Как делают УЗИ щитовидной железы и что это дает | Как подготовиться к узи щитовидной железы
УЗИ щитовидной железы – это один из наиболее информативных и достоверных методов исследования. Он позволяет диагностировать патологический процесс и определить степень его тяжести. Многих волнует вопрос, как делают ультразвуковое сканирование и нужна ли к нему специальная подготовка.
Когда назначают
УЗИ щитовидной железы доктор может назначить в нескольких случаях. Среди них:
- немотивированный упадок сил;
- депрессия, беспричинная смена настроения;
- наличие эндокринных заболеваний или нарушений менструального цикла;
- набор лишнего веса;
- выпадение волос, шелушение кожи, плохое состояние ногтей;
- увеличение железы в размерах, появление уплотнений;
- ощущение «кома» в горле;
- боли в горле, не вызванные простудными заболеваниями;
- планирование беременности;
- наследственная предрасположенность к эндокринным заболеваниям;
- употребление гормональных препаратов;
- контроль проводимой или завершенной терапии;
- контроль за работой
щитовидной железы после проведенного
оперативного вмешательства.
Если вас беспокоит какая-то проблема со здоровьем, запишитесь на диагностику. Успех лечения зависит от правильно поставленного диагноза.
Преимущества
У данного диагностического метода много достоинств. Вот основные из них:
- безболезненность;
- безопасность;
- быстрота проведения;
- высокая достоверность;
- невысокая стоимость.
Исследование назначается даже беременным женщинам и маленьким детям.
Нужна ли подготовка
Многих пациентов волнует вопрос, как правильно подготовиться к УЗИ щитовидной железы. Специально готовиться к сканированию не нужно. Если есть результаты предыдущего исследования, то лучше взять его с собой. Тогда врач сможет отследить динамику изменений, которые произошли в органе.
Можно взять с собой
небольшое полотенце для того, чтобы
положить под голову.
В конце процедуры
оно пригодится для вытирания остатков
геля. В частных медицинских учреждениях
обычно есть все необходимое, туда ничего
брать не нужно.
Как проходит
Продолжительность сканирования составляет всего 15-20 минут.
Алгоритм процедуры:
- пациента укладывают на кушетку, просят оголить горло;
- на шею наносят гель;
- ультразвуковым датчиком проводят исследование под разными углами.
Неприятные ощущения
при выполнении УЗИ отсутствуют, небольшой
дискомфорт может вызывать только не
слишком удобное положение шеи.
Полученные данные врач заносит в протокол, прикладывает фото и отдает на руки пациенту. Обычно весь процесс занимает около десяти минут.
Что дает УЗИ щитовидной железы
Исследование позволяет определить положение и контуры щитовидной железы, оценить ее структуру и однородность, эхогенность (плотность тканей), состояние фолликулов, наличие или отсутствие узлов (одиночных или множественных).
В норме у щитовидки четкие границы, относительно плотная капсула, светлая и однородная по плотности ткань железы.
Снижение эхогенности выглядит как темные участки, гиперэхогенность отображается на мониторе в светлых тонах. Оба этих варианта свидетельствуют о наличии нарушений.
Благодаря УЗИ можно обнаружить ряд патологий. Вот их перечень:
- Киста. Это полость
небольшого размера с четкими границами,
которая заполнена жидкостью.

Существует риск ее нагноения. В последнем случае повышается температура тела, отмечаются выраженные болезненные ощущения в области шеи. - Тиреоидит. Орган увеличивается в объеме за счет отека. Патологическое состояние сопровождается головными болями и болями в шее.
- Гипотиреоз. Железа уменьшается в объеме, снижается выработка гормонов.
- Узловой зоб. Формируются уплотнения с четкими границами, которые легко определяются при прощупывании.
- Диффузно-токсический зоб. Железа увеличивается в размерах, гормоны продуцируются в повышенном количестве. Структура органа при этом обычно не меняется. Характерны тахикардия, раздражительность, утомляемость, потеря веса.
- Новообразования
доброкачественного или злокачественного
характера.
Уплотнение может быть
ограниченным или прорастать в ткани.
Раковая опухоль часто окружена
расширенными сосудами.
Как часто можно делать
Есть несколько рекомендаций относительно частоты проведения УЗИ. Подробнее о них:
- при наличии соответствующих жалоб и эндокринологических заболеваний – один раз в 4-5 месяцев;
- людям, находящимся в группе риска (работа на вредном производстве, проживание в районах с неблагоприятной экологией) – один раз в пол года;
- в возрасте до 50 лет – один раз в пять лет;
- после 50 лет – один раз в два года;
для контроля эффективности лечения допускается делать УЗИ раз в 4 недели.
Сейчас заболевания
щитовидной железы стали распространенным
явлением.
Та или иная патология встречается
примерно у четверти населения. Специалисты
рекомендуют периодически посещать
эндокринолога в профилактических целях.
Выявление проблемы на раннем этапе
гарантирует более успешное лечение.
Данная статья размещена исключительно в познавательных целях, не заменяет приема у врача и не может быть использована для самодиагностики.
31 января 2019
этапы, описание метода, показания – МЕДСИ
Оглавление
УЗИ – что это и зачем нужно?
Ультразвуковое исследование эндокринной железы – простая и безопасная для пациента процедура. Она необходима, чтобы определить наличие (или отсутствие) патологий, воспалений, новообразований или иных проблем в этом органе.
Исследование помогает выявить:
- Увеличение или уменьшение органа
- Наличие узлов, кист и опухолей
- Общее воспаление или нарушение тканей
- Затруднение кровотока
- Воспаление лимфатических узлов
- Невозможность беременности
Механизм обследования довольно незамысловат и безболезнен:
- Пациент укладывается на кресло или кушетку таким образом, чтобы открыть доступ к шее
- Врач наносит специальный состав на горло больного
- Затем медик берет в руки датчик и водит им с разных сторон по исследуемой части тела
- В процессе сигналы о состоянии данного эндокринного органа передаются на монитор, а также записываются на магнитном носителе
- В результате получается изображение и данные и состоянии органа, которые врач сравнивает с нормальными
Если обнаружены какие-либо признаки нарушений в тканях или строении щитовидной железы, доктор назначает и другие анализы, чтобы уточнить, подтвердить или опровергнуть диагноз.
Когда нужно проходить обследование?
Частота прохождения УЗИ эндокринной железы зависит от таких индивидуальных особенностей, как возраст, медицинские показания, наличие или отсутствие недомоганий. Индивидуальные параметры:
- Возраст до 50-ти лет: профилактический осмотр раз в пять лет
- Для пожилых людей старше 50-ти: профилактика раз в два-три года
- При беременности и ее планировании: чтобы исключить негативное влияние на плод
При некоторых медицинских показаниях и недомоганиях нужно пройти обследование как можно скорее:
- При наличии уже установленных эндокринных проблем
- Для контроля за лечением или его результатами
- При риске повторного появления нарушений работы эндокринной железы
- При заметном увеличении щитовидного органа, прощупываемых уплотнениях и узлах
- При внезапном похудении, набирании веса
- При нестабильном эмоциональном состоянии – апатии, нервозности
Подготовка к УЗИ щитовидной железы
Для этого анализа – УЗИ щитовидной железы – подготовка не требуется особенной подготовки.
Нет и ограничений по продуктам, которые можно употреблять в пищу накануне исследования.
Но существует ряд рекомендаций:
- Пожилым людям не стоит есть перед процедурой, так как может возникнуть ощущение тошноты. Это связано с возрастными изменениями организма
- Подготовка к УЗИ щитовидной железы у женщин связана с тем, что им рекомендуется проходить это обследование на 7-9 дне менструального цикла, чтобы избежать возможного искажения результата
- Перед процедурой необходимо освободить шею от различных мешающих элементов: воротников, украшений и т.п.
- Подготовка к УЗИ щитовидной железы детям не отличается от таковой для взрослых. Но чтобы ребенок не испугался, родителям нужно рассказать ему о том, как именно будет проходить процедура, что будет делать доктор и зачем
Можно ли делать УЗИ беременным и детям?
Так как процедура является безопасной и безболезненной, она подходит в том числе детям и беременным.
Маленький ребенок может проходить обследование, сидя на коленях у родителей. Если малыш подвергся какому-либо стрессу, рекомендуется обратиться к врачу, так как такое состояние может повлиять на работу желез.
Женщинам рекомендуется делать УЗИ эндокринной железы как на стадии планирования беременности, так и тогда, когда она уже наступила. Так как развивающийся плод берет ресурсы из материнского организма, то необходимо, чтобы все ее органы работали правильно. Нарушения же в работе щитовидной железы могут привести к гипотериозу и сказаться отрицательно на здоровье формирующегося ребенка.
Тем, кто пытается забеременеть, но не может, также необходимо обратиться к эндокринологу за диагностикой, поскольку проблема может оказаться в этой железе организма.
Противопоказания
Ультразвуковое исследование щитовидной железы подходит всем людям, независимо от пола и возраста.
Единственным ограничением становится наличие на шее пациента, в том месте, куда должен наноситься гель, и через которое проводится исследование, каких-либо нарушений кожных покровов.
Это может быть:
- Обширная болезненная сыпь
- Экзема
- Стрептодермия – воспаление, которое вызывается стрептококком
- Ожог
Только в этих случаях УЗИ этой эндокринной железы противопоказано.
Позаботьтесь о своем здоровье – обратитесь в МЕДСИ
Специалисты МЕДСИ – кандидаты и доктора медицинских наук, врачи-эндокринологи высших квалификационных категорий – используют новейшее оборудование для проведения УЗИ щитовидной железы: Pro Focus 2202 Philips iU22.
Здесь каждый пациент получает:
- Комфорт и уважительное обращение
- Диагностику и сопровождение квалифицированного персонала
- Срочные консультации и УЗИ – возможна запись по телефону 8 (495) 152-55-46
- Современное оборудование для обследования марки Philips
УЗИ щитовидной железы — сделать УЗИ исследование у женщин по выгодной цене в Москве
УЗИ щитовидной железы — точный, быстрый информативный и безопасный способ оценить состояние, расположение, размер, контуры, структуру, эхогенность и строение железы, окружающих ее мышц, сосудов и лимфатических узлов, определить интенсивность кровоснабжения, отследить структурные и органические изменения состояние щитовидной железы в динамике.![]()
С помощью исследования врач диагностирует следующие заболевания:
- аденома и агенезия доли щитовидной железы,
- аплазия,
- опухолевые процессы,
- тромбы,
- гипертиреоз, гипотиреоз,
- очаговые образования (кисты, узлы, кальцинаты),
- тиреоидит,
- тиреотоксикоз,
- узловой, диффузный зоб,
- аутоиммунный тиреоидит,
- подострый тиреоидит,
- диффузный токсический зоб.
УЗИ — один из самых точных методов диагностики, но если необходимо более тщательное исследование, мы дополнительно используем КТ и МРТ, в нашей клинике можно дополнительной пройти МРТ мягких тканей шеи, как с контрастированием, так и без. можем сделать пункцию, особенно когда речь идет о злокачественных образованиях. Для уточнения уровня секреции гормонов и тяжести аутоиммунного процесса назначают анализы крови – скрининг щитовидной железы.
Расшифровку УЗИ делает специалист, проводивший диагностику, но точный диагноз может поставить только врач.
УЗ-исследование в клинике реабилитации в Хамовниках
Сделать УЗ-исследование можно в клинике реабилитации в Хамовниках. Мы являемся сторонниками комплексного подхода и при необходимости для получения более точного диагноза проводим анализ крови на гормоны, пункцию, МРТ, КТ и др.
Мы находимся в центре Москвы, записаться к нам можно через форму на сайте или по телефону: +7 (495) 775-60-33. Наши специалисты подскажут, в какой день подойти на процедуру, назовут ее стоимость — мы устанавливаем конкурентные цены, поддерживая при этом высокий уровень услуг. В нашей клинике работают высококвалифицированные специалисты и используется современное оборудование, что повышает точность диагностики.
Подготовка к процедуре
Процедура не нуждается в особой подготовке, но для большей точности врач может рекомендовать пациенту за три дня до УЗИ отказаться от алкоголя, острых блюд, лекарственных препаратов, влияющих на артериальное давление и сердечный выброс.
В день УЗ-исследования нельзя есть. УЗИ щитовидной железы не требует специальной подготовки!!! Исследование проводится не зависимо от менструального цикла и приемов пищи.
Показания к УЗИ щитовидной железы
- Заболевания щитовидной железы. Процедура позволяет отслеживать динамику лечения, определять вероятность осложнений и рецидивов.
- Увеличение железы или уплотнение в области шеи, отеки, покраснения.
- Боль в шее при прикосновении.
- Сиплый голос, затрудненное дыхание и глотание, ощущение комка в горле.
- Учащенное или замедленное сердцебиение.
- Отеки независимо от части тела, дрожание конечностей.
- Потливость, повышенная температура тела, жар или озноб при отсутствии простудных заболеваний.
- Облысение.
- Употребление гормональных препаратов.
- Слабость, сонливость, усталость, раздражительность, апатия, состояние подавленности, резкая смена настроения.

- Лишний вес или резкая потеря веса.
- Планирование беременности. Заболевания щитовидной железы могут сказаться на развитии плода.
- Профилактическое обследование. Если нет жалоб, то делать его нужно раз в год, особенно при работе на вредном производстве или проживании в районах с малым содержанием йода в воде. При жалобах — раз в полгода, при плохих показателях анализов на гормоны — до нескольких раз в неделю.
- Наследственность по заболеваниям щитовидной железы.
Расшифровка УЗИ может показать, что причиной этих недомоганий являются проблемы с щитовидной железой.
УЗИ Щитовидная железа
Ультразвуковое исследование щитовидной железы позволяет максимально качественно исследовать анатомические особенности органа, на ранних стадиях выявить ряд патологий, а также диагностировать различные заболевания, прямо или косвенно связанные со сбоем в работе эндокринной системы. Современные аппараты для УЗИ безвредны, могут использоваться как для диагностики, так и с целью мониторинга динамики развития заболевания или реакции организма на лечение.
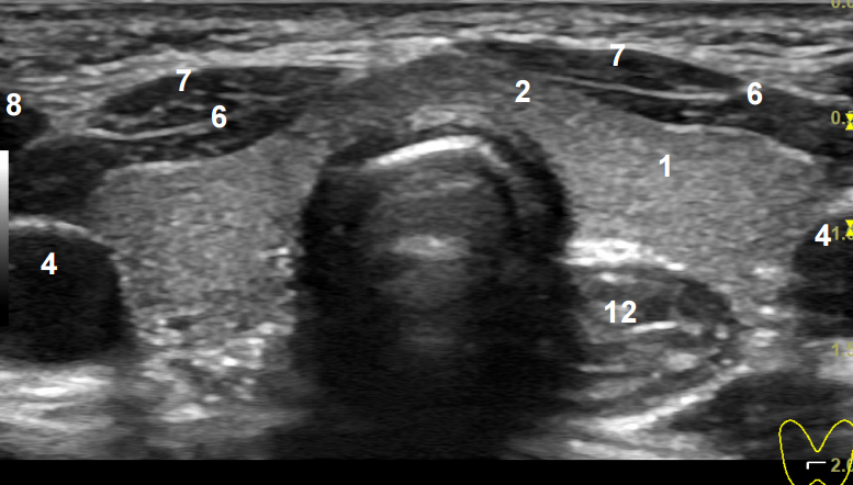
Что оценивают при помощи УЗИ щитовидки
Врач-диагност в ходе диагностического мероприятия изучает железистый орган по следующим параметрам:
-однородность;-структура;
-объем щитовидки;
-размеры, конфигурация, соотношение правой и левой доли;
-анатомические особенности перешейка;
-состояние лимфатических узлов;
-размеры и особенности паращитовидных желез;
-специфика тканей гортани.
В норме эхоструктура органа должна быть однородной. У здорового человека лимфоузлы не увеличены, контуры щитовидки ровные, размер самой железы соответствует анатомическим нормам. Если по всем показателям наблюдается норма, УЗИ щитовидной железы проведено согласно всем правилам, то в протокол вносят запись об отсутствии патологических изменений.
Размеры и анатомические особенности органа
На УЗИ хорошо просматриваются размеры, структура и форма щитовидки. В норме длина каждой доли должна составлять от 2.
5 до 4 см. Ширина данных анатомических формаций колеблется в рамках от 1.5 до 2 сантиметров. Толщина не должна превышать 2 см и не быть меньше 1 см.
Толщина перешейка в норме — не более 5 мм. Объем щитовидки у мужчин достигает 25 мл. У женщин — не более 20 мл.
Когда нужно делать УЗИ
Ультразвуковое исследование назначается эндокринологом при подозрении на наличие структурных изменений органа. Стоит сделать УЗИ в следующих ситуациях:
-анализ крови на гормоны имеет ряд отклонений от нормы;-пациент жалуется на болезненное глотание;
-проблемы с весом невыясненного генеза;
-субфебрильная температура долгое время.
С профилактическими целями УЗИ назначают женщинам, которые планируют в скором времени забеременеть, людям, которые проживают в районах, где наблюдается дефицит йода, а также всем, кто работает на вредных работах с позиции экологического неблагополучия.
Какие заболевания можно выявить ультразвуком
При помощи ультразвука можно выявить любое заболевание щитовидки, к тому же еще и тщательно изучить орган.
Среди самых распространенных заболеваний стоит выделить тиреоидит (болезнь воспалительного характера), гипотиреоз (выраженная гипофункция на фоне патологического уменьшения железы) и гипертиреоз (гиперфункция, сопровождающаяся увеличением органа). Реже встречаются кистозные образования и опухоли злокачественного характера.
Возможные отклонения
Повышенная эхогенность в сочетании с неоднородностью структуры указывают на наличие воспалительных процессов. Уплотнения, которые обособлены от здоровых железистых тканей, указывают на наличие опухолевых формаций.
Полостные образования с четкими ровными краями и жидкостью внутри говорят о наличии кист в органе. Увеличение или уменьшение самого органа свидетельствуют о гипо- или гиперфункции щитовидки.
Как подготовиться к процедуре
Диагностирование патологий щитовидной железы посредством ультразвука — простая и удобная процедура, которая не сопровождается дискомфортом или болезненными ощущениями для пациента.
Обычно не требуется никакой особой подготовки к предстоящей процедуре. Никаких ограничений в плане питья или еды нет.
Сделать УЗИ щитовидной железы в Москве, цены на УЗИ щитовидки
Противопоказания к УЗИ щитовидной железы
Ультразвуковая диагностика щитовидной железы не вызывает болевых ощущений и не наносит вреда организму. Ее можно проводить новорожденным детям, ослабленным и пожилым пациентам. Процедура не оказывает негативного влияния на внутриутробное развитие ребенка и свойства молока при лактации. Поэтому в период беременности и грудного вскармливания можно проходить ее без опасений. Единственным моментом, при котором не проводят УЗИ-диагностику, является наличие повреждений на коже в местах обследования.
Подготовка к УЗИ щитовидной железы
УЗИ щитовидки (щитовидной железы) представляет собой простой диагностический метод, для которого не требуется предварительная подготовка. Если она проводится людям пожилого возраста или детям, то специалисты рекомендуют приходить на обследование натощак.
Ограничение в приеме пищи связано с тем, что во время диагностики существует риск возникновения рвотного рефлекса у данных категорий пациентов, что связано со слабостью тканей и повышенной чувствительностью нервных рецепторов.
Как проводится УЗИ щитовидной железы
Во время проведения УЗИ щитовидной железы пациент располагается на кушетке в положении лежа на спине. От него требуется максимально расслабиться. Чтобы специалист имел возможность исследовать как можно большую площадь органа, под голову кладут небольшую подушку. Желательно, чтобы одежда была на пуговицах, в противном случае ее нужно будет снять. После того, как область исследования стала полностью доступной для проведения процедуры, врач наносит на поверхность кожи специальное средство, а затем приступает к манипуляции, проводя по шее датчиком.
Результаты ультразвуковой диагностики
По окончании УЗИ щитовидки (щитовидной железы) пациенту выдают заключение с расшифровкой полученных данных. В нем специалист отмечает наличие или отсутствие изменений в структуре железы. Наиболее значимым параметром является ее эхогенность. Если структура щитовидной железы однородная (в норме), то на мониторе она будет иметь светло-серый оттенок. При наличии патологических участков они будут отражаться в виде пятен черного или темно-серого цвета.
В медицинских клиниках IMMA в Москве Вы можете в любое удобное время провести данное обследование.
Где сделать узи щитовидной железы в СПб. Цена. Что показывает.
Щитовидная железа — один из важнейших органов, который отвечает за обмен веществ в организме. Любой сбой в ее работе способен привести к самым серьезным заболеваниям. В случае «неполадок» щитовидка недвусмысленно сигнализирует о том, что пора всерьез заняться своим здоровьем. Но не всегда первые сигналы воспринимаются как руководство к действию. Например, быстрая утомляемость, сонливость, повышение температуры, частая смена настроения, ощущение кома в горле, снижение или набор веса, выпадение волос — все это симптомы, которые свидетельствуют, что пора сделать УЗИ щитовидной железы.
Что показывает УЗИ щитовидной железы
Вследствие неглубокого расположения органа и совершенства современных технических средств на ультразвуковом аппарате можно рассмотреть всю железу, за исключением частей, находящихся за трахеей или грудиной. Во время процедуры сканирования щитовидной железы оцениваются следующие параметры и признаки ее состояния:
- строение, расположение, контуры, структуру и размеры щитовидки,
- очаговые образования (узлы, кисты или кальцинаты),
- наличие, строение, размер и структуру видимых лимфоузлов,
- структуру и степень отклика на ультразвук слюнной железы,
- строение и размер гортани и мягких тканей шеи.
Чтобы быть уверенной, что всё в порядке, проводить УЗИ щитовидной железы рекомендуется 1 раз в год. Особенно важно это после 35 лет, когда с организмом начинают происходить изменения, которые обязательно нужно контролировать.
В процессе исследования врач изучает структуру органа, её однородность и размеры. Если Вы проходите УЗИ щитовидной железы регулярно, то любое изменение, даже малейшее, не останется незамеченным. Ведь самое главное — вовремя выявить проблему и начать её лечить.
Грустная статистика
Различные патологии щитовидной железы диагностируются у 20% взрослого населения. В некоторых районах планеты этот показатель – больше 50%. На появление патологических изменений в тканях щитовидной железы влияет плохая экологическая обстановка, наследственность, недостаток йода, интоксикации, стрессы, частые инфекции, травмы, сопутствующие заболевания.
В каких случаях назначают
Если у Вас внезапно появился один из нижеперечисленных симптомов, стоит задуматься о состоянии своей эндокринной системы, в частности, о работе щитовидной железы:
- Чрезмерная раздражительность
- Быстрая утомляемость
- Ощущение сердцебиения
- Вялость, сонливость, слабость, апатия
- Частые перепады в настроении
- Потливость
- Резкое изменение массы тела без видимой причины
- Припухлость в области шеи
- Неконтролируемое дрожание пальцев рук
- Усиленное выпадение волос
- Появление прощупываемых пальцами новообразований
Также обязательно рекомендуется пройти УЗИ щитовидной железы при следующих жизненных ситуациях:
- планируемая беременность;
- наличие наследственных заболеваний щитовидной железы и сахарного диабета;
- трудовая деятельность, связанная с вредным производством;
- достижение 40-летнего возраста;
- после приема гормональных препаратов;
Если УЗИ щитовидной железы в силу глубокого расположения отдельных отделов щитовидки или иных причин не дает исчерпывающей информации, назначаются дополнительные обследования, но альтернативы сканированию не существует.
Как подготовиться
Подготовка к сканированию щитовидной железы не требуется. Если ранее уже выполнялось ультразвуковое исследование железы, то следует взять с собой его результаты. Также возьмите с собой полотенце. Оно может понадобиться для подкладывания под голову и для вытирания геля с шеи.
Результаты исследований для женщин и мужчин, нормы и паталогии
Врач-диагност описывает полученные результаты в протоколе исследования. Обычно время подготовки письменного заключения не превышает 10 минут.
Как правило, в случае нормы в протоколе УЗИ щитовидной железы содержится формулировка: «Форма железы – стандартная, контуры – четкие и ровные, структура – однородная, плотность – стандартная, узлы и кисты – отсутствуют, лимфоузлы – не увеличены».
Размеры щитовидной железы служат основой для определения ее объема, который у женщин должен быть не более 18 мл, а у мужчин не более 25 мл (данные Всемирной организации здравоохранения). Норма объема щитовидной железы у детей определяется индивидуально, учитывается пол и возраст ребенка.
При УЗИ щитовидной железы могут быть выявлены следующие патологии:
- Диффузно-токсический зоб – увеличенная в объеме железа повышает продуцирование гормонов. Характерные признаки: повышенная возбудимость, раздражительность, похудение без видимой причины, учащенное сердцебиение.
- Узловой зоб – формирование легко прощупываемого уплотнения. Разные стадии характеризуются различными симптомами, основной признак – легко пальпируемый узел в щитовидной железе.
- Гипотиреоз – уменьшенная в объеме железа снижает выработку гормонов.
- Тиреоидит – это воспалительное заболевание могут вызвать вирусы или бактерии. Характерные признаки: головная боль, боль в передней области шеи, повышение температуры тела.
- Киста – образование небольшой области (врожденной или приобретенной), заполненной жидкостью. В случае ее нагноения появляются боли в области шеи и повышается температура.
- Доброкачественные и злокачественные опухоли – уплотнения, ограниченные от окружающих тканей (аденома), или прорастающие в них (онкологические заболевания). В этом случае большое внимание уделяют анализу лимфатических узлов. Их увеличение может свидетельствовать о злокачественности образования.
УЗИ щитовидной железы является одним из самых безопасных, информативных и достоверных методов, применяемых для оценки развития патологических процессов.
Вы можете записаться на УЗИ щитовидной железы к нашему специалисту УЗ-диагностики Озиевой М. И.
Администратор поможет записать вас на прием к врачу , подберёт удобное время и день для посещения клиники+7(921)80-80-219
УЗИ щитовидной железы сделать недорого в Екатеринбурге
| Услуга | Цена, руб |
| УЗИ щитовидной железы | 750 |
Приём доктора работает до 16:00
Щитовидная железа отвечает за производство тиреоидных гормонов. Без них невозможно нормально функционирование сердца, головного мозга, развитие мышц и костей. Именно поэтому УЗИ щитовидной железы – это современный, качественный метод исследования, позволяющий на ранних стадиях выявить патологии и назначить своевременное лечение. Любые сбои в работе этого органа могут привести к серьезным последствиям: от головных болей до инсультов и бесплодия.
Для чего нужно УЗИ щитовидной железы
«Щитовидка» расположена не глубоко от верхних тканей. Поэтому обследование позволяет досконально изучить орган. Во время ультразвукового исследования врач обращает внимание на следующие факторы:
- Строение. В нормальном состоянии щитовидная железа состоит из двух частей и небольшого соединительного перешейка. Иногда при формировании в утробе матери случается, что железа внутренней секреции не разделяется, тогда врач может поставить диагноз – аплазию.
- Расположение. Оно может быть типичным, низким, патологическим.
- Контуры. Они должны быть четко выраженными, без размытий. если такие имеются, это свидетельствует о присутствии увеселительного процесса, опухоли.
- Структура. В нормально состоянии она ровная, однородная, в иных случаях назначаются дополнительные анализы.
- Размеры. Увеличение размеров долей или перешейка может говорить о патологиях или нарушениях в работе органа.
- Наличие кист, кальцинат, иных новообразований.
- Эхогенность – оттенок ткани на экране УЗИ-аппаратуры.
Кроме непосредственного изучения щитовидной железы врач также может осмотреть при диагностике доступные лимфоузлы, слюнную железы (в подушном пространстве), гортань и мягкие ткани шеи. Цена на УЗИ щитовидной железы в Екатеринбурге в нашем центре не ударит по карману пациентов.
Область шеи в организме человека – это критически важная область. Здесь проходят крупные кровяные сосуды, стволы нервных окончаний, трахея, пищевод. И большинство этих органов не могут нормально функционировать при проблемах с щитовидной железой. Сделать точный и информативный анализ может только квалифицированный специалист.
Важно! Патологии различного характера в области щитовидной железы диагностируют у 20% населения старшего возраста. В некоторых регионах этот процент может превысить 50. Самое катастрофичное, что заболевания могут развиться у людей с различным образом и условиями жизни. Стрессы, плохая экология, недостаток йода, травмы и т.д. – это все приводит к нарушениям работы «щитовидки». Поэтому сделать УЗИ щитовидной железы- гарантия личной безопасности.
Когда необходимо проводить УЗИ щитовидной железы
Существуют несколько факторов, при которых врач назначает обследование:
- планирование беременности;
- сахарный диабет или имеющиеся проблемы с щитовидной железой;
- вредное производство на работе;
- достижение 40 лет;
- курс приема гормональных препаратов;
- повышенная утомляемость, нервозность, сонливость;
- беспричинное ожирение или истощение;
- обильное выпадение волос;
- неконтролируемый триммер рук.
УЗИ щитовидной железы – это наиболее действенный, современный, безопасный и безболезненный способ исследования данного органа. Его можно проводить неоднократно, при этом пациентам разного возраста, беременным и кормящим женщинам.
применений, побочные эффекты, процедура, результаты
УЗИ щитовидной железы — это безопасная и безболезненная процедура, при которой для исследования щитовидной железы используются звуковые волны. Его можно использовать для диагностики широкого спектра заболеваний, поражающих щитовидную железу, включая доброкачественные узлы щитовидной железы и возможный рак щитовидной железы.
SerhiiBobyk / iStock / Getty Images Plus / Getty ImagesЦель теста
Клиницисты могут использовать УЗИ щитовидной железы для оценки нескольких различных заболеваний, которые влияют на щитовидную железу, эндокринную железу на шее.Гормон щитовидной железы, вырабатываемый железой, влияет на многие важные физиологические функции, включая частоту сердечных сокращений, температуру тела и общий обмен веществ.
Иногда вы можете пройти сканирование как часть общего медицинского обследования, особенно если у вас есть симптомы, которые могут быть совместимы с заболеванием щитовидной железы, например усталость. Некоторым людям делают УЗИ щитовидной железы, потому что в этом районе была замечена небольшая шишка. Вы можете пройти этот тест, если результаты других тестов будут отклоняться от нормы, например, при тесте на функцию щитовидной железы.
Иногда для скрининга используется УЗИ щитовидной железы. Если у вас повышенный риск заболеть раком щитовидной железы (например, из-за определенных видов генетических заболеваний), вам может потребоваться регулярное ультразвуковое исследование щитовидной железы. Или это может быть так, если вы ранее подвергали эту часть тела лучевой терапии.
Ультразвук щитовидной железы также можно использовать для контроля области рецидива рака, если вам ранее удалили рак щитовидной железы.
УЗИ паращитовидных желез
Паращитовидные железы, расположенные рядом с щитовидной железой, выделяют паращитовидный гормон.Этот гормон очень важен для регулирования содержания кальция в организме. Подобный тип ультразвука можно использовать для оценки паращитовидных желез, например, у кого-то с потенциальной аденомой паращитовидных желез или другой возможной проблемой паращитовидных желез.
Другие методы визуализации
Ультразвук в значительной степени заменил предыдущий способ визуализации щитовидной железы, называемый сцинтиграфией щитовидной железы. Это вид медицинской визуализации, при которой требуется прием радиоактивного йода. Этот метод иногда все еще используется для людей с гипертиреозом или для наблюдения после удаления рака щитовидной железы.
В отличие от сцинтиграфии, УЗИ щитовидной железы не требует воздействия радиации, которая потенциально может увеличить риск рака в будущем.
Другие методы визуализации используются для исследования щитовидной железы, но не так часто, как ультразвук. Чаще всего они используются, когда диагноз все еще остается неясным после того, как уже было проведено ультразвуковое исследование (и, возможно, другие медицинские тесты).
Такие тесты включают медицинскую резонансную томографию (МРТ), компьютерную томографию (КТ) и позитронно-эмиссионную томографию (ПЭТ).Все эти тесты дороже, чем ультразвук. В отличие от ультразвука, компьютерная томография и ПЭТ также требуют облучения.
Как работает УЗИ щитовидной железы
Ультразвуковая визуализация (также называемая сонографией) использует высокочастотные звуковые волны для получения изображений внутренней части тела. Звуковые волны отражаются от внутренних структур тела, но с разной силой и скоростью, в зависимости от природы этих структур. Эта информация собирается компьютером для создания ультразвуковых изображений, которые появляются на экране.
Ультразвук создает движущиеся изображения в режиме реального времени, поэтому врачи могут видеть такие особенности, как движение органов и кровоток по сосудам. Многие люди лучше всего знакомы с ультразвуком по его использованию во время беременности. Но ультразвуковая визуализация стала более частой и во многих других областях медицины, в том числе при диагностике заболеваний щитовидной железы.
Риски и противопоказания
Ультразвук щитовидной железы очень безопасен и не вызывает никаких известных осложнений.Звуковые волны, используемые для создания ультразвукового изображения, не вызывают никаких известных побочных эффектов. Фактически, одним из преимуществ ультразвука перед некоторыми другими методами визуализации является его показатель безопасности.
Узлы щитовидной железы
Одной из проблем, вызывающих растущее использование ультразвука, является обнаружение большего количества узлов щитовидной железы. Ультразвук определит очень маленькие узелки, которые вы не сможете физически ощутить как комок в области горла.
Большинство этих узелков безвредны, и дополнительное обследование и лечение могут не потребоваться.Даже когда эти узелки действительно злокачественные, они часто бывают небольшими и имеют низкий риск рака, и в некоторых случаях риски вмешательства могут перевешивать преимущества.
Клиницисты все еще изучают, как сделать этот тест тем, кто действительно в нем нуждается, и правильно его интерпретировать. Это снизит вероятность того, что безвредный узелок, обнаруженный на УЗИ, приведет к ненужному лечению.
Перед испытанием
УЗИ щитовидной железы проводится после медицинского обследования, включая сбор анамнеза и клиническое обследование.Вашему врачу сначала необходимо убедиться, что методика может быть потенциально полезной в вашей конкретной ситуации.
Сроки
Обычно безболезненная процедура занимает всего несколько минут. Вам не будут вводить анестезию, поэтому вы можете поехать домой или вернуться на работу сразу после процедуры.
Расположение
УЗИ щитовидной железы можно сделать в больнице, клинике или прямо в медицинском кабинете. Вы должны принести свои документы и карточку медицинского страхования.
Препарат
УЗИ щитовидной железы не требует от пациента подготовки. Вы можете заранее принимать лекарства, есть и пить, как обычно.
Что надеть
Если одежда не закрывает шею, рубашку снимать не нужно. При необходимости можно переодеться в халат. Вам нужно будет удалить все, что может блокировать доступ к вашей шее, например ожерелье.
Во время теста
В зависимости от контекста, УЗИ щитовидной железы может проводить радиолог или другой клиницист, например, эндокринолог, имеющий опыт лечения щитовидной железы.Или это может сделать специалист по ультразвуковой диагностике, специалист в области здравоохранения, обученный ультразвуковой диагностике.
УЗИ щитовидной железы можно проводить как в полулежа, так и в сидячем положении. Подбородок наклонен назад, чтобы можно было вытянуть шею спереди.
Непосредственно перед тестом на кожу в передней части горла наносится тонкий слой геля. Сначала может показаться немного холодным.
В некоторых случаях ваш врач порекомендует использовать контрастное вещество, чтобы улучшить качество изображения.Это включает введение в кровеносный сосуд такого материала, как Lumason, перед процедурой, однако это не всегда делается. Вы можете спросить своего лечащего врача, стоит ли этого ожидать.
Врач берет портативное устройство, называемое датчиком (или зондом), и помещает его прямо на кожу в передней части горла. Клиницист может немного переместить датчик, чтобы лучше рассмотреть щитовидную железу. Вас могут попросить проглотить или надавить, чтобы улучшить изображение.
Во время теста врач внимательно осмотрит эту область и увидит, не выглядит ли что-либо необычным, учитывая общий размер и форму. Если на щитовидной железе есть шишка, они могут измерить ее размер и местоположение и даже получить некоторую информацию о ее кровоснабжении.
Ультразвук может показать, является ли такая область твердой или заполненной жидкостью. Ультразвук также может помочь вашему врачу понять, является ли такая область доброкачественной и безвредной или потенциальной опухолью.
После завершения ультразвукового исследования гель можно стереть с пораженного участка.
Одновременные тесты
Иногда УЗИ щитовидной железы сочетается с биопсией щитовидной железы (также называемой тонкоигольной аспирацией или FNA). Это может потребоваться, если ваш врач обеспокоен тем, что узелок щитовидной железы может быть злокачественным из-за того, как он проявляется на УЗИ.
Например, если область имеет неправильную форму и поражает окружающие ткани, существует больший риск того, что это рак.Однако, поскольку узелки щитовидной железы редко бывают злокачественными, обычно в этом нет необходимости. Биопсия может также потребоваться при особенно большом узле.
УЗИ щитовидной железы иногда также сочетается с терапией щитовидной железы. Например, определенные типы узлов щитовидной железы можно лечить путем инъекции этанола в узелок (так называемая склеротерапия этанолом). Это обеспечивает менее инвазивное вмешательство по сравнению с хирургическим удалением. Ультразвуковая визуализация гарантирует, что врач вводит этанол точно в нужное место.
После теста
После УЗИ щитовидной железы времени на восстановление не требуется. Вы сможете заниматься своими делами как обычно.
Если ваш тест проводится лечащим врачом, вы можете прямо сейчас поговорить о том, как информация о тесте повлияет на ваше лечение в будущем. В других случаях вам потребуется наблюдение через несколько дней после того, как рентгенолог или другой специалист изучит изображения.
Дальнейшее наблюдение может не потребоваться.Но в зависимости от контекста могут потребоваться дополнительные тесты или процедуры.
Что пациенты должны знать о тиреоидэктомии
Интерпретация результатов
Одно из ограничений ультразвукового исследования щитовидной железы состоит в том, что оно не может сказать вам, вырабатывает ли ваша щитовидная железа слишком много или слишком мало гормонов щитовидной железы. Другими словами, он не скажет вам, есть ли у вас гипертиреоз или гипотиреоз. Для этого требуются другие тесты, например, анализ крови на различные типы гормонов щитовидной железы или на гормон, стимулирующий щитовидную железу (ТТГ).
Для постановки диагноза необходимо учитывать результаты УЗИ щитовидной железы, а также другую клиническую информацию и другие тесты. Некоторые заболевания, связанные с щитовидной железой, могут быть очень похожи на ультразвуковое исследование щитовидной железы, например тиреоидит Хашимото и болезнь Грейвса. Однако другие клинические симптомы и тесты могут помочь отличить их.
Иногда одно только УЗИ не может определить, является ли узел злокачественным. В таком случае вам может потребоваться биопсия узла, которую можно будет исследовать под микроскопом.Часто это делается в сочетании с другим УЗИ щитовидной железы. Если у вас действительно рак щитовидной железы, ваш врач может порекомендовать операцию или другую стратегию лечения.
Слово от Verywell
Обследование щитовидной железы с помощью УЗИ — безболезненный и довольно быстрый процесс. Если вас беспокоит потенциальная проблема с щитовидной железой, возможно, стоит поговорить с врачом, чтобы узнать, может ли УЗИ щитовидной железы предоставить некоторую полезную информацию.
Узлы щитовидной железы — Диагностика и лечение
Диагностика
При оценке опухоли или узелка на шее одна из основных целей вашего врача — исключить возможность рака.Но ваш врач также захочет узнать, правильно ли работает ваша щитовидная железа. Всего тестов:
Физический осмотр. Ваш врач, скорее всего, попросит вас проглотить, пока он или она осматривает вашу щитовидную железу, потому что узел в вашей щитовидной железе обычно перемещается вверх и вниз во время глотания.
Ваш врач также будет искать признаки и симптомы гипертиреоза, такие как тремор, чрезмерно активные рефлексы и учащенное или нерегулярное сердцебиение. Он или она также проверит наличие признаков и симптомов гипотиреоза, таких как медленное сердцебиение, сухость кожи и отек лица.
- Функциональные тесты щитовидной железы. Тесты, измеряющие в крови уровни тиреотропного гормона (ТТГ) и гормонов, вырабатываемых вашей щитовидной железой, могут указать, есть ли у вас гипертиреоз или гипотиреоз.
- Ультразвук. Этот метод визуализации использует высокочастотные звуковые волны для создания изображений вашей щитовидной железы. Ультразвук щитовидной железы дает наилучшую информацию о форме и структуре узелков. Врачи могут использовать его, чтобы отличить кисты от твердых узелков или определить наличие множественных узелков.Врачи могут также использовать его в качестве руководства при выполнении тонкоигольной аспирационной биопсии.
Тонкоигольная аспирационная биопсия. Узелки часто берут на биопсию, чтобы убедиться в отсутствии рака. Во время процедуры врач вводит в узелок очень тонкую иглу и берет образец клеток.
Процедура обычно проводится в кабинете врача, занимает около 20 минут и сопряжена с небольшими рисками. Часто ваш врач будет использовать ультразвук, чтобы направить положение иглы.Затем ваш врач отправляет образцы в лабораторию для анализа под микроскопом.
Сканирование щитовидной железы. Ваш врач может порекомендовать сканирование щитовидной железы, чтобы оценить узлы щитовидной железы. Во время этого теста изотоп радиоактивного йода вводится в вену на руке. Затем вы ложитесь на стол, а специальная камера выводит изображение вашей щитовидной железы на экран компьютера.
Узелки, вырабатывающие избыток гормона щитовидной железы, называемые горячими узлами, обнаруживаются при сканировании, потому что они потребляют больше изотопа, чем нормальная ткань щитовидной железы.Горячие узелки почти всегда доброкачественны.
В некоторых случаях узелки, которые поглощают меньше изотопа, называемые холодными узелками, являются злокачественными. Однако сканирование щитовидной железы не может отличить холодные узелки, которые являются злокачественными, и не злокачественными.
Лечение
Лечение зависит от типа имеющегося у вас узла щитовидной железы.
Лечение доброкачественных узелков
Если узелок щитовидной железы не является злокачественным, варианты лечения включают:
Бдительное ожидание. Если биопсия показывает, что у вас доброкачественный узелок щитовидной железы, ваш врач может посоветовать просто понаблюдать за вашим состоянием.
Обычно это означает регулярный медицинский осмотр и функциональные тесты щитовидной железы. Он также может включать ультразвуковое исследование. Вам также может потребоваться повторная биопсия, если узелок станет больше. Если доброкачественный узелок щитовидной железы не изменился, лечение может никогда не потребоваться.
- Гормональная терапия щитовидной железы. Если ваш тест на функцию щитовидной железы обнаруживает, что ваша железа не производит достаточного количества гормонов щитовидной железы, ваш врач может порекомендовать терапию гормонами щитовидной железы.
- Хирургия. Доброкачественный узелок иногда может потребовать хирургического вмешательства, если он настолько велик, что затрудняет дыхание или глотание. Врачи могут также рассмотреть возможность операции людям с большим многоузловым зобом, особенно когда зоб сужает дыхательные пути, пищевод или кровеносные сосуды. Узелки, диагностированные при биопсии как неопределенные или подозрительные, также нуждаются в хирургическом удалении, чтобы их можно было исследовать на наличие признаков рака.
Лечение узелков, вызывающих гипертиреоз
Если узелок щитовидной железы вырабатывает гормоны щитовидной железы, что приводит к перегрузке нормального уровня выработки гормонов щитовидной железы, ваш врач может порекомендовать вам лечение от гипертиреоза.Это может включать:
- Йод радиоактивный. Врачи используют радиоактивный йод для лечения гипертиреоза. В капсулах или в жидкой форме радиоактивный йод усваивается щитовидной железой. Это приводит к уменьшению узелков и исчезновению признаков и симптомов гипертиреоза, обычно в течение двух-трех месяцев.
- Антитроидные препараты. В некоторых случаях ваш врач может порекомендовать антитиреоидный препарат, такой как метимазол (тапазол), для уменьшения симптомов гипертиреоза.Лечение, как правило, длительное и может иметь серьезные побочные эффекты на печень, поэтому важно обсудить риски и преимущества лечения с врачом.
- Хирургия. Если лечение радиоактивным йодом или антитероидными препаратами невозможно, вы можете быть кандидатом на операцию по удалению гиперактивного узла щитовидной железы. Скорее всего, вы обсудите риски хирургического вмешательства со своим врачом.
Лечение раковых узелков
Лечение злокачественных узлов обычно включает хирургическое вмешательство.
- Наблюдение. Очень маленькие раковые образования имеют низкий риск разрастания, поэтому вашему врачу может быть целесообразно внимательно наблюдать за раковыми узелками перед их лечением. Это решение часто принимается с помощью специалиста по щитовидной железе. Наблюдение включает ультразвуковое наблюдение и выполнение анализов крови.
Хирургия. Распространенным методом лечения раковых узлов является хирургическое удаление. В прошлом удаление большей части ткани щитовидной железы было стандартной процедурой, называемой почти полной тиреоидэктомией.Однако сегодня более ограниченная операция по удалению только половины щитовидной железы может быть подходящей для некоторых раковых узлов. В зависимости от степени заболевания может использоваться почти полная тиреоидэктомия.
Риск операции на щитовидной железе включает повреждение нерва, который контролирует голосовые связки, и повреждение паращитовидных желез — четырех крошечных желез, расположенных на задней стороне щитовидной железы, которые помогают контролировать уровень минералов в организме, таких как кальций.
После операции на щитовидной железе вам понадобится пожизненное лечение левотироксином, чтобы обеспечить организм гормоном щитовидной железы.Ваш специалист по щитовидной железе поможет определить правильную дозу, поскольку для снижения риска рака может потребоваться нечто большее, чем просто заместительная гормональная терапия.
- Спиртовая абляция. Другой вариант лечения некоторых небольших раковых узелков — алкогольная абляция. Этот метод включает введение небольшого количества алкоголя в злокачественный узел щитовидной железы, чтобы разрушить его. Часто требуется несколько сеансов лечения.
Клинические испытания
Изучите исследования клиники Mayo Clinic, в которых тестируются новые методы лечения, вмешательства и тесты как средства предотвращения, обнаружения, лечения или контроля этого состояния.
Подготовка к приему
Если вы сами видите или чувствуете узел в щитовидной железе — обычно в середине нижней части шеи, чуть выше грудины — позвоните своему лечащему врачу, чтобы он назначил прием для оценки образования.
Часто ваш врач может обнаружить узелки щитовидной железы во время обычного медицинского осмотра. Иногда ваш врач обнаруживает узелок щитовидной железы, когда у вас есть визуализирующий тест, такой как УЗИ, КТ или МРТ, чтобы оценить другое состояние в вашей голове или шее.Узлы, обнаруженные таким образом, обычно меньше тех, что обнаруживаются при физическом осмотре.
После того, как ваш врач обнаружит узелок щитовидной железы, вас, скорее всего, направят к врачу, специализирующемуся на эндокринных заболеваниях (эндокринологу). Чтобы получить максимальную отдачу от встречи, попробуйте эти предложения:
- Помните о любых предварительных ограничениях. Во время записи на прием обязательно спросите, нужно ли вам что-нибудь сделать заранее, чтобы подготовиться к диагностическим тестам, которые вам могут быть назначены.
- Запишите все симптомы и изменения, с которыми вы сталкиваетесь, , даже если они кажутся не связанными с вашей текущей проблемой.
- Составьте список важной медицинской информации, включая недавние хирургические процедуры, названия всех лекарств, которые вы принимаете, и любые другие состояния, от которых вы лечились.
- Запишите вашу личную и семейную историю болезни, включая любые заболевания щитовидной железы или рак щитовидной железы.Сообщите своему врачу о любом облучении, которое вы могли получить в детстве или во взрослом возрасте.
- Запишите вопросы , чтобы задать их врачу. Например, вы, вероятно, захотите узнать, нуждаются ли в лечении узелки, не вызывающие проблем, и какие варианты лечения доступны.
19 июня 2020 г.
Показать ссылки- Fisher SB, et al. Случайный узелок щитовидной железы. КА: Онкологический журнал для клиницистов.2018; DOI: 10.3322 / caac.21447.
- Узлы щитовидной железы. Сеть гормонального здоровья. https://www.hormone.org/diseases-and-conditions/thyroid-nodules. По состоянию на 31 октября 2019 г.
- Узлы щитовидной железы. Американская тироидная ассоциация. http://www.thyroid.org/thyroid-nodules/. По состоянию на 31 октября 2019 г.
- Гипертиреоз. Американская тироидная ассоциация. http://www.thyroid.org/hyperthyroidism/. По состоянию на 31 октября 2019 г.
- Росс Д.С. Обзор образования узлов щитовидной железы.https://www.uptodate.com/contents/search. По состоянию на 31 октября 2019 г.
- Goldman L, et al., Eds. Щитовидная железа. В: Медицина Гольдмана-Сесила. 26-е изд. Эльзевир; 2020. https://www.clinicalkey.com. По состоянию на 31 октября 2019 г.
- Ferri FF. Узел щитовидной железы. В: Клинический советник Ферри 2020. Elsevier; 2020. https://www.clinicalkey.com. По состоянию на 31 октября 2019 г.
- Росс Д.С. Диагностика и лечение узлов щитовидной железы. https://www.uptodate.com/contents/search. По состоянию на октябрь.31 января 2019.
- Hoang JK, et al. Понимание рисков и вреда лечения случайных узлов щитовидной железы: обзор. JAMA Otolaryngology — Хирургия головы и шеи. 2017; DOI: 10.1001 / jamaoto.2017.0003.
- Goldblum JR, et al., Eds. Щитовидная железа. В кн .: Хирургическая патология Розай и Акермана. 11-е изд. Эльсельвье; 2018. https://www.clinicalkey.com. По состоянию на 4 ноября 2019 г.
- Kellerman RD, et al. Рак щитовидной железы. В: Текущая терапия Конна 2019. Elsevier; 2019.https://www.clinicalkey.com. По состоянию на 4 ноября 2019 г.
- Perri F, et al. Ведение рака щитовидной железы: от подозрительного узла до таргетной терапии. Противораковые препараты. 2018; DOI: 10.1097 / CAD.0000000000000617.
- Rumack CM, et al., Eds. Щитовидная железа. В кн .: Ультразвук диагностический. 5-е изд. Эльсельвье; 2018. https://www.clinicalkey.com. Проверено 7 ноября 2019 г.
- Kitahara CM, et al. Изменение заболеваемости раком щитовидной железы. Обзоры природы Эндокринология. 2016; DOI: 10.1038 / nrendo.2016.110.
- Гипотиреоз. Американская тироидная ассоциация. https://www.thyroid.org/hypothyroidism/. По состоянию на 6 декабря 2019 г.
- Кернс А.Е. (заключение эксперта). Клиника Майо. 5 декабря 2019 г.
Связанные
Продукты и услуги
Показать больше продуктов и услуг Mayo Clinicтестов щитовидной железы | NIDDK
Медицинские работники используют тесты щитовидной железы, чтобы проверить, насколько хорошо работает ваша щитовидная железа, и найти причину таких проблем, как гипертиреоз или гипотиреоз.Щитовидная железа — это небольшая железа в форме бабочки в передней части шеи, которая вырабатывает два гормона щитовидной железы: тироксин (T 4 ) и трийодтиронин (T 3 ). Гормоны щитовидной железы контролируют то, как организм использует энергию, поэтому они влияют почти на все органы вашего тела, даже на сердце.
Щитовидная железа — это небольшая железа на шее в форме бабочки.Тесты щитовидной железы помогают специалистам здравоохранения диагностировать такие заболевания щитовидной железы, как
Ваш врач начнет с анализа крови, а также может назначить визуализацию.
Какие анализы крови врачи используют для проверки функции щитовидной железы?
Врачи могут назначить один или несколько анализов крови для проверки функции щитовидной железы. Тесты могут включать тесты на тиреотропный гормон (ТТГ), T 4 , T 3 и тесты на антитела к щитовидной железе.
Анализы крови на щитовидную железу проверяют вашу функцию щитовидной железы.Для этих тестов медицинский работник возьмет кровь из вашей руки и отправит ее в лабораторию для анализа. Ваш врач расскажет вам о результатах ваших анализов.
Тест TSH
Медицинские работники обычно сначала проверяют количество ТТГ в вашей крови. ТТГ — это гормон, вырабатываемый гипофизом, который сообщает щитовидной железе, сколько нужно вырабатывать T 4 и T 3 .
Высокий уровень ТТГ чаще всего означает, что у вас гипотиреоз или недостаточная активность щитовидной железы. Это означает, что ваша щитовидная железа не вырабатывает достаточное количество гормонов. В результате гипофиз продолжает вырабатывать и выделять ТТГ в кровь.
Низкий уровень ТТГ обычно означает, что у вас гипертиреоз или сверхактивная щитовидная железа.Это означает, что ваша щитовидная железа вырабатывает слишком много гормонов, поэтому гипофиз перестает вырабатывать и выделять ТТГ в кровь.
Если результаты теста ТТГ не соответствуют норме, вам понадобится по крайней мере еще один тест, чтобы помочь найти причину проблемы.
T
4 испытанияВысокий уровень Т 4 в крови может означать, что у вас гипертиреоз. Низкий уровень T 4 может означать, что у вас гипотиреоз.
В некоторых случаях высокий или низкий уровень T 4 может не означать, что у вас проблемы с щитовидной железой.Если вы беременны или принимаете оральные контрацептивы, уровень гормонов щитовидной железы будет выше. Тяжелое заболевание или использование кортикостероидов — лекарств для лечения астмы, артрита, кожных заболеваний и других проблем со здоровьем — может снизить уровень T 4 . Эти состояния и лекарства изменяют количество белков в крови, которые «связываются» или прикрепляются к T 4 . Связанный T 4 хранится в крови в резерве до тех пор, пока он не понадобится. «Свободный» Т 4 не связан с этими белками и доступен для проникновения в ткани организма.Поскольку изменения уровней связывающего белка не влияют на уровни свободного T 4 , многие медицинские работники предпочитают измерять свободный T 4 .
T
3 тестЕсли ваш лечащий врач считает, что у вас может быть гипертиреоз, хотя ваш уровень T 4 в норме, вы можете пройти тест T 3 для подтверждения диагноза. Иногда T 4 является нормальным, но T 3 является высоким, поэтому измерение уровней T 4 и T 3 может быть полезно при диагностике гипертиреоза.
Тесты на антитела к щитовидной железе
Измерение уровней антител к щитовидной железе может помочь диагностировать аутоиммунное заболевание щитовидной железы, такое как болезнь Грейвса — наиболее частая причина гипертиреоза — и болезнь Хашимото — наиболее частая причина гипотиреоза. Антитела к щитовидной железе образуются, когда ваша иммунная система по ошибке атакует щитовидную железу. Ваш лечащий врач может назначить тесты на антитела к щитовидной железе, если результаты других анализов крови предполагают заболевание щитовидной железы.
Какие методы визуализации врачи используют для диагностики и поиска причины заболевания щитовидной железы?
Ваш лечащий врач может назначить один или несколько тестов визуализации для диагностики и определения причины заболевания щитовидной железы.Квалифицированный специалист обычно проводит эти тесты в кабинете вашего врача, амбулаторном центре или больнице. Радиолог, врач, специализирующийся на медицинской визуализации, просматривает изображения и отправляет отчет вашему лечащему врачу для обсуждения с вами.
УЗИ
Ультразвук щитовидной железы чаще всего используется для поиска или более тщательного изучения узлов щитовидной железы. Узлы щитовидной железы — это уплотнения на шее. Ультразвук может помочь врачу определить, являются ли узелки злокачественными.
Для ультразвукового исследования вы лягте на стол для осмотра, а технический специалист проведет через вашу шею устройством, называемым датчиком. Преобразователь отбрасывает безопасные, безболезненные звуковые волны от вашей шеи, чтобы сделать снимки вашей щитовидной железы. Ультразвук обычно занимает около 30 минут.
Во время ультразвука датчик отражает звуковые волны от шеи, чтобы получить изображение щитовидной железы.Сканирование щитовидной железы
Медицинские работники используют сканирование щитовидной железы, чтобы определить размер, форму и положение щитовидной железы.В этом тесте используется небольшое количество радиоактивного йода, чтобы помочь найти причину гипертиреоза и проверить наличие узелков щитовидной железы. Ваш лечащий врач может попросить вас избегать продуктов с высоким содержанием йода, таких как водоросли, или лекарств, содержащих йод, в течение недели перед тестом.
Для сканирования техник вводит небольшое количество радиоактивного йода или аналогичного вещества в вашу вену. Вы также можете проглотить вещество в жидкой форме или в форме капсул. Сканирование проводится через 30 минут после инъекции или до 24 часов после проглатывания вещества, чтобы у щитовидной железы было достаточно времени для его поглощения.
Во время сканирования вы будете лежать на столе для осмотра, а специальная камера сделает снимки вашей щитовидной железы. Сканирование обычно занимает 30 минут или меньше.
Узлы щитовидной железы, вырабатывающие слишком много гормонов щитовидной железы, четко видны на фотографиях. Радиоактивный йод, который обнаруживается по всей щитовидной железе, может означать, что у вас болезнь Грейвса.
Несмотря на то, что для сканирования щитовидной железы требуется лишь небольшое количество радиации и оно считается безопасным, вам не следует проходить этот тест, если вы беременны или кормите грудью.
Тест на поглощение радиоактивного йода
Тест на поглощение радиоактивного йода, также называемый тестом на поглощение щитовидной железы, может помочь проверить функцию щитовидной железы и найти причину гипертиреоза. Щитовидная железа «забирает» йод из крови для производства гормонов щитовидной железы, поэтому это называется тестом на поглощение. Ваш лечащий врач может попросить вас избегать продуктов с высоким содержанием йода, таких как водоросли, или лекарств, содержащих йод, в течение недели перед тестом.
Для этого теста вы проглотите небольшое количество радиоактивного йода в жидкой или капсульной форме.Во время теста вы будете сидеть в кресле, а технический специалист поместит устройство, называемое гамма-зондом, перед вашей шеей, рядом с вашей щитовидной железой. Зонд измеряет, сколько радиоактивного йода ваша щитовидная железа забирает из крови. Измерения часто проводятся через 4-6 часов после проглатывания радиоактивного йода и снова через 24 часа. Тест занимает всего несколько минут.
Если ваша щитовидная железа собирает большое количество радиоактивного йода, у вас может быть болезнь Грейвса или один или несколько узелков, которые производят слишком много гормона щитовидной железы.Вы можете пройти этот тест одновременно с сканированием щитовидной железы.
Несмотря на то, что тест использует небольшое количество радиации и считается безопасным, вам не следует проходить этот тест, если вы беременны или кормите грудью.
Какие анализы проводят врачи, если у меня узелок щитовидной железы?
Если ваш лечащий врач обнаружит узелок или шишку на вашей шее во время медицинского осмотра или визуализации щитовидной железы, вам может быть сделана тонкоигольная аспирационная биопсия, чтобы определить, является ли опухоль злокачественной или доброкачественной.
Для этого теста вам нужно лечь на экзаменационный стол и слегка согнуть шею назад. Техник очистит вашу шею антисептиком и может использовать лекарство, чтобы обезболить пораженную область. Эндокринолог, который лечит людей с проблемами эндокринных желез, такими как заболевание щитовидной железы, или специально обученный радиолог вводит иглу в кожу и с помощью ультразвука направляет иглу к узлу. Небольшие образцы ткани из узелка будут отправлены в лабораторию для тестирования. Эта процедура обычно занимает менее 30 минут.Ваш лечащий врач обсудит с вами результат теста, когда он станет известен.
Как определить, что у вас рак щитовидной железы: симптомы и диагностика
Узлы или шишки щитовидной железы очень распространены. Большинство из них не раковые.
Щитовидная железа — это небольшая железа в форме бабочки, обычно расположенная в нижней части шеи. Если у вас есть шишка, скорее всего, вы обнаружили ее сами, хотя ваш врач мог обнаружить ее во время медицинского осмотра. Если вы обнаружили опухоль самостоятельно, обратитесь к врачу.
Физический осмотр
Ваш врач осмотрит любые шишки или узелки на вашей шее. Они могут задать вам несколько вопросов, чтобы узнать, подвержены ли вы риску. Вопросы могут заключаться в том, подверглись ли вы слишком сильному облучению, или у вас есть семейная история рака или заболевания щитовидной железы.
Анализы крови
Не существует анализа крови, который может обнаружить рак щитовидной железы. Тем не менее, ваш врач может попросить вас получить его, чтобы выяснить, правильно ли работает ваша щитовидная железа.
Генетические тесты
На основании вашего семейного анамнеза врач может назначить генетическое тестирование, чтобы выяснить, есть ли у вас гены, повышающие вероятность заболевания раком. Он также может показать генетические изменения, которые могут быть признаком определенных типов рака щитовидной железы.
Биопсия
Если у вас опухоль щитовидной железы, вам может потребоваться ее обследование. Биопсия покажет, рак это или нет.
Для проведения биопсии врач с помощью небольшой тонкой иглы берет небольшой образец из опухоли и, возможно, из других мест вокруг нее.
Возможно, вам сделают эту «тонкоигольную биопсию» в кабинете врача. После этого вам не понадобится время на восстановление.
После получения образца врач отправит образец в лабораторию для анализа.
Ультразвук
Ультразвук помогает вашему врачу больше узнать об узле (ах) щитовидной железы. Он использует высокочастотные звуковые волны для создания изображения вашей щитовидной железы.
Ваш врач поместит небольшое устройство, похожее на палочку, перед вашей щитовидной железой.Изображение вашей щитовидной железы и любых узелков, даже тех, которые вы не чувствуете, появится на экране компьютера.
Ультразвук может показать вашему врачу, заполнено ли уплотнение жидкостью или оно твердое. Твердый, скорее всего, будет иметь раковые клетки, но вам все равно понадобятся дополнительные тесты, чтобы выяснить это. Ультразвук также покажет размер и количество узелков на щитовидной железе.
Сканирование радиоактивного йода
В этом тесте используется радиоактивный йод, который поглощается клетками щитовидной железы. Сканирование измеряет радиацию в щитовидной железе или других частях тела.
Компьютерная томография
Компьютерная томография, обычно называемая компьютерной томографией или компьютерной томографией, использует специальные рентгеновские лучи, чтобы врач мог заглянуть внутрь вашего тела. Он может показать размер и местонахождение рака щитовидной железы, а также распространился ли он на другие части вашего тела.
ПЭТ-сканирование
Ваш врач может порекомендовать позитронно-эмиссионную томографию или ПЭТ-сканирование. В этом тесте используются небольшие количества радиоактивного материала, называемые радиоиндикаторами, специальная камера и компьютер, чтобы посмотреть на ваши органы и ткани.
ПЭТ-сканирование позволяет выявить изменения на клеточном уровне. Он может обнаружить рак на очень ранней стадии и проверить его распространение.
Ваш врач сообщит вам результаты ваших анализов.
Act Fast
Помните, что шишка на шее, скорее всего, не рак щитовидной железы, но вы делаете все правильно, чтобы проверить ее. И если это так, то чем раньше вы узнаете и начнете лечение, тем лучше.
УЗИ узлов щитовидной железы: что это такое, о чем оно мне говорит?
Как только узелок щитовидной железы обнаружен (или заподозрен), есть несколько вещей, которые врач захочет узнать, прежде чем давать какие-либо рекомендации относительно лечения.Помните, что подавляющее большинство узлов щитовидной железы доброкачественные, и беспокоиться не о чем, поэтому основное внимание уделяется определению того, какие из них имеют хоть какой-то разумный шанс стать злокачественными. Это те немногие вызывающие беспокойство узелки, которые необходимо будет прооперировать с удалением той части щитовидной железы.
Одним из первых обычно выполняемых тестов является тонкоигольная аспирационная биопсия. FNA обычно (но не всегда) определяет, является ли узел доброкачественным или злокачественным. Часто это единственный необходимый тест.
Еще один распространенный тест — УЗИ. Этот простой тест использует звуковые волны для визуализации щитовидной железы. Звуковые волны излучаются небольшим переносным датчиком, который проходит через щитовидную железу. На кожу наносится смазочный гель, чтобы звуковые волны легче передавались через кожу в щитовидную железу и окружающие структуры. Этот тест быстрый, точный, дешевый, безболезненный и полностью безопасный. Обычно это занимает всего около 10 минут, а результаты можно узнать практически сразу.Не все узелки нуждаются в этом тесте, но это почти обычная процедура.
Нужен ли мне тест?
На приведенном выше изображении показано ультразвуковое исследование типичного узла щитовидной железы, за исключением того, что этот узел немного больше обычного. Два скана идентичны, изображение справа обведено контуром, чтобы помочь вам понять, на что вы смотрите. Зонд помещается на кожу, которая находится в самом верху изображения, и звуковые волны направляются глубоко в шею и щитовидную железу (внизу изображения).
Когда звуковые волны ударяются о конструкции, они отражаются, как эхо. Зонд обнаруживает эти отражения и делает снимки. Этот узелок (показан красным) составляет около 80% ткани щитовидной железы (показана желтым цветом) в этой конкретной области щитовидной железы. Однако если вы посмотрите на другие части щитовидной железы, вы не увидите узелка; вы увидите только нормальную ткань щитовидной железы.
Определенные характеристики узлов щитовидной железы, видимые на УЗИ, вызывают большее беспокойство, чем другие.Однако имейте в виду, что одно только УЗИ не может диагностировать рак. Этот тест обычно помогает определить, что узелок имеет низкую вероятность злокачественного образования (имеет характеристики доброкачественного узла) или что он имеет некоторые характеристики злокачественного узелка, и поэтому показана биопсия.
Ультразвуковые характеристики, указывающие на доброкачественный узел
- Острые края вокруг узелка
- Узелок, заполненный жидкостью, а не живой тканью (киста)
- Множество узелков по всей щитовидной железе (почти всегда доброкачественный многоузловой зоб)
- Нет кровотока (не живая ткань, вероятно, киста)
- Подробнее по этой теме на нашей странице FNA
Чтобы проиллюстрировать некоторые из этих моментов, на рисунке справа показан тот же ультразвук, что и выше, но на этот раз зонд запрограммирован на обнаружение кровотока .Теперь вы можете ясно видеть, что этот узел сложный, что означает, что некоторые из них кистозные, а другие части состоят из живых тканей, которые имеют хорошее кровоснабжение. Если бы это была простая киста, заполненная серозной жидкостью, то в ней не было бы красного (артерия) или синего (вена) кровотока.
У этой пациентки не было других узелков в щитовидной железе, поэтому был поставлен диагноз «доминантный комплексный узел правой доли щитовидной железы».
Поскольку этот узелок действительно имеет несколько вызывающих беспокойство характеристик, была проведена пункционная биопсия тонкой иглой (FNA).В этом тесте очень маленькая игла вводится в узелок, некоторые клетки отсасываются, а затем помещаются на предметное стекло, чтобы патологоанатом окрасил их и определил, являются ли они злокачественными.
Этот тест очень прост; это занимает менее 30 секунд, практически безболезненно и может быть очень точным. Если это читать как рак, этот тест почти всегда правильный.
Иногда, однако, удалено недостаточно клеток или некоторые, но не все клетки выглядят ненормально.В этом случае патологоанатом не сможет отличить рак от доброкачественного узелка. Эта ситуация обычно требует повторения теста или хирургического удаления этой части щитовидной железы. Помните, что подавляющее большинство узелков доброкачественные, и даже если это рак, большинство видов рака щитовидной железы чрезвычайно излечимы.
Этому пациенту были выполнены две неопределенные FNA. Обе пункционные биопсии показали хорошие образцы тканей, но патологоанатом не смог отличить доброкачественную от злокачественной опухоли.Впоследствии ей была сделана простая лобэктомия правой щитовидной железы, окончательный диагноз — доброкачественная фолликулярная аденома. После операции у нее все в порядке, у нее все еще нормальная щитовидная железа на шее, поэтому ей не нужно принимать таблетки гормона щитовидной железы.
Обновлено: 13.10.10
Анализы на рак щитовидной железы
Рак щитовидной железы может быть диагностирован после того, как человек обратился к врачу из-за симптомов, или он может быть обнаружен во время обычного медицинского осмотра или других тестов.Если есть причина подозревать, что у вас рак щитовидной железы, ваш врач проведет один или несколько тестов для подтверждения диагноза. Если рак обнаружен, могут быть проведены другие тесты, чтобы узнать больше о раке.
История болезни и медицинский осмотр
Если у вас есть какие-либо признаки или симптомы, указывающие на то, что у вас может быть рак щитовидной железы, ваш лечащий врач захочет узнать вашу полную историю болезни. Вам будут заданы вопросы о возможных факторах риска, симптомах и любых других проблемах или проблемах со здоровьем.Если у кого-то в вашей семье был рак щитовидной железы (особенно медуллярный рак щитовидной железы) или опухоль, называемая феохромоцитомой , важно сообщить об этом своему врачу, так как вы можете подвергаться высокому риску этого заболевания.
Ваш врач осмотрит вас, чтобы получить дополнительную информацию о возможных признаках рака щитовидной железы и других проблемах со здоровьем. Во время обследования врач уделит особое внимание размеру и прочности вашей щитовидной железы и любым увеличенным лимфатическим узлам на шее.
Визуальные тесты
Визуализационные тесты могут быть выполнены по ряду причин:
- Чтобы помочь найти подозрительные области, которые могут быть раковыми
- Чтобы узнать, насколько далеко зашел рак
- Чтобы помочь определить, работает ли лечение
Люди, у которых есть или может быть рак щитовидной железы, пройдут один или несколько из этих тестов.
УЗИ
Ультразвук использует звуковые волны для создания изображений частей вашего тела. Во время этого теста вы не подвергаетесь воздействию радиации.
Этот тест может помочь определить, является ли узелок щитовидной железы твердым или заполненным жидкостью. (Твердые узелки с большей вероятностью будут злокачественными.) Его также можно использовать для проверки количества и размера узлов щитовидной железы, а также для определения увеличения ближайших лимфатических узлов из-за распространения рака щитовидной железы.
Если узелки щитовидной железы слишком малы, чтобы их можно было почувствовать, этот тест можно использовать для ввода иглы для биопсии в узелок для взятия образца.Даже если узелок достаточно большой, чтобы его можно было почувствовать, большинство врачей предпочитают использовать ультразвук для направления иглы.
Радиойодное сканирование
Сканирование с радиоактивным йодом можно использовать, чтобы определить, есть ли у человека с опухолью на шее рак щитовидной железы. Они также часто используются у людей, у которых уже был диагностирован дифференцированный (папиллярный, фолликулярный или клеточный) рак щитовидной железы, чтобы помочь определить, распространился ли он. Поскольку медуллярные клетки рака щитовидной железы не поглощают йод, сканирование с использованием радиоактивного йода не используется для этого рака.
Для этого теста небольшое количество радиоактивного йода (называемого I-131 ) проглатывается (обычно в виде таблетки) или вводится в вену. Со временем йод всасывается щитовидной железой (или клетками щитовидной железы в любом месте тела). Через несколько часов используется специальная камера, чтобы увидеть, где находится радиоактивность.
Для сканирования щитовидной железы камера помещается перед вашей шеей, чтобы измерить количество радиации в железе. Аномальные области щитовидной железы, которые имеют меньшую радиоактивность, чем окружающие ткани, называются холодными узелками , а области, которые принимают больше излучения, называются горячими узелками .Горячие узелки обычно не являются злокачественными, но холодные узелки могут быть доброкачественными или злокачественными. Поскольку как доброкачественные, так и злокачественные узелки могут казаться холодными, этот тест сам по себе не может диагностировать рак щитовидной железы.
После операции по поводу рака щитовидной железы сканирование всего тела на радиоактивный йод полезно для выявления возможного распространения по всему телу. Это сканирование становится еще более чувствительным, если вся щитовидная железа была удалена хирургическим путем, потому что больше радиоактивного йода улавливается оставшимися клетками рака щитовидной железы.
Сканирование с радиоактивным йодом работает лучше всего, если у пациентов высокий уровень тиреотропного гормона (ТТГ или тиреотропина) в крови. Для людей, у которых была удалена щитовидная железа, уровень ТТГ можно повысить, прекратив прием таблеток гормонов щитовидной железы за несколько недель до обследования. Это приводит к снижению уровня гормонов щитовидной железы (гипотиреоз) и заставляет гипофиз выделять больше ТТГ, что, в свою очередь, стимулирует любые раковые клетки щитовидной железы поглощать радиоактивный йод. Обратной стороной этого является то, что он может вызывать симптомы гипотиреоза, включая усталость, депрессию, увеличение веса, сонливость, запор, мышечные боли и снижение концентрации внимания.Один из способов поднять уровень ТТГ без отмены гормона щитовидной железы — дать инъекционный тиротропин (тироген) перед сканированием.
Поскольку любой йод, уже присутствующий в организме, может повлиять на этот тест, людям обычно советуют избегать продуктов или лекарств, содержащих йод, в течение нескольких дней до сканирования.
Радиоактивный йод также можно использовать для лечения дифференцированного рака щитовидной железы, но его вводят в гораздо более высоких дозах. Этот вид лечения описан в разделе «Терапия радиоактивным йодом (радиоактивный йод)».
Рентген грудной клетки
Если вам поставили диагноз рака щитовидной железы (особенно фолликулярного рака щитовидной железы), вам может быть сделана простая рентгенография грудной клетки, чтобы увидеть, распространился ли рак на легкие.
Компьютерная томография (КТ)
КТ — это рентгеновский тест, который позволяет получить подробные изображения поперечного сечения вашего тела. Он может помочь определить местоположение и размер рака щитовидной железы, а также распространились ли они на близлежащие области, хотя обычно предпочтительным методом является ультразвуковое исследование.Компьютерная томография также может использоваться для поиска распространения в отдаленные органы, такие как легкие.
Одна из проблем при использовании компьютерной томографии заключается в том, что контрастный краситель для КТ содержит йод, который мешает сканированию с использованием радиоактивного йода. По этой причине многие врачи предпочитают МРТ при дифференцированном раке щитовидной железы.
Магнитно-резонансная томография (МРТ)
МРТиспользует магниты вместо излучения для создания подробных изображений поперечного сечения вашего тела. МРТ можно использовать для поиска рака щитовидной железы или рака, распространившегося на близлежащие или отдаленные части тела.Но УЗИ обычно является первым методом исследования щитовидной железы. МРТ может предоставить очень подробные изображения мягких тканей, таких как щитовидная железа. МРТ также очень полезны при изучении головного и спинного мозга.
Сканирование позитронно-эмиссионной томографии (ПЭТ)
ПЭТ-сканирование может быть очень полезным, если у вас рак щитовидной железы, который не поглощает радиоактивный йод. В этой ситуации ПЭТ-сканирование может определить, распространился ли рак.
Биопсия
Фактический диагноз рака щитовидной железы ставится с помощью биопсии, при которой клетки из подозрительной области удаляются и исследуются в лаборатории.
Если ваш врач считает, что биопсия необходима, самый простой способ узнать, является ли опухоль или узелок щитовидной железы злокачественным, — это тонкоигольная аспирация (FNA) узла щитовидной железы. Этот тип биопсии иногда можно сделать в кабинете врача или в клинике.
Перед биопсией можно ввести местную анестезию (обезболивающее) под кожу над узелком, но в большинстве случаев анестезия не требуется. Ваш врач введет тонкую полую иглу прямо в узелок, чтобы аспирировать (удалить) несколько клеток и несколько капель жидкости в шприц.Врач обычно повторяет это еще 2 или 3 раза, беря пробы из нескольких участков узелка. Затем образцы биопсии отправляются в лабораторию, где их исследуют, чтобы определить, выглядят ли клетки злокачественными или доброкачественными.
Кровотечение в месте биопсии очень редко, за исключением людей с нарушениями свертываемости крови. Обязательно сообщите своему врачу, если у вас есть проблемы с кровотечением или вы принимаете лекарства, которые могут повлиять на кровотечение, такие как аспирин или препараты для разжижения крови.
Этот тест обычно проводится на всех узлах щитовидной железы, которые достаточно велики, чтобы их можно было прощупать.Это означает, что они больше 1 сантиметра (около 1/2 дюйма) в поперечнике. Врачи часто используют ультразвук, чтобы увидеть щитовидную железу во время биопсии, что помогает убедиться, что они берут образцы из нужных областей. Это особенно полезно для небольших узелков. Биопсию FNA также можно использовать для получения образцов опухших лимфатических узлов на шее, чтобы определить, содержат ли они рак.
Иногда необходимо повторить биопсию FNA, потому что образцы не содержат достаточного количества клеток. Большинство биопсий FNA показывают, что узелок щитовидной железы доброкачественный.В редких случаях биопсия может оказаться доброкачественной даже при наличии рака. Рак четко диагностируется только примерно в 1 из каждых 20 биопсий FNA.
Иногда результаты теста сначала возвращаются как «подозрительные» или «неопределенного значения», если результаты FNA не показывают с уверенностью, доброкачественный или злокачественный узелок. В этом случае врач может назначить лабораторные анализы образца (см. Ниже).
Если диагноз неясен после биопсии FNA, вам может потребоваться более сложная биопсия, чтобы получить лучший образец, особенно если у врача есть основания полагать, что узелок может быть раком.Это может включать центральную биопсию с использованием иглы большего размера, хирургическую «открытую» биопсию для удаления узелка или лобэктомию (удаление половины щитовидной железы). Хирургическая биопсия и лобэктомия проводятся в операционной, когда вы находитесь под общим наркозом (в глубоком сне). Лобэктомия также может быть основным методом лечения некоторых ранних форм рака, хотя при многих формах рака также необходимо удалить остальную часть щитовидной железы (во время операции, называемой завершающей тиреоидэктомией).
Лабораторные исследования биопсийных (или иных) образцов
В некоторых случаях врачи могут использовать молекулярных тестов для поиска специфических изменений генов в раковых клетках.Это могло быть сделано по разным причинам:
- Если результаты биопсии FNA неясны, врач может назначить лабораторные анализы образцов, чтобы увидеть, есть ли изменения в генах BRAF или RET / PTC . Обнаружение одного из этих изменений повышает вероятность рака щитовидной железы.
- Для некоторых типов рака щитовидной железы могут проводиться молекулярные тесты, чтобы увидеть, есть ли в раковых клетках изменения в определенных генах (таких как гены BRAF , RET / PTC или NTRK ), что может означать, что таргетные препараты могут быть полезны при лечении рака.
Эти тесты могут проводиться на ткани, взятой во время биопсии или операции по поводу рака щитовидной железы. Если образец биопсии слишком мал и не могут быть выполнены все молекулярные тесты, можно также провести анализ крови, взятой из вены, как при обычном заборе крови.
Анализы крови
Анализы крови не используются для выявления рака щитовидной железы. Но они могут помочь показать, нормально ли работает ваша щитовидная железа, что может помочь врачу решить, какие еще тесты могут потребоваться.Их также можно использовать для наблюдения за некоторыми видами рака.
Тиреотропный гормон (ТТГ)
Тесты уровня тиреотропного гормона (ТТГ или тиреотропина) в крови можно использовать для проверки общей активности вашей щитовидной железы. Уровень ТТГ, который вырабатывается гипофизом, может быть высоким, если щитовидная железа не вырабатывает достаточное количество гормонов. Эту информацию можно использовать, чтобы выбрать, какие визуализационные тесты (например, УЗИ или сканирование с радиоактивным йодом) использовать для исследования узелка щитовидной железы.Уровень ТТГ обычно нормальный при раке щитовидной железы.
Т3 и Т4 (гормоны щитовидной железы)
Это основные гормоны, вырабатываемые щитовидной железой. Уровни этих гормонов также можно измерить, чтобы оценить функцию щитовидной железы. Уровни Т3 и Т4 обычно нормальны при раке щитовидной железы.
Тиреоглобулин
Тиреоглобулин — это белок, вырабатываемый щитовидной железой. Измерение уровня тиреоглобулина в крови не может использоваться для диагностики рака щитовидной железы, но может быть полезно после лечения.Распространенный способ лечения рака щитовидной железы — удаление большей части щитовидной железы хирургическим путем, а затем использование радиоактивного йода для уничтожения оставшихся клеток щитовидной железы. Эти методы лечения должны привести к очень низкому уровню тиреоглобулина в крови в течение нескольких недель. Если он не низкий, это может означать, что в организме все еще есть раковые клетки щитовидной железы. Если уровень снова повышается после низкого, это признак того, что рак может вернуться.
Кальцитонин
Кальцитонин — это гормон, который помогает контролировать использование кальция в организме.Он вырабатывается С-клетками щитовидной железы, которые могут развиться в медуллярный рак щитовидной железы (МРЩЖ). Если есть подозрение на ЦПМ или у вас есть семейная история болезни, анализы крови на уровень кальцитонина могут помочь в поиске ЦПМ. Этот тест также используется для выявления возможного рецидива MTC после лечения. Поскольку кальцитонин может влиять на уровень кальция в крови, его также можно проверить.
Карциноэмбриональный антиген (CEA)
Люди с MTC часто имеют высокий уровень в крови белка, называемого карциноэмбриональным антигеном (CEA).Тесты на CEA могут помочь контролировать этот рак.
Другие анализы крови
У вас также могут быть другие анализы крови. Например, если вам назначена операция, будут проведены тесты для проверки количества клеток крови, выявления нарушений свертываемости крови и проверки функции печени и почек.
Медуллярная карцинома щитовидной железы (MTC) может быть вызвана генетическим синдромом, который также вызывает опухоль, называемую феохромоцитомой. Феохромоцитомы могут вызывать проблемы во время операции, если пациент находится под наркозом (в глубоком сне).Вот почему пациентов с MTC, которым предстоит операция, часто проверяют, есть ли у них феохромоцитома. Это может означать анализы крови на адреналин (адреналин) и связанный с ним гормон, называемый норадреналин , и / или анализы мочи на их продукты распада (называемые метанефринами ).
Исследование голосовых связок (ларингоскопия)
Опухоли щитовидной железы иногда могут поражать голосовые связки. Если вам предстоит операция по лечению рака щитовидной железы, сначала, вероятно, будет проведена процедура, называемая ларингоскопией, чтобы увидеть, нормально ли двигаются голосовые связки.Во время этого обследования врач смотрит вниз на гортань (голосовой аппарат) с помощью специальных зеркал или ларингоскопа, тонкой трубки со светом и линзой на конце для просмотра.
Тонкоигольная аспирационная биопсия щитовидной железы
Что такое тонкоигольная аспирационная биопсия щитовидной железы?
Тонкоигольная аспирационная биопсия щитовидной железы — это процедура, при которой из вашей щитовидной железы берут небольшой образец ткани. Клетки удаляются через небольшую полую иглу. Образец отправляется в лабораторию для анализа.
Щитовидная железа находится в передней части шеи. Он имеет форму бабочки, с двумя лепестками, соединенными узкой полосой ткани. Это эндокринная железа, вырабатывающая гормон щитовидной железы. Этот гормон выполняет множество функций в организме.
В некоторых случаях внутри железы образуются твердые узелки. Вы можете заметить небольшую шишку в области железы. В большинстве случаев узелки не опасны. Но в некоторых случаях это может быть рак щитовидной железы. При тонкоигольной аспирационной биопсии щитовидной железы из узла можно взять образец для проверки на рак.
Зачем мне нужна тонкоигольная аспирационная биопсия щитовидной железы?
Возможно, вам понадобится тест, чтобы узнать, злокачественен ли ваш узелок. Вы могли заметить узелок сами или ваш лечащий врач мог заметить его во время осмотра или другого теста.
Исследователи не знают, что вызывает большинство узлов щитовидной железы. Однако они очень распространены. Определенные проблемы со щитовидной железой, такие как тиреоидит Хашимото, могут увеличить ваши шансы получить узелок щитовидной железы.Узлы щитовидной железы гораздо чаще встречаются у женщин, чем у мужчин. Узелки имеют тенденцию к росту во время беременности. У людей, которым была проведена лучевая терапия на шее, также выше вероятность образования узелков. Риск развития узелков щитовидной железы или рака щитовидной железы повышается, если члены вашей семьи уже страдали от рака щитовидной железы и некоторых других видов рака.
Лишь небольшой процент узлов щитовидной железы оказывается раком. Важно как можно скорее выявить злокачественный узелок, чтобы вы могли быстро начать лечение.
Не всем, у кого есть узелок щитовидной железы, требуется тонкоигольная аспирационная биопсия. Ваш лечащий врач может начать с ультразвукового исследования или компьютерной томографии (КТ) вашей шеи. Иногда этого достаточно, чтобы понять, что узелок не вызван раком. Полезную информацию также могут предоставить анализы крови на уровни щитовидной железы. Если ваш лечащий врач не может сказать наверняка, вам, вероятно, потребуется тонкоигольная аспирационная биопсия щитовидной железы.
Процедура менее инвазивна, чем открытая и закрытая хирургическая биопсия.Они включают в себя более крупные разрезы на коже. Медицинские работники выполняют эти процедуры гораздо реже, чем тонкоигольная аспирационная биопсия.
Каковы риски тонкоигольной аспирационной биопсии щитовидной железы?
Тонкоигольная аспирационная биопсия щитовидной железы — очень безопасная процедура, но она сопряжена с некоторыми небольшими рисками. К ним относятся:
- Кровотечение в месте биопсии
- Инфекция
- Повреждение структур около щитовидной железы
Поскольку большинство медицинских работников используют ультразвук для проведения процедуры, последнее осложнение возникает редко.
Существует также небольшой риск того, что тонкоигольная аспирационная биопсия не покажет наверняка, является ли узелок злокачественным. В этом случае может потребоваться повторная биопсия.
Как подготовиться к тонкоигольной аспирационной биопсии щитовидной железы?
Для подготовки к тонкоигольной аспирационной биопсии вам нужно очень немногое. Спросите своего лечащего врача, следует ли вам прекратить прием каких-либо лекарств перед процедурой, например антикоагулянтов. Перед процедурой вы должны быть в состоянии нормально есть и пить.Скорее всего, вы пойдете в медицинскую клинику для проведения процедуры. Вы сможете вернуться домой в тот же день.
Что происходит при тонкоигольной аспирационной биопсии щитовидной железы?
Некоторым людям, например детям, может потребоваться лекарство, чтобы расслабиться перед процедурой. Однако большинству людей это не понадобится.
В некоторых случаях ваш лечащий врач может ввести местный анестетик в область перед введением иглы. Поскольку игла такая маленькая, в этом часто нет необходимости.
Ваш лечащий врач может выполнить биопсию с помощью ультразвукового аппарата. Этот аппарат использует высокочастотные звуковые волны, чтобы обеспечить непрерывное изображение узелка. Это позволит вашему лечащему врачу направить иглу точно в нужное место. Это также предотвращает повреждение других конструкций. Гелеобразное вещество будет нанесено на вашу шею, где будет использоваться ультразвуковой детектор.
После очистки области ваш врач вставит тонкую тонкую иглу в вашу щитовидную железу.Это может немного повредить. Он или она будет медленно продвигать иглу в узел, перемещая ее вперед и назад несколько раз.
Игла присоединяется к шприцу, который может всасывать и удалять некоторые клетки из узелка. После удаления иглы эти клетки будут помещены на предметное стекло. Ваш лечащий врач может повторить эту процедуру несколько раз, чтобы получить разные образцы из разных частей узелка. Иногда шишка бывает полностью или в основном жидкой. Жидкость можно удалить во время биопсии.
После процедуры клетки будут отправлены в лабораторию патологии для анализа на наличие признаков рака. На место введения иглы накладывается небольшая повязка.
Что происходит после тонкоигольной аспирационной биопсии?
Большинство людей сразу же смогут вернуться к своей обычной деятельности. Повязку можно снять в течение нескольких часов.
Место биопсии может болеть в течение дня или двух после процедуры. При необходимости вы можете принимать безрецептурные обезболивающие.Следуйте любым другим конкретным инструкциям, которые дает вам ваш лечащий врач.
Получение результатов анализов из лаборатории патологии может занять несколько дней. Спросите своего лечащего врача, когда вы можете ожидать получения результатов.
Если узелок щитовидной железы не является раком, дальнейшее лечение может не потребоваться. Тем не менее, ваш врач может захотеть контролировать ваш узелок, и вам может потребоваться повторная биопсия в будущем. В некоторых случаях ваш лечащий врач может предложить таблетки гормона щитовидной железы.Иногда они могут снизить вероятность повторного роста узелков.
Вам, вероятно, потребуется хирургическое лечение, если ваш узел окажется злокачественным. К счастью, большинство видов рака щитовидной железы излечимы.
Иногда патолог не может точно определить, является ли ваш узел раком. В этом случае ваш лечащий врач может порекомендовать повторную биопсию или операцию. Какими бы ни были результаты вашего теста, вы можете вместе со своим врачом разработать для вас наилучший план лечения.
Следующие шаги
Перед тем, как согласиться на тест или процедуру, убедитесь, что вы знаете:
- Название теста или процедуры
- Причина, по которой вы проходите тест или процедуру
- Какие результаты ожидать и что они означают
- Риски и преимущества теста или процедуры
- Возможные побочные эффекты или осложнения
- Когда и где вы должны пройти тест или процедуру
- Кто будет проводить тест или процедуру и какова квалификация этого человека
- Что бы произошло, если бы вы не прошли тест или процедуру
- Любые альтернативные тесты или процедуры, о которых стоит подумать
- Когда и как вы получите результаты
- Кому позвонить после теста или процедуры, если у вас возникнут вопросы или проблемы
- Сколько вам придется заплатить за тест или процедуру
