Повреждение переднего рога латерального мениска
Причины и симптомы латерального мениска коленного сустава
- Разрыв медиального и внутреннего коленного мениска, причины и симптомы
- Лечение мениска коленного сустава народными средствами
- Киста коленного мениска
- Удаление мениска коленного сустава
- Другие статьи
Определение заболевания
Мениски в коленном суставе играют роль амортизаторов, служат для полного взаимодействия формы соприкасающихся поверхностей костей и поддерживают устойчивость коленного сустава. Латеральный мениск расположен снаружи коленного сустава и более подвижен, чем медиальный мениск (внутренний), за счет чего он менее подвержен травматическим повреждениям.
Причины травмы латерального мениска коленного сустава
Самой распространенной причиной травмы латерального мениска является непрямая или комбинированная травма, при которой голень выворачивается кнутри. При слишком резком разгибании ноги из согнутого состояния, чрезмерном отведении голени, также может произойти повреждение мениска.
Прямая травма, например, при ударе непосредственно суставом о жесткий край какой-либо поверхности или при ударе тяжелым движущимся предметом, диагностируется достаточно редко. Но, если она случается повторно, то чаще всего развивается хроническая травматизация мениска, которая приводит со временем к его разрыву.
Заболевания ревматического характера могут явиться причиной развития дегенеративных изменений латерального мениска.
Признаки и симптомы повреждения латерального мениска
Клинические проявления повреждения латерального мениска принято разделять на два периода: острый и хронический. Часто в начале заболевания очень сложно поставить правильный диагноз, так как присутствуют симптомы неспецифического воспаления, характерные и для других внутренних повреждений суставов. Как правило, больного беспокоят болезненные ощущения в области повреждения, по ходу суставной щели. При движении, особенно при разгибании, возникает резкая боль, что приводит к ограничению двигательной способности.
В большинстве случаев травма бывает одномоментной и приводит к ушибам, надрывам, а в тяжелых случаях к разрыву или даже раздавливанию мениска. Полный разрыв впервые травмированного мениска чаще всего происходит при наличии дегенеративных изменений или воспалительного процесса. В результате консервативной терапии у большинства больных наблюдается полное выздоровление.
После окончания подострого периода, который длится 2-3 недели, реактивные явления исчезают, и становится видна истинная клиническая картина повреждения. Для нее характерно наличие определенных симптомов, таких как боль, присутствующая постоянно и воспаление капсулы. Определяется наличие выпота и часто бывает блокада сустава. Анамнез больного с подробным описанием деталей полученной травмы и положительные болевые тесты на разгибание, смещение и компрессию играют важную роль в постановке правильного диагноза.
Диагностика повреждения латерального мениска
Для диагностики очень важно детальное описание момента получения травмы. Повреждения латерального мениска очень редко сопровождаются блокадой сустава, за счет своей подвижности он более подвержен сжатию, чем разрыву. Как правило, присутствуют симптомы перемещения и скольжения мениска и специфический щелчок при минимальном движении.
При травматическом повреждении латерального мениска больные жалуются на боль в области наружной щели сустава, интенсивность которой увеличивается при движении голени внутрь. Наружный осмотр позволяет выявить припухлость коленного сустава и развитие инфильтрации.
Эти симптомы являются достаточно распространенными и присутствуют при других патологиях коленного сустава, что существенно затрудняет диагностику. Болевые тесты чаще всего именно при повреждениях латерального мениска бывают отрицательные, кроме щелкающего колена, блокада сустава также развивается не всех случаях.
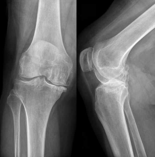
Самым объективным методом является рентгенография, с помощью которой определяется сужение поврежденного отдела суставной щели с признаками деформирующего артроза.
Определенная сложность возникает при диагностике, если мениск имеет атипичную форму или при хронической травматизации происходит повреждение обоих менисков.
Лечение повреждения латерального мениска
Выбор метода лечения зависит от характера травмы и состояния больного. Ушибы, маленькие разрывы, изменения дегенеративного типа, подлежат первичному консервативному лечению. Если травма серьезная, с большими разрывами и сопровождается сильными болями или блокадой, категорически показано оперативное лечение, которое чаще всего проводится с помощью эндоскопической аппаратуры. Хирургическому вмешательству подлежат и больные, у которых в результате консервативного лечения не наступило улучшения.
Реабилитация после повреждения латерального мениска
Сроки и мероприятия для реабилитации лечения таких заболеваний выбираются индивидуально для каждого больного. Рекомендуется на начальном этапе использование костылей и максимальное уменьшение нагрузки на больную ногу.
Эксперт-редактор: Мочалов Павел Александрович | д. м. н. врач-терапевт
Образование: Московский медицинский институт им. И. М. Сеченова, специальность — «Лечебное дело» в 1991 году, в 1993 году «Профессиональные болезни», в 1996 году «Терапия».
Признаки и лечение латерального мениска
Хрящевой диск, который находится с наружной стороны взаимодействующих поверхностей сустава называется латеральный мениск. Его травмирование чаще всего вызвано падением на прямые ноги или чрезмерным разгибанием конечности. Кроме этого, травма подобного рода является профессиональной болезнью некоторых спортсменов. У них, как правило, случается разрушение переднего рога латерального мениска. Для диагностики заболевания используют магнитно-резонансную томографию, а вылечить проблему поможет оперативная замена хряща.

Что это и где находится?
Мениск — это полукруглый хрящ, что состоит из волокон коллагена, за счет которых имеет высокую прочность и способен изменять форму при давлении на него. Расположен он в суставах, где выполняет функцию амортизационной подушки между костями. В зависимости от локализации в суставной сумке, выделяют медиальный и латеральный мениск. Последний располагается снаружи. Он более прочный и широкий, как результат — реже травмируется и разрушается, в отличие от внутреннего хрящевого диска. Кроме этого, благодаря ему, сустав имеет большую подвижность.
Различная локализация связана с амплитудой движений и функциональными особенностями различных частей тела человека. Чаще всего повреждается мениск коленного сустава.
Наружный мениск присутствует в таких суставах:
Факторы, которые вызывают травму
Повреждение латерального мениска колена происходит в результате выворачивания голени внутрь. Это происходит как результат падения на прямые ноги или во время резкого разгибания конечности. Кроме этого, опасность возрастает при резком отведении ноги. Удар предметом в область колена также является причиной травмирования латерального мениска, но она встречается очень редко. Эта болезнь присуща определенным спортсменам, основная нагрузка у которых связана с ногами. Например, у футболистов чаще всего повреждается передний рог хрящевой пластинки.
Признаки повреждения латерального мениска
Признаки повреждения появляются сразу после травмы. В колене появляются неспецифические признаки воспаления. Это покраснение кожи, отечность, локальное повышение температуры кожи. Больной не может выполнять движения в суставе. Конечность болезненна на ощупь особенно в области щели сустава. После завершения острого периода болезни, боль в месте повреждения не исчезает. К ней присоединяется хронический воспалительный процесс суставной капсулы и другие симптомы повреждения латерального мениска. В сумке формируется патологический выпот, а подвижность ноги резко ограничивается из-за чрезмерного трения костей и их блокады.
Методы определения патологии
Для правильной диагностики травмы латерального мениска необходимо точно собрать анамнез, то есть сведения как именно произошла травма и что послужило ее причиной. При предварительном выявлении проблемы и чтобы исключить переломы костей, используют рентгенологическое исследование. Чтобы точно определить какой произошел разрыв медиального или латерального хрящевого диска, нужно провести магнитно-резонансную томографию.
Выявлением и лечением болезни занимается врач-травматолог.
Как лечить патологию?
В острый период болезни показана терапия с использованием обезболивающих и противовоспалительных мазей. Кроме этого, необходима иммобилизация конечности с наложением тугой бинтовой повязки или гипса. Движения ногой полностью запрещаются, ведь они могут усугубить процесс и вызвать разрыв медиального мениска. После того как пройдут явления воспаления, но при этом больному не станет лучше, ему понадобится хирургическое вмешательство. Если повреждение переднего рога латерального мениска было существенным, проводится протезирование хрящевой пластинки. После операции необходим длительный курс реабилитации.
Повреждение мениска коленного сустава — что делать?
Автор статьи: Бургута Александра , врач акушер-гинеколог, высшее медицинское образование по специальности «Лечебное дело».
Когда мы чувствуем боль в колене, чаще всего это означает, что болит мениск. Так как мениск — это хрящевая прослойка, то она больше всего подвержена опасности повреждений. Боль в колене может свидетельствовать о нескольких видах повреждений и нарушений деятельности мениска. При разрыве мениска, застарелых повреждениях, а так же при растяжении межменисковых связок возникают различные симптомы и способы борьбы с ними тоже разные. Как же правильно диагностировать причину боли в мениске? Какие способы лечения существуют?
Симптомы повреждения мениска
Менисками колена называют хрящевые образования, находящиеся в полости сустава, служащие амортизаторами движения, стабилизаторами, защищающими суставный хрящ. Всего менисков два, внутренний (медиальный) и внешний (латеральный) мениск. Повреждение внутреннего мениска коленного сустава происходит гораздо чаще, в связи с его меньшей подвижностью. Повреждение мениска проявляется в виде ограничения подвижности, болей в колене, а в застарелых случаях – это может быть и развитие артроза коленного сустава.
Резкая режущая боль, отек сустава, затрудненные движения конечностями и болезненные щелчки свидетельствуют о том, что мениск поврежден. Эти симптомы возникают сразу после травмы и могут свидетельствовать и о других повреждениях суставов. Более достоверные симптомы повреждения мениска проявляются через 2-3 недели после повреждения. При таких травмах больной чувствует локальную боль в суставной щели, происходит скапливание жидкости в суставной полости, «блокада» колена, слабость мышц передней поверхности бедра.
Достовернее признаки повреждения мениска определяются с помощью специальных тестов. Существуют тесты на разгибание суставов (Ланды, Байкова, Роше и др.), при определенном разгибании сустава ощущаются болевые симптомы. Техника ротационных тестов основана на проявлении повреждения при прокручивающих движениях суставов (Брагарда, Штеймана). Так же диагностировать повреждение мениска можно с помощью симптомов компрессии, медиолатеральных тестов и МРТ.

Схема коленного сустава
Лечение повреждений
Повреждение мениска предусматривает разное лечение, в зависимости от тяжести и вида травмы. При классическом типе избавления от недугов можно выделить основные виды воздействия, применяемые при любых повреждениях.
В первую очередь стоит снять боль, поэтому для начала больному ставят обезболивающий укол, после чего берут пункцию сустава, удаляют из суставной полости скопившуюся кровь и жидкость, и по надобности устраняют блокаду суставов. После данных процедур суставу необходим покой, для создания которого накладывается повязка из гибса, либо тутор. В большинстве случаев достаточно 3-4 недель иммобилизации, но в тяжелых случаях срок может доходить и до 6 недель. Рекомендуется местно прикладывать холод, нестероидные препараты, снимающие воспаление. Позже можно добавить лечебную физкультуру, ходьбу со средствами поддержки, различные виды физиотерапии.
Оперативное вмешательство рекомендуется в тяжелых случаях, таких как застарелое повреждение мениска. Одним из популярнейших методов хирургического воздействия на сегодняшний день является артроскопическая операция. Такой вид оперативного вмешательства стал популярен благодаря бережному отношению к тканям. Операция представляет собой резекцию только поврежденной части мениска и отшлифовки дефектов.
При таких повреждениях как разрыв мениска, операция производится закрыто. Через два отверстия в сустав вводится артроскоп с инструментами для изучения повреждения, после чего принимается решение о частичной резекции мениска или же возможности его зашить. Стационарное лечение длится около 1-3 дней, благодаря малой травматичности данного вида операции. На восстановительном этапе рекомендуются ограниченные физические нагрузки до 2-4 недель. В особых случаях рекомендуется ходьба со средствами поддержки и ношение наколенника. С первой же недели можно уже начинать реабилитационную физкультуру.
Разрыв мениска коленного сустава
Самым распространенным повреждением коленного сустава является разрыв внутреннего мениска. Различают травматические и дегенеративные разрывы менисков. Травматические возникают в основном у спортсменов, молодых людей в возрасте 20-40 лет, при отсутствии лечения они трансформируются в дегенеративные разрывы, которые в большей степени проявляются у пожилых людей.
Исходя из локализации разрыва, выделяют несколько основных типов разрыва менисков: разрыв, напоминающий по форме ручку лейки, поперечный разрыв, продольный разрыв, лоскутный разрыв, горизонтальный разрыв, повреждение переднего или заднего рога мениска, паракапсуярные повреждения. Так же разрывы менисков классифицируют и по форме. Выделяют продольные (горизонтальные и вертикальные), косые, поперечные и комбинированные, а так же дегенеративные. Травматические разрывы, возникают в основном в молодом возрасте, проходят вертикально в косом или продольном направлении; дегенеративные и комбинированные — чаще происходят у пожилых людей. Продольные вертикальные разрывы, или разрывы в форме ручки лейки, бывают полные и неполные и зачастую начинаются с разрыва заднего рога мениска.
Рассмотрим разрыв заднего рога медиального мениска. Разрывы такого типа происходят чаще всего, так как большая часть продольных, вертикальных разрывов и разрывов в форме ручки лейки начинается с разрыва заднего рога мениска. При длинных разрывах существует большая вероятность того, что часть порванного мениска будет препятствовать движению сустава и причинять болезненные ощущения, вплоть до блокады сустава. Комбинированный тип разрывов мениска происходит, охватывая несколько плоскостей, а чаще всего локализуется в заднем роге мениска коленного сустава и в основной массе возникает у пожилых людей, обладающих изменениями в менисках дегенеративного характера. При повреждениях заднего рога медиального мениска, не приводящих к продольному отщеплению и смещению хряща, больной постоянно чувствует угрозу блокады сустава, но она так и не наступает. Не так часто происходит разрыв переднего рога медиального мениска.
Разрыв заднего рога латерального мениска происходит в 6-8 раз реже медиального, но несет не меньше негативных последствий. Приведение и внутренняя ротация голени служат основными причинами, вызывающими разрыв наружного мениска. Основная чувствительность при такого рода повреждениях приходится на наружную сторону у заднего рога мениска. Разрыв дуги латерального мениска со смещением в большинстве случаев приводит к ограничению движений в конечном этапе разгибания, а иногда вызывает и блокаду сустава. Разрыв латерального мениска распознается по характерному щелканью во время ротационных движений сустава вовнутрь.
При повреждении мениска без врача не обойтись
Симптомы разрыва
При таких повреждениях как разрыв мениска коленного сустава симптомы могут быть довольно разные. Существует острый и хронический, застарелый разрыв мениска. Основным признаком разрыва является блокада сустава, при отсутствии которой довольно сложно определить разрыв медиального мениска или латерального в острый период. Спустя некоторое время, в подострый период, разрыв можно идентифицировать по инфильтрации в области суставной щели, локальной боли, а так же с помощью болевых тестов, подходящих для любых видов повреждений мениска коленного сустава.
Основной симптом разрыва мениска — это болезненные ощущения при прощупывании линии суставной щели. Разработаны специальные диагностические тесты, такие как проба Эпли и проба Мак-Марри. Проба Мак-Марри производится двумя видами.
В первом варианте больного кладут на спину, сгибают ногу до угла около 90° в коленном суставе и тазобедренном. После чего одной рукой обхватывают колено, а второй рукой производят ротационные движения голени сначала наружу, а затем внутрь. При щелчках или треске можно говорить об ущемлении поврежденного мениска меж суставными поверхностями, такая проба считается положительной.
Второй же вариант пробы Мак-Марри называется сгибательным. Производится он так: одной рукой обхватывают колено как и в первой пробе, затем ногу в колене сгибают до максимального уровня; после чего, голень вращают наружу для выявления разрывов внутреннего мениска. При условии медленного разгибания коленного сустава примерно до 90°и ротационных движениях голенью при разрыве мениска больной будет испытывать болевые ощущения на поверхности сустава с задней внутренней стороны.
При проведении пробы Эпли, больного кладут на живот и сгибают ногу в колене, образовывая угол 90°. Одной рукой нужно надавить на пятку больному, а другой в это же время вращать стопу и голень. При возникновении болевых ощущений в суставной щели, пробу можно считать положительной.

Лечение разрыва
Разрыв мениска лечится как консервативным, так и хирургическим путем (резекция мениска, как полная, так и частичная и его восстановление). С развитием инновационных технологий все большую популярность приобретает трансплантация мениска.
Консервативный вид лечения в основном применяется для заживления небольших разрывов заднего рога мениска. Такие повреждения зачастую сопровождаются болевыми ощущениями, но к ущемлению хрящевой ткани между суставными поверхностями не приводят и не вызывают щелчков и ощущения переката. Такой вид разрывов свойственен стабильным суставам. Лечение заключается в освобождении от таких видов спортивных занятий, где не обойтись без быстрых рывков от защитника и движений, оставляющих одну ногу на месте, такие занятия ухудшают состояние. У пожилых людей такое лечение приводит к более положительному результату, так как причиной симптоматики у них зачастую служат дегенеративные разрывы и артрит. Небольшой продольный разрыв медиального мениска (менее 10 мм), разрыв нижней или верхней поверхности, не проникающий на всю толщину хряща, поперечные разрывы не больше 3 мм зачастую заживают самостоятельно либо никак не проявляются.
Так же разрыв мениска лечение предусматривает еще одним способом. Зашивание изнутри наружу. Для данного вида лечения используются длинные иглы, которые проводят перпендикулярно линии повреждения из суставной полости к внешней стороне крепкого капсульного участка. При этом швы накладываются один за другим достаточно плотно. Это является одним из основных преимуществ способа, хотя и повышает уровень риска повреждения сосудов и нервов при выведении иглы из суставной полости. Данный метод идеально подходит для лечения разрыва заднего рога мениска и разрыва, идущего от тела хряща к заднему рогу. При разрыве переднего рога могут возникать трудности в проведении игл.
В случаях, когда происходит повреждение переднего рога медиального мениска правильнее использовать метод зашивания снаружи внутрь. Данный способ более безопасен для нервов и сосудов, иглу в таком случае проводят через разрыв мениска с внешней стороны коленного сустава и далее в суставную полость.
Бесшовное скрепление мениска внутри сустава набирает все больше популярности с развитием технологий. Процедура занимает мало времени и проходит без участия таких сложных аппаратов как артроскоп, но на сегодняшний день не дает и 80 % шанса заживления мениска.
Первыми показаниями к хирургическому вмешательству являются выпот и боль, которые невозможно устранить путем консервативного лечения. Трение во время движений или блокада сустава так же служат показателями к операции. Резекция мениска (менискэктомия) раньше считалась безопасным вмешательством. Благодаря последним исследованиям стало известно, что в большинстве случаев менискэктомия приводит к артриту. Этот факт повлиял на основные методы лечения таких повреждений, как разрыв заднего рога внутреннего мениска. В наши дни большей популярностью стало пользоваться частичное удаление мениска и отшлифовка деформированных частей.
Последствия разрыва мениска колена
Успех восстановления после таких травм как повреждение латерального мениска и повреждение медиального мениска зависит от многих факторов. Для скорейшего выздоровления важны такие факторы как давность разрыва и его локализация. Вероятность полного восстановления снижается при слабом связочном аппарате. Если возраст больного не больше 40 лет, то он имеет больше шансов на выздоровление.
Источники:
http://www.ayzdorov.ru/lechenie_menisk_kolennogo_systava_latar.php
http://etosustav.ru/travmirovanie/hryash/lateralnyj-menisk.html
http://sustavzdorov.ru/koleni/povrezhdenie-razryv-meniska.html
ostamed.ru
Разрыв переднего рога латерального мениска коленного сустава
Содержание статьи
Повреждение мениска коленного сустава: симптомы, лечение и операция
Многие годы пытаетесь вылечить СУСТАВЫ?
Глава Института лечения суставов: «Вы будете поражены, насколько просто можно вылечить суставы принимая каждый день…
Читать далее »
Коленный сустав – один из самых крупных в организме человека. Он отличается достаточно сложным строением и включает множество хрящей и связок.
Наряду с этим в составе этой части тела мало мягких тканей, которые могли бы защитить ее от повреждений.
НАШИ ЧИТАТЕЛИ РЕКОМЕНДУЮТ!
Для лечения суставов наши читатели успешно используют Артрейд. Видя, такую популярность этого средства мы решили предложить его и вашему вниманию.
Подробнее здесь…
Именно поэтому травмы коленного сустава диагностируются достаточно часто, и одним из наиболее распространенных повреждений считается разрыв мениска.
Строение мениска
Мениск представляет собой хрящевое образование, имеющее форму полумесяца. Он находится между голенью и бедром и является своеобразной прокладкой между суставными концами костей.
Мениск выполняет ряд функций, основной из которых является амортизация движения и защита суставного хряща. Помимо этого, он выполняет стабилизирующую функцию, которая направлена на увеличение взаимного соответствия всех суставных поверхностей, соприкасающихся друг с другом. Также мениск помогает существенно уменьшить трение в суставах.
В коленном суставе присутствует два мениска:
- наружный;
- внутренний.
Наружный мениск отличается большей подвижностью, а потому повреждается намного реже по сравнению с внутренним.
Определенные особенности имеет и кровоснабжение мениска. Дело в том, что у новорожденных детей всю их ткань пронизывают кровеносные сосуды, однако уже в девять месяцев из внутренней части сосуды полностью пропадают. По мере взросления кровоснабжение мениска ухудшается. С этой точки зрения выделяют две зоны – белую и красную.
Классификация повреждений
Выделяют такие разновидности повреждений мениска коленного сустава:
- Отрыв от места прикрепления. Это может произойти в районе тела мениска в паракапсулярной зоне или в области переднего и заднего рогов.
- Разрывы тела мениска. Это может произойти в трансхондральной области, а также в области заднего и переднего рогов.
- Всевозможные сочетания таких повреждений.
- Избыточная подвижность менисков. Это может быть дегенерация мениска или разрыв его связок.
- Хроническая дегенерация или травматизация мениска, кистозное перерождение.
Разрывы менисков тоже могут иметь несколько разновидностей:
- продольный;
- поперечный;
- лоскутообразный;
- раздробленный.
По степени сложности бывают полные и неполные разрывы.
Причины разрыва
Это достаточно частое явление, причем данную травму обычно получают люди, которые занимаются спортом, – лыжники, теннисисты, фигуристы, футболисты. Как правило, подобные повреждения встречаются у людей 18-40 лет, причем мужчины подвержены им чаще женщин. У детей младше 14 лет разрывы мениска встречаются довольно редко, что можно объяснить анатомическими особенностями их организма.
Иногда разрыв мениска происходит и без травмы. Чаще всего это наблюдается при развитии воспалений или дегенеративных процессов в коленном суставе. Нередко виной этому является артроз. Иногда травматические повреждения менисков сопровождаются разрывом связок и прочими повреждениями коленного сустава.
Симптоматика травмы
Симптомы, характерные при повреждении мениска коленного сустава на первоначальной стадии развития заболевания: неспецифическое воспаление, резкая стесненность в движениях, локальные болевые ощущения, наличие в полости крови или экссудата.
Уже спустя 2-3 недели эти проявления исчезают и появляются симптомы, которые присущи именно травме мениска:
- Локальная болезненность.
- Наличие выпота.
- Инфильтрация капсулы.
- Болезненность валика в районе суставной щели.
- Неподвижность сустава, которая связана с защемлением мениска.
- Характерный щелчок при сгибании сустава.
- Увеличение температуры в зоне пораженного сустава.
- Атрофия мышц бедра и голени – встречается в отдельных случаях.
Хроническая форма болезни наблюдается в случае систематического повреждения мениска. При этом отсутствуют ярко выраженные признаки. Иногда проявляются:
- боли в районе суставной щели;
- синовиты;
- атрофия четырехглавой мышцы бедра.
Чтобы подтвердить повреждение мениска, можно выполнить различные тесты:
- Симптом Байкова – болевые ощущения появляются при надавливании на суставную щель во время разгибания колена, согнутого под прямым углом.
- Симптом Ланда – боль появляется при попытках сесть «по-турецки».
- Симптом Штеймана – болевые ощущения возникают в согнутом под прямым углом колене при выполнении ротационных движений.
- Симптом Полякова – боль появляется в положении на спине с поднятой здоровой ногой и приподнятым туловищем, при этом пациент должен опираться на пятку поврежденной ноги и лопатки.
- Симптом Мак-Маррея – болевые ощущения усиливаются при вращении согнутой под прямым углом ноги кнаружи или кнутри. Благодаря этому можно судить о травмировании медиального или латерального мениска.
- Симптом Турнера – снижение или увеличение чувствительности в районе внутренней поверхности колена.
- Симптом Перельмана – появление болевых ощущений при спуске по лестнице.
- Симптом Чаклина – напряжение или уплощение портняжной мышцы во время разгибания голени.
Симптомы разрыва медиального и латерального мениска коленного сустава тоже имеют определенные отличия. Так, к признакам травматизации медиального мениска относят:
- интенсивные болевые ощущения с внутренней стороны сустава;
- точечная боль при надавливании в место прикрепления связки к мениску;
- болевые ощущения при сильном сгибании ноги;
- «блокада» колена;
- боль при повороте голени кнаружи.
Признаки травматизации латерального мениска включают:
- болевые ощущения в наружном отделе, возникающие при напряжении коленного сустава;
- боль при повороте голени кнутри;
- слабость мышц в районе передней части бедра.
Диагностика повреждения
Поставить правильный диагноз может только врач. Перед тем как провести исследования, специалист должен расспросить обо всех симптомах и выполнить осмотр коленного сустава и ноги. Затем врач обследует сустав на предмет скопления жидкости и проверит наличие атрофии мышц.
Опытный травматолог на основе этих данных сумеет поставить диагноз с точностью 95 %. Однако для того чтобы получить стопроцентную уверенность, необходимо пройти дополнительные обследования:
- рентгенографию;
- ультразвуковое исследование;
- магнитно-резонансную томографию.
При развитии любых неприятных ощущений в области сустава обязательно выполняют рентген – это самый простой и доступный метод исследования. В более сложных ситуациях назначается магнитно-резонансная томография – она дает возможность, помимо сустава, проверить околосуставные образования.
Комплексное лечение
Консервативная терапия
В независимости от тяжести травмы пострадавшему необходимо оказать первую помощь. Для этого больному следует обеспечить полный покой, наложить холодный компресс и эластичный бинт в область коленного сустава. Чтобы предотвратить или убрать отек, нужно уложить ногу чуть выше уровня груди.
Консервативные методы при лечении разрыва мениска коленного сустава включают в себя использование нестероидных обезболивающих средств. К ним относится ибупрофен, мелоксикам, диклофенак.
Чтобы восстановить хрящевую ткань, требуются хондопротекторы – они способствуют улучшению обменных процессов в восстановительной ткани. К таким препаратам относят хондроитин сульфат и глюкозамин. Чтобы повысить влагоудерживающие характеристики хряща и предотвратить воспаление, может быть назначена биологически активная добавка коллаген ультра.
Для растираний используются различные мази – кеторал, алезан, вольтарен, долгит. Если наблюдаются болевые ощущения и ограниченная подвижность, могут вводить препарат Остенил внутрь суставной сумки.
Оперативное вмешательство
Показаниями к проведению операции при разрыве мениска коленного сустава являются:
- Разрыв и смещение мениска.
- Кровь в полости.
- Раздавливание ткани мениска.
- Отрыв тела и рогов мениска.
- Отсутствие эффекта от медикаментозного лечения на протяжении нескольких недель.
В подобных ситуациях может быть назначено оперативное вмешательство, которое проводится разными методами:
Менискэктомия или удаление мениска
Данная операция показана при отрыве большой части мениска, разложении хрящевой ткани, развитии осложнений. Подобная процедура относится к довольно травматичным и приводит к устранению болевых ощущений только в 50-70 % случаев.
Восстановление мениска
Если это возможно, хирурги стараются максимально сохранить мениск. Восстановление возможно в следующих ситуациях:
- отрыв мениска от капсулы;
- продольный вертикальный разрыв;
- периферический разрыв мениска;
- отсутствие дегенеративных процессов в хрящевой ткани;
- молодой возраст.
Успешное проведение операции зависит от давности и места расположения разрыва. Локализация повреждения в красной или промежуточной области и возраст больного до 40 лет повышают вероятность удачного исхода.
Артроскопия
Это метод считается наиболее современным и наименее травматичным. В ходе процедуры при помощи артроскопа визуализируют место повреждения и проводят операцию. Этот способ можно применять при разрывах тела или переднего рога мениска. Подробнее о нем.
Примерно в 70-85 % случаев хрящевая ткань полностью срастается, а коленный сустав восстанавливает свои функции.
Трансплантация мениска
Показаниями к такой операции при разрыве мениска коленного сустава считается размозжение мениска и существенное ухудшение качества жизни человека. При этом противопоказаниями к трансплантации являются: пожилой возраст, нестабильность колена, дегенеративные процессы, общесоматические заболевания.
Скрепление мениска специальными фиксаторами
С помощью этой процедуры удается скрепить мениск, не выполняя дополнительных разрезов. Для этого используют рассасывающиеся фиксаторы первого или второго поколения.
Реабилитация
Немаловажное значение имеет период реабилитации после повреждения. Он включает:
- Выполнение специальных упражнений для разработки коленного сустава.
- Использование хондопротекторов и нестероидных противовоспалительных препаратов.
- Массаж, физиотерапия.
- Отсутствие нагрузок на протяжении года.
Реабилитация после такой травмы включает пять этапов:
- 1 этап – его продолжительность составляет 4-8 недель. На этом этапе нужно постараться максимально расширить диапазон движений в травмированном суставе, снизить отечность.
- 2 этап – длится около 2,5 месяцев. Следует полностью восстановить двигательную активность, устранить отечность, начать тренировать ослабленные мышцы.
- 3 этап – необходимо полностью восстановить двигательную активность при занятиях спортом, вернуть силу мышц. На этой стадии активно занимаются лечебной физкультурой и возвращаются к привычной жизни.
- 4 этап – необходимо добиться возможности активно заниматься спортом без боли, а также наращивать силу мышц травмированной ноги.
- 5 этап – следует восстановить все функции сустава.
Профилактика
Чтобы предотвратить разрыв мениска, необходимо использовать специальные наколенники во время занятий спортом – это поможет минимизировать риск получения травмы.
Также рекомендуется выполнять специальные упражнения, которые помогут укрепить силу мышц, принимать хондопротекторы и препараты, улучшающие периферическое кровообращение.
Разрыв мениска – это довольно распространенная травма коленного сустава, которая значительно ухудшает качество жизни человека. Поэтому при любых повреждениях стоит обратиться к опытному травматологу – он сможет поставить правильный диагноз и подобрать лечение.
Многих пациентов волнует вопрос, возможно ли лечение мениска без операции. Человеческий организм содержит большое количество суставов, которые обеспечивают скелету подвижность и гибкость. Наибольшие нагрузки приходятся на колени. 2/3 своей жизни человек проводит в движениях, которые обеспечиваются именно суставами. Мениски при ходьбе нейтрализуют нагрузки и удары. Они состоят из хрящевых тканей и не имеют нервных окончаний и кровеносных сосудов.

Разрыв медиального мениска коленного сустава может случаться как у спортсменов, так и у людей, ведущих малоподвижный образ жизни. Резкие движения, повышенные нагрузки на ноги или удары о твердые поверхности могут приводить к надрывам или разрывам. Большинство пациентов старается лечиться в домашних условиях, не посещая врача.
Клиническая картина поражения внутреннего мениска отличается от симптоматики травм наружного. Так при разрыве переднего хряща появляется сильная боль при ходьбе и приседании. Колено сильно отекает и деформируется, бедренные мышцы теряют силу.
НАШИ ЧИТАТЕЛИ РЕКОМЕНДУЮТ!
Для лечения суставов наши читатели успешно используют Артрейд. Видя, такую популярность этого средства мы решили предложить его и вашему вниманию.
Подробнее здесь…
Разрыв заднего рога медиального мениска дает несколько иные ощущения. Боль имеет меньшую интенсивность, однако колено не сгибается и не разгибается. Оно пребывает в одном положении, мышцы бедра практически не функционируют.
Определить характер травмы в домашних условиях не получится. При первых признаках повреждения необходимо обратиться в медицинское учреждение.
Первая помощь при травме
Если есть подозрение, что мениск надорван, следует исключить любые нагрузки на ногу. Конечность фиксируют в разогнутом состоянии при помощи тугой повязки или шины.
Для устранения боли и отечности используются холодные компрессы. Они:
- стимулируют отток лимфы;
- восстанавливают кровообращение.
Неправильная терапия способствует развитию осложнений, поэтому после оказания первой помощи следует обратиться к травматологу.
Способы терапии
Как лечить разрыв мениска без операции и что нужно делать, чтобы ускорить процесс выздоровления? Перед подбором терапевтической схемы необходимо определить характер травмы. Хирургическое вмешательство назначается в крайних случаях, однако реабилитационные мероприятия проводятся всегда.
Медикаменты
Прежде всего необходимо избавиться от неприятных симптомов и вернуть суставу подвижность. Для этого применяются обезболивающие и противовоспалительные препараты. При надрыве хряща наносят мазь на основе диклофенака.

Восстановить мениск и предотвратить его разрушение помогают хондропротекторы.
Активно применяются внутрисуставные инъекции гиалуроновой кислоты. Они не только восстанавливают разрушенные хрящи, но и препятствуют развитию артроза.

Сколько восстанавливается человек после повреждения мениска коленного сустава? Курс лечения в среднем длится 12–24 недели.
Надрыв коленного сустава лечится как медикаментозными, так и физиотерапевтическими способами. Терапия оказывается эффективной только тогда, когда пациент выполняет все предписания врача. Заживление может занимать достаточно много времени, поэтому следует запастись терпением.
Разрыв заднего рога медиального мениска практически невозможно вылечить без операции. Такая травма достаточно сложно диагностируется, поэтому она нередко приобретает хронический характер.
Если лекарственные препараты устранили отечность и восстановили подвижность сустава, можно переходить к использованию других методов.
Когда необходимо вправление
Вправление колена производится для освобождения защемленного мениска. Для этого сустав вытягивают. Такую процедуру должен выполнять опытный ортопед. Для полного освобождения сдавленного мениска потребуется не менее 7 сеансов в день. Такая терапия быстро возвращает суставу подвижность.

Если мануальные методики не приносят результатов, вытяжение производится с помощью специальных аппаратов. Такой способ требует больше времени. Отечность чаще всего распространяется из-за надрыва или защемления, поэтому после вправления можно переходить к физиотерапевтическим методам.
Массажные техники
Лечение разрыва мениска коленного сустава без операции подразумевает регулярное выполнение массажа пораженной области. Он:
- восстанавливает кровоснабжение и питание тканей;
- ускоряет восстановление мениска.
Домашний массаж не только не способствует выздоровлению, но и нарушает функции коленного сустава. Процедура может проводиться только после устранения отечности. Начинают ее с выполнения легких движений, которые со временем должны становиться более интенсивными. Для устранения признаков повреждения коленного сустава необходимо не менее 15 сеансов.
Магнитный и лазерный метод
При разрыве мениска лечение можно выполнять с помощью магнита. Им обрабатывают пораженные области, его подносят к колену и водят по часовой стрелке. Сеанс должен длиться не менее 5 минут. Этот метод применяют совместно с массажем и приемом лекарственных средств.
Лазеротерапия проводится только в условиях медицинского учреждения. Она способствует сращиванию надрыва и восстановлению подвижности сустава. Назначается лазеротерапия только при отсутствии противопоказаний.
Специальные упражнения
Лечебная физкультура — неотъемлемая часть лечения травм коленного сустава. Занятия при различных видах травм проводятся по разным схемам. Первые тренировки проходят под наблюдением опытного инструктора. Затем занятия можно продолжить в домашних условиях. При появлении неприятных ощущений выполнение упражнений следует прекратить.
После завершения периода реабилитации необходимо пройти полное обследование, которое поможет оценить эффективность лечения. Результат от процедур будет наблюдаться только при условии их регулярного и правильного выполнения. После восстановления колено необходимо защищать от чрезмерных нагрузок и механических воздействий.
Александра Павловна Миклина
Ответить
Ответить
Ответить
Ответить
Ответить
- Диагностика
- Кости и суставы
- Невралгия
- Позвоночник
- Препараты
- Связки и мышцы
- Травмы
lechenie.systavy.ru
Латеральный мениск: причины повреждения, лечение
Латеральный мениск выполняет функции амортизатора, препятствует трению костных поверхностей, поддерживает стабильность сустава. Расположен он снаружи коленной чашечки и обладает большей подвижностью, чем внутренний хрящ. Это способствует снижению риска получения травм. Наиболее распространенной причиной повреждения наружного мениска считается ротация, при которой голень проворачивается внутрь. При резком разгибании колена, чрезмерном отведении берцовой кости также можно получить травму.

Прямые повреждения, случающиеся при ударе о твердую поверхность или падении с высоты, обнаруживаются редко. Однако при повторном их возникновении развивается хронический патологический процесс, приводящий к разрыву тела латерального мениска. Ревматизм и артроз приводят к разрушению хрящевых тканей, что негативно влияет на функции сустава.
Причины и признаки травмы
Повреждение переднего рога наружного мениска развивается в 2 стадии:
- острую;
- хроническую.
На ранних этапах поставить правильный диагноз бывает достаточно сложно, что связано с наличием признаков неспецифического воспаления, характерных для других заболеваний суставов. После получения травмы появляются сильные боли в области колена, что способствует снижению подвижности. Они усиливаются при ходьбе и приседании, подобное явление получило название блокады сустава.
Травма в большинстве случаев считается одномоментной. Наиболее распространенными повреждениями считаются:
- ушиб;
- надрыв;
- компрессия хряща.
Полный разрыв латерального мениска коленного сустава наблюдается при наличии воспалительных или дегенеративных изменений. Консервативная терапия при незначительных повреждениях способствует быстрому выздоровлению. Острая фаза завершается через 14–21 день, признаки стихают, развивается истинная клиническая картина травмы.
Основные симптомы разрыва:
- постоянная боль, усиливающаяся при движениях;
- воспаление синовиальной оболочки.

Выявляется наличие жидкости и частичная блокада колена. Подтверждают диагноз путем сбора анамнеза и проведения болевых проб.
Диагностика повреждения
Важную роль играет описание процесса получения травмы. Горизонтальный разрыв заднего рога латерального хряща крайне редко способствует снижению подвижности сустава. Появляются симптомы смещения и компрессии хряща, специфический звук при сгибании колена.
При травмах наружного мениска пациент испытывает боль в области суставной щели, которая усиливается при повороте голени внутрь. Первичный осмотр позволяет обнаружить отечность и инфильтрацию, при которых колено резко увеличивается в размерах.
Эти признаки могут появляться и при других заболеваниях суставов, что существенно осложняет диагностику. Болевые пробы при травмах наружного хряща часто дают отрицательные результаты. Блокада также развивается не всегда. Наиболее информативной диагностической процедурой считается рентгенологическое исследование, позволяющее выявить сужение суставной щели и симптомы артроза.
Некоторые сложности с определением характера травмы могут возникать, если наружный мениск имеет неправильную форму, либо наблюдаются признаки хронического воспаления. В таких случаях назначается диагностическая артротомия.

Терапевтические мероприятия
Лечение разрыва наружного мениска начинается с антисептической обработки пораженной области и наложения тугой повязки. От занятия трудовой деятельностью придется на время отказаться. При незначительных повреждениях может назначаться консервативное лечение, при хронических патологических процессах показано хирургическое вмешательство.
При скоплении крови в синовиальной полости выполняется пункция, перед которой делается внутрисуставная инъекция новокаина. После этого колено фиксируют гипсовой повязкой с марлевым кольцом. Носить ее придется не менее недели.

Восстановительный период начинается через несколько дней. В это время выполняют упражнения, направленные на укрепление мышц бедра и поддержание подвижности голеностопа. После снятия гипса назначаются физиотерапевтические процедуры:
- диатермия;
- электрофорез;
- УВЧ.
При отсутствии болевых ощущений допускается выполнение упражнений с отягощением. Тренировки проводят в наколенниках или эластичных бинтах.
Консервативная терапия может включать инъекции гидрокортизона, особенно при застарелых травмах.
Если эти процедуры не дают результатов, лечить разрыв переднего рога латерального хряща придется хирургическим путем.
Своевременное удаление разрушенного мениска препятствует развитию артроза, синовита, мышечной слабости и нестабильности коленной чашечки.
Поврежденные хрящи извлекаются полностью, ведь наличие остатков ткани может привести к повторному травмированию при повышении физических нагрузок. В настоящее время все большее распространение получают артроскопические операции. После оперативного вмешательства суставную полость обрабатывают антисептическим раствором, синовиальную оболочку сшивают.
Этап восстановления
В первые дни конечность кладут на возвышенность, реабилитация не подразумевает наложения тугой повязки. Гипс используется при наличии крови в синовиальной полости, длительном течении воспалительного процесса и дегенеративных изменениях в тканях. Лонгету нужно носить 3 дня, на 2 сутки разрешается выполнение несложных упражнений.
После снятия швов можно ходить, используя костыли или трость. Средняя длительность стационарного лечения — 21 день. По истечении этого срока пациент выписывается под наблюдение травматолога, который продолжает поддерживающую терапию.
Признаками выздоровления считают восстановление функций сустава, повышение тонуса мышц и их выносливости.
Сроки реабилитации во многом зависят от характера травмы, общего состояния организма, наличия сопутствующих патологий. В первый год после получения травмы при ходьбе рекомендуется использовать вспомогательные устройства.
ortocure.ru
Разрыв латерального мениска коленного сустава
Многие годы безуспешно боретесь с БОЛЯМИ в СУСТАВАХ?
Глава Института заболеваний суставов: «Вы будете поражены, насколько просто можно вылечить суставы просто принимая каждый день…
Читать далее »
Латеральный мениск выполняет функции амортизатора, препятствует трению костных поверхностей, поддерживает стабильность сустава. Расположен он снаружи коленной чашечки и обладает большей подвижностью, чем внутренний хрящ. Это способствует снижению риска получения травм. Наиболее распространенной причиной повреждения наружного мениска считается ротация, при которой голень проворачивается внутрь. При резком разгибании колена, чрезмерном отведении берцовой кости также можно получить травму.

Прямые повреждения, случающиеся при ударе о твердую поверхность или падении с высоты, обнаруживаются редко. Однако при повторном их возникновении развивается хронический патологический процесс, приводящий к разрыву тела латерального мениска. Ревматизм и артроз приводят к разрушению хрящевых тканей, что негативно влияет на функции сустава.
Причины и признаки травмы
Повреждение переднего рога наружного мениска развивается в 2 стадии:
- острую;
- хроническую.
На ранних этапах поставить правильный диагноз бывает достаточно сложно, что связано с наличием признаков неспецифического воспаления, характерных для других заболеваний суставов. После получения травмы появляются сильные боли в области колена, что способствует снижению подвижности. Они усиливаются при ходьбе и приседании, подобное явление получило название блокады сустава.
Травма в большинстве случаев считается одномоментной. Наиболее распространенными повреждениями считаются:
- ушиб;
- надрыв;
- компрессия хряща.
Полный разрыв латерального мениска коленного сустава наблюдается при наличии воспалительных или дегенеративных изменений. Консервативная терапия при незначительных повреждениях способствует быстрому выздоровлению. Острая фаза завершается через 14–21 день, признаки стихают, развивается истинная клиническая картина травмы.
Основные симптомы разрыва:
- постоянная боль, усиливающаяся при движениях;
- воспаление синовиальной оболочки.

Выявляется наличие жидкости и частичная блокада колена. Подтверждают диагноз путем сбора анамнеза и проведения болевых проб.
Диагностика повреждения
Важную роль играет описание процесса получения травмы. Горизонтальный разрыв заднего рога латерального хряща крайне редко способствует снижению подвижности сустава. Появляются симптомы смещения и компрессии хряща, специфический звук при сгибании колена.
При травмах наружного мениска пациент испытывает боль в области суставной щели, которая усиливается при повороте голени внутрь. Первичный осмотр позволяет обнаружить отечность и инфильтрацию, при которых колено резко увеличивается в размерах.
Эти признаки могут появляться и при других заболеваниях суставов, что существенно осложняет диагностику. Болевые пробы при травмах наружного хряща часто дают отрицательные результаты. Блокада также развивается не всегда. Наиболее инф
artrit.lechenie-sustavy.ru
Повреждение латерального мениска коленного сустава
Что такое мениск
Для стабилизации, амортизации колена в щели располагается два хрящевых компонента. Они называются латеральный (наружный) и медиальный (внутренний) мениск. Они напоминают полумесяц.
Широкое тело имеет небольшие сужения, направленные кпереди и кзади и называющиеся рогами. Такое строение позволяет колену выдерживать относительно высокие нагрузки, обусловленные давлением массы тела на нижние конечности.
Механизм изменений
Хрящевые компоненты мениски прикрепляются к костным основам колена при помощи связок. Внешний хрящ зафиксирован менее жестко. Он более подвижный по отношению к внутреннему хрящу, поэтому при воздействии значительной механической силы он немного смещается и повреждается редко. Изменения целостности данного компонента развиваются вследствие реализации нескольких патогенетических механизмов, к которым относятся:
- Непосредственный удар по наружной стороне колена тупым предметом с развитием выраженного ушиба или падение на него. Повреждение часто провоцирует падение на поверхность с острыми краями (бордюр, ступеньки).
- Резкое чрезмерное сгибание колена, приводящее к смещению его структур относительно друг друга.
- Подворачивание ноги, которое имеет место при вращении голени на фоне зафиксированного бедра, латеральный хрящ чаще повреждается в случае вращения (ротация) внутрь.
Также любые изменения могут развиваться при нарушении свойств и снижении прочности компонентов. При этом они могут развиваться на фоне невысоких нагрузок на ногу.
Этиология
Изменения в латеральном хряще колена могут происходить вследствие влияния нескольких распространенных предрасполагающих факторов:
- Травмы, затрагивающие колено и его компоненты, а также приводящие к реализации одного из патогенетических механизмов повреждения. Они часто имеют место у молодых лиц со значительной двигательной активностью, а также у спортсменов, как любителей, так и профессионалов.
- Снижение прочности тканей и хрящей, которое в основном развивается у лиц старшего возраста на фоне дегенеративных процессов в структурах опорно-двигательного аппарата, основа которых заключается в ухудшении их питания.
- Врожденное нарушение свойств хрящевой ткани, которое развивается уже с детского возраста и обусловлено изменением функциональной активности определенных генов. В этом случае патология может развиваться у детей на фоне незначительных нагрузок на компоненты опорно-двигательного аппарата.
- Хроническое воспаление, приводящее к постепенному ослаблению хрящей колена. Его развитие преимущественно инициирует инфекционный процесс или образование иммунной системой антител к собственным тканям (аутоиммунный процесс).
Установление причины обязательно осуществляется доктором в ходе выполнения диагностических мероприятий. Это позволяет назначить профилактические рекомендации, обеспечивающие предотвращение патологического состояния в будущем.
Классификация
Для достоверной, быстрой и качественной оценки характера и выраженности изменений все изменения подразделяются на несколько видов. Исходя из тяжести травмы, выделяют:
- Неполное повреждение – повреждение локализовано, оно не выходит за пределы колена, поэтому структура и форма этого сустава не изменяются.
- Полный разрыв – повреждение охватывает всю толщу, распространяется за пределы хрящевого компонента, что приводит к образованию отломка и его возможного смещения.
По локализации классификация включает изменения, затрагивающие тело или рог, либо их комбинацию. Исходя из главного этиопатогенетического фактора, выделяется патологическое и травматическое изменение.
Проявления
На возможные изменения латерального хряща, которые произошли вследствие состоявшейся в недалеком прошлом травмы, указывают достаточно выраженные симптомы:
- Боль, которая преимущественно локализуется по внешнему краю колена, обладает значительной интенсивностью и усиливается при малейших попытках выполнения движений.
- Снижение объема движений, при этом они сопровождаются усилением ощущений дискомфорта. При полном отрыве части хряща, его смещении и вклинивании происходит блок движений.
- Воспалительные признаки – любое повреждение сопровождается развитием воспалительной реакции, которая характеризуется гиперемией (покраснение), отечностью с увеличением колена в объеме, а также локальным повышением температуры (ткани становятся горячими на ощупь).
Изменения, развивающиеся вследствие патологических процессов, сопровождаются длительным и постепенным развитием клинических признаков. Боли становятся более интенсивными после нагрузок на ноге и усиливаются обычно к вечеру. Движения сопровождаются характерным шумом в виде щелчков или хруста.
Исследование
Для выяснения характера, выраженности и локализации изменений врач современной медицинской клиники назначает дополнительное диагностическое исследование. Оно включает различные методы визуализации структур, к которым относятся:
- Рентгенографическая визуализация – проводится при помощи рентгеновских лучей, после чего получают изображение структур на специальной фотопленке или экране. Исследование позволяет выявить выраженные нарушения. Для более точного установления их локализации рентгенография выполняется в проекции прямо и сбоку.
- Компьютерная томография – современная рентгеновская методика, включающая сканирование компонентов по слоям с высокой разрешающей способностью и возможностью выявить малейшие изменения.
- Ультразвуковое обследование – исследование проводится при помощи ультразвуковой волны, которая отражается на границе сред с различной плотностью. Отраженная волна определяется специальным датчиком, после чего выводится изображение на экране.
- Магнитно-резонансная томография – представляет собой сканирование слоев, при котором визуализация тканей достигается за счет физического эффекта резонанса ядер атомов водорода в мощном магнитном поле. Данная методика является диагностически информативной, так как дает возможность проводить классификацию выраженности изменений по Stoller (определяется 4 степени).
- Артроскопия – методика, которая подразумевает проведение небольших разрезов с введением в полость крупных компонентов опорно-двигательного аппарата оптического прибора (артроскоп). Осмотр тканей врач проводит на экране монитора при помощи видеокамеры и освещения.

Артроскопическое диагностическое исследование также проводится с терапевтической целью. При этом в полость крупного компонента опорно-двигательного аппарата вводятся специальные манипуляторы и инструментарий, обладающий небольшими размерами.
Принципы терапии
Комплексное лечение включает проведение терапевтических мероприятий с или без операции, а также обязательную реабилитацию. Объем и тактика всех мероприятий определяется выраженностью, локализацией изменений, определенных при помощи современных методик визуализации.
Основной принцип лечения подразумевает поэтапное выполнение всех мероприятий с завершающим проведением реабилитации. Это позволяет достичь основных терапевтических целей, а именно восстановление функционального состояния колена в полном объеме.
Безоперационная терапия
После того как с использованием инструментальных методов исследования было диагностировано небольшое изменение, затрагивающее латеральный мениск коленного сустава, лечение без операции подбирается травматологом отдельно для каждого пациента. Оно предполагает несколько направлений:
- Общие рекомендации – важный компонент лечения, включает диету с достаточным поступлением органических соединений (особенно белков) и витаминов, ограничение подвижности колена, отказ от вредных привычек.
- Медикаментозная терапия – подразумевает использование препаратов, самыми востребованными из них являются противовоспалительные средства (глюкокортикоиды или нестероидные средства), хондропротекторы (необходимы для улучшения характеристик хрящевой ткани и предотвращения ее дальнейшего разрушения), витамины, улучшающие обменные процессы и состояние больного в целом.
- Физиотерапевтические процедуры – немаловажное направление терапии, которое целесообразно при патологических дегенеративно-дистрофических нарушениях. Оно дает возможность уменьшить тяжесть воспаления и уровень медиаторов, провоцирующих его развитие, а также ускорить регенерацию тканей. Процедуры обычно включают проведение магнитотерапии, назначение электрофореза, грязелечения.
Альтернативным современным методом терапии без операции считается применение тромбоцитарной массы (значительное количество тромбоцитов в физрастворе). Она вводится непосредственно в область измененных компонентов. Данный биологический препарат содержит в своем составе биоактивные органические соединения («факторы роста»), ускоряющие регенераторные процессы в измененных компонентах опорно-двигательного аппарата.
Операции
После выявления значительных изменений, затрагивающих латеральный мениск коленного сустава, операция назначается для пластики компонентов, их удаления при необходимости, а также имплантации при невозможности восстановления собственных тканей. Она выполняется с использованием двух распространенных методов:
- Открытый (широкий) доступ.
- Артроскопическое вмешательство.
Выбор конкретной методики вмешательства определяется медицинским специалистом индивидуально, в зависимости от необходимого объема проводимых манипуляций.
Открытый доступ
Операция открытым доступом подразумевает выполнение широких разрезов тканей. Она обладает высокой травматичностью, но позволяет выполнять объемные манипуляции.
Данная методика проводится реже. В современных медицинских клиниках данные операции назначаются только по строгим показаниям, в частности при необходимости удаления значительного объема тканей, а также проведения имплантации (замена части или всего хряща искусственным материалом, который по своим характеристикам приближен к естественным компонентам).
Малоинвазивная методика
Операция, проводимая при помощи артроскопии, применяется в большинстве случаев. Суть заключается в выполнении небольших разрезов, через которые в полость компонента опорно-двигательного аппарата вводится артроскоп и микроманипуляторы. Контроль обеспечивается камерой и освещением. Специалист выполняет необходимые пластические манипуляции.
При помощи артроскопии удается выполнить удаление части хряща (резекция), сопоставление отломков и их последующую фиксацию при помощи специальных швов. Невысокая травматизация дает ряд преимуществ, поэтому артроскопия получила широкое распространение в клинической практике.
Преимущества артроскопии
Широкое распространение артроскопия получила благодаря невысокой травматизации тканей во время ее проведения, а также нескольких основных положительных моментов, к которым относятся:
- Невысокий риск развития осложнений, таких как вторичное инфицирование послеоперационной раны, развитие кровотечений.
- Меньшая длительность самой операции (обычно среднее время выполнения артроскопических манипуляций варьирует в пределах от 20 минут до 1 часа) и медикаментозной нагрузки на организм пациента, обусловленной необходимостью введения в наркоз.
- Относительно небольшое время, необходимое для заживления тканей после операции. В связи с этим период после операции и реабилитация длятся значительно меньше в сравнении с открытым доступом.
- Более быстрая реабилитация, что связано с уменьшенной травматизацией соединительнотканных структур.
Данные преимущества артроскопического вмешательства дают возможность быстрее выписать больного из хирургического стационара, а также снизить общую стоимость всего курса лечения.
Терапия после операции
Непосредственно после проведения вмешательства пациент в течение определенного времени находиться под медицинским наблюдением в стационаре. Данный период называется послеоперационным. Он включает обязательное выполнение нескольких мероприятий:

- Обеспечение покоя для нижней конечности, которое достигается за счет тугой повязки эластичным бинтом или накладывания лонгеты с использованием гипса.
- Периодическая обработка (обычно 1 или 2 раза в день) швов антисептиками для предотвращения их инфицирования.
- Медикаментозная профилактика осложнений, в частности кровотечений при помощи кровеостанавливающих средств, а также бактериального инфицирования за счет назначения антибиотиков.
Обычно послеоперационный период длится от 3 до 10 дней и заканчивается снятием швов после регенерации тканей. После выполнения артроскопической операции данный период имеет меньшую длительность – не более 5-ти дней.
Функциональное состояние
Обеспечение полного или частичного восстановления функционального состояния колена после основного этапа проводимой безоперационной терапии или вмешательства выполняется при помощи реабилитации. Она подразумевает постепенное увеличение двигательной активности, а именно объема, амплитуды движений в колене, а также нагрузки на него.
Для этого выполняются определенные упражнения, которые назначает врач реабилитолог индивидуально для каждого пациента. Такие мероприятия дают возможность для структур адаптироваться к функциональным нагрузкам и обеспечить устойчивость к ним. Период времени необходимый для выполнения данных мероприятий в полном объеме зависит от степени нарушений, а также вида терапии или метода проведенной операции.
Терапия дома
При небольших изменениях в латеральном хряще, не требующих выполнения операции, терапевтические мероприятия могут проводиться в домашних условиях.

При этом важно соблюдение нескольких условий:
- Дисциплинированное соблюдение всех врачебных назначений и рекомендаций.
- Обеспечение покоя для нижних конечностей.
- Периодическое посещение врача для контроля эффективности назначенной терапии.
- Отсутствие необходимости выполнения парентерального (внутримышечно, подкожно или внутривенно) введения лекарственных средств.
При необходимости выполнения уколов в определенных случаях лечение также может проводиться дома, но при этом манипуляции может выполнять только медицинский персонал или пациент должен посещать манипуляционный кабинет медицинского учреждения.
Народные средства
Некоторые лекарственные растения (лекарственная ромашка, зверобой, репейник) обладают противовоспалительным и противоотечным терапевтическим эффектом. Они могут применяться в качестве дополнительного компонента терапии.
При этом перед их использованием обязательно следует проконсультироваться с медицинским специалистом. Попытка самостоятельного лечения может привести к развитию различных осложнений, включая аллергические реакции.
Прогноз
В целом при своевременном начале выполнения адекватных терапевтических мероприятий прогноз является благоприятным. В большинстве случаев удается достичь практически полного восстановления функций колена, а также его устойчивости к нагрузкам.
Исключением является вынужденное удаление наружного мениска или других структур, а также проведение имплантации. Если данные направления терапии были применены для профессиональных спортсменов, то не исключается окончание их карьеры.
koleno.su
Разрыв переднего рога латерального мениска
Коленный сустав – один из самых крупных и сложных в теле человека. В нем много различных связок, хрящей и мало мягких тканей, которые могут защитить его от травмирования. На коленный сустав, как и на тазобедренный, приходится вся нагрузка тела человека при ходьбе, беге и занятиях спортом.

Строение колена с описанием
Это приводит к частым травмам в области коленного сустава. Могут произойти отрывы боковых и крестообразных связок, переломы мыщелков бедренной и большеберцовых костей, надлом наколенника, а самым распространенным видом травматизма является разрыв мениска.
Что такое мениск и в чем причина его повышенного травматизма
Мениски коленного сустава представляют собой хрящевые пластинки, которые расположены между костями коленного аппарата и служат амортизаторами при ходьбе.
Мениск – это полукруглая хрящевая пластина, располагающаяся между бедренной и большеберцовой костьми. Он состоит из тела, заднего и переднего рогов. Каждый мениск представляет собой полукруг, где середина – это тело мениска, а края полукруга – рога. Передний рог прикрепляется к межмыщелковым возвышениям в передней части коленного сустава, а задний рог – к задним. Различают два вида менисков:
- наружный, или латеральный – расположен с внешней стороны коленного сустава, более подвижен и меньше подвержен травматизму;
- внутренний, или медиальный мениск – менее подвижен, расположен ближе к внутреннему краю и связан с внутренней боковой связкой. Наиболее распространенный вид травматизма – разрыв медиального мениска.

Повреждение мениска колена
Мениски выполняют следующие функции:
- амортизация и уменьшение нагрузок на поверхности костей колена;
- увеличение площади соприкосновения поверхностей костей, что помогает снизить нагрузку на эти кости;
- стабилизация колена;
- проприорецепторы – находятся в мениске и подают сигналы в головной мозг о том, в каком положении находится нижняя конечность.
Мениски не имеют собственного кровоснабжения, они сращены с капсулой коленного сустава, поэтому их боковые части получают кровоснабжение из капсулы, а внутренние – только за счет внутрикапсульной жидкости. Различают три зоны кровоснабжения мениска:
- красная зона – расположенная рядом с капсулой и получающая наилучшее кровоснабжение,
- промежуточная зона – находится посередине и ее кровоснабжение незначительно;
- белая зона – не получает кровоснабжения от капсулы.
В зависимости от того, в какой зоне находится поврежденная область, выбирают тактику лечения. Разрывы, расположенные рядом с капсулой, срастаются самостоятельно, за счет обильного кровоснабжения, а разрывы во внутренней части мениска, где питание хрящевой ткани происходит только за счет синовиальной жидкости – не срастаются вообще.
Частота встречаемости разрывов мениска
Эта травма стоит на первом месте среди внутренних повреждений коленного сустава. Чаще встречается у спортсменов, людей занимающихся тяжелым физическим трудом, профессиональных танцоров и тому подобное. Более 70% приходится на разрыв медиального мениска, около 20% — на латеральный мениск и примерно 5 % — разрыв обоих менисков.

Поврежденный коленный сустав
По виду повреждений различают:
- вертикальный продольный разрыв – по типу «ручки лейки»;
- косой, лоскутный разрыв мениска;
- дегенеративный разрыв – массивное размножение ткани мениска;
- радиальный – поперечный разрыв;
- горизонтальный разрыв;
- повреждение переднего или заднего рогов мениска;
- другие виды разрывов.
Также разделяют изолированные повреждения внутреннего или наружного менисков или сочетанное повреждение.
Причины возникновения разрывов мениска
Причиной возникновения разрыва менисков коленного сустава чаще всего является непрямое травматическое воздействие, которое приводит к тому, что голень резко поворачивается кнутри или кнаружи, что вызывает разрыв коленных связок и менисков. Также разрыв менисков возможен при резком отведении или приведении голени, чрезмерном разгибании в колене или прямой травме – резком ударе по колену.
Клиника разрывов мениска
Разрыв мениска колена имеет характерные симптомы. Различают острый и хронический период заболевания.
Острый период – длится до 4 — 5 недель, разрыв мениска сопровождается характерным треском, сразу после получения травмы появляется острая боль, увеличение размеров, отечность, невозможность совершать движения, кровоизлияние в полость сустава. Характерным является симптом «плавающего надколенника» – из накопления жидкости в полости коленного сустава.

Разрыв мениска – варианты
Эти симптомы являются общими для всех повреждений коленного сустава, чтобы точно определить вид травмы необходимо провести рентгенологическое исследование.
При переходе острого периода в хронический появляются характерные симптомы, которые позволяют подтвердить диагноз разрыва менисков.
Симптомы разрыва мениска следующие:
- Симптом Байкова – появление боли при пальпации в области колена спереди и одновременном разгибании голени.
- Симптом Ланда – или симптом «ладони» – у лежащего больного нога согнута в колене и под ним можно поставить ладонь.
- Симптом Турнера – гипер- ил гапеэстезия (повышенная чувствительность кожи) под коленом и в верхней трети голени.
- Симптом Перельмана – возникновение боли и неустойчивости походки при спуске по лестнице.
- Симптом Чаклина, или «портняжий» симптом – при поднятии прямой ноги видна атрофия четырехглавой мышцы бедра и сильное напряжение портняжной мышцы.
- Симптом блокады – один из наиболее важных симптомов в диагностике разрыва медиального мениска. При нагрузке на больную ногу – подъем по лестнице, приседание – возникает «заклинивание» коленного сустава, больной не может полностью разогнуть ногу, появляется боль и выпот в области колена.
Симптомы повреждения медиального мениска:
- боль интенсивнее во внутренней стороне коленного сустава;
- при надавливании на место прикреплении связки к мениску возникает точечная болезненность;
- «блокада» колена;
- боль при переразгибании и повороте голени кнаружи;
- боль при чрезмерном сгибании ноги.
Симптомы повреждения латерального мениска:
- при напряжении коленного сустава возникает боль, отдающая в наружный отдел;
- боль при переразгибании и повороте голени внутри;
- слабость мышц передней части бедра.
Степени тяжести травмы мениска

Повреждение коленного сустава
В зависимости от степени тяжести врач назначает лечение. Различают следующие степени:
- Небольшой разрыв мениска – сопровождается незначительной болью и припухлостью в колене. Симптомы проходят в течение нескольких недель.
- Разрыв средней степени тяжести – возникает острая боль в коленном суставе, появляется выраженный отек, движения ограничены, но способность ходить сохраняется. При физических нагрузках, приседаниях, подъему по лестнице, появляется острая боль в колене. Эти симптомы присутствуют в течении нескольких недель, если лечение не проводилось, заболевание переходит в хроническую форму.
- Разрыв тяжелой степени – выраженная боль и отек коленного сустава, возможно кровоизлияние в его полость. Характеризуется полным размозжением мениска или отрывом частей, фрагменты мениска попадают между суставными поверхностями, что вызывает скованность движений и невозможность самостоятельно передвигаться. Симптомы нарастают в течение нескольких дней, требуется хирургическое вмешательство.
При частых микротравмах у людей пожилого возраста возникает хроническая или дегенеративная стадия болезни. Хрящевая ткань под воздействием многочисленных повреждений теряет свои свойства, подвергаясь дегенерации. При физических нагрузках или без видимых причин появляются боли в колене, припухлость, нарушение походки и другие симптомы повреждения мениска.
Диагностика разрыва менисков
Диагноз устанавливают по характерной клинической картине, данным осмотра и лабораторным методам исследования. Для постановки такого диагноза необходимо рентгенологическое исследование, МРТ или артроскопия коленного сустава.

Рентгенологическое исследование мениска
Основным признаком разрыва мениска является боль и отек колена. Выраженность этого признака зависит от тяжести травмы, ее локализации и времени, прошедшего с момента травмы. Хирург-ортопед проводит детальный осмотр травмированного сустава и проводит необходимые диагностические процедуры.
Рентгенологическое исследование – довольно простой способ диагностики. На рентгенологических снимках мениски не видны, поэтому проводят исследования с применением контрастных веществ или применяют более современные методы исследования.
Артроскопия – наиболее информативный метод исследования. С помощью специального прибора можно заглянуть внутрь поврежденного колена, точно определить место и тяжесть разрыва и при необходимости произвести лечебные процедуры.
Лечение медикаментозное и хирургическое
Выбор лечебных средств зависит от локализации разрыва и степени тяжести травмы. При разрыве мениска коленного сустава лечение проводят консервативным или оперативным путем.
- Оказание первой помощи больному:
- полный покой;
- наложение холодного компресса;
- — обезболивание;
- пункция – для удаления скопившейся жидкости;
- наложение гипсовой повязки.
- Постельный режим.
- Наложение гипсовой лангеты на срок до 3 недель.
- Устранение блокады коленного сустава.
- Физиотерапия и лечебная гимнастика.
- Прием нестероидных противовоспалительных средств – диклофенак, ибупрофен, мелоксикам.
- Прием хондропротекторов, которые помогают восстановлению хрящевой ткани, ускоряют регенерацию и сращение хрящей – хондратин сульфат, глюкозамин и другие.
- Наружные средства – применяют различные мази и крема для растирания – Алезан, Кеторал, Вольтарен, Долгит и так далее.
При правильном лечении, отсутствии осложнений, выздоровление наступает в течение 6-8 недель.
Показания к оперативному лечению разрыва мениска:
- раздавливание хрящевой ткани мениска;
- разрыв и смещение мениска;
- наличие крови в полости;
- отрыв рогов и тела мениска;
- отсутствие эффекта от консервативной терапии в течении нескольких недель.
В этих случаях назначают хирургическое вмешательство, которое может проводиться такими методами:
- Удаление мениска или менискэктомия – удаление части мениска или всего мениска целиком показано при полном разложении хрящевой ткани, отрыве значительной части мениска, появлении осложнений. Такая операция считается слишком травматичной, вызывает артриты, сохранения воспаления и выпота в коленном суставе и приводит к избавлению от болей в суставе только 50-70% случаев.
- Восстановление мениска – мениск играет важную роль в биомеханике коленного сустава и сегодня хирурги стремятся сохранить мениск и, если это возможно, восстановить его. Эту операцию проводят обычно молодым, активным людям и при наличии определенных условий. Возможно восстановление мениска в таких случаях, как:
- продольный вертикальный разрыв мениска,
- периферический разрыв,
- отрыв мениска от капсулы,
- периферический разрыв мениска с возможным смещением его к центру,
- отсутствие дегенеративных изменений в хрящевой ткани,
- молодой возраст пациента.
При этой операции нужно учитывать давность и локализацию разрыва. Свежая травма и локализация в красной или промежуточной зоне, возраст пациента до 40 лет повышают шансы на успешное проведение операции.
Противопоказания к трансплантации:
- дегенеративные изменения;
- нестабильность колена;
- пожилой возраст;
- наличие общесоматических заболеваний.
Реабилитация
Важное значение имеет восстановительный период после травмы. Необходимо проведении целого комплекса реабилитационных мероприятий:
- проведение специальных тренировок и упражнений, направленных на разработку коленного сустава;
- применения хондропротекторов, нестероидных противовоспалительных средств;
- массаж и физиотерапия;
- отсутствие физических нагрузок в течение 6-12 месяцев.
Последствия разрыва мениска коленного сустава при правильном и своевременном лечении практически отсутствуют. Могут сохраняться боль при физической нагрузке, неустойчивость походки, возможность повторного возникновения травмы.
Необходимо выполнение комплекса специальных упражнений, которые должен назначить врач с учетом локализации, степени тяжести травмы, наличия или отсутствия осложнений, возраста больного и других сопутствующих обстоятельств.
Этапы реабилитации после разрыва мениска коленного сустава
Реабилитация после подобной травмы состоит из 5 этапов. Только добившись поставленных целей, можно переходить на следующий этап. Задача любой реабилитационной программы – восстановить нормальное функционирование поврежденного органа.
- 1 этап – длительность его 4-8 недель, за это время нужно расширить как можно больше диапазон движений в поврежденном суставе, уменьшить отечность сустава и начать ходить без костылей.
- 2 этап – до 2,5 месяцев. Нужно восстановить полный объем движений в суставе, полностью снять отечность, восстановить контроль над коленным суставом при ходьбе и заняться тренировкой ослабленных после травмы мышц.
- 3 этап – добиться полного восстановления диапазона движений в коленном суставе при занятиях спортом, тренировках и беге, восстановить силу мышц. На этом этапе начинают активно проводить занятия лечебной физкультурой и постепенно возвращаются к обычному ритму жизни.
- 4 этап – тренировочный, его цель – добиться возможности заниматься спортом, бегать, давать полную нагрузку на сустав без каких-либо болевых ощущений. Наращивание силы мышц поврежденной конечности.
- 5 этап – восстановление всех утраченных функций коленного сустава.
После проведения этапов реабилитации нужно уменьшить нагрузки на травмированный сустав, стараться избегать ситуаций, при которых возможен риск возникновения травмы и проводить профилактические мероприятия. К ним относятся упражнения для укрепления силы мышц, с помощью специальных упражнений, прием хондропротекторов и препаратов, улучшающих периферическое кровообращение. При занятиях спортом рекомендуется использование специальных наколенников, которые уменьшают риск возникновения травмы.
Наружный (латеральный) мениск можно условно разделить на три части: тело мениска, передний рог и задний рог. Передний рог латерального мениска крепится к межмыщелковым возвышениям, расположенным в передней части сустава. Передний рог, как и периферическая часть тела мениска, пронизан нервными волокнами и содержит рецепторы, которые передают сигналы в мозг о том, в каком положении пребывает коленный сустав и какие движения он выполняет.
Статистика
По статистике, повреждения латерального мениска в целом встречаются реже по сравнению с травмами медиального (внутреннего) мениска. Это обусловлено тем, что латеральный мениск более подвижен, чем медиальный.
Наиболее распространенной причиной повреждения переднего рога латерального мениска является комбинированная травма с выворачиванием голени внутрь. Повреждение также может наступить при слишком резком сгибании или разгибании ноги в колене, а также при слишком сильном отведении голени вбок.
В некоторых случаях мениск повреждается и при прямой травме – к примеру, при ударе коленом о край жесткой поверхности, при тупом ударе тяжелым предметом (часто – движущимся). Однако такие травмы чаще диагностируются повторно, приводя к хронической травматизации мениска, что и обуславливает со временем его разрыв.
У пациентов старшего возраста причиной травмы переднего рога мениска может стать заболевание ревматической природы – в этом случае речь идет о так называемой дегенеративной травме.
Разрыв переднего рога латерального мениска сопровождается такими симптомами, как болевые ощущения, опухоль коленного сустава, воспаление. В клинической практике принято различать два периода проявления симптомов травмы: острый и хронический. В остром периоде, который наступает непосредственно после травмы, достаточно сложно диагностировать именно повреждение переднего рога латерального мениска, поскольку в клинической картине присутствуют симптомы, характерные для других внутренних травм коленного сустава: болезненность в области колена, резкие боли при разгибании сустава, ограниченность подвижности колена.
Спустя 2-2,5 недели острый период подходит к концу и перетекает в хронический. В это время клиническая картина травмы уже становится более четкой: пациент жалуется на постоянные боли в колене, не спадающий отек, периодические блокировки сустава.
Стоит отметить, что в большинстве случаев травма переднего рога наружного мениска ограничивается ушибом или надрывом. Полный разрыв мениска в этой области встречается достаточно редко и чаще всего обуславливается наличием в организме пациента дегенеративных процессов либо тяжелых воспалений.
Консервативное лечение
Повреждение переднего рога наружного мениска может лечиться как хирургическим, так и безоперационным (консервативным) путем. Выбор способа лечения определяется врачом и зависит от степени тяжести травмы, возраста пациента и общего его состояния. Небольшие разрывы, ушибы и травмы по дегенеративному типу успешно лечатся консервативным методом.
Консервативное лечение заключается в наложении иммобилизационной лонгеты, которая помогает снизить нагрузку на сустав. В период лечения пациенту рекомендуется передвигаться на костылях и максимально ограничить нагрузку на травмированную ногу. Однако на 100% исключать нагрузки не стоит, поскольку это может привести к последующей невозможности восстановить полную подвижность коленного сустава.
Оперативное лечение
При серьезной травме, сопровождающейся блокадой сустава и полным разрывом рога мениска, показано хирургическое лечение. Как правило, операция проводится с использованием артроскопа. Показано хирургическое лечение и тем пациентам, у которых не наступило стойкого улучшения по итогам консервативной терапии.
В настоящее время хирурги отказались от полного удаления мениска, поскольку такая операция дает позитивный результат лишь в 10-15% случаев, остальные же пациенты до конца жизни вынуждены мириться с ограниченностью подвижности коленного сустава. Кроме того, полное удаление мениска существенно повышает риск развития артроза коленного сустава.
Вместо полного удаления хирурги практикуют частичную менискэктомию – частичное удаление мениска. Суть операции заключается в удалении оторванного фрагмента и выравнивании внутреннего края мениска.
В некоторых случаях (обычно – при запущенных повреждениях) врач может порекомендовать дополнительно ввести в полость сустава специальные препараты, которые помогут восстановить поврежденный оторванным мениском хрящ.
Помимо удаления мениска, техниками хирургического лечения являются также ушивание и пересадка мениска. Шов мениска выполняется в случае, если с момента разрыва прошло немного времени. Ушивание выполняется при помощи артроскопа и дает хорошие прогнозы в тех случаях, когда разрыв произошел в области, имеющей хорошее кровоснабжение.
Реабилитация
Восстановление после травмы переднего рога наружного мениска занимает от нескольких дней до нескольких недель – в зависимости от тяжести повреждения и типа выбранного лечения. Рекомендуется в период реабилитации уменьшить нагрузку на травмированную конечность и способствовать восстановлению при помощи дополнительных процедур – лечебной физкультуры, массажа, занятий в бассейне, электромиостимуляции.
Когда мы чувствуем боль в колене, чаще всего это означает, что болит мениск. Так как мениск — это хрящевая прослойка, то она больше всего подвержена опасности повреждений. Боль в колене может свидетельствовать о нескольких видах повреждений и нарушений деятельности мениска. При разрыве мениска, застарелых повреждениях, а так же при растяжении межменисковых связок возникают различные симптомы и способы борьбы с ними тоже разные. Как же правильно диагностировать причину боли в мениске? Какие способы лечения существуют?
Симптомы повреждения мениска
Менисками колена называют хрящевые образования, находящиеся в полости сустава, служащие амортизаторами движения, стабилизаторами, защищающими суставный хрящ. Всего менисков два, внутренний (медиальный) и внешний (латеральный) мениск. Повреждение внутреннего мениска коленного сустава происходит гораздо чаще, в связи с его меньшей подвижностью. Повреждение мениска проявляется в виде ограничения подвижности, болей в колене, а в застарелых случаях – это может быть и развитие артроза коленного сустава.
Резкая режущая боль, отек сустава, затрудненные движения конечностями и болезненные щелчки свидетельствуют о том, что мениск поврежден. Эти симптомы возникают сразу после травмы и могут свидетельствовать и о других повреждениях суставов. Более достоверные симптомы повреждения мениска проявляются через 2-3 недели после повреждения. При таких травмах больной чувствует локальную боль в суставной щели, происходит скапливание жидкости в суставной полости, «блокада» колена, слабость мышц передней поверхности бедра.
Достовернее признаки повреждения мениска определяются с помощью специальных тестов. Существуют тесты на разгибание суставов (Ланды, Байкова, Роше и др.), при определенном разгибании сустава ощущаются болевые симптомы. Техника ротационных тестов основана на проявлении повреждения при прокручивающих движениях суставов (Брагарда, Штеймана). Так же диагностировать повреждение мениска можно с помощью симптомов компрессии, медиолатеральных тестов и МРТ.

Схема коленного сустава
Лечение повреждений
Повреждение мениска предусматривает разное лечение, в зависимости от тяжести и вида травмы. При классическом типе избавления от недугов можно выделить основные виды воздействия, применяемые при любых повреждениях.
В первую очередь стоит снять боль, поэтому для начала больному ставят обезболивающий укол, после чего берут пункцию сустава, удаляют из суставной полости скопившуюся кровь и жидкость, и по надобности устраняют блокаду суставов. После данных процедур суставу необходим покой, для создания которого накладывается повязка из гибса, либо тутор. В большинстве случаев достаточно 3-4 недель иммобилизации, но в тяжелых случаях срок может доходить и до 6 недель. Рекомендуется местно прикладывать холод, нестероидные препараты, снимающие воспаление. Позже можно добавить лечебную физкультуру, ходьбу со средствами поддержки, различные виды физиотерапии.
Оперативное вмешательство рекомендуется в тяжелых случаях, таких как застарелое повреждение мениска. Одним из популярнейших методов хирургического воздействия на сегодняшний день является артроскопическая операция. Такой вид оперативного вмешательства стал популярен благодаря бережному отношению к тканям. Операция представляет собой резекцию только поврежденной части мениска и отшлифовки дефектов.
При таких повреждениях как разрыв мениска, операция производится закрыто. Через два отверстия в сустав вводится артроскоп с инструментами для изучения повреждения, после чего принимается решение о частичной резекции мениска или же возможности его зашить. Стационарное лечение длится около 1-3 дней, благодаря малой травматичности данного вида операции. На восстановительном этапе рекомендуются ограниченные физические нагрузки до 2-4 недель. В особых случаях рекомендуется ходьба со средствами поддержки и ношение наколенника. С первой же недели можно уже начинать реабилитационную физкультуру.
Разрыв мениска коленного сустава
Самым распространенным повреждением коленного сустава является разрыв внутреннего мениска. Различают травматические и дегенеративные разрывы менисков. Травматические возникают в основном у спортсменов, молодых людей в возрасте 20-40 лет, при отсутствии лечения они трансформируются в дегенеративные разрывы, которые в большей степени проявляются у пожилых людей.
Исходя из локализации разрыва, выделяют несколько основных типов разрыва менисков: разрыв, напоминающий по форме ручку лейки, поперечный разрыв, продольный разрыв, лоскутный разрыв, горизонтальный разрыв, повреждение переднего или заднего рога мениска, паракапсуярные повреждения. Так же разрывы менисков классифицируют и по форме. Выделяют продольные (горизонтальные и вертикальные), косые, поперечные и комбинированные, а так же дегенеративные. Травматические разрывы, возникают в основном в молодом возрасте, проходят вертикально в косом или продольном направлении; дегенеративные и комбинированные — чаще происходят у пожилых людей. Продольные вертикальные разрывы, или разрывы в форме ручки лейки, бывают полные и неполные и зачастую начинаются с разрыва заднего рога мениска.
Рассмотрим разрыв заднего рога медиального мениска. Разрывы такого типа происходят чаще всего, так как большая часть продольных, вертикальных разрывов и разрывов в форме ручки лейки начинается с разрыва заднего рога мениска. При длинных разрывах существует большая вероятность того, что часть порванного мениска будет препятствовать движению сустава и причинять болезненные ощущения, вплоть до блокады сустава. Комбинированный тип разрывов мениска происходит, охватывая несколько плоскостей, а чаще всего локализуется в заднем роге мениска коленного сустава и в основной массе возникает у пожилых людей, обладающих изменениями в менисках дегенеративного характера. При повреждениях заднего рога медиального мениска, не приводящих к продольному отщеплению и смещению хряща, больной постоянно чувствует угрозу блокады сустава, но она так и не наступает. Не так часто происходит разрыв переднего рога медиального мениска.
Разрыв заднего рога латерального мениска происходит в 6-8 раз реже медиального, но несет не меньше негативных последствий. Приведение и внутренняя ротация голени служат основными причинами, вызывающими разрыв наружного мениска. Основная чувствительность при такого рода повреждениях приходится на наружную сторону у заднего рога мениска. Разрыв дуги латерального мениска со смещением в большинстве случаев приводит к ограничению движений в конечном этапе разгибания, а иногда вызывает и блокаду сустава. Разрыв латерального мениска распознается по характерному щелканью во время ротационных движений сустава вовнутрь.
При повреждении мениска без врача не обойтись
Симптомы разрыва
При таких повреждениях как разрыв мениска коленного сустава симптомы могут быть довольно разные. Существует острый и хронический, застарелый разрыв мениска. Основным признаком разрыва является блокада сустава, при отсутствии которой довольно сложно определить разрыв медиального мениска или латерального в острый период. Спустя некоторое время, в подострый период, разрыв можно идентифицировать по инфильтрации в области суставной щели, локальной боли, а так же с помощью болевых тестов, подходящих для любых видов повреждений мениска коленного сустава.
Основной симптом разрыва мениска — это болезненные ощущения при прощупывании линии суставной щели. Разработаны специальные диагностические тесты, такие как проба Эпли и проба Мак-Марри. Проба Мак-Марри производится двумя видами.
В первом варианте больного кладут на спину, сгибают ногу до угла около 90° в коленном суставе и тазобедренном. После чего одной рукой обхватывают колено, а второй рукой производят ротационные движения голени сначала наружу, а затем внутрь. При щелчках или треске можно говорить об ущемлении поврежденного мениска меж суставными поверхностями, такая проба считается положительной.
Второй же вариант пробы Мак-Марри называется сгибательным. Производится он так: одной рукой обхватывают колено как и в первой пробе, затем ногу в колене сгибают до максимального уровня; после чего, голень вращают наружу для выявления разрывов внутреннего мениска. При условии медленного разгибания коленного сустава примерно до 90°и ротационных движениях голенью при разрыве мениска больной будет испытывать болевые ощущения на поверхности сустава с задней внутренней стороны.
При проведении пробы Эпли, больного кладут на живот и сгибают ногу в колене, образовывая угол 90°. Одной рукой нужно надавить на пятку больному, а другой в это же время вращать стопу и голень. При возникновении болевых ощущений в суставной щели, пробу можно считать положительной.

Лечение разрыва
Разрыв мениска лечится как консервативным, так и хирургическим путем (резекция мениска, как полная, так и частичная и его восстановление). С развитием инновационных технологий все большую популярность приобретает трансплантация мениска.
Консервативный вид лечения в основном применяется для заживления небольших разрывов заднего рога мениска. Такие повреждения зачастую сопровождаются болевыми ощущениями, но к ущемлению хрящевой ткани между суставными поверхностями не приводят и не вызывают щелчков и ощущения переката. Такой вид разрывов свойственен стабильным суставам. Лечение заключается в освобождении от таких видов спортивных занятий, где не обойтись без быстрых рывков от защитника и движений, оставляющих одну ногу на месте, такие занятия ухудшают состояние. У пожилых людей такое лечение приводит к более положительному результату, так как причиной симптоматики у них зачастую служат дегенеративные разрывы и артрит. Небольшой продольный разрыв медиального мениска (менее 10 мм), разрыв нижней или верхней поверхности, не проникающий на всю толщину хряща, поперечные разрывы не больше 3 мм зачастую заживают самостоятельно либо никак не проявляются.
Так же разрыв мениска лечение предусматривает еще одним способом. Зашивание изнутри наружу. Для данного вида лечения используются длинные иглы, которые проводят перпендикулярно линии повреждения из суставной полости к внешней стороне крепкого капсульного участка. При этом швы накладываются один за другим достаточно плотно. Это является одним из основных преимуществ способа, хотя и повышает уровень риска повреждения сосудов и нервов при выведении иглы из суставной полости. Данный метод идеально подходит для лечения разрыва заднего рога мениска и разрыва, идущего от тела хряща к заднему рогу. При разрыве переднего рога могут возникать трудности в проведении игл.
В случаях, когда происходит повреждение переднего рога медиального мениска правильнее использовать метод зашивания снаружи внутрь. Данный способ более безопасен для нервов и сосудов, иглу в таком случае проводят через разрыв мениска с внешней стороны коленного сустава и далее в суставную полость.
Бесшовное скрепление мениска внутри сустава набирает все больше популярности с развитием технологий. Процедура занимает мало времени и проходит без участия таких сложных аппаратов как артроскоп, но на сегодняшний день не дает и 80 % шанса заживления мениска.
Первыми показаниями к хирургическому вмешательству являются выпот и боль, которые невозможно устранить путем консервативного лечения. Трение во время движений или блокада сустава так же служат показателями к операции. Резекция мениска (менискэктомия) раньше считалась безопасным вмешательством. Благодаря последним исследованиям стало известно, что в большинстве случаев менискэктомия приводит к артриту. Этот факт повлиял на основные методы лечения таких повреждений, как разрыв заднего рога внутреннего мениска. В наши дни большей популярностью стало пользоваться частичное удаление мениска и отшлифовка деформированных частей.
Последствия разрыва мениска колена
Успех восстановления после таких травм как повреждение латерального мениска и повреждение медиального мениска зависит от многих факторов. Для скорейшего выздоровления важны такие факторы как давность разрыва и его локализация. Вероятность полного восстановления снижается при слабом связочном аппарате. Если возраст больного не больше 40 лет, то он имеет больше шансов на выздоровление.
Источники: http://sustavu.ru/sustavy/razryv-meniska-kolennogo-sustava.html, http://www.menisk-kolena.ru/vidy-meniska/naruzhnyy-lateralnyy/perednii-rog/, http://sustavzdorov.ru/koleni/povrezhdenie-razryv-meniska.html
blogplace.info
Повреждение переднего рога медиального мениска
Повреждение мениска коленного сустава: симптомы, лечение и операция
Коленный сустав – один из самых крупных в организме человека. Он отличается достаточно сложным строением и включает множество хрящей и связок.
Наряду с этим в составе этой части тела мало мягких тканей, которые могли бы защитить ее от повреждений.
Именно поэтому травмы коленного сустава диагностируются достаточно часто, и одним из наиболее распространенных повреждений считается разрыв мениска.
Строение мениска
Мениск представляет собой хрящевое образование, имеющее форму полумесяца. Он находится между голенью и бедром и является своеобразной прокладкой между суставными концами костей.
Мениск выполняет ряд функций, основной из которых является амортизация движения и защита суставного хряща. Помимо этого, он выполняет стабилизирующую функцию, которая направлена на увеличение взаимного соответствия всех суставных поверхностей, соприкасающихся друг с другом. Также мениск помогает существенно уменьшить трение в суставах.
В коленном суставе присутствует два мениска:
- наружный;
- внутренний.
Наружный мениск отличается большей подвижностью, а потому повреждается намного реже по сравнению с внутренним.
Определенные особенности имеет и кровоснабжение мениска. Дело в том, что у новорожденных детей всю их ткань пронизывают кровеносные сосуды, однако уже в девять месяцев из внутренней части сосуды полностью пропадают. По мере взросления кровоснабжение мениска ухудшается. С этой точки зрения выделяют две зоны – белую и красную.
Классификация повреждений
Выделяют такие разновидности повреждений мениска коленного сустава:
- Отрыв от места прикрепления. Это может произойти в районе тела мениска в паракапсулярной зоне или в области переднего и заднего рогов.
- Разрывы тела мениска. Это может произойти в трансхондральной области, а также в области заднего и переднего рогов.
- Всевозможные сочетания таких повреждений.
- Избыточная подвижность менисков. Это может быть дегенерация мениска или разрыв его связок.
- Хроническая дегенерация или травматизация мениска, кистозное перерождение.
Разрывы менисков тоже могут иметь несколько разновидностей:
- продольный;
- поперечный;
- лоскутообразный;
- раздробленный.
По степени сложности бывают полные и неполные разрывы.
Причины разрыва
Это достаточно частое явление, причем данную травму обычно получают люди, которые занимаются спортом, – лыжники, теннисисты, фигуристы, футболисты.
Как правило, подобные повреждения встречаются у людей 18-40 лет, причем мужчины подвержены им чаще женщин. У детей младше 14 лет разрывы мениска в
dieta.lechenie-sustavy.ru