что делать при сильной и острой зубной боли в домашних условиях
Боль – это индикатор неблагоприятных изменений в организме, многие из которых могут привести к летальному исходу. Чем сильнее интенсивность симптома, тем опаснее бездействие. И к зубной боли это относится не меньше, чем к любой другой – ее следует воспринимать как призыв к незамедлительному лечению. Поэтому каждый должен знать, что нужно делать, если болит зуб или десна.

Причины и соответствующая терапия
Зубная боль имеет стандартную природу: когда происходит раздражение чувствительных рецепторов, формируется импульс, который передается через нервные волокна к определенным зонам головного мозга. Рецепторы, которые отвечают за образование болевого импульса, находятся в пульпе, дентинных канальцах и периодонте. Они могут раздражаться по самым разным причинам.
Кариес
Очень часто зуб болит из-за разрушения эмали вследствие ее деминерализации. На начальных стадиях процесс протекает бессимптомно. Лишь изредка может возникать легкая оскомина, что связано с повышенной чувствительностью пораженных участков.
Чтобы предотвратить дальнейшее разрушение тканей, болезнь нужно лечить. На ранней стадии достаточно реминерализующей терапии, которая сопровождается применением специальных растворов, пленок, зубных паст и иных препаратов, содержащих фосфат, фтор и кальций. Для предупреждения неприятных симптомов стоит отказаться от употребления раздражающей пищи: чрезмерно острой, кислой, соленой, холодной или горячей.

Сильные боли в зубе начинают мучить человека с того момента, когда кариозные разрушения достигают эмалево-дентинной границы. Орган реагирует на любые раздражители: холод, пищу, напитки. Если устранить их, неприятные ощущения тут же исчезнут. Однако для полноценного лечения придется обратиться к стоматологу, который прочистит кариозную полость, промоет ее антисептиками и запломбирует дырку. Процедура осуществляется всего за одно посещение.
Пульпит
Это воспаление сосудисто-нервного пучка, расположенного внутри зуба. Чаще всего заболевание проявляется из-за незалеченного вовремя кариеса. Микробы и токсины проникают к нерву и воздействуют на его ткани, провоцируя их отек и прогрессирующий некроз.
Простыми словами, пульпа постепенно «набухает» и сильно прижимается к стенкам камеры. Нервные окончания сдавливаются, в результате чего и возникает острая боль в зубе. В домашних условиях ее снять можно только с помощью мощных обезболивающих средств.
Чтобы остановить инфекционный процесс, поразивший нерв зуба, и ликвидировать сильную боль, врачи делают следующее:
- Анестезируют болезненный участок.
- Вскрывают пульповую камеру.
- Удаляют нерв.
- Прочищают каналы внутри корня.
- Промывают их и пломбируют.
- Ставят пломбу на коронку.
Периодонтит
Заболевание является осложнением пульпита, гингивита, пародонтита. Либо развивается вследствие некачественных врачебных манипуляций, из-за вредных привычек, несоблюдения гигиены.

При периодонтите воспаляются ткани вокруг корня. В каналах все еще находится погибшая пульпа либо ее остатки. Гнойное содержимое канала устремляется к десне, что и провоцирует острую зубную боль. Настолько резкую и сильную, что до органа даже невозможно дотронуться.
При периодонтите требуется неотложная медицинская помощь. Стоматолог вскроет канал и оставит его открытым на некоторое время, чтобы гной смог выйти наружу. Пациенту могут быть назначены содовые либо солевые полоскания, благодаря которым микробы перестанут размножаться, и воспаление пройдет.
Прорезывание зуба мудрости
При прорезывании последнего в ряду зуба под десенным капюшоном возникает сильная боль, которая нередко распространяется на щеку, челюсть, горло и/или ухо. Полоскания и таблетки способны помочь лишь на короткое время, но саму проблему не устранят. Поэтому надо обращаться прямиком к челюстно-лицевому хирургу.
Если зуб растет правильно, делается иссечение десенного капюшона, чтобы облегчить прорезывание. Однако очень часто зубам мудрости не хватает места в сформированном ряду, что вызывает различные осложнения, сопровождающиеся воспалительными процессами.
Последние нередко приводят к развитию флегмоны, сепсиса и даже к смерти. Поэтому резать десну нужно не всегда. Единственный способ предотвратить риски и оградить человека от мучений – удалить проблемный зуб.

Почему ноет зуб под пломбой
Пломба, которую поставили 6–7 лет назад, могла продавиться. Если пульпа все еще жива, а прилегание пломбы к краям зуба нарушилось, он будет сильно болеть под воздействием любого раздражителя.
Орган, запломбированный в каналах, обычно не беспокоит. Боль может возникнуть лишь в следующих случаях:
- Если зуб заболел через некоторое время после стоматологической процедуры – нарушилась герметичность старой пломбы, и в уже изолированные каналы проникла инфекция.
- Если мгновенно или почти сразу после процедуры – была допущена врачебная ошибка. К примеру, канал запломбирован не полностью, и в нем осталась инфекция. Или произошел отлом инструмента, что спровоцировало воспаление на корне.
Какой бы ни была причина возникновения боли под пломбой, лечить ее на дому нельзя. Следует немедленно обратиться к врачу, поскольку это верный признак запуска патологического процесса.
Болит и шатается коренной зуб: что делать
Подвижность объясняется по-разному, но самая распространенная причина – развитие пародонтита. Это воспаление десны, при котором нарушается зубодесневое крепление.

При такой патологии требуется профессиональная помощь. Но если коренной зуб ужасно болит, можно облегчить состояние посредством Камистада, Калгеля, Холисала или Солкосерила – гелей, которые помогают снять воспаление и обезболить десны.
Почему резко заболел мертвый зуб
Мертвый зуб – тот, у которого либо погибла, либо была удалена пульпа. Многие считают, что он не может разболеться, так как нерв отсутствует и не выполняет свои функции. Но все не совсем так: при периодонтите нерв на самом деле погибает, однако, он остается в пульпе и разлагается. Постепенно гной перемещается к корню, и окружающие его ткани воспаляются. Потому и возникает очень сильная зубная боль.
Мертвый зуб может стать чувствительным из-за развития осложнений в процессе или после лечения каналов. Такое происходит по четырем причинам:
- Излишнее выведение материала для пломбировки за пределы корня.
- Пропуск одного или нескольких каналов.
- Некачественная обработка каналов.
- Аллергия на пломбировочный материал.
Если сразу после лечения каналов у пациента сильно болит зуб – у него развился постпломбировочный синдром, который должен пройти максимум через две недели и обычно стихает с каждым днем. Если же нытье слишком сильное и не имеет тенденции к уменьшению, стоит обратиться к врачу повторно, чтобы устранить допущенные ранее ошибки.
Какие зубы подлежат обязательному удалению
При кариесе и пульпите больные зубы всегда сохраняют. Иначе обстоит дело при периодонтите. Острые формы этого заболевания вылечить несложно, а вот наличие кист часто служит поводом для удаления.
Так же поступают при затрудненном прорезывании зубов мудрости, поскольку рассечение на десенном капюшоне не может дать гарантий, что у пациента не разовьются иные патологии. Среди возможных: переплетение корней восьмерок с корнями других моляров, кривой рост, повторное нарастание капюшона. Любые дефекты могут привести к зарождению серьезного воспалительного процесса.
Удаление больного зуба часто назначается при таких заболеваниях:
- Остеомиелит.
- Периостит.
- Абсцесс.
- Флегмона.
- Другие ярко выраженные гнойные процессы.
- Близкое расположение воспаленных корней и гайморовой пазухи.

Как быстро снять ужасную зубную боль
Первое, что надо сделать при возникновении зубной боли, – прополоскать рот. В межзубных промежутках и кариозных отверстиях могли застрять остатки пищи, которые и спровоцировали развитие неприятного симптома. Для их устранения, а заодно и смягчения сильной боли в зубе, можно сделать содовый или солевой раствор.
Следует отказаться от сладкого, острого, кислого, холодного и горячего. Нельзя лежать: это сконцентрирует внимание на дискомфорте и усилит приток крови к челюсти, что приведет к еще сильнейшему раздражению нервных волокон. Класть на больной зуб раскаленную соль и использовать горячие компрессы не стоит по той же причине.
Чем можно полоскать рот
Эффективным лекарством против зубной боли являются самодельные растворы. Народная медицина предлагает массу рецептов. Вот лишь некоторые из них:
- Две столовые ложки соли залить стаканом теплой воды и перемешать.
- Растворить в крутом кипятке 2 ст. л. пищевой соды и охладить полученную смесь до комнатной температуры.
- Соединить 2 ст. л. аптечного шалфея и 200 мл крутого кипятка. Настоять в течение получаса и процедить.
- Насыпать в кастрюлю 20 г. дубовой коры, налить 200 мл воды и поварить смесь около 20 минут. Процедить и разбавить кипятком так, чтобы получился целый стакан жидкости.
- Три столовые ложки цветков ромашки отварить в небольшом количестве воды в течение двух минут. Снять смесь с плиты и охладить до комнатной температуры. Прежде чем полоскать рот, добавить в отвар немного меда.
- Соединить 2 ч. л. спиртовой настойки прополиса и 200 мл. теплой воды, перемешать.
- Прополоскать рот обычной водкой. Проглатывать алкоголь нельзя, так как он несовместим со многими лекарственными препаратами.
- Залить кипятком 1 ст. л. осиновой стружки, проварить 2 минуты, настоять еще 40 и процедить.
- Измельчить репу. Взять 2 ст. л. полученной кашицы и погрузить в кипящую воду. Через полчаса снять смесь с огня и процедить.
Когда зуб болит несильно, можно делать отвары и из обычного чая. Лишь бы полоскание осуществлялось изнутри, и теплым, а не горячим средством.
Греть больное место снаружи нельзя! От применения бутылок с кипятком, грелок и горячих компрессов может «раздуть» всю щеку. И тогда исправить ситуацию смогут только челюстно-лицевые хирурги.
Что положить на зуб, чтобы он не болел
Справиться с зубной болью в домашних условиях можно с помощью любых продуктов, которые обладают обезболивающими свойствами. Среди таковых:
- Чайная заварка. Смочите в кипятке щепотку заварки или чайный пакетик и положите на больной зуб. Через час-другой дискомфорт пройдет, а поспособствуют этому дубильные вещества, которыми богат продукт.
- Чеснок. Измельчите большой зубчик и приложите полученную кашицу к больному зубу. Зафиксируйте с помощью кусочка ваты. Благодаря фитонцидам овощ хорошо справляется с воспалением и его проявлениями. Для усиления эффекта массу можно подсолить.
- Мята. Промойте пару листочков и очень тщательно разжуйте той стороной, где болит зуб. Это отличное народное средство против боли, так как лекарственное растение снижает воспаление и нормализует кровообращение в слизистой оболочке ротовой полости.
- Черный перец. Смочите кусочек ваты и посыпьте ее смесью соли и молотого перца. Приложите компресс к больному месту, и буквально через час зуб перестанет ныть.
- Картофель. Помойте, очистите, мелко натрите, подсолите и приложите к воспаленной десне. Корнеплод снимает припухлость и отечность, что снижает болезненность.
- Огурец. Протереть свежий овощ и положить полученную кашицу на больной зубик. При желании массу можно подсолить.
- Лук. Мелко измельчить и оставить возле воспаленной десны. Овощ богат фитонцидами, которые обладают антимикробным действием.
- Эфирные масла. Капнуть немного гвоздичного, пихтового, шалфейного или мятного масла на тампон и приложить к пораженному месту. Если зуб болит очень сильно, можно делать такие компрессы и помещать их прямо в дырку.
Забавный рецепт! Попробуйте погреть ноги в горячей воде. Манипуляции усилят кровообращение в организме, что ускорит обмен веществ и поспособствует более быстрому выведению токсинов из пульпы. Иногда этот бытовой способ действительно дает нужный эффект.
Какие таблетки помогают, когда болит зуб
Зуб может разболеться внезапно и в самый неожиданный момент: во время романтического вечера, ночью, на работе или по пути на курорт. Не всегда под рукой есть продукты, из которых можно приготовить хорошее народное средство. Поэтому неплохо бы иметь при себе мощный анальгетик.
Перечень обезболивающих препаратов, которые помогают, когда болит зуб:
- Найз. Активное вещество – нимесулид. Лекарство способно снять воспаление, припухлость и отечность десен. Быстро справляется даже с самыми сильными спазмами: боль проходит уже через 10 минут после приема одной таблетки. Максимальная суточная доза – 200 мг. Медикамент противопоказан беременным и детям. Может спровоцировать такие побочные эффекты, как тошнота, рвота, боль в животе, помутнение сознания и сыпь.
- Парацетамол. Весьма сильное средство, после приема которого не только проходит зубная боль, но и снижается температура тела, нередко возрастающая на фоне воспалительных процессов. Препарат вреден для почек, поэтому принимать его следует в минимальных дозировках. Взрослому человеку нельзя выпивать более двух грамм парацетамола в день.
- Анальгин. Активное вещество – метамизол натрия. Лекарство способно помочь только при болевом синдроме слабой либо средней степени. Не подходит для длительного применения и запрещен во многих развитых странах из-за сильнейшего угнетающего воздействия на глаза и сердце.
Кеторол. Лучшее лекарство от резкой боли. Оно обязательно справится с симптомом. И все благодаря кеторолаку – веществу, оказывающему выраженное системное воздействие. На его основе производят и другие препараты для обезболивания, к примеру, Кеторол, Кредофарм, Кетанов и Кетонорт. Кеторолак провоцирует побочные эффекты практически после каждого приема, поэтому его нельзя принимать более двух раз. Затем следует переходить на щадящее симптоматическое лечение.- Ультракаин. Если в зубе есть полость, можно положить в нее ватку, смоченную в препарате. Внутримышечную инъекцию должен делать врач, даже если зубная боль очень сильная и обстоятельства позволяют обойтись своими силами.
После приема лекарственного средства проходит только боль, причина ее возникновения остается. Поэтому рано или поздно всем приходится обращаться к врачу. И лучше сделать это побыстрее – пока еще можно спасти зуб.
Что делать, чтобы зуб никогда не заболел
Сохранить здоровье зубов, чтобы никогда не страдать от связанного с их разрушением болевого синдрома просто. Нужно соблюдать всего три правила «НЕ»:
- Не злоупотреблять сладостями и раздражающей эмаль пищей.
- Не забывать чистить зубы как минимум дважды в день: вечером и утром.
- Не игнорировать зубную нить, необходимую для удаления остатков пищи из межзубных промежуток.
И не забывайте посещать стоматолога хотя бы один раз в год. Своевременно обнаруженный кариес залечить куда проще и безболезненней, чем пульпит или, что еще хуже, флегмону.
stomaget.ru
Как побороть зубную боль
Зубная боль — малоприятный недуг. Тем более, боль усиливается по причине того, что появляется внезапно. Если начали ощущаться ноющие признаки, не стоит паниковать и волноваться. Так как ноющую боль можно уменьшить и успокоить с помощью домашних лекарств, которые есть у каждого.
Зубная боль – самый жестокий вид боли у человека. Можно выделить 5 этапов для ослабления, избавления от зубной боли.
Обеззараживание
Известно, что если ноет зуб, это сигнализирует о неблагоприятном здоровье полости рта. Вследствие этого основным шагом к снижению болезненных симптомов считается обеззараживание ротовой полости. При основных симптомах зубной боли необходимо мягко чистить их, удаляя частички пищи с поверхности зубов, из зазоров между зубами и зубных полостей, в случае если этакие наблюдаются.
В случае, если наблюдаются болевые ощущения при чистке зубов щеткой, можно воспользоваться особым аптечным раствором для полоскания или раствором, приготовленным в домашних условиях: пищевая сода, разведенная в кипяченой воде. Также эффективным считается продукт пчеловодства — прополис. Маленький кусок прополиса прикладывают к болезненному месту в полости рта. В состав входят вещества, которые помогут вскоре снять боль.
Некоторые используют корицу от зубной боли. Палочку корицы измельчают, смешивают с медом и прикладывают к десне. Также можно воспользоваться подорожником. К больному месту прикладываются корневая часть, ствол, листья. Хорошо вымытый корень можно вкладывать в ушную раковину, где чувствуется боль. Зачастую спустя тридцать минут начинается утихание боли.
Некоторым помогает смесь чеснока, соли и лука. Растительные компоненты мельчат в кашицу, складывают в несколько слоев марли и прикладывают около источника боли. При внешнем использовании чесночной половины зубчика можно натереть то пространство на внутренней стороне кисти рук, где измеряют пульс. Также чеснок неострый можно привязать к запястью, замотав в бинт. При этом если боль справа, нужно прикрепить к левой руке, и наоборот.
Справиться с ноющей болью в полости рта помогут эфирные масла, а именно гвоздика, кориандр, лаванда, мята, пихта. Анальгезирующим свойством обладает масло зверобоя. Нужно немного смочить маслом компресс и приложить к зубу, сжав рот.
Ополаскивание полости рта
Наилучшим лекарством для терапевтического полоскания в семейных традициях при недоступности фармацевтических средств считается чай, особенно зеленый. Можно самим сделать напиток, засыпав одну чанную ложку зеленого чая на один стакан кипятка. Далее необходимо остудить, чтобы раствор стал теплым, и можно приступать к полосканию. Нужно набирать в рот мелкие порции чая, держать примерно тридцать секунд в районе зубной боли, выплевывать и снова набирать свежий глоток. Также можно полоскать полость рта антисептическим средством — отваром ромашки, подорожника, шалфея.
Снижение температуры полости рта
Болевые ощущения увеличиваются с ростом температуры тела. Увеличивается кровяное давление на больное пространство. Снизить такие симптомы поможет остывание. Мороз заглушает боль и понижает приток крови. Обычным методом охлаждения зуба являются прохладные примочки на болезненную щеку. Также полезно рассасывать в районе больного зуба кубики льда, если зубы не восприимчивы к ледяной температуре.
Замораживание
Прежде чем приступить к лечению десны, сначала нужно, чтобы нервы заморозились, окаменели. В медицинских учреждениях этот метод применяют с помощью особых смесей. Таким образом, в домашних условиях, несомненно, поможет спирт, а именно водка. Ее можно и не выпивать, не глотать. Задержав глоток во рту в районе ноющего зуба, можно заледенить десну, купируя нерв.
Массирование
Массирование различных частей тела может помочь успокоить болевой синдром различного характера. Это можно объяснить тем, что давление на определенные зоны туловища порождает и отправляет позывы вдоль нервных окончаний, по которым проходит пик болезненности. А боль притупляется потому, что нервные окончания готовы проводить лишь однажды импульс.
Нужно потереть кожистую перепонку между большим и указательным пальцем, аккуратно на нее надавив. Манипуляция может продолжаться минут пять. Можно также воспользоваться кусочком льда.
Нужно массажировать ушную раковину, надавливая на верхнюю часть и мочку уха с больной стороны. Последующее массирование должно продолжаться не менее пяти минут.
Важно запомнить, что когда болят зубы, запрещается использовать горячую пищу и напитки и особенно использовать разогревающие примочки. Также по возможности не использовать обезболивающие лекарства, анальгезирующие, например, седальгин, кеторол и прочие. От таких лекарств больше вреда для организма, чем помощи.
med.vesti.ru
быстрое снятие боли, правила лечения
Зубная боль – изматывающее состояние, которое выведет из равновесия даже самого стойкого. Терпеть боль, пытаться заглушить ее любыми способами – тактика не из лучших. Любая боль является сигналом: пора бежать к врачу. Зубная боль не является исключением, и терпеть ее иногда даже опасно.

Что делать при сильной зубной боли
Но случается, что настигает эта боль человека в ситуации, когда о приеме у врача мечтать не приходится. Например, выпало это на выходной день, или произошло на отдыхе, или просто далеко от того места, где принимает доктор. Действовать нужно самому, с максимальным хладнокровием и разумным подходом.
Почему могут болеть зубы
Содержание статьи
Резкой, острой, неожиданной болью характеризуется пульпит. Воспалительные реакции в зубной полости сказываются на состоянии нервно-сосудистого пучка. Воспаление пульпы раздражает нервные окончания, человек испытывает сильнейшую боль. Если на этот пораженный участок попадает горячее либо холодное, болезненность может усилиться, появятся пульсирующие ощущения.

Зубная боль – это признак воспалительного процесса в ротовой полости
Почему еще могут болеть зубы
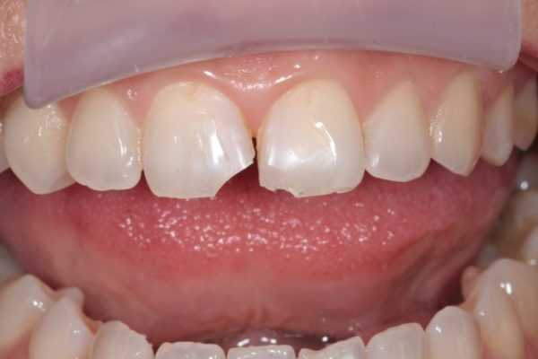
- Скол либо трещина. Эти нарушения целостности зуба могут привести к стреляющей, очень резкой боли. Боль даст знать о себе сразу после травмы, а может быть и отсроченной.

Скол
- Дупло в зубе. При попадании туда остатков пищи, загнивании их, может появиться тупая боль разной силы.

Дупло в зубе
- Периодонтит. При этом недуге обнажена самая, пожалуй, болезненная зона зубной единицы – шейка. В привычном своем состоянии она находится под защитой десенного пространства, а при воспалительном процессе оголена. Боль при этом резкая, пульсирующая.

Хронический периодонтит
- Воспаление десен при прорезывании зубов. Так у детей это случается на первом году жизни, когда один за другим прорезываются молочные зубы. А вот у взрослых это может случиться при прорезывании зуба мудрости. Часто боль сопровождают ноющие или стреляющие ощущения в виске.

Воспаление десен при прорезывании зубов
Бегите к врачу при любой возможности. Не стоит ждать, пока найдется талончик к своему доктору. Важно найти очаг боли, установить проблему, нейтрализовать ее. Терпеть боль нельзя!
Как снять боль таблетками
Первым решением при сильной зубной боли становится логичное желание принять таблетку. Поискать в аптечке что-то подходящее придется, потому что вынести резкую боль вряд ли кто-то сможет.
Что поможет при сильной зубной боли
- Ибуфен, Нурофен либо Ибупрофен – могут снять боль на 5 часов, или приглушить ее. С разрешения врача в правильной дозировке принимать эти лекарства могут беременные и кормящие.

Ибупрофен
- Анальгин. Только если другого средства под рукой нет. Часто пить Анальгин нельзя: увеличивается нагрузка на сердце.

Анальгин
- Парацетамол. Может снять боль или приглушить ее, а также приостановить воспалительный процесс. Не смешивать прием таблеток с приемом алкоголя (в любых дозах).

Парацетамол
- Аспирин. Его можно положить в кариозную полость, но боль стихает через полчаса. Обычно используется это средство только перед предстоящим удалением, когда зуб уже не подлежит терапии.

Аспирин
- Кеторолак, Кетанов. Устраняют сильные боли. Действует средство в течение 50 минут. Беременным и кормящим матерям нельзя эти лекарства.

Кетанов
Валидол или Корвалол можно приложить в десне, где чувствуется пульсация. Сердечные капли на ватном диске тоже прикладываются к больной области. Используется такой способ как разовая мера.

Валидол
Помните, что ни одно из средств не лечит, а только успокаивает боль. Потому снять болевые ощущения нужно, но потом не откладывать визит к врачу. Не стоит стесняться позвонить в ту же «скорую» ночью. Боль зубов является такой же сильной болью, как и другие, которые требуют срочного вмешательства. Оператор «скорой» посоветует, куда нужно обратиться ночью, или вышлет бригаду, вам сделают укол.
Можно и самостоятельно обратиться в ближайшую больницу. Вам сделают укол с обезболиванием и легким снотворным эффектом. Действует лекарство несколько часов, а потом нужно решить вопрос с походом к врачу. Многие частные клиники работают по выходным, работают в позднее время. В большом городе всегда найдется стоматолог, который дежурит и ночью.

Дежурный стоматолог
Как вести себя при сильной зубной боли
Многие так называемые народные средства могут быть опасными при острой боли зубов. Например, посоветовали вам теплый или горячий компресс. Мотивирован рецепт тем, что теплое снимет боль. На самом деле это не просто бесполезно, это опасно: гнойное содержимое может попасть на соседние ткани и участки, и масштаб повреждений станет еще большим.

Теплый компресс использовать нельзя
При зубной боли не стоит и ложиться: приток крови в пораженную область увеличится, боль только усилится. Потому даже спать при такой боли советуют полулежа.
Обязательно нужно вычистить из межзубного пространства остатки пищи, они будут гнить, разлагаться. Болезнетворные бактерии только усилят воспаление. Потому зубы и десны, промежутки между зубами обязательно должны быть чистыми.

Обязательно нужно вычистить из межзубного пространства остатки пищи
Каким бы наивным не казался этот совет, но он работает: старайтесь отвлечься от боли. Найдите занятие, которое отвлечет вас максимально. Зубная боль, безусловно, не дает сосредоточиться, вынуждает отвлекаться. Но в силах человека немного психологически «отодвинуть» ее, сделать фоновой, а не острой. Только занятие должно быть действительно всепоглощающим. Некоторые люди уверяют, что им пережить сильную зубную боль помогало раскладывание паззлов, кого-то успокаивало рисование, а кого-то – просмотр увлекательного фильма.
Полоскания: действуют ли они
К сожалению, при действительно сильной зубной боли полоскания зубов и десен не будут спасением. Но немного облегчить симптомы они способны. Одним из таких растений, которое ляжет в основу состава для полоскания, считается шалфей.

Шалфей
Раствор с шалфеем при зубной боли:
- в 250-300 мл кипятка нужно запустить большую ложку травы шалфея;
- кипятить раствор нужно 5 минут на небольшом огне;
- настаивается он 35 минут, обязательно чашку с отваром нужно укутать во что-то теплое;
- полоскать рот нужно часто, пока настой еще теплый;
- разогревать же состав повторно не рекомендовано.

Отвар шалфея
Можно заварить также и сухие листья подорожника. На большую ложку тот же стакан кипятка, и минут 25 настаивать. Немножко в этот настой можно добавить соли. Безусловно, победить сильную боль состав не сможет, а вот унять умеренную он вполне способен.

Сухие листья подорожника
Тактика больного при сильной зубной боли
Итак, если та самая зубная боль стала неожиданностью, возможности пойти к врачу не предвидится, нужно действовать спокойно, хладнокровно, и разумно. Не бегите к аптечке, не хватайте любое обезболивающее, не ищите в интернете народные рецепты сомнительной эффективности.
Таблица. Что делать при сильной зубной боли
| Действие | Как делать правильно | Замечания |
|---|---|---|
Прием обезболивающего | Ибуфен/ Нурофен/ Ибупрофен (в малой дозировке можно будущим матерям и женщинам в период лактации). Кетанов, Кетаролак – при очень сильной боли, беременным и кормящим запрещен. | Парацетамол пить, если поднялась температура. |
Полоскания | Шалфей, подорожник или ромашка. Завариваются по столовой ложке травы на стакан воды. Полоскать теплым составом. | При добавлении поваренной соли состав становится более эффективным. |
Какое положение занять | Сидя и стоя. В горизонтальном положении боль только усиливается. | Постарайтесь занять себя чем-нибудь. |
Компрессы | Нельзя ставить теплые или горячие компрессы. Лед тоже не стоит применять, если нет уверенности, что стало причиной боли. | Позвоните в «скорую», опишите локализацию, характер боли, выполните рекомендации. |
Учтите, что с острой болью доктор принимает вне очереди. Если после лечения стоматолог назначил определенный курс антибактериальной терапии, обязательно пройдите его по всей схеме, от начала и до конца. Это снимет воспалительный процесс в ротовой полости, поможет убить те болезнетворные бактерии, которые стали причиной воспаления.
Некоторое время даже после лечения зуб может беспокоить. В это время можно пить обезболивающие, противовоспалительные средства. Например, Нимесил в порошках отлично справляется со своей задачей. Не нужно подвергать зуб сильной нагрузке, старайтесь в это время питаться в мягком режиме.

Нимесил
Сильная боль – не проверка на выносливость, а только подсказка организма о том, что ему нужна помощь. Не увеличивайте свои страдания, не ждите, пока боль сама пройдет. Можно довести ситуацию до того, что зубы будут потеряны, даже несъемные протезы совершенно некуда будет ставить. Используйте все возможности современной стоматологии, которая, помимо всего прочего, еще и безболезненная.
Видео – Сильная зубная боль: что делать
expertdent.net
Как облегчить зубную боль, если нет возможности посетить врача?
Ноющая зубная боль, не отпускающая ни на минуту, знакома многим. Но неотложные дела и забота о близких, как правило, переносят визит к стоматологу на второй план. Бывают случаи, когда человек и вовсе не может добраться до врача – поездка на дачу или ночное время могут этому помешать. О том, как облегчить зубную боль в домашних условиях и провести время до посещения специалиста без мучительных страданий, и будет эта статья.
Первая помощь при резкой боли в зубе
Нередко причиной резкой боли в зубе является развивающийся кариес и воспаление нерва. Чаще всего боль в этом случае возникает во время приема пищи или из-за реакции эмали на холодные или горячие напитки. Для того чтобы устранить резкую боль в зубе, нужно последовать такому алгоритму:
- Первым делом прекратить прием пищи и напитков.
- Почистить зубы. Определить локализацию боли и устранить остатки еды в этом месте при помощи зубной нити или зубочистки.
- Выпить таблетку обезболивающего. Во избежание побочных реакций обязательно ознакомьтесь с инструкцией, содержащейся в упаковке с препаратом. На больное место можно положить ватку, смоченную «Валокордином».
- Оперативно облегчить боль можно, используя раствор соды. Для этого в стакан воды комнатной температуры нужно добавить половину чайной ложки соды и прополоскать рот. В полученную смесь можно добавить немного йода.

Некоторые пытаются устранить болевой синдром прикладыванием льда к проблемному месту или полосканиями ледяной водой. Этого делать нельзя, потому что таким образом можно застудить нерв, и временное облегчение, скорее всего, сменится более сильной болью. Злоупотребление ледяными полосканиями нередко приводит к флюсу. Так называется воспаление надкостной ткани. Щека начинает опухать и раздувается, и тогда уже не избежать хирургического вмешательства.
Медикаментозное облегчение зубной боли
Этот способ предполагает наличие в домашней аптечке обезболивающих средств или возможность добраться до ближайшей аптеки, предварительно определив подходящий вариант препарата:
- «Анальгин». Этот препарат помогает при незначительно выраженной зубной боли. Первоначально лучше выпить половину таблетки, а если боль через некоторое время не отступила, принять оставшуюся часть. Разрешается принимать не более 4 таблеток «Анальгина» в сутки. Кроме внутреннего применения, практикуется также прикладывание лекарства на больной зуб. Так действующие вещества препарата быстрее будут всасываться в кровь и успокаивать болевой синдром. Прием «Анальгина» противопоказан при употреблении алкоголя, при заболеваниях почек и печени, беременным и женщинам в период лактации.

- «Нурофен». Помогает не только от зубной, но и от головной боли. Принимать не более 6 раз в сутки людям, не страдающим сердечно-сосудистыми заболеваниями, снижением слуха или нарушением работы почек и печени. Не рекомендован прием таблеток при заболеваниях желудка и кишечника.
- Облегчить сильную зубную боль способны таблетки «Кетанов». Обезболивающее имеет также противовоспалительный эффект. Перед первым приемом этого сильнодействующего препарата желательно проконсультироваться со специалистом. Врач должен проанализировать последствия применения средства, так как в некоторых случаях наблюдается аллергическая реакция на компоненты препарата. Запрещен прием таблеток детям, не достигшим 15 лет, кормящим и беременным женщинам, а также при почечной или печеночной недостаточности.
Применение лечебных трав для снятия боли
Как облегчить зубную боль, если применять обезболивающие препараты мешают противопоказания или нет возможности добраться до аптеки и попросить помощи фармацевта? В этом случае помогут лекарственные травы, прекрасно снимающие болевой синдром в полости рта. Необходимо знать, какие из них подойдут для полосканий и каким способом нужно приготовить отвар. Перечень природных средств для лечения зубной боли:
- Шалфей. Для приготовления отвара необходимо развести стаканом горячей воды столовую ложку шалфея. Смесь доводят до кипения и варят в течение 10 минут. Далее снимают с огня, процеживают и дают остыть. Полоскание необходимо проводить теплым отваром примерно каждые 10 минут. Остывший раствор использовать не рекомендуется, лучше заварить новый.
- Душица. Настой душицы готовится в соотношении 1:10, то есть на 1 часть сухих цветков берется 10 частей кипятка. Траву заливают водой и оставляют настаиваться некоторое время. Когда настой станет теплым, его процеживают и используют для полоскания, уделяя при проведении процедуры особое внимание больному зубу.
- Прополис. Этот природный компонент считается поистине уникальным, помогая при многих болезнях, укрепляя иммунитет и оказывая общее оздоравливающее действие на организм. Однако стоит применять его с осторожностью, особенно тем, кто склонен к аллергическим реакциям. Взяв небольшое количество прополиса и приложив его к проблемному месту, можно облегчить зубную боль.
- Подорожник. Знакомый всем с детства лист подорожника нужно разжевать и положить на больной зуб, удерживая некоторое время.
- Алоэ. Разрезанный вдоль лист домашнего растения прикладывают мякотью к больному месту и удерживают, пока боль не утихнет.
Народные средства в борьбе с зубной болью
О том, как облегчить зубную боль народными средствами, люди задумывались издавна. Из поколения в поколение передавались способы устранения зубной боли, многие из них дошли до наших дней, пополнившись некоторыми современными вариациями:
- Масса из лука, чеснока и соли. Овощи нужно хорошенько помыть, очистить и растереть в однородную массу. Чеснок, лук и соль взять в одинаковых пропорциях и перемешать, после чего положить на больной зуб, накрыв сверху ватным тампоном.
- Алкоголь. Облегчить зубную боль в домашних условиях поможет полоскание полости рта водкой. Ее необходимо набрать в рот и подержать на больном месте, при этом происходит дезинфекция зуба, а десна становится менее чувствительной под воздействием этилового спирта. Подержав некоторое время, водку нужно выплюнуть.
- Огурец. Небольшой ломтик приложить к зубу и удерживать, пока боль не притупится.
- Картофель. Приложенный к ноющему зубу небольшой ломтик сырого картофеля необходимо держать до исчезновения неприятных ощущений.
- Теплая соленая вода. Для полосканий в 200 мл теплой воды растворяют четверть столовой ложки соли. Такие процедуры помогают выводить жидкость из тканей, благодаря чему воспаления будут постепенно уменьшаться. Кроме того, соль препятствует размножению микробов.

- Яблочный уксус. Пропитанный жидкостью тампон прикладывают к зубу на несколько минут. Боль должна понемногу утихнуть.
- Сало. Маленький кусочек соленого сала очистить от соли и приложить к больному месту. Также можно продукт использовать в сыром виде.
Эфирные масла
Как облегчить зубную боль, если в арсенале имеются масла лекарственных растений? Достаточно пропитать ватный тампон маслом или соком растения и приложить к больному месту, после чего сомкнуть челюсть и держать до устранения болевого синдрома.

Для этой цели подойдут:
- Пихтовое масло.
- Масло лаванды.
- Экстракт ванили.
- Масло чайного дерева.
- Сок пшеничных ростков, который необходимо получить, растерев их. Считается отличным средством против кариеса, а также имеет антибактериальные свойства.
- Сок листьев гуавы или шпината.
- Масло гвоздики, которое по праву считается лучшим средством для преодоления зубной боли. Оно является природным анестетиком и антиоксидантом, оказывает противовоспалительное действие.
Точечный массаж для облегчения болей
Последователи восточной медицины разработали свою методику относительно того, как облегчить сильную зубную боль. Сделать это можно при помощи техники точечного массажа. Процедура не вылечит зуб, но поможет унять острую боль. Для проведения лечения необходимо найти точку, расположенную на внутренней поверхности кисти. Для этого нужно мысленно провести две прямые линии по большому пальцу и указательному к запястью, поставив точку на месте их пересечения. Массировать это место нужно до появления легкой боли.

На лице точки для массажа находятся на середине расстояния от верхней губы до основания носа, а также на пересечении прямой линии, проходящей через зрачок, и линии, идущей вдоль скулы. Разновидностью точечного массажа является сжатие мочки уха.
Следует отметить, что во всех случаях массаж проводится на стороне тела, противоположной той, где находится больной зуб. Действия производятся подушечками пальцев, медленными круговыми движениями с легким нажатием. В среднем массаж длится 7-10 минут сначала против часовой стрелки, потом по ней.
Альтернативные способы избавления от зубной боли
Как облегчить зубную боль с помощью гомеопатии? Мнение стоматологов на этот счет весьма неоднозначно. Врачи с недоверием относятся к подобному виду лечения, однако некоторым людям этот способ прекрасно помогает. Рассмотрим основные гомеопатические препараты для лечения боли в полости рта:
- «Аконит». Препарат, снимающий болевой синдром зуба, возникающий при простудных заболеваниях.
- «Арника». Отличное средство, заживляющее мелкие ранки. Его применяют после удаления зуба или после ушиба челюсти, закончившегося небольшим кровотечением.
- «Коффея». Препарат, направленный на устранение зубной боли, возникшей на нервной почве.
- «Нукс вомика». Прекрасно снимает зубную боль у людей, ведущих малоподвижный образ жизни, злоупотребляющих кофе и спиртными напитками.
- «Нукс мошата». Специалисты предлагают этот препарат для облегчения зубной боли у беременных женщин и маленьких детей.
Облегчение зубной боли у беременных
Будущие мамы при возникновении неприятных ощущений всегда думают о том, как облегчить зубную боль, не причинив при этом вред малышу. Многие вышеперечисленные приемы для наружного применения помогут снять неприятные ощущения и не навредят ни маме, ни ее будущему ребенку. Сильнодействующие лекарства категорически запрещены беременным, но при острой боли врач может разрешить однократный прием «Парацетамола».
Рекомендации о том, как облегчить зубную боль в домашних условиях беременным при отсутствии возможности посетить стоматолога, включают в себя полоскание полости рта раствором «Фурацилина» или перекисью водорода. Однако даже если боль отступила, необходимо обратиться к врачу. Современные препараты и обезболивающие средства, используемые специалистами, можно применять при лечении беременных и кормящих женщин. Кроме того, они прекрасно устраняют неприятные ощущения, и лечение или удаление зуба пройдет комфортно.
Лечение зубной боли у ребенка
У маленьких детей неприятные ощущения в полости рта чаще всего бывают вызваны кариесом. При их возникновении необходимо сразу обратиться к врачу. Но как облегчить зубную боль у ребенка, если она появилась поздним вечером или в выходные, когда нет возможности обратиться к стоматологу? Для растущего организма подойдут полоскания теплым содовым раствором или отваром шалфея. Если в больном зубе есть очевидная кариозная полость, необходимо смочить небольшой ватный тампон маслом мяты и ввести в отверстие.

Как унять зубную боль, если ребенку народные средства не приносят облегчения? Из лекарственных препаратов подойдет «Нурофен» в виде сиропа. Перед тем как давать лекарство ребенку, необходимо ознакомиться с инструкцией: дозировка препарата зависит от веса и возраста. Детям разрешены «Ибупрофен» и «Парацетамол», а также другие препараты на их основе.
Рекомендации стоматолога
Во избежание обострения болевых ощущений и увеличения опухоли, в перечне способов, объясняющих, как быстро облегчить зубную боль, стоматологами выделено несколько правил:
1. Не прогревать больной участок. Согревающие накладки или мешочки с раскаленной солью усилят приток крови к больному зубу, и боль станет еще сильнее. Рекомендуется, наоборот, прикладывать лед. Завернув небольшой кусочек в ткань, нужно приложить его к больной щеке. Непосредственно к самому зубу прикладывать холодное нельзя, чтобы не заморозить нерв.

2. Меньше находиться в горизонтальном положении. Когда человек лежит, приток крови к челюсти усиливается, давление в тканях повышается, раздражая тем самым нервные окончания в зубе. Болевой синдром при этом будет еще ощутимее.
3. Теплые полоскания рта способствуют устранению остатков еды из кариозного отверстия, а также снимают воспаление и уменьшают боль.
4. Содовые полоскания необходимо готовить, не разбавляя соду в теплой воде, а заливая ее крутым кипятком. Начинать полоскание следует только после того, как раствор остыл.
Нужно отметить, что чем быстрее вы посетите стоматологический кабинет, тем легче будет проходить лечение. Профилактический осмотр зубов и десен у специалиста необходимо проходить минимум раз в полгода, тем более если речь идет о полости рта ребенка. Это поможет предотвратить заболевания и избежать возникновения невыносимой зубной боли.
fb.ru
Помощь при зубной боли. Первая экстренная помощь при зубной боли.
Методы классической и народной медицины для борьбы с зубной болью. Какие стоматологические заболевания могут стать причиной возникновения болевых ощущений. Как оказать первую помощь больным зубам. Зависимость интенсивности боли от температурного воздействия. Альтернативные методы снятия зубной боли: как могут помочь массаж и сильные эмоции.
Методы народной медицины для успокоения зубной боли. Какие продукты и растения полезно использовать для лечения больных зубов. Как приготовить отвар для полоскания. В каких случаях можно использовать пломбы из прополиса.
Какие средства классической медицины используются для лечения зубной боли и как они действуют. Какие средства и методы ни в коем случае нельзя использовать для обезболивания и почему. Рекомендации в выборе обезболивающих средств. Почему исчезновение зубной боли не повод отложить визит к стоматологу.
Google+
Vkontakte
Odnoklassniki
Зубная боль возникает резко и не всегда у больного имеется возможность без промедления обратиться за врачебной помощью. Особенностью зубной боли является мучительный характер, переносить болевые ощущения, вызванные стоматологическими заболеваниями, крайне тяжело, поэтому для их устранения используют как методы классической, так и народной медицины.

Среди причин возникновения болевых ощущений выделяют:
К чему сводится первая помощь при возникновении зубной боли?
В зависимости от этиологии характер зубной боли может быть пульсирующим, простреливающим, ноющим, дергающим, болевые ощущения мешают полноценному приему пищи, разговору и сну. Зачастую при возникновении болевых ощущений больной стремится инстинктивно согреть пораженный зуб или участок десневой ткани. Следует запомнить, что тепловое воздействие при зубной боли категорически противопоказано, так как тепло только обостряет воспалительное поражение, способствует активации патогенной микрофлоры и проникновению воспалительного процесса в более глубокие слои пародонта и зубной ткани. Снять боль можно при помощи заморозки, то есть, используя специальные стоматологические гели с анестезирующим эффектом или же приложив холодный компресс к пораженному участку. Воздействие холодом быстро снимает зубную боль правда эффект от холодного компресса сохраняется в течение 30-40 минут по истечении которых зубная боль возобновиться правда с меньшей интенсивностью.
Зубная боль, как правило, усиливается в горизонтальном положении, так как увеличивается приток крови к десневой ткани, создавая повышенное давление в деснах. Снять боль можно ослабив давление в десневой ткани, сделать это можно при помощи смеха или плача. Альтернативным методом устранения болевых ощущений может стать массаж ушных раковин. Массирование ушных раковин существенно уменьшает интенсивность болевых ощущений, а спустя 5-7 минут такого массажа зубная боль может и вовсе исчезнуть.
Методы народной медицины

Для снятия отека и воспаления чаще всего применяют отвары для полоскания ротовой полости, которые, как правило, являются однокомпонентными и простыми в приготовлении. Для того чтобы приготовить отвар, обладающий противоотечным и противовоспалительным эффектом следует заварить 1 ст. ложку целебной травы (ромашки, зверобоя, шалфея, календулы, аира или тысячелистника) в 250 мл кипятка и настоять в течение 20 минут. Для приготовления отваров также можно использовать смесь трав.
Противоотечным эффектом обладает и черный чай, поэтому его также можно использовать для купирования воспалительного поражения и снятия болевых ощущений.
Среди народных методов снятия зубной боли выделяют аппликации из кашицы чеснока, сока алоэ, облепихового или пихтового масла. Масло облепихи и пихты используют для массирования десневой ткани при пародонтозе, периодонтите, гингивите и пародонтите. Чесночная кашица и сок алоэ помогут устранить болевые ощущения, вызванные пульпитом и гингивитом, так как обладают выраженным противовоспалительным и антибактериальным эффектом. Кариозную боль можно устранить при помощи прополиса, из которого изготавливают своеобразную временную пломбу, которой и накрывают кариозную полость. Такая временная пломба препятствует проникновению частичек пищи в кариозную полость, тем самым защищает пораженный зуб не только от механического, но и от химического воздействия.
Использование обезболивающих препаратов
Устранить боль можно при помощи обезболивающих препаратов, стоматологических гелей, мазей и аптечных антисептических растворов для полоскания.
Мази и стоматологические гели, антисептические растворы, а также обезболивающие препараты в виде растворов для инъекций действуют местно, снимают воспаление, отек и уничтожают патогенную микрофлору.
Обезбол
32zuba.guru
Сильно болит зуб – что можно сделать в домашних условиях
Когда сильно болит зуб, о полноценной жизни не может быть и речи. Спастись от зубной боли помогут проверенные народные рецепты и действенные аптечные лекарства.

Народные средства и аптечные препараты помогут унять зубную боль
Почему сильно болит зуб?
Причины могут быть разные, и только подробно разобрав механизм появления болевых признаков, можно понять – стоит ли идти к стоматологу именно сейчас или пока воспользоваться обезболивающим средством.
Наиболее распространенные первопричины возникновения зубной боли
- Кариес. Начальная форма характерна оскоминой и чувствительностью эмалевого сегмента. Зуб начинает реагировать резкой болью на горячее и холодное. Симптом исчезает при устранении раздражителя. Пульсирующие или ноющие ощущения появляются при разрушении кариесом дентина и проникновении микробов в полость нерва.
- Пульпит. Следующая стадия незалеченного кариеса. Пациента мучает сильная боль в зубе с дыркой. Внутри зубной полости происходит воспалительный процесс отмирания нервного пучка.
- Периодонтит. Сложная форма запущенного пульпита – воспаление мягких тканей возле корня. Заболевание характеризуется как острая боль в области десен (до зуба невозможно дотронуться).
- Механическое повреждение эмали. При ударе образуются сколы и трещины, через которые микробы проникают в дентин и повреждают внутреннюю оболочку зуба.
- Пародонтоз. Кровоточивость и воспаление десны. В запущенных случаях приводит к расшатыванию и потере здоровых зубов.
- Зуб мудрости. Длительный процесс прорезывания вызывает воспаление десен.

Кариес — частая причина зубной боли
Запущенный кариес представляет опасность для здоровья ротовой полости в целом. В результате распада пульпы и гибели нервного пучка больного зуба во рту развивается воспалительный процесс смежных зубов. Продукты органического гниения попадают в общий кровоток, инфицируя весь организм.
Передние верхние и нижние зубы наиболее подвержены риску. Из-за расположения верхних органов челюсти сложно распознать кариес, на нижних зубах – часто образуется зубной камень. Эти факторы также являются источником зубной боли.
Экстренная помощь в домашних условиях
Что делать, если зубная боль застала врасплох? Можно воспользоваться лекарствами, которые находятся к каждой домашней аптечке. Например, Но-шпа (Дротаверин) оказывает противоспазматическое действие. Хорошим обезболивающим эффектом обладают Анальгин, Парацетамол или Аспирин.
</p
Для быстрого облегчения при сильной боли в зубе рекомендуется вместе с таблетками применять солевые полоскания (1 ч. л. соли на 200 мл кипячёной тёплой воды). Щелочной раствор успокаивающе влияет на больное место, быстро снимает воспаление и дезинфицирует поверхность десны.
В случае отсутствия под рукой соды или соли, полоскайте рот теплой кипяченой водой – это поможет уменьшить боль.
Что делать при сильной боли
Как неотложную помощь в устранении неприятного симптома используйте современные обезболивающие средства или воспользуйтесь советами народной медицины.
Эффективные обезболивающие лекарства
- Кетанов (аналоги – Кеторол, Кеторолак). Быстродействующий препарат избавляет от боли через полчаса после приема таблетки. Принимать можно до трех капсул в день. Лекарство очень эффективно при болях под коронкой, когда увидеть причину заболевания не представляется возможным.
- Найз. Медикамент эффективен против хронической боли. Действие таблетки начинается через сорок минут после приема.
- Ампулы новокаина, лидокаина или ультракаина. Унять сильную боль поможет ватка, смоченная лекарством и приложенная к больному месту. Во время обезболивания нельзя глотать слюну.
- Анальгин. Успокоит внезапно разболевшийся зуб. Медикамент запрещен к употреблению людям, имеющим сердечную патологию.
- Цитрамон. Препарат эффективен при симптомах боли после удаления нерва. Имеет противопоказания – Цитрамон нельзя принимать беременным и подросткам до 15 лет.
- Парацетамол. Обладает антисептическим эффектом, снимает раздражение десен, уменьшает интенсивность воспаления.

Парацетамол помогает снять боль и воспаление
Последний раз выпить обезболивающую таблетку можно за 10 часов до назначенного приема стоматолога.При установлении диагноза и назначении соответствующего лечения доктор ориентируется на интенсивность симптомов. Употребление лекарств непосредственно перед приемом врача затруднит правильное диагностирование причины.
Если зубная боль застала врасплох и возможности быстро прийти на прием к стоматологу нет, на помощь придут рецепты народной медицины.
Лучшие народные средства
- Прополис. Чтоб быстро прошла боль, положите кусочек на больное место и прижмите челюстью на 10-15 минут.
- Чаще всего пульсирующие (стреляющие) симптомы боли возникают ночью. Верный способ снять такую боль – полоскание водным раствором соды и соли. Смешайте компоненты в стакане горячей кипяченой воды по 0,5 чайной ложки каждого. В средство можно добавить йод. Капля лекарства усилит антисептические и противобактериальные свойства раствора. Полоскать рот медленно, не менее 15 минут.
- Листья шалфея давно известны уникальным противовоспалительным свойством. Ложку травы залить кипятком и настоять в течение часа. Отвар хорошо помогает при болях после удаления зуба.
- Настой луковой шелухи. Процедура полоскания эффективна при болях после пломбирования зубного канала. Жидкость набрать в рот и держать примерно 10-15 минут не глотая. Процедуру повторить три раза. Обычно после третьего полоскания боль проходит.
- Камфорное масло. Устраняет симптомы первичного нагноения, вытягивает гной при нарыве. Положите ватку, смоченную маслом, на больное место. Держать 10 минут, затем сменить ватку.

Полоскание рта настоем луковой шелухи хорошо устраняет боль в зубе
Народные средства и медикаменты снимают неприятные болевые симптомы, но не лечат саму причину заболевания. Поэтому не откладывайте визит к стоматологу. Челюстно-лицевые осложнения лечить гораздо тяжелее, чем просто запломбировать кариес.
Как устранить зубную боль при беременности
Беременность – особое физиологическое изменение организма женщины, при котором не все лекарства разрешается принимать. Что же делать беременной женщине, если внезапно сильно заболел зуб?
При острых симптомах, в первом и втором триместрах разрешается одноразовый прием Нурофена, Парацетамола, Но-шпа или Ибупрофена. Эти препараты достаточно безопасны для формирующегося плода и очень эффективны против сильной зубной боли.
На более позднем сроке желательно воздержаться от употребления лекарств, для устранения симптомов применяйте более щадящие средства.
Эффективная помощь от зубной боли для беременных
- полоскание рта водным раствором соли и соды по 5 минут;
- полоскание больного места травяными растворами ромашки, календулы, коры дуба;
- использование гелей местного применения – Дентинокс, Камистад или Холисал;
- прилаживание к больному месту ватки, смоченной зубными каплями, Корвалолом или маслом мяты перечной.
Лечение больного зуба во время беременности – необходимая мера предотвращения инфицирования плода через плаценту.

Для борьбы с болью в зубе во время беременности используйте гель Дентинокс
Как снять зубную боль у ребенка
Как действовать в ситуации, когда у ребенка сильно болит зуб:
- определяемся с причиной боли. С помощью фонарика осмотрите рот, возможно неприятные симптомы связаны с застрявшим кусочком косточки или пищи в деснах. Вытянуть инородное тело из десен можно при помощи стерильного пинцета. Затем осторожно почистите зубки зубной пастой;
- неправильное расположение зуба или механическое повреждение эмали также могут вызвать болезненные ощущения. Здесь не обойтись без срочной помощи стоматолога;
- прорезывание зубиков у малышей часто сопровождается болью. Применяйте Дентинокс-гель, Камистад или Калгель. Эти препараты созданы на основе безопасных для здоровья ребенка компонентов. Уже через несколько минут после намазывания десен малыш почувствует облегчение.
В качестве народных средств, применяйте полоскание содово-солевым раствором или отварами лекарственных трав. Старшим деткам можно давать обезболивающие препараты на основе ибупрофена или парацетамола (Нурофен, Цефекон).

Содово-солевой раствор поможет снять зубную боль
Важно!
При обнаружении причины зубной боли у ребенка требуется незамедлительное лечение стоматолога. Инфекционные заболевания рта в период формирования постоянных зубов приводят к стоматологическим осложнениям в будущем.
Профилактика
В первую очередь ограничьте в рационе сахаросодержащие продукты – шоколад, конфеты, магазинный сок, жвачки. Поменьше ешьте горячие или холодные блюда – частые температурные колебания разрушают зубную эмаль. Слишком твердая пища может быть причиной стачивания эмали до дентина. Все это является предпосылками формирования микробной активности в ротовой полости.
Самая лучшая мера профилактики – регулярный и полноценный уход за полостью рта. Правило чистки зубов не менее двух раз в день – необходимая мера очищения рта от остатков пищи, как потенциальных факторов развития патогенной микрофлоры.

Чистите зубы 2 раза в день
Людям, предрасположенным к быстрой порче зубной эмали, стоматологи рекомендуют принимать специальные витамины на основе кальция.
Посещать стоматолога надо не реже 2 раз в год. Даже правильное питание и ежедневная чистка зубов не отменяют профилактические осмотры у стоматолога.
Ответы на вопросы
Можно ли греть зуб при зубной боли?
Наружное прогревание больного зуба категорически запрещено. Процесс нагрева ускоряет действие патогенных микробов, что приводит к образованию осложнений – флюса или проникновение гноя в смежные органы.
Дают ли больничный лист при зубной боли?
Больничный лист выписывается пациенту, если есть осложняющие факторы после удаления зуба.
К таким осложнениям относятся:
- аллергия на примененный в процессе лечения препарат;
- послеоперационный период при удалении челюстной ткани;
- занесение вторичной инфекции и больничный лист дается с целью повторного хирургического вмешательства;
- появление послеоперационных осложнений неясной этиологии.
Лечение зуба возможно без участия стоматолога, но чтобы избежать осложнений, необходимо обратиться к врачу. Вовремя пролеченный зуб – это залог блистательной улыбки, а правильное подобранное обезболивающее средство обеспечит легкий трудовой день и спокойный сон.
Зубы и рот
lechusdoma.ru
Первая помощь при зубной боли в домашних условиях
Зубная боль зачастую застигает человека в самый непредвиденный момент. Она выбивает из колеи во время важной встречи, на работе или дома. Все важные жизненные сферы автоматически отодвигаются на второй план. Боль изматывает и изнуряет. Но что делать, если поход к специалисту невозможен в ближайшее время? И какая первая помощь при зубной боли должна быть оказана?
Главные симптомы
Любая боль – это сигнал для человека, что произошли какие-то сбои в организме.
На первых стадиях поражение зубов происходит абсолютно бессимптомно. Когда начинается боль, значит, поражение костной ткани перешло в нервные окончания.
Если это произошло, и пациент чувствует сильную нарастающую боль, значит, болезнь дошла до своего пика и поход к специалисту нельзя откладывать. По своему характеру боль способна быть, как острой ноющей, так и притупленной. Иногда из-за зубной боли можно отчетливо почувствовать пульсацию, из-за которой повышается температура. В таких случаях должна быть оказана первая помощь при острой зубной боли, чтобы хоть как-то облегчить время до посещения специалиста.
Причины зубной боли
Для того чтобы первая помощь при зубной боли была эффективна, нужно разобраться в главных причинах возникновения боли.
- Кариес. На самых первых стадиях кариозная боль незначительная и вызывает легкий дискомфорт, боль не распространяется дальше пораженного участка. Во время приема пищи присутствуют неприятные ощущения из-за истончения эмали зуба. При таком заболевании стоматолог проводит лечение и ставит пломбу.
- Пульпит. Именно по этой причине люди чаще всего обращаются к стоматологам. Боль настигает внезапно, состояние характеризуется сильной, острой болью. Причиной пульпита чаще всего становится воспалительный процесс или переохлаждение. Зачастую пациент не понимает, какие именно участки болят. Так как область поражения очень большая и отдает в соседние зубы. При сильной боли пациент не может принимать пищу. Очень часто пульпит вызывает флюс.
- Киста. Боль при наличии кисты не выраженная и притупленная. Характеризуется шишкой под пораженным местом. Прием пищи и напитков не вызывает неприятных ощущений. Лечение этого заболевания проводит хирург, он аккуратно удаляет возникшую шишку.
- Пародонтит. Характеризуется ноющей болью, которая возникает не часто. В основном пациент может чувствовать неприятные ощущения в области десны. Грубая пища вызывает большой дискомфорт. Лечение назначает врач, и оно носит терапевтический характер.

Нужно помнить, что болевой синдром — это халатное отношение к собственному здоровью. Микробы могут нанести большой вред всем органам. Так как микробы попадают со слюной и пищей в желудок, вызывая нежелательные последствия.
Обезболивающие при зубной боли
Если возникла зубная боль, первая помощь в домашних условиях придет из домашней аптечки. Таблетки, способные унять боль, имеются почти в каждом доме. Без них невозможно представить нормальное существование человека.
Но стоит знать, какие именно обезболивающие подойдут именно при зубной боли. Существует несколько групп препаратов, которые могут облегчить первые симптомы боли.
- Ненаркотические обезболивающие. Используются при слабой зубной боли. Такие препараты легко снимут воспаление и жар. О них известно еще издревле. К таким препаратам относятся – анальгин, аспирин, парацетамол и др. Ненаркотические обезболивающие сильного действия. Используются при сильной боли. Хорошими и действенными препаратами считаются «Ибуфен» и «Ибуклин». Они более безопасны для здоровья, главное придерживаться указанной в инструкции дозировки. Эти препараты можно давать не только взрослым, но и детям. Еще одними эффективными обезболивающими этой группы являются – «Кетанов», «Найз» и «Актасулид». Эти препараты хорошо снимают болевой синдром, но принимать их нужно с осторожностью, так как имеются противопоказания.
- Наркотическая группа обезболивающих. Применяются в редких случаях по рекомендации врача. К таким препаратам относятся: «Омнопон», «Морфин», «Промедол».
- Есть препараты, которые оказывают противоспазматическое действие. К таким относится, «Но–Шпа», «Папаверин», «Дротаверин».
Какие лекарства способны помочь
Дополняя список препаратов, первая помощь при сильной зубной боли должна быть оказана следующими лекарственными средствами:
- «Дексалгин 25». Устраняет болевые ощущения уже через 20 минут. Имеет множество противопоказаний. Не рекомендуется для беременных женщин и детей, не достигших двенадцатилетнего возраста
- «Гриппостад». Включает в состав парацетамол и витамин С. Не рекомендуется детям младше шести лет, а также беременным или кормящим женщинам.
- «Актасулид». Противовоспалительное средство, которое снимает болевой синдром и все сопутствующие симптомы. Также имеет противопоказания, с которыми можно ознакомиться в инструкции к препарату.
Если у ребенка заболели зубы
Первая помощь при зубной боли у ребенка должна быть оказана незамедлительно. Лучше всего отправится к врачу после первых же проявившихся симптомов. Если обстоятельства не позволяют, то стоит уменьшить болевой синдром
Для этого подойдут следующие манипуляции:
- Нужно проследить, чтобы малыш почистил зубы и прополоскал полость рта содовым раствором. Это поможет удалить остатки еды и снять боль.
- Хорошо подойдут специальные мази, которые продаются в каждой аптеке.
- Если ни один способ не помог, стоит принять детский «Нурафен» и немедленно отправляться к стоматологу.
Что запрещается делать
Первая помощь при зубной боли должна быть оказана надлежащим образом. Большинство людей, столкнувшихся с ухудшением состояния, как раз неправильно избавлялись от боли, что вызвало еще больше проблем. Чтобы избежать нежелательных последствий, нужно помнить несколько правил.
- Нельзя нагревать больной зуб. Нужно исключить из рациона все горячие напитки, а еду остужать до теплого состояния. Ни в коем случае не прикладывать горячие компрессы. Это может вызвать инфекцию крови. Все врачи рекомендуют прикладывать только холодные компрессы, дабы задержать распространение инфекции.
- Не принимать горизонтальное положение. Когда человек лежит, неприятные ощущения усиливаются. Нужно максимально постараться придерживаться этого правила.
- Если вследствие воспаления появился флюс, нужно тщательно полоскать рот растворами соли и соды.
- Запрещается трогать больное место руками, дабы не занести инфекцию.
Народные средства
Если боль застала врасплох, а под рукой не оказалось ни одного из вышеперечисленных лекарственных средств, то первая помощь при зубной боли на дому может осуществляться народными средствами.
- Кусочек чеснока, размещенный около больного зуба, может снять болевые ощущения.
- Кашица лука, размещенная рядом с зубом, уменьшит воспаление.
- Свиное сало уменьшит боль.
- Сок алое даст некоторое время передохнуть от боли.
- Теплое полоскание кипяченой водой хорошо убирает боль.
- Красная свекла снизит дискомфортные ощущения.
- Гвоздичное масло, нанесенное на марлю и приложенное к больному зубу, способно сотворить чудеса.
Профилактика зубной боли
Для того чтобы зубная боль никогда не случалась, нужно придерживаться некоторых важных правил. Нельзя употреблять в пищу слишком холодное или слишком горячее, так как есть риск повредить эмаль зубов.
Не стоит употреблять грубые продукты в пищу, так как есть шанс сточить или повредить зубы. При обнаружении даже небольшой дырочки, нужно немедленно обратиться к врачу. Обязательно проводить профилактический осмотр у стоматолога раз в полгода. Тщательно следить за гигиеной ротовой полости.
Зубы — это неотъемлемая часть тела человека и за ними должен ощуствляться качественный уход, как и за другими участками и органами. При появлении малейшей боли нужно немедленно показаться врачу. Препараты, указанные в этой статье, несут лишь временное облегчение и устраняют лишь сиптомы, но не причину. Поэтому не рекомендуется долгое использование обезболивающих и противовоспалительных лекарств.
fb.ru
Кеторол. Лучшее лекарство от резкой боли. Оно обязательно справится с симптомом. И все благодаря кеторолаку – веществу, оказывающему выраженное системное воздействие. На его основе производят и другие препараты для обезболивания, к примеру, Кеторол, Кредофарм, Кетанов и Кетонорт. Кеторолак провоцирует побочные эффекты практически после каждого приема, поэтому его нельзя принимать более двух раз. Затем следует переходить на щадящее симптоматическое лечение.








