МРТ-диагностика некоторых опухолей головного мозга
Соавтор: Сотников В. В., к.в.н., главный врач Ветеринарной клиники неврологии, травматологии и интенсивной терапии, г. Санкт-Петербург.
Для выбора оптимальной лечебной тактики и планирования нейрохирургического вмешательства при опухолях головного мозга важно получить наиболее полную диагностическую информацию не только о локализации и гистологических свойствах опухоли, но и о выраженности и характере перифокальных реакций мозга, существенно влияющих на клинические проявления заболевания. Значительный перифокальный отек снижает выживаемость пациентов при менингиомах (Motta L, Mandara MT, Skerritt GC.2012).
Наиболее общей, закономерно развивающейся реакцией при очаговых поражениях (прежде всего при опухолях мозга) является перифокальный отек, в основе развития которого лежит взаимодействие сосудистого и паренхиматозного фактора.
Принято различать вазогенный и цитотоксический отеки мозга, которые могут сочетаться и изменять количественные соотношения в динамике развития в зависимости от вызвавшей их причины. Перифокальный отек при опухолях мозга формируется за счет увеличения объема внеклеточного пространства в результате накопления в нем жидкости, поступающей из поврежденных глиальных клеток, и вследствие повышения проницаемости клеточной мембраны эндотелия капилляров в зоне, окружающей очаг поражения. Распространенность зоны перифокального отека определяется не только увеличением содержания в ней воды, но и степенью регионарной демиелинизации волокон белого вещества мозга.
Чем выше степень демиелинизации, тем меньше содержание липидов в перифокальной зоне и тем более выражены нарушения процессов окисления и фосфорилирования, а также явления отека мозга (Chan Р.Н., Fishmann R.A. 1978). В прогрессировании перифокального отека основную роль играют два механизма: поступление в белое вещество мозга белков плазмы и их связывание с глиальными элементами; увеличение дальнейшего поступления жидкости в перивазальное пространство вследствие осмотического градиента; а также, по аналогичному механизму, поступление жидкости из ликворной системы (Priden F.R., Tsayumu M., Reulen H.J. 1979; S.Reulen H.J., Graber S., Huber P., Jto U. 1988).
Многочисленные исследования в гуманной медицине, проведенные в Институте нейрохирургии АМН Украины, свидетельствуют о существовании динамических различий между явлениями отека и набухания мозга. Отек — это увеличение содержания свободной воды в межклеточных интерстициальных пространствах, а набухание — это накопление свободной воды в клетках и связанной воды в межклеточных пространствах. Для внутримозговых опухолей, особенно для глиом, характерно преобладание отека в перифокальной зоне (О.Ю.Чувашова 2000).
По мере увеличения объема опухоли и нарастания явлений внутричерепной гипертензии изменяется белковый состав как в очаге поражения, так и в перифокальной зоне, в которой эти сдвиги коррелируют со степенью злокачественности опухоли. При этом развиваются регионарные нарушения проницаемости гематоэнцефалического барьера, которые увеличивают цитотоксический отек. Определенную роль в этом процессе, по-видимому, играет обнаруженный недавно в головном мозге специфический белок — фактор проницаемости сосудов, стимулирующий ангиогенез в опухолевой ткани и повышающий проницаемость капилляров, причем обнаружена корреляция между концентрацией этого белка и выраженностью перифокального отека.
Изложенные предпосылки обосновывают поиски возможностей неинвазивного получения диагностической информации, характеризующей выраженность перифокального отека мозга при глиомах с учетом их локализации, величины и гистологических свойств.
По данным МРТ границы глиом и перифокального отека оптимально отличаются в Т2 режиме, поскольку интенсивность сигнала возрастает в зоне большого накопления экстрацеллюлярной жидкости. Рис 1(а)
Рис. 1А. Т2 режим, хорошо выражен перифокальный отек (белые стрелки).
Рис. 1Б. Т1 режим без введения контраста, отсутствует правый желудочек, имеется смещение срединных структур.
Рис. 1В. Т1 режим с введенным контрастным препаратом «Магневист». Регистрируется интенсивный сигнал от новообразования (обозначено стрелкой), перифокальный отек не виден.
Возможность выявления границ между опухолью и зоной перифокального отека повышается при повторном МРТ-исследовании после введения магнитоусиливающих препаратов (магневист). Поскольку магневист не проникает через неповрежденный гематоэнцефалический барьер, сопоставление томограмм, полученных до и после введения препарата, позволяет судить о регионарных нарушениях проницаемости барьера. Рис 1(A,B)
Это особенно отчетливо проявляется при астроцитомах типичной структуры, при которых функция гематопаренхиматозного барьера на границе опухоли и прилегающих участках мозга до определенного времени остается относительно сохранной, поэтому магневист не проникает в ткань опухоли.
В связи с этим зона гипоинтенсивности сигнала более отчетливо определяется в проекции астроцитомы, чем в области перифокального отека. Оценка размеров и распространения глиом более точна на МРТ, чем на КТ (Кобяков Г.Л., Коновалов А.Н., Личиницер М.Р. 2001; Коновалов A.Н., Корниенко В.Н. 1985; Коновалов А.Н., Корниенко В.Н., Пронин И.Н., 1997.; Yamada K., Soreusen A.G. 2000).
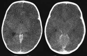
Существует большая точность и разрешающая способность МРТ в диагностике глиом полушарий мозга, этот метод не сопоставим с данными, полученными при КТ-исследовании. Он позволяет более точно определить вид опухоли, степень ее анаплазии и выраженность перифокального отека мозга, что имеет важное значение для выбора наиболее рациональной противоотечной терапии в процессе предоперационной подготовки и планирования хирургического вмешательства (рис. 2,3,4,5,6). На всех рисунках представлены справа результаты МРТ — изображения, а слева — КТ в аналогичных срезах.
Рис. 2 а. КТ. Заметно смещение срединных структур (стрелка). Отек не виден
Рис. 2б. МРТ. Хорошо виден перифокальный отек
Рис. 3а. КТ. Заметно смещение срединных структур (стрелка). Отек не виден
Рис. 3б. МРТ. Хорошо виден перифокальный отек
Рис. 4а. КТ. Заметно смещение срединных структур.Отек не виден
Рис. 4б. МРТ. Хорошо виден перифокальный отек. FLAIR последовательность
Рис. 5а. КТ. Перифокальный отек плохо виден, но новообразование хорошо заметно (стрелка)
Рис. 5б. МРТ. Видно новообразование (большая стрелка), отек наиболее хорошо виден в программе FLAIR (маленькие стрелки)
Рис 6а. КТ. В области обонятельной луковицы визуализируется новообразование
Рис. 6б. МРТ. Т1 режим с контрастом дает возможность гораздо точнее оценить объем новообразования, его границы
Представленные выше рисунки демонстрируют, что визуализация новообразования головного мозга, перифокального отека и его распространенности гораздо информативнее при использовании МРТ, чем КТ. Улучшить визуализацию помогает использование контраста, а также последовательного выполнения программ: для оценки перифокального отека целесообразно использовать FLAIR импульсную последовательность МРТ. Т2-взвешенные изображения, широко использующиеся для выявления патологических изменений, не всегда позволяют с достаточной надежностью различать зоны поражения и некоторые нормальные ткани. Так, на Т2-взвешенных изображениях зоны патологических изменений вещества мозга часто имеют высокий сигнал и выглядят как более яркие участки. Аналогичный высокий сигнал имеет также нормальная спинномозговая жидкость, что затрудняет выявление патологических очагов, располагающихся около пространств, заполненных данной жидкостью. Для преодоления данного недостатка разработана методика FLAIR (Fluid Attenuated Inversion Recovery), обеспечивающая подавление сигнала свободной воды (спинномозговой и некоторых других физиологических жидкостей) при сохранении базовой Т2-взвешенности изображения. FLAIR лучше выявляет очаговые изменения мозга.
Нельзя не отметить, что (по нашим данным наблюдения 35 пациентов) оценить наличие и размер перифокального отека при ЭЭГ — исследовании невозможно. Такая же ситуация существует и в гуманной медицине. Изменения биоэлектрической активности мозга (ЭЭГ) при глиальных опухолях неспецифичны и отражают реакцию мозга на поражение, развивающееся в нем. В дооперационном периоде ЭЭГ позволяет получить объективную информацию о функциональном состоянии мозга, выявить наличие и локализацию эпилептического очага у пациентов, имеющих эпилептические припадки (Фадеева Т.Н. 2004). Следует исходить из данных о том, что опухолевая ткань электрически нейтральна, поэтому на ЭЭГ нет отражения места локализации опухоли. Однако при проведении противоотечной терапии (дексаметазон 1мг/кг 2 раза в день) перед оперативным лечением либо при неоперабельных опухолях вместе с регрессом неврологических симптомов очень быстро происходит нормализация электрической активности головного мозга, что, несомненно, указывает на влияние перифокального отека на электрическую активность мозга.
Список литературы:
- Chan Р.Н., Fishmann R.A. Brain edema: induction in cortical slices by polyunsaturated fatty acids //Science. — 1978. — V.201, №5607. — P.358—360.
- Priden F.R., Tsayumu M., Reulen H.J. Measurement of vasogenic brain edema clearance into ventricular CSF //Surg. Forum. — 1979. — V.30, №5. — P. 446—453.
- S.Reulen H.J., Graber S., Huber P., Jto U. Factors off ecting the extension of peritumoral brain oedema ACT-study //Acta Neurochir. — 1988. — V.96, №1—2. — P. 19—24.
- Motta L., Mandara M. T., Skerritt G. C. Canine and feline intracranial meningiomas: an updated review. The Veterinary Journal, 192, 153-165. Source ChesterGates Animal Referral Hospital, Chester Gate Road, Telford Court, Unit E-F, Chester Ch26LT, United Kingdom.
- Чувашова О.Ю. Характеристика перифокального отека при глиомах полушарий головного мозга различной степени анаплазии по данным компьютерной и магнитно-резонансной томографии. Институт нейрохирургии им. акад. А.П.Ромоданова АМН Украины, г. Киев. 2000.
- Кобяков Г.Л., Коновалов А.Н., Личиницер М.Р. и др. Современные возможности химиотерапии в лечении злокачественных опухолей // Современные минимально-инвазивные технологии (нейрохирургия, вертебрология, неврология, нейрофизиология): Материалы симпозиума. — СПб., 2001.—С. 251-253.
- Коновалов A.Н., Корниенко В.Н. Компьютерная томография в нейрохирургической клинике. — М.: Медицина, 1985.— С. 20—44.
- Коновалов А.Н., Корниенко В.Н., Пронин И.Н. Магнитно-резонансная томография в нейрохирургии. — М.: Видар, 1997.—С. 95-134.
- Yamada K., Soreusen A.G. Diagnostic imaging // Neurooncology. The Essentials. — New York, 2000. — Ch. 6. — P. 56 —77
Опухоли головного мозга. Классификация опухолей головного мозга. КТ-семиотика опухолей головного мозга. Компьютерная томография нейроэпителиальных опухолей головного мозга, страница 2
— смещение, сдавление, изменение величины желудочков;
— блокада ликворных путей с развитием окклюзионной гидроцефалии;
— сужение, смещение, деформация базальных цистерн мозга;
— отек мозга, как вблизи опухоли, так и по периферии.
— аксиальная дислокация (оценивается по деформации охватывающей цистерны).
Плотность опухоли может быть повышена по сравнению с плотностью окружающей мозговой ткани в результате кровоизлияний или отложения в ткани опухоли солей кальция. Эти изменения характерны, прежде всего, для опухолей менингососудистого ряда. Понижение плотности наблюдается из-за содержания в опухоли большого количества воды или жироподобных веществ. Гетерогенность структуры опухоли характеризуется чередованием участков повышения плотности (геморрагии и кальцификаты) на фоне низкой плотности самой опухоли. Опухоль по плотности может не отличаться от окружающей мозговой ткани.
Отек, захватывающий белое вещество мозга, характеризуется зоной пониженной плотности вокруг опухоли и проявляется по-разному в зависимости от локализации опухоли. В височной доле отек имеет типичную форму трилистника, что обусловлено его распространением на внутреннюю и наружную капсулу вещества островка. Отек в лобной доле с распространением на внутреннюю капсулу напоминает по форме воронку.
Выделяют несколько форм отека:
— локальный — занимает белое вещество мозга вокруг опухоли на расстоянии не более 15 мм;
— генерализованный — захватывает не более 2/3 полушария на срезе мозга;
— тотальный — с однородным или неоднородным снижением плотности;
— перивентрикулярный — характеризующийся понижением плотности вокруг расширенных желудочков (или желудочка) мозга, который является одним из важных признаков прогрессирующего течения гидроцефалии (В.Н. Корниенко, 1993 г.).
Перифокальная зона является продуктом жизнедеятельности опухолевых клеток и в то же время служит своеобразным буфером, предохраняющим здоровую ткань мозга от непосредственного контакта с очагом злокачественного роста, и играет роль своеобразного трансформатора, замыкающего на себе анапластическую активность опухолевых структур.
Морфологически перифокальная зона, начинающаяся от очага, включает:
· инфильтрацию клеток опухоли через границу очага;
· собственно перифокальный отёк;
· демиелинизированные участки белого вещества.
Основным компонентом перифокальной зоны, во многом определяющим клиническую симптоматику, ее динамику и прогноз, является перифокальный отек, в основе развития которого лежит взаимодействие сосудистого и паренхиматозного факторов.
Принято различать вазогенный и цитотоксический виды отека мозга, которые могут сочетаться и изменять количественные соотношения в динамике развития, в зависимости от вызвавшей их причины. Перифокальный отек при опухолях мозга формируется за счет увеличения объема внеклеточного пространства в результате накопления в нем жидкости, поступающей из поврежденных глиальных клеток, и вследствие повышения проницаемости клеточной мембраны эндотелия капилляров в зоне, окружающей очаг поражения. Следовательно, первоначально локальный и перифокальный отёк является внутриклеточным. Распространенность зоны перифокального отека определяется не только увеличением содержания в ней воды, но и степенью регионарной демиелинизации волокон белого вещества мозга.
Вазогенный отек чаще наблюдается и бывает наиболее выражен при быстро растущих, агрессивных опухолях, обычно злокачественных (глиобластомы), в то время как чисто цитотоксический отёк чаще бывает травматического или инсультного генеза и связан с выпотом в серое вещество мозга.
По мере увеличения объема опухоли изменяется белковый состав, как в очаге поражения, так и в перифокальной зоне. Эти изменения коррелируют со степенью злокачественности опухоли. При этом развиваются регионарные нарушения проницаемости гематоэнцефалического барьера, которые увеличивают цитотоксический отек.
Обязательным компонентом опухоли является наличие изо-или гиперденсного солидного узла. При астроцитомах I-П степени злокачественности практически всегда можно чётко отграничить опухолевый узел от перифокальной зоны, которая представлена в данном случае только цитотоксическим отёком в виде узкой полоски пониженной плотности (25-23 НU) связанным с выпотом в серое вещество мозга. С увеличением степени злокачественности чёткость визуализации самого опухолевого узла уменьшается, что связано с выраженной диффузной инфильтрацией опухолевых клеток. При этом увеличиваются размеры перифокальной зоны, которая характеризуется двумя видами отёка: цитотоксического (плотностью 24-22 НU), прилежащего непосредственно к опухолевому узлу, и вазогенного (плотностью 20-17 НU), расположенного дистальнее. Между ними не наблюдается чётких границ, они плавно переходят друг в друга. При увеличении степени злокачественности уменьшается цитотоксический отёк и возрастает объём вазогенного отёка, который захватывает соответствующие отделы белого вещества. Вазогенный отёк не распространяется на серое вещество коры и подкорковых ганглиев, но компремирует и деформирует их.
Изображение отёка на КТ, как правило, по структуре однородно, но существует сложный комплекс факторов, в результате чего нарушается питание ткани мозга, и повреждаются аксоны. В связи с этим, на КТ можно визуализировать демиелинизированные участки, что обусловливает неоднородность перифокальной зоны. Данный процесс наиболее характерен для опухолей III-IV степени злокачественности.
Наружные контуры перифокальной зоны характеризует вазогенный отёк. В зависимости от локализации опухоли форма зоны будет различной. Если отёк распространяется на извилины полушария, то его зона приобретает пальцевидную форму. При глиобластомах височной доли (в связи с распространением отека на внутреннюю капсулу и островок) она имеет характерную форму неправильного трилистника. Для глиом лобной доли характерна воронкообразная форма отека, при локализации опухоли в теменной доле — клиновидная. При глиомах лобно-каллезной локализации отек распространяется на контрлатеральное полушарие. Глиальные опухоли, обычно астроцитомы I-II степени анаплазии, располагающиеся в области срединных структур, сопровождаются менее выраженным отеком, чем подобные опухоли, локализующиеся в белом веществе полушарий мозга.
vunivere.ru
Перифокальный отек головного мозга — Ответы и советы
Отек головного мозга – это чрезмерное скопление жидкости в тканях мозга, которое сопровождается повышением внутричерепного давления и представляет собой ответную реакцию человеческого организма на какие-либо раздражения. Это возможно интоксикация в следствии отравления, зараза, травма головы. В большинстве случаев, эта реакция развивает достаточно быстро. В случае если вовремя не оказать больному помощь, может наступить летальный финал. Увеличение давления ведет к нарушению кровообращения в мозге и отмиранию клеток.
Обстоятельства развития отека
К обстоятельствам развития отека относят всевозможные травмы головы, нейроинфекции, нейротоксикоз, нарушения обменных процессов. Основные обстоятельства отека – гипоксемия и гипоксия, особенно в случае если эти состояния сопровождаются увеличением уровня углекислоты. Очень важная роль отводится расстройствам метаболизма, ионного равновесия и аллергическим состояниям. У детей в базе данного состояния лежит артериальная гипертензия и повышение температуры тела, поскольку они приводят к вазодилатации.
Итак, обстоятельства отека смогут заключаться в следующем:
- Черепно-мозговая травма – представляет собой механическое повреждение внутричерепных структур. Может появиться как следствие падения, удара, аварии. Часто такие травмы имеют осложнения в виде ранения мозга отломками кости. Чересчур сильный отек мешает оттоку жидкости в мозговые ткани.
- Ишемический инсульт – самый популярный вид нарушения кровообращения мозга, каковые начинается в следствии образования тромба. В таковой ситуации клетки мозга не получают достаточного количества кислорода и начинают отмирать, в следствии чего и происходит развитие отека.
- Геморрагический инсульт – наступает в следствии повреждения кровеносных сосудов мозга. Внутримозговое кровоизлияние делается обстоятельством увеличения внутричерепного давления. Часто обстоятельством развития геморрагического инсульта есть повышенное артериальное давление. К другим факторам относят травмы головы, потребление лекарственных препаратов, врожденные пороки развития.
- Менингит – представляет собой воспаление оболочки мозга, которое приводят к вирусам, бактерии и другие микробы. Кроме этого это состояние возможно следствием приема некоторых препаратов.
- Энцефалит – это воспалительное заболевание мозга, которое вызывает группа вирусов, – его переносчиками, в большинстве случаев, являются насекомые. Кроме этого может наблюдаться похожее состояние – энцефалопатия .
- Токсоплазмоз – представляет собой паразитарное заболевание, которое может поразить плод еще в материнской утробе. В группе риска кроме этого находятся грудные дети и люди, имеющие ослабленную иммунную систему.
- Субдуральный абсцесс – это гнойная зараза, которая в случае стремительного развития может вызвать отек головного мозга и мешать оттоку жидкости из мозговых тканей.
- Опухоль – ее разрастание ведет к сдавливанию участка мозга, нарушению кровообращения и отеку окружающих тканей.
- Перепад высот. По согласнонеподтвержденным сведеньям, высота больше полутора километров над уровнем мозга может вызвать отек – это состояние возможно замечать при острой форме горной болезни.

Симптомы
Симптомы этого состояния смогут различаться в зависимости от тяжести и обстоятельства его происхождения. Значительно чаще показатели появляются неожиданно, к ним относится:
Диагностика
При подозрении на отек мозга диагностические процедуры, в большинстве случаев, определяют исходя из клинических проявлений. Причем необходимо учитывать, что ранние стадии развития отека смогут протекать бессимптомно. На разрешённой стадии определить отклонение возможно при помощи изучения глазного дна – в этом случае часто отмечается застой дисков зрительных нервов.
Что касается неврологических проявлений отека, то в первую очередь появляются нарушения в виде оглушения, сопора, делирия либо комы. По мере прогрессирования заболевания усиливаются нарушения сознания. Дабы выяснить степень для того чтобы нарушения, используют шкалу ком Глазго.
Кроме этого, нужно изучить движения глазных яблок, и окуловестибулярных реакций, темперамент дыхания, реактивность и вид зрачков, двигательные реакции скелетной мускулатуры. Весьма ответственны результаты, полученные в ходе проведения ядерно-магнитной резонансной томографии – именно это изучение позволяет распознать очаги гипергидратации вещества мозга, и изменение размеров субарахноидальных цистерн и желудочков.
В качестве способа диагностики кроме этого используется магнитно-резонансная либо компьютерная томография и нейросонография. Последний вид изучения назначают детям до года.
Чтобы получить дополнительную данные, применяют электроэнцефалографию, пневмо-энцефалографию, эхоэнцефалографию, сканирование мозга, церебральную ангиографию.
Потребность в дифференциальной диагностике требуется в случаях патологий, каковые сопровождаются комой и судорожным синдромом.
Лечение
Отек, появившийся как следствие маленького сотрясения мозга, значительно чаще проходит самостоятельно и в лечении не испытывает недостаток. В остальных случаях при наличии выраженных показателей нужно квалифицированное лечение, которое направлено на снабжение мозга кислородом. В этом случае больному внутривенно вводят лекарственные препараты, каковые содействуют устранению инфекции и понижению внутричерепного давления. На выбор медикаментозных препаратов воздействуют обстоятельства отека и выраженность его признаков.
При необходимости, к примеру, при черепно-мозговой травме, используют способ оксигенотерапии – она предполагает неестественное введение кислорода в организм человека. Кровь, которая насыщается кислородом, питает мозг и оказывает помощь устранить отек.
В особенно непростых обстановках применяют хирургические способы. В случае избыточного скопления жидкости в желудочках мозга выполняют ее удаление при помощи особого катетера. Эта процедура оказывает помощь устранить жидкость и снизить внутричерепное давление.
Операции, связанные с головным мозгом, считаются самыми сложными, но в некоторых случаях они являются единственной возможностью спасти жизнь больного. Операция требуется в случае опухоли, для восстановления поврежденного кровеносного сосуда, при попадании кости черепа в мозг. На финал аналогичного вмешательства воздействует уровень профессионализма хирурга.
Последствия отека
Отек мозга ведет к повышению внутричерепного давления, что часто сопровождается сонливостью, головными болями, заторможенностью реакций, дезориентацией больного в пространстве и времени, расстройством сознания, утратой навыков социальной коммуникации. Данные симптомы в различной степени смогут быть выражены по окончании проведения лечения, что значительно осложняет жизнь больного и его родных родственников.
В случае развития отека ствола головного мозга может наблюдаться нарушение дыхания и кровоснабжения, происхождение эпилепсии, судорог. Кроме этого весьма опасно ущемление, смещение либо вклинение ствола мозга, которое может обстоятельством паралича либо остановки дыхания.
По окончании устранения признаков отека и интенсивного курса реабилитации у большинства больных все-таки наблюдаются спаечные процессы в ликворных пространствах, желудочках. между оболочками мозга – это может проявляться в виде головных болей, эпиприпадков, что делается обстоятельством астенизации нервной системы.
В случае долгого существования отека последствия смогут появиться в виде нарушений работы коры головного мозга. а это отрицательно отражается на мыслительных процессах. В запущенных случаях кроме того может развиться декортикация.
Прогноз развития отека
Чем раньше больному начинают оказывать помощь, тем более высоки его шансы на полное выздоровление. Не смотря на то, что значимую роль, без сомнения, играется и тяжесть заболевания. Потому таких людей необходимо без промедлений направить в отделение интенсивной терапии для проведения дегидратационной терапии, восстановления кровоснабжения мозга и ликвородинамики.
Маленькие перифокальные отеки замечательно поддаются терапии с возможностью полного выздоровления. Но в отдельных случаях удается добиться лишь частичного восстановления потерянных функций.
В случае если лечить только главное заболевание, которое сопровождается отеком мозга, то выздоровление наступает не всегда а также возможна смерть.
Профилактика отека
Дабы не допустить появления таковой значительной неприятности, необходимо выполнять правила безопасности.
- Если вы ездите на роликах, велосипеде либо занимаетесь контактными видами спорта, в обязательном порядке необходимо надевать защитный шлем.
- В автомобиле нужно постоянно пристёгиваться.
- Необходимо следить за артериальным давлением и поддерживать его в норме.
- Крайне важно отказаться от курения.
- При подъеме в горы направляться давать себе время на акклиматизацию.
Отек головного мозга – достаточно важное состояние, которое может значительно ухудшить уровень качества жизни а также иметь летальный финал. Дабы не допустить развития этого заболевания, нужно выполнять правила личной безопасности в повседневной жизни. А в случае появления неприятностей со здоровьем, необходимо вовремя обращаться за помощью к доктору.

Вентрикуломегалия у плода
muzashtor.ru
Расшифровка МРТ головного мозга с контрастным усилением. Перифокальный отёк. Кавернома
На серии MP томограмм взвешенных по Т1, Т2, Flair и DWI в трёх проекциях визуализированы суб- и супратенториальные структуры.
Срединные структуры смещены слева направо на 0,9см.
В базальных ядрах слева определяется округлое образование с чёткими и ровными контурами, незначительно выраженным перифокальным отёком, имеющее гипоинтенсивный MP-сигнал по контуру по Т1 и Т2, по периферии имеет повышенный МР-сигнал по Т2 и пониженный по Т1, а в центре наоборот (подострая фаза гематомы).
Размеры образования 3,2×3,3×3,4см (объём ~ 17см3).
В непосредственной близости, прилегая с латеральной стороны к указанному образованию отмечается кавернома, размерами 1,1×1,0см.
В базальных ядрах справа имеется ветвящийся патологический мелкий венозный сосуд (венозная ангиома), размерами 0,9×0,5см.
После внутривенного контрастного усиления отмечается накопление контраста в каверноме и контрастирование венозной ангиомы, без накопления контраста в объёмном образовании со следами его наличия вокруг капсулы.
Боковые желудочки мозга асимметричны D>S, не расширены, левый боковой желудочек поддавлен, без перивентрикулярной инфильтрации. III-й желудочек смещен вправо. IV-й желудочек не расширен, не деформирован.
Внутренние слуховые проходы не расширены.
Мостомозжечковые углы без признаков патологических изменений.
Хиазмальная область без особенностей, гипофиз в размерах не увеличен, ткань гипофиза имеет обычный сигнал. Хиазмальная цистерна не изменена. Воронка гипофиза не смещена.
Базальные цистерны не расширены, не деформированы.
Субарахноидальные конвекситальные пространства и борозды полушарий большого мозга и мозжечка справа не расширены, а слева сглажены.
Миндалины мозжечка расположены на уровне большого затылочного отверстия, не выступая за его пределы.
Придаточные пазухи носа и воздухоносные ячейки височных костей хорошо пневматизированы.
secondopinions.ru
Убрать перифокальный отек в мозге
— смещение, сдавление, изменение величины желудочков;
— блокада ликворных путей с развитием окклюзионной гидроцефалии;
— сужение, смещение, деформация базальных цистерн мозга;
— отек мозга, как вблизи опухоли, так и по периферии.
— аксиальная дислокация (оценивается по деформации охватывающей цистерны).
Плотность опухоли может быть повышена по сравнению с плотностью окружающей мозговой ткани в результате кровоизлияний или отложения в ткани опухоли солей кальция. Эти изменения характерны, прежде всего, для опухолей менингососудистого ряда. Понижение плотности наблюдается из-за содержания в опухоли большого количества воды или жироподобных веществ. Гетерогенность структуры опухоли характеризуется чередованием участков повышения плотности (геморрагии и кальцификаты) на фоне низкой плотности самой опухоли. Опухоль по плотности может не отличаться от окружающей мозговой ткани.
Отек, захватывающий белое вещество мозга, характеризуется зоной пониженной плотности вокруг опухоли и проявляется по-разному в зависимости от локализации опухоли. В височной доле отек имеет типичную форму трилистника, что обусловлено его распространением на внутреннюю и наружную капсулу вещества островка. Отек в лобной доле с распространением на внутреннюю капсулу напоминает по форме воронку.
Выделяют несколько форм отека:
— локальный — занимает белое вещество мозга вокруг опухоли на расстоянии не более 15 мм;
— генерализованный — захватывает не более 2/3 полушария на срезе мозга;
— тотальный — с однородным или неоднородным снижением плотности;
— перивентрикулярный — характеризующийся понижением плотности вокруг расширенных желудочков (или желудочка) мозга, который является одним из важных признаков прогрессирующего течения гидроцефалии (В.Н. Корниенко, 1993 г.).
Перифокальная зона является продуктом жизнедеятельности опухолевых клеток и в то же время служит своеобразным буфером, предохраняющим здоровую ткань мозга от непосредственного контакта с очагом злокачественного роста, и играет роль своеобразного трансформатора, замыкающего на себе анапластическую активность опухолевых структур.
Морфологически перифокальная зона, начинающаяся от очага, включает:
· инфильтрацию клеток опухоли через границу очага;
· собственно перифокальный отёк;
· демиелинизированные участки белого вещества.
Основным компонентом перифокальной зоны, во многом определяющим клиническую симптоматику, ее динамику и прогноз, является перифокальный отек, в основе развития которого лежит взаимодействие сосудистого и паренхиматозного факторов.
Принято различать вазогенный и цитотоксический виды отека мозга, которые могут сочетаться и изменять количественные соотношения в динамике развития, в зависимости от вызвавшей их причины. Перифокальный отек при опухолях мозга формируется за счет увеличения объема внеклеточного пространства в результате накопления в нем жидкости, поступающей из поврежденных глиальных клеток, и вследствие повышения проницаемости клеточной мембраны эндотелия капилляров в зоне, окружающей очаг поражения. Следовательно, первоначально локальный и перифокальный отёк является внутриклеточным. Распространенность зоны перифокального отека определяется не только увеличением содержания в ней воды, но и степенью регионарной демиелинизации волокон белого вещества мозга.
Вазогенный отек чаще наблюдается и бывает наиболее выражен при быстро растущих, агрессивных опухолях, обычно злокачественных (глиобластомы), в то время как чисто цитотоксический отёк чаще бывает травматического или инсультного генеза и связан с выпотом в серое вещество мозга.
По мере увеличения объема опухоли изменяется белковый состав, как в очаге поражения, так и в перифокальной зоне. Эти изменения коррелируют со степенью злокачественности опухоли. При этом развиваются регионарные нарушения проницаемости гематоэнцефалического барьера, которые увеличивают цитотоксический отек.
Обязательным компонентом опухоли является наличие изо-или гиперденсного солидного узла. При астроцитомах I-П степени злокачественности практически всегда можно чётко отграничить опухолевый узел от перифокальной зоны, которая представлена в данном случае только цитотоксическим отёком в виде узкой полоски пониженной плотности (25-23 НU) связанным с выпотом в серое вещество мозга. С увеличением степени злокачественности чёткость визуализации самого опухолевого узла уменьшается, что связано с выраженной диффузной инфильтрацией опухолевых клеток. При этом увеличиваются размеры перифокальной зоны, которая характеризуется двумя видами отёка: цитотоксического (плотностью 24-22 НU), прилежащего непосредственно к опухолевому узлу, и вазогенного (плотностью 20-17 НU), расположенного дистальнее. Между ними не наблюдается чётких границ, они плавно переходят друг в друга. При увеличении степени злокачественности уменьшается цитотоксический отёк и возрастает объём вазогенного отёка, который захватывает соответствующие отделы белого вещества. Вазогенный отёк не распространяется на серое вещество коры и подкорковых ганглиев, но компремирует и деформирует их.
Изображение отёка на КТ, как правило, по структуре однородно, но существует сложный комплекс факторов, в результате чего нарушается питание ткани мозга, и повреждаются аксоны. В связи с этим, на КТ можно визуализировать демиелинизированные участки, что обусловливает неоднородность перифокальной зоны. Данный процесс наиболее характерен для опухолей III-IV степени злокачественности.
Наружные контуры перифокальной зоны характеризует вазогенный отёк. В зависимости от локализации опухоли форма зоны будет различной. Если отёк распространяется на извилины полушария, то его зона приобретает пальцевидную форму. При глиобластомах височной доли (в связи с распространением отека на внутреннюю капсулу и островок) она имеет характерную форму неправильного трилистника. Для глиом лобной доли характерна воронкообразная форма отека, при локализации опухоли в теменной доле — клиновидная. При глиомах лобно-каллезной локализации отек распространяется на контрлатеральное полушарие. Глиальные опухоли, обычно астроцитомы I-II степени анаплазии, располагающиеся в области срединных структур, сопровождаются менее выраженным отеком, чем подобные опухоли, локализующиеся в белом веществе полушарий мозга.
www.otekstop.ru
Перифокальный отек головного мозга лечение
Отёк головного мозга ( ОГМ) — патологическое состояние, характеризующееся избыточным накоплением жидкости и ионов натрия в ткани головного мозга. Достаточно условно выделяют 3 типа ОГМ: цитотоксический, вазогенный и ишемический. В реальной клинической ситуации в развитии ОГМ обычно участвуют все три механизма с преобладанием одного из них. Современные технологии (МРТ [диффузионно — взвешенное изображение]) позволяют отличить цитотоксический отёк от вазогенного.
Код по международной классификации болезней МКБ-10:- G93.6 Отек мозга
• Цитотоксический ОГМ развивается из — за нарушения осморегуляции мембран клеток, в результате чего происходит набухание последних. ГЭБ не нарушается, в связи с чем белки плазмы крови не покидают сосудистого русла. Цитотоксический отёк наблюдают, например, при ЧМТ.
• Вазогенный ОГМ обусловлен нарушением проницаемости ГЭБ. Белки плазмы крови покидают сосудистое русло и выходят в межклеточное пространство, вызывая накопление в них жидкости и их расширение. При вазогеннном ОГМ эффективны ГК (например, дексаметазон). Классический пример — зона перифокального отёка вокруг метастаза опухоли в головной мозг.
• При ишемическом ОГМ патогенетические механизмы вазогенного и цитотоксического ОГМ сочетаются на разных этапах его развития. Вначале ГЭБ не нарушен, но в дальнейшем его проницаемость повышается. Объём интерстициального пространства сначала уменьшается, а затем увеличивается в результате экстравазации жидкости. Такой стадийный механизм развития ОГМ объясняет отсроченное ухудшение состояния при внутримозговых кровоизлияниях.
Основное патофизиологическое состояние. к которому в конечном итоге приводит любой ОГМ — повышение ВЧД. Именно этот параметр и требует коррекции.
Лечение. Следует учитывать, что в большинстве случаев лечения требует не отёк головного мозга как таковой, а заболевание, приведшее к его развитию. Из лечебных мероприятий, направленных не на основное заболевание, а на ликвидацию ОГМ наиболее эффективны дегидратирующие средства и ГК.
Прогноз определяется основным заболеванием, вызвавшим ОГМ.
Сокращения. ОГМ — отёк головного мозга.
МКБ-10. G93.6 Отёк мозга
Лекарственные средства и Медицинские препараты применяемы для лечения и/или профилактики «Отёк головного мозга».
Медицинские препараты или лекарственные средства входящие в фармакологическую группу.
www.otekstop.ru
7 естественных процедур для уменьшения набухания
Периферические отеки: 7 естественных процедур для уменьшения набухания

Человек, на 55 — 60 процентов состоит из воды. Жидкости текут по всему телу, из одной области в другую. Они присутствуют внутри и снаружи клеток и, сохраняют все ткани влажными. Костям, суставам, спинному мозгу и головному мозгу, нужна вода.
Но, иногда слишком много воды может образовываться в тканях, что приводит к отеку в руках и ногах. Это называется периферическим отеком. И вызвано оно несколькими факторами, которые различаются по степени серьезности. Для некоторых людей, периферический отек является лишь временным и уходит сам по себе. Но, для других, это серьезная проблема, вызванная серьезным, иногда опасным для жизни состоянием здоровья.
Также нужно знать, что существуют естественные способы облегчить набухание, вызванное удержанием воды. Некоторые травы работают как естественные диуретики. Эфирные масла помогают уменьшить воспаление. Диетические изменения, могут уравновешивать уровни натрия в теле человека, помогая избежать дисбаланса электролита.
Что такое периферический отек?
Периферический отек означает отек в руках и ногах. Это происходит, когда жидкость собирается в тканях и вызывает тяжелую, опухшую и даже болезненную область в организме.
Тело работает, чтобы убедиться, что поддерживаются надлежащие уровни воды в своих «камерах». Это, естественно, уравновешивает потребление воды и потерю ее. Оно работает, чтобы поддерживать общее количество воды и электролитов в крови.
Тем не менее, ряд состояний здоровья или ситуаций может привести к слишком большому количеству жидкости для сбора в тканях и вызвать заметную опухоль. Когда капилляры в кровеносных сосудах начинают течь, образуя жидкости в ткани, это вызывает отечность.
Симптомы периферического отека
Симптомы периферического отека зависят от причины заболевания. Как правило, замечают опухшую область, которая растягивает кожу и можно чувствовать тепло на ощупь.
Существует разница между питтинговым и непиттинговым отеком. Если надавить на опухшую область, а палец оставляет углубление, это значит, что возникает отек. Удержание воды из слишком большого количества натрия в организме, стоящего или сидящего слишком долго, или давление тела обычно вызывает его. С другой стороны, острый отек не оставляет следов, когда нажимаете на него своим пальцем. Это может быть более серьезное заболевание, вызванное проблемами сердца, легких, печени или почек.
Как правило, наиболее распространенные признаки и симптомы периферического отека включают:
- Полное или тяжелое чувство в руке или ноге.
- Опухание и отечность, оставляя вмятину пальцем, когда нажимаете на область (которая называется «точечная»).
- Кожа, которая чувствует себя плотно и тепло.
- Неподвижность или затруднение перемещения суставов вокруг пострадавшего района.
- Боль и напряжение вокруг пострадавшей области.
- Чувство давления вокруг пораженного участка, которое может быть связано с давлением на вены на ногах.
- Когда обувь, одежда или ювелирные изделия становятся плотными вокруг опухшей области.
Причины возникновения и факторы риска
Некоторые состояния здоровья или ситуации могут вызвать отек. Иногда, причиной является безопасный случай удержания воды. Но, это также может быть следствием хронического, серьезного состояния, которое необходимо немедленно лечить. Ниже приведен анализ возможных причин периферических отеков и факторов риска:
- Удержание воды. Когда тело удерживает воду, и она накапливается в тканях, это вызывает временное опухание в руках, лодыжках, ногах и лице. Это может произойти, если употреблять слишком много натрия. Натрий держится в воде и удерживает ее в теле. Удержание воды также вызвано сидением или стоянием в одном положении слишком долго и гормональными изменениями во время месячных у женщин. Когда женщина беременна, ее матка оказывает давление на главный кровеносный сосуд, который отвечает за возвращение крови в сердце от ног. Это давление может позволить жидкости попасть в ее ткани, вызывая опухание в ногах и лодыжках.
- Воспаление в тканях, может вызвать отек в ногах. Так же, может быть ответом на аллергию, травму (например, сломанную кость или вывихнутую лодыжку), инфекцию или рану в ноге, артрит, подагру или целлюлит.
- Некоторые лекарства. Есть лекарства, которые могут вызвать отеки, потому, что они вызывают дисбаланс уровня натрия и воды в организме или способствуют почечной дисфункции. Лекарства, которые могут вызвать эту проблему, включают НПВП (такие, как Ибупрофен или Напроксен), инсулин, стероидная терапия и препараты для лечения высокого кровяного давления.
- Низкий уровень белка в крови. Жидкость течет из кровеносных сосудов более легко, когда в крови недостаточно белка, называемого альбумином (белок, который производится печенью). Недостаточное питание или состояние здоровья, которые влияют на количество белка, вырабатываемого организмом, такие как болезни печени и почек, могут вызывать низкий уровень белка в крови.
- Проблемы с венами. Когда вены не способны транспортировать достаточное количество крови к стопам, а затем обратно в сердце — это называется венозной недостаточностью — лодыжки и ноги опухают. Кровь собирается в ногах, вытесняя жидкость из кровеносных сосудов и в окружающие ткани. Это самая распространенная причина отека ног у людей старше 50 лет, особенно у женщин. Отек может быть признаком тромбоза. Это развивается в результате медленной крови и вызывает сгусток крови.
- Периферический отек также может быть вызван варикозным расширением вен. Это происходит, когда кровь залегает в ногах или, когда кровоток замедляется.
- Болезни почек. Когда почки не могут удалить достаточное количество натрия и воды из организма, это создает давление на кровеносные сосуды и может привести к периферическому отеку.
- Застойная сердечная недостаточность. Если сердце становится слишком слабым, чтобы накачать кровь вокруг тела, она будет собираться перед сердцем и оказывать давление на вены. Это может вызвать просачивание жидкости в окружающую ткань. Эта протекающая жидкость приводит к отеку в ногах или в животе.
- Заболевания легких. Если давление в легких и сердце становится очень высоким, что может произойти, когда тело реагирует на определенные заболевания, это может привести к разбуханию ног. Это может произойти в результате серьезных заболеваний легких, таких, как эмфизема или фиброз легких. Или же, это может произойти, если есть застойная сердечная недостаточность, и сердце недостаточно сильное, чтобы прокачать кровь, которая возвращается из легких. Так как сердце, легкие, почки и мозг работают вместе, чтобы регулировать уровни жидкости в организме, когда один орган вынужден больше работать в результате состояния здоровья, гормоны быстрее вырабатываться, чтобы сохранить или обеспечить больше жидкости.
Увеличение жидкости в легких называется легочным отеком. Это означает, что вода собирается в воздушных мешках легких. Отек легких может затруднить дыхание.
Помимо периферического отека, который развивается в руках и ногах, также возможен отек в легких и брюшной полости. Это известно как «непитирующий» отек, потому что если надавить на опухшую область пальцем, это не оставит ямы. Некоторые причины отеков, которые развиваются в местах, отличных от рук и ног, включают:
- Лимфадема. Это означает, что существует повреждение лимфатической системы, и организм не может нормально выводить жидкости. Это может вызвать острый отек в руках или ногах. Нарушение лимфатической системы, может возникать после процедур, таких как хирургия лимфатических узлов, мастэктомия и лучевая терапия. Это может также вызвать ожирение или венозную недостаточность.
- Болезни печени могут вызывать асцит. Это означает отек в животе. Асциты случаются, из-за болезней печени, таких как цирроз, заставляющиих уровень белка становиться слишком низким и создают скопление в печени. Это вызывает давление в кровеносных сосудах и позволяет жидкости выходить в брюшную полость.
Стандартное лечение
Лечение периферического отека зависит от причины заболевания. Врачи попытаются определить причину набухания, после тщательного осмотра и изучении истории болезни. Врач также проверит мочу, чтобы поставить диагноз. План лечения будет зависеть от основного заболевания или проблемы, вызывающей удержание жидкости. Обычно, врач рекомендует ограничить потребление натрия, чтобы свести к минимуму задержку жидкости, и он назначит диуретическую терапию.
Диуретики (например, Lasix) обычно назначают пациентам с сердечной недостаточностью, для лечения периферических отеков. Хотя, иногда необходимы чрезвычайные диуретики. Пациенты, которые используют диуретики в течение длительного периода времени, иногда становятся зависимыми от них и испытывают симптомы отмены, когда они прекращают принимать эти лекарства. Исследования показывают, что хроническое использование мочегонного средства может привести к дефициту калия и истощению объема крови в кровеносных сосудах.
Для пациентов, с непитирующим отеком, диуретики обычно не эффективны. Поскольку острый отек трудно поддается лечению, врачи обычно предлагают периодически поднимать ноги и носить компрессионные чулки или устройства, чтобы уменьшить припухлость.
7 естественных способов лечение периферического отека
1. Снижение потребления натрия
Почки работают, чтобы контролировать количество соли, которая остается в теле, выделяя соль через мочу. Это также регулируется определенными гормонами и физическими факторами. Но, когда почки не работают должным образом, из-за заболевания почек или уменьшения кровотока при проблемах с сердцем, организм сохраняет соль. Сохранение соли приводит к удержанию воды и отеку, потому, что вода следует за натрием в организме.
Люди, которые склонны к периферическим отекам, должны уменьшить потребление продуктов питания богатые натрием, таких как поваренная соль, соевый соус, маслины, ветчина, салями и бекон. Многие обработанные и упакованные продукты, также содержат большое количество натрия.
Придерживайтесь употребления в пищу свежих продуктов, белка и здоровых жиров. Следует готовить больше еды в домашних условиях, так как можете самостоятельно контролировать количество соли, которое используете в ее приготовлении.
2. Перемещение вокруг
Чтобы жидкости возвращались в сердце, нужно оставаться активными и передвигаться в течение дня. Если работаете, сидя за столом в течение нескольких часов в день, старайтесь совершать частые перерывы. Встаньте и немного погуляйтесь. Хотите, чтобы кровь циркулировала в ногах, чтобы жидкость не сливалась и не вызывала отек. Стремитесь встать и передвигаться 5-8 раз в день, даже, если это всего лишь 10 минут.
Человеческое тело предназначено для движения. Оседлый образ жизни может привести к снижению кровообращения. Это вызывает опухшие ноги, лодыжки и ноги, сгустки крови и боль. Не знаете, как оставаться активным в течение дня? Попытайтесь ходить на работе вместо того, чтобы сидеть в конференц-зале.
Или забирайте свой обед в течение дня, вместо доставки. Стоячие рабочие места также набирают популярность, и они, безусловно, могут помочь уменьшить отек нижних конечностей. Также, можете настроить вечернюю процедуру, которая включает в себя короткую прогулку после ужина, а затем растягивание перед сном. Неважно, как вы двигаетесь в течении дня. Просто избегайте слишком долгого сидения, чтобы кровь могла продолжать течь должным образом.
3. Ешьте петрушку (или пейте отвар из нее)
Петрушка может использоваться как натуральный мочегонный препарат, который помогает облегчить удержание воды и вздутие живота. Она делает это, стимулируя выработку мочи почками и вытягивая избыток воды, которая может вызвать периферический отек.
Один из лучших способов употребления петрушки в качестве естественного и безопасного диуретика — приготовить отвар из петрушки. Можете сделать это, добавив четверть чашки нарезанной петрушки на одну чашку кипящей воды. Дайте ему настоятся около 5 минут. Процедите листья петрушки и добавьте чайную ложку меда. Можете пить отвар из петрушки два раза в день или когда замечаете симптомы удержания воды.
Имейте в виду, что беременные женщины не должны потреблять чай из петрушки, потому что это очень мощная трава, которая может вызвать осложнения. Чтобы лечить умеренный отек, добавьте петрушку в супы, салаты или даже соки.
4. Пейте отвар из одуванчика
Корень одуванчика служит естественным мочегонным средством. Это позволяет печени устранять токсины, которые могут вызывать воспаление. В исследовании, опубликованном в журнале «Альтернативная и дополнительная медицина» за 2009 год, было обнаружено, что когда свежий экстракт листьев одуванчика выпивался испытуемыми, это вызвало значительное увеличение частоты мочеиспускания в течение пяти часов после первой и второй дозы. Исследователи пришли к выводу, что одуванчик обещает быть эффективным и естественным мочегонным средством для людей.
Чтобы использовать одуванчик в качестве мочегонного средства для лечения менее тяжелых случаев периферического отека, можете купить одуванчик в местном магазине здоровой пищи. Чтобы сделать отвар из одуванчиков, просто киньте корень или цветы в кипяток на 30 минут. Затем, процедите и можете пить. Начните с небольшого количества, чтобы убедиться, что не испытываете никаких побочных реакций.
5. Используйте эфирные масла
Эфирные масла грейпфрута и фенхеля помогают уменьшить удержание воды, потому что они работают как естественные диуретики и уменьшают воспаление. Можете использовать оба масла для стимуляции кровообращения и облегчения отеков, связанных с периферическим отеком.
Эфирное масло грейпфрута работает, активируя лимфатическую систему и помогая контролировать задержку жидкости. Оно способствует детоксикации токсинов и отходов, которые могут привести к воспалению и вздутию живота. Это также увеличивает кровоток, тем самым уменьшая задержку жидкости в ногах и снимая боль в суставах и болях, которые развиваются, когда стояли или сидели в одном и том же положении слишком долго.
Чтобы использовать масло грейпфрута для облегчения симптомов периферического отека, просто соедините 3-4 капли грейпфрута с 1 чайной ложкой кокосового масла. И, втирайте смесь в опухшую часть тела. Можете делать это 2-3 раза в день, пока опухоль не пройдет.
Масло фенхеля также помогает снять воспаление и удалить жидкости, которые может вызвать отек. Оно также обладает мочегонными свойствами и может использоваться внутри или снаружи, чтобы облегчить симптомы периферического отека. Просто добавьте 1-2 капли эфирного масла фенхеля в теплую воду или чашку травяного отвара (например, ромашку). Или соедините 3-4 капли фенхеля с 1 чайной ложкой любого масла и втирайте смесь в пораженный участок.
6. Массаж
Нежный массаж, который способствует потоку крови к сердцу, может помочь снять давление на кровеносные сосуды, которые могут вызывать набухание. Массажная терапия рекомендуется для менее выраженного отека, вызванного удержанием воды.
В исследовании, опубликованном в Международном журнале практики медсестер, было проведено исследование влияния массажа ног для уменьшения отека голени на поздних сроках беременности. В исследовании приняли участие восемьдесят беременных женщин. Половина из них получала массаж в течение 20 минут каждый день в течение пяти дней.
По сравнению с контрольной группой, у которой не было никакого массажа, у экспериментальной группы после пяти дней массажа была значительно меньше окружность ноги.
7. Поднимите уязвимую область
Чтобы уменьшить удержание воды в ногах, постарайтесь поднимать пораженный участок несколько раз в день, чтобы уменьшить давление. Это может быть полезно после рабочего дня, когда сидите или находитесь в одной и той же позиции в течение длительного периода времени.
Это также может быть чрезвычайно полезно для беременных женщин, с опухшими ногами и лодыжками. Просто положите одну или две подушки под ноги на 15-30 минут за раз.
Меры предосторожности
Иногда, отек нижних конечностей может быть признаком сгустка крови в легких или серьезным сердечным заболеванием. Если испытываете периферический отек наряду с такими симптомами, как боль в груди, одышка или головокружение, немедленно обратитесь за медицинской помощью. Если периферический отек возникает внезапно, по-видимому, из ниоткуда, или это результат травмы руки или ноги, также должны обратиться к врачу за лечением.
Поговорите со своим врачом, прежде чем использовать какие-либо травяные средства, если беременны, и хотите естественным образом избавиться от периферического отека. Массаж следует делать только у лицензированного пренатального массажиста.
Уважаемые читатели блога Pererojdenie.info, если у вас или у ваших родственников были периферические отеки кончностей, оставляйте комментарии или отзывы как лечили его. Кому то это очень пригодиться!
pererojdenie.info