Показывает ли флюорография рак легких?
Показывает ли флюорография рак легких? Этот вопрос волнует заядлых курильщиков, работников экологически опасных производств, тех, лиц, кто в силу своей занятости проходит медосмотры каждый год, в том делая ФЛГ. Его же задают родители, дети которых в различных детских учреждения проходят регулярные медицинские обследования. Именно поэтому этот вопрос, а также что еще может показать флюорография, кому она показана и почему стоит рассмотреть более подробно. Ведь шансы на выздоровление при ранней стадии рака выше.
Что такое ФЛГ и кому она рекомендована?
Флюорография – это один из методов рентгенографического исследования. Основан он на том, что структурно разные ткани неодинаково пропускают рентген-лучи. Это значит, что опытный рентгенолог видит в игре светотени на снимке признаки самых разных патологий.
Сегодня лаборатории тяготеют к новому цифровому варианту этого обследования. Оно имеет ряд преимуществ перед классической «пленочной» технологией:
- Несет меньшую рентген-нагрузку для пациента.
- Имеет точность выше, качество изображения лучше.
- Снимок можно сохранить в электронном формате.
- Его удобно просматривать на компьютере монитора и можно делать это сразу по окончании исследования (не нужно ждать, пока отпечатанный снимок просохнет).
Но диагностика этим способом уступает в информативности цифровому и даже классическому рентгену, особенно если лаборатория оснащена не современным цифровым аппаратом, а устаревшим классическим.
При подозрении на злокачественные образования в легких данный метод диагностики является спорным. Обычно прибегают к более результативным способам выявления патологии: КТ (МРТ), анализ крови, биопсия.
Данная методика применяется как профилактическое обследование. Она актуальна:
- Для заядлых курильщиков.
- Лиц, страдающих/страдавших в прошлом от токсикомании.
- Работников, сталкивающихся с производственными вредностями.
- Людей с отягченным семейным анамнезом (имеющих близких родственников, которым диагностировали карциному легкого).
- Пациентов, страдающих рядом хронических недугов (эндокринных, психических), болезнями системы выведения токсинов.
- Больных, страдающих хроническими легочными болезнями (астма, обструктивный бронхит).
- Лиц, длительно лечащихся иммуносупрессивными средствами.
Рекомендуют данный вид исследования проходить всем людям один раз в год ряду социальных групп. Мигранты, студенты, беженцы обязаны проходить данное обследование в обязательном порядке («отвертеться» не получится никак). Некоторые категории обследуются с помощью флюорографии дважды в год (работники роддомов, заключенные, инфицированные ВИЧ и т. п.). Также рекомендуется записаться на данное обследование, если человека беспокоит:
- Навязчивый кашель в течение длительного времени (сухой и неприятный).
- Повышенная утомляемость.
- Субфебрилитет.
- Снижение аппетита.
- Потеря массы тела.
- Отсутствие желания работать.
- Одышка и болезненность при приступе кашля.
При подозрении на рак легкого лучше предварительно записаться на прием к пульмонологу или онкологу и получить его консультацию и направление на то обследование, которое он сочтет более информативным в конкретном случае.
Возможности флюорографии

Что же может диагностировать этот вид рентгенологического исследования? Прежде всего стоит ответить на вопрос, заданный в начале статьи: может ли метод показать рак, прогрессирующий в легочной ткани? Да, флюорография показывает рак. Это один из методов, который при профилактических осмотрах позволяет выявить ранние стадии этого печального недуга.
К сожалению, возможности исследования ограничены и далеко не всегда флюорография может показать злокачественное новообразование либо его метастазы. Однако мнение о том, что на снимке не видно метастазы ложно. Она лишь немногим уступает рентгену при выполнении крупного кадра. Конечно, если патология определена или при получении подозрительных результатов придется провести уточняющие исследования, но опытному рентгенологу и онкологу такого снимка достаточно для вполне обоснованных подозрений. На большее данный диагностический метод и не претендует.
Кроме данного неприятного диагноза, флюорография помогает выявить:
- Туберкулез легких.
- Воспалительные патологии системы дыхания, ХОБЛ.
- Эмфизему.
- Некоторые патологии сердца.
- Последствия воспаления легких и перикардита.
- Попадание инородных предметов в органы дыхания.
- Патологию костных структур.
- Некоторые другие изменения.
Для определения типа раковой опухоли понадобиться тщательное и всестороннее обследование.
Когда на флюорограмме видно онкологию?

Флюорография показывает опухоль на поздних стадиях, когда она разрослась и хорошо заметна в виде тени на снимке. Увидеть онкообразование на ранних стадиях патологического процесса можно при «удобной» его дислокации:
- Возле крупного ответвления бронха.
- Ближе к поверхности легких (снаружи).
Лучшие результаты дает исследование, проведенное в 2-х проекциях. В случае образования очага глубоко в легочных тканях или очень малого размера такое обследование как флюорография не может быть 100% информативным. Это мало зависит даже от опыта и квалификации врача.
Визуальные признаки рака
В рентгенологии принято выделять патогномоничные признаки данного недуга и подозрительные моменты, которые лишь могут быть свидетельством роста злокачественных тканей. К первым относятся округлые образования на снимке. Это ответ на вопрос, как выглядит рак легких при периферическом течении. Остальные случаи могут вызвать затруднение у специалистов и потребовать детального обследования.
Если не округлые новообразования, рак легких на флюорографии может проявляться в виде:
- Негомогенных полей с узловыми образованиями внутри тени.
- Периферической прикорневой тени с «дорожкой».
- Тенеобразования вдоль рисунка легких.
Если обследование покажет подобные подозрительные изменения, пациент обязательно будет направлен к врачу-пульмонологу для прохождения скринингового обследования.
Недостатком такого метода как флюорография западные врачи считают гипердиагностику онкопатологии, что может стать причиной неоправданных хирургических вмешательств. Собственно поэтому они предпочитают использовать КТ и онкомаркеры крови в качестве диагностических методов.
В нашей стране на сегодняшний день флюорографические аппараты остаются самыми распространенными средствами для распознания раковых заболеваний системы дыхания.
Необходимость флюорографии

Почему обследование важно для некоторых категорий населения? Так как ответ на вопрос, видно ли рак на флюорографическом снимке получен, понятно, что данное исследование остается неотъемлемой частью диагностического арсенала. Его первым задействуют медики для раннего выявления этой опасной патологии. Чем раньше обнаружено раковое новообразование, тем проще его лечить.
Профилактика рака легких и флюорография
Конечно, все знают, что лучшее средство лечения любого недуга – его профилактика. Лучше средство профилактики рака – исключить воздействие онкогенного фактора. Но иногда это невозможно. Например:
- Жители промышленных городов часто вдыхают взвесь не очень полезных элементов. Их легкие становятся похожи на легкие шахтера или курильщика.
- Шахтеры, работники асбестовых предприятий и других вредных производств не могут оказаться вне сферы влияния негативных факторов.
- Рентгенологи, физики-ядерщики и некоторые другие категории, несмотря на средства защиты, подвергаются большему влиянию излучения, чем другие люди. Следовательно, их риск «заработать» онкологию выше.
- Многие люди, старающиеся вести здоровый образ жизни, выбирают в качестве спортивной нагрузки бег. Но при этом пробежки могут осуществлять лишь вдоль трасс. Бегать по асфальту не полезно для суставов, а дышать выхлопными газами вредно для легких.
Некоторые люди (курильщики, в частности) не хотят уменьшить поступление токсических веществ в систему дыхания. А ведь выкуривая сигарету, человек поглощает табачный деготь, насыщенный радиоизотопами свинца, висмута и полония. Количество этого вещества, оседающего в легких за один перекур, невелико. Но в деле насыщения организма вредными веществами важную роль играет не только количество, но и регулярность их поступления. Табачный дым, выдыхаемый курильщиком, содержит кроме всем известного никотина:
- Аммиак.
- Пиридиновые основания.
- Кислоту сильную.
- Различные эфирные масла.
- Примесь азота.
- Диоксид углерода.
- Сероводород.
Одного этого достаточно, чтобы спровоцировать мутации клеток легочной ткани. Поэтому людям, не желающим отказаться от сигареты, рекомендуют следить за состоянием своих легких.
Может ли флюорография предотвратить рак? Конечно, нет. Можно ли с помощью флюорографического исследования выявить начало патологического процесса с целью вмешаться на самых ранних его стадиях? Довольно часто да, хотя, к сожалению, не всегда. Но все равно ежегодное прохождение флюорографии приносит свои плоды, давая возможность зафиксировать рак.
Вконтакте
Google+
elaxsir.ru
Видно ли рак легких на флюорографии: что показывает снимок
Рак легких — распространенное онкологическое заболевание. И одно из самых опасных, потому что нередко проходит с серьезными осложнениями, приводит к летальному исходу. Мы традиционно считаем, что заподозрить признаки этой патологии поможет флюорография, которая проводится в рамках ежегодных медицинских осмотров. Но вместе с тем в Сети можно встретить и множество тревожных сообщений, что спустя несколько месяцев после флюорографии у человека обнаружили рак легких в запущенной стадии.
Видно ли рак легких на флюорографии? В статье мы представим полный ответ на этот вопрос.
О заболевании
Неспроста так много людей обеспокоены вопросом, видно ли рак легких на флюорографии. Это распространенное онкологическое образование имеет неблагоприятные прогнозы. Велик риск летального исхода. Поэтому так важно определить эту онкопатологию на начальной стадии. Она опасна тем, что протекает практически бессимптомно. Признаки болезни зачастую начинают проявлять себя только на стадии метастазирования опухоли.
Заболевание встречается у представителей обоих полов. Однако все же чаще страдают от него мужчины. Существует целый ряд факторов, провоцирующих рак легких:
- Курение.
- Злоупотребление спиртными напитками.
- Наркотическая зависимость.
- Неблагоприятная экологическая обстановка.
- Работа в среде с потенциальными канцерогенами.
- Генетическая предрасположенность.
- Употребление продуктов питания, содержащих канцерогены.
- Радиационное облучение.
По локализации рак легких подразделяется на центральный, периферический и массивный. Последний встречается достаточно редко. А наиболее распространен центральный.
Видно ли рак легких на флюорографии? Это процедура не включена в онкодиагностику. Последнюю составляет следующее:
- Осмотр пациента.
- Сбор анамнеза и его жалоб.
- Лабораторные исследования крови пациента.
- Инструментальная диагностика. В частности, рентген легких.

Опасные признаки
Покажет ли флюорография рак легких на ранней стадии? Как мы убедимся далее, не всегда. А ведь от малейшего промедления порой зависит жизнь больного.
Коварство онкологических заболеваний легких в том, что даже их первые симптомы не вызывают у человека серьезных опасений. Поэтому так много людей обращаются за помощью к специалистам только при явных признаках онкологии.
Первыми тревожными симптомами в данном случае считаются следующие:
- Хроническая беспричинная слабость, упадок сил.
- Кашель непонятного происхождения.
- Одышка.
Видно ли рак легких на флюорографии? Медики советуют для профилактической диагностики этого заболевания все же обращаться к рентгену легких.
Флюорография — что это?
Рак легких на флюорографии выявить возможно. Но, к сожалению, не во всех случаях. И особенно на ранних стадиях. Так почему же эта методика является распространенной, включена в состав стандартного медосмотра?
Флюорография — быстрый и бюджетный способ исследования легких. Буквально через день уже можно получить результаты. С помощью данной методики специалисты могут выявить опухоли и дисфункции не только в легких, но и в других органах и системах: сердце, диафрагме, костных тканях, прилежащих сосудах и проч.
Также метод ценится за то, что является безболезненным и безвредным. Доза облучения, которую получает при процедуре человек, ничтожно мала. Поэтому нет ничего вредного в том, чтобы проходить эту профилактическую диагностику каждый год.

Что видно на флюорограмме?
Если флюорограмма снята правильно, то по этому снимку опытный специалист может обнаружить следующее:
- Плевральные воспаления.
- Отложение кальция в сердечной мышце.
- Расширение корней бронхов и легких, а также фиброзных тканей.
- Усиленный сосудистый рисунок.
- Очаговые тени онкологических опухолей.
Флюорография ценится за то, что с ее помощью можно заметить патологические изменения не только в строении легких, но и всех органов, так или иначе задействованных в дыхательном процессе: сердца, вен, артерий и проч.
Когда рак легких не виден на флюорограмме?
Флюорография выявляет рак легких? Да, но, к сожалению, не во всех случаях. Это связано с серьезным недостатком методики — процедура проводится только в прямой проекции. Поэтому существует ряд факторов, когда при флюорографии не удается распознать опухоль в легких:
- Новообразование находится в базальных сегментах нижней правой доли органа. Так как их загораживает печень, рассмотреть опухоль специалисту не представляется возможным.
- Слишком мелкие онкологические очаги.
- Опухоль расположена слишком глубоко в тканях органа.
Флюорография показывает рак легких на ранних стадиях? Да, но, как вы убедились, не во всех случаях.

Как выглядит новообразование на флюорограмме?
Как выглядит рак легких на флюорографии? Конечно, опухоль на снимке сложно распознать неспециалисту. Квалифицированный доктор может ее заподозрить по следующим признакам:
- Наличие уплотнения. Чаще всего оно одностороннее, отбрасывает тень. К нему могут примыкать тяжи. При этом заметно, что корни легкого будут несколько расширенными.
- Тень, которую отбрасывает уплотнение, разной формы. Но чаще всего именно шаровидной. Как правило, она имеет нечеткие края, вокруг нее может быть некоторая «лучистость».
Косвенные признаки
Не всегда на снимке видно новообразование в то время, как рак уже начинает развиваться. Квалифицированный доктор способен заподозрить это заболевание по ряду косвенных признаков:
- Гиповентиляция (недостаточная вентиляция) легких.
- Ателектаз легочных участков.
- Компенсаторное повышение воздушности примыкающих к нему отделов.
- Дистальное сближение сосудов (оно может происходить за счет сдавливания опухолью).
- Утолщение стенок бронхов.

Флюорография и рентген — есть разница?
Как мы убедились, флюорография показывает рак легких, но не во всех случаях. Более точный способ инструментальной диагностики этой патологии — рентген.
Рентгенограмму снимают быстрее, чем делают флюорографию. Более того, если вы проходите диагностику в частной медицинской клинике, стоимость рентгена ниже.
Еще один плюс рентгенографии: лучевая нагрузка на пациента тут может быть ниже, чем при флюорографии. К слову, самая высокая доза облучения — при компьютерной томографии. Но преимущество флюорографии в высокой пропускной способности. Из-за быстроты получения результатов процедуры ее и включают в медицинские ежегодные осмотры.
Принцип получения рентген-снимка прост: из лучевой трубки аппарата исходит пучок лучей. Через тело человека, соответственно, они будут проходить в разной степени. Результат отображается на пленке. Из-за свойств наших органов по-разному пропускать через себя рентгеновские лучи получается снимок, напоминающий фото: мягкие ткани серые, воздушные полости — черные, а кости — белые.
Еще два альтернативных флюорографии метода — магнитно-резонансная и компьютерная томография. КТ — более точный метод, так как тело пациента просвечивается рентген-лучами с нескольких ракурсов. Но он гораздо дороже флюорографии и рентгенографии. Доза облучения при КТ гораздо значительней.
МРТ безвредна, так как это воздействие магнитных полей. Но процедуру, опять же, отличает высокая стоимость. Кроме того, к МРТ есть большой ряд противопоказаний.

Цифровая флюорография
В некоторых медицинских российских клиниках сегодня уже установлены современные агрегаты, позволяющие проводить цифровую флюорографию. С помощью новейшей техники можно получить не только стандартный снимок, но и изучить цифровое изображение легких, которое выводится на монитор.
Достоинство нового метода очевидно. Если при стандартной флюорографии был доступен только фронтальный снимок органов, то при цифровой легкие возможно рассмотреть со всех сторон и ракурсов. Что в разы повышает качество диагностики. Кроме того, отдельные участки изображения, обеспокоившие доктора, можно увеличивать, приближать.
Показывает ли флюорография рак легких при проведении ее на таком оборудовании? Ответ будет, конечно, положительным. Важно отметить, что в цифровой методике задействованы крайне чувствительные сенсоры. Для пациента это хорошо тем, что в десятки раз уменьшается уровень облучения его организма.
Что касается специалистов, они ценят новую методику дополнительно и за то, что можно переместить снимок легких на автономный носитель или же распечатать его бумажные варианты в необходимом количестве.

Альтернативные способы диагностики
Помимо флюорографии, существует целый ряд диагностических процедур, при проведении которых возможно обнаружить рак легких на начальных стадиях:
- Цитология мокрот. Исследуются массы, либо выделяемые при кашле, либо изъятые в ходе бронхоскопии. Цитологический анализ позволяет выявить атипичные плоскоклеточные фракции, которые являются характерными для онкологических патологий.
- Плевральная пункция. Позволяет опровергнуть или подтвердить наличие онкоклеток.
- Торакотомия. Хирургическая процедура, целью которой является «отщипывание» частицы опухоли для дальнейшего анализа на ее доброкачественность.
- Медиастиноскопия. Лабораторное исследование образца или опухолевых, или лимфатических тканей.
- Пункционная биопсия. Необходимый для исследования материал собирается при помощи шприца и тончайшей иглы. Последнюю вводят в очаг опухоли. Процедуру проводят под местным наркозом. Она ценится за 100 % точность результатов исследования.
- Позитронно-эмиссионная томография. В ходе процедуры оценивается деятельность тканей, продуктивность метаболизма в подозреваемой области нахождения онкологического новообразования. Однако нужно учитывать, что доза облучения пациента здесь примерно в два раза больше той, что получают при флюорографии.

Подведем итоги. Привычная флюорография — устаревший метод исследования. Но распространенный по причине своей дешевизны. Снимок нечеткий, с одного ракурса. Отчего не всегда на нем можно распознать рак легких на первой стадии. Альтернатива — цифровая флюорография, рентген, КТ, МРТ.
fb.ru
Проходила флюорографию, а рак нашли на последней стадии. История минчанки c диагнозом «рак легких»
Минчанке Ирине Д. 59 лет и у нее последняя, IV стадия рака верхнедолевого бронха с множественными метастазами в обоих легких. Метастазы — это процесс, когда опухоль распространяется на другие органы и ткани и там возникают новые очаги болезни. Свой диагноз она узнала осенью прошлого года, хотя летом проходила в поликлинике флюорографию. И она показала, что все в порядке. Ирина задается вопросом: как такое возможно?
«Когда сказали про хоспис, я даже не поняла, как это, я что — умираю?»
Историю Ирины Д. журналистам рассказала ее дочь Анна. Это она написала письмо в редакцию. Сегодня мы сидим дома у Ирины, она не может сдержать слез: трудно поверить, что в одно мгновение жизнь разделилась на периоды «до» и «после» диагноза.
Ирина работала в торговле, когда вышла на пенсию, подрабатывала в кафе на кухне: чистила овощи, мыла посуду. Женщина не скрывает, что 30 лет курила.
— Раз в год мы проходили медосмотр, и в июле я делала флюорографию в своей поликлинике. Все было в порядке.
Она показывает две флюорографии: одну за 2017 год, вторую — за 19 июля 2018-го. В последней указано, что легочные поля чистые, корни структурны, синусы свободны.
— В середине августа у меня начались слабость, боли в груди, кашель. Если раньше ходила пешком на работу и с работы, то уже старалась где-то подъехать. Я лечилась народными средствами. 5 сентября пошла к участковому терапевту, меня послушали, назначили антибиотики, я их пропила, но состояние не улучшилось, хотя анализы были хорошие. Я думала, что, может, в груди болит из-за того, что надорвалась на работе, и уточнила, можно ли сделать снимок. На что мне сказали, что последняя флюорография была хорошей.

Ирина рассказывает, что через некоторое время, так как боль не уходила и она практически перестала спать по ночам, обратилась уже к невропатологу.
— Думала, что, может, невропатолог даст мне направление на рентген. Но он сказал, что таких направлений не дает. Я плохо спала, поэтому мне назначили снотворное и специальную мазь, которой я мазала грудину.
В начале октября Ирина пошла уже к хирургу — подумала, может у него получит направление на рентген.
— У меня была сильная боль в груди, и я попросила сделать снимок. Врач дала направление. Мне сделали рентген и сразу же вызвали скорую, отвезли в 9-ю больницу с воспалением легких.
В больнице Ирину лечили в пульмонологическом отделении.
— Там мне сделали компьютерную томографию и биопсию из бронхов. Если честно, я даже стала поправляться, бодренькая была.
После лечения Ирине назначили консультацию в Минском городском онкологическом диспансере. Там она и услышала свой диагноз — рак.
— Врач в Минском онкодиспансере сказал, что «это» у меня может быть уже давно. При этом я еще ездила в тубдиспансер, где смотрели мои флюорографии. Там врачи говорили, что процесс мог быть еще в 2017 году.
По словам Ирины, примерно неделю она ждала начала химиотерапии. В это время ее состояние ухудшалось.
— Я ничего не ела, была сильная рвота и одышка. По квартире было тяжело пройти даже до туалета. Мы вызвали скорую, врачи приехали, но просто выслушали жалобы. Через некоторое время мы снова вызвали скорую. Медики вкололи мне сильное обезболивающее, противорвотное. Полегчало. Но когда действие лекарств закончилось, все началось снова, и мы опять вызвали скорую.
Анна, дочь Ирины, говорит, что лечащий врач объяснил, что рак прогрессирует. В такой ситуации можно обратиться в хоспис, что они и сделали. В хосписе выписали бесплатные обезболивающие препараты.
— Мама как-то сказала, что она ничего не ест, а брюки при этом застегнуть не может, потому что ощущение, что растет живот. Мы просто открыли google и написали вопрос, что это может значить. Оказалось, что в таком случае в организме может скапливаться жидкость, которая сильно давит на другие органы, дает одышку, рвоту. Мы снова вызвали скорую, сделав акцент на эти симптомы, и маму забрали в 5-ю городскую больницу. Там ей вывели жидкость из организма: сделали прокол со спины и вывели 900 мл и возле сердца из мешочка вывели еще 750 мл.

Когда началась химиотерапия, Ирина стала себя чувствовать лучше.
— Знаете, за три месяца я прошла три больницы, реанимацию, а мне ведь до этого никогда в жизни даже капельницу не ставили. Когда мне сказали про хоспис, я даже не поняла, как это, я что — умираю? Я как будто в другой мир попала. Сейчас я все время думаю, что было бы, если бы в поликлинике мне дали направление на рентген сразу, как я попросила? Не знаю, изменилось бы что-то?
В 7-й городской поликлинике Минска, к которой прикреплена Ирина, комментировать ее ситуацию отказались, сославшись на конфиденциальность персональных данных.
«Флюорография внедрялась как метод ранней диагностики туберкулеза, а не рака»
Так как получить какие-либо комментарии по ситуации Ирины в поликлинике не удалось, мы обратились к онкологам, чтобы они в целом рассказали о раке легких и его диагностике — без привязки к этой конкретной ситуации, так как они не знают историю болезни этой пациентки, гистологический тип опухоли, форму роста.
Возможно, эта общая информация сможет помочь другим пациентам обратить внимание на свое здоровье.
В целом рак легкого занимает одно из ведущих мест в структуре заболеваемости злокачественными новообразованиями в мире. В Беларуси его существенно чаще выявляют у мужчин, чем у женщин. По данным статистического сборника «Здравоохранение в Республике Беларусь» в 2016 году в стране было примерно 46 пациентов с раком трахеи, бронхов и легкого на 100 тысяч населения.
Алексей Сарафанов, заведующий рентгенодиагностическим отделением Минского городского клинического онкодиспансера, объяснил, что флюорография не является методом диагностики рака. По ней у пациентов находят туберкулез.
— Флюорография была разработана в первую очередь для определения туберкулеза легких. Сейчас флюорограф цифровой, и все, что выводится, можно посмотреть на компьютере. Снимок достаточно близкий к рентгенографии, но во время флюорографии изображение получается только в одной проекции. А есть некоторые структуры, например средостение (место в средней части грудной полости, где находятся сердце, аорта, бронхи. — Прим. TUT.BY), и за ним тоже может быть опухоль, но она на флюорографии не будет видна. Такая специфика формирования изображения.

Фотография используется в качестве иллюстрации. Фото с сайта onco.me
По словам специалиста, на флюорографии тяжелее всего увидеть центральный рак. В эпикризе Ирины Д. также указано, что у нее именно центральный рак правого верхнедолевого бронха с множественными метастазами обоих легких.
— Центральный рак исходит из крупных бронхов, а тень крупных бронхов может прятаться за тенью сердца или накладываться на тень сердца на рентгенограмме и флюорограмме. Это от врачей не зависит, потому что у каждого метода диагностики есть свои достоинства и недостатки. На той же флюорографии периферический рак легких лучше виден, так как он расположен больше к периферии легких.
С другой стороны, рентген делает изображение в прямой и боковой проекции. Что не видно на прямой проекции, можно увидеть на боковой. Для медиков это увеличивает шансы обнаружить небольшие очаги опухоли в легких. Но все равно изображение не позволяет выявить все очаги. Лучше всего опухоль в легких показывает низкодозная компьютерная томография. Она может показать даже мелкие образования.
— Но даже если делать низкодозную компьютерную томографию раз в год, это тоже может не дать стопроцентную гарантию, что рак найдут на начальной стадии. Например, исследование провели, опухоли не было, а через месяц-два она уже появилась. Такое тоже может быть, — рассказывает Алексей Сарафанов. — Есть злокачественные опухоли, которые очень быстро развиваются, даже в течение трех-четырех месяцев. Такие опухоли могут за короткий срок дать метастазы в другие органы.
Как уменьшить количество случаев рака легких и снизить от него смертность?

Владимир Караник, главный врач Минского городского клинического онкологического диспансера. Фото: Дмитрий Брушко, TUT.BY
Владимир Караник, главный врач Минского городского клинического онкологического диспансера, говорит, что рак легкого — коварная болезнь. Скорость ее распространения зависит от агрессивности опухоли, гистологической формы и локализации.
Врач также рассказывает, что если опухоль локализуется позади сердца или в бронхе — флюорографией она не визуализируется. Это предел метода.
— Какие-то онкологические проблемы с помощью флюорографии врачи находят попутно. Согласно данным международных исследований, выполнение флюорографии раз в год или два раза в год не снижает риск смерти от рака легкого. Если опухоль локализуется в бронхе — этого на данном исследовании просто не видно. И о ней можно косвенно судить только, когда нарушается вентиляция части легкого. Рентгенолог видит не опухоль, а то, что в часть легкого перестал поступать воздух, и опосредованно понимает, что там есть какие-то проблемы. Но если опухоль не вызывает нарушения вентиляции и располагается за тенью сердца, то ее выявить невозможно, пока она не достигнет таких размеров, когда выйдет за тень сердца или пока не появятся отдаленные метастазы.
Владимир Караник не отрицает, что флюорография сегодня кому-то действительно спасает жизнь. Но это происходит только в случае удачного, если так можно сказать, расположения опухоли.
— Если опухоль локализуется в плащевом слое легкого, она четко видна, и рентгенолог ее тоже видит, и это позволяет более-менее рано ее выявить. Но флюорография — это не тот метод, который позволяет на 100% выявить рак легкого на ранней стадии. И здесь далеко не все зависит от квалификации врача. Сегодня даже выполнение компьютерной томографии для скрининга рака легкого, по данным Всемирной организации здравоохранения, оправдано для мужчин в возрасте от 50 до 75 лет со стажем курения более 30 лет при условии, что они выкуривают больше пачки в день. Нигде в мире компьютерную томографию для скрининга рака легкого у женщины не используют, учитывая дозу облучения и показатели соотношения пользы и вреда.
Владимир Караник приводит мировые данные и говорит, что сегодня ни одна программа скрининга рака легкого не сравнится по своей эффективности с отказом от курения. По данным Всемирной организации здравоохранения, «около 70% бремени рака легких может быть обусловлено одним лишь курением».
— Ни одна из программ скрининга не заменяет необходимость отказа от вредных привычек. Здоровье человека от 40 до 50% — это генетика, 40% — это образ жизни и 10−15% — медицина, — говорит Владимир Караник. — Поэтому самый эффективный метод снижения риска смертности от рака легкого — это не ежегодная флюорография и низкодозная компьютерная томография, а отказ от вредных привычек. Да, мы не в силах изменить свой генетический код, но более внимательно относиться к своему здоровью и оградить организм от многих нежелательных воздействий нам вполне по силам. И это будет самый эффективный способ снижения риска возникновения злокачественной опухоли и смерти от нее.
Наш канал в Telegram Прислать свою новость на Viberwww.gs.by
Видно ли рак легких на флюорографии?

Полина Чумак
Жизнь дает много тем для размышлений, но мало времени
calendar_today 11 февраля 2017
visibility 264 просмотра
Рак легкого – основная причина смерти от онкологии среди мужчин в России. В женской популяции карцинома органов дыхания занимает четвертое место. Еще в прошлом веке данному заболеванию уделялось вдвое меньше внимания. За последние несколько десятилетий написано множество научных работ, однако окончательного алгоритма тактики врача для раннего выявления пульмональной карциномы так и не принято. В России повсеместно используется ФЛГ, однако до сих пор не ясно показывает ли флюорография рак легких.

Диагностика на ранней стадии
Выявление карциномы органов дыхания на ранних стадиях – сложная задача, потому что опухоль растет бессимптомно. Клиническая картина проявляется только когда происходит прорастание раковым новообразованием бронхов, кровеносных сосудов, плевры либо опухоль начинает сдавливать окружающие ткани.
На ранней стадии больной даже не подозревает, что страдает онкопатологией. Обращаться к врачу у него нет причин до тех пор, пока опухоль не вырастет и не даст клинику.
Клиническая картина
Первый симптом — кашель, который обычно никого не настораживает, так как главная группа риска по онкологии – заядлые курильщики. Интенсивность кашля нарастает пропорционально росту размера опухоли, начинает отходить мокрота. Когда происходит инвазия карциномы в кровеносный сосуд, в откашливаемой слизи появляются прожилки крови. Так же пациент обращает внимание на симптомы, которые уже характерны для поздней стадии:
- Потеря массы тела
- Утомляемость
- Кровохарканье, возможно развитие кровотечения из дыхательных путей
- Ателектаз легкого вследствие сдавливания опухолью бронха. Сопровождается дыхательной недостаточностью – одышкой, синюшностью кожных покровов, потерей сознания
Обычно при таком состоянии карцинома не поддается радикальному лечению.
Во всех развитых странах мира ученые и клиницисты ломают голову над поиском «золотого стандарта» скрининга. Пока этот вопрос остается открытым, место главного метода на уровне первичного звена диагностики занимает флюорографическое исследование легких.
Достоинства и недостатки флюорографии
Для начала следует сказать, что во всем мире отошли от рутинного использования флюорографического метода в диагностике заболеваний органов дыхания. В России данное исследование остается популярным и широко применяемым.
Преимущества флюорографии:
- Низкая стоимость
- Быстрота проведения процедуры, не более 5 минут на 1 пациента
- Возможность охватить большую часть населения – от 18 лет и старше. ФЛГ требуется при поступлении на учебу, работу, при госпитализации в лечебный стационар, у некоторых групп риска по заболеваниям органов дыхания ФЛГ – обязательное исследование.
- Цифровая флюорография позволяет уменьшить дозу облучения пациента
- Есть возможность следить за динамикой состояния легких, так как снимки хранятся в цифровом виде длительное время
Недостатки:
- Количество ложноположительных и ложноотрицательных результатов 30%, то есть низкая информативность в диагностике
- Лучевая нагрузка на органы грудной клетки. Какими бы ни были незначительными дозы облучения при цифровой ФЛГ, но при проведении исследования 1 раз в год на протяжении 10 лет повышает риск развития онкологии органов грудной клетки
- Контингент обследуемых людей находится в возрастной категории от 20 до 40 лет. Однако риск развития легочного рака возрастает после 40 лет.
- Обучение сотрудников флюорографического кабинета: медицинских сестер и врачей — рентгенологов.
- Обычно ФЛГ используется как скрининг на туберкулез легких, поэтому снимок выполняют только в прямой проекции.

Эффективность в выявлении легочной онкологии
Было проведено множество клинических исследований в России чтобы доказать или опровергнуть значение флюорографии в диагностике рака органов дыхания. Опубликованные данные говорят о том, что при выполнении ФЛГ среди работоспособного населения от 18 до 60 лет выявляемости пульмональной онкологии составляет 1 случай рака на 500 человек, при этом все заболевшие были в возрасте после 40 лет. Тогда было проведено поголовное обследование посетителей поликлиники старше 40 лет. Анализ полученных данных заключался в том, что 1 случай злокачественного новообразования приходится на 4000 челок в возрасте старше 40 лет.
Эти результаты свидетельствуют в пользу того, что скрининг (просеивание) следует проводить среди людей после 40 лет – основного контингента поликлиники. По большей части – это не работающие люди: инвалиды, домохозяйки, люди преклонного возраста, пенсионеры. Именно они в большей степени уязвимы для онкологии легких.
Проведение флюорографии среди этой группы населения на базе городской или районной поликлиники является хорошим методом просеивания, с большой вероятностью выявления рака легких на ранней стадии роста.
Вторым важным моментом является методика проведения ФЛГ. Как скрининговое исследование на легочную форму туберкулеза снимок делается только в прямой передней проекции, этого достаточно, чтобы заподозрить туберкулезные изменения и направить больного на дообследование к фтизиатру. Для того, чтобы найти опухоль этого не всегда хватает.
Признаки рака легкого на ФЛГ
Рак легких на флюорографии проявляется разнообразными рисунками. Выделяют две формы роста карциномы:
- При центральном росте на рентген — снимке определяется уплотнение корня легкого и расширения его размера, возможна визуализация тени опухоли и признаки бронхиальной непроходимости – ателектаз сегмента или доли легкого.
- Периферический рост характеризуется тенью опухоли различного диаметра и любой локализации в пределах легочных полей.
Трудности заключаются в том, что на ФЛГ центральную опухоль трудно заметить в прямой проекции, только по изменению интенсивности тени, увеличению ее размера и изменению структуры корня можно предположить наличие опухоль.
Периферический рак, локализованный в нижней доле правого легкого так же затруднителен для диагностики, так как в прямой проекции пульмональные поля перекрывает тень печени.
Поэтому для ранней диагностики новообразования важно делать снимки в нескольких проекциях, в разном функциональном положении и разной жесткости снимка. Возможные варианты проекций:
- Передняя.
- Косая.
- Боковая.
- С наклоном.

Визуализация патологии меняется на вдохе и на выдохе.
С учетом того, что задача ФЛГ – это заподозрить рак легкого, достаточно два снимка в прямой и боковой проекциях.
Центральная карцинома на флюорографии будет выглядеть как односторонняя асимметрия корней, уплотнение или увеличение размера корня. Выделяются 3 вида уплотнения корня:
- Массивное уплотнение характерно для поздней стадии
- Корень, от которого идут тяж, присущ для ранней стадии процесса
- Смешанное
Флюорография может показать ателектазированный пульмональный участок, вследствие сдавливания бронха опухолью.
Периферическая карцинома имеет вид «шаровидной» тени с размытым контуром, дорожкой к корню. Этот вид роста карциномы чаще диагностируется на ранней стадии.
Вывод
Флюорография показывает рак легких, только нужно правильно организовать алгоритм выявления первичных больных на ранних стадиях.
- Обеспечить цифровыми флюорографами поликлиники
- У врачей — рентгенологов должна быть онконастороженность
- Проводить скрининговые исследования в группах риска:
-Выкуривание более 2-х и более пачек сигарет увеличивает риск в 20-130 раз
-Проживание в индустриальных городах с плохой экологией
-Производственные вредности: контакт с асбестом, радоном, мышьяком, никелем, кадмием, хромом
-Облучение лучевой энергией
-Частые инфекционно воспалительные заболевания в анамнезе, особенно туберкулез и пневмонии
- Придерживаться методики исследования: делать снимки в двух проекциях
Если соблюдать все пункты, то диагностики рака легких на ранних стадиях повысится, а вместе с ней у большого количества людей увеличатся шансы на выздоровление.
rusmeds.com
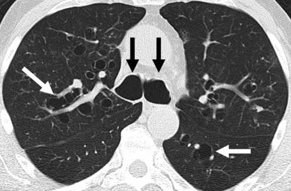
Рак легких на рентгене и флюорографии: возможна ли диагностика?
Злокачественное образование в легких является одним из самых распространенных онкозаболеваний среди мужчин и занимает первое место, а среди женщин четвертое. Карциному лёгких на первых стадиях выявить невозможно, так как болезнь протекает практически бессимптомно, но можно увидеть рак легких на флюорографии.
Врачи онкологи утверждают, что от данного новообразования излечиться до конца невозможно, но если обнаружить опухоль на ранних стадиях, то можно предотвратить распространение метастазов, тем самым продлить безболезненную жизнь пациенту на несколько лет.

Первые симптомы
- Хриплое дыхание.
- Отдышка после любой физической нагрузки, даже ходьбы.
- Отказ от еды.
- Тошнота.
- Слабость, апатия.
- Лечение сиропами, таблетками, отхаркивающими средствами и все безрезультатно.
- Кашель, во время которого появляется болевые ощущения.
- Субфебрильная температура, иногда может скакать в течение всего дня.
ПРИМЕЧАНИЕ! Если есть какие-то из этих симптомов, то стоит обратиться к врачу-онкологу или к врачу –рентгенологу. Но не стоит сразу паниковать, так как эти симптомы могут указывать на ряд других заболеваний, такие как заболевание бронхов — бронхит, пневмония и т.п.
Стадии развития
| Этапы | Описание |
| Биологический | Биологическим этапом называют опухоль от ее возникновения и до проявления первых признаков. Без труда можно увидеть при прохождении флюорографии. |
| Доклинический | Когда на рентгеновских снимках можно увидеть новообразование, но явных симптомов еще нет, поэтому пациенты часто не обращаются к врачу. |
| Клинический период | На этой стадии уже есть все признаки и симптомы онкологии. |
У каждого пациента этапы протекают по-разному, это зависит от разновидности рака легких и от роста самой опухоли. Процесс роста может быть агрессивным быстрым или наоборот очень медленным и спокойным.
Флюорография
Человек в России должен ежегодно проходить данное обследование. Флюорография – это рентгенографический вид диагностики, используется для обследования органов грудной клетки.
Видно ли рак легких на флюорографии или нет? Данный метод исследования не позволяет точно определить злокачественную опухоль, а позволяет лишь увидеть само новообразование. Врач делает снимки в прямой проекции. При необходимости делают боковые снимки, что позволяет определить какой именно рак:
- периферический рак лёгкого
- центральный рак легкого на рентгенограмме.
ПРИМЕЧАНИЕ! Для точного определения злокачественного характера или доброкачественного необходим КТ, МРТ и биопсия опухолевых тканей.
| Стадия рака | Описание | Рак легких на рентгене |
| Первая | Первая стадия рака легких подразделяется на две группы: 1А — опухоль не более 30 мм в диаметре. 1В — опухоль не более 50 мм в диаметре. На первой стадии еще нет метастазов, а значит опухоль можно удалить полностью или излечить с помощью лучевой терапии. Шанс на выздоровление составляет 73%. К сожалению, явных симптомов на этой стадии нет, поэтому очень трудно распознать самому. | Как выглядит рак легких: |
| Вторая | 2А — размер достигает 50 мм. 2В — до 70 мм. Метастазы могут уже поваляться рядом с легкими, но еще не достигли лимфоузлов. Тень лимфатических узлов можно увидеть на рентгенологии. Выживаемость значительно ниже чем на 1 стадии. Вылечиваются только треть онкобольных. | |
| Третья | 3А- опухоль достигает не менее 70 мм. 3В- опухоль более 7 мм. В процессе разрастания опухоли уже затрагиваются лимфоузлы и поражает их, а также опухоль может затрагивать и другие органы и метастазировать в них. Могут поражаться такие органы как: сердце, трахея, печень, кровеносные и лимфатические сосуды. | |
| Четвертая | 4 стадия карциномы легких уже не подлежит лечению и заканчивается летальным исходом. У пациента сильные и мучительные боли. Метастазы проникают в другие органы и уже появляются сопутствующие заболевания. |
Так показывает ли флюорография рак? Да, рентгеноскопия позволяет увидеть врачу рентгенологу затемнение или просветление, контуры, полости новообразования. Да и сам пациент может просмотреть рентген и увидеть, так как чаще всего четко просматриваются заболевания органов дыхания.
Другие методы диагностики
МРТ (Магнитно-резонанская томография) — позволяет исследовать внутренние органы и ткани. С помощью данной методики можно увидеть новообразования в легочной ткани, срезы всех органов, костей и тканей в трех проекциях.

КТ (компьютерная томография) — томография легких на кт, которая позволяет так же, как и на МРТ увидеть срезы органов и тканей, а также покажет срезы опухоли. Данный аппарат дает возможность с помощью настроек увидеть срез, который может достигать 1 мм.
Бронхоскопия — для исследования заболеваний органов дыхания по этому методу используют зонд или эндоскоп. При онкологической патологии просвет трахеи и бронхов сужается, на бронхиальной стенке образуют язвы с участками некроза и поражения стенок.

С помощью бронхоскопии нередко берут биопсию. У этого метода есть последствия – несколько дней после проведенной манипуляции у пациента может отхаркиваться мокрота с темным оттенком.
Исследование мокроты — цитологическое исследование мокроты позволяет изучить мокроту под микроскопом. На мазке можно увидеть атипичные клетки, чаще всего плоскоклеточные фракции, что говорит о раке. Пациентов с подозрением отправляют к врачу.
Анализ крови – анализ крови не дает возможности определить в организме ракового образования, но с помощью этого метода можно посмотреть отклонения от нормы, а также посмотреть на работу органов. Чаще всего сдают кровь на общий и биохимический анализ, чуть реже на онкомаркеры.
Биопсия — это хирургический метод, берут кусочек опухоли на исследование, либо используют иглу, которую вводят в опухоль, «собирают» клетки и рассматривают под микроскопом.
Позитронно-эмиссионная томография — метод ПЭТ позволяет увидеть функциональность органов, а также обмен веществ между тканями. Больному вводят препарат, который является радиоактивным на небольшое количество времени, затем делают снимок. Снимок получается в 3-х проекциях. Пациент получает облучение, равное двум рентгенам.
Стадирование — данная диагностика позволяет определить стадию, форму, наличие метастазов в других органах, размеры, количество новообразований в легких, в каком именно легочном сегменте находится онкология. Стадирование необходимо для того, чтобы подобрать правильный и индивидуальный метод лечения. Результат и заключение озвучивает врач.
Плевральная пункция — новообразование в бронхах нередко сопровождается плевральным выпотом повреждением плевральных стенок. Для исследования берут жидкость (выпот) это и есть плевральная пункция. При изучении материала могут обнаружить атипичные онкологические клетки.
Загрузка…oncoved.ru
Показывает ли флюорография рак лёгких
Наиболее опасной и достаточно распространённой патологией среди онкологии дыхательной системы считается рак лёгких. Поскольку лечение дает положительные результаты только на первых стадиях, то заболевание, которое в это время не проявляет себя симптомами, необходимо выявить своевременно. Возникает вопрос: какие методы диагностики лучше использовать, даст ли точные результаты флюорография при раке лёгких?
Что такое рак лёгких
Раковое новообразование развивается из ткани эпителия, причём долгое время может не выявлять себя определёнными симптомами, начальные признаки зачастую путают с проявлением бронхита, ОРЗ либо с другими инфекционными и вирусными заболеваниями. Чаще всего причиной развития болезни служит продолжительное курение.
Раковая опухоль формируется из тканей паренхимы лёгких и бронхов, и даже настолько развитая современная медицина практически бессильна перед подобной проблемой. Рак лёгких характеризуется высоким процентом смертности, от него умирает около 85% пациентов. Мужчины страдают от заболевания чаще, чем женщины, причём диагностируется чаще на правом лёгком, нежели на левом.
Очаг поражения обнаруживается на верхней доле дыхательного органа, что провоцирует более активная вентиляция в этой области. Заболевание отличается следующими особенностями:
- Злокачественность.
- Предрасположенность к метастазированию.
- Предрасположенность к поражению лимфоузлов.

Первичные признаки патологии проявляются не сразу после начала развития опухоли, что значительно осложняет лечение и ухудшает прогнозы, поскольку терапия может дать положительные результаты только на первых стадиях заболевания.
Многих волнует вопрос: может ли флюорография показать раковое образование и его метастазы? К сожалению, поставить точный диагноз, только проведя этот метод диагностики, не всегда возможно, однако в большинстве случаев подобная мера показывает изменения в лёгких, которые точно указывают на развитие рака либо дают возможность опытному специалисту заподозрить заболевание. Далее пациенту назначаются дополнительные диагностические методы, которые подтвердят либо опровергнут подозрения врача.
Флюорография или рентген
После проведения осмотра и изучения истории болезни пациента врач назначает ряд исследований для постановки точного диагноза, а также выявления стадии болезни, её распространённости, наличия метастаз. Возникает необходимость дифференцирования рака от других заболеваний. Наиболее популярными считаются флюорография и проведение рентгена.
Рентгенография
Если рассматривать рентген как меру диагностики, то необходимо учитывать, что точность этого метода составляет около 80%. Особенно сложно угадываются раковые образования на первоначальных этапах развития. Опухоль характеризуется медленными темпами роста, причём в процессе этого постепенно поражаются лимфатические узлы и органы. На запущенных стадиях заболевания опухоль на снимке видна всё более отчётливо, именно это становится причиной назначения дополнительных исследований для уточнения диагноза.
При центральном раке на рентгеновском снимке выявляется помутнение области с сетью расширенных сосудов, а при периферическом раке точно определяются затемнённые участки с ленточными отростками, которые распространяются в сторону корня лёгкого. Появившиеся метастазы в первую очередь поражают лимфатические узлы средостения и близлежащие лимфоузлы. Далее с током крови проникают к мозгу головы, печени, костных элементов.
Проведение рентгенографии даёт возможность определить наличие опухоли, а вот для выявления её характера необходимо назначение иных методов диагностики, более точных и современных.
Флюорография
Флюорография считается наиболее доступным диагностическим методом, который даёт возможность оценить состояние лёгких, причём проводить его необходимо регулярно. Хороший специалист сразу обнаруживает аномальные изменения, однако их нередко путают с другими патологиями, такими как кальцификация лёгочной ткани, гамартома и другими. По этой причине рекомендуется делать снимки сразу в нескольких проекциях, что даёт возможность рассмотреть нарушения более детально.
Диагностика на ранней стадии
При проведении рентгена и флюорографии опытный врач-рентгенолог способен на снимке различить определённый рисунок и дать точную оценку состояния лёгких и присутствие каких-либо изменений и нарушений. На снимке можно обнаружить помутнение, затемнение или уплотнение в органах системы дыхания, помимо этого, можно выяснить причину их проявления. Если проблема выявлена, то пациент должен пройти дополнительные уточняющие методы исследования.
Если врач рекомендует проведение рентгена, то пренебрегать этим не следует, поскольку при помощи этого исследования можно быстро выявить присутствие многих патологий и нарушений, которые происходят в организме. Такая мера увеличивает шансы обнаружить заболевание на ранних этапах развития и назначить своевременную терапию.
Что можно увидеть на флюорографии
При проведении флюорографического исследования в медицинском учреждении специалист оценивает не только состояние дыхательной системы, но и выявляет следующие факторы:
- Состояние миокарда – нарушения, новообразования, скопление жидкости, работоспособность клапанов, размер сердца.
- Скопление кальция в сердце и сосудах.
- Венозные и артериальные сосуды лёгких, аневризма аорты, другие сердечно-сосудистые болезни.
- Отёк лёгких.

- Патологии инфекционного характера.
- Воспаление лёгких и плевры.
- Бронхит хронической и острой формы.
Помимо этого снимки показывают различного рода уплотнения, расширенные корни, деформацию тканей, расширение сосудов, очаги туберкулёза.
Если врач выявил любые изменения, то возникает необходимость в проведении более тщательного обследования. В подобных ситуациях выявляется любая патология, для устранения которой назначаются определённые терапевтические меры.
Признаки рака лёгкого
Злокачественные образования на флюорографии выявляются различными «рисунками». Определяется две формы роста опухоли:
- Центральный рост – на снимке видно уплотнение и расширение лёгочного корня, также не исключена возможность определения затемнения, которое указывает на наличие опухоли, визуальные симптомы непроходимости бронх — ателектаз (безвоздушность лёгочной ткани, характеризующаяся спаданием альвеол в определённой области либо во всём лёгком).
В прямой проекции сложно обнаружить центральную опухоль, её присутствие можно заподозрить только по наличию тени, а также по изменению структуры тканей.
- Периферический рост – отличается тенью новообразования различной величины, которые расположены в пределах лёгочного органа.
Флюорография при раке лёгких периферической формы, которая расположена на нижней части правого лёгкого, в прямой проекции также сложно обнаружить, так как её часто закрывает тень печени.
Для детального исследования с помощью флюорографии снимок проводят в нескольких проекциях:
- Передняя.
- Боковая.
- Наклонная.
- Косая.
Нужно помнить, что видимость патологии на вдохе и выдохе может отличаться.
Цель флюорографии – это заподозрить лёгочную патологию, достаточно два снимка в прямой и боковой проекциях.
Причины развития онкологии
Факторы, которые способствуют развитию злокачественного новообразования в лёгких, выделено несколько:
- Регулярное воздействие канцерогенов.
- Вредные условия труда.
- Злоупотребление табачными изделиями.
- Вирусные патологии.
- Плохая экология.
- Высокая радиация.
- Грязный воздух.
Чаще всего причиной онкологических заболеваний лёгких служит длительное курение. Злоупотребление табачными изделиями, дым которых содержит много вредных веществ (около 60 канцерогенов), очень опасно для человека.
Достоинства и недостатки ФЛГ
Во многих странах Европы флюорография не используется для определения наличия опухолей в органах дыхания, однако в России подобный метод до сих пор пользуется популярностью, поскольку имеет ряд преимуществ:
- Невысокая стоимость.
- Быстрое проведение (около пяти минут уходит на одного пациента).
- Возможность исследовать основную часть населения старше 18 лет, поскольку проведение процедуры необходимо при прохождении медицинской комиссии для поступления в учебные заведения, на работу, при госпитализации. Некоторые группы населения, которые находятся в группе риска заболевания дыхательной системы обязательно проходят флюорографию.
- Цифровое исследование даёт возможность снизить дозу полученного облучения.

- Регулярно оценивать любые изменения в лёгких в положительную или отрицательную сторону.
Однако процедура имеет и некоторые недостатки:
- Низкий уровень информации, получаемой при проведении диагностики. Около 30% ложноположительных и ложноотрицательных результатов.
- Облучение органов дыхания – при проведении ежегодного исследования на протяжении 10 лет увеличивает риск развития раковых опухолей.
- Чаще всего обследование проходят люди от 20- до 40-летнего возраста, а онкология формируется в более позднем возрасте.
- Обычно проводится прямая проекция для выявления туберкулёза, которая не всегда покажет присутствие опухолей.
Рак лёгких – коварное заболевание, которое имеет высокий процент смертности, помимо этого, отличается ранним метастазированием. На начальных этапах развития не проявляется ярко выраженными симптомами, что не вынуждает пациента вовремя обратиться за врачебной помощью. Признаки появляются лишь тогда, когда терапия не даёт положительных результатов. Именно по этой причине не стоит игнорировать своевременную диагностику, которая даёт возможность выявить опухоль до начала метастазирования, когда процессы при адекватной терапии могут стать обратимыми.
pulmono.ru
Показывает ли флюорография рак легких: особенности диагностики

Видно ли с помощью рентгена рак, пневмонию и другие заболевания легких?
Данная статья рассказывает о таком методе обследования легких, как флюорография. Объясняется, можно ли с помощью этого метода диагностировать рак легких.
Одним из этапов медицинского осмотра, который каждый человек должен проходить ежегодно, является флюорография. Цель этого метода – определить, есть ли у человека туберкулез. Но показывает ли флюорография рак легких?
Содержание статьи
Что представляет собой метод
Флюорография – это скрининговый метод обследования. Это означает, что применяется он для массовой диагностики.
Такая возможность существует потому, что методика проведения флюорографии простая, обследование занимает всего несколько минут, и цена — очень демократичная. Поэтому ФЛГ пользуются во всех медицинских учреждениях.

Метод очень прост в исполнении
Суть методики заключается в прохождении рентгеновских лучей через грудную клетку и отпечатке изображения на специальной пленке или экране компьютера (фото). Изображение получается очень маленьким, но на нем возможно увидеть различные изменения в легочной ткани.
В основном этот метод используется для диагностики туберкулеза. А можно ли с помощью него диагностировать рак? Ответ на этот вопрос неоднозначен.

Снимок чаще всего изучают на экране компьютера
Что можно обнаружить при флюорографии
Сразу можно отметить, что флюорография имеет меньшую диагностическую точность в сравнении с прицельным рентгеновским снимком или томографией.
Этот метод позволяет выявить следующие изменения в легочной ткани:
- усиление легочного рисунка;
- расширение главных и долевых бронхов;
- изменения структуры легочной ткани – уплотнения, очаги, полости.
Этих данных достаточно для определения наличия или отсутствия туберкулеза. Можно ли определить рак легких на флюорографии?
Что представляет собой раковая опухоль
Злокачественная опухоль легкого может развиваться из какого-либо бронха (центральный рак) или непосредственно из легочной ткани (периферический рак). В первом случае опухоль имеет четкие границы и чаще всего округлую форму. Во втором случае опухоль является диффузной, и выглядит как расплывчатое пятно.
Как выглядит рак легких на флюорографии? Так как метод дает не самое точное изображение, к тому же уменьшенное в несколько раз, на снимке можно обнаружить опухоль только в том случае, если ее размеры превышают 5 мм. Диффузный рак на флюорографическом снимке можно и не заметить.

Что врач видит на рентгенограмме?
Как правило, врач не может сразу однозначно сказать, изменение какого рода он обнаружил на флюорограмме. Он описывает увиденные изменения определенным образом – для этого существует специальная инструкция. Согласно увиденным изменениям доктор отправляет человека на дальнейшее обследование.
Лечащий врач изучает снимок и прилагаемое описание, определяет, виден ли рак легких на ФШК. Назначает дополнительные методы – рентген или томографию, лабораторные исследования согласно имеющимся у человека симптомам.
Таким образом, может ли флюорография выявить рак легких – конкретно он не обнаруживается, но видны изменения, которые могут возникать вследствие туберкулеза, злокачественной опухоли, инфекционного поражения легких.
Когда нужно проходить флюорографию
Покажет ли флюорография рак легких, или нет – этот метод диагностики обязателен для каждого человека. Проходить его нужно как минимум раз в два года, а лучше всего ежегодно.
Кроме этого, существуют категории людей, которым показано внеплановое или более частое прохождение флюорографии:
- Внеплановому обследованию подлежат те люди, у которых требуется срочное исключение туберкулеза. К ним относятся: люди с впервые выявленной ВИЧ-инфекцией, ближайшее окружение беременной женщины, контактирующее с ребенком с первой положительной пробой Манту.
- Дважды в год проходят ФЛГ люди с повышенным риском заболеть туберкулезом. Это лица из организованных коллективов – заключенные, солдаты-срочники, люди из интернатов. Также в эту группу входят ВИЧ-инфицированные, люди, ранее перенесшие туберкулез.
О правилах проведения обследования расскажет специалист в видео в этой статье. Рекомендованной кратности прохождения ФЛГ для диагностики рака не существует. Поэтому обследование проводится согласно имеющимся нормам по туберкулезу. Противопоказано обследование беременным и детям младше 15 лет.
Таким образом, опухоль ФШК показывает, но если она имеет округлую форму и размеры более половины сантиметра. Для более ранней диагностики требуется пройти рентгенологическое или томографическое обследование.
upulmanologa.ru



