Ревматоидный артрит 2 степени: диагностика, симптомы и лечение – Артриту
Ревматоидный артрит — одна из самых распространенных суставных патологий, может развиться у пациентов разных возрастов, даже у детей, но как показывает статистика, в большинстве случаев это люди после 45-50 лет. Прогнозы и программы лечения полностью зависят от того, на какой стадии диагностируют заболевание. Нередко патология проявляется неожиданно, резкими болями, а бывает, процесс в самом начале протекает вяло, до определенного времени, не проявляясь ярко. И если на ранней стадии пациент может считаться полностью трудоспособным, то ревматоидный артрит 2 степени говорит о более серьёзных процессах, являющихся поводом для получения инвалидности.
Диагностика и особенности ревматоидного артрита 2 степени
Для того чтобы говорить об обоснованности получения группы инвалидности при ревматоидном артрите 2 степени, проводится тщательное обследование пациента. В обязательном порядке делается:
- рентгенологическое исследование;
- лабораторные анализы крови;
КТ.
На снимке хорошо видно истончение хрящевых тканей, костей и сужение суставных щелей, выявляются эрозии. Чаще всего эрозийные поражения видны около локтевой кости, в области запястья, на фалангах, у хряща.
Что касается результатов лабораторных исследований, то в 80% случаев у пациентов в крови выявляется ревматоидный фактор, это состояние врачи называют серопозитивным ревматоидным артритом 2 степени. Есть также случаи, когда специфический фактор не обнаруживается, тогда говорят о развитии серонегативного ревматоидного артрита.
В основном патология затрагивает одновременно три и более сустава, и отмечается как полиартрит, гораздо реже – один-два. В основном поражению подвергаются мелкие сочленения.
Симптомы, характерные для ревматоидного артрита 2 степени
Симптоматика заболевания на второй стадии достаточно характерна, все пациенты жалуются на:
- сильнейшие боли. Они появляются не только после небольших нагрузок, а во время ночного сна, при перемене погоды. С развитием заболевания они становятся более интенсивными и частыми. По характеру они могут быть ноющими, волнообразными, почти беспрерывными, затихающими только после приема лекарства;
- скованность движения сустава и постепенное снижение двигательной функции. Потеря активности при ревматоидном артрите 2 степени является характерным признаком патологии;
- появление отёков и вызванного дискомфорта, локальное повышение температуры в области пораженного сустава;
- ухудшение общего состояния организма, слабость, вялость, ухудшается аппетит, в большинстве случаев атрофируются мышцы.
Лечение ревматоидного артрита 2 степени должно быть комплексным и только адекватным. Никакие методы народной медицины в данном случае не помогут. Пациентам назначается медикаментозная терапия (причем, инъекции делаются как внутривенно/внутримышечно, так и непосредственно в сустав), физиотерапевтические процедуры, массажи, ЛФК.
Патологический процесс, достигший 2 степени, это серьёзная угроза подвижности пораженного сочленения, малейшее промедление – и для лечения необходимо будет хирургическое вмешательство.
artrity.net
Стадии ревматоидного артрита — диагностика и лечение артрита на разных стадиях
Пожалуйста оцените статью (Это всего лишь 1 клик): Загрузка…Ревматоидный артрит — это аутоиммунное заболевание, при котором происходит поражение соединительной ткани. Патология является достаточно распространенной, чаще болеют женщины. Точные причины ревматоидного артрита не установлены, заболевание связывают с инфекциями, аутоиммунной реакцией, стрессом, наследственной предрасположенностью.
СодержаниеСвернуть

Заболевание прогрессирует постепенно, поэтому его разделяют на 4 стадии. Для каждой стадии ревматоидного артрита характерны свои симптомы, также назначается специфическая терапия. Например, при артрите в подострой стадии часто не назначается обезболивание, так как симптомы выражены слабо.
Диагностика ревматоидного артрита на ранних стадиях
Для ревматоидного артрита характерно симметричное воспаление суставов конечностей. Первыми обычно поражаются мелкие сочленения кистей. На начальном этапе возникает синовит суставов, то есть воспаляется внутренняя оболочка. Затем патологический процесс распространяется и на хрящевую ткань.
Такое нарушение приводит к дегенерации сустава, его деформации и разрушению. Как следствие, может наблюдаться и атрофия мышечной ткани, появление высыпаний на коже и нарушений во работе внутренних органов.

Диагностика ревматоидного артрита проводится при помощи рентгена. Врач по результатам обследования может узнать насколько сильно разрушены суставы и кости. Стадии ревматоидного артрита при помощи рентгена устанавливается по самому деформированному сочленению. Также оценивается поражение всех суставов в целом.
Но стоит отметить, что такой метод диагностики как рентгенография, является неточным. Невозможно увидеть на снимке заболевание на самой начальной стадии, так как мелкий изменения не проявляются. В таком случае помочь может магнитно-резонансная томография (МРТ).
Рентгенологические стадии ревматоидного артрита
Выделяют 4 рентгенологические стадии ревматоидного артрита:
- Начальная стадия характеризуется поражением суставов пальцев, наблюдаются уплотнения, а также видны признаки остеопороза около сочленений.
- 2 стадия ревматоидного артрита характеризуется распространением заболевания, поражением костей единичными эрозиями.
- На 3 стадии в костях множество эрозий, мышцы атрофируются, образуются ревматодиные узелки, а суставы деформируются, возникают подвывихи.
- На 4 стадии суставы полностью теряют подвижность, эрозии распространяются повсюду, увеличиваются остеофиты, усиливаются боли, а пациент становится инвалидом.

В зависимости от установленной стадии, будет назначено лечение ревматоидного артрита. Чем раньше начнется терапии, тем больше вероятность, что удастся подавить хронический воспалительный процесс, и избежать инвалидизации.
Ревматоидный артрит: развернутая стадия
Ревматоидный артрит подразделяют на несколько стадий, в зависимости от длительности течения:
- Очень ранняя стадия, когда болезнь началась менее 6 месяцев назад.
- При ранней стадии серопозитивного ревматоидного артрита пациент болеет уже год.
- При развернутой стадии пациент страдает более года.
- Поздняя стадия артрита наступает через 2 года после начала патологии.
Для развернутой стадии ревматоидного артрита характерно появление выраженных симптомов заболевания. Если на ранней стадии пациента практические ничего не беспокоят, то развернутая стадия зачастую становится причиной обращения к специалисту.

Симптомы:
- боль в суставах пальцев;
- скованность в пораженных сочленениях;
- локальное повышение температуры, покраснение кожи;
- уплотнения в области суставов.
На развернутой стадии могут возникать и другие проявления ревматоидного артрита, например, кожный васкулит, перикардит, нарушение зрения, ревматоидные узелки, плеврит.
Третья стадия ревматоидного артрита
Если начальная стадия ревматодиного артрита пальцев рук хорошо поддается лечению и не сильно нарушает качество жизни больного, то 3 стадия является достаточно запущенной. Даже в стадии ремиссии пациента постоянно беспокоят боли в суставах, ему сложно отказаться от приема обезболивающих средств.

Обострение ревматоидного артрита 3 стадии сопровождается сильными болями, нарушается двигательная активность пораженных суставов, мышцы уже атрофированы. Само сочленение деформируется, велик риск возникновения подвывиха сустава, что усиливает болевые ощущения.
Зачастую уже на 3 степени заболевания наблюдается отложение солей в суставах, возникают остеофиты. Иногда они очень плотные, но могут быть и достаточно рыхлыми, но это обязательно приводит к обездвиживанию сочленений.
Человеку на 3 степени ревматоидного артрита тяжело работать, но пациент еще может самостоятельно себя обслуживать. Человек не может делать зарядку и активно передвигаться.
Ревматоидный артрит: поздняя стадии
4 стадия ревматоидного артрита является самой поздней. Пациент в таком состоянии становится полностью недееспособным, так как возникает анкилоз суставов, то есть сочленения вообще перестают работать. Как следствие, человек не может даже ухаживать за собой.

Поздняя стадия ревматоидного артрита характеризуется сильной деформацией сустава, появлением множественных эрозий на костях, в том числе и за пределами пораженного сочленения, на рентгене видны кисты.
На поздней стадии ревматоидного артрита поражены все конечности, мышцы вокруг сочленений полностью атрофировались, а больной жалуется на сильную непрекращающуюся боль во всем теле. На 4 стадии пациенту ставят инвалидность, так как он не может работать и обслуживать себя.
Заключение
Ревматоидный артрит — хроническое заболевание, но оно неплохо поддается лечению, особенно на ранних стадиях. Если пациент обратится к врачу как можно раньше, ему будет рассказано, как перевести ревматоидный артрит в стадию ремиссии, и продолжить жить нормальной жизнью.
sustavof.ru
Ревматоидный артрит 2 степени — Все про суставы
Содержание статьи
Отличия в болезнях суставов: артриты и артрозы
Такие одинаковые, но такие разные
Артрит и артроз – заболевания суставов, в совокупности поражающие более 10% населения планеты. В силу своей распространенности представляют отличный материал для научных исследований. Но даже в этой ситуации в терминологии данных болезней зачастую возникает путаница.
Многие люди, далёкие от медицины, считают эти два недуга всего лишь двумя названиями одной и той же болезни. Большинство же врачей считает иначе. Однако, например, комитет по Международной Классификации Болезней в своей десятой редакции (МКБ-10) такие понятия, как артроз и остеоартрит, считает тождественными. А эта классификация считается общепринятой в мире (за исключением США – там МКБ-9), что придаёт её постулатам немалый авторитет.
Закономерно, что у любого человека, желающего разобраться в сути вопроса, возникают затруднения. В чём же разница между артритом и артрозом? Какие симптомы у данных болезней различны, какой подход следует избрать при лечении? Разбираемся далее.
Артроз
Прежде чем непосредственно сравнивать артроз с артритом, нужно узнать, что же такое артроз и артрит по отдельности, их симптомы и тактику их лечения.
Артроз – дегенеративно-дистрофическое заболевание суставов. В самом названии классический суффикс -оз указывает на дистрофический характер заболевания. Что это значит?
Дистрофия переводится с латинского языка как «нарушение питания». В привязке к суставам в данном случае это и есть основная причина их поражения. В силу широкого спектра разнообразных причин в тканях сустава происходит нарушение питания. В первую очередь, это суставные хрящи, потому что к ним не подходят собственные кровеносные сосуды, и питательные вещества они получают путём диффузии из прилежащих тканей. А этот процесс очень хрупкий и всегда нарушается первым. Поражённый хрящ теряет свои упругие свойства, истончается и замещается костной тканью, что приводит к болям, хрусту, нарушению движений в суставе вплоть до полной обездвиженности.
Артроз, как правило, начинается постепенно, развивается очень медленно и прогрессирует на протяжении десятков лет. Характерно данное заболевание в большей степени для пожилых людей в возрасте от 40. В США, например лица, достигшие 70-летнего возраста, в 60% случаев страдают артрозом той или иной степени. По общей статистике примерно каждый десятый житель планеты страдает данным недугом.
Артрит
Артрит – воспалительное заболевание тканей сустава. По аналогии, суффикс -ит в конце названия патологии обычно означает воспаление. То есть, в отличие от артроза, ведущим патологическим процессом здесь является не дистрофия, а именно воспаление. Напротив, чаще им заболевают молодые люди до 40, болезнь, как правило, развивается резко, а не постепенно, как при артрозе. Помимо более молодого возраста болеющих, артрит от артроза отличает ещё и распространенность: по статистике «лишь» каждый 50 человек на планете болеет артритом (для артроза каждый десятый, что в пять раз чаще). 
В большинстве случаев артрит не является единственным проявлением данной болезни, чего не скажешь об артрозе. У артрита огромное количество различных причин, и если их не нивелировать, то артрит перейдёт в артроз.
К наиболее частым формам артритов по их причине относят следующие:
- Инфекционный артрит. Возникает после попадания в организм инфекции и следующего за этим воспаления сустава.
- Травматический артрит. Причина данного недуга – травматическое повреждение.
- Ревматоидный артрит. Считается, что природа болезни инфекционно-аллергическая. Как правило, поражается несколько суставов.
- Ревматический артрит. Характеризуется общим заболеванием соединительной ткани в организме (ревматизм). Кроме суставов, страдают сердце, почки и другие органы.
- Подагрический артрит. Возникает вследствие нарушения обмена веществ. Боли в суставе при нём усиливаются во время сезонных обострений.
- Псориатический артрит. Сочетается с воспалением кожных покровов.
- Реактивный артрит. Является неадекватной реакцией иммунной системы на перенесённую инфекцию.
Симптомы
Помимо различия в механизмах возникновения и распространения среди населения планеты, существуют различия в проявлениях, признаках болезни. Ниже представлены основные симптомы артрита и артроза:
- Боль. Типична для обоих заболеваний, однако характер её имеет различия. При артрозах боль усиливается во время нагрузки на поражённый сустав и стихает при отдыхе. Для артрита же нехарактерна зависимость болевых ощущений от физической нагрузки. Как правило, сустав, поражённый артритом, начинает «ныть» в ночное время суток. Интенсивность боли при артрите чаще всего выше и в самом начале заболевания уже достаточно высока.
- Начало болезни. В этом аспекте наблюдается довольно яркое различие между рассматриваемыми заболеваниями. Для артритов характерно резкое начало, когда все симптомы четко выражены, и пациент сразу понимает, что болен. В случае артритов болезнь возникает постепенно, так что большинство больных впервые обращаются за медицинской помощью только на второй стадии заболевания, когда болевые симптомы уже значительны и даже возможно ограничение движения.
- Внешний вид сустава. Тоже может служить критерием дифференциальной диагностики данных заболеваний. Правда, в случаях небольшой выраженности этот симптом большой информативностью не обладает. Для артритов характерны следующие изменения: припухлость, покраснение, иногда повышенная пигментация в результате воспалительного процесса. Для длительно текущих артрозов характерна деформация сустава, возникающая из-за образовавшихся костных наростов (остеофитов).
- Температура тела. Изменение температуры тела для артрозов нехарактерно и может встречаться только при сопутствующем заболевании, совершенно не связанным с артрозом. При артрите же, напротив, характерно повышение температуры в области сустава. Стоит сказать, что данный симптом появляется далеко не всегда. При некоторых артритах поднимается общая температура тела.
- Сопутствующие проявления. Характерным артрозным симптомом можно считать специфический хруст, напоминающий звук при переломе толстой сухой ветки. Применительно к артритам в эту категорию можно отнести множество проявлений: массивные покраснения и шелушения на коже (псориатический артрит), утренняя скованность в мелких суставах (ревматоидный артрит), частая смена поражённых суставов (ревматический артрит), высокая температура тела с лихорадкой (неспецифический инфекционный артрит), субфебрильная температура с потливостью и положительной туберкулиновой пробой (туберкулёзный артрит) и т. д.
Несмотря на кажущееся высокое разнообразие симптомов и их различий, не всегда удаётся дифференцировать артрит от артроза. Для этого применяются более точные диагностические методы.
Более точная диагностика
Для более точной постановки диагноза артрита или артроза на помощь врачу приходят инструментальные методы: лучевая диагностика и эндоскопия. Целесообразность каждого метода определяет лечащий врач совместно с диагностом. Не всегда необходимы самые точные и дорогостоящие методы, но иногда без них просто не обойтись.
Ниже представлены основные методики для диагностики рассматриваемых недугов:
- Рентгенография сустава. Хорошо «видит» артроз начиная со 2 стадии. Первая его стадия, как и большинство артритов, обнаруживается хуже.
- Компьютерная томография. Обладает более высокой разрешающей способностью, но так же, как и рентген, плохо визуализирует мягкие ткани: связки, суставные хрящи. Поэтому диагностика артрита также затруднена.
- МРТ. В отличие от предыдущих двух методов, хорошо визуализирует мягкие ткани. Поэтому обладает высокой ценностью в диагностике артрита. Но и более ранние стадии артроза тоже хорошо определяет.
- Артроскопия. Наиболее точная методика для диагностики заболеваний суставов, позволяющая сделать биопсию, при ней непосредственно в полость сустава вводится трубка с видеокамерой. Минус процедуры – в ее инвазивности, т. е. проникновении в организм.
- Лабораторные показатели. Иногда бывают очень информативными при некоторых видах артрита. В биохимическом анализе крови можно увидеть признаки общего воспаления (инфекционный артрит), повышенный уровень мочевой кислоты (подагрический артрит), ревматоидный фактор (ревматоидный артрит) и т. д.
Поставив диагноз по совокупности всех диагностических мероприятий, учтя все симптомы, врач должен назначить правильное лечение. Для артрита и артроза в этом плане есть как схожесть, так и различие.
Лечение
Как уже было сказано ранее, главное – поставить правильный диагноз. В случае с артритом и артрозом неправильная постановка диагноза всё же не является критичной из-за некоторой схожести в подходе к лечению.
Ниже представлены основные принципы, схожесть и различия лечения артритов и артрозов:
- Обезболивание. Так как боль характерна для обоих недугов, то не обойтись без НПВС, которые, помимо обезболивающего эффекта, обладают противовоспалительным, что особенно полезно при артритах.
- «Подпитка» хрящей. Препараты, называемые хондропротекторами, улучшают питание и регенерацию суставных хрящей. Это наиболее актуально при артрозах.
- Устранение основной причины болезни. Как уже говорилось ранее, артриты чаще являются следствием другой болезни (псориаз, подагра, туберкулёз и т. д.). Таким образом, необходимо излечить основную причину, чтобы избавиться от артрита.
- Физиотерапия. Поможет в обоих случаях, так как обладает противовоспалительным и обезболивающим эффектом, а также улучшает регенерацию повреждённых тканей.
- Хирургическое вмешательство. В некоторых случаях показано оперативное лечение. Однако это не так часто.
Очень важно то, что проводить самостоятельное лечение ни в коем случае нельзя. При возникновении описанных симптомов нужно обратиться к врачу, который поставит диагноз и составит план лечения, препятствующий прогрессированию болезни. При лечении же своими силами, во-первых, теряется драгоценное время; во-вторых, течение болезни можно значительно усугубить.
Когда человек замечает у себя определенные симптомы то практически сразу бежит в поликлинику. После прохождения диагностики и сдачи анализов доктор ставит диагноз — ревматоидный артрит.
В основном, активность болезни начинается примерно через год или два после ее начала. Для болезни характерно проявление общих симптомов, таких, как воспалительный процесс в суставах и дискомфорт по утрам.
Но ревматоидный артрит — это заболевание, которое имеет много подвидов.
Классификация по МКБ-10
Согласно Международной классификации болезней 10 пересмотра ревматоидный артрит бывает серопозитивный и серонегативный. Эти два вида также имеют свою классификацию и каждый подвид болезни имеет свой код.
Серонегативный РА, код по МКБ-10 – М-06.0:
- болезнь Стилла у взрослых – М-06.1;
- бурсит – М-06.2;
- ревматоидный узелок – М-06.3;
- воспалительная полиартропатия – М-06.4;
- другие уточненные РА – М-06.8;
- серонегативный РА неуточненный – М-06.9.
Серопозитивный РА, код по МКБ-10 – М-05:
- синдром Фелти – М-05.0;
- ревматоидная болезнь легкого – М-05.1;
- васкулит – М-05.2;
- ревматоидный артрит с вовлечением других органов и систем – М-05.3;
- другие серопозитивные РА – М-05.8;
- неуточненный РА – М-05.9.
Историческое развитие ревматоидного артрита
История гласит, что артрит и подобные ему заболевания были известны еще нашим предкам.
История древних времен называет Папирус Ebers тем первым человеком, который назвал то состояние здоровья, которое схожее с ревматоидным артритом.
История Египта определяет, что ревматоидный артрит был ведущей болезнью в этой стране.
История Индии называет симптомы, по которым можно определить заболевание: болезненные проявления, опухоль и ограничение в движении.
История 1858 года: B Garrod называет причины, отличающие ревматоидный артрит, остеоартрит и подагру.
История Дальнего Востока: при заболевании, в качестве лечения применяют иглоукалывание.
История 1880 года: известное на то время издание определяет хроническое течение болезни, влияние на оболочку сухожилий, воспалительный процесс.
Известный деятель Гиппократ применял выдержки вербы для снятия болей при заболевании.
История 1929 года: Leroux называет такое лекарство, как салициловая кислота, в качестве облегчения болей при артрите.
Диагностика заболевания
Определение и диагноз болезни ставятся на основании таких показателей, как критерии ревматоидного артрита. К таковым относятся:
- дискомфорт в суставах и околосуставных тканях после сна, что характерно в утреннее время суток. Как правило, активность таких болей длится на протяжении одного часа;
- активность артрита проявляется в трех и более суставных областях;
- заболевание характерно для суставов в кистях. Наблюдается опухолевый процесс в одном из суставов: лучезапястные, пястно-фаланговые, проксимальные межфаланговые;
- симметричная форма болезни. Начинается воспалительный процесс в схожих суставных зонах с обеих сторон.
- возникновение ревматоидных узелков;
- клинические анализы выявляют в крови наличие ревматоидного фактора;
- наличие изменений на рентгенографическом снимке: эрозия.
Диагноз болезни считается подтвержденным в случае выявленных четырех симптомов из вышеперечисленных, активность которых должна наблюдаться на протяжении шести недель.
Анализы, способствующие уточнению диагноза
Как правило, при диагностике болезни врач назначает следующие анализы:
Анализы в лаборатории, которые способствуют правильной постановке диагноза. Клинические анализы. К таковым относится клинический анализ крови, способствующий выяснению, насколько снижен гемоглобин в организме больного.
Клинические анализы не являются решающим звеном в постановке диагноза, но благодаря им можно определить, насколько сложное течение болезни.
Биохимические анализы. К таковым относится биохимический анализ крови, который сможет определить наличие либо отсутствие ревматоидного фактора и С-реактивного белка.
Определение скорости оседания эритроцитов. Скорость бывает нормальной и повышенной. Повышенная скорость обозначает то, что в организме человека имеется воспалительный процесс, обострение болезни либо тяжелое течение.
Рентгенографическое обследование. Когда болезнь только начинается, рентген не покажет каких-либо видимых изменений. Можно заметить только лишнюю суставную жидкость и отеки. Но такие симптомы не только рентген и анализы способны показать. Их видно и при непосредственном осмотре врачом. При активном развитии артрита рентген сможет показать наличие специфических признаков: эрозия, уменьшение суставных щелей, анкилоз.
Анализ на наличие антител к циклическому пептиду. Такой анализ является наиболее достоверным в современной медицине. Благодаря ему можно выявить ревматоидный артрит в 80% случаях диагностики.
Ювенильный (юношеский) тип ревматоидного артрита
Юношеский тип ревматоидного артрита является тем ревматическим заболеванием, которое появляется до 16 лет жизни ребенка (подростка).
Как правило, в медицине нет однозначного ответа, почему возникает болезнь. В зоне риска находятся люди с генетической предрасположенностью.
Юношеский тип ревматоидного артрита имеет следующие признаки проявления, как отечность в суставах, чувство скованности, боли, а также замечено, что заболевание влияет на глаза.
Проявляются чувство светобоязни, инфекции конъюнктивы, глаукома, керотопатия. Юношеский тип ревматоидного артрита проявляется с повышением температуры.
Диагностика заболевания включает в себя все те же методы, применяемые к взрослым больным.
Как правило, в случае адекватного лечения, юношеский тип ревматоидного артрита можно победить в 50% случаев заболеваний. Сколько времени понадобится для лечения, и какие препараты необходимо принимать, сможет определить только лечащий врач.
В основном, рекомендовано принимать противоревматические препараты, способствующие изменению исхода болезни. Рекомендации по снятию симптомов заболевания сводятся к приему нестероидных противовоспалительных средств.
Не рекомендовано применение системных глюкокортикоидов, кроме системного течения болезни.
Биологические агенты, как способ лечения
Биологические агенты являются протеинами, которые разработаны способом генной инженерии. За основу брались человеческие гены.
Такой способ лечения направлен на подавление воспаления при заболевании. Какие отличия имеют биологические агенты, при этом не образуя побочные эффекты? Протеины осуществляют воздействие на ряд особых компонентов человеческого иммунитета, при этом исключая дальнейшие осложнения.
Несмотря на меньшее количество побочных эффектов, они все — таки имеются. Так, отмечается повышение температуры тела, возникновение инфекционных заболеваний. Помимо таких легких побочных эффектов возможно обострение имеющегося хронического заболевания.
Существует не столько рекомендации, сколько запрет на применение биологических агентов в случае склероза, хронической сердечной недостаточности. Применение таких агентов должно быть только в присутствии врача. Применение осуществляют путем внутривенного введения. Запрещено вводит препарат при беременности.
Инвалидность при ревматоидном артрите
Инвалидность устанавливается с учетом следующих факторов:
- степень болезни;
- течение болезни;
- имеющиеся обострения и ремиссия в течение последнего года;
- прогноз ведущего врача;
- возможность больного к собственному обеспечению.
Инвалидность при заболевании имеет два подраздела: инвалидность с детства (до совершеннолетия) и общая инвалидность (после совершеннолетия).
Различают 3 группы инвалидности:
- Ставится при легком или среднем течении болезни. Человек может сам себя обслуживать, передвигаться.
- Ставится при среднем или тяжелом течении болезни. Человек требует ухода, может частично сам себя обслуживать, подвижность ограничена.
- Ставится при тяжелом течении болезни. Самостоятельное движение отсутствует. Человек не может сам себя обслуживать. Требуется постоянный уход.
Психосоматика
Психосоматика заболевания определяет взаимодействие ревматоидного артрита (код по МКБ-10) с психологическим состоянием больного. Так, психическое влияние на течение болезни способно ее полностью изменить.
В случае разных нарушений психосоматика тоже будет отличаться. Именно поэтому требуется проведение индивидуальной психологической диагностики.
Психосоматика характеризуется следующими факторами, такими, как чувство того, что человек является центром всех дел и забот, а в детском возрасте такие люди воспитываются определенными методами. Им свойственна сверхсовестливость и внешняя уступчивость, самопожертвование и чрезмерная нуждаемость в физических нагрузках.
Психосоматика является одной из главных причин при развитии болезни.
Медикаментозное лечение ревматоидного артрита
Какие препараты назначает врач при лечении заболевания? Как правило, применение традиционных противовоспалительных средств способствует уменьшению болей, опухоли, увеличению функционирования суставов.
Также рекомендации врачей сводятся к применению базисных противоревматических препаратов (БПРП), которые способствуют дальнейшей остановке развития болезни.
Сколько требуется применяемого препарата для лечения ревматоидного артрита? Как правило, применяют уменьшенную дозу.
Рекомендации врачей сводятся к тому, что противовоспалительные препараты помогут снять болезненные проявления, отечность и скованность. Но нужно учесть, что развитие болезни на этом не останавливается.
Также возможно применение анальгетиков, которые также способствуют устранению болей.
Распространенные лекарственные средства в лечении артрита
На сегодняшний медицина насчитывает массу лекарственных препаратов, способствующих лечению ревматоидного артрита (код по МКБ-10). К таковым относятся:
Сульфасалазин
Сульфасалазин в некоторых американских странах запрещен в применении. В нашей стране Сульфасалазин является самым безопасным средством, которое способно замедлять развитие заболевания.
Нужно учесть, что Сульфасалазин может вызвать ряд побочных эффектов. Так, запрещено применять препарат Сульфасалазин при индивидуальной непереносимости.
Как правило, прием препарата Сульфасалазин начинают в количестве 500 мг/сут, а спустя 14 дней увеличивают дозу. Поддерживающая доза средства составляет 2 г/сут.
Сульфасалазин разделяют на два приема в сутки. Для деток Сульфасалазин разделяют на четыре приема.
Как правило, эффективность препарата Сульфасалазин приходит к началу — концу третьего месяца лечения. Сульфасалазин может вызвать следующие негативные явления: проявление тошноты, потери аппетита, агранулоцитоза.
Метотрексат
Метотрексат широко используется в онкологической деятельности. Так, благодаря ему происходит торможение делений раковых клеток. Но Метотрексат нашел свое применение и при ревматоидном артрите.
Только врач способен назначить правильную дозировку препарата Метотрексат.
В основном, Метотрексат приводит к улучшению спустя 6 месяцев после его применения. Необходимо запомнить, что периодичность приема препарата Метотрексат способствует быстрому лечению.
Вобэнзим
Препарат Вобэнзим способствует уменьшению побочных действий, а также снижению дозировки приема базисных лекарственных средств. Также Вобэнзим способствует снижению дозировки приема нестероидных противовоспалительных препаратов.
Препарат Вобэнзим может назначать врач при легкой степени болезни. Также Вобэнзим назначают при противопоказании к лечению иммуносупрессивной терапией.
Метипред
Метипред относится к группе кортикостероидов. Иными словами, Метипред именуют как метилпреднизолон.
В случае ревматоидного артрита Метипред способствует устранению болезненных проявлений, а также улучшению общего состояния при болезни.
Метипред имеет свои побочные эффекты. Именно поэтому применять данный препарат необходимо по назначению врача.
Куркума
Куркума является вовсе не медикаментом, а скорее народным методом лечения.
Куркума известна в народе как приправа к многим блюдам. Помимо такого свойства, куркума славится своими лечебными свойствами. Так, куркума способствует снятию болезненных проявлений, а также отечности на воспаленном суставе.
Приготовить лечебную смесь совсем не сложно. Для этого необходимо в равных долях смешать измельченную куркуму и оливковое масло. Чудо-смесь употреблять в количестве 2 ч ложек совместно с пищей.
Куркума полезна в качестве приправы, которую необходимо добавлять в пищу минимум 2 раза за 7 дней.
И самое важное правило — самовольное лечение только усугубит течение болезни.
2016-11-29
Ревматоидный артрит: рентгенологические стадии
Согласно классификации ревматоидный артрит имеет принадлежность к группе аутоиммунных патологий с хроническим течением, который развивается при ослаблении иммунного статуса человека. Точные причины, из-за которых развивается данная патология, не выявлены до сегодняшнего дня.
К предрасполагающим факторам можно отнести генетическую предрасположенность, перенесенные ранее инфекционные процессы (корь, паротит, гепатит Б), влияние на организм человека ядовитых веществ, климакс и другие аутоиммунные патологии.
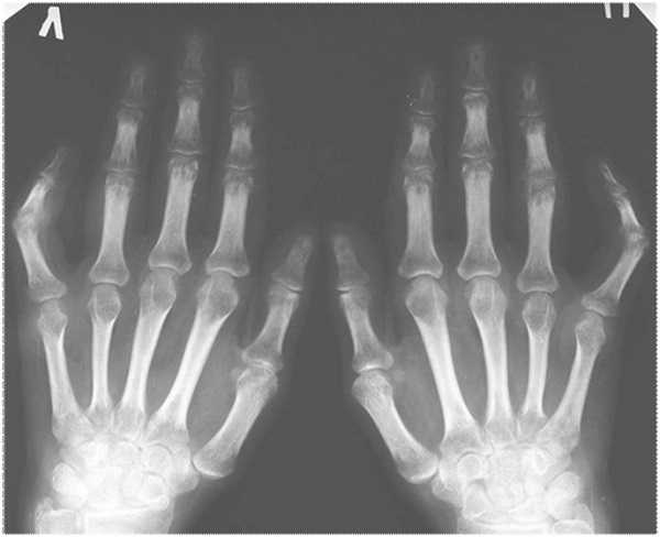
При активном прогрессировании РА развивается симметричное поражение суставов ног и рук (локти, плечи, бедра, колени, кисти и ступни). В первую очередь обычно поражаются мелкие суставные структуры, расположенные на верхних конечностях. Сначала в воспалительный процесс вовлекается синовиальная оболочка, далее этот процесс поражает хрящевую ткань, и как результат формирование эрозий и необратимая деформация суставов.
Артрит может поражать не только суставные элементы. Известны примеры, когда он вовлекает в процесс другие органы и системы. И начинают развиваться следующие изменения в организме: атрофия мышц скелета, увеличиваются лимфоузлы, печень не выполняет свои функции в полной мере, поражается желудочно-кишечный тракт, ткани легкого и сердечная мышца, а также возможно поражение кожных покровов.
Рентгенологические стадии ревматоидного артрита
С помощью рентгенологического исследования можно определить уровень поражения суставов и деформации костных структур, и конечно хрящей и мягких околосуставных тканей. Во время определения стадии РА особое внимание уделяется наиболее пораженному суставу, а также подсчитывается количество образовавшихся эрозий в костных тканях.
Данные проявления дают возможность определить стадию ревматоидного артрита для определенного пациента индивидуально, поскольку у каждого пострадавшего степень разрушения сустава и количество образовавшихся эрозий могут быть разными.
Очень важно во время рентгена определить наличие таких патологических образований как эрозии и кистоподобные просветления. К сожалению, их практически невозможно заметить с помощью рентгена, так как они имеют маленький размер, а аппарат плохую четкость.
Для установления правильного диагноза на начальных стадиях используют дополнительно магнитно-резонансную или компьютерную томографию с целью подробного изучения дегенеративных процессов в суставах.
На основании рентгенологических снимков можно выделить четыре стадии ревматоидного артрита.
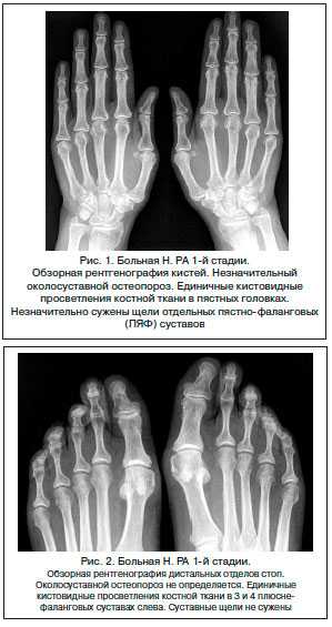
I стадия
Первая стадия или начальная. На начальном уровне дегенеративным изменениям подвергаются суставы кистей и плюснефаланговые суставы.
На фото можно увидеть утолщение и уплотнение околосуставных мягких тканей, поражение костей. А именно их истончение и присутствие в них небольших кистоподобных просветлений.
Очень четко можно увидеть околосуставной остеопороз, который характеризуется дегенеративными модификациями в костных тканях. Костные структуры становятся более рыхлыми, повышается их пористость, что приводит к их ломкости.
Опытный специалист может заметить на снимке сужение суставной щели, что является характерным признаком прогрессирования болезни.
Для этой стадии характерна утренняя скованность суставов, которая проходит сама по себе в течение 1 часа после пробуждения. Пораженный участок немного опухший, и во время незначительных физических нагрузок или поднятии тяжестей больной испытывает неприятные, но терпимые болевые ощущения.
Это основные внешние показатели развития патологии, при проявлении которых стоит обратиться к врачу-ревматологу.
Первичные проявления ревматоидного артрита могут развиваться в любом возрасте. Они могут быть как у маленького пациента, так и уже достаточно взрослого человека. И прогрессировать болезнь может по-разному: возможно бурное развитие сразу после начальных признаков, а может быть затишье на несколько лет.
II стадия
Во время активного прогрессирования второй стадии ревматоидного артрита формируются многочисленные кисты в костных структурах, набирает обороты околосуставной остеопороз и сужается просвет суставной щели в одном или сразу нескольких суставах – это характерные признаки стадии 2А. Этап 2А длится по времени до того момента, пока не начнут образовываться эрозии кости.
Эрозивные образование можно разделить на три группы:
- Краевые поверхностные эрозии чаще всего образовываются на мелких суставах верхних конечностей. Эрозия формируется там, где сустав не покрыт хрящевой тканью, а именно его внутрисуставной участок.
- Из-за прогрессирующего околосуставного остеопороза формируется провал на поверхности кости, который характерен для эрозий компрессионного типа.
- К третьему типу эрозионных образований следует отнести поверхностную деградацию костных тканей замыкательной пластины на участке крепления сустава со связками.
Образования являются первичной диагностической чертой формирования ревматоидного артрита. Как только на рентген-снимке будет видно образования эрозивных структур, то можно приступить к описанию следующего этапа — 2Б, который продолжается до того момента, пока не сформируются четыре эрозии.
На данном этапе подвижность может утрачиваться на 2-3 часа в день, это обусловлено разрушением хрящевой ткани. Во время физических нагрузок боль у пациента увеличивается.
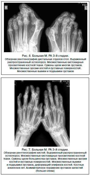
III стадия
После пяти сформировавшихся эрозивных образований можно переходить к обсуждению третьего этапа РА. Развиваются атрофические изменения окружающих сустав мышечных тканях.
К сжатию суставных щелей, множественным образовавшимся кистам и прогрессирующему околосуставному остеопорозу присоединяются вывихи с деформацией кистей рук.
Эти деформации имеют различные названия. К самым распространенным модификациям кистей рук относят «плавники моржа», «шею лебедя» и «пуговичные петли».
При помощи рентгена можно увидеть образование кальцификатов возле пораженного участка. По своей структуре кальцификаты напоминают ревматоидные узелки, которые разрастаются в диаметре до 2 — 3 см.
Из-за перенасыщения организма солями кальция начинают формироваться кальцификаты. По своей структуре ревматоидные узелки достаточно плотные, имеют округлую форму, во время пальпации безболезненны.
На рентгенологических снимках кальцификаты очень хорошо выделяются.
Болевые ощущения и ограниченность в движениях настолько сковывают человека, что он не может выполнять самые простые ежедневные дела. А физические упражнения либо тренировки становятся невозможными и исключаются из ежедневного режима дня больного.
IV стадия
На это стадии околосуставной остеопороз начинает быстро прогрессировать.
- Эрозивные образования начинают поражать не только поверхность суставов, но и близлежащие костные структуры. На краях поверхностей суставов начинают образовываться остеофиты как дополнение к сжатию суставных щелей.
- Остеофиты по своей структуре — костные образования, которые формируются только на краях суставных поверхностей. Они являются неопровержимыми признаками развития ревматоидного артрита. На первых этапах своего формирования они имеют заостренную форму и напоминают небольшие костные наросты.
- С прогрессированием болезни увеличивается объем остеофитов, а также их форма, они могут быть волнообразными или прямолинейными, а также на коротком или длинном основании.
К разнообразным кистоподобным просветлениям, вывихам и подвывихам суставов, а также деформированной костной ткани присоединяется анкилоз суставов и субхондральный остеосклероз.
На рентгенологическом снимке можно обнаружить костное образование под хрящом — это и есть субхондральный остеосклероз. Данная патология формируется при сильном сужении суставной щели. Вследствие прогрессирующей деформации хряща или же его полного отсутствия возникает процесс трения между оголенными костями суставов.
Анкилоз — это полное обездвиживание сустава вследствие необратимых процессов деформации, которые произошли в результате прогресса ревматоидного артрита. На этом этапе развивается практически полное обездвиживание больного и сильные непрекращающиеся боли.
Лечебные и профилактические мероприятия
К сожалению, полного излечения от ревматоидного артрита не существует. Лечебные мероприятия заключаются в уменьшении боли и степени тяжести воспалительного процесса, а также уменьшении процессов деформации и разрушения суставов.
Совместно с медикаментозным лечением стоит соблюдать строгую диету, а именно вегетарианский стол. Важную роль также играет лечебная физкультура, благодаря которой можно хоть немного поддерживать подвижность в суставах и предотвратить развитие атрофии мышц.
На первой стадии ревматоидного артрита будет также эффективным лечебный массаж и физиотерапевтические процедуры, но при сформировавшейся четвертой стадии артрита показано только хирургическое вмешательство.
При длительном применении лекарственных препаратов для облегчения ревматоидного артрита пациент укорачивает себе жизнь на семь лет из-за их токсического воздействия на органы и системы.
В профилактических целях стоит избегать переохлаждения организма, не допускать сильного эмоционального перенапряжения и своевременно лечить инфекционные процессы в организме.
systavy.ru
Степени артрита. Артрит суставов 1, 2, 3, 4 степени — Osustave.ru
Артрит – воспаление одного или нескольких суставов, которое может развиться в любом возрасте и на любом участке скелета человека. Заболевание может появиться внезапно, сопровождаясь резкими болями (острая форма), или постепенно (хроническая форма).
Виды артрита
Многочисленные типы артритов принято делить на две группы:
- воспалительный;
- дегенеративный.
Группа воспалительных артритов характеризуется воспалением синовиальной оболочки, выстилающей внутреннюю полость сустава и включает артрит:
- ревматоидный;
- инфекционный;
- подагрический;
- реактивный.
Группа дегенеративных артритов характеризуется деформацией хрящей, расположенных в местах сочленения костей и включает:
- остеоартроз;
- травматический артрит.
По локализации на частях тела бывает:
- челюстно-лицевой;
- плечевой;
- тазобедренный;
- коленный;
- голеностопный.
Степени артритаСтепени заболевания
В зависимости от тяжести протекания различают 4 степени артрита. Определить степень поражения можно лишь во время рентгенологического обследования.
1 степень – начальная стадия заболевания, во время которой происходит инфицирование организма без явных внешних проявлений. Рентгенограмма показывает первые признаки истончения костей.
На первой фазе недуга наблюдаются небольшие болезненные ощущения в диартрозах и затрудненность движений в утренние часы.
Пациент с 1-й степенью при поражении пальцев рук с удивлением замечает, что простейшие действия (открывание водопроводного крана, поворот газового краника под чайником) даются ему с трудом. Малоподвижность кистей рук по утрам («симптом перчаток») – характерный признак 1-й стадии заболевания.
1-й этап заболевания голеностопного сустава характеризуется болезненностью при его сгибании и разгибании. Обувь, внезапно ставшая тесной в зоне голеностопа, свидетельствует о развитии характерного отека.
Боли, возникающие в голеностопе, носят периодический характер. Постоянное напряжение костного соединения приводит к тому, что пациент ощущает недомогание и быстро устает. Как правило, при 1-й степени воспаления голеностопа человек не идет на прием к врачу.
Снимок здоровой кисти и кисти пораженной артритомНа 1-й стадии воспаления плечевого сустава после физической нагрузки в нем возникает слабая боль, почти сразу же проходящая.
Ноющая боль в колене, возникающая на 1-й стадии воспаления коленного диартроза, усиливается при нагрузке, но быстро проходит.
1-й этап псориатического артрита отмечен возникновением непродолжительных болезненных ощущений в костных соединениях ног и рук преимущественно во время сна.
Признаком воспаления тазобедренного сустава 1-й степени у детей может стать отказ ребенка от ходьбы, боязнь встать на ножки, постоянное спотыкание и частые падения. Заметив эти признаки, необходимо немедленно показать малыша врачу.
2-ая степень – начало возникновения костных эрозий, наряду с их продолжающимся истончением.
При заболевании пальцев рук 2-й степени наблюдается суставная отечность. Музыкант начинает ощущать боль во время игры на музыкальном инструменте. Пальцы начинают издавать хруст и треск.
2-й этап гонита (воспаление коленного участка) характеризуется явной припухлостью, покраснением в пораженной области, утренней затрудненностью движений, появлением резких болезненных ощущений.
2-я стадия воспаления голеностопа отмечена появлением сильных болевых ощущений, не утихающих даже ночью, во время сна. Поврежденный участок опухает и краснеет, хрустит во время движения.
УЗИ диагностика артритаВоспалительный процесс на 2-й стадии развития коксита сопровождается ярко выраженным болевым синдромом, что зачастую приводит к малоподвижности тазобедренного участка. Ошибки в диагностике зачастую объясняются тем, что боль передается (иррадиирует) в колено, вынуждая пациента хромать.
2-ая степень плечевого артрита приводит к ограничению маневренности руки. Пациент не может высоко поднять руку, снять нужный ему предмет с высоко подвешенной полки, причесаться. Кожа в области плеча гиперемирована и отечна. Поврежденный участок болит все время, даже не подвергаясь нагрузке. Характерны ночные приступы боли, усиливающейся перед наступлением утра. Во время движения диартроза можно услышать треск. Именно на 2 стадии развития заболевания пациент обращается за врачебной помощью.
Подагрический артрит характеризуется сильными приступами ночной боли.
Для псориатического заболевания на 2-й стадии характерно возникновение припухлости и деформирования больших пальцев на ногах (именно в этих местах происходит отложение солей мочевой кислоты).
2-й этап ревматического артрита знаменуется развитием опухоли вокруг поврежденного участка, обусловленной притоком большого количества синовиальной жидкости.
3-й степень – рентгенограмма показывает наличие деформации костных соединений, отсутствие постоянной фиксации и его напряжение. Уже на 3-й стадии заболевания пациент теряет возможность самообслуживания в силу затрудненности движений.
3-й этап развития артрита пальцев рук демонстрирует симметричную деформацию суставов на обеих руках. Пациент испытывает сильную боль в пальцах, особенно после периода покоя. Кожа над воспаленными суставами покрасневшая и припухшая. Движения пальцев скованны.
3-я степень воспаления коленного диартроза приводит к его деформации. Боль, испытываемая пациентом, настолько сильна, что провоцирует мышечный спазм, а это влечет за собой деформацию коленного сустава. Прогрессирование артроза на 3 стадии постепенно приводит к фиксации костей в неправильном положении.
Кисть пораженная артритом3-я стадия артрита голеностопного сустава приводит к его полной деформации. Возникает ограничение подвижности в зоне сочленения стопы с костями голени.
Повреждение плечевого сустава на 3 этапе развития заболевания характеризуется его деформацией, вследствие чего пациент почти не в состоянии двигать рукой. При попытке движения можно услышать щелчок в плече. Болевой синдром сохраняется. Пальпация вызывает у пациента сильную боль.
Воспаление тазобедренного сустава на 3 этапе приводит к атрофии ягодичных и бедренных мышц. Деформация сустава обуславливает ограниченность и затрудненность движений; появляются предпосылки к развитию контрактуры мышц.
Артрит 3-й степени зачастую является показанием к назначению инвалидности.
4-я степень – рентгеновские снимки выявляют наличие необратимых изменений в костях и тканях хрящей. 4 стадия заболевания превращает пациента в беспомощного инвалида.
4-й этап артрита голеностопного сустава приводит к полной утрате трудоспособности и инвалидности, поскольку пациент лишается возможности ходить.
Артрит пальцев рук на 4 стадии зачастую завершается сращением суставных хрящей, что приводит к потере подвижности пальцев и утрате навыков самообслуживания. Пациент с 4-й степенью артрита пальцев зачастую полностью беспомощен.
4-я степень артрита плечевого сустава заканчивается его полной неподвижностью. Рентгенограмма этого периода отражает необратимые деформации самого сустава и окружающих его хрящей.
Воспаление коленного сустава на 4-м этапе развития заболевание приводит к образованию сухожильно-мышечной контрактуры.
Артрит тазобедренного сустава на 4-й стадии заканчивается развитием фиброзного или костного анкилоза (полной неподвижности пораженного сустава в результате внутрисуставных сращений).
Болевой синдром при 4-й степени ещё более усиливается и причиняет больному нестерпимые страдания.
Степени артритаРевматоидный артрит. Степени болезни
Распространенность ревматоидного заболевания во всех возрастных категориях настолько велика, что вполне уместно посвятить этому тяжелейшему недугу отдельный раздел статьи.
В клинике ревматоидного артрита выделяют 4 степени. Основой для классификации служат данные рентгенологических исследований.
1-я степень ревматоидного артрита устанавливается по наличию истончения костей. Суставы кистей и плюснефаланговые суставы повреждаются в первую очередь. Рентгенограмма этого периода показывает, что мягкие ткани подвергаются уплотнению; начинается околосуставной остеопороз. На этом этапе ревматоидного артрита начинают формироваться кисты костной ткани.
Ревматоидный артрит 1 степени может развиться в любом возрасте, даже у маленьких детей (ювенильный артрит). Вялотекущее заболевание может затаиться на долгие годы, а во взрослом возрасте проявиться в полную силу.
При 2 степени ревматоидного артрита наряду с утончением костей наблюдается развитие их эрозии. Ревматоидный артрит 2 степени – начало деформации хрящей и ограничения подвижности диартрозов (плечевого, коленного, суставов кистей).
Предвестники атрофии мышц, перерождения тканей, окружающих диартроз, развитие отеков, локальное повышение температуры в области поражения – вот картина, создаваемая рентгенограммами этого периода ревматоидного артрита. Пациенты начинают испытывать болевые ощущения в суставах.
3 степень ревматоидного артрита характеризуется значительным утончением костей в области сустава, значительной атрофией мышц, ускоренным ростом соединительных тканей.
Кисти рук пораженные ревматоидным артритомВоспаленные синовиальные оболочки вызывают ограничение подвижности диартрозов. Ревматоидный артрит этого периода – время значительного отложения солей, которые заметны на рентгеновских снимках.
Ревматоидный артрит 4 степени приводит к обширному повреждению костей и ярко выраженному остеопорозу. Рентгенограммы последней стадии заболевания демонстрируют наличие множественных кист и эрозий.
Заболевание зачастую заканчивается сращением суставов. Последняя степень ревматоидного проявления – возникновения анкилоза плечевого, коленного, тазобедренного суставов.
Заболевание на этой стадии приводит к полной атрофии мышц и перерождению мягких тканей в области больного участка. Ревматоидный артрит коленного и плечевого диартрозов в большинстве случаев соразмерно захватывает обе конечности.
Лечение артрита суставов. Основные методы
Основные методы лечения включают в себя:
- медикаментозное лечение;
- немедикаментозное лечение;
- народные методы лечения.
Медикаментозное лечение, направленное на снятие болевого синдрома, состоит в использовании нестероидных антифлогистических препаратов (индометацина, аспирина, ибупрофена) в комбинации с антибиотиками. Медикаментозное лечение хронического суставного заболевания включает применение внутрисуставных инъекций.
Немедикаментозное лечение состоит в занятиях ЛФК, применении ультразвуковой и магнитной терапии, сеансов массажа, водо- и грязелечения.
Народные методы лечения рекомендуют принятие горячих соленых ванн и расслабляющего горячего душа. Если же прогревающие процедуры провоцируют болевой синдром, народные целители предлагают лечение холодом.
загрузка…
загрузка…
osustave.ru
Ревматоидный артрит 2 степени что это
ВАЖНО! Для того, что бы сохранить статью в закладки, нажмите: CTRL + D
Задать вопрос ВРАЧУ, и получить БЕСПЛАТНЫЙ ОТВЕТ, Вы можете заполнив на НАШЕМ САЙТЕ специальную форму, по этой ссылке >>>
Ревматоидный артрит
Ревматоидный артрит – ревматический процесс, характеризующийся эрозивно-деструктивными поражениями преимущественно периферических мелких суставов. Суставные признаки ревматоидного артрита включают симметричное вовлечение суставов стоп и кистей, их деформирующие изменения. К внесуставным системным проявлениям относятся серозиты, подкожные узелки, лимфаденопатия, васкулиты, периферическая нейропатия. Диагностика включает оценку клинических, биохимических, рентгенологических маркеров. Лечение ревматоидного артрита требует длительных курсов НПВП, кортикостероидов, базисных средств, иногда – хирургического восстановления суставов. Заболевание часто приводит к инвалидности.
Ревматоидный артрит
Причины, обусловливающие развитие ревматоидного артрита, достоверно не установлены. Определена наследственная природа нарушений иммунологических ответов и роль инфекционных этиофакторов (вируса Эпштейн-Барра, ретровируса, цитомегаловируса, микоплазмы, вируса герпеса, краснухи и др.).
Основу патогенеза ревматоидного артрита составляют аутоиммунные реакции, развивающиеся в ответ на действие неизвестных этиологических факторов. Эти реакции проявляются цепочкой взаимосвязанных изменений – воспалением синовиальной мембраны (синовитом), формированием грануляционной ткани (паннуса), ее разрастанием и проникновением в хрящевые структуры с разрушением последних. Исходом ревматоидного артрита служит развитие анкилоза, хронического воспаления параартикулярных тканей, контрактуры, деформации, подвывихи суставов.
Классификация ревматоидного артрита
По клинико-анатомическим особенностям различают формы ревматоидного артрита:
- протекающие по типу полиартрита, олиго- или моноартрита;
- характеризующиеся системной симптоматикой;
- сочетающиеся с диффузными заболеваниями соединительной ткани, деформирующим остеоартрозом, ревматизмом;
- особые формы (ювенильный артрит, синдромы Стилла и Фелти)
По иммунологическим характеристикам выделяют серопозитивные варианты ревматоидного артрита и серонегативные, которые различаются выявлением или отсутствием ревматоидного фактора в сыворотке и суставной жидкости.
Динамика течения ревматоидного артрита может быть различной. Стремительно прогрессирующему варианту свойственна высокая активность: эрозирование костных тканей, деформирование суставов, системные поражения в течение 1-го года заболевания. Медленно развивающийся ревматоидный артрит даже многие годы спустя не вызывает грубых морфологических и функциональных изменений суставов, протекает без системного вовлечения.
По активности клинико-морфологических изменений дифференцируют три степени ревматоидного артрита. При минимальной активности (I ст.) процесса отмечаются незначительные боли в суставах, преходящая скованность в утренние часы, отсутствие локальной гипертермии. Ревматоидный артрит средней активности (II ст.) характеризуется болями в покое и в движении, многочасовой скованностью, болевым ограничением подвижности, стабильными экссудативными явлениями в суставах, умеренной местной гипертермией кожи. Для высокой активности (III ст.) ревматоидного артрита типична сильная артралгия, выраженная экссудация в суставах, гиперемия и припухлость кожи, непроходящая скованность, резко ограничивающая подвижность.
По степени нарушения опорных функций при ревматоидном артрите различают стадии ФН I, ФН II и ФН III. Функциональные нарушения I ст. характеризуются минимальными двигательными ограничениями с сохранением профессиональной пригодности. На стадии ФН II подвижность суставов снижена резко, развитие стойких контрактур ограничивает самообслуживание и ведет к утрате работоспособности. Стадия ФН III ревматоидного артрита определяется тугоподвижностью или тотальной неподвижностью суставов, потерей возможности самообслуживания и необходимостью постоянного ухода за таким пациентом.
Симптомы ревматоидного артрита
Суставные проявления при ревматоидном артрите
Доминирующим в клинике ревматоидного артрита является суставной синдром (артрит) с характерным двусторонним симметричным вовлечением суставов. На продромальном этапе отмечается усталость, периодические артралгии, астения, потливость, субфебрилитет, утренняя скованность. Дебют ревматоидного артрита обычно связывается пациентами со сменой метеофакторов, сезонов года (осени, весны), физиологических периодов (пубертатного, послеродового, климактерического). Провоцирующей причиной ревматоидного артрита может служить инфекция, охлаждение, стресс, травма и др.
При остром и подостром дебюте ревматоидного артрита наблюдается лихорадка, резкая миалгия и артралгия; при малозаметном прогрессировании – изменения нарастают длительно и не сопровождаются существенными функциональными нарушениями. Для клиники ревматоидного артрита типично вовлечение суставов стоп и кистей, запястий, коленных и локтевых суставов; в отдельных случаях поражение касается тазобедренных, плечевых и суставов позвоночника.
Объективные изменения при ревматоидном артрите включают скопление внутрисуставного экссудата, отечность, резкую пальпаторную болезненность, двигательные ограничения, локальную гиперемию и гипертермию кожи. Прогрессирование ревматоидного артрита ведет к фиброзированию синовиальной мембраны и периартикулярных тканей и, как следствие, к развитию деформирования суставов, контрактур, подвывихов. В исходе ревматоидного артрита наступает анкилозирование и обездвиженность суставов.
При поражении синовиальных влагалищ сухожилий кисти – теносиновите нередко развивается синдром запястного канала, патогенетическую основу которого составляет невропатия срединного нерва в результате его сдавления. При этом отмечается парестезия, снижение чувствительности и подвижности среднего, указательного и большого пальцев кисти; боль, распространяющаяся на все предплечье.
Внесуставные поражения при ревматоидном артрите
Развитие внесуставных (системных) проявлений более характерно для серопозитивной формы ревматоидного артрита тяжелого длительного течения. Поражение мускулатуры (межкостной, гипотенара и тенара, разгибателей предплечья, прямой бедренной, ягодичной) проявляется атрофией, снижением мышечной силы и тонуса, очаговым миозитом. При вовлечении в ревматоидный артрит кожных покровов и мягких тканей появляется сухость и истонченность эпидермиса, геморрагии; могут возникать мелклочаговые некрозы подногтевой области, приводящие к гангрене дистальных фаланг. Нарушение кровоснабжения ногтевых пластин ведет к их ломкости, исчерченности и дегенерации.
Типичными признаками ревматоидного артрита служат подкожно расположенные соединительнотканные узелки диаметром 0,5-2 см. Для ревматоидных узелков характерна округлая форма, плотная консистенция, подвижность, безболезненность, реже – неподвижность вследствие спаянности с апоневрозом. Эти образования могут носить единичный или множественный характер, иметь симметричную либо несимметричную локализацию в области предплечий и затылка. Возможно образование ревматоидных узелков в миокарде, легких, клапанных структурах сердца. Появление узелков связано с обострением ревматоидного артрита, а их исчезновение — с ремиссией.
Наиболее тяжелым течением ревматоидного артрита отличаются формы, протекающие с лимфоаденопатией, поражением ЖКТ (энетритами, колитами, амилоидозом слизистой прямой кишки), нервной системы (нейропатией, полиневритом, функциональными вегетативными нарушениями), вовлечением органов дыхания (плеврит, диффузный фиброз, пневмонит, фиброзирующий альвеолит, бронхиолит), почек (гломерулонефрит, амилоидоз), глаз. Со стороны магистральных сосудов и сердца при ревматоидном артрите могут возникать эндокардит, перикардит, миокардит, артериит коронарных сосудов, гранулематозный аортит.
При ревматоидных висцеропатиях вследствие панартериита отмечаются кожные симптомы в виде полиморфной сыпи и изъязвлений; геморрагический синдром (носовые, маточные кровотечения), тромботический синдром (мезентериальные тромбозы).
Осложнения ревматоидного артрита
Тяжкими осложнениями, обусловленными ревматоидным артритом, могут служить поражения сердца (инфаркт миокарда, митральная и аортальная недостаточность, аортальный стеноз), легких (бронхоплевральные свищи), хроническая недостаточность почек, полисерозиты, висцеральный амилоидоз.
Диагностика ревматоидного артрита
Подозрение на ревматоидный артрит является показанием для консультации ревматолога. Исследование периферической крови выявляет анемию; нарастание лейкоцитоза и СОЭ напрямую связано с активностью ревматоидного артрита. Типичными иммунологическими маркерами при ревматоидном артрите служат выявление РФ, снижение числа Т-лимфоцитов, повышение криоглобулинов, обнаружение антикератиновых антител (АКА).
К рентгенологическим критериям ревматоидного артрита относится обнаружение диффузного или пятнистого эпифизарного остеопороза, сужения суставных щелей, краевых эрозий. По показаниям назначается МРТ сустава. Для взятия образца внутрисуставной жидкости производят пункцию сустава. При микроскопии суставной жидкости обнаруживаются неспецифические воспалительные признаки. Исследование биоптата синовиальных мембран при ревматоидном артрите демонстрирует гипертрофию и увеличение числа ворсинок; пролиферацию плазматических, лимфоидных и покровных клеток (синовиоцитов) суставных оболочек; фибриновые отложения; зоны некроза.
Лечение ревматоидного артрита
В основе терапии при ревматоидном артрите лежит назначение курса быстродействующих (противовоспалительных) и базисных (модифицирующих течение заболевания) препаратов. К группе быстродействующих относятся НПВС (диклофенак, ибупрофен, напроксен), кортикостероиды, купирующие воспаление и боль. Использование базисных препаратов (сульфасалазина, гидроксихлороквина метотрексата, лефлуномида) позволяет достичь ремиссии ревматоидного артрита и предотвратить/замедлить дегенерацию суставов.
К относительно новым препаратам, использующимся в лечении ревматоидного артрита, относятся биологические средства, блокирующие провоспалительный белок-цитокин — фактор некроза опухоли (этанерсепт, инфликсимаб, адалимумаб). Препараты-инактиваторы ФНО вводятся в форме инъекций и назначаются в комбинации с базовыми препаратами. Перспективной и многообещающей методикой лечения ревматоидного артрита является терапия стволовыми клетками, направленная на улучшение трофики и регенерацию суставов.
Кроме приема медикаментов при ревматоидном артрите показано проведение экстракорпоральной гемокоррекции – криоафереза, мембранного плазмафереза, экстракорпоральной фармакотерапии, каскадной фильтрации плазмы. Пациентам с ревматоидным артритом рекомендуются занятия ЛФК, плавание. С целью восстановление функции и структуры суставов применяются хирургические вмешательства – артроскопия, эндопротезирование разрушенных суставов.
Прогноз и профилактика ревматоидного артрита
Изолированное, локализующееся в 1-3-х суставах, не резко выраженное воспаление при ревматоидном артрите позволяет надеяться на благоприятный прогноз. К отягощающим перспективу заболевания факторам относятся полиартрит, выраженное и резистентное к терапии воспаление, наличие системных проявлений.
Ввиду отсутствия превентивных методов, возможна лишь вторичная профилактика ревматоидного артрита, которая включает предупреждение обострений, диспансерный контроль, подавление персистирующей инфекции.
Ревматоидный артрит — лечение в Москве
Cправочник болезней
Ревматические болезни
Последние новости
- © 2018 «Красота и медицина»
предназначена только для ознакомления
и не заменяет квалифицированную медицинскую помощь.
Источник: http://www.krasotaimedicina.ru/diseases/rheumatology/rheumatoid-arthritis
Характеристика степеней развития артрита суставов
При проявлении первых симптомов незамедлительно обратитесь в поликлинику
Воспалительная патология поражает один или несколько суставов одновременно. Артрит бывает острого и хронического характера. Первый вид развивается внезапно, сопровождается резкими болями, хроническое течение развивается постепенно. Выделяют 4 степени артрита суставов. Благодаря этим знаниям, врачам легче ставить диагноз и назначать лечение. Этапы развития патологического процесса отличаются тяжестью протекания. Заболевание может быть не только воспалительным, но и дегенеративным. Последний вид недуга опасен деформированием хрящевой ткани, где соединяются костные структуры. Воспалительный, дегенеративный, острый и хронический артрит может развиваться в различных соединениях. Патологический процесс часто обнаруживают в коленном, голеностопном, локтевом, плечевом, тазобедренном и челюстно-лицевом суставах.
В настоящее время более 30 миллионов жителей живут с артритом суставов. Ученые утверждают, что к 2030 году только в США число людей с артритом достигнет 67 миллионов. Лечение и результат зависят от того, какие сочленения затронуты. «Большинство болей в суставах появляется из-за трения. Изношенные тазобедренные и коленные суставы имеют тенденцию постепенно ухудшаться после консервативного лечения, возможно, потребуется хирургическое вмешательство, но артрит рук можно излечить без операции», — говорит Джонатан Эдвардс, доктор медицинских наук и профессор.
Начальная стадия заболевания
Артрит начинает влиять на суставы прежде, чем пациент замечает клинические симптомы. К моменту появления первых признаков жесткости и боли изменения в сочленении могут достигнуть продвинутой стадии. Первые изменения, возникающие при артрите первой степени — хрящевая ткань, покрывающая концы костей, начинает стираться, между костями образуется меньше места. Гладкая поверхность хряща и смазочная жидкость внутри сустава позволяют легко и безболезненно двигать конечностями, но сочетание возраста, чрезмерного давления на сочленения и, возможно, генетической предрасположенности приводят к постепенному изнашиванию хряща. Он не имеет нервов, но когда начинается трение появляются первые болезненные симптомы. Признаки артрита 1 степени:
- воспаление синовиальной мембраны;
- отечность;
- незначительные боли, появляющиеся в период нагрузки, передвижения, поднятия тяжести;
- рентгеновский снимок на этой стадии обычно отрицательный, за исключением возможного присутствия остеопороза и отечности мягких тканей.
Иммунные клетки перемещаются в место воспаления, что приводит к их увеличению в синовиальной жидкости. На первой стадии артрита отсутствует гипертермия, утренняя скованность, скорость оседания эритроцитов находится в норме, экссудативных изменений не наблюдается, есть небольшое повышение концентрации α -глобулина — до 10. Белок быстрой фазы в сыворотке крови отсутствует. Ранее лечение артрита включает физические упражнения, борьбу с воспалением препаратами НПВС. Потеря веса помогает уменьшить дополнительное давление на суставы.
Вторая стадия дегенеративной патологии
Артрит 2 степени отличается более выраженными болями. Начинают образовываться костные эрозии, наряду с продолжающимся истончением хрящевой ткани. Эрозии чаще всего диагностируют в пястно-фаланговых областях, около локтевой кости и в запястье. При второй степени воспалительного процесса нет деформаций, хотя мобильность сустава нарушена из-за мышечной атрофии, изменений мягких тканей около сочленения. Признаки заболевания:
- утренняя скованность длится до 30 минут;
- гипертермия в области поврежденного сочленения незначительная;
- наблюдаются незначительные экссудативные изменения;
- появляется метеозависимость, при плохой погоде суставы ломит;
- местно повышается температура;
- небольшой отек, который становится выраженней при чрезмерном употреблении жидкости, к вечеру отек увеличивается;
- воспаление;
- хруст во время движения.
При подагрическом артрите наблюдаются ночные приступы боли. Лабораторные исследования показывают, что скорость оседания эритроцитов превышена на 20 мм/ч, уровень С-реактивного белка тоже повышен, концентрация α -глобулина составляет до 12. Консервативное лечение на второй стадии развития артрита все еще помогает, важно, не дойти до третьей степени.
Описание 3 этапа болезни
Третья степень артрита суставов определяется как тяжелая. Эта стадия характеризуется накоплением полиморфноядерных лейкоцитов синовиальной жидкости, а также пролиферацией синовиальных клеток. Хрящ в пораженном сочленении практически отсутствует. Хрящевая ткань заменяется остеофитами, межкостное пространство сужается. Признаки артрита суставов третьей степени:
- сильная боль провоцирует мышечный спазм, который влечет за собой деформацию сочленения;
- отечность;
- ограниченный диапазон движения;
- слабость и недомогание;
- утренняя скованность длится до 12 часов дня;
- умеренная гипертермия и экссудативные изменения.
Отечность мягких тканей и потеря хрящевой ткани видны на рентгеновском снимке. При ревматоидном артрите на пальцах рук и ног образуются узлы. Артрит 3 степени не ограничивается одним суставом, деформация на руках в большинстве случаев симметрична. При поражении тазобедренных суставов наблюдается атрофия ягодичных и бедренных мышц. Физическая активность пострадавшего настолько ограничена, что ему требуется поддержка, чтобы передвигаться. Пациенты начинают использовать трости, костыли, ходунки. Лечение артрита на этом этапе обычно включает нестероидные противовоспалительные средства, кортикостероиды, миорелаксанты и другие препараты, облегчающие состояние пациента, а также лечебную физкультуру и физиотерапию.
Клиническая картина позднего типа недуга
На поздних стадиях артрита затрагиваются все суставные структуры. Смазочная жидкость полностью утрачивается, пораженный сустав заполняется воспалительными жидкостями, которые растягивают суставную капсулу, вызывая сильный отек сустава, боль и жесткость. Может потребоваться более сильное обезболивающее. Некоторым пациентам назначают операцию по замене сустава. Симптомы и признаки заболевания:
- полная утрата работоспособности;
- сращение суставных хрящей;
- утренняя скованность не проходит до полудня и дольше;
- выраженная гипертермия в области пораженного сустава;
- на рентгеновском снимке можно увидеть различные по плотности участки;
- появляются кисты и эрозии;
- мышцы атрофированы;
- болезненность очень сильная, появляется во время сна и отдыха.
Скорость оседания эритроцитов составляет более 40 мм/ч, СРБ повышен. На 4 степени заболевания суставов пациенту дают право на получение инвалидности. Лечение направлено на уменьшение боли и предотвращение повреждения других суставов. Если первые три стадии еще можно излечить консервативными методами, то степень артрита под номером четыре характеризуется как необратимое изменение костей и хрящ, требует проведения операции. Пациентам с последней стадией артрита проводят оперативное вмешательство по замене суставов.
Источник: http://sustavzhiv.ru/artrit/stepeni-artrita.html
lechitesami.ru
Ревматоидный артрит
«Человек простой: если умрет, то и так умрет; если выздоровеет, то и так выздоровеет» попечитель богоугодных заведений Земляника
Типичное поражение кистей рук
ДИАГНОСТИЧЕСКИЕ КРИТЕРИИ РЕВМАТОИДНОГО АРТРИТА (ACR/EULAR)
• Поражение суставов: 2–10 больших (1 балл), 1–3 малых (2 балла), 4–10 малых (3 балла), >10 суставов и ≥1 малого (5 баллов). Не дистальные межфаланговые, I запястнопястный или I плюснефаланговый.• Подъем ревматоидного фактора (РФ) или антител к цитруллинированным пептидам (АЦП): ≤3 раз (2 балла), >3 раз (3 балла).
• Повышенные СРБ или СОЭ (1 балл).
• Длительность симптомов ≥6 нед (1 балл).
• Определенный ревматоидный артрит: ≥6 из 10 баллов.
КЛАССИФИКАЦИЯ РЕВМАТОИДНОГО АРТРИТА (ВНОР; ACR/EULAR)
Стадии• Очень ранняя: <6 мес.
• Ранняя: 6 мес – 1 год.
• Развернутая: >1 года, типичные симптомы.
• Поздняя: >2 лет, выраженная деструкция, осложнения.
Иммунология
• Серопозитивный (РФ-положительный), серонегативный (РФ-отрицательный).
• АЦП-положительный, АЦП-отрицательный.
Активность
• 0 — ремиссия (CDAI <2.8).
• 1 — низкая (CDAI 2.8–10).
• 2 — средняя (CDAI 10.1–22).
• 3 — высокая (CDAI >22).
R cтадия
• I: околосуставной остеопороз.
• II: + сужение суставной щели, единичные эрозии.
• III: + множественные эрозии, подвывихи суставов.
• IV: + костные анкилозы.
Эрозии
• Неэрозивный, эрозивный.
Функциональная недостаточность
• I степень: сохранена профессиональная деятельность.
• II степень: ограничена профессиональная деятельность.
• III степень: ограничены непрофессиональная и профессиональная деятельность.
• IV степень: органичено самообслуживание.
Рентгенография межфалангового артрита

ВНЕСУСТАВНЫЕ ПРОЯВЛЕНИЯ
• Ревматоидные узелки.• Кожный васкулит: язвенно-некротический васкулит, инфаркты ногтевого ложа, дигитальный артериит, ливедо-ангиит.
• Васкулит других органов.
• Нейропатия: мононеврит, полинейропатия.
• Плеврит, перикардит: сухой, выпотной.
• Синдром Шегрена.
• Поражение глаз: склерит, эписклерит, васкулит сетчатки.
ОСЛОЖНЕНИЯ
• Системный амилоидоз.• Остеоартроз, остеопороз, остеонекроз.
• Туннельные синдромы: карпального канала, сдавления локтевого, большеберцового нервов.
• Подвывих в атланто-аксиальном суставе.
• Нестабильность шейного отдела позвоночника.
• Атеросклеротические сердечно-сосудистые заболевания.
Магнитно-резонансное изображение воспаления запястья и коленного сустава

Harper E, 2007.
АНТИТЕЛА К ЦИТРУЛЛИНИРОВАННЫМ ПЕПТИДАМ
• Циклический цитруллинированный пептид-2: чувствительность 61–77%, специфичность 62–84%.• Модифицированный цитруллинированный виментин: чувствительность 61–77%, специфичность 83–95%.
ЗАБОЛЕВАНИЯ С АНТИТЕЛАМИ К ЦИТРУЛЛИНИРОВАННЫМ ПЕПТИДАМ
• Парвовирусная артропатия (5%).• Системная красная волчанка (2.5%).
• Гепатит С.
• Сенегативная воспалительная артропатия.
• Спондилоартриты (анкилозирующий, псориатический, Рейтера, болезни кишечника).
• Ревматическая полимиалгия.
• Первичный синдром Шегрена.
• Саркоидоз.
• Фибромилагия.
Артропатия Жакку

Деформация суставов кистей рук без местного воспаления и эрозий, СОЭ 68 мм/ч, СРБ 120 мг/л. Lancet. 2013;381:2108.
Критерии ремиссии ревматоидного артрита для исследований (ACR/EULAR)
Полное отсутствие следующих признаков:• Число болезненных и припухших суставов ≤1.
• С-реактивный белок ≤1 мг/дл.
• Индекс SDAI (Simplified Disease Activity Index) <3.4.
Липидный парадокс

ЛНП — липопротеины низкой плотности. Myasoedova E, et al. Ann Rheum Dis. 2011;70:482–7.
ФОРМУЛИРОВКА ДИАГНОЗА
Ds: Ревматоидный артрит, серопозитивный, развернутая стадия, активность 1, R стадия II, АЦЦП (−), ФН II степени. [М05.8]Осложнение: Амилоидоз почек, ХБП III.
Ds: Ревматоидный артрит вероятный, серонегативный, ранняя стадия, активность 2, неэрозивный (R стадия I), ФН I степени. [М06.9]
Безопасность НПВП при остеоартрозе и ревматоидном артрите

PRECISION. New Engl J Med. 2016;375:2519–29.
ПОДАВЛЕНИЕ ВОСПАЛЕНИЯ
• Нестероидные противовоспалительные препараты (НПВП): диклофенак, напроксен, нимесулид.• Кортикостероиды системно: преднизолон, метилпреднизолон.
• Кортикостероиды внутрисуставно: бетаметазон.
ВЫБОР БАЗИСНОЙ ТЕРАПИИ (EULAR)

Ann Rheum Dis. 2017;76:960–77.
МОДИФИЦИРУЮЩИЕ БОЛЕЗНЬ ПРЕПАРАТЫ
Синтетические• Салазопрепараты: сульфасалазин.
• Цитостатики: метотрексат (у европейцев 25–30 мг/нед внутрь или п/к, максимальная доза 8–12 нед), лефлуномид.
• Ингибиторы янус-киназ: барицитиниб, тофацитиниб, упадацитиниб.
Биологические
• Ингибиторы фактора некроза опухоли: адалимумаб, инфликсимаб, этанерцепт.
• Антагонисты интерлейкинов: анакинра, тоцилизумаб.
• Другие препараты: абатацепт, ритуксимаб.
Барицитиниб при неэффективности обычных синтетических препаратов

Dougados M,et al. Ann Rheum Dis. 2017;76:88–95.
therapy.irkutsk.ru
симптомы развития 1, 2, 3, 4 стадии…
При проявлении первых симптомов незамедлительно обратитесь в поликлиникуВоспалительная патология поражает один или несколько суставов одновременно. Артрит бывает острого и хронического характера. Первый вид развивается внезапно, сопровождается резкими болями, хроническое течение развивается постепенно. Выделяют 4 степени артрита суставов. Благодаря этим знаниям, врачам легче ставить диагноз и назначать лечение. Этапы развития патологического процесса отличаются тяжестью протекания. Заболевание может быть не только воспалительным, но и дегенеративным. Последний вид недуга опасен деформированием хрящевой ткани, где соединяются костные структуры. Воспалительный, дегенеративный, острый и хронический артрит может развиваться в различных соединениях. Патологический процесс часто обнаруживают в коленном, голеностопном, локтевом, плечевом, тазобедренном и челюстно-лицевом суставах.
В настоящее время более 30 миллионов жителей живут с артритом суставов. Ученые утверждают, что к 2030 году только в США число людей с артритом достигнет 67 миллионов. Лечение и результат зависят от того, какие сочленения затронуты. «Большинство болей в суставах появляется из-за трения. Изношенные тазобедренные и коленные суставы имеют тенденцию постепенно ухудшаться после консервативного лечения, возможно, потребуется хирургическое вмешательство, но артрит рук можно излечить без операции», — говорит Джонатан Эдвардс, доктор медицинских наук и профессор.
Начальная стадия заболевания
Артрит начинает влиять на суставы прежде, чем пациент замечает клинические симптомы. К моменту появления первых признаков жесткости и боли изменения в сочленении могут достигнуть продвинутой стадии. Первые изменения, возникающие при артрите первой степени — хрящевая ткань, покрывающая концы костей, начинает стираться, между костями образуется меньше места. Гладкая поверхность хряща и смазочная жидкость внутри сустава позволяют легко и безболезненно двигать конечностями, но сочетание возраста, чрезмерного давления на сочленения и, возможно, генетической предрасположенности приводят к постепенному изнашиванию хряща. Он не имеет нервов, но когда начинается трение появляются первые болезненные симптомы. Признаки артрита 1 степени:
- воспаление синовиальной мембраны;
- отечность;
- незначительные боли, появляющиеся в период нагрузки, передвижения, поднятия тяжести;
- рентгеновский снимок на этой стадии обычно отрицательный, за исключением возможного присутствия остеопороза и отечности мягких тканей.
Иммунные клетки перемещаются в место воспаления, что приводит к их увеличению в синовиальной жидкости. На первой стадии артрита отсутствует гипертермия, утренняя скованность, скорость оседания эритроцитов находится в норме, экссудативных изменений не наблюдается, есть небольшое повышение концентрации α -глобулина — до 10. Белок быстрой фазы в сыворотке крови отсутствует. Ранее лечение артрита включает физические упражнения, борьбу с воспалением препаратами НПВС. Потеря веса помогает уменьшить дополнительное давление на суставы.
Вторая стадия дегенеративной патологии
Не затягивайте с лечением, не давайте патологии развиватьсяАртрит 2 степени отличается более выраженными болями. Начинают образовываться костные эрозии, наряду с продолжающимся истончением хрящевой ткани. Эрозии чаще всего диагностируют в пястно-фаланговых областях, около локтевой кости и в запястье. При второй степени воспалительного процесса нет деформаций, хотя мобильность сустава нарушена из-за мышечной атрофии, изменений мягких тканей около сочленения. Признаки заболевания:
- утренняя скованность длится до 30 минут;
- гипертермия в области поврежденного сочленения незначительная;
- наблюдаются незначительные экссудативные изменения;
- появляется метеозависимость, при плохой погоде суставы ломит;
- местно повышается температура;
- небольшой отек, который становится выраженней при чрезмерном употреблении жидкости, к вечеру отек увеличивается;
- воспаление;
- хруст во время движения.
При подагрическом артрите наблюдаются ночные приступы боли. Лабораторные исследования показывают, что скорость оседания эритроцитов превышена на 20 мм/ч, уровень С-реактивного белка тоже повышен, концентрация α -глобулина составляет до 12. Консервативное лечение на второй стадии развития артрита все еще помогает, важно, не дойти до третьей степени.
Описание 3 этапа болезни
Третья степень артрита суставов определяется как тяжелая. Эта стадия характеризуется накоплением полиморфноядерных лейкоцитов синовиальной жидкости, а также пролиферацией синовиальных клеток. Хрящ в пораженном сочленении практически отсутствует. Хрящевая ткань заменяется остеофитами, межкостное пространство сужается. Признаки артрита суставов третьей степени:
- сильная боль провоцирует мышечный спазм, который влечет за собой деформацию сочленения;
- отечность;
- ограниченный диапазон движения;
- слабость и недомогание;
- утренняя скованность длится до 12 часов дня;
- умеренная гипертермия и экссудативные изменения.
Отечность мягких тканей и потеря хрящевой ткани видны на рентгеновском снимке. При ревматоидном артрите на пальцах рук и ног образуются узлы. Артрит 3 степени не ограничивается одним суставом, деформация на руках в большинстве случаев симметрична. При поражении тазобедренных суставов наблюдается атрофия ягодичных и бедренных мышц. Физическая активность пострадавшего настолько ограничена, что ему требуется поддержка, чтобы передвигаться. Пациенты начинают использовать трости, костыли, ходунки. Лечение артрита на этом этапе обычно включает нестероидные противовоспалительные средства, кортикостероиды, миорелаксанты и другие препараты, облегчающие состояние пациента, а также лечебную физкультуру и физиотерапию.
Клиническая картина позднего типа недуга
На поздних стадиях артрита затрагиваются все суставные структуры. Смазочная жидкость полностью утрачивается, пораженный сустав заполняется воспалительными жидкостями, которые растягивают суставную капсулу, вызывая сильный отек сустава, боль и жесткость. Может потребоваться более сильное обезболивающее. Некоторым пациентам назначают операцию по замене сустава. Симптомы и признаки заболевания:
- полная утрата работоспособности;
- сращение суставных хрящей;
- утренняя скованность не проходит до полудня и дольше;
- выраженная гипертермия в области пораженного сустава;
- на рентгеновском снимке можно увидеть различные по плотности участки;
- появляются кисты и эрозии;
- мышцы атрофированы;
- болезненность очень сильная, появляется во время сна и отдыха.
Скорость оседания эритроцитов составляет более 40 мм/ч, СРБ повышен. На 4 степени заболевания суставов пациенту дают право на получение инвалидности. Лечение направлено на уменьшение боли и предотвращение повреждения других суставов. Если первые три стадии еще можно излечить консервативными методами, то степень артрита под номером четыре характеризуется как необратимое изменение костей и хрящ, требует проведения операции. Пациентам с последней стадией артрита проводят оперативное вмешательство по замене суставов.
Если вы нашли ошибку, пожалуйста, выделите фрагмент текста и нажмите Ctrl+Enter.
Поделиться статьей:sustavzhiv.ru