазия сама по себе не так уж опасна. Однако, ни один диагност не возьмется утверждать связана ли данная аномалия с раковым процессом или нет, и именно поэтому так важно вовремя проводить исследование и проходить дальнейшую диагностику.
Как уже было сказано, исключительно важно дифференцировать онкологию от других патологий. Конечно, все объемные новообразования проверяют на наличие атипичных клеток в обязательном порядке. Есть перечень заболеваний, которые можно включить в дифференциальную диагностику, традиционно это папиллярный рак, кистозные образования, лимфомы, аденомы, лимфоаденопатия. Конечно, ультразвуковое исследование – не единственное основание для постановки диагноза, также интересно следующее: при сочетании гипоэхогенного образования и отсутствия накопления изотопов (холодный узел), вероятность озлокачествления до 44%.
Киста – это объемное образование, заполненное чаще всего жидкостью либо неоднородным содержимым. На УЗИ такие патологические образования чаще всего проявляются анэхогенным образованием с четким ровным контуром. Специалисту важно осмотреть окружающие ткани кисты, не входит ли киста в состав какого-либо другого образования и не является ли она признаком некроза и распада ткани.
Раковые образования и аденомы
Аденома подразделяется на нефолликулярные и фолликулярные формы. При исследовании могут проявляться как гипоэхогенные, гиперэхогенные, анэхогенные (имеют толстый гипоэхогенный ободок).
Рак щитовидной железы при ультразвуковом исследовании выглядит как гипоэхогенное образование, с микрокальцинатами, капсула неровная, иногда можно увидеть инфильтрацию окружающих тканей. При выявлении подобных аномалий необходимо проводить биопсию узла. Причем нужно исследовать все узлы (при множественном поражении). Папиллярный рак имеет особенности: он создает несколько очагов, метастазирование происходит в лимфоузлы, существует низкая агрессивность, обусловленная немедулярным ростом; данный тип рака гипоэхогенный с кальцинатами. Также очередной отличительный признак: кистозные полости, внутри которых отмечаются папиллярные разрастания. В лимфоузлах, в свою очередь, диагност обычно легко обнаруживает жидкостной компонент.
- Фолликулярный рак метастазирует в лимфоузлы, легкие, почки. Особенность этого рака в том, что он возникает на фоне уже существующих узлов. Есть только несколько отличительных признаков фолликулярного рака: неровный бугристый контур и периферический ободок. Также при этом типе рака отсутствует метастатическое распространение в лимфоузлы, микрокальцинаты. Медулярный рак можно поставить только по биохимическому исследованию С-клеток, УЗИ, как правило, показывает, что гипоэхогенные контуры неровные и нечеткие. При цветном картировании ободок вокруг опухоли представлен сосудами. При этом виде рака в структуре встречаются микрокальцинаты. Лимфомы при ультразвуковом исследовании имеют бугристость, вовлекаются в процесс близлежащие ткани, визуализируются ткани со сниженной эхогенностью. При эхографии обнаруживаются образования с четким контуром. Внутренняя структура неоднородна за счет больших анэхогенных некротических участков, также выявляются рассеянные в паренхимы железы с множественными гипоэхогенными участками териоида. При цитологическом исследовании лимфом и териоидов представляется определённая сложность в дифференциации между ними.
Подготовка
Каждому пациенту стоит знать, что перед данной диагностикой следует выполнять несложный алгоритм действий, которые повысят достоверность обследования. Так, нужно попытаться перед обследованием избегать стрессовых ситуаций. В случае наличия рвотных масс, их нужно удалить (обычно это делает под наблюдением врача). На исследование приходят обычно на голодный желудок. Специальных препаратов принимать не нужно, но диагност должен быть в известности, если пациент принимает какие-то лекарства, влияющие на работу щитовидной железы.
Показания к проведению исследования
Необходимо знать и о том, какие же существуют показания к ультразвуковому исследованию щитовидной железы. Есть медицинские показания и немедицинские.
Немедицинские
К немедицинским относиться только одно – самостоятельное желание пациента, вызванное беспокойством о своем здоровье.
Медицинские
К медицинским относятся следующие:
- При пальпации обнаруживает увеличение одной из долей либо аномальное новообразование. Жалобы на затрудненное глотание. Ощущение инородного тела в горле. Повышенная нервозность. Затрудненное дыхание. Психическая неуравновешенность. Необоснованная агрессия. Необходимость послеоперационного контроля. Профилактика рецидивов заболеваний щитовидной железы. Так же при помощи измерения объема железы и размеров определяется доза препарата, необходимая для эффективного лечения.
Что изучают при таком обследовании?
Конечно, проводя ультразвуковое исследование щитовидной железы, диагност в первую очередь ставит перед собой задачу подтвердить или опровергнуть онкологическую природу новообразований, если они имеют место быть. Окончательный диагноз при этом ставит врач-онколог после гистологического исследования, тем не менее задача врача-диагноста заподозрить патологический процесс.
Также при исследовании изучаются лимфоузлы, и это действительно имеет большое значение. Особенность лимфатической системы состоит в том, что через нее проходят все болезнетворные микроорганизмы, вирусы, а также аномальные клетки, в том числе раковые. Лимфатические узлы обычно – прибежище метастаз. Поэтому лимфатические узлы должны заслуживать отдельного внимания.
Что еще оценивается при УЗИ щитовидной железы?
При осмотре железы диагност анализирует состояние железы в целом, ее форму, параметры капсулы, состояние самой ткани, расположение железы. После осмотра железы в целом обязательно дополнительно уделяют внимание подозрительным участкам. Если имеется объемное образование, измеряют и оценивают качество ткани, наличие патологических включений, кровоток в образовании. Также нужно оценить состояние органа на более ранних исследованиях (если они имеются). Кроме того, необходимо исключить нарушение кровотока, ибо это свидетельствует о распаде или некрозе ткани образования. Также выявляется наличие микрокальцинатов.
Дальнейшие действия
Несмотря на результативность, простоту проведения и эффективность, УЗИ щитовидной железы – не единственный шаг при ее диагностике. Конечно, понадобится также КТ, МРТ, консультации смежных специалистов, пункции, гистологии и т. д. Важно правильно оценить результаты, этим безусловно занимается врач.
Особое значение данная диагностика имеет при обнаружении онкологического заболевания. Диагноз рак не ставится по УЗИ окончательно, но врачам необходимо получить результаты УЗИ при таких подозрениях и при проведении профилактических мероприятий.
Доказано, что при несоблюдении здорового образа жизни и употреблении алкоголя и табака риск заболеваемости резко возрастает. Конечно, есть исключение, и это медуллярный рак. Если ваши ближайшие родственники болели данной формой рака, существует определенный риск наследственной заболеваемости. Иногда, к сожалению, единственно верным решением является удаление железы в детском возрасте, также пациенту предлагают генетические исследование на выявление специфического гена. В любом случае, выявить наличие заболевания (в т. ч. узлы) на ранней стадии возможно. Очень важно вовремя обратиться к специалисту и заботиться о своем здоровье.
Источники:
//uziprosto. ru/ultrazvuk/golovi-i-shei/gipoexogennyj-uzel-shhitovidnoj-zhelezy. html
live-academy.ru
Кровоток в узле щитовидной железы что это такое
admin Главная страница » Узел Просмотров: 14783Усиление кровотока в щитовидной железе: о чем свидетельствует?
Узел в щитовидной железе с усиленным кровотоком обнаруживают у многих пациентов. Данная патология является самой распространенной среди ряда заболеваний эндокринной системы.
Располагается щитовидка в передней части шеи и обеспечивает выполнение регуляторных функций в организме. Узел в органе представляет собой некое формирование тканей ограниченное капсулой.
В зависимости от особенностей формирования узел может иметь доброкачественную и злокачественную природу. Патология часто сопровождается увеличением размеров щитовидки.
Что представляет собой исследование кровотока?
Оценка кровоснабжения щитовидной железы – одно из важнейших диагностических мероприятий. Методика подразумевает использование аппарата УЗИ с допплеровским эффектом.
Методика основывается на прохождении и отторжении ультразвуков от объектов в движении.
Выявить отклонения от нормы помогает построение кривой на экране монитора. Допплеровский метод позволяет точно определить скорость движения кровотока в щитовидной железе.
Причиной усиления скорости тока крови могут быть патологические процессы, которые значительно усиливают кровоснабжение.

Кровоток в щитовидной железе
Основные причины усиления
Выявление усиления кровотока в щитовидной железе в ходе обследования может быть тревожным признаком.
Подобное явление может свидетельствовать о наличии патологических состояний и серьезных проблем со здоровьем.
Кровоток может иметь неоднородные структуры, усиленное течение крови может проявляться на некоторых участках.
Чаще всего выявляют увеличение тока крови на следующих участках:
- доли щитовидки;
- ткани патологических новообразований;
- границы узлов.
Усиление тока крови часто связывают со следующими причинами:
- повышение концентрации тиреотропных гормонов;
- наличие образований доброкачественной или злокачественной природы в долях щитовидной железы.
Коллоидные образования небольших размеров не представляют опасности для жизнедеятельности организма.
При наличии подобных патологий, усиление кровотока происходит только по краю опухоли, то есть по ее ободку.
Функциональными узлами называют формирования, в центре и на периферии которых усиливается ток крови.
Если ток крови повышается внутри узла – ограничивающая капсула, как правило, отсутствует. Это может свидетельствовать о негативном положении, злокачественный процесс в этом случае исключать нельзя.
Главные проявления
Среди ряда основных симптомов развития подобных неполадок в организме выделяют повышение нервозности и раздражительности.
Поскольку щитовидная железа отвечает за продуцирование гормонов, подобные изменения в организме происходят в результате воздействия этих веществ.
Среди ряда характерных для патологии проявлений выделяют:
- повышение раздражительности;
- резкая смена настроения;
- слабость в мышцах;
- уменьшение активности;
- уменьшение плотности кости;
- учащение пульса и ЧСС;
- повышение АД;
- аритмия;
- сердечная недостаточность;
- резкое похудение;
- повышенная потливость;
- усиленное выпадение волос;
- расстройства функционирования ЖКТ;
- отсутствие либидо.
При образовании узлов щитовидной железы пациенты часто жалуются на то, что они испытывают определенные трудности при глотании.
На запущенных стадиях развития патологии проявляются нарушения зрительных функций. Возможно снижение остроты зрения, ощущение песка и раздвоенности в глазах.
Основные стадии течения
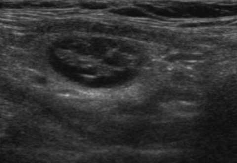
На начальной стадии патологии формируется одиночный, однородный узел обладающий изоэхогенностью.
Обнаружить его при визуальном осмотре невозможно. Характер тока крови изменяется только на конечных участках органа.
На последующей стадии узел становится неоднородным, проявляются изменения строения тканей щитовидной железы, формируются кисты, которые можно обнаружить визуально.
На запущенных стадиях обнаруживается гипоэхогенный узел. На этом этапе случаются необратимые изменения, подразумевающие разрушения тканей.
Единственный эффективный метод борьбы с патологией на подобном этапе – оперативное вмешательство.
В зависимости от стадии патологии симптомы могут проявляться с различной интенсивностью.
Не следует пренебрегать первыми признаками неполадок эндокринной системы, важно как можно ранее обратиться к специалисту.
В случае, если процесс имеет злокачественный характер промедление крайне опасно. Для предотвращения опасных осложнений необходима своевременная диагностика и адекватная терапия.
Опасности
Измененные узлы щитовидки могут быть доброкачественными, но при отсутствии своевременной диагностики и лечения этот процесс может приобрести злокачественный характер.
При отсутствии медицинского воздействия ток крови к узлам щитовидки усиливается, для восстановления нормального функционирования органа необходима операция или применение радиоактивного йода.
Узловая патология достаточно опасна. Любые промедления могут стать причиной проявления нежелательных последствий.
Принципы терапии
Выбор методики терапии зависит от:
- локализации новообразования;
- возраста пациента;
- общего состояния здоровья пациента;
- веса пациента.
При выявлении доброкачественных образований используют медикаментозное лечение, подразумевающее использование синтетических гормонов.
Злокачественные новообразования при помощи неестественных гормонов победить не удастся. Злокачественные очаги удаляют при помощи операции, в некоторых случаях методика подразумевает удаление всей железы.
Пациентам после подобного вмешательства показано пожизненное лечение. Его воздействие направлено на обеспечение нормальной жизнедеятельности больного.
Процент вероятности полноценного выздоровление в первую очередь зависит от природы образования. При выявлении злокачественного формирования возвращение к полноценной жизни маловероятно.
proshchitovidku.ru
Узел щитовидной железы со смешанным кровотоком прогноз
Узлы на щитовидке: причины возникновения и тактика лечения
НАШИ ЧИТАТЕЛИ РЕКОМЕНДУЮТ!
Для лечения щитовидки наши читатели успешно используют Монастырский чай. Видя, такую популярность этого средства мы решили предложить его и вашему вниманию.
Подробнее здесь…
Обычно узлы на щитовидной железе, если они небольшого размера, обнаруживаются на УЗИ или при пальпации. Небольшой шарик на щитовидке, имеющий четкие края – это и есть узел. На УЗИ он выглядит как темное или очень светлое пятно. Увеличенные узлы образуют узловой зоб, отличающийся по структуре от диффузного зоба.
Уплотнение может располагаться в левой или правой доле железы.
Доброкачественные образования левой, правой доли или перешейка отличает перинодулярный, то есть расположенный вокруг узла кровоток.
- Причины нарушения структуры щитовидной железы
- Какие еще причины формирования узлов выделяют эндокринологи?
- Виды узлов щитовидной железы
- Онкологические и доброкачественные узлы
- Диагностика новообразований щитовидной железы
- Симптомы узловых образований эндокринной железы
- Лечение узлов эндокринной железы
- Тактика ведения терапии при узловых заболеваниях железы
Причины нарушения структуры щитовидной железы
В основном проблему вызывает нехватка йода, способствующая разрастанию коллоидных узлов, имеющих доброкачественный характер.
Какие еще причины формирования узлов выделяют эндокринологи?
Определенный процент заболевания составляют образования, возникающие в результате облучения. Облучение – частая причина образования злокачественных узлов у детей, подвергающихся рентгеноскопии в области вилочковой железы и миндалин.
Большое значение имеет фактор генетических заболеваний. Наличие опухолей у членов одной семьи часто является причиной их возникновения у потомков, существует описание наследственных заболеваний, осложняющихся изменением тканей щитовидной железы.
Еще несколько причин новообразований в тканях щитовидки:
- Стрессы и депрессии, нервные срывы, напряженный ритм жизни и постоянное беспокойство.
- Частые переохлаждения, осложненные спазмами сосудов.
- Плохая экологическая обстановка, воздух, загрязненный канцерогенами.
- Воспалительные заболевания железы, например, тиреоидит.
- Опухоли гипофиза, такие как аденома, синтезирующая излишек тиреотропного гормона, вызывающего токсический узловой зоб.
Виды узлов щитовидной железы
На щитовидке могут образовываться один или несколько узлов, их разделяют по характеру разрушения тканей.
Узлы бывают:
Онкологические узлы делятся на: медуллярный, анапластический, папиллярный, фолликулярный. Образование представляет собой усиленно растущий узел, границы которого не прощупываются. Место опухоли при нажатии не болит. Увеличенные лимфоузлы свидетельствуют о метастазировании опухоли.
- Аденома представляет собой доброкачественное образование, размещенное в фиброзной капсуле. Клетки тироциты выделяют гормоны, понижающие функциональность эндокринной железы.
- Значительные по объему коллоидные узлы с повышенным содержанием тироцитов разрастаются медленно, не дают выраженных симптомов, в онкологию практически не перерождаются. Коллоидные образования лечения не требуют.
- Киста – это полость, заполненная коллоидной тканью, кистозный узел растет медленно, при пальпации прощупываются колебания жидкости внутри.
Онкологические и доброкачественные узлы
Онкологическое поражение тканей щитовидной железы – это мутации клеток, вследствие повреждения генетической составляющей ДНК. Вызывающие мутацию причины: облучение, наследственность, воздействие химикатов на организм. Измененная клетка начинает бесконтрольно делиться, формируя узел.
Образование доброкачественное приводит к перерождению ткани железы и потере ее функциональности. Большие размеры опухолей сдавливают трахею, сосуды и пищевод, у больного появляются такие симптомы, как трудности с глотанием и дыханием. Доброкачественные образования не дают метастазов.
Диагностика новообразований щитовидной железы
УЗИ – одно из основных диагностических обследований, позволяющих определить размеры железы, наличие уплотнений, а также определить является узел горячим или холодным. Горячий узел щитовидной железы поглощает йод в больших количествах и является причиной тиреотоксикоза. Холодный, непоглощающий йод узел, самый опасный в плане онкологии. Самым безопасным считается теплый узел, поглощающий равное со щитовидкой количество йода.
Клеточный состав уплотнений определяется биопсией тканей. Биопсия проводится пациентам с обноруженным уплотнением больше 2 см. При введении иглы место укола болит не больше, чем при обычной инъекции.
Исследования, на которые направляются пациенты с уплотнениями на железе:
- кардиограмма;
- рентген;
- анализ крови на гормоны;
- анализ мочи;
- сцинтиграфия;
- компьютерная томография.
Симптомы узловых образований эндокринной железы
Человек может обнаружить уплотнение самостоятельно, если оно превышает 1 см и начинает вызывать определенные симптомы:
- болезненные ощущения в шее;
- затрудненное глотание и дыхание;
- низкий голос;
- увеличенные лимфоузлы;
- постоянный кашель;
- лихорадка;
- озноб.
При появлении этих симптомов необходимо обратиться к эндокринологу для диагностики и лечения.
Лечение узлов эндокринной железы
Терапия узлов зависит от поставленного диагноза, размещения образования в правой или левой доле щитовидки или в перешейке, возраста и веса больного.
Доброкачественные изменения тканей предпочитают лечить медикаментозно, синтетическими гормонами. Холодные уплотнения с тенденцией к злокачественности не рекомендуется лечить гормонами, их удаляют хирургическим путем, может быть удалена левая или правая доля, в особых случаях вся железа. После удаления щитовидки пациентам назначается гормональная терапия пожизненно.
Не требует лечения коллоидное образование, возникшее из-за усиления кровотока на определенном участке эндокринного органа. Больным рекомендуют принимать пищу, обогащенную йодом и периодически посещать эндокринолога. Коллоидный узел не отражается на самочувствии человека и не перерождается в онкологическое заболевание.
Прогноз лечения зависит от гистологической составляющей тканей железы и вида кровотока, подтверждающего доброкачественность или злокачественность образования.
При злокачественных уплотнениях здоровье и жизнь пациента зависят от вовремя проведенного хирургического вмешательства. Не оперированные аденокарциномы заканчиваются смертью пациента.
Тактика ведения терапии при узловых заболеваниях железы
- Для того чтобы определить тактику лечения пациент должен пройти обследование и сдать анализы. Выявленные доброкачественные образования предпочитают не лечить, а наблюдать. При этом пациенту предлагается диета и витаминные добавки с йодом.
- Образования, имеющие тенденцию к росту, требуют наблюдения и сдачи анализов. Один раз в полгода пациент проходит УЗИ и другие обследования.
- Опухоли больших размеров оперируются хирургом.
- Злокачественные опухоли лечат радиоактивным йодом либо удаляют.
- Всем оперированным пациентам прописывают гормональную терапию.
Для того, чтобы избежать осложнений эндокринологи рекомендуют обращаться за консультацией не реже одного раза в год и при выявлении проблем с функционированием эндокринной системы не реже одного раза в полгода.
dieta.shchitovidnaya-zheleza.ru
Кровоток узла щитовидной железы: перинодулярный, смешанный и интранодулярный
Перинодулярный кровоток (васкуляризация) – сочетание слов, которое иногда упоминается врачом эндокринологом в истории болезни, и применяется этот термин для описания патологии, во время проведения допплерографии, в том числе и при исследовании узла щитовидной железы.
Что такое перинодулярный кровоток
Диагнозом, это словосочетание назвать нельзя, поскольку оно является описанием картины, которую видит на мониторе специалист, при проведении цветного допплеровского картирования (ЦДК) или энергетического (ЭДК).
Образование слова «перинодулярный», происходит из латинского языка, а именно, из 2-х слов: peri (вокруг, около) и nodus – означающее «узел». Следуя переводу, можно понять, что перинодулярным можно считать васкуляризацию, которая располагается по внешней части новообразования, то есть – на периферии. Сам термин, не может говорить о характере обнаруженного узла щитовидки, а именно, доброкачественное это образование или нет. Поэтому, бросаться в панику – не стоит.
Также, в описании, после проведенного ЦДК, может быть использован термин «интранодулярный кровоток». По латыни, слово «intra» означает – «внутрь» или «сквозь». Это значит, что использование данного словосочетания, применяется для описания увиденной картины, когда при исследовании видны сосуды внутри узла.
Интранодулярный кровоток в узле, чаще всего появляется при злокачественном течении заболевания, но встречаются случаи, когда при таком кровотоке, может быть доброкачественное новообразование. Для уточнения диагноза, нередко применяется тонкоигольная биопсия.
Почему недостаточно УЗИ
Чтобы получить подробное представление о васкуляризации в щитовидной железе, УЗИ – недостаточно. А так как доктору требуется больше информации, он назначает ЭДК или ЦДК щитовидки. Данные исследования означают следующее:
- цветная допплерография (ЦДК). С помощью данного исследования, можно определить направление, в котором движется кровоток в сосудах. При этом, разное направление частиц, отличается по цвету. Синим цветом отображены частицы, двигающиеся в одном направлении. В то время, как красным цветом, выделяется поток частиц в противоположном направлении. При ЦДК, можно с точностью отделить жидкостные образования в железе, от кровеносных сосудов с активным кровотоком. Все эти наблюдения, могут использоваться эндокринологом при постановке диагноза.
- энергетическая допплерография (ЭДК), способна показать интенсивность кровотока в тканях железы и интенсивность кровенаполнения выбранного участка, в момент исследования. На мониторе, можно наблюдать изображение в красно-коричневых тонах или красно-оранжевую картинку. Большое количество движущихся частиц, показывается ярким цветом. При большой интенсивности кровообращения в тканях щитовидки, можно говорить о наличии воспалительного процесса. Чем движущихся частиц меньше, тем цвет на экране монитора, больше стремится к коричневому.
4 типа кровотока
При установке диагноза, часто используется УЗИ в комплексе с ЦДК и ЭДК. В современных аппаратах, уже реализована возможность использования всех этих режимов, что значительно отражается на экономии времени, а также – средств, для пациента.
Оба вида допплерографии показывают, в каком состоянии находятся сосуды в щитовидке, только на момент исследования. Если процессы быстро прогрессируют, то требуется провести не одну процедуру, чтобы исследовать изменения в динамике.
При проведении ЦДК и ЭДК, можно выявить 4 вида кровотока в узлах:
- Васкуляризация не обнаружена.
- Перинодулярный кровоток.
- Интранодулярная васкуляризация.
- Пери-интранодулярный кровоток.
Васкуляризация не обнаружена
Если, при исследовании, васкуляризация в узле щитовидной железы не обнаружена, то это значит, что у пациента имеется доброкачественное новообразование, которое может длительно находиться в данном органе.
При отсутствующей васкуляризации в кисте или узле, замечается, что образования не увеличиваются в размерах и не содержат воспалительного процесса. Все остальные случаи, подразумевают наличие кровеносных сосудов, которые питают новообразование.
Перинодулярный кровоток
При таком виде васкуляризации обнаруживается, что стенки новообразования имеют хорошее кровоснабжение, но внутри его, сосудов не наблюдается.
Статистика говорит о том, что около 85% обнаруженных узлов с периферийной васкуляризацией, имеют доброкачественный патогенез. Капсула, обычно наполнена жидкостью или гелеобразным содержимым (коллоидом).
Но, бывают случаи (очень редко), когда при проведении ЦДК, такую картину может дать злокачественная опухоль, непосредственно – на ранней стадии развития, когда еще не произошел запуск ангиогенеза. Что примечательно, оба вида образований, являются гипоэхогенными, поскольку они содержат жидкостное наполнение.
Интранодулярная васкуляризация
При данном патологическом изменении, наблюдается наличие кровеносных сосудов внутри опухоли, ткани которой, таким образом получают обильное питание. При этом, васкуляризация на стенках может отсутствовать или быть незначительной.
Если, снова обратиться к статистическим данным, то в 20% случаев обнаружения такого типа кровотока, картина говорит о злокачественном новообразовании. Если при УЗИ замечено, что у образования отсутствует капсула, и при этом он гипоэхогенен, то вероятность того, что опухоль злокачественная, увеличивается на 10%.
Пери-интранодулярный кровоток
При ЦДК, на мониторе можно заметить, что содержимое узла или капсулы, активно питается кровью. Такая картина может наблюдаться при узлах и аденомах, токсического характера, благодаря которым происходит синтез чрезмерного количества гормонов щитовидки, неизбежно попадающих в кровеносное русло.
Такие «комбинированные» новообразования, в 15% случаев, являются злокачественного характера. Поскольку внутри образования находится жидкость или желеобразная субстанция (коллоид), оно будет гипоэхогенным при УЗИ.
Эндокринолог, при составлении заключения, должен опираться на результаты УЗИ, а также ЦДК и ЭДК в совокупности. Но такую диагностику можно считать поверхностной, поскольку, пока не будет исследован клеточный состав опухоли, сделать заключение о ее природе – невозможно.
Для лабораторного цитологического исследования содержимого новообразования, проводится ТАБ. После анализа, уже можно точно говорить, какого рода опухоль у пациента.
Причины появления узлов
Причинами, способствующими появлению новообразований в щитовидке, могут быть следующие факторы:
- кисты в железе могут формироваться при врожденных ее аномалиях, при травмах, вызвавших кровоизлияние. Нарушение оттока коллоида, из-за нарушенного кровотока в определенном участке железы, в 90% случаев, может спровоцировать появление новообразований;
- при длительном влиянии низких температур, происходит спазм сосудов в щитовидке. Клетки не получают достаточного питания, вследствие чего, происходит снижение местного иммунитета. Такой процесс запускается и при длительном эмоциональном перенапряжении. Спазм сосудов, значительно повышает риск появления узловых новообразований в железе;
- неудовлетворительная экологическая обстановка, также провоцирует возникновение болезней щитовидки. При наличии в окружающей среде свободных радикалов и токсических веществ, нарушается структура тироцитов, вследствие чего они начинают бесконтрольное деление. При таком процессе, могут образовываться опухоли как доброкачественные, так и раковые;
- при дефиците йода в продуктах питания, возникает недостаточность его в организме человека. Это неблагоприятно сказывается на состоянии щитовидной железы. В ней возникают патологические процессы, совокупность которых может вызвать появление кист и опухолей;
- при воздействии радиации на ограним человека, первой, на нее реагирует щитовидка. Клетки органа подвергаются мутации, результат которых – предсказуем;
- при воспалительных процессах, например, при тиреоидите, может возникнуть отек в обеих долях железы, в результате которого могут сформироваться псевдоузлы, очень напоминающие опухоли;
- аутоиммунные процессы, при которых организм подвергает атаке свои же клетки, могут спровоцировать воспалительные процессы в железе;
- появление гормонального дисбаланса в организме, при аденоме гипофиза, может спровоцировать образование множества новообразований в щитовидке;
- наследственная предрасположенность, также имеет немаловажное значение, и часто, является причиной появления данной патологии.
Таким образом, определяя тип васкуляризации, а именно, расположение кровеносных сосудов в узлах щитовидной железы, можно установить, какого рода это новообразование.
Похожие записи
gormonoff.com
Кровоток в щитовидной железе: причины повышения, диагностика, лечение.

Органы эндокринной системы имеют богатую васкуляризацию (кровоснабжение), что необходимо для осуществления их основной функции – регуляции жизненно важных процессов посредством гормонов. Благодаря густой кровеносной сети биологически активные вещества сразу же после их синтеза проникают в сосуды и разносятся по организму. От того, в каком состоянии находится кровоток в щитовидной железе, зависит ее продуктивность, активность обмена веществ и зачастую подверженность патологическим процессам. Поэтому исследование строения сосудистой сети ее тканей – важный диагностический признак, который наряду с другими методиками обследования помогает врачу-эндокринологу сделать вывод о состоянии железы и возможных нарушениях ее функций.
Кровоснабжение щитовидной железы и что на него влияет
Существуют парные сосуды, которые питают орган: пара нижних и верхних щитовидных артерий. Они подходят к каждой доле органа и кровоснабжают соответствующую ее часть (верхнюю или нижнюю). Артерии разветвляются на множество капилляров, создавая в толще эндокринной ткани густую и мощную сосудистую сеть. По ней в ткань поступает кровь, богатая кислородом и необходимыми элементами, важнейшим из которых для продукции гормонов является йод. К фолликулу (структурно-функциональной единице) подходит отдельный капилляр, таким образом, каждая из клеток (тироцитов) получает все необходимое для синтеза гормонов. Отток крови от органа осуществляется также по парным венам.
Таким образом устроена васкуляризация щитовидной железы – система ее кровоснабжения. При определенных патологиях васкуляризация может стать патологической, например, при активном разрастании сосудов с развитием новой капиллярной сети в каком-либо участке органа. Также ток крови может возрастать под действием гормонов, регулирующих активность эндокринной ткани (ТТГ). Длительное воздействие их высоких концентраций говорит о нарушениях продуктивной функции щитовидки, на фоне которых могут развиваться структурные изменения в паренхиме органа.
Почему нарушается кровоток
Изменению тока крови в железистой ткани предшествуют структурные и функциональные нарушения. Кровоснабжение может быть повышенным во всей железе или в определенных ее участках. Равномерное его возрастание наблюдается при гиперфункции органа. Такое состояние сопровождается усиленной выработкой тироксина и трийодтиронина и может быть вызвано сбоем работы ЦНС (гипофиза, гипоталамуса), аутоиммунной патологией, воспалительным процессом. Чаще всего усиление общего кровоснабжения клинически проявляется в виде зоба различной степени, и выявляться может при осмотре, пальпации или ультразвуковой диагностике.
Разрастание сосудов в определенных участках эндокринной ткани вызвано очаговыми патологическими образованиями. Вместе с изменением структуры паренхимы щитовидки развивается дальнейшая перестройка соседних тканей, включая и кровеносную сеть. К данному патологическому процессу приводят следующие причины:
- раковая опухоль;
- доброкачественная опухоль;
- узловое образование;
- воспалительный процесс.
Образование злокачественной опухоли сопровождается активным неконтролируемым делением молодых клеток и их стремительным ростом. Для этих процессов требуются большие затраты энергии, поэтому существующей кровеносной сети начинает не хватать. В очаге новообразования начинается процесс ангиогенеза – очаговое образование новых капилляров и более крупных сосудов. Таким образом обеспечивается бесперебойное питание раковых клеток. Эти условия усугубляют течение болезни, рост и развитие опухоли ускоряется.
При появлении доброкачественной опухоли, кисты, узлового образования могут также происходить изменение кровоснабжения окружающих их участках. Чаще всего выраженное разрастание сосудов происходит по причине развития автономно функционирующих узлов («горячих узлов»). Из-за развития густой системы капилляров такое образование способно к гиперпродукции гормонов, что приводит к развитию зоба и синдрома тиреотоксикоза.
Виды патологического кровотока
В зависимости от характера и происхождения очаговых образований патологические изменения сосудов могут происходить по-разному. Именно строение сосудистой сети и ее расположение относительно новообразования может дать ценную информацию о происхождении патологии и прогнозе заболевания.
Перинодулярный кровоток
Патологическая система кровоснабжения, характеризующаяся периферическим расположением капиллярной системы – это перинодулярный кровоток узла щитовидной железы (периферический). Образовавшиеся капилляры прилежат к внешней поверхности образования, не проникая в его толщу. Такое строение сети характерно при наличии оболочки у узла, что чаще всего указывает на его доброкачественное течение. В толще такого образования обычно находится гелеобразное или жидкое содержимое (коллоидный узел, киста). Очень редко перинодулярный тип кровоснабжения выявляется у злокачественного новообразования на ранних стадиях развития, когда его полноценная кровеносная сеть не успела сформироваться.
Интранодулярный кровоток
Латинское слово «intro» означает «внутрь», «nodus» — «узел». Интранодулярный кровоток узла – разрастание кровеносной сети с проникновением сосудов в толщу патологического очага щитовидной железы. Узел пронизан капиллярами, что обеспечивает обильное питание его тканей. На периферических отделах узлового образования васкуляризация при этом отсутствует или выявляется в незначительном количестве. Патологический очаг с таким типом кровоснабжения в 20% случаев может оказаться злокачественным. Если в ходе дальнейших исследований обнаруживается отсутствие у него внешней капсулы, риск озлокачествления повышается.
Смешанный кровоток
Система капиллярной сети, при которой часть сосудов проникает в толщу узла, а часть находится на периферии, является смешанным кровотоком. Такой тип также называют пери-интранодулярным. Обеспечивается наиболее обильное кровоснабжение патологического очага, что говорит об активности процессов в его ткани. Узел в щитовидной железе с такой системой сосудов имеет наиболее высокий риск оказаться злокачественным (примерно в 25% случаев). Для установления точного происхождения опухоли необходимы дополнительные исследования морфологии.
Диагностика кровотока
Исследование кровоснабжения ткани производится после получения результатов УЗИ при необходимости более детального изучения структуры патологических образований с целью уточнения диагноза. Самым информативным методом исследования особенностей кровообращения в органе является ультразвуковая допплерография. Данный метод основан на явлении изменения частоты ультразвуковых волн, отразившихся от движущихся объектов (в данном случае от тока крови).
В ходе процедуры датчики регистрируют допплеровский сдвиг – степень изменения частоты, и на основе полученной информации создается подробная картина особенностей васкуляризации органа. Направление движения крови в различных сосудах обозначается красным и синим цветом. Применяя метод допплерографии, можно определить объем, скорость, строение капиллярной сети, состояние лимфатической системы.
Допплерография используется для уточнения наличия следующих заболеваний:
- аутоиммунный тиреоидит;
- новообразования различного происхождения;
- гипотиреоз;
- диффузный, коллоидный зоб.
Современные методики лечения
Чрезмерно активный ток крови может возникать в щитовидной железе в результате ряда патологий. В зависимости от характера заболевания и индивидуальной клинической картины врач-эндокринолог подбирает комплексное лечение. Узел щитовидной железы определенного типа (строения) с повышенным кровотоком может привести к синдрому гипертиреоза, при котором показаны супрессивные методы лечения – применение медикаментов, подавляющие повышенную продуктивную активность.
При обнаружении опухоли разрабатывается план терапии на основе морфологии новообразования, решается вопрос о необходимости оперативного лечения. Если выявлен воспалительный процесс в ткани, могут назначаться гипосенсибилизирующая, противовоспалительная, иммуномодулирующая терапии. Любое эндокринное заболевание требует продолжительного динамического наблюдения и обязательного мониторинга уровня гормонов на фоне терапии.
prothyroid.ru
УЗИ щитовидной железы
Патология щитовидной железы встречается у 20% взрослого населения земного шара, в определенных районах этот показатель превышает 50%. В настоящее время отмечается значительный рост заболеваний щитовидной железы как среди взрослого населения, так среди детей и подростков.Плохая экология, наследственные факторы, алиментарный недостаток йода, стрессы, интоксикации, травмы, частые инфекции, сопутствующие заболевания способствуют развитию патологических изменений в ткани щитовидной железы. Вред, наносимый тиреоидной патологией обществу огромен.
Как распознать болезнь до того, как она нанесет удар?
Ранняя диагностика и профилактика – вот ответ на этот вопрос. Диагностика заболеваний щитовидной железы длительное время основывалась на данных пальпации, визуального осмотра и анамнеза. В ряде случаев эти методы не дают достаточной информации об уже имеющейся патологии, требующей безотлагательного лечения. Появление новых ультразвуковых приборов с использованием линейных мультичастотных датчиков открыло новую эру в диагностике заболеваний этого органа.Ультразвуковое исследование (УЗИ) при комплексном применении новейших методик и технологий дает полную информацию о состоянии щитовидной железы, окружающих тканей и лимфатических узлов шеи. УЗИ щитовидной железы применяется как скрининговое исследование, позволяющее выявить первичную патологию у пациентов, о которой они даже и не подозревают, так как часто болезнь протекает бессимптомно. Так же возможно проведение динамического УЗИ-мониторинга патологии щитовидной железы на фоне лечения, постоперационных изменений, выявление рецидива заболеваний, таких как узловой зоб, рак щитовидной железы.
УЗИ позволяет в полной мере судить о расположении щитовидной железы, характеризовать ее форму, размеры, объем, границы, контуры, внутреннюю структуру, выявлять очаговую патологию, анатомические особенности ее строения и расположения, проводить оценку кровоснобжения как всей железы, так и отдельных ее участков.
Применение допплерографических методик (оценивающих характер кровотока), трехмерной реконструкции изображения значительно повышает диагностическую информацию, позволяет проводить дифференциальную диагностику различных патологических изменений в щитовидной железе. УЗИ щитовидной железы не требует специальной подготовки, не связано с ионизирующим излучением, является полностью безопасным для пациента. От результатов УЗИ зависит тактика последующего обследования и лечения.
Строение щитовидной железы
В норме щитовидная железа располагается в средне-нижнем отделе передней поверхности шеи (от щитовидного хряща до надключичной области). Железа имеет правую, левую доли и перешеек. Как правило, одна из долей незначительно больше другой, чаще правая. Щитовидная железа – паренхиматозный орган, который состоит из фолликулов (мелких пузырьков, продуцирующих коллоид). В норме объем щитовидной железы у женщин -4,55-19,32 см 3, у мужчин -7,7-22,6. см 3. Щитовидная железа вырабатывает тиреоидные гормоны – тироксин и трийодтиронин, участвующих во всех метаболических процессах в организме.Какие заболевания щитовидной железы можно выявить с помощью УЗИ?
Аномалии развития щитовидной железы. Как правило, это врожденные аномалии, обусловленные нарушением эбриогенеза (миграции к своему типичному месту). Агнезия – отсутствие железы. Гемигнезия – отсутствие одной из долей. Гипоплазия – маленькие размеры железы. Клиническими проявлениями данных аномалий часто является гипотиреоз (снижение функции). К другим аномалиям относятся добавочные доли, эктопия (расположение щитовидной железы в нетипичном месте, например под языком, загрудинно).Неопухолевые заболевания щитовидной железы или диффузные поражения. К таким заболеваниям относятся — диффузная гиперплазия железы (увеличение размеров), диффузные изменения железы без увеличения размеров. Эти состояния часто обусловлены дефицитом йода, нарушением гормоногенеза, недостаточностью утилизации йода на фоне приема лекарственных препаратов. Так же к диффузным поражениям относятся подострый тиреоидит, хронический аутоиммунный тиреоидит, безузловая форма гипертиреоза, сопровождающаяся гиперфункцией щитовидной железы, гипотиреоз (снижение функции щитовидной железы). При выявлении данной патологии с помощью УЗИ в серой шкале невозможно переоценить высокую диагностическую информативность метода допплерографии (цветовое доплеровское картирование и импульсноволновая допплерография) сосудов щитовидной железы. С помощью этого метода оценивается количество паренхиматозных сосудов в структуре ткани (картограмма), плотность цветовых сигналов, исследуются скоростные параметры кровотока, рассчитываются индексы, позволяющие определить характер кровотока в ткани. Такая функция, как энергетическое картирование (ЭК) позволяет определить кровоток даже в мельчайших сосудах с очень низкой скоростью кровотока. По данным этого исследования можно предположить о характере происходящих изменений в структуре щитовидной железе, что помогает определиться врачу – клиницисту в тактике обследования и лечения. Так же динамическое проведение этих методов на фоне лечения позволяет оценить насколько эффективна применяемая терапия.
Третья группа – это очаговые поражения щитовидной железы. К ним относятся доброкачественные поражения – узловой, многоузловой зоб, кисты, фолликулярные и нефолликулярные аденомы. И особо опасная группа заболеваний, протекающая длительное время бессимптомно, но наносящая страшный удар по организму – это рак щитовидной железы. В настоящее время установлено, что рак щитовидной железы встречается у каждого пятого больного с солидными узлами щитовидной железы. Не смотря на то, что рак щитовидной железы лечится очень успешно, в 95% случаев, выявление его на ранних стадиях освобождает пациентов от массы проблем, значительных материальных затрат, потери времени на многочисленные посещения врачей. Раннее выявление данного заболевание позволяет провести в ряде случаев органосохраняющую операцию, избежать тяжелого лечения метататических поражений других органов. Важно выявить изменения на ранних стадиях, когда нет инвазии (прорастания капсулы ракового узла).
К третьей группе заболеваний необходимо применять весь спектр имеющихся ультразвуковых методов исследования. Это исследование в обычной серой шкале, позволяющее оценить размеры узла, четкость его контуров, характер структуры, взаимоотношение с капсулой железы и окружающими тканями, провести динамическое наблюдение за выявленными изменениями. Нечеткость, неровность контуров узла, деформация капсулы железы, наличие кальцинатов в структуре узла – являются онконастораживающими признаками. Так же применение цветовой допплерографии позволяет оценить характер кровоснабжения узлов.
Существует 4 типа сосудистого рисунка щитовидной железы при УЗ-допплерографии:
- Отсутствие или слабая выраженность сигналов,
- Кровоток по периферии образования,
- Смешанный кровоток – по периферии и в центре узла,
- Только в центре узла.
У пациентов первой и второй группы необходимо проводить УЗИ лимфоузлов шеи, которые первыми реагируют на происходящие патологические изменения в щитовидной железе. Выявленные структурные изменения в лимфоузлах помогают судить о характере патологических изменений в щитовидной железе.
Очень много лет ведется поиск признаков, позволяющих провести дифференциальную диагностику между доброкачественными и злокачественными поражениями щитовидной железы. И все таки золотым стандартом диагностики очаговой патологии является проведении тонкоигольной аспирационной биопсии щитовидной железы под контролем УЗИ (ТАБ). С помощью этого метода возможно раннее выявление рака щитовидной железы. Под ультразвуковым наведением возможен выбор точного участка щитовидной железы, где структурные изменения наиболее выражены.
Непальпируемые узлы, выявленные при УЗИ, так же необходимо пунктировать с помощью ультразвукового наведения. Ультразвуковое наведение при тонкоигольной аспирационной биопсии узлов расположенных близко к трахее, пищеводу, магистральным сосудам позволяет избежать их травматизации. Метод является высокоинформативным, эффективным, не травматичным для железы, так как забор материала проводится тонкой иглой, без выдирания кусочков ткани. Для проведения биопсии щитовидной железы используются одноразовые иглы, что предохраняет пациента от заражения тяжелыми вирусными инфекциями. Биопсия проводится в амбулаторных условиях.
В настоящее время в мире возрастает тенденция к органосохраняющей тактике ведения пациентов с доброкачественными узлами щитовидной железы. Но для этого необходимо знать характер изменений в узловых образованиях, что возможно с помощью биопсии.
Результаты УЗИ щитовидной железы, клинико-лабораторные данные сопоставляет, а так же определяет тактику обследования и лечения, врач-эндокринолог. Тем более надо учитывать, что возможно сочетание нескольких патологических процессов в щитовидной железе, например узловой зоб и хронический тиреоидит, узловой зоб и рак, аденома и узловой зоб и только опытный врач-эндокринолог может поставить грамотный диагноз, назначить правильное лечение и обследование, тем самым значительно улучшить качество жизни пациента.
Узнать подробности и записаться на консультацию специалиста вы можете по телефону +7 (495) 777-48-49
www.smclinic.ru