Обязательно ли при аппендиците должна быть высокая температура или температура вообще?
не знаю случаев, когда небыло температуры
Температура может быть, а может отсутствовать
touch.otvet.mail.ru
Температура после удаления аппендицита: сколько длится, нормы
Реакция организма в виде повышения температуры после любого хирургического вмешательства – вариант нормы в большинстве случаев. После лечения острого аппендицита или после аппендэктомии гипертермия часто является иммунной реакцией организма и свидетельствует о правильном восстановительном этапе. Сколько времени держится температура после операции по удалению аппендицита, каковы причины её появления, варианты нормы и патологии – рассмотрено в статье.
Причины повышения температуры
Лечение острого аппендицита – это всегда хирургическая операция по удалению червеобразного отростка. Вмешательство в организм, его целостность – это процесс неестественный, нарушающий работу органов и клеток. Организм реагирует повышением температуры. В большинстве случаев подобная реакция является вариантом нормы, так как иммунитет после операции на аппендицит начинает вырабатывать большое количество лейкоцитов для обезвреживания возможных вирусов и патологических состояний. Как правило, при срастании повреждённых тканей реакция в виде повышения температуры считается нормальной.
Температуру ниже 38С не рекомендуется сбивать, чтобы не нарушать работу организма по выздоровлению. Более того, врачи беспокоятся, когда температура тела человека не повышается. Это свидетельствует о том, что иммунная система очень слаба, а значит, возможны побочные реакции, осложнения, воспалительные заболевания. Отсутствие гипертермии после полостной операции особенно может повлечь серьёзные проблемы со здоровьем.
Специалисты отмечают, что перегревание в теле человека начинается ещё в стадии воспалительного процесса в отростке слепой кишки. Это симптом, указывающий на воспалительный процесс, острый аппендицит. Поэтому после удаления симптом сохраняется в течение нескольких дней.
Но в некоторых случаях долгое сохранение лихорадки указывает на патологию.
- Сильный температурный скачок в течение короткого промежутка времени без видимой причины. Иногда подобная реакция указывает на аллергическую реакцию при введении определённых препаратов или попадание болезнетворной микрофлоры, активно размножающейся.
- Гипертермия как ответ иммунитета на введение системы дренажа после операции. При выходе за рамки определённого времени считается патологией и требует медикаментозного лечения.
- Осложнения в ходе хирургического вмешательства, повлёкшие повреждения внутренних органов.
- Обильная кровопотеря во время хирургического вмешательства.
- Занесение инфекции при хирургическом вмешательстве.
- Заболевание пациента ОРВИ на фоне послеоперационного периода. Защитные силы тела пациента после удаления аппендикса направлены на восстановление. На фоне пониженного иммунитета любая ОРВИ переносится пациентом тяжелее, дольше, требуется более длительное лечение.
- Пациент не соблюдает диетическое питание после того, как вырезали червеобразный отросток. При игнорировании диеты, прописанной доктором, возможны нарушения в работе кишечника, и даже воспалительные процессы.
Повышение температуры после удаления аппендикса держится около недели и рассматривается как норма и часть этапа выздоровления. Но при несоблюдении временных рамок и сохранении лихорадки после недельного срока необходима дополнительная сдача анализов крови, мочи и других, на усмотрение специалиста. Анализы необходимы для установления точной причины лихорадки, постановки диагноза, своевременного лечения.
Диагностирование
При диагностике причин гипертермии после удаления аппендикса назначают анализ крови, определяющий наличие процесса воспаления. При этом значение имеет количество лейкоцитов. Но анализ крови не единственный метод диагностики. Медицинские работники часто применяют:
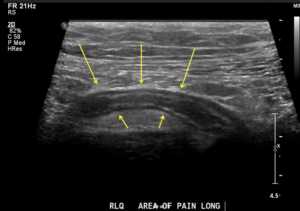
- Диагностирование при помощи аппарата УЗИ. Процедура позволяет без дополнительного проникновения хирургическим путём изучить брюшную полость, рассмотреть, нет ли повреждений внутренних органов. При отсутствии повреждений изучается место бывшего прикрепления отростка слепой кишки. Участок изучается на наличие воспалительного процесса.

Аппендикс на УЗИ
- Исследуется послеоперационный шов. Иногда возможно воспаление по краям шва, из-за которого сохраняется длительная лихорадка.
- Возможна биопсия материала через открытую рану после удаления аппендикса.
- Взятие мочи на анализ. Анализ даёт информацию на наличие лейкоцитов, возможных проблем с органами мочеполовой системы.
Указанных способов диагностики бывает достаточно для установления точной причины длительной гипертермии, назначение дополнительных исследований требуется в редких случаях.
Следует понимать, что значения в анализах у мужчин, женщин и детей имеют разный диапазон и разные варианты нормы.
Женщины из-за особенностей работы организма имеют более широкий диапазон наличия лейкоцитов, чем мужчины. Это связано с определённым днем менструального цикла. В связи с этим после 21 года результаты анализов делят исходя из полового признака.
При анализе крови у детей уровень лейкоцитов бывает выше нормы не только при патологических состояниях вроде острого аппендицита, но и в других случаях. Иммунная система ребёнка, в сравнении с взрослым организмом, не столь совершенна. При этом в детский организм чаще попадают инфекции и патогенная среда, что требует от иммунитета повышения уровня лейкоцитов.

Лейкоциты в крови человека
Это необходимо для защиты организма. При аппендиците у ребёнка врач должен брать кровь на анализ не только перед операцией, но и после её проведения. Процедура необходима для контроля самочувствия и правильного процесса выздоровления.
Лечение при патологических процессах
При обнаружении патологических процессов, послуживших длительному удержанию температуры тела после операции отростка слепой кишки, необходима адекватная терапия. Доктора при терапии патологических состояний применяют медикаментозное лечение:
- Препараты антибиотиков. Часто применяются при обнаружении бактериального заражения в ране после операционного вмешательства. При диагностике выявляется и степень чувствительности организма к тому или иному препарату, после чего назначается антибактериальная терапия.
- Противовоспалительные препараты нестероидного типа. Основные: Нурофен, Кетонал, Ибупрофен.
- Препараты жаропонижающего воздействия. Анальгин, Аспирин, Парацетамол.
Пациенту необходимо помнить, что при повышении температуры после выписки из стационара нельзя заниматься самолечением! Следует незамедлительно обратиться за помощью к врачу, ведь гипертермия может указывать на серьёзный патологический ход, несущий угрозу здоровью и жизни пациента.
Повышенная температура тела после вырезания отростка слепой кишки длится свыше 37С в течение 7-10 дней, что является вариантом нормы. На 10 день лихорадка в норме отсутствует у большинства пациентов. Ни один врач не выпишет пациента при сохранении гипертермии свыше нормы.
При сохранении лихорадки сверх указанного времени, даже через 2 недели после операции, курс лечения антибиотиками приводит самочувствие в норму. Но при отсутствии эффекта от антибактериальной терапии врач назначает повторное хирургическое вмешательство. Операция показана с целью изучения брюшной полости, для точного установления причины. Часто аппараты УЗИ не дают увидеть причину воспалительного процесса в брюшной полости, вызывающей сохранение лихорадки.
Пациенту важно отслеживать состояние после аппендицита, контролировать выздоровление и самочувствие, а при малейших отклонениях сообщать вовремя врачу. Правильное лечение, должная диагностика, адекватная реакция на осложнение позволят чувствовать себя нормально после операции, сохранить здоровье, не нарушая качества жизни.
Важно после выписки из стационара соблюдать некоторые правила для скорейшего выздоровления и восстановления после операции. Обязательно соблюдение диеты. Нарушения в виде употребления острой, жареной, тяжёлой пищи в большом количестве несут нагрузку на кишечник, способствуют образованию запоров и возникновению воспаления.
Физические нагрузки должны быть посильными. Нельзя сразу заниматься спортом или приступить к тяжёлому физическому труду. Мышцы и ткани должны правильно восстановиться.
Нужно следить за распорядком дня и соблюдением полноценного режима сна и отдыха.
gastrotract.ru
При аппендиците есть температура — VospalenieKishechnika
- Симптомы острого аппендицита
- Хроническая форма аппендицита
- Лечение аппендицита
Под диагнозом “аппендицит” понимают воспаление червеобразного отростка слепой кишки (аппендикса).
Симптомы острого аппендицита
- Боль в животе. Это самый явный симптом начинающегося аппендицита у всех категорий людей. Многие считают, что болевые ощущения при этом недуге могут возникнуть с правой стороны живота. Однако это не совсем верно. На начальной стадии (катаральной) боль может и не локализоваться в одном месте. Пациент может испытывать просто болевые ощущения в области живота и не понимать, где конкретно у него болит.
оме того, эти ощущения могут быть цикличны. Например, усиливаться при ходьбе и кашле, или уменьшаться, в зависимости от положения тела. При такой симптоматике следует провести проверку симптома Щеткина-Блюмберга. А именно, медленно надавить пальцами на правую нижнюю часть живота и резко отпустить. Если при этом вы почувствуете резкую боль – следует немедленно обратиться к врачу. Помните, что при данном заболевании не рекомендуется прием любых обезболивающих препаратов. - Рвота при аппендиците. Воспалительный процесс в аппендиксе всегда сопровождается рвотой и тошнотой. Тошнота, рвота, общее ослабление организма, чувство потери аппетита, все это также верные признаки болезни. При этом, тошнит всех одинаково, но если у взрослого рвота может быть единоразовой, то у детей может возникнуть несколько раз. Кроме того, наблюдается расстройство желудка и частые болезненные мочеиспускания, а также появляются признаки интоксикации организма.
- Температура. Всегда ли есть температура при аппендиците? Воспаление аппендикса, в большинстве случаев, сопровождается подъемом температуры тела. При этом она может подняться до 40 градусов. На разном этапе происходить повышение температуры может по-разному. На гангренозной стадии аппендицита можно наблюдать понижение температуры ниже 36 градусов. Поскольку аппендикс расположен довольно близко к прямой кишке измерять температуру тела рекомендуется двумя способами: ректально и под мышкой. Если разница температур в заднем проходе и подмышечной впадине составляет более 10° С, то можно говорить об аппендиците.
-другому такое расхождение температур называется симптомом Видмера. Здесь очень важно правильно измерить температуру в заднем проходе. Лучше всего это сделать утром, когда пациент только проснулся и его организм пока находится в состоянии покоя. Любая активная деятельность человека может изменить ректальную температуру на несколько градусов. Ртутный градусник дает более оптимальный показатель, по сравнению с электронным. Не забывайте, что измерения в подмышечной впадине производятся через 15 минут после еды. Также не стоит облачаться в теплую одежду. В этом случае температура повышается и дает неправильный результат. - Белый налет на языке. Налет на языке достаточно распространенный признак. Однако и он проявляется не всегда. Итак, какой цвет бывает у языка? Чаще всего язык может изменять свой цвет, в зависимости от стадии заболевания. На раннем этапе это может быть белый налет, на третьей – цвет меняется на коричневый.
- Билирубин. В последнее время повышение билирубина также считается одним из признаков деструктивных форм острого аппендицита. Повышаться билирубин в сыворотке крови может свыше 18,5 мкмоль/л. Считается, что билирубин может подниматься за счет всасывания токсических веществ вены аппендикса поступление по портальной системе в печень, токсические изменения гепатоцитов, которые увеличивает билирубин. Тем не менее этот признак носит более вспомогательный характер.
Хроническая форма аппендицита
Помимо острой формы данного заболевания, существует и хроническая. Главное ее отличие от острой формы аппендицита заключается в более медленном протекании болезни, менее выраженности симптомов. Кроме того, хронический аппендицит может также сопровождаться различными признаками: низкий болевой синдром, пониженный билирубин, снижение температуры и другие.
Лечение аппендицита
Во-первых, следует помнить – до госпитализации запрещено применение любых фармакологических препаратов, грелок на область живота и клизм. На ранней стадии (первые сутки) возможно добиться положительного результата при консервативном лечении. А именно, введение антибиотиков широкого спектра действия внутривенно. На этой стадии заболевания риск перфорации аппендикса незначителен. Если же болезнь развивается более суток до 5-7 дней, то здесь уже идет речь об аппендэктомии. Свыше 7 суток риск перфорации и абсцесса значительно возрастает.Также хронический аппендицит поддается консервативному лечению, тогда как острая форма болезни требует оперативного хирургического вмешательства.
При появлении у вас любого из вышеперечисленных признаков необходимо срочно обратиться к врачу. Не стоит тянуть время и заниматься самолечением, так как это приведет только к ухудшению состояния здоровья и серьезным последствиям для организма. Также не принимайте любые виды обезболивающих препаратов. И помните, что своевременное обращение за медицинской помощью существенно снизит риски для организма, даст должный результат и облегчит выздоровление!

appendicit.net
Длительность проявления повышенной температуры тела у женщин, мужчин и детей зависит от степени развития осложнений после операции. Если же неприятный показатель сохраняется на протяжении недели и больше после хирургического лечения, то это может быть спровоцировано такими факторами:
- кровопотеря при операции;
- травмы при оперировании;
- инфекции внутренних или наружных швов;
- нарушение правил диеты.
Наиболее часто лихорадка диагностируется докторами именно при оказании хирургической помощи и от поражения разных органов и систем.
Температура после операции по удалению аппендицита зачастую проявляется при раневых и полостных осложнениях:
- абсцедирование;
- флегмона брюшной стенки;
- инфильтрат и абсцесс полости;
- перитонит.
Повышение температуры также может быть спровоцировано снижением иммунитета. Оперативная помощь – это довольно серьёзный стресс для организма пациента, и последующая реабилитация зависит от особенностей организма больного. В период восстановления все силы и резервы организм направляет на устранение инфекции. При сниженном уровне иммунитета у пациента начинаются воспалительные процессы, которые нужно устранять только медикаментозным образом.
Также причиной повышения температуры тела после аппендицита может выступать установка дренажа. Высокая температура будет сохраняться у пациента до тех пор, пока дренажные трубки не будут устранены. Для предотвращения инфицирования раны у больного доктора назначают антибиотики.
Для установления точного диагноза доктору нужно измерять температуру тела у больного. Это является показательным симптомом для диагностирования патологии. В первые несколько часов формирования недуга, при катаральной стадии, показатель находится на нормальной отметке, и может повышаться максимум до 37,5 градусов.
С развитием болезни в организме человека значительно увеличивается и температура. В период формирования гангренозного типа у пациента диагностируется повышение показателей до 38,4 градусов. Однако иногда у больных встречается возращение температуры к отметке 36,6, а то и ниже. На этапе появления перфоративного аппендицита показатель градусника достигает 40 градусов. В этот же момент в организме развивается перитонит.
У большинства взрослых пациентов, в первые часы формирования недуга, температура тела будет нормальной, но у детей отмечается высокая лихорадка. При прогрессировании гнойной формы аппендицита показатели термометрии могут изменяться. Такие изменения в организме ребёнка связны с ускоренными обменными процессами и функциональной незрелостью.
Повышение температуры после операции на аппендицит является нормальным симптомом на протяжении нескольких дней. Если же признак недуга продолжается больше недели, то стоит бить тревогу и использовать медикаментозное лечение. Доктора при обострении симптома обязательно назначают больным такие препараты:
- антибиотики;
- жаропонижающие;
- противовоспалительные.
Самостоятельное купирование признака запрещено, так как при неправильной дозировке можно спровоцировать развитие разных осложнений.
В первую неделю после проведения хирургической помощи пациенту нужно пребывать в стационаре. Все это время за ним ведётся врачебное наблюдение, регулярно обрабатываются раны и швы для предотвращения нагноения и воспаления.
Если же проявились какие-либо дополнительные симптомы, то перед выпиской больного их нужно полностью устранить. При необходимости, доктор может провести повторное оперативное вмешательство для выявления причин патологических изменений и их удаления.
okgastro.ru
Основные признаки
Наиболее выраженным симптомом начала воспалительного процесса в аппендиксе является боль. Она может иметь разный характер и появляться в любое время суток, но практически всегда она возникает внезапно и застает человека врасплох, где бы он ни находился. Как правило, сначала больному сложно определить точную локализацию дискомфорта, так как у него создается впечатление, что болит весь живот. Но вскоре интенсивность боли снижается, что сопровождается ее перемещением в правую половину живота. Медики называют этот процесс симптомом Кохера.
Важно: примерно четверть всех больных первоначально связывают резко появившиеся боли в животе с проблемами в работе ЖКТ.
В части случаев боль изначально ощущается:
- в области пупка;
- сразу же в правой подвздошной области;
- в пояснице.
Тем не менее, где бы ни возникали первые симптомы, боль при аппендиците у 90% людей все равно перемещается в правую нижнюю часть живота. Однако в редких случаях у мужчин она иррадиирует в правое яичко, при этом может появиться ощущение его подтягивания. Подобное наблюдается, если червеобразный отросток расположен в нетипичном для него месте, а именно в непосредственной близости от веточек межреберного нерва, идущих к яичкам. Кроме того, в исключительных случаях боли ощущаются ближе к правому подреберью или в спине, что также может иметь место при аномальном расположении аппендикса.
Что же касается интенсивности неприятных ощущений, то зачастую они достаточно умеренные, хотя иногда пациенты все же жалуются на сильные боли.
и этом появление мощных болей в самом начале заболевания может свидетельствовать о возникновение нарушений кровообращения в аппендиксе, спровоцированном тромбозом его артерии или другими причинами. По характеру боль обычно острая, но также возможно присутствие тупых, тянущих, непрерывных болей, которые быстро усиливаются и даже могут становиться схваткообразными. Именно поэтому женщины часто ошибочно попадают в гинекологический стационар с подозрением на различные патологии внутренних половых органов и только оттуда спустя некоторое время переводятся в хирургическое отделение.
Внимание! Боли при аппендиците обычно усиливаются при любых напряжениях передней брюшной стенки, в том числе при кашле, смехе, чихании, движении и т.д.
С течением времени интенсивность болей снижается. У некоторых пациентов это наблюдается спустя несколько часов, у других – через несколько дней, но в любом случае уменьшение дискомфорта является не положительным, а, наоборот, тревожным звоночком, который должен заставить пациента незамедлительно обратиться за медицинской помощью. Подобное характерно для нарастания интоксикации или перехода заболевания в последнюю, гангренозную стадию. Как правило, при этом на первый план выходят другие симптомы аппендицита.
Другие признаки
Кроме болей, симптомы аппендицита у взрослых могут заключаться в появлении:
- тахикардии;
- сухости языка;
- тошноты;
- рвоты, как правило, однократной;
- вздутия живота;
- налета на языке;
- диареи;
- учащения и болезненности мочеиспусканий.
В тяжелых случаях пациентов может одолевать слабость и чувство общего недомогания. Что интересно, температура при аппендиците редко повышается выше 37,5°С. При этом иногда отмечается разница температур при измерении в правой и левой подмышечных впадинах.
Внимание! При наличии подозрений на аппендицит стоит измерить температуру в прямой кишке. Если она на 1–1,5°С превышает показатели температуры тела, измеренной в правой подмышечной впадине, то это свидетельствует о наличии воспаления в органах нижней части живота.
Кроме того, у больных при прогрессировании воспаления из-за нарастания напряжения мышц передней брюшной стенки отмечается изменение формы живота, его симметрии, а также отставание его правой половины от левой при дыхании. Поэтому может наблюдаться некоторое смещение пупка вправо, а у мужчин нередко поднимается правое или даже оба яичка.
Что проверяет врач?
Как бы ни показалось странным, но хороший врач сразу же не будет пальпировать живот больного. В том, как распознать аппендицит, ему помогут наблюдения за поведением и походкой пациента и просьба покашлять. Это объясняется тем, что при развитии аппендицита пациенты обычно стремятся лечь и занять вынужденную позу на правом боку с подтянутой к животу правой ногой. Если же попросить человека встать и пройтись, то можно отметить, что при ходьбе он несколько наклоняется вправо и держит руку в области правой части живота. В то же время кашель провоцирует усиление дискомфорта, что проявляется появлением гримасы боли на лице пациента.
Важно: во время приступа аппендицита больные стремятся сохранять полную неподвижность, так как практически любое движение усиливает боли.
В ходе непосредственного осмотра врач проверяет наличие:
- Симптома Раздольского, суть которого состоит в резком усилении боли при постукивании по правой части живота.
- Болезненности при крайне осторожной пальпации живота.
- Зоны повышенной чувствительности кожи при прикосновениях в правой подвздошной области.
- Симптома Крымова, то есть появление болей при введении кончика пальца в правый паховый канал и пальпации его задней стенки.
- Симптома Думбадзе – болезненности при введении кончика пальца в пупочное кольцо.
- Симптома Вахенгейма-Редера, заключающегося в определении болезненности при ощупывании брюшины через стенки влагалища у женщин и прямой кишки у мужчин.
- Симптома Щеткина-Блюмберга, присутствие которого указывает на воспалительное раздражение брюшины. Его суть состоит в появление резкой боли, являющейся следствием осторожного надавливания рукой на брюшную стенку правой подвздошной области и быстрого ее отдергивания. Но симптом Щеткина-Блюмберга при аппендиците может отсутствовать при атипичном расположении червеобразного отростка.
- Симптома Воскресенского – появление боли справа и отсутствие слева при быстром проведении раскрытой ладонью от края ребер по поверхности передней стенки живота через натянутую рубашку.
- Симптома Ровзинга, заключающегося в возникновении боли в правой нижней части живота после фиксации рукой сигмовидной кишки и произведения легкого точка в область нисходящей ободочной кишки.
- Симптома Образцова, то есть усиление болей в животе при поднятии правой ноги. Но диагностика аппендицита этим методом крайне небезопасна, так как может спровоцировать разрыв стенок червеобразного отростка.
- Симптома Бен-Ашера – при надавливании и удержании руки в левом подреберье справа возникает дискомфорт при кашле или просто глубоком дыхании.
- Симптома Затлера, который проявляется усилением болей в правой части живота после поднимания ноги из сидячего положения.
- Симптома Бриттена, заключающегося в подтягивании правого яичка вверх при осторожной пальпации самой болезненной точки.
- Симптома Московского, то есть расширение правого зрачка.
Внимание! Ни при каких обстоятельствах нельзя самостоятельно ощупывать живот больного, поскольку это может привести к разрыву аппендикса, развитию серьезнейших осложнений и смерти.
Таким образом, воспаление червеобразного отростка сопровождается возникновением достаточно обширного количества внешних проявлений, но наиболее патогномоничными, то есть отличительными, являются входящие в так называемую триаду Дьелафуа:
- боль в правой подвздошной области;
- напряжение мышц передней брюшной стенки;
- появление повышенной чувствительности кожи в правой подвздошной области.
Именно эти признаки относятся к числу тех, на какие симптомы при аппендиците стоит обратить особое внимание. Но даже они иногда не помогают правильно поставить диагноз, в особенности представительницам слабого пола. А промедление может быть чрезвычайно опасным для их здоровья и жизни.
Особенности проявления у людей разного возраста и пола
Ни для кого не секрет, что аппендицит может развиваться как у детей, так и у пожилых людей. Но совершенно очевидно, что у представителей разных возрастных групп характер и интенсивность симптомов воспаления будут разными. Более того, это заболевание не щадит даже беременных женщин, у которых диагностировать его сложнее всего в силу естественных изменений в организме будущей матери.
Дети
Достаточно часто аппендицит возникает у детей различного возраста, причем количество случаев его развития находится в прямо пропорциональной зависимости от возраста. Так, реже всего с этим недугом сталкиваются груднички, а вот школьники подвержены практически такому же риску попасть на стол хирурга, как и взрослые. При этом клиническая картина аппендицита у старших детей практически ничем не отличается от таковой у взрослых пациентов. Но диагностировать заболевание бывает порой нелегко, поскольку школьники часто склонны скрывать свои проблемы, а грудные дети еще неспособны о них рассказать.
У детей в возрасте от полугода до 5 лет может наблюдаться нетипичное течение заболевания. У них воспалительный процесс нередко дает о себе знать резким скачком температуры вплоть до 39,5°С, хотя точно так же температура может колебаться в границах субфебрильной. Кроме того, малыши могут вести себя беспокойно, плохо спать, наотрез отказываться от еды и т.п. из-за сильных болей в животе. Также, в отличие от признаков аппендицита у взрослых, дети часто страдают от многократной рвоты и у них могут наблюдаться симптомы банальной простуды, например, насморк. Это нередко заставляет родителей медлить с вызовом скорой помощи, списывая недомогание своего чада на ОРЗ.
Внимание! Поскольку для аппендицита характерно усиление болей при движении, больной ребенок может отказываться двигаться или во время игры присаживаться на корточки, плакать и жаловаться на боли в животе, если он уже умеет говорить.
Пожилые люди
Как правило, сила, с которой проявляются признаки аппендицита у стариков, не соответствует степени деструктивных изменений в червеобразном отростке. При этом обычно общее состояние пациентов не претерпевает никаких изменений. Поэтому достаточно часто они обращаются за медицинской помощью слишком поздно.
Беременные
Признаки воспаления аппендицита у взрослых беременных женщин на протяжении 1 и 2 триместров обычно не отличаются от классических. Но на завершающих месяцах увеличенная матка сильно сдвигает практически все органы брюшной полости с их типичных мест. Поэтому червеобразный отросток может оказаться как в правом подреберье, в результате чего симптомы его воспаления легко можно спутать с холециститом, так и в центре живота и т.д. В последнем случае врачи могут заподозрить язву желудка или двенадцатиперстной кишки и другие подобные патологии.
Таким образом, при диагностике аппендицита у женщин, находящихся на поздних сроках беременности, медики могут столкнуться с серьезными трудностями и сделать ошибочные заключения. Помочь правильно установить причину болей может наличие:
- Симптома Брендо. Его суть состоит в появлении болей в правой части живота при легком надавливании на ребро матки пока женщина лежит на левом боку.
- Симптома Михельсона, заключающегося в усилении дискомфорта при повороте женщины на правый бок, хотя у обычных людей при наличии аппендицита интенсивность болей усиливается при укладывании на левый бок.
Важно: в силу особенностей расположения органов у беременных женщин, среди них наблюдается наивысший процент летальности от аппендицита, поэтому к дискомфорту в животе стоит относиться очень внимательно.
ozhivote.ru
Температура при аппендиците: самое важное
Какая температура?Высокая у детей до 2 лет может быть от 39 до 40,5℃. В возрасте от 3 до 6-7 лет — как правило, от 38 до 39℃, а у детей старше 8-10 лет — от 37 до 38,5℃ (но это общие случаи). | Сколько держится?До оперативного удаления и после в течение 1-2 дней. Температура при аппендиците до операции должна держатся не более 48 часов (далее необходима госпитализация). |
Сбивается или нет?Да. Сбивается даже слабыми жаропонижающими (парацетамол, лекарства на основе ибупрофена) и достаточно легко. | Как начинается?Сразу же при появлении других первых симптомов — болей в животе, тошноты и рвоты. |
Какие ещё симптомы?Температура почти всегда сопровождается пропаданием аппетита, тошнотой, рвотой и болями в животе в области пупка. Среди других симптомов:
| Нужно вызывать скорую?Обязательно при веском подозрении на аппендицит (рвота, тошнота, потеря аппетита и характерная температура). |
temperatura-u-rebenka.ru
Аппендицит – это червеобразный отросток слепой кишки, и под диагнозом «аппендицит» имеют в виду его воспаление. Аппендицитом может заболеть любой человек, независимо от возраста. Это заболевание требует срочного хирургического вмешательства, только в этом случае вероятность полного выздоровления высока, и если к врачам не обращаться, то последствия аппендицита могут быть крайне печальными.
Следует помнить, что признаки и симптомы аппендицита носят плавающий характер, и решение о диагнозе может выносить только квалифицированный специалист, и чаще всего после некоторых анализов. Но есть определенные признаки, по которым вы можете хотя бы приблизительно понять, следует ли вам немедленно обращаться к врачу и вызывать скорую помощь.
Признаки острого аппендицита
Признак №1
Боль в животе – один из первых и основных симптомов острого аппендицита. Чаще всего, боль при аппендиците не локализована, и больной не может точно указать, в каком месте у него болит. Через некоторое время боль переходит в правую нижнюю часть живота – этот симптом чаще всего свидетельствует именно об аппендиците, вы не встретите его ни в одном другом заболевании. Однажды возникнув, боль может усиливаться, а может уменьшаться, но окончательно так и не проходит. Боли в животе могут усиливаться при ходьбе, кашле или чихании, смехе, изменении положения тела. Характерной особенностью аппендицита может стать боль в ногах, чаще всего, в правой.
Медленно надавите рукой в область правой нижней части живота и резко отпустите. Если пациент при этом чувствует резкую боль именно при быстром снятии руки, это может означать только одно – скорее вызывайте скорую, это аппендицит. Такая проверка носит название симптома Щёткина-Блюмберга.
Признак №2
Повышение температуры также является одним из симптомов аппендицита. Температура при этом заболевании не высокая, обычно 37-38°С, но присутствие температуры помогает отличить аппендицит от других заболеваний с похожими симптомами. Температуры при аппендиците может и не быть, но это не значит, что нет и аппендицита. Будьте осторожны и не пропустите другие признаки.
Признак №3
Тошнота, рвота, общая слабость, потеря аппетита. Чувство боли в первые часы часто сопровождается реакциями желудочно-кишечного тракта, например, может возникнуть расстройство желудка у детей и взрослых. Рвота чаще однократная, и если она повторяется, это может свидетельствовать о серьезных осложнениях и угрозе жизни для заболевшего. У детей возможна многократная рвота.
Хронический аппендицит
Аппендицит, кроме острого, может быть и хроническим. Его отличие от острого аппендицита состоит в том, что течение болезни медленное, а выраженность симптомов слабая и нечеткая. Также хронический аппендицит может спонтанно закончиться улучшением самочувствия и выздоровлением, что практически нереально в случае острого аппендицита.
Первая помощь при аппендиците
До приезда бригады скорой помощи уложите больного в постель. Не стоит давать обезболивающие или любые другие лекарства, они могут усложнить диагностирование. На правый бок можно положить грелку со льдом, но ни в коем случае нельзя прикладывать теплую грелку, это может привести к разрыву отростка. Перед приездом врачей желательно не есть и не пить. Если боли стихли, это может свидетельствовать не только о том, что аппендицит хронический, а и о некоторых осложнениях аппендицита. Поэтому обязательно дождитесь врача.
При наличии у вас или ваших близких признаков острого или же хронического аппендицита, необходимо вызвать скорую помощь как можно скорее. Не проводите самодиагностику и самолечение, ведь осложнения могут привести к летальному исходу. Чем раньше будет проведена операция, тем скорее вы забудете о боли и быстрее поправитесь. Аппендицит является самой распространенной операцией, и, как правило, проходит успешно при своевременном обращении к хирургу.
lasola.ru
vospaleniekishechnika.life
Как действовать при аппендиците 🚩 есть ли температура при аппендиците 🚩 Лечение болезней
Главный симптом аппендицита – сильная боль в животе. Она может начинаться медленно или резко, быть терпимой или мучительной, даже очаг ощущений не обязательно будет расположен строго справа. Воспаленный отросток иногда смещен в организме человека к печени, иногда опускается в низ тазовой области, порой завернут и «спрятан» за другими органами.
Вот почему аппендицит легко спутать с проблемами придатков, мочевого пузыря, даже приступом радикулита. И крайне опасно расслабляться, если боль начинает стихать. Это может означать еще более опасную ситуацию – перитонит. Кроме того, воспаление аппендикса выдает себя тошнотой, рвотой, повышением температуры и артериального давления. Так или иначе, первый шаг при болях в животе – звонок в скорую помощь.
Пока врачи спешат на помощь, можно лечь и попробовать самостоятельно диагностировать проблему. Для этого достаточно принять позу зародыша – на правом боку подтянуть ноги. Если ощущения стали тише – скорее всего, это действительно проблема с аппендиксом. А вот пальпировать, простукивать и придавливать область живота нельзя: есть риск раздавить воспаленный отросток.
До приезда врачей ни в коем случае нельзя принимать обезболивающие, спазмолитики или другие препараты. Их действие смажет картину происходящего, и специалисту станет труднее поставить диагноз. Нельзя также греть больное место или прикладывать к нему лед. Если хочется освободить кишечник – стоит побывать в уборной, ведь при экстренной операции не будет времени на клизму.
Когда работники скорой помощи предложат госпитализацию, нужно взять с собой паспорт, медицинский полис и немного наличных денег на случай, если тревога окажется ложной. Ведь домой предстоит добираться собственными силами. А вот дорогой телефон, набор сменной одежды и прочее стоит оставить дома. С собой лучше прихватить дешевый аппарат для связи с родными, которые и привезут в больницу все нужное после операции.
www.kakprosto.ru
Температура при аппендиците и после операции
Температура при аппендиците — один из основных симптомов. Аппендицит считается распространенным заболеванием, которое встречается с одинаковой частотой как у мужчин, так и у женщин. У маленьких детей аппендицит почти никогда не возникает по причине анатомического строения и слабого развития лимфоидного аппарата отростка. Также редко оперируют пожилых и беременных женщин.

Аппендицит получил название от латинского «appendicitis». Под данным диагнозом подразумевается воспаление отростка слепой кишки червеобразной формы. Лечение заключается в хирургической операции по удалению аппендикса. Если больному не оказать медицинскую помощь, могут возникнуть серьезные осложнения с летальным исходом.
Некоторые врачи считают, что аппендицит может быть хроническим. Это значит, что после острого приступа наступает облегчение, хотя операция и не была произведена. В таком случае слизистая оболочка отростка рубцуется, а сам аппендикс деформируется и возникают спайки. Хронический аппендицит сопровождается временными болями в правой половине живота при быстрой ходьбе или тряске во время езды. Обострение может произойти в любой момент, особенно после перенесенных инфекционных или вирусных заболеваний.
Как распознать аппендицит?
Воспаление аппендикса происходит очень быстро. Поэтому при первом подозрении необходимо обратиться за помощью. Болезненные ощущения возникают с правой стороны не сразу. У большинства людей боль начинается в области желудка, пупка или слева. Человек может ошибочно полагать, что болит кишечник или желудок.
Через несколько часов боль усиливается и локализуется справа. Женщины могут предполагать, что болит яичник. С каждым часом боль усиливается. Часто больные ложатся на правый бок и подгибают ноги, потому что такая поза дает временное облегчение. Кроме болей, всегда возникают дополнительные симптомы в виде:
- повышения температуры;
- тошноты;
- рвоты;
- головокружения;
- слабости;
- озноба;
- поноса;
- учащения пульса.
Кроме таких предвестников, при осмотре наблюдается напряжение передней стенки брюшины и резкая боль при пальпации. Язык слегка обложен белым налетом. Такие симптомы есть как у взрослых, так и у подростков. Для уточнения диагноза делается анализ крови на уровень лейкоцитов. При воспалении аппендикса они повышены.
Симптомы аппендицита у детей могут напоминать сначала кишечную инфекцию. Рвота, понос и температура характерны и при отравлении. Поэтому ребенка следует показать врачу как можно скорее. Обычно родители медлят и привозят детей в больницу уже с перитонитом или абсцессом, что представляет серьезную угрозу.
Повышенная температура после аппендэктомии
Операция по удалению называется аппендэктомия. Такая операция не считается сложной и длится 30-40 минут, если больного прооперировали вовремя. Однако реабилитация после удаления аппендикса должна соответствовать всем требованиям. Больному необходимо выполнять рекомендации врачей в отношении режима, питания и гигиенических процедур.
Любое оперативное вмешательство является сильным стрессом для всего организма. Поэтому температура после удаления аппендицита считается естественной реакцией. Существует два вида операций по удалению аппендикса. Лапароскопическая операция — это удаление аппендикса через маленькие проколы. Такая процедура считается более щадящей и заживление ран происходит быстро. После лапароскопии если и есть температура, то она держится всего 2-3 дня.

Полосная операция по удалению аппендицита
При полостной операции, а такую делают чаще всего, делается косой надрез справа и через него извлекают воспаленный отросток. После такой операции накладывается шов и период реабилитации длится дольше. Повышение температуры после операции на аппендицит таким способом также является нормальной реакцией. Показатели градусника могут колебаться от 37 до 38 градусов в течение 7-10 дней.
Однако повышение температуры дольше положенного времени может указывать на осложнения, связанные как с самой процедурой оперирования, так и неправильным поведением пациента во время восстановления.
Патологические причины повышения температуры
Сколько дней будет держаться температура, зависит от степени тяжести осложнения. Если повышенная температура не спадает дольше 10 дней, то это может быть связано с:
- большой кровопотерей во время операции;
- травмами других органов при оперативных манипуляциях;
- инфицированием внутренних или наружных швов;
- нарушением диеты.
Иногда врачи устанавливают дренаж. Если это было сделано после осложненной операции, то держится температура в таком случае до времени устранения дренажной трубки. В таких случаях требуется назначение антибиотиков.
Иногда после операции аппендицита температура возникает совсем по другой причине. Оперативное вмешательство ослабляет иммунную систему. Поэтому человек во время реабилитации может легко заразиться вирусной инфекцией.
После аппендицита некоторое время нужно соблюдать режим дня и правильно питаться. Вся пища должна быть диетической, чтобы не возникало запоров. Употребление запрещенных продуктов может привести к застою в кишечнике и общей интоксикации организма, которая зачастую может сопровождаться рвотой и повышением температуры тела до 38-39 градусов.
Лечение послеоперационных осложнений
Проявление аппендицита без температуры не бывает. Однако если у пациента наблюдается очень высокая температура, то это повод обратиться к врачу. Самолечение в данном случае не допустимо. Терапия послеоперационных осложнений заключается в применении антибактериальных и жаропонижающих препаратов. При возникновении сильных болей назначаются нестероидные противовоспалительные средства.
Пациент должен находиться в больнице до полного выздоровления. В случае серьезной проблемы может потребоваться повторная операция.
prozhkt.ru
Аппендицит острый: симптомы, первая помощь
Острый аппендицит – это экстренная хирургическая патология, которая проявляется воспалением в области аппендикса (червеобразный отросток слепого кишечника).
Острый аппендицит проявляется болями в животе, тошнотой и нарушением общего состояния. Требует немедленной операции по его удалению, поздняя диагностика грозит серьезными осложнениями вплоть до летального исхода.

Причины
Аппендикс является лимфоидным органом, в нем сосредоточено большое количество иммунных клеток, он помогает осуществлять иммунную защиту органов пищеварения. В среднем аппендикс имеет длину до 5-6см, толщину до 1 см. Отросток может располагаться как в классическом положении, отходя вниз от кишки в области правой подвздошной кости, так и лежать в других направлениях. Это важно в диагностике проявлений аппендицита.
Причин для воспаления аппендикса достаточно:
- закупорка его плотными каловыми массами,
- закупорка плотными фрагментами пищи (косточки, семечки, плотные куски пищи),
- разрастание тканей,
- увеличение лимфоидных зон, лимфоузлов с закупоркой просвета,
- тромбоз сосудов,
- проявления аллергии,
- инфекции кишечника,
- нахождение на жестких диетах, нерациональное питание,
- наследственная предрасположенность, стрессы, вредные привычки,
- переход инфекции с других органов (у женщин – с органов малого таза).
Виды аппендицита
По длительности и остроте процесса выделяют острый и хронический аппендицит.
Острый аппендицит, исходя из стадии процесса и длительности течения разделяют на:
- катаральную стадию, она длится первые 6 часов,
- флегмонозную стадию, она длится до конца первых суток,
- гангренозную стадию, ее длительность до конца 3-х суток,
- перфорация аппендикса и перитонит, характеризуется разрывом или расплавлением стенок и выходом содержимого в брюшную полость с формированием перитонита.
Симптомы острого аппендицита
Заболевание имеет четкую стадийность и тяжесть его зависит от длительности воспаления, однако, определить ее может только хирург.
Для пациента важно выявление опасных симптомов, которые бы указывали на острый аппендицит. К ним относят:
1. Первые признаки аппендицита:
- боли в области желудка или подложечкой, вокруг пупка или разлитого характера,
- боль постепенно на протяжении 3 часов перетекают в правый бок, в область подвздошной кости.
- боли сильные, активизируются при вставании и ходьбе, лежа на левом боку.
- в положении на правом боку боль уменьшается.
2. Возникновение боли вечером или в ночь, реже в утренние часы
3. На фоне боли возникают тошнота и необильная, однократная рвота, могут быть понос или запоры.
4. На фоне боли постепенно повышается температура, ухудшается состояние, возникают вялость, блеск глаз, бледность, обложенность языка.
Даже при отсутствии всех описанных симптомов, кроме боли в животе, если она длится более 4-6 часов, необходима госпитализация и осмотр хирургом.
Возрастные симптомы аппендицита
- Дети: быстрое нарастание проявлений. Температура тела чаще высокая. Рвота и диарея более ярко выражены. Раннее возвращение к режиму полноценной физической активности.
- Пожилые: стертость проявлений аппендицита может быть причиной несвоевременной диагностики и госпитализации.
- Беременные: диагностика затруднена, т. к. червеобразный отросток смещен беременной маткой вверх, что приводит к изменению типичного расположения болей, а расположение его за маткой – к снижению выраженности признаков раздражения брюшины. Внутриутробная гибель плода возникает в 2–8,5 % случаев.
Диагностика
Не смотря на все достижения медицины, не всегда легко поставить диагноз острого аппендицита. Он складывается из:
- жалоб и типичного начала болезни,
- данных осмотра и выявлении особых симптомов при прощупывании брюшной полости,
- данных экспресс-анализов крови и мочи,
- дополнительных инструментальных данных (УЗИ, рентген, диагностическая лапароскопия).
При типичном расположении червеобразного отростка обычно диагноз устанавливают быстро, а вот при его нетипичной локализации его необходимо отличать от:
Диагностикой должен заниматься только врач-хирург в приемном отделении хирургического стационара, для женщин и девочек обязательна консультация гинеколога.
Первая помощь при остром аппендиците
Для аппендицита крайне важно правильно оказать первую помощь, чтобы в дальнейшем не смазать клиническую картину и не затруднить диагноз.
При болях можно принять спазмолитики – но-шпу или папаверин, не более 2 таблеток, и только 1 раз. Далее необходимо обращение к хирургу или вызов неотложки.
Категорически запрещено:
- применение анальгина и его содержащих препаратов,
- применение кеторола, нимесулида или НПВС (нурофен, индометацин).
- применение тепла на живот, грелок, компрессов,
- применение слабительных, клизм, народных средств,
- применение антибиотиков и кишечных антисептиков (нифуроксазид).
Методы лечения
Сегодня единственным методом лечения острого аппендицита является операция по удалению аппендикса – аппендэктомия. Ее проводят двумя методами:
- классическая операция с разрезами,
- лапароскопия с проколами брюшной стенки и удалением отростка манипуляторами при визуальном контроле.
Операцию проводят в срочном порядке, после проведения в течение 1-2 часов экстренной предоперационной подготовки – анализов крови и мочи, осмотра и опроса больного с выявлением аллергии и проблем со здоровьем.
Операция проводится под общим наркозом, длится она от получаса до нескольких часов в зависимости от тяжести и осложнений.
В неосложненных случаях предпочтение отдают лапароскопии. После нее почти нет швов и восстановление идет быстрее. При подозрении на гангренозную форму и перфорацию могут применять классические и расширенные операции.
После операции первые сутки показан строгий постельный режим и легкое питание, постепенно режим расширяется. Швы снимают через неделю, выписка в пределах 5-10 дней.
Подробнее о диете после острого аппендицита — в нашей отдельной статье.
Осложнения острого аппендицита
Аппендицит – коварное заболевание, часто дающее серьезные осложнения. К ним относят
- абсцессы в области аппендикса или в брюшной полости,
- развитие гнойного перитонита, спаечных процессов,
- формирование аппендикулярного инфильтрата с невозможностью удаления аппендикса без травмы соседних органов.
Также могут развиваться воспаления в области сосудов, тромбозы вен, отходящих от аппендикса. Такие осложнения могут нарушать функции печении и даже вызвать летальный исход.
Профилактика
Методов специфической профилактики острого аппендицита не разработано. Необходимо правильное питание, рациональный режим и своевременное обращение за помощью к врачу при возникновении боли животе.
www.diagnos.ru
Температура после операции на аппендицит: почему поднимается, как лечить.
Операция по удалению аппендицита сравнительно не трудная и привычная для хирургов, особенно если заболевание проходит без осложнений. Однако послеоперационный период ничуть не менее важен, чем сама операция. Одним из симптомов, который всегда тревожит пациента и его родных в восстановительный период, является температура после операции на аппендицит, особенно если она долго не проходит.
Реакция организма на полостную и лапароскопическую операции
Реакция организма на удаление аппендицита сильно зависит от того, каким способом была проведена операция. От этого же зависит и скорость восстановления, и продолжительность такого явления, как высокая температура. После любой операции повышение температуры – это нормально, вопрос лишь в том, сколько дней она держится и каких значений достигает.
- Лапароскопическая операция: аппендикс удаляется через небольшие проколы на животе. Для организма эта операция менее травматична, поэтому заживление происходит быстро, а температура если и поднялась, то пройдет естественным образом на 2-3 день.
- Полостная операция: удаление воспаленного аппендикса делается через разрез в брюшной полости. Наложенный после операции шов делает восстановление после аппендэктомии более продолжительным. У пациентов, прооперированных таким способом, много ограничений в реабилитационный период, и высокая температура (37-38 градусов) держится долго — до 10 дней.
Причины сохранения температуры дольше 10 дней после удаления аппендицита
То есть повышение температуры как реакция организма на удаление аппендицита – это нормально, особенно при осложненном аппендиците. Однако если на 10 день жар не проходит – это уже расценивается не как нормальная реакция, а как осложнение. Особенно тревожит этот симптом, если градусник показывает существенно выше 37 градусов. Почему же высокая температура после операции может держаться дольше 10 дней? Существует несколько причин.
- Большая потеря крови во время вырезания аппендицита.
- Во время операции были задеты другие органы, и сейчас в травмированном месте происходит воспаление.
- В ходе вырезания аппендицита была занесена инфекция.
- На фоне сниженного из-за проведения операции иммунитета человек подхватил респираторную инфекцию. Все силы организма в этот период направлены на заживление раны, поэтому любая инфекция будет протекать тяжелее обычного.
- Воспаление происходит в послеоперационной ране. Инфекция в рану может попасть в том случае, если в отделении несвоевременно делают перевязку шва или недобросовестно проводят его обработку.
- В послеоперационной ране еще стоит дренаж. Пока дренаж не уберут – держится высокая температура, даже если это длится дольше 10 дней.
- Нарушение диеты. Порой пациентам кажется, что соблюдение диеты – самый незначительный фактор восстановления после операции. Однако ее нарушение в первые дни может вызвать запор, который приводит к отравлению организма и развитию воспаления.
Как лечат послеоперационное воспаление
В норме самая высокая температура после операции бывает в первые дни, а затем она постепенно снижается до 37 и возвращается к естественным значениям. Если доктор видит, что восстановление идет нормально и температура выравнивается – никаких назначений и манипуляций не проводится. Если за 10 дней тенденция к нормализации температуры не проявилась – нужно выяснить причину такой реакции организма и устранять ее. Для этого достаточно сделать общий анализ крови и УЗИ, чтобы увидеть есть ли воспаление и где оно локализуется.
После того, как причина сохранения высокой температуры дольше 10 дней установлена, проводится лечение, которое подразумевает:
- Антибактериальную терапию антибиотиками, которые врач подбирает исходя из того, какие микроорганизмы являются возбудителями воспаления.
- Противовоспалительную терапию с помощью НПВС (Ибупрофен).
- Симптоматическое лечение высокой температуры жаропонижающими средствами (Аспирин, Парацетамол).
Все лечение должен назначать врач, контролировать ход выздоровления – тоже. Пытаться вылечить послеоперационное воспаление самостоятельно ни в коем случае нельзя.
Нормальная температура по истечении 10 дней после вырезания аппендицита – важный параметр выздоровления, вот почему выписывать из стационара пациента с высокой температурой не могут. Обычно все обходится курсом антибиотиков и противовоспалительных средств, после чего цифра на градуснике опускается до 37 и ниже. Если такое лечение не приводит к нужным результатам – лечащий хирург может провести повторную операцию, чтобы не на мониторе аппарата УЗИ, а своими глазами увидеть, что происходит на месте удаления аппендицита.
appendicit.net