ΡΠΈΠΌΠΏΡΠΎΠΌΡ, ΠΏΠ΅ΡΠ²ΡΠ΅ ΠΏΡΠΈΠ·Π½Π°ΠΊΠΈ, Π»Π΅ΡΠ΅Π½ΠΈΠ΅ ΡΡΠ±Π΅ΡΠΊΡΠ»Π΅Π·Π° Ρ Π²Π·ΡΠΎΡΠ»ΡΡ

Π’ΡΠ±Π΅ΡΠΊΡΠ»Π΅Π·ΠΎΠΌ Π½Π°Π·ΡΠ²Π°ΡΡ ΠΈΠ½ΡΠ΅ΠΊΡΠΈΠΎΠ½Π½ΠΎΠ΅ Π·Π°Π±ΠΎΠ»Π΅Π²Π°Π½ΠΈΠ΅, Π²ΡΠ·Π²Π°Π½Π½ΠΎΠ΅ ΡΠ°Π·Π»ΠΈΡΠ½ΡΠΌΠΈ Π²ΠΈΠ΄Π°ΠΌΠΈ ΠΌΠΈΠΊΠΎΠ±Π°ΠΊΡΠ΅ΡΠΈΠΉ, ΠΏΡΠΈ ΠΊΠΎΡΠΎΡΠΎΠΌ ΠΏΠΎΡΠ°ΠΆΠ°Π΅ΡΡΡ Π»Π΅Π³ΠΎΡΠ½Π°Ρ ΡΠΊΠ°Π½Ρ (ΡΠ°ΡΠ΅ Π²ΡΠ΅Π³ΠΎ) ΠΈΠ»ΠΈ Π΄ΡΡΠ³ΠΈΠ΅ ΠΎΡΠ³Π°Π½Ρ (Π² Π·Π°Π²ΠΈΡΠΈΠΌΠΎΡΡΠΈ ΠΎΡ ΠΌΠ΅ΡΡΠ° Π»ΠΎΠΊΠ°Π»ΠΈΠ·Π°ΡΠΈΠΈ ΠΏΠ°ΡΠΎΠ»ΠΎΠ³ΠΈΡΠ΅ΡΠΊΠΎΠ³ΠΎ ΠΎΡΠ°Π³Π°). Π’ΡΠ±Π΅ΡΠΊΡΠ»Π΅Π· Ρ Π²Π·ΡΠΎΡΠ»ΡΡ Π² ΠΎΡΠ½ΠΎΠ²Π½ΠΎΠΌ Π²ΡΠ·Π²Π°Π½ ΠΏΠ°Π»ΠΎΡΠΊΠΎΠΉ ΠΠΎΡ Π°, ΠΊΠΎΡΠΎΡΠ°Ρ ΠΏΠ΅ΡΠ΅Π΄Π°Π΅ΡΡΡ Π²ΠΎΠ·Π΄ΡΡΠ½ΠΎ-ΠΊΠ°ΠΏΠ΅Π»ΡΠ½ΡΠΌ ΠΏΡΡΠ΅ΠΌ ΠΏΡΠΈ ΠΊΠ°ΡΠ»Π΅, ΡΠ°Π·Π³ΠΎΠ²ΠΎΡΠ΅, ΡΠΈΡ Π°Π½ΠΈΠΈ ΠΈ ΡΠ΅ΡΠ½ΠΎΠΌ ΠΊΠΎΠ½ΡΠ°ΠΊΡΠ΅ Ρ Π±ΠΎΠ»ΡΠ½ΡΠΌ ΡΠ΅Π»ΠΎΠ²Π΅ΠΊΠΎΠΌ ΠΈΠ»ΠΈ Π½ΠΎΡΠΈΡΠ΅Π»Π΅ΠΌ. ΠΠΎΡΠ»Π΅ ΠΏΠΎΠΏΠ°Π΄Π°Π½ΠΈΡ Π²ΠΎΠ·Π±ΡΠ΄ΠΈΡΠ΅Π»Ρ Π² ΡΠΊΠ°Π½ΠΈ Π»Π΅Π³ΠΊΠΈΡ Π·Π°Π±ΠΎΠ»Π΅Π²Π°Π½ΠΈΠ΅ ΠΏΡΠΎΡΠ΅ΠΊΠ°Π΅Ρ Π² ΡΠΊΡΡΡΠΎΠΉ ΡΠΎΡΠΌΠ΅, ΡΠΎΠ³Π΄Π° Π³ΠΎΠ²ΠΎΡΡΡ ΠΎ ΡΡΠ±ΠΈΠ½ΡΠ΅ΡΠΈΡΠΎΠ²Π°Π½Π½ΠΎΡΡΠΈ ΡΠ΅Π»ΠΎΠ²Π΅ΠΊΠ°. ΠΠΎΠ΄ Π²ΠΎΠ·Π΄Π΅ΠΉΡΡΠ²ΠΈΠ΅ΠΌ Π±Π»Π°Π³ΠΎΠΏΡΠΈΡΡΠ½ΡΡ Π΄Π»Ρ ΡΠΎΡΡΠ° ΠΈ ΡΠ°Π·ΠΌΠ½ΠΎΠΆΠ΅Π½ΠΈΡ Π²ΠΎΠ·Π±ΡΠ΄ΠΈΡΠ΅Π»Ρ ΡΡΠ»ΠΎΠ²ΠΈΠΉ ΠΏΠ°Π»ΠΎΡΠΊΠ° ΠΠΎΡ Π° Π°ΠΊΡΠΈΠ²ΠΈΠ·ΠΈΡΡΠ΅ΡΡΡ, ΠΎΡΠ²ΠΎΠ±ΠΎΠΆΠ΄Π°Π΅ΡΡΡ ΠΎΡ ΡΠ²ΠΎΠ΅ΠΉ Π·Π°ΡΠΈΡΠ½ΠΎΠΉ ΠΊΠ°ΠΏΡΡΠ»Ρ, ΠΈ Π·Π°Π±ΠΎΠ»Π΅Π²Π°Π½ΠΈΠ΅ ΠΏΠ΅ΡΠ΅Ρ ΠΎΠ΄ΠΈΡ Π² Π°ΠΊΡΠΈΠ²Π½ΡΡ ΡΠΎΡΠΌΡ ΡΠ΅ΡΠ΅Π½ΠΈΡ.
ΠΡΠΈΡΠΈΠ½Ρ ΡΠ°Π·Π²ΠΈΡΠΈΡ Π·Π°Π±ΠΎΠ»Π΅Π²Π°Π½ΠΈΡ Ρ Π²Π·ΡΠΎΡΠ»ΡΡ
ΠΠΎΠ·Π±ΡΠ΄ΠΈΡΠ΅Π»Π΅ΠΌ ΡΡΠ±Π΅ΡΠΊΡΠ»Π΅Π·Π° Π²ΡΡΡΡΠΏΠ°ΡΡ ΠΌΠΈΠΊΠΎΠ±Π°ΠΊΡΠ΅ΡΠΈΠΈ, ΡΠ°ΡΠ΅ Π²ΡΠ΅Π³ΠΎ ΠΏΠ°Π»ΠΎΡΠΊΠ° ΠΠΎΡ Π°, Π½ΠΎ ΠΌΠΎΠ³ΡΡ Π±ΡΡΡ ΠΈ Π΄ΡΡΠ³ΠΈΠ΅:
- Mycobacterium tuberculosis;
- Mycobacterium bovis;
- Mycobacterium africanum;
- Mycobacterium bovis BCG;
- Mycobacterium microti;
- Mycobacterium canettii;
- Mycobacterium caprae;
- Mycobacterium pinnipedii.
Π Π±ΠΎΠ»ΡΡΠΈΠ½ΡΡΠ²Π΅ ΡΠ»ΡΡΠ°Π΅Π² Π²ΠΎΠ·Π±ΡΠ΄ΠΈΡΠ΅Π»Ρ ΠΈΠ½ΡΠ΅ΠΊΡΠΈΠΈ ΠΏΠ΅ΡΠ΅Π΄Π°Π΅ΡΡΡ Π²ΠΎΠ·Π΄ΡΡΠ½ΠΎ-ΠΊΠ°ΠΏΠ΅Π»ΡΠ½ΡΠΌ ΠΏΡΡΠ΅ΠΌ, Π½ΠΎ Π΅ΡΡΡ ΠΈ Π΄ΡΡΠ³ΠΈΠ΅ ΠΏΡΡΠΈ ΠΈΠ½ΡΠΈΡΠΈΡΠΎΠ²Π°Π½ΠΈΡ:
- Π°Π»ΠΈΠΌΠ΅Π½ΡΠ°ΡΠ½ΡΠΉ β Π±Π°ΠΊΡΠ΅ΡΠΈΠΈ ΠΏΡΠΎΠ½ΠΈΠΊΠ°ΡΡ Π² ΠΎΡΠ³Π°Π½ΠΈΠ·ΠΌ Ρ ΠΏΡΠΎΠ΄ΡΠΊΡΠ°ΠΌΠΈ ΠΏΠΈΡΠ°Π½ΠΈΡ, Ρ ΠΊΠΎΡΠΎΡΡΠΌΠΈ ΠΊΠΎΠ½ΡΠ°ΠΊΡΠΈΡΠΎΠ²Π°Π» Π±ΠΎΠ»ΡΠ½ΠΎΠΉ Ρ ΠΎΡΠΊΡΡΡΠΎΠΉ ΡΠΎΡΠΌΠΎΠΉ ΡΡΠ±Π΅ΡΠΊΡΠ»Π΅Π·Π°;
- Π²Π½ΡΡΡΠΈΡΡΡΠΎΠ±Π½ΡΠΉ β Π΅ΡΡΡ ΡΠΈΡΠΊ ΠΏΠ΅ΡΠ΅Π΄Π°ΡΠΈ Π²ΠΎΠ·Π±ΡΠ΄ΠΈΡΠ΅Π»Π΅ΠΉ ΠΎΡ ΠΌΠ°ΡΠ΅ΡΠΈ ΠΊ ΠΏΠ»ΠΎΠ΄Ρ, ΠΏΡΠΈ ΡΡΠΎΠΌ Π΄ΠΎΠ»Π³ΠΎΠ΅ Π²ΡΠ΅ΠΌΡ ΠΏΠ°Π»ΠΎΡΠΊΠΈ ΠΌΠΎΠ³ΡΡ Π½Π°Ρ ΠΎΠ΄ΠΈΡΡΡΡ Π² Π·Π°ΡΠΈΡΠ½ΠΎΠΉ ΠΊΠ°ΠΏΡΡΠ»Π΅ ΠΈ ΡΠΎΠ»ΡΠΊΠΎ Π²ΠΎ Π²Π·ΡΠΎΡΠ»ΠΎΠΌ Π²ΠΎΠ·ΡΠ°ΡΡΠ΅ ΡΠ΅Π»ΠΎΠ²Π΅ΠΊΠ° Π°ΠΊΡΠΈΠ²ΠΈΡΠΎΠ²Π°ΡΡΡΡ ΠΏΠΎΠ΄ Π²ΠΎΠ·Π΄Π΅ΠΉΡΡΠ²ΠΈΠ΅ΠΌ Π±Π»Π°Π³ΠΎΠΏΡΠΈΡΡΠ½ΡΡ ΡΠ°ΠΊΡΠΎΡΠΎΠ²;
- ΠΊΠΎΠ½ΡΠ°ΠΊΡΠ½ΡΠΉ β ΠΏΡΠΈ ΡΠ΅ΡΠ½ΠΎΠΌ ΠΊΠΎΠ½ΡΠ°ΠΊΡΠ΅ Ρ Π±ΠΎΠ»ΡΠ½ΡΠΌ Ρ ΠΎΡΠΊΡΡΡΠΎΠΉ ΡΠΎΡΠΌΠΎΠΉ ΡΡΠ±Π΅ΡΠΊΡΠ»Π΅Π·Π°, ΠΊΠ°ΠΊ ΠΏΡΠ°Π²ΠΈΠ»ΠΎ, Π²ΠΎΠ·Π±ΡΠ΄ΠΈΡΠ΅Π»Ρ ΠΈΠ½ΡΠ΅ΠΊΡΠΈΠΈ ΠΏΡΠΎΠ½ΠΈΠΊΠ°Π΅Ρ Π² ΠΎΡΠ³Π°Π½ΠΈΠ·ΠΌ ΡΠ΅ΡΠ΅Π· ΡΠ»ΠΈΠ·ΠΈΡΡΡΠ΅ ΠΎΠ±ΠΎΠ»ΠΎΡΠΊΠΈ Ρ Π½Π°ΡΡΡΠ΅Π½ΠΈΠ΅ΠΌ ΡΠ΅Π»ΠΎΡΡΠ½ΠΎΡΡΠΈ.
ΠΠ»Π°ΡΡΠΈΡΠΈΠΊΠ°ΡΠΈΡ ΡΡΠ±Π΅ΡΠΊΡΠ»Π΅Π·Π°: ΡΠΎΡΠΌΡ Π·Π°Π±ΠΎΠ»Π΅Π²Π°Π½ΠΈΡ
Π Π·Π°Π²ΠΈΡΠΈΠΌΠΎΡΡΠΈ ΠΎΡ ΠΌΠ΅ΡΡΠ° Π»ΠΎΠΊΠ°Π»ΠΈΠ·Π°ΡΠΈΠΈ ΠΏΠ°ΡΠΎΠ»ΠΎΠ³ΠΈΡΠ΅ΡΠΊΠΎΠ³ΠΎ ΠΎΡΠ°Π³Π° ΡΠ°Π·Π»ΠΈΡΠ°ΡΡ Π»Π΅Π³ΠΎΡΠ½ΡΡ ΡΠΎΡΠΌΡ ΠΈ Π½Π΅ Π»Π΅Π³ΠΎΡΠ½ΡΡ. ΠΠΎΡΡΠ΄ΠΊΠ° 80-90% ΡΠ»ΡΡΠ°Π΅Π² ΠΏΡΠΈΡ ΠΎΠ΄ΠΈΡΡΡ Π½Π° Π»Π΅Π³ΠΎΡΠ½ΡΡ ΡΠΎΡΠΌΡ, Π² ΠΎΡΡΠ°Π»ΡΠ½ΡΡ ΡΠΈΡΡΠ°ΡΠΈΡΡ Π²ΠΎΠ·ΠΌΠΎΠΆΠ½ΠΎ ΠΏΠΎΡΠ°ΠΆΠ΅Π½ΠΈΠ΅ Π³ΠΎΠ»ΠΎΠ²Π½ΠΎΠ³ΠΎ ΠΌΠΎΠ·Π³Π°, ΠΊΠΈΡΠ΅ΡΠ½ΠΈΠΊΠ°, ΠΊΠΎΡΡΠ΅ΠΉ, ΠΌΠΎΡΠ΅ΠΏΠΎΠ»ΠΎΠ²ΠΎΠΉ ΡΠΈΡΡΠ΅ΠΌΡ. ΠΠΎ ΡΠ°Π·Π΅ ΡΠ°Π·Π²ΠΈΡΠΈΡ ΠΏΠ°ΡΠΎΠ»ΠΎΠ³ΠΈΡΠ΅ΡΠΊΠΎΠ³ΠΎ ΠΏΡΠΎΡΠ΅ΡΡΠ° ΡΠ°Π·Π»ΠΈΡΠ°ΡΡ:
- ΡΠ°Π·Π° ΠΈΠ½ΡΠΈΠ»ΡΡΡΠ°ΡΠΈΠΈ;
- ΡΠ°Π·Π° ΡΠ°ΡΠΏΠ°Π΄Π°;
- ΡΠ°Π·Π° ΠΎΠ±ΡΠ΅ΠΌΠ΅Π½Π΅Π½ΠΈΡ;
- ΡΠ°Π·Π° ΡΠ°ΡΡΠ°ΡΡΠ²Π°Π½ΠΈΡ;
- ΡΠ°Π·Π° ΡΠΏΠ»ΠΎΡΠ½Π΅Π½ΠΈΡ;
- ΡΠ°Π·Π° ΡΡΠ±ΡΠ΅Π²Π°Π½ΠΈΡ;
- ΡΠ°Π·Π° ΠΎΠ±ΡΠ·Π²Π΅ΡΡΠ²Π»Π΅Π½ΠΈΡ.
Π Π·Π°Π²ΠΈΡΠΈΠΌΠΎΡΡΠΈ ΠΎΡ ΡΠΎΠ³ΠΎ, Π·Π°Π±ΠΎΠ»Π΅Π» Π²Π·ΡΠΎΡΠ»ΡΠΉ Π²ΠΏΠ΅ΡΠ²ΡΠ΅ ΠΈΠ»ΠΈ Π½Π΅Ρ, ΡΠ°Π·Π»ΠΈΡΠ°ΡΡ ΠΏΠ΅ΡΠ²ΠΈΡΠ½ΡΠΉ ΠΈ Π²ΡΠΎΡΠΈΡΠ½ΡΠΉ ΡΡΠ±Π΅ΡΠΊΡΠ»Π΅Π·.
ΠΠ΅ΡΠ²ΠΈΡΠ½ΡΠΉ ΡΡΠ±Π΅ΡΠΊΡΠ»Π΅Π·
Π‘ΡΠΈΡΠ°Π΅ΡΡΡ ΠΎΡΡΡΠΎΠΉ ΡΠΎΡΠΌΠΎΠΉ Π·Π°Π±ΠΎΠ»Π΅Π²Π°Π½ΠΈΡ, ΠΊΠΎΡΠΎΡΠ°Ρ ΡΠ°Π·Π²ΠΈΠ²Π°Π΅ΡΡΡ ΠΈ Π½Π°ΡΠΈΠ½Π°Π΅Ρ ΠΏΡΠΎΡΠ²Π»ΡΡΡΡΡ ΠΊΠ»ΠΈΠ½ΠΈΡΠ΅ΡΠΊΠΈ ΡΡΠ°Π·Ρ ΠΏΠΎΡΠ»Π΅ ΠΏΠΎΠΏΠ°Π΄Π°Π½ΠΈΡ ΠΏΠ°ΡΠΎΠ»ΠΎΠ³ΠΈΡΠ΅ΡΠΊΠΎΠ³ΠΎ Π²ΠΎΠ·Π±ΡΠ΄ΠΈΡΠ΅Π»Ρ Π² ΠΊΡΠΎΠ²ΡΠ½ΠΎΠ΅ ΡΡΡΠ»ΠΎ. Π§Π°ΡΠ΅ Π²ΡΠ΅Π³ΠΎ ΠΏΠ΅ΡΠ²ΠΈΡΠ½ΡΠΉ ΡΡΠ±Π΅ΡΠΊΡΠ»Π΅Π· ΡΠ°Π·Π²ΠΈΠ²Π°Π΅ΡΡΡ Ρ Π»ΠΈΡ, ΠΊΠΎΡΠΎΡΡΠ΅ ΡΠ°ΡΡΠΎ Π±ΠΎΠ»Π΅ΡΡ, ΡΡΡΠ°Π΄Π°ΡΡ Ρ ΡΠΎΠ½ΠΈΡΠ΅ΡΠΊΠΈΠΌΠΈ Π·Π°Π±ΠΎΠ»Π΅Π²Π°Π½ΠΈΡΠΌΠΈ, ΠΏΡΠΎΠΆΠΈΠ²Π°ΡΡ Π² ΠΏΠ»ΠΎΡ ΠΈΡ Π±ΡΡΠΎΠ²ΡΡ ΡΡΠ»ΠΎΠ²ΠΈΡΡ ΠΈ Π½Π΅ΡΠ±Π°Π»Π°Π½ΡΠΈΡΠΎΠ²Π°Π½Π½ΠΎ ΠΏΠΈΡΠ°ΡΡΡΡ. ΠΡΠΎ ΠΏΡΠΎΠΈΡΡ ΠΎΠ΄ΠΈΡ ΠΏΠΎΡΠΎΠΌΡ, ΡΡΠΎ ΠΈΠΌΠΌΡΠ½Π½Π°Ρ ΡΠΈΡΡΠ΅ΠΌΠ° ΠΎΡΠ»Π°Π±Π»Π΅Π½Π°, ΠΈ ΠΎΡΠ³Π°Π½ΠΈΠ·ΠΌ Π½Π΅ Π² ΡΠΎΡΡΠΎΡΠ½ΠΈΠΈ ΡΠΎΠΏΡΠΎΡΠΈΠ²Π»ΡΡΡΡΡ ΠΈΠ½ΡΠ΅ΠΊΡΠΈΠΈ.
ΠΠ΅ΡΠΌΠΎΡΡΡ Π½Π° ΡΠΎ, ΡΡΠΎ Π² Π»Π΅Π³ΠΊΠΈΡ ΠΏΡΠΎΠΈΡΡ ΠΎΠ΄ΠΈΡ Π°ΠΊΡΠΈΠ²Π½ΡΠΉ ΠΏΠ°ΡΠΎΠ»ΠΎΠ³ΠΈΡΠ΅ΡΠΊΠΈΠΉ ΠΏΡΠΎΡΠ΅ΡΡ, Π½Π° Π΄Π°Π½Π½ΠΎΠΌ ΡΡΠ°ΠΏΠ΅ ΡΠ°Π·Π²ΠΈΡΠΈΡ Π·Π°Π±ΠΎΠ»Π΅Π²Π°Π½ΠΈΠ΅ Π½Π΅ ΠΏΡΠ΅Π΄ΡΡΠ°Π²Π»ΡΠ΅Ρ ΠΎΠΏΠ°ΡΠ½ΠΎΡΡΠΈ Π΄Π»Ρ ΠΎΠΊΡΡΠΆΠ°ΡΡΠΈΡ . ΠΠ° Π½Π°ΡΠ°Π»ΡΠ½ΠΎΠΉ ΡΡΠ°Π΄ΠΈΠΈ ΠΏΡΠΈ ΠΏΠ΅ΡΠ²ΠΈΡΠ½ΠΎΠΉ ΡΠΎΡΠΌΠ΅ Π² Π»Π΅Π³ΠΊΠΎΠΌ ΠΎΠ±ΡΠ°Π·ΡΠ΅ΡΡΡ Π³ΡΠ°Π½ΡΠ»Π΅ΠΌΠ° β ΡΡΠΎ ΠΎΡΠ°Π³, ΠΊΠΎΡΠΎΡΡΠΉ ΠΌΠΎΠΆΠ΅Ρ Π·Π°ΡΡΠ±ΡΠ΅Π²Π°ΡΡΡΡ ΡΠ°ΠΌΠΎΡΡΠΎΡΡΠ΅Π»ΡΠ½ΠΎ. Π ΡΠ°ΠΌΠΎΠΌ Π½Π΅Π±Π»Π°Π³ΠΎΠΏΡΠΈΡΡΠ½ΠΎΠΌ ΡΠ»ΡΡΠ°Π΅ Π³ΡΠ°Π½ΡΠ»Π΅ΠΌΠ° ΡΠ²Π΅Π»ΠΈΡΠΈΠ²Π°Π΅ΡΡΡ, Π² Π½Π΅ΠΉ ΠΎΠ±ΡΠ°Π·ΡΠ΅ΡΡΡ ΠΏΠΎΠ»ΠΎΡΡΡ, Π² ΠΊΠΎΡΠΎΡΠΎΠΉ Π² Π±ΠΎΠ»ΡΡΠΎΠΌ ΠΊΠΎΠ»ΠΈΡΠ΅ΡΡΠ²Π΅ Π½Π°ΠΊΠ°ΠΏΠ»ΠΈΠ²Π°ΡΡΡΡ ΡΡΠ±Π΅ΡΠΊΡΠ»Π΅Π·Π½ΡΠ΅ ΠΏΠ°Π»ΠΎΡΠΊΠΈ. ΠΠ· ΡΡΠΎΠΉ ΠΏΠΎΠ»ΠΎΡΡΠΈ ΠΏΠ°Π»ΠΎΡΠΊΠΈ Π²ΡΡ ΠΎΠ΄ΡΡ Π² ΡΠΈΡΡΠ΅ΠΌΠ½ΡΠΉ ΠΊΡΠΎΠ²ΠΎΡΠΎΠΊ, ΠΎΡΠΊΡΠ΄Π° ΡΠ°Π·Π½ΠΎΡΡΡΡΡ ΠΊΠΎ Π²ΡΠ΅ΠΌ Π²Π½ΡΡΡΠ΅Π½Π½ΠΈΠΌ ΠΎΡΠ³Π°Π½Π°ΠΌ.
ΠΡΠΎΡΠΈΡΠ½ΡΠΉ ΡΡΠ±Π΅ΡΠΊΡΠ»Π΅Π·
ΠΡΠΎΡ ΡΠΈΠΏ Π·Π°Π±ΠΎΠ»Π΅Π²Π°Π½ΠΈΡ ΡΠ°Π·Π²ΠΈΠ²Π°Π΅ΡΡΡ Ρ Π²Π·ΡΠΎΡΠ»ΠΎΠ³ΠΎ ΡΠΎΠ³Π΄Π°, ΠΊΠΎΠ³Π΄Π° ΠΎΠ½ ΡΠΆΠ΅ ΠΏΠ΅ΡΠ΅Π±ΠΎΠ»Π΅Π», Π½ΠΎ ΠΈΠ½ΡΠΈΡΠΈΡΠΎΠ²Π°Π»ΡΡ ΠΏΠΎΠ²ΡΠΎΡΠ½ΠΎ Π΄ΡΡΠ³ΠΈΠΌ Π²ΠΈΠ΄ΠΎΠΌ Π²ΠΎΠ·Π±ΡΠ΄ΠΈΡΠ΅Π»Ρ. ΠΠ½ΠΎΠ³Π΄Π° Π²ΡΠΎΡΠΈΡΠ½ΡΠΉ ΡΡΠ±Π΅ΡΠΊΡΠ»Π΅Π· ΠΏΡΠΎΡΠ΅ΠΊΠ°Π΅Ρ Π² Π²ΠΈΠ΄Π΅ ΠΎΠ±ΠΎΡΡΡΠ΅Π½ΠΈΡ ΡΠ΅ΠΌΠΈΡΡΠΈΠΈ Π·Π°Π±ΠΎΠ»Π΅Π²Π°Π½ΠΈΡ. ΠΠ°Π½Π½Π°Ρ ΡΠΎΡΠΌΠ° Π·Π°Π±ΠΎΠ»Π΅Π²Π°Π½ΠΈΡ ΠΏΡΠΎΡΠ΅ΠΊΠ°Π΅Ρ Π³ΠΎΡΠ°Π·Π΄ΠΎ ΡΡΠΆΠ΅Π»Π΅Π΅, ΡΠ΅ΠΌ ΠΏΠ΅ΡΠ²ΠΈΡΠ½ΡΠΉ ΡΡΠ±Π΅ΡΠΊΡΠ»Π΅Π· β Π² Π»Π΅Π³ΠΊΠΈΡ ΠΎΡΠ΅Π½Ρ Π±ΡΡΡΡΠΎ ΠΎΠ±ΡΠ°Π·ΡΡΡΡΡ Π½ΠΎΠ²ΡΠ΅ ΠΎΡΠ°Π³ΠΈ, ΠΊΠΎΡΠΎΡΡΠ΅ ΠΌΠΎΠ³ΡΡ ΡΠ»ΠΈΠ²Π°ΡΡΡΡ Π΄ΡΡΠ³ Ρ Π΄ΡΡΠ³ΠΎΠΌ, ΠΎΠ±ΡΠ°Π·ΡΡ ΠΏΠΎΠ»ΠΎΡΡΠΈ. Π‘ΠΎΠ³Π»Π°ΡΠ½ΠΎ ΡΡΠ°ΡΠΈΡΡΠΈΠΊΠ΅ ΠΏΡΠΈΠΌΠ΅ΡΠ½ΠΎ ΡΡΠ΅ΡΡ Π±ΠΎΠ»ΡΠ½ΡΡ Ρ Π²ΡΠΎΡΠΈΡΠ½ΡΠΌ ΡΠΈΠΏΠΎΠΌ ΡΡΠ±Π΅ΡΠΊΡΠ»Π΅Π·Π° ΡΠΌΠΈΡΠ°ΡΡ Π² ΡΠ΅ΡΠ΅Π½ΠΈΠ΅ 2 ΠΌΠ΅ΡΡΡΠ΅Π² ΠΎΡ Π½Π°ΡΠ°Π»Π° Π·Π°Π±ΠΎΠ»Π΅Π²Π°Π½ΠΈΡ.
ΠΠ΅ΡΠ²ΡΠ΅ ΠΏΡΠΈΠ·Π½Π°ΠΊΠΈ ΠΈ ΡΠΈΠΌΠΏΡΠΎΠΌΡ ΡΡΠ±Π΅ΡΠΊΡΠ»Π΅Π·Π° Ρ Π²Π·ΡΠΎΡΠ»ΡΡ
ΠΠ°ΠΊ ΡΠΎΠ»ΡΠΊΠΎ ΡΠ΅Π»ΠΎΠ²Π΅ΠΊ ΠΈΠ½ΡΠΈΡΠΈΡΠΎΠ²Π°Π»ΡΡ ΠΌΠΈΠΊΠΎΠ±Π°ΠΊΡΠ΅ΡΠΈΠ΅ΠΉ ΡΡΠ±Π΅ΡΠΊΡΠ»Π΅Π·Π°, ΠΊΠ»ΠΈΠ½ΠΈΡΠ΅ΡΠΊΠΈ ΠΏΡΠΎΡΠ²Π»Π΅Π½ΠΈΠ΅ Π·Π°Π±ΠΎΠ»Π΅Π²Π°Π½ΠΈΡ ΠΌΠ°Π»ΠΎ ΡΠ΅ΠΌ ΠΎΡΠ»ΠΈΡΠ°Π΅ΡΡΡ ΠΎΡ ΠΎΠ±ΡΡΠ½ΠΎΠΉ ΠΏΡΠΎΡΡΡΠ΄Ρ:
- Π²ΠΎΠ·Π½ΠΈΠΊΠ°Π΅Ρ Π»ΠΎΠΌΠΎΡΠ° Π² ΡΠ΅Π»Π΅;
- Π·Π°Π»ΠΎΠΆΠ΅Π½Π½ΠΎΡΡΡ Π½ΠΎΡΠ° ΠΈ ΡΠΈΠ½ΠΎΡΠ΅Ρ;
- ΡΡΡ ΠΎΠΉ ΠΊΠ°ΡΠ΅Π»Ρ;
- ΠΎΠ·Π½ΠΎΠ± ΠΈ Π»ΠΈΡ ΠΎΡΠ°Π΄ΠΎΡΠ½ΠΎΠ΅ ΡΠΎΡΡΠΎΡΠ½ΠΈΠ΅;
- Π½Π°ΡΡΡΠ΅Π½ΠΈΠ΅ ΡΠ½Π°;
- ΠΏΠΎΠ²ΡΡΠ΅Π½Π½Π°Ρ ΠΏΠΎΡΠ»ΠΈΠ²ΠΎΡΡΡ;
- ΠΏΠΎΠ²ΡΡΠ΅Π½ΠΈΠ΅ ΡΠ΅ΠΌΠΏΠ΅ΡΠ°ΡΡΡΡ ΡΠ΅Π»Π° Π΄ΠΎ ΡΡΠ±ΡΠ΅Π±ΡΠΈΠ»ΡΠ½ΡΡ ΠΎΡΠΌΠ΅ΡΠΎΠΊ β 37,0-37,5 Π³ΡΠ°Π΄ΡΡΠΎΠ².
ΠΡΠΈ ΡΠΈΠΌΠΏΡΠΎΠΌΡ ΠΌΠΎΠ³ΡΡ ΠΏΠΎΡΠ²Π»ΡΡΡΡΡ ΠΎΠ΄Π½ΠΎΠ²ΡΠ΅ΠΌΠ΅Π½Π½ΠΎ ΠΈΠ»ΠΈ ΠΏΠΎ ΠΎΡΠ΄Π΅Π»ΡΠ½ΠΎΡΡΠΈ. ΠΠ°Π»Π΅Π΅ ΠΏΠΎ ΠΌΠ΅ΡΠ΅ ΠΏΡΠΎΠ³ΡΠ΅ΡΡΠΈΡΠΎΠ²Π°Π½ΠΈΡ ΠΏΠ°ΡΠΎΠ»ΠΎΠ³ΠΈΡΠ΅ΡΠΊΠΎΠ³ΠΎ ΠΎΡΠ°Π³Π° Ρ Π²Π·ΡΠΎΡΠ»ΠΎΠ³ΠΎ ΠΏΠΎΡΠ²Π»ΡΡΡΡΡ ΠΎΡΠ½ΠΎΠ²Π½ΡΠ΅ ΠΊΠ»ΠΈΠ½ΠΈΡΠ΅ΡΠΊΠΈΠ΅ ΠΏΡΠΈΠ·Π½Π°ΠΊΠΈ ΡΡΠ±Π΅ΡΠΊΡΠ»Π΅Π·Π°:
- ΠΈΠ·ΠΌΠ΅Π½Π΅Π½ΠΈΠ΅ Π²Π½Π΅ΡΠ½Π΅Π³ΠΎ Π²ΠΈΠ΄Π° β ΠΏΡΠΈ ΠΏΡΠΎΠ³ΡΠ΅ΡΡΠΈΡΡΡΡΠ΅ΠΌ ΡΡΠ±Π΅ΡΠΊΡΠ»Π΅Π·Π΅ Π»ΠΈΡΠΎ Π±ΠΎΠ»ΡΠ½ΠΎΠ³ΠΎ ΡΡΠ°Π½ΠΎΠ²ΠΈΡΡΡ ΡΡΠ΅Π·Π²ΡΡΠ°ΠΉΠ½ΠΎ Π±Π»Π΅Π΄Π½ΡΠΌ, ΠΏΠΎΡ ΡΠ΄Π΅Π²ΡΠΈΠΌ, ΡΠ΅ΠΊΠΈ Π²ΠΏΠ°Π»ΡΠ΅, ΠΎΠ±ΡΠΈΠ΅ ΡΠ΅ΡΡΡ Π·Π°ΠΎΡΡΡΠ΅Π½Π½ΡΠ΅. ΠΠΎΠ»ΡΠ½ΠΎΠΉ Π±ΡΡΡΡΠΎ Ρ ΡΠ΄Π΅Π΅Ρ Π½Π° ΡΠΎΠ½Π΅ ΠΎΠ±ΡΡΠ½ΠΎΠ³ΠΎ Π°ΠΏΠΏΠ΅ΡΠΈΡΠ°.
- Π’Π΅ΠΌΠΏΠ΅ΡΠ°ΡΡΡΠ° β ΠΏΠΎΡΠ»Π΅ ΠΏΡΠ΅ΠΊΡΠ°ΡΠ΅Π½ΠΈΡ ΡΠΈΠΌΠΏΡΠΎΠΌΠΎΠ² ΠΠ ΠΠ, ΠΏΠ΅ΡΠ΅ΡΠΈΡΠ»Π΅Π½Π½ΡΡ Π²ΡΡΠ΅, ΡΠ΅ΠΌΠΏΠ΅ΡΠ°ΡΡΡΠ° ΡΠ΅Π»Π° Ρ Π±ΠΎΠ»ΡΠ½ΠΎΠ³ΠΎ Π΅ΡΠ΅ ΠΌΠΎΠΆΠ΅Ρ ΡΠΎΡ ΡΠ°Π½ΡΡΡΡΡ ΡΡΠ±ΡΠ΅Π±ΡΠΈΠ»ΡΠ½ΠΎΠΉ (Π΄ΠΎ 37,5) Π² ΡΠ΅ΡΠ΅Π½ΠΈΠ΅ 1 ΠΌΠ΅ΡΡΡΠ°. Π Π²Π΅ΡΠ΅ΡΠ½Π΅Π΅ Π²ΡΠ΅ΠΌΡ ΠΏΠΎΠΊΠ°Π·Π°ΡΠ΅Π»ΠΈ ΡΠ΅ΡΠΌΠΎΠΌΠ΅ΡΡΠ° ΠΌΠΎΠ³ΡΡ Π΄ΠΎΡΡΠΈΠ³Π°ΡΡ ΠΎΡΠΌΠ΅ΡΠΊΠΈ 38 Π³ΡΠ°Π΄ΡΡΠΎΠ² ΠΈ Π²ΡΡΠ΅, Π° ΠΊ ΡΡΡΡ ΡΠΏΠ°Π΄Π°ΡΡ. ΠΡΠΈΠΌΠ΅ΡΠ°ΡΠ΅Π»ΡΠ½ΠΎΠΉ ΠΎΡΠΎΠ±Π΅Π½Π½ΠΎΡΡΡΡ ΡΡΠ±Π΅ΡΠΊΡΠ»Π΅Π·Π° Ρ Π²Π·ΡΠΎΡΠ»ΡΡ ΡΠ²Π»ΡΠ΅ΡΡΡ ΡΠΎ, ΡΡΠΎ ΡΠ΅ΠΌΠΏΠ΅ΡΠ°ΡΡΡΠ° ΡΠ΅Π»Π° ΠΎΡΡΠ°Π΅ΡΡΡ ΠΏΠΎΠ²ΡΡΠ΅Π½Π½ΠΎΠΉ, Π½Π΅ΡΠΌΠΎΡΡΡ Π½Π° ΠΎΠ±ΠΈΠ»ΡΠ½ΡΡ ΠΏΠΎΡΠ»ΠΈΠ²ΠΎΡΡΡ. ΠΠ° ΠΏΠΎΠ·Π΄Π½ΠΈΡ ΡΡΠ°Π΄ΠΈΡΡ Π·Π°Π±ΠΎΠ»Π΅Π²Π°Π½ΠΈΡ ΠΏΠΎΠΊΠ°Π·Π°ΡΠ΅Π»ΠΈ ΡΠ΅ΡΠΌΠΎΠΌΠ΅ΡΡΠ° Π΄ΠΎΡΡΠΈΠ³Π°ΡΡ 39 ΠΈ Π²ΡΡΠ΅ Π³ΡΠ°Π΄ΡΡΠΎΠ².
- ΠΠ°ΡΠ΅Π»Ρ β Π±Π΅ΡΠΏΠΎΠΊΠΎΠΈΡ Π±ΠΎΠ»ΡΠ½ΠΎΠ³ΠΎ ΠΏΠΎΡΡΠΎΡΠ½Π½ΠΎ. ΠΠ° Π½Π°ΡΠ°Π»ΡΠ½ΠΎΠΉ ΡΡΠ°Π΄ΠΈΠΈ ΡΠ°Π·Π²ΠΈΡΠΈΡ ΡΡΠ±Π΅ΡΠΊΡΠ»Π΅Π·Π° ΠΊΠ°ΡΠ΅Π»Ρ ΡΡΡ ΠΎΠΉ, ΠΌΠ°Π»ΠΎΠΏΡΠΎΠ΄ΡΠΊΡΠΈΠ²Π½ΡΠΉ, Π½Π΅ΠΏΠΎΡΡΠΎΡΠ½Π½ΡΠΉ. ΠΠΎ ΠΌΠ΅ΡΠ΅ ΠΏΡΠΎΠ³ΡΠ΅ΡΡΠΈΡΠΎΠ²Π°Π½ΠΈΡ ΠΏΠ°ΡΠΎΠ»ΠΎΠ³ΠΈΡΠ΅ΡΠΊΠΎΠ³ΠΎ ΠΏΡΠΎΡΠ΅ΡΡΠ° ΠΈ ΠΎΠ±ΡΠ°Π·ΠΎΠ²Π°Π½ΠΈΡ Π² Π»Π΅Π³ΠΊΠΈΡ ΠΊΠ°Π²Π΅ΡΠ½, ΠΊΠ°ΡΠ΅Π»Ρ ΡΡΠΈΠ»ΠΈΠ²Π°Π΅ΡΡΡ, Π²ΠΎ Π²ΡΠ΅ΠΌΡ ΠΏΡΠΈΡΡΡΠΏΠ° Ρ Π±ΠΎΠ»ΡΠ½ΠΎΠ³ΠΎ ΠΎΡΠ΄Π΅Π»ΡΠ΅ΡΡΡ ΠΌΠΎΠΊΡΠΎΡΠ° Π² Π±ΠΎΠ»ΡΡΠΎΠΌ ΠΊΠΎΠ»ΠΈΡΠ΅ΡΡΠ²Π΅, ΠΈΠ½ΠΎΠ³Π΄Π° Π² Π½Π΅ΠΉ ΠΌΠΎΠ³ΡΡ ΡΠΎΠ΄Π΅ΡΠΆΠ°ΡΡΡΡ ΠΏΡΠΎΠΆΠΈΠ»ΠΊΠΈ ΠΊΡΠΎΠ²ΠΈ.
- ΠΡΡ Π°ΡΠΊΠΈΠ²Π°Π½ΠΈΠ΅ ΠΊΡΠΎΠ²ΠΈ β Π½Π°Π»ΠΈΡΠΈΠ΅ ΠΊΡΠΎΠ²ΠΈ Π² ΠΌΠΎΠΊΡΠΎΡΠ΅ ΡΠΊΠ°Π·ΡΠ²Π°Π΅Ρ Π½Π° ΡΠΎ, ΡΡΠΎ Π·Π°Π±ΠΎΠ»Π΅Π²Π°Π½ΠΈΠ΅ ΠΏΠ΅ΡΠ΅ΡΠ»ΠΎ Π² ΠΈΠ½ΡΠΈΠ»ΡΡΡΠ°ΡΠΈΠ²Π½ΡΡ ΡΠΎΡΠΌΡ. Π ΡΡΠΎΠΌ ΡΠ»ΡΡΠ°Π΅ ΠΎΠ±ΡΠ·Π°ΡΠ΅Π»ΡΠ½ΠΎ Π½ΡΠΆΠ½ΠΎ Π΄ΠΈΡΡΠ΅ΡΠ΅Π½ΡΠΈΡΠΎΠ²Π°ΡΡ ΡΡΠ±Π΅ΡΠΊΡΠ»Π΅Π· ΠΎΡ ΡΠ°ΠΊΠ° Π»Π΅Π³ΠΊΠΎΠ³ΠΎ ΠΈΠ»ΠΈ ΠΎΡΡΡΠΎΠΉ ΡΠ΅ΡΠ΄Π΅ΡΠ½ΠΎΠΉ Π½Π΅Π΄ΠΎΡΡΠ°ΡΠΎΡΠ½ΠΎΡΡΠΈ. ΠΡΠΈ ΠΎΡΠ΄Π΅Π»Π΅Π½ΠΈΠΈ ΠΊΡΠΎΠ²ΠΈ ΡΠΎΠ½ΡΠ°Π½ΠΎΠΌ Π±ΠΎΠ»ΡΠ½ΠΎΠΌΡ ΡΡΠ΅Π±ΡΠ΅ΡΡΡ ΡΡΠΎΡΠ½ΠΎΠ΅ ΠΎΠΏΠ΅ΡΠ°ΡΠΈΠ²Π½ΠΎΠ΅ Π²ΠΌΠ΅ΡΠ°ΡΠ΅Π»ΡΡΡΠ²ΠΎ, ΡΠ°ΠΊ ΠΊΠ°ΠΊ Π΄Π°Π½Π½ΡΠΉ ΠΏΡΠΈΠ·Π½Π°ΠΊ ΡΠΊΠ°Π·ΡΠ²Π°Π΅Ρ Π½Π° ΡΠ°Π·ΡΡΠ² ΠΊΠ°Π²Π΅ΡΠ½Ρ.
- ΠΠΎΠ»ΠΈ Π² Π³ΡΡΠ΄Π½ΠΎΠΉ ΠΊΠ»Π΅ΡΠΊΠ΅ β Π΄Π»Ρ ΡΡΠ±Π΅ΡΠΊΡΠ»Π΅Π·Π° ΠΎΡΡΡΠΎΠΉ ΠΈ Ρ ΡΠΎΠ½ΠΈΡΠ΅ΡΠΊΠΎΠΉ ΡΠΎΡΠΌΡ ΡΠ΅ΡΠ΅Π½ΠΈΡ Ρ Π°ΡΠ°ΠΊΡΠ΅ΡΠ½ΠΎ ΠΏΠΎΡΠ²Π»Π΅Π½ΠΈΠ΅ Π±ΠΎΠ»Π΅ΠΉ ΠΌΠ΅ΠΆΠ΄Ρ Π»ΠΎΠΏΠ°ΡΠΊΠ°ΠΌΠΈ, ΠΊΠΎΡΠΎΡΡΠ΅ ΡΡΠΈΠ»ΠΈΠ²Π°ΡΡΡΡ ΠΏΡΠΈ Π³Π»ΡΠ±ΠΎΠΊΠΎΠΌ Π²Π΄ΠΎΡ Π΅.
ΠΠ°ΠΆΠ½ΠΎ! ΠΡΠ»ΠΈ ΠΏΠΎΡΠ»Π΅ ΠΏΠ΅ΡΠ΅Π½Π΅ΡΠ΅Π½Π½ΠΎΠ³ΠΎ ΠΠ ΠΠ ΠΏΠΎΠ²ΡΡΠ΅Π½Π½Π°Ρ ΡΠ΅ΠΌΠΏΠ΅ΡΠ°ΡΡΡΠ° ΡΠ΅Π»Π° ΠΈ ΠΊΠ°ΡΠ΅Π»Ρ ΡΠΎΡ ΡΠ°Π½ΡΡΡΡΡ Π½Π° ΠΏΡΠΎΡΡΠΆΠ΅Π½ΠΈΠΈ 3 Π½Π΅Π΄Π΅Π»Ρ β ΡΡΠΎ ΡΠ²Π»ΡΠ΅ΡΡΡ ΠΏΠΎΠ²ΠΎΠ΄ΠΎΠΌ Π΄Π»Ρ Π½Π΅ΠΌΠ΅Π΄Π»Π΅Π½Π½ΠΎΠ³ΠΎ ΠΎΠ±ΡΠ°ΡΠ΅Π½ΠΈΡ ΠΊ Π²ΡΠ°ΡΡ, ΡΠ°ΠΊ ΠΊΠ°ΠΊ ΠΌΠΎΠΆΠ΅Ρ ΡΠΊΠ°Π·ΡΠ²Π°ΡΡ Π½Π° ΡΡΠ±Π΅ΡΠΊΡΠ»Π΅Π·.
ΠΠ΅ΡΠΎΠ΄Ρ Π΄ΠΈΠ°Π³Π½ΠΎΡΡΠΈΠΊΠΈ Π·Π°Π±ΠΎΠ»Π΅Π²Π°Π½ΠΈΡ
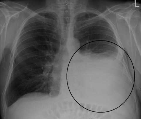
ΠΠ»Ρ Π²ΡΡΠ²Π»Π΅Π½ΠΈΡ ΠΎΡΠ°Π³Π° ΡΡΠ±Π΅ΡΠΊΡΠ»Π΅Π·Π° Π² Π»Π΅Π³ΠΊΠΈΡ Π±ΠΎΠ»ΡΠ½ΠΎΠΌΡ ΡΡΠ΅Π±ΡΠ΅ΡΡΡ ΠΏΡΠΎΠ²Π΅Π΄Π΅Π½ΠΈΠ΅ ΡΠ΅Π½ΡΠ³Π΅Π½ΠΎΠ³ΡΠ°ΡΠΈΠΈ ΠΎΡΠ³Π°Π½ΠΎΠ² Π³ΡΡΠ΄Π½ΠΎΠΉ ΠΊΠ»Π΅ΡΠΊΠΈ ΠΈΠ»ΠΈ ΠΊΠΎΠΌΠΏΡΡΡΠ΅ΡΠ½ΠΎΠΉ ΡΠΎΠΌΠΎΠ³ΡΠ°ΡΠΈΠΈ. ΠΡΠ»ΠΈ Π·Π°Π±ΠΎΠ»Π΅Π²Π°Π½ΠΈΠ΅ ΡΠΎΠΏΡΠΎΠ²ΠΎΠΆΠ΄Π°Π΅ΡΡΡ ΠΏΡΠΎΠ΄ΡΠΊΡΠΈΠ²Π½ΡΠΌ Π²Π»Π°ΠΆΠ½ΡΠΌ ΠΊΠ°ΡΠ»Π΅ΠΌ, ΡΠΎ Π΄Π»Ρ ΠΈΡΡΠ»Π΅Π΄ΠΎΠ²Π°Π½ΠΈΡ Π±Π΅ΡΡΡ ΠΎΠ±ΡΠ°Π·Π΅Ρ ΠΌΠΎΠΊΡΠΎΡΡ, ΠΊΠΎΡΠΎΡΡΡ Π±ΠΎΠ»ΡΠ½ΠΎΠΉ Π΄ΠΎΠ»ΠΆΠ΅Π½ ΡΠΎΠ±ΠΈΡΠ°ΡΡ Π² ΡΡΠ΅ΡΠΈΠ»ΡΠ½ΡΡ ΠΏΠ»Π΅Π²Π°ΡΠ΅Π»ΡΠ½ΠΈΡΡ. ΠΠ°Π½Π½ΠΎΠ΅ ΠΈΡΡΠ»Π΅Π΄ΠΎΠ²Π°Π½ΠΈΠ΅ ΠΏΠΎΠ·Π²ΠΎΠ»ΡΠ΅Ρ Π²ΡΡΠ΅ΡΡΡ ΠΏΠ°Π»ΠΎΡΠΊΠΈ ΠΠΎΡ Π° ΠΈΠ»ΠΈ Π΄ΡΡΠ³ΠΈΠ΅ ΠΌΠΈΠΊΠΎΠ±Π°ΠΊΡΠ΅ΡΠΈΠΈ Π² ΠΌΠΎΠΊΡΠΎΡΠ΅ ΠΈ ΠΏΠΎΠ΄ΠΎΠ±ΡΠ°ΡΡ Π±ΠΎΠ»ΡΠ½ΠΎΠΌΡ Π°Π½ΡΠΈΠ±ΠΈΠΎΡΠΈΠΊ, ΠΊ ΠΊΠΎΡΠΎΡΠΎΠΌΡ ΡΡΠ²ΡΡΠ²ΠΈΡΠ΅Π»ΡΠ½ΡΠΉ Π²ΠΎΠ·Π±ΡΠ΄ΠΈΡΠ΅Π»Ρ.
Π Π½Π΅ΠΊΠΎΡΠΎΡΡΡ ΡΠ»ΡΡΠ°ΡΡ Π±ΠΎΠ»ΡΠ½ΠΎΠΌΡ ΡΡΠ΅Π±ΡΠ΅ΡΡΡ ΠΏΡΠΎΠ²Π΅Π΄Π΅Π½ΠΈΠ΅ Π±ΡΠΎΠ½Ρ ΠΎΡΠΊΠΎΠΏΠΈΠΈ. ΠΡΠ»ΠΈ Π΅ΡΡΡ ΠΏΠΎΠ΄ΠΎΠ·ΡΠ΅Π½ΠΈΠ΅ Π½Π° Π½Π΅ Π»Π΅Π³ΠΎΡΠ½ΡΡ ΡΠΎΡΠΌΡ ΡΡΠ±Π΅ΡΠΊΡΠ»Π΅Π·Π°, ΡΠΎ ΠΏΡΠΎΠ²ΠΎΠ΄ΠΈΡΡΡ ΠΈΡΡΠ»Π΅Π΄ΠΎΠ²Π°Π½ΠΈΠ΅ ΡΡΠΈΡ ΠΎΡΠ³Π°Π½ΠΎΠ².
ΠΠ΅ΡΠ΅Π½ΠΈΠ΅ ΡΡΠ±Π΅ΡΠΊΡΠ»Π΅Π·Π° Ρ Π²Π·ΡΠΎΡΠ»ΡΡ
ΠΡΠ½ΠΎΠ²ΠΎΠΉ Π»Π΅ΡΠ΅Π½ΠΈΡ ΡΡΠ±Π΅ΡΠΊΡΠ»Π΅Π·Π° ΡΠ²Π»ΡΠ΅ΡΡΡ ΠΏΡΠΎΡΠΈΠ²ΠΎΡΡΠ±Π΅ΡΠΊΡΠ»Π΅Π·Π½Π°Ρ Ρ ΠΈΠΌΠΈΠΎΡΠ΅ΡΠ°ΠΏΠΈΡ, ΠΊΠΎΡΠΎΡΠ°Ρ ΠΏΡΠΎΠ²ΠΎΠ΄ΠΈΡΡΡ ΠΏΠΎ Π½Π΅ΡΠΊΠΎΠ»ΡΠΊΠΈΠΌ ΡΡ Π΅ΠΌΠ°ΠΌ.
|
Π‘Ρ Π΅ΠΌΠ° Π»Π΅ΡΠ΅Π½ΠΈΡ |
ΠΠ°ΠΊΠΈΠ΅ ΠΏΡΠ΅ΠΏΠ°ΡΠ°ΡΡ Π½Π°Π·Π½Π°ΡΠ°ΡΡ? |
|
Π’ΡΠ΅Ρ ΠΊΠΎΠΌΠΏΠΎΠ½Π΅Π½ΡΠ½Π°Ρ |
ΠΠ·ΠΎΠ½ΠΈΠ°Π·ΠΈΠ΄+Π‘ΡΡΠ΅ΠΏΡΠΎΠΌΠΈΡΠΈΠ½+ΠΠ°ΡΠ°Π°ΠΌΠΈΠ½ΠΎΡΠ°Π»ΠΈΡΠΈΠ»ΠΎΠ²Π°Ρ ΠΊΠΈΡΠ»ΠΎΡΠ° (ΠΠΠ‘Π). ΠΠ°Π½Π½Π°Ρ ΡΡ Π΅ΠΌΠ° Π»Π΅ΡΠ΅Π½ΠΈΡ Π² Π½Π°ΡΡΠΎΡΡΠ΅Π΅ Π²ΡΠ΅ΠΌΡ Π½Π΅ ΠΏΡΠΈΠΌΠ΅Π½ΡΠ΅ΡΡΡ, ΡΠ°ΠΊ ΠΊΠ°ΠΊ ΠΠΠ‘Π ΡΠ»ΠΈΡΠΊΠΎΠΌ ΡΠΎΠΊΡΠΈΡΠ½Π°Ρ, Π° Π‘ΡΡΠ΅ΠΏΡΠΎΠΌΠΈΡΠΈΠ½ Π½Π΅Π»ΡΠ·Ρ ΠΏΡΠΈΠ½ΠΈΠΌΠ°ΡΡ Π΄Π»ΠΈΡΠ΅Π»ΡΠ½ΠΎ |
|
Π§Π΅ΡΡΡΠ΅Ρ ΠΊΠΎΠΌΠΏΠΎΠ½Π΅Π½ΡΠ½Π°Ρ |
ΠΠ·ΠΎΠ½ΠΈΠ°Π·ΠΈΠ΄+Π ΠΈΡΠ°ΠΌΠΏΠΈΡΠΈΠ½+ΠΡΠ°ΠΌΠ±ΡΡΠΎΠ»+ΠΠΈΡΠ°Π·ΠΈΠ½Π°ΠΌΠΈΠ΄ |
|
ΠΡΡΠΈΠΊΠΎΠΌΠΏΠΎΠ½Π΅Π½ΡΠ½Π°Ρ |
ΠΠ·ΠΎΠ½ΠΈΠ°Π·ΠΈΠ΄+Π ΠΈΡΠ°ΠΌΠΏΠΈΡΠΈΠ½+ΠΡΠ°ΠΌΠ±ΡΡΠΎΠ»+ΠΠΈΡΠ°Π·ΠΈΠ½Π°ΠΌΠΈΠ΄+Π¦ΠΈΠΏΡΠΎΡΠ»ΠΎΠΊΡΠ°ΡΠΈΠ½ |
ΠΡΠΈ Π½Π΅ ΡΡΡΠ΅ΠΊΡΠΈΠ²Π½ΠΎΡΡΠΈ 4-Π΅Ρ ΠΈ 5-ΡΠΈ ΠΊΠΎΠΌΠΏΠΎΠ½Π΅Π½ΡΠ½ΡΡ ΡΡ Π΅ΠΌ Π»Π΅ΡΠ΅Π½ΠΈΡ ΠΈΠ»ΠΈ ΠΈΡ Π½Π΅Π΄ΠΎΡΡΠ°ΡΠΎΡΠ½ΠΎΠΉ ΡΡΡΠ΅ΠΊΡΠΈΠ²Π½ΠΎΡΡΠΈ Π±ΠΎΠ»ΡΠ½ΠΎΠΌΡ Π½Π°Π·Π½Π°ΡΠ°ΡΡ Ρ ΠΈΠΌΠΈΠΎΡΠ΅ΡΠ°ΠΏΠ΅Π²ΡΠΈΡΠ΅ΡΠΊΠΈΠ΅ ΠΏΡΠ΅ΠΏΠ°ΡΠ°ΡΡ ΡΠ΅Π·Π΅ΡΠ²Π½ΠΎΠΉ Π»ΠΈΠ½ΠΈΠΈ β Π¦ΠΈΠΊΠ»ΠΎΡΠ΅ΡΠΈΠ½, ΠΠ°ΠΏΡΠ΅ΠΎΠΌΠΈΡΠΈΠ½. ΠΠ½ΠΈ Π΄ΠΎΡΡΠ°ΡΠΎΡΠ½ΠΎ ΡΠΎΠΊΡΠΈΡΠ½Ρ Π΄Π»Ρ ΠΎΡΠ³Π°Π½ΠΈΠ·ΠΌΠ° ΡΠ΅Π»ΠΎΠ²Π΅ΠΊΠ° ΠΈ ΠΈΠΌΠ΅ΡΡ ΠΌΠ½ΠΎΠΆΠ΅ΡΡΠ²ΠΎ ΠΏΠΎΠ±ΠΎΡΠ½ΡΡ ΡΡΡΠ΅ΠΊΡΠΎΠ².
ΠΡΠΈ ΡΠ΅ΡΠ΅Π½ΠΈΠΈ ΡΡΠ±Π΅ΡΠΊΡΠ»Π΅Π·Π° Ρ ΠΎΡΠ»ΠΎΠΆΠ½Π΅Π½ΠΈΡΠΌΠΈ Π±ΠΎΠ»ΡΠ½ΠΎΠΌΡ ΠΈΠ½ΠΎΠ³Π΄Π° ΠΏΡΠΎΠ²ΠΎΠ΄ΠΈΡΡΡ ΠΎΠΏΠ΅ΡΠ°ΡΠΈΠ²Π½ΠΎΠ΅ Π²ΠΌΠ΅ΡΠ°ΡΠ΅Π»ΡΡΡΠ²ΠΎ, ΠΏΡΠΈ ΠΊΠΎΡΠΎΡΠΎΠΌ Π½Π°ΠΊΠ»Π°Π΄ΡΠ²Π°ΡΡ ΠΈΡΠΊΡΡΡΡΠ²Π΅Π½Π½ΡΠΉ ΠΏΠ½Π΅Π²ΠΌΠΎΡΠΎΡΠ°ΠΊΡ, Π΄ΡΠ΅Π½ΠΈΡΡΡΡ ΠΊΠ°Π²Π΅ΡΠ½Ρ, ΡΠ΄Π°Π»ΡΡΡ ΡΡΠ°Π³ΠΌΠ΅Π½Ρ Π»Π΅Π³ΠΊΠΎΠ³ΠΎ ΠΈΠ»ΠΈ ΡΠ΅Π»ΠΎΠ΅ Π»Π΅Π³ΠΊΠΎΠ΅, Π² Π·Π°Π²ΠΈΡΠΈΠΌΠΎΡΡΠΈ ΠΎΡ ΡΡΠΆΠ΅ΡΡΠΈ ΠΏΠ°ΡΠΎΠ»ΠΎΠ³ΠΈΡΠ΅ΡΠΊΠΎΠ³ΠΎ ΠΏΡΠΎΡΠ΅ΡΡΠ°.
ΠΡΠΏΠΎΠΌΠΎΠ³Π°ΡΠ΅Π»ΡΠ½Π°Ρ ΡΠ΅ΡΠ°ΠΏΠΈΡ
Π ΡΡΠΆΠ΅Π»ΡΡ ΡΠ»ΡΡΠ°ΡΡ Π±ΠΎΠ»ΡΠ½ΠΎΠΌΡ ΠΌΠΎΠ³ΡΡ Π½Π°Π·Π½Π°ΡΠ°ΡΡ Π½Π΅ΠΏΡΠΎΠ΄ΠΎΠ»ΠΆΠΈΡΠ΅Π»ΡΠ½ΡΠΉ ΠΊΡΡΡ Π³Π»ΡΠΊΠΎΠΊΠΎΡΡΠΈΠΊΠΎΡΡΠ΅ΡΠΎΠΈΠ΄ΠΎΠ². ΠΠ»Π°Π²Π½ΡΠΌΠΈ ΠΏΠΎΠΊΠ°Π·Π°Π½ΠΈΡΠΌΠΈ ΠΊ ΡΠ°ΠΊΠΎΠΉ ΡΠ΅ΡΠ°ΠΏΠΈΠΈ ΡΠ²Π»ΡΡΡΡΡ Π²ΡΡΠ°ΠΆΠ΅Π½Π½Π°Ρ ΠΈΠ½ΡΠΎΠΊΡΠΈΠΊΠ°ΡΠΈΡ ΠΎΡΠ³Π°Π½ΠΈΠ·ΠΌΠ° ΠΈ ΡΠΈΠ»ΡΠ½ΡΠΉ Π²ΠΎΡΠΏΠ°Π»ΠΈΡΠ΅Π»ΡΠ½ΡΠΉ ΠΏΡΠΎΡΠ΅ΡΡ. ΠΡΠ΅ΠΏΠ°ΡΠ°ΡΡ Π½Π°Π·Π½Π°ΡΠ°ΡΡ Π² ΠΌΠΈΠ½ΠΈΠΌΠ°Π»ΡΠ½ΠΎΠΉ Π΄ΠΎΠ·ΠΈΡΠΎΠ²ΠΊΠ΅, ΠΊΠ°ΠΊ ΠΏΡΠ°Π²ΠΈΠ»ΠΎ, Π½Π΅ Π΄ΠΎΠ»ΡΡΠ΅ 3 Π»Π΅Ρ ΠΈΠ·-Π·Π° ΠΈΡ ΠΈΠΌΠΌΡΠ½ΠΎΡΡΠΏΡΠ΅ΡΡΠΈΠ²Π½ΠΎΠ³ΠΎ Π΄Π΅ΠΉΡΡΠ²ΠΈΡ.
ΠΠΈΠ΅ΡΠ°
Π‘ΠΏΠ΅ΡΠΈΠ°Π»ΡΠ½ΠΎΠ΅ Π΄ΠΈΠ΅ΡΠΈΡΠ΅ΡΠΊΠΎΠ΅ ΠΏΠΈΡΠ°Π½ΠΈΠ΅ ΠΈΠ³ΡΠ°Π΅Ρ Π΅Π΄Π²Π° Π»ΠΈ Π½Π΅ Π³Π»Π°Π²Π½ΡΡ ΡΠΎΠ»Ρ Π² Π±Π»Π°Π³ΠΎΠΏΠΎΠ»ΡΡΠ½ΠΎΠΌ Π»Π΅ΡΠ΅Π½ΠΈΠΈ ΡΡΠ±Π΅ΡΠΊΡΠ»Π΅Π·Π°. Π’Π°ΠΊ ΠΊΠ°ΠΊ ΠΎΡΠ³Π°Π½ΠΈΠ·ΠΌ ΠΈΡΡΠΎΡΠ΅Π½ Π±ΠΎΠ»Π΅Π·Π½ΡΡ ΠΈ Π΄ΠΎΠΏΠΎΠ»Π½ΠΈΡΠ΅Π»ΡΠ½ΠΎ ΠΏΠΎΠ»ΡΡΠ°Π΅Ρ Π½Π°Π³ΡΡΠ·ΠΊΡ Π² Π²ΠΈΠ΄Π΅ ΡΠΎΠΊΡΠΈΡΠ½ΡΡ Π»Π΅ΠΊΠ°ΡΡΡΠ²Π΅Π½Π½ΡΡ ΠΏΡΠ΅ΠΏΠ°ΡΠ°ΡΠΎΠ², Π΅ΠΌΡ ΡΡΠ΅Π±ΡΠ΅ΡΡΡ Π²ΠΈΡΠ°ΠΌΠΈΠ½ΠΈΠ·ΠΈΡΠΎΠ²Π°Π½Π½ΠΎΠ΅ ΡΡΠΈΠ»Π΅Π½Π½ΠΎΠ΅ ΠΏΠΈΡΠ°Π½ΠΈΠ΅. Π ΡΠ°ΡΠΈΠΎΠ½ Π±ΠΎΠ»ΡΠ½ΠΎΠ³ΠΎ Π΄ΠΎΠ»ΠΆΠ½Ρ Π²Ρ ΠΎΠ΄ΠΈΡΡ: ΠΌΡΡΠΎ ΠΏΡΠΈΡΡ, Π³ΠΎΠ²ΡΠ΄ΠΈΠ½Π°, ΠΊΡΡΠΏΡ, ΠΎΠ²ΠΎΡΠΈ, ΡΡΡΠΊΡΡ, Π·Π΅Π»Π΅Π½Ρ, ΠΎΡΠ΅Ρ ΠΈ, ΠΌΠ΅Π΄, ΡΡΠ±Π°, ΡΠ»ΠΈΠ²ΠΎΡΠ½ΠΎΠ΅ ΠΈ ΡΠ°ΡΡΠΈΡΠ΅Π»ΡΠ½ΠΎΠ΅ ΠΌΠ°ΡΠ»ΠΎ, ΠΌΠ°ΠΊΠ°ΡΠΎΠ½Π½ΡΠ΅ ΠΈΠ·Π΄Π΅Π»ΠΈΡ, ΠΈΠΊΡΠ°. ΠΠΈΡΠ°Π½ΠΈΠ΅ Π½Π°ΠΏΡΠ°Π²Π»Π΅Π½ΠΎ Π½Π° ΠΊΠΎΡΡΠ΅ΠΊΡΠΈΡ Π³ΠΈΠΏΠΎΠ²ΠΈΡΠ°ΠΌΠΈΠ½ΠΎΠ·Π°, Π°Π½Π΅ΠΌΠΈΠΈ ΠΈ Π΄ΡΡΠ³ΠΈΡ Π½Π°ΡΡΡΠ΅Π½ΠΈΠΉ, Π²ΡΠ·Π²Π°Π½Π½ΡΡ ΠΏΡΠΎΠ³ΡΠ΅ΡΡΠΈΠ΅ΠΉ Π·Π°Π±ΠΎΠ»Π΅Π²Π°Π½ΠΈΡ. ΠΠΎΠ»ΡΠ½ΠΎΠΌΡ ΠΏΠΎΠΊΠ°Π·Π°Π½ΠΎ 6-ΡΠΈ ΡΠ°Π·ΠΎΠ²ΠΎΠ΅ ΠΏΠΈΡΠ°Π½ΠΈΠ΅, ΠΏΡΠΈΡ ΠΎΡΠΌΠΎΡΠΈΠΎΠ½Π°Π»ΡΠ½ΡΠΉ ΠΏΠΎΠΊΠΎΠΉ, Π±Π»Π°Π³ΠΎΠΏΡΠΈΡΡΠ½Π°Ρ ΠΎΠ±ΡΡΠ°Π½ΠΎΠ²ΠΊΠ° ΠΈ ΠΏΡΠΎΠ³ΡΠ»ΠΊΠΈ Π½Π° ΡΠ²Π΅ΠΆΠ΅ΠΌ Π²ΠΎΠ·Π΄ΡΡ Π΅.
Π ΡΠ°Π·Π΅ ΡΠ΅ΠΌΠΈΡΡΠΈΠΈ Π±ΠΎΠ»ΡΠ½ΠΎΠΌΡ ΡΠ΅ΠΊΠΎΠΌΠ΅Π½Π΄ΡΠ΅ΡΡΡ ΡΠ°Π½Π°ΡΠΎΡΠ½ΠΎ-ΠΊΡΡΠΎΡΡΠ½ΠΎΠ΅ Π»Π΅ΡΠ΅Π½ΠΈΠ΅, Π³Π΄Π΅ Π΅ΠΌΡ ΠΏΡΠΎΠ²ΠΎΠ΄ΡΡ ΠΎΠΊΡΠΈΠ³Π΅Π½ΠΎΡΠ΅ΡΠ°ΠΏΠΈΡ ΠΈ ΡΠ°Π·Π»ΠΈΡΠ½ΡΠ΅ ΠΎΠ·Π΄ΠΎΡΠΎΠ²ΠΈΡΠ΅Π»ΡΠ½ΡΠ΅ ΠΏΡΠΎΡΠ΅Π΄ΡΡΡ. Π Π½Π΅ΠΊΠΎΡΠΎΡΡΡ ΡΠ»ΡΡΠ°ΡΡ ΠΏΡΠΈΠΌΠ΅Π½ΡΡΡ Π³ΠΈΠΏΠ΅ΡΠ±Π°ΡΠΈΡΠ΅ΡΠΊΡΡ ΠΎΠΊΡΠΈΠ³Π΅Π½Π°ΡΠΈΡ β ΠΏΠΎΠΌΠ΅ΡΠ΅Π½ΠΈΠ΅ ΡΠ΅Π»ΠΎΠ²Π΅ΠΊΠ° Π² Π±Π°ΡΠΎΠΊΠ°ΠΌΠ΅ΡΡ Π΄Π»Ρ Π½Π°ΡΡΡΠ΅Π½ΠΈΡ ΠΎΡΠ³Π°Π½ΠΎΠ² ΠΈ ΡΠΊΠ°Π½Π΅ΠΉ ΠΊΠΈΡΠ»ΠΎΡΠΎΠ΄ΠΎΠΌ, ΡΡΠΎ ΡΠΏΠΎΡΠΎΠ±ΡΡΠ²ΡΠ΅Ρ ΡΠΌΠ΅Π½ΡΡΠ΅Π½ΠΈΡ ΡΠΎΡΡΠ° ΠΈ ΡΠ°Π·ΠΌΠ½ΠΎΠΆΠ΅Π½ΠΈΡ ΠΌΠΈΠΊΠΎΠ±Π°ΠΊΡΠ΅ΡΠΈΠΉ ΡΡΠ±Π΅ΡΠΊΡΠ»Π΅Π·Π°.
ΠΠΎΠ·ΠΌΠΎΠΆΠ½ΡΠ΅ ΠΎΡΠ»ΠΎΠΆΠ½Π΅Π½ΠΈΡ
Π‘Π°ΠΌΡΠΌΠΈ ΡΠ°ΡΠΏΡΠΎΡΡΡΠ°Π½Π΅Π½Π½ΡΠΌΠΈ ΠΎΡΠ»ΠΎΠΆΠ½Π΅Π½ΠΈΡΠΌΠΈ ΡΡΠ±Π΅ΡΠΊΡΠ»Π΅Π·Π° ΡΠ²Π»ΡΡΡΡΡ:
- Π»Π΅Π³ΠΎΡΠ½ΠΎΠ΅ ΠΊΡΠΎΠ²ΠΎΡΠ΅ΡΠ΅Π½ΠΈΠ΅;
- ΠΊΡΠΎΠ²ΠΎΡ Π°ΡΠΊΠ°Π½ΡΠ΅;
- Π°ΡΠ΅Π»Π΅ΠΊΡΠ°Π·;
- ΡΠΏΠΎΠ½ΡΠ°Π½Π½ΡΠΉ ΠΏΠ½Π΅Π²ΠΌΠΎΡΠΎΡΠ°ΠΊΡ;
- ΠΏΠΎΡΠ΅ΡΠ½Π°Ρ ΠΈ ΡΠ΅ΡΠ΄Π΅ΡΠ½Π°Ρ Π½Π΅Π΄ΠΎΡΡΠ°ΡΠΎΡΠ½ΠΎΡΡΡ;
- ΡΠΎΡΠ°ΠΊΠ°Π»ΡΠ½ΡΠ΅ ΡΠ²ΠΈΡΠΈ;
- Π°ΠΌΠΈΠ»ΠΎΠΈΠ΄ΠΎΠ·.
ΠΡΠΎΡΠΈΠ»Π°ΠΊΡΠΈΠΊΠ° ΡΡΠ±Π΅ΡΠΊΡΠ»Π΅Π·Π° Ρ Π²Π·ΡΠΎΡΠ»ΡΡ
Π‘ΠΏΠ΅ΡΠΈΡΠΈΡΠ΅ΡΠΊΠΎΠΉ ΠΏΡΠΎΡΠΈΠ»Π°ΠΊΡΠΈΠΊΠΎΠΉ ΡΡΠ±Π΅ΡΠΊΡΠ»Π΅Π·Π° Ρ Π²Π·ΡΠΎΡΠ»ΡΡ ΡΠ²Π»ΡΠ΅ΡΡΡ Π²Π°ΠΊΡΠΈΠ½Π° ΠΠ¦Π. Π§Π΅Π»ΠΎΠ²Π΅ΠΊΠ° ΠΏΡΠΈΠ²ΠΈΠ²Π°ΡΡ ΡΠΎΠ³Π»Π°ΡΠ½ΠΎ ΠΊΠ°Π»Π΅Π½Π΄Π°ΡΡ ΠΏΡΠΈΠ²ΠΈΠ²ΠΎΠΊ Π½Π° 3 ΡΡΡΠΊΠΈ ΠΏΠΎΡΠ»Π΅ ΡΠΎΠΆΠ΄Π΅Π½ΠΈΡ, Π° Π΄Π°Π»Π΅Π΅ Π² 7 ΠΈ 14 Π»Π΅Ρ ΠΏΡΠΎΠ²ΠΎΠ΄ΡΡ ΡΠ΅Π²Π°ΠΊΡΠΈΠ½Π°ΡΠΈΡ ΠΏΡΠΈ ΠΎΡΡΡΡΡΡΠ²ΠΈΠΈ ΠΏΡΠΎΡΠΈΠ²ΠΎΠΏΠΎΠΊΠ°Π·Π°Π½ΠΈΠΉ.
ΠΠ·ΡΠΎΡΠ»ΡΠΌ Π»ΡΠ΄ΡΠΌ Π½Π΅ ΠΌΠ΅Π½Π΅Π΅ 1 ΡΠ°Π·Π° Π² Π³ΠΎΠ΄ ΡΠ»Π΅Π΄ΡΠ΅Ρ ΠΏΡΠΎΡ ΠΎΠ΄ΠΈΡΡ ΡΠ»ΡΠΎΡΠΎΠ³ΡΠ°ΡΠΈΡ ΠΎΡΠ³Π°Π½ΠΎΠ² Π³ΡΡΠ΄Π½ΠΎΠΉ ΠΊΠ»Π΅ΡΠΊΠΈ β ΡΡΠΎ ΠΏΠΎΠΌΠΎΠΆΠ΅Ρ Π²ΡΡΠ²ΠΈΡΡ ΡΡΠ±Π΅ΡΠΊΡΠ»Π΅Π· Π½Π° ΡΠ°Π½Π½ΠΈΡ ΡΡΠ°Π΄ΠΈΡΡ ΠΈ Π²ΠΎΠ²ΡΠ΅ΠΌΡ Π½Π°ΡΠ°ΡΡ Π»Π΅ΡΠ΅Π½ΠΈΠ΅. ΠΠΎ ΠΈΠ·Π±Π΅ΠΆΠ°Π½ΠΈΠ΅ ΠΈΠ½ΡΠΈΡΠΈΡΠΎΠ²Π°Π½ΠΈΡ ΠΌΠΈΠΊΠΎΠ±Π°ΠΊΡΠ΅ΡΠΈΡΠΌΠΈ ΡΡΠ±Π΅ΡΠΊΡΠ»Π΅Π·Π° Π²Π·ΡΠΎΡΠ»ΡΡ ΡΠ»Π΅Π΄ΡΠ΅Ρ ΡΠΊΡΠ΅ΠΏΠ»ΡΡΡ ΠΈΠΌΠΌΡΠ½ΠΈΡΠ΅Ρ, ΡΠ±Π°Π»Π°Π½ΡΠΈΡΠΎΠ²Π°Π½ΠΎ ΠΏΠΈΡΠ°ΡΡΡΡ, Π²ΠΎΠ²ΡΠ΅ΠΌΡ Π»Π΅ΡΠΈΡΡ Π·Π°Π±ΠΎΠ»Π΅Π²Π°Π½ΠΈΡ Π΄ΡΡ Π°ΡΠ΅Π»ΡΠ½ΡΡ ΠΏΡΡΠ΅ΠΉ.
bezboleznej.ru
ΠΏΡΠΈΡΠΈΠ½Ρ, ΡΠΈΠΌΠΏΡΠΎΠΌΡ ΠΈ Π»Π΅ΡΠ΅Π½ΠΈΠ΅ Ρ Π²Π·ΡΠΎΡΠ»ΡΡ
Π’ΡΠ±Π΅ΡΠΊΡΠ»Π΅Π· Π»Π΅Π³ΠΊΠΈΡ β ΡΡΠΎ ΠΈΠ½ΡΠ΅ΠΊΡΠΈΠΎΠ½Π½Π°Ρ Π±ΠΎΠ»Π΅Π·Π½Ρ Π»Π΅Π³ΠΊΠΈΡ , ΠΊΠΎΡΠΎΡΠ°Ρ ΠΏΠ΅ΡΠ΅Π΄Π°Π΅ΡΡΡ Π²ΠΎΠ·Π΄ΡΡΠ½ΠΎ-ΠΊΠ°ΠΏΠ΅Π»ΡΠ½ΡΠΌ ΠΏΡΡΠ΅ΠΌ ΠΈ Ρ Π°ΡΠ°ΠΊΡΠ΅ΡΠΈΠ·ΡΠ΅ΡΡΡ Π²ΠΎΡΠΏΠ°Π»ΠΈΡΠ΅Π»ΡΠ½ΡΠΌ ΠΏΡΠΎΡΠ΅ΡΡΠΎΠΌ.
ΠΠΎΠ·Π½ΠΈΠΊΠ°Π΅Ρ Π±ΠΎΠ»Π΅Π·Π½Ρ ΠΈΠ·-Π·Π° ΡΡΠ±Π΅ΡΠΊΡΠ»Π΅Π·Π½ΠΎΠΉ ΠΏΠ°Π»ΠΎΡΠΊΠΈ, ΠΎΠ½Π° ΠΏΡΠΎΠ½ΠΈΠΊΠ°Π΅Ρ ΠΎΡ Π±ΠΎΠ»ΡΠ½ΠΎΠ³ΠΎ ΡΠ΅ΡΠ΅Π· ΠΊΠ°ΡΠ΅Π»Ρ, ΡΠΈΡ Π°Π½ΠΈΠ΅, Π΄ΠΈΠ°Π»ΠΎΠ³.
ΠΠΎ ΠΎΠ±ΡΠ΅ΠΏΡΠΈΠ½ΡΡΡΠΌ Π΄Π°Π½Π½ΡΠΌ Π² ΠΌΠΈΡΠ΅ ΠΈΠΌΠ΅Π΅ΡΡΡ Π² Π½Π°Π»ΠΈΡΠΈΠ΅ ΠΎΠΊΠΎΠ»ΠΎ 2 ΠΌΠ»ΡΠ΄. Π·Π°ΡΠ°ΠΆΠ΅Π½Π½ΠΎΠ³ΠΎ Π½Π°ΡΠ΅Π»Π΅Π½ΠΈΡ. Π ΡΠ΅ΡΠ΅Π½ΠΈΠ΅ Π³ΠΎΠ΄Π° ΠΈΠ· 100 ΡΡΡΡΡ Π·Π°Π±ΠΎΠ»Π΅Π²ΡΠΈΡ ΡΡΠ±Π΅ΡΠΊΡΠ»Π΅Π·ΠΎΠΌ ΡΠΌΠΈΡΠ°ΡΡ ΠΏΡΠΈΠΌΠ΅ΡΠ½ΠΎ 18 ΡΠ΅Π»ΠΎΠ²Π΅ΠΊ.
ΠΠΎ Π΅ΡΠ»ΠΈ ΠΎΡΡΠ°Π»ΠΊΠΈΠ²Π°ΡΡΡΡ ΠΎΡ ΠΎΠ±ΡΠ΅Π³ΠΎ ΡΠΈΡΠ»Π° ΠΈΠ½ΡΠΈΡΠΈΡΠΎΠ²Π°Π½Π½ΡΡ Π² ΠΌΠΈΡΠ΅, ΡΠΎ Π·Π° Π³ΠΎΠ΄ Π»ΠΈΡΠ°ΡΡΡΡ ΠΆΠΈΠ·Π½ΠΈ ΠΎΡ ΡΡΠΎΠ³ΠΎ Π·Π°Π±ΠΎΠ»Π΅Π²Π°Π½ΠΈΡ 25Β 000 ΡΠ΅Π»ΠΎΠ²Π΅ΠΊ. Π ΡΡΠ°ΡΡΡΡ, Π·Π° ΠΏΠΎΡΠ»Π΅Π΄Π½ΠΈΠ΅ Π²ΡΠ΅ΠΌΡ ΠΊΠΎΠ»ΠΈΡΠ΅ΡΡΠ²ΠΎ ΡΠΌΠ΅ΡΡΠ΅ΠΉ ΠΎΡΒ Π΄Π°Π½Π½ΠΎΠ³ΠΎ Π·Π°Π±ΠΎΠ»Π΅Π²Π°Π½ΠΈΡΒ ΡΠ½ΠΈΠ·ΠΈΠ»Π°ΡΡ Π½Π° 50%.
ΠΠ½ΠΊΡΠ±Π°ΡΠΈΠΎΠ½Π½ΡΠΉ ΠΏΠ΅ΡΠΈΠΎΠ΄
ΠΠΎΡΠ»Π΅ ΡΠΎΠ³ΠΎ, ΠΊΠ°ΠΊ ΡΠ΅Π»ΠΎΠ²Π΅ΠΊ Π·Π°ΡΠ°Π·ΠΈΠ»ΡΡ ΠΈΠ½ΡΠ΅ΠΊΡΠΈΠ΅ΠΉ ΠΈ Π΄ΠΎ ΡΠΎΠ³ΠΎ, ΠΏΠΎΠΊΠ° ΠΏΡΠΎΡΠ²ΡΡΡΡ, ΠΊΠ°ΠΊΠΈΠ΅-Π»ΠΈΠ±ΠΎ ΡΠΈΠΌΠΏΡΠΎΠΌΡ, ΠΏΡΠΎΡ ΠΎΠ΄ΠΈΡ Π΄ΠΎΡΡΠΎΠ²Π΅ΡΠ½ΡΠΉ ΠΏΡΠΎΠΌΠ΅ΠΆΡΡΠΎΠΊ Π²ΡΠ΅ΠΌΠ΅Π½ΠΈ. ΠΡΠΎΡ ΠΏΡΠΎΠΌΠ΅ΠΆΡΡΠΎΠΊ Π²ΡΠ΅ΠΌΠ΅Π½ΠΈ Π½Π°Π·ΡΠ²Π°Π΅ΡΡΡ ΠΈΠ½ΠΊΡΠ±Π°ΡΠΈΠΎΠ½Π½ΡΠΌ.
Π£ Π²ΡΠ΅Ρ ΠΎΠ½ Π΄Π»ΠΈΡΡΡ ΡΠ°Π·Π½ΠΎΠ΅ ΠΊΠΎΠ»ΠΈΡΠ΅ΡΡΠ²ΠΎ Π²ΡΠ΅ΠΌΠ΅Π½ΠΈ, Π½Π°ΡΠΈΠ½Π°Ρ ΠΎΡ ΠΊΠ²Π°ΡΡΠ°Π»Π° ΠΈ Π·Π°ΠΊΠ°Π½ΡΠΈΠ²Π°Ρ Π³ΠΎΠ΄ΠΎΠΌ. ΠΠΎΠ³Π΄Π° ΠΈΠ½ΠΊΡΠ±Π°ΡΠΈΠΎΠ½Π½ΡΠΉ ΠΏΠ΅ΡΠΈΠΎΠ΄ Π·Π°ΠΊΠ°Π½ΡΠΈΠ²Π°Π΅ΡΡΡ, Π² ΡΡΠΎΡ ΠΎΡΡΠ΅Π·ΠΎΠΊ Π²ΡΠ΅ΠΌΠ΅Π½ΠΈ ΡΠΈΠΌΠΏΡΠΎΠΌΡ ΡΡΠ±Π΅ΡΠΊΡΠ»Π΅Π·Π° ΠΌΠΎΠΆΠ½ΠΎ ΡΠΏΡΡΠ°ΡΡ Ρ ΠΎΠ±ΡΡΠ½ΠΎΠΉ ΠΠ ΠΠ.
ΠΡΠ»ΠΈ ΠΈΠΌΠΌΡΠ½ΠΈΡΠ΅Ρ Π½Π΅ΠΏΠ»ΠΎΡ ΠΎ Π±ΠΎΡΠ΅ΡΡΡ Ρ Π±Π°ΠΊΡΠ΅ΡΠΈΡΠΌΠΈ, Π²Π»Π΅ΡΠ΅Π²ΡΠΈΠΌΠΈ Π² Π΄ΡΡ Π°ΡΠ΅Π»ΡΠ½ΡΠ΅ ΠΏΡΡΠΈ, ΡΠΎ ΠΎΠ½ΠΈ ΠΏΠΎΠ³ΠΈΠ±Π°ΡΡ ΠΈ Π±ΠΎΠ»Π΅Π·Π½Ρ Π½Π΅ ΠΏΡΠΎΠ³ΡΠ΅ΡΡΠΈΡΡΠ΅Ρ. Π ΠΎΠ±ΡΠ°ΡΠ½ΠΎΠΌ ΡΠ»ΡΡΠ°Π΅, ΠΌΠΈΠΊΠΎΠ±Π°ΠΊΡΠ΅ΡΠΈΡ ΠΏΡΠΎΠ΄ΠΎΠ»ΠΆΠ°Π΅Ρ ΡΠ²ΠΎΠΉ ΠΏΡΡΡ ΠΈ, Π²ΡΠ°ΡΡΠ²Π°ΡΡΡ Π² ΠΊΡΠΎΠ²Ρ, ΠΏΡΠΎΡΡΠ²Π°Π΅ΡΡΡ Π² Π»Π΅Π³ΠΊΠΈΠ΅.
ΠΠ°ΡΠΈΠ½Π°Π΅Ρ ΡΠ°Π·Π²ΠΈΠ²Π°ΡΡ ΡΠ°ΠΌ Π²ΠΎΡΠΏΠ°Π»ΠΈΡΠ΅Π»ΡΠ½ΡΠΉ ΠΏΡΠΎΡΠ΅ΡΡ. ΠΠΎΠ³Π΄Π° ΠΈΠ½ΠΊΡΠ±Π°ΡΠΈΠΎΠ½Π½ΡΠΉ ΠΏΠ΅ΡΠΈΠΎΠ΄ Π·Π°ΠΊΠ°Π½ΡΠΈΠ²Π°Π΅ΡΡΡ, ΠΏΠΎΡΠ²Π»ΡΡΡΡΡ ΠΏΠ΅ΡΠ²ΡΠ΅ ΠΏΡΠΈΠ·Π½Π°ΠΊΠΈ ΡΡΠ±Π΅ΡΠΊΡΠ»Π΅Π·Π°. Π ΡΡΠΎΡ ΠΏΠ΅ΡΠΈΠΎΠ΄ ΡΡΠ±ΡΠ΅ΠΊΡ Π½Π΅ ΡΠ²Π»ΡΠ΅ΡΡΡ ΠΈΠ½ΡΠ΅ΠΊΡΠΈΠΎΠ½Π½ΠΎ ΠΎΠΏΠ°ΡΠ½ΡΠΌ, Π΄Π°ΠΆΠ΅ ΠΏΡΠΎΠ±Π° ΠΠ°Π½ΡΡ ΠΏΠΎΠΊΠ°Π·ΡΠ²Π°Π΅Ρ ΠΌΠΈΠ½ΡΡΠΎΠ²ΡΠΉ ΡΠ΅Π·ΡΠ»ΡΡΠ°Ρ. Π§ΡΠΎ Π·Π½Π°ΡΠΈΡΠ΅Π»ΡΠ½ΠΎ, ΡΡ ΡΠ΄ΡΠ°Π΅Ρ Π΄ΠΈΠ°Π³Π½ΠΎΡΡΠΈΠΊΡ Π²ΡΡΠ²Π»Π΅Π½ΠΈΡ Π±ΠΎΠ»Π΅Π·Π½ΠΈ Π½Π° ΡΠ°Π½Π½ΠΈΡ ΡΡΠ°ΠΏΠ°Ρ ΡΠ°Π·Π²ΠΈΡΠΈΡ.
ΠΡΠΈΠ·Π½Π°ΠΊΠΈ ΡΡΠ±Π΅ΡΠΊΡΠ»Π΅Π·Π° Π½Π° ΡΠ°Π½Π½ΠΈΡ ΡΡΠ°Π΄ΠΈΡΡ

Π§ΡΠΎΠ±Ρ Π²ΡΡΠ²ΠΈΡΡ ΠΏΠ΅ΡΠ²ΡΠ΅ ΠΏΡΠΈΠ·Π½Π°ΠΊΠΈ Π±ΠΎΠ»Π΅Π·Π½ΠΈ Π½Π° ΡΠ°Π½Π½ΠΈΡ ΡΡΠ°Π΄ΠΈΡΡ Ρ Π²Π·ΡΠΎΡΠ»ΡΡ , ΠΊΠ°ΠΆΠ΄ΡΠΉΒ Π·ΡΠ΅Π»ΡΠΉ ΡΠ΅Π»ΠΎΠ²Π΅ΠΊ Π΄ΠΎΠ»ΠΆΠ΅Π½ Π±Π΅ΡΠ΅ΠΆΠ½ΠΎ ΠΎΡΠ½ΠΎΡΠΈΡΡΡ ΠΊ ΡΠ²ΠΎΠ΅ΠΌΡ Π·Π΄ΠΎΡΠΎΠ²ΡΡ, Π° ΡΠ°ΠΊΠΆΠ΅ Π·Π°ΠΌΠ΅ΡΠ°ΡΡ ΠΈΠ·ΠΌΠ΅Π½Π΅Π½ΠΈΡ Π² ΠΎΡΠ³Π°Π½ΠΈΠ·ΠΌΠ΅. ΠΠ΅Π΄Ρ ΠΎΠ½ ΠΏΡΠΎΡΠ²Π»ΡΠ΅ΡΡΡ Π½Π° Π½Π°ΡΠ°Π»ΡΠ½ΡΡ ΡΡΠ°Π΄ΠΈΡΡ ΡΠΎΠ»ΡΠΊΠΎ Π½Π° ΡΠ»ΡΠΎΡΠΎΠ³ΡΠ°ΡΠΈΠΈ.
ΠΡΡΠ²ΠΈΡΡ ΠΏΡΠΈΠ·Π½Π°ΠΊΠΈ ΡΡΠ±Π΅ΡΠΊΡΠ»Π΅Π·Π° Ρ Π²Π·ΡΠΎΡΠ»ΡΡ ΠΌΠΎΠΆΠ½ΠΎ ΠΏΠΎ ΡΠ»Π΅Π΄ΡΡΡΠΈΠΌ ΠΏΡΠΈΠ·Π½Π°ΠΊΠ°ΠΌ:
- Π½Π΅ΡΠ΅Π΄ΠΊΠΈΠ΅, Π±Π΅ΡΠΏΡΠΈΡΠΈΠ½Π½ΡΠ΅ Π³ΠΎΠ»ΠΎΠ²ΠΎΠΊΡΡΠΆΠ΅Π½ΠΈΡ;
- Π»Π΅Π½Ρ ΠΈ ΡΠ»Π΅Π³ΠΌΠ°ΡΠΈΡΠ½ΠΎΡΡΡ;
- ΡΠ°ΡΡΡΡΠΎΠΉΡΡΠ²ΠΎ ΡΠ½Π° ΠΈ ΡΠΈΠ»ΡΠ½ΠΎΠ΅ ΠΏΠΎΡΠΎΠΎΡΠ΄Π΅Π»Π΅Π½ΠΈΠ΅;
- Π°Π½Π΅ΠΌΠΈΡΠ½ΠΎΡΡΡ ΠΊΠΎΠΆΠΈ;
- ΡΡΠΌΡΠ½Π΅Ρ Π½Π° Π»ΠΈΡΠ΅;
- Π±Π΅ΡΠΏΡΠΈΡΠΈΠ½Π½ΠΎΠ΅ ΡΠΌΠ΅Π½ΡΡΠ΅Π½ΠΈΠ΅ Π²Π΅ΡΠ°;
- ΡΠ½ΠΈΠΆΠ΅Π½ΠΈΠ΅ Π°ΠΏΠΏΠ΅ΡΠΈΡΠ°, ΠΊΠΎΡΠΎΡΠΎΠ΅ Π½Π΅ ΡΠ²ΡΠ·Π°Π½ΠΎ Ρ ΠΏΡΠΎΠ±Π»Π΅ΠΌΠ°ΠΌΠΈ ΠΆΠ΅Π»ΡΠ΄ΠΎΡΠ½ΠΎ-ΠΊΠΈΡΠ΅ΡΠ½ΠΎΠ³ΠΎ ΡΡΠ°ΠΊΡΠ°;
- ΠΎΠ±ΡΡΠ½Π°Ρ ΡΠ΅ΠΌΠΏΠ΅ΡΠ°ΡΡΡΠ° ΡΠ΅Π»Π°, ΠΊΠΎΡΠΎΡΠ°Ρ Π½Π΅ ΠΏΡΠ΅Π²ΡΡΠ°Π΅Ρ 37 Β°C.
ΠΠ°ΠΆΠ½ΠΎ! ΠΡΠΈ ΠΏΠΎΡΠ²Π»Π΅Π½ΠΈΠΈ Π½Π΅ΡΠΊΠΎΠ»ΡΠΊΠΈΡ ΠΏΡΠΈΠ·Π½Π°ΠΊΠΈ ΡΡΠ±Π΅ΡΠΊΡΠ»Π΅Π·Π° Ρ Π²Π·ΡΠΎΡΠ»ΡΡ Π½Π΅ΠΎΠ±Ρ ΠΎΠ΄ΠΈΠΌΠΎ ΠΏΡΠΎΠΊΠΎΠ½ΡΡΠ»ΡΡΠΈΡΠΎΠ²Π°ΡΡΡΡ Ρ Π²ΡΠ°ΡΠΎΠΌ, Π° ΡΠ°ΠΊΠΆΠ΅ ΡΠ΄Π΅Π»Π°ΡΡ ΡΠ΅Π½ΡΠ³Π΅Π½.
ΠΡΡΠ³ΠΈΠ΅ ΠΏΡΠΈΠ·Π½Π°ΠΊΠΈ ΡΡΠ±Π΅ΡΠΊΡΠ»Π΅Π·Π°
ΠΠΎΠ³Π΄Π° ΡΡΠ±Π΅ΡΠΊΡΠ»Π΅Π· ΠΏΡΠΎΠ³ΡΠ΅ΡΡΠΈΡΡΠ΅Ρ, ΠΎΠ½ Π²ΡΡΠ°ΠΆΠ°Π΅ΡΡΡ Π±ΠΎΠ»Π΅Π΅ Π²ΠΈΠ΄ΠΈΠΌΠΎ, Π² ΡΠ»Π΅Π΄ΡΡΡΠΈΡ ΡΠΈΠΌΠΏΡΠΎΠΌΠ°Ρ :
- Π½Π΅ΠΏΡΠ΅ΡΡΠ²Π½ΡΠΉ ΠΊΠ°ΡΠ΅Π»Ρ Ρ ΠΏΠΎΡΠ²Π»Π΅Π½ΠΈΠ΅ΠΌ ΠΌΠΎΠΊΡΠΎΡΡ;
- ΡΠΈΠ»ΡΠ½Π°Ρ ΠΎΠ΄ΡΡΠΊΠ°, Π΄Π°ΠΆΠ΅ Π΅ΡΠ»ΠΈ Π½Π΅Π·Π½Π°ΡΠΈΡΠ΅Π»ΡΠ½Π°Ρ ΡΠΈΠ·ΠΈΡΠ΅ΡΠΊΠ°Ρ Π½Π°Π³ΡΡΠ·ΠΊΠ°;
- ΡΡΡΠ°Π½Π½ΡΠ΅ Ρ ΡΠΈΠΏΡ, ΠΊΠΎΡΠΎΡΡΠ΅ ΠΌΠΎΠΆΠ΅Ρ ΠΎΠΏΡΠ΅Π΄Π΅Π»ΠΈΡΡ ΡΠΎΠ»ΡΠΊΠΎ ΡΠΏΠ΅ΡΠΈΠ°Π»ΠΈΡΡ, ΡΠ°ΠΊ ΠΊΠ°ΠΊ ΠΎΠ½ΠΈ ΠΌΠΎΠ³ΡΡ Π±ΡΡΡ ΠΈ ΠΌΠΎΠΊΡΡΠΌΠΈ, ΠΈ ΡΡΡ ΠΈΠΌΠΈ;
- ΠΏΠΎΠ²ΡΡΠ΅Π½Π½Π°Ρ ΡΠ΅ΠΌΠΏΠ΅ΡΠ°ΡΡΡΠ° ΡΠ΅Π»Π°;
- ΡΠ²Π΅ΡΠΊΠ°Π½ΠΈΠ΅ Π² Π³Π»Π°Π·Π°Ρ , ΡΡΡΠΊΠ»ΠΎΡΡΡ ΠΊΠΎΠΆΠΈ;
- Π²Π΅ΡΠΎΠΌΠ°Ρ ΠΏΠΎΡΠ΅ΡΡ Π²Π΅ΡΠ°;
- ΠΏΡΠΎΡΠ²Π»Π΅Π½ΠΈΠ΅ ΠΊΡΠΎΠ²ΠΈ Π² ΠΌΠΎΠΊΡΠΎΡΠ΅;
- ΠΏΡΠΈ Π³Π»ΡΠ±ΠΎΠΊΠΎΠΌ Π²Π΄ΠΎΡ Π΅ ΠΏΠΎΡΠ²Π»Π΅Π½ΠΈΠ΅ Π±ΠΎΠ»ΠΈ Π² Π³ΡΡΠ΄ΠΈ.
ΠΡΠ»ΠΈ Ρ ΡΠ΅Π»ΠΎΠ²Π΅ΠΊΠ° ΠΎΠ±Π½Π°ΡΡΠΆΠΈΠ»ΠΈ Π΄Π²Π° ΠΏΠΎΡΠ»Π΅Π΄Π½ΠΈΡ ΡΠΈΠΌΠΏΡΠΎΠΌΠ°, ΡΠΎ ΠΎΠ½ Π±ΠΎΠ»Π΅Π½ ΡΡΠΆΠ΅Π»ΠΎΠΉ ΡΠΎΡΠΌΠΎΠΉ ΠΈ Π½Π΅ΠΎΠ±Ρ ΠΎΠ΄ΠΈΠΌΠ° ΡΡΠΎΡΠ½Π°Ρ Π³ΠΎΡΠΏΠΈΡΠ°Π»ΠΈΠ·Π°ΡΠΈΡ.
Π’Π΅ΠΌΠΏΠ΅ΡΠ°ΡΡΡΠ° ΠΏΡΠΈ ΡΡΠ±Π΅ΡΠΊΡΠ»Π΅Π·Π΅
ΠΡΡΠΎΠΊΠ°Ρ ΡΠ΅ΠΌΠΏΠ΅ΡΠ°ΡΡΡΠ° ΠΏΡΠΈ ΡΡΠ±Π΅ΡΠΊΡΠ»Π΅Π·Π΅ β ΡΡΠΎ ΠΎΠ΄ΠΈΠ½ ΠΈΠ· Π²Π΅ΡΠΎΠΌΡΡ ΡΠΈΠΌΠΏΡΠΎΠΌΠΎΠ² Π·Π°Π±ΠΎΠ»Π΅Π²Π°Π½ΠΈΡ. ΠΠΌΠ΅Π½Π½ΠΎ ΡΡΠΎΡ ΡΠ΅ΡΠ»Π΅ΠΊΡ ΠΎΡΠ³Π°Π½ΠΈΠ·ΠΌΠ° ΠΎΠ±Π³ΠΎΠ½ΡΠ΅Ρ Π²ΡΠ΅ ΠΎΡΡΠ°Π»ΡΠ½ΡΠ΅ ΡΠΈΠΌΠΏΡΠΎΠΌΡ ΠΈ ΠΏΡΠΈΠ·Π½Π°ΠΊΠΈ ΡΠ°Π·ΡΡΡΠ΅Π½ΠΈΡ Π»Π΅Π³ΠΊΠΈΡ .
ΠΠ»Ρ ΡΡΠΎΠΉ Π±ΠΎΠ»Π΅Π·Π½ΠΈ ΡΠ²ΠΎΠΉΡΡΠ²Π΅Π½Π½Ρ, ΠΊΠ°ΠΊ ΠΏΠΎΡΡΠΎΡΠ½Π½ΡΠ΅ ΠΏΠΎΠ²Π΅ΡΠ΅Π½ΠΈΡ ΡΠ΅ΠΌΠΏΠ΅ΡΠ°ΡΡΡΡ, ΡΠ°ΠΊ ΠΈ ΠΏΠ΅ΡΠ΅ΠΌΠ΅Π½Π½ΡΠ΅. ΠΠ±ΡΡΠ½ΠΎ, ΡΠ΅ΠΌΠΏΠ΅ΡΠ°ΡΡΡΠ° ΡΡΡΠΎΠΌ ΠΏΠΎΠ²ΡΡΠ°Π΅ΡΡΡ, Π° Π±Π»ΠΈΠΆΠ΅ ΠΊ Π½ΠΎΡΠΈ Π½Π°ΠΎΠ±ΠΎΡΠΎΡ ΠΏΠΎΠ½ΠΈΠΆΠ°Π΅ΡΡΡ. ΠΠ½ΠΎΠ³Π΄Π° ΠΌΠΎΠΆΠ΅Ρ Π΄ΠΎΡΡΠΈΠ³Π½ΡΡΡ Π΄Π° 41 Β°C.
ΠΠ°ΡΠ΅Π»Ρ ΠΏΡΠΈ ΡΡΠ±Π΅ΡΠΊΡΠ»Π΅Π·Π΅
ΠΠ±ΡΡΠ½ΠΎ ΠΊΠ°ΡΠ΅Π»Ρ ΠΏΡΠΈ ΡΡΠ±Π΅ΡΠΊΡΠ»Π΅Π·Π΅ Π²Π»Π°ΠΆΠ½ΡΠΉ. ΠΠ°ΠΆΠ΅ΡΡΡ, ΠΊΠ°ΠΊ Π±ΡΠ΄ΡΠΎ Π² Π³ΠΎΡΠ»Π΅ ΡΠ³ΡΡΡΠΎΠΊ ΠΈ ΡΡΠΆΠ΅Π»ΠΎ Π΅Π³ΠΎ ΠΏΡΠΎΠΊΠ°ΡΠ»ΡΡΡ. ΠΡΠΎ ΠΏΡΠΎΠΈΡΡ ΠΎΠ΄ΠΈΡ ΠΎΡ ΡΠΎΠ³ΠΎ, ΡΡΠΎ Π² Π»Π΅Π³ΠΊΠΈΡ Π½Π°ΠΊΠ°ΠΏΠ»ΠΈΠ²Π°Π΅ΡΡΡ Π½Π°Π»Π΅Ρ, ΠΈΠ·-Π·Π° Π²ΠΎΡΠΏΠ°Π»ΠΈΡΠ΅Π»ΡΠ½ΠΎΠ³ΠΎ ΠΏΡΠΎΡΠ΅ΠΊΠ°Π½ΠΈΡ Π±ΠΎΠ»Π΅Π·Π½ΠΈ. ΠΠ½ Π½Π΅ Π΄Π°Π΅Ρ Π»Π΅Π³ΠΊΠΈΠΌ Π½ΠΎΡΠΌΠ°Π»ΡΠ½ΠΎ ΡΠΈΡΠΊΡΠ»ΠΈΡΠΎΠ²Π°ΡΡ, ΡΠ΅ΠΌ ΡΠ°ΠΌΡΠΌ ΡΠ°ΡΡΡΡΠ°ΠΈΠ²Π°Ρ Π³Π°Π·ΠΎΠΎΠ±ΠΌΠ΅Π½ Π² Π±ΡΠΎΠ½Ρ Π°Ρ .
ΠΠΎΡΡΠΎΠΌΡ ΠΈ ΡΡΠ°Π±Π°ΡΡΠ²Π°Π΅Ρ ΠΊΠ°ΡΠ΅Π»Ρ, ΠΏΡΡΠ°ΡΡΡ ΠΏΡΠΎΡΠΈΡΡΠΈΡΡ Π΄ΡΡ Π°ΡΠ΅Π»ΡΠ½ΡΠ΅ ΠΏΡΡΠΈ. ΠΠΎ ΡΠ°ΠΊ ΠΊΠ°ΠΊ, ΡΠ°ΠΌ ΠΏΠΎΡΡΠΎΡΠ½Π½ΠΎ Π½Π°Ρ ΠΎΠ΄ΠΈΡΡΡ ΡΠ»ΠΈΠ·Ρ, ΡΡΠΎΠ³ΠΎ ΡΠ΄Π΅Π»Π°ΡΡ Π½Π΅ ΠΏΠΎΠ»ΡΡΠ°Π΅ΡΡΡ ΠΈ ΠΊΠ°ΡΠ΅Π»Ρ ΠΏΠΎΡΠ²Π»ΡΠ΅ΡΡΡ ΠΎΠΏΡΡΡ ΠΈ ΠΎΠΏΡΡΡ. ΠΠ°ΡΠ΅Π»Ρ ΡΠ°ΡΠ΅ Π²ΡΠ΅Π³ΠΎ Π΄Π»ΠΈΡΠ΅Π»ΡΠ½ΡΠΉ.
ΠΠ»Ρ ΡΠΎΠ³ΠΎ ΡΡΠΎΠ±Ρ ΠΎΡΠΊΠ°ΡΠ»ΡΡΡΡΡ ΡΠ»ΠΈΠ·Ρ ΡΠ΅Π»ΠΎΠ²Π΅ΠΊ Π½Π°ΠΏΡΡΠ³Π°Π΅Ρ Π΄ΠΈΠ°ΡΡΠ°Π³ΠΌΡ, ΡΡΠΎ Π½Π°ΡΡΡΠ°Π΅Ρ Π²Π΅Π½ΡΠΈΠ»ΠΈΡΠΎΠ²Π°Π½ΠΈΠ΅ Π»Π΅Π³ΠΊΠΈΡ ΠΈ Π΄Π°Π΅Ρ Π½Π°ΡΠ°Π»ΠΎ Π²ΠΎΡΠΏΠ°Π»Π΅Π½ΠΈΡ, ΡΡΠΎ Π·Π°ΡΡΡΠ΄Π½ΡΠ΅Ρ Π΄ΡΡ Π°Π½ΠΈΠ΅. Π ΡΠ½ΠΎΠ²Π° Π½Π°ΡΠΈΠ½Π°Π΅ΡΡΡ ΠΊΠ°ΡΠ΅Π»Ρ. ΠΠ°ΠΊ ΠΏΡΠ°Π²ΠΈΠ»ΠΎ, ΠΊΠ°ΡΠ΅Π»Ρ ΠΏΡΠΈ ΡΡΠ±Π΅ΡΠΊΡΠ»Π΅Π·Π΅ ΠΈΠ΄Π΅Ρ Ρ Π²ΡΠ΄Π΅Π»Π΅Π½ΠΈΠ΅ΠΌ ΠΆΠΈΠ΄ΠΊΠΎΡΡΠΈ.
ΠΠΎΠΊΡΠΎΡΠ°-ΡΡΠΎ ΡΠΌΠ΅ΡΡ ΠΈΠ· Π³Π½ΠΎΡ ΠΈ Π±Π΅Π»ΠΎΠ³ΠΎ Π½Π°Π»Π΅ΡΠ°. Π£ Π²Π·ΡΠΎΡΠ»ΡΡ Π½Π° ΡΠ°Π½Π½Π΅ΠΉ ΡΡΠ°Π΄ΠΈΠΈ ΡΠ°Π·Π²ΠΈΡΠΈΡ ΠΌΠΎΠΊΡΠΎΡΠ° ΡΠΈΡΡΠ°Ρ ΠΈ ΠΏΡΠΎΠ·ΡΠ°ΡΠ½Π°Ρ, Π²ΠΏΠΎΡΠ»Π΅Π΄ΡΡΠ²ΠΈΠΈ ΠΎΠ½Π° ΠΏΡΠ΅Π²ΡΠ°ΡΠ°Π΅ΡΡΡ Π² ΡΠ΅ΠΌΠ½ΡΡ Ρ Π΄ΠΎΠ±Π°Π²ΠΊΠΎΡ ΠΊΡΠΎΠ²ΠΈ. ΠΠ° Π·Π°ΡΡΠ½ΡΠ²ΡΠ΅ΠΉΡΡ ΡΠ°Π·Π΅ ΡΠ΅Π»ΠΎΠ²Π΅ΠΊ ΠΎΡΡ Π°ΡΠΊΠΈΠ²Π°Π΅ΡΡΡ ΠΊΡΠΎΠ²ΡΡ Ρ Π΄ΠΎΠ±Π°Π²ΠΊΠΎΠΉ Π³Π½ΠΎΡ. ΠΠ°ΠΏΠ°Ρ ΠΌΠΎΠΊΡΠΎΡΡ ΠΎΠ±ΡΡΠ½ΠΎ Π½Π΅ΠΏΡΠΈΡΡΠ½ΡΠΉ ΠΈ Π³Π½ΠΈΠ»ΠΎΡΡΠ½ΡΠΉ.
ΠΠ°ΡΠ΅Π»Ρ ΠΎΠ±ΡΡΠ½ΠΎ ΡΡΠΈΠ»ΠΈΠ²Π°Π΅ΡΡΡ ΠΏΡΠΈ ΠΏΠΎΠ·ΠΈΡΠΈΠΈ Π»Π΅ΠΆΠ°. ΠΠΎΡΡΠΎΠΌΡ ΠΏΡΠΈΠΏΠ°Π΄ΠΊΠΈ ΠΊΠ°ΡΠ»Ρ ΡΠ°ΡΠ΅ ΠΏΡΠΈΡ ΠΎΠ΄ΡΡ Π½ΠΎΡΡΡ. ΠΡΠΎ ΠΎΠ±ΡΡΡΠ½ΡΠ΅ΡΡΡ Π·Π°ΡΡΠΎΠ΅ΠΌ ΡΠ»ΠΈΠ·ΠΈ, ΡΠ°ΠΊ ΠΊΠ°ΠΊ ΡΠ΅Π»ΠΎΠ²Π΅ΠΊ Π΄ΠΎΠ»Π³ΠΎΠ΅ Π²ΡΠ΅ΠΌΡ Π½Π°Ρ ΠΎΠ΄ΠΈΡΡΡ Π±Π΅Π· Π΄Π²ΠΈΠΆΠ΅Π½ΠΈΠΉ. ΠΠ±Π»Π΅Π³ΡΠΈΡΡ ΡΠ°ΠΌΠΎΡΡΠ²ΡΡΠ²ΠΈΠ΅ ΠΌΠΎΠΆΠ΅Ρ ΠΎΡΠ΄ΡΡ Π±ΠΎΠ»ΡΠ½ΠΎΠ³ΠΎ Π² ΠΏΠΎΠ»ΡΡΠΈΠ΄ΡΡΠ΅ΠΌ ΡΠΎΡΡΠΎΡΠ½ΠΈΠΈ.
ΠΠ°ΡΠ°Π·Π΅Π½ Π»ΠΈ ΡΡΠ±Π΅ΡΠΊΡΠ»Π΅Π· Π»Π΅Π³ΠΊΠΈΡ ?
ΠΡΠΎ Π·Π°Π±ΠΎΠ»Π΅Π²Π°Π½ΠΈΠ΅ ΠΈΠ½ΡΠ΅ΠΊΡΠΈΠΎΠ½Π½ΠΎ ΠΎΠΏΠ°ΡΠ½ΠΎΠ΅, ΠΎΡΠΎΠ±Π΅Π½Π½ΠΎ Π΅ΡΠ»ΠΈ ΡΡΠΈΡΡΠ²Π°ΡΡ ΠΊΠ°ΠΊΠ°Ρ ΡΠΈΡΠ»Π΅Π½Π½ΠΎΡΡΡ Π»ΡΠ΄Π΅ΠΉ Π±ΠΎΠ»Π΅ΡΡ ΡΡΠ±Π΅ΡΠΊΡΠ»Π΅Π·ΠΎΠΌ. ΠΠ΅ΡΠ΅Π΄Π°Π΅ΡΡΡ ΠΎΠ½ Π²ΠΎΠ·Π΄ΡΡΠ½ΠΎ-ΠΊΠ°ΠΏΠ΅Π»ΡΠ½ΡΠΌ ΠΏΡΡΠ΅ΠΌ. ΠΠ°ΡΡΡΠ°Ρ ΠΎΠ²Π°ΡΡΡΡ ΠΎΡ ΠΈΠ½ΡΠ΅ΠΊΡΠΈΠΈ Π½Π΅ Π²ΠΎΠ·ΠΌΠΎΠΆΠ½ΠΎ, Π²Π΅Π΄Ρ ΠΈΡΡΠΎΡΠ½ΠΈΠΊΠΎΠΌ ΠΈΠ½ΡΠΈΡΠΈΡΠΎΠ²Π°Π½ΠΈΡ ΠΌΠΎΠ³ΡΡ Π±ΡΡΡ Π΄Π°ΠΆΠ΅ Π½Π°ΡΠ΅ΠΊΠΎΠΌΡΠ΅.
ΠΡΠ²Π°ΡΡ Π΄Π²Π΅ ΡΠΎΡΠΌΡ Π·Π°Π±ΠΎΠ»Π΅Π²Π°Π½ΠΈΡ: ΠΎΡΠΊΡΡΡΠ°Ρ ΠΈ Π·Π°ΠΊΡΡΡΠ°Ρ. Π‘ΡΠΈΡΠ°Π΅ΡΡΡ, ΡΡΠΎ Π·Π°ΡΠ°ΠΆΠ΅Π½ΠΈΠ΅ Π±ΠΎΠ»Π΅Π·Π½ΡΡ ΠΏΡΠΎΠΈΡΡ ΠΎΠ΄ΠΈΡ ΡΠΎΠ»ΡΠΊΠΎ, Π΅ΡΠ»ΠΈ Ρ ΠΏΠ°ΡΠΈΠ΅Π½ΡΠ° ΠΎΡΠΊΡΡΡΠ°Ρ ΡΠΎΡΠΌΠ°. ΠΠΎ Π·Π°ΠΊΡΡΡΠ°Ρ ΡΠ°ΠΊΠΆΠ΅ Ρ ΡΠ²Π»ΡΠ΅ΡΡΡ ΠΎΠΏΠ°ΡΠ½ΠΎΠΉ, ΡΠ°ΠΊ ΠΊΠ°ΠΊ ΠΏΠ΅ΡΠ΅Ρ ΠΎΠ΄ ΠΈΠ· ΠΎΠ΄Π½ΠΎΠΉ ΡΠΎΡΠΌΡ Π² Π΄ΡΡΠ³ΡΡ ΠΌΠΎΠΆΠ΅Ρ Π±ΡΡΡ Π½Π΅Π·Π°ΠΌΠ΅ΡΠ΅Π½. Π‘ΠΈΠΌΠΏΡΠΎΠΌΡ ΡΡΠ±Π΅ΡΠΊΡΠ»Π΅Π·Π° ΠΎΡΠ΅Π½Ρ ΠΏΠΎΡ ΠΎΠΆΠΈ Π½Π° ΠΎΠ±ΡΡΠ½ΠΎΠ΅ Π·Π°Π±ΠΎΠ»Π΅Π²Π°Π½ΠΈΠ΅ ΠΠ ΠΠ ΠΈΠ»ΠΈ ΠΠ Π.
Π ΡΠ΅ΡΠ΅Π½ΠΈΠ΅ Π³ΠΎΠ΄Π° ΡΠ΅Π»ΠΎΠ²Π΅ΠΊ, Π±ΠΎΠ»Π΅ΡΡΠΈΠΉ ΠΎΡΠΊΡΡΡΠΎΠΉ ΡΠΎΡΠΌΠΎΠΉ ΡΡΠ±Π΅ΡΠΊΡΠ»Π΅Π·Π°, ΠΌΠΎΠΆΠ΅Ρ Π·Π°ΡΠ°Π·ΠΈΡΡ 15 ΡΠ΅Π»ΠΎΠ²Π΅ΠΊ. ΠΠΎΡΡΠΎΠΌΡ ΡΡΠΎ Π·Π°Π±ΠΎΠ»Π΅Π²Π°Π½ΠΈΠ΅ ΡΠ°ΠΊΠΎΠ΅ ΡΠ°ΡΠΏΡΠΎΡΡΡΠ°Π½Π΅Π½Π½ΠΎΠ΅.
Π‘ΡΠ°Π΄ΠΈΠΈ ΡΡΠ±Π΅ΡΠΊΡΠ»Π΅Π·Π° Π»Π΅Π³ΠΊΠΈΡ
Π Π°Π·Π»ΠΈΡΠ°ΡΡ ΡΡΠΈ ΡΡΠ°Π΄ΠΈΠΈ:
- 1. ΠΠ½ΡΠΈΡΠΈΡΠΎΠ²Π°Π½ΠΈΠ΅ ΠΏΠ΅ΡΠ²ΠΈΡΠ½ΠΎΠ΅. ΠΠ°Π³Π½ΠΎΠ΅Π½ΠΈΠ΅ Π½Π°ΡΠΈΠ½Π°Π΅ΡΡΡ Π½Π° ΡΠΎΠΌ ΠΌΠ΅ΡΡΠ΅, ΠΊΡΠ΄Π° ΠΏΠΎΠΏΠ°Π»ΠΎ Π·Π°ΡΠ°ΠΆΠ΅Π½ΠΈΠ΅. ΠΡΡΠ³ΠΈΠΌΠΈ ΡΠ»ΠΎΠ²Π°ΠΌΠΈ ΠΌΠ΅ΡΡΠ½ΠΎΠ΅ Π²ΠΎΡΠΏΠ°Π»Π΅Π½ΠΈΠ΅. ΠΡΠΈ ΡΡΠΎΠΌ ΠΌΠΈΠΊΡΠΎΠ±Ρ ΡΠ³ΠΎΠΆΠ΄Π°ΡΡ Π½Π° Π»ΠΈΠΌΡΠ°ΡΠΈΡΠ΅ΡΠΊΠΈΠ΅ ΡΠ·Π»Ρ ΠΈ ΡΠΆΠ΅ ΠΌΠΎΠ³ΡΡ ΠΏΡΠΎΡΠ²Π»ΡΡΡΡΡ ΠΏΡΠΈΠ·Π½Π°ΠΊΠΈ ΡΡΠ±Π΅ΡΠΊΡΠ»Π΅Π·Π° Π½Π° ΡΠ°Π½Π½ΠΈΡ ΡΡΠ°Π΄ΠΈΡΡ Ρ Π²Π·ΡΠΎΡΠ»ΡΡ . ΠΠ±ΡΠ΅Π΅ ΡΠΎΡΡΠΎΡΠ½ΠΈΠ΅ Π±ΠΎΠ»ΡΠ½ΠΎΠ³ΠΎ Ρ ΠΎΡΠΎΡΠ΅Π΅.
- 2. Π‘ΡΠ°Π΄ΠΈΡ ΡΠΊΡΡΡΠΎΠΉ ΠΈΠ½ΡΠ΅ΠΊΡΠΈΠΈ. ΠΠ°ΠΊΡΠ΅ΡΠΈΠΈ Π½Π°ΡΠΈΠ½Π°ΡΡ ΡΠ°Π·ΠΌΠ½ΠΎΠΆΠ°ΡΡΡΡ, Π½Π° ΡΠΎΠ½Π΅ ΠΎΡΠ»Π°Π±Π»Π΅Π½Π½ΠΎΠ³ΠΎ ΠΈΠΌΠΌΡΠ½ΠΈΡΠ΅ΡΠ°.
- 3. Π Π΅ΡΠΈΠ΄ΠΈΠ²ΠΈΡΡΡΡΠΈΠΉ ΡΡΠ±Π΅ΡΠΊΡΠ»Π΅Π· Π²Π·ΡΠΎΡΠ»ΠΎΠ³ΠΎ ΡΠΈΠΏΠ°. ΠΠ°ΠΊΡΠ΅ΡΠΈΠΈ Π½Π°ΡΠΈΠ½Π°ΡΡ ΠΏΠΎΡΠ°ΠΆΠ°ΡΡ Π»Π΅Π³ΠΊΠΈΠ΅. ΠΡΠ»ΠΈ ΠΎΠ½ΠΈ ΠΏΠΎΠΏΠ°Π΄Π°ΡΡ Π² Π±ΡΠΎΠ½Ρ ΠΈ, ΡΠΎΠ³Π΄Π° Π½Π°ΡΠΈΠ½Π°Π΅ΡΡΡ ΠΎΡΠΊΡΡΡΠ°Ρ ΡΠΎΡΠΌΠ° ΡΡΠ±Π΅ΡΠΊΡΠ»Π΅Π·Π°.
Π€ΠΎΡΠΌΡ ΡΡΠ±Π΅ΡΠΊΡΠ»Π΅Π·Π°
Π€ΠΎΡΠΌΡ ΡΡΠ±Π΅ΡΠΊΡΠ»Π΅Π·Π° ΠΌΠΎΠ³ΡΡ Π±ΡΡΡ ΠΌΠ½ΠΎΠ³ΠΎΠΎΠ±ΡΠ°Π·Π½ΡΠΌΠΈ. ΠΠΎΡΡΠΎΠΌΡ ΠΎΡ ΡΠΎΡΠΌΡ Π²ΠΎΡΠΏΠ°Π»Π΅Π½ΠΈΡ Π·Π°Π²ΠΈΡΠΈΡ Π΄Π°Π»ΡΠ½Π΅ΠΉΡΠ΅Π΅ Π»Π΅ΡΠ΅Π½ΠΈΠ΅ ΠΈΠ»ΠΈ Π³ΠΎΡΠΏΠΈΡΠ°Π»ΠΈΠ·Π°ΡΠΈΡ Π±ΠΎΠ»ΡΠ½ΠΎΠ³ΠΎ.
ΠΠ½ΡΠΈΠ»ΡΡΡΠ°ΡΠΈΠ²Π½ΡΠΉ ΡΡΠ±Π΅ΡΠΊΡΠ»Π΅Π·.
ΠΡΠ° ΡΠΎΡΠΌΠ° ΠΊΠ²Π°Π»ΠΈΡΠΈΡΠΈΡΡΠ΅ΡΡΡ ΡΠ΅ΠΌ, ΡΡΠΎ ΠΌΠ΅ΡΠ°ΠΌΠΎΡΡΠΈΠ·ΠΌ ΠΏΡΠΎΡ ΠΎΠ΄ΠΈΡ Π² Π·ΠΎΠ½Π΅ Π²ΠΎΡΠΏΠ°Π»Π΅Π½ΠΈΡ. Π’ΠΊΠ°Π½Ρ Π΄Π΅Π»Π°Π΅ΡΡΡ Π°Π½Π°Π»ΠΎΠ³ΠΈΡΠ½ΠΎΠΉ Π±Π΅Π»ΠΊΠΎΠ²ΠΎΠΉ ΠΌΠ°ΡΡΠ΅. Π‘ΡΠ΄Π° ΠΎΡΠ½ΠΎΡΡΡ ΡΠ°ΠΊΠΎΠ΅ Π·Π°Π±ΠΎΠ»Π΅Π²Π°Π½ΠΈΠ΅, ΠΊΠ°ΠΊ ΠΊΠ°Π·Π΅ΠΎΠ·Π½Π°Ρ ΠΏΠ½Π΅Π²ΠΌΠΎΠ½ΠΈΡ.
ΠΡΠ²Π°Π΅Ρ ΠΈΠ½ΡΠΈΠ»ΡΡΡΠΈΡΠΎΠ²Π°Π½Π½Π°Ρ ΡΠΎΡΠΌΠ° ΠΏΡΠΎΡ ΠΎΠ΄ΠΈΡ Π½Π΅ΠΎΡΡΡΠΈΠΌΠΎ Π΄Π»Ρ ΡΠ΅Π»ΠΎΠ²Π΅ΠΊΠ° ΠΈ ΠΏΡΠΎΡΠ²Π»ΡΠ΅ΡΡΡ ΡΠΎΠ»ΡΠΊΠΎ Π½Π° ΡΠ»ΡΠΎΡΠΎΠ³ΡΠ°ΡΠΈΠΈ.
ΠΠΈΠ΄ΠΈΠΌΡΠΌ ΠΏΠΎΠΊΠ°Π·Π°ΡΠ΅Π»Π΅ΠΌ ΡΡΠΎΠΉ ΡΠΎΡΠΌΡ ΡΠ²Π»ΡΠ΅ΡΡΡ Π²ΡΠ΄Π΅Π»Π΅Π½ΠΈΠ΅ ΠΊΡΠΎΠ²ΠΈ ΠΈΠ· Π΄ΡΡ Π°ΡΠ΅Π»ΡΠ½ΡΡ ΠΏΡΡΠ΅ΠΉ ΡΠΎ ΡΠ»ΡΠ½ΠΎΠΉ, ΡΡΠΎ ΠΌΠΎΠΆΠ½ΠΎ ΠΏΠ΅ΡΠ΅ΠΏΡΡΠ°ΡΡ Ρ Π±ΡΠΎΠ½Ρ ΠΈΡΠΎΠΌ, ΠΏΠ½Π΅Π²ΠΌΠΎΠ½ΠΈΠ΅ΠΉ.
ΠΠΈΡΡΠ΅ΠΌΠΈΠ½ΠΈΡΠΎΠ²Π°Π½Π½ΡΠΉ ΡΡΠ±Π΅ΡΠΊΡΠ»Π΅Π·.
ΠΡΠ° ΡΠΎΡΠΌΠ° ΠΎΠ±ΡΡΠ»Π°Π²Π»ΠΈΠ²Π°Π΅ΡΡΡ ΡΠ΅ΠΌ, ΡΡΠΎ Π·Π°ΡΠ°ΠΆΠ΅Π½ΠΈΠ΅ ΠΏΡΠΎΠ³ΡΠ΅ΡΡΠΈΡΡΠ΅Ρ ΡΠ΅ΡΠ΅Π· ΠΊΡΠΎΠ²Ρ. ΠΠΈΠΊΡΠΎΠ±Ρ, ΡΠ°Π·Π»Π΅ΡΠ°ΡΡΠΈΠ΅ΡΡ ΠΏΠΎ ΠΊΡΠΎΠ²ΠΈ ΠΈ ΠΎΡΠ°Π³Π°ΠΌΠΈ Π²ΠΎΡΠΏΠ°Π»Π΅Π½ΠΈΡ, ΡΠ²Π»ΡΡΡΡΡ Π²Π΅ΡΡ Π½ΠΈΠ΅ Π΄ΡΡ Π°ΡΠ΅Π»ΡΠ½ΡΠ΅ ΠΏΡΡΠΈ. ΠΡΠΈΠ·Π½Π°ΠΊΠΈ Π½Π°ΡΠΈΠ½Π°ΡΡ Π²ΠΎΠ·Π½ΠΈΠΊΠ°ΡΡ ΡΠΈΡΡΠ΅ΠΌΠ°ΡΠΈΡΠ΅ΡΠΊΠΈ, Π½ΠΎ ΠΈΠ½ΡΠΎΠΊΡΠΈΠΊΠ°ΡΠΈΡ ΡΠΈΠ»ΡΠ½ΠΎ Π²ΡΡΠ°ΠΆΠ΅Π½Π½Π°Ρ.
ΠΠ°Π²Π΅ΡΠ½ΠΎΠ·Π½ΡΠΉ ΡΡΠ±Π΅ΡΠΊΡΠ»Π΅Π·.
ΠΡΠ° ΡΠΎΡΠΌΠ° ΡΡΠ±Π΅ΡΠΊΡΠ»Π΅Π·Π° ΠΎΡΠ»ΠΈΡΠ°Π΅ΡΡΡ ΠΏΠΎΡΠ²Π»Π΅Π½ΠΈΠ΅ΠΌ ΠΏΡΡΡΠΎΡΡ, Π²ΠΎΠ·Π½ΠΈΠΊΠ°ΡΡΠ΅ΠΉ Π² ΡΠΊΠ°Π½ΡΡ Π»Π΅Π³ΠΊΠΈΡ . ΠΠΈΠΊΡΠΎΠ±Ρ ΠΏΡΠΎΡΠ°ΡΠΈΠ²Π°ΡΡΡΡ Π² ΡΠ΅Π»ΠΎ Π²ΠΎΠ·Π΄ΡΡΠ½ΡΠΌ ΠΏΡΡΠ΅ΠΌ. ΠΡΡΠ²ΠΈΡΡ ΡΠ°ΠΊΡΡ ΡΠΎΡΠΌΡ Π²ΠΎΠ·ΠΌΠΎΠΆΠ½ΠΎ ΡΠΎΠ»ΡΠΊΠΎ Ρ ΠΏΠΎΠΌΠΎΡΡΡ ΡΠ΅Π½ΡΠ³Π΅Π½Π°, Π½Π° Π½Π΅ΠΌ Ρ ΠΎΡΠΎΡΠΎ Π²ΠΈΠ΄Π½ΠΎ ΠΊΠ°Π²Π΅ΡΠ½Ρ ΠΊΡΡΠ³Π»ΠΎΠΉ ΡΠΎΡΠΌΡ. Π’Π΅ΡΠ°ΠΏΠΈΡ ΠΏΡΠΎΡ ΠΎΠ΄ΠΈΡ ΠΌΠ΅Π΄ΠΈΠΊΠ°ΠΌΠ΅Π½ΡΠΎΠ·Π½ΠΎ, Π΄ΠΎΠ±Π°Π²Π»ΡΡ ΠΈΠΌΠΌΡΠ½ΠΎΡΡΠΈΠΌΡΠ»ΠΈΡΡΡΡΠΈΠ΅ Π»Π΅ΠΊΠ°ΡΡΡΠ²Π°.
Π€ΠΈΠ±ΡΠΎΠ·Π½ΡΠΉ ΡΡΠ±Π΅ΡΠΊΡΠ»Π΅Π·.
ΠΡΠ»ΠΈΡΠΈΠ΅ΠΌ ΡΡΠΎΠΉ ΡΠΎΡΠΌΡ ΡΠ²Π»ΡΠ΅ΡΡΡ ΠΏΡΠΎΠΈΡΡ ΠΎΠΆΠ΄Π΅Π½ΠΈΠ΅ ΠΈΠ½Π²Π΅ΡΡΠΈΠΉ Π² ΡΠΊΠ°Π½ΠΈ Π»Π΅Π³ΠΊΠΎΠ³ΠΎ. ΠΡΠΈΠ·Π½Π°ΠΊΠ°ΠΌΠΈ Π²ΠΎΠ·Π½ΠΈΠΊΠ½ΠΎΠ²Π΅Π½ΠΈΡ ΡΠΈΠ±ΡΠΎΠ·Π½ΠΎΠΉ ΡΠΎΡΠΌΡ ΡΠ²Π»ΡΡΡΡΡ Π²ΡΡΠ΅ΠΏΠ΅ΡΠ΅ΡΠΈΡΠ»Π΅Π½Π½ΡΠ΅ Π²ΠΈΠ΄Ρ ΡΡΠ±Π΅ΡΠΊΡΠ»Π΅Π·Π°. ΠΠ΅ΡΡΠΈΠΉ ΡΠΎΠ·ΡΠ΅Π²Π°Π½ΠΈΡ Π±ΠΎΠ»Π΅Π·Π½ΠΈ Π½Π΅ΡΠΊΠΎΠ»ΡΠΊΠΎ:
- Π²ΡΠ»Π΅Π΄ΡΡΠ²ΠΈΠ΅ Ρ ΠΈΠΌΠΈΠΎΡΠ΅ΡΠ°ΠΏΠΈΠΈ Π½Π΅Π΄ΡΠ³ ΡΡΠΈΡ Π°Π΅Ρ, Π²ΠΎΡΠΏΠ°Π»Π΅Π½ΠΈΠ΅ ΠΎΠ±ΡΠ°Π·ΠΎΠ²ΡΠ²Π°Π΅ΡΡΡ ΡΠ΅ΡΠ΅Π· Π½Π΅ΡΠΊΠΎΠ»ΡΠΊΠΎ Π»Π΅Ρ
- Π²ΡΠ΅ΠΌΠ΅Π½Π° ΡΡΠΏΠΎΠΊΠΎΠ΅Π½ΠΈΡ ΡΠ°ΡΡΠΎ ΡΠΌΠ΅Π½ΡΡΡΡΡ ΡΠ°Π·Π°ΠΌΠΈ ΡΡ ΡΠ΄ΡΠ΅Π½ΠΈΡ
- ΠΏΠΎΡΠΎΠΉ Π½Π°ΡΠΈΠ½Π°ΡΡ ΡΠ°Π·Π²ΠΈΠ²Π°ΡΡΡΡ ΠΎΠ±ΠΎΡΡΡΠ΅Π½ΠΈΡ
ΠΡΠ°Π³ΠΎΠ²ΡΠΉ ΡΡΠ±Π΅ΡΠΊΡΠ»Π΅Π·.
ΠΡΠΈ ΡΡΠΎΠΉ ΡΠΎΡΠΌΠ΅ Π²ΠΎΠ·ΠΌΠΎΠΆΠ½ΠΎ ΠΏΠΎΡΠ°ΠΆΠ΅Π½ΠΈΠ΅ Π»ΡΠ±ΠΎΠ³ΠΎ ΠΌΠ΅ΡΡΠ°. ΠΡΠΎ ΠΌΠΎΠΆΠ΅Ρ Π±ΡΡΡ ΠΊΠ°ΠΊ ΠΏΡΠ°Π²ΠΎΠ΅ Π»ΠΈΠ±ΠΎ Π»Π΅Π²ΠΎΠ΅ Π»Π΅Π³ΠΊΠΎΠ΅, ΡΠ°ΠΊ ΠΈ ΠΎΠ±Π° Π»Π΅Π³ΠΊΠΈΡ . ΠΠ½ΠΈ ΡΠ°Π·Π»ΠΈΡΠ°ΡΡΡΡ ΠΏΠΎ ΡΠΎΡΡΠ°Π²Ρ, ΡΠ°Π·ΠΌΠ΅ΡΡ.
Π‘ΠΈΠΌΠΏΡΠΎΠΌΠ°ΠΌΠΈ ΠΎΡΠ°Π³ΠΎΠ²ΠΎΠ³ΠΎ ΡΡΠ±Π΅ΡΠΊΡΠ»Π΅Π·Π° ΡΠ²Π»ΡΠ΅ΡΡΡ ΡΠΈΠ»ΡΠ½ΠΎ ΠΏΠΎΠ²ΡΡΠ΅Π½Π½Π°Ρ ΡΠ΅ΠΌΠΏΠ΅ΡΠ°ΡΡΡΠ° ΡΠ΅Π»Π°, ΡΡΠΆΠ΅Π»ΡΠΉ ΠΊΠ°ΡΠ΅Π»Ρ. ΠΡΠ»ΠΈ ΠΈΠ·ΠΌΠ΅Π½Π΅Π½ΠΈΠΉ Π² Π»Π΅Π³ΠΊΠΈΡ Π½Π΅ ΠΎΠ±Π½Π°ΡΡΠΆΠ΅Π½ΠΎ, ΡΡΠΎ Π²ΠΈΠ΄Π½ΠΎ Π½Π° ΡΠ»ΡΠΎΡΠΎΠ³ΡΠ°ΡΠΈΠΈ, ΡΠΎ ΡΡΠ° ΡΠΎΡΠΌΠ° ΠΏΠΎΠ΄Π²Π΅ΡΠΆΠ΅Π½Π° Π»Π΅ΡΠ΅Π½ΠΈΡ.
ΠΡΠΊΡΡΡΡΠΉ ΡΡΠ±Π΅ΡΠΊΡΠ»Π΅Π·.
ΠΡΠ° ΡΠΎΡΠΌΠ° ΡΠ²Π»ΡΠ΅ΡΡΡ ΡΠ°ΠΌΠΎΠΉ ΡΡΠΆΠ΅Π»ΠΎΠΉ ΠΈ ΠΎΠΏΠ°ΡΠ½ΠΎΠΉ Π΄Π»Ρ ΡΠ΅Π»ΠΎΠ²Π΅ΠΊΠ°. ΠΠ°ΡΠ°ΠΆΠ΅Π½ΠΈΠ΅ ΠΏΡΠΎΡ ΠΎΠ΄ΠΈΡ Π²ΠΎΠ·Π΄ΡΡΠ½ΠΎ-ΠΊΠ°ΠΏΠ΅Π»ΡΠ½ΡΠΌ ΠΏΡΡΠ΅ΠΌ ΠΈ Π±ΠΎΠ»ΡΠ½ΠΎΠ³ΠΎ Π² ΡΡΠΎΡΠ½ΠΎΠΌ ΡΠ»ΡΡΠ°Π΅ Π½Π΅ΠΎΠ±Ρ ΠΎΠ΄ΠΈΠΌΠΎ Π³ΠΎΡΠΏΠΈΡΠ°Π»ΠΈΠ·ΠΈΡΠΎΠ²Π°ΡΡ Π² ΡΡΠ±Π΄ΠΈΡΠΏΠ°Π½ΡΠ΅Ρ. ΠΠ»Ρ ΠΎΠ±Π½Π°ΡΡΠΆΠ΅Π½ΠΈΡ ΡΡΠΎΠΉ ΡΠΎΡΠΌΡ Π½Π΅ΠΎΠ±Ρ ΠΎΠ΄ΠΈΠΌ ΠΌΠ°Π·ΠΎΠΊ ΠΌΠΎΠΊΡΠΎΡΡ. ΠΡΠΊΡΡΡΡΠΉ ΡΡΠ±Π΅ΡΠΊΡΠ»Π΅Π· ΠΎΡΠ΅Π½Ρ ΡΡΡΠ΄Π½ΠΎ ΠΈΠ·Π»Π΅ΡΠΈΡΡ, ΡΠ°ΠΊ ΠΊΠ°ΠΊ Π±Π°ΠΊΡΠ΅ΡΠΈΠΈ ΡΡΠ°Π½ΠΎΠ²ΡΡΡΡ Π±ΠΎΠ»Π΅Π΅ ΡΡΡΠΎΠΉΡΠΈΠ²ΡΠ΅ ΠΊ ΠΌΠ΅Π΄ΠΈΠΊΠ°ΠΌΠ΅Π½ΡΠΎΠ·Π½ΠΎΠΌΡ Π»Π΅ΡΠ΅Π½ΠΈΡ.
ΠΠ°ΠΊΡΡΡΡΠΉ ΡΡΠ±Π΅ΡΠΊΡΠ»Π΅Π·.
ΠΠ°Π½Π½Π°Ρ ΡΠΎΡΠΌΠ° ΡΠ²Π»ΡΠ΅ΡΡΡ ΠΏΠΎΠ»Π½ΠΎΠΉ ΠΏΡΠΎΡΠΈΠ²ΠΎΠΏΠΎΠ»ΠΎΠΆΠ½ΠΎΡΡΡΡ ΠΎΡΠΊΡΡΡΠΎΠΉ ΡΠΎΡΠΌΡ. ΠΠ»Ρ ΡΠΎΠ³ΠΎ ΡΡΠΎΠ±Ρ Π΅Π΅ Π²ΡΡΠ²ΠΈΡΡ Π½Π΅ΠΎΠ±Ρ ΠΎΠ΄ΠΈΠΌΠΎ ΡΠ΄Π΅Π»Π°ΡΡ ΠΏΡΠΎΠ±Ρ ΠΠ°Π½ΡΡ. ΠΠ°ΠΊΡΡΡΡΠΉ ΡΡΠ±Π΅ΡΠΊΡΠ»Π΅Π· ΠΌΠΎΠΆΠ΅Ρ Π΄ΠΎΠ»Π³ΠΎΠ΅ Π²ΡΠ΅ΠΌΡ Π½ΠΈΠΊΠ°ΠΊ ΡΠ΅Π±Ρ Π½Π΅ ΠΏΡΠΎΡΠ²Π»ΡΡΡ. ΠΠΎΡΡΠΎΠΌΡ ΠΏΠΎ ΠΎΠ±ΡΠ΅ΠΏΡΠΈΠ½ΡΡΡΠΌ Π΄Π°Π½Π½ΡΠΌ ΠΈΠ·Π²Π΅ΡΡΠ½ΠΎ, ΡΡΠΎ ΡΡΠ΅ΡΡ ΠΏΠ»Π°Π½Π΅ΡΡ Π±ΠΎΠ»Π΅ΡΡ Π·Π°ΠΊΡΡΡΠΎΠΉ ΡΠΎΡΠΌΠΎΠΉ ΡΡΠ±Π΅ΡΠΊΡΠ»Π΅Π·Π°.
ΠΡΠ»ΠΎΠΆΠ½Π΅Π½ΠΈΡ ΡΡΠ±Π΅ΡΠΊΡΠ»Π΅Π·Π°

Π‘Π°ΠΌΡΠΌ ΡΡΡΠ°ΡΠ½ΡΠΌ ΠΎΡΠ»ΠΎΠΆΠ½Π΅Π½ΠΈΠ΅ΠΌ ΠΌΠΎΠΆΠ΅Ρ Π±ΡΡΡ ΡΠΌΠ΅ΡΡΡ ΠΎΡ ΡΡΠ±Π΅ΡΠΊΡΠ»Π΅Π·Π°. ΠΡΠΎ Π² ΡΠ»ΡΡΠ°Π΅, Π΅ΡΠ»ΠΈ Π΅Π³ΠΎ Π½Π΅ Π»Π΅ΡΠΈΡΡ. Π ΡΠ°ΠΊΠΆΠ΅ Π΅ΡΡΡ ΠΈ Π΄ΡΡΠ³ΠΈΠ΅ ΠΏΠΎΡΠ»Π΅Π΄ΡΡΠ²ΠΈΡ Π·Π°Π±ΠΎΠ»Π΅Π²Π°Π½ΠΈΡ:
- ΠΏΡΠΎΠΈΡΡ ΠΎΠ΄ΠΈΡ ΡΠ°Π·ΡΡΡΠ΅Π½ΠΈΡ Π΄ΡΡΠ³ΠΈΡ ΠΎΡΠ³Π°Π½ΠΎΠ², Π½Π°ΠΏΡΠΈΠΌΠ΅Ρ, ΠΏΠ΅ΡΠ΅Π½ΠΈ, ΡΠ΅ΡΠ΄ΡΠ°, ΠΏΠΎΡΠ΅ΠΊ ΠΈ Ρ.Π΄.;
- Π·Π°Π±ΠΎΠ»Π΅Π²Π°Π½ΠΈΠ΅ ΠΌΠΎΠΆΠ΅Ρ ΡΠ°Π·ΡΡΡΠ°ΡΡ ΡΡΡΡΠ°Π²Ρ, ΡΡΠΎ ΠΏΡΠΈΠ²ΠΎΠ΄ΠΈΡ ΠΊ ΡΡΠ±Π΅ΡΠΊΡΠ»Π΅Π·Ρ ΠΊΠΎΡΡΠ΅ΠΉ;
- ΠΌΠΎΠΆΠ΅Ρ Π²ΠΎΠ·Π½ΠΈΠΊΠ½ΡΡΡ Π»Π΅Π³ΠΎΡΠ½ΠΎΠ΅ ΠΊΡΠΎΠ²ΠΎΡΠ΅ΡΠ΅Π½ΠΈΠ΅ β ΠΎΠ΄Π½ΠΎ ΠΈΠ· ΡΠ°ΠΌΡΡ ΠΎΠΏΠ°ΡΠ½ΡΡ ΠΎΡΠ»ΠΎΠΆΠ½Π΅Π½ΠΈΠΉ ΡΡΠ±Π΅ΡΠΊΡΠ»Π΅Π·Π°. Π ΡΡΠΎΠΌ ΡΠ»ΡΡΠ°Π΅ Π½ΡΠΆΠ½Π° ΡΡΠΎΡΠ½ΠΎ Π½Π΅ΠΎΡΠ»ΠΎΠΆΠ½Π°Ρ ΠΌΠ΅Π΄ΠΈΡΠΈΠ½ΡΠΊΠ°Ρ ΠΏΠΎΠΌΠΎΡΡ.
ΠΡΠ»ΠΈ ΡΠ΅Π»ΠΎΠ²Π΅ΠΊ ΠΎΠ΄Π½Π°ΠΆΠ΄Ρ ΠΏΠ΅ΡΠ΅Π½Π΅Ρ ΡΡΠ±Π΅ΡΠΊΡΠ»Π΅Π·, ΡΠΎ ΠΎΠ½ Π½Π΅ Π·Π°ΡΡΡΠ°Ρ ΠΎΠ²Π°Π½ ΠΎΡ Π²ΠΎΡΠΏΠ°Π»Π΅Π½ΠΈΡ Π±ΠΎΠ»Π΅Π·Π½ΠΈ Π² Π±ΡΠ΄ΡΡΠ΅ΠΌ.
Π’Π°ΠΊ ΠΆΠ΅ Π½Π΅Ρ ΡΠ²Π΅ΡΠ΅Π½Π½ΠΎΡΡΠΈ, ΡΡΠΎ ΡΠ΅Π±Π΅Π½ΠΎΠΊ Π½Π΅ Π·Π°ΡΠ°Π·ΠΈΡΡΡ ΠΎΡ ΠΌΠ°ΡΠ΅ΡΠΈ ΠΈ ΡΠΎΠ΄ΠΈΡΡΡ ΠΏΠΎΠ»Π½ΠΎΡΡΡΡ Π·Π΄ΠΎΡΠΎΠ²ΡΠΌ ΠΈ Π±Π΅Π· ΠΎΡΠΊΠ»ΠΎΠ½Π΅Π½ΠΈΠΉ. Π§Π°ΡΡΠΎ ΡΠ»ΡΡΠ°Π΅ΡΡΡ Π·Π°ΠΌΠ΅ΡΡΠ°Ρ Π±Π΅ΡΠ΅ΠΌΠ΅Π½Π½ΠΎΡΡΡ ΠΈΠ»ΠΈ ΡΠΌΠ΅ΡΡΡ ΠΌΠ°Π»ΡΡΠ° Π²ΠΎ Π²ΡΠ΅ΠΌΡ ΡΠΎΠ΄ΠΎΠ².
ΠΠΎΡΠ»Π΅ Π²ΡΠ·Π΄ΠΎΡΠΎΠ²Π»Π΅Π½ΠΈΡ ΡΠ΅Π»ΠΎΠ²Π΅ΠΊ Π΅ΡΠ΅ Π½Π΅ΠΊΠΎΡΠΎΡΠΎΠ΅ Π²ΡΠ΅ΠΌΡ ΠΌΠΎΠΆΠ΅Ρ ΠΏΠ΅ΡΠ΅Π½ΠΎΡΠΈΡΡ Π³ΠΎΠ»ΠΎΠ²Π½ΡΠ΅ Π±ΠΎΠ»ΠΈ, Π½Π΅ΠΏΡΠΈΡΡΠ½ΡΠ΅ ΠΎΡΡΡΠ΅Π½ΠΈΡ Π² ΠΊΠΎΡΡΡΡ ΠΈ ΡΡΡΡΠ°Π²Π°Ρ , ΡΠ»Π°Π±ΠΎΡΡΡ. Π§Π°ΡΠ΅ Π²ΡΠ΅Π³ΠΎ ΡΡΠΎ ΠΏΡΠΎΠΈΡΡ ΠΎΠ΄ΠΈΡ ΠΈΠ·-Π·Π° ΡΠΈΠ»ΡΠ½ΡΡ ΠΌΠ΅Π΄ΠΈΡΠΈΠ½ΡΠΊΠΈΡ ΠΏΡΠ΅ΠΏΠ°ΡΠ°ΡΠΎΠ². Π’Π°ΠΊΠΆΠ΅ ΠΌΠΎΠΆΠ΅Ρ Π±ΡΡΡ Π½Π°ΡΡΡΠ΅Π½ΠΈΠ΅ ΡΠ°Π±ΠΎΡΡ ΠΆΠ΅Π»ΡΠ΄ΠΊΠ° ΠΈ ΡΠ°ΡΡΡΡΠΎΠΉΡΡΠ²ΠΎ ΡΡΡΠ»Π°.
ΠΠΈΠ°Π³Π½ΠΎΡΡΠΈΠΊΠ° ΡΡΠ±Π΅ΡΠΊΡΠ»Π΅Π·Π°
ΠΠΈΠ°Π³Π½ΠΎΡΡΠΈΠΊΠ° ΡΡΠ±Π΅ΡΠΊΡΠ»Π΅Π·Π° Π²ΠΊΠ»ΡΡΠ°Π΅Ρ Π² ΡΠ΅Π±Ρ ΡΠ»Π΅Π΄ΡΡΡΠΈΠ΅ ΡΡΠ°ΠΏΡ:
- Π²ΡΠ°Ρ Π²ΡΡΠ»ΡΡΠΈΠ²Π°Π΅Ρ ΠΆΠ°Π»ΠΎΠ±Ρ ΠΏΠ°ΡΠΈΠ΅Π½ΡΠ° Π½Π° ΠΎΠ΄ΡΡΠΊΡ, ΠΏΠΎΡΠ΅ΡΡ Π²Π΅ΡΠ°, ΠΎΡΡ Π°ΡΠΊΠΈΠ²Π°Π½ΠΈΠ΅;
- Π½Π΅ΠΎΠ±Ρ ΠΎΠ΄ΠΈΠΌΠΎ Π²ΡΡΡΠ½ΠΈΡΡ Ρ ΠΏΠ°ΡΠΈΠ΅Π½ΡΠ° ΠΈΠΌΠ΅Π» Π»ΠΈ ΠΎΠ½ ΡΠ²ΡΠ·Ρ Ρ Π±ΠΎΠ»ΡΠ½ΡΠΌΠΈ ΡΡΠ±Π΅ΡΠΊΡΠ»Π΅Π·ΠΎΠΌ ΠΈ ΠΊΠ°ΠΊ Π΄ΠΎΠ»Π³ΠΎ ΠΏΡΠΎΡΠ΅ΠΊΠ°Π΅Ρ Π±ΠΎΠ»Π΅Π·Π½Ρ;
- Π΄Π°Π»Π΅Π΅ ΠΏΠ°ΡΠΈΠ΅Π½ΡΠ° ΡΠ»ΡΡΠ°ΡΡ ΠΈ ΠΏΡΠΎΠΈΠ·Π²ΠΎΠ΄ΡΡ ΠΎΠ±ΡΠΈΠΉ ΠΎΡΠΌΠΎΡΡ;
- Π΄Π΅Π»Π°ΡΡ ΠΏΡΠΎΠ±Ρ ΠΠ°Π½ΡΡ;
- ΠΎΡΠΏΡΠ°Π²Π»ΡΡΡ ΠΏΠ°ΡΠΈΠ΅Π½ΡΠ° Ρ ΠΏΠΎΠ΄ΠΎΠ·ΡΠ΅Π½ΠΈΠ΅ΠΌ ΡΡΠ±Π΅ΡΠΊΡΠ»Π΅Π·Π° Π½Π° ΡΠ΅Π½ΡΠ³Π΅Π½;
- Π΄Π°Π»Π΅Π΅ ΡΠ΄Π°Π΅ΡΡΡ ΠΌΠΎΠΊΡΠΎΡΠ° Π½Π° Π°Π½Π°Π»ΠΈΠ·.
Π‘ΡΡΠ΅ΡΡΠ²ΡΡΡ ΡΠ°ΠΊΠΆΠ΅ Π΄ΠΎΠΏΠΎΠ»Π½ΠΈΡΠ΅Π»ΡΠ½ΡΠ΅ ΠΏΡΠΎΠ²Π΅ΡΠΊΠΈ Π²ΡΡΠ²Π»Π΅Π½ΠΈΡ ΡΡΠ±Π΅ΡΠΊΡΠ»Π΅Π·Π°. ΠΠ΄Π½Π° ΠΈΠ· Π½ΠΈΡ ΡΡΠΎ Π±ΡΠΎΠ½Ρ ΠΎΡΠΊΠΎΠΏΠΈΡ, ΠΏΠΎΠΌΠΎΠ³Π°Π΅Ρ ΠΏΠΎΡΠΌΠΎΡΡΠ΅ΡΡ Π»Π΅Π³ΠΊΠΈΠ΅ Π²Π½ΡΡΡΠΈ.
ΠΠΎ Π²ΡΠ΅ΠΌΡ ΡΡΠΎΠ³ΠΎ ΠΈΠ·ΡΡΠ΅Π½ΠΈΡ ΠΏΡΠΎΠΈΡΡ ΠΎΠ΄ΠΈΡ ΠΎΡΠΌΠΎΡΡ Π±ΡΠΎΠ½Ρ ΠΎΠ² ΠΈ ΠΈΠ·ΡΡΠ°Π΅ΡΡΡ ΠΊΠ»Π΅ΡΠΎΡΠ½ΡΠΉ ΡΠΎΡΡΠ°Π². Π§ΡΠΎ ΠΏΠΎΠΌΠΎΠ³Π°Π΅Ρ Π½Π°ΠΉΡΠΈ Π²ΠΎΠ·Π±ΡΠ΄ΠΈΡΠ΅Π»Ρ Π±ΠΎΠ»Π΅Π·Π½ΠΈ. ΠΡΠ»ΠΈ ΠΈΠ· Π²ΡΡΠ΅ΠΏΠ΅ΡΠ΅ΡΠΈΡΠ»Π΅Π½Π½ΠΎΠΉ Π΄ΠΈΠ°Π³Π½ΠΎΡΡΠΈΠΊΠΈ Π·Π°ΡΡΡΠ΄Π½ΡΡΡΡΡ ΡΠ΄Π΅Π»Π°ΡΡ Π²ΡΠ²ΠΎΠ΄, ΡΠΎΠ³Π΄Π° Π΄Π΅Π»Π°Π΅ΡΡΡ Π°Π½Π°Π»ΠΈΠ· Π½Π° ΠΠ¦Π .
ΠΠ΅ΡΠ΅Π½ΠΈΠ΅ ΡΡΠ±Π΅ΡΠΊΡΠ»Π΅Π·Π°
- ΠΠ΅ΡΠ²ΡΠΌ Π΄Π΅Π»ΠΎΠΌ ΡΡΡΡΠ°Π½ΡΡΡ ΡΡΠΆΠ΅Π»ΡΠ΅ Π²ΡΡΠ²Π»Π΅Π½ΠΈΡ Π±ΠΎΠ»Π΅Π·Π½ΠΈ ΠΈ Π²ΠΎΠ·Π²ΡΠ°ΡΠ°ΡΡ ΡΠ΅Π»ΠΎΠ²Π΅ΠΊΠ° ΠΊ ΠΏΡΠΈΠ²ΡΡΠ½ΠΎΠΉ ΠΆΠΈΠ·Π½ΠΈ.
- ΠΠ°Π»Π΅Π΅ ΠΏΡΠ΅ΠΊΡΠ°ΡΠ°ΡΡ ΡΠ°Π·Π²ΠΈΡΠΈΠ΅ Π±Π°ΠΊΡΠ΅ΡΠΈΠΉ ΠΈ ΠΎΡΠ°Π³ΠΎΠ² ΠΏΡΠΎΡΠ²Π»Π΅Π½ΠΈΠΉ, Ρ ΠΏΠΎΠΌΠΎΡΡΡ ΠΌΠ΅Π΄ΠΈΠΊΠ°ΠΌΠ΅Π½ΡΠΎΠ·Π½ΡΡ Π»Π΅ΠΊΠ°ΡΡΡΠ². Π’Π΅ΡΠ°ΠΏΠΈΡ ΠΎΡΡΡΠ΅ΡΡΠ²Π»ΡΠ΅ΡΡΡ Π² ΡΡΠ±Π΄ΠΈΡΠΏΠ°Π½ΡΠ΅ΡΠ΅.
- ΠΡΠ»ΠΈ Π·Π°ΠΌΠ΅ΡΠ°Π΅ΡΡΡ Π²ΡΠ½ΠΎΡΠ»ΠΈΠ²ΠΎΡΡΡ Π±Π°ΠΊΡΠ΅ΡΠΈΠΉ ΠΊ ΠΏΡΠ΅ΠΏΠ°ΡΠ°ΡΠ°ΠΌ, ΡΠΎΠ³Π΄Π° Π½Π°ΡΠΈΠ½Π°ΡΡ Π²Π²ΠΎΠ΄ΠΈΡΡ ΠΏΡΠ΅ΠΏΠ°ΡΠ°ΡΡ Π±ΠΎΠ»Π΅Π΅ ΡΠΈΠ»ΡΠ½ΠΎΠ³ΠΎ Π΄Π΅ΠΉΡΡΠ²ΠΈΡ.
ΠΠ°ΠΊ ΡΠΎΠ»ΡΠΊΠΎ ΠΏΠ°ΡΠΈΠ΅Π½Ρ ΡΠ·Π½Π°Π΅Ρ ΡΠ²ΠΎΠΉ Π΄ΠΈΠ°Π³Π½ΠΎΠ·, ΡΡΠ°Π·Ρ ΠΆΠ΅ Π½ΡΠΆΠ½ΠΎ ΠΎΡΡΡΠ΅ΡΡΠ²Π»ΡΡΡ Π»Π΅ΡΠ΅Π½ΠΈΠ΅. ΠΠ΅ΠΊΠ°ΡΡΡΠ²Π΅Π½Π½ΡΠ΅ ΡΡΠ΅Π΄ΡΡΠ²Π° Π΄ΠΎΠ»ΠΆΠ½ΠΎ ΡΠΏΠΎΡΡΠ΅Π±Π»ΡΡΡΡΡ Π² ΠΊΠΎΠΌΠΏΠ»Π΅ΠΊΡΠ΅. Π’Π°ΠΊΠΆΠ΅ Π½Π΅ΠΎΠ±Ρ ΠΎΠ΄ΠΈΠΌΠΎ ΠΌΠΎΡΠ°Π»ΡΠ½ΠΎ Π½Π°ΡΡΡΠΎΠΈΡΡΡΡ Π½Π° ΡΠΎ, ΡΡΠΎ Π»Π΅ΡΠ΅Π½ΠΈΠ΅ Π±ΡΠ΄Π΅Ρ ΠΎΡΡΡΠ΅ΡΡΠ²Π»ΡΡΡΡΡ Π΄Π»ΠΈΡΠ΅Π»ΡΠ½ΠΎΠ΅ Π²ΡΠ΅ΠΌΡ. Π Π½Π΅ ΡΡΠΎΠΈΡ Π·Π°Π±ΡΠ²Π°ΡΡ, ΡΡΠΎ ΠΊΠ°ΠΆΠ΄ΡΠΉ ΡΡΠ°ΠΏ Π»Π΅ΡΠ΅Π½ΠΈΡ ΠΎΠ±ΡΠ·Π°ΡΠ΅Π»ΡΠ½ΠΎ Π΄ΠΎΠ»ΠΆΠ΅Π½ ΠΏΡΠΎΡ ΠΎΠ΄ΠΈΡΡ ΠΏΠΎΠ΄ ΠΏΡΠΈΡΡΠ°Π»ΡΠ½ΡΠΌ Π½Π°Π±Π»ΡΠ΄Π΅Π½ΠΈΠ΅ΠΌ ΡΠΏΠ΅ΡΠΈΠ°Π»ΠΈΡΡΠΎΠ². ΠΡΠ»ΠΈ ΠΈΠΌΠ΅ΡΡΡΡ ΡΠΈΠ»ΡΠ½ΡΠ΅ ΠΎΡΠ»ΠΎΠΆΠ½Π΅Π½ΠΈΡ, ΡΠΎ Π½Π΅ΠΎΠ±Ρ ΠΎΠ΄ΠΈΠΌΠΎ Ρ ΠΈΡΡΡΠ³ΠΈΡΠ΅ΡΠΊΠΎΠ΅ Π²ΠΌΠ΅ΡΠ°ΡΠ΅Π»ΡΡΡΠ²ΠΎ.
ΠΠ°ΠΆΠ½ΠΎ!Β ΠΒ Π΄ΠΎΠΌΠ°ΡΠ½ΠΈΡ ΡΡΠ»ΠΎΠ²ΠΈΡΡ Β ΡΡΠ±Π΅ΡΠΊΡΠ»Π΅Π· Π»Π΅ΡΠΈΡΡ Π½Π΅Π»ΡΠ·Ρ, Π²ΡΡ ΡΠ΅ΡΠ°ΠΏΠΈΡ ΠΏΡΠΎΠ²ΠΎΠ΄ΠΈΡΡΡΡ ΡΠΎΠ»ΡΠΊΠΎ Π²Β ΡΡΠ±Π΄ΠΈΡΠΏΠ°Π½ΡΠ΅ΡΠ΅, ΠΏΠΎΠ΄ ΡΡΡΠΎΠ³ΠΈΠΌ Π½Π°Π±Π»ΡΠ΄Π΅Π½ΠΈΠ΅ΠΌ Π²ΡΠ°ΡΠ΅ΠΉ.
ΠΡΠΎΡΠΈΠ»Π°ΠΊΡΠΈΠΊΠ°
ΠΡΠΎΡΠΈΠ»Π°ΠΊΡΠΈΠΊΠ° ΡΠ²Π»ΡΠ΅ΡΡΡ ΠΎΡΠ΅Π½Ρ Π²Π°ΠΆΠ½ΡΠΌ ΠΌΠ΅ΡΠΎΠΏΡΠΈΡΡΠΈΠ΅ΠΌ, ΡΠ°ΠΊ ΠΊΠ°ΠΊ Π² Π½Π°ΡΠ΅ Π²ΡΠ΅ΠΌΡ Π±ΠΎΠ»ΡΡΠΎΠ΅ ΠΊΠΎΠ»ΠΈΡΠ΅ΡΡΠ²ΠΎ Π»ΡΠ΄Π΅ΠΉ Π±ΠΎΠ»Π΅ΡΡ ΡΡΠ±Π΅ΡΠΊΡΠ»Π΅Π·ΠΎΠΌ. Π‘Π°ΠΌΠΎΠΉ Π²Π°ΠΆΠ½ΠΎΠΉ Π·Π°ΡΠΈΡΠΎΠΉ ΠΌΠΎΠΆΠ΅Ρ Π±ΡΡΡ Π²Π°ΠΊΡΠΈΠ½Π°ΡΠΈΡ ΠΎΡ ΡΡΠ±Π΅ΡΠΊΡΠ»Π΅Π·Π°. ΠΡΠΈΠ²ΠΈΠ²ΠΊΠ° ΠΠ¦Π, Π΅Π΅ Π΄Π΅Π»Π°ΡΡ Π² ΠΏΠ΅ΡΠ²ΡΠΉ ΡΠ°Π· Π΅ΡΠ΅ Π² ΡΠΎΠ΄Π΄ΠΎΠΌΠ΅. ΠΠ°Π»Π΅Π΅ ΠΏΡΠΎΠΈΠ·Π²ΠΎΠ΄ΠΈΡΡΡ ΡΠ΅Π²Π°ΠΊΡΠΈΠ½Π°ΡΠΈΡ Π² 7 ΠΈ 14 Π»Π΅Ρ. Π’Π°ΠΊΠΆΠ΅ Π½Π΅ ΡΡΠΎΠΈΡ Π·Π°Π±ΡΠ²Π°ΡΡ Π΄Π΅Π»Π°ΡΡ ΡΠ»ΡΠΎΡΠΎΠ³ΡΠ°ΡΠΈΡ ΡΠ°Π· Π² Π³ΠΎΠ΄.
Π’Π°ΠΊΠΈΠΌ ΠΎΠ±ΡΠ°Π·ΠΎΠΌ, ΡΡΠΎΠ±Ρ Π½Π΅ Π·Π°Π±ΠΎΠ»Π΅ΡΡ ΡΡΠ±Π΅ΡΠΊΡΠ»Π΅Π·ΠΎΠΌ, Π½Π΅ΠΎΠ±Ρ ΠΎΠ΄ΠΈΠΌ Ρ ΠΎΡΠΎΡΠΈΠΉ ΠΈΠΌΠΌΡΠ½ΠΈΡΠ΅Ρ. Π ΠΏΠΎΠ΄Π΄Π΅ΡΠΆΠΈΠ²Π°ΡΡ Ρ ΠΎΡΠΎΡΠΈΠΉ ΠΈΠΌΠΌΡΠ½ΠΈΡΠ΅Ρ Π½ΡΠΆΠ½ΠΎ ΠΏΡΠ°Π²ΠΈΠ»ΡΠ½ΡΠΌ ΠΏΠΈΡΠ°Π½ΠΈΠ΅, Π·Π°Π½ΡΡΠΈΠ΅ΠΌ ΡΠΏΠΎΡΡΠ°, Π·Π΄ΠΎΡΠΎΠ²ΡΠΌ ΠΎΠ±ΡΠ°Π·ΠΎΠΌ ΠΆΠΈΠ·Π½ΠΈ ΠΈ ΠΎΡΠΊΠ°Π·ΠΎΠΌ ΠΎΡ Π²ΡΠ΅Π΄Π½ΡΡ ΠΏΡΠΈΠ²ΡΡΠ΅ΠΊ.
ΠΠΈΠ΄Π΅ΠΎΠ·Π°ΠΏΠΈΡΠΈ ΠΏΠΎ ΡΠ΅ΠΌΠ΅
tvojajbolit.ru
ΠΠ΅ΡΠ²ΡΠ΅ ΠΏΡΠΈΠ·Π½Π°ΠΊΠΈ ΡΡΠ±Π΅ΡΠΊΡΠ»Π΅Π·Π° Π»Π΅Π³ΠΊΠΈΡ Ρ Π²Π·ΡΠΎΡΠ»ΡΡ (ΡΠΈΠΌΠΏΡΠΎΠΌΡ).

Π’ΡΠ±Π΅ΡΠΊΡΠ»Π΅Π· ΠΏΡΠ΅Π΄ΡΡΠ°Π²Π»ΡΠ΅Ρ ΡΠΎΠ±ΠΎΠΉ ΡΠ΅ΡΡΠ΅Π·Π½ΠΎΠ΅ ΠΈΠ½ΡΠ΅ΠΊΡΠΈΠΎΠ½Π½ΠΎΠ΅ Π·Π°Π±ΠΎΠ»Π΅Π²Π°Π½ΠΈΠ΅, ΠΊΠΎΡΠΎΡΠΎΠ΅ Π²ΡΠ·ΡΠ²Π°Π΅ΡΡΡ ΠΌΠΈΠΊΠΎΠ±Π°ΠΊΡΠ΅ΡΠΈΠ΅ΠΉ. Π Π±ΠΎΠ»ΡΡΠΈΠ½ΡΡΠ²Π΅ ΡΠ»ΡΡΠ°Π΅Π² Π΅Π³ΠΎ Π²ΠΎΠ·Π½ΠΈΠΊΠ½ΠΎΠ²Π΅Π½ΠΈΠ΅ ΡΠΎΠΏΡΡΠΆΠ΅Π½ΠΎ Ρ ΠΎΡΠ»Π°Π±Π»Π΅Π½ΠΈΠ΅ΠΌ ΠΈΠΌΠΌΡΠ½ΠΈΡΠ΅ΡΠ° ΡΠ΅Π»ΠΎΠ²Π΅ΠΊΠ°. Π‘ΡΠΎΠΈΡ ΠΎΡΠΌΠ΅ΡΠΈΡΡ, ΡΡΠΎ Π±Π°ΠΊΡΠ΅ΡΠΈΠΈ, Π²ΡΠ·ΡΠ²Π°ΡΡΠΈΠ΅ ΡΠΈΠΌΠΏΡΠΎΠΌΡ ΡΡΠ±Π΅ΡΠΊΡΠ»Π΅Π·Π° Ρ Π²Π·ΡΠΎΡΠ»ΡΡ , ΡΠ°ΡΠΏΡΠΎΡΡΡΠ°Π½Π΅Π½Ρ ΠΏΠΎΠ²ΡΠ΅ΠΌΠ΅ΡΡΠ½ΠΎ: Π² ΠΏΠΎΡΠ²Π΅, Π² Π²ΠΎΠ΄Π΅, Π° ΡΠ°ΠΊΠΆΠ΅ Π² ΠΎΡΠ³Π°Π½ΠΈΠ·ΠΌΠ΅ ΡΠ΅Π»ΠΎΠ²Π΅ΠΊΠ° ΠΈ ΠΆΠΈΠ²ΠΎΡΠ½ΡΡ . ΠΠ΄Π½Π°ΠΊΠΎ Π°ΠΊΡΠΈΠ²Π½ΠΎ ΡΠ°Π·ΠΌΠ½ΠΎΠΆΠ°ΡΡΡΡ ΠΎΠ½ΠΈ Π½Π°ΡΠΈΠ½Π°ΡΡ ΡΠΎΠ»ΡΠΊΠΎ ΠΏΡΠΈ Π½Π°Π»ΠΈΡΠΈΠΈ Π±Π»Π°Π³ΠΎΠΏΡΠΈΡΡΠ½ΡΡ ΡΡΠ»ΠΎΠ²ΠΈΠΉ, Π² ΡΠΈΡΠ»Π΅ ΠΊΠΎΡΠΎΡΡΡ Π½Π°Π»ΠΈΡΠΈΠ΅ Ρ ΡΠΎΠ½ΠΈΡΠ΅ΡΠΊΠΈΡ Π·Π°Π±ΠΎΠ»Π΅Π²Π°Π½ΠΈΠΉ, ΠΏΠ΅ΡΠ΅ΠΎΡ Π»Π°ΠΆΠ΄Π΅Π½ΠΈΠ΅, Π½Π΅ΡΠ²Π½ΠΎΠ΅ ΠΏΠ΅ΡΠ΅Π½Π°ΠΏΡΡΠΆΠ΅Π½ΠΈΠ΅. ΠΠ½ΠΊΡΠ±Π°ΡΠΈΠΎΠ½Π½ΡΠΉ ΠΏΠ΅ΡΠΈΠΎΠ΄, ΠΊΠ°ΠΊ ΠΏΡΠ°Π²ΠΈΠ»ΠΎ, ΡΠΎΡΡΠ°Π²Π»ΡΠ΅Ρ 3-12 Π½Π΅Π΄Π΅Π»Ρ, Π² Π½Π΅ΠΊΠΎΡΠΎΡΡΡ ΡΠ»ΡΡΠ°ΡΡ ΠΎΠ½ ΠΌΠΎΠΆΠ΅Ρ Π΄Π»ΠΈΡΡΡΡ Π½Π° ΠΏΡΠΎΡΡΠΆΠ΅Π½ΠΈΠΈ Π½Π΅ΡΠΊΠΎΠ»ΡΠΊΠΈΡ Π»Π΅Ρ. ΠΡΠΈ ΡΡΠ±Π΅ΡΠΊΡΠ»Π΅Π·Π΅ Π»Π΅Π³ΠΊΠΈΡ ΡΠΈΠΌΠΏΡΠΎΠΌΡ ΠΏΠΎΡΠ°ΠΆΠ΅Π½ΠΈΡ Ρ Π²Π·ΡΠΎΡΠ»ΡΡ Π½Π°Π±Π»ΡΠ΄Π°ΡΡΡΡ ΡΠ°ΠΊΠΆΠ΅ Π² Π±ΡΠΎΠ½Ρ Π°Ρ , ΡΡΠ°Ρ Π΅Π΅ ΠΈ Π²Π½ΡΡΡΠΈΠ³ΡΡΠ΄Π½ΡΡ Π»ΠΈΠΌΡΠΎΡΠ·Π»Π°Ρ . Π Π·Π°Π²ΠΈΡΠΈΠΌΠΎΡΡΠΈ ΠΎΡ ΡΡΠ΅ΠΏΠ΅Π½ΠΈ Π²ΡΠ΄Π΅Π»Π΅Π½ΠΈΡ ΠΏΠ°ΡΠΎΠ³Π΅Π½Π½ΡΡ ΠΌΠΈΠΊΡΠΎΠΎΡΠ³Π°Π½ΠΈΠ·ΠΌΠΎΠ² Π²ΠΎ Π²Π½Π΅ΡΠ½ΡΡ ΡΡΠ΅Π΄Ρ, Π·Π°Π±ΠΎΠ»Π΅Π²Π°Π½ΠΈΠ΅ ΠΏΠΎΠ΄ΡΠ°Π·Π΄Π΅Π»ΡΡΡ Π½Π° ΠΎΡΠΊΡΡΡΡΡ ΠΈ Π·Π°ΠΊΡΡΡΡΡ ΡΠΎΡΠΌΡ.
Π‘ΠΈΠΌΠΏΡΠΎΠΌΡ Ρ Π²Π·ΡΠΎΡΠ»ΠΎΠ³ΠΎ
ΠΡΠΈ ΠΏΠΎΡΠ°ΠΆΠ΅Π½ΠΈΠΈ Π»Π΅Π³ΠΊΠΈΡ ΠΌΠΈΠΊΠΎΠ±Π°ΠΊΡΠ΅ΡΠΈΡΠΌΠΈ ΠΏΡΠΈΠ·Π½Π°ΠΊΠΈ Π·Π°Π±ΠΎΠ»Π΅Π²Π°Π½ΠΈΡ Π΄ΠΎΠ²ΠΎΠ»ΡΠ½ΠΎ ΡΡ ΠΎΠΆΠΈ Ρ Π΄ΡΡΠ³ΠΈΠΌΠΈ Π½Π΅Π΄ΡΠ³Π°ΠΌΠΈ, Π² ΡΠ²ΡΠ·ΠΈ Ρ ΡΠ΅ΠΌ Π΅Π³ΠΎ Π·Π°ΡΠ°ΡΡΡΡ Π½Π΅ ΡΠ΄Π°Π΅ΡΡΡ ΡΠ²ΠΎΠ΅Π²ΡΠ΅ΠΌΠ΅Π½Π½ΠΎ Π΄ΠΈΠ°Π³Π½ΠΎΡΡΠΈΡΠΎΠ²Π°ΡΡ. Π‘ΠΈΠΌΠΏΡΠΎΠΌΡ ΠΏΠ΅ΡΠ²ΠΈΡΠ½ΠΎΠ³ΠΎ ΡΡΠ±Π΅ΡΠΊΡΠ»Π΅Π·Π° Ρ Π²Π·ΡΠΎΡΠ»ΡΡ ΡΠ»Π΅Π΄ΡΡΡΠΈΠ΅:
- Π½Π΅Π΄ΠΎΠΌΠΎΠ³Π°Π½ΠΈΠ΅;
- ΠΏΠ°Π΄Π΅Π½ΠΈΠ΅ ΡΡΡΠ΄ΠΎΡΠΏΠΎΡΠΎΠ±Π½ΠΎΡΡΠΈ, ΡΡΠΎΠΌΠ»ΡΠ΅ΠΌΠΎΡΡΡ;
- ΠΏΠΎΠ²ΡΡΠ΅Π½Π½Π°Ρ ΠΏΠΎΡΠ»ΠΈΠ²ΠΎΡΡΡ;
- ΡΠ½ΠΈΠΆΠ΅Π½ΠΈΠ΅ Π°ΠΏΠΏΠ΅ΡΠΈΡΠ° ΠΈ ΠΊΠ°ΠΊ ΡΠ»Π΅Π΄ΡΡΠ²ΠΈΠ΅ β ΠΌΠ°ΡΡΡ ΡΠ΅Π»Π°;
- ΡΠ²Π΅Π»ΠΈΡΠ΅Π½ΠΈΠ΅ Π»ΠΈΠΌΡΠΎΡΠ·Π»ΠΎΠ²;
- ΠΏΠΎΠ²ΡΡΠ΅Π½ΠΈΠ΅ ΡΠ΅ΠΌΠΏΠ΅ΡΠ°ΡΡΡΡ ΡΠ΅Π»Π° Π΄ΠΎ ΡΡΠ±ΡΠ΅Π±ΡΠΈΠ»ΡΠ½ΡΡ Π·Π½Π°ΡΠ΅Π½ΠΈΠΉ;
- ΠΏΠ»ΠΎΡ ΠΎΠ΅ Π½Π°ΡΡΡΠΎΠ΅Π½ΠΈΠ΅, Π°ΠΏΠ°ΡΠΈΡ.
Π‘ΠΎ ΡΡΠΎΡΠΎΠ½Ρ ΠΎΡΠ³Π°Π½ΠΎΠ² Π΄ΡΡ Π°Π½ΠΈΡ Π½Π°Π±Π»ΡΠ΄Π°ΡΡΡΡ ΠΈ Π΄ΡΡΠ³ΠΈΠ΅ ΠΏΡΠΈΠ·Π½Π°ΠΊΠΈ ΠΏΠ΅ΡΠ²ΠΈΡΠ½ΠΎΠ³ΠΎ ΡΡΠ±Π΅ΡΠΊΡΠ»Π΅Π·Π° Π»Π΅Π³ΠΊΠΈΡ Ρ Π²Π·ΡΠΎΡΠ»ΡΡ . Π Π½ΠΈΠΌ ΠΎΡΠ½ΠΎΡΠΈΡΡΡ:
- ΠΊΠ°ΡΠ΅Π»Ρ;
- ΠΏΠΎΡΠ²Π»Π΅Π½ΠΈΠ΅ ΠΏΡΠΈΠΌΠ΅ΡΠ΅ΠΉ ΠΊΡΠΎΠ²ΠΈ Π² ΠΌΠΎΠΊΡΠΎΡΠ΅;
- ΠΎΠ΄ΡΡΠΊΠ°;
- Π±ΠΎΠ»Ρ Π² Π³ΡΡΠ΄ΠΈΠ½Π΅, ΠΊΠΎΡΠΎΡΠ°Ρ ΡΡΠΈΠ»ΠΈΠ²Π°Π΅ΡΡΡ Π²ΠΎ Π²ΡΠ΅ΠΌΡ ΠΊΠ°ΡΠ»Ρ.
ΠΡΠΈ ΡΠ°Π·Π²ΠΈΡΠΈΠΈ ΠΎΡΠ»ΠΎΠΆΠ½Π΅Π½ΠΈΠΉ Ρ Π±ΠΎΠ»ΡΠ½ΠΎΠ³ΠΎ ΠΌΠΎΠ³ΡΡ ΠΏΠΎΡΠ²ΠΈΡΡΡΡ Π½Π΅ΠΊΠΎΡΠΎΡΡΠ΅ ΡΠΎΠΏΡΡΡΡΠ²ΡΡΡΠΈΠ΅ ΡΠΈΠΌΠΏΡΠΎΠΌΡ, Π½Π°ΠΏΡΠΈΠΌΠ΅Ρ, ΡΠ²Π΅ΡΠΎΠ±ΠΎΡΠ·Π½Ρ, ΡΠΎΡΠ½ΠΎΡΠ°, Π±ΠΎΠ»Ρ Π² ΠΏΠΎΡΡΠ½ΠΈΡΠ΅, ΡΡ ΡΠ΄ΡΠ΅Π½ΠΈΠ΅ Π·ΡΠ΅Π½ΠΈΡ. ΠΡΠ»ΠΈ Π½Π΅ ΡΠ΄Π΅Π»ΠΈΡΡ Π΄ΠΎΠ»ΠΆΠ½ΠΎΠ³ΠΎ Π²Π½ΠΈΠΌΠ°Π½ΠΈΡ ΠΏΠ΅ΡΠ²ΡΠΌ ΠΏΡΠΈΠ·Π½Π°ΠΊΠ°ΠΌ ΡΡΠ±Π΅ΡΠΊΡΠ»Π΅Π·Π° Π»Π΅Π³ΠΊΠΈΡ Ρ Π²Π·ΡΠΎΡΠ»ΡΡ , Π²ΠΎΡΠΏΠ°Π»ΠΈΡΠ΅Π»ΡΠ½ΡΠΉ ΠΏΡΠΎΡΠ΅ΡΡ ΡΠΏΠΎΡΠΎΠ±Π΅Π½ ΡΠΏΡΠΎΠ²ΠΎΡΠΈΡΠΎΠ²Π°ΡΡ:
- Π΄ΡΡ Π°ΡΠ΅Π»ΡΠ½ΡΡ ΠΈ ΡΠ΅ΡΠ΄Π΅ΡΠ½ΡΡ Π½Π΅Π΄ΠΎΡΡΠ°ΡΠΎΡΠ½ΠΎΡΡΡ;
- ΠΏΠ»Π΅Π²ΡΠΈΡ;
- ΠΏΠ½Π΅Π²ΠΌΠΎΡΠΎΡΠ°ΠΊΡ;
- ΠΊΡΠΎΠ²ΠΎΡΠ΅ΡΠ΅Π½ΠΈΠ΅ Π² Π»Π΅Π³ΠΊΠΈΡ ;
- ΡΠ°ΡΠΏΡΠΎΡΡΡΠ°Π½Π΅Π½ΠΈΠ΅ ΠΌΠΈΠΊΠΎΠ±Π°ΠΊΡΠ΅ΡΠΈΠΉ Π½Π° Π΄ΡΡΠ³ΠΈΠ΅ ΠΎΡΠ³Π°Π½Ρ.
ΠΠ΅ΡΠ²ΡΠ΅ ΠΏΡΠΈΠ·Π½Π°ΠΊΠΈ ΡΡΠ±Π΅ΡΠΊΡΠ»Π΅Π·Π° Π½Π° ΡΠ°Π½Π½ΠΈΡ ΡΡΠ°Π΄ΠΈΡΡ
ΠΠΎΡΠΏΠ°Π»ΠΈΡΠ΅Π»ΡΠ½ΡΠΉ ΠΏΡΠΎΡΠ΅ΡΡ Π² Π»Π΅Π³ΠΊΠΈΡ , Π²ΡΠ·Π²Π°Π½Π½ΡΠΉ ΠΌΠΈΠΊΠΎΠ±Π°ΠΊΡΠ΅ΡΠΈΡΠΌΠΈ, ΡΠ°ΡΡΠΎ ΠΌΠ°ΡΠΊΠΈΡΡΠ΅ΡΡΡ ΠΏΠΎΠ΄ Π΄ΡΡΠ³ΠΈΠ΅ Π·Π°Π±ΠΎΠ»Π΅Π²Π°Π½ΠΈΡ. Π£Π²Π΅ΡΠ΅Π½Π½ΠΎ ΠΈΠ΄Π΅Π½ΡΠΈΡΠΈΡΠΈΡΠΎΠ²Π°ΡΡ Π΅Π³ΠΎ ΠΌΠΎΠΆΠ΅Ρ ΡΠΎΠ»ΡΠΊΠΎ ΠΎΠΏΡΡΠ½ΡΠΉ ΠΌΠ΅Π΄ΠΈΡΠΈΠ½ΡΠΊΠΈΠΉ ΡΠΏΠ΅ΡΠΈΠ°Π»ΠΈΡΡ. ΠΠ°ΠΊ ΠΏΡΠ°Π²ΠΈΠ»ΠΎ, ΡΠΈΠΌΠΏΡΠΎΠΌΡ ΠΎΠΏΡΠ΅Π΄Π΅Π»ΡΡΡΡΡ Π²ΠΎΠ·ΡΠ°ΡΡΠΎΠΌ Π±ΠΎΠ»ΡΠ½ΠΎΠ³ΠΎ ΠΈ ΠΈΠ½Π΄ΠΈΠ²ΠΈΠ΄ΡΠ°Π»ΡΠ½ΡΠΌΠΈ ΡΠ²ΠΎΠΉΡΡΠ²Π°ΠΌΠΈ Π΅Π³ΠΎ ΠΎΡΠ³Π°Π½ΠΈΠ·ΠΌΠ°. ΠΠ΅ΡΠ²ΡΠΌΠΈ ΠΏΡΠΈΠ·Π½Π°ΠΊΠ°ΠΌΠΈ ΡΡΠ±Π΅ΡΠΊΡΠ»Π΅Π·Π° Π»Π΅Π³ΠΊΠΈΡ Π½Π° ΡΠ°Π½Π½ΠΈΡ ΡΡΠ°Π΄ΠΈΡΡ Ρ Π²Π·ΡΠΎΡΠ»ΡΡ ΠΏΡΠΈΠ½ΡΡΠΎ ΡΡΠΈΡΠ°ΡΡ:
- ΠΏΠΎΡΠ΅ΡΡ Π°ΠΏΠΏΠ΅ΡΠΈΡΠ°;
- ΡΡ ΡΠ΄ΡΠ΅Π½ΠΈΠ΅ ΡΠ½Π°;
- ΠΏΠΎΡΡΠΎΡΠ½Π½ΠΎ ΡΠ΄Π΅ΡΠΆΠΈΠ²Π°ΡΡΡΡΡΡ ΡΡΠ±ΡΠ΅Π±ΡΠΈΠ»ΡΠ½ΡΡ ΡΠ΅ΠΌΠΏΠ΅ΡΠ°ΡΡΡΡ ΡΠ΅Π»Π°;
- ΡΡ ΡΠ΄ΡΠ΅Π½ΠΈΠ΅ ΠΎΠ±ΡΠ΅Π³ΠΎ ΡΠΎΡΡΠΎΡΠ½ΠΈΡ;
- Π°ΠΊΡΠΈΠ²Π½ΠΎΠ΅ ΠΏΠΎΡΠΎΠΎΡΠ΄Π΅Π»Π΅Π½ΠΈΠ΅ Π² Π½ΠΎΡΠ½ΠΎΠ΅ Π²ΡΠ΅ΠΌΡ;
- ΡΡΡ ΠΎΠΉ ΠΊΠ°ΡΠ΅Π»Ρ, ΠΎΠ±ΠΎΡΡΡΡΡΡΠΈΠΉΡΡ ΡΡΡΠΎΠΌ ΠΈ Π²Π΅ΡΠ΅ΡΠΎΠΌ;
- Π²ΡΠ΄Π΅Π»Π΅Π½ΠΈΠ΅ ΠΌΠΎΠΊΡΠΎΡΡ Ρ ΠΏΡΠΎΠΆΠΈΠ»ΠΊΠ°ΠΌΠΈ ΠΊΡΠΎΠ²ΠΈ.
bolezni.zdorov.online
Π’ΡΠ±Π΅ΡΠΊΡΠ»Π΅Π· Ρ Π²Π·ΡΠΎΡΠ»ΡΡ — ΡΠΈΠΌΠΏΡΠΎΠΌΡ, Π»Π΅ΡΠ΅Π½ΠΈΠ΅, ΠΏΡΠΈΠ·Π½Π°ΠΊΠΈ Π½Π° ΡΠ°Π½Π½Π΅ΠΉ ΡΡΠ°Π΄ΠΈΠΈ
Π’ΡΠ±Π΅ΡΠΊΡΠ»Π΅Π· Ρ Π²Π·ΡΠΎΡΠ»ΡΡ β ΡΡΠΎ Π·Π°Π±ΠΎΠ»Π΅Π²Π°Π½ΠΈΠ΅, Π²ΡΠ·ΡΠ²Π°Π΅ΠΌΠΎΠ΅ ΠΊΠΈΡΠ»ΠΎΡΠΎΡΡΡΠΎΠΉΡΠΈΠ²ΡΠΌΠΈ ΡΡΠ°ΠΌΠΌΠ°ΠΌΠΈ ΠΌΠΈΠΊΠΎΠ±Π°ΠΊΡΠ΅ΡΠΈΠΉ ΡΡΠ±Π΅ΡΠΊΡΠ»Π΅Π·Π°. ΠΠ°ΡΠ°ΠΆΠ΅Π½ΠΈΠ΅ Π΄Π°Π½Π½ΡΠΌ ΡΠΈΠΏΠΎΠΌ ΠΌΠΈΠΊΠΎΠ±Π°ΠΊΡΠ΅ΡΠΈΠΉ ΡΡΠ±Π΅ΡΠΊΡΠ»Π΅Π·Π° ΡΠ»ΡΡΠ°Π΅ΡΡΡ ΠΏΡΠΈ ΡΠ°Π·Π³ΠΎΠ²ΠΎΡΠ΅ Ρ ΡΠ΅Π»ΠΎΠ²Π΅ΠΊΠΎΠΌ, ΡΡΡΠ°Π΄Π°ΡΡΠΈΠΌ ΠΎΡΠΊΡΡΡΠΎΠΉ ΡΠΎΡΠΌΠΎΠΉ, ΠΏΡΠΈ ΠΊΠΎΡΠΎΡΠΎΠΉ ΠΏΡΠΎΠΈΡΡ ΠΎΠ΄ΠΈΡ Π²ΡΠ΄Π΅Π»Π΅Π½ΠΈΠ΅ ΠΏΠ°Π»ΠΎΡΠΊΠΈ ΠΠΎΡ Π° Π²ΠΌΠ΅ΡΡΠ΅ Ρ ΠΊΠ°ΠΏΠ΅Π»ΡΠΊΠ°ΠΌΠΈ ΠΈΠ½ΡΠΈΡΠΈΡΠΎΠ²Π°Π½Π½ΠΎΠΉ ΠΌΠΎΠΊΡΠΎΡΡ Π² ΠΎΠΊΡΡΠΆΠ°ΡΡΡΡ ΡΡΠ΅Π΄Ρ. ΠΠΎΠ»ΡΡΠΈΠ½ΡΡΠ²ΠΎ Π»ΡΠ΄Π΅ΠΉ-Π±Π°ΠΊΡΠ΅ΡΠΈΠΎΠ²ΡΠ΄Π΅Π»ΠΈΡΠ΅Π»Π΅ΠΉ Π½Π΅ ΠΏΠΎΠ΄ΠΎΠ·ΡΠ΅Π²Π°ΡΡ ΠΎ ΡΠ°Π·Π²ΠΈΡΠΈΠΈ ΡΡΠ±Π΅ΡΠΊΡΠ»Π΅Π·Π½ΠΎΠ³ΠΎ ΠΏΡΠΎΡΠ΅ΡΡΠ° Π² ΡΠ²ΠΎΠ΅ΠΌ ΠΎΡΠ³Π°Π½ΠΈΠ·ΠΌΠ΅. ΠΠ±Π½Π°ΡΡΠΆΠ΅Π½ΠΈΠ΅ ΡΠ°ΠΊΡΠ° Π²ΡΠ΄Π΅Π»Π΅Π½ΠΈΡ ΠΏΠ°Π»ΠΎΡΠΊΠΈ ΠΠΎΡ Π° ΠΏΡΠΎΠΈΡΡ ΠΎΠ΄ΠΈΡ ΡΠ°ΡΡΠΎ ΡΠ»ΡΡΠ°ΠΉΠ½ΠΎ ΠΏΡΠΈ ΠΏΠΎΡΠ΅ΡΠ΅Π½ΠΈΠΈ ΠΊΠ°Π±ΠΈΠ½Π΅ΡΠ° ΡΠ΅ΡΠ°ΠΏΠ΅Π²ΡΠ° ΠΏΠΎ ΠΊΠ°ΠΊΠΎΠΉ-Π½ΠΈΠ±ΡΠ΄Ρ Π΄ΡΡΠ³ΠΎΠΉ ΠΏΡΠΈΡΠΈΠ½Π΅ ΠΈΠ»ΠΈ ΠΏΡΠΈ ΠΏΡΠΎΠ²Π΅Π΄Π΅Π½ΠΈΠΈ Π½Π΅Π·Π°ΠΏΠ»Π°Π½ΠΈΡΠΎΠ²Π°Π½Π½ΠΎΠΉ ΠΏΡΠΎΡΠΈΠ»Π°ΠΊΡΠΈΡΠ΅ΡΠΊΠΎΠΉ ΡΠ»ΡΠΎΡΠΎΠ³ΡΠ°ΠΌΠΌΡ,Π½Π°ΠΏΡΠΈΠΌΠ΅Ρ, ΠΏΡΠΈ ΡΡΡΡΠΎΠΉΡΡΠ²Π΅ Π½Π° Π½ΠΎΠ²ΡΡ ΡΠ°Π±ΠΎΡΡ. Π‘ΡΠΎΠΈΡ Π»ΠΈ ΡΠΏΠΎΠΌΠΈΠ½Π°ΡΡ, ΡΠΊΠΎΠ»ΡΠΊΠΎ Π»ΡΠ΄Π΅ΠΉ ΠΎΠ½ΠΈ ΡΡΠΏΠ΅Π²Π°ΡΡ Π·Π°ΡΠ°Π·ΠΈΡΡ Π·Π° Π²ΡΠ΅ΠΌΡ Π½Π΅ΠΎΡΠ²Π΅Π΄ΠΎΠΌΠ»Π΅Π½Π½ΠΎΡΡΠΈ ΠΎ ΠΏΠ»Π°ΡΠ΅Π²Π½ΠΎΡΡΠΈ ΡΠ²ΠΎΠ΅Π³ΠΎ ΡΠΎΡΡΠΎΡΠ½ΠΈΡ.
ΠΡΠΈΡΠΈΠ½Ρ ΡΡΠ±Π΅ΡΠΊΡΠ»Π΅Π·Π° Ρ Π²Π·ΡΠΎΡΠ»ΡΡ
ΠΡΠΈΡΠΈΠ½ΠΎΠΉ ΡΠ°Π·Π²ΠΈΡΠΈΡ ΡΡΠ±Π΅ΡΠΊΡΠ»Π΅Π·Π° Ρ Π²Π·ΡΠΎΡΠ»ΡΡ ΡΠ²Π»ΡΡΡΡΡ ΠΊΠΈΡΠ»ΠΎΡΠΎΡΡΡΠΎΠΉΡΠΈΠ²ΡΠ΅ ΡΡΠ°ΠΌΠΌΡ ΠΌΠΈΠΊΠΎΠ±Π°ΠΊΡΠ΅ΡΠΈΠΈ ΡΡΠ±Π΅ΡΠΊΡΠ»Π΅Π·Π° (ΠΏΠ°Π»ΠΎΡΠΊΠΈ ΠΠΎΡ Π°). ΠΠ°Π»ΠΎΡΠΊΠ° ΠΠΎΡ Π° ΡΡΠ°Π»Π° ΠΈΠ·Π²Π΅ΡΡΠ½Π° Π΅ΡΠ΅ Ρ Π΄Π°Π²Π½ΠΈΡ Π²ΡΠ΅ΠΌΠ΅Π½, ΡΠ΅Π»ΠΎΠ²Π΅ΡΠ΅ΡΡΠ²ΠΎ ΡΠΆΠ΅ Π½Π΅ ΠΎΠ΄Π½ΠΎ ΡΡΠΎΠ»Π΅ΡΠΈΠ΅ Π²Π΅Π΄Π΅Ρ Π±ΠΎΡΡΠ±Ρ Ρ ΠΏΠΎΡΠ»Π΅Π΄ΡΡΠ²ΠΈΡΠΌΠΈ Π·Π°ΡΠ°ΠΆΠ΅Π½ΠΈΡ ΡΡΠΈΠΌ Π²ΠΎΠ·Π±ΡΠ΄ΠΈΡΠ΅Π»Π΅ΠΌ. Π‘ΡΠΎΠ»Ρ Π΄Π»ΠΈΡΠ΅Π»ΡΠ½Π°Ρ Π±Π΅Π·ΡΡΠΏΠ΅ΡΠ½Π°Ρ Π±ΠΎΡΡΠ±Π° ΡΠ²ΡΠ·Π°Π½Π° Ρ ΡΡΠ΅Π·Π²ΡΡΠ°ΠΉΠ½ΠΎΠΉ ΠΆΠΈΠ·Π½Π΅ΡΠΏΠΎΡΠΎΠ±Π½ΠΎΡΡΡΡ ΡΡΠΎΠΉ Π±Π°ΠΊΡΠ΅ΡΠΈΠΈ.
ΠΡΠ»ΠΈΡΠΈΡΠ΅Π»ΡΠ½ΡΠΌΠΈ ΡΠ΅ΡΡΠ°ΠΌΠΈ Π΄Π°Π½Π½ΠΎΠ³ΠΎ ΠΌΠΈΠΊΡΠΎΠΎΡΠ³Π°Π½ΠΈΠ·ΠΌΠ° ΡΠ²Π»ΡΠ΅ΡΡΡ ΠΎΠ³ΡΠΎΠΌΠ½ΠΎΠ΅ ΡΠ°Π·Π½ΠΎΠΎΠ±ΡΠ°Π·ΠΈΠ΅ Π²Π°ΡΠΈΠ°ΡΠΈΠΉ Π³Π΅Π½ΠΎΠ² Π² ΠΊΠ»Π΅ΡΠΎΡΠ½ΠΎΠΉ ΡΡΠ΅Π½ΠΊΠ΅ Π±Π°ΠΊΡΠ΅ΡΠΈΠΈ. Π‘ ΡΡΠΈΠΌ ΡΠ²ΡΠ·Π°Π½Ρ ΠΎΠΏΡΠ΅Π΄Π΅Π»Π΅Π½Π½ΡΠ΅ ΡΡΡΠ΄Π½ΠΎΡΡΠΈ Π² Π»Π΅ΡΠ΅Π½ΠΈΠΈ ΡΡΠ±Π΅ΡΠΊΡΠ»Π΅Π·Π° Ρ Π²Π·ΡΠΎΡΠ»ΡΡ . ΠΠΎΠΌΠΈΠΌΠΎ ΡΡΠΎΠ³ΠΎ, ΠΏΠ°Π»ΠΎΡΠΊΠ° ΠΠΎΡ Π° ΡΠΏΠΎΡΠΎΠ±Π½Π° ΠΊ Π΄Π»ΠΈΡΠ΅Π»ΡΠ½ΠΎΠΌΡ ΠΏΠ΅ΡΡΠΈΡΡΠΈΡΠΎΠ²Π°Π½ΠΈΡ Π² ΠΎΡΠ³Π°Π½ΠΈΠ·ΠΌΠ΅ ΡΠ΅Π»ΠΎΠ²Π΅ΠΊΠ°. ΠΠ±ΡΠ°Π·ΡΡ, ΠΌΠ°Π»ΠΎΠ°ΠΊΡΠΈΠ²Π½ΡΠ΅ ΡΠΎΡΠΌΡ ΡΡΡΠ΅ΡΡΠ²ΠΎΠ²Π°Π½ΠΈΡ, ΡΠ°ΠΊΠΈΠ΅ ΠΊΠ°ΠΊ, L-ΡΠΎΡΠΌΡ, ΠΏΠ°Π»ΠΎΡΠΊΠ° ΡΠΏΠΎΡΠΎΠ±Π½Π° Π΄Π»ΠΈΡΠ΅Π»ΡΠ½ΠΎΠ΅ Π²ΡΠ΅ΠΌΡ ΡΡΡΠ΅ΡΡΠ²ΠΎΠ²Π°ΡΡ Π² Β«Π΄ΡΠ΅ΠΌΠ»ΡΡΠ΅ΠΌΒ» ΡΠΎΡΡΠΎΡΠ½ΠΈΠΈ. ΠΡΠΎΠΌΠ΅ ΡΠΎΠ³ΠΎ, ΠΏΠ°Π»ΠΎΡΠΊΠ° ΠΠΎΡ Π° ΠΏΡΠ΅ΠΏΡΡΡΡΠ²ΡΠ΅Ρ Π·Π°Π²Π΅ΡΡΠ΅Π½Π½ΠΎΡΡΠΈ ΡΠ°Π³ΠΎΡΠΈΡΠΎΠ·Π° ΠΊΠ»Π΅ΡΠΊΠ°ΠΌΠΈ-ΠΌΠ°ΠΊΡΠΎΡΠ°Π³Π°ΠΌΠΈ, ΡΡΠΎ Π²Π΅Π΄Π΅Ρ ΠΊ ΡΠΎΡ ΡΠ°Π½Π΅Π½ΠΈΡ ΠΆΠΈΠ·Π½Π΅ΡΠΏΠΎΡΠΎΠ±Π½ΡΡ Π±Π°ΠΊΡΠ΅ΡΠΈΠΉ Π² ΡΠ°ΠΌΠΈΡ ΠΌΠ°ΠΊΡΠΎΡΠ°Π³Π°Ρ , Π·Π°Π΄Π°ΡΠ΅ΠΉ ΠΊΠΎΡΠΎΡΡΡ Π±ΡΠ»ΠΎ ΡΠ½ΠΈΡΡΠΎΠΆΠ΅Π½ΠΈΠ΅ ΠΌΠΈΠΊΠΎΠ±Π°ΠΊΡΠ΅ΡΠΈΠΈ. Π§Π°ΡΡΠΎ ΡΡΠΎ ΠΏΡΠΎΠΈΡΡ ΠΎΠ΄ΠΈΡ ΠΏΡΠΈ Π½Π΅ΡΠΎΡΡΠΎΡΡΠ΅Π»ΡΠ½ΠΎΡΡΠΈ ΠΈΠΌΠΌΡΠ½ΠΈΡΠ΅ΡΠ° ΡΠ΅Π»ΠΎΠ²Π΅ΠΊΠ°, Π½Π°ΠΏΡΠΈΠΌΠ΅Ρ, ΠΏΡΠΈ ΠΎΠ±ΡΠ΅ΠΌ ΠΈΡΡΠΎΡΠ΅Π½ΠΈΠΈ, ΠΏΡΠΈ ΠΈΠΌΠΌΡΠ½ΠΎΠ΄Π΅ΡΠΈΡΠΈΡΠ½ΡΡ ΡΠΎΡΡΠΎΡΠ½ΠΈΡΡ , Π² ΠΏΠ΅ΡΠΈΠΎΠ΄ Π²ΠΎΡΡΡΠ°Π½ΠΎΠ²Π»Π΅Π½ΠΈΡ ΠΎΡΠ³Π°Π½ΠΈΠ·ΠΌΠ° ΠΏΠΎΡΠ»Π΅ Π±ΠΎΠ»Π΅Π·Π½ΠΈ, ΠΏΡΠΈ Π·Π»ΠΎΡΠΏΠΎΡΡΠ΅Π±Π»Π΅Π½ΠΈΠΈ ΡΠ΅Π»ΠΎΠ²Π΅ΠΊΠΎΠΌ Π²ΡΠ΅Π΄Π½ΡΡ Π²Π΅ΡΠ΅ΡΡΠ², ΠΊΠ°ΠΊ, Π½Π°ΠΏΡΠΈΠΌΠ΅Ρ, ΠΊΡΡΠ΅Π½ΠΈΠ΅ ΡΠ°Π±Π°ΠΊΠ° ΠΈ ΠΊΡΡΠΈΡΠ΅Π»ΡΠ½ΡΡ ΡΠΌΠ΅ΡΠ΅ΠΉ, ΡΠ°ΡΡΠΎΠ΅ ΡΠΏΠΎΡΡΠ΅Π±Π»Π΅Π½ΠΈΠ΅ Π°Π»ΠΊΠΎΠ³ΠΎΠ»Ρ, Π½Π°ΡΠΊΠΎΡΠΈΠΊΠΎΠ².
ΠΡΠΎΠ½ΠΈΠΊΠ½ΠΎΠ²Π΅Π½ΠΈΠ΅ Π±Π°ΠΊΡΠ΅ΡΠΈΠΉ ΠΠΎΡ Π° ΠΏΡΠΎΠΈΡΡ ΠΎΠ΄ΠΈΡ Π² ΠΎΡΠ½ΠΎΠ²Π½ΠΎΠΌ ΡΠ΅ΡΠ΅Π· Π΄ΡΡ Π°ΡΠ΅Π»ΡΠ½ΡΠ΅ ΠΏΡΡΠΈ. ΠΡΠΎΡ ΠΏΡΡΡ ΠΏΠ΅ΡΠ΅Π΄Π°ΡΠΈ Π½Π°Π·ΡΠ²Π°Π΅ΡΡΡ Π²ΠΎΠ·Π΄ΡΡΠ½ΠΎ-ΠΊΠ°ΠΏΠ΅Π»ΡΠ½ΡΠΌ. ΠΡΠΈ ΡΠ°Π·Π³ΠΎΠ²ΠΎΡΠ΅ Ρ ΡΠ΅Π»ΠΎΠ²Π΅ΠΊΠΎΠΌ-Π±Π°ΠΊΡΠ΅ΡΠΈΠΎΠ²ΡΠ΄Π΅Π»ΠΈΡΠ΅Π»Π΅ΠΌ ΠΌΠΈΠΊΠΎΠ±Π°ΠΊΡΠ΅ΡΠΈΠΈ Π² ΠΎΠ³ΡΠΎΠΌΠ½ΠΎΠΌ ΠΊΠΎΠ»ΠΈΡΠ΅ΡΡΠ²Π΅ ΡΠΎΠ΄Π΅ΡΠΆΠ°ΡΡΡ Π² ΠΊΠ°ΠΏΠ΅Π»ΡΠΊΠ°Ρ ΠΌΠΎΠΊΡΠΎΡΡ, ΠΊΠΎΡΠΎΡΠ°Ρ Π²ΡΠ΄Π΅Π»ΡΠ΅ΡΡΡ Π²ΠΌΠ΅ΡΡΠ΅ Ρ Π²ΠΎΠ·Π΄ΡΡ ΠΎΠΌ ΠΈΠ· Π΄ΡΡ Π°ΡΠ΅Π»ΡΠ½ΡΡ ΠΏΡΡΠ΅ΠΉ Π±ΠΎΠ»ΡΠ½ΠΎΠ³ΠΎ ΠΈ Ρ Π²ΠΎΠ·Π΄ΡΡ ΠΎΠΌ ΠΆΠ΅ ΠΏΠΎΠΏΠ°Π΄Π°Π΅Ρ Π² Π»Π΅Π³ΠΊΠΈΠ΅ ΡΠΎΠ±Π΅ΡΠ΅Π΄Π½ΠΈΠΊΠ°.
ΠΠ°ΡΠ°ΡΡΡΡ Π±ΠΎΠ»ΡΠ½ΠΎΠΉ ΡΠ΅Π»ΠΎΠ²Π΅ΠΊ ΡΠΏΠ»Π΅Π²ΡΠ²Π°Π΅Ρ ΠΈΠ½ΡΠ΅ΠΊΡΠΈΠΎΠ½Π½ΠΎ-ΠΎΠΏΠ°ΡΠ½ΡΡ ΠΌΠΎΠΊΡΠΎΡΡ Π½Π° Π·Π΅ΠΌΠ»Ρ, Π³Π΄Π΅ ΠΎΠ½Π° Π²ΡΡΡΡ Π°Π΅Ρ ΠΈ ΠΏΠ΅ΡΠ΅ΠΌΠ΅ΡΠΈΠ²Π°Π΅ΡΡΡ Ρ ΡΠ»ΠΈΡΠ½ΠΎΠΉ ΠΏΡΠ»ΡΡ. ΠΡΠΈ ΡΠΈΠ»ΡΠ½ΠΎΠΌ Π²Π΅ΡΡΠ΅ ΠΏΡΠ»Ρ ΠΏΠΎΠ΄Π½ΠΈΠΌΠ°Π΅ΡΡΡ Π² Π²ΠΎΠ·Π΄ΡΡ , Ρ ΠΊΠΎΡΠΎΡΡΠΌ ΠΌΠΎΠΆΠ΅Ρ ΠΏΠΎΠΏΠ°ΡΡΡ Π² Π΄ΡΡ Π°ΡΠ΅Π»ΡΠ½ΡΠ΅ ΠΏΡΡΠΈ ΡΠ΅Π»ΠΎΠ²Π΅ΠΊΠ°.
ΠΠΎΠ·ΠΌΠΎΠΆΠ΅Π½ Π±ΡΡΠΎΠ²ΠΎΠΉ ΠΏΡΡΡ ΠΏΠ΅ΡΠ΅Π΄Π°ΡΠΈ ΡΡΠ±Π΅ΡΠΊΡΠ»Π΅Π·Π° Ρ Π²Π·ΡΠΎΡΠ»ΡΡ ΠΏΡΠΈ ΠΈΡΠΏΠΎΠ»ΡΠ·ΠΎΠ²Π°Π½ΠΈΠΈ ΠΎΠ±ΡΠ΅ΠΉ ΠΏΠΎΡΡΠ΄Ρ, Π·ΡΠ±Π½ΠΎΠΉ ΡΠ΅ΡΠΊΠΈ. Π Π½Π°ΡΡΠΎΡΡΠ΅Π΅ Π²ΡΠ΅ΠΌΡ Π²ΡΡΡΠ΅ΡΠ°Π΅ΡΡΡ ΡΠ΅Π΄ΠΊΠΎ.
ΠΠ΅ΡΠ²ΠΎΠ½Π°ΡΠ°Π»ΡΠ½ΠΎ, ΠΏΠΎΠΏΠ°Π΄Π°Ρ Π² ΠΎΡΠ³Π°Π½Ρ Π΄ΡΡ Π°Π½ΠΈΡ ΡΠ΅Π»ΠΎΠ²Π΅ΠΊΠ°, ΠΌΠΈΠΊΠΎΠ±Π°ΠΊΡΠ΅ΡΠΈΡ Π»ΠΎΠΊΠ°Π»ΠΈΠ·ΡΠ΅ΡΡΡ Π² Π΅Π³ΠΎ Π»ΠΈΠΌΡΠ°ΡΠΈΡΠ΅ΡΠΊΠΎΠΉ ΡΠΈΡΡΠ΅ΠΌΠ΅, ΡΠ°Π·Π²ΠΈΠ²Π°ΡΡΡΡ ΠΏΠ΅ΡΠ²ΠΈΡΠ½ΡΠ΅ ΡΠΎΡΠΌΡ ΡΡΠ±Π΅ΡΠΊΡΠ»Π΅Π·Π° Ρ Π²Π·ΡΠΎΡΠ»ΡΡ . ΠΠ°Π»Π΅Π΅, Π΅ΡΠ»ΠΈ Π½Π° ΠΏΠΎΠΌΠΎΡΡ ΠΎΡΠ³Π°Π½ΠΈΠ·ΠΌΡ Π½Π΅ ΠΏΡΠΈΡ ΠΎΠ΄ΠΈΡ Π°Π΄Π΅ΠΊΠ²Π°ΡΠ½ΠΎΠ΅ Π»Π΅ΡΠ΅Π½ΠΈΠ΅, ΡΡΠ±Π΅ΡΠΊΡΠ»Π΅Π·Π½ΡΠΉ ΠΏΡΠΎΡΠ΅ΡΡ ΠΏΡΠΎΠ³ΡΠ΅ΡΡΠΈΡΡΠ΅Ρ. ΠΠ΅ΡΠ²ΠΎΠ½Π°ΡΠ°Π»ΡΠ½ΠΎ Π³Π΅Π½Π΅ΡΠ°Π»ΠΈΠ·Π°ΡΠΈΡ ΠΏΡΠΎΡΠ΅ΡΡΠ° ΠΏΡΠΎΠΈΡΡ ΠΎΠ΄ΠΈΡ Π»ΠΈΠΌΡΠΎΠ³Π΅Π½Π½ΠΎ, Π° ΠΏΠΎΡΠ»Π΅ ΠΎΠ±ΡΠ°Π·ΠΎΠ²Π°Π½ΠΈΡ ΡΡΠ°ΡΡΠΊΠΎΠ² ΠΊΠ°Π·Π΅ΠΎΠ·Π½ΠΎΠ³ΠΎ Π½Π΅ΠΊΡΠΎΠ·Π° (ΠΊΠ°Π²Π΅ΡΠ½), Π²ΠΎΠ·ΠΌΠΎΠΆΠ΅Π½ ΠΏΡΠΎΡΡΠ² ΠΏΠ°Π»ΠΎΡΠ΅ΠΊ ΠΠΎΡ Π° Π² ΠΊΡΠΎΠ²ΡΠ½ΠΎΠ΅ ΡΡΡΠ»ΠΎ ΠΈ ΠΊ ΡΠΆΠ΅ ΠΈΠΌΠ΅ΡΡΠΈΠΌΡΡ ΡΠΎΡΠΌΠ°ΠΌ Π»Π΅Π³ΠΎΡΠ½ΠΎΠ³ΠΎ ΡΡΠ±Π΅ΡΠΊΡΠ»Π΅Π·Π° Π΄ΠΎΠ±Π°Π²Π»ΡΠ΅ΡΡΡ ΠΏΠΎΡΠ°ΠΆΠ΅Π½ΠΈΠ΅ Π΄ΡΡΠ³ΠΈΡ ΠΎΡΠ³Π°Π½ΠΎΠ².
Π‘ ΠΎΠ±ΡΠ°Π·ΠΎΠ²Π°Π½ΠΈΠ΅ΠΌ ΠΊΠ°Π²Π΅ΡΠ½ Π² Π»Π΅Π³ΠΊΠΈΡ ΡΡΠ±Π΅ΡΠΊΡΠ»Π΅Π· Ρ Π²Π·ΡΠΎΡΠ»ΡΡ ΠΏΠ΅ΡΠ΅ΡΡΠ°Π΅Ρ Π±ΡΡΡ Π·Π°ΠΊΡΡΡΠΎΠΉ ΡΠΎΡΠΌΠΎΠΉ Ρ.ΠΊ. ΠΏΠ°Π»ΠΎΡΠΊΠΈ ΠΠΎΡ Π° ΡΠ΅ΡΠ΅Π· Π±ΡΠΎΠ½Ρ ΠΈΠ°Π»ΡΠ½ΠΎΠ΅ Π΄Π΅ΡΠ΅Π²ΠΎ Π½Π°ΡΠΈΠ½Π°ΡΡ Ρ ΠΌΠΎΠΊΡΠΎΡΠΎΠΉ ΠΏΡΠΈ ΠΊΠ°ΡΠ»Π΅ ΠΈ ΡΠΈΡ Π°Π½ΠΈΠΈ Π²ΡΠ΄Π΅Π»ΡΡΡΡΡ Π² ΠΎΠΊΡΡΠΆΠ°ΡΡΡΡ ΡΡΠ΅Π΄Ρ. Π‘ ΡΡΠΎΠ³ΠΎ ΠΌΠΎΠΌΠ΅Π½ΡΠ° ΡΠ΅Π»ΠΎΠ²Π΅ΠΊ ΡΡΠ°Π½ΠΎΠ²ΠΈΡΡΡ Π±Π°ΠΊΡΠ΅ΡΠΈΠΎΠ²ΡΠ΄Π΅Π»ΠΈΡΠ΅Π»Π΅ΠΌ ΠΈ ΠΊΡΠ°ΠΉΠ½Π΅ ΠΎΠΏΠ°ΡΠ½ΡΠΌ Π΄Π»Ρ ΡΠ²ΠΎΠ΅Π³ΠΎ ΠΎΠΊΡΡΠΆΠ΅Π½ΠΈΡ.
ΠΠ΅ΡΠ²ΡΠ΅ ΠΏΡΠΈΠ·Π½Π°ΠΊΠΈ ΡΡΠ±Π΅ΡΠΊΡΠ»Π΅Π·Π° Ρ Π²Π·ΡΠΎΡΠ»ΡΡ
ΠΡΠΎΠ²Π΅Π΄Π΅Π½Π½ΡΠΌΠΈ ΠΈΡΡΠ»Π΅Π΄ΠΎΠ²Π°Π½ΠΈΡΠΌΠΈ Π΄ΠΎΠΊΠ°Π·Π°Π½ΠΎ, ΡΡΠΎ Ρ 90-95% Π»ΡΠ΄Π΅ΠΉ ΠΏΠ΅ΡΠ²ΠΈΡΠ½ΠΎΠ΅ ΠΏΠΎΠΏΠ°Π΄Π°Π½ΠΈΠ΅ ΠΌΠΈΠΊΠΎΠ±Π°ΠΊΡΠ΅ΡΠΈΠΈ ΡΡΠ±Π΅ΡΠΊΡΠ»Π΅Π·Π° Π² ΠΎΡΠ³Π°Π½ΠΈΠ·ΠΌ ΠΎΠ³ΡΠ°Π½ΠΈΡΠΈΠ²Π°Π΅ΡΡΡ Π½Π΅Π·Π½Π°ΡΠΈΡΠ΅Π»ΡΠ½ΡΠΌΠΈ ΡΠΏΠ΅ΡΠΈΡΠΈΡΠ΅ΡΠΊΠΈΠΌΠΈ ΠΈΠ·ΠΌΠ΅Π½Π΅Π½ΠΈΡΠΌΠΈ, Π° ΠΏΡΠΎΠ³ΡΠ΅ΡΡΠΈΡΠΎΠ²Π°Π½ΠΈΡ ΠΏΡΠΎΡΠ΅ΡΡΠ° Π½Π΅ ΠΏΡΠΎΠΈΡΡ ΠΎΠ΄ΠΈΡ ΠΈ ΡΠ°Π·Π²Π΅ΡΠ½ΡΡΠ°Ρ ΠΊΠ»ΠΈΠ½ΠΈΡΠ΅ΡΠΊΠ°Ρ ΠΊΠ°ΡΡΠΈΠ½Π° Π½Π΅ ΡΠ°Π·Π²ΠΈΠ²Π°Π΅ΡΡΡ. ΠΡΠ° ΠΊΠ°ΡΠ΅Π³ΠΎΡΠΈΡ Π»ΡΠ΄Π΅ΠΉ, ΠΊΠ°ΠΊ ΠΏΡΠ°Π²ΠΈΠ»ΠΎ, ΠΈΠΌΠ΅Π΅Ρ ΠΏΡΠ°Π²ΠΈΠ»ΡΠ½ΠΎ ΠΏΠΎΡΡΠ°Π²Π»Π΅Π½Π½ΡΡ ΠΏΡΠΈΠ²ΠΈΠ²ΠΊΡ ΠΠ¦Π ΠΈ Ρ ΠΎΡΠΎΡΠΎ ΡΠ°Π±ΠΎΡΠ°ΡΡΡΡ ΠΈΠΌΠΌΡΠ½Π½ΡΡ ΡΠΈΡΡΠ΅ΠΌΡ.
Π£ ΠΎΡΡΠ°Π²ΡΠΈΡ ΡΡ ΠΏΡΡΠΈ β Π΄Π΅ΡΡΡΠΈ ΠΏΡΠΎΡΠ΅Π½ΡΠΎΠ² Π»ΡΠ΄Π΅ΠΉ ΡΠ°Π·Π²ΠΈΠ²Π°ΡΡΡΡ Π½Π°ΡΠ°Π»ΡΠ½ΡΠ΅ ΠΏΡΠΈΠ·Π½Π°ΠΊΠΈ ΡΡΠ±Π΅ΡΠΊΡΠ»Π΅Π·Π° Ρ Π²Π·ΡΠΎΡΠ»ΡΡ . ΠΠ°ΡΠ°Π»ΡΠ½ΡΠ΅ ΠΏΡΠΈΠ·Π½Π°ΠΊΠΈ ΡΡΠ±Π΅ΡΠΊΡΠ»Π΅Π·Π° Ρ Π²Π·ΡΠΎΡΠ»ΡΡ ΡΠ²ΡΠ·Π°Π½Ρ Π² ΠΏΠ΅ΡΠ²ΡΡ ΠΎΡΠ΅ΡΠ΅Π΄Ρ Ρ ΡΠΈΠ½Π΄ΡΠΎΠΌΠΎΠΌ ΠΈΠ½ΡΠΎΠΊΡΠΈΠΊΠ°ΡΠΈΠΈ. ΠΠΎΡΠ»Π΅ ΠΏΠΎΠΏΠ°Π΄Π°Π½ΠΈΡ Π² ΠΎΡΠ³Π°Π½ΠΈΠ·ΠΌ, ΠΏΠ°Π»ΠΎΡΠΊΠ° ΠΠΎΡ Π° ΠΌΠΎΠΆΠ΅Ρ Π»ΠΎΠΊΠ°Π»ΠΈΠ·ΠΎΠ²Π°ΡΡΡΡ Π² Π»ΠΈΠΌΡΠ°ΡΠΈΡΠ΅ΡΠΊΠΎΠΉ ΡΠΈΡΡΠ΅ΠΌΠ΅ (ΡΠ°ΠΌΡΠΉ ΡΠ°ΡΡΡΠΉ Π²Π°ΡΠΈΠ°Π½Ρ), ΠΏΠΎΡΠΊΠ°Ρ , Π»Π΅Π³ΠΊΠΈΡ , ΡΡΡΡΠ°Π²Π°Ρ , ΠΏΠ»Π΅Π²ΡΠ΅ ΠΈ Π΄ΡΡΠ³ΠΈΡ ΠΎΡΠ³Π°Π½Π°Ρ , Π½ΠΎ, Π½Π΅Π·Π°Π²ΠΈΡΠΈΠΌΠΎ ΠΎΡ Π΅Π΅ ΠΏΠ΅ΡΠ²ΠΈΡΠ½ΠΎΠ³ΠΎ ΠΌΠ΅ΡΡΠΎΠΏΠΎΠ»ΠΎΠΆΠ΅Π½ΠΈΡ, Π²ΡΠ΅Π³Π΄Π° ΠΏΠ΅ΡΠ²ΡΠΌ ΠΏΡΠΎΡΠ²Π»Π΅Π½ΠΈΠ΅ΠΌ ΡΡΠ±Π΅ΡΠΊΡΠ»Π΅Π·Π° Ρ Π²Π·ΡΠΎΡΠ»ΡΡ Π±ΡΠ΄Π΅Ρ ΠΈΠ½ΡΠΎΠΊΡΠΈΠΊΠ°ΡΠΈΠΎΠ½Π½ΡΠΉ ΡΠΈΠ½Π΄ΡΠΎΠΌ. ΠΠ½ΠΎΠ³Π΄Π° ΠΈΠ½ΡΠΎΠΊΡΠΈΠΊΠ°ΡΠΈΠΎΠ½Π½ΡΠΉ ΡΠΈΠ½Π΄ΡΠΎΠΌ ΠΎΡΡΠ°Π΅ΡΡΡ Π΅Π΄ΠΈΠ½ΡΡΠ²Π΅Π½Π½ΡΠΌ ΠΏΡΠΎΡΠ²Π»Π΅Π½ΠΈΠ΅ΠΌ ΡΡΠ±Π΅ΡΠΊΡΠ»Π΅Π·Π½ΠΎΠ³ΠΎ ΠΏΡΠΎΡΠ΅ΡΡΠ°.
ΠΠ½ΡΠΎΠΊΡΠΈΠΊΠ°ΡΠΈΠΎΠ½Π½ΡΠ΅ ΠΏΡΠΎΡΠ²Π»Π΅Π½ΠΈΡ ΡΠ²ΡΠ·Π°Π½Ρ Ρ ΡΠ΅ΠΌ, ΡΡΠΎ ΠΏΠ°Π»ΠΎΡΠΊΠ° Π²ΠΎ Π²ΡΠ΅ΠΌΡ ΡΠ²ΠΎΠ΅ΠΉ ΠΆΠΈΠ·Π½Π΅Π΄Π΅ΡΡΠ΅Π»ΡΠ½ΠΎΡΡΠΈ Π²ΡΠ΄Π΅Π»ΡΠ΅Ρ Π² ΠΎΡΠ³Π°Π½ΠΈΠ·ΠΌ ΡΠΎΠΊΡΠΈΡΠ½ΡΠ΅ ΠΏΡΠΎΠ΄ΡΠΊΡΡ, ΠΏΠ»ΡΡ ΠΊ ΡΡΠΎΠΌΡ ΠΏΡΠΎΠΈΡΡ ΠΎΠ΄ΡΡΠΈΠ΅ Π² ΡΠΊΠ°Π½ΡΡ ΡΠ΅Π»ΠΎΠ²Π΅ΠΊΠ° ΠΈΠ·ΠΌΠ΅Π½Π΅Π½ΠΈΡ ΡΠ°ΠΊΠΆΠ΅ ΡΠΎΠΏΡΠΎΠ²ΠΎΠΆΠ΄Π°ΡΡΡΡ ΠΎΠ±ΡΠ°Π·ΠΎΠ²Π°Π½ΠΈΠ΅ΠΌ ΠΏΡΠΎΠ΄ΡΠΊΡΠΎΠ², Π½Π°ΡΡΡΠ°
vlanamed.com
Π‘ΠΈΠΌΠΏΡΠΎΠΌΡ ΡΡΠ±Π΅ΡΠΊΡΠ»Π΅Π·Π° Π»Π΅Π³ΠΊΠΈΡ Ρ Π²Π·ΡΠΎΡΠ»ΡΡ , ΡΠΎΡΠΌΡ Π·Π°Π±ΠΎΠ»Π΅Π²Π°Π½ΠΈΡ
Π’ΡΠ±Π΅ΡΠΊΡΠ»Π΅Π· ΡΠΈΡΠΎΠΊΠΎ ΡΠ°ΡΠΏΡΠΎΡΡΡΠ°Π½Π΅Π½Π½ΠΎΠ΅ Π·Π°Π±ΠΎΠ»Π΅Π²Π°Π½ΠΈΠ΅, ΠΊΠΎΡΠΎΡΠΎΠ΅ ΡΠ°ΡΠ΅ Π²ΡΠ΅Π³ΠΎ ΠΏΠΎΡΠ°ΠΆΠ°Π΅Ρ ΠΎΡΠ³Π°Π½Ρ Π΄ΡΡ Π°Π½ΠΈΡ, Π½Π΅ΠΏΠΎΡΡΠ΅Π΄ΡΡΠ²Π΅Π½Π½ΠΎ Π»Π΅Π³ΠΊΠΈΠ΅, Π½ΠΎ ΠΈΠ½ΡΠΈΡΠΈΡΠΎΠ²Π°ΡΡΡΡ ΠΌΠΎΠ³ΡΡ ΠΈ Π΄ΡΡΠ³ΠΎΠ΅ ΠΎΡΠ³Π°Π½Ρ, ΠΊΠ°ΠΊ ΠΏΠΎΡΠΊΠΈ, ΠΊΠΎΠΆΠ°, ΠΏΠΎΠ»ΠΎΠ²ΡΠ΅ ΠΎΡΠ³Π°Π½Ρ ΠΈ Ρ.Π΄.
Π‘ΡΡΠ΅ΡΡΠ²ΡΠ΅Ρ ΠΌΠ½Π΅Π½ΠΈΠ΅, ΡΡΠΎ ΡΡΠ±Π΅ΡΠΊΡΠ»Π΅Π· Π»Π΅Π³ΠΊΠΈΡ Π·Π°Π±ΠΎΠ»Π΅Π²Π°Π½ΠΈΠ΅ Π»ΠΈΡ, Π²Π΅Π΄ΡΡΠΈΡ Π°ΡΠΎΡΠΈΠ°Π»ΡΠ½Ρ ΠΎΠ±ΡΠ°Π· ΠΆΠΈΠ·Π½ΠΈ, Π»ΡΠ΄Π΅ΠΉ Π½Π°Ρ ΠΎΠ΄ΡΡΠΈΡ ΡΡ Π² ΠΌΠ΅ΡΡΠ°Ρ Π»ΠΈΡΠ΅Π½ΠΈΡ ΡΠ²ΠΎΠ±ΠΎΠ΄Ρ, ΠΏΠΎΡΡΠΎΠΌΡ Π²ΡΠ΅Ρ ΠΎΡΡΠ°Π»ΡΠ½ΡΡ ΠΎΠ½ΠΎ Π½Π΅ ΠΊΠ°ΡΠ°Π΅ΡΡΡ. ΠΠ° ΡΠ°ΠΌΠΎΠΌ Π΄Π΅Π»Π΅ Π²ΡΠ΅ Π½Π΅ ΡΠ°ΠΊ β Π·Π°Π±ΠΎΠ»Π΅ΡΡ ΠΌΠΎΠΆΠ΅Ρ ΠΊΠ°ΠΆΠ΄ΡΠΉ.
ΠΠΎΡΡΠΎΠΌΡ Π½Π΅ΠΎΠ±Ρ ΠΎΠ΄ΠΈΠΌΠΎ Π·Π½Π°ΡΡ ΡΡΠ±Π΅ΡΠΊΡΠ»Π΅Π· Π»Π΅Π³ΠΊΠΈΡ , ΡΠΈΠΌΠΏΡΠΎΠΌΡ Ρ Π²Π·ΡΠΎΡΠ»ΡΡ , ΡΡΠΎΠ±Ρ Π²ΠΎΠ²ΡΠ΅ΠΌΡ Π·Π°ΠΏΠΎΠ΄ΠΎΠ·ΡΠΈΡΡ Π΅Π³ΠΎ Ρ ΡΠ΅Π±Ρ, ΡΠ²ΠΎΠΈΡ Π±Π»ΠΈΠ·ΠΊΠΈΡ , ΠΎΠΊΡΡΠΆΠ°ΡΡΠΈΡ . ΠΠ»Π°Π²Π½ΠΎΠ΅ ΠΏΠΎΠΌΠ½ΠΈΡΡ, ΡΡΠΎ Π² Π½Π°ΡΡΠΎΡΡΠ΅Π΅ Π²ΡΠ΅ΠΌΡ ΡΡΠ±Π΅ΡΠΊΡΠ»Π΅Π· Π»Π΅ΡΠΈΡΡΡ, ΠΈ Π²ΠΎΠ·ΠΌΠΎΠΆΠ½ΠΎ ΠΏΠΎΠ»Π½ΠΎΠ΅ Π²ΡΠ·Π΄ΠΎΡΠΎΠ²Π»Π΅Π½ΠΈΠ΅.
ΠΡΠΈΡΠΈΠ½Ρ ΡΠ°Π·Π²ΠΈΡΠΈΡ Π·Π°Π±ΠΎΠ»Π΅Π²Π°Π½ΠΈΡ Π»Π΅Π³ΠΊΠΈΡ
ΠΠΎΠ·Π±ΡΠ΄ΠΈΡΠ΅Π»ΡΠΌΠΈ Π·Π°Π±ΠΎΠ»Π΅Π²Π°Π½ΠΈΡ ΡΠ²Π»ΡΡΡΡΡ ΡΠ°Π·Π»ΠΈΡΠ½ΡΠ΅ ΠΏΡΠ΅Π΄ΡΡΠ°Π²ΠΈΡΠ΅Π»ΠΈ Π²ΠΈΠ΄Π° ΠΌΠΈΠΊΠΎΠ±Π°ΠΊΡΠ΅ΡΠΈΠΉ ΠΈΠ»ΠΈ ΠΈΠ½Π°ΡΠ΅ ΠΏΠ°Π»ΠΎΡΠΊΠΈ ΠΠΎΡ Π°. ΠΡΡΡ ΠΏΠ΅ΡΠ΅Π΄Π°ΡΠΈ Π²ΠΎΠ·Π΄ΡΡΠ½ΠΎ-ΠΊΠ°ΠΏΠ΅Π»ΡΠ½ΡΠΉ, Ρ.Π΅. Π΄Π»Ρ ΠΏΠ΅ΡΠ΅Π΄Π°ΡΠΈ Π΄ΠΎΡΡΠ°ΡΠΎΡΠ½ΠΎ Π±ΠΎΠ»ΡΠ½ΠΎΠΌΡ ΡΠΈΡ Π½ΡΡΡ ΠΈΠ»ΠΈ ΠΊΠ°ΡΠ»ΡΡΡ, Π° Π·Π°ΡΠ°Π·ΠΈΠ²ΡΠ΅ΠΌΡΡΡ Π·Π°Π³Π»ΠΎΡΠΈΡΡ Π²ΠΎΠ·Π΄ΡΡ Ρ ΠΌΠΈΠΊΠΎΠ±Π°ΠΊΡΠ΅ΡΠΈΡΠΌΠΈ. ΠΠΎ ΡΡΠΎ Π½Π΅ ΠΎΠ·Π½Π°ΡΠ°Π΅Ρ, ΡΡΠΎ, Π΅ΡΠ»ΠΈ Π±ΠΎΠ»ΡΠ½ΠΎΠΉ ΡΠΈΡ Π½ΡΠ», ΠΎΠ±ΡΠ·Π°ΡΠ΅Π»ΡΠ½ΠΎ Π·Π°ΡΠ°Π·ΡΡΡΡ Π²ΡΠ΅ Π½Π°Ρ ΠΎΠ΄ΡΡΠΈΠ΅ΡΡ Π² ΠΏΠΎΠΌΠ΅ΡΠ΅Π½ΠΈΠ΅. ΠΠΈΠΊΠΎΠ±Π°ΠΊΡΠ΅ΡΠΈΠΈ Π»ΡΠ±ΡΡ ΡΠ΅ΠΌΠ½ΠΎΡΡ ΠΈ Π²Π»Π°ΠΆΠ½ΠΎΡΡΡ ΠΈ Π±ΠΎΠ»ΡΡΠΎΠ΅ ΠΊΠΎΠ»ΠΈΡΠ΅ΡΡΠ²ΠΎ Π»ΡΠ΄Π΅ΠΉ Π² Π·Π°ΠΊΡΡΡΠΎΠΌ ΠΏΡΠΎΡΡΡΠ°Π½ΡΡΠ²Π΅.
ΠΠ»Ρ ΡΠ°Π·Π²ΠΈΡΠΈΡ ΡΡΠ±Π΅ΡΠΊΡΠ»Π΅Π·Π½ΠΎΠ³ΠΎ ΠΏΡΠΎΡΠ΅ΡΡΠ° ΠΈΠΌΠ΅ΡΡ Π·Π½Π°ΡΠ΅Π½ΠΈΠ΅ ΡΠΎΡΡΠΎΡΠ½ΠΈΠ΅ ΠΈΠΌΠΌΡΠ½ΠΈΡΠ΅ΡΠ°, Π²ΠΈΠ΄Π° Π²ΠΎΠ·Π±ΡΠ΄ΠΈΡΠ΅Π»Ρ ΠΈ ΠΊΠ°ΠΊ Π΄ΠΎΠ»Π³ΠΎ ΠΎΠ½ Π±ΡΠ΄Π΅Ρ ΡΠΈΡΠΊΡΠ»ΠΈΡΠΎΠ²Π°ΡΡ. ΠΠ΅ΡΠ²ΠΈΡΠ½ΡΠΌ ΡΡΠ±Π΅ΡΠΊΡΠ»Π΅Π·ΠΎΠΌ Π² ΠΎΡΠ½ΠΎΠ²Π½ΠΎΠΌ Π±ΠΎΠ»Π΅ΡΡ Π΄Π΅ΡΠΈ ΠΈ ΠΏΠΎΠ΄ΡΠΎΡΡΠΊΠΈ. ΠΠ·ΡΠΎΡΠ»ΡΠ΅ ΠΆΠ΅ Π±ΠΎΠ»Π΅ΡΡ Π² ΠΎΡΠ½ΠΎΠ²Π½ΠΎΠΌ Π²ΡΠΎΡΠΈΡΠ½ΡΠΌ ΡΡΠ±Π΅ΡΠΊΡΠ»Π΅Π·ΠΎΠΌ.
ΠΠΈΡΠ°, ΡΡΡΠ°Π΄Π°ΡΡΠΈΠ΅ ΡΠ°Ρ Π°ΡΠ½ΡΠΌ Π΄ΠΈΠ°Π±Π΅ΡΠΎΠΌ, ΡΠ°ΡΡΡΠΌΠΈ ΡΠ΅ΡΠΏΠΈΡΠ°ΡΠΎΡΠ½ΡΠΌΠΈ Π·Π°Π±ΠΎΠ»Π΅Π²Π°Π½ΠΈΡΠΌΠΈ ΠΈ ΠΈΠΌΠΌΡΠ½ΠΎΠ΄Π΅ΡΠΈΡΠΈΡΠΎΠΌ Π½Π°Ρ ΠΎΠ΄ΡΡΡΡ Π² Π³ΡΡΠΏΠΏΠ΅ ΡΠΈΡΠΊΠ° Π½Π΅ ΡΠΎΠ»ΡΠΊΠΎ Π·Π°Π±ΠΎΠ»Π΅ΡΡ ΡΡΠ±Π΅ΡΠΊΡΠ»Π΅Π·ΠΎΠΌ Π»Π΅Π³ΠΊΠΈΡ , Π½ΠΎ ΠΈ Π·Π°Π±ΠΎΠ»Π΅ΡΡ Π±ΠΎΠ»Π΅Π΅ ΡΡΠΆΠ΅Π»ΡΠΌΠΈ Π΅Π³ΠΎ ΡΠΎΡΠΌΠ°ΠΌΠΈ, ΠΈΠ·-Π·Π° ΡΠ½ΠΈΠΆΠ΅Π½Π½ΠΎΠ³ΠΎ ΠΈΠΌΠΌΡΠ½ΠΈΡΠ΅ΡΠ°.

ΠΡΠΈΠ·Π½Π°ΠΊΠΈ Π·Π°Π±ΠΎΠ»Π΅Π²Π°Π½ΠΈΡ
Π‘ΠΈΠΌΠΏΡΠΎΠΌΡ ΡΡΠ±Π΅ΡΠΊΡΠ»Π΅Π·Π°Β Π»Π΅Π³ΠΊΠΈΡ Π΄ΠΎΡΡΠ°ΡΠΎΡΠ½ΠΎ ΡΠ°Π·ΠΌΡΡΡΠ΅, Π΄Π° ΠΈ Π½Π΅ Π²ΡΠ΅Π³Π΄Π° ΠΏΡΠΈΡΡΡΡΡΠ²ΡΡΡ. ΠΠ·ΠΌΠ΅Π½Π΅Π½ΠΈΡ Π½Π° ΡΠ»ΡΠΎΡΠΎΠ³ΡΠ°ΡΠΈΠΈ ΠΈ ΡΠ΅Π½ΡΠ³Π΅Π½Π΅ Π»Π΅Π³ΠΊΠΈΡ Ρ Π°ΡΠ°ΠΊΡΠ΅ΡΠ½Ρ Π΄Π»Ρ ΠΏΠΎΠ·Π΄Π½ΠΈΡ ΡΡΠ°Π΄ΠΈΠΉ. Π Π²ΠΎΡ ΡΠΈΠΌΠΏΡΠΎΠΌΡ ΡΡΠ±Π΅ΡΠΊΡΠ»Π΅Π·Π° Π½Π° ΡΠ°Π½Π½Π΅ΠΉ ΡΡΠ°Π΄ΠΈΠΈ Π² ΠΎΡΠ½ΠΎΠ²Π½ΠΎΠΌ ΠΏΡΠΈΡΡΠ°Π²Π»Π΅Π½Ρ ΡΠΈΠΌΠΏΡΠΎΠΌΠ°ΠΌΠΈ ΠΈΠ½ΡΠΎΠΊΡΠΈΠΊΠ°ΡΠΈΠΈ, ΡΡΠΎ Ρ Π°ΡΠ°ΠΊΡΠ΅ΡΠ½Ρ Π΄Π»Ρ Π²ΡΠ΅Ρ ΠΈΠ½ΡΠ΅ΠΊΡΠΈΠΎΠ½Π½ΡΡ Π·Π°Π±ΠΎΠ»Π΅Π²Π°Π½ΠΈΠΉ.
Π Π°Π½Π½ΠΈΠ΅ ΡΠΈΠΌΠΏΡΠΎΠΌΡ ΠΊΠ°ΠΊ ΡΡΠΎΠΌΠ»ΡΠ΅ΠΌΠΎΡΡΡ, Π±Π»Π΅Π΄Π½ΠΎΡΡΡ ΠΊΠΎΠΆΠΈ, ΡΠ»Π°Π±ΠΎΡΡΡ, ΠΏΠ΅ΡΠΈΠΎΠ΄ΠΈΡΠ΅ΡΠΊΠΎΠ΅ ΠΏΠΎΠ²ΡΡΠ΅Π½ΠΈΠ΅ ΡΠ΅ΠΌΠΏΠ΅ΡΠ°ΡΡΡΡ, β ΠΌΠΎΠ³ΡΡ ΡΠΎΠΎΡΠ²Π΅ΡΡΡΠ²ΠΎΠ²Π°ΡΡ ΠΌΠ½ΠΎΠ³ΠΈΠΌ Π΄ΡΡΠ³ΠΈΠΌ Π·Π°Π±ΠΎΠ»Π΅Π²Π°Π½ΠΈΡΠΌ, Π½ΠΎ Π΅ΡΠ»ΠΈ ΡΡΠΈ ΡΠΈΠΌΠΏΡΠΎΠΌΡ ΡΠΎΡ ΡΠ°Π½ΡΡΡΡΡ Π±ΠΎΠ»Π΅Π΅ 3 Π½Π΅Π΄Π΅Π»Ρ, Π½Π΅ΠΎΠ±Ρ ΠΎΠ΄ΠΈΠΌΠΎ ΠΏΡΠΎΠ²Π΅ΡΡΠΈ Π΄ΠΎΠΏΠΎΠ»Π½ΠΈΡΠ΅Π»ΡΠ½ΡΠ΅ ΠΈΡΡΠ»Π΅Π΄ΠΎΠ²Π°Π½ΠΈΡ, Π² ΡΠ°ΡΡΠ½ΠΎΡΡΠΈ ΠΏΡΠΎΠΊΠΎΠ½ΡΡΠ»ΡΡΠΈΡΠΎΠ²Π°ΡΡΡΡ Ρ Π²ΡΠ°ΡΠ°-ΡΡΠΈΠ·ΠΈΠ°ΡΡΠ°.
ΠΡΠ΅Π½Ρ Π²Π°ΠΆΠ½ΠΎ ΡΠ»Π΅Π΄ΠΈΡΡ Π·Π° ΡΠ²ΠΎΠΈΠΌ Π·Π΄ΠΎΡΠΎΠ²ΡΠ΅ΠΌ ΠΈ ΠΏΡΠΈ Π½Π°Π»ΠΈΡΠΈΠΈ ΡΡΠ΅Π²ΠΎΠΆΠ½ΡΡ ΠΏΡΠΈΠ·Π½Π°ΠΊΠΎΠ², ΠΎΠ±ΡΠ°ΡΠ°ΡΡΡΡ ΠΊ ΡΠΏΠ΅ΡΠΈΠ°Π»ΠΈΡΡΠ°ΠΌ.

ΠΠΈΠ°Π³Π½ΠΎΡΡΠΈΠΊΠ°
ΠΡΠΏΠΎΠ»ΡΠ·ΡΡΡ ΡΠ°Π·Π»ΠΈΡΠ½ΡΠ΅ ΠΌΠ΅ΡΠΎΠ΄Ρ Π΄ΠΈΠ°Π³Π½ΠΎΡΡΠΈΠΊΠΈ. Π Π·Π°Π²ΠΈΡΠΈΠΌΠΎΡΡΠΈ ΠΎΡ ΠΈΡΠΏΠΎΠ»ΡΠ·ΡΠ΅ΠΌΠΎΠΉ Π°ΠΏΠΏΠ°ΡΠ°ΡΡΡΡ ΠΈ ΡΡΡΠΈ ΠΈΡΡΠ»Π΅Π΄ΠΎΠ²Π°Π½ΠΈΡ, ΡΠ°Π·Π»ΠΈΡΠ°ΡΡ ΡΠ»Π΅Π΄ΡΡΡΠΈΠ΅ ΠΌΠ΅ΡΠΎΠ΄Ρ:
- ΠΠ±ΡΠΈΠΉ ΠΎΡΠΌΠΎΡΡ Π²ΡΠ°ΡΠΎΠΌ;
- ΠΠ°Π±ΠΎΡΠ°ΡΠΎΡΠ½ΡΠ΅: ΡΠ°Π·Π»ΠΈΡΠ½ΡΠ΅ Π±ΠΈΠΎΡ ΠΈΠΌΠΈΡΠ΅ΡΠΊΠΈΠ΅ Π°Π½Π°Π»ΠΈΠ·Ρ, ΠΏΠΎΡΠ΅Π² ΠΌΠΎΠΊΡΠΎΡΡ Π½Π° ΠΏΠΈΡΠ°ΡΠ΅Π»ΡΠ½ΡΡ ΡΡΠ΅Π΄Ρ, Π³Π΅Π½Π΅ΡΠΈΡΠ΅ΡΠΊΠΈΠΉ Π°Π½Π°Π»ΠΈΠ· ΠΈ Ρ.Π΄.;
- ΠΠ½ΡΡΡΡΠΌΠ΅Π½ΡΠ°Π»ΡΠ½ΡΠ΅ ΠΈΡΡΠ»Π΅Π΄ΠΎΠ²Π°Π½ΠΈΡ: ΡΠ΅Π½ΡΠ³Π΅Π½, ΡΠ·ΠΈ ΠΈ Ρ.ΠΏ.;
- Π’ΡΠ±Π΅ΡΠΊΡΠ»ΠΈΠ½ΠΎΠ΄ΠΈΠ°Π³Π½ΠΎΡΡΠΈΠΊΠ° β ΡΠΏΠ΅ΡΠΈΡΠΈΡΠ΅ΡΠΊΠΈΠΉ ΠΌΠ΅ΡΠΎΠ΄, ΡΡΠ΄Π° Π²Ρ ΠΎΠ΄ΠΈΡ ΡΠΈΡΠΎΠΊΠΎ ΠΈΠ·Π²Π΅ΡΡΠ½Π°Ρ ΠΏΡΠΎΠ±Π° ΠΠ°Π½ΡΡ;
- Π₯ΠΈΡΡΡΠ³ΠΈΡΠ΅ΡΠΊΠΈΠ΅ ΠΌΠ΅ΡΠΎΠ΄Ρ β ΡΡΠΎ ΡΠ°ΡΠ΅ Π²ΡΠ΅Π³ΠΎ ΠΈΡΠΏΠΎΠ»ΡΠ·ΡΡΡΡΡ Π½Π° ΠΏΠΎΠ·Π΄Π½ΠΈΡ ΡΡΠ°Π΄ΠΈΡΡ ΡΠ°Π·Π²ΠΈΡΠΈΡ Π·Π°Π±ΠΎΠ»Π΅Π²Π°Π½ΠΈΡ.
ΠΠΈΠ°Π³Π½ΠΎΡΡΠΈΠΊΠ° Π±ΠΎΠ»Π΅Π·Π½ΠΈ ΠΏΡΠΎΠΈΡΡ ΠΎΠ΄ΠΈΡ ΠΏΡΡΠ΅ΠΌ Π²ΡΠ΄Π΅Π»Π΅Π½ΠΈΡ ΠΈ ΠΎΠΏΡΠ΅Π΄Π΅Π»Π΅Π½ΠΈΠ΅ Π½Π°Π»ΠΈΡΠΈΡ Π²ΠΎΠ·Π±ΡΠ΄ΠΈΡΠ΅Π»Ρ. ΠΡΠΎΠ±Π° ΠΠ°Π½ΡΡ ΠΈ Π΄ΠΈΠ°ΡΠΊΠΈΠ½ΡΠ΅ΡΡ ΠΏΠΎΠ·Π²ΠΎΠ»ΡΡΡ Π²ΡΡΠ²ΠΈΡΡ Π½Π°Π»ΠΈΡΠΈΠ΅ Π²ΠΎΠ·Π±ΡΠ΄ΠΈΡΠ΅Π»Ρ Π² ΠΊΡΠΎΠ²ΠΈ. ΠΠΎ Π·Π΄Π΅ΡΡ ΠΈΠ³ΡΠ°Π΅Ρ Π½Π΅ΠΌΠ°Π»ΠΎΠ²Π°ΠΆΠ½ΡΡ ΡΠΎΠ»Ρ ΠΈΠΌΠΌΡΠ½ΠΈΡΠ΅Ρ, ΠΈΠ·-Π·Π° ΠΊΠΎΡΠΎΡΠΎΠ³ΠΎ ΡΠ΅Π·ΡΠ»ΡΡΠ°ΡΡ ΠΏΡΠΎΠ± ΠΌΠΎΠ³ΡΡ Π±ΡΡΡ ΠΈΠ·Π²ΡΠ°ΡΠ΅Π½Ρ.
ΠΠ°Π±ΠΎΡ ΠΌΠΎΠΊΡΠΎΡΡ ΠΈ ΠΏΡΠΎΠ²Π΅Π΄Π΅Π½ΠΈΡ ΡΡΠ΄Π° Π΅Π΅ ΠΈΡΡΠ»Π΅Π΄ΠΎΠ²Π°Π½ΠΈΠΉ, ΠΏΠΎΠ·Π²ΠΎΠ»ΡΡΡ Π²ΡΡΠ²ΠΈΡΡ ΠΌΠΈΠΊΠΎΠ±Π°ΠΊΡΠ΅ΡΠΈΡ, Π½ΠΎ Π½Π΅ ΠΏΡΠΈ Π²ΡΠ΅Ρ ΡΠΎΡΠΌΠ°Ρ ΡΡΠ±Π΅ΡΠΊΡΠ»Π΅Π·Π° Π΅ΡΡΡ ΠΊΠ°ΡΠ΅Π»Ρ Ρ ΠΌΠΎΠΊΡΠΎΡΠΎΠΉ. ΠΠ°Π±ΠΎΡ ΠΌΠΎΠΊΡΠΎΡΡ ΠΏΡΠΎΠ²ΠΎΠ΄ΠΈΡΡΡ 7 ΡΠ°Π·, ΡΡΠΎΠ±Ρ ΠΎΡΠ²Π΅ΡΠ³Π½ΡΡΡ Π΄ΠΈΠ°Π³Π½ΠΎΠ· ΡΡΠ±Π΅ΡΠΊΡΠ»Π΅Π·Π°.
ΠΡΡΠ²ΠΈΡΡ Π²ΠΎΠ·Π±ΡΠ΄ΠΈΡΠ΅Π»Ρ ΠΌΠΎΠΆΠ½ΠΎ Ρ ΠΏΠΎΠΌΠΎΡΡΡ ΠΏΠΎΠ»ΠΈΠΌΠ΅ΡΠ°Π·Π½ΠΎΠΉ ΡΠ΅ΠΏΠ½ΠΎΠΉ ΡΠ΅Π°ΠΊΡΠΈΠΈ, ΡΡΠΎ ΠΏΠΎΠ·Π²ΠΎΠ»ΡΠ΅Ρ Π²ΡΠ΄Π΅Π»ΠΈΡΡ ΠΠΠ ΠΏΠ°Π»ΠΎΡΠΊΠΈ ΠΠΎΡ Π°. ΠΠΎ Π΄Π°Π½Π½Π°Ρ ΠΌΠ΅ΡΠΎΠ΄ΠΈΠΊΠ° Π΄ΠΎΡΠΎΠ³ΠΎΡΡΠΎΡΡΠ°, Π΅ΡΡΡ Π½Π΅ Π²Π΅Π·Π΄Π΅, ΠΈ ΡΡΠ΅Π±ΡΠ΅ΡΡΡ Π²ΡΡΠΎΠΊΠΎΡΠΏΠ΅ΡΠΈΠ°Π»ΠΈΠ·ΠΈΡΠΎΠ²Π°Π½Π½ΡΠ΅ ΠΊΠ°Π΄ΡΡ Π΄Π»Ρ ΡΠ°Π±ΠΎΡΡ Ρ Π½Π΅ΠΉ.
ΠΡΡΠ»Π΅Π΄ΠΎΠ²Π°Π½ΠΈΡ ΠΎΡΠ³Π°Π½ΠΎΠ² Π΄ΡΡ Π°Π½ΠΈΡ ΠΌΠΎΠ³ΡΡ ΠΏΡΠΎΠ²ΠΎΠ΄ΠΈΡΡΡΡ Π΄Π»Ρ Π΄ΠΈΡΡΠ΅ΡΠ΅Π½ΡΠΈΠ°Π»ΡΠ½ΠΎΠΉ Π΄ΠΈΠ°Π³Π½ΠΎΡΡΠΈΠΊΠ΅ Π½Π° ΡΠ°Π½Π½Π΅ΠΉ ΡΡΠ°Π΄ΠΈΠΈ ΡΠ°Π·Π²ΠΈΡΠΈΡ Π±ΠΎΠ»Π΅Π·Π½ΠΈ, ΠΈΠ»ΠΈ Π² ΠΊΠ°ΡΠ΅ΡΡΠ²Π΅ ΠΎΠΏΡΠ΅Π΄Π΅Π»Π΅Π½ΠΈΡ ΡΡΠ΅ΠΏΠ΅Π½ΠΈ ΡΡΠΆΠ΅ΡΡΠΈ ΠΏΡΠΎΡΠ΅ΡΡΠ°.
ΠΠ° ΡΠ°Π½Π½ΠΈΡ ΡΡΠ°Π΄ΠΈΡΡ ΠΈΠ·ΠΌΠ΅Π½Π΅Π½ΠΈΡ ΠΌΠΎΠ³ΡΡ Π±ΡΡΡ ΡΠΎΠ»ΡΠΊΠΎ Π² ΠΎΠ±ΡΠ΅ΠΌ Π°Π½Π°Π»ΠΈΠ·Π΅ ΠΊΡΠΎΠ²ΠΈ ΠΈ ΠΌΠΎΡΠΈ:
- Π£ΡΠΊΠΎΡΠ΅Π½ΠΈΠ΅ Π‘ΠΠ;
- ΠΠ΅Π»ΠΎΠΊ Π² ΠΌΠΎΡΠ΅;
- Π£Π²Π΅Π»ΠΈΡΠ΅Π½ΠΈΠ΅ ΠΊΠΎΠ»ΠΈΡΠ΅ΡΡΠ²Π° Π»Π΅ΠΉΠΊΠΎΡΠΈΡΠΎΠ²;
- Π‘Π½ΠΈΠΆΠ΅Π½ΠΈΠ΅ ΠΊΠΎΠ»ΠΈΡΠ΅ΡΡΠ²Π° Π»ΠΈΠΌΡΠΎΡΠΈΡΠΎΠ².
ΠΡΠΈ Π½Π°Π»ΠΈΡΠΈΠΈ ΠΌΠΎΠΊΡΠΎΡΡ Ρ ΠΊΡΠΎΠ²ΡΡ, Π½Π΅ΠΎΠ±Ρ ΠΎΠ΄ΠΈΠΌΠΎ ΡΡΠ°Π·Ρ ΠΎΠ±ΡΠ°ΡΠΈΡΡΡΡ ΠΊ Π²ΡΠ°ΡΡ.

Π‘ΠΈΠΌΠΏΡΠΎΠΌΡ Ρ Π²Π·ΡΠΎΡΠ»ΡΡ
ΠΠΎΠΆΠ½ΠΎ Π²ΡΠ΄Π΅Π»ΠΈΡΡ ΠΎΠ±ΡΠΈΠ΅ ΠΈ ΡΠΏΠ΅ΡΠΈΡΠΈΡΠ½ΡΠ΅ ΡΠΈΠΌΠΏΡΠΎΠΌΡ ΡΡΠ±Π΅ΡΠΊΡΠ»Π΅Π·Π° Π»Π΅Π³ΠΊΠΈΡ Ρ Π²Π·ΡΠΎΡΠ»ΡΡ .
Π‘ΠΈΠΌΠΏΡΠΎΠΌΡ ΡΡΠ±Π΅ΡΠΊΡΠ»Π΅Π·Π° Π½Π° ΡΠ°Π½Π½Π΅ΠΉ ΡΡΠ°Π΄ΠΈΠΈ Π² ΠΎΡΠ½ΠΎΠ²Π½ΠΎΠΌ ΠΏΡΠ΅Π΄ΡΡΠ°Π²Π»Π΅Π½Ρ ΠΎΠ±ΡΠΈΠΌΠΈ ΡΠΈΠΌΠΏΡΠΎΠΌΠ°ΠΌΠΈ:
- Π‘Π»Π°Π±ΠΎΡΡΡ ΠΈ Π½Π΅Π΄ΠΎΠΌΠΎΠ³Π°Π½ΠΈΠ΅;
- Π‘Π½ΠΈΠΆΠ΅Π½ΠΈΠ΅ ΠΊΠΎΠ½ΡΠ΅Π½ΡΡΠ°ΡΠΈΠΈ Π²Π½ΠΈΠΌΠ°Π½ΠΈΡ, Π°ΠΏΠ°ΡΠΈΡ, Π±Π΅Π·ΡΠ°Π·Π»ΠΈΡΠΈΠ΅ ΠΊ ΠΏΡΠΎΠΈΡΡ ΠΎΠ΄ΡΡΠ΅ΠΌΡ Π²ΠΎΠΊΡΡΠ³;
- Π‘Π½ΠΈΠΆΠ΅Π½ΠΈΠ΅ Π°ΠΏΠΏΠ΅ΡΠΈΡΠ°;
- ΠΠΎΡΠ΅ΡΡ ΠΌΠ°ΡΡΡ ΡΠ΅Π»Π°;
- ΠΡΡΡΡΠ°Ρ ΡΡΠΎΠΌΠ»ΡΠ΅ΠΌΠΎΡΡΡ ΠΈ ΡΠ½ΠΈΠΆΠ΅Π½ΠΈΠ΅ ΡΠ°Π±ΠΎΡΠΎΡΠΏΠΎΡΠΎΠ±Π½ΠΎΡΡΠΈ;
- ΠΠ»ΠΈΡΠ΅Π»ΡΠ½ΠΎ Π΄Π΅ΡΠΆΠΈΡΡΡ Π½Π΅Π²ΡΡΠΎΠΊΠ°Ρ ΡΠ΅ΠΌΠΏΠ΅ΡΠ°ΡΡΡΠ°, Π½Π΅ ΠΏΡΠ΅Π²ΡΡΠ°Π΅Ρ 38ΠΎΒ Π‘.
Π‘ΠΏΠ΅ΡΠΈΡΠΈΡΠ΅ΡΠΊΠΈΠ΅ ΡΠΈΠΌΠΏΡΠΎΠΌΡ Ρ Π²Π·ΡΠΎΡΠ»ΡΡ , ΠΊΠ°ΠΊ ΠΏΡΠ°Π²ΠΈΠ»ΠΎ, ΠΏΠΎΡΠ²Π»ΡΡΡΡΡ Π½Π° ΠΏΠΎΠ·Π΄Π½ΠΈΡ ΡΡΠ°Π΄ΠΈΡΡ ΠΈ Π·Π°Π²ΠΈΡΡΡ ΠΎΡ ΡΠΎΡΠΌΡ Π·Π°Π±ΠΎΠ»Π΅Π²Π°Π½ΠΈΡ.
ΠΠ°ΡΠ΅Π»Ρ ΠΏΡΠΈ ΡΡΠ±Π΅ΡΠΊΡΠ»Π΅Π·Π΅ Π»Π΅Π³ΠΊΠΈΡ ΠΌΠΎΠΆΠ΅Ρ Π±ΡΡΡ ΡΠ°Π·Π»ΠΈΡΠ½ΡΠΌ ΠΈ Π·Π°Π²ΠΈΡΠΈΡ ΠΎΡ ΡΠΎΡΠΌΡ Π·Π°Π±ΠΎΠ»Π΅Π²Π°Π½ΠΈΡ: ΠΎΠ½ ΠΌΠΎΠΆΠ΅Ρ Π±ΡΡΡ ΡΡΡ ΠΈΠΌ ΠΈΠ»ΠΈ ΠΏΡΠΈ Π½Π΅ΠΌ Π±ΡΠ΄Π΅Ρ Π²ΡΠ΄Π΅Π»ΡΡΡΡΡ ΠΌΠΎΠΊΡΠΎΡΠ°.
ΠΠ° ΠΏΠΎΠ·Π΄Π½ΠΈΡ ΡΡΠ°Π΄ΠΈΡΡ Π·Π°Π±ΠΎΠ»Π΅Π²Π°Π½ΠΈΡ, Π² ΠΌΠΎΠΊΡΠΎΡΠ΅ ΠΌΠΎΠ³ΡΡ ΠΏΡΠΈΡΡΡΡΡΠ²ΠΎΠ²Π°ΡΡ ΡΠ»Π΅Π΄Ρ ΠΊΡΠΎΠ²ΠΈ. ΠΠ°ΡΠ΅Π»Ρ Π½ΠΎΡΠΈΡ ΠΏΠΎΡΡΠΎΡΠ½Π½ΡΠΉ Ρ Π°ΡΠ°ΠΊΡΠ΅Ρ, Π΄Π»ΠΈΡΠ΅Π»ΡΠ½ΠΎΡΡΡ ΠΏΡΠΈΡΡΡΠΏΠΎΠ² ΠΊΠ°ΡΠ»Ρ Π±ΡΠ΄Π΅Ρ ΠΏΠΎΡΡΠ΅ΠΏΠ΅Π½Π½ΠΎ Π²ΠΎΠ·ΡΠ°ΡΡΠ°ΡΡ.
ΠΡΠΈ Π΄Π»ΠΈΡΠ΅Π»ΡΠ½ΠΎΠΌ ΡΠ΅ΡΠ΅Π½ΠΈΠΈ ΠΏΡΠΎΡΠ΅ΡΡΠ°, ΠΌΠΎΠ³ΡΡ Π²ΠΎΠ·Π½ΠΈΠΊΠ½ΡΡΡ ΠΈ Π΄ΡΡΠ³ΠΈΠ΅ ΡΠΈΠΌΠΏΡΠΎΠΌΡ, Π³ΠΎΠ²ΠΎΡΡΡΠΈΠ΅ ΠΎ Π²ΡΡΠ°ΠΆΠ΅Π½Π½ΠΎΡΡΠΈ ΠΏΡΠΎΡΠ΅ΡΡΠ°:
- ΠΡΠΎΠ²ΠΎΡ Π°ΡΠΊΠ°Π½ΡΠ΅ ΠΈ Π»Π΅Π³ΠΎΡΠ½ΠΎΠ΅ ΠΊΡΠΎΠ²ΠΎΡΠ΅ΡΠ΅Π½ΠΈΠ΅.
- ΠΠ΄ΡΡΠΊΠ°, Π² Π΄Π°Π»ΡΠ½Π΅ΠΉΡΠ΅ΠΌ ΡΠ°Π·Π²ΠΈΡΠΈΠ΅ ΠΏΠΎΠ²Π΅ΡΡ Π½ΠΎΡΡΠ½ΠΎΠ³ΠΎ Π΄ΡΡ Π°Π½ΠΈΡ.
- Π’ΡΠΏΡΠ΅ ΠΈΠ»ΠΈ ΠΊΠΎΠ»ΡΡΠΈΠ΅ Π±ΠΎΠ»ΠΈ, Π²ΠΎΠ·Π½ΠΈΠΊΠ°ΡΡΠΈΠ΅ Π²ΠΎ Π²ΡΠ΅ΠΌΡ ΠΊΠ°ΡΠ»Ρ ΠΈΠ»ΠΈ Π²Π΄ΠΎΡ Π°. Π ΠΎΡΠ½ΠΎΠ²Π½ΠΎΠΌ Π»ΠΎΠΊΠ°Π»ΠΈΠ·ΡΡΡΡΡ Π² Π²Π΅ΡΡ Π½ΠΈΡ ΠΎΡΠ΄Π΅Π»Π°Ρ Π»Π΅Π³ΠΊΠΈΡ .
- ΠΠ° ΠΏΠΎΠ·Π΄Π½ΠΈΡ ΡΡΠ°Π΄ΠΈΡΡ ΡΠ°Π·Π²ΠΈΡΠΈΠ΅ Π΄ΡΡ Π°ΡΠ΅Π»ΡΠ½ΠΎΠΉ Π½Π΅Π΄ΠΎΡΡΠ°ΡΠΎΡΠ½ΠΎΡΡΠΈ. Π ΠΈΡΠΊ ΡΠ°Π·Π²ΠΈΡΠΈΡ ΠΏΠ½Π΅Π²ΠΌΠΎΡΠΎΡΠ°ΠΊΡΠ°.

Π€ΠΎΡΠΌΡ Π·Π°Π±ΠΎΠ»Π΅Π²Π°Π½ΠΈΡ
ΠΡΠΎΡΠ²Π»Π΅Π½ΠΈΡ Π½Π° ΡΠ°Π½Π½ΠΈΡ ΡΡΠ°Π΄ΠΈΡΡ ΡΡΠ±Π΅ΡΠΊΡΠ»Π΅Π·Π° Π² ΡΠ΅Π»ΠΎΠΌ Π΄Π»Ρ ΠΊΠ°ΠΆΠ΄ΠΎΠΉ ΡΠΎΡΠΌΡ ΠΎΠ΄ΠΈΠ½Π°ΠΊΠΎΠ²Ρ, Π½ΠΎ Ρ.ΠΊ. Π²ΡΠ΅ ΠΎΠ½ΠΈ ΠΈΠΌΠ΅ΡΡ ΡΠ²ΠΎΠΈ ΠΎΡΠΎΠ±Π΅Π½Π½ΠΎΡΡΠΈ ΠΈ ΡΠ°Π·Π»ΠΈΡΠ°ΡΡΡΡ ΠΏΠΎ ΡΡΠ΅ΠΏΠ΅Π½ΠΈ ΡΡΠΆΠ΅ΡΡΠΈ, ΠΈΠΌΠ΅ΡΡ ΡΠ²ΠΎΠΈ ΠΎΡΠΎΠ±Π΅Π½Π½ΠΎΡΡΠΈ.
- ΠΡΠ°Π³ΠΎΠ²ΡΠΉ β ΠΊΠ°ΠΊ ΡΠ»Π΅Π΄ΡΠ΅Ρ ΠΈΠ· Π½Π°Π·Π²Π°Π½ΠΈΡ, ΡΠΎΡΠΌΠΈΡΡΠ΅ΡΡΡ ΠΊΠ°ΠΊ ΠΎΡΠ°Π³ Π² Π»Π΅Π³ΠΊΠΎΠΌ. ΠΡΠ»ΠΈ ΠΎΠ½ ΡΠΎΡΠΌΠΈΡΡΠ΅ΡΡΡ ΡΡΠ΄ΠΎΠΌ Ρ Π±ΡΠΎΠ½Ρ ΠΎΠΌ, ΡΠΎ ΠΌΠΎΠΆΠ΅Ρ ΠΏΡΠΈΡΡΡΡΡΠ²ΠΎΠ²Π°ΡΡ ΠΊΠ°ΡΠ΅Π»Ρ ΠΈ Π΄Π°ΠΆΠ΅ Π²ΡΠ΄Π΅Π»Π΅Π½ΠΈΠ΅ Ρ ΠΌΠΎΠΊΡΠΎΡΠΎΠΉ. ΠΡΠΈ Π΄ΡΡΠ³ΠΎΠΉ Π»ΠΎΠΊΠ°Π»ΠΈΠ·Π°ΡΠΈΠΈ, ΠΊΠ»ΠΈΠ½ΠΈΠΊΠ° Π±ΡΠ΄Π΅Ρ ΡΡΠ΅ΡΡΠΎΠΉ ΠΈΠ»ΠΈ Π²ΠΎΠ²ΡΠ΅ ΠΎΡΡΡΡΡΡΠ²ΠΎΠ²Π°ΡΡ. Π ΠΈΡΠΎΠ³Π΅ ΠΎΡΠ°Π³ ΠΌΠΎΠΆΠ΅Ρ ΠΊΠ°Π»ΡΡΠΈΠ½ΠΈΡΠΎΠ²Π°ΡΡΡΡ ΠΈΠ»ΠΈ ΠΏΠ΅ΡΠ΅ΠΉΡΠΈ Π² ΠΈΠ½ΡΠΈΠ»ΡΡΡΠ°ΡΠΈΠ²Π½ΡΡ ΡΠΎΡΠΌΡ ΡΡΠ±Π΅ΡΠΊΡΠ»Π΅Π·Π°.
- Π’ΡΠ±Π΅ΡΠΊΡΠ»ΠΎΠΌΠ° Π»Π΅Π³ΠΊΠΈΡ β Π½Π°ΠΏΠΎΠΌΠΈΠ½Π°Π΅Ρ ΠΎΡΠ°Π³ΠΎΠ²ΡΡ, Π½ΠΎ Π² Π΄Π°Π½Π½ΠΎΠΌ ΡΠ»ΡΡΠ°Π΅ Π½Π΅ΠΊΡΠΎΠ·Π½ΡΠΉ ΠΎΡΠ°Π³ ΠΎΠΊΡΡΠΆΠ΅Π½ ΡΠΎΠ΅Π΄ΠΈΠ½ΠΈΡΠ΅Π»ΡΠ½ΠΎΡΠΊΠ°Π½Π½ΠΎΠΉ ΠΊΠ°ΠΏΡΡΠ»ΠΎΠΉ.Β Π‘ΠΈΠΌΠΏΡΠΎΠΌΠ°ΠΌΠΈ Π±ΡΠ΄ΡΡ ΠΊΠ°ΡΠ΅Π»Ρ Ρ ΠΌΠΎΠΊΡΠΎΡΠΎΠΉ, Π±ΠΎΠ»Π΅Π΅ Π²ΡΡΠ°ΠΆΠ΅Π½Π½ΡΠ΅ ΠΎΠ±ΡΠΈΠ΅ ΡΠΈΠΌΠΏΡΠΎΠΌΡ. Π ΡΠ»ΡΡΠ°Π΅ ΡΠΎΡΠΌΠΈΡΠΎΠ²Π°Π½ΠΈΡ ΠΊΠ°Π²Π΅ΡΠ½Ρ β ΠΏΡΠΈΡΡΡΡΡΠ²ΠΈΠ΅ ΠΊΡΠΎΠ²ΠΈ Π² ΠΌΠΎΠΊΡΠΎΡΠ΅.
- ΠΠΈΡΡΠ΅ΠΌΠΈΠ½ΠΈΡΠΎΠ²Π°Π½Π½ΡΠΉ ΡΡΠ±Π΅ΡΠΊΡΠ»Π΅Π· β ΠΏΡΠΈ ΠΏΠΎΠΏΠ°Π΄Π΅Π½ΠΈΠ΅ ΠΈΠ½ΡΠ΅ΠΊΡΠΈΠΈ Π² ΠΊΡΠΎΠ²ΠΎΡΠΎΠΊ ΠΈ Π»ΠΈΠΌΡΡ, ΠΎΠ½Π° ΡΠ°Π·Π½ΠΎΡΠΈΡΡΡ ΠΏΠΎ Π²ΡΠ΅ΠΌ Π»Π΅Π³ΠΊΠΈΠΌ. Π ΡΠ΅Π·ΡΠ»ΡΡΠ°ΡΠ΅ ΠΏΠΎΡΠ°ΠΆΠ΅Π½ΠΈΡ, ΠΏΠΎΡΠ°ΠΆΠ°ΡΡΡΡ ΠΎΠ±Π° Π»Π΅Π³ΠΊΠΈΡ , ΠΏΠΎ Π²ΡΠ΅ΠΉ ΠΏΠΎΠ²Π΅ΡΡ Π½ΠΎΡΡΠΈ ΠΊΠΎΡΠΎΡΡΡ ΡΠ°ΡΠΏΠΎΠ»Π°Π³Π°ΡΡΡΡ ΠΌΠ°Π»Π΅Π½ΡΠΊΠΈΠ΅ ΠΎΡΠ°Π³ΠΈ. Π‘ΠΈΠΌΠΏΡΠΎΠΌΡ, ΠΊΠ°ΠΊ ΡΠ΅ΠΌΠΏΠ΅ΡΠ°ΡΡΡΠ°, ΠΏΠΎΡΠ»ΠΈΠ²ΠΎΡΡΡ, ΡΡΠΈΠ»ΠΈΠ²Π°ΡΡΡΡ. ΠΠΎΠ»ΡΠ½ΠΎΠΉ ΡΠ΅ΡΡΠ΅Ρ Π²Π΅Ρ. ΠΠΎΡΡΠΎΡΠ½Π½ΡΠΉ ΡΡΡ ΠΎΠΉ ΠΊΠ°ΡΠ΅Π»Ρ, ΡΠ΅Π΄ΠΊΠΎ ΠΈ ΡΠΊΡΠ΄Π½Π°Ρ ΠΌΠΎΠΊΡΠΎΡΠ°. ΠΡΠ΄Π΅Π»ΠΈΡΡ ΠΌΠΈΠΊΠΎΠ±Π°ΠΊΡΠ΅ΡΠΈΡ ΡΠΎΡΡΠ°Π²Π»ΡΠ΅Ρ ΡΡΡΠ΄Π½ΠΎΡΡΡ.
- ΠΠ½ΡΠΈΠ»ΡΡΡΠ°ΡΠΈΠ²Π½ΡΠΉ ΡΡΠ±Π΅ΡΠΊΡΠ»Π΅Π· β ΠΌΠΎΠΆΠ΅Ρ Π±ΡΡΡ ΠΊΠ°ΠΊ ΠΎΡΠ»ΠΎΠΆΠ½Π΅Π½ΠΈΠ΅ΠΌ Π΄ΡΡΠ³ΠΈΡ ΡΠΎΡΠΌ, ΡΠ°ΠΊ ΠΈ ΡΠ°ΠΌΠΎΡΡΠΎΡΡΠ΅Π»ΡΠ½ΡΠΌ Π·Π°Π±ΠΎΠ»Π΅Π²Π°Π½ΠΈΠ΅ΠΌ. ΠΠ»Ρ Π½Π΅Π³ΠΎ Ρ Π°ΡΠ°ΠΊΡΠ΅ΡΠ½Ρ ΡΠ΅ΠΌΠΏΠ΅ΡΠ°ΡΡΡΠ°, ΠΏΠΎΠ²ΡΡΠ΅Π½Π½Π°Ρ ΠΏΠΎΡΠ»ΠΈΠ²ΠΎΡΡΡ, Π½Π°ΡΡΡΠ΅Π½ΠΈΠ΅ ΠΏΠΈΡΠ°Π½ΠΈΠ΅ ΠΈ ΠΏΠΎΡΠ΅ΡΡ Π²Π΅ΡΠ°. ΠΡΠΈ ΡΡΠΎΠΌ ΠΊΠ°ΡΠ΅Π»Ρ ΠΌΠΎΠΆΠ΅Ρ ΠΎΡΡΡΡΡΡΠ²ΠΎΠ²Π°ΡΡ.
- ΠΠ°Π²Π΅ΡΠ½ΠΎΠ·Π½ΡΠΉ ΡΡΠ±Π΅ΡΠΊΡΠ»Π΅Π· β ΠΏΠΎΠ·Π΄Π½ΡΡ ΡΡΠ°Π΄ΠΈΡ, ΠΊΠΎΡΠΎΡΠ°Ρ Ρ Π°ΡΠ°ΠΊΡΠ΅ΡΠ½Π° ΡΠΎΡΠΌΠΈΡΠΎΠ²Π°Π½ΠΈΡ ΠΏΠΎΠ»ΠΎΡΡΠ΅ΠΉ ΡΠ°ΡΠΏΠ°Π΄Π°. Π‘ΠΎΠΎΡΠ²Π΅ΡΡΡΠ²Π΅Π½Π½ΠΎ ΠΊΠ°ΡΠ΅Π»Ρ ΠΏΡΠΎΠ΄ΡΠΊΡΠΈΠ²Π½ΡΠΉ, ΠΌΠΈΠΊΠΎΠ±Π°ΠΊΡΠ΅ΡΠΈΡ Π²ΡΠ΄Π΅Π»ΡΠ΅ΡΡΡ, ΠΏΡΠΈΡΠΎΠ΅Π΄ΠΈΠ½ΡΡΡΡΡ ΠΈ ΠΏΠΎΠ·Π΄Π½ΠΈΠ΅ ΡΠΈΠΌΠΏΡΠΎΠΌΡ β ΠΊΡΠΎΠ²ΠΎΡ Π°ΡΠΊΠ°Π½ΡΠ΅, ΠΎΠ΄ΡΡΠΊΠ°, Π±ΠΎΠ»ΠΈ Π² Π³ΡΡΠ΄ΠΈ ΠΏΡΠΈ Π²Π΄ΠΎΡ Π΅ ΠΈ ΠΊΠ°ΡΠ»Π΅.
- ΠΠ°Π·Π΅ΠΎΠ·Π½Π°Ρ ΠΏΠ½Π΅Π²ΠΌΠΎΠ½ΠΈΡΒ β Π΄Π°Π½Π½Π°Ρ ΡΠΎΡΠΌΠ° Ρ Π°ΡΠ°ΠΊΡΠ΅ΡΠΈΠ·ΡΠ΅ΡΡΡ Π±ΠΎΠ»ΡΡΠΈΠΌ ΠΊΠΎΠ»ΠΈΡΠ΅ΡΡΠ²ΠΎΠΌ ΠΏΠΎΠ»ΠΎΡΡΠ΅ΠΉ ΠΏΠΎΡΠ»Π΅ ΠΊΠ°Π·Π΅ΠΎΠ·Π½ΠΎ-Π½Π΅ΠΊΡΠΎΡΠΈΡΠ΅ΡΠΊΠΎΠ³ΠΎ ΡΠ°ΡΠΏΠ°Π΄Π° ΡΠΊΠ°Π½ΠΈ Π»Π΅Π³ΠΊΠΈΡ . Π£ Π±ΠΎΠ»ΡΠ½ΠΎΠ³ΠΎ ΡΠ΅ΠΌΠΏΠ΅ΡΠ°ΡΡΡΠ°, ΡΠ»Π°Π±ΠΎΡΡΡ, ΠΏΠΎΡΠ»ΠΈΠ²ΠΎΡΡΡ, ΠΊΠ°ΡΠ΅Π»Ρ Ρ ΠΎΠ±ΠΈΠ»ΡΠ½ΡΠΌ ΠΊΠΎΠ»ΠΈΡΠ΅ΡΡΠ²ΠΎΠΌ ΠΌΠΎΠΊΡΠΎΡΡ, Π²ΡΠ΄Π΅Π»Π΅Π½ΠΈΠ΅ ΠΏΠ°Π»ΠΎΡΠΊΠΈ ΠΠΎΡ Π°. Π’Π°ΠΊ ΠΆΠ΅ Π΅ΡΡΡ ΠΏΡΠΈΠ·Π½Π°ΠΊΠΈ ΠΎΡΠ»ΠΎΠΆΠ½Π΅Π½Π½ΠΎΠ³ΠΎ ΡΠ΅ΡΠ΅Π½ΠΈΡ: ΠΊΡΠΎΠ²ΠΎΡ Π°ΡΠΊΠ°Π½ΡΠ΅, ΠΎΠ΄ΡΡΠΊΠ°, Π΄ΡΡ Π°ΡΠ΅Π»ΡΠ½Π°Ρ Π½Π΅Π΄ΠΎΡΡΠ°ΡΠΎΡΠ½ΠΎΡΡΡ.
- Π€ΠΈΠ±ΡΠΈΠ½ΠΎΠ·Π½ΠΎ-ΠΊΠ°Π²Π΅ΡΠ½ΠΎΠ·Π½Π°Ρ ΡΠΎΡΠΌΠ° β ΡΠΆΠ΅ ΡΡΡΠ΅ΡΡΠ²ΡΡΡΠΈΠ΅ ΠΊΠ°Π²Π΅ΡΠ½Ρ ΠΎΠΊΡΡΠΆΠ°Π΅Ρ ΡΠΈΠ±ΡΠΎΠ·Π½Π°Ρ ΡΠΎΠ΅Π΄ΠΈΠ½ΠΈΡΠ΅Π»ΡΠ½Π°Ρ ΡΠΊΠ°Π½Ρ. ΠΡΠΈΡΡΡΡΡΠ²ΡΡΡ Π²ΡΠ΅ Π²ΡΡΠ΅ ΠΏΠ΅ΡΠ΅ΡΠΈΡΠ»Π΅Π½Π½ΡΠ΅ ΡΠΈΠΌΠΏΡΠΎΠΌΡ. ΠΡΡ Π°Π½ΠΈΠ΅, ΠΈΠ·-Π·Π° Π½Π΅Π²ΠΎΠ·ΠΌΠΎΠΆΠ½ΠΎΡΡΠΈ Π»Π΅Π³ΠΊΠΈΡ Π½ΠΎΡΠΌΠ°Π»ΡΠ½ΠΎ Π΄Π²ΠΈΠ³Π°ΡΡΡΡ, ΡΡΠ°Π½ΠΎΠ²ΠΈΡΡΡ ΠΏΠΎΠ²Π΅ΡΡ Π½ΠΎΡΡΠ½ΡΠΌ.

ΠΡΠΎΡΠΈΠ»Π°ΠΊΡΠΈΡΠ΅ΡΠΊΠΎΠ΅ Π»Π΅ΡΠ΅Π½ΠΈΠ΅ Π»Π΅Π³ΠΊΠΈΡ
ΠΡΠ»ΠΈ Π·Π°ΠΏΠΎΠ΄ΠΎΠ·ΡΠ΅Π½ ΡΡΠ±Π΅ΡΠΊΡΠ»Π΅Π·: Π΅ΡΡΡ ΠΎΠΏΠΈΡΠ°Π½Π½ΡΠ΅ Π²ΡΡΠ΅ ΡΠΈΠΌΠΏΡΠΎΠΌΡ Ρ Π²Π·ΡΠΎΡΠ»ΡΡ , Π²ΠΎΠ·ΠΌΠΎΠΆΠ½ΡΠΉ ΠΈΠ»ΠΈ ΡΡΡΠ°Π½ΠΎΠ²Π»Π΅Π½Π½ΡΠΉ ΠΊΠΎΠ½ΡΠ°ΠΊΡ Ρ Π·Π°ΡΠ°ΠΆΠ΅Π½Π½ΡΠΌ Π»ΠΈΡΠΎΠΌ β Π½Π΅ΠΎΠ±Ρ ΠΎΠ΄ΠΈΠΌΠΎ ΠΎΠ±ΡΠ°ΡΠΈΡΡΡΡ ΠΊ Π²ΡΠ°ΡΡ, Π° Π»ΡΡΡΠ΅ ΡΡΠ±Π΅ΡΠΊΡΠ»Π΅Π·Π½ΡΠΉ Π΄ΠΈΡΠΏΠ°Π½ΡΠ΅Ρ, Π³Π΄Π΅ Π±ΡΠ΄Π΅Ρ ΠΏΡΠΎΠ²Π΅Π΄Π΅Π½ΠΎ ΠΎΠ±ΡΠ»Π΅Π΄ΠΎΠ²Π°Π½ΠΈΠ΅.

Π ΡΠ»ΡΡΠ°Π΅ ΠΏΠΎΠ΄ΡΠ²Π΅ΡΠΆΠ΄Π΅Π½ΠΈΠ΅ Π΄ΠΈΠ°Π³Π½ΠΎΠ·Π°, Π±ΡΠ΄Π΅Ρ Π½Π°Π·Π½Π°ΡΠ΅Π½Π° ΡΠΏΠ΅ΡΠΈΡΠΈΡΠ΅ΡΠΊΠ°Ρ Ρ ΠΈΠΌΠΈΠΎΡΠ΅ΡΠ°ΠΏΠΈΡ. ΠΡΠΎ Π΄Π»ΠΈΡΠ΅Π»ΡΠ½ΡΠΉ ΠΊΡΡΡ ΠΏΡΠΈΠ΅ΠΌΠ° Π»Π΅ΠΊΠ°ΡΡΡΠ²Π΅Π½Π½ΡΡ ΡΡΠ΅Π΄ΡΡΠ², ΡΡ Π΅ΠΌΠ° ΠΏΡΠΈΠ΅ΠΌΠ° ΡΠ°ΡΡΡΠΈΡΡΠ²Π°Π΅ΡΡΡ Π² Π·Π°Π²ΠΈΡΠΈΠΌΠΎΡΡΠΈ ΠΎΡ ΡΡΠ΅ΠΏΠ΅Π½ΠΈ ΡΡΠΆΠ΅ΡΡΠΈ ΠΏΡΠΎΡΠ΅ΡΡΠ° ΠΈ ΡΠΎΠΌΡ, ΠΊΠ°ΠΊ ΠΌΠΈΠΊΠΎΠ±Π°ΠΊΡΠ΅ΡΠΈΠΈ ΡΡΠ²ΡΡΠ²ΠΈΡΠ΅Π»ΡΠ½Ρ ΠΊ ΠΏΡΠ΅ΠΏΠ°ΡΠ°ΡΠ°ΠΌ. Π ΡΠ»ΡΡΠ°Π΅ Π½Π°Π»ΠΈΡΠΈΡ ΡΠΈΠΌΠΏΡΠΎΠΌΠΎΠ² ΡΡΠ±Π΅ΡΠΊΡΠ»Π΅Π·Π° Π»Π΅Π³ΠΊΠΈΡ , Ρ Π°ΡΠ°ΠΊΡΠ΅ΡΠ½ΡΡ Π΄Π»Ρ ΠΏΠΎΠ·Π΄Π½ΠΈΡ ΡΡΠ°Π΄ΠΈΠΉ, ΠΌΠΎΠΆΠ΅Ρ Π±ΡΡΡ ΠΏΠΎΠ΄Π½ΡΡ Π²ΠΎΠΏΡΠΎΡ ΠΎΠ± ΠΎΠΏΠ΅ΡΠ°ΡΠΈΠ²Π½ΠΎΠΌ Π²ΠΌΠ΅ΡΠ°ΡΠ΅Π»ΡΡΡΠ²Π΅.
ΠΡΠ»ΠΈ Π²Π·ΡΠΎΡΠ»ΡΠΉ Π½Π°Ρ ΠΎΠ΄ΠΈΠ»ΡΡ Π² ΠΊΠΎΠ½ΡΠ°ΠΊΡΠ΅ Ρ Π±ΠΎΠ»ΡΠ½ΡΠΌ ΡΡΠ±Π΅ΡΠΊΡΠ»Π΅Π·ΠΎΠΌ, Π½Π°Π·Π½Π°ΡΠ°Π΅ΡΡΡ Ρ ΠΈΠΌΠΈΠΎΡΠ΅ΡΠ°ΠΏΠΈΡ Π² ΡΠ΅Π»ΠΈ ΠΏΡΠΎΡΠΈΠ»Π°ΠΊΡΠΈΠΊΠΈ, ΠΏΡΠΈΠΌΠ΅ΡΠ½ΠΎ Π½Π° ΠΏΠΎΠ»Π³ΠΎΠ΄Π°.
chahotkinet.ru
ΠΡΠ½ΠΎΠ²Π½ΡΠ΅ ΡΠΈΠΌΠΏΡΠΎΠΌΡ ΠΈ ΠΏΡΠΈΠ·Π½Π°ΠΊΠΈ ΡΡΠ±Π΅ΡΠΊΡΠ»Π΅Π·Π° Ρ Π²Π·ΡΠΎΡΠ»ΡΡ
ΠΠ³Π»Π°Π²Π»Π΅Π½ΠΈΠ΅: [ΡΠΊΡΡΡΡ]
- ΠΡΠ½ΠΎΠ²Π½ΡΠ΅ ΠΏΡΠΈΠ·Π½Π°ΠΊΠΈ ΡΡΠ±Π΅ΡΠΊΡΠ»Π΅Π·Π° Π»Π΅Π³ΠΊΠΈΡ Ρ Π²Π·ΡΠΎΡΠ»ΡΡ
- Π‘ΠΈΠΌΠΏΡΠΎΠΌΠ°ΡΠΈΡΠ΅ΡΠΊΠΈΠ΅ ΠΏΡΠΎΡΠ²Π»Π΅Π½ΠΈΡ Π²Π½Π΅Π»Π΅Π³ΠΎΡΠ½ΡΡ ΡΠΎΡΠΌ ΡΡΠ±Π΅ΡΠΊΡΠ»Π΅Π·Π° Ρ Π²Π·ΡΠΎΡΠ»ΡΡ
ΠΡΠΈΠ·Π½Π°ΠΊΠΈ ΡΡΠ±Π΅ΡΠΊΡΠ»Π΅Π·Π° Ρ Π²Π·ΡΠΎΡΠ»ΡΡ ΠΌΠΎΠ³ΡΡ Π±ΡΡΡ ΡΠ°ΠΌΡΠΌΠΈ ΡΠ°Π·Π½ΠΎΠΎΠ±ΡΠ°Π·Π½ΡΠΌΠΈ, Π½ΠΎ Π² ΡΠΎ ΠΆΠ΅ Π²ΡΠ΅ΠΌΡ ΠΎΠ½ΠΈ ΠΈΠΌΠ΅ΡΡ Π·Π½Π°ΡΠΈΡΠ΅Π»ΡΠ½ΠΎ ΠΌΠ΅Π½Π΅Π΅ Π²ΡΡΠ°ΠΆΠ΅Π½Π½ΡΠΉ Ρ Π°ΡΠ°ΠΊΡΠ΅Ρ, ΡΠ΅ΠΌ Ρ Π΄Π΅ΡΠ΅ΠΉ. Π‘ΠΈΠΌΠΏΡΠΎΠΌΡ ΡΡΠ±Π΅ΡΠΊΡΠ»Π΅Π·Π° Ρ Π²Π·ΡΠΎΡΠ»ΡΡ ΠΏΠΎΠ»Π½ΠΎΡΡΡΡ Π·Π°Π²ΠΈΡΡΡ ΠΎΡ ΡΠΎΠ³ΠΎ, ΠΊΠ°ΠΊΠΎΠΉ ΠΈΠΌΠ΅Π½Π½ΠΎ ΠΎΡΠ³Π°Π½ Π·Π°ΡΡΠΎΠ½ΡΠ»ΠΈ ΠΌΠΈΠΊΠΎΠ±Π°ΠΊΡΠ΅ΡΠΈΠΈ.

Π‘Π°ΠΌΡΠΌΠΈ ΡΠ°ΡΠΏΡΠΎΡΡΡΠ°Π½Π΅Π½Π½ΡΠΌΠΈ ΡΠΎΡΠΌΠ°ΠΌΠΈ ΡΡΠ±Π΅ΡΠΊΡΠ»Π΅Π·Π° ΡΡΠΈΡΠ°ΡΡΡΡ Π»Π΅Π³ΠΎΡΠ½ΡΠ΅, Π½ΠΎ Π½Π΅ΡΠ΅Π΄ΠΊΠΈ ΡΠ»ΡΡΠ°ΠΈ, ΠΊΠΎΠ³Π΄Π° ΠΌΠΈΠΊΠΎΠ±Π°ΠΊΡΠ΅ΡΠΈΠΈ ΠΏΠΎΡΠ°ΠΆΠ°ΡΡ ΠΈ Π΄ΡΡΠ³ΠΈΠ΅ ΡΠΈΡΡΠ΅ΠΌΡ ΠΎΡΠ³Π°Π½ΠΈΠ·ΠΌΠ°. Π‘Π»Π΅Π΄ΡΠ΅Ρ ΠΎΡΠΌΠ΅ΡΠΈΡΡ, ΡΡΠΎ Π½Π° ΡΠ°Π·Π½ΠΎΠΎΠ±ΡΠ°Π·ΠΈΠ΅ ΠΈ ΠΈΠ½ΡΠ΅Π½ΡΠΈΠ²Π½ΠΎΡΡΡ ΡΠΈΠΌΠΏΡΠΎΠΌΠ°ΡΠΈΡΠ΅ΡΠΊΠΈΡ ΠΏΡΠΎΡΠ²Π»Π΅Π½ΠΈΠΉ Π²Π»ΠΈΡΠ΅Ρ ΠΌΠ½ΠΎΠΆΠ΅ΡΡΠ²ΠΎ ΡΠ°ΠΊΡΠΎΡΠΎΠ², Π² ΡΠΎΠΌ ΡΠΈΡΠ»Π΅ ΠΈΠ½Π΄ΠΈΠ²ΠΈΠ΄ΡΠ°Π»ΡΠ½ΡΠ΅ ΠΎΡΠΎΠ±Π΅Π½Π½ΠΎΡΡΠΈ ΠΎΡΠ³Π°Π½ΠΈΠ·ΠΌΠ° ΠΈ ΡΠΎΡΡΠΎΡΠ½ΠΈΠ΅ ΠΈΠΌΠΌΡΠ½Π½ΠΎΠΉ ΡΠΈΡΡΠ΅ΠΌΡ.
ΠΡΠ½ΠΎΠ²Π½ΡΠ΅ ΠΏΡΠΈΠ·Π½Π°ΠΊΠΈ ΡΡΠ±Π΅ΡΠΊΡΠ»Π΅Π·Π° Π»Π΅Π³ΠΊΠΈΡ Ρ Π²Π·ΡΠΎΡΠ»ΡΡ
Π£ΡΠΈΡΡΠ²Π°Ρ, ΡΡΠΎ Π»Π΅Π³ΠΎΡΠ½ΡΠ΅ ΡΠΎΡΠΌΡ ΡΡΠ±Π΅ΡΠΊΡΠ»Π΅Π·Π° Π²ΡΡΡΠ΅ΡΠ°ΡΡΡΡ ΠΏΡΠΈΠΌΠ΅ΡΠ½ΠΎ Π² 75% ΡΠ»ΡΡΠ°Π΅Π² Π·Π°Π±ΠΎΠ»Π΅Π²Π°Π΅ΠΌΠΎΡΡΠΈ, Π² ΠΏΠ΅ΡΠ²ΡΡ ΠΎΡΠ΅ΡΠ΅Π΄Ρ ΡΡΠΎΠΈΡ ΡΠ°ΡΡΠΌΠΎΡΡΠ΅ΡΡ Ρ Π°ΡΠ°ΠΊΡΠ΅ΡΠ½ΡΠ΅ ΡΠΈΠΌΠΏΡΠΎΠΌΡ ΡΡΠ±Π΅ΡΠΊΡΠ»Π΅Π·Π° Π»Π΅Π³ΠΊΠΈΡ Ρ Π²Π·ΡΠΎΡΠ»ΠΎΠ³ΠΎ ΡΠ΅Π»ΠΎΠ²Π΅ΠΊΠ°. Π Π°Π·Π²ΠΈΡΠΈΠ΅ Π»Π΅Π³ΠΎΡΠ½ΡΡ ΡΠΎΡΠΌ Π²ΡΠ΅Π³Π΄Π° ΡΠΎΠΏΡΠΎΠ²ΠΎΠΆΠ΄Π°Π΅ΡΡΡ ΡΡΠ΄ΠΎΠΌ ΡΠΏΠ΅ΡΠΈΡΠΈΡΠ΅ΡΠΊΠΈΡ ΠΈ Π½Π΅ΡΠΏΠ΅ΡΠΈΡΠΈΡΠ΅ΡΠΊΠΈΡ ΡΠΈΠΌΠΏΡΠΎΠΌΠΎΠ², ΠΊ ΠΊΠΎΡΠΎΡΡΠΌ ΠΎΡΠ½ΠΎΡΠΈΡΡΡ:
- Π£Ρ ΡΠ΄ΡΠ΅Π½ΠΈΠ΅ ΠΎΠ±ΡΠ΅Π³ΠΎ ΡΠΎΡΡΠΎΡΠ½ΠΈΡ. ΠΠ½ΠΎΠ³ΠΈΠ΅ Π»ΡΠ΄ΠΈ ΡΡΠΈΡΠ°ΡΡ ΠΏΠ΅ΡΠ²ΡΠ΅ ΠΏΡΠΈΠ·Π½Π°ΠΊΠΈ ΡΡΠ±Π΅ΡΠΊΡΠ»Π΅Π·Π° Π»Π΅Π³ΠΊΠΈΡ ΠΏΡΠΎΡΡΠΎ Π½Π΅Π±ΠΎΠ»ΡΡΠΎΠΉ ΠΏΡΠΎΡΡΡΠ΄ΠΎΠΉ ΠΈΠ»ΠΈ Π½Π΅Π΄ΠΎΠΌΠΎΠ³Π°Π½ΠΈΠ΅ΠΌ, Π²ΡΠ·Π²Π°Π½Π½ΡΠΌ ΠΏΠ΅ΡΠ΅ΡΡΠΎΠΌΠ»Π΅Π½ΠΈΠ΅ΠΌ, ΡΠ°ΠΊ ΠΊΠ°ΠΊ Π²Π½Π°ΡΠ°Π»Π΅ Π±ΠΎΠ»Π΅Π·Π½Ρ Π²ΡΠ·ΡΠ²Π°Π΅Ρ ΡΠ½ΠΈΠΆΠ΅Π½ΠΈΠ΅ Π΄Π²ΠΈΠ³Π°ΡΠ΅Π»ΡΠ½ΠΎΠΉ Π°ΠΊΡΠΈΠ²Π½ΠΎΡΡΠΈ, ΡΠΈΠ»ΡΠ½ΡΡ ΡΠ»Π°Π±ΠΎΡΡΡ, ΡΠ½ΠΈΠΆΠ΅Π½ΠΈΠ΅ ΡΠ°Π±ΠΎΡΠΎΡΠΏΠΎΡΠΎΠ±Π½ΠΎΡΡΠΈ ΠΈ ΠΏΠΎΠ²ΡΡΠ΅Π½Π½ΡΡ ΡΡΠΎΠΌΠ»ΡΠ΅ΠΌΠΎΡΡΡ.
- ΠΠ°ΡΠ΅Π»Ρ. ΠΡΠΎΡ ΡΠΈΠΌΠΏΡΠΎΠΌ Ρ ΡΠ²Π΅ΡΠ΅Π½Π½ΠΎΡΡΡΡ ΠΌΠΎΠΆΠ΅Ρ Π±ΡΡΡ Π½Π°Π·Π²Π°Π½ Π³Π»Π°Π²Π½ΡΠΌ ΡΠΏΡΡΠ½ΠΈΠΊΠΎΠΌ ΡΡΠ±Π΅ΡΠΊΡΠ»Π΅Π·Π°. ΠΠ° ΡΠ°Π½Π½Π΅ΠΉ ΡΡΠ°Π΄ΠΈΠΈ Π±ΠΎΠ»Π΅Π·Π½ΠΈ ΡΠΈΠ»ΡΠ½ΡΠΉ ΠΊΠ°ΡΠ΅Π»Ρ, ΠΊΠ°ΠΊ ΠΏΡΠ°Π²ΠΈΠ»ΠΎ, Π΄ΠΎΡΠ°ΠΆΠ΄Π°Π΅Ρ ΡΠΎΠ»ΡΠΊΠΎ Π½ΠΎΡΡΡ ΠΈ ΠΏΠΎ ΡΡΡΠ°ΠΌ. ΠΠΎ ΠΌΠ΅ΡΠ΅ ΡΠ°Π·Π²ΠΈΡΠΈΡ Π±ΠΎΠ»Π΅Π·Π½ΠΈ ΡΡΡ ΠΎΠΉ ΠΈΠ½ΡΠ΅Π½ΡΠΈΠ²Π½ΡΠΉ ΠΊΠ°ΡΠ΅Π»Ρ ΡΡΠ°Π½ΠΎΠ²ΠΈΡΡΡ ΠΌΠΎΠΊΡΡΠΌ ΠΈ ΡΠΎΠΏΡΠΎΠ²ΠΎΠΆΠ΄Π°Π΅ΡΡΡ Π²ΡΡ ΠΎΠ΄ΠΎΠΌ ΠΌΠΎΠΊΡΠΎΡΡ.
- ΠΡΠΎΠ²ΠΎΡ Π°ΡΠΊΠ°Π½ΡΠ΅. ΠΠΎΡΠ²Π»Π΅Π½ΠΈΠ΅ ΠΊΡΠΎΠ²ΠΈ Π² ΠΌΠΎΠΊΡΠΎΡΠ΅ ΡΠ²Π»ΡΠ΅ΡΡΡ Ρ Π°ΡΠ°ΠΊΡΠ΅ΡΠ½ΡΠΌ ΡΠΈΠΌΠΏΡΠΎΠΌΠΎΠΌ ΡΡΠ±Π΅ΡΠΊΡΠ»Π΅Π·Π°. ΠΠ° Π½Π°ΡΠ°Π»ΡΠ½ΠΎΠΌ ΡΡΠ°ΠΏΠ΅ Π·Π°Π±ΠΎΠ»Π΅Π²Π°Π½ΠΈΡ Π² ΠΌΠΎΠΊΡΠΎΡΠ΅ ΠΌΠΎΠ³ΡΡ Π½Π°Π±Π»ΡΠ΄Π°ΡΡΡΡ Π½Π΅Π·Π½Π°ΡΠΈΡΠ΅Π»ΡΠ½ΡΠ΅ Π²ΠΊΡΠ°ΠΏΠ»Π΅Π½ΠΈΡ ΠΊΡΠΎΠ²ΠΈ. ΠΠ°ΠΊ ΠΏΡΠ°Π²ΠΈΠ»ΠΎ, ΠΊΠΎΠ»ΠΈΡΠ΅ΡΡΠ²ΠΎ ΠΊΡΠΎΠ²ΠΈ ΠΏΡΠΈ ΠΊΡΠΎΠ²ΠΎΡ Π°ΡΠΊΠ°Π½ΡΠ΅ Π½Π΅Π±ΠΎΠ»ΡΡΠΎΠ΅, ΠΏΠΎΡΡΠΎΠΌΡ ΡΡΠΎ Π½Π΅ Π²ΡΠ·ΡΠ²Π°Π΅Ρ Π·Π½Π°ΡΠΈΡΠ΅Π»ΡΠ½ΡΡ ΠΏΡΠΎΠ±Π»Π΅ΠΌ ΡΠΎ Π·Π΄ΠΎΡΠΎΠ²ΡΠ΅ΠΌ, Π½ΠΎ Π² Π·Π°ΠΏΡΡΠ΅Π½Π½ΡΡ ΡΠ»ΡΡΠ°ΡΡ ΠΌΠΎΠΆΠ΅Ρ ΠΏΡΠΎΠΈΡΡ ΠΎΠ΄ΠΈΡΡ ΠΎΠ±ΠΈΠ»ΡΠ½ΠΎΠ΅ Π»Π΅Π³ΠΎΡΠ½ΠΎΠ΅ ΠΊΡΠΎΠ²ΠΎΡΠ΅ΡΠ΅Π½ΠΈΠ΅, ΠΏΡΠΈ ΠΊΠΎΡΠΎΡΠΎΠΌ ΡΡΠ΅Π±ΡΠ΅ΡΡΡ Π½Π΅ΠΌΠ΅Π΄Π»Π΅Π½Π½Π°Ρ ΠΎΠΏΠ΅ΡΠ°ΡΠΈΡ, ΡΡΠΎΠ±Ρ Π½Π΅ Π½Π°ΡΡΡΠΏΠΈΠ»Π° Π°ΡΡΠΈΠΊΡΠΈΡ.
- ΠΠΎΠ²ΡΡΠ΅Π½ΠΈΠ΅ ΡΠ΅ΠΌΠΏΠ΅ΡΠ°ΡΡΡΡ. ΠΡΠΎΡ ΡΠΈΠΌΠΏΡΠΎΠΌ ΠΏΡΠΈ ΡΡΠ±Π΅ΡΠΊΡΠ»Π΅Π·Π΅ Π²ΡΡΠ°ΠΆΠ΅Π½ Π½Π΅Π΄ΠΎΡΡΠ°ΡΠΎΡΠ½ΠΎ Ρ ΠΎΡΠΎΡΠΎ, ΡΠ°ΠΊ ΠΊΠ°ΠΊ ΠΏΠΎΠ²ΡΡΠ΅Π½ΠΈΠ΅ ΡΠ΅ΠΌΠΏΠ΅ΡΠ°ΡΡΡΡ ΠΌΠΎΠΆΠ΅Ρ Π±ΡΡΡ ΡΠΎΠ²ΡΠ΅ΠΌ Π½Π΅Π·Π½Π°ΡΠΈΡΠ΅Π»ΡΠ½ΡΠΌ, Π½ΠΎ ΠΏΡΠΈ ΡΡΠΎΠΌ Π½Π°Π±Π»ΡΠ΄Π°ΡΡΡΡ Π½Π° ΠΏΡΠΎΡΡΠΆΠ΅Π½ΠΈΠΈ Π΄Π»ΠΈΡΠ΅Π»ΡΠ½ΠΎΠ³ΠΎ Π²ΡΠ΅ΠΌΠ΅Π½ΠΈ.
- ΠΠ·ΠΌΠ΅Π½Π΅Π½ΠΈΠ΅ Π²Π½Π΅ΡΠ½ΠΎΡΡΠΈ. ΠΠΎΠ»ΡΡΠΈΠ½ΡΡΠ²ΠΎ Π±ΠΎΠ»ΡΠ½ΡΡ Π»Π΅Π³ΠΎΡΠ½ΠΎΠΉ ΡΠΎΡΠΌΠΎΠΉ Π²ΡΠ³Π»ΡΠ΄ΡΡ Π²ΡΠ»ΡΠΌΠΈ ΠΈ ΠΈΡΡ ΡΠ΄Π°Π²ΡΠΈΠΌΠΈ. ΠΠΈΡΠΎ ΠΌΠΎΠΆΠ΅Ρ Π±ΡΡΡ Π±Π»Π΅Π΄Π½ΡΠΌ ΠΈ ΠΏΡΠΈΠΎΠ±ΡΠ΅ΡΠ°ΡΡ Π·Π°ΠΎΡΡΡΠ΅Π½Π½ΡΠ΅ ΡΠ΅ΡΡΡ.
ΠΠ΅ΡΠ½ΡΡΡΡΡ ΠΊ ΠΎΠ³Π»Π°Π²Π»Π΅Π½ΠΈΡ
Π‘ΠΈΠΌΠΏΡΠΎΠΌΠ°ΡΠΈΡΠ΅ΡΠΊΠΈΠ΅ ΠΏΡΠΎΡΠ²Π»Π΅Π½ΠΈΡ Π²Π½Π΅Π»Π΅Π³ΠΎΡΠ½ΡΡ ΡΠΎΡΠΌ ΡΡΠ±Π΅ΡΠΊΡΠ»Π΅Π·Π° Ρ Π²Π·ΡΠΎΡΠ»ΡΡ
Π‘ΠΈΠΌΠΏΡΠΎΠΌΠ°ΡΠΈΡΠ΅ΡΠΊΠΈΠ΅ ΠΏΡΠΎΡΠ²Π»Π΅Π½ΠΈΡ ΠΏΡΠΈ Π²Π½Π΅Π»Π΅Π³ΠΎΡΠ½ΡΡ ΡΠΎΡΠΌΠ°Ρ ΠΌΠΎΠ³ΡΡ Π±ΡΡΡ ΡΡΠ΅Π·Π²ΡΡΠ°ΠΉΠ½ΠΎ ΡΠ°Π·Π½ΠΎΠΎΠ±ΡΠ°Π·Π½ΡΠΌΠΈ, Π² Π·Π°Π²ΠΈΡΠΈΠΌΠΎΡΡΠΈ ΠΎΡ ΡΠΎΠ³ΠΎ, ΠΊΠ°ΠΊΠΈΠ΅ ΠΈΠΌΠ΅Π½Π½ΠΎ ΠΎΡΠ³Π°Π½Ρ Π·Π°ΡΡΠΎΠ½ΡΡΡ ΠΌΠΈΠΊΠΎΠ±Π°ΠΊΡΠ΅ΡΠΈΡΠΌΠΈ.
ΠΠ΄Π½Π°ΠΊΠΎ Π½ΡΠΆΠ½ΠΎ ΡΡΠ°Π·Ρ ΠΎΡΠΌΠ΅ΡΠΈΡΡ, ΡΡΠΎ ΠΏΡΠΈ Π»ΡΠ±ΠΎΠΉ ΡΠΎΡΠΌΠ΅ Π±ΠΎΠ»Π΅Π·Π½ΠΈ Π½Π°Π±Π»ΡΠ΄Π°ΡΡΡΡ ΠΈ ΠΎΠ±ΡΠΈΠ΅ ΡΠΈΠΌΠΏΡΠΎΠΌΡ, Π² ΡΠΎΠΌ ΡΠΈΡΠ»Π΅ ΠΏΠΎΠ²ΡΡΠ΅Π½Π½Π°Ρ ΡΡΠΎΠΌΠ»ΡΠ΅ΠΌΠΎΡΡΡ, ΠΎΠ±ΡΠ°Ρ ΡΠ»Π°Π±ΠΎΡΡΡ, ΡΠ½ΠΈΠΆΠ΅Π½ΠΈΠ΅ Π°ΠΏΠΏΠ΅ΡΠΈΡΠ°, Π½Π΅Π·Π΄ΠΎΡΠΎΠ²ΡΠΉ ΡΠ²Π΅Ρ Π»ΠΈΡΠ° ΠΈ ΠΌΠ½ΠΎΠ³ΠΎΠ΅ Π΄ΡΡΠ³ΠΎΠ΅. Π‘ΡΠΎΠΈΡ ΡΠ°ΡΡΠΌΠΎΡΡΠ΅ΡΡ ΠΏΠΎΠ΄ΡΠΎΠ±Π½Π΅Π΅ Π²ΡΠ΅ ΠΎΡΠ½ΠΎΠ²Π½ΡΠ΅ ΡΠΎΡΠΌΡ ΠΈ ΠΈΡ Ρ Π°ΡΠ°ΠΊΡΠ΅ΡΠ½ΡΠ΅ ΠΏΡΠΈΠ·Π½Π°ΠΊΠΈ. Π ΡΠ»ΡΡΠ°Π΅ Π΅ΡΠ»ΠΈ ΠΌΠΈΠΊΠΎΠ±Π°ΠΊΡΠ΅ΡΠΈΠΈ ΠΏΡΠΈΠ²Π΅Π»ΠΈ ΠΊ ΠΏΠΎΡΠ°ΠΆΠ΅Π½ΠΈΡ Π½Π΅ΡΠ²Π½ΠΎΠΉ ΡΠΈΡΡΠ΅ΠΌΡ, Ρ Π±ΠΎΠ»ΡΠ½ΡΡ ΠΎΡΠΌΠ΅ΡΠ°Π΅ΡΡΡ ΠΏΠΎΠ²ΡΡΠ΅Π½Π½Π°Ρ ΡΠ°Π·Π΄ΡΠ°ΠΆΠΈΡΠ΅Π»ΡΠ½ΠΎΡΡΡ, Π° ΡΠ°ΠΊΠΆΠ΅ ΡΠ΅ΡΡΠ΅Π·Π½ΡΠ΅ Π½Π°ΡΡΡΠ΅Π½ΠΈΡ ΡΠ½Π°.
ΠΡΠΈ ΡΠ°Π·Π²ΠΈΡΠΈΠΈ Π°ΠΊΡΠΈΠ²Π½ΠΎΠΉ ΡΠ°Π·Ρ Π±ΠΎΠ»Π΅Π·Π½ΠΈ ΠΌΠΎΠ³ΡΡ ΠΏΠΎΡΠ²ΠΈΡΡΡΡ Π³ΠΎΠ»ΠΎΠ²Π½ΡΠ΅ Π±ΠΎΠ»ΠΈ, Π±ΠΎΠ»Π΅Π·Π½Π΅Π½Π½ΡΠ΅ ΠΎΡΡΡΠ΅Π½ΠΈΡ Π² ΡΠΏΠΈΠ½Π΅, ΡΠ²ΠΎΡΠ° ΠΈ Π½Π°ΠΏΡΡΠΆΠ΅Π½Π½ΠΎΡΡΡ Π² ΠΎΠ±Π»Π°ΡΡΠΈ ΡΠ΅ΠΈ. ΠΡΠΈ ΠΏΠΎΡΠ°ΠΆΠ΅Π½ΠΈΠΈ ΠΎΡΠ³Π°Π½ΠΎΠ² ΠΏΠΈΡΠ΅Π²Π°ΡΠ΅Π½ΠΈΡ Ρ Π±ΠΎΠ»ΡΡΠΈΠ½ΡΡΠ²Π° Π±ΠΎΠ»ΡΠ½ΡΡ Π½Π°Π±Π»ΡΠ΄Π°Π΅ΡΡΡ ΠΏΠΎΡΠ²Π»Π΅Π½ΠΈΠ΅ ΡΠΎΡΠ½ΠΎΡΡ ΠΈ ΡΠ²ΠΎΡΡ, ΠΏΠΎΠ»Π½Π°Ρ ΠΏΠΎΡΠ΅ΡΡ Π°ΠΏΠΏΠ΅ΡΠΈΡΠ°, Π·Π°ΠΏΠΎΡΡ ΠΈ ΠΊΡΠΎΠ²Ρ Π² ΠΊΠ°Π»ΠΎΠ²ΡΡ ΠΌΠ°ΡΡΠ°Ρ . Π Π΄Π°Π»ΡΠ½Π΅ΠΉΡΠ΅ΠΌ ΠΌΠΎΠΆΠ΅Ρ ΡΠ°Π·Π²ΠΈΡΡΡΡ Π΄ΠΈΠ°ΡΠ΅Ρ ΠΈ ΡΠΈΠ»ΡΠ½Π΅ΠΉΡΠΈΠ΅ Π±ΠΎΠ»ΠΈ Π² ΠΆΠΈΠ²ΠΎΡΠ΅. ΠΠΎΡΠ°ΠΆΠ΅Π½ΠΈΠ΅ ΠΌΠΈΠΊΠΎΠ±Π°ΠΊΡΠ΅ΡΠΈΡΠΌΠΈ ΡΡΠ±Π΅ΡΠΊΡΠ»Π΅Π·Π° ΠΊΠΎΡΡΠ΅ΠΉ, ΠΊΠ°ΠΊ ΠΏΡΠ°Π²ΠΈΠ»ΠΎ, ΠΏΡΠΈΠ²ΠΎΠ΄ΠΈΡ ΠΊ ΡΠ½ΠΈΠΆΠ΅Π½ΠΈΡ ΠΏΠΎΠ΄Π²ΠΈΠΆΠ½ΠΎΡΡΠΈ ΡΠ΅Π»ΠΎΠ²Π΅ΠΊΠ°, Π° ΡΠ°ΠΊΠΆΠ΅ Π»ΠΎΠΊΠ°Π»ΠΈΠ·ΠΎΠ²Π°Π½Π½ΡΡ Π±ΠΎΠ»ΡΠΌ Π² ΠΊΠΎΡΡΡΡ Π² ΠΎΠ±Π»Π°ΡΡΡΡ , Π³Π΄Π΅ ΠΈΠΌΠ΅ΡΡΡΡ Π½Π°ΠΈΠ±ΠΎΠ»ΡΡΠΈΠ΅ ΠΊΠΎΠ»ΠΎΠ½ΠΈΠΈ ΠΏΠ°ΡΠΎΠ³Π΅Π½Π½ΡΡ Π±Π°ΠΊΡΠ΅ΡΠΈΠΉ.
Π’ΡΠ±Π΅ΡΠΊΡΠ»Π΅Π· Ρ Π²Π·ΡΠΎΡΠ»ΡΡ ΠΏΡΠΈ ΠΏΠΎΡΠ°ΠΆΠ΅Π½ΠΈΠΈ ΠΌΠΈΠΊΠΎΠ±Π°ΠΊΡΠ΅ΡΠΈΡΠΌΠΈ ΠΌΠΎΡΠ΅ΠΏΠΎΠ»ΠΎΠ²ΠΎΠΉ ΡΠΈΡΡΠ΅ΠΌΡ ΠΏΡΠΎΡΠ²Π»ΡΠ΅ΡΡΡ Π±ΠΎΠ»ΡΠΌΠΈ Π² ΡΠΏΠΈΠ½Π΅, ΠΊΡΠΎΠ²ΡΡ Π² ΠΌΠΎΡΠ΅ ΠΈ Π·Π°Π΄Π΅ΡΠΆΠΊΠ°ΠΌΠΈ ΠΎΡΠ²Π΅Π΄Π΅Π½ΠΈΡ ΠΌΠΎΡΠΈ. Π ΡΠ΅Π΄ΠΊΠΈΡ ΡΠ»ΡΡΠ°ΡΡ ΡΡΠ±Π΅ΡΠΊΡΠ»Π΅Π· ΠΌΠΎΠΆΠ΅Ρ ΠΏΠΎΡΠ°ΠΆΠ°ΡΡ ΠΊΠΎΠΆΡ. Π ΡΡΠΎΠΌ ΡΠ»ΡΡΠ°Π΅ Π½Π° ΠΏΠΎΠ²Π΅ΡΡ Π½ΠΎΡΡΠΈ ΠΊΠΎΠΆΠΈ ΠΌΠΎΠ³ΡΡ ΠΎΠ±ΡΠ°Π·ΠΎΠ²ΡΠ²Π°ΡΡΡΡ ΠΏΠ»ΠΎΡΠ½ΡΠ΅ ΡΠ·Π΅Π»ΠΊΠΈ, ΠΊΠΎΡΠΎΡΡΠ΅ ΡΠΎ Π²ΡΠ΅ΠΌΠ΅Π½Π΅ΠΌ ΡΠ²Π΅Π»ΠΈΡΠΈΠ²Π°ΡΡΡΡ ΠΈ ΠΏΡΠΎΡΡΠ²Π°ΡΡΡΡ.
ΠΡΠΎΡΠ²Π»Π΅Π½ΠΈΡ ΡΠΈΠΌΠΏΡΠΎΠΌΠΎΠ² ΡΡΠ±Π΅ΡΠΊΡΠ»Π΅Π·Π° Ρ Π²Π·ΡΠΎΡΠ»ΡΡ ΠΌΠΎΠ³ΡΡ Π±ΡΡΡ ΡΠ°ΠΌΡΠΌΠΈ ΡΠ°Π·Π½ΠΎΠΎΠ±ΡΠ°Π·Π½ΡΠΌΠΈ, ΠΏΠΎΡΡΠΎΠΌΡ ΠΎΡΠ΅Π½Ρ Π²Π°ΠΆΠ½ΠΎ ΠΏΡΠΈ ΠΏΠ΅ΡΠ²ΡΡ ΠΏΡΠΈΠ·Π½Π°ΠΊΠ°Ρ Π½Π΅Π΄ΠΎΠΌΠΎΠ³Π°Π½ΠΈΡ ΠΎΠ±ΡΠ°ΡΠΈΡΡΡΡ ΠΊ Π²ΡΠ°ΡΡ.
Π‘ΡΠΎΠΈΡ ΠΎΡΠΌΠ΅ΡΠΈΡΡ, ΡΡΠΎ Π½Π΅ΠΊΠΎΡΠΎΡΡΠ΅ ΡΠΈΠΌΠΏΡΠΎΠΌΡ ΠΈ ΠΏΡΠΈΠ·Π½Π°ΠΊΠΈ Π±ΠΎΠ»Π΅Π·Π½ΠΈ ΠΌΠΎΠ³ΡΡ ΡΠΎ Π²ΡΠ΅ΠΌΠ΅Π½Π΅ΠΌ ΠΏΡΠΎΡ ΠΎΠ΄ΠΈΡΡ ΡΠ°ΠΌΠΎΡΡΠΎΡΡΠ΅Π»ΡΠ½ΠΎ, Π΅ΡΠ»ΠΈ ΠΈΠΌΠΌΡΠ½Π½Π°Ρ ΡΠΈΡΡΠ΅ΠΌΠ° Π΄ΠΎΡΡΠ°ΡΠΎΡΠ½ΠΎ ΡΠΈΠ»ΡΠ½Π°, Π½ΠΎ ΡΡΠΎ Π½Π΅ ΠΎΠ·Π½Π°ΡΠ°Π΅Ρ ΠΏΠΎΠ»Π½ΡΠΉ ΠΏΠ΅ΡΠ΅Ρ ΠΎΠ΄ Π·Π°Π±ΠΎΠ»Π΅Π²Π°Π½ΠΈΡ Π² Π½Π΅Π°ΠΊΡΠΈΠ²Π½ΡΡ ΡΠ°Π·Ρ.
1tuberkulez.ru
ΠΡΠΈΠ·Π½Π°ΠΊΠΈ ΠΈ ΡΠΈΠΌΠΏΡΠΎΠΌΡ ΡΡΠ±Π΅ΡΠΊΡΠ»Π΅Π·Π° Ρ Π²Π·ΡΠΎΡΠ»ΡΡ ΠΈ Π΄Π΅ΡΠ΅ΠΉ. Π€ΠΎΡΠΎ
ΠΡΠΈΠ·Π½Π°ΠΊΠΈ ΠΈ ΡΠΈΠΌΠΏΡΠΎΠΌΡ ΡΡΠ±Π΅ΡΠΊΡΠ»Π΅Π·Π° Ρ Π²Π·ΡΠΎΡΠ»ΡΡ ΠΈ Π΄Π΅ΡΠ΅ΠΉ. Π€ΠΎΡΠΎΒΠ‘ΡΠ°ΡΡΠΈ ΡΠ°Π·Π΄Π΅Π»Π° «Π’ΡΠ±Π΅ΡΠΊΡΠ»Π΅Π·»
ΒΠ’ΡΠ±Π΅ΡΠΊΡΠ»Π΅Π· ΡΠ²Π»ΡΠ΅ΡΡΡ ΠΎΠ΄Π½ΠΈΠΌ ΠΈΠ· ΡΠ°ΠΌΡΡ ΡΠ°ΡΠΏΡΠΎΡΡΡΠ°Π½Π΅Π½Π½ΡΡ Π² ΠΌΠΈΡΠ΅ Π·Π°Π±ΠΎΠ»Π΅Π²Π°Π½ΠΈΠΉ ΡΠ΅Π»ΠΎΠ²Π΅ΠΊΠ° ΠΈ ΠΆΠΈΠ²ΠΎΡΠ½ΡΡ . ΠΠΎΠ»Π΅Π·Π½Ρ ΡΠ°ΡΠ΅ ΠΏΠΎΡΠ°ΠΆΠ°Π΅Ρ Π»Π΅Π³ΠΊΠΈΠ΅. ΠΠ½Π°ΡΠΈΡΠ΅Π»ΡΠ½ΠΎ ΡΠ΅ΠΆΠ΅ β Π΄ΡΡΠ³ΠΈΠ΅ ΠΎΡΠ³Π°Π½Ρ ΠΈ ΡΠΈΡΡΠ΅ΠΌΡ. Π’ΡΠ±Π΅ΡΠΊΡΠ»Π΅Π·Π½Π°Ρ ΠΏΠ°Π»ΠΎΡΠΊΠ° (ΠΌΠΈΠΊΠΎΠ±Π°ΠΊΡΠ΅ΡΠΈΡ ΡΡΠ±Π΅ΡΠΊΡΠ»Π΅Π·Π°, ΠΠΠ’) ΠΏΠ΅ΡΠ΅Π΄Π°Π΅ΡΡΡ ΠΎΡ Π±ΠΎΠ»ΡΠ½ΠΎΠ³ΠΎ Π²ΠΎΠ·Π΄ΡΡΠ½ΠΎ-ΠΊΠ°ΠΏΠ΅Π»ΡΠ½ΡΠΌ ΠΏΡΡΠ΅ΠΌ: Π²ΠΎ Π²ΡΠ΅ΠΌΡ ΠΊΠ°ΡΠ»Ρ, ΡΠΈΡ Π°Π½ΠΈΡ, ΡΠ°Π·Π³ΠΎΠ²ΠΎΡΠ°. ΠΠΎΠΏΠ°Π΄Π°Π΅Ρ Π² ΠΎΡΠ³Π°Π½ΠΈΠ·ΠΌ ΡΠ΅Π»ΠΎΠ²Π΅ΠΊΠ° ΡΠ°ΡΠ΅ Π²ΡΠ΅Π³ΠΎ Π² Π΄Π΅ΡΡΡΠ²Π΅ ΠΈ ΠΈΠ½ΡΠΈΡΠΈΡΡΠ΅Ρ Π΅Π³ΠΎ. ΠΡΠΈ ΡΠ½ΠΈΠΆΠ΅Π½ΠΈΠΈ ΠΈΠΌΠΌΡΠ½ΠΈΡΠ΅ΡΠ° ΠΈ Π²ΠΎΠ·Π΄Π΅ΠΉΡΡΠ²ΠΈΠΈ ΡΠ°ΠΊΡΠΎΡΠΎΠ² ΠΎΠΊΡΡΠΆΠ°ΡΡΠ΅ΠΉ ΡΡΠ΅Π΄Ρ ΠΌΠΎΠΆΠ΅Ρ ΡΠ°Π·Π²ΠΈΡΡΡΡ Π±ΠΎΠ»Π΅Π·Π½Ρ. ΠΠ½Π°Π½ΠΈΠ΅ ΡΠΈΠΌΠΏΡΠΎΠΌΠΎΠ² ΡΡΠ±Π΅ΡΠΊΡΠ»Π΅Π·Π°, Π΅Π³ΠΎ ΠΊΠ»ΠΈΠ½ΠΈΡΠ΅ΡΠΊΠΈΡ ΡΠΎΡΠΌ, ΡΠΏΠ΅ΡΠΈΡΠΈΠΊΠΈ Π»Π΅ΡΠ΅Π½ΠΈΡ ΠΈ ΠΌΠ΅ΡΠΎΠ΄ΠΎΠ² ΠΏΡΠΎΡΠΈΠ»Π°ΠΊΡΠΈΠΊΠΈ ΠΏΠΎΠΌΠΎΠ³ΡΡ ΠΈΠ·Π»Π΅ΡΠΈΡΡΡΡ ΠΈ ΠΈΠ·Π±Π΅ΠΆΠ°ΡΡ Π·Π°Π±ΠΎΠ»Π΅Π²Π°Π½ΠΈΡ. ΠΠ° Π½Π°ΡΠ°Π»ΡΠ½ΡΡ ΡΡΠ°ΠΏΠ°Ρ ΡΠΈΠΌΠΏΡΠΎΠΌΡ Π·Π°Π±ΠΎΠ»Π΅Π²Π°Π½ΠΈΡ ΠΊΡΠ°ΠΉΠ½Π΅ ΡΠΊΡΠ΄Π½Ρ, Π° ΠΏΡΠΈΠ·Π½Π°ΠΊΠΈ ΡΡΠ±Π΅ΡΠΊΡΠ»Π΅Π·Π° Ρ Π²Π·ΡΠΎΡΠ»ΡΡ ΠΈ Π΄Π΅ΡΠ΅ΠΉ ΠΈΠΌΠ΅ΡΡ ΡΠ»Π°Π±ΠΎΠ²ΡΡΠ°ΠΆΠ΅Π½Π½ΡΡ ΡΠΏΠ΅ΡΠΈΡΠΈΡΠ½ΠΎΡΡΡ.

Π ΠΈΡ. 1. Mycobacterium tuberculosis.
ΠΠ°ΠΊ Π²ΠΎΠ·Π½ΠΈΠΊΠ°Π΅Ρ ΡΡΠ±Π΅ΡΠΊΡΠ»Π΅Π·Π½ΠΎΠ΅ Π²ΠΎΡΠΏΠ°Π»Π΅Π½ΠΈΠ΅
ΠΡΠΈ ΡΠ°Π·ΠΌΠ½ΠΎΠΆΠ΅Π½ΠΈΠΈ ΠΌΠΈΠΊΠΎΠ±Π°ΠΊΡΠ΅ΡΠΈΠΉ Π½Π°ΡΡΡΠΏΠ°Π΅Ρ ΠΌΠΎΠΌΠ΅Π½Ρ, ΠΊΠΎΠ³Π΄Π° ΠΌΠ°ΠΊΡΠΎΡΠ°Π³ΠΈ ΠΏΠ΅ΡΠ΅ΡΡΠ°ΡΡ ΠΊΠΎΠ½ΡΡΠΎΠ»ΠΈΡΠΎΠ²Π°ΡΡ ΡΡΠΎΡ ΠΏΡΠΎΡΠ΅ΡΡ ΠΈ ΠΌΠ°ΡΡΠΎΠ²ΠΎ Π³ΠΈΠ±Π½ΡΡ. Π ΠΌΠ΅ΠΆΠΊΠ»Π΅ΡΠΎΡΠ½ΠΎΠ΅ ΠΏΡΠΎΡΡΡΠ°Π½ΡΡΠ²ΠΎ ΠΏΠΎΡΡΡΠΏΠ°ΡΡ ΠΌΠ΅Π΄ΠΈΠ°ΡΠΎΡΡ Π²ΠΎΡΠΏΠ°Π»Π΅Π½ΠΈΡ ΠΈ ΠΏΡΠΎΡΠ΅ΠΎΠ»ΠΈΡΠΈΡΠ΅ΡΠΊΠΈΠ΅ ΡΠ΅ΡΠΌΠ΅Π½ΡΡ, ΠΏΠΎΠ²ΡΠ΅ΠΆΠ΄Π°ΡΡΠΈΠ΅ ΡΠΊΠ°Π½ΠΈ. ΠΠΎΠ²ΡΠ΅ΠΆΠ΄Π΅Π½Π½ΡΠ΅ ΡΠΊΠ°Π½ΠΈ ΡΠ°Π·ΡΡΡΠ°ΡΡΡΡ ΠΈ ΡΡΠ°Π½ΠΎΠ²ΡΡΡΡ Ρ ΠΎΡΠΎΡΠ΅ΠΉ ΠΏΠΈΡΠ°ΡΠ΅Π»ΡΠ½ΠΎΠΉ ΡΡΠ΅Π΄ΠΎΠΉ Π΄Π»Ρ ΡΠΎΡΡΠ° Π±Π°ΠΊΡΠ΅ΡΠΈΠΉ. Π§Π΅ΡΠ΅Π· ΡΠ°ΡΡΠΈΡΠ΅Π½Π½ΡΠ΅ ΠΊΠ°ΠΏΠΈΠ»Π»ΡΡΡ Π² ΠΌΠ΅ΡΡΠ° ΠΏΠΎΠ²ΡΠ΅ΠΆΠ΄Π΅Π½ΠΈΡ ΡΡΡΡΠ΅ΠΌΠ»ΡΡΡΡΡ ΠΊΠ»Π΅ΡΠΊΠΈ, ΠΏΡΠΈΠ½ΠΈΠΌΠ°ΡΡΠΈΠ΅ ΡΡΠ°ΡΡΠΈΠ΅ Π² ΠΎΠ±ΡΠ°Π·ΠΎΠ²Π°Π½ΠΈΠΈ ΡΡΠ±Π΅ΡΠΊΡΠ»Π΅Π·Π½ΡΡ Π³ΡΠ°Π½ΡΠ»Π΅ΠΌ, ΠΊΠΎΡΠΎΡΡΠ΅ ΠΏΠΎΡΡΠ΅ΠΏΠ΅Π½Π½ΠΎ ΡΠ»ΠΈΠ²Π°ΡΡΡΡ, ΡΠ²Π΅Π»ΠΈΡΠΈΠ²Π°Ρ ΠΎΠ±ΡΠ΅ΠΌ ΠΏΠΎΡΠ°ΠΆΠ΅Π½ΠΈΡ.
ΠΊ ΡΠΎΠ΄Π΅ΡΠΆΠ°Π½ΠΈΡ βΠΠ΅ΡΠ²ΡΠ΅ ΠΏΡΠΈΠ·Π½Π°ΠΊΠΈ ΠΈ ΡΠΈΠΌΠΏΡΠΎΠΌΡ ΡΡΠ±Π΅ΡΠΊΡΠ»Π΅Π·Π° Ρ Π²Π·ΡΠΎΡΠ»ΡΡ ΠΈ Π΄Π΅ΡΠ΅ΠΉ
ΠΠ΅ΡΠ²ΡΠ΅ ΡΠΈΠΌΠΏΡΠΎΠΌΡ ΡΡΠ±Π΅ΡΠΊΡΠ»Π΅Π·Π° Ρ Π²Π·ΡΠΎΡΠ»ΡΡ ΠΈ Π΄Π΅ΡΠ΅ΠΉ Π΄Π΅Π»ΡΡΡΡ Π½Π° ΠΎΠ±ΡΠΈΠ΅ ΠΈ ΠΌΠ΅ΡΡΠ½ΡΠ΅.
- ΠΠ±ΡΠΈΠ΅ ΡΠΈΠΌΠΏΡΠΎΠΌΡ ΡΡΠ±Π΅ΡΠΊΡΠ»Π΅Π·Π° (ΠΈΠ½ΡΠΎΠΊΡΠΈΠΊΠ°ΡΠΈΡ, Π»ΠΈΡ ΠΎΡΠ°Π΄ΠΊΠ° ΠΈ ΠΏΠ°ΡΠ°ΡΠΏΠ΅ΡΠΈΡΠΈΡΠ΅ΡΠΊΠΈΠ΅ ΡΠ΅Π°ΠΊΡΠΈΠΈ).
- ΠΠ΅ΡΡΠ½ΡΠ΅ ΡΠΈΠΌΠΏΡΠΎΠΌΡ ΡΡΠ±Π΅ΡΠΊΡΠ»Π΅Π·Π° (Π·Π°Π²ΠΈΡΡΡ ΠΎΡ Π»ΠΎΠΊΠ°Π»ΠΈΠ·Π°ΡΠΈΠΈ ΡΡΠ±Π΅ΡΠΊΡΠ»Π΅Π·Π½ΠΎΠ³ΠΎ ΠΏΡΠΎΡΠ΅ΡΡΠ°).
ΠΠ° Π½Π°ΡΠ°Π»ΡΠ½ΡΡ ΡΡΠ°ΠΏΠ°Ρ ΠΊΠ»ΠΈΠ½ΠΈΡΠ΅ΡΠΊΠΈΠ΅ ΡΠΈΠΌΠΏΡΠΎΠΌΡ ΡΡΠ±Π΅ΡΠΊΡΠ»Π΅Π·Π° ΠΊΡΠ°ΠΉΠ½Π΅ ΡΠΊΡΠ΄Π½Ρ, Π° ΠΏΡΠΈΠ·Π½Π°ΠΊΠΈ ΡΡΠ±Π΅ΡΠΊΡΠ»Π΅Π·Π° Ρ Π²Π·ΡΠΎΡΠ»ΡΡ ΠΈ Π΄Π΅ΡΠ΅ΠΉ ΠΈΠΌΠ΅ΡΡ ΡΠ»Π°Π±ΠΎ Π²ΡΡΠ°ΠΆΠ΅Π½Π½ΡΡ ΡΠΏΠ΅ΡΠΈΡΠΈΡΠ½ΠΎΡΡΡ. Π‘ΠΈΠΌΠΏΡΠΎΠΌΡ ΡΡΠ±Π΅ΡΠΊΡΠ»Π΅Π·Π° Π½Π° ΡΠ°Π½Π½Π΅ΠΉ ΡΡΠ°Π΄ΠΈΠΈ ΠΏΠΎ ΡΠ²ΠΎΠ΅ΠΌΡ Ρ Π°ΡΠ°ΠΊΡΠ΅ΡΡ ΡΡ ΠΎΠ΄Π½Ρ Ρ ΡΠΈΠΌΠΏΡΠΎΠΌΠ°ΠΌΠΈ, Π²ΠΎΠ·Π½ΠΈΠΊΠ°ΡΡΠΈΠΌΠΈ ΠΏΡΠΈ ΡΠ΅Π»ΠΎΠΌ ΡΡΠ΄Π΅ ΠΈΠ½ΡΠ΅ΠΊΡΠΈΠΎΠ½Π½ΡΡ Π·Π°Π±ΠΎΠ»Π΅Π²Π°Π½ΠΈΠΉ. ΠΠΈΡΠ° Ρ ΠΎΡΠΊΡΡΡΠΎΠΉ ΡΠΎΡΠΌΠΎΠΉ Π·Π°Π±ΠΎΠ»Π΅Π²Π°Π½ΠΈΡ (Π·Π°ΡΠ°Π·Π½ΡΠ΅ Π±ΠΎΠ»ΡΠ½ΡΠ΅) ΠΈΠΌΠ΅ΡΡ ΠΊΠ»ΠΈΠ½ΠΈΡΠ΅ΡΠΊΡΡ ΡΠΈΠΌΠΏΡΠΎΠΌΠ°ΡΠΈΠΊΡ Π² 95% ΡΠ»ΡΡΠ°Π΅Π².
- Π‘ΠΈΠΌΠΏΡΠΎΠΌΡ ΠΈΠ½ΡΠΎΠΊΡΠΈΠΊΠ°ΡΠΈΠΈ ΠΏΠΎΡΠ²Π»ΡΡΡΡΡ ΠΈΡΠΏΠΎΠ΄Π²ΠΎΠ»Ρ, Π½Π°ΡΠ°ΡΡΠ°ΡΡ ΠΏΠΎΡΡΠ΅ΠΏΠ΅Π½Π½ΠΎ, ΠΏΡΠΎΡΠ²Π»ΡΡΡΡΡ ΡΠ»Π°Π±ΠΎΡΡΡΡ, ΠΏΠΎΡΠ»ΠΈΠ²ΠΎΡΡΡΡ, ΠΏΠ»ΠΎΡ ΠΈΠΌ Π°ΠΏΠΏΠ΅ΡΠΈΡΠΎΠΌ, ΡΠ½ΠΈΠΆΠ΅Π½ΠΈΠ΅ΠΌ Π²Π΅ΡΠ°, ΡΡΠ±ΡΠ΅Π±ΡΠΈΠ»ΡΠ½ΠΎΠΉ ΡΠ΅ΠΌΠΏΠ΅ΡΠ°ΡΡΡΠΎΠΉ ΡΠ΅Π»Π°.
- ΠΠ΅ΠΉΡΠΎΠ²Π΅Π³Π΅ΡΠ°ΡΠΈΠ²Π½ΡΠ΅ Π½Π°ΡΡΡΠ΅Π½ΠΈΡ ΠΏΡΠΈ ΡΡΠ±Π΅ΡΠΊΡΠ»Π΅Π·Π΅ ΠΏΡΠΎΡΠ²Π»ΡΡΡΡΡ ΠΏΠΎΡΠ»ΠΈΠ²ΠΎΡΡΡΡ Π»Π°Π΄ΠΎΠ½Π΅ΠΉ ΠΈ ΡΡΠΎΠΏ (Π΄ΠΈΡΡΠ°Π»ΡΠ½ΡΠΉ Π΄ΠΈΡΠ³ΠΈΠ΄ΡΠΎΠ·), ΡΠ°Ρ ΠΈΠΊΠ°ΡΠ΄ΠΈΠ΅ΠΉ, Π²ΠΎΠ·Π±ΡΠ΄ΠΈΠΌΠΎΡΡΡΡ ΠΈΠ»ΠΈ ΡΠ³Π½Π΅ΡΠ΅Π½ΠΈΠ΅ΠΌ.
- Π‘Π½ΠΈΠΆΠ΅Π½ΠΈΠ΅ Π°ΠΏΠΏΠ΅ΡΠΈΡΠ° ΠΈ ΡΠ»Π΅Π΄ΡΡΡΠ΅Π΅ Π·Π° ΡΡΠΈΠΌ ΠΏΠΎΡΠ΅ΡΡ Π²Π΅ΡΠ° ΡΠ²ΡΠ·Π°Π½Ρ Ρ ΠΏΠΎΡΡΠΎΡΠ½Π½ΠΎΠΉ ΠΈΠ½ΡΠΎΠΊΡΠΈΠΊΠ°ΡΠΈΠ΅ΠΉ ΠΎΡΠ³Π°Π½ΠΈΠ·ΠΌΠ°.
- ΠΠΈΡ ΠΎΡΠ°Π΄ΠΊΠ° ΠΏΡΠΈ ΡΡΠ±Π΅ΡΠΊΡΠ»Π΅Π·Π΅ Π½ΠΈΠΊΠΎΠ³Π΄Π° Π½Π΅ ΠΏΡΠΎΡΠ΅ΠΊΠ°Π΅Ρ Ρ Π²ΡΡΠΎΠΊΠΎΠΉ ΡΠ΅ΠΌΠΏΠ΅ΡΠ°ΡΡΡΠΎΠΉ. ΠΠ±ΡΡΠ½ΠΎ ΠΎΡΠΌΠ΅ΡΠ°Π΅ΡΡΡ ΡΡΠ±ΡΠ΅Π±ΡΠΈΠ»ΡΠ½Π°Ρ ΡΠ΅ΠΌΠΏΠ΅ΡΠ°ΡΡΡΠ° ΡΠ΅Π»Π°.
- ΠΠ΅ΡΠ²ΡΠ΅ ΠΏΡΠΈΠ·Π½Π°ΠΊΠΈ ΡΡΠ±Π΅ΡΠΊΡΠ»Π΅Π·Π° ΠΌΠΎΠ³ΡΡ ΠΏΡΠΎΡΠ²Π»ΡΡΡΡΡ Π² Π²ΠΈΠ΄Π΅ ΠΏΠ°ΡΠ°ΡΠΏΠ΅ΡΠΈΡΠΈΡΠ΅ΡΠΊΠΈΡ ΡΠ΅Π°ΠΊΡΠΈΠΉ, ΠΊΠΎΡΠΎΡΡΠ΅ ΡΠ°ΡΠ΅ ΡΠ΅Π³ΠΈΡΡΡΠΈΡΡΡΡΡΡ Ρ Π΄Π΅ΡΠ΅ΠΉ. ΠΠ°ΡΠ°ΡΠΏΠ΅ΡΠΈΡΠΈΡΠ΅ΡΠΊΠΈΠ΅ ΡΠ΅Π°ΠΊΡΠΈΠΈ ΡΠ°ΡΠ΅ ΡΠ΅Π³ΠΈΡΡΡΠΈΡΡΡΡΡΡ Ρ Π΄Π΅ΡΠ΅ΠΉ (ΠΏΠΎΠ΄ΡΠΎΠ±Π½ΠΎ ΡΠΈΡΠ°ΠΉ Π½ΠΈΠΆΠ΅).
ΠΡΠΈΠ·Π½Π°ΠΊΠΈ ΠΈ ΡΠΈΠΌΠΏΡΠΎΠΌΡ ΡΡΠ±Π΅ΡΠΊΡΠ»Π΅Π·Π° Π»Π΅Π³ΠΊΠΈΡ
ΠΡΠ½ΠΎΠ²Π½ΡΠΌ ΠΏΡΠΈΠ·Π½Π°ΠΊΠΎΠΌ ΡΡΠ±Π΅ΡΠΊΡΠ»Π΅Π·Π° Π»Π΅Π³ΠΊΠΈΡ Ρ Π²Π·ΡΠΎΡΠ»ΡΡ ΡΠ²Π»ΡΠ΅ΡΡΡ:
- ΠΠ°ΡΠ΅Π»Ρ β ΠΎΡ Π½Π΅Π·Π½Π°ΡΠΈΡΠ΅Π»ΡΠ½ΠΎΠ³ΠΎ ΠΏΠΎΠΊΠ°ΡΠ»ΠΈΠ²Π°Π½ΠΈΡ Π΄ΠΎ ΠΊΠ°ΡΠ»Ρ Ρ ΠΌΠΎΠΊΡΠΎΡΠΎΠΉ, ΠΈΠ½ΠΎΠ³Π΄Π° Ρ ΠΏΡΠΈΠΌΠ΅ΡΡΡ ΠΊΡΠΎΠ²ΠΈ. Π£ ΠΊΡΡΠΈΠ»ΡΡΠΈΠΊΠΎΠ² ΠΏΡΠΈ Π·Π°Π±ΠΎΠ»Π΅Π²Π°Π½ΠΈΠΈ Ρ Π°ΡΠ°ΠΊΡΠ΅Ρ ΠΊΠ°ΡΠ»Ρ ΠΌΠ΅Π½ΡΠ΅ΡΡΡ. ΠΠ°ΡΠ΅Π»Ρ Π³ΠΎΠ²ΠΎΡΠΈΡ ΠΎ ΠΏΠΎΡΠ°ΠΆΠ΅Π½ΠΈΠΈ Π±ΡΠΎΠ½Ρ ΠΎΠ².
- ΠΡΠΈ ΠΏΠΎΡΠ°ΠΆΠ΅Π½ΠΈΠΈ ΠΏΠ»Π΅Π²ΡΡ ΠΏΠΎΡΠ²Π»ΡΡΡΡΡ Π±ΠΎΠ»ΠΈ Π² Π³ΡΡΠ΄Π½ΠΎΠΉ ΠΊΠ»Π΅ΡΠΊΠ΅ ΠΈ ΠΎΠ΄ΡΡΠΊΠ°.
- ΠΡΠΈ Π²ΡΡΠ²Π»Π΅Π½ΠΈΠΈ Π·Π°ΠΏΡΡΠ΅Π½Π½ΡΡ ΡΠΎΡΠΌ Π½Π°Π»ΠΈΡΠΎ Π²ΡΠ΅ ΠΈΠ½ΡΠΎΠΊΡΠΈΠΊΠ°ΡΠΈΠΎΠ½Π½ΡΠ΅ ΠΆΠ°Π»ΠΎΠ±Ρ, ΡΠ΅Π·ΠΊΠΎΠ΅ ΡΠ½ΠΈΠΆΠ΅Π½ΠΈΠ΅ ΠΌΠ°ΡΡΡ ΡΠ΅Π»Π°, ΠΊΠ°Ρ Π΅ΠΊΡΠΈΡ, Π°Π½Π΅ΠΌΠΈΡ, Π΄ΡΡ Π°ΡΠ΅Π»ΡΠ½Π°Ρ Π½Π΅Π΄ΠΎΡΡΠ°ΡΠΎΡΠ½ΠΎΡΡΡ.

Π ΠΈΡ. 2. ΠΡΠ½ΠΎΠ²Π½ΡΠΌ ΡΠΈΠΌΠΏΡΠΎΠΌΠΎΠΌ ΡΡΠ±Π΅ΡΠΊΡΠ»Π΅Π·Π° Π»Π΅Π³ΠΊΠΈΡ ΡΠ²Π»ΡΠ΅ΡΡΡ ΠΊΠ°ΡΠ΅Π»Ρ. ΠΡΠΈ ΠΊΠ°ΡΠ»Π΅ ΠΌΠΈΠΊΠΎΠ±Π°ΠΊΡΠ΅ΡΠΈΠΈ Π²ΡΠ±ΡΠ°ΡΡΠ²Π°ΡΡΡΡ Π²ΠΎ Π²Π½Π΅ΡΠ½ΡΡ ΡΡΠ΅Π΄Ρ.
ΠΊ ΡΠΎΠ΄Π΅ΡΠΆΠ°Π½ΠΈΡ βΠΡΠΈΠ·Π½Π°ΠΊΠΈ ΠΈ ΡΠΈΠΌΠΏΡΠΎΠΌΡ ΡΡΠ±Π΅ΡΠΊΡΠ»Π΅Π·Π° Π±ΡΠΎΠ½Ρ ΠΎΠ²
ΠΡΠΎΠ½Ρ ΠΈ ΠΏΡΠΈ ΡΡΠ±Π΅ΡΠΊΡΠ»Π΅Π·Π΅ Π»Π΅Π³ΠΊΠΈΡ ΠΏΠΎΡΠ°ΠΆΠ°ΡΡΡΡ Π²ΡΠ΅Π³Π΄Π°. ΠΠ°ΠΊ ΡΠ°ΠΌΠΎΡΡΠΎΡΡΠ΅Π»ΡΠ½ΠΎΠ΅ Π·Π°Π±ΠΎΠ»Π΅Π²Π°Π½ΠΈΠ΅ ΠΏΠΎΡΠ°ΠΆΠ΅Π½ΠΈΠ΅ Π±ΡΠΎΠ½Ρ ΠΎΠ² ΡΠ΅Π³ΠΈΡΡΡΠΈΡΡΠ΅ΡΡΡ ΡΠ΅Π΄ΠΊΠΎ. ΠΠΎΡΠ°ΠΆΠ΅Π½ΠΈΠ΅ ΠΊΡΡΠΏΠ½ΡΡ Π±ΡΠΎΠ½Ρ ΠΎΠ² Π΄ΠΈΠ°Π³Π½ΠΎΡΡΠΈΡΡΠ΅ΡΡΡ ΠΏΡΠΈ Π±ΡΠΎΠ½Ρ ΠΎΡΠΊΠΎΠΏΠΈΠΈ.
ΠΠ»ΠΈΠ½ΠΈΡΠ΅ΡΠΊΠΈΠ΅ ΡΠΈΠΌΠΏΡΠΎΠΌΡ ΡΡΠ±Π΅ΡΠΊΡΠ»Π΅Π·Π° ΠΊΡΡΠΏΠ½ΡΡ Π±ΡΠΎΠ½Ρ ΠΎΠ² ΡΠΊΡΠ΄Π½ΡΠ΅. ΠΡΠ½ΠΎΠ²Π½ΠΎΠΉ ΠΏΡΠΈΠ·Π½Π°ΠΊ ΡΡΠ±Π΅ΡΠΊΡΠ»Π΅Π·Π° Π±ΡΠΎΠ½Ρ ΠΎΠ² β ΠΊΠ°ΡΠ΅Π»Ρ. ΠΠ°ΡΠ»Π΅Π²ΡΠ΅ ΡΠ΅Π½ΡΡΡ Π²ΡΠ΅Π³Π΄Π° Π²ΠΎΠ²Π»Π΅ΠΊΠ°ΡΡΡΡ Π² Π²ΠΎΡΠΏΠ°Π»ΠΈΡΠ΅Π»ΡΠ½ΡΠΉ ΠΏΡΠΎΡΠ΅ΡΡ. ΠΠΎΠΊΡΠΎΡΠ° ΡΠΊΡΠ΄Π½Π°Ρ. Π‘ΠΈΠΌΠΏΡΠΎΠΌΡ ΠΈΠ½ΡΠΎΠΊΡΠΈΠΊΠ°ΡΠΈΠΈ Π΅Π΄Π²Π° Π·Π°ΠΌΠ΅ΡΠ½ΡΠ΅.

Π ΠΈΡ. 3. Π―Π·Π²Π΅Π½Π½ΡΠΉ ΡΡΠ±Π΅ΡΠΊΡΠ»Π΅Π· ΠΏΡΠ°Π²ΠΎΠ³ΠΎ Π³Π»Π°Π²Π½ΠΎΠ³ΠΎ Π±ΡΠΎΠ½Ρ Π°, ΠΊΠΎΡΠΎΡΡΠΉ ΡΠ°Π·Π²ΠΈΠ»ΡΡ Π²ΡΠ»Π΅Π΄ΡΡΠ²ΠΈΠ΅ ΠΏΡΠΎΡΡΠ²Π° Π² Π±ΡΠΎΠ½Ρ ΠΊΠ°Π·Π΅ΠΎΠ·Π½ΡΡ ΠΌΠ°ΡΡ ΠΈΠ· ΠΏΠΎΡΠ°ΠΆΠ΅Π½Π½ΡΡ Π²Π½ΡΡΡΠΈΠ³ΡΡΠ΄Π½ΡΡ Π»ΠΈΠΌΡΠ°ΡΠΈΡΠ΅ΡΠΊΠΈΡ ΡΠ·Π»ΠΎΠ² (ΡΠ²ΠΈΡΠ΅Π²ΠΎΠ΅ ΠΎΡΠ²Π΅ΡΡΡΠΈΠ΅ ΡΠΊΠ°Π·Π°Π½ΠΎ ΡΡΡΠ΅Π»ΠΊΠΎΠΉ).
ΠΊ ΡΠΎΠ΄Π΅ΡΠΆΠ°Π½ΠΈΡ βΠΡΠΈΠ·Π½Π°ΠΊΠΈ ΠΈ ΡΠΈΠΌΠΏΡΠΎΠΌΡ ΡΡΠ±Π΅ΡΠΊΡΠ»Π΅Π·Π½ΠΎΠ³ΠΎ ΠΏΠ»Π΅Π²ΡΠΈΡΠ°
ΠΡΠ° ΡΠΎΡΠΌΠ° Π·Π°Π±ΠΎΠ»Π΅Π²Π°Π½ΠΈΡ ΠΎΡΠ΅Π½Ρ ΡΠ°ΡΡΠΎ ΠΎΡΠ»ΠΎΠΆΠ½ΡΠ΅Ρ ΡΠ΅ΡΠ΅Π½ΠΈΠ΅ Π»Π΅Π³ΠΎΡΠ½ΠΎΠ³ΠΎ ΡΡΠ±Π΅ΡΠΊΡΠ»Π΅Π·Π°. ΠΠ½Π°ΡΠΈΡΠ΅Π»ΡΠ½ΠΎ ΡΠ΅ΠΆΠ΅ ΡΡΡΠ΅ΡΡΠ²ΡΠ΅Ρ ΠΊΠ°ΠΊ ΡΠ°ΠΌΠΎΡΡΠΎΡΡΠ΅Π»ΡΠ½Π°Ρ Π½ΠΎΠ·ΠΎΠ»ΠΎΠ³ΠΈΡΠ΅ΡΠΊΠ°Ρ Π΅Π΄ΠΈΠ½ΠΈΡΠ° Π² Π²ΠΈΠ΄Π΅ ΡΡΠ±Π΅ΡΠΊΡΠ»Π΅Π·Π° ΠΏΠ»Π΅Π²ΡΡ.
ΠΡΠΈΠ·Π½Π°ΠΊΠΈ ΠΈ ΡΠΈΠΌΠΏΡΠΎΠΌΡ Π·Π°Π±ΠΎΠ»Π΅Π²Π°Π½ΠΈΡ:
- ΠΠ»ΠΈΠ½ΠΈΡΠ΅ΡΠΊΠ°Ρ ΠΊΠ°ΡΡΠΈΠ½Π° ΠΏΠ»Π΅Π²ΡΠΈΡΠ° Π·Π°Π²ΠΈΡΠΈΡ ΠΎΡ ΠΊΠΎΠ»ΠΈΡΠ΅ΡΡΠ²Π° Π½Π°ΠΊΠΎΠΏΠΈΠ²ΡΠ΅ΠΉΡΡ ΠΆΠΈΠ΄ΠΊΠΎΡΡΠΈ. ΠΠ»Π°Π²Π½ΡΠΌΠΈ ΠΆΠ°Π»ΠΎΠ±Π°ΠΌΠΈ ΡΠ²Π»ΡΠ΅ΡΡΡ Π±ΠΎΠ»Ρ ΠΈ ΠΎΠ΄ΡΡΠΊΠ°. ΠΡΠ»ΠΈ Π±ΠΎΠ»ΡΠ½ΠΎΠΌΡ ΡΡΠ°Π·Ρ Π½Π΅ ΡΠ΄Π°Π»ΠΈΡΡ ΠΏΠ»Π΅Π²ΡΠ°Π»ΡΠ½ΡΡ ΠΆΠΈΠ΄ΠΊΠΎΡΡΡ, ΡΠΎ Π½Π° 5 β 7-ΠΉ Π΄Π΅Π½Ρ ΠΏΠΎΡΠ²Π»ΡΡΡΡΡ ΠΏΠ»Π΅Π²ΡΠ°Π»ΡΠ½ΡΠ΅ ΡΡΠ°ΡΠ΅Π½ΠΈΡ, ΠΊΠΎΡΠΎΡΡΠ΅ Π² ΠΏΠΎΡΠ»Π΅Π΄ΡΡΡΠ΅ΠΌ Π²ΡΠ·ΡΠ²Π°ΡΡ Π±ΠΎΠ»ΠΈ Π² Π³ΡΡΠ΄Π½ΠΎΠΉ ΠΊΠ»Π΅ΡΠΊΠ΅, ΠΊΠΎΡΠΎΡΡΠ΅ ΡΠΎΠΏΡΠΎΠ²ΠΎΠΆΠ΄Π°ΡΡ Π±ΠΎΠ»ΡΠ½ΠΎΠ³ΠΎ Π²ΡΡ ΠΆΠΈΠ·Π½Ρ.
- ΠΠ·-Π·Π° ΠΎΠ³ΡΠ°Π½ΠΈΡΠ΅Π½ΠΈΡ ΠΏΠΎΠ΄Π²ΠΈΠΆΠ½ΠΎΡΡΠΈ ΠΏΠ»Π΅Π²ΡΡ ΡΠ°Π·Π²ΠΈΠ²Π°Π΅ΡΡΡ Π΄ΡΡ Π°ΡΠ΅Π»ΡΠ½Π°Ρ Π½Π΅Π΄ΠΎΡΡΠ°ΡΠΎΡΠ½ΠΎΡΡΡ.
- Π‘ΠΈΠΌΠΏΡΠΎΠΌΡ ΠΈΠ½ΡΠΎΠΊΡΠΈΠΊΠ°ΡΠΈΠΈ Π²ΡΡΠ°ΠΆΠ΅Π½Ρ Π·Π½Π°ΡΠΈΡΠ΅Π»ΡΠ½ΠΎ.
- ΠΡΠΈ ΠΏΡΠΎΠ½ΠΈΠΊΠ½ΠΎΠ²Π΅Π½ΠΈΠΈ Π² ΠΏΠ»Π΅Π²ΡΠ°Π»ΡΠ½ΡΡ ΠΏΠΎΠ»ΠΎΡΡΡ Π½Π΅ΡΠΏΠ΅ΡΠΈΡΠΈΡΠ΅ΡΠΊΠΎΠΉ ΠΈΠ½ΡΠ΅ΠΊΡΠΈΠΈ ΡΠ°Π·Π²ΠΈΠ²Π°Π΅ΡΡΡ Π½Π°Π³Π½ΠΎΠ΅Π½ΠΈΠ΅ ΠΏΠ»Π΅Π²ΡΡ ΠΈΠ»ΠΈ ΡΡΠ±Π΅ΡΠΊΡΠ»Π΅Π·Π½Π°Ρ ΡΠΌΠΏΠΈΠ΅ΠΌΠ°. ΠΠ°Π±ΠΎΠ»Π΅Π²Π°Π½ΠΈΠ΅ ΠΏΡΠΎΡΠ΅ΠΊΠ°Π΅Ρ ΡΡΠΆΠ΅Π»ΠΎ. ΠΡΠ΅ ΡΠΈΠΌΠΏΡΠΎΠΌΡ ΡΡΠ±Π΅ΡΠΊΡΠ»Π΅Π·Π° ΡΡΠΊΠΎ Π²ΡΡΠ°ΠΆΠ΅Π½Ρ.
ΠΠ»ΠΈΠ½ΠΈΡΠ΅ΡΠΊΠ°Ρ ΠΊΠ°ΡΡΠΈΠ½Π° ΠΏΠ»Π΅Π²ΡΠΈΡΠ° Π·Π°Π²ΠΈΡΠΈΡ ΠΎΡ ΠΊΠΎΠ»ΠΈΡΠ΅ΡΡΠ²Π° Π½Π°ΠΊΠΎΠΏΠΈΠ²ΡΠ΅ΠΉΡΡ ΠΆΠΈΠ΄ΠΊΠΎΡΡΠΈ. ΠΠ»Π°Π²Π½ΡΠΌΠΈ ΠΆΠ°Π»ΠΎΠ±Π°ΠΌΠΈ ΡΠ²Π»ΡΠ΅ΡΡΡ Π±ΠΎΠ»Ρ ΠΈ ΠΎΠ΄ΡΡΠΊΠ°. ΠΡΠ»ΠΈ Π±ΠΎΠ»ΡΠ½ΠΎΠΌΡ ΡΡΠ°Π·Ρ Π½Π΅ ΡΠ΄Π°Π»ΠΈΡΡ ΠΏΠ»Π΅Π²ΡΠ°Π»ΡΠ½ΡΡ ΠΆΠΈΠ΄ΠΊΠΎΡΡΡ, ΡΠΎ Π½Π° 5 β 7-ΠΉ Π΄Π΅Π½Ρ ΠΏΠΎΡΠ²Π»ΡΡΡΡΡ ΠΏΠ»Π΅Π²ΡΠ°Π»ΡΠ½ΡΠ΅ ΡΡΠ°ΡΠ΅Π½ΠΈΡ, ΠΊΠΎΡΠΎΡΡΠ΅ Π² ΠΏΠΎΡΠ»Π΅Π΄ΡΡΡΠ΅ΠΌ Π²ΡΠ·ΡΠ²Π°ΡΡ Π±ΠΎΠ»ΠΈ Π² Π³ΡΡΠ΄Π½ΠΎΠΉ ΠΊΠ»Π΅ΡΠΊΠ΅, ΠΊΠΎΡΠΎΡΡΠ΅ ΡΠΎΠΏΡΠΎΠ²ΠΎΠΆΠ΄Π°ΡΡ Π±ΠΎΠ»ΡΠ½ΠΎΠ³ΠΎ Π²ΡΡ ΠΆΠΈΠ·Π½Ρ. ΠΠ·-Π·Π° ΠΎΠ³ΡΠ°Π½ΠΈΡΠ΅Π½ΠΈΡ ΠΏΠΎΠ΄Π²ΠΈΠΆΠ½ΠΎΡΡΠΈ ΠΏΠ»Π΅Π²ΡΡ ΡΠ°Π·Π²ΠΈΠ²Π°Π΅ΡΡΡ Π΄ΡΡ Π°ΡΠ΅Π»ΡΠ½Π°Ρ Π½Π΅Π΄ΠΎΡΡΠ°ΡΠΎΡΠ½ΠΎΡΡΡ. Π‘ΠΈΠΌΠΏΡΠΎΠΌΡ ΠΈΠ½ΡΠΎΠΊΡΠΈΠΊΠ°ΡΠΈΠΈ Π²ΡΡΠ°ΠΆΠ΅Π½Ρ Π·Π½Π°ΡΠΈΡΠ΅Π»ΡΠ½ΠΎ. ΠΡΠΈ ΠΏΡΠΎΠ½ΠΈΠΊΠ½ΠΎΠ²Π΅Π½ΠΈΠΈ Π² ΠΏΠ»Π΅Π²ΡΠ°Π»ΡΠ½ΡΡ ΠΏΠΎΠ»ΠΎΡΡΡ Π½Π΅ΡΠΏΠ΅ΡΠΈΡΠΈΡΠ΅ΡΠΊΠΎΠΉ ΠΈΠ½ΡΠ΅ΠΊΡΠΈΠΈ ΡΠ°Π·Π²ΠΈΠ²Π°Π΅ΡΡΡ Π½Π°Π³Π½ΠΎΠ΅Π½ΠΈΠ΅ ΠΏΠ»Π΅Π²ΡΡ ΠΈΠ»ΠΈ ΡΡΠ±Π΅ΡΠΊΡΠ»Π΅Π·Π½Π°Ρ ΡΠΌΠΏΠΈΠ΅ΠΌΠ°. ΠΠ°Π±ΠΎΠ»Π΅Π²Π°Π½ΠΈΠ΅ ΠΏΡΠΎΡΠ΅ΠΊΠ°Π΅Ρ ΡΡΠΆΠ΅Π»ΠΎ. ΠΡΠ΅ ΡΠΈΠΌΠΏΡΠΎΠΌΡ ΡΡΠ±Π΅ΡΠΊΡΠ»Π΅Π·Π° ΡΡΠΊΠΎ Π²ΡΡΠ°ΠΆΠ΅Π½Ρ.

Π ΠΈΡ. 4. Π‘ΠΊΠΎΠΏΠ»Π΅Π½ΠΈΠ΅ ΠΆΠΈΠ΄ΠΊΠΎΡΡΠΈ Π² Π»Π΅Π²ΠΎΠΉ ΠΏΠ»Π΅Π²ΡΠ°Π»ΡΠ½ΠΎΠΉ ΠΏΠΎΠ»ΠΎΡΡΠΈ β ΠΎΡΠ½ΠΎΠ²Π½ΠΎΠΉ ΠΏΡΠΈΠ·Π½Π°ΠΊ ΡΡΠ±Π΅ΡΠΊΡΠ»Π΅Π·Π½ΠΎΠ³ΠΎ ΠΏΠ»Π΅Π²ΡΠΈΡΠ°.
ΠΊ ΡΠΎΠ΄Π΅ΡΠΆΠ°Π½ΠΈΡ βΠΠ½Π΅Π»Π΅Π³ΠΎΡΠ½ΡΠ΅ ΡΠΎΡΠΌΡ ΡΡΠ±Π΅ΡΠΊΡΠ»Π΅Π·Π° ΡΠ°Π·Π½ΠΎΠΎΠ±ΡΠ°Π·Π½Ρ. ΠΡ ΠΊΠ»ΠΈΠ½ΠΈΡΠ΅ΡΠΊΠ°Ρ ΡΠΈΠΌΠΏΡΠΎΠΌΠ°ΡΠΈΠΊΠ° Π·Π°Π²ΠΈΡΠΈΡ ΠΎΡ Π»ΠΎΠΊΠ°Π»ΠΈΠ·Π°ΡΠΈΠΈ ΠΏΡΠΎΡΠ΅ΡΡΠ° (ΠΏΠΎΡΠΊΠΈ, ΡΡΡΡΠ°Π²Ρ, ΠΊΠΎΠΆΠ°, Π³Π»Π°Π·Π°, ΠΏΠΎΠ·Π²ΠΎΠ½ΠΎΡΠ½ΠΈΠΊ ΠΈ Ρ.Π΄.)
Π‘ΠΈΠΌΠΏΡΠΎΠΌΡ ΡΡΠ±Π΅ΡΠΊΡΠ»Π΅Π·Π° ΠΏΠΎΡΠ΅ΠΊ
ΠΠ»Ρ Π·Π°Π±ΠΎΠ»Π΅Π²Π°Π½ΠΈΡ Ρ Π°ΡΠ°ΠΊΡΠ΅ΡΠ½Ρ ΠΎΠ±ΡΠΈΠ΅ ΡΠΈΠΌΠΏΡΠΎΠΌΡ (ΠΈΠ½ΡΠΎΠΊΡΠΈΠΊΠ°ΡΠΈΡ, Π»ΠΈΡ ΠΎΡΠ°Π΄ΠΊΠ° ΠΈ ΠΏΠ°ΡΠ°ΡΠΏΠ΅ΡΠΈΡΠΈΡΠ΅ΡΠΊΠΈΠ΅ ΡΠ΅Π°ΠΊΡΠΈΠΈ) ΠΈ ΠΌΠ΅ΡΡΠ½ΡΠ΅ ΡΠΈΠΌΠΏΡΠΎΠΌΡ (Π±ΠΎΠ»ΠΈ Π² ΠΏΠΎΡΡΠ½ΠΈΡΠ½ΠΎΠΉ ΠΎΠ±Π»Π°ΡΡΠΈ, ΠΏΠΎΡΠ΅ΡΠ½ΡΠ΅ ΠΊΠΎΠ»ΠΈΠΊΠΈ). ΠΠ° Π½Π°ΡΠ°Π»ΡΠ½ΡΡ ΡΡΠ°ΠΏΠ°Ρ ΠΊΠ»ΠΈΠ½ΠΈΡΠ΅ΡΠΊΠΈΠ΅ ΡΠΈΠΌΠΏΡΠΎΠΌΡ Π·Π°Π±ΠΎΠ»Π΅Π²Π°Π½ΠΈΡ ΠΊΡΠ°ΠΉΠ½Π΅ ΡΠΊΡΠ΄Π½Ρ. Π Π°Π½Π½ΠΈΠ΅ ΡΠΈΠΌΠΏΡΠΎΠΌΡ ΠΏΠΎ ΡΠ²ΠΎΠ΅ΠΌΡ Ρ Π°ΡΠ°ΠΊΡΠ΅ΡΡ ΡΡ ΠΎΠ΄Π½Ρ Ρ ΡΠΈΠΌΠΏΡΠΎΠΌΠ°ΠΌΠΈ, Π²ΠΎΠ·Π½ΠΈΠΊΠ°ΡΡΠΈΠΌΠΈ ΠΏΡΠΈ ΡΠ΅Π»ΠΎΠΌ ΡΡΠ΄Π΅ ΠΈΠ½ΡΠ΅ΠΊΡΠΈΠΎΠ½Π½ΡΡ Π·Π°Π±ΠΎΠ»Π΅Π²Π°Π½ΠΈΠΉ.
Π‘ΠΈΠΌΠΏΡΠΎΠΌΡ ΠΈΠ½ΡΠΎΠΊΡΠΈΠΊΠ°ΡΠΈΠΈ ΠΈ ΠΏΠΎΡΠ°ΠΆΠ΅Π½ΠΈΡ ΠΎΡΠ³Π°Π½Π° ΠΏΠΎΡΠ²Π»ΡΡΡΡΡ ΠΈΡΠΏΠΎΠ΄Π²ΠΎΠ»Ρ, Π½Π°ΡΠ°ΡΡΠ°ΡΡ ΠΏΠΎΡΡΠ΅ΠΏΠ΅Π½Π½ΠΎ, ΠΏΡΠΎΡΠ²Π»ΡΡΡΡΡ ΡΠ»Π°Π±ΠΎΡΡΡΡ, ΠΏΠΎΡΠ»ΠΈΠ²ΠΎΡΡΡΡ, ΠΏΠ»ΠΎΡ ΠΈΠΌ Π°ΠΏΠΏΠ΅ΡΠΈΡΠΎΠΌ, ΡΠ½ΠΈΠΆΠ΅Π½ΠΈΠ΅ΠΌ Π²Π΅ΡΠ°, ΡΡΠ±ΡΠ΅Π±ΡΠΈΠ»ΡΠ½ΠΎΠΉ ΡΠ΅ΠΌΠΏΠ΅ΡΠ°ΡΡΡΠΎΠΉ ΡΠ΅Π»Π° ΠΈ Π΄Π°Π»Π΅Π΅ Π²ΠΏΠ»ΠΎΡΡ Π΄ΠΎ ΡΡΠΊΠΎ Π²ΡΡΠ°ΠΆΠ΅Π½Π½ΠΎΠΉ ΠΊΠ°ΡΡΠΈΠ½Ρ ΡΡΠ±Π΅ΡΠΊΡΠ»Π΅Π·Π½ΠΎΠ³ΠΎ ΠΏΡΠΎΡΠ΅ΡΡΠ°: Π°Π½Π΅ΠΌΠΈΠΈ, ΠΊΠ°Ρ Π΅ΠΊΡΠΈΠΈ ΠΈ ΠΏΠΎΡΠ΅ΡΠ½ΠΎΠΉ Π½Π΅Π΄ΠΎΡΡΠ°ΡΠΎΡΠ½ΠΎΡΡΠΈ.
ΠΠΎΠ»ΠΈ Π² ΠΏΠΎΡΡΠ½ΠΈΡΠ½ΠΎΠΉ ΠΎΠ±Π»Π°ΡΡΠΈ ΡΠ²ΡΠ·Π°Π½Ρ Ρ ΡΠ°Π·Π΄ΡΠ°ΠΆΠ΅Π½ΠΈΠ΅ΠΌ ΠΊΠ°ΠΏΡΡΠ»Ρ ΠΎΡΠ³Π°Π½Π°. ΠΠ° ΡΠ°Π½Π½ΠΈΡ ΡΡΠ°Π΄ΠΈΡΡ Π±ΠΎΠ»ΠΈ Π½ΠΎΡΡΠ΅Π³ΠΎ Ρ Π°ΡΠ°ΠΊΡΠ΅ΡΠ°. Π§Π°ΡΡΠΎ Π½Π°ΠΏΠΎΠΌΠΈΠ½Π°ΡΡ Π±ΠΎΠ»ΠΈ ΠΏΡΠΈ ΡΠ°Π΄ΠΈΠΊΡΠ»ΠΈΡΠ΅. ΠΠ° ΠΏΠΎΠ·Π΄Π½ΠΈΡ ΡΡΠ°Π΄ΠΈΡΡ ΡΠ°Π·Π²ΠΈΡΠΈΡ Π·Π°Π±ΠΎΠ»Π΅Π²Π°Π½ΠΈΡ Π±ΠΎΠ»ΠΈ ΠΏΡΠΈΡΡΡΠΏΠΎΠΎΠ±ΡΠ°Π·Π½ΡΠ΅, ΠΏΠΎ ΡΠΈΠΏΡ ΠΏΠΎΡΠ΅ΡΠ½ΠΎΠΉ ΠΊΠΎΠ»ΠΈΠΊΠΈ.
ΠΠΈΠ·ΡΡΠΈΡΠ΅ΡΠΊΠΈΠ΅ ΡΠ²Π»Π΅Π½ΠΈΡ (Π±ΠΎΠ»Π΅Π·Π½Π΅Π½Π½ΠΎΠ΅ ΠΈ ΡΡΠ°ΡΠ΅Π½Π½ΠΎΠ΅ ΠΌΠΎΡΠ΅ΠΈΡΠΏΡΡΠΊΠ°Π½ΠΈΠ΅) Ρ Π°ΡΠ°ΠΊΡΠ΅ΡΠ½Ρ Π΄Π»Ρ ΠΏΠΎΡΠ°ΠΆΠ΅Π½ΠΈΡ ΠΌΠΎΡΠ΅Π²ΠΎΠ³ΠΎ ΠΏΡΠ·ΡΡΡ ΠΈ ΡΠ²ΡΠ·Π°Π½Ρ Ρ Π½Π°ΡΡΡΠ΅Π½ΠΈΠ΅ΠΌ ΠΈΠ½Π½Π΅ΡΠ²Π°ΡΠΈΠΈ ΠΎΡΠ³Π°Π½Π°.
Π‘ΠΈΠΌΠΏΡΠΎΠΌΡ ΡΡΠ±Π΅ΡΠΊΡΠ»Π΅Π·Π° ΠΏΠΎΡΠ΅ΠΊ Π² Π·Π°Π²ΠΈΡΠΈΠΌΠΎΡΡΠΈ ΠΎΡ ΡΡΠ°Π΄ΠΈΠΈ Π·Π°Π±ΠΎΠ»Π΅Π²Π°Π½ΠΈΡ
- Π‘ΡΠ°Π΄ΠΈΡ Π»Π°ΡΠ΅Π½ΡΠ½ΠΎΠ³ΠΎ ΡΠ΅ΡΠ΅Π½ΠΈΡ. ΠΠ°Π±ΠΎΠ»Π΅Π²Π°Π½ΠΈΠ΅ Π½Π°ΡΠΈΠ½Π°Π΅ΡΡΡ Ρ Π½Π΅Π·Π½Π°ΡΠΈΡΠ΅Π»ΡΠ½ΡΡ ΡΠΈΠΌΠΏΡΠΎΠΌΠΎΠ². ΠΠ½ΠΎΠ³Π΄Π° ΠΆΠ°Π»ΠΎΠ±Ρ Π½Π° Π½Π΅Π΄ΠΎΠΌΠΎΠ³Π°Π½ΠΈΠ΅ ΠΈ ΡΡΠ±ΡΠ΅Π±ΡΠΈΠ»ΡΠ½ΡΡ ΡΠ΅ΠΌΠΏΠ΅ΡΠ°ΡΡΡΡ ΡΠ΅Π»Π°. Π‘Π½ΠΈΠΆΠ΅Π½ΠΈΠ΅ Π²Π΅ΡΠ°.
- Π‘ΡΠ°Π΄ΠΈΡ Π΄Π΅ΡΡΡΡΠΊΡΠΈΠ²Π½ΡΡ ΠΈΠ·ΠΌΠ΅Π½Π΅Π½ΠΈΠΉ. Π‘ΠΈΠΌΠΏΡΠΎΠΌΡ ΡΡΠ±Π΅ΡΠΊΡΠ»Π΅Π·Π° ΠΏΠΎΡΠ΅ΠΊ Π½Π°ΡΠ°ΡΡΠ°ΡΡ. ΠΡΠΎΠ·ΠΈΡ ΠΊΡΠΎΠ²Π΅Π½ΠΎΡΠ½ΡΡ ΡΠΎΡΡΠ΄ΠΎΠ² ΡΡΠ°Π½ΠΎΠ²ΠΈΡΡΡ ΠΏΡΠΈΡΠΈΠ½ΠΎΠΉ ΠΏΠΎΡΠ²Π»Π΅Π½ΠΈΠ΅ Π² ΠΌΠΎΡΠ΅ ΡΡΠΈΡΡΠΎΡΠΈΡΠΎΠ² β ΠΎΡ Π΅Π΄ΠΈΠ½ΠΈΡΠ½ΡΡ ΡΡΠΈΡΡΠΎΡΠΈΡΠΎΠ² Π² ΠΏΠΎΠ»Π΅ Π·ΡΠ΅Π½ΠΈΡ Π² ΠΎΠ±ΡΠ΅ΠΌ Π°Π½Π°Π»ΠΈΠ·Π΅ ΠΌΠΎΡΠΈ Π΄ΠΎ ΡΠΎΡΠ°Π»ΡΠ½ΠΎΠΉ Π³Π΅ΠΌΠ°ΡΡΡΠΈΠΈ. ΠΡΠΈΠ·Π½Π°ΠΊΠΈ ΠΈΠ½ΡΠΎΠΊΡΠΈΠΊΠ°ΡΠΈΠΈ Π½Π°ΡΠ°ΡΡΠ°ΡΡ.
- Π‘ΠΈΠΌΠΏΡΠΎΠΌΡ ΠΈ ΠΏΡΠΈΠ·Π½Π°ΠΊΠΈ ΡΡΠ±Π΅ΡΠΊΡΠ»Π΅Π·Π° Π² ΡΡΠΎΡ ΠΏΠ΅ΡΠΈΠΎΠ΄ ΠΈΠΌΠ΅ΡΡ ΡΡΠΊΠΎ Π²ΡΡΠ°ΠΆΠ΅Π½Π½ΡΡ ΠΎΠΊΡΠ°ΡΠΊΡ. Π ΡΡΠΎΠΉ ΡΡΠ°Π΄ΠΈΠΈ Π½Π°Π»ΠΈΡΠΎ Π²ΡΠ΅ ΠΏΡΠΈΠ·Π½Π°ΠΊΠΈ ΠΈΠ½ΡΠΎΠΊΡΠΈΠΊΠ°ΡΠΈΠΈ: ΡΠ»Π°Π±ΠΎΡΡΡ, ΠΏΠΎΡΠ»ΠΈΠ²ΠΎΡΡΡ, ΠΏΠΎΡΠ΅ΡΡ Π°ΠΏΠΏΠ΅ΡΠΈΡΠ°, Π·Π½Π°ΡΠΈΡΠ΅Π»ΡΠ½ΠΎΠ΅ ΡΠ½ΠΈΠΆΠ΅Π½ΠΈΠ΅ Π²Π΅ΡΠ°. Π’ΡΠΆΠ΅ΡΡΡ ΡΠΈΠΌΠΏΡΠΎΠΌΠΎΠ² ΠΏΡΠΎΠ³ΡΠ΅ΡΡΠΈΡΡΠ΅Ρ ΠΏΠΎΡΡΠ΅ΠΏΠ΅Π½Π½ΠΎ. ΠΠΎΠ»ΠΈ Π² ΠΏΠΎΡΡΠ½ΠΈΡΠ½ΠΎΠΉ ΠΎΠ±Π»Π°ΡΡΠΈ ΡΡΠΈΠ»ΠΈΠ²Π°ΡΡΡΡ, ΡΠ°ΡΡΠΎ Π²ΠΎΠ·Π½ΠΈΠΊΠ°ΡΡ ΠΏΠΎΡΠ΅ΡΠ½ΡΠ΅ ΠΊΠΎΠ»ΠΈΠΊΠΈ. ΠΠ°Π»ΠΈΡΠΎ ΡΠ²Π»Π΅Π½ΠΈΡ ΠΈΡΡΠΎΡΠ΅Π½ΠΈΡ (ΠΊΠ°Ρ Π΅ΠΊΡΠΈΡ) ΠΈ Π°Π½Π΅ΠΌΠΈΠΈ.

Π ΠΈΡ. 5. ΠΠ° ΡΠΎΡΠΎ ΡΠΈΠ±ΡΠΎΠ·Π½ΠΎ-ΠΊΠ°Π²Π΅ΡΠ½ΠΎΠ·Π½ΡΠΉ ΡΡΠ±Π΅ΡΠΊΡΠ»Π΅Π· ΠΏΠΎΡΠ΅ΠΊ. Π‘ΡΡΠ΅Π»ΠΊΠ°ΠΌΠΈ ΡΠΊΠ°Π·Π°Π½Ρ ΠΎΡΠ°Π³ΠΈ Π΄Π΅ΡΡΡΡΠΊΡΠΈΠΈ.
ΠΊ ΡΠΎΠ΄Π΅ΡΠΆΠ°Π½ΠΈΡ βΠΡΠΈΠ·Π½Π°ΠΊΠΈ ΠΈ ΡΠΈΠΌΠΏΡΠΎΠΌΡ ΡΡΠ±Π΅ΡΠΊΡΠ»Π΅Π·Π° ΠΊΠΎΠΆΠΈ
Π’ΡΠ±Π΅ΡΠΊΡΠ»Π΅Π· ΠΊΠΎΠΆΠΈ ΠΏΡΠ΅Π΄ΡΡΠ°Π²Π»Π΅Π½ ΡΠ°Π·Π½ΠΎΠΎΠ±ΡΠ°Π·ΠΈΠ΅ΠΌ Π»ΠΎΠΊΠ°Π»ΠΈΠ·ΠΎΠ²Π°Π½Π½ΡΡ ΠΈ Π΄ΠΈΡΡΠ΅ΠΌΠΈΠ½ΠΈΡΠΎΠ²Π°Π½Π½ΡΡ ΡΠΎΡΠΌ, ΠΊΠΎΡΠΎΡΡΠ΅ ΠΏΠΎΡΠ²Π»ΡΡΡΡΡ Ρ ΡΠ°Π½Π΅Π΅ ΠΈΠ½ΡΠΈΡΠΈΡΠΎΠ²Π°Π½Π½ΡΡ Π»ΡΠ΄Π΅ΠΉ. ΠΠΎ 75% Π²ΡΠ΅Ρ ΡΠ»ΡΡΠ°Π΅ Π·Π°Π½ΠΈΠΌΠ°Π΅Ρ ΡΡΠ±Π΅ΡΠΊΡΠ»Π΅Π·Π½Π°Ρ Π²ΠΎΠ»ΡΠ°Π½ΠΊΠ°.
ΠΡΠΈ Π±ΠΎΠ»Π΅Π·Π½ΠΈ ΠΏΠΎΡΠ°ΠΆΠ°ΡΡΡΡ ΠΊΠΎΠΆΠ½ΡΠ΅ ΠΏΠΎΠΊΡΠΎΠ²Ρ Π½ΠΎΡΠ°, Π»ΠΈΡΠ°, ΡΠ΅ΠΈ, ΠΊΡΠ°ΡΠ½ΠΎΠΉ ΠΊΠ°ΠΉΠΌΡ Π³ΡΠ±, ΡΠ»ΠΈΠ·ΠΈΡΡΡΠ΅ ΠΎΠ±ΠΎΠ»ΠΎΡΠΊΠΈ ΠΏΠΎΠ»ΠΎΡΡΠΈ ΡΡΠ° ΠΈ Π³Π»Π°Π·. ΠΠΎΠΆΠ° ΠΊΠΎΠ½Π΅ΡΠ½ΠΎΡΡΠ΅ΠΉ ΠΏΠΎΡΠ°ΠΆΠ°Π΅ΡΡΡ ΡΠ΅Π΄ΠΊΠΎ. Π’ΡΠ±Π΅ΡΠΊΡΠ»Π΅Π·Π½ΡΠ΅ Π±ΡΠ³ΠΎΡΠΊΠΈ ΡΠ»ΠΈΠ²Π°ΡΡΡΡ ΠΈ ΠΎΠ±ΡΠ°Π·ΡΡΡ Π»ΡΠΏΠΎΠΌΡ. ΠΠ΅ΡΠ²ΡΠ΅ ΠΏΡΠΈΠ·Π½Π°ΠΊΠΈ ΡΡΠ±Π΅ΡΠΊΡΠ»Π΅Π·Π° ΠΊΠΎΠΆΠΈ β ΡΡΠΎ ΠΏΠΎΡΠ²Π»Π΅Π½ΠΈΠ΅ ΡΡΠ±Π΅ΡΠΊΡΠ»Π΅Π·Π½ΡΡ Π±ΡΠ³ΠΎΡΠΊΠΎΠ², ΠΊΠΎΡΠΎΡΡΠ΅ ΡΠ»ΠΈΠ²Π°ΡΡΡ, ΠΎΠ±ΡΠ°Π·ΡΡΡ Π»ΡΠΏΠΎΠΌΡ.
ΠΡ ΡΠ²Π΅Ρ ΠΆΠ΅Π»ΡΠΎΠ²Π°ΡΠΎ-ΡΠΆΠ°Π²ΡΠΉ. Π Π°Π·ΠΌΠ΅Ρ β Π΄ΠΎ 0,75 ΠΌΠΌ. ΠΠ½Π°ΡΠ°Π»Π΅ Π»ΡΠΏΠΎΠΌΡ ΡΠ°ΡΠΏΠΎΠ»Π°Π³Π°ΡΡΡΡ Π³Π»ΡΠ±ΠΎΠΊΠΎ, Π° ΠΏΠΎΡΠΎΠΌ Π½Π°ΡΠΈΠ½Π°ΡΡ Π²ΡΡΡΡΠΏΠ°ΡΡ Π½Π°Π΄ ΠΊΠΎΠΆΠ΅ΠΉ. Π€ΠΎΡΠΌΠ° Π»ΡΠΏΠΎΠΌ ΠΎΠΊΡΡΠ³Π»Π°Ρ, ΠΊΠΎΠ½ΡΠΈΡΡΠ΅Π½ΡΠΈΡ ΠΌΡΠ³ΠΊΠ°Ρ, ΠΏΡΠΈ Π·Π½Π°ΡΠΈΡΠ΅Π»ΡΠ½ΠΎΠΌ Π½Π°Π΄Π°Π²Π»ΠΈΠ²Π°Π½ΠΈΠΈ Π·ΠΎΠ½Π΄ΠΎΠΌ ΡΠ»Π΅ΠΌΠ΅Π½ΡΡ Π»ΡΠΏΠΎΠΌΡ ΡΠ°Π·ΡΡΠ²Π°ΡΡΡΡ, ΠΏΠΎΡΠ²Π»ΡΠ΅ΡΡΡ Π±ΠΎΠ»Ρ ΠΈ ΠΊΡΠΎΠ²ΠΎΡΠ΅ΡΠ΅Π½ΠΈΠ΅. ΠΡΠΏΠΎΠΌΡ ΡΠ°ΡΡΠΎ ΡΠ»ΠΈΠ²Π°ΡΡΡΡ. ΠΠΎΠ²Π΅ΡΡ Π½ΠΎΡΡΡ ΠΈΡ Π³Π»Π°Π΄ΠΊΠ°Ρ ΠΈ Π±Π»Π΅ΡΡΡΡΠ°Ρ. ΠΡΠ»ΠΈ Π½Π°ΠΆΠ°ΡΡ ΠΏΡΠ΅Π΄ΠΌΠ΅ΡΠ½ΡΠΌ ΡΡΠ΅ΠΊΠ»ΠΎΠΌ Π½Π° ΠΏΠΎΡΠ°ΠΆΠ΅Π½Π½ΡΠΉ ΡΡΠ°ΡΡΠΎΠΊ, Π»ΡΠΏΠΎΠΌΡ ΠΏΡΠΈΠΎΠ±ΡΠ΅ΡΠ°ΡΡ ΡΠ²Π΅Ρ Β«ΡΠ±Π»ΠΎΡΠ½ΠΎΠ³ΠΎ ΠΆΠ΅Π»Π΅Β» (ΡΠΈΠΌΠΏΡΠΎΠΌ Β«ΡΠ±Π»ΠΎΡΠ½ΠΎΠ³ΠΎ ΠΆΠ΅Π»Π΅Β»). ΠΡΠΈ Π±Π»Π°Π³ΠΎΠΏΡΠΈΡΡΠ½ΠΎΠΌ ΠΈΡΡ ΠΎΠ΄Π΅ Π² ΡΠ΅Π½ΡΡΠ΅ Π±ΡΠ³ΠΎΡΠΊΠΎΠ² Π½Π°ΡΠΈΠ½Π°Π΅ΡΡΡ ΡΠ°ΡΡΠ°ΡΡΠ²Π°Π½ΠΈΠ΅ ΠΈ Π·Π°ΠΌΠ΅ΡΠ΅Π½ΠΈΠ΅ ΠΏΠΎΠ²ΡΠ΅ΠΆΠ΄Π΅Π½ΠΈΡ ΡΠΎΠ½ΠΊΠΎΠΉ ΠΊΠΎΠΆΠ΅ΠΉ Π² Π²ΠΈΠ΄Π΅ ΠΏΠ°ΠΏΠΈΡΠΎΡΠ½ΠΎΠΉ Π±ΡΠΌΠ°Π³ΠΈ.
Π ΠΈΡ. 6. Π€ΠΎΡΠΎ Π»ΡΠΏΠΎΠΌΡ. ΠΡΠΏΠΎΠΌΠ° β ΠΎΡΠ½ΠΎΠ²Π½ΠΎΠΉ ΠΏΡΠΈΠ·Π½Π°ΠΊ ΡΡΠ±Π΅ΡΠΊΡΠ»Π΅Π·Π° ΠΊΠΎΠΆΠΈ.

Π ΠΈΡ. 7. Π‘ΠΈΠΌΠΏΡΠΎΠΌ Β«ΡΠ±Π»ΠΎΡΠ½ΠΎΠ³ΠΎ ΠΆΠ΅Π»Π΅Β» β ΠΎΡΠ½ΠΎΠ²Π½ΠΎΠΉ ΠΏΡΠΈΠ·Π½Π°ΠΊ ΡΡΠ±Π΅ΡΠΊΡΠ»Π΅Π·Π½ΠΎΠΉ Π²ΠΎΠ»ΡΠ°Π½ΠΊΠΈ.

Π ΠΈΡ. 8. ΠΠ° ΡΠΎΡΠΎ ΡΡΠ±Π΅ΡΠΊΡΠ»Π΅Π· ΠΊΠΎΠΆΠΈ (Lupus vulgaris).

Π ΠΈΡ. 9. ΠΠ° ΡΠΎΡΠΎ ΡΡΠ±Π΅ΡΠΊΡΠ»Π΅Π· ΠΊΠΎΠΆΠΈ. Lupus vulgaris.

Π ΠΈΡ. 10. ΠΠ° ΡΠΎΡΠΎ ΡΡΠ±Π΅ΡΠΊΡΠ»Π΅Π· ΠΊΠΎΠΆΠΈ. ΠΠΎΡΠ»Π΅Π΄ΡΡΠ²ΠΈΡ Lupus vulgaris.
ΠΊ ΡΠΎΠ΄Π΅ΡΠΆΠ°Π½ΠΈΡ βΠΡΠΈΠ·Π½Π°ΠΊΠΈ ΠΈ ΡΠΈΠΌΠΏΡΠΎΠΌΡ ΠΊΠΎΡΡΠ½ΠΎ-ΡΡΡΡΠ°Π²Π½ΠΎΠ³ΠΎ ΡΡΠ±Π΅ΡΠΊΡΠ»Π΅Π·Π°
Π’ΡΠ±Π΅ΡΠΊΡΠ»Π΅Π· ΠΊΠΎΡΡΠ΅ΠΉ ΠΈ ΡΡΡΡΠ°Π²ΠΎΠ² ΡΠ²Π»ΡΠ΅ΡΡΡ ΠΎΠ΄Π½ΠΈΠΌ ΠΈΠ· ΡΠ°ΠΌΡΡ ΡΠ΅ΡΡΠ΅Π·Π½ΡΡ Π·Π°Π±ΠΎΠ»Π΅Π²Π°Π½ΠΈΠΉ ΠΎΠΏΠΎΡΠ½ΠΎ-Π΄Π²ΠΈΠ³Π°ΡΠ΅Π»ΡΠ½ΠΎΠ³ΠΎ Π°ΠΏΠΏΠ°ΡΠ°ΡΠ°, ΠΏΡΠΈΡΠΈΠ½ΠΎΠΉ ΠΊΠΎΡΠΎΡΠΎΠ³ΠΎ ΡΠ²Π»ΡΡΡΡΡ ΠΌΠΈΠΊΠΎΠ±Π°ΠΊΡΠ΅ΡΠΈΠΈ ΡΡΠ±Π΅ΡΠΊΡΠ»Π΅Π·Π° (Π. tuberculosis). ΠΡΠΎΡΠ΅ΡΡ Π½Π°ΡΠΈΠ½Π°Π΅ΡΡΡ Ρ ΠΎΠ±ΡΠ°Π·ΠΎΠ²Π°Π½ΠΈΡ ΡΠΏΠ΅ΡΠΈΡΠΈΡΠ΅ΡΠΊΠΈΡ ΡΡΠ±Π΅ΡΠΊΡΠ»Π΅Π·Π½ΡΡ Π³ΡΠ°Π½ΡΠ»Π΅ΠΌ Π² ΠΊΠΎΡΡΠΈ. ΠΠΎΠ»Π΅Π·Π½Ρ ΡΡΠΆΠ΅Π»ΠΎ Π΄ΠΈΠ°Π³Π½ΠΎΡΡΠΈΡΡΠ΅ΡΡΡ, ΠΎΡΠΎΠ±Π΅Π½Π½ΠΎ Π² ΠΏΠ΅ΡΠΈΠΎΠ΄ Π½Π°ΡΠ°Π»Π° Π·Π°Π±ΠΎΠ»Π΅Π²Π°Π½ΠΈΡ, ΠΏΡΠΎΡΠ΅ΠΊΠ°Π΅Ρ Π΄Π»ΠΈΡΠ΅Π»ΡΠ½ΠΎ, ΠΏΡΠΈ ΠΏΠΎΠ·Π΄Π½Π΅ΠΌ Π²ΡΡΠ²Π»Π΅Π½ΠΈΠΈ ΠΈ Π½Π΅ΡΠ²ΠΎΠ΅Π²ΡΠ΅ΠΌΠ΅Π½Π½ΠΎ Π½Π°ΡΠ°ΡΠΎΠΌ Π»Π΅ΡΠ΅Π½ΠΈΠΈ ΠΏΡΠΎΠ³ΡΠ΅ΡΡΠΈΡΡΠ΅Ρ ΠΈ ΠΏΡΠΈΠ²ΠΎΠ΄ΠΈΡ ΠΊ Π²ΡΡΠ°ΠΆΠ΅Π½Π½ΡΠΌ ΠΈΠ·ΠΌΠ΅Π½Π΅Π½ΠΈΡΠΌ ΡΡΡΡΠΊΡΡΡ ΠΊΠΎΡΡΠ½ΠΎΠ³ΠΎ ΡΠΊΠ΅Π»Π΅ΡΠ° ΠΈ ΡΡΠ½ΠΊΡΠΈΠΎΠ½Π°Π»ΡΠ½ΡΠΌ Π½Π°ΡΡΡΠ΅Π½ΠΈΡΠΌ ΠΏΠΎΠ·Π²ΠΎΠ½ΠΎΡΠ½ΠΎΠ³ΠΎ ΡΡΠΎΠ»Π±Π° ΠΈ ΠΊΠΎΠ½Π΅ΡΠ½ΠΎΡΡΠ΅ΠΉ. Π§Π°ΡΠ΅ ΠΎΡΠΌΠ΅ΡΠ°Π΅ΡΡΡ ΠΏΠΎΡΠ°ΠΆΠ΅Π½ΠΈΠ΅ ΠΏΠΎΠ·Π²ΠΎΠ½ΠΎΡΠ½ΠΈΠΊΠ° ΠΈ ΠΊΡΡΠΏΠ½ΡΡ ΡΡΡΡΠ°Π²ΠΎΠ² β ΡΠ°Π·ΠΎΠ±Π΅Π΄ΡΠ΅Π½Π½ΡΡ ΠΈ ΠΊΠΎΠ»Π΅Π½Π½ΡΡ ΡΡΡΡΠ°Π²ΠΎΠ². ΠΠ°Π±ΠΎΠ»Π΅Π²Π°Π½ΠΈΠ΅ Ρ Π°ΡΠ°ΠΊΡΠ΅ΡΠΈΠ·ΡΠ΅ΡΡΡ Π²ΡΡΠΎΠΊΠΎΠΉ ΡΡΠ΅ΠΏΠ΅Π½ΡΡ ΠΈΠ½Π²Π°Π»ΠΈΠ΄Π½ΠΎΡΡΠΈ.
ΠΊ ΡΠΎΠ΄Π΅ΡΠΆΠ°Π½ΠΈΡ βΠ‘ΠΈΠΌΠΏΡΠΎΠΌΡ ΠΈ ΠΏΡΠΈΠ·Π½Π°ΠΊΠΈ ΡΡΠ±Π΅ΡΠΊΡΠ»Π΅Π·Π° ΠΏΠΎΠ·Π²ΠΎΠ½ΠΎΡΠ½ΠΈΠΊΠ°
Π‘ΠΈΠΌΠΏΡΠΎΠΌΡ ΡΡΠ±Π΅ΡΠΊΡΠ»Π΅Π·Π° ΠΏΠΎΠ·Π²ΠΎΠ½ΠΎΡΠ½ΠΈΠΊΠ° ΠΈ ΠΊΠ»ΠΈΠ½ΠΈΡΠ΅ΡΠΊΠ°Ρ ΠΊΠ°ΡΡΠΈΠ½Π° Π·Π°Π±ΠΎΠ»Π΅Π²Π°Π½ΠΈΡ Π·Π°Π²ΠΈΡΡΡ ΠΎΡ Π»ΠΎΠΊΠ°Π»ΠΈΠ·Π°ΡΠΈΠΈ ΠΏΡΠΎΡΠ΅ΡΡΠ° ΠΈ ΡΡΠ΅ΠΏΠ΅Π½ΠΈ ΡΠ°Π·ΡΡΡΠ΅Π½ΠΈΡ ΠΎΡΠ³Π°Π½Π°.
Π‘ΠΈΠΌΠΏΡΠΎΠΌΡ ΡΡΠ±Π΅ΡΠΊΡΠ»Π΅Π·Π° ΠΏΠΎΠ·Π²ΠΎΠ½ΠΎΡΠ½ΠΈΠΊΠ° ΠΈ ΠΊΠ»ΠΈΠ½ΠΈΡΠ΅ΡΠΊΠ°Ρ ΠΊΠ°ΡΡΠΈΠ½Π° Π² ΠΏΡΠ΅Π΄ΡΠΏΠΎΠ½Π΄ΠΈΠ»ΠΈΡΠΈΡΠ΅ΡΠΊΡΡ ΡΠ°Π·Ρ
ΠΡΠ° ΡΠ°Π·Π° Ρ Π°ΡΠ°ΠΊΡΠ΅ΡΠΈΠ·ΡΠ΅ΡΡΡ ΡΠ΅ΠΌ, ΡΡΠΎ ΠΏΡΠΎΡΠ΅ΡΡ ΠΎΠ³ΡΠ°Π½ΠΈΡΠ΅Π½ ΡΠ΅Π»ΠΎΠΌ ΠΎΠ΄Π½ΠΎΠ³ΠΎ ΠΏΠΎΠ·Π²ΠΎΠ½ΠΊΠ° ΠΈ Π½Π΅ Π²ΡΡ ΠΎΠ΄ΠΈΡ Π·Π° Π΅Π³ΠΎ ΠΏΡΠ΅Π΄Π΅Π»Ρ. ΠΠ½ΡΠΎΠΊΡΠΈΠΊΠ°ΡΠΈΡ ΠΎΡΠ³Π°Π½ΠΈΠ·ΠΌΠ° ΠΏΡΠΎΡΠ²Π»ΡΠ΅ΡΡΡ ΡΠ»Π°Π±ΠΎ, Π½Π΅ΡΠΊΠΎΠ»ΡΠΊΠΎ ΡΡΡΠ΅ Ρ Π΄Π΅ΡΠ΅ΠΉ. Π’Π°ΠΊΠΈΠ΅ ΡΠ²Π»Π΅Π½ΠΈΡ, ΠΊΠ°ΠΊ ΡΡΠ²ΡΡΠ²ΠΎ ΡΡΠΆΠ΅ΡΡΠΈ ΠΈ Π½Π΅Π·Π½Π°ΡΠΈΡΠ΅Π»ΡΠ½ΡΠ΅ Π±ΠΎΠ»ΠΈ Π² ΠΏΠΎΠ·Π²ΠΎΠ½ΠΎΡΠ½ΠΈΠΊΠ΅, ΠΏΡΠΎΡ ΠΎΠ΄ΡΡ ΠΏΠΎΡΠ»Π΅ ΠΎΡΠ΄ΡΡ Π°. Π ΡΡΡ ΡΠ°Π·Ρ Π±ΠΎΠ»ΡΠ½ΡΠ΅ Π·Π° ΠΌΠ΅Π΄ΠΈΡΠΈΠ½ΡΠΊΠΎΠΉ ΠΏΠΎΠΌΠΎΡΡΡ ΠΏΡΠ°ΠΊΡΠΈΡΠ΅ΡΠΊΠΈ Π½Π΅ ΠΎΠ±ΡΠ°ΡΠ°ΡΡΡΡ.
Π‘ΠΈΠΌΠΏΡΠΎΠΌΡ ΡΡΠ±Π΅ΡΠΊΡΠ»Π΅Π·Π° ΠΏΠΎΠ·Π²ΠΎΠ½ΠΎΡΠ½ΠΈΠΊΠ° ΠΈ ΠΊΠ»ΠΈΠ½ΠΈΡΠ΅ΡΠΊΠ°Ρ ΠΊΠ°ΡΡΠΈΠ½Π° Π² ΡΠΏΠΎΠ½Π΄ΠΈΠ»ΠΈΡΠΈΡΠ΅ΡΠΊΡΡ ΡΠ°Π·Ρ
Π ΡΡΡ ΡΠ°Π·Ρ ΠΏΡΠΎΡΠ΅ΡΡ ΡΠ°ΡΠΏΡΠΎΡΡΡΠ°Π½ΡΠ΅ΡΡΡ Π·Π° ΠΏΡΠ΅Π΄Π΅Π»Ρ ΠΏΠΎΡΠ°ΠΆΠ΅Π½Π½ΠΎΠ³ΠΎ ΡΡΠ±Π΅ΡΠΊΡΠ»Π΅Π·ΠΎΠΌ ΡΠ΅Π»Π° ΠΏΠΎΠ·Π²ΠΎΠ½ΠΊΠ°. Π‘ΠΈΠΌΠΏΡΠΎΠΌΡ ΠΈΠ½ΡΠΎΠΊΡΠΈΠΊΠ°ΡΠΈΠΈ Π² ΡΡΡ ΡΠ°Π·Ρ ΠΏΡΠΎΡΠ²Π»ΡΡΡΡΡ ΡΡΠΊΠΎ. ΠΠΎΠ»ΠΈ Π² ΠΏΠΎΠ·Π²ΠΎΠ½ΠΎΡΠ½ΠΈΠΊΠ΅ Π·Π½Π°ΡΠΈΡΠ΅Π»ΡΠ½ΠΎ ΡΡΠΈΠ»ΠΈΠ²Π°ΡΡΡΡ ΠΈ ΠΈΠΌΠ΅ΡΡ ΡΠ°Π·Π½ΡΡ ΠΎΠΊΡΠ°ΡΠΊΡ ΠΈ ΠΈΡΡΠ°Π΄ΠΈΠ°ΡΠΈΡ. ΠΠΎΠ΄Π²ΠΈΠΆΠ½ΠΎΡΡΡ ΠΏΠΎΠ·Π²ΠΎΠ½ΠΎΡΠ½ΠΈΠΊΠ° ΠΎΠ³ΡΠ°Π½ΠΈΡΠΈΠ²Π°Π΅ΡΡΡ. ΠΡΠΌΠ΅ΡΠ°Π΅ΡΡΡ ΡΠΈΠ³ΠΈΠ΄Π½ΠΎΡΡΡ ΠΌΡΡΡ (Π½Π°ΠΏΡΡΠΆΠ΅Π½ΠΈΠ΅), ΠΊΠΎΡΠΎΡΠ°Ρ Π²ΠΎΠ·Π½ΠΈΠΊΠ°Π΅Ρ ΠΊΠ°ΠΊ ΠΎΡΠ²Π΅ΡΠ½Π°Ρ ΡΠ΅Π°ΠΊΡΠΈΡ Π½Π° Π±ΠΎΠ»Ρ. ΠΠ·ΠΌΠ΅Π½ΡΠ΅ΡΡΡ ΠΏΠΎΡ ΠΎΠ΄ΠΊΠ° Π±ΠΎΠ»ΡΠ½ΠΎΠ³ΠΎ. ΠΠ΅Π½ΡΠ΅ΡΡΡ ΠΏΡΠΈΠ²ΡΡΠ½ΠΎΠ΅ ΠΏΠΎΠ»ΠΎΠΆΠ΅Π½ΠΈΠ΅ ΡΠ΅Π»Π° (ΠΎΡΠ°Π½ΠΊΠ°). ΠΡΠΎΡΠ»Π΅ΠΆΠΈΠ²Π°Π΅ΡΡΡ Π°ΡΡΠΎΡΠΈΡ ΠΌΡΡΡ ΡΠΏΠΈΠ½Ρ.
Π‘ΠΈΠΌΠΏΡΠΎΠΌΡ ΡΡΠ±Π΅ΡΠΊΡΠ»Π΅Π·Π° ΠΏΠΎΠ·Π²ΠΎΠ½ΠΎΡΠ½ΠΈΠΊΠ° ΠΈ ΠΊΠ»ΠΈΠ½ΠΈΡΠ΅ΡΠΊΠ°Ρ ΠΊΠ°ΡΡΠΈΠ½Π° Π² ΠΏΠΎΡΡΡΠΏΠΎΠ½Π΄ΠΈΠ»ΠΈΡΠΈΡΠ΅ΡΠΊΡΡ ΡΠ°Π·Ρ
Π‘ΠΈΠΌΠΏΡΠΎΠΌΡ Π·Π°Π±ΠΎΠ»Π΅Π²Π°Π½ΠΈΡ Π² ΡΡΡ ΡΠ°Π·Ρ ΠΎΠ±ΡΡΠ»ΠΎΠ²Π»Π΅Π½Ρ ΡΠ°Π·Π²ΠΈΡΠΈΠ΅ΠΌ Π΄Π΅Π³Π΅Π½Π΅ΡΠ°ΡΠΈΠ²Π½ΠΎ-Π΄ΠΈΡΡΡΠΎΡΠΈΡΠ΅ΡΠΊΠΈΡ ΠΈΠ·ΠΌΠ΅Π½Π΅Π½ΠΈΠΉ, Ρ ΡΠ°Π·Π²ΠΈΡΠΈΠ΅ΠΌ ΠΎΡΡΠ΅ΠΎΡ ΠΎΠ½Π΄ΡΠΎΠ·Π° ΠΈ ΡΠΏΠΎΠ½Π΄ΠΈΠ»Π΅Π·Π°. ΠΡΡΠ΅ΡΠ½Π°Ρ Π°ΡΡΠΎΡΠΈΡ ΡΡΠΊΠΎ Π²ΡΡΠ°ΠΆΠ΅Π½Π°. ΠΠΈΡΠΎΠ· ΠΈΠ»ΠΈ ΡΠΊΠΎΠ»ΠΈΠΎΠ· ΡΠ²Π½ΡΠΉ. ΠΡΡΠ΄Π½Π°Ρ ΠΊΠ»Π΅ΡΠΊΠ° ΡΠ΅Π·ΠΊΠΎ Π΄Π΅ΡΠΎΡΠΌΠΈΡΠΎΠ²Π°Π½Π°. ΠΠΎΠ·Π²ΠΎΠ½ΠΎΡΠ½ΠΈΠΊ Π½Π΅ΡΡΡΠΎΠΉΡΠΈΠ². ΠΠΎΠ»ΡΠ½ΠΎΠ³ΠΎ Π±Π΅ΡΠΏΠΎΠΊΠΎΡΡ ΡΠΈΠ»ΡΠ½ΡΠ΅ Π±ΠΎΠ»ΠΈ Ρ Π»ΠΎΠΊΠ°Π»ΠΈΠ·Π°ΡΠΈΠ΅ΠΉ Π² ΠΎΠ±Π»Π°ΡΡΠΈ ΠΈΡΠΊΡΠΈΠ²Π»Π΅Π½ΠΈΡ ΠΏΠΎΠ·Π²ΠΎΠ½ΠΎΡΠ½ΠΈΠΊΠ°. ΠΠ±ΠΎΡΡΡΠ΅Π½ΠΈΡ Π·Π°Π±ΠΎΠ»Π΅Π²Π°Π½ΠΈΡ ΠΈΠΌΠ΅ΡΡ ΡΡΠΆΠ΅Π»ΠΎΠ΅ ΡΠ΅ΡΠ΅Π½ΠΈΠ΅.

Π ΠΈΡ. 11. Π₯Π°ΡΠ°ΠΊΡΠ΅ΡΠ½ΡΠΉ ΠΏΡΠΈΠ·Π½Π°ΠΊ ΡΡΠ±Π΅ΡΠΊΡΠ»Π΅Π·Π° β ΡΠ°Π·ΡΡΡΠ΅Π½ΠΈΠ΅ ΡΠ΅Π»Π° ΠΏΠΎΠ·Π²ΠΎΠ½ΠΊΠ° (ΡΠΊΠ°Π·Π°Π½ΠΎ ΡΡΡΠ΅Π»ΠΊΠ°ΠΌΠΈ).

Π ΠΈΡ. 12. Π₯Π°ΡΠ°ΠΊΡΠ΅ΡΠ½ΡΠΉ ΠΏΡΠΈΠ·Π½Π°ΠΊ ΡΡΠ±Π΅ΡΠΊΡΠ»Π΅Π·Π° β Π²ΡΡΠ°ΠΆΠ΅Π½Π½ΠΎΠ΅ ΠΈΡΠΊΡΠΈΠ²Π»Π΅Π½ΠΈΠ΅ Π³ΡΡΠ΄Π½ΠΎΠ³ΠΎ ΠΎΡΠ΄Π΅Π»Π°.
ΠΊ ΡΠΎΠ΄Π΅ΡΠΆΠ°Π½ΠΈΡ βΠ‘ΠΈΠΌΠΏΡΠΎΠΌΡ ΡΡΠ±Π΅ΡΠΊΡΠ»Π΅Π·Π° ΡΡΡΡΠ°Π²ΠΎΠ²
Π’ΡΠ±Π΅ΡΠΊΡΠ»Π΅Π· ΡΡΡΡΠ°Π²ΠΎΠ² Π½Π°ΡΠΈΠ½Π°Π΅ΡΡΡ Ρ ΠΏΠΎΡΠ°ΠΆΠ΅Π½ΠΈΡ ΡΠΏΠΈΡΠΈΠ·ΠΎΠ² ΠΈ ΠΌΠ΅ΡΠ°ΡΠΈΠ·ΠΎΠ² Π΄Π»ΠΈΠ½Π½ΡΡ ΡΡΡΠ±ΡΠ°ΡΡΡ ΠΊΠΎΡΡΠ΅ΠΉ, ΡΠΎ Π΅ΡΡΡ Ρ ΠΎΠΊΠΎΠ»ΠΎΡΡΡΡΠ°Π²Π½ΡΡ Π·ΠΎΠ½, Π³Π΄Π΅ ΠΎΡΠΌΠ΅ΡΠ°Π΅ΡΡΡ Π±ΠΎΠ»ΡΡΠΎΠ΅ ΡΠΊΠΎΠΏΠ»Π΅Π½ΠΈΠ΅ Π³ΡΠ±ΡΠ°ΡΠΎΠ³ΠΎ Π²Π΅ΡΠ΅ΡΡΠ²Π°. Π ΡΡΠΈΡ Π·ΠΎΠ½Π°Ρ ΡΠΎΡΡΠ΄Ρ ΠΈΠΌΠ΅ΡΡ ΡΠ΅ΡΠ½ΡΠΉ ΠΊΠΎΠ½ΡΠ°ΠΊΡ Ρ ΠΊΠΎΡΡΠ½ΡΠΌΠΈ ΡΠΊΠ°Π½ΡΠΌΠΈ. ΠΠΎΠΊΡΡΠ³ ΠΠΠ’ ΠΎΠ±ΡΠ°Π·ΡΡΡΡΡ Π³ΡΠ°Π½ΡΠ»Π΅ΠΌΡ, ΠΊΠΎΡΠΎΡΡΠ΅ ΡΠΎ Π²ΡΠ΅ΠΌΠ΅Π½Π΅ΠΌ ΡΠ»ΠΈΠ²Π°ΡΡΡΡ Π² Π΅Π΄ΠΈΠ½ΡΠΉ ΠΊΠΎΠ½Π³Π»ΠΎΠΌΠ΅ΡΠ°Ρ Ρ ΡΠ²ΠΎΡΠΎΠΆΠΈΡΡΡΠΌ ΡΠ°ΡΠΏΠ°Π΄ΠΎΠΌ Π² ΡΠ΅Π½ΡΡΠ΅. ΠΡΠ°Π½ΡΠ»ΡΡΠΈΠΎΠ½Π½ΡΠ΅ ΡΠΊΠ°Π½ΠΈ ΠΏΠΎΡΡΠ΅ΠΏΠ΅Π½Π½ΠΎ ΡΠ°Π·ΡΠ°ΡΡΠ°ΡΡΡΡ, Π΄ΠΎΡΡΠΈΠ³Π°Ρ ΡΠΈΠ½ΠΎΠ²ΠΈΠ°Π»ΡΠ½ΠΎΠΉ ΠΎΠ±ΠΎΠ»ΠΎΡΠΊΠΈ ΡΡΡΡΠ°Π²Π°, ΠΈ ΡΠ°Π·ΡΡΡΠ°ΡΡ Π΅Π΅.
Π‘ΠΈΠΌΠΏΡΠΎΠΌΡ ΡΡΠ±Π΅ΡΠΊΡΠ»Π΅Π·Π° ΡΡΡΡΠ°Π²ΠΎΠ² ΠΈ ΠΊΠ»ΠΈΠ½ΠΈΡΠ΅ΡΠΊΠ°Ρ ΠΊΠ°ΡΡΠΈΠ½Π° Π² ΠΏΡΠ΅Π°ΡΡΡΠΈΡΠΈΡΠ΅ΡΠΊΡΡ ΡΠ°Π·Ρ
ΠΠ½Π°ΡΠ°Π»Π΅ Π·Π°Π±ΠΎΠ»Π΅Π²Π°Π½ΠΈΡ Ρ Π±ΠΎΠ»ΡΠ½ΠΎΠ³ΠΎ ΠΏΠΎΡΠ²Π»ΡΡΡΡΡ Π±ΠΎΠ»ΠΈ, ΠΊΠΎΡΠΎΡΡΠ΅ Π²ΠΎΠ·Π½ΠΈΠΊΠ°ΡΡ ΠΏΡΠΈ Π½Π°Π΄Π°Π²Π»ΠΈΠ²Π°Π½ΠΈΠΈ Π½Π° ΠΏΠΎΡΠ°ΠΆΠ΅Π½Π½ΡΠΉ ΡΡΠ°ΡΡΠΎΠΊ. ΠΠ΅ΡΠ΅ΡΠ°Π·Π³ΠΈΠ±Π°Π½ΠΈΠ΅ ΡΡΡΡΠ°Π²Π° ΠΈΠ·-Π·Π° Π±ΠΎΠ»Π΅ΠΉ ΠΎΠ³ΡΠ°Π½ΠΈΡΠ΅Π½ΠΎ. ΠΠ°ΡΡΠΈΠ²Π½ΠΎΠ΅ ΡΠ°Π·Π³ΠΈΠ±Π°Π½ΠΈΠ΅ ΡΡΡΡΠ°Π²Π° ΡΡΡΠΏΠ΅Π½ΡΠ°ΡΠΎΠ΅. Π‘ΠΈΠΌΠΏΡΠΎΠΌΡ ΠΈΠ½ΡΠΎΠΊΡΠΈΠΊΠ°ΡΠΈΠΈ Π²ΡΡΠ°ΠΆΠ΅Π½Ρ Π½Π΅Π·Π½Π°ΡΠΈΡΠ΅Π»ΡΠ½ΠΎ.
Π‘ΠΈΠΌΠΏΡΠΎΠΌΡ ΡΡΠ±Π΅ΡΠΊΡΠ»Π΅Π·Π° ΡΡΡΡΠ°Π²ΠΎΠ² ΠΈ ΠΊΠ»ΠΈΠ½ΠΈΡΠ΅ΡΠΊΠ°Ρ ΠΊΠ°ΡΡΠΈΠ½Π° Π² Π°ΡΡΡΠΈΡΠΈΡΠ΅ΡΠΊΡΡ ΡΠ°Π·Ρ
Π Π°ΡΡΡΠΈΡΠΈΡΠ΅ΡΠΊΡΡ ΡΠ°Π·Ρ Π·Π°Π±ΠΎΠ»Π΅Π²Π°Π½ΠΈΡ ΠΎΡΠΌΠ΅ΡΠ°Π΅ΡΡΡ ΠΏΡΠΎΡΡΠ² ΡΠΏΠ΅ΡΠΈΡΠΈΡΠ΅ΡΠΊΠΎΠ³ΠΎ Π²ΠΎΡΠΏΠ°Π»Π΅Π½ΠΈΡ Π² ΠΏΠΎΠ»ΠΎΡΡΡ ΡΡΡΡΠ°Π²Π°, ΡΡΠΎ ΡΠΎΠΏΡΠΎΠ²ΠΎΠΆΠ΄Π°Π΅ΡΡΡ ΠΏΠΎΠ²ΡΡΠ΅Π½Π½ΠΎΠΉ ΡΠ΅ΠΌΠΏΠ΅ΡΠ°ΡΡΡΠΎΠΉ ΡΠ΅Π»Π°. ΠΠ΅ΡΡΠΎ ΠΏΠΎΡΠ°ΠΆΠ΅Π½ΠΈΡ ΠΈΠΌΠ΅Π΅Ρ ΠΏΠΎΠ²ΡΡΠ΅Π½Π½ΡΡ ΡΠ΅ΠΌΠΏΠ΅ΡΠ°ΡΡΡΡ. ΠΠΎΠΆΠ½Π°Ρ ΡΠΊΠ»Π°Π΄ΠΊΠ° ΠΏΡΠΈ Π·Π°Ρ Π²Π°ΡΡΠ²Π°Π½ΠΈΠΈ ΡΡΠΎΠ»ΡΠ΅Π½Π°. ΠΠΎΠΊΡΡΠ³ Π±ΠΎΠ»ΡΠ½ΠΎΠ³ΠΎ ΡΡΡΡΠ°Π²Π° ΠΌΡΠ³ΠΊΠΈΠ΅ ΡΠΊΠ°Π½ΠΈ ΠΎΡΠ΅ΠΊΠ°ΡΡ. ΠΠΎΡΡΠ΅ΠΏΠ΅Π½Π½ΠΎ Π½Π°ΡΠΈΠ½Π°ΡΡ ΡΠ³Π»Π°ΠΆΠΈΠ²Π°ΡΡΡΡ ΠΊΠΎΠ½ΡΡΡΡ ΡΡΡΡΠ°Π²Π°. Π‘ΡΡΡΠ°Π² ΡΡΠ°Π½ΠΎΠ²ΠΈΡΡΡ ΠΌΠ°Π»ΠΎΠΏΠΎΠ΄Π²ΠΈΠΆΠ½ΡΠΌ, ΠΈΠ½ΠΎΠ³Π΄Π° Π²ΠΎΠ·Π½ΠΈΠΊΠ°Π΅Ρ ΠΏΠΎΠ»Π½Π°Ρ Π±Π»ΠΎΠΊΠΈΡΠΎΠ²ΠΊΠ°. ΠΡΠΈ ΠΈΠΌΠΌΠΎΠ±ΠΈΠ»ΠΈΠ·Π°ΡΠΈΠΈ ΡΡΡΡΠ°Π²Π° ΡΠ²Π»Π΅Π½ΠΈΡ Π²ΠΎΡΠΏΠ°Π»Π΅Π½ΠΈΡ ΡΠ΅ΡΠ΅Π· Π½Π΅Π΄Π΅Π»Ρ ΡΠΌΠ΅Π½ΡΡΠ°ΡΡΡΡ.
Π‘ΠΈΠΌΠΏΡΠΎΠΌΡ ΠΈΠ½ΡΠΎΠΊΡΠΈΠΊΠ°ΡΠΈΠΈ Π² ΠΏΠ΅ΡΠΈΠΎΠ΄ ΡΠ°Π·Π³Π°ΡΠ° Π·Π°Π±ΠΎΠ»Π΅Π²Π°Π½ΠΈΡ Π±ΠΎΠ»Π΅Π΅ Π²ΡΡΠ°ΠΆΠ΅Π½Ρ. ΠΠ±ΡΠ΅ΠΌ ΠΏΠΎΡΠ°ΠΆΠ΅Π½Π½ΠΎΠ³ΠΎ ΡΡΡΡΠ°Π²Π° ΡΠ²Π΅Π»ΠΈΡΠΈΠ²Π°Π΅ΡΡΡ, ΡΡΡΡΠ°Π²Π½ΡΠ΅ ΠΊΠΎΠ½ΡΡ ΡΠΌΠ΅ΡΠ°ΡΡΡΡ, ΡΡΡΠ°Π½ΠΎΠ²ΠΊΠ° Π½Π΅ΠΏΡΠ°Π²ΠΈΠ»ΡΠ½Π°Ρ (ΠΏΠΎΡΠΎΡΠ½Π°), ΠΈΠ·-Π·Π° ΡΠ΅Π³ΠΎ ΡΠ°ΡΡΠΎ ΠΎΠ±ΡΠ°Π·ΡΡΡΡΡ Π²ΡΠ²ΠΈΡ ΠΈ ΠΈ ΠΏΠΎΠ΄Π²ΡΠ²ΠΈΡ ΠΈ ΡΡΡΡΠ°Π²Π°. Π ΠΏΠ΅ΡΠΈΠΎΠ΄ ΡΠ΅ΠΌΠΈΡΡΠΈΠΈ Π·Π°Π±ΠΎΠ»Π΅Π²Π°Π½ΠΈΡ Π²ΡΠ΅ ΡΠΈΠΌΠΏΡΠΎΠΌΡ ΠΏΠΎΡΡΠ΅ΠΏΠ΅Π½Π½ΠΎ Π·Π°ΡΠΈΡ Π°ΡΡ, Π½ΠΎ ΠΎΡΡΠ°ΡΡΡΡ ΡΡΠ½ΠΊΡΠΈΠΎΠ½Π°Π»ΡΠ½ΡΠ΅ Π½Π°ΡΡΡΠ΅Π½ΠΈΡ.
Π‘ΠΈΠΌΠΏΡΠΎΠΌΡ ΡΡΠ±Π΅ΡΠΊΡΠ»Π΅Π·Π° ΡΡΡΡΠ°Π²ΠΎΠ² ΠΈ ΠΊΠ»ΠΈΠ½ΠΈΡΠ΅ΡΠΊΠ°Ρ ΠΊΠ°ΡΡΠΈΠ½Π° Π² ΠΏΠΎΡΡΠ°ΡΡΡΠΈΡΠΈΡΠ΅ΡΠΊΡΡ ΡΠ°Π·Ρ
Π ΡΡΡ ΡΠ°Π·Ρ Π·Π°Π±ΠΎΠ»Π΅Π²Π°Π½ΠΈΡ ΡΠΎΡΡΠΎΡΠ½ΠΈΠ΅ Π±ΠΎΠ»ΡΠ½ΠΎΠ³ΠΎ ΡΠ°ΡΡΠ΅Π½ΠΈΠ²Π°Π΅ΡΡΡ ΠΊΠ°ΠΊ ΡΠ΄ΠΎΠ²Π»Π΅ΡΠ²ΠΎΡΠΈΡΠ΅Π»ΡΠ½ΠΎΠ΅. ΠΠΎΠ½Π΅ΡΠ½ΠΎΡΡΡ ΡΠΊΠΎΡΠΎΡΠ΅Π½Π°. ΠΠΎΠ»ΡΠ½ΠΎΠΉ ΡΡΡΡΠ°Π² Π΄Π΅ΡΠΎΡΠΌΠΈΡΠΎΠ²Π°Π½. ΠΡΠ³ΠΊΠΈΠ΅ ΡΠΊΠ°Π½ΠΈ Π°ΡΡΠΎΡΠΈΡΠΎΠ²Π°Π½Ρ. Π€ΡΠ½ΠΊΡΠΈΠΎΠ½Π°Π»ΡΠ½Π°Ρ Π½Π΅ΠΏΠΎΠ»Π½ΠΎΡΠ΅Π½Π½ΠΎΡΡΡ ΠΊΠΎΠ½Π΅ΡΠ½ΠΎΡΡΠΈ ΠΈ ΠΏΠ°ΡΠΎΠ»ΠΎΠ³ΠΈΡΠ΅ΡΠΊΠΈΠ΅ ΠΈΠ·ΠΌΠ΅Π½Π΅Π½ΠΈΡ Π²ΡΠ·ΡΠ²Π°ΡΡ Π±ΠΎΠ»ΠΈ ΠΏΡΠΈ Ρ ΠΎΠ΄ΡΠ±Π΅ ΠΈ Π² ΠΏΠΎΠΊΠΎΠ΅.

Π ΠΈΡ. 13. ΠΠ° ΡΠΎΡΠΎ ΡΡΠ±Π΅ΡΠΊΡΠ»Π΅Π· ΡΡΡΡΠ°Π²Π°. ΠΠΎΠ»ΠΎΠ²ΠΊΠ° Π»Π΅Π²ΠΎΠ³ΠΎ ΡΠ°Π·ΠΎΠ±Π΅Π΄ΡΠ΅Π½Π½ΠΎΠ³ΠΎ ΡΡΡΡΠ°Π²Π° ΠΏΠΎΠ»Π½ΠΎΡΡΡΡ ΡΠ°Π·ΡΡΡΠ΅Π½Π°. 1 β ΠΎΠΌΠ΅ΡΡΠ²Π΅Π²ΡΠΈΠ΅ ΡΡΠ°ΡΡΠΊΠΈ ΠΊΠΎΡΡΠ½ΠΎΠΉ ΡΠΊΠ°Π½ΠΈ (ΡΠ΅ΠΊΠ²Π΅ΡΡΡΡ), 2 β Π² ΠΌΡΠ³ΠΊΠΈΡ ΡΠΊΠ°Π½ΡΡ Π±Π΅Π΄ΡΠ° Π²ΠΈΠ΄Π΅Π½ Π½Π°ΡΠ΅ΡΠ½ΡΠΉ Π°Π±ΡΡΠ΅ΡΡ.

Π ΠΈΡ. 14. Π£Π²Π΅Π»ΠΈΡΠ΅Π½Π½ΡΠΉ ΡΡΡΡΠ°Π² ΠΈ ΡΠΊΠΎΡΠΎΡΠ΅Π½Π½Π°Ρ ΠΊΠΎΠ½Π΅ΡΠ½ΠΎΡΡΡ β ΠΎΡΠ½ΠΎΠ²Π½ΡΠ΅ ΠΏΡΠΈΠ·Π½Π°ΠΊΠΈ ΡΡΠ±Π΅ΡΠΊΡΠ»Π΅Π·Π°.
ΠΊ ΡΠΎΠ΄Π΅ΡΠΆΠ°Π½ΠΈΡ βΠ‘ΠΈΠΌΠΏΡΠΎΠΌΡ ΠΈ ΠΏΡΠΈΠ·Π½Π°ΠΊΠΈ ΡΡΠ±Π΅ΡΠΊΡΠ»Π΅Π·Π° Ρ Π΄Π΅ΡΠ΅ΠΉ
ΠΡΠΈΠ·Π½Π°ΠΊΠΈ ΠΈ ΡΠΈΠΌΠΏΡΠΎΠΌΡ ΡΡΠ±Π΅ΡΠΊΡΠ»Π΅Π·Π° Ρ Π΄Π΅ΡΠ΅ΠΉ Π½Π΅ ΠΎΠ±Π»Π°Π΄Π°ΡΡ ΡΠΏΠ΅ΡΠΈΡΠΈΡΠ½ΠΎΡΡΡΡ. ΠΠ»ΠΈΠ½ΠΈΡΠ΅ΡΠΊΠ°Ρ ΠΊΠ°ΡΡΠΈΠ½Π° ΡΠΊΠ»Π°Π΄ΡΠ²Π°Π΅ΡΡΡ ΠΈΠ· ΡΠΈΠΌΠΏΡΠΎΠΌΠΎΠ² ΠΈΠ½ΡΠΎΠΊΡΠΈΠΊΠ°ΡΠΈΠΈ, ΠΌΠ΅ΡΡΠ½ΡΡ ΡΠΈΠΌΠΏΡΠΎΠΌΠΎΠ² ΠΈ Π½Π°Π»ΠΈΡΠΈΡ ΠΏΠ°ΡΠ°ΡΠΏΠ΅ΡΠΈΡΠΈΡΠ΅ΡΠΊΠΈΡ ΡΠ΅Π°ΠΊΡΠΈΠΉ.
Π‘ΠΈΠΌΠΏΡΠΎΠΌΡ ΡΡΠ±Π΅ΡΠΊΡΠ»Π΅Π·Π° Ρ Π΄Π΅ΡΠ΅ΠΉ Π² ΠΏΠ΅ΡΠΈΠΎΠ΄ ΠΏΠ΅ΡΠ²ΠΈΡΠ½ΠΎΠΉ ΡΡΠ±Π΅ΡΠΊΡΠ»Π΅Π·Π½ΠΎΠΉ ΠΈΠ½ΡΠ΅ΠΊΡΠΈΠΈ ΠΎΠ±ΡΡΠ»ΠΎΠ²Π»Π΅Π½Ρ:
- ΠΏΠ°ΡΠ°ΡΠΏΠ΅ΡΠΈΡΠΈΡΠ΅ΡΠΊΠΈΠΌΠΈ ΡΠ΅Π°ΠΊΡΠΈΡΠΌΠΈ (ΡΠΊΠ°ΠΏΠ»ΠΈΠ²Π°Π½ΠΈΠ΅ ΠΎΠΏΡΠ΅Π΄Π΅Π»Π΅Π½Π½ΡΡ Π³ΡΡΠΏΠΏ ΠΊΠ»Π΅ΡΠΎΠΊ Π² ΠΎΡΠ²Π΅Ρ Π½Π° Π²Π½Π΅Π΄ΡΠ΅Π½ΠΈΠ΅ ΠΠΠ’),
- ΠΈΠ½ΡΠΎΠΊΡΠΈΠΊΠ°ΡΠΈΠ΅ΠΉ,
- Π»ΠΈΡ ΠΎΡΠ°Π΄ΠΊΠΎΠΉ.
Π‘ΠΈΠΌΠΏΡΠΎΠΌΡ ΡΡΠ±Π΅ΡΠΊΡΠ»Π΅Π·Π° Ρ Π΄Π΅ΡΠ΅ΠΉ Π² ΠΏΠ΅ΡΠΈΠΎΠ΄ ΡΠ°Π·Π²ΠΈΡΠΈΡ Π»ΠΎΠΊΠ°Π»ΡΠ½ΡΡ ΡΠΎΡΠΌ Π·Π°Π±ΠΎΠ»Π΅Π²Π°Π½ΠΈΡ Π·Π°Π²ΠΈΡΡΡ ΠΎΡ ΠΎΠ±ΡΠ΅ΠΌΠ° ΠΏΠΎΡΠ°ΠΆΠ΅Π½ΠΈΡ ΡΠΊΠ°Π½Π΅ΠΉ, ΠΊΠΎΠ»ΠΈΡΠ΅ΡΡΠ²Π° ΡΠ°ΡΠΏΠ»Π°Π²Π»Π΅Π½Π½ΡΡ ΠΊΠ°Π·Π΅ΠΎΠ·Π½ΡΡ ΠΌΠ°ΡΡ ΠΈ ΡΠ°Π·Π²ΠΈΡΠΈΡ ΠΎΡΠ»ΠΎΠΆΠ½Π΅Π½ΠΈΠΉ.
Π‘ΠΈΠΌΠΏΡΠΎΠΌ ΠΈΠ½ΡΠΎΠΊΡΠΈΠΊΠ°ΡΠΈΠΈ
Π‘ΠΈΠΌΠΏΡΠΎΠΌΡ ΠΈΠ½ΡΠΎΠΊΡΠΈΠΊΠ°ΡΠΈΠΈ ΠΏΠΎΡΠ²Π»ΡΡΡΡΡ Π² ΠΏΠ΅ΡΠΈΠΎΠ΄ ΡΠ°Π·Π²ΠΈΡΠΈΡ ΠΏΠ΅ΡΠ²ΠΈΡΠ½ΠΎΠΉ ΡΡΠ±Π΅ΡΠΊΡΠ»Π΅Π·Π½ΠΎΠΉ ΠΈΠ½ΡΠ΅ΠΊΡΠΈΠΈ, ΠΊΠΎΠ³Π΄Π° ΠΎΡΡΡΡΡΡΠ²ΡΡΡ Π²ΠΈΠ΄ΠΈΠΌΡΠ΅ ΠΎΡΠ°Π³ΠΎΠ²ΡΠ΅ ΠΏΠΎΡΠ°ΠΆΠ΅Π½ΠΈΡ. ΠΠ½ΠΈ Π±ΡΠ²Π°ΡΡ ΡΠ°Π·Π½ΠΎΠΉ ΡΡΠ΅ΠΏΠ΅Π½ΠΈ Π²ΡΡΠ°ΠΆΠ΅Π½Π½ΠΎΡΡΠΈ ΠΈ Π·Π°Π²ΠΈΡΡΡ ΠΎΡ ΡΡΠ°Π΄ΠΈΠΈ ΡΠΏΠ΅ΡΠΈΡΠΈΡΠ΅ΡΠΊΠΎΠ³ΠΎ ΠΏΡΠΎΡΠ΅ΡΡΠ°. ΠΡΠ»ΠΈ ΠΈΠ΄Π΅Ρ ΠΏΡΠΎΡΠ΅ΡΡ ΡΠ°Π·ΠΌΠ½ΠΎΠΆΠ΅Π½ΠΈΡ ΠΠΠ’, ΡΠΎ ΡΠΈΠΌΠΏΡΠΎΠΌΡ ΠΈΠ½ΡΠΎΠΊΡΠΈΠΊΠ°ΡΠΈΠΈ Π²ΡΡΠ°ΠΆΠ΅Π½Ρ Π·Π½Π°ΡΠΈΡΠ΅Π»ΡΠ½ΠΎ. ΠΡΠΈ ΠΎΠ±ΡΠ°ΡΠ½ΠΎΠΌ ΡΠ°Π·Π²ΠΈΡΠΈΠΈ Π·Π°Π±ΠΎΠ»Π΅Π²Π°Π½ΠΈΡ ΡΠΈΠΌΠΏΡΠΎΠΌΡ ΠΈΠ½ΡΠΎΠΊΡΠΈΠΊΠ°ΡΠΈΠΈ Π½Π°ΡΠΈΠ½Π°ΡΡ ΠΎΡΠ»Π°Π±Π΅Π²Π°ΡΡ ΠΈ ΠΈΡΡΠ΅Π·Π°ΡΡ Π²ΠΎΠ²ΡΠ΅.
Π ΡΠΈΠΌΠΏΡΠΎΠΌΠ°ΠΌ ΠΈΠ½ΡΠΎΠΊΡΠΈΠΊΠ°ΡΠΈΠΈ ΠΎΡΠ½ΠΎΡΡΡΡΡ:
- ΡΡ ΡΠ΄ΡΠ΅Π½ΠΈΠ΅ ΠΎΠ±ΡΠ΅Π³ΠΎ ΡΠ°ΠΌΠΎΡΡΠ²ΡΡΠ²ΠΈΡ,
- ΡΡΠ±ΡΠ΅Π±ΡΠΈΠ»ΡΠ½Π°Ρ ΡΠ΅ΠΌΠΏΠ΅ΡΠ°ΡΡΡΠ° ΡΠ΅Π»Π°,
- ΠΏΠΎΡΠ΅ΡΡ Π°ΠΏΠΏΠ΅ΡΠΈΡΠ°,
- ΡΠ½ΠΈΠΆΠ΅Π½ΠΈΠ΅ Π²Π΅ΡΠ°,
- ΡΠ»Π°Π±ΠΎΡΡΡ,
- ΠΏΠΎΡΠ»ΠΈΠ²ΠΎΡΡΡ,
- ΠΎΡΡΡΠ°Π²Π°Π½ΠΈΠ΅ Π² ΡΠ°Π·Π²ΠΈΡΠΈΠΈ, Π±Π»Π΅Π΄Π½ΠΎΡΡΡ ΠΊΠΎΠΆΠ½ΡΡ ΠΏΠΎΠΊΡΠΎΠ²ΠΎΠ²,
- Π½Π΅ΠΉΡΠΎΠ²Π΅Π³Π΅ΡΠ°ΡΠΈΠ²Π½ΡΠ΅ Π½Π°ΡΡΡΠ΅Π½ΠΈΡ, ΡΡΠΎ ΠΏΡΠΎΡΠ²Π»ΡΠ΅ΡΡΡ ΠΏΠΎΡΠ»ΠΈΠ²ΠΎΡΡΡΡ Π»Π°Π΄ΠΎΠ½Π΅ΠΉ ΠΈ ΡΡΠΎΠΏ (Π΄ΠΈΡΡΠ°Π»ΡΠ½ΡΠΉ Π΄ΠΈΡΠ³ΠΈΠ΄ΡΠΎΠ·), ΡΠ°Ρ ΠΈΠΊΠ°ΡΠ΄ΠΈΠ΅ΠΉ, Π²ΠΎΠ·Π±ΡΠ΄ΠΈΠΌΠΎΡΡΡΡ ΠΈΠ»ΠΈ ΡΠ³Π½Π΅ΡΠ΅Π½ΠΈΠ΅ΠΌ, ΡΠ°Ρ ΠΈΠΊΠ°ΡΠ΄ΠΈΠ΅ΠΉ.
Π‘ΠΈΠΌΠΏΡΠΎΠΌΡ ΠΈΠ½ΡΠΎΠΊΡΠΈΠΊΠ°ΡΠΈΠΈ Ρ Π΄Π΅ΡΠ΅ΠΉ ΠΏΠΎΡΠ²Π»ΡΡΡΡΡ ΠΈΡΠΏΠΎΠ΄Π²ΠΎΠ»Ρ ΠΈ Π½Π΅ ΠΎΠ±Π»Π°Π΄Π°ΡΡ ΡΠ°ΠΊΠΎΠΉ Π²ΡΡΠ°ΠΆΠ΅Π½Π½ΠΎΡΡΡΡ, ΠΊΠ°ΠΊ ΠΏΡΠΈ ΠΠ ΠΠ.
ΠΠΈΡ ΠΎΡΠ°Π΄ΠΊΠ°
Π Π½Π°ΡΡΠΎΡΡΠ΅Π΅ Π²ΡΠ΅ΠΌΡ ΡΠΈΠΏΠΈΡΠ½Π°Ρ Π»ΠΈΡ ΠΎΡΠ°Π΄ΠΊΠ° ΠΎΡΠ΅Π½Ρ ΡΠ΅Π΄ΠΊΠΎ Π½Π°Π±Π»ΡΠ΄Π°Π΅ΡΡΡ Ρ Π΄Π΅ΡΠ΅ΠΉ ΠΈ ΠΏΠΎΠ΄ΡΠΎΡΡΠΊΠΎΠ².
Π‘ΠΈΠ½Π΄ΡΠΎΠΌ ΠΏΠ°ΡΠ°ΡΠΏΠ΅ΡΠΈΡΠΈΡΠ΅ΡΠΊΠΈΡ ΡΠ΅Π°ΠΊΡΠΈΠΉ
ΠΡΠΈΠ·Π½Π°ΠΊΠΈ ΡΡΠ±Π΅ΡΠΊΡΠ»Π΅Π·Π° Π² Π²ΠΈΠ΄Π΅ ΠΏΠ°ΡΠ°ΡΠΏΠ΅ΡΠΈΡΠΈΡΠ΅ΡΠΊΠΈΡ ΡΠ΅Π°ΠΊΡΠΈΠΉ ΠΏΠΎΡΠ²Π»ΡΡΡΡΡ ΠΏΡΠΈ ΠΏΠ΅ΡΠ²ΠΈΡΠ½ΠΎΠΌ ΡΡΠ±Π΅ΡΠΊΡΠ»Π΅Π·Π΅ Ρ Π΄Π΅ΡΠ΅ΠΉ, ΠΊΠΎΠ³Π΄Π° ΠΏΠΎΡΠ»Π΅ ΠΎΠ±ΡΠ°Π·ΠΎΠ²Π°Π½ΠΈΡ Π°Π½ΡΠΈΡΠ΅Π», ΠΠΠ’ ΡΡ ΠΎΠ΄ΡΡ ΠΈΠ· ΠΊΡΠΎΠ²ΠΈ Π² ΠΎΡΠ³Π°Π½Ρ Π ΠΠ‘ (ΡΠ΅ΡΠΈΠΊΡΠ»ΠΎΡΠ½Π΄ΠΎΡΠ΅Π»ΠΈΠ°Π»ΡΠ½ΡΡ ΡΠΈΡΡΠ΅ΠΌΡ β ΡΠΈΡΡΠ΅ΠΌΡ ΠΌΠ°ΠΊΡΠΎΡΠ°Π³ΠΎΠ²). ΠΠ΅ ΠΊΠ»Π΅ΡΠΊΠΈ Π½Π°Ρ ΠΎΠ΄ΡΡΡΡ Π² ΡΠ°ΠΌΡΡ ΡΠ°Π·Π½ΡΡ ΠΎΡΠ΄Π΅Π»Π°Ρ ΠΎΡΠ³Π°Π½ΠΈΠ·ΠΌΠ° β Π»ΠΈΠΌΡΠΎΡΠ·Π»Π°Ρ , ΡΠ΅Π»Π΅Π·Π΅Π½ΠΊΠ΅, ΠΏΠ΅ΡΠ΅Π½ΠΈ, Π² ΡΡΠ΅Π½ΠΊΠ°Ρ ΠΊΡΠΎΠ²Π΅Π½ΠΎΡΠ½ΡΡ ΡΠΎΡΡΠ΄ΠΎΠ², ΡΠΎΠ΅Π΄ΠΈΠ½ΠΈΡΠ΅Π»ΡΠ½ΠΎΠΉ ΡΠΊΠ°Π½ΠΈ. ΠΠ·ΠΌΠ΅Π½Π΅Π½ΠΈΡ ΠΌΠΎΠ³ΡΡ ΡΠ΅Π³ΠΈΡΡΡΠΈΡΠΎΠ²Π°ΡΡΡΡ Π² ΡΠ°ΠΌΡΡ ΡΠ°Π·Π½ΡΡ ΠΎΡΠ³Π°Π½Π°Ρ ΡΠ΅Π±Π΅Π½ΠΊΠ°. ΠΠ½ΠΈ ΠΏΡΠΎΡΠ²Π»ΡΡΡΡΡ Π² Π²ΠΈΠ΄Π΅ Π²Π°ΡΠΊΡΠ»ΠΈΡΠΎΠ², ΡΠ΅ΡΠΎΠ·ΠΈΡΠΎΠ², Π°ΡΡΡΠΈΡΠΎΠ², ΡΡΠΈΡΠ΅ΠΌΡ Π½ΠΎΠ΄ΠΎΠ·ΡΠΌ ΠΈ ΡΠ²Π΅Π»ΠΈΡΠ΅Π½ΠΈΠΈ Π»ΠΈΠΌΡΠ°ΡΠΈΡΠ΅ΡΠΊΠΈΡ ΡΠ·Π»ΠΎΠ².
ΠΠ°ΡΠ°ΡΠΏΠ΅ΡΠΈΡΠΈΡΠ΅ΡΠΊΠΈΠ΅ ΡΠ΅Π°ΠΊΡΠΈΠΈ β ΡΡΠΎ Π½Π΅ ΡΡΠ±Π΅ΡΠΊΡΠ»Π΅Π·Π½ΠΎΠ΅ Π²ΠΎΡΠΏΠ°Π»Π΅Π½ΠΈΠ΅, Π° ΡΠΊΠΎΠΏΠ»Π΅Π½ΠΈΠ΅ ΠΎΠΏΡΠ΅Π΄Π΅Π»Π΅Π½Π½ΡΡ Π³ΡΡΠΏΠΏ ΠΊΠ»Π΅ΡΠΎΠΊ Π² Π²ΡΡΠ΅ΠΏΠ΅ΡΠ΅ΡΠΈΡΠ»Π΅Π½Π½ΡΡ ΠΎΡΠ³Π°Π½Π°Ρ Π² ΠΎΡΠ²Π΅Ρ Π½Π° Π²Π½Π΅Π΄ΡΠ΅Π½ΠΈΠ΅ ΠΠΠ’.
Π‘ΠΈΠΌΠΏΡΠΎΠΌΡ ΠΈ ΠΏΡΠΈΠ·Π½Π°ΠΊΠΈ ΡΡΠ±Π΅ΡΠΊΡΠ»Π΅Π·Π° Ρ Π΄Π΅ΡΠ΅ΠΉ Π² Π²ΠΈΠ΄Π΅ ΠΏΠ°ΡΠ°ΡΠΏΠ΅ΡΠΈΡΠΈΡΠ΅ΡΠΊΠΈΡ ΡΠ΅Π°ΠΊΡΠΈΠΉ Ρ Π°ΡΠ°ΠΊΡΠ΅ΡΠΈΠ·ΡΡΡΡΡ ΠΈΠ·ΠΌΠ΅Π½Π΅Π½ΠΈΡΠΌΠΈ:
- Π‘ΠΎ ΡΡΠΎΡΠΎΠ½Ρ Π³Π»Π°Π· ΠΏΠ°ΡΠ°ΡΠΏΠ΅ΡΠΈΡΠΈΡΠ΅ΡΠΊΠ°Ρ ΡΠ΅Π°ΠΊΡΠΈΡ ΡΠ°ΡΠ΅ ΠΏΡΠΎΡΠ²Π»ΡΠ΅ΡΡΡ Π² Π²ΠΈΠ΄Π΅ Π±Π»Π΅ΡΠ°ΡΠΈΡΠ° ΠΈΠ»ΠΈ ΠΊΠΎΠ½ΡΡΠ½ΠΊΡΠΈΠ²ΠΈΡΠ°, ΠΈΠ»ΠΈ ΠΈΡ ΡΠΎΡΠ΅ΡΠ°Π½ΠΈΠ΅. ΠΠ°ΡΠ°ΡΠΏΠ΅ΡΠΈΡΠΈΡΠ΅ΡΠΊΠ°Ρ ΡΠ΅Π°ΠΊΡΠΈΡ Π²ΡΠ΅Π³Π΄Π° ΠΏΡΠΎΡΠ΅ΠΊΠ°Π΅Ρ Π±ΡΡΠ½ΠΎ, ΡΠΎ ΡΠ»Π΅Π·ΠΎΡΠ΅ΡΠ΅Π½ΠΈΠ΅ΠΌ ΠΈ ΡΠ²Π΅ΡΠΎΠ±ΠΎΡΠ·Π½ΡΡ. Π Π΅Π°ΠΊΡΠΈΡ ΠΠ°Π½ΡΡ Π΄Π΅ΡΡΠΌ Ρ ΡΠ°ΠΊΠΈΠΌΠΈ ΠΏΡΠΎΡΠ²Π»Π΅Π½ΠΈΡΠΌΠΈ Π½Π΅ ΡΡΠ°Π²ΠΈΡΡΡ. ΠΡΠ΅ΠΆΠ΄Π΅ Π½ΡΠΆΠ½Π° ΠΊΠΎΠ½ΡΡΠ»ΡΡΠ°ΡΠΈΡ ΠΎΠΊΡΠ»ΠΈΡΡΠ°.
- Π‘ΠΎ ΡΡΠΎΡΠΎΠ½Ρ ΡΡΡΡΠ°Π²ΠΎΠ² ΠΏΠ°ΡΠ°ΡΠΏΠ΅ΡΠΈΡΠΈΡΠ΅ΡΠΊΠ°Ρ ΡΠ΅Π°ΠΊΡΠΈΡ ΠΏΡΠΎΡΠ΅ΠΊΠ°Π΅Ρ ΠΏΠΎΠ΄ ΠΌΠ°ΡΠΊΠΎΠΉ Π°ΡΡΡΠΈΡΠ°.
- Π‘ΠΎ ΡΡΠΎΡΠΎΠ½Ρ ΠΊΠΎΠΆΠ½ΡΡ ΠΏΠΎΠΊΡΠΎΠ²ΠΎΠ² ΠΏΠ°ΡΠ°ΡΠΏΠ΅ΡΠΈΡΠΈΡΠ΅ΡΠΊΠ°Ρ ΡΠ΅Π°ΠΊΡΠΈΡ ΠΏΡΠΎΡΠ²Π»ΡΠ΅ΡΡΡ Π² Π²ΠΈΠ΄Π΅ ΠΊΠΎΠ»ΡΡΠ΅Π²ΠΈΠ΄Π½ΠΎΠΉ ΡΡΠΈΡΠ΅ΠΌΡ, ΠΊΠΎΡΠΎΡΠ°Ρ Π»ΠΎΠΊΠ°Π»ΠΈΠ·ΡΠ΅ΡΡΡ ΡΠ°ΡΠ΅ Π²ΡΠ΅Π³ΠΎ Π½Π° ΠΊΠΎΠΆΠ΅ ΠΏΠ΅ΡΠ΅Π΄Π½Π΅ΠΉ ΡΠ°ΡΡΠΈ Π³ΠΎΠ»Π΅Π½ΠΈ, ΡΠ΅ΠΆΠ΅ β Π½Π° ΠΊΠΎΠΆΠ΅ ΠΊΠΈΡΡΠ΅ΠΉ ΡΡΠΊ, ΡΠ³ΠΎΠ΄ΠΈΡ, Π³ΠΎΠ»Π΅Π½ΠΎΡΡΠΎΠΏΠΎΠ² (ΠΎΠ±Π»Π°ΡΡΠΈ Π±Π»ΠΈΠΆΠ΅ ΠΊ ΠΏΡΡΠΎΡΠΊΠ΅). Π Π΅Π±Π΅Π½ΠΊΠ° Π½Π°Π΄ΠΎ ΠΎΡΠΌΠ°ΡΡΠΈΠ²Π°ΡΡ Π²ΡΠ΅Π³ΠΎ!
- Π Π΅Π°ΠΊΡΠΈΡ ΡΠ²Π΅Π»ΠΈΡΠ΅Π½ΠΈΡ Π»ΠΈΠΌΡΠΎΡΠ·Π»ΠΎΠ² ΠΏΡΠΈΡΡΡΡΡΠ²ΡΠ΅Ρ Π²ΡΠ΅Π³Π΄Π°. Π£Π²Π΅Π»ΠΈΡΠ΅Π½Π½ΡΠ΅ Π»ΠΈΠΌΡΠΎΡΠ·Π»Ρ Π±Π΅Π·Π±ΠΎΠ»Π΅Π·Π½Π΅Π½Π½ΡΠ΅ ΠΈ ΠΏΠΎΠ΄Π²ΠΈΠΆΠ½ΡΠ΅. Π£Π²Π΅Π»ΠΈΡΠΈΠ²Π°Π΅ΡΡΡ Π²ΡΠ΅Π³Π΄Π° Π³ΡΡΠΏΠΏΠ° Π»ΠΈΠΌΡΠΎΡΠ·Π»ΠΎΠ², Π° Π½Π΅ ΠΎΠ΄ΠΈΠ½ Π»ΠΈΠΌΡΠΎΡΠ·Π΅Π». ΠΠ½Π°ΡΠ°Π»Π΅ ΠΏΡΠΎΡΠ΅ΡΡΠ° ΠΎΠ½ΠΈ ΠΌΡΠ³ΠΊΠΎΠΉ ΠΊΠΎΠ½ΡΠΈΡΡΠ΅Π½ΡΠΈΠΈ, Π΄Π°Π»Π΅Π΅ β ΡΠ»Π°ΡΡΠΈΡΠ½ΠΎΠΉ, ΠΏΡΠΈ Ρ ΡΠΎΠ½ΠΈΡΠ΅ΡΠΊΠΎΠΌ ΡΠ΅ΡΠ΅Π½ΠΈΠΈ Π»ΠΈΠΌΡΠΎΡΠ·Π»Ρ ΠΏΠ»ΠΎΡΠ½ΡΠ΅, ΠΊΠ°ΠΊ Β«ΠΊΠ°ΠΌΠ΅ΡΠΊΠΈΒ».
ΠΡΠΈΠ·Π½Π°ΠΊΠΈ ΡΡΠ±Π΅ΡΠΊΡΠ»Π΅Π·Π° Π² Π²ΠΈΠ΄Π΅ ΠΏΠ°ΡΠ°ΡΠΏΠ΅ΡΠΈΡΠΈΡΠ΅ΡΠΊΠΈΡ ΡΠ΅Π°ΠΊΡΠΈΠΉ ΠΏΡΠΎΡ ΠΎΠ΄ΡΡ Π² ΡΠ΅ΡΠ΅Π½ΠΈΠ΅ 1,5 β 2 ΠΌΠ΅ΡΡΡΠ΅Π². Π‘Π°ΠΌΠΎ Π·Π°Π±ΠΎΠ»Π΅Π²Π°Π½ΠΈΠ΅ Π»Π΅ΡΠΈΡΡΡ Π·Π½Π°ΡΠΈΡΠ΅Π»ΡΠ½ΠΎ Π΄ΠΎΠ»ΡΡΠ΅. ΠΡΠ΅Π½Ρ ΡΠ°ΡΡΠΎ ΠΏΠ°ΡΠ°ΡΠΏΠ΅ΡΠΈΡΠΈΡΠ΅ΡΠΊΠΈΠ΅ ΡΠ΅Π°ΠΊΡΠΈΠΈ ΠΏΠΎΡΠ²Π»ΡΡΡΡΡ ΡΠΎΠ³Π΄Π°, ΠΊΠΎΠ³Π΄Π° ΠΈΠΌΠ΅ΡΡΡΡ Π»ΠΎΠΊΠ°Π»ΡΠ½ΡΠ΅ ΡΠΎΡΠΌΡ Π·Π°Π±ΠΎΠ»Π΅Π½ΠΈΡ.

Π ΠΈΡ. 15.Π€Π»ΠΈΠΊΡΠ΅Π½Π° β ΠΏΠ°ΡΠ°ΡΠΏΠ΅ΡΠΈΡΠΈΡΠ΅ΡΠΊΠ°Ρ ΡΠ΅Π°ΠΊΡΠΈΡ (ΡΠ»Π΅Π²Π°), ΠΊΠ΅ΡΠ°ΡΠΎΠΊΠΎΠ½ΡΡΠ½ΠΊΡΠΈΠ²ΠΈΡ (ΡΠΏΡΠ°Π²Π°) ΠΌΠΎΠ³ΡΡ Π±ΡΡΡ ΠΏΠ΅ΡΠ²ΡΠΌΠΈ ΠΏΡΠΈΠ·Π½Π°ΠΊΠ°ΠΌΠΈ ΡΡΠ±Π΅ΡΠΊΡΠ»Π΅Π·Π° Ρ ΡΠ΅Π±Π΅Π½ΠΊΠ°.

Π ΠΈΡ. 16. Π£Π·Π»ΠΎΠ²Π°Ρ ΡΡΠΈΡΠ΅ΠΌΠ° β ΠΏΠ°ΡΠ°ΡΠΏΠ΅ΡΠΈΡΠΈΡΠ΅ΡΠΊΠ°Ρ ΡΠ΅Π°ΠΊΡΠΈΡ. ΠΠΎΠΆΠ΅Ρ Π±ΡΡΡ ΠΏΠ΅ΡΠ²ΡΠΌ ΠΏΡΠΈΠ·Π½Π°ΠΊΠΎΠΌ ΡΡΠ±Π΅ΡΠΊΡΠ»Π΅Π·Π°.

Π ΠΈΡ. 17. ΠΠΎΠ»ΠΎΠΆΠΈΡΠ΅Π»ΡΠ½Π°Ρ ΡΠ΅Π°ΠΊΡΠΈΡ ΠΠ°Π½ΡΡ ΡΠ²Π»ΡΠ΅ΡΡΡ ΠΏΡΠΈΠ·Π½Π°ΠΊΠΎΠΌ Π½Π°Π»ΠΈΡΠΈΡ ΡΡΠ±Π΅ΡΠΊΡΠ»Π΅Π·Π½ΠΎΠΉ ΠΈΠ½ΡΠ΅ΠΊΡΠΈΠΈ Π² ΠΎΡΠ³Π°Π½ΠΈΠ·ΠΌΠ΅ ΡΠ΅Π±Π΅Π½ΠΊΠ°, Π½ΠΎ Π½Π΅ Π²ΡΠ΅Π³Π΄Π° Π³ΠΎΠ²ΠΎΡΠΈΡ ΠΎ Π·Π°Π±ΠΎΠ»Π΅Π²Π°Π½ΠΈΠΈ.
Π‘ΠΈΠΌΠΏΡΠΎΠΌΡ ΠΈ ΠΏΡΠΈΠ·Π½Π°ΠΊΠΈ ΡΡΠ±Π΅ΡΠΊΡΠ»Π΅Π·Π° Ρ Π²Π·ΡΠΎΡΠ»ΡΡ ΠΈ Π΄Π΅ΡΠ΅ΠΉ Π½Π° ΠΏΠ΅ΡΠ²ΡΡ ΡΡΠ°ΠΏΠ°Ρ Π·Π°Π±ΠΎΠ»Π΅Π²Π°Π½ΠΈΡ Π΅Π΄Π²Π° Π·Π°ΠΌΠ΅ΡΠ½Ρ. ΠΠΎ ΠΌΠ΅ΡΠ΅ ΠΏΡΠΎΠ³ΡΠ΅ΡΡΠΈΡΠΎΠ²Π°Π½ΠΈΡ Π·Π°Π±ΠΎΠ»Π΅Π²Π°Π½ΠΈΡ ΠΎΠ½ΠΈ ΡΡΠ°Π½ΠΎΠ²ΡΡΡΡ Π±ΠΎΠ»Π΅Π΅ Π²ΡΡΠ°ΠΆΠ΅Π½Π½ΡΠΌΠΈ. Π‘ΠΈΠΌΠΏΡΠΎΠΌΡ ΠΈ ΠΏΡΠΈΠ·Π½Π°ΠΊΠΈ ΡΡΠ±Π΅ΡΠΊΡΠ»Π΅Π·Π° Π·Π°Π²ΠΈΡΡΡ ΠΎΡ Π»ΠΎΠΊΠ°Π»ΠΈΠ·Π°ΡΠΈΠΈ ΡΠΏΠ΅ΡΠΈΡΠΈΡΠ΅ΡΠΊΠΎΠ³ΠΎ ΠΏΡΠΎΡΠ΅ΡΡΠ°. ΠΠ΅ΡΠ²ΠΎΡΡΠ΅ΠΏΠ΅Π½Π½ΠΎΠ΅ Π·Π½Π°ΡΠ΅Π½ΠΈΠ΅ ΠΈΠΌΠ΅Π΅Ρ ΡΠΎΡΡΠΎΡΠ½ΠΈΠ΅ ΠΈΠΌΠΌΡΠ½Π½ΠΎΠΉ ΡΠΈΡΡΠ΅ΠΌΡ ΡΠ΅Π»ΠΎΠ²Π΅ΠΊΠ°. Π₯ΠΎΡΠΎΡΠΈΠΉ ΠΈΠΌΠΌΡΠ½ΠΈΡΠ΅Ρ ΠΏΡΠ΅ΠΏΡΡΡΡΠ²ΡΠ΅Ρ ΡΠ°Π·Π²ΠΈΡΠΈΡ Π·Π°Π±ΠΎΠ»Π΅Π²Π°Π½ΠΈΡ.
Β Π‘Π‘Π«ΠΠΠ ΠΠ Π’ΠΠΠΠ‘ΡΠ°ΡΡΠΈ ΡΠ°Π·Π΄Π΅Π»Π° «Π’ΡΠ±Π΅ΡΠΊΡΠ»Π΅Π·»Π‘Π°ΠΌΠΎΠ΅ ΠΏΠΎΠΏΡΠ»ΡΡΠ½ΠΎΠ΅ΠΠΠΠ ΠΠΠΠΠΠ‘Π¬ Π‘Π’ΠΠ’Π¬Π―?
ΠΠΎΠ΄ΠΏΠΈΡΠΈΡΠ΅ΡΡ Π½Π° Π½Π°ΡΡ ΡΠ°ΡΡΡΠ»ΠΊΡ!
Β Β Π‘ΡΠ°ΡΡΠΈ ΡΠ°Π·Π΄Π΅Π»Π° «Π’ΡΠ±Π΅ΡΠΊΡΠ»Π΅Π·» Β ΠΠΎΠ²ΡΠ΅ ΡΡΠ°ΡΡΠΈ Β ΠΠΎΠΏΡΠ»ΡΡΠ½ΡΠ΅ ΡΡΠ°ΡΡΠΈ Β ΠΠΎΡ ΠΎΠΆΠΈΠ΅ ΡΡΠ°ΡΡΠΈ Π ΠΌΠΈΠΊΡΠΎΠ±Π°Ρ ΠΈ Π±ΠΎΠ»Π΅Π·Π½ΡΡ Β© 2019 ΠΠ°Π²Π΅ΡΡmicrobak.ru