ΠΠΎΠΌΠΏΡΠ΅ΡΡΠΈΠΎΠ½Π½ΡΠΉ ΠΏΠ΅ΡΠ΅Π»ΠΎΠΌ ΠΏΠΎΠ·Π²ΠΎΠ½ΠΎΡΠ½ΠΈΠΊΠ°: ΡΠΈΠΌΠΏΡΠΎΠΌΡ, ΠΏΠΎΡΠ»Π΅Π΄ΡΡΠ²ΠΈΡ, Π»Π΅ΡΠ΅Π½ΠΈΠ΅
Π§Π°ΡΠ΅ Π²ΡΠ΅Π³ΠΎ ΡΠ°ΠΊΠ°Ρ ΠΏΠ°ΡΠΎΠ»ΠΎΠ³ΠΈΡ, ΠΊΠ°ΠΊ ΠΊΠΎΠΌΠΏΡΠ΅ΡΡΠΈΠΎΠ½Π½ΡΠΉ ΠΏΠ΅ΡΠ΅Π»ΠΎΠΌ, Π»ΠΎΠΊΠ°Π»ΠΈΠ·ΡΠ΅ΡΡΡ Π² ΠΏΠΎΡΡΠ½ΠΈΡΠ½ΠΎΠΌ ΠΈΠ»ΠΈ Π½ΠΈΠΆΠ½Π΅Π³ΡΡΠ΄Π½ΠΎΠΌ ΠΎΡΠ΄Π΅Π»Π°Ρ ΠΏΠΎΠ·Π²ΠΎΠ½ΠΎΡΠ½ΠΎΠ³ΠΎ ΡΡΠΎΠ»Π±Π°. ΠΠΎΠ·Π½ΠΈΠΊΠ°Π΅Ρ Π΄Π°Π½Π½ΠΎΠ΅ ΡΠ΅ΡΡΠ΅Π·Π½Π΅ΠΉΡΠ΅Π΅ Π·Π°Π±ΠΎΠ»Π΅Π²Π°Π½ΠΈΠ΅ ΠΏΡΠΈ Π²ΡΡΠΎΠΊΠΎΠΉ ΠΎΡΠ΅Π²ΠΎΠΉ Π½Π°Π³ΡΡΠ·ΠΊΠ΅, ΡΠΎΠ²ΠΌΠ΅ΡΠ΅Π½Π½ΠΎΠΉ Ρ ΡΠ΅Π·ΠΊΠΈΠΌ Π½Π°ΠΊΠ»ΠΎΠ½ΠΎΠΌ ΡΠΏΠΈΠ½Ρ Π²ΠΏΠ΅ΡΠ΅Π΄. ΠΠ°Π½Π½ΡΠΉ ΠΌΠ΅Ρ Π°Π½ΠΈΠ·ΠΌ ΡΠ°ΡΠ΅ Π²ΡΠ΅Π³ΠΎ ΠΈΠΌΠ΅Π΅Ρ ΠΌΠ΅ΡΡΠΎ Π±ΡΡΡ ΠΏΡΠΈ ΠΏΡΡΠΆΠΊΠ΅ Π½Π° Π½ΠΎΠ³ΠΈ Ρ Π±ΠΎΠ»ΡΡΠΎΠΉ Π²ΡΡΠΎΡΡ.
ΠΡΠΈΡΠΈΠ½ Π²ΠΎΠ·Π½ΠΈΠΊΠ½ΠΎΠ²Π΅Π½ΠΈΡ ΠΊΠΎΠΌΠΏΡΠ΅ΡΡΠΈΠΎΠ½Π½ΡΡ ΠΏΠ΅ΡΠ΅Π»ΠΎΠΌΠΎΠ² Π½Π΅ΡΠΊΠΎΠ»ΡΠΊΠΎ. ΠΠΎΠ³Π΄Π° ΠΏΠΎΠ·Π²ΠΎΠ½ΠΎΠΊ ΡΠ»ΠΈΡΠΊΠΎΠΌ ΡΠ»Π°Π±, ΡΡΠΎΠ±Ρ Π²ΡΠ΄Π΅ΡΠΆΠ°ΡΡ ΠΎΡΠ΅Π²ΡΡ Π½Π°Π³ΡΡΠ·ΠΊΡ, Π΄Π»Ρ ΠΏΠ΅ΡΠ΅Π»ΠΎΠΌΠ° ΠΌΠΎΠΆΠ΅Ρ ΠΎΠΊΠ°Π·Π°ΡΡΡΡ Π΄ΠΎΡΡΠ°ΡΠΎΡΠ½ΡΠΌ ΠΈ Π½Π΅Π·Π½Π°ΡΠΈΡΠ΅Π»ΡΠ½ΠΎΠ³ΠΎ Π½Π°ΠΏΡΡΠΆΠ΅Π½ΠΈΡ. ΠΠ΄ΠΎΡΠΎΠ²Π°Ρ ΠΊΠΎΡΡΠ½Π°Ρ ΡΠΊΠ°Π½Ρ ΡΠΏΠΎΡΠΎΠ±Π½Π° Π²ΡΠ΄Π΅ΡΠΆΠ°ΡΡ Π²Π΅ΡΡΠΌΠ° Π·Π½Π°ΡΠΈΡΠ΅Π»ΡΠ½ΠΎΠ΅ Π΄Π°Π²Π»Π΅Π½ΠΈΠ΅ (Π΄ΠΎ 10000 H), Π° Π·Π΄ΠΎΡΠΎΠ²ΡΠΉ ΠΏΠΎΠ·Π²ΠΎΠ½ΠΎΡΠ½ΠΈΠΊ Ρ Π»Π΅Π³ΠΊΠΎΡΡΡΡ ΠΏΠΎΠ³Π»ΠΎΡΠ°Π΅Ρ ΠΈΠΌΠΏΡΠ»ΡΡ, ΠΈΠΌΠ΅ΡΡΠΈΠΉ ΠΌΠ΅ΡΡΠΎ Π±ΡΡΡ ΠΏΠΎΡΠ»Π΅ ΡΠ΄Π°ΡΠ°.
ΠΠ΄Π½ΠΎΠΉ ΠΈΠ· ΡΠ°ΡΠΏΡΠΎΡΡΡΠ°Π½Π΅Π½Π½ΡΡ ΠΏΡΠΈΡΠΈΠ½ ΠΊΠΎΠΌΠΏΡΠ΅ΡΡΠΈΠΎΠ½Π½ΡΡ ΠΏΠ΅ΡΠ΅Π»ΠΎΠΌΠΎΠ² ΡΠ²Π»ΡΠ΅ΡΡΡ ΡΠ°ΠΊΠ°Ρ Π±ΠΎΠ»Π΅Π·Π½Ρ, ΠΊΠ°ΠΊ ΠΎΡΡΠ΅ΠΎΠΏΠΎΡΠΎΠ·. ΠΡΡΠ΅ΠΎΠΏΠΎΡΠΎΠ· ΠΏΠΎΡΠ°ΠΆΠ°Π΅Ρ ΠΊΠΎΡΡΠ½ΡΡ ΡΠΊΠ°Π½Ρ, ΡΠ½ΠΈΠΆΠ°Ρ Π΅Π΅ Π²Π΅Ρ ΠΈ, ΡΠ΅ΠΌ ΡΠ°ΠΌΡΠΌ, ΠΎΡΠ»Π°Π±Π»ΡΡ Π΄ΠΎ Π½Π΅ΡΠΏΠΎΡΠΎΠ±Π½ΠΎΡΡΠΈ ΠΏΠ΅ΡΠ΅Π½ΠΎΡΠΈΡΡ Π΄Π°ΠΆΠ΅ Π΄ΠΎΠ²ΠΎΠ»ΡΠ½ΠΎ Π½Π΅Π·Π½Π°ΡΠΈΡΠ΅Π»ΡΠ½ΡΡ Π½Π°Π³ΡΡΠ·ΠΊΡ. Π£ Π½Π΅ΠΊΠΎΡΠΎΡΡΡ ΠΏΠ°ΡΠΈΠ΅Π½ΡΠΎΠ² ΠΏΡΠ΅ΡΡΠ°ΡΠ΅Π»ΠΎΠ³ΠΎ Π²ΠΎΠ·ΡΠ°ΡΡΠ°, Π±ΠΎΠ»ΡΠ½ΡΡ ΠΎΡΡΠ΅ΠΎΠΏΠΎΡΠΎΠ·ΠΎΠΌ, ΠΊΠΎΠΌΠΏΡΠ΅ΡΡΠΈΠΎΠ½Π½ΡΠ΅ ΠΏΠ΅ΡΠ΅Π»ΠΎΠΌΡ ΠΏΠΎΠ·Π²ΠΎΠ½ΠΎΡΠ½ΠΈΠΊΠ° Π²ΠΎΠ·Π½ΠΈΠΊΠ°Π»ΠΈ ΠΏΡΠΈ ΠΎΠ±ΡΠΊΠ½ΠΎΠ²Π΅Π½Π½ΠΎΠΌ Π½Π°ΠΊΠ»ΠΎΠ½Π΅ Π²ΠΏΠ΅ΡΠ΅Π΄.
ΠΠΎ ΡΡΠ°ΡΠΈΡΡΠΈΠΊΠ΅ ΡΠΎΡΠΎΠΊ ΠΏΡΠΎΡΠ΅Π½ΡΠΎΠ² ΠΆΠ΅Π½ΡΠΈΠ½ ΠΊ Π²ΠΎΡΡΠΌΠΈΠ΄Π΅ΡΡΡΠΈ Π³ΠΎΠ΄Π°ΠΌ ΠΈΠΌΠ΅ΡΡ Ρ ΠΎΡΡ Π±Ρ ΠΎΠ΄ΠΈΠ½ ΠΊΠΎΠΌΠΏΡΠ΅ΡΡΠΈΠΎΠ½Π½ΡΠΉ ΠΏΠ΅ΡΠ΅Π»ΠΎΠΌ.
ΠΠΎΠΌΠΏΡΠ΅ΡΡΠΈΠΎΠ½Π½ΡΠ΅ ΠΏΠ΅ΡΠ΅Π»ΠΎΠΌΡ ΠΏΠΎΠ·Π²ΠΎΠ½ΠΎΡΠ½ΠΈΠΊΠ° ΠΌΠΎΠ³ΡΡ Π²ΠΎΠ·Π½ΠΈΠΊΠ½ΡΡΡ Π²ΡΠ»Π΅Π΄ΡΡΠ²ΠΈΠ΅ Π°Π²ΡΠΎΠΌΠΎΠ±ΠΈΠ»ΡΠ½ΠΎΠΉ Π°Π²Π°ΡΠΈΠΈ, ΠΏΠ°Π΄Π΅Π½ΠΈΡ Ρ Π²ΡΡΠΎΡΡ, Π½Π΅ΡΠ΄Π°ΡΠ½ΠΎΠ³ΠΎ ΠΏΡΡΠΆΠΊΠ° Ρ ΠΏΠ°ΡΠ°ΡΡΡΠΎΠΌ ΠΈ ΠΈΠ½ΡΡ Π²ΠΈΠ΄ΠΎΠ² Π½Π°Π³ΡΡΠ·ΠΊΠΈ, ΠΏΡΠ΅Π²ΡΡΠ°ΡΡΠΈΡ ΠΏΡΠΎΡΠ½ΠΎΡΡΡ ΠΏΠΎΠ·Π²ΠΎΠ½ΠΊΠΎΠ².
Π‘ΠΈΠΌΠΏΡΠΎΠΌΡ ΠΊΠΎΠΌΠΏΡΠ΅ΡΡΠΈΠΎΠ½Π½ΠΎΠ³ΠΎ ΠΏΠ΅ΡΠ΅Π»ΠΎΠΌΠ° ΠΏΠΎΠ·Π²ΠΎΠ½ΠΎΡΠ½ΠΈΠΊΠ°
ΠΡΠ»ΠΈ ΠΏΠ΅ΡΠ΅Π»ΠΎΠΌ Π½ΠΎΡΠΈΡ ΡΡΠ°Π²ΠΌΠ°ΡΠΈΡΠ΅ΡΠΊΠΈΠΉ Ρ Π°ΡΠ°ΠΊΡΠ΅Ρ, ΠΏΠ΅ΡΠ²ΡΠΌ ΡΠΈΠΌΠΏΡΠΎΠΌΠΎΠΌ ΡΡΠ°Π½Π΅Ρ ΡΠΈΠ»ΡΠ½Π°Ρ Π±ΠΎΠ»Ρ Π² ΠΊΠΎΠ½Π΅ΡΠ½ΠΎΡΡΡΡ ΠΈ Π² ΠΏΠΎΠ·Π²ΠΎΠ½ΠΎΡΠ½ΠΈΠΊΠ΅. ΠΡΠΎΠΌΠ΅ ΡΠΎΠ³ΠΎ, ΠΏΠ°ΡΠΈΠ΅Π½Ρ ΠΌΠΎΠΆΠ΅Ρ ΠΏΠΎΡΡΠ²ΡΡΠ²ΠΎΠ²Π°ΡΡ ΡΠ»Π°Π±ΠΎΡΡΡ ΠΈ ΠΎΠ½Π΅ΠΌΠ΅Π½ΠΈΠ΅ β Π² Π΄Π°Π½Π½ΠΎΠΌ ΡΠ»ΡΡΠ°Π΅ ΡΠ»Π΅Π΄ΡΠ΅Ρ Π³ΠΎΠ²ΠΎΡΠΈΡΡ ΠΎ Π½Π°Π»ΠΈΡΠΈΠΈ ΠΏΠΎΠ²ΡΠ΅ΠΆΠ΄Π΅Π½ΠΈΠΉ Π½Π΅ΡΠ²Π½ΡΡ ΠΎΠΊΠΎΠ½ΡΠ°Π½ΠΈΠΉ Π² ΠΏΠΎΠ·Π²ΠΎΠ½ΠΎΡΠ½ΠΈΠΊΠ΅. ΠΡΠΈ ΠΌΠ΅Π΄Π»Π΅Π½Π½ΠΎΠΌ ΡΠ°Π·ΡΡΡΠ΅Π½ΠΈΠΈ ΠΏΠΎΠ·Π²ΠΎΠ½ΠΊΠ° (Π² ΠΏΠ΅ΡΠ²ΡΡ ΠΎΡΠ΅ΡΠ΅Π΄Ρ, ΠΏΡΠΈ ΠΎΡΡΠ΅ΠΎΠΏΠΎΡΠΎΠ·Π΅), Π±ΠΎΠ»Ρ ΡΠΌΠ΅ΡΠ΅Π½Π½Π°Ρ, Π½ΠΎ Ρ ΡΠ΅Π½Π΄Π΅Π½ΡΠΈΠ΅ΠΉ ΠΊ ΠΏΠΎΠ²ΡΡΠ΅Π½ΠΈΡ.
Π’ΡΠΆΠ΅Π»ΡΠ΅ ΡΠΎΡΠΌΡ ΠΊΠΎΠΌΠΏΡΠ΅ΡΡΠΈΠΎΠ½Π½ΡΡ ΠΏΠ΅ΡΠ΅Π»ΠΎΠΌΠΎΠ² ΠΏΠΎΠ·Π²ΠΎΠ½ΠΎΡΠ½ΠΎΠ³ΠΎ ΡΡΠΎΠ»Π±Π°, ΠΌΠΎΠ³ΡΡ ΠΏΡΠΎΠΈΡΡ ΠΎΠ΄ΠΈΡΡ ΡΠΎ ΡΠΌΠ΅ΡΠ΅Π½ΠΈΠ΅ΠΌ ΠΏΠΎΠ·Π²ΠΎΠ½ΠΊΠ° ΠΊ ΡΠΏΠΈΠ½Π½ΠΎΠΌΠΎΠ·Π³ΠΎΠ²ΠΎΠΌΡ ΠΊΠ°Π½Π°Π»Ρ. Π Π΄Π°Π½Π½ΠΎΠΌ ΡΠ»ΡΡΠ°Π΅ ΠΏΠΎΠ·Π²ΠΎΠ½ΠΎΠΊ Π±ΡΠ΄Π΅Ρ Π΄Π°Π²ΠΈΡΡ Π½Π° ΡΠΏΠΈΠ½Π½ΠΎΠΉ ΠΌΠΎΠ·Π³. Π ΡΡΠ°ΡΡΡΡ, ΠΏΠΎΠ΄ΠΎΠ±Π½ΠΎΠ΅ ΠΎΡΠ»ΠΎΠΆΠ½Π΅Π½ΠΈΠ΅ Π±ΡΠ²Π°Π΅Ρ Π΄ΠΎΠ²ΠΎΠ»ΡΠ½ΠΎ ΡΠ΅Π΄ΠΊΠΎ.
ΠΠΈΠ°Π³Π½ΠΎΡΡΠΈΠΊΠ° ΠΊΠΎΠΌΠΏΡΠ΅ΡΡΠΈΠΎΠ½Π½ΠΎΠ³ΠΎ ΠΏΠ΅ΡΠ΅Π»ΠΎΠΌΠ° ΠΏΠΎΠ·Π²ΠΎΠ½ΠΎΡΠ½ΠΈΠΊΠ°
ΠΠΎΠ»Π΅Π²ΠΎΠΉ ΡΠΈΠ½Π΄ΡΠΎΠΌ Π½Π΅ ΠΌΠΎΠΆΠ΅Ρ ΡΡΠΈΡΠ°ΡΡΡΡ ΡΠ½ΠΈΠ²Π΅ΡΡΠ°Π»ΡΠ½ΡΠΌ ΡΠΈΠΌΠΏΡΠΎΠΌΠΎΠΌ Π΄Π»Ρ Π΄ΠΈΠ°Π³Π½ΠΎΡΡΠΈΠΊΠΈ ΠΊΠΎΠΌΠΏΡΠ΅ΡΡΠΈΠΎΠ½Π½ΠΎΠ³ΠΎ ΠΏΠ΅ΡΠ΅Π»ΠΎΠΌΠ° ΠΏΠΎΠ·Π²ΠΎΠ½ΠΎΡΠ½ΠΈΠΊΠ°, ΡΠ°ΠΊ ΠΊΠ°ΠΊ ΠΎΠ½ ΠΌΠΎΠΆΠ΅Ρ ΡΠ²Π»ΡΡΡΡΡ ΡΠ»Π΅Π΄ΡΡΠ²ΠΈΠ΅ΠΌ ΡΠ°ΠΌΡΡ ΡΠ°Π·Π»ΠΈΡΠ½ΡΡ ΠΏΠ°ΡΠΎΠ»ΠΎΠ³ΠΈΠΉ. ΠΡΠΈ Π΄ΠΈΠ°Π³Π½ΠΎΡΡΠΈΠΊΠ΅ Π·Π°Π±ΠΎΠ»Π΅Π²Π°Π½ΠΈΡ Π²Π°ΠΆΠ½Π΅ΠΉΡΠΈΠΌ ΠΌΠΎΠΌΠ΅Π½ΡΠΎΠΌ ΡΠ²Π»ΡΠ΅ΡΡΡ ΡΠ°Π·Π΄Π΅Π»Π΅Π½ΠΈΠ΅ ΠΊΠΎΠΌΠΏΡΠ΅ΡΡΠΈΠΎΠ½Π½ΠΎΠ³ΠΎ ΠΏΠ΅ΡΠ΅Π»ΠΎΠΌΠ° ΠΏΠΎΠ·Π²ΠΎΠ½ΠΎΡΠ½ΠΈΠΊΠ° ΠΎΡ ΠΈΠ½ΡΡ Π·Π°Π±ΠΎΠ»Π΅Π²Π°Π½ΠΈΠΉ, Π΄Π»Ρ ΠΊΠΎΡΠΎΡΡΡ Ρ Π°ΡΠ°ΠΊΡΠ΅ΡΠ½Π° ΡΠΈΠ»ΡΠ½Π°Ρ Π±ΠΎΠ»Ρ, Π»ΠΎΠΊΠ°Π»ΠΈΠ·ΡΡΡΠ°ΡΡΡ Π² ΡΠΏΠΈΠ½Π΅.
ΠΠ»Ρ ΡΡΠΎΡΠ½Π΅Π½ΠΈΡ Π΄ΠΈΠ°Π³Π½ΠΎΠ·Π° ΠΈ ΠΎΠΏΡΠ΅Π΄Π΅Π»Π΅Π½ΠΈΡ Π½Π°ΠΈΠ±ΠΎΠ»Π΅Π΅ ΠΏΠΎΠ΄Ρ ΠΎΠ΄ΡΡΠ΅Π³ΠΎ ΡΠΏΠΎΡΠΎΠ±Π° Π»Π΅ΡΠ΅Π½ΠΈΡ Π²ΡΠ°Ρ ΠΏΡΠΎΠ²ΠΎΠ΄ΠΈΡ ΡΠ΅Π»ΡΠΉ ΠΊΠΎΠΌΠΏΠ»Π΅ΠΊΡ ΠΏΡΠΎΡΠ΅Π΄ΡΡ:
- Π Π΅Π½ΡΠ³Π΅Π½ΠΎΠ³ΡΠ°ΡΠΈΡ ΠΏΠΎΠ·Π²ΠΎΠ½ΠΎΡΠ½ΠΈΠΊΠ°. ΠΠ°Π½Π½Π°Ρ ΠΏΡΠΎΡΠ΅Π΄ΡΡΠ° Π²ΡΠΏΠΎΠ»Π½ΡΠ΅ΡΡΡ ΡΡΠ°Π·Ρ Π² Π΄Π²ΡΡ ΠΏΡΠΎΠ΅ΠΊΡΠΈΡΡ (ΠΏΡΡΠΌΠΎΠΉ ΠΈ Π±ΠΎΠΊΠΎΠ²ΠΎΠΉ) ΠΈ ΠΏΠΎΠ·Π²ΠΎΠ»ΡΠ΅Ρ Π²ΡΡΠ²ΠΈΡΡ ΠΏΠΎΠ²ΡΠ΅ΠΆΠ΄Π΅Π½ΠΈΠ΅ ΠΏΠΎΠ·Π²ΠΎΠ½ΠΊΠ°.
- ΠΠΎΠΌΠΏΡΡΡΠ΅ΡΠ½ΡΡ ΡΠΎΠΌΠΎΠ³ΡΠ°ΡΠΈΡ. ΠΠ°Π·Π½Π°ΡΠ°ΡΡ ΠΠ’ ΠΏΠΎΡΠ»Π΅ ΠΏΡΠΎΠ²Π΅Π΄Π΅Π½ΠΈΡ ΡΠ΅Π½ΡΠ³Π΅Π½ΠΎΠ³ΡΠ°ΡΠΈΠΈ Π΄Π»Ρ Π±ΠΎΠ»Π΅Π΅ Π΄Π΅ΡΠ°Π»ΡΠ½ΠΎΠ³ΠΎ ΠΈΠ·ΡΡΠ΅Π½ΠΈΡ ΠΏΠΎΠ²ΡΠ΅ΠΆΠ΄Π΅Π½Π½ΠΎΠ³ΠΎ ΠΏΠΎΠ·Π²ΠΎΠ½ΠΊΠ°. ΠΠ°ΡΠ°Π»Π»Π΅Π»ΡΠ½ΠΎ Ρ ΡΡΠΎΠΉ ΠΏΡΠΎΡΠ΅Π΄ΡΡΠΎΠΉ ΠΌΠΎΠΆΠ΅Ρ Π±ΡΡΡ ΠΏΡΠΎΠ²Π΅Π΄Π΅Π½Π° ΠΈ ΠΌΠΈΠ΅Π»ΠΎΠ³ΡΠ°ΡΠΈΡ β ΠΈΡΡΠ»Π΅Π΄ΠΎΠ²Π°Π½ΠΈΠ΅ ΡΠΏΠΈΠ½Π½ΠΎΠ³ΠΎ ΠΌΠΎΠ·Π³Π° Π² ΠΎΠ±Π»Π°ΡΡΠΈ ΠΏΡΠΎΠΈΠ·ΠΎΡΠ΅Π΄ΡΠ΅Π³ΠΎ ΠΏΠ΅ΡΠ΅Π»ΠΎΠΌΠ°.
ΠΠ°Π³Π½ΠΈΡΠ½ΠΎ-ΡΠ΅Π·ΠΎΠ½Π°Π½ΡΠ½ΡΡ ΡΠΎΠΌΠΎΠ³ΡΠ°ΡΠΈΡ. ΠΠ Π’ ΠΏΡΠΎΠ²ΠΎΠ΄ΡΡ, Π΅ΡΠ»ΠΈ Π΅ΡΡΡ ΠΏΠΎΠ΄ΠΎΠ·ΡΠ΅Π½ΠΈΠ΅, ΡΡΠΎ ΠΏΠΎΠ²ΡΠ΅ΠΆΠ΄Π΅Π½Ρ Π½Π΅ΡΠ²Π½ΡΠ΅ ΠΎΠΊΠΎΠ½ΡΠ°Π½ΠΈΡ Π² ΠΏΠΎΠ·Π²ΠΎΠ½ΠΎΡΠ½ΠΈΠΊΠ΅.- ΠΠ΅Π½ΡΠΈΡΠΎΠΌΠ΅ΡΡΠΈΡ. ΠΠ°Π½Π½Π°Ρ ΠΏΡΠΎΡΠ΅Π΄ΡΡΠ° ΠΏΠΎΠΌΠΎΠ³Π°Π΅Ρ Π²ΡΡΠ²ΠΈΡΡ Π½Π°Π»ΠΈΡΠΈΠ΅ ΠΎΡΡΠ΅ΠΎΠΏΠΎΡΠΎΠ·Π°.
- ΠΡΠΎΠ²ΠΎΠ΄ΠΈΡΡΡ ΠΎΠ±ΡΠΈΠΉ Π½Π΅Π²ΡΠΎΠ»ΠΎΠ³ΠΈΡΠ΅ΡΠΊΠΈΠΉ ΠΎΡΠΌΠΎΡΡ Ρ ΠΏΡΠΎΠ²Π΅ΡΠΊΠΎΠΉ ΡΡΠ½ΠΊΡΠΈΠΉ ΡΠΏΠΈΠ½Π½ΠΎΠ³ΠΎ ΠΌΠΎΠ·Π³Π°, ΠΊΠΎΡΠ΅ΡΠΊΠΎΠ², ΠΏΠ΅ΡΠΈΡΠ΅ΡΠΈΡΠ΅ΡΠΊΠΈΡ Π½Π΅ΡΠ²ΠΎΠ².
ΠΠΎΡΠ»Π΅Π΄ΡΡΠ²ΠΈΡ ΠΊΠΎΠΌΠΏΡΠ΅ΡΡΠΈΠΎΠ½Π½ΠΎΠ³ΠΎ ΠΏΠ΅ΡΠ΅Π»ΠΎΠΌΠ° ΠΏΠΎΠ·Π²ΠΎΠ½ΠΎΡΠ½ΠΈΠΊΠ°
ΠΠΎΠΌΠΏΡΠ΅ΡΡΠΈΠΎΠ½Π½ΡΠΉ ΠΏΠ΅ΡΠ΅Π»ΠΎΠΌ β Π·Π°Π±ΠΎΠ»Π΅Π²Π°Π½ΠΈΠ΅ ΠΎΡΠ΅Π½Ρ ΠΎΠΏΠ°ΡΠ½ΠΎΠ΅, ΠΊΠ°ΠΊ ΠΈ Π»ΡΠ±Π°Ρ ΠΈΠ½Π°Ρ ΡΡΠ°Π²ΠΌΠ° ΠΏΠΎΠ·Π²ΠΎΠ½ΠΎΡΠ½ΠΈΠΊΠ°. ΠΡΠΈ ΠΏΠ΅ΡΠ΅Π»ΠΎΠΌΠ΅ ΡΠ°ΠΊΠΎΠ³ΠΎ ΡΠΈΠΏΠ° ΠΏΠΎΠ²ΡΠ΅ΠΆΠ΄Π΅Π½Π½ΡΠΉ ΠΏΠΎΠ·Π²ΠΎΠ½ΠΎΠΊ Π²Π΄Π°Π²Π»ΠΈΠ²Π°Π΅ΡΡΡ Π² ΡΠ°ΠΊ Π½Π°Π·ΡΠ²Π°Π΅ΠΌΡΠΉ ΠΏΠΎΠ·Π²ΠΎΠ½ΠΎΡΠ½ΡΠΉ ΠΊΠ°Π½Π°Π», Π² ΡΠ΅Π·ΡΠ»ΡΡΠ°ΡΠ΅ ΡΠ΅Π³ΠΎ ΠΏΡΠΎΠΈΡΡ ΠΎΠ΄ΠΈΡ ΠΈ ΡΠ΄Π°Π²Π»ΠΈΠ²Π°Π½ΠΈΠ΅ ΡΠΏΠΈΠ½Π½ΠΎΠ³ΠΎ ΠΌΠΎΠ·Π³Π°, ΡΠ°Π·Π²ΠΈΠ²Π°ΡΡΡΡ ΡΠ°ΠΊΠΈΠ΅ Π·Π°Π±ΠΎΠ»Π΅Π²Π°Π½ΠΈΡ, ΠΊΠ°ΠΊ ΡΠ°Π΄ΠΈΠΊΡΠ»ΠΈΡ ΠΈ ΠΎΡΡΠ΅ΠΎΡ ΠΎΠ½Π΄ΡΠΎΠ·.
ΠΡΠΎΠΌΠ΅ ΡΠΎΠ³ΠΎ, ΠΊΠΎΠΌΠΏΡΠ΅ΡΡΠΈΠΎΠ½Π½ΡΠΉ ΠΏΠ΅ΡΠ΅Π»ΠΎΠΌ ΠΌΠΎΠΆΠ΅Ρ ΠΏΡΠΈΠ²Π΅ΡΡΠΈ ΠΊ ΠΏΠ°ΡΠ°Π»ΠΈΡΡ ΠΊΠΎΠ½Π΅ΡΠ½ΠΎΡΡΠ΅ΠΉ, ΠΊ ΠΏΠΎΠ»Π½ΠΎΠΌΡ ΠΈ Π½Π΅ΠΎΠ±ΡΠ°ΡΠΈΠΌΠΎΠΌΡ ΠΎΠ±Π΅Π·Π΄Π²ΠΈΠΆΠΈΠ²Π°Π½ΠΈΡ ΠΏΠΎΡΡΡΠ°Π΄Π°Π²ΡΠ΅Π³ΠΎ.
ΠΠΌΠ΅Π½Π½ΠΎ ΠΏΠΎΡΡΠΎΠΌΡ Π½Π΅ΠΎΠ±Ρ ΠΎΠ΄ΠΈΠΌΠΎ ΠΊΠ°ΠΊ ΠΌΠΎΠΆΠ½ΠΎ ΡΠΊΠΎΡΠ΅Π΅ ΠΎΠ±ΡΠ°ΡΠΈΡΡΡΡ ΠΊ Π²ΡΠ°ΡΡ. ΠΠ΅ΡΠ΅ΡΡΠ΅Π·Π½ΠΎΠ΅ ΠΎΡΠ½ΠΎΡΠ΅Π½ΠΈΠ΅ ΠΊ ΠΏΠ΅ΡΠ΅Π»ΠΎΠΌΡ ΠΊΠΎΠΌΠΏΡΠ΅ΡΡΠΈΠΎΠ½Π½ΠΎΠ³ΠΎ ΡΠΈΠΏΠ° ΠΌΠΎΠΆΠ΅Ρ ΠΎΠ±ΠΎΠΉΡΠΈΡΡ ΠΎΡΠ΅Π½Ρ ΠΈ ΠΎΡΠ΅Π½Ρ Π΄ΠΎΡΠΎΠ³ΠΎ.
Π‘Π°ΠΌΠΎΠ»Π΅ΡΠ΅Π½ΠΈΠ΅ Π² Π΄Π°Π½Π½ΠΎΠΌ ΡΠ»ΡΡΠ°Π΅ Π±Π΅ΡΠΏΠΎΠ»Π΅Π·Π½ΠΎ, ΠΏΠΎΠ·Π²ΠΎΠ½ΠΎΡΠ½ΠΈΠΊ Π»Π΅ΡΠ°Ρ, Π½Π°Π΄Π΅ΠΆΠ½ΠΎ ΡΠΈΠΊΡΠΈΡΡΡ ΠΏΠΎΠ²ΡΠ΅ΠΆΠ΄Π΅Π½Π½ΡΠΉ ΠΎΡΠ΄Π΅Π» Π½Π° Π²Π΅ΡΡ ΠΏΠ΅ΡΠΈΠΎΠ΄ Π²ΠΎΡΡΡΠ°Π½ΠΎΠ²Π»Π΅Π½ΠΈΡ ΡΠ°Π·ΡΡΡΠ΅Π½Π½ΠΎΠ³ΠΎ ΠΏΠΎΠ·Π²ΠΎΠ½ΠΊΠ°.
ΠΠΎΠΌΠΏΡΠ΅ΡΡΠΈΠΎΠ½Π½ΡΠΉ ΠΏΠ΅ΡΠ΅Π»ΠΎΠΌ Π·Π°ΡΠ°ΡΡΡΡ ΠΏΡΠΈΠ²ΠΎΠ΄ΠΈΡ ΠΊ Β«ΡΠ°ΡΡΠ°ΡΡΠ²Π°Π½ΠΈΡΒ» ΠΏΠΎΠ·Π²ΠΎΠ½ΠΊΠΎΠΌ Π² ΠΎΡΠ΄Π΅Π»Π΅, Π³Π΄Π΅ ΠΏΡΠΎΠΈΠ·ΠΎΡΠ»Π° ΡΡΠ°Π²ΠΌΠ°, ΠΈΠ·-Π·Π° ΡΠ΅Π³ΠΎ ΡΠ°Π·Π²ΠΈΠ²Π°Π΅ΡΡΡ ΠΊΠΈΡΠΎΡΠΊΠΎΠ»ΠΈΠΎΠ·.
ΠΠ΅ΠΎΠ±Ρ ΠΎΠ΄ΠΈΠΌΠΎ ΠΏΠΎΠ½ΠΈΠΌΠ°ΡΡ, ΡΡΠΎ ΠΏΠΎΠ²ΡΠ΅ΠΆΠ΄Π΅Π½ΠΈΠ΅ Π½Π΅ΡΠ²Π½ΡΡ ΠΎΠΊΠΎΠ½ΡΠ°Π½ΠΈΠΉ ΠΌΠΎΠΆΠ΅Ρ ΡΠ»ΡΡΠΈΡΡΡΡ Π½Π΅ ΡΡΠ°Π·Ρ. ΠΠ±Π»ΠΎΠΌΠΊΠΈ ΠΊΠΎΡΡΠΈ, Π²Π΄Π°Π²Π»ΠΈΠ²Π°ΡΡΡΡ Π² ΡΠ΅Π»ΠΎ ΠΏΠΎΠ·Π²ΠΎΠ½ΠΊΠ° ΠΌΠ΅Π΄Π»Π΅Π½Π½ΠΎ, ΠΏΠΎΡΡΠ΅ΠΏΠ΅Π½Π½ΠΎ ΡΡΠΆΠ°Ρ ΠΊΠ°Π½Π°Π», ΠΏΠΎΠ»Π½ΡΠΉ ΠΊΡΠΎΠ²Π΅Π½ΠΎΡΠ½ΡΡ ΡΠΎΡΡΠ΄ΠΎΠ². ΠΡΠΎΠΈΡΡ ΠΎΠ΄ΠΈΡ Π½Π°ΡΡΡΠ΅Π½ΠΈΠ΅ ΠΊΡΠΎΠ²ΠΎΡΠ½Π°Π±ΠΆΠ΅Π½ΠΈΡ ΠΏΠΎΠ·Π²ΠΎΠ½ΠΎΡΠ½ΠΈΠΊΠ° β ΡΡΠ΅Π½ΠΎΠ· ΠΏΠΎΠ·Π²ΠΎΠ½ΠΎΡΠ½ΠΎΠ³ΠΎ ΠΊΠ°Π½Π°Π»Π°. ΠΡΠΈ Π΄Π°Π½Π½ΠΎΠΌ Π·Π°Π±ΠΎΠ»Π΅Π²Π°Π½ΠΈΠΈ ΡΠ°ΡΡΠΈ ΡΠ΅Π»Π° Π½Π΅ΠΌΠ΅ΡΡ, ΡΠΈΠ»Π° ΠΌΡΡΡ ΡΡΠΊ ΠΈ Π½ΠΎΠ³ ΡΠ½ΠΈΠΆΠ°Π΅ΡΡΡ.
ΠΠΎΠΌΠΏΡΠ΅ΡΡΠΈΠΎΠ½Π½ΡΠΉ ΠΏΠ΅ΡΠ΅Π»ΠΎΠΌ ΠΏΠΎΠ·Π²ΠΎΠ½ΠΎΡΠ½ΠΈΠΊΠ° Ρ Π΄Π΅ΡΠ΅ΠΉ
Π£ Π΄Π΅ΡΠ΅ΠΉ ΠΊΠΎΠΌΠΏΡΠ΅ΡΡΠΈΠΎΠ½Π½ΡΠΉ ΠΏΠ΅ΡΠ΅Π»ΠΎΠΌ ΠΏΠΎΠ·Π²ΠΎΠ½ΠΎΡΠ½ΠΈΠΊΠ° ΠΏΡΠΎΡΠ²Π»ΡΠ΅ΡΡΡ Π½Π΅ΡΠΊΠΎΠ»ΡΠΊΠΎ ΠΈΠ½Π°ΡΠ΅, ΡΠ΅ΠΌ Ρ Π²Π·ΡΠΎΡΠ»ΡΡ , ΡΡΠΎ ΡΠ²ΡΠ·Π°Π½ΠΎ Ρ Π²ΠΎΠ·ΡΠ°ΡΡΠ½ΡΠΌΠΈ Π°Π½Π°ΡΠΎΠΌΠΈΡΠ΅ΡΠΊΠΈΠΌΠΈ ΠΈ ΡΠΈΠ·ΠΈΠΎΠ»ΠΎΠ³ΠΈΡΠ΅ΡΠΊΠΈΠΌΠΈ ΠΎΡΠΎΠ±Π΅Π½Π½ΠΎΡΡΡΠΌΠΈ. ΠΠ΅ΡΠΈ ΡΠ°ΡΠ΅ Π²ΡΠ΅Π³ΠΎ ΠΏΠΎΠ»ΡΡΠ°ΡΡ ΡΠ°ΠΊΡΡ ΡΡΠ°Π²ΠΌΡ, ΠΏΠ°Π΄Π°Ρ Π½Π° ΡΠΏΠΈΠ½Ρ, ΠΈ ΠΏΠ΅ΡΠ΅Π»ΠΎΠΌ Π»ΠΎΠΊΠ°Π»ΠΈΠ·ΡΠ΅ΡΡΡ Π² Π³ΡΡΠ΄Π½ΠΎΠΌ ΠΎΡΠ΄Π΅Π»Π΅ ΠΏΠΎΠ·Π²ΠΎΠ½ΠΎΡΠ½ΠΈΠΊΠ°.
ΠΠΎΠΌΠΏΡΠ΅ΡΡΠΈΠΎΠ½Π½ΡΠ΅ ΠΏΠ΅ΡΠ΅Π»ΠΎΠΌΡ Π² Π΄Π΅ΡΡΠΊΠΎΠΌ Π²ΠΎΠ·ΡΠ°ΡΡΠ΅ Π·Π°Π½ΠΈΠΌΠ°ΡΡ Π»ΠΈΡΡ ΠΎΠ΄ΠΈΠ½-Π΄Π²Π° ΠΏΡΠΎΡΠ΅Π½ΡΠ° ΠΎΡ ΠΎΠ±ΡΠ΅Π³ΠΎ ΠΊΠΎΠ»ΠΈΡΠ΅ΡΡΠ²Π° ΡΡΠ°Π²ΠΌ, Π½ΠΎ ΠΏΡΠΈ Π½Π΅Π²Π΅ΡΠ½ΠΎΠΌ Π»Π΅ΡΠ΅Π½ΠΈΠΈ, ΠΌΠΎΠ³ΡΡ ΠΏΡΠΈΠ²Π΅ΡΡΠΈ ΠΊ ΡΠ°Π·Π²ΠΈΡΠΈΡ Π½Π΅ΠΊΡΠΎΠ·Π° ΠΏΠΎΠ·Π²ΠΎΠ½ΠΎΡΠ½ΠΈΠΊΠ°, ΠΊΠΈΡΠΎΡΠΊΠΎΠ»ΠΈΠΎΠ·Ρ, ΡΠΎ Π΅ΡΡΡ, ΠΏΠΎ ΡΡΡΠΈ Π΄Π΅Π»Π°, ΠΊ ΠΈΠ½Π²Π°Π»ΠΈΠ΄Π½ΠΎΡΡΠΈ.
Π§Π°ΡΠ΅ Π²ΡΠ΅Π³ΠΎ Π΄Π΅ΡΠΈ ΠΏΠΎΠ»ΡΡΠ°ΡΡ ΠΊΠΎΠΌΠΏΡΠ΅ΡΡΠΈΠΎΠ½Π½ΡΠ΅ ΠΏΠ΅ΡΠ΅Π»ΠΎΠΌΡ ΠΎΡ ΠΏΠ°Π΄Π΅Π½ΠΈΡ Ρ Π²ΡΡΠΎΡΡ (Ρ Π΄Π΅ΡΠ΅Π²Π°, Ρ ΠΊΠ°ΡΠ΅Π»Π΅ΠΉ, Ρ ΠΊΡΡΡΠΈ Π³Π°ΡΠ°ΠΆΠ° ΠΈ ΠΏΡΠΎΡ.).
ΠΡΠΈ ΠΊΠΎΠΌΠΏΡΠ΅ΡΡΠΈΠΎΠ½Π½ΠΎΠΌ ΠΏΠ΅ΡΠ΅Π»ΠΎΠΌΠ΅ Ρ ΡΠ΅Π±Π΅Π½ΠΊΠ° ΠΌΠΎΠΆΠ΅Ρ ΠΏΠΎΡΠ²ΠΈΡΡΡΡ ΡΠ°ΠΊ Π½Π°Π·ΡΠ²Π°Π΅ΠΌΠΎΠ΅ Β«ΠΏΠΎΡΡΡΡΠ°Π²ΠΌΠ°ΡΠΈΡΠ΅ΡΠΊΠΎΠ΅ Π°ΠΏΠ½ΠΎΡΒ» β ΡΠΈΠ½Π΄ΡΠΎΠΌ Π·Π°ΡΡΡΠ΄Π½Π΅Π½Π½ΠΎΠ³ΠΎ Π΄ΡΡ Π°Π½ΠΈΡ, ΠΎΠ³ΡΠ°Π½ΠΈΡΠ΅Π½ΠΈΠ΅ ΠΏΠΎΠ΄Π²ΠΈΠΆΠ½ΠΎΡΡΠΈ, Π½Π°ΠΏΡΡΠΆΠ΅Π½ΠΈΠ΅ ΠΌΡΡΡ Π² ΡΠΏΠΈΠ½Π΅.
ΠΡΠΈ Π½Π΅ΡΠΈΠ»ΡΠ½ΠΎΠΌ ΠΊΠΎΠΌΠΏΡΠ΅ΡΡΠΈΠΎΠ½Π½ΠΎΠΌ ΠΏΠ΅ΡΠ΅Π»ΠΎΠΌΠ΅ ΠΏΠΎΠ·Π²ΠΎΠ½ΠΊΠ° ΡΠΈΠΌΠΏΡΠΎΠΌΠ°ΡΠΈΠΊΠ° ΠΎΡΠ΅Π½Ρ Π±Π΅Π΄Π½Π°Ρ ΠΈ ΡΠΎΠ΄ΠΈΡΠ΅Π»ΠΈ ΠΌΠΎΠ³ΡΡ ΠΎΡΠΈΠ±ΠΈΡΡΡΡ Ρ Π΄ΠΈΠ°Π³Π½ΠΎΡΡΠΈΠΊΠΎΠΉ.
ΠΠ°Π΄Π΅Π½ΠΈΠ΅ Π½Π° ΡΠΏΠΈΠ½Ρ ΡΠ΅Π±Π΅Π½ΠΊΠ° ΡΠ°ΠΌΠΎ ΠΏΠΎ ΡΠ΅Π±Π΅ Π΄ΠΎΠ»ΠΆΠ½ΠΎ Π±ΡΡΡ ΠΏΡΠΈΡΠΈΠ½ΠΎΠΉ Π΄Π»Ρ ΠΎΠ±ΡΠ°ΡΠ΅Π½ΠΈΡ ΠΊ Π²ΡΠ°ΡΡ.
ΠΠ΅ΡΠ΅Π½ΠΈΠ΅ ΠΊΠΎΠΌΠΏΡΠ΅ΡΡΠΈΠΎΠ½Π½ΡΡ ΠΏΠ΅ΡΠ΅Π»ΠΎΠΌΠΎΠ² Ρ Π΄Π΅ΡΠ΅ΠΉ ΡΠ²ΡΠ·Π°Π½ΠΎ Ρ ΡΠ°Π·Π³ΡΡΠ·ΠΊΠΎΠΉ ΠΏΠ΅ΡΠ΅Π΄Π½Π΅Π³ΠΎ ΠΎΡΠ΄Π΅Π»Π° ΠΏΠΎΠ·Π²ΠΎΠ½ΠΎΡΠ½ΠΈΠΊΠ°. ΠΡΠΎ Π΄ΠΎΡΡΠΈΠ³Π°Π΅ΡΡΡ ΠΏΡΠΈ ΠΏΠΎΠΌΠΎΡΠΈ ΡΠ°ΠΊ Π½Π°Π·ΡΠ²Π°Π΅ΠΌΠΎΠΉ ΠΏΠ΅ΡΠ»ΠΈ ΠΠ»ΠΈΡΡΠ΅Π½Π°, ΡΠ°ΡΠΏΠΎΠ»Π°Π³Π°Π΅ΠΌΠΎΠΉ Π½Π΅ΠΌΠ½ΠΎΠ³ΠΎ Π½ΠΈΠΆΠ΅ ΡΠ΅ΡΡΡΠ½Π°Π΄ΡΠ°ΡΠΎΠ³ΠΎ Π³ΡΡΠ΄Π½ΠΎΠ³ΠΎ ΠΏΠΎΠ·Π²ΠΎΠ½ΠΊΠ°.
ΠΡΠΈ ΠΏΠ΅ΡΠ΅Π»ΠΎΠΌΠ΅ Π½Π΅ΡΠΊΠΎΠ»ΡΠΊΠΈΡ ΠΏΠΎΠ·Π²ΠΎΠ½ΠΊΠΎΠ² Π²ΡΠ°ΡΠΈ ΡΠ΅ΠΊΠΎΠΌΠ΅Π½Π΄ΡΡΡ Π½ΠΎΡΠ΅Π½ΠΈΠ΅ ΠΊΠΎΡΡΠ΅ΡΠ°. ΠΠΎΡΡΡΠ°Π½Π°Π²Π»ΠΈΠ²Π°Π΅ΡΡΡ Π΄ΠΎ ΠΏΠ΅ΡΠ²ΠΎΠ½Π°ΡΠ°Π»ΡΠ½ΠΎΠΉ Π²ΡΡΠΎΡΡ ΠΏΠΎΠ²ΡΠ΅ΠΆΠ΄Π΅Π½Π½ΡΠΉ ΠΏΠΎΠ·Π²ΠΎΠ½ΠΎΠΊ ΠΏΡΠΈΠ±Π»ΠΈΠ·ΠΈΡΠ΅Π»ΡΠ½ΠΎ Π·Π° Π΄Π²Π° Π³ΠΎΠ΄Π°. ΠΠ»Ρ ΡΡΠΊΠΎΡΠ΅Π½ΠΈΡ ΠΏΡΠΎΡΠ΅ΡΡΠ° ΠΏΡΠΈΠΌΠ΅Π½ΡΡΡ ΡΠΏΠ΅ΡΠΈΠ°Π»ΡΠ½ΡΠ΅ ΡΠΈΠ·ΠΈΠΎΡΠ΅ΡΠ°ΠΏΠ΅Π²ΡΠΈΡΠ΅ΡΠΊΠΈΠ΅ ΠΏΡΠΎΡΠ΅Π΄ΡΡΡ, ΠΌΠ°ΡΡΠ°ΠΆ ΡΠΏΠΈΠ½Ρ, Π»Π΅ΡΠ΅Π±Π½ΡΡ ΡΠΈΠ·ΠΊΡΠ»ΡΡΡΡΡ.
ΠΠ΅ΡΠ΅Π½ΠΈΠ΅ ΠΊΠΎΠΌΠΏΡΠ΅ΡΡΠΈΠΎΠ½Π½ΠΎΠ³ΠΎ ΠΏΠ΅ΡΠ΅Π»ΠΎΠΌΠ° ΠΏΠΎΠ·Π²ΠΎΠ½ΠΎΡΠ½ΠΈΠΊΠ°
ΠΠ±ΡΠΈΠΌΠΈ Π»Π΅ΡΠ΅Π±Π½ΡΠΌΠΈ ΠΏΡΠΎΡΠ΅Π΄ΡΡΠ°ΠΌΠΈ ΠΏΡΠΈ ΠΊΠΎΠΌΠΏΡΠ΅ΡΡΠΈΠΎΠ½Π½ΠΎΠΌ ΠΏΠ΅ΡΠ΅Π»ΠΎΠΌΠ΅ ΠΏΠΎΠ·Π²ΠΎΠ½ΠΎΡΠ½ΠΈΠΊΠ° ΡΡΠΈΡΠ°ΡΡΡΡ ΠΎΠ³ΡΠ°Π½ΠΈΡΠ΅Π½ΠΈΠ΅ Π°ΠΊΡΠΈΠ²Π½ΠΎΡΡΠΈ ΠΏΠ°ΡΠΈΠ΅Π½ΡΠ°, ΠΈΡΠΏΠΎΠ»ΡΠ·ΠΎΠ²Π°Π½ΠΈΠ΅ ΠΌΠ΅Π΄ΠΈΠΊΠ°ΠΌΠ΅Π½ΡΠΎΠ² Π΄Π»Ρ ΡΠΌΠ΅Π½ΡΡΠ΅Π½ΠΈΡ Π±ΠΎΠ»Π΅Π²ΠΎΠ³ΠΎ ΡΠΈΠ½Π΄ΡΠΎΠΌΠ°, Π° ΡΠ°ΠΊΠΆΠ΅ β ΡΠΈΠΊΡΠ°ΡΠΈΡ ΠΏΠΎΠ²ΡΠ΅ΠΆΠ΄Π΅Π½Π½ΡΡ
ΠΏΠΎΠ·Π²ΠΎΠ½ΠΊΠΎΠ².
ΠΠ° ΡΠ΅Π³ΠΎΠ΄Π½ΡΡΠ½ΠΈΠΉ Π΄Π΅Π½Ρ Ρ ΠΈΡΡΡΠ³Π°ΠΌΠΈ ΠΏΡΠΈΠΌΠ΅Π½ΡΡΡΡΡ ΠΈ ΡΠ°ΠΊΠΈΠ΅ ΠΏΡΠΎΡΠ΅Π΄ΡΡΡ, ΠΊΠ°ΠΊ ΠΊΠΈΡΠΎΠΏΠ»Π°ΡΡΠΈΠΊΠ° ΠΈ Π²Π΅ΡΡΠ΅Π±ΡΠΎΠΏΠ»Π°ΡΡΠΈΠΊΠ°, Π΄Π°ΡΡΠΈΠ΅ ΠΎΡΠ»ΠΈΡΠ½ΡΠ΅ ΡΠ΅Π·ΡΠ»ΡΡΠ°ΡΡ.
Π‘ΡΠ°ΡΠΈΠ²Π°Π½ΠΈΠ΅ ΠΏΠΎΠ·Π²ΠΎΠ½ΠΊΠ° ΠΏΡΠΎΠΈΡΡ ΠΎΠ΄ΠΈΡ Π·Π° ΡΡΠΈ ΠΌΠ΅ΡΡΡΠ°, ΠΊΠ°ΠΆΠ΄ΡΠΉ ΠΌΠ΅ΡΡΡ Π²ΡΠ°ΡΠΈ ΠΏΡΠΎΠ²ΠΎΠ΄ΡΡ ΡΠ΅Π½ΡΠ³Π΅Π½ΠΎΠ²ΡΠΊΠΎΠ΅ ΠΈΡΡΠ»Π΅Π΄ΠΎΠ²Π°Π½ΠΈΠ΅ ΠΏΠΎΠ·Π²ΠΎΠ½ΠΎΡΠ½ΠΈΠΊΠ°, ΠΊΠΎΠ½ΡΡΠΎΠ»ΠΈΡΡΡ ΠΏΡΠΎΡΠ΅ΡΡ ΠΈΠ·Π»Π΅ΡΠΈΠ²Π°Π½ΠΈΡ.
ΠΡΠΈ ΠΊΠΎΠΌΠΏΡΠ΅ΡΡΠΈΠΎΠ½Π½ΡΡ ΠΏΠ΅ΡΠ΅Π»ΠΎΠΌΠ°Ρ Π² Π³ΡΡΠ΄Π½ΠΎΠΌ ΠΎΡΠ΄Π΅Π»Π΅ ΠΎΠΏΠ΅ΡΠ°ΡΠΈΠ²Π½ΠΎΠ΅ Π²ΠΌΠ΅ΡΠ°ΡΠ΅Π»ΡΡΡΠ²ΠΎ ΠΈΡΠΏΠΎΠ»ΡΠ·ΡΠ΅ΡΡΡ ΡΠ΅Π΄ΠΊΠΎ, Π° Π²ΠΎΡ ΠΏΡΠΈ ΡΡΠ°Π²ΠΌΠ°Ρ Π² ΠΏΠΎΡΡΠ½ΠΈΡΠ½ΠΎΠΌ ΠΎΡΠ΄Π΅Π»Π΅ ΠΏΠΎΠ·Π²ΠΎΠ½ΠΎΡΠ½ΠΈΠΊΠ°, Π²Π΅ΡΠΎΡΡΠ½ΠΎΡΡΡ ΠΎΠΏΠ΅ΡΠ°ΡΠΈΠΈ Π½Π°ΠΌΠ½ΠΎΠ³ΠΎ Π²ΡΡΠ΅.
ΠΠ»Ρ ΡΠ½ΡΡΠΈΡ Π±ΠΎΠ»Π΅Π²ΠΎΠ³ΠΎ ΡΠΈΠ½Π΄ΡΠΎΠΌΠ° ΠΈΡΠΏΠΎΠ»ΡΠ·ΡΡΡ ΠΌΠ΅Π΄ΠΈΠΊΠ°ΠΌΠ΅Π½ΡΠΎΠ·Π½ΡΠ΅ ΠΏΡΠ΅ΠΏΠ°ΡΠ°ΡΡ, ΠΊΠΎΡΠΎΡΡΠ΅ Π½Π΅ Π²Π»ΠΈΡΡΡ Π½Π° ΡΠΊΠΎΡΠΎΡΡΡ Π²ΠΎΡΡΡΠ°Π½ΠΎΠ²Π»Π΅Π½ΠΈΡ ΠΏΠΎΠ·Π²ΠΎΠ½ΠΊΠ°, Π½ΠΎ ΠΏΠΎΠ·Π²ΠΎΠ»ΡΡΡ ΠΈΠ·Π±Π°Π²Π»ΡΡΡ ΠΏΠ°ΡΠΈΠ΅Π½ΡΠ° ΠΎΡ Π±ΠΎΠ»Π΅Π²ΡΡ ΠΎΡΡΡΠ΅Π½ΠΈΠΉ, ΠΏΠΎΡΠΎΠΉ Π²Π΅ΡΡΠΌΠ° ΡΠΈΠ»ΡΠ½ΡΡ .
Π§ΡΠΎΠ±Ρ ΡΡΠ°ΡΠ΅Π½ΠΈΠ΅ ΠΏΡΠΎΠΈΠ·ΠΎΡΠ»ΠΎ ΠΊΠ°ΠΊ ΠΌΠΎΠΆΠ½ΠΎ ΡΠΊΠΎΡΠ΅Π΅, Π²ΡΠ°ΡΠΈ ΡΠ΅ΠΊΠΎΠΌΠ΅Π½Π΄ΡΡΡ ΠΏΠ°ΡΠΈΠ΅Π½ΡΠ°ΠΌ ΠΌΠ°ΠΊΡΠΈΠΌΠ°Π»ΡΠ½ΠΎ ΠΎΠ³ΡΠ°Π½ΠΈΡΠΈΡΡ Π΄Π²ΠΈΠ³Π°ΡΠ΅Π»ΡΠ½ΡΡ Π°ΠΊΡΠΈΠ²Π½ΠΎΡΡΡ. ΠΠΎΠ»ΡΠ½ΠΎΠΌΡ Π½ΡΠΆΠ½ΠΎ ΠΊΠ°ΠΊ ΠΌΠΎΠΆΠ½ΠΎ ΠΌΠ΅Π½ΡΡΠ΅ Π²ΡΠ΅ΠΌΠ΅Π½ΠΈ ΠΏΡΠΎΠ²ΠΎΠ΄ΠΈΡΡ ΡΡΠΎΡ ΠΈ ΡΠΈΠ΄Ρ, Π±ΠΎΠ»ΡΡΠ΅ Π»Π΅ΠΆΠ°ΡΡ. ΠΠΈ Π² ΠΊΠΎΠ΅ΠΌ ΡΠ»ΡΡΠ°Π΅ Π½Π΅Π»ΡΠ·Ρ ΠΏΠΎΠ΄Π½ΠΈΠΌΠ°ΡΡ ΡΡΠΆΠ΅ΡΡΠΈ ΠΈ ΠΎΡΡΡΠ΅ΡΡΠ²Π»ΡΡΡ ΠΊΠ°ΠΊΠΈΠ΅-ΡΠΎ Π΄Π΅ΠΉΡΡΠ²ΠΈΡ, ΠΏΡΠΈΠ²ΠΎΠ΄ΡΡΠΈΠ΅ ΠΊ Π½Π°Π³ΡΡΠ·ΠΊΠ΅ Π½Π° ΠΏΠΎΠ·Π²ΠΎΠ½ΠΎΡΠ½ΡΠΉ ΡΡΠΎΠ»Π±.
ΠΠ»Ρ ΠΏΠ°ΡΠΈΠ΅Π½ΡΠΎΠ² ΡΡΠ°ΡΡΠ΅ ΠΏΡΡΠΈΠ΄Π΅ΡΡΡΠΈ Π»Π΅Ρ ΠΏΡΠ΅Π΄ΠΏΠΈΡΡΠ²Π°Π΅ΡΡΡ ΠΏΠΎΡΡΠ΅Π»ΡΠ½ΡΠΉ ΡΠ΅ΠΆΠΈΠΌ, ΡΠ°ΠΊ ΠΊΠ°ΠΊ Π² ΡΡΠΎΠΌ Π²ΠΎΠ·ΡΠ°ΡΡΠ΅ ΡΠΊΠΎΡΠΎΡΡΡ ΡΡΠ°ΡΠ΅Π½ΠΈΡ ΠΊΠΎΡΡΠ½ΠΎΠΉ ΡΠΊΠ°Π½ΠΈ Π·Π½Π°ΡΠΈΡΠ΅Π»ΡΠ½ΠΎ ΡΠ½ΠΈΠΆΠ°Π΅ΡΡΡ. Π ΡΠ΅ΠΊΠΎΠΌΠ΅Π½Π΄Π°ΡΠΈΡΠΌ Π²ΡΠ°ΡΠ΅ΠΉ Π½Π΅ΠΎΠ±Ρ ΠΎΠ΄ΠΈΠΌΠΎ ΠΏΠΎΠ΄Ρ ΠΎΠ΄ΠΈΡΡ Ρ ΠΏΠΎΠ»Π½ΠΎΠΉ ΠΎΡΠ²Π΅ΡΡΡΠ²Π΅Π½Π½ΠΎΡΡΡΡ, Π²Π΅Π΄Ρ Π±ΠΎΠ»Π΅Π·Π½Ρ ΠΌΠΎΠΆΠ΅Ρ ΠΏΡΠΈΠ²Π΅ΡΡΠΈ ΠΊ ΠΏΠ°ΡΠ°Π»ΠΈΡΡ.
ΠΡΠΈ ΠΊΠΎΠΌΠΏΡΠ΅ΡΡΠΈΠΎΠ½Π½ΡΡ ΠΏΠ΅ΡΠ΅Π»ΠΎΠΌΠ°Ρ ΠΈΡΠΏΠΎΠ»ΡΠ·ΡΡΡ ΡΠΏΠ΅ΡΠΈΠ°Π»ΡΠ½ΡΠ΅ ΠΎΡΡΠΎΠΏΠ΅Π΄ΠΈΡΠ΅ΡΠΊΠΈΠ΅ ΠΊΠΎΡΡΠ΅ΡΡ, Π·Π°ΠΊΡΠ΅ΠΏΠ»ΡΡΡΠΈΠ΅ ΠΏΠΎΠ·Π²ΠΎΠ½ΠΎΡΠ½ΠΈΠΊ Π² ΠΎΠΏΡΠ΅Π΄Π΅Π»Π΅Π½Π½ΠΎΠΌ ΠΏΠΎΠ»ΠΎΠΆΠ΅Π½ΠΈΠΈ ΠΈ ΠΎΠ³ΡΠ°Π½ΠΈΡΠΈΠ²Π°ΡΡΠΈΠ΅ Π²ΠΎΠ·ΠΌΠΎΠΆΠ½ΠΎΡΡΡ Π΄Π»Ρ Π΄Π²ΠΈΠ³Π°ΡΠ΅Π»ΡΠ½ΠΎΠΉ Π°ΠΊΡΠΈΠ²Π½ΠΎΡΡΠΈ Π±ΠΎΠ»ΡΠ½ΠΎΠ³ΠΎ. Π§Π°ΡΠ΅ Π²ΡΠ΅Π³ΠΎ ΡΠ°ΠΊΠΈΠ΅ ΠΊΠΎΡΡΠ΅ΡΡ ΠΈΠ·Π³ΠΎΡΠ°Π²Π»ΠΈΠ²Π°ΡΡ ΠΏΠΎ ΠΈΠ½Π΄ΠΈΠ²ΠΈΠ΄ΡΠ°Π»ΡΠ½ΠΎΠΌΡ Π·Π°ΠΊΠ°Π·Ρ, ΡΡΠΎΠ±Ρ ΠΈΠ·Π΄Π΅Π»ΠΈΠ΅ ΡΠΎΠΎΡΠ²Π΅ΡΡΡΠ²ΠΎΠ²Π°Π»ΠΎ ΡΠΎΡΠΌΠ΅ ΡΠ΅Π»Π° ΠΏΠ°ΡΠΈΠ΅Π½ΡΠ° ΠΈ Π² ΠΏΠΎΠ»Π½ΠΎΠΉ ΠΌΠ΅ΡΠ΅ Π²ΡΠΏΠΎΠ»Π½ΡΠ»ΠΎ ΡΠ²ΠΎΡ ΡΡΠ½ΠΊΡΠΈΡ. ΠΠΎΡΡΠ΅Ρ ΡΠ΄Π΅ΡΠΆΠΈΠ²Π°Π΅Ρ ΡΡΠ»ΠΎΠ²ΠΈΡΠ΅ Π² Π²Π΅ΡΠ½ΠΎΠΌ ΠΏΠΎΠ»ΠΎΠΆΠ΅Π½ΠΈΠΈ ΠΈ ΠΏΡΠΈΠ½ΠΈΠΌΠ°Π΅Ρ Π½Π° ΡΠ΅Π±Ρ ΡΠ°ΡΡΡ Π½Π°Π³ΡΡΠ·ΠΊΠΈ Π½Π° ΠΏΠΎΠ·Π²ΠΎΠ½ΠΎΡΠ½ΡΠΉ ΡΡΠΎΠ»Π±.
ΠΠΈΡΠΎΠΏΠ»Π°ΡΡΠΈΠΊΠ° ΠΈ Π²Π΅ΡΡΠ΅Π±ΡΠΎΠΏΠ»Π°ΡΡΠΈΠΊΠ°
ΠΠ· Π½Π°ΠΈΠ±ΠΎΠ»Π΅Π΅ ΡΠΎΠ²ΡΠ΅ΠΌΠ΅Π½Π½ΡΡ ΠΌΠ΅ΡΠΎΠ΄ΠΎΠ² Π»Π΅ΡΠ΅Π½ΠΈΡ ΠΊΠΎΠΌΠΏΡΠ΅ΡΡΠΈΠΎΠ½Π½ΠΎΠ³ΠΎ ΠΏΠ΅ΡΠ΅Π»ΠΎΠΌΠ° ΠΏΠΎΠ·Π²ΠΎΠ½ΠΎΡΠ½ΠΈΠΊΠ°, ΡΠ»Π΅Π΄ΡΠ΅Ρ ΠΎΡΠΌΠ΅ΡΠΈΡΡ ΠΊΠΈΡΠΎΠΏΠ»Π°ΡΡΠΈΠΊΡ ΠΈ Π²Π΅ΡΠ΅Π±ΡΠΎΠΏΠ»Π°ΡΡΠΈΠΊΡ.
ΠΠΈΡΠΎΠΏΠ»Π°ΡΡΠΈΠΊΠ° ΠΏΡΠΈΠ·Π²Π°Π½Π° Π²ΠΎΡΡΡΠ°Π½ΠΎΠ²ΠΈΡΡ Π½ΠΎΡΠΌΠ°Π»ΡΠ½ΡΡ Π²ΡΡΠΎΡΡ ΠΏΠΎΠ·Π²ΠΎΠ½ΠΊΠ°. ΠΡΠΈ Π΄Π°Π½Π½ΠΎΠΉ ΠΎΠΏΠ΅ΡΠ°ΡΠΈΠΈ Π²ΡΠ°Ρ Π²Π²ΠΎΠ΄ΠΈΡ Π² ΠΏΠΎΠ·Π²ΠΎΠ½ΠΎΠΊ ΡΠΏΠ΅ΡΠΈΠ°Π»ΡΠ½ΡΠΉ Π±Π°Π»Π»ΠΎΠ½. ΠΠ°Π»Π»ΠΎΠ½ Π½Π°Π΄ΡΠ²Π°ΡΡ, Π²ΠΎΡΡΡΠ°Π½Π°Π²Π»ΠΈΠ²Π°Ρ ΠΈΡΡ ΠΎΠ΄Π½ΡΡ Π²ΡΡΠΎΡΡ ΠΏΠΎΠ·Π²ΠΎΠ½ΠΊΠ°. ΠΠΎΡΠ»Π΅ ΡΠΎΠ³ΠΎ, ΠΊΠ°ΠΊ ΠΏΡΠΈ ΠΏΠΎΠΌΠΎΡΠΈ Π±Π°Π»Π»ΠΎΠ½Π° Π² ΠΏΠΎΠ·Π²ΠΎΠ½ΠΎΡΠ½ΠΈΠΊΠ΅ ΡΡΠΎΡΠΌΠΈΡΠΎΠ²Π°Π½Π° ΠΏΠΎΠ»ΠΎΡΡΡ, Ρ ΠΈΡΡΡΠ³ Π²Π²ΠΎΠ΄ΠΈΡ Π² Π½Π΅Π΅ ΡΠ°ΠΊ Π½Π°Π·ΡΠ²Π°Π΅ΠΌΡΠΉ ΠΊΠΎΡΡΠ½ΡΠΉ ΡΠ΅ΠΌΠ΅Π½Ρ, ΡΠΈΠΊΡΠΈΡΡΡΡΠΈΠΉ ΠΏΠΎΠ·Π²ΠΎΠ½ΠΎΠΊ Π² ΠΏΠ΅ΡΠ²ΠΎΠ½Π°ΡΠ°Π»ΡΠ½ΠΎΠΌ ΠΏΠΎΠ»ΠΎΠΆΠ΅Π½ΠΈΠΈ.
ΠΠ΅ΡΡΠ΅Π±ΡΠΎΠΏΠ°Π»ΡΡΠΈΠΊΠ° ΡΠ°ΠΊΠΆΠ΅ ΡΠ²ΡΠ·Π°Π½Π° Ρ Π²Π²Π΅Π΄Π΅Π½ΠΈΠ΅ΠΌ Π² ΡΠ΅Π»ΠΎ ΡΡΠ°Π²ΠΌΠΈΡΠΎΠ²Π°Π½Π½ΠΎΠ³ΠΎ ΠΏΠΎΠ·Π²ΠΎΠ½ΠΊΠ° ΠΊΠΎΡΡΠ½ΠΎΠ³ΠΎ ΡΠ΅ΠΌΠ΅Π½ΡΠ°. ΠΡΠΈΠΌΠ΅Π½ΡΡΡ Π΄Π°Π½Π½ΡΡ ΠΏΡΠΎΡΠ΅Π΄ΡΡΡ Π³Π»Π°Π²Π½ΡΠΌ ΠΎΠ±ΡΠ°Π·ΠΎΠΌ, ΡΡΠΎΠ±Ρ ΡΠ½ΠΈΠ·ΠΈΡΡ Π±ΠΎΠ»Π΅Π²ΡΠ΅ ΠΎΡΡΡΠ΅Π½ΠΈΡ ΠΈ ΡΠ²Π΅Π»ΠΈΡΠΈΡΡ ΠΏΡΠΎΡΠ½ΠΎΡΡΡ ΠΏΠΎΠ²ΡΠ΅ΠΆΠ΄Π΅Π½Π½ΠΎΠ³ΠΎ ΠΏΠΎΠ·Π²ΠΎΠ½ΠΊΠ°.
Π₯ΠΈΡΡΡΠ³ΠΈΡΠ΅ΡΠΊΠΎΠ΅ Π»Π΅ΡΠ΅Π½ΠΈΠ΅ ΠΊΠΎΠΌΠΏΡΠ΅ΡΡΠΈΠΎΠ½Π½ΠΎΠ³ΠΎ ΠΏΠ΅ΡΠ΅Π»ΠΎΠΌΠ° ΠΏΠΎΠ·Π²ΠΎΠ½ΠΎΡΠ½ΠΈΠΊΠ°
ΠΡΠΈ Π²ΡΡΠΎΠΊΠΎΠΉ Π²Π΅ΡΠΎΡΡΠ½ΠΎΡΡΠΈ ΠΎΡΠ»ΠΎΠΆΠ½Π΅Π½ΠΈΠΉ Π½Π΅Π²ΡΠΎΠ»ΠΎΠ³ΠΈΡΠ΅ΡΠΊΠΎΠ³ΠΎ Ρ Π°ΡΠ°ΠΊΡΠ΅ΡΠ°, Π²ΡΠ°Ρ, ΡΠΊΠΎΡΠ΅Π΅ Π²ΡΠ΅Π³ΠΎ, Π±ΡΠ΄Π΅Ρ Π²ΡΠ½ΡΠΆΠ΄Π΅Π½ ΡΠ΅ΠΊΠΎΠΌΠ΅Π½Π΄ΠΎΠ²Π°ΡΡ ΠΏΠ°ΡΠΈΠ΅Π½ΡΡ ΠΏΡΠΎΠ²Π΅ΡΡΠΈ Ρ ΠΈΡΡΡΠ³ΠΈΡΠ΅ΡΠΊΡΡ ΠΎΠΏΠ΅ΡΠ°ΡΠΈΡ.
Π₯ΠΈΡΡΡΠ³ΠΈΡΠ΅ΡΠΊΠΎΠ΅ Π»Π΅ΡΠ΅Π½ΠΈΠ΅ ΠΊΠΎΠΌΠΏΡΠ΅ΡΡΠΈΠΎΠ½Π½ΠΎΠ³ΠΎ ΠΏΠ΅ΡΠ΅Π»ΠΎΠΌΠ° ΠΏΠΎΠ·Π²ΠΎΠ½ΠΎΡΠ½ΠΈΠΊΠ° β ΡΡΠΎ ΠΏΠΎΡΠ»Π΅Π΄ΠΎΠ²Π°ΡΠ΅Π»ΡΠ½ΠΎ Π²ΡΠΏΠΎΠ»Π½Π΅Π½Π½ΡΠ΅ Π΄Π΅ΠΊΠΎΠΌΠΏΡΠ΅ΡΡΠΈΡ (ΡΠΎ Π΅ΡΡΡ, ΡΠ΅Π·Π΅ΠΊΡΠΈΡ ΡΡΠ°Π³ΠΌΠ΅Π½ΡΠΎΠ² ΠΏΠΎΠ·Π²ΠΎΠ½ΠΊΠ°, ΠΎΠΊΠ°Π·ΡΠ²Π°ΡΡΠΈΡ Π΄Π°Π²Π»Π΅Π½ΠΈΠ΅ Π½Π° Π½Π΅ΡΠ²Π½ΡΠ΅ ΠΎΠΊΠΎΠ½ΡΠ°Π½ΠΈΡ ΠΈ ΡΠΏΠΈΠ½Π½ΠΎΠΉ ΠΌΠΎΠ·Π³) ΠΈ ΡΠΈΠΊΡΠ°ΡΠΈΡ, Π²ΡΠΏΠΎΠ»Π½ΡΠ΅ΠΌΠ°Ρ Ρ ΠΈΡΠΏΠΎΠ»ΡΠ·ΠΎΠ²Π°Π½ΠΈΠ΅ΠΌ ΡΠΏΠ΅ΡΠΈΠ°Π»ΡΠ½ΡΡ ΡΠΈΡΠ°Π½ΠΎΠ²ΡΡ ΠΈΠΌΠΏΠ»Π°Π½ΡΠ°ΡΠΎΠ².
ΠΠΎΠ·ΠΌΠΎΠΆΠ½ΡΠ΅ ΠΎΡΠ»ΠΎΠΆΠ½Π΅Π½ΠΈΡ ΠΏΠΎΡΠ»Π΅ Ρ ΠΈΡΡΡΠ³ΠΈΡΠ΅ΡΠΊΠΎΠ³ΠΎ Π»Π΅ΡΠ΅Π½ΠΈΡ
Π₯ΠΈΡΡΡΠ³ΠΈΡΠ΅ΡΠΊΠΈΠ΅ ΠΏΡΠΎΡΠ΅Π΄ΡΡΡ, ΠΏΡΠΈΠΌΠ΅Π½ΡΠ΅ΠΌΡΠ΅ ΠΏΡΠΈ Π»Π΅ΡΠ΅Π½ΠΈΠΈ ΠΊΠΎΠΌΠΏΡΠ΅ΡΡΠΈΠΎΠ½Π½ΠΎΠ³ΠΎ ΠΏΠ΅ΡΠ΅Π»ΠΎΠΌΠ° ΠΏΠΎΠ·Π²ΠΎΠ½ΠΎΡΠ½ΠΈΠΊΠ°, ΠΌΠΎΠ³ΡΡ ΠΏΡΠΈΠ²Π΅ΡΡΠΈ ΠΊ ΠΎΡΠ»ΠΎΠΆΠ½Π΅Π½ΠΈΡΠΌ ΡΠ°Π·Π½ΠΎΠ³ΠΎ ΡΠΎΠ΄Π°. ΠΠ΅ ΡΡΠΎΠΈΡ Π·Π°Π±ΡΠ²Π°ΡΡ, ΡΡΠΎ Ρ ΠΈΡΡΡΠ³ Π²ΡΠΏΠΎΠ»Π½ΡΠ΅Ρ Π½Π΅ΠΎΠ±Ρ ΠΎΠ΄ΠΈΠΌΡΠ΅ Π΄Π΅ΠΉΡΡΠ²ΠΈΡ ΠΏΠΎΠ±Π»ΠΈΠ·ΠΎΡΡΠΈ ΠΎΡ ΡΠΏΠΈΠ½Π½ΠΎΠ³ΠΎ ΠΌΠΎΠ·Π³Π° ΠΈ Π½Π΅ΡΠ²Π½ΡΡ ΠΎΠΊΠΎΠ½ΡΠ°Π½ΠΈΠΉ. Π ΡΠ²ΡΠ·ΠΈ Ρ ΡΡΠΈΠΌ, ΠΎΠΏΠ΅ΡΠ°ΡΠΈΠΈ Π½Π° ΠΏΠΎΠ·Π²ΠΎΠ½ΠΎΡΠ½ΠΈΠΊΠ΅ ΡΡΠΈΡΠ°ΡΡΡΡ ΠΎΠ΄Π½ΠΈΠΌΠΈ ΠΈΠ· ΡΠ°ΠΌΡΡ ΠΎΠΏΠ°ΡΠ½ΡΡ , ΠΈ ΠΏΠ°ΡΠΈΠ΅Π½Ρ ΠΏΠ΅ΡΠ΅Π΄ ΠΏΡΠΎΠ²Π΅Π΄Π΅Π½ΠΈΠ΅ΠΌ ΠΎΠΏΠ΅ΡΠ°ΡΠΈΠΈ Π΄ΠΎΠ»ΠΆΠ΅Π½ Π·Π½Π°ΡΡ Π²ΡΠ΅ ΡΠΈΡΠΊΠΈ.
ΠΠ΅ΠΏΠΎΡΡΠ΅Π΄ΡΡΠ²Π΅Π½Π½ΠΎ Ρ ΠΊΠΎΠΌΠΏΡΠ΅ΡΡΠΈΠΎΠ½Π½ΡΠΌ ΠΏΠ΅ΡΠ΅Π»ΠΎΠΌΠΎΠΌ ΡΠ²ΡΠ·Π°Π½Ρ ΡΠ°ΠΊΠΈΠ΅ ΠΎΡΠ»ΠΎΠΆΠ½Π΅Π½ΠΈΡ, ΠΊΠ°ΠΊ ΠΊΠΈΡΠΎΡΠΈΡΠ΅ΡΠΊΠ°Ρ Π΄Π΅ΡΠΎΡΠΌΠ°ΡΠΈΡ, Π½Π΅Π²ΡΠΎΠ»ΠΎΠ³ΠΈΡΠ΅ΡΠΊΠΈΠ΅ ΠΎΡΠ»ΠΎΠΆΠ½Π΅Π½ΠΈΡ ΠΈ ΡΠ΅Π³ΠΌΠ΅Π½ΡΠ°ΡΠ½Π°Ρ Π½Π΅ΡΡΠ°Π±ΠΈΠ»ΡΠ½ΠΎΡΡΡ.
ΠΠΈΡΠΎΠ· ΡΠ°ΡΠ΅ Π²ΡΠ΅Π³ΠΎ Π²ΡΡΡΠ΅ΡΠ°Π΅ΡΡΡ Ρ ΠΏΠΎΠΆΠΈΠ»ΡΡ ΠΆΠ΅Π½ΡΠΈΠ½, ΡΡΡΠ°Π΄Π°ΡΡΠΈΡ ΠΎΡΡΠ΅ΠΎΠΏΠΎΡΠΎΠ·ΠΎΠΌ. Π£ ΡΠ°ΠΊΠΈΡ ΠΏΠ°ΡΠΈΠ΅Π½ΡΠΎΠ² ΡΠΎΡΠΌΠΈΡΡΠ΅ΡΡΡ ΠΎΡΡΡΡΠΉ Π»ΠΈΠ±ΠΎ ΠΏΠΎΠ»ΠΎΠ³ΠΈΠΉ Π³ΠΎΡΠ±, Π»ΠΎΠΊΠ°Π»ΠΈΠ·ΡΡΡΠΈΠΉΡΡ Π² Π³ΡΡΠ΄Π½ΠΎΠΌ ΠΎΡΠ΄Π΅Π»Π΅ ΠΏΠΎΠ·Π²ΠΎΠ½ΠΎΡΠ½ΠΈΠΊΠ°.
ΠΠΈΡΠΎΠ· ΠΌΠΎΠΆΠ΅Ρ ΡΡΠ°ΡΡ ΠΏΡΠΈΡΠΈΠ½ΠΎΠΉ ΡΠΈΠ»ΡΠ½ΡΡ Π±ΠΎΠ»Π΅ΠΉ, Π° ΠΊΡΠΎΠΌΠ΅ ΡΠΎΠ³ΠΎ, Π½Π΅Π³Π°ΡΠΈΠ²Π½ΠΎ ΠΏΠΎΠ²Π»ΠΈΡΡΡ Π½Π° ΡΠ΅ΡΠ΄ΡΠ΅, Π»Π΅Π³ΠΊΠΈΠ΅, ΠΎΡΠ³Π°Π½Ρ ΠΏΠΈΡΠ΅Π²Π°ΡΠ΅Π½ΠΈΡ ΠΈ ΠΏΡΠΎΡ.
Π ΡΠ»ΡΡΠ°Π΅ Π΅ΡΠ»ΠΈ ΠΊΠΎΠΌΠΏΡΠ΅ΡΡΠΈΠΎΠ½Π½ΡΠΉ ΠΏΠ΅ΡΠ΅Π»ΠΎΠΌ Π²ΡΠ·Π²Π°Π» ΡΠΌΠ΅Π½ΡΡΠ΅Π½ΠΈΠ΅ Π²ΡΡΠΎΡΡ ΠΏΠΎΠ·Π²ΠΎΠ½ΠΎΡΠ½ΠΈΠΊΠ° Π½Π° ΡΡΠΈΠ΄ΡΠ°ΡΡ ΠΏΡΠΎΡΠ΅Π½ΡΠΎΠ² ΠΈ Π²ΡΡΠ΅, Π΅ΡΡΡ ΡΠΈΡΠΊ ΡΠ΅Π³ΠΌΠ΅Π½ΡΠ°ΡΠ½ΠΎΠΉ Π½Π΅ΡΡΠ°Π±ΠΈΠ»ΡΠ½ΠΎΡΡΠΈ. ΠΠ·Π²Π΅ΡΡΠ½ΠΎ, ΡΡΠΎ ΠΊΠ°ΠΆΠ΄ΡΠΉ ΡΠ΅Π³ΠΌΠ΅Π½Ρ ΠΏΠΎΠ·Π²ΠΎΠ½ΠΎΡΠ½ΠΈΠΊΠ° ΡΠ²Π»ΡΠ΅ΡΡΡ ΡΠ°ΡΡΠΈΡΠΊΠΎΠΉ ΡΠ»Π°ΠΆΠ΅Π½Π½ΠΎ ΡΠ°Π±ΠΎΡΠ°ΡΡΠ΅ΠΉ Β«ΠΌΠ°ΡΠΈΠ½ΡΒ», ΠΈ Π²ΡΠΏΠ°Π΄Π΅Π½ΠΈΠ΅ Π»ΡΠ±ΠΎΠ³ΠΎ Β«Π²ΠΈΠ½ΡΠΈΠΊΠ°Β» ΠΏΡΠΈΠ²ΠΎΠ΄ΠΈΡ ΠΊ ΡΠ΅ΡΡΠ΅Π·Π½ΡΠΌ ΠΏΡΠΎΠ±Π»Π΅ΠΌΠ°ΠΌ.
ΠΡΠΈ ΡΠ΅Π³ΠΌΠ΅Π½ΡΠ°ΡΠ½ΠΎΠΉ Π½Π΅ΡΡΠ°Π±ΠΈΠ»ΡΠ½ΠΎΡΡΠΈ ΠΏΠΎΠ·Π²ΠΎΠ½ΠΎΡΠ½ΠΈΠΊ Π½Π΅ ΡΠΏΠΎΡΠΎΠ±Π΅Π½ ΠΏΠΎΠ»Π½ΠΎΡΡΡΡ Π²ΡΠΏΠΎΠ»Π½ΡΡΡ Π²ΠΎΠ·Π»ΠΎΠΆΠ΅Π½Π½ΡΠ΅ Π½Π° Π½Π΅Π³ΠΎ ΡΡΠ½ΠΊΡΠΈΠΈ, ΡΠΎ Π΅ΡΡΡ, ΠΎΠ±Π΅ΡΠΏΠ΅ΡΠΈΠ²Π°ΡΡ ΠΏΠΎΠ»Π½ΠΎΡΠ΅Π½Π½ΠΎΠ΅ Π΄Π²ΠΈΠΆΠ΅Π½ΠΈΠ΅, ΠΏΠ΅ΡΠ΅Π΄Π°ΡΡ Π½Π°Π³ΡΡΠ·ΠΊΠΈ ΠΈ ΠΏΠΎΠ΄Π΄Π΅ΡΠΆΠΊΡ ΡΠ΅Π»Π°.
Π§ΡΠ΅Π·Π²ΡΡΠ°ΠΉΠ½ΠΎ ΠΎΠΏΠ°ΡΠ½Ρ Π½Π΅Π²ΡΠΎΠ»ΠΎΠ³ΠΈΡΠ΅ΡΠΊΠΈΠ΅ ΠΎΡΠ»ΠΎΠΆΠ½Π΅Π½ΠΈΡ. ΠΠΎΡΡΠ½ΡΠ΅ ΠΎΠ±Π»ΠΎΠΌΠΊΠΈ ΠΌΠΎΠ³ΡΡ ΡΠΌΠ΅ΡΡΠΈΡΡΡΡ Π½Π°Π·Π°Π΄, ΡΠ΄Π°Π²Π»ΠΈΠ²Π°Ρ Π½Π΅ΡΠ²Π½ΡΠ΅ ΠΊΠΎΡΠ΅ΡΠΊΠΈ ΠΈ ΡΠΏΠΈΠ½Π½ΠΎΠΉ ΠΌΠΎΠ·Π³. ΠΠΎΠ»Π΅Π²ΠΎΠΉ ΡΠΈΠ½Π΄ΡΠΎΠΌ, ΠΎΠ½Π΅ΠΌΠ΅Π½ΠΈΠ΅, ΠΏΡΠΎΡΠ²Π»ΡΡΡΠ΅Π΅ΡΡ Π΄Π°ΠΆΠ΅ ΠΏΡΠΈ Π½Π΅Π±ΠΎΠ»ΡΡΠΈΡ ΡΠΈΠ·ΠΈΡΠ΅ΡΠΊΠΈΡ Π½Π°Π³ΡΡΠ·ΠΊΠ°Ρ β Π²ΠΎΡ ΠΏΡΠΎΡΠ²Π»Π΅Π½ΠΈΡ Π½Π΅Π²ΡΠΎΠ»ΠΎΠ³ΠΈΡΠ΅ΡΠΊΠΈΡ ΠΎΡΠ»ΠΎΠΆΠ½Π΅Π½ΠΈΠΉ.
ΠΡΠΈ ΠΊΠΎΠΌΠΏΡΠ΅ΡΡΠΈΠΎΠ½Π½ΠΎΠΌ ΠΏΠ΅ΡΠ΅Π»ΠΎΠΌΠ΅ ΠΏΠΎΠ·Π²ΠΎΠ½ΠΎΡΠ½ΠΈΠΊΠ° ΠΏΠ°ΡΠΈΠ΅Π½ΡΡ Π½Π΅ΠΎΠ±Ρ ΠΎΠ΄ΠΈΠΌΠ° Π΄ΠΎΠ»Π³Π°Ρ ΡΠ΅Π°Π±ΠΈΠ»ΠΈΡΠ°ΡΠΈΡ. Π Π΅Π°Π±ΠΈΠ»ΠΈΡΠ°ΡΠΈΡ Π²ΠΊΠ»ΡΡΠ°Π΅Ρ Π² ΡΠ΅Π±Ρ ΠΏΡΠΎΡΠ΅Π΄ΡΡΡ, Π½Π°ΠΏΡΠ°Π²Π»Π΅Π½Π½ΡΠ΅ Π½Π° ΠΏΠΎΠ΄Π΄Π΅ΡΠΆΠ°Π½ΠΈΠ΅ Π² ΡΠΎΠ½ΡΡΠ΅ ΠΌΡΡΡ, ΡΠΎΠ·Π΄Π°Π½ΠΈΠ΅ Π΅ΡΡΠ΅ΡΡΠ²Π΅Π½Π½ΠΎΠ³ΠΎ ΠΌΡΡΠ΅ΡΠ½ΠΎΠ³ΠΎ ΠΊΠΎΡΡΠ΅ΡΠ°, Π½Π° Π²ΠΎΡΡΡΠ°Π½ΠΎΠ²Π»Π΅Π½ΠΈΠ΅ ΠΊΡΠΎΠ²ΠΎΡΠ½Π°Π±ΠΆΠ΅Π½ΠΈΡ ΠΏΠΎΠ·Π²ΠΎΠ½ΠΊΠΎΠ². Π Π΅Π°Π±ΠΈΠ»ΠΈΡΠ°ΡΠΈΡ ΠΌΠΎΠΆΠ΅Ρ ΠΏΡΠΎΡ ΠΎΠ΄ΠΈΡΡ Π² ΡΠΏΠ΅ΡΠΈΠ°Π»ΡΠ½ΠΎΠΉ ΠΊΠ»ΠΈΠ½ΠΈΠΊΠ΅ ΠΈΠ»ΠΈ Π΄ΠΎΠΌΠ°. ΠΠ»Π°Π²Π½ΠΎΠ΅ β ΡΡΠΎΠ±Ρ ΠΏΠ°ΡΠΈΠ΅Π½Ρ Π½Π΅ ΡΠΎΠ²Π΅ΡΡΠ°Π» ΡΠ΅Π·ΠΊΠΈΡ Π΄Π²ΠΈΠΆΠ΅Π½ΠΈΠΉ ΠΈ ΠΏΠΎΡΡΠΎΡΠ½Π½ΠΎ ΠΏΠΎΠΌΠ½ΠΈΠ», ΠΊΠ°ΠΊΠΈΠΌΠΈ ΡΠ΅ΡΡΠ΅Π·Π½ΡΠΌΠΈ ΠΏΡΠΎΠ±Π»Π΅ΠΌΠ°ΠΌΠΈ Π³ΡΠΎΠ·ΡΡ ΠΏΠΎΠ²ΡΠΎΡΠ½ΡΠ΅ ΡΡΠ°Π²ΠΌΡ.
lechimsustavy.ru
Π§ΡΠΎ ΡΠ°ΠΊΠΎΠ΅ ΠΊΠΎΠΌΠΏΡΠ΅ΡΡΠΈΠΎΠ½Π½ΡΠΉ ΠΏΠ΅ΡΠ΅Π»ΠΎΠΌ ΠΏΠΎΠ·Π²ΠΎΠ½ΠΎΡΠ½ΠΈΠΊΠ°: ΡΠΈΠΌΠΏΡΠΎΠΌΡ, Π»Π΅ΡΠ΅Π½ΠΈΠ΅, ΠΏΠΎΡΠ»Π΅Π΄ΡΡΠ²ΠΈΡ
Π§ΡΠΎ ΡΠ°ΠΊΠΎΠ΅ ΠΊΠΎΠΌΠΏΡΠ΅ΡΡΠΈΠΎΠ½Π½ΡΠΉ ΠΏΠ΅ΡΠ΅Π»ΠΎΠΌ ΠΏΠΎΠ·Π²ΠΎΠ½ΠΎΡΠ½ΠΎΠ³ΠΎ ΡΡΠΎΠ»Π±Π°? ΠΠΎΠΌΠΏΡΠ΅ΡΡΠΈΠΎΠ½Π½ΡΠ΅ ΠΏΠ΅ΡΠ΅Π»ΠΎΠΌΡ β ΡΡΠΎ ΡΡΠ°Π²ΠΌΠ°, Ρ Π°ΡΠ°ΠΊΡΠ΅ΡΠΈΠ·ΡΡΡΠ°ΡΡΡ ΡΠ΄Π°Π²Π»ΠΈΠ²Π°Π½ΠΈΠ΅ΠΌ ΠΎΠ΄Π½ΠΎΠ³ΠΎ ΠΈΠ»ΠΈ ΠΆΠ΅ Π½Π΅ΡΠΊΠΎΠ»ΡΠΊΠΈΡ ΠΏΠΎΠ·Π²ΠΎΠ½ΠΊΠΎΠ². ΠΠ°ΠΊΠΎΠ²Ρ ΠΏΡΠΈΡΠΈΠ½Ρ ΠΈ ΠΏΡΠΈΠ·Π½Π°ΠΊΠΈ Π΄Π°Π½Π½ΠΎΠΉ ΡΡΠ°Π²ΠΌΡ? ΠΠ°ΠΊΠΎΠ΅ Π»Π΅ΡΠ΅Π½ΠΈΠ΅ ΡΡΠ΅Π±ΡΠ΅ΡΡΡ ΠΏΠΎΡΡΡΠ°Π΄Π°Π²ΡΠ΅ΠΌΡ? Π‘ΠΊΠΎΠ»ΡΠΊΠΎ Π΄Π»ΠΈΡΡΡ ΡΠ΅Π°Π±ΠΈΠ»ΠΈΡΠ°ΡΠΈΠΎΠ½Π½ΡΠΉ ΠΏΠ΅ΡΠΈΠΎΠ΄?
ΠΠΏΠΈΡΠ°Π½ΠΈΠ΅ ΠΈ ΠΏΡΠΈΡΠΈΠ½Ρ ΡΡΠ°Π²ΠΌΡ
ΠΠ΅ΡΠ΅Π»ΠΎΠΌΡ ΠΏΠΎΠ·Π²ΠΎΠ½ΠΎΡΠ½ΠΈΠΊΠ° ΠΊΠΎΠΌΠΏΡΠ΅ΡΡΠΈΠΎΠ½Π½ΠΎΠ³ΠΎ ΡΠΈΠΏΠ° β Π΄ΠΎΡΡΠ°ΡΠΎΡΠ½ΠΎ ΡΠ°ΡΠΏΡΠΎΡΡΡΠ°Π½Π΅Π½Π½ΠΎΠ΅ ΠΈ ΠΎΠΏΠ°ΡΠ½ΠΎΠ΅ ΡΡΠ°Π²ΠΌΠ°ΡΠΈΡΠ΅ΡΠΊΠΎΠ΅ ΠΏΠΎΠ²ΡΠ΅ΠΆΠ΄Π΅Π½ΠΈΠ΅, ΡΡΠ΅Π²Π°ΡΠΎΠ΅ ΠΊΡΠ°ΠΉΠ½Π΅ Π½Π΅Π±Π»Π°Π³ΠΎΠΏΡΠΈΡΡΠ½ΡΠΌΠΈ ΠΏΠΎΡΠ»Π΅Π΄ΡΡΠ²ΠΈΡΠΌΠΈ. Π‘ΠΏΡΠΎΠ²ΠΎΡΠΈΡΠΎΠ²Π°ΡΡ ΡΠ°ΠΊΠΎΠΉ ΠΏΠ΅ΡΠ΅Π»ΠΎΠΌ ΠΏΠΎΠ·Π²ΠΎΠ½ΠΊΠΎΠ² ΠΌΠΎΠ³ΡΡ ΡΡΠΈΠ±Ρ, ΠΏΠ°Π΄Π΅Π½ΠΈΡ Ρ Π±ΠΎΠ»ΡΡΠΎΠΉ Π²ΡΡΠΎΡΡ (ΠΎΡΠΎΠ±Π΅Π½Π½ΠΎ Π½Π° ΡΠ³ΠΎΠ΄ΠΈΡΠ½ΡΡ ΠΎΠ±Π»Π°ΡΡΡ, Π½ΠΎΠ³ΠΈ), ΡΠΏΠΎΡΡΠΈΠ²Π½ΡΠ΅ Π·Π°Π½ΡΡΠΈΡ, Π°Π²Π°ΡΠΈΠΉΠ½ΡΠ΅ ΡΠΈΡΡΠ°ΡΠΈΠΈ.
Π’ΡΠ°Π²ΠΌΡ ΠΌΠΎΠ³ΡΡ Π±ΡΡΡ ΡΠΎ ΡΠΌΠ΅ΡΠ΅Π½ΠΈΠ΅ΠΌ ΠΈ Π±Π΅Π· ΡΠΎΠΏΡΡΡΡΠ²ΡΡΡΠ΅Π³ΠΎ ΡΠΌΠ΅ΡΠ΅Π½ΠΈΡ. ΠΠ°ΠΈΠ±ΠΎΠ»Π΅Π΅ ΠΎΠΏΠ°ΡΠ½ΡΠΌ, ΠΏΠΎ ΠΌΠ½Π΅Π½ΠΈΡ Π΄ΠΎΠΊΡΠΎΡΠΎΠ², ΡΠ²Π»ΡΠ΅ΡΡΡ ΠΊΠΎΠΌΠΏΡΠ΅ΡΡΠΈΠΎΠ½Π½ΡΠΉ ΠΎΡΠΊΠΎΠ»ΡΡΠ°ΡΡΠΉ ΠΏΠ΅ΡΠ΅Π»ΠΎΠΌ ΠΏΠΎΠ·Π²ΠΎΠ½ΠΎΡΠ½ΠΈΠΊΠ°, Ρ Π°ΡΠ°ΠΊΡΠ΅ΡΠΈΠ·ΡΡΡΠΈΠΉΡΡ ΡΠ°Π·Π΄ΡΠΎΠ±Π»Π΅Π½ΠΈΠ΅ΠΌ ΡΡΠ°Π²ΠΌΠΈΡΠΎΠ²Π°Π½Π½ΡΡ ΡΠ»Π΅ΠΌΠ΅Π½ΡΠΎΠ² Π½Π° ΠΎΡΠ΄Π΅Π»ΡΠ½ΡΠ΅ ΠΌΠ΅Π»ΠΊΠΈΠ΅ ΡΡΠ°Π³ΠΌΠ΅Π½ΡΡ, Ρ ΡΠΎΠΏΡΡΡΡΠ²ΡΡΡΠ΅ΠΉ Π΄Π΅ΡΠΎΡΠΌΠ°ΡΠΈΠ΅ΠΉ ΡΠΎΡΠ΅Π΄Π½ΠΈΡ ΠΏΠΎΠ·Π²ΠΎΠ½ΠΊΠΎΠ².
Π ΠΈΡΠΊΠΈ Π·Π½Π°ΡΠΈΡΠ΅Π»ΡΠ½ΠΎ ΠΏΠΎΠ²ΡΡΠ°ΡΡΡΡ ΠΏΡΠΈ Π½Π°Π»ΠΈΡΠΈΠΈ ΡΠ»Π΅Π΄ΡΡΡΠΈΡ ΠΏΡΠΎΠ²ΠΎΡΠΈΡΡΡΡΠΈΡ ΡΠ°ΠΊΡΠΎΡΠΎΠ²:
- ΠΠΎΠ·ΡΠ°ΡΡΠ½Π°Ρ ΠΊΠ°ΡΠ΅Π³ΠΎΡΠΈΡ ΠΏΠ°ΡΠΈΠ΅Π½ΡΠ° ΡΡΠ°ΡΡΠ΅ 60 Π»Π΅Ρ;
- ΠΠ΅Π½Π΅ΡΠΈΡΠ΅ΡΠΊΠΈΠ΅ ΠΏΠ°ΡΠΎΠ»ΠΎΠ³ΠΈΠΈ, ΡΠΎΠΏΡΠΎΠ²ΠΎΠΆΠ΄Π°Π΅ΠΌΡΠ΅ ΠΏΠΎΠ²ΡΡΠ΅Π½Π½ΠΎΠΉ Ρ ΡΡΠΏΠΊΠΎΡΡΡΡ ΠΊΠΎΡΡΠ½ΠΎΠΉ ΡΠΊΠ°Π½ΠΈ;
- ΠΡΠ°ΠΌΠΎΡΠ½Π°Ρ Π±ΠΎΠ»Π΅Π·Π½Ρ;
- ΠΡΡΠ΅ΠΎΠΏΠΎΡΠΎΠ·Ρ;
- ΠΠΎΡΡΠ½ΡΠ΅ ΠΈ ΡΡΡΡΠ°Π²Π½ΡΠ΅ Π·Π°Π±ΠΎΠ»Π΅Π²Π°Π½ΠΈΡ Π²ΠΎΡΠΏΠ°Π»ΠΈΡΠ΅Π»ΡΠ½ΠΎΠ³ΠΎ Ρ Π°ΡΠ°ΠΊΡΠ΅ΡΠ°.
Π‘ΠΏΠ΅ΡΠΈΠ°Π»ΠΈΡΡΡ-ΡΡΠ°Π²ΠΌΠ°ΡΠΎΠ»ΠΎΠ³ΠΈ ΠΊΠ»Π°ΡΡΠΈΡΠΈΡΠΈΡΡΡΡ ΡΠ»Π΅Π΄ΡΡΡΠΈΠ΅ ΡΡΠ΅ΠΏΠ΅Π½ΠΈ ΠΊΠΎΠΌΠΏΡΠ΅ΡΡΠΈΠΎΠ½Π½ΠΎΠ³ΠΎ ΠΏΠ΅ΡΠ΅Π»ΠΎΠΌΠ°:
- 1-Ρ ΡΡΠ΅ΠΏΠ΅Π½Ρ β Ρ Π°ΡΠ°ΠΊΡΠ΅ΡΠΈΠ·ΡΠ΅ΡΡΡ ΡΠΌΠ΅Π½ΡΡΠ΅Π½ΠΈΠ΅ΠΌ Π²ΡΡΠΎΡΡ ΠΏΠΎΠ²ΡΠ΅ΠΆΠ΄Π΅Π½Π½ΡΡ ΠΏΠΎΠ·Π²ΠΎΠ½ΠΊΠΎΠ² ΠΌΠ΅Π½Π΅Π΅, ΡΠ΅ΠΌ Π½Π° ΡΡΠ΅ΡΡ ΠΎΡ ΠΈΡ ΠΈΠ·Π½Π°ΡΠ°Π»ΡΠ½ΠΎΠ³ΠΎ ΡΠ°Π·ΠΌΠ΅ΡΠ°.
- ΠΠ΅ΡΠ΅Π»ΠΎΠΌ 2 ΡΡΠ΅ΠΏΠ΅Π½ΠΈ β ΠΎΡΠ»ΠΈΡΠ°Π΅ΡΡΡ ΡΠ½ΠΈΠΆΠ΅Π½ΠΈΠ΅ΠΌ ΠΏΠΎΠ·Π²ΠΎΠ½ΠΊΠ° Π½Π° ΠΏΠΎΠ»ΠΎΠ²ΠΈΠ½Ρ.
- ΠΡΠΈ 3 ΡΡΠ΅ΠΏΠ΅Π½ΠΈ β ΡΡΠ°Π²ΠΌΠΈΡΠΎΠ²Π°Π½Π½ΡΠ΅ ΠΏΠΎΠ·Π²ΠΎΠ½ΠΊΠΈ ΡΠΌΠ΅Π½ΡΡΠ°ΡΡΡΡ Π±ΠΎΠ»Π΅Π΅, ΡΠ΅ΠΌ Π½Π° ΠΏΠΎΠ»ΠΎΠ²ΠΈΠ½Ρ ΠΎΡ ΠΈΠ·Π½Π°ΡΠ°Π»ΡΠ½ΠΎΠΉ ΠΈΡ Π²ΡΡΠΎΡΡ.
ΠΠ°Π½Π½ΠΎΠ³ΠΎ Π²ΠΈΠ΄Π° ΠΏΠΎΠ²ΡΠ΅ΠΆΠ΄Π΅Π½ΠΈΡ Π±ΡΠ²Π°ΡΡ ΠΎΡΠ»ΠΎΠΆΠ½Π΅Π½Π½ΡΠΌΠΈ ΠΈ Π½Π΅ΠΎΡΠ»ΠΎΠΆΠ½Π΅Π½Π½ΡΠΌΠΈ. ΠΠ΅ΠΎΡΠ»ΠΎΠΆΠ½Π΅Π½Π½ΡΠΉ Π²ΠΈΠ΄ ΠΏΠ΅ΡΠ΅Π»ΠΎΠΌΠ° Ρ Π°ΡΠ°ΠΊΡΠ΅ΡΠΈΠ·ΡΠ΅ΡΡΡ ΠΎΡΡΡΡΡΡΠ²ΠΈΠ΅ΠΌ ΡΡΠ°ΠΌΠΈΡΠΎΠ²Π°Π½ΠΈΡ ΡΠΏΠΈΠ½Π½ΠΎΠ³ΠΎ ΠΌΠΎΠ·Π³Π°.
ΠΠ°ΠΊ ΠΏΡΠΎΡΠ²Π»ΡΠ΅ΡΡΡ?
Π’ΡΠ°Π²ΠΌΠ°ΡΠΎΠ»ΠΎΠ³ΠΈ Π²ΡΠ΄Π΅Π»ΡΡΡ ΡΠ»Π΅Π΄ΡΡΡΠΈΠ΅ ΠΎΡΠ½ΠΎΠ²Π½ΡΠ΅ ΡΠΈΠΌΠΏΡΠΎΠΌΡ ΠΊΠΎΠΌΠΏΡΠ΅ΡΡΠΈΠΎΠ½Π½ΠΎΠ³ΠΎ ΠΏΠ΅ΡΠ΅Π»ΠΎΠΌΠ° ΠΏΠΎΠ·Π²ΠΎΠ½ΠΎΡΠ½ΠΈΠΊΠ°:
- Π―ΡΠΊΠΎ ΠΏΡΠΎΡΠ²Π»Π΅Π½Π½ΡΠΉ Π±ΠΎΠ»Π΅Π²ΠΎΠΉ ΡΠΈΠ½Π΄ΡΠΎΠΌ;
- ΠΠΎΠ»Π΅Π²ΡΠ΅ ΠΎΡΡΡΠ΅Π½ΠΈΡ, Π»ΠΎΠΊΠ°Π»ΠΈΠ·ΠΎΠ²Π°Π½Π½ΡΠ΅ Π² ΠΎΠ±Π»Π°ΡΡΠΈ ΠΆΠΈΠ²ΠΎΡΠ°;
- ΠΠ°ΡΠ°ΡΡΠ°ΡΡΠ°Ρ ΠΎΡΠ»Π°Π±Π»Π΅Π½Π½ΠΎΡΡΡ, Π°ΡΡΠ΅Π½ΠΈΡ;
- ΠΠ½Π΅ΠΌΠ΅Π½ΠΈΠ΅ ΠΈ ΡΠΌΠ΅Π½ΡΡΠ΅Π½ΠΈΠ΅ ΠΏΠΎΠΊΠ°Π·Π°ΡΠ΅Π»Π΅ΠΉ ΡΡΠ²ΡΡΠ²ΠΈΡΠ΅Π»ΡΠ½ΠΎΡΡΠΈ Π² ΡΡΠΊΠ°Ρ ΠΈ Π² Π½ΠΎΠ³Π°Ρ ;
- ΠΠ°ΡΡΡΠ΄Π½Π΅Π½ΠΈΠ΅ Π΄ΡΡ Π°ΡΠ΅Π»ΡΠ½ΠΎΠΉ ΡΡΠ½ΠΊΡΠΈΠΈ;
- ΠΠΎΠ»Π΅Π·Π½Π΅Π½Π½ΡΠ΅ ΠΎΡΡΡΠ΅Π½ΠΈΡ Π² ΡΠ°ΠΉΠΎΠ½Π΅ ΡΠΏΠΈΠ½Ρ, ΠΊΠΎΡΠΎΡΡΠ΅ ΠΌΠΎΠ³ΡΡ ΠΎΡΠ΄Π°Π²Π°ΡΡ Π² ΠΎΠ±Π»Π°ΡΡΡ Π²Π΅ΡΡ Π½ΠΈΡ ΠΈ Π½ΠΈΠΆΠ½ΠΈΡ ΠΊΠΎΠ½Π΅ΡΠ½ΠΎΡΡΠ΅ΠΉ, Ρ ΡΠ΅Π½Π΄Π΅Π½ΡΠΈΠ΅ΠΉ ΠΊ ΡΡΠΈΠ»Π΅Π½ΠΈΡ Π²ΠΎ Π²ΡΠ΅ΠΌΡ Ρ ΠΎΠ΄ΡΠ±Ρ;
- ΠΠ°ΡΡΡΠ΅Π½ΠΈΡ Π΄Π²ΠΈΠ³Π°ΡΠ΅Π»ΡΠ½ΠΎΠΉ Π°ΠΊΡΠΈΠ²Π½ΠΎΡΡΠΈ ΠΏΠΎΠ·Π²ΠΎΠ½ΠΎΡΠ½ΠΎΠ³ΠΎ ΡΡΠΎΠ»Π±Π°.

Π£ ΠΏΠ°ΡΠΈΠ΅Π½ΡΠΎΠ² ΠΌΠΎΠ³ΡΡ Π½Π°Π±Π»ΡΠ΄Π°ΡΡΡΡ ΡΠ°ΠΊΠΆΠ΅ Π³ΠΎΠ»ΠΎΠ²Π½ΡΠ΅ Π±ΠΎΠ»ΠΈ, ΡΠΎΡΠ½ΠΎΡΠ° ΠΈ ΠΏΡΠΈΡΡΡΠΏΡ ΡΠ²ΠΎΡΡ.
Π ΡΠ»ΡΡΠ°Π΅ ΠΎΡΠ»ΠΎΠΆΠ½Π΅Π½Π½ΠΎΠ³ΠΎ ΡΠΈΠΏΠ° ΡΡΠ°Π²ΠΌΡ Π²ΠΎΠ·ΠΌΠΎΠΆΠ½Ρ ΠΏΠ°ΡΠ°Π»ΠΈΡΠΈ, Π½Π΅Π²ΡΠΎΠ»ΠΎΠ³ΠΈΡΠ΅ΡΠΊΠΈΠ΅ ΡΠ°ΡΡΡΡΠΎΠΉΡΡΠ²Π°, Π½Π°ΡΡΡΠ΅Π½ΠΈΡ Π² ΡΡΠ½ΠΊΡΠΈΠΎΠ½ΠΈΡΠΎΠ²Π°Π½ΠΈΠΈ ΠΎΡΠ³Π°Π½ΠΎΠ² ΡΠ°Π·Π°.
Π ΡΠ΅ΠΌ ΠΎΠΏΠ°ΡΠ½ΠΎΡΡΡ?
ΠΠΎΡΠ»Π΅Π΄ΡΡΠ²ΠΈΡ ΠΊΠΎΠΌΠΏΡΠ΅ΡΡΠΈΠΎΠ½Π½ΠΎΠ³ΠΎ ΠΏΠ΅ΡΠ΅Π»ΠΎΠΌΠ° ΠΏΠΎΠ·Π²ΠΎΠ½ΠΎΡΠ½ΠΈΠΊΠ° ΠΏΡΠΎΡΠ²Π»ΡΡΡΡΡ ΡΠ»Π΅Π΄ΡΡΡΠΈΠΌ ΠΎΠ±ΡΠ°Π·ΠΎΠΌ:
- ΠΠ΅ΡΡΠ°Π±ΠΈΠ»ΡΠ½ΠΎΡΡΡ;
- ΠΠ΅Π²ΡΠΎΠ»ΠΎΠ³ΠΈΡΠ΅ΡΠΊΠΈΠ΅ ΡΠ°ΡΡΡΡΠΎΠΉΡΡΠ²Π°;
- Π‘ΡΠ΅Π½ΠΎΠ·.
ΠΠ°ΡΡΠ°ΡΠ΅Π»ΡΠΉ ΠΊΠΎΠΌΠΏΡΠ΅ΡΡΠΈΠΎΠ½Π½ΡΠΉ ΠΏΠ΅ΡΠ΅Π»ΠΎΠΌ ΠΏΠΎΠ·Π²ΠΎΠ½ΠΎΡΠ½ΠΈΠΊΠ° Ρ ΡΠΎΠΏΡΡΡΡΠ²ΡΡΡΠΈΠΌ Π΄Π°Π²Π»Π΅Π½ΠΈΠ΅ΠΌ Π½Π° Π½Π΅ΡΠ²Π½ΡΠ΅ ΠΎΠΊΠΎΠ½ΡΠ°Π½ΠΈΡ ΡΡΠ°Π½ΠΎΠ²ΠΈΡΡΡ ΠΏΡΠΈΡΠΈΠ½ΠΎΠΉ ΡΠ°ΠΊΠΈΡ Π·Π°Π±ΠΎΠ»Π΅Π²Π°Π½ΠΈΠΉ, ΠΊΠ°ΠΊ ΡΠ°Π΄ΠΈΠΊΡΠ»ΠΈΡ, ΠΎΡΡΠ΅ΠΎΡ ΠΎΠ½Π΄ΡΠΎΠ·. ΠΡΡΡΡΡΡΠ²ΠΈΠ΅ Π³ΡΠ°ΠΌΠΎΡΠ½ΡΡ , ΡΠ²ΠΎΠ΅Π²ΡΠ΅ΠΌΠ΅Π½Π½ΠΎ ΠΏΡΠΎΠ²Π΅Π΄Π΅Π½Π½ΡΡ ΡΠ΅ΡΠ°ΠΏΠ΅Π²ΡΠΈΡΠ΅ΡΠΊΠΈΡ ΠΌΠ΅ΡΠΎΠΏΡΠΈΡΡΠΈΠΉ ΠΏΡΠΈΠ²ΠΎΠ΄ΠΈΡ ΠΊ ΠΊΠΈΡΠΎΡΠΈΡΠ΅ΡΠΊΠΎΠΉ Π΄Π΅ΡΠΎΡΠΌΠ°ΡΠΈΠΈ ΠΏΠΎΠ·Π²ΠΎΠ½ΠΎΡΠ½ΠΎΠ³ΠΎ ΡΡΠΎΠ»Π±Π° ΠΈ ΡΠΎΡΠΌΠΈΡΠΎΠ²Π°Π½ΠΈΡ Π³ΠΎΡΠ±Π°, ΡΡΠΎ Π³ΡΠΎΠ·ΠΈΡ ΠΈΠ½Π²Π°Π»ΠΈΠ΄Π½ΠΎΡΡΡΡ Π±ΠΎΠ»ΡΠ½ΠΎΠ³ΠΎ! ΠΡΠ»ΠΈ Π΄ΠΈΠ°Π³Π½ΠΎΡΡΠΈΡΠΎΠ²Π°Π½ ΠΎΡΠΊΠΎΠ»ΠΎΡΠ½ΡΠΉ ΠΏΠ΅ΡΠ΅Π»ΠΎΠΌ ΠΏΠΎΠ·Π²ΠΎΠ½ΠΊΠ°, Π΅Π³ΠΎ ΠΏΠΎΡΠ»Π΅Π΄ΡΡΠ²ΠΈΡ ΡΡΠ΅Π·Π²ΡΡΠ°ΠΉΠ½ΠΎ ΠΎΠΏΠ°ΡΠ½Ρ, Π² ΠΎΡΠΎΠ±Π΅Π½Π½ΠΎΡΡΠΈ Π΄Π»Ρ Π»ΠΈΡ ΠΏΡΠ΅ΠΊΠ»ΠΎΠ½Π½ΠΎΠ³ΠΎ Π²ΠΎΠ·ΡΠ°ΡΡΠ°. ΠΠ°Π½Π½Π°Ρ ΡΡΠ°Π²ΠΌΠ° ΠΌΠΎΠΆΠ΅Ρ ΡΠΏΡΠΎΠ²ΠΎΡΠΈΡΠΎΠ²Π°ΡΡ ΠΏΠΎΠ²ΡΠ΅ΠΆΠ΄Π΅Π½ΠΈΡ Π½Π΅ΡΠ²Π½ΡΡ ΠΎΠΊΠΎΠ½ΡΠ°Π½ΠΈΠΉ, ΡΠ°Π·Π²ΠΈΡΠΈΠ΅ ΠΏΠ°ΡΠ΅Π·ΠΎΠ², ΠΏΠ°ΡΠ°Π»ΠΈΡΠ΅ΠΉ.

Π ΡΠ»ΡΡΠ°Π΅ ΡΡΠΆΠ΅Π½ΠΈΡ ΠΏΠΎΠ·Π²ΠΎΠ½ΠΎΡΠ½ΠΎΠ³ΠΎ ΠΊΠ°Π½Π°Π»Π°, Π²ΠΎΠ·ΠΌΠΎΠΆΠ½ΠΎ ΡΠ°Π·Π²ΠΈΡΠΈΠ΅ ΠΊΠΎΠΌΠΏΡΠ΅ΡΡΠΈΠΎΠ½Π½ΠΎΠΉ ΠΌΠΈΠ΅Π»ΠΎΠΏΠ°ΡΠΈΠΈ, ΡΡΡΡΠ°Π½ΠΈΡΡ ΠΊΠΎΡΠΎΡΡΡ ΡΠ΄Π°Π΅ΡΡΡ ΠΈΡΠΊΠ»ΡΡΠΈΡΠ΅Π»ΡΠ½ΠΎ ΠΏΡΡΠ΅ΠΌ Ρ ΠΈΡΡΡΠ³ΠΈΡΠ΅ΡΠΊΠΎΠ³ΠΎ Π²ΠΌΠ΅ΡΠ°ΡΠ΅Π»ΡΡΡΠ²Π°. ΠΠ΄Π½Π°ΠΊΠΎ, ΡΠ²ΠΎΠ΅Π²ΡΠ΅ΠΌΠ΅Π½Π½ΠΎΠ΅, Π³ΡΠ°ΠΌΠΎΡΠ½ΠΎΠ΅ Π»Π΅ΡΠ΅Π½ΠΈΠ΅ ΠΊΠΎΠΌΠΏΡΠ΅ΡΡΠΈΠΎΠ½Π½ΠΎΠ³ΠΎ ΠΏΠ΅ΡΠ΅Π»ΠΎΠΌΠ° ΠΏΠΎΠ·Π²ΠΎΠ½ΠΎΡΠ½ΠΈΠΊΠ° ΠΏΠΎΠ·Π²ΠΎΠ»ΡΠ΅Ρ ΠΈΠ·Π±Π΅ΠΆΠ°ΡΡ ΡΠ°Π·Π²ΠΈΡΠΈΡ ΡΡΠΎΠ»Ρ Π½Π΅ΠΆΠ΅Π»Π°ΡΠ΅Π»ΡΠ½ΡΡ ΠΎΡΠ»ΠΎΠΆΠ½Π΅Π½ΠΈΠΉ, Π΄ΠΎΠ±ΠΈΡΡΡΡ ΠΏΠΎΠ»Π½ΠΎΡΠ΅Π½Π½ΠΎΠ³ΠΎ Π²ΠΎΡΡΡΠ°Π½ΠΎΠ²Π»Π΅Π½ΠΈΡ!
ΠΠ°ΠΊ ΠΏΠΎΠΌΠΎΡΡ?
ΠΠΎΠ»ΡΠ½ΡΠΌ Ρ Π²ΠΎΠ·ΠΌΠΎΠΆΠ½ΡΠΌ ΠΊΠΎΠΌΠΏΡΠ΅ΡΡΠΈΠΎΠ½Π½ΡΠΌ ΠΏΠ΅ΡΠ΅Π»ΠΎΠΌΠΎΠΌ ΠΏΠΎΠ·Π²ΠΎΠ½ΠΎΡΠ½ΠΎΠ³ΠΎ ΡΡΠΎΠ»Π±Π° Π½ΡΠΆΠ½ΠΎ ΠΎΠΊΠ°Π·Π°ΡΡ ΠΏΡΠ°Π²ΠΈΠ»ΡΠ½ΡΡ Π΄ΠΎΠ²ΡΠ°ΡΠ΅Π±Π½ΡΡ ΠΏΠΎΠΌΠΎΡΡ. ΠΠ΅ΡΠ²ΡΠΌ Π΄Π΅Π»ΠΎΠΌ ΡΠ΅Π»ΠΎΠ²Π΅ΠΊΠ° ΡΠ»Π΅Π΄ΡΠ΅Ρ ΡΠ»ΠΎΠΆΠΈΡΡ Π½Π° ΡΠΏΠΈΠ½Ρ, ΠΎΠ±ΡΠ·Π°ΡΠ΅Π»ΡΠ½ΠΎ Π½Π° ΡΠΎΠ²Π½ΡΡ ΠΈ ΡΠ²Π΅ΡΠ΄ΡΡ ΠΏΠΎΠ²Π΅ΡΡ Π½ΠΎΡΡΡ, ΠΏΠΎΠΌΠ΅ΡΡΠΈΠ² ΠΏΠΎΠ΄ ΡΡΠ°Π²ΠΌΠΈΡΠΎΠ²Π°Π½Π½ΡΠΉ ΡΡΠ°ΡΡΠΎΠΊ ΡΠΊΠ°Π½Π΅Π²ΠΎΠΉ Π²Π°Π»ΠΈΠΊ ΠΈΠ»ΠΈ ΠΏΠΎΠ΄ΡΡΠΊΡ.
ΠΠΎΡΠ»Π΅ ΡΡΠΎΠ³ΠΎ Π½Π΅ΠΎΠ±Ρ ΠΎΠ΄ΠΈΠΌΠΎ Π²ΡΠ·Π²Π°ΡΡ ΠΌΠ΅Π΄ΠΈΠΊΠΎΠ² ΠΈΠ»ΠΈ ΠΊΠ°ΠΊ ΠΌΠΎΠΆΠ½ΠΎ Π±ΡΡΡΡΠ΅Π΅ Π΄ΠΎΡΡΠ°Π²ΠΈΡΡ Π±ΠΎΠ»ΡΠ½ΠΎΠ³ΠΎ Π² ΡΡΠ°Π²ΠΌΠ°ΡΠΎΠ»ΠΎΠ³ΠΈΡΠ΅ΡΠΊΠΎΠ΅ ΠΎΡΠ΄Π΅Π»Π΅Π½ΠΈΠ΅, Π³Π΄Π΅ ΠΈΠΌ ΡΠΌΠΎΠ³ΡΡ Π·Π°Π½ΡΡΡΡΡ ΠΊΠ²Π°Π»ΠΈΡΠΈΡΠΈΡΠΎΠ²Π°Π½Π½ΡΠ΅ ΡΠΏΠ΅ΡΠΈΠ°Π»ΠΈΡΡΡ.
ΠΠ°ΠΊ Π»Π΅ΡΠΈΡΡ ΠΊΠΎΠΌΠΏΡΠ΅ΡΡΠΈΠΎΠ½Π½ΡΠΉ ΠΏΠ΅ΡΠ΅Π»ΠΎΠΌ ΠΏΠΎΠ·Π²ΠΎΠ½ΠΎΡΠ½ΠΈΠΊΠ°?
ΠΠ΅ΡΠ΅Π½ΠΈΠ΅ΠΌ Π΄Π°Π½Π½ΠΎΠ³ΠΎ Π²ΠΈΠ΄Π° ΡΡΠ°Π²ΠΌΠ°ΡΠΈΡΠ΅ΡΠΊΠΈΡ ΠΏΠΎΠ²ΡΠ΅ΠΆΠ΄Π΅Π½ΠΈΠΉ Π·Π°Π½ΠΈΠΌΠ°ΡΡΡΡ Π²ΡΠ°ΡΠΈ-ΡΡΠ°Π²ΠΌΠ°ΡΠΎΠ»ΠΎΠ³ΠΈ ΠΈ Ρ ΠΈΡΡΡΠ³ΠΈ. Π’Π΅ΡΠ°ΠΏΠΈΡ ΠΏΡΠΎΠ²ΠΎΠ΄ΠΈΡΡΡ ΠΊΠΎΠΌΠΏΠ»Π΅ΠΊΡΠ½ΠΎ ΠΈ Π·Π°Π½ΠΈΠΌΠ°Π΅Ρ Π΄ΠΎΡΡΠ°ΡΠΎΡΠ½ΠΎ Π΄Π»ΠΈΡΠ΅Π»ΡΠ½ΡΠΉ Π²ΡΠ΅ΠΌΠ΅Π½Π½ΠΎΠΉ ΠΏΠ΅ΡΠΈΠΎΠ΄. ΠΠ΅ΠΎΡΠ»ΠΎΠΆΠ½ΡΠ½Π½ΡΠΉ ΡΠΈΠΏ ΠΏΠ΅ΡΠ΅Π»ΠΎΠΌΠ° Π»Π΅ΡΠΈΡΡΡ ΠΌΠ΅ΡΠΎΠ΄Π°ΠΌΠΈ ΠΊΠΎΠ½ΡΠ΅ΡΠ²Π°ΡΠΈΠ²Π½ΠΎΠΉ ΡΠ΅ΡΠ°ΠΏΠΈΠΈ. ΠΠΎΠ»ΡΠ½ΡΠΌ Π½Π°Π·Π½Π°ΡΠ°ΡΡΡΡ ΠΎΠ±Π΅Π·Π±ΠΎΠ»ΠΈΠ²Π°ΡΡΠΈΠ΅ Π»Π΅ΠΊΠ°ΡΡΡΠ²Π°, Π²ΠΈΡΠ°ΠΌΠΈΠ½Π½ΠΎ-ΠΌΠΈΠ½Π΅ΡΠ°Π»ΡΠ½ΡΠ΅ ΠΊΠΎΠΌΠΏΠ»Π΅ΠΊΡΡ, ΠΊΠ°Π»ΡΡΠΈΠ΅Π²ΡΠ΅ ΠΏΡΠ΅ΠΏΠ°ΡΠ°ΡΡ ΠΈ Ρ ΠΎΠ½Π΄ΡΠΎΠΏΡΠΎΡΠ΅ΠΊΡΠΎΡΡ.
ΠΠ° ΠΏΡΠΎΡΡΠΆΠ΅Π½ΠΈΠΈ, ΠΊΠ°ΠΊ ΠΌΠΈΠ½ΠΈΠΌΡΠΌ, ΠΌΠ΅ΡΡΡΠ°, ΠΏΠ°ΡΠΈΠ΅Π½ΡΡ Π»Π΅ΠΆΠ°Ρ Π½Π° ΡΠΏΠ΅ΡΠΈΠ°Π»ΡΠ½ΠΎΠΉ ΠΆΠ΅ΡΡΠΊΠΎΠΉ ΠΎΡΡΠΎΠΏΠ΅Π΄ΠΈΡΠ΅ΡΠΊΠΎΠΉ ΠΊΡΠΎΠ²Π°ΡΠΈ ΡΠΎ ΡΠΊΠΎΡΡΠ΅ΠΊΡΠΈΡΠΎΠ²Π°Π½Π½ΡΠΌ ΡΠ³Π»ΠΎΠΌ Π½Π°ΠΊΠ»ΠΎΠ½Π°. Π‘ΠΊΠΎΠ»ΡΠΊΠΎ Π΄Π»ΠΈΡΡΡ ΡΠ΅ΡΠ°ΠΏΠ΅Π²ΡΠΈΡΠ΅ΡΠΊΠΈΠΉ ΠΊΡΡΡ, Π·Π°Π²ΠΈΡΠΈΡ ΠΎΡ ΡΡΠ΅ΠΏΠ΅Π½ΠΈ ΡΡΠΆΠ΅ΡΡΠΈ ΡΡΠ°Π²ΠΌΡ, Π²ΠΎΠ·ΡΠ°ΡΡΠ° ΠΈ ΠΈΠ½Π΄ΠΈΠ²ΠΈΠ΄ΡΠ°Π»ΡΠ½ΡΡ ΠΎΡΠΎΠ±Π΅Π½Π½ΠΎΡΡΠ΅ΠΉ Π±ΠΎΠ»ΡΠ½ΠΎΠ³ΠΎ. Π ΠΎΡΠ½ΠΎΠ²Π½ΠΎΠΌ, ΡΡΡΠ΄ΠΎΡΠΏΠΎΡΠΎΠ±Π½ΠΎΡΡΡ ΠΏΠ°ΡΠΈΠ΅Π½ΡΠΎΠ² ΠΌΠΎΠΆΠ΅Ρ Π²ΠΎΡΡΡΠ°Π½Π°Π²Π»ΠΈΠ²Π°ΡΡΡΡ ΠΏΠΎ ΠΈΡΡΠ΅ΡΠ΅Π½ΠΈΠΈ ΠΏΠΎΠ»ΡΠ³ΠΎΠ΄ΠΎΠ²Π°Π»ΠΎΠ³ΠΎ ΡΡΠΎΠΊΠ°.

ΠΡΠΈ Π»Π΅Π³ΠΊΠΈΡ ΡΡΠ°Π²ΠΌΠ°ΡΠΈΡΠ΅ΡΠΊΠΈΡ ΠΏΠΎΠ²ΡΠ΅ΠΆΠ΄Π΅Π½ΠΈΡΡ Π±Π΅Π· ΡΠΎΠΏΡΡΡΡΠ²ΡΡΡΠΈΡ ΠΎΡΠ»ΠΎΠΆΠ½Π΅Π½ΠΈΠΉ Π²ΠΎΠ·ΠΌΠΎΠΆΠ½ΠΎ Π»Π΅ΡΠ΅Π½ΠΈΠ΅ Π² Π΄ΠΎΠΌΠ°ΡΠ½ΠΈΡ ΡΡΠ»ΠΎΠ²ΠΈΡΡ , ΠΏΡΠΈ ΡΡΡΠΎΠ³ΠΎΠΌ ΡΠΎΠ±Π»ΡΠ΄Π΅Π½ΠΈΠΈ Π²ΡΠ΅Ρ ΡΠ΅ΠΊΠΎΠΌΠ΅Π½Π΄Π°ΡΠΈΠΉ, ΠΏΡΠ΅Π΄ΠΏΠΈΡΠ°Π½Π½ΡΡ Π»Π΅ΡΠ°ΡΠΈΠΌ Π²ΡΠ°ΡΠΎΠΌ. ΠΡΠΈ ΠΎΡΠ»ΠΎΠΆΠ½Π΅Π½Π½ΡΡ ΠΊΠ»ΠΈΠ½ΠΈΡΠ΅ΡΠΊΠΈΡ ΡΠ»ΡΡΠ°ΡΡ Π½Π΅ΠΎΠ±Ρ ΠΎΠ΄ΠΈΠΌΠΎ Ρ ΠΈΡΡΡΠ³ΠΈΡΠ΅ΡΠΊΠΎΠ΅ Π²ΠΌΠ΅ΡΠ°ΡΠ΅Π»ΡΡΡΠ²ΠΎ. Π‘ΠΎΠ²ΡΠ΅ΠΌΠ΅Π½Π½ΡΠ΅ ΡΠΏΠ΅ΡΠΈΠ°Π»ΠΈΡΡΡ ΠΏΡΠΈΠΌΠ΅Π½ΡΡΡ Π΄Π»Ρ ΡΡΠΈΡ ΡΠ΅Π»Π΅ΠΉ ΡΠ»Π΅Π΄ΡΡΡΠΈΠ΅ ΠΌΠ°Π»ΠΎΠΈΠ½Π²Π°Π·ΠΈΠ²Π½ΡΠ΅ ΠΌΠ΅ΡΠΎΠ΄ΠΈΠΊΠΈ:
- ΠΠ΅ΡΡΠ΅Π±ΡΠΎΠΏΠ»Π°ΡΡΠΈΠΊΠ° β Π² Ρ ΠΎΠ΄Π΅ Π΄Π°Π½Π½ΠΎΠΉ ΠΏΡΠΎΡΠ΅Π΄ΡΡΡ ΡΠ΅ΡΠ΅Π· ΠΌΠ°Π»Π΅Π½ΡΠΊΠΈΠΉ ΡΠ°Π·ΡΠ΅Π· Π² ΠΏΠΎΠ²ΡΠ΅ΠΆΠ΄Π΅Π½Π½ΡΠΉ ΠΏΠΎΠ·Π²ΠΎΠ½ΠΎΠΊ ΠΏΠ°ΡΠΈΠ΅Π½ΡΠ° Π²Π²ΠΎΠ΄ΡΡ ΠΌΠ΅Π΄ΠΈΡΠΈΠ½ΡΠΊΠΈΠΉ ΡΠ΅ΠΌΠ΅Π½Ρ, Ρ ΡΠ΅Π»ΡΡ ΡΠΊΡΠ΅ΠΏΠ»Π΅Π½ΠΈΡ ΠΈ ΠΏΡΠ΅Π΄ΠΎΡΠ²ΡΠ°ΡΠ΅Π½ΠΈΡ Π΄Π°Π»ΡΠ½Π΅ΠΉΡΠ΅Π³ΠΎ ΡΠ°Π·ΡΡΡΠ΅Π½ΠΈΡ.
- ΠΠΈΡΠΎΠΏΠ»Π°ΡΡΠΈΠΊΠ° β ΡΡΡΠ΅ΠΊΡΠΈΠ²Π½Π°Ρ, ΠΌΠ°Π»ΠΎΠΈΠ½Π²Π°Π·ΠΈΠ²Π½Π°Ρ ΠΏΡΠΎΡΠ΅Π΄ΡΡΠ°. Π Ρ ΠΎΠ΄Π΅ Π΄Π°Π½Π½ΠΎΠΉ ΠΎΠΏΠ΅ΡΠ°ΡΠΈΠΈ Ρ ΠΈΡΡΡΠ³ Π΄Π΅Π»Π°Π΅Ρ Π½Π΅ΡΠΊΠΎΠ»ΡΠΊΠΎ Π½Π΅Π±ΠΎΠ»ΡΡΠΈΡ Π½Π°Π΄ΡΠ΅Π·ΠΎΠ². ΠΠΎΡΠ»Π΅ ΡΠ΅Π³ΠΎ Π² ΠΏΠΎΠ²ΡΠ΅ΠΆΠ΄Π΅Π½ΠΈΠ΅ ΠΏΠΎΠ·Π²ΠΎΠ½ΠΊΠΈ Π²Π²ΠΎΠ΄ΡΡΡΡ ΡΠΏΠ΅ΡΠΈΠ°Π»ΡΠ½ΡΠ΅ ΠΊΠ°ΠΌΠ΅ΡΡ. ΠΠ° ΡΠ»Π΅Π΄ΡΡΡΠ΅ΠΌ ΡΡΠ°ΠΏΠ΅ Ρ ΠΈΡΡΡΠ³ΠΈΡΠ΅ΡΠΊΠΎΠ³ΠΎ Π²ΠΌΠ΅ΡΠ°ΡΠ΅Π»ΡΡΡΠ²Π° ΡΡΠΈ ΠΊΠ°ΠΌΠ΅ΡΡ Π½Π°Π΄ΡΠ²Π°ΡΡΡΡ, ΡΡΠΎ ΠΏΠΎΠ·Π²ΠΎΠ»ΡΠ΅Ρ Π½ΠΎΡΠΌΠ°Π»ΠΈΠ·ΠΎΠ²Π°ΡΡ Π²ΡΡΠΎΡΡ ΡΡΠ°Π²ΠΌΠΈΡΠΎΠ²Π°Π½Π½ΠΎΠ³ΠΎ ΡΡΠ°Π³ΠΌΠ΅Π½ΡΠ° ΠΏΠΎΠ·Π²ΠΎΠ½ΠΎΡΠ½ΠΎΠ³ΠΎ ΡΡΠΎΠ»Π±Π°, ΠΏΠΎΡΠ»Π΅ ΡΠ΅Π³ΠΎ ΠΏΡΠΎΠ²ΠΎΠ΄ΠΈΡΡΡ Π·Π°ΠΊΡΠ΅ΠΏΠ»Π΅Π½ΠΈΠ΅ Ρ ΠΏΠΎΠΌΠΎΡΡΡ ΠΌΠ΅Π΄ΠΈΡΠΈΠ½ΡΠΊΠΎΠ³ΠΎ ΡΠ΅ΠΌΠ΅Π½ΡΠ°.
- ΠΠΌΠΏΠ»Π°Π½ΡΠ°ΡΠΈΡ ΠΈΡΠΊΡΡΡΡΠ²Π΅Π½Π½ΡΠΌΠΈ ΠΊΠΎΡΡΠ½ΡΠΌΠΈ ΡΡΠ°Π½ΡΠΏΠ»Π°Π½ΡΠ°ΡΠ°ΠΌΠΈ ΠΏΡΠΈΠΌΠ΅Π½ΡΠ΅ΡΡΡ Π² ΠΎΡΠΎΠ±Π΅Π½Π½ΠΎ ΡΠ»ΠΎΠΆΠ½ΡΡ ΡΠ»ΡΡΠ°ΡΡ ΠΏΡΠΈ ΠΎΡΡΡΡΡΡΠ²ΠΈΠΈ Π²ΠΎΠ·ΠΌΠΎΠΆΠ½ΠΎΡΡΠΈ Π²ΠΎΡΡΡΠ°Π½ΠΎΠ²Π»Π΅Π½ΠΈΡ ΡΠ»ΠΎΠΌΠ°Π½Π½ΠΎΠ³ΠΎ ΠΏΠΎΠ·Π²ΠΎΠ½ΠΊΠ°. ΠΠΌΠΏΠ»Π°Π½ΡΡ ΡΠΈΠΊΡΠΈΡΡΡΡΡΡ ΠΏΡΠΈ ΠΏΠΎΠΌΠΎΡΠΈ ΡΠΏΠ΅ΡΠΈΠ°Π»ΡΠ½ΡΡ ΡΡΠ°Π±ΠΈΠ»ΠΈΠ·ΠΈΡΡΡΡΠΈΡ ΡΠΈΡΡΠ΅ΠΌ.
ΠΡΠΈ Π½Π°Π»ΠΈΡΠΈΠΈ ΡΠΎΠΏΡΡΡΡΠ²ΡΡΡΠΈΡ ΠΏΠΎΠ²ΡΠ΅ΠΆΠ΄Π΅Π½ΠΈΠΉ ΡΠΏΠΈΠ½Π½ΠΎΠ³ΠΎ ΠΌΠΎΠ·Π³Π° ΠΈΠ»ΠΈ ΠΆΠ΅ Π½Π΅ΡΠ²Π½ΡΡ ΠΎΠΊΠΎΠ½ΡΠ°Π½ΠΈΠΉ Ρ ΠΈΡΡΡΠ³ΠΈΡΠ΅ΡΠΊΠΎΠ΅ Π²ΠΌΠ΅ΡΠ°ΡΠ΅Π»ΡΡΡΠ²ΠΎ ΠΏΡΠΎΠ²ΠΎΠ΄ΠΈΡΡΡ ΠΎΡΠΊΡΡΡΡΠΌ, ΠΏΠΎΠ»ΠΎΡΡΠ½ΡΠΌ ΡΠΏΠΎΡΠΎΠ±ΠΎΠΌ. ΠΡΠ»ΠΈ ΠΏΡΠΈΡΡΡΡΡΠ²ΡΠ΅Ρ ΠΎΡΠΊΡΡΡΡΠΉ ΡΠΈΠΏ ΡΡΠ°Π²ΠΌΡ, ΡΠΎ Π΅Π΅ ΡΠ»Π΅Π΄ΡΠ΅Ρ Π·Π°ΠΊΡΡΡΡ, ΠΏΡΡΠ΅ΠΌ Ρ ΠΈΡΡΡΠ³ΠΈΡΠ΅ΡΠΊΠΎΠΉ ΡΠ°Π½Π°ΡΠΈΠΈ ΠΈ Π½Π°Π»ΠΎΠΆΠ΅Π½ΠΈΡ ΡΠ²ΠΎΠ².
ΠΡΠΈ ΠΊΠΎΠΌΠΏΡΠ΅ΡΡΠΈΠΎΠ½Π½ΠΎΠΌ ΠΏΠ΅ΡΠ΅Π»ΠΎΠΌΠ΅ ΠΏΠΎΠ·Π²ΠΎΠ½ΠΎΡΠ½ΠΈΠΊΠ° Ρ ΠΏΠΎΠΆΠΈΠ»ΡΡ Π»ΡΠ΄Π΅ΠΉ Π»Π΅ΡΠ΅Π½ΠΈΠ΅ Ρ ΠΈΡΡΡΠ³ΠΈΡΠ΅ΡΠΊΠΈΠΌ ΠΏΡΡΠ΅ΠΌ ΠΏΡΠ°ΠΊΡΠΈΠΊΡΡΡΡΡ ΠΊΡΠ°ΠΉΠ½Π΅ ΡΠ΅Π΄ΠΊΠΎ, ΠΏΡΠΈ Π½Π°Π»ΠΈΡΠΈΠΈ ΠΈΡΠΊΠ»ΡΡΠΈΡΠ΅Π»ΡΠ½ΡΡ ΠΌΠ΅Π΄ΠΈΡΠΈΠ½ΡΠΊΠΈΡ ΠΏΠΎΠΊΠ°Π·Π°Π½ΠΈΠΉ.
ΠΡΠΎ ΠΎΠ±ΡΡΠ»ΠΎΠ²Π»Π΅Π½ΠΎ ΡΠ°ΡΡΡΠΌΠΈ ΡΠ»ΡΡΠ°ΡΠΌΠΈ ΡΠ°Π·Π²ΠΈΡΠΈΡ ΠΏΠΎΡΡΠΎΠΏΠ΅ΡΠ°ΡΠΈΠΎΠ½Π½ΡΡ ΠΎΡΠ»ΠΎΠΆΠ½Π΅Π½ΠΈΠΉ Ρ Π±ΠΎΠ»ΡΠ½ΡΡ ΠΏΡΠ΅ΠΊΠ»ΠΎΠ½Π½ΠΎΠ³ΠΎ Π²ΠΎΠ·ΡΠ°ΡΡΠ° Π² ΡΠ΅Π·ΡΠ»ΡΡΠ°ΡΠ΅ Π½Π°Π»ΠΈΡΠΈΡ ΡΠ΅ΡΠ΄Π΅ΡΠ½ΠΎ-ΡΠΎΡΡΠ΄ΠΈΡΡΡΡ Π·Π°Π±ΠΎΠ»Π΅Π²Π°Π½ΠΈΠΉ, ΠΏΡΠΎΡΠ΅ΠΊΠ°ΡΡΠΈΡ Π² Ρ ΡΠΎΠ½ΠΈΡΠ΅ΡΠΊΠΎΠΉ ΡΠΎΡΠΌΠ΅, Π° ΡΠ°ΠΊΠΆΠ΅ ΡΠ½ΠΈΠΆΠ΅Π½ΠΈΠ΅ΠΌ ΡΡΠΎΡΠΈΠΊΠΈ ΠΏΠΎΠ·Π²ΠΎΠ½ΠΎΡΠ½ΠΎΠ³ΠΎ ΡΡΠΎΠ»Π±Π°. ΠΡΠ°ΡΠΈ ΠΌΠΎΠ³ΡΡ ΡΠ°Π·ΡΠ΅ΡΠ°ΡΡ ΠΏΡΠΎΠ²Π΅Π΄Π΅Π½ΠΈΠ΅ ΠΎΠΏΠ΅ΡΠ°ΡΠΈΠΉ Π΄Π°Π½Π½ΠΎΠΉ ΠΊΠ°ΡΠ΅Π³ΠΎΡΠΈΠΈ Π±ΠΎΠ»ΡΠ½ΡΡ ΠΏΡΠΈ Π½Π°Π»ΠΈΡΠΈΠΈ Π½Π΅ΡΡΠ°Π±ΠΈΠ»ΡΠ½ΠΎΠ³ΠΎ ΠΏΠ΅ΡΠ΅Π»ΠΎΠΌΠ° ΠΈΠ»ΠΈ ΠΆΠ΅ Π² ΡΠ»ΡΡΠ°Π΅ Π½Π΅ΠΊΠΎΠΌΠΏΠ΅Π½ΡΠΈΡΠΎΠ²Π°Π½Π½ΠΎΠΉ ΠΊΠΎΠΌΠΏΡΠ΅ΡΡΠΈΠΈ ΡΠΏΠΈΠ½Π½ΠΎΠ³ΠΎ ΠΌΠΎΠ·Π³Π°.

ΠΡΠΎΠ±Π΅Π½Π½ΠΎΡΡΠΈ ΡΠ΅Π°Π±ΠΈΠ»ΠΈΡΠ°ΡΠΈΠΎΠ½Π½ΠΎΠ³ΠΎ ΠΏΠ΅ΡΠΈΠΎΠ΄Π°
Π Π΅Π°Π±ΠΈΠ»ΠΈΡΠ°ΡΠΈΡ ΠΏΠΎΡΠ»Π΅ ΠΊΠΎΠΌΠΏΡΠ΅ΡΡΠΈΠΎΠ½Π½ΠΎΠ³ΠΎ ΠΏΠ΅ΡΠ΅Π»ΠΎΠΌΠ° ΠΏΠΎΠ·Π²ΠΎΠ½ΠΎΡΠ½ΠΈΠΊΠ° β ΠΊΠΎΠΌΠΏΠ»Π΅ΠΊΡΠ½ΡΠΉ ΠΈ Π΄ΠΎΠ²ΠΎΠ»ΡΠ½ΠΎ Π΄Π»ΠΈΡΠ΅Π»ΡΠ½ΡΠΉ ΠΏΡΠΎΡΠ΅ΡΡ. ΠΠ°ΡΠΈΠ΅Π½ΡΠ°ΠΌ ΡΠ΅ΠΊΠΎΠΌΠ΅Π½Π΄ΡΠ΅ΡΡΡ Π·Π°Π½ΠΈΠΌΠ°ΡΡΡΡ Π»Π΅ΡΠ΅Π±Π½ΠΎΠΉ Π³ΠΈΠΌΠ½Π°ΡΡΠΈΠΊΠΎΠΉ. ΠΡΠ΅Π½Ρ ΠΏΠΎΠ»ΠΎΠΆΠΈΡΠ΅Π»ΡΠ½ΡΠΉ ΡΡΡΠ΅ΠΊΡ Π΄Π°Π΅Ρ Π±Π°Π½Ρ, ΠΏΠΎΡΠ΅ΡΠ΅Π½ΠΈΠ΅ Π±Π°ΡΡΠ΅ΠΉΠ½Π°. ΠΠ΅ΡΠ΅Π±Π½Π°Ρ ΡΠΈΠ·ΠΊΡΠ»ΡΡΡΡΠ° ΡΠΏΠΎΡΠΎΠ±ΡΡΠ²ΡΠ΅Ρ Π²ΠΎΡΡΡΠ°Π½ΠΎΠ²Π»Π΅Π½ΠΈΡ Π³ΠΈΠ±ΠΊΠΎΡΡΠΈ ΠΈ Π΄Π²ΠΈΠ³Π°ΡΠ΅Π»ΡΠ½ΠΎΠΉ Π°ΠΊΡΠΈΠ²Π½ΠΎΡΡΠΈ ΠΏΠΎΠ·Π²ΠΎΠ½ΠΎΡΠ½ΠΎΠ³ΠΎ ΡΡΠΎΠ»Π±Π°, ΠΊΠΎΡΡΠ΅ΠΊΡΠΈΠΈ ΠΎΡΠ°Π½ΠΊΠΈ, ΡΠΊΡΠ΅ΠΏΠ»Π΅Π½ΠΈΡ ΡΠΏΠΈΠ½Π½ΡΡ ΠΌΡΡΠ΅ΡΠ½ΡΡ Π³ΡΡΠΏΠΏ.
ΠΡΠΈ ΠΏΠΎΠ²ΡΠ΅ΠΆΠ΄Π΅Π½ΠΈΡΡ Π³ΡΡΠ΄Π½ΠΎΠ³ΠΎ ΠΎΡΠ΄Π΅Π»Π° ΠΌΠΎΠΆΠ΅Ρ Π±ΡΡΡ ΠΏΠΎΠΊΠ°Π·Π°Π½Π° ΠΈ Π΄ΡΡ Π°ΡΠ΅Π»ΡΠ½Π°Ρ Π³ΠΈΠΌΠ½Π°ΡΡΠΈΠΊΠ°. ΠΠ°Π·Π½Π°ΡΠ°ΡΡΡΡ Π±ΠΎΠ»ΡΠ½ΡΠΌ Π² ΠΏΠ΅ΡΠΈΠΎΠ΄ Π²ΠΎΡΡΡΠ°Π½ΠΎΠ²Π»Π΅Π½ΠΈΡ ΠΈ ΡΠ»Π΅Π΄ΡΡΡΠΈΠ΅ ΡΠΈΠ·ΠΈΠΎΡΠ΅ΡΠ°ΠΏΠ΅Π²ΡΠΈΡΠ΅ΡΠΊΠΈΠ΅ ΠΏΡΠΎΡΠ΅Π΄ΡΡΡ:
- ΠΠ»Π΅ΠΊΡΡΠΎΡΠΎΡΠ΅Π· Ρ ΠΏΡΠΈΠΌΠ΅Π½Π΅Π½ΠΈΠ΅ΠΌ ΠΏΡΠ΅ΠΏΠ°ΡΠ°ΡΠΎΠ² ΠΊΠ°Π»ΡΡΠΈΡ;
- Π£ΠΠ§-ΡΠ΅ΡΠ°ΠΏΠΈΡ;
- Π£Π»ΡΡΡΠ°Π·Π²ΡΠΊΠΎΠ²Π°Ρ ΡΠ΅ΡΠ°ΠΏΠΈΡ;
- Π£Π€Π;
- ΠΠΈΠΊΡΠΎΡΠΎΠΊΠΎΠ²Π°Ρ ΡΠ΅ΡΠ°ΠΏΠΈΡ;
- ΠΡΠΈΠΎΡΠ΅ΡΠ°ΠΏΠΈΡ;
- ΠΠ»Π΅ΠΊΡΡΠΈΡΠ΅ΡΠΊΠ°Ρ ΡΡΠΈΠΌΡΠ»ΡΡΠΈΡ;
- ΠΠ°ΡΠ°ΡΠΈΠ½ΠΎΠ²ΡΠ΅ ΠΎΠ±Π΅ΡΡΡΠ²Π°Π½ΠΈΡ.
ΠΠ°Π½ΠΈΠΌΠ°ΡΡΡΡ Π³ΠΈΠΌΠ½Π°ΡΡΠΈΠΊΠΎΠΉ ΠΈ ΡΠΈΠ·ΠΈΠΎΡΠ΅ΡΠ°ΠΏΠΈΠ΅ΠΉ, Π² Π±ΠΎΠ»ΡΡΠΈΠ½ΡΡΠ²Π΅ ΡΠ»ΡΡΠ°Π΅Π², Π±ΠΎΠ»ΡΠ½ΡΠ΅ Π½Π°ΡΠΈΠ½Π°ΡΡ ΠΏΡΠΈΠ±Π»ΠΈΠ·ΠΈΡΠ΅Π»ΡΠ½ΠΎ ΡΠ΅ΡΠ΅Π· 1,5-2 ΠΌΠ΅ΡΡΡΠ° Ρ ΠΌΠΎΠΌΠ΅Π½ΡΠ° ΠΏΠΎΠ»ΡΡΠ΅Π½ΠΈΡ ΡΡΠ°Π²ΠΌΡ.

ΠΠ° ΡΠ°Π½Π½ΠΈΡ ΡΡΠΎΠΊΠ°Ρ Π»Π΅ΡΠ΅Π½ΠΈΡ Π»ΡΠ±ΡΠ΅ ΡΠΈΠ·ΠΈΡΠ΅ΡΠΊΠΈΠ΅ Π½Π°Π³ΡΡΠ·ΠΊΠΈ, Π΄Π²ΠΈΠ³Π°ΡΠ΅Π»ΡΠ½Π°Ρ Π°ΠΊΡΠΈΠ²Π½ΠΎΡΡΡ, Π±Π°Π½Ρ β ΠΊΠ°ΡΠ΅Π³ΠΎΡΠΈΡΠ΅ΡΠΊΠΈ ΠΏΡΠΎΡΠΈΠ²ΠΎΠΏΠΎΠΊΠ°Π·Π°Π½Ρ!
Π£ΡΠΊΠΎΡΠΈΡΡ ΠΏΡΠΎΡΠ΅ΡΡΡ Π²ΡΠ·Π΄ΠΎΡΠΎΠ²Π»Π΅Π½ΠΈΡ, ΡΡΡΡΠ°Π½ΠΈΡΡ ΠΎΡΠ΅ΡΠ½ΠΎΡΡΡ, Π±ΠΎΠ»Π΅Π·Π½Π΅Π½Π½ΡΠ΅ ΠΎΡΡΡΠ΅Π½ΠΈΡ, Π½ΠΎΡΠΌΠ°Π»ΠΈΠ·ΠΎΠ²Π°ΡΡ ΠΏΡΠΎΡΠ΅ΡΡΡ ΠΊΡΠΎΠ²ΠΎΠΎΠ±ΡΠ°ΡΠ΅Π½ΠΈΡ ΠΏΠΎΠΌΠΎΠ³Π°Π΅Ρ ΡΠΏΠ΅ΡΠΈΠ°Π»ΡΠ½ΡΠΉ ΠΌΠ°ΡΡΠ°ΠΆ ΠΏΡΠΈ ΠΊΠΎΠΌΠΏΡΠ΅ΡΡΠΈΠΎΠ½Π½ΠΎΠΌ ΠΏΠ΅ΡΠ΅Π»ΠΎΠΌΠ΅ ΠΏΠΎΠ·Π²ΠΎΠ½ΠΎΡΠ½ΠΈΠΊΠ°. ΠΠΎΠ»ΡΠ½ΡΡ ΠΈΠ½ΡΠ΅ΡΠ΅ΡΡΠ΅Ρ Π²ΠΎΠΏΡΠΎΡ: ΡΠΊΠΎΠ»ΡΠΊΠΎ Π΄Π»ΠΈΡΡΡ Π²ΠΎΡΡΡΠ°Π½ΠΎΠ²Π»Π΅Π½ΠΈΠ΅ ΠΏΠΎΡΠ»Π΅ ΠΊΠΎΠΌΠΏΡΠ΅ΡΡΠΈΠΎΠ½Π½ΠΎΠ³ΠΎ ΠΏΠ΅ΡΠ΅Π»ΠΎΠΌΠ° ΠΏΠΎΠ·Π²ΠΎΠ½ΠΎΡΠ½ΠΈΠΊΠ°?
Π‘ΡΠΎΠΊΠΈ, Π½Π΅ΠΎΠ±Ρ ΠΎΠ΄ΠΈΠΌΡΠ΅ Π΄Π»Ρ ΠΏΠΎΠ»Π½ΠΎΡΠ΅Π½Π½ΠΎΠ³ΠΎ Π²ΡΠ·Π΄ΠΎΡΠΎΠ²Π»Π΅Π½ΠΈΡ, ΡΡΠ³ΡΠ±ΠΎ ΠΈΠ½Π΄ΠΈΠ²ΠΈΠ΄ΡΠ°Π»ΡΠ½Ρ ΠΈ Π΄ΠΎΠ»ΠΆΠ½Ρ ΠΎΠΏΡΠ΅Π΄Π΅Π»ΡΡΡΡΡ Π΄ΠΎΠΊΡΠΎΡΠΎΠΌ. Π ΡΡΠ΅Π΄Π½Π΅ΠΌ, ΠΏΡΠΎΠ΄ΠΎΠ»ΠΆΠΈΡΠ΅Π»ΡΠ½ΠΎΡΡΡ ΡΠ΅Π°Π±ΠΈΠ»ΠΈΡΠ°ΡΠΈΠΎΠ½Π½ΠΎΠ³ΠΎ ΠΏΠ΅ΡΠΈΠΎΠ΄Π° ΡΠΎΡΡΠ°Π²Π»ΡΠ΅Ρ ΠΎΠΊΠΎΠ»ΠΎ 4-5 ΠΌΠ΅ΡΡΡΠ΅Π². ΠΠ° ΠΏΡΠΎΡΡΠΆΠ΅Π½ΠΈΠΈ ΡΡΠΎΠ³ΠΎ Π²ΡΠ΅ΠΌΠ΅Π½ΠΈ Π²ΡΠ°ΡΠΈ ΡΠ΅ΠΊΠΎΠΌΠ΅Π½Π΄ΡΡΡ ΠΈΠ·Π±Π΅Π³Π°ΡΡ ΡΡΠ΅Π·ΠΌΠ΅ΡΠ½ΠΎΠΉ Π°ΠΊΡΠΈΠ²Π½ΠΎΡΡΠΈ, Π½Π°Π³ΡΡΠ·ΠΎΠΊ, ΠΌΠΎΠΆΠ΅Ρ Π±ΡΡΡ ΠΏΠΎΠΊΠ°Π·Π°Π½ΠΎ Π½ΠΎΡΠ΅Π½ΠΈΠ΅ ΠΎΡΡΠΎΠΏΠ΅Π΄ΠΈΡΠ΅ΡΠΊΠΎΠ³ΠΎ ΠΊΠΎΡΡΠ΅ΡΠ°. Π ΡΡΡΠ΄ΠΎΡΠΏΠΎΡΠΎΠ±Π½ΠΎΡΡΡ Π±ΠΎΠ»ΡΡΠΈΠ½ΡΡΠ²Π° ΠΏΠ°ΡΠΈΠ΅Π½ΡΠΎΠ² Π²ΠΎΡΡΡΠ°Π½Π°Π²Π»ΠΈΠ²Π°Π΅ΡΡΡ Π½Π° ΠΏΡΠΎΡΡΠΆΠ΅Π½ΠΈΠΈ ΠΏΠΎΠ»ΡΠ³ΠΎΠ΄Π°.
ΠΡΠΈ ΠΊΠΎΠΌΠΏΡΠ΅ΡΡΠΈΠΎΠ½Π½ΠΎΠΌ ΠΏΠ΅ΡΠ΅Π»ΠΎΠΌΠ΅ ΠΏΠΎΠ·Π²ΠΎΠ½ΠΎΡΠ½ΠΈΠΊΠ° Π»Π΅ΡΠ΅Π½ΠΈΠ΅ ΠΈ ΡΠ΅Π°Π±ΠΈΠ»ΠΈΡΠ°ΡΠΈΡ ΠΏΠΎΠ·Π²ΠΎΠ»ΡΡΡ Π΄ΠΎΠ±ΠΈΡΡΡΡ ΠΏΠΎΠ»Π½ΠΎΡΠ΅Π½Π½ΠΎΠ³ΠΎ Π²ΠΎΡΡΡΠ°Π½ΠΎΠ²Π»Π΅Π½ΠΈΡ ΡΠΈΠ·ΠΈΠΎΠ»ΠΎΠ³ΠΈΡΠ΅ΡΠΊΠΈΡ ΠΏΡΠΎΡΠ΅ΡΡΠΎΠ², Π΄Π²ΠΈΠ³Π°ΡΠ΅Π»ΡΠ½ΠΎΠΉ Π°ΠΊΡΠΈΠ²Π½ΠΎΡΡΠΈ ΠΏΠΎΠ·Π²ΠΎΠ½ΠΎΡΠ½ΠΎΠ³ΠΎ ΡΡΠΎΠ»Π±Π°, ΠΏΠΎΠ²ΡΡΠΈΡΡ ΠΊΠ°ΡΠ΅ΡΡΠ²ΠΎ ΠΆΠΈΠ·Π½ΠΈ ΠΏΠ°ΡΠΈΠ΅Π½ΡΠΎΠ². ΠΠ° Π²ΠΎΠΏΡΠΎΡ, ΠΌΠΎΠΆΠ½ΠΎ Π»ΠΈ ΠΈΠ·Π±Π΅ΠΆΠ°ΡΡ ΡΠ°Π·Π²ΠΈΡΠΈΡ ΠΎΠΏΠ°ΡΠ½ΡΡ ΠΎΡΠ»ΠΎΠΆΠ½Π΅Π½ΠΈΠΉ ΠΈ ΠΏΠΎΡΠ»Π΅Π΄ΡΡΠ²ΠΈΠΉ, ΠΊΠΎΡΠΎΡΡΠΌΠΈ ΡΡΠ΅Π²Π°ΡΠ° Π΄Π°Π½Π½Π°Ρ ΡΡΠ°Π²ΠΌΠ°, ΡΠΏΠ΅ΡΠΈΠ°Π»ΠΈΡΡΡ ΠΎΡΠ²Π΅ΡΠ°ΡΡ ΡΡΠ²Π΅ΡΠ΄ΠΈΡΠ΅Π»ΡΠ½ΠΎ, ΠΏΡΠΈ ΡΡΠ»ΠΎΠ²ΠΈΠΈ ΡΠ²ΠΎΠ΅Π²ΡΠ΅ΠΌΠ΅Π½Π½ΠΎΠ³ΠΎ Π»Π΅ΡΠ΅Π½ΠΈΡ ΠΈ ΡΡΡΠΎΠ³ΠΎΠ³ΠΎ Π²ΡΠΏΠΎΠ»Π½Π΅Π½ΠΈΡ Π²ΡΠ΅Ρ Π²ΡΠ°ΡΠ΅Π±Π½ΡΡ ΡΠ΅ΠΊΠΎΠΌΠ΅Π½Π΄Π°ΡΠΈΠΉ!
lechimtravmy.ru
ΠΠΎΠΌΠΏΡΠ΅ΡΡΠΈΠΎΠ½Π½ΡΠΉ ΠΏΠ΅ΡΠ΅Π»ΠΎΠΌ ΠΏΠΎΠ·Π²ΠΎΠ½ΠΎΡΠ½ΠΈΠΊΠ°: ΡΠΈΠΌΠΏΡΠΎΠΌΡ, ΠΏΡΠΈΡΠΈΠ½Ρ ΠΈ Π»Π΅ΡΠ΅Π½ΠΈΠ΅
ΠΠ΅ΡΠΌΠΎΡΡΡ Π½Π° ΡΠΎ, ΡΡΠΎ ΠΊΠΎΠΌΠΏΡΠ΅ΡΡΠΈΠΎΠ½Π½ΡΠΉ ΠΏΠ΅ΡΠ΅Π»ΠΎΠΌ ΠΏΠΎΠ·Π²ΠΎΠ½ΠΎΡΠ½ΠΈΠΊΠ° β Π·Π°Π±ΠΎΠ»Π΅Π²Π°Π½ΠΈΠ΅ ΡΡΠΆΠ΅Π»ΠΎΠ΅, ΠΎΠ½ΠΎ Π΄ΠΎΠ²ΠΎΠ»ΡΠ½ΠΎ ΡΠ°ΡΠΏΡΠΎΡΡΡΠ°Π½Π΅Π½ΠΎ. ΠΡΠΈΡΠΈΠ½Π° ΡΡΠΎΠ³ΠΎ Π² ΡΠΎΠΌ, ΡΡΠΎ Π΄Π°ΠΆΠ΅ Π½Π΅Π±ΠΎΠ»ΡΡΠΎΠΉ ΡΠ΅Π·ΠΊΠΈΠΉ ΡΠ΄Π°Ρ ΠΏΡΠΈ ΠΏΠ°Π΄Π΅Π½ΠΈΠΈ, ΠΏΡΠΈΠ·Π΅ΠΌΠ»Π΅Π½ΠΈΠΈ Π½Π° Π½ΠΎΠ³ΠΈ ΠΈΠ»ΠΈ ΡΠ³ΠΎΠ΄ΠΈΡΡ, Π½ΡΡΡΠ½ΠΈΠΈ, Π»ΡΠ±ΠΎΠΉ Π΄ΡΡΠ³ΠΎΠΉ Π½Π΅ΡΠ΄Π°ΡΠ½ΠΎΠΉ ΡΠΏΠΎΡΡΠΈΠ²Π½ΠΎΠΉ Π½Π°Π³ΡΡΠ·ΠΊΠ΅ ΠΌΠΎΠΆΠ΅Ρ ΠΏΡΠΈΠ²Π΅ΡΡΠΈ ΠΊ ΠΏΠΎΠ²ΡΠ΅ΠΆΠ΄Π΅Π½ΠΈΡ ΡΠ°ΠΊΠΎΠ³ΠΎ ΡΠΎΠ΄Π°. ΠΠ°Π±ΠΎΠ»Π΅Π²Π°Π½ΠΈΠ΅ ΡΠ°ΠΊΠΆΠ΅ ΠΌΠΎΠΆΠ΅Ρ Π²ΠΎΠ·Π½ΠΈΠΊΠ°ΡΡ ΠΏΡΠΈ ΠΎΡΡΠ΅ΠΎΠΏΠΎΡΠΎΠ·Π΅, ΡΠΎ Π΅ΡΡΡ ΠΏΡΠΈ ΠΏΠΎΡΠ΅ΡΠ΅ ΠΎΡΠ³Π°Π½ΠΈΠ·ΠΌΠΎΠΌ ΠΊΠ°Π»ΡΡΠΈΡ.
ΠΡΠ»ΠΈ Ρ ΠΊΠΎΠΌΠΏΡΠ΅ΡΡΠΈΠΎΠ½Π½ΠΎΠ³ΠΎ ΠΏΠ΅ΡΠ΅Π»ΠΎΠΌΠ° Π½Π΅Ρ Π½ΠΈΠΊΠ°ΠΊΠΈΡ ΠΎΡΠ»ΠΎΠΆΠ½Π΅Π½ΠΈΠΉ, ΡΠΎ ΠΎΠ½ ΡΠ°ΡΡΠΎ ΠΎΡΡΠ°Π΅ΡΡΡ Π½Π΅Π΄ΠΈΠ°Π³Π½ΠΎΡΡΠΈΡΡΠ΅ΠΌΡΠΌ Π²Π²ΠΈΠ΄Ρ ΡΠΎΠ³ΠΎ, ΡΡΠΎ ΡΠΈΠΌΠΏΡΠΎΠΌΡ Π½Π΅ ΠΎΡΡΡΡΠ΅, Π° ΡΡΠ½ΠΊΡΠΈΠΈ ΠΏΠΎΠ·Π²ΠΎΠ½ΠΎΡΠ½ΠΈΠΊΠ° Π½Π΅ ΠΌΠ΅Π½ΡΡΡΡΡ. ΠΠΎ, ΡΠ΅ΠΌ Π½Π΅ ΠΌΠ΅Π½Π΅Π΅, ΡΡΠΎ ΠΏΠΎΠ²ΡΠ΅ΠΆΠ΄Π΅Π½ΠΈΠ΅ ΠΎΡΠ΅Π½Ρ ΠΎΠΏΠ°ΡΠ½ΠΎ.
Π§ΡΠΎ ΡΠ°ΠΊΠΎΠ΅ ΠΊΠΎΠΌΠΏΡΠ΅ΡΡΠΈΠΎΠ½Π½ΡΠΉ ΠΏΠ΅ΡΠ΅Π»ΠΎΠΌ
ΠΠΎΠΌΠΏΡΠ΅ΡΡΠΈΡ ΠΎΠ·Π½Π°ΡΠ°Π΅Ρ ΡΠΆΠ°ΡΠΈΠ΅. Π’ΠΎ Π΅ΡΡΡ ΠΏΠ΅ΡΠ΅Π»ΠΎΠΌ ΠΏΡΠΎΠΈΡΡ ΠΎΠ΄ΠΈΡ ΠΏΡΠΈ ΡΠΆΠ°ΡΠΈΠΈ ΠΏΠΎΠ·Π²ΠΎΠ½ΠΊΠ° ΠΈΠ»ΠΈ ΠΏΠΎΠ·Π²ΠΎΠ½ΠΊΠΎΠ², ΠΊΠΎΡΠΎΡΡΠ΅ ΠΏΡΠΈ ΡΡΠΎΠΌ ΡΠ°ΡΠΏΠ»ΡΡΠΈΠ²Π°ΡΡΡΡ, Π΄Π΅ΡΠΎΡΠΌΠΈΡΡΡΡΡΡ, ΡΠΆΠΈΠΌΠ°ΡΡΡΡ, ΡΠ°ΡΡΡΠ΅ΡΠΊΠΈΠ²Π°ΡΡΡΡ.
Π‘Π΄Π°Π²Π»ΠΈΠ²Π°Π΅ΡΡΡ ΠΎΠ±ΡΡΠ½ΠΎ ΠΏΠ΅ΡΠ΅Π΄Π½ΡΡ ΡΠ°ΡΡΡ, ΠΎΡ ΡΠ΅Π³ΠΎ ΡΠΎΡΠΌΠ° ΠΏΠΎΠ·Π²ΠΎΠ½ΠΊΠ° ΡΡΠ°Π½ΠΎΠ²ΠΈΡΡΡ ΠΊΠ»ΠΈΠ½ΠΎΠ²ΠΈΠ΄Π½ΠΎΠΉ. ΠΡΠ»ΠΈ ΡΠΏΠ»ΡΡΠΈΠ²Π°Π΅ΡΡΡ Π·Π°Π΄Π½ΡΡ ΡΠ°ΡΡΡ, ΠΏΡΠΈΡΠΈΠ½ΠΎΠΉ ΡΠ΅ΠΌΡ ΠΌΠΎΠΆΠ΅Ρ Π±ΡΡΡ ΡΠΈΠ»ΡΠ½ΠΎΠ΅ ΠΏΠΎΠ²ΡΠ΅ΠΆΠ΄Π΅Π½ΠΈΠ΅, ΡΠΎ ΠΏΠΎΠ·Π²ΠΎΠ½ΠΎΠΊ ΠΌΠΎΠΆΠ΅Ρ Π²Π½Π΅Π΄ΡΡΡΡΡΡ Π² ΠΏΠΎΠ·Π²ΠΎΠ½ΠΎΡΠ½ΡΠΉ ΠΊΠ°Π½Π°Π», Π° ΡΡΠΎ ΡΡΠ΅Π²Π°ΡΠΎ ΠΏΠΎΠ²ΡΠ΅ΠΆΠ΄Π΅Π½ΠΈΡΠΌΠΈ ΡΠΏΠΈΠ½Π½ΠΎΠ³ΠΎ ΠΌΠΎΠ·Π³Π°.
ΠΠΎΠ»Π΅Π·Π½Ρ ΡΠ°ΡΠ΅ Π²ΡΠ΅Π³ΠΎ Π²ΠΎΠ·Π½ΠΈΠΊΠ°Π΅Ρ Π² Π½ΠΈΠΆΠ½Π΅Π³ΡΡΠ΄Π½ΠΎΠΌ ΠΈΠ»ΠΈ ΠΏΠΎΡΡΠ½ΠΈΡΠ½ΠΎΠΌ ΠΎΡΠ΄Π΅Π»Π΅. Π Π³ΡΡΠ΄Π½ΠΎΠΌ ΠΎΡΠ΄Π΅Π»Π΅ Π²Π²ΠΈΠ΄Ρ Π°Π½Π°ΡΠΎΠΌΠΈΡΠ΅ΡΠΊΠΈΡ ΠΎΡΠΎΠ±Π΅Π½Π½ΠΎΡΡΠ΅ΠΉ ΡΠ΅Π»ΠΎΠ²Π΅ΡΠ΅ΡΠΊΠΎΠ³ΠΎ ΡΠ΅Π»Π° ΡΠ°ΡΠ΅ Π²ΡΠ΅Π³ΠΎ ΠΏΠΎΠ²ΡΠ΅ΠΆΠ΄Π°ΡΡΡΡ 11 ΠΈ 12 ΠΏΠΎΠ·Π²ΠΎΠ½ΠΊΠΈ. ΠΠΌΠ΅Π½Π½ΠΎ Π½Π° Π½ΠΈΡ ΠΎΠΊΠ°Π·ΡΠ²Π°Π΅ΡΡΡ Π½Π°ΠΈΠ±ΠΎΠ»ΡΡΠ΅Π΅ Π΄Π°Π²Π»Π΅Π½ΠΈΠ΅. ΠΡΠ»ΠΈ ΡΠ»ΡΡΠ°ΠΉ Π½Π΅ΠΎΡΠ»ΠΎΠΆΠ½Π΅Π½Π½ΡΠΉ, ΡΠΎ ΠΏΠΎΠ·Π²ΠΎΠ½ΠΎΡΠ½ΠΈΠΊ ΠΌΠΎΠΆΠ½ΠΎ Π²ΡΠ»Π΅ΡΠΈΡΡ ΠΏΡΠΈΠ΅ΠΌΠ°ΠΌΠΈ ΠΎΡΡΠ΅ΠΎΠΏΠ°ΡΠΈΠΈ. Π ΠΎΡΡΠ΅ΠΎΠΏΠ°ΡΠΈΡΠ΅ΡΠΊΠΈΡ ΡΠ΅Π½ΡΡΠ°Ρ ΡΡΡΠ΅ΠΊΡΠΈΠ²Π½ΠΎ ΡΠ½ΠΈΠΌΠ°ΡΡ Π±ΠΎΠ»ΠΈ ΠΈ ΡΠΊΡΠ΅ΠΏΠ»ΡΡΡ ΠΌΡΡΠ΅ΡΠ½ΡΠΉ ΠΊΠΎΡΡΠ΅Ρ.
Π ΠΏΠΎΡΡΠ½ΠΈΡΠ½ΠΎΠΌ ΠΎΡΠ΄Π΅Π»Π΅ Π±ΠΎΠ»ΡΡΠ΅ Π²ΡΠ΅Π³ΠΎ ΡΡΡΠ°Π΄Π°Π΅Ρ ΠΏΠ΅ΡΠ²ΡΠΉ ΠΏΠΎΡΡΠ½ΠΈΡΠ½ΡΠΉ ΠΏΠΎΠ·Π²ΠΎΠ½ΠΎΠΊ. ΠΠ³ΠΎ ΡΠ΅Π»ΠΎ ΠΈΠ·-Π·Π° ΠΏΠΎΠ²ΡΠ΅ΠΆΠ΄Π΅Π½ΠΈΡ ΠΌΠΎΠΆΠ΅Ρ ΡΠ°Π·ΡΡΡΠΈΡΡΡΡ, ΠΏΠΎΡΠ»Π΅ ΡΠ΅Π³ΠΎ ΡΠ΄Π°Π²Π»ΠΈΠ²Π°ΡΡΡΡ Π½Π΅ΡΠ²Π½ΡΠ΅ ΠΊΠΎΡΠ΅ΡΠΊΠΈ, Π° ΡΡΠΎ Π³ΡΠΎΠ·ΠΈΡ Π±ΠΎΠ»ΡΠΌΠΈ, ΠΏΠΎΡΠ΅ΡΠ΅ΠΉ ΡΡΠ²ΡΡΠ²ΠΈΡΠ΅Π»ΡΠ½ΠΎΡΡΠΈ ΠΈΠ»ΠΈ Π½Π°ΡΡΡΠ΅Π½ΠΈΠ΅ΠΌ ΡΡΠ½ΠΊΡΠΈΠΉ ΠΏΠΎΠ·Π²ΠΎΠ½ΠΎΡΠ½ΠΈΠΊΠ°.
ΠΊ ΠΎΠ³Π»Π°Π²Π»Π΅Π½ΠΈΡ ^ΠΠΎΠΌΠΏΡΠ΅ΡΡΠΈΠΎΠ½Π½ΡΠΉ ΠΏΠ΅ΡΠ΅Π»ΠΎΠΌ Π² ΠΏΠΎΡΡΠ½ΠΈΡΠ½ΠΎΠΌ ΠΎΡΠ΄Π΅Π»Π΅, Π² ΠΎΡΠ½ΠΎΠ²Π½ΠΎΠΌ, Π²ΡΡΡΠ΅ΡΠ°Π΅ΡΡΡ Ρ Π»ΡΠ΄Π΅ΠΉ 30-50 Π»Π΅Ρ. ΠΠ³ΠΎ Π²ΡΠ·ΡΠ²Π°ΡΡ Π°Π²Π°ΡΠΈΠΈ, ΠΏΠ°Π΄Π΅Π½ΠΈΡ Ρ Π²ΡΡΠΎΡΡ, ΡΠ΄Π°ΡΡ ΠΏΠΎ Π³ΠΎΠ»ΠΎΠ²Π΅ ΠΈ Π΄ΡΡΠ³ΠΈΠ΅ ΡΡΠ°Π²ΠΌΡ.
ΠΠ»Π°ΡΡΠΈΡΠΈΠΊΠ°ΡΠΈΡ ΠΊΠΎΠΌΠΏΡΠ΅ΡΡΠΈΠΎΠ½Π½ΡΡ ΠΏΠ΅ΡΠ΅Π»ΠΎΠΌΠΎΠ²
ΠΠ±ΡΡΠ½ΠΎ ΠΊΠΎΠΌΠΏΡΠ΅ΡΡΠΈΠΎΠ½Π½ΡΠ΅ ΠΏΠ΅ΡΠ΅Π»ΠΎΠΌΡ ΠΊΠ»Π°ΡΡΠΈΡΠΈΡΠΈΡΡΡΡ ΠΏΠΎ Π½Π°Π»ΠΈΡΠΈΡ ΠΈΠ»ΠΈ ΠΎΡΡΡΡΡΡΠ²ΠΈΡ ΠΎΡΠ»ΠΎΠΆΠ½Π΅Π½ΠΈΠΉ, Π»ΠΈΠ±ΠΎ ΠΏΠΎ ΡΡΠ΅ΠΏΠ΅Π½ΠΈ Π΄Π΅ΡΠΎΡΠΌΠ°ΡΠΈΠΈ ΠΏΠΎΠ·Π²ΠΎΠ½ΠΊΠΎΠ².
ΠΠΎ ΡΡΠΎΠ²Π½Ρ ΡΡΠΆΠ΅ΡΡΠΈ ΠΏΠ΅ΡΠ΅Π»ΠΎΠΌΡ Π±ΡΠ²Π°ΡΡ 1, 2, 3 ΡΡΠ΅ΠΏΠ΅Π½ΠΈ. ΠΠΏΡΠ΅Π΄Π΅Π»ΡΠ΅ΡΡΡ ΡΡΠ΅ΠΏΠ΅Π½Ρ ΡΠ΅ΠΌ, Π½Π°ΡΠΊΠΎΠ»ΡΠΊΠΎ ΡΠ½ΠΈΠΆΠ΅Π½ΠΎ ΡΠ΅Π»ΠΎ ΠΏΠΎΠ·Π²ΠΎΠ½ΠΊΠ°:
- ΠΡΠΈ 1 ΡΡΠ΅ΠΏΠ΅Π½ΠΈ ΡΠ΅Π»ΠΎ ΠΏΠΎΠ·Π²ΠΎΠ½ΠΊΠ° ΡΠ½ΠΈΠΆΠ΅Π½ΠΎ ΠΌΠ΅Π½Π΅Π΅, ΡΠ΅ΠΌ Π½Π° ΠΏΠΎΠ»ΠΎΠ²ΠΈΠ½Ρ.
- ΠΡΠΈ 2 ΡΡΠ΅ΠΏΠ΅Π½ΠΈ β Π½Π° ΠΏΠΎΠ»ΠΎΠ²ΠΈΠ½Ρ.
- ΠΡΠΈ 3 ΡΡΠ΅ΠΏΠ΅Π½ΠΈ β Π±ΠΎΠ»Π΅Π΅, ΡΠ΅ΠΌ Π½Π° ΠΏΠΎΠ»ΠΎΠ²ΠΈΠ½Ρ.
ΠΠΈΠ°Π³Π½ΠΎΡΡΠΈΠΊΠ° ΡΡΠ΅ΠΏΠ΅Π½ΠΈ ΠΏΠ΅ΡΠ΅Π»ΠΎΠΌΠ° ΠΎΡΡΡΠ΅ΡΡΠ²Π»ΡΠ΅ΡΡΡ ΠΏΠΎΡΡΠ΅Π΄ΡΡΠ²ΠΎΠΌ ΡΠ΅Π½ΡΠ³Π΅Π½ΠΎΠ³ΡΠ°ΠΌΠΌΡ.
ΠΠ΅ΡΠ΅Π»ΠΎΠΌ 1 ΡΡΠ΅ΠΏΠ΅Π½ΠΈ Π»Π΅ΡΠΈΡΡ Π»Π΅Π³ΡΠ΅ Π²ΡΠ΅Π³ΠΎ. ΠΠ½ ΠΏΡΠ°ΠΊΡΠΈΡΠ΅ΡΠΊΠΈ Π½Π΅ Π±ΡΠ²Π°Π΅Ρ ΠΎΡΠ»ΠΎΠΆΠ½Π΅Π½Π½ΡΠΌ. ΠΠ»Π°Π²Π½ΠΎΠ΅ β Π²ΠΎΠ²ΡΠ΅ΠΌΡ ΠΎΠ±ΡΠ°ΡΠΈΡΡΡΡ Π·Π° ΠΊΠ²Π°Π»ΠΈΡΠΈΡΠΈΡΠΎΠ²Π°Π½Π½ΠΎΠΉ Π²ΡΠ°ΡΠ΅Π±Π½ΠΎΠΉ ΠΏΠΎΠΌΠΎΡΡΡ.
Π‘ΠΈΠΌΠΏΡΠΎΠΌΠ°ΠΌΠΈ Π½Π΅ΠΎΡΠ»ΠΎΠΆΠ½Π΅Π½Π½ΡΡ ΠΏΠ΅ΡΠ΅Π»ΠΎΠΌΠΎΠ² Π±ΡΠ΄ΡΡ ΡΠΎΠ»ΡΠΊΠΎ Π±ΠΎΠ»ΠΈ Π² ΠΏΠΎΠ²ΡΠ΅ΠΆΠ΄Π΅Π½Π½ΠΎΠΉ ΠΎΠ±Π»Π°ΡΡΠΈ. ΠΡΠ»ΠΈ ΠΏΠ΅ΡΠ΅Π»ΠΎΠΌ ΠΎΡΠ»ΠΎΠΆΠ½Π΅Π½Π½ΡΠΉ, ΡΠΎ Π·Π° Π½ΠΈΠΌ ΠΏΠΎΡΠ»Π΅Π΄ΡΡΡ Π½Π΅Π²ΡΠΎΠ»ΠΎΠ³ΠΈΡΠ΅ΡΠΊΠΈΠ΅ ΡΠ°ΡΡΡΡΠΎΠΉΡΡΠ²Π°, ΡΡΠ΅ΠΏΠ΅Π½Ρ ΠΊΠΎΡΠΎΡΡΡ Π±ΡΠ΄Π΅Ρ ΠΏΡΠΎΠΏΠΎΡΡΠΈΠΎΠ½Π°Π»ΡΠ½Π° ΡΡΠ΅ΠΏΠ΅Π½ΠΈ ΡΠΆΠ°ΡΠΈΡ ΠΏΠΎΠ·Π²ΠΎΠ½ΠΊΠ° ΠΈ ΠΏΠΎΠ²ΡΠ΅ΠΆΠ΄Π΅Π½ΠΈΡ ΡΠΏΠΈΠ½Π½ΠΎΠ³ΠΎ ΠΌΠΎΠ·Π³Π°.
ΠΊ ΠΎΠ³Π»Π°Π²Π»Π΅Π½ΠΈΡ ^ΠΠΎΡΠ»Π΅Π΄ΡΡΠ²ΠΈΡ ΠΊΠΎΠΌΠΏΡΠ΅ΡΡΠΈΠΎΠ½Π½ΠΎΠ³ΠΎ ΠΏΠ΅ΡΠ΅Π»ΠΎΠΌΠ°
Π‘ΡΠ΅Π΄ΠΈ ΠΏΠΎΡΠ»Π΅Π΄ΡΡΠ²ΠΈΠΉ ΠΊΠΎΠΌΠΏΡΠ΅ΡΡΠΈΠΎΠ½Π½ΠΎΠ³ΠΎ ΠΏΠ΅ΡΠ΅Π»ΠΎΠΌΠ° ΠΌΠΎΠΆΠ½ΠΎ Π½Π°Π·Π²Π°ΡΡ:
- ΠΡΡΠ΅ΠΎΡ ΠΎΠ½Π΄ΡΠΎΠ·.
- Π Π°Π΄ΠΈΠΊΡΠ»ΠΈΡ.
- ΠΡΠΊΡΠΈΠ²Π»Π΅Π½ΠΈΠ΅ ΠΏΠΎΠ·Π²ΠΎΠ½ΠΎΡΠ½ΠΈΠΊΠ°.
- ΠΠ΅ΡΡΠ°Π±ΠΈΠ»ΡΠ½ΠΎΡΡΡ ΠΏΠΎΠ·Π²ΠΎΠ½ΠΊΠΎΠ².
- Π‘ΡΠ΅Π½ΠΎΠ· ΠΏΠΎΠ·Π²ΠΎΠ½ΠΎΡΠ½ΠΎΠ³ΠΎ ΠΊΠ°Π½Π°Π»Π°.
ΠΠΎΠ²ΡΠ΅ΠΆΠ΄Π΅Π½Π½ΡΠΉ ΠΏΠΎΠ·Π²ΠΎΠ½ΠΎΠΊ Π±ΡΠ΄Π΅Ρ ΠΎΠΊΠ°Π·ΡΠ²Π°ΡΡ ΡΡΠ΅Π·ΠΌΠ΅ΡΠ½ΠΎΠ΅ Π΄Π°Π²Π»Π΅Π½ΠΈΠ΅ Π½Π° ΠΌΠ΅ΠΆΠΏΠΎΠ·Π²ΠΎΠ½ΠΎΡΠ½ΡΠ΅ Π΄ΠΈΡΠΊΠΈ, ΡΠΏΠΈΠ½Π½ΠΎΠΉ ΠΌΠΎΠ·Π³, ΠΊΡΠΎΠ²Π΅Π½ΠΎΡΠ½ΡΠ΅ ΡΠΎΡΡΠ΄Ρ, ΡΡΠΎ ΠΌΠΎΠΆΠ΅Ρ ΠΏΠΎΠ²Π»Π΅ΡΡ Π·Π° ΡΠΎΠ±ΠΎΠΉ ΠΎΡΠ΅Π½Ρ ΡΡΠΆΠ΅Π»ΡΠ΅ ΠΏΠΎΡΠ»Π΅Π΄ΡΡΠ²ΠΈΡ Π²ΠΏΠ»ΠΎΡΡ Π΄ΠΎ ΠΏΠ°ΡΠ°Π»ΠΈΡΠ° ΠΊΠΎΠ½Π΅ΡΠ½ΠΎΡΡΠ΅ΠΉ. Π‘Π°ΠΌΡΠΉ ΡΡΠΆΠ΅Π»ΡΠΉ Π²Π°ΡΠΈΠ°Π½Ρ ΠΊΠΎΠΌΠΏΡΠ΅ΡΡΠΈΠΎΠ½Π½ΠΎΠ³ΠΎ ΠΏΠ΅ΡΠ΅Π»ΠΎΠΌΠ° β Ρ ΠΎΠ±ΡΠ°Π·ΠΎΠ²Π°Π½ΠΈΠ΅ΠΌ ΠΊΠΎΡΡΠ½ΡΡ ΠΎΡΠ»ΠΎΠΌΠΊΠΎΠ². ΠΠ½ΠΈ ΠΏΡΠΎΡΠ΅Π·Π°ΡΡ Π½Π΅ΡΠ²Π½ΡΠ΅ ΠΊΠΎΡΠ΅ΡΠΊΠΈ, ΠΈ ΠΏΠΎΡΠΎΠΌΡ ΠΏΠΎΡΠ»Π΅Π΄ΡΡΠ²ΠΈΡ ΠΌΠΎΠ³ΡΡ Π±ΡΡΡ Π½Π΅ΠΎΠ±ΡΠ°ΡΠΈΠΌΡΠΌΠΈ.
ΠΠ΅ΡΠ΅Π»ΠΎΠΌ ΠΏΠΎΠ·Π²ΠΎΠ½ΠΎΡΠ½ΠΈΠΊΠ° ΠΎΠΏΠ°ΡΠ΅Π½. ΠΠ΅Π»ΠΎ Π² ΡΠΎΠΌ, ΡΡΠΎ Π½Π΅ΡΠ²Π½ΡΠ΅ ΡΠ°ΡΡΡΡΠΎΠΉΡΡΠ²Π° ΠΏΡΠΎΠΈΡΡ ΠΎΠ΄ΡΡ Π½Π΅ ΡΡΠ°Π·Ρ ΠΏΠΎΡΠ»Π΅ ΡΡΠ°Π²ΠΌΡ. Π‘ΠΏΠΈΠ½Π½ΠΎΠΌΠΎΠ·Π³ΠΎΠ²ΠΎΠΉ ΠΊΠ°Π½Π°Π» ΡΡΠΆΠ°Π΅ΡΡΡ ΠΏΠΎΡΡΠ΅ΠΏΠ΅Π½Π½ΠΎ, ΠΈ ΡΠ°ΠΊΠΆΠ΅ ΠΏΠΎΡΡΠ΅ΠΏΠ΅Π½Π½ΠΎ Π½Π°ΡΠ°ΡΡΠ°ΡΡ ΡΠ°ΠΊΠΈΠ΅ ΡΠ°ΡΡΡΡΠΎΠΉΡΡΠ²Π°, ΠΊΠ°ΠΊ ΠΎΠ½Π΅ΠΌΠ΅Π½ΠΈΠ΅ ΠΊΠΎΠ½Π΅ΡΠ½ΠΎΡΡΠ΅ΠΉ, ΠΏΠΎΡΠ΅ΡΡ ΠΈΡ ΡΡΠ²ΡΡΠ²ΠΈΡΠ΅Π»ΡΠ½ΠΎΡΡΠΈ ΠΈ ΡΠ½ΠΈΠΆΠ΅Π½ΠΈΠ΅ ΡΠΈΠ»Ρ. ΠΠ΅ΠΎΡΠ»ΠΎΠΆΠ½Π΅Π½Π½ΡΠΉ ΠΏΠ΅ΡΠ΅Π»ΠΎΠΌ ΠΌΠ΅Π½Π΅Π΅ ΠΎΠΏΠ°ΡΠ΅Π½, Π½ΠΎ ΠΎΠ½ Π΄Π΅Π»Π°Π΅Ρ ΠΏΠΎΠ·Π²ΠΎΠ½ΠΊΠΈ Π±ΠΎΠ»Π΅Π΅ ΡΠ»Π°Π±ΡΠΌΠΈ.
ΠΊ ΠΎΠ³Π»Π°Π²Π»Π΅Π½ΠΈΡ ^ΠΠ΄Π½ΠΎ ΠΈΠ· Π½Π°ΠΈΠ±ΠΎΠ»Π΅Π΅ ΡΠ°ΡΠΏΡΠΎΡΡΡΠ°Π½Π΅Π½Π½ΡΡ ΡΠ»Π΅Π΄ΡΡΠ²ΠΈΠΉ ΠΊΠΎΠΌΠΏΡΠ΅ΡΡΠΈΠΎΠ½Π½ΠΎΠ³ΠΎ ΠΏΠ΅ΡΠ΅Π»ΠΎΠΌΠ° β ΠΈΡΠΊΡΠΈΠ²Π»Π΅Π½ΠΈΠ΅ ΠΏΠΎΠ·Π²ΠΎΠ½ΠΎΡΠ½ΠΈΠΊΠ°. ΠΠ±ΡΡΠ½ΠΎ Π²ΠΎΠ·Π½ΠΈΠΊΠ°Π΅Ρ ΠΊΠΈΡΠΎΡΠΈΡΠ΅ΡΠΊΠ°Ρ Π΄Π΅ΡΠΎΡΠΌΠ°ΡΠΈΡ, ΡΠΎ Π΅ΡΡΡ ΠΈΡΠΊΡΠΈΠ²Π»Π΅Π½ΠΈΠ΅ Π² ΠΎΠ±Π»Π°ΡΡΠΈ Π³ΡΡΠ΄Π½ΠΎΠΉ ΠΊΠ»Π΅ΡΠΊΠΈ. ΠΡΠΎ ΠΌΠΎΠΆΠ΅Ρ Π·Π°ΠΊΠΎΠ½ΡΠΈΡΡΡΡ Π΄Π°ΠΆΠ΅ ΠΎΠ±ΡΠ°Π·ΠΎΠ²Π°Π½ΠΈΠ΅ΠΌ ΠΏΠΎΠ»ΠΎΠ³ΠΎΠ³ΠΎ Π³ΠΎΡΠ±Π°.
Π‘ΠΈΠΌΠΏΡΠΎΠΌΡ ΠΈ ΠΏΡΠΈΠ·Π½Π°ΠΊΠΈ
Π ΠΏΡΠΈΠ·Π½Π°ΠΊΠ°ΠΌ ΠΊΠΎΠΌΠΏΡΠ΅ΡΡΠΈΠΎΠ½Π½ΠΎΠ³ΠΎ ΠΏΠ΅ΡΠ΅Π»ΠΎΠΌΠ° ΠΌΠΎΠΆΠ½ΠΎ ΠΎΡΠ½Π΅ΡΡΠΈ:
- ΠΠΎΠ»Π΅Π²ΠΎΠΉ ΡΠΈΠ½Π΄ΡΠΎΠΌ.
- Π‘Π»Π°Π±ΠΎΡΡΡ Π² ΠΊΠΎΠ½Π΅ΡΠ½ΠΎΡΡΡΡ .
- ΠΠ½Π΅ΠΌΠ΅Π½ΠΈΠ΅ ΠΊΠΎΠ½Π΅ΡΠ½ΠΎΡΡΠ΅ΠΉ.
- ΠΠ΅ΠΏΡΠΈΡΡΠ½ΡΠ΅ ΠΎΡΡΡΠ΅Π½ΠΈΡ Π²ΠΎ Π²ΡΠ΅ΠΌΡ Π΄Π²ΠΈΠΆΠ΅Π½ΠΈΠΉ.
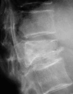
ΠΡΠ»ΠΈ Π΅ΡΡΡ ΠΏΠ΅ΡΠ΅Π»ΠΎΠΌ, ΡΠΎ Π½Π° ΡΠ΅Π½ΡΠ³Π΅Π½ΠΎΠ³ΡΠ°ΠΌΠΌΠ΅ Π±ΡΠ΄ΡΡ Π²ΠΈΠ΄Π½Ρ:
- ΠΠ»ΠΈΠ½ΠΎΠ²ΠΈΠ΄Π½Π°Ρ Π΄Π΅ΡΠΎΡΠΌΠ°ΡΠΈΡ ΠΏΠΎΠ·Π²ΠΎΠ½ΠΊΠ°.
- Π£Π²Π΅Π»ΠΈΡΠ΅Π½ΠΈΠ΅ ΠΏΡΠΎΠΌΠ΅ΠΆΡΡΠΊΠ° ΠΌΠ΅ΠΆΠ΄Ρ ΠΏΠΎΠ·Π²ΠΎΠ½ΠΊΠ°ΠΌΠΈ.
- ΠΠΎΠ΄Π²ΡΠ²ΠΈΡ Π² ΠΌΠ΅ΠΆΠΏΠΎΠ·Π²ΠΎΠ½ΠΎΡΠ½ΠΎΠΌ ΡΡΡΡΠ°Π²Π΅.
- Π‘ΠΌΠ΅ΡΠ΅Π½ΠΈΠ΅ Π² ΠΏΠΎΠ·Π²ΠΎΠ½ΠΎΡΠ½ΡΠΉ ΠΊΠ°Π½Π°Π» Π·Π°Π΄Π½Π΅Π³ΠΎ ΠΎΡΠ΄Π΅Π»Π° ΠΏΠΎΠ·Π²ΠΎΠ½ΠΊΠ°.
- ΠΠ΅ΡΠΎΡΠΌΠ°ΡΠΈΡ ΠΏΠ΅ΡΠ΅Π΄Π½Π΅ΠΉ ΠΏΠΎΠ²Π΅ΡΡ Π½ΠΎΡΡΠΈ ΠΏΠΎΠ·Π²ΠΎΠ½ΠΊΠ°.
Π£ Π΄Π΅ΡΠ΅ΠΉ ΠΏΡΠΈ Π»Π΅Π³ΠΊΠΎΠΌ ΠΏΠΎΠ²ΡΠ΅ΠΆΠ΄Π΅Π½ΠΈΠΈ ΡΡΠΊΠΎ Π²ΡΡΠ°ΠΆΠ΅Π½Π½ΡΡ ΡΠΈΠΌΠΏΡΠΎΠΌΠΎΠ² ΠΌΠΎΠΆΠ΅Ρ ΠΈ Π½Π΅ Π±ΡΡΡ. ΠΠ΅ΡΠ΅Π»ΠΎΠΌ Π² ΡΠ°ΠΊΠΎΠΌ ΡΠ»ΡΡΠ°Π΅ Π²ΡΡΠ²Π»ΡΠ΅ΡΡΡ ΡΠΎΠ»ΡΠΊΠΎ ΠΏΡΡΠ΅ΠΌ ΡΡΠ°ΡΠ΅Π»ΡΠ½ΠΎΠΉ ΠΏΠ°Π»ΡΠΏΠ°ΡΠΈΠΈ. ΠΡΠ»ΠΈ Π½Π°Π΄Π°Π²ΠΈΡΡ Π½Π° Π³ΠΎΠ»ΠΎΠ²Ρ ΠΈ ΠΎΠ±Π»Π°ΡΡΡ ΠΏΡΠ΅Π΄ΠΏΠ»Π΅ΡΠΈΠΉ, Π²ΠΎΠ·Π½ΠΈΠΊΠ½Π΅Ρ Π±ΠΎΠ»Ρ Π² ΠΏΠΎΠ²ΡΠ΅ΠΆΠ΄Π΅Π½Π½ΠΎΠΌ ΠΏΠΎΠ·Π²ΠΎΠ½ΠΊΠ΅.
ΠΡΠ»ΠΈ ΠΏΠΎΠ²ΡΠ΅ΠΆΠ΄Π΅Π½ΠΈΡ ΡΠ΅ΡΡΠ΅Π·Π½ΡΠ΅, ΡΠΎ Π² ΠΌΠΎΠΌΠ΅Π½Ρ ΡΡΠ°Π²ΠΌΡ ΠΌΠΎΠ³ΡΡ Π±ΡΡΡ ΠΏΡΠΎΠ±Π»Π΅ΠΌΡ Ρ Π΄ΡΡ Π°Π½ΠΈΠ΅ΠΌ, Π° Π΄Π°Π»Π΅Π΅:
- ΠΠ³ΡΠ°Π½ΠΈΡΠ΅Π½ΠΈΡ ΠΏΠΎΠ΄Π²ΠΈΠΆΠ½ΠΎΡΡΠΈ ΠΏΠΎΠ·Π²ΠΎΠ½ΠΎΡΠ½ΠΈΠΊΠ°.
- ΠΠΎΠ»ΠΈ Π² ΠΎΠ±Π»Π°ΡΡΠΈ ΠΏΠΎΠ²ΡΠ΅ΠΆΠ΄Π΅Π½ΠΈΡ.
- ΠΠΏΠΎΡΡΡΠ²Π°ΡΡΠΈΠ΅ Π±ΠΎΠ»ΠΈ Π² ΠΆΠΈΠ²ΠΎΡΠ΅.
ΠΠ΅ΡΠ΅Π½ΠΈΠ΅
ΠΠ°ΡΠΈΠ½Π°Π΅ΡΡΡ Π»ΡΠ±ΠΎΠ΅ Π»Π΅ΡΠ΅Π½ΠΈΠ΅ Ρ ΡΠΈΠΊΡΠ°ΡΠΈΠΈ ΠΏΠΎΠ²ΡΠ΅ΠΆΠ΄Π΅Π½Π½ΠΎΠ³ΠΎ ΠΎΡΠ΄Π΅Π»Π°. Π§Π°ΡΡΠΎ ΡΡΠ΅Π±ΡΠ΅ΡΡΡ ΡΠΎΠ±Π»ΡΠ΄Π΅Π½ΠΈΠ΅ ΡΠΏΠ΅ΡΠΈΠ°Π»ΡΠ½ΠΎΠ³ΠΎ ΡΠ΅ΠΆΠΈΠΌΠ°, Π° ΠΈΠ½ΠΎΠ³Π΄Π° Π½ΡΠΆΠ΅Π½ ΠΏΠΎΠ»Π½ΡΠΉ ΠΏΠΎΠΊΠΎΠΉ. ΠΠΎΠ»ΡΠ½ΡΠ΅ ΠΎΠ±ΡΡΠ½ΠΎ Π½ΠΎΡΡΡ ΡΠΏΠ΅ΡΠΈΠ°Π»ΡΠ½ΡΠ΅ ΠΊΠΎΡΡΠ΅ΡΡ ΠΈ ΡΠ΅ΠΊΠ»ΠΈΠ½Π°ΡΠΎΡΡ. ΠΠ»Ρ ΡΠ½ΡΡΠΈΡ Π±ΠΎΠ»Π΅ΠΉ ΠΏΡΠΈΠΌΠ΅Π½ΡΡΡ ΡΠΏΠ΅ΡΠΈΠ°Π»ΡΠ½ΡΠ΅ ΠΏΡΠ΅ΠΏΠ°ΡΠ°ΡΡ. ΠΠ»Ρ ΡΠΎΠ³ΠΎ, ΡΡΠΎΠ±Ρ ΡΡΠΊΠΎΡΠΈΡΡ ΠΏΡΠΎΡΠ΅ΡΡ Π·Π°ΠΆΠΈΠ²Π»Π΅Π½ΠΈΡ, Π½Π°Π·Π½Π°ΡΠ°ΡΡ ΠΊΡΡΡ ΡΠΈΠ·ΠΈΠΎΠΏΡΠΎΡΠ΅Π΄ΡΡ ΠΈ ΡΠ°Π·ΠΌΠΈΠ½Π°ΡΡΠ΅Π³ΠΎ ΠΌΠ°ΡΡΠ°ΠΆΠ° Π΄Π»Ρ ΡΠΊΡΠ΅ΠΏΠ»Π΅Π½ΠΈΡ ΠΌΡΡΡ ΠΈ ΠΏΡΠ΅Π΄ΠΎΡΠ²ΡΠ°ΡΠ΅Π½ΠΈΡ ΠΎΠ±ΡΠ°Π·ΠΎΠ²Π°Π½ΠΈΡ ΠΏΡΠΎΠ»Π΅ΠΆΠ½Π΅ΠΉ.
ΠΡΠ»ΠΈ ΡΠ΅ΡΡ ΠΈΠ΄Π΅Ρ ΠΎ ΠΏΠ΅ΡΠ΅Π»ΠΎΠΌΠ΅ Ρ ΡΠ΅Π±Π΅Π½ΠΊΠ°, ΡΠΎ ΡΠ°Π·Π³ΡΡΠ·ΠΈΡΡ ΠΏΠΎΠ·Π²ΠΎΠ½ΠΎΡΠ½ΠΈΠΊ Π½Π°Π΄ΠΎ ΠΊΠ°ΠΊ ΠΌΠΎΠΆΠ½ΠΎ ΡΠ°Π½ΡΡΠ΅. ΠΠ½ΠΎΠ³Π΄Π° ΡΡΠ°Π·Ρ ΠΆΠ΅ Π½Π°Π·Π½Π°ΡΠ°ΡΡ ΠΏΠΎΡΡΠ΅Π»ΡΠ½ΡΠΉ ΡΠ΅ΠΆΠΈΠΌ, ΠΈΠ½ΠΎΠ³Π΄Π° β Π½ΠΎΡΠ΅Π½ΠΈΠ΅ ΠΊΠΎΡΡΠ΅ΡΠΎΠ² ΠΈ ΡΠ΅ΠΊΠ»ΠΈΠ½Π°ΡΠΎΡΠΎΠ², Π° ΡΠ°ΠΊΠΆΠ΅ Π²ΡΡΡΠΆΠ΅Π½ΠΈΠ΅ ΠΏΠΎΠ·Π²ΠΎΠ½ΠΎΡΠ½ΠΈΠΊΠ°. ΠΠΎΡΡΠ΅ΡΡ, Π² ΠΎΡΠ½ΠΎΠ²Π½ΠΎΠΌ, Π½Π°Π·Π½Π°ΡΠ°ΡΡΡΡ, ΠΊΠΎΠ³Π΄Π° ΠΈΠΌΠ΅ΡΡΡΡ ΠΎΡΠ»ΠΎΠΆΠ½Π΅Π½ΠΈΡ ΠΈΠ»ΠΈ ΠΏΠΎΠ²ΡΠ΅ΠΆΠ΄Π΅Π½Ρ Π±ΠΎΠ»Π΅Π΅ 3 ΠΏΠΎΠ·Π²ΠΎΠ½ΠΊΠΎΠ².
ΠΠ»Ρ ΡΡΠΊΠΎΡΠ΅Π½ΠΈΡ Π·Π°ΠΆΠΈΠ²Π»Π΅Π½ΠΈΡ Π΄Π΅ΡΡΠΌ Π½Π°Π·Π½Π°ΡΠ°ΡΡ Π»Π΅ΡΠ΅Π±Π½ΡΡ ΡΠΈΠ·ΠΊΡΠ»ΡΡΡΡΡ, ΠΌΠ°ΡΡΠ°ΠΆ ΠΈ ΡΠΈΠ·ΠΈΠΎΡΠ΅ΡΠ°ΠΏΠΈΡ.
Π£ Π΄Π΅ΡΠ΅ΠΉ ΡΠ΅Π³Π΅Π½Π΅ΡΠ°ΡΠΈΡ ΠΈ Π²ΠΎΡΡΡΠ°Π½ΠΎΠ²Π»Π΅Π½ΠΈΠ΅ ΠΈΠ΄Π΅Ρ ΡΡΠΊΠΎΡΠ΅Π½Π½ΡΠΌΠΈ ΡΠ΅ΠΌΠΏΠ°ΠΌΠΈ, Π½ΠΎ, ΡΠ΅ΠΌ Π½Π΅ ΠΌΠ΅Π½Π΅Π΅, Π½Π° ΠΏΠΎΠ»Π½ΠΎΠ΅ Π²ΠΎΡΡΡΠ°Π½ΠΎΠ²Π»Π΅Π½ΠΈΠ΅ ΠΏΠΎΠ·Π²ΠΎΠ½ΠΎΡΠ½ΠΈΠΊΠ° ΠΏΠΎΡΡΠ΅Π±ΡΠ΅ΡΡΡ 1.5-2 Π³ΠΎΠ΄Π°.
ΠΡΠ»ΠΈ ΡΠ»ΡΡΠ°ΠΉ ΡΡΠΆΠ΅Π»ΡΠΉ, ΠΏΠΎΡΡΠ΅Π±ΡΠ΅ΡΡΡ ΠΎΠΏΠ΅ΡΠ°ΡΠΈΡ. Π‘ΠΎΠ²ΡΠ΅ΠΌΠ΅Π½Π½Π°Ρ ΠΌΠ΅Π΄ΠΈΡΠΈΠ½Π° ΠΎΡΠ΄Π°Π΅Ρ ΠΏΡΠ΅Π΄ΠΏΠΎΡΡΠ΅Π½ΠΈΠ΅ ΠΌΠ°Π»ΠΎΠΈΠ½Π²Π°Π·ΠΈΠ²Π½ΡΠΌ Π²ΠΌΠ΅ΡΠ°ΡΠ΅Π»ΡΡΡΠ²Π°ΠΌ.
ΠΊ ΠΎΠ³Π»Π°Π²Π»Π΅Π½ΠΈΡ ^ΠΠ΅ΡΡΠ΅Π±ΡΠΎΠΏΠ»Π°ΡΡΠΈΠΊΠ°
ΠΠ΅ΡΡΠ΅Π±ΡΠΎΠΏΠ»Π°ΡΡΠΈΠΊΠ° Π½Π°ΠΏΡΠ°Π²Π»Π΅Π½Π° Π½Π° Π²ΠΎΡΡΡΠ°Π½ΠΎΠ²Π»Π΅Π½ΠΈΠ΅ Π΅Π΄ΠΈΠ½ΡΡΠ²Π° ΠΏΠΎΠ·Π²ΠΎΠ½ΠΎΡΠ½ΠΈΠΊΠ°. ΠΡΠ° ΠΏΡΠΎΡΠ΅Π΄ΡΡΠ° ΡΡΠΏΠ΅ΡΠ½ΠΎ ΠΏΡΠΈΠΌΠ΅Π½ΡΠ΅ΡΡΡ Π²ΠΎ ΠΌΠ½ΠΎΠ³ΠΈΡ ΠΌΠ΅Π΄ΠΈΡΠΈΠ½ΡΠΊΠΈΡ ΡΡΡΠ΅ΠΆΠ΄Π΅Π½ΠΈΡΡ Π·Π° ΡΡΠ±Π΅ΠΆΠΎΠΌ. Π§Π΅ΡΠ΅Π· ΠΏΡΠΎΠΊΠΎΠ» Π² ΠΊΠΎΠΆΠ΅, Π² ΡΠ΅Π»ΠΎ Π²Π²ΠΎΠ΄ΠΈΡΡΡ ΠΏΡΠΎΠ²ΠΎΠ΄Π½ΠΈΠΊ ΠΈΠ· ΠΌΠ΅ΡΠ°Π»Π»Π°, ΠΊΠΎΡΠΎΡΡΠΉ Π·Π°ΠΏΠΎΠ»Π½ΡΠ΅Ρ ΠΏΠΎΠ²ΡΠ΅ΠΆΠ΄Π΅Π½Π½ΡΠΉ ΠΏΠΎΠ·Π²ΠΎΠ½ΠΎΠΊ ΡΠΏΠ΅ΡΠΈΠ°Π»ΡΠ½ΠΎΠΉ ΠΆΠΈΠ΄ΠΊΠΎΡΡΡΡ, ΠΈΠ³ΡΠ°ΡΡΠ΅ΠΉ ΡΠΎΠ»Ρ ΡΠΊΡΠ΅ΠΏΠ»ΡΡΡΠ΅Π³ΠΎ ΠΏΠΎΠ·Π²ΠΎΠ½ΠΎΠΊ ΡΠ΅ΠΌΠ΅Π½ΡΠ°. ΠΡΠΎΡΠ΅Π΄ΡΡΡ, ΠΊΠΎΡΠΎΡΠ°Ρ Π΄Π»ΠΈΡΡΡ ΠΏΡΠΈΠΌΠ΅ΡΠ½ΠΎ ΡΠ°Ρ, ΠΏΡΠΎΠ²ΠΎΠ΄ΡΡ ΠΏΠΎΠ΄ ΡΠ΅Π½ΡΠ³Π΅Π½ΠΎΠ»ΠΎΠ³ΠΈΡΠ΅ΡΠΊΠΈΠΌ ΠΊΠΎΠ½ΡΡΠΎΠ»Π΅ΠΌ ΠΈ ΠΌΠ΅ΡΡΠ½ΠΎΠΉ Π°Π½Π΅ΡΡΠ΅Π·ΠΈΠ΅ΠΉ.
ΠΠΎΡΠ»Π΅ ΠΏΡΠΎΡΠ΅Π΄ΡΡΡ Π½Π°Π΄ΠΎ ΠΏΠΎΠ»Π΅ΠΆΠ°ΡΡ 1-2 ΡΠ°ΡΠ° ΠΈ ΡΡΡΠΊΠΈ Π²ΠΎΠ·Π΄Π΅ΡΠΆΠΈΠ²Π°ΡΡΡΡ ΠΎΡ ΠΈΠ·Π»ΠΈΡΠ½Π΅ΠΉ ΡΠΈΠ·ΠΈΡΠ΅ΡΠΊΠΎΠΉ Π°ΠΊΡΠΈΠ²Π½ΠΎΡΡΠΈ. ΠΠ½ΠΎΠ³Π΄Π° Π½Π°Π·Π½Π°ΡΠ°ΡΡΡΡ ΠΎΠ±Π΅Π·Π±ΠΎΠ»ΠΈΠ²Π°ΡΡΠΈΠ΅ ΠΏΡΠ΅ΠΏΠ°ΡΠ°ΡΡ. ΠΡΡΠ΅ΠΊΡΠΈΠ²Π½ΠΎΡΡΡ Π²Π΅ΡΡΠ΅Π±ΡΠΎΠΏΠ»Π°ΡΡΠΈΠΊΠΈ ΡΠΎΡΡΠ°Π²Π»ΡΠ΅Ρ Π½Π΅ ΠΌΠ΅Π½Π΅Π΅ 90%. ΠΠΎΡΠ»Π΅ Π½Π΅Π΅ ΠΏΠ°ΡΠΈΠ΅Π½ΡΡ Π΄ΠΎΠ²ΠΎΠ»ΡΠ½ΠΎ Π±ΡΡΡΡΠΎ Π²ΠΎΠ·Π²ΡΠ°ΡΠ°ΡΡΡΡ ΠΊ ΡΠ²ΠΎΠ΅ΠΌΡ ΠΎΠ±ΡΡΠ½ΠΎΠΌΡ ΠΎΠ±ΡΠ°Π·Ρ ΠΆΠΈΠ·Π½ΠΈ.
Π‘Π°ΠΌΡΡ Π±ΠΎΠ»ΡΡΠΈΡ ΡΠ΅Π·ΡΠ»ΡΡΠ°ΡΠΎΠ² Π² ΠΎΠ±Π»Π°ΡΡΠΈ ΠΈΡΡΠ»Π΅Π΄ΠΎΠ²Π°Π½ΠΈΡ ΠΈ Π»Π΅ΡΠ΅Π½ΠΈΡ ΡΡΠ°Π²ΠΌ ΠΏΠΎΠ·Π²ΠΎΠ½ΠΎΡΠ½ΠΈΠΊΠ° Π΄ΠΎΡΡΠΈΠ³Π»ΠΈ Π²ΡΠ°ΡΠΈ ΠΈΠ· ΠΠ΅ΡΠΌΠ°Π½ΠΈΠΈ ΠΈ Π¨Π²Π΅ΠΉΡΠ°ΡΠΈΠΈ. Π ΠΠ΅ΡΠΌΠ°Π½ΠΈΠΈ Π΄Π°ΠΆΠ΅ ΠΎΡΠΊΠΎΠ»ΡΡΠ°ΡΡΠ΅ ΠΏΠ΅ΡΠ΅Π»ΠΎΠΌΡ ΠΎΠΏΠ΅ΡΠΈΡΡΡΡ ΡΠ½Π΄ΠΎΡΠΊΠΎΠΏΠΈΡΠ΅ΡΠΊΠΈ ΠΈ ΡΡΠΏΠ΅ΡΠ½ΠΎ ΡΠ΄Π°Π»ΡΡΡ ΠΎΡΠΊΠΎΠ»ΠΊΠΈ ΠΊΠΎΡΡΠ΅ΠΉ Π±Π΅Π· ΡΠ°Π·ΡΠ΅Π·ΠΎΠ².
ΠΠ°ΡΠ΅ΡΡΠ²Π΅Π½Π½ΡΠΉ ΠΊΡΡΡ Π»Π΅ΡΠ΅Π½ΠΈΡ ΠΌΠΎΠΆΠ½ΠΎ ΠΏΡΠΎΠΉΡΠΈ ΠΈ Π² ΠΠ·ΡΠ°ΠΈΠ»Π΅. Π¦Π΅Π½Ρ Π·Π΄Π΅ΡΡ Π±ΡΠ΄ΡΡ Π³ΠΎΡΠ°Π·Π΄ΠΎ Π½ΠΈΠΆΠ΅, Π° ΡΡΡΡΠΊΠΎΠ³ΠΎΠ²ΠΎΡΡΡΠΈΠΉ ΠΏΠ΅ΡΡΠΎΠ½Π°Π» ΠΊΠ»ΠΈΠ½ΠΈΠΊ ΡΡΠ°Π½Π΅Ρ ΠΎΠ³ΡΠΎΠΌΠ½ΡΠΌ ΠΏΠ»ΡΡΠΎΠΌ.
ΠΊ ΠΎΠ³Π»Π°Π²Π»Π΅Π½ΠΈΡ ^Π Π΅Π°Π±ΠΈΠ»ΠΈΡΠ°ΡΠΈΡ
ΠΠ° ΡΡΠ±Π΅ΠΆΠΎΠΌ ΠΎΠ³ΡΠΎΠΌΠ½ΠΎΠ΅ Π²Π½ΠΈΠΌΠ°Π½ΠΈΠ΅ ΡΠ΄Π΅Π»ΡΠ΅ΡΡΡ ΡΠ΅Π°Π±ΠΈΠ»ΠΈΡΠ°ΡΠΈΠΈ. ΠΠ±ΡΠ·Π°ΡΠ΅Π»ΡΠ½ΠΎ Π½Π°Π·Π½Π°ΡΠ°Π΅ΡΡΡ ΠΊΡΡΡ Π»Π΅ΡΠ΅Π±Π½ΠΎΠΉ ΡΠΈΠ·ΠΊΡΠ»ΡΡΡΡΡ.
Π ΠΏΠ΅ΡΠ²ΡΡ Π½Π΅Π΄Π΅Π»Ρ Π²ΡΠΏΠΎΠ»Π½ΡΡΡΡΡ ΡΠΏΡΠ°ΠΆΠ½Π΅Π½ΠΈΡ Π½Π° Π²ΠΎΡΡΡΠ°Π½ΠΎΠ²Π»Π΅Π½ΠΈΠ΅ Π½ΠΎΡΠΌΠ°Π»ΡΠ½ΡΡ ΡΡΠ½ΠΊΡΠΈΠΉ Π΄ΡΡ Π°Π½ΠΈΡ ΠΈ Π²ΡΠ΅Ρ ΠΎΡΡΠ°Π»ΡΠ½ΡΡ ΡΠΈΡΡΠ΅ΠΌ ΠΎΡΠ³Π°Π½ΠΈΠ·ΠΌΠ°. Π ΡΠ»Π΅Π΄ΡΡΡΠΈΠ΅ 1.5-2 ΠΌΠ΅ΡΡΡΠ° ΡΠΊΡΠ΅ΠΏΠ»ΡΠ΅ΡΡΡ ΠΌΡΡΠ΅ΡΠ½ΡΠΉ ΠΊΠΎΡΡΠ΅Ρ, ΡΠ²Π΅Π»ΠΈΡΠΈΠ²Π°Π΅ΡΡΡ Π²ΡΠ΅ΠΌΡ Π²ΡΠΏΠΎΠ»Π½Π΅Π½ΠΈΡ ΡΠΏΡΠ°ΠΆΠ½Π΅Π½ΠΈΠΉ ΠΈ ΠΊΠΎΠ»ΠΈΡΠ΅ΡΡΠ²ΠΎ ΠΈΡ ΠΏΠΎΠ²ΡΠΎΡΠΎΠ². Π’Π°ΠΊΠΈΠΌ ΠΎΠ±ΡΠ°Π·ΠΎΠΌ, ΠΏΡΠΎΠΈΡΡ ΠΎΠ΄ΠΈΡ ΠΏΠΎΠ΄Π³ΠΎΡΠΎΠ²ΠΊΠ° ΠΊ ΡΡΠΈΠ»Π΅Π½Π½ΠΎΠΉ Π΄Π²ΠΈΠ³Π°ΡΠ΅Π»ΡΠ½ΠΎΠΉ Π°ΠΊΡΠΈΠ²Π½ΠΎΡΡΠΈ. ΠΠ°Π»Π΅Π΅ Π² ΠΊΠ°ΡΠ΅ΡΡΠ²Π΅ ΠΏΠΎΠ΄Π³ΠΎΡΠΎΠ²ΠΊΠΈ ΠΊ Π²Π΅ΡΡΠΈΠΊΠ°Π»ΡΠ½ΡΠΌ Π½Π°Π³ΡΡΠ·ΠΊΠ°ΠΌ Π²ΡΠΏΠΎΠ»Π½ΡΡΡΡΡ ΠΊΠΎΠΌΠΏΠ»Π΅ΠΊΡΡ ΡΠΏΡΠ°ΠΆΠ½Π΅Π½ΠΈΠΉ Ρ ΡΠΎΠΏΡΠΎΡΠΈΠ²Π»Π΅Π½ΠΈΠ΅ΠΌ ΠΈ ΠΎΡΡΠ³ΠΎΡΠ΅Π½ΠΈΠ΅ΠΌ.
ΠΠ°Π²Π΅ΡΡΠ°ΡΡΠΈΠΉ ΡΡΠ°ΠΏ β Π²ΡΠΏΠΎΠ»Π½Π΅Π½ΠΈΠ΅ ΡΠΏΡΠ°ΠΆΠ½Π΅Π½ΠΈΠΉ ΡΡΠΎΡ, ΡΠΎ Π΅ΡΡΡ Π½Π΅ΠΏΠΎΡΡΠ΅Π΄ΡΡΠ²Π΅Π½Π½Π°Ρ Π²Π΅ΡΡΠΈΠΊΠ°Π»ΡΠ½Π°Ρ Π½Π°Π³ΡΡΠ·ΠΊΠ°. ΠΠ΅ΡΠΈΠΎΠ΄ ΡΠ΅Π°Π±ΠΈΠ»ΠΈΡΠ°ΡΠΈΠΎΠ½Π½ΠΎΠΉ ΡΠΈΠ·ΠΊΡΠ»ΡΡΡΡΡ Π΄Π»Ρ ΠΊΠ°ΠΆΠ΄ΠΎΠ³ΠΎ ΠΏΠ°ΡΠΈΠ΅Π½ΡΠ° ΠΎΠΏΡΠ΅Π΄Π΅Π»ΡΠ΅ΡΡΡ ΠΈΠ½Π΄ΠΈΠ²ΠΈΠ΄ΡΠ°Π»ΡΠ½ΠΎ Π»Π΅ΡΠ°ΡΠΈΠΌ Π²ΡΠ°ΡΠΎΠΌ.
medtur-gid.com
ΠΠΎΠΌΠΏΡΠ΅ΡΡΠΈΠΎΠ½Π½ΡΠΉ ΠΏΠ΅ΡΠ΅Π»ΠΎΠΌ ΠΏΠΎΠ·Π²ΠΎΠ½ΠΎΡΠ½ΠΈΠΊΠ°: ΡΠΈΠΌΠΏΡΠΎΠΌΡ, Π»Π΅ΡΠ΅Π½ΠΈΠ΅ ΠΈ ΠΎΡΠ»ΠΎΠΆΠ½Π΅Π½ΠΈΡ
ΠΠΎΠ·Π²ΠΎΠ½ΠΎΡΠ½ΡΠΉ ΡΡΠΎΠ»Π± ΡΡΠΎΡΠΌΠΈΡΠΎΠ²Π°Π½ ΠΈΠ· ΠΎΡΠ΄Π΅Π»ΡΠ½ΡΡ Π°Π½Π°ΡΠΎΠΌΠΈΡΠ΅ΡΠΊΠΈΡ Π΅Π΄ΠΈΠ½ΠΈΡ β ΠΏΠΎΠ·Π²ΠΎΠ½ΠΊΠΎΠ². ΠΠΎΠ·Π²ΠΎΠ½ΠΎΠΊ, ΡΠ°Π²Π½ΠΎ ΠΊΠ°ΠΊ ΠΈ Π»ΡΠ±Π°Ρ ΠΊΠΎΡΡΠ½Π°Ρ ΡΡΡΡΠΊΡΡΡΠ°, ΠΌΠΎΠΆΠ΅Ρ ΡΠ»ΠΎΠΌΠ°ΡΡΡΡ. ΠΡΠ»ΠΈ ΠΏΠ΅ΡΠ΅Π»ΠΎΠΌ Π²ΠΎΠ·Π½ΠΈΠΊΠ°Π΅Ρ Π² ΡΠ΅Π·ΡΠ»ΡΡΠ°ΡΠ΅ ΡΠΆΠ°ΡΠΈΡ ΡΠ΅Π»Π° ΠΏΠΎΠ·Π²ΠΎΠ½ΠΊΠ°,Β ΡΠΎ Π² ΡΠ°ΠΊΠΎΠΌ ΡΠ»ΡΡΠ°Π΅ Π³ΠΎΠ²ΠΎΡΡΡ ΠΎ ΠΊΠΎΠΌΠΏΡΠ΅ΡΡΠΈΠΎΠ½Π½ΠΎΠΌ ΠΏΠ΅ΡΠ΅Π»ΠΎΠΌΠ΅ ΠΏΠΎΠ·Π²ΠΎΠ½ΠΎΡΠ½ΠΈΠΊΠ°. ΠΠ°ΠΈΠ±ΠΎΠ»Π΅Π΅ ΡΠ°ΡΡΠΎ ΡΡΠ° ΠΏΠ°ΡΠΎΠ»ΠΎΠ³ΠΈΡ Π»ΠΎΠΊΠ°Π»ΠΈΠ·ΡΡΡΡΡ Π² Π½ΠΈΠΆΠ½Π΅Π³ΡΡΠ΄Π½ΠΎΠΌ ΠΈ ΠΏΠΎΡΡΠ½ΠΈΡΠ½ΠΎΠΌ ΠΎΡΠ΄Π΅Π»Π°Ρ ΠΏΠΎΠ·Π²ΠΎΠ½ΠΎΡΠ½ΠΈΠΊΠ°.
ΠΠ°Π²ΠΈΠ³Π°ΡΠΈΡ ΠΏΠΎ ΡΡΡΠ°Π½ΠΈΡΠ΅:
ΠΡΠΈΡΠΈΠ½ΠΎΠΉ Π²ΠΎΠ·Π½ΠΈΠΊΠ½ΠΎΠ²Π΅Π½ΠΈΡ ΡΠ°ΠΊΠΎΠ³ΠΎ ΡΠΎΠ΄Π° ΠΏΠ΅ΡΠ΅Π»ΠΎΠΌΠΎΠ², ΠΊΠ°ΠΊ ΡΠΆΠ΅ ΡΠΏΠΎΠΌΠΈΠ½Π°Π»ΠΎΡΡ Π²ΡΡΠ΅, ΡΠ²Π»ΡΠ΅ΡΡΡ ΡΡΠ΅Π·ΠΌΠ΅ΡΠ½ΠΎΠ΅ Π΄Π°Π²Π»Π΅Π½ΠΈΠ΅, ΠΎΠΊΠ°Π·ΡΠ²Π°Π΅ΠΌΠΎΠ΅ Π½Π° ΡΠ΅Π»ΠΎ ΠΏΠΎΠ·Π²ΠΎΠ½ΠΊΠ° (ΠΈΠ»ΠΈ Π½Π΅ΡΠΊΠΎΠ»ΡΠΊΠΎ ΠΏΠΎΠ·Π²ΠΎΠ½ΠΊΠΎΠ²). ΠΡΠΈ Π²ΠΎΠ·Π½ΠΈΠΊΠ½ΠΎΠ²Π΅Π½ΠΈΠΈ ΠΏΠ΅ΡΠ΅Π»ΠΎΠΌΠ° ΡΠ΅Π»ΠΎ ΠΏΠΎΠ·Π²ΠΎΠ½ΠΊΠ° ΠΏΡΠΈΠΎΠ±ΡΠ΅ΡΠ°Π΅Ρ ΠΊΠ»ΠΈΠ½ΠΎΠ²ΠΈΠ΄Π½ΡΡ ΡΠΎΡΠΌΡ, Π²Π΅ΡΡΠΈΠ½Π° ΠΏΠΎΠ»ΡΡΠΈΠ²ΡΠ΅ΠΉΡΡ ΡΡΡΡΠΊΡΡΡΡ ΡΠ°ΡΠΏΠΎΠ»Π°Π³Π°Π΅ΡΡΡ ΡΠΏΠ΅ΡΠ΅Π΄ΠΈ. ΠΠ½ΡΡΡΠ΅Π½Π½ΡΡ ΡΠΊΠ°Π½Ρ ΠΏΡΠΈ ΡΡΠΎΠΌ ΡΠΆΠΈΠΌΠ°Π΅ΡΡΡ Π»ΠΈΠ±ΠΎ ΡΠ°Π·ΡΡΡΠ°Π΅ΡΡΡ.
ΠΠ°ΠΈΠ±ΠΎΠ»Π΅Π΅ ΡΠ°ΡΡΠΎ ΠΊΠΎΠΌΠΏΡΠ΅ΡΡΠΈΠΎΠ½Π½ΡΠΉ ΠΏΠ΅ΡΠ΅Π»ΠΎΠΌ ΠΏΠΎΠ·Π²ΠΎΠ½ΠΎΡΠ½ΠΎΠ³ΠΎ ΡΡΠΎΠ»Π±Π° Π²ΠΎΠ·Π½ΠΈΠΊΠ°Π΅Ρ Π²ΡΠ»Π΅Π΄ΡΡΠ²ΠΈΠ΅ ΡΠΎΡΠ΅ΡΠ°Π½ΠΈΡ Π²ΡΡΠΎΠΊΠΎΠΉ ΠΎΡΠ΅Π²ΠΎΠΉ Π½Π°Π³ΡΡΠ·ΠΊΠΈ ΠΈ Π½Π°ΠΊΠ»ΠΎΠ½Π° ΡΠΏΠΈΠ½Ρ Π²ΠΏΠ΅ΡΠ΅Π΄. Π£ΠΊΠ°Π·Π°Π½Π½ΡΠΉ ΠΌΠ΅Ρ Π°Π½ΠΈΠ·ΠΌ Π½Π°ΠΈΠ±ΠΎΠ»Π΅Π΅ ΡΠ°ΡΡΠΎ ΠΈΠΌΠ΅Π΅Ρ ΠΌΠ΅ΡΡΠΎ ΠΏΡΠΈ ΠΏΡΡΠΆΠΊΠ°Ρ Π½Π° Π½ΠΎΠ³ΠΈ Ρ ΡΡΡΠ΅ΡΡΠ²Π΅Π½Π½ΠΎΠΉ Π²ΡΡΠΎΡΡ.
Π‘ΡΡΠ΅ΡΡΠ²ΡΠ΅Ρ Π½Π΅ΡΠΊΠΎΠ»ΡΠΊΠΎ ΠΏΡΠΈΡΠΈΠ½ Π²ΠΎΠ·Π½ΠΈΠΊΠ½ΠΎΠ²Π΅Π½ΠΈΡ ΡΠ°ΠΊΠΎΠ³ΠΎ ΡΠΎΠ΄Π° ΠΊΠΎΠΌΠΏΡΠ΅ΡΡΠΈΠΎΠ½Π½ΡΡ ΠΏΠ΅ΡΠ΅Π»ΠΎΠΌΠΎΠ². Π ΡΠ»ΡΡΠ°Π΅ Π΅ΡΠ»ΠΈ ΠΏΠΎΠ·Π²ΠΎΠ½ΠΎΠΊ ΡΡΠ΅Π·ΠΌΠ΅ΡΠ½ΠΎ ΡΠ»Π°Π± Π΄Π»Ρ ΡΠΎΠ³ΠΎ, ΡΡΠΎΠ±Ρ Π²ΡΠ΄Π΅ΡΠΆΠΈΠ²Π°ΡΡ Π½ΠΎΡΠΌΠ°Π»ΡΠ½ΡΠ΅ ΠΎΡΠ΅Π²ΡΠ΅ Π½Π°Π³ΡΡΠ·ΠΊΠΈ, Π΄Π»Ρ Π΅Π³ΠΎ ΡΠ°Π·ΡΡΡΠ΅Π½ΠΈΡ ΠΌΠΎΠΆΠ΅Ρ ΠΏΠΎΡΡΠ΅Π±ΠΎΠ²Π°ΡΡΡΡ ΡΠΎΠ²ΡΠ΅ΠΌ Π½Π΅Π·Π½Π°ΡΠΈΡΠ΅Π»ΡΠ½ΠΎΠ΅ Π΄Π°Π²Π»Π΅Π½ΠΈΠ΅. ΠΠΎΠ»ΡΡΠΈΠ½ΡΡΠ²ΠΎ Π·Π΄ΠΎΡΠΎΠ²ΡΡ ΠΊΠΎΡΡΠ½ΡΡ ΡΡΡΡΠΊΡΡΡ ΡΠΏΠΎΡΠΎΠ±Π½ΠΎ Π²ΡΠ΄Π΅ΡΠΆΠ°ΡΡ Π΄Π°Π²Π»Π΅Π½ΠΈΠ΅ Π΄ΠΎ 10Β 000Π, Π° ΠΏΠΎΠ·Π²ΠΎΠ½ΠΎΡΠ½ΡΠΉ ΡΡΠΎΠ»Π± ΡΡΡΠ΅ΠΊΡΠΈΠ²Π½ΠΎ ΠΏΠΎΠ³Π»ΠΎΡΠ°Π΅Ρ ΠΈΠΌΠΏΡΠ»ΡΡ, Π²ΠΎΠ·Π½ΠΈΠΊΡΠΈΠΉ Π²ΡΠ»Π΅Π΄ΡΡΠ²ΠΈΠ΅ ΡΠ΄Π°ΡΠ°. Π’Π΅ΠΌ Π½Π΅ ΠΌΠ΅Π½Π΅Π΅, ΠΏΡΠΈ ΡΠ΅Π·ΠΊΠΈΡ ΠΈ Π·Π½Π°ΡΠΈΡΠ΅Π»ΡΠ½ΡΡ Π½Π°Π³ΡΡΠ·ΠΊΠ°Ρ , ΠΎΠ΄ΠΈΠ½ ΠΈΠ»ΠΈ Π½Π΅ΡΠΊΠΎΠ»ΡΠΊΠΎ ΠΏΠΎΠ·Π²ΠΎΠ½ΠΊΠΎΠ² Π²ΡΡ ΠΆΠ΅ ΠΌΠΎΠ³ΡΡ Π±ΡΡΡ ΠΏΠΎΠ²ΡΠ΅ΠΆΠ΄Π΅Π½Ρ.
ΠΡΡΠ΅ΠΎΠΏΠΎΡΠΎΠ· β ΡΠΈΡΡΠ΅ΠΌΠ½ΠΎΠ΅ Π·Π°Π±ΠΎΠ»Π΅Π²Π°Π½ΠΈΠ΅, ΠΊΠΎΡΠΎΡΠΎΠ΅ Π²ΡΠ·ΡΠ²Π°Π΅Ρ ΠΏΠΎΡΠ΅ΡΡ ΠΌΠ°ΡΡΡ ΠΊΠΎΡΡΠ½ΠΎΠΉ ΡΠΊΠ°Π½ΠΈ ΠΈ, ΠΊΠ°ΠΊ ΡΠ»Π΅Π΄ΡΡΠ²ΠΈΠ΅, ΠΎΡΠ»Π°Π±Π»ΡΠ΅Ρ ΠΊΠΎΡΡΡ, ΡΠ½ΠΈΠΆΠ°Ρ Π΅Ρ ΡΠΏΠΎΡΠΎΠ±Π½ΠΎΡΡΡ ΠΏΠ΅ΡΠ΅Π½ΠΎΡΠΈΡΡ Π½ΠΎΡΠΌΠ°Π»ΡΠ½ΡΠ΅ Π½Π°Π³ΡΡΠ·ΠΊΠΈ β ΠΏΡΠ΅Π΄ΡΡΠ°Π²Π»ΡΠ΅Ρ ΡΠΎΠ±ΠΎΠΉ ΠΎΠ΄Π½Ρ ΠΈΠ· Π½Π°ΠΈΠ±ΠΎΠ»Π΅Π΅ ΡΠ°ΡΡΠ½ΡΡ ΠΏΡΠΈΡΠΈΠ½ Π²ΠΎΠ·Π½ΠΈΠΊΠ½ΠΎΠ²Π΅Π½ΠΈΡ ΠΊΠΎΠΌΠΏΡΠ΅ΡΡΠΈΠΎΠ½Π½ΡΡ ΠΏΠ΅ΡΠ΅Π»ΠΎΠΌΠΎΠ² ΠΏΠΎΠ·Π²ΠΎΠ½ΠΎΡΠ½ΠΈΠΊΠ°. ΠΡΠΈ Π½Π°Π»ΠΈΡΠΈΠΈ Π΄Π°Π½Π½ΠΎΠΉ ΠΏΠ°ΡΠΎΠ»ΠΎΠ³ΠΈΠΈ ΠΏΠ΅ΡΠ΅Π»ΠΎΠΌ ΠΌΠΎΠΆΠ΅Ρ ΠΈΠΌΠ΅ΡΡ ΠΌΠ΅ΡΡΠΎ Π΄Π°ΠΆΠ΅ ΠΏΡΠΈ ΠΎΠ±ΡΡΠ½ΠΎΠΌ Π½Π°ΠΊΠ»ΠΎΠ½Π΅ Π²ΠΏΠ΅ΡΠ΅Π΄.
Π‘ΠΎΠ³Π»Π°ΡΠ½ΠΎ ΡΡΠ°ΡΠΈΡΡΠΈΠΊΠ΅, ΠΈΠΌΠ΅Π½Π½ΠΎ ΠΎΡΡΠ΅ΠΎΠΏΠΎΡΠΎΠ· ΡΠ²Π»ΡΠ΅ΡΡΡ Π½Π°ΠΈΠ±ΠΎΠ»Π΅Π΅ ΡΠ°ΡΠΏΡΠΎΡΡΡΠ°Π½ΡΠ½Π½ΠΎΠΉ ΠΏΡΠΈΡΠΈΠ½ΠΎΠΉ Π²ΠΎΠ·Π½ΠΈΠΊΠ½ΠΎΠ²Π΅Π½ΠΈΡ ΠΊΠΎΠΌΠΏΡΠ΅ΡΡΠΈΠΎΠ½Π½ΡΡ ΠΏΠ΅ΡΠ΅Π»ΠΎΠΌΠΎΠ² ΠΏΠΎΠ·Π²ΠΎΠ½ΠΎΡΠ½ΠΈΠΊΠ°. ΠΠΊΠΎΠ»ΠΎ 40% ΠΆΠ΅Π½ΡΠΈΠ½ ΠΊ 80-ΠΈ Π³ΠΎΠ΄Π°ΠΌ ΠΈΠΌΠ΅Π»ΠΈ Ρ ΠΎΡΡ Π±Ρ ΠΎΠ΄ΠΈΠ½ ΡΠ°ΠΊΠΎΠΉ ΠΏΠ΅ΡΠ΅Π»ΠΎΠΌ. Π‘Π»Π΅Π΄ΡΠ΅Ρ ΠΎΡΠΌΠ΅ΡΠΈΡΡ, ΡΡΠΎ ΠΎΡΡΠ΅ΠΎΠΏΠΎΡΠΎΠ·Π½ΡΠΉ ΠΊΠΎΠΌΠΏΡΠ΅ΡΡΠΈΠΎΠ½Π½ΡΠΉ ΠΏΠ΅ΡΠ΅Π»ΠΎΠΌ ΠΏΡΠΈΠ²ΠΎΠ΄ΠΈΡ ΠΊ ΡΠ½ΠΈΠΆΠ΅Π½ΠΈΡ ΡΠΎΡΡΠ° ΠΈ ΠΎΠ±ΡΠ°Π·ΠΎΠ²Π°Π½ΠΈΡ Π³ΠΎΡΠ±Π° (ΠΎΡΡΡΠΎΠΊΠΎΠ½Π΅ΡΠ½ΠΎΠ³ΠΎ ΠΊΠΈΡΠΎΠ·Π°) β ΠΎΡΠΎΠ±Π΅Π½Π½ΠΎ, Π΅ΡΠ»ΠΈ ΡΠ΅ΡΡ ΠΈΠ΄ΡΡ ΠΎ ΠΏΠΎΠΆΠΈΠ»ΡΡ Π»ΡΠ΄ΡΡ .
ΠΠΎΠΌΠΏΡΠ΅ΡΡΠΈΠΎΠ½Π½ΡΠ΅ ΠΏΠ΅ΡΠ΅Π»ΠΎΠΌΡ ΠΌΠΎΠ³ΡΡ Π±ΡΡΡ ΠΎΠ±ΡΡΠ»ΠΎΠ²Π»Π΅Π½Ρ ΠΏΠ°Π΄Π΅Π½ΠΈΠ΅ΠΌ, Π°Π²ΡΠΎΠΌΠΎΠ±ΠΈΠ»ΡΠ½ΠΎΠΉ Π°Π²Π°ΡΠΈΠ΅ΠΉ, ΠΏΡΡΠΆΠΊΠΎΠΌ Ρ Π²ΡΡΠΎΡΡ, Π° ΡΠ°ΠΊΠΆΠ΅ Π»ΡΠ±ΡΠΌ Π΄ΡΡΠ³ΠΈΠΌ Π²ΠΈΠ΄ΠΎΠΌ Π½Π°Π³ΡΡΠ·ΠΊΠΈ, ΠΊΠΎΡΠΎΡΠ°Ρ ΠΏΡΠ΅Π²ΡΡΠ°Π΅Ρ ΠΏΡΠ΅Π΄Π΅Π»Ρ ΠΏΡΠΎΡΠ½ΠΎΡΡΠΈ ΠΏΠΎΠ·Π²ΠΎΠ½ΠΊΠΎΠ² ΠΈ ΠΏΠΎΠ³Π»ΠΎΡΠ°ΡΡΡΡ ΡΠΏΠΎΡΠΎΠ±Π½ΠΎΡΡΡ ΠΏΠΎΠ·Π²ΠΎΠ½ΠΎΡΠ½ΠΎΠ³ΠΎ ΡΡΠΎΠ»Π±Π°.
ΠΠ΅ΡΠ°ΡΡΠ°Π·Ρ Π² ΠΏΠΎΠ·Π²ΠΎΠ½ΠΎΡΠ½ΠΈΠΊ ΠΎΡ Π½ΠΎΠ²ΠΎΠΎΠ±ΡΠ°Π·ΠΎΠ²Π°Π½ΠΈΠΉ ΡΠ°Π·Π»ΠΈΡΠ½ΡΡ Π»ΠΎΠΊΠ°Π»ΠΈΠ·Π°ΡΠΈΠΉ, ΡΠ²Π΅Π»ΠΈΡΠΈΠ²Π°ΡΡΡ Π² ΡΠ°Π·ΠΌΠ΅ΡΠ°Ρ , ΠΏΡΠΈΠ²ΠΎΠ΄ΡΡ ΠΊ ΡΠ°Π·ΡΡΡΠ΅Π½ΠΈΡ ΡΡΡΡΠΊΡΡΡΡ ΠΏΠΎΠ·Π²ΠΎΠ½ΠΊΠΎΠ², ΠΎΡΠ»Π°Π±Π»Π΅Π½ΠΈΡ ΠΊΠΎΡΡΠΈ ΠΈ, ΠΊΠ°ΠΊ ΡΠ»Π΅Π΄ΡΡΠ²ΠΈΠ΅, ΠΊ Π²ΠΎΠ·Π½ΠΈΠΊΠ½ΠΎΠ²Π΅Π½ΠΈΡ ΠΊΠΎΠΌΠΏΡΠ΅ΡΡΠΈΠΎΠ½Π½ΠΎΠ³ΠΎ ΠΏΠ΅ΡΠ΅Π»ΠΎΠΌΠ°.
Π‘ΠΈΠΌΠΏΡΠΎΠΌΡ
Π ΡΠ»ΡΡΠ°Π΅ Π΅ΡΠ»ΠΈ ΠΏΠ΅ΡΠ΅Π»ΠΎΠΌ ΠΎΠ±ΡΡΠ»ΠΎΠ²Π»Π΅Π½ ΡΡΠ°Π²ΠΌΠ°ΡΠΈΡΠ΅ΡΠΊΠΈΠΌ ΠΏΠΎΠ²ΡΠ΅ΠΆΠ΄Π΅Π½ΠΈΠ΅ΠΌ, ΠΏΠ΅ΡΠ²ΡΠΌ ΡΠΈΠΌΠΏΡΠΎΠΌΠ°ΡΠΈΡΠ΅ΡΠΊΠΈΠΌ ΠΏΡΠΎΡΠ²Π»Π΅Π½ΠΈΠ΅ΠΌ ΡΡΠ°Π½Π΅Ρ ΡΠ΅Π·ΠΊΠΈΠΉ Π±ΠΎΠ»Π΅Π²ΠΎΠΉ ΡΠΈΠ½Π΄ΡΠΎΠΌ, Π»ΠΎΠΊΠ°Π»ΠΈΠ·ΡΡΡΠΈΠΉΡΡ Π² ΠΎΠ±Π»Π°ΡΡΠΈ ΠΏΠΎΠ·Π²ΠΎΠ½ΠΎΡΠ½ΠΈΠΊΠ° ΠΈΠ»ΠΈ Π² ΠΊΠΎΠ½Π΅ΡΠ½ΠΎΡΡΡΡ . Π’Π°ΠΊΠΆΠ΅ ΠΏΠ°ΡΠΈΠ΅Π½Ρ ΠΌΠΎΠΆΠ΅Ρ ΠΏΠΎΡΡΠ²ΡΡΠ²ΠΎΠ²Π°ΡΡ ΠΎΠ½Π΅ΠΌΠ΅Π½ΠΈΠ΅ ΠΈ ΡΠ»Π°Π±ΠΎΡΡΡ β ΡΠ°ΠΊΠΈΠ΅ ΠΏΡΠΎΡΠ²Π»Π΅Π½ΠΈΡ ΡΠ²Π»ΡΡΡΡΡ Ρ Π°ΡΠ°ΠΊΡΠ΅ΡΠ½ΡΠΌ ΠΏΡΠΈΠ·Π½Π°ΠΊΠΎΠΌ Π½Π°Π»ΠΈΡΠΈΡ ΠΏΠΎΠ²ΡΠ΅ΠΆΠ΄Π΅Π½ΠΈΠΉ Π½Π΅ΡΠ²Π½ΡΡ ΡΡΡΡΠΊΡΡΡ ΠΏΠΎΠ·Π²ΠΎΠ½ΠΎΡΠ½ΠΎΠ³ΠΎ ΡΡΠΎΠ»Π±Π°. ΠΡΠΈ ΠΏΠΎΡΡΠ΅ΠΏΠ΅Π½Π½ΠΎΠΌ ΡΠ°Π·ΡΡΡΠ΅Π½ΠΈΠΈ ΠΏΠΎΠ·Π²ΠΎΠ½ΠΊΠ° (ΠΊ ΠΏΡΠΈΠΌΠ΅ΡΡ, ΠΏΡΠΈ ΠΎΡΡΠ΅ΠΎΠΏΠΎΡΠΎΠ·Π΅) ΠΈΠΌΠ΅Π΅Ρ ΠΌΠ΅ΡΡΠΎ ΡΠΌΠ΅ΡΠ΅Π½Π½ΡΠΉ Π±ΠΎΠ»Π΅Π²ΠΎΠΉ ΡΠΈΠ½Π΄ΡΠΎΠΌ Ρ ΠΏΠΎΡΡΠ΅ΠΏΠ΅Π½Π½ΠΎ Π½Π°ΡΠ°ΡΡΠ°ΡΡΠ΅ΠΉ ΠΈΠ½ΡΠ΅Π½ΡΠΈΠ²Π½ΠΎΡΡΡΡ.
ΠΡΠ»ΠΈ ΡΠ΅ΡΡ ΠΈΠ΄ΡΡ ΠΎ ΡΡΠΆΠ΅Π»ΡΡ ΡΠΎΡΠΌΠ°Ρ ΠΊΠΎΠΌΠΏΡΠ΅ΡΡΠΈΠΎΠ½Π½ΡΡ ΠΏΠ΅ΡΠ΅Π»ΠΎΠΌΠΎΠ² ΠΏΠΎΠ·Π²ΠΎΠ½ΠΎΡΠ½ΠΈΠΊΠ°, ΠΌΠΎΠΆΠ΅Ρ ΠΈΠΌΠ΅ΡΡ ΠΌΠ΅ΡΡΠΎ ΡΠΌΠ΅ΡΠ΅Π½ΠΈΠ΅ Π·Π°Π΄Π½ΠΈΡ ΡΠ°ΡΡΠ΅ΠΉ ΡΠ΅Π»Π° ΠΏΠΎΠ·Π²ΠΎΠ½ΠΊΠ° Π² ΡΠΏΠΈΠ½Π½ΠΎΠΌΠΎΠ·Π³ΠΎΠ²ΠΎΠΉ ΠΊΠ°Π½Π°Π». Π ΡΡΠΎΠΌ ΡΠ»ΡΡΠ°Π΅ ΡΠΌΠ΅ΡΡΠ½Π½ΡΠΉ ΠΏΠΎΠ·Π²ΠΎΠ½ΠΎΠΊ Π±ΡΠ΄Π΅Ρ ΠΎΠΊΠ°Π·ΡΠ²Π°ΡΡ Π΄Π°Π²Π»Π΅Π½ΠΈΠ΅ Π½Π° ΡΠΏΠΈΠ½Π½ΠΎΠΉ ΠΌΠΎΠ·Π³. Π£ΠΊΠ°Π·Π°Π½Π½ΠΎΠ΅ ΠΎΡΠ»ΠΎΠΆΠ½Π΅Π½ΠΈΠ΅ Π²ΡΡΡΠ΅ΡΠ°Π΅ΡΡΡ ΡΡΠ°Π²Π½ΠΈΡΠ΅Π»ΡΠ½ΠΎ ΡΠ΅Π΄ΠΊΠΎ.
Π Π½Π°ΡΠ°Π»ΠΎ β
ΠΠΈΠ°Π³Π½ΠΎΡΡΠΈΠΊΠ°
ΠΠΎΠ»Π΅Π²ΠΎΠΉ ΡΠΈΠ½Π΄ΡΠΎΠΌ Π½Π΅ ΡΠ²Π»ΡΠ΅ΡΡΡ ΡΠΏΠ΅ΡΠΈΡΠΈΡΠ½ΡΠΌ ΡΠΈΠΌΠΏΡΠΎΠΌΠ°ΡΠΈΡΠ΅ΡΠΊΠΈΠΌ ΠΏΡΠΎΡΠ²Π»Π΅Π½ΠΈΠ΅ΠΌ β Π΄Π°Π½Π½ΠΎΠ΅ Π½Π°ΡΡΡΠ΅Π½ΠΈΠ΅ ΠΌΠΎΠΆΠ΅Ρ ΡΠ²ΠΈΠ΄Π΅ΡΠ΅Π»ΡΡΡΠ²ΠΎΠ²Π°ΡΡ ΠΎ ΡΠ°ΠΌΡΡ
ΡΠ°Π·Π½ΡΡ
ΠΏΠ°ΡΠΎΠ»ΠΎΠ³ΠΈΡΡ
. ΠΠΌΠ΅Π½Π½ΠΎ ΠΏΠΎΡΡΠΎΠΌΡ ΠΎΡΠ΅Π½Ρ Π²Π°ΠΆΠ½ΡΠΌ ΠΌΠΎΠΌΠ΅Π½ΡΠΎΠΌ ΡΠ²Π»ΡΠ΅ΡΡΡ Π΄ΠΈΡΡΠ΅ΡΠ΅Π½ΡΠΈΠ°ΡΠΈΡ ΠΊΠΎΠΌΠΏΡΠ΅ΡΡΠΈΠΎΠ½Π½ΠΎΠ³ΠΎ ΠΏΠ΅ΡΠ΅Π»ΠΎΠΌΠ° ΠΏΠΎΠ·Π²ΠΎΠ½ΠΎΡΠ½ΠΈΠΊΠ° ΠΎΡ ΠΏΡΠΎΡΠΈΡ
Π·Π°Π±ΠΎΠ»Π΅Π²Π°Π½ΠΈΠΉ, Π²ΡΠ·ΡΠ²Π°ΡΡΠΈΡ
Π»ΠΎΠΊΠ°Π»ΠΈΠ·ΡΡΡΠΈΠ΅ΡΡ Π² ΠΎΠ±Π»Π°ΡΡΠΈ ΡΠΏΠΈΠ½Ρ Π±ΠΎΠ»ΠΈ, ΠΈ ΠΎΠΏΡΠ΅Π΄Π΅Π»Π΅Π½ΠΈΠ΅ ΠΏΡΠΈΡΠΈΠ½ Π²ΠΎΠ·Π½ΠΈΠΊΡΠ΅ΠΉ ΠΏΡΠΎΠ±Π»Π΅ΠΌΡ.
Π‘ ΡΠ΅Π»ΡΡ ΡΡΠΎΡΠ½Π΅Π½ΠΈΡ ΠΏΠΎΡΡΠ°Π²Π»Π΅Π½Π½ΠΎΠ³ΠΎ Π΄ΠΈΠ°Π³Π½ΠΎΠ·Π° ΠΈ ΠΎΠΏΡΠ΅Π΄Π΅Π»Π΅Π½ΠΈΡ ΠΎΠΏΡΠΈΠΌΠ°Π»ΡΠ½ΠΎΠΉ ΡΠ°ΠΊΡΠΈΠΊΠΈ Π»Π΅ΡΠ΅Π½ΠΈΡ Π²ΡΠ°Ρ Π½Π°Π·Π½Π°ΡΠΈΡ ΠΊΠΎΠΌΠΏΠ»Π΅ΠΊΡ Π΄ΠΈΠ°Π³Π½ΠΎΡΡΠΈΡΠ΅ΡΠΊΠΈΡ ΠΏΡΠΎΡΠ΅Π΄ΡΡ, ΠΊ ΠΊΠΎΡΠΎΡΡΠΌ ΠΎΡΠ½ΠΎΡΡΡΡΡ:
- Π Π΅Π½ΡΠ³Π΅Π½ΠΎΠ³ΡΠ°ΡΠΈΡ ΠΏΠΎΠ·Π²ΠΎΠ½ΠΎΡΠ½ΠΈΠΊΠ°. ΠΡΠΏΠΎΠ»Π½ΡΠ΅ΡΡΡ Π² Π΄Π²ΡΡ ΠΏΡΠΎΠ΅ΠΊΡΠΈΡΡ (Π±ΠΎΠΊΠΎΠ²ΠΎΠΉ ΠΈ ΠΏΡΡΠΌΠΎΠΉ), ΠΏΠΎΠ·Π²ΠΎΠ»ΡΠ΅Ρ ΠΎΠΏΡΠ΅Π΄Π΅Π»ΠΈΡΡ ΠΏΠΎΠ²ΡΠ΅ΠΆΠ΄Π΅Π½ΠΈΡ ΠΏΠΎΠ·Π²ΠΎΠ½ΠΎΡΠ½ΠΈΠΊΠ°;
- ΠΠΎΠΌΠΏΡΡΡΠ΅ΡΠ½Π°Ρ ΡΠΎΠΌΠΎΠ³ΡΠ°ΡΠΈΡ (ΠΠ’). ΠΠΎΠΆΠ΅Ρ Π±ΡΡΡ Π½Π°Π·Π½Π°ΡΠ΅Π½Π° ΠΏΠΎΡΠ»Π΅ ΡΠ΅Π½ΡΠ³Π΅Π½ΠΎΠ³ΡΠ°ΡΠΈΠΈ Ρ ΡΠ΅Π»ΡΡ ΠΌΠ°ΠΊΡΠΈΠΌΠ°Π»ΡΠ½ΠΎ Π΄Π΅ΡΠ°Π»ΡΠ½ΠΎΠ³ΠΎ ΠΈΠ·ΡΡΠ΅Π½ΠΈΡ ΡΡΡΡΠΊΡΡΡΡ ΠΏΠΎΠ²ΡΠ΅ΠΆΠ΄ΡΠ½Π½ΠΎΠ³ΠΎ ΡΠ΅Π»Π° ΠΏΠΎΠ·Π²ΠΎΠ½ΠΊΠ°. Π’Π°ΠΊΠΆΠ΅ ΠΏΠ°ΡΠ°Π»Π»Π΅Π»ΡΠ½ΠΎ Ρ Π΄Π°Π½Π½ΡΠΌ ΠΈΡΡΠ»Π΅Π΄ΠΎΠ²Π°Π½ΠΈΠ΅ΠΌ ΠΌΠΎΠΆΠ΅Ρ Π±ΡΡΡ ΠΏΡΠΎΠ²Π΅Π΄Π΅Π½Π° ΠΌΠΈΠ΅Π»ΠΎΠ³ΡΠ°ΡΠΈΡ β ΠΏΡΠΎΡΠ΅Π΄ΡΡΠ°, ΠΏΠΎΠ·Π²ΠΎΠ»ΡΡΡΠ°Ρ ΠΏΡΠΎΠΈΠ·Π²Π΅ΡΡΠΈ ΠΎΡΠ΅Π½ΠΊΡ ΡΠΎΡΡΠΎΡΠ½ΠΈΡ ΡΠΏΠΈΠ½Π½ΠΎΠ³ΠΎ ΠΌΠΎΠ·Π³Π° Π½Π° ΡΡΠΎΠ²Π½Π΅ ΠΏΡΠΎΠΈΠ·ΠΎΡΠ΅Π΄ΡΠ΅Π³ΠΎ ΠΏΠ΅ΡΠ΅Π»ΠΎΠΌΠ°;
- ΠΠ°Π³Π½ΠΈΡΠ½ΠΎ-ΡΠ΅Π·ΠΎΠ½Π°Π½ΡΠ½Π°Ρ ΡΠΎΠΌΠΎΠ³ΡΠ°ΡΠΈΡ (ΠΠ Π’). ΠΠ°ΠΊ ΠΏΡΠ°Π²ΠΈΠ»ΠΎ, ΠΏΡΠΎΠΈΠ·Π²ΠΎΠ΄ΠΈΡΡΡ ΠΏΡΠΈ ΠΏΠΎΠ΄ΠΎΠ·ΡΠ΅Π½ΠΈΠΈ Π½Π° ΠΏΠΎΠ²ΡΠ΅ΠΆΠ΄Π΅Π½ΠΈΠ΅ Π½Π΅ΡΠ²Π½ΡΡ ΡΡΡΡΠΊΡΡΡ ΠΏΠΎΠ·Π²ΠΎΠ½ΠΎΡΠ½ΠΎΠ³ΠΎ ΡΡΠΎΠ»Π±Π°;
- ΠΠ΅Π½ΡΠΈΡΠΎΠΌΠ΅ΡΡΠΈΡ. Π ΡΠ»ΡΡΠ°Π΅ Π΅ΡΠ»ΠΈ ΠΏΠ°ΡΠΈΠ΅Π½Ρ β ΠΆΠ΅Π½ΡΠΈΠ½Π° Π² Π²ΠΎΠ·ΡΠ°ΡΡΠ΅ ΡΡΠ°ΡΡΠ΅ 50-ΠΈ Π»Π΅Ρ, Π²ΡΠΏΠΎΠ»Π½Π΅Π½ΠΈΠ΅ Π΄Π°Π½Π½ΠΎΠ³ΠΎ ΠΈΡΡΠ»Π΅Π΄ΠΎΠ²Π°Π½ΠΈΡ Π°Π±ΡΠΎΠ»ΡΡΠ½ΠΎ Π½Π΅ΠΎΠ±Ρ ΠΎΠ΄ΠΈΠΌΠΎ, ΠΎΠ½ΠΎ ΠΏΠΎΠ·Π²ΠΎΠ»ΡΠ΅Ρ Π²ΡΡΠ²ΠΈΡΡ ΠΎΡΡΠ΅ΠΎΠΏΠΎΡΠΎΠ·;
- ΠΠ΅Π²ΡΠΎΠ»ΠΎΠ³ΠΈΡΠ΅ΡΠΊΠΈΠΉ ΠΎΡΠΌΠΎΡΡ. Π Π΄Π°Π½Π½ΠΎΠΉ ΠΏΡΠΎΡΠ΅Π΄ΡΡΠ΅ ΠΎΡΠ½ΠΎΡΠΈΡΡΡ ΠΏΡΠΎΠ²Π΅ΡΠΊΠ° ΡΡΠ½ΠΊΡΠΈΠΈ Π½Π΅ΡΠ²Π½ΡΡ ΠΊΠΎΡΠ΅ΡΠΊΠΎΠ², ΡΠΏΠΈΠ½Π½ΠΎΠ³ΠΎ ΠΌΠΎΠ·Π³Π° ΠΈ ΠΏΠ΅ΡΠΈΡΠ΅ΡΠΈΡΠ΅ΡΠΊΠΈΡ Π½Π΅ΡΠ²ΠΎΠ².
Π Π½Π°ΡΠ°Π»ΠΎ β
ΠΠ΅ΡΠ΅Π½ΠΈΠ΅
ΠΠΎΠ½ΡΠ΅ΡΠ²Π°ΡΠΈΠ²Π½ΠΎΠ΅ Π»Π΅ΡΠ΅Π½ΠΈΠ΅
ΠΡΠΈ ΠΊΠΎΠΌΠΏΡΠ΅ΡΡΠΈΠΎΠ½Π½ΠΎΠΌ ΠΏΠ΅ΡΠ΅Π»ΠΎΠΌΠ΅ ΠΏΠΎΠ·Π²ΠΎΠ½ΠΎΡΠ½ΠΈΠΊΠ°, Π»ΠΎΠΊΠ°Π»ΠΈΠ·ΡΡΡΠ΅ΠΌΡΡ Π² Π³ΡΡΠ΄Π½ΠΎΠΌ ΠΎΡΠ΄Π΅Π»Π΅ ΠΏΠΎΠ·Π²ΠΎΠ½ΠΎΡΠ½ΠΎΠ³ΠΎ ΡΡΠΎΠ»Π±Π°, ΠΎΠ±ΡΠΈΠΌΠΈ Π»Π΅ΡΠ΅Π±Π½ΡΠΌΠΈ ΠΏΡΠΎΡΠ΅Π΄ΡΡΠ°ΠΌΠΈ ΡΠ²Π»ΡΡΡΡΡ ΠΎΠ³ΡΠ°Π½ΠΈΡΠ΅Π½ΠΈΠ΅ Π°ΠΊΡΠΈΠ²Π½ΠΎΡΡΠΈ, ΠΌΠ΅Π΄ΠΈΠΊΠ°ΠΌΠ΅Π½ΡΠΎΠ·Π½ΠΎΠ΅ Π»Π΅ΡΠ΅Π½ΠΈΠ΅ Π±ΠΎΠ»Π΅Π²ΠΎΠ³ΠΎ ΡΠΈΠ½Π΄ΡΠΎΠΌΠ° ΠΈ ΡΠΈΠΊΡΠ°ΡΠΈΡ ΠΏΠΎΠ²ΡΠ΅ΠΆΠ΄ΡΠ½Π½ΠΎΠ³ΠΎ ΡΠ΅Π³ΠΌΠ΅Π½ΡΠ° ΠΏΠΎΠ·Π²ΠΎΠ½ΠΎΡΠ½ΠΈΠΊΠ°. Π‘Π΅Π³ΠΎΠ΄Π½Ρ Ρ ΠΈΡΡΡΠ³ΠΈ ΡΠ°ΠΊΠΆΠ΅ ΠΏΡΠΈΠΌΠ΅Π½ΡΡΡ ΡΠ°ΠΊΠΈΠ΅ ΠΏΡΠΎΡΠ΅Π΄ΡΡΡ, ΠΊΠ°ΠΊ ΠΊΠΈΡΠΎΠΏΠ»Π°ΡΡΠΈΠΊΡ ΠΈ Π²Π΅ΡΡΠ΅Π±ΡΠΎΠΏΠ»Π°ΡΡΠΈΠΊΡ. ΠΠ°Π½Π½ΡΠ΅ ΠΌΠ΅ΡΠΎΠ΄Ρ ΠΏΡΠ΅Π΄ΡΡΠ°Π²Π»ΡΡΡ ΡΠΎΠ±ΠΎΠΉ ΠΌΠ°Π»ΠΎΠΈΠ½Π²Π°Π·ΠΈΠ²Π½ΡΠ΅ ΠΌΠ°Π½ΠΈΠΏΡΠ»ΡΡΠΈΠΈ, ΠΊΠΎΡΠΎΡΡΠ΅ Π΄Π°ΡΡ ΠΎΡΠ»ΠΈΡΠ½ΡΠ΅ ΡΠ΅Π·ΡΠ»ΡΡΠ°ΡΡ ΠΏΡΠΈ Π»Π΅ΡΠ΅Π½ΠΈΠΈ ΡΠ°ΠΊΠΎΠ³ΠΎ ΡΠΎΠ΄Π° ΠΊΠΎΠΌΠΏΡΠ΅ΡΡΠΈΠΎΠ½Π½ΡΡ ΠΏΠ΅ΡΠ΅Π»ΠΎΠΌΠΎΠ².
ΠΠ»Ρ ΠΏΠΎΠ»Π½ΠΎΠ³ΠΎ ΡΡΠ°ΡΠ΅Π½ΠΈΡ ΡΠ΅Π»Π° ΠΏΠΎΠ·Π²ΠΎΠ½ΠΊΠ° Π½Π΅ΠΎΠ±Ρ ΠΎΠ΄ΠΈΠΌΠΎ ΡΡΠΈ ΠΌΠ΅ΡΡΡΠ°. ΠΠΆΠ΅ΠΌΠ΅ΡΡΡΠ½ΠΎ Π²ΡΠ°ΡΠΈ Π±ΡΠ΄ΡΡ ΠΏΡΠΎΠΈΠ·Π²ΠΎΠ΄ΠΈΡΡ ΡΠ΅Π½ΡΠ³Π΅Π½ΠΎΠ³ΡΠ°ΡΠΈΡΠ΅ΡΠΊΠΎΠ΅ ΠΈΡΡΠ»Π΅Π΄ΠΎΠ²Π°Π½ΠΈΠ΅ ΠΏΠΎΠ·Π²ΠΎΠ½ΠΎΡΠ½ΠΎΠ³ΠΎ ΡΡΠΎΠ»Π±Π° ΠΏΠ°ΡΠΈΠ΅Π½ΡΠ° β ΡΡΠΎ ΠΏΠΎΠ·Π²ΠΎΠ»ΠΈΡ ΠΌΠ΅Π΄ΠΈΡΠΈΠ½ΡΠΊΠΎΠΌΡ ΠΏΠ΅ΡΡΠΎΠ½Π°Π»Ρ Π±ΠΎΠ»Π΅Π΅ ΡΡΡΠ΅ΠΊΡΠΈΠ²Π½ΠΎ ΠΊΠΎΠ½ΡΡΠΎΠ»ΠΈΡΠΎΠ²Π°ΡΡ ΠΏΡΠΎΡΠ΅ΡΡ ΡΡΠ°ΡΠ΅Π½ΠΈΡ. ΠΠ»Ρ ΠΊΠΎΠΌΠΏΡΠ΅ΡΡΠΈΠΎΠ½Π½ΡΡ ΠΏΠ΅ΡΠ΅Π»ΠΎΠΌΠΎΠ² Π² Π³ΡΡΠ΄Π½ΠΎΠΌ ΠΎΡΠ΄Π΅Π»Π΅ ΠΏΠΎΠ·Π²ΠΎΠ½ΠΎΡΠ½ΠΈΠΊΠ° ΠΎΠΏΠ΅ΡΠ°ΡΠΈΠ²Π½ΠΎΠ΅ Π»Π΅ΡΠ΅Π½ΠΈΠ΅ ΡΠ΅ΠΊΠΎΠΌΠ΅Π½Π΄ΡΠ΅ΡΡΡ ΡΡΠ°Π²Π½ΠΈΡΠ΅Π»ΡΠ½ΠΎ ΡΠ΅Π΄ΠΊΠΎ, Π΅ΡΠ»ΠΈ ΠΆΠ΅ ΡΠ΅ΡΡ ΠΈΠ΄ΡΡ ΠΎ ΠΏΠΎΡΡΠ½ΠΈΡΠ½ΠΎΠΌ ΠΎΡΠ΄Π΅Π»Π΅, ΡΠΎ Π²Π΅ΡΠΎΡΡΠ½ΠΎΡΡΡ Π²ΠΎΠ·Π½ΠΈΠΊΠ½ΠΎΠ²Π΅Π½ΠΈΡ Π½Π΅ΠΎΠ±Ρ ΠΎΠ΄ΠΈΠΌΠΎΡΡΠΈ ΠΏΡΠΎΠ²Π΅Π΄Π΅Π½ΠΈΡ Ρ ΠΈΡΡΡΠ³ΠΈΡΠ΅ΡΠΊΠΎΠ³ΠΎ Π²ΠΌΠ΅ΡΠ°ΡΠ΅Π»ΡΡΡΠ²Π° Π±ΠΎΠ»Π΅Π΅ Π²ΡΡΠΎΠΊΠ°.
ΠΠ΅ΡΠ΅Π½ΠΈΠ΅ Π±ΠΎΠ»Π΅Π²ΠΎΠ³ΠΎ ΡΠΈΠ½Π΄ΡΠΎΠΌΠ°
Π‘ΠΊΠΎΡΠ΅Π΅ Π²ΡΠ΅Π³ΠΎ, Π²ΡΠ°Ρ Π½Π°Π·Π½Π°ΡΠΈΡ ΠΏΠ°ΡΠΈΠ΅Π½ΡΡ ΠΊΡΡΡ ΠΌΠ΅Π΄ΠΈΠΊΠ°ΠΌΠ΅Π½ΡΠΎΠ·Π½ΡΡ ΠΏΡΠ΅ΠΏΠ°ΡΠ°ΡΠΎΠ², ΠΊΠΎΡΠΎΡΡΠ΅ Π½ΠΈΠΊΠ°ΠΊΠΈΠΌ ΠΎΠ±ΡΠ°Π·ΠΎΠΌ Π½Π΅ Π²Π»ΠΈΡΡΡ Π½Π° ΡΠΊΠΎΡΠΎΡΡΡ ΡΡΠ°ΡΠ΅Π½ΠΈΡ ΠΏΠ΅ΡΠ΅Π»ΠΎΠΌΠ°, ΠΎΠ΄Π½Π°ΠΊΠΎ ΠΏΠΎΠΌΠΎΠ³Π°ΡΡ ΠΊΠΎΠ½ΡΡΠΎΠ»ΠΈΡΠΎΠ²Π°ΡΡ Π²ΠΎΠ·Π½ΠΈΠΊΠ°ΡΡΠΈΠ΅ Π±ΠΎΠ»Π΅Π²ΡΠ΅ ΠΎΡΡΡΠ΅Π½ΠΈΡ.
ΠΠ³ΡΠ°Π½ΠΈΡΠ΅Π½ΠΈΠ΅ Π°ΠΊΡΠΈΠ²Π½ΠΎΡΡΠΈ
ΠΠ»Ρ ΠΌΠ°ΠΊΡΠΈΠΌΠ°Π»ΡΠ½ΠΎ Π±ΡΡΡΡΠΎΠ³ΠΎ ΠΈ Π±Π΅ΡΠΏΡΠΎΠ±Π»Π΅ΠΌΠ½ΠΎΠ³ΠΎ ΡΡΠ°ΡΠ΅Π½ΠΈΡ ΠΊΠΎΠΌΠΏΡΠ΅ΡΡΠΈΠΎΠ½Π½ΠΎΠ³ΠΎ ΠΏΠ΅ΡΠ΅Π»ΠΎΠΌΠ° Π²ΡΠ°ΡΠΈ ΡΠ΅ΠΊΠΎΠΌΠ΅Π½Π΄ΡΡΡ ΡΠ΅Π·ΠΊΠΎ ΠΎΠ³ΡΠ°Π½ΠΈΡΠΈΡΡ ΠΏΠΎΠ²ΡΠ΅Π΄Π½Π΅Π²Π½ΡΡ Π΄Π²ΠΈΠ³Π°ΡΠ΅Π»ΡΠ½ΡΡ Π°ΠΊΡΠΈΠ²Π½ΠΎΡΡΡ. ΠΠ°ΡΠΈΠ΅Π½ΡΡ ΡΠ»Π΅Π΄ΡΠ΅Ρ ΠΌΠΈΠ½ΠΈΠΌΠΈΠ·ΠΈΡΠΎΠ²Π°ΡΡ Π²ΡΠ΅ΠΌΡ ΠΏΡΠ΅Π±ΡΠ²Π°Π½ΠΈΡ Π² Π²Π΅ΡΡΠΈΠΊΠ°Π»ΡΠ½ΠΎΠΌ ΠΏΠΎΠ»ΠΎΠΆΠ΅Π½ΠΈΠΈ (ΡΠΈΠ΄Ρ ΠΈ ΡΡΠΎΡ), ΠΈΠ·Π±Π΅Π³Π°ΡΡ ΠΏΠΎΠ΄ΡΡΠΌΠ° ΡΡΠΆΠ΅ΡΡΠ΅ΠΉ ΠΈ Π»ΡΠ±ΡΡ Π΄Π΅ΠΉΡΡΠ²ΠΈΠΉ, ΠΊΠΎΡΠΎΡΡΠ΅ ΠΌΠΎΠ³ΡΡ ΠΏΡΠΈΠ²Π΅ΡΡΠΈ ΠΊ ΡΠ²Π΅Π»ΠΈΡΠ΅Π½ΠΈΡ Π½Π°Π³ΡΡΠ·ΠΊΠΈ Π½Π° ΠΏΠΎΠ·Π²ΠΎΠ½ΠΎΡΠ½ΠΈΠΊ.
ΠΠ°ΡΠΈΠ΅Π½ΡΠ°ΠΌ Π² Π²ΠΎΠ·ΡΠ°ΡΡΠ΅ ΡΡΠ°ΡΡΠ΅ 50-ΠΈ Π»Π΅Ρ, ΠΊΠ°ΠΊ ΠΏΡΠ°Π²ΠΈΠ»ΠΎ, ΡΠ΅ΠΊΠΎΠΌΠ΅Π½Π΄ΡΡΡ ΠΏΠΎΡΡΠ΅Π»ΡΠ½ΡΠΉ ΡΠ΅ΠΆΠΈΠΌ β ΡΡΠΎ ΠΎΠ±ΡΡΠ»ΠΎΠ²Π»Π΅Π½ΠΎ ΡΠ΅ΠΌ, ΡΡΠΎ Ρ Π²ΠΎΠ·ΡΠ°ΡΡΠΎΠΌ ΡΠΊΠΎΡΠΎΡΡΡ ΡΡΠ°ΡΠ΅Π½ΠΈΡ ΠΏΠ΅ΡΠ΅Π»ΠΎΠΌΠΎΠ² ΡΡΡΠ΅ΡΡΠ²Π΅Π½Π½ΠΎ ΡΡ ΡΠ΄ΡΠ°Π΅ΡΡΡ. Π ΡΠΎΠ±Π»ΡΠ΄Π΅Π½ΠΈΡ Π²ΡΠ°ΡΠ΅Π±Π½ΡΡ ΡΠ΅ΠΊΠΎΠΌΠ΅Π½Π΄Π°ΡΠΈΠΉ ΡΠ»Π΅Π΄ΡΠ΅Ρ ΠΏΠΎΠ΄ΠΎΠΉΡΠΈ Ρ ΠΌΠ°ΠΊΡΠΈΠΌΠ°Π»ΡΠ½ΠΎΠΉ ΠΎΡΠ²Π΅ΡΡΡΠ²Π΅Π½Π½ΠΎΡΡΡΡ, ΠΏΠΎΡΠΊΠΎΠ»ΡΠΊΡ ΠΈΡ Π½Π°ΡΡΡΠ΅Π½ΠΈΠ΅ ΠΌΠΎΠΆΠ΅Ρ ΠΏΡΠΈΠ²Π΅ΡΡΠΈ ΠΊ Π²ΠΎΠ·Π½ΠΈΠΊΠ½ΠΎΠ²Π΅Π½ΠΈΡ ΡΠ΅ΡΡΡΠ·Π½ΡΡ Π½Π΅Π²ΡΠΎΠ»ΠΎΠ³ΠΈΡΠ΅ΡΠΊΠΈΡ ΠΎΡΠ»ΠΎΠΆΠ½Π΅Π½ΠΈΠΉ (ΠΊ ΠΏΡΠΈΠΌΠ΅ΡΡ, ΠΏΠ°ΡΠ°Π»ΠΈΡΠ°).
Π€ΠΈΠΊΡΠ°ΡΠΈΡ
ΠΡΠΈ Π½Π΅ΠΊΠΎΡΠΎΡΡΡ Π²ΠΈΠ΄Π°Ρ ΠΊΠΎΠΌΠΏΡΠ΅ΡΡΠΈΠΎΠ½Π½ΡΡ ΠΏΠ΅ΡΠ΅Π»ΠΎΠΌΠΎΠ² ΠΏΠΎΠ·Π²ΠΎΠ½ΠΎΡΠ½ΠΈΠΊΠ° ΠΌΠΎΠΆΠ΅Ρ Π±ΡΡΡ ΡΠ΅ΠΊΠΎΠΌΠ΅Π½Π΄ΠΎΠ²Π°Π½ΠΎ ΠΈΡΠΏΠΎΠ»ΡΠ·ΠΎΠ²Π°Π½ΠΈΠ΅ ΡΠΈΠΊΡΠΈΡΡΡΡΠΈΡ ΠΎΡΡΠΎΠΏΠ΅Π΄ΠΈΡΠ΅ΡΠΊΠΈΡ ΠΊΠΎΡΡΠ΅ΡΠΎΠ², ΠΊΠΎΡΠΎΡΡΠ΅ Π½Π΅ΠΎΠ±Ρ ΠΎΠ΄ΠΈΠΌΡ Π΄Π»Ρ ΠΆΠ΅ΡΡΠΊΠΎΠ³ΠΎ Π·Π°ΠΊΡΠ΅ΠΏΠ»Π΅Π½ΠΈΡ ΠΏΠΎΠ·Π²ΠΎΠ½ΠΎΡΠ½ΠΈΠΊΠ° Π² ΠΎΠ΄Π½ΠΎΠΌ ΠΏΠΎΠ»ΠΎΠΆΠ΅Π½ΠΈΠΈ ΠΈ ΠΎΠ³ΡΠ°Π½ΠΈΡΠ΅Π½ΠΈΡ Π΄Π²ΠΈΠΆΠ΅Π½ΠΈΠΉ ΠΏΠ°ΡΠΈΠ΅Π½ΡΠ°.
ΠΠ°ΠΊ ΠΏΡΠ°Π²ΠΈΠ»ΠΎ, ΡΠ°ΠΊΠΈΠ΅ ΠΊΠΎΡΡΠ΅ΡΡ ΠΏΡΠΎΠΈΠ·Π²ΠΎΠ΄ΡΡΡΡ ΠΏΠΎ ΠΈΠ½Π΄ΠΈΠ²ΠΈΠ΄ΡΠ°Π»ΡΠ½ΠΎΠΌΡ Π·Π°ΠΊΠ°Π·Ρ β ΡΡΠΎ Π½Π΅ΠΎΠ±Ρ ΠΎΠ΄ΠΈΠΌΠΎ Π΄Π»Ρ ΡΠΎΠ³ΠΎ, ΡΡΠΎΠ±Ρ ΠΎΠ½ΠΈ Π½Π°ΠΈΠ±ΠΎΠ»Π΅Π΅ ΡΠΎΡΠ½ΠΎ ΡΠΎΠΎΡΠ²Π΅ΡΡΡΠ²ΠΎΠ²Π°Π»ΠΈ ΡΠΎΡΠΌΠ΅ ΡΠ΅Π»Π° ΠΏΠ°ΡΠΈΠ΅Π½ΡΠ° ΠΈ, ΠΊΠ°ΠΊ ΡΠ»Π΅Π΄ΡΡΠ²ΠΈΠ΅, ΠΌΠ°ΠΊΡΠΈΠΌΠ°Π»ΡΠ½ΠΎ ΡΡΡΠ΅ΠΊΡΠΈΠ²Π½ΠΎ Π²ΡΠΏΠΎΠ»Π½ΡΠ»ΠΈ ΡΠ²ΠΎΡ ΡΡΠ½ΠΊΡΠΈΡ. Π£Π΄Π΅ΡΠΆΠΈΠ²Π°Ρ ΡΡΠ»ΠΎΠ²ΠΈΡΠ΅ ΠΏΠ°ΡΠΈΠ΅Π½ΡΠ° Π² ΠΏΡΠ°Π²ΠΈΠ»ΡΠ½ΠΎΠΌ ΠΏΠΎΠ»ΠΎΠΆΠ΅Π½ΠΈΠΈ, ΡΠ°ΠΊΠΎΠΉ ΠΊΠΎΡΡΠ΅Ρ Π±Π΅ΡΡΡ Π½Π° ΡΠ΅Π±Ρ ΡΠ°ΡΡΡ ΠΎΡΠ΅Π²ΠΎΠΉ Π½Π°Π³ΡΡΠ·ΠΊΠΈ, ΡΠ΅ΠΌ ΡΠ°ΠΌΡΠΌ ΡΠΏΠΎΡΠΎΠ±ΡΡΠ²ΡΡ Π½Π°ΠΈΠ±ΠΎΠ»Π΅Π΅ Π±Π»Π°Π³ΠΎΠΏΡΠΈΡΡΠ½ΠΎΠΌΡ ΡΡΠ°ΡΠ΅Π½ΠΈΡ ΠΏΠΎΠ²ΡΠ΅ΠΆΠ΄ΡΠ½Π½ΠΎΠ³ΠΎ ΡΠ΅Π»Π° ΠΏΠΎΠ·Π²ΠΎΠ½ΠΊΠ°.
ΠΠΈΠ½ΠΈΠΌΠ°Π»ΡΠ½ΠΎ ΠΈΠ½Π²Π°Π·ΠΈΠ²Π½ΡΠ΅ ΠΌΠ΅ΡΠΎΠ΄Ρ
ΠΠ»Ρ Π»Π΅ΡΠ΅Π½ΠΈΡ ΠΊΠΎΠΌΠΏΡΠ΅ΡΡΠΈΠΎΠ½Π½ΡΡ ΠΏΠ΅ΡΠ΅Π»ΠΎΠΌΠΎΠ² ΠΏΠΎΠ·Π²ΠΎΠ½ΠΎΡΠ½ΠΈΠΊΠ° Π²ΡΠ°ΡΠΈ ΡΠ°ΡΡΠΎ ΠΏΡΠΈΠΌΠ΅Π½ΡΡΡ Π΄Π²Π΅ ΡΠΎΠ²ΡΠ΅ΠΌΠ΅Π½Π½ΡΡ ΠΏΡΠΎΡΠ΅Π΄ΡΡΡ: ΠΊΠΈΡΠΎΠΏΠ»Π°ΡΡΠΈΠΊΡ ΠΈ Π²Π΅ΡΡΠ΅Π±ΡΠΎΠΏΠ»Π°ΡΡΠΈΠΊΡ.
- ΠΠ΅ΡΡΠ΅Π±ΡΠΎΠΏΠ»Π°ΡΡΠΈΠΊΠ° ΠΏΡΠ΅Π΄ΡΡΠ°Π²Π»ΡΠ΅Ρ ΡΠΎΠ±ΠΎΠΉ ΠΌΠ΅ΡΠΎΠ΄, ΡΡΡΡ ΠΊΠΎΡΠΎΡΠΎΠ³ΠΎ Π·Π°ΠΊΠ»ΡΡΠ°Π΅ΡΡΡ Π²ΠΎ Π²Π²Π΅Π΄Π΅Π½ΠΈΠΈ Π² ΡΠ΅Π»ΠΎ ΡΠ»ΠΎΠΌΠ°Π½Π½ΠΎΠ³ΠΎ ΠΏΠΎΠ·Π²ΠΎΠ½ΠΊΠ° ΡΠΏΠ΅ΡΠΈΠ°Π»ΡΠ½ΠΎΠ³ΠΎ ΡΠ΅ΠΌΠ΅Π½ΡΠ°. ΠΠ»Π°Π²Π½ΡΠΌ ΠΎΠ±ΡΠ°Π·ΠΎΠΌ Π΄Π°Π½Π½Π°Ρ ΠΎΠΏΠ΅ΡΠ°ΡΠΈΡ ΠΏΡΠΈΠΌΠ΅Π½ΡΠ΅ΡΡΡ Π΄Π»Ρ ΡΠ½ΠΈΠΆΠ΅Π½ΠΈΡ Π±ΠΎΠ»Π΅Π²ΠΎΠ³ΠΎ ΡΠΈΠ½Π΄ΡΠΎΠΌΠ° ΠΈ ΡΠ²Π΅Π»ΠΈΡΠ΅Π½ΠΈΡ ΠΏΡΠΎΡΠ½ΠΎΡΡΠΈ ΡΠ΅Π»Π° ΠΏΠΎΠ²ΡΠ΅ΠΆΠ΄ΡΠ½Π½ΠΎΠ³ΠΎ ΠΏΠΎΠ·Π²ΠΎΠ½ΠΊΠ°;
- ΠΠΈΡΠΎΠΏΠ»Π°ΡΡΠΈΠΊΠ° β ΠΏΡΠΎΡΠ΅Π΄ΡΡΠ°, ΠΊΠΎΡΠΎΡΠ°Ρ ΠΎΠ±Π΅ΡΠΏΠ΅ΡΠΈΠ²Π°Π΅Ρ ΠΏΠΎΠ»Π½ΠΎΠ΅ ΠΈΠ»ΠΈ ΡΠ°ΡΡΠΈΡΠ½ΠΎΠ΅ Π²ΠΎΡΡΡΠ°Π½ΠΎΠ²Π»Π΅Π½ΠΈΠ΅ Π½ΠΎΡΠΌΠ°Π»ΡΠ½ΠΎ Π²ΡΡΠΎΡΡ ΡΠ΅Π»Π° ΠΏΠΎΠ·Π²ΠΎΠ½ΠΊΠ°. ΠΡΠΏΠΎΠ»Π½ΡΡ Π΄Π°Π½Π½ΡΡ ΠΎΠΏΠ΅ΡΠ°ΡΠΈΡ, Ρ ΠΈΡΡΡΠ³ Π²Π²ΠΎΠ΄ΠΈΡ Π² ΡΠ΅Π»ΠΎ ΠΏΠΎΠ·Π²ΠΎΠ½ΠΊΠ° Π±Π°Π»Π»ΠΎΠ½ ΠΈ Π½Π°Π΄ΡΠ²Π°Π΅Ρ Π΅Π³ΠΎ, Π²ΠΎΡΡΡΠ°Π½Π°Π²Π»ΠΈΠ²Π°Ρ ΡΠ΅ΠΌ ΡΠ°ΠΌΡΠΌ ΠΈΡΡ ΠΎΠ΄Π½ΡΡ Π²ΡΡΠΎΡΡ. Π ΡΡΠΎΡΠΌΠΈΡΠΎΠ²Π°Π½Π½ΡΡ ΠΏΠΎΡΡΠ΅Π΄ΡΡΠ²ΠΎΠΌ ΠΏΡΠΈΠΌΠ΅Π½Π΅Π½ΠΈΡ Π±Π°Π»Π»ΠΎΠ½Π° ΠΏΠΎΠ»ΠΎΡΡΡ Π²Π²ΠΎΠ΄ΡΡ ΡΠΏΠ΅ΡΠΈΠ°Π»ΡΠ½ΡΠΉ ΠΊΠΎΡΡΠ½ΡΠΉ ΡΠ΅ΠΌΠ΅Π½Ρ, ΠΊΠΎΡΠΎΡΡΠΉ ΡΠΈΠΊΡΠΈΡΡΠ΅Ρ ΡΠ΅Π»ΠΎ ΠΏΠΎΠ·Π²ΠΎΠ½ΠΊΠ° Π² ΠΈΡΠΏΡΠ°Π²Π»Π΅Π½Π½ΠΎΠΌ ΠΏΠΎΠ»ΠΎΠΆΠ΅Π½ΠΈΠΈ.
Π₯ΠΈΡΡΡΠ³ΠΈΡΠ΅ΡΠΊΠΎΠ΅ Π»Π΅ΡΠ΅Π½ΠΈΠ΅
ΠΡΠΈ Π½Π΅ΡΡΠ°Π±ΠΈΠ»ΡΠ½ΡΡ ΠΏΠ΅ΡΠ΅Π»ΠΎΠΌΠ°Ρ ΠΏΠΎΠ·Π²ΠΎΠ½ΠΎΡΠ½ΠΈΠΊΠ° ΡΠ°ΠΊΠΎΠ³ΠΎ ΡΠΎΠ΄Π° ΠΈ Π²ΡΡΠΎΠΊΠΎΠΉ Π²Π΅ΡΠΎΡΡΠ½ΠΎΡΡΠΈ ΡΠ°Π·Π²ΠΈΡΠΈΡ (Π»ΠΈΠ±ΠΎ ΡΠ°ΠΊΡΠΈΡΠ΅ΡΠΊΠΎΠΌ Π½Π°Π»ΠΈΡΠΈΠΈ) Π½Π΅Π²ΡΠΎΠ»ΠΎΠ³ΠΈΡΠ΅ΡΠΊΠΈΡ ΠΎΡΠ»ΠΎΠΆΠ½Π΅Π½ΠΈΠΉ, Π²ΡΠ°Ρ Π±ΡΠ΄Π΅Ρ ΡΠ΅ΠΊΠΎΠΌΠ΅Π½Π΄ΠΎΠ²Π°ΡΡ ΠΏΠ°ΡΠΈΠ΅Π½ΡΡ ΠΏΡΠΎΠ²Π΅Π΄Π΅Π½ΠΈΡ Ρ ΠΈΡΡΡΠ³ΠΈΡΠ΅ΡΠΊΠΎΠ³ΠΎ Π²ΠΌΠ΅ΡΠ°ΡΠ΅Π»ΡΡΡΠ²Π°.
ΠΠΏΠ΅ΡΠ°ΡΠΈΠ²Π½ΠΎΠ΅ Π»Π΅ΡΠ΅Π½ΠΈΠ΅ ΠΏΡΠ΅Π΄ΡΡΠ°Π²Π»ΡΠ΅Ρ ΡΠΎΠ±ΠΎΠΉ ΠΏΠΎΡΠ»Π΅Π΄ΠΎΠ²Π°ΡΠ΅Π»ΡΠ½ΠΎ Π²ΡΠΏΠΎΠ»Π½ΡΠ΅ΠΌΡΠ΅ Π΄Π΅ΠΊΠΎΠΌΠΏΡΠ΅ΡΡΠΈΡ (ΡΠ΅Π·Π΅ΠΊΡΠΈΡ ΡΡΠ°Π³ΠΌΠ΅Π½ΡΠΎΠ² ΡΠ΅Π»Π° ΠΏΠΎΠ·Π²ΠΎΠ½ΠΊΠ°, ΠΊΠΎΡΠΎΡΡΠ΅ ΠΎΠΊΠ°Π·ΡΠ²Π°ΡΡ Π΄Π°Π²Π»Π΅Π½ΠΈΠ΅ Π½Π° ΡΠΏΠΈΠ½Π½ΠΎΠΉ ΠΌΠΎΠ·Π³ ΠΈ Π½Π΅ΡΠ²Π½ΡΠ΅ ΠΊΠΎΡΠ΅ΡΠΊΠΈ) ΠΈ Π²Π½ΡΡΡΠ΅Π½Π½ΡΡ ΡΠΈΠΊΡΠ°ΡΠΈΡ, Π²ΡΠΏΠΎΠ»Π½ΡΠ΅ΠΌΡΡ Ρ ΠΏΠΎΠΌΠΎΡΡΡ ΠΌΠ΅ΡΠ°Π»Π»ΠΈΡΠ΅ΡΠΊΠΈΡ ΠΈΠΌΠΏΠ»Π°Π½ΡΠ°ΡΠΎΠ².
Π Π½Π°ΡΠ°Π»ΠΎ β
ΠΡΠ»ΠΎΠΆΠ½Π΅Π½ΠΈΡ
ΠΡΠΏΠΎΠ»ΡΠ·ΡΡΡΠΈΠ΅ΡΡ Π΄Π»Ρ Π»Π΅ΡΠ΅Π½ΠΈΡ ΠΊΠΎΠΌΠΏΡΠ΅ΡΡΠΈΠΎΠ½Π½ΠΎΠ³ΠΎ ΠΏΠ΅ΡΠ΅Π»ΠΎΠΌΠ° ΠΏΠΎΠ·Π²ΠΎΠ½ΠΎΡΠ½ΠΈΠΊΠ° Ρ ΠΈΡΡΡΠ³ΠΈΡΠ΅ΡΠΊΠΈΠ΅ ΠΏΡΠΎΡΠ΅Π΄ΡΡΡ, ΡΠ°Π²Π½ΠΎ ΠΊΠ°ΠΊ ΠΈ Π»ΡΠ±ΡΠ΅ Π΄ΡΡΠ³ΠΈΠ΅ ΠΎΠΏΠ΅ΡΠ°ΡΠΈΠΈ, ΠΌΠΎΠ³ΡΡ ΠΏΡΠΈΠ²Π΅ΡΡΠΈ ΠΊ Π²ΠΎΠ·Π½ΠΈΠΊΠ½ΠΎΠ²Π΅Π½ΠΈΡ ΡΡΠ΄Π° ΠΎΡΠ»ΠΎΠΆΠ½Π΅Π½ΠΈΠΉ. ΠΠ²ΠΈΠ΄Ρ ΡΠΎΠ³ΠΎ, ΡΡΠΎ Ρ ΠΈΡΡΡΠ³ Π²ΡΠΏΠΎΠ»Π½ΡΠ΅Ρ Π½Π΅ΠΎΠ±Ρ ΠΎΠ΄ΠΈΠΌΡΠ΅ ΠΌΠ°Π½ΠΈΠΏΡΠ»ΡΡΠΈΠΈ Π² Π½Π΅ΠΏΠΎΡΡΠ΅Π΄ΡΡΠ²Π΅Π½Π½ΠΎΠΉ Π±Π»ΠΈΠ·ΠΎΡΡΠΈ ΠΎΡ Π½Π΅ΡΠ²Π½ΡΡ ΠΊΠΎΡΠ΅ΡΠΊΠΎΠ² ΠΈ ΡΠΏΠΈΠ½Π½ΠΎΠ³ΠΎ ΠΌΠΎΠ·Π³Π°, ΠΎΠΏΠ΅ΡΠ°ΡΠΈΠΈ Π½Π° ΠΏΠΎΠ·Π²ΠΎΠ½ΠΎΡΠ½ΠΈΠΊΠ΅ Π² Π»ΡΠ±ΠΎΠΌ ΡΠ»ΡΡΠ°Π΅ ΡΡΠΈΡΠ°ΡΡΡΡ ΠΏΠΎΡΠ΅Π½ΡΠΈΠ°Π»ΡΠ½ΠΎ ΠΎΠΏΠ°ΡΠ½ΡΠΌΠΈ. ΠΠ΅ΡΠ΅Π΄ ΠΏΡΠΎΠ²Π΅Π΄Π΅Π½ΠΈΠ΅ΠΌ Π²ΠΌΠ΅ΡΠ°ΡΠ΅Π»ΡΡΡΠ²Π° ΠΏΠ°ΡΠΈΠ΅Π½ΡΡ ΡΠ΅ΠΊΠΎΠΌΠ΅Π½Π΄ΡΠ΅ΡΡΡ ΠΎΠ±ΡΡΠ΄ΠΈΡΡ Π²ΡΠ΅ ΡΡΡΠ΅ΡΡΠ²ΡΡΡΠΈΠ΅ ΡΠΈΡΠΊΠΈ Ρ Π²ΡΠ°ΡΠΎΠΌ.
Π‘ ΠΊΠΎΠΌΠΏΡΠ΅ΡΡΠΈΠΎΠ½Π½ΡΠΌ ΠΏΠ΅ΡΠ΅Π»ΠΎΠΌΠΎΠΌ ΠΏΠΎΠ·Π²ΠΎΠ½ΠΊΠΎΠ² Π½Π΅ΠΏΠΎΡΡΠ΅Π΄ΡΡΠ²Π΅Π½Π½ΠΎ ΡΠ²ΡΠ·Π°Π½Ρ ΡΠ»Π΅Π΄ΡΡΡΠΈΠ΅ ΠΎΡΠ»ΠΎΠΆΠ½Π΅Π½ΠΈΡ:
ΠΠΈΡΠΎΡΠΈΡΠ΅ΡΠΊΠ°Ρ Π΄Π΅ΡΠΎΡΠΌΠ°ΡΠΈΡ
ΠΠ°ΠΈΠ±ΠΎΠ»Π΅Π΅ ΡΠ°ΡΡΠΎ ΠΊΠΈΡΠΎΠ· Π²ΡΡΡΠ΅ΡΠ°Π΅ΡΡΡ Ρ ΠΏΠΎΠΆΠΈΠ»ΡΡ ΠΆΠ΅Π½ΡΠΈΠ½, ΡΡΡΠ°Π΄Π°ΡΡΠΈΡ ΠΎΡ Π²ΡΡΠ°ΠΆΠ΅Π½Π½ΠΎΠ³ΠΎ ΠΎΡΡΠ΅ΠΎΠΏΠΎΡΠΎΠ·Π° ΠΈ Π²ΡΠ·Π²Π°Π½Π½ΡΡ ΠΈΠΌ ΠΊΠΎΠΌΠΏΡΠ΅ΡΡΠΈΠΎΠ½Π½ΡΡ ΠΏΠ΅ΡΠ΅Π»ΠΎΠΌΠΎΠ² ΠΏΠΎΠ·Π²ΠΎΠ½ΠΎΡΠ½ΠΈΠΊΠ°. Π ΡΡΠΎΠΌ ΡΠ»ΡΡΠ°Π΅ ΡΠΎΡΠΌΠΈΡΡΠ΅ΡΡΡ ΠΏΠΎΠ»ΠΎΠ³ΠΈΠΉ Π»ΠΈΠ±ΠΎ ΠΎΡΡΡΠΎΠΊΠΎΠ½Π΅ΡΠ½ΡΠΉ Π³ΠΎΡΠ±, ΡΠ°ΡΠΏΠΎΠ»ΠΎΠΆΠ΅Π½Π½ΡΠΉ Π² ΠΎΠ±Π»Π°ΡΡΠΈ Π³ΡΡΠ΄Π½ΠΎΠ³ΠΎ ΠΎΡΠ΄Π΅Π»Π° ΠΏΠΎΠ·Π²ΠΎΠ½ΠΎΡΠ½ΠΎΠ³ΠΎ ΡΡΠΎΠ»Π±Π°.
ΠΠΈΡΠΎΠ· ΠΌΠΎΠΆΠ΅Ρ ΡΠ²Π»ΡΡΡΡΡ ΠΈΡΡΠΎΡΠ½ΠΈΠΊΠΎΠΌ ΠΎΡΠ΅Π½Ρ ΡΠΈΠ»ΡΠ½ΡΡ ΠΈ ΠΈΠ·Π½ΡΡΡΡΡΠΈΡ Π±ΠΎΠ»Π΅Π²ΡΡ ΠΎΡΡΡΠ΅Π½ΠΈΠΉ. Π’Π°ΠΊΠΆΠ΅ ΠΊΠΈΡΠΎΡΠΈΡΠ΅ΡΠΊΠ°Ρ Π΄Π΅ΡΠΎΡΠΌΠ°ΡΠΈΡ ΠΌΠΎΠΆΠ΅Ρ ΠΎΠΊΠ°Π·ΡΠ²Π°ΡΡ Π²Π»ΠΈΡΠ½ΠΈΠ΅ Π½Π° ΡΡΠ½ΠΊΡΠΈΠΎΠ½ΠΈΡΠΎΠ²Π°Π½ΠΈΠ΅ ΡΠ΅ΡΠ΄ΡΠ°, Π»ΡΠ³ΠΊΠΈΡ ΠΈ Π΄ΡΡΠ³ΠΈΡ Π²Π½ΡΡΡΠ΅Π½Π½ΠΈΡ ΠΎΡΠ³Π°Π½ΠΎΠ², ΡΡΠΎ, Π² ΡΠ²ΠΎΡ ΠΎΡΠ΅ΡΠ΅Π΄Ρ, ΠΏΡΠΈΠ²ΠΎΠ΄ΠΈΡ ΠΊ Π½Π°ΡΡΡΠ΅Π½ΠΈΡΠΌ ΠΏΠΈΡΠ΅Π²Π°ΡΠ΅Π½ΠΈΡ, ΠΎΠ΄ΡΡΠΊΠ΅ ΠΈ Ρ ΡΠΎΠ½ΠΈΡΠ΅ΡΠΊΠΎΠΉ ΡΡΡΠ°Π»ΠΎΡΡΠΈ.
Π‘Π΅Π³ΠΌΠ΅Π½ΡΠ°ΡΠ½Π°Ρ Π½Π΅ΡΡΠ°Π±ΠΈΠ»ΡΠ½ΠΎΡΡΡ
ΠΡΠ»ΠΈ ΠΊΠΎΠΌΠΏΡΠ΅ΡΡΠΈΠΎΠ½Π½ΡΠΉ ΠΏΠ΅ΡΠ΅Π»ΠΎΠΌ Π²ΡΠ·ΡΠ²Π°Π΅Ρ ΡΠΌΠ΅Π½ΡΡΠ΅Π½ΠΈΠ΅ Π²ΡΡΠΎΡΡ ΡΠ΅Π»Π° ΠΏΠΎΠ·Π²ΠΎΠ½ΠΊΠ° Π±ΠΎΠ»ΡΡΠ΅ ΡΠ΅ΠΌ Π½Π° 30%, ΡΡΡΠ΅ΡΡΠ²ΡΠ΅Ρ ΡΠΈΡΠΊ ΡΠ°Π·Π²ΠΈΡΠΈΡ Π΄Π°Π½Π½ΠΎΠ³ΠΎ ΠΎΡΠ»ΠΎΠΆΠ½Π΅Π½ΠΈΡ. ΠΠ°ΠΆΠ΄ΡΠΉ ΡΠ΅Π³ΠΌΠ΅Π½Ρ ΠΏΠΎΠ·Π²ΠΎΠ½ΠΎΡΠ½ΠΎΠ³ΠΎ ΡΡΠΎΠ»Π±Π° ΠΏΡΠ΅Π΄ΡΡΠ°Π²Π»ΡΠ΅Ρ ΡΠΎΠ±ΠΎΠΉ Ρ ΠΎΡΠΎΡΠΎ Π½Π°Π»Π°ΠΆΠ΅Π½Π½ΡΡ ΡΠ°ΡΡΡ ΠΎΠ±ΡΠ΅Π³ΠΎ ΠΌΠ΅Ρ Π°Π½ΠΈΠ·ΠΌΠ° β ΡΠ΅ΡΠΊΠΎ ΡΠΊΠΎΠΎΡΠ΄ΠΈΠ½ΠΈΡΠΎΠ²Π°Π½Π½Π°Ρ ΡΠ°Π±ΠΎΡΠ°Β Π²ΡΠ΅Ρ ΡΠ΅Π³ΠΌΠ΅Π½ΡΠΎΠ² ΠΈ ΠΏΠΎΠ·Π²ΠΎΠ»ΡΠ΅Ρ ΠΏΠΎΠ·Π²ΠΎΠ½ΠΎΡΠ½ΠΈΠΊΡ Π² ΠΏΠΎΠ»Π½ΠΎΠΉ ΠΌΠ΅ΡΠ΅ Π²ΡΠΏΠΎΠ»Π½ΡΡΡ ΡΠ²ΠΎΠΈ ΡΡΠ½ΠΊΡΠΈΠΈ: ΠΎΠ±Π΅ΡΠΏΠ΅ΡΠ΅Π½ΠΈΠ΅ Π΄Π²ΠΈΠΆΠ΅Π½ΠΈΡ, ΠΏΠΎΠ΄Π΄Π΅ΡΠΆΠΊΡ, ΠΏΠ΅ΡΠ΅Π΄Π°ΡΡ ΠΎΡΠ΅Π²ΠΎΠΉ Π½Π°Π³ΡΡΠ·ΠΊΠΈ.
ΠΡΠΈ Π²ΠΎΠ·Π½ΠΈΠΊΠ½ΠΎΠ²Π΅Π½ΠΈΠΈ ΠΊΠΎΠΌΠΏΡΠ΅ΡΡΠΈΠΎΠ½Π½ΠΎΠ³ΠΎ ΠΏΠ΅ΡΠ΅Π»ΠΎΠΌΠ° ΡΡΠ°Π±ΠΈΠ»ΡΠ½ΠΎΡΡΡ Π² ΠΏΠΎΠ·Π²ΠΎΠ½ΠΎΡΠ½ΡΡ ΡΠ΅Π³ΠΌΠ΅Π½ΡΠ°Ρ Π½Π°ΡΡΡΠ°Π΅ΡΡΡ, ΡΡΠΎ Π²ΡΠ·ΡΠ²Π°Π΅Ρ Π±ΠΎΠ»Π΅Π²ΡΠ΅ ΠΎΡΡΡΠ΅Π½ΠΈΡ ΠΈ Π·Π°ΡΡΡΠ΄Π½Π΅Π½ΠΈΡ, ΡΠ²ΡΠ·Π°Π½Π½ΡΠ΅ Ρ Π²ΡΠΏΠΎΠ»Π½Π΅Π½ΠΈΠ΅ΠΌ ΠΏΠΎΠ²ΡΠ΅Π΄Π½Π΅Π²Π½ΡΡ Π΄Π΅ΠΉΡΡΠ²ΠΈΠΉ. Π ΠΊΠΎΠ½Π΅ΡΠ½ΠΎΠΌ ΡΡΠ΅ΡΠ΅, Π½Π΅ΡΡΠ°Π±ΠΈΠ»ΡΠ½ΠΎΡΡΡ ΠΏΡΠΈΠ²ΠΎΠ΄ΠΈΡ ΠΊ ΡΡΡΠ΅ΡΡΠ²Π΅Π½Π½ΠΎΠΌΡ ΡΡΠΊΠΎΡΠ΅Π½ΠΈΡ Π΄Π΅Π³Π΅Π½Π΅ΡΠ°ΡΠΈΠ²Π½ΠΎ-Π΄ΠΈΡΡΡΠΎΡΠΈΡΠ΅ΡΠΊΠΈΡ ΠΏΡΠΎΡΠ΅ΡΡΠΎΠ², ΠΏΡΠΎΠΈΡΡ ΠΎΠ΄ΡΡΠΈΡ Π² ΠΏΠΎΠ·Π²ΠΎΠ½ΠΎΡΠ½ΠΈΠΊΠ΅.
ΠΠ΅Π²ΡΠΎΠ»ΠΎΠ³ΠΈΡΠ΅ΡΠΊΠΈΠ΅ ΠΎΡΠ»ΠΎΠΆΠ½Π΅Π½ΠΈΡ
ΠΡΠΈ Π²ΠΎΠ·Π½ΠΈΠΊΠ½ΠΎΠ²Π΅Π½ΠΈΠΈ ΠΊΠΎΠΌΠΏΡΠ΅ΡΡΠΈΠΎΠ½Π½ΠΎΠ³ΠΎ ΠΏΠ΅ΡΠ΅Π»ΠΎΠΌΠ° ΠΏΠΎΠ·Π²ΠΎΠ½ΠΎΡΠ½ΠΈΠΊΠ° ΠΊΠΎΡΡΠ½ΡΠ΅ ΠΎΠ±Π»ΠΎΠΌΠΊΠΈ ΠΌΠΎΠ³ΡΡ ΡΠΌΠ΅ΡΠ°ΡΡΡΡ Π½Π°Π·Π°Π΄, ΡΡΠΎ ΠΏΡΠΈΠ²ΠΎΠ΄ΠΈΡ ΠΊ ΡΠ΄Π°Π²Π»Π΅Π½ΠΈΡ Π½Π΅ΡΠ²Π½ΡΡ ΠΊΠΎΡΠ΅ΡΠΊΠΎΠ² ΠΈ ΡΠΏΠΈΠ½Π½ΠΎΠ³ΠΎ ΠΌΠΎΠ·Π³Π°. Π‘ΡΠΆΠ΅Π½ΠΈΠ΅ ΠΏΠΎΠ·Π²ΠΎΠ½ΠΎΡΠ½ΠΎΠ³ΠΎ ΠΊΠ°Π½Π°Π»Π°, ΠΎΠ±ΡΡΠ»ΠΎΠ²Π»Π΅Π½Π½ΠΎΠ΅ ΠΊΠΎΠΌΠΏΡΠ΅ΡΡΠΈΠΎΠ½Π½ΡΠΌ ΠΏΠ΅ΡΠ΅Π»ΠΎΠΌΠΎΠΌ, ΠΌΠΎΠΆΠ΅Ρ ΠΏΡΠΎΡΠ²ΠΈΡΡ ΡΠ΅Π±Ρ ΠΊΠ°ΠΊ Π½Π΅ΠΏΠΎΡΡΠ΅Π΄ΡΡΠ²Π΅Π½Π½ΠΎ ΠΏΠΎΡΠ»Π΅ ΠΏΠΎΠ»ΡΡΠ΅Π½ΠΈΡ ΡΡΠ°Π²ΠΌΡ, ΡΠ°ΠΊ ΠΈ ΡΠΏΡΡΡΡ Π½Π΅ΠΊΠΎΡΠΎΡΠΎΠ΅ Π²ΡΠ΅ΠΌΡ. ΠΠΎΠΌΠΈΠΌΠΎ, ΡΠΎΠ±ΡΡΠ²Π΅Π½Π½ΠΎ, Π΄Π°Π²Π»Π΅Π½ΠΈΡ Π½Π° ΡΠΏΠΈΠ½Π½ΠΎΠΉ ΠΌΠΎΠ·Π³, ΡΡΠ°Π²ΠΌΠ°ΡΠΈΡΠ΅ΡΠΊΠΎΠ΅ ΠΏΠΎΠ²ΡΠ΅ΠΆΠ΄Π΅Π½ΠΈΠ΅ ΠΌΠΎΠΆΠ΅Ρ ΡΠ°ΠΊΠΆΠ΅ ΠΏΡΠΈΠ²Π΅ΡΡΠΈ ΠΊ ΡΠ΄Π°Π²Π»ΠΈΠ²Π°Π½ΠΈΡ ΡΠΎΡΡΠ΄ΠΎΠ², ΠΊΠΎΡΠΎΡΡΠ΅ ΠΏΠ»ΠΎΡΠ½ΠΎ ΠΎΠΏΠ»Π΅ΡΠ°ΡΡ Π½Π΅ΡΠ²Π½ΡΠ΅ ΡΡΡΡΠΊΡΡΡΡ. ΠΠ°Π½Π½ΠΎΠ΅ Π½Π°ΡΡΡΠ΅Π½ΠΈΠ΅ ΠΌΠΎΠΆΠ΅Ρ ΠΏΡΠΎΡΠ²Π»ΡΡΡΡΡ Π²ΡΡΠ°ΠΆΠ΅Π½Π½ΡΠΌ Π±ΠΎΠ»Π΅Π²ΡΠΌ ΡΠΈΠ½Π΄ΡΠΎΠΌΠΎΠΌ ΠΈ ΠΎΠ½Π΅ΠΌΠ΅Π½ΠΈΠ΅ΠΌ, Π²ΠΎΠ·Π½ΠΈΠΊΠ°ΡΡΠ΅ΠΌ ΠΏΡΠΈ Π½Π΅Π·Π½Π°ΡΠΈΡΠ΅Π»ΡΠ½ΡΡ ΡΠΈΠ·ΠΈΡΠ΅ΡΠΊΠΈΡ Π½Π°Π³ΡΡΠ·ΠΊΠ°Ρ ΠΈΠ»ΠΈ Π² ΡΠΎΡΡΠΎΡΠ½ΠΈΠΈ ΠΏΠΎΠΊΠΎΡ.
Π Π½Π°ΡΠ°Π»ΠΎ β
ΠΠ°ΡΠ΅ΡΠΈΠ°Π» ΠΎΠΊΠ°Π·Π°Π»ΡΡ ΠΏΠΎΠ»Π΅Π·Π½ΡΠΌ?Β Β Β
abromed.ru
ΠΠΎΠΌΠΏΡΠ΅ΡΡΠΈΠΎΠ½Π½ΡΠΉ ΠΏΠ΅ΡΠ΅Π»ΠΎΠΌ ΠΏΠΎΠ·Π²ΠΎΠ½ΠΎΡΠ½ΠΈΠΊΠ° ΠΏΠΎΡΡΠ½ΠΈΡΠ½ΠΎΠ³ΠΎ ΠΎΡΠ΄Π΅Π»Π°: ΡΠΈΠΌΠΏΡΠΎΠΌΡ, Π»Π΅ΡΠ΅Π½ΠΈΠ΅ Π΄ΠΎΠΌΠ°
ΠΠΎΠΌΠΏΡΠ΅ΡΡΠΈΠΎΠ½Π½ΡΠΉ ΠΏΠ΅ΡΠ΅Π»ΠΎΠΌ Π² ΠΎΠ±Π»Π°ΡΡΠΈ ΠΏΠΎΡΡΠ½ΠΈΡΠ½ΠΎΠ³ΠΎ ΠΎΡΠ΄Π΅Π»Π° ΠΎΡΠ΅Π½Ρ ΡΠ΅ΡΡΡΠ·Π½Π°Ρ ΡΡΠ°Π²ΠΌΠ° ΠΈ, ΠΊΠ°ΠΊ Π½ΠΈ ΡΡΡΠ°Π½Π½ΠΎ, Π²ΡΡΡΠ΅ΡΠ°Π΅ΡΡΡ Π΄ΠΎΠ²ΠΎΠ»ΡΠ½ΠΎ ΡΠ°ΡΡΠΎ.
Π ΠΏΠ΅ΡΠ΅Π»ΠΎΠΌΡ ΠΌΠΎΠΆΠ΅Ρ ΠΏΡΠΈΠ²Π΅ΡΡΠΈ ΠΏΠ°Π΄Π΅Π½ΠΈΠ΅ ΠΈΠ»ΠΈ Π½Π΅ΡΠ΄Π°ΡΠ½ΡΠΉ ΠΏΡΡΠΆΠΎΠΊ Ρ Π²ΡΡΠΎΡΡ.
Π’Π°ΠΊΠΈΠ΅ ΡΡΠ°Π²ΠΌΡ ΡΠ°ΡΡΠΎ Π½Π°Π±Π»ΡΠ΄Π°ΡΡΡΡ ΠΏΡΠΈ Π½Π°Π»ΠΈΡΠΈΠΈ ΠΎΡΡΠ΅ΠΎΠΏΠΎΡΠΎΠ·Π°, ΠΊΠΎΠ³Π΄Π° ΠΈΠΌΠ΅Π΅ΡΡΡ Π΄Π΅ΡΠΈΡΠΈΡ ΠΊΠ°Π»ΡΡΠΈΡ.
ΠΠ΅ΡΠ΅Π»ΠΎΠΌ ΠΎΠΏΠ°ΡΠ΅Π½ ΠΈ ΠΏΠΎΡΠ»Π΅Π΄ΡΡΠ²ΠΈΡΠΌΠΈ, ΠΏΠΎΡΡΠΎΠΌΡ ΠΏΠΎΠΌΠΎΡΡ ΡΠ»Π΅Π΄ΡΠ΅Ρ ΠΎΠΊΠ°Π·ΡΠ²Π°ΡΡ Π½Π΅ΠΌΠ΅Π΄Π»Π΅Π½Π½ΠΎ, Π΄ΠΎ ΠΏΡΠΈΠ΅Π·Π΄Π° Π²ΡΠ°ΡΠ°.
ΠΠΎΡΠ»Π΅ Π°Π΄Π΅ΠΊΠ²Π°ΡΠ½ΠΎΠ³ΠΎ Π»Π΅ΡΠ΅Π½ΠΈΡ Π½Π΅ΠΎΠ±Ρ ΠΎΠ΄ΠΈΠΌΠ° ΠΈ ΠΏΡΠ°Π²ΠΈΠ»ΡΠ½Π°Ρ ΡΠ΅Π°Π±ΠΈΠ»ΠΈΡΠ°ΡΠΈΡ.
Π§ΡΠΎ ΡΠ°ΠΊΠΎΠ΅ ΠΊΠΎΠΌΠΏΡΠ΅ΡΡΠΈΠΎΠ½Π½ΡΠΉ ΠΏΠ΅ΡΠ΅Π»ΠΎΠΌ?
ΠΠΎΠ·Π²ΠΎΠ½ΠΎΡΠ½ΠΈΠΊ ΡΠ²Π»ΡΠ΅ΡΡΡ ΠΎΡΡΡ ΠΎΡΠ³Π°Π½ΠΈΠ·ΠΌΠ° ΠΈ ΡΠΎΡΡΠΎΠΈΡ ΠΏΠΎΠ·Π²ΠΎΠ½ΠΊΠΎΠ², ΠΊΠΎΡΠΎΡΡΠ΅ Π΄ΠΎΡΡΠ°ΡΠΎΡΠ½ΠΎ ΠΏΡΠΎΡΠ½ΡΠ΅ ΠΈ Π²ΡΠ΄Π΅ΡΠΆΠΈΠ²Π°ΡΡ Π±ΠΎΠ»ΡΡΠΈΠ΅ Π½Π°Π³ΡΡΠ·ΠΊΠΈ. ΠΠΎ ΠΏΡΠΈ ΡΠ΅Π·ΠΊΠΎΠΌ ΡΠ΄Π°ΡΠ΅ ΠΏΡΠΎΡΠ½ΠΎΡΡΡ ΠΊΠΎΡΡΠ½ΠΎΠΉ ΡΠΊΠ°Π½ΠΈ ΠΎΠ³ΡΠ°Π½ΠΈΡΠ΅Π½Π°, Π° ΠΏΡΠΈ ΡΠΎΠΏΡΡΡΡΠ²ΡΡΡΠΈΡ Π±ΠΎΠ»Π΅Π·Π½ΡΡ Π²ΠΎΠΎΠ±ΡΠ΅ Ρ ΡΡΠΏΠΊΠ°Ρ.
ΠΡΡΠ΅ΡΡΠ²Π΅Π½Π½ΠΎ, ΠΏΡΠΈ Π½Π΅ΠΏΡΠΈΡΡΠ½ΡΡ ΠΎΠ±ΡΡΠΎΡΡΠ΅Π»ΡΡΡΠ²Π°Ρ ΡΠ»ΡΡΠ°Π΅ΡΡΡ ΠΊΠΎΠΌΠΏΡΠ΅ΡΡΠΈΠΎΠ½Π½ΡΠΉ ΠΏΠ΅ΡΠ΅Π»ΠΎΠΌ. ΠΡΠΎ ΠΏΠΎΠ²ΡΠ΅ΠΆΠ΄Π΅Π½ΠΈΠ΅ Π²ΠΎΠ·Π½ΠΈΠΊΠ°Π΅Ρ ΠΈΠ·-Π·Π° ΡΠΈΠ»ΡΠ½ΠΎ ΡΠΆΠ°ΡΠΈΡ ΠΈΠ»ΠΈ Π΄Π°Π²Π»Π΅Π½ΠΈΡ Π½Π° ΠΏΠΎΠ·Π²ΠΎΠ½ΠΎΡΠ½ΡΠΉ ΡΡΠΎΠ»Π±. ΠΠ±ΡΠ°Π·ΡΠ΅ΡΡΡ Π΄Π΅ΡΠΎΡΠΌΠ°ΡΠΈΡ, ΠΏΠΎΡΠ²Π»ΡΡΡΡΡ ΡΡΠ΅ΡΠΈΠ½Ρ ΠΈ ΡΠ°ΡΠΏΠ»ΡΡΠΈΠ²Π°Π½ΠΈΠ΅ ΠΏΠΎΠ·Π²ΠΎΠ½ΠΊΠΎΠ². ΠΠ΅ΡΠ΅Π΄ΠΊΠΎ ΠΎΠ½ΠΈ ΠΏΡΠΈΠ½ΠΈΠΌΠ°ΡΡ ΠΊΠ»ΠΈΠ½ΠΎΠ²ΠΈΠ΄Π½ΡΡ ΡΠΎΡΠΌΡ ΠΈ Π΄Π°Π²ΡΡ Π½Π° Π½Π΅ΡΠ²Π½ΡΠ΅ ΠΎΠΊΠΎΠ½ΡΠ°Π½ΠΈΡ.
ΠΠΎΠΌΠΏΡΠ΅ΡΡΠΈΠΎΠ½Π½ΡΠΉ ΠΏΠ΅ΡΠ΅Π»ΠΎΠΌ ΠΏΠΎΠ·Π²ΠΎΠ½ΠΎΡΠ½ΠΈΠΊΠ° Π²ΠΎΠ·Π½ΠΈΠΊΠ°Π΅Ρ ΠΈΠ·-Π·Π° ΡΠΈΠ»ΡΠ½ΠΎΠ³ΠΎ Π΄Π°Π²Π»Π΅Π½ΠΈΡ Π½Π° Π½Π΅Π³ΠΎ
ΠΠΎΡΡΠ½ΠΈΡΠ½ΡΠΉ ΠΎΡΠ΄Π΅Π» ΠΏΠΎΠ²ΡΠ΅ΠΆΠ΄Π°Π΅ΡΡΡ ΠΎΡΠ΅Π½Ρ ΡΠ°ΡΡΠΎ, ΡΠ°ΠΊ ΠΊΠ°ΠΊ ΠΎΠ½ ΠΈΡΠΏΡΡΡΠ²Π°Π΅Ρ ΠΏΠΎΡΡΠΎΡΠ½Π½ΡΠ΅ Π½Π°Π³ΡΡΠ·ΠΊΠΈ. Π ΡΠΎΠΌΡ ΠΆΠ΅, ΠΎΠ½ Π½Π΅ΡΠ΅Π΄ΠΊΠΎ ΠΏΠΎΠ΄Π²Π΅ΡΠΆΠ΅Π½ Π΄Π΅Π³Π΅Π½Π΅ΡΠ°ΡΠΈΠ²Π½ΠΎ-Π΄ΠΈΡΡΡΠΎΡΠΈΡΠ΅ΡΠΊΠΈΠΌ Π·Π°Π±ΠΎΠ»Π΅Π²Π°Π½ΠΈΡΠΌ. ΠΠ±ΡΡΠ½ΠΎ ΡΡΠ°Π²ΠΌΠΈΡΡΡΡΡΡ ΠΏΠ΅ΡΠ²ΡΠ΅ ΠΏΠΎΠ·Π²ΠΎΠ½ΠΊΠΈ.
Π Π·Π°Π²ΠΈΡΠΈΠΌΠΎΡΡΠΈ ΠΎΡ ΡΡΠ΅ΠΏΠ΅Π½ΠΈ ΡΠ»ΠΎΠΆΠ½ΠΎΡΡΠΈ ΠΊΠΎΠΌΠΏΡΠ΅ΡΡΠΈΠΎΠ½Π½ΡΠ΅ ΠΏΠ΅ΡΠ΅Π»ΠΎΠΌΡ ΡΠ°Π·Π΄Π΅Π»ΡΡΡ:
| ΠΠ΅ΡΠ²Π°Ρ ΡΡΠ΅ΠΏΠ΅Π½Ρ | Π²ΡΡΠΎΡΠ° ΠΏΠΎΠ·Π²ΠΎΠ½ΠΊΠ° ΡΠΌΠ΅Π½ΡΡΠ°Π΅ΡΡΡ Π½Π΅ Π±ΠΎΠ»Π΅Π΅ 40% |
| ΠΡΠΎΡΠ°Ρ ΡΡΠ΅ΠΏΠ΅Π½Ρ | Π²ΡΡΠΎΡΠ° ΡΠ½ΠΈΠΆΠ°Π΅ΡΡΡ Π½Π°ΠΏΠΎΠ»ΠΎΠ²ΠΈΠ½Ρ |
| Π’ΡΠ΅ΡΡΡ ΡΡΠ΅ΠΏΠ΅Π½Ρ | ΡΠ½ΠΈΠΆΠ΅Π½ΠΈΠ΅ Π±ΠΎΠ»ΡΡΠ΅ ΡΠ΅ΠΌ Π½Π° 50% |
Π Π°Π·Π΄Π΅Π»Π΅Π½ΠΈΠ΅ ΠΏΠ΅ΡΠ΅Π»ΠΎΠΌΠΎΠ² ΠΏΠΎ ΡΠΎΡΠΌΠ΅:
- ΠΡΠ»ΠΎΠΆΠ½ΡΠ½Π½ΡΠΉ. ΠΡΠΎΠΌΠ΅ Π±ΠΎΠ»Π΅Π²ΠΎΠ³ΠΎ ΡΠΈΠ½Π΄ΡΠΎΠΌΠ° Π²ΠΎΠ·Π½ΠΈΠΊΠ°ΡΡ ΡΠ²Π»Π΅Π½ΠΈΡ Π½Π΅Π²ΡΠΎΠ»ΠΎΠ³ΠΈΡΠ΅ΡΠΊΠΎΠ³ΠΎ Ρ Π°ΡΠ°ΠΊΡΠ΅ΡΠ°. ΠΠΎΡΡΠ½ΡΠ΅ ΠΎΠ±Π»ΠΎΠΌΠΊΠΈ ΠΌΠΎΠ³ΡΡ ΠΏΠΎΠ²ΡΠ΅Π΄ΠΈΡΡ Π½Π΅ΡΠ²Π½ΡΠ΅ ΠΎΠΊΠΎΠ½ΡΠ°Π½ΠΈΡ, ΡΡΠΎ Π²ΡΠ·ΠΎΠ²Π΅Ρ ΠΏΠΎΡΠ²Π»Π΅Π½ΠΈΠ΅ ΡΠ΅ΡΠ΅Π±ΡΠ°Π»ΡΠ½ΡΡ Π½Π°ΡΡΡΠ΅Π½ΠΈΠΉ.
- ΠΠ΅ΠΎΡΠ»ΠΎΠΆΠ½ΡΠ½Π½ΡΠΉ. ΠΡΠΈ ΡΡΠΎΠΉ ΡΠΎΡΠΌΠ΅ ΡΠΏΠΈΠ½Π½ΠΎΠΉ ΠΌΠΎΠ·Π³ Π½Π΅ Π·Π°ΡΡΠΎΠ½ΡΡ, Π±ΠΎΠ»Ρ Π½Π΅Π·Π½Π°ΡΠΈΡΠ΅Π»ΡΠ½Π°Ρ, Π½Π΅Π²ΡΠΎΠ»ΠΎΠ³ΠΈΡΠ΅ΡΠΊΠΈΠ΅ ΡΠ°ΡΡΡΡΠΎΠΉΡΡΠ²Π° Π½Π΅ Π½Π°Π±Π»ΡΠ΄Π°ΡΡΡΡ. ΠΠΎ ΡΠ°ΠΊΠΈΠ΅ ΠΏΠ΅ΡΠ΅Π»ΠΎΠΌΡ ΠΎΠΏΠ°ΡΠ½Ρ ΡΠΊΡΡΡΡΠΌ ΡΠ΅ΡΠ΅Π½ΠΈΠ΅ΠΌ, ΡΡΡΡΠΊΡΡΡΡ ΠΏΠΎΠ·Π²ΠΎΠ½ΠΊΠΎΠ² ΠΏΠΎΡΠ°ΠΆΠ°ΡΡΡΡ ΠΏΠΎΡΡΠ΅ΠΏΠ΅Π½Π½ΠΎ. ΠΠ° ΡΠΎΠ½Π΅ ΡΡΠΎΠ³ΠΎ ΠΏΠ΅ΡΠ΅Π»ΠΎΠΌΠ° Π½Π΅ΡΠ΅Π΄ΠΊΠΎ ΡΠ°Π·Π²ΠΈΠ²Π°Π΅ΡΡΡ ΠΎΡΡΠ΅ΠΎΡ ΠΎΠ½Π΄ΡΠΎΠ·.
ΠΡΠ½ΠΎΠ²Π½ΡΠ΅ ΠΏΡΠΈΡΠΈΠ½Ρ ΠΏΠ΅ΡΠ΅Π»ΠΎΠΌΠΎΠ²
ΠΠΎΠΌΠΏΡΠ΅ΡΡΠΈΠΎΠ½Π½ΡΠΉ ΠΏΠ΅ΡΠ΅Π»ΠΎΠΌ ΠΏΠΎΡΡΠ½ΠΈΡΠ½ΠΎΠ³ΠΎ ΠΎΡΠ΄Π΅Π»Π° ΠΌΠΎΠΆΠ΅Ρ ΠΏΡΠΎΠΈΠ·ΠΎΠΉΡΠΈ Π½Π΅ ΡΠΎΠ»ΡΠΊΠΎ ΠΎΡ ΡΠ΄Π°ΡΠ°, Π½ΠΎ ΠΈ ΠΏΡΠΈ ΡΠ΅Π·ΠΊΠΎΠΌ ΡΠΆΠ°ΡΠΈΠΈ ΠΏΠΎΠ·Π²ΠΎΠ½ΠΎΡΠ½ΠΈΠΊΠ°. ΠΠ±Π»Π°ΡΡΡ ΠΏΠΎΡΡΠ½ΠΈΡΡ ΠΎΡΠ΅Π½Ρ ΡΡΠ·Π²ΠΈΠΌΠ° ΠΈ ΡΠ°ΡΡΠΎ ΠΏΠΎΠ΄Π²Π΅ΡΠ³Π°Π΅ΡΡΡ ΡΡΠ΅Π·ΠΌΠ΅ΡΠ½ΡΠΌ Π½Π°Π³ΡΡΠ·ΠΊΠ°ΠΌ.
ΠΡΠΈΡΠΈΠ½Π°ΠΌΠΈ ΠΏΠ΅ΡΠ΅Π»ΠΎΠΌΠ° Π² ΡΡΠΎΠΌ ΠΎΡΠ΄Π΅Π»Π΅ ΠΌΠΎΠ³ΡΡ ΡΡΠ°ΡΡ:
- Π ΠΏΡΠΈΡΠΈΠ½Π°ΠΌ ΠΏΠΎΡΠ²Π»Π΅Π½ΠΈΡ ΠΏΠ΅ΡΠ΅Π»ΠΎΠΌΠ° ΠΏΠΎΠ·Π²ΠΎΠ½ΠΎΡΠ½ΠΈΠΊΠ° ΠΎΡΠ½ΠΎΡΡΡΡΡ ΡΡΠ°Π²ΠΌΡ ΠΏΠΎΠ·Π²ΠΎΠ½ΠΎΡΠ½ΠΈΠΊΠ°Π’ΡΠ°Π²ΠΌΡ Π² ΠΏΡΠΎΡΠ΅ΡΡΠΈΠΎΠ½Π°Π»ΡΠ½ΠΎΠΌ ΡΠΏΠΎΡΡΠ΅.
- ΠΠ°Π΄Π΅Π½ΠΈΡ Ρ Π±ΠΎΠ»ΡΡΠΎΠΉ Π²ΡΡΠΎΡΡ.
- ΠΠ°Π»ΠΈΡΠΈΠ΅ ΠΏΠ°ΡΠΎΠ»ΠΎΠ³ΠΈΠΉ, ΠΊΠΎΡΠΎΡΡΠ΅ Π²Π»ΠΈΡΡΡ Π½Π° ΠΏΡΠΎΡΠ½ΠΎΡΡΡ ΠΊΠΎΡΡΠ΅ΠΉ, Π½Π°ΠΏΡΠΈΠΌΠ΅Ρ, ΠΎΡΡΠ΅ΠΎΠΏΠΎΡΠΎΠ·.
- ΠΠ»ΠΎΠΊΠ°ΡΠ΅ΡΡΠ²Π΅Π½Π½ΡΠ΅ Π½ΠΎΠ²ΠΎΠΎΠ±ΡΠ°Π·ΠΎΠ²Π°Π½ΠΈΡ Π² ΠΏΠΎΠ·Π²ΠΎΠ½ΠΎΡΠ½ΠΈΠΊΠ΅.
- ΠΠ΅ΠΎΠΆΠΈΠ΄Π°Π½Π½ΡΠ΅ ΡΠ΄Π°ΡΡ Π² ΠΎΠ±Π»Π°ΡΡΡ ΠΏΠΎΠ·Π²ΠΎΠ½ΠΎΡΠ½ΠΈΠΊΠ° (Π΄ΡΠ°ΠΊΠ°, Π°Π²Π°ΡΠΈΡ).
- ΠΠ΅ΡΠΎΡΠΌΠΈΡΠΎΠ²Π°Π½ΠΈΠ΅ ΠΈΠ»ΠΈ ΡΡΡΡ Π°Π½ΠΈΠ΅ Ρ ΡΡΡΠ°, Π²ΡΠ·Π²Π°Π½Π½ΠΎΠ΅ Π±ΠΎΠ»Π΅Π·Π½ΡΠΌΠΈ ΠΊΠΎΡΡΠ½ΠΎΠΉ ΡΠΈΡΡΠ΅ΠΌΡ.
- ΠΡΠ΅ΠΊΠ»ΠΎΠ½Π½ΡΠΉ Π²ΠΎΠ·ΡΠ°ΡΡ.
- Π‘Π»Π°Π±Π°Ρ ΡΡΡΡΠΊΡΡΡΠ° ΠΊΠΎΡΡΠ½ΠΎΠΉ ΡΠΊΠ°Π½ΠΈ.
- ΠΠ½Π΄ΠΈΠ²ΠΈΠ΄ΡΠ°Π»ΡΠ½ΡΠ΅ ΠΎΡΠΎΠ±Π΅Π½Π½ΠΎΡΡΠΈ Π΄ΠΈΡΠΊΠΎΠ², ΠΊΠΎΡΠΎΡΡΠ΅ ΠΈΠΌΠ΅ΡΡ ΡΠΊΠ»ΠΎΠ½Π½ΠΎΡΡΡ ΠΊ ΠΏΠ΅ΡΠ΅Π»ΠΎΠΌΠ°ΠΌ.
ΠΡΡΠ΅ΡΡΠ²Π΅Π½Π½ΠΎ, ΡΠ³ΡΠΎΠ·Π° ΠΏΠ΅ΡΠ΅Π»ΠΎΠΌΠΎΠ² ΡΠ²Π΅Π»ΠΈΡΠΈΠ²Π°Π΅ΡΡΡ ΠΏΡΠΈ Π΄Π΅ΡΠΎΡΠΌΠ°ΡΠΈΠΈ ΠΏΠΎΡΡΠ½ΠΈΡΠ½ΠΎΠ³ΠΎ ΠΎΡΠ΄Π΅Π»Π° (ΡΠΊΠΎΠ»ΠΈΠΎΠ· ΠΈ Π»ΠΎΡΠ΄ΠΎΠ·).
ΠΠΎΠ·ΠΌΠΎΠΆΠ½ΡΠ΅ ΠΏΠΎΡΠ»Π΅Π΄ΡΡΠ²ΠΈΡ
ΠΠ΅ΠΎΠ±Ρ ΠΎΠ΄ΠΈΠΌΠΎ Π·Π½Π°ΡΡ, ΡΡΠΎ ΠΏΠΎΡΠ»Π΅Π΄ΡΡΠ²ΠΈΡ ΠΌΠΎΠ³ΡΡ ΠΏΡΠΎΡΠ²Π»ΡΡΡΡΡ ΠΏΠΎΡΡΠ΅ΠΏΠ΅Π½Π½ΠΎ.
ΠΡΠ»ΠΎΠΆΠ½Π΅Π½ΠΈΡ, ΠΊΠΎΡΠΎΡΡΠ΅ ΠΌΠΎΠ³ΡΡ Π²ΠΎΠ·Π½ΠΈΠΊΠ½ΡΡΡ:
- ΠΠ΅ΡΡΠ°Π±ΠΈΠ»ΡΠ½ΠΎΡΡΡ ΠΏΠΎΡΠ°ΠΆΡΠ½Π½ΠΎΠ³ΠΎ ΡΠ΅Π³ΠΌΠ΅Π½ΡΠ°. ΠΠΎΠ³Π΄Π° ΡΠΌΠ΅Π½ΡΡΠ°Π΅ΡΡΡ Π²ΡΡΠΎΡΠ° ΠΏΠΎΠ·Π²ΠΎΠ½ΠΊΠ°, ΡΠΎ ΡΡΠΎ ΠΏΡΠΈΠ²ΠΎΠ΄ΠΈΡ ΠΊ Π²ΠΎΠ·Π½ΠΈΠΊΠ½ΠΎΠ²Π΅Π½ΠΈΡ Π΄Π΅Π³Π΅Π½Π΅ΡΠ°ΡΠΈΠ²Π½ΡΡ ΠΏΡΠΎΡΠ΅ΡΡΠΎΠ².
- ΠΠΈΡΠΎΡΠΊΠΎΠ»ΠΈΠΎΠ·. Π‘ΡΠΎΠΉΠΊΠ°Ρ Π΄Π΅ΡΠΎΡΠΌΠ°ΡΠΈΡ ΠΏΠΎΠ·Π²ΠΎΠ½ΠΎΡΠ½ΠΈΠΊΠ° ΠΎΠ±ΡΡΠ½ΠΎ ΡΠ°Π·Π²ΠΈΠ²Π°Π΅ΡΡΡ ΠΏΠΎΡΠ»Π΅ ΠΎΡΡΠ΅ΠΎΠΏΠΎΡΠΎΠ·Π½ΡΡ ΠΏΠ΅ΡΠ΅Π»ΠΎΠΌΠΎΠ². ΠΠΎΡΠ²Π»ΡΠ΅ΡΡΡ Π½ΠΎΡΡΠ°Ρ Π±ΠΎΠ»Ρ, ΡΡΠΎΠΌΠ»ΡΠ΅ΠΌΠΎΡΡΡ, ΠΎΠ΄ΡΡΠΊΠ°, Π½Π°ΡΡΡΠ°Π΅ΡΡΡ ΡΠ°Π±ΠΎΡΠ° ΠΠΠ’ ΠΈ ΡΠ΅ΡΠ΄ΡΠ°.
- ΠΠΎΡΡΡΡΠ°Π²ΠΌΠ°ΡΠΈΡΠ΅ΡΠΊΠΈΠΉ ΠΎΡΡΠ΅ΠΎΡ ΠΎΠ½Π΄ΡΠΎΠ·.
- Π’ΡΠ°Π²ΠΌΠΈΡΠΎΠ²Π°Π½ΠΈΠ΅ ΡΠΏΠΈΠ½Π½ΠΎΠ³ΠΎ ΠΌΠΎΠ·Π³Π°. Π’Π°ΠΊΠ°Ρ ΡΡΠ°Π²ΠΌΠ° Π³ΡΠΎΠ·ΠΈΡ ΠΏΠ°ΡΠ°Π»ΠΈΡΠΎΠΌ, ΠΏΠΎΡΡΠΎΠΌΡ ΡΡΠ΅Π±ΡΠ΅ΡΡΡ Ρ ΠΈΡΡΡΠ³ΠΈΡΠ΅ΡΠΊΠΎΠ΅ Π²ΠΌΠ΅ΡΠ°ΡΠ΅Π»ΡΡΡΠ²ΠΎ, Π° Π·Π°ΡΠ΅ΠΌ ΠΏΡΠΎΠ΄ΠΎΠ»ΠΆΠΈΡΠ΅Π»ΡΠ½ΠΎΠ΅ Π²ΠΎΡΡΡΠ°Π½ΠΎΠ²Π»Π΅Π½ΠΈΠ΅.
ΠΠ΅ΡΠ΅Π΄ΠΊΠΎ Π½Π΅ΠΌΠ΅ΡΡ ΡΡΠΊΠΈ ΠΈ Π½ΠΎΠ³ΠΈ, ΠΏΡΠΎΡΠ²Π»ΡΠ΅ΡΡΡ ΠΌΡΡΠ΅ΡΠ½Π°Ρ ΡΠ»Π°Π±ΠΎΡΡΡ, Π²ΠΎΠ·Π½ΠΈΠΊΠ°Π΅Ρ Π³ΠΈΠΏΠΎΡΡΠΎΡΠΈΡ. Π’Π°ΠΊΠΎΠ΅ ΠΎΡΠ»ΠΎΠΆΠ½Π΅Π½ΠΈΠ΅ Π½Π°Π·ΡΠ²Π°Π΅ΡΡΡ ΡΡΠ΅Π½ΠΎΠ· ΠΏΠΎΠ·Π²ΠΎΠ½ΠΎΡΠ½ΠΎΠ³ΠΎ ΠΊΠ°Π½Π°Π»Π°.
Π‘ΠΈΠΌΠΏΡΠΎΠΌΡ ΠΈ ΠΌΠ΅ΡΠΎΠ΄Ρ Π΄ΠΈΠ°Π³Π½ΠΎΡΡΠΈΠΊΠΈ
ΠΡΠΈΠ·Π½Π°ΠΊΠΈ ΠΊΠΎΠΌΠΏΡΠ΅ΡΡΠΈΠΎΠ½Π½ΠΎΠ³ΠΎ ΠΏΠ΅ΡΠ΅Π»ΠΎΠΌΠ° Π·Π°Π²ΠΈΡΡΡ ΠΎΡ Π»ΠΎΠΊΠ°Π»ΠΈΠ·Π°ΡΠΈΠΈ ΠΈ ΡΡΠΆΠ΅ΡΡΠΈ ΡΡΠ°Π²ΠΌΡ. ΠΠΎ Π½Π΅ΡΠ΅Π΄ΠΊΠΎ Π½Π° ΠΏΡΠΎΡΠ²Π»Π΅Π½ΠΈΠ΅ ΡΠΈΠΌΠΏΡΠΎΠΌΠΎΠ² Π²Π»ΠΈΡΡΡ ΠΈ ΠΏΡΠΈΡΠΈΠ½Ρ ΠΈΡ ΠΏΠΎΡΠ²Π»Π΅Π½ΠΈΡ.
ΠΠΎΡΡΠΎΠΌΡ ΠΏΡΠΈΠ½ΡΡΠΎ Π΄Π΅Π»ΠΈΡΡ ΡΠΈΠΌΠΏΡΠΎΠΌΡ Π½Π° ΠΊΠ°ΡΠ΅Π³ΠΎΡΠΈΠΈ, ΡΡΠΈΡΡΠ²Π°Ρ ΠΏΡΠΎΠ²ΠΎΡΠΈΡΡΡΡΠΈΠ΅ ΡΠ°ΠΊΡΠΎΡΡ:
- ΠΠΎΠΌΠΏΡΠ΅ΡΡΠΈΠΎΠ½Π½ΡΠΉ ΠΏΠ΅ΡΠ΅Π»ΠΎΠΌ, ΡΠ²ΡΠ·Π°Π½Π½ΡΠΉ Ρ ΡΡΠ°Π²ΠΌΠ°ΡΠΈΡΠ΅ΡΠΊΠΈΠΌ ΠΏΠΎΠ²ΡΠ΅ΠΆΠ΄Π΅Π½ΠΈΠ΅ΠΌ. Π‘ΠΎΠΏΡΠΎΠ²ΠΎΠΆΠ΄Π°Π΅ΡΡΡ ΠΎΡΡΡΠΎΠΉ Π±ΠΎΠ»ΡΡ Π±ΠΎΠ»ΡΡΠΎΠΉ ΠΈΠ½ΡΠ΅Π½ΡΠΈΠ²Π½ΠΎΡΡΠΈ. ΠΠΎΠΊΠ°Π»ΠΈΠ·ΡΠ΅ΡΡΡ ΠΎΠ±ΡΡΠ½ΠΎ Π² ΠΎΠ±Π»Π°ΡΡΠΈ ΠΏΠΎΡΡΠ½ΠΈΡΡ, Π½ΠΎ Π½Π΅ΡΠ΅Π΄ΠΊΠΎ ΡΠ°ΡΠΏΡΠΎΡΡΡΠ°Π½ΡΠ΅ΡΡΡ Π² Π½ΠΎΠ³ΠΈ.
- ΠΠΎΡΠ°ΠΆΠ΅Π½ΠΈΠ΅ Π½Π΅ΡΠ²Π½ΡΡ ΠΎΠΊΠΎΠ½ΡΠ°Π½ΠΈΠΉ, ΡΠ°ΡΠΏΠΎΠ»ΠΎΠΆΠ΅Π½Π½ΡΡ Π² Π·ΠΎΠ½Π΅ ΠΏΠΎΠ·Π²ΠΎΠ½ΠΎΡΠ½ΠΈΠΊΠ°. ΠΠΎΠ·Π½ΠΈΠΊΠ°ΡΡ ΡΠΈΠΌΠΏΡΠΎΠΌΡ: Π²Π½Π΅Π·Π°ΠΏΠ½ΠΎΠ΅ ΡΠ½ΠΈΠΆΠ΅Π½ΠΈΠ΅ ΡΡΠ²ΡΡΠ²ΠΈΡΠ΅Π»ΡΠ½ΠΎΡΡΠΈ, ΠΎΠ±ΡΠ°Ρ ΡΠ»Π°Π±ΠΎΡΡΡ ΠΈ ΠΎΠ½Π΅ΠΌΠ΅Π½ΠΈΠ΅.
- ΠΠ΅Π΄Π»Π΅Π½Π½ΠΎΠ΅ ΡΠ°Π·ΡΡΡΠ΅Π½ΠΈΠ΅ ΠΏΠΎΠ·Π²ΠΎΠ½ΠΊΠΎΠ². Π ΠΎΡΠ½ΠΎΠ²Π½ΠΎΠΌ, ΡΡΠΈΡΠ°Π΅ΡΡΡ ΡΠ»Π΅Π΄ΡΡΠ²ΠΈΠ΅ΠΌ ΠΎΡΡΠ΅ΠΎΠΏΠΎΡΠΎΠ·Π° ΠΈ Ρ Π°ΡΠ°ΠΊΡΠ΅ΡΠΈΠ·ΡΠ΅ΡΡΡ ΡΠΌΠ΅ΡΠ΅Π½Π½ΠΎΠΉ Π±ΠΎΠ»ΡΡ, ΠΊΠΎΡΠΎΡΠ°Ρ ΠΏΠΎΡΡΠ΅ΠΏΠ΅Π½Π½ΠΎ ΡΡΠΈΠ»ΠΈΠ²Π°Π΅ΡΡΡ.
ΠΠ΅Π΄Π»Π΅Π½Π½ΠΎ ΠΏΡΠΎΠ³ΡΠ΅ΡΡΠΈΡΡΡΡΠ°Ρ ΠΊΠΎΠΌΠΏΡΠ΅ΡΡΠΈΡ ΠΏΠΎΠ·Π²ΠΎΠ½ΠΊΠΎΠ² ΡΠ²Π»ΡΠ΅ΡΡΡ ΡΠ»Π΅Π΄ΡΡΠ²ΠΈΠ΅ΠΌ ΠΎΡΡΠ΅ΠΎΠΏΠΎΡΠΎΠ·Π°
Π’Π°ΠΊΠ°Ρ ΡΠΈΠΌΠΏΡΠΎΠΌΠ°ΡΠΈΠΊΠ° Ρ Π°ΡΠ°ΠΊΡΠ΅ΡΠ½Π° Π΄Π»Ρ Π»ΡΠ±ΡΡ ΠΏΠ΅ΡΠ΅Π»ΠΎΠΌΠΎΠ² Π² ΠΏΠΎΡΡΠ½ΠΈΡΠ½ΠΎΠΌ ΠΎΡΠ΄Π΅Π»Π΅, Π½ΠΎ ΠΈΠΌΠ΅ΡΡΡΡ ΠΏΡΠΈΠ·Π½Π°ΠΊΠΈ, Π·Π°Π²ΠΈΡΡΡΠΈΠ΅ ΠΎΡ ΠΎΠ±Π»Π°ΡΡΠΈ ΡΡΠ°Π²ΠΌΠΈΡΠΎΠ²Π°Π½ΠΈΡ.
ΠΠΎΡΡΠ½ΠΈΡΠ½ΡΠΉ ΠΎΡΠ΄Π΅Π» ΡΠΎΡΡΠΎΠΈΡ ΠΈΠ· 5 ΠΏΠΎΠ·Π²ΠΎΠ½ΠΊΠΎΠ², ΠΊΠΎΡΠΎΡΡΠ΅, Π΅ΡΡΠ΅ΡΡΠ²Π΅Π½Π½ΠΎ, ΠΌΠΎΠ³ΡΡ ΠΏΠΎΠ²ΡΠ΅ΠΆΠ΄Π°ΡΡΡΡ. ΠΠΎΠΊΠ°Π»ΠΈΠ·Π°ΡΠΈΡ Π±ΠΎΠ»ΠΈ Π±ΡΠ΄Π΅Ρ ΠΎΠΏΡΠ΅Π΄Π΅Π»ΡΡΡΡΡ ΠΏΠΎ Π½ΠΎΠΌΠ΅ΡΡ ΡΡΠ°Π²ΠΌΠΈΡΠΎΠ²Π°Π½Π½ΠΎΠ³ΠΎ ΠΏΠΎΠ·Π²ΠΎΠ½ΠΊΠ°. ΠΡΠΎ Π²ΡΡΠ²Π»ΡΡΡ Π΄ΠΈΠ°Π³Π½ΠΎΡΡΠΈΡΠ΅ΡΠΊΠΈΠΌΠΈ ΠΌΠ΅ΡΠΎΠΏΡΠΈΡΡΠΈΡΠΌΠΈ.
Π‘ΠΈΠΌΠΏΡΠΎΠΌΡ, ΠΊΠΎΡΠΎΡΡΠ΅ ΠΏΡΠΎΡΠ²Π»ΡΡΡΡΡ ΠΏΡΠΈ Π½Π°Π»ΠΈΡΠΈΠΈ Π΄Π΅ΡΡΡΡΠΊΡΠΈΠ²Π½ΡΡ Π·Π°Π±ΠΎΠ»Π΅Π²Π°Π½ΠΈΠΉ:
- ΠΠΎΠ»Ρ Π½ΠΎΡΡΠ°Ρ ΠΈ ΠΏΠΎΡΡΠΎΡΠ½Π½Π°Ρ, Π½ΠΎ ΠΈΠ½ΡΠ΅Π½ΡΠΈΠ²Π½ΠΎΡΡΡ Π½Π°ΡΠ°ΡΡΠ°Π΅Ρ. ΠΠΎΠ»Ρ ΡΡΠΈΠ»ΠΈΠ²Π°Π΅ΡΡΡ ΠΏΡΠΈ ΠΌΠ΅ΡΠ°ΡΡΠ°Π·Π°Ρ Π·Π»ΠΎΠΊΠ°ΡΠ΅ΡΡΠ²Π΅Π½Π½ΡΡ ΠΎΠΏΡΡ ΠΎΠ»Π΅ΠΉ.
- ΠΠ΅ΡΠ΅Π»ΠΎΠΌΡ, Π²ΡΠ·Π²Π°Π½Π½ΡΠ΅ Π±ΠΎΠ»Π΅Π·Π½ΡΠΌΠΈ, ΠΎΠ±ΡΡΠ½ΠΎ ΠΏΡΠΎΠ²ΠΎΡΠΈΡΡΡΡΡΡ ΡΠ΅Π·ΠΊΠΈΠΌΠΈ Π½Π°ΠΊΠ»ΠΎΠ½Π°ΠΌΠΈ. ΠΠ΄ΠΈΠ½ ΠΏΠΎΠ·Π²ΠΎΠ½ΠΎΠΊ Π½Π°Π΅Π·ΠΆΠ°Π΅Ρ Π½Π° Π΄ΡΡΠ³ΠΎΠΉ, ΠΈ Π°Π³ΡΠ΅ΡΡΠΈΠ²Π½ΠΎΠ΅ ΡΠΆΠ°ΡΠΈΠ΅ Π²ΡΠ·ΡΠ²Π°Π΅Ρ ΠΊΠ»ΠΈΠ½ΠΎΠ²ΠΈΠ΄Π½ΡΠΉ ΠΏΠ΅ΡΠ΅Π»ΠΎΠΌ.
Π£ ΠΊΠΎΠΌΠΏΡΠ΅ΡΡΠΈΠΎΠ½Π½ΠΎΠ³ΠΎ ΠΏΠ΅ΡΠ΅Π»ΠΎΠΌΠ° Π½Π΅Ρ ΡΠΏΠ΅ΡΠΈΡΠΈΡΠ΅ΡΠΊΠΈΡ ΡΠΈΠΌΠΏΡΠΎΠΌΠΎΠ², ΠΏΠΎΡΡΠΎΠΌΡ Π½Π΅ΠΎΠ±Ρ ΠΎΠ΄ΠΈΠΌΠΎ ΠΏΡΠΎΠΉΡΠΈ ΡΡΠ΄ ΠΈΡΡΠ»Π΅Π΄ΠΎΠ²Π°Π½ΠΈΠΉ:
- ΠΠ Π’. ΠΡΠΎΠ²ΠΎΠ΄ΠΈΡΡΡ, Π΅ΡΠ»ΠΈ ΠΈΠΌΠ΅Π΅ΡΡΡ ΠΏΠΎΠ΄ΠΎΠ·ΡΠ΅Π½ΠΈΠ΅ Π½Π° ΠΈΠ·ΠΌΠ΅Π½Π΅Π½ΠΈΠ΅ ΡΡΡΡΠΊΡΡΡΡ ΠΏΠΎΠ·Π²ΠΎΠ½ΠΎΡΠ½ΠΈΠΊΠ°.
- Π Π΅Π½ΡΠ³Π΅Π½ΠΎΠ³ΡΠ°ΡΠΈΡ. ΠΠ°Π½Π½Π°Ρ ΠΏΡΠΎΡΠ΅Π΄ΡΡΠ° ΡΠ²Π»ΡΠ΅ΡΡΡ ΠΎΡΠ½ΠΎΠ²Π½ΠΎΠΉ. Π‘ Π΅Ρ ΠΏΠΎΠΌΠΎΡΡΡ ΠΌΠΎΠΆΠ½ΠΎ ΠΎΠ±Π½Π°ΡΡΠΆΠΈΡΡ ΠΏΠΎΠ²ΡΠ΅ΠΆΠ΄Π΅Π½ΠΈΠ΅ ΠΈ ΠΎΡΠ΅Π½ΠΈΡΡ ΡΡΠΆΠ΅ΡΡΡ ΠΏΠ΅ΡΠ΅Π»ΠΎΠΌΠ°, Π° ΡΠ°ΠΊΠΆΠ΅ ΠΎΠΏΠ°ΡΠ½ΠΎΡΡΡ ΠΎΡΠ»ΠΎΠΆΠ½Π΅Π½ΠΈΠΉ.
- ΠΠΎΠΌΠΏΡΡΡΠ΅ΡΠ½Π°Ρ ΡΠΎΠΌΠΎΠ³ΡΠ°ΡΠΈΡ. ΠΡΠΎΠ²ΠΎΠ΄ΠΈΡΡΡ ΠΏΠΎΡΠ»Π΅ ΡΠ΅Π½ΡΠ³Π΅Π½ΠΎΠ³ΡΠ°ΡΠΈΠΈ Π΄Π»Ρ Π°Π½Π°Π»ΠΈΠ·Π° ΠΏΠΎΠ²ΡΠ΅ΠΆΠ΄ΡΠ½Π½ΠΎΠ³ΠΎ ΡΡΠ°ΡΡΠΊΠ°.
- ΠΠΈΠ΅Π»ΠΎΠ³ΡΠ°ΡΠΈΡ. ΠΡΡΠ»Π΅Π΄ΡΠ΅ΡΡΡ ΡΠΏΠΈΠ½Π½ΠΎΠΉ ΠΌΠΎΠ·Π³.
- ΠΠ΅Π½ΡΠΈΡΠΎΠΌΠ΅ΡΡΠΈΡ. ΠΡΡΠ²Π»ΡΠ΅ΡΡΡ ΠΎΡΡΠ΅ΠΎΠΏΠΎΡΠΎΠ·.
ΠΠΈΠ°Π³Π½ΠΎΡΡΠΈΠΊΠ° ΠΏΡΠΈ ΠΏΠ΅ΡΠ΅Π»ΠΎΠΌΠ΅ Π² ΠΏΠΎΡΡΠ½ΠΈΡΠ½ΠΎΠΌ ΠΎΡΠ΄Π΅Π»Π΅ Π½Π΅ ΡΠ²Π»ΡΠ΅ΡΡΡ ΡΠ»ΠΎΠΆΠ½ΠΎΠΉ. Π₯Π°ΡΠ°ΠΊΡΠ΅Ρ ΠΏΠΎΠ²ΡΠ΅ΠΆΠ΄Π΅Π½ΠΈΡ ΠΈ ΠΆΠ°Π»ΠΎΠ±Ρ ΠΏΠΎΡΡΡΠ°Π΄Π°Π²ΡΠ΅Π³ΠΎ ΠΌΠΎΠ³ΡΡ ΠΏΠΎΠΌΠΎΡΡ ΡΡΠ°Π·Ρ ΠΏΠΎΡΡΠ°Π²ΠΈΡΡ ΠΏΡΠ΅Π΄Π²Π°ΡΠΈΡΠ΅Π»ΡΠ½ΡΠΉ Π΄ΠΈΠ°Π³Π½ΠΎΠ·.
ΠΠΈΠ΄Π΅ΠΎ: «ΠΠΎΠ»ΠΈ ΠΏΡΠΈ ΠΊΠΎΠΌΠΏΡΠ΅ΡΡΠΈΠΎΠ½Π½ΠΎΠΌ ΠΏΠ΅ΡΠ΅Π»ΠΎΠΌΠ΅ ΠΏΠΎΠ·Π²ΠΎΠ½ΠΊΠ°»
ΠΠ΅ΡΠ΅Π½ΠΈΠ΅
Π ΠΏΠ΅ΡΠΈΠΎΠ΄ ΡΠ΅ΡΠ°ΠΏΠΈΠΈ Π½Π΅ΠΎΠ±Ρ ΠΎΠ΄ΠΈΠΌΠΎ ΠΎΠ³ΡΠ°Π½ΠΈΡΠΈΡΡ ΠΏΠΎΠ΄Π²ΠΈΠΆΠ½ΠΎΡΡΡ ΠΎΠ±Π»Π°ΡΡΠΈ ΠΏΠ΅ΡΠ΅Π»ΠΎΠΌΠ° Ρ ΠΏΠΎΠΌΠΎΡΡΡ ΠΊΠΎΡΡΠ΅ΡΠ° ΠΈΠ»ΠΈ Π³ΠΈΠΏΡΠΎΠ²ΠΎΠΉ ΠΏΠΎΠ²ΡΠ·ΠΊΠΈ. ΠΡΠΈΡΠΏΠΎΡΠΎΠ±Π»Π΅Π½ΠΈΠ΅ ΠΏΡΠΈΠ΄ΡΡΡΡ Π½ΠΎΡΠΈΡΡ Π² ΡΠ΅ΡΠ΅Π½ΠΈΠ΅ 4 ΠΌΠ΅ΡΡΡΠ΅Π².
ΠΡΠΎΠ±Π΅Π½Π½ΠΎΡΡΠΈ ΠΊΠΎΠ½ΡΠ΅ΡΠ²Π°ΡΠΈΠ²Π½ΠΎΠΉ ΡΠ΅ΡΠ°ΠΏΠΈΠΈ
Π‘Π»Π΅Π΄ΡΡΡΠΈΠΉ ΡΠ°ΠΊΡ
Π‘Π½ΠΈΠ·ΠΈΡΡ Π±ΠΎΠ»Π΅Π²ΠΎΠΉ ΡΠΈΠ½Π΄ΡΠΎΠΌ ΠΏΠΎΠΌΠΎΠ³ΡΡ Π°Π½Π°Π»ΡΠ³Π΅ΡΠΈΠΊΠΈ. ΠΠ°ΠΆΠ½ΠΎ ΠΏΡΠ΅Π΄ΡΠΏΡΠ΅Π΄ΠΈΡΡ Π²ΠΎΡΠΏΠ°Π»Π΅Π½ΠΈΠ΅ ΠΈ ΠΎΡΠ»ΠΎΠΆΠ½Π΅Π½ΠΈΡ ΠΈΠ½ΡΠ΅ΠΊΡΠΈΠΎΠ½Π½ΠΎΠ³ΠΎ Ρ Π°ΡΠ°ΠΊΡΠ΅ΡΠ°. Π§ΡΠΎΠ±Ρ ΡΡΠΎΠ³ΠΎ Π½Π΅ ΠΏΡΠΎΠΈΠ·ΠΎΡΠ»ΠΎ, Π½Π°Π·Π½Π°ΡΠ°ΡΡΡΡ Π°Π½ΡΠΈΠ±ΠΈΠΎΡΠΈΠΊΠΈ ΠΈ ΠΠΠΠ‘.
ΠΠ½ΠΎΠ³Π΄Π° Π²ΡΠ°ΡΠΈ ΡΠ΅ΠΊΠΎΠΌΠ΅Π½Π΄ΡΡΡ ΠΈΡΠΏΠΎΠ»ΡΠ·ΠΎΠ²Π°Π½ΠΈΠ΅ ΠΌΠ΅ΡΡΠ½ΡΡ ΡΡΠ΅Π΄ΡΡΠ². ΠΡΠΎ ΠΎΠ±Π΅Π·Π±ΠΎΠ»ΠΈΠ²Π°ΡΡΠΈΠ΅ ΠΌΠ°Π·ΠΈ ΠΈ ΠΏΡΠ΅ΠΏΠ°ΡΠ°ΡΡ, ΡΠ»ΡΡΡΠ°ΡΡΠΈΠ΅ ΠΊΡΠΎΠ²ΠΎΠΎΠ±ΡΠ°ΡΠ΅Π½ΠΈΠ΅.
ΠΡΠ΅Π³Π΄Π° Π½Π°Π·Π½Π°ΡΠ°ΡΡΡΡ Π²ΠΈΡΠ°ΠΌΠΈΠ½Π½ΠΎ-ΠΌΠΈΠ½Π΅ΡΠ°Π»ΡΠ½ΡΠ΅ ΠΊΠΎΠΌΠΏΠ»Π΅ΠΊΡΡ. ΠΠ½ΠΈ ΡΠΊΡΠ΅ΠΏΠ»ΡΡΡ ΠΈΠΌΠΌΡΠ½ΠΈΡΠ΅Ρ ΠΈ ΡΠ»ΡΡΡΠ°ΡΡ ΠΏΠΈΡΠ°Π½ΠΈΠ΅ Ρ ΡΡΡΠ΅ΠΉ.
ΠΡΠ»ΠΈ ΡΠΏΠΈΠ½Π½ΠΎΠΉ ΠΌΠΎΠ·Π³ ΠΈ Π½Π΅ΡΠ²Π½ΡΠ΅ ΠΊΠΎΡΠ΅ΡΠΊΠΈ ΠΏΠΎΠ΄Π²Π΅ΡΠ³Π°ΡΡΡΡ Π΄Π°Π²Π»Π΅Π½ΠΈΡ, ΠΏΡΠΈΠΌΠ΅Π½ΡΡΡ Π²ΡΡΡΠΆΠ΅Π½ΠΈΠ΅ ΠΏΠΎΠ·Π²ΠΎΠ½ΠΎΡΠ½ΠΈΠΊΠ°.
Π₯ΠΈΡΡΡΠ³ΠΈΡΠ΅ΡΠΊΠΎΠ΅ Π²ΠΌΠ΅ΡΠ°ΡΠ΅Π»ΡΡΡΠ²ΠΎ
ΠΠΏΠ΅ΡΠ°ΡΠΈΠΈ ΠΏΡΠΎΠ²ΠΎΠ΄ΡΡ, Π΅ΡΠ»ΠΈ Π²ΡΡΠ²Π»Π΅Π½ΠΎ ΡΠΏΠΈΠ½Π½ΠΎΠΌΠΎΠ·Π³ΠΎΠ²ΠΎΠ΅ ΠΈΠ»ΠΈ Π½Π΅ΡΠ²Π½ΠΎ-ΠΊΠΎΡΠ΅ΡΠΊΠΎΠ²ΠΎΠ΅ ΡΠ΄Π°Π²Π»ΠΈΠ²Π°Π½ΠΈΠ΅, ΠΎΡΠΊΠ»ΡΡΠΈΠ»ΠΈΡΡ ΡΡΠ½ΠΊΡΠΈΠΈ Π²Π°ΠΆΠ½ΡΡ ΠΎΡΠ³Π°Π½ΠΎΠ² ΠΈΠ»ΠΈ Π½Π°Π²ΠΈΡΠ»Π° ΡΠ³ΡΠΎΠ·Π° ΠΏΠ°ΡΠ°Π»ΠΈΡΠ°.
ΠΡΠΈ Ρ ΠΈΡΡΡΠ³ΠΈΡΠ΅ΡΠΊΠΎΠΌ Π»Π΅ΡΠ΅Π½ΠΈΠΈ ΠΏΡΠΈΠΌΠ΅Π½ΡΡΡ ΡΠ»Π΅Π΄ΡΡΡΠΈΠ΅ ΠΌΠ΅ΡΠΎΠ΄Ρ:
| Π’ΡΠ°Π΄ΠΈΡΠΈΠΎΠ½Π½ΡΠ΅ (ΠΏΠΎΠ·Π²ΠΎΠ½ΠΎΡΠ½ΠΈΠΊ ΠΎΡΠΊΡΡΡ): | ΠΠ΅ΠΏΠΎΠ»ΠΎΡΡΠ½ΡΠ΅ ΠΌΠ°Π»ΠΎΠΈΠ½Π²Π°Π·ΠΈΠ²Π½ΡΠ΅ ΠΎΠΏΠ΅ΡΠ°ΡΠΈΠΈ: |
|
|
ΠΠΏΠ΅ΡΠ°ΡΠΈΠΈ ΠΏΡΠΎΠ²ΠΎΠ΄ΡΡΡΡ ΡΠΎΠ»ΡΠΊΠΎ, Π΅ΡΠ»ΠΈ ΠΏΠΎΡΠ°ΠΆΠ΅Π½Ρ Π½Π΅ΡΠ²Π½ΡΠ΅ Π²ΠΎΠ»ΠΎΠΊΠ½Π°.
ΠΠ΅ΡΡΠ΅Π±ΡΠΎΠΏΠ»Π°ΡΡΠΈΠΊΠ° Π΄Π΅Π»Π°Π΅ΡΡΡ Π΄Π»Ρ ΡΠΊΡΠ΅ΠΏΠ»Π΅Π½ΠΈΡ ΠΏΠΎΠ²ΡΠ΅ΠΆΠ΄Π΅Π½Π½ΠΎΠ³ΠΎ ΠΏΠΎΠ·Π²ΠΎΠ½ΠΊΠ° Ρ ΠΏΠΎΠΌΠΎΡΡΡ ΡΠΏΠ΅ΡΠΈΠ°Π»ΡΠ½ΠΎΠ³ΠΎ ΡΠ΅ΠΌΠ΅Π½ΡΠ°
ΠΠ€Π
ΠΠ° ΠΏΠ΅ΡΠ²ΠΎΠΌ ΡΡΠ°ΠΏΠ΅ ΡΠ΅ΡΠ°ΠΏΠΈΠΈ ΡΠ»Π΅Π΄ΡΠ΅Ρ Π²ΡΠΏΠΎΠ»Π½ΡΡΡ ΡΠΎΠ»ΡΠΊΠΎ Π΄ΡΡ Π°ΡΠ΅Π»ΡΠ½ΡΠ΅ ΡΠΏΡΠ°ΠΆΠ½Π΅Π½ΠΈΡ Ρ ΠΏΠ΅ΡΠ΅Π΄Π²ΠΈΠΆΠ΅Π½ΠΈΡΠΌΠΈ Π½ΠΎΠ³ Π½Π° ΠΊΡΠΎΠ²Π°ΡΠΈ. Π‘ΡΠΎΠΏΡ ΠΎΡΡΡΠ²Π°ΡΡ Π½Π΅Π»ΡΠ·Ρ, ΡΠ°ΠΊ ΠΊΠ°ΠΊ ΡΡΠΈΠ»ΠΈΡΡΡ Π΄Π°Π²Π»Π΅Π½ΠΈΠ΅ Π½Π° ΡΡΠ°Π²ΠΌΠΈΡΠΎΠ²Π°Π½Π½ΡΠΉ ΡΠ΅Π³ΠΌΠ΅Π½Ρ. Π’ΡΠ΅Π½ΠΈΡΠΎΠ²Π°ΡΡΡΡ ΡΠ»Π΅Π΄ΡΠ΅Ρ Π½Π΅ Π΄ΠΎΠ»ΡΡΠ΅ 15 ΠΌΠΈΠ½ΡΡ Π² ΡΠ΅ΡΠ΅Π½ΠΈΠ΅ 10 Π΄Π½Π΅ΠΉ.
ΠΠ° ΡΠ»Π΅Π΄ΡΡΡΠ΅ΠΌ ΡΡΠ°ΠΏΠ΅ ΡΠΆΠ΅ Π½ΡΠΆΠ½ΠΎ ΡΠΊΡΠ΅ΠΏΠ»ΡΡΡ ΠΌΡΡΠ΅ΡΠ½ΡΠΉ ΠΊΠΎΡΡΠ΅Ρ. Π ΡΡΠΎΡ ΠΏΠ΅ΡΠΈΠΎΠ΄ Π²ΡΠΏΠΎΠ»Π½ΡΠ΅ΠΌΡΠ΅ ΡΠΏΡΠ°ΠΆΠ½Π΅Π½ΠΈΡ (Π½Π°Π·Π½Π°ΡΠ°ΡΡΡΡ Π²ΡΠ°ΡΠΎΠΌ) ΠΏΠΎΠ΄Π³ΠΎΡΠ°Π²Π»ΠΈΠ²Π°ΡΡ ΠΏΠΎΠ·Π²ΠΎΠ½ΠΎΡΠ½ΠΈΠΊ ΠΊ ΠΈΠ½ΡΠ΅Π½ΡΠΈΠ²Π½ΡΠΌ Π½Π°Π³ΡΡΠ·ΠΊΠ°ΠΌ.
ΠΠ° 3 ΡΡΠ°ΠΏΠ΅ Π½Π°Π³ΡΡΠ·ΠΊΠΈ ΡΠ²Π΅Π»ΠΈΡΠΈΠ²Π°ΡΡΡΡ Π΄ΠΎΠ±Π°Π²Π»Π΅Π½ΠΈΠ΅ΠΌ ΡΡΠΆΠ΅ΡΡΠ΅ΠΉ. Π ΡΠ°ΠΊΠΈΠΌ ΡΡΠ΅Π½ΠΈΡΠΎΠ²ΠΊΠ°ΠΌ ΠΏΡΠΈΡΡΡΠΏΠ°ΡΡ ΡΠ΅ΡΠ΅Π· ΠΏΠΎΠ»ΡΠΎΡΠ° ΠΌΠ΅ΡΡΡΠ° ΠΏΠΎΡΠ»Π΅ ΠΏΠ΅ΡΠ΅Π»ΠΎΠΌΠ°.
ΠΠ° ΠΏΠΎΡΠ»Π΅Π΄Π½Π΅ΠΌ ΡΡΠ°ΠΏΠ΅ ΠΏΠ°ΡΠΈΠ΅Π½Ρ ΡΠΆΠ΅ Π°Π΄Π°ΠΏΡΠΈΡΡΠ΅ΡΡΡ ΠΊ Π²Π΅ΡΡΠΈΠΊΠ°Π»ΡΠ½ΠΎΠΌΡ ΠΏΠΎΠ»ΠΎΠΆΠ΅Π½ΠΈΡ. Π Π»Π΅ΡΠ΅Π±Π½ΡΠΉ ΠΊΠΎΠΌΠΏΠ»Π΅ΠΊΡ Π²ΠΊΠ»ΡΡΠ°ΡΡ ΠΌΠ°Ρ ΠΈ Π½ΠΎΠ³Π°ΠΌΠΈ, ΠΏΡΠΈΡΠ΅Π΄Π°Π½ΠΈΡ ΠΈ Π½Π°ΠΊΠ»ΠΎΠ½Ρ.
ΠΠΎΠ»ΡΡΠ΅ ΠΎ ΠΏΠ΅ΡΠ΅Π»ΠΎΠΌΠ°Ρ ΠΏΠΎΠ·Π²ΠΎΠ½ΠΎΡΠ½ΠΈΠΊΠ° ΠΈ ΠΌΠ΅ΡΠΎΠ΄Π°Ρ Π»Π΅ΡΠ΅Π½ΠΈΡ Π² ΡΠ»Π΅Π΄ΡΡΡΠΈΡ ΡΡΠ°ΡΡΡΡ :ΠΠ°ΡΡΠ°ΠΆ
ΠΠ»Ρ Π²ΠΎΡΡΡΠ°Π½ΠΎΠ²Π»Π΅Π½ΠΈΡ ΠΏΠΎΠ·Π²ΠΎΠ½ΠΎΡΠ½ΠΈΠΊΠ° ΠΏΡΠΈΠΌΠ΅Π½ΡΠ΅ΡΡΡ ΡΠΏΠ΅ΡΠΈΠ°Π»ΡΠ½Π°Ρ ΡΠ΅Ρ Π½ΠΈΠΊΠ°. Π§ΡΠΎΠ±Ρ Π΄ΠΎΡΡΠΈΡΡ ΠΏΠΎΠ»ΠΎΠΆΠΈΡΠ΅Π»ΡΠ½ΠΎΠ³ΠΎ ΡΠ΅Π·ΡΠ»ΡΡΠ°ΡΠ°, Π½Π΅ΠΎΠ±Ρ ΠΎΠ΄ΠΈΠΌΠΎ Π²ΡΠΏΠΎΠ»Π½ΡΡΡ ΠΎΠΏΡΠ΅Π΄Π΅Π»ΡΠ½Π½ΡΠ΅ Π΄Π²ΠΈΠΆΠ΅Π½ΠΈΡ Π² ΠΊΠ°ΠΆΠ΄ΠΎΠΉ Π·ΠΎΠ½Π΅.
ΠΠΎ Π²ΡΠ΅ΠΌΡ ΠΌΠ°ΡΡΠ°ΠΆΠ° ΠΈΡΠΏΠΎΠ»ΡΠ·ΡΡΡ ΡΠΎΠ»ΡΠΊΠΎ ΡΠ»Π΅Π΄ΡΡΡΠΈΠ΅ ΠΏΡΠΈΡΠΌΡ: ΠΏΠΎΠ³Π»Π°ΠΆΠΈΠ²Π°Π½ΠΈΠ΅Β — Π΄Π²ΠΈΠΆΠ΅Π½ΠΈΡ ΡΠ°ΡΡΠ»Π°Π±Π»ΡΡΡ ΡΠΏΠΈΠ½Π½ΡΠ΅ ΠΌΡΡΡΡ; Π»ΡΠ³ΠΊΠΎΠ΅ ΡΠ°Π·ΠΌΠΈΠ½Π°Π½ΠΈΠ΅Β — ΡΡΠΈΠ»ΠΈΠ²Π°Π΅Ρ ΠΊΡΠΎΠ²ΠΎΠΎΠ±ΡΠ°ΡΠ΅Π½ΠΈΠ΅ Π² ΡΡΠ°Π²ΠΌΠΈΡΠΎΠ²Π°Π½Π½ΠΎΠΌ ΠΌΠ΅ΡΡΠ΅.
ΠΠ»Π°Π³ΠΎΠ΄Π°ΡΡ ΠΌΠ°ΡΡΠ°ΠΆΠ½ΡΠΌ Π΄Π²ΠΈΠΆΠ΅Π½ΠΈΡΠΌ ΡΡΠΊΠΎΡΡΠ΅ΡΡΡ ΡΠ΅Π³Π΅Π½Π΅ΡΠ°ΡΠΈΡ ΡΠΊΠ°Π½Π΅ΠΉ. Π‘Π΅Π°Π½Ρ ΠΌΠ°ΡΡΠ°ΠΆΠ° ΠΏΡΠΈ ΠΏΠ΅ΡΠ΅Π»ΠΎΠΌΠ°Ρ Π΄Π»ΠΈΡΡΡ Π½Π΅ Π±ΠΎΠ»ΡΡΠ΅ 15 ΠΌΠΈΠ½ΡΡ.
ΠΠ΅ΡΠΈΠΎΠ΄ ΡΠ΅Π°Π±ΠΈΠ»ΠΈΡΠ°ΡΠΈΠΈ
Π§ΡΠΎΠ±Ρ ΠΏΠΎΡΠ»Π΅ ΠΏΠ΅ΡΠ΅Π»ΠΎΠΌΠ° Π½Π΅ Π²ΠΎΠ·Π½ΠΈΠΊΠ»ΠΎ ΠΏΠΎΡΠ»Π΅Π΄ΡΡΠ²ΠΈΠΉ, Π½ΡΠΆΠ½ΠΎ ΠΏΡΠ°Π²ΠΈΠ»ΡΠ½ΠΎ ΠΏΡΠΎΠ²Π΅ΡΡΠΈ Π²ΠΎΡΡΡΠ°Π½ΠΎΠ²Π»Π΅Π½ΠΈΠ΅. Π¦Π΅Π»ΡΡ ΡΠ΅Π°Π±ΠΈΠ»ΠΈΡΠ°ΡΠΈΠΈ ΡΠ²Π»ΡΠ΅ΡΡΡ Π½ΠΎΡΠΌΠ°Π»ΠΈΠ·Π°ΡΠΈΡ ΡΠ»Π°ΡΡΠΈΡΠ½ΠΎΡΡΠΈ ΠΏΠΎΠ²ΡΠ΅ΠΆΠ΄ΡΠ½Π½ΡΡ ΡΡΡΡΠΊΡΡΡ ΠΈ Π²ΠΎΠ·Π²ΡΠ°ΡΠ΅Π½ΠΈΠ΅ ΠΊ ΡΠΈΠ·ΠΈΡΠ΅ΡΠΊΠΎΠΉ Π°ΠΊΡΠΈΠ²Π½ΠΎΡΡΠΈ.
Π ΡΠ΅Π°Π±ΠΈΠ»ΠΈΡΠ°ΡΠΈΡ Π²ΠΊΠ»ΡΡΠ°ΡΡ ΡΠΈΠ·ΠΈΠΎΡΠ΅ΡΠ°ΠΏΠΈΡ, ΠΌΠ°ΡΡΠ°ΠΆ, ΡΡΠΈΠΌΡΠ»ΡΡΠΈΡ ΡΠ»Π΅ΠΊΡΡΠΈΡΠ΅ΡΠΊΠΈΠΌ ΡΠΎΠΊΠΎΠΌ. ΠΠΎΠ΄Π±ΠΈΡΠ°Π΅ΡΡΡ ΠΊΠΎΠΌΠΏΠ»Π΅ΠΊΡ Π»Π΅ΡΠ΅Π±Π½ΡΡ ΡΠΏΡΠ°ΠΆΠ½Π΅Π½ΠΈΠΉ. Π’Π°ΠΊΠΆΠ΅ Π½Π΅ΠΎΠ±Ρ ΠΎΠ΄ΠΈΠΌΠΎ ΠΏΠ΅ΡΠ΅ΡΠΌΠΎΡΡΠ΅ΡΡ ΡΠ°ΡΠΈΠΎΠ½ ΠΏΠΈΡΠ°Π½ΠΈΡ.
ΠΡΠΎΡΠΈΠ»Π°ΠΊΡΠΈΠΊΠ°
ΠΠ»Π°Π²Π½ΠΎΠ΅, ΠΈΠ·Π±Π΅Π³Π°ΡΡ ΡΠΈΡΠΊΠΎΠ²Π°Π½Π½ΡΡ ΡΠΈΡΡΠ°ΡΠΈΠΉ. ΠΠ΅ ΡΠ»Π΅Π΄ΡΠ΅Ρ Π½Π°ΡΡΡΠ°ΡΡ ΠΏΡΠ°Π²ΠΈΠ»Π° Π΄ΠΎΡΠΎΠΆΠ½ΠΎΠ³ΠΎ Π΄Π²ΠΈΠΆΠ΅Π½ΠΈΡ, Π½ΡΠΆΠ½ΠΎ ΡΠΎΠ±Π»ΡΠ΄Π°ΡΡ ΡΠ΅Ρ Π½ΠΈΠΊΡ Π±Π΅Π·ΠΎΠΏΠ°ΡΠ½ΠΎΡΡΠΈ Π½Π° ΡΠ°Π±ΠΎΡΠ΅, Π½Π΅ΠΎΠ±Ρ ΠΎΠ΄ΠΈΠΌΠΎ ΡΠΊΡΠ΅ΠΏΠ»ΡΡΡ ΠΌΡΡΠ΅ΡΠ½ΡΠΉ ΠΊΠΎΡΡΠ΅Ρ ΡΠΏΠΈΠ½Ρ ΠΈ ΠΆΠ΅Π»Π°ΡΠ΅Π»ΡΠ½ΠΎ ΠΏΠ΅ΡΠ΅ΡΠΌΠΎΡΡΠ΅ΡΡ ΡΠ°ΡΠΈΠΎΠ½ ΠΏΠΈΡΠ°Π½ΠΈΡ.
ΠΡΠ»ΠΈ ΠΏΠ΅ΡΠ΅Π»ΠΎΠΌΠ° ΠΈΠ·Π±Π΅ΠΆΠ°ΡΡ Π½Π΅ ΡΠ΄Π°Π»ΠΎΡΡ, ΡΠΎ Π½Π΅ΠΎΠ±Ρ ΠΎΠ΄ΠΈΠΌΠΎ ΡΠΏΠΎΡΡΠ΅Π±Π»ΡΡΡ ΠΊΠ°ΠΊ ΠΌΠΎΠΆΠ½ΠΎ Π±ΠΎΠ»ΡΡΠ΅ ΠΏΡΠΎΠ΄ΡΠΊΡΠΎΠ², Π±ΠΎΠ³Π°ΡΡΡ Π²ΠΈΡΠ°ΠΌΠΈΠ½Π°ΠΌΠΈ ΠΈ ΠΌΠΈΠΊΡΠΎΡΠ»Π΅ΠΌΠ΅Π½ΡΠ°ΠΌΠΈ.
Π‘Π°ΠΌΡΠΉ Π²Π°ΠΆΠ½ΡΠΉ ΡΠ»Π΅ΠΌΠ΅Π½Ρ Π΄Π»Ρ ΠΎΡΠ³Π°Π½ΠΈΠ·ΠΌΠ° ΠΏΡΠΈ ΠΏΠ΅ΡΠ΅Π»ΠΎΠΌΠ°Ρ — ΠΊΠ°Π»ΡΡΠΈΠΉ
ΠΠ°ΠΈΠ±ΠΎΠ»Π΅Π΅ ΠΏΠΎΠ»Π΅Π·Π½ΡΠ΅ Π²Π΅ΡΠ΅ΡΡΠ²Π° ΠΏΡΠΈ ΡΡΠ°Π²ΠΌΠ΅ ΠΏΠΎΠ·Π²ΠΎΠ½ΠΎΡΠ½ΠΈΠΊΠ°:
| ΠΠ°Π»ΡΡΠΈΠΉ |
|
| ΠΠ°Π³Π½ΠΈΠΉ |
|
| Π¦ΠΈΠ½ΠΊ |
|
| Π€ΠΎΠ»ΠΈΠ΅Π²Π°Ρ ΠΊΠΈΡΠ»ΠΎΡΠ° ΠΈ Π²ΠΈΡΠ°ΠΌΠΈ Π6 |
|
ΠΠ· ΡΠ°ΡΠΈΠΎΠ½Π° Π½Π΅ΠΎΠ±Ρ ΠΎΠ΄ΠΈΠΌΠΎ ΠΈΡΠΊΠ»ΡΡΠΈΡΡ ΠΊΠΎΡΠ΅, Π°Π»ΠΊΠΎΠ³ΠΎΠ»Ρ ΠΈ ΠΆΠΈΡΠ½ΡΠ΅ ΠΏΡΠΎΠ΄ΡΠΊΡΡ. Π ΠΏΡΠΎΡΠΈΠ»Π°ΠΊΡΠΈΡΠ΅ΡΠΊΠΈΠΌ ΠΌΠ΅ΡΠ°ΠΌ ΠΎΡΠ½ΠΎΡΡΡ ΡΠ²ΠΎΠ΅Π²ΡΠ΅ΠΌΠ΅Π½Π½ΠΎΠ΅ Π»Π΅ΡΠ΅Π½ΠΈΠ΅ ΠΎΡΡΠ΅ΠΎΠΏΠΎΡΠΎΠ·Π° ΠΈ ΠΎΡΡΠΎΡΠΎΠΆΠ½ΡΠ΅ ΡΠΏΠΎΡΡΠΈΠ²Π½ΡΠ΅ Π·Π°Π½ΡΡΠΈΡ.
ΠΡΠΎΠ³Π½ΠΎΠ·
ΠΠ° ΠΏΠ΅ΡΠ²ΠΎΠΌ ΡΡΠ°ΠΏΠ΅ Π»Π΅ΡΠ΅Π½ΠΈΡ Π²ΡΠ°ΡΠΈ ΠΎΡΠ΅Π½Ρ ΠΎΡΡΠΎΡΠΎΠΆΠ½ΠΎ ΠΏΡΠΎΠ³Π½ΠΎΠ·ΠΈΡΡΠ΅Ρ ΠΈΡΡ ΠΎΠ΄ ΡΠ΅ΡΠ°ΠΏΠΈΠΈ. ΠΠ΅ΠΊΠΎΡΠΎΡΡΠ΅ ΠΏΠ°ΡΠΈΠ΅Π½ΡΡ ΡΠΌΠΈΡΠ°ΡΡ ΠΎΡ ΡΠΏΠΈΠ½Π°Π»ΡΠ½ΠΎΠ³ΠΎ ΡΠΎΠΊΠ°. Π ΡΠ»ΡΡΠ°Π΅, Π΅ΡΠ»ΠΈ ΡΡΠ°Π²ΠΌΠΈΡΠΎΠ²Π°Π½ ΡΠΏΠΈΠ½Π½ΠΎΠΉ ΠΌΠΎΠ·Π³, Ρ ΠΏΠΎΡΡΡΠ°Π΄Π°Π²ΡΠΈΡ Π²ΠΎΠ·Π½ΠΈΠΊΠ°Π΅Ρ ΠΏΠ°ΡΠ°Π»ΠΈΡ Π½Π° Π²ΡΡ ΠΆΠΈΠ·Π½Ρ. ΠΡΠ»ΠΈ ΠΏΠ΅ΡΠ΅Π»ΠΎΠΌ Π½Π΅ΠΎΡΠ»ΠΎΠΆΠ½ΡΠ½Π½ΡΠΉ, ΡΠΎ ΡΠΎ Π²ΡΠ΅ΠΌΠ΅Π½Π΅ΠΌ ΡΠ°Π·Π²ΠΈΠ²Π°Π΅ΡΡΡ ΠΎΡΡΠ΅ΠΎΡ ΠΎΠ½Π΄ΡΠΎΠ·, ΠΎΠ±ΡΠ°Π·ΡΡΡΡΡ Π³ΡΡΠΆΠΈ. ΠΠΎΡΡΠΎΠΌΡ ΠΏΡΠΎΠ³Π½ΠΎΠ· Π·Π°Π²ΠΈΡΠΈΡ ΠΎΡ Π³ΡΠ°ΠΌΠΎΡΠ½ΠΎΠΉ ΡΠ΅Π°Π±ΠΈΠ»ΠΈΡΠ°ΡΠΈΠΈ, ΠΊΠ°ΠΊ Π² ΡΡΠ°ΡΠΈΠΎΠ½Π°ΡΠ΅, ΡΠ°ΠΊ ΠΈ Π΄ΠΎΠΌΠ°.
ΠΠ°ΠΊΠ»ΡΡΠ΅Π½ΠΈΠ΅
ΠΠΎΠΌΠΏΡΠ΅ΡΡΠΈΠΎΠ½Π½ΡΠΉ ΠΏΠ΅ΡΠ΅Π»ΠΎΠΌ Π»Π΅ΡΠΈΡΡΡ ΡΠΎΠ»ΡΠΊΠΎ Π² ΡΡΠ°ΡΠΈΠΎΠ½Π°ΡΠ΅. ΠΠ± Π°Π»ΡΡΠ΅ΡΠ½Π°ΡΠΈΠ²Π½ΠΎΠΌ ΠΈΠ»ΠΈ Π΄ΠΎΠΌΠ°ΡΠ½Π΅ΠΌ Π»Π΅ΡΠ΅Π½ΠΈΠΈ Π½Π΅ ΠΌΠΎΠΆΠ΅Ρ Π±ΡΡΡ ΠΈ ΡΠ΅ΡΠΈ. Π‘Ρ Π΅ΠΌΠ° Π΄ΠΎΠ²ΠΎΠ»ΡΠ½ΠΎ ΠΏΡΠΎΡΡΠ°: ΠΏΠ΅ΡΠ΅Π»ΠΎΠΌ β Π»Π΅ΡΠ΅Π½ΠΈΠ΅ β ΡΠ΅Π°Π±ΠΈΠ»ΠΈΡΠ°ΡΠΈΡ. Π ΡΠΎΠ»ΡΠΊΠΎ Π² Π±ΠΎΠ»ΡΠ½ΠΈΡΠ΅! ΠΠ½ΠΎΠ³Π΄Π° ΡΠ΅ΡΠ°ΠΏΠΈΡ ΠΎΠΊΠ°Π·ΡΠ²Π°Π΅ΡΡΡ Π·Π°ΠΏΠΎΠ·Π΄Π°Π»ΠΎΠΉ, ΠΏΠΎΡΡΠΎΠΌΡ ΠΏΡΠΈΠ½ΠΈΠΌΠ°ΡΡ ΡΠ°Π΄ΠΈΠΊΠ°Π»ΡΠ½ΡΠ΅ ΠΌΠ΅ΡΡ, ΠΊΠΎΡΠΎΡΡΠ΅ ΠΌΠΎΠ³ΡΡ ΠΏΠΎΠ²ΡΠ΅Π΄ΠΈΡΡ ΠΏΠΎΠ·Π²ΠΎΠ½ΠΎΡΠ½ΠΈΠΊ. ΠΠΎ ΡΠ°ΠΊΠΎΠ³ΠΎ ΡΠΎΡΡΠΎΡΠ½ΠΈΡ Π»ΡΡΡΠ΅ Π½Π΅ Π΄ΠΎΠ²ΠΎΠ΄ΠΈΡΡ, Π½ΡΠΆΠ½ΠΎ Π½Π΅ΠΌΠ΅Π΄Π»Π΅Π½Π½ΠΎ ΠΎΠ±ΡΠ°ΡΠΈΡΡΡΡ Π·Π° ΠΏΠΎΠΌΠΎΡΡΡ ΠΊ ΠΌΠ΅Π΄ΠΈΠΊΠ°ΠΌ.
ΠΠ΅ΡΡΠ΅Π±ΡΠΎΠ»ΠΎΠ³, ΠΡΡΠΎΠΏΠ΅Π΄
ΠΡΠΎΠ²ΠΎΠ΄ΠΈΡ Π»Π΅ΡΠ΅Π½ΠΈΠ΅ ΠΈ Π΄ΠΈΠ°Π³Π½ΠΎΡΡΠΈΠΊΡ Π΄Π΅Π³Π΅Π½Π΅ΡΠ°ΡΠΈΠ²Π½ΠΎ-Π΄ΠΈΡΡΡΠΎΡΠΈΡΠ΅ΡΠΊΠΈΡ ΠΈ ΠΈΠ½ΡΠ΅ΠΊΡΠΈΠΎΠ½Π½ΡΡ Π·Π°Π±ΠΎΠ»Π΅Π²Π°Π½ΠΈΠΉ ΠΏΠΎΠ·Π²ΠΎΠ½ΠΎΡΠ½ΠΈΠΊΠ° ΡΠ°ΠΊΠΈΡ ΠΊΠ°ΠΊ: ΠΎΡΡΠ΅ΠΎΡ ΠΎΠ½Π΄ΡΠΎΠ·, Π³ΡΡΠΆΠΈ, ΠΏΡΠΎΡΡΡΠ·ΠΈΠΈ, ΠΎΡΡΠ΅ΠΎΠΌΠΈΠ΅Π»ΠΈΡ.
spinatitana.com
ΠΠΎΠΌΠΏΡΠ΅ΡΡΠΈΠΎΠ½Π½ΡΠΉ ΠΏΠ΅ΡΠ΅Π»ΠΎΠΌ ΠΏΠΎΠ·Π²ΠΎΠ½ΠΎΡΠ½ΠΈΠΊΠ° ΠΏΠΎΡΡΠ½ΠΈΡΠ½ΠΎΠ³ΠΎ ΠΎΡΠ΄Π΅Π»Π°: Π»Π΅ΡΠ΅Π½ΠΈΠ΅
Π‘Π²ΠΎΠ΅ΠΎΠ±ΡΠ°Π·Π½ΠΎΠΉ Β«ΠΎΡΡΡΒ» ΡΠ΅Π»ΠΎΠ²Π΅ΡΠ΅ΡΠΊΠΎΠ³ΠΎ ΠΎΡΠ³Π°Π½ΠΈΠ·ΠΌΠ° ΡΠ²Π»ΡΠ΅ΡΡΡ ΠΏΠΎΠ·Π²ΠΎΠ½ΠΎΡΠ½ΠΈΠΊ. ΠΠ½ ΡΠΎΡΡΠΎΠΈΡ ΠΎΡΠ΄Π΅Π»ΡΠ½ΡΡ
ΠΏΠΎΠ·Π²ΠΎΠ½ΠΊΠΎΠ², ΠΊΠΎΡΠΎΡΡΠ΅, Π±ΡΠ΄ΡΡΠΈ Π² Π·Π΄ΠΎΡΠΎΠ²ΠΎΠΌ Π½ΠΎΡΠΌΠ°Π»ΡΠ½ΠΎΠΌ ΡΠΎΡΡΠΎΡΠ½ΠΈΠΈ, Π΄ΠΎΡΡΠ°ΡΠΎΡΠ½ΠΎ ΠΏΡΠΎΡΠ½Ρ, ΡΡΠΎΠ±Ρ Π²ΡΠ΄Π΅ΡΠΆΠΈΠ²Π°ΡΡ ΡΠ΅ΡΡΠ΅Π·Π½ΡΠ΅ Π½Π°Π³ΡΡΠ·ΠΊΠΈ, Π° ΠΌΠ΅ΠΆΠΏΠΎΠ·Π²ΠΎΠ½ΠΊΠΎΠ²ΡΠ΅ Π΄ΠΈΡΠΊΠΈ ΠΎΠ±Π΅ΡΠΏΠ΅ΡΠΈΠ²Π°ΡΡ Π½Π΅ΠΎΠ±Ρ
ΠΎΠ΄ΠΈΠΌΡΡ ΠΏΠΎΠ΄Π²ΠΈΠΆΠ½ΠΎΡΡΡ ΠΏΠΎΠ·Π²ΠΎΠ½ΠΎΡΠ½ΠΈΠΊΠ° ΠΈ Π°ΠΌΠΎΡΡΠΈΠ·Π°ΡΠΈΡ Π½Π°Π³ΡΡΠ·ΠΎΠΊ. ΠΠΎ ΠΊΠΎΡΡΠ½Π°Ρ ΡΠΊΠ°Π½Ρ ΡΠ°ΠΊΠΆΠ΅ ΠΈΠΌΠ΅Π΅Ρ ΡΠ²ΠΎΠΈ ΠΏΡΠ΅Π΄Π΅Π»Ρ ΠΏΡΠΎΡΠ½ΠΎΡΡΠΈ ΠΏΡΠΈ ΡΠ΄Π°ΡΠ°Ρ
, Π° ΠΏΡΠΈ ΡΠ°Π·Π²ΠΈΡΠΈΠΈ Π½Π΅ΠΊΠΎΡΠΎΡΡΡ
Π·Π°Π±ΠΎΠ»Π΅Π²Π°Π½ΠΈΠΉ ΠΎΠ½Π° ΡΡΠ°Π½ΠΎΠ²ΠΈΡΡΡ Π΄ΠΎΡΡΠ°ΡΠΎΡΠ½ΠΎ Ρ
ΡΡΠΏΠΊΠΎΠΉ. Π ΡΠ΅Π·ΡΠ»ΡΡΠ°ΡΠ΅ Π»ΡΠ΄ΡΠΌ Π΄ΠΎΠ²ΠΎΠ»ΡΠ½ΠΎ ΡΠ°ΡΡΠΎ ΠΏΡΠΈΡ
ΠΎΠ΄ΠΈΡΡΡ ΡΡΠ°Π»ΠΊΠΈΠ²Π°ΡΡΡΡ Ρ ΡΠ°ΠΊΠΎΠΉ ΠΏΡΠΎΠ±Π»Π΅ΠΌΠΎΠΉ, ΠΊΠ°ΠΊ ΠΊΠΎΠΌΠΏΡΠ΅ΡΡΠΈΠΎΠ½Π½ΡΠΉ ΠΏΠ΅ΡΠ΅Π»ΠΎΠΌ ΠΏΠΎΠ·Π²ΠΎΠ½ΠΎΡΠ½ΠΈΠΊΠ° ΠΏΠΎΡΡΠ½ΠΈΡΠ½ΠΎΠ³ΠΎ ΠΎΡΠ΄Π΅Π»Π°. ΠΠΎΡΡΠ½ΠΈΡΠ½ΡΠΉ ΠΎΡΠ΄Π΅Π» ΡΡΡΠ°Π΄Π°Π΅Ρ ΠΎΡ ΠΏΠΎΠ΄ΠΎΠ±Π½ΡΡ
ΠΏΠΎΠ²ΡΠ΅ΠΆΠ΄Π΅Π½ΠΈΠΉ Π² ΠΏΠ΅ΡΠ²ΡΡ ΠΎΡΠ΅ΡΠ΅Π΄Ρ ΠΏΠΎΡΠΎΠΌΡ, ΡΡΠΎ ΠΈΠΌΠ΅Π½Π½ΠΎ Π΅ΠΌΡ ΠΏΡΠΈΡ
ΠΎΠ΄ΠΈΡΡΡ Π²ΡΠ΄Π΅ΡΠΆΠΈΠ²Π°ΡΡ Π²ΡΡΠΎΠΊΡΡ Π½Π°Π³ΡΡΠ·ΠΊΡ, ΠΏΡΠΈ ΡΡΠΎΠΌ ΠΈΠΌΠ΅Π½Π½ΠΎ ΡΡΠΎΡ ΠΎΡΠ΄Π΅Π» Π΄ΠΎΡΡΠ°ΡΠΎΡΠ½ΠΎ ΡΠ°ΡΡΠΎ ΡΡΡΠ°Π΄Π°Π΅Ρ ΠΎΡ Π΄ΡΡΠ³ΠΈΡ
Π·Π°Π±ΠΎΠ»Π΅Π²Π°Π½ΠΈΠΉ ΠΏΠΎΠ·Π²ΠΎΠ½ΠΎΡΠ½ΠΈΠΊΠ°, ΠΈΠΌΠ΅ΡΡΠΈΡ
Π΄Π΅Π³Π΅Π½Π΅ΡΠ°ΡΠΈΠ²Π½ΠΎ-Π΄ΠΈΡΡΡΠΎΡΠΈΡΠ΅ΡΠΊΠΈΠΉ Ρ
Π°ΡΠ°ΠΊΡΠ΅Ρ.
ΠΡΠΈΡΠΈΠ½Ρ ΠΏΠΎΡΠ²Π»Π΅Π½ΠΈΡ ΠΊΠΎΠΌΠΏΡΠ΅ΡΡΠΈΠΎΠ½Π½ΠΎΠ³ΠΎ ΠΏΠ΅ΡΠ΅Π»ΠΎΠΌΠ°
ΠΠΎΠΌΠΏΡΠ΅ΡΡΠΈΠΎΠ½Π½ΡΠΉ ΠΏΠ΅ΡΠ΅Π»ΠΎΠΌ ΠΏΠΎΡΡΠ½ΠΈΡΠ½ΠΎΠ³ΠΎ ΠΎΡΠ΄Π΅Π»Π° ΠΏΠΎΠ·Π²ΠΎΠ½ΠΎΡΠ½ΠΈΠΊΠ° ΠΎΠ±ΡΡΠ½ΠΎ ΠΏΡΠΎΠΈΡΡ ΠΎΠ΄ΠΈΡ Π² ΡΠ΅Π·ΡΠ»ΡΡΠ°ΡΠ΅ Π²ΠΎΠ·Π΄Π΅ΠΉΡΡΠ²ΠΈΡ Π½Π° ΡΠ΅Π»ΠΎ ΠΏΠΎΠ·Π²ΠΎΠ½ΠΊΠ° ΡΠ΅ΡΡΠ΅Π·Π½ΠΎΠΉ ΡΠΈΠ»Ρ. ΠΠΎΠ΄ΠΎΠ±Π½Π°Ρ ΡΠΈΠ»Π° ΡΠ°ΡΡΠΎ ΠΏΠΎΡΠ²Π»ΡΠ΅ΡΡΡ ΠΏΡΠΈ ΡΠ΅Π·ΠΊΠΈΡ ΠΈ ΡΠΈΠ»ΡΠ½ΡΡ ΠΎΡΠ΅Π²ΡΡ Π½Π°Π³ΡΡΠ·ΠΊΠ°Ρ , Π½Π°ΠΏΡΠΈΠΌΠ΅Ρ β Π² ΡΠ΅Π·ΡΠ»ΡΡΠ°ΡΠ΅ ΡΠ΄Π°ΡΠ° ΠΎΠ± Π·Π΅ΠΌΠ»Ρ Π²ΡΠΏΡΡΠΌΠ»Π΅Π½Π½ΡΠΌΠΈ Π½ΠΎΠ³Π°ΠΌΠΈ ΠΏΡΠΈ ΠΏΠ°Π΄Π΅Π½ΠΈΠΈ Ρ Π±ΠΎΠ»ΡΡΠΎΠΉ Π²ΡΡΠΎΡΡ. ΠΠΎ Π²ΠΎΠ·ΠΌΠΎΠΆΠ½Ρ ΠΈ Π΄ΡΡΠ³ΠΈΠ΅ ΠΏΡΠΈΡΠΈΠ½Ρ ΠΏΠΎΡΠ²Π»Π΅Π½ΠΈΡ ΡΠ°ΠΊΠΎΠ³ΠΎ ΠΏΠ΅ΡΠ΅Π»ΠΎΠΌΠ°.
ΠΠΎΠΌΠΏΡΠ΅ΡΡΠΈΠΎΠ½Π½ΡΠΉ ΠΏΠ΅ΡΠ΅Π»ΠΎΠΌ ΠΌΠΎΠΆΠ΅Ρ Π»ΠΈΡΠΈΡΡ ΡΠ΅Π»ΠΎΠ²Π΅ΠΊΠ° Π²ΠΎΠ·ΠΌΠΎΠΆΠ½ΠΎΡΡΠΈ Ρ ΠΎΠ΄ΠΈΡΡ
ΠΠ΅ΡΠ΅Π»ΠΎΠΌ ΠΏΠΎΠ·Π²ΠΎΠ½ΠΊΠ° Π²ΠΎΠ·ΠΌΠΎΠΆΠ΅Π½ ΠΏΡΠΈ Β«ΠΏΡΠΎΡΠ΅Π΄Π°Π½ΠΈΠΈΒ» Ρ ΡΡΡΠ° ΠΌΠ΅ΠΆΠΏΠΎΠ·Π²ΠΎΠ½ΠΊΠΎΠ²ΠΎΠ³ΠΎ Π΄ΠΈΡΠΊΠ°, ΠΊΠΎΠ³Π΄Π° ΠΎΠ½ ΡΠ΅ΡΡΠ΅Ρ ΡΠ²ΠΎΠΈ Π°ΠΌΠΎΡΡΠΈΠ·ΠΈΡΡΡΡΠΈΠ΅ ΡΠ²ΠΎΠΉΡΡΠ²Π° Π² ΡΠ΅Π·ΡΠ»ΡΡΠ°ΡΠ΅ ΡΠ°Π·Π²ΠΈΡΠΈΡ Π½Π΅ΠΊΠΎΡΠΎΡΡΡ Π·Π°Π±ΠΎΠ»Π΅Π²Π°Π½ΠΈΠΉ. Π ΡΠ΅Π·ΡΠ»ΡΡΠ°ΡΠ΅ Π²Π»ΠΈΡΠ½ΠΈΡ ΡΠ°ΠΊΠΎΠ³ΠΎ Π·Π°Π±ΠΎΠ»Π΅Π²Π°Π½ΠΈΡ ΠΊΠΎΡΡΠ½ΡΠ΅ ΡΡΡΡΠΊΡΡΡΡ ΠΎΠΊΠ°Π·ΡΠ²Π°ΡΡΡΡ Π½Π΅Π·Π°ΡΠΈΡΠ΅Π½Π½ΡΠΌΠΈ, ΠΏΠΎΡΠΎΠΌΡ ΠΌΠΎΠΆΠ΅Ρ ΠΎΠΊΠ°Π·Π°ΡΡΡΡ Π΄ΠΎΡΡΠ°ΡΠΎΡΠ½ΠΎ ΠΎΡΠ½ΠΎΡΠΈΡΠ΅Π»ΡΠ½ΠΎ Π½Π΅Π±ΠΎΠ»ΡΡΠΎΠ³ΠΎ Π²ΠΎΠ·Π΄Π΅ΠΉΡΡΠ²ΠΈΡ Π΄Π»Ρ ΠΏΠ΅ΡΠ΅Π»ΠΎΠΌΠ° ΠΏΠΎΠ·Π²ΠΎΠ½ΠΊΠ°.
ΠΡΡΠ³ΠΎΠΉ ΡΠ΅ΡΡΠ΅Π·Π½ΠΎΠΉ ΠΏΡΠΎΠ±Π»Π΅ΠΌΠΎΠΉ ΡΠ²Π»ΡΠ΅ΡΡΡ ΡΠ°Π·Π²ΠΈΡΠΈΠ΅ ΠΎΡΡΠ΅ΠΎΠΏΠΎΡΠΎΠ·Π°. ΠΡΠΈ ΡΡΠΎΠΌ Π·Π°Π±ΠΎΠ»Π΅Π²Π°Π½ΠΈΠΈ ΠΏΡΠΎΠΈΡΡ ΠΎΠ΄ΠΈΡ ΠΈΠ·ΠΌΠ΅Π½Π΅Π½ΠΈΠ΅ ΡΡΡΡΠΊΡΡΡΡ ΠΊΠΎΡΡΠ½ΠΎΠΉ ΡΠΊΠ°Π½ΠΈ, ΠΈΠ·-Π·Π° ΡΠ΅Π³ΠΎ ΠΏΠΎΠ·Π²ΠΎΠ½ΠΎΠΊ ΡΠ»Π°Π±Π΅Π΅Ρ ΠΈ ΡΡΠ°Π½ΠΎΠ²ΠΈΡΡΡ Ρ ΡΡΠΏΠΊΠΈΠΌ. Π ΡΡΠΎΠΌ ΡΠ»ΡΡΠ°Π΅ ΠΏΡΠΈΡΠΈΠ½ΠΎΠΉ ΠΏΠΎΡΠ²Π»Π΅Π½ΠΈΡ ΠΏΠ΅ΡΠ΅Π»ΠΎΠΌΠ° ΠΌΠΎΠΆΠ΅Ρ ΡΡΠ°ΡΡ Π΄Π°ΠΆΠ΅ ΠΎΠ±ΡΡΠ½ΡΠΉ ΡΡΠΈΠ± Π² ΠΏΠΎΡΡΠ½ΠΈΡΠ½ΠΎΠΌ ΠΎΡΠ΄Π΅Π»Π΅ ΠΏΠΎΠ·Π²ΠΎΠ½ΠΎΡΠ½ΠΈΠΊΠ°. Π‘ ΡΡΠΎΠΉ ΠΏΡΠΎΠ±Π»Π΅ΠΌΠΎΠΉ ΡΠ°ΡΠ΅ Π²ΡΠ΅Π³ΠΎ ΠΏΡΠΈΡ ΠΎΠ΄ΠΈΡΡΡ ΡΡΠ°Π»ΠΊΠΈΠ²Π°ΡΡΡΡ ΠΏΠΎΠΆΠΈΠ»ΡΠΌ Π»ΡΠ΄ΡΠΌ, ΡΡΡΠ°Π΄Π°ΡΡΠΈΠΌ ΠΎΡ ΠΎΡΡΠ΅ΠΎΠΏΠΎΡΠΎΠ·Π°. ΠΠΌΠ΅Π½Π½ΠΎ ΡΡΠΎ Π·Π°Π±ΠΎΠ»Π΅Π²Π°Π½ΠΈΠ΅ ΠΏΡΠΈΠ²ΠΎΠ΄ΠΈΡ ΠΊ ΡΠ½ΠΈΠΆΠ΅Π½ΠΈΡ ΡΠΎΡΡΠ° ΠΏΠ°ΡΠΈΠ΅Π½ΡΠ° ΠΈ ΡΠ°Π·Π²ΠΈΡΠΈΡ Ρ Π½Π΅Π³ΠΎ Π³ΠΎΡΠ±Π°.
ΠΡΡ
ΠΎΠ΄Ρ ΠΈΠ· ΡΠΊΠ°Π·Π°Π½Π½ΠΎΠ³ΠΎ Π²ΡΡΠ΅, ΠΌΠΎΠΆΠ½ΠΎ ΠΏΠΎΠ½ΡΡΡ, ΡΡΠΎ ΠΊΠΎΠΌΠΏΡΠ΅ΡΡΠΈΠΎΠ½Π½ΡΠΉ ΠΏΠ΅ΡΠ΅Π»ΠΎΠΌ ΡΠ΅Π»ΠΎΠ²Π΅ΠΊ ΠΌΠΎΠΆΠ΅Ρ ΠΏΠΎΠ»ΡΡΠΈΡΡ, Π½Π°ΠΏΡΠΈΠΌΠ΅Ρ, Π² Π°Π²ΡΠΎΠΌΠΎΠ±ΠΈΠ»ΡΠ½ΠΎΠΉ Π°Π²Π°ΡΠΈΠΈ, ΠΏΡΠΈ ΠΏΠ°Π΄Π΅Π½ΠΈΠΈ ΠΈΠ»ΠΈ ΠΏΡΡΠΆΠΊΠ΅ Ρ Π±ΠΎΠ»ΡΡΠΎΠΉ Π²ΡΡΠΎΡΡ ΠΈΠ»ΠΈ ΠΏΡΠΈ Π²ΠΎΠ·Π΄Π΅ΠΉΡΡΠ²ΠΈΠΈ ΠΈΠ½ΠΎΠΉ ΠΏΠΎΡ
ΠΎΠΆΠ΅ΠΉ ΡΠΈΠ»Ρ. Π’Π°ΠΊΠΆΠ΅ ΠΏΡΠΈΡΠΈΠ½ΠΎΠΉ ΠΏΠΎΡΠ²Π»Π΅Π½ΠΈΡ ΠΏΠ΅ΡΠ΅Π»ΠΎΠΌΠ° ΠΌΠΎΠΆΠ΅Ρ ΡΡΠ°ΡΡ ΠΏΠΎΡΠ²Π»Π΅Π½ΠΈΠ΅ ΡΠΈΠ·ΠΈΠΎΠ»ΠΎΠ³ΠΈΡΠ΅ΡΠΊΠΈΡ
ΠΏΡΠΎΠ±Π»Π΅ΠΌ Π² ΠΌΠ΅ΠΆΠΏΠΎΠ·Π²ΠΎΠ½ΠΊΠΎΠ²ΡΡ
Π΄ΠΈΡΠΊΠ°Ρ
ΠΈ ΡΠ°ΠΌΠΎΠΉ ΡΡΡΡΠΊΡΡΡΠ΅ ΠΊΠΎΡΡΠ½ΠΎΠΉ ΡΠΊΠ°Π½ΠΈ. Π ΠΏΠ΅ΡΠ΅Π»ΠΎΠΌΡ ΠΏΠΎΠ·Π²ΠΎΠ½ΠΊΠ° ΡΠ°ΠΊΠΆΠ΅ ΠΌΠΎΠ³ΡΡ ΠΏΡΠΈΠ²Π΅ΡΡΠΈ ΠΌΠ΅ΡΠ°ΡΡΠ°Π·Ρ ΡΠ°ΠΊΠΎΠ²ΡΡ
ΠΊΠ»Π΅ΡΠΎΠΊ.
Π‘ΠΈΠΌΠΏΡΠΎΠΌΡ ΠΊΠΎΠΌΠΏΡΠ΅ΡΡΠΈΠΎΠ½Π½ΠΎΠ³ΠΎ ΠΏΠ΅ΡΠ΅Π»ΠΎΠΌΠ° ΠΏΠΎΠ·Π²ΠΎΠ½ΠΎΡΠ½ΠΈΠΊΠ°
Π ΠΎΠ±ΡΠ΅ΠΌ ΡΠ»ΡΡΠ°Π΅ ΠΏΡΠΎΡΠ²Π»Π΅Π½ΠΈΠ΅ ΡΠΈΠΌΠΏΡΠΎΠΌΠΎΠ² ΠΏΡΠΈ ΡΡΠ°Π²ΠΌΠ΅ ΡΠ°ΠΊΠΎΠ³ΠΎ ΡΠΎΠ΄Π° ΠΏΠΎΠ»Π½ΠΎΡΡΡΡ Π·Π°Π²ΠΈΡΠΈΡ ΠΎΡ Π»ΠΎΠΊΠ°Π»ΠΈΠ·Π°ΡΠΈΠΈ ΠΈ ΡΡΠ΅ΠΏΠ΅Π½ΠΈ ΠΏΠΎΠ²ΡΠ΅ΠΆΠ΄Π΅Π½ΠΈΡ ΠΏΠΎΠ·Π²ΠΎΠ½ΠΊΠ°. ΠΠ΅ΠΊΠΎΡΠΎΡΠΎΠ΅ Π²Π»ΠΈΡΠ½ΠΈΠ΅ Π½Π° ΠΏΠΎΡΠ²ΠΈΠ²ΡΠΈΠ΅ΡΡ ΡΠΈΠΌΠΏΡΠΎΠΌΡ ΠΎΠΊΠ°Π·ΡΠ²Π°Π΅Ρ ΠΈ ΠΏΡΠΈΡΠΈΠ½Π° ΠΏΠ΅ΡΠ΅Π»ΠΎΠΌΠ°. ΠΠΎΡΡΠΎΠΌΡ ΠΌΠΎΠΆΠ½ΠΎ Π²ΡΠ΄Π΅Π»ΠΈΡΡ ΡΠ°ΠΊΠΈΠ΅ Π³ΡΡΠΏΠΏΡ ΡΠΈΠΌΠΏΡΠΎΠΌΠΎΠ², ΠΊΠΎΡΠΎΡΡΠ΅ ΠΏΠΎΡΠ²Π»ΡΡΡΡΡ Π² Π·Π°Π²ΠΈΡΠΈΠΌΠΎΡΡΠΈ ΠΎΡ ΠΏΡΠΈΡΠΈΠ½ ΠΏΠΎΡΠ²Π»Π΅Π½ΠΈΡ ΠΏΠΎΠ²ΡΠ΅ΠΆΠ΄Π΅Π½ΠΈΡ:
- ΠΏΡΠΈ ΠΊΠΎΠΌΠΏΡΠ΅ΡΡΠΈΠΎΠ½Π½ΠΎΠΌ ΠΏΠ΅ΡΠ΅Π»ΠΎΠΌΠ΅, ΠΏΠΎΡΠ²ΠΈΠ²ΡΠ΅ΠΌΡΡ Π² ΡΠ΅Π·ΡΠ»ΡΡΠ°ΡΠ΅ ΡΡΠ°Π²ΠΌΡ, ΠΏΠΎΡΠ²Π»ΡΠ΅ΡΡΡ ΡΠ΅Π·ΠΊΠ°Ρ ΠΈ ΡΠΈΠ»ΡΠ½Π°Ρ Π±ΠΎΠ»Ρ Π² ΠΏΠΎΡΡΠ½ΠΈΡΠ½ΠΎΠΌ ΠΎΡΠ΄Π΅Π»Π΅ ΠΏΠΎΠ·Π²ΠΎΠ½ΠΎΡΠ½ΠΈΠΊΠ°, ΠΊΠΎΡΠΎΡΠ°Ρ ΠΌΠΎΠΆΠ΅Ρ ΡΠ°ΡΠΏΡΠΎΡΡΡΠ°Π½ΡΡΡΡΡ Π² Π½ΠΈΠΆΠ½ΠΈΠ΅ ΠΈ ΠΈΠ½ΠΎΠ³Π΄Π° Π²Π΅ΡΡ Π½ΠΈΠ΅ ΠΊΠΎΠ½Π΅ΡΠ½ΠΎΡΡΠΈ;
- ΠΏΡΠΈ ΠΏΠΎΠ²ΡΠ΅ΠΆΠ΄Π΅Π½ΠΈΠΈ Π½Π΅ΡΠ²Π½ΡΡ ΠΎΠΊΠΎΠ½ΡΠ°Π½ΠΈΠΉ, ΡΠ°ΡΠΏΠΎΠ»ΠΎΠΆΠ΅Π½Π½ΡΡ ΠΏΠΎΠ±Π»ΠΈΠ·ΠΎΡΡΠΈ ΠΏΠΎΠ·Π²ΠΎΠ½ΠΎΡΠ½ΠΈΠΊΠ°, ΠΏΠΎΡΠ²Π»ΡΠ΅ΡΡΡ ΡΠ»Π°Π±ΠΎΡΡΡ, ΠΎΠ½Π΅ΠΌΠ΅Π½ΠΈΠ΅, ΠΏΠΎΠ½ΠΈΠΆΠ΅Π½ΠΈΠ΅ ΡΡΠ²ΡΡΠ²ΠΈΡΠ΅Π»ΡΠ½ΠΎΡΡΠΈ ΠΈ Π΄ΡΡΠ³ΠΈΠ΅ Π½Π΅Π²ΡΠΎΠ»ΠΎΠ³ΠΈΡΠ΅ΡΠΊΠΈΠ΅ ΡΠΈΠΌΠΏΡΠΎΠΌΡ;
- ΠΏΡΠΈ ΠΏΠΎΡΡΠ΅ΠΏΠ΅Π½Π½ΠΎΠΌ ΡΠ°Π·ΡΡΡΠ΅Π½ΠΈΠΈ ΠΏΠΎΠ·Π²ΠΎΠ½ΠΊΠ°, ΠΊΠΎΡΠΎΡΠΎΠ΅ ΠΏΡΠΎΠΈΡΡ ΠΎΠ΄ΠΈΡ Π² ΡΠ΅Π·ΡΠ»ΡΡΠ°ΡΠ΅ ΠΏΡΠΎΠ³ΡΠ΅ΡΡΠΈΡΠΎΠ²Π°Π½ΠΈΡ ΠΎΡΡΠ΅ΠΎΠΏΠΎΡΠΎΠ·Π°, Π±ΠΎΠ»ΡΠ½ΠΎΠΉ ΡΡΠ²ΡΡΠ²ΡΠ΅Ρ ΡΠΌΠ΅ΡΠ΅Π½Π½ΡΡ, Π½ΠΎ ΠΏΠΎΡΡΠ΅ΠΏΠ΅Π½Π½ΠΎ ΡΡΠΈΠ»ΠΈΠ²Π°ΡΡΡΡΡΡ Π±ΠΎΠ»Ρ.
ΠΡΠΈ ΡΡΠΎΠΌ ΡΡΠΎΠΈΡ ΠΎΡΠΌΠ΅ΡΠΈΡΡ, ΡΡΠΎ ΡΠΊΠ°Π·Π°Π½Π½ΡΠ΅ Π²ΡΡΠ΅ ΠΏΠΎΡΠ»Π΅Π΄ΡΡΠ²ΠΈΡ ΠΏΠΎΠ΄ΠΎΠ±Π½ΠΎΠ³ΠΎ ΠΏΠ΅ΡΠ΅Π»ΠΎΠΌΠ° ΠΏΠΎΠ·Π²ΠΎΠ½ΠΎΡΠ½ΠΈΠΊΠ°, Π΅ΡΠ΅ Π½Π΅ ΡΠ²Π»ΡΡΡΡΡ ΡΠ°ΠΌΡΠΌΠΈ ΡΡΠΆΠ΅Π»ΡΠΌΠΈ. Π₯ΡΠ΄ΡΠΈΠΌ Π²Π°ΡΠΈΠ°Π½ΡΠΎΠΌ ΡΠ°Π·Π²ΠΈΡΠΈΡ ΡΠΎΠ±ΡΡΠΈΠΉ ΡΠ²Π»ΡΠ΅ΡΡΡ ΠΊΠΎΠΌΠΏΡΠ΅ΡΡΠΈΡ ΡΠΎΠ±ΡΡΠ²Π΅Π½Π½ΠΎ ΡΠΏΠΈΠ½Π½ΠΎΠ³ΠΎ ΠΌΠΎΠ·Π³Π°. Π ΡΡΠΎΠΌ ΡΠ»ΡΡΠ°Π΅ ΠΊ ΡΠΈΠ»ΡΠ½ΠΎΠΌΡ Π±ΠΎΠ»Π΅Π²ΠΎΠΌΡ ΡΠΈΠ½Π΄ΡΠΎΠΌΡ Π΄ΠΎΠ±Π°Π²Π»ΡΠ΅ΡΡΡ Π½Π°ΡΡΡΠ΅Π½ΠΈΠ΅ ΡΠ°Π±ΠΎΡΡ Π²Π½ΡΡΡΠ΅Π½Π½ΠΈΡ
ΠΎΡΠ³Π°Π½ΠΎΠ², Π° ΠΏΠΎΡΠΊΠΎΠ»ΡΠΊΡ ΡΠ΅ΡΡ ΠΈΠ΄Π΅Ρ ΠΎ ΠΏΠΎΡΡΠ½ΠΈΡΠ½ΠΎΠΌ ΠΎΡΠ΄Π΅Π»Π΅, ΡΠΎ Π±ΠΎΠ»ΡΡΠ΅ Π²ΡΠ΅Π³ΠΎ ΡΡΡΠ°Π΄Π°ΡΡ ΠΎΡΠ³Π°Π½Ρ ΡΠ°Π·Π°.
ΠΠ°ΠΊ ΠΏΡΠΎΠΈΠ·Π²ΠΎΠ΄ΠΈΡΡΡ Π΄ΠΈΠ°Π³Π½ΠΎΡΡΠΈΠΊΠ° ΠΏΠ΅ΡΠ΅Π»ΠΎΠΌΠ° ΠΏΠΎΠ·Π²ΠΎΠ½ΠΊΠ°?
ΠΡΠΈ ΠΏΠΎΡΠ²Π»Π΅Π½ΠΈΠΈ ΠΎΠΏΠΈΡΠ°Π½Π½ΡΡ Π²ΡΡΠ΅ ΡΠΈΠΌΠΏΡΠΎΠΌΠΎΠ² ΠΊΠ°ΡΠ΅Π³ΠΎΡΠΈΡΠ΅ΡΠΊΠΈ Π½Π΅Π»ΡΠ·Ρ ΡΠ΅ΡΡΡΡ Π²ΡΠ΅ΠΌΡ, Π½Π΅ΠΎΠ±Ρ ΠΎΠ΄ΠΈΠΌΠΎ Π½Π΅ΠΌΠ΅Π΄Π»Π΅Π½Π½ΠΎ ΠΎΠ±ΡΠ°ΡΠ°ΡΡΡΡ ΠΊ Π²ΡΠ°ΡΡ. ΠΡΠ°Ρ ΠΆΠ΅, Π΄Π»Ρ ΡΠΎΠ³ΠΎ, ΡΡΠΎΠ±Ρ ΠΏΠΎΠ΄ΡΠ²Π΅ΡΠ΄ΠΈΡΡ ΠΏΠ΅ΡΠ΅Π»ΠΎΠΌ, ΠΎΠΏΡΠ΅Π΄Π΅Π»ΠΈΡΡ Π΅Π³ΠΎ ΡΡΠ΅ΠΏΠ΅Π½Ρ ΠΈ Π»ΠΎΠΊΠ°Π»ΠΈΠ·Π°ΡΠΈΡ, Π° Π² Π΄Π°Π»ΡΠ½Π΅ΠΉΡΠ΅ΠΌ β Π½Π°Π·Π½Π°ΡΠΈΡΡ Π»Π΅ΡΠ΅Π½ΠΈΠ΅, ΠΏΡΠΎΠ²ΠΎΠ΄ΠΈΡ ΡΡΠ΄ Π΄ΠΈΠ°Π³Π½ΠΎΡΡΠΈΡΠ΅ΡΠΊΠΈΡ ΠΏΡΠΎΡΠ΅Π΄ΡΡ.
Π ΠΏΠ΅ΡΠ²ΡΡ ΠΎΡΠ΅ΡΠ΅Π΄Ρ Π²ΡΠΏΠΎΠ»Π½ΡΠ΅ΡΡΡ ΡΠ΅Π½ΡΠ³Π΅Π½ΠΎΠ³ΡΠ°ΡΠΈΡΠ΅ΡΠΊΠΎΠ΅ ΠΈΡΡΠ»Π΅Π΄ΠΎΠ²Π°Π½ΠΈΠ΅ ΠΏΠΎΡΡΠ½ΠΈΡΠ½ΠΎΠ³ΠΎ ΠΎΡΠ΄Π΅Π»Π°, ΠΏΡΠΈΡΠ΅ΠΌ ΠΏΡΠΎΠ²ΠΎΠ΄ΠΈΡΡΡ ΠΎΠ½ΠΎ ΡΡΠ°Π·Ρ Π² Π΄Π²ΡΡ ΠΏΡΠΎΠ΅ΠΊΡΠΈΡΡ . ΠΠ½ΠΎ Π΄Π°Π΅Ρ Π²ΠΎΠ·ΠΌΠΎΠΆΠ½ΠΎΡΡΡ ΠΎΠ±Π½Π°ΡΡΠΆΠΈΡΡ ΠΏΠΎΠ²ΡΠ΅ΠΆΠ΄Π΅Π½ΠΈΡ ΠΊΠΎΡΡΠ½ΠΎΠΉ ΡΠΊΠ°Π½ΠΈ ΠΏΠΎΠ·Π²ΠΎΠ½ΠΊΠ°.
Π£ΡΡΡΠΎΠΉΡΡΠ²ΠΎ Π΄Π»Ρ ΠΏΡΠΎΠ²Π΅Π΄Π΅Π½ΠΈΡ ΠΌΠ°Π³Π½ΠΈΡΠ½ΠΎ-ΡΠ΅Π·ΠΎΠ½Π°Π½ΡΠ½ΠΎΠΉ ΡΠΎΠΌΠΎΠ³ΡΠ°ΡΠΈΠΈ ΠΏΠΎΠ·Π²ΠΎΠ½ΠΎΡΠ½ΠΈΠΊΠ°
Π Π΄Π°Π»ΡΠ½Π΅ΠΉΡΠ΅ΠΌ ΠΏΡΠΎΠ²ΠΎΠ΄ΠΈΡΡΡ ΠΌΠ°Π³Π½ΠΈΡΠ½ΠΎ-ΡΠ΅Π·ΠΎΠ½Π°Π½ΡΠ½Π°Ρ ΡΠΎΠΌΠΎΠ³ΡΠ°ΡΠΈΡ, ΠΊΠΎΡΠΎΡΠ°Ρ Π΄Π°Π΅Ρ Π²ΠΎΠ·ΠΌΠΎΠΆΠ½ΠΎΡΡΡ ΠΏΡΠΎΠ²Π΅ΡΡΠΈ Π΄Π΅ΡΠ°Π»ΠΈΠ·ΠΈΡΠΎΠ²Π°Π½Π½ΠΎΠ΅ ΠΈΡΡΠ»Π΅Π΄ΠΎΠ²Π°Π½ΠΈΠ΅ ΡΡΡΡΠΊΡΡΡΡ ΠΏΠΎΠ·Π²ΠΎΠ½ΠΊΠΎΠ². ΠΠ Π’, Π² ΠΎΡΠ»ΠΈΡΠΈΠ΅ ΠΎΡ ΡΠ΅Π½ΡΠ³Π΅Π½ΠΎΠ³ΡΠ°ΡΠΈΡΠ΅ΡΠΊΠΎΠ³ΠΎ ΠΈΡΡΠ»Π΅Π΄ΠΎΠ²Π°Π½ΠΈΡ, Π΄Π°Π΅Ρ Π²ΠΎΠ·ΠΌΠΎΠΆΠ½ΠΎΡΡΡ Π²ΡΡΠ²ΠΈΡΡ ΠΏΠΎΠ²ΡΠ΅ΠΆΠ΄Π΅Π½ΠΈΡ ΡΠΏΠΈΠ½Π½ΡΡ Π½Π΅ΡΠ²ΠΎΠ², Π° ΡΠ°ΠΊΠΆΠ΅ ΠΎΠΏΡΠ΅Π΄Π΅Π»ΠΈΡΡ ΡΡΠ΅ΠΏΠ΅Π½Ρ ΠΈΡ ΠΏΠΎΠ²ΡΠ΅ΠΆΠ΄Π΅Π½ΠΈΡ. Π’Π°ΠΊΠΆΠ΅ Π΄Π»Ρ ΡΡΠΎΠΉ ΡΠ΅Π»ΠΈ ΠΌΠΎΠ³ΡΡ ΠΏΡΠΎΠ²ΠΎΠ΄ΠΈΡΡ ΠΌΠΈΠ΅Π»ΠΎΠ³ΡΠ°ΡΠΈΡ.
ΠΡΠ΄ΡΠΌ ΡΡΠ°ΡΡΠ΅ 50 Π»Π΅Ρ ΠΏΡΠΎΠ²ΠΎΠ΄ΡΡ ΡΠ°ΠΊΠΆΠ΅ Π΄Π΅Π½ΡΠΈΡΠΎΠΌΠ΅ΡΡΠΈΡ, ΡΡΠΎΠ±Ρ Π²ΡΡΠ²ΠΈΡΡ ΠΎΡΡΠ΅ΠΎΠΏΠΎΡΠΎΠ·. ΠΡΠΎ ΡΠ²ΡΠ·Π°Π½ΠΎ Ρ ΡΠ΅ΠΌ, ΡΡΠΎ Π² Π½Π΅ΠΏΡΠ°Π²ΠΈΠ»ΡΠ½ΠΎΠ΅ ΠΏΠΈΡΠ°Π½ΠΈΠ΅ ΠΈ ΠΌΠ°Π»ΠΎΠΏΠΎΠ΄Π²ΠΈΠΆΠ½ΡΠΉ ΠΎΠ±ΡΠ°Π· ΠΆΠΈΠ·Π½ΠΈ ΠΏΡΠΈΠ²ΠΎΠ΄ΡΡ ΠΊ ΡΠΌΠ΅Π½ΡΡΠ΅Π½ΠΈΡ ΠΊΠΎΠ»ΠΈΡΠ΅ΡΡΠ²Π° ΠΊΠ°Π»ΡΡΠΈΡ Π² ΠΊΠΎΡΡΠ½ΡΡ ΡΡΡΡΠΊΡΡΡΠ°Ρ , Π² ΡΠ΅Π·ΡΠ»ΡΡΠ°ΡΠ΅ ΡΠ΅Π³ΠΎ ΠΊΠΎΡΡΠΈ ΡΠ΅ΡΡΠ΅Π·Π½ΠΎ ΡΠ»Π°Π±Π΅ΡΡ.
Π’Π°ΠΊΠΆΠ΅ Π² ΠΎΠ±ΡΠ·Π°ΡΠ΅Π»ΡΠ½ΠΎΠΌ ΠΏΠΎΡΡΠ΄ΠΊΠ΅ Π²ΡΠ°Ρ Π΄ΠΎΠ»ΠΆΠ΅Π½ ΠΏΡΠΎΠ²Π΅ΡΡΠΈ ΠΏΡΠΎΠ²Π΅ΡΠΊΡ ΡΠ°Π±ΠΎΡΡ ΡΠΏΠΈΠ½Π½ΠΎΠ³ΠΎ ΠΌΠΎΠ·Π³Π° ΠΈ ΠΏΠ΅ΡΠΈΡΠ΅ΡΠΈΡΠ΅ΡΠΊΠΈΡ
Π½Π΅ΡΠ²ΠΎΠ², ΡΡΠΎΠ±Ρ Π²ΡΡΠ²ΠΈΡΡ ΠΏΠΎΡΠ»Π΅Π΄ΡΡΠ²ΠΈΡ ΠΏΠ΅ΡΠ΅Π»ΠΎΠΌΠ° ΠΏΠΎΠ·Π²ΠΎΠ½ΠΊΠ°.
ΠΠ΅ΡΠ΅Π½ΠΈΠ΅Β ΠΊΠΎΠΌΠΏΡΠ΅ΡΡΠΈΠΎΠ½Π½ΠΎΠ³ΠΎ ΠΏΠ΅ΡΠ΅Π»ΠΎΠΌΠ° ΠΏΠΎΠ·Π²ΠΎΠ½ΠΎΡΠ½ΠΈΠΊΠ° ΠΏΠΎΡΡΠ½ΠΈΡΠ½ΠΎΠ³ΠΎ ΠΎΡΠ΄Π΅Π»Π°
ΠΡΠΈ ΠΎΡΡΡΡΡΡΠ²ΠΈΠΈ ΡΠΈΠ»ΡΠ½ΡΡ Π±ΠΎΠ»Π΅ΠΉ ΠΈ Π²ΡΡΠ°ΠΆΠ΅Π½Π½ΡΡ Π½Π΅Π²ΡΠΎΠ»ΠΎΠ³ΠΈΡΠ΅ΡΠΊΠΈΡ ΡΠΈΠΌΠΏΡΠΎΠΌΠΎΠ² ΠΏΡΠ΅Π΄ΠΏΠΎΡΡΠ΅Π½ΠΈΠ΅ ΠΎΠ±ΡΡΠ½ΠΎ ΠΎΡΠ΄Π°Π΅ΡΡΡ ΠΊΠΎΠ½ΡΠ΅ΡΠ²Π°ΡΠΈΠ²Π½ΡΠΌ ΠΌΠ΅ΡΠΎΠ΄Π°ΠΌ Π»Π΅ΡΠ΅Π½ΠΈΡ. Π ΡΡΠΎΠΌ ΡΠ»ΡΡΠ°Π΅ Π½Π΅ΠΎΠ±Ρ ΠΎΠ΄ΠΈΠΌΠΎ ΠΎΠ±Π΅ΡΠΏΠ΅ΡΠΈΡΡ Π½Π΅ΠΏΠΎΠ΄Π²ΠΈΠΆΠ½ΠΎΡΡΡ ΠΏΠΎΠ²ΡΠ΅ΠΆΠ΄Π΅Π½Π½ΠΎΠ³ΠΎ ΠΎΡΠ΄Π΅Π»Π° ΠΏΠΎΠ·Π²ΠΎΠ½ΠΎΡΠ½ΠΈΠΊΠ°, ΡΡΠΎ ΠΎΠ±Π΅ΡΠΏΠ΅ΡΠΈΠ²Π°Π΅ΡΡΡ Ρ ΠΏΠΎΠΌΠΎΡΡΡ ΡΠΏΠ΅ΡΠΈΠ°Π»ΡΠ½ΡΡ ΠΏΠΎΠ²ΡΠ·ΠΎΠΊ ΠΈ ΠΊΠΎΡΡΠ΅ΡΠΎΠ². Π’Π°ΠΊΠΆΠ΅ ΡΠ°ΡΠ΅ Π²ΡΠ΅Π³ΠΎ Π±ΠΎΠ»ΡΠ½ΠΎΠΌΡ ΠΏΡΠΎΠΏΠΈΡΡΠ²Π°Π΅ΡΡΡ ΠΏΠΎΡΡΠ΅Π»ΡΠ½ΡΠΉ ΡΠ΅ΠΆΠΈΠΌ Π½Π° Π½Π΅ΡΠΊΠΎΠ»ΡΠΊΠΎ Π½Π΅Π΄Π΅Π»Ρ. ΠΠ»Ρ ΠΎΡΠ»Π°Π±Π»Π΅Π½ΠΈΡ Π±ΠΎΠ»Π΅ΠΉ Π½Π°Π·Π½Π°ΡΠ°ΡΡΡΡ Π°Π½Π°Π»ΡΠ³Π΅ΡΠΈΠΊΠΈ, Π½ΠΎ ΠΏΡΠΈ ΡΡΠΎΠΌ ΠΏΠ°ΡΠΈΠ΅Π½Ρ Π΄ΠΎΠ»ΠΆΠ΅Π½ ΠΎΡΠΎΠ·Π½Π°Π²Π°ΡΡ, ΡΡΠΎ ΠΎΡΡΡΡΡΡΠ²ΠΈΠ΅ Π±ΠΎΠ»Π΅ΠΉ Π½Π΅ ΠΎΠ·Π½Π°ΡΠ°Π΅Ρ Π²ΡΠ·Π΄ΠΎΡΠΎΠ²Π»Π΅Π½ΠΈΡ. ΠΠ΅ΡΠ΅Π»ΠΎΠΌ ΠΏΠΎΠ·Π²ΠΎΠ½ΠΊΠ° Π·Π°ΡΠ°ΡΡΠ°Π΅Ρ ΠΏΡΠΈΠΌΠ΅ΡΠ½ΠΎ Π·Π° 3 ΠΌΠ΅ΡΡΡΠ°, Π²ΡΠ΅ ΡΡΠΎ Π²ΡΠ΅ΠΌΡ ΠΏΠ°ΡΠΈΠ΅Π½Ρ Π΄ΠΎΠ»ΠΆΠ΅Π½ Π²ΡΠΏΠΎΠ»Π½ΡΡΡ ΡΡΠ΅Π±ΠΎΠ²Π°Π½ΠΈΡ Π»Π΅ΡΠ°ΡΠ΅Π³ΠΎ Π²ΡΠ°ΡΠ°, Π±Π΅ΡΠ΅ΡΡ ΡΠΏΠΈΠ½Ρ β Π½Π΅ Π²ΡΠΏΠΎΠ»Π½ΡΡΡ ΡΠ΅Π·ΠΊΠΈΡ ΠΏΠΎΠ²ΠΎΡΠΎΡΠΎΠ² ΠΈ Π½Π°ΠΊΠ»ΠΎΠ½ΠΎΠ² ΠΊΠΎΡΠΏΡΡΠ°, Π° ΡΠ°ΠΊΠΆΠ΅ ΠΎΠ³ΡΠ°Π½ΠΈΡΠΈΡΡ ΠΈΠ»ΠΈ ΠΏΠΎΠ»Π½ΠΎΡΡΡΡ ΠΈΡΠΊΠ»ΡΡΠΈΡΡ ΡΠΈΠ·ΠΈΡΠ΅ΡΠΊΠΈΠ΅ Π½Π°Π³ΡΡΠ·ΠΊΠΈ.
ΠΠΎΡΠ»Π΅ ΡΠ°ΠΊΠΎΠ³ΠΎ Π»Π΅ΡΠ΅Π½ΠΈΡ ΠΏΠ°ΡΠΈΠ΅Π½ΡΡ ΠΏΡΠ΅Π΄ΡΡΠΎΠΈΡ ΠΎΠΏΡΠ΅Π΄Π΅Π»Π΅Π½Π½ΡΠΉ ΠΏΠ΅ΡΠΈΠΎΠ΄ Π²ΠΎΡΡΡΠ°Π½ΠΎΠ²Π»Π΅Π½ΠΈΡ. Π Π΅Π°Π±ΠΈΠ»ΠΈΡΠ°ΡΠΈΡ ΠΏΠΎΡΠ»Π΅ ΠΏΠ΅ΡΠ΅Π»ΠΎΠΌΠ° ΠΏΠΎΠ·Π²ΠΎΠ½ΠΎΡΠ½ΠΈΠΊΠ° Π½ΠΈΡΠ΅Π³ΠΎ ΡΠ»ΠΎΠΆΠ½ΠΎΠ³ΠΎ ΡΠΎΠ±ΠΎΠΉ Π½Π΅ ΠΏΡΠ΅Π΄ΡΡΠ°Π²Π»ΡΠ΅Ρ, ΠΎΠ±ΡΡΠ½ΠΎ ΡΡΠΎ ΠΏΡΠΎΡΡΠΎ ΠΊΡΡΡ Π»Π΅ΡΠ΅Π±Π½ΠΎΠΉ Π³ΠΈΠΌΠ½Π°ΡΡΠΈΠΊΠΈ.
ΠΠΎΡΡΠΎΡΠ½Π½ΠΎΠ΅ Π²ΡΡΡΠΆΠ΅Π½ΠΈΠ΅ ΠΏΠΎ ΠΠ²Π΅ΡΠ΅Π²Ρ-ΠΠ»ΡΡΠ΅Π²ΡΠΊΠΎΠΌΡ ΠΏΡΠΈ Π»Π΅ΡΠ΅Π½ΠΈΠΈ ΠΊΠΎΠΌΠΏΡΠ΅ΡΡΠΈΠΎΠ½Π½ΡΡ ΠΏΠ΅ΡΠ΅Π»ΠΎΠΌΠΎΠ² Π½ΠΈΠΆΠ½ΠΈΡ Π³ΡΡΠ΄Π½ΡΡ ΠΈ ΠΏΠΎΡΡΠ½ΠΈΡΠ½ΡΡ ΠΏΠΎΠ·Π²ΠΎΠ½ΠΊΠΎΠ²
Β Π‘ΡΠΎΠΈΡ ΡΡΠΈΡΡΠ²Π°ΡΡ, ΡΡΠΎ Π½ΠΈΠΊΠ°ΠΊΠΈΠ΅ ΡΠΈΠ·ΠΈΡΠ΅ΡΠΊΠΈΠ΅ Π½Π°Π³ΡΡΠ·ΠΊΠΈ, Π² ΡΠΎΠΌ ΡΠΈΡΠ»Π΅ ΠΈ ΠΠ€Π, Π½Π΅ΠΏΠΎΡΡΠ΅Π΄ΡΡΠ²Π΅Π½Π½ΠΎ ΠΏΡΠΈ ΠΏΠ΅ΡΠ΅Π»ΠΎΠΌΠ΅ Π½Π΅ Π΄ΠΎΠΏΡΡΠΊΠ°ΡΡΡΡ, ΠΎΠ½ΠΈ Π²ΠΎΠ·ΠΌΠΎΠΆΠ½Ρ ΡΠΎΠ»ΡΠΊΠΎ Π² ΠΏΠ΅ΡΠΈΠΎΠ΄ ΡΠ΅Π°Π±ΠΈΠ»ΠΈΡΠ°ΡΠΈΠΈ ΠΏΠΎΡΠ»Π΅ Π»Π΅ΡΠ΅Π½ΠΈΡ. Π¦Π΅Π»Ρ ΠΏΡΠΈΠΌΠ΅Π½Π΅Π½ΠΈΡ Π»Π΅ΡΠ΅Π±Π½ΠΎΠΉ Π³ΠΈΠΌΠ½Π°ΡΡΠΈΠΊΠΈ ΠΏΡΠΎΡΡΠ° β Β«ΡΠ°Π·ΡΠ°Π±ΠΎΡΠ°ΡΡΒ» ΠΏΠΎΠ·Π²ΠΎΠ½ΠΎΡΠ½ΠΈΠΊ ΠΈ Π²ΠΎΡΡΡΠ°Π½ΠΎΠ²ΠΈΡΡ ΡΠΎΡΡΠΎΡΠ½ΠΈΠ΅ ΠΌΡΡΠ΅ΡΠ½ΠΎΠ³ΠΎ ΠΊΠΎΡΡΠ΅ΡΠ° ΠΈ ΡΠ²ΡΠ·ΠΎΠΊ ΡΠΏΠΈΠ½Ρ, ΠΊΠΎΡΠΎΡΡΠ΅ ΡΠ΅ΡΡΠ΅Π·Π½ΠΎ ΠΎΡΠ»Π°Π±Π΅ΡΡ Π·Π° 3 ΠΌΠ΅ΡΡΡΠ° Π±Π΅Π· Π½Π°Π³ΡΡΠ·ΠΎΠΊ. ΠΡΡΠ°Π²Π»ΡΡΡ Π±Π΅Π· Π²Π½ΠΈΠΌΠ°Π½ΠΈΡ ΡΡΠΎ ΡΠ°ΠΊΡ Π½Π΅Π»ΡΠ·Ρ, Π² ΠΏΡΠΎΡΠΈΠ²Π½ΠΎΠΌ ΡΠ»ΡΡΠ°Π΅ ΡΠ΅Π»ΠΎΠ²Π΅ΠΊ ΡΠΈΡΠΊΡΠ΅Ρ Π·Π°ΡΠ°Π±ΠΎΡΠ°ΡΡ ΠΏΡΠΎΡΡΡΠ·ΠΈΡ ΠΈ Π³ΡΡΠΆΡ ΠΌΠ΅ΠΆΠΏΠΎΠ·Π²ΠΎΠ½ΠΎΡΠ½ΠΎΠ³ΠΎ Π΄ΠΈΡΠΊΠ°.
Π ΡΠ΅Ρ ΡΠ»ΡΡΠ°ΡΡ , ΠΊΠΎΠ³Π΄Π° Π² ΡΠ΅Π·ΡΠ»ΡΡΠ°ΡΠ΅ ΠΏΠ΅ΡΠ΅Π»ΠΎΠΌΠ° ΠΏΡΠΎΠΈΡΡ ΠΎΠ΄ΠΈΡ ΡΠ΅ΡΡΠ΅Π·Π½Π°Ρ ΠΊΠΎΠΌΠΏΡΠ΅ΡΡΠΈΡ Π½Π΅ΡΠ²Π½ΡΡ ΠΎΠΊΠΎΠ½ΡΠ°Π½ΠΈΠΉ ΠΈΠ»ΠΈ ΡΠΎΠ±ΡΡΠ²Π΅Π½Π½ΠΎ ΡΠΏΠΈΠ½Π½ΠΎΠ³ΠΎ ΠΌΠΎΠ·Π³Π°, ΠΈΠ·-Π·Π° ΡΠ΅Π³ΠΎ ΠΏΠΎΡΠ²Π»ΡΡΡΡΡ ΡΠΈΠ»ΡΠ½ΡΠ΅ Π±ΠΎΠ»Π΅Π²ΡΠ΅ ΡΠΈΠ½Π΄ΡΠΎΠΌΡ ΠΈ Π½Π°ΡΡΡΠ΅Π½ΠΈΡ ΡΠ°Π±ΠΎΡΡ Π²Π½ΡΡΡΠ΅Π½Π½ΠΈΡ ΠΎΡΠ³Π°Π½ΠΎΠ², Π½Π΅ΠΎΠ±Ρ ΠΎΠ΄ΠΈΠΌΠΎ Ρ ΠΈΡΡΡΠ³ΠΈΡΠ΅ΡΠΊΠΎΠ΅ Π²ΠΌΠ΅ΡΠ°ΡΠ΅Π»ΡΡΡΠ²ΠΎ. ΠΡΠ½ΠΎΠ²Π½Π°Ρ ΡΠ΅Π»Ρ Ρ ΠΈΡΡΡΠ³Π° Π² Π΄Π°Π½Π½ΠΎΠΌ ΡΠ»ΡΡΠ°Π΅ β ΡΡΡΡΠ°Π½ΠΈΡΡ ΠΊΠΎΠΌΠΏΡΠ΅ΡΡΠΈΡ.
Π ΠΏΠ»Π°Π½Π΅ Ρ ΠΈΡΡΡΠ³ΠΈΡΠ΅ΡΠΊΠΎΠ³ΠΎ Π»Π΅ΡΠ΅Π½ΠΈΡ Π² ΠΏΠΎΡΠ»Π΅Π΄Π½Π΅Π΅ Π²ΡΠ΅ΠΌΡ ΡΡΠ°Π»ΠΈ ΠΎΡΠ΅Π½Ρ ΠΏΠΎΠΏΡΠ»ΡΡΠ½ΡΠΌΠΈ ΡΠ°ΠΊΠΈΠ΅ ΠΌΠ΅ΡΠΎΠ΄Ρ, ΠΊΠ°ΠΊ Π²Π΅ΡΡΠ΅Π±ΡΠΎΠΏΠ»Π°ΡΡΠΈΠΊΠ° ΠΈ ΠΊΠΈΡΠΎΠΏΠ»Π°ΡΡΠΈΠΊΠ°.
ΠΡΠΈ Π²Π΅ΡΡΠ΅Π±ΡΠΎΠΏΠ»Π°ΡΡΠΈΠΊΠ΅ Π² ΠΏΠΎΠ²ΡΠ΅ΠΆΠ΄Π΅Π½Π½ΡΠΉ ΠΏΠΎΠ·Π²ΠΎΠ½ΠΎΠΊ Π²Π²ΠΎΠ΄ΡΡ ΡΠΏΠ΅ΡΠΈΠ°Π»ΡΠ½ΡΠΉ Β«ΡΠ΅ΠΌΠ΅Π½ΡΒ», Π±Π»Π°Π³ΠΎΠ΄Π°ΡΡ ΡΠ΅ΠΌΡ ΡΠΌΠ΅Π½ΡΡΠ°Π΅ΡΡΡ Π±ΠΎΠ»Ρ ΠΈ ΠΏΠΎΠ²ΡΡΠ°Π΅ΡΡΡ ΠΏΡΠΎΡΠ½ΠΎΡΡΡ ΠΏΠΎΠ·Π²ΠΎΠ½ΠΊΠ°. Π£ΠΌΠ΅Π½ΡΡΠ°Π΅ΡΡΡ ΠΈ Π²ΡΠ΅ΠΌΡ, Π½Π΅ΠΎΠ±Ρ ΠΎΠ΄ΠΈΠΌΠΎΠ΅ Π΄Π»Ρ Π²ΡΠ·Π΄ΠΎΡΠΎΠ²Π»Π΅Π½ΠΈΡ.
ΠΠΈΡΠΎΠΏΠ»Π°ΡΡΠΈΠΊΠ° ΡΠ²Π»ΡΠ΅ΡΡΡ Π΅ΡΠ΅ Π±ΠΎΠ»Π΅Π΅ ΠΈΠ½ΡΠ΅ΡΠ΅ΡΠ½ΡΠΌ ΠΌΠ΅ΡΠΎΠ΄ΠΎΠΌ. ΠΠ½Π° ΠΏΠΎΠ·Π²ΠΎΠ»ΡΠ΅Ρ Π½Π΅ ΡΠΎΠ»ΡΠΊΠΎ ΡΡΠΊΠΎΡΠΈΡΡ Π²ΡΠ·Π΄ΠΎΡΠΎΠ²Π»Π΅Π½ΠΈΠ΅, Π½ΠΎ ΠΈ Π²ΠΎΡΡΡΠ°Π½ΠΎΠ²ΠΈΡΡ Π½ΠΎΡΠΌΠ°Π»ΡΠ½ΡΡ Π²ΡΡΠΎΡΡ ΠΏΠΎΠ·Π²ΠΎΠ½ΠΊΠ°. ΠΠ»Ρ ΡΡΠΎΠ³ΠΎ Π² ΡΠ΅Π»ΠΎ ΠΏΠΎΠ·Π²ΠΎΠ½ΠΊΠ° Π²Π²ΠΎΠ΄ΡΡ ΡΠΏΠ΅ΡΠΈΠ°Π»ΡΠ½ΡΠΉ Β«ΡΠ°ΡΠΈΠΊΒ», ΠΊΠΎΡΠΎΡΡΠΉ Π½Π°Π΄ΡΠ²Π°Π΅ΡΡΡ ΠΈ Β«ΠΏΡΠΈΠΏΠΎΠ΄Π½ΠΈΠΌΠ°Π΅ΡΒ» ΠΏΠΎΠ·Π²ΠΎΠ½ΠΎΠΊ Π΄ΠΎ Π½ΡΠΆΠ½ΠΎΠ³ΠΎ ΡΠ°Π·ΠΌΠ΅ΡΠ°. ΠΠΎΡΠ»Π΅ ΡΡΠΎΠ³ΠΎ Π΄Π»Ρ ΡΠΈΠΊΡΠ°ΡΠΈΠΈ Π½ΠΎΡΠΌΠ°Π»ΡΠ½ΠΎΠ³ΠΎ ΠΏΠΎΠ»ΠΎΠΆΠ΅Π½ΠΈΡ ΠΈ ΡΠΊΡΠ΅ΠΏΠ»Π΅Π½ΠΈΡ ΡΠ°ΠΌΠΎΠ³ΠΎ ΠΏΠΎΠ·Π²ΠΎΠ½ΠΊΠ° Π²Π²ΠΎΠ΄ΠΈΡΡΡ ΡΠΏΠ΅ΡΠΈΠ°Π»ΡΠ½ΡΠΉ ΠΊΠΎΡΡΠ½ΡΠΉ ΡΠ΅ΠΌΠ΅Π½Ρ.
ΠΠΎ ΡΡΠΎΠΈΡ ΠΎΡΠΌΠ΅ΡΠΈΡΡ, ΡΡΠΎ Π΄Π°ΠΆΠ΅ ΠΏΡΠΈ ΡΠ°ΠΊΠΎΠΌ Π²ΠΈΠ΄Π΅ Π»Π΅ΡΠ΅Π½ΠΈΡ ΠΊΠΎΠΌΠΏΡΠ΅ΡΡΠΈΠΎΠ½Π½ΠΎΠ³ΠΎ ΠΏΠ΅ΡΠ΅Π»ΠΎΠΌΠ° ΠΏΠΎΠ·Π²ΠΎΠ½ΠΎΡΠ½ΠΈΠΊΠ° ΡΠ΅Π°Π±ΠΈΠ»ΠΈΡΠ°ΡΠΈΡ ΠΏΡΠΎΡΡΠΎ ΡΠ°ΠΊΠΈ Π½Π΅ΠΎΠ±Ρ ΠΎΠ΄ΠΈΠΌΠ°.
vashaspina.ru