Как разработать руку после перелома плечевой кости в домашних условиях
Восстановительная гимнастика после перелома плеча – наиболее быстрый и надежный способ вернуть руке силу.
Перелом плечевой кости – это травма, которую может получить практически любой человек. Для ее образования достаточно механического воздействия на кость (к примеру, удар во время падения или драки).
Как быстро проходит реабелитация
Что бы ни стало причиной возникновения механического повреждения плечевой кости, лечение ее может затянуться на разные периоды, значительно отличающиеся друг от друга.

Время лечения зависит от таких факторов:
- Наличествует ли смещение;
- Где именно сломалась кость;
- Была ли нарушена целостность мышечной ткани и кожи;
- Общее состояние организма пациента;
- Возраст больного;
- Было ли произведено хирургическое вмешательство и многое другое.
Фиксация руки в гипсе на длительный период приводит к нарушению работы мышечных тканей и руки в целом. Для восстановления ее функционала необходимо провести ряд реабилитационных процедур, которые помогут вернуть тонус и силу мышцам руки.
Период реабилитации
После снятия гипса приходит период реабилитации. Изменения в работе поврежденной конечности видны сразу: нарушение координации движений руки, перенесшей перелом, слабость мышц и сухожилий. Этой рукой трудно взять мелкий предмет или сдавить мячик с достаточной силой.
Такое состояние руки приводит к проблемам на бытовом уровне, поскольку в жизни мы многое делаем пальцами рук, даже не замечая этого. Вот для возвращения руке сил, а также точности движения необходимо проводить восстановительный курс.
Врач проводит детальный инструктаж пациента после снятия гипсового фиксатора кости, рассказывая ему о методах разработки пострадавшей конечности в домашних условиях.
Кроме этого, доктор назначает:
физиотерапевтические процедуры;
- Диета, разработанная для спортсменов, которым надо быстро восстановиться после травм;
- Массаж;
- ЛФК после перелома плечевой кости;
- Мануальная терапия.

В период реабилитации очень важно употреблять витаминно-минеральные комплексы, если они включают в себя железо, кальций, а также витамин D.
ЛФК при переломе шейки плеча или другого участка плечевой кости – обязательная часть реабилитационного этапа. Сначала нагрузку на руку давать нельзя, поэтому первые упражнения должны быть направлены на разработку мелкой моторики. Для этого можно использовать такие упражнения:
Массаж – первое, что необходимо делать после снятия гипса. Непослушные пальцы надо мягко, но настойчиво растирать, заставляя работать. Такую работу лучше всего проведет мастер-массажист. Следите за тем, чтобы массаж не приносил болевых ощущений, поэтому, если возникнет дискомфорт, то сразу скажите мастеру.
Сжимание пальцев. Несколько раз в день проводите сеанс этого упражнения, просто 10 раз сгибая и разгибая свои пальцы. Это вызовет улучшение притока крови к пальцам, а также активизирует их работу. Мышцы станут более эластичными.
Работа с эспандером. Такой маленький тренажер поможет вернуть руке силу, однако не сразу. Ни в коем случае не доводите упражнения до сильной усталости, ведь перенесшей травму руке перенапрягаться крайне вредно.
О том, как разработать руку после перелома плечевой кости в домашних условиях, могут также подсказать мануальные терапевты. Вот только доверять рекламе в газетах и объявлениям на столбах, где говорится о чудо-мастерах, не стоит.
Иглоукалывание – тонкая наука, поэтому подставлять тело под руки специалиста надежнее под крышей больницы, где есть штатный специалист мануальной терапии. Это может спасти вас от последствий непрофессионального иглоукалывания, которые могут быть очень пугающими.
Большой популярностью среди пациентов, ищущих дополнительные способы разработки руки после перелома плечевой кости, пользуется гидротерапия. И не зря. Вода уже сама положительно влияет на состояние тканей мышц и кожи, а если при этом проводятся несложные упражнения, то результат просто поражает.
Чуть позже, когда рука немного окрепнет, можно начинать понемногу держаться на воде, а также делать маленькие заплывы по небольшому бассейну. Сначала упражнения, направленные на реабилитацию после перелома плечевой кости со смещением или без него, стоит делать в теплой воде.

Для разработки плечевого сустава после перелома применяется ряд физиотерапевтических процедур. К ним относятся:
- Электрофорез;
- Стимуляция мышц с помощью лазерной установки;
- Парафиновое прогревание плеча;
- Магнитотерапия;
- Комбинированное применение кислородного коктейля и электросна, которые воздействуют на общее состояние тела пациента и улучшают его самочувствие.
Быстрее всего восстановить работоспособность верхних конечностей получится, если пациент следует всем советам и рекомендациям доктора.
Реабилитационные упражнения
Все физические нагрузки для восстановления можно поделить на несколько групп:
- Иммобилизационные;
- Функциональные;
- Тренировочные.

Разделение проведено и показано здесь в поочередности выполнения упражнений. Первая группа нагрузок выполняется еще при наличии повязок. Вторая – три недели. Последняя группа упражнений выполняется до полного восстановления работы травмированной конечности.
Иммобилизационные упражнения
Когда рука еще зажата в повязке, она уже требует аккуратного обращения. ЛФК после перелома плеча начинают выполнять в этот период, чтобы снять отеки и подготовить руку к снятию повязки. При этом надо делать 5-8 подходов к лечебной зарядке на протяжении дня. Нужно тратить на нее до 30 минут.
Каждое из упражнений выполняют от 6 до 10 раз:
- Вращение локтевого сустава и запястья в обе стороны по очереди;
- Сгибы руки в области запястья и локтя;
- Станьте, немного нагнув верхнюю часть тела вперед. Ноги разместите на ширине плеч. Руки расслабьте, при этом позвольте им свободно висеть вниз. Начните несильно покачиваться и поворачивать верхнюю часть тела, оставаясь немного нагнутым. Рукам при этом позвольте свободно висеть и болтаться;
- Сложите руки перед грудью в так называемый замок, вытянув вперед. Делайте повороты тела влево-вправо с вытянутыми руками, сжатыми в замок;
- Хлопки перед грудью и за спиной.

Функциональные упражнения
Реабилитация после перелома плеча на этом этапе переходит на восстановление функционала конечности в полном объеме.
Нагрузка на травмированную конечность возрастает, выполнение упражнений происходит в том же положении, но постепенно спину необходимо выравнивать.
При этом надо выполнять такие упражнения:
- Поднятие руки перед собой. Останавливайте движение в момент, когда рука примет горизонтальное положение;
- Поднятие и опускание рук вертикально (как в знакомом с детства упражнении). Чередуйте руки. Старайтесь в моменты фиксации движения вверху сводить лопатки вместе;
- Разведение рук в стороны. Постепенно можно перейти на выполнение упражнения «ножницы»;
- Махи рукой в стороны. Можно делать махи вперед и в сторону;
- Согните руки в локте перед грудью. Потом отводите руки назад до тех пор, пока лопатки не соприкоснутся.

В дополнение к комплексу ЛФК при переломе плечевой кости на функциональном этапе необходимо добавить упражнения из иммобилизационного.
Тренировочные упражнения
Данный этап тренировки мышц направлен на укрепление мышечных тканей и восстановления двигательной активности в полной мере. Каждое из упражнений требует максимальной точности выполнения и вертикального положения спины.
Так как разработать руку после перелома плечевой кости до нормального состояния долго, но всегда надо это сделать в максимально короткие сроки, то для упражнений лучше приобрести небольшие гантели и гимнастическую палку. Не забудьте обзавестись и гимнастическим ковриком.
После этого можно приступать к комплексу упражнений:
- Поднятие руки перед собой до горизонтального положения. Сначала надо делать его свободной рукой, потом с незначительным утяжелением, роль которого может взять на себя гантель или пол-литровая пластиковая бутылка с водой.

- Поднятие руки вверх через позицию перед собой. Это упражнение можно объединить с предыдущим. Сначала лучше делать оба без утяжеления, потом добавьте с утяжелением.
- Махи и вращательные движения пострадавшей конечностью.
- Подняться на 1-2 ступеньки по шведской стенке, а затем повиснуть на ней на небольшом расстоянии от пола. Висеть надо как можно дольше, но при первых болевых ощущениях стоит отпустить перекладину. Такое же упражнение можно делать на перекладине турника.
- Возьмите гимнастическую палицу, а затем разместите ее за спиной вертикально, чтобы одна рука была максимально вытянута, а вторая – как можно более сильно согнута в локте за спиной. Плавно поднимая и опуская палку, заставьте руки сгибаться и разгибаться, не выпуская гимнастическую палицу из кулаков. Сделайте упражнение 6-8 раз. Поменяйте руки местами.
- Установите за лопатками гимнастическую палицу. Максимально длительное время ходите так, придерживая руками.
- Возьмите гимнастическую палицу в руки, расположив ладони на расстоянии чуть больше ширины плеч. Поднимайте руки сначала до горизонтального положения, а потом вертикально, не выпуская гимнастической палицы и не сдвигая по ней ладони.
- Следующее упражнение ЛФК при переломе плеча выполняется с гимнастической палицей, размещенной за спиной на высоте опущенных рук. Выпрямленные руки отводите назад, а затем зафиксируйте в этом положении на 2-3 секунды.
- Расстелите на полу гимнастический коврик. Расположитесь на нем горизонтально. Вам ничто не должно мешать: горизонтальная поверхность должна быть ровной. Возьмите в руки гимнастическую палицу. Разместите ладони на ширине плеч. Поднимайте руки над собой, сгибая локти, но не отрывая плеч от пола. Фиксируйте 2-3 секунды, а затем опускайте обратно.
- Стоя ровно, ноги поставьте на ширине плеч, гимнастическую палицу держите горизонтально прямыми руками, вертикально опущенными. Поднимите одну руку, поворачивайте гимнастическую палицу и фиксируйте ее в вертикальном положении. Вторая рука в это время не должна отпускать инструмент. Ее диагональное расположение относительно тела фиксируется на 2-3 секунды. Затем возвращайтесь в исходную позицию. Повторяйте движение, но только на этот раз в другую сторону. Возвращаетесь в исходное положение.
Когда функциональность плеча улучшится, пора переходить к интенсивным нагрузкам. Для этого запишитесь в бассейн на плавание. Ежедневно висите на перекладине максимально длительное время, отжимайтесь, подтягивайтесь и делайте упражнения при утяжелении легкими гантелями.
Но не забывайте и о других методах реабилитации после перелома шейки плеча и иных мест плечевой кости.
Физиотерапия и массаж не должны быть забыты. Эти методы помогут вам расслабить натруженные мышцы, а также привести в тонус весь организм.
sustavi.guru
Локтевой перелом плечевой кости: сустав руки, особенности
Травмы локтя заслуживают особого внимания по причине высокого риска осложнений. Сложное строение не защищено мышечным каркасом, уязвимо к повреждениям. Раннее распознавание локтевого перелома плечевой кости, своевременное лечение устраняют тяжелые последствия, приводящие к инвалидности пациента.
Особенности повреждения
Локтевой сустав — анатомическое образование, связывающее кости плеча, предплечья. Через данную область проходят сосуды, нервы, обеспечивающие подвижность всей конечности. Связки, сухожилия, формируют устойчивое положение сустава. В здоровом состоянии двигательная активность проявляется в сгибании-разгибании конечности, вращении предплечья, сжимании ладони. Любая травма подвижного соединения создает трудности при выполнении даже простых движений. Перелом костей в данном анатомическом участке приводит к нарушению функционала предплечья, запястья, кисти.

Причиной повреждения локтя становятся падения, ударная нагрузка на данную область вследствие дорожно-транспортных происшествий. Травмы часто получают спортсмены контактных видов спорта, дети с высокой степенью активности. Перелом плечевой кости в локтевом суставе в детско-юношеском возрасте может повлиять на общее развитие костных тканей, если в травму вовлечены зоны роста.
Восстановление функций локтя возможно только при возвращении кости в анатомическое положение, правильного сращения перелома. Методы лечения зависят от особенностей травмы, возрастных особенностей организма пациента.
Виды переломов
Травмы костной ткани локтевого сустава различают по локализации повреждения — внесуставные, внутрисуставные.

Среди внесуставных переломов выделяют:
- надмыщелковый — излом проходит над мыщелком, не затрагивает суставную часть. Больше половины случаев переломов надмыщелка плечевой кости приходится на детей дошкольного, младшего школьного возраста, уже в подростковом периоде почти не встречается;
- отрывной — предельное натяжение связок приводит к повреждению медиального надмыщелка. Повреждение называют травмой баскетболистов, чаще других травмированных во время бросков или прямых ударов.
Внутрисуставные патологии лечатся дольше, сложнее. С ними связан риск развития артроза.
Виды травм:

- чрезмыщелковый перелом — отламывание выступов сустава. Травма, характерная для взрослых, возникает вследствие
- падения с опорой на конечность;
- перелом блока плечевой кости, головки мыщелка;
- повреждение суставной головки, шейки лучевой кости;
- разлом отростка локтя.

Выделяют перелом плечевой кости локтевого сустава со смещением либо без него. Нейрососудистые повреждения с поражением артерий, нервов признают наиболее распространенным осложнением травмы локтя.
Симптомы
Острая боль при переломе от локтя до плеча — яркий признак повреждения в области сустава. Постепенно в передней части травмированной области проступает гематома, появляется отек. Звук, похожий на хруст веток, — симптом трущихся отломков кости. На перелом указывают проявления:
- потери способности сгибать, разгибать руку;
- нарастание боли, переходящей в области плеча, предплечья;
- деформации локтя, нетипичной подвижности в боковом направлении;
- онемения кисти руки, покалывания (неврологические симптомы).
При переломе от плеча до локтя ощущается скованность мышц. Нарушение кожных покровов свидетельствует о разрывах тканей, сосудов. Открытые раны требуют неотложных мер.
Первая помощь
Разработан определенный алгоритм действий, следование которому облегчит состояние пострадавшего до оказания медицинской помощи:
- нужно остановить кровотечение жгутом, если выявлен открытый перелом, поднять руку над уровнем сердца;
- дать обезболивающий анальгетик;
- приложить холод на опухший участок;
- обездвижить поврежденную конечность шиной из подручных средств;
- вызвать скорую помощь.
Нельзя выпрямлять, вправлять отломки кости даже при сильной деформации. Любые манипуляции приведут к повреждению других структур — нервов, сухожилий, сосудов.
Особенности диагностики

Физическое обследование пациента с травмой локтевого сустава проводит ортопед-травматолог. Проверка подвижности проводится при условии обезболивания. Иногда полное обследование бывает невозможным — врач визуально оценивает травму, возможные деформации, работу сосудов, нервов. Рентгеновские снимки в прямой, боковой проекции отражают точную картину состояния локтевого сустава. При необходимости выполняют лабораторные анализы, если у пациента хронические заболевания, делают дополнительные снимки.
Диагностика детского перелома руки от локтя до плеча выполняется путем сопоставления снимков двух суставов: травмированного с неповрежденным локтем второй конечности. Проблема заключается в растущем хряще, образующем костную ткань, что затрудняет диагностику перелома. Полный обзор повреждения дают исследования УЗИ, МРТ, компьютерной томографии.
Методы лечения
Закрытые формы переломов подлежат, чаще всего консервативному лечению. После процедуры обезболивания при необходимости из сустава откачивают скопления жидкости, что значительно снижает давление и боль в области травмы.
Затем на руку накладывают фиксирующую повязку:
- лонгетную — с применением гипса;
- бандажную — из эластичной ткани с крепежными ремнями.
Гипсовые лонгеты на практике крепятся чаще всего на задней части руки. Предназначение фиксатора — удерживать руку в правильном положении. Сплошная повязка может скрывать отек, появление которого вероятно во многих случаях.
Первое время нужно избегать большой нагрузки на поврежденную конечность. Рекомендуют носить руку на косынке или специальной повязке, чтобы уменьшить отечность тканей, сдавливающих кровеносные сосуды, нервы. Если гипс будет давить, а рука отекать, то необходимо ослабить гипс в первые два три дня. По мере срастания костной ткани приступают к разработке сустава. Гипсовую повязку меняют на жесткий фиксатор с регулировкой амплитуды движений.
Лечение открытых переломов, травм со смещением осколков, отрывами фрагментов, повреждениями кровеносных сосудов, нервов проводят оперативным методом, или открытой репозицией. Внутренняя фиксация отломков — сложная процедура, подготовка к которой включает изучение всего организма пациента.

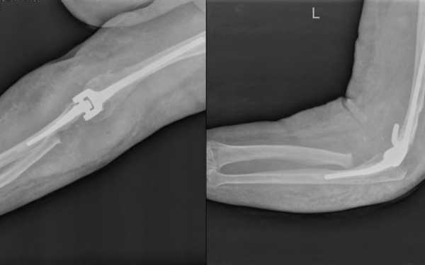
Восстановление целостности кости проводят с помощью особых приспособлений. Терапия заключается в стягивании тканей специальной проволочной петлей. Наличие осколков затрудняет процесс, так как приводит к укорачиванию поверхностей. В таких случаях накладывают компрессионные пластины. При особенно тяжелых травмах используют протезы — импланты, изготовленные из пластика и металла. Проверка успешности операции проводится рентгеновским снимком.
Реабилитация
Успешное лечение не обходится без важного этапа реабилитации, который включает:
- массаж;
- комплекс лечебной физкультуры;
- физиотерапевтические процедуры.
Разработку сустава начинают через 2−3 дня после фиксации конечности. Первые упражнения направлены на снятие отека, активизацию оттока лимфы из ткани. Это движения запястьем, пальцами, поднятие руки к голове, напряжение мышц плеча и предплечья.
После удаления гипсовой повязки приступают к выполнению размеренных движений без полных сгибаний-разгибаний конечности. Занятия лечебной гимнастикой основаны на постепенном увеличении нагрузки под контролем инструктора ЛФК.
Сеансы массажа, процедуры физиотерапии чередуют с лечебной гимнастикой. Восстановительное лечение направлено на устранение болевого синдрома, укрепление атрофированных мышц, возвращение амплитуды движений. Курсы электрофореза, магнитотерапии, УВЧ, грязелечения повторяют периодически до полного восстановления конечности.

Возможные осложнения возникают не только вследствие тяжелой травмы, но и халатного отношения пациента к рекомендациям врача. Лечение детей требует постоянного контроля взрослых. Резкие движения, преждевременная нагрузка могут привести к повторному перелому.
Локтевой перелом, в целом, успешно лечится при условии активного взаимодействия врача и пациента.
О реабилитации при травмах локтевого сустава
mymedic.clinic
Разработка локтевого сустава после перелома (упражнения, лфк)
Не многие знают, как разрабатывается рука после перелома локтевого сустава. Когда верхняя конечность долго находится под гипсовой повязкой, у человека нарушается кровообращение в сухожилиях и мышечной ткани, что ведет за собой частичную атрофию конечности.
Реабилитация после перелома предназначена для того, чтобы предотвратить разнообразные осложнения и последствия после окончания иммобилизации верхней конечности. В этих целях пациенту, обычно, назначается лечебная физкультура и другие мероприятия по восстановлению поврежденной руки.

Описание повреждения
Строение локтя довольно непростое, он состоит из трех основных костей:
- Плечевой;
- Локтевой;
- Лучевой.
Также в локтевом суставе располагаются еще мышцы, связки, нервные окончания и сосуды. Локоть человека совершает движения только в две стороны — сгибается и разгибается, но механизм движений довольно сложный. Во время перелома происходит повреждение сосудисто-нервного пучка, что может повлечь за собой очень весомые последствия. Нередко после такой травмы назначаются хирургические мероприятия, особенно если имеет место гемартроз.

Классификация
Обычно повреждение локализует в области отростка локтевой кости, так как там нет мышц, которые его защищали бы. Также можно столкнуться и с другими типами переломов:
- повреждение головки, либо шейки луча;
- травма венечного отростка;
- перелом мыщелков плеча.
Помимо этого травма может носить открытый или закрытый характер, а также располагаться внутри суставной капсулы или за ее пределами. Отломки костей могут смещаться со своих мест или оставаться в анатомическом положении.
Наиболее часто можно столкнуться с закрытым типом повреждения, во время которого кости не травмируют находящиеся рядом мягкие ткани. При травме открытого типа кожа повреждается, когда сквозь нее прорываются фрагменты костей.
Особенности лечения и реабилитации
Терапия и дальнейшая реабилитация назначается доктором исходя из типа повреждения и локализации линии разлома. Перелом локтевого сустава образуется в разнообразных бытовых ситуациях или во время спортивных занятий. Человек может упасть на локоть, либо его ударят по руке тяжелым предметом во время драки. Так или иначе, пострадавший нуждается в квалифицированном лечении, поэтому ему нужно оказать первую помощь и доставить в ближайшую больницу.
После поступления больного в стационар, он должен пройти ряд диагностических процедур, после чего доктор ставит точный диагноз. Кроме основной восстанавливающей терапии пострадавшему назначаются и обезболивающие лекарства, так как этой травме свойственно сильное проявление болевого синдрома.
Иногда подобное повреждение может быть настолько серьезным, что назначается незамедлительное оперативное лечение. Если же травма не слишком тяжелая, кости срастаются быстро и пациент возвращается к привычной жизни. Чтобы восстановительный период занял как можно меньше времени, пострадавшему назначаются упражнения для разработки локтевого сустава.
При получении человеком подобной травмы, рука не разгибается длительное время, потому что зафиксирована с помощью гипсовой повязки или специальной лангеты. Из-за обездвиживания мышечная и сухожильная ткань теряют свою функциональность. Помогает ускорить восстановление верхней конечности специальный комплекс упражнений и других процедур:
- лечебная физкультура;
- массажи;
- различные физиотерапевтические процедуры.
Полноценное восстановление требует определенного времени, ведь перелом локтя — серьезная травма. Разработка локтевого сустава после перелома не является приятным процессом, потому что во время упражнений довольно часто человек сталкивается с болевыми ощущениями. Но чтобы рука снова смогла разогнуться и полноценно выполнять свои функции, необходимо придерживаться рекомендаций доктора и делать всё, что он порекомендует.
Курс массажа и ЛФК
Как разработать локоть после перелома доктор определяет, основываясь на степени тяжести, классификации, расположения и общих физиологических особенностях пострадавшего. Если не прибегать к ЛФК после переломов локтевого сустава, то возможна полная потеря подвижности в этой области конечности, что крайне недопустимо. После того как конечность в течение длительного периода была обездвижена, ее обязательно нужно разрабатывать.
При разработке локтевого сустава после перелома, упражнения начинаются на второй день после иммобилизации при помощи гипсовой повязки. Они направлены на другие части конечности, которые не загипсованы, например, запястье и плечо. Также выполнять ЛФК при переломе рук должны и пальцы, ведь их функциональность тесно связана с работой сустава локтя.

Нередко после того, как человек прошел лечение, он может столкнуться с тем, что руки отекают. Чтобы избавиться от неприятных ощущений и образования тяжести в травмированном локте, следует выполнить несложное упражнение — лечь спиной на ровную поверхность и попытаться положить руку за голову.
Спустя определенное время после снятия гипса, начинается ЛФК самого места травмы, однако не следует сразу же делать сгибающие движения. Первое упражнение выполняется по такой схеме:
- Сесть на кресло или стул;
- Положить конечность на стоящий впереди стол;
- Приподнимать локоть с поверхности стола, работая только плечом.
Помимо этого для быстрой разработки локтевого сустава после перелома стоит периодически проделывать такое упражнение: сложить вместе кисти рук, после чего поднять их и завести за голову. Это может показаться слишком сложными упражнениями для человека, перенесшего подобную травму, но они очень хорошо помогают восстановить травмированную конечность. В дальнейшем, проводя ЛФК при переломе локтевого сустава, физкультура направляется на то, чтобы рука понемногу разгибалась и сгибалась.
Массаж назначается пациенту до и после снятия гипса с травмированной конечности. Если приступить к выполнению такой процедуры вовремя, можно даже избавиться от болевого синдрома. Массаж очень хорошо восстанавливает травмированные ткани в районе перелома и содействует профилактике мышечной гипотрофии. Исследования доказывают большую эффективность массажа, так как при этой процедуре рука может все время находиться в подвижном состоянии.
Так как во время иммобилизации большая часть руки находится под повязкой, процедуру выполняют на открытых участках кожи, например, в области плечевого пояса и верхней области грудной клетки. Целью этих действий является восстановление исходящих от спинного мозга нервных окончаний и способствование лучшему кровообращению в конечности, что положительно сказывается на сращении кости.
Упражнения для разработки локтя
Чтобы правильно и быстро восстановить локтевой сустав после перелома, рекомендовано делать такие упражнения:
- сделать пальцами «замок» и поднимать руки сначала к одному, а потом ко второму уху;
- руки, находящиеся в таком же исходном положении, заносить за голову;
- соединять ладони сзади спины;
- поднять руки над головой и потянуться с вывернутым наружу «замком»;
- взять в руки гимнастическую или любую другую палку, вытянуть ее вперед и сгибать локти;
- двигать предплечьем вокруг своей оси, руку в это время держать согнутой под прямым углом;
- катать в пальцах поврежденной конечности шары.
Каждое упражнение лечебной гимнастики следует делать три или четыре в сутки, по десять или пятнадцать повторов, прислушиваясь к своим ощущениям. Можно приступить к физкультуре в домашних условиях, но если упражнения делаются не под присмотром доктора, то пациент должен четко следовать его рекомендациям и инструкциям.
Очень важно упражнения делать обеими руками, так как локоть это парный орган, и оба сустава между собой взаимосвязаны. Восстановление после повреждения локтя одно из самых сложных, поэтому очень важно проводить ЛФК осторожно и не переусердствовать с физическими нагрузками.
Восстановление с помощью физиотерапии
В период реабилитации после полученной травмы физиотерапия восстанавливает мышечную ткань, а также движения руки в локтевом суставе. Обычно назначается прогревание посредством магнитной терапии, УВЧ, парафиновых аппликаций или электрофореза. Благодаря этому восстановление происходит намного быстрее, и человек вскоре возвращается к обыденной жизни.
Любые внутрисуставные повреждения очень опасны, так как они впоследствии, могут привести к ограничению движений или развитию артроза. Несмотря на длительность процесса реабилитации, его важно придерживаться, и четко следовать всем рекомендациям доктора, который лучше всех знает, как разработать локтевой сустав максимально эффективно.
vseotravmah.ru
после операции, перелома, при эпикондилите
Локтевой сустав – одна из самых сложных конструкций в теле человека. Это три сочленения, объединенные одной суставной сумкой цилиндрической формы.

Сложная анатомия и непрерывные нагрузки делают эту структуру очень уязвимой. Возникающие патологии сопровождаются болью, воспалением, ограничением подвижности, что ухудшает качество жизни. Вернуть здоровье поможет своевременное лечение и грамотная разработка локтевого сустава.
Методы восстановления двигательной и функциональной активности локтя
Нанести вред сочленению могут разные причины: от банального перенапряжения до серьезных дегенеративных изменений тканей. Поэтому тактика лечения поврежденного сустава зависит от специфики заболевания и индивидуальных особенностей организма пациента.
Тематический материал:
При эпикондилите
В области локтевого сустава крепятся сухожилия мышц, отвечающих за сгибание-разгибание предплечья и запястья. При постоянном перенапряжении, длительно повторяющихся однообразных движениях рук или микротравмах эти структуры воспаляются. Процесс быстро распространяется, затрагивая надкостницу и хрящевую прослойку.
Вначале боль в области локтя появляется только во время нагрузки или при движении. Если проблему не лечить, неприятные ощущения нарастают, становятся постоянными, сопровождаясь локальным покраснением кожи, повышением температуры, ослаблением потоотделения, спазмами капилляров. В итоге человека ждет атрофия мышц и полная потеря трудоспособности.

Эпикондилит еще называют «локтем теннисиста». Действительно, ему подвержены люди, которым приходится все время нагружать плечо или выполнять монотонные движения: спортсмены, грузчики, штукатуры-маляры, музыканты.
К счастью, патология успешно лечится, но терапия занимает немало времени: от 3 недель до нескольких месяцев. В острый период назначают медикаментозное и физиотерапевтическое лечение, направленное на обезболивание и снятие воспаления. Покой пострадавшей конечности обеспечивает наложенная шина.
В подострый период реабилитацию проводят при помощи лечебной физкультуры и массажа.
ЛФК
Для снятия мышечного напряжения и купирования боли особо эффективны следующие упражнения:
- Пострадавшую конечность ставим на локоть, обхватываем тыльную часть кисти другой рукой, давим вниз, растягивая мышцы и сухожилия в течение 1–2 минут. Неприятных ощущений возникать не должно. Затем проделываем то же самое, но с сопротивлением. Чередуем приемы, выполняя каждый 4 раза.
- В том же положении оказываем давление на ладонь больной руки. Повторяем упражнение с противоходом.

- Садимся, закинув ногу за ногу. Пострадавший локоть выпрямляем, опирая о колено. Обхватываем кисть с тыльной стороны и тянем ее от себя, немного прогибая в запястном суставе. Второй подход выполняем с пронацией (поворотным движением внутрь), поднимая больную кисть на себя. Упражнение очень эффективное, но сложное. Освоить его поможет видеоурок:
Такие манипуляции растягивают мышцы, возвращают эластичность связкам, предупреждая повторное образование застойных явлений, спазмов, зажимов.
Массаж
Процедура назначается после снятия острых симптомов, чтобы улучшить кровообращение и лимфоток, восстановить подвижность сустава, предупредить появление контрактур. Проводят ее сидя.
- Начинают с массажа воротниковой зоны: выполняют выжимания, попеременные и спиралевидные растирания, захватывая шею и надплечья, разминают паравертебральные мышцы, делают пиление. Все приемы перемежают плоскостными или обхватывающими поглаживаниями.
- Затем переходят на верхнюю треть предплечья и плечо. Их прорабатывают классическими массажными приемами, двигаясь к близлежащим лимфоузлам.

- Потом переходят к массажу подмыщелков – областей плечевой кости, к которым крепятся сухожилия, участвующие в сгибании-разгибании кистей рук. Их поглаживают, попеременно обхватывая обеими руками, растирают, разминают, сначала четырьмя пальцами, а затем большим, усиливая давление. Хороший эффект оказывает точечное воздействие на наиболее чувствительные точки зоны.
- Само сочленение массируют легкими круговыми движениями только с наружной стороны. Внутреннюю поверхность не трогают, так как это зона расположения лимфоузлов.
Процедура продолжается около 15 минут, проводят ее ежедневно, в течение 10–12 дней. Терапия требует точных знаний анатомии, поэтому самомассаж не рекомендован – лучше обратиться за помощью к специалисту.
При тугоподвижности
Локтевой сустав довольно мобилен: он способен сгибать руку до угла 400, разгибать ее на 1800, осуществлять развороты ладонной (супинация) и тыльной стороной (пронация) вперед. Когда эти функции нарушаются, говорят о контрактуре сочленения или ограничении его подвижности.

Причиной патологического состояния может стать врожденный порок развития, травма, воспаление, дегенеративные изменения тканей, нарушение нервной регуляции, попадание в организм токсичных веществ, образование рубцов, продолжительная иммобилизация.
Тугоподвижность сопровождается болевыми ощущениями, мышечным напряжением, отечностью, деформацией сустава или изменением положения конечности. К счастью, своевременная диагностика позволяет обойтись консервативными методами лечения и избежать развития осложнений.
Острое состояние снимают анестетиками и противовоспалительными препаратами. Хороший эффект оказывают физиопроцедуры с применением рассасывающих средств. В реабилитационный период не обойтись без ЛФК и массажа.
Лечебная гимнастика
При тугоподвижности локтевого сустава упражнения выполняют особенно осторожно, только под контролем инструктора. Это могут быть комплексы на расслабление или растягивание, пассивные или активные движения. Проводят их в спортивном зале или в бассейне.
- Выполняют медленные круговые вращения в локтевых суставах.
- Вытягивают руки в стороны, согнув локти, качают предплечьями, имитируя движения маятника.
- Здоровой рукой отводят больную как можно дальше в сторону, стараясь не допускать сильных болевых ощущений.

- Отводят согнутые локти как можно дальше назад, соединяя лопатки.
- Поднимают руки, сцепленные в замок, пытаются положить их за голову.
Каждое упражнение повторяют 8–10 раз. Целью таких комплексов становится постепенное увеличение амплитуды движения локтевого сустава, улучшение кровообращения, повышение сократительной мышечной активности.
Массаж
При контрактуре сочленения процедуру выполняют по схеме. Сначала массируются места, расположенные выше и ниже пораженной области – плечо и предплечье. Причем методика проработки разных групп мышц не должна нарушаться.
- Сгибатели прорабатываются прямолинейными поглаживаниями, клювовидными выжиманиями, ординарными и круговыми разминаниями, легкими потряхиваниями.
- Для воздействия на разгибатели лучше подходит попеременное поглаживание, выжимание, клювовидное разминание.
- Приемы рубления, поколачивания, постукивания при данном заболевании противопоказаны.

Разогрев близлежащие зоны, можно приступать к массажу самого локтевого сустава. Его выполняют в двух положениях, когда рука:
- расслаблена и свисает вдоль туловища – прорабатывают внутреннюю часть сочленения;
- лежит перед пациентом – массируют наружную поверхность сустава.
Все движения выполняют осторожно, без лишнего давления. В качестве приемов используют только круговые поглаживания и растирания.
При переломе
Сломать локтевой сустав легко: отсутствие мягких тканей делает эту область незащищенной. Падение на вытянутую руку, сильный удар, даже резкое неловкое движение могут повлечь за собой нарушение целостности сустава или костей, составляющих его. Дополнительным фактором риска становятся возрастные особенности строения костной ткани, слабость связок и сухожилий, остеопороз.
Признаки перелома:
- резкая боль, которая разливается по всей руке;
- ограничение подвижности сустава, его деформация;
- появление отека, гематомы;
- снижение чувствительности или онемение конечности;
- хруст при малейшем движении;
- повреждение кожи и торчащие фрагменты костей при открытом переломе.

Лечение зависит от степени тяжести травмы. В 70% случаев прибегают к хирургическому вмешательству, чтобы точно совместить образовавшиеся осколки, сшить порванные связки и сухожилия. Иногда приходится полностью заменять поврежденное сочленение эндопротезом.
В любом случае нужно обеспечить неподвижность сустава, чего добиваются наложением гипса на длительный срок. За это время происходит атрофия мышц и связок, нарушается питание тканей и венозный отток. Ускорить восстановление помогают упражнения и массаж.
ЛФК
Назначают уже на 2–3 день после наложения гипсовой повязки. В начальный период выполняют дыхательную зарядку, а также упражнения для кистей рук, улучшающие кровообращение в иммобилизованной конечности:
- сгибание-разгибание кулаков;
- разведение пальцев;
- поочередное выполнение ими круговых движений;
- разминание пластилина.
После снятия гипса некоторое время нельзя нагружать локтевой сустав, поэтому подбирают щадящие упражнения. Пациенту предлагают:
- Напрягать-расслаблять мышцы вытянутой травмированной конечности.
- Сидя на стуле и опустив руку вдоль спинки, раскачивать ее, подобно маятнику.
- Не сгибая локтя, катать мячик по столу, каждый раз стараясь увеличить амплитуду движений.
Только спустя месяц врач назначит новый комплекс упражнений, направленный на разработку сустава.
- Лежа на кушетке, сгибают-разгибают локоть, сначала с участием массажиста, затем самостоятельно.

- В том же положении вращают предплечьем к себе и от себя, помогая здоровой рукой.

- Поднимают пострадавшую конечность вверх перпендикулярно туловищу, плавно сгибают ее в локтевом суставе, а затем снова выпрямляют.
- Вращают кулаком согнутой руки в разные стороны.
- Соединяют кисти в замок, поднимают их вверх, пытаются завести за голову.
На разработку локтевого сустава после перелома и долгой иммобилизации уйдет время. Занятия, скорее всего, будут сопровождаться болезненными ощущениями и дискомфортом. Но бросать лечебную гимнастику ни в коем случае нельзя: только ежедневные тренировки с постепенным наращиванием нагрузки позволят вернуть сочленению прежнюю подвижность. Как разрабатывать сустав дома самостоятельно, можно узнать из видеоматериала.
Массаж
Эта процедура важна не менее, чем физические упражнения. Она уберет боль, восстановит двигательную активность сустава, предотвратит развитие дегенеративных процессов в мышечной ткани. Однако, важно знать, что в острый период, во избежание смещения осколков, любой массаж противопоказан.
Сразу после исчезновения боли и отечности, легкими поглаживаниями и растираниями прорабатывают участки конечности, находящиеся выше и ниже гипса, а также спину. Это улучшает кровообращение и питание тканей пораженного сустава, предупреждает атрофию мышечных волокон, укрепляет связочный аппарат.

Только после снятия гипса допускается мягкое воздействие на плечо и предплечье в форме поглаживаний, растираний, нажимов, разминаний с применением противоотечных мазей, пальцевой перкуссии.
Делать массаж самого локтя после перелома не рекомендуют, на поздних этапах реабилитации допускается только легкое его поглаживание.
После операции
Хирургическое лечение заболеваний локтя – не редкость. Показанием к операции становятся вывихи, разрыв связок и сухожилий. При сложном переломе вставляют титановую пластину или проводят остеосинтез – соединение и особую фиксацию осколков. Некоторые патологии – артриты, остеоартрозы, асептический некроз, болезнь Бехтерева – становятся причиной развития необратимых процессов или полного разрушения структур сустава. В этом случае встает вопрос о его замене эндопротезом.
Процесс восстановления пройдет легче и быстрее, если пациент будет выполнять все процедуры, назначенные врачом.
ЛФК
Лечебные упражнения для разработки локтевого сустава начинают с разрешения хирурга уже в первые дни после операции, причем чем раньше, тем лучше. Гимнастика предупреждает развитие осложнений в виде дистрофии мышц, нарушения кровообращения, ограничения подвижности, вызванных вынужденной пассивностью сочленения. Сначала нагрузка направляется на близлежащие суставы кисти, запястья или плеча. С течением времени начинают осторожно разрабатывать прооперированный локоть.
- В положении сидя, поставив больную руку на мягкий валик, стараются выполнить максимальное разгибание, помогая здоровой конечностью.

- То же самое проделывают, сгибая локоть.

- Лежа на спине, подложив мягкое полотенце под нижнюю треть плеча, выполняют активные сгибания-разгибания локтевого сустава.

- Те же движения повторяют стоя у стены. Сначала рука опускается быстро, а затем медленно, с небольшим сопротивлением.

- Повторяют подъем-опускание предплечья, держа гимнастическую палку.
- Опираясь спиной о стену, максимально сгибают руку, зафиксировав ее в таком положении несколько секунд.

- Зажав в кулаке небольшой предмет, осуществляют пронацию-супинацию кисти.

Массаж
Процедура проводится по тем же правилам, что при переломе. Важно помнить, что массируются только близлежащие зоны и спина. Интенсивное воздействие на область прооперированного локтя запрещено на всех этапах реабилитации.
При вывихе
В результате удара, падения или сильного вытяжения лучевая или локтевая кость может сместиться, нарушив привычную структуру сочленения. В этом случае говорят о вывихе локтевого сустава. Эта болезненная травма часто сопровождается разрывом связок и сухожилий, что значительно осложняет процесс восстановления.
Методы лечения выбирают в зависимости от тяжести поражения и индивидуальных особенностей организма пострадавшего. В любом случае травмированный сустав сначала вправляют, а затем обездвиживают, накладывая на две недели гипсовую лангету. Параллельно проводят медикаментозную терапию, физиопроцедуры, лечебную гимнастику и массаж.
ЛФК
С первых дней после наложения фиксирующей повязки больному необходимо упражнять мышцы плеча, то напрягая, то расслабляя их, сжимать пальцы в кулак, чтобы улучшить кровообращение и не допустить атрофии мышц.
Через две недели после травмы лонгета снимается, а больному назначается лечебный комплекс для восстановления мобильности сустава, нормализации амплитуды движений. Этого добиваются простыми упражнениями, показанными ниже.

Комплекс выполняют 3–5 раз, плавно, в умеренном ритме, не допуская рывков и болезненных ощущений. Очень хороший эффект дает набивание мяча, вращения гимнастической палки, катание скалки по столу, плавание в бассейне.
Массаж
Цель процедуры – восстановление нормального кровоснабжения и питания тканей поврежденного сустава, снятие отека, выведение лишней жидкости, укрепление связок. При отсутствии противопоказаний и осложнений к массажу приступают уже через 3–5 дней после вправления сустава. Выполняют его по следующей схеме:
- во время первых двух процедур прорабатывают плечо, предплечье и кисть, применяя поглаживания, растирания и легкие надавливания;
- начиная с третьей процедуры присоединяют массирование пальцев, уделяя особое внимание суставам.
Спустя 5 недель после травмы допускается легкое воздействие на локтевую зону. Интенсивные приемы в этот период запрещены.
При ушибе и растяжении
Падения, удары, перенапряжение нередко становятся причиной растяжения капсулы и связок локтевого сустава, провоцируют ушиб – резкое сдавление мягких тканей, при котором образуется гематома, отек, нарушается чувствительность и возникает боль.

Такие проблемы в основном решаются консервативным лечением. Руку обездвиживают при помощи повязки, в первые сутки к поврежденному месту прикладывают холод, позже переходят к тепловым процедурам. При сильных болях принимают обезболивающие или противовоспалительные средства.
Массаж
В первые три дня после травмы воздействуют только на околосуставную зону, чтобы нормализовать кровообращение и устранить отек. Такая процедура называется подготовительной или дренажной и выполняется при помощи продольных, поперечных, круговых или спиралевидных поглаживаний, растираний, легких надавливаний. Делают ее утром и вечером в течение 10–15 минут.
Если на четвертый день отек, воспаление и покраснение спадают, приступают к основному массажу, направленному на сам сустав и сухожилия. Для этого:
- растирают локтевую область, надавливая пальцами углубления;
- выполняют продольное, поперечное, двойное кольцевое разминание проблемной зоны;
- осуществляют легкое поколачивание кончиками пальцев.
Заканчивают сеанс пассивным сгибанием-разгибанием локтевого сустава.
Массажерами, которые оказывают точечное воздействие низкочастотными импульсами, пользуются на более поздних сроках реабилитации, даже в домашних условиях. В результате ускоряется регенерация клеток, восстанавливаются структура хряща и функции сустава.

ЛФК
Задача лечебной физкультуры – увеличить подвижность поврежденного сочленения. Поэтому выполняем гимнастику, аналогичную той, что назначают при контрактуре локтя.
Особенно полезно в этот период упражнение «пирамидка», которое позволяет эффективно разработать сустав, увеличить его подвижность.
Принцип его выполнения таков:
- Садимся у стола так, чтобы согнутый локоть оказался в одной плоскости с плечом.
- Здоровой рукой держим основание пирамидки. На столе располагаем ее съемные детали.
- Собираем и нанизываем элементы, передвигая руку только за счет работы локтевого сустава. Каждый раз располагаем детали всё дальше, стараемся дотянуться до них, увеличивая амплитуду сгибания–разгибания.
Важно помнить, что нельзя насильно сгибать и разгибать сустав. При дискомфорте или боли тренировку стоит прекратить. В течение всего периода лечения необходимо избегать резких движений, поднятия тяжестей, повисаний.
Медикаментозная терапия
Болезни локтя в острой стадии лечат с использованием лекарственных препаратов, среди которых обязательно присутствуют:
- Нестероидные средства – «Диклофенак», «Мобилак», «Артрозан», которые обладают обезболивающим, противовоспалительным и жаропонижающим действием. Для внутреннего применения выпускают порошки, капсулы, таблетки, для наружного – мази. Пациентам с больным желудком или печенью назначают инъекции.
- Глюкокортикоидные гормоны – «Мидокалм», «Депо-медрол», «Дипроспан» – сильнейшие противовоспалительные средства, которые применяются только в исключительных случаях, так как имеют много серьезных побочных эффектов.
- Хондропротекторы – «Артра», «Алфлутоп», «Терафлекс» – средства для восстановления разрушенных структур сустава, изготовленные из натуральных компонентов.
- Препараты гиалуроновой кислоты – «Остенил», «Синвиск» – стимулируют регенерацию хряща, улучшают его амортизацию и эластичность. Инъекции обладают пролонгированным, до 12 месяцев, действием.

Фармация не стоит на месте. Каждый год появляются новые медикаменты, способные быстро избавить человека от боли и вернуть его к привычной активной повседневной жизни.
itmassage.ru
упражнения, лечебный комплекс ЛФК, гимнастика, нагрузка
Локтевой сустав – важная часть руки, с помощью которой происходит ее работа: сгибание, разгибание и вращение. Локоть часто подвергается травмированию. Самая частая травма – перелом. С помощью упражнений по разработке локтевого сустава после перелома можно избежать опасного осложнения: полного обездвиживания руки.

Длительный процесс восстановления локтевого сустава после травмы
Любой перелом костной ткани требует лечения полным покоем. Для этого проводится иммобилизация поврежденной конечности: ее «помещают» в гипсовую повязку. Как долго пациенту придется ходить с гипсом на руке, определит врач после проведения рентгеновского исследования. Если перелом сложный и обломки костной ткани смещены, то перед наложением гипса проведут хирургическое вмешательство. В этом случае иммобилизация продлится дольше, так же, как и восстановительный период.
Гимнастика для локтевого сустава необходима на всех этапах реабилитационного периода. К ней приступают на 2-3 сутки после наложения гипсовой повязки.
Средние сроки восстановительного периода при переломе локтя составляют 3-4 месяца. Однако этот срок может увеличиваться в зависимости от тяжести травмы и достигать полугода. Чтобы реабилитация прошла быстрее и эффективнее, ее проводят в 3 этапа, подбирая на каждом из них определенные упражнения.
- Первый этап – период, когда на переломанный сустав наложили гипс. В тренировках задействован плечевой пояс и пальцы рук. Так как все звенья верхней конечности являются единой «цепью», связанной связками, сухожилиями и мышцами, такие занятия помогут разрабатывать суставы даже на этапе иммобилизации. Физические упражнения совмещают с дыхательной гимнастикой.
- Второй этап – период сразу после снятия гипса. Это время посвящают разработке «застоявшихся» связок и мышц. Занятия совмещают с принятием теплых ванн. Показано выполнение упражнений в бассейне.
- На третьем этапе цель тренировок – полностью восстановить функциональные возможности мышечной ткани, связок и сухожилий. Упражнения для разработки локтевого сустава совмещают с физиотерапевтическими процедурами, массажем, другой физической активностью.
Тренировки на каждом этапе проводят 2-3 раза в сутки ежедневно, а повтор каждого упражнения делают не менее 5 раз. Сильная боль и дискомфорт – повод прекратить занятия или уменьшить нагрузку. В период реабилитации нельзя поднимать тяжелые предметы травмированной рукой, делать жимы и подтягивания.
Если неправильно рассчитать нагрузку, возможно появление таких осложнений:
- Отечность травмированного сустава;
- Боль, которая отдает в плечо;
- Скопление солей кальция в мышечной ткани;
- Рефлекторное сокращение мышечной ткани;
- «Вырост» кости в локтевом суставе.
Выполнение пациентом всех рекомендаций лечащего врача позволит избежать этих осложнений и существенно сократить время реабилитационного периода.
Когда можно приступать к восстановительным мерам
После перелома локтевого сустава ЛФК начинают на 2-3 день после наложения гипса, но только после предварительной консультации с врачом. Связана такая осторожность с возможным смещением костной ткани. В этом случае будет противопоказана любая нагрузка на поврежденную конечность до снятия гипса.

Курс массажа и ЛФК
Интенсивность занятий увеличивается по мере заживления сломанной кости. Комплекс лечебной физкультуры подбирается индивидуально на каждом этапе. Это же правило касается и массажа.
На первом этапе лечения и восстановления его использовать не рекомендуют. Однако некоторые врачи назначают массаж в области плечевого пояса при условии, что перелом без смещения. Правильно проведенные сеансы массажа помогают улучшить кровоток и укрепить связки и мышцы. Самостоятельные назначения в этом случае недопустимы!
Представим примеры комплексов упражнений для локтевого сустава на каждом этапе восстановления.
Упражнения, помогающие разработать локоть на 1 этапе
Пока рука находится в гипсе, тренировки сводятся к выполнению таких упражнений:
- Сжатие пальцев в кулак и разжимание его;
- Разведение пальцев в стороны и их сведение;
- Круговые движения каждым пальцем поочередно по часовой стрелке и обратно;
- Разминание пластилина пальцами;
- Перекатывание шариков пальцами.
При выполнении упражнений помните, что травмированный локоть, заключенный в гипс, не должен участвовать в процессе тренировок.
Упражнения, помогающие разработать локоть на 2 этапе
После снятия гипсовой повязки рука становится отечной, поэтому выполнять упражнения сложно. Чтобы облегчить себе задачу, пациенту нужно лечь на спину, а руку положить над головой на 20-30 секунд. Этого времени достаточно, чтобы отек немного спал, а с ним «ушел» дискомфорт по выполнению упражнений. Также для устранения отечности и дискомфорта используют специальный бандаж, который поможет ограничить амплитуду движений.
Перечислим несколько упражнений, выполнение которых на этом отрезке реабилитации не навредит, а поможет всем пациентам.
- Сядьте, положите руки на стол. Имитируйте игру на пианино, медленно «барабаня» пальцами по столу.
- Бросайте теннисный мяч так, чтобы он ударялся о стену. Постарайтесь поймать отпрыгнувший от стены мяч рукой.
- Соедините ладони и опускайте их вниз, а затем возвращайте в исходное положение.
- Регулярно разминайте мяч «антистресс».
- Соедините пальцы в замок. Поднимайте и опускайте «сцепленные» руки над головой.
- Зажмите в ладони 2-3 шарика и интенсивно вращайте их, перекатывая пальцами.
- Расположите руку на столе. Не спеша, контролируя дыхание, пытайтесь разогнуть локоть. Помните, что резкие движения, направленные на «работу» локтевого сустава, пока не допустимы.
- Продолжайте регулярно сжимать пальцы в кулак и разжимать их.
Упражнения, помогающие разработать локоть на 3 этапе
Последний период реабилитации также проходит под контролем врача. На этом этапе чаще всего назначают дополнительное лечение в виде физиопроцедур. Упражнения усложняются, их можно выполнять уже с нагрузкой в виде гантелей по 1 кг каждая.
- Сплетите пальцы в замок. Представьте, что вам нужно забросить удочку как можно дальше. Повторяйте движения, меняя направление удочки, перемещая руки то вправо, то влево.
- Заведите руки за спину так, чтобы можно было сомкнуть ладони в замок.
- Повторите предыдущее упражнение. Когда руки сомкнули за спиной в замке, встаньте на носочки, вытягивая тело вверх, а руки вниз.
- Поиграйте в «машинки». Во время катания детской игрушки, разрабатывается сгибательная и разгибательная функция локтевого сустава.
- Поместите руки на уровне груди. Переплетите пальцы в замок. «Относите» замок поочередно к правому плечу, затем к левому, к голове, к животу.
После того, как выполнение этих упражнений будет даваться вам легко, начинайте использовать гантели.
Полезное видео — ЛФК для локтя. Часть 1
Почему нужно разрабатывать сустав
К восстановительным упражнениям приступать нужно как можно раньше. Связаны такие «экстренные» меры с тем, что при обездвиживании конечности нарушается питание ее тканей, сосудов и мышц. Плохое кровообращение в области сустава локтя приведет к частичной или полной атрофии мышц и связок, потере их эластичности. Сухожилия укорачиваются, истончаются. Уменьшенный размер связок и сухожилий отрицательно влияет на работу сустава: они не могут «защитить» его от растяжений. Все это становится причиной частичного или полного обездвиживания руки.
Что запрещено в период реабилитации
Самая распространенная ошибка пациентов после перелома локтевого сустава – самостоятельный подбор восстановительных упражнений. Какими бы простыми не казались упражнения, подобрать их должен врач с учетом особенностей травмирования. Неправильно выполненный или подобранный комплекс ЛФК может принести больше вреда, чем его отсутствие.
Также опасно самостоятельно делать массаж поврежденного локтевого сустава. Особенно неблагоприятный исход ждет пациента, если массажировать поврежденную руку сразу после снятия гипсовой повязки. Непрофессиональные действия приведут к суставному смещению, образованию костного нароста или разрыву мышц.
Еще одна распространенная ошибка – нагрузка на травмированную руку сразу после снятия гипса. Не стоит считать, что окончание иммобилизации означает полное выздоровление. Это только первая часть лечения. Только после планомерной и последовательной разработки сустава можно постепенно приступать к дозированной нагрузке. Неправильно подобранная физическая активность приведет к возникновению отечности, боли и деформации суставной ткани.
Следуйте рекомендациям врача, и тогда реабилитационный период пройдет быстро и без осложнений.
Продолжение. Видео — ЛФК для локтя.Часть 2
lfkplus.ru
Разработка локтевого сустава после перелома: комплекс упражнений ЛФК

Перелом локтевого сустава может причинить большое количество неудобств. Связано это с тем, что эта область имеет высокую функциональную активность, а также с наличием в ней анатомических элементов (нервов, мышц, сосудов). Основной причиной переломов являются травмы. Важной мерой лечения являются упражнения при переломе локтевого сустава, направленные на его восстановление и разработку
Перелом локтевого сустава
Переломы бывают открытыми и закрытыми. Закрытые являются более распространенными и характеризуются сохранением кожных покровов. Травма в данном случае может быть диагностирована только по симптомам и с помощью рентгенографии. При открытом переломе кожные покровы теряют свою целостность.
Кость локтевого сустава может ломаться на несколько отростков или же дробиться на большое количество мелких частей. Оскольчатые переломы обычно закрытые. При переломе костные обломки могут смещаться, а могут сохранять стабильное состояние. Травмы, сопровождающиеся смещением, значительно хуже поддаются лечению.
Другой вариант перелома – костная трещина, которая сопровождается нарушением целостности костной структуры. Обычно такой перелом самый простой в лечении, и исход благоприятный.
Обычно если лечение и реабилитация проведены правильно, то исход при переломе благополучный, и наступает полное выздоровление. Но в силу тех или иных причин возможны некоторые осложнения.
Наиболее опасное осложнение – полная потеря подвижности конечности. Это может произойти ввиду разрушения нервных волокон и в результате нарушения процесса передач нервного импульса. Главная задача терапии – снизить риск полной неподвижности конечности к минимуму, хотя получается это не всегда.
Сигналом возможных проблем с конечностью могут быть, к примеру, болевые ощущения, возникающие в ответ на движение, и сохраняющиеся даже после окончания терапии и реабилитации. Чтобы предупредить потерю подвижности, нужно придерживаться всех рекомендаций специалиста.

Если при переломе затрагиваются нервные либо сосудистые волокна, то кроме полной или частичной потери подвижности возможны также болевые ощущения либо нарушения кровообращения.
Лечение перелома локтевого сустава
При совсем небольшом смещении сустава, около 5-6 см, врач вправляет его, в дальнейшем накладывая фиксирующую повязку и давая рекомендации по ограничению активности. Если смещение более 6 мм, решается вопрос о необходимости хирургического вмешательства.
Суть хирургического лечения в полном вскрытии полости сустава, придании костным обломкам правильного положения и закреплении их в таком виде. Нередко применяется методика остеосинтеза, которая направлена на ускорение костного роста. При сильном повреждении головки лучевой кости может быть произведена замена эндопротезом. После того как операция сделана конечность фиксируют с помощью гипсовой лангетки.
При закрытом переломе перед хирургическим вмешательством пациенту назначают медикаменты, направленные на снятие отека и воспалительной реакции. Если перелом открытый, то операция проводится в течение двух часов с момента травмы.
Учтите, что гипс накладывается не только на зону пораженного сустава. Рука фиксируется от основания пальцев до плечевого сустава, устанавливается в полусогнутом положении. Такая фиксация соответствует всем правилам травматологии и дает возможность костям срастаться правильно.
Впервые лангетка из гипса снимается спустя четыре недели после наложения. Это дает пациенту возможность начать разработку травмированной руки.
Реабилитация

К вопросу реабилитации нужно подойти особенно ответственно, поскольку эта область достаточно капризна. Врачи советуют начать разработать локтевой сустав после перелома с мелких упражнений для пальцев и плечевых суставов сразу после наложения гипсовой лангетки, а спустя неделю после перелома могут выполняться изотонические сокращения мышечных тканей. Они предполагают напряжение мышцы без непосредственного движения. Это упражнение отлично помогает сохранить мышечный тонус.
На вторую неделю после того как была наложена лангетка может начинаться физиотерапия. Она также способствует сохранению тонуса мышечных тканей, помогает улучшить процессы кровоснабжения, ускорить заживление пораженных участков. В ряде случаев пациенту требуются дополнительные приспособления, которые помогают восстановить подвижность конечности.
Разработка локтевого сустава после перелома: упражнения
Разработка непосредственно локтевого сустава – это второй этап реабилитации. Он возможен только после снятия гипсовой лангетки и с одобрения врача.
Второй этап реабилитации обычно очень трудный, так как кроме выполнения наставлений он также требует упорства и самоконтроля. Если не уделять разработке сустава достаточно времени, то можно так никогда и не вернуть полную подвижность.
Нельзя сразу сгибать локоть после снятия с него лангетки.
Сначала пациенту нужно выполнять несложные упражнения для локтевого сустава после перелома, которые выполняются с вытянутой рукой. К примеру, ему предлагается сесть за стол, вытянуть на него травмированную руку и попытаться оторвать локоть от стола лишь посредством движений в плече.

Далее с одобрения врача начинается выполнение пассивной гимнастики. К данному циклу относятся следующие упражнения:
- Травмированную руку поместите на ровную твердую поверхность. Здоровой рукой совершайте в ней сгибательные и разгибательные движения.
- Можно делать упражнения для развития мелкой моторики в поврежденной руке, используя мягкий мяч или палку.
- Выполняются сгибания и разгибания руки одновременно с поднятием ее за голову.
ЛФК при переломе локтевого сустава: комплекс упражнений
После консультации у специалиста от пассивных движений можно переходить к более активным. Предварительно врач должен оценить состояние сустава и дать рекомендации. При отсутствии патологических изменений можно использовать такой комплекс упражнений:
- Сомкните кисти в замок и имитируйте забрасывание удочки, попеременно отводя руки за голову то с левой, то с правой стороны.
- Упражнение делается аналогично, но кисти закидывают за голову с двух сторон.
- Выполняется смыкание рук в замок на спине.
- Руки заводятся за голову и складываются в замок. Старайтесь потянуться, привстав на мысочки, а руки опустить вниз кверху ладонями.
- Катайте по полу обычную детскую машинку, совершая при этом сгибания и разгибания пораженной конечности.
- Выполняется комплекс упражнений с гимнастической палкой, тоже направленный на сгибания и разгибания рук в локтях.
Когда пройдет боль и дискомфорт, можно начать выполнять лечебную физкультуру после перелома локтевого сустава с гантелями. Для начала вес гантели не должен быть больше 2 кг. Увеличивается их вес постепенно, и это тоже должно обсуждаться с врачом.

Упражнения и массаж
Упражнения для разработки локтевого сустава после перелома должны усложняться постепенно, по мере того как он будет разрабатываться. Пациенту нужно понимать, что нельзя снимать лангетку и сразу начинать действовать травмированной рукой так, как будто она здорова полностью.
Для восстановления подвижности также может использоваться массаж. Мнения специалистов на эту тему отличаются, но все же во многих случаях назначаются эти манипуляции, хотя и не сразу после перелома. Важно, чтобы массаж был одобрен врачом.
Выполнять массаж можно и до того, как снимется лангетка, но в данном случае направлен он будет не на локтевой сустав, а на зону плечевого пояса. Процедура оказывает общеукрепляющее воздействие на организм и при правильном выполнении очень полезна.

Одна распространенная ошибка пациентов в процессе реабилитации – чрезмерные нагрузки на сустав и пассивное задействование конечности. Учтите, что в это время нельзя носить больной рукой любые тяжелые предметы и делать упражнения, предполагающие опору на руки, такие как отжимания и подтягивания.
Не рекомендуется также выполнять упражнения, которые провоцируют сильный дискомфорт. Определенные неприятные ощущения будут, но они не должны быть слишком выражены. Задача ваша – вернуть руке подвижность, а не во что бы то ни стало выполнить весь комплекс.
Перелом локтевого сустава является достаточно сложной травмой, и он всегда требует крайне ответственного подхода к реабилитационным мерам. Если человек не приложит достаточно усилий, он может на всю оставшуюся жизнь остаться с неполноценно функционирующей конечностью. Для предотвращения этого нужно заботиться о собственном здоровье и выполнять наставления специалиста.
Ускорить процесс выздоровления и возврата к нормальной жизни также помогает правильное и сбалансированное питание. На связки и суставы благотворно влияют витамины С и Е.
Также важен коллаген. Этот компонент является основным материалом для соединительных тканей в организме человека, отвечает за их эластичность и упругость.
В больших количествах коллаген содержится в таких продуктах:
- морская рыба, любые морепродукты;
- мясо птицы;
- некоторые фрукты: персики и хурма;
- злаки: овсянка, гречка.
Витамин С способствует укреплению иммунитета, что очень важно при переломах. Также важны и другие витамины для костей и суставов. Их можно получать и из продуктов питания, и из дополнительно употребляемых витаминно-минеральных комплексов. Организм направляет все свои ресурсы на восстановление костных тканей, ввиду чего он ослабляется и становится более подверженным к различным вирусам и инфекциям.
Источники витамина С из продуктов – это капуста, томаты, сладкий перец, шиповник, цитрусовые, ягоды.
Организм человека на самом деле уникален. Ткани его могут восстанавливаться естественным путем. Но вы можете помочь значительно ускорить этот процесс, выполняя все необходимые меры, в том числе и упражнения для восстановления локтевого сустава после перелома. Предлагаем посмотреть видео, демонстрирующие их выполнение.
Техника выполнения упражнений при переломе локтевого сустава на видео
www.fitnessera.ru
Разработка локтевого сустава после перелома
Почему нужно разрабатывать сустав?
Программа лечения, а также реабилитация после него напрямую зависит от типа перелома локтевого сустава. Перелом происходит преимущественно при падении на конечность или при сильном ударе тупым предметом. Пациент очень страдает от боли при травмах локтевого сустава и не может шелохнуть рукой.
Наложив шину и приняв обезболивающее средство, при такой травме локтевого сустава нужно немедленно отправляться в травмпункт. Чтобы точно установить тяжесть перелома, врач назначит рентгенограмму. После получения результатов врач поставит диагноз и определит, какое нужно лечение и реабилитация.
Иногда, если травма локтевого сустава особенно тяжелая, требуется оперативное вмешательство. После операции на сустав накладывается гипсовая шина, снимать которую нельзя в последующие 6-10 недель.
В этот период проводится медикаментозное лечение, а после того, как гипс сняли, потребуется разработать сустав, выполняя назначенные врачом упражнения.
Зачем нужна разработка локтевого сустава после того, как гипс удален? Конечность несколько недель была полностью обездвижена – этого времени достаточно, чтобы мышечные и соединительные ткани ослабли и начали атрофироваться. Их функциональность требуется восстановить.
Для этого нужно делать:
- Упражнения из лечебной физкультуры;
- Массаж;
- Физиопроцедуры.
Восстановление займет некоторое время – нельзя сразу начинать интенсивно выполнять упражнения и перегружать травмированный сустав.
Конечно, переломы бывают практически у всех людей, и в большинстве случаев страдают руки, но мало кто знает о том, как правильно осуществляется разработка локтевого сустава после перелома и зачем она нужна.
Строение локтя довольно непростое, он состоит из трех основных костей:
- Плечевой;
- Локтевой;
- Лучевой.
Также в локтевом суставе располагаются еще мышцы, связки, нервные окончания и сосуды. Локоть человека совершает движения только в две стороны — сгибается и разгибается, но механизм движений довольно сложный.
Во время перелома происходит повреждение сосудисто-нервного пучка, что может повлечь за собой очень весомые последствия. Нередко после такой травмы назначаются хирургические мероприятия, особенно если имеет место гемартроз.
Причины перелома локтя
При любом падении человек инстинктивно выставляет локоть. Поэтому он так часто подвергается травмированию. Это может происходить в таких случаях:
- при падении на локоть или на вытянутую руку;
- при сильном ударе в область сустава;
- во время автомобильных аварий и катастроф;
- у спортсменов при игре в теннис, волейбол, гольф.
Наиболее часто перелом локтевого сустава встречается у детей и пожилых людей. Это связано со слабостью связок и хрупкостью костей. Особенно это заметно у больных остеопорозом – в таких случаях перелом может случиться даже при малейшем ударе.
Чаще всего перелом локтевого сустава случается при падении на согнутую или выпрямленную рукуПерелом руки можно получить при падении или после прямого удара, полученного, к примеру, в результате автомобильного столкновения. Поскольку в месте сгиба нет достаточно прочных мышц, которые постоянно поддерживали бы кость в правильном положении, локтевой отросток сустава часто бывает чрезвычайно уязвим.
Дополнительным фактором риска является слабость сухожилий и связок. Особенно часто травмируется локтевой сустав у детей, кости и связки которых ещё недостаточно прочны.
Виды переломов локтевого сустава
Как все остальные подобные травмы, переломы локтевого сустава делятся на закрытые и открытые, внутрисуставные и околосуставные, со смещением и без, множественные, раздробленные и оскольчатые.
Перелом костей может сочетаться с вывихом. Из-за сложности строения локтя классификация повреждения по месту локализации имеет некоторые особенности.
- При большинстве травм первым на себя удар принимает локтевой отросток. Он не защищен мягкими тканями. Но перелом самого локтевого отростка встречается редко. Намного чаще падение вызывает отрыв от него осколков. Такая травма обычно осложнена смещением отломков, повреждением сосудов и мышц.
- Когда человек падает на вытянутую руку, возможен перелом головки или шейки лучевой кости.
- Повреждение венечного отростка чаще всего сочетается с травмами предплечья или плеча, вывихом в суставе, смещением отломков.
- При переломе плечевой кости может случиться вывих в локтевом суставе и повреждение мыщелка плеча.
Обычно повреждение локализует в области отростка локтевой кости, так как там нет мышц, которые его защищали бы. Также можно столкнуться и с другими типами переломов:
- повреждение головки, либо шейки луча;
- травма венечного отростка;
- перелом мыщелков плеча.
Помимо этого травма может носить открытый или закрытый характер, а также располагаться внутри суставной капсулы или за ее пределами. Отломки костей могут смещаться со своих мест или оставаться в анатомическом положении.
Наиболее часто можно столкнуться с закрытым типом повреждения, во время которого кости не травмируют находящиеся рядом мягкие ткани. При травме открытого типа кожа повреждается, когда сквозь нее прорываются фрагменты костей.
Симптоматика
При переломе сустава отмечаются следующие симптомы:

- Резкая боль в зоне травмы, иногда распространяющаяся на предплечье или даже кисть руки;
- Ограничение подвижности в суставе или несвойственная нормальному функционированию амплитуда движений;
- Отёк в месте повреждения;
- Наличие гематом (синяков) и кровоподтёков;
- При смещении возможно травмирование близлежащих нервов, мышцы и связок;
- Онемение конечности и снижение чувствительности;
- Возможно также присутствие хруста при движении.

Перелом локтевого сустава
По своему характеру переломы бывают:
- Открытыми;
- Закрытыми;
- Внутрисуставными – без смещения костных отростков или со смещением.
Особенности лечения и реабилитации
Консервативное лечение перелома

При простых травмах одиночных костей без смещения возможно консервативное лечение. Оно заключается в ношении гипсовой повязки. Дополнительно могут применяться другие методы.
Главные задачи лечения – обеспечить неподвижность костей для их срастания, улучшить венозный отток, чтобы предотвратить отеки.
Для этого может быть назначена гимнастика, физиопроцедуры, медикаментозное лечение.
Хирургическое вмешательство
Во многих случаях при переломе локтевого сустава требуется операция. Главное для нормального срастания костей – это точно совместить их отломки.
А при внутрисуставных травмах и множественных переломах сделать это можно только при хирургическом вмешательстве. При открытом переломе операцию необходимо провести не позднее чем через сутки после травмы.
После репозиции кости фиксируются с помощью штифтов, болтов или спиц. Иногда требуется сделать остеосинтез.
Осколки костей удаляются, а при необходимости и головка поврежденной кости. В этом случае ее заменяют эндопротезом.
Иногда требуется сшить разорванные мышцы и связки. Перелом локтевой кости, особенно с осколками, попавшими внутрь сустава, требует использования костной пластики и применения фиксирующих пластин.
Восстановление подвижности руки
Самое сложное – это разработка локтевого сустава после перелома. В этом месте часто образуются контрактуры при неправильной реабилитации.
Во время ношения гипсовой повязки происходит атрофия мышц и связок. Чтобы это предотвратить, необходимо уже через несколько дней после травмы делать специальные упражнения.
Кроме того, назначаются парафиновые аппликации, грязелечение, УВЧ, магнитотерапия или электрофорез. Важно соблюдать особую диету, включая в нее продукты, богатые витамином С и коллагеном.
В большинстве случаев полное восстановление подвижности сустава происходит через 1-3 месяца. При выполнении всех рекомендаций врача осложнений обычно не бывает. Если через некоторое время после травмы начинает ломить локти и колени, это говорит о развитии какого-то суставного заболевания.
Лечебная физкультура
Уже на второй-третий день после травмы, когда прошли сильные боли, нужно начинать делать упражнения. Сначала для плечевого сустава и пальцев. Руку нужно периодически поднимать вверх, чтобы предотвратить отек. Очень полезна в этот период дыхательная гимнастика.
После снятия гипса ЛФК заключается в том, чтобы несколько раз в день сгибать и разгибать руку в локте. Можно это делать с помощью второй руки, сцепив их в замок, перекатывая пальцами по столу шарики или игрушечную машинку.
Специальные упражнения помогут восстановить функции суставаВторой этап – это занятия под руководством специалиста.
Выполняются специальные упражнения:
- сгибание и разгибание руки с помощью специального блока;
- поднимать вверх и заводить за голову сцепленные в замок руки;
- упражнения с гимнастической палкой или с мячом;
- медленные вращательные движения в локтевом суставе;
- полезны занятия в бассейне.
Терапия и дальнейшая реабилитация назначается доктором исходя из типа повреждения и локализации линии разлома. Перелом локтевого сустава образуется в разнообразных бытовых ситуациях или во время спортивных занятий.
Человек может упасть на локоть, либо его ударят по руке тяжелым предметом во время драки. Так или иначе, пострадавший нуждается в квалифицированном лечении, поэтому ему нужно оказать первую помощь и доставить в ближайшую больницу.
После поступления больного в стационар, он должен пройти ряд диагностических процедур, после чего доктор ставит точный диагноз. Кроме основной восстанавливающей терапии пострадавшему назначаются и обезболивающие лекарства, так как этой травме свойственно сильное проявление болевого синдрома.
Иногда подобное повреждение может быть настолько серьезным, что назначается незамедлительное оперативное лечение. Если же травма не слишком тяжелая, кости срастаются быстро и пациент возвращается к привычной жизни.
Чтобы восстановительный период занял как можно меньше времени, пострадавшему назначаются упражнения для разработки локтевого сустава.
При получении человеком подобной травмы, рука не разгибается длительное время, потому что зафиксирована с помощью гипсовой повязки или специальной лангеты.
Из-за обездвиживания мышечная и сухожильная ткань теряют свою функциональность. Помогает ускорить восстановление верхней конечности специальный комплекс упражнений и других процедур:.
- лечебная физкультура;
- массажи;
- различные физиотерапевтические процедуры.
Полноценное восстановление требует определенного времени, ведь перелом локтя — серьезная травма. Разработка локтевого сустава после перелома не является приятным процессом, потому что во время упражнений довольно часто человек сталкивается с болевыми ощущениями.
Но чтобы рука снова смогла разогнуться и полноценно выполнять свои функции, необходимо придерживаться рекомендаций доктора и делать всё, что он порекомендует.
sustav.space












