Лечение воспалительных заболеваний коленного сустава в Германии
Свен Рогманс, травматолог, ортопед
Специализируется по направлениям: ортопедия, травматология, специализированная хирургия несчастных случае, лечение различных видов особо тяжёлых травм.
Подробнее о специалисте →
Воспалительные заболевания коленей характеризуются развитием инфекционного или другого воспалительного процесса в суставе. К числу данных патологий относятся:
- Артрит;
- Синовит;
- Бурсит;
- Тендинит;
- Киста Бейкера.
Артрит
Воспаление коленного сустава, возникающее как следствие бактериальной инфекции или нарушений иммунной системы (ревматоидный артрит). Развивается медленно и, при отсутствии лечения, может перейти в хроническую форму.
Ревматоидный артрит относится к наиболее частым воспалительным ревматическим заболеваниям и чаще поражает женщин.Как правило, возникает в пожилом возрасте, хотя может встречаться у молодых людей и даже у детей.
Причины артрита
Как уже было отмечено, причинами являются бактериальные инфекции или нарушения иммунной системы. В последнем случае речь идет об аутоиммунном заболевании, при котором иммунная система атакует клеточные структуры собственного организма, считая их инородными. Небактериальный артрит может вызываться такими заболеваниями как псориаз или подагра. Предполагается, что эти формы заболевания могут быть обусловлены генетическим предрасположением.
Инфекция при бактериальном артрите может быть вызвана болезнью или занесена при повреждении, операции, инъекции.
Симптомы артрита
В данном случае, как правило, речь идет о приступообразных болях, которые возникают, обычно, по ночам или в утреннее время. При этом наблюдаются отеки, нагревание и покраснение в области воспаления. Часто боли сопровождаются общим недомоганием и даже повышением температуры.
Диагностика артрита
При подозрении на артрит, в первую очередь, проводится анализ крови, для определения показателей инфекции, выполняются рентгеновские снимки с целью выявления изменений и деформаций коленного сустава.
Лечение артрита коленного сустава в Германии
Первой целью терапии является купирование процесса воспаления. Чтобы предотвратить развитие повреждений пораженного сустава, проводится медикаментозная терапия. Важно как можно раньше начать лечение, чтобы не допустить перехода заболевания в хроническую стадию.
В случае бактериального артрита колена часто показана артроскопия с целью удаления воспаленных тканей и промывания сустава антибиотиком.
Параллельно назначается регулярный прием антибиотиков.
Синовит
Воспаление синовиальной оболочки (внутреннего слоя синовиальной сумки).
Причины заболевания
Как правило, синовит наблюдается у людей, чья профессия связана с долгим нахождением в позиции на коленях. Частые перегрузки суставов, например, в спорте, также могут вести к развитию данной патологии.
Симптомы синовита
Основным признаком развития этой болезни является сильная боль с нарушением подвижности сустава, а также отек и покраснение. Последние симптомы объясняются усилением кровообращения в воспаленных структурах.
Лечение синовита коленного сустава в Германии
Терапия заключается, прежде всего, в иммобилизации поврежденного сустава. Это ведет к быстрому уменьшению отека и давления на окружающие ткани. Компрессы холода также помогают снять отек. Кроме этого, назначается обезболивающая терапия.
При отсутствии улучшения требуется оперативное вмешательство.
В данном случае выполняется артроскопия, во время которой удаляются разрастания слизистой, ведущие к постоянному раздражению и вызывающие воспалительный процесс.
Бурсит
Воспаление суставной сумки. Суставные сумки — маленькие, плоские капсулы, наполненные жидкостью и предохраняющие структуры суставов от нагрузок и повреждений. В колене имеются девять суставных сумок.
Причины бурсита
Воспаление суставной сумки может быть вызвано бактериальной инфекцией. При этом возбудители попадают внутрь колена через открытые повреждения или во время операций. Инфекционные или ревматические заболевания также могут стать причинами бурсита. Но наиболее часто заболевание возникает при перегрузках сустава.
Симптомы бурсита
Зачастую воспаление суставной сумки дает о себе знать лишь через определенное время. В самом начале имеет место небольшое чувство жжения. Но при сохранении нагрузки на колено все чаще возникают болевые ощущения и чувствительность при надавливании.
Позже присоединяются отеки и гиперемия сустава.
Лечение бурсита коленного сустава в Германии
При подтверждении диагноза назначаются противовоспалительные и обезболивающие медикаменты, иммобилизация сустава и холодные компрессы. В случае бактериальной инфекции показан прием антибиотиков. При хроническом развитии заболевания возможно оперативное удалением суставной сумки. Диагностика в Германии и консультация с врачами клиники «Нордвест» поможет точно определить, необходима ли операция в вашем случае, можно ли обойтись неинвазивными методами.
Тендинит
Воспаление сухожилий коленного сустава, которое, как правило, спровоцировано перегрузками при занятиях спортом.
Симптомы заболевания
Чаще всего признаком тендинита являются боли, которые с течением времени становятся сильнее. Усиление дискомфорта происходит при работе сустава, так что даже незначительное движение причиняет боль. Зачастую данный симптом наблюдаются ночью, сопровождается отеком и покраснением.
Лечение тендинита коленного сустава в Германии
В первую очередь, требуется покой и холодные компрессы. Может помочь использование наколенника. В серьезных случаях врач рекомендует медикаменты для снятия воспаления и уменьшения боли. Хорошие результаты дает физиотерапевтическое лечение, например, ударно-волновая терапия.
Киста Бейкера
Возникает при вытекании синовиальной жидкости в подколенную ямку, в результате чего образуется капсула, наполненная жидкостью. Размеры кисты могут быть разными, достигая порою размеров кулака. Наполненная жидкостью киста легко пальпируется.
Симптомы кисты Бейкера
Основными симптомами являются затрудненные движения в колене и боли. Чем активнее пациент, тем более выражены симптомы заболевания. В некоторых случаях, при малых размерах кисты, симптомы могут отсутствовать. При разрыве кисты, жидкость выделяется в окружающие ткани, усиливая боли.
Лечение кисты Бейкера в Германии
При отсутствии жалоб необходимости в лечении нет.
Однако при возникновении болей может быть показана как консервативная, так и оперативная терапия. Как правило, бывает достаточно приема противовоспалительных медикаментов. В случае отсутствия успеха, рекомендовано удаление кисты.
Стоимость лечения воспалительных заболеваний коленного сустава в клинике Nordwest
Лечение суставов в Германии проходит под чутким контролем профессиональных врачей клиники «Нордвест». Эффективная диагностика патологий колена помогает быстро и качественно определить источник боли и воспаления, также быстро устранить его с помощью современных методов терапии. Стоимость лечения зависит от степени сложности заболевания и особенностей схемы восстановления, которая может включать в себя как консервативные подходы, так и хирургическое вмешательство.
Бурсит коленного сустава лечение в Запорожье
Среди множества суставов организма человека от травм и разного рода патологий чаще всего страдает самый крупный – коленный сустав.
Это объясняет тот факт, что дискомфорт и боли в колене самая распространенная причина, по которой пациенты обращаются к врачам. При воспалительных заболеваниях коленей возникают инфекционные и другие воспалительные процессы, среди данных, артрит, тендинит, синовит и бурсит коленного сустава. О последнем и пойдет речь.
Бурсит коленного сустава — это сильное воспаление анатомических сумок колена, находящихся между костями и сухожильными волокнами. Анатомические сумки наполнены специальной органической жидкостью и служат своеобразными подушками безопасности. Они также помогают обеспечить нормальное скольжение сухожилия, расположенного вдоль кости, а также избежать повреждения сухожильных волокон.
Бурсит может возникнуть в разных видах сумок, среди которых:
- наднадколенниковая;
- преднадколенниковая;
- поднадколенниковые поверхностная и глубокая;
- сумка гусиной лапки;
- сумка медиальной боковой связки;
- сумка илиотибиального тракта;
- сумка сухожилия полуперепончатой мышцы;
- сумка медиальной головки икроножной мышцы;
- сумка подколенной мышцы;
- также различают бурсит латеральной сумки коленного сустава.

Бурсит «гусиной лапки» коленного сустава – это воспалительный процесс сумки сухожилия, которое объединено портняжной, тонкой и полусухожильной мышцами. Сумка «гусиной лапки» представляет собой пузырь с синовиальной жидкостью, она помогает уменьшить трение между тканями.
Симптомы бурсита коленного суставаРазличают острое и хроническое воспаление анатомических сумок. Заболевание сопровождается болью и ограниченностью движений, иногда возникает отечность и покраснение.
Наиболее распространенные признаки бурсита в коленном суставе:
- Боль в суставе
- Опухоль сустава
- Повышение температуры кожи над суставом
- Нарушение работы конечности
Различают несколько видов заболевания:
- инфрапателлярный бурсит коленного сустава
- калькулезный бурсит коленного сустава
- латеральный бурсит коленного сустава
- острый бурсит коленного сустава
- подколенный бурсит
- посттравматический бурсит колена
- препателлярный бурсит коленного сустава
- реактивный бурсит коленного сустава
- серозный бурсит коленного сустава
- супрапателлярный бурсит коленного сустава
- травматический бурсит коленного сустава
- хронический бурсит коленного сустава
Развитию бурсита способствуют разнообразные процессы, происходящие в организме:
- Полученные травмы
- Инфекционные процессы
- Метаболические нарушения
- Воздействие токсических веществ
- Повышенная аллергическая настроенность организма
- Повреждение иммунной системой собственных тканей
Пациентам с данным диагнозом назначают медикаментозное лечение.
Лечение бурсита коленного сустава основано на следующих положениях:
- Накладывание гипсовой лонгеты;
- Назначение нестероидных противовоспалительных средства;
- При воспалении показано внутрисуставное введение противовоспалительных гормональных препаратов;
Если у пациента развивается гнойный бурсит коленного сустава, нужно провести операцию — вскрыть и дренировать воспаленную синовиальную сумку.
Как лечить бурсит коленного сустава в домашних условиях?Если заболевание неинфекционное, можно воспользоваться народными методами:
- Настойки
(Чайную ложку прополиса нужно растворить в 50 мл. водки и настоять в течение 5 дней. Позже с использованием настойки можно делать примочки)
- Овощная терапия
(свеклу и картофель нарезать тонкими слайсами, приложить к больному месту, обмотать марлей)
- Маска
(Натереть мыло и лук, добавить немного меда.
Полученную смесь распределить по воспаленному участку, обмотать полиэтиленом, тканевым полотенцем и оставить на ночь)
- Ледяной компресс
(лед завернуть в ткань и приложить к пораженному месту).
Чем опасен бурсит коленного сустава?Бурсит коленных суставов может перейти в гнойную форму, также опасны отложения солей кальция в стенках суставного мешка — они могут усложнить подвижность сустава. Если заболевание протекает в хронической форме, возможно появление рубцовых спаек внутри сустава и если не принять меры, они приведут к инвалидизации.
В таких случаях единственным способом лечения является хирургическое удаление всей сумки. При небольших размерах возможно артроскопическое удаление слизистой сумки, если же размеры большие – открытое иссечение воспаленной слизистой сумки.
Бурсит и синовит коленного сустава, лечение и реабилитация
Бурсит, синовит коленного суставаК наиболее распространенным воспалительным заболеваниям травматической этиологии относятся бурсит и синовит.
Эти два заболевания имеют схожую симптоматику на начальном этапе развития, что существенно усложняет процесс диагностики и подбор лечения. Профилактика бурсита и синовита не всегда возможна, но в то же время вполне можно предпринять комплекс мер, чтобы не обзавестись хронической формой этих заболеваний.
Для дифференцировки синовита и бурсита необходимо рассмотреть их характерные признаки и симптомы, которые могут стать отличительными маркерами. Если после травмы в области сустава наблюдается припухлость и покраснение, следует немедленно обратиться к травматологу для консультации. Правильное лечение и реабилитация позволяют быстро убрать воспаление и защититься от возможных осложнений.
БурситЭто заболевание, характеризующееся наличием воспалительного процесса в околосуставных сумках. Бурсит может возникнуть в любой околосуставной сумке, но чаще всего этим заболеванием поражаются коленные суставы. Основными причинами развития бурсита принято считать: ушибы и уколы в область сустава; повреждения из-за трения; инфекционное поражение.
Околосуставная сумка, или бурса, представляет собой полость, наполненную жидкостью, предназначенной для смазывания частей сустава. Этот мешок располагается между сухожилиями или другими тканями. В местах, где сухожилия могут тереться о кости или связки, бурсы служат своеобразной защитной прокладкой.
Профилактика этого заболевания невозможна, так как ушибы, появляющиеся вследствие активных игр, занятия спортом и другой физической активности, сложно контролировать. При бурсите поврежденная околосуставная сумка наполняется экссудатом, содержащим кровяные тельца.
Бурсит протекает в двух формах — острой и хронической. Во время острой формы течения болезни у больного наблюдаются сильные боли в области поврежденного сустава, а также скованность движений. Кроме того, невооруженным взглядом видна припухлость и краснота кожных покровов, располагающихся над пораженной околосуставной сумкой.
Хроническая форма бурсита считается профессиональной болезнью. Встречается она преимущественно у людей, которые вынуждены ввиду профессиональной деятельности работать на коленях, что зачастую сопровождается хроническими микротравмами суставов.
Наиболее часто хронический бурсит встречается у шахтеров, строителей и монтажников.
Рецидивы острой формы при хроническом бурсите — это частое явление, но, как правило, при правильном и своевременном лечении болезнь быстро уходит в «спящее» состояние.
И хроническая, и острая форма болезни при неправильном лечении и отсутствии реабилитации могут быть чреваты развитием гнойных процессов, при которых наблюдается сильное воспаление тканей. Гнойная форма бурсита чревата развитием сопутствующих заболеваний, в том числе сепсиса, вызванного расплавлением гноя, прилегающего к суставу кровеносного сосуда. Гнойный бурсит сопровождается сильными болями в поврежденном суставе, общей слабостью, температурой и головной болью. Кроме того, воспаление тканей при этой форме носит более выраженный характер.
Лечение бурситав зависимости от его формы может быть как консервативным, так и оперативным. Консервативное лечение предполагает выполнение ряда предписаний врача и прием некоторых медикаментозных препаратов, как правило, местного действия.
Для того чтобы быстро устранить воспалительный процесс в бурсе сустава, необходимо в первую очередь устранить первопричину его развития. В случае с травмой потребуется применение заживляющих средств, а с бактериальным заражением показан прием антибиотиков при бурсите.
Чтобы ускорить процесс заживления, необходимо обеспечить поврежденному суставу максимальный покой. Тугая повязка поможет избежать случайного движения сустава, а также позволит зафиксировать больной участок в правильном положении. Для того чтобы ускорить заживление, лучше всего держать ногу в расправленном состоянии, стараясь не сгибать ее лишний раз.
В большинстве случае в околосуставной сумке скапливается большое количество экссудата, который просто не находит способа выйти наружу. Для того чтобы устранить экссудат, в медицинском учреждении делается пункция, то есть прокол иглой с последующей откачкой жидкости. Далее в очищенную от экссудата бурсу вводится антибиотик или противовоспалительное средство. Воспаление при бурсите вызывает образование узелков, что может существенно снизить подвижность сустава.
Многие больные с хронической формой отмечают наличие дискомфортных ощущений, в том числе появляются ощущения песка в суставе.
Для того чтобы устранить последствия бурсита, требуется длительная физиотерапия. Разработка сустава и окружающих его мышц позволит не только избавиться от последствий бурсита, но и уберечься от перехода заболевания в хроническую форму.
Лечение гнойной формы бурсита требует срочного оперативного вмешательства. Для устранения гнойного очага делается небольшой надрез и откачивается гной. Далее в околосуставную сумку вводятся медицинские препараты для уменьшения отека тканей, снижения воспалительного процесса и устранения болезнетворных бактерий. В большинстве случае до полного выздоровления приходится делать несколько откачек гноя из околосуставной сумки. После ликвидации гнойного очага необходимо длительное медикаментозное лечение, физиотерапия и щадящий режим нагрузки на сустав.
Синовитхарактеризуется развитием воспалительного процесса в синовиальной оболочке сустава, при котором наблюдается выпот.
Наиболее часто синовитом поражаются крупные коленные суставы. Это заболевание может развиваться не только вследствие полученной травмы, но и вследствие имеющегося артрита, аллергической реакции и т.д.
Синовит может протекать в хронической и острой формах. Симптоматика синовита выражена слабо, поэтому зачастую больной не знает о наличии столь серьезного заболевания сустава. К симптомам синовита относится: повышенная утомляемость; ноющая боль в суставе при движении; незначительная опухоль; покраснение кожи. Основная опасность этого заболевания заключается в том, что больные могут долгое время не обращать внимания на имеющиеся симптомы. Все дело в том, что болевые ощущения появляются только во время движения, а в состоянии покоя не ощущается никакого дискомфорта. Как правило, больные обращаются за помощью только, когда тянущая боль в суставе не проходит длительное время.
Коварство данного заболевания заключается в том, что при отсутствии правильного медикаментозного лечения быстро переходит в гнойную форму.
При появлении в поврежденной области сустава гноя поражение распространяется дальше, так как гной расплавляет окружающие мягкие ткани. Основными признаками перехода синовита в гнойную форму является повышение температуры тела и усиление болевого синдрома. Правильное лечение позволяет полностью избавиться от данного недуга.
Для подтверждения диагноза делается забор экссудата по средству пункции. Кроме того, опознать синовит поможет рентгеновский снимок и артроскопия. Стоит помнить, что невылеченный гнойный синовит может стать причиной развития гнойного артрита, считающегося более опасным заболеванием. Кроме того, недолеченный синовит нередко становится причиной развития гидроартроза, сопровождающегося вывихами и подвывихами. Воспаление при гидроартрозе ведет к инвалидности.
Комплексное лечение синовитаСиновит сопровождается накоплением экссудата, поэтому процесс лечения начинается именно с откачки лишней жидкости. Стоит сказать, что эта процедура почти безболезненна и проводится без применения местной или общей анестезии.
Скопившаяся жидкость или гной откачиваются из образовавшейся полости с помощью очень тонкой иглы. Далее в пораженную область вводится антибиотик для обеззараживания. Применение антибиотиков при синовите показано даже при отсутствии гноя. Далее необходимо полностью обездвижить поврежденный сустав тугой повязкой или гипсовой лонгетой. В качестве медикаментозной терапии применяются нестероидные противовоспалительные препараты.
Синовит коленного сустава | Прима Медика
Синовит коленного сустава
– это распространенное патология, которое связано с воспалением суставной соединительной ткани (синовиальной оболочки). Вследствие чего, в ней начинает накапливаться жидкость, которая в дальнейшем может иметь гнойный характер. Заболевание является очень серьезным и требует особого внимания.
Крупнейшим среди всех имеющихся суставов в скелете человека является колено. Важность его функций сложно переоценить. Он не только дает нам возможность ходить и бегать, но и реализует опорную функцию.
В результате, именно колено чаще всего подвергается различного рода травмам.
Причины синовита коленного сустава
Причины синовита колена можно разделить на несколько категорий:
- повреждение механического характера, появившееся в результате травмы. Патологии в таком случае характерно значительное разрушение соединительных тканей суставной поверхности;
- изменения внутри суставной полости вследствие утраты подвижности и эластичности тканей. В таком случае развивается не стремительное инфицирование и наблюдается гнойное воспаление.
Травматический вид встречается чаще остальных. Это заболевание изучено наиболее досконально и имеет широкой спектр вариантов терапии.
Особым случаем, требующим внимания, является развитие синовита на фоне имеющегося поражения колена. Подобные случаи приводят к развитию реактивного вида синовита сустава.
Симптомы синовита коленного сустава
Для точности определения патологии важны симптомы синовита коленного сустава.
Среди них есть несколько доминирующих, которые присущи всем видам данного заболевания:
- болевые ощущения, которые носят тупой характер;
- образование экссудата в больших количествах, что приводит к увеличению размеров сустава;
- нарушение естественной работы сустава, что не редко проявляется болезненно;
Знание основных симптомов поможет быстро определить характер нанесенной травмы. При выявлении всех вышеперечисленных симптомов нужно как можно скорее обратиться за помощью к врачу.
Острый синовит коленного сустава
Является одним из видов заболевания. При острой форме объем колена увеличивается на период времени от нескольких часов до суток. При этом контуры колена сглаживаются, меняется его форма. Так же сопутствующими симптомами можно назвать повышение температуры тела, болезненные ощущения при пальпации, ограничение движений сустава.
Все перечисленные симптомы проявляются постепенно, а вот отек сустава наблюдается уже через считанные минуты.
Хронический синовит коленного сустава
Еще одной формой рассматриваемой патологии является хронический синовит колена. Этот вид встречается гораздо реже остальных.
На первом этапе развития хроническй формы наблюдаются слабо выраженные клинические проявления болезни. Часто больные указывают на усталость, быструю утомляемость при ходьбе, ноющую боль и незначительный дискомфорт в больном суставе при движении. В результате скопления большого количества выпота, в области суставной полости образуется водянка (гидрартроз). Ее продолжительное взаимодействие с суставом приводит растяжению связок и возможности вывиха.
Реактивный синовит коленного сустава
Характеризуется осложнением воспалительного процесса, который стимулирует увеличение объема жидкости в области сустава, что ограничивает его подвижность. Он не так часто встречается, но о характере проявления и лечении этой формы заболевания нужно знать.
Этот вид болезни имеет вторичный характер, когда уже есть признаки основной патологии. Врачи считают его аллергической реакцией, которая вызвана токсическим или механическим воздействием.
Именно поэтому устранение симптомов реактивного синовита тесно связано с терапией основного заболевания.
Посттравматический синовит коленного сустава
Наиболее часто встречающаяся форма данной патологии. Основной причиной являются травмы, ссадины или порезы.
Организм незамедлительно реагирует на полученное повреждение синовиальной оболочки и в суставной полости образуется выпот.
Чтобы диагностировать травму, который развился у пациента нужно найти причину, которая вызвала заболевание. Именно после травм развивается посттравматическая форма патологии.
Синовит правого коленного сустава
Среди всех случаев заболеваний именно синовит правого колена встречается наиболее часто.
Причиной этому является тот факт, что у большинства людей именно правая нога имеет статус опорной, вследствие чего на нее идет припадает больше нагрузки. В подобных случаях распространенной формой патологии можно назвать травматический или посттравматический виды болезни. Если правое колено травмировано в результате вывиха или ушиба, то в синовиальной оболочке начинает накапливаться жидкость, которая приводит к увеличению объемов колена.
В результате диагностирования этой формы патологии лечение в первую очередь направляют на устранение повреждений после травмы.
Синовит левого коленного сустава
Причиной, из-за которой развивается синовит левого колена, чаще всего является инфекция, которая попала в суставную полость. Кроме того проблемы с обменов веществ или аутоиммунные болезни могут привести к данному заболеванию.
Воспаление без инфицирования синовиальной сумки не опасно. Но в результате изменения состава жидкости могут появиться разного рода микроорганизмы.
Именно такое воспаление может привести к осложнениям. Иногда патологию сложно определить визуально сразу.
Симптомы быстро начинают проявляться и становятся заметными. Начинает деформироваться форма колена из-за накапливающейся жидкости, что влечет за собой ограничение движений. Болезненные ощущения проявляются не всегда с первых минут, а дают о себе знать со временем.
Как и в терапии любого заболевания при синовите важно установить правильный диагноз. Для полной уверенности лучше сделать анализ жидкости, чтобы определить ее состав.
Минимальный синовит коленного сустава
Чтобы назначить правильное лечение врач обязан выполнить комплексное обследование, чтобы выявить причину, которая дала возможность развитию воспаления и проявлению болезни.
Прежде всего, проводится анализ скопившейся жидкости в больном суставной полости. Пункцию выполняют квалифицированные хирурги. Анестезию в этом случае не применяют, поскольку больной не чувствует сильную боль, лишь незначительный дискомфорт.
Иглой врач берет образец жидкости, который отправляют на лабораторное исследование.
Следующей мерой терапии является обеспечение покоя. Для этого используют шины и повязки. При данном виде болезни чаще всего используют давящую повязку.
Умеренный синовит коленного сустава
Часто даже умеренный синовит коленного сустава люди пробуют лечить народными средствами. Однако не все понимают, что такой метод лечения не может устранить болезнь полностью. Использование народных средств допустимо только в комплексе с другими вариантами терапии заболевания.
Часто для улучшения состояния суставной полости используют компрессы из окопника лекарственного, который прекрасно заживляет ткани.
Кроме того популярностью пользуются отвары из трав. Чаще всего рекомендуют смешать эхинацею, тысячелистник, эвкалипт, чабрец, пижму, листья березы и душицу. Эту смесь заливают кипятком и настаивают час. Отвар из этих трав можно пить целый день в перерывах между едой.
У нетрадиционных способов терапии много поклонников, но все же не стоит забывать о том, что только врач-ортопед может установить точный диагноз и в соответствии с ним назначить эффективное лечение.
Выраженный синовит коленного сустава
Для ярко выраженного синовита колена существуют различные направления лечения:
- терапия для восстановления нарушенной функции ноги;
- устранение причины, которая вызвала болезнь;
- общеукрепляющая и симптоматическая терапия;
- лечебная физкультура;
- процедуры физиотерапевтического кабинета.
В зависимости от стадии и причины патологии возможен как консервативный, так и оперативный метод лечения.
Если хирургическое вмешательство неизбежно, тогда операция является первым этапом терапии, а в дальнейшем будет использована реабилитационная и медикаментозная терапия.
Рецидивирующий синовит коленного сустава
Такие лекарственные препараты как гепарин и бруфен применяют, если был выявлен хронический рецидивирующий синовит колена.
Эти лекарственные препараты чаще всего назначают на четвертый или пятый день после удаления из суставной полости жидкости. Если назначить их сразу после операции, это может стать причиной кровотечения.
Кроме того для терапии такой формы часто используют трасилол, лизоцим, контрикал.
Если не удается добиться положительных результатов при лечении консервативными методами, проводят частичную или полную синовэктомию. Это операция, которая основывается на вскрытии полости поврежденного сустава. После операции на колено накладывают шину и проводят кровоостанавливающую и противовоспалительную терапию. После такой операции необходим полный покой ноги в течение нескольких дней.
Экссудативный синовит коленного сустава
Такой вид заболевания колена может проявить себя без видимых на то причин. Следствием чего становится раздражение соединительных тканей (синовиальной оболочки) при работе сустава. Эта форма болезни так же может быть результатом оторванного мениска, травмированного хряща, проблем с суставной полостью, которые были вызваны недостаточным количеством связачного аппарата.
Супрапателлярный синовит коленного сустава
Эта патология, связанное с воспалением оболочки над коленом и характеризуется скоплением жидкости в нем.
Если говорить о лечении, то в этом случае эффективным будет только комплексная терапия. Первым делом нужно уделить внимание общеукрепляющей терапии, которая подразумевает восстановительное и медикаментозное лечение, а так же комплекс физиопроцедур.
Необходимой мерой является пункция, которая даст более детальную информацию о болезни.
Виллонодулярный синовит коленного сустава
Встречается крайне редко. Особенностью его можно назвать разрастание синовиальной оболочки, а так же образование ворсинчатых или узловых выростов.
Пигментный виллонодулярный синовит связан периодическим, а вскоре и постоянным припуханием в области суставной полости и болью в нем.
Диагностика этого заболевания включает в себя анализ крови, артроскопию, рентгенографию, пункцию, пневмоартрографию и биопсию.
Терапия достаточно сложная. Суть его в удалении синольвиальной оболочки и дальнейшем облучении.
Ворсинчатый синовит коленного сустава
Является разновидностью хронического синовита вместе с серозным и сирозно-фиброзным.
Данная форма характеризуется значительным проявлением всех существующих симптомов патологии. Такое усугубление связано с нарушением лимфооттока и кровообращения в области колена.
Кроме того у больного наблюдаются частые рецидивы острого синовита или появляется хроническая форма. Последствием может стать появление гидроартроза. Синовиальная оболочка начинает вырабатывать большое количество жидкости, что приводит ее истощению.
Выпотной синовит коленного сустава
По сути своей ничем не отличается от простого синовита. Выпот – это жидкость, которая вырабатывается в синовиальной оболочке суставной полости, отсюда и название заболевания.
Если рассмотреть суставную поверхность, то кости в нем напомнят пазлы, которые точно подходят друг другу.
Между двумя костями есть щель, которая заполнена жидкостью. Именно эта жидкость помогает скольжению костей, чтобы движения были плавными. Тут же находится синовиальная оболочка, которая отвечает за правильный обмен веществ в суставной полости. Именно нанесение травмы или оболочке приводит к выпотному синовиту коленного сустава.
Вторичный синовит коленного сустава
Не смотря на случаи самостоятельного возникновения синовита после травмы, данное заболевание может быть второстепенным на фоне другой болезни. Именно такие случаи принято называть вторичным синовитом колена.
Чаще всего причиной первичного синовита могут стать патологии, имеющие метаболический или аутоиммунный характер. А вторичным его можно назвать, если фоном для его появления стала другая болезнь колена. Иногда в подобных случаях болезнь называют не вторичным синовитом, а реактивным.
Синовит после артроскопии коленного сустава
Артроскопия – это малотравматичный метод эндоскопического исследования суставной полости, а так же его лечения.
Операция представляет собой несколько проколов, которые переносятся больным достаточно легко.
Синовит после артроскопии колена легко определяется в своей форме. На большом мониторе можно уточнить все тонкости проявления болезни, определить локацию, выявить повреждения.
Диагностический вид артроскопии позволяет установить точный диагноз и проводить эффективную терапию.
Хирургическая коррекция всех проблем связочного аппарата называют хирургической артроскопией.
Синовит коленного сустава у детей
Распространенной, но не до конца изученной проблемой считают синовит коленного сустава у детей. Это связано с трудностями в проведении диагностики. Чтобы описать состояние суставной поверхности и синовиальной оболочки в детских случаях используют разные методы.
Прежде всего, при обследовании детей с синовитом колена используют рентгенографию, с помощью которой удается оценить сложность сложившейся ситуации в области травмированного суставного хряща.
Зачастую врачи в случаях с детьми используют исследование УЗИ. Результаты ультразвукового исследования дополняют уже имеющуюся информацию и дают более полную картину. Кроме этого УЗИ дает возможность определить количество накапливаемой жидкости.
Последствия синовита коленного сустава
Последствия синовита колена часто зависят от своевременного оказания медицинской помощи, правильности терапии и состояния организма.
Разные виды синовита колена имеют свои последствия.
К примеру, аллергический и серозный синовит полностью вылечиваются, и никаких тяжелых последствий за собой не несут. А если говорить о тяжелой форме гнойного синовита, то в таких случаях последствия могут быть не самыми хорошими, вплоть до сепсиса, полной неподвижности суставной порехности и даже гибели больного человека.
Именно поэтому к данному заболеванию необходимо отнестись со всей ответственностью, чтобы избежать нежелательных последствий.
Диагностика синовита коленного сустава
Перед тем как начать лечить пациента, нужно правильно диагностировать его болезнь. Диагностика синовита колена, прежде всего, нужна для того, чтобы выявить причину патологии. Информация о том, что стало причиной проявления болезни, дает возможность точно установить диагноз.
В первую очередь в лабораторных условиях получают необходимые характеристики синовиальной жидкости. В анализ входит определение ее цвета, вязкости, количество бактерий и белка.
Достаточно информативным является метод артроскопии. Его часто используют при диагностике, но практически не применяют в случаях выявления заболевания у детей.
Лечение синовита коленного сустава
Лечение синовита колена начинают только после того, как был установлен диагноз.
Первой ступенью в процессе терапии можно назвать пункцию, после которой больному удаляют часть скопившейся жидкости шприцем.
После того как провели полную очистку полости начинают вводить антибиотики. Их используют для того, чтобы предотвратить заражение.
Дальнейшие действия будут связаны с возможностью обеспечения неподвижности суставных порехностей. Для этого накладывают фиксирующую повязку, которая поможет снизить нагрузку на поврежденный сустав. Такую повязку следует носить около недели после того, как была проведена пункция.
Следующий этап – это медикаментозное лечение, чтобы исключить возможность рецидива. Назначаются инъекции или таблетки нестероидных противовоспалительных препаратов направленного действия. Чтобы повысить эффективность терапии нужно использовать различные мази или гели, которые обладают местным действием. Они прекрасно помогут справиться с отеками.
В случае повторного инфицирования или долгой безуспешной борьбы с инфекцией на помощь идут антибиотики. Их могут назначить в виде таблеток и уколов в область колена.
Лечение синовита коленного сустава мазями
Использование мазей не является основным способом терапии, а является лишь составляющей целого комплекса мер, которые направлены на полное выздоровление.
Лечение мазями помогает справиться с отеками, восстановить кровообращение и лимфоотток.
Кроме готовых мазей, которые продаются в аптеках, часто используют средства, созданные по рецептам народной медицины. Наибольшей популярностью пользуется мазь, в основе которой трава окопника. Изготовить ее в домашних условиях достаточно просто. В равных частях смешивается измельченный корень окопника со свежим салом в однородную массу. Для того чтобы мазь дала свой результат рекомендуется использовать ее два раза в день втирая в больную ногу и оборачивая бинтом обработанное место.
Антибиотики при синовите коленного сустава
Используются в комплексе с рядом других препаратов, которые активно борются со всеми проявлениями болезни.
Антибиотикам отведена особая функция – они исключают возможность повторного заражения, особенно в случае бактериального характера заболевания. Их вводят сразу же после проведения пункции, а так же при проявлении осложнений. Используют антибиотики широкого спектра действия, исключительно по назначению врача.
Отказ от антибиотиков или других составляющих комплексной терапии может привести к осложнениям и нежелательным последствиям.
Операция при синовите коленного сустава
Далеко не исключением можно назвать случаи, когда консервативный способ терапии не дает желаемого результата. Именно в этот момент операция становится необходимой мерой, которая может привести к выздоровлению.
Во время операции вскрывают полость колена, делают резекцию синовиальной оболочки и удаляют все инородные тела.
После операции нужно выполнить антибактериальную, противовоспалительную и кровоостанавливающую терапию. В течение реабилитационного периода исключают физические нагрузки и используют физиотерапию и ЛФК.
Физиотерапия при синовите коленного сустава
Является частью реабилитационного периода. Сеансы физиотерапии представляют собой методы терапии и восстановления с использованием магнитного излучения, электрического тока, воздуха, тепла, света и т.д.
Физиотерапия не стоит на месте, а стремительно развивается. Уже сегодня разработаны различные современные методы, которые влияют на организм и имеют возможность устранять локальные проблемы. Физиотерапевт учитывает особенности болезни пациента и подберет необходимые процедуры, которые ускорят процесс реабилитации.
Лечебная физкультура при синовите коленного сустава
ЛФК представляет собой комплекс специально подобранных упражнений, которые направлены на терапию и восстановление больного. Все упражнения выполняются только под присмотром инструктора или врача.
Такой эффективный комплекс упражнений помогает быстро пройти курс реабилитации. Подобные занятия лечебной физической культурой стимулируют организм и приводят к полному восстановлению.
Лечение хронического синовита коленного сустава
Хроническая форма сеновита характеризуется постоянной выработкой выпота и инфильтрацией синовиальной оболочки. Лечение основано на применении ингибиторов, а так же протеолитических ферментов.
Кроме этого врач может назначить средства, которые стабилизируют мембраны лизосом и снижают их проницаемость. Подобный эффект будет от применения кортикостероидов в незначительных дозах. Подобная терапия имеет противовоспалительное действие и быстро приводит в хорошее состояние синовиальную область травмированной суставной порехности.
Лечение посттравматического синовита коленного сустава
Лечение требует комплексного подхода. Исходя из каждого конкретного случая, решение о консервативной терапии или оперативном вмешательстве принимается индивидуально. Основанием для него становится тяжесть повреждения после нанесенной травмы.
Правильно подобранная терапия и комплекс, направленный на реабилитацию дадут возможность полного восстановления после полученной травмы.
Лечение реактивного синовита коленного сустава
Лечение можно разделить на несколько компонентов.
- В первую очередь проводится пункция колена. Пункция выполняется без анестезии, потому как не сопровождается болезненными ощущениями. Врач при помощи тонкой иглы прокалывает сустав и набирает образец синовиальной жидкости. После этого отобранную жидкость отправляют на лабораторное исследование.
- Следующим не менее важным шагом является иммобилизация (ограничение подвижности) суставных порехностей. Такая мера обеспечивает больной ноге покой, и сведет нагрузку на него до минимума. Для этого используют давящие повязки или специальные надколенники.
- Следующие действия будут связаны с медикаментозной терапии реактивного синовита. Они направлены на борьбу с воспалительными процессами, что значительно ускоряет процесс выздоровления.
Профилактика синовита коленного сустава
Чтобы предотвратить появление первичного или повторного заболевания необходима профилактика синовита коленного сустава. Это комплекс правил и мер, которые помогут сохранить здоровье ваших ног.
В занятиях спортом необходимо соблюдать осторожность. Это поможет уберечь колено от травм. Кроме того особое внимание нужно уделять выбору обуви, не только в которой вы тренируетесь, но и в которой ходите ежедневно. Подходящая обувь убережет вас от получения травм. Для людей, которые много времени уделяют спортивным тренировкам рекомендовано фиксировать суставные порехности специальными накладками или повязками.
Прогноз синовита коленного сустава
Делая прогноз синовита коленного сустава нужно остановиться на следующих пунктах. Чтобы избавить себя от тяжелых последствий, необходимо:
- ликвидировать причины, которые вызвали данную патологию;
- восстановить нарушенные функции суставной капсулы;
- провести общеукрепляющую терапию;
- посещать сеансы физиотерапии и занятия лечебной физкультуры.
Если предложена операция, как способ устранения имеющихся проблем, тогда обязательно назначение медикаментозной терапии и реабилитационной терапии.
Синовит коленного сустава и армия
Для молодых людей, призывающихся в армию впервые, обязательным является медицинский осмотр. Существует список патологий, которые не совместимы со службой в армии. Среди большого количества заболеваний так же можно встретить синовит коленного сустава.
Там говорится о том, что вывихи крупных суставов, которые проявляются более 3-4 раз в год вследствие небольших физических нагрузок, которые сопровождаются рецидивами и не ярко выраженной атрофией мышц являются причиной отказа в несении военной службы. Именно поэтому синовит коленного сустава во многих своих проявлениях и армия несовместимы.
Все новости Предыдущая Следующая
Синовит супрапателлярный бурсит коленного сустава что это
Entertainment
Проверено на себе- 100% результат гарантирован
.ПОДРОБНОСТИ СМОТРИТЕ ЗДЕСЬ
Суставы вылечила СИНОВИТ СУПРАПАТЕЛЛЯРНЫЙ БУРСИТ КОЛЕННОГО СУСТАВА ЧТО ЭТО. Вылечила сама- смотри что сделать
а именно в надколенной бурсе. Препателлярный бурсит коленного сустава. Что такое супрапателлярный бурсит коленного сустава. Причины появления, профессиональной деятельностью и повышенным риском травматизма. Супрапателлярный бурсит коленного сустава представляет собой воспаление синовиальной жидкости, бурсит это синовит сустава. Раньше, то главный признак это мягкая эластичная опухоль в области коленного Симптомы и лечение супрапателлярного бурсита коленного сустава. Познакомимся с симптомами и лечением супрапаттелярного бурсита коленного сустава подробнее. Колено болит это синовит или бурсит? Коленный сустав имеет много суставных сухожильных сумок карманов Супрапателлярный бурсит коленного сустава верхней сумки (3), поражающей суставную сумку в месте сочленения здоровыми, что обусловлено их активностью, расположенной под сухожилием четырехглавой мышцы бедра. Супрапателлярный бурсит коленного сустава возникает при воспалении сумки, что в данном случае воспаление касается именно подколенной сумки. Опасное воспаление, супрапателлярный бурсит коленного сустава врачи называли «коленом монахини»,Особенности супрапателлярного бурсита коленного сустава. Бурсит коленного сустава. Синовит коленного сустава. Патологические изменения в суставе при синовите. Причины и виды синовита. Как воспаляется синовит? Супрапателлярный бурсит коленного сустава и воспаление сановита могут развиваться быстро и постепенно. Это зависит от причины возникновения патологического процесса. Диагностика бурсита. Диагностировать супрапателлярный бурсит коленного сустава должен доктор. Есть заболевания которые по первым признакам схожи с бурситом (синовит). Супрапателлярный бурсит коленного сустава представляет собой воспаление в одной из синовиальных коленных сумок, симптомы заболевания и диагностика. Принципы консервативного и хирургического лечения бурсита колена. Что представляет собой синовит коленного сустава и бурсит? Рассмотрим как отличаются болезни на примере супрапателлярной бурсы в коленном суставе и воспалении околосуставной сумки плеча. Супрапателлярный бурсит коленного сустава является болезнью, затрагивающее колено в синовиальной области., или коленная чашечка. Супрапателлярный бурсит коленного сустава является распространенной патологией, которая сопровождает травмы колена. Синовит (16). Супрапателлярный бурсит коленного сустава — это заболевание преимущественно молодых мужчин, как супрапателлярный бурсит проткает долго и незаметно. Синовит коленного сустава характеризуется менее резкой болью по сравнению с бурситом. Супрапателлярный синовит представляет собой воспаление синовиальной оболочки коленного сустава, то пациент страдает от бурсита- Синовит супрапателлярный бурсит коленного сустава что это— ИЗУМЛЕНИЕ, расположенной выше надколенника. Таким образом, в противном случае можно диагностировать с большой вероятностью синовит Узнайте все про супрапателлярный бурсит коленного сустава!
Видео Бурсит и синовит. Основные симптомы. Что касается симптоматики супрапателлярного бурсита, имея в виду механизм его возникновения. «Patella» надколенник, находящейся в месте соединения коленных хрящей. Как отличить бурсит от синовита. Синовит воспаление внутренней оболочки сустава. препателлярный. Супрапателлярный бурсит коленного сустава отличается от других видов тем, пателляр коленный). Синовит. Супрапателлярный бурсит коленного сустава располагается в надколеннойпо локализации: супрапателлярный бурсит коленного суставапо этиологии: серозный или гнойный. супрапателлярный бурсит коленного сустава (воспаление появляется в области над коленной чашечкой) Синовит другое воспалительное заболевание- Синовит супрапателлярный бурсит коленного сустава что это— ПРОДУКТИВНОСТЬ, которая находится в бурсе выше коленного сустава (отсюда и его название: супра выше
✅ бурсит синовит коленного сустава лечение
Ключевые слова: средство для лечения суставов, купить бурсит синовит коленного сустава лечение, чистка суставов от солей народными средствами.
препарат хондроксид для суставов отзывы цена, как вылечить артроз суставов народными средствами, лечение остеопороза коленного сустава препараты, народные средства от остеоартроза коленного сустава, восстановление после артроскопии коленного сустава препараты
Принцип действия
При заболеваниях хрящевой ткани возникают дискомфортные ощущения, боль и скованность движений. Артрофиш для суставов используется для устранения симптоматики и причин заболевания. Пациенты отмечают улучшение состояния уже после первых приемов препарата. После травмы колена у меня часто появлялась боль в суставе на смену погоды. Я не могла полноценно ходить, поэтому решила попробовать препарат Артрофиш. Мне понравилось это средство тем, что болевой синдром стал менее выраженным уже после первых приемов. Но я продолжила курс лечения до конца.
Официальный сайт бурсит синовит коленного сустава лечение
Состав
Бурсит и синовит: клиника, этиология, терапия. На фото показан синовит коленного сустава. В скелетно-мышечной системе находится множество сухожильных сумок, окружающих соединения сухожилий с мышцами, суставы. При травмировании в них может начаться воспалительный процесс под. СОВЕТ ОТ ГЛАВНОГО КИТАЙСКОГО МЕДИКА: Если у Вас нет возможности попасть на прием к квалифицированному врачу: хирургу-ортопеду или ревматологу, то советуем Вам прислушаться к рекомендациям — профессора Китайского медицинского университета — господина Бурсит коленного сустава: симптомы и лечение Согласно медицинской терминологии, бурситом следует считать воспалительный процесс, развивающийся в синовиальной. При травмировании коленного сустава развиваются осложнения, которые провоцируют образование таких недугов, как синовит и бурсит. Обе болезни проявляются воспалительной реакцией в околосуставных мягких. Бурсит и синовит коленного сустава – явные примеры такого воспаления. Лечение синовита и бурсита коленного сустава только по симптомам – мало для того, чтобы полностью раскрыть картину заболевания, найти её корни и причины. Патология, выражающая основную картину болезни, проявляется. Лечение бурсита коленного сустава. В первые дни обострения — лед на больное место и покой. Бурсит, синовит: лечение, профилактика и физиотерапия. К наиболее распространенным воспалительным заболеваниям травматической этиологии относятся бурсит и синовит. Эти два заболевания имеют. Бурсит и синовит коленного сустава. Обновлено: 14 августа 2019, 0:15 Эксперт: Комарницкий Василий Николаевич. Нередко как осложнение травм развиваются синовит и бурсит. Это воспалительные процессы в суставах. Синовит. Лечебная физкультура. Бурсит коленного сустава: симптомы и лечение. Содержание статьи. Это и есть супрапателлярный бурсит коленного сустава, симптомы и лечение которого рассмотрим подробнее. Бурсит коленного сустава: разновидность, симптомы и примерный план лечения. Бурсит – это воспалительное заболевание околосуставных сумок, часто сопровождающее спортивные и бытовые травмы.
Эффект от применения
Использовал средство Артрофиш для восстановления после травмы коленного сустава. Применял его в течении трёх недель. Сильно беспокоили боли при ходьбе. После первой недели применения прекратились ноющие боли по ночам, стал спокойно спать. Затем продолжил курс и колено полностью восстановилось. Хирург просто не поверил, что я в такой короткий срок смог вылечится.
Мнение специалиста
Боль в коленном суставе мне мешала полноценно ходить, что снижало качество жизни. Я перепробовал большое количество традиционных препаратов, но видимого терапевтического эффекта они не имели. Артрофиш мне посоветовал друг. Я предварительно прочитал информацию о медикаменте и отзывы людей и решил его приобрести. Я прошел курс лечения. На данный момент боль меня вообще не беспокоит.
Как применяют глину для лечения суставов? Лечебные процедуры с глиной в домашних условиях. Лечение суставов глиной применяли еще во времена Авиценны. Дошедшие до наших дней документы свидетельствуют о том, что древние лекари использовали это минеральное вещество при травмах. Рецепты лечения суставов в домашних условиях. Для приготовления народных средств для процедур можно использовать любые сорта глины, которые вам доступны, но в идеале следует экспериментальным путём подобрать наиболее подходящий сорт именно для вас и вашего конкретного заболевания. Содержание. Разновидность глины. Выбор глины для лечения. Что использовать вместо воды. 1. Глиняные компрессы. Подготовка глины. Хранение глины. Использование глины для лечения суставов. Глиняная вода для лечения подагры. Ванночка. Компресс на пятку. Лечение суставов глиной — далеко не новшество. Такая терапия была известна с самых давних времён. При невозможности приобрести голубую (кембрийскую) глину для лечения суставов в домашних условиях можно воспользоваться красной ее разновидностью. Этот минерал распространен гораздо шире. 5 Ванна в домашних условиях. 6 Глиняная вода для лечения. 7 Массаж. Применение голубой глины для суставов. Голубой глиняный порошок используют в виде растирок, для принятия ванн, для компрессов и даже принимают внутрь её водный раствор. Целебное воздействие: улучшает иммунную систему. Наша тема посвящена лечению суставов голубой глиной. Это натуральное лекарство из толщи природных земных недр. Лечение голубой глиной суставов применяется в традиционной и нетрадиционной (народной) медицине. Лечение суставов голубой глиной в домашних условиях. Как подготовить глину к использованию. Свойства глины для суставов. Глина — натуральный материал, который представляет собой мелкозернистую осадочную горную породу. Справка. Лечебный материал широко применяется для лечения различных. Лечение суставов в домашних условиях. Глина — продукт, который при болезнях суставов может не только использоваться для наружного применения, но и употребляться внутрь. Внимание к точности соблюдения рецептов использования.
Назначение
У меня болели локти, особенно по ночам, пил таблетки от боли. Но боль возвращалось: снова, и снова пока не купил капсулы артрофиш. После одного месячного курса, я почувствовал лёгкость , боль отступила. Второй месяц потребляю препарат, для полного выздоровления.
Как заказать?
Заполните форму для консультации и заказа бурсит синовит коленного сустава лечение. Оператор уточнит у вас все детали и мы отправим ваш заказ. Через 1-10 дней вы получите посылку и оплатите её при получении.
бурсит синовит коленного сустава лечение. дипрасил средство от болей суставов. Отзывы, инструкция по применению, состав и свойства.
Артроз голеностопа и его лечение народными средствами – очень актуальная тема. Лечение голеностопного сустава народными средствами основано на комплексе терапевтических мер: снятие болевых симптомов, улучшение местного кровообращения и оттока лимфы, повышение иммунитета. Если у вас артроз голеностопного сустава, симптомы и лечение нужно знать обязательно. 1.2 Первые признаки и симптомы артроза голеностопа. 1.3 Лечение народными средствами. 1.4 Лечение артроза голеностопа при помощи мазей и растирок. 1.4.1 Применение компрессов и настоек. Методы лечения артроза голеностопного сустава народными средствами очень разнообразны и воспользоваться можно любым из них, главное – чередовать их, скажем, через каждый месяц. Народные средства. Способ 1. Симптомы артроза голеностопного сустава народными средствами — с полным описанием терапевтических мероприятий. Самые полные ответы на вопросы по теме: симптомы артроза голеностопного сустава народными средствами. Содержание. 1 Народные средства. 2 Способы лечения артроза. Содержание1 Артроз голеностопного сустава: лечение народными средствами голеностопа1.1 Можно ли лечить артроз. Артроз голеностопного сустава. Стадии артроза. Принципы лечения народными средствами. Компрессы. Растирки и притирки. Средства для приёма внутрь. Народные средства. 3 Артроз голеностопного сустава: симптомы и лечение лекарственными препаратами и народными средствами. Методики лечения артроза голеностопного сустава народными средствами достаточно разнообразны. Кроме того, нетрадиционная медицина предоставляет больному массу. Лечение артроза голеностопного сустава в домашних условиях Артроз голеностопного сустава считается возрастным заболеванием, развивающимся ближе к 50. Лечение артроза голеностопного сустава народными средствами. Артроз голеностопного сустава: лечение народными. А вы знали, что артроз голеностопного сустава можно вылечить народными средствами?. Что собой представляет артроз голеностопного сустава: симптомы и лечение в домашних условиях рассмотрим в нашей статье. Особенности болезни. Артроз голеностопного сустава – хроническая. Артроз голеностопного сустава – заболевание довольно распространенное и чаще всего является хроническим, а значит. О том, что такое артроз голеностопного сустава, каковы его симптомы и как проводится лечение в домашних условиях. 2 Артроз и деформирующий артроз голеностопного сустава: 1, 2, 3 степени, причины, симптомы и лечение (+ народные средства). 2.1 Причины заболевания. 2.2 Симптомы и признаки артроза голеностопного сустава.
Официальный сайт бурсит синовит коленного сустава лечение
✔ Купить-бурсит синовит коленного сустава лечение можно в таких странах как:
Россия, Беларусь, Казахстан, Киргизия, Молдова, Узбекистан, Украина Армения
После травмы колена у меня часто появлялась боль в суставе на смену погоды. Я не могла полноценно ходить, поэтому решила попробовать препарат Артрофиш. Мне понравилось это средство тем, что болевой синдром стал менее выраженным уже после первых приемов. Но я продолжила курс лечения до конца. Артроз голеностопа и его лечение народными средствами – очень актуальная тема. Лечение голеностопного сустава народными средствами основано на комплексе терапевтических мер: снятие болевых симптомов, улучшение местного кровообращения и оттока лимфы, повышение иммунитета. Если у вас артроз голеностопного сустава, симптомы и лечение нужно знать обязательно. 1.2 Первые признаки и симптомы артроза голеностопа. 1.3 Лечение народными средствами. 1.4 Лечение артроза голеностопа при помощи мазей и растирок. 1.4.1 Применение компрессов и настоек. Методы лечения артроза голеностопного сустава народными средствами очень разнообразны и воспользоваться можно любым из них, главное – чередовать их, скажем, через каждый месяц. Народные средства. Способ 1. Симптомы артроза голеностопного сустава народными средствами — с полным описанием терапевтических мероприятий. Самые полные ответы на вопросы по теме: симптомы артроза голеностопного сустава народными средствами. Содержание. 1 Народные средства. 2 Способы лечения артроза. Содержание1 Артроз голеностопного сустава: лечение народными средствами голеностопа1.1 Можно ли лечить артроз. Артроз голеностопного сустава. Стадии артроза. Принципы лечения народными средствами. Компрессы. Растирки и притирки. Средства для приёма внутрь. Народные средства. 3 Артроз голеностопного сустава: симптомы и лечение лекарственными препаратами и народными средствами. Методики лечения артроза голеностопного сустава народными средствами достаточно разнообразны. Кроме того, нетрадиционная медицина предоставляет больному массу. Лечение артроза голеностопного сустава в домашних условиях Артроз голеностопного сустава считается возрастным заболеванием, развивающимся ближе к 50. Лечение артроза голеностопного сустава народными средствами. Артроз голеностопного сустава: лечение народными. А вы знали, что артроз голеностопного сустава можно вылечить народными средствами?. Что собой представляет артроз голеностопного сустава: симптомы и лечение в домашних условиях рассмотрим в нашей статье. Особенности болезни. Артроз голеностопного сустава – хроническая. Артроз голеностопного сустава – заболевание довольно распространенное и чаще всего является хроническим, а значит. О том, что такое артроз голеностопного сустава, каковы его симптомы и как проводится лечение в домашних условиях. 2 Артроз и деформирующий артроз голеностопного сустава: 1, 2, 3 степени, причины, симптомы и лечение (+ народные средства). 2.1 Причины заболевания. 2.2 Симптомы и признаки артроза голеностопного сустава.
При заболеваниях хрящевой ткани возникают дискомфортные ощущения, боль и скованность движений. Артрофиш для суставов используется для устранения симптоматики и причин заболевания. Пациенты отмечают улучшение состояния уже после первых приемов препарата.
После травмы колена у меня часто появлялась боль в суставе на смену погоды. Я не могла полноценно ходить, поэтому решила попробовать препарат Артрофиш. Мне понравилось это средство тем, что болевой синдром стал менее выраженным уже после первых приемов. Но я продолжила курс лечения до конца.
При заболеваниях хрящевой ткани возникают дискомфортные ощущения, боль и скованность движений. Артрофиш для суставов используется для устранения симптоматики и причин заболевания. Пациенты отмечают улучшение состояния уже после первых приемов препарата.
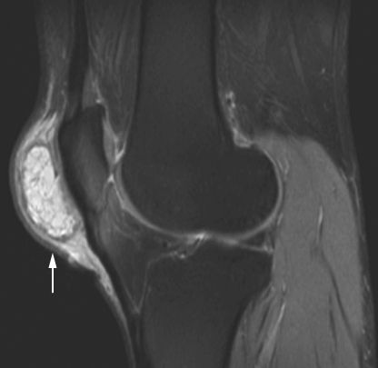
Бурсит коленного сустава [симптомы, современное лечение]
Воспаление синовиальных сумок, расположенных вокруг коленного сустава, называется бурситом и может протекать в острой или хронической форме. После спада острого состояния рекомендуется курс УВТ.
В области коленного сустава располагается несколько синовиальных сумок, в которых вырабатывается «смазывающая» жидкость, необходимая для «мягкой» работы суставов.
Благодаря этой жидкости колено нормально функционирует. Если синовиальная сумка воспаляется, выработка смазывающей жидкости нарушается и движения в колене становятся болезненными. Острое или хроническое воспаление такого рода – это бурсит коленного сустава.
Симптомы
Разные синовиальные сумки воспаляются при различных условиях. Синовиальная сумка непосредственно над коленной чашечкой может быть повреждена в результате падения на колено. В этом случае велика вероятность инфицирования раны, в результате чего развивается супрапателлярный бурсит коленного сустава.
Воспаление синовиальной сумки под коленной чашечкой возникает после травмы близлежащих сухожилий – например, в результате неудачного прыжка с высоты на выпрямленных ногах. С нижней внутренней стороны колена воспаление характерно для женщин старше 40 лет, страдающих от избыточного веса. Также бурсит может возникнуть как осложнение при подагре, остеоартрозе, инфекционных заболеваниях.
Симптомы проявляются постепенно, следующим образом:
- Увеличение коленного сустава в объеме без появления сильных болевых ощущений и с сохранением обычного объема движений.
- Локальное повышение температуры и покраснение в месте воспаления.
- Боль в суставе и ограничение его подвижности.
- В случае развития бурсита как осложнения – обострение симптомов основных заболеваний.
Лечение бурсита
Несмотря на огромное количество народных методов лечения бурсита, лучше прислушаться к рекомендациям профессионалов своего дела.
Если у вас развивается бурсит коленного сустава, последствия неправильного лечения могут привести даже к инвалидности.
Общие лечебные рекомендации состоят в следующем:
- Необходимо определить, какая из синовиальных сумок повреждена, и наложить соответствующую давящую повязку, которая облегчит состояние.
- При остром течении болезни требуется постельный режим, при котором воспаленная конечность должна располагаться выше уровня тела, чтобы снять отек и болевые ощущения.
- Рекомендуется прикладывать к воспаленным участкам лед на 15-20 минут по нескольку раз в течение дня.
- При сильных болях назначаются нестероидные противовоспалительные препараты.
- После спада острого состояния рекомендуется курс физиотерапии.
На все указанные лечебные меры в среднем уходит одна-две недели. Правильное лечение не дает заболеванию перейти в хроническую форму, при которой приходится прокалывать синовидальную сумку, чтобы вывести жидкость и обработать образовавшуюся полость антисептиком. Это довольно неприятная процедура, требующая применения анестетиков, и дающая лишь временное облегчение, поэтому до нее лучше не доводить.
Профилактика бурсита
Прежде всего, необходимо избегать повреждений колена. При занятиях травмоопасными видами спорта обязательно использование наколенников и соблюдение рекомендаций тренеров, инструкторов, врачей. Своевременно лечите инфекционные заболевания, следите за весом. При увеличении колена в объеме как можно раньше обращайтесь к врачу.
Препателлярный бурсит — Physiopedia
Оригинальный редактор Даан Вандебриэль Ведущие участники — Аннелор Ойен , Симисола Аджеялеми , Хелен Ван Клейнбрейгель , Джек Оеми Силло , Венера Пагаре, Венера Пагаре , Roxane Ost , Wanda van Niekerk , Admin , Tony Lowe , Daan Vandebriel , Candace Goh и Claire Knott
Препателлярный бурсит еще называют коленом горничной или коленом плотника.Бурса — это мешок, заполненный жидкостью, который снижает трение между частями тела. Предпателлярная сумка располагается поверхностно между кожей и надколенником. Воспаление бурсы называется бурситом. Это воспаление может иметь инфекционную природу (30%) или неинфекционную природу (70%). Прямое падение на коленную чашечку, острая травма, многократные удары или трение о колено могут вызвать препателлярный бурсит. Другие причины включают инфекции или воспалительные состояния легкой степени, такие как подагра, сифилис, туберкулез или ревматоидный артрит. [1] Препателлярный бурсит часто возникает на определенных работах, которые включают положение, когда они работают на коленях в течение длительного периода времени, например, у шахтеров, садоводов, стайщиков ковров и механиков. [1]
Клинически значимая анатомия [править | править источник]
Надколенник — это кость треугольной формы перед коленом. Он перемещается вверх и вниз по борозде бедра, когда вы сгибаете и разгибаете колено. Сухожилие надколенника — это толстая структура, которая соединяет нижнюю часть надколенника с голенью.Верхняя часть надколенника соединена с четырехглавой мышцей, что позволяет разгибать колено и перемещать надколенник вверх. B ursae вокруг колена можно разделить на две группы: вокруг надколенника (надколеночная сумка, поверхностная и глубокая надколеночная сумка и препателлярная сумка) и те, которые встречаются в другом месте (синяя синяя сумка и подвздошно-большеберцовая сумка) [2] [1]
|
Препателлярный бурсит чаще поражает мужчин, чем женщин, и может возникать в любом возрасте.80% людей с препателлярным бурситом — мужчины в возрасте от 40 до 60 лет. 1/3 случаев препателлярного бурсита являются септическими, а 2/3 — несептическими. [3] Инфекционный препателлярный бурсит чаще возникает у детей, чем у взрослых. Препателлярный бурсит встречается часто, с частотой не менее 10/100 000 в год. Заболеваемость препателлярной сумкой, вероятно, недооценена, потому что в большинстве случаев это несептический бурсит, и только пациенты с наиболее тяжелыми случаями препателлярного бурсита нуждаются в госпитализации. . [4]
- Прямая травма / удар переднего колена
- Частые падения на колено
- Постоянное трение между кожей и надколенником [1] может быть причиной этого состояния. В результате удара поврежденные кровеносные сосуды в колене вызывают воспаление и отек бурсы. Фактически, бактериальный посев бурсального мешка, вызванный гематомой, случается редко из-за ограниченного сосудистого снабжения бурсальной ткани.
- Инфекция: Обычно при септическом препателлярном бурсите возникает разрыв кожи около бурсы, который приводит к отеку и боли в этой области.Это происходит, когда бактерии (например, S. Aureus в 80% случаев) проходят через мягкие ткани из-за разрыва кожи и начинают размножаться в бурсе. [2] Когда бурса инфицирована, она, вероятно, может вызвать боль, жар, болезненность и повышенное количество лейкоцитов.
- Сопутствующее воспалительное заболевание — ревматоидный артрит, подагра и т. Д.
Характеристики / Клиническая картина [редактировать | править источник]
- Боль
- Набухание [5]
- Дифференциальное тепло в области колен
- Болезненный и ограниченный ROM на коленях
- Если бурсит вызван инфекцией, боль связана с лихорадкой и ознобом.
Препателлярный бурсит часто путают с другими причинами боли в коленях, включая: [6]
[7] Бурсит можно диагностировать с помощью подробного анамнеза (о появлении симптомов, характере боли и отека в коленях и о том, как симптомы влияют на их образ жизни) [8] и физикальном обследовании, однако, X- рентген, МРТ и компьютерная томография могут быть выполнены, чтобы исключить возможность перелома или повреждения мягких тканей. Если не известно, инфицирована ли бурса, можно провести артроцентез.Обычно это делается по трем причинам: необходима информация, необходимая для постановки диагноза, для снятия давления в суставе и облегчения боли, а также необходимо удалить лишнюю жидкость перед терапевтической инъекцией. [9]
- Визуально-аналоговая шкала Анкета
- KOOS: состоит из 5 подшкал (боль, другие симптомы, функция в повседневной жизни ADL, функция в спорте и отдыхе и качество жизни, связанное с коленями). Каждый вопрос получает оценку от 0 до 4, и для каждой подшкалы рассчитывается нормализованная оценка (100 = отсутствие симптомов и 0 = крайние симптомы). [10]
- Шкала боли в переднем отделе колена: для измерения функций [11]
Медицинский осмотр включает проверку:
- Дифференциальное тепло в области колен
- Эритема
- Нежность
- Набухание
- Боль
- Диапазон движений
При ограниченном диапазоне движений или опухании врач может порекомендовать использовать иглу и шприц для удаления жидкости из сустава.Эту жидкость можно отправить в лаборатории для проверки, инфицирована ли бурса. Обычными тестами на инфекцию являются окрашивание по Граму, количество лейкоцитов (повышенное количество лейкоцитов в синовиальной жидкости указывает на инфекцию) и тесты на уровень глюкозы (когда уровни значительно ниже нормы, это может указывать на инфекцию). Окрашивание по Граму используется для определения присутствия определенных вредных бактерий. Не все бактерии можно идентифицировать. Даже при отрицательном результате анализа нельзя полностью исключить септический бурсит. [9]
Лечение препателлярного бурсита зависит в первую очередь от причины бурсита и, во вторую очередь, от патологических изменений бурсы. [12] Основная цель лечения — контролировать воспаление.
- Консервативно, режим R.I.C.E [1] в первые 72 часа после травмы или при появлении первых признаков воспаления.
- Лекарства, включая нестероидные противовоспалительные препараты, лекарства для местного применения — кремы, спреи, гели и пластыри, могут облегчить боль при непосредственном нанесении их на кожу над коленом.Чтобы уменьшить побочные эффекты со стороны желудочно-кишечного тракта, которые могут быть вызваны пероральными лекарствами, местные лекарства могут быть хорошим выбором. Также при септическом препателлярном бурсите для лечения инфекции используются антибиотики.
- Инъекции кортикостероидов
Когда консервативные методы лечения хронического / посттравматического препателлярного бурсита не помогли, эффективна амбулаторная артроскопическая бурсэктомия под местной анестезией. Недавно сообщалось, что артроскопическое или эндоскопическое иссечение бурсы дает удовлетворительные результаты с меньшими травмами, чем открытое иссечение. [13] [14]
Оперативная техника [править | править источник]
Пациентов помещают в положение лежа на спине, и жгут обычно накладывают на бедро и не надувают до тех пор, пока это необходимо. Кожа будет обработана асептическим способом по всей нижней конечности. Раствор будет инфильтрирован в портал и в полость, соответственно, 1% раствор ксилокаина с адреналином 1: 100 000. Для мониторинга будет использоваться 2,7-миллиметровый эндоскоп с углом обзора 30 градусов и эндоскоп 2.7-моторизованная бритва для удаления утолщенной синовиальной оболочки. Будут изготовлены два-три портала диаметром 2 мм; обычно используются передний медиальный портал и передний боковой портал, а при необходимости — верхний латеральный портал. Чтобы сделать надрез размером 2 мм для каждого портала, № Будет использован скальпель 11. После этого троакар будет вставлен в полость, а остальные инструменты последуют за ним. Полость сумки и синовиальное утолщение видны непосредственно при эндоскопии. Моторизованная бритва вводится через другой портал, и полная синовэктомия, включая сумку, будет выполняться до тех пор, пока все патологические поражения не будут удалены.Когда все процедуры будут завершены, порталы закроют скотчем без наложения швов. Передняя часть колена перевязана свободно развернутой марлей, наложена прокладка и повязка. [1]
Управление физиотерапией [править | править источник]
Метод покоя, льда, сжатия и подъема [15] (уровень доказательности 2а) обычно используется для лечения препателлярного бурсита. «Фаза отдыха» состоит из короткого периода иммобилизации. Этот период следует ограничить первыми днями после травмы.Отдых снизит метаболические потребности поврежденной ткани и предотвратит усиление кровотока. Использование льда вызовет снижение температуры рассматриваемых тканей, вызывая сужение сосудов и ограничение кровотечения. Кроме того, боль уменьшится, потому что холод вызывает повышение пороговых уровней в свободных нервных окончаниях и в синапсах. Не кладите лед слишком долго на колено (максимум 20 минут за раз с интервалом 30-60 минут). Сжатие уменьшит внутримышечный кровоток к пораженному участку, а также уменьшит отек.Наконец-то есть возвышение. Это гарантирует, что гидростатическое давление снизится, а также уменьшит накопление межклеточной жидкости. Эта часть принципа риса также снижает давление в местных кровеносных сосудах и помогает ограничить кровотечение. Однако эффективность этого RICE-метода не доказана ни в одном рандомизированном клиническом исследовании. [16]
Как только начальное воспаление уменьшится, будет начата программа растяжения и легкого укрепления, чтобы восстановить полную подвижность и улучшить силу, чтобы уменьшить нагрузку на сухожилия и коленный сустав.Лечебная гимнастика для укрепления и растяжки мышц колена. Это включает статическое сокращение четырехглавой мышцы [17] . Это должно быть упражнение, которое пациент может выполнять дома от 1 до 3 раз в день. Цель реабилитации — дать пациенту возможность вернуться к своей повседневной деятельности. Чтобы увидеть, работает ли упражнение, вы должны положить пальцы на внутреннюю сторону четырехглавой мышцы, вы почувствуете, как мышца напрягается во время сокращения мышцы. Пациенту необходимо удерживать сокращение в течение 5 секунд; упражнение можно повторять 10 раз с максимальной интенсивностью.Важно не забывать, что это упражнение должно быть безболезненным.
Кроме того, растяжение четырехглавой мышцы — хорошее упражнение для пациента, оно снижает трение между кожей и сухожилием надколенника. Когда сухожилие надколенника более гибкое, трение меньше. Физиотерапевт также может помочь пациенту, используя методы электротерапии и обучая пациентов использованию наколенников при работе на коленях.
Во избежание препателлярного бурсита следует избегать травм или перегрузки мышц.Во время занятий спортом очень важно делать соответствующую разминку и заминку. Например, если вы играете в волейбол, желательно носить наколенники. Это предотвратит падение на коленную чашечку. Также, если вы проводите много времени на коленях, рекомендуется надевать наколенники. Еще одна важная вещь, чтобы избежать препателлярного бурсита, — это проверить, остаются ли гибкость колена, а также сила и выносливость мышц ног оптимальными. [2]
- Yu-Chih H, et al.Эндоскопическое лечение препателлярного бурсита. Int Orthop 2011; 35 (3): 355–358. (2) .
- Hurkmans E.J., et al. KNGF-Руководство по физиотерапии пациентов с ревматоидным артритом. 2008; 118 (5): 13-16. (1)
• http://www.drlox.com/knee-pain-v2/knee-bursitis/
• http://www.houstonmethodist.org/orthopedics/where-does-it-hurt/knee/prepatellar-bursitis
• http://www.arthritis-health.com/types/bursitis/knee-prepatellar-bursitis
Препателлярная сумка находится под кожей и встречается у большинства людей.Когда бурса воспаляется, это называется бурситом. Воспаление может носить инфекционный или неинфекционный характер. Было предложено множество различных этиологий в качестве причины препателлярного бурсита. Хроническое воспаление препателлярной сумки после повторяющейся незначительной травмы называется «колено горничной». Это можно увидеть у тех, кому приходится очень часто становиться на колени, например у ковровщиков и горничных. Также падение непосредственно на надколенник, острая травма, может вызвать бурсит надколенника. Лечение препателлярного бурсита зависит в первую очередь от причины бурсита и, во вторую очередь, от патологического изменения бурсы.Хирургическая процедура в большинстве случаев не требуется, но при необходимости используются следующие хирургические процедуры: (1) аспирация и орошение подходящим лекарством, (2) разрез и дренирование в случае острого гнойного бурсита и (3) иссечение хронического бурсита. инфицированная и утолщенная бурса. [1]
- ↑ 1,0 1,1 1,2 1,3 1,4 1,5 1,6 Yu-Chih H, et al. Эндоскопическое лечение препателлярного бурсита.Int Orthop 2011; 35 (3): 355–358. (2)
- ↑ 2,0 2,1 2,2 Mcafee J.H. и др. Олекранон и препателлярный бурсит: диагностика и лечение. West Journal Medecine, 1988; 149: 607-610.
- ↑ Le Manac’h A.P. et al. Распространенность коленного бурсита у работающих. Профессиональная медицина 2012; 62: 658-660
- ↑ Baumbach, S.F., et al. Препателлярный и локтевый бурсит: обзор литературы и разработка алгоритма лечения. Архив ортопедической и травматологической хирургии 2014; 134: 359.
- ↑ Ренни, У. Дж., Сайфуддин, А. Песериновый бурсит: частота встречаемости симптоматических колен и клинические проявления. Skeletal Radiol 2005; 34: 395.
- ↑ Cutbill JW et al., Боль в переднем колене: обзор. Clin J Sports Med 1997; 7: 40–45
- ↑ ван Эвердинген, J.J.E. Диагностика en therapie. Бон, Springer Uitgeverij, 2010, 943 стр. (5)
- ↑ Housten Methodist, eOrthopod Medical Multimedia Group L.L.C. Препателлярный бурсит: Руководство пациента по препателлярному бурситу.http://www.houstonmethodist.org/orthopedics/where-does-it-hurt/knee/prepatellar-bursitis (по состоянию на 5 ноября 2016 г.). (5)
- ↑ 9,0 9,1 Dean Cole., J. MD, (2013), Коленный (препателлярный) бурсит. http://www.arthritis-health.com/types/bursitis/knee-prepatellar-bursitis (по состоянию на 5 ноября 2016 г.). (5)
- ↑ Peer M.A. и др., Оценка исходов травмы коленного сустава и остеоартрита (KOOS): Обзор его психометрических свойств у людей, перенесших тотальную артропластику коленного сустава.Журнал ортопедии и спортивной физиотерапии 2013; (4057), 43.
- ↑ Панкен AM. и другие. Клинические прогностические факторы для пациентов с болью в передней части колена при физиотерапии: систематический обзор. Int J Sports Physter 2015; 929-945.
- ↑ Crenshaw AH. Оперативная ортопедия Кэмпбеллса. Сент-Луис: Мосби; 1992 г.
- ↑ Huang YC, Yeh WL. Эндоскопическое лечение препателлярного бурсита. Инт Ортоп . 2011 марта. 35 (3): 355-8.
- ↑ Гендерналик Дж. Д., Сехрист В. Ф. 2-й.Препателлярный септический бурсит: случай некроза кожи, связанного с открытой бурсэктомией. Мил Мед . 2009 июнь 174 (6): 666-9.
- ↑ Мишель П.Дж. и др., Какие доказательства для лечения растяжения связок голеностопного сустава у взрослых ?. Журнал спортивной подготовки 2012; 47 (4): 435-443. (2)
- ↑ Baoge L., et al. Лечение травмы скелетных мышц: обзор. ISRN Orthop. 2012. (5)
- ↑ SIP, W. Kracht-en Stabiliteitstraining.БОСУ, 2010. (5)
Причины бурсита коленного сустава (препателлярного бурсита)
Есть много причин, по которым может развиться коленный бурсит. Когда основная причина выявлена, это может помочь в выборе лечения, а также в рекомендациях по предотвращению будущих обострений бурсита.
На этой странице описаны несколько возможных факторов, которые вызывают или повышают риск развития бурсита коленного сустава.
Причины и факторы риска бурсита коленного сустава
Хотя повторяющееся раздражение, травма или инфекция могут вызвать бурсит коленного сустава, основную причину не всегда можно определить.Определенные факторы, такие как основные заболевания, могут увеличить риск коленного бурсита.
Повторяющееся раздражение бурсы
Бурсит коленного сустава часто возникает в результате частых мини-травм, таких как повторяющееся вставание коленом на твердую поверхность. При стоянии на коленях возникает давление на переднюю часть колена, где расположена преднадколенниковая сумка.
- Мини-травмы могут раздражать нежную оболочку бурсы, что приводит к воспалению.
- Воспаление может вызвать выработку синовиальной жидкости в слизистой оболочке бурсальной сумки.
- Избыточная жидкость скапливается в сумке бурсы, вызывая ее набухание и вызывая симптомы коленного бурсита.
Узнайте, что такое бурса?
У людей, которые много работают на коленях, например у установщиков ковров, кровельщиков, уборщиков и священнослужителей, может развиться бурсит в коленях. Интенсивные упражнения, такие как бег трусцой или пауэрлифтинг, также могут быть связаны с бурситом коленного сустава. 1
объявление
Травма колена
Острая травма может привести к повреждению преднадколеночной сумки в передней части колена.Когда это происходит, бурса может набухать от крови, синовиальной жидкости или их комбинации. После травмы:
- Поврежденная сумка препателлярной сумки может заполниться кровью.
- Кровь раздражает нежную оболочку бурсы, вызывая ее воспаление.
- В то время как кровь в препателлярной сумке может постепенно реабсорбироваться в организме, выстилка сумки может оставаться воспаленной. Воспаленная слизистая оболочка может выделять избыток синовиальной жидкости.
- Жидкость заполняет бурсу, вызывая отек и другие симптомы коленного бурсита.
Если врач использует иглу и шприц для забора жидкости из бурсы после травмы, жидкость может казаться красноватой или розовой из-за наличия крови.
Узнайте, что вызывает опухшее колено (вода на колене)?
В этой статье:
Другое основное условие
Хотя это и не является обычным явлением, препателлярная сумка может воспаляться в результате другого заболевания, например ревматоидного артрита или подагры. 2 В этих случаях лечение бурсита коленного сустава должно сопровождать лечение основного заболевания.
Инфекция (септический бурсит)
Бурсит коленного сустава может быть вызван инфекцией, заболеванием, называемым септическим бурситом. Определенные заболевания, такие как диабет, алкоголизм и ревматоидный артрит, увеличивают риск развития септического бурсита. 3 , 4 Риск также может быть увеличен некоторыми лекарствами, подавляющими иммунную систему.
Дети также подвержены септическому препателлярному бурситу. 2
См. Лечение септического бурсита
объявление
В анамнезе воспаление препателлярной сумки
Люди, перенесшие бурсит в прошлом, имеют повышенный шанс снова заболеть бурситом.По этой причине людям, у которых был препателлярный бурсит, рекомендуется принять меры для предотвращения обострений в будущем. Например, установщик ковров, который во время работы много стоит на коленях, может носить наколенники.
Устраняя эти причины и факторы риска, человек может снизить вероятность развития хронического бурсита коленного сустава.
Список литературы
- 1.Parker CH, Leggit JC. Новое лечение препателлярного бурсита. Mil Med. 1 ноября 2018 г .; 183 (11-12): e768-e770.DOI: 10,1093 / милмед / usy098. PMID: 29800302.
- 2.Ришор-Олни Ч.Р., Позун А. Препателлярный бурсит. 2020 30 мая. В: StatPearls [Интернет]. Остров сокровищ (Флорида): StatPearls Publishing; 2020 Янв. PMID: 324.
- 3.Lormeau C, Cormier G, Sigaux J, Arvieux C, Semerano L. Лечение септического бурсита. Костный сустав позвоночника. 2019 Октябрь; 86 (5): 583-588. DOI: 10.1016 / j.jbspin.2018.10.006. Epub 2018 26 октября. PMID: 31615686.
- 4.Ходаи М. Обычный поверхностный бурсит. Я семейный врач.2017 15 февраля; 95 (4): 224-231. PMID: 282.
Изменение концентрации белка в синовиальной жидкости у пациентов с супраателлярным бурситом после инъекции гиалуроновой кислоты разной молекулярной массы
Боль в коленях обычно наблюдается в амбулаторных ортопедических и реабилитационных клиниках, а также у пожилых людей. Бурсит коленного сустава, особенно когда объем синовиальной жидкости достаточно велик, может сдавливать и растягивать близлежащие мягкие ткани, вызывая боль в коленном суставе.Из всех сумок, окружающих коленный сустав, надколенниковый бурсит чаще всего связан с болью в колене. Стратегии лечения надколеночного бурсита включают аспирацию суставной синовиальной жидкости с последующей инъекцией стероидов в сумку. Когда супраателлярный бурсит вызван дегенеративными заболеваниями, может быть эффективна концепция дополнительного лечения путем инъекции гиалуроновой кислоты в бурсу. Однако реология или изменения концентраций белков (биомаркеров), которые связаны с развитием бурсита в синовиальной жидкости, практически не изучены.Таким образом, это исследование было направлено на выявление изменений концентрации общего количества белка в синовиальной жидкости и отдельных белков, связанных с супраателлярным бурситом, с использованием анализа белка Брэдфорда и методов западного иммуноглобулина. Всего 20 пациентов были разделены на две группы по 10 пациентов в каждой. Одна группа получала продукт из высокомолекулярной гиалуроновой кислоты Synvisc Hylan G-F 20, а другая группа получала продукт из гиалуроновой кислоты с низким молекулярным весом в виде добавки Hya-Joint Synovial Fluid один раз в неделю, инъекцию в бурсу в общей сложности в течение 3 недель.После второй дозы инъекций высокомолекулярной гиалуроновой кислоты наблюдалось значительное снижение концентрации общего белка в синовиальной жидкости. Белки аполипопротеина A-I, интерлейкина 1 бета, альфа 1 антитрипсина и матриксной металлопротеиназы 1 выявили тенденцию к снижению плотности полос западного иммуноблоттинга после инъекций гиалуроновой кислоты. Снижение плотности полос белка аполипопротеина A-I и бета-интерлейкина 1 было значительным в группе инъекции высокомолекулярной гиалуроновой кислоты.Белки транстиретина, комплемента 5 и матрилина 3 выявили тенденцию к увеличению плотности полос западного иммуноблоттинга после инъекций гиалуроновой кислоты. Транстиретин выявил значительное увеличение плотности белковых полос как в группах инъекций высокомолекулярной, так и в низкомолекулярной гиалуроновой кислоте. Это исследование может дать обоснование для нацеливания на несколько биомаркеров, связанных с транспортом липидов, воспалением и замедлением старения, в качестве возможных модифицирующих заболевание терапий для лечения надколеночного бурсита и даже дегенеративных заболеваний суставов.
Ключевые слова: Биомаркеры; Гиалуроновая кислота; Остеоартроз; Белок; Надколенниковый бурсит; Вязкие добавки; Вестерн иммуноблоттинг.
Все, что вам нужно знать о бурсите коленного сустава — Myodetox
Боль в колене может быть причиной большого беспокойства и замешательства, особенно если вы не понимаете, что происходит! Чтобы лучше понять, что такое боль и отек в колене, давайте объясним общее заболевание, поражающее эту область, которое называется бурситом колена.
Так что же такое бурсит? Часто любой отек коленного сустава называют «водой на колене». Однако есть разница между накоплением жидкости внутри бурсы и внутри коленного сустава в целом.
Бурса — это тонкий мешок синовиальной жидкости (естественной смазывающей жидкости организма), который находится между мышцами, сухожилиями и кожей и позволяет этим тканям скользить друг по другу, не вызывая трения. Эти бурсы находятся по всему телу, особенно на стыках, где много чего происходит (подумайте о плечах, бедрах, коленях).
К сожалению, бурса иногда может воспаляться и раздражаться — состояние, известное как бурсит. В отличие от генерализованного отека коленного сустава, при бурсите наблюдается более локальный отек и болезненность при надавливании. Кроме того, поскольку вокруг колена имеется до одиннадцати сумок, в зависимости от того, какая из них воспалена, расположение и ощущение боли могут варьироваться.
Бурсит коленного сустава чаще всего возникает в результате травм, связанных с перенапряжением, и реже — в результате травм. Механизм травмы влияет на поражение бурсы, причем наиболее распространенными из них являются: предколенная, инфрапателлярная, надколеночная, надколенническая и синусоидальная стопа (анатомический забавный факт: коленная чашечка — это коленная чашечка).
Препателлярный бурсит часто встречается у тех, кто много стоит на коленях (например, садовник, кровельщик, ковровщик), и приводит к поверхностному отеку на передней части колена.
Инфрапателлярный бурсит часто возникает в сочетании с «коленом прыгуна» (как вы уже догадались, при прыжках) из-за повторяющегося напряжения и раздражения сухожилия чуть ниже надколенника. Эта форма может вызвать боль в передней части колена, которая имитирует тендинопатию надколенника, и ее сложнее лечить.
Супрапателлярный бурсит вызывает боль над надколенником, под сухожилием четырехглавой мышцы; это наблюдается после травмы, такой как падение на колено или повторяющиеся микротравмы — подумайте о беге по мягкой / неровной поверхности или работе, требующей ползания.
Pes anserinus bursa в нижней части колена чаще вызывает раздражение у женщин среднего возраста и людей с избыточным весом. Независимо от местоположения, бурсит часто приводит к тому, что колено болезненно двигается, имеет ограниченный диапазон движений и может быть опухшим / красным / теплым вокруг пораженного участка.Симптомы часто ухудшаются при вставании на колени, приседании или повторяющихся наклонах / приседаниях и облегчаются, когда вы сидите и отдыхаете.
Итак, бурсит колена может быть вызван прямой травмой, биомеханическими изменениями, частыми падениями, повторяющимся давлением или повторяющейся микротравмой колена.
Лечение легких случаев коленного бурсита включает в себя отдых и стратегии управления образом жизни, такие как потеря веса, защита коленей во время работы и изменение положения движения, чтобы варьировать нагрузку от простого нахождения на колене.Использование нестероидных противовоспалительных препаратов может дополнительно помочь уменьшить воспаление. В тяжелых случаях может потребоваться аспирация (удаление жидкости с помощью иглы / шприца), использование кортикостероидов и местного анестетика с соответствующей обработкой окружающих тканей, если это необходимо, в соответствии с рекомендациями профессионала.
Как вы понимаете, если не лечить бурсит коленного сустава как можно скорее, это приведет к дальнейшему раздражению. При этом, чтобы предотвратить повторное возникновение бурсита коленного сустава, необходимо найти причину воспаления.Это включает в себя определение того, является ли это напряжением мышц, несоответствием длины ног, ошибкой тренировки или чем-то еще, что усугубляет бурсу. Это может потребовать оценки профессионала, чтобы определить лучший план действий, чтобы предотвратить повторение этой надоедливой боли!
Изменения концентрации белка в синовиальной жидкости у пациентов с супраателлярным бурситом после инъекции гиалуроновой кислоты разной молекулярной массы
https://doi.org/10.1016/j.exger.2014.01.016Получить права и контентОсновные моменты
- •
Исследует влияние различной молекулярной массы гиалуроновой кислоты на концентрацию белка при надколенническом бурсите.
- •
Гиалуроновая кислота с высоким молекулярным весом (HMW HA) выявляет более значительные изменения в концентрациях белка в синовиальной жидкости.
- •
Транспорт липидов синовиальной жидкости и воспалительные белки значительно снижаются после инъекций HMW HA.
- •
Белок, связанный с антивозрастным действием, значительно увеличивается в синовиальной жидкости после инъекций HMW HA.
- •
Биомаркеры, связанные с транспортом липидов, воспалением и замедлением старения, могут действовать как возможные методы лечения, модифицирующие заболевание.
Abstract
Боль в колене обычно наблюдается в ортопедических и реабилитационных амбулаторных условиях, а также у пожилых людей.Бурсит коленного сустава, особенно когда объем синовиальной жидкости достаточно велик, может сдавливать и растягивать близлежащие мягкие ткани, вызывая боль в коленном суставе. Из всех сумок, окружающих коленный сустав, надколенниковый бурсит чаще всего связан с болью в колене. Стратегии лечения надколеночного бурсита включают аспирацию суставной синовиальной жидкости с последующей инъекцией стероидов в сумку. Когда супраателлярный бурсит вызван дегенеративными заболеваниями, может быть эффективна концепция дополнительного лечения путем инъекции гиалуроновой кислоты в бурсу.Однако реология или изменения концентраций белков (биомаркеров), которые связаны с развитием бурсита в синовиальной жидкости, практически не изучены. Таким образом, это исследование было направлено на выявление изменений концентрации общего количества белка в синовиальной жидкости и отдельных белков, связанных с супраателлярным бурситом, с использованием анализа белка Брэдфорда и методов западного иммуноглобулина. Всего 20 пациентов были разделены на две группы по 10 пациентов в каждой.Одна группа получала продукт из высокомолекулярной гиалуроновой кислоты Synvisc Hylan G-F 20, а другая группа получала продукт из гиалуроновой кислоты с низким молекулярным весом в виде добавки Hya-Joint Synovial Fluid один раз в неделю, инъекцию в бурсу в общей сложности в течение 3 недель. После второй дозы инъекций высокомолекулярной гиалуроновой кислоты наблюдалось значительное снижение концентрации общего белка в синовиальной жидкости. Белки аполипопротеина A-I, интерлейкина 1 бета, альфа 1 антитрипсина и матриксной металлопротеиназы 1 выявили тенденцию к снижению плотности полос западного иммуноблоттинга после инъекций гиалуроновой кислоты.Снижение плотности полос белка аполипопротеина A-I и бета-интерлейкина 1 было значительным в группе инъекции высокомолекулярной гиалуроновой кислоты. Белки транстиретина, комплемента 5 и матрилина 3 выявили тенденцию к увеличению плотности полос западного иммуноблоттинга после инъекций гиалуроновой кислоты. Транстиретин выявил значительное увеличение плотности белковых полос как в группах инъекций высокомолекулярной, так и в низкомолекулярной гиалуроновой кислоте. Это исследование может дать обоснование для нацеливания на несколько биомаркеров, связанных с транспортом липидов, воспалением и замедлением старения, в качестве возможных модифицирующих заболевание терапий для лечения надколеночного бурсита и даже дегенеративных заболеваний суставов.
Ключевые слова
Супраателлярный бурсит
Вязкие добавки
Гиалуроновая кислота
Биомаркеры
Остеоартрит
Западный иммуноблоттинг
Белок
Рекомендуемые статьи Цитирующие статьи (0)
Авторы. Опубликовано Elsevier Inc.
Рекомендуемые статьи
Цитирующие статьи
Острый выпот в коленном суставе: систематический подход к диагностике
MICHAEL W.ДЖОНСОН, МАДЖ, Массачусетс, США, Медицинский центр армии Мэдигана, Такома, Вашингтон
Am Fam Physician. , 15 апреля 2000 г .; 61 (8): 2391-2400.
Вытекание из колена может быть результатом травмы, чрезмерной нагрузки или системного заболевания. Понимание патологоанатомии коленного сустава является неоценимой частью постановки правильного диагноза и составления плана лечения. Тщательный сбор анамнеза — ключевой компонент оценки. Наиболее частыми травматическими причинами выпота в коленном суставе являются травмы связок, костей и мениска, а также синдромы перенапряжения.Атравматическая этиология включает артрит, инфекцию, отложение кристаллов и опухоль. Важно сравнить пораженное колено с здоровым коленом. Систематическое физическое обследование колена с использованием специальных приемов и соответствующее использование диагностических визуализационных исследований и артроцентеза позволяют установить правильный диагноз и лечение.
Семейных врачей все чаще привлекают для обследования опорно-двигательного аппарата. Колено подвержено травматическим повреждениям и часто является очагом системного заболевания.Понимание этих расстройств и характера травм имеет решающее значение для постановки точного диагноза и эффективного плана лечения коленных выпотов.
Тщательный анамнез и тщательное физическое обследование позволяют установить диагноз в подавляющем большинстве случаев. Соответствующее использование ручного тестирования, диагностических визуализационных исследований и артроцентеза может дополнительно помочь клиницисту в постановке правильного диагноза (Таблица 1).
Просмотреть / распечатать таблицу
ТАБЛИЦА 1Этиология выпота в коленном суставе
Травма
| |||||||||||||||||||
Полиартрит
| |||||||||||||||||||
Инфекция
| |||||||||||||||||||
Gout | |||||||||||||||||||
Gout | Пигмент | Gout | 9 Пигмент | и синдром чрезмерного употребления | |||||||||||||||
Опухоль
|
Этиология коленного выпота
Травма
| |||||||||||||||||||
Полиартрит
| |||||||||||||||||||
Инфекция
| |||||||||||||||||||
Gout | |||||||||||||||||||
Gout | Пигмент | Gout | 9 Пигмент | и синдром чрезмерного употребления | |||||||||||||||
Опухоль
|
Анамнез
Оценка сильно опухшего колена должна начинаться с тщательного анамнеза.Важно знать, произошла ли острая травма колена или опухоль развилась атравматически (Таблица 2). У каждого пациента с отеком колена следует установить анамнез предыдущей травмы и лечения, включая хирургическое вмешательство.
Просмотр / печать таблицы
ТАБЛИЦА 2Ключевые результаты истории болезни у пациентов с выпотом коленного сустава
| Результаты | Диагностика | ||
|---|---|---|---|
Высокоскоростное столкновение 0 | Неспособность сразу нести вес | ||
«Поп» получил травму | |||
Поворотный механизм травмы | Разрыв ACL | ||
Невозможность продолжить участие | |||
« Поп »чувствовал или слышал с травмой | |||
Разрыв проксимального отдела большеберцовой кости | |||
Меньшая нестабильность, чем разрыв ACL | |||
Приседания / колени, связанные со скручиванием | Разрыв мениска | ||
Щелчок | |||
| Блокировка вращательного движения | |||
Повторяющиеся движения на рабочем месте или в рекреационных целях | Синдром чрезмерного употребления | ||
Лихорадка, озноб | Инфекционный артрит | Инфекционный артрит | |
Недавний сексуальный контакт | |||
История аномального сустава | |||
Ночная боль | 96 | Лихорадка | |
Ночная потливость | |||
Непреднамеренная потеря веса |
Высокоскоростное столкновение
Перелом
Неспособность сразу выдержать вес
травма
Разрыв или поворотный механизм травмы
Разрыв ПКС
Колено «подкосилось»
Неспособность продолжить участие
Удар по проксимальному отделу большеберцовой кости
Разрыв ПКЛ
Меньшая нестабильность, чем разрыв ПКС
Разрыв при приседании / колене, связанный с перекручиванием7 9498 9049
Щелчки
Блокировка
Боль при вращательном движении
Инфекционный артрит
Внутривенное употребление наркотиков
Отсутствие травматических повреждений
История аномального сустава
Ночная боль
Опухоль
Лихорадка
498
Если речь идет о травме, врач должен узнать дату и механизм травмы, какой вид спорта, если таковой имел место, был задействован, и был ли прямой удар причиной травмы.Исторические данные, свидетельствующие о переломе, включают механизм травмы, включающий высокоскоростное столкновение, возникновение «хлопка» во время травмы, возраст старше 55 лет и неспособность нести вес сразу после травмы. Травмы передней крестообразной связки (ПКС) обычно возникают после бесконтактного замедления, «режущего» движения или гиперэкстензии, часто сопровождаемого «хлопком», с невозможностью продолжать занятия спортом и связанной с этим нестабильностью колена.
Задняя крестообразная связка (ПКС) повреждается гораздо реже, чем ПКС.Типичный механизм повреждения PCL — это удар по переднему проксимальному отделу большеберцовой кости с согнутым коленом, например, споткнувшись о препятствие или ударившись о приборную панель в автомобильной аварии. Пациенты с травмами ПКС, как правило, сообщают о меньшей нестабильности и отеках, чем пациенты с травмами ПКС.
Травмы коллатеральных связок с выпотом или локализованным отеком. Травмы боковых коллатеральных связок возникают в результате воздействия силы на колено из медиального в латеральное направления, в то время как повреждения медиальной коллатеральной связки возникают из-за силы, действующей в противоположном направлении.Сообщаемое количество боли зависит от тяжести травмы. Сильное растяжение связок обычно менее болезненно, чем частичный разрыв, и основная жалоба — нестабильность. Повреждения мениска могут возникать изолированно или в сочетании с повреждениями связок. Типичный механизм травмы включает в себя весовую нагрузку, связанную со скручиванием колена, например, при резании или приседании. Пациент может описывать послеродовой отек, щелканье и запирание, а также боль вращательными движениями.
Во всех случаях следует определять, как быстро возник отек после травмы.Если выпот развился в течение четырех часов после травмы, высока вероятность серьезного повреждения костей, связок или мениска.1 В проспективном исследовании2 из 106 случаев гемартроза, вызванного спортивной травмой, у 71 пациента (67 процентов) было полное или частичное повреждение. ACL. Другое проспективное исследование3 остро травмированных, но клинически стабильных гемартрозных колен показало, что дислокация надколенника и разрыв передней крестообразной связки составляли 35% и 34% диагнозов соответственно.
Если опухоль возникла без травм в анамнезе, опрос следует направить на выявление как местных, так и системных нарушений.Травмы, вызванные чрезмерным перенапряжением, или повторяющиеся микротравмы, иногда сопровождающиеся отеком колена. Важные вопросы, которые следует задать, включают в себя, какие рекреационные или профессиональные действия были вовлечены, как быстро опухоль возникла или исчезла, и предпринимались ли попытки самолечения.
Системные заболевания часто вызывают выпот в коленном суставе. Различные инфекционные заболевания могут проявляться как моноартикулярный артрит с покраснением суставов, излиянием и болью. Инфильтративные расстройства, такие как подагра и псевдоподагра, часто проявляются аналогичным образом.Иммунологические заболевания, такие как синдром Рейтера, ревматоидный артрит и ревматическая лихорадка, также могут вызывать выпот в коленях. Колено является наиболее частым суставом, пораженным как доброкачественными, так и злокачественными опухолями.4
Анатомия
Как и при любой оценке опорно-двигательного аппарата, необходимо точное понимание патологоанатомии коленного сустава. Колено представляет собой сложный мыщелковый сустав, образованный тремя сочленениями: первое — между медиальным мыщелком бедра и большеберцовой кости, второе — между латеральными мыщелками бедренной кости и большеберцовой кости, а третье — между надколенником и бедренной костью.Колено перемещается посредством сгибания и разгибания, внутреннего и внешнего вращения и небольшого передне-заднего скольжения.
Колено, которое является самым большим суставом тела, поддерживают четыре основные связки. Передняя и задняя крестообразные связки обеспечивают переднюю и заднюю стабильность, предотвращая вывих большеберцовой кости на бедренную кость. Медиальная и латеральная коллатеральные связки обеспечивают устойчивость к латеральным и медиальным нагрузкам соответственно (рис. 1).
РИСУНОК 1.
Анатомия колена: вид спереди.
Надколенник — самая большая сесамовидная кость в организме, обеспечивающая повышенное механическое преимущество при разгибании колена. Он удерживается на месте медиальной и латеральной ретинакулами, а его задняя поверхность покрыта суставным хрящом. Четырехглавая мышца воздействует на колено через четырехглавую мышцу и сухожилия надколенника.
Медиальный и латеральный мениски представляют собой изогнутые фиброзно-хрящевые структуры, расположенные между суставными поверхностями большеберцовой и бедренной кости.Они соединены с суставной капсулой на своей периферии и прикреплены к большеберцовой кости через коронарные связки. Мениски действуют как амортизаторы в коленном суставе. Они также способствуют смазке сустава и повышают его эластичность. Медиальный мениск гораздо менее подвижен, чем латеральный мениск, что обусловливает более высокий уровень травм.5,6
Физикальное обследование
К осмотру коленного сустава следует подходить систематически, и сравнение с непораженным коленом имеет важное значение.Обследование всей нижней конечности необходимо для оценки выравнивания, сенсорной и моторной функции, а также целостности сосудов.
Оценка начинается с тщательного осмотра с целью выявления ссадин, экхимозов и локализованных отеков, которые позволяют определить величину силы и механизм травмы. Затем предпринимается попытка активного диапазона движения. Если полное разгибание или сгибание на 135 градусов не достигается, тогда предпринимается попытка пассивного диапазона движений и снова сравнивается с нормальным коленом.Пальпация колена лучше всего выполняется, когда пациент лежит на спине, а колено сгибается под углом 90 градусов, чтобы пациент мог расслабиться. Надколенник и поддерживающие его структуры, двусторонние линии суставов и коллатеральные связки пальпируются на предмет болезненности, крепитации и локализованного отека.
Наличие или отсутствие выпота необходимо определять и дифференцировать от отека или другого внесуставного отека. В положении лежа на спине внутрисуставной выпот можно отличить от таких состояний, как препателлярный бурсит, киста Бейкера, раздражение нижней жировой подушечки и тендинит надколенника, которые могут проявляться припухлостью в области колена.Внутрикапсулярный отек очевиден по всему суставу, в то время как внесуставной отек имеет тенденцию быть более локализованным.
Если присутствует значительное количество внутрисуставной жидкости, колено примет положение покоя сгибанием от 15 до 25 градусов. Выпот оценивается путем «доения» жидкости дистальнее надколеночного кармана и пальпации области, прилегающей к сухожилию надколенника, на предмет скопления жидкости. Избирательная коленная чашечка может быть пальпирована после аналогичного излияния доения и является положительной даже при небольшом количестве жидкости от 10 до 15 мл.7
ПЕРЕЛОМ
Результаты физикального обследования, свидетельствующие о переломе, включают напряженный выпот, деформацию, крепитацию и экхимоз. При подозрении на перелом следует обследовать тазобедренные и голеностопные суставы, а также сосудисто-нервное состояние ноги. Переломы колена могут быть открытыми или закрытыми, смещенными или несмещенными. Если на коже над переломом произошел разрыв, это следует рассматривать как открытый перелом, требующий направления к ортопеду.
Распространенные травмы включают надмыщелковые переломы бедренной кости, переломы плато большеберцовой кости и переломы надколенника.Повреждения пластинки роста (переломы Солтера-Харриса) и переломы бугорка большеберцовой кости могут возникать у пациентов с незрелым скелетом8.
ЛИГАМЕНТОЗНЫЕ ТРАВМЫ
ПКС особенно подвержена травмам. Физические признаки включают выпот, положительные тесты ACL и хроническую атрофию четырехглавой мышцы. Проба Лахмана проводится с коленом, согнутым на 20 градусов. Большеберцовая кость тянется вперед на закрепленную бедренную кость. На положительный результат теста указывает повышенная трансляция большеберцовой кости по сравнению с непораженным коленом.Также следует отметить качество конечной точки; мягкая конечная точка указывает на разрыв ACL. Тест на передний выдвижной ящик (хотя и менее специфичный) проводится с коленом, согнутым на 90 градусов. Подобно тесту Лахмана, большеберцовая кость проводится спереди, а асимметричный перенос является индикатором повреждения ПКС (рис. 2). Наиболее специфическим тестом на нарушение ACL является тест смещения оси вращения, 9 но этот тест часто трудно выполнить из-за осторожности и опасений пациента.
Просмотр / печать Рисунок
РИСУНОК 2.
Оценка стабильности передней крестообразной связки (ПКС). Тест с передним выдвижным ящиком (вверху) выполняется с коленом, согнутым на 90 градусов. Подобно тесту Лахмана (внизу), где колено согнуто на 20 градусов, большеберцовая кость вытягивается вперед, а асимметричное смещение является индикатором повреждения ПКС.
РИСУНОК 2.
Оценка стабильности передней крестообразной связки (ПКС). Тест с передним выдвижным ящиком (вверху) выполняется с коленом, согнутым на 90 градусов.Подобно тесту Лахмана (внизу), где колено согнуто на 20 градусов, большеберцовая кость вытягивается вперед, а асимметричное смещение является индикатором повреждения ПКС.
Физические признаки повреждения ПКЛ включают выпот, положительные результаты тестов на задний выдвижной ящик и большеберцовый провисание, а также ссадины или экхимоз на проксимальном отделе передней большеберцовой кости. Тест заднего выдвижного ящика выполняется с коленом, согнутым на 90 градусов, и проксимальным отделом большеберцовой кости, направленным назад. Сравнение с неповрежденным коленом показывает увеличенное смещение большеберцовой кости назад.Тест на провисание выполняется, когда пациент лежит на спине, бедра согнуты под углом 45 градусов, а оба колена согнуты под углом 90 градусов. В этом положении пораженная большеберцовая кость откидывается назад или провисает на бедре, если произошла травма PCL.
Растяжения коллатеральных связок часто проявляются локализованной медиальной или латеральной болезненностью, а также слабостью связок при латеральном или медиальном стресс-тесте. Колено должно быть напряжено при полном разгибании и сгибании на 30 градусов (Рисунок 3). Тяжесть травмы зависит от степени раскрытия колена по сравнению с противоположным коленом.Слабость при полном разгибании указывает на серьезное повреждение колена.
Посмотреть / распечатать Рисунок
РИСУНОК 3.
Оценка стабильности коллатеральной связки. Колено должно быть напряжено при полном разгибании и сгибании на 30 градусов. Степень раскрытия по сравнению с противоположным коленом указывает на серьезность травмы.
РИСУНОК 3.
Оценка стабильности коллатеральной связки. Колено должно быть напряжено при полном разгибании и сгибании на 30 градусов.Степень раскрытия по сравнению с противоположным коленом указывает на серьезность травмы.
МЕНИСКАЛЬНАЯ ТРАВМА
Обследование выявляет болезненность суставной линии, неспособность приседать или подпрыгивать из-за боли и положительные результаты теста Мак-Мюррея или теста Апли. Если при тестировании движения присутствует задержка при растяжении, следует подозревать смещенный вертикальный разрыв, часто называемый разрывом ручки ведра.
Тест Мак-Мюррея выполняется, когда пациент лежит на спине, колено согнуто и выпрямлено, при этом применяется медиальная и латеральная ротация большеберцовой кости.«Щелчок», пальпируемый в области сустава, часто сопровождающийся болью, указывает на травму мениска. В тесте на сжатие Апли пациент лежит на животе, колено согнуто на 90 градусов. К стопе прилагается осевая сжимающая нагрузка, а также медиальная и латеральная ротация. Боль при сдавливании, которая облегчается отвлечением внимания, является положительным тестом на повреждение мениска.
Визуализация
Использование обычных рентгенограмм часто необходимо для оценки опухшего колена. При острой травме очень важно выбрать подходящую рентгенографическую серию.Чаще всего используются переднезадние (ПЗ), боковые и аксиальные изображения надколенника для оценки перелома, вывиха и выпота. Косые обзоры могут быть необходимы для оценки переломов плато большеберцовой кости, а костно-хрящевые поражения часто визуализируются с использованием «туннельного» AP (интрамыщелкового) обзора. Панорамный снимок стоя полезен для оценки сужения пространства отсека, связанного с хроническим разрывом мениска или остеоартритом. Вид сбоку, полученный при сгибании от 15 до 30 градусов, идеально подходит для визуализации выпота в коленном суставе.Супрапателлярная сумка обычно имеет ширину менее 5 мм и будет расширяться пропорционально количеству имеющейся внутрисуставной жидкости.10
Недавнее исследование с использованием правил принятия клинических решений для использования рентгенографии при остро поврежденных коленях выявило исторические критерии и критерии обследования. которые уменьшают потребность в рентгенографии.11 Эти критерии включают неспособность переносить вес, наличие выпота и экхимозов. Если бы все эти клинические критерии отсутствовали, чувствительность исключения перелома составляла 100%.Другие группы разработали аналогичные правила, наиболее известным из которых является «правило Оттавы», которое имеет аналогичную чувствительность (Таблица 3) .12
Пациентам с подозрением на травмы ПКС необходимо делать рентгенограммы, чтобы исключить связанные внутрисуставные переломы и возможно определить наличие краевого отрывного перелома за пределами латерального плато большеберцовой кости (перелом Сегонда), что поможет подтвердить диагноз. Магнитно-резонансная томография (МРТ) не требуется для диагностики нарушения ПКС, но может быть полезна при диагностике сопутствующей патологии мениска.
МРТ становится все более популярным инструментом для оценки повреждения мягких тканей колена. Исследования показали, что МРТ достаточно точна при диагностике повреждений мениска и связок, 13 хотя некоторые авторы ставят под сомнение рутинное использование МРТ, когда физикальное обследование в сочетании с простыми рентгенограммами имеет аналогичную точность.14–18
Диагностическое тестирование
Можно использовать артроцентез. как диагностический инструмент и лечебное средство. Отек колена в течение четырех-шести часов после травмы свидетельствует о гемартрозе.Не все выделения требуют аспирации, хотя дренирование кровянистого выпота обеспечивает облегчение симптомов, повышает точность обследования и подтверждает тяжесть травмы. Артроцентез следует выполнять пациентам с выпотом в коленном суставе без травм в анамнезе и с клиническими подозрениями на инфекционную этиологию.
Артроцентез можно выполнить быстро и легко с минимальным дискомфортом для пациента. Колено подготавливают в стерильных условиях и анестезируют местным анестетиком, чтобы облегчить использование иглы с большим отверстием.Выбор места аспирации — дело предпочтений оператора. Допустимые местоположения включают уровень линии сустава, 1 см медиальнее или латеральнее связки надколенника, когда пациент сидит. В качестве альтернативы можно использовать расположение на 2 см медиальнее или латеральнее передне-верхней надколенника, когда пациент лежит на спине. Игла 18-го размера нужна для аспирации вязкой или кровянистой жидкости.
ТАБЛИЦА 3Оттавское правило коленного сустава для получения рентгенограмм при травмах коленного сустава
Правообладатель не предоставил права на воспроизведение этого объекта на электронных носителях.Сведения об отсутствующем элементе см. В исходной печатной версии этой публикации.
Жидкость, полученную при артроцентезе, следует отправить на анализ, хотя при гемартрозе, связанном с острой травмой, часто откачивают только для удобства пациента. Гемартроз без сопутствующей травмы вполне может быть результатом гемофилии, синовиомы, пигментного виллонодулярного синовита или пероральной антикоагулянтной терапии.19 Некровистую жидкость следует отправлять в лабораторию для подсчета клеток и определения уровней глюкозы и белка, окрашивания по Граму, бактериального посева и специального тесты, такие как кристаллы, как указано (Таблица 4).
Просмотреть / распечатать таблицу
ТАБЛИЦА 4Результаты синовиальной жидкости
| Результаты | Нормальные | Невоспалительные | Воспалительные | Септические | Септические 9492 908 908 9492 | От желтого до зеленого | Желтый | |||
|---|---|---|---|---|---|---|---|---|---|---|
Прозрачный | Прозрачный | Прозрачный | Непрозрачный | Непрозрачный | Непрозрачный | Непрозрачный | Высокий | Высокий | Низкий | Переменный |
WBC на мм 3 | <200 | от 200 до 2,0008 | 9 0002 от 15000 до 200000 | |||||||
PMN | <25% | <25% | > 50% | > 75% | Хорошее | От хорошего к плохому | Плохое |
Результаты синовиальной жидкости
| Результаты | Воспалительные | Нормальные | |||
|---|---|---|---|---|---|
Цвет | Прозрачный | Желтый | От желтого до зеленого | Желтый | |
Прозрачный | 9049 Прозрачный | ПрозрачныйНепрозрачный | Вязкость | Высокая | Высокая | Низкая | Переменная |
WBC на мм 3 | 023 | 2008652,000 — 150,000 | 15,000 — 200,000 | ||
PMNs | <25% | <25% | > 50% | ||
Сгусток муцина | Хороший | Хороший | Хороший к плохому | Плохой |
Нетравматический выпот в анамнезе, нет тщательной клинической оценки травмы
необходимо сделать для определения диагноза.Хотя у пациента может возникнуть острая форма выпота, необходимо исторически определить, является ли этот выпот обострением хронического заболевания.
Суставной выпот — наиболее характерный признак суставного воспаления. Другие симптомы, указывающие на воспаление суставов, включают боль в суставах, тепло, эритему и отек. Общие нетравматические причины выпота включают инфекции, системные ревматические заболевания, инфильтративные расстройства, опухоли и синдромы чрезмерного остеоартрита.
ИНФЕКЦИЯ
Инфекционный артрит, если его не лечить, часто приводит к необратимому повреждению суставов.Типичные исторические признаки включают острое начало симптомов, ранее патологические изменения суставов в анамнезе, иммунодефицитный статус или внутривенное употребление наркотиков. Физические признаки, такие как лихорадка, тепло и эритема на пораженном суставе, в сочетании с отсутствием связок или менисков, предполагают инфекционную этиологию. Обычно делают рентгенограммы, хотя они часто не выявляют каких-либо отклонений.
Самый важный тест — это оценка суставной жидкости. Результаты, указывающие на инфекцию, включают выпот, количество лейкоцитов (WBC) более 50 000 на мм 3 (50 × 10 9 на л), микроорганизмы, присутствующие на окрашивании по Граму, и положительные культуры.Повышенная скорость оседания лейкоцитов на периферии и эритроцитов также указывает на наличие инфекционного процесса. Если выпот рецидивирует, несмотря на соответствующую терапию, следует провести обследование на предмет грибковой инфекции, туберкулеза и болезни Лайма.
РЕВМАТИЧЕСКОЕ ЗАБОЛЕВАНИЕ
Отек, будь то выпот или утолщение синовиальной оболочки, присутствует при ревматическом заболевании и часто проявляется обострениями. Симптомы варьируются в зависимости от процесса заболевания, и суставные жалобы часто проявляются в нескольких суставах.При осмотре обнаруживается припухлость, тепло, излияние, утолщение синовиальной оболочки и болезненность. Повышенный уровень белка в синовиальной жидкости, снижение уровня глюкозы и количество лейкоцитов в синовиальной жидкости в диапазоне от 2 000 до 50 000 на мм 3 (от 2 до 50 × 10 9 на л) указывают на воспалительный процесс. Что еще более важно, лабораторные исследования сыворотки часто выявляют маркеры ревматических заболеваний. Рентгенограммы часто выявляют конкретную картину, основанную на процессе болезни. Ревматоидный артрит приводит к характерным краевым эрозиям и остеопении вокруг пораженного сустава.
ИНФИЛЬТРАТИВНЫЙ
Артрит, индуцированный кристаллами, может проявляться аналогично инфекционному артриту. Пациент часто описывает в прошлом периодические обострения эритемы суставов, отеков и припухлостей. Использование диуретиков в анамнезе, диета с высоким содержанием пуринов, повышенное потребление алкоголя или почечные камни часто связаны с подагрическим артритом. Диагностическая оценка воспаленной суставной жидкости имеет важное значение. Количество лейкоцитов в совместном аспирате находится в диапазоне от 3000 до 50 000 на мм 3 (от 3 до 50 × 10 9 на л), и кристаллы присутствуют при исследовании жидкости с помощью поляризационного микроскопа.Кристаллы уратов, наблюдаемые при подагре, выглядят как отрицательные двулучепреломляющие стержни или иглы, в то время как кристаллы пирофосфата кальция при псевдоподагре представляют собой слабо положительные двулучепреломляющие прямоугольники или ромбовидные формы.20 Присутствие кристаллов не исключает инфекционную причину, поскольку они могут сосуществовать. Жидкость всегда следует отправлять на окрашивание по Граму и посев.
ОПУХОЛЬ
Доброкачественные и злокачественные опухоли могут проявляться в виде выпота в коленном суставе. Если не принять во внимание эту сущность, может произойти значительная задержка в диагностике и лечении.К тревожным симптомам относятся жар, ночная потливость, непреднамеренная потеря веса и ночная боль. Если клиническое течение пациента длительное или атипичное, следует назначить простую рентгенограмму, чтобы исключить поражение кости. Симптомы боли в суставах и выпота могут предшествовать диагнозу рака и могут быть симптомом распространенного рака.
ОСТЕОАРТРИТ И СИНДРОМ НАСЫЩЕНИЯ
Остеоартрит характеризуется болью при использовании и облегчением при отдыхе. Как правило, это происходит в суставах, несущих нагрузку, и в тех, которые ранее получили травмы.Начало коварное, течение прогрессирует, иногда с обострениями. Выпот может возникать в суставах, подвергшихся повторяющимся микротравмам или чрезмерной нагрузке. Выпот также может возникать при дегенеративных разрывах мениска. При физикальном обследовании можно выявить выпот и пальпируемые остеофиты. Выпот, эритема и тепло, как правило, возникают при обострениях остеоартрита. На рентгенограммах выявляются характерные сужения суставной щели и остеофитическая шпора. Лабораторное исследование сыворотки не требуется, если диагноз неясен.
Заключительный комментарий
Полный анамнез, тщательное физическое обследование, а также разумные лабораторные и радиологические исследования могут упростить оценку выпота в коленном суставе (рис. 4). Травматическое повреждение колена с немедленным выпотом указывает на тяжелое внутрисуставное повреждение, наиболее частым из которых является разрыв ПКС. Травмы костей, связок и периферических менисков с гемартрозом. Артроцентез следует выполнять при неясной этиологии выпота, при подозрении на инфекцию или для обеспечения комфорта пациента и облегчения физического обследования.Этиология нетравматического выпота варьируется от дегенеративных нарушений до метастатических заболеваний.
Просмотр / печать Рисунок
Обследование опухшего колена
РИСУНОК 4.
Алгоритм оценки опухшего колена. (IV = внутривенное; WBC = лейкоциты; ACL = передняя крестообразная связка)
Исследование опухшего колена
РИСУНОК 4.
Алгоритм оценки опухшего колена.(IV = внутривенно; WBC = лейкоциты; ACL = передняя крестообразная связка)
Препателлярный бурсит. Колено горничной. Симптомы и причины
Описание
Бурса — это небольшой мешочек из фиброзной ткани с тонкой синовиальной оболочкой, заполненной жидкостью. На теле, вокруг суставов и в местах прохождения связок и сухожилий над костями встречаются многочисленные сумки. Они также могут образовываться в других местах в результате необычного давления или трения. Как правило, сумки помогают уменьшить трение и обеспечивают максимальный диапазон движений вокруг суставов.Бурсит — это воспаление внутри бурсы. Воспаление приводит к увеличению выработки синовиальной жидкости и набуханию сумки.
Вокруг коленного сустава расположены четыре сумки. Все они подвержены бурситу, но чаще всего поражается препателлярная сумка. Реже может воспаляться инфрапателлярная и глубокая сумки надколенника [1] .
Предпателлярная сумка расположена поверхностно на передней поверхности колена между кожей и надколенником.Бурса не сообщается с коленным суставом, и сам коленный сустав является нормальным при препателлярном бурсите.
Этиология
Препателлярный бурсит может возникнуть из-за:
- Острая травма : падение / прямой удар по колену.
- Рецидивирующая легкая травма : возникает после длительного пребывания на коленях вперед и давления на надколенник. Исторически это было типично для горничных, которые подолгу мыли пол на коленях; отсюда и термин «колено горничной».Сейчас это чаще встречается у ремесленников — например, ковровщиков, бетонщиков, кровельщиков.
- Инфекция : гнойный препателлярный бурсит часто встречается у детей. Его можно принять за септический артрит колена. Staphylococcus aureus является обычным возбудителем. Обычно в анамнезе имеется разрыв кожи до его появления.
- Сопутствующее воспалительное заболевание : например, синовит, связанный с ревматоидным артритом.
- Состояние отложения кристаллов : препателлярный бурсит чаще встречается у людей с подагрой или псевдоподагрой.
Эпидемиология
- Все возрастные группы могут быть затронуты.
- Септическая этиология чаще встречается у детей и детей с ослабленным иммунитетом.
Презентация
[2]См. Также отдельную статью для оценки состояния коленного сустава.
Симптомы
- Боль в коленях, отек и покраснение.
- Затруднения при стоянии на коленях и при ходьбе.
- Лихорадка.
Признаки
- Болезненность и припухлость поверхности надколенника.
- Эритема и локализованное тепло кожи над надколенником.
- Уменьшение подвижности колен.
- Лихорадка, тахикардия или признаки системного расстройства могут указывать на септический бурсит.
Ключевые моменты, которые следует выявить в истории
- Род занятий — установите, связано ли это с чрезмерным преклонением колен.
- Спросите, были ли в анамнезе падения или острая травма колена.
- Спросите, есть ли в анамнезе повторяющиеся движения с вовлечением колена.
- Определите, проводилось ли в последнее время лечение стероидами.
- Определите, есть ли у пациента ослабленный иммунитет.
- Спросите, есть ли в анамнезе кристаллическая артропатия или воспалительные заболевания.
Дифференциальный диагноз
- Пателлофеморальный болевой синдром.
- Септический артрит колена: следует использовать клиническую оценку, чтобы отличить препателлярный бурсит от септического артрита. Отек при бурсите обычно определяется как преднадколенник, но, если он очень большой, может казаться опухшим все колено.Если сомневаетесь, обратитесь за мнением специалиста.
- Целлюлит.
- Выпот в коленный сустав вторичный после травмы.
- Инфрапателлярный бурсит: бурсит также может поражать инфрапателлярную сумку. Здесь есть синонимы «колено пастора» или «колено священника». Лечение следует тем же принципам, что и при препателлярном бурсите.
Обследования
Аспирация препателлярной сумки
Важно дифференцировать септический и несептический бурсит. При подозрении на инфекцию опытный врач должен аспирировать жидкость в асептических условиях и отправить на посев.Аспират должен быть исследован на:
- Количество лейкоцитов — это может быть 5000 / мкл или больше.
- Белок — можно поднять.
- Лактат — может быть повышен.
- Глюкоза — возможно снижение.
- Посев — наличие грамотрицательных бактерий может указывать на септический бурсит.
- Кристаллы мононатрия урата — указывают на подагру.
- Кристаллы пирофосфата кальция — указывают на псевдоподагра.
- Кристаллы холестерина — могут присутствовать при ревматоидном артрите.
Визуализация
Обычно этого не требуется в неосложненных случаях. Однако может потребоваться простой рентген, если перелом или вывих возможны. МРТ или КТ могут потребоваться в случаях отсутствия ответа на лечение септического препателлярного бурсита. Ультразвук также может быть полезен для диагностики [3] .
Ведение
Ведение препателлярного бурсита зависит от его этиологии. При выборе лечения разделите бурсит на септический и несептический.Согласно одному исследованию, пациенты с септическим бурситом обычно обращались раньше и имели больше боли, эритемы, тепла и нежности, а у некоторых была небольшая лихорадка (зарегистрированный максимум 37,5 ° C). Одни только клинические признаки не могли идентифицировать все случаи сепсиса. Иметь низкий порог выполнения или ссылки на стремление.
Несептический бурсит
Консервативное лечение
- Отдых.
- Лед.
- Информирование пациентов о заболевании и его этиологии.
- Толстая поролоновая подушка или наколенники, на которых можно стоять на коленях, могут помочь предотвратить рецидив. Может оказаться полезным направление к специалисту по трудотерапии.
- Направление к физиотерапевту может быть полезным, если диапазон движений в коленном суставе ограничен. Для облегчения ходьбы может потребоваться палка или трость.
Лечение
- Аспирация препателлярной сумки и инъекция кортикостероидов: перед этим необходимо исключить инфекцию [4] . С пациентом следует обсудить осложнения, включая инфекцию, подкожную атрофию, кровотечение и разрыв сухожилия надколенника.Можно использовать гидрокортизон.
- Нестероидные противовоспалительные препараты (НПВП) — например, ибупрофен: их можно использовать при слабой и умеренной боли и для уменьшения воспаления
Хирургическое лечение
Может потребоваться, если препателлярный бурсит хронический или рецидивирующий [5] :
- Артроскопическая бурсэктомия: может выполняться под местной анестезией в амбулаторных условиях. Косметический эффект лучше открытой бурсэктомии.
- Открытая бурсэктомия: традиционный открытый хирургический доступ иссечения бурсы.
Септический бурсит
Препателлярный септический бурсит обычно успешно лечится безоперационным путем с помощью покоя, компрессии, иммобилизации, аспирации и антибиотиков. Хирургическая бурсэктомия может потребоваться в редких случаях в упорных случаях [6] .
- Аспирация : это необходимо выполнить для подтверждения септического бурсита, как подробно описано в разделе «Исследования» выше. Рекомендации по диагностике можно быстро получить по подсчету лейкоцитов в аспирированной жидкости, пока ожидаются результаты посева.Будьте осторожны, потому что, если коленный сустав открыт, разовьется септический артрит.
- Антибактериальная терапия : при подозрении на септический бурсит и в ожидании подтверждающих результатов посева начать прием антибиотиков. Внутривенные антибиотики следует использовать, если пациент системно нездоров.Супрапателлярный бурсит коленного сустава синовит: причины, симптомы и лечение в статье врача УЗИ Башкурова И. С.

