сколько заживает, симптомы перелома кости со смещением
Запястье – это сочленение, состоящее из 8 косточек. Их травма в основном случается у активных людей, которые постоянно затрагивают этот сустав по роду профессиональной деятельности или в быту. Как распознать перелом запястья, и что можно предпринять до прихода врача?
Причины
Этот вид перелома наиболее часто происходит при падении, когда человек инстинктивно вытягивает руки вниз, пытаясь, таким образом, на них приземлиться. Этот упор не выдерживает веса тела человека, и происходит его травма со смещением или без. И также травмировать запястье можно при ударе, если человек при этом пытается оттолкнуться от предмета, с которым происходит столкновение. Произойти подобная травма может как у взрослого, так и у ребенка.
Перелом лучезапястного сустава может произойти в результате следующих причин:
- Активные занятия спортом.
- Заболевания костной системы. Они значительно повышают риск перелома не только лучезапястного сочленения, но и других суставов.
- Падения. Чаще всего люди падают на скользкой дороге в зимнее время года, но подобные ситуации могут случиться и в помещении, например, при спуске с крутой лестницы.
- Дорожные происшествия. Это одна из наиболее частых причин данного вида перелома, особенно у водителей.
- Нарушение производственного процесса. Профессиональная деятельность некоторых профессий предполагает точное соблюдение должностной инструкции, куда входит правильное обращение с приборами и аппаратами. Неправильное положение возле техники – и может произойти столкновение или защемление кисти, а вместе с ним – ушиб, растяжение или перелом запястья руки.
Но есть и отдельные факторы, которые провоцируют возможное нарушение целостности костной ткани в лучевом суставе. К ним относят:
- Возрастные изменения. Наиболее часто они касаются женщин, поскольку только у них гормональная перестройка происходит максимально быстро – за 3– 5 лет. За это время синтез гормонов снижается до минимума, а вместе с ним и эластичность разных тканей начиная от слизистых и заканчивая хрящами. Прочность костей также обусловливается соотношением гормонов в организме.
- Сопутствующие заболевания. Если они ведут к нарушению обменного процесса, то они также могут повлиять на структуру костной ткани.

Женский пол вкупе с солидным возрастом повышают вероятность перелома запястья даже при небольшом ударе или несильном падении
Чаще всего повреждается ладьевидная кость. При этом травма может быть:
- Оскольчатой. При этом повреждение приводит к раздроблению костной структуры, в результате чего появляются множественные мелкие острые осколки. Помимо опасности самой травмы, такие осколки могут повредить мягкие ткани и нервные пути вокруг.
- Поперечной. В этом случае происходит нарушение целостности кости без смещенных костей запястья.
Чуть реже происходит повреждение полулунной кости, и намного реже – лучезапястной косточки.
Симптомы
Для костей запястья характерна округлая форма, в отличие от большинства длинных трубчатых костей. Гораздо чаще случаются закрытые, а не открытые формы перелома. При подобных нарушениях целостности кости крайне редко случаются смещения осколков, то есть кость сломана, но анатомия сочленения все еще остается правильной.
Такая клиническая картина нередко дает повод для пропуска правильного диагноза (перелома), и пациенту могут ошибочно диагностировать растяжение связок.
Симптомы перелома запястья порой не столь очевидны, и в этом также кроется коварство такого состояния. Небольшая ограниченность подвижности руки не мешает пациенту производить ею привычные движения. Болезненность также выражена неявно.
Нередко пациент ждет, что это состояние пройдет само собой. Отдельные пациенты тратят несколько дней на то, чтобы постараться «вылечить» кисть руки народными средствами, и к признакам перелома добавляются другие патологические симптомы. Такие больные попадают к специалистам уже с поражением костных структур.
На что необходимо обратить внимание при данном виде перелома:
- кровоизлияние (синяки) непосредственно в месте удара или соприкосновения с твердым предметом;
- небольшая деформация кости и отличие расположения костей относительно здоровой руки;
- небольшая отечность;
- во время движения можно услышать легкий хруст в сочленении;
- ограниченность в движениях, скованность.
Как различить растяжение и перелом лучезапястной кости
При растяжении связки в сочленении растягиваются и разрываются, частично или полностью. Кости же при таком состоянии остаются целыми, хотя о нормальном функционировании сустава говорить не приходится. Если произошло падение или удар, очень важно понять, что же именно произошло под кожей в основании кисти. Для этого очень помогут следующие шаги. Что необходимо проверить?
Определить вид боли. Растяжения обычно характеризуются сильной болью. Это связано с тем, что при разрыве связки происходит меньшее раздражение окружающих нервов. Конечно, со временем болезненность все же появится, но связана она будет с растущим внутри воспалением. При переломе же боль слабая, ноющая, не пульсирующая.
Оценить подвижность запястья. При 1 и 2 степенях растяжения подвижность запястья почти сохранена, однако движения сопровождаются болью. При растяжении 3 стадии попытка пошевелить запястьем может привести к нестабильности этого участка, поскольку связки уже никак не соединены с костями. При переломе подвижность ограничена, человек словно чувствует какую-то преграду, мешающую ему повернуть кисть в необходимом направлении.

Холод быстро уменьшит сильную боль и позволит пациенту почувствовать улучшение до прихода врача
Приложить лед и оценить реакцию. Лед, холод – вообще, хороший способ быстро снять боль при любых видах травм. Прикладывания холодного компресса отлично обезболивают запястье при растяжении связок. При переломе же эффект будет очень непродолжительный, и сразу после процедур боль вернется вновь. Оценить основание кисти на следующий день, на наличие кровоподтека.
Читайте также:
Первая помощь
В первую очередь, необходимо добиться полного обездвиживания сустава. Сделать простейшую шину можно из подручных материалов, например, палки и платка. Такая конструкция ограничит непроизвольные движения пациента рукой. Теперь необходимо дать человеку анальгетики. Несмотря на то что в самом начале болезненные ощущения могут быть не столь сильными, постепенно они будут нарастать.
Кроме того, многие пациенты пребывают в состоянии шока, и прием успокаивающих таблеток с седативным действием также помогает правильной и адекватной оценке ситуации. Наконец, больного необходимо доставить в медицинское учреждение (травматологию) либо вызвать бригаду скорой помощи.
Диагностика
В первую очередь, врач опрашивает пациента относительно того, как именно произошло столкновение. Это позволит врачу более четко понять, какие именно участки кисти руки повредились. Далее специалист проводит визуальный осмотр, пальпацию, а также пытается понять, насколько сильно нарушена подвижность запястья.
После этого пациенту необходимо пройти аппаратное исследование. При данном виде травмы достаточно пройти рентген, причем пациенту необходимо сделать два снимка, в двух проекциях. В некоторых медицинских учреждениях пациенту может быть предложено пройти магнитно-резонансную томографию, но необходимость в ней есть только при множественных травмах запястья, со смещением костей и костных осколков.
Лечение
Оно стандартное при любых переломах – полная фиксация сустава на несколько дней, чтобы дать возможность костям срастись. Если на рентгеновском снимке врач обнаружит смещение костей, то предварительно необходимо вернуть сместившиеся участки сочленения на место. Для этого в обязательном порядке требуется анестезия – местная или общая. Фиксацию сустава лучше делать при помощи гипсовой повязки.
Область – начиная от головок пястных костей и заканчивая верхней третью предплечья. К этой повязке надежно фиксируется и первый палец. Сколько носить гипс? Время до следующего похода к врачу составляет 2–3 недели. Затем на приеме пациенту будет вновь предложено сделать рентген. По снимку врач оценит, правильно ли сращиваются кости и как хорошо идет этот процесс. После этого, если все хорошо, то гипс накладывают вновь.

Примерно так должна выглядеть гипсовая повязка при переломе лучезапястного сустава. Большой палец обязательно фиксируется отдельно
Сколько заживает перелом? Что касается сроков ношения гипса, то здесь все индивидуально. В среднем, чем моложе пациент, тем быстрее будет происходить восстановление. Однако кисть и запястье относятся к тем суставам, которые нередко одинаково хорошо разработаны у пациентов разных возрастов, а потому никакой принципиальной разницы в сроках ношения фиксирующей повязки нет.
В среднем, для полного заживления ладьевидной кости требуется от 4 до 6 месяцев.
В редких случаях может потребоваться хирургическое вмешательство. Во время операции хирург может соединить множественные переломы специальными штифтами. Эти фиксаторы будут находиться в теле пациента несколько месяцев. Как только кость срастется, штифты вынимают.
Реабилитация
После установки гипса человеку придется жить почти с неподвижной рукой несколько месяцев. Конечно, это негативным образом сказывается на состоянии всей конечности, а зачастую – и всего тела. Кровообращение снижается до минимума, а ведь именно кровоток является главным транспортным вектором для питательных компонентов.
Лучше всего помогают мышечные сокращения, то есть физические упражнения. Как разработать руку и не навредить ей? Первые тренировки лучше начинать через пассивные движения, то есть необходимо сокращать разные участки руки усилием воли, а не непосредственным движением. Уже через пару дней можно заметить легкую усталость в руках, что говорит о работе мышц.
В среднем комплекс упражнений может быть таким:
- Сжать и разжать с силой кулак. Повторить так несколько раз.
- Соединить большой и указательный пальцы вместе, а остальные пальцы кисти расслабить.
- Соединить все пальцы, за исключением мизинца, который нужно отставить в сторону.
- Переплести пальцы обеих кистей, сделать это с некоторым усилием.
Полезными будут и простейшие действия: складывание фигур из спичек, завязывание шнурков. После того как кости полностью восстановятся, можно приступать к упражнениям с отягощением, чтобы развить достаточную мышечную силу.
Поможет предотвратить контрактуры и трудности с движением кисти ее массаж. Можно обратиться к профессионалу, но многие пациенты выполняют простейшие движения дома. Поглаживание, растирание и разминание – это именно то, что может улучшить капиллярный кровоток и обмен веществ в тканях.
Последствия и осложнения
Их условно можно разделить на две подгруппы.
Осложнения непосредственно травмы
Сюда относят различные разрывы нервов и сухожилий. В первом случае, больно теряет чувствительность руки. Человек не может «повелевать» своей кистью, поскольку поступающие от головного мозга сигналы просто не доходят до тех участков, которые управляются мышцами и связками. При разрыве сухожилий ситуация иная. Человек отлично чувствует свою руку, но не может в полной степени пошевелить ею, хотя отдельные движения ему все же удаются.
Как правило, такие разрывы происходят из-за острых фрагментов сломанной кости. В редких случаях наблюдается отек Турнера, когда травмированная область отекает настолько сильно, что сдавленными тканями становится практически невозможно управлять. Движения приносят боль. И также может быть повреждена главная кровеносная магистраль – артерия, что приводит к отеку и гематоме.

Перелом может осложниться рядом патологических состояний
Осложнения, которые могут появиться в отдаленном будущем в результате давней травмы
Как правило, они связаны с неправильным наложением гипса. При слишком сильном сдавливании при наложении гипсовой повязки человек может столкнуться с пережиманием всех тканей и сосудов. Нарушенное кровообращение за несколько недель приведет к атрофии сочленения. Развивается ишемическая контрактура.
При слишком слабой фиксации гипса человек может непроизвольно двигать кистью. Это приведет к смещению костей, неправильному сращиванию и нарушению анатомии кисти. При открытых переломах есть вероятность подхватить бактерии из внешней среды. При попадании их на костную структуру там начинает формироваться полость с гноем.
Именно так развивается остеомиелит. Это заболевание сопровождается сильными болями, интоксикацией организма и снижением активности жизни. Кость ослабевает, что может спровоцировать новый перелом на месте старого.
Подводим итоги
Перелом лучезапястной кости – травма, от которой не застрахован никто. Конечно, предотвратить травму могут помочь советы (группироваться при падении или ударе), хотя на практике в экстремальных условиях мало кто вспоминает, как правильно поступать и в каком положении сгибать ноги и руки.
elemte.ru
симптомы, лечение, первая помощь, операция, реабилитация
Достаточно распространенной травмой является перелом костей запястья и встречается она у лиц, ведущих активный способ жизни или профессионально занимающихся спортом. Также травма не редкость у лиц пожилого возраста и женщин в постменопаузальном периоде. Связано это с развитием остеопороза, при котором кость повреждается даже после небольшого по силе удара. За счет небольшого размера и близкого к друг другу расположения костей запястья симптомы отличаются схожестью. Однако в некоторых случаях есть характерные признаки, позволяющие диагностировать повреждение той или иной кости. Учитывать необходимо анатомическое строение.

Анатомия костей запястья

Запястье – участок скелета кисти, расположенный между лучевой и локтевой, а также пястными костями. У любого человека в районе запястья имеется восемь небольших косточек, расположенных в два ряда.
Причины
Для каждой кости есть свои факторы, приводящие к повреждению. Так, перелом руки в запястье, а именно ладьевидной кости случается при падении на вытянутую руку. Нередко к повреждению приводят дорожно-транспортные происшествия. Еще одной причиной является удар кулаком по твердому предмету или во время драки. Повреждение возникает в результате удара по ладони. Двустороннее повреждение возникает реже, его причиной является падение сразу на обе верхние конечности. Параллельно при переломе ладьевидной кости может наблюдаться и вывих полулунной.
Повреждения полулунной кости встречаются редко, в основном при падении на вытянутую руку или в результате прямого удара. Повреждения кости трапеции, трехгранной, трапециевидной, гороховидной, крючковидной и головчатой встречаются в практике травматолога редко и являются следствием прямого удара.
Классификация
Переломы могу классифицироваться по направлению линии, наличию смешения или в зависимости от места расположения. Выделяют повреждения:
- поперечные;
- оскольчатые.
В ладьевидной кости линия перелома проходит:
- в проксимальной части;
- в средней части;
- в дистальной части.
Симптоматика

Для перелома каждой кости характерна своя клиническая симптоматика, несмотря на то, что они расположены в достаточной близости. На основании симптомов поставить верный диагноз не всегда возможно, но они могут натолкнуть на понимание сути вопроса. Итак, для ладьевидной кости характерны:
- боль в области «анатомической табакерки», она появляется у основания первого пальца, между сухожилиями, если поднять его вверх;
- боль при постукивании по первому и второму пальцам;
- болезненность при тыльном разгибании кисти;
- отечность и подкожные кровоизлияния в месте повреждения;
- дополняются признаки перелома руки в запястье болью при попытке сжатия в кулак;
- при переломе со смещением место повреждения деформировано;
- отломки могут крепитировать, наблюдается патологическая подвижность;
- ограничиваются активные и пассивные движения кистью.

Симптомы повреждения полулунной кости:
- боль в месте повреждения;
- болезненное тыльное разгибание кисти;
- отек и кровоподтеки в проекции кости;
- болезненность при нагрузке на третий и четвертый палец.
Симптомы перелома кости трапеции, трехгранной, трапециевидной, гороховидной, головчатой и крючковидной:
- боль и отек при пальпации поврежденного участка;
- болезненность при нагрузке на палец кисти, ось которого проходит через поврежденную кость.
Первая помощь после травмы

В ситуации, когда после травмы подозревается перелом костей запястья необходимо оказать правильно первую помощь. Сразу после получения травмы к месту повреждения прикладывается холод, завернутый в ткань. Пригодится любой предмет из морозилки или холодильника. Холод прикладывается на 20 минут, после чего на 10 его убирают, в противном случае не избежать отморожения. Повторить процедуру можно около трех раз, холод уменьшит боль и отечность.
Дополнительно пострадавшему можно дать анальгетики, чаще всего нестероидные противовоспалительные препараты. Перед тем как доставить пострадавшего в лечебное учреждение, на место повреждения накладывается транспортная шина. Она может быть стандартной или сделанной из любого подручного материала, чаще всего доски, обернутой тканью. Под кисть подкладывается валик из ткани, благодаря ему она приобретает физиологическое положение. Если визуально виден перелом запястья со смещением, показана обязательная госпитализация в стационар.
Диагностические критерии
Если у человека подозревается перелом запястья руки его нужно обследовать. Большое значение приобретают жалобы и то, как человек получил травму. Немаловажное значение имеет осмотр врача, на его основании назначается рентгеновский снимок. Поскольку в области запястья много различных костей, рентгеновский снимок выполняется не в двух, а в трех проекциях (прямой, боковой и 3/4).
Поскольку часто повреждается ладьевидная кость, ее повреждение видно на снимке в виде линии. Когда перелома не видно на снимке сразу после травмы, накладывается гипс сроком на 3-5 дней. За этот период повреждение начинает срастаться и симптомы перелома руки запястья дополняются расширением линии перелома на снимке.
При возникновении сложностей в диагностике показано проведение компьютерной томографии (КТ). Методика позволяет показать врачу состояние костной ткани, особенно если дело касается ладьевидной кости. При подозрении на повреждение связок, хрящей или других мягкотканых структур показано проведение МРТ.
Лечебные мероприятия
Когда после обследования диагностирован перелом руки в запястье со смещением, показано оперативное вмешательство. Если смещения нет, травма может лечиться консервативными методами путем наложения гипсовой повязки. Дополнительно с целью ускорения сращения показано использование медикаментозных препаратов, физиотерапевтических методик.
Консервативное лечение
Методика показана, если имеется перелом запястья без смещения, когда организм в состоянии восстановить повреждение. Пострадавшему накладывается циркулярная гипсовая повязка сроком в среднем 4-6 месяцев. Повязка накладывается от головок пястных костей до верхней трети предплечья. В обязательном порядке должен быть отведен первый палец под прямым углом к кисти. Через 2 или 3 месяца повязка снимается и проводится контрольная рентгенография. Если перелом не сросся и на рентгеновском снимке есть признаки перелома запястья руки, то повязка накладывается снова на срок 2-3 месяца. В общей сложности и выходит до 6 месяцев.

В том случае если на рентгеновском снимке видно, что перелом еще не сросся, необходимо пациенту опять наложить иммобилизующую гипсовую повязку на 2-3 месяца. Таким образом, при переломе запястья руки гипс носят до 6 месяцев.
При переломе костей запястья, кроме ладьевидной, лечение проводится консервативными методами. Пострадавшему накладывается гипсовая повязка, носить которую требуется на протяжении месяца.
Оперативное лечение

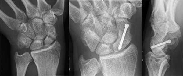
Основным показанием к оперативному вмешательству является перелом руки в запястье со смещением. Во время вмешательства анестезия общая, а суть операции состоит в фиксации отломков при помощи спицы или винта. Это приводит к плотному сдавлению отломков ладьевидной кости и надежной фиксации. Врачом может быть применен аппарат внешней фиксации. Процесс сращения занимает от одного до двух месяцев, восстанавливается активность лучезапястного сустава. Оперативное вмешательство при переломе остальных костей не проводится, только если есть значительное смещение.
Медикаментозные препараты

Независимо от выбранной методики лечения показано назначение препаратов, ускоряющих сращение повреждения. Первоочередное значение приобретают препараты кальция, желательно в комплексе с витамином Д, повышающим его усваиваемость. Показаны препараты:
- Кальций Д3 никомед;
- Структум;
- Кальцемин;
- Остеогенон.
При развитии болевого синдрома человеку назначаются нестероидные противовоспалительные средства. Назначает их врач в строго определенной дозе, в противном случае велик риск развития осложнений, в первую очередь со стороны пищеварительной системы. Показаны средства:
- Найз;
- Найзилат;
- Ксефокам;
- Нимесил;
- Мовалис;
- Ревмоксикам;
- Аэртал.
Поскольку кровоснабжение ладьевидной кости в средней части плохое, врачом назначаются средства, усиливающие микроциркуляцию. Это препараты: «Латрен», «Тивортин», «Пентоксифилин». Не назначаются средства при повышенном артериальном давлении.
В этом участке кисти кости есть большое количество суставов, длительное обездвиживание может стать причиной развития посттравматического деформирующего артроза. Восстановлению хрящевой ткани в кисти и остальном организме способствуют хондропротекторы. Это препараты:
- Мукосат;
- Протекон;
- Гиалуаль;
- Хондроитин комплекс.
Местно, особенно после снятия гипсовой повязки применяются противовоспалительные и обезболивающие мази и гели. Используют препараты: «Кеторол гель», «Вольтарен», «Дип-релиф», «Фастум гель», «Фламидез гель». Использовать их можно после выполнения гимнастических упражнений.
Осложнения повреждения

Ложный сустав ладьевидной кости
Чаще всего при переломе ладьевидной кости развивается ложный сустав, что связано с особенностями кровоснабжения. Переломы проксимального и дистального участка срастаются отлично. В средней части кровоснабжение плохое, что приводит к развитию ложного сустава. Также причиной развития осложнений может быть неправильно наложенная повязка.
Осложнения могут наступить в ситуации, когда человек не обращается на прием к врачу, принимая повреждение за ушиб. В подобной ситуации перелом руки со смещением в запястье может срастись неправильно, иногда повреждается сосудисто-нервный пучок. Кисть деформируется, развивается хронический болевой синдром, приводящий к нарушению функции кисти.
Реабилитационные мероприятия

После того как снят гипс при переломе запястья начинается процесс реабилитации, однако, некоторые методы используются еще до этого. Пациенту показаны:
- лечебная гимнастика;
- массаж;
- физиолечение;
- питание.
Начинается со второго дня после травмы и наложения гипсовой повязки. Выполнять все упражнения нужно начинать с гимнастики для пальцев, дополнительно прорабатываются локтевой и лучезапястный суставы. Второй этап выполняется после того, как снят гипс под руководством опытного реабилитолога.
Выполняются движения активного и пассивного характера, однако, со сниженной амплитудой движений и выполнением пассивных упражнений. Проводятся парафиновые аппликации, гимнастика, лучше в воде и массаж. Третий период начинается не ранее, чем через месяц после получения травмы. Спортивные тренировки после того, как был перелом запястья лучевой кости разрешены не ранее, чем через 2 месяца после перелома.
В рационе питания должны преобладать продукты с большим содержанием кальция и витаминов.
Гимнастика
Сразу после снятия гипса можно что-то делать рукой, но оптимально подобрать для себя комплекс упражнений совместно с реабилитологом. Начать можно с того, что поднимать руку и пожимать плечи. Обе руки поднимаются вверх и в стороны, а потом вперед и вверх. Рукой можно вращать по часовой стрелке и против нее в лучезапястном и локтевом суставах. Полезно расчесывать голову поврежденной кистью, совершать похлопывания перед собой и за спиной.

Полезно выполнять гимнастику в воде, поскольку снижается нагрузка и уменьшается интенсивность боли. Вода должна быть теплой, в нее добавляется небольшое количество морской соли. Подобные процедуры способствуют снятию спазма мышц, расслабляют. Потребуется взять большой таз, температура воды должна быть примерно 36 градусов, можно немного выше.
В воде ладонь активно сжимается и разжимается, для усиления нагрузки можно воспользоваться мягкой тряпочкой или губкой, также кисть сгибается и разгибается, полезно ею вращать. Каждое движение требуется выполнять не менее шести раз. Потом ладонь должна быть уложена на дно таза, после чего по очереди поднимаются пальцы, каждый от 5 до 15 раз. Ладонь должна переворачиваться вверх и вниз, тыльная поверхность должна касаться дна. Гимнастика должна выполняться не менее раза в день, можно и чаще.
Также можно воспользоваться поверхностью стола для проведения гимнастики в положении сидя. Ладонь укладывается на поверхность столешницы, рука сжимается в кулак, после чего расслабляется, нагрузка с каждым днем должна усиливаться. В положении кисти на столешницы полезно поднимать пальцы, пока не почувствуется незначительная боль (подобное упражнение может быть выполнено в воде). Для каждого пальца требуется не менее 6 повторений, упражнение позволяет снять отеки пальцев и кисти, которые могут беспокоить после снятия гипсовой повязки.
Также кисть укладывается плотно на поверхности стола, после чего пальцы разводят и сводят вместе, пока не появится легкая болезненность. Большим пальцем можно потирать остальные, проводить легкий массаж. Полезно разрабатывать моторику пальцев игрой на виртуальном рояле по поверхности стола. Рука локтем устанавливается на поверхности стола, после чего большим пальцем нужно коснуться кончиков остальных, выполнять щелчки, напрягая пальцем по мере возможности. Не меняя положения, выполняются движения большим пальцем по остальным от ладони до кончиков.

В положении руки на локте большим пальцем нажимают на подушечки остальных длительностью 1-2 секунды. Не меняя положения, ладони прижимаются друг к другу плотно и медленно поворачиваются из стороны в сторону. Ладонь поднимается вверх в положении на локте и подушечкой большого пальца необходимо коснуться остальных, пройти нужно несколько «рядов».
В первый день после выполнения гимнастики будет беспокоить боль, что нужно учитывать, усталость приходит быстро. Торопить события нельзя, перенапрягать конечность категорически противопоказано, но и лениться будет не лучшим выходом. Для более быстрого восстановления гимнастика выполняется 2-3 раза в день, начать с шести раз на каждое движение, увеличивая амплитуду по самочувствию.
Гимнастика для суставов запястья
Поскольку запястье имеет множество суставов, то показана гимнастика и для этой анатомической области. Начать комплекс можно с того, что соединить ладони, надавливая одна на другую, не разъединяя их, после чего запястья сгибаются в одну, а потом в другую сторону. Далее кисти рук располагаются вертикально, на ребро ладони, осторожно и медленно ладонь поворачивается к поверхности стола, касаться его стоит только кончиками пальцев.
Ладонь укладывается на поверхность стола, кисть поворачивается вверх и вниз, пока не появится легкая болезненность. Рука ставится на локоть, кисть поднята вверх и сжимается кулак. Кистью здоровой руки обхватывается запястье, а больной плавно сгибается вперед и назад. Каждое отклонение задерживается на срок 3-4 секунды. Кисть в положении руки на локте вращается в одну и другую сторону, запястье удерживается здоровой рукой.
Длительность занятий составляет минимально полчаса, чтобы получить ожидаемый эффект. Для каждого движения показано провести три цикла с повторением 5-6 раз.
Повреждение костей запястья относится к серьезным травмам, поскольку человек несколько месяцев не может полноценно пользоваться кистью или посещать работу. Опасность подобное повреждение несет для профессиональных спортсменов или студентов. Главное своевременно обратиться к врачу и пройти обследование, чтобы минимизировать риск развития различных осложнений.
Смотрите также:
travms.ru
Перелом запястья руки со смещением сустава
Перелом костей запястья относится к самым распространенным и часто возникающим травмам предплечья. При переломах данного места травмируется лучезапястный сустав, кости смещаются. В случае перелома запястья необходимо обратиться в травмпункт, так как самолечение в этом случае недопустимо.
Такие переломы являются сложными как в диагностировании, так и в лечение. Связано это с тем, что запястье состоит из 8 костей разной формы и при получении травмы может быть сломано сразу несколько.

Виды перелома
Врачи выделяют несколько видом перелома руки в запястье:
- Закрытый перелом. При подобном переломе все травмированные кости располагаются под кожей, целостность дермы не нарушена.
- Открытый перелом. Осколки сломанных костей травмируют кожный покров и выходят наружу, создавая риск инфицирования раны.
- Перелом запястья со смещением характеризуется тем, что поврежденная кость сдвигается относительно своего анатомического положения.
- Перелом кости без смещения.
- Травма Коллиса – разгибаемый перелом кости. Обусловлен падением на открытую ладонь.
- Перелом Смита – сгибательная травма. Кость запястья ломается при приземлении на тыльную часть.
Важно! Оскольчатый перелом лучезапястной кости характерен тем, что при получении травмы, кость ломается на три и более осколка. При лучезапястном переломе, лечение должен проводить специалист.

Признаки перелома
Признаки перелома запястья сложно самостоятельно диагностировать. Поэтому часто симптомы перелома запястья ошибочно принимают за ушиб и не идут к врачу. Этого делать не стоит во избежание последствий. Основными признаками перелома являются:
- Перелому запястья сопутствует отечность конечности, опухоль возникает сразу и уменьшается через 10 дней, после того, как было проведено лечение и наложена повязка из гипса.
- Для перелома лучезапястного сустава характерны сильные боли, увеличивающиеся при малейшем движении руками, и проходящие после наложения гипса. В случае если сломанная рука продолжает болеть после проведенного лечения, то необходимо обратиться к врачу.
- Симптомами данной травмы могут стать появления гематом в области поврежденного места.
- Если перелом лучезапястного сустава со смещением, то происходит деформация кисти.
- Для перелома запястья руки характерна крепитация — своеобразный звук, который слышно при касании сломанной конечности или при попытке совершить малейшее движение. Звук издают осколки, которые трутся друг об друга.
- Среди симптомов травмы необходимо выделить то, что у пострадавшего уменьшается размах движения поврежденной рукой.
- Открытый перелом трехгранной кости запястья проявляется нарушением целостности кожи по месту травмирования и из раны открывается кровотечение и из нее видны осколки кости.
- Симптомами переломов костей запястья у детей является повышение температуры тела до 37,5 градусов. Так реагирует организм на кровоизлияния в близлежащие ткани. Жар у взрослых говорит о том, что перелом запястья сочетает с переломами предплечья или плеча.
- Общее ухудшение самочувствия больного свидетельствует о травматическом или геморрагическом шоке.
Перелом запястья руки со смещением имеет ряд отличий в симптоматике. При признаках перелома кости со смещением характерны изменения цвета кожного покрова по месту локализации травмы.

При смещении сустава в типичном месте начинает опухать верхняя часть конечности. Смещенные кости или сустав могут нарушить работу в кровотоке и конечность становится холодной. Так же это возможно при сильной кровопотере.
Важно! Типичное повреждение запястья возможно при падении на открытые ладони вытянутых рук или при нанесении прямого удара руками. Также легко сломать кисть в суставе можно при ряде заболеваний, приводящих к ломкости костей.
Прежде чем пострадавшего доставят в больницу, ему необходимо оказать первую квалифицированную помощь. Это необходимо для того, что бы последствия полученной травмы были обратимы.
Диагностика
Перелом запястья относится к сложным травмам для диагностирования и лечения. Связано это с тем, что кости в этом месте маленькие, четко разглядеть на рентгене линию перелома можно только через 3 недели после получения повреждения.
Для точного диагноза необходимо собрать анамнез больного, его жалобы и провести визуальный осмотр. Далее специалист назначит:
- Рентгенографию.
- КТ.
- Магниторезонансную томографию.
Если врач заподозрит нарушение целостности костей запястья на фоне жалобы пострадавшего и показателями визуального осмотра, то он должен произвести фиксацию сустава на 2-3 недели. За это время костная ткань рассосется, и на снимках будет видно место перелома.
Лечение перелома
Лечение перелома запястья зависит от вида перелома и от того, какая кость была травмирована.
Основное лечение данной патологии — помещение запястья в гипс. В редких случаях может понадобиться хирургическое вмешательство при сильной деформации сломанной кости или при ее раздроблении.

После получения данных обследования, сломанную конечность фиксируют гипсовой повязкой и помещают всю руку в специальный бандаж, который обеспечит лучезапястным костям полноценное срастание за счет полной неподвижности руки.
Если перелом со смещением, но без патологии, то врач применит консервативный, но очень эффективный метод. Запястье с переломом обезболивают при помощи местной анестезии, далее травматолог руками восстанавливает анатомическое положение костей и фиксирует их. Так они должны оставаться до момента, пока не нарастет костная мозоль. Данный метод считается самым безопасным при переломе со смещением. Но иногда, когда кость смещается очень сильно, а перелом открытый, то требуется хирургическое вмешательство.
Важно! Гипс пострадавшим носится три недели, но в ряде случаев его оставляют на несколько месяцев. При лечении перелома запястья необходимо учитывать общее состояние больного, возрастные аномалии и индивидуальные особенности.
Последствия травмы.
Последствие терапии травмы в домашних условиях может быть самым тяжелым. Характеризуются они следующими показателями:
- Костной мозолью. При неправильном положении костей, мозоль может достигнуть аномальных размеров. Ее появление имеет как эстетическое нарушение, так и патологическое.
- Ложным суставом. Без должной фиксации кисти образуется «ложный сустав». При недостаточном закреплении, обломки кости продолжают движение и стираются друг об друга. Костные каналы зарастают и из одной целой, образуются две кости с просветом между собой. Данная патология болезненна и приводит к частым воспалениям.
- Неправильным срастаниям. Если при переломе со смещением костям не было придано правильное положение, а фиксация была слабой, то срастание костей будет неправильным. Исправить ошибку в дальнейшем очень сложно, для этого придется ломать кости повторно.
Важно! Ознакомившись с основными тяжелыми последствиями самолечения, при любом подозрении на перелом запястья следует незамедлительно обратиться к специалисту.
Не стоит тянуть с диагностикой и лечением заболевания!
Запишитесь на обследование у врача!
potravmam.ru
симптомы, виды, лечение и реабилитация
Перелом запястья происходит по причине удара или падения на область тяжелого предмета. Травма может наступить также вследствие хрупкости костей при остеопорозе, поэтому пожилые люди входят в группу риска. Часто происходит во время занятий спортом. Различают перелом Коллеса (разгибательный) и Смита (сгибательный). В зависимости от поврежденной области, бывает травма трехгранной проксимальной, крючковидной дистальной, полулунной проксимальной, головчатой дистальной костей и запястной трапеции. Также переломы классифицируют на открытый и закрытый, со смещением или без, трещину. Клиническая картина представлена такими симптомами: нарушение анатомической формы, боли, отечность, ограничения двигательной активности в пострадавшей области.
При подозрении на перелом запястья необходимо устранить боль. Для этого используют обезболивающие средства в форме таблеток или инъекций. К пострадавшей области прикладывают холод. Накладывают иммобилизующую повязку. Если травма без смещения, лечат консервативным путем – ношением гипса и медикаментами. При оперативном лечении проводят репозицию костей и фиксируют их пластинами или штифтами. Для восстановления проводят массажные, физиотерапевтические процедуры, делают упражнения. Могут использоваться народные средства.
Анатомия

Запястье в теле человека располагается между предплечьем и пястью, является важным функциональным отделом руки. Кости запястья соединены с лучевой костью сверху, а также с костями пясти снизу. Всего насчитывается восемь небольших расположенных двумя рядами костей запястного отдела. Дистальный костный ряд относится к пясти, проксимальный ряд имеет отношение к лучевой кости.
Три запястных кости вместе с лучевидной костью формируют лучезапястный сустав. Травмы костей внутри сустава считаются особенно опасными.
Причины перелома в области запястья
Вызвать нарушение целостности костей в данной области верхней конечности может либо прямой удар, либо падение на руки. Причем речь может идти как об ударе тяжелого предмета по руке, так и об ударе рукой о жесткую плотную поверхность. Перелом запястья руки зачастую происходит в обыденной жизни. Кроме того, автомобильные аварии и различные чрезвычайные происшествия, а также занятия спортом (особенно боксом, единоборствами, баскетболом, регби) могут привести к повреждению запястья.
Перелом костей в районе запястья более вероятен не только для людей старшего возраста, но также для лиц с гормональными проблемами, дефицитом кальция, а также для страдающих онкологическими болезнями, туберкулезом и иными заболеваниями костей. Запястье чаще ломают женщины (преимущественно в период менопаузы), чем мужчины.
Травмы запястья часто сопровождает перелом пястной кости, а иногда общее повреждение кисти. В этом случае на заживление потребуется больше времени, особенно если пострадавший старше среднего возраста.
Виды переломов запястья
Когда говорят о таких повреждениях, выделяют две особые классификационные группы:
- Перелом Коллеса (разгибательный). Возникает в результате падения на открытую ладонь или сильного удара по открытой ладони. В этой ситуации костные отломки отходят в направлении от ладони. Восстановление идет быстрыми темпами за счет хорошего кровотока.
- Перелом Смита (сгибательный). Связан с ударом (например, неточный, но сильный удар кулаком) или падением на тыльную (оборотную) сторону ладони. Лучевая кость перемещается в направлении ладони, кисть деформируется. Лечение и реабилитация требуют времени и усилий.
В зависимости от того, какая именно кость затронута травмой, принято говорить про перелом трехгранной проксимальной кости, расположенной над ней крючковидной дистальной кости, полулунной проксимальной и головчатой дистальной кости, ладьевидной проксимальной и трапециевидной дистальной кости, гороховидной проксимальной кости и запястной трапеции. Иногда ломается сразу несколько костей, причем на обеих конечностях (например, при падении на две руки).
Кроме того, типологизация может осуществляться по стандартной схеме:
- Если имеет место повреждение кожи и кровеносных сосудов, образуется рана с торчащими из нее отломками костей, то речь идет об открытом переломе. Когда запястье травмировано под кожей, внешне могут быть видны костные деформации, но мягкие ткани при этом не затронуты, перед нами закрытый перелом.
- Части сломанной кости могут смещаться, отклоняясь от нормального положения, или не делать этого — перелом со смещением или без смещения соответственно.
- Костное повреждение при отсутствии полноценного разлома – это трещина или неполный перелом. Дробление кости на три и более частей указывает на оскольчатую травму.
- Если перелом произошел в самом лучезапястном суставе, речь идет о внутрисуставном повреждении запястья. Отдельно выделяются внесуставные переломы.
Интересно почитать — перелом кисти руки.
Клиническая картина
- Признаки перелома запястья обобщенно сводятся к локализованным болевым ощущениям. Боль усиливается при разгибательных движениях кистью, попытках сжимать пальцы.
- Дополнительный показатель – это отек и гематома на месте повреждения, реже возникает синюшность.
- Симптомы перелома запястья со смещением – нарушение анатомической формы конечности.
- Часто движение рукой позволяет услышать костный хруст, звук трения при соприкосновении частей сломанной кости.
- Двигательная активность пострадавшего человека ограничена, иногда присутствует подвижность по патологическому типу.
- Серьезные переломы вызывают повышение температуры тела, а чрезмерно сильная боль приводит к развитию шока, что считается особенно опасным.

Правильно оценить симптоматику сможет только врач. В случае проблем с запястьем необходимо обращаться к травматологу либо к хирургу или ортопеду. Развеять сомнения поможет правильная диагностика – рентгеновские снимки с разных локаций (сверху, сбоку, вполоборота), магнитно-резонансная и компьютерная томографии. Если повреждение произошло внутри сустава, медики дополнительно пользуются методом артроскопии.
Оказание первой помощи пострадавшему
Неправильно оказанная доврачебная помощь может привести к развитию опасных осложнений. Поэтому очень важно знать, что делать в таких ситуациях.
- Перелом костей в районе запястья может быть весьма болезненным, поэтому первое, что должно быть предпринято — анестезия. Рекомендуются анальгетики и кетороловые препараты в виде таблеток и инъекций.
- Снижению боли и отечности служит приложение к руке холода.
- При отсутствии выраженных деформаций на травмированную часть руки накладывается иммобилизационная шина.
- Если произошел перелом открытого типа, то рана подлежит антисептической обработке.
- Одновременный перелом запястий правой и левой рук требует первой помощи для каждой из конечностей по отдельности.
- Категорически недопустимо пытаться без участия медиков вправлять переломанные кости.
Лечение травмированного запястья
Длительность лечебных процедур, их особенности и способы применения предопределяются тяжестью травмы. Чем сложнее повреждение, тем дольше и сложнее оно лечится. Травмы без смещения костей лечатся часто консервативно – посредством обездвиживания на период от полутора до трех месяцев. Перелом запястья со смещением предполагает госпитализацию, проведение операции и срастается за срок до полугода.
Первое, что делает врач — репозиция костных частей. Отломкам придают нормальное положение, фиксируя его гипсованием (консервативный подход), штифтами либо пластинами (оперативный метод). Обязательным требованием во всех случаях является закрепление большого пальца кисти.
Гипсовая повязка при несложных травмах ладьевидной и лунной костей носится около полутора месяцев. Остальные кости запястья срастаются за срок до месяца. Полное обездвиживание после оперативного вмешательства продолжается не менее двух месяцев. Часто на протяжении всего периода лечения пациент получает обезболивающие средства, особенно если порог чувствительности у человека низкий.
При травмах ладьевидной кости запястья со смещением существует реальный риск осложнения в виде появления так называемого ложного сустава. Если операция пройдет некорректно, может также начаться воспаление нерва в месте повреждения или внутреннее кровотечение. Среди негативных последствий ошибок лечения также блокирование функций кисти и хронические боли.
Реабилитационный период
Комплекс восстановительных методик определяет лечащий врач. Однако практически во всех случаях на первом этапе реабилитации сразу по окончании периода обездвиживания конечности используется массаж, затем добавляется лечебная гимнастика и физиотерапевтические мероприятия.
Аккуратные движения пальцами допускаются даже во время ношения обездвиживающей повязки, это важно для поддержания кровообращения. После отмены иммобилизации конечности постепенно добавляются упражнения для суставов (поднятие и опускание пальцев, щелчки пальцами, имитация взятия щепотки соли, вращение кистью, скрещивание пальцев, взятие пострадавшей рукой разных предметов). Поскольку перелом руки в запястье приводит к частичному ограничению подвижности локтевого сустава, гимнастика необходима также в этой области. Быстро восстановить и разработать запястье даже после серьезного перелома можно с помощью гимнастики в воде. Такие упражнения полезно делать по нескольку раз в день.
Избежать мышечной атрофии, поддержать снабжение кровью, а также лимфой помогает массаж. Он применяется в течение всего периода восстановления ежедневно или два раза в сутки. Из физиотерапии популярно использование парафина, электрофореза, УВЧ, озокерит, бальнеотерапия.
Примерно через месяц пациенты приступают к общеукрепляющей физкультуре и возвращаются к обычному укладу жизни. Здесь важно не допускать чрезмерной нагрузки, поскольку, например, при повторном падении пострадавшего на ту же руку травма запястья может возобновиться, а также усугубиться. Это крайне актуально для профессиональных спортсменов и работников физического труда.
Свою роль в восстановлении играет полноценное питание пострадавшего, прием витаминных препаратов с упором на кальций.
otravmah.com
Перелом запястья руки — симптомы, лечение и последствия
Запястье состоит из восьми небольших косточек, которые травмируются в редких случаях. В группу риска попадают активные люди, деятельность которых связана с физической нагрузкой и женщины в возрасте от 45 лет. Какие симптомы имеет перелом запястья, как распознать травму и правильно осуществить лечение, расскажут наши специалисты.
Особенности травмы
Часть руки между локтевой и лучевой костью называется запястьем. Восемь небольших косточек располагаются в два ряда и поддерживают друг друга. Ломаются они в основном у людей с признаками остеопороза, когда из костной ткани вымывается кальций, и ткани становятся хрупкими. Чаще встречается перелом полулунной, ладьевидной и реже лучезапястной кости.

Причинами травмы могут являться:
- ДТП;
- Вытянутая рука во время падения;
- Удар ладонью или кулаком о твердый предмет.
Если причиной повреждения является падение на вытянутые руки, то возможен перелом сразу обеих конечностей. При падении с высоты спортивного снаряда, травмируются одновременно ладьевидная и полулунная косточки.
Классификация повреждений
В зависимости от целостности кости перелом запястья делиться на виды:
- Оскольчатый — кость в месте перелома раздроблена на несколько частей;
- Поперечный — простой перелом кости на два фрагмента.
По расположению фрагментов кости перелом подразделяется на виды:
- Со смещением;
- Без смещения.
По целостности тканей над переломом:
- Закрытый — ткани не повреждены осколками костей, кожа целая;
- Открытый — во время травмы острые осколки кости прорвали ткани и торчат наружу.
При повреждении ладьевидной кости место перелома может располагаться в средней, проксимальной или дистальной части.
Из-за анатомических особенностей строения руки чаще перелом приходится на лучезапястную кость. При падении на ладонь основная нагрузка приходится на лучезапястный сустав. На его область, которая располагается выше на 3–4 см от основания кости. Ткани не выдерживают резкой нагрузки и разрушаются.
Различают два вида перелома лучезапястной кости:
- Травма Коллеса. Это разгибательное повреждение, которое происходит после падения на открытую ладошку. Костный фрагмент, который расположен выше смещается к тыльной части предплечья. Впервые травма Колеса была описана Ирландским хирургом Авраамом Коллесом.
- Травма Смита. Это сгибательный перелом, которому предшествует падение на тыльную сторону руки. Во время смещения дистальный фрагмент кости перемещается к наружной части предплечья. Этот случай впервые был описан Робертом Смитом.
Женщины в возрасте после 45 лет чаще мужчин травмируют лучезапястный сустав. Объясняется явлением переменами в женском организме после менопаузы. Кальций и фтор хуже усваиваются, и костная ткань теряет прочность. Если в 20 лет ушиб запястья просто вызвал бы образование синяка, то после 50 лет такая же травма заканчивается переломом. Большая часть травм приходится на зимний период и начало весны, когда на улице гололед.
Возможные осложнения
Перелом запястья и лучевого сустава нуждается в своевременном лечении, без которого у страдающего человека развиваются различные осложнения. Все патологии после травмы делятся на два вида:
- Осложнения, которые вызвала непосредственно повреждение кости;
- Последствия отдаленные посттравматические, которые возникли по причине неправильного или несвоевременного лечения.
Непосредственные осложнения
Среди различных осложнений самое распространенное — это повреждение и разрыв нервов, которые обеспечивают подвижность и чувствительность руки. Острые фрагменты сломанной кости нередко разрывают нервные стволы и рука теряет возможность реагировать на сигналы головного мозга. Кисть перестает двигаться или теряет чувствительность в некоторых участках.
Второе по распространенности осложнение, которое может вызывать сам перелом — это повреждение сухожилия. При смещении сломанного участка к тыльной стороне предплечья могут повредиться сухожилия, которые идут к кисти руки. Пострадавший теряет возможность шевелить пальцами полностью или частично, в зависимости от сложности травмы.
Реже встречается отек кисти Турнера, в результате которого, у травмированного развивается рефлекторная неподвижность пальцев. Любые движения пальцами приносят боль. На фоне осложнения развивается остеопороз.
При переломе костей запястья может быть задет крупный магистральный сосуд. Повреждение заканчивается кровотечением внутри тканей. Осложнение вызывает нарушение кровообращение и без своевременной помощи приводит к развитию последствий, которые возникают после травмы.
Серьезные травмы могут привести к разрыву мышечной ткани, полной или частичной. Часть конечности, за которую отвечала разорванная мышца, теряет подвижность. Человеку требуется немедленное хирургическое вмешательство.
Острые осложнения вызывает открытая форма перелома, когда кости травмируют мягкие ткани и разрывают эпидермис.
В поврежденный участок легко попадают вирусы и бактерии, что приводит к острому остеомиелиту. Костная ткань начинает гнить, у пострадавшего развивается интоксикация, поднимается температура.
Отдаленные осложнения
Важно правильно наложить гипсовую повязку. При неверной фиксации ткани передавливаются и в конечности нарушается кровообращение. После снятия гипса у человека атрофируется сустав и развивается ишемическая контрактура. Опасна и недостаточна плотная фиксация гипса. Костные фрагменты из-за подвижности смещаются и срастаются в неправильном положении. В дальнейшем это приводит к искривлению конечности, рука ослабевает.
При попадании к травмированным тканям инфекции, у человека развивается остеомиелит, который переходит в хроническую форму. Инфекция попадает в костную ткань и формирует внутри полости с гноем. Заболевание сопровождается болями, интоксикацией, а ослабшая костная ткань приводит к рецидивным переломам.

Внутрисуставной закрытый перелом нередко приводит к образованию в тканях кровяного сгустка. Сгусток соединяет поверхности суставной ткани и со временем человек теряет возможность полностью сгибать и разгибать поврежденную часть руки.
Предупредить неприятную симптоматику, поможет своевременное обращение к специалистам.
Симптоматика травмы
Перелом запястья может сопровождаться размытой или четкой клинической картиной. Симптоматика зависит от вида и сложности травмы.
Выделяются стандартные признаки, которые проявляются при любом виде травмы:
- Сустав запястья отекает. Воспаление спадает только через несколько дней после гипсования.
- Острая боль, которая усиливается при попытке шевеления кистью руки. Симптом постепенно проходит, но если гипс наложен неверно, то боль усиливается. Если боль не проходит после гипсования на 2–3 сутки, то рекомендуется немедленно обратиться к врачу.
- На мягких тканях образуется кровоподтек, покраснение.
- При смещении костных фрагментов, запястье деформируется, появляется шишка.
- При трении осколков сломанной кости друг о друга происходит крепитация, которая сопровождается характерным звуком.
- Поврежденная рука частично теряет подвижность.
- Открытая травма сопровождается раной, из которой видны обломки кости.
- У больного может повыситься температура тела, до 37,5 градусов. Гипертермия у ребенка означает попадание крови внутрь мягких тканей. У взрослого человека симптом сопровождает одновременный перелом запястья и предплечья.
- На фоне повреждения у впечатлительного человека развивается геморрагический шок.
Симптомы могут проявляться отдельно или вместе, и при появлении любого из перечисленных признаков, стоит обратиться в ближайший травмпункт.
Диагностирование поврежденного участка руки
Если перелом запястья без смещения и осколков, то он сложно диагностируется. Разглядеть поврежденный участок можно на снимке спустя две недели, когда на поврежденной кости формируется костная мозоль. Проще диагностируется перелом лучезапястной кости.
Диагностика начинается с визуального осмотра поврежденной конечности и сбора анамнеза. Внешне специалист определяет наличие кровоподтеков, повреждения мягких тканей, наличие или отсутствие деформации. После визуального осмотра пациент направляется на одну из процедур:
- Рентгеновский снимок;
- Томографию;
- КТ.
Стандартно рентген выполняется в двух проекциях. Если у специалиста подозрение на перелом, а на снимки травмированный участок не видно, то пациенту назначается снимок в третьей проекции («три четверти»).

Если снимок не помог поставить диагноз, а по жалобам и визуальному осмотру предполагается травмирование, то сустав стабилизируется сроком на 2–3 недели. Затем делается повторный рентген.
Первая помощь после травмы
После повреждения запястье необходимо обездвижить. Любое движение кистью руки приносит боль пострадавшему. Для обездвиживания на запястье накладывается шина, которая делается из подручных средств: доски, палки, металлического прута. Нельзя накладывать шину непосредственно на кожу. Сначала на руку кладется хлопковая ткань или марля, в экстренной ситуации подойдет шарф, платок.
Особые опасения вызывает открытый перелом, когда из раны открывается кровотечение. Поврежденные ткани по возможности обрабатывают антисептическим раствором, выше запястья накладывается давящая повязка. Важно остановить кровотечение, потеря крови опасна для жизни.
Не стоит пытаться поставить на место, торчащий из поврежденного участка, осколок кости. Фрагмент накрывается марлей или любой чисто тряпкой.
Чтобы снять отечность на запястье накладывается лед или холодный компресс. Больному дается таблетка обезболивающего препарата: анальгина, найз, кетонов. Если больного знобит, то его необходимо укутать теплым одеялом или любой подручной одеждой. Допускается теплое питье в виде чая или воды.
Терапевтический этап
Терапевтические методы лечения зависят от сложности и вида перелома запястья. Сколько человек будет носить гипсовую повязку, завит от того, какая кость сломана и от вида травмы:
Ладьевидная косточка. Для срастания тканей понадобиться не меньше 5–6 месяцев. На первом этапе больному накладывается гипсовая повязка, которая снимается через 2–3 месяца. После снятия повязки, врач делает повторный снимок руки. Если ткани не срослись, то гипс накладывается повторно еще на 3 месяца.- Полулунная кость. Для полного восстановления костной ткани необходимо 1–2 месяца.
- Повреждение других костей — гипс носится не менее 1 месяца.
На поврежденную часть без смещения костей накладывается сплошная повязка. Начало гипсования приходиться на участок головки пястной кости и поднимается до третьей части участка предплечья. Строго фиксируется большой палец руки, гипсовая повязка накладывается до середины его ногтевой фаланги. Рука при гипсовании сгибается и после наложения повязки, подвешивается на шею при помощи платка или бинта.
Хирургическое вмешательство
Оперативное вмешательство понадобится при сложном переломе ладьевидной кости. Реже вмешательство требуется, если у пациента перелом лучезапястной кости со смещением.
Для проведения операции обязательно наличие показаний:
- Линия повреждения кости хорошо просматривается;
- Зафиксировано смещение с осколками.
Оперативное вмешательство осуществляется под общей анестезией. Ткани кости соединяются и фиксируются при помощи металлических пластин и винтов. Второй способ фиксации — при помощи спиц. Больному не требуется разрез мягких тканей, кости соединяются без повреждений мышц и нервов. Кости фиксируются в просверленные участки спицами. После срастания кости спица извлекается.

При правильном лечении восстановление тканей кости запястья проходит без последствий для человека. Но важно соблюдать рекомендации врача и не напрягать пострадавшую руку.
Реабилитационный период
Реабилитация после снятия гипса может длиться до 1 года. Продолжительность восстановительного этапа зависит от сложности травмы.
Реабилитация включает в себя следующие процедуры:
- Массаж;
- ЛФК;
- Ношение специальных фиксирующих повязок;
- Соблюдение специального рациона;
- Ежедневное употребление витаминов.
Курс лечебной физкультуры подбирается индивидуально врачом-реабилитологом. Упражнения направлены на восстановление подвижности сустава. При помощи правильно подобранного курса ЛФК в короткие сроки удается восстановить подвижность и купировать болевой симптом. У пациента восстанавливается кровообращение, и устраняются гематомы.
В комплексе с ЛФК эффективен лечебный расслабляющий массаж. Курс массажа укрепляет мышцы и восстанавливает ток лимфы. Массаж может проводиться в домашних условиях, но первые несколько сеансов больному показывает специалист.
Высокую эффективность в реабилитационный период показали физиотерапевтические процедуры:
- Парафиновые прогревания;
- УВЧ;
- Озокеритотерапия.
В домашних условиях допустимо водолечение при помощи теплых вечерних ванночек. Процедура поможет мышцам расслабиться и снимет усталость.
Чтобы снять лишнюю нагрузку во время реабилитации рекомендуется носить специальные фиксаторы. Модели фиксаторов подбираются индивидуально в зависимости от размера запястья больного и расположения травмированного участка. Приобретаются фиксаторы в специализированных магазинах.
На протяжении всего восстановительного этапа рекомендуется принимать витамины с повышенным содержанием кальция и Д3. В каждодневный рацион добавляются творог, сыр, морская рыба, печень и свежие фрукты.
Сломанное запястье быстро восстановится, и у пострадавшего не проявятся осложнения после травмы при своевременном лечении и правильном поведении во время реабилитации. Помните, после перелома кости теряют прочность и если не беречь руку, то возможно рецидивное повреждение.
kneehurt.ru
лечение и восстановление после травмы
Лучезапястный сустав – это сочленение 3-х костей запястья и лучевидной кости.
Перелом этого сустава – это нарушение анатомической целостности одной или нескольких костей вследствие травмы. После ее получения необходимо обязательно обратиться к врачу, для того чтобы избежать негативных последствий.
Частые причины травмы
Самой частой причиной травмы лучезапястного сустава являются травмы или падение на вытянутые руки. Также это может быть прямой удар. Способствовать повреждению могут следующие факторы:
- Недостаток кальция в организме;
- Нарушения гормонального фона;
- Остеопороз;
- Возраст старше 60 лет.
Чаще всего перелом запястья руки сустава наблюдаются пожилых людей. Это связано с тем, что костная ткань со временем становится слабее. Также часто такие травмы рискуют получить женщины в период менопаузы.
Мужчины подвержены переломам лучезапястного сустава гораздо меньше. Гормональные изменения у них не столь выражены, а кости более прочные и объемные, чем у женщин.
Классификация
Существует 2 вида переломов лучезапястного сустава:
- Перелом Смита. Чаще всего он возникает в результате удара прямыми ладонями или падения на вытянутые руки. В этом случае кость повреждается выше ее дистального кольца на несколько сантиметров. При этом обломки кости перемещаются в противоположную от ладони сторону. Благодаря тому, что кровообращение в этой области достаточно активно, травмы быстро срастается;
- Перелом Коллеса. Встречается гораздо реже и возникает в результате падения на спину и прямого удара предплечья. При этом осколки лучевой кости смещаются к ладони.

Также перелом лучезапястного сустава классифицируется следующим образом:
- Закрытый;
- Открытый. При травме повреждаются кожные покровы;
- Внутрисуставный. Излом кости в области лучезапястного сустава;
- Внесуставный. При этом суставная поверхность не затрагивается.
Переломы руки в запястье (лучезапястного сустава) бывают со смещением и без. А так же перелом может быть оскольчатый, когда в результате удара кость разбивается на более чем 3 сегмента.
Диагностика
Для того чтобы диагностировать перелом, необходимо сразу же после получения травмы обратиться за помощью к травматологу, поскольку симптомы могут напоминать вывих, растяжение или ушиб.
После визуального осмотра и пальпации врач назначает дополнительные методы исследования.
В обязательном порядке выполняется рентгенография в 2-х проекциях. При необходимости врач может назначить компьютерную томографию. Ее выполняют в том случае, если перелом внутрисуставный, со смещением или было проведено хирургическое вмешательство для удаления осколков.
Симптомы
На перелом лучезапястного сустава (запястья руки) указывают следующие признаки и симптомы:
- Сильные болевые ощущения в области запястья, которые усиливаются при пальпации;
- Кровоизлияние в области травмы;
- Онемение пальцев;
- Ограничение движения в пораженном суставе;
- Отек, появившийся спустя некоторое время.
Если перелом был со смещением, то внешне заметна деформация кости в области лучезапястного сустава.
При разгибательном механизме травмы запястья руки (перелом Коллеса) на ладони появляется штыкообразная выпуклость. Пациент чувствует онемение руки или пальцев, у него возникает ощущение «мурашек». Также может появляться характерный хруст сломанных костей.
При открытом переломе на месте повреждения образуется рана, в видны отломки кости.
Лечение перелома лучезапястного сустава
При переломе лучезапястного сустава больному необходимо оказать первую помощь, зафиксировать руку в одном положении и в случае закрытого перелома приложить холод на область повреждения, для того чтобы уменьшить отек и боль. Также проводится обезболивание с помощью анальгетиков: Кетанов, Дексалгин.
В дальнейшем после диагностики врач определит, потребуется ли пациенту консервативная терапия или хирургическое вмешательство. Если перелом был без смещения, или оно не столь критичное, то после обезболивания части кости возвращаются в анатомически правильное положение. Затем рука фиксируется гипсовой или полимерной повязкой.
Этополезно
знать!
Сколько носить гипс при переломе запястья: повязку носят при переломе Колесса 4-5 недель, а при переломе Смита 6-8 недель.
Если произошел перелом лучезапястного сустава со смещением, то необходимо на 10, 21 и 30 день делать рентген, чтобы убедиться, что после наложения повязки не произошло повторное смещение костей.
При наложении повязки особое внимание уделяют кровообращению в пострадавшей руке. Пальцы остаются открытыми, и при первых признаках онемения нужно обязательно сообщить об этом врачу.
Если же обломки костей не могут держаться в нормальном положении или наблюдается большое количество осколков, то проводится хирургическая операция. Репозиция может быть 2-х типов:
- Закрытая репозиция. В таком случае отломки фиксируются с помощью спиц. Недостатки: через ранки в коже у основания спиц может проникать инфекция, а движение рукой ограничивается на длительный период;
- Открытая репозиция. Это полноценное хирургическое вмешательство, при котором кожные покровы рассекаются, а осколки костей устраняются. Смещение устраняется при помощи винтов и пластин из титана. В этом случае наложение гипса не требуется.
Реабилитация при переломе лучезапястного сустава
После травмы лучезапястного сустава требуется реабилитация, которая должна длиться не менее месяца. Это очень важный этап, во время которого трудоспособность руки восстанавливается.
На 2-й день после наложения гипса можно начать выполнять упражнения для свободных от повязки суставов. Можно сгибать и разгибать пальцы руки, локтевой и плечевой сустав.
ЛФК для восстановления подвижности сустава должен назначить врач-реабилитолог в зависимости от тяжести и расположения перелома, а также возраста и состояния здоровья пациента.
Упражнения после перелома руки в лучезапястном суставе (выполнять сидя, предплечье должно находиться на столе):
- Подъем попеременно по одному пальцу;
- Подъем всех пальцев одновременно;
- Сжимать пальцы в кулак;
- Складывать пальцы, имитируя подъем «щепотки соли»;
- Имитировать пальцами колечки;
- Щелчки пальцами;
- Имитация игры на музыкальных инструментах;
- Прижимать ладони друг к другу и обнимать пальцами;
- Вращать руку в лучезапястном суставе;
- Обхватывать рукой предметы различных диаметров;
- Зафиксировав руку в локтевом суставе, поворачивать руку тыльной стороной вниз;
- Собирать и расправлять пальцами кусочек ткани.
Во время иммобилизации происходит атрофия мышц, это можно увидеть, если внимательно рассмотреть руку: запястье уменьшается. Для того чтобы справиться с этим, необходимо делать массаж лучезапястного сустава. Он предназначен для того, чтобы восстановить процессы в мышечной ткани. Процедуру проводят ежедневно или через день в течение месяца.
Также во время восстановительного периода важно правильно питание, подробно про это можно узнать здесь.
Возможные осложнения
Опасность травмы лучезапястного сустава в том, что при неправильном сращении возникает деформация.
Вас заинтересует…
Симптомы и лечение перелома шиловидного отростка лучевой костиВ результате нагрузка на связочный аппарат становится нестабильной, и пациент начинает испытывать ноющую боль в этой области на протяжении длительного времени, болевые ощущения при поднятии тяжестей, скованность движений. Особенно опасным является перелом в пожилом возрасте, поскольку сращение кости происходит более медленно, а риск осложнений увеличивается.Серьезным осложнением перелома является посттравматический артроз. Он возникает через несколько недель или месяцев после травмы. Для него характерны хруст в области пораженного сустава и болевые ощущения на этом участке при определенных движениях или сгибании руки до упора.
Если рукой не двигать, то боль практически не ощущается, за исключением случаев, когда предварительно была сильная физическая нагрузка. При этом внешне вид сустава не меняется.
Еще одним осложнением может стать артрит. В этом случае внешний вид руки меняется, появляется отек в области лучезапястного сустава или провал, связанный с атрофией мышц. Боль при этом более ярко выражена, особенно в ночные и утренние часы.
При любых признаках осложнения необходимо обратиться к врачу.
1travmpunkt.com
Перелом запястья: лечение патологии руки со смещением, симптомы и признаки, фото трещины, последствия травмы (отёки и окостенения)
При переломе запястья симптомы проявляются мгновенно и усиливаются со временем. Отечность тканевых покровов, если оперативно не иммобилизовать конечность, распространяется с места разрыва костной ткани на всю кисть.
Чтобы подобрать оптимальное лечение, крайне важно определить тип травмы. Наиболее распространены трещины в запястье, которые в травматологической практике называют переломами без смещения костных фрагментов. В таком случае назначается гипсование кисти. Если диагностировано смещение при переломе руки в запястье, симптомами которого выступает внешняя деформация и сильная боль, показано более длительное лечение с проведением хирургических операций.
Запоздалое оказание медицинской помощи может спровоцировать некроз костей, инфицирование и развитие хронического остеопороза.
Поэтому при появлении первых признаков перелома руки в запястье необходимо оперативно обратиться в больницу.
Отличия перелома от вывиха руки
Согласно травматологический статистике, приведенной в медицинском пособии Смирновой Л.А., перелом руки в запястье составляет 1% от общего числа нарушений целостности костей. Повреждения зачастую сопряжены с вывихами, но нарушения могут встречаться отдельно.
ВАЖНО! Перелом запястья руки часто не диагностируют, ошибочно принимая за растяжение связок. При сильных болях и ухудшении функциональных способностей кисти рекомендуется пройти обследование у нескольких травматологов.
Определить перелом или вывих запястья можно по таким основным отличиям:
| Вывих кисти | Трещина в запястье |
| Неизменная длина и форма кисти | Ярко выраженная внешняя деформация |
| Отечность тканей быстро охватывает всю поверхность суставов | Отек проявляется в месте разрыва |
| Деформация выпуклостей и впадин в районе сустава | Подвижность костных фрагментов |
Подробнее о том, как правильно диагностировать и лечить вывих руки у ребёнка, читайте в статье «Как понять, что у ребёнка вывих руки – патогенез и симптомы патологии».
Ладьевидной кости
Нарушение структуры костей возникает после падения на внутреннюю часть кисти или из‐за сильного физического воздействия. Из‐за повышенной нагрузки ладьевидная кость сминается лучевой и переламывается на две части. Часто наблюдается сопутствующий разрыв связок, что приводит к перелому бугорка. Опасность повреждения маленькой кости обусловлена частыми сочетанными внутрисуставными и внесуставными повреждениями. Однако перелом запястья руки со смещением – редкость.
ОСТОРОЖНО! Трещина зачастую сопряжена с подвывихом полулунной кости. В таком случае сначала необходимо вправить вывих, а затем - загипсовать.
Симптомы
Яркими симптомами перелома запястья руки в ладьевидной части считают:
- отек сустава запястья;
- болевые ощущения с левой стороны кисти;
- усиление болевого синдрома во время нажатия;
- ограничение амплитуды движений;
- невозможность согнуть фаланги.
Чтобы точно поставить диагноз, следует сделать рентгенограмму в 3 плоскостях — прямая, косая и боковая. Сразу после получения разрыва рентген может быть не показателен. Поэтому, если болевые ощущения и отечность не проходят через 7—10 дней, рекомендуется еще раз пройти обследование для уточнения диагноза. Если перелом запястья был, то за неделю пройдет активный процесс разрушения костных тканей, который выявит рентгенография.
Варианты лечения патологии со смещением и без
При надломе бугорка без смещения костных фрагментов нужно закрепление запястья пистолетной повязкой сроком от 1—1,5 месяцев. Если же сломана рука в запястье со смещением, врачами назначается репозиция, которая основана на ручном вытяжении с применением обезболивающих медикаментов. Затем накладывается гипс от фаланг до плеча, чтобы верхняя дистальная конечность располагалась под наклоном 160°. Рекомендованный период фиксации в неподвижном состоянии — 10—11 недель, так как при переломе со смещением из‐за нарушения кровоснабжения кости срастаются медленно. Активные физические нагрузки разрешаются через 4—5 месяцев. В редких случаях может быть назначена операция по эндопротезированию.
Полулунной
Главной причиной перелома запястья в полулунной части является падение на раскрытую ладонную часть, когда кисть загнулась внутрь. Для постановки точного диагноза показана рентгенография в 2 плоскостях.
Признаки
К характерным признакам перелома запястья в полулунной области относят:
- появление припухлости с тыла сустава;
- болевой синдром во время сгибательных и разгибательных движений;
- образование ямки с внутренней стороны ладони при сгибании фаланг;
- острая боль при прикосновениях.
Что делать, если сломали конечность в этой области
Если нет смещения при переломе запястья, лечение проводится путем наложения повязки из гипса от фаланг до 2/3 предплечья. Рекомендованная длительность — 6—10 недель. Активные нагрузки разрешены через 12 недель.
Если сломана рука в запястье со смещением, то проводятся такие врачебные манипуляции:
- Процедура репозиции – вытяжение кисти длительностью 15–20 минут. Затем – наложение гипсовой повязки.
- Репозиция, после которой показано фиксирование поврежденной кисти аппаратом Илизарова или Шевцова‐Мацукатова.
- Вытяжение скелета при помощи шины сроком в 5—6 недель.
ВАЖНО! При некрозе может понадобиться процедура открытой репозиции с разрезом тканевых покровов. В таком случае показана вставка специального шурупа или замены кости имплантом.
Других костей
Перелом руки в запястье может быть с локализацией в таких костях:
- трехгранная;
- гороховидная;
- многоугольная.
Однако такие переломы запястья случаются нечасто. Главная причина повреждений — сильное физическое воздействие или травма тяжелым предметом. При оперативно оказанной помощи повреждения не спровоцируют развитие патологических процессов и некроза. Однако если при переломе запястья руки боль и дискомфорт остаются после прекращения ношения гипса, следует сделать дополнительные анализы для исключения повреждения нервной ткани.

Как определить
К признакам перелома запястья руки в части трехгранной и многоугольных костей относят:
- болезненные ощущения при движениях пальцами;
- отечность и покраснение кожных покровов;
- усиление болевого синдрома при пальпации;
- невозможность сжать ладонь в кулак.
Терапия трещины
При признаках перелома запястья без смещения рекомендовано наложение гипса. Если трещина в запястье руки в месте трехгранной кости, то удерживать кисть неподвижно следует от 4 до 5 недель. При сломанных других костях гипсовую повязку нельзя убирать 2,5–4 месяца. Активная деятельность разрешается с 4—8 недели. При этом сразу после иммобилизации запястья необходимо разминать пальцы.
Фото
Так выглядит перелом запястья со смещением на рентгеновском снимке:

Снимок трещины в запястье:
На фото показаны осложнения перелома запястья со смещением, последствия отеков и окостенения:
Реабилитационный период
В первые недели реабилитации необходимо делать акцент на физиотерапию. В монографии «Электростимуляция» Ткаченко, В.В. Руцкого, одним из наиболее эффективных методов считают использование портативных аппаратов — «ЭСО‐1», «БЭС‐3М», подающих постоянный и импульсный ток к повреждению через имплантированные электроды. Также, если пострадавший сломал руку в запястье со смещением, лечение в реабилитационный период может включать процедуры, рекомендованные в пособии «Практическая физиотерапия».
Этап до снятия гипса:
- Воздействие высокочастотного магнитного поля. Можно проводить спустя 3 дня после наложения гипса. Длительность воздействия — 10—15 минут в день. Лечебный курс — 12 дней, после которого срок иммобилизации кисти уменьшается на 5—7 дней.
- Лечение ультрафиолетом. Первый сеанс разрешен на 3 день после травмы. Длительность лечения — 3 дня.
- Терапия низкочастотными импульсами. Продолжительность воздействия — 30 мин. Длительность лечения — 10 дней.
- Ударно‐волновая терапия с минимальной интенсивностью. Показаны перерывы между сеансами в 2—3 дня.
Этап после снятия гипса:
- Аппликации парафином. Оптимальная температура — 50°. Длительность сеанса — 30 мин. Лечебный курс — 10 дней.
- Электростимуляция мышц. Рекомендованная длительность – 15—20 мин. Количество сеансов -10.
- Подводное массирование поврежденной кисти душем. Температура воды не должна быть выше 37°. Длительность воздействия — 15 минут. Лечебный курс включает 8 процедур.
- Воздействие ультразвуком. Длительность процедуры — 10 минут. Оптимальное количество сеансов — 8—10.
- Массаж кисти с акцентом на суставы. Необходимо проводить ежедневно в течение 10–15 дней. Подробнее о том, как грамотно делать массаж кисти после перелома, читайте в статье «Как правильно делать массаж кисти руки после перелома: пошаговая инструкция с фото и видео рекомендациями».
ЛФК
После периода неподвижной фиксации крайне важно восстановить микроциркуляцию крови и улучшить мышечный тонус, чтобы не спровоцировать атрофию. Лечебная физкультура должна выполняться ежедневно и включать в себя упражнения в воде, механотерапию на специальных тренажерах и гимнастику.

Основные правила, рекомендованные физиотерапевтами в пособии «Лечебная физическая культура и спортивная медицина»:
- Нагрузки необходимо увеличивать постепенно, чтобы выполнение упражнений не вызывало болевых ощущений в месте бывшей трещины.
- Показаны упражнения на увеличение эластичности связок.
- Во время тренировки рекомендуется совмещать активные и пассивные упражнения.
- После перелома кисти важно развивать моторику пальцев.
- Тренировки должны проходить ежедневно. Оптимальная длительность от 30 минут до 1 часа.
- Заканчивать гимнастику следует сеансом самомассажа поврежденной конечности.
Лечебно‐физкультурный комплекс на начальных стадиях реабилитации может включать такие упражнения:
- наклоны соединенными ладонями в стороны;
- игра с теннисными мячиками — катание, подбрасывание;
- сжатие пальцев в кулак;
- создание фигурок из пластилина;
- круговые движения кистями;
- сгибание и разгибание пальцев;
- хлопки ладонями.
Восстановление народными средствами
После перелома запястья руки восстановление народными средствами ускоряет процесс регенерации и возвращает функциональные способности кисти.
Наиболее эффективны такие рецепты:
- Высушивается ½ часть яичной скорлупы и растирается до порошкообразного состояния. Пленку необходимо снять. Порошок заливается соком лимона. Принимать нужно по 1 столовой ложке в сутки. Лечебный эффект обоснован высоким содержанием в смеси кальция и аскорбиновой кислоты, которые укрепляют костные структуры.
- Отделяется желток сырого яйца. Добавляется 0,5 чайной ложки соли. Однородную массу необходимо переложить на салфетку и зафиксировать у места сросшегося перелома. Длительность ношения — 5—8 часов, так что компресс рекомендуется ставить на ночь. Средство также эффективно для купирования боли старых переломов.
- Мелко нарезаются и обжариваются 2 луковицы. После образования золотистой корочки лук засыпается в кипящую воду и варится 10—15 минут. Остуженный отвар принимается внутрь 3 раза в сутки.
- Чтобы снять раздражение и улучшить микроциркуляцию крови, рекомендуется смазывать место бывшей трещины маслом из пихты. Оптимальное время сеанса — вечером перед сном.
- Полезны компрессы из корня окопника и живокоста. Измельченные корни необходимо варить 30—40 минут, а после накладывать с помощью сложенной в 2 раза марлевой повязки на поврежденный участок.
- Для купирования воспалительного процесса применяют отвары трав на основе ромашки и зверобоя. Смесь из засушенных растений заливается кипятком и оставляется на 15—20 минут. Напиток нужно процедить. Оптимальная дозировка — 3 раза в сутки по 1/4 стакана.
Полезное видео
Из видео вы узнаете, как достоверно определить перелом запястья.
Последствия и осложнения
При появлении первых признаков перелома запястья крайне важно провести гипсование поврежденной конечности в течение 24 часов после получения травмы, чтобы не спровоцировать осложнения и неправильное срастание костей. Согласно статистике, приведенной в учебнике Кавалерского «Травматология и ортопедия», наиболее частым последствием трещины в запястье руки, симптомы которой вовремя не купировали, выступает потеря или ухудшение чувствительности из‐за повреждения локтевого или серединного нерва.
ОСТОРОЖНО! Если в период реабилитации не выполнять легкие физические нагрузки, то может развиться остеопороз костей.
К наиболее опасным осложнениям относят некроз обломков костей. Осложнение чаще всего наблюдается при ладьевидной трещине запястья руки.
Симптомы некроза — сильный болевой синдром и ухудшение функциональных способностей верхних дистальных конечностей.
sustav.med-ru.net
Ладьевидная косточка. Для срастания тканей понадобиться не меньше 5–6 месяцев. На первом этапе больному накладывается гипсовая повязка, которая снимается через 2–3 месяца. После снятия повязки, врач делает повторный снимок руки. Если ткани не срослись, то гипс накладывается повторно еще на 3 месяца.