Кистозные опухоли поджелудочной железы | Центр малоинвазивной хирургии поджелудочной железы
Причины
Кисты — полости в поджелудочной железе, заполненные жидкостью, которые имеют различное происхождение. С одной стороны, это могут быть безвредные кисты или последствия прошедшего воспаления. С другой стороны, речь может идти об опухоли с кистозной структурой (внутрипротоковая папиллярно-муцинозная неоплазия, серозно-кистозная аденома, муцинозные новообразования или цистоаденокарцинома). Они могут быть доброкачественными или злокачественными, существует также возможность превращения кистозных опухолей из добро- в злокачественные.
Окончательно установить диагноз возможно только после хирургического удаление кисты или кистозной опухоли и последующего микроскопического анализа. Из последних научных исследований нам известно, что определенные подтипы кистозных опухолей не показывают практически никаких тенденций к малигнизации. Следовательно, не все опухоли нужно оперировать.
Установление точного диагноза позволяет оптимально оценить риск между оперативным вмешательством и возможностью малигнизации. Некоторые пациенты с подобными новообразованиями должны наблюдаться в течение длительного времени.
Симптомы
Симптомы, такие как боль в верхней области живота или пояснице, воспаление поджелудочной железы или безболезненная желтуха являются неспецифическими. Кисты поджелудочной железы часто не создают чувства дискомфорта и определяются случайно, в рамках других обследований.
Диагностика
Диагностика кист или кистозных опухолей поджелудочной железы проводиться с помощью магнитно-резонансной томографии (МРТ) или компьютерной томографии (КТ). На основе этих методов диагностики можно наблюдать кистозные опухоли в динамике и оценить риск их малигнизации. Существуют также опухолевых маркеры, по которым риск развития заболевания определяют путем анализа крови.
Терапия
В зависимости от выраженности симптомов и риска малигнизации опухоли, рекомендуется хирургическое вмешательство или наблюдение за ее развитием.
Кистозные опухоли поджелудочной железы оперируются с помощью современных малоинвазивных хирургических методик. Мы имеем честь предложить Вам услуги нашего центра, в котором есть все необходимое для высокоточной диагностики и качественного лечения. Наши сотрудники обладают богатым опытом работы в этой области.
Киста поджелудочной железы — признаки, причины, симптомы, лечение и профилактика
Киста поджелудочной железы: причины, виды, симптомы, диагностика, лечение и профилактикаКиста в поджелудочной железе — опухоль доброкачественного характера, возникшая на поджелудочной железе, внутри которой образовалась жидкость.
Причины
Главным фактором, при котором происходит появление кисты поджелудочной железы, зачастую бывает большое содержание жидкости из-за закрытых протоков или неправильного функционирования отхода жидкости к двенадцатиперстной кишке.
Следующим фактором, при котором образуется киста (воспалительный процесс), является панкреатит (заболевание воспалительного характера).
При наличии панкреатита появляется лейкоцитоз. Из-за этого происходит сложность в передвижении секреции по протокам. В тех местах, где образовались закупорки (особенность осложненного панкреатита), образуется киста.Далее происходит кровоизлияние, которое полностью закрывает протоки и возникает появление травматической кисты.
Повышенное содржание холестерина в крови провоцирует появление бляшек, сильному закупориванию протоков и дальнейшему развитию кисты.
Киста паразитарного характера образуется после захвата человеческого организма паразитами (круглые черви).
Виды
В медицине существует следующая классификация кисты поджелудочной железы:
- Врожденные: дермоидные, тератоидные, поликистоз поджелудочной железы и фиброзно-кистозная дегенерация железы.
- Травмтические кисты.
- Воспалительные кисты: ретенционные и псевдокисты.
- Паразитарные: цистицеркоз, эхинококкоз.
- Неопластические: кистозные эпителиомы, цистаденомы, цистаденокарциномы и кавернозные гемангиомы.

Также кисты поджелудочной железы делятся по размерам: малые (до 5 см.), большие (до 10 см.) и гигантские (более 10 см.).
Локализация эхинококковой кисты в поджелудочной железе (с комментарием)
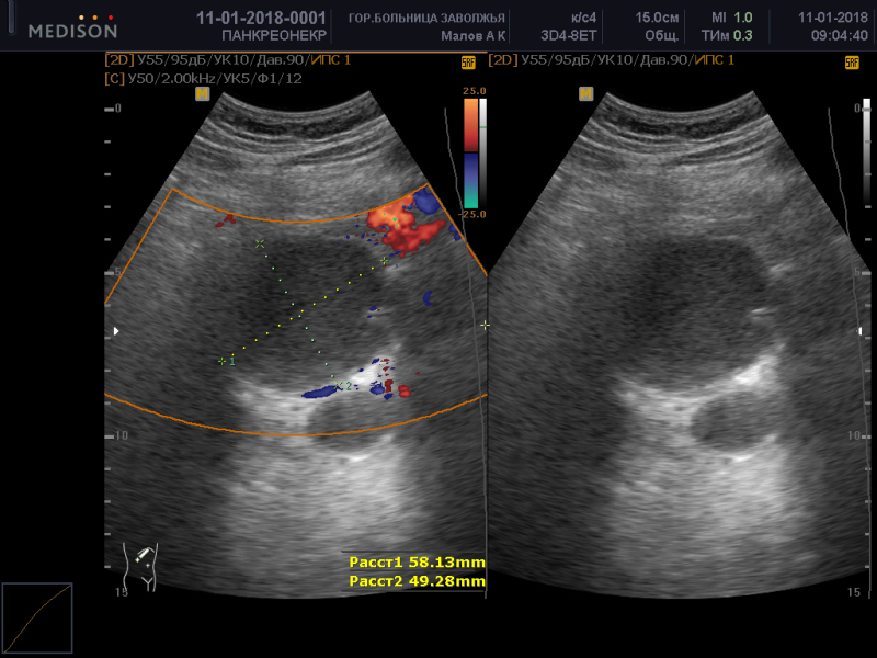
Локализация эхинококковых кист в поджелудочной железе относится к редким формам заболевания и встречается у 0,1—0,21% больных [1, 2]. Как правило, при такой локализации паразитарные кисты одновременно выявляют в других органах — печени, легких, селезенке и пр. [2].
В нашей клинике находился на лечении больной, у которого была выявлена киста только в поджелудочной железе. Приводим это наблюдение.
Больной Э., 41 года, госпитализирован в отделение хирургии № 1 Республиканской больницы № 2 Махачкалы 11.03.14 с жалобами на схваткообразные боли в животе, вздутие живота, тошноту, рвоту. В 2002 г. перенес холецистэктомию.
Объективно при госпитализации в правом подреберье имеется линейный рубец после трансректальной лапаротомии; живот умеренно вздут, мягкий, болезнен при пальпации в мезогастральной области; симптомов раздражения брюшины нет; перистальтика кишечника равномерная, с периодическими усилениями; шума плеска нет.
Общие анализы крови и мочи, биохимическое исследование крови без существенных отклонений от нормы.
При обзорной рентгенографии органов брюшной полости отмечена пневматизация толстой кишки, слева на уровне XII ребра округлая тень с четкими контурами размером 4×4 см (рис. 1).
Рис. 1. Обзорная рентгенограмма органов брюшной полости.
По данным экскреторной урографии, чашечно-лоханочная система не изменена, имеется забрюшинная киста вне почки.
УЗИ: печень увеличена на 3 см за счет левой доли, структура диффузно неоднородная; диаметр общего желчного протока 7 мм; селезенка не увеличена, диаметр селезеночной вены 10 мм; кистозные образования в брюшной полости и забрюшинном пространстве не выявлены.
При госпитализации диагностирована острая спаечная кишечная непроходимость, назначено консервативное лечение. Непроходимость разрешена в течение 1-х суток.
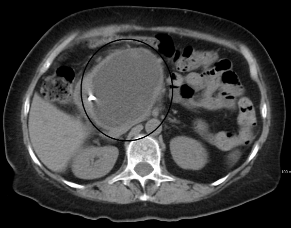
18.03 больной оперирован по поводу кисты брюшной полости. В области хвоста поджелудочной железы выявлено округое плотное опухолевидное образование размером 4×4 см, спаянное с селезеночными артерией и веной.
Рис. 2. Округлая плотная опухоль в области хвоста поджелудочной железы.
Макропрепарат (рис. 3): киста поджелудочной железы размером 4×4 см, в полости густой гной сероватого цвета без запаха, стенки полости кальцинированы.
Рис. 3. Макропрепарат. Киста поджелудочной железы, стенки кисты кальцинированы.
Результаты морфологического исследования: эхинококковая киста с участками обызвествления хитиновой оболочки.
Заключительный диагноз: эхинококковая киста поджелудочной железы, брюшинные спайки.
Послеоперационное течение без осложнений. Пациент выписан из клиники на 10-е сутки.
В этом наблюдении представляет интерес не только редкая локализация эхинококковой кисты, но и отсутствие паразитарных кист в других органах (печени, легких).
Представлен редкий случай локализации эхинококковой кисты в поджелудочной железе.
При таком варианте расположения эхинококковой кисты показан органосохраняющий вариант операции — дистальная резекция поджелудочной железы с сохранением селезенки (в специализированной клинике — срединная резекция поджелудочной железы). Оптимальным явился бы лапароскопический способ выполнения операции. Независимо от объема и способа выполнения операции следовало соблюдать эпидемические профилактические меры (аспирация содержимого кисты с последующим введением в ее просвет гипертонического раствора хлористого натрия и обкладывание операционного поля салфетками с тем же раствором. Утверждение авторов о том, что у больного единственная эхинококковая киста требует дополнительного исследования — КТ или МРТ с прицельным изучением печени. Выполненное перед операцией УЗИ, при котором не была диагностирована киста поджелудочной железы, не может служить критерием для исключения эхинококкового поражения печени.
Профессор А.Г. Кригер
Диета при кисте поджелудочной железы
- Подробности
- Автор: ЛДЦ Нейрон
- Опубликовано: 10 Ноябрь 2015
При выявлении кисты поджелудочной железы необходимо своевременное соблюдение диеты.
Пища должна быть измельченной, нежирной, отварной либо приготовленной на пару. Питание должно быть дробным – 6 раз в день.
Рекомендуемые при такой диете продукты:
- вареная телятина, говядина, нежирная крольчатина в протертом виде;
- хлеб пшеничный или сухарики, несладкое печенье;
- супы на мясном или курином бульоне не зажаренные, протертые;
- кисломолочные продукты;
- рыба нежирных сортов отварная или приготовленная на пару;
- 30 г сливочного и 15 г растительного масла добавляется в блюда;
- овощи отварные или запеченные;
- компоты из сухофруктов, некислые ягоды и фрукты в протертом виде, яблоки запекаются в духовке;
- из напитков — отвар шиповника, чай с лимоном или с молоком, фруктовые морсы;
- каши, сваренные на воде или с добавлением небольшого количества молока, макароны.
- блюда из жирных сортов мяса и рыбы, полуфабрикаты;
- острые и копченые продукты, консервы, маринады;
- жирное молоко, колбасы, сырые яйца;
- кофе, газированные напитки, мороженое, торты, шоколад, варенье;
- борщи, щи, свекольник – блюда с добавлением зажарки;
- из овощей противопоказаны редис, сладкий перец, капуста, баклажаны, лук, чеснок,
- шпинат, щавель, грибы;
- из фруктов противопоказаны бананы, виноград, финики, инжир — все, что вызывает процесс брожения в кишечнике и увеличивает нагрузку на поджелудочную железу.

Категорически противопоказан прием алкогольных напитков.
лдц «Нейрон»
Добавить комментарий
Лечение кист поджелудочной железы в Германии
Томас В. Краус, висцеральный хирург-онколог
С 2005 года профессор Краус работает главным врачом кафедры общей и висцеральной хирургии клиники Нордвест в г. Франкфурт-на-Майне.
Подробнее о специалисте →
Существует несколько видов кистозных изменений в области поджелудочной железы, которые обнаруживаются, как правило, случайно. В 70-90% случаев речь идет о так называемых псевдокистах (пустотах, наполненных жидкостью), которые могут развиваться после острого или хронического воспаления. Кроме ложных, в 10-15% случаев кисты поджелудочной представляют собой кистозные отеки железы. При этом различают доброкачественные, злокачественные и пограничные новообразования. В последнем случае речь идет о пограничном качестве опухоли между доброкачественным и злокачественным.
При гистологическом исследовании они рассматриваются как злокачественные предстадии опухоли.
Истинные доброкачественные кисты поджелудочной железы подразделяются на следующие типы:
- серозные цистоаденомы;
- муцинозные цистоаденомы;
- внутрипротоковые папиллярные муцинозные неоплазии.
Поскольку все эти опухоли имеют потенциал к злокачественному изменению, как правило, показано их хирургическое лечение.
Симптомы заболевания
Небольшие кисты поджелудочной железы, как правило, не имеют симптомов. В случае их появления, пациенты чаще всего жалуются на нехарактерные, иногда опоясывающие боли в области эпигастрия. Позже присоединяются отсутствие аппетита, потеря веса, тошнота и утомляемость. Если опухоль передавливает желчный проток на пути из печени в двенадцатиперстную кишку, может возникнуть желтуха. Однако все эти симптомы скорее являются неспецифическими, и это значительно затрудняет раннюю постановку диагноза.
Чтобы выявить кисты поджелудочной железы, не опираясь на первичные признаки их проявления, необходимо регулярно проходить диагностику состояния своего здоровья. В Германии вы можете сделать это с помощью специальной программы чек-апов, разработанной клиникой «Нордвест» для своих пациентов.
Диагностика кистозных образований
После подробного изучения анамнеза и физикального осмотра пациента, проводится инструментальное обследование. Обычно для выявления кисты поджелудочной железы назначается тонкослойная компьютерная томография (КТ) живота, а также ЭРХПГ (эндоскопическая ретроградная холангиопанкреография), при которой осуществляется визуализация желчного и панкреатического протоков. При этом возможно выполнение эндоскопического ультразвукового обследования (УЗИ) и, в отдельных случаях, необходимо обследование окружающих сосудов, для чего проводят магнитно-резонансную томографию (МРТ).
Предоперационную биопсию при операбельных опухолях во избежание переноса опухоли не проводят.
Терапевтические меры
В зависимости от местоположения и размеров опухоли используются различные операционные методики. Целью всегда является полное удаление кисты поджелудочной железы во время операции в пределах здоровой ткани (R0). Поэтому во время хирургического вмешательства проводится цитологическое исследование тканей, чтобы при необходимости еще во время операции расширить ее объем и полностью удалить опухоль.
При локализации опухоли в области головки поджелудочной железы проводят ее резекцию с сохранением привратника или операцию по Уипплу (панкреатодуоденэктомию). При локализации кисты в хвосте поджелудочной проводят дистальную резекцию железы, при необходимости с удалением селезенки. Если же новообразование распространяется на оба отдела и является злокачественной, в редких случаях может быть показано полное удаление поджелудочной железы.
Послеоперационный период
После операции несколько дней пациент находится под наблюдением в палате интенсивной терапии.
Уже с первого дня важна мобилизация пациента, дыхательные упражнения для предотвращения воспаления легких. Особое внимание уделяется показателям сахара в крови, чтобы своевременно распознать возможный сахарный диабет, вызываемый подобными операциями. Проводят постепенное восстановление питания, лечебную гимнастику, дыхательную терапию. При удалении большой части поджелудочной железы, начинают заместительную терапию вырабатываемых поджелудочной железой ферментов. Как правило, пациента выписывают на 10-14 день после операции.
Стоимость хирургического лечения кист поджелудочной железы в Германии
Прежде чем удалить опухоль, важно пройти обследование и получить клинические рекомендации от лечащего врача в клинике «Нордвест». Точное следование предписанной схеме лечения помогает избежать возможных осложнений после удаления кисты поджелудочной железы и быстро вернуться к привычному ритму жизни. Лечение в Германии поможет вам справиться с заболеванием и максимально устранить последствия его проявления в организме.
С пациентами больницы работают лучшие врачи, неоднократно подтвердившие свою высокую квалификацию на практике. Цены на удаление кист поджелудочной железы можно уточнить при первом обращении. Стоимость всего лечения включает консультацию с доктором, диагностические исследования, оперативное вмешательство, а также реабилитационный период после.
Кисты в поджелудочной железе | Для пациентов
Опасная кистаОпасная киста
Здравствуйте! Я работаю врачом 21 год. Меня зовут Георгий Олегович Сапего. В этой статье расскажу кое-что полезное о кистах в поджелудочной железе.
Про кисты в поджелудочной железе заговорили, потому что людям сейчас по разному поводу стали делать всякие КТ или МРТ и случайно находят кисты. Их находят в поджелудочной железе примерно у 2% людей, когда делают им томограмму по какой-то другой причине.
Кисты поджелудочной железы делят на три типа:
- наполненные воспалительной жидкостью;
- безобидные кисты;
- опухоли в виде кист.

Даже если у человека был панкреатит, то киста в поджелудочной железе в половине случаев связана с какой-то опухолью. Поэтому за кистой будут следить и делать повторные томограммы.
Воспалительные кисты
Иногда они появляются после панкреатита. Там нет никаких дырок в поджелудочной железе. Просто воспалительная жидкость скопилась где-то около железы.
У такой кисты нет своей собственной стенки. Это жидкость, которая поднатекла куда-то рядом с поджелудочной железой. Примерно так же, как после дождя рядом с домом натечет лужа.
Бывают еще так называемые псевдокисты. То есть не настоящие кисты поджелудочной железы. Они тоже появляются рядом с поджелудочной железой. Такие кисты вырастают примерно через месяц после острого панкреатита, и у них есть своя собственная стенка. Иногда это случается после травмы поджелудочной железы.
Еще бывают кисты в том месте, где поджелудочная железа расплавилась.
У таких кист нет стенки. Это просто дырка в поджелудочной железе, в которой могут плавать какие-то ошмётки.
Иногда дырка в поджелудочной железе отгораживается от здоровой части железы капсулой и становится похожей на гнойник.
То есть там много вариантов, и всё очень сложно. Бывает, что в поджелудочной железе вырастает опухоль, пережимает протоки, и получается панкреатит. Или у человека просто обычный панкреатит, а на его фоне вырастает опухоль. Поэтому за кистами будут какое-то время следить и контролировать.
Безобидная киста
Как и в любом органе, где есть канальцы или протоки, эти тонкие трубочки в поджелудочной железе могут закупориться, и получится киста. Обычно вреда от таких кист не бывает. Их оперируют, только если они болят.
Опухоль в виде кисты
Они бывают разные. Иногда доброкачественные, а иногда злокачественные.
Случается, что доброкачественная киста превращается в рак.
Что при этом чувствуют
Обычно ничего не чувствуют. Изредка бывает боль в животе, которая отдает в спину. Бывает, что человек чувствует или ущупал у себя образование в верхней части живота.
Может быть тошнота и рвота.
Бывает, что киста воспалилась. Тогда заболит живот, и повысится температура тела. При таких делах нужно срочно обращаться к врачу.
Если киста лопнет
Резко поплохеет. Будет сильная боль в животе, слабость, сердцебиение. Человек может отключиться.
Профилактика
Если врач предлагает удалить желчный пузырь с камнями, то не отказывайтесь. Потому что от камней в желчном пузыре может случиться панкреатит, а от панкреатита случаются кисты.
Еще панкреатит можно заработать, если регулярно выпивать. Лучше не злоупотреблять.
Еще кисты поджелудочной железы бывают после травмы, поэтому не позволяйте каким-нибудь коням лягать вас в живот.
По всем вопросам, связанным с кистами в поджелудочной железе, обязательно консультируйтесь со своим лечащим врачом. Кисты бывают разные. За некоторыми нужно следить, чтобы не пропустить опухоль. Поэтому не исчезайте из поля зрения специалистов и не занимайтесь самолечением.
Если вам понравилась статья, то ставьте лайки и подписывайтесь на мой канал. Почитайте мои статьи по смежным темам:
Хронический панкреатит
Камни в желчном пузыре
Лечение кисты поджелудочной железы. Список клиник, рейтинг, отзывы, цены
О заболевании
Киста поджелудочной железы представляет собой мешкообразное отложение жидкости в поджелудочной железе. Поджелудочная железа является органом, который вырабатывает гормоны, включая инсулин, которые помогают организму переваривать пищу. В большинстве случаев киста поджелудочной железы не вызывает никаких симптомов. Многие люди даже не знают, что у них она есть, если он не является достаточно большим, чтобы создать обструкции.
Это, в основном, доброкачественное состояние, но в некоторых случаях оно может стать злокачественным с течением времени, поэтому важно следить за ним. Обычно врачу нужно будет исследовать жидкость из кисты поджелудочной железы, чтобы определить, является ли она злокачественной.
Очень часто панкреатические кисты ошибочно принимают за псевдокисты. Клетки псевдокист отличаются от клеток фактических кист, и не имеют ни эпителиальных, ни эндотелиальных клеток. Псевдокисты также нужно лечить, так как они также могут вызывать осложнения.
Существует много факторов, которые могут привести к развитию кисты поджелудочной железы. Наличие генетической предрасположенности является одним из них. Определенные генетические мутации могут привести к развитию кист на протяжении всей жизни человека. Перенесенное воспаление поджелудочной железы, такое как панкреатит, а также тяжелый алкоголизм и плохие привычки питания может вызвать образование кисты. Наличие желчных камней, перенесенная операция в области брюшной полости или повреждение поджелудочной железы также могут стать факторами риска.![]()
Лучший способ избежать образования кисты поджелудочной железы — вести здоровый образ жизни и избегать употребления алкоголя в избыточных количествах. Людям, у чьих родителей были диагностированы кисты поджелудочной железы, рекомендуется посещать регулярные осмотры. Вообще говоря, это состояние редко опасно, пока киста остается доброкачественной. Тем не менее, кисты поджелудочной железы часто удаляются в качестве меры предосторожности, чтобы предотвратить развитие рака.
Симптомы
В большинстве случаев, киста не дает о себе знать. Но, несмотря на это, если симптомы все-таки появляются, вот о чем Вам следует следить:
- Боль в животе
- Боль, отдающая в спину
- Масса в верхней части живота, которую можно пальпировать
- Тошнота
- Потеря веса
- Слабость
- Усталость
- Лихорадка, в редких случаях
- Диарея, в редких случаях
Диагностика
- Во время общего обследования врач будет ощупывать область брюшной полости пациента, чтобы определить точный источник боли.

- Врач спросит пациента, пострадал ли он от травм поджелудочной железы в прошлом или когда-либо имел панкреатит.
- Врач попросит пациента о лекарствах, которые он принимает, поскольку некоторые из них могут вызвать боль в животе.
- Методы визуализации поджелудочной железы, такие как КТ и МРТ, чтобы выяснить, действительно ли у пациента есть киста, и если да, то где и насколько она велика.
- Ультразвук может быть выполнен для более тщательного изучения кисты.
- Врачи могут определить, является ли киста раковой, получая от нее жидкость.
Виды лечения
- Если киста не вызывает никаких симптомов, врач может рекомендовать регулярный мониторинг, прежде чем приступать к операции.
- Псевдокисты могут быть осушены.
- Хирургия может потребоваться для удаления кисты из поджелудочной железы.
Автор: Доктор Вадим Жилюк
видов кист поджелудочной железы | Гастроэнтерология | ДЖАМА
Поджелудочная железа — важный орган пищеварения, расположенный в верхней части брюшной полости.
Поджелудочная железа выполняет две основные функции: вырабатывает ферменты, помогающие пищеварению, и секретирует важные гормоны, такие как инсулин, помогающие контролировать обмен веществ. Кисты поджелудочной железы не являются чем-то необычным. Наиболее распространенные кисты называются кистозными новообразованиями. Это мешочки, заполненные жидкостью.Поскольку некоторые кисты потенциально могут быть раковыми, важно понимать их риски и методы лечения.
Обзорная статья о кистозной болезни поджелудочной железы была опубликована в выпуске JAMA от 3 мая 2016 г.
Признаки и симптомы кисты поджелудочной железы
Большинство пациентов с кистами поджелудочной железы не имеют симптомов.Кисты обычно обнаруживаются во время визуализации (например, компьютерной томографии [КТ] или магнитно-резонансной томографии [МРТ]), проводимой по другим причинам.
Иногда у пациента могут быть неопределенные боли в животе, желтуха (пожелтение кожи) или другие абдоминальные симптомы. Кисты, вырабатывающие слизеподобное вещество, называемое муцином , могут закупоривать протоки поджелудочной железы, что может привести к воспалению поджелудочной железы и вызвать панкреатит.
Типы кист поджелудочной железы
Существует несколько видов кист поджелудочной железы.Те, которые содержат муцин, могут вызывать рак. Наиболее распространенный тип называется внутрипротоковым папиллярным муцинозным новообразованием ( IPMN ). Эти кисты соединяются с протоком поджелудочной железы, и их жидкость обычно имеет большое количество пищеварительных ферментов поджелудочной железы. Кисты могут возникать как у мужчин, так и у женщин и чаще встречаются у людей старше 50 лет.
IPMN далее классифицируются на подтипы в зависимости от наличия или отсутствия расширения главного протока поджелудочной железы. Кисты небольшого размера, стабильного размера и без тревожных признаков имеют низкий риск развития рака.Настораживающие признаки определяются как киста размером более 3 см, толстая стенка кисты или «светящаяся» контрастом при проведении КТ, размер главного протока поджелудочной железы от 5 до 9 мм, узелок на стенка кисты, не просвечивающая при КТ-контрастировании, или резкое изменение диаметра главного протока поджелудочной железы. При наличии кист у больных с желтухой, некоторая часть кисты солидная и светится при КТ-контрастировании, или размер главного протока поджелудочной железы больше 10 мм, может иметь место рак.
Другой вид муцинозной кисты называется муцинозно-кистозным новообразованием . Менее распространенные, чем IPMN, эти кисты имеют отчетливый вид при осмотре патологоанатомом (врачом, изучающим развитие заболевания).
Муцинозные кистозные новообразования встречаются почти исключительно у женщин среднего возраста и обычно располагаются в теле и хвосте поджелудочной железы. Эти кисты также потенциально могут стать раковыми.
Киста третьего типа называется солидным псевдопапиллярным новообразованием .Эти редкие новообразования имеют как солидный, так и кистозный компоненты. Солидные псевдопапиллярные новообразования также могут стать злокачественными и чаще обнаруживаются у молодых женщин.
Другим типом кисты является серозная цистаденома . Эти кисты не содержат муцина и практически не имеют риска стать злокачественными. Чаще встречаются у женщин старше 50 лет.
Аденокарцинома протоков поджелудочной железы, наиболее распространенная форма рака поджелудочной железы, в некоторых случаях может иметь кистозный вид.Нейроэндокринные опухоли поджелудочной железы, другой тип рака поджелудочной железы, также иногда могут иметь кистозный вид и быть перепутаны с доброкачественной кистой.
Для получения дополнительной информации
Чтобы найти эту и предыдущие страницы пациентов JAMA, перейдите по ссылке на страницу пациента на веб-сайте JAMA по адресу www.jama.com/. Испанские переводы доступны на вкладке дополнительного контента. Страница пациента JAMA о панкреатите была опубликована в выпуске от 11 апреля 2012 г.
Раскрытие информации о конфликте интересов: Авторы заполнили и представили форму ICMJE для раскрытия информации о потенциальном конфликте интересов, и ни об одном из них не сообщалось.
Источник: Старк А., Донахью Т.Р., Ребер Х.А., Хайнс О.Дж. Кистозная болезнь поджелудочной железы: обзор. ЯМА . 2016;315(17):1882-1893.
Тема: Расстройства пищеварения
Становятся ли кисты поджелудочной железы раковыми? | Комплексный онкологический центр Розуэлл Парк
Что такое киста поджелудочной железы?
Кисты поджелудочной железы представляют собой заполненные водой или слизью структуры в поджелудочной железе, подобные кистам, которые появляются в других частях тела.
Наиболее распространенной причиной доброкачественных (не раковых) кист является панкреатит, воспаление поджелудочной железы.Панкреатит может быть результатом чрезмерного употребления алкоголя или желчнокаменной болезни. Кроме того, некоторые генетически унаследованные состояния могут предрасполагать человека к возникновению кист в поджелудочной железе.
Как узнать, есть ли у вас киста поджелудочной железы?
У большинства людей нет никаких симптомов или боли, и их кисты поджелудочной железы обнаруживаются по чистой случайности. Приблизительно 2-3 процента кист поджелудочной железы обнаруживаются, когда этому пациенту делают компьютерную томографию или МРТ брюшной полости по другим причинам. Может быть некоторая боль в животе, связанная с большими кистами.Однако при небольших кистах следует исключить другие причины болей в животе, прежде чем связывать боль с кистой.
Какие виды кист поджелудочной железы существуют?
Кисты поджелудочной железы могут возникать в результате нескольких различных процессов.
Существует примерно пять основных типов кист поджелудочной железы, в зависимости от того, как они развились, где расположены и из чего состоят. Большинство кист поджелудочной железы являются доброкачественными неопухолевыми (не опухолью) образованиями, возникающими в результате панкреатита.Однако доброкачественные неопластические (опухоли) кисты немного чаще встречаются у женщин.
Никогда не пропустите еще один блог о раке!
Подпишитесь на нашу ежемесячную электронную рассылку новостей о раке.
Зарегистрироваться!Становятся ли кисты поджелудочной железы раковыми?
Большинство кист не являются раковыми – менее 1-2 процентов кист поджелудочной железы являются раковыми. Однако некоторые из них могут считаться предраковыми.
Что означает предраковая киста поджелудочной железы?
Предраковая киста поджелудочной железы — это доброкачественная опухоль, которая может прогрессировать в рак поджелудочной железы в течение многих лет.
Что делать, если у вас киста поджелудочной железы?
Крайне важно, чтобы пациенты с кистами поджелудочной железы обращались к клиницистам, имеющим большой опыт лечения опухолей поджелудочной железы и патологии поджелудочной железы. Клиницист будет смотреть на определенные особенности каждой кисты, такие как размер и наличие каких-либо твердых компонентов. Они также примут во внимание скорость роста кисты в течение многих лет при принятии решения о необходимости операции.
Как лечить эти кисты?
Большинство кист поджелудочной железы не лечатся.Фактически, пациенты могут подвергаться повышенному риску чрезмерного лечения в этом состоянии. Для подавляющего большинства правильное лечение — это постоянное наблюдение опытного врача. Некоторым пациентам хирургическое вмешательство может быть рекомендовано после мониторинга кист с помощью компьютерной томографии, магнитно-резонансной томографии или эндоскопического ультразвукового исследования. Часто кисты могут быть удалены с помощью минимально инвазивного хирургического подхода.
Кисты поджелудочной железы — Brigham and Women’s Hospital
Кисты поджелудочной железы представляют собой небольшие заполненные жидкостью мешочки, которые формируются в поджелудочной железе.Большинство кист поджелудочной железы представляют собой доброкачественные псевдокисты, которые являются частым осложнением панкреатита. Другими типами кист поджелудочной железы являются кисты серозной цистаденомы (SCA), которые обычно являются доброкачественными. Кисты внутрипротокового папиллярного муцинозного новообразования (IPMN) и кисты муцинозного кистозного новообразования (MCN) могут перерасти в рак поджелудочной железы. Большинство кист поджелудочной железы выявляют во время диагностической визуализации другого состояния.
Для пациентов, которым требуется удаление кисты, общие хирурги и хирурги желудочно-кишечного тракта Brigham and Women’s Hospital (BWH) предлагают ряд передовых минимально инвазивных хирургических подходов, таких как роботизированная хирургия, для удаления кисты.
Специалисты по поджелудочной железе BWH, включая хирургов и гастроэнтерологов, сотрудничают, чтобы определить наилучшее лечение пациентов со сложными кистами поджелудочной железы.
В качестве хирургической бригады Центра опухолей поджелудочной железы и желчевыводящих путей в Дана-Фарбер/Бригам и Женского онкологического центра мы сотрудничаем со специалистами по поджелудочной железе, чтобы определить наилучший курс лечения раковых кист поджелудочной железы.
Хирурги поджелудочной железы
Диагностика кист поджелудочной железы
Общие и желудочно-кишечные хирурги в BWH предлагают ряд процедур для диагностики кист поджелудочной железы:
Лечение кисты поджелудочной железы
Хирургическое лечение
Хирурги общего профиля и желудочно-кишечные хирурги Brigham and Women’s Hospital предлагают обширный опыт в самых передовых минимально инвазивных процедурах при кистах поджелудочной железы:
- Хирургический дренаж кисты(ки)
- Эндоскопическое дренирование кисты с помощью эндоскопа
- Чрескожное (через кожу) дренирование кисты с помощью иглы (под контролем КТ)
- Лапароскопическая дистальная панкреатэктомия — операция по удалению тела и хвоста поджелудочной железы.
Селезенка также может быть удалена. - Панкреатодуоденальная резекция — это процедура, при которой хирургическим путем удаляются головка поджелудочной железы, желчный пузырь, близлежащие лимфатические узлы и часть желудка, тонкая кишка и желчный проток. Также называется процедурой Уиппла.
- Энуклеация , выполняемая с использованием открытого или лапароскопического хирургического доступа, удаляет только опухолевые клетки, оставляя поджелудочную железу нетронутой. Подходит для небольших опухолей.
Нехирургическое лечение
- Тщательный мониторинг с помощью сканирования (для определения любого изменения размера)
Чего ожидать
Вы пройдете тщательное диагностическое обследование, чтобы определить, есть ли у вас кисты поджелудочной железы, и определить, какой курс лечения необходим.Тщательный мониторинг и участие опытного общего и гастроинтестинального хирурга важны для успешного исхода у пациентов с заболеваниями поджелудочной железы.
Если вам предстоит операция или процедура, вам, скорее всего, будет назначен визит в Центр предоперационной оценки Weiner для получения предоперационной информации и тестов.
В день операции о вас позаботятся в операционной хирурги, анестезиологи и медсестры, специализирующиеся на хирургии кисты поджелудочной железы.После операции вы попадете в отделение послеоперационного ухода, где вам будет оказана всесторонняя помощь опытным хирургическим и сестринским персоналом.
Узнайте больше о пребывании в больнице и возвращении домой.
Многопрофильная помощь
Brigham and Women’s Hospital предлагает междисциплинарный подход к лечению пациентов, сотрудничая с коллегами, имеющими большой опыт диагностики и лечения кист поджелудочной железы. Кроме того, пациенты имеют полный доступ к всемирно известному академическому медицинскому сообществу BWH с его разнообразными специалистами и современным оборудованием.
Приемы и отделения хирургии поджелудочной железы
Свяжитесь с одним из наших хирургов поджелудочной железы из списка в верхней части страницы, чтобы записаться на прием.
Операции на поджелудочной железе
Ресурсы
Посетите Библиотеку санитарного просвещения Кесслера в Бретгольцском центре для пациентов и их семей, чтобы получить доступ к компьютерам и квалифицированному персоналу.
Посетите Центр предоперационной оценки Вайнера.
Кисты поджелудочной железы: повышают ли они риск развития рака? | Fox Chase Cancer Center
Поджелудочная железа является жизненно важным органом, выполняющим две ключевые функции: она вырабатывает ферменты, помогающие переваривать пищу, и выделяет гормоны, такие как инсулин, которые помогают регулировать обмен веществ.
Нередко в поджелудочной железе образуются кисты — баллонообразные пакеты, заполненные жидкостью. Большинство кист поджелудочной железы являются доброкачественными, то есть они не являются раковыми, и они возникают в результате других состояний, кроме рака, таких как воспаление, связанное с панкреатитом. Однако некоторые кисты считаются «предраковыми», а небольшой процент кист поджелудочной железы является злокачественным или может со временем стать раковым.
То, как выглядит киста, что у нее внутри и где в поджелудочной железе она образуется, может дать представление о том, является ли она злокачественной или подвержена высокому риску превращения в рак.
«Не все кисты лечатся одинаково или должны рассматриваться одинаково», — сказал Санджай С. Редди, доктор медицины, FACS, хирург-онколог из онкологического центра Fox Chase.
Вот почему, если у вас диагностирована киста поджелудочной железы, важно обратиться к специалисту, который может предложить соответствующий план лечения, который может состоять из биопсии кисты, последующих последовательных сканирований или даже ее удаления. В Fox Chase мы наблюдаем за многими пациентами с кистами поджелудочной железы и специализируемся на их диагностике и лечении.
Обнаружение кисты поджелудочной железы
Кисты поджелудочной железы часто не вызывают симптомов, поэтому их часто обнаруживают во время сканирования для чего-то другого.
— Часто это случайная находка, — сказал Редди.
Например, киста поджелудочной железы может быть обнаружена, если у кого-то есть визуализирующее исследование после получения травмы живота в автомобильной аварии.
Иногда воспаленные кисты поджелудочной железы могут вызывать боль в животе и, в зависимости от их расположения и размера, у некоторых людей развивается желтуха (пожелтение кожи).
Независимо от того, обнаружена ли киста случайно или есть симптомы, которые привели к ее обнаружению, вы должны серьезно отнестись к ее росту.
Какая связь с раком поджелудочной железы?
Некоторые кисты поджелудочной железы заполнены слизеподобным веществом, называемым муцином, которое может вызвать закупорку протока поджелудочной железы. Содержащие муцин кисты могут стать злокачественными, особенно если они имеют другие тревожные признаки, такие как больший размер или толстая стенка, которая подсвечивается контрастом при визуализации.Наиболее распространенным типом этих кист является внутрипротоковое папиллярно-муцинозное новообразование (IPMN).
Надлежащее управление должно контролироваться специалистами.
Некоторые кисты поджелудочной железы состоят как из твердых, так и из жидких компонентов, и определение этого имеет жизненно важное значение, чтобы можно было установить надлежащее последующее наблюдение и уход
Само по себе сканирование не может определить, является ли киста злокачественной, и для более точного ответа необходимо провести биопсию кисты.
«Биопсия покажет нам, есть ли в кисте злокачественные клетки, — сказал Редди.
Лечение кист поджелудочной железы
Кисты поджелудочной железы не всегда нужно удалять. «Некоторые кисты могут иметь доброкачественные клетки и не иметь признаков высокого риска при визуализации. Для этого достаточно простого наблюдения», — сказал Редди.
Если у вас киста низкого риска, ваш врач, скорее всего, порекомендует визуализацию каждые шесть месяцев или ежегодно, чтобы увидеть, изменяется ли киста. «Большинство пациентов с кистами поджелудочной железы, которых я наблюдаю, мы внимательно наблюдаем», — сказал Редди.
Кисты, которые относятся к группе высокого риска, часто удаляют, но решение об операции не должно приниматься автоматически.Вместо этого стоит взвесить ваши индивидуальные риски и преимущества, включая ваш возраст, общее состояние здоровья и тип клеток, обнаруженных в кисте во время биопсии.
Консультация с командой специалистов является ключом к принятию этого решения. «Сама операция зависит от локализации, а использование малоинвазивных хирургических методов, в том числе робототехники, изменило подход к лечению этого заболевания. Однако эти операции серьезные», — сказал Редди. «Вот почему очень важно обратиться в такой центр, как Fox Chase, с большим опытом лечения кисты поджелудочной железы и хирургии.»
Узнайте больше о лечении кисты поджелудочной железы в Fox Chase.
Клиника лечения кисты поджелудочной железы
Об этой программе
Клиника кисты поджелудочной железы, созданная в сотрудничестве с Центром лечения заболеваний пищеварительного тракта, Массовым онкологическим центром и больницей Ньютон-Уэллсли, предоставляет услуги визуализации, а также лечение и мониторинг пациентов с кистозными поражениями поджелудочной железы.
Наши клиницисты предлагают пациентам всесторонний и персонализированный сбор анамнеза и медицинский осмотр. Оценка включает обзор предыдущих результатов визуализации, анализ кистозной жидкости и факторы риска малигнизации.Компьютерная томография и магнитно-резонансные томограммы передаются на расшифровку специалистам Массового общего отдела визуализации.
Визуализация
Магнитно-резонансная холангиопанкреатография
В больнице Mass General и Newton-Wellesley предпочтительным тестом визуализации кистозных поражений поджелудочной железы является магнитно-резонансная холангиопанкреатография (МРХПГ). Передовые методы МРТ используются для получения трехмерных изображений высокого разрешения поджелудочной железы и кистозных поражений.Изображения используются для расчета точных диаметров и объема кистозных поражений. Рост кистозных поражений рассчитывается с течением времени. Отмечается наличие аномальных разрастаний в стенке кист (пристеночных узелков) наряду с другими признаками, такими как расширение протоков поджелудочной железы.
Эндоскопическое УЗИ
Эндоскопическое ультразвуковое исследование (ЭУЗИ) позволяет получать изображения кистозных поражений поджелудочной железы с высоким разрешением и направляет тонкоигольную аспирацию. В госпиталях Mass General и Newton-Wellesley эндоУЗИ зарекомендовало себя как надежный инструмент для оценки стенных узлов и образований, а также сбора кистозной жидкости.Один из наиболее точных маркеров муцинозных кист, карциноэмбриональный антиген (СЕА), был разработан в Массачусетсе в рамках крупного многоцентрового исследования. Другие маркеры муцинозных кист и злокачественных новообразований, основанные на мутациях ДНК, впервые исследуются в Массачусетской лаборатории общей молекулярной патологии.
У отдельных пациентов эндоскопическое ультразвуковое исследование используется для аспирации кист поджелудочной железы. Аспирированную жидкость анализируют на цитологию (визуализация клеток), опухолевые маркеры (СЕА) и ДНК-маркеры злокачественных новообразований.
KRAS является наиболее часто используемым маркером ДНК и помогает определить наличие муцинозной кисты. Расширенный анализ ДНК проводится в Массачусетской лаборатории общей молекулярной патологии, которая зарекомендовала себя как новый важный ресурс для диагностических исследований генетических мутаций.
Хирургические инструменты
Хирургическое лечение кист поджелудочной железы было впервые предложено доктором Эндрю Уоршоу из Mass General почти 40 лет назад. Хирургическое иссечение кист требует резекции всего сегмента поджелудочной железы, а не только одной кисты.Тип резекции зависит от локализации кисты. Резекция кисты головки поджелудочной железы включает резекцию Уиппла.
Mass General выполняет больше резекций Уиппла, чем любая другая больница в Новой Англии. Кисты, расположенные в теле и хвосте поджелудочной железы, требуют дистальной панкреатэктомии, которую часто выполняют лапароскопически (или роботизированно).
При кистах, расположенных в шейке или проксимальном отделе тела поджелудочной железы, может быть выполнена срединная панкреатэктомия, операция, которая впервые была проведена в Массачусетсе.По сравнению с альтернативой дистальной резекции поджелудочной железы срединная панкреатэктомия гораздо реже приводит к диабету или экзокринной недостаточности поджелудочной железы.
Края хирургической резекции оцениваются опытным патологом поджелудочной железы во время операции, чтобы убедиться, что не осталось никаких проблемных заболеваний. Резецированные образования тщательно анализируются патологоанатомами для определения типа кисты, наличия малигнизации и стадии злокачественности. Одно из основных достижений в классификации IPMN было проведено патологоанатомом из Массачусетса, доктором Дж.Мари Мино-Кенудсон. Существует четыре типа тканей IPMN, и тип IPMN оказывает большое влияние на поведение и агрессивность злокачественных IPMN.
Клиника лечения кисты поджелудочной железы | Онкологический центр доктора медицины Андерсона
Кисты поджелудочной железы представляют собой карманы жидкости, образующие мешок внутри поджелудочной железы.
Иногда они имеют вид массы при рентгенологическом исследовании или сканировании брюшной полости. Кисты поджелудочной железы часто не являются раковыми, но требуют обследования, чтобы убедиться, что они не представляют собой рак или предраковое состояние.Злокачественные или предраковые кисты поджелудочной железы могут потребовать лечения, включая хирургическое вмешательство. Некоторые незлокачественные кисты поджелудочной железы также требуют хирургического вмешательства, если они вызывают симптомы.
Тесты, используемые для оценки кист поджелудочной железы, включают компьютерную томографию, МРТ, эндоскопические процедуры, биопсию и лабораторные анализы. Лечение кист поджелудочной железы зависит от типа кисты и симптомов, которые она вызывает.
Кисты поджелудочной железы часто не вызывают симптомов и могут быть обнаружены при рентгенографии или сканировании брюшной полости по причинам, не связанным с кистой.Симптомы, которые они могут вызвать, включают боль в животе, вздутие живота, тошноту, рвоту или диарею.
Когда эти симптомы сопровождают диагноз кисты поджелудочной железы, следует обратиться за медицинской помощью.
Чего ожидать
Пациенты с диагнозом кисты поджелудочной железы без признаков рака проходят лечение в Клинике лечения кист поджелудочной железы, где пациентов обследуют и лечат специалисты MD Anderson, обладающие специальными знаниями в области лечения кист поджелудочной железы. Мы будем продолжать оценку на регулярной основе, даже если нет никаких признаков рака по результатам предыдущих анализов.
Во время лечения в Клинике лечения кисты поджелудочной железы мы:
- Ознакомьтесь с недавней историей болезни и проведите медицинский осмотр
- Проведите тесты, чтобы определить, изменяется ли размер кисты поджелудочной железы или другие характеристики
- Монитор развития новых симптомов
- Создание сводки о лечении и плана последующего ухода
- Предоставление информации и направлений, связанных с эндоскопической оценкой, питанием, здоровым образом жизни и ресурсами в MD Anderson или в сообществе
Вам объяснят результаты анализов и обсудят варианты лечения.![]()
Врач, который изначально рассматривал вас как нового пациента, продолжит ваше лечение. Если у вас появятся симптомы или изменения в характере кисты поджелудочной железы, пока вы будете пациентом Клиники лечения кисты поджелудочной железы, может потребоваться повторное направление в хирургическую или гастроэнтерологическую клинику доктора медицины Андерсона, где вы впервые были осмотрены.
Рефералы
Клиника лечения кисты поджелудочной железы принимает пациентов, направленных доктором медицины Андерсона, первоначально обратившихся в Центр желудочно-кишечного тракта.
Если вам нужно направление в нашу клинику, обратитесь к своему врачу или медсестре MD Anderson.
Кисты поджелудочной железы | Университет Лома Линда Здоровье
Кисты поджелудочной железы
ЧТО ТАКОЕ КИСТА ПОДЖЕЛУДОЧНОЙ ЖЕЛЕЗЫ?
Кисты поджелудочной железы представляют собой мешкообразные скопления жидкости внутри поджелудочной железы. Большинство этих кист являются доброкачественными и не вызывают никаких симптомов.
Тем не менее, есть некоторые кисты, которые могут стать раковыми, и их следует контролировать.
Псевдокисты поджелудочной железы отличаются от истинных кист поджелудочной железы.Оба представляют собой скопления жидкости, но истинная киста имеет выстилку, а псевдокиста не имеет выстилки.
В Университете здоровья Лома Линда мы лечим больше заболеваний поджелудочной железы, чем в любом другом центре в регионе. У нас есть возможность диагностировать и лечить кисты поджелудочной железы в дополнение к другим основным заболеваниям поджелудочной железы.
КАКОВЫ СИМПТОМЫ КИСТ ПОДЖЕЛУДОЧНОЙ ЖЕЛЕЗЫ?
Большинство людей с кистами поджелудочной железы не испытывают никаких симптомов. Когда есть симптомы, они обычно включают:
- Постоянная боль в животе, которая может иррадиировать в спину
- Тошнота и рвота
- Прощупываемое образование в верхней части живота
В некоторых случаях кисты поджелудочной железы могут инфицироваться.
Симптомы инфекции кисты поджелудочной железы включают лихорадку и постоянную боль в животе. Пациенты с кистой поджелудочной железы, которые испытывают эти симптомы, должны немедленно обратиться к врачу.
Аналогичным образом, разрыв псевдокисты может потребовать неотложной медицинской помощи. Симптомы разрыва псевдокисты включают:
- Обморок
- Сильная боль в животе
- Шок
- Пониженное сознание
- Слабое и учащенное сердцебиение
- Рвота с кровью
ЧТО ВЫЗЫВАЕТ КИСТА ПОДЖЕЛУДОЧНОЙ ЖЕЛЕЗЫ?
Хотя причина большинства кист поджелудочной железы неизвестна, исследователи полагают, что одной из причин развития этих кист может быть панкреатит.Кроме того, некоторые кисты поджелудочной железы связаны с редкими заболеваниями.
В некоторых случаях абдоминальные травмы являются фактором риска развития псевдокист.
КАК ДИАГНОСТИРОВАТЬ КИСТА ПОДЖЕЛУДОЧНОЙ ЖЕЛЕЗЫ?
Диагноз кисты поджелудочной железы начинается с медицинского осмотра и сбора анамнеза пациента, в дополнение к оценке любых симптомов.
Дополнительные диагностические тесты могут включать:
- Эндоскопическое ультразвуковое исследование (ЭУЗИ), которое может включать сбор образца кистозной жидкости
- КТ
- МРТ
КАК ЛЕЧИТСЯ КИСТА ПОДЖЕЛУДОЧНОЙ КРЕАТЫ?
В Университете здравоохранения Лома Линда наиболее распространенные методы лечения кист поджелудочной железы включают:
Дренирование кисты – Доброкачественная киста (псевдокиста или серозная цистаденома), вызывающая неприятные симптомы или увеличивающаяся в размерах, может быть дренирована с помощью эндоскопической процедуры с тонкоигольной аспирацией (EUSFNA).Стент также может быть установлен с помощью ЭУЗИ, чтобы соединить кисту с желудком, чтобы облегчить декомпрессию кисты (цистогастростомия).
Хирургия – Хирургическое вмешательство может потребоваться для удаления некоторых доброкачественных кист. Как и в случае любой операции на поджелудочной железе, это серьезное мероприятие.
Лучше всего приберечь резекцию для случаев, когда есть серьезные опасения по поводу рака. Это представляет меньшинство случаев. В подавляющем большинстве случаев достаточно наблюдения с периодическими визуализирующими исследованиями.
Бдительное ожидание – Доброкачественную псевдокисту, даже большую, можно не трогать, если она не растет и не беспокоит вас. Обсуждение с вашим врачом необходимо для определения наилучшей стратегии мониторинга ваших доброкачественных кист.
КАКИЕ ОСЛОЖНЕНИЯ КИСТ ПОДЖЕЛУДОЧНОЙ ЖЕЛЕЗЫ?
Кисты/псевдокисты поджелудочной железы, хотя и редко, могут привести к осложнениям. К ним относятся:
- Инфекция, которая иногда может привести к абсцессу поджелудочной железы
- Разрыв псевдокисты (вскрытие) или кровоизлияние (кровотечение), которые могут
- быть опасным для жизни
- Билиарные осложнения, вызывающие желтуху (пожелтение глаз и кожи)
- Высокое кровяное давление, известное как портальная гипертензия
КТО ПОДВЕРГАЕТСЯ РИСКУ КИСТ ПОДЖЕЛУДОЧНОЙ ЖЕЛУДОЧНОЙ ЖЕЛЕЗЫ?
Наиболее подвержены риску развития кист поджелудочной железы:
- Злоупотребляющие алкоголем
- Люди, страдающие камнями в желчном пузыре
- Люди, страдающие панкреатитом
- Перенесшие травму живота
СЛЕДУЮЩИЕ ШАГИ
- Будь в курсе .
Поджелудочная железа киста: лечение, операция по удалению кисты поджелудочной в СПб, цена




Селезенка также может быть удалена.