Отек мозга. Причины, симптомы и последствия
Отек мозга — это патологическое состояние, характеризующееся стремительным диффузным пропитыванием тканей жидкостью из сосудистого пространства. Многие заболевания могут провоцировать развитие этого грозного осложнения. В большинстве случаев при отсутствии экстренной медицинской помощи отек приводит к появлению необратимых повреждений тканей мозга и летальному исходу.
Несмотря на то что подобное осложнение может при определенных обстоятельствах развиться у людей любого возраста, наиболее часто выявляется оно у тех, кто перешагнул 50- летний возрастной рубеж. К примеру, не является редкостью отек мозга при инсульте, причем как геморрагического, так и ишемического типа. Чем старше человек, у которого развивается это осложнение, тем выше риск неблагоприятного исхода.Этиология отека головного мозга
Многие заболевания могут отражаться на состоянии кровеносной и лимфатической систем. Причины данной патологии в отдельных возрастных группах различаются. К примеру, у новорожденных детей подобное нарушение часто наблюдается при травмировании головы во время родов. Кроме того, в младшей возрастной группе пропитывание тканей головного мозга лимфатической жидкостью или плазмой крови может быть результатом генетических аномалий, гипоксии и злокачественных опухолей.

Причины отека мозга у взрослых более разнообразны. К наиболее распространенным предрасполагающим факторам появления подобного нарушения относятся следующие заболевания:
- черепно-мозговые травмы;
- ишемическое поражение тканей;
- патологии сердечно-сосудистой системы;
- анафилактический шок;
- сепсис;
- злокачественные и доброкачественные опухоли;
- сахарный диабет;
- ожоги;
- печеночная недостаточность;
- перепады атмосферного давления;
- кровоизлияние в мозговые оболочки;
- энцефалит;
- менингит.
Развитие отека головного мозга связано с оперативными вмешательствами. К примеру, удаление злокачественных опухолей и аневризм может приводить к разрыву кровеносных и лимфатических сосудов. Таким образом, особенно опасны операции на мозге, при которых требуется нарушение целостности тканей. Обычно это осложнение проявляется через несколько часов после хирургического вмешательства. Причины церебрального отека могут уходить корнями в тяжелую интоксикацию. Достаточно часто пропитывание тканей мозга жидкостью наблюдается при отравлении спиртным и наркотическими веществами.
Длительное злоупотребление психотропными веществами приводит к нарушению работы различных органов и систем, способствует накоплению токсинов и при определенных обстоятельствах, когда количество поступивших в организм отравляющих веществ не может быть быстро выведено из него, тоже развивается данная патология. Спровоцировать отек может отравление тяжелыми металлами и природными ядами. В редких случаях подобные нарушения появляются при введении слишком большой дозы наркоза. Некоторые лекарственные препараты также могут провоцировать появление такого осложнения. Данная патология встречается при горной болезни — у альпинистов и других людей, поднимающихся на большую высоту.
Патогенез отека головного мозга
Подобное нарушение развивается вследствие сочетания ряда физико-биохимических процессов.
строение мозгаМеханизм появления отека мозга достаточно сложен. Стоит отметить, что 80-85% пространства черепной коробки занимает церебральная ткань. Еще примерно от 5 до 15 % приходится на ликвор, питающий ткани мозга. Оставшиеся 6% занимают кровеносные сосуды.
Если взрослый человек здоров, внутричерепное давление составляет от 3 до 15 мм рт.ст. Таким образом, жидкость нормально циркулирует по сосудам.
При воздействии различных неблагоприятных факторов тонкий механизм питания мозга нарушается. Вследствие повышения внутричерепного давления, проницаемости сосудов и других явлений плазма крови и ликвор выдавливаются из русел, что ведет к насыщению тканей жидкостью.
Отек головного мозга сопровождается стремительным повышением артериального давления.
Ткани, напитанные жидкостью, увеличиваются в размерах. Повышение давления внутри черепа быстро приводит к сдавливанию сосудов, что ускоряет процесс выдавливания из них плазмы крови и лимфы. Клетки мозга начинают стремительно отмирать из-за компрессионного воздействия, напитывания жидкостью и недостатка питательных веществ и кислорода. Нарастают микроциркуляторные нарушения. Самым опасным является отек ствола головного мозга, так как это приводит к нарушению сердечно-сосудистого, дыхательного и терморегуляторного центра, что в большинстве случаев заканчивается летальным исходом.
Классификация отека головного мозга
Существует множество параметров, которые учитываются при диагностике данного патологического состояния. Едва ли не самым важным моментом является оценка распространения процесса. Основываясь на этом параметре, выявляют 2 вида отека головного мозга:
- Локальный.
- Генерализованный.
- Локальный отек имеет четко ограниченную область распространения и наиболее часто формируется вследствие абсцесса, гематомы, кисты или опухоли.
- При генерализованной форме патологический процесс пропитания тканей переносится на весь мозг. Причины его появления чрезвычайно разнообразны.
В зависимости от этиологических и патогенетических факторов, способствующих появлению подобного осложнения, выделяется 4 основных типа отека головного мозга, а именно:
- Цитотоксический.
- Вазогенный.
- Интерстициальный.
- Осмотический.
Каждый из этих вариантов течения патологии имеет свои особенности.
- Вазогенный отек головного мозга является наиболее распространенным. Этот вариант диффузного пропитывания тканей жидкостью проистекает из повышения проницаемости гематоэнцефалического барьера.
- Цитостатический отек головного мозга развивается в результате прогрессирующей дисфункции глиальных клеток и нарушения осморегуляции мембран нейронов. Поражается, таким образом, преимущественно серое вещество.
- Осмотический отек развивается при повышении осмолярности тканей, но при этом нет выраженного нарушения гематоэнцефалического барьера.
- Интерстициальный вариант является результатом ряда механизмов, способствующих пропотеванию жидкой составляющей ликвора через стенки сосудов.
Симптоматические проявления отека головного мозга
Признаки пропитывания жидкостью белого и серого вещества могут быть выражены в различной степени тяжести. К примеру, при легком сотрясении мозга вполне может появиться незначительный локализированный отек. В большинстве случаев он быстро проходит без каких-либо последствий. Когда затрагиваются большие участки при отеке мозга, симптомы могут быть выражены значительно. Кроме того, немаловажное значение имеет скорость нарастания признаков подобного осложнения. В некоторых случаях от начала патологического процесса до летального исхода проходит не более 20 минут, что дает мало шансов на проведение реанимационных мер. Отечность тканей мозга может проявиться следующими симптомами:
- апатия;
- сонливость;
- головные боли;
- головокружение;
- тошнота;
- рвота;
- потеря ориентации в пространства;
- неспособность осознавать окружающую действительность;
- нарушения памяти;
- непроизвольные подергивания мышц;
- судороги;
- нарушения слуха и зрения;
- обмороки;
- ступор;
- затруднения речи;
- расходящееся косоглазие;
- повышение температуры тела;
- понижение артериального давления;
- нестабильный пульс;
- нарушение дыхания.
Набор симптомов при отеке мозга у разных больных может существенно различаться. При тяжелом течении этого патологического состояния нередки случаи появления слуховых и зрительных галлюцинаций. Как правило, подобные проявления более свойственны отекам мозга, вызванным тяжелой интоксикацией. Помимо всего прочего, при стремительном развитии этого осложнения больные достаточно часто впадают в кому.
Набор симптоматических проявлений во многом зависит от степени повреждения тканей головного мозга. Чем тяжелее протекает острый период у больного, тем хуже прогноз выздоровления и тяжелее последствия развития этого патологического состояния. Таким образом, нужно знать, какие симптомы сопровождают эту патологию для раннего начала лечения.
Методы диагностики отека головного мозга
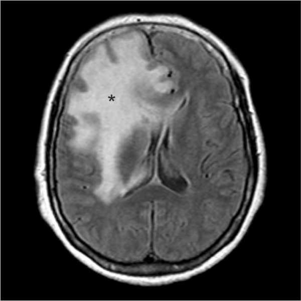
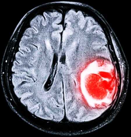
При появлении малейших признаков развития подобного осложнения на фоне других хронических заболеваний или интоксикации организма необходимо вызвать скорую помощь. Как правило, внешних признаков развития патологии достаточно для определения характера проблемы и оказания первой помощи. Пациентов с симптомами отека мозга срочно доставляют в реанимационное отделение, где и проводится оценка состояния. Для подтверждения диагноза в первую очередь врач-невролог проводит внешний осмотр больного. Наиболее безопасными и информативными методами исследования являются КТ и МРТ.
Проведение люмбальной пункции при отеке головного мозга опасно и может иметь тяжелые последствия. Кроме того, при постановке диагноза нередко проводятся биохимические и общие анализы крови и мочи. Определенные данные могут быть получены при нейровизуализирующем исследовании. Поскольку отек головного мозга является острым состоянием, первичная диагностика проводится в сочетании с оказанием медицинской помощи. После стабилизации состояния больного могут быть назначены дополнительные исследования.
Как проводится лечение отека головного мозга
В легких случаях этого патологического состояния, когда нет угрозы жизни пациента, лечение отека мозга предполагает купирование имеющихся симптоматических проявлений и выведение лишней жидкости из организма. При таком благоприятном течении все характерные проявления исчезают примерно через 2-4 дня.
В тяжелых случаях развития отека головного мозга проводится лечение, направленное на поддержание работы всех жизненно важных органов. При нарушении дыхания проводится интубация и подключение пациента к аппарату ИВЛ.
Если у пациента не наблюдается проблемы с дыханием, показана оксигенотерапия, позволяющая устранить гипоксию, снизить скорость нарастания повреждений тканей мозга.
Если больной находится в коме, принимаются меры, направленные на выведение его из этого состояния. Чем раньше к больному вернется сознание, тем выше шансы на полное восстановление.
В рамках лечения отека головного мозга показана дегидратационная терапия, позволяющая вывести быстро значительное количество жидкости из организма и не допустить усугубление состояния. С этой целью обычно назначаются осмотические и петлевые диуретики. К препаратам этих групп относятся:
- Лазиксис;
- Трифас;
- Фуросемид;
- Манит.
Помимо всего прочего, нередко назначается L-лизина эсцинат. Данное средство не отличается выраженным мочегонным эффектом, но при этом позволяет вывести жидкость из тканей мозга и уменьшить отек. Кроме того, показано внутривенное введение гиперосмолярных растворов, в том числе 25% магния сульфата и 40% глюкозы. Для снижения проявлений отека может быть показано прикладывания льда к голове.
Требуется введение препаратов, улучшающих обменные процессы в пораженных тканях. К таким лекарственным средствам относятся:
- Цераксон;
- Актовегин;
- Мексидол;
- Кортексин.
Для стабилизации состояния клеточных мембран нередко применяются глюкокортикоидные гормоны, к примеру, Гидрокортизон или Преднизолон. Кроме того, обычно назначаются лекарственные средства, обладающие нейропротективным действием. Показано также симптоматическое лечение при наличии эпилептических припадков и судорог, вводятся антиконвульсанты. Кроме того, необходимой мерой является назначение препаратов для стабилизации работы сердца и нормализации температуры тела. Если пациент находится в сознании, применяются обезболивающие средства, в том числе наркотические препараты.
Устранение первопричины
Требуется лечение, направленное на устранение первопричины появления проблемы. При отеке мозга на фоне введения наркотической или алкогольной зависимости необходима направленная дезинтоксикационная терапия. При сепсисе назначаются большие дозы антибиотиков. Если отек головного мозга вызван опухолью или гематомой, нередко требуется оперативное вмешательство. При необходимости удаляется злокачественное образование. В некоторых случаях обязательным является удаление участков, которые были сильно повреждены при черепно-мозговой травме. Нередко требуется проведение шунтирующих операций, направленных на устранение избыточного количества ликвора в черепной коробке. Подобные вмешательства позволяют быстро снизить внутричерепное давление. В тяжелых случаях проводится декомпрессивная трепанация черепа, эндоскопическое удаление гематомы и нарушенное вентрикуляторное дренирование.
Когда развивается отек мозга, лечение должно быть комплексным. От полноты проведенных терапевтических мер зависит, насколько фатальными будут последствия развития этого патологического состояния. После стабилизации состояния больному требуется:
- соблюдение специальной диеты;
- физиотерапия;
- ЛФК комплекс.
Все это позволяет нивелировать последствия патологии. Нередко нужны занятия с узконаправленными специалистами для возвращения способности читать, писать и говорить. Восстановительный период часто занимает продолжительный период.
У людей, переживших отек, сохраняется риск рецидива состояния, поэтому требуется изменить образ жизни.
Необходимо исключить все вредные привычки, нормализовать вес и ежедневно выполнять посильные физические упражнения, улучшающие кровоснабжение тканей мозга и повышающие скорость метаболизма.
Прогноз и последствия отека головного мозга
Дальнейшее состояние больного и возможность его возвращения к полноценной жизни зависят от многих факторов, в том числе скорости нарастания симптоматических проявлений и своевременности оказания первой помощи.
При раннем выявлении и начале купирования имеющихся признаков болезни процессы, протекающие в тканях головного мозга, являются обратимыми.
Как правило, 100% восстановление после диффузного пропитывания серого и белого вещества наблюдается исключительно у молодых и здоровых людей, у которых подобное нарушение является результатом сильной интоксикации организма. Однако полное устранение повреждений даже в этом случае возможно только при направленной терапии.
Самостоятельное снижение проявления отека головного мозга возможно, только если это патологическое состояние развивается в рамках горной болезни. В случае с отеком мозга другой этиологии прогноз, как правило, менее благоприятный. Даже если удается сохранить больному жизнь в острый период, в дальнейшем требуется направленная реабилитация, чтобы нивелировать последствия поражения тканей мозга. В некоторых случаях остаточные явления после отека достаточно легкие и включают нарушение сна, развитие депрессии, снижение умственных способностей и т.д.
У большинства больных после пережитого острого состояния наблюдается развитие парезов и параличей.
Для восстановления способности нормально передвигаться в основном требуется длительная реабилитация. Восстановить когнитивные способности нередко удается не в полной мере. Далеко не у всех людей, переживших отек мозга, возможно восстановить способность нормально излагать мысли. Часто после подобного осложнения человек утрачивает способность к самообслуживанию и становится инвалидом, постоянно требующим внимания со стороны родных и близких. Кроме того, если удалось восстановить основные функции и вернуть человеку здоровье, остаются повреждения после диффузного пропитания тканей мозга, что приводят к развитию деменции в пожилом возрасте.
Отек у детей
У детей прогноз при отеке, как правило, более благоприятный. Мозг новорожденного ребенка, пережившего отек мозга, может перестроиться и компенсировать функцию отмерших участков. При правильной комплексной терапии и дальнейшей реабилитации шансы полностью нивелировать последствия патологического состояния достаточно высоки.
Важно знать
При появлении признаков поражения мозга необходимо заранее поместить больного в стационар для раннего начала лечения.
otekhelp.ru
Что вызывает отёк мозга
Отёк головного мозга – болезнь, при которой затрудняется отток цереброспинальной жидкости. Это приводит к повышению внутричерепного давления и затруднению подачи крови к мозговым тканям. Развивается некроз. При отсутствии своевременного лечения патология вызывает смерть.
Характеристика понятия
У здорового человека ликвор циркулирует в межцеребральном мозговом пространстве, питая ткани и защищая их от повреждения. В результате воздействия отрицательных факторов повышается объём спинальной жидкости, что вызывает серьёзные нарушения и осложнения. Проявления отёка головного мозга быстро нарастают, состояние больного резко ухудшается.
Любопытный факт! Впервые болезнь описал Н. Пирогов в 1865 году.
Отёчность нарушает проницаемость сосудистых стенок, блокирует выход крови в окружающие тканевые структуры. В результате развития патологических процессов молекулы воды проникают через мембрану в нервные сплетения. Там клетки взаимодействуют с белками, увеличиваясь в объёмах.
Отёк мозга не может выступать самостоятельным заболеванием, патология развивается вторично в качестве осложнения иных болезней. Заболевание угрожает жизни человека, поскольку церебральные структуры сдавливаются в результате увеличения их объёма. Прогрессирование процесса приводит к защемлению мозговых структур, которые отвечают за терморегуляцию, дыхание, сердечную деятельность.
Классификация
Отёк головного мозга подробно охарактеризован международной классификацией заболеваний. Этот факт облегчает диагностирование патологии, что позволяет начать лечение своевременно.
Обратите внимание! Нужно различать отёки, которые развиваются вследствие различных заболеваний, с перифокальной отёчностью, когда набухание мозга происходит после полученных травм.
Отёки дифференцируют, исходя из этиологии нарушения:
- Вазогенный, вызывается увеличенной сосудистой проницаемостью. Центральная и кровеносная системы разделены анатомическим барьером – гематоэнцефалическим. Отёк развивается при прохождении экссудата через барьер. Это приводит к повышению объёмов белого вещества. Развивается в результате внутреннего кровоизлияния, повреждения центральной нервной системы, возникновения новообразований.
- Гидростатический. Образуется при повышении давления вентикулярного типа. В основном диагностируется у младенцев. У взрослых выявляется изредка, после хирургических вмешательств, черепно-мозговых травм, когда фиксируется вклинивание костных частей в мозговое вещество.
- Цитотоксический. Формируется вследствие интоксикации клеток головного мозга в результате облучения, отравления, а также после инсультов. Нарушается тканевый метаболизм. Остановить гибель клеток можно в первые часы прогрессирования патологии, затем процесс становится необратимым.
- Осмотический. Мозговая жидкость включает мельчайшие растворённые частицы, концентрация которых на килограмм ликвора носит название осмолярности. При нарушениях в соотношении частиц и плазмы мозга развивается отёчность. В результате повышения количества частиц в экссудате ткани пытаются снизить их объём, поглощая влагу из плазмы. Подобный дисбаланс возникает вследствие водного воздействия на мозг, гипергликемии, энцефалопатии.
Отдельно выделяют отёк мозга у новорождённых, который появляется вследствие внутриутробной гипоксии, неправильного развития эмбриона, полученных травм в процессе родоразрешения.
В зависимости от параметров мозгового поражения выделяют локальный, диффузный и генерализованный отёк. Дислокация локального вида фиксируется в очаге поражения, диффузного – в одном полушарии, генерализванного – в обоих полушариях.
Исходя из причины появления, отёк бывает токсическим, травматическим, гипертензивным, ишемическим, послеоперационным, опухолевым, воспалительным.
Отёчность может затрагивать мозговые сосуды, вещество либо ствол мозга. Последнее состояние наиболее опасно, поскольку оно сопровождается нарушением дыхания и кровоснабжения.
Что вызывает мозговую отёчность
Мозговые ткани отекают вследствие воздействия причин инфекционного либо травматического характера.
Черепно-мозговые травмы
Травмы, раны с вклинением черепных частей, сотрясения блокируют эвакуацию жидкости, вызывая прогресс некротических процессов. Травматическое набухание осложняется повреждением мягких тканей. Это приводит к проблемам с передвижением, судорожным припадкам, парализации ног.
К этой группе относится отёчность, возникающая вследствие операций, трепанации черепа. После хирургического вмешательства в область головы зачастую образуется рубец, который затрудняет циркуляцию жидкости.
Болезни инфекционного характера
Отёк головного мозга возникает в результате острого воспалительного явления. Патологический симптом развивается на фоне менингита, энцефалита, токсоплазмоза. При образовании гнойных включений состояние человека резко ухудшается.
Опухолевые новообразования
Раковые опухоли давят на мягкие ткани, вызывая раздражение и отёчность структур. После устранения образования отёк быстро спадает. Пациенту требуется длительное реабилитационное лечение.
Кровоизлияние
Разрыв артериальных стенок происходит в результате наличия атеросклеротических бляшек, аневризмы, травмы головы. Подобное состояние имеет высокий процент летальности.
Инсульт
Ишемическая болезнь сердца возникает в результате образования тромба в артерии. Это провоцирует острую кислородную недостаточность и некроз тканей. Отмирание клеточных структур вызывает отёчность.
Послеоперационная отёчность
Неприятным следствием оперативных вмешательств в области головы становится мозговой отёк. Он может возникать после использования анестезии эпидурального типа, чрезмерного введения солевых растворов. Болезнь также развивается в результате больших кровопотерь, продолжительной гипотонии, неправильной организации искусственной вентиляции лёгких.
Интоксикация
Токсическая форма отёка возникает после отравления лекарственными препаратами, этиловым спиртом, угарным газом. При интоксикации алкогольной продукцией отёк мозга сопровождается проявлением галлюцинаций. Неправильно подобранный наркоз также приводит к отравлению.
Родовые травмы
У младенцев мозговой отёк развивается в результате некорректных действий медицинского персонала во время родоразрешения, вследствие продолжительной внутриутробной гипоксии, обвития пуповиной.
Скачки атмосферного давления
Отёчность умеренного характера часто диагностируется у альпинистов, лётчиков, аквалангистов. Резкие перепады давления отрицательно сказываются на тканях мозга.
Признаки и стадии патологии
Прогрессирование отёчности характеризуется 3 стадиями: начальной, выраженной, исходом:
- Первая стадия выражается в повторяющихся судорогах и нарушении сознательной сферы.
- При выраженном течении болезни наступает мозговая кома, сопровождающаяся усилением судорожного синдрома и признаками поражения мозгового ствола: косоглазие, учащение дыхания.
- Третья стадия протекает тяжело, вызывая необратимые последствия в виде умственной отсталости, часто диагностируется смерть.
Доминирующим симптомом отёка головного мозга у взрослых выступает спутанность сознания. При нарастании проявлений человек теряет сознание, а затем впадает в коматозное состояние. По мере прогрессирования заболевания учащаются судорожные приступы, которые чередуются с атонией мышц.
При прогрессировании отёчности наряду с острой либо хронической церебральной болезнью изначально сознание сохраняется. В таком случае признаками отёка мозга выступают расстройства зрения, мучительная боль в голове, проблемы с передвижением, рвота, галлюцинации.
К опасным симптомам, свидетельствующим о сдавливании мозгового ствола, относят глубокое дыхание, гипотонию, резкое повышение температуры тела. Появление косоглазия указывает на отделение подкоркового слоя от коры мозга.
Отёчность при инсульте
Следствием ишемического либо геморрагического инсульта становится мозговое набухание. Нарушенное кровообращение при ишемической форме сопровождается закупоркой сосуда, что приводит к недостатку кислорода, некрозу тканей мозга. При геморрагическом виде кровоизлияние локализуется под мозговой оболочкой. Это приводит к резкому увеличению показателей внутричерепного давления и отёчности.
Изначально набухание связано с нарушением метаболизма в месте поражения и располагается в веществе мозга. По прошествии 6 часов развивается вазогенный тип отёчности, который локализуется в белом веществе. Подобное явление происходит вследствие проникновения ликвора и сосудистых белков во внеклеточное пространство. Ткани начинают отмирать, провоцируя скопление жидкости в капиллярах.
Отёк мозга при инсульте появляется стремительно, он локализуется в любой части мозгового вещества. От родственников пострадавшего требуется вовремя заметить нездоровые проявления и немедленно обратиться за медицинской помощью.
Отёк у детей
Заболевание часто диагностируется у младенцев вследствие полученной родовой травмы. Скопление жидкости ведёт к повышению внутричерепного давления и развитию мозговой отёчности. К другим причинам патологии относится поздний гестоз, внутриутробная инфекция, болезни мозга, гипоксия.
Повышенное внутричерепное давление у новорождённых приводит к защемлению продолговатого мозгового участка, который отвечает за дыхание и терморегуляцию. Ребёнок начинает плакать, часто срыгивать, повысится температура, появятся судорожные припадки. Родничок начинает выступать. Патологическое состояние нередко вызывает внезапную смерть ребёнка.
Исход терапии зависит от параметров поражённого участка и своевременности лечения. Заболевание у грудничков протекает иначе, поскольку детский организм не способен поддерживать сосудистый тонус, регулировать циркуляцию ликвора и величины внутричерепного давления. Малыша в этой ситуации спасает наличие нескольких родничков в черепных костях. Такая физиологическая особенность защищает кроху от мозгового сдавления и отёчности.
Последствиями отёка головного мозга у детей могут выступать:
- задержка психофизического созревания;
- повышенная активность;
- эпилептические припадки;
- гидроцефалия;
- вегетососудистая дистония;
- паралич.
Чтобы не допустить развития осложнений, нужно срочно обращаться за медицинской помощью.
Диагностика
Выбор диагностических методов зависит от клинической картины патологии. Обычно пациента направляют на прохождение магниторезонансной томографии, которая определяет дислокацию отёка и степень его распространения. Процедура позволяет сделать прогноз на предмет развития осложнений.
Примечание! Важно определить локализацию патологического процесса: отёчность в левом полушарии снижает интеллектуальные способности, возможна парализация одной стороны тела.
Больному назначается компьютерная томография, требуется сдать необходимые анализы. При расшифровке анализов крови доктор выявляет степень интоксикации организма. Также проводят пункцию. Цереброспинальную жидкость, полученную во время диагностической манипуляции, исследуют на предмет наличия инфекции, онкологии.
Лечение болезни
В некоторых случаях проявления заболевания самостоятельно устраняются: при лёгком сотрясении либо у альпинистов, аквалангистов. В остальных ситуация отёк головного мозга требует принятия экстренных терапевтических мер.
Неотложная помощь
До приезда бригады скорой помощи можно поддерживать состояние пострадавшего, замедляя распространение отёка. Для этого необходимо обеспечить максимальный приток свежего воздуха и обложить голову больного пакетами со льдом. Требуется постоянно следить за состоянием респираторного тракта, нужно очищать воздухоносные пути от рвотных масс. Чтобы облегчить процесс дыхания, рекомендуется повернуть голову набок, подложив валик под ноги.
Основные методы терапии
Лечение основывается на нормализации кислородного обмена в клетках мозга. Для этого требуется сочетать способы медикаментозной и хирургической терапии. С больным проводят такие лечебные манипуляции:
- Оксигенотерапия. При помощи специального оборудования в воздухоносные пути пациента вводят кислород. Эта процедура улучшает мозговое питание, позволяя ускорить выздоровление.
- Вливание препаратов, нормализующих артериальное давление, кровообращение, устраняющих инфекцию.
- Гипотермия. Снижение температурных показателей, что подавляет отёчность.
- Вентрикулостомия. Процедура направлена на удаление излишнего объёма жидкости через катетер. Это понижает внутричерепное давление.
- Приём глюкокортикоидов, которые особенно результативны при отёке перифокального типа. При отёчности на фоне опухолевых процессов назначают Дексаметазон.
- Применение диуретиков. Мочегонные средства эвакуируют лишнюю жидкость, что способствует снижению давления ликвора на мозг.
Обратите внимание! Хирургическое вмешательство требуется при тяжёлом течении патологии.
В ходе операции устраняют катализатор заболевания. Проводят декомпенсированную трепанацию черепа, во время которой удаляется определённый участок черепной кости. Это позволяет понизить внутричерепное давление. При наличии опухолевого вклинивания требуется его удалить.
Нетрадиционная медицина
Можно снизить прогрессирование отёка головного мозга с помощью народной медицины, но полное выздоровление наступает только после медикаментозного лечения.
При образовании опухоли в мозге готовят отвар из белой омелы. Необходимо прокипятить стакан молока вместе с 3 граммами высушенного сырья. Следует пить лечебный напиток в течение недели.
Также эффективна настойка из прополиса. Для её приготовления нужно смешать 100 мл спирта с 10 граммами пчелиного продукта. Средство настаивают в течение недели и принимают по 1 чайной ложке до еды.
Осложнения и прогноз
Терапия мозговой отёчности основывается на предотвращении рецидивов и восстановлении деятельности полушарий и нервных сплетений. Прогноз лечения зависит от тяжести патологии и квалификации врача. При вовремя начатой терапии исход благоприятный.
На начальном этапе отёк головного мозга полностью излечим, при обнаружении болезни на последней, третьей стадии фиксируется отмирание нервных волокон и деструкция миелиновой оболочки нейронов.
Примечание! Полная ликвидация отёчности без развития осложнений возможна лишь у молодых людей при токсической форме патологии.
Самостоятельное устранение болезненных признаков отмечается при горном отёке. Во многих случаях диагностируется смерть от отёка головного мозга. У выживших фиксируются остаточные явления в виде болей в голове, снижения интеллектуальных способностей, неврологических расстройств, инвалидности.
Функции погибших мозговых клеток способны выполнять близлежащие участки мозга по прошествии продолжительного периода. Поэтому человеку, перенёсшему инсульт, требуется много времени на повторное приобретение навыков речи и передвижения.
Одним из распространённых последствий мозговой отёчности является отёк-набухание головного мозга (ОНГМ). Симптоматика подобного осложнения у взрослых выражается в рвоте, болях в голове, галлюцинаторном синдроме. При прогрессировании ОНГМ человек впадает в коматозное состояние, часто регистрируется летальный исход.
Заключение
Отёк мозга – состояние, угрожающее жизни человека. К заболеванию приводит накопление экссудата в мозговых тканях. Постепенно объём жидкости повышается, что увеличивает внутричерепное давление. Подобные процессы вызывают некроз тканей и отёчность.
Для подготовки статьи использовались следующие источники:
В.Я. Латышева, В.И. Курман, А.Н. Цуканов, Н.Н. Усова, Н.В. Галиновская, М.В. Олизарович Отек головного мозга: этиопатогенез, клиника, диагностика, лечение // Практическое пособие для врачей ГУ «РНПЦ РМиЭЧ» УО «ГомГМУ» — 2016.
И.А. Савин, А.С. Горячев Водно-электролитные нарушения в нейрореанимации // НИИ нейрохирургии им. Н.Н. Бурденко — 2017.
Виленский, Б.С. Неотложные состояния в неврологии: Руководство для врачей // СПб.: ООО «Изд-во Фолиант» — 2004.
neuromed.online
Лечение отёка головного мозга: симптомы, причины, диагностика
Инфекционные поражения и травмы часто затрагивают головной мозг. Некоторые бактерии имеют свойство проникать через барьер нервной системы, созданный для ее защиты. А травмы вызывают другие причины, приводящие к опасному осложнению – отеку мозговой ткани.
Отек головного мозга, что это и какие последствия

Отек головного мозга не является первичным заболеванием. Он представляет собой патологическое состояние, которое развивается в результате патологических изменений вызванных другими болезнями. Это своеобразная реакция организма на негативные воздействия.
Нарушается кислотно-основное равновесие, увеличивается общее количество жидкости внутри черепной коробки, что приводит к патологическому росту внутричерепного давления.
Последствия после лечения зависят от срока его начала, правильного подхода и тяжести первичного повреждения. Возможно полное выздоровление.
Могут проявляться разные неврологические нарушения: судороги, эпилептические припадки, параличи конечностей и другие нарушения чувствительности. Головные боли, состояния депрессии и подавленности, нарушения психики могут преследовать человека долгое время вследствие неблагоприятного исхода патологии.
Типы отека

Отек мозговых образований делится на: центрального нахождения и периферического.
Периферическое набухание представляет собой отек спинного мозга позвоночника. А центрального нахождения, собственно головного мозгового вещества.
Отечное состояние центрального нахождения принято разделять на 2 вида. Отек части мозга (регионарный) и всех центральных мозговых клеток (распространенный). Каждый из видов вызван разными причинами.
Причины отечности
Патологическое увеличение объема головного мозгового вещества может быть вызвано разными причинами, среди которых: травмы, инфекционные поражения, опухоли, сосудистые патологии.
Регионарная отечность обычно может быть вызвана болезнями и состояниями, которые захватывают только небольшую часть.
- Опухоли, заболевания при раке;
- Кистозные образования;
- Кровяные опухоли из-за травм;
- Гнойник, из-за инфекции, проникшей в мозг.

К причинам распространенного увеличения объема мозгового вещества относятся различные заболевания, отравления, последствия утопления, удушья, прочих поражений.
Существует много причин, которые могут создавать как локальный, так и охватывающий всю мозговую ткань отек.
- Травмы черепа и мозга, ушиб после травмы;
- Инсульты, кровоизлияния в мозг часто возникают у пожилых людей;
- Отек мозга новорожденных, из-за травмы в родах;
- Приступ тяжелой аллергии;
Эпилепсия, тепловые удары в детском возрасте,- Гестоз второй половины беременности с тяжелым исходом;
- Тяжело протекающие инфекции: энцефалиты, менингиты, свинка, токсоплазмоз;
- Многие операции, во время которых есть вмешательство в полость черепа, вызывают отечные состояния. Например, отек может возникать после удаления опухоли головного мозга.
Опасности отека

Запоздалая диагностика и неправильное лечение могут привести к тяжелым нарушениям жизненно важных функций дыхания, сердцебиения. Которые приводят к летальному исходу. Могут наблюдаться тяжелые не проходящие неврологические поражения, по типу нарушения двигательной и чувствительной активности конечностей.
Избежать этих нарушений позволит своевременное оказание помощи. Для того чтобы быстро получить квалифицированную помощь, нужно знать симптомы этого состояния.
Симптомы и проявления
Признаки отека головного мозга условно делятся на несколько групп.
- Симптомы нарастания внутричерепного давления;
- Неврологические проявления;
- Симптомы роста отечности мозговых клеточных образований и их ущемления.
Симптомы нарастания внутричерепного давления проявляются следующими признаками:
- Нарастает головная боль с чувством распирания;
- Появляются признаки вялости, сонливости;
- Среди полного покоя появляется рвота;
- Развитие внутричерепной гипертензии ведет к нарушению движения глаз, периодически ухудшается зрение.

Неврологические симптомы начинают развиваться из-за распространения отека на кору, далее на подкорковые образования. Давление внутри нарастает, это приводит к появлению следующих нарушений.
- Нарушение хватательных и защитных рефлексов. Появляются патологические рефлексы, свойственные только новорожденным и т.д.
- Приступы судорог, сменяющиеся психомоторным возбуждением.
- Судороги нарастают, захватывают все тело.
Когда растет отек, а лечение еще не начато, возникают тяжелые необратимые поражения нервной ткани.
- Нарушения центров дыхания и сердцебиения, вследствие чего происходит смерть;
- Односторонние тяжелые неврологические поражения, из-за сдавления мозгового вещества с одной стороны. Одно глазное яблоко расширено, потеря рефлексов, паралич конечностей с одной стороны.
- Температура растет до 40С и выше. Её не удается сбить.
- Наступает тяжелое состояние пациента – кома.

Кома при отеке мозга
Кома характеризуется состоянием глубокого патологического сна. Замедляется и нарушается работа нервной системы. Человек без сознания, не реагирует на внешние раздражители, боль. Нарушаются жизненно важные функции.
Долгое время пребывания в состоянии комы приводит к гибели множества нервных клеток, летальному исходу.
Особенности отека мозга новорожденного

Особенность отечности мозга у взрослых в том, что она чаще всего нарастает медленнее чем, у детей. Развитие отека у новорожденного происходит очень быстро, требует тщательного знания неотложной помощи, умения в диагностике и лечении. Чаще всего у детей возникает отек ствола головного мозга.
Отек нервной ткани у новорожденных возникает из-за нескольких причин.
- Родовые травмы – это самая распространенная и частая причина, из-за которой происходит отек.
- Токсические поражения плода;
- Генетические нарушения.
При адекватной своевременной терапии, нервные клетки восстанавливаются и отек спадает. Тяжелое течение влечет за собой разные последствия, среди которых:
- Задержка в росте и общем развитии ребенка;
- Эпилептические припадки;
- Параличи;
- Водянка мозгового вещества;
- ВДС.
Диагностика отека мозговых структур

Врач начинает диагностические мероприятия с общего осмотра, опроса жалоб (если пациент в сознании). Если без сознания, проводится опрос родственников, персонала который присутствовал во время начала клинических проявлений.
Далее проводится физикальное неврологическое обследование на наличие патологических неврологических синдромов. И оценка потерянных функций вследствие поражения мозга.
После этого пациента направляют на дополнительные методы диагностики.
Травмы требует исследование черепа с помощью рентгена. Для оценки тяжести повреждений костей. Оценивают повреждения черепа.
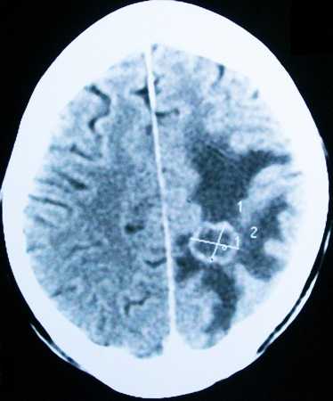
После назначают компьютерную и магниторезонансную томографию для оценки распространения отечности.
На снимке отек мозга:

Вследствие гематомы: а. На КТ; Б. На МРТ.
Из-за накопления жидкости в тканях мозга, происходит давление внутри, возникает отек.

Лечение отека головного мозга
Отек мозгового вещества это тяжелое состояние организма, которое требует неотложных вмешательств, независимо от того, где началось нарастание отечности, дома или в медицинском учреждении. После неотложных мероприятий проводится насыщение нервной ткани кислородом, снижение количества жидкости в организме разными способами, снижение температуры.

Неотложная помощь
Неотложная помощь до прибытия медиков включает в себя несколько мероприятий призванных снизить тяжесть состояния.
Необходимо обложить голову человека пакетами со льдом для снижения температуры. Обеспечить ему адекватное дыхание, если во рту есть рвотные массы, другие жидкости. Нужно освободить его от этих жидкостей. Далее необходимо обеспечить достаточно свежего воздуха, человеку в этом состоянии нужно повышенное количество кислорода.
Иногда врач может принять решение о проведении оперативного вмешательства для снижения внутричерепного давления. Проводится трепанация черепа для отвода жидкости скопившейся внутри черепа или шунтирования для создания условий дренажа.

Дегидратационная терапия
Дегидратация – это выведение из организма воды. Она проводится с целью снижения количества лишней жидкости. Для выведения жидкости из организма показано назначение осмодиуретиков. Назначают такие препараты, как маннит, сорбит, глицерол.
Маннит вводится внутривенно, кратковременно снижает ВЧД, выводит воду через почки, вследствие создания повышенной осмолярности плазмы. Сорбит значительно слабее маннита по действия, а глицерол оказывает такое же действие как маннит.
Прочие лекарства в терапии отека мозговых структур
Кроме дегидратационных средств используют несколько других групп препаратов для уменьшения отечности.
Кортикостероиды нормализуют патологически увеличенную проницаемость сосудов в очаге отечности. Восстанавливают нормальный кровоток области поражения. Представитель группы: Дексаметазон.
Барбитураты – это класс наркотических средств, которые уменьшают отечность мозгового вещества, снижают количество судорог. Это повышает шансы благоприятного исхода для пациента.
Адекватная оксигенация и улучшение метаболизма мозга

Пациента переводят на искусственную вентиляцию легких. Поддерживают парциальное давление кислорода на уровне 100 мм. рт. ст. Проводится гипервентиляция легких, которая снижает отечность за счет сужения просвета сосудов. Обеспечения постоянного доступа кислорода к мозгу предотвращает развитие осложнений связанных с его недостатком.
Лечение, направленное на устранение причины и сопутствующих симптомов

Отек мозговых структур не является первичным заболеванием. Для того, чтобы быстрее пережить кризис, пациенту необходимо адекватное лечение основной патологии.
Лечение инфекционных заболеваний, таких как менингит, энцефалит, требует применения антибиотиков, направленных на уничтожение возбудителя. Больному создается спокойная обстановка для снижения воздействия внешних факторов.
Отек из-за воздействия сильного аллергена требует устранения аллергического воздействия.
При травмах часто прибегают к оперативному лечению травматических повреждений. Удаляют гематомы, ставят на место сломанные части костей, удаляют осколки.
Опухоли требуют обязательного оперативного удаления, если оно представляется возможным.
Лечение народными средствами

Народные средства, наряду с медикаментами способны оказывать мочегонное действие, которое способствует выведению жидкости. А также восстановление нормальной циркуляции крови в сосудистом русле, снижение внутричерепного давления.
Для снижения внутричерепного давления необходимо взять по 30 г. цветков песчаного цмина, горицвета, листья с цветками софоры. По 50 г. травы «якорцы», тысячелистник, зверобой, семена петрушки, цветы бузины. По 100 г. травы «Золотарник», листья с дерева «Береза белая». Сбор измельчить, заварить полторы столовых ложки на 300 мл кипятка. Настаивать 6 минут. Добавить меда, одну столовую ложку. Пить по половине стакана, за полчаса до еды, лечение проводится 1,5 месяца.
Для уменьшения таких симптомов, как шум в ушах, шаткость походки, скачки давления, боль в голове, частые головокружения, ухудшение памяти, снижение сил применяют следующий сбор.
Взять корневища валерианы, шиповника, аира болотный, солодки, алтея аптечного. Подсолнечник, пустырник, пырей, мяту, девясил. Все это приготовить и применять так же, как в первом рецепте.
Важно помнить о том, что лечение травами и другими средствами можно начинать после консультации со специалистом.

Последствия и осложнения отека мозговых структур
Различают благоприятные и неблагоприятные исходы. Среди благоприятных выделяют полное выздоровление и выздоровление с минимумом осложнений.
Легкие осложнения: Бессонницы, депрессивные состояния, снижение физической активности, головные боли.
Неблагоприятные исходы характеризуются тяжелыми нарушениями неврологического характера или летальным исходом.
Прогрессирование отека с трансформацией в набухание мозга и летальный исход
Если лечение не происходит своевременно, шансы на выживание снижаются. Происходит набухание или перифокальный отек головного мозга. Это состояние, при котором жидкость начинает не только давить на клетки, но и скапливаться в них, усиливая давление. Сдавливается пространство желудочков мозга. Развивается глубокая кома.
Данное осложнение непременно приводит к летальному исходу или заканчивается тяжелыми осложнениями. Набухание мозга также может возникать после тяжелой операции на нём.

Ликвидация отека с инвалидизацией больного
Набухание мозговых структур или позднее лечение приводит к осложнениям, с которыми нормальная жизнедеятельность человека становится затруднительной. Ставится необходимость об инвалидности для таких пациентов.
К таким осложнениям относится:
- Пожизненные частичные потери двигательной активности конечностей;
- Необратимая потеря речи;
- Возникновение слабоумия;
- Шизофрения, вследствие депрессии.
Полная ликвидация отека без последствий
Подобная ситуация возможна, если лечение начато своевременно, а тяжесть первичной патологии не усугубило процесс и не произошло органическое поражение мозговых тканей. Например, из-за травмы или массивного инсульта.
Иногда появляются осложнения, которые со временем не оставляют следа.
- Головные боли, проходящие через несколько месяцев;
- Нарушение эмоционального состояния;
- Легкие двигательные нарушения;
Исход заболевания с подобными осложнениями, считается исходом без последствий, если они исчезают через некоторое время. Полный благоприятный исход возможен очень редко.
Восстановление мозга после отека
После заболевания больному необходима спокойная обстановка. Стоит ограничить его от психических травм, при возникновении временных двигательных нарушений, оказывать нужный уход и поддержку. Принимать витаминные комплексы и специальные средства, назначенные врачом для укрепления памяти.
Тяжелые двигательные расстройства после окончания лечения требуют правильной социальной адаптации. В этом могут помочь родственники. Часто человек не может свыкнуться с изменением своего социального статуса. Необходимо помочь человеку найти положительные стороны, показать стимул жить дальше. Можно обратиться к психологу.
medonco.ru
что это такое, основные причины, варианты последствий при отсутствии лечения
Отек и набухание головного мозга происходят от избыточного скопления жидкости в клетках ткани и межклеточном пространстве. Научный мир не пришел к окончательному выводу, в каких случаях и правильно ли вообще называть это состояние –отек мозга или набухание.
Роль мозга как руководящего звена в управлении функциями всего организма сложно переоценить. Любые нарушения в его работе оборачиваются нежелательными последствиями. Поэтому так важно знать признаки мозговых расстройств и от чего они происходят.
Просто о сложном
Насыщенность материала специфической медицинской терминологией не представляет тему более понятной, а лишь пугает неизвестностью. Учитывая, что настоящий материал не предназначен для повышения уровня квалификации специалистов, будем придерживаться правила максимальной доступности изложения.
Что такое отек головного мозга? Это либо увеличение всего объема мозговой ткани, либо гипертрофия одного из его участков. Причины отека мозга могут быть разные, но без своевременного лечения они всегда угрожают тяжелыми последствиями, вплоть до летального исхода.

Симптомы заболевания
Отличить признаки отека головного мозга от заболеваний, протекающих со сходной симптоматикой и не представляющих большой опасности, почти невозможно. Только комплексное обследование с использованием специального оборудования может дать утвердительный или отрицательный ответ.
Поход в поликлинику нельзя откладывать надолго, если человек на протяжении некоторого времени испытывает совокупность неприятных ощущений:
- сильные боли, распространяющиеся на всю область головы;
- потерю аппетита;
- тошноту, переходящую в рвотные позывы;
- заторможенное восприятие явлений окружающей действительности;
- постоянное желание спать;
- беспокойный сон, не приносящий отдыха;
- болевые ощущения, связанные с движением глазных яблок.
Список признаков можно продолжить, но для личных выводов больного они уже не будут важны. Во-первых, при этих симптомах наступает состояние, при котором человек уже не может адекватно воспринимать происходящее. Во-вторых, судороги, потеря сознания, кома означают, что наступило время, уже не терпящее промедлений. Вызов кареты скорой помощи будет единственно верным решением.
До приезда бригады врачей следует:
- уложить больного в постель, предварительно сняв одежду;
- открыть окна, тем самым обеспечивая достаточный приток кислорода;
- в случае рвоты повернуть голову в положение, позволяющее избежать попадания рвотных масс в органы дыхания;
- в случае судорог удерживать голову и конечности больного, чтобы избежать случайных травм.
Дальнейшие реанимационные действия могут выполнять только специалисты.
Группа риска
Отек головного мозга не является самостоятельным заболеванием. Причины отека: текущие и перенесенные недуги, хирургические вмешательства, травмы, интоксикация организма, опухолевые образования, инфекция. О некоторых из них стоит поговорить подробнее.
- Людям, страдающим нарушением функций сердечнососудистой системы: гипертензией, ишемической болезнью сердца, атеросклерозом сосудов, – следует пристально следить за проявлениями симптомов отека головного мозга.
- Любые, более-менее серьезные травмы головы (падение с высоты, удары), как правило, становятся причиной сотрясения головного мозга. Последствием сотрясения бывает отек. Обычно это легко обратимые нарушения. Лечение ограничивается постельным режимом, приемом общеукрепляющих средств и диуретиков.
- Прискорбно, но самой распространенной причиной отека головного мозга, с видами на неутешительный прогноз, у взрослых является интоксикация организма алкоголем.
Последствия отека головного мозга зависят от локализации пораженного участка, наряду с прогрессированием провоцирующего заболевания.
Возможные осложнения
Результатами несвоевременно начатого лечения, а также неконтролируемого развития основополагающей болезни могут стать тяжелые расстройства всего организма, а порой смерть больного.
Но даже тогда, когда лечение начато вовремя и проведено вполне успешно, возможно закрепление остаточных неустранимых последствий, подпадающих под признаки отека мозга:
- постоянные головные боли;
- заторможенность сознания;
- частичная потеря памяти;
- неадекватность поведения.
Реабилитационный период может занять очень продолжительное время, но возвращение нормального состояния более, чем вероятно. Клетки мозга все-таки восстанавливаются, только гораздо медленнее, чем это происходит в тканях других органов.
У пожилых людей осложнения усугубляются возрастным снижением иммунитета, совместно с приобретенными заболеваниями сердца и сосудов. Повышенная проницаемость сосудистых стенок редко позволяет устранить проявления отечности раз и навсегда. Чем опасен отек для старшей возрастной категории? Какие последствия он вызывает?
- Острые инсульты, приводящие к частичному и полному параличу.
- Разрушение структуры коры головного мозга, что приводит больного в состояние деменции.
- Значительное ухудшение (до полной потери) слуха и зрения.
- Нарушение функций дыхательных и пищеварительных органов.
Процент смертности среди людей пожилого возраста значительно выше, чем среди молодежи и средней возрастной категории граждан.
Но все же степень опасности возможных последствий в большей мере зависит от вида и интенсивности отека мозга.
Механизмы патогенеза заболевания
Внешние признаки отека мозга проявляются похожими симптомами независимо от провоцирующих причин. Начальная фаза заболевания выражается следующими факторами:
- накоплением жидкости в клетках мозговой ткани и внеклеточном пространстве;
- увеличением объема мозга;
- повышением внутричерепного давления.
Для того, чтобы понять, как лечить мозговой отек, врачу необходимо четко определить причину, инициирующую патологию. Принятая за основу классификация заболевания начитывает четыре вида:
- Гидростатический. Развивается вследствие преобладания объема поступления крови в ткани мозга над ее оттоком. Чаще всего обуславливается сдавливанием крупных вен опухолевыми образованиями.
- Осмотический. Причиной является нарушение сбалансированной электрохимической активности тканей мозга и вещества крови.
- Вазогенный. Повышение проницаемости капилляров мозга приводит к выходу плазмы крови из русла сосудов и увеличению объема жидкости в межклеточном и в окружающем кровоток пространстве.
- Цитотоксический. Воздействие токсинов на мозговые клетки нарушает процесс клеточного обмена, который знаменуется замещением клеточного калия на натрий. Последний проявляет эффект губки, усиленно втягивая и удерживая воду. Интоксикация воздействует на кровеносные сосуды мозга, разрушает защитный барьер, а это увеличивает проникающую и разрушающую способность нейротоксинов.
Отек головного мозга при алкоголизме – это одно из осложнений, наступающее вследствие внешней интоксикации организма. И так как добровольное отравление алкоголем практикуется повсеместно и с энтузиазмом, нельзя не рассмотреть этот момент в особом порядке.
Разрушительное воздействие алкоголя на мозг
Змей, свернувшийся в кольцо и заглатывающий свой хвост, в восточных учениях символизирует Бесконечность. Зеленый змий по аналогии символизирует порочный круг алкоголизма. Только этот круг предсказуемо конечен.
Воздействие алкоголя на организм обуславливается не только разовым количеством выпитого, возрастом и половой принадлежностью реципиента, но его наследственной предрасположенностью и даже расовой принадлежностью. Но в любом случае алкогольная зависимость возникает по общей схеме.
После принятия определенной дозы алкоголя наступает состояние эйфории с последующими явлениями похмельного синдрома, которые могут быть сняты новой дозой. Присевший на эту «карусель» попадает в зависимость от спиртного. Алкоголь становится и причиной болезни, и лекарством от нее. Пьющий человек не замечает (или уже не может замечать) изменения, которые происходят в его организме. Он перестает адекватно оценивать свое физическое и моральное состояние. В первую очередь, потому что алкоголь разрушает главный орган, индуцирующий критерии оценки.
Алкоголь уничтожает нервные связи между клетками мозга, оставляя их один на один с врагом. Спиртное резко и значительно снижает уровень сахара в крови. Недостаток глюкозы заставляет клетки голодать. Развивается дистрофия мозга, проявляющаяся снижением коммуникационных и рефлекторных функций. Наступление ведется неспешно, но неотвратимо и беспощадно.
Посмертные исследования мозга алкоголиков показали атрофию мозга, особенно ее лобных долей. Казалось бы, между уменьшением и набуханием нет никакой связи. Это – еще одно коварное свойство спиртосодержащих жидкостей, систематическое употребление которых нарушает все функциональные основы мозговых тканей. Прием критической дозы на фоне общего обезвоживания организма блокирует отвод жидкости из клеток. Защитная реакция превращается в самоубийственную. Отек мозга при алкоголизме – это финишная черта, за которой только кома и смерть. Это должно прозвучать предупреждением для всех любителей выпить.
Лечение заболевания
При отеках мозга, независимо от причин, необходима срочная медицинская помощь. Чем опасен отек?
1. Общими и очаговыми структурными изменениями:
- деформацией отделов;
- смещением черепа в затылочную область и сжатием мозжечка;
- сдавливанием ствола головного мозга.
2. Частичным или полным повреждением коры головного мозга.
3. Множеством капиллярных разрывов с обширным кровоизлиянием.
Первая и главная задача медиков – снять отек мозга, тем самым предотвратив повреждение его основной и стволовой части. Этого будет достаточно, чтобы выиграть время и приступить к интенсивной терапии.
В критических случаях лечение может начаться с необходимого хирургического вмешательства:
- удаление части костной пластины черепа;
- установка катетеров для откачки жидкости.
Внутривенные вливания способствуют восстановлению кровообращения.
Очень важно установить, от чего произошло функциональное нарушение. Врачебный подход предусматривает кардинальное различие в лечении отеков, вызванных опухолью и, например, алкогольной интоксикацией.
Медицина располагает большим арсеналом средств для получения максимально точного диагноза. Наряду с мерами, принимаемыми для снятия отека мозга, проводятся лечебные мероприятия, направленные на устранение самой причины. В каждом отдельном случае медикаментозное лечение имеет узкую направленность, учитывающую степень развития провоцирующего отек заболевания и общее состояние пациента.
Предупреждающие рекомендации
При обнаружении у себя или своих близких признаков столь серьезного заболевания, как отек мозга, следует немедленно обратиться к врачу. Настораживающими факторами могут быть недавно перенесенные инфекционные заболевания, травма головы, эпилепсия, алкоголизм.
Прохождение компьютерной томографии и рентгенографии черепа в лучшем случае развеет ваши опасения, а в худшем поможет вылечить мозговую дисфункцию без негативных последствий.
Ни в коем случае нельзя заниматься самолечением или ограничиваться средствами народной медицины. Болезнь имеет свойство быстро прогрессировать и наносить мозгу невосполнимые потери.
После проведения стационарного лечения и устранения основных симптомов следует строго придерживаться рекомендаций врача и продолжать лечение в домашних условиях. Больным алкоголизмом рекомендуется пройти реабилитационный курс в специальных учреждениях. Повторный алкогольный отек мозга, как правило, заканчивается летальным исходом или инвалидностью.
Людям, перенесшим заболевание, следует отказаться от всех вредных привычек и вести здоровый образ жизни. Физические занятия на свежем воздухе, с нарастающей нагрузкой, избавят клетки мозга от кислородного голодания и будут способствовать восстановлению стенок кровеносных сосудов.
В основе профилактических мер по предупреждению набухания клеток мозга лежит нормальная работа кроветворной и сердечно-сосудистой систем.
glmozg.ru
прогноз для жизни, симптомы, процесс лечения
Поражения мозга при инсульте всегда непредсказуемы, невозможно предугадать, с какими проблемами столкнется человек после приступа. Однако очень часто последствием острого нарушения кровообращения является отек головного мозга при инсульте.
Разумеется, очень многое зависит о локализации и обширности патологического процесса, его вида. Но для того чтобы бороться с настигшей бедой и делать какие-либо прогнозы, важно знать, как можно больше о том, что собой представляет инсульт, каковы его симптомы, последствия и почему развивается отек.
О других последствиях ОНМК вы узнаете из этой статьи.
Представление об инсульте
Дабы разобраться в том, как и почему после инсульта возникает отек головного мозга, необходимо иметь представление о самом заболевании.
Под словом инсульт в медицинской практике подразумевается острое нарушение кровообращения в сосудах головного мозга.

Геморрагический инсульт — нарушение целостности сосуда, его разрыв с последующим кровоизлиянием в мозг.
Кровоток может нарушаться из-за непроходимости сосудов или их разрыва, отсюда появилось деления инсультов на два отдельных вида:
- Ишемический – наиболее часто встречающийся вид патологического процесса, именно в этом случае речь идет о частично или полной непроходимости сосудов, вследствие их закупорки. Опасность состоит в том, что ткани, которые питались от закупоренного сосуда, перестают получать питательные вещества и кислород с кровью. Вследствие этого на определенном участке мозга происходит поражение тканей, может начаться их некроз.
- Геморрагический – более редкий и опасный вид патологии, которому характерно нарушение целостности сосуда, то есть его разрыв с последующим кровоизлиянием в мозг. Именно после геморрагического инсульта вероятность отека максимальна.
В других статьях мы рассказываем подробнее об ишемической и геморрагической формах.
Механизм развития отека мозга
Полость черепной коробки у взрослого человека имеет определенный объем, в который помещается основной орган (головной мозг). Помимо этого, мозг обволакивается ликвором – спинномозговой жидкостью, обеспечивающей дополнительную защиту от механических повреждений, ударов, встрясок и прочего, оставшееся пространство крайне мало.
Отек мозга при инсульте – это не что иное, как скопление излишков жидкости разного характера в тканях органа. Помимо прямого ущерба, полученного от острого нарушения кровообращения, накопление избытков жидкости приводит к тому, что в черепной коробке не остается свободного места, повышается внутричерепное давление, на мозг оказывается давление, что только усугубляет последствия инсульта.
В большинстве случае отек мозга после инсульта развивается стремительно и уже в первые часы после приступа человеку требуется неотложная помощь, часто подразумевающая хирургическое вмешательство с целью снизить внутричерепное давление.
Прогноз развития отека мозга при инсульте
Широко известно, что нарушение мозгового кровообращения может возникнуть по разным причинам, но только некоторые из них являются прямой причиной развития отека головного мозга:
- Геморрагический инсульт, из-за кровоизлияния, сам по себе является прямой причиной появления отечности и связанного с этим повышения внутричерепного давления;
- Часто причиной инсульта и последующего отека становятся инфекционные патологические процессы, наиболее распространены среди них менингит и энцефалит;
- Если инсульт начался из-за физического повреждения, например, черепно-мозговой травмы или сильного удара головой, вероятность отека также сильно повышается;
- Серьезнейшим фактором, при котором развитие отека повышается в разы, является повторный ишемический или геморрагический инсульт;
- Наконец, распространенной причиной развития отека во время или после инсульта являются онкологические процессы, речь идет о злокачественных и доброкачественных новообразованиях (опухоли) в области головного мозга.
В этом списке приведены наиболее частые факторы развития отека в постинсультный период, на самом же деле их гораздо больше. Более того, даже процессы восстановления головного мозга после нарушения кровообращения могут спровоцировать отечность. Речь идет о заполнении церебральной жидкостью участков омертвевших тканей вследствие повышенной проницаемости сосудов с последующим выпотом жидкости и заполнением ею межтканевого пространства.
Симптомы отечности мозга
Вследствие развития отека возрастает давление внутри черепной коробки, что приводит к ряду неприятных и даже тяжелых симптомов. Прогнозировать подобный ход развитий тяжело, так как отек начинается незаметно, но уже в первые сутки развивается настолько сильно, что клинические признаки невозможно не заметить. Исключение составляют только те пациенты, которые впоследствии инсульта находятся в бессознательном состоянии.

Сильная, нарастающая головная боль — один из первых симптомов отека мозга.
Итак, симптоматика отека мозга после острого нарушения кровообращения в мозгу такова:
- Самым первым симптомом является головная боль, которая постоянно нарастает, усиливается, становится нестерпимой. По характеру болезненные ощущения могут быть острыми или тупыми, давящими. Кроме того, если имеет место отек или припухлость, боль плохо реагирует на обезболивающие, стихания на несколько часов, затем возобновляясь;
- Отек головного мозга приводит к беспричинной тошноте и рвоте, то есть появление этих клинических признаков никак не связано с приемами пищи;
- Часто отечность провоцирует ухудшение зрения, больной не только начинает хуже видеть, картинка расплывчатая, в глазах может двоиться, появляться черные точки или зрительные блики, яркие пятна;
- Сбивается ритмичность дыхания, появляется одышка даже при минимальных нагрузках или состоянии покоя;
- Отек притупляет мозговую активность, наблюдается постепенное угасание умственных функций, начинаются расстройства психического характера, человек теряется в пространстве и времени, становится заторможенным и прочее;
- С прогрессированием отека, то есть в большинстве случаев уже на вторые сутки после инсульта, возможны утрата памяти, мышечные судороги, потери сознания и впадение в бессознательное состояние (кому).
Больше о симптомах и особенностях течения отека мозга вы узнаете здесь.
Прогнозирование
Понимая механизмы и причины развития отечности после инсульта, а также зная основную симптоматику, можно говорить о прогнозах. Важно понимать, что, когда речь идет про отек мозга при инсульте, прогноз предполагает наличие и других отклонений (речь, сознание, память, двигательные функции, паралич конечностей и т.д.). Также многое зависит от вида инсульта, его локализации, масштабов повреждений, возраста пациента.

Однако же, при благоприятных факторах, на первых этапах возникновения отека прогноз весьма оптимистичный. Если при появлении первых симптомов пациенту будет оказана соответствующая помощь, развитие отечности будет остановлено, а сам отек устранен, можно говорить о выздоровлении и восстановлении утраченных функций.
Но в тех случаях, когда развитие отека достигло пятого пункта из представленных выше или человек впал в кому, прогноз для жизни резко снижается. По статистике выживают только 40% всех больных, у которых отек после инсульта развился настолько сильно.
Процесс лечения
Ввиду того, что после инсульта отек развивается очень стремительно, действовать нужно быстро. Дабы выявить стадию прогрессирования патологического процесса, проводится диагностика в условиях стационара.
Если проблема была выявлена на начальных этапах развития, врачи чаще прибегают к консервативным методам лечения, то есть медикаментозной терапии, которая включает:
- Употребление обезболивающих препаратов для купирования основного симптома – головных болей;
- С целью нормализации состояния пациента, во избежание мышечных судорог, необходимы противосудорожные средства;
- Обязательным условиям для снижения отека является прием препаратов, способствующих улучшению кровообращения, дабы нормализовать естественный отток крови;
- Также с отечностью помогают справиться диуретики, то есть мочегонные средства, которые дают возможность усилить отток жидкости из организма, в том числе из тканей мозга.
Однако в тех случаях, когда патология была обнаружена поздно, приходится действовать более радикально, необходимо хирургическое вмешательство в следующих целях:
- Трепанация черепной коробки, что сразу же позволит снизить внутричерепное давление, а в дальнейшем устранить причину отека, если это возможно;
- После трепанации хирург сможет установить катетер для удаления излишков жидкости. Такие действия часто необходимы при геморрагическом инсульте.
Больше о видах хирургического вмешательства читайте здесь.
Как видите, отек головного мозга после инсульта – крайне опасный патологический процесс, который нередко приводит к летальному исходу, если вовремя его не обнаружить и не принять соответствующие меры. Процесс прогнозирования и успешности лечения в подобных случаях зависит от массы факторов и ложится на плечи лечащего врача.
insultinform.ru
разрастание тканей ввиду накопления жидкости
Отек головного мозга – неспецифичная патология, при которой наблюдается нарастание объема тканей из-за увеличения количества содержащейся в них жидкости. Данное патологическое состояние самостоятельным заболеванием не является, потому что образуется из-за воздействия всевозможных эндогенных и экзогенных факторов.

Заболевание такого типа представляет, обычно, серьезную опасность для жизни человека, потому что при его развитии начинают сдавливаться нервы, артерии, ткани, важные мозговые структуры, что неизменно приводит к нарушению работы ЦНС, зрительных и речевых центров, предстательной железы, а также множества других важнейших систем организма.
Этиология
Причин развития отека головного мозга у детей и взрослых может быть множество. Наиболее частыми из них являются:
- Инфекции (токсины повреждают нервную ткань, что и приводит к тому, что может возникнуть очаг воспалительного процесса).
- Травматизация мозга и позвоночника (например, отек мозга после аварии, оперативного вмешательства, сильного удара по голове, падения и т.д.). Место повреждения на голове после травмы в ДТП может сильно опухнуть, что обычно и происходит при ЧМТ.
- Опухолевые процессы (рак), в частности глиобластома и киста, локализованные в различных отделах мозга, которые приводят к проблемам с оттоком ликвора или смещению структур мозга.
- Геморрагический инсульт, проникновение крови в субарахноидальное пространство.
- Эмболия головных сосудов с одновременным возникновением ишемического инсульта.
- Сильное облучение радиацией.
- Отравление лекарственными средствами, ядами, токсинами (крайне опасно при беременности).
- Укус энцефалитного клеща (вероятность умереть при таком патологическом процессе велика).
- Наличие метастаз в мозге из-за ракового заболевания.
- Метаболическая энцефалопатия (наблюдается при тяжелом течении почечной или печеночной недостаточности, на последних стадиях алкогольной зависимости, при диабете).
- Эклампсия.
- Водная интоксикация.
- Некоторые виды прививок (вопрос спорный).
Случается так, что мозг зачастую начинает отекать у новорожденных детей, которые появились на свет недоношенными, либо при патологическом течении родов. В этом случае отек у младенцев травматический.
Мозг может начать отекать из-за воздействия целого ряда токсинов: бензин, этиловый спирт (и другие виды спиртов), фенол, цианид и т.д. Огромное количество медикаментозных средств, которые применяются для лечения различных заболеваний и дают выраженный нейротоксический эффект, в случаях передозировки также могут привести к токсическому отеку мозга. В эту категорию медицинских препаратов входят: транквилизаторы, нейролептические препараты, антидепрессанты трициклического действия, антигистамины.

Патогенез
Отек головного мозга развивается на фоне появления различных микроциркуляторных нарушений, которые формируются в месте дислокации патологического очага в мозговых структурах (после ишемического инсульта, травматизации головы, воспалительного процесса, опухолевого новообразования).
Начинается развитие местной перифокальной отечности. Если течение заболевания будет тяжелым, то в условиях отсутствия лечения или неправильного выбора терапевтической методики наблюдается появление нарушений функционирования сосудов.
Также поднимается гидростатическое внутрисосудистое давление. Из-за этих процессов часть крови выходит через сосудистые стенки, проникая в церебральные ткани. Это, в свою очередь, приводит к развитию генерализированного отека и последующего набухания мозга.
В развитии патологии, если говорить в общем, основную роль играют три основных триггера:
- Увеличение проницаемости сосудистых стенок в головном мозге.
- Артериальная гипертензия.
- Расширение сосудов, что становится причиной выраженного увеличения давления в капиллярах церебральной ткани.
Также стоит отметить наличие определенной склонности мозговых тканей к накапливанию жидкости, если имеется дефицит кровоснабжения.
У взрослого человека и у ребенка школьного возраста показатели внутричерепного давления варьируются в пределах от 4 до 16 мм.рт.ст. При кашле или чихании наблюдается увеличение давления у взрослых и малышей до уровня в 45-55 мм.рт.ст., однако данный кратковременный процесс не приводит к нарушениям в работе центральной нервной системы.
При развитии отечности в мозге внутричерепное давление стремительно растет из-за того, что увеличиваются церебральные ткани. В результате того, что патологическая зона начала отекать, сдавливаются сосуды, что становится причиной усугубления микроциркуляторных нарушений. На фоне всего этого также наблюдается развитие ишемии клеток мозга. В огромных количествах начинают гибнуть клетки нервной ткани из-за метаболических расстройств (обычно из-за дефицита кислорода). Миндалины мозжечка вклиниваются в зрительный и речевой центр, что приводит к сбоям в их работе. Причем внешне на голове возникает лишь небольшая припухлость (и то не всегда).

В случае стремительного увеличения внутричерепного давления также зачастую происходит перемещение церебральных структур, которые пролегают ниже опухоли. Существует вероятность ущемления мозгового ствола в затылочной части. В этой зоне располагаются терморегуляторный, сердечнососудистый, дыхательный центры. Именно поэтому при нарушении их работы может наступить смерть человека.
Виды отеков головного мозга
Перед тем, как рассказать о симптомах отека головного мозга, нужно отметить, что данная патология может развиваться в четырех основных формах:
- Цитостатическая.
- Вазогенная.
- Осмотическая.
- Интерстициальная.
Чаще всего у людей бывает вазогенный отек, который начинает развиваться на фоне увеличения уровня проницаемости гематоэнцефалического барьера. Важный патологический процесс при этом заболевании – переход жидкости из сосудов в белое вещество мозга. Отечность в этом случае обычно начинает появляться в месте опухолевого процесса, ишемии, зоне проведения операции или абсцессных проявлений.
Цитостатическая форма – это следствие нарушения работы глиальных клеток, а также расстройств при процессах осморегуляции нейронных мембран. Развитие наблюдается обычно в сером веществе. Основные причины отека головного мозга в этом случае: интоксикация, ишемия, дефицит кислорода в мозговых тканях, проникновение вирусов. Отчасти лечением данной патологии занимаются специалисты в области неврологии.

Осмотическая форма проявляется при увеличении осмолярности церебральных тканей. При этом практически никогда не нарушается нормальное функционирование гематоэнцефалического барьера. Развивается заболевание на фоне энцефалопатии, неправильно проведенного гемодиализа, полидипсии, утоплении.
Интерстициальная форма примечательна тем, что отек начинает формироваться возле церебральных желудочков, когда часть спинномозговой жидкости начинает проникать через их стенки.
Симптомы
Несмотря на причины и последствия отека головного мозга, в любом случае клиника заболевания будет включать в себя очаговую и общемозговую симптоматику. Очередность появления признаков патологии будет зависеть от первопричин развития кровоизлияния. Форма заболевания может быть молниеносной (требуется немедленная помощь, ведется настоящая борьба за выживание больного, высока вероятность летального исхода) и постепенной (есть небольшой временной промежуток, который позволяет без проблем не допустить гибели пациента).
К основным симптомам мозговой гематомы отечного типа можно отнести:
- Помрачнение сознания. Этот признак будет проявляться в любой случае, вне зависимости от причин заболевания. Помрачнение сознания может быть по-разному выражено: приступы эпилепсии, стопорное состояние, сопор, кома, помутнение сознания, обморок. Развитие отечности всегда будет сопровождаться наращиванием глубины обморочного состояния человека.
- Боли в голове. Головные боли в результате развития отека наблюдаются только у тех пациентов, которые имеют в анамнезе острую форму какой-то патологии мозга.
- Симптоматика менингита. При развитии воспаления, опухоли, отека в мозговых структурах часто проявляются менингеальные симптомы. Должно настораживать их наличие у пожилых пациентов, т.к. подобная симптоматика для них крайне опасна.
- Очаговая симптоматика. Обычно признаки такого типа регистрируются на стадии развития отечности. У больного может быть нарушено движение конечностей, развивается паралич половины туловища и лица. Также зачастую наблюдаются проблемы с работой зрительного и речевого центра, визуальные и звуковые галлюцинации, сложности с координацией движений. Традиционно отек мозга, приводящий к потере сознания больным, приводит к невозможности ведения высшей нервной деятельности.
- Судороги. По мере увеличения зоны отечности могут проявиться непродолжительные судороги, которые длятся всего несколько минут. Высшая степень этого симптома – развитие мышечной атонии.
- Снижение АД, нестабильный пульс. Опасная симптоматика, которая наглядно свидетельствует о том, что отек распространяется на ствол, где находятся основные центры ЦНС, отвечающие за жизнедеятельность организма.
Последствия отека мозга будут напрямую зависеть от терапевтического влияния, формы патологии, возраста пациента и ряда других факторов. Причем крайне сложно ликвидировать отек полностью (это возможно только у больных молодого возраста). Чаще всего отечность не удается убрать полностью, поэтому последствием заболевания является инвалидность.
Диагностика
Для диагностики заболевания используются различные современные методы: МРТ, КТ, УЗИ и многие другие. Если форма патологии не молниеносная, то заподозрить наличие заболевания может невролог, который отметит прогресс ухудшения состояния больного, наращивание процессов нарушения сознания вместе с симптоматикой менингита.
Чтобы подтвердить диагноз, используются методы магнитно-резонансной и компьютерной томографии.
Люмбальная пункция выполняется далеко не во всех случаях, потому что есть определенная опасность, что церебральные структуры в результате развивающегося отека сменили свое местоположение одновременно со сдавливанием ствола. Также помогают в постановке диагноза: биохимия крови, сбор анамнеза, анализ неврологического статуса, нейровизуализирующие обследования.

Учитывая тот факт, что отек головного мозга вызывает серьезные осложнения, а сам пациент зачастую нуждается в неотложной помощи, диагностирование должно отнимать минимальное количество времени. Диагностика выполняется в условиях стационара с одновременным проведением всех необходимых терапевтических мероприятий. После больного помещают в реанимацию или интенсивную терапию.
Лечение
Если у человека после ДТП, удара, падения или по любой другой причине проявляются признаки отека мозга, то необходимо предпринять целый комплекс мер. При выраженной симптоматике требуется обеспечить приток свежего воздуха к больному, проследить за тем, чтобы в дыхательный тракт не попали рвотные массы.
При наличии высокой температуры рекомендуется охладить голову пакетиком льда. За счет этого также произойдет расширение сосудов, что позволит обеспечить улучшение циркуляции крови. Если есть такая возможность, на человека надо обязательно надеть кислородную маску.
Сразу после оказания первой помощи больного необходимо транспортировать в больницу в лежачем состоянии.

При лечении отека мозга зачастую применяется дегидратационная терапия, с помощью которой из тканей выводится лишняя жидкость. Для проведения терапии используются следующие лекарства:
- Петлевые диуретики (в высокой дозировке, что позволяет обеспечить формирование выраженного мочегонного эффекта).
- Осмотические диуретики (обычно назначаются сразу после постановки диагноза, вместе с петлевыми препаратами осмотические лекарства позволяют обеспечить качественный эффект дегидратации).
- Гиперсмолярные растворы (увеличивают давление плазмы, улучшают работу диуретиков, обеспечивают снабжение нервных клеток полезными веществами).
- L-лизина эсцинат (позволяет вывести лишнюю жидкость из мозговых тканей без выраженного мочегонного действия, снижает симптомы отечности во внутримозговом пространстве, снимает выраженность воспаления).
При отеке мозга крайне важно быстро установить причину развития патологии, а также начать лечение сопутствующей симптоматики. Поэтому после поступления в реанимацию врачи отслеживают у пациента работу сердца, симптомы интоксикации, температуру тела, проводят лечение антибиотиками, выводят токсины из организма, удаляют опухолевые новообразования.
Также медики часто делают операции по дренированию ликвора (для этого формируются обходные пути для течения спинномозговой жидкости). С точки зрения хирургии, эта процедура позволяет уменьшить внутричерепное давление, снизить отечность, частично обеспечить удаление отека. В послеоперационный период показана длительная реабилитация. При наличии онкологии (если это стало причиной появления отека) обязательно проводится лучевая терапия.

Лечить отек мозга народными средствами в домашних условиях нельзя – при наличии подозрения на такую патологию больному оказывают неотложную помощь и отправляют в реанимацию, терапия в которой может длиться не один день. Убрать внутреннюю гематому народными средствами не получится. При отсутствии адекватного лечения в течение нескольких дней после начала развития патологии больные с высокой долей вероятности погибают из-за возникающих осложнений.
Восстановление
Процессы возникновения осложнений, их тяжесть и выраженность, будут напрямую зависеть от качества и оперативности оказания медицинской помощи. Восстановительные мероприятия после проведенной операции осуществляются в стационаре. Если в процессе развития отечности головного мозга были задеты зрительный и речевой центры, зона опорно-двигательного аппарата, то человеку придется заново учиться ходить и говорить.

Последствия после острой стадии заболевания не всегда будут серьезными, но в ряде случаев есть вероятность и летального исхода. Патология такого типа, с учетом индивидуальности клинических проявлений, множества причин возникновения, практически всегда остается непредсказуемой для врачей, поэтому в любом случае всегда рассматриваются три основных пути течения заболевания:
- Последующее развитие патологии, сдавливание мозговых структур отеком, смерть человека.
- Устранение отечности, инвалидность пациента.
- Ликвидация отека без каких-либо серьезных последствий.
По мировой статистике, пять из десяти пациентов, у которых был диагностирован отек мозга, умирают в течение нескольких суток после начала развития патологического процесса.
vsepromozg.ru
Отек головного мозга — ЗдоровьеИнфо
Почему возникает отек головного мозга, чем он грозит и как его предотвратить.

Мозг отвечает за все функции организма, поэтому, если он «выходит из строя», это влечет за собой множество проблем со здоровьем.
Что такое отек головного мозга?
Отек мозга – это ответная реакция организма на чрезмерные нагрузки или инфекцию. Обычно отек развивается очень быстро, однако так же быстро исчезает, если вовремя наложить лед или удалить избыточное количество жидкости. Если же отек мозга является результатом травмы или заболевания, вылечить его гораздо сложнее.
Для описания этого состояния также используется термин «повышенное внутричерепное давление», а также «церебральная эдема». Его суть заключается в том, что внутри черепной коробки повышается давление, в ответ на это нарушается мозговое кровообращение, а это, в свою очередь, приводит к отмиранию клеток мозга.
Причины отека головного мозга
Травма, болезнь, инфекция и даже перепад высот – любая из этих причин может привести к отеку мозга.
Черепно-мозговая травма (ЧМТ) – механическое повреждение внутричерепных структур. Возникает вследствие удара, падения, аварии. Зачастую ЧМТ осложняется ранением мозга отломками кости. Слишком сильный отек, в свою очередь, препятствует оттоку жидкости из ткани мозга.
Ишемический инсульт – наиболее распространенный тип нарушения мозгового кровообращения в результате образования тромба. В этом случае клетки мозга, не получая должного количества кислорода, начинают отмирать, и развивается отек.
Геморрагический инсульт – результат повреждения кровеносных сосудов мозга. Возникшее внутримозговое кровоизлияние приводит к повышению внутричерепного давления. Чаще всего геморрагический инсульт развивается из-за повышенного артериального давления, среди других причин – травма головы, прием некоторых лекарственных препаратов, а также врожденные пороки развития.
Инфекционные заболевания:
• Менингит – воспаление оболочки головного мозга, вызванное бактериями, вирусами и другими микроорганизмами, а также приемом некоторых медикаментов.
• Энцефалит – воспалительное заболевание мозга, вызванное группой вирусов, переносчиками которого обычно являются насекомые. Похожее состояние – энцефалопатия – наблюдается при синдроме Рейе.
• Токсоплазмоз – паразитарное заболевание, способное поразить ребенка еще в утробе матери. В группу риска входят также грудные дети и люди с ослабленной иммунной системой.
• Субдуральный абсцесс (Субдуральная эмпиема) представляет собой гнойную инфекцию (осложнение другого заболевания, например, менингита или синусовых инфекций), которая, быстро развиваясь, становится причиной отека мозга и препятствует оттоку жидкости из его тканей.
• Опухоль. Разрастаясь, она сдавливает участок мозга, нарушая кровообращение и вызывая отек окружающей ткани.
• Перепад высот. По неподтвержденным данным, высота более полутора километров над уровнем моря способна стать причиной отека мозга, что наблюдается при острой форме горной болезни (так называемый высокогорный отек мозга).
Симптомы отека мозга
Симптомы отека мозга варьируются в зависимости от причины и тяжести состояния. Как правило, признаки заболевания развиваются внезапно:
• Головная боль
• Боль или онемение в области шеи
• Тошнота, рвота
• Головокружение
• Неравномерное дыхание
• Нарушения зрения
• Амнезия
• Нарушение равновесия и походки (атаксия)
• Затруднение речи
• Понижение уровня сознания (ступор)
• Судороги
• Потеря сознания
Диагностика отека мозга
Выбор методов диагностики зависит от симптомов и предварительного диагноза. Общие обследования и тесты, используемые для диагностики отека мозга:
• Обследование шейно-головного отдела
• Неврологическое обследование
• КТ головного мозга – с целью определения величины и локализации отека
• МРТ головного мозга – с целью определения величины и локализации отека
• Анализ крови для определения возможных причин отека
Лечение отека мозга
Иногда симптомы отека головного мозга (например, вследствие легкой формы горной болезни или небольшого сотрясения) проходят самостоятельно через несколько дней. Однако в более серьезных случаях требуется незамедлительная медицинская помощь.
Лечение с помощью комбинации хирургических и медикаментозных методов направлено на снабжение мозга кислородом. В результате отек уходит. Как правило, своевременная терапия способствует более раннему и полному выздоровлению и заключается в следующем:
• Оксигенотерапия – искусственное введение кислорода в дыхательные пути (через ингалятор или другие приспособления). В этом случае насыщенная кислородом кровь лучше питает поврежденный мозг.
• Внутривенное вливание. Внутривенное введение лекарственных препаратов позволяет поддерживать давление и кровоток в норме, а также помогает бороться с возможной инфекцией.
• Понижение температуры тела (гипотермия) является эффективным методом коррекции отека мозга. Однако в настоящее время он используется еще недостаточно широко.
Лекарственные препараты. В некоторых случаях при отеке мозга назначаются медикаменты. Их выбор определяется в зависимости от причины и симптомов, сопровождающих развитие отека.
Вентрикулостомия представляет собой дренаж цереброспинальной жидкости из желудочков головного мозга через катетер. Данная операция выполняется для уменьшения повышенного внутричерепного давления.
Целью хирургического вмешательства при отеке мозга могут быть:
• Удаление фрагмента кости черепа, чтобы уменьшить внутричерепное давление. Эта операция называется декомпрессивной краниэктомией.
• Устранение причины отека, например, восстановление поврежденного кровеносного сосуда или удаление новообразования.
Осложнения отека головного мозга
Как правило, отек мозга имеет отдаленные последствия. Проблемы, с которыми вы можете столкнуться в будущем, зависят от тяжести и локализации повреждения. Возможно, это будут:
• Нарушения режима сна
• Рассеянность
• Нарушения двигательной активности
• Головные боли
• Депрессия
• Нарушения коммуникативных способностей
Конечно, врачи постараются свести к минимуму все эти негативные последствия.
Профилактика отека головного мозга
Чтобы избежать такой серьезной проблемы, как отек мозга, необходимо не забывать о правилах безопасности в повседневной жизни. Вот несколько простых правил:
• Всегда надевайте защитный шлем, когда вы ездите на велосипеде или на роликах, занимаетесь контактными видами спорта – выполняете какие-либо действия, при которых можно получить травму головы.
• Не забывайте о ремнях безопасности в автомобиле.
• Контролируйте и поддерживайте в норме артериальное давление.
• Не курите.
• Поднимаясь в горы, давайте себе время на акклиматизацию к высоте.
www.zdorovieinfo.ru

