Ультразвуковое исследование (УЗИ) щитовидной железы
УЗИ щитовидной железы является самым эффективным, безопасным и высокоинформативным методом, позволяющим выявить даже мельчайшие образования (кисты, опухоли), а также любые структурные изменения, возникающие при заболеваниях щитовидной железы.Во время исследования определяют форму, контуры, размеры щитовидной железы, рассчитывают ее объем, определяют структуру и однородность с возможностью визуализации даже мелких патологических образований размером в 1-2 мм, а при наличии более крупных образований (3 мм и более) с большой долей вероятности определяют доброкачественный или злокачественный характер. Также оценивается состояние регионарных лимфатических узлов.
Одной из составных частей ультразвуковой диагностики экспертного уровня является исследование кровотока с помощью ЦДК (цветового допплеровского картирования), что позволяет исследовать степень васкуляризации, типы сосудистого рисунка при наличии объёмных образований, определить функциональное состояние органа и оценить эффективность проводимого лечения.

ПОКАЗАНИЯ К ПРОВЕДЕНИЮ УЗИ ЩИТОВИДНОЙ ЖЕЛЕЗЫ
- Подозрение на неправильное (атипичное) расположение щитовидной железы, ее недоразвитие (гипоплазия) или полное отсутствие (аплазия).
- Видимое увеличение всей железы или выбухание ее в какой-либо части.
- Признаки повышенной функции органа (гипертиреоз – его симптомы: раздражительность, похудение, тремор, выпячивание глазных яблок и др.) или пониженной (гипотиреоз – его симптомы: необъяснимые заторможенность, сонливость, отёчность, нарастание веса и др.).
- Подозрение на инфекционное или аутоиммунное воспаление щитовидной железы.
- Наличие любого объемного образования на передней поверхности шеи.
- Подозрение на объемное образование (киста, опухоль) щитовидной железы (первичное обследование, последующий контроль).
- При необходимости корректировки дозы лекарственных средств во время лечения заболеваний щитовидной железы, а также контроль за эффективностью терапии.

- Подозрение на рецидив (повторное возникновение) таких заболеваний, как доброкачественные и злокачественные образования щитовидной железы, киста и др.
- Необходимость оценить кровоток в области щитовидной железы.
Средняя продолжительность процедуры составляет 15 минут и не требует специальной предварительной подготовки.
УЗИ щитовидной железы в Иркутске, цены
Щитовидная железа — один из важнейших органов внутренней секреции. Поэтому её диагностике уделяется немало внимания. Процедура УЗИ щитовидной железы, как и аналогичные исследования, является простым, безопасным и неинвазивным методом диагностики.
Что такое УЗИ щитовидки?
УЗИ — это метод исследования, основанный на принципе отражения ультразвуковых волн органами и тканями человеческого организма. Для его проведения используется специальное оборудование, состоящее из датчика и соединенного с ним системой проводов монитора.
Датчик, прикладываемый вплотную к коже пациента, испускает ультразвуковые волны. Они беспрепятственно проникают внутрь и, встречая на своем пути препятствие (органы, ткани), отражаются и улавливаются чувствительным оборудованием. Далее сигнал оцифровывается и передается в виде изображения на монитор.
Во время обследования щитовидной железы, благодаря ее поверхностному расположению, удается хорошо визуализировать структуру органа, определить размеры, выявить отклонения в развитии. Диагностика позволяет уточнить диагноз и скорректировать лечение.
Когда нужно обследование?
УЗИ назначается при появлении симптомов, характерных для заболеваний щитовидной железы. Это перепады настроения, тахикардия, ощущение комка в горле, сонливость, апатия, вялость.
Женщинам обследование щитовидки проводят во время беременности и в менопаузе. Гормональная перестройка организма в это время может вылиться в нарушение работы многих органов эндокринной системы, и щитовидная железа — не исключение.
В профилактических целях людям из группы риска необходимо проходить обследование минимум один раз в год. Это актуально для людей, живущих в бедных йодом или экологически неблагоприятных районах, работающих на вредном производстве, женщин старше 35 лет, мужчин старше 40 лет, людей, проходящих гормональное лечение, а также при наличии наследственных заболеваний щитовидной железы в семье.
Основные заболевания и структурные аномалии, которые можно выявить с помощью УЗИ: различные варианты зоба, кисты, опухолевые процессы, дополнительные доли щитовидки, аномалии развития, вплоть до полного её отсутствия.
Как проходит диагностика?
В диагностическом кабинете пациент садится на кушетку, освобождает область шеи. На кожу наносится специальный гель для облегчения контакта с аппаратурой. Врач прикладывает датчик к телу в месте проекции щитовидной железы и, постепенно перемещая его, получает изображение всего органа на мониторе.
Проводятся необходимые измерения, выявляется структура тканей, имеющиеся особенности.
УЗИ позволяет выявить мельчайшие структурные аномалии размером не более двух – трех миллиметров. Высокая точность — залог ранней диагностики большинства заболеваний щитовидной железы.
Что необходимо для прохождения УЗИ щитовидной железы?
Необходимо записаться на обследование и взять с собой, если есть, результаты предыдущих УЗИ и врачебные заключения. Непосредственно перед визитом в диагностический кабинет нужно постараться не нервничать и не беспокоиться.
Людям в возрасте и тем, у кого сильно развит рвотный рефлекс, рекомендуется за час до диагностики отказаться от пищи. В редких случаях, давление, оказываемое датчиком на кожу, может стать причиной тошноты.
Цены
Если вас интересует УЗИ, рекомендуем ознакомиться с ценами на услуги.
Уточнить цены на УЗИ и получить дополнительную информацию можно по телефону +7 (3952) 26-55-13.
Почему стоит сделать УЗИ щитовидной железы в клинике М53
- Без длинных и утомительных очередей
- Деликатные безболезненные методы диагностики и лечения
- Профессиональные врачи с многолетним стажем работы
- Комплексный подход к каждому пациенту
Предлагаем вам записаться на услугу “УЗИ щитовидной железы” в нашей клинике.
Многолетний опыт специалистов, современное оборудование и индивидуальный подход к каждому пациенту — клиника М53 в Иркутске. Уточнить любую интересующую вас информацию вы можете по телефону.
Приходите, будем рады вам помочь!
УЗИ щитовидной железы в Казани
УЗИ щитовидной железы – методика диагностики, лечебного и динамического контроля тиреоидных заболеваний путем ультразвуковой визуализации тканей щитовидной железы. УЗ-сканирование позволяет оценить расположение, форму, контуры, структуру, размеры щитовидной железы, имеющуюся внутриорганную патологию и ее характер (диффузный, очаговый, количество образований и их характеристики), аномалии, воспаления, взаимное соотношение железы с другими структурами шеи и пр. УЗИ щитовидной железы показано при подозрении на любую тиреоидную патологию, а также для динамического контроля в ходе консервативного лечения и диспансерного наблюдения, после лучевого или оперативного вмешательства.
Показания для проведения УЗИ щитовидной железы
Симптомов, которые могут указывать на наличие заболеваний щитовидной железы, множество.
И все же чаще всего заболевания щитовидной железы проявляются следующими симптомами:
- апатия, утомляемость, вялость и слабость;
- хроническая усталость, проявляющаяся даже после отдыха, проблемы со сном;
- чрезмерная раздражительность, слезливость по пустякам;
- резкие перепады настроения;
- тремор (дрожание) рук;
- на передней стенке шеи видны выпирающие образования;
- учащенное сердцебиение;
- колебания веса:
- недостаток веса или лишний вес и ожирение;
- повышенная потливость;
- сильное выпадение волос, ломкость ногтей, сухость кожи;
- ощущение затруднения глотания («комка» в горле);
- затруднения с дыханием, беспричинный на первый взгляд кашель.
Также УЗИ щитовидной железы требуется всем, чей возраст достиг 40 лет, кто работает во вредных условиях или с вредными для здоровья веществами, страдает сахарным диабетом, проводит много времени сидя за компьютером, принимает лекарственные препараты на гормональной основе.
И еще тем, чьи близкие родственники страдают расстройствами щитовидки, кто проживает в районах йодного дефицита и беременным женщинам. Частая смена климатических зон тоже требуют периодической проверки состояния щитовидной железы.
Проведение УЗИ щитовидной железы в Казани
В процессе проведения УЗ-диагностики пациент ложится на кушетку, врач наносит на переднюю часть шеи специальный гель для улучшения проводимости сигнала и исследует щитовидную железу специальным датчиком. Изображение органа передается на монитор.
Протокол исследования включает в себя следующие пункты:
- устанавливается тиреоидный объем щитовидной железы (определяется наличие и степень отклонения размера органа от верхней и нижней границы);
- исследуется эхогенность тиреоидной ткани путем сравнения плотности ткани железы с околоушными слюнными железами;
- исследуется эхоструктура тиреоидной ткани с обнаружением диффузной и очаговой патологии щитовидной железы.

УЗИ щитовидной железы поможет выявить заболевания как с повышенной и пониженной функциями щитовидной железы, так и с нормальной. Среди наиболее распространенных заболеваний – гипотиреоз, тиреотоксикоз, аутоиммунный тиреоидит, подострый тиреоидит, узловой (многоузловой) зоб, киста и многие другие.
Где сделать УЗИ щитовидной железы в Казани?
Записаться и пройти качественное обследование щитовидной железы всегда можно в нашем лечебно-диагностическом центре ФАРМ-Т в Казани. Опытные врачи диагносты проведут исследование на оборудовании высшего экспертного уровня, верно расшифруют результаты УЗ-диагностики и назначат эффективное комплексное лечение. Противопоказаний к проведению УЗИ щитовидной железы нет, методика безвредна для здоровья человека, не имеет побочных эффектов, возрастных ограничений и не приносит дискомфорта.
УЗИ щитовидной железы – должен выполнять опытный специалист, ведь от его знаний зависит точность установленного диагноза и назначение верного курса лечения.
Стоимость услуг
|
УЗИ щитовидной железы |
500.00р. |
|
Биопсия щитовидной железы под контролем УЗИ |
600.00р. |
|
Консультация эндокринолога |
450.00р. |
|
Щитовидная железа с цветным доплерографическим картированием |
700.00р. |
В нашем центре прием ведут кандидаты наук и врачи высшей категории:
Глухова Татьяна Степановна – врач УЗИ, высшей категории, к.
м.н.
Филимонова Людмила Юрьевна – врач УЗИ, высшей категории
Баязова Наталья Ильнасовна – УЗИ сосудов, врач высшей категории
Диагностика щитовидной железы — ФГБУ «НМИЦ ТПМ» Минздрава России
Щитовидная железа представляет собой орган, который вырабатывает гормоны, влияющие на множество процессов в организме. Если в ее работе появляются нарушения, будь то повышенная функция щитовидной железы или любой другой сбой, у человека могут возникнуть различные неприятные симптомы, среди которых ухудшение состояния ногтей, волос и кожи, проблемы в работе нервной системы, нарушение обмена веществ, заболевание щитовидной железы зоб и прочие недомогания. Чтобы устранить все эти симптомы, следует вовремя обнаружить их причину.
Теоретически, сделать УЗИ щитовидной железы и пройти полное ее обследование рекомендуется при возникновении любых необычных симптомов, которые имеют неустановленную причину. Если в течение продолжительного времени безуспешно предпринимаются попытки вылечить сосудистые проблемы, заболевания сердца, появляется необъяснимая усталость, не проходящая после длительного отдыха, ухудшается состояние кожи, стоит обратиться за консультацией к эндокринологу — именно так называется врач, лечащий щитовидную железу.
Первое исследование, которое вас ожидает — это пальпация, во время которой врач по щитовидной железе ощупает этот орган и шейные лимфатические узлы. Даже такой простой осмотр позволяет судить о том, отвечают ли размеры органа параметрам нормы.
Главной функцией щитовидной железы является производство гормонов. Поэтому комплексное обследование данного органа непременно включает анализ крови на определение гормонов щитовидной железы. В случае если вы принимаете какие-либо гормональные препараты, следует заблаговременно предупредить об этом врача. Лишь через несколько недель после отмены приема всех гормоносодержащих средств можно проводить анализ на антитела щитовидной железы.
Универсальным методом диагностики внутренних органов, позволяющим обнаружить любые патологии, является УЗИ. Определить точные размеры и обнаружить любые изменения строения, в том числе и опухоли, способна ультразвуковая диагностика щитовидной железы.
Если во время УЗИ были обнаружены какие-либо изменения в строении щитовидной железы, рано говорить об онкологических заболеваниях.
С целью точного определения типа новообразования часто назначается сцинтография, предполагающая введение в орган радиоактивного изотопа йода или технеция и наблюдение за процессом захвата данного вещества.
Часто комплексный анализ на щитовидную железу, цена которого соответствует количеству проведенных исследований, включает пункционную биопсию, которая предполагает забор образца материала из узлов органа. Данная процедура проводится с помощью специальной иглы под наблюдением через аппарат УЗИ. Биопсия дает возможность безошибочно поставить диагноз, что особенно важно, если подозревается онкологический процесс.
Если вам требуется лечение гипотиреоза щитовидной железы или любого другого заболевания данного органа, обратитесь за помощью в Государственный научно-исследовательский центр профилактической медицины в Москве, где вам окажут необходимую помощь квалифицированные специалисты.
Страница носит информационный характер. Точный перечень оказываемых услуг и особенности проведения процедур узнавайте по телефонам.
УЗИ щитовидной железы: цена, показания, подготовка
Нарушения в работе щитовидной железы часто приводят к эндокринному бесплодию. Оно встречается у женщин и мужчин. На его долю приходится около 40% диагнозов БЕСПЛОДИЕ. Оценить состояние щитовидной железы можно с помощью УЗИ.
Нормальное функционирование щитовидной железы крайне важно для правильной работы практически всех органов и систем организма. Проводить УЗИ щитовидной железы показано 1 раз в год, особенно после 40 лет.
Оборудование экспертного класса, с помощью которого проводится УЗИ щитовидной железы в «Геном-Астана», оснащено высокоточными датчиками, что позволяет максимально точно определить состояние самой железы и окружающих её анатомических образований — мышц, сосудов.
Допплерография даёт возможность исследовать уровень кровотока в щитовидной железе и близлежащих лимфатических узлах.
Показания к УЗИ щитовидной железы:
— Проблемы с зачатием
— Увеличение размеров железы
— Нарушение менструального цикла
— Генетическая предрасположенность заболеваниям щитовидной железы
— Ожирение
— Общая слабость или повышенная возбудимость и другие
Особой подготовки к УЗИ щитовидной железы не требуется.
Исследование безопасно, информативно и безболезненно. Полученные в результате исследования данные фиксируются в протоколе исследования.
При нормальных показателях формулировка обычно такая:
«Форма железы – стандартная, контуры – четкие и ровные, структура – однородная, плотность – стандартная, узлы и кисты – отсутствуют, лимфоузлы – не увеличены». Размеры щитовидной железы служат основой для определения ее объема, который у женщин должен быть не более 18 мл, а у мужчин не более 25 мл (данные Всемирной организации здравоохранения).
Нарушения, которые могут быть выявлены при обследовании:
— Диффузно-токсический зоб – увеличенная в объеме железа повышает продуцирование гормонов. Узловой зоб –развитие объёмных образований в железе.
— Гипотиреоз – железа недостаточно объёмная, что снижает выработку гормонов.
— Тиреоидит – воспалительное заболевание щитовидной железы, которое может быть вызвано вирусами или бактериями.
— Киста – узловое образование с полостью, заполненной жидкостью.
— Доброкачественные и злокачественные опухоли. В этом случае большое внимание уделяют анализу лимфатических узлов. Их увеличение может свидетельствовать о злокачественности образования.
Патологии щитовидной железы приводят к тому, что производимых ею гормонов становится чрезмерно много или, наоборот, недостаточно. Это отрицательно сказывается на работе репродуктивной системы. При этом у женщин может нарушаться процесс созревания яйцеклетки и овуляции, у мужчин – снижаться качество спермы. В результате, естественное зачатие становится затруднительным. Коррекция нарушений щитовидной железы приводит к наступлению беременности в 70-80% случаев эндокринного бесплодия.
УЗИ щитовидной железы в Санкт-Петербурге — цена в «Инфинити»
В нашем медицинском центре проходит акция: УЗИ щитовидной железы за 1600 1200 ₽.
Снимки с расшифровкой Вы получаете на руки в день обследования. По всем вопросам Вас бесплатно проконсультирует эндокринолог.
Также обращаем Ваше внимание на специальное предложение, включающее анализы, УЗИ и консультацию эндокринолога: комплексное обследование щитовидной железы за 2100 ₽.
Благодаря УЗИ возможно диагностировать ряд серьезных заболеваний еще до появления первых клинических симптомов и вовремя назначить пациентам индивидуальное лечение.
Подготовка к УЗИ
Особая подготовка для УЗИ щитовидной железы не требуется.
Ограничения по продуктам, которые можно употреблять в пищу накануне исследования, отсутствуют.
Рекомендации:- пожилым людям стоит воздержаться от приема пищи за пару часов до обследования, так как из-за возрастных особенностей может возникнуть чувство тошноты;
- перед процедурой необходимо освободить шею от украшений, воротников, шарфов и т.д. ;
- женщинам рекомендуется проходить обследование на 7-9 день менструального цикла, чтобы избежать возможных искажений результатов;
- подготовка у детей ничем не отличается от подготовки взрослых.

Как делают УЗИ щитовидной железы
Исследование проводится в положении лежа, с запрокинутой назад головой. Под плечи подкладывается специальный валик для удобства. При проблемах с шейным отделом, которые не позволяют принять нужную позицию, Вас просят сесть, откинувшись на спинку стула.
На место обследования наносится проводящий гель. Процедура обычно не занимает больше 30 минут.
Немного статистики. Патологии щитовидной выявляются у 20% взрослого населения. В некоторых районах нашей планеты этот показатель превышает 50%. Нетипичные изменения щитовидной железы возникают при плохой экологии, наследственной предрасположенности, недостатке йода, интоксикации, при сопутствующих заболеваниях.
Показания к УЗИ щитовидной железы
- планирование беременности;
- наличие сахарного диабета и наследственных заболеваний щитовидной железы;
- работа, связанная с вредным производством;
- достижение 40-летнего возраста;
- после гормональной терапии;
- при постоянной апатии, усталости и слабости;
- при повышенной нервозности, раздражительности;
- ожирение или наоборот истощение;
- сердечная аритмия.

Что показывает
Обследование щитовидной позволяет определить:
- размер органа;
- контуры;
- однородность структуры;
- расположение;
- наличие аномалий, узлов, воспалительных процессов, новообразований.
При УЗИ щитовидной железы могут быть выявлены следующие патологии:
- диффузно-токсический зоб — увеличение щитовидной железы в объеме, которое провоцирует повышение выработки гормонов. Признаками могут служить: повышенная возбудимость, раздражительность, частое сердцебиение, похудение без видимой на то причины;
- узловой зоб — формирование уплотнения, характеризуется легко прощупываемым узлом в щитовидной железе;
- гипотиреоз — уменьшение размера щитовидной железы, снижение выработки гормонов;
- тиреоидит — воспалительное заболевание, вызываемое вирусами и бактериями. Симптоматика: головная боль, болевые ощущения в передней области шеи, повышение температуры тела;
- киста — доброкачественное образование, заполненное жидкостью.
При нагноении, может появиться температура; - доброкачественные или злокачественные образования — уплотнения, отграниченные от тканей (аденома) или прорастающие в них (онкологические образования). В таком случае тщательно просматриваются лимфатические узлы, так как их увеличение характерно при злокачественных образованиях.
Тиреоидные гормоны, производимые щитовидной железой, напрямую влияют на работу всех жизненно важных органов. Любой сбой в работе железы приводит к серьезным нарушениям.
УЗИ щитовидной железы Функционирование всех жизненно-важных органов напрямую связано с наличием в организме тиреоидных гормонов, продуцируемых щитовидной железой. Любой сбой в работе железы приводит к серьезным нарушениям.
Записаться на УЗИ щитовидной железы Вы можете по телефону +7 (812) 401-60-33, через форму или консультанта на сайте.
УЗИ щитовидной железы, сделать платно в СПб
УЗИ щитовидной железы – это доступная, информативная и абсолютно безопасная диагностическая методика. Она позволяет визуализировать эндокринный орган, определить его размеры, контуры, объем и структуру, а также выявить наличие аномалий, узлов, воспалительных и новообразовательных процессов. Благодаря данному исследованию у специалистов появилась объективная возможность диагностировать ряд серьезных заболеваний еще до появления первых клинических признаков и назначать пациентам своевременное эффективное лечение.
Показания к проведению УЗИ щитовидной железы
Показанием к проведению ультразвукового сканирования являются следующие негативные симптомы:
- беспричинное увеличение или снижение массы тела;
- сонливость и апатия, а также повышенная раздражительность, чрезмерная вспыльчивость и суетливость;
- нарушения сна;
- тремор (дрожание) рук;
- усиленная потливость, приливы крови к лицу;
- нарушение сердечного ритма;
- трудности при глотании, ощущение комка в горле;
- выпячивание глазных яблок;
- изменение конфигурации шеи в области щитовидной железы;
- стойкое повышение температуры тела при отсутствии воспалительных заболеваний;
- пальпаторное обнаружение узловидных новообразований.

Сделать УЗИ щитовидной железы в профилактических целях рекомендуется на этапе планирования беременности, при прохождении гормонального лечения, длительном проживании в йододефицитном регионе, наличии патологий щитовидной железы у кровных родственников.
Заболевания, выявляемые на УЗИ щитовидной железы
- Гипотиреоз.
- Узловой зоб.
- Диффузно-токсический зоб.
- Фолликулярные и папиллярные аденомы.
- Воспаления щитовидной железы различной этиологии (тиреоидиты).
- Простые и сложные кисты.
- Доброкачественные и злокачественные опухоли (для подтверждения диагноза требуется дополнительное обследование).
Подготовка к исследованию
УЗИ щитовидной железы – это процедура, не требующая специальной подготовки. Но во избежание развития рвотного рефлекса детям и людям преклонных лет рекомендуется проводить сканирование натощак, не ранее чем через 3–4 часа после последнего приема пищи.![]()
Порядок проведения УЗИ щитовидной железы
Исследование выполняется в положении лежа на спине, с запрокинутой назад головой. Для удобства под плечи пациента подкладывается специальный валик. При наличии проблем с шейным отделом позвоночника, не позволяющих принять нужную позицию, человек во время диагностической манипуляции сидит, откинувшись на спинку стула.
После нанесения контактного геля специальным датчиком обследуется передняя и боковые поверхности шеи в области локализации щитовидной железы. В ходе процедуры определяются размеры органа, измеряется его эхогенная плотность и изучается структура. В среднем процедура длится 20–25 минут. Она безопасна и не вызывает болезненных ощущений.
Где сделать УЗИ щитовидной железы
Хотите быстро и качественно сделать УЗИ щитовидной железы в Санкт-Петербурге? Обращайтесь в многопрофильный медицинский центр «СМ-Клиника». Наличие современного диагностического оборудования, большой практический опыт и обширные знания наших специалистов позволяют оказывать лечебно-диагностические услуги на высоком уровне.
Здесь Вы сможете пройти полное обследование, получить индивидуальную консультацию и начать незамедлительное лечение.
Для уточнения актуальной цены УЗИ щитовидной железы, записи на диагностический прием и выяснения других интересующих вопросов свяжитесь с нами.
Наши клиники в Санкт-Петербурге
Малая Балканская, д. 23 (м. Купчино)
Часы работы:
Ежедневно
с 9.00 до 22.00
Дунайский проспект, д. 47 (м. Дунайская)
Часы работы:
Ежедневно
с 9.00 до 22.00
Проспект Ударников, д.
19 корп. 1 (м. Ладожская)
Часы работы:
Ежедневно
с 9.00 до 22.00
Выборгское ш., д. 17 корп. 1 (м. Пр-т Просвещения)
Часы работы:
Ежедневно
с 9.00 до 22.00
Маршала Захарова, д. 20 (м. Ленинский пр-т)
Часы работы:
Ежедневно
с 9.00 до 22.00
УЗИ щитовидной железы
Ультразвук щитовидной железы использует звуковые волны для получения изображений щитовидной железы в области шеи.
Он не использует ионизирующее излучение и обычно используется для оценки шишек или узелков, обнаруживаемых во время обычного физического или другого визуального обследования.
Эта процедура практически не требует специальной подготовки. Оставьте украшения дома и носите свободную удобную одежду. Вас могут попросить надеть платье.
Что такое УЗИ щитовидной железы?
Ультразвуковая визуализация — это неинвазивный медицинский тест, который помогает врачам диагностировать и лечить заболевания.Это безопасно и безболезненно. Он создает изображения внутренней части тела с помощью звуковых волн. Ультразвуковую визуализацию также называют сонографией. Он использует небольшой зонд, называемый датчиком, и гель, помещаемый непосредственно на кожу. Высокочастотные звуковые волны проходят от зонда через гель в тело. Зонд улавливает отражающиеся звуки. Компьютер использует эти звуковые волны для создания изображения. Ультразвуковые исследования не используют радиацию (рентгеновские лучи).
Поскольку ультразвук фиксирует изображения в режиме реального времени, он может показать структуру и движение внутренних органов тела.На изображениях также может отображаться кровь, текущая по кровеносным сосудам.
Ультразвук щитовидной железы дает снимки щитовидной железы и прилегающих структур шеи. Щитовидная железа расположена перед шеей чуть выше ключиц и имеет форму бабочки, с одной долей с обеих сторон шеи, соединенной узкой полосой ткани. Это одна из девяти эндокринных желез, расположенных по всему телу, которые производят гормоны и отправляют их в кровоток.
Щитовидная железа вырабатывает гормон щитовидной железы, который помогает регулировать различные функции организма, в том числе частоту сердечных сокращений.Очень часто в щитовидной железе появляются очаги или узелки, которые могут ощущаться на поверхности кожи, а могут и не ощущаться. Приблизительно от 5 до 10 процентов взрослых имеют шишки в щитовидной железе, которые врач может определить при осмотре. Это так называемые пальпируемые узелки.
Ультразвук очень чувствителен и показывает множество узелков, которые невозможно прощупать. В некоторых возрастных группах узелки выявляются на УЗИ у 70 процентов взрослых. Подавляющее большинство из них — доброкачественные участки ткани щитовидной железы, не представляющие опасности для здоровья.Меньшая часть из них является истинными опухолями щитовидной железы и может потребовать дополнительной диагностики или лечения.
начало страницы
Каковы наиболее распространенные способы использования этой процедуры?
Обычно используется УЗИ щитовидной железы:
- , чтобы определить, возникает ли опухоль на шее из щитовидной железы или из смежных структур
- , чтобы проанализировать внешний вид узлов щитовидной железы и определить, являются ли они более распространенными доброкачественными узелками или узелки имеют особенности, требующие биопсии.Если требуется биопсия, тонкоигольная аспирация под ультразвуковым контролем может помочь повысить точность биопсии.

- для поиска дополнительных узелков у пациентов с одним или несколькими узлами, обнаруженными при физикальном осмотре
- , чтобы узнать, значительно ли вырос узел щитовидной железы с течением времени
Поскольку УЗИ дает изображения в реальном времени, врачи могут использовать его для руководства процедурами, включая биопсию иглой. При биопсии используются иглы для извлечения образцов тканей для лабораторных исследований.Врачи также используют ультразвук для введения катетера или другого дренажного устройства. Это помогает обеспечить безопасное и точное размещение.
начало страницы
Как мне подготовиться?
После завершения визуализации технолог сотрет с вашей кожи прозрачный ультразвуковой гель. Любые оставшиеся части быстро высохнут. Ультразвуковой гель обычно не окрашивает и не обесцвечивает одежду.
После ультразвукового исследования вы сможете немедленно вернуться к своей обычной деятельности.
Радиолог, врач, обученный руководить и интерпретировать радиологические исследования, проанализирует изображения.
Радиолог отправит подписанный отчет врачу, который запросил обследование. Затем ваш врач поделится с вами результатами. В некоторых случаях радиолог может обсудить с вами результаты после обследования.
Ультразвуковые исследования очень чувствительны к движению, и активный или плачущий ребенок может продлить процесс исследования. Чтобы обеспечить беспроблемный процесс, часто помогает объяснить ребенку процедуру до экзамена.Принесите книги, маленькие игрушки, музыку или игры, чтобы отвлечь ребенка и ускорить время. В экзаменационной комнате может быть телевизор. Не стесняйтесь спрашивать любимый канал вашего ребенка.
начало страницы
Как выглядит оборудование?
УЗИ-аппараты состоят из компьютерной консоли, видеомонитора и присоединенного преобразователя. Преобразователь — это небольшое портативное устройство, напоминающее микрофон. Некоторые экзамены могут использовать разные преобразователи (с разными возможностями) во время одного экзамена.
Преобразователь излучает неслышимые высокочастотные звуковые волны в тело и прислушивается к отраженному эхо. Те же принципы применимы к гидролокаторам, используемым на лодках и подводных лодках.
Технолог наносит небольшое количество геля на исследуемый участок и помещает туда датчик. Гель позволяет звуковым волнам перемещаться вперед и назад между датчиком и исследуемой областью. Ультразвуковое изображение сразу видно на видеомониторе. Компьютер создает изображение на основе громкости (амплитуды), высоты тона (частоты) и времени, необходимого для возврата ультразвукового сигнала к датчику.Также учитывается, через какой тип структуры тела и / или ткани распространяется звук.
начало страницы
Как работает процедура?
Ультразвуковая визуализация использует те же принципы, что и гидролокатор, используемый летучими мышами, кораблями и рыбаками. Когда звуковая волна ударяется об объект, она отражается или отражается эхом. Измеряя эти эхо-волны, можно определить, как далеко находится объект, а также его размер, форму и консистенцию.
Это включает в себя то, является ли объект твердым или заполненным жидкостью.
Врачи используют ультразвук для обнаружения изменений внешнего вида органов, тканей и сосудов, а также для обнаружения аномальных образований, таких как опухоли.
При ультразвуковом исследовании датчик посылает звуковые волны и записывает отраженные (возвращающиеся) волны. Когда датчик прижимается к коже, он посылает в тело небольшие импульсы неслышимых высокочастотных звуковых волн. Когда звуковые волны отражаются от внутренних органов, жидкостей и тканей, чувствительный приемник в преобразователе регистрирует крошечные изменения высоты звука и направления.Компьютер мгновенно измеряет эти сигнатурные волны и отображает их на мониторе в виде изображений в реальном времени. Технолог обычно захватывает один или несколько кадров движущихся изображений как неподвижные изображения. Они также могут сохранять короткие видеоповторы изображений.
начало страницы
Как проходит процедура?
Для большинства ультразвуковых исследований вы будете лежать лицом вверх на столе для осмотра, который можно наклонять или перемещать.
Пациенты могут повернуться в любую сторону, чтобы улучшить качество изображений.
Подушка может быть помещена за плечи, чтобы расширить область сканирования для ультразвукового исследования щитовидной железы. Это особенно важно для маленького ребенка, у которого очень мало места между подбородком и грудью.
Радиолог (врач, специально обученный для наблюдения и интерпретации радиологических исследований) или сонографа поместит вас на стол для осмотра. Они нанесут гель на водной основе на исследуемый участок тела. Гель поможет датчику надежно контактировать с телом.Это также устраняет воздушные карманы между датчиком и кожей, которые могут препятствовать прохождению звуковых волн в ваше тело. Сонограф помещает датчик на тело и перемещает его взад и вперед по интересующей области, пока он не сделает желаемые изображения.
Обычно нет дискомфорта от давления, когда датчик прижимается к исследуемой области. Однако, если область болезненна, вы можете почувствовать давление или небольшую боль от датчика.
После завершения визуализации технолог сотрет с вашей кожи прозрачный ультразвуковой гель.Любые оставшиеся части быстро высохнут. Ультразвуковой гель обычно не окрашивает и не обесцвечивает одежду.
начало страницы
Что я испытаю во время и после процедуры?
Большинство ультразвуковых исследований безболезненны, быстры и легко переносятся.
УЗИ щитовидной железы обычно выполняется в течение 30 минут.
Во время обследования вам может потребоваться удлинить шею, чтобы помочь сонографисту (технологу) исследовать вашу щитовидную железу с помощью ультразвука.Если вы страдаете от боли в шее, сообщите об этом технологу, чтобы он помог вам занять удобное положение для обследования.
Когда обследование будет завершено, технолог может попросить вас одеться и подождать, пока они изучат ультразвуковые изображения.
После ультразвукового исследования вы сможете немедленно вернуться к своей обычной деятельности.
начало страницы
Кто интерпретирует результаты и как их получить?
Радиолог, врач, обученный руководить и интерпретировать радиологические исследования, проанализирует изображения.
Радиолог отправит подписанный отчет врачу, который запросил обследование. Затем ваш врач поделится с вами результатами. В некоторых случаях радиолог может обсудить с вами результаты после обследования.
Вам может потребоваться повторное обследование. Если да, ваш врач объяснит, почему. Иногда последующее обследование позволяет дополнительно оценить потенциальную проблему с помощью большего количества просмотров или специальной техники визуализации. Он также может увидеть, изменилось ли какое-либо изменение проблемы с течением времени. Последующие осмотры часто являются лучшим способом узнать, работает ли лечение или требует внимания проблема.
начало страницы
Каковы преимущества по сравнению с рисками?
Преимущества
- В большинстве случаев ультразвуковое сканирование является неинвазивным (без игл и инъекций).
- Иногда ультразвуковое исследование может быть временно неудобным, но оно не должно быть болезненным.
- Ультразвук широко доступен, прост в использовании и менее дорог, чем большинство других методов визуализации.

- Ультразвуковая визуализация чрезвычайно безопасна и не требует излучения.
- Ультразвуковое сканирование дает четкое изображение мягких тканей, которые плохо видны на рентгеновских снимках.
- Ultrasound обеспечивает визуализацию в реальном времени. Это делает его хорошим инструментом для проведения минимально инвазивных процедур, таких как пункционная биопсия и аспирация жидкости.
Риски
начало страницы
Каковы ограничения УЗИ щитовидной железы?
Если в щитовидной железе обнаруживается один или несколько узелков, радиолог исследует их особенности. Некоторые особенности указывают на то, что узелок доброкачественный по своей природе, а некоторые вызывают опасения, что узелок может быть настоящей опухолью.В других случаях рентгенолог не может с полной уверенностью отличить доброкачественные образования от злокачественных. Для дальнейшей оценки могут быть рекомендованы тонкоигольная биопсия и исследование ткани под микроскопом, но в некоторых случаях может быть достаточно наблюдения и повторной сонограммы через несколько месяцев для проверки стабильности.
Невозможно определить функцию щитовидной железы — то есть, является ли щитовидная железа недостаточной, сверхактивной или нормальной — с помощью ультразвука. Для этого ваш врач может назначить анализ крови или анализ поглощения радиоактивного йода.
начало страницы
начало страницы
Эта страница была просмотрена 05 марта 2019 г.
Об УЗИ щитовидной железы
Ультразвуковая визуализация, также известная как сонография, заключается в воздействии на часть тела высокочастотных звуковых волн для получения изображений внутренней части тела. Тест неинвазивен и помогает врачам диагностировать и лечить заболевания.
Радиологи Многопрофильного тироидного центра UPMC (MTC) являются экспертами в использовании ультразвука для оценки узлов щитовидной железы.
Ультразвук щитовидной железы дает изображение щитовидной железы и может помочь врачам поставить диагноз:
- Узелок (шишка) в щитовидной железе
- Неправильная работа щитовидной железы
- Рак щитовидной железы
Ультразвук также может показать аномальные лимфатические узлы шеи до операции, чтобы помочь хирургу определить объем операции.
Поскольку УЗИ дает изображения в реальном времени, врачи могут также использовать его для проведения медицинских процедур, таких как тонкоигольная аспирационная биопсия.
Чего ожидать во время УЗИ щитовидной железы
При проведении ультразвукового исследования надевайте удобную свободную одежду.
Ваш сонограф (техник УЗИ) может попросить вас снять одежду и украшения и дать вам платье.
Для большинства ультразвуковых исследований щитовидной железы вы будете лежать лицом вверх на столе для осмотра, который можно наклонять или перемещать.
Сонографист:
- Нанесите на шею прозрачный гель на водной основе.
- Переместите датчик (ручное устройство, которое отправляет и принимает ультразвуковые сигналы) в разные положения, чтобы увидеть щитовидную железу под разными углами.
Изображение УЗИ:
- Сразу видно на расположенном поблизости экране видеодисплея, который очень похож на монитор компьютера или телевизора.

- Создается на основе силы (амплитуды), частоты и времени, необходимого для возврата звукового сигнала от пациента к датчику, а также типа структуры тела, через которую проходит звук.
Преимущества и риски ультразвукового исследования
Льготы
- Неинвазивный, обычно безболезненный
- Не использует ионизирующее излучение (используемое в рентгеновских лучах)
Риски
- Вредные эффекты для стандартного диагностического УЗИ отсутствуют
После УЗИ щитовидной железы
Радиологи, сертифицированные комиссией MTC, интерпретируют результаты ультразвукового сканирования щитовидной железы.
Любая больница или учреждение UPMC может получить доступ к вашим изображениям в любое время дня и ночи, если они вам когда-либо понадобятся в будущем.
УЗИ щитовидной железы | UCLA Health
Что такое УЗИ щитовидной железы?
Определение:
Щитовидная железа — это железа, расположенная в шее, которая регулирует обмен веществ.
Ультразвук — безболезненный метод исследования структур внутри тела. В этом тесте используются высокочастотные звуковые волны, которые излучаются и принимаются преобразователем (портативным инструментом). Эти звуковые волны проникают в тело и выстраиваются в изображение, видимое на экране, в зависимости от того, как они отражаются от различных структур тела.
Альтернативные названия: УЗИ — щитовидная железа; Сонограмма щитовидной железы; Эхограмма щитовидной железы
Как проводится тест:
Обычно тест проводят в отделении ультразвука или радиологии. Вы будете лежать с чрезмерно вытянутой шеей (сверх обычного предела). Смазочный гель будет нанесен на вашу шею, а датчик проведен по этой области.
Как подготовиться к тесту:
Для этого теста не требуется специальной подготовки.
Как будет выглядеть тест:
Вы не должны чувствовать дискомфорта при выполнении этого теста.
Проводящий гель может быть холодным, и ваша шея может растянуться.
Почему проводится тест:
Ультразвук обычно проводится на щитовидной железе, чтобы отличить кисту (мешок, содержащий жидкость) от опухоли (аномальный рост ткани, который может быть злокачественным, а может и не быть).
Нормальные значения:
Щитовидная железа нормального размера, формы и положения.
Что означают отклонения от нормы:
Ненормальные результаты могут быть вызваны кистами, опухолями, зобом (увеличением щитовидной железы) или узлами щитовидной железы. Ваш врач может использовать эти результаты и результаты других анализов, чтобы направить ваше лечение.
Дополнительные условия, при которых может быть проведен тест, включают следующее:
- Коллоидный узловой зоб
- Медуллярный рак щитовидной железы
- Множественная эндокринная неоплазия (МЭН) II
- Папиллярный рак щитовидной железы
- Рак щитовидной железы
Каковы риски:
Нет документально подтвержденных рисков, связанных с ультразвуком.
Общество эндокринологов — УЗИ щитовидной железы
Просмотреть все рекомендации этого обществаВыпущено 16 октября 2013 г. *; обновлено 17 июля 2017 г. и 2 июля 2018 г.
Не следует обычно назначать УЗИ щитовидной железы пациентам с отклонениями от нормы при тестах функции щитовидной железы, если нет ощутимых патологий щитовидной железы.
Ультразвук щитовидной железы используется для выявления и характеристики узлов щитовидной железы. УЗИ щитовидной железы не входит в стандартную диагностику гипотиреоза, за исключением случаев, когда у пациента имеется большой зоб или бугристая щитовидная железа. Случайно обнаруженные узелки щитовидной железы — обычное дело. Чрезмерное использование ультразвука часто позволяет выявить узелки, не связанные с нарушением функции щитовидной железы.
Это может отклонить клиническую оценку, чтобы оценить узелки, а не дисфункцию щитовидной железы.Пациентам с тиреотоксией и узелками также может быть полезна визуализация. Для этих пациентов сканирование щитовидной железы используется для оценки возможности очаговой автономии в узле щитовидной железы и соотносится с результатами ультразвукового исследования. В некоторых центрах оценка кровотока в артерии щитовидной железы с помощью допплера может использоваться, чтобы помочь отличить болезнь Грейвса от деструктивного тиреоидита.
Эти предметы предназначены исключительно для информационных целей и не предназначены для замены консультации с профессиональным медиком.Пациентам с любыми конкретными вопросами по пунктам этого списка или их индивидуальной ситуации следует проконсультироваться со своим врачом.
Члены эндокринного общества (общества) вместе с представителями Американской ассоциации клинических эндокринологов (AACE) * сформировали совместную рабочую группу для определения тестов или процедур, которые следует использовать только в определенных обстоятельствах.
Целевая группа определила несколько пунктов для возможного включения. В ходе последующих обсуждений сравнивались доказательства, подтверждающие каждый пункт, ценность рекомендации для практикующих специалистов и возможность экономии средств. Члены основного комитета Общества по клиническим вопросам и руководство AACE также рассмотрели первоначальный список. Используя вышеуказанные критерии, целевая группа проголосовала за пять лучших рекомендаций из исходного списка. Совет Общества и Совет директоров AACE утвердили окончательный список для подачи в кампанию Выбирая Мудро ® .
Политика Общества эндокринологов в отношении раскрытия информации и конфликта интересов представлена на сайте www.endocrine.org.
* 26 мая 2015 г. Американская ассоциация клинических эндокринологов вышла из кампании Выбирая мудро .
Жаклин Йонклаас, Антонио К.
Бьянко, Эндрю Дж. Бауэр, Кеннет Д. Берман, Энн Р. Каппола, Франческо С. Чели, Дэвид С. Купер, Брайан В.Ким, Робин П. Питерс, М. Сара Розенталь и Анна М. Савка. Рекомендации по лечению гипотиреоза. Thyroid 2014; 24: 1670-1751.
Дуглас С. Росс, Генри Б. Берч, Дэвид С. Купер, М. Кэрол Гринли, Питер Лаурберг, Ана Луиза Майя, Скотт А. Ривкис, Мэри Сэмюэлс, Джули Энн Соса, Мариус Н. Стэн и Мартин А. Уолтер . Рекомендации Американской тироидной ассоциации по диагностике и лечению гипертиреоза и других причин тиреотоксикоза, 2016 г. Thyroid 2016; 26: 1343-1421.
УЗИ щитовидной железы | Медицинский центр Каррерас
Многие люди обеспокоены состоянием щитовидной железы.Щитовидная железа может оказывать значительное влияние на общее состояние здоровья и самочувствие, а сама железа может стать местом образования кист, узелков или опухолей, которые могут указывать на серьезные проблемы. УЗИ щитовидной железы — важная часть диагностики заболеваний железы.
В удобном технологическом центре Hialeah в медицинском центре Carreras мы предлагаем ультрасовременное ультразвуковое оборудование, чтобы вы могли получить нужный вам диагноз, не посещая больницу.
Если вы пошли на тест на функцию щитовидной железы и получили отклонения от нормы, или если ваш врач подозревает, что у вас может быть какое-либо образование на щитовидной железе, он или она может назначить ультразвуковое исследование щитовидной железы.Этот тест также может дополнительно изучить гиперактивность или недостаточную активность щитовидной железы, хотя врач обычно использует анализы крови для диагностики этих проблем. Это общие проблемы со здоровьем, которые могут значительно повлиять на общее состояние здоровья, энергию и фертильность.
Обычное ультразвуковое исследование щитовидной железы может обеспечить изображение ваших желез и органов с высоким разрешением. Технология использует звуковые волны для создания изображений изнутри тела; звуковые волны за пределами слышимости отражаются от тканей тела, создавая изображение, которое может выявить проблемы со здоровьем или проблемы в области шеи.
Ультразвуковая технология безопасна и безболезненна. Он работает по тем же принципам, что и гидролокатор, используемый на подводных лодках, или естественный звук летучих мышей. При ультразвуковом исследовании шеи не используется излучение, а полное сканирование в нашем технологическом центре Hialeah занимает от 30 минут до часа.
В медицинском центре Каррерас есть собственная технология, позволяющая провести ультразвуковое сканирование щитовидной железы.Это означает, что вам не придется ехать в больницу или другое специализированное учреждение, чтобы пройти этот диагностический тест.
На УЗИ можно прийти без специальной подготовки дома. В большинстве случаев технологи попросят вас снять ожерелья, шарфы и другие предметы, которые могут препятствовать четкому сканированию шеи, снять рубашку, надеть медицинское покрытие и лечь на спину для процедуры УЗИ.
В некоторых случаях ваш врач может использовать инъекционный контрастный агент, чтобы улучшить четкость или видимость потенциальных проблем на результатах УЗИ.Наш профессиональный медицинский персонал выполнит любую такую инъекцию до начала процедуры.
Нормальная процедура ультразвукового исследования щитовидной железыКогда вы посещаете медицинский центр Carreras для проведения ультразвукового исследования, наши опытные техники помещают подушечку под вашу шею, чтобы обнажить область щитовидной железы для сканирования. В некоторых случаях вы будете сидеть для сканирования, а в других случаях технический специалист может попросить вас лечь.
Гель, нанесенный на кожу, может улучшить скольжение ультразвукового зонда в этой области, создавая более четкое изображение.При первом применении он может показаться немного холодным, но постепенно нагреется до температуры вашей кожи. Затем техник проведет ультразвуковым датчиком или датчиком по участку кожи рядом с вашей щитовидной железой. Это должно быть комфортным и безболезненным опытом.
Во время процедуры техник сможет увидеть изображение вашей щитовидной железы на экране. Преобразователь посылает звуковые волны и в ответ принимает эхом звуковые волны. Компьютер, подключенный к датчику, мгновенно измеряет и то, и другое, создавая результирующие изображения.Техник сохранит эти изображения для представления вашему радиологу.
Это означает, что ваш радиолог может определить, достаточно ли четкое изображение для оценки и диагностики. В то время как ваш технический специалист может выполнить процедуру за вас, только наши врачи могут поставить диагноз или объяснить вам результаты и изображения.
Эта процедура не сопряжена с рисками, и вы сможете вернуться к работе, учебе и повседневной жизни, как только закончится тест. Вы можете просто стереть гель и сразу же вернуться к обычным занятиям.Если его не стереть, он безвреден и быстро сохнет.
Что обнаруживается при УЗИ щитовидной железы?УЗИ шеи может помочь вашему врачу диагностировать любые необычные новообразования, связанные с недостаточной или сверхактивной щитовидной железой. Оба являются очень распространенными проблемами, особенно для женщин. Тест также может выявить любые необычные новообразования, кисты или опухоли.
Ультразвуковые изображения могут показать вашему врачу, является ли какой-либо нарост на щитовидной железе твердым или заполненным жидкостью.Он может определить точное место необычного роста и количество узелков или кист. Тест также может показать, как кровь приливает к этой области и имеет ли опухоль или опухоль четкие границы.
В некоторых случаях недостаточная или сверхактивная щитовидная железа или другое заболевание железы может вызвать зоб или отек щитовидной железы. Ваш врач также может использовать ультразвук для обнаружения и диагностики зоба.
Интерпретация нормальных результатов ультразвукового исследования щитовидной железыРадиолог интерпретирует изображения, полученные при ультразвуковом исследовании вашей щитовидной железы, и готовит отчет для вашего врача.В нашем офисе в Хайалиа наши штатные радиологи могут напрямую общаться с вашим врачом. В некоторых случаях экзамен может ответить на любые медицинские вопросы. В других случаях ваш врач может потребовать дальнейшего наблюдения.
Последующее ультразвуковое исследование щитовидной железы может показать, произошли ли какие-либо изменения с течением времени или остались ли наросты такими же. Они также могут указать, увеличился или уменьшился зоб после других методов лечения щитовидной железы.
Ультразвук может помочь выявить различия между доброкачественными узлами щитовидной железы и потенциальными опухолями.Подавляющее большинство новообразований щитовидной железы имеют доброкачественный характер. Если ваш врач обеспокоен каким-либо конкретным ростом, он может порекомендовать биопсию. Это может включать введение длинной тонкой иглы в кисту щитовидной железы, чтобы проверить ее жидкость и клетки на наличие раковой ткани.
Даже если у вас доброкачественные кисты, ваш врач может попросить вас пройти дополнительные анализы для определения причины. Он или она может также порекомендовать дополнительные ультразвуковые тесты в будущем. В зависимости от причины любого новообразования или опухоли врач может порекомендовать другой последующий уход или операцию по удалению новообразований или опухолей.
Запланировать УЗИ шеи сегодняТеперь, когда вы узнали больше об УЗИ щитовидной железы, ясно, почему этот тип безболезненной, быстрой и безопасной процедуры может помочь вам и вашему врачу лучше понять состояние вашего здоровья и принять меры до возникновения каких-либо проблем? Если вы хотите узнать больше о своем здоровье щитовидной железы, обратитесь в Медицинский центр Каррерас сегодня, чтобы записаться на УЗИ. Вы можете использовать нашу простую онлайн-форму или позвонить в наш офис Hialeah по телефону 305-884-8891.
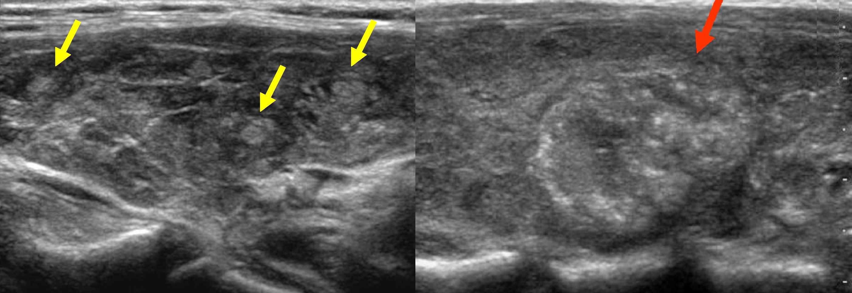
Риск рака щитовидной железы на основании результатов УЗИ щитовидной железы
КЛИНИЧЕСКАЯ ТИРОИДОЛОГИЯ ДЛЯ ОБЩЕСТВЕННОСТИ
Публикация Американской тироидной ассоциации
Обзоры для общественности из Clinical Thyroidology (из последних статей в Clinical Thyroidology)
Содержание | PDF-файл для сохранения и печати
УЗЛЫ ЩИТОВИДНОЙ ЖЕЛЕЗЫ
Риск рака щитовидной железы на основании результатов ультразвукового исследования щитовидной железы
ИСТОРИЯ ВОПРОСА
Узлы щитовидной железы очень распространены.Некоторые исследования показывают, что с увеличением использования УЗИ щитовидной железы узелки встречаются у> 50% населения. Исследования сообщают о возможности рака щитовидной железы примерно в 5% узлов щитовидной железы. Тонкоигольная аспирационная биопсия (FNAB) — лучший способ выяснить, является ли узелок щитовидной железы злокачественным или доброкачественным. Поскольку большинство узелков щитовидной железы не являются раком, важно знать, какие узелки следует подвергать биопсии. В этом исследовании изучается, какие ультразвуковые функции наиболее полезны для выбора того, какие узелки с большей вероятностью могут быть злокачественными и подлежат биопсии, а какие — доброкачественными.
ПОЛНОЕ НАИМЕНОВАНИЕ СТАТЬИ:
Smith-Bindman R. et al. Риск рака щитовидной железы на основе характеристик ультразвуковой визуализации щитовидной железы: результаты популяционного исследования. JAMA Intern Med. 26 августа 2013 г. [Epub перед печатью]. DOI: 10.1001 / jamainternmed.2013.9245.
РЕЗЮМЕ ИССЛЕДОВАНИЯ
В период с января 2000 г. по 30 марта 2005 г. были проанализированы записи 11 618 ультразвуковых исследований щитовидной железы, проведенных по любой причине у 8806 пациентов (у некоторых было несколько узлов).
Различные ультразвуковые характеристики, такие как размер узелка, микрокальцификация, твердые элементы (по сравнению с кистозными), грубые кальцификации, текстура железы, кровоток внутри узелка, края узелка и форма (больше в высоту, чем в ширину) были оценены и записаны в все дела.В общей сложности 96 пациентов с диагнозом рака были сопоставлены по возрасту, полу и году ультразвукового исследования с 369 пациентами контрольной группы с доброкачественными узлами щитовидной железы.
В среднем на каждые 111 проведенных ультразвуковых исследований выявлялся 1 случай рака щитовидной железы. Узлы щитовидной железы были обнаружены у 97% пациентов с раком щитовидной железы и у 56% пациентов без рака щитовидной железы. Микрокальцификации были обнаружены в 38% злокачественных узлов и только в 5% доброкачественных, незлокачественных узелков. Риск рака увеличивается с размером узелка.Анализ данных этого исследования показал, что только 3 ультразвуковых признака были связаны с риском рака: микрокальцификация, размер узелков более 2 см и твердая форма.
КАКОВЫ ПОСЛЕДСТВИЯ ЭТОГО ИССЛЕДОВАНИЯ?
Это исследование предполагает, что ультразвуковые характеристики микрокальцификатов, твердых узелков и размеров более 2 см могут быть использованы для выявления пациентов с высоким риском рака щитовидной железы. Напротив, другие исследования показали, что ультразвуковые признаки, такие как грубый кальцификат, более высокий, чем широкий, нерегулярные границы и повышенный кровоток внутри узелка, могут быть полезны для выявления рака щитовидной железы.В настоящее время рекомендации Американской тироидной ассоциации рекомендуют выполнять FNAB твердых узелков размером> 1 см и узелков> 0,5 см только в том случае, если у них есть подозрительные признаки, обнаруженные с помощью ультразвука.
Некоторые авторы предполагают, что гипоэхогенные твердые узелки размером более 1–1,5 см с макрокальцификациями следует проводить биопсию, а губчатые узелки и кисты не нуждаются в биопсии.
— Джамшид Фарахити, Мэриленд
ССЫЛКИ НА БРОШЮРУ о щитовидной железе ATAРак щитовидной железы: http: //www.thyroid.org / рак щитовидной железы
Узлы щитовидной железы: http://www.thyroid.org/what-are-thyroid-nodules
Содержание | PDF-файл для сохранения и печати
Щитовидная железа / голова и шея
Используйте следующий протокол для ультразвукового сканирования, которое включает область между нижней челюстью и ключицей, а также между боковыми краями правой и левой грудино-ключично-сосцевидной мышцы.
УЗИ щитовидной железы:
Подготовка пациента: без подготовки.
Сканирование щитовидной железы и области щитовидной железы:
Используйте следующий протокол для ультразвукового сканирования, которое включает область между нижней челюстью и ключицей, а также между боковыми краями правой и левой грудино-ключично-сосцевидной мышцы.
УЗИ щитовидной железы и предоперационное УЗИ тиреоидэктомии:
Предпочтительный порядок сканирования:
Начинается с правой щитовидной железы / шеи и заканчивается левой щитовидной железой / шеей.
Задокументировать узелки щитовидной железы и аномальные лимфатические узлы от верхнего до нижнего на каждой стороне шеи.
Настройки УЗИ:
Поместите середину фокуса в нижнюю часть щитовидной железы или на уровне нижней сонной артерии. Увеличьте глубину ультразвукового исследования, чтобы включить его на несколько см кзади от щитовидной железы. Это снизит шанс пропустить поражение задней части.
Документ следующий:
- Измерьте и запишите 3 самых больших узелка с каждой стороны.Отдайте приоритет самым крупным и подозрительным.
- Задокументируйте узелки щитовидной железы размером менее 1 см, если они выглядят подозрительно на рак щитовидной железы (например, очень гипоэхогенные, неровные края, внутренние кальцификаты или форма выше широкой).
- Для пациентов с предоперационной тиреоидэктомией, пожалуйста, также включите сканирование задней и левой части шеи на уровне 5.
Изображения щитовидной железы:
- Всегда делайте снимок с измерениями и без них.
- Перешеек щитовидной железы в поперечном срезе с измерением АД.
- Правая и левая доли щитовидной железы в трех измерениях с объемами.
- Поперечный вид каждой доли в верхней, средней и нижней областях.
- Сагиттальный вид каждой доли в средней, латеральной и медиальной областях.
- Поперечный видеоролик каждой доли (от верхней до нижней для каждой доли щитовидной железы).
- Поперечный пояс шейной области (латеральнее ложа щитовидной железы) от (подчелюстной к надключичной области). Используйте сонную артерию / яремную вену в качестве ориентира.
- Сагиттальный видеоролик каждой доли щитовидной железы.
- В случае многоузлового зоба пронумеруйте узелки с каждой стороны, начиная с номера 1 сверху (это облегчает последующее сравнительное сканирование).
- При многоузловом зобе укажите «не менее 6 узлов» или столько, сколько вы думаете в отчете. (Измерьте только самые большие по 3 с каждой стороны.)
- Задокументировать кальцификации (микро или макро) в узелках.
- Цветное изображение каждой доли и любого узелка значительного размера.
- Узелки следует измерять в трех измерениях.
- Методика измерения узелков: в поперечной плоскости измерьте самый длинный размер (ширину), тогда 2 nd измерение должно быть под углом 90 градусов к первому (измерение AP). В продольной плоскости размер 3 rd должен находиться в самом длинном измерении (длине).
УЗИ паращитовидных желез:
УЗИ щитовидной железы с исключением паращитовидных желез: (пример аномального уровня кальция)
(Пожалуйста, задокументируйте и щитовидную железу, используя протокол щитовидной железы)
Автоматически найденные изображения:
- Задокументируйте любые паращитовидные железы, если они видны, и измерьте их в 3-х измерениях.
- Попросите пациента смотреть влево при сканировании правой шеи. Сделайте сагиттальный и поперечный взмах через правую шею, повернув голову.
- Попросите пациента смотреть вправо при сканировании левой шеи. Сделайте сагиттальный и поперечный взмах через левую шею, повернув голову.
Имейте в виду, что поражения паращитовидных желез могут располагаться в разных областях шеи и их легко не заметить. При сканировании через шею убедитесь, что имеется достаточная глубина сканирования с фокусом на задней части щитовидной железы.На сагиттальном кино — сканирование от сонной артерии до трахеальной борозды (некоторые аденомы паращитовидной железы могут скрываться за трахеей). У пациентов с ненормальным уровнем Ca + поражения паращитовидных желез часто можно обнаружить с помощью ультразвука.
После тиреоидэктомии:
Сканированная документация:
В случаях УЗИ с пост- и предтиреоидэктомией документируйте правое и левое ложе щитовидной железы, а также левое и правое ложе сонной артерии. Важно видеть глубокие участки шеи (кзади от сонной артерии), потому что они являются областями рецидива.
- Первая поперечная развертка: правая сторона ложа щитовидной железы от чуть ниже подъязычной кости до чуть выше ключицы.
- Вторая поперечная развертка: правая сторона шеи, латеральнее сонной артерии, образует луковицу сонной артерии и находится чуть выше ключицы (уровни 2, 3 и 4).
- Третий поперечный проход: правая сторона горловины до уровня 5 документа.
- Четвертая поперечная развертка: левая сторона ложа щитовидной железы от чуть ниже подъязычной кости до чуть выше ключицы.
- Пятый поперечный ход: левая сторона шеи латеральнее сонной артерии, образует луковицу сонной артерии и находится чуть выше ключицы (уровни 2, 3 и 4).
- Шестая поперечная развертка: левая сторона горловины до уровня 5 документа.
Используйте рисунок VIEWPOINT , чтобы проиллюстрировать любые аномальные лимфатические узлы, и приложите иллюстрацию к исследованию VIEWPOINT . Если аномальных лимфатических узлов не обнаружено, сохраните неиллюстрированный рисунок и прикрепите его к экзамену «Точка обзора».При сохранении иллюстрации она будет прикреплена к изображениям в исследовании «Точка обзора», и иллюстрация будет отправлена в GE PACS вместе с другими изображениями. (См. Процедурный документ VIEWPOINT Drawings, расположенный в папке ультразвуковых процедур. Этот документ покажет вам, как прикрепить рисунок к исследованию Viewpoint).
Изображения в документации по лимфатическим узлам:
- Задокументировать только аномальные лимфатические узлы.
(Появляются: увеличенные, округлые, без жировых отложений, нарушение кровотока.Нормальные узлы будут иметь центральный сосудистый кровоток.)
- Измерьте любые аномальные лимфатические узлы в двух измерениях (высоте и длине).
- Используйте Цветной поток или MFI, если возможно, доплеровское сканирование аномальных лимфатических узлов.
Задокументируйте расположение лимфатических узлов и проиллюстрируйте их с помощью рисунка «Точка обзора».
Уровни лимфатических узлов шеи:
Лимфатические узлы на шее были разделены на 7 уровней , как правило, с целью определения стадии плоскоклеточного рака.Однако это не все, так как несколько групп, таких как узлы надключичного, околоушного и заглоточного пространства, не учитываются в этой системе.
Уровень I
- ниже мышечной подъязычной мышцы и выше нижнего края подъязычной кости
- кпереди от заднего края подчелюстных желез
- уровень Ia : субментальный — между передними брюшками двубрюшной мышцы
- уровень Ib : нижнечелюстной — заднебоковой по отношению к передней брюшной части двубрюшного желудка
Уровень II
- югуло-желудочный
- от основания черепа до нижнего края подъязычной кости
- кпереди от заднего края грудино-ключично-сосцевидной мышцы (SCM)
- кзади от заднего края подчелюстных желез
- уровень IIa : передняя, латеральная или медиальная часть вены или задняя часть внутренней яремной вены и неотделима от нее.
- уровень IIb : кзади от внутренней яремной вены и имеет жировую плоскость, разделяющую узлы и вену
Уровень III
- средние яремные узлы
- от нижнего края подъязычной кости до нижнего края перстневидного хряща
- кпереди от задней границы SCM
- латеральнее медиального края ОСА / ВСА
Уровень IV
- нижние яремные узлы
- нижний край перстневидного хряща до уровня ключицы
- кпереди и медиальнее косой линии, проведенной через задний край грудино-ключично-сосцевидной мышцы и заднебоковой край передней лестничной мышцы 4
- латеральнее медиального края ОСА
Уровень V
- узлы заднего треугольника
- уровень Va : верхняя половина, позади уровней II и III
- уровень Vb : нижняя половина, позади уровня IV
Уровень VI
- преларингеальный / претрахеальный / дельфийский узел
- от нижнего края подъязычной кости до рукоятки
- перед уровнями III и IV
Уровень VII
- верхний средостение
- между CCA, ниже верхней части манубриума
Щитовидный хрящ
3.




При нагноении, может появиться температура; 


