симптомы, лечение, причины возникновения, что это такое
Рассеянный склероз – это неврологическое, хроническое, медленно прогрессирующее заболевание, при котором происходит . Патология встречается нередко, однако больше всего случаев заболевания фиксируется в США, Канаде и Европе. Меньше больных наблюдается в странах Африки и Азии. Симптомы рассеянного склероза чаще проявляются у людей 16-40 лет.
Общее описание патологии
В большинстве случаев рассеянный склероз диагностируется у женщин. Имеет значение раса и район проживания. Им часто болеют европейцы, а также люди, проживающие в северных областях земного шара. Однако сегодня эти критерии уже не являются основными. Поражение стало все чаще встречаться у мужчин.
Рассеянный склероз характеризуется системным поражением белого вещества как головного, так и спинного мозга. Периферическая нервная система затрагивается крайне редко. Негативные факторы провоцируют увеличение проницаемости гематоэнцефалического барьера. В результате этого в мозг проникает чрезмерно большое количество клеток крови и начинается воспалительный процесс.
Развитие рассеянного склероза сопровождается разрушением оболочки нервных окончаний. Дело в том, что иммунитет уничтожает формирующие ее клетки, происходит нарушение передачи нервных импульсов. Кроме того, нарушается микроэлементный обмен, метаболизм в мозговых тканях, изменяется скорость течения крови.
Рассеянный склероз имеет очень тяжелые симптомы, лечится с трудом, и характеризуется дегенеративными изменениями нервных волокон, обратить которые невозможно. Иммунная система при этом серьезно истощается, ухудшается гормональная активность надпочечников.
О том что это за патология, смотрите на видео:
Со временем поражается вся нервная система. Причем первые признаки рассеянного склероза могут наблюдаться даже в детстве. Хотя они являются незначительными, и выявить болезнь на первых этапах развития достаточно сложно. Полностью вылечить рассеянный склероз невозможно. С течением времени любой пациент становится инвалидом.
Почему возникает патология: причины и факторы риска
Основные причины рассеянного склероза врачам до сих пор выяснить не удалось. Однако предпосылкой к его развитию становится генетически заложенная неправильная функциональность иммунитета. Спровоцировать патологию могут еще и такие факторы:
- Проживание в северных регионах земного шара.
- Длительное негативное воздействие различных бактерий и вирусов (герпеса, кори, краснухи, бешенства).
- Постоянные стрессы.
- Черепно-мозговые травмы.
- Хирургические операции, для проведения которых использовался общий наркоз.

Теории, обосновывающие предположительные причины возникновения рассеянного склероза
- Неправильное питание.
- Сильное отравление организма тяжелыми металлами, органическими растворителями, бензином.
- Аутоиммунные патологии.
- Патологические поражения кровеносных сосудов.
- Наследственная предрасположенность.
- Физическое или психологическое перенапряжение.
- Нехватка витамина D в организме.
О возможных причинах и проявлениях РС доклад невролога от коллектива doctor-neurologist:
Эти причины могут и не вызвать развитие рассеянного склероза, однако избегать этих факторов нужно. Запустить механизм разрушения нервных оболочек может даже самый незначительный патологический процесс в организме.
Классификация болезни
Если причины патологии уже примерно ясны, то нужно разобраться с тем, какой она может быть. По характеру течения выделяют 5 форм рассеянного склероза:
- Доброкачественная. Такой рассеянный склероз характеризуется множественными приступами, однако вскоре периоды ремиссии становятся длительными. Этому способствует постепенное восстановление оболочки нервных волокон. То есть негативные факторы, и причины развития патологии перестают действовать, или влияют не очень сильно. При этой форме рассеянного склероза у пациента есть шанс на полное выздоровление при качественном лечении. Четверть таких больных не становятся инвалидами.
- Первично-прогрессирующая. Тут неврологические признаки нарастают постепенно. У некоторых больных наблюдается период стабилизации состояния. Симптомы рассеянного склероза в этом случае выражены несильно, однако трудоспособность человек теряет. Эта форма чаще наблюдается у пациентов после 40 лет.

Типы клинического течения рассеянного склероза
- Ремиттирующая. Здесь для рассеянного склероза характерны острые проявления симптомов. Уже на начальном этапе развития болезни появляются неврологические расстройства. Приступы могут длиться от пары дней до нескольких недель. Для восстановления миелиновой оболочки обычно требуется не один месяц. В это время симптомы менее выражены, однако функциональность пораженных органов и систем полностью возобновить не получится.
- Вторично-прогрессирующая. Независимо от причины развития патологии, ее симптомы нарастают медленно. Первые проявления рассеянного склероза можно заметить после воспаления легких или простуды, на фоне бактериальной или грибковой инфекции. С течением времени заболевание только прогрессирует, и уже через 5 лет больной становится инвалидом.
- Прогрессирующе-ремиттирующий. Эта форма рассеянного склероза является самой редкой. Она характеризуется медленным прогрессированием, а также периодами обострения и улучшения состояния.
Независимо от того, какая причина запустила механизм развития патологии, к лечению рассеянного склероза нужно отнестись ответственно. Терапия должна продолжаться всю жизнь, что позволит несколько улучшить ее качество.
Первые признаки
Проявления этого аутоиммунного заболевания можно заметить не сразу. Причем симптомы могут внезапно появляться и самостоятельно исчезать. Это обусловлено периодическим разрушением и восстановлением миелиновой оболочки. Однако при деструкции самого нервного волокна уже ничего не сделать.
Такая ситуация имеет негативную сторону – позднюю диагностику. Несмотря на то что симптомы исчезают, разрушение нервов продолжается. От начала патологического процесса до того момента, когда появятся первые явные симптомы при рассеянном склерозе, может пройти 5 лет.
Симптоматика болезни
На первых этапах развития рассеянного склероза симптомы не являются специфическими, поэтому связать их именно с этим заболеванием достаточно трудно. Но если успеть вовремя распознать болезнь, можно сразу начать лечение. Симптомы патологии таковы:
- Поражение черепно-мозговых нервов. В этом случае у больного наблюдается снижение остроты и помутнение зрения, появление пелены перед глазами, которая не проходит даже после частого моргания. Человек перестает воспринимать цвет. Происходит сужение или выпадение полей зрения. Присутствует ощущение инородного тела внутри глаза, контуры видимых предметов расплываются. Такие симптомы склероза могут держаться около недели, а потом все становится как прежде. Однако восстановление зрительной функции не всегда бывает полным. Поражение нерва также характеризуется наличием головной боли, которая локализуется , теменной и . Реакция зрачка на свет нарушается. Эти признаки могут говорить не только о рассеянном склерозе, но и о самостоятельном заболевании – ретробульбарном неврите. Чтобы выяснить это, больному придется пройти тщательное обследование и определить причины своего состояния.
- Расстройства функциональности мозжечка. Тут уже симптоматика при рассеянном склерозе такова: у больного появляются частые головокружения, отмечается шаткость походки. Через небольшой промежуток времени эти проявления исчезают, поэтому пациент связывает их с банальным изменением погоды, усталостью. Также для этой болезни характерны нарушения равновесия (невозможность езды на велосипеде), неожиданное изменение почерка. В глазах начинает двоиться и пациенту кажется, что предметы, которые он видит, дрожат. К признакам рассеянного склероза можно отнести и неконтролируемые колебательные движения глазных яблок.
- Проблемы с чувствительностью. У больного появляется ощущения ползания мурашек по коже, ее стягивание, онемение и покалывание. Человеку трудно стоять на ногах, так как они становятся «ватными». Локализация парестезии бывает разной, как и масштаб поражения. Часто для передвижения пациенту необходима опора, без которой он спотыкается и может упасть. Ранним симптомом склероза является снижение вибрационной чувствительности, которое обнаруживается при неврологическом осмотре. На некоторых участках может отсутствовать чувствительность к температурам.
- Нарушение функциональности мочеполовой системы. Первым симптомом будет слишком частое мочеиспускание, его задержка, невозможность полного опустошения пузыря. У мужчин к таким нарушениям можно отнести снижение потенции.
- Расстройства движения. У пациента появляется небольшая слабость в мышцах или их напряжение. Движения становятся неловкими: человек не способен самостоятельно застегнуть пуговицы, попасть ключом в замочную скважину. Пациент часто роняет посуду, какие-то предметы ему трудно удержать. У больного наблюдается нарушение брюшного рефлекса, повышение сухожильных рефлексов ног (и не только), появление патологических симптомов стоп. Среди ночи человек страдает от непроизвольных мышечных судорог, продолжительность которых составляет от нескольких секунд до пары минут. Причем они характеризуются сильной болезненностью.
Огромное разнообразие клинических симптомов затрудняет диагностику рассеянного склероза на ранних этапах. Более подробно обо всех признаках патологии на видео:
- Нарушения эмоционально и умственной сферы. Больной становится раздражительным, лабильным, у него часто меняется настроение. Появляются первые проблемы с памятью. Человек чувствует себя постоянно усталым, может находиться в состоянии эйфории или депрессии.
- Сбой менструального цикла у женщин. В результате нарушения функциональности гормональной системы проблемы возникают и в репродуктивной сфере.
- Дисфункция ЖКТ. Пациент начинает реже посещать туалет, у него чаще появляются запоры.
Существуют также комплексы симптомов, которые составляют синдромы рассеянного склероза. Их всего несколько:
- Синдром «горячей ванны». Для него характерно резкое ухудшение общего состояния человека после принятия ванны. Дело в том, что нервное волокно становится чрезвычайно восприимчивым к внешним влияниям.
- Синдром «клинической диссоциации». Его суть заключается в том, что результаты осмотра невролога и степень выраженности симптомов не соответствуют. Например, нарушения зрения обнаруживаются даже при нормальном состоянии глазного дна.
Коварство заболевания заключается в том, что его симптомы не являются специфическими, способны внезапно появляться и исчезать. Это существенно затрудняет диагностику.
Особенности диагностики
Так как специфических признаков патология не имеет, обнаружить ее можно только инструментальным путем. Чаще всего для диагностики применяется процедура МРТ, с использованием контрастного вещества. Благодаря этому исследованию появляется возможность обнаружить степень зрелости склеротических очагов, а также степень активности патологического процесса.
Также потребуется анализ крови, который покажет наличие повышенного уровня антител к миелину и другим нейроспецифическим белкам. Используются неврологические тесты, для определения функциональности рефлексов.

Диагностические критерии заболевания. Диссеминация — это случай, когда из местного очага происходит распространение патологического процесса как в пределах того или иного органа, так и по всему организму
Хороший результат дает исследование спинномозговой жидкости. У людей с рассеянным склерозом в ликворе присутствуют олигоклональные иммуноглобулины. Хотя их появление могут спровоцировать и другие патологии. То есть диагностика должна быть максимально точной и дифференциальной.
Тактика лечения
Многие пациенты, узнав свой диагноз, со страхом интересуются, излечим ли рассеянный склероз. В подавляющем большинстве случаев этот ответ однозначен – нет (если у пациента не доброкачественная форма). Однако нельзя сразу опускать руки. Несмотря на то, что специфического эффективного лечения этой болезни пока не существует, разработаны различные схемы терапии, позволяющие улучшить качество жизни человека.
Если у больного присутствует небольшое количество симптомов, а само развитие заболевания началось поздно, то прогноз в этом случае может быть положительным. Но так как вылечить рассеянный склероз полностью не получится, терапия является симптоматической и поддерживающей.

Мы приводим график, наглядно иллюстрирующий важность раннего лечения при обнаружении РС, чтобы не допустить тяжелых форм инвалидности
Она предусматривает употребление таких препаратов:
- Гормонов. Первично используется пульс-терапия, то есть применение небольших доз средства короткими курсами. Их длительность составляет около 5 дней. Также показаны инъекции или таблетки кортизона. Они способствуют снижению интенсивности воспаления.
- Препараты магния и калия: «Аспаркам», «Панангин».
- Средства для защиты слизистой оболочки ЖКТ: «Омепразол», «Ультоп», «Омез».
- Иммуносупрессоры: «Митоксатрон». Препараты этого типа применяются, если рассеянный склероз развивается очень быстро. Также в период ремиссии понадобятся другие средства, угнетающие иммунную систему: «Азатиоприн», «Циклоспорин А».
- Для предупреждения рецидива или снижения интенсивности приступа рекомендуются β-интерфероны: «Ребиф», «Авонекс».

Лечебные мероприятия при рассеянном склерозе в зависимости от стадии заболевания
- Антидепрессанты: «Циправмил», «Паксил», «Амитриптилин».
- Транквилизаторы: «Фенозепам».
- Средства для устранения мышечного спазма: «Баклосан», «Мидокалм», «Сирдалуд».
- При нарушениях функциональности мочеполовой системы: «Прозерин», «Детрузитол».
- Поливитаминные комплексы: группы В, Е.
- Ноотропные средства.
- Энтеросорбенты: «Энтеросгель», «Полисорб».
- Противоэпилептические: «Финлепсин».
- Иммуномодулятор, который способен приостановить разрушение миелина: «Копаксон».
Так как лечить рассеянный склероз придется долго, больному следует набраться терпения и привыкнуть жить по новому распорядку. На сегодняшний день ученые-медики разрабатывают прогрессивные схемы лечения, которые позволяют добиться стойких положительных результатов.
Например, новое направление в лечении рассеянного склероза. Оно предусматривает применение бета-интерферонов. Они способны обеспечить иммуномодулирующее, противовирусное, а также противовоспалительное действие. Назначаются они через день в определенной врачом дозировке. Лечение должно быть длительным и непрерывным. Новые цитостатические препараты способны уменьшить частоту рецидивов, выраженность обострений, а также удлинить период ремиссии. Прогрессирование заболевания замедляется.
Доцент Самарского медицинского университета, президент российской ассоциации пациентов с рассеянным склерозом Ян Владимирович Власов и Елена Малышева рассказывают о подходах в лечении этого коварного заболевания:
Настоящим прорывом в медицине стало изобретение препарата «Окрелизумаб», который при лечении рассеянного склероза воздействует на те иммунные клетки, которые играют главную роль в деструкции миелиновой оболочки нервов. Данное лекарство – это гуманизированное моноклональное антитело. На сегодняшний день препарат является экспериментальным, но уже показал первые положительные результаты.
В России также проводится лечение рассеянного склероза стволовыми клетками. Такая терапия способствует регенерации миелина, что позволяет импульсам передаваться с нормальной скоростью. А еще данный метод лечения дает возможность восстановить нервные клетки головного и спинного мозга, нормализовать функциональность иммунной системы.
Осложнения и продолжительность жизни
Можно ли вылечить рассеянный склероз? Исходя из сегодняшнего опыта в медицине – нет. Но бороться с ним нужно, так как помимо целого комплекса симптомов, нарушающих обычную жизнь человека, болезнь способна давать осложнения. Например, нарушается функциональность сердца и дыхательной системы, поэтому риск ранней смерти возрастает.
Что касается продолжительности жизни, то тут все зависит от степени тяжести заболевания, индивидуальных особенностей организма, эффективности поддерживающей терапии. Большую роль также играет своевременность постановки диагноза и определения формы рассеянного склероза. Продолжительность жизни сокращается в основном на 7 лет.
О том, как живется с заболеванием, рассказывает блогер Татьяна Романова:
Новейшее лечение способно решить проблему инвалидизации людей с рассеянным склерозом. Однако такие препараты имеют огромную стоимость. Но медицина не стоит на месте. Возможно, в ближайшем будущем эта проблема будет решена совсем.
promigreni.com
Рассеянный склероз — Симптомы и причины возникновения у женщин, методы лечения
Рассеянный склероз (РС) признан сильнее распространенным у женщин, чем у мужчин.
Это привело к обширным исследованиям различий в иммунной или нервной системе между мужчинами и женщинами, которые вызваны воздействием гонадальных гормонов, генетических различий, воздействий внешней окружающей среды и современного образа жизни у женщин и мужчин.
В данной статье мы расскажем о том, что такое рассеянный склероз, какие его симптомы и причины возникновения у женщин.
к содержанию ^Определение
Рассеянный склероз (РС) является хроническим аутоиммунным расстройством, влияющим на движение, ощущения и функции организма.
Это вызвано разрушением изолята миелина, покрывающего нервные волокна (нейроны) в центральной нервной системе (головном и спинном мозге).
к содержанию ^Описание
РС — нервное расстройство, вызванное разрушением изолирующего слоя, окружающего нейроны в мозгу и спинном мозге. Эта изоляция, называемая миелином, помогает электрическим сигналам проходить быстро и плавно между мозгом и остальной частью тела. Когда миелин разрушается, нервные сообщения отправляются медленно и менее эффективно.
Заплаты рубцовой ткани, называемые бляшками, формируются над пораженными областями, что еще больше нарушает нервную связь. Симптомы РС возникают, когда нервы головного и спинного мозга больше не взаимодействуют с другими частями тела. РС вызывает широкий спектр признаков и влияет на зрение, баланс, силу, чувства, координацию и физические функции.
В мире насчитывается приблизительно 2 млн больных. Заболевание в основном возникает в возрасте 20 до 40 лет.
Симптомы редко начинаются до 20 или после 60 лет. Женщины почти в два раза чаще получают РС, чем мужчины, особенно в ранние годы. Показатели РС выше в Соединенных Штатах, Канаде и Северной Европе, чем в других частях мира. РС редко встречается среди азиатов, северных и южноамериканских индейцев и эскимосов.
к содержанию ^Причины развития и симптомы
Рассеянный склероз — аутоиммунная болезнь, причина — атака своей же иммунной системы организма. По неизвестным причинам иммунные клетки атакуют и уничтожают миелиновую оболочку, которая изолирует нейроны в головном мозге и спинном. Подобно изоляции вокруг проводов в электрических системах, глиальные клетки образуют мембранную оболочку, окружающую аксоны, называемые миелином.
Нарушение связи между мозгом и другими частями тела препятствует нормальному прохождению ощущений и контрольных сообщений, что приводит к симптомам РС. Демиелинированные области появляются как бляшки, небольшие круглые области серого нейрона без белого покрытия миелинов.
Прогресс симптомов в РС коррелирует с развитием новых бляшек в части мозга или спинного мозга, контролирующих пораженные участки. Поскольку в появлении новых бляшек не наблюдают никакой картины, прогрессирование РС может быть непредсказуемым.
Несмотря на значительные исследования, триггер для этого аутоиммунного разрушения до сих пор неизвестен.
Проводимые исследования указывали на гены, факторы окружающей среды, вирусы или их комбинацию. Стресс может быть фактором риска, хотя доказательства, подтверждающие это, являются слабыми. Прививки были изучены в качестве причинных факторов. Однако большинство исследований не показывают никакой связи.
Риск развития заболевания выше, если заболевает другой член семьи, что указывает на влияние генетических факторов. Кроме того, более высокая распространенность РС среди людей северного европейского происхождения указывает на некоторую генетическую восприимчивость.
Роль фактора внешней среды предлагается в исследованиях влияния миграции на риск развития РС. Возраст — еще один показатель, который важен в определении этого риска. Одна из интерпретаций этих исследований состоит в том, что в раннем возрасте приобретается экологический фактор, как защитный, так и вредный, риск заболевания в более позднем возрасте отражает последствия ранней окружающей среды.
Эти же данные используют для поддержки вируса медленного действия, который приобретается на ранней стадии, но начинает его разрушительные последствия гораздо позже. Известно, что медленные вирусы вызывают другие заболевания, включая СПИД. Кроме того, вирусы были вовлечены в другие аутоиммунные заболевания.
Также неясно, как вирус вызывает аутоиммунную реакцию. Существуют две основные модели аутоиммунитета, вызванного вирусом.
Первое предполагает, что иммунная система фактически поражает вирус (слишком хорошо скрытый для обнаружения в лаборатории), а повреждение миелина является непреднамеренным последствием борьбы с инфекцией.
Вторая модель предполагает, что иммунная система ошибочно принимает миелин за вирусный белок, который он встречал во время предшествующей инфекции. Принудительно атакуя, он разрушает миелин, потому что напоминает ранее признанного вирусного захватчика.
Любая из этих моделей играет роль генетических факторов, поскольку некоторые гены увеличивают вероятность аутоиммунного заболевания. Факторы окружающей среды также изменяют чувствительность.
к содержанию ^Симптомы
Проявления вызваны нарушением передачи сигналов нерва из центральной нервной системы (ЦНС) и включают:
- усталость;
- покалывание, онемение или боль;
- сложность с ходьбой и балансом;
- нарушение зрения;
- депрессия, эмоциональные изменения;
- нарушение мышления/понимания;
- слабая координация мышц;
- сексуальные проблемы;
- невнятная речь и заикание;
- проблемы с кишечником и непроизвольное мочеиспускание.
Лечение
Сегодня доступны различные варианты лечения РС, которые, как было показано, уменьшают частоту рецидивов и замедляют прогрессирование заболевания. Некоторые процедуры используют инъекции — подкожную или внутримышечную, тогда как другие вводят внутривенно (через инфузию) или перорально (через рот).
Бета-интерфероны — инъекционные средства, используемые для лечения рецидивирующей ремиссионного РС.
Некоторые продукты бета-интерферона также применяются для первого клинического эпизода с результатами МРТ, согласующимися с РС. В зависимости от лекарственного препарата инъекции для бета-интерферонов бывают либо подкожными, либо внутримышечными, а дозировка варьируется от раза в день до одного раза в неделю.
Глатирамера ацетат делается путем подкожной инъекции каждый день для лечения, рецидивирующего ремиссионного РС.
Финголимод является оральной капсулой, которую принимают раз в день, для лечения рецидивирующих форм. Прием уменьшает частоту клинических обострений и отлаживает накопление физической инвалидности.
Терифлуномид представляет собой таблетку для перорального применения один раз в день, используемую для лечения пациентов с рецидивирующими формами.
Натализумаб — внутривенный препарат, предназначенный для пациентов с быстро прогрессирующими РС или с высокой активностью заболевания, несмотря на использование альтернативного лечения. Он вводится раз в четыре недели.
Диметилфумарат представляет собой пероральную капсулу, принимают два раза в день.
к содержанию ^Альтернативное лечение
Пчелиный яд был предложен в качестве лечения, но никакие исследования или объективные отчеты не подтверждают это утверждение.
В британских исследованиях было показано, что марихуана оказывает переменное воздействие на симптомы.
Усовершенствования были зафиксированы в отношении тремора, боли и спастичности, а также ухудшения осанки и баланса. Побочные эффекты включают слабость, головокружение, расслабление и несогласованность, а также эйфорию. В результате марихуана не рекомендуется в качестве альтернативного лечения.
Некоторые исследования подтверждают ценность высоких доз витаминов, минералов и других пищевых добавок для контроля прогрессирования заболевания или улучшения симптомов. Альфа-линолевая и линолевая кислоты, а также селен и витамин Е показали эффективность при лечении РС.
Селен и витамин Е действуют как антиоксиданты. Кроме того, диета Swank (с низким содержанием насыщенных жиров), поддерживаемая в течение длительного периода времени, может замедлить процесс заболевания, и вполне помогает в лечении.
Исследования также показали, что тайцзи можно эффективно лечить РС, поскольку она работает для улучшения баланса и увеличения силы.
Существуют противоречивые взгляды на эхинацею и преимущества. Некоторые книги медицины рекомендуют Эхинацею для людей с этим заболеванием. Однако эхинацея, по-видимому, стимулирует различные части иммунной системы, особенно иммунные клетки, известные как макрофаги. В РС эти клетки очень активны, и дальнейшая стимуляция может ухудшить болезнь.
к содержанию ^Прогноз
Трудно предсказать, как будет развиваться рассеянный склероз у любого человека. Большинство людей с РС смогут продолжать ходить и работать на протяжении многих лет после их диагноза.
Менее 5% людей с РС имеют тяжелую прогрессирующую форму, что приводит к смерти от осложнений в течение пяти лет.
С другой стороны, 10-20% имеют доброкачественную форму с очень медленным или отсутствием прогрессирования их симптомов.
Самые последние исследования показывают, что около семи из 10 человек с РС все еще живы через 25 лет после их диагноза, по сравнению с примерно девятью из 10 человек одинакового возраста без болезней.
В среднем МС сокращает жизнь женщин примерно на шесть лет. Самоубийство является важной причиной смерти в РС, особенно у молодых пациентов.
Степень инвалидности, которую человек переживает через пять лет после начала, составляет в среднем около трех четвертей ожидаемой инвалидности через 10-15 лет. Благоприятный курс в течение первых пяти лет обычно указывает на то, что заболевание не вызовет заметной инвалидности.
Планирование рождения и послеродового периода при рассеянном склерозе.
Если женщина с таким заболеванием хочет родить ребенка, противопоказаний к этому нет. Есть все шансы наряду со здоровыми, главное консультироваться с врачом и выполнять его требования.
Следует помнить и о вспышках. В первые 9 месяцев после рождения до 40% женщин с РС будут иметь рецидив. Но вспышка не повышает риск долгосрочной инвалидности.
Тщательно следует подумать о грудном вскармливании. Если вернутся на лекарства, то женщина не сможет этого делать. Препараты негативно влияют на ребенка через молоко.
Не чувствуйте себя виноватым, если вы выберете лекарство от грудного вскармливания. В конце концов, вашему новому дополнению нужна мама, которая может оставаться здоровой.
Женщины с РС имеют более высокий риск депрессивного состояния во время беременности и сразу после рождения. Можно познакомиться с женщиной, у которой есть положительный опыт материнства и болезни. Глядя на позитивный пример, настрой будет оптимистичнее.
Стоит ли переживать, что ребенок будет болен РС??
Это проблема для будущих родителей.
к содержанию ^У заболевания замечены некоторые генетические связи, но дети имеют шанс в 96%, что они выиграли.
Вывод
Аутоиммунные заболевания (опосредованные клетками или антителами), включая РС, чаще всего встречается у представительниц женского пола. Новые технологии обеспечивают новые методы с возможностью дальнейшего анализа генетических и иммунологических механизмов, вызывающих наблюдаемые различия между женщинами и мужчинами с РС.
Такие исследования потребуют больших совместных усилий, включая тщательную характеристику стандартизированных подробных клинических характеристик в клиниках и странах. По мере развития знаний молекулярные методологии могут быть реализованы в клинической практике и влияют на выбор лучшего и индивидуализированного обследования и лечения у женщин с РС.
Беременность имеет тенденцию подавлять иммунную систему матери, чтобы предотвратить отторжение плода.
Лечение, используемое во время АРТ, также может влиять на эволюцию рассеянного склероза, изменяя гормональный статус пациента. Желательно прекратить лечение, модифицирующее заболевание, до зачатия.
Использование препаратов во время зачатия следует рассматривать на индивидуальной основе с учетом рисков, связанных с воздействием лекарственных средств и рисками рецидивов.
Не существует известного способа профилактики рассеянного склероза. До тех пор, пока причина болезни не будет обнаружена, это вряд ли изменится. Качественное питание, адекватный отдых, избегание стресса, жары и экстремальных физических нагрузок, хорошая гигиена мочевого пузыря может улучшить качество жизни и уменьшить симптомы.
Эта болезнь поддается поддержанию. Главное не затягивать, нужно сразу идти к специалистам для обследования и составления грамотного лечения. При соблюдении лечения и профилактики, жизнь больных не отличается от здоровых. Люди с рассеянным склерозом могут продолжать вести активную общественную жизнь и радоваться мгновениям.
Загрузка…mozgmed.ru
симптомы у женщин на начальной стадии, причины возникновения, как диагностировать, лечение
– заболевание, которое связано с , в результате чего нарушается взаимосвязь между головным мозгом и различными органами и частями тела. У пациентов может нарушаться зрение, память, двигательная активность. Это процесс является необратимым. Симптомы рассеянного склероза у женщин зависят от того, в какой области мозга произошли нарушения и тяжести этих поражений. Совсем недавно, рассеянный склероз у женщин считался неизлечимым и без должного лечения человек быстро становился инвалидом и не доживал до старости. Сегодня медицина способна помочь пациенту полностью избавиться от заболевания.
Особенности заболевания
Рассеянный склероз связан с поражением ЦНС, которое имеет хронический характер. Главной причиной его возникновения медики называют нарушение функционирования иммунной системы, клетки которой начинают разрушать оболочку нервных клеток, в результате чего на них появляются рубцы. Простыми словами, иммунитет больного начинает разрушать свои же нейроглии, из которых состоит миелиновая оболочка. Как следствие передача нервных импульсов через нейроны нарушается.
Рассеянным заболевание называют из-за того, что очагов поражения в организме может быть большое количество. Чаще его диагностируют у молодых людей 20-40 лет. Хотя бывали случаи заболевания у 15-летних подростков. После 50 лет риск заболеть рассеянным склерозом существенно снижается. Больше всего ему подвержены представители женского пола. Примерно 2/3 всех пациентов с таким диагнозом – женщины.
Причины возникновения
Причины рассеянного склероза делят на внутренние и внешние. Считается, что внешние факторы, особенно если у человека имеется наследственная предрасположенность, могут спровоцировать повреждение нервных тканей. Самыми опасными считаются различные инфекции (герпес, корь, краснуха и т. д.).
Спровоцировать нарушения иммунитета могут:
- Частые стрессы.
- Физическое или психоэмоциональное напряжение.
- Преобладание в рационе продуктов с высоким содержанием животного белка, жира, поваренной соли, фастфуда и т. д.
- Различные травмы головы или спины.
Подробно о причинах возникновения патологии смотрите на видео:
- Отравление токсическими веществами (органическими растворителями, красками и т. д.) или действие радиационного облучения.
- Дефицит в организме витамина Д.
- Перенесенные операции.
К группе риска относят:
- Жителей северных регионов.
- Представителей белокожей расы.
- Людей, перенесших инфекционно-аллергические заболевания.
- Лиц, подверженным стрессам.
- Пациентов с аутоиммунным заболеванием.
- Тех, у кого в анамнезе есть различные сосудистые заболевания.
- Людей страдающих ожирением.
- Женщины, использующие гормональные таблетки в качестве метода контрацепции.
- Близкие родственники больного с рассеянным склерозом.
- Больные сахарным диабетом.
Диагностика
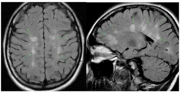
Над вопросом, как диагностировать рассеянный склероз, сегодня работают ученые медики всего мира, так как единого диагностируемого метода пока не существует, а диагноз ставится на основе исключения похожих по симптоматике заболеваний. На данный момент наиболее информативным методом является люмбальная пункция, во время которой делается забор спинномозговой жидкости. Однако такой способ не только болезненный, но и довольно сложный. Основная диагностика сейчас заключается в проведении магнитно-резонансной томографии.

Зелеными стрелочками показаны очаги рассеянного склероза на МРТ
Возможно уже в скором будущем, поставить диагноз рассеянный склероз у женщин, врачи смогут на основании изучения зрачкового рефлекса или иммуноферментной диагностики.
Симптомы
Развитие заболевания, как правило, начинается в возрасте 18-35 лет. Хотя известны случаи, когда признаки рассеянного склероза фиксировались у годовалых малышей. У женщин симптомы рассеянного склероза проявляются значительно чаще, нежели у мужчин. Для болезни характерно хроническое течение, когда периоды обострения чередуются с некоторым затишьем.
В этом выпуске программы «Жить здорово!» с Еленой Малышевой вы узнаете о первых признаках рассеянного склероза и о том, как его лечить:
На начальной стадии у женщин симптомы рассеянного склероза зависят от той области, в которой имеются очаги поражения нервных волокон. Патологии, связанные с заболеванием могут быть самыми разными и затрагивать умственные, двигательные или сенсорные функции. По мере развития рассеянного склероза, симптомы у пациента будут меняться.
- Первичные симптомы связаны с процессом повреждения нервных оболочек и передачей импульсов.
- Вторичная симптоматика всегда представляет собой следствие первичной.
- На третьем этапе происходит усугубление патологических процессов.
Первичные симптомы отличаются резким характером развития, но иногда, они могут продолжаться в течение достаточно длительного периода времени. К основным признакам рассеянного склероза на данном этапе относят:
- Слабость и покалывание в конечностях с одной стороны тела.
- Тазовые расстройства.
- Ухудшение зрения, чувство двоения в глазах.
В редких случаях у больного нарушается речь и двигательная активность, возникают парезы. На начальной стадии заболевания 10% пациентов жалуются на проблемы с мочеиспусканием, в то время, как спустя 10 лет у 100% больных наблюдается подобная дисфункция.
Когда рассеянный склероз начинает прогрессировать, у женщины появляется большое количество характерных симптомов:
- Нарушение чувствительности. 80% пациенток жалуются на снижение чувствительности кожи, необычный зуд, покалывание, которое переходит в боль. Вначале такое происходит только с кончиками пальцев. Со временем ощущения распространяются на всю поверхность руки или ноги. Как правило, подобные признаки появляются только с одной стороны тела. Такое состояние многие списывают на банальную усталость, пока со временем женщина перестает выполнять простые движения.
- Происходит ухудшение зрения, развивается оптический неврит. Изображение становится нечетким, нарушается восприятие цвета. Обычно, это происходит только с одним глазом.
- Возникает тремор.
- Пациента мучают , что нередко становится причиной депрессивного состояния или мышечных расстройств.
- Нарушение функции глотания, речь может становиться смазанной.
- Нарушается походка. Причиной этому становится слабость мышечной ткани или ее спазм. Женщина может жаловаться на нарушение в координации движений или же на чувство онемения в стопах.
- Происходит спазм мышц в конечностях, что мешает человеку возможности управлять ими. Это приводит к инвалидности.
- Гиперчувствительность к высоким температурам.
История болезни одного пациента. Елена Панасова, 29 лет рассказывает о своем недуге:
- Интеллектуальные или умственные нарушения. У женщин нарушается возможность сконцентрировать свое внимание или запомнить информацию, появляется заторможенность.
- Появляются признаки хронической усталости.
- Нарушение сексуальных функций.
- Проблемы со сном.
- Дисфункция кишечника.
В зависимости от симптомов рассеянного склероза у женщины выделяют несколько форм его проявления:
- Ремиттирующий. Для него характерны периоды обострения и улучшения состояния. В период ремиссии заболевание не прогрессирует и даже возможно восстановление некоторых нарушений.
- Тяжелая вторично-прогрессирующая функция. Для нее характерно увеличение неврологических симптомов. Болезнь уверенно прогрессирует и периода затишья не наблюдается.
- Злокачественная первично-прогрессирующая. С самого начала рассеянный склероз прогрессирует. Лечение не оказывает никакого эффекта.
Прогноз заболевания будет зависеть от его формы и степени поражения ЦНС.
Лечение
Еще не так давно рассеянный склероз, который возникал у женщин, считался неизлечимым и все методы терапии сводились к устранению симптомов. Сегодня медики достаточно хорошо изучили болезнь, поэтому при раннем ее выявлении и начале грамотного лечения, они дают достаточно хороший прогноз. Период лечения длительный, а все препараты, которые используются для терапии, представляют собой инъекции, поэтому заниматься лечением дома может быть достаточно проблематично.
Так как рассеянный склероз у женщин является иммунной патологией, то в основе терапии находятся иммуномодулирующие препараты. Они дают возможность ослабить или же полностью остановить процесс разрушения миелиновых оболочек. В связи с тем, что подобные лекарства имеют много побочных эффектов, назначать их может только лечащий врач. Длительное введение подобных препаратов способствует образованию уплотнений в месте инъекции, поэтому важно регулярно менять область их введения.
Женщина с диагнозом рассеянный склероз вынуждена принимать иммуномодуляторы пожизненно. В периоды острого проявления болезни проводится их купирование медикаментами.
Целью лечения является увеличение периода затишья болезни и улучшение общего состояния женщины. Для этого доктор назначит:
- Использование гормонотерапии. Проводится она короткими курсами, не дольше 5 дней.
- Кортикостероиды («Аспаркам», «Панангин» и т. д.).
- Лекарства, защищающие слизистую оболочку желудочно-кишечного тракта («Омепразол», «Ультопа» и т. д.).

Лечебные мероприятия при РС в зависимости от стадии и типа течения заболевания
- Если признаки болезни быстро прогрессируют, больному назначается «Митоксантон».
- Для устранения симптомов при обострении рассеянного склероза, пациентке прописывают интерфероны («Ребиф», «Авонекс»).
- Избавиться от депрессивного состояния, которое часто наблюдется у женщин с таким диагнозом, помогут транквилизаторы и антидепрессанты («Фенозепам», «Амитриптилин» и т. д.).
- Для устранения дизурических расстройств используются «Детрузитал», «Прозерин».
В последние годы в лечении рассеянного склероза свершился большой прорыв, появились новые иммуномодулирующие препараты, позволяющие многим людям с этим серьёзным заболеванием жить полноценной жизнью. Также существует экспериментальный метод лечения — с помощью стволовых клеток. Более подробно вы узнаете в этом видео:
- В случае эпилептических проявлений прописывают «Финлепсином», «Гебапентином».
- Для защиты миелиновых оболочек от разрушений назначается «Копаксон».
- Дополнительно используются витаминно-минеральные комплексы, энтеросорбенты и ноотропы.
Сегодня ученые тестируют новое направление в лечении рассеянного склероза у женщин, которое основано на клеточной терапии. Для этого проводится выращивание стволовых клеток человека, которые дают возможность восстановить поврежденную миелиновую оболочку и убрать имеющиеся рубцы на нервных волокнах.
После такого лечения происходит восстановление утраченных функций нервной системы. Такая методика, возможно, уже скоро даст шанс женщинам с таким диагнозом на полноценную жизнь.
Осложнения и последствия
Около 25 % женщин с диагнозом рассеянный склероз способны не только ухаживать за собой самостоятельно, но и работают, и ведут полноценную жизнь. Примерно 10% больных после нескольких лет лечения становятся инвалидами.
Иногда, если болезнь изначально имела тяжелую форму, у пациента возникли нарушения в работе сердца или функций дыхания, то возможен быстрый летальный исход. Также к этому могут привести частые пневмонии, которые возникают одна за другой. У женщин, которые не имеют возможности двигаться и поэтому всегда находятся в лежачем положении, возможно появление пролежней, которые при неправильном уходе становятся причиной тяжелого сепсиса и причиной смерти больной.

Возможные печальные последствия РС
Полностью вылечить рассеянный склероз сегодня невозможно. Рано или поздно болезнь приводит к инвалидности. В большинстве случаев, она появляется после многолетнего лечения, когда периоды ремиссии постепенно исчезают.
Чем младше возраст пациента, тем легче ему будет переносить рассеянный склероз. Периоды стихания проявления болезни у таких женщин обычно намного продолжительнее. Прогноз для каждого человека с таким диагнозом будет индивидуальный и врач не может предусмотреть его последствия.
Чем раньше будет выявлен рассеянный склероз и начато эффективное лечение, тем больше шансов у больного сохранить двигательную и умственную активность на долгие годы.
Профилактика
Работа ученых над изучением рассеянного склероза продолжается до сих пор. Поэтому медики не могут назвать конкретные методы его профилактики, которые бы стали эффективными для всех. Единственное, что они могут порекомендовать женщинам, входящим в группу риска – вести здоровый образ жизни, избегать стрессовых ситуаций и следить за качеством своего питания.
Среди других рекомендаций:
- Не допускать умственного или физического переутомления.
- Отказаться от любых вредных привычек.
- Заниматься спортом и стараться больше времени активно проводить на свежем воздухе.
Дороги читатели, в лечении все средства хороши. Мы приготовили для вас необычное видео. Это бинауральные биения, помогающие в лечении заболевания. Перед прослушиванием выпейте стакан чистой воды. Используйте наушники. Не используйте Dolby TM и другие системы шумоподавления. Слушайте запись в тихом помещении с приглушенным светом, где никто не сможет побеспокоить вас. Устройтесь поудобнее и максимально расслабьтесь, можете закрыть глаза, остановите поток мыслей. Сосредоточьтесь на звучащей частоте. Не засыпайте, работайте, медитируйте. Приятного просмотра:
- Следить за состоянием своего веса.
- Отказаться от гормональных методов контрацепции.
- Не допускать перегрева тела.
- Не прекращать лечение даже после уменьшения признаков болезни.
Несмотря на то, что рассеянный склероз сегодня вылечить до конца невозможно, все же каждая женщина имеет шанс на полноценную жизнь с таким диагнозом. Для этого необходимо придерживаться профилактических правил, следить за состоянием своего здоровья и при возникновении любых симптомов болезни незамедлительно обращаться за помощью к врачу.
promigreni.com
Рассеянный склероз, его возможные последствия и эффективное лечение
Нервы человека устроены совсем как электрические провода. Так, же, как и любой кабель, нерв имеет собственную изоляцию – её называют миелиновой оболочкой. Только её функции немного отличаются. Если обычная изоляция главным образом нужна для того, чтобы никого не ударило током, то миелин играет важную роль в нормальной работе нерва.
Рассеянный склероз (РС) – заболевание, при котором миелиновая оболочка разрушается. Это приводит к неврологическим расстройствам, которые усугубляются с течением времени.
Некоторые цифры и факты:
- РС – самое распространенное аутоиммунное заболевание нервной системы.
- В 2013 году заболевание затронуло более 2,3 миллионов человек во всем мире.
- Чаще всего первые симптомы появляются в возрасте от 20 до 50 лет.
- У мужчин заболевание встречается в два раза реже, чем у женщин.
Каковы возможные последствия рассеянного склероза у мужчин и женщин?
Заболевание имеет хроническое течение. Прогноз и возможные последствия зависят от пола, возраста больного, течения РС, от того, какие были симптомы в начале болезни. В среднем больные люди живут на 5-10 лет меньше, чем здоровые. Почти половина доживает до 60 лет и более старшего возраста.
Со временем могут возникать серьезные осложнения:
- судороги, припадки, как при эпилепсии;
- скованность в мышцах;
- параличи, как правило, в мышцах ног;
- сильное ухудшение памяти;
- перепады настроения;
- недержание мочи и стула;
- депрессия.
Рассеянный склероз – серьезное заболевание, оно нуждается в индивидуально подобранном лечении. Больной должен регулярно наблюдаться у врача-невролога.
Нервы человека устроены совсем как электрические провода. Так, же, как и любой кабель, нерв имеет собственную изоляцию – её называют миелиновой оболочкой. Только её функции немного отличаются. Если обычная изоляция главным образом нужна для того, чтобы никого не ударило током, то миелин играет важную роль в нормальной работе нерва.
Рассеянный склероз (РС) – заболевание, при котором миелиновая оболочка разрушается. Это приводит к неврологическим расстройствам, которые усугубляются с течением времени.
Некоторые цифры и факты:
- РС – самое распространенное аутоиммунное заболевание нервной системы.
- В 2013 году заболевание затронуло более 2,3 миллионов человек во всем мире.
- Чаще всего первые симптомы появляются в возрасте от 20 до 50 лет.
- У мужчин заболевание встречается в два раза реже, чем у женщин.
Каковы возможные последствия рассеянного склероза у мужчин и женщин?
Заболевание имеет хроническое течение. Прогноз и возможные последствия зависят от пола, возраста больного, течения РС, от того, какие были симптомы в начале болезни. В среднем больные люди живут на 5-10 лет меньше, чем здоровые. Почти половина доживает до 60 лет и более старшего возраста.
Со временем могут возникать серьезные осложнения:
- судороги, припадки, как при эпилепсии;
- скованность в мышцах;
- параличи, как правило, в мышцах ног;
- сильное ухудшение памяти;
- перепады настроения;
- недержание мочи и стула;
- депрессия.
Рассеянный склероз – серьезное заболевание, оно нуждается в индивидуально подобранном лечении. Больной должен регулярно наблюдаться у врача-невролога.
Рассеянный склероз излечим?
В настоящее время, к сожалению, не существует эффективного лечения. Заболевание нельзя излечить, но существуют лекарственные препараты, которые помогают держать его под контролем. Цели, которые преследует терапия: улучшить состояние больного после обострения, предотвратить последующие обострения, затормозить прогрессирование болезни и инвалидность.
Лечение в центре рассеянного склероза в Москве «Медицина 24/7»
Во время обострения заболевания применяют кортикостероиды – препараты коры надпочечников. Они подавляют иммунные реакции, воспаление. Если симптомы очень тяжелые, и лекарства не помогают справиться с ними, прибегают к плазмаферезу – процедуре очистки крови.
Для предотвращения приступов и торможения прогрессирования заболевания применяют специальные препараты, изменяющие течение рассеянного склероза – ПИТРС. Их начали широко использовать с конца XX века. Лечение ПИТРС – довольно сложный процесс. Врач должен обладать соответствующей компетенцией, уметь правильно подбирать сочетание препаратов, вести на них пациента. Сегодня в Москве работают центры лечения рассеянного склероза, которые занимаются этим направлением терапии.
Лечение рассеянного склероза ПИТРС нужно начинать как можно раньше, после того, как установлен диагноз – в этом случае удается достичь наилучшего эффекта. Но даже если состояние больного успело значительно ухудшиться – это не повод опускать руки. Обратитесь к специалисту.
В центре неврологии «Медицина 24/7» можно получить консультацию опытного невролога. Позвоните по телефону +7 (495) 230-00-01, чтобы записаться на прием к врачу в будний день или выходной.
medica24.ru
Рассеянный склероз — симптомы, лечение, профилактика, причины, первые признаки
Общие сведения
Импульсы в мозг и из мозга передаются по нервному волокну также, как распространяется электрический импульс. Большинство нервных волокон покрыто особым веществом, которое называется миелин. При рассеянном склерозе происходит разрушение миелина с последующим образованием соединительной ткани (склероз). Рассеянный склероз трудно поддается диагностике, т.к. симптомы заболевания вариабельны и носят периодический характер. При медицинском обследовании на ранних стадиях заболевания может не выявляться ничего необычного. В результате врач приходит к заключению, что жалобы носят чисто эмоциональный характер и преувеличены. Часто диагноз ставится в процессе выявления других заболеваний.
Новости по теме
В настоящее время средства для лечения рассеянного склероза не существует. Имеются лекарственные средства, которые способны уменьшать частоту возникновения и тяжесть обострений.
Причины
Причина рассеянного склероза неизвестна, но многие исследователи считают, что играет роль состояние иммунной системы.
Имеется множество случаев наследственной предрасположенности к заболеванию.
Согласно одной из теорий пусковым фактором для нарушения иммунитета является вирус, который настраивает иммунную систему против нормальной ткани организма. Частичным ответом организма является патологическое воздействие на миелин, что приводит к развитию рассеянного склероза.
Симптомы рассеянного склероза
Наряду с тем, что течение рассеянного склероза в высокой степени непредсказуемо, у большинства пациентов симптомы заболевания проявляются и исчезают. Заболевание обычно начинается в возрасте 20-40 лет. Между эпизодами заболевания могут проходить месяцы или годы ремиссии, но обычно этот интервал постепенно становится все короче. Потеря способности двигаться является прогрессирующей и постоянной, в редких случаях заболевание приводит к преждевременной смерти. В некоторых случаях течение характеризуется частыми обострениями, и человек быстро выходит из строя, в то время как другие пациенты могут вести нормальный образ жизни даже в случае появлении ряда тревожных симптомов.
Осложнения при рассеянном склерозе
В некоторых случаях, особенно когда заболевание начинается в среднем возрасте, рассеянный склероз приводит к летальному исходу в течение нескольких лет. Рецидивирующие инфекции мочевого тракта являются фактором риска для развития почечной недостаточности.
Что можете сделать вы
Жить с рассеянным склерозом трудно. В период, когда симптомы заболевания еще не столь тяжелые, следует обеспечить общеукрепляющее лечение, адекватный отдых, диету. Физиотерапевтические способствуют предотвращению ограничения мышечной функции.
Некоторые пациенты употребляют клюквенный сок для уменьшения риска инфекций мочевого пузыря, основной проблемы рассеянного склероза.
Врача следует посетить сразу же, как только появятся первые подозрения на заболевание.
Средств для профилактики заболевания не существует.
Что может сделать врач
Назначение препаратов, которые могут замедлить прогрессирование заболевания, иммунодепрессантов, противовоспалительных средств. Проведение физиотерапевтических процедур для облегчения симптомов заболевания.
Действие врача направлены на предотвращение развития других симптомов рассеянного склероза. С этой целью проводится рентгенологическое исследование черепа, компьютерная томография или исследование головного мозга с применением ядерно-магнитного резонанса.
Обнаружили ошибку? Выделите ее и нажмите Ctrl+Enter.
health.mail.ru