ΠΠ΅ΡΠ΅Π»ΠΎΠΌ ΠΏΠ°Π»ΡΡΠ° Π½Π° ΡΡΠΊΠ΅ — ΠΏΡΠΈΠ·Π½Π°ΠΊΠΈ, ΡΠΈΠΌΠΏΡΠΎΠΌΡ ΠΈ Π»Π΅ΡΠ΅Π½ΠΈΠ΅
ΠΠ΅ΡΠ΅Π»ΠΎΠΌ Π΄ΠΈΠ°Π³Π½ΠΎΡΡΠΈΡΡΠ΅ΡΡΡ ΡΠΎΠ³Π΄Π°, ΠΊΠΎΠ³Π΄Π° Π²ΠΎΠ·Π½ΠΈΠΊΠ°Π΅Ρ Π½Π°ΡΡΡΠ΅Π½ΠΈΠ΅ ΡΠ΅Π»ΠΎΡΡΠ½ΠΎΡΡΠΈ ΠΊΠΎΡΡΠ½ΠΎΠΉ ΡΠΊΠ°Π½ΠΈ ΠΈΠ· β Π·Π° Π²ΠΎΠ·Π΄Π΅ΠΉΡΡΠ²ΠΈΡ Π²Π½Π΅ΡΠ½Π΅Π³ΠΎ Π΄Π°Π²Π»Π΅Π½ΠΈΡ, ΠΊΠΎΡΠΎΡΠΎΠ΅ ΠΏΡΠ΅Π²ΠΎΡΡ ΠΎΠ΄ΠΈΡ ΡΡΠΎΠ²Π΅Π½Ρ ΠΏΡΠΎΡΠ½ΠΎΡΡΠΈ ΠΊΠΎΡΡΠΈ. ΠΠ»Π°Π²Π½ΠΎΠΉ ΠΏΡΠΈΡΠΈΠ½ΠΎΠΉ ΠΏΠ΅ΡΠ΅Π»ΠΎΠΌΠΎΠ² Π½Π°Π·Π²Π°Π½ ΡΡΠ°Π²ΠΌΠ°ΡΠΈΠ·ΠΌ, Π½Π°Ρ ΠΎΠ΄ΡΡΠΈΠΉΡΡ Π½Π° ΡΡΠ΅ΡΡΠ΅ΠΌ ΠΌΠ΅ΡΡΠ΅ ΡΡΠ΅Π΄ΠΈ Π²ΡΠ΅Ρ Π·Π°Π±ΠΎΠ»Π΅Π²Π°Π½ΠΈΠΉ.
Π‘ΡΠ°ΡΠΈΡΡΠΈΠΊΠ° ΡΠΊΠ°Π·ΡΠ²Π°Π΅Ρ, ΡΡΠΎ ΠΏΠ΅ΡΠ΅Π»ΠΎΠΌ ΠΏΠ°Π»ΡΡΠ° ΡΠΎΡΡΠ°Π²Π»ΡΠ΅Ρ ΠΏΡΡΡ ΠΏΡΠΎΡΠ΅Π½ΡΠΎΠ² ΠΎΡ Π²ΡΠ΅Ρ Π²ΠΈΠ΄ΠΎΠ² ΠΏΠ΅ΡΠ΅Π»ΠΎΠΌΠΎΠ². ΠΠ΅ΡΠΌΠΎΡΡΡ Π½Π° ΡΠΎ, ΡΡΠΎ ΡΠ°Π·ΠΌΠ΅Ρ ΠΏΠ°Π»ΡΡΠ° Π½Π΅Π²Π΅Π»ΠΈΠΊ, Π΄Π°Π½Π½Π°Ρ ΡΡΠ°Π²ΠΌΠ° ΡΠ²Π»ΡΠ΅ΡΡΡ ΡΠ΅ΡΡΠ΅Π·Π½ΠΎΠΉ ΠΏΠ°ΡΠΎΠ»ΠΎΠ³ΠΈΠ΅ΠΉ β ΠΏΠ΅ΡΠ΅Π»ΠΎΠΌ ΠΎΠΊΠ°Π·ΡΠ²Π°Π΅Ρ ΡΡΡΠ΅ΡΡΠ²Π΅Π½Π½ΠΎΠ΅ Π²Π»ΠΈΡΠ½ΠΈΠ΅ Π½Π° ΡΡΠ½ΠΊΡΠΈΠΎΠ½Π°Π»ΡΠ½ΠΎΡΡΠΈ ΠΊΠΈΡΡΠ΅Π²ΠΎΠ³ΠΎ ΡΡΡΡΠ°Π²Π°, ΡΠΎ Π΅ΡΡΡ ΡΡΠΈΡΠ°Π΅ΡΡΡ ΡΡΠΆΠ΅Π»ΡΠΌ ΠΏΠΎΠ²ΡΠ΅ΠΆΠ΄Π΅Π½ΠΈΠ΅ΠΌ.
Π‘ΠΎΠ²ΡΠ΅ΠΌΠ΅Π½Π½Π°Ρ ΠΌΠ΅Π΄ΠΈΡΠΈΠ½Π° ΠΏΠΎΠ·Π²ΠΎΠ»ΡΠ΅Ρ Π±Π΅Π· ΠΎΡΠΎΠ±ΠΎΠ³ΠΎ ΡΡΡΠ΄Π° Π΄ΠΈΠ°Π³Π½ΠΎΡΡΠΈΡΠΎΠ²Π°ΡΡ Ρ ΠΏΠ°ΡΠΈΠ΅Π½ΡΠ° ΠΏΠ΅ΡΠ΅Π»ΠΎΠΌ, Π½ΠΎ ΠΏΡΠΎΡΠ΅ΡΡ Π»Π΅ΡΠ΅Π½ΠΈΡ β Π΄Π΅Π»ΠΎ Π΄Π»ΠΈΡΠ΅Π»ΡΠ½ΠΎΠ΅. ΠΠ°ΡΠΈΠ΅Π½Ρ Π΄ΠΎΠ»ΠΆΠ΅Π½ Π½Π΅ΡΠΊΠΎΡΠ½ΠΈΡΠ΅Π»ΡΠ½ΠΎ ΡΠΎΠ±Π»ΡΠ΄Π°ΡΡ Π²ΡΠ΅ ΡΠ΅ΠΊΠΎΠΌΠ΅Π½Π΄Π°ΡΠΈΠΈ Π΄ΠΎΠΊΡΠΎΡΠ° β ΡΠΎΠ»ΡΠΊΠΎ ΡΠ°ΠΊ ΠΌΠΎΠΆΠ½ΠΎ ΠΏΡΠΈΠ²Π΅ΡΡΠΈ ΡΠ»ΠΎΠΌΠ°Π½Π½ΡΡ ΠΊΠΎΡΡΡ Π² ΠΏΡΠ΅ΠΆΠ½ΡΡ ΡΠΎΡΠΌΡ ΠΈ Π½Π΅ ΠΏΠΎΡΠ΅ΡΡΡΡ Π΅Π΅ Π΄Π²ΠΈΠ³Π°ΡΠ΅Π»ΡΠ½ΡΠ΅ ΡΡΠ½ΠΊΡΠΈΠΈ. Π ΠΏΡΠΎΡΠ΅ΡΡΠ΅ Π»Π΅ΡΠ΅Π½ΠΈΡ Π½Π΅ΠΎΠ±Ρ ΠΎΠ΄ΠΈΠΌΠΎ ΠΏΠΎΠΌΠ½ΠΈΡΡ ΠΎ ΡΠΎΠΌ, ΡΡΠΎ ΠΎΡΡ ΠΎΠΆΠ΄Π΅Π½ΠΈΠ΅ ΠΎΡ ΡΡΠ°Π½Π΄Π°ΡΡΠΎΠ² Π»Π΅ΡΠ΅Π±Π½ΠΎΠ³ΠΎ ΠΏΡΠΎΡΠ΅ΡΡΠ° ΠΌΠΎΠΆΠ΅Ρ Π³ΡΠΎΠ·ΠΈΡΡ ΠΏΠΎΡΠ²Π»Π΅Π½ΠΈΡ ΡΡΠΆΠ΅Π»ΡΡ ΠΎΡΠ»ΠΎΠΆΠ½Π΅Π½ΠΈΠΉ, ΠΈΠ½ΠΎΠ³Π΄Π° Π΄Π°ΠΆΠ΅ ΠΊ ΠΈΠ½Π²Π°Π»ΠΈΠ΄Π½ΠΎΡΡΠΈ.
Π Π°Π·Π½ΠΎΠ²ΠΈΠ΄Π½ΠΎΡΡΠΈ ΠΏΠ΅ΡΠ΅Π»ΠΎΠΌΠΎΠ²
ΠΠ΅ΡΠ΅Π»ΠΎΠΌΡ ΠΏΠ°Π»ΡΡΠ΅Π² ΠΏΠΎΠ΄ΡΠ°Π·Π΄Π΅Π»ΡΡΡΡΡ Π½Π°:
- ΠΡΠΊΡΡΡΡΠ΅, ΠΊΠΎΠ³Π΄Π° ΡΠ»ΠΎΠΌΠ°Π½Π½Π°Ρ ΠΊΠΎΡΡΡ ΡΡΠ°Π½ΠΎΠ²ΠΈΡΡΡ Π²ΠΈΠ΄Π½Π° Π½Π° ΠΏΠΎΠ²Π΅ΡΡ Π½ΠΎΡΡΠΈ;
- ΠΠ°ΠΊΡΡΡΡΠ΅, ΠΊΠΎΡΠΎΡΡΠ΅ Π½Π΅ ΠΏΠΎΠ²ΡΠ΅ΠΆΠ΄Π°ΡΡ ΠΊΠΎΠΆΠ½ΡΠΉ ΠΏΠΎΠΊΡΠΎΠ².

ΠΠΎ ΠΊΠΎΠ»ΠΈΡΠ΅ΡΡΠ²Ρ ΡΠ°Π·Π»ΠΎΠΌΠΎΠ² ΡΠ°Π»Π°Π½Π³ΠΈ ΠΈ ΡΠ°ΡΠΏΠΎΠ»ΠΎΠΆΠ΅Π½ΠΈΡ:
- ΠΠΎΠΏΠ΅ΡΠ΅ΡΠ½ΡΠ΅ β ΠΈΠ·Π»ΠΎΠΌ ΡΠ°ΡΠΏΠΎΠ»Π°Π³Π°Π΅ΡΡΡ ΠΏΠ΅ΡΠΏΠ΅Π½Π΄ΠΈΠΊΡΠ»ΡΡΠ½ΠΎ ΠΎΡΠΈ ΠΊΠΎΡΡΠ½ΠΎΠΉ ΡΠΊΠ°Π½ΠΈ;
- ΠΡΡΠΌΡΠ΅ β Π»ΠΈΠ½ΠΈΡ ΠΈΠ·Π»ΠΎΠΌΠ° Π½Π°Ρ ΠΎΠ΄ΠΈΡΡΡ ΠΏΠΎΠ΄ Π»ΡΠ±ΡΠΌ ΡΠ³Π»ΠΎΠΌ;
- ΠΠΈΠ½ΡΠΎΠΎΠ±ΡΠ°Π·Π½ΡΠ΅ β Π² ΡΠ°ΠΊΠΎΠΌ ΡΠ»ΡΡΠ°Π΅ Π»ΠΈΠ½ΠΈΡ ΠΈΠ·Π»ΠΎΠΌΠ° Π½Π°ΠΏΠΎΠΌΠΈΠ½Π°Π΅Ρ ΡΠΏΠΈΡΠ°Π»Ρ;
- ΠΡΠ°Π΅Π²ΡΠ΅ β ΠΏΡΠΈ ΡΠ°ΠΊΠΈΡ ΠΏΠ΅ΡΠ΅Π»ΠΎΠΌΠ°Ρ ΠΎΡ ΠΊΠΎΡΡΠΈ ΠΎΡΠ»Π°ΠΌΡΠ²Π°Π΅ΡΡΡ ΡΡΠ°Π³ΠΌΠ΅Π½Ρ;
- ΠΡΠΊΠΎΠ»ΡΡΠ°ΡΡΠ΅ β ΠΎΡ ΠΊΠΎΡΡΠ½ΠΎΠΉ ΡΠΊΠ°Π½ΠΈ ΠΎΡΠ»Π°ΠΌΡΠ²Π°Π΅ΡΡΡ Π½Π΅ΡΠΊΠΎΠ»ΡΠΊΠΎ ΠΎΡΠ»ΠΎΠΌΠΊΠΎΠ². ΠΠ°Π½Π½ΡΠΉ ΠΏΠ΅ΡΠ΅Π»ΠΎΠΌ ΡΡΠΈΡΠ°Π΅ΡΡΡ ΠΎΠ΄Π½ΠΈΠΌ ΠΈΠ· ΡΡΠΆΠ΅Π»Π΅ΠΉΡΠΈΡ , Π΅Π³ΠΎ Π»Π΅ΡΠ΅Π½ΠΈΠ΅ ΠΏΡΠΎΠΈΡΡ ΠΎΠ΄ΠΈΡ Ρ Π±ΠΎΠ»ΡΡΠΈΠΌ ΡΡΡΠ΄ΠΎΠΌ.
Π’Π°ΠΊΠΆΠ΅ ΠΏΠ΅ΡΠ΅Π»ΠΎΠΌΡ ΠΌΠΎΠΆΠ½ΠΎ ΠΊΠ»Π°ΡΡΠΈΡΠΈΡΠΈΡΠΎΠ²Π°ΡΡ ΠΊΠ°ΠΊ:
- ΠΠ½ΡΡΡΠΈΡΡΡΡΠ°Π²Π½ΡΠ΅, ΠΊΠΎΠ³Π΄Π° Π»ΠΈΠ½ΠΈΡ ΠΈΠ·Π»ΠΎΠΌΠ° ΠΏΡΠΎΡ ΠΎΠ΄ΠΈΡ ΡΠΊΠ²ΠΎΠ·Ρ ΡΡΡΡΠ°Π² ΡΠ°ΡΡΠΈΡΠ½ΠΎ ΠΈΠ»ΠΈ ΠΏΠΎΠ»Π½ΠΎΡΡΡΡ. Π’Π°ΠΊΠΈΠ΅ ΠΏΠ΅ΡΠ΅Π»ΠΎΠΌΡ ΠΎΠΏΠ°ΡΠ½Ρ ΡΠ΅ΠΌ, ΡΡΠΎ Π² ΠΏΠ°ΡΠΎΠ»ΠΎΠ³ΠΈΡΠ΅ΡΠΊΠΈΠΉ ΠΏΡΠΎΡΠ΅ΡΡ Π²ΠΎΠ²Π»Π΅ΠΊΠ°Π΅ΡΡΡ Π½Π΅ ΡΠΎΠ»ΡΠΊΠΎ ΠΊΠΎΡΡΠ½Π°Ρ ΡΠΊΠ°Π½Ρ, Π½ΠΎ ΠΈ Π²Π΅ΡΡ ΡΡΡΡΠ°Π² Π² ΡΠ΅Π»ΠΎΠΌ.
- ΠΠ½Π΅ΡΡΡΡΠ°Π²Π½ΡΠ΅ β Π»ΠΈΠ½ΠΈΡ ΠΈΠ·Π»ΠΎΠΌΠ° Π½Π΅ Π·Π°Π΄Π΅Π²Π°Π΅Ρ ΡΡΡΡΠ°Π².

Π‘Π°ΠΌΡΠΌ ΡΠ΅Π΄ΠΊΠΈΠΌ, Π½ΠΎ ΡΠ°ΠΌΡΠΌ ΠΎΠΏΠ°ΡΠ½ΡΠΌ ΡΡΠΈΡΠ°Π΅ΡΡΡ ΠΏΠ΅ΡΠ΅Π»ΠΎΠΌ, Π·Π°ΡΡΠ°Π³ΠΈΠ²Π°ΡΡΠΈΠΉ Π±ΠΎΠ»ΡΡΠΎΠΉ ΠΏΠ°Π»Π΅Ρ ΡΡΠΊΠΈ. ΠΠΎΠ»ΡΡΠΈΠ² ΡΠ°ΠΊΡΡ ΡΡΠ°Π²ΠΌΡ, ΠΏΠ°ΡΠΈΠ΅Π½Ρ ΡΡΠ°Π½ΠΎΠ²ΠΈΡΡΡ Π½Π΅ΡΡΡΠ΄ΠΎΡΠΏΠΎΡΠΎΠ±Π½ΡΠΌ β Ρ Π½Π΅Π³ΠΎ Π½Π΅ ΠΏΠΎΠ»ΡΡΠ°Π΅ΡΡΡ Π²ΡΠΏΠΎΠ»Π½ΠΈΡΡ Π΄Π°ΠΆΠ΅ Π½Π΅Π·Π½Π°ΡΠΈΡΠ΅Π»ΡΠ½ΡΠ΅ Π·Π°Π΄Π°ΡΠΈ. ΠΠ΅ΡΠΈΡΡΡ ΡΠ°ΠΊΠΎΠΉ ΠΏΠ΅ΡΠ΅Π»ΠΎΠΌ ΠΎΡΠ΅Π½Ρ ΡΡΡΠ΄Π½ΠΎ β ΠΏΡΠ΅ΠΆΠ΄Π΅ ΡΠ΅ΠΌ Π³ΠΈΠΏΡΠΎΠ²Π°ΡΡ ΠΏΠΎΠ²ΡΠ΅ΠΆΠ΄Π΅Π½Π½ΡΠΉ ΠΏΠ°Π»Π΅Ρ, Π½Π΅ΠΎΠ±Ρ ΠΎΠ΄ΠΈΠΌΠΎ ΠΏΡΠ΅Π΄Π²Π°ΡΠΈΡΠ΅Π»ΡΠ½ΠΎ ΠΏΡΠΎΠ²Π΅ΡΡΠΈ ΠΏΡΠΎΡΠ΅ΡΡ Π²ΡΡΡΠ³ΠΈΠ²Π°Π½ΠΈΡ Ρ ΠΈΡΠΏΠΎΠ»ΡΠ·ΠΎΠ²Π°Π½ΠΈΠ΅ΠΌ ΡΠΏΠ΅ΡΠΈΠ°Π»ΡΠ½ΠΎΠ³ΠΎ Π°ΠΏΠΏΠ°ΡΠ°ΡΠ°.
ΠΠ΅ΡΠ΅Π»ΠΎΠΌΡ ΠΌΠΈΠ·ΠΈΠ½ΡΠ΅Π² ΡΠ²Π»ΡΡΡΡΡ ΠΎΡΠ΅Π½Ρ ΡΠ°ΡΠΏΡΠΎΡΡΡΠ°Π½Π΅Π½Π½ΡΠΌΠΈ, ΡΠ°ΠΊ ΠΊΠ°ΠΊ ΡΡΠΈ ΠΏΠ°Π»ΡΡΡ ΡΠ°ΡΠΏΠΎΠ»ΠΎΠΆΠ΅Π½Ρ Π½Π° ΠΊΡΠ°Ρ ΠΊΠΈΡΡΠΈ, ΠΊ ΡΠΎΠΌΡ ΠΆΠ΅ ΠΎΠ½ΠΈ ΡΠ°ΠΌΠΈ ΠΏΠΎ ΡΠ΅Π±Π΅ ΠΎΡΠ΅Π½Ρ ΡΠΎΠ½ΠΊΠΈΠ΅ ΠΈ ΡΠ»Π°Π±ΡΠ΅. Π ΠΏΠΎΠ΄Π°Π²Π»ΡΡΡΠ΅ΠΌ ΠΊΠΎΠ»ΠΈΡΠ΅ΡΡΠ²Π΅ ΡΠ»ΡΡΠ°Π΅Π² ΡΡΠ°Π²ΠΌΠΈΡΠΎΠ²Π°Π½ΠΈΠ΅ ΠΌΠΈΠ·ΠΈΠ½ΡΠ° ΠΏΡΠΎΠΈΡΡ ΠΎΠ΄ΠΈΡ Π² ΡΠΈΡΡΠ°ΡΠΈΠΈ, ΠΊΠΎΠ³Π΄Π° ΡΠ΅Π»ΠΎΠ²Π΅ΠΊ ΠΏΠ°Π΄Π°Π΅Ρ ΠΈ ΠΏΡΠΈΠ·Π΅ΠΌΠ»ΡΠ΅ΡΡΡ Π½Π° Π²Π½Π΅ΡΠ½ΡΡ ΡΡΠΎΡΠΎΠ½Ρ ΠΊΠΈΡΡΠΈ.
ΠΠ΅ΡΠ΅Π»ΠΎΠΌΡ ΡΡΠ΅Π΄Π½Π΅Π³ΠΎ ΠΈ ΡΠΊΠ°Π·Π°ΡΠ΅Π»ΡΠ½ΠΎΠ³ΠΎ ΠΏΠ°Π»ΡΡΠ° ΠΎΡΠΎΠ±ΠΎ Π½Π΅ ΠΎΡΠ»ΠΈΡΠ°ΡΡΡΡ ΠΎΡ ΠΏΠ΅ΡΠ΅Π»ΠΎΠΌΠΎΠ² ΠΌΠΈΠ·ΠΈΠ½ΡΠ° ΠΈ Π±ΠΎΠ»ΡΡΠΎΠ³ΠΎ. ΠΠ΅ΡΠ΅Π»ΠΎΠΌ Π±Π΅Π·ΡΠΌΡΠ½Π½ΠΎΠ³ΠΎ ΠΏΠ°Π»ΡΡΠ° ΡΠΎΠΆΠ΅ Π½Π΅ ΡΠ°ΠΌΠ°Ρ ΠΏΡΠΈΡΡΠ½Π°Ρ, ΡΠ°ΠΊ ΠΊΠ°ΠΊ Π² ΠΏΡΠΎΡΠ΅ΡΡΠ΅ ΡΠ΅Π°Π±ΠΈΠ»ΠΈΡΠ°ΡΠΈΠΈ ΠΏΠΎΡΡΠ΅Π±ΡΠ΅ΡΡΡ Π²ΡΠΏΠΎΠ»Π½Π΅Π½ΠΈΠ΅ ΡΠΏΠ΅ΡΠΈΠ°Π»ΡΠ½ΡΡ ΡΠΏΡΠ°ΠΆΠ½Π΅Π½ΠΈΠΉ Π½Π΅ ΡΠΎΠ»ΡΠΊΠΎ ΠΏΠ΅ΡΠ΅Π»ΠΎΠΌΠ°Π½Π½ΠΎΠΉ ΡΠ°Π»Π°Π½Π³ΠΎΠΉ, Π½ΠΎ ΠΈ Π²ΡΠ΅ΠΌΠΈ Π·Π΄ΠΎΡΠΎΠ²ΡΠΌΠΈ ΠΏΠ°Π»ΡΡΠ°ΠΌΠΈ. Π ΠΏΡΠΎΡΠΈΠ²Π½ΠΎΠΌ ΡΠ»ΡΡΠ°Π΅, ΠΌΠΎΠΆΠ΅Ρ Π½Π°ΡΡΡΠΈΡΡΡΡ Π΄Π²ΠΈΠ³Π°ΡΠ΅Π»ΡΠ½Π°Ρ ΡΠΏΠΎΡΠΎΠ±Π½ΠΎΡΡΡ Π²ΡΠ΅ΠΉ ΠΊΠΎΠ½Π΅ΡΠ½ΠΎΡΡΠΈ.
ΠΡΠ΅Π½Ρ ΠΎΠΏΠ°ΡΠ½ΡΠΌ ΡΠ²Π»ΡΠ΅ΡΡΡ ΠΏΠ΅ΡΠ΅Π»ΠΎΠΌ, ΠΊΠΎΡΠΎΡΡΠΉ Π·Π°ΡΡΠ°Π³ΠΈΠ²Π°Π΅Ρ ΠΊΡΠΎΠ²Π΅Π½ΠΎΡΠ½ΡΠ΅ ΡΠΎΡΡΠ΄Ρ β ΡΡΠΎ ΠΏΡΠΎΠ²ΠΎΡΠΈΡΡΠ΅Ρ Π²Π½ΡΡΡΠ΅Π½Π½Π΅Π΅ ΠΊΡΠΎΠ²ΠΎΡΠ΅ΡΠ΅Π½ΠΈΠ΅. ΠΡΠΎΠΈΡΡ ΠΎΠ΄ΠΈΡ ΠΎΠ½Π΅ΠΌΠ΅Π½ΠΈΠ΅ Π½Π΅ ΡΠΎΠ»ΡΠΊΠΎ ΡΠ»ΠΎΠΌΠ°Π½Π½ΠΎΠ³ΠΎ ΠΏΠ°Π»ΡΡΠ°, Π½ΠΎ ΠΈ Π·Π΄ΠΎΡΠΎΠ²ΡΡ . ΠΡΠ»ΠΈ ΠΎΡΡΡΠ°Π΅ΡΡΡ ΠΏΡΠΎΡΠ΅ΡΡ ΠΎΠ½Π΅ΠΌΠ΅Π½ΠΈΡ ΠΏΡΠΈ ΠΎΡΡΡΡΡΡΠ²ΠΈΠΈ ΠΊΡΠΎΠ²ΠΎΡΠ΅ΡΠ΅Π½ΠΈΡ, ΡΡΠΎ Π³ΠΎΠ²ΠΎΡΠΈΡ ΠΎ ΡΠΎΠΌ, ΡΡΠΎ ΠΏΠΎΠ²ΡΠ΅ΠΆΠ΄Π΅Π½ΠΎ Π½Π΅ΡΠ²Π½ΠΎΠ΅ ΠΎΠΊΠΎΠ½ΡΠ°Π½ΠΈΠ΅. Π’Π°ΠΊΠΎΠ΅ ΡΠΎΡΡΠΎΡΠ½ΠΈΠ΅ ΡΠΎΠΆΠ΅ ΠΎΠΏΠ°ΡΠ½ΠΎ β Π΅ΡΠ»ΠΈ Π·Π°Π΄Π΅Ρ Π½Π΅ΡΠ², ΡΠ°Π·ΡΠ°Π±ΠΎΡΠ°ΡΡ ΠΏΠ°Π»Π΅Ρ Π½Π΅ ΠΏΠΎΠ»ΡΡΠΈΡΡΡ, Π΄Π°ΠΆΠ΅ ΠΏΡΠΈ ΡΡΠ»ΠΎΠ²ΠΈΠΈ, ΡΡΠΎ ΠΊΠΎΡΡΠΈ ΡΡΠ°ΡΡΡΡΡΡ ΠΏΡΠ°Π²ΠΈΠ»ΡΠ½ΠΎ.
ΠΡΠ±ΠΎΠΉ Π²ΠΈΠ΄ ΠΏΠ΅ΡΠ΅Π»ΠΎΠΌΠ° ΠΏΠ°Π»ΡΡΠ° Π½Π΅ΡΠ΅Ρ Π²ΡΠ΅Π΄ Π·Π΄ΠΎΡΠΎΠ²ΡΡ, Π²Π΅Π΄Ρ Π½Π΅ΠΏΡΠ°Π²ΠΈΠ»ΡΠ½ΠΎΠ΅ ΡΡΠ°ΡΡΠ°Π½ΠΈΠ΅ ΠΎΡΠΊΠΎΠ»ΠΊΠΎΠ² ΡΠΏΠΎΡΠΎΠ±Π½ΠΎ Π½Π°ΡΡΡΠΈΡΡ Π΄Π²ΠΈΠ³Π°ΡΠ΅Π»ΡΠ½ΡΡ ΡΡΠ½ΠΊΡΠΈΡ Π²Π΅ΡΡ
Π½Π΅ΠΉ ΠΊΠΎΠ½Π΅ΡΠ½ΠΎΡΡΠΈ, Π΄Π°ΠΆΠ΅ Π² Π½Π΅ΠΊΠΎΡΠΎΡΠΎΠΌ ΡΠΎΠ΄Π΅ ΠΎΠ³ΡΠ°Π½ΠΈΡΠΈΡΡ Π΅Π΅.
ΠΠ°ΠΊΠ°Ρ ΡΠΈΠΌΠΏΡΠΎΠΌΠ°ΡΠΈΠΊΠ° ΡΠΎΠΏΡΠΎΠ²ΠΎΠΆΠ΄Π°Π΅Ρ ΠΏΠ΅ΡΠ΅Π»ΠΎΠΌ ΠΏΠ°Π»ΡΡΠ°
ΠΠ°ΠΆΠ½Π΅ΠΉΡΠΈΠΉ ΠΏΡΠΈΠ·Π½Π°ΠΊ ΡΠ»ΠΎΠΌΠ°Π½Π½ΠΎΠΉ ΠΊΠΎΡΡΠΈ β Π½Π΅ΡΡΠ΅ΡΠΏΠΈΠΌΡΠ΅ Π±ΠΎΠ»Π΅Π²ΡΠ΅ ΠΎΡΡΡΠ΅Π½ΠΈΡ Π² ΠΏΠΎΠ²ΡΠ΅ΠΆΠ΄Π΅Π½Π½ΠΎΠΌ ΠΏΠ°Π»ΡΡΠ΅. ΠΠΎΡΠ»Π΅ ΠΏΡΠΎΡΠ²Π»ΡΠ΅ΡΡΡ ΠΈ Π΄ΡΡΠ³Π°Ρ ΡΠΈΠΌΠΏΡΠΎΠΌΠ°ΡΠΈΠΊΠ°:
- ΠΠ΅ΡΡΠΎ ΠΏΠ΅ΡΠ΅Π»ΠΎΠΌΠ° ΠΎΡΠ΅ΠΊΠ°Π΅Ρ ΠΈ ΠΊΡΠ°ΡΠ½Π΅Π΅Ρ;
- ΠΠ΅ΡΠ΅Π»ΠΎΠΌΠ°Π½Π½Π°Ρ ΡΠ°Π»Π°Π½Π³Π° ΡΠ΅ΡΡΠ΅Ρ ΡΠΏΠΎΡΠΎΠ±Π½ΠΎΡΡΡ ΠΊ Π΄Π²ΠΈΠΆΠ΅Π½ΠΈΡ;
- ΠΠΎΠΆΠ° Π½Π° ΡΡΠ°Π²ΠΌΠΈΡΠΎΠ²Π°Π½Π½ΠΎΠΌ ΡΡΠ°ΡΡΠΊΠ΅ ΡΡΠ°Π½ΠΎΠ²ΠΈΡΡΡ Π±ΠΎΠ»Π΅Π΅ ΡΠ΅ΠΏΠ»ΠΎΠΉ, ΠΈΠ½ΠΎΠ³Π΄Π° Π΄Π°ΠΆΠ΅ Π³ΠΎΡΡΡΠ΅ΠΉ;
- ΠΡΠ»ΠΈ Π΄Π°Π²ΠΈΡΡ Π½Π° ΠΏΠΎΠ²ΡΠ΅ΠΆΠ΄Π΅Π½Π½ΡΡ ΡΠ°Π»Π°Π½Π³Ρ ΡΠ²Π΅ΡΡ Ρ, ΠΎΡΡΡΠ°Π΅ΡΡΡ ΠΎΡΡΡΠ°Ρ Π±ΠΎΠ»Ρ.
ΠΡΠ»ΠΈ Ρ ΠΏΠΎΡΡΡΠ°Π΄Π°Π²ΡΠ΅Π³ΠΎ Π½Π΅ Π½Π°Π±Π»ΡΠ΄Π°ΡΡΡΡ Π²ΡΠ΅ Π²ΡΡΠ΅ΡΠΏΠΎΠΌΡΠ½ΡΡΡΠ΅ ΡΠΈΠΌΠΏΡΠΎΠΌΡ, Π΄ΠΎΠΊΡΠΎΡ Π΄ΠΎΠ»ΠΆΠ΅Π½ ΠΏΡΠΎΠ²Π΅ΡΡΠΈ Π΄ΠΎΠΏΠΎΠ»Π½ΠΈΡΠ΅Π»ΡΠ½ΡΠΉ ΠΎΡΠΌΠΎΡΡ, Π² ΠΏΡΠΎΡΠ΅ΡΡΠ΅ ΠΊΠΎΡΠΎΡΠΎΠ³ΠΎ Π²ΡΡΠ²Π»ΡΡΡΡΡ ΡΠ»Π΅Π΄ΡΡΡΠΈΠ΅ ΠΏΡΠΈΠ·Π½Π°ΠΊΠΈ ΠΏΠ΅ΡΠ΅Π»ΠΎΠΌΠ° ΠΏΠ°Π»ΡΡΠ°:
- Π ΠΏΡΠΎΡΠ΅ΡΡΠ΅ ΠΏΡΠΎΡΡΠΏΡΠ²Π°Π½ΠΈΡ Π²ΡΡΠ²Π»ΡΡΡΡΡ ΡΡΠ΅ΡΠΈΠ½Ρ;
- Π ΠΏΡΠΎΡΠ΅ΡΡΠ΅ ΠΏΠ°Π»ΡΠΏΠ°ΡΠΈΠΈ ΡΠ»ΡΡΠ΅Π½ Ρ Π°ΡΠ°ΠΊΡΠ΅ΡΠ½ΡΠΉ Ρ ΡΡΡΡΡΡΠΈΠΉ Π·Π²ΡΠΊ;
- ΠΠΎΠΆΠ΅Ρ Π½Π°Π±Π»ΡΠ΄Π°ΡΡΡΡ Π½Π΅ΠΏΡΠ°Π²ΠΈΠ»ΡΠ½Π°Ρ ΠΏΠΎΠ΄Π²ΠΈΠΆΠ½ΠΎΡΡΡ ΠΊΠΎΡΡΠ΅ΠΉ ΡΠ°ΠΌ, Π³Π΄Π΅ ΠΎΠ½Π° Π½Π΅ Π΄ΠΎΠ»ΠΆΠ½Π° ΠΏΡΠΈΡΡΡΡΡΠ²ΠΎΠ²Π°ΡΡ;
- ΠΠΈΡΡΡ ΠΌΠΎΠΆΠ΅Ρ ΠΏΠΎΠΌΠ΅Π½ΡΡΡ ΡΠ²ΠΎΡ ΡΠΎΡΠΌΡ;
- ΠΠ»ΠΈΠ½Π° ΠΏΠΎΠ²ΡΠ΅ΠΆΠ΄Π΅Π½Π½ΠΎΠ³ΠΎ ΠΏΠ°Π»ΡΡΠ° ΠΌΠΎΠΆΠ΅Ρ ΡΡΠ°ΡΡ ΠΌΠ΅Π½ΡΡΠ΅ Π΄Π»ΠΈΠ½Ρ Π·Π΄ΠΎΡΠΎΠ²ΠΎΠ³ΠΎ ΠΏΠ°Π»ΡΡΠ° Π½Π° Π΄ΡΡΠ³ΠΎΠΉ ΡΡΠΊΠ΅.

ΠΠ΅ ΡΡΠΎΠΈΡ Π·Π°Π±ΡΠ²Π°ΡΡ ΠΎ ΡΠΎΠΌ, ΡΡΠΎ Π²ΡΠ΅ ΠΌΠ°Π½ΠΈΠΏΡΠ»ΡΡΠΈΠΈ ΠΏΠΎ Π²ΡΡΠ²Π»Π΅Π½ΠΈΡ ΠΏΠ΅ΡΠ΅Π»ΠΎΠΌΠ° Π΄ΠΎΠ»ΠΆΠ΅Π½ ΠΏΡΠΎΠ²ΠΎΠ΄ΠΈΡΡ ΡΠ΅Π»ΠΎΠ²Π΅ΠΊ, Π·Π½Π°ΠΊΠΎΠΌΡΠΉ Ρ ΠΌΠ΅Π΄ΠΈΡΠΈΠ½ΠΎΠΉ.
ΠΠ΅ΠΏΡΠ°Π²ΠΈΠ»ΡΠ½ΠΎΠ΅ Π΄Π°Π²Π»Π΅Π½ΠΈΠ΅ Π½Π° ΡΠ»ΠΎΠΌΠ°Π½Π½ΠΎΠ΅ ΠΌΠ΅ΡΡΠΎ ΡΠΏΠΎΡΠΎΠ±Π½ΠΎ ΡΠΏΡΠΎΠ²ΠΎΡΠΈΡΠΎΠ²Π°ΡΡ Π΄Π°Π»ΡΠ½Π΅ΠΉΡΠ΅Π΅ ΠΏΡΠΎΠ³ΡΠ΅ΡΡΠΈΡΠΎΠ²Π°Π½ΠΈΠ΅ ΠΏΠ΅ΡΠ΅Π»ΠΎΠΌΠ°, ΠΊ ΡΠΎΠΌΡ ΠΆΠ΅ ΡΡΠ΅Π²Π°ΡΠΎ ΠΏΠΎΠ²ΡΠ΅ΠΆΠ΄Π΅Π½ΠΈΠ΅ΠΌ ΡΡΡ ΠΎΠΆΠΈΠ»ΠΈΠΉ, Π½Π΅ΡΠ²Π½ΡΡ ΠΎΠΊΠΎΠ½ΡΠ°Π½ΠΈΠΉ ΠΈ ΠΊΡΠΎΠ²Π΅Π½ΠΎΡΠ½ΡΡ ΡΠΎΡΡΠ΄ΠΎΠ². ΠΡΠΎ ΠΌΠΎΠΆΠ΅Ρ ΠΏΡΠΈΠ²Π΅ΡΡΠΈ ΠΊ ΡΠΎΠΌΡ, ΡΡΠΎ Π»Π΅ΡΠ΅Π½ΠΈΠ΅ Π±ΡΠ΄Π΅Ρ ΠΏΡΠΎΠ²ΠΎΠ΄ΠΈΡΡΡΡ ΡΠΎΠ»ΡΠΊΠΎ ΠΎΠΏΠ΅ΡΠ°ΡΠΈΠ²Π½ΡΠΌ ΠΏΡΡΠ΅ΠΌ, Π° ΡΠ°ΠΊΠΆΠ΅ Π²ΠΎΠ·Π½ΠΈΠΊΠ°Π΅Ρ ΡΠΈΡΠΊ, ΡΡΠΎ Π½Π°ΡΡΡΠ΅Π½ΠΈΡ ΡΡΠ½ΠΊΡΠΈΠΈ ΠΊΠΈΡΡΠΈ ΡΡΠ°Π½Π΅Ρ Π½Π΅Π²ΠΎΠ·Π²ΡΠ°ΡΠ½ΡΠΌ.
ΠΡΠ»ΠΈ Π±ΠΎΠ»ΡΠ½ΠΎΠΉ ΠΎΡΡΡΠ°Π΅Ρ ΠΊΡΠ°ΡΠ½ΠΎΡΡ, ΠΎΡΠ΅ΡΠ½ΠΎΡΡΡ Π² ΠΎΠ±Π»Π°ΡΡΠΈ ΠΏΠ°Π»ΡΡΠ°, ΡΠΎΠΏΡΠΎΠ²ΠΎΠΆΠ΄Π°ΡΡΠΈΠ΅ΡΡ Π½Π΅ΡΡΠ΅ΡΠΏΠΈΠΌΠΎΠΉ Π±ΠΎΠ»ΡΡ, ΡΡΠΎΠΈΡ Π½Π΅ΠΌΠ΅Π΄Π»Π΅Π½Π½ΠΎ ΠΏΠΎΠ»ΡΡΠΈΡΡ ΠΏΠΎΠΌΠΎΡΡ ΡΡΠ°Π²ΠΌΠ°ΡΠΎΠ»ΠΎΠ³Π° β ΠΎΡΡΠΎΠΏΠ΅Π΄Π°. ΠΠΎ ΠΎΡΠΌΠΎΡΡΠ° Π²ΡΠ°ΡΠ° ΠΏΠΎΡΡΠ°ΡΠ°ΠΉΡΠ΅ΡΡ Π±Π΅ΡΠ΅ΡΡ ΡΠ»ΠΎΠΌΠ°Π½Π½ΡΡ ΡΠ°Π»Π°Π½Π³Ρ, Π½Π΅ Π²ΡΠΏΠΎΠ»Π½ΡΡΡ Π΅ΠΉ Π½ΠΈΠΊΠ°ΠΊΠΈΡ Π΄Π΅ΠΉΡΡΠ²ΠΈΠΉ, Π½Π΅ ΠΎΠΊΠ°Π·ΡΠ²Π°ΡΡ Π²Π½Π΅ΡΠ½Π΅Π³ΠΎ Π²ΠΎΠ·Π΄Π΅ΠΉΡΡΠ²ΠΈΡ.
ΠΠ°ΠΊ ΠΎΠΊΠ°Π·Π°ΡΡ Π΄ΠΎΠ²ΡΠ°ΡΠ΅Π±Π½ΡΡ ΠΏΠΎΠΌΠΎΡΡ
ΠΠΎΠΊΠ° ΠΎΠΆΠΈΠ΄Π°Π΅ΡΡΡ ΠΏΡΠΈΠ΅Π·Π΄ Π±ΡΠΈΠ³Π°Π΄Ρ ΠΌΠ΅Π΄ΠΈΠΊΠΎΠ², ΠΏΠΎΡΡΡΠ°Π΄Π°Π²ΡΠ΅ΠΌΡ Π½Π΅ΠΎΠ±Ρ ΠΎΠ΄ΠΈΠΌΠΎ ΠΏΠΎΠΌΠΎΡΡ, ΠΎΠΊΠ°Π·Π°Π² Π΄ΠΎΠ²ΡΠ°ΡΠ΅Π±Π½ΡΡ ΠΏΠΎΠΌΠΎΡΡ, ΡΠΎΡΡΠΎΡΡΡΡ ΠΈΠ· ΡΠ»Π΅Π΄ΡΡΡΠΈΡ Π΄Π΅ΠΉΡΡΠ²ΠΈΠΉ:
- Π£ΡΠΏΠΎΠΊΠΎΠΈΡΡ ΠΏΠΎΡΡΡΠ°Π΄Π°Π²ΡΠ΅Π³ΠΎ, ΡΠ½ΡΡΡ Π±ΠΎΠ»Π΅Π²ΡΠ΅ ΠΎΡΡΡΠ΅Π½ΠΈΡ ΠΏΠΎΠ΄Ρ ΠΎΠ΄ΡΡΠΈΠΌΠΈ ΡΠ°Π±Π»Π΅ΡΠΊΠ°ΠΌΠΈ. Π₯ΠΎΡΠΎΡΠΈΠΌΠΈ ΠΏΡΠ΅ΠΏΠ°ΡΠ°ΡΠ°ΠΌΠΈ Π½Π°Π·Π²Π°Π½Ρ ΠΠ΅ΡΠΎΡΠΎΠ», ΠΠ±ΡΡΠ΅Π½, ΠΠΈΠΌΠ΅ΡΠΈΠ» ΠΈΠ»ΠΈ ΠΎΠ±ΡΡΠ½ΡΠΉ ΠΠ½Π°Π»ΡΠ³ΠΈΠ½;
- ΠΠΎΠ·Π²ΠΎΠ½ΠΈΡΡ Π² Π±ΡΠΈΠ³Π°Π΄Ρ ΡΠΊΠΎΡΠΎΠΉ ΠΏΠΎΠΌΠΎΡΠΈ, ΡΡΠΎΠ±Ρ ΠΎΡΠΎΡΠΌΠΈΡΡ Π²ΡΠ·ΠΎΠ² Π½Π° Π΄ΠΎΠΌ;
- ΠΡΠ»ΠΈ Π½Π° ΡΠ»ΠΎΠΌΠ°Π½Π½ΠΎΠΉ ΡΠ°Π»Π°Π½Π³Π΅ ΠΏΡΠΈΡΡΡΡΡΠ²ΡΠ΅Ρ ΡΠ°Π½Π°, Π½Π΅ΠΎΠ±Ρ ΠΎΠ΄ΠΈΠΌΠΎ ΠΎΠ±Π΅Π·Π·Π°ΡΠ°Π·ΠΈΡΡ, ΠΏΠΎΡΠ»Π΅ ΡΠΎΠΎΡΡΠ΄ΠΈΡΡ ΠΏΠΎΠ²ΡΠ·ΠΊΡ, ΠΈΡΠΏΠΎΠ»ΡΠ·ΡΡ Π΄Π»Ρ ΡΡΠΎΠ³ΠΎ ΡΡΠ΅ΡΠΈΠ»ΡΠ½ΡΠΉ Π±ΠΈΠ½Ρ;
- ΠΡΠ»ΠΈ Π½Π°Π±Π»ΡΠ΄Π°Π΅ΡΡΡ ΠΎΠ±ΠΈΠ»ΡΠ½ΠΎΠ΅ ΠΊΡΠΎΠ²ΠΎΡΠ΅ΡΠ΅Π½ΠΈΠ΅, Π½Π°Π»ΠΎΠΆΠ΅Π½Π½ΡΠΉ ΠΆΠ³ΡΡ ΠΏΠΎΠΌΠΎΠΆΠ΅Ρ Π΅Π³ΠΎ ΠΎΡΡΠ°Π½ΠΎΠ²ΠΈΡΡ. ΠΠ΅ΠΎΠ±Ρ ΠΎΠ΄ΠΈΠΌΠΎ Π·Π°ΠΏΠΎΠΌΠ½ΠΈΡΡ Π²ΡΠ΅ΠΌΡ, ΠΊΠΎΠ³Π΄Π° Π±ΡΠ» Π½Π°Π»ΠΎΠΆΠ΅Π½ ΠΆΠ³ΡΡ Π΄Π»Ρ ΡΠΎΠ³ΠΎ, ΡΡΠΎΠ±Ρ ΡΠΎΠΎΠ±ΡΠΈΡΡ ΠΎΠ± ΡΡΠΎΠΌ ΠΌΠ΅Π΄ΠΈΠΊΠ°ΠΌ;
- ΠΠ°Π»Π΅Π΅ Π½Π΅ΠΎΠ±Ρ ΠΎΠ΄ΠΈΠΌΠΎ ΠΎΠ±Π΅Π·Π΄Π²ΠΈΠΆΠΈΡΡ ΡΠ°Π»Π°Π½Π³Ρ. ΠΠ»Ρ ΡΡΠΎΠ³ΠΎ ΠΏΠΎΠ΄ΠΎΠΉΠ΄ΡΡ Π»ΡΠ±ΡΠ΅ ΠΏΠΎΠ΄ΡΡΡΠ½ΡΠ΅ ΡΡΠ΅Π΄ΡΡΠ²Π° β ΠΏΡΠΎΠ²ΠΎΠ»ΠΎΠΊΠ°, Π΄Π΅ΡΠ΅Π²ΡΠ½Π½Π°Ρ ΠΏΠ°Π»ΠΎΡΠΊΠ° ΠΈΠ»ΠΈ Π²Π΅ΡΠΊΠ°. Π€Π°Π»Π°Π½Π³Π° Π·Π°ΠΊΡΠ΅ΠΏΠ»ΡΠ΅ΡΡΡ Π² ΡΠ°ΠΊΠΎΠΌ ΠΏΠΎΠ»ΠΎΠΆΠ΅Π½ΠΈΠΈ, ΡΡΠΎΠ±Ρ ΠΏΠΎΡΡΡΠ°Π΄Π°Π²ΡΠΈΠΉ ΠΎΡΡΡΠ°Π» Π½Π°ΠΈΠΌΠ΅Π½ΡΡΡΡ ΡΡΠ΅ΠΏΠ΅Π½Ρ Π±ΠΎΠ»ΠΈ. Π‘Π°ΠΌΠΎΠ΄Π΅Π»ΡΠ½Π°Ρ ΡΠΈΠ½Π° Π·Π°ΠΊΡΠ΅ΠΏΠ»ΡΠ΅ΡΡΡ ΡΠ»Π΅Π΄ΡΡΡΠΈΠΌ ΠΎΠ±ΡΠ°Π·ΠΎΠΌ: ΠΎΠ΄ΠΈΠ½ ΠΊΠΎΠ½Π΅Ρ Π΅Π΅ ΡΠΊΠ»Π°Π΄ΡΠ²Π°Π΅ΡΡΡ Π½Π° Π»Π°Π΄ΠΎΠ½Ρ ΠΈ ΠΏΡΠ΅Π΄ΠΏΠ»Π΅ΡΡΠ΅, Π° Π΄ΡΡΠ³ΠΎΠΉ ΡΡΡΡ Π²ΡΡΠ΅ ΠΊΠΎΠ½ΡΠΈΠΊΠ° ΡΠ»ΠΎΠΌΠ°Π½Π½ΠΎΠ³ΠΎ ΠΏΠ°Π»ΡΡΠ° β Π±ΡΠΊΠ²Π°Π»ΡΠ½ΠΎ Π½Π° Π½Π΅ΡΠΊΠΎΠ»ΡΠΊΠΎ ΡΠ°Π½ΡΠΈΠΌΠ΅ΡΡΠΎΠ². Π¨ΠΈΠ½Π° Π΄ΠΎΠ»ΠΆΠ½Π° Π±ΡΡΡ ΠΏΠ»ΠΎΡΠ½ΠΎ Π·Π°ΡΠΈΠΊΡΠΈΡΠΎΠ²Π°Π½Π° Π±ΠΈΠ½ΡΠΎΠΌ ΠΏΠΎ Π½Π°ΠΏΡΠ°Π²Π»Π΅Π½ΠΈΡ ΠΎΡ Π»ΠΎΠΊΡΠ΅Π²ΠΎΠ³ΠΎ ΡΡΡΡΠ°Π²Π° ΠΊ ΠΏΠ°Π»ΡΡΡ;
- ΠΡΠ»ΠΈ ΡΠΎΠΎΡΡΠ΄ΠΈΡΡ ΡΠ°ΠΌΠΎΠ΄Π΅Π»ΡΠ½ΡΡ ΡΠΈΠ½Ρ Π½Π΅ ΠΏΡΠ΅Π΄ΡΡΠ°Π²Π»ΡΠ΅ΡΡΡ Π²ΠΎΠ·ΠΌΠΎΠΆΠ½ΡΠΌ, Π½Π΅ΠΎΠ±Ρ ΠΎΠ΄ΠΈΠΌΠΎ Π°ΠΊΠΊΡΡΠ°ΡΠ½ΠΎ ΠΏΡΠΈΠ±ΠΈΠ½ΡΠΎΠ²Π°ΡΡ ΠΏΠΎΠ²ΡΠ΅ΠΆΠ΄Π΅Π½Π½ΡΠΉ ΠΏΠ°Π»Π΅Ρ ΠΊ ΡΠΎΡΠ΅Π΄Π½Π΅ΠΌΡ, Π° ΠΏΠΎΡΠ»Π΅ ΠΎΠ±Π΅Π·Π΄Π²ΠΈΠΆΠΈΡΡ ΠΊΠΎΠ½Π΅ΡΠ½ΠΎΡΡΡ ΠΊΠΎΡΡΠ½ΠΎΡΠ½ΠΎΠΉ ΠΏΠΎΠ²ΡΠ·ΠΊΠΎΠΉ;
- ΠΠ°Π»Π΅Π΅ ΠΊ ΡΡΠ°Π²ΠΌΠΈΡΠΎΠ²Π°Π½Π½ΠΎΠΌΡ ΠΌΠ΅ΡΡΡ Π½Π΅ΠΎΠ±Ρ ΠΎΠ΄ΠΈΠΌΠΎ ΠΏΡΠΈΠΊΠ»Π°Π΄ΡΠ²Π°ΡΡ Π»Π΅Π΄. ΠΠ°ΠΆΠ½ΠΎ ΡΠ±ΠΈΡΠ°ΡΡ Π»Π΅Π΄ Π½Π° Π΄Π²Π΅ ΠΌΠΈΠ½ΡΡΡ ΠΊΠ°ΠΆΠ΄ΡΠ΅ Π΄Π΅ΡΡΡΡ ΠΌΠΈΠ½ΡΡ β ΡΡΠΎ ΠΏΠΎΠ·Π²ΠΎΠ»ΠΈΡ ΠΈΠ·Π±Π΅ΠΆΠ°ΡΡ ΠΎΠ±ΠΌΠΎΡΠΎΠΆΠ΅Π½ΠΈΡ ΡΠ°Π»Π°Π½Π³ΠΈ.

ΠΠ΅ΡΠ΅Π½ΠΈΠ΅ ΠΏΠ΅ΡΠ΅Π»ΠΎΠΌΠ° ΠΏΠ°Π»ΡΡΠ° ΡΡΠΊΠΈ
Π‘ΡΡΠ΅ΡΡΠ²ΡΠ΅Ρ Π½Π΅ΡΠΊΠΎΠ»ΡΠΊΠΎ ΠΌΠ΅ΡΠΎΠ΄ΠΈΠΊ Π»Π΅ΡΠ΅Π½ΠΈΡ ΠΏΠ΅ΡΠ΅Π»ΠΎΠΌΠΎΠ² β Π΄ΠΎΠΊΡΠΎΡ Π²ΡΠ±ΠΈΡΠ°Π΅Ρ ΠΈΡ , ΠΎΡΠΈΠ΅Π½ΡΠΈΡΡΡΡΡ Π½Π° ΠΎΡΠΎΠ±Π΅Π½Π½ΠΎΡΡΡ ΠΏΠ΅ΡΠ΅Π»ΠΎΠΌΠ°, Π° ΡΠ°ΠΊΠΆΠ΅ Π½Π°Π»ΠΈΡΠΈΠ΅ ΡΠΎΠΏΡΡΡΡΠ²ΡΡΡΠΈΡ ΠΎΡΠ»ΠΎΠΆΠ½Π΅Π½ΠΈΠΉ:
- ΠΠ΄Π½ΠΎΠΌΠΎΠΌΠ΅Π½ΡΠ½Π°Ρ Π·Π°ΠΊΡΡΡΠ°Ρ ΡΠ΅ΠΏΠΎΠ·ΠΈΡΠΈΡ;
- Π‘ΠΊΠ΅Π»Π΅ΡΠ½ΠΎΠ΅ Π²ΡΡΡΠΆΠ΅Π½ΠΈΠ΅;
- ΠΡΠΊΡΡΡΠ°Ρ ΡΠ΅ΠΏΠΎΠ·ΠΈΡΠΈΡ.
ΠΠ΄Π½ΠΎΠΌΠΎΠΌΠ΅Π½ΡΠ½Π°Ρ Π·Π°ΠΊΡΡΡΠ°Ρ ΡΠ΅ΠΏΠΎΠ·ΠΈΡΠΈΡ
ΠΠ°Π½Π½ΡΠΉ ΠΌΠ΅ΡΠΎΠ΄ Π°ΠΊΡΡΠ°Π»Π΅Π½, Π΅ΡΠ»ΠΈ Ρ Π±ΠΎΠ»ΡΠ½ΠΎΠ³ΠΎ Π΄ΠΈΠ°Π³Π½ΠΎΡΡΠΈΡΠΎΠ²Π°Π½ ΠΏΡΠΎΡΡΠΎΠΉ Π·Π°ΠΊΡΡΡΡΠΉ ΠΏΠ΅ΡΠ΅Π»ΠΎΠΌ ΠΈ ΠΏΡΠΈΡΡΡΡΡΠ²ΡΠ΅Ρ ΡΠΌΠ΅ΡΠ΅Π½ΠΈΠ΅ ΠΊΠΎΡΡΠΈ. ΠΠ°ΠΊΡΡΡΠ°Ρ ΡΠ΅ΠΏΠΎΠ·ΠΈΡΠΈΡ ΠΏΡΠΎΠΈΡΡ ΠΎΠ΄ΠΈΡ Π² Π½Π΅ΡΠΊΠΎΠ»ΡΠΊΠΎ ΡΡΠ°ΠΏΠΎΠ².
Π ΠΏΠ΅ΡΠ²ΡΡ ΠΎΡΠ΅ΡΠ΅Π΄Ρ Π΄ΠΎΠΊΡΠΎΡ ΠΏΡΠΎΠ²ΠΎΠ΄ΠΈΡ ΠΏΡΠΎΠ±Ρ Π½Π° ΠΏΠ΅ΡΠ΅Π½ΠΎΡΠΈΠΌΠΎΡΡΡ ΠΎΠ±Π΅Π·Π±ΠΎΠ»ΠΈΠ²Π°ΡΡΠΈΡ ΠΏΡΠ΅ΠΏΠ°ΡΠ°ΡΠΎΠ² β ΡΠ°ΡΠ΅ Π²ΡΠ΅Π³ΠΎ ΡΡΠΎ ΠΊΠΎΠ½ΡΠ΅Π½ΡΡΠΈΡΠΎΠ²Π°Π½Π½ΡΠ΅ ΡΠ°ΡΡΠ²ΠΎΡΡ Π»ΠΈΠ΄ΠΎΠΊΠ°ΠΈΠ½Π° ΠΈ ΠΏΡΠΎΠΊΠ°ΠΈΠ½Π°. ΠΡΠ»ΠΈ ΠΏΡΠΎΠ±Π° Π΄Π°Π΅Ρ ΠΎΡΡΠΈΡΠ°ΡΠ΅Π»ΡΠ½ΡΠΉ ΡΠ΅Π·ΡΠ»ΡΡΠ°Ρ, ΠΌΠΎΠΆΠ½ΠΎ ΠΏΡΠΈΡΡΡΠΏΠ°ΡΡ ΠΊ Π»Π΅ΡΠ΅Π½ΠΈΡ β Π² ΡΠΊΠ°Π½ΠΈ, ΠΎΠΊΡΡΠΆΠ°ΡΡΠΈΠ΅ ΠΏΠ΅ΡΠ΅Π»ΠΎΠΌ, ΠΏΠΎΡΡΠ΅ΠΏΠ΅Π½Π½ΠΎ Π²Π²ΠΎΠ΄ΠΈΡΡΡ Π°Π½Π΅ΡΡΠ΅ΡΠΈΠΊ.

ΠΠ°ΠΊ ΡΠΎΠ»ΡΠΊΠΎ Π΄ΠΎΡΡΠΈΠ³Π½ΡΡ ΡΡΡΠ΅ΠΊΡ ΠΎΠ±Π΅Π·Π±ΠΎΠ»ΠΈΠ²Π°Π½ΠΈΡ, ΠΏΡΠΎΠΈΠ·Π²ΠΎΠ΄ΠΈΡΡΡ ΡΡΠ³Π° ΠΏΠ°Π»ΡΡΠ° ΠΏΠΎ Π΅Π³ΠΎ ΠΎΡΠΈ. ΠΠΎΡΠ»Π΅ Π΄ΠΎΠΊΡΠΎΡ ΠΌΠ΅Π΄Π»Π΅Π½Π½ΠΎ ΡΠ³ΠΈΠ±Π°Π΅Ρ Π²ΡΠ΅ ΡΠ°Π»Π°Π½Π³ΠΈ ΡΠ»ΠΎΠΌΠ°Π½Π½ΠΎΠ³ΠΎ ΠΏΠ°Π»ΡΡΠ° ΡΠ°ΠΊ, ΡΡΠΎΠ±Ρ ΠΎΠ½ΠΈ Π΄ΠΎΡΡΠΈΠ³Π»ΠΈ ΡΠ³Π»Π° Π² 120 Π³ΡΠ°Π΄ΡΡΠΎΠ². ΠΠ°Π»Π΅Π΅ ΠΏΡΠΎΠΈΠ·Π²ΠΎΠ΄ΠΈΡΡΡ Π΄Π°Π²Π»Π΅Π½ΠΈΠ΅ Π½Π° ΡΠ³ΠΎΠ» ΠΏΠ΅ΡΠ΅Π»ΠΎΠΌΠ° Π΄ΠΎ ΡΠΎΠ³ΠΎ, ΠΏΠΎΠΊΠ° ΠΊΠΎΡΡΠ½Π°Ρ ΡΠΊΠ°Π½Ρ Π½Π΅ ΠΏΡΠΈΠΌΠ΅Ρ ΡΠ²ΠΎΠ΅ ΠΈΠ·Π½Π°ΡΠ°Π»ΡΠ½ΠΎΠ΅ ΠΏΠΎΠ»ΠΎΠΆΠ΅Π½ΠΈΠ΅, Π° ΠΏΠΎΡΠ»Π΅ ΠΏΡΠΎΠΈΡΡ ΠΎΠ΄ΠΈΡ ΠΏΡΠΎΡΠ΅ΡΡ ΡΠΈΠΊΡΠ°ΡΠΈΠΈ.
Π ΡΠΊΠ° ΠΈΠΌΠΌΠΎΠ±ΠΈΠ»ΠΈΠ·ΠΈΡΡΠ΅ΡΡΡ ΠΎΡ Π²Π΅ΡΡ Π½Π΅ΠΉ ΡΡΠ΅ΡΠΈ ΠΏΡΠ΅Π΄ΠΏΠ»Π΅ΡΡΡ Π΄ΠΎ ΠΎΡΠ½ΠΎΠ²Π°Π½ΠΈΡ ΠΏΠ°Π»ΡΡΠ΅Π² β Π΄Π»Ρ ΡΡΠΎ ΠΈΡΠΏΠΎΠ»ΡΠ·ΡΠ΅ΡΡΡ Π³ΠΈΠΏΡΠΎΠ²Π°Ρ Π»ΠΎΠ½Π³Π΅ΡΠ°. ΠΠ΄ΠΎΡΠΎΠ²ΡΠ΅ ΠΏΠ°Π»ΡΡΡ ΠΎΡΡΠ°ΡΡΡΡ Π² ΡΠ²ΠΎΠ±ΠΎΠ΄Π½ΠΎΠΌ ΠΏΠΎΠ»ΠΎΠΆΠ΅Π½ΠΈΠΈ, Π° ΡΠ»ΠΎΠΌΠ°Π½Π½ΡΠΉ Π·Π°ΠΊΡΠ΅ΠΏΠ»ΡΠ΅ΡΡΡ Π² ΡΠΎΡΡΠΎΡΠ½ΠΈΠΈ, ΠΊΠΎΠ³Π΄Π° ΠΎΠ½ Π½Π΅ΠΌΠ½ΠΎΠ³ΠΎ ΡΠΎΠ³Π½ΡΡ.
ΠΠ΄ΠΎΡΠΎΠ²ΡΠ΅ ΠΏΠ°Π»ΡΡΡ Π½Π΅Π»ΡΠ·Ρ ΠΈΠΌΠΌΠΎΠ±ΠΈΠ»ΠΈΠ·ΠΈΡΠΎΠ²Π°ΡΡ, ΠΏΠΎΡΠΊΠΎΠ»ΡΠΊΡ Π²ΠΎΠ·Π½ΠΈΠΊΠ°Π΅Ρ ΡΠΈΡΠΊ ΡΠ°Π·Π²ΠΈΡΠΈΡ Π°Π½ΠΊΠΈΠ»ΠΎΠ·Π° β Π² ΡΠ°ΠΊΠΎΠΌ ΡΠ»ΡΡΠ°Π΅ ΡΠ²ΡΠ·ΠΊΠΈ Π·Π°ΡΠ²Π΅ΡΠ΄Π΅Π²Π°ΡΡ ΠΈ ΡΡΠ°Π½ΠΎΠ²ΡΡΡΡ Π±ΠΎΠ»Π΅Π΅ ΠΊΠΎΡΠΎΡΠΊΠΈΠΌΠΈ ΠΏΠΎ ΡΡΠ°Π²Π½Π΅Π½ΠΈΡ ΡΠΎ Π·Π΄ΠΎΡΠΎΠ²ΡΠΌΠΈ. Π‘ΠΎΠΎΡΠ²Π΅ΡΡΡΠ²Π΅Π½Π½ΠΎ, ΠΊΠΈΡΡΡ Π½Π΅ ΡΠΌΠΎΠΆΠ΅Ρ Π΄Π²ΠΈΠ³Π°ΡΡΡΡ ΠΈ Π²ΡΠΏΠΎΠ»Π½ΡΡΡ ΠΏΡΠ΅ΠΆΠ½ΠΈΠ΅ ΡΡΠ½ΠΊΡΠΈΠΈ Π² ΠΏΠΎΠ»Π½ΠΎΠΌ ΠΎΠ±ΡΠ΅ΠΌΠ΅.
ΠΠΎΡΠ»Π΅ ΠΏΡΠΎΠ²Π΅Π΄Π΅Π½ΠΈΡ ΡΠ°ΠΊΠΎΠΉ ΠΏΡΠΎΡΠ΅Π΄ΡΡΡ ΡΠ΅ΠΊΠΎΠΌΠ΅Π½Π΄ΡΠ΅ΡΡΡ ΠΊΡΡΡ ΠΎΠ±Π΅Π·Π±ΠΎΠ»ΠΈΠ²Π°ΡΡΠΈΡ ΠΏΡΠ΅ΠΏΠ°ΡΠ°ΡΠΎΠ². Π’Π°ΠΊΠΆΠ΅ Π½Π΅ΠΎΠ±Ρ ΠΎΠ΄ΠΈΠΌΠΎ Π² ΠΏΠ΅ΡΠ²ΡΠ΅ ΠΏΠ°ΡΡ Π΄Π½Π΅ΠΉ Π½Π΅ΠΌΠ½ΠΎΠ³ΠΎ ΠΏΡΠΈΠΏΠΎΠ΄Π½ΠΈΠΌΠ°ΡΡ ΡΡΠΊΡ β ΡΡΠΎ ΠΏΠΎΠ·Π²ΠΎΠ»ΠΈΡ Π½Π΅ Π΄ΠΎΠΏΡΡΡΠΈΡΡ ΠΎΡΠ΅ΡΠ½ΠΎΡΡΠΈ.
Π‘ΠΊΠ΅Π»Π΅ΡΠ½ΠΎΠ΅ Π²ΡΡΡΠΆΠ΅Π½ΠΈΠ΅
ΠΠ΅ΡΠΎΠ΄ ΡΠΊΠ΅Π»Π΅ΡΠ½ΠΎΠ³ΠΎ Π²ΡΡΡΠΆΠ΅Π½ΠΈΡ Π°ΠΊΡΡΠ°Π»Π΅Π½, Π΅ΡΠ»ΠΈ Π·Π°ΡΠΈΠΊΡΠΈΡΠΎΠ²Π°Π½ Π·Π°ΠΊΡΡΡΡΠΉ ΠΌΠ½ΠΎΠ³ΠΎΠΎΡΠΊΠΎΠ»ΡΡΠ°ΡΡΠΉ ΠΏΠ΅ΡΠ΅Π»ΠΎΠΌ. Π ΡΠ°ΠΊΠΆΠ΅ ΡΠΎΠ³Π΄Π°, ΠΊΠΎΠ³Π΄Π° ΠΊΠΎΡΡΡ Π½Π΅ ΡΠΈΠΊΡΠΈΡΡΠ΅ΡΡΡ Π² Π½ΡΠΆΠ½ΠΎΠΌ ΠΏΠΎΠ»ΠΎΠΆΠ΅Π½ΠΈΠΈ ΠΏΡΠΈ ΠΈΡΠΏΠΎΠ»ΡΠ·ΠΎΠ²Π°Π½ΠΈΠΈ ΠΎΠ΄Π½ΠΎΠΌΠΎΠΌΠ΅Π½ΡΠ½ΠΎΠΉ ΡΠ΅ΠΏΠΎΠ·ΠΈΡΠΈΠΈ.
ΠΠ»Ρ Π½Π°ΡΠ°Π»Π° ΡΠΏΠ΅ΡΠΈΠ°Π»ΠΈΡΡ ΠΏΡΠΎΠ²ΠΎΠ΄ΠΈΡ ΠΏΡΠΎΠ±Ρ, ΠΏΠΎΠ·Π²ΠΎΠ»ΡΡΡΡΡ Π²ΡΡΠ²ΠΈΡΡ Π°Π»Π»Π΅ΡΠ³ΠΈΡΠ΅ΡΠΊΡΡ ΡΠ΅Π°ΠΊΡΠΈΡ ΠΎΡΠ³Π°Π½ΠΈΠ·ΠΌΠ° Π½Π° ΠΎΠ±Π΅Π·Π±ΠΎΠ»ΠΈΠ²Π°ΡΡΠ΅Π΅ Π²Π΅ΡΠ΅ΡΡΠ²ΠΎ. ΠΡΠ»ΠΈ ΠΏΡΠΎΠ±Π° ΠΎΠΊΠ°Π·ΡΠ²Π°Π΅ΡΡΡ ΠΎΡΡΠΈΡΠ°ΡΠ΅Π»ΡΠ½ΠΎΠΉ, ΡΠΏΠ΅ΡΠΈΠ°Π»ΠΈΡΡ Π½Π°ΠΊΠ»Π°Π΄ΡΠ²Π°Π΅Ρ Π½Π° ΠΊΠΈΡΡΡ ΠΈ ΠΏΡΠ΅Π΄ΠΏΠ»Π΅ΡΡΠ΅ Π»ΠΎΠ½Π³Π΅ΡΡ β ΡΠ°ΠΊΡΡ ΠΆΠ΅, ΠΊΠ°ΠΊ ΠΈ Π² ΠΏΡΠ΅Π΄ΡΠ΄ΡΡΠ΅ΠΌ ΡΠΏΠΎΡΠΎΠ±Π΅ Π»Π΅ΡΠ΅Π½ΠΈΡ, Π½ΠΎ Ρ ΠΎΠ΄Π½ΠΎΠΉ ΠΌΠΎΠ΄ΠΈΡΠΈΠΊΠ°ΡΠΈΠ΅ΠΉ.

ΠΠ° Π»Π°Π΄ΠΎΠ½ΠΈ ΡΡΠΊΠΈ ΠΊΡΠ΅ΠΏΠΈΡΡΡ ΠΏΡΠΎΠ²ΠΎΠ»ΠΎΠΊΠ° Π΄ΠΎΡΡΠ°ΡΠΎΡΠ½ΠΎΠΉ ΡΡΠ΅ΠΏΠ΅Π½ΠΈ ΠΏΡΠΎΡΠ½ΠΎΡΡΠΈ Π½Π°ΠΏΡΠΎΡΠΈΠ² ΡΠ»ΠΎΠΌΠ°Π½Π½ΠΎΠ³ΠΎ ΠΏΠ°Π»ΡΡΠ°. ΠΠ°Π½Π½Π°Ρ ΠΏΡΠΎΠ²ΠΎΠ»ΠΎΠΊΠ° Π΄ΠΎΠ»ΠΆΠ½Π° ΠΎΠΊΠ°Π½ΡΠΈΠ²Π°ΡΡΡΡ ΠΏΠ΅ΡΠ»Π΅ΠΉ ΠΈΠ»ΠΈ ΠΊΡΡΡΠΊΠΎΠΌ ΠΈ Π²ΡΡ ΠΎΠ΄ΠΈΡΡ Π·Π° Π²Π΅ΡΡ ΡΡΠΊΡ ΠΏΠ°Π»ΡΡΠ° Π½Π΅ Π½Π΅ΡΠΊΠΎΠ»ΡΠΊΠΎ ΡΠ°Π½ΡΠΈΠΌΠ΅ΡΡΠΎΠ².
ΠΡΠΎΡΠ΅ΡΡ ΡΠ΅ΠΏΠΎΠ·ΠΈΡΠΈΠΈ ΠΊΠΎΡΡΠΈ ΠΏΡΠΎΠΈΡΡ ΠΎΠ΄ΠΈΡ ΡΠ°ΠΊΠΆΠ΅, Ρ ΠΈΡΠΏΠΎΠ»ΡΠ·ΠΎΠ²Π°Π½ΠΈΠ΅ΠΌ ΠΏΠΎΠ΄ΠΎΠ±Π½ΠΎΠΉ Π°Π½Π΅ΡΡΠ΅Π·ΠΈΠΈ β ΡΡΠ°Π²ΠΌΠ°ΡΠΎΠ»ΠΎΠ³ Π²ΡΡΡΠ³ΠΈΠ²Π°Π΅Ρ ΠΏΠ°Π»Π΅Ρ, ΠΈΡΠΏΠΎΠ»ΡΠ·ΡΡ Π΄Π»Ρ ΡΡΠΎΠ³ΠΎ ΡΠΊΠΎΠ±Ρ, Π½ΠΈΡΠΈ ΠΈΠ»ΠΈ Π±ΡΠ»Π°Π²ΠΊΠΈ, ΠΊΠΎΡΠΎΡΡΠ΅ ΠΎΠ½ ΠΏΡΠΎΠ²ΠΎΠ΄ΠΈΡ ΡΠ΅ΡΠ΅Π· Π½ΠΎΠ³ΡΠ΅Π²ΡΡ ΡΠ°Π»Π°Π½Π³Ρ ΠΈΠ»ΠΈ ΠΌΡΠ³ΠΊΠΈΠ΅ ΡΠΊΠ°Π½ΠΈ ΠΏΠ°Π»ΡΡΠ°. ΠΠΎΠ³ΠΎΡΡ ΡΡΠ°Π²ΠΌΠΈΡΠΎΠ²Π°Π½Π½ΠΎΠ³ΠΎ ΠΏΠ°Π»ΡΡΠ° ΠΏΠΎΠΊΡΡΠ²Π°Π΅ΡΡΡ Π½Π΅ΡΠΊΠΎΠ»ΡΠΊΠΈΠΌΠΈ ΡΠ»ΠΎΡΠΌΠΈ Π³Π΅Π»Ρ ΠΈΠ»ΠΈ Π°ΠΊΡΠΈΠ»Π°, ΠΈΡΠΏΠΎΠ»ΡΠ·ΡΠ΅ΠΌΡΡ Π΄Π»Ρ Π½Π°ΡΠ°ΡΠΈΠ²Π°Π½ΠΈΡ Π½ΠΎΠ³ΡΠ΅ΠΉ β ΡΡΠ° ΠΏΡΠΎΡΠ΅Π΄ΡΡΠ° ΠΏΠΎΠ·Π²ΠΎΠ»ΡΠ΅Ρ ΠΏΡΠΈΠ΄Π°ΡΡ ΡΠΈΠΊΡΠ°ΡΠΈΠΈ Π΄ΠΎΠΏΠΎΠ»Π½ΠΈΡΠ΅Π»ΡΠ½ΡΡ ΠΏΡΠΎΡΠ½ΠΎΡΡΡ.
ΠΠΎΡΠ»Π΅ Π΄Π°Π½Π½ΠΎΠΉ ΠΏΡΠΎΡΠ΅Π΄ΡΡΡ Π±ΠΎΠ»ΡΠ½ΠΎΠΉ Π΄ΠΎΠ»ΠΆΠ΅Π½ Π±ΡΠ΄Π΅Ρ ΠΏΡΠΎΠΉΡΠΈ ΠΊΡΡΡ Π»Π΅ΡΠ΅Π½ΠΈΡ ΡΠ°Π±Π»Π΅ΡΠΊΠ°ΠΌΠΈ ΠΈ ΠΏΡΠ΅ΠΏΠ°ΡΠ°ΡΠ°ΠΌΠΈ, ΠΊΠΎΡΠΎΡΡΠ΅ ΠΎΠΊΠ°ΠΆΡΡ ΡΡΡΠ΅ΠΊΡ ΠΎΠ±Π΅Π·Π±ΠΎΠ»ΠΈΠ²Π°Π½ΠΈΡ, Π° ΡΠ°ΠΊΠΆΠ΅ ΠΏΠΎΠΌΠΎΠ³ΡΡ ΠΈΠ·Π±Π΅ΠΆΠ°ΡΡ Π²ΠΎΡΠΏΠ°Π»Π΅Π½ΠΈΡ ΠΈ Π½Π΅ Π΄Π°Π΄ΡΡ ΡΠ°Π·Π²ΠΈΡΡΡΡ Π±Π°ΠΊΡΠ΅ΡΠΈΠ°Π»ΡΠ½ΡΠΌ Π·Π°Π±ΠΎΠ»Π΅Π²Π°Π½ΠΈΡΠΌ.
ΠΡΠΊΡΡΡΠ°Ρ ΡΠ΅ΠΏΠΎΠ·ΠΈΡΠΈΡ
ΠΡΠΊΡΡΡΠ°Ρ ΡΠ΅ΠΏΠΎΠ·ΠΈΡΠΈΡ β ΠΏΠΎΡΠ»Π΅Π΄Π½ΠΈΠΉ ΠΌΠ΅ΡΠΎΠ΄, ΠΊ ΠΊΠΎΡΠΎΡΠΎΠΌΡ ΠΎΠ±ΡΠ°ΡΠ°ΡΡΡΡ Π΄ΠΎΠΊΡΠΎΡΠ°. ΠΡΠΎΡΠ΅ΡΡ ΠΏΡΠ΅Π΄ΡΡΠ°Π²Π»ΡΠ΅Ρ ΡΠΎΠ±ΠΎΠΉ Ρ ΠΈΡΡΡΠ³ΠΈΡΠ΅ΡΠΊΠΎΠ΅ Π²ΠΌΠ΅ΡΠ°ΡΠ΅Π»ΡΡΡΠ²ΠΎ, Π°, Π·Π½Π°ΡΠΈΡ, Π³ΡΠΎΠ·ΠΈΡ Π²ΡΠ΅ΠΌΠΈ ΠΎΡΠ»ΠΎΠΆΠ½Π΅Π½ΠΈΡΠΌΠΈ, Ρ Π°ΡΠ°ΠΊΡΠ΅ΡΠ½ΡΠΌΠΈ ΠΎΠΏΠ΅ΡΠ°Π±Π΅Π»ΡΠ½ΡΠΌ ΠΌΠ΅ΡΠΎΠ΄Π°ΠΌ Π»Π΅ΡΠ΅Π½ΠΈΡ β ΡΠ²Ρ ΠΌΠΎΠ³ΡΡ Π½Π΅ ΠΏΡΠΈΠΆΠΈΡΡΡΡ, Π²ΠΎΡΠΏΠ°Π»ΠΈΡΡΡΡ ΡΠ°Π½Π°, Π° ΡΠ°ΠΊΠΆΠ΅ ΠΌΠΎΠ³ΡΡ ΡΠ°Π·Π²ΠΈΡΡΡΡ Π³Π½ΠΎΠΉΠ½ΡΠ΅ ΠΏΡΠΎΡΠ΅ΡΡΡ Π² ΠΊΠΎΡΡΠΈ ΠΈ ΠΊΠΎΡΡΠ½ΠΎΠΌ ΠΌΠΎΠ·Π³Π΅.
Π ΡΠΎΠΆΠ°Π»Π΅Π½ΠΈΡ, ΠΏΡΠΈ Π½Π΅ΠΊΠΎΡΠΎΡΡΡ ΠΏΠ΅ΡΠ΅Π»ΠΎΠΌΠ°Ρ ΡΡΠΎ Π΅Π΄ΠΈΠ½ΡΡΠ²Π΅Π½Π½ΡΠΉ ΠΏΡΡΡ ΠΊ Π²ΡΠ·Π΄ΠΎΡΠΎΠ²Π»Π΅Π½ΠΈΡ. Π ΡΠ°ΠΊΠΈΠΌ ΠΏΠ΅ΡΠ΅Π»ΠΎΠΌΠ°ΠΌ ΠΎΡΠ½ΠΎΡΡΡ ΠΎΡΠΊΡΡΡΡΠΉ ΠΏΡΠΎΡΡΠΎΠΉ ΠΈΠ»ΠΈ ΠΌΠ½ΠΎΠ³ΠΎΠΎΡΠΊΠΎΠ»ΡΡΠ°ΡΡΠΉ ΠΏΠ΅ΡΠ΅Π»ΠΎΠΌ ΡΠΎ ΡΠΌΠ΅ΡΠ΅Π½ΠΈΠ΅ΠΌ, ΠΏΠ΅ΡΠ΅Π»ΠΎΠΌ, ΠΊΠΎΡΠΎΡΡΠΉ ΡΡΠΎΡΡΡ Π½Π΅ΠΏΡΠ°Π²ΠΈΠ»ΡΠ½ΠΎ ΠΈ ΡΡΠ΅Π±ΡΠ΅Ρ ΡΠ°Π·ΡΡΡΠ΅Π½ΠΈΡ ΠΊΠΎΡΡΠΈ ΠΈ ΠΏΠΎΠ²ΡΠΎΡΠ½ΠΎΠΉ ΡΠ΅ΠΏΠΎΠ·ΠΈΡΠΈΠΈ, Π³Π½ΠΎΠΉΠ½ΡΠ΅ ΠΎΡΠ»ΠΎΠΆΠ½Π΅Π½ΠΈΡ ΠΏΠΎΡΠ»Π΅ ΠΏΡΠ΅Π΄ΡΠ΄ΡΡΠΈΡ ΠΌΠ΅ΡΠΎΠ΄ΠΎΠ² Π»Π΅ΡΠ΅Π½ΠΈΡ.
ΠΠ»Ρ Π΄Π°Π½Π½ΠΎΠ³ΠΎ ΠΌΠ΅ΡΠΎΠ΄Π° ΠΏΡΠ΅Π΄ΡΡΠΌΠΎΡΡΠ΅Π½ Π°ΠΏΠΏΠ°ΡΠ°Ρ ΠΠ»ΠΈΠ·Π°ΡΠΎΠ²Π°, Π±ΠΎΠ»ΡΠ½ΠΎΠΌΡ Π΄Π°ΡΡ ΠΎΠ±ΡΠΈΠΉ Π½Π°ΡΠΊΠΎΠ·. ΠΡΠ΅ΠΈΠΌΡΡΠ΅ΡΡΠ²ΠΎ Π°ΠΏΠΏΠ°ΡΠ°ΡΠ° Π² ΡΠΎΠΌ, ΡΡΠΎ ΠΎΠ½ Ρ ΠΎΡΠΎΡΠΎ ΡΠΈΠΊΡΠΈΡΡΠ΅Ρ ΠΊΠΎΡΡΡ ΠΈ ΠΏΠΎΠ·Π²ΠΎΠ»ΡΠ΅Ρ ΠΎΠ±ΠΎΠΉΡΠΈΡΡ Π±Π΅Π· Π³ΠΈΠΏΡΠ°, Π° ΡΡΠΎ ΠΏΠΎΠ·Π²ΠΎΠ»ΡΠ΅Ρ ΡΠ°Π½Π΅ Π½Π΅ Π·Π°ΠΏΡΠ΅Π²Π°ΡΡ ΠΏΠΎΠ΄ Π³ΠΈΠΏΡΠΎΠ²ΠΎΠΉ ΠΏΠΎΠ²ΡΠ·ΠΊΠΎΠΉ ΠΈ Π½Π΅ Π½Π°Π³Π½Π°ΠΈΠ²Π°ΡΡΡΡ.
ΠΠΏΠΏΠ°ΡΠ°Ρ ΠΎΠΏΠ°ΡΠ΅Π½ ΡΠ΅ΠΌ, ΡΡΠΎ ΠΎΠ½ ΡΠ°ΠΌ ΡΠ²Π»ΡΠ΅ΡΡΡ ΠΈΠ½ΠΎΡΠΎΠ΄Π½ΡΠΌ ΡΠ΅Π»ΠΎΠΌ, ΡΠΎΠΎΡΠ²Π΅ΡΡΡΠ²Π΅Π½Π½ΠΎ, ΠΏΠΎΡΠ΅Π½ΡΠΈΠ°Π»ΡΠ½ΡΠΌ ΠΈΡΡΠΎΡΠ½ΠΈΠΊΠΎΠΌ Π²ΠΎΡΠΏΠ°Π»Π΅Π½ΠΈΠΉ. ΠΠΎΡΡΠΎΠΌΡ ΡΡΠ΅Π±ΡΠ΅ΡΡΡ Π΅ΠΆΠ΅Π΄Π½Π΅Π²Π½ΠΎ ΠΈ ΡΡΠ°ΡΠ΅Π»ΡΠ½ΠΎ ΠΎΠ±ΡΠ°Π±Π°ΡΡΠ²Π°ΡΡ ΡΡΠΎΡ Π°ΠΏΠΏΠ°ΡΠ°Ρ.
ΠΠ°Π»ΠΎΠΆΠ΅Π½ΠΈΠ΅ Π³ΠΈΠΏΡΠ°
ΠΠ΅ΡΠ΅Π»ΠΎΠΌ ΠΏΠ°Π»ΡΡΠ° β ΡΡΠΎ ΠΏΠ΅ΡΠ΅Π»ΠΎΠΌ, ΠΎΠ±Π»Π°Π΄Π°ΡΡΠΈΠΉ Π΄ΠΎΡΡΠ°ΡΠΎΡΠ½ΠΎ Π²ΡΡΠΎΠΊΠΎΠΉ ΡΡΠ΅ΠΏΠ΅Π½ΡΡ ΡΡΠΆΠ΅ΡΡΡΡ, ΠΏΠΎΡΡΠΎΠΌΡ ΠΊ ΠΏΡΠΎΡΠ΅ΡΡΡ Π²ΡΠ·Π΄ΠΎΡΠΎΠ²Π»Π΅Π½ΠΈΡ ΡΡΠΎΠΈΡ ΠΎΡΠ½Π΅ΡΡΠΈΡΡ ΡΠΎ Π²ΡΠ΅ΠΉ Π²ΠΎΠ·ΠΌΠΎΠΆΠ½ΠΎΠΉ ΠΎΡΠ²Π΅ΡΡΡΠ²Π΅Π½Π½ΠΎΡΡΡΡ.
Π₯ΠΎΡΠΎΡΠΈΠ΅ ΡΠ΅Π·ΡΠ»ΡΡΠ°ΡΡ ΠΌΠΎΠ³ΡΡ Π±ΡΡΡ Π³Π°ΡΠ°Π½ΡΠΈΡΠΎΠ²Π°Π½Ρ ΡΠΎΠ»ΡΠΊΠΎ Π² ΡΠΎΠΌ ΡΠ»ΡΡΠ°Π΅, ΠΊΠΎΠ³Π΄Π° ΡΠ»ΠΎΠΌΠ°Π½Π½Π°Ρ ΡΠ°Π»Π°Π½Π³Π° Π½Π°Π΄Π΅ΠΆΠ½ΠΎ Π·Π°ΠΊΡΠ΅ΠΏΠ»Π΅Π½Π° ΠΈ ΠΈΠΌΠΌΠΎΠ±ΠΈΠ»ΠΈΠ·ΠΈΡΠΎΠ²Π°Π½Π°. ΠΠ»Ρ ΡΡΠΎΠ³ΠΎ ΡΡΡΠ΅ΡΡΠ²ΡΡΡ ΡΠ°ΡΡΠ²ΠΎΡΡ, ΠΊΠΎΡΠΎΡΡΠ΅ ΠΏΡΠΈ Π²ΡΡΡΡ Π°Π½ΠΈΠΈ ΡΠΈΠΊΡΠΈΡΡΡΡ ΠΏΠ°Π»Π΅Ρ Π² Π½Π΅ΠΎΠ±Ρ ΠΎΠ΄ΠΈΠΌΠΎΠΌ ΠΏΠΎΠ»ΠΎΠΆΠ΅Π½ΠΈΠΈ.
ΠΠΎΠ½ΡΠ΅Π½ΡΡΠΈΡΠΎΠ²Π°Π½Π½ΡΠΉ ΡΠ°ΡΡΠ²ΠΎΡ Π³ΠΈΠΏΡΠ° ΠΎΠ΄ΠΈΠ½ ΠΈΠ· ΡΠ°ΠΌΡΡ ΡΠ°ΡΠΏΡΠΎΡΡΡΠ°Π½Π΅Π½Π½ΡΡ ΠΌΠ°ΡΠ΅ΡΠΈΠ°Π»ΠΎΠ², ΠΈΡΠΏΠΎΠ»ΡΠ·ΡΠ΅ΠΌΡΡ ΠΏΡΠΈ Π½Π°Π»ΠΎΠΆΠ΅Π½ΠΈΠΈ ΡΠΈΠΊΡΠΈΡΡΡΡΠ΅ΠΉ ΠΏΠΎΠ²ΡΠ·ΠΊΠΈ. ΠΠ½ ΡΠΏΠΎΡΠΎΠ±Π΅Π½ Π² ΠΏΡΠΎΡΠ΅ΡΡΠ΅ Π²ΡΡΡΡ Π°Π½ΠΈΠΈ ΠΏΡΠΈΠ½ΡΡΡ ΡΡΠ΅Π±ΡΠ΅ΠΌΡΡ ΡΠΎΡΠΌΡ, Π³Π°ΡΠ°Π½ΡΠΈΡΠΎΠ²Π°ΡΡ Π΄Π»ΠΈΡΠ΅Π»ΡΠ½ΡΠΉ ΡΡΠΎΠΊ ΠΆΠ΅ΡΡΠΊΠΎΡΡΠΈ ΠΊΠΎΠ½ΡΡΡΡΠΊΡΠΈΠΈ.
ΠΡΠΎΡΠ΅ΡΡ Π½Π°Π»ΠΎΠΆΠ΅Π½ΠΈΡ Π³ΠΈΠΏΡΠΎΠ²ΠΎΠΉ ΠΏΠΎΠ²ΡΠ·ΠΊΠΈ Π½Π°ΡΠΈΠ½Π°Π΅ΡΡΡ Ρ ΠΏΡΠ΅Π΄ΠΏΠ»Π΅ΡΡΡ, ΠΏΡΠΎΡ ΠΎΠ΄ΠΈ ΡΠ΅ΡΠ΅Π· ΠΊΠΈΡΡΡ ΠΈ Π·Π°Π²Π΅ΡΡΠ°Π΅ΡΡΡ ΡΠΈΠΊΡΠ°ΡΠΈΠ΅ΠΉ ΡΠΎΠ»ΡΠΊΠΎ ΠΏΠΎΡΡΡΠ°Π΄Π°Π²ΡΠ΅Π³ΠΎ ΠΏΠ°Π»ΡΡΠ°. ΠΡΠ΅Π½Ρ Π²Π°ΠΆΠ½ΠΎ, ΡΡΠΎΠ±Ρ ΠΏΠ°Π»Π΅Ρ Π½Π°Ρ ΠΎΠ΄ΠΈΠ»ΡΡ Π² Π²Π΅ΡΠ½ΠΎΠΌ ΡΠΎΡΡΠΎΡΠ½ΠΈΠΈ, ΡΠ°ΠΊ ΠΊΠ°ΠΊ ΠΏΠΎΡΠ»Π΅ Π·Π°ΡΡΡΠ²Π°Π½ΠΈΡ Π³ΠΈΠΏΡΠ°, ΠΏΠΎΠΌΠ΅Π½ΡΡΡ Π·Π°ΡΠΈΠΊΡΠΈΡΠΎΠ²Π°Π½Π½ΡΡ ΡΠΎΡΠΌΡ Π½Π΅ ΠΏΡΠ΅Π΄ΡΡΠ°Π²ΠΈΡΡΡ Π²ΠΎΠ·ΠΌΠΎΠΆΠ½ΡΠΌ.

ΠΠΎΠ»ΠΎΠΆΠ΅Π½ΠΈΠ΅ ΠΊΠΈΡΡΠΈ ΡΡΠΈΡΠ°Π΅ΡΡΡ ΠΏΡΠ°Π²ΠΈΠ»ΡΠ½ΡΠΌ ΡΠΎΠ³Π΄Π°, ΠΊΠΎΠ³Π΄Π° ΡΠ°Π·ΠΎΠ³Π½ΡΡΠ° Π² Π»ΡΡΠ΅Π·Π°ΠΏΡΡΡΠ½ΠΎΠΌ ΡΡΡΡΠ°Π²Π΅ Π½Π° 30 Π³ΡΠ°Π΄ΡΡΠΎΠ², Π° ΡΠ°Π»Π°Π½Π³ΠΈ ΠΏΠ°Π»ΡΡΠ΅Π² ΡΠΎΠ³Π½ΡΡΡ ΡΠ°ΠΊ, ΡΡΠΎ ΠΈΡ ΠΊΠΎΠ½ΡΠΈΠΊΠΈ Π½Π΅ΠΌΠ½ΠΎΠ³ΠΎ Π·Π°Π΄Π΅Π²Π°ΡΡ Π»Π°Π΄ΠΎΠ½Ρ (ΠΏΡΠΈ ΡΡΠ»ΠΎΠ²ΠΈΠΈ, ΡΡΠΎ Π½Π΅ ΠΈΡΠΏΠΎΠ»ΡΠ·ΠΎΠ²Π°Π»ΡΡ ΠΌΠ΅ΡΠΎΠ΄ ΡΠΊΠ΅Π»Π΅ΡΠ½ΠΎΠ³ΠΎ Π²ΡΡΡΠΆΠ΅Π½ΠΈΡ). ΠΡΠΎ ΠΎΠΏΡΠΈΠΌΠ°Π»ΡΠ½ΠΎΠ΅ ΠΏΠΎΠ»ΠΎΠΆΠ΅Π½ΠΈΠ΅ ΠΊΠΈΡΡΠΈ, ΠΊΠΎΡΠΎΡΠΎΠ΅ ΠΎΠ±Π΅ΡΠΏΠ΅ΡΠΈΠ²Π°Π΅Ρ ΠΏΡΠΎΡΠΈΠ»Π°ΠΊΡΠΈΠΊΡ ΠΊΠΎΠ½ΡΡΠ°ΠΊΡΡΡ ΠΈ ΠΏΠΎΠ²ΡΠΎΡΠ½ΠΎΠ³ΠΎ ΡΠ΄Π²ΠΈΠ³Π° ΠΊΠΎΡΡΠ½ΠΎΠΉ ΡΠΊΠ°Π½ΠΈ.
ΠΡΠ»ΠΈ ΠΊΠΈΡΡΡ Π·Π°ΡΠΈΠΊΡΠΈΡΠΎΠ²Π°Π½Π° Π² Π΄Π°Π½Π½ΠΎΠΌ ΠΏΠΎΠ»ΠΎΠΆΠ΅Π½ΠΈΠΈ, ΡΠΎ ΡΡΠΎ ΡΡΠ°Π½Π΅Ρ Π³Π°ΡΠ°Π½ΡΠΈΠ΅ΠΉ ΡΠΎΠ³ΠΎ, ΡΡΠΎ ΠΎΠ½Π° ΡΠΎΡ ΡΠ°Π½ΠΈΡ ΡΠ²ΠΎΡ Ρ Π²Π°ΡΠ°ΡΠ΅Π»ΡΠ½ΡΡ ΡΡΠ½ΠΊΡΠΈΡ Π΄Π°ΠΆΠ΅ ΠΏΡΠΈ ΡΡΠ»ΠΎΠ²ΠΈΠΈ, ΡΡΠΎ Π²ΡΠ΅ β ΡΠ°ΠΊΠΈ ΠΏΡΠΎΠΈΠ·ΠΎΡΠ΅Π» ΠΏΡΠΎΡΠ΅ΡΡ ΡΠ°Π·Π²ΠΈΡΠΈΡ ΠΊΠΎΠ½ΡΡΠ°ΠΊΡΡΡ.
Π’Π°ΠΊΠΆΠ΅ Π΄Π»Ρ ΡΠΈΠΊΡΠ°ΡΠΈΠΈ ΠΈΡΠΏΠΎΠ»ΡΠ·ΡΡΡΡΡ Π±ΠΎΠ»Π΅Π΅ ΡΠΎΠ²ΡΠ΅ΠΌΠ΅Π½Π½ΡΠ΅ ΠΏΠΎΠ»ΠΈΠΌΠ΅ΡΡ β ΡΠ΅Ρ Π½ΠΈΠΊΠ° ΠΈΡ Π½Π°Π»ΠΎΠΆΠ΅Π½ΠΈΡ ΡΠ°ΠΊΠ°Ρ ΠΆΠ΅, Π½ΠΎ Π·Π΄Π΅ΡΡ Π½Π΅ ΡΡΠ΅Π±ΡΠ΅ΡΡΡ ΠΏΡΠΈΠΌΠ΅Π½Π΅Π½ΠΈΠ΅ Π±ΠΈΠ½ΡΠ°. ΠΡΠΎΡΠ½ΠΎΡΡΡ ΡΠ°ΠΊΠΈΡ ΠΌΠ°ΡΠ΅ΡΠΈΠ°Π»ΠΎΠ² Π½ΠΈΡΠΊΠΎΠ»ΡΠΊΠΎ Π½Π΅ ΡΡΡΡΠΏΠ°Π΅Ρ Π³ΠΈΠΏΡΠΎΠ²ΠΎΠΌΡ ΡΠ°ΡΡΠ²ΠΎΡΡ, Π° Π²ΠΎΡ Π²Π΅Ρ ΠΈΡ Π·Π½Π°ΡΠΈΡΠ΅Π»ΡΠ½ΠΎ Π½ΠΈΠΆΠ΅. Π ΡΠΎΠΌΡ ΠΆΠ΅, Π΄Π°Π½Π½ΡΠΉ ΠΌΠ°ΡΠ΅ΡΠΈΠ°Π», Π² ΠΎΡΠ»ΠΈΡΠ°Π΅ ΠΎΡ Π³ΠΈΠΏΡΠ°, Π½Π΅ ΡΠ°Π·ΡΡΡΠ°Π΅ΡΡΡ ΠΎΡ Π²ΠΎΠ·Π΄Π΅ΠΉΡΡΠ²ΠΈΡ Π²ΠΎΠ΄Ρ.
ΠΠ΄Π½Π°ΠΊΠΎ, Π΄Π°Π½Π½ΡΠΉ ΠΏΠΎΠ»ΠΈΠΌΠ΅Ρ Π΅ΡΡΡ Π΄Π°Π»Π΅ΠΊΠΎ Π½Π΅ Π² ΠΊΠ°ΠΆΠ΄ΠΎΠΉ Π±ΠΎΠ»ΡΠ½ΠΈΡΠ΅, ΠΊ ΡΠΎΠΌΡ ΠΆΠ΅ ΠΎΠ½ ΠΎΠΏΠ»Π°ΡΠΈΠ²Π°Π΅ΡΡΡ ΡΠ°ΠΌΠΈΠΌ ΠΏΠ°ΡΠΈΠ΅Π½ΡΠΎΠΌ, ΡΠ°ΠΊ ΠΊΠ°ΠΊ Π½Π΅ Π²Ρ ΠΎΠ΄ΠΈΡ Π² ΠΏΠΎΠΊΡΡΡΠΈΠ΅ ΠΌΠ΅Π΄ΠΈΡΠΈΠ½ΡΠΊΠΈΠΌ ΠΏΠΎΠ»ΠΈΡΠΎΠΌ.
ΠΠ»ΠΈΡΠ΅Π»ΡΠ½ΠΎΡΡΡ Π½ΠΎΡΠ΅Π½ΠΈΡ Π³ΠΈΠΏΡΠ°
ΠΠ»ΠΈΡΠ΅Π»ΡΠ½ΠΎΡΡΡ Π½ΠΎΡΠ΅Π½ΠΈΡ Π³ΠΈΠΏΡΠ° ΠΎΠΏΡΠ΅Π΄Π΅Π»ΡΠ΅ΡΡΡ Π²ΠΈΠ΄ΠΎΠΌ ΠΈ ΡΠ»ΠΎΠΆΠ½ΠΎΡΡΡΡ ΠΏΠ΅ΡΠ΅Π»ΠΎΠΌΠ°:
- ΠΡΠ»ΠΈ Π΄ΠΈΠ°Π³Π½ΠΎΡΡΠΈΡΠΎΠ²Π°Π½ ΠΏΡΠΎΡΡΠΎΠΉ Π·Π°ΠΊΡΡΡΡΠΉ ΠΏΠ΅ΡΠ΅Π»ΠΎΠΌ, ΠΏΡΠΈ ΠΊΠΎΡΠΎΡΠΎΠΌ Π½Π΅ ΡΠΌΠ΅ΡΠ΅Π½Π° ΠΊΠΎΡΡΡ, ΡΠΎ ΡΡΠΎΠΊ Π½ΠΎΡΠ΅Π½ΠΈΡ ΠΏΠΎΠ²ΡΠ·ΠΊΠΈ ΡΠΎΡΡΠ°Π²Π»ΡΠ΅Ρ 14-21 Π΄Π΅Π½Ρ. ΠΡΠΈ ΡΡΠΎΠΌ ΠΊΠΈΡΡΡ Π½Π°ΡΠΈΠ½Π°Π΅Ρ ΠΏΠΎΠ»Π½ΠΎΡΠ΅Π½Π½ΠΎ Π΄Π²ΠΈΠ³Π°ΡΡΡΡ ΠΏΡΠΈΠΌΠ΅ΡΠ½ΠΎ Π½Π° ΡΠ΅ΡΠ²Π΅ΡΡΠΎΠΉ Π½Π΅Π΄Π΅Π»Π΅.
- ΠΡΠ»ΠΈ Π΄ΠΈΠ°Π³Π½ΠΎΡΡΠΈΡΠΎΠ²Π°Π½ ΠΏΠ΅ΡΠ΅Π»ΠΎΠΌ ΡΡΠ΅Π΄Π½Π΅ΠΉ ΡΡΠ΅ΠΏΠ΅Π½ΠΈ ΡΡΠΆΠ΅ΡΡΠΈ β ΠΏΡΠΎΡΡΡΠ΅ Π·Π°ΠΊΡΡΡΡΠ΅ ΠΏΠ΅ΡΠ΅Π»ΠΎΠΌΡ ΡΠΎ ΡΠΌΠ΅ΡΠ΅Π½ΠΈΠ΅ΠΌ ΠΊΠΎΡΡΠ½ΠΎΠΉ ΡΠΊΠ°Π½ΠΈ ΠΈ ΠΏΠ΅ΡΠ΅Π»ΠΎΠΌΡ, ΡΡΠ΅Π±ΡΡΡΠΈΠ΅ ΡΠΊΠ΅Π»Π΅ΡΠ½ΠΎΠ³ΠΎ Π²ΡΡΡΠΆΠ΅Π½ΠΈΡ β Π³ΠΈΠΏΡΠΎΠ²Π°Ρ ΠΏΠΎΠ²ΡΠ·ΠΊΠ° Π½Π°ΠΊΠ»Π°Π΄ΡΠ²Π°Π΅ΡΡΡ Π½Π° 21-28 Π΄Π½Π΅ΠΉ. Π’ΡΡΠ΄ΠΎΡΠΏΠΎΡΠΎΠ±Π½ΠΎΡΡΡ Π²ΠΎΡΡΡΠ°Π½Π°Π²Π»ΠΈΠ²Π°Π΅ΡΡΡ Π½Π° 6-8 Π½Π΅Π΄Π΅Π»Π΅.
- ΠΡΠΈ ΠΏΠ΅ΡΠ΅Π»ΠΎΠΌΠ°Ρ Π²ΡΡΠΎΠΊΠΎΠΉ ΡΡΠ΅ΠΏΠ΅Π½ΠΈ ΡΡΠΆΠ΅ΡΡΠΈ, ΠΊΠΎΠ³Π΄Π° ΡΡΠ΅Π±ΡΠ΅ΡΡΡ Π²ΠΆΠΈΠ²Π»Π΅Π½ΠΈΠ΅ ΡΡΡΡΠΏΠΎΠ² ΠΈΠ»ΠΈ ΡΠΏΠΈΡ, ΡΡΠΎΠΊ Π½ΠΎΡΠ΅Π½ΠΈΡ Π³ΠΈΠΏΡΠ° ΠΌΠΎΠΆΠ΅Ρ Π΄Π»ΠΈΡΡΡΡ Π΄Π°ΠΆΠ΅ 6 Π½Π΅Π΄Π΅Π»Ρ, ΠΏΠΎΠ»Π½ΠΎΡΡΡΡ ΠΏΠ°Π»Π΅Ρ Π²ΡΠ·Π΄ΠΎΡΠ°Π²Π»ΠΈΠ²Π°Π΅Ρ ΡΠΎΠ»ΡΠΊΠΎ ΠΏΠΎ ΠΏΡΠΎΡΠ΅ΡΡΠ²ΠΈΠΈ 6-8 Π½Π΅Π΄Π΅Π»Ρ.

Π§Π΅ΠΌ ΠΌΠΎΠΆΠ΅Ρ Π³ΡΠΎΠ·ΠΈΡΡ Π½Π΅ΠΊΠ²Π°Π»ΠΈΡΠΈΡΠΈΡΠΎΠ²Π°Π½Π½ΠΎΠ΅ Π»Π΅ΡΠ΅Π½ΠΈΠ΅ ΡΠ»ΠΎΠΌΠ°Π½Π½ΠΎΠ³ΠΎ ΠΏΠ°Π»ΡΡΠ°
ΠΠ΅ΠΏΡΠΈΡΡΠ½ΡΠ΅ ΠΏΠΎΡΠ»Π΅Π΄ΡΡΠ²ΠΈΡ, ΠΊΠΎΡΠΎΡΡΠ΅ ΠΌΠΎΠ³ΡΡ Π²ΠΎΠ·Π½ΠΈΠΊΠ°ΡΡ ΠΏΡΠΈ Π½Π΅ΠΊΠΎΡΡΠ΅ΠΊΡΠ½ΠΎΠΌ Π»Π΅ΡΠ΅Π½ΠΈΠΈ ΡΠ»ΠΎΠΌΠ°Π½Π½ΡΡ ΡΠ°Π»Π°Π½Π³ Π΄ΠΎΠ²ΠΎΠ»ΡΠ½ΠΎ ΠΎΠ±ΡΠΈΡΠ½Ρ:
- ΠΡΠ΅Π²Π΄ΠΎΠ°ΡΡΡΠΎΠ· β ΠΏΡΠΎΡΠ΅ΡΡ, ΠΏΡΠΈ ΠΊΠΎΡΠΎΡΠΎΠΌ ΠΎΠ±ΡΠ°Π·ΡΠ΅ΡΡΡ Π»ΠΎΠΆΠ½ΡΠΉ ΡΡΡΡΠ°Π², ΠΏΡΠΈΠ²ΠΎΠ΄ΡΡΠΈΠΉ ΠΊ ΡΠ³ΠΈΠ±Π°Π½ΠΈΡ ΡΠ°Π»Π°Π½Π³ΠΈ ΡΠ°ΠΌ, Π³Π΄Π΅ ΠΎΠ½Π° Π½Π΅ ΡΠ³ΠΈΠ±Π°Π»Π°ΡΡ Π±Ρ, Π΅ΡΠ»ΠΈ Π±ΡΠ»Π° Π·Π΄ΠΎΡΠΎΠ²ΠΎΠΉ. ΠΡΠ»ΠΎΠΆΠ½Π΅Π½ΠΈΠ΅ ΡΡΡΡΠ°Π½ΡΠ΅ΡΡΡ ΠΏΠΎΡΡΠ΅Π΄ΡΡΠ²ΠΎΠΌ ΠΎΠΏΠ΅ΡΠ°ΡΠΈΠ²Π½ΠΎΠ³ΠΎ Π²ΠΌΠ΅ΡΠ°ΡΠ΅Π»ΡΡΡΠ²Π°, Π½ΠΎ ΠΏΠ°Π»Π΅Ρ ΠΏΠΎΡΠ»Π΅ ΡΡΠΎΠ³ΠΎ ΡΡΠ°Π½Π΅Ρ ΠΊΠΎΡΠΎΡΠ΅.
- ΠΠΎΠ·ΠΎΠ»Ρ Π½Π° ΠΊΠΎΡΡΠΈ Π±ΠΎΠ»ΡΡΠΎΠ³ΠΎ ΡΠ°Π·ΠΌΠ΅ΡΠ° β ΡΠ°ΠΊΠ°Ρ ΠΌΠΎΠ·ΠΎΠ»Ρ ΡΠΎΡΠΌΠΈΡΡΠ΅ΡΡΡ, Π΅ΡΠ»ΠΈ ΠΎΠ±Π»ΠΎΠΌΠΊΠΈ ΠΊΠΎΡΡΠΈ ΡΠΎΠΏΠΎΡΡΠ°Π²Π»Π΅Π½Ρ Π½Π΅Π²Π΅ΡΠ½ΠΎ. ΠΠΎΠ·ΠΎΠ»Ρ ΠΏΡΠΈΠ²ΠΎΠ΄ΠΈΡ ΠΊ ΡΠΎΡΠΌΠΈΡΠΎΠ²Π°Π½ΠΈΡ ΠΊΠΎΡΠΌΠ΅ΡΠΈΡΠ΅ΡΠΊΠΎΠ³ΠΎ Π΄Π΅ΡΠ΅ΠΊΡΠ° ΠΈ ΠΎΠ³ΡΠ°Π½ΠΈΡΠΈΠ²Π°Π΅Ρ Π΄Π²ΠΈΠ³Π°ΡΠ΅Π»ΡΠ½ΡΠ΅ ΡΡΠ½ΠΊΡΠΈΠΈ ΡΠ»ΠΎΠΌΠ°Π½Π½ΠΎΠ³ΠΎ ΠΏΠ°Π»ΡΡΠ°.
- ΠΠΎΠ½ΡΡΠ°ΠΊΡΡΡΡ β Π΅ΡΠ»ΠΈ ΠΏΡΠΎΡΠ΅ΡΡ Π»Π΅ΡΠ΅Π½ΠΈΡ ΠΏΡΠΎΠ²ΠΎΠ΄ΠΈΡΡΡ Π½Π΅ΠΏΡΠΎΡΠ΅ΡΡΠΈΠΎΠ½Π°Π»ΡΠ½ΠΎ, ΡΠΎ Π·Π°ΠΆΠΈΠ²Π»Π΅Π½ΠΈΠ΅ Π²ΠΎΡΠΏΠ°Π»Π΅Π½ΠΈΡ ΡΡΠ°Π½ΠΎΠ²ΠΈΡΡΡ Π΄Π»ΠΈΡΠ΅Π»ΡΠ½ΡΠΌ ΠΌΠ΅ΡΠΎΠΏΡΠΈΡΡΠΈΠ΅ΠΌ, Π° Π½Π΅ΠΏΡΠ°Π²ΠΈΠ»ΡΠ½Π°Ρ ΡΠΈΠΊΡΠ°ΡΠΈΡ ΡΠ»ΠΎΠΌΠ°Π½Π½ΠΎΠ³ΠΎ ΠΏΠ°Π»ΡΡΠ° ΡΡΠ°Π½ΠΎΠ²ΠΈΡΡΡ ΠΏΡΠΈΡΠΈΠ½ΠΎΠΉ ΡΠΊΠΎΡΠΎΡΠ΅Π½ΠΈΡ ΡΡΡ ΠΎΠΆΠΈΠ»ΠΈΡ. ΠΡΠΎΡΠ΅ΡΡ Π²ΡΡΡΠ³ΠΈΠ²Π°Π½ΠΈΡ ΡΡΡ ΠΎΠΆΠΈΠ»ΠΈΠΉ ΡΡΠ°Π½ΠΎΠ²ΠΈΡΡΡ Π΄Π»ΠΈΡΠ΅Π»ΡΠ½ΡΠΌ ΠΈ Π΄ΠΎΡΡΠ°ΡΠΎΡΠ½ΠΎ Π±ΠΎΠ»Π΅Π·Π½Π΅Π½Π½ΡΠΌ.
- ΠΠ΅ΠΏΡΠ°Π²ΠΈΠ»ΡΠ½ΠΎΠ΅ ΡΡΠ°ΡΠ΅Π½ΠΈΠ΅. Π ΡΠ°ΠΊΠΎΠΌ ΡΠ»ΡΡΠ°Π΅ ΠΏΠΎΠ΄Π²ΠΈΠΆΠ½ΠΎΡΡΡ ΠΏΠ°Π»ΡΡΠ° Π½Π΅ Π±ΡΠ΄Π΅Ρ Π²ΠΎΠ·ΠΌΠΎΠΆΠ½Π° Π² ΠΏΠΎΠ»Π½ΠΎΠΉ ΠΌΠ΅ΡΠ΅ β ΡΡΠΎ ΡΡΠ°Π½ΠΎΠ²ΠΈΡΡΡ ΡΠ΅Π·ΡΠ»ΡΡΠ°ΡΠΎΠΌ ΡΠΎΠ³ΠΎ, ΡΡΠΎ Π½Π΅ΠΏΡΠ°Π²ΠΈΠ»ΡΠ½ΠΎ ΡΠΎΠΏΠΎΡΡΠ°Π²Π»Π΅Π½Π½ΡΠ΅ ΠΎΡΠ»ΠΎΠΌΠΊΠΈ ΡΠΌΠ΅ΡΡΠΈΠ»ΠΈΡΡ, Π° ΠΏΠΎΡΠ»Π΅ ΡΡΠΎΡΠ»ΠΈΡΡ Π² Π½Π΅Π΅ΡΡΠ΅ΡΡΠ²Π΅Π½Π½ΠΎΠΌ ΠΏΠΎΠ»ΠΎΠΆΠ΅Π½ΠΈΠΈ.
- ΠΠ½ΠΊΠΈΠ»ΠΎΠ· β ΠΎΡΠ»ΠΎΠΆΠ½Π΅Π½ΠΈΠ΅, ΡΠΎΠΏΡΡΡΡΠ²ΡΡΡΠ΅Π΅ ΡΠ΅ΠΌ ΠΏΠ΅ΡΠ΅Π»ΠΎΠΌΠ°ΠΌ, ΠΊΠΎΡΠΎΡΡΠ΅ Π·Π°ΡΡΠΎΠ½ΡΠ»ΠΈ ΠΎΠ±Π»Π°ΡΡΡ ΡΡΡΡΠ°Π²ΠΎΠ². ΠΠ°ΠΊ Π»Π΅ΡΠΈΡΡ ΡΠ°ΠΊΠΎΠ΅ ΠΎΡΠ»ΠΎΠΆΠ½Π΅Π½ΠΈΠ΅ ΠΌΠ΅Π΄ΠΈΡΠΈΠ½Π΅ Π½Π΅ ΠΈΠ·Π²Π΅ΡΡΠ½ΠΎ, ΠΏΠΎΡΡΠΎΠΌΡ ΡΠ΅Π»ΠΎΠ²Π΅ΠΊ ΠΌΠΎΠΆΠ΅Ρ ΠΎΡΡΠ°ΡΡΡΡ ΠΈΠ½Π²Π°Π»ΠΈΠ΄ΠΎΠΌ β ΠΏΠ°Π»Π΅Ρ Π½Π°Π²ΡΠ΅Π³Π΄Π° ΡΡΡΠ°ΡΠΈΡ ΡΠ²ΠΎΡ Π΄Π²ΠΈΠ³Π°ΡΠ΅Π»ΡΠ½ΡΡ ΡΠΏΠΎΡΠΎΠ±Π½ΠΎΡΡΡ.
- ΠΡΡΠ΅ΠΎΠΌΠΈΠ΅Π»ΠΈΡ β ΠΏΡΠΎΠ½ΠΈΠΊΠ½ΠΎΠ²Π΅Π½ΠΈΠ΅ ΠΈΠ½ΡΠ΅ΠΊΡΠΈΠΈ Π² ΠΊΠΎΡΡΠ½ΡΠΉ ΠΌΠΎΠ·Π³, ΠΊΠΎΡΠΎΡΠΎΠ΅ ΠΌΠΎΠΆΠ΅Ρ Π²ΠΎΠ·Π½ΠΈΠΊΠ½ΡΡΡ Π² ΠΌΠΎΠΌΠ΅Π½Ρ ΠΏΠ΅ΡΠ΅Π»ΠΎΠΌΠ° ΠΈΠ»ΠΈ Π² ΠΏΠΎΡΠ»Π΅ΠΎΠΏΠ΅ΡΠ°ΡΠΈΠΎΠ½Π½ΡΠΉ ΠΏΠ΅ΡΠΈΠΎΠ΄. ΠΠ°Π±ΠΎΠ»Π΅Π²Π°Π½ΠΈΠ΅ Π³ΡΠΎΠ·ΠΈΡ ΡΡΠ°ΡΡ Ρ ΡΠΎΠ½ΠΈΡΠ΅ΡΠΊΠΈΠΌ, Π² ΠΌΠΎΠΌΠ΅Π½ΡΡ ΠΎΠ±ΠΎΡΡΡΠ΅Π½ΠΈΡ ΠΏΡΠΈΠ½ΠΎΡΠΈΡΡ ΡΠ΅Π»ΠΎΠ²Π΅ΠΊΡ ΡΠΈΠ»ΡΠ½ΡΠ΅ ΠΌΡΡΠ΅Π½ΠΈΡ. ΠΠ΅ΡΠΈΡΡΡ ΡΠΎΠ»ΡΠΊΠΎ ΠΎΠΏΠ΅ΡΠ°Π±Π΅Π»ΡΠ½ΡΠΌ ΠΏΡΡΠ΅ΠΌ.

Π Π°Π·ΡΠ°Π±ΠΎΡΠΊΠ° ΠΏΠ°Π»ΡΡΠ° ΡΡΠΊΠΈ ΠΏΠΎΡΠ»Π΅ ΠΏΠ΅ΡΠ΅Π»ΠΎΠΌΠ°
ΠΡΠΈ Π»Π΅ΡΠ΅Π½ΠΈΠ΅ ΠΏΠ΅ΡΠ΅Π»ΠΎΠΌΠ° ΠΏΠ°Π»ΡΡΡ ΡΠ΅ΡΡΡΡ ΡΠ²ΠΎΡ ΠΏΠΎΠ΄Π²ΠΈΠΆΠ½ΠΎΡΡΡ ΠΈ, ΠΏΡΠΈ ΡΠ½ΡΡΠΈΠΈ Π³ΠΈΠΏΡΠ°, ΠΈΡ Π΄Π²ΠΈΠ³Π°ΡΠ΅Π»ΡΠ½Π°Ρ ΡΡΠ½ΠΊΡΠΈΡ ΡΡΠ°Π½ΠΎΠ²ΠΈΡΡΡ ΠΎΠ³ΡΠ°Π½ΠΈΡΠ΅Π½Π½ΠΎΠΉ. ΠΠ»Ρ ΡΠΎΠ³ΠΎ, ΡΡΠΎΠ±Ρ ΠΈΠ·Π±Π΅ΠΆΠ°ΡΡ Π½Π΅Π³Π°ΡΠΈΠ²Π½ΡΡ ΠΏΠΎΡΠ»Π΅Π΄ΡΡΠ²ΠΈΠΉ ΠΏΠ΅ΡΠ΅Π»ΠΎΠΌΠ°, Π½Π΅ΠΎΠ±Ρ ΠΎΠ΄ΠΈΠΌΠΎ Π²ΡΠΏΠΎΠ»Π½ΡΡΡ ΡΡΠ΄ Π½Π°Π·Π½Π°ΡΠ΅Π½ΠΈΠΉ Π²ΡΠ°ΡΠ°. Π Π½ΠΈΠΌ ΠΎΡΠ½ΠΎΡΡΡΡΡ ΡΠΈΠ·ΠΈΠΎΡΠ΅ΡΠ°ΠΏΠΈΡ, ΠΌΠ°ΡΡΠ°ΠΆ ΠΈ Π³ΠΈΠΌΠ½Π°ΡΡΠΈΡΠ΅ΡΠΊΠΈΠ΅ ΡΠΏΡΠ°ΠΆΠ½Π΅Π½ΠΈΡ.
ΠΠ΅ΡΠ²ΡΠ΅ Π΄Π²Π΅ ΠΏΡΠΎΡΠ΅Π΄ΡΡΡ Π±ΡΠ΄ΡΡ ΠΏΡΠΎΠ²ΠΎΠ΄ΠΈΡΡΡΡ Π² Π±ΠΎΠ»ΡΠ½ΠΈΡΠ΅, Π° Π²ΠΎΡ Π³ΠΈΠΌΠ½Π°ΡΡΠΈΠΊΠ° Π΄ΠΎΠ»ΠΆΠ½Π° Π±ΡΠ΄Π΅Ρ ΠΏΡΠΎΠ²ΠΎΠ΄ΠΈΡΡΡΡ ΡΠ°ΠΌΠΎΡΡΠΎΡΡΠ΅Π»ΡΠ½ΠΎ.
ΠΠ½Π° Π½Π΅ ΠΏΠΎΡΡΠ΅Π±ΡΠ΅Ρ Π±ΠΎΠ»ΡΡΠΈΡ ΡΡΠΈΠ»ΠΈΠΉ ΠΈ Π·Π°ΠΉΠΌΠ΅Ρ ΡΠΎΠ²ΡΠ΅ΠΌ Π½Π΅ΠΌΠ½ΠΎΠ³ΠΎ Π²ΡΠ΅ΠΌΠ΅Π½ΠΈ:
- ΠΡΠ΅Π΄Π²Π°ΡΠΈΡΠ΅Π»ΡΠ½ΠΎ Π½Π΅ΠΎΠ±Ρ ΠΎΠ΄ΠΈΠΌΠΎ Ρ ΠΎΡΠΎΡΠ΅Π½ΡΠΊΠΎ ΡΠ°ΡΡΠ΅ΡΠ΅ΡΡ ΠΊΠΈΡΡΠΈ β ΡΡΠΎ ΠΏΠΎΠ·Π²ΠΎΠ»ΠΈΡ ΡΠ°Π·ΠΎΠ³ΡΠ΅ΡΡ ΡΡΡΡΠ°Π²Ρ. ΠΠΎΡΠ»Π΅ Π½Π΅ΠΎΠ±Ρ ΠΎΠ΄ΠΈΠΌΠΎ ΡΠΎΠ΅Π΄ΠΈΠ½ΠΈΡΡ ΠΏΠ°Π»ΡΡΡ Π² Π·Π°ΠΌΠΎΠΊ ΠΈ Π²ΡΠΏΠΎΠ»Π½ΡΡΡ Π²ΡΠ°ΡΠ΅Π½ΠΈΠ΅ ΠΊΠΈΡΡΡΠΌΠΈ;
- ΠΠ°Π»Π΅Π΅ ΡΠ»Π΅Π΄ΡΠ΅Ρ ΡΠΆΠΈΠΌΠ°Π½ΠΈΠ΅ ΠΈ ΡΠ°Π·ΠΆΠΈΠΌΠ°Π½ΠΈΠ΅ ΠΏΠ°Π»ΡΡΠ΅Π² Π² ΠΊΡΠ»Π°ΠΊ;
- Π Π°ΡΡΠΎΠΏΡΡΠΈΡΡ ΠΏΠ°Π»ΡΡΡ, ΠΏΠΎΠ±ΠΎΠ»ΡΠ°ΡΡ ΠΈΠΌΠΈ;
- Π Π°Π²Π½ΠΎΠΌΠ΅ΡΠ½ΠΎ ΠΏΠ΅ΡΠ΅Π²ΠΎΡΠ°ΡΠΈΠ²Π°ΡΡ Π»Π°Π΄ΠΎΠ½ΠΈ Π²Π²Π΅ΡΡ ΠΈ Π²Π½ΠΈΠ·;
- Π‘ΠΌΡΠΊΠ°ΡΡ ΠΏΠ°Π»ΡΡΡ ΠΈ ΠΏΠΎΡΡΡΠΊΠΈΠ²Π°ΡΡ ΠΏΠΎ ΡΡΠΎΠ»Ρ.
ΠΠ°ΠΆΠ΄ΠΎΠ΅ ΡΠΏΡΠ°ΠΆΠ½Π΅Π½ΠΈΠ΅ Π½Π΅ΠΎΠ±Ρ ΠΎΠ΄ΠΈΠΌΠΎ Π²ΡΠΏΠΎΠ»Π½ΡΡΡ ΠΏΠΎ Π΄Π΅ΡΡΡΡ ΡΠ°Π· ΡΡΠΈΠΆΠ΄Ρ Π² Π΄Π΅Π½Ρ. ΠΠ΅ΡΠ΅Π΄ Π²ΡΠΏΠΎΠ»Π½Π΅Π½ΠΈΠ΅ΠΌ Π³ΠΈΠΌΠ½Π°ΡΡΠΈΠΊΠΈ ΡΡΠΊΠΈ Π½Π΅ΠΎΠ±Ρ ΠΎΠ΄ΠΈΠΌΠΎ ΡΠ°ΡΠΏΠ°ΡΠΈΡΡ Π² ΡΠ΅ΠΏΠ»ΠΎΠΉ Π²ΠΎΠ΄Π΅. Π₯ΠΎΡΠΎΡΠΎ, Π΅ΡΠ»ΠΈ Π² Π²ΠΎΠ΄Π΅ Π±ΡΠ΄Π΅Ρ ΡΠ°ΡΡΠ²ΠΎΡΠ΅Π½Π° ΠΌΠΎΡΡΠΊΠ°Ρ ΡΠΎΠ»Ρ. ΠΠ΅ΠΊΠΎΡΠΎΡΡΠ΅ ΡΠΏΡΠ°ΠΆΠ½Π΅Π½ΠΈΡ ΠΌΠΎΠΆΠ½ΠΎ Π²ΡΠΏΠΎΠ»Π½ΡΡΡ ΠΏΡΡΠΌΠΎ Π² Π²ΠΎΠ΄Π΅.
ΠΠΎΠΌΠΈΠΌΠΎ ΡΠΏΡΠ°ΠΆΠ½Π΅Π½ΠΈΠΉ Π±Π»Π°Π³ΠΎΡΠ²ΠΎΡΠ½ΠΎΠ΅ Π²Π»ΠΈΡΠ½ΠΈΠ΅ Π½Π° ΠΏΡΠΎΡΠ΅ΡΡ ΡΠ΅Π°Π±ΠΈΠ»ΠΈΡΠ°ΡΠΈΠΈ ΠΎΠΊΠ°Π·ΡΠ²Π°Π΅Ρ ΠΌΠ΅Π»ΠΊΠ°Ρ ΡΡΡΠ½Π°Ρ ΡΠ°Π±ΠΎΡΠ°: ΠΌΠΎΠΆΠ½ΠΎ ΠΏΠ΅ΡΠ΅Π±ΠΈΡΠ°ΡΡ ΠΊΡΡΠΏΡ, ΠΏΠ΅ΡΠ°ΡΡ Π·Π° ΠΊΠΎΠΌΠΏΡΡΡΠ΅ΡΠΎΠΌ, ΠΈΠ³ΡΠ°ΡΡ Π½Π° ΠΌΡΠ·ΡΠΊΠ°Π»ΡΠ½ΠΎΠΌ ΠΈΠ½ΡΡΡΡΠΌΠ΅Π½ΡΠ΅, Π·Π°Π½ΠΈΠΌΠ°ΡΡΡΡ ΡΡΠΊΠΎΠ΄Π΅Π»ΠΈΠ΅ΠΌ ΠΈΠ»ΠΈ ΡΠΎΠ±ΠΈΡΠ°ΡΡ ΠΏΠ°Π·Π»Ρ. ΠΠ°ΠΌΠ΅ΡΠ°ΡΠ΅Π»ΡΠ½ΡΠΌ ΠΏΠΎΠΌΠΎΡΠ½ΠΈΠΊΠΎΠΌ ΡΡΠ°Π½Π΅Ρ ΡΡΡΠ½ΠΎΠΉ ΡΡΠΏΠ°Π½Π΄Π΅Ρ.
ΠΠ°Π½Π½ΡΠ΅ ΡΠ΅ΠΊΠΎΠΌΠ΅Π½Π΄Π°ΡΠΈΠΈ ΠΏΠΎΠ΄ΠΎΠΉΠ΄ΡΡ ΠΏΡΠΈ Π»ΡΠ±ΠΎΠΌ ΠΏΠ΅ΡΠ΅Π»ΠΎΠΌΠ΅, Π° ΡΡΠΎΠΊ ΡΠ΅Π°Π±ΠΈΠ»ΠΈΡΠ°ΡΠΈΠΈ ΡΠΎΡΡΠ°Π²ΠΈΡ ΠΏΡΠΈΠΌΠ΅ΡΠ½ΠΎ ΠΌΠ΅ΡΡΡ. ΠΠ»Π°Π²Π½ΠΎΠ΅ ΡΡΠ»ΠΎΠ²ΠΈΠ΅ β Π½Π΅ Π»Π΅Π½ΠΈΡΡΡΡ, Π²ΡΠΏΠΎΠ»Π½ΡΡΡ ΡΠΏΡΠ°ΠΆΠ½Π΅Π½ΠΈΡ ΡΠ΅Π³ΡΠ»ΡΡΠ½ΠΎ, Π° Π½Π΅ ΠΎΡ ΡΠ»ΡΡΠ°Ρ ΠΊ ΡΠ»ΡΡΠ°Ρ.
ΠΠΎ Π½Π΅ ΡΡΠΎΠΈΡ ΡΡΠ°Π·Ρ Π½Π°Π³ΡΡΠΆΠ°ΡΡ ΡΡΠΊΠΈ ΠΈΠ·Π»ΠΈΡΠ½ΠΈΠΌΠΈ Π΄Π²ΠΈΠΆΠ΅Π½ΠΈΡΠΌΠΈ β ΡΠ΅Π°Π±ΠΈΠ»ΠΈΡΠ°ΡΠΈΡ Π΄ΠΎΠ»ΠΆΠ½Π° Π±ΡΡΡ ΠΏΠΎΡΡΠ΅ΠΏΠ΅Π½Π½ΠΎΠΉ, Π²Π΅Π΄Ρ Π»ΠΈΡΠ½ΡΡ Π½Π°Π³ΡΡΠ·ΠΊΠ° ΠΌΠΎΠΆΠ΅Ρ ΠΏΡΠΈΠ²Π΅ΡΡΠΈ ΠΊ ΠΎΡΡΠΈΡΠ°ΡΠ΅Π»ΡΠ½ΠΎΠΌΡ ΡΠ΅Π·ΡΠ»ΡΡΠ°ΡΡ.
sustavi.guru
ΠΊΠ°ΠΊ ΠΎΠΏΡΠ΅Π΄Π΅Π»ΠΈΡΡ ΠΈ ΡΡΠΎ Π΄Π΅Π»Π°ΡΡ?
Π‘Π²ΠΎΠ΅Π²ΡΠ΅ΠΌΠ΅Π½Π½ΠΎΠ΅ Π²ΡΡΠ²Π»Π΅Π½ΠΈΠ΅ ΠΏΠ΅ΡΠ΅Π»ΠΎΠΌΠ° ΠΏΠ°Π»ΡΡΠ° ΠΈ ΠΏΡΠΈΠ½ΡΡΠΈΠ΅ ΠΌΠ΅Ρ Π΄Π»Ρ ΠΏΡΠ΅Π΄ΡΠΏΡΠ΅ΠΆΠ΄Π΅Π½ΠΈΡ ΡΠ°Π·Π²ΠΈΡΠΈΡ ΠΎΡΠ»ΠΎΠΆΠ½Π΅Π½ΠΈΠΉ ΠΏΠ°ΡΠΎΠ»ΠΎΠ³ΠΈΠΈ ΠΏΠΎΠ·Π²ΠΎΠ»ΡΠ΅Ρ Π²ΠΎΡΡΡΠ°Π½ΠΎΠ²ΠΈΡΡ Π΄Π²ΠΈΠ³Π°ΡΠ΅Π»ΡΠ½ΡΡ ΡΡΠ½ΠΊΡΠΈΡ Π² ΠΊΡΠ°ΡΡΠ°ΠΉΡΠΈΠ΅ ΡΡΠΎΠΊΠΈ. ΠΠ»Ρ ΡΠΎΠ³ΠΎ ΡΡΠΎΠ±Ρ ΠΎΠΊΠ°Π·Π°ΡΡ ΠΏΠ΅ΡΠ²ΡΡ ΠΏΠΎΠΌΠΎΡΡ, Π½Π΅ΠΎΠ±Ρ ΠΎΠ΄ΠΈΠΌΠΎ ΡΡΠΈΡΡΠ²Π°ΡΡ ΡΡΠ΅ΠΏΠ΅Π½Ρ ΠΈ ΡΠΏΠΎΡΠΎΠ± ΠΏΠΎΠ²ΡΠ΅ΠΆΠ΄Π΅Π½ΠΈΡ ΠΊΠΎΡΡΠΈ.
ΠΠΈΠ΄Ρ ΠΏΠ΅ΡΠ΅Π»ΠΎΠΌΠ° ΠΏΠ°Π»ΡΡΠ°
ΠΠΎ ΡΡΠ΅ΠΏΠ΅Π½ΠΈ Π²Π»ΠΈΡΠ½ΠΈΡ Π½Π° ΠΏΠΎΡΠ΅ΡΡ ΡΡΡΠ΄ΠΎΡΠΏΠΎΡΠΎΠ±Π½ΠΎΡΡΠΈ Π½Π°ΠΈΠ±ΠΎΠ»Π΅Π΅ ΠΎΠΏΠ°ΡΠ½ΡΠΌ ΡΡΠΈΡΠ°Π΅ΡΡΡ ΠΏΠ΅ΡΠ΅Π»ΠΎΠΌ Π±ΠΎΠ»ΡΡΠΎΠ³ΠΎ ΠΏΠ°Π»ΡΡΠ° ΡΡΠΊΠΈ. ΠΡΠΈ ΡΠ°ΠΊΠΎΠΉ ΡΡΠ°Π²ΠΌΠ΅ ΠΊΠΈΡΡΡ ΠΏΠΎΠ»Π½ΠΎΡΡΡΡ Π»ΠΈΡΠ°Π΅ΡΡΡ Π΄Π²ΠΈΠ³Π°ΡΠ΅Π»ΡΠ½ΠΎΠΉ ΡΡΠ½ΠΊΡΠΈΠΈ. ΠΠ°ΠΈΠΌΠ΅Π½ΡΡΡΡ ΠΎΠΏΠ°ΡΠ½ΠΎΡΡΡ ΠΏΡΠ΅Π΄ΡΡΠ°Π²Π»ΡΠ΅Ρ ΠΏΠ΅ΡΠ΅Π»ΠΎΠΌ ΠΌΠΈΠ·ΠΈΠ½ΡΠ° Π½Π° ΡΡΠΊΠ΅. ΠΠ½ ΡΠ²Π»ΡΠ΅ΡΡΡ ΡΠ°ΠΌΡΠΌ Π³ΠΈΠ±ΠΊΠΈΠΌ ΠΈ ΠΏΡΠΎΡΠ΅ ΠΏΠΎΠ΄Π΄Π°Π΅ΡΡΡ Π²ΠΎΡΡΡΠ°Π½ΠΎΠ²Π»Π΅Π½ΠΈΡ. ΠΠ΅ΡΠ΅Π»ΠΎΠΌ ΡΠΊΠ°Π·Π°ΡΠ΅Π»ΡΠ½ΠΎΠ³ΠΎ ΠΏΠ°Π»ΡΡΠ°, ΠΊΠ°ΠΊ ΠΈ ΠΏΠ΅ΡΠ΅Π»ΠΎΠΌ ΡΡΠ΅Π΄Π½Π΅Π³ΠΎ ΠΏΠ°Π»ΡΡΠ°, ΠΎΠΏΠ°ΡΠ½ΠΎΡΡΠΈ Π½Π΅ ΠΏΡΠ΅Π΄ΡΡΠ°Π²Π»ΡΠ΅Ρ. ΠΠ΅ΡΠ΅Π»ΠΎΠΌ Π±Π΅Π·ΡΠΌΡΠ½Π½ΠΎΠ³ΠΎ ΠΏΠ°Π»ΡΡΠ° ΡΠΏΠΎΡΠΎΠ±Π΅Π½ ΡΡΠ°ΡΡ ΠΏΡΠΈΡΠΈΠ½ΠΎΠΉ Π»ΠΈΡΠ΅Π½ΠΈΡ Π΄Π²ΠΈΠ³Π°ΡΠ΅Π»ΡΠ½ΠΎΠΉ Π°ΠΊΡΠΈΠ²Π½ΠΎΡΡΠΈ ΠΊΠΈΡΡΠΈ, Π΅ΡΠ»ΠΈ Π½Π΅ Π±ΡΠ΄ΡΡ ΡΠ΅Π³ΡΠ»ΡΡΠ½ΠΎ Π²ΡΠΏΠΎΠ»Π½ΡΡΡΡΡ ΡΠΏΠ΅ΡΠΈΠ°Π»ΡΠ½ΡΠ΅ ΡΠΏΡΠ°ΠΆΠ½Π΅Π½ΠΈΡ Π·Π΄ΠΎΡΠΎΠ²ΡΠΌΠΈ ΠΏΠ°Π»ΡΡΠ°ΠΌΠΈ.
ΠΠΎ ΠΊΠ»ΠΈΠ½ΠΈΡΠ΅ΡΠΊΠΎΠΉ ΠΊΠ°ΡΡΠΈΠ½Π΅ ΠΏΡΠΈΠ½ΡΡΠΎ Π²ΡΠ΄Π΅Π»ΡΡΡ ΠΎΡΠΊΡΡΡΡΠΉ ΠΏΠ΅ΡΠ΅Π»ΠΎΠΌ ΠΏΠ°Π»ΡΡΠ° ΠΈ Π·Π°ΠΊΡΡΡΡΠΉ. Π ΠΏΠ΅ΡΠ²ΠΎΠΌ ΡΠ»ΡΡΠ°Π΅ ΠΊΠΎΠΆΠ½ΡΠΉ ΠΏΠΎΠΊΡΠΎΠ² ΠΈ ΡΠΊΠ°Π½ΠΈ ΡΠΎΡ
ΡΠ°Π½ΡΡΡ ΡΠ²ΠΎΡ ΡΠ΅Π»ΠΎΡΡΠ½ΠΎΡΡΡ. ΠΠΎ Π²ΡΠΎΡΠΎΠΌ ΡΠ»ΡΡΠ°Π΅ ΠΎΡΠΊΠΎΠ»ΠΊΠΈ ΠΊΠΎΡΡΠΈ ΠΏΠΎΠ²ΡΠ΅ΠΆΠ΄Π°ΡΡ ΡΠΊΠ°Π½ΠΈ ΠΈ ΠΊΠΎΠΆΡ. Π₯Π°ΡΠ°ΠΊΡΠ΅ΡΠΈΡΡΠΈΠΊΠ° ΠΏΠΎΠ²ΡΠ΅ΠΆΠ΄Π΅Π½ΠΈΡ ΠΏΡΠ΅Π΄ΡΡΠΌΠ°ΡΡΠΈΠ²Π°Π΅Ρ ΠΈ ΠΎΠΏΡΠ΅Π΄Π΅Π»Π΅Π½ΠΈΠ΅ Π½Π°Π»ΠΈΡΠΈΡ ΡΠΌΠ΅ΡΠ΅Π½ΠΈΡ ΠΊΠΎΡΡΠ½ΡΡ
ΠΎΡΠ»ΠΎΠΌΠΊΠΎΠ². ΠΠΎΠ΄ ΡΠΌΠ΅ΡΠ΅Π½ΠΈΠ΅ΠΌ ΠΏΠΎΠ΄ΡΠ°Π·ΡΠΌΠ΅Π²Π°ΡΡ ΡΠ°ΡΡ
ΠΎΠΆΠ΄Π΅Π½ΠΈΠ΅ ΠΎΡΠ»ΠΎΠΌΠΊΠΎΠ².
Π₯Π°ΡΠ°ΠΊΡΠ΅ΡΠΈΡΡΠΈΠΊΠ° ΡΡΠ°Π²ΠΌΡ ΠΏΡΠ΅Π΄ΡΡΠΌΠ°ΡΡΠΈΠ²Π°Π΅Ρ ΠΈ Π²Π½ΠΈΠΌΠ°Π½ΠΈΠ΅ ΠΊ Π»ΠΈΠ½ΠΈΠΈ ΡΠ°Π·Π»ΠΎΠΌΠ°, ΠΊΠΎΡΠΎΡΠ°Ρ ΠΌΠΎΠΆΠ΅Ρ Π±ΡΡΡ ΠΏΡΠΎΠ΄ΠΎΠ»ΡΠ½ΠΎΠΉ, ΠΊΠΎΡΠΎΠΉ, Π²ΠΈΠ½ΡΠΎΠ²ΠΎΠΉ, ΠΏΠΎΠΏΠ΅ΡΠ΅ΡΠ½ΠΎΠΉ ΠΈΠ»ΠΈ Ρ-ΠΎΠ±ΡΠ°Π·Π½ΠΎΠΉ.
ΠΠ° ΡΡΠ΅ΠΏΠ΅Π½Ρ ΡΠ»ΠΎΠΆΠ½ΠΎΡΡΠΈ ΡΡΠ°Π²ΠΌΡ Π²Π»ΠΈΡΠ΅Ρ ΠΊΠΎΠ»ΠΈΡΠ΅ΡΡΠ²ΠΎ ΠΎΡΠΊΠΎΠ»ΠΊΠΎΠ² ΠΊΠΎΡΡΠΈ. ΠΡ ΠΎΡΡΡΡΡΡΠ²ΠΈΠ΅ ΡΡΠΈΡΠ°Π΅ΡΡΡ Π»Π΅Π³ΠΊΠΎΠΉ ΡΠΎΡΠΌΠΎΠΉ. ΠΡΠΈ Π½Π°Π»ΠΈΡΠΈΠΈ 1-2 ΠΎΡΠΊΠΎΠ»ΠΊΠΎΠ² ΡΡΠ°Π²ΠΌΠ΅ ΠΏΡΠΈΡΠ²Π°ΠΈΠ²Π°ΡΡ ΠΊΠ°ΡΠ΅Π³ΠΎΡΠΈΡ ΡΡΠ΅Π΄Π½Π΅ΠΉ ΡΡΠΆΠ΅ΡΡΠΈ. ΠΡΠΈ ΠΌΠ½ΠΎΠ³ΠΎΠΎΡΠΊΠΎΠ»ΡΡΠ°ΡΡΡ ΡΡΠ°Π²ΠΌΠ°Ρ ΠΌΠΎΠΆΠ΅Ρ ΠΏΡΠΈΠΌΠ΅Π½ΡΡΡΡΡ ΡΠ΅ΡΠΌΠΈΠ½ Β«ΡΠ°Π·Π΄ΡΠΎΠ±Π»Π΅Π½Π½Π°Ρ ΠΊΠΎΡΡΡΒ».
ΠΠ°ΠΊ ΠΎΠΏΡΠ΅Π΄Π΅Π»ΠΈΡΡ ΠΏΠ΅ΡΠ΅Π»ΠΎΠΌ ΠΏΠ°Π»ΡΡΠ°
Π’ΡΠ°Π²ΠΌΠ° ΠΏΡΠΎΠ²ΠΎΡΠΈΡΡΠ΅Ρ ΠΏΠΎΡΠ²Π»Π΅Π½ΠΈΠ΅ ΠΎΡΡΡΠΎΠΉ ΡΡΠ½ΡΡΠ΅ΠΉ Π±ΠΎΠ»ΠΈ Π² ΠΏΠ°Π»ΡΡΠ΅. ΠΠ½Π° ΠΌΠΎΠΆΠ΅Ρ ΠΎΡΠ΄Π°Π²Π°ΡΡ Π² Π»Π°Π΄ΠΎΠ½Ρ, ΡΡΠΎ ΠΎΡΠ»ΠΎΠΆΠ½ΡΠ΅Ρ ΠΎΠΏΡΠ΅Π΄Π΅Π»Π΅Π½ΠΈΠ΅ ΠΌΠ΅ΡΡΠ° ΠΏΠΎΠ²ΡΠ΅ΠΆΠ΄Π΅Π½ΠΈΡ. Π’ΡΠ°Π²ΠΌΠ° Π²ΡΠ΅Π³Π΄Π° ΡΠΎΠΏΡΠΎΠ²ΠΎΠΆΠ΄Π°Π΅ΡΡΡ ΠΏΠΎΡΠ²Π»Π΅Π½ΠΈΠ΅ΠΌ ΠΎΡΠ΅ΠΊΠ°. ΠΠ΅ΠΌΠ°ΡΠΎΠΌΠ° ΠΏΠΎΡΠ²Π»ΡΠ΅ΡΡΡ Π½Π΅ Π²ΡΠ΅Π³Π΄Π°, Π²ΡΠ΅ Π·Π°Π²ΠΈΡΠΈΡ ΠΎΡ Ρ Π°ΡΠ°ΠΊΡΠ΅ΡΠ° ΠΏΠΎΠ²ΡΠ΅ΠΆΠ΄Π΅Π½ΠΈΡ.
Π’ΡΠ°Π²ΠΌΠ° Π½Π΅ ΠΏΠΎΠ·Π²ΠΎΠ»ΡΠ΅Ρ ΡΠΎΠ²Π΅ΡΡΠ°ΡΡ Π΄Π²ΠΈΠΆΠ΅Π½ΠΈΡ ΠΊΠΈΡΡΡΡ. ΠΠ°ΠΆΠ΄Π°Ρ ΠΏΠΎΠΏΡΡΠΊΠ° ΡΡΠ°Π½ΠΎΠ²ΠΈΡΡΡ ΠΏΡΠΈΡΠΈΠ½ΠΎΠΉ ΡΡΠΈΠ»ΠΈΠ²Π°ΡΡΠ΅ΠΉΡΡ Π±ΠΎΠ»ΠΈ. ΠΠΎΠ»Π΅Π²ΠΎΠΉ ΡΠΈΠ½Π΄ΡΠΎΠΌ, ΠΊΠΎΡΠΎΡΡΠΉ Π²ΡΠ·ΡΠ²Π°Π΅Ρ ΠΏΠ΅ΡΠ΅Π»ΠΎΠΌ ΠΏΠ°Π»ΡΡΠ° ΡΡΠΊΠΈ, ΠΌΠΎΠΆΠ΅Ρ ΠΎΠ³ΡΠ°Π½ΠΈΡΠΈΠ²Π°ΡΡ Π»ΡΠ±ΡΠ΅ Π΄Π²ΠΈΠΆΠ΅Π½ΠΈΡ, Π² ΡΠΎΠΌ ΡΠΈΡΠ»Π΅ ΠΈ Π·Π΄ΠΎΡΠΎΠ²ΠΎΠΉ ΡΠ°ΡΡΡΡ.
ΠΠ΅ΡΠ²Π°Ρ ΠΏΠΎΠΌΠΎΡΡ ΠΏΡΠΈ ΠΏΠ΅ΡΠ΅Π»ΠΎΠΌΠ΅ ΠΏΠ°Π»ΡΡΠ° ΡΡΠΊΠΈ
ΠΠΎΠ²ΡΠ΅ΠΆΠ΄Π΅Π½Π½ΠΎΠΉ ΠΊΠΎΠ½Π΅ΡΠ½ΠΎΡΡΠΈ Π½Π΅ΠΎΠ±Ρ
ΠΎΠ΄ΠΈΠΌΠΎ ΠΎΠ±Π΅ΡΠΏΠ΅ΡΠΈΡΡ ΡΠΎΡΡΠΎΡΠ½ΠΈΠ΅ ΠΏΠΎΠΊΠΎΡ, ΡΡΠΎΠ±Ρ ΠΈΡΠΊΠ»ΡΡΠΈΡΡ Π΄Π°Π»ΡΠ½Π΅ΠΉΡΠ΅Π΅ ΡΡΠ°Π²ΠΌΠΈΡΠΎΠ²Π°Π½ΠΈΠ΅. ΠΠ±ΡΠ·Π°ΡΠ΅Π»ΡΠ½ΡΠΌ ΡΡΠ»ΠΎΠ²ΠΈΠ΅ΠΌ ΠΎΠΊΠ°Π·Π°Π½ΠΈΡ ΠΏΠ΅ΡΠ²ΠΎΠΉ ΠΏΠΎΠΌΠΎΡΠΈ, Π΅ΡΠ»ΠΈ ΠΈΠΌΠ΅Π΅ΡΡΡ ΠΏΠ΅ΡΠ΅Π»ΠΎΠΌ Π½ΠΎΠ³ΡΠ΅Π²ΠΎΠΉ ΡΠ°Π»Π°Π½Π³ΠΈ ΠΈΠ»ΠΈ Π΄ΡΡΠ³ΠΎΠΉ ΡΠ°ΡΡΠΈ, ΡΠ²Π»ΡΠ΅ΡΡΡ Π²ΡΠ·ΠΎΠ² Π±ΡΠΈΠ³Π°Π΄Ρ ΡΠΊΠΎΡΠΎΠΉ ΠΏΠΎΠΌΠΎΡΠΈ.
ΠΠΎ ΠΏΡΠΈΠ΅Π·Π΄Π° Π²ΡΠ°ΡΠ΅ΠΉ Π½Π΅ΠΎΠ±Ρ
ΠΎΠ΄ΠΈΠΌΠΎ ΠΎΠ±Π»Π΅Π³ΡΠΈΡΡ Π±ΠΎΠ»Ρ. Π‘ ΡΡΠΎΠΉ ΡΠ΅Π»ΡΡ ΠΏΠΎΡΡΡΠ°Π΄Π°Π²ΡΠ΅ΠΌΡ Π΄Π°ΡΡ Π°Π½Π°Π»ΡΠ³Π΅ΡΠΈΠΊ ΠΈ ΠΏΡΠΈΠΊΠ»Π°Π΄ΡΠ²Π°ΡΡ Π»Π΅Π΄ ΠΊ ΠΌΠ΅ΡΡΡ ΡΡΠ°Π²ΠΌΡ. Π‘Π»Π΅Π΄ΡΠ΅Ρ ΡΡΠ΅ΡΡΡ, ΡΡΠΎ ΠΊΠΎΠ½ΡΠ°ΠΊΡ ΠΊΠΎΠΆΠΈ ΡΠΎ Π»ΡΠ΄ΠΎΠΌ Π±ΠΎΠ»Π΅Π΅ 5 ΠΌΠΈΠ½ΡΡ ΠΌΠΎΠΆΠ΅Ρ ΡΡΠ°ΡΡ ΠΏΡΠΈΡΠΈΠ½ΠΎΠΉ ΠΎΠ±ΠΌΠΎΡΠΎΠΆΠ΅Π½ΠΈΡ, ΠΏΠΎΡΡΠΎΠΌΡ Π½Π΅ΠΎΠ±Ρ
ΠΎΠ΄ΠΈΠΌΠΎ Π΄Π΅Π»Π°ΡΡ ΠΏΠ΅ΡΠ΅ΡΡΠ²Ρ Π² 2-3 ΠΌΠΈΠ½ΡΡΡ.
ΠΠ»Ρ Π±Π΅Π·ΠΎΠΏΠ°ΡΠ½ΠΎΠΉ ΡΡΠ°Π½ΡΠΏΠΎΡΡΠΈΡΠΎΠ²ΠΊΠΈ Π±ΠΎΠ»ΡΠ½ΠΎΠ³ΠΎ ΡΡΠ΅Π±ΡΠ΅ΡΡΡ Π²ΡΠ΅ΠΌΠ΅Π½Π½Π°Ρ ΠΈΠΌΠΌΠΎΠ±ΠΈΠ»ΠΈΠ·Π°ΡΠΈΡ. ΠΡΠΈ Π·Π°ΠΊΡΡΡΠΎΠΌ ΡΠΈΠΏΠ΅ ΠΏΠΎΠ²ΡΠ΅ΠΆΠ΄Π΅Π½ΠΈΡ ΠΌΠΎΠΆΠ½ΠΎ ΠΎΠ³ΡΠ°Π½ΠΈΡΠΈΡΡΡΡ Π±ΠΈΠ½ΡΠΎΠ²Π°Π½ΠΈΠ΅ΠΌ Π±ΠΎΠ»ΡΠ½ΠΎΠ³ΠΎ ΠΏΠ°Π»ΡΡΠ° Π²ΠΌΠ΅ΡΡΠ΅ Ρ ΡΠΎΡΠ΅Π΄Π½ΠΈΠΌ Π·Π΄ΠΎΡΠΎΠ²ΡΠΌ. ΠΠ»Ρ ΡΠΈΠΊΡΠ°ΡΠΈΠΈ Π²ΡΠ΅ΠΉ ΡΡΠΊΠΈ Π² ΠΌΠ°ΠΊΡΠΈΠΌΠ°Π»ΡΠ½ΠΎ Π±Π΅Π·ΠΎΠΏΠ°ΡΠ½ΠΎΠΌ ΠΏΠΎΠ»ΠΎΠΆΠ΅Π½ΠΈΠΈ ΠΈΡΠΏΠΎΠ»ΡΠ·ΡΡΡ ΠΊΠΎΡΡΠ½ΠΎΡΠ½ΡΡ ΠΏΠΎΠ²ΡΠ·ΠΊΡ.
ΠΡΠΊΡΡΡΡΠΉ ΡΠΈΠΏ ΡΡΠ°Π²ΠΌΡ ΡΠΎΠΏΡΠΎΠ²ΠΎΠΆΠ΄Π°Π΅ΡΡΡ ΠΊΡΠΎΠ²ΠΎΡΠ΅ΡΠ΅Π½ΠΈΠ΅ΠΌ. Π Π°Π½Ρ ΠΎΠ±ΡΠ°Π±Π°ΡΡΠ²Π°ΡΡΡΡ Π°Π½ΡΠΈΡΠ΅ΠΏΡΠΈΡΠ΅ΡΠΊΠΈΠΌ ΡΡΠ΅Π΄ΡΡΠ²ΠΎΠΌ, ΠΏΡΠΈ Π½Π΅ΠΎΠ±Ρ ΠΎΠ΄ΠΈΠΌΠΎΡΡΠΈ Π½Π°ΠΊΠ»Π°Π΄ΡΠ²Π°Π΅ΡΡΡ ΠΆΠ³ΡΡ Π΄Π»Ρ ΠΎΡΡΠ°Π½ΠΎΠ²ΠΊΠΈ ΠΊΡΠΎΠ²ΠΎΡΠ΅ΡΠ΅Π½ΠΈΡ. ΠΠ»Ρ ΡΡΠ°Π½ΡΠΏΠΎΡΡΠΈΡΠΎΠ²ΠΊΠΈ Π±ΠΎΠ»ΡΠ½ΠΎΠ³ΠΎ ΠΈΡΠΏΠΎΠ»ΡΠ·ΡΠ΅Ρ ΡΠΈΠ½Ρ ΠΈΠ· Π³Π»Π°Π΄ΠΊΠΎΠΉ ΠΏΠ°Π»ΠΊΠΈ ΠΈΠ»ΠΈ ΡΠΎΠ»ΡΡΠΎΠΉ ΠΏΡΠΎΠ²ΠΎΠ»ΠΎΠΊΠΈ. ΠΠ΅ ΡΠΈΠΊΡΠΈΡΡΡΡ Ρ ΠΏΠΎΠΌΠΎΡΡΡ Π±ΠΈΠ½ΡΠ°, Π½Π°ΠΊΠ»Π°Π΄ΡΠ²Π°Ρ Π²ΠΈΡΠΊΠΈ ΠΎΡ Π»ΠΎΠΊΡΠ΅Π²ΠΎΠ³ΠΎ ΡΡΡΡΠ°Π²Π° Π΄ΠΎ ΠΏΠΎΠ²ΡΠ΅ΠΆΠ΄Π΅Π½Π½ΠΎΠ³ΠΎ ΡΡΠ°ΡΡΠΊΠ°, ΡΡΠ°ΡΠ°ΡΡΡ ΠΈΠ·Π±Π΅ΠΆΠ°ΡΡ ΡΠΌΠ΅ΡΠ΅Π½ΠΈΡ ΠΊΠΎΡΡΠ΅ΠΉ, ΡΡΠΎ Π΄Π΅Π»Π°ΡΡ ΠΏΡΠΈ ΠΏΠ΅ΡΠ΅Π»ΠΎΠΌΠ΅ ΠΎΠΏΠ°ΡΠ½ΠΎ.
ΠΡΠΈΠ·Π½Π°ΠΊΠΈ ΠΏΠ΅ΡΠ΅Π»ΠΎΠΌΠ° ΠΏΠ°Π»ΡΡΠ°

ΠΠ»Ρ ΡΠΎΠ³ΠΎ ΡΡΠΎΠ±Ρ Π½Π΅ Π΄ΠΎΠΏΡΡΡΠΈΡΡ Π΄ΠΎΠΏΠΎΠ»Π½ΠΈΡΠ΅Π»ΡΠ½ΠΎΠ³ΠΎ ΡΡΠ°Π²ΠΌΠΈΡΠΎΠ²Π°Π½ΠΈΡ, Π½Π΅Π΄ΠΎΡΡΠ°ΡΠΎΡΠ½ΠΎ ΠΎΠΏΡΠ΅Π΄Π΅Π»ΠΈΡΡ Π½Π°Π»ΠΈΡΠΈΠ΅ ΠΏΠ΅ΡΠ΅Π»ΠΎΠΌΠ°, ΡΠ»Π΅Π΄ΡΠ΅Ρ ΡΡΠΈΡΡΠ²Π°ΡΡ ΡΡΠ΅ΠΏΠ΅Π½Ρ Π΅Π³ΠΎ ΡΡΠΆΠ΅ΡΡΠΈ. ΠΠ΅ΡΠ΅Π»ΠΎΠΌ ΡΠ°Π»Π°Π½Π³ΠΈ ΠΏΠ°Π»ΡΡΠ° ΡΠΎ ΡΠΌΠ΅ΡΠ΅Π½ΠΈΠ΅ΠΌ ΠΏΡΠΎΠ²ΠΎΡΠΈΡΡΠ΅Ρ ΠΏΠΎΠ²ΡΠ΅ΠΆΠ΄Π΅Π½ΠΈΠ΅ ΠΊΡΠΎΠ²Π΅Π½ΠΎΡΠ½ΡΡ
ΡΠΎΡΡΠ΄ΠΎΠ², ΡΡΠΎ Π²ΡΠ·ΡΠ²Π°Π΅Ρ Π²Π½ΡΡΡΠ΅Π½Π½Π΅Π΅ ΠΊΡΠΎΠ²ΠΎΡΠ΅ΡΠ΅Π½ΠΈΠ΅. ΠΠ½Π΅ΡΠ½ΠΈΠΌ ΠΏΡΠΈΠ·Π½Π°ΠΊΠΎΠΌ ΡΡΠΎΠ³ΠΎ ΠΏΡΠΎΡΠ΅ΡΡΠ° ΡΡΠΈΡΠ°Π΅ΡΡΡ ΠΏΠΎΡΠ²Π»Π΅Π½ΠΈΠ΅ ΡΠΈΠ»ΡΠ½ΠΎΠΉ Π³Π΅ΠΌΠ°ΡΠΎΠΌΡ. ΠΠΎΠ²ΡΠ΅ΠΆΠ΄Π΅Π½Π½ΡΠΉ ΡΡΠ°ΡΡΠΎΠΊ Π±ΡΡΡΡΠΎ ΡΠΈΠ½Π΅Π΅Ρ, Π΄Π°ΠΆΠ΅ ΡΠ΅ΡΠ½Π΅Π΅Ρ, ΠΈ ΡΠ΅ΡΡΠ΅Ρ ΡΡΠ²ΡΡΠ²ΠΈΡΠ΅Π»ΡΠ½ΠΎΡΡΡ.
ΠΠ°Π»ΠΈΡΠΈΠ΅ ΡΠΈΠ»ΡΠ½ΠΎΠ³ΠΎ ΡΠΌΠ΅ΡΠ΅Π½ΠΈΡ ΠΊΠΎΡΡΠ½ΡΡ ΠΎΡΠΊΠΎΠ»ΠΊΠΎΠ² ΠΌΠΎΠΆΠ½ΠΎ ΠΎΠΏΡΠ΅Π΄Π΅Π»ΠΈΡΡ ΠΈ ΠΏΠΎ Π²ΠΎΠ·Π½ΠΈΠΊΠ½ΠΎΠ²Π΅Π½ΠΈΡ Π΄Π΅ΡΠΎΡΠΌΠ°ΡΠΈΠΈ ΠΏΠ°Π»ΡΡΠ°:
- Π’ΡΠ°Π²ΠΌΠΈΡΠΎΠ²Π°Π½Π½Π°Ρ Π½ΠΎΠ³ΡΠ΅Π²Π°Ρ ΡΠ°Π»Π°Π½Π³Π° ΠΈΠ·Π³ΠΈΠ±Π°Π΅ΡΡΡ ΠΏΠΎΠ΄ Π½Π΅Π΅ΡΡΠ΅ΡΡΠ²Π΅Π½Π½ΡΠΌ ΡΠ³Π»ΠΎΠΌ.
- ΠΡΠΎΠΊΡΠΈΠΌΠ°Π»ΡΠ½Π°Ρ ΡΠ°Π»Π°Π½Π³Π° ΡΠΎΠ·Π΄Π°Π΅Ρ ΠΎΡΡΡΡΠΉ ΡΠ³ΠΎΠ» Ρ ΡΡΠ»ΡΠ½ΠΎΠΉ ΡΡΠΎΡΠΎΠ½ΠΎΠΉ Π»Π°Π΄ΠΎΠ½ΠΈ.
- Π’ΡΠ°Π²ΠΌΠ° ΡΡΠ΅Π΄Π½Π΅ΠΉ ΡΠ°Π»Π°Π½Π³ΠΈ Π²ΡΠ·ΡΠ²Π°Π΅Ρ ΡΠΌΠ΅ΡΠ΅Π½ΠΈΠ΅ ΠΎΡΠ»ΠΎΠΌΠΊΠΎΠ² ΠΊ ΡΠΎΡΠΊΠ΅ ΠΊΡΠ΅ΠΏΠ»Π΅Π½ΠΈΡ ΡΡΡ ΠΎΠΆΠΈΠ»ΠΈΠΉ.
Π‘ΠΈΠΌΠΏΡΠΎΠΌΡ ΠΏΠ΅ΡΠ΅Π»ΠΎΠΌΠ° ΠΏΠ°Π»ΡΡΠ°
ΠΠ°ΠΏΠΎΠ΄ΠΎΠ·ΡΠΈΡΡ ΠΏΠ΅ΡΠ΅Π»ΠΎΠΌ ΡΠ°Π»Π°Π½Π³ΠΈ ΠΏΠ°Π»ΡΡΠ° Π½Π° ΡΡΠΊΠ΅ ΠΏΠΎΠ·Π²ΠΎΠ»ΡΠ΅Ρ ΠΏΠΎΡΠ²Π»Π΅Π½ΠΈΠ΅ ΡΠΈΠ»ΡΠ½ΠΎΠΉ Π±ΠΎΠ»ΠΈ. ΠΠΎΠΏΠΎΠ»Π½ΠΈΡΠ΅Π»ΡΠ½ΡΠΌΠΈ ΠΏΡΠΈΠ·Π½Π°ΠΊΠ°ΠΌΠΈ ΡΡΠΎΠ³ΠΎ Π²ΠΈΠ΄Π° ΡΡΠ°Π²ΠΌΡ ΡΡΠΈΡΠ°Π΅ΡΡΡ:
- ΠΡΠ΅ΡΠ½ΠΎΡΡΡ ΠΈ ΠΏΠΎΠΊΡΠ°ΡΠ½Π΅Π½ΠΈΠ΅ ΠΊΠΎΠΆΠ½ΡΡ ΠΏΠΎΠΊΡΠΎΠ²ΠΎΠ² Π² ΠΏΠΎΠ²ΡΠ΅ΠΆΠ΄Π΅Π½Π½ΠΎΠΉ Π·ΠΎΠ½Π΅.
- ΠΠΎΠ²ΡΡΠ΅Π½ΠΈΠ΅ ΡΠ΅ΠΌΠΏΠ΅ΡΠ°ΡΡΡΡ ΠΊΠΎΠΆΠΈ Π² ΠΌΠ΅ΡΡΠ΅ ΡΡΠ°Π²ΠΌΡ.
- Π‘ΠΈΠ»ΡΠ½Π°Ρ Π±ΠΎΠ»Ρ ΠΏΡΠΈ ΠΏΠΎΠΏΡΡΠΊΠ΅ Π²ΠΎΠ·Π΄Π΅ΠΉΡΡΠ²ΠΎΠ²Π°ΡΡ Π½Π° ΠΊΠΎΠ½ΡΠΈΠΊ ΠΏΠ°Π»ΡΡΠ°.
ΠΠ΅Π΄ΡΠ°Π±ΠΎΡΠ½ΠΈΠΊΠΈ Π΄Π»Ρ Π²ΡΡΠ²Π»Π΅Π½ΠΈΡ ΠΏΠΎΠ²ΡΠ΅ΠΆΠ΄Π΅Π½ΠΈΡ ΠΈΡΠΏΠΎΠ»ΡΠ·ΡΡΡ ΠΌΠ΅ΡΠΎΠ΄ ΠΏΠ°Π»ΡΠΏΠ°ΡΠΈΠΈ, ΠΏΠΎΠ·Π²ΠΎΠ»ΡΡΡΠΈΠΉ Π²ΡΡΠ²ΠΈΡΡ ΡΡΠ΅ΡΠΈΠ½Ρ Π² ΠΊΠΎΡΡΠΈ ΠΈ ΠΏΠΎΠ΄Π²ΠΈΠΆΠ½ΠΎΡΡΠΈ ΡΡΠ°ΡΡΠΊΠΎΠ², ΠΊΠΎΡΠΎΡΡΠΌ ΠΏΠΎΠ΄ΠΎΠ±Π½ΠΎΠ΅ ΡΠΎΡΡΠΎΡΠ½ΠΈΠ΅ Π½Π΅ ΡΠ²ΠΎΠΉΡΡΠ²Π΅Π½Π½ΠΎ. ΠΠ±ΡΠ°ΡΠ°Π΅ΡΡΡ Π²Π½ΠΈΠΌΠ°Π½ΠΈΠ΅ ΠΈ Π½Π° ΡΠΎΡΠΌΡ ΠΊΠΈΡΡΠΈ, Π΄Π»ΠΈΠ½Ρ ΠΏΠΎΠ²ΡΠ΅ΠΆΠ΄Π΅Π½Π½ΠΎΠ³ΠΎ ΠΏΠ°Π»ΡΡΠ° Π² ΡΡΠ°Π²Π½Π΅Π½ΠΈΠΈ ΡΠΎ Π·Π΄ΠΎΡΠΎΠ²ΡΠΌ Π½Π° Π΄ΡΡΠ³ΠΎΠΉ ΡΡΠΊΠ΅.
ΠΠ°Π»ΡΠΏΠ°ΡΠΈΡ Π²ΡΠ·ΡΠ²Π°Π΅Ρ ΡΡΠΈΠ»Π΅Π½ΠΈΠ΅ Π±ΠΎΠ»ΠΈ, Π° ΠΏΡΠΈ Π½Π΅Π³ΡΠ°ΠΌΠΎΡΠ½ΠΎΠΌ ΠΏΡΠΎΠ²Π΅Π΄Π΅Π½ΠΈΠΈ ΡΠΏΠΎΡΠΎΠ±Π½Π° ΡΡΠ°ΡΡ ΠΏΡΠΈΡΠΈΠ½ΠΎΠΉ ΠΏΠΎΠ²ΡΠ΅ΠΆΠ΄Π΅Π½ΠΈΡ ΡΠΎΡΡΠ΄ΠΎΠ², ΡΡΡ ΠΎΠΆΠΈΠ»ΠΈΠΉ ΠΈ Π½Π΅ΡΠ²ΠΎΠ², Π΄Π°ΠΆΠ΅ Π΅ΡΠ»ΠΈ ΡΡΠΎ ΠΏΠ΅ΡΠ΅Π»ΠΎΠΌ ΠΌΠΈΠ·ΠΈΠ½ΡΠ° Π½Π° ΡΡΠΊΠ΅.
ΠΠΈΠ°Π³Π½ΠΎΡΡΠΈΠΊΠ°
ΠΠ°ΡΠΈΠ΅Π½Ρ, ΠΊΠΎΡΠΎΡΡΠΉ ΡΠ»ΠΎΠΌΠ°Π» ΠΏΠ°Π»Π΅Ρ Π½Π° ΡΡΠΊΠ΅, ΠΏΡΠΎΡ ΠΎΠ΄ΠΈΡ Π΄ΠΈΠ°Π³Π½ΠΎΡΡΠΈΡΠ΅ΡΠΊΠΎΠ΅ ΠΎΠ±ΡΠ»Π΅Π΄ΠΎΠ²Π°Π½ΠΈΠ΅ Π΄Π²Π°ΠΆΠ΄Ρ. ΠΠ΅ΡΠ²ΠΎΠ΅ Π²ΡΠΏΠΎΠ»Π½ΡΠ΅ΡΡΡ ΠΏΡΠΈ ΠΎΠ±ΡΠ°ΡΠ΅Π½ΠΈΠΈ Π·Π° ΠΌΠ΅Π΄ΠΈΡΠΈΠ½ΡΠΊΠΎΠΉ ΠΏΠΎΠΌΠΎΡΡΡ Π΄Π»Ρ ΠΎΠΏΡΠ΅Π΄Π΅Π»Π΅Π½ΠΈΡ ΡΠΏΠΎΡΠΎΠ±Π° Π»Π΅ΡΠ΅Π½ΠΈΡ. ΠΡΠΎΡΠΎΠ΅ Π½Π΅ΠΎΠ±Ρ ΠΎΠ΄ΠΈΠΌΠΎ Π΄Π»Ρ ΠΊΠΎΠ½ΡΡΠΎΠ»Ρ ΡΡΡΠ΅ΠΊΡΠΈΠ²Π½ΠΎΡΡΠΈ ΠΏΡΠΎΠ²Π΅Π΄Π΅Π½Π½ΠΎΠΉ ΡΠ΅ΡΠ°ΠΏΠΈΠΈ, ΠΏΠΎΠ΄ΡΠ²Π΅ΡΠΆΠ΄Π΅Π½ΠΈΡ ΠΏΡΠ°Π²ΠΈΠ»ΡΠ½ΠΎΠ³ΠΎ ΡΡΠ°ΡΡΠ°Π½ΠΈΡ ΠΊΠΎΡΡΠΈ, Π³ΡΠ°ΠΌΠΎΡΠ½ΠΎΠ³ΠΎ ΡΠ°ΡΠΏΠΎΠ»ΠΎΠΆΠ΅Π½ΠΈΡ Π²Π½ΡΡΡΠΈΠΊΠΎΡΡΠ½ΡΡ ΠΏΡΠΈΡΠΏΠΎΡΠΎΠ±Π»Π΅Π½ΠΈΠΉ.
ΠΠ»Ρ Π²ΡΡΠ²Π»Π΅Π½ΠΈΡ ΠΏΠ΅ΡΠ΅Π»ΠΎΠΌΠ°, Π΅Π³ΠΎ ΡΠΎΡΠ½ΠΎΠΉ Π»ΠΎΠΊΠ°Π»ΠΈΠ·Π°ΡΠΈΠΈ, Π³Π»ΡΠ±ΠΈΠ½Ρ ΠΈ ΡΠΎΡΠΌΡ ΠΏΡΠΈΠΌΠ΅Π½ΡΠ΅ΡΡΡ ΡΠ΅Π½ΡΠ³Π΅Π½ΠΎΠ³ΡΠ°ΠΌΠΌΡ. Π ΡΠ΅Π΄ΠΊΠΈΡ ΡΠ»ΡΡΠ°ΡΡ , Π½Π°ΠΏΡΠΈΠΌΠ΅Ρ ΠΏΡΠΈ ΠΌΠ½ΠΎΠ³ΠΎΠΎΡΠΊΠΎΠ»ΠΎΡΠ½ΠΎΠΌ ΠΏΠ΅ΡΠ΅Π»ΠΎΠΌΠ΅ Π΄ΠΈΡΡΠ°Π»ΡΠ½ΠΎΠΉ ΡΠ°Π»Π°Π½Π³ΠΈ Ρ ΠΏΠΎΠ²ΡΠ΅ΠΆΠ΄Π΅Π½ΠΈΠ΅ΠΌ ΡΡΡ ΠΎΠΆΠΈΠ»ΠΈΠΉ, ΠΌΠΎΠΆΠ΅Ρ ΠΏΠΎΡΡΠ΅Π±ΠΎΠ²Π°ΡΡΡΡ ΠΏΡΠΎΠ²Π΅Π΄Π΅Π½ΠΈΠ΅ ΠΠ Π’. Π ΠΎΡΡΠ°Π»ΡΠ½ΡΡ ΡΠ»ΡΡΠ°ΡΡ ΡΡΠΎΡ ΠΌΠ΅ΡΠΎΠ΄ Π½Π΅ ΠΈΡΠΏΠΎΠ»ΡΠ·ΡΠ΅ΡΡΡ ΠΈΠ·-Π·Π° Π²ΡΡΠΎΠΊΠΎΠΉ ΡΡΠΎΠΈΠΌΠΎΡΡΠΈ.
ΠΠ΅ΡΠ΅Π½ΠΈΠ΅
Π’Π΅ΡΠ°ΠΏΠΈΡ ΠΏΠ΅ΡΠ΅Π»ΠΎΠΌΠ° ΠΏΠ°Π»ΡΡΠ° ΠΊΠΈΡΡΠΈ ΠΏΡΠ΅Π΄ΡΡΠΌΠ°ΡΡΠΈΠ²Π°Π΅Ρ ΠΎΠ±Π»Π΅Π³ΡΠ΅Π½ΠΈΠ΅ Π±ΠΎΠ»Π΅Π²ΠΎΠ³ΠΎ ΡΠΈΠ½Π΄ΡΠΎΠΌΠ° ΠΈ ΡΠΈΠΊΡΠ°ΡΠΈΡ ΠΊΠΎΡΡΠ΅ΠΉ, ΠΊΠΎΡΡΠ½ΡΡ ΠΎΡΠ»ΠΎΠΌΠΊΠΎΠ² Ρ ΠΏΠΎΠΌΠΎΡΡΡ Π³ΠΈΠΏΡΠ°. Π Π·Π°Π²ΠΈΡΠΈΠΌΠΎΡΡΠΈ ΠΎΡ ΡΡΠΆΠ΅ΡΡΠΈ ΠΏΠΎΠ²ΡΠ΅ΠΆΠ΄Π΅Π½ΠΈΡ ΠΏΡΠΈΠΌΠ΅Π½ΡΡΡ Π·Π°ΠΊΡΡΡΡΡ ΠΈΠ»ΠΈ ΠΎΡΠΊΡΡΡΡΡ ΡΠ΅ΠΏΠΎΠ·ΠΈΡΠΈΡ, ΡΠΊΠ΅Π»Π΅ΡΠ½ΠΎΠ΅ Π²ΡΡΡΠΆΠ΅Π½ΠΈΠ΅.
ΠΠ΅Π΄ΠΈΠΊΠ°ΠΌΠ΅Π½ΡΠΎΠ·Π½ΠΎΠ΅ Π»Π΅ΡΠ΅Π½ΠΈΠ΅
ΠΠ»Ρ Π·Π°ΠΊΡΡΡΠΎΠΉ ΡΠ΅ΠΏΠΎΠ·ΠΈΡΠΈΠΈ ΠΈ ΡΠΊΠ΅Π»Π΅ΡΠ½ΠΎΠ³ΠΎ Π²ΡΡΡΠΆΠ΅Π½ΠΈΡ ΠΏΡΠΈΠΌΠ΅Π½ΡΡΡ ΠΌΠ΅ΡΡΠ½ΡΡ Π°Π½Π΅ΡΡΠ΅Π·ΠΈΡ Π² Π²ΠΈΠ΄Π΅ ΠΡΠΎΠΊΠ°ΠΈΠ½Π° ΠΈ ΠΠΈΠ΄ΠΎΠΊΠ°ΠΈΠ½Π°. ΠΠΎΡΠ»Π΅ Π½Π°Π»ΠΎΠΆΠ΅Π½ΠΈΡ Π³ΠΈΠΏΡΠ° Π΄Π»Ρ ΠΎΠ±Π»Π΅Π³ΡΠ΅Π½ΠΈΡ Π±ΠΎΠ»Π΅Π²ΠΎΠ³ΠΎ ΡΠΈΠ½Π΄ΡΠΎΠΌΠ° Π½Π°Π·Π½Π°ΡΠ°ΡΡ Π°Π½Π°Π»ΡΠ³Π΅ΡΠΈΠΊΠΈ. ΠΠΎΡΠ»Π΅ ΠΎΡΠΊΡΡΡΠΎΠΉ ΡΠ΅ΠΏΠΎΠ·ΠΈΡΠΈΠΈ Π½Π° ΡΡΠ΅Π΄Π½Π΅ΠΉ ΡΠ°Π»Π°Π½Π³Π΅ ΠΏΠ°Π»ΡΡΠ° ΡΡΠΊΠΈ ΠΏΠ°ΡΠΈΠ΅Π½ΡΡ Π΄ΠΎΠΏΠΎΠ»Π½ΠΈΡΠ΅Π»ΡΠ½ΠΎ ΠΏΡΠΎΠΏΠΈΡΡΠ²Π°ΡΡ ΠΊΡΡΡ Π°Π½ΡΠΈΠ±ΠΈΠΎΡΠΈΠΊΠΎΠ² ΠΈ ΠΏΡΠΎΡΠΈΠ²ΠΎΠ²ΠΎΡΠΏΠ°Π»ΠΈΡΠ΅Π»ΡΠ½ΡΡ ΠΏΡΠ΅ΠΏΠ°ΡΠ°ΡΠΎΠ².
Π₯ΠΈΡΡΡΠ³ΠΈΡΠ΅ΡΠΊΠΎΠ΅ Π»Π΅ΡΠ΅Π½ΠΈΠ΅
ΠΠ°ΠΊΡΡΡΠ°Ρ ΡΠ΅ΠΏΠΎΠ·ΠΈΡΠΈΡ ΠΏΡΠΈΠΌΠ΅Π½ΡΠ΅ΡΡΡ Π΄Π»Ρ Π»Π΅ΡΠ΅Π½ΠΈΡ ΠΏΡΠΎΡΡΠΎΠ³ΠΎ ΠΏΠ΅ΡΠ΅Π»ΠΎΠΌΠ° ΡΠΎ ΡΠΌΠ΅ΡΠ΅Π½ΠΈΠ΅ΠΌ. ΠΠ΅ΡΠΎΠ΄ ΡΠ²ΠΎΠ΄ΠΈΡΡΡ ΠΊ Π²ΡΡΡΠ³ΠΈΠ²Π°Π½ΠΈΡ ΠΏΠ°Π»ΡΡΠ° ΠΏΠΎ ΠΎΡΠΈ Ρ ΠΏΠΎΡΠ»Π΅Π΄ΡΡΡΠΈΠΌ ΡΠ³ΠΈΠ±Π°Π½ΠΈΠ΅ΠΌ Π΅Π³ΠΎ ΡΡΡΡΠ°Π²ΠΎΠ² Π΄ΠΎ ΠΏΡΠΈΠΎΠ±ΡΠ΅ΡΠ΅Π½ΠΈΡ ΠΏΠΎΠ»ΠΎΠΆΠ΅Π½ΠΈΡ, Π½Π΅ΠΎΠ±Ρ
ΠΎΠ΄ΠΈΠΌΠΎΠ³ΠΎ Π΄Π»Ρ ΡΡΠ°ΡΡΠ°Π½ΠΈΡ ΠΊΠΎΡΡΠ΅ΠΉ. Π’ΠΎΠ»ΡΠΊΠΎ ΠΏΠΎΡΠ»Π΅ ΡΡΠΎΠ³ΠΎ Π½Π°ΠΊΠ»Π°Π΄ΡΠ²Π°Π΅ΡΡΡ Π³ΠΈΠΏΡΠΎΠ²Π°Ρ ΠΏΠΎΠ²ΡΠ·ΠΊΠ°. Π§ΡΠΎΠ±Ρ ΠΈΠ·Π±Π΅ΠΆΠ°ΡΡ ΠΏΠΎΡΠ²Π»Π΅Π½ΠΈΡ ΠΎΡΠ΅ΠΊΠΎΠ², ΠΏΠ°ΡΠΈΠ΅Π½ΡΡ ΡΠ΅ΠΊΠΎΠΌΠ΅Π½Π΄ΡΠ΅ΡΡΡ Π² ΡΠ΅ΡΠ΅Π½ΠΈΠ΅ 3 ΡΡΡΠΎΠΊ ΠΏΠΎΡΠ»Π΅ ΠΏΡΠΎΠ²Π΅Π΄Π΅Π½ΠΈΡ ΠΎΠΏΠ΅ΡΠ°ΡΠΈΠΈ ΠΎΠ±Π΅ΡΠΏΠ΅ΡΠΈΡΡ ΡΡΠΊΠ΅ ΠΏΡΠΈΠΏΠΎΠ΄Π½ΡΡΠΎΠ΅ ΠΏΠΎΠ»ΠΎΠΆΠ΅Π½ΠΈΠ΅.
ΠΡΠΈ ΠΌΠ½ΠΎΠ³ΠΎΠΎΡΠΊΠΎΠ»ΡΡΠ°ΡΡΡ ΠΏΠ΅ΡΠ΅Π»ΠΎΠΌΠ°Ρ ΠΏΡΠΈΠΌΠ΅Π½ΡΡΡ ΠΌΠ΅ΡΠΎΠ΄ ΡΠΊΠ΅Π»Π΅ΡΠ½ΠΎΠ³ΠΎ Π²ΡΡΡΠΆΠ΅Π½ΠΈΡ. ΠΠΎΡΠ»Π΅ ΡΠ΅ΠΏΠΎΠ·ΠΈΡΠΈΠΈ ΠΎΡΠΊΠΎΠ»ΠΊΠΎΠ² ΠΈΡ Π·Π°ΠΊΡΠ΅ΠΏΠ»ΡΡΡ ΡΠΊΠΎΠ±Π°ΠΌΠΈ ΡΠ΅ΡΠ΅Π· ΠΌΡΠ³ΠΊΠΈΠ΅ ΡΠΊΠ°Π½ΠΈ.
ΠΡΠΊΡΡΡΠ°Ρ ΡΠ΅ΠΏΠΎΠ·ΠΈΡΠΈΡ ΠΏΠΎΠΊΠ°Π·Π°Π½Π° ΠΏΡΠΈ ΠΎΡΠΊΡΡΡΠΎΠΌ ΠΏΠ΅ΡΠ΅Π»ΠΎΠΌΠ΅, Π½Π΅ΠΏΡΠ°Π²ΠΈΠ»ΡΠ½ΠΎ ΡΡΠΎΡΡΠ΅ΠΌΡΡ ΠΏΠ΅ΡΠ΅Π»ΠΎΠΌΠ΅ ΠΏΡΠΎΠΊΡΠΈΠΌΠ°Π»ΡΠ½ΠΎΠΉ ΡΠ°Π»Π°Π½Π³ΠΈ, Π³Π½ΠΎΠΉΠ½ΡΡ ΠΎΡΠ»ΠΎΠΆΠ½Π΅Π½ΠΈΡΡ , ΡΠ»ΠΎΠΆΠ½ΡΡ ΠΌΠ½ΠΎΠ³ΠΎΠΎΡΠΊΠΎΠ»ΡΡΠ°ΡΡΡ ΡΡΠ°Π²ΠΌΠ°Ρ . ΠΠΏΠ΅ΡΠ°ΡΠΈΡ Π²ΡΠΏΠΎΠ»Π½ΡΡΡ, ΠΏΡΠΈΠΌΠ΅Π½ΡΡ ΠΎΠ±ΡΠΈΠΉ Π½Π°ΡΠΊΠΎΠ·. ΠΡΠ»ΠΎΠΌΠΊΠΈ Π΄Π»Ρ ΠΏΠΎΡΠ»Π΅Π΄ΡΡΡΠ΅Π³ΠΎ ΡΡΠ°ΡΡΠ°Π½ΠΈΡ ΡΠΈΠΊΡΠΈΡΡΡΡ Ρ ΠΏΠΎΠΌΠΎΡΡΡ ΡΠΏΠΈΡ. ΠΠΎΡΠ»Π΅ Π·Π°Π²Π΅ΡΡΠ΅Π½ΠΈΡ ΠΏΡΠΎΡΠ΅Π΄ΡΡΡ Π½Π°ΠΊΠ»Π°Π΄ΡΠ²Π°ΡΡ Π³ΠΈΠΏΡ. Π‘ΠΏΠΈΡΡ ΠΌΠΎΠ³ΡΡ Π±ΡΡΡ ΡΠ΄Π°Π»Π΅Π½Ρ ΡΠ΅ΡΠ΅Π· 1 ΠΌΠ΅ΡΡΡ ΠΏΠΎΡΠ»Π΅ ΡΡΡΠ°Π½ΠΎΠ²ΠΊΠΈ ΠΈΠ»ΠΈ ΠΎΡΡΠ°ΡΡΡΡ Π² ΠΊΠΎΡΡΡΡ Π½Π°Π²ΡΠ΅Π³Π΄Π°.
Π Π΅Π°Π±ΠΈΠ»ΠΈΡΠ°ΡΠΈΡ

ΠΠΌΠΌΠΎΠ±ΠΈΠ»ΠΈΠ·Π°ΡΠΈΡ Π½Π΅ΠΎΠ±Ρ
ΠΎΠ΄ΠΈΠΌΠ° ΠΏΡΠΈ Π»ΡΠ±ΠΎΠΌ Π²ΠΈΠ΄Π΅ ΠΏΠ΅ΡΠ΅Π»ΠΎΠΌΠ°, Π½ΠΎ ΡΠΎ, ΡΠΊΠΎΠ»ΡΠΊΠΎ Π½ΠΎΡΠΈΡΡ Π³ΠΈΠΏΡ, Π·Π°Π²ΠΈΡΠΈΡ ΠΎΡ ΡΡΠΆΠ΅ΡΡΠΈ ΠΏΠΎΠ²ΡΠ΅ΠΆΠ΄Π΅Π½ΠΈΠΉ:
- ΠΡΠΎΡΡΡΠ΅, Π±Π΅Π· ΡΠΌΠ΅ΡΠ΅Π½ΠΈΠΉ. Π‘Π½ΡΡΠΈΠ΅ Π³ΠΈΠΏΡΠ° ΡΠ΅ΡΠ΅Π· 14-21 Π΄Π΅Π½Ρ.
- ΠΠ°ΠΊΡΡΡΡΠ΅ Π±Π΅Π· ΠΎΡΠ»ΠΎΠΆΠ½Π΅Π½ΠΈΠΉ. ΠΠΌΠΌΠΎΠ±ΠΈΠ»ΠΈΠ·Π°ΡΠΈΡ ΡΠΎΡΡΠ°Π²Π»ΡΠ΅Ρ 21-30 Π΄Π½Π΅ΠΉ.
- ΠΡΠΊΡΡΡΡΠ΅ ΡΠ»ΠΎΠΆΠ½ΡΠ΅. ΠΠΈΠΏΡ Π½Π°ΠΊΠ»Π°Π΄ΡΠ²Π°Π΅ΡΡΡ Π½Π° ΡΡΠΎΠΊ Π΄ΠΎ 42 Π΄Π½Π΅ΠΉ.
Π’ΡΠ°Π²ΠΌΠ° ΠΈ Π½Π΅ΠΎΠ±Ρ ΠΎΠ΄ΠΈΠΌΠΎΡΡΡ Π΄Π»ΠΈΡΠ΅Π»ΡΠ½ΠΎΠ³ΠΎ ΠΏΡΠ΅Π±ΡΠ²Π°Π½ΠΈΡ Π² Π½Π΅ΠΏΠΎΠ΄Π²ΠΈΠΆΠ½ΠΎΠΌ ΡΠΎΡΡΠΎΡΠ½ΠΈΠΈ ΠΏΡΠΈΠ²ΠΎΠ΄ΡΡ ΠΊ ΡΡΡΠ°ΡΠ΅ ΡΠ°Π±ΠΎΡΠΎΡΠΏΠΎΡΠΎΠ±Π½ΠΎΡΡΠΈ ΠΏΠΎΠ²ΡΠ΅ΠΆΠ΄Π΅Π½Π½ΠΎΠ³ΠΎ ΠΏΠ°Π»ΡΡΠ°. ΠΠ»Ρ Π΅Π΅ Π²ΠΎΡΡΡΠ°Π½ΠΎΠ²Π»Π΅Π½ΠΈΡ Π½Π΅ΠΎΠ±Ρ ΠΎΠ΄ΠΈΠΌΠΎ Π²ΡΠΏΠΎΠ»Π½ΡΡΡ ΡΠΏΠ΅ΡΠΈΠ°Π»ΡΠ½ΡΠ΅ Π³ΠΈΠΌΠ½Π°ΡΡΠΈΡΠ΅ΡΠΊΠΈΠ΅ ΡΠΏΡΠ°ΠΆΠ½Π΅Π½ΠΈΡ, ΠΏΡΠΎΠΉΡΠΈ ΠΊΡΡΡ ΠΌΠ°ΡΡΠ°ΠΆΠ°.
ΠΠΎΡΡΡΠ°Π½ΠΎΠ²Π»Π΅Π½ΠΈΠ΅ ΠΏΠΎΡΠ»Π΅ ΡΠ»ΠΎΠΆΠ½ΠΎΠ³ΠΎ ΠΏΠ΅ΡΠ΅Π»ΠΎΠΌΠ° Π΄ΠΈΡΡΠ°Π»ΡΠ½ΠΎΠΉ ΡΠ°Π»Π°Π½Π³ΠΈ ΠΌΠΎΠΆΠ΅Ρ Π²ΠΊΠ»ΡΡΠ°ΡΡ ΠΊΡΡΡ ΠΌΠ΅Ρ Π°Π½ΠΎΡΠ΅ΡΠ°ΠΏΠΈΠΈ, ΡΠ»ΡΡΡΠ°Π²ΡΡΠΎΠΊΠΎΡΠ°ΡΡΠΎΡΠ½ΠΎΠ³ΠΎ Π²ΠΎΠ·Π΄Π΅ΠΉΡΡΠ²ΠΈΡ. ΠΠΎΠ»Π΅Π·Π½Ρ ΠΈ ΡΠ΅ΠΏΠ»ΠΎΠ²ΡΠ΅ Π²Π°Π½Π½ΠΎΡΠΊΠΈ Ρ ΡΠΎΠ΄ΠΎΠΉ.
ΠΡΠΎΡΠΈΠ»Π°ΠΊΡΠΈΠΊΠ°
ΠΠ»Ρ ΠΏΡΠ΅Π΄ΡΠΏΡΠ΅ΠΆΠ΄Π΅Π½ΠΈΡ ΠΏΠ΅ΡΠ΅Π»ΠΎΠΌΠΎΠ² ΡΠ΅ΠΊΠΎΠΌΠ΅Π½Π΄ΡΠ΅ΡΡΡ Π½Π΅ ΠΏΡΠ΅Π½Π΅Π±ΡΠ΅Π³Π°ΡΡ ΠΏΡΠ°Π²ΠΈΠ»Π°ΠΌΠΈ Π±Π΅Π·ΠΎΠΏΠ°ΡΠ½ΠΎΡΡΠΈ ΠΏΡΠΈ ΡΠ°Π±ΠΎΡΠ΅ Ρ ΠΌΠ΅Ρ
Π°Π½ΠΈΠ·ΠΌΠ°ΠΌΠΈ ΠΈ ΡΡΠΆΠ΅Π»ΡΠΌΠΈ Π³ΡΡΠ·Π°ΠΌΠΈ.
ΠΠΎ Π²ΡΠ΅ΠΌΡ Π°ΠΊΡΠΈΠ²Π½ΠΎΠ³ΠΎ ΠΎΡΠ΄ΡΡ Π° Π½Π΅ΠΎΠ±Ρ ΠΎΠ΄ΠΈΠΌΠΎ ΠΊΠΎΠ½ΡΡΠΎΠ»ΠΈΡΠΎΠ²Π°ΡΡ ΡΠΊΠΎΡΠΎΡΡΡ ΠΈ ΡΠΈΠ»Ρ Π΄Π²ΠΈΠΆΠ΅Π½ΠΈΠΉ ΠΊΠΈΡΡΠ΅ΠΉ ΡΡΠΊ. ΠΡΠΈ ΡΠ°Π±ΠΎΡΠ΅ Ρ ΠΌΠ΅Ρ Π°Π½ΠΈΠ·ΠΌΠ°ΠΌΠΈ, ΡΠΎΠ·Π΄Π°ΡΡΠΈΠΌΠΈ Π²ΠΈΠ±ΡΠ°ΡΠΈΡ, Π²Π°ΠΆΠ½ΠΎ ΠΌΠ°ΠΊΡΠΈΠΌΠ°Π»ΡΠ½ΠΎ ΡΠ½ΠΈΠ·ΠΈΡΡ Π½Π°Π³ΡΡΠ·ΠΊΡ Π½Π° ΠΏΠ°Π»ΡΡΡ.
ΠΠΎΠ΄Π½ΡΡΠΈΠ΅ ΡΡΠΆΠ΅Π»ΡΡ ΠΏΡΠ΅Π΄ΠΌΠ΅ΡΠΎΠ², Π½Π°ΠΏΡΠΈΠΌΠ΅Ρ ΠΏΠ°ΠΊΠ΅ΡΠΎΠ² Ρ ΠΏΡΠΎΠ΄ΡΠΊΡΠ°ΠΌΠΈ, Π΄ΠΎΠ»ΠΆΠ½ΠΎ ΠΎΡΡΡΠ΅ΡΡΠ²Π»ΡΡΡΡΡ Π²ΡΠ΅ΠΉ Π»Π°Π΄ΠΎΠ½ΡΡ, Π° Π½Π΅ 1-2 ΠΏΠ°Π»ΡΡΠ°ΠΌΠΈ.
ΠΡΠΎΡΠΈΠ»Π°ΠΊΡΠΈΡΠ΅ΡΠΊΠΈΠ΅ ΠΌΠ΅ΡΠΎΠΏΡΠΈΡΡΠΈΡ ΡΡΠ΅Π±ΡΡΡ ΠΏΠΎΠ²ΡΡΠ΅Π½ΠΈΡ ΠΏΡΠΎΡΠ½ΠΎΡΡΠΈ ΠΊΠΎΡΡΠ΅ΠΉ, ΡΡΠΎ Π΄ΠΎΡΡΠΈΠ³Π°Π΅ΡΡΡ ΠΏΡΡΠ΅ΠΌ ΠΎΡΠΊΠ°Π·Π° ΠΎΡ ΠΊΡΡΠ΅Π½ΠΈΡ, ΡΠΏΠΎΡΡΠ΅Π±Π»Π΅Π½ΠΈΠ΅ΠΌ Π±ΠΎΠ»ΡΡΠΎΠ³ΠΎ ΠΊΠΎΠ»ΠΈΡΠ΅ΡΡΠ²Π° ΠΏΡΠΎΠ΄ΡΠΊΡΠΎΠ², ΡΠΎΠ΄Π΅ΡΠΆΠ°ΡΠΈΡ ΠΊΠ°Π»ΡΡΠΈΠΉ ΠΈ Π²ΠΈΡΠ°ΠΌΠΈΠ½ Π.
ΠΡΠ»ΠΎΠΆΠ½Π΅Π½ΠΈΡ
Π‘Π°ΠΌΠΎΠ»Π΅ΡΠ΅Π½ΠΈΠ΅ ΠΌΠΎΠΆΠ΅Ρ ΡΡΠ°ΡΡ ΠΏΡΠΈΡΠΈΠ½ΠΎΠΉ ΡΡ
ΡΠ΄ΡΠ΅Π½ΠΈΡ ΡΠΎΡΡΠΎΡΠ½ΠΈΡ Π±ΠΎΠ»ΡΠ½ΠΎΠ³ΠΎ:
- ΠΠ±ΡΠ°Π·ΠΎΠ²Π°Π½ΠΈΠ΅ ΠΊΠΎΡΡΠ½ΠΎΠΉ ΠΌΠΎΠ·ΠΎΠ»ΠΈ. ΠΡΡΡΡΡΡΠ²ΠΈΠ΅ ΠΏΡΠ°Π²ΠΈΠ»ΡΠ½ΠΎΠ³ΠΎ ΡΠΎΠ²ΠΌΠ΅ΡΠ΅Π½ΠΈΡ ΠΊΠΎΡΡΠ½ΡΡ ΠΎΡΠ»ΠΎΠΌΠΊΠΎΠ² ΡΠ½ΠΈΠΆΠ°Π΅Ρ Π΄ΠΎΠΏΡΡΡΠΈΠΌΡΡ Π½Π°Π³ΡΡΠ·ΠΊΡ Π½Π° ΠΊΠΎΡΡΡ, ΡΡΠΎ ΠΎΡΠ³Π°Π½ΠΈΠ·ΠΌ ΠΏΡΡΠ°Π΅ΡΡΡ ΠΊΠΎΠΌΠΏΠ΅Π½ΡΠΈΡΠΎΠ²Π°ΡΡ Π½Π°ΡΠ°ΡΠΈΠ²Π°Π½ΠΈΠ΅ΠΌ Π±ΠΎΠ»ΡΡΠΎΠΉ ΠΌΠΎΠ·ΠΎΠ»ΠΈ. ΠΠ½Π° Π²ΡΠ³Π»ΡΠ΄ΠΈΡ ΠΊΠ°ΠΊ ΠΊΠΎΡΡΠ½ΡΠΉ Π΄Π΅ΡΠ΅ΠΊΡ ΠΈ ΠΌΠΎΠΆΠ΅Ρ ΠΎΠ³ΡΠ°Π½ΠΈΡΠΈΠ²Π°ΡΡ Π΄Π²ΠΈΠΆΠ΅Π½ΠΈΠ΅ ΠΏΠ°Π»ΡΡΠ°.
- Π€ΠΎΡΠΌΠΈΡΠΎΠ²Π°Π½ΠΈΠ΅ Π»ΠΎΠΆΠ½ΠΎΠ³ΠΎ ΡΡΡΡΠ°Π²Π°. ΠΠ΅ΠΊΠ°ΡΠ΅ΡΡΠ²Π΅Π½Π½Π°Ρ ΠΈΠΌΠΌΠΎΠ±ΠΈΠ»ΠΈΠ·Π°ΡΠΈΡ ΠΏΠΎΠ·Π²ΠΎΠ»ΡΠ΅Ρ ΠΎΡΠ»ΠΎΠΌΠΊΠ°ΠΌ ΠΊΠΎΡΡΠΈ ΡΡΠΈΡΠ°ΡΡΡΡ Π΄ΡΡΠ³ ΠΎΠ± Π΄ΡΡΠ³Π°, Π·Π°ΡΡΠ°Π²Π»ΡΡ ΠΈΡ ΠΊΠΎΠ½ΡΡ ΡΡΠ°Π½ΠΎΠ²ΠΈΡΡΡΡ Π·Π°ΠΊΡΡΠ³Π»Π΅Π½Π½ΡΠΌΠΈ. ΠΠ° ΠΏΠ°Π»ΡΡΠ΅ ΠΏΠΎΡΠ²Π»ΡΠ΅ΡΡΡ ΠΌΠ΅ΡΡΠΎ ΡΠ³ΠΈΠ±Π°, Π½Π΅ ΠΏΡΠ΅Π΄ΡΡΠΌΠΎΡΡΠ΅Π½Π½ΠΎΠ΅ Π½ΠΎΡΠΌΠ°ΠΌΠΈ Π°Π½Π°ΡΠΎΠΌΠΈΠΈ ΡΠ΅Π»ΠΎΠ²Π΅ΡΠ΅ΡΠΊΠΎΠ³ΠΎ ΡΠ΅Π»Π°. ΠΠ±Π»Π°ΡΡΡ Π»ΠΎΠΆΠ½ΠΎΠ³ΠΎ ΡΡΡΡΠ°Π²Π° Π²ΡΠ΅Π³Π΄Π° Π²ΠΎΡΠΏΠ°Π»Π΅Π½Π°. ΠΠ΅ΡΠ΅Π½ΠΈΠ΅ Π·Π°ΠΊΠ»ΡΡΠ°Π΅ΡΡΡ Π² ΡΠ°Π·ΡΡΡΠ΅Π½ΠΈΠΈ ΡΡΠ΅ΡΡΠΈΡ ΡΡ ΠΊΠΎΠ½ΡΠΎΠ² ΠΈ ΡΡΠ°ΡΠΈΠ²Π°Π½ΠΈΠΈ ΠΎΡΠ»ΠΎΠΌΠΊΠΎΠ². ΠΠΎΡΡΡΠ°Π½ΠΎΠ²ΠΈΡΡ Π΄Π²ΠΈΠ³Π°ΡΠ΅Π»ΡΠ½ΡΡ Π°ΠΊΡΠΈΠ²Π½ΠΎΡΡΡ ΠΈ ΡΠΎΡΠΌΡ ΠΏΠ°Π»ΡΡΠ° Π² ΡΡΠΎΠΌ ΡΠ»ΡΡΠ°Π΅ ΡΠ΄Π°Π΅ΡΡΡ ΡΠ΅Π΄ΠΊΠΎ.
- ΠΠ±ΡΠ°Π·ΠΎΠ²Π°Π½ΠΈΠ΅ ΠΊΠΎΠ½ΡΡΠ°ΠΊΡΡΡΡ. Π£ΠΊΠΎΡΠΎΡΠ΅Π½ΠΈΠ΅ ΡΡΡ ΠΎΠΆΠΈΠ»ΠΈΠΉ, ΠΊΠΎΡΠΎΡΠΎΠ΅ Π½Π΅ ΠΏΠΎΠ·Π²ΠΎΠ»ΡΡΡ ΡΠΎΠ²Π΅ΡΡΠ°ΡΡ ΠΏΡΠΎΠΈΠ·Π²ΠΎΠ»ΡΠ½ΡΠ΅ Π΄Π²ΠΈΠΆΠ΅Π½ΠΈΡ ΠΊΠΈΡΡΡΡ, Π²ΡΠ·ΡΠ²Π°Π΅ΡΡΡ Π½Π΅ΠΏΡΠ°Π²ΠΈΠ»ΡΠ½ΡΠΌ ΠΏΠΎΠ»ΠΎΠΆΠ΅Π½ΠΈΠ΅ΠΌ ΠΊΠΈΡΡΠΈ Π² ΠΏΠ΅ΡΠΈΠΎΠ΄ ΠΈΠΌΠΌΠΎΠ±ΠΈΠ»ΠΈΠ·Π°ΡΠΈΠΈ. ΠΠ΅ΡΠ΅Π½ΠΈΠ΅ Π΄Π»ΠΈΡΠ΅Π»ΡΠ½ΠΎΠ΅ ΠΈ Π±ΠΎΠ»Π΅Π·Π½Π΅Π½Π½ΠΎΠ΅, Π½Π°ΠΏΡΠ°Π²Π»Π΅Π½Π½ΠΎΠ΅ Π½Π° ΡΠ°ΡΡΡΠ³ΠΈΠ²Π°Π½ΠΈΠ΅ Π΄Π΅ΡΠΎΡΠΌΠΈΡΠΎΠ²Π°Π²ΡΠΈΡ ΡΡ ΡΡΡ ΠΎΠΆΠΈΠ»ΠΈΠΉ.
- Π Π°Π·Π²ΠΈΡΠΈΠ΅ ΠΎΡΡΠ΅ΠΎΠΌΠΈΠ΅Π»ΠΈΡΠ°. ΠΠΎΡΠΏΠ°Π»Π΅Π½ΠΈΠ΅ ΠΊΠΎΡΡΠ½ΠΎΠ³ΠΎ ΠΌΠΎΠ·Π³Π° ΡΠ²Π»ΡΠ΅ΡΡΡ ΡΠ»Π΅Π΄ΡΡΠ²ΠΈΠ΅ΠΌ Π·Π°Π½Π΅ΡΠ΅Π½ΠΈΡ ΠΈΠ½ΡΠ΅ΠΊΡΠΈΠΈ ΠΏΡΠΈ Π½Π΅ΠΊΠ°ΡΠ΅ΡΡΠ²Π΅Π½Π½ΠΎΠΉ ΠΎΠ±ΡΠ°Π±ΠΎΡΠΊΠ΅ ΠΎΡΠΊΡΡΡΠΎΠ³ΠΎ ΠΏΠ΅ΡΠ΅Π»ΠΎΠΌΠ°.
- Π€ΠΎΡΠΌΠΈΡΠΎΠ²Π°Π½ΠΈΠ΅ Π°Π½ΠΊΠΈΠ»ΠΎΠ·Π°. ΠΡΠΈ ΠΏΠΎΠ²ΡΠ΅ΠΆΠ΄Π΅Π½ΠΈΠΈ ΡΡΡΡΠ°Π²Π° ΡΡΡΠ΅ΡΡΠ²ΡΠ΅Ρ Π²Π΅ΡΠΎΡΡΠ½ΠΎΡΡΡ ΡΡΠ°ΡΠΈΠ²Π°Π½ΠΈΡ Π΅Π³ΠΎ ΡΠ°ΡΡΠ΅ΠΉ Π² Π΅Π΄ΠΈΠ½ΡΡ ΠΊΠΎΡΡΡ. Π ΡΡΠΎΠΌ ΡΠ»ΡΡΠ°Π΅ Π±ΠΎΠ»ΡΠ½ΠΎΠΉ ΠΏΠΎΠ»ΡΡΠ°Π΅Ρ ΠΈΠ½Π²Π°Π»ΠΈΠ΄Π½ΠΎΡΡΡ.
ΠΠ°ΠΈΠ±ΠΎΠ»Π΅Π΅ ΡΠ°ΡΠΏΡΠΎΡΡΡΠ°Π½Π΅Π½Π½ΡΠΌ ΠΎΡΠ»ΠΎΠΆΠ½Π΅Π½ΠΈΠ΅ΠΌ ΡΡΠΈΡΠ°Π΅ΡΡΡ Π½Π΅ΠΏΡΠ°Π²ΠΈΠ»ΡΠ½ΠΎΠ΅ ΡΡΠ°ΡΡΠ°Π½ΠΈΠ΅ ΠΊΠΎΡΡΠΈ. ΠΠ΅Π΄ΠΎΡΡΠ°ΡΠΎΡΠ½ΠΎ ΠΏΡΠΎΡΠ½Π°Ρ ΠΈΠΌΠΌΠΎΠ±ΠΈΠ»ΠΈΠ·Π°ΡΠΈΡ, ΠΏΡΠ΅ΠΆΠ΄Π΅Π²ΡΠ΅ΠΌΠ΅Π½Π½ΠΎΠ΅ ΡΠ½ΡΡΠΈΠ΅ Π³ΠΈΠΏΡΠ°, ΠΎΡΠΊΠ°Π· ΠΎΡ ΠΏΡΠΎΡΠ΅Π΄ΡΡΡ Π²ΠΎΠ·Π²ΡΠ°ΡΠ΅Π½ΠΈΡ ΠΊΠΎΡΡΠ½ΡΡ ΠΎΡΠ»ΠΎΠΌΠΊΠΎΠ² Π² ΠΈΡ Π΅ΡΡΠ΅ΡΡΠ²Π΅Π½Π½ΠΎΠ΅ ΡΠΈΠ·ΠΈΠΎΠ»ΠΎΠ³ΠΈΡΠ΅ΡΠΊΠΎΠ΅ ΠΏΠΎΠ»ΠΎΠΆΠ΅Π½ΠΈΠ΅ ΠΏΡΠΈΠ²ΠΎΠ΄ΡΡ ΠΊ ΡΠΌΠ΅ΡΠ΅Π½ΠΈΡ ΠΎΡΠ»ΠΎΠΌΠΊΠ° ΠΊΠΎΡΡΠΈ Π² ΡΡΠΎΡΠΎΠ½Ρ. ΠΡΠΎΡΠ΅ΡΡ ΡΠΎΠΏΡΠΎΠ²ΠΎΠΆΠ΄Π°Π΅ΡΡΡ ΡΠ°Π·ΡΠ°ΡΡΠ°Π½ΠΈΠ΅ΠΌ Π±ΠΎΠ»ΡΡΠΎΠΉ ΠΊΠΎΡΡΠ½ΠΎΠΉ ΠΌΠΎΠ·ΠΎΠ»ΠΈ, ΠΊΠΎΡΠΎΡΠ°Ρ ΠΎΠ³ΡΠ°Π½ΠΈΡΠΈΠ²Π°Π΅Ρ Π΄Π²ΠΈΠ³Π°ΡΠ΅Π»ΡΠ½ΡΡ ΡΡΠ½ΠΊΡΠΈΡ. ΠΠ΅ΡΠ΅Π½ΠΈΠ΅ ΡΠΎΠ»ΡΠΊΠΎ Ρ ΠΈΡΡΡΠ³ΠΈΡΠ΅ΡΠΊΠΎΠ΅.
properelom.com
ΠΏΠ΅ΡΠ²Π°Ρ ΠΏΠΎΠΌΠΎΡΡ, Π»Π΅ΡΠ΅Π½ΠΈΠ΅, ΡΡΠΎΠΊΠΈ ΡΠ΅Π°Π±ΠΈΠ»ΠΈΡΠ°ΡΠΈΠΈ
ΠΠ·ΠΎΠ»ΠΈΡΠΎΠ²Π°Π½Π½ΡΠΉ ΠΏΠ΅ΡΠ΅Π»ΠΎΠΌ ΠΏΠ°Π»ΡΡΠ° Π½Π° Π²Π΅Π΄ΡΡΠ΅ΠΉ ΡΡΠΊΠ΅ ΠΏΡΠΎΠΈΡΡ ΠΎΠ΄ΠΈΡ ΡΠ°ΡΡΠΎ. ΠΠ΅ΡΠΌΠΎΡΡΡ Π½Π° ΠΊΠ°ΠΆΡΡΡΡΡΡ Π»Π΅Π³ΠΊΠΎΡΡΡ ΡΡΠ°Π²ΠΌΡ, ΡΠ΅Π»ΠΎΠ²Π΅ΠΊ, ΡΠ»ΠΎΠΌΠ°Π²ΡΠΈΠΉ ΡΠ°Π»Π°Π½Π³Ρ, ΡΠ΅ΡΡΠ΅Ρ ΡΡΡΠ΄ΠΎΡΠΏΠΎΡΠΎΠ±Π½ΠΎΡΡΡ, ΠΏΡΠΈ ΡΡΠΎΠΌ Π²ΡΠ΅Π΄ Π·Π΄ΠΎΡΠΎΠ²ΡΡ Π½Π΅Π²Π΅Π»ΠΈΠΊ, Ρ ΠΎΡΡ ΡΠ»ΠΎΠΆΠ½ΡΠ΅ ΠΏΠΎΠ²ΡΠ΅ΠΆΠ΄Π΅Π½ΠΈΡ ΠΏΡΠΈΠ²ΠΎΠ΄ΡΡ ΠΊ ΠΈΠ½Π²Π°Π»ΠΈΠ΄Π½ΠΎΡΡΠΈ. Π’Π°ΠΊ, ΠΎΡΠΊΠΎΠ»ΡΡΠ°ΡΡΠ΅ ΡΠ°Π·Π»ΠΎΠΌΡ ΠΌΠΎΠ³ΡΡ ΠΏΡΠΈΠ²Π΅ΡΡΠΈ ΠΊ Π΄ΠΈΡΡΡΠ½ΠΊΡΠΈΠΈ Π²ΡΠ΅ΠΉ ΠΊΠΈΡΡΠΈ. ΠΡΠ»ΠΈ ΡΡΠΎ Π²Π΅Π΄ΡΡΠ°Ρ ΡΡΠΊΠ°, ΡΠΎ ΡΡΠΎΠ²Π΅Π½Ρ ΠΆΠΈΠ·Π½ΠΈ ΡΠ½ΠΈΠΆΠ°Π΅ΡΡΡ, Π²ΠΎΠ·Π½ΠΈΠΊΠ°ΡΡ ΠΎΠ³ΡΠ°Π½ΠΈΡΠ΅Π½ΠΈΡ Π² Π±ΡΡΡ, ΡΡΡΠ°Π΄Π°Π΅Ρ ΠΏΡΠΎΡΠ΅ΡΡΠΈΠΎΠ½Π°Π»ΡΠ½Π°Ρ Π΄Π΅ΡΡΠ΅Π»ΡΠ½ΠΎΡΡΡ.
ΠΠ»Π°ΡΡΠΈΡΠΈΠΊΠ°ΡΠΈΡ
Π’ΠΈΠΏΠΎΠ»ΠΎΠ³ΠΈΡ ΠΏΠΎΠ²ΡΠ΅ΠΆΠ΄Π΅Π½ΠΈΠΉ Π²Π΅ΡΡ Π½ΠΈΡ ΠΊΠΎΠ½Π΅ΡΠ½ΠΎΡΡΠ΅ΠΉ ΠΏΠΎΠ΄ΡΠ°Π·ΡΠΌΠ΅Π²Π°Π΅Ρ Π΄Π΅Π»Π΅Π½ΠΈΠ΅ ΡΡΠ°Π²ΠΌ ΠΏΠΎ Ρ Π°ΡΠ°ΠΊΡΠ΅ΡΡ ΠΈΠ·Π»ΠΎΠΌΠ°:
- ΠΏΡΠΎΠ΄ΠΎΠ»ΡΠ½ΡΠ΅ β Π»ΠΈΠ½ΠΈΡ ΡΠ°Π·Π»ΠΎΠΌΠ° ΠΏΠ°ΡΠ°Π»Π»Π΅Π»ΡΠ½Π° ΡΡΠ°Π²ΠΌΠΈΡΠΎΠ²Π°Π½Π½ΡΠΌ ΡΡΡΡΠΊΡΡΡΠ°ΠΌ;
- ΠΏΠΎΠΏΠ΅ΡΠ΅ΡΠ½ΡΠ΅ β Π² Π±ΡΡΡ ΠΈΡ ΡΠ°ΠΊΠΆΠ΅ Π½Π°Π·ΡΠ²Π°ΡΡ ΠΏΠ΅ΡΠΏΠ΅Π½Π΄ΠΈΠΊΡΠ»ΡΡΠ½ΡΠΌΠΈ, ΠΏΠΎΡΠΊΠΎΠ»ΡΠΊΡ ΠΎΠ½ΠΈ ΠΏΠ΅ΡΠ΅ΡΠ΅ΠΊΠ°ΡΡ ΠΎΡΡ ΠΊΠΎΡΡΠ½ΠΎΠΉ ΡΠΊΠ°Π½ΠΈ;
- Π²ΠΈΠ½ΡΠΎΠΎΠ±ΡΠ°Π·Π½ΡΠ΅ β ΠΊΠΎΡΡΠ½ΡΠ΅ ΠΎΡΠ»ΠΎΠΌΠΊΠΈ ΡΠΌΠ΅ΡΠ°ΡΡΡΡ ΠΏΠΎ ΡΠΏΠΈΡΠ°Π»ΠΈ ΠΈ ΠΏΠ΅ΡΠ΅Π²ΠΎΡΠ°ΡΠΈΠ²Π°ΡΡΡΡ Π² ΠΏΡΠΎΠ΅ΠΊΡΠΈΠΈ, ΡΡΠΎ ΠΎΡΠ»ΠΎΠΆΠ½ΡΠ΅Ρ ΡΠ΅ΠΏΠΎΠ·ΠΈΡΠΈΡ;
- ΠΊΠΎΡΡΠ΅ β ΠΏΡΠΈΡ ΠΎΠ΄ΡΡΡΡ ΠΏΠΎΠ΄ ΠΎΡΡΡΡΠΌ ΡΠ³Π»ΠΎΠΌ ΠΎΡΠ½ΠΎΡΠΈΡΠ΅Π»ΡΠ½ΠΎ ΠΏΠΎΠ»ΠΎΠΆΠ΅Π½ΠΈΡ ΡΡΠ°Π²ΠΌΠΈΡΠΎΠ²Π°Π½Π½ΠΎΠΉ ΠΊΠΎΡΡΠΈ.
ΠΡΠ»ΠΈΒ Π² Π΄Π΅ΡΡΡΡΠΊΡΠΈΠ²Π½ΡΠΉ ΠΏΡΠΎΡΠ΅ΡΡ Π²ΠΎΠ²Π»Π΅ΡΠ΅Π½Ρ ΡΡΡΡΠ°Π²Ρ, Π³ΠΎΠ²ΠΎΡΡΡ ΠΎ ΠΏΠ΅ΡΠ΅Π»ΠΎΠΌΠΎΠ²ΡΠ²ΠΈΡ Π΅. ΠΠ½ΡΡΡΠΈΡΡΡΡΠ°Π²Π½ΡΠ΅ ΠΏΠΎΠ²ΡΠ΅ΠΆΠ΄Π΅Π½ΠΈΡ ΠΎΠΏΠ°ΡΠ½Ρ ΠΈ ΡΡΠ΅Π±ΡΡΡ ΠΊΠΎΠ½ΡΡΠΎΠ»Ρ Π½Π° Π²ΡΠ΅Ρ ΡΡΠ°ΠΏΠ°Ρ Π»Π΅ΡΠ΅Π½ΠΈΡ. ΠΠ°Π»ΠΈΡΠΈΠ΅ ΡΠ°Π½Ρ ΠΏΠΎΠ·Π²ΠΎΠ»ΡΠ΅Ρ Π΄ΠΈΡΡΠ΅ΡΠ΅Π½ΡΠΈΡΠΎΠ²Π°ΡΡ ΠΎΡΠΊΡΡΡΡΠΉ ΠΏΠ΅ΡΠ΅Π»ΠΎΠΌ ΠΏΠ°Π»ΡΡΠ°. ΠΡΠ»ΠΈ ΡΡΠ°Π²ΠΌΠΈΡΠΎΠ²Π°Π½ ΠΊΠΎΠ½ΡΠΈΠΊ, ΡΠ°Π·ΡΡΡΠ°Π΅ΡΡΡ Π½ΠΎΠ³ΠΎΡΡ. Π’Π°ΠΊΠΈΠ΅ ΡΡΠ°Π²ΠΌΡ ΡΡΠΈΡΠ°ΡΡΡΡ Π½Π°ΠΈΠ±ΠΎΠ»Π΅Π΅ Π±ΠΎΠ»Π΅Π·Π½Π΅Π½Π½ΡΠΌΠΈ.
ΠΠΌΠ΅Π΅Ρ Π·Π½Π°ΡΠ΅Π½ΠΈΠ΅ Π»ΠΎΠΊΠ°Π»ΠΈΠ·Π°ΡΠΈΡ ΡΡΠ°Π²ΠΌΡ ΠΏΠΎ ΠΎΡΠ½ΠΎΡΠ΅Π½ΠΈΡ ΠΊ ΡΠ°Π»Π°Π½Π³Π°ΠΌ. Π’Π°ΠΊ, Π²ΡΠ΄Π΅Π»ΡΡΡ ΡΡΠ°Π²ΠΌΡ ΠΎΡΠ½ΠΎΠ²Π°Π½ΠΈΡ, ΠΏΠΎΠ²ΡΠ΅ΠΆΠ΄Π΅Π½ΠΈΡ ΡΡΠ΅Π΄Π½Π΅ΠΉ ΡΠ°Π»Π°Π½Π³ΠΈ, ΠΏΠ΅ΡΠ΅Π»ΠΎΠΌ Π½ΠΎΠ³ΡΠ΅Π²ΠΎΠΉ ΡΠ°Π»Π°Π½Π³ΠΈ. Π ΠΏΠΎΡΠ»Π΅Π΄Π½Π΅ΠΌ ΡΠ»ΡΡΠ°Π΅ ΠΎΡΠ΄Π΅Π»ΡΠ½ΠΎ Π³ΠΎΠ²ΠΎΡΡΡ ΠΎ ΠΏΠ΅ΡΠ΅Π»ΠΎΠΌΠ΅ Π½ΠΎΠ³ΡΠ΅Π²ΠΎΠΉ Π±ΡΠ³ΡΠΈΡΡΠΎΡΡΠΈ. ΠΡΠΎ Π²Π½Π΅ΡΡΡΡΠ°Π²Π½ΠΎΠ΅ ΠΏΠΎΠ²ΡΠ΅ΠΆΠ΄Π΅Π½ΠΈΠ΅, ΠΊΠΎΡΠΎΡΠΎΠ΅ ΡΠ°ΡΠ΅ ΡΠ²Π»ΡΠ΅ΡΡΡ ΡΠ»Π΅Π΄ΡΡΠ²ΠΈΠ΅ΠΌ ΠΊΠΎΠΌΠΏΡΠ΅ΡΡΠΈΠΎΠ½Π½ΠΎΠ³ΠΎ Π²ΠΎΠ·Π΄Π΅ΠΉΡΡΠ²ΠΈΡ.
ΠΠ°Π²ΡΠΊΠΈΠ΄ΠΊΡ ΡΠ»ΠΎΠΆΠ½ΠΎ ΡΠΊΠ°Π·Π°ΡΡ, ΠΊΠ°ΠΊΠ°Ρ ΡΡΠ΅ΠΏΠ΅Π½Ρ ΠΏΠΎΠ²ΡΠ΅ΠΆΠ΄Π΅Π½ΠΈΡ Π²ΠΎΠ·Π½ΠΈΠΊΠ°Π΅Ρ ΠΏΠΎΡΠ»Π΅ ΡΠ΄Π°ΡΠ°: ΡΡΠΎ ΠΌΠΎΠΆΠ΅Ρ Π±ΡΡΡ ΠΎΠ±ΡΡΠ½ΡΠΉ ΡΡΠΈΠ± ΠΈΠ»ΠΈ Π±ΠΎΠ»Π΅Π΅ ΠΎΠΏΠ°ΡΠ½Π°Ρ ΡΡΠ°Π²ΠΌΠ°. Π ΡΠ»ΡΡΠ°Π΅ ΠΏΠ΅ΡΠ΅Π»ΠΎΠΌΠ° Π΄ΠΈΡΡΠ°Π»ΡΠ½ΠΎΠΉ (Π½ΠΎΠ³ΡΠ΅Π²ΠΎΠΉ) ΡΠ°Π»Π°Π½Π³ΠΈ ΠΏΠΎΡΠ»Π΅Π΄ΡΡΠ²ΠΈΡ Π΄Π»Ρ Π·Π΄ΠΎΡΠΎΠ²ΡΡ ΠΌΠΈΠ½ΠΈΠΌΠ°Π»ΡΠ½Ρ. ΠΡΠ»ΠΈ ΠΏΡΠΎΠΈΠ·ΠΎΡΠ΅Π» ΠΏΠ΅ΡΠ΅Π»ΠΎΠΌ ΡΡΠ΅Π΄Π½Π΅ΠΉ ΠΈΠ»ΠΈ ΠΏΡΠΎΠΊΡΠΈΠΌΠ°Π»ΡΠ½ΠΎΠΉ ΡΠ°Π»Π°Π½Π³ΠΈ, Π²ΡΡΠΎΠΊΠ° Π²Π΅ΡΠΎΡΡΠ½ΠΎΡΡΡ ΠΏΠΎΡΠ΅ΡΠΈ ΡΡΠ²ΡΡΠ²ΠΈΡΠ΅Π»ΡΠ½ΠΎΡΡΠΈ ΡΡΠ°Π²ΠΌΠΈΡΠΎΠ²Π°Π½Π½ΠΎΠ³ΠΎ ΡΡΠ°ΡΡΠΊΠ°. Π’Π°ΠΊ, ΠΏΠ΅ΡΠ΅Π»ΠΎΠΌ ΡΠΊΠ°Π·Π°ΡΠ΅Π»ΡΠ½ΠΎΠ³ΠΎ ΠΏΠ°Π»ΡΡΠ° ΡΠ½ΠΈΠΆΠ°Π΅Ρ ΡΡΠ½ΠΊΡΠΈΠΈ ΠΊΠΎΠ½Π΅ΡΠ½ΠΎΡΡΠΈ. ΠΠ΅Π³Π°ΡΠΈΠ²Π½ΠΎ Π²Π»ΠΈΡΠ΅Ρ Π½Π° ΠΌΠΎΡΠΎΡΠΈΠΊΡ ΠΏΠ΅ΡΠ΅Π»ΠΎΠΌ ΡΡΠ΅Π΄Π½Π΅Π³ΠΎ ΠΏΠ°Π»ΡΡΠ°, Π° Π²ΠΎΡ Π·Π°ΠΊΡΡΡΡΠΉ ΠΏΠ΅ΡΠ΅Π»ΠΎΠΌ ΠΌΠΈΠ·ΠΈΠ½ΡΠ°, ΠΏΡΠΈ ΠΊΠΎΡΠΎΡΠΎΠΌ ΡΡΠ°Π²ΠΌΠΈΡΠΎΠ²Π°Π½Π° ΠΏΠ΅ΡΠ²Π°Ρ ΡΠ°Π»Π°Π½Π³Π°, ΠΏΠ΅ΡΠ΅Π½ΠΎΡΠΈΡΡΡ Π»Π΅Π³ΠΊΠΎ ΠΈ Π±ΡΡΡΡΠΎ Π²ΠΎΡΡΡΠ°Π½Π°Π²Π»ΠΈΠ²Π°Π΅ΡΡΡ.
ΠΠΎ Ρ Π°ΡΠ°ΠΊΡΠ΅ΡΡ ΡΠ°Π·ΡΡΡΠ΅Π½ΠΈΡ ΠΊΠΎΡΡΠ½ΡΡ ΡΡΡΡΠΊΡΡΡ Π²ΡΠ΄Π΅Π»ΡΡΡ:
- Π½Π°Π΄Π»ΠΎΠΌ β Π½Π΅Π·Π½Π°ΡΠΈΡΠ΅Π»ΡΠ½ΠΎΠ΅ ΠΏΠΎΠ²ΡΠ΅ΠΆΠ΄Π΅Π½ΠΈΠ΅, ΠΊΠΎΡΠΎΡΠΎΠ΅ ΠΎΠ±ΡΡΠ½ΠΎ Π²ΠΎΠ·Π½ΠΈΠΊΠ°Π΅Ρ ΠΏΡΠΈ ΠΊΠΎΠΌΠΏΡΠ΅ΡΡΠΈΠΈ. Π§Π°ΡΠ΅ ΡΠ°ΠΊΠΎΠΉ ΠΏΠ΅ΡΠ΅Π»ΠΎΠΌ Π·Π°ΡΡΠ°Π³ΠΈΠ²Π°Π΅Ρ 5 ΠΈ Π±Π΅Π·ΡΠΌΡΠ½Π½ΡΠΉ ΠΏΠ°Π»ΡΡΡ Π½Π° ΡΡΠΊΠ΅;
- ΡΡΠ΅ΡΠΈΠ½Ρ β Π±ΠΎΠ»Π΅Π΅ ΡΠ΅ΡΡΠ΅Π·Π½ΠΎΠ΅ ΠΏΠΎΠ²ΡΠ΅ΠΆΠ΄Π΅Π½ΠΈΠ΅, ΠΏΠΎΠ΄ΡΠ°Π·ΡΠΌΠ΅Π²Π°ΡΡΠ΅Π΅ ΡΠ°Π·ΡΡΡΠ΅Π½ΠΈΠ΅ Π±ΠΎΠ»Π΅Π΅ ΠΏΠΎΠ»ΠΎΠ²ΠΈΠ½Ρ Π΄ΠΈΠ°ΠΌΠ΅ΡΡΠ° ΠΊΠΎΡΡΠΈ;
- ΡΠ°ΡΡΡΠ΅ΡΠΊΠΈΠ²Π°Π½ΠΈΠ΅ β Ρ Π°ΡΠ°ΠΊΡΠ΅ΡΠ½ΠΎ Π΄Π»Ρ ΠΏΡΡΠΌΠΎΠ³ΠΎ ΡΠ΄Π°ΡΠ° Π²ΠΎ Π²ΡΠ΅ΠΌΡ Π΄ΡΠ°ΠΊΠΈ ΠΈΠ»ΠΈ ΡΠΏΠ°ΡΡΠΈΠ½Π³Π°. ΠΠ΅ΡΠ΅Π»ΠΎΠΌ Π±ΠΎΠ»ΡΡΠΎΠ³ΠΎ ΠΏΠ°Π»ΡΡΠ° ΡΡΠΊΠΈ, ΠΏΠΎΠ΄ΡΠ°Π·ΡΠΌΠ΅Π²Π°ΡΡΠΈΠΉ ΡΠ°ΡΡΡΠ΅ΡΠΊΠΈΠ²Π°Π½ΠΈΠ΅, β ΡΠ²Π»Π΅Π½ΠΈΠ΅ ΡΠ΅Π΄ΠΊΠΎΠ΅, Π° Π²ΠΎΡ Π΄ΡΡΠ³ΠΈΠ΅ ΠΏΡΠΎΠΊΡΠΈΠΌΠ°Π»ΡΠ½ΡΠ΅ ΡΠ°Π»Π°Π½Π³ΠΈ ΠΌΠΎΠ³ΡΡ ΠΏΠΎΡΡΡΠ°Π΄Π°ΡΡ, ΠΏΡΠΈΡΠ΅ΠΌ ΠΏΠ΅ΡΠ΅Π»ΠΎΠΌ ΠΌΠΈΠ·ΠΈΠ½ΡΠ° Π½Π° ΡΡΠΊΠ΅ ΠΏΡΠΈ ΠΊΠΎΡΠΎΠΌ ΠΈΠ»ΠΈ Π±ΠΎΠΊΠΎΠ²ΠΎΠΌ ΡΠ΄Π°ΡΠ΅ Π²ΡΡΡΠ΅ΡΠ°Π΅ΡΡΡ ΡΠ°ΡΠ΅.
ΠΠΎΠ΄ ΡΡΠ°Π²ΠΌΡ ΠΏΠΎ ΠΠΠ 10
Π’ΡΠ°Π²ΠΌΡ Π½Π° ΡΡΠΎΠ²Π½Π΅ Π·Π°ΠΏΡΡΡΡΡ ΠΊΠΎΠ΄ΠΈΡΡΡΡΡΡ ΠΏΠΎ ΠΠΠ 10 ΡΠΈΡΡΠΎΠΌ S62. ΠΠ·ΠΎΠ»ΠΈΡΠΎΠ²Π°Π½Π½ΡΠΉ ΠΏΠ΅ΡΠ΅Π»ΠΎΠΌ ΠΏΠ°Π»ΡΡΠ° ΡΡΠΊΠΈ ΠΏΠΎΠ»ΡΡΠ°Π΅Ρ ΠΊΠΎΠ΄ S62.6. ΠΡΠ»ΠΈ ΠΏΠΎΠ²ΡΠ΅ΠΆΠ΄Π΅Π½Ρ Π½Π΅ΡΠΊΠΎΠ»ΡΠΊΠΎ ΡΡΠ°Π³ΠΌΠ΅Π½ΡΠΎΠ² ΠΊΠΈΡΡΠΈ ΡΡΠΊΠΈ, ΠΏΡΠΈΡΠ²Π°ΠΈΠ²Π°ΡΡ ΠΊΠΎΠ΄ S62.7.
ΠΡΠΈΡΠΈΠ½Ρ
ΠΠ±ΡΡΠ½ΠΎ ΠΏΠ΅ΡΠ΅Π»ΠΎΠΌΡ ΠΏΠ°Π»ΡΡΠ΅Π² Π²ΠΎΠ·Π½ΠΈΠΊΠ°ΡΡ ΠΏΡΠΈ ΠΏΡΡΠΌΠΎΠΌ ΡΠ΄Π°ΡΠ΅ ΠΈΠ»ΠΈ ΡΠ΄Π°Π²Π»ΠΈΠ²Π°Π½ΠΈΠΈ. ΠΠΎΠΊΡΠ΅ΡΡ ΠΈ ΠΌΠ°ΡΡΠ΅ΡΠ° ΡΡΠΊΠΎΠΏΠ°ΡΠ½ΠΎΠ³ΠΎ Π±ΠΎΡ ΡΡΠ°Π»ΠΊΠΈΠ²Π°ΡΡΡΡ Ρ ΠΏΠΎΠ΄ΠΎΠ±Π½ΡΠΌΠΈ Π½Π°ΡΡΡΠ΅Π½ΠΈΡΠΌΠΈ Π΄Π°ΠΆΠ΅ ΠΏΡΠΈ ΠΈΡΠΏΠΎΠ»ΡΠ·ΠΎΠ²Π°Π½ΠΈΠΈ Π·Π°ΡΠΈΡΠ½ΠΎΠΉ ΡΠΊΠΈΠΏΠΈΡΠΎΠ²ΠΊΠΈ.
Π£ Π΄Π΅ΡΠ΅ΠΉ ΠΏΠ΅ΡΠ΅Π»ΠΎΠΌ ΠΌΠΈΠ·ΠΈΠ½ΡΠ° Π½Π° ΡΡΠΊΠ΅ ΠΌΠΎΠΆΠ΅Ρ Π²ΠΎΠ·Π½ΠΈΠΊΠ½ΡΡΡ ΠΏΠΎ ΠΏΡΠΈΡΠΈΠ½Π΅ ΡΠΎΠ³ΠΎ, ΡΡΠΎ ΠΊΡΠΎΡ Π° Π½Π΅ΡΠ΄Π°ΡΠ½ΠΎ ΡΠΏΠ°Π» Π½Π° ΠΊΠΈΡΡΡ ΠΈΠ»ΠΈ ΠΏΡΠΈΡΠ΅ΠΌΠΈΠ» ΡΠ°Π»Π°Π½Π³Ρ. ΠΠΎΠ³Π΄Π° ΠΎΠ½Π° ΠΏΠΎΠΏΠ°Π΄Π°Π΅Ρ Π² Π΄Π²Π΅ΡΠ½ΠΎΠΉ ΠΏΡΠΎΠ΅ΠΌ, ΡΡΠ°Π²ΠΌΠΈΡΡΠ΅ΡΡΡ ΠΊΠΎΠ½ΡΠΈΠΊ. ΠΠ΅ Π²ΡΠ΅Π³Π΄Π° ΡΠ΄Π°Π΅ΡΡΡ Π²ΠΎΠ²ΡΠ΅ΠΌΡ Π΄ΠΈΠ°Π³Π½ΠΎΡΡΠΈΡΠΎΠ²Π°ΡΡ ΡΡΠ΅ΡΠΈΠ½Ρ. ΠΠ°ΠΆΠ΅ΡΡΡ, ΡΡΠΎ ΠΏΠΎΡΡΡΠ°Π΄Π°Π»ΠΈ ΠΈΡΠΊΠ»ΡΡΠΈΡΠ΅Π»ΡΠ½ΠΎ ΠΌΡΠ³ΠΊΠΈΠ΅ ΡΠΊΠ°Π½ΠΈ, Π½ΠΎ ΡΠ΅Π½ΡΠ³Π΅Π½ΠΎΠ³ΡΠ°ΡΠΈΡ Π²ΡΡΠ²Π»ΡΠ΅Ρ ΠΊΠΎΡΡΠ½ΡΠ΅ ΠΎΡΠ»ΠΎΠΌΠΊΠΈ, ΠΊΠΎΡΠΎΡΡΠ΅ ΠΏΡΠΈ ΠΎΡΡΡΡΡΡΠ²ΠΈΠΈ ΠΌΠ΅Π΄ΠΈΡΠΈΠ½ΡΠΊΠΎΠΉ ΠΏΠΎΠΌΠΎΡΠΈ ΡΡΠ°ΡΡΠ°ΡΡΡΡ Π½Π΅ΠΏΡΠ°Π²ΠΈΠ»ΡΠ½ΠΎ.
Π‘ΡΠ΅Π΄ΠΈ ΠΏΠ°ΡΠΎΠ»ΠΎΠ³ΠΈΡΠ΅ΡΠΊΠΈΡ ΡΡΠ°Π²ΠΌ Π²ΡΠ΄Π΅Π»ΡΡΡ ΠΏΠΎΠ²ΡΠ΅ΠΆΠ΄Π΅Π½ΠΈΡ, Π²ΡΠ·Π²Π°Π½Π½ΡΠ΅ Π·Π°Π±ΠΎΠ»Π΅Π²Π°Π½ΠΈΡΠΌΠΈ ΠΎΠΏΠΎΡΠ½ΠΎ-Π΄Π²ΠΈΠ³Π°ΡΠ΅Π»ΡΠ½ΠΎΠ³ΠΎ Π°ΠΏΠΏΠ°ΡΠ°ΡΠ°. Π’Π°ΠΊ, Ρ ΡΡΠΏΠΊΠΎΡΡΡ ΠΊΠΎΡΡΠ΅ΠΉ Π²ΠΎΠ·ΡΠ°ΡΡΠ°Π΅Ρ ΠΏΡΠΈ ΠΎΡΡΠ΅ΠΎΠΏΠΎΡΠΎΠ·Π΅ ΠΈ ΠΎΡΡΠ΅ΠΎΠΌΠΈΠ΅Π»ΠΈΡΠ΅. Π ΡΠ»ΡΡΠ°Π΅ Π·Π°Π±ΠΎΠ»Π΅Π²Π°Π½ΠΈΠΉ ΠΎΠ½ΠΊΠΎΠ»ΠΎΠ³ΠΈΡΠ΅ΡΠΊΠΎΠ³ΠΎ Ρ Π°ΡΠ°ΠΊΡΠ΅ΡΠ° ΡΠ°ΠΊΠΆΠ΅ ΡΠ²Π΅Π»ΠΈΡΠΈΠ²Π°Π΅ΡΡΡ ΡΠΈΡΠΊ ΡΡΠ°Π²ΠΌΠ°ΡΠΈΠ·Π°ΡΠΈΠΈ ΠΊΠΎΡΡΠ½ΡΡ ΡΡΡΡΠΊΡΡΡ, ΠΈΠ·-Π·Π° ΡΠ΅Π³ΠΎ Π½Π°ΡΡΡΠ°ΡΡΡΡ ΡΡΠ½ΠΊΡΠΈΠΈ ΠΊΠΎΠ½Π΅ΡΠ½ΠΎΡΡΠΈ.
Π‘ΠΈΠΌΠΏΡΠΎΠΌΡ
ΠΠ°ΠΆΠ΅ΡΡΡ, ΡΡΠΎ ΠΏΠΎΠ΄ΠΎΠ±Π½ΡΠ΅ ΠΏΠΎΠ²ΡΠ΅ΠΆΠ΄Π΅Π½ΠΈΡ Π΄ΠΎΠ»ΠΆΠ½Ρ ΠΏΠ΅ΡΠ΅Π½ΠΎΡΠΈΡΡΡΡ Π»Π΅Π³ΡΠ΅, ΡΠ΅ΠΌ Π΄ΡΡΠ³ΠΈΠ΅ ΡΡΠ°Π²ΠΌΡ ΠΎΠΏΠΎΡΠ½ΠΎ-Π΄Π²ΠΈΠ³Π°ΡΠ΅Π»ΡΠ½ΠΎΠ³ΠΎ Π°ΠΏΠΏΠ°ΡΠ°ΡΠ°, ΠΎΠ΄Π½Π°ΠΊΠΎ ΡΠΈΠΌΠΏΡΠΎΠΌΡ ΠΏΠ΅ΡΠ΅Π»ΠΎΠΌΠ° ΠΏΠ°Π»ΡΡΠ° Π±ΠΎΠ»Π΅Π΅ Π²ΡΡΠ°ΠΆΠ΅Π½Ρ. ΠΠΎΠ»Π΅Π²ΡΠ΅ ΠΎΡΡΡΠ΅Π½ΠΈΡ ΠΊΡΠ°ΠΉΠ½Π΅ ΡΠΈΠ»ΡΠ½ΡΠ΅, ΠΈΠ½ΠΎΠ³Π΄Π° ΠΎΡΡΡΡΠ΅ Π±ΠΎΠ»ΠΈ ΡΡΠ°Π½ΠΎΠ²ΡΡΡΡ ΠΏΡΠΈΡΠΈΠ½ΠΎΠΉ ΡΡΠ°Π²ΠΌΠ°ΡΠΈΡΠ΅ΡΠΊΠΎΠ³ΠΎ ΡΠΎΠΊΠ°.
ΠΡΠ»ΠΈ ΠΏΠ΅ΡΠ΅Π»ΠΎΠΌ ΡΠΎΠΏΡΠΎΠ²ΠΎΠΆΠ΄Π°Π΅ΡΡΡ Π²ΡΠ²ΠΈΡ ΠΎΠΌ ΠΈΠ»ΠΈ ΡΠ°Π·ΡΡΠ²ΠΎΠΌ ΡΠ²ΡΠ·ΠΎΠΊ ΠΏΠ°Π»ΡΡΠ΅Π², ΡΠ°Π»Π°Π½Π³Π° ΡΡ ΠΎΠ΄ΠΈΡ Π²Π±ΠΎΠΊ, ΠΏΠ°Π»Π΅Ρ ΠΎΠΏΡΡ Π°Π΅Ρ ΠΈ ΡΠΈΠ½Π΅Π΅Ρ, ΠΈΠΌΠ΅Π΅ΡΡΡ Π±ΠΎΠ»Π΅Π²ΠΎΠΉ ΡΠΈΠ½Π΄ΡΠΎΠΌ. ΠΠΎΠΆΠ΅Ρ Π»ΠΈ Π±ΡΡΡ ΡΠ΅ΠΌΠΏΠ΅ΡΠ°ΡΡΡΠ° ΠΏΡΠΈ ΡΠ»ΠΎΠΌΠ°Π½Π½ΠΎΠΉ ΡΠ°Π»Π°Π½Π³Π΅? Π ΡΠ»ΡΡΠ°Π΅ ΠΎΡΠΊΡΡΡΠΎΠΉ ΡΠ°Π½Ρ ΠΈ Π²ΠΎΡΠΏΠ°Π»ΠΈΡΠ΅Π»ΡΠ½ΠΎΠ³ΠΎ ΠΏΡΠΎΡΠ΅ΡΡΠ° Π½Π΅ ΠΈΡΠΊΠ»ΡΡΠ΅Π½ΠΎ ΠΏΠΎΠ²ΡΡΠ΅Π½ΠΈΠ΅ ΡΠ΅ΠΌΠΏΠ΅ΡΠ°ΡΡΡΡ ΡΠ΅Π»Π° ΠΈ ΡΠ°Π·Π²ΠΈΡΠΈΠ΅ ΠΎΡΠ»ΠΎΠΆΠ½Π΅Π½ΠΈΠΉ.
ΠΡΠ½ΠΎΠ²Π½ΡΠ΅ ΠΏΡΠΈΠ·Π½Π°ΠΊΠΈ ΠΏΠ΅ΡΠ΅Π»ΠΎΠΌΠ° ΠΏΠ°Π»ΡΡΠ° Π²ΠΊΠ»ΡΡΠ°ΡΡ:
- Π³Π΅ΠΌΠ°ΡΠΎΠΌΡ, ΠΊΡΠΎΠ²ΠΎΠΈΠ·Π»ΠΈΡΠ½ΠΈΡ, ΡΠΈΠ½ΡΡΠ½ΠΎΡΡΡ;
- Π°ΡΠΈΠΏΠΈΡΠ½ΡΡ ΠΏΠΎΠ΄Π²ΠΈΠΆΠ½ΠΎΡΡΡ ΠΈΠ»ΠΈ ΠΎΠ³ΡΠ°Π½ΠΈΡΠ΅Π½Π½ΠΎΡΡΡ Π΄Π²ΠΈΠΆΠ΅Π½ΠΈΠΉ;
- ΠΊΡΠ΅ΠΏΠΈΡΠ°ΡΠΈΡ ΠΏΡΠΈ ΠΏΠ°Π»ΡΠΏΠ°ΡΠΈΠΈ ΠΈΠ»ΠΈ ΡΠ³ΠΈΠ±Π°Π½ΠΈΠΈ;
- ΠΏΡΠΈΠΏΡΡ Π»ΠΎΡΡΡ ΠΈ ΠΎΡΠ΅ΠΊ, ΡΡΠ°Π²ΠΌΠΈΡΠΎΠ²Π°Π½Π½ΡΠ΅ ΡΠ°Π»Π°Π½Π³ΠΈ Π²ΡΠ³Π»ΡΠ΄ΡΡ Π½Π΅Π΅ΡΡΠ΅ΡΡΠ²Π΅Π½Π½ΠΎ ΡΠΎΠ»ΡΡΡΠΌΠΈ.
Π‘ΠΈΠΌΠΏΡΠΎΠΌΡ ΠΏΠ΅ΡΠ΅Π»ΠΎΠΌΠ° Π±ΠΎΠ»ΡΡΠΎΠ³ΠΎ ΠΏΠ°Π»ΡΡΠ° ΠΌΠΎΠΆΠ½ΠΎ ΡΠΏΡΡΠ°ΡΡ Ρ ΠΏΠΎΠ²ΡΠ΅ΠΆΠ΄Π΅Π½ΠΈΠ΅ΠΌ ΠΊΠΈΡΡΠΈ. ΠΠ°ΠΊ ΠΏΠΎΠ½ΡΡΡ, ΠΊΠ°ΠΊΠΈΠ΅ ΠΊΠΎΡΡΠΈ ΡΠ»ΠΎΠΌΠ°Π»ΠΈΡΡ Π² ΡΡΠΎΠΌ ΡΠ»ΡΡΠ°Π΅? Π₯Π°ΡΠ°ΠΊΡΠ΅ΡΠ½ΡΠΌ ΠΏΡΠΈΠ·Π½Π°ΠΊΠΎΠΌ ΠΏΠ΅ΡΠ΅Π»ΠΎΠΌΠ° ΠΏΠ°Π»ΡΡΠ° Π½Π° ΡΡΠΊΠ΅ ΡΠ²Π»ΡΠ΅ΡΡΡ ΡΠΊΠΎΡΠΎΡΠ΅Π½ΠΈΠ΅ ΡΠ°Π»Π°Π½Π³ΠΈ. ΠΠ²ΠΈΠ³Π°ΡΡ ΠΏΠ°Π»ΡΡΠ°ΠΌΠΈ ΠΏΡΠ°ΠΊΡΠΈΡΠ΅ΡΠΊΠΈ Π½Π΅Π²ΠΎΠ·ΠΌΠΎΠΆΠ½ΠΎ, ΠΏΠΎΠ²ΡΠ΅ΠΆΠ΄Π΅Π½Π½Π°Ρ ΡΠ°Π»Π°Π½Π³Π° ΡΡΠ°Π½ΠΎΠ²ΠΈΡΡΡ ΡΠΎΠ»ΡΡΠΎΠΉ. ΠΡΠ»ΠΈ Π²ΠΎΠ²ΡΠ΅ΠΌΡ ΡΠ°ΡΠΏΠΎΠ·Π½Π°ΡΡ ΠΏΠ΅ΡΠ²ΡΠ΅ ΠΏΡΠΈΠ·Π½Π°ΠΊΠΈ, ΠΌΠΎΠΆΠ½ΠΎ ΡΠΎΡΠ½ΠΎ ΠΏΠΎΠ½ΡΡΡ Π»ΠΎΠΊΠ°Π»ΠΈΠ·Π°ΡΠΈΡ ΠΏΠΎΠ²ΡΠ΅ΠΆΠ΄Π΅Π½ΠΈΡ. Π Π΄Π°Π»ΡΠ½Π΅ΠΉΡΠ΅ΠΌ ΡΠΈΠΌΠΏΡΠΎΠΌΡ Π½Π΅ΠΏΠΎΡΡΠ΅Π΄ΡΡΠ²Π΅Π½Π½ΠΎ ΠΏΠ΅ΡΠ΅Π»ΠΎΠΌΠ° ΠΏΠ°Π»ΡΡΠ° ΡΠ»ΠΎΠΆΠ½ΠΎ ΡΠ°ΡΠΏΠΎΠ·Π½Π°ΡΡ β ΠΎΡΠ΅ΡΠ½ΠΎΡΡΡ, Π±ΠΎΠ»Ρ ΠΈ ΡΡΠ³ΠΎΠΏΠΎΠ΄Π²ΠΈΠΆΠ½ΠΎΡΡΡ ΡΠ°ΡΠΏΡΠΎΡΡΡΠ°Π½ΡΡΡΡΡ Π½Π° Π²ΡΡ ΠΊΠΈΡΡΡ.
ΠΡΠΈ Π±ΠΎΠΊΠΎΠ²ΠΎΠΌ ΡΠ΄Π°ΡΠ΅ ΠΎΠ±ΡΡΠ½ΠΎ ΡΡΡΠ°Π΄Π°ΡΡ ΠΌΠΈΠ·ΠΈΠ½Π΅Ρ ΠΈ Π±Π΅Π·ΡΠΌΡΠ½Π½ΡΠΉ. ΠΠ΄Π½Π°ΠΊΠΎ ΡΡΠ΅ΡΠΈΠ½Π° ΠΊΠΎΡΡΠ½ΠΎΠΉ ΡΠΊΠ°Π½ΠΈ Π½Π΅ Π²ΡΠ΅Π³Π΄Π° ΠΏΡΠΎΠΈΡΡ ΠΎΠ΄ΠΈΡ. Π‘ΠΈΠΌΠΏΡΠΎΠΌΡ ΠΏΠ΅ΡΠ΅Π»ΠΎΠΌΠ° ΠΌΠΈΠ·ΠΈΠ½ΡΠ° Π²ΠΊΠ»ΡΡΠ°ΡΡ Π΄Π΅ΡΠΎΡΠΌΠ°ΡΠΈΡ, ΠΎΡΠΊΠ»ΠΎΠ½Π΅Π½ΠΈΠ΅ ΠΎΡ ΠΎΡΠΈ. ΠΠΎ Π²ΡΠ΅ΠΌ ΠΎΡΡΠ°Π»ΡΠ½ΠΎΠΌ ΡΠΈΠΌΠΏΡΠΎΠΌΡ ΠΏΡΠΈ ΠΏΠ΅ΡΠ΅Π»ΠΎΠΌΠ΅ Π»ΡΠ±ΡΡ ΠΏΠ°Π»ΡΡΠ΅Π² Π½Π° ΡΡΠΊΠ΅ ΡΠΎΠ²ΠΏΠ°Π΄Π°ΡΡ.
Π§ΡΠΎ Π΄Π΅Π»Π°ΡΡ ΠΏΡΠΈ ΠΏΠ΅ΡΠ΅Π»ΠΎΠΌΠ΅ ΠΏΠ°Π»ΡΡΠ°
ΠΠ·Π±Π΅ΠΆΠ°ΡΡ Π½Π΅Π³Π°ΡΠΈΠ²Π½ΡΡ ΠΏΠΎΡΠ»Π΅Π΄ΡΡΠ²ΠΈΠΉ ΠΏΠΎΠ·Π²ΠΎΠ»ΠΈΡ Π°Π΄Π΅ΠΊΠ²Π°ΡΠ½Π°Ρ ΠΌΠ΅Π΄ΠΈΡΠΈΠ½ΡΠΊΠ°Ρ ΠΏΠΎΠΌΠΎΡΡ ΠΏΡΠΈ ΠΏΠ΅ΡΠ΅Π»ΠΎΠΌΠ΅ ΠΏΠ°Π»ΡΡΠ° ΡΡΠΊΠΈ, ΠΊΠΎΡΠΎΡΡΡ ΠΏΠ΅ΡΠ²ΡΠΌ Π΄Π΅Π»ΠΎΠΌ ΠΎΠΊΠ°Π·ΡΠ²Π°ΡΡ Π½Π° ΠΌΠ΅ΡΡΠ΅. Π ΡΠ»ΡΡΠ°Π΅ ΠΏΠΎΠ²ΡΠ΅ΠΆΠ΄Π΅Π½ΠΈΡ ΠΊΠΎΠΆΠΈ ΡΠ°Π½Ρ ΠΏΡΠΎΠΌΡΠ²Π°ΡΡ ΠΈ Π΄Π΅Π·ΠΈΠ½ΡΠΈΡΠΈΡΡΡΡ. ΠΠΎΠ·Π΄Π΅ΠΉΡΡΠ²ΠΈΠ΅ Π½Π° Π½ΠΎΠ³ΡΠ΅Π²ΡΠ΅ ΡΠ°Π»Π°Π½Π³ΠΈ Π±ΠΎΠ»Π΅Π·Π½Π΅Π½Π½ΠΎ ΠΈ ΡΡΠΆΠ΅Π»ΠΎ ΠΏΠ΅ΡΠ΅Π½ΠΎΡΠΈΡΡΡ ΠΏΠΎΡΡΡΠ°Π΄Π°Π²ΡΠΈΠΌ, ΠΏΠΎΡΡΠΎΠΌΡ Π² ΡΠ°ΠΌΠΊΠ°Ρ ΠΏΠ΅ΡΠ²ΠΎΠΉ ΠΏΠΎΠΌΠΎΡΠΈ ΠΌΠ΅ΡΡΠΎ ΡΡΠ°Π²ΠΌΡ Π½Π΅ΠΎΠ±Ρ ΠΎΠ΄ΠΈΠΌΠΎ ΠΎΠ±Π΅Π·Π±ΠΎΠ»ΠΈΡΡ. ΠΠ»Ρ ΡΡΠΎΠ³ΠΎ ΠΈΡΠΏΠΎΠ»ΡΠ·ΡΡΡ Ρ ΠΎΠ»ΠΎΠ΄ ΠΈΠ»ΠΈ ΠΏΡΠ΅ΠΏΠ°ΡΠ°ΡΡ ΠΌΠ΅ΡΡΠ½ΠΎΠ³ΠΎ Π΄Π΅ΠΉΡΡΠ²ΠΈΡ Ρ Π»ΠΈΠ΄ΠΎΠΊΠ°ΠΈΠ½ΠΎΠΌ. ΠΡΡΠ΅ΠΊΡΠΈΠ²Π½ΡΠ΅ ΡΡΠ΅Π΄ΡΡΠ²Π° ΠΎΡ Π±ΠΎΠ»Π΅ΠΉ β Π½Π΅Π½Π°ΡΠΊΠΎΡΠΈΡΠ΅ΡΠΊΠΈΠ΅ Π°Π½Π°Π»ΡΠ³Π΅ΡΠΈΠΊΠΈ: Β«ΠΠ΅ΡΠΎΡΠΎΠ»Β», Β«ΠΠ΅ΡΠ°Π½ΠΎΠ²Β», Β«ΠΡΡΠΎΡΠ΅Π½Β», Β«ΠΠ½Π°Π»ΡΠ³ΠΈΠ½Β».
ΠΡΡΠ°Π½ΠΎΠ²ΠΈΡΡ ΡΠΈΠ»ΡΠ½ΠΎΠ΅ ΠΊΡΠΎΠ²ΠΎΡΠ΅ΡΠ΅Π½ΠΈΠ΅ ΡΠ΄Π°Π΅ΡΡΡ ΠΏΠΎΡΡΠ΅Π΄ΡΡΠ²ΠΎΠΌ Π±ΠΈΠ½ΡΠΎΠ²Π°Π½ΠΈΡ. ΠΠ°ΠΆΠ½ΡΡ ΡΠΎΠ»Ρ ΠΏΡΠΈ ΠΏΠ΅ΡΠ΅Π»ΠΎΠΌΠ΅ ΠΏΠ°Π»ΡΡΠ° ΠΈΠ³ΡΠ°Π΅Ρ ΠΈΠΌΠΌΠΎΠ±ΠΈΠ»ΠΈΠ·Π°ΡΠΈΡ. ΠΠ΅ΠΎΠ±Ρ ΠΎΠ΄ΠΈΠΌΠΎ Π·Π°ΡΠΈΠΊΡΠΈΡΠΎΠ²Π°ΡΡ ΠΊΠΎΡΡΠ½ΡΠ΅ ΡΡΡΡΠΊΡΡΡΡ, ΡΡΠΎΠ±Ρ Π½Π΅ Π΄ΠΎΠΏΡΡΡΠΈΡΡ ΠΈΡ ΡΠΌΠ΅ΡΠ΅Π½ΠΈΡ. Π‘ ΡΡΠΎΠΉ ΡΠ΅Π»ΡΡ ΠΈΡΠΏΠΎΠ»ΡΠ·ΡΡΡ ΡΠΈΠ½Ρ ΠΈΠ· ΠΏΠΎΠ΄ΡΡΡΠ½ΡΡ ΠΌΠ°ΡΠ΅ΡΠΈΠ°Π»ΠΎΠ²: ΠΊΠ°ΡΠ°Π½Π΄Π°Ρ ΠΈΠ»ΠΈ ΡΠ°ΡΠΈΠΊΠΎΠ²ΡΡ ΡΡΡΠΊΡ, Π²Π΅ΡΠΊΡ Π΄Π΅ΡΠ΅Π²Π°, ΠΏΠ°Π»ΠΎΡΠΊΡ ΠΎΡ ΠΌΠΎΡΠΎΠΆΠ΅Π½ΠΎΠ³ΠΎ ΠΈΠ»ΠΈ Π»Π΅Π΄Π΅Π½ΡΠΎΠ² ΠΈ Π΄Ρ.
Π’ΡΠ°Π²ΠΌΠΈΡΠΎΠ²Π°Π½Π½ΡΡ ΠΊΠΎΠ½Π΅ΡΠ½ΠΎΡΡΡ ΡΠΈΠ»ΡΠ½ΠΎ Π½Π΅ ΠΏΠ΅ΡΠ΅ΡΡΠ³ΠΈΠ²Π°ΡΡ. ΠΠ°ΠΆΠ½ΠΎ ΠΎΠ±Π΅ΡΠΏΠ΅ΡΠΈΡΡ Π½Π΅ΠΏΠΎΠ΄Π²ΠΈΠΆΠ½ΠΎΡΡΡ, Π½ΠΎ Π½Π΅ Π΄ΠΎΠΏΡΡΡΠΈΡΡ ΠΏΠΎΡΠΈΠ½Π΅Π½ΠΈΡ ΠΊΠΈΡΡΠΈ. ΠΡΡΡΠ΅ Π΄Π΅ΡΠΆΠ°ΡΡ ΠΏΠΎΠ²ΡΠ΅ΠΆΠ΄Π΅Π½Π½ΡΡ ΡΡΠΊΡ Π² ΡΠΎΠ³Π½ΡΡΠΎΠΌ ΠΏΠΎΠ»ΠΎΠΆΠ΅Π½ΠΈΠΈ, ΡΡΠΎ ΡΠ½ΠΈΠ·ΠΈΡ Π²Π΅ΡΠΎΡΡΠ½ΠΎΡΡΡ ΠΏΠΎΠ²ΡΠΎΡΠ½ΠΎΠ³ΠΎ ΠΊΡΠΎΠ²ΠΎΡΠ΅ΡΠ΅Π½ΠΈΡ. Π‘ΡΠ°Π·Ρ ΠΏΠΎΡΠ»Π΅ ΠΏΠ΅ΡΠ΅Π»ΠΎΠΌΠ° ΠΏΠ°Π»ΡΡΠ° ΡΡΠΊΠΈ ΠΈ ΠΎΠΊΠ°Π·Π°Π½ΠΈΡ ΠΏΠ΅ΡΠ²ΠΎΠΉ ΠΌΠ΅Π΄ΠΈΡΠΈΠ½ΡΠΊΠΎΠΉ ΠΏΠΎΠΌΠΎΡΠΈ ΠΏΠΎΡΡΡΠ°Π΄Π°Π²ΡΠ΅Π³ΠΎ ΠΎΡΠΏΡΠ°Π²Π»ΡΡΡ Π² ΡΡΠ°Π²ΠΌΠΏΡΠ½ΠΊΡ.
ΠΠ°ΠΊ ΠΎΠΏΡΠ΅Π΄Π΅Π»ΠΈΡΡ ΠΏΠ΅ΡΠ΅Π»ΠΎΠΌ ΠΏΠ°Π»ΡΡΠ°
ΠΠ΄Π΅Π½ΡΠΈΡΠΈΡΠΈΡΠΎΠ²Π°ΡΡ ΠΏΠ΅ΡΠ΅Π»ΠΎΠΌ ΠΎΠ΄Π½ΠΎΠΉ ΠΈΠ· ΡΠ°Π»Π°Π½Π³ ΠΏΠ°Π»ΡΡΠ° ΡΡΠΊΠΈ ΠΎΡ Π΄ΡΡΠ³ΠΈΡ
ΡΡΠ°Π²ΠΌ ΠΎΠΏΠΎΡΠ½ΠΎ-Π΄Π²ΠΈΠ³Π°ΡΠ΅Π»ΡΠ½ΠΎΠ³ΠΎ Π°ΠΏΠΏΠ°ΡΠ°ΡΠ° ΠΏΠΎΠ·Π²ΠΎΠ»ΡΠ΅Ρ ΠΈΠ½ΡΡΡΡΠΌΠ΅Π½ΡΠ°Π»ΡΠ½Π°Ρ Π΄ΠΈΠ°Π³Π½ΠΎΡΡΠΈΠΊΠ°. ΠΡΠ»ΠΈΡΠΈΡΡ ΡΡΠ΅ΡΠΈΠ½Ρ ΠΈΠ»ΠΈ ΠΏΠΎΠ»Π½ΡΠΉ ΡΠ°Π·Π»ΠΎΠΌ ΠΊΠΎΡΡΠ΅ΠΉ ΠΎΡ Π²ΡΠ²ΠΈΡ
Π° ΠΏΠ°Π»ΡΡΠ° ΡΠ΄Π°Π΅ΡΡΡ Π² Ρ
ΠΎΠ΄Π΅ ΡΠ΅Π½ΡΠ³Π΅Π½ΠΎΠ³ΡΠ°ΡΠΈΠΈ. ΠΠ΅ Π²ΡΠ΅Π³Π΄Π° ΠΏΠΎΠ»ΡΡΠ°Π΅ΡΡΡ ΡΠ°ΡΠΏΠΎΠ·Π½Π°ΡΡ Ρ
Π°ΡΠ°ΠΊΡΠ΅Ρ ΡΡΠ°Π²ΠΌΡ, ΠΎΠΏΠΈΡΠ°ΡΡΡ ΠΈΡΠΊΠ»ΡΡΠΈΡΠ΅Π»ΡΠ½ΠΎ Π½Π° ΡΠΈΠΌΠΏΡΠΎΠΌΡ, ΠΏΠΎΡΡΠΎΠΌΡ Π»ΡΡΠ΅Π²Π°Ρ Π΄ΠΈΠ°Π³Π½ΠΎΡΡΠΈΠΊΠ° ΡΠ²Π»ΡΠ΅ΡΡΡ ΠΎΠ±ΡΠ·Π°ΡΠ΅Π»ΡΠ½ΠΎΠΉ.
ΠΠ°ΠΊ ΠΎΠΏΡΠ΅Π΄Π΅Π»ΠΈΡΡ Π½Π°Π»ΠΈΡΠΈΠ΅ ΠΏΠ΅ΡΠ΅Π»ΠΎΠΌΠ° ΠΏΠ°Π»ΡΡΠ° ΡΡΠΊΠΈ, Π΅ΡΠ»ΠΈ Π²ΡΠ°ΡΠ° Π½Π΅Ρ ΠΏΠΎΠ±Π»ΠΈΠ·ΠΎΡΡΠΈ? Π―Π²Π½ΡΠΌΠΈ ΠΏΡΠΈΠ·Π½Π°ΠΊΠ°ΠΌΠΈ Π²ΡΡΡΡΠΏΠ°ΡΡ Π΄Π΅ΡΠΎΡΠΌΠ°ΡΠΈΠΉ ΠΊΠΎΡΡΠ½ΡΡ ΡΡΡΡΠΊΡΡΡ ΠΈ Π²ΠΈΠ΄ΠΈΠΌΡΠ΅ Π² ΠΎΡΠΊΡΡΡΠΎΠΉ ΡΠ°Π½Π΅ ΠΎΡΠ»ΠΎΠΌΠΊΠΈ. ΠΠ΄Π½Π°ΠΊΠΎ ΡΡΠΎ Π½Π΅ ΠΈΡΠΊΠ»ΡΡΠ°Π΅Ρ Π½Π°Π»ΠΈΡΠΈΡ ΠΎΠ΄Π½ΠΎΠ²ΡΠ΅ΠΌΠ΅Π½Π½ΠΎΠ³ΠΎ Π²ΡΠ²ΠΈΡ Π° ΠΈ ΡΠ°Π·ΡΡΠ²ΠΎΠ² ΠΌΡΠ³ΠΊΠΈΡ ΡΠΊΠ°Π½Π΅ΠΉ. ΠΠΏΡΠ΅Π΄Π΅Π»Π΅Π½Π½ΡΠ΅ ΠΌΠ΅ΡΠΎΠ΄Ρ Π΄ΠΈΠ°Π³Π½ΠΎΡΡΠΈΠΊΠΈ ΠΏΠΎΠ·Π²ΠΎΠ»ΡΡΡ ΡΡΠ°Π²ΠΌΠ°ΡΠΎΠ»ΠΎΠ³Ρ ΡΠ·Π½Π°ΡΡ, Π½Π΅Ρ Π»ΠΈ ΡΠΎΠΏΡΡΡΡΠ²ΡΡΡΠΈΡ Π½Π°ΡΡΡΠ΅Π½ΠΈΠΉ, ΠΎΠ΄Π½Π°ΠΊΠΎ Π±ΡΠ΄ΡΡΠ΅ Π³ΠΎΡΠΎΠ²Ρ ΠΈΡΠΏΡΡΠ°ΡΡ ΡΡΡΡΡ Π±ΠΎΠ»Ρ ΠΏΡΠΈ ΠΏΠ°Π»ΡΠΏΠ°ΡΠΈΠΈ.
ΠΠ΅ΡΠ΅Π½ΠΈΠ΅
ΠΠΎΠ½ΡΠ΅ΡΠ²Π°ΡΠΈΠ²Π½Π°Ρ ΡΠ΅ΡΠ°ΠΏΠΈΡ ΠΏΡΠ΅Π΄Π»Π°Π³Π°Π΅Ρ Π»Π΅ΡΠ΅Π½ΠΈΠ΅ ΠΏΠ΅ΡΠ΅Π»ΠΎΠΌΠ° ΠΏΠ°Π»ΡΡΠ° ΡΡΠΊΠΈ ΠΌΠ΅ΡΠΎΠ΄ΠΎΠΌ Π·Π°ΠΊΡΡΡΠΎΠΉ ΡΠ΅ΠΏΠΎΠ·ΠΈΡΠΈΠΈ. ΠΠ°Π½Π½ΡΠΉ ΠΌΠ΅ΡΠΎΠ΄ ΠΏΠΎΠ΄Ρ
ΠΎΠ΄ΠΈΡ Π΄Π»Ρ Π½Π΅ΠΎΡΠ»ΠΎΠΆΠ½Π΅Π½Π½ΡΡ
ΠΏΠΎΠ²ΡΠ΅ΠΆΠ΄Π΅Π½ΠΈΠΉ. Π‘ΡΠ°Π·Ρ ΠΏΠΎΡΠ»Π΅ Π²ΠΏΡΠ°Π²Π»Π΅Π½ΠΈΡ Π΄Π°ΡΡ Π°Π½Π°Π»ΡΠ³Π΅ΡΠΈΠΊΠΈ. Π‘ ΡΠ°ΠΊΠΎΠΉΒ ΠΆΠ΅ ΡΠ΅Π»ΡΡ ΠΈΡΠΏΠΎΠ»ΡΠ·ΡΡΡ Π»Π΅ΠΊΠ°ΡΡΡΠ²Π΅Π½Π½ΡΠΉ ΡΠ»Π΅ΠΊΡΡΠΎΡΠΎΡΠ΅Π·. ΠΡΠΈ ΠΎΡΡΡΠΎΠΉ Π±ΠΎΠ»ΠΈ ΠΏΡΠΎΠ²ΠΎΠ΄ΡΡ Π½ΠΎΠ²ΠΎΠΊΠ°ΠΈΠ½ΠΎΠ²ΡΡ Π±Π»ΠΎΠΊΠ°Π΄Ρ ΡΠΎ ΡΡΠΎΡΠΎΠ½Ρ ΠΏΠΎΡΠ°ΠΆΠ΅Π½ΠΈΡ.
ΠΠ°ΠΊ Π»Π΅ΡΠΈΡΡ ΡΡΠ°Π²ΠΌΠΈΡΠΎΠ²Π°Π½Π½ΡΠΉ ΠΎΡΠ³Π°Π½ Π² ΠΊΠΎΠ½ΠΊΡΠ΅ΡΠ½ΠΎΠΌ ΡΠ»ΡΡΠ°Π΅, ΡΠ΅ΡΠ°Π΅Ρ ΡΡΠ°Π²ΠΌΠ°ΡΠΎΠ»ΠΎΠ³. ΠΠ΅ΡΠΎΠ΄Ρ ΡΠ΅ΡΠ°ΠΏΠΈΠΈ Π²Π°ΡΡΠΈΡΡΡΡΡΡ, Π½ΠΎ ΡΠ°ΡΠ΅ Π½Π°ΠΊΠ»Π°Π΄ΡΠ²Π°ΡΡ Π³ΠΈΠΏΡΠΎΠ²ΡΡ ΠΏΠΎΠ²ΡΠ·ΠΊΡ. Π‘ΠΊΠΎΠ»ΡΠΊΠΎ Π½ΠΎΡΠΈΡΡ Π³ΠΈΠΏΡ, Π·Π°Π²ΠΈΡΠΈΡ ΠΎΡ ΡΠ»ΠΎΠΆΠ½ΠΎΡΡΠΈ ΠΏΠΎΠ²ΡΠ΅ΠΆΠ΄Π΅Π½ΠΈΡ. ΠΠ±ΡΡΠ½ΠΎ ΠΏΡΠΈ ΡΡΠ°Π²ΠΌΠ°ΡΠΈΠ·Π°ΡΠΈΠΈ ΠΎΠ΄Π½ΠΎΠΉ ΡΠ°Π»Π°Π½Π³ΠΈ ΡΡΠ΅Π±ΡΠ΅ΡΡΡ 3-4 Π½Π΅Π΄Π΅Π»ΠΈ. Π€ΠΈΠΊΡΠ°ΡΠΎΡ Π΄Π»Ρ ΠΏΠ°Π»ΡΡΠ° ΠΏΠΎΡΠ»Π΅ ΡΡΠ°Π²ΠΌΡ Π΄ΠΈΡΡΠ°Π»ΡΠ½ΠΎΠΉ ΡΠ°Π»Π°Π½Π³ΠΈ ΠΏΠ°Π»ΡΡΠ° Π΄ΠΎΠ»Π³ΠΎ Π½Π΅ Π½ΠΎΡΡΡ. ΠΡΠ»ΠΈ ΡΠ΄Π°Π΅ΡΡΡ Π±ΡΡΡΡΠΎ Π²ΡΠ»Π΅ΡΠΈΡΡΡΡ, ΡΠΎ Π½ΠΎΡΠ΅Π½ΠΈΠ΅ ΠΏΠΎΠ²ΡΠ·ΠΊΠΈ ΠΎΡΠΌΠ΅Π½ΡΡΡ ΠΈ ΠΏΡΠΈΡΡΡΠΏΠ°ΡΡ ΠΊ Π»Π΅ΡΠ΅Π±Π½ΠΎΠΉ Π³ΠΈΠΌΠ½Π°ΡΡΠΈΠΊΠ΅. ΠΠ΅ΠΊΠΎΡΠΎΡΠΎΠ΅ Π²ΡΠ΅ΠΌΡ ΠΏΠΎΡΠ»Π΅ ΠΏΠ΅ΡΠ΅Π»ΠΎΠΌΠ° Π΄Π΅ΡΠΆΠΈΡΡΡ ΠΎΡΠ΅ΠΊ β ΠΎΠΏΡΡ ΠΎΠ»Ρ ΠΎΡΡΠ°Π΅ΡΡΡ ΠΏΡΠΈ ΡΠΈΠ»ΡΠ½ΠΎΠΌ ΠΏΠΎΠ²ΡΠ΅ΠΆΠ΄Π΅Π½ΠΈΠΈ ΠΌΡΠ³ΠΊΠΈΡ ΡΠΊΠ°Π½Π΅ΠΉ. Π£Π±ΡΠ°ΡΡ Π΅Π΅ ΠΏΠΎΠΌΠΎΠ³Π°ΡΡ ΡΠΎΠ»Π΅Π²ΡΠ΅ Π²Π°Π½Π½ΠΎΡΠΊΠΈ ΠΈ ΠΏΡΠΎΡΠΈΠ²ΠΎΠΎΡΠ΅ΡΠ½ΡΠ΅ ΠΌΠ°Π·ΠΈ.
ΠΡΠ»ΠΈ ΠΎΡΠ½ΠΎΠ²Π½ΡΠ΅ ΠΏΡΠΈΠ·Π½Π°ΠΊΠΈ Π½Π΅ΠΎΡΠ»ΠΎΠΆΠ½Π΅Π½Π½ΠΎΠ³ΠΎ ΠΏΠ΅ΡΠ΅Π»ΠΎΠΌΠ° ΠΏΠ°Π»ΡΡΠ° ΡΡΠΊΠΈ ΠΈΡΡΠ΅Π·Π»ΠΈ, ΠΌΠΎΠΆΠ½ΠΎ Π³ΠΎΠ²ΠΎΡΠΈΡΡ ΠΎ Π²ΡΠ·Π΄ΠΎΡΠΎΠ²Π»Π΅Π½ΠΈΠΈ. ΠΠ½ΠΎΠ³Π΄Π° ΠΏΠΎΡΠ»Π΅ ΡΡΠ°Π²ΠΌΡ ΡΠ»Π°Π·ΠΈΡ ΠΊΠΎΠΆΠ° β ΠΏΠΎΡΠ΅ΠΌΡ ΡΡΠΎ ΠΏΡΠΎΠΈΡΡ ΠΎΠ΄ΠΈΡ? ΠΡΠΎ ΡΠ²ΡΠ·Π°Π½ΠΎ Ρ Π½ΠΎΡΠ΅Π½ΠΈΠ΅ΠΌ Π³ΠΈΠΏΡΠ° ΠΈ ΠΎΡΡΡΡΡΡΠ²ΠΈΠ΅ΠΌ Π΄ΠΎΠ»ΠΆΠ½ΠΎΠΉ Π³ΠΈΠ³ΠΈΠ΅Π½Ρ Π² ΠΏΠ΅ΡΠΈΠΎΠ΄ ΠΈΠΌΠΌΠΎΠ±ΠΈΠ»ΠΈΠ·Π°ΡΠΈΠΈ. ΠΡΠΈ ΠΏΡΠ°Π²ΠΈΠ»ΡΠ½ΠΎΠΌ ΡΡ ΠΎΠ΄Π΅ ΡΠ΅Π»ΡΡΠ΅Π½ΠΈΠ΅ ΠΏΡΠΎΡ ΠΎΠ΄ΠΈΡ.
ΠΠΏΠ΅ΡΠ°ΡΠΈΠ²Π½ΠΎΠ΅ Π»Π΅ΡΠ΅Π½ΠΈΠ΅
ΠΠΏΠ΅ΡΠ°ΡΠΈΡ ΡΡΠ΅Π±ΡΠ΅ΡΡΡ Π² ΡΠ»ΠΎΠΆΠ½ΡΡ
ΡΠ»ΡΡΠ°ΡΡ
, ΠΊΠΎΠ³Π΄Π° ΡΠ΅ΠΏΠΎΠ·ΠΈΡΠΈΡ ΠΊΠΎΡΡΠ½ΡΡ
ΠΎΡΠ»ΠΎΠΌΠΊΠΎΠ² Π·Π°ΠΊΡΡΡΡΠΌ ΠΏΡΡΠ΅ΠΌ Π½Π΅Π²ΠΎΠ·ΠΌΠΎΠΆΠ½Π°. ΠΡΠ»Π΅ΡΠΈΡΡ ΠΏΠ΅ΡΠ΅Π»ΠΎΠΌ ΠΎΡΠ½ΠΎΠ²Π½ΠΎΠΉ ΡΠ°Π»Π°Π½Π³ΠΈ Ρ Π΄ΡΠΎΠ±Π»Π΅Π½ΠΈΠ΅ΠΌ ΠΊΠΎΡΡΠ½ΠΎΠΉ ΡΡΡΡΠΊΡΡΡΡ Π½Π° ΡΡΠ°Π³ΠΌΠ΅Π½ΡΡ Π±Π΅Π· ΡΠ΅ΡΡΠ΅Π·Π½ΠΎΠ³ΠΎ ΠΌΠ΅Π΄ΠΈΡΠΈΠ½ΡΠΊΠΎΠ³ΠΎ Π²ΠΌΠ΅ΡΠ°ΡΠ΅Π»ΡΡΡΠ²Π° Π½Π΅Π²ΠΎΠ·ΠΌΠΎΠΆΠ½ΠΎ. Π‘ ΡΠ΅Π»ΡΡ ΡΠΈΠΊΡΠ°ΡΠΈΠΈ ΠΎΡΠ»ΠΎΠΌΠΊΠΎΠ² ΠΎΡΡΡΠ΅ΡΡΠ²Π»ΡΠ΅ΡΡΡ ΠΎΡΡΠ΅ΠΎΡΠΈΠ½ΡΠ΅Π·. ΠΠ»Ρ ΡΡΠΎΠ³ΠΎ Π²ΡΠ΅ΠΌΠ΅Π½Π½ΠΎ Π²ΡΡΠ°Π²Π»ΡΡΡ ΡΠΏΠΈΡΡ. ΠΡΠ»ΠΈ ΠΏΡΠΎΡΠ΅ΡΡ ΡΡΠ°ΡΠ΅Π½ΠΈΡ ΠΏΡΠΎΡ
ΠΎΠ΄ΠΈΡ Π±Π΅Π· ΠΎΡΠ»ΠΎΠΆΠ½Π΅Π½ΠΈΠΉ, ΡΠ΅ΡΠ΅Π· 3 Π½Π΅Π΄Π΅Π»ΠΈ Π΅Π΅ ΠΈΠ·Π²Π»Π΅ΠΊΠ°ΡΡ.
ΠΠ΅ΡΠ΅Π»ΠΎΠΌ Π±ΠΎΠ»ΡΡΠΎΠ³ΠΎ ΠΏΠ°Π»ΡΡΠ° ΡΠΎ ΡΠΌΠ΅ΡΠ΅Π½ΠΈΠ΅ΠΌ ΡΠ°ΡΠ΅ ΡΡΠ΅Π±ΡΠ΅Ρ Ρ ΠΈΡΡΡΠ³ΠΈΡΠ΅ΡΠΊΠΎΠΉ ΠΊΠΎΡΡΠ΅ΠΊΡΠΈΠΈ. ΠΠ½ΠΎΠ³Π΄Π° ΡΠΏΠΈΡΠ° Π² ΠΏΠ°Π»ΡΡΠ΅ ΠΎΡΡΠ°Π΅ΡΡΡ ΠΏΠΎΠΆΠΈΠ·Π½Π΅Π½Π½ΠΎ. Π£ΡΡΠ°Π½ΠΎΠ²ΠΊΠ° ΠΏΠΎΠ΄ΠΎΠ±Π½ΡΡ ΠΊΠΎΠ½ΡΡΡΡΠΊΡΠΈΠΉ ΡΡΠ΅Π±ΡΠ΅ΡΡΡ ΠΏΡΠΈ ΠΎΡΠ»ΠΎΠΆΠ½Π΅Π½Π½ΠΎΠΌ ΠΏΠ΅ΡΠ΅Π»ΠΎΠΌΠ΅ ΡΠΎ ΡΠΌΠ΅ΡΠ΅Π½ΠΈΠ΅ΠΌ Π»ΠΈΠ±ΠΎ Π² ΡΠ»ΡΡΠ°Π΅ ΡΠ°Π½Π΅Π΅ Π½Π΅ΠΏΡΠ°Π²ΠΈΠ»ΡΠ½ΠΎ ΡΡΠΎΡΡΠ΅Π³ΠΎΡΡ ΠΏΠ΅ΡΠ΅Π»ΠΎΠΌΠ°, Π²ΡΠ·Π²Π°Π²ΡΠ΅Π³ΠΎ Π½Π΅ΠΎΠ±ΡΠ°ΡΠΈΠΌΡΠ΅ ΠΈΠ·ΠΌΠ΅Π½Π΅Π½ΠΈΡ. ΠΠΎΡΠ»Π΅ Π²ΡΠΏΡΠ°Π²Π»Π΅Π½ΠΈΡ ΠΊΠΎΡΡΠΈ ΡΡΠΈΠ²Π°ΡΡ ΡΡΡ ΠΎΠΆΠΈΠ»ΠΈΡ ΠΈ ΠΌΡΡΡΡ.
ΠΠ°ΠΊ Π»Π΅ΡΠΈΡΡ ΠΏΠ΅ΡΠ΅Π»ΠΎΠΌ ΠΏΠ°Π»ΡΡΠ° Π² Π΄ΠΎΠΌΠ°ΡΠ½ΠΈΡ ΡΡΠ»ΠΎΠ²ΠΈΡΡ
ΠΠ΅Π»ΡΠ·Ρ Π½Π°Π·Π²Π°ΡΡ ΠΏΠ΅ΡΠ΅Π»ΠΎΠΌ ΠΏΠ°Π»ΡΡΠ΅Π² Π»Π΅Π³ΠΊΠΎΠΉ ΡΡΠ°Π²ΠΌΠΎΠΉ. ΠΡΠ»Π΅ΡΠΈΡΡ ΠΏΠΎΠ²ΡΠ΅ΠΆΠ΄Π΅Π½ΠΈΠ΅ Π² Π΄ΠΎΠΌΠ°ΡΠ½ΠΈΡ ΡΡΠ»ΠΎΠ²ΠΈΡΡ Π±Π΅Π· ΠΌΠ΅Π΄ΠΈΡΠΈΠ½ΡΠΊΠΎΠΉ ΠΏΠΎΠΌΠΎΡΠΈ Π½Π΅ ΠΏΡΠ΅Π΄ΡΡΠ°Π²Π»ΡΠ΅ΡΡΡ Π²ΠΎΠ·ΠΌΠΎΠΆΠ½ΡΠΌ. ΠΠΎΡΠ»Π΅ ΠΏΡΠΎΠ²Π΅Π΄Π΅Π½ΠΈΡ ΠΎΡΠ½ΠΎΠ²Π½ΠΎΠΉ ΡΠ΅ΡΠ°ΠΏΠΈΠΈ ΠΏΠ°ΡΠΈΠ΅Π½ΡΡ ΠΏΡΠ΅Π΄Π»Π°Π³Π°Π΅ΡΡΡ ΠΏΠΈΡΠ°ΡΡΡΡ ΠΏΡΠΎΠ΄ΡΠΊΡΠ°ΠΌΠΈ, ΠΎΠ±ΠΎΠ³Π°ΡΠ΅Π½Π½ΡΠΌΠΈ ΠΊΠ°Π»ΡΡΠΈΠ΅ΠΌ, ΠΈ Π½Π΅ Π±Π΅ΡΠΏΠΎΠΊΠΎΠΈΡΡ ΠΏΠΎΠ²ΡΠ΅ΠΆΠ΄Π΅Π½Π½ΡΡ ΠΊΠΎΠ½Π΅ΡΠ½ΠΎΡΡΡ.
Π‘ΠΊΠΎΠ»ΡΠΊΠΎ ΡΡΠ°ΡΡΠ°Π΅ΡΡΡ ΠΏΠ΅ΡΠ΅Π»ΠΎΠΌ ΠΏΠ°Π»ΡΡΠ°
ΠΡΠ»ΠΈ ΡΡΠ°Π²ΠΌΠ° Π½Π΅ ΡΠ²Π»ΡΠ΅ΡΡΡ ΠΎΡΠ»ΠΎΠΆΠ½Π΅Π½Π½ΠΎΠΉ, ΡΠΎ ΠΊΠΎΡΡΠΈ ΡΡΠ°ΡΡΠ°ΡΡΡΡ Π² ΡΠ΅ΡΠ΅Π½ΠΈΠ΅ 4-6 Π½Π΅Π΄Π΅Π»Ρ. ΠΠΎΠ»Π³ΠΎ ΠΏΡΠΎΠΈΡΡ ΠΎΠ΄ΠΈΡ Π·Π°ΠΆΠΈΠ²Π»Π΅Π½ΠΈΠ΅, ΠΊΠΎΠ³Π΄Π° ΠΏΠΎΠ²ΡΠ΅ΠΆΠ΄Π΅Π½Ρ ΡΠ²ΡΠ·ΠΊΠΈ ΠΈ ΡΡΡ ΠΎΠΆΠΈΠ»ΠΈΡ. Π‘ΠΊΠΎΠ»ΡΠΊΠΎ Π·Π°ΠΆΠΈΠ²Π°Π΅Ρ ΠΏΠ΅ΡΠ΅Π»ΠΎΠΌ ΠΌΠΈΠ·ΠΈΠ½ΡΠ°, Π½Π΅ ΠΎΡΡΠ³ΡΠ΅Π½Π½ΡΠΉ ΡΠΎΠΏΡΡΡΡΠ²ΡΡΡΠΈΠΌΠΈ Π½Π°ΡΡΡΠ΅Π½ΠΈΡΠΌΠΈ? ΠΡΠΈ Π±Π»Π°Π³ΠΎΠΏΡΠΈΡΡΠ½ΡΡ ΡΡΠ»ΠΎΠ²ΠΈΡΡ Π΄ΠΎΡΡΠ°ΡΠΎΡΠ½ΠΎ 3 Π½Π΅Π΄Π΅Π»Ρ, ΠΈΠ½ΠΎΠ³Π΄Π° Π³ΠΈΠΏΡΠΎΠ²ΡΡ ΠΏΠΎΠ²ΡΠ·ΠΊΡ Π²ΡΠ΄Π΅ΡΠΆΠΈΠ²Π°ΡΡ 5 Π½Π΅Π΄Π΅Π»Ρ. Π’ΠΎΠ»ΡΠΊΠΎ Π²ΡΠ°Ρ ΠΌΠΎΠΆΠ΅Ρ ΠΎΡΠ²Π΅ΡΠΈΡΡ Π½Π° Π²ΠΎΠΏΡΠΎΡ, ΡΠΊΠΎΠ»ΡΠΊΠΎ Π²ΡΠ΅ΠΌΠ΅Π½ΠΈ ΡΡΠ°ΡΡΠ°Π΅ΡΡΡ ΠΏΠ΅ΡΠ΅Π»ΠΎΠΌ, ΠΏΠΎΡΠΊΠΎΠ»ΡΠΊΡ ΠΌΠ½ΠΎΠ³ΠΎΠ΅ ΠΎΠΏΡΠ΅Π΄Π΅Π»ΡΠ΅ΡΡΡ Π²ΠΎΠ·ΡΠ°ΡΡΠΎΠΌ ΠΏΠ°ΡΠΈΠ΅Π½ΡΠ°, ΡΠ»ΠΎΠΆΠ½ΠΎΡΡΡΡ ΡΡΠ°Π²ΠΌΡ ΠΈ ΡΠΎΡΡΠΎΡΠ½ΠΈΠ΅ΠΌΒ ΠΊΠΎΡΡΠ½ΠΎ-ΠΌΡΡΠ΅ΡΠ½ΠΎΠΉ ΡΠΈΡΡΠ΅ΠΌΡ.
Π Π΅Π°Π±ΠΈΠ»ΠΈΡΠ°ΡΠΈΡ
ΠΠ»Ρ ΡΠ»ΡΡΡΠ΅Π½ΠΈΡ Π²ΠΎΡΡΡΠ°Π½ΠΎΠ²Π»Π΅Π½ΠΈΡ ΡΠ΅ΠΊΠΎΠΌΠ΅Π½Π΄ΡΡΡ Π»Π΅ΠΊΠ°ΡΡΡΠ²Π΅Π½Π½ΡΠΉ ΡΠ»Π΅ΠΊΡΡΠΎΡΠΎΡΠ΅Π·. Π ΡΡΠΎΡ ΠΆΠ΅ ΠΏΠ΅ΡΠΈΠΎΠ΄ ΠΌΠ΅Π½ΡΡΡ ΡΠ°ΡΠΈΠΎΠ½ ΠΏΠΈΡΠ°Π½ΠΈΡ. ΠΠΎΡΡΡΠ°Π½ΠΎΠ²ΠΈΡΡ ΠΊΠΎΡΡΠ½ΡΠ΅ ΡΡΡΡΠΊΡΡΡΡ ΠΏΠΎΠΌΠΎΠ³Π°ΡΡ ΠΏΡΠΎΠ΄ΡΠΊΡΡ, ΡΠΎΠ΄Π΅ΡΠΆΠ°ΡΠΈΠ΅ ΠΌΠ°Π³Π½ΠΈΠΉ, ΡΠΈΠ½ΠΊ ΠΈ ΠΌΠ°ΡΠ³Π°Π½Π΅Ρ. ΠΠ½ΠΈ ΡΠΏΠΎΡΠΎΠ±ΡΡΠ²ΡΡΡ ΡΡΠ²ΠΎΠ΅Π½ΠΈΡ ΠΊΠ°Π»ΡΡΠΈΡ ΠΈ Π°ΠΊΡΠΈΠ²ΠΈΠ·ΠΈΡΡΡΡ ΡΡΠ°ΡΡΠ°Π½ΠΈΠ΅.
ΠΡΠ°Ρ ΠΎΠ±ΡΡΡΠ½ΠΈΡ, ΠΊΠ°ΠΊ ΠΈ ΠΊΠΎΠ³Π΄Π° ΡΠ°Π·ΡΠ°Π±Π°ΡΡΠ²Π°ΡΡ ΠΏΠ°Π»Π΅Ρ ΠΏΠΎΡΠ»Π΅ ΠΏΠ΅ΡΠ΅Π»ΠΎΠΌΠ°. ΠΠ΅ Π½ΡΠΆΠ½ΠΎ ΠΏΠ΅ΡΠ΅Π³ΡΡΠΆΠ°ΡΡ ΠΊΠΎΠ½Π΅ΡΠ½ΠΎΡΡΡ ΠΈ ΡΠΎΡΡΠΈΡΠΎΠ²Π°ΡΡ ΡΠΎΠ±ΡΡΠΈΡ, ΡΡΠΎ ΠΌΠΎΠΆΠ΅Ρ ΠΏΡΠΈΠ²Π΅ΡΡΠΈ ΠΊ Ρ ΡΠΎΠ½ΠΈΡΠ΅ΡΠΊΠΎΠΌΡ ΡΡΠ°Π²ΠΌΠ°ΡΠΈΠ·ΠΌΡ. Π§Π°ΡΡΠΎ ΠΏΡΠΈ ΠΏΠ΅ΡΠ΅Π»ΠΎΠΌΠ΅ Π½ΠΎΡΡΡ Π³ΠΈΠΏΡΠΎΠ²ΡΡ ΠΏΠΎΠ²ΡΠ·ΠΊΡ, Π° ΠΏΠΎΡΠΎΠΌΡ Π°ΠΊΡΠΈΠ²Π½ΡΠ΅ Π΄Π΅ΠΉΡΡΠ²ΠΈΡ Π½Π° ΠΏΠ΅ΡΠΈΠΎΠ΄ ΠΌΠΎΠ±ΠΈΠ»ΠΈΠ·Π°ΡΠΈΠΈ ΠΈΡΠΊΠ»ΡΡΠ΅Π½Ρ. Π Π΄Π°Π»ΡΠ½Π΅ΠΉΡΠ΅ΠΌ ΡΠ΅Π°Π±ΠΈΠ»ΠΈΡΠ°ΡΠΈΡ ΠΏΠ΅ΡΠ΅Π»ΠΎΠΌΠ° ΠΏΠ°Π»ΡΡΠ° ΡΡΠΊΠΈ ΠΏΠΎΡΠ»Π΅ ΡΠ½ΡΡΠΈΡ Π³ΠΈΠΏΡΠ° Π·Π°ΠΊΠ»ΡΡΠ°Π΅ΡΡΡ Π² Π²ΡΠΏΠΎΠ»Π½Π΅Π½ΠΈΠΈ Π³ΠΈΠΌΠ½Π°ΡΡΠΈΠΊΠΈ Π΄ΠΎΠΌΠ°. ΠΠ°ΡΠΈΠ΅Π½ΡΡ ΠΏΡΠ΅Π΄Π»Π°Π³Π°Π΅ΡΡΡ ΡΠ°Π·ΡΠ°Π±Π°ΡΡΠ²Π°ΡΡ ΠΏΠ°Π»ΡΡΡ ΠΏΠΎΡΠ»Π΅ ΠΏΠ΅ΡΠ΅Π»ΠΎΠΌΠ° Ρ ΠΏΠΎΠΌΠΎΡΡΡ ΡΠ΅Π½Π½ΠΈΡΠ½ΡΡ ΠΌΡΡΠΈΠΊΠΎΠ² ΠΈ ΡΠ΅Π·ΠΈΠ½ΠΎΠ²ΡΡ ΠΊΠΎΠ»Π΅Ρ.
ΠΠ° ΠΏΠ΅ΡΠΈΠΎΠ΄ ΡΠ΅Π°Π±ΠΈΠ»ΠΈΡΠ°ΡΠΈΠΈ Π²ΡΠ°Ρ ΠΌΠΎΠΆΠ΅Ρ ΠΏΠΎΡΠΎΠ²Π΅ΡΠΎΠ²Π°ΡΡ Π²ΡΠΏΠΎΠ»Π½Π΅Π½ΠΈΠ΅ ΠΌΠΎΠ½ΠΎΡΠΎΠ½Π½ΠΎΠΉ ΡΠ°Π±ΠΎΡΡ ΡΠ°Π»Π°Π½Π³Π°ΠΌΠΈ: ΠΈΠ³ΡΠ° Π½Π° ΠΊΠ»Π°Π²ΠΈΡΠ½ΡΡ , Π²ΡΠ·Π°Π½ΠΈΠ΅ ΡΠΏΠΈΡΠ°ΠΌΠΈ ΠΈ Π΄Ρ. Π Π΅ΠΊΠΎΠΌΠ΅Π½Π΄ΠΎΠ²Π°Π½Ρ Π»Π΅ΠΏΠΊΠ° ΠΈΠ· ΠΏΠ»Π°ΡΡΠΈΠ»ΠΈΠ½Π°, ΡΠΎΠ»Π΅Π½ΠΎΠ³ΠΎ ΡΠ΅ΡΡΠ°, ΡΠ°Π±ΠΎΡΠ° Ρ ΠΏΠ΅ΡΠΊΠΎΠΌ, ΡΠ΅Π·ΠΈΠ½ΠΎΠ²ΡΠΌΠΈ ΠΌΡΡΠΈΠΊΠ°ΠΌΠΈ ΠΈ Π΄ΡΡΠ³ΠΈΠ΅ ΠΌΠ΅ΡΠΎΠ΄Ρ, Π½Π°ΠΏΡΠ°Π²Π»Π΅Π½Π½ΡΠ΅ Π½Π° ΡΠ°Π·Π²ΠΈΡΠΈΠ΅ ΠΌΠ΅Π»ΠΊΠΎΠΉ ΠΌΠΎΡΠΎΡΠΈΠΊΠΈ.
Π€ΠΈΠ·ΠΈΠΎΡΠ΅ΡΠ°ΠΏΠΈΡ
Π€ΠΈΠ·ΠΈΠΎΡΠ΅ΡΠ°ΠΏΠ΅Π²Ρ ΠΈΠ»ΠΈ ΡΠ΅Π°Π±ΠΈΠ»ΠΈΡΠΎΠ»ΠΎΠ³ ΠΏΠΎΠ΄ΡΠΊΠ°ΠΆΠ΅Ρ, ΠΊΠ°ΠΊ ΠΏΡΠ°Π²ΠΈΠ»ΡΠ½ΠΎ ΡΠ°Π·ΡΠ°Π±ΠΎΡΠ°ΡΡ ΠΏΠ°Π»Π΅Ρ ΠΏΠΎΡΠ»Π΅ ΠΏΠ΅ΡΠ΅Π»ΠΎΠΌΠ°. Π Π΅ΠΊΠΎΠΌΠ΅Π½Π΄ΠΎΠ²Π°Π½Ρ ΡΠΏΠ΅ΡΠΈΠ°Π»ΡΠ½ΡΠ΅ ΡΠΏΡΠ°ΠΆΠ½Π΅Π½ΠΈΡ ΠΈ Π»Π΅ΡΠ΅Π±Π½Π°Ρ Π³ΠΈΠΌΠ½Π°ΡΡΠΈΠΊΠ° Π΄Π»Ρ ΠΏΠ°Π»ΡΡΠ΅Π². ΠΠΎΠ»ΡΠ·Ρ ΠΏΡΠΈΠ½Π΅ΡΠ΅Ρ ΠΏΠ΅ΡΠ΅Π±ΠΈΡΠ°Π½ΠΈΠ΅ ΡΠΈΡΠ° ΠΈΠ»ΠΈ Π³ΡΠ΅ΡΠ½Π΅Π²ΠΎΠΉ ΠΊΡΡΠΏΡ. ΠΠ»Ρ ΡΠ°Π·ΡΠ°Π±ΠΎΡΠΊΠΈ ΠΎΡΠ΄Π΅Π»ΡΠ½ΡΡ ΡΠ°Π»Π°Π½Π³ ΠΏΠ°Π»ΡΡΠ° ΠΏΠΎΡΠ»Π΅ ΠΏΠ΅ΡΠ΅Π»ΠΎΠΌΠ° ΠΈΡΠΏΠΎΠ»ΡΠ·ΡΡΡ Π»Π°Π½Π³Π΅ΡΡ, ΠΎΠ³ΡΠ°Π½ΠΈΡΠΈΠ²Π°ΡΡΠΈΠ΅ ΠΏΠΎΠ΄Π²ΠΈΠΆΠ½ΠΎΡΡΡ.
ΠΠΎΡΠ»Π΅ Π»ΡΠ±ΠΎΠ³ΠΎ ΠΏΠ΅ΡΠ΅Π»ΠΎΠΌΠ° ΠΏΡΠΎΠ²ΠΎΠ΄ΡΡ Π°ΠΏΠΏΠ°ΡΠ°ΡΠ½ΡΡ ΡΠΈΠ·ΠΈΠΎΡΠ΅ΡΠ°ΠΏΠΈΡ. ΠΡΡΡΡΠ°Ρ Π£ΠΠ§, ΠΌΠ°Π³Π½ΠΈΡΠΎΡΠ΅ΡΠ°ΠΏΠΈΡ, Π°ΠΏΠΏΠ»ΠΈΠΊΠ°ΡΠΈΠΈ ΠΎΠ·ΠΎΠΊΠ΅ΡΠΈΡΠΎΠΌ Π΄ΠΎ 10 ΠΏΡΠΎΡΠ΅Π΄ΡΡ. Π Π°Π·ΡΠ°Π±ΠΎΡΠΊΡ ΠΏΠ°Π»ΡΡΠ΅Π² ΡΡΠΊΠΈ Π² Π΄ΠΎΠΌΠ°ΡΠ½ΠΈΡ ΡΡΠ»ΠΎΠ²ΠΈΡΡ ΠΏΠΎΡΠ»Π΅ ΠΏΠ΅ΡΠ΅Π»ΠΎΠΌΠ° Π½Π°ΡΠΈΠ½Π°ΡΡ Π΅ΡΠ΅ Π΄ΠΎ ΡΠ½ΡΡΠΈΡ Π³ΠΈΠΏΡΠ°. ΠΠΎΠ»ΡΠ·Ρ ΠΏΡΠΈΠ½Π΅ΡΠ΅Ρ Π»Π΅Π³ΠΊΠΈΠΉ ΠΌΠ°ΡΡΠ°ΠΆ ΠΊΠΈΡΡΠΈ, ΠΊΠΎΡΠΎΡΡΠΉ ΡΠ»ΡΡΡΠΈΡ ΠΊΡΠΎΠ²ΠΎΡΠΎΠΊ ΠΈ ΡΠ΅Π³Π΅Π½Π΅ΡΠ°ΡΠΈΡ. ΠΠ°ΠΊ ΡΠ°Π·ΡΠ°Π±ΠΎΡΠ°ΡΡ ΠΏΠ°Π»ΡΡΡ ΡΡΠΊΠΈ ΠΏΠΎΡΠ»Π΅ ΡΠ΄Π°Π»Π΅Π½ΠΈΡ ΠΏΠΎΠ²ΡΠ·ΠΊΠΈ, ΠΏΠΎΠ΄ΡΠΊΠ°ΠΆΠ΅Ρ Π²ΡΠ°Ρ. ΠΠ° Π½Π°ΡΠ°Π»ΡΠ½ΠΎΠΌ ΡΡΠ°ΠΏΠ΅ Π½Π°ΠΈΠ±ΠΎΠ»Π΅Π΅ ΠΏΡΠΈΠ΅ΠΌΠ»Π΅ΠΌ ΠΏΠ°ΡΡΠΈΠ²Π½ΡΠΉ ΠΌΠ΅ΡΠΎΠ΄: Π²ΠΎΠ·Π΄Π΅ΠΉΡΡΠ²ΠΈΠ΅ ΡΡΡ ΠΈΠΌ ΡΠ΅ΠΏΠ»ΠΎΠΌ, ΡΠ°ΠΌΠΎΠΌΠ°ΡΡΠ°ΠΆ. Π Π΄Π°Π»ΡΠ½Π΅ΠΉΡΠ΅ΠΌ ΡΠ°Π·ΡΠ°Π±Π°ΡΡΠ²Π°ΡΡ ΠΏΠ°Π»ΡΡΡ ΡΠ»Π΅Π΄ΡΠ΅Ρ Π°ΠΊΡΠΈΠ²Π½ΠΎ β Ρ ΠΏΠΎΠΌΠΎΡΡΡ Π³ΠΈΠΌΠ½Π°ΡΡΠΈΠΊΠΈ, Π²ΡΠΏΠΎΠ»Π½Π΅Π½ΠΈΡ Π±ΡΡΠΎΠ²ΡΡ ΡΡΠ½ΠΊΡΠΈΠΉ.
ΠΡΠ»ΠΎΠΆΠ½Π΅Π½ΠΈΡ ΠΈ ΠΏΠΎΡΠ»Π΅Π΄ΡΡΠ²ΠΈΡ
Π ΡΠ»ΡΡΠ°Π΅ ΠΏΠ΅ΡΠ΅Π»ΠΎΠΌΠ° ΠΏΠ°Π»ΡΡΠ° Π½Π΅ ΠΈΡΠΊΠ»ΡΡΠ΅Π½Ρ Π½Π΅Π³Π°ΡΠΈΠ²Π½ΡΠ΅ ΠΏΠΎΡΠ»Π΅Π΄ΡΡΠ²ΠΈΡ. ΠΠΈΡΡΡ ΠΌΠΎΠΆΠ΅Ρ ΠΏΠΎΡΠ΅ΡΡΡΡ ΡΡΠ½ΠΊΡΠΈΠΈ, ΠΈΠ½ΠΎΠ³Π΄Π° ΡΡΠ°Π²ΠΌΠΈΡΠΎΠ²Π°Π½Π½ΡΠΉ ΠΏΠ°Π»Π΅Ρ Π½Π΅ ΡΠ³ΠΈΠ±Π°Π΅ΡΡΡ ΠΈΠ»ΠΈ Π΄Π΅ΡΠΎΡΠΌΠΈΡΡΠ΅ΡΡΡ. Π’Π°ΠΊΠΈΠ΅ ΠΎΡΠ»ΠΎΠΆΠ½Π΅Π½ΠΈΡ Π²ΠΎΠ·Π½ΠΈΠΊΠ°ΡΡ Π²ΡΠ»Π΅Π΄ΡΡΠ²ΠΈΠ΅ ΡΠ°ΠΌΠΎΡΡΠΎΡΡΠ΅Π»ΡΠ½ΠΎΠ³ΠΎ Π»Π΅ΡΠ΅Π½ΠΈΡ ΠΈ ΠΎΡΠΊΠ°Π·Π° ΠΎΡ ΠΌΠ΅Π΄ΠΈΡΠΈΠ½ΡΠΊΠΎΠΉ ΠΏΠΎΠΌΠΎΡΠΈ. Π‘ΡΠ΅Π΄ΠΈ ΠΏΡΠΎΡΠΈΡ ΠΏΠΎΡΠ»Π΅Π΄ΡΡΠ²ΠΈΠΉ ΡΡΠ°Π²ΠΌΡ:
- ΠΎΡΡΠ΅ΠΎΠΌΠΈΠ΅Π»ΠΈΡ β ΡΠ°Π·Π²ΠΈΠ²Π°Π΅ΡΡΡ Π² ΠΏΡΠΈΡΠΈΠ½Π΅ ΠΈΠ½ΡΠΈΡΠΈΡΠΎΠ²Π°Π½ΠΈΡ ΡΠΊΠ°Π½ΠΈ Π² ΡΠ»ΡΡΠ°Π΅ ΡΠ°Π½Π΅Π½ΠΈΡ. ΠΡΠΎΡΠ΅ΠΊΠ°Π΅Ρ ΡΡΠΆΠ΅Π»ΠΎ, ΡΠ°ΡΡΠΎ ΡΠ΅ΡΠΈΠ΄ΠΈΠ²ΠΈΡΡΠ΅Ρ. ΠΠ΅ΡΠ΅Π½ΠΈΠ΅ Ρ ΠΈΡΡΡΠ³ΠΈΡΠ΅ΡΠΊΠΎΠ΅;
- Π°Π½ΠΊΠΈΠ»ΠΎΠ· β ΠΏΠΎΡΠ²Π»ΡΠ΅ΡΡΡ Π² ΡΠ»ΡΡΠ°Π΅ ΠΏΠΎΠ²ΡΠ΅ΠΆΠ΄Π΅Π½ΠΈΡ ΡΡΡΡΠ°Π²Π½ΡΡ ΠΏΠΎΠ²Π΅ΡΡ Π½ΠΎΡΡΠ΅ΠΉ. ΠΡΠΈΠ²ΠΎΠ΄ΠΈΡ ΠΊ ΠΏΠΎΠ»Π½ΠΎΠΌΡ ΠΎΠ³ΡΠ°Π½ΠΈΡΠ΅Π½ΠΈΡ Π΄Π²ΠΈΠΆΠ΅Π½ΠΈΡ, ΡΡΠΎ ΠΎΡΠΎΠ±Π΅Π½Π½ΠΎ ΠΎΡΡΡΠΈΠΌΠΎ Π² ΠΏΠΎΠ²ΡΠ΅Π΄Π½Π΅Π²Π½ΠΎΠΉ ΠΆΠΈΠ·Π½ΠΈ. ΠΠΎΠ²ΡΠ΅ΠΆΠ΄Π΅Π½Π½ΡΠΉ ΠΏΠ°Π»Π΅Ρ ΡΡΡΠ°ΡΠΈΠ²Π°Π΅Ρ ΡΡΠ½ΠΊΡΠΈΠΈ, ΡΡΠΎ ΠΌΠΎΠΆΠ΅Ρ ΠΏΡΠΈΠ²Π΅ΡΡΠΈ ΠΊ ΠΈΠ½Π²Π°Π»ΠΈΠ΄Π½ΠΎΡΡΠΈ;
- ΠΏΡΠ΅Π²Π΄ΠΎΠ°ΡΡΡΠΎΠ· β ΡΠΎΠΏΡΠΎΠ²ΠΎΠΆΠ΄Π°Π΅ΡΡΡ ΡΠΎΡΠΌΠΈΡΠΎΠ²Π°Π½ΠΈΠ΅ΠΌ Π»ΠΎΠΆΠ½ΠΎΠ³ΠΎ ΡΡΡΡΠ°Π²Π°, ΠΈΠ·-Π·Π° ΡΠ΅Π³ΠΎ ΠΊΠΎΠ½Π΅ΡΠ½ΠΎΡΡΡ ΡΠ°Π·Π³ΠΈΠ±Π°Π΅ΡΡΡ Π² ΡΠΎΠΌ ΠΌΠ΅ΡΡΠ΅, ΠΊΠΎΡΠΎΡΠΎΠ΅ ΠΏΡΠΈ Π½ΠΎΡΠΌΠ°Π»ΡΠ½ΡΡ ΡΡΠ»ΠΎΠ²ΠΈΡΡ ΠΎΡΡΠ°Π΅ΡΡΡ Π½Π΅ΠΏΠΎΠ΄Π²ΠΈΠΆΠ½ΡΠΌ. ΠΠ΅ΡΠ΅Π½ΠΈΠ΅ ΠΎΡΡΡΠ΅ΡΡΠ²Π»ΡΠ΅ΡΡΡ Ρ ΠΈΡΡΡΠ³ΠΈΡΠ΅ΡΠΊΠΈ;
- ΠΏΠ°ΡΠΎΠ»ΠΎΠ³ΠΈΡΠ΅ΡΠΊΠ°Ρ ΠΊΠΎΡΡΠ½Π°Ρ ΠΌΠΎΠ·ΠΎΠ»Ρ β Π΅ΡΠ»ΠΈ ΠΎΡΠ»ΠΎΠΌΠΊΠΈ ΡΠΎΠΏΠΎΡΡΠ°Π²Π»Π΅Π½Ρ Π½Π΅ΠΏΡΠ°Π²ΠΈΠ»ΡΠ½ΠΎ, ΡΠΎ ΠΏΠ΅ΡΠ΅Π»ΠΎΠΌ ΡΠ°ΡΡΠΎ ΠΎΡΠ»ΠΎΠΆΠ½ΡΠ΅ΡΡΡ ΠΎΠ³ΡΠ°Π½ΠΈΡΠ΅Π½Π½ΠΎΡΡΡΡ Π² Π΄Π²ΠΈΠΆΠ΅Π½ΠΈΡΡ ΠΈΠ·-Π·Π° ΡΡΠ΅Π·ΠΌΠ΅ΡΠ½ΠΎ Π±ΠΎΠ»ΡΡΠΎΠΉ ΠΊΠΎΡΡΠ½ΠΎΠΉ ΠΌΠΎΠ·ΠΎΠ»ΠΈ;
- ΠΊΠΎΠ½ΡΡΠ°ΠΊΡΡΡΡ β ΠΎΠ΄Π½ΠΎ ΠΈΠ· ΡΠΈΠΏΠΈΡΠ½ΡΡ ΠΎΡΠ»ΠΎΠΆΠ½Π΅Π½ΠΈΠΉ ΡΡΠ°Π²ΠΌΡ. ΠΠ΅ΡΠ΅Π»ΠΎΠΌ ΡΠ°Π»Π°Π½Π³ΠΈ ΠΏΠ°Π»ΡΡΠ° ΠΏΡΠΈΠ²ΠΎΠ΄ΠΈΡ ΠΊ ΡΠΊΠΎΡΠΎΡΠ΅Π½ΠΈΡ ΡΡΡ ΠΎΠΆΠΈΠ»ΠΈΠΉ, ΠΊΠΎΡΠΎΡΡΠ΅ ΠΎΡΠ²Π΅ΡΠ°ΡΡ Π·Π° ΡΡΠ½ΠΊΡΠΈΠΎΠ½Π°Π»ΡΠ½ΠΎΡΡΡ ΠΊΠΎΠ½Π΅ΡΠ½ΠΎΡΡΠΈ. ΠΠ½ΠΎΠ³Π΄Π° ΠΏΠ°Π»Π΅Ρ Π½Π΅ ΡΠ°Π·Π³ΠΈΠ±Π°Π΅ΡΡΡ ΠΈ ΡΠ°ΡΡΠΈΡΠ½ΠΎ ΠΈΠ»ΠΈ ΠΏΠΎΠ»Π½ΠΎΡΡΡΡ ΡΡΡΠ°ΡΠΈΠ²Π°Π΅Ρ ΠΏΠΎΠ΄Π²ΠΈΠΆΠ½ΠΎΡΡΡ.
Π£Π²Π°ΠΆΠ°Π΅ΠΌΡΠ΅ ΡΠΈΡΠ°ΡΠ΅Π»ΠΈ ΡΠ°ΠΉΡΠ° 1MedHelp, Π΅ΡΠ»ΠΈ Ρ Π²Π°Ρ ΠΎΡΡΠ°Π»ΠΈΡΡ Π²ΠΎΠΏΡΠΎΡΡ ΠΏΠΎ ΡΡΠΎΠΉ ΡΠ΅ΠΌΠ΅ β ΠΌΡ Ρ ΡΠ°Π΄ΠΎΡΡΡΡ Π½Π° Π½ΠΈΡ ΠΎΡΠ²Π΅ΡΠΈΠΌ. ΠΡΡΠ°Π²Π»ΡΠΉΡΠ΅ ΡΠ²ΠΎΠΈ ΠΎΡΠ·ΡΠ²Ρ, ΠΊΠΎΠΌΠΌΠ΅Π½ΡΠ°ΡΠΈΠΈ, Π΄Π΅Π»ΠΈΡΠ΅ΡΡ ΠΈΡΡΠΎΡΠΈΡΠΌΠΈ ΠΊΠ°ΠΊ Π²Ρ ΠΏΠ΅ΡΠ΅ΠΆΠΈΠ»ΠΈ ΠΏΠΎΠ΄ΠΎΠ±Π½ΡΡ ΡΡΠ°Π²ΠΌΡ ΠΈ ΡΡΠΏΠ΅ΡΠ½ΠΎ ΡΠΏΡΠ°Π²ΠΈΠ»ΠΈΡΡ Ρ ΠΏΠΎΡΠ»Π΅Π΄ΡΡΠ²ΠΈΡΠΌΠΈ! ΠΠ°Ρ ΠΆΠΈΠ·Π½Π΅Π½Π½ΡΠΉ ΠΎΠΏΡΡ ΠΌΠΎΠΆΠ΅Ρ ΠΏΡΠΈΠ³ΠΎΠ΄ΠΈΡΡΡΡ Π΄ΡΡΠ³ΠΈΠΌ ΡΠΈΡΠ°ΡΠ΅Π»ΡΠΌ.
1medhelp.com
ΠΡΠΈΠ·Π½Π°ΠΊΠΈ ΠΏΠ΅ΡΠ΅Π»ΠΎΠΌΠ° ΠΏΠ°Π»ΡΡΠ° Π½Π° ΡΡΠΊΠ΅
ΠΠ°ΠΆΠ΅ Π΄Π΅ΡΠΈ, Π·Π½Π°ΡΡ, Π΄Π»Ρ ΡΠ΅Π³ΠΎ Π½ΡΠΆΠ½Ρ ΠΏΠ°Π»ΡΡΡ Π½Π° ΡΡΠΊΠ°Ρ . ΠΠ½ΠΈ ΡΠΏΠΎΡΠΎΠ±Π½Ρ Π²ΡΠΏΠΎΠ»Π½ΡΡΡ ΠΎΡΠ΅Π½Ρ ΡΠΎΠ½ΠΊΠΈΠ΅, ΡΠΊΠΎΠΎΡΠ΄ΠΈΠ½ΠΈΡΠΎΠ²Π°Π½Π½ΡΠ΅ Β Π΄Π²ΠΈΠΆΠ΅Π½ΠΈΡ, ΠΊΠΎΡΠΎΡΡΠ΅ ΠΎΠΊΠ°Π·ΡΠ²Π°ΡΡ Π±ΠΎΠ»ΡΡΠΎΠ΅ Π²Π»ΠΈΡΠ½ΠΈΠ΅ Π½Π° Π½Π°ΡΡ ΠΏΠΎΠ²ΡΠ΅Π΄Π½Π΅Π²Π½ΡΡ Π΄Π΅ΡΡΠ΅Π»ΡΠ½ΠΎΡΡΡ. ΠΡ ΠΏΠ΅ΡΠ΅Π»ΠΎΠΌΠ° ΠΏΠ°Π»ΡΡΠ΅Π² Π½Π΅ Π·Π°ΡΡΡΠ°Ρ ΠΎΠ²Π°Π½ Π½ΠΈ ΠΎΠ΄ΠΈΠ½ ΡΠ΅Π»ΠΎΠ²Π΅ΠΊ, ΠΈ ΡΠ°ΠΊΠ°Ρ ΡΡΠ°Π²ΠΌΠ° ΠΌΠΎΠΆΠ΅Ρ ΡΡΠ°ΡΡ ΠΏΡΠΈΡΠΈΠ½ΠΎΠΉ ΠΏΠΎΡΠ²Π»Π΅Π½ΠΈΡ ΡΠ΅ΡΡΠ΅Π·Π½ΡΡ ΠΏΡΠΎΠ±Π»Π΅ΠΌ Π² Π²ΠΈΠ΄Π΅ ΠΎΠ³ΡΠ°Π½ΠΈΡΠ΅Π½ΠΈΠΉ ΡΡΠ½ΠΊΡΠΈΠΉ ΠΊΠΈΡΡΠΈ, ΡΠ³ΠΈΠ±Π°Π½ΠΈΡ ΠΏΠ°Π»ΡΡΠ΅Π² ΠΈ Π±ΠΎΠ»Π΅Π²ΠΎΠ³ΠΎ ΡΠΈΠ½Π΄ΡΠΎΠΌΠ° Π΄Π°ΠΆΠ΅ ΠΏΡΠΈ Π½Π΅Π±ΠΎΠ»ΡΡΠΈΡ Π½Π°Π³ΡΡΠ·ΠΊΠ°Ρ . Π’Π°ΠΊΠΈΠ΅ ΠΏΠΎΡΠ»Π΅Π΄ΡΡΠ²ΠΈΡ ΡΡΠ°Π²ΠΌΡ Π² Π±ΡΠ΄ΡΡΠ΅ΠΌ ΠΌΠΎΠ³ΡΡ Π½Π΅Π³Π°ΡΠΈΠ²Π½ΠΎ ΡΠΊΠ°Π·Π°ΡΡΡΡ Π½Π° ΠΏΡΠΎΡΠ΅ΡΡΠΈΠΎΠ½Π°Π»ΡΠ½ΠΎΠΉ Π΄Π΅ΡΡΠ΅Π»ΡΠ½ΠΎΡΡΠΈ ΠΈ Π²Π½Π΅ΡΡΠΈ ΠΎΠ³ΡΠ°Π½ΠΈΡΠ΅Π½ΠΈΡ Π² ΠΎΠ±ΡΡΠ½ΡΡ ΠΆΠΈΠ·Π½Ρ, Π° ΠΎΡ ΠΏΠ΅ΡΠ΅Π»ΠΎΠΌΠ° Π±ΠΎΠ»ΡΡΠΎΠ³ΠΎ ΠΏΠ°Π»ΡΡΠ° ΡΡΠΊΠΈ ΠΏΠΎΡΡΡΠ°Π΄Π°Π²ΡΠΈΠΉ ΠΌΠΎΠΆΠ΅Ρ ΡΡΠ°ΡΡ ΠΈΠ½Π²Π°Π»ΠΈΠ΄ΠΎΠΌ. ΠΠΎΡΡΠΎΠΌΡ Π»ΡΠ±Π°Ρ ΡΡΠ°Π²ΠΌΠ° ΠΏΠ°Π»ΡΡΠ° Π΄ΠΎΠ»ΠΆΠ½Π° ΡΡΠ°ΡΡ ΠΏΠΎΠ²ΠΎΠ΄ΠΎΠΌ Π΄Π»Ρ ΠΎΠ±ΡΠ°ΡΠ΅Π½ΠΈΡ ΠΊ ΡΠΏΠ΅ΡΠΈΠ°Π»ΠΈΡΡΡ.
ΠΠ½Π°ΡΠΎΠΌΠΈΡ
Π§Π΅Π»ΠΎΠ²Π΅ΡΠ΅ΡΠΊΠ°Ρ ΠΊΠΈΡΡΡ ΡΡΡΡΠΎΠ΅Π½Π° ΡΠ°ΠΊ, ΡΡΠΎ ΠΈΠΌΠ΅Π΅Ρ ΡΡΠΈ ΡΡΠ΅ΠΏΠ΅Π½ΠΈ ΡΠ²ΠΎΠ±ΠΎΠ΄Ρ ΠΈ ΠΎΠ±Π»Π°Π΄Π°Π΅Ρ Π³ΠΈΠ±ΠΊΠΎΡΡΡΡ ΠΈ ΠΌΠΎΠ±ΠΈΠ»ΡΠ½ΠΎΡΡΡΡ. ΠΡΠ΅ ΡΡΠΎ β ΡΠ΅Π·ΡΠ»ΡΡΠ°Ρ ΡΠ²ΠΎΠ»ΡΡΠΈΠΎΠ½Π½ΠΎΠ³ΠΎ ΡΠ°Π·Π²ΠΈΡΠΈΡ.

ΠΠΈΡΡΠΈ Π²Π΅ΡΡ Π½ΠΈΡ ΠΊΠΎΠ½Π΅ΡΠ½ΠΎΠΉ, ΡΡΠΎ ΡΠ΅Π»ΡΠΉ ΠΊΠΎΠ½Π³Π»ΠΎΠΌΠ΅ΡΠ°Ρ ΠΈΠ· ΠΊΠΎΡΡΠΎΡΠ΅ΠΊ ΠΈ ΠΊΠΎΡΡΠ΅ΠΉ, ΡΠΎΠ΅Π΄ΠΈΠ½Π΅Π½Π½ΡΡ ΠΌΠ΅ΠΆΠ΄Ρ ΡΠΎΠ±ΠΎΠΉ ΠΌΡΡΡΠ°ΠΌΠΈ ΠΈ ΡΡΡ ΠΎΠΆΠΈΠ»ΠΈΡΠΌΠΈ, ΠΊΠΎΡΠΎΡΡΠ΅ ΠΏΠΎΠΌΠΎΠ³Π°ΡΡ ΡΡΠΊΠ°ΠΌ Π²ΡΠ΄Π΅ΡΠΆΠΈΠ²Π°ΡΡ Π±ΠΎΠ»ΡΡΠΈΠ΅ Π½Π°Π³ΡΡΠ·ΠΊΠΈ.
ΠΠΈΡΡΡ ΡΠΎΡΡΠΎΠΈΡ ΠΈΠ· ΡΡΠ΅Ρ ΠΎΡΠ΄Π΅Π»ΠΎΠ²:
- ΠΡΡΡΡ.
- ΠΠ°ΠΏΡΡΡΡΠ΅.
- ΠΠ°Π»ΡΡΡ.
ΠΡΡΡΡ Π½Π΅ΡΠ°Π·ΡΡΠ²Π½ΠΎ ΡΠ²ΡΠ·Π°Π½Π° Ρ ΠΏΠ°Π»ΡΡΠ°ΠΌΠΈ, ΠΊΠ°ΠΆΠ΄ΡΠΉ ΠΈΠ· ΠΊΠΎΡΠΎΡΡΡ ΡΠΎΡΡΠΎΠΈΡ ΠΈΠ· ΡΡΠ΅Ρ ΡΠ°Π»Π°Π½Π³:
- ΠΡΠΎΠΊΡΠΈΠΌΠ°Π»ΡΠ½Π°Ρ.
- Π‘ΡΠ΅Π΄Π½ΡΡ.
- ΠΠΈΡΡΠ°Π»ΡΠ½Π°Ρ.
ΠΡΠΊΠ»ΡΡΠ΅Π½ΠΈΠ΅ ΠΏΡΠ΅Π΄ΡΡΠ°Π²Π»ΡΠ΅Ρ Β Π±ΠΎΠ»ΡΡΠΎΠΉ ΠΏΠ°Π»Π΅Ρ, Ρ Π½Π΅Π³ΠΎ ΠΎΡΡΡΡΡΡΠ²ΡΠ΅Ρ ΡΡΠ΅Π΄Π½ΡΡ ΡΠ°Π»Π°Π½Π³Π°.
ΠΠ°Π»ΡΡΡ ΠΎΡΠ΅Π½Ρ ΠΏΠΎΠ΄Π²ΠΈΠΆΠ½Ρ ΠΈ ΡΠΎΡΠ½Ρ Π² Π΄Π²ΠΈΠΆΠ΅Π½ΠΈΡΡ . Π‘ΠΎΡΡΠΎΡΡ ΠΎΠ½ΠΈ ΠΈΠ· ΡΡΡΠ±ΡΠ°ΡΡΡ ΡΠΊΠΎΡΠΎΡΠ΅Π½Π½ΡΡ ΠΊΠΎΡΡΠ΅ΠΉ, ΡΡΡΡΠ°Π²ΠΎΠ² ΠΈ ΡΠ΅Π»ΠΎΠΉ ΡΠ΅ΡΡΡ ΡΡΠ΅Π΄Π½ΠΈΡ ΠΈ ΠΌΠ΅Π»ΠΊΠΈΡ ΡΠΎΡΡΠ΄ΠΎΠ². Π‘ΡΡΡΠ°Π²Ρ ΡΠ°Π»Π°Π½Π³ Π½Π΅ ΠΌΠΎΠ³ΡΡ ΡΠΎΠ²Π΅ΡΡΠ°ΡΡ Π±ΠΎΠΊΠΎΠ²ΡΡ Π΄Π²ΠΈΠΆΠ΅Π½ΠΈΠΉ, Π½ΠΎ Π½Π΅ ΠΏΡΠ΅ΠΏΡΡΡΡΠ²ΡΡΡ ΡΠ³ΠΈΠ±Π°Π½ΠΈΡ ΠΈ ΡΠ°Π·Π³ΠΈΠ±Π°Π½ΠΈΡ.
ΠΠ· β Π·Π° Π³ΠΈΠΏΠ΅ΡΠΏΠΎΠ΄Π²ΠΈΠΆΠ½ΠΎΡΡΠΈ ΠΏΠ°Π»ΡΡΠ΅Π² ΡΡΠΊΠΈ, ΡΡΠΈΠ±Ρ, Π²ΡΠ²ΠΈΡ ΠΈ, ΡΠ°Π·Π»ΠΈΡΠ½ΡΠ΅ ΡΡΠ°Π²ΠΌΡ ΠΏΡΠΎΠΈΡΡ ΠΎΠ΄ΡΡ Π΄ΠΎΡΡΠ°ΡΠΎΡΠ½ΠΎ ΡΠ°ΡΡΠΎ.
Π Π»ΡΠ±ΠΎΠ΅ ΠΏΠΎΠ²ΡΠ΅ΠΆΠ΄Π΅Π½ΠΈΠ΅ ΡΡΠ΅Π²Π°ΡΠΎ ΠΏΠΎΡΠ»Π΅Π΄ΡΡΠ²ΠΈΡΠΌΠΈ. Π ΡΠ°ΠΌΠΎΠΉ Π»Π΅Π³ΠΊΠΎΠΉ ΡΡΠ°Π²ΠΌΠ΅, Ρ ΡΠΎΡΠΊΠΈ Π·ΡΠ΅Π½ΠΈΡ ΡΠ΅Π°Π±ΠΈΠ»ΠΈΡΠ°ΡΠΈΠΈ, ΠΎΡΠ½ΠΎΡΡΡΡΡ ΡΡΠ΅ΡΠΈΠ½Ρ, Π½Π΅ΠΏΠΎΠ»Π½ΡΠ΅ ΠΏΠ΅ΡΠ΅Π»ΠΎΠΌΡ.
Π€Π°ΠΊΡΠΎΡΡ Π²ΠΎΠ·Π½ΠΈΠΊΠ½ΠΎΠ²Π΅Π½ΠΈΡ
ΠΡΠ½ΠΎΠ²Π½ΠΎΠΉ ΠΏΡΠΈΡΠΈΠ½ΠΎΠΉ ΠΏΠ΅ΡΠ΅Π»ΠΎΠΌΠΎΠ² ΡΠ²Π»ΡΠ΅ΡΡΡ ΠΏΡΡΠΌΠ°Ρ ΡΡΠ°Π²ΠΌΠ°: ΡΠ΄Π°Ρ ΠΈΠ»ΠΈ ΡΠ΄Π°Π²Π»ΠΈΠ²Π°Π½ΠΈΠ΅, ΠΏΠ°Π΄Π΅Π½ΠΈΠ΅ Ρ Π²ΡΡΠΎΡΡ, Π°Π²Π°ΡΠΈΡ Π½Π° ΠΏΡΠΎΠΈΠ·Π²ΠΎΠ΄ΡΡΠ²Π΅ ΠΈΠ»ΠΈ Π΄ΠΎΡΠΎΠ³Π΅. ΠΠ°Π½Π½ΡΠ΅ ΠΏΠΎΠ²ΡΠ΅ΠΆΠ΄Π΅Π½ΠΈΡ ΡΠ°ΡΡΠΎ Π²ΠΎΠ·Π½ΠΈΠΊΠ°ΡΡ Ρ ΡΠΏΠΎΡΡΡΠΌΠ΅Π½ΠΎΠ² β Π²ΠΎΠ»Π΅ΠΉΠ±ΠΎΠ»ΠΈΡΡΠΎΠ², Π±Π°ΡΠΊΠ΅ΡΠ±ΠΎΠ»ΠΈΡΡΠΎΠ², ΡΠΏΠΎΡΡΠΈΠ²Π½ΡΡ Π³ΠΈΠΌΠ½Π°ΡΡΠΎΠ² ΠΈ Π±ΠΎΠΊΡΠ΅ΡΠΎΠ². Π‘Π°ΠΌΡΠ΅ ΠΎΠΏΠ°ΡΠ½ΡΠ΅ ΠΏΠ΅ΡΠ΅Π»ΠΎΠΌΡ ΠΏΠΎΠ»ΡΡΠ°ΡΡ ΠΏΡΠΈ ΠΏΠΎΠΏΠ°Π΄Π°Π½ΠΈΠΈ ΠΏΠ°Π»ΡΡΠ΅Π² Π² ΡΠ»ΠΎΠΆΠ½ΡΠ΅ ΡΠ°Π±ΠΎΡΠ°ΡΡΠΈΠ΅ ΠΌΠ΅Ρ Π°Π½ΠΈΠ·ΠΌΡ.
Π ΡΠ΅Π΄ΠΊΠΈΡ ΡΠ»ΡΡΠ°ΡΡ ΠΏΠ΅ΡΠ΅Π»ΠΎΠΌ ΠΏΠ°Π»ΡΡΠ΅Π² ΠΏΡΠΎΠ²ΠΎΡΠΈΡΡΠ΅ΡΡΡ Ρ ΡΠΎΠ½ΠΈΡΠ΅ΡΠΊΠΈΠΌΠΈ ΠΏΠ°ΡΠΎΠ»ΠΎΠ³ΠΈΡΠΌΠΈ, ΠΊΠΎΠ³Π΄Π° Ρ Π²Π°ΡΠ°Π΅Ρ ΠΌΠΈΠ½ΠΈΠΌΠ°Π»ΡΠ½ΠΎΠ³ΠΎ Π²ΠΎΠ·Π΄Π΅ΠΉΡΡΠ²ΠΈΡ.
ΠΠ΅Π΄ΠΈΡΠΈΠ½ΡΠΊΠ°Ρ ΡΡΠ°ΡΠΈΡΡΠΈΠΊΠ° ΠΏΠΎΠΊΠ°Π·ΡΠ²Π°Π΅Ρ, ΡΡΠΎ ΡΠ°ΡΠ΅ Π²ΡΠ΅Π³ΠΎ ΡΡΡΠ°Π΄Π°Π΅Ρ ΠΌΠΈΠ·ΠΈΠ½Π΅Ρ, ΠΏΡΠΈΡΠ΅ΠΌ Π»ΡΠ±Π°Ρ Π΅Π³ΠΎ ΡΠ°Π»Π°Π½Π³Π°. ΠΠ°Π½Π½ΡΠΉ ΡΠ°ΠΊΡ ΠΎΠ±ΡΡΡΠ½ΡΠ΅ΡΡΡ ΡΠ΅ΠΌ, ΡΡΠΎ ΠΎΠ½ Π½Π°Ρ ΠΎΠ΄ΠΈΡΡΡ Π½Π° ΠΊΡΠ°Ρ ΠΊΠΈΡΡΠΈ.
Π Β ΡΠ°ΠΌΡΠΌ ΠΎΠΏΠ°ΡΠ½ΡΠΌ, Π² ΠΏΠ»Π°Π½Π΅ Π²ΠΎΡΡΡΠ°Π½ΠΎΠ²Π»Π΅Π½ΠΈΡ Π΄Π°Π»ΡΠ½Π΅ΠΉΡΠ΅ΠΉ ΡΡΡΠ΄ΠΎΡΠΏΠΎΡΠΎΠ±Π½ΠΎΡΡΠΈ, Π²ΡΠ°ΡΠΈ ΠΎΡΠ½ΠΎΡΡΡ ΠΏΠ΅ΡΠ΅Π»ΠΎΠΌ Π±ΠΎΠ»ΡΡΠΎΠ³ΠΎ ΠΏΠ°Π»ΡΡΠ°.
ΠΠ΅ΡΠ΅Π»ΠΎΠΌΡ Π΄ΡΡΠ³ΠΈΡ ΠΏΠ°Π»ΡΡΠ΅Π² ΡΠ°ΠΊ ΠΆΠ΅ ΠΌΠΎΠ³ΡΡ Π±ΡΡΡ ΠΎΠΏΠ°ΡΠ½ΡΠΌΠΈ, Π΅ΡΠ»ΠΈ ΠΎΠ½ΠΈ ΡΡΠ°ΡΡΠ°ΡΡΡΡ Π½Π΅ ΠΏΡΠ°Π²ΠΈΠ»ΡΠ½ΠΎ, ΡΡΠΎ ΠΌΠΎΠΆΠ΅Ρ ΠΏΡΠΈΠ²Π΅ΡΡΠΈ ΠΊ Π½Π°ΡΡΡΠ΅Π½ΠΈΡ ΠΌΠ΅Π»ΠΊΠΎΠΉ ΠΌΠΎΡΠΎΡΠΈΠΊΠΈ.
ΠΠ»Π°ΡΡΠΈΡΠΈΠΊΠ°ΡΠΈΡ
ΠΠ»Ρ ΡΠ΄ΠΎΠ±ΡΡΠ²Π° Π² Π΄ΠΈΠ°Π³Π½ΠΎΡΡΠΈΠΊΠ΅ ΠΈ Π»Π΅ΡΠ΅Π½ΠΈΠΈ ΡΠ°Π·ΡΠ°Π±ΠΎΡΠ°Π½Π° Π΅Π΄ΠΈΠ½Π°Ρ ΡΠΈΡΡΠ΅ΠΌΠ° ΠΊΠ»Π°ΡΡΠΈΡΠΈΠΊΠ°ΡΠΈΠΈ ΡΡΠ°Π²ΠΌ ΠΏΠ°Π»ΡΡΠ΅Π² ΠΊΠΈΡΡΠΈ.

ΠΠ½Π° Π²ΡΠ΄Π΅Π»ΡΠ΅Ρ Π½Π΅ΡΠΊΠΎΠ»ΡΠΊΠΎ Π²ΠΈΠ΄ΠΎΠ² Π½Π°ΡΡΡΠ΅Π½ΠΈΡ ΠΊΠΎΡΡΠ½ΠΎΠΉ ΡΠ΅Π»ΠΎΡΡΠ½ΠΎΡΡΠΈ:
- ΠΠ°ΠΊΡΡΡΡΠΉ ΠΏΠ΅ΡΠ΅Π»ΠΎΠΌ β ΠΊΠΎΠΆΠ½ΡΠΉ ΠΏΠΎΠΊΡΠΎΠ² ΠΎΡΡΠ°Π»ΡΡ Π±Π΅Π· ΠΈΠ·ΠΌΠ΅Π½Π΅Π½ΠΈΡ, ΠΌΡΡΠ΅ΡΠ½ΡΠ΅ ΡΠΊΠ°Π½ΠΈ Π½Π΅ Π½Π°ΡΡΡΠ΅Π½Ρ.
- ΠΡΠΊΡΡΡΡΠΉ ΠΏΠ΅ΡΠ΅Π»ΠΎΠΌ β ΠΊΠΎΡΡΡ ΠΈ Π΅Π΅ ΠΎΠ±Π»ΠΎΠΌΠΊΠΈ ΠΏΡΠΎΠ±ΠΈΠ²Π°ΡΡ Π΄Π΅ΡΠΌΡ Π½Π°ΡΠΊΠ²ΠΎΠ·Ρ. ΠΡΠΊΡΡΡΡΠΉ ΠΏΠ΅ΡΠ΅Π»ΠΎΠΌ ΡΡΠ΅Π΄Π½Π΅Π³ΠΎ ΠΏΠ°Π»ΡΡΠ° ΠΈ ΠΎΡΡΠ°Π»ΡΠ½ΡΡ ΡΠ²Π»Π΅Π½ΠΈΠ΅ ΡΠ΅Π΄ΠΊΠΎΠ΅ ΠΈ Π² Π±ΠΎΠ»ΡΡΠΈΠ½ΡΡΠ²Π΅ ΡΠ»ΡΡΠ°Π΅Π² ΡΠ²ΡΠ·Π°Π½ΠΎ Ρ Π±ΡΡΠΎΠ²ΠΎΠΉ ΡΡΠ°Π²ΠΌΠΎΠΉ, ΠΊΠΎΠ³Π΄Π° ΠΏΠ°Π»Π΅Ρ ΡΡΠΊΠΈ ΠΏΠΎΠ΄Π²Π΅ΡΠ³Π°Π΅ΡΡΡ Π°Π³ΡΠ΅ΡΡΠΈΠ²Π½ΠΎΠΌΡ ΠΌΠ΅Ρ Π°Π½ΠΈΡΠ΅ΡΠΊΠΎΠΌΡ Π²ΠΎΠ·Π΄Π΅ΠΉΡΡΠ²ΠΈΡ.
- ΠΠ΅Π· ΡΠΌΠ΅ΡΠ΅Π½ΠΈΡ β ΠΊΠΎΡΡΠΎΡΠΊΠΈ ΠΏΠ°Π»ΡΡΠ΅Π² Π½Π΅ ΠΏΠΎΠΊΠΈΠ΄Π°ΡΡ Π³ΡΠ°Π½ΠΈΡΡ Π½Π°Π΄ΠΊΠΎΡΡΠ½ΠΈΡΡ.
- ΠΠ΅ΡΠ΅Π»ΠΎΠΌ ΡΠΎ ΡΠΌΠ΅ΡΠ΅Π½ΠΈΠ΅ΠΌ β ΠΏΡΠΎΠΈΡΡ ΠΎΠ΄ΠΈΡ ΡΡΠ°Π²ΠΌΠΈΡΠΎΠ²Π°Π½ΠΈΠ΅ Π½Π°Π΄ΠΊΠΎΡΡΠ½ΠΈΡΡ, ΠΈ ΠΎΠ±Π»ΠΎΠΌΠΊΠΈ ΠΏΠ΅ΡΠ΅ΠΌΠ΅ΡΠ°ΡΡΡΡ, Π·Π°Π΄Π΅Π²Π°Ρ Π±Π»ΠΈΠ·Π»Π΅ΠΆΠ°ΡΠΈΠ΅ ΡΠΊΠ°Π½ΠΈ, ΡΡΡΡΠ°Π²Ρ, ΡΠΎΡΡΠ΄Ρ. ΠΠ΅ΡΠ΅Π»ΠΎΠΌ ΠΏΠ°Π»ΡΡΠ° ΡΠΎ ΡΠΌΠ΅ΡΠ΅Π½ΠΈΠ΅ΠΌ Π΄Π΅Π»ΡΡ Π½Π° ΠΏΠ΅ΡΠ΅Π»ΠΎΠΌΡ Ρ ΡΠ°ΡΡ ΠΎΠΆΠ΄Π΅Π½ΠΈΠ΅ΠΌ ΠΈΠ»ΠΈ Π·Π°Ρ ΠΎΠΆΠ΄Π΅Π½ΠΈΠ΅ΠΌ ΠΎΡΠ»ΠΎΠΌΠΊΠΎΠ².
- ΠΠΎΠΌΠΏΡΠ΅ΡΡΠΈΠΎΠ½Π½ΡΠΉ ΠΏΠ΅ΡΠ΅Π»ΠΎΠΌ ΠΏΠ°Π»ΡΡΠ° Π½Π° ΡΡΠΊΠ΅ β ΠΏΡΠΈ ΡΠ΄Π°Π²Π»ΠΈΠ²Π°Π½ΠΈΠΈ ΠΏΡΠΎΠΈΡΡ ΠΎΠ΄ΠΈΡ ΡΠ°Π·Π΄ΡΠΎΠ±Π»Π΅Π½ΠΈΠ΅ ΠΊΠΎΡΡΠΈ, ΡΡΠΎ ΡΡΠ΅Π±ΡΠ΅Ρ Π½Π΅ΠΌΠ΅Π΄Π»Π΅Π½Π½ΠΎΠ³ΠΎ ΠΌΠ΅Π΄ΠΈΡΠΈΠ½ΡΠΊΠΎΠ³ΠΎ Π²ΠΌΠ΅ΡΠ°ΡΠ΅Π»ΡΡΡΠ²Π°.
- ΠΡΠΊΠΎΠ»ΡΡΠ°ΡΡΠΉ ΠΏΠ΅ΡΠ΅Π»ΠΎΠΌ β ΠΏΡΠΈ Π½Π΅ΠΌ ΡΠ°ΡΠ΅ Π²ΡΠ΅Π³ΠΎ ΠΏΡΠΎΠΈΡΡ ΠΎΠ΄ΠΈΡ ΡΡΠ°Π²ΠΌΠ° ΡΡΡΡΠ°Π²Π° ΠΈ ΡΠ²ΡΠ·ΠΎΠΊ ΠΏΠ°Π»ΡΡΠ° ΠΌΠ½ΠΎΠ³ΠΎΡΠΈΡΠ»Π΅Π½Π½ΡΠΌΠΈ ΠΎΡΠΊΠΎΠ»ΠΊΠ°ΠΌΠΈ.
- ΠΡΡΠΌΠΎΠΉ ΠΈΠ»ΠΈ ΠΏΠΎΠΏΠ΅ΡΠ΅ΡΠ½ΡΠΉ ΠΏΠ΅ΡΠ΅Π»ΠΎΠΌ ΡΠΊΠ°Π·Π°ΡΠ΅Π»ΡΠ½ΠΎΠ³ΠΎ ΠΏΠ°Π»ΡΡΠ° ΠΈ Π΄ΡΡΠ³ΠΈΡ ΠΎΠΏΡΠ΅Π΄Π΅Π»ΡΠ΅ΡΡΡ ΠΏΠΎ ΡΠΎΡΠΌΠ΅ ΡΠ»ΠΎΠΌΠ°.
- Π‘ΡΡΡΠ°Π²Π½ΠΎΠΉ ΠΈ Π²Π½Π΅ΡΡΡΡΠ°Π²Π½ΠΎΠΉ ΠΏΠ΅ΡΠ΅Π»ΠΎΠΌ ΠΏΠ°Π»ΡΡΠ° ΠΊΠΈΡΡΠΈ β ΡΡΠ°Π²ΠΌΠ° ΠΏΡΠΎΠΈΡΡ ΠΎΠ΄ΠΈΡ Π²Π½Π΅ ΡΡΡΡΠ°Π²Π° ΠΈΠ»ΠΈ Π² Π½Π΅ΠΌ ΡΠ°ΠΌΠΎΠΌ.
- Π‘ΠΎΡΠ΅ΡΠ°Π½Π½ΡΠ΅ ΠΏΠ΅ΡΠ΅Π»ΠΎΠΌ ΠΏΠ°Π»ΡΡΠ° ΡΡΠΊΠΈ ΠΏΠΎΠ²ΡΠ΅ΠΆΠ΄Π΅Π½ΠΈΡ β ΡΡΠ°Π²ΠΌΡ Π½Π΅ΡΠΊΠΎΠ»ΡΠΊΠΈΡ ΠΊΠΎΡΡΠ΅ΠΉ.
ΠΠ°ΠΊΠΈΠ΅ Π²ΡΠ΄Π΅Π»ΡΡΡ ΠΏΠ΅ΡΠ΅Π»ΠΎΠΌΡ ΠΏΠΎ Π»ΠΎΠΊΠ°Π»ΠΈΠ·Π°ΡΠΈΠΈ.
- Π‘Π°ΠΌΡΠΌ ΡΠ°ΡΠΏΡΠΎΡΡΡΠ°Π½Π΅Π½Π½ΡΠΌ ΠΈ Π½Π΅ΠΏΡΠΈΡΡΠ½ΡΠΌ ΡΠ²Π»ΡΠ΅ΡΡΡ ΠΏΠ΅ΡΠ΅Π»ΠΎΠΌ Π±ΠΎΠ»ΡΡΠΎΠ³ΠΎ ΠΏΠ°Π»ΡΡΠ° ΡΡΠΊΠΈ. ΠΠ³ΠΎ Π»Π΅ΡΠ΅Π½ΠΈΠ΅ ΠΎΡΠ»ΠΎΠΆΠ½Π΅Π½ΠΎ ΠΏΡΠΈΠΌΠ΅Π½Π΅Π½ΠΈΠ΅ΠΌ Π°ΠΏΠΏΠ°ΡΠ°ΡΠ° Π΄Π»Ρ Π²ΡΡΡΠ³ΠΈΠ²Π°Π½ΠΈΡ. Π‘Π»ΠΎΠΌΠ°ΡΡΡΡ ΠΌΠΎΠΆΠ΅Ρ ΠΏΡΠΎΠΊΡΠΈΠΌΠ°Π»ΡΠ½Π°Ρ Π΅Π³ΠΎ ΡΠ°ΡΡΡ ΠΈ Π±Π»ΠΈΠΆΠ΅ ΠΊ Π»ΠΎΠΊΡΠ΅Π²ΠΎΠΉ ΡΡΠΎΡΠΎΠ½Π΅.
- ΠΠΎΠ²ΠΎΠ»ΡΠ½ΠΎ ΡΠ°ΡΡΠΎ ΡΡΠ°Π²ΠΌΠΈΡΡΠ΅ΡΡΡ ΡΠ°ΠΌΡΠΉ ΠΊΡΠ°ΠΉΠ½ΠΈΠΉ ΠΈ ΠΌΠ°Π»Π΅Π½ΡΠΊΠΈΠΉ ΠΏΠ°Π»Π΅Ρ Π½Π° ΡΡΠΊΠ΅ β ΠΌΠΈΠ·ΠΈΠ½Π΅Ρ. ΠΠΈΠ΄Π΅Ρ ΡΡΠ΅Π΄ΠΈ ΡΠ°ΠΊΡΠΎΡΠΎΠ² ΠΏΠΎΠ²ΡΠ΅ΠΆΠ΄Π΅Π½ΠΈΡ β ΡΠ΄Π°Ρ ΠΎ ΡΠ²Π΅ΡΠ΄ΡΡ ΠΏΠΎΠ²Π΅ΡΡ Π½ΠΎΡΡΡ.
- ΠΠ΅ΡΠ΅Π»ΠΎΠΌ Π±Π΅Π·ΡΠΌΡΠ½Π½ΠΎΠ³ΠΎ ΠΏΠ°Π»ΡΡΠ° ΡΡΠΊΠΈ ΠΎΡΠ½ΠΎΡΠΈΡΡΡ ΠΊ ΡΠ»ΠΎΠΆΠ½ΡΠΌ, ΠΈ ΡΡΠ΅Π±ΡΠ΅Ρ Π΄Π»ΠΈΡΠ΅Π»ΡΠ½ΠΎΠ³ΠΎ Π²ΠΎΡΡΡΠ°Π½ΠΎΠ²Π»Π΅Π½ΠΈΡ, ΠΏΡΠΈ ΠΊΠΎΡΠΎΡΠΎΠΌ ΡΠ»Π΅Π΄ΡΠ΅Ρ ΡΠ°Π·ΡΠ°Π±Π°ΡΡΠ²Π°ΡΡ ΠΏΠ°Π»ΡΡΡ Ρ ΠΏΠΎΠΌΠΎΡΡΡ ΡΠΏΠ΅ΡΠΈΠ°Π»ΡΠ½ΡΡ ΡΠΏΡΠ°ΠΆΠ½Π΅Π½ΠΈΠΉ.
- Π’ΡΠ°Π²ΠΌΡ ΡΡΠ΅Π΄Π½Π΅Π³ΠΎ ΠΈ ΡΠΊΠ°Π·Π°ΡΠ΅Π»ΡΠ½ΠΎΠ³ΠΎ ΠΏΠ°Π»ΡΡΠ° ΡΡΠ΅Π±ΡΡΡ Π½Π΅ΠΌΠ΅Π΄Π»Π΅Π½Π½ΠΎΠ³ΠΎ ΠΌΠ΅Π΄ΠΈΡΠΈΠ½ΡΠΊΠΎΠ³ΠΎ Π²ΠΌΠ΅ΡΠ°ΡΠ΅Π»ΡΡΡΠ²Π° ΠΈ Π² Π΄ΠΎΠΌΠ°ΡΠ½ΠΈΡ ΡΡΠ»ΠΎΠ²ΠΈΡΡ Π½Π΅Π΄ΠΎΠΏΡΡΡΠΈΠΌΠΎ ΠΈΡ Π»Π΅ΡΠ΅Π½ΠΈΠ΅.
- ΠΡΠ²Π°Π΅Ρ, ΠΏΠΎΠ²ΡΠ΅ΠΆΠ΄Π°Π΅ΡΡΡ ΠΊΠΎΠ½ΡΠΈΠΊ ΠΈΠ»ΠΈ ΡΠ°ΠΌΡΠΉ ΠΊΡΠ°ΠΉ ΠΏΠ°Π»ΡΡΠ° β ΠΊΡΠ°Π΅Π²ΠΎΠΉ ΠΏΠ΅ΡΠ΅Π»ΠΎΠΌ, ΠΏΡΠΈ ΠΊΠΎΡΠΎΡΠΎΠΌ Π²ΠΎΠ·Π½ΠΈΠΊΠ°Π΅Ρ Π΄Π΅ΡΠΎΡΠΌΠ°ΡΠΈΡ Π½ΠΎΠ³ΡΠ΅Π²ΠΎΠΉ ΠΏΠ»Π°ΡΡΠΈΠ½Ρ.
- ΠΡΠ»ΠΈ ΠΏΡΠΎΠΈΠ·ΠΎΡΠ΅Π» ΠΏΠ΅ΡΠ΅Π»ΠΎΠΌ Π½ΠΎΠ³ΡΠ΅Π²ΠΎΠΉ ΡΠ°Π»Π°Π½Π³ΠΈ, ΡΠΎ ΡΡΠΎ Π²ΠΈΠ΄Π½ΠΎ ΠΏΠΎ ΠΏΠΎΡΠ²ΠΈΠ²ΡΠ΅ΠΌΡΡΡ ΠΈΠ·Π³ΠΈΠ±Ρ ΠΏΠΎΠ΄ ΠΎΠΏΡΠ΅Π΄Π΅Π»Π΅Π½Π½ΡΠΌ ΡΠ³Π»ΠΎΠΌ.
ΠΡΠ±ΠΎΠΉ ΠΏΠ΅ΡΠ΅Π»ΠΎΠΌ ΡΠ°Π»Π°Π½Π³ΠΈ ΠΏΠ°Π»ΡΡΠ° ΡΡΠΊΠΈ ΠΎΠΏΠ°ΡΠ΅Π½ ΡΠ°ΠΌ ΠΏΠΎ ΡΠ΅Π±Π΅ Π² Π±ΠΎΠ»ΡΡΠ΅ΠΉ ΠΈΠ»ΠΈ ΠΌΠ΅Π½ΡΡΠ΅ΠΉ ΡΡΠ΅ΠΏΠ΅Π½ΠΈ, ΡΠ°ΠΊ ΠΊΠ°ΠΊ Π΅ΡΠ»ΠΈ ΠΊΠΎΡΡΠ½ΡΠ΅ ΠΎΠ±Π»ΠΎΠΌΠΊΠΈ Π½Π΅ ΠΏΡΠ°Π²ΠΈΠ»ΡΠ½ΠΎ ΡΡΠ°ΡΡΡΡΡΡ, ΡΠΎ ΠΌΠΎΠΆΠ΅Ρ Π½Π°ΡΡΡΠΈΡΡΡΡ Π΄Π²ΠΈΠ³Π°ΡΠ΅Π»ΡΠ½Π°Ρ Π°ΠΊΡΠΈΠ²Π½ΠΎΡΡΡ.
ΠΠ΅ΡΠ΅Π»ΠΎΠΌΡ ΡΠ°Π»Π°Π½Π³ Π±ΡΠ²Π°ΡΡ ΠΏΠ°ΡΠΎΠ»ΠΎΠ³ΠΈΡΠ΅ΡΠΊΠΈΠΌΠΈ. ΠΡ ΠΏΡΠΎΠ²ΠΎΡΠΈΡΡΡΡ Ρ ΡΠΎΠ½ΠΈΡΠ΅ΡΠΊΠΈΠ΅ Π·Π°Π±ΠΎΠ»Π΅Π²Π°Π½ΠΈΡ, ΡΠ°Π·ΡΡΡΠ°ΡΡΠΈΠ΅ ΠΊΠΎΡΡΠ½ΡΡ ΡΡΡΡΠΊΡΡΡΡ β ΠΎΡΡΠ΅ΠΎΠΏΠΎΡΠΎΠ·, ΠΎΡΡΠ΅ΠΎΠΌΠΈΠ΅Π»ΠΈΡ.
ΠΠΎ Ρ Π°ΡΠ°ΠΊΡΠ΅ΡΡ Π»ΠΈΠ½ΠΈΠΈ ΡΠ»ΠΎΠΌΠ° ΠΏΠ΅ΡΠ΅Π»ΠΎΠΌ ΠΌΠΎΠΆΠ΅Ρ Π±ΡΡΡ:
- ΠΠΎΠΏΠ΅ΡΠ΅ΡΠ½ΡΠΌ.
- ΠΏΡΠΎΠ΄ΠΎΠ»ΡΠ½ΡΠΌ
- Π²ΠΈΠ½ΡΠΎΠ²ΡΠΌ.
- ΠΠΎΡΡΠΌ.
- Π’-ΠΎΠ±ΡΠ°Π·Π½ΡΠΌ.
- S-ΠΎΠ±ΡΠ°Π·Π½ΡΠΌ.
ΠΡΠ΄Π΅Π»ΡΠ½ΡΠΌ Π²ΠΈΠ΄ΠΎΠΌ ΠΈΠ΄Π΅Ρ ΠΏΠΎΠ΄Π½Π°Π΄ΠΊΠΎΡΡΠ½ΠΈΡΠ½ΡΠΉ ΠΏΠ΅ΡΠ΅Π»ΠΎΠΌ. ΠΠ°ΠΊ ΠΏΡΠ°Π²ΠΈΠ»ΠΎ, ΠΎΠ½ ΠΏΡΠΎΠΈΡΡ ΠΎΠ΄ΠΈΡ Π² ΠΎΡΠ½ΠΎΠ²Π½ΠΎΠΌ Ρ Π΄Π΅ΡΠ΅ΠΉ Π½Π° ΠΌΠ°Π»Π΅Π½ΡΠΊΠΎΠΌ ΠΏΠ°Π»ΡΡΠΈΠΊΠ΅. ΠΡΠΈ Π½Π΅ΠΌ Π½Π°Π΄ΠΊΠΎΡΡΠ½ΠΈΡΠ° ΠΎΡΡΠ°Π΅ΡΡΡ Π½Π΅ΠΏΠΎΠ²ΡΠ΅ΠΆΠ΄Π΅Π½Π½ΠΎΠΉ.
Π‘ΠΈΠΌΠΏΡΠΎΠΌΡ
ΠΠ°ΠΊ ΠΏΠΎΠ½ΡΡΡ, ΡΡΠΎ ΠΏΡΠΎΠΈΠ·ΠΎΡΠ΅Π» ΠΏΠ΅ΡΠ΅Π»ΠΎΠΌ, Π° Π½Π΅ ΡΡΠΈΠ±?
ΠΠΏΡΠ΅Π΄Π΅Π»ΠΈΡΡ ΠΏΠ΅ΡΠ΅Π»ΠΎΠΌ ΠΏΠ°Π»ΡΡΠ° Π΄Π»Ρ Π±ΠΎΠ»ΡΡΠΈΠ½ΡΡΠ²Π° Π»ΡΠ΄Π΅ΠΉ Π½Π΅ ΡΠΎΡΡΠ°Π²Π»ΡΠ΅Ρ ΡΡΡΠ΄Π°, ΡΠ°ΠΊ ΠΊΠ°ΠΊ Ρ Π΄Π°Π½Π½ΠΎΠΉ ΡΡΠ°Π²ΠΌΡ ΠΈΠΌΠ΅ΡΡΡΡ Ρ Π°ΡΠ°ΠΊΡΠ΅ΡΠ½ΡΠ΅ ΠΏΡΠΈΠ·Π½Π°ΠΊΠΈ ΠΏΠ΅ΡΠ΅Π»ΠΎΠΌΠ° ΠΏΠ°Π»ΡΡΠ° ΡΡΠΊΠΈ.
ΠΠ°ΠΊ ΠΏΡΠ°Π²ΠΈΠ»ΠΎ, Π²ΡΠ΅ ΠΏΠ΅ΡΠ΅Π»ΠΎΠΌΡ ΡΠ°Π»Π°Π½Π³ ΠΏΠ°Π»ΡΡΠ΅Π² ΠΊΠΈΡΡΠΈ ΠΎΡΠ½ΠΎΡΡΡΡΡ ΠΊ Π·Π°ΠΊΡΡΡΠΎΠΌΡ ΡΠΈΠΏΡ ΠΈ Π½Π΅ ΡΠΎΠΏΡΠΎΠ²ΠΎΠΆΠ΄Π°ΡΡΡΡ ΡΡΠΊΠΎ Π²ΡΡΠ°ΠΆΠ΅Π½Π½ΡΠΌΠΈ Π²Π½Π΅ΡΠ½ΠΈΠΌΠΈ Π½Π°ΡΡΡΠ΅Π½ΠΈΡΠΌΠΈ.
ΠΠ°ΠΊ ΠΎΠΏΡΠ΅Π΄Π΅Π»ΠΈΡΡ ΠΏΠ΅ΡΠ΅Π»ΠΎΠΌ ΡΠ°ΠΌΠΎΡΡΠΎΡΡΠ΅Π»ΡΠ½ΠΎ? Π Ρ Π°ΡΠ°ΠΊΡΠ΅ΡΠ½ΡΠΌ ΡΠΈΠΌΠΏΡΠΎΠΌΠ°ΠΌ ΠΌΠΎΠΆΠ½ΠΎ ΠΎΡΠ½Π΅ΡΡΠΈ ΡΠ»Π΅Π΄ΡΡΡΠΈΠ΅:
- ΠΠ° ΠΌΠ΅ΡΡΠ΅ ΠΏΠ΅ΡΠ΅Π»ΠΎΠΌΠ° ΠΏΠΎΡΠ²Π»ΡΠ΅ΡΡΡ ΠΎΡΠ΅ΠΊ ΠΈ ΠΏΠΎΠΊΡΠ°ΡΠ½Π΅Π½ΠΈΠ΅ ΠΊΠΎΠΆΠΈ.
- Π ΠΌΠ΅ΡΡΠ΅ ΡΡΠ°Π²ΠΌΡ ΠΊΠΎΠΆΠ° Π±ΠΎΠ»Π΅Π΅ ΡΠ΅ΠΏΠ»Π°Ρ.
- ΠΠΎΠ²ΡΠ΅ΠΆΠ΄Π΅Π½Π½ΡΠΉ ΠΏΠ°Π»Π΅Ρ ΠΎΠ³ΡΠ°Π½ΠΈΡΠ΅Π½ Π² Π΄Π²ΠΈΠΆΠ΅Π½ΠΈΠΈ.
- ΠΡΠΈ Π½Π°Π΄Π°Π²Π»ΠΈΠ²Π°Π½ΠΈΠΈ Π²ΠΎΠ·Π½ΠΈΠΊΠ°Π΅Ρ ΡΠΈΠ»ΡΠ½Π°Ρ Π±ΠΎΠ»Ρ.
- Π©Π°Π΄ΡΡΠ΅Π΅ ΠΏΠΎΠ»ΠΎΠΆΠ΅Π½ΠΈΠ΅ ΡΠ»ΠΎΠΌΠ°Π½Π½ΠΎΠ³ΠΎ ΠΏΠ°Π»ΡΡΠ°.
ΠΡΠΈΡΡΡΡΡΠ²ΠΈΠ΅ Π²ΡΠ΅Ρ Π²ΡΡΠ΅ΠΏΠ΅ΡΠ΅ΡΠΈΡΠ»Π΅Π½Π½ΡΡ Π²Π΅ΡΠΎΡΡΠ½ΡΡ ΠΏΡΠΈΠ·Π½Π°ΠΊΠΎΠ² ΡΠΊΠ°Π·ΡΠ²Π°Π΅Ρ Π½Π° ΠΏΠ΅ΡΠ΅Π»ΠΎΠΌ ΠΏΠ°Π»ΡΡΠ° ΡΡΠΊΠΈ ΠΈ Π½Π΅ Π½ΡΠΆΠ΄Π°Π΅ΡΡΡ Π² Π΄ΠΈΠ°Π³Π½ΠΎΡΡΠΈΠΊΠΈ Π΄Π»Ρ Π²ΡΡΠ²Π»Π΅Π½ΠΈΡ Π΄ΠΎΡΡΠΎΠ²Π΅ΡΠ½ΡΡ ΡΠΈΠΌΠΏΡΠΎΠΌΠΎΠ² ΠΏΠ΅ΡΠ΅Π»ΠΎΠΌΠ°:
- ΠΡΠΈ ΠΏΠ°Π»ΡΠΏΠ°ΡΠΈΠΈ Π²ΡΡΠ²Π»Π΅Π½ΠΈΠ΅ ΡΡΠ΅ΡΠΈΠ½Ρ.
- Π₯Π°ΡΠ°ΠΊΡΠ΅ΡΠ½ΡΠΉ Ρ ΡΡΡΡ.
- ΠΠ°ΡΠΎΠ»ΠΎΠ³ΠΈΡΠ΅ΡΠΊΠ°Ρ ΠΏΠΎΠ΄Π²ΠΈΠΆΠ½ΠΎΡΡΡ Π² ΡΠ΅Ρ ΡΡΠ°ΡΡΠΊΠ°Ρ ΠΏΠ°Π»ΡΡΠ°, Π² ΠΊΠΎΡΠΎΡΡΡ ΠΎΠ½Π° Π½Π΅ Π΄ΠΎΠ»ΠΆΠ½Π° Π±ΡΡΡ.
- ΠΠ΅ΡΠΎΡΠΌΠ°ΡΠΈΡ ΡΠΎΡΠΌΡ ΠΊΠΈΡΡΠΈ.
- Π‘Π»ΠΎΠΌΠ°Π½Π½ΡΠΉ ΠΏΠ°Π»Π΅Ρ ΡΡΠ°Π½ΠΎΠ²ΠΈΡΡΡ ΠΊΠΎΡΠΎΡΠ΅.
ΠΠ΄Π½Π°ΠΊΠΎ Π²ΡΠ΅ ΡΡΠΈ ΡΠΈΠΌΠΏΡΠΎΠΌΡ ΠΏΠ΅ΡΠ΅Π»ΠΎΠΌΠ° ΠΏΠ°Π»ΡΡΠ° Π½Π΅ ΠΌΠΎΠ³ΡΡ ΠΎΠΊΠΎΠ½ΡΠ°ΡΠ΅Π»ΡΠ½ΠΎ ΠΏΠΎΠ΄ΡΠ²Π΅ΡΠ΄ΠΈΡΡ ΠΊΠ»ΠΈΠ½ΠΈΡΠ΅ΡΠΊΠΈΠΉ Π΄ΠΈΠ°Π³Π½ΠΎΠ· ΠΏΠ΅ΡΠ΅Π»ΠΎΠΌΠ° ΠΏΠ°Π»ΡΡΠ°, Π΄Π»Ρ ΡΡΠΎΠ³ΠΎ Π½Π΅ΠΎΠ±Ρ ΠΎΠ΄ΠΈΠΌΠΎ ΠΏΡΠΎΠ²Π΅Π΄Π΅Π½ΠΈΠ΅ ΠΈΠ½ΡΡΡΡΠΌΠ΅Π½ΡΠ°Π»ΡΠ½ΡΡ ΠΈΡΡΠ»Π΅Π΄ΠΎΠ²Π°Π½ΠΈΠΉ. ΠΠ΅ΡΠΎΡΠΌΠ°ΡΠΈΡ, ΠΊ ΠΏΡΠΈΠΌΠ΅ΡΡ, Π΄ΠΈΡΡΠ°Π»ΡΠ½ΠΎΠΉ ΡΠ°Π»Π°Π½Π³ΠΈ Π½Π΅ Π²ΡΠ΅Π³Π΄Π° Π±ΡΠ²Π°Π΅Ρ ΠΎΡΠ΅Π²ΠΈΠ΄Π½ΠΎΠΉ ΠΈΠ·-Π·Π° ΡΡΠ΄Π° ΠΏΡΠΈΡΠΈΠ½: ΠΏΠ΅ΡΠ΅Π»ΠΎΠΌ ΠΌΠΎΠΆΠ΅Ρ Π±ΡΡΡ Π±Π΅Π· ΡΠΌΠ΅ΡΠ΅Π½ΠΈΡ ΠΈΠ»ΠΈ ΠΏΡΠΈΠΏΡΡ Π»ΠΎΡΡΡ ΠΎΡ Π³Π΅ΠΌΠ°ΡΠΎΠΌΡ ΠΌΠΎΠΆΠ΅Ρ ΠΌΠ°ΡΠΊΠΈΡΠΎΠ²Π°ΡΡ ΠΎΠ±Π»Π°ΡΡΡ ΠΏΠ΅ΡΠ΅Π»ΠΎΠΌΠ°, ΠΈ Π΄Π΅ΡΠΎΡΠΌΠ°ΡΠΈΡ Π½Π΅ Π±ΡΠ΄Π΅Ρ ΠΏΡΠΎΡΠΌΠ°ΡΡΠΈΠ²Π°ΡΡΡΡ.
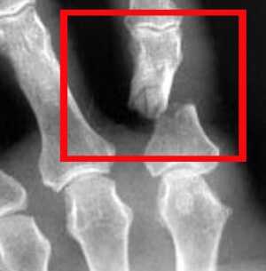
Π ΠΎΠ±Π»Π°ΡΡΠΈ ΡΡΠ°Π²ΠΌΠ°ΡΠΎΠ»ΠΎΠ³ΠΈΠΈ Π·ΠΎΠ»ΠΎΡΡΠΌ ΡΡΠ°Π½Π΄Π°ΡΡΠΎΠΌ, ΠΏΠΎΠΌΠΎΠ³Π°ΡΡΠΈΠΌ ΠΎΠΏΡΠ΅Π΄Π΅Π»ΠΈΡΡ, ΡΠ»ΠΎΠΌΠ°Π½ Π»ΠΈ ΠΏΠ°Π»Π΅Ρ ΡΠ²Π»ΡΠ΅ΡΡΡ ΠΈΡΠΏΠΎΠ»ΡΠ·ΠΎΠ²Π°Π½ΠΈΠ΅ ΡΠ΅Π½ΡΠ³Π΅Π½ΠΎΠ³ΡΠ°ΡΠΈΠΈ Π² Π΄Π²ΡΡ ΠΏΡΠΎΠ΅ΠΊΡΠΈΡΡ .
Π§ΡΠΎ Π΄Π΅Π»Π°ΡΡ, Π΅ΡΠ»ΠΈ ΡΠ΅Π»ΠΎΠ²Π΅ΠΊ ΡΠ»ΠΎΠΌΠ°Π» ΡΠ°Π»Π°Π½Π³ΠΈ? ΠΠΎ ΠΏΡΠΈΠ΅Π·Π΄Π° ΠΌΠ΅Π΄ΠΈΠΊΠΎΠ² Π½Π΅ΠΎΠ±Ρ ΠΎΠ΄ΠΈΠΌΠΎ ΠΏΡΠΎΠ²Π΅ΡΡΠΈ ΠΎΠΊΠ°Π·Π°Π½ΠΈΠ΅ ΠΏΠ΅ΡΠ²ΠΎΠΉ ΠΏΠΎΠΌΠΎΡΠΈ.
ΠΠ΅ΡΠ²Π°Ρ ΠΏΠΎΠΌΠΎΡΡ
ΠΡΠΈ ΠΏΠΎΠ΄ΠΎΠ·ΡΠ΅Π½ΠΈΠΈ Π½Π° ΡΡΠ°Π²ΠΌΡ Π²Π°ΠΆΠ½Π° ΠΏΡΠ°Π²ΠΈΠ»ΡΠ½ΠΎ ΠΎΠΊΠ°Π·Π°Π½Π½Π°Ρ ΠΏΠ΅ΡΠ²Π°Ρ ΠΏΠΎΠΌΠΎΡΡ ΠΏΡΠΈ ΠΏΠ΅ΡΠ΅Π»ΠΎΠΌΠ΅ ΠΏΠ°Π»ΡΡΠ° ΡΡΠΊΠΈ Β ΠΏΠΎΡΡΡΠ°Π΄Π°Π²ΡΠ΅ΠΌΡ β ΠΎΡ Π°Π΄Π΅ΠΊΠ²Π°ΡΠ½ΠΎΡΡΠΈ Π²ΡΠΏΠΎΠ»Π½Π΅Π½ΠΈΡ Π΄Π°Π½Π½ΡΡ ΠΌΠ΅ΡΠΎΠΏΡΠΈΡΡΠΈΠΉ Π·Π°Π²ΠΈΡΠΈΡ ΡΠ΅Π·ΡΠ»ΡΡΠ°Ρ Π»Π΅ΡΠ΅Π½ΠΈΡ.

Π§ΡΠΎ Π΄Π΅Π»Π°ΡΡ ΠΏΡΠΈ ΠΏΠ΅ΡΠ΅Π»ΠΎΠΌΠ΅?
- ΠΡΠ·Π²Π°ΡΡ Π±ΡΠΈΠ³Π°Π΄Ρ ΠΌΠ΅Π΄ΠΈΠΊΠΎΠ².
- ΠΡΠ»ΠΈ ΠΏΠ΅ΡΠ΅Π»ΠΎΠΌ Ρ ΡΠ΅Π±Π΅Π½ΠΊΠ° ΠΈΠ»ΠΈ Π²Π·ΡΠΎΡΠ»ΠΎΠ³ΠΎ, ΡΠΎ Π½Π΅ΠΎΠ±Ρ ΠΎΠ΄ΠΈΠΌΠΎ ΡΡΠΏΠΎΠΊΠΎΠΈΡΡ ΠΈ Π΄Π°ΡΡ ΠΏΡΠΈΠ½ΡΡΡ ΠΎΠ±Π΅Π·Π±ΠΎΠ»ΠΈΠ²Π°ΡΡΠ΅Π΅ ΡΡΠ΅Π΄ΡΡΠ²ΠΎ.
- ΠΡΠΈ Π½Π°Π»ΠΈΡΠΈΠΈ ΡΠ°Π½Ρ ΠΎΠ±ΡΠ°Π±ΠΎΡΠ°ΡΡ Π΅Π΅ Π°Π½ΡΠΈΡΠ΅ΠΏΡΠΈΠΊΠΎΠΌ ΠΈ Π½Π°Π»ΠΎΠΆΠΈΡΡ ΠΏΠΎΠ²ΡΠ·ΠΊΡ ΠΈΠ· ΡΡΠ΅ΡΠΈΠ»ΡΠ½ΠΎΠ³ΠΎ Π±ΠΈΠ½ΡΠ°.
- ΠΡΠΈ ΡΠΈΠ»ΡΠ½ΠΎΠΌΒ ΠΊΡΠΎΠ²ΠΎΡΠ΅ΡΠ΅Π½ΠΈΠΈ Π½Π΅ΠΎΠ±Ρ ΠΎΠ΄ΠΈΠΌΠΎ Π΅Π³ΠΎ ΠΊΡΠΏΠΈΡΠΎΠ²Π°ΡΡ Π½Π°Π»ΠΎΠΆΠ΅Π½ΠΈΠ΅ΠΌ ΠΆΠ³ΡΡΠ°, ΠΏΡΠΈΠΊΡΠ΅ΠΏΠΈΠ² Π·Π°ΠΏΠΈΡΠΊΡ ΠΎ Π²ΡΠ΅ΠΌΠ΅Π½ΠΈ Π½Π°Π»ΠΎΠΆΠ΅Π½ΠΈΡ.
- ΠΡΠΏΠΎΠ»Π½ΠΈΡΡ ΠΈΠΌΠΌΠΎΠ±ΠΈΠ»ΠΈΠ·Π°ΡΠΈΡ ΡΡΠ°Π²ΠΌΠΈΡΠΎΠ²Π°Π½Π½ΠΎΠ³ΠΎ ΠΏΠ°Π»ΡΡΠ° ΠΏΡΠΈ ΠΏΠΎΠΌΠΎΡΠΈ Π²Π΅ΡΠΎΠΊ, Π΄Π΅ΡΠ΅Π²ΡΠ½Π½ΡΡ ΠΏΠ°Π»ΠΎΡΠ΅ΠΊ ΠΈΠ»ΠΈ ΠΏΡΠΎΠ²ΠΎΠ»ΠΎΠΊΠΈ. ΠΠΎΠ»ΠΎΠΆΠ΅Π½ΠΈΠ΅ ΠΏΠ°Π»ΡΡΠ° Π΄ΠΎΠ»ΠΆΠ½ΠΎ Π±ΡΡΡ ΡΠ°ΠΊΠΈΠΌ, Π² ΠΊΠΎΡΠΎΡΠΎΠΌ Π±ΠΎΠ»ΡΠ½ΠΎΠΉ Π½Π΅ ΠΎΡΡΡΠ°Π΅Ρ ΡΠΈΠ»ΡΠ½ΡΡ Π±ΠΎΠ»Ρ. ΠΡΠΈ Π½Π΅Π²ΠΎΠ·ΠΌΠΎΠΆΠ½ΠΎΡΡΠΈ ΡΠΈΠΊΡΠ°ΡΠΈΠΈ ΠΏΠΎΠ΄ΡΡΡΠ½ΡΠΌΠΈ ΡΡΠ΅Π΄ΡΡΠ²Π°ΠΌΠΈ, Π΅ΡΠ»ΠΈ ΡΠ»ΠΎΠΌΠ°Π½ ΠΏΠ°Π»Π΅Ρ, ΡΠΎ Π΅Π³ΠΎ ΠΏΡΠΈΠ±ΠΈΠ½ΡΠΎΠ²ΡΠ²Π°ΡΡ ΠΊ ΡΠΎΡΠ΅Π΄Π½Π΅ΠΌΡ ΠΏΠ°Π»ΡΡΡ. ΠΠΎΡΠ»Π΅ Π²ΡΠΏΠΎΠ»Π½Π΅Π½ΠΈΡ ΠΎΠ±Π΅Π·Π΄Π²ΠΈΠΆΠΈΠ²Π°Π½ΠΈΡ Π΄Π»Ρ Π±ΠΎΠ»ΡΡΠ΅ΠΉ Π½Π°Π΄Π΅ΠΆΠ½ΠΎΡΡΠΈ ΡΡΠΊΡ ΠΈΠΌΠΌΠΎΠ±ΠΈΠ»ΠΈΠ·ΡΡΡ ΠΊΠΎΡΡΠ½ΠΊΠΎΠΉ.
- ΠΠ° ΠΎΠ±Π»Π°ΡΡΡ ΡΡΠ°Π²ΠΌΡ ΠΏΡΠΈΠ»ΠΎΠΆΠΈΡΡ Π»Π΅Π΄ ΠΈ ΠΌΠ΅Π½ΡΡΡ Π΅Π³ΠΎ ΠΊΠ°ΠΆΠ΄ΡΠ΅ 5-10 ΠΌΠΈΠ½ΡΡ Π΄Π»Ρ ΠΏΡΠΎΡΠΈΠ»Π°ΠΊΡΠΈΠΊΠΈ ΠΎΠ±ΠΌΠΎΡΠΎΠΆΠ΅Π½ΠΈΡ.
ΠΠΈΠ°Π³Π½ΠΎΡΡΠΈΠΊΠ°
ΡΠ΅Π½ΡΠ³Π΅Π½ΠΎΠ³ΡΠ°ΡΠΈΡ ΠΊΠΈΡΡΠΈ, ΡΡΠΎ ΠΎΡΠ½ΠΎΠ²Π° Π΄ΠΈΠ°Π³Π½ΠΎΡΡΠΈΠΊΠΈ Π΄Π°Π½Π½ΠΎΠ³ΠΎ ΠΏΠ΅ΡΠ΅Π»ΠΎΠΌΠ°. Π‘Π½ΠΈΠΌΠΎΠΊ ΠΏΡΠΎΠΈΠ·Π²ΠΎΠ΄ΠΈΡΡΡ ΠΎΠ±Π΅ΠΈΡ ΠΊΠΎΠ½Π΅ΡΠ½ΠΎΡΡΠ΅ΠΉ Π΄Π»Ρ ΡΡΠ°Π²Π½Π΅Π½ΠΈΡ ΠΌΠ΅ΡΡΠ° ΡΠ»ΠΎΠΌΠ° ΡΠΎ Π·Π΄ΠΎΡΠΎΠ²ΠΎΠΉ ΠΊΠΈΡΡΡΡ.
ΠΠ° ΡΠ½ΠΈΠΌΠΊΠ΅ ΡΠΏΠ΅ΡΠΈΠ°Π»ΠΈΡΡ ΠΎΠΏΡΠ΅Π΄Π΅Π»ΡΠ΅Ρ:
- ΠΠ°Π»ΠΈΡΠΈΠ΅ ΠΈΠ»ΠΈ ΠΎΡΡΡΡΡΡΠ²ΠΈΠ΅ ΡΠ°Π·Π»ΠΎΠΌΠ°.
- ΠΠΈΠ΄ ΡΡΠ°Π²ΠΌΡ.
- Π‘ΡΠ°Π±ΠΈΠ»ΡΠ½ΠΎΡΡΡ ΠΏΠΎΠ²ΡΠ΅ΠΆΠ΄Π΅Π½ΠΈΡ.
- ΠΠ°Π»ΠΈΡΠΈΠ΅ ΠΎΡΠ»ΠΎΠΆΠ½Π΅Π½ΠΈΠΉ.
- ΠΠΎΠ²ΡΠ΅ΠΆΠ΄Π΅Π½ΠΈΠ΅ ΠΌΠ΅ΠΆΡΠ°Π»Π°Π½Π³ΠΎΠ²ΠΎΠ³ΠΎ ΡΡΡΡΠ°Π²Π°.
Π ΠΊΠ°ΡΠ΅ΡΡΠ²Π΅ Π΄ΠΎΠΏΠΎΠ»Π½ΠΈΡΠ΅Π»ΡΠ½ΡΡ ΠΌΠ΅ΡΠΎΠ΄ΠΎΠ² ΠΌΠΎΠ³ΡΡ Π½Π°Π·Π½Π°ΡΠΈΡΡ ΡΠ»ΡΡΡΠ°Π·Π²ΡΠΊΠΎΠ²ΠΎΠ΅ ΠΈΡΡΠ»Π΅Π΄ΠΎΠ²Π°Π½ΠΈΠ΅ ΠΈ ΠΊΠΎΠΌΠΏΡΡΡΠ΅ΡΠ½ΡΡ ΡΠΎΠΌΠΎΠ³ΡΠ°ΡΠΈΡ.
ΠΡΠΈ Π½Π°Π»ΠΈΡΠΈΠΈ ΠΎΡΠ»ΠΎΠΆΠ½Π΅Π½ΠΈΠΉ ΠΏΠ΅ΡΠΈΡΠ΅ΡΠΈΡΠ΅ΡΠΊΠΈΡ Π½Π΅ΡΠ²ΠΎΠ² ΠΌΠΎΠΆΠ΅Ρ Π±ΡΡΡ ΠΏΡΠΈΠ²Π»Π΅ΡΠ΅Π½ Π½Π΅Π²ΡΠΎΠ»ΠΎΠ³ ΠΈΠ»ΠΈ Π½Π΅ΠΉΡΠΎΡ ΠΈΡΡΡΠ³.
ΠΠ° ΠΎΡΠ½ΠΎΠ²Π°Π½ΠΈΠΈ ΠΏΠΎΠ»ΡΡΠ΅Π½Π½ΡΡ Π΄Π°Π½Π½ΡΡ ΡΠΏΠ΅ΡΠΈΠ°Π»ΠΈΡΡ ΠΎΠΏΡΠ΅Π΄Π΅Π»ΡΠ΅Ρ Π»Π΅ΡΠ΅Π±Π½ΡΡ ΡΠ°ΠΊΡΠΈΠΊΡ.

ΠΠ΅ΡΠ΅Π½ΠΈΠ΅
ΠΠ΅ΡΠ΅Π½ΠΈΠ΅ ΠΏΠ΅ΡΠ΅Π»ΠΎΠΌΠ° ΠΎΠΏΡΠ΅Π΄Π΅Π»ΡΠ΅ΡΡΡ ΡΡΠΆΠ΅ΡΡΡΡ ΠΏΠΎΠ²ΡΠ΅ΠΆΠ΄Π΅Π½ΠΈΡ. ΠΠΎ ΡΠ°ΡΠ΅ Π²ΡΠ΅Π³ΠΎ ΠΈΡΠΏΠΎΠ»ΡΠ·ΡΡΡ Π΄Π²Π° Π²ΠΈΠ΄Π° ΡΠ΅ΡΠ°ΠΏΠΈΠΈ:
- ΠΠΎΠ½ΡΠ΅ΡΠ²Π°ΡΠΈΠ²Π½ΠΎΠ΅ Π»Π΅ΡΠ΅Π½ΠΈΠ΅.
- Π₯ΠΈΡΡΡΠ³ΠΈΡΠ΅ΡΠΊΠΎΠ΅ Π²ΠΌΠ΅ΡΠ°ΡΠ΅Π»ΡΡΡΠ²ΠΎ.
ΠΠ΅Π·Π°Π²ΠΈΡΠΈΠΌΠΎ ΠΎΡ ΡΠΎΠ³ΠΎ, ΠΊΠ°ΠΊΠΎΠΉ ΠΌΠ΅ΡΠΎΠ΄ Π±ΡΠ΄Π΅Ρ Π²ΡΠ±ΡΠ°Π½, ΠΏΠ°ΡΠΈΠ΅Π½ΡΡ ΠΏΡΠΎΠΏΠΈΡΡΡ ΡΠΈΠΌΠΏΡΠΎΠΌΠ°ΡΠΈΡΠ΅ΡΠΊΡΡ ΠΌΠ΅Π΄ΠΈΠΊΠ°ΠΌΠ΅Π½ΡΠΎΠ·Π½ΡΡ ΡΠ΅ΡΠ°ΠΏΠΈΡ. ΠΠ½Π° Π²ΠΊΠ»ΡΡΠ°Π΅Ρ ΠΈΡΠΏΠΎΠ»ΡΠ·ΠΎΠ²Π°Π½ΠΈΠ΅ ΠΏΡΠΎΡΠΈΠ²ΠΎΠ²ΠΎΡΠΏΠ°Π»ΠΈΡΠ΅Π»ΡΠ½ΡΡ ΠΈ Π°Π½Π°Π»ΡΠ³Π΅ΡΠΈΡΠ΅ΡΠΊΠΈΡ ΡΡΠ΅Π΄ΡΡΠ².
ΠΡΠΈ Π»Π΅ΡΠ΅Π½ΠΈΠΈ Π² ΡΡΠ°ΡΠΈΠΎΠ½Π°ΡΠ΅ Π»Π΅ΠΊΠ°ΡΡΡΠ²Π° ΠΏΡΠΈΠΌΠ΅Π½ΡΡΡΡΡ Π² Π²ΠΈΠ΄Π΅ ΠΈΠ½ΡΠ΅ΠΊΡΠΈΠΉ. ΠΡΠΈ ΠΏΠ΅ΡΠ΅Π²ΠΎΠ΄Π΅ Π½Π° Π°ΠΌΠ±ΡΠ»Π°ΡΠΎΡΠ½ΠΎΠ΅ Π΄ΠΎΠ»Π΅ΡΠΈΠ²Π°Π½ΠΈΠ΅, ΠΈΡΠΏΠΎΠ»ΡΠ·ΡΡΡ ΡΠ°Π±Π»Π΅ΡΠΊΠΈ.
ΠΠΎΠ½ΡΠ΅ΡΠ²Π°ΡΠΈΠ²Π½Π°Ρ ΡΠ°ΠΊΡΠΈΠΊΠ°
ΠΠΎΠ½ΡΠ΅ΡΠ²Π°ΡΠΈΠ²Π½ΠΎΠ΅ Π»Π΅ΡΠ΅Π½ΠΈΠ΅ ΡΡΠ°Π²ΠΌΡ ΡΡΠ΅Π΄Π½Π΅ΠΉ ΡΠ°Π»Π°Π½Π³ΠΈ ΠΈΠ»ΠΈ Π΄ΡΡΠ³ΠΈΡ ΠΏΠΎΠ΄ΡΠ°Π·ΡΠΌΠ΅Π²Π°Π΅Ρ ΡΠ΅ΠΏΠΎΠ·ΠΈΡΠΈΡ ΠΊΠΎΡΡΠ½ΡΡ ΠΎΠ±Π»ΠΎΠΌΠΊΠΎΠ² ΠΏΠΎΠ΄ ΠΌΠ΅ΡΡΠ½ΠΎΠΉ Π°Π½Π΅ΡΡΠ΅Π·ΠΈΠ΅ΠΉ ΠΈ ΠΏΠΎΡΠ»Π΅Π΄ΡΡΡΡΡ ΠΈΠΌΠΌΠΎΠ±ΠΈΠ»ΠΈΠ·Π°ΡΠΈΡ ΠΏΡΠΈ ΠΏΠΎΠΌΠΎΡΠΈ Π³ΠΈΠΏΡΠΎΠ²ΠΎΠΉ ΠΏΠΎΠ²ΡΠ·ΠΊΠΈ ΠΈΠ»ΠΈ Π±Π°Π½Π΄Π°ΠΆΠ°. ΠΠ»Ρ ΠΏΡΠΎΡΠ½ΠΎΠΉ ΡΠΈΠΊΡΠ°ΡΠΈΠΈ ΠΌΠΎΠΆΠ΅Ρ Π±ΡΡΡΒ ΠΈΡΠΏΠΎΠ»ΡΠ·ΠΎΠ²Π°Π½ ΡΠΎΡΠ΅Π΄Π½ΠΈΠΉ ΠΏΠ°Π»Π΅Ρ β Π½Π° Π½Π΅Π³ΠΎ Π·Π°ΠΊΡΠ΅ΠΏΠ»ΡΡΡ ΡΠΈΠ½Ρ.
ΠΡΡΠ΅Π·Ρ ΠΌΠΎΠ³ΡΡ Π½Π°ΠΊΠ»Π°Π΄ΡΠ²Π°ΡΡΡΡ ΠΊΠ°ΠΊ Π½Π° ΠΎΠ΄ΠΈΠ½, ΡΠ°ΠΊ ΡΡΠ°Π·Ρ ΠΈ Π½Π° Π½Π΅ΡΠΊΠΎΠ»ΡΠΊΠΎ ΠΏΠ°Π»ΡΡΠ΅Π². ΠΠ°Π½Π½ΠΎΠ΅ ΡΡΡΡΠΎΠΉΡΡΠ²ΠΎ Π² ΠΎΡΠ»ΠΈΡΠΈΠ΅ ΠΎΡ Π³ΠΈΠΏΡΠ° ΠΏΠΎΠ·Π²ΠΎΠ»ΡΠ΅Ρ ΠΊΠΎΠΆΠ΅ Π΄ΡΡΠ°ΡΡ, Π° ΠΈΡ ΡΡΡΠ°Π½ΠΎΠ²ΠΊΠ° ΠΏΡΠΎΠΈΠ·Π²ΠΎΠ΄ΠΈΡΡΡ Π±Π΅Π·Π±ΠΎΠ»Π΅Π·Π½Π΅Π½Π½ΠΎ ΠΈ Π»Π΅Π³ΠΊΠΎ.
ΠΠΌΠΌΠΎΠ±ΠΈΠ»ΠΈΠ·Π°ΡΠΈΡ ΠΏΡΠΎΠΈΠ·Π²ΠΎΠ΄ΠΈΡΡΡ Π½Π° ΡΡΠΎΠΊ Π΄ΠΎ ΡΠ΅ΡΡΡΠ΅Ρ Π½Π΅Π΄Π΅Π»Ρ. ΠΠ° ΡΡΠΎ Π²ΡΠ΅ΠΌΡ ΡΡΠ°ΡΡΠ°Π΅ΡΡΡ ΠΏΠ΅ΡΠ΅Π»ΠΎΠΌ ΠΏΠ°Π»ΡΡΠ°. Π’Π°ΠΊΠΆΠ΅ Π² ΡΠ΅ΡΠ΅Π½ΠΈΠ΅ ΡΡΠΎΠ³ΠΎ ΡΡΠΎΠΊΠ° Π΄Π΅Π»Π°ΡΡ ΡΠ΅Π½ΡΠ³Π΅Π½ Π΄Π»Ρ ΠΈΡΠΊΠ»ΡΡΠ΅Π½ΠΈΡ ΡΠΌΠ΅ΡΠ΅Π½ΠΈΡ ΠΎΠ±Π»ΠΎΠΌΠΊΠΎΠ² ΠΊΠΎΡΡΠΈ.
ΠΠ°ΠΆΠ½ΠΎ! ΠΡΠ»ΠΈ ΠΊΠΎΠ½ΡΠ΅ΡΠ²Π°ΡΠΈΠ²Π½ΠΎΠ΅ Π»Π΅ΡΠ΅Π½ΠΈΠ΅ Π½Π΅ Π΄Π°Π»ΠΎ ΡΠ΅Π·ΡΠ»ΡΡΠ°Ρ ΠΈ Π·Π°ΠΆΠΈΠ²Π»Π΅Π½ΠΈΠ΅ ΠΏΡΠΎΡΠ»ΠΎ Π½Π΅ ΠΏΡΠ°Π²ΠΈΠ»ΡΠ½ΠΎ, ΡΠΎ Π½Π°Π·Π½Π°ΡΠ°Π΅ΡΡΡ ΠΏΠ»Π°Π½ΠΎΠ²Π°Ρ ΠΎΠΏΠ΅ΡΠ°ΡΠΈΡ.
ΠΠΏΠ΅ΡΠ°ΡΠΈΠ²Π½ΠΎΠ΅ Π»Π΅ΡΠ΅Π½ΠΈΠ΅
ΠΡΡΠ΅ΠΎΡΠΈΠ½ΡΠ΅Π· β ΡΡΠΎ ΠΎΠΏΠ΅ΡΠ°ΡΠΈΠ²Π½ΠΎΠ΅ Π²ΠΌΠ΅ΡΠ°ΡΠ΅Π»ΡΡΡΠ²ΠΎ ΠΏΠΎ Π²ΠΎΡΡΡΠ°Π½ΠΎΠ²Π»Π΅Π½ΠΈΡ ΡΠ΅Π»ΠΎΡΡΠ½ΠΎΡΡΠΈ ΠΊΠΎΡΡΠΈ. ΠΡΠΈ ΠΏΡΠΎΠ²Π΅Π΄Π΅Π½ΠΈΠΈ ΠΎΠΏΠ΅ΡΠ°ΡΠΈΠΈ Π²ΠΎΠ·ΠΌΠΎΠΆΠ½ΠΎ ΠΈΡΠΏΠΎΠ»ΡΠ·ΠΎΠ²Π°Π½ΠΈΠ΅ ΡΠ°Π·Π»ΠΈΡΠ½ΡΡ ΠΊΠΎΠ½ΡΡΡΡΠΊΡΠΈΠΉ, ΠΊΠΎΡΠΎΡΡΠΌΠΈ Π·Π°ΠΊΡΠ΅ΠΏΠ»ΡΡΡΡΡ ΠΊΠΎΡΡΠ½ΡΠ΅ ΠΎΡΠ»ΠΎΠΌΠΊΠΈ Π΄ΡΡΠ³ Ρ Π΄ΡΡΠ³ΠΎΠΌ.
Π ΠΊΠ°ΡΠ΅ΡΡΠ²Π΅ ΡΠ°ΠΊΠΈΡ ΡΡΡΡΠΎΠΉΡΡΠ² ΠΌΠΎΠ³ΡΡ Π²ΡΡΡΡΠΏΠ°ΡΡ:
- ΠΠ΅ΡΠ°Π»Π»ΠΈΡΠ΅ΡΠΊΠ°Ρ ΠΏΠ»Π°ΡΡΠΈΠ½Π°.
- ΠΠΈΠ½Ρ.
- Π‘ΠΏΠΈΡΠ° ΡΠ°Π·Π»ΠΈΡΠ½ΠΎΠΉ ΡΠΎΡΠΌΡ.
Π ΡΡΠ°Π²ΠΌΠ°ΡΠΎΠ»ΠΎΠ³ΠΈΠΈ ΡΡΡΠ΅ΡΡΠ²ΡΠ΅Ρ ΠΌΠ΅ΡΠΎΠ΄ΠΈΠΊΠ° ΠΎΠΏΠ΅ΡΠ°ΡΠΈΠΈ, ΠΏΡΠΈ ΠΊΠΎΡΠΎΡΠΎΠΉ ΠΎΡΡΡΠ΅ΡΡΠ²Π»ΡΠ΅ΡΡΡ ΡΡΠ΅ΡΠΊΠΎΠΆΠ½ΠΎΠ΅ Π²Π²Π΅Π΄Π΅Π½ΠΈΠ΅ ΡΠΏΠΈΡΡ. Π ΡΡΠΎΠΌ ΡΠ»ΡΡΠ°Π΅ Π½Π΅ΠΎΠ±Ρ ΠΎΠ΄ΠΈΠΌΠΎΡΡΡ ΠΏΡΠΎΠ²ΠΎΠ΄ΠΈΡΡ ΡΠ°ΡΡΠ΅ΡΠ΅Π½ΠΈΠ΅ ΠΏΠΎΠΊΡΠΎΠ²Π½ΡΡ ΡΠΊΠ°Π½Π΅ΠΉ ΠΎΡΠΏΠ°Π΄Π°Π΅Ρ, ΠΎΡΡΡΡΡΡΠ²ΡΠ΅Ρ ΠΏΠΎΡΠ»Π΅ΠΎΠΏΠ΅ΡΠ°ΡΠΈΠΎΠ½Π½ΡΠΉ ΡΡΠ°ΠΌ, ΠΎΠ΄Π½Π°ΠΊΠΎ ΡΠ²Π΅Π»ΠΈΡΠΈΠ²Π°Π΅ΡΡΡ ΡΠΈΡΠΊ ΠΈΠ½ΡΠΈΡΠΈΡΠΎΠ²Π°Π½ΠΈΡ ΠΊΠΎΡΡΠΈ, Π° ΡΡΠΎΠΊ ΡΠ΅Π°Π±ΠΈΠ»ΠΈΡΠ°ΡΠΈΠΈ ΡΠ΄Π»ΠΈΠ½ΡΠ΅ΡΡΡ.
ΠΠ»Π°ΡΡΠΈΡΠ΅ΡΠΊΠΈΠΌ ΡΠΏΠΎΡΠΎΠ±ΠΎΠΌ ΡΠ²Π»ΡΠ΅ΡΡΡ ΠΎΡΠΊΡΡΡΠ°Ρ ΠΎΠΏΠ΅ΡΠ°ΡΠΈΡ, ΠΊΠΎΠ³Π΄Π° ΠΎΡΠ»ΠΎΠΌΠΊΠΈ ΡΠΊΡΠ΅ΠΏΠ»ΡΡΡΡΡ ΠΏΠ»Π°ΡΡΠΈΠ½ΠΎΠΉ ΠΈ Π²ΠΈΠ½ΡΠ°ΠΌΠΈ. Π¨Π²Ρ ΡΠ½ΠΈΠΌΠ°ΡΡΡΡ, ΡΠ΄Π°Π»ΡΡΡΡΡ ΡΠ΅ΡΠ΅Π· Β 2 Π½Π΅Π΄Π΅Π»ΠΈ ΠΏΠΎΡΠ»Π΅ ΠΎΠΏΠ΅ΡΠ°ΡΠΈΠΈ. ΠΠ° ΡΠ°ΠΊΠΎΠΉ ΠΆΠ΅ ΡΡΠΎΠΊ Π½Π°ΠΊΠ»Π°Π΄ΡΠ²Π°Π΅ΡΡΡ ΡΠΈΠΊΡΠΈΡΡΡΡΠ°Ρ ΠΏΠΎΠ²ΡΠ·ΠΊΠ°.

ΠΡΠΈ Π½Π°Π»ΠΈΡΠΈΠΈ ΠΎΡΠ»ΠΎΠΆΠ½Π΅Π½ΠΈΠΉ ΠΌΠΎΠΆΠ΅Ρ ΠΈΠ·ΠΌΠ΅Π½ΠΈΡΡΡΡ ΡΠ΅Ρ Π½ΠΈΠΊΠ° ΠΎΠΏΠ΅ΡΠ°ΡΠΈΠΎΠ½Π½ΡΡ ΠΌΠ΅ΡΠΎΠΏΡΠΈΡΡΠΈΠΉ, ΠΏΡΠΈ Π½Π΅ΠΎΠ±Ρ ΠΎΠ΄ΠΈΠΌΠΎΡΡΠΈ ΠΌΠΎΠΆΠ΅Ρ Π±ΡΡΡ Π·Π°Π΄Π΅ΠΉΡΡΠ²ΠΎΠ²Π°Π½ Π½Π΅ΠΉΡΠΎΡ ΠΈΡΡΡΠ³.
ΠΠΎΠ»ΡΠ½ΡΡ ΡΠ°ΡΡΠΎ Π²ΠΎΠ»Π½ΡΡΡ Π²ΠΎΠΏΡΠΎΡΡ β ΡΠΊΠΎΠ»ΡΠΊΠΎ ΡΡΠ°ΡΡΠ°Π΅ΡΡΡ ΠΏΠ΅ΡΠ΅Π»ΠΎΠΌ, ΠΊΠ°ΠΊ Π±ΡΠ΄Π΅Ρ Π²ΡΠ³Π»ΡΠ΄Π΅ΡΡ ΡΡΠΊΠ° ΠΏΠΎΡΠ»Π΅ ΡΠ½ΡΡΠΈΡ Π³ΠΈΠΏΡΠ°, ΡΠΊΠΎΠ»ΡΠΊΠΎ Ρ ΠΎΠ΄ΠΈΡΡ Π² Π³ΠΈΠΏΡΠ΅, ΠΊΠ°ΠΊ ΡΠ°Π·ΡΠ°Π±ΠΎΡΠ°ΡΡ ΠΏΠΎΠ²ΡΠ΅ΠΆΠ΄Π΅Π½Π½ΡΠΉ ΠΏΠ°Π»Π΅Ρ.
ΠΠ°ΠΆΠ΄ΡΠΉ Π²ΠΈΠ΄ ΠΏΠ΅ΡΠ΅Π»ΠΎΠΌΠ° ΠΈΠΌΠ΅Π΅Ρ ΡΠ²ΠΎΠΉ ΡΡΠΎΠΊ Π΄Π»Ρ ΡΠΎΠ³ΠΎ, ΡΡΠΎ Π±Ρ ΡΡΠ°ΡΡΠΈΡΡ. ΠΠΎ β ΡΡΠΎΠΌΡ ΠΎΡΠ²Π΅Ρ Π½Π° Π²ΠΎΠΏΡΠΎΡ, ΡΠΊΠΎΠ»ΡΠΊΠΎ Π·Π°ΠΆΠΈΠ²Π°Π΅Ρ ΠΏΠ΅ΡΠ΅Π»ΠΎΠΌ, Π½Π°ΠΏΡΡΠΌΡΡ Π·Π°Π²ΠΈΡΠΈΡ ΠΎΡ ΡΠΈΠΏΠ° ΡΡΠ°Π²ΠΌΠΈΡΠΎΠ²Π°Π½ΠΈΡ. ΠΡΠΎ ΠΌΠΎΠΆΠ΅Ρ Π±ΡΡΡ ΠΎΡ ΡΡΠ΅Ρ Π½Π΅Π΄Π΅Π»Ρ Π΄ΠΎ ΡΡΠ΅Ρ ΠΌΠ΅ΡΡΡΠ΅Π². ΠΠΎΠ»Π΅Π΅ ΡΠΎΡΠ½ΡΠΉ ΠΎΡΠ²Π΅Ρ ΡΠ·Π½Π°ΡΡ ΠΌΠΎΠΆΠ½ΠΎ Π±ΡΠ΄Π΅Ρ ΠΏΠΎΡΠ»Π΅ ΠΏΡΠΎΠ²Π΅Π΄Π΅Π½ΠΈΡ ΠΏΠΎΠ²ΡΠΎΡΠ½ΠΎΠ³ΠΎ ΡΠ΅Π½ΡΠ³Π΅Π½Π°.
Π Π΅Π°Π±ΠΈΠ»ΠΈΡΠ°ΡΠΈΡ
ΠΠ°ΠΊ ΠΎΠΏΠ΅ΡΠ°ΡΠΈΠ²Π½ΠΎΠ΅, ΡΠ°ΠΊ ΠΈ ΠΊΠΎΠ½ΡΠ΅ΡΠ²Π°ΡΠΈΠ²Π½ΠΎΠ΅ Π»Π΅ΡΠ΅Π½ΠΈΠ΅ ΡΡΠ΅Π±ΡΡΡ ΠΏΠΎΡΠ»Π΅Π΄ΡΡΡΠ΅ΠΉ ΡΠ΅Π°Π±ΠΈΠ»ΠΈΡΠ°ΡΠΈΠΈ. Π Ρ ΠΎΠ΄Π΅ Π΄Π°Π½Π½ΠΎΠ³ΠΎ ΠΏΠ΅ΡΠΈΠΎΠ΄Π° Π²ΠΎΡΡΡΠ°Π½Π°Π²Π»ΠΈΠ²Π°Π΅ΡΡΡ ΠΎΠ±ΡΠ΅ΠΌ Π΄Π²ΠΈΠΆΠ΅Π½ΠΈΠΉ ΠΈ ΡΠ°Π±ΠΎΡΠΎΡΠΏΠΎΡΠΎΠ±Π½ΠΎΡΡΡ ΠΏΠ°Π»ΡΡΠ΅Π².
Π Π΅Π°Π±ΠΈΠ»ΠΈΡΠ°ΡΠΈΠΎΠ½Π½ΡΠ΅ ΠΌΠ΅ΡΠΎΠΏΡΠΈΡΡΠΈΡ:
- ΠΡΠΏΠΎΠ»ΡΠ·ΠΎΠ²Π°Π½ΠΈΠ΅ Π»Π΅ΠΊΠ°ΡΡΡΠ².
- ΠΡΠΏΠΎΠ»Π½Π΅Π½ΠΈΠ΅ ΡΠΏΠ΅ΡΠΈΠ°Π»ΡΠ½ΡΡ ΡΠΏΡΠ°ΠΆΠ½Π΅Π½ΠΈΠΉ.
- Π€ΠΈΠ·ΠΈΠΎΠΏΡΠΎΡΠ΅Π΄ΡΡΡ.
- ΠΠΈΠ΅ΡΠ° Ρ ΠΏΠΎΠ²ΡΡΠ΅Π½Π½ΡΠΌ ΡΠΎΠ΄Π΅ΡΠΆΠ°Π½ΠΈΠ΅ΠΌ ΠΊΠ°Π»ΡΡΠΈΡ.
- ΠΠΎΠΌΠΏΠ»Π΅ΠΊΡ Π²ΠΈΡΠ°ΠΌΠΈΠ½ΠΎΠ².
- ΠΡΠΎΡΠΈΡΠ½Π°Ρ ΠΏΡΠΎΡΠΈΠ»Π°ΠΊΡΠΈΠΊΠ°.
ΠΠ°ΠΊ ΡΠ°Π·ΡΠ°Π±Π°ΡΡΠ²Π°ΡΡ ΠΏΠΎΠ²ΡΠ΅ΠΆΠ΄Π΅Π½Π½ΡΡ ΠΊΠΈΡΡΡ? ΠΠ· ΡΠΏΡΠ°ΠΆΠ½Π΅Π½ΠΈΠΉ, Π½Π°ΠΏΡΠ°Π²Π»Π΅Π½Π½ΡΡ Π½Π° ΡΠ΅Π°Π±ΠΈΠ»ΠΈΡΠ°ΡΠΈΡ ΠΏΠΎΡΡΡΠ°Π΄Π°Π²ΡΠ΅Π³ΠΎ ΠΏΠΎΡΠ»Π΅ ΠΏΠ΅ΡΠ΅Π»ΠΎΠΌΠ° ΠΏΠ°Π»ΡΡΠ° Π½Π° ΡΡΠΊΠ΅ ΠΌΠΎΠΆΠ½ΠΎ ΡΠ΅ΠΊΠΎΠΌΠ΅Π½Π΄ΠΎΠ²Π°ΡΡ ΡΠ»Π΅Π΄ΡΡΡΠΈΠ΅:
- ΠΠ΅ΡΠ΅Π±ΠΈΡΠ°Π½ΠΈΠ΅, ΡΠ°Π·ΠΌΠΈΠ½Π°Π½ΠΈΠ΅ ΠΏΠ°Π»ΡΡΠ°ΠΌΠΈ ΠΏΠΎΠ²ΡΠ΅ΠΆΠ΄Π΅Π½Π½ΠΎΠΉ ΡΡΠΊΠΈ ΠΊΡΡΠΏΠΈΡ ΡΠΈΡΠ° ΠΈΠ»ΠΈ Π»ΡΠ±ΡΡ Π΄ΡΡΠ³ΠΈΡ Π·Π΅ΡΠ΅Π½. Π‘Π»Π΅Π΄ΡΠ΅Ρ ΠΏΡΠΈΠ»Π°Π³Π°ΡΡ ΡΡΠΈΠ»ΠΈΡ, ΡΡΠΎΠ±Ρ Π·Π°Ρ Π²Π°ΡΠΈΡΡ Π±ΠΎΠ»ΡΡΠ΅Π΅ ΠΈΡ ΠΊΠΎΠ»ΠΈΡΠ΅ΡΡΠ²ΠΎ ΠΈ, Π½Π΅ ΡΠ°ΡΡΡΠΏΠ°Π², Π΄ΠΎΠ½Π΅ΡΡΠΈ Π΄ΠΎ Π΄ΡΡΠ³ΠΎΠΉ ΠΏΠΎΡΡΠ΄Ρ.
- Π Π°ΡΠΊΠ°ΡΡΠ²Π°Π½ΠΈΠ΅ ΠΏΠ»Π°ΡΡΠΈΠ»ΠΈΠ½Π° ΠΏΠ°Π»ΡΡΠ°ΠΌΠΈ. ΠΡΡΠ΅ΠΊΡΠΈΠ²Π½ΠΎΠ΅ ΡΠΏΡΠ°ΠΆΠ½Π΅Π½ΠΈΠ΅ Π΄Π»Ρ ΡΡΠ΅Π½ΠΈΡΠΎΠ²ΠΊΠΈ ΠΎΡΠ»Π°Π±Π»Π΅Π½Π½ΡΡ ΠΌΡΡΡ ΠΊΠΈΡΡΠΈ ΠΈ ΠΏΡΠ΅Π΄ΠΏΠ»Π΅ΡΡΡ. Π‘Π»Π΅Π΄ΡΠ΅Ρ ΠΌΠ°Π»Π΅Π½ΡΠΊΠΈΠΉ ΠΊΡΡΠΎΠΊ ΠΏΠ»Π°ΡΡΠΈΠ»ΠΈΠ½Π° ΡΠ°ΡΠΊΠ°ΡΠ°ΡΡ Π΄ΠΎ ΡΠΎΡΠΌΡ Π΄Π»ΠΈΠ½Π½ΠΎΠΉ ΠΊΠΎΠ»Π±Π°ΡΠΊΠΈ. ΠΠ»Ρ ΡΠΎΠ³ΠΎ, ΡΡΠΎ Π±Ρ ΡΡΠ»ΠΎΠΆΠ½ΠΈΡΡ ΡΠΏΡΠ°ΠΆΠ½Π΅Π½ΠΈΠ΅ ΠΌΠΎΠΆΠ½ΠΎ ΠΈΡΠΏΠΎΠ»ΡΠ·ΠΎΠ²Π°ΡΡ Π±ΠΎΠ»Π΅Π΅ Π±ΠΎΠ»ΡΡΠΈΠ΅ Π² ΠΎΠ±ΡΠ΅ΠΌΠ΅ ΠΊΡΡΠΎΡΠΊΠΈ ΠΏΠ»Π°ΡΡΠΈΠ»ΠΈΠ½Π°.
- ΠΠΎΠΎΡΠ΅ΡΠ΅Π΄Π½ΠΎΠ΅ ΠΏΠΎΠ΄Π½ΡΡΠΈΠ΅ ΠΏΠ°Π»ΡΡΠ΅Π². ΠΠ»Ρ ΡΡΠΎΠ³ΠΎ ΡΠ»Π΅Π΄ΡΠ΅Ρ ΠΏΠ»ΠΎΡΠ½ΠΎ ΠΏΡΠΈΠΆΠ°ΡΡ Π»Π°Π΄ΠΎΠ½Ρ ΠΊ ΡΡΠΎΠ»Ρ, Π·Π°ΡΠΈΠΊΡΠΈΡΠΎΠ²Π°ΡΡ Π΅Π΅ ΠΈ ΠΈΠ·ΠΎΠ»ΠΈΡΠΎΠ²Π°Π½Π½ΠΎ ΠΏΠΎΠ΄Π½ΠΈΠΌΠ°ΡΡ ΠΏΠ°Π»ΡΡΡ Π²Π²Π΅ΡΡ , ΠΌΠ°ΠΊΡΠΈΠΌΠ°Π»ΡΠ½ΠΎ Π²ΡΡΠΎΠΊΠΎ.
ΠΠ»Ρ ΡΠΎΠ³ΠΎ ΡΡΠΎΠ±Ρ ΠΏΠΎΡΠ»Π΅Π΄ΡΡΠ²ΠΈΡ ΡΡΠ°Π²ΠΌΡ Π±ΡΠ»ΠΈ ΡΠ²Π΅Π΄Π΅Π½Ρ ΠΊ ΠΌΠΈΠ½ΠΈΠΌΡΠΌΡ, ΡΠ°Π±ΠΎΡΠ° ΡΡΡΡΠ°Π²Π° Π±ΡΠ»Π° ΠΏΠΎΠ»Π½ΠΎΡΠ΅Π½Π½ΠΎΠΉ ΡΠ»Π΅Π΄ΡΠ΅Ρ ΡΠΎΠ±Π»ΡΠ΄Π°ΡΡ Π²ΡΠ΅ ΡΠ΅ΠΊΠΎΠΌΠ΅Π½Π΄Π°ΡΠΈΠΈ Π»Π΅ΡΠ°ΡΠ΅Π³ΠΎ Π²ΡΠ°ΡΠ° β Π½ΠΎΡΠΈΡΡ Π½Π° ΡΡΠΊΠ΅ ΡΠΊΠΎΠ»ΡΠΊΠΎ ΡΡΠ΅Π±ΡΠ΅ΡΡΡ Π³ΠΈΠΏΡ, Π½Π΅ ΠΏΠ΅ΡΠ΅ΡΡΡΠΆΠ΄Π°ΡΡ ΠΊΠΎΠ½Π΅ΡΠ½ΠΎΡΡΡ, ΡΠΏΠΎΡΡΠ΅Π±Π»ΡΡΡ ΠΌΠ΅Π΄ΠΈΠΊΠ°ΠΌΠ΅Π½ΡΡ.
ΠΠ΅ ΡΡΠΎΠΈΡ ΡΡΠ½ΡΡΡ Ρ Π΄ΠΈΠ°Π³Π½ΠΎΡΡΠΈΠΊΠΎΠΉ ΠΈ Π»Π΅ΡΠ΅Π½ΠΈΠ΅ΠΌ Π·Π°Π±ΠΎΠ»Π΅Π²Π°Π½ΠΈΡ!
ΠΠ°ΠΏΠΈΡΠΈΡΠ΅ΡΡ Π½Π° ΠΎΠ±ΡΠ»Π΅Π΄ΠΎΠ²Π°Π½ΠΈΠ΅ Ρ Π²ΡΠ°ΡΠ°!
potravmam.ru
ΡΠΊΠΎΠ»ΡΠΊΠΎ Π·Π°ΠΆΠΈΠ²Π°Π΅Ρ, ΡΠΊΠΎΠ»ΡΠΊΠΎ Π½ΠΎΡΠΈΡΡ Π³ΠΈΠΏΡ
ΠΠ½ΠΎΠ³Π΄Π° ΡΠ»ΡΡΠ°ΡΡΡΡ Π½Π΅ΠΏΡΠΈΡΡΠ½ΠΎΡΡΠΈ, ΠΈ ΠΏΠ΅ΡΠ΅Π»ΠΎΠΌ ΠΌΠΈΠ·ΠΈΠ½ΡΠ° Π½Π° ΡΡΠΊΠ΅ β ΠΎΠ΄Π½Π° ΠΈΠ· Π½ΠΈΡ
.ΠΡΠ° ΡΡΠ°Π²ΠΌΠ° ΡΠ²Π»ΡΠ΅ΡΡΡ Π½Π΅ ΡΠ΅Π΄ΠΊΠΎΠΉ, Π²Π΅Π΄Ρ Π½Π° ΠΏΡΠΎΡΡΠΆΠ΅Π½ΠΈΠΈ Π½Π°ΡΠ΅ΠΉ ΠΆΠΈΠ·Π½ΠΈ ΠΏΠ°Π»ΡΡΡ β ΠΎΠ΄Π½ΠΈ ΠΈΠ· Π³Π»Π°Π²Π½ΡΡ ΠΏΠΎΠΌΠΎΡΠ½ΠΈΠΊΠΎΠ². ΠΠ½ΠΈ ΠΈΡΠΏΠΎΠ»ΡΠ·ΡΡΡΡΡ Π²ΠΎ Π²ΡΠ΅Ρ ΡΠ΅Ρ ΠΆΠ΅ Π΄Π΅ΠΉΡΡΠ²ΠΈΡΡ , ΡΡΠΎ ΠΈ ΡΡΠΊΠΈ ΡΠ΅Π»ΠΈΠΊΠΎΠΌ.
ΠΡΠΏΠΎΠ»ΡΠ·ΡΠΉ ΠΏΠΎΠΈΡΠΊ
ΠΡΡΠ°Π΅Ρ ΠΊΠ°ΠΊΠ°Ρ-ΡΠΎ ΠΏΡΠΎΠ±Π»Π΅ΠΌΠ°? ΠΠ²Π΅Π΄ΠΈΡΠ΅ Π² ΡΠΎΡΠΌΡ «Π‘ΠΈΠΌΠΏΡΠΎΠΌ» ΠΈΠ»ΠΈ «ΠΠ°Π·Π²Π°Π½ΠΈΠ΅ Π±ΠΎΠ»Π΅Π·Π½ΠΈ» Π½Π°ΠΆΠΌΠΈΡΠ΅ Enter ΠΈ Π²Ρ ΡΠ·Π½Π°Π΅ΡΠ΅ Π²ΡΠ΅ Π»Π΅ΡΠ΅Π½ΠΈΠΈ Π΄Π°Π½Π½ΠΎΠΉ ΠΏΡΠΎΠ±Π»Π΅ΠΌΡ ΠΈΠ»ΠΈ Π±ΠΎΠ»Π΅Π·Π½ΠΈ.Β Β Β β
ΠΡΠ΅ΠΌΡ Π·Π°ΠΆΠΈΠ²Π»Π΅Π½ΠΈΡ
Π‘ΠΊΠΎΠ»ΡΠΊΠΎ Π·Π°ΠΆΠΈΠ²Π°Π΅Ρ ΠΏΠ΅ΡΠ΅Π»ΠΎΠΌ ΠΌΠΈΠ·ΠΈΠ½ΡΠ° Π½Π° ΡΡΠΊΠ΅? ΠΡΠΈ ΠΏΡΠΎΡΡΡΡ
Π·Π°ΠΊΡΡΡΡΡ
ΠΏΠ΅ΡΠ΅Π»ΠΎΠΌΠ°Ρ
ΡΡΠΎΠΊΠΈ ΡΠ»ΠΎΠΌΠ°Π½Π½ΡΠΉ ΠΌΠΈΠ·ΠΈΠ½Π΅Ρ Π±ΡΠ΄Π΅Ρ Π·Π°ΠΆΠΈΠ²Π°ΡΡ 2-3 Π½Π΅Π΄Π΅Π»Ρ. Π‘ΠΏΡΡΡΡ ΠΌΠ΅ΡΡΡ Π½Π°Π±Π»ΡΠ΄Π°Π΅ΡΡΡ ΠΏΠΎΠ»Π½Π°Ρ ΡΠ΅Π°Π±ΠΈΠ»ΠΈΡΠ°ΡΠΈΡ ΠΌΠΈΠ·ΠΈΠ½ΡΠ°.Π Π½Π°ΠΈΠ±ΠΎΠ»Π΅Π΅ ΡΠ»ΠΎΠΆΠ½ΡΡ ΡΠ»ΡΡΠ°ΡΡ Π½ΠΎΡΠΈΡΡ Π³ΠΈΠΏΡ Π½ΡΠΆΠ½ΠΎ Π΄ΠΎΠ»ΡΡΠ΅ ΠΏΠΎ Π²ΡΠ΅ΠΌΠ΅Π½ΠΈ, ΠΎΡ 6 Π½Π΅Π΄Π΅Π»Ρ, Π° Π²ΠΎΡΡΡΠ°Π½ΠΎΠ²Π»Π΅Π½ΠΈΠ΅ ΡΠ°Π±ΠΎΡΡ Π΄ΠΎΡΡΠΈΠ³Π°Π΅ΡΡΡ ΡΠ΅ΡΠ΅Π· 8-10 Π½Π΅Π΄Π΅Π»Ρ.
ΠΡΠ΄Π΅Π»ΡΠ½ΠΎ ΡΡΠΎΠΈΡ ΡΠΏΠΎΠΌΡΠ½ΡΡΡ ΡΡΠΎΠΊΠΈ Π²ΠΎΡΡΡΠ°Π½ΠΎΠ²Π»Π΅Π½ΠΈΡ ΠΏΠΎΡΠ»Π΅ Ρ ΠΈΡΡΡΠ³ΠΈΡΠ΅ΡΠΊΠΎΠ³ΠΎ Π²ΠΌΠ΅ΡΠ°ΡΠ΅Π»ΡΡΡΠ²Π°. ΠΠ΄Π΅ΡΡ Π²ΡΠ΅ Π·Π°Π²ΠΈΡΠΈΡ ΠΎΡ ΡΠΎΠ³ΠΎ, Π½Π΅ Π²ΠΎΠ·Π½ΠΈΠΊΠ½ΡΡ Π»ΠΈ ΡΠ°Π·Π½ΡΠ΅ ΠΎΡΠ»ΠΎΠΆΠ½Π΅Π½ΠΈΡ, ΠΊ ΠΏΡΠΈΠΌΠ΅ΡΡ, Π³Π½ΠΎΠΉΠ½ΡΠ΅, ΠΎΠ½ΠΈ ΡΡΠ°Π½ΡΡ ΠΏΠΎΠ²ΠΎΠ΄ΠΎΠΌ Π΄Π»Ρ Π΄ΠΎΠΏΠΎΠ»Π½ΠΈΡΠ΅Π»ΡΠ½ΠΎΠ³ΠΎ Π²ΠΌΠ΅ΡΠ°ΡΠ΅Π»ΡΡΡΠ²Π°. ΠΠ½ΠΎΠ³Π΄Π° ΠΏΠΎΡΡΠ΅Π±ΡΠ΅ΡΡΡ Π½ΠΎΡΠΈΡΡ ΡΠΈΠΊΡΠ°ΡΠΎΡ.
Β Β Β β https://gidpain.ru/perelom/mizinca-ruke-simptomy.htmlΠ‘ΠΈΠΌΠΏΡΠΎΠΌΠ°ΡΠΈΠΊΠ°
Π‘ΠΈΠΌΠΏΡΠΎΠΌΡ ΡΠΎΠ³ΠΎ, ΡΡΠΎ ΡΠ΅Π»ΠΎΠ²Π΅ΠΊ ΡΠ»ΠΎΠΌΠ°Π» ΠΌΠΈΠ·ΠΈΠ½Π΅Ρ Π½Π° ΡΡΠΊΠ΅ ΡΡΠΎΠ΄Π½ΠΈ ΡΠΈΠΌΠΏΡΠΎΠΌΠ°ΠΌ ΠΏΠ΅ΡΠ΅Π»ΠΎΠΌΠ° ΠΏΡΠΎΡΠΈΡ
ΠΊΠΎΠ½Π΅ΡΠ½ΠΎΡΡΠ΅ΠΉ:- Π Π΅Π·ΠΊΠ°Ρ Π±ΠΎΠ»Ρ, ΠΊΠΎΡΠΎΡΠ°Ρ ΡΡΠΈΠ»ΠΈΠ²Π°Π΅ΡΡΡ ΠΏΡΠΈ Π΄Π²ΠΈΠΆΠ΅Π½ΠΈΠΈ. Π‘Π»ΠΎΠΌΠ°Π²ΡΠΈΠΌ ΠΌΠΈΠ·ΠΈΠ½ΡΠ΅ΠΌ ΡΠ΅Π»ΠΎΠ²Π΅ΠΊ Π½Π΅ ΡΠΌΠΎΠΆΠ΅Ρ ΡΠ΅Π²Π΅Π»ΠΈΡΡ, Π° ΡΠΎ Π²ΡΠ΅ΠΌΠ΅Π½Π΅ΠΌ Π½Π° ΠΏΠΎΡΠ°ΠΆΠ΅Π½Π½ΠΎΠΌ ΡΡΠ°ΡΡΠΊΠ΅ ΠΎΠ±ΡΠ°Π·ΡΠ΅ΡΡΡ ΠΎΡΠ΅ΠΊ.
- ΠΡΠ³ΠΊΠΈΠ΅ ΡΠΊΠ°Π½ΠΈ Π²ΠΎΠΊΡΡΠ³ ΠΌΠ΅Π½ΡΡΡ ΡΠ²Π΅Ρ Π½Π° Π±ΠΎΠ»Π΅Π΅ ΡΠ΅ΠΌΠ½ΡΠΉ, Π²ΠΎΠ·ΠΌΠΎΠΆΠ½ΠΎ ΠΊΡΠΎΠ²ΠΎΠΈΠ·Π»ΠΈΡΠ½ΠΈΠ΅ ΠΏΠΎΠ΄ Π½ΠΎΠ³ΠΎΡΡ.
- Π£ΠΊΠΎΡΠΎΡΠ΅Π½ΠΈΠ΅ ΠΈΠ»ΠΈ ΠΈΡΠΊΡΠΈΠ²Π»Π΅Π½ΠΈΠ΅ ΠΏΠ°Π»ΡΡΠ°, ΡΡΠ΅Π·ΠΌΠ΅ΡΠ½Π°Ρ ΠΏΠΎΠ΄Π²ΠΈΠΆΠ½ΠΎΡΡΡ ΠΈΠ»ΠΈ Π΄Π°ΠΆΠ΅ Ρ ΡΡΡΡ ΠΎΡΠ»ΠΎΠΌΠΊΠΎΠ² ΠΏΡΠΈ ΡΠ΄Π°Π²Π»ΠΈΠ²Π°Π½ΠΈΠΈ.
Π£ Π΄Π΅ΡΠ΅ΠΉ ΠΌΠΎΠ³ΡΡ ΠΏΠΎΡΠ²ΠΈΡΡΡΡ ΠΊΡΠ°Π΅Π²ΡΠ΅ ΠΎΡΡΡΠ²Ρ Π½ΠΎΠ³ΡΠ΅Π²ΠΎΠΉ ΡΠ°Π»Π°Π½Π³ΠΈ (Π±ΠΎΠ»Π΅Π΅ Ρ Π°ΡΠ°ΠΊΡΠ΅ΡΠ½ΠΎ Π΄Π»Ρ ΠΎΡΠΊΡΡΡΡΡ ΠΏΠ΅ΡΠ΅Π»ΠΎΠΌΠΎΠ²). Π ΡΠ΅Π΄ΠΊΠΈΡ ΡΠ»ΡΡΠ°ΡΡ ΠΎΠ±ΡΠ°Π·ΠΎΠ²ΡΠ²Π°Π΅ΡΡΡ Ρ Π°ΡΠ°ΠΊΡΠ΅ΡΠ½ΡΠΉ ΠΌΡΠ³ΠΊΠΎΡΠΊΠ°Π½Π½ΡΠΉ Π΄Π΅ΡΠ΅ΠΊΡ.
Π’ΡΠ°Π²ΠΌΡ Π² Π΄Π΅ΡΡΠΊΠΎΠΌ Π²ΠΎΠ·ΡΠ°ΡΡΠ΅ ΠΈΠΌΠ΅ΡΡ ΡΠ΅Π½Π΄Π΅Π½ΡΠΈΡ ΠΌΠ°ΡΠΊΠΈΡΠΎΠ²Π°ΡΡΡΡ, ΡΠ°ΠΊ ΡΡΠΎ Π΄Π°ΠΆΠ΅ ΡΠ΅Π½ΡΠ³Π΅Π½ΠΎΠ³ΡΠ°ΠΌΠΌΠ° Π½Π΅ Π²ΡΠ΅Π³Π΄Π° Π΄Π°Π΅Ρ ΡΠ΅ΡΠΊΠΈΠΉ ΡΠ΅Π·ΡΠ»ΡΡΠ°Ρ.
ΠΡΠΈ ΠΎΠ±ΡΠ»Π΅Π΄ΠΎΠ²Π°Π½ΠΈΠΈ Π΄Π΅ΡΠ΅ΠΉ Π²ΡΠ°ΡΠ°ΠΌ ΠΏΡΠΈΡ ΠΎΠ΄ΠΈΡΡΡ Π±ΡΡΡ ΠΎΡΠΎΠ±Π΅Π½Π½ΠΎ Π²Π½ΠΈΠΌΠ°ΡΠ΅Π»ΡΠ½ΡΠΌΠΈ. ΠΠ°ΠΈΠ±ΠΎΠ»Π΅Π΅ Π²Π°ΠΆΠ½ΡΠΌ ΠΈ ΠΏΠΎΠΊΠ°Π·Π°ΡΠ΅Π»ΡΠ½ΡΠΌ ΠΏΡΠΈΠ·Π½Π°ΠΊΠΎΠΌ ΡΡΠ°Π½ΠΎΠ²ΠΈΡΡΡ ΡΠΈΠ»ΡΠ½Π°Ρ Π±ΠΎΠ»Ρ ΠΏΡΠΈ Π½Π°Π³ΡΡΠ·ΠΊΠ΅ Π½Π° ΠΎΡΡ ΠΏΠ°Π»ΡΡΠ°.
Β Β Β βΠ Π΄ΠΎΠΌΠ°ΡΠ½ΠΈΡ ΡΡΠ»ΠΎΠ²ΠΈΡΡ
Π‘Π°ΠΌΡΠΌ Π²Π°ΠΆΠ½ΡΠΌ Π½ΡΠ°Π½ΡΠΎΠΌ Π·Π΄Π΅ΡΡ ΡΠ»Π΅Π΄ΡΠ΅Ρ ΠΎΡΠΌΠ΅ΡΠΈΡΡ ΡΠ»Π΅Π΄ΡΡΡΠΈΠΉ: Π΅ΡΠ»ΠΈ ΡΠ»ΠΎΠΌΠ°Π½ ΠΌΠΈΠ·ΠΈΠ½Π΅Ρ, Π΄ΠΎΠΌΠ° Π²ΡΠ»Π΅ΡΠΈΡΡ Π½Π΅ ΡΠ΄Π°ΡΡΡΡ, ΠΊ Π²ΡΠ°ΡΡ ΠΏΡΠΈΠ΄Π΅ΡΡΡ ΠΎΠ±ΡΠ°ΡΠ°ΡΡΡΡ.ΠΠ°ΠΆΠ½ΠΎ Π½Π΅ Π±Π΅ΡΠΏΠΎΠΊΠΎΠΈΡΡ Π»ΠΈΡΠ½ΠΈΠΉ ΡΠ°Π· ΠΏΠΎΡΠ°ΠΆΠ΅Π½Π½ΡΠΉ ΠΏΠ°Π»Π΅Ρ ΠΈ Π½Π΅Π»ΡΠ·Ρ ΠΏΡΡΠ°ΡΡΡΡ ΡΠΎΠ²ΠΌΠ΅ΡΡΠΈΡΡ ΠΏΠ΅ΡΠ΅Π»ΠΎΠΌ ΡΠ°ΠΌΠΎΡΡΠΎΡΡΠ΅Π»ΡΠ½ΠΎ β Π² ΡΠ΅Π·ΡΠ»ΡΡΠ°ΡΠ΅ ΠΌΠΎΠΆΠ½ΠΎ ΠΏΡΠΈΡΠΈΠ½ΠΈΡΡ ΠΊΡΠ΄Π° Π±ΠΎΠ»ΡΡΠΈΠΉ Π²ΡΠ΅Π΄, Ρ ΠΊΠΎΡΠΎΡΡΠΌ ΠΏΡΠΈΠ΄Π΅ΡΡΡ ΡΠ°Π·Π±ΠΈΡΠ°ΡΡΡΡ ΠΌΠ΅Π΄ΠΈΠΊΠ°ΠΌ.
ΠΡΡΡΠ΅ Π΄Π°ΡΡ Π±ΠΎΠ»ΡΠ½ΠΎΠΌΡ ΠΎΠ±Π΅Π·Π±ΠΎΠ»ΠΈΠ²Π°ΡΡΠ΅Π΅ ΠΈΠ· Π΄ΠΎΠΌΠ°ΡΠ½Π΅ΠΉ Π°ΠΏΡΠ΅ΡΠΊΠΈ β ΠΊΠ΅ΡΠ°ΡΠΎΠ», Π°Π½Π°Π»ΡΠ³ΠΈΠ½ ΠΈΠ»ΠΈ ΡΡΠΈ, Π° ΠΏΠΎΡΠ»Π΅ ΡΠΎΠΏΡΠΎΠ²ΠΎΠ΄ΠΈΡΡ Π΅Π³ΠΎ ΠΊ Π²ΡΠ°ΡΡ ΠΈΠ»ΠΈ Π²ΡΠ·Π²Π°ΡΡ ΡΠΊΠΎΡΡΡ ΠΏΠΎΠΌΠΎΡΡ.
Β Β Β βΠΠ΅ΡΠ΅Π½ΠΈΠ΅
ΠΠ΅ΡΠ΅Π½ΠΈΠ΅ ΠΏΠ΅ΡΠ΅Π»ΠΎΠΌΠ° ΠΌΠΈΠ·ΠΈΠ½ΡΠ° Π΄ΠΎΡΡΠ°ΡΠΎΡΠ½ΠΎ ΠΊΠΎΠ½ΡΠ΅ΡΠ²Π°ΡΠΈΠ²Π½ΠΎ:- ΠΡΠ°Ρ ΠΎΠ±Π΅Π·Π΄Π²ΠΈΠΆΠΈΡ ΡΠ°Π»Π°Π½Π³Ρ Ρ ΠΏΠΎΠΌΠΎΡΡΡ Π³ΠΈΠΏΡΠ° ΠΈΠ»ΠΈ ΡΠΈΠ½Ρ. Π ΡΠ»ΡΡΠ°Π΅ ΠΎΡΠΊΡΡΡΠΎΠ³ΠΎ ΠΏΠ΅ΡΠ΅Π»ΠΎΠΌΠ° ΠΈΠ½ΠΎΠ³Π΄Π° ΠΏΡΠΈΡ ΠΎΠ΄ΠΈΡΡΡ ΠΏΡΠΎΠ²ΠΎΠ΄ΠΈΡΡ Ρ ΠΈΡΡΡΠ³ΠΈΡΠ΅ΡΠΊΠΎΠ΅ Π²ΠΌΠ΅ΡΠ°ΡΠ΅Π»ΡΡΡΠ²ΠΎ.
- ΠΠΎ Π·Π°Π²Π΅ΡΡΠ΅Π½ΠΈΠΈ ΡΠΈΠΊΡΠ°ΡΠΈΠΈ ΡΠ»Π΅Π΄ΡΠ΅Ρ ΠΊΡΡΡ ΡΠΈΠ·ΠΈΠΎΡΠ΅ΡΠ°ΠΏΠΈΠΈ, ΡΠΏΠΎΡΠΎΠ±ΡΡΠ²ΡΡΡΠ΅ΠΉ ΡΠΊΠΎΡΠ΅ΠΉΡΠ΅ΠΌΡ Π·Π°ΠΆΠΈΠ²Π»Π΅Π½ΠΈΡ ΡΠ°Π½Ρ.
- Π Π½Π°ΠΈΠ±ΠΎΠ»Π΅Π΅ ΡΠ»ΠΎΠΆΠ½ΡΡ ΡΠ»ΡΡΠ°ΡΡ , ΠΏΠ΅ΡΠ΅Π»ΠΎΠΌΠ°Ρ ΡΠΎ ΡΠΌΠ΅ΡΠ΅Π½ΠΈΠ΅ΠΌ, Π²ΡΠ°ΡΠΈ ΠΏΡΠΎΠΈΠ·Π²ΠΎΠ΄ΡΡ ΡΠ΅ΠΏΠΎΠ·ΠΈΡΠΈΡ ΠΎΡΠ»ΠΎΠΌΠΊΠΎΠ². ΠΡΠΎ ΠΏΠΎΠ·Π²ΠΎΠ»ΡΠ΅Ρ ΠΏΡΠΈΠ΄Π°ΡΡ ΠΈΠΌ ΠΏΡΠΈΡΠΎΠ΄Π½ΠΎΠ΅ ΠΏΠΎΠ»ΠΎΠΆΠ΅Π½ΠΈΠ΅.
- ΠΠ΄Π½ΠΈΠΌ ΠΈΠ· ΠΌΠ΅ΡΠΎΠ΄ΠΎΠ² ΡΠ²Π»ΡΠ΅ΡΡΡ Π²Π²Π΅Π΄Π΅Π½ΠΈΠ΅ ΡΠΏΠΈΡ, ΡΠΈΠΊΡΠΈΡΡΡΡΠΈΡ ΡΡΠ°ΡΡΠΎΠΊ.
ΠΠ΅ΡΠ΅Π½ΠΈΠ΅ Π²ΡΠ±ΠΈΡΠ°Π΅ΡΡΡ Π² Π·Π°Π²ΠΈΡΠΈΠΌΠΎΡΡΠΈ ΠΎΡ ΡΠΈΠΏΠ° ΠΏΠ΅ΡΠ΅Π»ΠΎΠΌΠ°.
Β Β Β βΠΠ΄Π½ΠΎΠΌΠΎΠΌΠ΅Π½ΡΠ½Π°Ρ Π·Π°ΠΊΡΡΡΠ°Ρ ΡΠ΅ΠΏΠΎΠ·ΠΈΡΠΈΡ
ΠΠ½Π° ΠΈΡΠΏΠΎΠ»ΡΠ·ΡΠ΅ΡΡΡ ΠΏΡΠΈ ΡΠ°ΠΌΡΡ ΠΏΡΠΎΡΡΡΡ ΠΏΠ΅ΡΠ΅Π»ΠΎΠΌΠ°Ρ .
ΠΡΠΎΠΈΠ·Π²ΠΎΠ΄ΠΈΡΡΡ Π² Π½Π΅ΡΠΊΠΎΠ»ΡΠΊΠΎ ΡΡΠ°ΠΏΠ°Ρ :
- Π‘Π½Π°ΡΠ°Π»Π° ΠΏΠ°ΡΠΈΠ΅Π½ΡΠ° ΠΏΡΠΎΠ²Π΅ΡΡΡΡ Π½Π° ΠΏΠ΅ΡΠ΅Π½ΠΎΡΠΈΠΌΠΎΡΡΡ ΠΌΠ΅ΡΡΠ½ΠΎΠ³ΠΎ ΠΎΠ±Π΅Π·Π±ΠΎΠ»ΠΈΠ²Π°ΡΡΠ΅Π³ΠΎ Ρ ΠΏΠΎΠΌΠΎΡΡΡ ΠΊΠΎΠ½ΡΠ΅Π½ΡΡΠ°ΡΠΎΠ² Π»ΠΈΠ΄ΠΎΠΊΠ°ΠΈΠ½Π° ΠΈΠ»ΠΈ ΠΏΡΠΎΠΊΠ°ΠΈΠ½Π°.
- Π ΡΠ»ΡΡΠ°Π΅ ΡΡΠΏΠ΅Ρ Π° Π²ΡΡΡΠ³ΠΈΠ²Π°ΡΡ ΠΏΠ°Π»Π΅Ρ ΠΈ Π½Π΅ΡΠΊΠΎΠ»ΡΠΊΠΎ ΡΠ³ΠΈΠ±Π°ΡΡ ΡΡΡΡΠ°Π²Ρ.
- ΠΠΎ Π·Π°Π²Π΅ΡΡΠ΅Π½ΠΈΠΈ ΠΊΠΎΡΡΡ Π²ΠΎΠ·Π²ΡΠ°ΡΠ°ΡΡ Π² ΠΏΠ΅ΡΠ²ΠΎΠ½Π°ΡΠ°Π»ΡΠ½ΠΎΠ΅ ΠΏΠΎΠ»ΠΎΠΆΠ΅Π½ΠΈΠ΅ ΠΈ ΡΠΈΠΊΡΠΈΡΡΡΡ.
Π‘ΠΊΠ΅Π»Π΅ΡΠ½ΠΎΠ΅ Π²ΡΡΡΠΆΠ΅Π½ΠΈΠ΅
ΠΠΎΠΏΠΈΡ ΠΏΡΠ΅Π΄ΡΠ΄ΡΡΠ΅ΠΉ ΠΌΠ΅ΡΠΎΠ΄ΠΈΠΊΠΈ, ΡΠ°Π·Π»ΠΈΡΠ°Π΅ΡΡΡ ΠΌΠ΅ΡΠΎΠ΄ΠΎΠΌ Π²ΡΡΡΠ³ΠΈΠ²Π°Π½ΠΈΡ β Π·Π΄Π΅ΡΡ ΠΈΡΠΏΠΎΠ»ΡΠ·ΡΠ΅ΡΡΡ Π½ΠΈΡΡ ΠΈΠ»ΠΈ ΠΏΡΠΎΠ²ΠΎΠ»ΠΎΠΊΠ°, ΠΊΠΎΡΠΎΡΡΠ΅ ΠΏΡΠΎΠ΄Π΅Π²Π°ΡΡΡΡ ΡΠ΅ΡΠ΅Π· ΠΌΡΠ³ΠΊΠΈΠ΅ ΡΠΊΠ°Π½ΠΈ ΠΈΠ»ΠΈ ΠΏΠΎΠ΄ Π½ΠΎΠ³ΡΠ΅ΠΌ.
ΠΠΎΠ΄ΠΎΠ±Π½ΡΠΉ ΡΠΏΠΎΡΠΎΠ± ΠΏΠΎΠ·Π²ΠΎΠ»ΡΠ΅Ρ ΡΠΏΡΠ°Π²ΠΈΡΡΡΡ Ρ Π±ΠΎΠ»Π΅Π΅ ΡΡΠΆΠ΅Π»ΡΠΌΠΈ ΡΡΠ°Π²ΠΌΠ°ΠΌΠΈ, Π° ΠΏΠΎΡΠ»Π΅Π΄ΡΡΡΠ΅Π΅ Π»Π΅ΡΠ΅Π½ΠΈΠ΅ Π²ΠΊΠ»ΡΡΠ°Π΅Ρ ΠΏΡΠΎΡΠΈΠ²ΠΎΠ²ΠΎΡΠΏΠ°Π»ΠΈΡΠ΅Π»ΡΠ½ΡΠ΅ ΠΈ Π°Π½ΡΠΈΠ±Π°ΠΊΡΠ΅ΡΠΈΠ°Π»ΡΠ½ΡΠ΅ ΠΏΡΠ΅ΠΏΠ°ΡΠ°ΡΡ.
Β Β Β βΠΡΠΊΡΡΡΠ°Ρ ΡΠ΅ΠΏΠΎΠ·ΠΈΡΠΈΡ
Π€Π°ΠΊΡΠΈΡΠ΅ΡΠΊΠΈ ΠΏΠΎΡΠ»Π΅Π΄Π½ΠΈΠΉ ΠΌΠ΅ΡΠΎΠ΄ Π»Π΅ΡΠ΅Π½ΠΈΡ, ΠΎΠ½ Π²ΠΊΠ»ΡΡΠ°Π΅Ρ Ρ ΠΈΡΡΡΠ³ΠΈΡΠ΅ΡΠΊΠΎΠ΅ Π²ΠΌΠ΅ΡΠ°ΡΠ΅Π»ΡΡΡΠ²ΠΎ Π½Π° ΠΎΡΠΊΡΡΡΠΎΠΉ ΠΊΠΎΡΡΠΈ ΠΈ ΡΠ΅Π΄ΠΊΠΎ ΠΈΡΠΏΠΎΠ»ΡΠ·ΡΠ΅ΡΡΡ Π² ΡΠ²ΡΠ·ΠΈ Ρ ΠΎΡΠ΅Π²ΠΈΠ΄Π½ΡΠΌΠΈ ΡΠΎΠΏΡΡΡΡΠ²ΡΡΡΠΈΠΌΠΈ ΡΠΈΡΠΊΠ°ΠΌΠΈ ΠΈ ΠΎΡΠ»ΠΎΠΆΠ½Π΅Π½ΠΈΡΠΌΠΈ. ΠΠ½ΠΎΠ³Π΄Π° ΡΡΠ° ΠΌΠ΅ΡΠΎΠ΄ΠΈΠΊΠ° ΠΎΠΊΠ°Π·ΡΠ²Π°Π΅ΡΡΡ Π΅Π΄ΠΈΠ½ΡΡΠ²Π΅Π½Π½ΠΎ Π²ΠΎΠ·ΠΌΠΎΠΆΠ½ΠΎΠΉ.
ΠΠ΅ ΠΏΡΠΈΠΌΠ΅Π½ΡΡΡ, Π΅ΡΠ»ΠΈ ΠΊΠΎΡΡΠΈ ΡΠΆΠ΅ ΡΡΠΏΠ΅Π»ΠΈ ΡΡΠ°ΡΡΠΈΡΡ Π½Π΅ΠΏΡΠ°Π²ΠΈΠ»ΡΠ½ΠΎ, ΠΈΠΌΠ΅Π΅ΡΡΡ ΠΌΠ½ΠΎΠ³ΠΎΠΎΡΠΊΠΎΠ»ΡΡΠ°ΡΡΠΉ ΠΏΠ΅ΡΠ΅Π»ΠΎΠΌ ΡΠΎ ΡΠΌΠ΅ΡΠ΅Π½ΠΈΠ΅ΠΌ ΠΈ ΡΡΠΈΡ . Π€ΠΈΠΊΡΠ°ΡΠΈΡ ΠΎΠ±Π»ΠΎΠΌΠΊΠΎΠ² ΠΎΡΡΡΠ΅ΡΡΠ²Π»ΡΠ΅ΡΡΡ ΡΠΏΠΈΡΠ°ΠΌΠΈ ΠΈΠ»ΠΈ ΡΡΡΡΠΏΠ°ΠΌΠΈ. ΠΡΡΡ Π² Π½Π΅ΠΌ ΠΈ ΠΏΠ»ΡΡΡ β Π½Π°ΠΊΠ»Π°Π΄ΡΠ²Π°Π½ΠΈΠ΅ Π³ΠΈΠΏΡΠ° Π½Π΅ ΡΡΠ΅Π±ΡΠ΅ΡΡΡ.
Β Β Β βΠΠΎΠ»Π΅Π·Π½ΠΎΠ΅ Π²ΠΈΠ΄Π΅ΠΎ
Β Β Β βΠΠ°ΠΊΠ»Π°Π΄ΡΠ²Π°Π½ΠΈΠ΅ Π³ΠΈΠΏΡΠ°
ΠΠ΅ΡΠ΅Π»ΠΎΠΌ ΠΏΠ°Π»ΡΡΠ° Π²ΡΠ°ΡΠΈ ΠΎΡΠ½ΠΎΡΡΡ ΠΊ ΡΡΠ°Π²ΠΌΠ°ΠΌ Π²ΡΡΠΎΠΊΠΎΠΉ ΡΠ»ΠΎΠΆΠ½ΠΎΡΡΠΈ, ΠΈ ΠΊ Π΅Π³ΠΎ Π»Π΅ΡΠ΅Π½ΠΈΡ ΡΡΠ΅Π±ΡΠ΅ΡΡΡ ΡΠΎΠΎΡΠ²Π΅ΡΡΡΠ²ΡΡΡΠΈΠΉ ΠΏΠΎΠ΄Ρ ΠΎΠ΄. ΠΠ΄Π½ΠΎΠΉ ΠΈΠ· ΠΎΠ±ΡΠ·Π°ΡΠ΅Π»ΡΠ½ΡΡ ΠΌΠ΅Ρ ΡΠ²Π»ΡΠ΅ΡΡΡ ΠΈΠΌΠΌΠΎΠ±ΠΈΠ»ΠΈΠ·Π°ΡΠΈΡ ΠΊΠΎΠ½Π΅ΡΠ½ΠΎΡΡΠΈ, ΠΏΠΎΠ΄ΡΠ°Π·ΡΠΌΠ΅Π²Π°ΡΡΠ°Ρ ΠΏΠΎΠ΄ ΡΠΎΠ±ΠΎΠΉ Π³ΠΈΠΏΡΠΎΠ²Π°Π½ΠΈΠ΅.ΠΠ»Ρ ΡΡΠΎΠ³ΠΎ ΠΈΡΠΏΠΎΠ»ΡΠ·ΡΠ΅ΡΡΡ ΠΊΠ»Π°ΡΡΠΈΡΠ΅ΡΠΊΠΈΠΉ Π±ΠΈΠ½Ρ, ΡΠΌΠΎΡΠ΅Π½Π½ΡΠΉ Π² ΡΠ°ΡΡΠ²ΠΎΡΠ΅. Π‘ΠΎ Π²ΡΠ΅ΠΌΠ΅Π½Π΅ΠΌ ΠΏΠΎΠ²ΡΠ·ΠΊΠ° Π²ΡΡΡΡ Π°Π΅Ρ, ΠΏΡΠΈΠ½ΠΈΠΌΠ°Ρ ΡΠΎΡΠΌΡ ΡΡΠΊΠΈ, Π²ΠΏΠΎΡΠ»Π΅Π΄ΡΡΠ²ΠΈΠΈ ΡΠΎΡ ΡΠ°Π½ΡΡ Π΅Π΅.
ΠΠΈΠΏΡ β ΡΡΠΎΡ ΠΌΠ°ΡΠ΅ΡΠΈΠ°Π» Π½Π΅ ΡΠ»ΠΈΡΠΊΠΎΠΌ Ρ ΠΎΡΠΎΡΠΎ ΠΏΠ΅ΡΠ΅Π½ΠΎΡΠΈΡ ΠΏΠΎΠΏΠ°Π΄Π°Π½ΠΈΠ΅ Π²ΠΎΠ΄Ρ.
Π‘ Π΄ΡΡΠ³ΠΎΠΉ ΡΡΠΎΡΠΎΠ½Ρ, Π΅ΡΡΡ Π°Π»ΡΡΠ΅ΡΠ½Π°ΡΠΈΠ²Π° Π² Π²ΠΈΠ΄Π΅ ΠΏΠΎΠ»ΠΈΠΌΠ΅ΡΠ½ΡΡ ΠΌΠ°ΡΠ΅ΡΠΈΠ°Π»ΠΎΠ² Ρ Π°Π½Π°Π»ΠΎΠ³ΠΈΡΠ½ΡΠΌΠΈ ΡΠ²ΠΎΠΉΡΡΠ²Π°ΠΌΠΈ, Π½ΠΎ Π±ΠΎΠ»Π΅Π΅ Π»Π΅Π³ΠΊΠΈΡ ΠΏΠΎ Π²Π΅ΡΡ. ΠΠΎΡ ΡΠΎΠ»ΡΠΊΠΎ ΡΡΠΎΡΡ ΠΎΠ½ΠΈ Π΄ΠΎΡΠΎΠΆΠ΅, ΠΈ ΠΎΠΏΠ»Π°ΡΠΈΠ²Π°ΡΡ ΠΈΡ ΠΏΡΠΈΡ ΠΎΠ΄ΠΈΡΡΡ ΡΠ°ΡΠ΅ ΡΠ°ΠΌΠΎΠΌΡ ΠΏΠ°ΡΠΈΠ΅Π½ΡΡ.
Β Β Β βΠΠ΅ΡΠ΅Π±Π½ΡΠΉ ΠΌΠ°ΡΡΠ°ΠΆ
Π₯ΠΎΡΡ ΠΎΡΠΊΡΡΡΡΠΉ ΠΏΠ΅ΡΠ΅Π»ΠΎΠΌ Π·Π°ΡΠ°ΡΡΠ°Π΅Ρ Π±ΡΡΡΡΠΎ, Π΄Π»Ρ Π²ΠΎΠ·Π²ΡΠ°ΡΠ΅Π½ΠΈΡ ΠΏΠΎΠ»Π½ΠΎΡΠ΅Π½Π½ΠΎΠΉ ΡΠ°Π±ΠΎΡΡ ΠΏΠ°Π»ΡΡΠ° ΡΡΠ΅Π±ΡΠ΅ΡΡΡ Π΅Π³ΠΎ ΡΠ°Π·ΡΠ°Π±Π°ΡΡΠ²Π°ΡΡ. ΠΠ°ΡΠΈΠ½Π°ΡΡ ΡΡΠΎΡ ΠΏΡΠΎΡΠ΅ΡΡ ΡΡΠΎΠΈΡ ΡΡΠ°Π·Ρ ΠΏΠΎΡΠ»Π΅ ΡΠΎΠ³ΠΎ, ΠΊΠ°ΠΊ Π±ΡΠ΄Π΅Ρ ΡΠ½ΡΡ Π³ΠΈΠΏΡ.ΠΡΠ°ΡΠΈ Π½Π°Π·Π½Π°ΡΠ°ΡΡ ΠΌΠ°ΡΡΠ°ΠΆ β Π²ΡΠΏΠΎΠ»Π½ΡΡΡ Π΅Π³ΠΎ ΠΌΠΎΠ³ΡΡ ΠΏΠ°ΡΠΈΠ΅Π½ΡΡ.
ΠΡΠΎΡΠ΅Π΄ΡΡΠ° Π²ΡΠΏΠΎΠ»Π½ΡΠ΅ΡΡΡ ΡΠ°ΠΊ:
- Π ΡΠΊΠΈ Π²ΡΠΊΠ»Π°Π΄ΡΠ²Π°ΡΡΡΡ Π»Π°Π΄ΠΎΠ½ΡΠΌΠΈ Π½Π° ΡΡΠΎΠ» β ΠΏΠ°ΡΠΈΠ΅Π½ΡΡ ΠΏΡΡΠ°ΡΡΡΡ ΠΎΡΠΎΡΠ²Π°ΡΡ ΠΏΠ°Π»ΡΡΡ ΠΎΡ Π΅Π³ΠΎ ΠΏΠΎΠ²Π΅ΡΡ Π½ΠΎΡΡΠΈ, ΠΏΠΎ ΠΎΠ΄Π½ΠΎΠΌΡ ΠΈΠ»ΠΈ Π²ΡΠ΅ Π²ΠΌΠ΅ΡΡΠ΅.
- Π‘Π»Π΅Π΄ΡΡΡΠΈΠΌ ΡΠΏΡΠ°ΠΆΠ½Π΅Π½ΠΈΠ΅ΠΌ Π±ΡΠ΄ΡΡ ΡΠ²Π΅Π΄Π΅Π½ΠΈΠ΅-ΡΠ°Π·Π²Π΅Π΄Π΅Π½ΠΈΠ΅ ΠΏΠ°Π»ΡΡΠ΅Π², ΠΊΡΡΠ³ΠΎΠ²ΡΠ΅ Π΄Π²ΠΈΠΆΠ΅Π½ΠΈΡ ΠΏΠΎΠ΄ΡΡΠ΅ΡΠ΅ΠΊ.
- Π₯ΠΎΡΠΎΡΠΈΠΌ Π²Π°ΡΠΈΠ°Π½ΡΠΎΠΌ Π±ΡΠ΄Π΅Ρ ΡΠΎΠ±ΠΈΡΠ°Π½ΠΈΠ΅ Π»Π°Π΄ΠΎΠ½ΠΈ Π² ΡΠ΅ΠΏΠΎΡΡ ΠΈ ΠΏΠΎΡΠ»Π΅Π΄ΡΡΡΠ΅Π΅ ΡΠ°ΡΡΠ»Π°Π±Π»Π΅Π½ΠΈΠ΅.
Π§ΡΠΎ ΠΈΠ½ΡΠ΅ΡΠ΅ΡΠ½ΠΎ, Π΄Π»Ρ ΡΠ΅Π°Π±ΠΈΠ»ΠΈΡΠ°ΡΠΈΠΈ ΠΏΡΠΈΠΌΠ΅Π½ΡΡΡΡΡ ΠΈ Π±ΠΎΠ»Π΅Π΅ ΠΈΠ½ΡΠ΅ΡΠ΅ΡΠ½ΡΠ΅ ΠΌΠ΅ΡΠΎΠ΄ΠΈΠΊΠΈ.
Π ΠΈΡ ΡΠΈΡΠ»ΠΎ ΠΌΠΎΠΆΠ½ΠΎ Π²Π½Π΅ΡΡΠΈ:
- Π Π°Π±ΠΎΡΡ Π½Π° ΠΊΠ»Π°Π²ΠΈΠ°ΡΡΡΠ΅;
- ΠΡΠΏΠΎΠ»ΡΠ·ΠΎΠ²Π°Π½ΠΈΠ΅ ΠΊΠΈΡΡΠ΅Π²ΠΎΠ³ΠΎ ΡΡΠΏΠ°Π½Π΄Π΅ΡΠ°;
- ΠΡΠΎΡΡΠ°Ρ ΡΠ°Π·ΠΌΠΈΠ½ΠΊΠ° ΠΌΠΈΠ·ΠΈΠ½ΡΠ° ΠΏΠ°Π»ΡΡΠ°ΠΌΠΈ Π΄ΡΡΠ³ΠΎΠΉ ΡΡΠΊΠΈ.
Π ΠΎΠ±ΡΠ΅ΠΌ, Π²Π°ΡΠΈΠ°Π½ΡΠΎΠ² ΡΡΡ ΠΌΠ½ΠΎΠ³ΠΎ. ΠΠ΅ΠΊΠΎΡΠΎΡΡΠ΅ ΠΏΡΠΈ ΠΏΠ΅ΡΠ΅Π»ΠΎΠΌΠ΅ ΠΏΠ°Π»ΡΡΠ΅Π² Π΄Π°ΠΆΠ΅ ΡΠΎΠ²Π΅ΡΡΡΡ ΠΏΠ΅ΡΠ΅Π±ΠΈΡΠ°ΡΡ ΠΊΡΡΠΏΡ.
Β Β Β βΠΠ½Π΅ΠΌΠ΅Π½ΠΈΠ΅ ΠΏΠ°Π»ΡΡΠ΅Π²
ΠΠ½ΠΎΠ³Π΄Π° ΠΏΠΎΡΠ»Π΅ ΠΏΠ΅ΡΠ΅Π»ΠΎΠΌΠ° ΠΌΠΈΠ·ΠΈΠ½ΡΠ° Π½Π°Π±Π»ΡΠ΄Π°Π΅ΡΡΡ Π΅Π³ΠΎ ΠΎΠ½Π΅ΠΌΠ΅Π½ΠΈΠ΅. Π’ΠΎ ΠΆΠ΅ ΡΠ°ΠΌΠΎΠ΅ Π²ΠΎΠ·ΠΌΠΎΠΆΠ½ΠΎ ΠΈ ΠΏΡΠΈ Π΄ΡΡΠ³ΠΈΡ
ΡΡΠ°Π²ΠΌΠ°Ρ
β ΠΏΠ΅ΡΠ΅Π»ΠΎΠΌ Π·Π°ΠΏΡΡΡΡΡ ΠΈ ΡΡΠΈΡ
.ΠΡΠΈΡΠΈΠ½Π° Π²ΠΎ Π²ΡΠ΅Ρ ΡΠ»ΡΡΠ°ΡΡ ΠΎΠ΄Π½Π° β ΠΏΠ»ΠΎΡ Π°Ρ ΠΏΡΠΎΠ²ΠΎΠ΄ΠΈΠΌΠΎΡΡΡ Π½Π΅ΡΠ²ΠΎΠ². ΠΠ΅ ΠΈΡΠΊΠ»ΡΡΠ΅Π½ΠΎ, ΡΡΠΎ ΠΎΠ½Π΅ΠΌΠ΅Π½ΠΈΠ΅ Π²ΠΎΠ·Π½ΠΈΠΊΠ»ΠΎ ΠΈΠ·-Π·Π° ΠΏΡΠΎΠ΄ΠΎΠ»ΠΆΠΈΡΠ΅Π»ΡΠ½ΠΎΠ³ΠΎ Π½Π°Ρ ΠΎΠΆΠ΄Π΅Π½ΠΈΡ ΡΡΠΊΠΈ Π² Π³ΠΈΠΏΡΠ΅, Π½ΠΎ Π½Π΅ ΡΡΠΎΠΈΡ ΠΈΡΠΊΠ»ΡΡΠ°ΡΡ ΠΈ Π±ΠΎΠ»Π΅Π΅ ΡΠ΅ΡΡΠ΅Π·Π½ΡΠ΅ ΠΏΡΠΈΡΠΈΠ½Ρ.
ΠΡΠ»ΠΈ ΠΎΠ½Π΅ΠΌΠ΅Π½ΠΈΠ΅ Π½Π΅ ΠΏΡΠΎΡ ΠΎΠ΄ΠΈΡ ΠΏΡΠΎΠ΄ΠΎΠ»ΠΆΠΈΡΠ΅Π»ΡΠ½ΠΎΠ΅ Π²ΡΠ΅ΠΌΡ, ΡΡΠΎΠΈΡ ΠΎΠ±ΡΠ°ΡΠΈΡΡΡΡ ΠΊ Π²ΡΠ°ΡΡ.
Π ΠΎΡΠ΄Π΅Π»ΡΠ½ΡΡ ΡΠ»ΡΡΠ°ΡΡ , ΠΎΡΠΎΠ±Π΅Π½Π½ΠΎ ΠΏΡΠΈ Π½Π°Π»ΠΈΡΠΈΠΈ Π΄ΡΡΠ³ΠΈΡ ΡΠΈΠΌΠΏΡΠΎΠΌΠΎΠ², ΠΎΠ½Π΅ΠΌΠ΅Π½ΠΈΠ΅ ΠΏΠ°Π»ΡΡΠ΅Π² ΡΡΠΊ ΠΌΠΎΠΆΠ΅Ρ ΡΠ²ΠΈΠ΄Π΅ΡΠ΅Π»ΡΡΡΠ²ΠΎΠ²Π°ΡΡ ΠΎ ΡΠ΅ΡΡΠ΅Π·Π½ΠΎΠΌ Π½Π΅Π²ΡΠΎΠ»ΠΎΠ³ΠΈΡΠ΅ΡΠΊΠΎΠΌ Π·Π°Π±ΠΎΠ»Π΅Π²Π°Π½ΠΈΠΈ, Ρ Π»Π΅ΡΠ΅Π½ΠΈΠ΅ΠΌ ΠΊΠΎΡΠΎΡΠΎΠ³ΠΎ Π»ΡΡΡΠ΅ Π½Π΅ Π·Π°ΡΡΠ³ΠΈΠ²Π°ΡΡ.
Π§ΡΠΎ ΠΆΠ΅ ΠΏΠΎΠ»ΡΡΠ°Π΅ΡΡΡ Π² ΠΈΡΠΎΠ³Π΅? ΠΠ΅ΡΠ΅Π»ΠΎΠΌ ΠΌΠΈΠ·ΠΈΠ½ΡΠ° β ΡΡΠ°Π²ΠΌΠ° Π΄ΠΎΡΡΠ°ΡΠΎΡΠ½ΠΎ Π±ΠΎΠ»Π΅Π·Π½Π΅Π½Π½Π°Ρ ΠΈ Π½Π΅ ΠΏΡΡΠ°ΠΉΡΠ΅ΡΡ Π·Π°Π½ΠΈΠΌΠ°ΡΡΡΡ ΡΠ°ΠΌΠΎΠ»Π΅ΡΠ΅Π½ΠΈΠ΅ΠΌ. ΠΠΎΡΠ»Π΅Π΄ΡΡΠ²ΠΈΡ ΡΡΠΈΡ ΡΠΊΡΠΏΠ΅ΡΠΈΠΌΠ΅Π½ΡΠΎΠ² Π½Π΅ΠΏΡΠΈΡΡΠ½ΡΠ΅.
ΠΠ°Π»ΠΎΠ³ ΡΠΊΠΎΡΠΎΡΠ΅ΡΠ½ΠΎΠ³ΠΎ Π²ΡΠ·Π΄ΠΎΡΠΎΠ²Π»Π΅Π½ΠΈΡ β ΠΎΠ±ΡΠ°ΡΠ΅Π½ΠΈΠ΅ ΠΊ Π²ΡΠ°ΡΠ°ΠΌ, ΡΡΠ°ΡΠ΅Π»ΡΠ½ΠΎΠ΅ ΡΠΎΠ±Π»ΡΠ΄Π΅Π½ΠΈΠ΅ ΠΈΡ ΠΈΠ½ΡΡΡΡΠΊΡΠΈΠΉ ΠΈ ΡΠ΅Π°Π±ΠΈΠ»ΠΈΡΠ°ΡΠΈΡ, ΠΊΠΎΡΠΎΡΠ°Ρ ΠΌΠΎΠΆΠ΅Ρ Π·Π°ΡΡΠ½ΡΡΡΡΡ. Π ΡΠ»ΡΡΠ°Π΅ ΠΆΠ΅ ΠΎΠ±Π½Π°ΡΡΠΆΠ΅Π½ΠΈΡ ΠΎΡΠ»ΠΎΠΆΠ½Π΅Π½ΠΈΠΉ ΡΠ»Π΅Π΄ΡΠ΅Ρ ΠΎΠ±ΡΠ°ΡΠ°ΡΡΡΡ Π² Π±Π»ΠΈΠΆΠ°ΠΉΡΡΡ Π±ΠΎΠ»ΡΠ½ΠΈΡΡ.
Β Β Β βΠ£ΠΏΡΠ°ΠΆΠ½Π΅Π½ΠΈΡ Π΄Π»Ρ ΡΡΠΊΠΎΡΠ΅Π½Π½ΠΎΠΉ ΡΠ΅Π°Π±ΠΈΠ»ΠΈΡΠ°ΡΠΈΠΈ
Π Π°ΡΡΠΌΠΎΡΡΠΈΠΌ Π½Π΅ΡΠΊΠΎΠ»ΡΠΊΠΎ:
- Π‘ΠΆΠ°ΡΠΈΠ΅ ΡΠΊΡΠΏΠ°Π½Π΄Π΅ΡΠ° Π² ΡΠ°Π·Π½ΡΡ ΠΏΠΎΠ»ΠΎΠΆΠ΅Π½ΠΈΡΡ ΡΡΠΊΠΈ: Π²ΡΡΡΠ½ΡΡΠ°Ρ Π²ΠΏΠ΅ΡΡΠ΄, Π²Π±ΠΎΠΊ, Π²Π²Π΅ΡΡ , ΡΠΎΠ³Π½ΡΡΠ°Ρ Π² Π»ΠΎΠΊΡΠ΅.
- ΠΠ΅ΡΠ΅ΠΊΠ»Π°Π΄ΡΠ²Π°Π½ΠΈΠ΅ Π·Π΅ΡΠ½Π° ΠΈΠ· ΡΠΌΠΊΠΎΡΡΠΈ Π² ΡΠΌΠΊΠΎΡΡΡ.
- ΠΡΡΠΌΠΎΠ΅ ΡΠ°ΡΠΏΠΎΠ»ΠΎΠΆΠ΅Π½ΠΈΠ΅ ΡΡΠΊΠΈ Π½Π° ΡΡΠΎΠ»Π΅. ΠΠΈΠ·ΠΈΠ½Π΅Ρ ΡΡΠ°ΡΠ°ΡΡΡΡ ΠΏΠΎΠ΄Π½ΡΡΡ ΠΊΠ°ΠΊ ΠΌΠΎΠΆΠ½ΠΎ Π²ΡΡΠ΅ Π²Π΅ΡΡ , Π½Π΅ ΠΎΡΡΡΠ²Π°Ρ Π»Π°Π΄ΠΎΠ½ΠΈ ΠΎΡ ΠΏΠΎΠ²Π΅ΡΡ Π½ΠΎΡΡΠΈ.
- Π‘ΠΆΠ°ΡΠΈΠ΅ ΠΏΠ»Π°ΡΡΠΈΠ»ΠΈΠ½Π° Π² ΡΠ°Π»Π°Π½Π³Π°Ρ .
- Π Π°ΡΠΊΠ°ΡΡΠ²Π°Π½ΠΈΠ΅ ΠΏΠ»Π°ΡΡΠΈΠ»ΠΈΠ½Π° Π΄ΠΎ ΡΠΎΡΠΌΡ ΡΠΈΠ»ΠΈΠ½Π΄ΡΠ°, Π»Π°Π΄ΠΎΠ½Ρ Π΄ΠΎΠ»ΠΆΠ½Π° Π±ΡΡΡ Π²ΡΠ³Π½ΡΡΠ°.
ΠΠΏΠ°ΡΠ½ΡΠ΅ ΠΈΠ·ΠΌΠ΅Π½Π΅Π½ΠΈΡ
ΠΠΎΡΠ»Π΅Π΄ΡΡΠ²ΠΈΡ Π·Π°Π²ΠΈΡΡΡ ΠΎΡ ΠΏΡΠ°Π²ΠΈΠ»ΡΠ½ΠΎΡΡΠΈ ΠΎΠΊΠ°Π·Π°Π½ΠΈΡ Π½Π΅ΠΎΡΠ»ΠΎΠΆΠ½ΠΎΠΉ ΠΏΠΎΠΌΠΎΡΠΈ ΠΈ ΡΠΏΠΎΡΠΎΠ±Π° Π»Π΅ΡΠ΅Π½ΠΈΡ.
ΠΡΡΡ ΠΏΠ°ΡΠΎΠ»ΠΎΠ³ΠΈΠΈ:
- ΠΠ΅Π΄Π»Π΅Π½Π½ΠΎΠ΅ ΡΡΠ°ΡΠΈΠ²Π°Π½ΠΈΠ΅ ΠΊΠΎΡΡΠ΅ΠΉ. ΠΡΡ ΠΎΠ΄ ΠΎΠ΄ΠΈΠ½ β ΠΎΡΡΠ°Π²ΠΈΡΡ Π³ΠΈΠΏΡ ΠΈΠ»ΠΈ ΡΠΈΠ½Ρ Π½Π°Π΄ΠΎΠ»Π³ΠΎ.
- ΠΠ΅ΠΏΡΠ°Π²ΠΈΠ»ΡΠ½ΠΎ ΡΡΠΎΡΡΠΈΠΉΡΡ ΠΏΠ΅ΡΠ΅Π»ΠΎΠΌ. ΠΠ°ΡΡΡΠ°Π΅ΡΡΡ ΠΏΠΎΠ΄Π²ΠΈΠΆΠ½ΠΎΡΡΡ, ΠΏΡΠΈΡΡΡΡΡΠ²ΡΡΡ Π½ΠΎΡΡΠΈΠ΅ Π±ΠΎΠ»ΠΈ. ΠΠ°ΡΠΎΠ»ΠΎΠ³ΠΈΡ ΠΈΡΠΏΡΠ°Π²Π»ΡΡΡ ΠΏΠΎΠ²ΡΠΎΡΠ½ΡΠΌ Π²ΠΏΡΠ°Π²Π»Π΅Π½ΠΈΠ΅ΠΌ.
- ΠΡΡΡΡΡΡΠ²ΠΈΠ΅ ΠΏΡΠΎΡΠ΅ΡΡΠ° ΡΡΠ°ΡΠΈΠ²Π°Π½ΠΈΡ. ΠΡΠ»ΠΈ ΠΊΠΎΡΡΠΈ Π½Π΅ Π½Π°ΡΠ°Π»ΠΈ ΡΠΎΠ΅Π΄ΠΈΠ½ΡΡΡΡΡ ΡΠ΅ΡΠ΅Π· Π½Π΅ΡΠΊΠΎΠ»ΡΠΊΠΎ Π½Π΅Π΄Π΅Π»Ρ, ΠΏΡΠΎΠ²ΠΎΠ΄ΡΡ ΠΎΠΏΠ΅ΡΠ°ΡΠΈΠ²Π½ΠΎΠ΅ Π²ΠΌΠ΅ΡΠ°ΡΠ΅Π»ΡΡΡΠ²ΠΎ.
- ΠΠ½ΡΠ΅ΠΊΡΠΈΡ. ΠΡΡΠ΅ΠΎΠΌΠΈΠ΅Π»ΠΈΡ ΡΡΡΠ΄Π½ΠΎΠΈΠ·Π»Π΅ΡΠΈΠΌ, Π½ΠΎ ΠΎΠΏΠ΅ΡΠ°ΡΠΈΠ²Π½ΠΎΠ΅ Π²ΠΌΠ΅ΡΠ°ΡΠ΅Π»ΡΡΡΠ²ΠΎ ΠΈΠ»ΠΈ Π΄ΠΎΠ»Π³ΠΈΠΉ ΠΊΡΡΡ Π°Π½ΡΠΈΠ±ΠΈΠΎΡΠΈΠΊΠ°ΠΌΠΈ ΠΏΠΎΠΌΠΎΠ³Π°Π΅Ρ ΠΏΠΎΡΡΠ΅ΠΏΠ΅Π½Π½ΠΎΠΌΡ Π²ΡΠ·Π΄ΠΎΡΠΎΠ²Π»Π΅Π½ΠΈΡ.
- Π’ΡΠ³ΠΎΠΏΠΎΠ΄Π²ΠΈΠΆΠ½ΠΎΡΡΡ. ΠΠΎΠ·Π½ΠΈΠΊΠ°Π΅Ρ ΠΈΠ·-Π·Π° ΡΠ΅Π³ΡΠ»ΡΡΠ½ΡΡ ΠΏΠ΅ΡΠ΅Π»ΠΎΠΌΠΎΠ² Π½Π° ΠΎΠ΄Π½ΠΎΠΌ ΠΈ ΡΠΎΠΌ ΠΆΠ΅ ΠΌΠ΅ΡΡΠ΅. ΠΠΎΡΠ»Π΅ Π΄ΠΎΠ»Π³ΠΎΠ³ΠΎ Π»Π΅ΡΠ΅Π½ΠΈΡ ΠΏΠ°Π»Π΅Ρ ΠΌΠΎΠΆΠ΅Ρ ΡΠ°ΠΊ ΠΈ Π½Π΅ ΡΡΠ°ΡΡΠΈΡΡ. ΠΠ±Π»Π΅Π³ΡΠΈΡ ΡΠΈΡΡΠ°ΡΠΈΡ ΡΠΈΠ·ΠΈΠΎΡΠ΅ΡΠ°ΠΏΠΈΡ.
- ΠΠΎΠ»Π΅Π²ΠΎΠΉ ΡΠΈΠ½Π΄ΡΠΎΠΌ. ΠΠΎΡΠ»Π΅ ΠΏΠΎΠ»Π½ΠΎΠ³ΠΎ Π²ΠΎΡΡΡΠ°Π½ΠΎΠ²Π»Π΅Π½ΠΈΡ Π²ΠΎΠ·Π½ΠΈΠΊΠ°Π΅Ρ Π±ΠΎΠ»Ρ Π·ΠΈΠΌΠΎΠΉ ΠΈ ΠΏΡΠΈ ΡΡΠ΅Π΄Π½Π΅ΠΉ Π½Π°Π³ΡΡΠ·ΠΊΠ΅ Π½Π° ΠΊΠΈΡΡΡ.
- Π Π·Π°ΠΏΡΡΠ΅Π½Π½ΡΡ ΡΠΎΡΠΌΠ°Ρ ΡΡΠ°Π²ΠΌΡ Π²ΠΎΠ·ΠΌΠΎΠΆΠ½Π° ΠΈΠ½Π²Π°Π»ΠΈΠ΄ΠΈΠ·Π°ΡΠΈΡ ΠΈΠ»ΠΈ Π°ΠΌΠΏΡΡΠ°ΡΠΈΡ ΠΏΠ°Π»ΡΡΠ°.
gidpain.ru
ΠΠ°ΠΊ Π»Π΅ΡΠΈΡΡ ΠΏΠ΅ΡΠ΅Π»ΠΎΠΌ ΠΏΠ°Π»ΡΡΠ° Π½Π° ΡΡΠΊΠ΅ Π² Π΄ΠΎΠΌΠ°ΡΠ½ΠΈΡ ΡΡΠ»ΠΎΠ²ΠΈΡΡ ?
ΠΠ΄Π½ΠΎΠΉ ΠΈΠ· Π½Π°ΠΈΠ±ΠΎΠ»Π΅Π΅ ΡΠ°ΡΡΡΡ ΡΡΠ°Π²ΠΌ, Π²ΡΡΡΠ΅ΡΠ°ΡΡΠΈΡ ΡΡ Π² ΠΏΠΎΠ²ΡΠ΅Π΄Π½Π΅Π²Π½ΠΎΠΉ ΠΆΠΈΠ·Π½ΠΈ ΡΠ΅Π»ΠΎΠ²Π΅ΠΊΠ°, ΡΠ²Π»ΡΠ΅ΡΡΡ ΠΏΠ΅ΡΠ΅Π»ΠΎΠΌ ΠΏΠ°Π»ΡΡΠ° ΡΡΠΊΠΈ. ΠΡΡΠ°Π²Π»Π΅Π½Π½ΡΠΉ Π±Π΅Π· Π΄ΠΎΠ»ΠΆΠ½ΠΎΠ³ΠΎ Π²Π½ΠΈΠΌΠ°Π½ΠΈΡ, ΡΠ»ΠΎΠΌΠ°Π½Π½ΡΠΉ ΠΏΠ°Π»Π΅Ρ ΡΠΏΠΎΡΠΎΠ±Π΅Π½ ΠΏΡΠΈΠ½Π΅ΡΡΠΈ ΡΠ²ΠΎΠ΅ΠΌΡ Π²Π»Π°Π΄Π΅Π»ΡΡΡ Π² Π±ΡΠ΄ΡΡΠ΅ΠΌ ΠΊΡΡΠΏΠ½ΡΠ΅ Π½Π΅ΠΏΡΠΈΡΡΠ½ΠΎΡΡΠΈ, Π²ΠΏΠ»ΠΎΡΡ Π΄ΠΎ ΠΏΠΎΠ»Π½ΠΎΠΉ ΠΏΠΎΡΠ΅ΡΠΈ ΡΠ°Π±ΠΎΡΠΎΡΠΏΠΎΡΠΎΠ±Π½ΠΎΡΡΠΈ Π²ΡΠ΅ΠΉ ΡΡΠΊΠΈ. Π§ΡΠΎΠ±Ρ ΠΈΠ·Π±Π΅ΠΆΠ°ΡΡ ΡΡΠΎΠ³ΠΎ, ΠΊΠ°ΠΆΠ΄ΠΎΠΌΡ Π½ΡΠΆΠ½ΠΎ Π·Π½Π°ΡΡ ΠΏΡΠΈΠ·Π½Π°ΠΊΠΈ ΠΏΠ΅ΡΠ΅Π»ΠΎΠΌΠ°, ΠΏΡΠ°Π²ΠΈΠ»Π° ΠΎΠΊΠ°Π·Π°Π½ΠΈΡ ΠΏΠ΅ΡΠ²ΠΎΠΉ ΠΏΠΎΠΌΠΎΡΠΈ, ΠΏΡΠΈΠ½ΡΠΈΠΏΡ, ΠΏΠΎΠ»ΠΎΠΆΠ΅Π½Π½ΡΠ΅ Π² ΠΎΡΠ½ΠΎΠ²Ρ Π»Π΅ΡΠ΅Π½ΠΈΡ ΠΏΠ΅ΡΠ΅Π»ΠΎΠΌΠΎΠ² ΠΊΠΎΡΡΠ΅ΠΉ.

ΠΡΠΈΡΠΈΠ½Ρ ΠΈ ΠΎΡΠ½ΠΎΠ²Π½ΡΠ΅ ΠΏΡΠΈΠ·Π½Π°ΠΊΠΈ ΠΏΠ΅ΡΠ΅Π»ΠΎΠΌΠ° ΠΏΠ°Π»ΡΡΠ° ΡΡΠΊΠΈ
ΠΠ΅ΡΠ΅Π»ΠΎΠΌΠΎΠΌ ΠΏΠ°Π»ΡΡΠ° ΡΡΠΊΠΈ ΡΡΠΈΡΠ°Π΅ΡΡΡ ΠΎΡΠΎΠ±ΠΎΠ΅ ΡΡΠ°Π²ΠΌΠ°ΡΠΈΡΠ΅ΡΠΊΠΎΠ΅ ΡΠΎΡΡΠΎΡΠ½ΠΈΠ΅, ΠΏΡΠΈ ΠΊΠΎΡΠΎΡΠΎΠΌ ΠΏΠΎ ΠΊΠ°ΠΊΠΎΠΉ-ΡΠΎ ΠΏΡΠΈΡΠΈΠ½Π΅ Π½Π°ΡΡΡΠ°Π΅ΡΡΡ ΡΠ΅Π»ΠΎΡΡΠ½ΠΎΡΡΡ ΡΡΡΠ±ΡΠ°ΡΡΡ ΠΊΠΎΡΡΠ΅ΠΉ ΠΊΠΎΠ½Π΅ΡΠ½ΠΎΡΡΠΈ, Π² ΡΠ΅Π·ΡΠ»ΡΡΠ°ΡΠ΅ ΡΠ΅Π³ΠΎ ΠΏΠΎΡΠ»Π΅Π΄Π½ΡΡ ΠΈΠ·ΠΌΠ΅Π½ΡΠ΅Ρ Π°Π½Π°ΡΠΎΠΌΠΈΡΠ΅ΡΠΊΠΎΠ΅ ΠΏΠΎΠ»ΠΎΠΆΠ΅Π½ΠΈΠ΅ ΠΈ ΡΠ΅ΡΡΠ΅Ρ ΡΠ²ΠΎΡ ΡΡΠ½ΠΊΡΠΈΠΎΠ½Π°Π»ΡΠ½ΠΎΡΡΡ.
ΠΠ° ΡΡΡΠ΄ΠΎΡΠΏΠΎΡΠΎΠ±Π½ΠΎΡΡΠΈ ΡΠ΅Π»ΠΎΠ²Π΅ΠΊΠ° ΠΎΡΠΎΠ±Π΅Π½Π½ΠΎ ΠΎΡΡΠΈΡΠ°ΡΠ΅Π»ΡΠ½ΠΎ ΡΠΊΠ°Π·ΡΠ²Π°Π΅ΡΡΡ ΠΏΠ΅ΡΠ΅Π»ΠΎΠΌ Π±ΠΎΠ»ΡΡΠ΅Π³ΠΎ ΠΏΠ°Π»ΡΡΠ°. ΠΠΎ Π·Π°ΡΠ°ΡΡΡΡ, Π² ΡΠΈΠ»Ρ ΡΠ²ΠΎΠ΅Π³ΠΎ ΡΠ°ΡΠΏΠΎΠ»ΠΎΠΆΠ΅Π½ΠΈΡ, ΡΡΡΠ°Π΄Π°Π΅Ρ ΠΌΠΈΠ·ΠΈΠ½Π΅Ρ. ΠΠΎΠΆΠ½ΠΎ ΠΎΡΠΌΠ΅ΡΠΈΡΡ, ΡΡΠΎ Π½Π°ΡΡΡΠ΅Π½ΠΈΠ΅ ΡΠ΅Π»ΠΎΡΡΠ½ΠΎΡΡΠΈ ΠΊΠΎΡΡΠ΅ΠΉ ΡΡΠ΅Π΄Π½Π΅Π³ΠΎ, ΡΠΊΠ°Π·Π°ΡΠ΅Π»ΡΠ½ΠΎΠ³ΠΎ ΠΈ Π±Π΅Π·ΡΠΌΡΠ½Π½ΠΎΠ³ΠΎ ΠΏΠ°Π»ΡΡΠ΅Π² Π½Π΅ ΠΎΡΠ»ΠΈΡΠ°ΡΡΡΡ ΠΊΠ°ΠΊΠΈΠΌΠΈ-Π»ΠΈΠ±ΠΎ ΠΎΡΠΎΠ±Π΅Π½Π½ΠΎΡΡΡΠΌΠΈ.
ΠΡΠ½ΠΎΠ²Π½ΡΠΌΠΈ ΠΏΡΠΈΡΠΈΠ½Π°ΠΌΠΈ ΠΏΠ΅ΡΠ΅Π»ΠΎΠΌΠ° ΠΏΠ°Π»ΡΡΠ° ΡΠ²Π»ΡΡΡΡΡ:
- ΡΡΠ°Π²ΠΌΠ°;
- ΠΏΠ°ΡΠΎΠ»ΠΎΠ³ΠΈΡ.
ΠΠ°ΡΡΡΠ΅Π½ΠΈΠ΅ ΡΠ΅Π»ΠΎΡΡΠ½ΠΎΡΡΠΈ ΠΏΠ°Π»ΡΡΠ° ΠΌΠΎΠΆΠ½ΠΎ ΠΏΠΎΠ»ΡΡΠΈΡΡ ΠΏΡΠΈ ΠΏΡΡΠΌΠΎΠΉ ΡΡΠ°Π²ΠΌΠ΅ ΡΡΠΊΠΈ: Π½Π΅ΡΠ΄Π°ΡΠ½ΠΎΠ΅ ΠΏΠ°Π΄Π΅Π½ΠΈΠ΅, ΡΠ΄Π°Ρ ΠΏΠΎ ΠΌΡΡΡ, Π½Π΅Π°ΠΊΠΊΡΡΠ°ΡΠ½ΠΎΠ΅ Π·Π°Ρ Π»ΠΎΠΏΡΠ²Π°Π½ΠΈΡ Π΄Π²Π΅ΡΠΈ, Ρ Π°Π»Π°ΡΠ½ΠΎΡΡΡ ΠΏΡΠΈ ΡΠ°Π±ΠΎΡΠ΅ Ρ ΡΠ»Π΅ΠΊΡΡΠΎΠΈΠ½ΡΡΡΡΠΌΠ΅Π½ΡΠ°ΠΌΠΈ ΠΈ Π΄Ρ. Π ΡΠΊΠ°Π·Π°Π½Π½ΠΎΠΌΡ ΡΠΎΡΡΠΎΡΠ½ΠΈΡ ΠΊΠΎΠ½Π΅ΡΠ½ΠΎΡΡΠΈ ΠΌΠΎΠΆΠ΅Ρ ΠΏΡΠΈΠ²Π΅ΡΡΠΈ ΠΈ Π½Π΅ΠΏΡΡΠΌΠ°Ρ ΡΡΠ°Π²ΠΌΠ° (ΠΏΡΠΈ ΡΡΠ΅Π·ΠΌΠ΅ΡΠ½ΠΎΠΌ ΡΠ°Π·Π³ΠΈΠ±Π°Π½ΠΈΠΈ ΠΈΠ»ΠΈ ΡΠΊΡΡΡΠΈΠ²Π°Π½ΠΈΠΈ ΠΏΠ°Π»ΡΡΠ΅Π²).
Π ΠΏΠ°ΡΠΎΠ»ΠΎΠ³ΠΈΡΠ΅ΡΠΊΠΈΠΌ ΠΏΠ΅ΡΠ΅Π»ΠΎΠΌΠ°ΠΌ ΠΎΡΠ½ΠΎΡΡΡΡΡ ΠΏΠΎΠ²ΡΠ΅ΠΆΠ΄Π΅Π½ΠΈΡ ΠΊΠΎΡΡΠ΅ΠΉ ΠΏΠ°Π»ΡΡΠ΅Π² ΡΡΠΊ Π² ΡΠ΅Π·ΡΠ»ΡΡΠ°ΡΠ΅ ΠΏΠΎΡΠ°ΠΆΠ΅Π½ΠΈΡ ΠΊΠ°ΠΊΠΈΠΌ-Π»ΠΈΠ±ΠΎ Π·Π°Π±ΠΎΠ»Π΅Π²Π°Π½ΠΈΠ΅ΠΌ, Π½Π°ΠΏΡΠΈΠΌΠ΅Ρ, ΠΎΡΡΠ΅ΠΎΠΏΠΎΡΠΎΠ·ΠΎΠΌ ΠΈΠ»ΠΈ ΠΎΡΡΠ΅ΠΎΠΌΠΈΠ΅Π»ΠΈΡ.
ΠΠΎ ΡΠ²ΠΎΠ΅ΠΌΡ Ρ Π°ΡΠ°ΠΊΡΠ΅ΡΡ ΠΏΠ΅ΡΠ΅Π»ΠΎΠΌ ΠΌΠΎΠΆΠ΅Ρ Π±ΡΡΡ:
- ΠΎΡΠΊΠΎΠ»ΠΎΡΠ½ΡΠΉ;
- ΠΊΠΎΡΠΎΠΉ;
- Π²ΠΈΠ½ΡΠΎΠΎΠ±ΡΠ°Π·Π½ΡΠΉ;
- ΠΊΡΠ°Π΅Π²ΠΎΠΉ;
- ΠΏΠΎΠΏΠ΅ΡΠ΅ΡΠ½ΡΠΉ;
- ΠΏΡΠΎΠ΄ΠΎΠ»ΡΠ½ΡΠΉ.
ΠΠ΅ΡΠ΅Π»ΠΎΠΌΡ Π±ΡΠ²Π°ΡΡ ΠΎΡΠΊΡΡΡΠΎΠ³ΠΎ ΠΈΠ»ΠΈ Π·Π°ΠΊΡΡΡΠΎΠ³ΠΎ ΡΠΈΠΏΠ°. ΠΡΠΊΡΡΡΡΠ΅ ΠΏΠ΅ΡΠ΅Π»ΠΎΠΌΡ Π²ΡΠ΅Π³Π΄Π° ΡΠ»ΠΎΠΆΠ½Π΅Π΅ Π·Π°ΠΊΡΡΡΡΡ , ΡΠ°ΠΊ ΠΊΠ°ΠΊ ΠΎΠ½ΠΈ ΡΠ²ΡΠ·Π°Π½Ρ Ρ ΠΏΠΎΠ²ΡΠ΅ΠΆΠ΄Π΅Π½ΠΈΠ΅ΠΌ ΠΊΠΎΠΆΠΈ ΠΈ ΡΠ°ΡΡΠΎ ΠΈΠΌΠ΅ΡΡ Π±Π°ΠΊΡΠ΅ΡΠΈΠ°Π»ΡΠ½ΡΡ Π·Π°Π³ΡΡΠ·Π½Π΅Π½Π½ΠΎΡΡΡ.
Π ΠΎΡΠ½ΠΎΠ²Π½ΡΡ ΡΠΈΠΌΠΏΡΠΎΠΌΠΎΠ² ΠΏΠ΅ΡΠ΅Π»ΠΎΠΌΠ° ΠΏΠ°Π»ΡΡΠ° Π½Π° ΡΡΠΊΠ΅ ΠΌΠΎΠΆΠ½ΠΎ ΠΎΡΠ½Π΅ΡΡΠΈ:
- ΡΠ΅Π·ΠΊΡΡ ΠΈΠ»ΠΈ Π½ΠΎΡΡΡΡ Π±ΠΎΠ»Ρ Π² ΠΏΠΎΠ²ΡΠ΅ΠΆΠ΄Π΅Π½Π½ΠΎΠΌ ΠΌΠ΅ΡΡΠ΅;
- ΠΎΡΠ΅ΡΠ½ΠΎΡΡΡ.
ΠΡΠΈ ΠΏΠ΅ΡΠ΅Π»ΠΎΠΌΠ΅ ΠΏΠ°Π»ΡΡΠ° ΡΠΎ ΡΠΌΠ΅ΡΠ΅Π½ΠΈΠ΅ΠΌ ΠΏΡΠΎΡΠ²Π»ΡΡΡΡΡ ΠΏΡΠΈΠ·Π½Π°ΠΊΠΈ:
- Π΄Π΅ΡΠΎΡΠΌΠ°ΡΠΈΡ ΠΊΠΎΠ½Π΅ΡΠ½ΠΎΡΡΠΈ;
- ΠΎΠ³ΡΠ°Π½ΠΈΡΠ΅Π½Π½ΠΎΡΡΡ Π΄Π²ΠΈΠΆΠ΅Π½ΠΈΠΉ ΠΈΠ»ΠΈ Π½Π΅Ρ Π°ΡΠ°ΠΊΡΠ΅ΡΠ½Π°Ρ Π΅Π³ΠΎ ΠΏΠΎΠ΄Π²ΠΈΠΆΠ½ΠΎΡΡΡ;
- Π½Π°Π»ΠΈΡΠΈΠ΅ ΠΊΡΠΎΠ²ΠΎΠΈΠ·Π»ΠΈΡΠ½ΠΈΡ;
- Ρ ΡΡΡΡ ΠΈ ΡΡΠ΅Π½ΠΈΡ Π² ΠΏΠΎΠ²ΡΠ΅ΠΆΠ΄Π΅Π½Π½ΠΎΠΌ ΠΌΠ΅ΡΡΠ΅.
ΠΠ°ΡΡΡΠ΅Π½ΠΈΠ΅ ΡΠ΅Π»ΠΎΡΡΠ½ΠΎΡΡΠΈ ΠΊΠΎΡΡΠ΅ΠΉ ΠΏΠ°Π»ΡΡΠ° ΡΠ°ΡΡΠΎ ΡΠΎΠΏΡΠΎΠ²ΠΎΠΆΠ΄Π°ΡΡ ΡΠ°ΠΊΠΈΠ΅ ΠΏΠΎΠ²ΡΠ΅ΠΆΠ΄Π΅Π½ΠΈΡ, ΠΊΠ°ΠΊ ΡΠ°Π·ΡΡΠ² ΡΠ²ΡΠ·ΠΎΠΊ ΠΈΠ»ΠΈ ΡΡΡ ΠΎΠΆΠΈΠ»ΠΈΠΉ, Π²ΡΠ²ΠΈΡ ΡΠ°Π»Π°Π½Π³ΠΈ. ΠΡΠΈ ΠΎΡΠΊΡΡΡΡΡ ΠΏΠ΅ΡΠ΅Π»ΠΎΠΌΠ°Ρ ΠΌΠΎΠ³ΡΡ ΠΈΠΌΠ΅ΡΡ ΠΌΠ΅ΡΡΠΎ ΡΠΈΠ»ΡΠ½ΠΎΠ΅ ΠΊΡΠΎΠ²ΠΎΡΠ΅ΡΠ΅Π½ΠΈΠ΅ ΠΈ ΡΡΠ°Π²ΠΌΠ°ΡΠΈΡΠ΅ΡΠΊΠΈΠΉ ΡΠΎΠΊ.
ΠΠ΅ΡΠ½ΡΡΡΡΡ ΠΊ Π·ΠΌΡΡΡΡΠΠ΅ΡΡΠ° ΠΏΠΎΠΌΠΎΡΡ ΠΏΡΠΈ ΠΏΠ΅ΡΠ΅Π»ΠΎΠΌΠ΅ ΠΊΠΎΠ½Π΅ΡΠ½ΠΎΡΡΠ΅ΠΉ
ΠΡΠ»ΠΈ ΡΠΈΠΌΠΏΡΠΎΠΌΡ ΡΠΊΠ°Π·ΡΠ²Π°ΡΡ Π½Π° Π½Π°Π»ΠΈΡΠΈΠ΅ ΠΏΠ΅ΡΠ΅Π»ΠΎΠΌΠ° ΠΏΠ°Π»ΡΡΠ° ΡΡΠΊΠΈ, Π½Π΅ΠΎΠ±Ρ ΠΎΠ΄ΠΈΠΌΠΎ ΠΎΠΊΠ°Π·Π°ΡΡ ΡΡΠΎΡΠ½ΡΡ ΠΏΠ΅ΡΠ²ΡΡ ΠΏΠΎΠΌΠΎΡΡ. ΠΡ ΡΠ΅ΡΠΊΠΈΡ ΠΈ ΠΏΡΠ°Π²ΠΈΠ»ΡΠ½ΡΡ Π΄Π΅ΠΉΡΡΠ²ΠΈΠΉ Π½Π° Π΄Π°Π½Π½ΠΎΠΌ ΡΡΠ°ΠΏΠ΅ Π±ΡΠ΄Π΅Ρ Π² Π΄Π°Π»ΡΠ½Π΅ΠΉΡΠ΅ΠΌ Π·Π°Π²ΠΈΡΠ΅ΡΡ ΡΡΡΠ΅ΠΊΡΠΈΠ²Π½ΠΎΡΡΡ Π»Π΅ΡΠ΅Π½ΠΈΡ. ΠΡΠ°Π²ΠΈΠ»Π° ΠΎΠΊΠ°Π·Π°Π½ΠΈΡ ΠΏΠΎΠΌΠΎΡΠΈ Π² ΡΠΊΠ°Π·Π°Π½Π½ΠΎΠΌ ΡΠ»ΡΡΠ°Π΅ ΠΏΡΠΎΡΡΡΠ΅. ΠΠ»Ρ ΡΡΠΎΠ³ΠΎ Π½Π΅ΠΎΠ±Ρ ΠΎΠ΄ΠΈΠΌΠΎ:
ΠΠ° ΠΏΠΎΠ²ΡΠ΅ΠΆΠ΄Π΅Π½Π½ΠΎΠ΅ ΠΌΠ΅ΡΡΠΎ (Π΄ΠΎ ΠΎΠ±ΡΠ°ΡΠ΅Π½ΠΈΡ Π·Π° ΠΏΠΎΠΌΠΎΡΡΡ ΠΊ ΠΌΠ΅Π΄ΠΈΠΊΠ°ΠΌ) Π½Π°Π»ΠΎΠΆΠΈΡΡ ΡΠΈΠΊΡΠΈΡΡΡΡΡΡ ΡΡΠ³ΡΡ ΠΏΠΎΠ²ΡΠ·ΠΊΡ. ΠΠ° Π±ΠΎΠ»ΡΠ½ΠΎΠ΅ ΠΌΠ΅ΡΡΠΎ ΠΏΠΎΠ»ΠΎΠΆΠΈΡΡ Ρ ΠΎΠ»ΠΎΠ΄Π½ΡΠΉ ΠΏΡΠ΅Π΄ΠΌΠ΅Ρ ΠΈΠ»ΠΈ Π»Π΅Π΄, ΡΡΠΎΠ±Ρ ΡΠΌΠ΅Π½ΡΡΠΈΡΡ ΠΎΡΠ΅ΡΠ½ΠΎΡΡΡ ΡΡΠΊΠΈ ΠΈ Π±ΠΎΠ»Π΅Π²ΡΠ΅ ΠΎΡΡΡΠ΅Π½ΠΈΡ. ΠΠ»Ρ ΡΠ½ΡΡΠΈΡ Π±ΠΎΠ»Π΅Π²ΠΎΠ³ΠΎ ΡΠΈΠ½Π΄ΡΠΎΠΌΠ° Π΄Π°ΡΡ ΠΏΠΎΡΡΡΠ°Π΄Π°Π²ΡΠ΅ΠΌΡ Π»ΡΠ±ΠΎΠ΅ ΠΎΠ±Π΅Π·Π±ΠΎΠ»ΠΈΠ²Π°ΡΡΠ΅Π΅ ΡΡΠ΅Π΄ΡΡΠ²ΠΎ Π±Π°ΡΠ°Π»Π³ΠΈΠ½, ΠΊΠ΅ΡΠ°Π½ΠΎΠ², ΡΠ΅ΠΌΠΏΠ°Π»Π³ΠΈΠ½ ΠΈ ΡΠΎΠΌΡ ΠΏΠΎΠ΄ΠΎΠ±Π½ΠΎΠ΅. ΠΡΠΊΡΡΡΡΡ ΡΠ°Π½Ρ, ΡΡΠΎΠ±Ρ ΠΈΠ·Π±Π΅ΠΆΠ°ΡΡ Π·Π°Π½Π΅ΡΠ΅Π½ΠΈΡ ΠΈΠ½ΡΠ΅ΠΊΡΠΈΠΈ, ΠΏΡΠΎΠ΄Π΅Π·ΠΈΠ½ΡΠΈΡΠΈΡΠΎΠ²Π°ΡΡ ΡΠΏΠΈΡΡΠΎΠΌ. Π‘ΡΠΎΡΠ½ΠΎ Π²ΡΠ·Π²Π°ΡΡ Π±ΡΠΈΠ³Π°Π΄Ρ ΡΠΊΠΎΡΠΎΠΉ ΠΏΠΎΠΌΠΎΡΠΈ ΠΈΠ»ΠΈ ΠΎΠ±ΡΠ°ΡΠΈΡΡΡΡ Π΄ΠΎ Π±Π»ΠΈΠΆΠ°ΠΉΡΠ΅Π³ΠΎ ΡΡΠ°Π²ΠΌΠ°ΡΠΎΠ»ΠΎΠ³ΠΈΡΠ΅ΡΠΊΠΎΠ³ΠΎ ΠΏΡΠ½ΠΊΡΠ°.
ΠΠ°ΡΠΈΠΊΡΠΈΡΠΎΠ²Π°ΡΡ Π±ΠΎΠ»ΡΠ½ΠΎΠ΅ ΠΌΠ΅ΡΡΠΎ ΠΌΠΎΠΆΠ½ΠΎ Ρ ΠΏΠΎΠΌΠΎΡΡΡ Π»ΡΠ±ΠΎΠ³ΠΎ ΠΌΠ°ΡΠ΅ΡΠΈΠ°Π»Π°, ΠΎΠΊΠ°Π·Π°Π²ΡΠ΅Π³ΠΎΡΡ ΠΏΠΎΠ΄ ΡΡΠΊΠΎΠΉ, ΠΎΠ±ΠΌΠΎΡΠ°Π² Π΅Π³ΠΎ Π²ΠΎΠΊΡΡΠ³ ΠΏΠ°Π»ΡΡΠ° ΡΠΊΠ°Π½ΡΡ ΠΈΠ»ΠΈ Π±ΠΈΠ½ΡΠΎΠΌ. ΠΠ±Π΅Π·Π΄Π²ΠΈΠΆΠΈΡΡ, ΠΊΡΠΎΠΌΠ΅ ΠΊΠΈΡΡΠΈ Ρ ΠΏΠΎΠ²ΡΠ΅ΠΆΠ΄Π΅Π½Π½ΡΠΌ ΠΏΠ°Π»ΡΡΠ΅ΠΌ, Π½ΡΠΆΠ½ΠΎ ΠΈ ΠΏΡΠ΅Π΄ΠΏΠ»Π΅ΡΡΡ. ΠΠ΅Π»ΡΠ·Ρ ΡΠ°ΠΌΠΎΡΡΠΎΡΡΠ΅Π»ΡΠ½ΠΎ Π²ΠΏΡΠ°Π²Π»ΡΡΡ Π»ΡΠ±ΡΠ΅ ΠΏΠ΅ΡΠ΅Π»ΠΎΠΌΡ, ΡΡΠΎ ΠΌΠΎΠΆΠ΅Ρ Π²ΡΠ·Π²Π°ΡΡ Ρ ΠΏΠΎΡΡΡΠ°Π΄Π°Π²ΡΠ΅Π³ΠΎ Π±ΠΎΠ»Π΅Π²ΠΎΠΉ ΡΠΎΠΊ. ΠΠΎΡΡΠ°ΡΠ°ΡΡΡΡ ΠΊΠ°ΠΊ ΠΌΠΎΠΆΠ½ΠΎ Π±ΡΡΡΡΠ΅Π΅ ΠΏΠ΅ΡΠ΅Π΄Π°ΡΡ ΠΏΠΎΡΡΡΠ°Π΄Π°Π²ΡΠ΅Π³ΠΎ ΠΌΠ΅Π΄ΠΈΡΠΈΠ½ΡΠΊΠΈΠΌ ΡΠ°Π±ΠΎΡΠ½ΠΈΠΊΠ°ΠΌ.
ΠΠ΅ΡΠ½ΡΡΡΡΡ ΠΊ Π·ΠΌΡΡΡΡΠΡΠ°Π³Π½ΠΎΡΡΠΈΠΊΠ° ΠΈ Π»Π΅ΡΠ΅Π½ΠΈΠ΅ ΠΏΠ΅ΡΠ΅Π»ΠΎΠΌΠ° ΠΏΠ°Π»ΡΡΠ° ΡΡΠΊΠΈ
ΠΡΠΈ ΠΏΠ΅ΡΠ΅Π»ΠΎΠΌΠ΅ ΠΊΠΎΡΡΠ΅ΠΉ ΠΊΠΎΠ½Π΅ΡΠ½ΠΎΡΡΠΈ ΠΏΠΎΡΡΡΠ°Π΄Π°Π²ΡΠΈΠΉ ΠΏΠΎΠΏΠ°Π΄Π°Π΅Ρ Π½Π° ΠΏΡΠΈΠ΅ΠΌ ΠΊ Π²ΡΠ°ΡΡ-ΡΡΠ°Π²ΠΌΠ°ΡΠΎΠ»ΠΎΠ³Ρ, ΠΊΠΎΡΠΎΡΡΠΉ ΠΏΡΠΎΠ²Π΅Π΄Π΅Ρ ΠΏΠ΅ΡΠ²ΠΈΡΠ½ΡΠΉ ΠΎΡΠΌΠΎΡΡ Π±ΠΎΠ»ΡΠ½ΠΎΠ³ΠΎ, Π²ΠΎ Π²ΡΠ΅ΠΌΡ Π»ΠΈΡΠ½ΠΎΠΉ Π±Π΅ΡΠ΅Π΄Ρ Π²ΡΡΡΠ½ΠΈΡ ΠΎΠ±ΡΡΠΎΡΡΠ΅Π»ΡΡΡΠ²Π° ΡΠ»ΡΡΠΈΠ²ΡΠ΅Π³ΠΎΡΡ ΠΈ Π½Π°Π·Π½Π°ΡΠΈΡ Π½Π΅ΠΎΠ±Ρ ΠΎΠ΄ΠΈΠΌΡΠ΅ Π΄ΠΈΠ°Π³Π½ΠΎΡΡΠΈΡΠ΅ΡΠΊΠΈΠ΅ ΠΌΠ΅ΡΠΎΠΏΡΠΈΡΡΠΈΡ. ΠΠ»Ρ ΠΏΠΎΡΡΠ°Π½ΠΎΠ²ΠΊΠΈ Π΄ΠΈΠ°Π³Π½ΠΎΠ·Π° ΠΈ ΠΏΡΠΎΠ²Π΅Π΄Π΅Π½ΠΈΡ ΡΡΡΠ΅ΠΊΡΠΈΠ²Π½ΠΎΠ³ΠΎ Π»Π΅ΡΠ΅Π½ΠΈΡ Π²Π°ΠΆΠ½ΠΎ Π·Π½Π°ΡΡ ΠΌΠ΅ΡΡΠΎ ΠΈ ΡΠΈΠΏ ΠΏΠ΅ΡΠ΅Π»ΠΎΠΌΠ°, Π½Π°Π»ΠΈΡΠΈΠ΅ ΠΊΠΎΡΡΠ½ΡΡ ΠΎΡΠΊΠΎΠ»ΠΊΠΎΠ² ΠΈ ΡΠΌΠ΅ΡΠ΅Π½ΠΈΡ ΠΊΠΎΡΡΠ΅ΠΉ ΠΈ Π΄Ρ.
Π Π΅Π½ΡΠ³Π΅Π½ΠΎΠ³ΡΠ°ΡΠΈΡΠ΅ΡΠΊΠΎΠ΅ ΠΈΡΡΠ»Π΅Π΄ΠΎΠ²Π°Π½ΠΈΠ΅ ΠΏΠΎΠ²ΡΠ΅ΠΆΠ΄Π΅Π½Π½ΠΎΠ³ΠΎ ΠΌΠ΅ΡΡΠ°, Π²ΡΠΏΠΎΠ»Π½Π΅Π½Π½ΠΎΠ΅ Π² Π΄Π²ΡΡ ΠΏΡΠΎΠ΅ΠΊΡΠΈΡΡ , Π΄Π°ΡΡ ΠΏΠΎΠ»Π½ΡΡ ΠΊΠ°ΡΡΠΈΠ½Ρ ΠΏΠ΅ΡΠ΅Π»ΠΎΠΌΠ° ΠΏΠ°Π»ΡΡΠ°: Ρ Π°ΡΠ°ΠΊΡΠ΅Ρ, ΡΠΈΠΏ ΠΈ Π»ΠΎΠΊΠ°Π»ΠΈΠ·Π°ΡΠΈΡ. ΠΠ° ΠΎΡΠ½ΠΎΠ²Π΅ ΡΠΊΠ°Π·Π°Π½Π½ΠΎΠΉ Π΄ΠΈΠ°Π³Π½ΠΎΡΡΠΈΠΊΠΈ Π²ΡΠ°Ρ ΠΎΠΏΡΠ΅Π΄Π΅Π»ΠΈΡ Π½Π°ΠΈΠ±ΠΎΠ»Π΅Π΅ ΡΡΡΠ΅ΠΊΡΠΈΠ²Π½ΠΎΠ΅ Π»Π΅ΡΠ΅Π½ΠΈΠ΅, ΠΊΠΎΡΠΎΡΠΎΠ΅ ΠΌΠΎΠΆΠ΅Ρ ΡΠ°Π·Π΄Π΅Π»ΡΡΡΡΡ Π½Π° 2 Π±ΠΎΠ»ΡΡΠΈΠ΅ Π³ΡΡΠΏΠΏΡ:
- ΠΊΠΎΠ½ΡΠ΅ΡΠ²Π°ΡΠΈΠ²Π½ΠΎΠ΅;
- Ρ ΠΈΡΡΡΠ³ΠΈΡΠ΅ΡΠΊΠΎΠ΅.
ΠΡΠΎΡΡΠ΅ΠΉΡΠΈΠΌ ΡΠΈΠΏΠΎΠΌ ΠΏΠΎΠ²ΡΠ΅ΠΆΠ΄Π΅Π½ΠΈΡ ΠΏΠ°Π»ΡΡΠ° ΡΡΠΈΡΠ°Π΅ΡΡΡ Π·Π°ΠΊΡΡΡΡΠΉ ΠΏΠ΅ΡΠ΅Π»ΠΎΠΌ Π±Π΅Π· ΡΠΌΠ΅ΡΠ΅Π½ΠΈΡ ΠΊΠΎΡΡΠ΅ΠΉ ΠΈ ΠΎΠ±ΡΠ°Π·ΠΎΠ²Π°Π½ΠΈΡ ΠΎΡΠΊΠΎΠ»ΠΊΠΎΠ². ΠΠ½ Π»Π΅ΡΠΈΡΡΡ ΠΊΠΎΠ½ΡΠ΅ΡΠ²Π°ΡΠΈΠ²Π½ΡΠΌ ΡΠΏΠΎΡΠΎΠ±ΠΎΠΌ: ΠΏΠ°ΡΠΈΠ΅Π½ΡΡ Π½Π° Π±ΠΎΠ»ΡΠ½ΠΎΠ΅ ΠΌΠ΅ΡΡΠΎ ΠΎΠ±ΡΡΠ½ΠΎ Π½Π°ΠΊΠ»Π°Π΄ΡΠ²Π°Π΅ΡΡΡ Π³ΠΈΠΏΡ ΠΈΠ»ΠΈ ΠΏΠΎΠ»ΠΈΠΌΠ΅ΡΠ½Π°Ρ ΠΏΠΎΠ²ΡΠ·ΠΊΠ°. Π’ΠΎ, ΡΠΊΠΎΠ»ΡΠΊΠΎ Π²ΡΠ΅ΠΌΠ΅Π½ΠΈ Π½ΡΠΆΠ½ΠΎ ΠΈΡΠΏΠΎΠ»ΡΠ·ΠΎΠ²Π°ΡΡ Π³ΠΈΠΏΡ Π² ΠΊΠ°ΡΠ΅ΡΡΠ²Π΅ ΡΠΈΠΊΡΠ°ΡΠΎΡΠ°, ΠΎΠΏΡΠ΅Π΄Π΅Π»ΡΠ΅Ρ Π²ΡΠ°Ρ. ΠΠ»Ρ ΡΡΠΎΠ³ΠΎ ΠΏΡΠΈΠΌΠ΅ΡΠ½ΠΎ ΠΊΠ°ΠΆΠ΄ΡΠ΅ 10 Π΄Π½Π΅ΠΉ ΠΎΠ½ Π½Π°Π·Π½Π°ΡΠ°Π΅Ρ ΡΠ΅Π½ΡΠ³Π΅Π½ΠΎΠ²ΡΠΊΠΎΠ΅ ΠΈΡΡΠ»Π΅Π΄ΠΎΠ²Π°Π½ΠΈΠ΅ ΠΏΠΎΠ²ΡΠ΅ΠΆΠ΄Π΅Π½Π½ΠΎΠΉ ΠΊΠΎΠ½Π΅ΡΠ½ΠΎΡΡΠΈ. Π‘Π»ΠΎΠΌΠ°Π½Π½ΡΠΉ ΠΏΠ°Π»Π΅Ρ ΠΎΠ±ΡΡΠ½ΠΎ ΠΏΠΎΠ»Π½ΠΎΡΡΡΡ ΡΡΠ°ΡΡΠ°Π΅ΡΡΡ ΠΏΡΠΈΠΌΠ΅ΡΠ½ΠΎ Π·Π° 30 Π΄Π½Π΅ΠΉ.
ΠΠ΅ΡΠ΅Π½ΠΈΠ΅ ΠΏΠ΅ΡΠ΅Π»ΠΎΠΌΠΎΠ² ΡΠΎ ΡΠΌΠ΅ΡΠ΅Π½ΠΈΠ΅ΠΌ ΠΏΡΠΎΠ΄ΠΎΠ»ΠΆΠΈΡΠ΅Π»ΡΠ½Π΅Π΅ ΠΈ ΡΡΠ΅Π±ΡΠ΅Ρ ΠΎΡ Π²ΡΠ°ΡΠ° ΠΎΡΠΎΠ±ΠΎΠ³ΠΎ ΠΌΠ°ΡΡΠ΅ΡΡΡΠ²Π°. ΠΠ°ΠΆΠ½ΠΎ ΠΏΡΠ°Π²ΠΈΠ»ΡΠ½ΠΎ Π²ΠΎΡΡΡΠ°Π½ΠΎΠ²ΠΈΡΡ Π°Π½Π°ΡΠΎΠΌΠΈΡ ΠΏΠΎΠ²ΡΠ΅ΠΆΠ΄Π΅Π½Π½ΠΎΠ³ΠΎ ΠΏΠ°Π»ΡΡΠ° (ΡΠ΄Π΅Π»Π°ΡΡ ΡΠ΅ΠΏΠΎΠ·ΠΈΡΠΈΡ) ΠΈ ΠΎΠ±Π΅ΡΠΏΠ΅ΡΠΈΡΡ Π΅Π³ΠΎ Π½Π°Π΄Π΅ΠΆΠ½ΡΡ ΡΠΈΠΊΡΠ°ΡΠΈΡ. ΠΡΠΈ ΡΠ³Π»ΠΎΠ²ΡΡ ΡΠΌΠ΅ΡΠ΅Π½ΠΈΡΡ ΠΎΠ±ΡΡΠ½ΠΎ ΠΈΡΠΏΠΎΠ»ΡΠ·ΡΠ΅ΡΡΡ Π²ΡΡΡΠΆΠ΅Π½ΠΈΠ΅, Π° Π·Π°ΡΠ΅ΠΌ ΡΠΈΠΊΡΠ°ΡΠΈΡ ΠΎΡΠ»ΠΎΠΌΠΊΠΎΠ² ΠΏΠΎΠ²ΡΠ΅ΠΆΠ΄Π΅Π½Π½ΠΎΠ³ΠΎ ΠΏΠ°Π»ΡΡΠ°. Π Π½Π΅ΠΊΠΎΡΠΎΡΡΡ ΡΠ»ΡΡΠ°ΡΡ ΠΏΡΠΎΠ²ΠΎΠ΄ΠΈΡΡΡ ΡΠΈΠΊΡΠ°ΡΠΈΡ ΠΏΠ°Π»ΡΡΠ° Π² ΠΏΠΎΠ»ΡΡΠΎΠ³Π½ΡΡΠΎΠΌ ΡΠΎΡΡΠΎΡΠ½ΠΈΠΈ. Π ΠΏΡΠΈ ΠΊΡΠ°Π΅Π²ΠΎΠΌ ΠΏΠ΅ΡΠ΅Π»ΠΎΠΌΠ΅ ΡΠΊΠ°Π·Π°Π½Π½Π°Ρ ΡΠΈΠΊΡΠ°ΡΠΈΡ ΠΏΡΠΎΡΠΈΠ²ΠΎΠΏΠΎΠΊΠ°Π·Π°Π½Π°. Π Π΅ΠΏΠΎΠ·ΠΈΡΠΈΡ ΠΏΡΠΎΠ²ΠΎΠ΄ΠΈΡΡΡ ΠΏΠΎΠ΄ ΠΌΠ΅ΡΡΠ½ΠΎΠΉ Π°Π½Π΅ΡΡΠ΅Π·ΠΈΠ΅ΠΉ. ΠΠΎΡΠΈΡΡ Π³ΠΈΠΏΡ Π±ΠΎΠ»ΡΠ½ΠΎΠΌΡ ΠΏΡΠΈΠ΄Π΅ΡΡΡ Π΄ΠΎ 4-6 Π½Π΅Π΄Π΅Π»Ρ.
Π ΠΎΡΠΎΠ±ΠΎ ΡΠ»ΠΎΠΆΠ½ΡΡ ΡΠ»ΡΡΠ°ΡΡ ΠΌΠΎΠΆΠ΅Ρ ΠΏΠΎΠ½Π°Π΄ΠΎΠ±ΠΈΡΡΡΡ ΠΎΠΏΠ΅ΡΠ°ΡΠΈΠ²Π½ΠΎΠ΅ Π²ΠΌΠ΅ΡΠ°ΡΠ΅Π»ΡΡΡΠ²ΠΎ, ΠΏΡΠΈ ΠΊΠΎΡΠΎΡΠΎΠΌ ΠΈΡΠΏΠΎΠ»ΡΠ·ΡΠ΅ΡΡΡ ΠΌΠ΅ΡΠΎΠ΄ ΠΎΡΡΠ΅ΠΎΡΠΈΠ½ΡΠ΅Π·Π°. Π Ρ ΠΎΠ΄Π΅ ΠΎΠΏΠ΅ΡΠ°ΡΠΈΠΈ ΡΠ»ΠΎΠΌΠ°Π½Π½ΡΠ΅ ΡΠ°ΡΡΠΈ ΠΏΠ°Π»ΡΡΠ° ΡΠΎΠΏΠΎΡΡΠ°Π²Π»ΡΡΡΡΡ ΠΎΡΠΊΡΡΡΡΠΌ ΡΠΏΠΎΡΠΎΠ±ΠΎΠΌ ΠΈ ΡΠΈΠΊΡΠΈΡΡΡΡΡΡ Ρ ΠΏΠΎΠΌΠΎΡΡΡ ΠΌΠ΅ΡΠ°Π»Π»ΠΎΠΊΠΎΠ½ΡΡΡΡΠΊΡΠΈΠΉ: ΡΠΏΠΈΡ, Π²ΠΈΠ½ΡΠΎΠ², ΠΏΠ»Π°ΡΡΠΈΠ½. ΠΡΠΈ Π·Π½Π°ΡΠΈΡΠ΅Π»ΡΠ½ΠΎΠΌ ΡΠ°Π·ΡΡΡΠ΅Π½ΠΈΠΈ ΡΡΡΡΠ°Π²Π½ΠΎΠΉ ΠΊΠΎΡΡΠ½ΠΎΠΉ ΡΠΊΠ°Π½ΠΈ ΠΌΠΎΠΆΠ΅Ρ Π±ΡΡΡ ΠΈΡΠΏΠΎΠ»ΡΠ·ΠΎΠ²Π°Π½ΠΎ ΡΠ½Π΄ΠΎΠΏΡΠΎΡΠ΅Π·ΠΈΡΠΎΠ²Π°Π½ΠΈΡ.
ΠΠΎΡΠ»Π΅ Π»Π΅ΡΠ΅Π½ΠΈΡ ΠΏΠ΅ΡΠ΅Π»ΠΎΠΌΠ° ΠΏΠ°Π»ΡΡΠ° ΠΎΠ±ΡΠ·Π°ΡΠ΅Π»ΡΠ½ΠΎ ΠΏΡΠΎΠ²ΠΎΠ΄ΠΈΡΡΡ ΡΠ΅Π°Π±ΠΈΠ»ΠΈΡΠ°ΡΠΈΡ: Π»Π΅ΡΠ΅Π±Π½ΡΠΉ ΠΌΠ°ΡΡΠ°ΠΆ, Π³ΠΈΠΌΠ½Π°ΡΡΠΈΠΊΠ°, ΡΠ΅ΠΏΠ»ΡΠ΅ Π²Π°Π½Π½ΠΎΡΠΊΠΈ ΠΈ ΡΠ»Π΅ΠΊΡΡΠΎΡΠΎΡΠ΅Π·. ΠΡΠΎΠ³ΡΠ°ΠΌΠΌΠ° ΡΠ΅Π°Π±ΠΈΠ»ΠΈΡΠ°ΡΠΈΠΈ Π΄Π»Ρ ΠΊΠ°ΠΆΠ΄ΠΎΠ³ΠΎ ΠΏΠ°ΡΠΈΠ΅Π½ΡΠ° ΡΠΎΡΡΠ°Π²Π»ΡΠ΅ΡΡΡ ΠΈΠ½Π΄ΠΈΠ²ΠΈΠ΄ΡΠ°Π»ΡΠ½ΠΎ.
Π’Π°ΠΊΠΈΠΌ ΠΎΠ±ΡΠ°Π·ΠΎΠΌ, ΠΏΡΠΈ Π»ΡΠ±ΡΡ ΠΏΠ΅ΡΠ΅Π»ΠΎΠΌΠ°Ρ ΠΊΠΎΠ½Π΅ΡΠ½ΠΎΡΡΠ΅ΠΉ ΠΎΡ ΠΏΡΠ°Π²ΠΈΠ»ΡΠ½ΡΡ Π΄Π΅ΠΉΡΡΠ²ΠΈΠΉ ΡΠ°ΠΌΠΎΠ³ΠΎ ΠΏΠΎΡΠ΅ΡΠΏΠ΅Π²ΡΠ΅Π³ΠΎ ΠΈ Π΅Π³ΠΎ Π»Π΅ΡΠ°ΡΠ΅Π³ΠΎ Π²ΡΠ°ΡΠ° Π±ΡΠ΄Π΅Ρ Π·Π°Π²ΠΈΡΠ΅ΡΡ Π² Π±ΡΠ΄ΡΡΠ΅ΠΌ ΠΏΠΎΠ»Π½ΠΎΠ΅ Π°Π½Π°ΡΠΎΠΌΠΈΡΠ΅ΡΠΊΠΎΠ΅ ΠΈ ΡΡΠ½ΠΊΡΠΈΠΎΠ½Π°Π»ΡΠ½ΠΎΠ΅ Π²ΠΎΡΡΡΠ°Π½ΠΎΠ²Π»Π΅Π½ΠΈΠ΅ ΠΏΠΎΠ²ΡΠ΅ΠΆΠ΄Π΅Π½Π½ΡΡ ΡΡΡΡΠΊΡΡΡ.
ΠΠ°Π»ΡΡΡ Π½Π°ΡΠΈΡ ΡΡΠΊ ΡΠΏΠΎΡΠΎΠ±Π½Ρ Π²ΡΠΏΠΎΠ»Π½ΡΡΡ ΡΠΊΠΎΠΎΡΠ΄ΠΈΠ½ΠΈΡΠΎΠ²Π°Π½Π½ΡΠ΅ ΠΈ ΠΎΡΠ΅Π½Ρ ΡΠΎΠ½ΠΊΠΈΠ΅ Π΄Π²ΠΈΠΆΠ΅Π½ΠΈΡ, ΠΊΠΎΡΠΎΡΡΠ΅ ΠΎΠΊΠ°Π·ΡΠ²Π°ΡΡ Π²Π΅ΡΠΎΠΌΠΎΠ΅ Π²Π»ΠΈΡΠ½ΠΈΠ΅ Π½Π° Π½Π°ΡΡ ΠΏΠΎΠ²ΡΠ΅Π΄Π½Π΅Π²Π½ΡΡ Π΄Π΅ΡΡΠ΅Π»ΡΠ½ΠΎΡΡΡ ΠΈ ΡΡΡΠ΄ΠΎΡΠΏΠΎΡΠΎΠ±Π½ΠΎΡΡΡ. ΠΡ ΠΏΠ΅ΡΠ΅Π»ΠΎΠΌΡ, ΠΎΡ ΠΊΠΎΡΠΎΡΡΡ Π½Π΅ Π·Π°ΡΡΡΠ°Ρ ΠΎΠ²Π°Π½ Π½ΠΈ ΠΎΠ΄ΠΈΠ½ ΡΠ΅Π»ΠΎΠ²Π΅ΠΊ, ΠΌΠΎΠ³ΡΡ ΡΡΠ°Π½ΠΎΠ²ΠΈΡΡΡΡ ΠΏΡΠΈΡΠΈΠ½ΠΎΠΉ ΠΏΠΎΡΠ²Π»Π΅Π½ΠΈΡ ΡΡΡΠ΅ΡΡΠ²Π΅Π½Π½ΡΡ ΠΏΡΠΎΠ±Π»Π΅ΠΌ: ΠΎΠ³ΡΠ°Π½ΠΈΡΠ΅Π½ΠΈΠΉ ΡΡΠ½ΠΊΡΠΈΠΉ ΠΊΠΈΡΡΠΈ Π² ΠΏΠΎΠ»Π½ΠΎΠΌ ΠΎΠ±ΡΠ΅ΠΌΠ΅, ΡΠ³ΠΈΠ±Π°Π½ΠΈΡ ΠΏΠ°Π»ΡΡΠ΅Π² ΠΈ Π²ΠΎΠ·Π½ΠΈΠΊΠ½ΠΎΠ²Π΅Π½ΠΈΡ Π±ΠΎΠ»Π΅ΠΉ Π΄Π°ΠΆΠ΅ ΠΏΡΠΈ ΠΌΠΈΠ½ΠΈΠΌΠ°Π»ΡΠ½ΡΡ Π½Π°Π³ΡΡΠ·ΠΊΠ°Ρ . Π Π±ΡΠ΄ΡΡΠ΅ΠΌ ΡΡΠΈ ΠΏΠΎΡΠ»Π΅Π΄ΡΡΠ²ΠΈΡ ΡΡΠ°Π²ΠΌΡ ΡΠΏΠΎΡΠΎΠ±Π½Ρ Π½Π΅Π³Π°ΡΠΈΠ²Π½ΠΎ ΡΠΊΠ°Π·ΡΠ²Π°ΡΡΡΡ Π½Π° ΠΏΡΠΎΡΠ΅ΡΡΠΈΠΎΠ½Π°Π»ΡΠ½ΠΎΠΉ Π΄Π΅ΡΡΠ΅Π»ΡΠ½ΠΎΡΡΠΈ ΠΈ Π²Π½ΠΎΡΠΈΡΡ ΠΎΠ³ΡΠ°Π½ΠΈΡΠ΅Π½ΠΈΡ Π² ΠΏΠΎΠ²ΡΠ΅Π΄Π½Π΅Π²Π½ΡΡ ΠΆΠΈΠ·Π½Ρ, Π° ΠΏΠ΅ΡΠ΅Π»ΠΎΠΌΡ Π±ΠΎΠ»ΡΡΠΎΠ³ΠΎ ΠΏΠ°Π»ΡΡΠ° ΡΡΠΊΠΈ ΠΌΠΎΠ³ΡΡ ΡΡΠ°Π½ΠΎΠ²ΠΈΡΡΡΡ ΠΏΡΠΈΡΠΈΠ½ΠΎΠΉ ΠΈΠ½Π²Π°Π»ΠΈΠ΄Π½ΠΎΡΡΠΈ. ΠΠΌΠ΅Π½Π½ΠΎ ΠΏΠΎΡΡΠΎΠΌΡ Π»ΡΠ±ΡΠ΅ ΠΏΠ΅ΡΠ΅Π»ΠΎΠΌΡ ΠΏΠ°Π»ΡΡΠ΅Π² Π΄ΠΎΠ»ΠΆΠ½Ρ ΡΡΠ°Π½ΠΎΠ²ΠΈΡΡΡΡ ΠΏΠΎΠ²ΠΎΠ΄ΠΎΠΌ Π΄Π»Ρ ΠΎΠ±ΡΠ°ΡΠ΅Π½ΠΈΡ ΠΊ ΡΠΏΠ΅ΡΠΈΠ°Π»ΠΈΡΡΡ.
Π’Π°ΠΊΠΈΠ΅ ΡΡΠ°Π²ΠΌΡ ΠΏΡΠΎΠΈΡΡ ΠΎΠ΄ΡΡ Π΄ΠΎΡΡΠ°ΡΠΎΡΠ½ΠΎ ΡΠ°ΡΡΠΎ ΠΈ Π½Π°Π±Π»ΡΠ΄Π°ΡΡΡΡ Ρ 5 % ΠΏΠ°ΡΠΈΠ΅Π½ΡΠΎΠ² Ρ ΠΏΠ΅ΡΠ΅Π»ΠΎΠΌΠ°ΠΌΠΈ. Π ΡΡΠΎΠΉ ΡΡΠ°ΡΡΠ΅ ΠΌΡ ΠΎΠ·Π½Π°ΠΊΠΎΠΌΠΈΠΌ Π²Π°Ρ Ρ ΠΏΡΠΈΡΠΈΠ½Π°ΠΌΠΈ, Π²ΠΈΠ΄Π°ΠΌΠΈ, ΠΏΡΠΈΠ·Π½Π°ΠΊΠ°ΠΌΠΈ ΠΈ ΡΠΏΠΎΡΠΎΠ±Π°ΠΌΠΈ Π΄ΠΈΠ°Π³Π½ΠΎΡΡΠΈΠΊΠΈ, ΠΎΠΊΠ°Π·Π°Π½ΠΈΡ ΠΏΠ΅ΡΠ²ΠΎΠΉ ΠΏΠΎΠΌΠΎΡΠΈ ΠΈ Π»Π΅ΡΠ΅Π½ΠΈΡ ΠΏΠ΅ΡΠ΅Π»ΠΎΠΌΠΎΠ² ΠΏΠ°Π»ΡΡΠ΅Π² ΡΡΠΊ. ΠΡΠ° ΠΈΠ½ΡΠΎΡΠΌΠ°ΡΠΈΡ ΠΏΠΎΠΌΠΎΠΆΠ΅Ρ Π²ΠΎΠ²ΡΠ΅ΠΌΡ Π·Π°ΠΏΠΎΠ΄ΠΎΠ·ΡΠΈΡΡ Π½Π°Π»ΠΈΡΠΈΠ΅ ΡΠ°ΠΊΠΎΠΉ ΡΡΠ°Π²ΠΌΡ ΠΈ ΠΏΡΠΈΠ½ΡΡΡ ΠΏΡΠ°Π²ΠΈΠ»ΡΠ½ΠΎΠ΅ ΡΠ΅ΡΠ΅Π½ΠΈΠ΅ ΠΎ Π½Π΅ΠΎΠ±Ρ ΠΎΠ΄ΠΈΠΌΠΎΡΡΠΈ Π»Π΅ΡΠ΅Π½ΠΈΡ Ρ ΡΠΏΠ΅ΡΠΈΠ°Π»ΠΈΡΡΠ°.
ΠΡΠΈΡΠΈΠ½Ρ ΠΈ ΡΠ°Π·Π½ΠΎΠ²ΠΈΠ΄Π½ΠΎΡΡΠΈ ΠΏΠ΅ΡΠ΅Π»ΠΎΠΌΠΎΠ²
ΠΡΠ½ΠΎΠ²Π½ΠΎΠΉ ΠΏΡΠΈΡΠΈΠ½ΠΎΠΉ ΠΏΠ΅ΡΠ΅Π»ΠΎΠΌΠΎΠ² ΠΏΠ°Π»ΡΡΠ΅Π² ΡΡΠΊ ΡΠ²Π»ΡΠ΅ΡΡΡ ΠΏΡΡΠΌΠ°Ρ ΡΡΠ°Π²ΠΌΠ°: ΡΠΈΠ»ΡΠ½ΡΠΉ ΡΠ΄Π°Ρ ΠΈΠ»ΠΈ ΡΠ΄Π°Π²Π»Π΅Π½ΠΈΠ΅, ΠΏΠ°Π΄Π΅Π½ΠΈΠ΅ Ρ Π²ΡΡΠΎΡΡ, Π°Π²Π°ΡΠΈΠΈ Π½Π° ΠΏΡΠΎΠΈΠ·Π²ΠΎΠ΄ΡΡΠ²Π°Ρ ΠΈΠ»ΠΈ Π΄ΠΎΡΠΎΠ³Π°Ρ . Π’Π°ΠΊΠΈΠ΅ ΡΡΠ°Π²ΠΌΡ ΡΠ°ΡΡΠΎ ΠΏΡΠΎΠΈΡΡ ΠΎΠ΄ΡΡ Ρ ΡΠΏΠΎΡΡΡΠΌΠ΅Π½ΠΎΠ² β ΠΎΡΠΎΠ±Π΅Π½Π½ΠΎ ΡΡΠ΅Π΄ΠΈ Π²ΠΎΠ»Π΅ΠΉΠ±ΠΎΠ»ΠΈΡΡΠΎΠ², Π±Π°ΡΠΊΠ΅ΡΠ±ΠΎΠ»ΠΈΡΡΠΎΠ², ΡΠΏΠΎΡΡΠΈΠ²Π½ΡΡ Π³ΠΈΠΌΠ½Π°ΡΡΠΎΠ² ΠΈ Π±ΠΎΠΊΡΠ΅ΡΠΎΠ². Π ΠΎΡΠΎΠ±Π΅Π½Π½ΠΎ ΠΎΠΏΠ°ΡΠ½ΡΠ΅ ΠΏΠ΅ΡΠ΅Π»ΠΎΠΌΡ ΠΌΠΎΠ³ΡΡ Π²ΠΎΠ·Π½ΠΈΠΊΠ°ΡΡ ΠΏΡΠΈ ΠΏΠΎΠΏΠ°Π΄Π°Π½ΠΈΠΈ ΠΏΠ°Π»ΡΡΠ΅Π² Π² ΡΠ»ΠΎΠΆΠ½ΡΠ΅ ΡΠ°Π±ΠΎΡΠ°ΡΡΠΈΠ΅ ΠΌΠ΅Ρ Π°Π½ΠΈΠ·ΠΌΡ.
Π Π±ΠΎΠ»Π΅Π΅ ΡΠ΅Π΄ΠΊΠΈΡ ΡΠ»ΡΡΠ°ΡΡ ΠΏΠ΅ΡΠ΅Π»ΠΎΠΌ ΠΏΠ°Π»ΡΡΠ΅Π² ΠΏΡΠΎΠ²ΠΎΡΠΈΡΡΠ΅ΡΡΡ ΠΌΠΈΠ½ΠΈΠΌΠ°Π»ΡΠ½ΡΠΌ ΠΌΠ΅Ρ Π°Π½ΠΈΡΠ΅ΡΠΊΠΈΠΌ Π²ΠΎΠ·Π΄Π΅ΠΉΡΡΠ²ΠΈΠ΅ΠΌ ΠΏΡΠΈ ΠΎΡΡΠ΅ΠΎΠΏΠΎΡΠΎΠ·Π΅, ΠΎΡΡΠ΅ΠΎΠΌΠΈΠ΅Π»ΠΈΡΠ΅ ΠΈ, ΠΊΡΠ°ΠΉΠ½Π΅ ΡΠ΅Π΄ΠΊΠΎ, ΠΏΡΠΈ Π½Π°Π»ΠΈΡΠΈΠΈ ΠΎΠΏΡΡ ΠΎΠ»Π΅Π²ΠΎΠ³ΠΎ Π½ΠΎΠ²ΠΎΠΎΠ±ΡΠ°Π·ΠΎΠ²Π°Π½ΠΈΡ ΠΈΠ»ΠΈ Π΅Π³ΠΎ ΠΌΠ΅ΡΠ°ΡΡΠ°Π·ΠΎΠ².
ΠΠΎ Π΄Π°Π½Π½ΡΠΌ ΡΡΠ°ΡΠΈΡΡΠΈΠΊΠΈ ΡΠ°ΡΠ΅ ΠΏΡΠΎΠΈΡΡ ΠΎΠ΄ΠΈΡ ΠΏΠ΅ΡΠ΅Π»ΠΎΠΌ ΠΌΠΈΠ·ΠΈΠ½ΡΠ°. ΠΡΠΎΡ ΡΠ°ΠΊΡ ΠΎΠ±ΡΡΡΠ½ΡΠ΅ΡΡΡ ΡΠ΅ΠΌ, ΡΡΠΎ ΠΎΠ½ Π½Π°Ρ ΠΎΠ΄ΠΈΡΡΡ Π½Π° ΠΊΡΠ°Ρ ΠΊΠΈΡΡΠΈ. Π ΡΠ°ΠΌΡΠΌ ΠΎΠΏΠ°ΡΠ½ΡΠΌ Π² ΠΏΠ»Π°Π½Π΅ Π²ΠΎΡΡΡΠ°Π½ΠΎΠ²Π»Π΅Π½ΠΈΡ Π΄Π°Π»ΡΠ½Π΅ΠΉΡΠ΅ΠΉ ΡΡΡΠ΄ΠΎΡΠΏΠΎΡΠΎΠ±Π½ΠΎΡΡΠΈ ΡΠ²Π»ΡΠ΅ΡΡΡ ΠΏΠ΅ΡΠ΅Π»ΠΎΠΌ Π±ΠΎΠ»ΡΡΠΎΠ³ΠΎ ΠΏΠ°Π»ΡΡΠ°. Π’ΡΠ°Π²ΠΌΡ ΠΎΡΡΠ°Π»ΡΠ½ΡΡ ΠΏΠ°Π»ΡΡΠ΅Π² ΡΠ°ΠΊ ΠΆΠ΅ ΠΌΠΎΠ³ΡΡ Π±ΡΡΡ ΠΎΠΏΠ°ΡΠ½ΡΠΌΠΈ, Π΅ΡΠ»ΠΈ ΠΏΡΠΎΠΈΠ·ΠΎΡΠ»ΠΎ ΠΈΡ Π½Π΅ΠΏΡΠ°Π²ΠΈΠ»ΡΠ½ΠΎΠ΅ ΡΡΠ°ΡΡΠ°Π½ΠΈΠ΅, ΠΏΡΠΈΠ²ΠΎΠ΄ΡΡΠ΅Π΅ ΠΊ Π½Π°ΡΡΡΠ΅Π½ΠΈΡ ΠΌΠ΅Π»ΠΊΠΎΠΉ ΠΌΠΎΡΠΎΡΠΈΠΊΠΈ.
ΠΠ°ΠΊ ΠΈ Π²ΡΠ΅ ΠΏΠ΅ΡΠ΅Π»ΠΎΠΌΡ, ΡΡΠ°Π²ΠΌΡ ΠΏΠ°Π»ΡΡΠ΅Π² ΡΡΠΊ ΠΌΠΎΠ³ΡΡ Π±ΡΡΡ ΠΎΡΠΊΡΡΡΡΠΌΠΈ ΠΈ Π·Π°ΠΊΡΡΡΡΠΌΠΈ. ΠΡΠΈ Π½Π°ΡΡΡΠ΅Π½ΠΈΠΈ ΡΠ΅Π»ΠΎΡΡΠ½ΠΎΡΡΠΈ ΠΊΠΎΠΆΠ½ΡΡ ΠΏΠΎΠΊΡΠΎΠ²ΠΎΠ² ΡΡΡΠ΅ΡΡΠ²Π΅Π½Π½ΠΎ Π²ΠΎΠ·ΡΠ°ΡΡΠ°Π΅Ρ ΡΠΈΡΠΊ ΠΈΠ½ΡΠΈΡΠΈΡΠΎΠ²Π°Π½ΠΈΡ ΠΎΠ±Π»Π°ΡΡΠΈ ΠΏΠ΅ΡΠ΅Π»ΠΎΠΌΠ° ΠΈ ΡΠ°Π·Π²ΠΈΡΠΈΡ ΡΠ°ΠΊΠΎΠ³ΠΎ ΠΎΠΏΠ°ΡΠ½ΠΎΠ³ΠΎ ΠΎΡΠ»ΠΎΠΆΠ½Π΅Π½ΠΈΡ, ΠΊΠ°ΠΊ ΠΎΡΡΠ΅ΠΎΠΌΠΈΠ΅Π»ΠΈΡ.
Π Π·Π°Π²ΠΈΡΠΈΠΌΠΎΡΡΠΈ ΠΎΡ ΡΠ°ΡΠΏΠΎΠ»ΠΎΠΆΠ΅Π½ΠΈΡ ΠΎΡΠ»ΠΎΠΌΠΊΠΎΠ² Π²ΡΠ΅ ΠΏΠ΅ΡΠ΅Π»ΠΎΠΌΡ ΠΏΠ°Π»ΡΡΠ΅Π² ΡΠ°Π·Π΄Π΅Π»ΡΡΡ Π½Π° ΡΡΠ°Π²ΠΌΡ ΡΠΎ ΡΠΌΠ΅ΡΠ΅Π½ΠΈΠ΅ΠΌ ΠΈ Π±Π΅Π· Π½Π΅Π³ΠΎ. ΠΠ΅ΡΠ΅Π»ΠΎΠΌΡ ΡΠΎ ΡΠΌΠ΅ΡΠ΅Π½ΠΈΠ΅ΠΌ Π΄Π΅Π»ΡΡ Π½Π° ΠΏΠ΅ΡΠ΅Π»ΠΎΠΌΡ Ρ ΡΠ°ΡΡ ΠΎΠΆΠ΄Π΅Π½ΠΈΠ΅ΠΌ ΠΈΠ»ΠΈ Π·Π°Ρ ΠΎΠΆΠ΄Π΅Π½ΠΈΠ΅ΠΌ ΠΎΡΠ»ΠΎΠΌΠΊΠΎΠ².
Π Π·Π°Π²ΠΈΡΠΈΠΌΠΎΡΡΠΈ ΠΎΡ ΠΊΠΎΠ»ΠΈΡΠ΅ΡΡΠ²Π° ΠΎΡΠΊΠΎΠ»ΠΊΠΎΠ² ΠΏΠ΅ΡΠ΅Π»ΠΎΠΌΡ ΡΠ°Π·Π΄Π΅Π»ΡΡΡ Π½Π°:
- Π±Π΅Π·ΠΎΡΠΊΠΎΠ»ΡΡΠ°ΡΡΠ΅;
- ΠΎΠ΄Π½ΠΎΠΎΡΠΊΠΎΠ»ΡΡΠ°ΡΡΠ΅;
- Π΄Π²ΡΡ ΠΎΡΠΊΠΎΠ»ΡΡΠ°ΡΡΠ΅;
- ΠΌΠ½ΠΎΠ³ΠΎΠΎΡΠΊΠΎΠ»ΡΡΠ°ΡΡΠ΅.
ΠΠΎ Ρ Π°ΡΠ°ΠΊΡΠ΅ΡΡ Π»ΠΈΠ½ΠΈΠΈ ΡΠ°Π·Π»ΠΎΠΌΠ° ΠΏΠ΅ΡΠ΅Π»ΠΎΠΌ ΠΌΠΎΠΆΠ΅Ρ Π±ΡΡΡ:
- ΠΏΠΎΠΏΠ΅ΡΠ΅ΡΠ½ΡΠΉ;
- ΠΏΡΠΎΠ΄ΠΎΠ»ΡΠ½ΡΠΉ;
- Π²ΠΈΠ½ΡΠΎΠ²ΠΎΠΉ;
- ΠΊΠΎΡΠΎΠΉ;
- Π’-ΠΎΠ±ΡΠ°Π·Π½ΡΠΉ;
- S-ΠΎΠ±ΡΠ°Π·Π½ΡΠΉ ΠΈ Π΄Ρ.
ΠΠΎΠ΄Π½Π°Π΄ΠΊΠΎΡΡΠ½ΠΈΡΠ½ΡΠΉ ΠΏΠ΅ΡΠ΅Π»ΠΎΠΌ ΡΠ°Π»Π°Π½Π³ ΠΏΠ°Π»ΡΡΠ΅Π² ΡΠΏΠ΅ΡΠΈΠ°Π»ΠΈΡΡΡ ΠΎΡΠ½ΠΎΡΡΡ ΠΊ ΠΎΡΠ΄Π΅Π»ΡΠ½ΠΎΠΌΡ Π²ΠΈΠ΄Ρ ΡΡΠ°Π²ΠΌΡ. ΠΠ°ΠΊ ΠΏΡΠ°Π²ΠΈΠ»ΠΎ, ΠΎΠ½ ΠΌΠΎΠΆΠ΅Ρ ΠΏΡΠΎΠΈΡΡ ΠΎΠ΄ΠΈΡΡ ΡΠΎΠ»ΡΠΊΠΎ Ρ Π΄Π΅ΡΠ΅ΠΉ ΠΈ ΠΏΡΠΈ Π½Π΅ΠΌ Π½Π°Π΄ΠΊΠΎΡΡΠ½ΠΈΡΠ° ΠΎΡΡΠ°Π΅ΡΡΡ Π½Π΅ΠΏΠΎΠ²ΡΠ΅ΠΆΠ΄Π΅Π½Π½ΠΎΠΉ. ΠΡΠΎ ΠΏΡΠΎΠΈΡΡ ΠΎΠ΄ΠΈΡ ΠΈΠ·-Π·Π° ΡΠΎΠ³ΠΎ, ΡΡΠΎ Π² ΡΠ°ΠΊΠΎΠΌ Π²ΠΎΠ·ΡΠ°ΡΡΠ΅ Π½Π°Π΄ΠΊΠΎΡΡΠ½ΠΈΡΠ° ΠΎΡΡΠ°Π΅ΡΡΡ Π³ΠΈΠ±ΠΊΠΎΠΉ ΠΈ ΠΌΡΠ³ΠΊΠΎΠΉ. ΠΠΎΠ΄ΠΎΠ±Π½ΡΠ΅ ΡΡΠ°Π²ΠΌΡ ΡΠ»ΠΎΠΆΠ½Π΅Π΅ Π²ΡΡΠ²Π»ΡΡΡΡΡ, Π½ΠΎ ΠΎΡΠ΅Π½Ρ Ρ ΠΎΡΠΎΡΠΎ ΠΏΠΎΠ΄Π΄Π°ΡΡΡΡ Π»Π΅ΡΠ΅Π½ΠΈΡ, Π½Π΅ ΡΡΠ΅Π±ΡΡΡ Π²ΡΠΏΠΎΠ»Π½Π΅Π½ΠΈΡ ΡΠ΅ΠΏΠΎΠ·ΠΈΡΠΈΠΈ ΠΈ Π±ΡΡΡΡΠΎ Π·Π°ΠΆΠΈΠ²Π°ΡΡ.
Π‘ΠΈΠΌΠΏΡΠΎΠΌΡ
ΠΠ΅Π΄ΡΡΠΈΠ΅ ΡΠΈΠΌΠΏΡΠΎΠΌΡ ΠΏΠ΅ΡΠ΅Π»ΠΎΠΌΠ° ΠΏΠ°Π»ΡΡΠ° β ΡΠΈΠ»ΡΠ½Π°Ρ Π±ΠΎΠ»Ρ, ΠΏΠΎΠΊΡΠ°ΡΠ½Π΅Π½ΠΈΠ΅ ΠΈ ΠΎΡΠ΅ΠΊ Π² ΠΎΠ±Π»Π°ΡΡΠΈ ΡΡΠ°Π²ΠΌΡ. ΠΠΎΠ»ΡΠ½ΠΎΠΉ ΡΠ°Π΄ΠΈΡ ΠΏΠΎΠ²ΡΠ΅ΠΆΠ΄Π΅Π½Π½ΡΠΉ ΠΏΠ°Π»Π΅Ρ, ΡΡΠ°ΡΠ°Π΅ΡΡΡ ΠΈΠΌ Π½Π΅ ΡΠ΅Π²Π΅Π»ΠΈΡΡ.
ΠΠ°ΠΊ ΠΈ ΠΏΡΠΈ Π΄ΡΡΠ³ΠΈΡ ΠΏΠ΅ΡΠ΅Π»ΠΎΠΌΠ°Ρ , ΠΏΡΠΈ ΡΠ°ΠΊΠΈΡ ΡΡΠ°Π²ΠΌΠ°Ρ ΠΏΠ°Π»ΡΡΠ΅Π² Π½Π° ΡΡΠΊΠ΅ Π²ΠΎΠ·Π½ΠΈΠΊΠ°Π΅Ρ ΡΠΈΠ»ΡΠ½Π°Ρ Π±ΠΎΠ»Ρ. ΠΠΎΠ·Π΄Π½Π΅Π΅ Π² ΠΎΠ±Π»Π°ΡΡΠΈ ΠΏΠ΅ΡΠ΅Π»ΠΎΠΌΠ° ΠΏΠΎΡΠ²Π»ΡΡΡΡΡ ΡΠ»Π΅Π΄ΡΡΡΠΈΠ΅ Π²Π΅ΡΠΎΡΡΠ½ΡΠ΅ ΡΠΈΠΌΠΏΡΠΎΠΌΡ:
- ΠΏΠΎΠΊΡΠ°ΡΠ½Π΅Π½ΠΈΠ΅ ΠΈ ΠΎΡΠ΅ΠΊ Π² ΠΌΠ΅ΡΡΠ΅ ΠΏΠ΅ΡΠ΅Π»ΠΎΠΌΠ°;
- ΠΊΠΎΠΆΠ° Π² ΠΌΠ΅ΡΡΠ΅ ΡΡΠ°Π²ΠΌΡ Π±ΠΎΠ»Π΅Π΅ ΡΠ΅ΠΏΠ»Π°Ρ;
- ΡΡΡΠ΅ΡΡΠ²Π΅Π½Π½ΠΎΠ΅ ΠΎΠ³ΡΠ°Π½ΠΈΡΠ΅Π½ΠΈΠ΅ Π΄Π²ΠΈΠΆΠ΅Π½ΠΈΠΉ ΠΏΠΎΠ²ΡΠ΅ΠΆΠ΄Π΅Π½Π½ΠΎΠ³ΠΎ ΠΏΠ°Π»ΡΡΠ°;
- ΠΏΠΎΡΠ²Π»Π΅Π½ΠΈΠ΅ Π±ΠΎΠ»ΠΈ ΠΏΡΠΈ ΠΏΠΎΠΏΡΡΠΊΠ΅ Π½Π°Π΄Π°Π²Π»ΠΈΠ²Π°Π½ΠΈΡ Π½Π° Π²Π΅ΡΡ ΡΡΠΊΡ ΡΡΠ°Π²ΠΌΠΈΡΠΎΠ²Π°Π½Π½ΠΎΠ³ΠΎ ΠΏΠ°Π»ΡΡΠ°;
- ΡΠ°Π΄ΡΡΠ΅Π΅ ΠΏΠΎΠ»ΠΎΠΆΠ΅Π½ΠΈΠ΅ ΠΏΠ°Π»ΡΡΠ°.
ΠΡΠΈΡΡΡΡΡΠ²ΠΈΠ΅ Π²ΡΠ΅Ρ Π²ΡΡΠ΅ΠΏΠ΅ΡΠ΅ΡΠΈΡΠ»Π΅Π½Π½ΡΡ Π²Π΅ΡΠΎΡΡΠ½ΡΡ ΠΏΡΠΈΠ·Π½Π°ΠΊΠΎΠ² ΠΏΠ΅ΡΠ΅Π»ΠΎΠΌΠ° ΠΏΠ°Π»ΡΡΠ° ΠΏΠΎΡΡΠΈ Π² 100 % ΡΠ»ΡΡΠ°Π΅Π² ΡΠΊΠ°Π·ΡΠ²Π°Π΅Ρ Π½Π° Π½Π°ΡΡΡΠ΅Π½ΠΈΠ΅ ΡΠ΅Π»ΠΎΡΡΠ½ΠΎΡΡΠΈ ΠΊΠΎΡΡΠΈ ΠΈ Π½Π΅ Π½ΡΠΆΠ΄Π°Π΅ΡΡΡ Π² ΠΏΡΠΎΠ²Π΅Π΄Π΅Π½ΠΈΠΈ Π΄ΠΈΠ°Π³Π½ΠΎΡΡΠΈΠΊΠΈ Π΄Π»Ρ Π²ΡΡΠ²Π»Π΅Π½ΠΈΡ Π΄ΠΎΡΡΠΎΠ²Π΅ΡΠ½ΡΡ ΡΠΈΠΌΠΏΡΠΎΠΌΠΎΠ² ΠΏΠ΅ΡΠ΅Π»ΠΎΠΌΠ°:
- Π²ΡΡΠ²Π»Π΅Π½ΠΈΠ΅ ΡΡΠ΅ΡΠΈΠ½Ρ ΠΏΡΠΈ ΠΏΡΠΎΡΡΠΏΡΠ²Π°Π½ΠΈΠΈ;
- ΠΊΡΠ΅ΠΏΠΈΡΠ°ΡΠΈΡ ΠΏΡΠΈ ΠΏΠ°Π»ΡΠΏΠ°ΡΠΈΠΈ;
- Π²ΡΡΠ²Π»Π΅Π½ΠΈΠ΅ ΠΏΠ°ΡΠΎΠ»ΠΎΠ³ΠΈΡΠ΅ΡΠΊΠΎΠΉ ΠΏΠΎΠ΄Π²ΠΈΠΆΠ½ΠΎΡΡΠΈ Π² ΡΠ΅Ρ ΡΡΠ°ΡΡΠΊΠ°Ρ ΠΏΠ°Π»ΡΡΠ°, Π² ΠΊΠΎΡΠΎΡΡΡ Π΅Π΅ Π±ΡΡΡ Π½Π΅ Π΄ΠΎΠ»ΠΆΠ½ΠΎ;
- ΠΈΠ·ΠΌΠ΅Π½Π΅Π½ΠΈΠ΅ ΡΠΎΡΠΌΡ ΠΊΠΈΡΡΠΈ;
- ΡΠΊΠΎΡΠΎΡΠ΅Π½ΠΈΠ΅ ΠΏΠΎΠ²ΡΠ΅ΠΆΠ΄Π΅Π½Π½ΠΎΠ³ΠΎ ΠΏΠ°Π»ΡΡΠ° (ΠΏΡΠΈ ΡΡΠ°Π²Π½Π΅Π½ΠΈΠΈ Π΅Π³ΠΎ Π΄Π»ΠΈΠ½Ρ Ρ ΡΠ°ΠΊΠΈΠΌ ΠΆΠ΅ Π·Π΄ΠΎΡΠΎΠ²ΡΠΌ ΠΏΠ°Π»ΡΡΠ΅ΠΌ Π½Π° Π΄ΡΡΠ³ΠΎΠΉ ΡΡΠΊΠ΅).
Π‘Π»Π΅Π΄ΡΠ΅Ρ ΠΏΠΎΠΌΠ½ΠΈΡΡ ΠΎ ΡΠΎΠΌ, ΡΡΠΎ ΠΏΡΠΎΠ²Π΅Π΄Π΅Π½ΠΈΠ΅ ΠΌΠ°Π½ΠΈΠΏΡΠ»ΡΡΠΈΠΉ ΠΏΠΎ ΠΎΠΏΡΠ΅Π΄Π΅Π»Π΅Π½ΠΈΡ Π΄ΠΎΡΡΠΎΠ²Π΅ΡΠ½ΡΡ ΠΏΡΠΈΠ·Π½Π°ΠΊΠΎΠ² ΠΏΠ΅ΡΠ΅Π»ΠΎΠΌΠ° Π²ΡΠ΅Π³Π΄Π° ΡΠΎΠΏΡΠΎΠ²ΠΎΠΆΠ΄Π°Π΅ΡΡΡ Π±ΠΎΠ»ΡΡ ΠΈ ΠΌΠΎΠΆΠ΅Ρ Π²ΡΠ·ΡΠ²Π°ΡΡ ΠΏΡΠΎΠ³ΡΠ΅ΡΡΠΈΡ ΠΏΠ΅ΡΠ΅Π»ΠΎΠΌΠ°. ΠΡΠΈ ΠΏΡΠΎΡΡΠΏΡΠ²Π°Π½ΠΈΠΈ ΡΡΠ°Π²ΠΌΠΈΡΠΎΠ²Π°Π½Π½ΠΎΠ³ΠΎ ΠΏΠ°Π»ΡΡΠ° ΡΠ΅Π»ΠΎΠ²Π΅ΠΊΠΎΠΌ, Π½Π΅ ΠΈΠΌΠ΅ΡΡΠΈΠΌ ΠΌΠ΅Π΄ΠΈΡΠΈΠ½ΡΠΊΠΎΠ³ΠΎ ΠΎΠ±ΡΠ°Π·ΠΎΠ²Π°Π½ΠΈΡ, Π²ΡΡΠΎΠΊ ΡΠΈΡΠΊ ΠΏΠΎΠ²ΡΠ΅ΠΆΠ΄Π΅Π½ΠΈΡ Π½Π΅ΡΠ²ΠΎΠ², ΡΡΡ ΠΎΠΆΠΈΠ»ΠΈΠΉ ΠΈ ΠΊΡΠΎΠ²Π΅Π½ΠΎΡΠ½ΡΡ ΡΠΎΡΡΠ΄ΠΎΠ². Π Π΄Π°Π»ΡΠ½Π΅ΠΉΡΠ΅ΠΌ ΡΠ°ΠΊΠΈΠ΅ ΡΡΠ°Π²ΠΌΡ Π±ΡΠ΄ΡΡ Π½ΡΠΆΠ΄Π°ΡΡΡΡ Π² Ρ ΠΈΡΡΡΠ³ΠΈΡΠ΅ΡΠΊΠΎΠΌ Π»Π΅ΡΠ΅Π½ΠΈΠΈ ΠΈ ΠΌΠΎΠ³ΡΡ ΠΏΡΠΈΠ²ΠΎΠ΄ΠΈΡΡ ΠΊ Π½Π΅ΠΎΠ±ΡΠ°ΡΠΈΠΌΡΠΌ Π½Π°ΡΡΡΠ΅Π½ΠΈΡΠΌ ΡΡΠ½ΠΊΡΠΈΠΈ ΠΊΠΈΡΡΠΈ.
ΠΠ΅ΡΠ²Π°Ρ ΠΏΠΎΠΌΠΎΡΡ
ΠΡΠΈ ΠΏΠΎΠ΄ΠΎΠ·ΡΠ΅Π½ΠΈΠΈ Π½Π° ΠΏΠ΅ΡΠ΅Π»ΠΎΠΌ ΠΏΠ°Π»ΡΡΠ° Π²Π°ΠΆΠ½ΠΎ ΠΏΡΠ°Π²ΠΈΠ»ΡΠ½ΠΎ ΠΎΠΊΠ°Π·Π°ΡΡ ΠΏΠ΅ΡΠ²ΡΡ ΠΏΠΎΠΌΠΎΡΡ ΠΏΠΎΡΡΡΠ°Π΄Π°Π²ΡΠ΅ΠΌΡ β ΠΎΡ Π°Π΄Π΅ΠΊΠ²Π°ΡΠ½ΠΎΡΡΠΈ Π²ΡΠΏΠΎΠ»Π½Π΅Π½ΠΈΡ ΡΡΠΈΡ ΠΌΠ΅ΡΠΎΠΏΡΠΈΡΡΠΈΠΉ Π·Π°Π²ΠΈΡΠΈΡ Π±ΡΠ΄ΡΡΠ°Ρ ΡΡΠΏΠ΅ΡΠ½ΠΎΡΡΡ Π»Π΅ΡΠ΅Π½ΠΈΡ:
- Π£ΡΠΏΠΎΠΊΠΎΠΈΡΡ ΠΏΠΎΡΡΡΠ°Π΄Π°Π²ΡΠ΅Π³ΠΎ ΠΈ Π΄Π°ΡΡ Π΅ΠΌΡ ΠΏΡΠΈΠ½ΡΡΡ ΠΎΠ±Π΅Π·Π±ΠΎΠ»ΠΈΠ²Π°ΡΡΠ΅Π΅ ΡΡΠ΅Π΄ΡΡΠ²ΠΎ (ΠΠ½Π°Π»ΡΠ³ΠΈΠ½, ΠΠ΅ΡΠΎΡΠΎΠ», ΠΠΈΠΌΠ΅ΡΠΈΠ», ΠΠ±ΡΡΠ΅Π½ ΠΈΠ»ΠΈ Π΄Ρ.).
- ΠΡΠ·Π²Π°ΡΡ Π±ΡΠΈΠ³Π°Π΄Ρ ΡΠΊΠΎΡΠΎΠΉ ΠΏΠΎΠΌΠΎΡΠΈ.
- ΠΡΠΈ Π½Π°Π»ΠΈΡΠΈΠΈ ΡΠ°Π½Ρ ΠΎΠ±ΡΠ°Π±ΠΎΡΠ°ΡΡ Π΅Π΅ Π°Π½ΡΠΈΡΠ΅ΠΏΡΠΈΡΠ΅ΡΠΊΠΈΠΌ ΡΠ°ΡΡΠ²ΠΎΡΠΎΠΌ ΠΈ Π½Π°Π»ΠΎΠΆΠΈΡΡ ΠΏΠΎΠ²ΡΠ·ΠΊΡ ΠΈΠ· ΡΡΠ΅ΡΠΈΠ»ΡΠ½ΠΎΠ³ΠΎ Π±ΠΈΠ½ΡΠ°.
- ΠΡΠΈ Π½Π°Π»ΠΈΡΠΈΠΈ ΡΠΈΠ»ΡΠ½ΠΎΠ³ΠΎ ΠΊΡΠΎΠ²ΠΎΡΠ΅ΡΠ΅Π½ΠΈΡ ΠΏΡΠΎΠ²Π΅ΡΡΠΈ Π΅Π³ΠΎ ΠΎΡΡΠ°Π½ΠΎΠ²ΠΊΡ Π½Π°Π»ΠΎΠΆΠ΅Π½ΠΈΠ΅ΠΌ ΠΆΠ³ΡΡΠ°, ΠΏΡΠΈΠΊΡΠ΅ΠΏΠΈΠ² ΠΊ Π½Π΅ΠΌΡ Π·Π°ΠΏΠΈΡΠΊΡ ΠΎ Π²ΡΠ΅ΠΌΠ΅Π½ΠΈ Π½Π°Π»ΠΎΠΆΠ΅Π½ΠΈΡ.
- ΠΡΠΏΠΎΠ»Π½ΠΈΡΡ ΠΈΠΌΠΌΠΎΠ±ΠΈΠ»ΠΈΠ·Π°ΡΠΈΡ ΠΏΠΎΠ²ΡΠ΅ΠΆΠ΄Π΅Π½Π½ΠΎΠ³ΠΎ ΠΏΠ°Π»ΡΡΠ° ΠΏΡΠΈ ΠΏΠΎΠΌΠΎΡΠΈ ΠΏΠΎΠ΄ΡΡΡΠ½ΡΡ ΡΡΠ΅Π΄ΡΡΠ² (Π²Π΅ΡΠΎΠΊ, Π΄Π΅ΡΠ΅Π²ΡΠ½Π½ΡΡ ΠΏΠ°Π»ΠΎΡΠ΅ΠΊ, ΠΏΡΠΎΠ²ΠΎΠ»ΠΎΠΊΠΈ ΠΈ Ρ. ΠΏ.). ΠΠΎΠ»ΠΎΠΆΠ΅Π½ΠΈΠ΅ ΠΏΠ°Π»ΡΡΠ° ΠΏΡΠΈ ΡΡΠΎΠΌ Π΄ΠΎΠ»ΠΆΠ½ΠΎ Π±ΡΡΡ ΡΠ°ΠΊΠΈΠΌ, Π² ΠΊΠΎΡΠΎΡΠΎΠΌ ΠΏΠΎΡΡΡΠ°Π΄Π°Π²ΡΠΈΠΉ ΠΎΡΡΡΠ°Π΅Ρ Π½Π°ΠΈΠΌΠ΅Π½ΡΡΡΡ Π±ΠΎΠ»Ρ. ΠΠ΄ΠΈΠ½ ΠΊΠΎΠ½Π΅Ρ ΠΈΠΌΠΏΡΠΎΠ²ΠΈΠ·ΠΈΡΠΎΠ²Π°Π½Π½ΠΎΠΉ ΡΠΈΠ½Ρ ΠΊΡΠ΅ΠΏΠΈΡΡΡ ΠΊ ΠΏΠΎΠ²ΡΠ΅ΠΆΠ΄Π΅Π½Π½ΠΎΠΌΡ ΠΏΠ°Π»ΡΡΡ (ΠΏΡΠΈ ΡΡΠΎΠΌ Π΅Π΅ ΠΊΠΎΠ½Π΅Ρ Π΄ΠΎΠ»ΠΆΠ΅Π½ Π±ΡΡΡ Π²ΡΡΠ΅ ΠΏΠ°Π»ΡΡΠ° Π½Π° 2-3 ΡΠΌ). ΠΡΡΠ³ΠΎΠΉ ΠΊΠΎΠ½Π΅Ρ Π΄ΠΎΠ»ΠΆΠ΅Π½ Π»Π΅ΡΡ Π½Π° Π»Π°Π΄ΠΎΠ½Ρ ΠΈ ΠΏΡΠ΅Π΄ΠΏΠ»Π΅ΡΡΠ΅. ΠΠΎΡΠ»Π΅ ΡΡΠΎΠ³ΠΎ ΡΠΈΠ½Π° ΡΠΈΠΊΡΠΈΡΡΠ΅ΡΡΡ Π±ΠΈΠ½ΡΠΎΠΌ. ΠΠΈΠ½ΡΠΎΠ²Π°Π½ΠΈΠ΅ Π²ΡΠΏΠΎΠ»Π½ΡΠ΅ΡΡΡ ΠΏΠΎ Π½Π°ΠΏΡΠ°Π²Π»Π΅Π½ΠΈΡ ΠΎΡ Π»ΠΎΠΊΡΡ ΠΊ ΠΏΠ°Π»ΡΡΠ°ΠΌ. ΠΡΠΈ Π½Π΅Π²ΠΎΠ·ΠΌΠΎΠΆΠ½ΠΎΡΡΠΈ Π½Π°Π»ΠΎΠΆΠ΅Π½ΠΈΡ ΡΠΈΠ½Ρ ΡΡΠ°Π²ΠΌΠΈΡΠΎΠ²Π°Π½Π½ΡΠΉ ΠΏΠ°Π»Π΅Ρ ΠΏΡΠΈΠ±ΠΈΠ½ΡΠΎΠ²ΡΠ²Π°Π΅ΡΡΡ ΠΊ ΡΠΎΡΠ΅Π΄Π½Π΅ΠΌΡ. ΠΠΎΡΠ»Π΅ Π²ΡΠΏΠΎΠ»Π½Π΅Π½ΠΈΡ ΠΎΠ±Π΅Π·Π΄Π²ΠΈΠΆΠΈΠ²Π°Π½ΠΈΡ ΠΏΠ°Π»ΡΡΠ° Π΄Π»Ρ Π±ΠΎΠ»ΡΡΠ΅ΠΉ Π½Π°Π΄Π΅ΠΆΠ½ΠΎΡΡΠΈ ΡΡΠΊΡ ΠΈΠΌΠΌΠΎΠ±ΠΈΠ»ΠΈΠ·ΡΡΡ ΠΊΠΎΡΡΠ½ΠΎΡΠ½ΠΎΠΉ ΠΏΠΎΠ²ΡΠ·ΠΊΠΎΠΉ.
- ΠΡΠΈΠ»ΠΎΠΆΠΈΡΡ ΠΊ ΠΎΠ±Π»Π°ΡΡΠΈ ΡΡΠ°Π²ΠΌΡ Π»Π΅Π΄ ΠΈ ΡΠ½ΠΈΠΌΠ°ΡΡ Π΅Π³ΠΎ ΡΠ΅ΡΠ΅Π· ΠΊΠ°ΠΆΠ΄ΡΠ΅ 5-10 ΠΌΠΈΠ½ΡΡ Π½Π° 2 ΠΌΠΈΠ½ΡΡΡ Π΄Π»Ρ ΠΏΡΠΎΡΠΈΠ»Π°ΠΊΡΠΈΠΊΠΈ ΠΎΠ±ΠΌΠΎΡΠΎΠΆΠ΅Π½ΠΈΡ.
ΠΠΎΠ·ΠΌΠΎΠΆΠ½ΡΠ΅ ΠΎΡΠ»ΠΎΠΆΠ½Π΅Π½ΠΈΡ ΠΏΡΠΈ ΡΠ°ΠΌΠΎΠ»Π΅ΡΠ΅Π½ΠΈΠΈ ΠΈΠ»ΠΈ Π½Π΅Π°Π΄Π΅ΠΊΠ²Π°ΡΠ½ΠΎΠΌ Π»Π΅ΡΠ΅Π½ΠΈΠΈ
ΠΡΠΈ Π½Π΅ΠΏΡΠ°Π²ΠΈΠ»ΡΠ½ΠΎΠΌ Π»Π΅ΡΠ΅Π½ΠΈΠΈ ΠΏΠ΅ΡΠ΅Π»ΠΎΠΌ ΠΏΠ°Π»ΡΡΠ΅Π² ΡΡΠΊΠΈ ΠΌΠΎΠΆΠ΅Ρ ΠΏΡΠΈΠ²ΠΎΠ΄ΠΈΡΡ ΠΊ ΡΠ°ΠΊΠΈΠΌ ΠΎΡΠ»ΠΎΠΆΠ½Π΅Π½ΠΈΡΠΌ:
- ΠΠ±ΡΠ°Π·ΠΎΠ²Π°Π½ΠΈΠ΅ ΠΏΡΠ΅Π²Π΄ΠΎΠ°ΡΡΡΠΎΠ·Π° (Π»ΠΎΠΆΠ½ΠΎΠ³ΠΎ ΡΡΡΡΠ°Π²Π°). Π’Π°ΠΊΠΎΠ΅ ΠΎΡΠ»ΠΎΠΆΠ½Π΅Π½ΠΈΠ΅ ΠΏΡΠΈΠ²ΠΎΠ΄ΠΈΡ ΠΊ ΡΠ³ΠΈΠ±Π°Π½ΠΈΡ ΠΏΠ°Π»ΡΡΠ° Π² ΡΠΎΠΌ ΠΌΠ΅ΡΡΠ΅, Π² ΠΊΠΎΡΠΎΡΠΎΠΌ Π² Π½ΠΎΡΠΌΠ΅ ΠΎΠ½ Π½Π΅ ΡΠ³ΠΈΠ±Π°Π΅ΡΡΡ. ΠΠ½ΠΎ ΠΌΠΎΠΆΠ΅Ρ ΡΠ°Π·Π²ΠΈΠ²Π°ΡΡΡΡ ΠΏΡΠΈ Π½Π΅Π΄ΠΎΡΡΠ°ΡΠΎΡΠ½ΠΎΠΉ ΠΈΠΌΠΌΠΎΠ±ΠΈΠ»ΠΈΠ·Π°ΡΠΈΠΈ. Π ΡΠ΅Π·ΡΠ»ΡΡΠ°ΡΠ΅ ΠΎΡΠ»ΠΎΠΌΠΊΠΈ ΡΠΎ Π²ΡΠ΅ΠΌΠ΅Π½Π΅ΠΌ ΡΡΠΈΡΠ°ΡΡΡΡ Π΄ΡΡΠ³ ΠΎΠ± Π΄ΡΡΠ³Π°, Π·Π°ΠΊΡΡΠ³Π»ΡΡΡΡΡ ΠΈ ΠΊΠΎΡΡΠ½ΡΠΉ ΠΊΠ°Π½Π°Π» Π² Π½ΠΈΡ Π·Π°ΡΠ°ΡΡΠ°Π΅Ρ, Π° ΠΎΠ΄Π½Π° ΠΊΠΎΡΡΡ ΡΠ°Π·Π΄Π΅Π»ΡΠ΅ΡΡΡ Π½Π° Π΄Π²Π΅ ΠΊΠΎΡΠΎΡΠΊΠΈΠ΅. ΠΠ΅ΠΆΠ΄Ρ Π½ΠΈΠΌΠΈ ΠΏΡΠΈΡΡΡΡΡΠ²ΡΠ΅Ρ Π½Π΅Π±ΠΎΠ»ΡΡΠΎΠΉ ΠΏΡΠΎΡΠ²Π΅Ρ, ΠΈ ΠΏΠ°Π»Π΅Ρ ΠΏΡΠΈΠΎΠ±ΡΠ΅ΡΠ°Π΅Ρ ΠΏΠ°ΡΠΎΠ»ΠΎΠ³ΠΈΡΠ΅ΡΠΊΡΡ ΠΏΠΎΠ΄Π²ΠΈΠΆΠ½ΠΎΡΡΡ. Π’Π°ΠΊΠΎΠ΅ ΠΎΡΠ»ΠΎΠΆΠ½Π΅Π½ΠΈΠ΅ ΠΌΠΎΠΆΠ΅Ρ ΡΡΡΡΠ°Π½ΡΡΡΡΡ ΡΠΎΠ»ΡΠΊΠΎ ΠΏΡΠΈ ΠΏΠΎΠΌΠΎΡΠΈ Ρ ΠΈΡΡΡΠ³ΠΈΡΠ΅ΡΠΊΠΎΠ³ΠΎ Π²ΠΌΠ΅ΡΠ°ΡΠ΅Π»ΡΡΡΠ²Π°. Π Π΄Π°Π»ΡΠ½Π΅ΠΉΡΠ΅ΠΌ ΡΡΠ°Π²ΠΌΠΈΡΠΎΠ²Π°Π½Π½ΡΠΉ ΠΏΠ°Π»Π΅Ρ ΡΡΠ°Π½ΠΎΠ²ΠΈΡΡΡ ΠΊΠΎΡΠΎΡΠ΅.
- Π€ΠΎΡΠΌΠΈΡΠΎΠ²Π°Π½ΠΈΠ΅ ΡΡΠ΅Π·ΠΌΠ΅ΡΠ½ΠΎ Π±ΠΎΠ»ΡΡΠΎΠΉ ΠΊΠΎΡΡΠ½ΠΎΠΉ ΠΌΠΎΠ·ΠΎΠ»ΠΈ. ΠΡΠΈ Π½Π΅ΠΏΡΠ°Π²ΠΈΠ»ΡΠ½ΠΎΠΌ ΡΠΎΠΏΠΎΡΡΠ°Π²Π»Π΅Π½ΠΈΠΈ ΠΎΡΠ»ΠΎΠΌΠΊΠΎΠ² ΡΠ°Π·Π²ΠΈΠ²Π°Π΅ΡΡΡ Π³ΠΈΠ³Π°Π½ΡΡΠΊΠ°Ρ ΠΊΠΎΡΡΠ½Π°Ρ ΠΌΠΎΠ·ΠΎΠ»Ρ, ΠΊΠΎΡΠΎΡΠ°Ρ Π½Π΅ ΡΠΎΠ»ΡΠΊΠΎ ΠΏΡΠΈΠ²ΠΎΠ΄ΠΈΡ ΠΊ ΡΠΎΡΠΌΠΈΡΠΎΠ²Π°Π½ΠΈΡ ΠΊΠΎΡΠΌΠ΅ΡΠΈΡΠ΅ΡΠΊΠΎΠ³ΠΎ Π΄Π΅ΡΠ΅ΠΊΡΠ°, Π½ΠΎ ΠΈ Π²ΡΠ·ΡΠ²Π°Π΅Ρ ΠΎΠ³ΡΠ°Π½ΠΈΡΠ΅Π½ΠΈΡ Π² Π΄Π²ΠΈΠΆΠ΅Π½ΠΈΡΡ ΠΏΠΎΠ²ΡΠ΅ΠΆΠ΄Π΅Π½Π½ΠΎΠ³ΠΎ ΠΏΠ°Π»ΡΡΠ°.
- ΠΠΎΡΠ²Π»Π΅Π½ΠΈΠ΅ ΠΊΠΎΠ½ΡΡΠ°ΠΊΡΡΡ. ΠΡΠΈ Π½Π΅ΠΏΡΠΎΡΠ΅ΡΡΠΈΠΎΠ½Π°Π»ΡΠ½ΠΎΠΌ Π»Π΅ΡΠ΅Π½ΠΈΠΈ Π²ΠΎΡΠΏΠ°Π»Π΅Π½ΠΈΠ΅ Π² ΠΎΠ±Π»Π°ΡΡΠΈ ΠΏΠΎΡΠ°ΠΆΠ΅Π½ΠΈΡ ΠΏΡΠΎΡΠ΅ΠΊΠ°Π΅Ρ Π΄Π»ΠΈΡΠ΅Π»ΡΠ½ΠΎ, Π° Π½Π΅ΠΏΡΠ°Π²ΠΈΠ»ΡΠ½Π°Ρ ΠΈΠΌΠΌΠΎΠ±ΠΈΠ»ΠΈΠ·Π°ΡΠΈΡ ΠΏΡΠΈΠ²ΠΎΠ΄ΠΈΡ ΠΊ ΡΠΊΠΎΡΠΎΡΠ΅Π½ΠΈΡ ΡΡΡ ΠΎΠΆΠΈΠ»ΠΈΠΉ. Π ΡΠ΅Π·ΡΠ»ΡΡΠ°ΡΠ΅ ΡΡΠ°Π²ΠΌΠΈΡΠΎΠ²Π°Π½Π½ΡΠΉ ΠΏΠ°Π»Π΅Ρ ΡΡΡΠ°ΡΠΈΠ²Π°Π΅Ρ ΡΠ²ΠΎΡ ΠΏΠΎΠ΄Π²ΠΈΠΆΠ½ΠΎΡΡΡ. Π£ΡΡΡΠ°Π½Π΅Π½ΠΈΠ΅ ΡΠ°ΠΊΠΈΡ ΠΎΡΠ»ΠΎΠΆΠ½Π΅Π½ΠΈΠΉ Π²ΡΠ΅Π³Π΄Π° Π΄Π»ΠΈΡΠ΅Π»ΡΠ½ΠΎΠ΅ ΠΈ ΡΠΎΠΏΡΠΎΠ²ΠΎΠΆΠ΄Π°Π΅ΡΡΡ Π±ΠΎΠ»ΡΠΌΠΈ ΠΏΡΠΈ ΠΏΡΠΎΡΠ΅Π΄ΡΡΠ°Ρ ΡΠ°ΡΡΡΠ³ΠΈΠ²Π°Π½ΠΈΡ ΡΠΊΠΎΡΠΎΡΠ΅Π½Π½ΠΎΠ³ΠΎ ΡΡΡ ΠΎΠΆΠΈΠ»ΠΈΡ.
- ΠΠ΅ΠΏΡΠ°Π²ΠΈΠ»ΡΠ½ΠΎΠ΅ ΡΡΠ°ΡΠ΅Π½ΠΈΠ΅. ΠΡΠΈ Π½Π΅ΠΏΡΠ°Π²ΠΈΠ»ΡΠ½ΠΎΠΌ ΡΠΎΠΏΠΎΡΡΠ°Π²Π»Π΅Π½ΠΈΠΈ ΠΎΡΠ»ΠΎΠΌΠΊΠΎΠ² ΠΎΠ΄ΠΈΠ½ ΠΈΠ· Π½ΠΈΡ ΡΠΌΠ΅ΡΠ°Π΅ΡΡΡ ΠΈ ΠΏΠΎΡΠ»Π΅ ΡΡΠ°ΡΡΠ°Π½ΠΈΡ ΠΎΠΊΠ°Π·ΡΠ²Π°Π΅ΡΡΡ Π² Π½Π΅ΡΠΈΠ·ΠΈΠΎΠ»ΠΎΠ³ΠΈΡΠ½ΠΎΠΌ ΠΏΠΎΠ»ΠΎΠΆΠ΅Π½ΠΈΠΈ. Π ΡΠ΅Π·ΡΠ»ΡΡΠ°ΡΠ΅ Π΄Π²ΠΈΠΆΠ΅Π½ΠΈΡ ΡΡΠ°Π²ΠΌΠΈΡΠΎΠ²Π°Π½Π½ΠΎΠ³ΠΎ ΠΏΠ°Π»ΡΡΠ° Π½Π΅ ΠΌΠΎΠ³ΡΡ ΠΎΡΡΡΠ΅ΡΡΠ²Π»ΡΡΡΡΡ Π² ΠΏΠΎΠ»Π½ΠΎΠΉ ΠΌΠ΅ΡΠ΅.
- Π€ΠΎΡΠΌΠΈΡΠΎΠ²Π°Π½ΠΈΠ΅ Π°Π½ΠΊΠΈΠ»ΠΎΠ·Π° (ΠΏΠΎΠ»Π½ΠΎΠΉ Π½Π΅ΠΏΠΎΠ΄Π²ΠΈΠΆΠ½ΠΎΡΡΠΈ ΡΡΡΡΠ°Π²Π°). Π’Π°ΠΊΠΎΠ΅ ΠΎΡΠ»ΠΎΠΆΠ½Π΅Π½ΠΈΠ΅ ΠΌΠΎΠΆΠ΅Ρ ΡΠ°Π·Π²ΠΈΠ²Π°ΡΡΡΡ ΠΏΡΠΈ ΠΏΠ΅ΡΠ΅Π»ΠΎΠΌΠ°Ρ Π² ΠΎΠ±Π»Π°ΡΡΠΈ ΡΡΡΡΠ°Π²Π½ΡΡ ΠΏΠΎΠ²Π΅ΡΡ Π½ΠΎΡΡΠ΅ΠΉ. ΠΡΠΈ Π½Π΅ΠΏΡΠ°Π²ΠΈΠ»ΡΠ½ΠΎΠΌ Π»Π΅ΡΠ΅Π½ΠΈΠΈ ΠΎΠ½ΠΈ ΠΏΠΎΠ»Π½ΠΎΡΡΡΡ ΡΡΠ°ΡΡΠ°ΡΡΡΡ, ΡΡΠ°Π½ΠΎΠ²ΡΡΡΡ Π½Π΅ΠΏΠΎΠ΄Π²ΠΈΠΆΠ½ΡΠΌΠΈ, ΠΈ ΠΏΠ°Π»Π΅Ρ ΠΏΠΎΠ»Π½ΠΎΡΡΡΡ ΡΡΡΠ°ΡΠΈΠ²Π°Π΅Ρ ΡΠ²ΠΎΠΈ ΡΡΠ½ΠΊΡΠΈΠΈ. ΠΠ½ΠΊΠΈΠ»ΠΎΠ· ΠΌΠΎΠΆΠ΅Ρ ΠΏΡΠΈΠ²ΠΎΠ΄ΠΈΡΡ ΠΏΠΎΡΡΡΠ°Π΄Π°Π²ΡΠ΅Π³ΠΎ ΠΊ ΠΈΠ½Π²Π°Π»ΠΈΠ΄Π½ΠΎΡΡΠΈ, Ρ. ΠΊ. ΠΏΠΎΠΊΠ° Π½Π΅ ΡΡΡΠ΅ΡΡΠ²ΡΠ΅Ρ ΠΌΠ΅ΡΠΎΠ΄ΠΎΠ² Π»Π΅ΡΠ΅Π½ΠΈΡ ΡΠ°ΠΊΠΎΠ³ΠΎ ΠΎΡΠ»ΠΎΠΆΠ½Π΅Π½ΠΈΡ.
- ΠΡΡΠ΅ΠΎΠΌΠΈΠ΅Π»ΠΈΡ. Π’Π°ΠΊΠΎΠ΅ ΠΎΡΠ»ΠΎΠΆΠ½Π΅Π½ΠΈΠ΅ Π²ΠΎΠ·Π½ΠΈΠΊΠ°Π΅Ρ ΠΏΡΠΈ ΠΈΠ½ΡΠΈΡΠΈΡΠΎΠ²Π°Π½ΠΈΠΈ ΠΊΠΎΡΡΠ½ΠΎΠ³ΠΎ ΠΌΠΎΠ·Π³Π° ΠΏΡΠΈ ΠΎΡΠΊΡΡΡΠΎΠΌ ΠΏΠ΅ΡΠ΅Π»ΠΎΠΌΠ΅ Π² ΠΌΠΎΠΌΠ΅Π½Ρ ΡΡΠ°Π²ΠΌΡ ΠΈΠ»ΠΈ ΠΏΠΎΡΠ»Π΅ ΠΎΠΏΠ΅ΡΠ°ΡΠΈΠΈ. ΠΠ°Π±ΠΎΠ»Π΅Π²Π°Π½ΠΈΠ΅ ΡΠΎΠΏΡΠΎΠ²ΠΎΠΆΠ΄Π°Π΅ΡΡΡ ΡΠΈΠ»ΡΠ½ΡΠΌΠΈ Π±ΠΎΠ»ΡΠΌΠΈ ΠΈ ΡΠ°ΡΡΠΎ ΡΡΠ°Π½ΠΎΠ²ΠΈΡΡΡ Ρ ΡΠΎΠ½ΠΈΡΠ΅ΡΠΊΠΈΠΌ. ΠΠΎΡΠ»Π΅ ΡΡΠ°ΡΡΠ°Π½ΠΈΡ ΠΊΠΎΡΡΠΈ Ρ ΠΏΠΎΡΡΡΠ°Π΄Π°Π²ΡΠ΅Π³ΠΎ ΠΏΠ΅ΡΠΈΠΎΠ΄ΠΈΡΠ΅ΡΠΊΠΈ ΠΏΠΎΡΠ²Π»ΡΡΡΡΡ ΠΎΠ±ΠΎΡΡΡΠ΅Π½ΠΈΡ ΠΎΡΡΠ΅ΠΎΠΌΠΈΠ΅Π»ΠΈΡΠ°, Π΄ΠΎΡΡΠ°Π²Π»ΡΡΡΠΈΠ΅ ΡΠΈΠ»ΡΠ½ΡΠ΅ ΡΡΡΠ°Π΄Π°Π½ΠΈΡ. ΠΠ΅ΡΠ΅Π½ΠΈΠ΅ ΡΡΠΎΠ³ΠΎ ΠΎΡΠ»ΠΎΠΆΠ½Π΅Π½ΠΈΡ ΠΌΠΎΠΆΠ΅Ρ Π±ΡΡΡ ΡΠΎΠ»ΡΠΊΠΎ Ρ ΠΈΡΡΡΠ³ΠΈΡΠ΅ΡΠΊΠΈΠΌ.
ΠΠΈΠ°Π³Π½ΠΎΡΡΠΈΠΊΠ°
ΠΠΎΡΠ»Π΅ ΠΎΠΏΡΠΎΡΠ° ΠΈ ΠΎΡΠΌΠΎΡΡΠ° ΠΏΠΎΡΡΡΠ°Π΄Π°Π²ΡΠ΅Π³ΠΎ ΠΈ ΡΡΠΎΡΠ½Π΅Π½ΠΈΡ Π²ΡΠ΅Ρ ΠΎΠ±ΡΡΠΎΡΡΠ΅Π»ΡΡΡΠ² ΡΡΠ°Π²ΠΌΡ Π΄Π»Ρ ΠΏΠΎΠ΄ΡΠ²Π΅ΡΠΆΠ΄Π΅Π½ΠΈΡ Π΄ΠΈΠ°Π³Π½ΠΎΠ·Π° Β«ΠΏΠ΅ΡΠ΅Π»ΠΎΠΌ ΠΏΠ°Π»ΡΡΠ°Β» Π²ΡΠ°Ρ Π½Π°Π·Π½Π°ΡΠ°Π΅Ρ ΡΠ΅Π½ΡΠ³Π΅Π½ΠΎΠ³ΡΠ°ΠΌΠΌΡ ΠΎΡΠ΄Π΅Π»ΡΠ½ΠΎΠ³ΠΎ ΠΏΠ°Π»ΡΡΠ° ΠΈΠ»ΠΈ Π²ΡΠ΅ΠΉ ΠΊΠΈΡΡΠΈ. Π‘Π½ΠΈΠΌΠΊΠΈ Π²ΡΠΏΠΎΠ»Π½ΡΡΡΡΡ Π² Π΄Π²ΡΡ ΠΏΡΠΎΠ΅ΠΊΡΠΈΡΡ β ΠΏΡΡΠΌΠΎΠΉ ΠΈ Π±ΠΎΠΊΠΎΠ²ΠΎΠΉ. Π Π΄Π°Π»ΡΠ½Π΅ΠΉΡΠ΅ΠΌ ΠΎΠ½ΠΈ Π΄Π°ΡΡ Π²ΠΎΠ·ΠΌΠΎΠΆΠ½ΠΎΡΡΡ ΡΠΎΡΡΠ°Π²ΠΈΡΡ ΠΏΠΎΠ»Π½ΡΡ ΠΊΠ°ΡΡΠΈΠ½Ρ ΠΏΠ΅ΡΠ΅Π»ΠΎΠΌΠ° β Π΅Π³ΠΎ ΡΠΎΡΠΌΡ, ΡΠΎΡΠ½ΠΎΠ΅ ΡΠ°ΡΠΏΠΎΠ»ΠΎΠΆΠ΅Π½ΠΈΠ΅ ΠΈ Π³Π»ΡΠ±ΠΈΠ½Ρ β ΠΈ Π½Π°Π·Π½Π°ΡΠΈΡΡ Π½Π°ΠΈΠ±ΠΎΠ»Π΅Π΅ ΡΡΡΠ΅ΠΊΡΠΈΠ²Π½ΠΎΠ΅ Π»Π΅ΡΠ΅Π½ΠΈΠ΅.
ΠΠΎΡΠ»Π΅ ΡΠ½ΡΡΠΈΡ Π³ΠΈΠΏΡΠ° ΠΎΠ±ΡΠ·Π°ΡΠ΅Π»ΡΠ½ΠΎ Π²ΡΠΏΠΎΠ»Π½ΡΠ΅ΡΡΡ ΠΏΠΎΠ²ΡΠΎΡΠ½Π°Ρ ΡΠ΅Π½ΡΠ³Π΅Π½ΠΎΠ³ΡΠ°ΠΌΠΌΠ°, ΠΏΠΎΠ·Π²ΠΎΠ»ΡΡΡΠ°Ρ ΠΏΡΠΎΠΊΠΎΠ½ΡΡΠΎΠ»ΠΈΡΠΎΠ²Π°ΡΡ ΠΊΠ°ΡΠ΅ΡΡΠ²ΠΎ Π·Π°ΠΆΠΈΠ²Π»Π΅Π½ΠΈΡ ΠΈ ΠΏΠΎΠ΄ΡΠ²Π΅ΡΠ΄ΠΈΡΡ ΠΏΡΠ°Π²ΠΈΠ»ΡΠ½ΠΎΡΡΡ ΡΠ°ΡΠΏΠΎΠ»ΠΎΠΆΠ΅Π½ΠΈΡ Π²Π½ΡΡΡΠΈΠΊΠΎΡΡΠ½ΡΡ ΠΏΡΠΈΡΠΏΠΎΡΠΎΠ±Π»Π΅Π½ΠΈΠΉ Π΄Π»Ρ ΡΠΈΠΊΡΠ°ΡΠΈΠΈ ΠΎΡΠ»ΠΎΠΌΠΊΠΎΠ² (Π΅ΡΠ»ΠΈ ΡΠ°ΠΊΠΈΠ΅ ΠΈΡΠΏΠΎΠ»ΡΠ·ΠΎΠ²Π°Π»ΠΈΡΡ).
ΠΠ΅ΡΠ΅Π½ΠΈΠ΅
Π’Π°ΠΊΡΠΈΠΊΠ° Π»Π΅ΡΠ΅Π½ΠΈΡ ΠΏΠ΅ΡΠ΅Π»ΠΎΠΌΠΎΠ² ΠΏΠ°Π»ΡΡΠ΅Π² Π½Π° ΡΡΠΊΠ°Ρ ΠΎΠΏΡΠ΅Π΄Π΅Π»ΡΠ΅ΡΡΡ ΠΈΡ ΡΡΠΆΠ΅ΡΡΡΡ. ΠΠΎΠ³ΡΡ ΠΏΡΠΈΠΌΠ΅Π½ΡΡΡΡΡ ΡΠ»Π΅Π΄ΡΡΡΠΈΠ΅ ΠΌΠ΅ΡΠΎΠ΄ΠΈΠΊΠΈ:
- Π·Π°ΠΊΡΡΡΠ°Ρ ΡΠ΅ΠΏΠΎΠ·ΠΈΡΠΈΡ;
- ΡΠΊΠ΅Π»Π΅ΡΠ½ΠΎΠ΅ Π²ΡΡΡΠΆΠ΅Π½ΠΈΠ΅;
- ΠΎΡΠΊΡΡΡΠ°Ρ ΡΠ΅ΠΏΠΎΠ·ΠΈΡΠΈΡ.
ΠΠ°ΠΊΡΡΡΠ°Ρ ΡΠ΅ΠΏΠΎΠ·ΠΈΡΠΈΡ
Π’Π°ΠΊΠΎΠΉ ΡΠΏΠΎΡΠΎΠ± Π»Π΅ΡΠ΅Π½ΠΈΡ ΠΌΠΎΠΆΠ΅Ρ ΠΈΡΠΏΠΎΠ»ΡΠ·ΠΎΠ²Π°ΡΡΡΡ ΠΏΡΠΈ Π·Π°ΠΊΡΡΡΡΡ ΠΏΡΠΎΡΡΡΡ ΠΏΠ΅ΡΠ΅Π»ΠΎΠΌΠ°Ρ ΡΠΎ ΡΠΌΠ΅ΡΠ΅Π½ΠΈΠ΅ΠΌ. ΠΠ΅ΡΠ΅Π΄ ΠΏΡΠΎΠ²Π΅Π΄Π΅Π½ΠΈΠ΅ΠΌ ΠΏΡΠΎΡΠ΅Π΄ΡΡΡ Π·Π°ΠΊΡΡΡΠΎΠΉ ΡΠ΅ΠΏΠΎΠ·ΠΈΡΠΈΠΈ ΠΏΡΠΎΠ²ΠΎΠ΄ΠΈΡΡΡ ΠΏΡΠΎΠ±Π° Π½Π° ΠΌΠ΅ΡΡΠ½ΡΠΉ Π°Π½Π΅ΡΡΠ΅ΡΠΈΠΊ (ΠΡΠΎΠΊΠ°ΠΈΠ½ ΠΈΠ»ΠΈ ΠΠΈΠ΄ΠΎΠΊΠ°ΠΈΠ½). ΠΡΠΈ ΠΎΡΡΡΡΡΡΠ²ΠΈΠΈ Π°Π»Π»Π΅ΡΠ³ΠΈΠΈ ΠΏΡΠ΅ΠΏΠ°ΡΠ°Ρ Π²Π²ΠΎΠ΄ΠΈΡΡΡ Π² ΠΎΠΊΡΡΠΆΠ°ΡΡΠΈΠ΅ ΠΎΠ±Π»Π°ΡΡΡ ΠΏΠ΅ΡΠ΅Π»ΠΎΠΌΠ° ΠΌΡΠ³ΠΊΠΈΠ΅ ΡΠΊΠ°Π½ΠΈ.
ΠΠΎΡΠ»Π΅ Π½Π°ΡΠ°Π»Π° Π΄Π΅ΠΉΡΡΠ²ΠΈΡ ΠΌΠ΅ΡΡΠ½ΠΎΠΉ Π°Π½Π΅ΡΡΠ΅Π·ΠΈΠΈ ΠΏΠ°Π»Π΅Ρ ΡΡΠ½ΡΡ ΠΏΠΎ Π΅Π³ΠΎ ΠΎΡΠΈ, ΠΈ ΡΠ³ΠΈΠ±Π°ΡΡ Π²ΡΠ΅ Π΅Π³ΠΎ ΡΡΡΡΠ°Π²Ρ ΡΠ°ΠΊ, ΡΡΠΎΠ±Ρ ΠΎΠ±ΡΠ°Π·ΠΎΠ²Π°Π»ΡΡ ΡΠ³ΠΎΠ» ΠΏΡΠΈΠΌΠ΅ΡΠ½ΠΎ Π² 120Β°. ΠΠ°Π»Π΅Π΅ ΠΏΡΠΎΠ²ΠΎΠ΄ΠΈΡΡΡ Π½Π°Π΄Π°Π²Π»ΠΈΠ²Π°Π½ΠΈΠ΅ Π½Π° ΡΠ³ΠΎΠ» ΠΏΠ΅ΡΠ΅Π»ΠΎΠΌΠ°, ΠΊΠΎΡΠΎΡΠΎΠ΅ ΡΡΠ°Π²ΠΈΡ ΠΎΡΠ»ΠΎΠΌΠΎΠΊ Π² Π½Π΅ΠΎΠ±Ρ ΠΎΠ΄ΠΈΠΌΠΎΠ΅ Π΄Π»Ρ ΡΡΠ°ΡΡΠ°Π½ΠΈΡ ΠΏΠΎΠ»ΠΎΠΆΠ΅Π½ΠΈΠ΅.
ΠΠΎΡΠ»Π΅ ΡΡΠΎΠ³ΠΎ Π²ΡΠΏΠΎΠ»Π½ΡΠ΅ΡΡΡ Π³ΠΈΠΏΡΠΎΠ²Π°Ρ ΠΏΠΎΠ²ΡΠ·ΠΊΠ°, ΠΎΠ±Π΅ΡΠΏΠ΅ΡΠΈΠ²Π°ΡΡΠ°Ρ Π½Π°Π΄Π΅ΠΆΠ½ΡΡ ΠΈΠΌΠΌΠΎΠ±ΠΈΠ»ΠΈΠ·Π°ΡΠΈΡ. ΠΠΈΠΏΡ Π½Π°ΠΊΠ»Π°Π΄ΡΠ²Π°Π΅ΡΡΡ ΠΎΡ Π²Π΅ΡΡ Π½Π΅ΠΉ ΡΡΠ΅ΡΠΈ ΠΏΡΠ΅Π΄ΠΏΠ»Π΅ΡΡΡ Π΄ΠΎ ΠΊΠΎΠ½ΡΠ° ΡΡΠ°Π²ΠΌΠΈΡΠΎΠ²Π°Π½Π½ΠΎΠ³ΠΎ ΠΏΠ°Π»ΡΡΠ° (ΠΏΡΠΈ ΡΡΠΎΠΌ ΠΏΠ°Π»Π΅Ρ ΠΎΡΡΠ°Π΅ΡΡΡ ΡΠ°ΡΡΠΈΡΠ½ΠΎ ΡΠΎΠ³Π½ΡΡΡΠΌ).
ΠΡΠΈ Π²ΡΠΏΠΎΠ»Π½Π΅Π½ΠΈΠΈ ΡΠ°ΠΊΠΎΠΉ ΠΏΠΎΠ²ΡΠ·ΠΊΠΈ ΠΎΠ±ΡΠ·Π°ΡΠ΅Π»ΡΠ½ΠΎ ΡΠ»Π΅Π΄ΡΠ΅Ρ ΠΏΠΎΠ·Π°Π±ΠΎΡΠΈΡΡΡΡ ΠΎ ΠΏΡΠ°Π²ΠΈΠ»ΡΠ½ΠΎΠΌ ΠΏΠΎΠ»ΠΎΠΆΠ΅Π½ΠΈΠΈ ΠΊΠΈΡΡΠΈ. ΠΠ½Π° Π΄ΠΎΠ»ΠΆΠ½Π° Π±ΡΡΡ ΡΠ°Π·ΠΎΠ³Π½ΡΡΠ° Π² Π»ΡΡΠ΅Π·Π°ΠΏΡΡΡΠ½ΠΎΠΌ ΡΡΡΡΠ°Π²Π΅ Π½Π° 30Β°, Π° ΡΠΎΠ³Π½ΡΡΡΠΉ ΠΏΠΎΠ²ΡΠ΅ΠΆΠ΄Π΅Π½Π½ΡΠΉ ΠΏΠ°Π»Π΅Ρ Π΄ΠΎΠ»ΠΆΠ΅Π½ ΡΠ»Π΅Π³ΠΊΠ° ΠΏΡΠΈΠΊΠ°ΡΠ°ΡΡΡΡ ΠΊ Π»Π°Π΄ΠΎΠ½ΠΈ. Π’Π°ΠΊΠΎΠ΅ ΠΏΠΎΠ»ΠΎΠΆΠ΅Π½ΠΈΠ΅ ΡΡΠΊΠΈ ΠΏΠΎΠ·Π²ΠΎΠ»ΡΠ΅Ρ ΠΏΡΠ΅Π΄ΡΠΏΡΠ΅Π΄ΠΈΡΡ ΡΠ°Π·Π²ΠΈΡΠΈΠ΅ ΠΊΠΎΠ½ΡΡΠ°ΠΊΡΡΡ ΠΈ ΠΏΠΎΠ²ΡΠΎΡΠ½ΠΎΠ΅ ΡΠΌΠ΅ΡΠ΅Π½ΠΈΠ΅ ΠΎΡΠ»ΠΎΠΌΠΊΠΎΠ².
ΠΠΎΡΠ»Π΅ Π½Π°Π»ΠΎΠΆΠ΅Π½ΠΈΡ Π³ΠΈΠΏΡΠ° ΠΏΠΎΡΡΡΠ°Π΄Π°Π²ΡΠ΅ΠΌΡ ΡΠ΅ΠΊΠΎΠΌΠ΅Π½Π΄ΡΠ΅ΡΡΡ Π΄Π΅ΡΠΆΠ°ΡΡ ΡΡΠΊΡ Π² ΠΏΡΠΈΠΏΠΎΠ΄Π½ΡΡΠΎΠΌ ΠΏΠΎΠ»ΠΎΠΆΠ΅Π½ΠΈΠΈ 2-3 Π΄Π½Ρ. Π’Π°ΠΊΠΎΠ΅ Π΅Π΅ ΠΏΠΎΠ»ΠΎΠΆΠ΅Π½ΠΈΠ΅ ΠΏΡΠ΅Π΄ΡΠΏΡΠ΅ΠΆΠ΄Π°Π΅Ρ ΠΏΠΎΡΠ²Π»Π΅Π½ΠΈΠ΅ Π²ΡΡΠ°ΠΆΠ΅Π½Π½ΡΡ ΠΎΡΠ΅ΠΊΠΎΠ². ΠΠ»Ρ ΡΡΡΡΠ°Π½Π΅Π½ΠΈΡ Π±ΠΎΠ»Π΅ΠΉ Π½Π°Π·Π½Π°ΡΠ°ΡΡΡΡ Π°Π½Π°Π»ΡΠ³Π΅ΡΠΈΠΊΠΈ.
Π‘ΠΊΠ΅Π»Π΅ΡΠ½ΠΎΠ΅ Π²ΡΡΡΠΆΠ΅Π½ΠΈΠ΅
Π’Π°ΠΊΠΎΠΉ ΡΠΏΠΎΡΠΎΠ± Π»Π΅ΡΠ΅Π½ΠΈΡ ΠΈΡΠΏΠΎΠ»ΡΠ·ΡΠ΅ΡΡΡ ΠΏΡΠΈ Π½Π΅Π²ΠΎΠ·ΠΌΠΎΠΆΠ½ΠΎΡΡΠΈ ΡΠΎΠΏΠΎΡΡΠ°Π²Π»Π΅Π½ΠΈΡ ΡΠΌΠ΅ΡΠ΅Π½ΠΈΠΉ ΠΏΡΡΠ΅ΠΌ Π·Π°ΠΊΡΡΡΠΎΠΉ ΡΠ΅ΠΏΠΎΠ·ΠΈΡΠΈΠΈ ΠΈΠ»ΠΈ Π² ΡΠ»ΡΡΠ°ΡΡ ΠΌΠ½ΠΎΠ³ΠΎΠΎΡΠΊΠΎΠ»ΡΡΠ°ΡΡΡ ΠΏΠ΅ΡΠ΅Π»ΠΎΠΌΠΎΠ². ΠΠ»Ρ ΠΎΠ±Π΅Π·Π±ΠΎΠ»ΠΈΠ²Π°Π½ΠΈΡ ΠΏΡΠΎΠ²ΠΎΠ΄ΠΈΡΡΡ ΠΌΠ΅ΡΡΠ½Π°Ρ Π°Π½Π΅ΡΡΠ΅Π·ΠΈΡ.
ΠΠ° ΡΡΠΊΡ Π½Π°ΠΊΠ»Π°Π΄ΡΠ²Π°Π΅ΡΡΡ ΡΠ°ΠΊΠΎΠΉ ΠΆΠ΅ Π³ΠΈΠΏΡΠΎΠ²ΡΠΉ Π»ΠΎΠ½Π³Π΅Ρ, ΠΊΠ°ΠΊ ΠΏΡΠΈ Π·Π°ΠΊΡΡΡΠΎΠΉ ΡΠ΅ΠΏΠΎΠ·ΠΈΡΠΈΠΈ, Π½ΠΎ Ρ ΠΎΠ΄Π½ΠΎΠΉ ΠΎΡΠΎΠ±Π΅Π½Π½ΠΎΡΡΡΡ. ΠΠ°ΠΏΡΠΎΡΠΈΠ² ΡΡΠ°Π²ΠΌΠΈΡΠΎΠ²Π°Π½Π½ΠΎΠ³ΠΎ ΠΏΠ°Π»ΡΡΠ° (Ρ Π»Π°Π΄ΠΎΠ½Π½ΠΎΠΉ ΡΡΠΎΡΠΎΠ½Ρ) ΠΏΡΠΈΠΊΡΠ΅ΠΏΠ»ΡΠ΅ΡΡΡ ΠΏΡΠΎΠ²ΠΎΠ»ΠΎΠΊΠ°, ΠΊΠΎΠ½Π΅Ρ ΠΊΠΎΡΠΎΡΠΎΠΉ Π΄Π»ΠΈΠ½Π½Π΅Π΅ ΠΏΠ°Π»ΡΡΠ° Π½Π° Π½Π΅ΡΠΊΠΎΠ»ΡΠΊΠΎ ΡΠ°Π½ΡΠΈΠΌΠ΅ΡΡΠΎΠ² ΠΈ ΡΠ½Π°Π±ΠΆΠ΅Π½ ΠΊΡΡΡΠΊΠΎΠΌ. ΠΡΠΏΠΎΠ»Π½ΡΠ΅ΡΡΡ ΡΠ΅ΠΏΠΎΠ·ΠΈΡΠΈΡ ΠΎΡΠ»ΠΎΠΌΠΊΠΎΠ² ΠΈ ΡΠ΅ΡΠ΅Π· ΠΌΡΠ³ΠΊΠΈΠ΅ ΡΠΊΠ°Π½ΠΈ ΠΏΡΠΎΠ²ΠΎΠ΄ΡΡΡΡ ΡΠΊΠΎΠ±Ρ, Π±ΡΠ»Π°Π²ΠΊΠΈ ΠΈΠ»ΠΈ Π½ΠΈΡΠΈ. ΠΡΠΈ Π²ΡΠΏΠΎΠ»Π½Π΅Π½ΠΈΠΈ ΡΠ°ΠΊΠΈΡ ΠΊΠΎΠ½ΡΡΡΡΠΊΡΠΈΠΉ Π½Π° Π½ΠΎΠ³ΡΠ΅Π²ΠΎΠΉ ΡΠ°Π»Π°Π½Π³Π΅ Π½ΠΎΠ³ΡΠ΅Π²ΡΡ ΠΏΠ»Π°ΡΡΠΈΠ½Ρ ΠΏΠΎΠΊΡΡΠ²Π°ΡΡ Π½Π΅ΡΠΊΠΎΠ»ΡΠΊΠΈΠΌΠΈ ΡΠ»ΠΎΡΠΌΠΈ ΠΏΠΎΠ»ΠΈΠΌΠ΅ΡΠ½ΠΎΠ³ΠΎ Π»Π°ΠΊΠ° (Π΄Π»Ρ ΡΠΊΡΠ΅ΠΏΠ»Π΅Π½ΠΈΡ).
ΠΠΎΡΠ»Π΅ Π·Π°Π²Π΅ΡΡΠ΅Π½ΠΈΡ ΡΠΊΠ΅Π»Π΅ΡΠ½ΠΎΠ³ΠΎ Π²ΡΡΡΠΆΠ΅Π½ΠΈΡ ΠΏΠΎΡΡΡΠ°Π΄Π°Π²ΡΠ΅ΠΌΡ Π½Π°Π·Π½Π°ΡΠ°ΡΡΡΡ Π°Π½Π°Π»ΡΠ³Π΅ΡΠΈΠΊΠΈ, ΠΏΡΠΎΡΠΈΠ²ΠΎΠ²ΠΎΡΠΏΠ°Π»ΠΈΡΠ΅Π»ΡΠ½ΡΠ΅ ΠΈ Π°Π½ΡΠΈΠ±Π°ΠΊΡΠ΅ΡΠΈΠ°Π»ΡΠ½ΡΠ΅ ΡΡΠ΅Π΄ΡΡΠ²Π°.
ΠΡΠΊΡΡΡΠ°Ρ ΡΠ΅ΠΏΠΎΠ·ΠΈΡΠΈΡ
ΠΠΎΠΊΠ°Π·Π°Π½ΠΈΡΠΌΠΈ ΠΊ Π²ΡΠΏΠΎΠ»Π½Π΅Π½ΠΈΡ ΠΎΡΠΊΡΡΡΠΎΠΉ ΡΠ΅ΠΏΠΎΠ·ΠΈΡΠΈΠΈ (ΠΎΡΡΠ΅ΠΎΡΠΈΠ½ΡΠ΅Π·Π°) ΡΠ²Π»ΡΡΡΡΡ ΡΠ»Π΅Π΄ΡΡΡΠΈΠ΅ ΡΠ»ΡΡΠ°ΠΈ:
- ΠΎΡΠΊΡΡΡΡΠ΅ ΠΏΠ΅ΡΠ΅Π»ΠΎΠΌΡ;
- ΡΠ»ΠΎΠΆΠ½ΡΠ΅ ΠΌΠ½ΠΎΠ³ΠΎΠΎΡΠΊΠΎΠ»ΡΡΠ°ΡΡΠ΅ ΠΏΠ΅ΡΠ΅Π»ΠΎΠΌΡ;
- Π³Π½ΠΎΠΉΠ½ΡΠ΅ ΠΎΡΠ»ΠΎΠΆΠ½Π΅Π½ΠΈΡ Π½Π° ΡΠΎΠ½Π΅ Π΄ΡΡΠ³ΠΈΡ ΡΠΏΠΎΡΠΎΠ±ΠΎΠ² Π»Π΅ΡΠ΅Π½ΠΈΡ ΠΏΠ΅ΡΠ΅Π»ΠΎΠΌΠ°;
- Π½Π΅ΠΏΡΠ°Π²ΠΈΠ»ΡΠ½ΠΎ ΡΡΠΎΡΡΠΈΠΉΡΡ ΠΏΠ΅ΡΠ΅Π»ΠΎΠΌ.
ΠΠΏΠ΅ΡΠ°ΡΠΈΡ ΠΏΠΎ ΠΎΡΡΠ΅ΠΎΡΠΈΠ½ΡΠ΅Π·Ρ ΠΏΡΠΎΠ²ΠΎΠ΄ΠΈΡΡΡ ΠΏΠΎΠ΄ ΠΎΠ±ΡΠΈΠΌ Π½Π°ΡΠΊΠΎΠ·ΠΎΠΌ. ΠΠ»Ρ ΡΠΈΠΊΡΠ°ΡΠΈΠΈ ΠΎΡΠ»ΠΎΠΌΠΊΠΎΠ² Π² Π½Π΅ΠΎΠ±Ρ ΠΎΠ΄ΠΈΠΌΠΎΠΌ Π΄Π»Ρ ΠΏΡΠ°Π²ΠΈΠ»ΡΠ½ΠΎΠ³ΠΎ ΡΡΠ°ΡΡΠ°Π½ΠΈΡ ΠΏΠΎΠ»ΠΎΠΆΠ΅Π½ΠΈΠΈ ΠΈΡΠΏΠΎΠ»ΡΠ·ΡΡΡΡΡ ΡΠΏΠΈΡΡ ΠΈΠ»ΠΈ ΡΡΡΡΠΏΡ (Π² Π±ΠΎΠ»Π΅Π΅ ΡΠ΅Π΄ΠΊΠΈΡ ΡΠ»ΡΡΠ°ΡΡ ). ΠΠΎΡΠ»Π΅ Π·Π°Π²Π΅ΡΡΠ΅Π½ΠΈΡ ΠΎΠΏΠ΅ΡΠ°ΡΠΈΠΈ Π½Π°ΠΊΠ»Π°Π΄ΡΠ²Π°Π΅ΡΡΡ Π³ΠΈΠΏΡ.
Π ΡΡΠΈΡ ΠΆΠ΅ ΡΠ΅Π»ΡΡ ΠΌΠΎΠΆΠ΅Ρ ΠΏΡΠΈΠΌΠ΅Π½ΡΡΡΡΡ ΠΈ Π°ΠΏΠΏΠ°ΡΠ°Ρ ΠΠ»ΠΈΠ·Π°ΡΠΎΠ²Π°. ΠΠ½ ΡΠΏΠΎΡΠΎΠ±ΡΡΠ²ΡΠ΅Ρ Π±ΠΎΠ»Π΅Π΅ Π½Π°Π΄Π΅ΠΆΠ½ΠΎΠΉ ΡΠΈΠΊΡΠ°ΡΠΈΠΈ ΠΎΡΠ»ΠΎΠΌΠΊΠΎΠ² ΠΈ Π½Π΅ ΡΡΠ΅Π±ΡΠ΅Ρ Π½ΠΎΡΠ΅Π½ΠΈΡ Π³ΠΈΠΏΡΠΎΠ²ΠΎΠΉ ΠΏΠΎΠ²ΡΠ·ΠΊΠΈ. ΠΠ΄ΠΈΠ½ΡΡΠ²Π΅Π½Π½ΡΠΌ Π½Π΅Π΄ΠΎΡΡΠ°ΡΠΊΠΎΠΌ ΡΠ°ΠΊΠΎΠ³ΠΎ Π²Π½Π΅ΡΠ½Π΅Π³ΠΎ ΡΠΈΠΊΡΠ°ΡΠΎΡΠ° ΡΠ²Π»ΡΠ΅ΡΡΡ Π½Π΅ΠΎΠ±Ρ ΠΎΠ΄ΠΈΠΌΠΎΡΡΡ Π²ΡΠΏΠΎΠ»Π½Π΅Π½ΠΈΡ Π΅ΠΆΠ΅Π΄Π½Π΅Π²Π½ΠΎΠΉ ΠΎΠ±ΡΠ°Π±ΠΎΡΠΊΠΈ.
ΠΡΡΠ΅ΠΎΡΠΈΠ½ΡΠ΅Π· ΠΌΠΎΠΆΠ΅Ρ Π±ΡΡΡ:
- ΠΎΠ΄Π½ΠΎΡΡΠ°ΠΏΠ½ΡΠΌ β ΠΏΡΠΈΡΠΏΠΎΡΠΎΠ±Π»Π΅Π½ΠΈΡ Π΄Π»Ρ ΡΠΈΠΊΡΠ°ΡΠΈΠΈ ΠΎΡΡΠ°ΡΡΡΡ Π² ΠΊΠΎΡΡΡΡ Π½Π° Π²ΡΡ ΠΆΠΈΠ·Π½Ρ;
- Π΄Π²ΡΡ ΡΡΠ°ΠΏΠ½ΡΠΌ β ΠΏΡΠΈΡΠΏΠΎΡΠΎΠ±Π»Π΅Π½ΠΈΡ Π΄Π»Ρ ΡΠΈΠΊΡΠ°ΡΠΈΠΈ ΡΠ΄Π°Π»ΡΡΡΡΡ ΠΈΠ· ΠΊΠΎΡΡΠΈ ΡΠ΅ΡΠ΅Π· 3-4 Π½Π΅Π΄Π΅Π»ΠΈ.
ΠΠΎΡΠ»Π΅ Π·Π°Π²Π΅ΡΡΠ΅Π½ΠΈΡ ΠΎΡΡΠ΅ΠΎΡΠΈΠ½ΡΠ΅Π·Π° ΠΏΠΎΡΡΡΠ°Π΄Π°Π²ΡΠ΅ΠΌΡ Π½Π°Π·Π½Π°ΡΠ°ΡΡΡΡ Π°Π½Π°Π»ΡΠ³Π΅ΡΠΈΠΊΠΈ, ΠΏΡΠΎΡΠΈΠ²ΠΎΠ²ΠΎΡΠΏΠ°Π»ΠΈΡΠ΅Π»ΡΠ½ΡΠ΅ ΠΈ Π°Π½ΡΠΈΠ±Π°ΠΊΡΠ΅ΡΠΈΠ°Π»ΡΠ½ΡΠ΅ ΡΡΠ΅Π΄ΡΡΠ²Π°.
ΠΠ°ΠΊ Π΄ΠΎΠ»Π³ΠΎ Π΄ΠΎΠ»ΠΆΠ΅Π½ Π½ΠΎΡΠΈΡΡΡΡ Π³ΠΈΠΏΡ
Π Π·Π°Π²ΠΈΡΠΈΠΌΠΎΡΡΠΈ ΠΎΡ ΡΡΠΆΠ΅ΡΡΠΈ ΡΡΠ°Π²ΠΌΡ ΠΈ ΠΈΠ½ΡΡ ΡΠ°ΠΊΡΠΎΡΠΎΠ² ΠΏΡΠΎΠ΄ΠΎΠ»ΠΆΠΈΡΠ΅Π»ΡΠ½ΠΎΡΡΡ ΠΈΠΌΠΌΠΎΠ±ΠΈΠ»ΠΈΠ·Π°ΡΠΈΠΈ ΡΠΎΡΡΠ°Π²Π»ΡΠ΅Ρ ΠΎΡ 2-3 Π΄ΠΎ 6 Π½Π΅Π΄Π΅Π»Ρ.
ΠΠ»ΠΈΡΠ΅Π»ΡΠ½ΠΎΡΡΡ ΠΈΠΌΠΌΠΎΠ±ΠΈΠ»ΠΈΠ·Π°ΡΠΈΠΈ ΠΏΡΠΈ ΠΏΠ΅ΡΠ΅Π»ΠΎΠΌΠ°Ρ ΠΏΠ°Π»ΡΡΠ΅Π² Π½Π° ΡΡΠΊΠ°Ρ Π·Π°Π²ΠΈΡΠΈΡ ΠΎΡ ΡΡΠΆΠ΅ΡΡΠΈ ΡΡΠ°Π²ΠΌΡ, Π²ΠΎΠ·ΡΠ°ΡΡΠ° ΠΈ Π½Π°Π»ΠΈΡΠΈΡ ΡΠΎΠΏΡΡΡΡΠ²ΡΡΡΠΈΡ Π·Π°Π±ΠΎΠ»Π΅Π²Π°Π½ΠΈΠΉ, ΠΌΠ΅ΡΠ°ΡΡΠΈΡ ΡΡΠ°ΡΡΠ°Π½ΠΈΡ ΠΊΠΎΡΡΠ΅ΠΉ:
- ΠΏΡΠΈ ΠΏΡΠΎΡΡΡΡ ΠΏΠ΅ΡΠ΅Π»ΠΎΠΌΠ°Ρ Π±Π΅Π· ΡΠΌΠ΅ΡΠ΅Π½ΠΈΡ (ΠΏΠΎΡΠ»Π΅ Π·Π°ΠΊΡΡΡΠΎΠΉ ΡΠ΅ΠΏΠΎΠ·ΠΈΡΠΈΠΈ) Π³ΠΈΠΏΡ Π½ΠΎΡΠΈΡΡΡ 2-3 Π½Π΅Π΄Π΅Π»ΠΈ, Π° ΡΡΡΠ΄ΠΎΡΠΏΠΎΡΠΎΠ±Π½ΠΎΡΡΡ Π²ΠΎΡΡΡΠ°Π½Π°Π²Π»ΠΈΠ²Π°Π΅ΡΡΡ ΡΠ΅ΡΠ΅Π· 3-4 Π½Π΅Π΄Π΅Π»ΠΈ;
- ΠΏΡΠΈ ΠΏΡΠΎΡΡΡΡ ΠΈ ΠΌΠ½ΠΎΠ³ΠΎΠΎΡΠΊΠΎΠ»ΡΡΠ°ΡΡΡ ΠΏΠ΅ΡΠ΅Π»ΠΎΠΌΠ°Ρ ΡΠΎ ΡΠΌΠ΅ΡΠ΅Π½ΠΈΠ΅ΠΌ (ΠΏΠΎΡΠ»Π΅ ΡΠΊΠ΅Π»Π΅ΡΠ½ΠΎΠ³ΠΎ Π²ΡΡΡΠΆΠ΅Π½ΠΈΡ) Π³ΠΈΠΏΡ Π½ΠΎΡΠΈΡΡΡ 3-4 Π½Π΅Π΄Π΅Π»ΠΈ, Π° ΡΡΡΠ΄ΠΎΡΠΏΠΎΡΠΎΠ±Π½ΠΎΡΡΡ Π²ΠΎΡΡΡΠ°Π½Π°Π²Π»ΠΈΠ²Π°Π΅ΡΡΡ ΡΠ΅ΡΠ΅Π· 6-8 Π½Π΅Π΄Π΅Π»Ρ;
- ΠΏΡΠΈ ΡΠ»ΠΎΠΆΠ½ΡΡ ΠΏΠ΅ΡΠ΅Π»ΠΎΠΌΠ°Ρ (ΠΏΠΎΡΠ»Π΅ ΠΎΡΡΠ΅ΠΎΡΠΈΠ½ΡΠ΅Π·Π°) Π³ΠΈΠΏΡ Π½ΠΎΡΠΈΡΡΡ ΠΎΠΊΠΎΠ»ΠΎ 6 Π½Π΅Π΄Π΅Π»Ρ, Π° ΡΡΡΠ΄ΠΎΡΠΏΠΎΡΠΎΠ±Π½ΠΎΡΡΡ Π²ΠΎΡΡΡΠ°Π½Π°Π²Π»ΠΈΠ²Π°Π΅ΡΡΡ ΡΠ΅ΡΠ΅Π· 8-10 Π½Π΅Π΄Π΅Π»Ρ.
Π Π΅Π°Π±ΠΈΠ»ΠΈΡΠ°ΡΠΈΡ
ΠΠΎΡΠ»Π΅ ΡΠ½ΡΡΠΈΡ Π³ΠΈΠΏΡΠ° Π±ΠΎΠ»ΡΠ½ΠΎΠΌΡ Π½Π°Π·Π½Π°ΡΠ°Π΅ΡΡΡ ΠΏΡΠΎΠ³ΡΠ°ΠΌΠΌΠ° ΡΠ΅Π°Π±ΠΈΠ»ΠΈΡΠ°ΡΠΈΠΈ, ΠΎΠ±Π΅ΡΠΏΠ΅ΡΠΈΠ²Π°ΡΡΠ°Ρ Π½Π°ΠΈΠ±ΠΎΠ»Π΅Π΅ ΠΏΠΎΠ»Π½ΠΎΠ΅ Π²ΠΎΡΡΡΠ°Π½ΠΎΠ²Π»Π΅Π½ΠΈΠ΅ ΡΡΠ½ΠΊΡΠΈΠΉ ΡΡΠ°Π²ΠΌΠΈΡΠΎΠ²Π°Π½Π½ΠΎΠ³ΠΎ ΠΏΠ°Π»ΡΡΠ°. ΠΠ»Ρ ΡΡΠΎΠ³ΠΎ ΠΌΠΎΠ³ΡΡ ΡΠ΅ΠΊΠΎΠΌΠ΅Π½Π΄ΠΎΠ²Π°ΡΡΡΡ:
- ΠΊΠΎΠΌΠΏΠ»Π΅ΠΊΡΡ Π»Π΅ΡΠ΅Π±Π½ΠΎΠΉ Π³ΠΈΠΌΠ½Π°ΡΡΠΈΠΊΠΈ;
- ΠΊΡΡΡΡ ΠΌΠ°ΡΡΠ°ΠΆΠ°;
- ΡΠΈΠ·ΠΈΠΎΡΠ΅ΡΠ°ΠΏΠ΅Π²ΡΠΈΡΠ΅ΡΠΊΠΈΠ΅ ΠΏΡΠΎΡΠ΅Π΄ΡΡΡ: Π£ΠΠ§, ΡΠΎΠ»Π΅Π²ΡΠ΅ ΠΈ ΡΠΎΠ΄ΠΎΠ²ΡΠ΅ Π²Π°Π½Π½ΠΎΡΠΊΠΈ, Π°ΠΏΠΏΠ»ΠΈΠΊΠ°ΡΠΈΠΈ ΠΎΠ·ΠΎΠΊΠ΅ΡΠΈΡΠ°, ΠΌΠ΅Ρ Π°Π½ΠΎΡΠ΅ΡΠ°ΠΏΠΈΡ.
ΠΠ΅ΡΠ΅Π»ΠΎΠΌΡ ΠΏΠ°Π»ΡΡΠ΅Π² Π½Π° ΡΡΠΊΠ°Ρ ΡΠ²Π»ΡΡΡΡΡ ΡΠ°ΡΡΡΠΌΠΈ ΡΡΠ°Π²ΠΌΠ°ΠΌΠΈ. ΠΠ½ΠΈ Π½Π΅ Π΄ΠΎΠ»ΠΆΠ½Ρ Π»Π΅ΡΠΈΡΡΡΡ ΡΠ°ΠΌΠΎΡΡΠΎΡΡΠ΅Π»ΡΠ½ΠΎ ΠΈ Π²ΡΠ΅Π³Π΄Π° ΡΠ²Π»ΡΡΡΡΡ ΠΏΠΎΠ²ΠΎΠ΄ΠΎΠΌ Π΄Π»Ρ ΠΎΠ±ΡΠ°ΡΠ΅Π½ΠΈΡ ΠΊ ΡΠΏΠ΅ΡΠΈΠ°Π»ΠΈΡΡΡ. Π Π·Π°Π²ΠΈΡΠΈΠΌΠΎΡΡΠΈ ΠΎΡ ΡΡΠΆΠ΅ΡΡΠΈ ΡΡΠ°Π²ΠΌΡ Π²ΡΠ°Ρ ΡΠΌΠΎΠΆΠ΅Ρ Π²ΡΠ±ΡΠ°ΡΡ ΡΡΡΠ΅ΠΊΡΠΈΠ²Π½ΡΡ ΡΠ°ΠΊΡΠΈΠΊΡ Π»Π΅ΡΠ΅Π½ΠΈΡ, ΠΎΠ±Π΅ΡΠΏΠ΅ΡΠΈΠ²Π°ΡΡΡΡ Π½Π°ΠΈΠ±ΠΎΠ»Π΅Π΅ ΠΏΡΠ°Π²ΠΈΠ»ΡΠ½ΠΎΠ΅ ΡΡΠ°ΡΡΠ°Π½ΠΈΠ΅ ΠΎΡΠ»ΠΎΠΌΠΊΠΎΠ² ΠΈ ΠΏΠΎΠ»Π½ΠΎΠ΅ Π²ΠΎΡΡΡΠ°Π½ΠΎΠ²Π»Π΅Π½ΠΈΠ΅ ΡΡΠ½ΠΊΡΠΈΠΉ ΠΏΠ°Π»ΡΡΠ° Π² Π±ΡΠ΄ΡΡΠ΅ΠΌ.
Π ΠΊΠ°ΠΊΠΎΠΌΡ Π²ΡΠ°ΡΡ ΠΎΠ±ΡΠ°ΡΠΈΡΡΡΡ
ΠΡΠΈ ΠΏΠΎΠ΄ΠΎΠ·ΡΠ΅Π½ΠΈΠΈ Π½Π° ΠΏΠ΅ΡΠ΅Π»ΠΎΠΌ ΠΏΠ°Π»ΡΡΠ° ΡΡΠΊΠΈ Π½Π΅ΠΎΠ±Ρ ΠΎΠ΄ΠΈΠΌΠ° ΠΊΠΎΠ½ΡΡΠ»ΡΡΠ°ΡΠΈΡ ΠΎΡΡΠΎΠΏΠ΅Π΄Π°. ΠΠ»Ρ ΠΏΠΎΠ΄ΡΠ²Π΅ΡΠΆΠ΄Π΅Π½ΠΈΡ Π΄ΠΈΠ°Π³Π½ΠΎΠ·Π° ΠΈ ΠΏΠΎΠ»ΡΡΠ΅Π½ΠΈΡ Π΄Π΅ΡΠ°Π»ΡΠ½ΠΎΠΉ ΠΊΠ°ΡΡΠΈΠ½Ρ ΠΏΠ΅ΡΠ΅Π»ΠΎΠΌΠ° ΠΏΠΎΡΡΡΠ°Π΄Π°Π²ΡΠ΅ΠΌΡ ΠΎΠ±ΡΠ·Π°ΡΠ΅Π»ΡΠ½ΠΎ Π½Π°Π·Π½Π°ΡΠ°Π΅ΡΡΡ ΡΠ΅Π½ΡΠ³Π΅Π½ΠΎΠ³ΡΠ°ΡΠΈΡ.
ΠΡΠ΅Π½ΠΊΠ° ΡΡΠ°ΡΡΠΈ:
(ΡΡΠ΅Π΄Π½Π΅Π΅: 5,00)
ΠΠΎΡΠΌΠΎΡΡΠΈΡΠ΅ ΠΏΠΎΠΏΡΠ»ΡΡΠ½ΡΠ΅ ΡΡΠ°ΡΡΠΈ
Π‘Π»ΠΎΠΌΠ°ΡΡ ΠΏΠ°Π»Π΅Ρ ΠΌΠΎΠΆΠ½ΠΎ ΠΏΠΎ-ΡΠ°Π·Π½ΠΎΠΌΡ, Π½ΠΎ ΡΠ°ΡΠ΅ Π²ΡΠ΅Π³ΠΎ Π»ΡΠ΄ΠΈ ΠΏΠΎΠ»ΡΡΠ°ΡΡ ΡΡΠ°Π²ΠΌΡ Π²ΠΎ Π²ΡΠ΅ΠΌΡ ΡΠΏΠΎΡΡΠΈΠ²Π½ΡΡ ΡΠΎΡΠ΅Π²Π½ΠΎΠ²Π°Π½ΠΈΠΉ, Π½Π΅ΡΡΠ°ΡΡΠ½ΡΡ ΡΠ»ΡΡΠ°Π΅Π² Π½Π° ΠΏΡΠΎΠΈΠ·Π²ΠΎΠ΄ΡΡΠ²Π΅ ΠΈ ΠΏΠ°Π΄Π΅Π½ΠΈΠΉ. ΠΠ±ΡΡΠ½ΠΎ ΡΡΠΎ Π½Π΅Π±ΠΎΠ»ΡΡΠ°Ρ ΡΡΠ°Π²ΠΌΠ°, Π½ΠΎ ΠΎΠ½Π° Π²ΡΠ΅ ΠΆΠ΅ ΡΡΠ΅Π±ΡΠ΅Ρ Π½Π΅Π·Π°ΠΌΠ΅Π΄Π»ΠΈΡΠ΅Π»ΡΠ½ΠΎΠ³ΠΎ Π»Π΅ΡΠ΅Π½ΠΈΡ, ΡΡΠΎΠ±Ρ ΡΠΌΠ΅Π½ΡΡΠΈΡΡ Π±ΠΎΠ»Ρ ΠΈ ΡΡΠΊΠΎΡΠΈΡΡ Π·Π°ΠΆΠΈΠ²Π»Π΅Π½ΠΈΠ΅. ΠΡΠ»ΠΈ Π²Ρ Ρ ΠΎΡΠΈΡΠ΅ ΠΏΡΠ°Π²ΠΈΠ»ΡΠ½ΠΎ Π»Π΅ΡΠΈΡΡ ΡΠ»ΠΎΠΌΠ°Π½Π½ΡΠΉ ΠΏΠ°Π»Π΅Ρ, ΡΠΎ Π²ΡΠΏΠΎΠ»Π½ΠΈΡΠ΅ ΡΠ»Π΅Π΄ΡΡΡΠΈΠ΅ ΡΠΎΠ²Π΅ΡΡ.
Π¨Π°Π³ΠΈ
- Π Π°ΡΠΏΠΎΠ·Π½Π°ΠΉΡΠ΅ ΠΏΡΠΈΠ·Π½Π°ΠΊΠΈ ΡΠ»ΠΎΠΌΠ°Π½Π½ΠΎΠ³ΠΎ ΠΏΠ°Π»ΡΡΠ°.
Π‘ΠΈΠΌΠΏΡΠΎΠΌΡ ΠΏΡΠΎΡΡΠΎΠ³ΠΎ ΠΏΠ΅ΡΠ΅Π»ΠΎΠΌΠ° ΠΌΠΎΠ³ΡΡ Π²Π°ΡΡΠΈΡΠΎΠ²Π°ΡΡΡΡ, Π½ΠΎ ΠΎΠ±ΡΡΠ½ΠΎ ΠΎΠ½ΠΈ Π²ΠΊΠ»ΡΡΠ°ΡΡ Π½Π΅ΠΊΠΎΡΠΎΡΡΠ΅ ΠΈΠ· ΡΠ»Π΅Π΄ΡΡΡΠΈΡ ΠΏΡΠΈΠ·Π½Π°ΠΊΠΎΠ²:
- Π Π°ΡΠΏΠΎΠ·Π½Π°ΠΉΡΠ΅ ΡΠΈΠΌΠΏΡΠΎΠΌΡ ΡΠ΅ΡΡΠ΅Π·Π½ΠΎΠ³ΠΎ ΠΏΠ΅ΡΠ΅Π»ΠΎΠΌΠ°.
ΠΠ½ΠΈ ΡΡΠ΅Π±ΡΡΡ Π½Π΅ΠΌΠ΅Π΄Π»Π΅Π½Π½ΠΎΠ³ΠΎ ΠΎΠ±ΡΠ°ΡΠ΅Π½ΠΈΡ ΠΊ Π²ΡΠ°ΡΡ.
- ΠΡΠΈΠΌΠΈΡΠ΅ ΠΌΠ΅ΡΡ ΡΡΠ°Π·Ρ ΠΏΠΎΡΠ»Π΅ ΠΏΠΎΠ»ΡΡΠ΅Π½ΠΈΡ ΡΡΠ°Π²ΠΌΡ.
ΠΡΠ»ΠΈ Π²Ρ ΡΠ»ΠΎΠΌΠ°Π»ΠΈ ΠΏΠ°Π»Π΅Ρ, ΡΠΎ ΡΡΠΎΠ±Ρ ΡΠΌΠ΅Π½ΡΡΠΈΡΡ Π±ΠΎΠ»Ρ ΠΈ ΠΎΡΠ΅ΠΊ, ΠΌΠΎΠΆΠ΅ΡΠ΅ Π²ΡΠΏΠΎΠ»Π½ΠΈΡΡ ΡΡΠΈ ΠΏΡΠΎΡΡΡΠ΅ ΡΠ°Π³ΠΈ.
- ΠΠ±ΡΠ°ΡΠΈΡΠ΅ΡΡ ΠΊ Π²ΡΠ°ΡΡ Π΄Π»Ρ ΡΠΎΡΠ½ΠΎΠ³ΠΎ Π΄ΠΈΠ°Π³Π½ΠΎΠ·Π° ΠΈ Π»Π΅ΡΠ΅Π½ΠΈΡ.
ΠΡΠ°Ρ Π·Π°Ρ ΠΎΡΠ΅Ρ ΠΏΠΎΠ»ΡΡΠΈΡΡ ΡΠ΅Π½ΡΠ³Π΅Π½ Π²Π°ΡΠ΅ΠΉ ΡΡΠΊΠΈ Π΄Π»Ρ ΠΎΠΏΡΠ΅Π΄Π΅Π»Π΅Π½ΠΈΡ ΡΠ΅ΡΡΠ΅Π·Π½ΠΎΡΡΠΈ ΡΡΠ°Π²ΠΌΡ ΠΈ Π½Π°Π·Π½Π°ΡΠ΅Π½ΠΈΡ ΠΊΡΡΡΠ° Π»Π΅ΡΠ΅Π½ΠΈΡ. ΠΡΠ°Ρ ΠΌΠΎΠΆΠ΅Ρ Π²ΡΠΏΠΎΠ»Π½ΠΈΡΡ ΠΎΠ΄Π½Ρ ΠΈΠ· ΡΠ»Π΅Π΄ΡΡΡΠΈΡ ΠΏΡΠΎΡΠ΅Π΄ΡΡ:
Π‘Π»Π΅Π΄ΡΠΉΡΠ΅ Π½Π°Π·Π½Π°ΡΠ΅Π½ΠΈΡΠΌ Π²ΡΠ°ΡΠ° Π² ΠΏΠ΅ΡΠΈΠΎΠ΄ Π·Π°ΠΆΠΈΠ²Π»Π΅Π½ΠΈΡ. ΠΠ»Ρ Π»Π΅ΡΠ΅Π½ΠΈΡ ΠΏΡΠΎΡΡΠΎΠ³ΠΎ ΠΏΠ΅ΡΠ΅Π»ΠΎΠΌΠ° ΠΌΠΎΠΆΠ΅Ρ ΠΏΠΎΠ½Π°Π΄ΠΎΠ±ΠΈΡΡΡΡ Π΄ΠΎ 4 Π½Π΅Π΄Π΅Π»Ρ. ΠΡΠΈΠΊΠ»Π°Π΄ΡΠ²Π°ΠΉΡΠ΅ ΠΏΠ°ΠΊΠ΅ΡΡ ΡΠΎ Π»ΡΠ΄ΠΎΠΌ Π½Π΅ΡΠΊΠΎΠ»ΡΠΊΠΎ ΡΠ°Π· Π² Π΄Π΅Π½Ρ, ΠΏΠΎΠΊΠ° Π½Π΅ ΡΠΏΠ°Π΄Π΅Ρ ΠΎΡΠ΅ΠΊ. ΠΠ»Ρ ΡΠ΅ΡΡΠ΅Π·Π½ΡΡ ΠΏΠ΅ΡΠ΅Π»ΠΎΠΌΠΎΠ² ΠΌΠΎΠ³ΡΡ ΠΏΠΎΠ½Π°Π΄ΠΎΠ±ΠΈΡΡΡΡ ΠΏΠΎΡΠ»Π΅Π΄ΡΡΡΠΈΠ΅ Π²ΠΈΠ·ΠΈΡΡ ΠΊ ΡΠΈΠ·ΠΈΠΎΡΠ΅ΡΠ°ΠΏΠ΅Π²ΡΡ. ΠΠΎ Π²ΡΠ΅ΠΌΡ Π·Π°ΠΆΠΈΠ²Π»Π΅Π½ΠΈΡ ΠΏΠΎΠ»Π΅Π·Π½ΠΎ ΠΎΠ³ΡΠ°Π½ΠΈΡΠΈΡΡ ΠΈΡΠΏΠΎΠ»ΡΠ·ΠΎΠ²Π°Π½ΠΈΠ΅ ΠΏΠΎΡΠ°ΠΆΠ΅Π½Π½ΠΎΠΉ ΡΡΠΊΠΈ ΠΈ Π΄Π΅ΡΠΆΠ°ΡΡ ΠΏΠ°Π»Π΅Ρ ΠΏΠΎΠ΄Π½ΡΡΡΠΌ, ΠΊΠΎΠ³Π΄Π° ΡΡΠΎ Π²ΠΎΠ·ΠΌΠΎΠΆΠ½ΠΎ.
Π‘ΠΎΠ²Π΅ΡΡ
- ΠΡΠ»ΠΈ ΠΊΠΎΡΡΡ ΡΠΎΡΡΠΈΡ ΠΈΠ· ΠΊΠΎΠΆΠΈ, Π½Π΅ ΡΡΠΎΠ³Π°ΠΉΡΠ΅ Π΅Π΅, ΠΏΠΎΡΠΊΠΎΠ»ΡΠΊΡ ΠΌΠΎΠΆΠ΅ΡΠ΅ ΡΡΡΠ³ΡΠ±ΠΈΡΡ ΠΏΠΎΠ»ΡΡΠ΅Π½Π½ΡΡ ΡΡΠ°Π²ΠΌΡ.
- ΠΡΠ»ΠΈ Π²Ρ Π½Π΅ Ρ ΠΎΡΠΈΡΠ΅ ΠΈΠ΄ΡΠΈ ΠΊ Π²ΡΠ°ΡΡ, ΠΎΠ±ΡΠ°ΡΠΈΡΠ΅ΡΡ Π·Π° ΠΌΠ΅ΡΠ°Π»Π»ΠΈΡΠ΅ΡΠΊΠΎΠΉ ΡΠΈΠ½ΠΎΠΉ ΠΊ Fred Meyers, Rite Aid ΠΈΠ»ΠΈ Walgreens. Π ΡΡΠΈΡ ΠΌΠ΅ΡΡΠ°Ρ Π΅ΡΡΡ ΠΌΠ΅Π΄ΠΈΡΠΈΠ½ΡΠΊΠΈΠ΅ ΠΎΡΠ΄Π΅Π»Ρ.
- Π‘ΡΠ°ΡΠ°ΠΉΡΠ΅ΡΡ ΡΠ°Π·ΡΠ°Π±Π°ΡΡΠ²Π°ΡΡ ΠΏΠ°Π»Π΅Ρ, ΠΊΠ°ΠΊ ΡΠΎΠ»ΡΠΊΠΎ Π²ΡΠ°Ρ ΡΠ½ΠΈΠΌΠ΅Ρ ΡΠΈΠ½Ρ, Π΄Π»Ρ ΡΠ»ΡΡΡΠ΅Π½ΠΈΡ ΠΏΠΎΠ΄Π²ΠΈΠΆΠ½ΠΎΡΡΠΈ ΠΏΠ°Π»ΡΡΠ°.
- ΠΡΠ΄ΡΡΠ΅ ΠΎΡΡΠΎΡΠΎΠΆΠ½Ρ, ΠΏΡΠΎΠ΄ΠΎΠ»ΠΆΠ°Ρ Π·Π°Π½ΠΈΠΌΠ°ΡΡΡΡ ΡΠ²ΠΎΠ΅ΠΉ Π΄Π΅ΡΡΠ΅Π»ΡΠ½ΠΎΡΡΡΡ, ΡΡΠΎΠ±Ρ Π±ΠΎΠ»ΡΡΠ΅ Π½Π΅ ΠΏΠΎΠ²ΡΠ΅Π΄ΠΈΡΡ ΠΏΠ°Π»Π΅Ρ.
- ΠΡΠ»ΠΈ Π²Ρ Π½ΠΎΡΠΈΡΠ΅ ΠΊΠΎΠ»ΡΡΠΎ Π½Π° ΠΏΠ°Π»ΡΡΠ΅, ΠΊΠΎΡΠΎΡΡΠΉ ΡΠ»ΠΎΠΌΠ°Π»ΠΈ, ΡΠ½ΠΈΠΌΠΈΡΠ΅ Π΅Π³ΠΎ ΡΡΠ°Π·Ρ, ΠΏΠΎΠΊΠ° ΠΏΠ°Π»Π΅Ρ Π½Π΅ Π½Π°ΡΠ°Π» ΠΎΡΠ΅ΠΊΠ°ΡΡ.
ΠΠ½ΡΠΎΡΠΌΠ°ΡΠΈΡ ΠΎ ΡΡΠ°ΡΡΠ΅
ΠΠ°ΡΠ΅Π³ΠΎΡΠΈΠΈ: ΠΠ΅ΡΠ΅Π»ΠΎΠΌΡ
ΠΠ° Π΄ΡΡΠ³ΠΈΡ ΡΠ·ΡΠΊΠ°Ρ :
English:Β Treat a Broken Finger,Β EspaΓ±ol:Β darle tratamiento a un dedo de la mano quebrado,Β PortuguΓͺs:Β Tratar um Dedo Fraturado,Β Italiano:Β Trattare una Frattura a un Dito,Β Deutsch:Β Einen gebrochenen Finger behandeln,Β FranΓ§ais:Β soigner un doigt cassΓ©,Β Bahasa Indonesia:Β Mengobati Jari yang Patah,Β ΔeΕ‘tina:Β Jak oΕ‘etΕit zlomenΓ½ prst,Β Nederlands:Β Een gebroken vinger behandelen,Β TiαΊΏng Viα»t:Β Xα» lΓ½ ngΓ³n tay bα» gΓ£y,Β ΰΉΰΈΰΈ’:Β ΰΈ£ΰΈ±ΰΈΰΈ©ΰΈ²ΰΈΰΈ£ΰΈ°ΰΈΰΈΉΰΈΰΈΰΈ΄ΰΉΰΈ§ΰΈ«ΰΈ±ΰΈ,Β νκ΅μ΄:Β μκ°λ½ 골μ μΉλ£νλ λ°©λ²,Β Ψ§ΩΨΉΨ±Ψ¨ΩΨ©:Β ΨΉΩΨ§Ψ¬ ΩΨ³Ψ± Ψ§ΩΨ₯Ψ΅Ψ¨ΨΉ
- ΠΠ΅ΡΠ°ΡΡ
- ΠΡΠ°Π²ΠΈΡΡ
- ΠΠ°ΠΏΠΈΡΠ°ΡΡ Π±Π»Π°Π³ΠΎΠ΄Π°ΡΡΡΠ²Π΅Π½Π½ΠΎΠ΅ ΠΏΠΈΡΡΠΌΠΎ Π°Π²ΡΠΎΡΠ°ΠΌ
ΠΡΡ ΡΡΡΠ°Π½ΠΈΡΡ ΠΏΡΠΎΡΠΌΠ°ΡΡΠΈΠ²Π°Π»ΠΈ 7439 ΡΠ°Π·Π°.
ΠΡΠ»Π° Π»ΠΈ ΡΡΠ° ΡΡΠ°ΡΡΡ ΠΏΠΎΠ»Π΅Π·Π½ΠΎΠΉ?
perelom-lechenie.ru
ΠΠ΅ΡΠ΅Π»ΠΎΠΌ ΠΏΠ°Π»ΡΡΠ° Π½Π° ΡΡΠΊΠ΅ — ΡΠΈΠΌΠΏΡΠΎΠΌΡ ΠΈ ΠΏΡΠΈΠ·Π½Π°ΠΊΠΈ, Π»Π΅ΡΠ΅Π½ΠΈΠ΅, ΠΊΠ°ΠΊ ΡΠ°Π·ΡΠ°Π±ΠΎΡΠ°ΡΡ ΠΏΠ°Π»Π΅Ρ ΠΏΠΎΡΠ»Π΅ ΠΏΠ΅ΡΠ΅Π»ΠΎΠΌΠ°
Π‘ΡΠ΅Π΄ΠΈ Π²ΡΠ΅Ρ ΡΡΠ°Π²ΠΌ ΠΊΠΈΡΡΠΈ ΡΠ΄Π΅Π»ΡΠ½ΡΠΉ Π²Π΅Ρ Π²Π½ΡΡΡΠΈΡΡΡΡΠ°Π²Π½ΡΡ ΠΏΠΎΠ²ΡΠ΅ΠΆΠ΄Π΅Π½ΠΈΠΉ ΠΏΠ°Π»ΡΡΠ΅Π² ΡΠΎΡΡΠ°Π²Π»ΡΠ΅Ρ Π±Π»ΠΈΠ·ΠΊΠΎ 30%. Π ΡΠ²ΡΠ·ΠΈ ΡΠΎ ΡΠ»ΠΎΠΆΠ½ΠΎΠΉ Π±ΠΈΠΎΠΌΠ΅Ρ Π°Π½ΠΈΠΊΠΎΠΉ ΡΠ³ΠΈΠ±Π°ΡΠ΅Π»ΡΠ½ΠΎ-ΡΠ°Π·Π³ΠΈΠ±Π°ΡΠ΅Π»ΡΠ½ΠΎΠ³ΠΎ Π°ΠΏΠΏΠ°ΡΠ°ΡΠ° ΠΊΠΈΡΡΠΈ ΠΏΡΠΈΠ·Π½Π°ΠΊΠΈ ΠΏΠ΅ΡΠ΅Π»ΠΎΠΌΠ° ΠΏΠ°Π»ΡΡΠ° Π½Π° ΡΡΠΊΠ΅ Π½Π΅ ΡΡΠΎΠΈΡ ΠΈΠ³Π½ΠΎΡΠΈΡΠΎΠ²Π°ΡΡ. Π ΡΡΠ°ΡΡΠ΅ ΠΎΠΏΠΈΡΠ°Π½Ρ ΡΠΈΠΌΠΏΡΠΎΠΌΡ ΠΏΠ΅ΡΠ΅Π»ΠΎΠΌΠ°, ΠΊΠ°ΠΊ ΠΌΠΎΠΆΠ½ΠΎ ΠΎΡΠ»ΠΈΡΠΈΡΡ ΡΡΠΈΠ± ΠΎΡ ΠΏΠ΅ΡΠ΅Π»ΠΎΠΌΠ° ΠΈ Π²Π°ΡΠΈΠ°Π½ΡΡ Π»Π΅ΡΠ΅Π½ΠΈΡ.
ΠΡΠΈΠ·Π½Π°ΠΊΠΈ
ΠΠ΅ΡΠ΅Π»ΠΎΠΌΡ ΠΏΠ°Π»ΡΡΠ΅Π² ΠΊΠΈΡΡΠΈ Π²ΠΎΠ·Π½ΠΈΠΊΠ°ΡΡ ΠΏΡΠΈ ΡΠ΄Π°ΡΠ°Ρ ΠΈ ΠΏΠ°Π΄Π΅Π½ΠΈΡΡ , ΠΊΠΎΠ³Π΄Π° Π²Π½Π΅ΡΠ½Π΅Π΅ Π½Π°ΡΠΈΠ»ΠΈΠ΅ ΠΏΡΠ΅Π²ΡΡΠ°Π΅Ρ ΠΏΡΠΎΡΠ½ΠΎΡΡΡ ΠΊΠΎΡΡΠΈ. Π§Π°ΡΡΠΎ ΠΊ Π½ΠΈΠΌ ΠΎΡΠ½ΠΎΡΡΡΡΡ ΠΊΠ°ΠΊ ΠΊ Π½Π΅Π·Π½Π°ΡΠΈΡΠ΅Π»ΡΠ½ΡΠΌ ΠΏΠΎΠ²ΡΠ΅ΠΆΠ΄Π΅Π½ΠΈΡΠΌ. ΠΠΎ Π½Π΅Π°Π΄Π΅ΠΊΠ²Π°ΡΠ½ΠΎΠ΅ Π»Π΅ΡΠ΅Π½ΠΈΠ΅ ΠΌΠΎΠΆΠ΅Ρ ΠΏΡΠΈΠ²Π΅ΡΡΠΈ ΠΊ ΠΏΠΎΠΆΠΈΠ·Π½Π΅Π½Π½ΠΎΠΉ ΠΈΠ½Π²Π°Π»ΠΈΠ΄Π½ΠΎΡΡΠΈ. ΠΠ΅ΡΠ΅ΠΊΡΡ ΠΊΠΎΡΡΠ½ΠΎΠΉ ΡΠΊΠ°Π½ΠΈ Π±ΡΠ²Π°ΡΡ ΠΌΠ½ΠΎΠΆΠ΅ΡΡΠ²Π΅Π½Π½ΡΠΌΠΈ, ΡΠΎΡΠ΅ΡΠ°ΡΡΡΡ Ρ ΠΏΠΎΠ²ΡΠ΅ΠΆΠ΄Π΅Π½ΠΈΡΠΌΠΈ ΡΡΡ ΠΎΠΆΠΈΠ»ΠΈΠΉ, Π½Π΅ΡΠ²ΠΎΠ², ΡΠ²ΡΠ·ΠΎΡΠ½ΠΎΠ³ΠΎ Π°ΠΏΠΏΠ°ΡΠ°ΡΠ° ΠΈ Π΄ΡΡΠ³ΠΈΡ ΡΡΠ½ΠΊΡΠΈΠΎΠ½Π°Π»ΡΠ½ΡΡ ΡΡΡΡΠΊΡΡΡ ΠΊΠΈΡΡΠΈ.
Π‘ΠΈΠΌΠΏΡΠΎΠΌΡ ΠΏΠ΅ΡΠ΅Π»ΠΎΠΌΠ° ΠΏΠ°Π»ΡΡΠ° Π½Π° ΡΡΠΊΠ΅:
ΡΠ°Π·Π»ΠΈΡΠ°Ρ ΠΎΡΠ΅ΡΠ½ΠΎΡΡΡ ΠΏΠΎΠ²ΡΠ΅ΠΆΠ΄Π΅Π½Π½ΠΎΠ³ΠΎ ΠΏΠ°Π»ΡΡΠ°;
ΠΏΠΎΠ΄ΠΊΠΎΠΆΠ½Π°Ρ Π³Π΅ΠΌΠ°ΡΠΎΠΌΠ°;
Π½Π΅Π½ΠΎΡΠΌΠ°Π»ΡΠ½Π°Ρ ΠΏΠΎΠ΄Π²ΠΈΠΆΠ½ΠΎΡΡΡ Π½Π° ΠΏΡΠΎΡΡΠΆΠ΅Π½ΠΈΠΈ ΡΠ°Π»Π°Π½Π³ΠΈ;
Π»ΠΎΠΊΠ°Π»ΡΠ½Π°Ρ Π±ΠΎΠ»Π΅Π·Π½Π΅Π½Π½ΠΎΡΡΡ;
ΠΊΡΠ΅ΠΏΠΈΡΠ°ΡΠΈΡ;
ΠΎΠ³ΡΠ°Π½ΠΈΡΠ΅Π½ΠΈΠ΅ Π΄Π²ΠΈΠΆΠ΅Π½ΠΈΡ ΠΈΠ·-Π·Π° Π±ΠΎΠ»ΠΈ.
ΠΠ°ΡΠΈΠ΅Π½Ρ ΡΡΠ°ΡΠ°Π΅ΡΡΡ ΡΠ°Π΄ΠΈΡΡ ΠΏΠΎΠ²ΡΠ΅ΠΆΠ΄Π΅Π½Π½ΡΠΉ ΠΏΠ°Π»Π΅Ρ, ΠΏΡΡΠ°Π΅ΡΡΡ ΠΈΠΌ Π½Π΅ ΡΠ΅Π²Π΅Π»ΠΈΡΡ. ΠΠ°Π»ΡΠ΅ΡΡΡ Π½Π° ΡΠ½ΠΈΠΆΠ΅Π½ΠΈΠ΅ ΠΈΠ»ΠΈ ΠΎΡΡΡΡΡΡΠ²ΠΈΠ΅ Ρ Π²Π°ΡΠ°ΡΠ΅Π»ΡΠ½ΠΎΠΉ ΡΠΏΠΎΡΠΎΠ±Π½ΠΎΡΡΠΈ ΠΊΠΈΡΡΠΈ.
ΠΠ΅ΡΠ΅Π»ΠΎΠΌ ΡΠΎ ΡΠΌΠ΅ΡΠ΅Π½ΠΈΠ΅ΠΌ
ΠΠ΅ΡΠ΅Π»ΠΎΠΌ ΠΏΠ°Π»ΡΡΠ° ΡΠΎ ΡΠΌΠ΅ΡΠ΅Π½ΠΈΠ΅ΠΌ ΠΎΠ±ΡΡΠ½ΠΎ ΠΏΡΠΎΠΈΡΡ ΠΎΠ΄ΠΈΡ ΠΏΠΎΠ΄ Π²ΠΎΠ·Π΄Π΅ΠΉΡΡΠ²ΠΈΠ΅ΠΌ ΡΡΠ°Π²ΠΌΠΈΡΡΡΡΠ΅Π³ΠΎ Π°Π³Π΅Π½ΡΠ° ΠΈ ΠΏΡΠΈ ΡΠΎΠΊΡΠ°ΡΠ΅Π½ΠΈΠΈ ΡΠ΅ΡΠ²Π΅ΠΎΠ±ΡΠ°Π·Π½ΡΡ ΠΈ ΠΌΠ΅ΠΆΠΊΠΎΡΡΠ½ΡΡ ΠΌΡΡΡ. ΠΠΏΡΠ΅Π΄Π΅Π»ΡΠ΅ΡΡΡ Π΄Π΅ΡΠΎΡΠΌΠ°ΡΠΈΡ, ΡΠΊΠΎΡΠΎΡΠ΅Π½ΠΈΠ΅ ΠΏΠ°Π»ΡΡΠ°. ΠΠ°Π»ΡΠΏΠ°ΡΠΎΡΠ½ΠΎ Π½Π° Π»Π°Π΄ΠΎΠ½Π½ΠΎΠΉ ΠΏΠΎΠ²Π΅ΡΡ Π½ΠΎΡΡΠΈ ΠΎΠ±Π½Π°ΡΡΠΆΠΈΠ²Π°ΡΡ ΠΊΠΎΡΡΠ½ΡΠΉ Π²ΡΡΡΡΠΏ Π² Π²ΠΈΠ΄Π΅ ΡΡΡΠΏΠ΅Π½ΡΠΊΠΈ. ΠΠΈΠ°Π³Π½ΠΎΡΡΠΈΡΡΠ΅ΡΡΡ ΠΏΠΎΠ΄Π²ΠΈΠΆΠ½ΠΎΡΡΡ ΠΎΡΠ»ΠΎΠΌΠΊΠΎΠ².

ΠΠ° ΡΠΎΡΠΎ Π·Π°ΠΊΡΡΡΡΠΉ Π²Π½ΡΡΡΠΈΡΡΡΡΠ°Π²Π½ΡΠΉ ΠΏΠ΅ΡΠ΅Π»ΠΎΠΌ ΡΡΠ΅Π΄Π½Π΅Π³ΠΎ ΠΈ Π±Π΅Π·ΡΠΌΡΠ½Π½ΠΎΠ³ΠΎ ΠΏΠ°Π»ΡΡΠ°.
Π₯Π°ΡΠ°ΠΊΡΠ΅ΡΠ½ΡΠ΅ ΠΏΡΠΈΠ·Π½Π°ΠΊΠΈ:
Π½Π΅Π²ΠΎΠ·ΠΌΠΎΠΆΠ½ΠΎ ΠΏΠΎΠ»Π½ΠΎΡΡΡΡ ΡΠ°Π·ΠΎΠ³Π½ΡΡΡ ΠΏΠΎΠ²ΡΠ΅ΠΆΠ΄Π΅Π½Π½ΡΠΉ ΠΏΠ°Π»Π΅Ρ;
ΡΠΆΠ°ΡΡ ΠΊΠΈΡΡΡ Π² ΠΊΡΠ»Π°ΠΊ;
Π½Π°Π΄Π°Π²Π»ΠΈΠ²Π°Π½ΠΈΠ΅ Π½Π° Π΄ΠΈΡΡΠ°Π»ΡΠ½ΡΡ ΡΠ°Π»Π°Π½Π³Ρ ΠΏΠΎ Π΄Π»ΠΈΠ½Π½ΠΎΠΉ ΠΎΡΠΈ ΠΏΡΠΎΠ²ΠΎΡΠΈΡΡΠ΅Ρ Π±ΠΎΠ»Ρ Π² ΡΠ°ΠΉΠΎΠ½Π΅ ΠΏΡΠ΅Π΄ΠΏΠΎΠ»Π°Π³Π°Π΅ΠΌΠΎΠ³ΠΎ ΠΏΠ΅ΡΠ΅Π»ΠΎΠΌΠ°;
ΠΏΡΠΈ ΡΠΊΠ»Π°Π΄ΡΠ²Π°Π½ΠΈΠΈ Π»Π°Π΄ΠΎΠ½Π΅ΠΉ Π½Π° ΡΡΠΎΠ» Π½Π΅ ΠΏΠΎΠ»ΡΡΠ°Π΅ΡΡΡ Π΄ΠΎΠ±ΠΈΡΡΡΡ ΠΏΡΠΈΠ»Π΅Π³Π°Π½ΠΈΡ ΡΡΠ°Π²ΠΌΠΈΡΠΎΠ²Π°Π½Π½ΠΎΠ³ΠΎ ΠΏΠ°Π»ΡΡΠ° ΠΊ ΠΏΠ»ΠΎΡΠΊΠΎΡΡΠΈ.
Π‘ΠΌΠ΅ΡΠ΅Π½ΠΈΡ ΠΏΡΠΈ ΠΏΠ΅ΡΠ΅Π»ΠΎΠΌΠ°Ρ ΡΠ°Π·Π΄Π΅Π»ΡΡΡ Π½Π° ΠΎΡΠ½ΠΎΡΠΈΡΠ΅Π»ΡΠ½ΠΎ Π±Π»Π°Π³ΠΎΠΏΡΠΈΡΡΠ½ΡΠ΅ ΠΈ Π½Π° Π±Π΅Π·ΡΡΠ»ΠΎΠ²Π½ΠΎ Π½Π΅Π±Π»Π°Π³ΠΎΠΏΡΠΈΡΡΠ½ΡΠ΅. Π ΠΏΠ΅ΡΠ²ΠΎΠΌ Π²Π°ΡΠΈΠ°Π½ΡΠ΅ ΠΌΠ΅ΠΆΠ΄Ρ ΡΡΠ°Π³ΠΌΠ΅Π½ΡΠ°ΠΌΠΈ ΠΎΠΏΡΠ΅Π΄Π΅Π»ΡΠ΅ΡΡΡ ΡΠ³ΠΎΠ», ΠΎΡΠΊΡΡΡΡΠΉ Π² Π»Π°Π΄ΠΎΠ½Π½ΡΡ ΡΡΠΎΡΠΎΠ½Ρ, Π² Π²ΡΠΎΡΠΎΠΌ β Π² ΡΡΠ»ΡΠ½ΡΡ. ΠΠ°ΠΌΠ½ΠΎΠ³ΠΎ ΡΠ°ΡΠ΅ ΡΠΌΠ΅ΡΠ΅Π½ΠΈΡ Π½ΠΎΡΡΡ Π½Π΅Π±Π»Π°Π³ΠΎΠΏΡΠΈΡΡΠ½ΡΠΉ Ρ Π°ΡΠ°ΠΊΡΠ΅Ρ.
ΠΠ΅ΡΠ΅Π»ΠΎΠΌ ΠΏΠ°Π»ΡΡΠ° Π±Π΅Π· ΡΠΌΠ΅ΡΠ΅Π½ΠΈΡ
ΠΠ±ΡΡΠ½ΠΎ ΡΡΠ°Π²ΠΌΠΈΡΡΠ΅ΡΡΡ Π½ΠΎΠ³ΡΠ΅Π²Π°Ρ ΡΠ°Π»Π°Π½Π³Π°, ΡΠ΅ΠΆΠ΅ β ΠΏΡΠΎΠΊΡΠΈΠΌΠ°Π»ΡΠ½Π°Ρ ΠΈ ΡΡΠ΅Π΄Π½ΡΡ. Π’ΡΠ°Π²ΠΌΠ° Π΄ΠΈΡΡΠ°Π»ΡΠ½ΠΎΠΉ ΡΠ°Π»Π°Π½Π³ΠΈ (ΠΊΠΎΠ½ΡΠΈΠΊΠ°) ΡΠ°ΡΡΠΎ ΡΠΎΠΏΡΠΎΠ²ΠΎΠΆΠ΄Π°Π΅ΡΡΡ ΠΏΠΎΠ΄Π½ΠΎΠ³ΡΠ΅Π²ΡΠΌΠΈ Π³Π΅ΠΌΠ°ΡΠΎΠΌΠ°ΠΌΠΈ, ΠΊΠΎΡΠΎΡΡΠ΅ Π²ΡΠ·ΡΠ²Π°ΡΡ ΡΠΈΠ»ΡΠ½ΡΠΉ Π±ΠΎΠ»Π΅Π²ΠΎΠΉ ΡΠΈΠ½Π΄ΡΠΎΠΌ. ΠΡΠΈ ΡΡΠ΅ΡΠΈΠ½Π°Ρ ΠΈ ΠΏΠ΅ΡΠ΅Π»ΠΎΠΌΠ°Ρ Π±Π΅Π· ΡΠΌΠ΅ΡΠ΅Π½ΠΈΡ ΠΎΡΡΡΡΡΡΠ²ΡΠ΅Ρ Π²ΡΡΠ°ΠΆΠ΅Π½Π½Π°Ρ Π΄Π΅ΡΠΎΡΠΌΠ°ΡΠΈΡ.
Π‘ΠΈΠΌΠΏΡΠΎΠΌΡ ΠΏΠ΅ΡΠ΅Π»ΠΎΠΌΠ° ΠΏΠ°Π»ΡΡΠ° ΠΌΠΎΠ³ΡΡ ΡΠΊΠ»Π°Π΄ΡΠ²Π°ΡΡΡΡ Π² ΠΊΠ»ΠΈΠ½ΠΈΠΊΡ ΡΡΠΈΠ±Π° ΠΈΠ»ΠΈ ΡΠ°ΡΡΡΠΆΠ΅Π½ΠΈΡ. ΠΠΎΠ²ΡΠ΅ΠΆΠ΄Π΅Π½ΠΈΡ ΡΠ°ΡΡΠΎ ΠΌΠ°ΡΠΊΠΈΡΡΡΡΡΡ Π²ΡΠ»Π΅Π΄ΡΡΠ²ΠΈΠ΅ ΠΊΡΠΎΠ²ΠΎΠΈΠ·Π»ΠΈΡΠ½ΠΈΡ ΠΈ Π½Π°ΡΠ°ΡΡΠ°ΡΡΠ΅Π³ΠΎ ΠΎΡΠ΅ΠΊΠ°. ΠΠ° ΡΡΠ΅Ρ ΠΊΡΠΎΠ²ΠΎΠΏΠΎΠ΄ΡΠ΅ΠΊΠ° ΠΏΠ°Π»Π΅Ρ ΠΏΡΠΈΠΎΠ±ΡΠ΅ΡΠ°Π΅Ρ ΡΠΈΠ½ΡΡΠ½ΡΡ ΠΎΠΊΡΠ°ΡΠΊΡ. ΠΡΠΈ ΠΏΠΎΠ΄ΠΎΠ·ΡΠ΅Π½ΠΈΠΈ Π½Π° ΠΏΠ΅ΡΠ΅Π»ΠΎΠΌ ΠΏΠ°Π»ΡΡΠ° Π²ΡΠ΅Π³Π΄Π° Π΄Π΅Π»Π°ΡΡ ΡΠ΅Π½ΡΠ³Π΅Π½ΠΎΠ»ΠΎΠ³ΠΈΡΠ΅ΡΠΊΠΎΠ΅ ΠΎΠ±ΡΠ»Π΅Π΄ΠΎΠ²Π°Π½ΠΈΠ΅.
ΠΠ΅Ρ Π°Π½ΠΈΠ·ΠΌΡ ΠΏΠΎΠ²ΡΠ΅ΠΆΠ΄Π΅Π½ΠΈΠΉ ΠΏΠ°Π»ΡΡΠ΅Π² ΠΊΠΈΡΡΠΈ
Π§Π°ΡΠ΅ ΡΡΠ°Π²ΠΌΠΈΡΡΡΡΡΡ ΠΎΡΠ½ΠΎΠ²Π½ΡΠ΅ ΡΠ°Π»Π°Π½Π³ΠΈ 1, 3 ΠΏΠ°Π»ΡΡΠ΅Π². ΠΠ»Ρ 3-Π³ΠΎ ΠΏΠ°Π»ΡΡΠ° ΡΠΈΠΏΠΈΡΠ½ΡΠΌΠΈ ΡΡΠΈΡΠ°ΡΡΡΡ ΠΏΠ΅ΡΠ΅Π»ΠΎΠΌΡ ΡΡΠ΅Π΄Π½ΠΈΡ ΡΠ°Π»Π°Π½Π³. ΠΠΎΠ³ΡΠ΅Π²ΡΠ΅ ΠΏΠΎΠ²ΡΠ΅ΠΆΠ΄Π΅Π½ΠΈΡ Ρ Π°ΡΠ°ΠΊΡΠ΅ΡΠ½Ρ Π΄Π»Ρ 1-Π³ΠΎ ΠΈ 5-Π³ΠΎ ΠΏΠ°Π»ΡΡΠ°. Π€ΠΎΡΠΌΠΈΡΡΡΡΡΡ ΠΊΠΎΡΡΠ΅, ΠΊΠΎΡΠΎΠΏΠΎΠΏΠ΅ΡΠ΅ΡΠ½ΡΠ΅ ΠΈ Π²ΠΈΠ½ΡΠΎΠΎΠ±ΡΠ°Π·Π½ΡΠ΅ ΠΏΠ΅ΡΠ΅Π»ΠΎΠΌΡ. ΠΠ°Π±Π»ΡΠ΄Π°ΡΡΡΡ ΠΌΠ½ΠΎΠ³ΠΎΠΎΡΠΊΠΎΠ»ΡΡΠ°ΡΡΠ΅ ΠΏΠ΅ΡΠ΅Π»ΠΎΠΌΡ Ρ Π½Π°ΠΏΠΎΠ»Π·Π°Π½ΠΈΠ΅ΠΌ ΠΎΡΠ»ΠΎΠΌΠΊΠΎΠ² Π΄ΡΡΠ³ Π½Π° Π΄ΡΡΠ³Π°. ΠΡΠΎΠΌΡ ΡΠΏΠΎΡΠΎΠ±ΡΡΠ²ΡΠ΅Ρ ΠΎΡΠΎΠ±ΠΎΠ΅ Π°Π½Π°ΡΠΎΠΌΠΈΡΠ΅ΡΠΊΠΎΠ΅ ΡΡΡΠΎΠ΅Π½ΠΈΠ΅ ΠΊΠΈΡΡΠΈ Ρ Π²ΡΡΠΎΠΊΠΎΠΉ ΡΡΠ΅ΠΏΠ΅Π½ΡΡ ΠΏΠΎΠ΄Π²ΠΈΠΆΠ½ΠΎΡΡΠΈ Π΅Π΅ ΠΎΠ±ΡΠ°Π·ΠΎΠ²Π°Π½ΠΈΠΉ.
Π Π·Π°Π²ΠΈΡΠΈΠΌΠΎΡΡΠΈ ΠΎΡ Π»ΠΎΠΊΠ°Π»ΠΈΠ·Π°ΡΠΈΠΈ ΠΏΠΎΠ²ΡΠ΅ΠΆΠ΄Π΅Π½ΠΈΡ Π΄ΠΈΠ°Π³Π½ΠΎΡΡΠΈΡΡΡΡ:
ΡΡΠ°Π²ΠΌΡ ΠΊΠΎΠ½ΡΠΈΠΊΠΎΠ² ΠΏΠ°Π»ΡΡΠ΅Π²;
Π½ΠΎΠ³ΡΠ΅Π²ΡΡ ΡΠ°Π»Π°Π½Π³;
ΡΠ°Π»Π°Π½Π³ ΠΏΠ°Π»ΡΡΠ΅Π² ΠΈ ΡΡΡΡΠΊΡΡΡ, Π²Ρ ΠΎΠ΄ΡΡΠΈΡ Π² ΠΏΠ°Π»Π΅Ρ.
ΠΠ΅Ρ Π°Π½ΠΈΠ·ΠΌ ΡΡΠ°Π²ΠΌΡ ΠΏΡΠΈ ΠΏΠ΅ΡΠ΅Π»ΠΎΠΌΠ΅ Π½ΠΎΠ³ΡΠ΅Π²ΡΡ , ΡΡΠ΅Π΄Π½ΠΈΡ ΠΈ ΠΎΡΠ½ΠΎΠ²Π½ΡΡ ΡΠ°Π»Π°Π½Π³ ΠΏΡΡΠΌΠΎΠΉ. ΠΡΠΈΡΠΈΠ½Π° β ΡΠ΄Π°Π²Π»Π΅Π½ΠΈΠ΅, ΡΠ°Π·ΠΌΠΎΠ·ΠΆΠ΅Π½ΠΈΠ΅, ΡΡΠΈΠ±.
ΠΡΠΈ ΡΠ΄Π°ΡΠ΅ ΠΏΠΎ Π²ΡΠΏΡΡΠΌΠ»Π΅Π½Π½ΠΎΠΌΡ ΠΏΠ°Π»ΡΡΡ ΠΏΡΠΎΠΈΡΡ ΠΎΠ΄ΠΈΡ ΡΠ΅Π·ΠΊΠΎΠ΅ ΠΈ ΡΡΠ΅Π·ΠΌΠ΅ΡΠ½ΠΎΠ΅ ΡΠ³ΠΈΠ±Π°Π½ΠΈΠ΅ Π΅Π³ΠΎ ΠΊΠΎΠ½ΡΠΈΠΊΠ°. ΠΠ°Π»Π΅Ρ Ρ Π·Π°Π³Π½ΡΡΡΠΌ ΠΊΠΎΠ½ΡΠΈΠΊΠΎΠΌ ΡΡΠ°Π½ΠΎΠ²ΠΈΡΡΡ ΠΏΠΎΡ ΠΎΠΆΠΈΠΌ Π½Π° ΠΌΠΎΠ»ΠΎΡΠΎΠΊ. ΠΡΡΡΠ΄Π° ΠΈ Π½Π°Π·Π²Π°Π½ΠΈΠ΅ ΠΏΠΎΠ²ΡΠ΅ΠΆΠ΄Π΅Π½ΠΈΡ Β«ΠΌΠΎΠ»ΠΎΡΠΊΠΎΠΎΠ±ΡΠ°Π·Π½ΡΠΉ ΠΏΠ°Π»Π΅ΡΒ». ΠΠ½ ΠΎΡΡΠ°Π΅ΡΡΡ Π² ΡΠ°ΠΊΠΎΠΌ ΠΏΠΎΠ»ΠΎΠΆΠ΅Π½ΠΈΠΈ ΠΈ ΠΌΠΎΠΆΠ΅Ρ Π²ΡΠΏΡΡΠΌΠΈΡΡΡΡ ΡΠΎΠ»ΡΠΊΠΎ Ρ ΠΏΠΎΠΌΠΎΡΡΡ Π΄ΡΡΠ³ΠΎΠΉ ΡΡΠΊΠΈ. ΠΡΠΎ ΡΠ΅Π·ΡΠ»ΡΡΠ°Ρ ΡΡΠ°Π²ΠΌΡ ΡΡΡ ΠΎΠΆΠΈΠ»ΠΈΡ ΡΠ°Π·Π³ΠΈΠ±Π°ΡΡΠ΅ΠΉ ΠΌΡΡΡΡ. ΠΠΎΠ»ΡΡΠΈΠ½ΡΡΠ²ΠΎ ΡΠ°ΠΊΠΈΡ ΡΡΠ°Π²ΠΌ ΠΏΡΠΈ Π΄ΠΎΠ»ΠΆΠ½ΠΎΠΌ Π»Π΅ΡΠ΅Π½ΠΈΠΈ Π·Π°ΠΆΠΈΠ²Π°Π΅Ρ Π±Π΅Π· ΠΏΡΠΎΠ±Π»Π΅ΠΌ.
ΠΠ°ΠΊ ΠΎΡΠ»ΠΈΡΠΈΡΡ ΠΏΠ΅ΡΠ΅Π»ΠΎΠΌ ΠΎΡ ΡΡΠΈΠ±Π°
ΠΠ΅ΡΠ΅Π»ΠΎΠΌ ΡΠ°Π»Π°Π½Π³ ΠΊΠΈΡΡΠΈ Π½ΡΠΆΠ½ΠΎ Π΄ΠΈΡΡΠ΅ΡΠ΅Π½ΡΠΈΡΠΎΠ²Π°ΡΡ Ρ ΡΡΠΈΠ±ΠΎΠΌ, ΠΊΠΎΡΠΎΡΡΠΉ ΠΈΠΌΠ΅Π΅Ρ ΠΏΠΎΡ ΠΎΠΆΡΡ ΠΊΠ»ΠΈΠ½ΠΈΡΠ΅ΡΠΊΡΡ ΠΊΠ°ΡΡΠΈΠ½Ρ. ΠΡΠ»ΠΈΡΠΈΡ Π½Π°Π³Π»ΡΠ΄Π½ΠΎ Π΄Π΅ΠΌΠΎΠ½ΡΡΡΠΈΡΡΠ΅Ρ Π½ΠΈΠΆΠ΅ΡΠ°ΡΠΏΠΎΠ»ΠΎΠΆΠ΅Π½Π½Π°Ρ ΡΠ°Π±Π»ΠΈΡΠ°. ΠΠ΄Π½ΠΈΠΌ ΠΈΠ· ΠΊΡΠΈΡΠ΅ΡΠΈΠ΅ΠΌ ΡΡΠΈΠ±Π° ΡΠ²Π»ΡΠ΅ΡΡΡ ΠΎΡΡΡΡΡΡΠ²ΠΈΠ΅ ΡΠΌΠ΅ΡΡΠΈΠ²ΡΠΈΡ ΡΡ ΠΎΡΠ»ΠΎΠΌΠΊΠΎΠ² Π² Π²ΠΈΠ΄Π΅ ΡΡΡΠΏΠ΅Π½ΡΠΊΠΈ.
ΠΡΠΈΠ·Π½Π°ΠΊ | ΠΠ΅ΡΠ΅Π»ΠΎΠΌ | Π£ΡΠΈΠ± |
|---|---|---|
ΠΠ°ΡΠ°Π»ΠΎ Π·Π°Π±ΠΎΠ»Π΅Π²Π°Π½ΠΈΡ | ΠΡΡΠΌΠΎΠΉ ΠΌΠ΅Ρ Π°Π½ΠΈΠ·ΠΌ ΡΡΠ°Π²ΠΌΡ | ΠΠ°ΠΊ ΠΏΠΎΡΠ»Π΅Π΄ΡΡΠ²ΠΈΠ΅ ΡΠ΄Π°ΡΠ° |
Π‘ΠΈΠΌΠΏΡΠΎΠΌ ΠΎΡΠ΅Π²ΠΎΠΉ Π½Π°Π³ΡΡΠ·ΠΊΠΈ | Π§Π°ΡΡΠΎ | ΠΠ΅Ρ |
ΠΠ³ΡΠ°Π½ΠΈΡΠ΅Π½Π½ΠΎΡΡΡ Π΄Π²ΠΈΠΆΠ΅Π½ΠΈΠΉ | Π§Π°ΡΡΠΎ | Π§Π°ΡΡΠΎ |
ΠΠ°Π»ΡΠΏΠ°ΡΠΈΡ ΠΎΠ±Π»ΠΎΠΌΠΊΠΎΠ², ΠΏΡΠΈΡΡΡΡΡΠ²ΠΈΠ΅ ΠΊΡΠ΅ΠΏΠΈΡΠ°ΡΠΈΠΈ | ΠΡΠΎΡΡΠΏΡΠ²Π°ΡΡΡΡ ΠΎΡΠ»ΠΎΠΌΠΊΠΈ, ΠΊΠΎΡΠΎΡΡΠ΅ ΡΠΌΠ΅ΡΡΠΈΠ»ΠΈΡΡ Π² Π²ΠΈΠ΄Π΅ ΡΡΡΠΏΠ΅Π½ΡΠΊΠΈ | ΠΠ΅Ρ |
Π Π΅Π½ΡΠ³Π΅Π½ΠΎΠ»ΠΎΠ³ΠΈΡΠ΅ΡΠΊΠΈΠ΅ ΠΈΠ·ΠΌΠ΅Π½Π΅Π½ΠΈΡ | ΠΠ°Π»ΠΈΡΠΈΠ΅ Π»ΠΈΠ½ΠΈΠΈ ΠΏΠ΅ΡΠ΅Π»ΠΎΠΌΠ° | ΠΠ΅Ρ Π»ΠΈΠ½ΠΈΠΈ ΠΏΠ΅ΡΠ΅Π»ΠΎΠΌΠ° |
Π‘ ΡΠ°Π±Π»ΠΈΡΠ΅ΠΉ ΠΏΡΠΎΡΠ΅ ΠΎΡΠ»ΠΈΡΠΈΡΡ ΠΏΠ΅ΡΠ΅Π»ΠΎΠΌ ΠΎΡ ΡΡΠΈΠ±Π°, Π½ΠΎ ΠΎΠΊΠΎΠ½ΡΠ°ΡΠ΅Π»ΡΠ½ΡΠΉ Π΄ΠΈΠ°Π³Π½ΠΎΠ· ΠΌΠΎΠΆΠ΅Ρ ΠΏΠΎΡΡΠ°Π²ΠΈΡΡ ΡΠΎΠ»ΡΠΊΠΎ ΡΡΠ°Π²ΠΌΠ°ΡΠΎΠ»ΠΎΠ³. ΠΠ°ΡΡΡΠ΅Π½ΠΈΠ΅ ΡΠ΅Π»ΠΎΡΡΠ½ΠΎΡΡΠΈ ΠΊΠΎΡΡΠΈ ΠΊΠ°ΠΆΠ΄ΠΎΠ³ΠΎ ΠΏΠ°Π»ΡΡΠ° Ρ Π°ΡΠ°ΠΊΡΠ΅ΡΠΈΠ·ΡΠ΅ΡΡΡ ΠΎΡΠ»ΠΈΡΠΈΡΠ΅Π»ΡΠ½ΡΠΌΠΈ ΠΏΡΠΈΠ·Π½Π°ΠΊΠ°ΠΌΠΈ, ΠΊΠΎΡΠΎΡΡΠ΅ ΡΠ»Π΅Π΄ΡΠ΅Ρ Π±ΡΠ°ΡΡ Π²ΠΎ Π²Π½ΠΈΠΌΠ°Π½ΠΈΠ΅.
ΠΠ΅ΡΠ΅Π»ΠΎΠΌ Π±ΠΎΠ»ΡΡΠΎΠ³ΠΎ ΠΏΠ°Π»ΡΡΠ° ΡΡΠΊΠΈ ΡΡΠΈΡΠ°Π΅ΡΡΡ ΡΠ°ΠΌΡΠΌ ΠΎΠΏΠ°ΡΠ½ΡΠΌ. Π§Π΅Π»ΠΎΠ²Π΅ΠΊ Ρ ΡΠ°ΠΊΠΎΠΉ ΡΡΠ°Π²ΠΌΠΎΠΉ ΡΠ°ΠΊΡΠΈΡΠ΅ΡΠΊΠΈ ΠΏΠΎΠ»Π½ΠΎΡΡΡΡ ΡΠ΅ΡΡΠ΅Ρ ΡΡΡΠ΄ΠΎΡΠΏΠΎΡΠΎΠ±Π½ΠΎΡΡΡ. Π‘ΠΈΠ»ΡΠ½Π΅ΠΉΡΠ°Ρ Π±ΠΎΠ»Ρ ΠΌΠ΅ΡΠ°Π΅Ρ ΡΠΎΠ²Π΅ΡΡΠ°ΡΡ Π΄Π²ΠΈΠΆΠ΅Π½ΠΈΡ Π² ΡΡΡΡΠ°Π²Π΅ ΡΡΠ°Π·Ρ ΠΏΠΎΡΠ»Π΅ ΠΏΠ΅ΡΠ΅Π»ΠΎΠΌΠ°. ΠΡΡΠΏΡΠ²Π°Π½ΠΈΠ΅ ΠΌΠΎΠΆΠ΅Ρ Π²ΡΠ·ΡΠ²Π°ΡΡ ΡΠΎΠΊΠΎΠ²ΠΎΠ΅ ΡΠΎΡΡΠΎΡΠ½ΠΈΠ΅. ΠΡΠΈ ΡΡΠΈΠ±Π΅ Π±ΠΎΠ»Π΅Π²ΡΠ΅ ΠΎΡΡΡΠ΅Π½ΠΈΡ Π²ΠΎΠ·ΡΠ°ΡΡΠ°ΡΡ Π½Π° ΠΏΡΠΎΡΡΠΆΠ΅Π½ΠΈΠΈ Π½Π΅ΡΠΊΠΎΠ»ΡΠΊΠΈΡ Π΄Π½Π΅ΠΉ ΠΈΠ»ΠΈ ΡΠ°ΡΠΎΠ². ΠΡΠΎ Π·Π°Π²ΠΈΡΠΈΡ ΠΎΡ ΡΠΈΠ»Ρ ΡΠ΄Π°ΡΠ°. ΠΠ΅ΡΠ΅Π»ΠΎΠΌ Ρ Π°ΡΠ°ΠΊΡΠ΅ΡΠΈΠ·ΡΠ΅ΡΡΡ Π²ΠΈΠ΄ΠΈΠΌΠΎΠΉ Π΄Π΅ΡΠΎΡΠΌΠ°ΡΠΈΠ΅ΠΉ ΠΊΠΎΡΡΠΈ ΠΈ ΠΊΡΠ΅ΠΏΠΈΡΠ°ΡΠΈΠ΅ΠΉ, Π° Π½Π΅ ΡΠΎΠ»ΡΠΊΠΎ Π±ΠΎΠ»ΡΡ ΠΈ ΠΏΠΎΠΊΡΠ°ΡΠ½Π΅Π½ΠΈΠ΅ΠΌ.

Π‘ΠΈΠΌΠΏΡΠΎΠΌΡ ΠΏΠ΅ΡΠ΅Π»ΠΎΠΌΠ° ΡΠΊΠ°Π·Π°ΡΠ΅Π»ΡΠ½ΠΎΠ³ΠΎ ΠΏΠ°Π»ΡΡΠ° ΡΡ ΠΎΠ΄Π½Ρ Ρ Π°Π½Π°Π»ΠΎΠ³ΠΈΡΠ½ΡΠΌΠΈ ΠΏΠΎΠ²ΡΠ΅ΠΆΠ΄Π΅Π½ΠΈΡΠΌΠΈ Π΄ΡΡΠ³ΠΈΡ ΠΏΠ°Π»ΡΡΠ΅Π². ΠΠ°Π»Π΅Ρ ΠΌΠΎΠΆΠ΅Ρ Π΄Π²ΠΈΠ³Π°ΡΡΡΡ Π½Π΅Π·Π°Π²ΠΈΡΠΈΠΌΠΎ ΠΎΡ ΠΎΡΡΠ°Π»ΡΠ½ΡΡ ΠΈ ΠΎΡΠ΅Π½Ρ ΡΠ°ΡΡΠΎ ΠΏΠΎΠ΄Π²Π΅ΡΠ³Π°Π΅ΡΡΡ ΡΡΠ°Π²ΠΌΠ°ΠΌ. ΠΡΠΈ ΠΏΠ΅ΡΠ΅Π»ΠΎΠΌΠ΅ ΠΎΠ½ Π½Π΅ ΡΠ³ΠΈΠ±Π°Π΅ΡΡΡ, Π½ΠΎΡΡΠ°Ρ Π±ΠΎΠ»Ρ ΡΠ°ΡΠΏΡΠΎΡΡΡΠ°Π½ΡΠ΅ΡΡΡ Π½Π° Π²ΡΡ ΠΊΠΈΡΡΡ.
ΠΠ΅ΡΠ΅Π»ΠΎΠΌ ΡΡΠ΅Π΄Π½Π΅Π³ΠΎ ΠΏΠ°Π»ΡΡΠ° ΠΏΠΎ ΡΠΈΠΌΠΏΡΠΎΠΌΠ°ΡΠΈΠΊΠ΅ ΡΡ ΠΎΠΆ Ρ Π΄ΡΡΠ³ΠΈΠΌΠΈ. ΠΠ΅Π·ΡΠΌΡΠ½Π½ΡΠΉ ΠΏΠ°Π»Π΅Ρ ΡΡΠ°Π²ΠΌΠΈΡΡΠ΅ΡΡΡ ΡΠ΅Π΄ΠΊΠΎ, Π½ΠΎ ΠΏΡΠΈ ΡΠ°ΠΊΠΎΠΌ ΠΏΠΎΠ²ΡΠ΅ΠΆΠ΄Π΅Π½ΠΈΠΈ ΡΡΡΠ΅ΡΡΠ²ΡΠ΅Ρ ΡΠΈΡΠΊ ΡΠ°Π·Π²ΠΈΡΠΈΡ ΠΊΠΎΠ½ΡΡΠ°ΠΊΡΡΡΡ. Π§Π΅ΡΠ²Π΅ΡΡΡΠΉ ΠΏΠ°Π»Π΅Ρ Π½Π΅ΡΠ΅Ρ Π½Π°ΠΈΠΌΠ΅Π½ΡΡΡΡ Π½Π°Π³ΡΡΠ·ΠΊΡ Π² ΠΊΠΈΡΡΠΈ. ΠΠ΅ΡΠ΅Π»ΠΎΠΌ ΠΌΠΈΠ·ΠΈΠ½ΡΠ° ΡΠ°ΠΊΠΆΠ΅ ΠΏΡΠΎΡΠ²Π»ΡΠ΅ΡΡΡ ΠΊΠ»Π°ΡΡΠΈΡΠ΅ΡΠΊΠΈΠΌΠΈ ΠΏΡΠΈΠ·Π½Π°ΠΊΠ°ΠΌΠΈ. ΠΠΎΠ³ΡΡ ΠΏΡΠΈΡΠΎΠ΅Π΄ΠΈΠ½ΠΈΡΡΡ Π½Π΅Π²ΡΠΎΠ»ΠΎΠ³ΠΈΡΠ΅ΡΠΊΠΈΠ΅ ΡΠΈΠΌΠΏΡΠΎΠΌΡ Π² Π²ΠΈΠ΄Π΅ ΠΎΠ½Π΅ΠΌΠ΅Π½ΠΈΡ, Β«ΠΏΠΎΠ»Π·Π°Π½ΠΈΡ ΠΌΡΡΠ°ΡΠ΅ΠΊΒ».
Π’Π°ΠΊ ΠΊΠ°ΠΊ ΠΎΡΠ»ΠΈΡΠΈΡΡ ΠΏΠ΅ΡΠ΅Π»ΠΎΠΌ ΠΎΡ ΡΠΈΠ»ΡΠ½ΠΎΠ³ΠΎ ΡΡΠΈΠ±Π° ΡΡΡΠ΄Π½ΠΎ, Π»ΡΡΡΠ΅ ΠΏΡΠ΅Π΄ΠΎΡΡΠ°Π²ΠΈΡΡ ΡΡΡ Π²ΠΎΠ·ΠΌΠΎΠΆΠ½ΠΎΡΡΡ Π²ΡΠ°ΡΡ. Π Π½Π°ΡΡΡΠ΅Π½ΠΈΠΈ ΡΠ΅Π»ΠΎΡΡΠ½ΠΎΡΡΠΈ ΠΊΠΎΡΡΠΈ ΡΠ²ΠΈΠ΄Π΅ΡΠ΅Π»ΡΡΡΠ²ΡΡΡ ΠΏΡΠΈΠ·Π½Π°ΠΊΠΈ: Ρ Π°ΡΠ°ΠΊΡΠ΅ΡΠ½ΡΠΉ Ρ ΡΡΡΡ, ΠΏΠ°ΡΠΎΠ»ΠΎΠ³ΠΈΡΠ΅ΡΠΊΠ°Ρ ΠΏΠΎΠ΄Π²ΠΈΠΆΠ½ΠΎΡΡΡ Π² ΡΠΎΠΌ ΠΌΠ΅ΡΡΠ΅, Π³Π΄Π΅ Π΅Π΅ Π½Π΅ Π΄ΠΎΠ»ΠΆΠ½ΠΎ Π±ΡΡΡ ΠΈ ΡΠΊΠΎΡΠΎΡΠ΅Π½ΠΈΠ΅ Π±ΠΎΠ»ΡΠ½ΠΎΠ³ΠΎ ΠΏΠ°Π»ΡΡΠ° Π² ΡΡΠ°Π²Π½Π΅Π½ΠΈΠΈ ΡΠΎ Π·Π΄ΠΎΡΠΎΠ²ΡΠΌ.
Π‘ΠΊΠΎΠ»ΡΠΊΠΎ Π·Π°ΠΆΠΈΠ²Π°Π΅Ρ
ΠΠ°Π»ΡΡΡ ΠΊΠΈΡΡΠΈ Π°ΠΊΡΠΈΠ²Π½ΠΎ ΠΈΡΠΏΠΎΠ»ΡΠ·ΡΡΡΡΡ Π² ΠΏΡΠΎΡΠ΅ΡΡΠ΅ ΠΎΠ±ΡΡΠ΅Π½ΠΈΡ, ΡΠ°ΠΌΠΎΠΎΠ±ΡΠ»ΡΠΆΠΈΠ²Π°Π½ΠΈΡ, Π½Π° ΠΏΡΠΎΠΈΠ·Π²ΠΎΠ΄ΡΡΠ²Π΅. Π€ΡΠ½ΠΊΡΠΈΠΎΠ½Π°Π»ΡΠ½ΡΠΉ ΠΈΡΡ ΠΎΠ΄ Π»Π΅ΡΠ΅Π½ΠΈΡ Π·Π°Π²ΠΈΡΠΈΡ ΠΎΡ ΡΠΎΠ³ΠΎ, Π½Π°ΡΠΊΠΎΠ»ΡΠΊΠΎ ΡΠ²ΠΎΠ΅Π²ΡΠ΅ΠΌΠ΅Π½Π½ΠΎ ΠΈ ΠΏΠΎΠ»Π½ΠΎ Π±ΡΠ΄Π΅Ρ ΠΎΠΊΠ°Π·Π°Π½Π° ΠΏΠΎΠΌΠΎΡΡ. ΠΠ°ΡΡΡΠ΅Π½ΠΈΠ΅ Π°Π½Π°ΡΠΎΠΌΠΈΡΠ΅ΡΠΊΠΎΠΉ ΡΠΎΡΠΌΡ ΠΊΠΎΡΡΠ΅ΠΉ ΠΏΡΠΈ ΠΏΠ΅ΡΠ΅Π»ΠΎΠΌΠ°Ρ ΠΏΡΠΈΠ²ΠΎΠ΄ΠΈΡ ΠΊ ΡΠ»ΠΎΠΆΠ½ΡΠΌ ΠΏΠ°ΡΠΎΠΌΠ΅Ρ Π°Π½ΠΈΡΠ΅ΡΠΊΠΈΠΌ ΠΎΡΠΊΠ»ΠΎΠ½Π΅Π½ΠΈΡΠΌ. ΠΠ½ΠΈ ΠΏΡΠΎΡΠ²Π»ΡΡΡΡΡ Π½Π΅ ΡΠΎΠ»ΡΠΊΠΎ Π² Π½Π°ΡΡΡΠ΅Π½ΠΈΠΈ ΡΡΠ½ΠΊΡΠΈΠΈ ΡΡΡΡΠ°Π²ΠΎΠ², Π½ΠΎ ΠΈ Π² ΠΌΠΎΡΡΠΎΠ»ΠΎΠ³ΠΈΡΠ΅ΡΠΊΠΈΡ ΠΈΠ·ΠΌΠ΅Π½Π΅Π½ΠΈΡΡ ΠΊΠΈΡΡΠΈ, ΠΊΠΎΡΠΎΡΡΠ΅ Π²Π»ΠΈΡΡΡ Π½Π° ΡΠ²ΡΠ·ΠΎΡΠ½ΠΎ-ΠΌΡΡΠ΅ΡΠ½ΡΠΉ Π°ΠΏΠΏΠ°ΡΠ°Ρ.
Π‘ΡΠ΅Π΄Π½ΡΡ Π΄Π»ΠΈΡΠ΅Π»ΡΠ½ΠΎΡΡΡ Π½Π΅ΡΡΡΠ΄ΠΎΡΠΏΠΎΡΠΎΠ±Π½ΠΎΡΡΠΈ ΠΏΡΠΈ ΠΏΠ΅ΡΠ΅Π»ΠΎΠΌΠ°Ρ ΠΊΠΎΡΡΠ΅ΠΉ ΡΠ°Π»Π°Π½Π³ ΠΏΠ°Π»ΡΡΠ΅Π² ΠΊΠΈΡΡΠΈ ΡΠΎΡΡΠ°Π²Π»ΡΠ΅Ρ 26 Π΄Π½Π΅ΠΉ ΠΊΠ°ΠΊ Ρ ΠΆΠ΅Π½ΡΠΈΠ½, ΡΠ°ΠΊ ΠΈ Ρ ΠΌΡΠΆΡΠΈΠ½.
ΠΠ° ΡΠΎ, ΡΠΊΠΎΠ»ΡΠΊΠΎ Π·Π°ΠΆΠΈΠ²Π°Π΅Ρ ΠΏΠΎΠ²ΡΠ΅ΠΆΠ΄Π΅Π½ΠΈΠ΅, Π·Π½Π°ΡΠΈΡΠ΅Π»ΡΠ½ΠΎΠ΅ Π²Π»ΠΈΡΠ½ΠΈΠ΅ ΠΎΠΊΠ°Π·ΡΠ²Π°Π΅Ρ Π΅Π³ΠΎ ΡΡΠΆΠ΅ΡΡΡ ΠΈ ΡΡΠ΅ΠΏΠ΅Π½Ρ ΠΎΠ³ΡΠ°Π½ΠΈΡΠ΅Π½ΠΈΡ Π΄Π²ΠΈΠΆΠ΅Π½ΠΈΠΉ Π²ΡΠ»Π΅Π΄ΡΡΠ²ΠΈΠ΅ ΡΡΠ°Π²ΠΌΡ.
Π’ΡΠΆΠ΅Π»ΡΠ΅ ΠΌΠ½ΠΎΠ³ΠΎΠΎΡΠΊΠΎΠ»ΡΡΠ°ΡΡΠ΅ ΠΏΠ΅ΡΠ΅Π»ΠΎΠΌΡ Ρ ΠΎΡΠΊΡΡΡΠΎΠΉ ΡΠ°Π½ΠΎΠΉ Π½ΡΠΆΠ΄Π°ΡΡΡΡ Π² ΠΎΡΡΠ΅ΠΎΡΠΈΠ½ΡΠ΅Π·Π΅. Π ΡΡΠΎΠΌ ΡΠ»ΡΡΠ°Π΅ Π²ΠΎΡΡΡΠ°Π½ΠΎΠ²Π»Π΅Π½ΠΈΠ΅ ΡΡΡΠ΄ΠΎΡΠΏΠΎΡΠΎΠ±Π½ΠΎΡΡΠΈ ΠΏΡΠΎΠΈΡΡ ΠΎΠ΄ΠΈΡ Π½Π° ΠΏΡΠΎΡΡΠΆΠ΅Π½ΠΈΠΈ 6-8 Π½Π΅Π΄Π΅Π»Ρ. ΠΠ° ΡΡΠΎΠΊΠΈ Π·Π°ΠΆΠΈΠ²Π»Π΅Π½ΠΈΡ Π²Π»ΠΈΡΠ΅Ρ Π²ΠΎΠ·ΡΠ°ΡΡ ΠΏΠ°ΡΠΈΠ΅Π½ΡΠ°, ΡΠΎΠΏΡΡΡΡΠ²ΡΡΡΠΈΠ΅ Π·Π°Π±ΠΎΠ»Π΅Π²Π°Π½ΠΈΡ, ΡΠ°Π·Π²ΠΈΡΠΈΠ΅ Π³Π½ΠΎΠΉΠ½ΠΎΠ³ΠΎ Π²ΠΎΡΠΏΠ°Π»ΠΈΡΠ΅Π»ΡΠ½ΠΎΠ³ΠΎ ΠΏΡΠΎΡΠ΅ΡΡΠ°. ΠΠ°Π»ΠΈΡΠΈΠ΅ ΠΏΠΎΡΠ»Π΅Π΄Π½Π΅Π³ΠΎ ΠΎΡΡΡΠ³ΠΈΠ²Π°Π΅Ρ Π²ΡΠ·Π΄ΠΎΡΠΎΠ²Π»Π΅Π½ΠΈΠ΅ Π΅ΡΠ΅ Π½Π° 1-2 Π½Π΅Π΄Π΅Π»ΠΈ.
ΠΠ΅ΡΠ΅Π½ΠΈΠ΅
Π‘ΡΡΠ΅ΡΡΠ²ΡΡΡΠΈΠ΅ ΡΠΏΠΎΡΠΎΠ±Ρ Π»Π΅ΡΠ΅Π½ΠΈΡ ΠΏΠΎΠ²ΡΠ΅ΠΆΠ΄Π΅Π½ΠΈΠΉ ΠΏΠ°Π»ΡΡΠ΅Π² ΠΈΠΌΠ΅ΡΡ ΠΏΠΎΠ»ΠΎΠΆΠΈΡΠ΅Π»ΡΠ½ΡΠ΅ ΠΈ ΠΎΡΡΠΈΡΠ°ΡΠ΅Π»ΡΠ½ΡΠ΅ ΡΡΠΎΡΠΎΠ½Ρ. ΠΡΠ±ΠΎΡ ΠΌΠ΅ΡΠΎΠ΄ΠΈΠΊΠΈ ΡΠ°ΡΡΠΎ Π·Π°Π²ΠΈΡΠΈΡ ΠΎΡ ΠΎΠΏΡΡΠ° ΠΈ ΠΏΡΠ΅Π΄ΠΏΠΎΡΡΠ΅Π½ΠΈΠΉ Ρ ΠΈΡΡΡΠ³ΠΎΠ² ΠΈ ΡΠ΅Π°Π±ΠΈΠ»ΠΈΡΠΎΠ»ΠΎΠ³ΠΎΠ². ΠΠΎΠ½ΡΠ΅ΡΠ²Π°ΡΠΈΠ²Π½ΠΎΠ΅ Π»Π΅ΡΠ΅Π½ΠΈΠ΅ ΠΏΡΠΈΠΌΠ΅Π½ΡΠ΅ΡΡΡ ΠΏΡΠΈ ΠΏΠ΅ΡΠ΅Π»ΠΎΠΌΠ°Ρ ΡΠ°Π»Π°Π½Π³ Π±Π΅Π· ΡΠΌΠ΅ΡΠ΅Π½ΠΈΡ. ΠΠΎΠΊΠ°Π·Π°Π½ΠΈΡ ΠΊ Π½Π΅ΠΌΡ ΠΎΠ³ΡΠ°Π½ΠΈΡΠ΅Π½Ρ. Π₯ΠΈΡΡΡΠ³ΠΈΡΠ΅ΡΠΊΠΈΠ΅ ΡΠΏΠΎΡΠΎΠ±Ρ Π²ΠΊΠ»ΡΡΠ°ΡΡ Π² ΡΠ΅Π±Ρ ΠΎΡΠΊΡΡΡΠΎΠ΅ ΠΈΠ»ΠΈ Π·Π°ΠΊΡΡΡΠΎΠ΅ Π²ΠΏΡΠ°Π²Π»Π΅Π½ΠΈΠ΅ Ρ ΠΏΠ»Π°ΡΡΠΈΠΊΠΎΠΉ ΡΠ²ΡΠ·ΠΎΡΠ½ΠΎΠ³ΠΎ Π°ΠΏΠΏΠ°ΡΠ°ΡΠ°, ΡΠ΅Π·Π΅ΠΊΡΠΈΠΎΠ½Π½ΡΡ Π°ΡΡΡΠΎΠΏΠ»Π°ΡΡΠΈΠΊΡ, ΡΠ½Π΄ΠΎΠΏΡΠΎΡΠ΅Π·ΠΈΡΠΎΠ²Π°Π½ΠΈΠ΅, Π°ΡΡΡΠΎΠ΄Π΅Π· ΡΡΡΡΠ°Π²Π° Π² Π²ΡΠ³ΠΎΠ΄Π½ΠΎΠΌ ΠΏΠΎΠ»ΠΎΠΆΠ΅Π½ΠΈΠΈ.
Π‘Π»ΠΎΠΆΠ½ΡΠΌΠΈ Π² ΡΠ΅ΡΠ°ΠΏΠ΅Π²ΡΠΈΡΠ΅ΡΠΊΠΎΠΌ ΠΏΠ»Π°Π½Π΅ ΡΡΠΈΡΠ°ΡΡΡΡ ΡΠ°Π·Π΄ΡΠΎΠ±Π»Π΅Π½Π½ΡΠ΅ ΠΏΠ΅ΡΠ΅Π»ΠΎΠΌΡ. ΠΡΠ½ΠΎΠ²Π½Π°Ρ Π·Π°Π΄Π°ΡΠ° β Π²ΠΎΠ·ΠΎΠ±Π½ΠΎΠ²Π»Π΅Π½ΠΈΠ΅ Π΄Π»ΠΈΠ½Ρ ΠΈ ΠΎΡΠΈ ΠΏΠΎΠ²ΡΠ΅ΠΆΠ΄Π΅Π½Π½ΠΎΠΉ ΡΠ°Π»Π°Π½Π³ΠΈ. ΠΠ½Π° ΡΠ°Π·ΡΠ΅ΡΠ°Π΅ΡΡΡ ΠΈΡΠΏΠΎΠ»Π½Π΅Π½ΠΈΠ΅ΠΌ Π·Π°ΠΊΡΡΡΠΎΠΉ ΡΡΡΠ½ΠΎΠΉ ΡΠ΅ΠΏΠΎΠ·ΠΈΡΠΈΠΈ (Π²ΠΏΡΠ°Π²Π»Π΅Π½ΠΈΡ) ΠΈ ΠΈΠΌΠΌΠΎΠ±ΠΈΠ»ΠΈΠ·Π°ΡΠΈΠΈ ΡΠ΅Π³ΠΌΠ΅Π½ΡΠ° Π² ΠΏΠΎΠ·ΠΈΡΠΈΠΈ, ΠΊΠΎΡΠΎΡΠ°Ρ ΡΡΠΈΡΠ°Π΅ΡΡΡ ΡΡΠ½ΠΊΡΠΈΠΎΠ½Π°Π»ΡΠ½ΠΎ Π²ΡΠ³ΠΎΠ΄Π½ΠΎΠΉ. Π‘ΠΏΠΎΡΠΎΠ±Ρ ΡΠΈΠΊΡΠ°ΡΠΈΠΈ Π½Π° ΡΠΎΡΠΎ Π½ΠΈΠΆΠ΅.

Π Π½Π΅ΠΊΠΎΡΠΎΡΡΡ ΡΠ»ΡΡΠ°ΡΡ Π½Π΅ ΠΏΠΎΠ»ΡΡΠ°Π΅ΡΡΡ ΡΠ΄Π΅ΡΠΆΠ°ΡΡ ΠΎΠ±Π»ΠΎΠΌΠΊΠΈ Π² Π½ΡΠΆΠ½ΠΎΠΌ ΠΏΠΎΠ»ΠΎΠΆΠ΅Π½ΠΈΠΈ. ΠΡΠΎ ΠΎΠ±ΡΡΠΎΡΡΠ΅Π»ΡΡΡΠ²ΠΎ ΡΡΠΈΡΠ°Π΅ΡΡΡ ΠΏΠΎΠΊΠ°Π·Π°Π½ΠΈΠ΅ΠΌ ΠΊ Π²ΡΠΏΠΎΠ»Π½Π΅Π½ΠΈΡ Ρ ΠΈΡΡΡΠ³ΠΈΡΠ΅ΡΠΊΠΎΠ³ΠΎ Π²ΠΌΠ΅ΡΠ°ΡΠ΅Π»ΡΡΡΠ²Π° Ρ Π΄Π°Π»ΡΠ½Π΅ΠΉΡΠΈΠΌ ΡΠΈΠΊΡΠΈΡΠΎΠ²Π°Π½ΠΈΠ΅ΠΌ ΠΎΡΠ»ΠΎΠΌΠΊΠΎΠ² Π²Π½Π΅ΡΠ½ΠΈΠΌΠΈ ΠΈΠ»ΠΈ ΠΏΠΎΠ³ΡΡΠΆΠ½ΡΠΌΠΈ ΠΊΠΎΠ½ΡΡΡΡΠΊΡΠΈΡΠΌΠΈ. ΠΠΏΠ΅ΡΠ°ΡΠΈΡ ΡΠ΅ΠΊΠΎΠΌΠ΅Π½Π΄ΡΡΡ ΠΏΡΠΈ ΠΏΠ΅ΡΠ΅Π»ΠΎΠΌΠ°Ρ ΡΠ°Π»Π°Π½Π³, ΠΊΠΎΡΠΎΡΡΠ΅ ΠΈΠΌΠ΅ΡΡ ΡΠ΅Π½Π΄Π΅Π½ΡΠΈΡ ΠΊ ΡΠΌΠ΅ΡΠ΅Π½ΠΈΡ.
ΠΠ½Π΅ΡΠ½ΡΡ ΡΠΈΠΊΡΠ°ΡΠΈΡ
ΠΠ½Π΅ΡΠ½ΠΈΠ΅ ΡΠΈΠΊΡΠ°ΡΠΎΡΡ ΠΏΠΎΠ·Π²ΠΎΠ»ΡΡΡ Π²ΡΠ°ΡΡ Π±ΡΡΡΡΠΎ ΠΈ ΠΏΡΠΎΡΡΠΎ Π·Π°ΠΊΡΠ΅ΠΏΠΈΡΡ ΠΎΡΠ»ΠΎΠΌΠΊΠΈ Π² ΠΏΡΠ°Π²ΠΈΠ»ΡΠ½ΠΎΠΉ ΠΏΠΎΠ·ΠΈΡΠΈΠΈ. ΠΡΠΏΠΎΠ»ΡΠ·ΡΡΡ Π»ΠΎΠ½Π³Π΅ΡΡ ΠΈΠ· ΠΏΠ»Π°ΡΡΠΈΡΠ΅ΡΠΊΠΈΡ ΠΈ ΠΊΠΎΠΌΠ±ΠΈΠ½ΠΈΡΠΎΠ²Π°Π½Π½ΡΡ ΠΌΠ°ΡΠ΅ΡΠΈΠ°Π»ΠΎΠ², Π³ΠΈΠΏΡΠ°, ΠΏΡΠΈΠΌΠ΅Π½ΡΡΡ ΠΌΠ΅ΡΠ°Π»Π»ΠΈΡΠ΅ΡΠΊΠΈΠ΅ ΡΠΈΠ½Ρ. ΠΠ±Π΅Π·Π΄Π²ΠΈΠΆΠΈΡΡ ΠΊΠΎΡΡΠΈ ΠΏΡΠΈ ΠΎΠΊΠΎΠ»ΠΎΡΡΡΡΠ°Π²Π½ΡΡ ΠΏΠ΅ΡΠ΅Π»ΠΎΠΌΠ°Ρ ΠΏΠΎΠΌΠΎΠ³Π°ΡΡ ΡΠΏΠΈΡΡ ΠΠΈΡΡΠ½Π΅ΡΠ°. ΠΡ ΠΏΡΠΎΠ²Π΅Π΄Π΅Π½ΠΈΠ΅ Π½Π΅ ΡΡΠ΅Π±ΡΠ΅Ρ ΡΠΏΠ΅ΡΠΈΠ°Π»ΡΠ½ΡΡ ΠΈΠ½ΡΡΡΡΠΌΠ΅Π½ΡΠΎΠ², ΠΊΡΠΎΠΌΠ΅ ΡΠ»Π΅ΠΊΡΡΠΈΡΠ΅ΡΠΊΠΎΠΉ ΠΌΠΈΠ½ΠΈΠ΄ΡΠ΅Π»ΠΈ. ΠΠΎΡ ΠΊΠ°ΠΊ ΡΡΠΎ Π²ΡΠ³Π»ΡΠ΄ΠΈΡ.

ΠΠ»Ρ ΠΎΠ±Π΅ΡΠΏΠ΅ΡΠ΅Π½ΠΈΡ Π½ΡΠΆΠ½ΠΎΠ³ΠΎ Π²Π°ΡΠΈΠ°Π½ΡΠ° ΡΡΠ°Π±ΠΈΠ»ΠΈΠ·Π°ΡΠΈΠΈ ΡΠΏΠΈΡΡ Π²Π²ΠΎΠ΄ΡΡ ΠΏΠ°ΡΠ°Π»Π»Π΅Π»ΡΠ½ΠΎ, ΠΏΠΎΠ΄ ΡΠ³Π»ΠΎΠΌ ΠΈ ΠΏΠ΅ΡΠΏΠ΅Π½Π΄ΠΈΠΊΡΠ»ΡΡΠ½ΠΎ. ΠΠ±Π»ΠΎΠΌΠΊΠΈ ΡΠΎΠΏΠΎΡΡΠ°Π²Π»ΡΡΡ ΠΈ ΡΠΈΠΊΡΠΈΡΡΡΡ ΡΡΠ΅ΡΠΊΠΎΠΆΠ½ΠΎ. Π‘ΠΏΠΈΡΡ ΡΠ½ΠΈΠΌΠ°ΡΡ ΡΠ΅ΡΠ΅Π· 3-4 Π½Π΅Π΄. Π Π½Π΅Π΄ΠΎΡΡΠ°ΡΠΊΠ°ΠΌ ΠΎΡΡΠ΅ΠΎΡΠΈΠ½ΡΠ΅Π·Π° ΠΎΡΠ½ΠΎΡΡΡ ΡΠΊΠ»ΠΎΠ½Π½ΠΎΡΡΡ ΠΊ ΡΠ°ΡΡΠ°ΡΡΠ²Π°Π½ΠΈΡ, ΡΠ°Π·Π΄ΡΠ°ΠΆΠ΅Π½ΠΈΠ΅ ΠΌΡΠ³ΠΊΠΈΡ ΡΠΊΠ°Π½Π΅ΠΉ ΠΎΡΡΡΡΠΌΠΈ ΠΊΠΎΠ½ΡΠ°ΠΌΠΈ, Π½Π΅Π±ΠΎΠ»ΡΡΡΡ ΠΏΡΠΎΡΠ½ΠΎΡΡΡ ΡΠ°ΠΌΠΎΠ³ΠΎ ΡΠΈΠΊΡΠ°ΡΠΎΡΠ°.
ΠΠΎΠ΄ΠΈΡΠΈΠΊΠ°ΡΠΈΠΈ Π°ΠΏΠΏΠ°ΡΠ°ΡΠΎΠ² Π΄Π»Ρ ΡΠΈΠΊΡΠ°ΡΠΈΠΈ ΠΏΠΎΠ·Π²ΠΎΠ»ΡΡΡ ΡΠΎΠ²Π΅ΡΡΠ°ΡΡ Π΄Π²ΠΈΠΆΠ΅Π½ΠΈΡ Π² ΡΡΡΡΠ°Π²Π°Ρ . ΠΡΠΎΠΌΠ΅ ΡΠΏΠΈΡ ΡΡΠΈ ΠΏΡΠΈΡΠΏΠΎΡΠΎΠ±Π»Π΅Π½ΠΈΡ ΠΌΠΎΠ³ΡΡ Π±ΡΡΡ ΡΡΠ΅ΡΠΆΠ½Π΅Π²ΡΠΌΠΈ ΠΈ ΡΠΌΠ΅ΡΠ°Π½Π½ΡΠΌΠΈ.
ΠΠΎΠ³ΡΡΠΆΠ½ΡΠ΅ ΠΊΠΎΠ½ΡΡΡΡΠΊΡΠΈΠΈ
Π ΠΏΠΎΠ³ΡΡΠΆΠ½ΡΠΌ ΠΊΠΎΠ½ΡΡΡΡΠΊΡΠΈΡΠΌ ΠΎΡΠ½ΠΎΡΡΡ ΠΏΠ»Π°ΡΡΠΈΠ½Ρ ΡΠ°Π·Π½ΠΎΠΉ ΡΠΎΡΠΌΡ ΠΈ Π²ΠΈΠ½ΡΡ. ΠΡ ΠΈΡΠΏΠΎΠ»ΡΠ·ΡΡΡ Π΄Π»Ρ ΡΡΠ°Π±ΠΈΠ»ΠΈΠ·ΠΈΡΠΎΠ²Π°Π½ΠΈΡ ΠΎΡΠΊΠΎΠ»ΡΡΠ°ΡΡΡ ΠΏΠ΅ΡΠ΅Π»ΠΎΠΌΠΎΠ² ΠΊΠΎΡΡΠ΅ΠΉ, ΠΏΡΠΈ Π·Π°ΡΡΠ°ΡΠ΅Π»ΡΡ ΠΏΠΎΠ²ΡΠ΅ΠΆΠ΄Π΅Π½ΠΈΡΡ Ρ Π½Π΅ΡΡΡΡΠ°Π½Π΅Π½Π½ΡΠΌ ΡΠΌΠ΅ΡΠ΅Π½ΠΈΠ΅ΠΌ ΠΎΠ±Π»ΠΎΠΌΠΊΠΎΠ². ΠΠ·ΡΠ΅Π΄ΠΊΠ° ΠΏΡΠΈΠΌΠ΅Π½ΡΡΡ Π΄Π»Ρ ΡΠΈΠΊΡΠ°ΡΠΈΠΈ ΠΎΡΠ½ΠΎΠ²Π½ΡΡ ΡΠ°Π»Π°Π½Π³. ΠΠ΅Π΄ΠΎΡΡΠ°ΡΠΊΠΎΠΌ ΠΌΠ΅ΡΠΎΠ΄Π° ΡΠ²Π»ΡΠ΅ΡΡΡ Π½Π΅ΠΎΠ±Ρ ΠΎΠ΄ΠΈΠΌΠΎΡΡΡ ΠΏΠΎΠ²ΡΠΎΡΠ½ΠΎΠΉ ΠΎΠΏΠ΅ΡΠ°ΡΠΈΠΈ Π΄Π»Ρ ΡΠ΄Π°Π»Π΅Π½ΠΈΡ ΠΊΠΎΠ½ΡΡΡΡΠΊΡΠΈΠΉ, Π° ΡΠ°ΠΊΠΆΠ΅ ΡΠΈΡΠΊ ΠΏΠΎΠ²ΡΠ΅ΠΆΠ΄Π΅Π½ΠΈΡ Π°ΡΡΠ΅ΡΠΈΠ°Π»ΡΠ½ΡΡ ΡΡΠ²ΠΎΠ»ΠΎΠ² ΠΈ Π½Π΅ΡΠ²ΠΎΠ².
Π‘ΠΊΠΎΠ»ΡΠΊΠΎ Π½ΠΎΡΡΡ Π³ΠΈΠΏΡ ΠΏΡΠΈ ΡΠΈΠΊΡΠ°ΡΠΈΠΈ Π»ΠΎΠ½Π³Π΅ΡΠΎΠΉ
ΠΡΠΈ ΠΏΠ΅ΡΠ΅Π»ΠΎΠΌΠ°Ρ ΡΠΎ ΡΠΌΠ΅ΡΠ΅Π½ΠΈΠ΅ΠΌ ΠΊΡΠ°Π΅Π²ΡΡ ΡΡΠ°Π³ΠΌΠ΅Π½ΡΠΎΠ² ΠΏΡΠΎΠ΄ΠΎΠ»ΠΆΠΈΡΠ΅Π»ΡΠ½ΠΎΡΡΡ ΠΈΠΌΠΌΠΎΠ±ΠΈΠ»ΠΈΠ·Π°ΡΠΈΠΈ Π² ΡΡΠ΅Π΄Π½Π΅ΠΌ ΡΠΎΡΡΠ°Π²Π»ΡΠ΅Ρ 15-20 Π΄Π½Π΅ΠΉ. ΠΠ΅ΠΏΠΎΠ΄Π²ΠΈΠΆΠ½ΠΎΡΡΡ ΠΎΠ±Π΅ΡΠΏΠ΅ΡΠΈΠ²Π°ΡΡ Π΄Π²ΡΠΌΡ Π³ΠΈΠΏΡΠΎΠ²ΡΠΌΠΈ Π»ΠΎΠ½Π³Π΅ΡΠ°ΠΌΠΈ. ΠΡ Π½Π°ΠΊΠ»Π°Π΄ΡΠ²Π°ΡΡ ΠΎΡ ΠΊΠΎΠ½ΡΠΈΠΊΠ° ΠΏΠ°Π»ΡΡΠ° Π΄ΠΎ Π²Π΅ΡΡ Π½Π΅ΠΉ ΡΡΠ΅ΡΠΈ ΠΏΡΠ΅Π΄ΠΏΠ»Π΅ΡΡΡ.
ΠΠΎΠ²ΡΠ΅ΠΆΠ΄Π΅Π½ΠΈΡ Π±ΡΠ²Π°ΡΡ ΠΎΠΊΠΎΠ»ΠΎΡΡΡΡΠ°Π²Π½ΡΠΌΠΈ, Π²Π½ΡΡΡΠΈΡΡΡΡΠ°Π²Π½ΡΠΌΠΈ ΠΈ Π΄ΠΈΠ°ΡΠΈΠ·Π°ΡΠ½ΡΠΌΠΈ.
Π‘ΡΠΎΠΊΠΈ ΠΈΠΌΠΌΠΎΠ±ΠΈΠ»ΠΈΠ·Π°ΡΠΈΠΈ:
Π²Π½ΡΡΡΠΈΡΡΡΡΠ°Π²Π½ΡΠ΅ Π½Π°ΡΡΡΠ΅Π½ΠΈΡ ΡΡΠ΅Π±ΡΡΡ Π½ΠΎΡΠ΅Π½ΠΈΡ Π³ΠΈΠΏΡΠ° Π΄ΠΎ 2 Π½Π΅Π΄;
ΠΎΠΊΠΎΠ»ΠΎΡΡΡΡΠ°Π²Π½ΡΠ΅ ΡΡΠ°Π²ΠΌΡ β Π΄ΠΎ 3 Π½Π΅Π΄;
ΠΏΡΠΈ Π΄ΠΈΠ°ΡΠΈΠ·Π°ΡΠ½ΡΡ ΠΏΠ΅ΡΠ΅Π»ΠΎΠΌΠ°Ρ ΡΠ»Π΅Π΄ΡΠ΅Ρ ΡΠ°ΡΡΡΠΈΡΡΠ²Π°ΡΡ Π½Π° 4-5 Π½Π΅Π΄.
ΠΡΠΈ ΠΏΠ΅ΡΠ΅Π»ΠΎΠΌΠ΅ ΠΎΡΠ½ΠΎΠ²Π½ΠΎΠΉ ΡΠ°Π»Π°Π½Π³ΠΈ ΠΎΠ±Π΅Π·Π΄Π²ΠΈΠΆΠΈΠ²Π°Π½ΠΈΠ΅ ΠΎΡΡΡΠ΅ΡΡΠ²Π»ΡΡΡ Π³ΠΈΠΏΡΠΎΠ²ΠΎΠΉ ΡΠΈΠ½ΠΎΠΉ, ΡΠ³ΠΈΠ±Π°Ρ ΠΎΡΠ½ΠΎΠ²Π½ΡΡ ΡΠ°Π»Π°Π½Π³Ρ ΠΏΠΎΠ΄ ΡΠ³Π»ΠΎΠΌ 45Β°. Π‘ΡΠ΅Π΄Π½ΡΡ ΡΠ³ΠΈΠ±Π°ΡΡ Π½Π° 60Β°, Π½ΠΎΠ³ΡΠ΅Π²ΡΡ ΡΠ°Π»Π°Π½Π³Ρ β Π΄ΠΎ 15Β°. Π ΡΠ°ΠΊΠΎΠΌ ΠΏΠΎΠ»ΠΎΠΆΠ΅Π½ΠΈΠΈ ΠΊΠΎΠ½Π΅ΡΠ½ΠΎΡΡΡ Π½Π°Ρ ΠΎΠ΄ΠΈΡΡΡ Π΄ΠΎ 3 Π½Π΅Π΄.
ΠΠ΅ΡΠ΅Π½ΠΈΠ΅ ΠΏΡΠΈ ΠΏΠΎΠ²ΡΠ΅ΠΆΠ΄Π΅Π½ΠΈΠΈ ΡΡΠ΅Π΄Π½Π΅ΠΉ ΡΠ°Π»Π°Π½Π³ΠΈ ΡΠ°ΠΊΠΎΠ΅, ΠΊΠ°ΠΊ ΠΈ ΠΏΡΠΈ ΠΏΠ΅ΡΠ΅Π»ΠΎΠΌΠ΅ ΠΎΡΠ½ΠΎΠ²Π½ΠΎΠΉ. Π£Π³ΠΎΠ», ΠΏΠΎΠ΄ ΠΊΠΎΡΠΎΡΡΠΌ ΡΠΈΠΊΡΠΈΡΡΡΡ ΠΏΠ°Π»Π΅Ρ Π²ΠΎ Π²ΡΠ΅ΠΌΡ ΠΈΠΌΠΌΠΎΠ±ΠΈΠ»ΠΈΠ·Π°ΡΠΈΠΈ Π·Π°Π²ΠΈΡΠΈΡ ΠΎΡ ΠΏΡΠΎΡ ΠΎΠΆΠ΄Π΅Π½ΠΈΡ ΠΏΠ»ΠΎΡΠΊΠΎΡΡΠΈ ΠΈΠ·Π»ΠΎΠΌΠ° ΠΎΡΠ½ΠΎΡΠΈΡΠ΅Π»ΡΠ½ΠΎ ΠΌΠ΅ΡΡΠ° ΠΏΡΠΈΠΊΡΠ΅ΠΏΠ»Π΅Π½ΠΈΡ ΡΠ³ΠΈΠ±Π°ΡΠ΅Π»Ρ ΠΏΠ°Π»ΡΡΠ°. ΠΠ»ΠΈΡΠ΅Π»ΡΠ½ΠΎΡΡΡ Π½ΠΎΡΠ΅Π½ΠΈΡ Π³ΠΈΠΏΡΠ° ΠΏΡΠΈ Π½Π°ΡΡΡΠ΅Π½ΠΈΠΈ ΡΠ΅Π»ΠΎΡΡΠ½ΠΎΡΡΠΈ ΡΡΠ΅Π΄Π½Π΅ΠΉ ΡΠ°Π»Π°Π½Π³ΠΈ 3 Π½Π΅Π΄.

ΠΠΌΠΌΠΎΠ±ΠΈΠ»ΠΈΠ·Π°ΡΠΈΡ ΠΌΠΈΠ·ΠΈΠ½ΡΠ° Π³ΠΈΠΏΡΠΎΠ²ΠΎΠΉ ΠΏΠΎΠ²ΡΠ·ΠΊΠΎΠΉ
ΠΡΠΈ ΠΏΠ΅ΡΠ΅Π»ΠΎΠΌΠ΅ Π΄ΠΈΡΡΠ°Π»ΡΠ½ΠΎΠΉ ΡΠ°Π»Π°Π½Π³ΠΈ Π½Π° ΠΏΠ°Π»Π΅Ρ Π½Π°ΠΊΠ»Π°Π΄ΡΠ²Π°ΡΡ ΡΠΈΡΠΊΡΠ»ΡΡΠ½ΡΡ Π³ΠΈΠΏΡΠΎΠ²ΡΡ ΠΏΠΎΠ²ΡΠ·ΠΊΡ ΠΈΠ»ΠΈ ΡΠΎΠ²Π΅ΡΡΠ°ΡΡ ΠΈΠΌΠΌΠΎΠ±ΠΈΠ»ΠΈΠ·Π°ΡΠΈΡ Π»ΠΈΠΏΠΊΠΈΠΌ ΠΏΠ»Π°ΡΡΡΡΠ΅ΠΌ Π² ΡΡΠ΅Π΄Π½Π΅ΡΠΈΠ·ΠΈΠΎΠ»ΠΎΠ³ΠΈΡΠ΅ΡΠΊΠΎΠΉ ΠΏΠΎΠ·ΠΈΡΠΈΠΈ ΡΠ°Π»Π°Π½Π³ΠΈ. ΠΠΎΠ²ΡΠ·ΠΊΡ Π½ΠΎΡΡΡ 10-15 Π΄Π½Π΅ΠΉ. Π’ΡΡΠ΄ΠΎΡΠΏΠΎΡΠΎΠ±Π½ΠΎΡΡΡ ΠΏΠΎΠ»Π½ΠΎΡΡΡΡ Π²ΠΎΠ·Π²ΡΠ°ΡΠ°Π΅ΡΡΡ ΡΠ΅ΡΠ΅Π· 3 Π½Π΅Π΄, Π½ΠΎ ΠΏΡΠΈΡΡΡΠΏΠ°ΡΡ ΠΊ ΡΠ°Π±ΠΎΡΠ΅ ΠΌΠΎΠΆΠ½ΠΎ Π΄ΠΎ ΠΏΡΠ΅ΠΊΡΠ°ΡΠ΅Π½ΠΈΡ ΠΈΠΌΠΌΠΎΠ±ΠΈΠ»ΠΈΠ·Π°ΡΠΈΠΈ.
ΠΡΠ»ΠΎΠΆΠ½Π΅Π½ΠΈΠ΅ ΠΏΠ΅ΡΠ΅Π»ΠΎΠΌΠ° ΠΈΠ»ΠΈ ΠΏΠΎΡΠ΅ΠΌΡ Π½Π΅ΠΌΠ΅ΡΡ ΠΏΠ°Π»ΡΡΡ
Π§Π°ΡΡΠΎ ΠΏΠΎΡΠ»Π΅ ΡΠ½ΡΡΠΈΡ Π³ΠΈΠΏΡΠ° Ρ ΠΏΠ°ΡΠΈΠ΅Π½ΡΠΎΠ² Π½Π΅ΠΌΠ΅ΡΡ ΠΏΠ°Π»ΡΡΡ. ΠΡΠΎΡ ΡΠΈΠΌΠΏΡΠΎΠΌ ΠΌΠΎΠΆΠ΅Ρ ΡΠ²Π»ΡΡΡΡΡ ΡΠ»Π΅Π΄ΡΡΠ²ΠΈΠ΅ΠΌ ΡΡΠ°Π²ΠΌΡ, Π΅Π΅ Π½Π΅Π²ΡΠΎΠ»ΠΎΠ³ΠΈΡΠ΅ΡΠΊΠΈΠΌ ΠΏΡΠΎΡΠ²Π»Π΅Π½ΠΈΠ΅ΠΌ. Π‘ΠΎ Π²ΡΠ΅ΠΌΠ΅Π½Π΅ΠΌ ΠΏΡΠΎΡ ΠΎΠ΄ΠΈΡ ΠΏΠΎΡΠ»Π΅ ΠΌΠ°ΡΡΠ°ΠΆΠ°, Π»Π΅ΡΠ΅Π±Π½ΠΎΠΉ Π³ΠΈΠΌΠ½Π°ΡΡΠΈΠΊΠΈ ΠΈ ΡΠΈΠ·ΠΈΠΎΠ»Π΅ΡΠ΅Π½ΠΈΡ.
ΠΠ΅ ΠΈΡΠΊΠ»ΡΡΠ°Π΅ΡΡΡ ΠΏΠ°ΡΠ°Π»Π»Π΅Π»ΡΠ½Π°Ρ Ρ ΠΏΠ΅ΡΠ΅Π»ΠΎΠΌΠΎΠΌ ΡΡΠ°Π²ΠΌΠ° Π½Π΅ΡΠ²Π°, ΠΊΠΎΡΠΎΡΡΠΉ ΠΈΠ½Π½Π΅ΡΠ²ΠΈΡΡΠ΅Ρ ΠΏΠΎΠ²ΡΠ΅ΠΆΠ΄Π΅Π½Π½ΡΠ΅ ΠΏΠ°Π»ΡΡΡ. ΠΠ½Π΅ΠΌΠ΅Π½ΠΈΠ΅ 1-4 ΠΏΠ°Π»ΡΡΠ΅Π² ΡΡΠΈΡΠ°Π΅ΡΡΡ ΠΏΡΠΈΠ·Π½Π°ΠΊΠΎΠΌ Π·Π°ΠΈΠ½ΡΠ΅ΡΠ΅ΡΠΎΠ²Π°Π½Π½ΠΎΡΡΠΈ Π² ΠΏΡΠΎΡΠ΅ΡΡΠ΅ ΡΡΠ΅Π΄ΠΈΠ½Π½ΠΎΠ³ΠΎ Π½Π΅ΡΠ²Π°. ΠΠ°ΡΡΡΠ΅Π½ΠΈΠ΅ ΡΡΠ²ΡΡΠ²ΠΈΡΠ΅Π»ΡΠ½ΠΎΡΡΠΈ ΠΎΠ³ΡΠ°Π½ΠΈΡΠΈΠ²Π°Π΅ΡΡΡ Π»Π°Π΄ΠΎΠ½Π½ΠΎΠΉ ΠΏΠΎΠ²Π΅ΡΡ Π½ΠΎΡΡΡΡ I ΠΏΠ°Π»ΡΡΠ°, ΡΡΠ»ΡΠ½ΠΎΠΉ ΠΈ Π»Π°Π΄ΠΎΠ½Π½ΠΎΠΉ ΠΏΠΎΠ²Π΅ΡΡ Π½ΠΎΡΡΡΡ II-IV ΠΏΠ°Π»ΡΡΠ΅Π². ΠΡΠΈΡΠΈΠ½Ρ β ΡΠ΄Π°Π²Π»Π΅Π½ΠΈΠ΅ ΠΎΡΠ΅ΠΊΠΎΠΌ, ΡΡΠΎΠ»ΡΠ΅Π½Π½ΡΠΌΠΈ ΡΡΡ ΠΎΠΆΠΈΠ»ΠΈΡΠΌΠΈ ΡΠ³ΠΈΠ±Π°ΡΠ΅Π»Π΅ΠΉ ΠΏΠ°Π»ΡΡΠ΅Π², ΠΊΠΎΡΡΠ½ΠΎΠΉ ΠΌΠΎΠ·ΠΎΠ»ΡΡ ΠΈΠ»ΠΈ Π³ΠΈΠΏΡΠΎΠΌ ΠΈ ΠΌΠ½ΠΎΠ³ΠΎ Π΄ΡΡΠ³ΠΈΡ .
ΠΡΠ»ΠΈ ΡΠ΄Π°Π²Π»ΠΈΠ²Π°Π½ΠΈΠ΅ Π½Π΅ΡΠ²Π½ΠΎΠ³ΠΎ Π²ΠΎΠ»ΠΎΠΊΠ½Π° ΠΏΡΠΎΠΈΡΡ ΠΎΠ΄ΠΈΡ Π²ΡΠ»Π΅Π΄ΡΡΠ²ΠΈΠ΅ ΠΏΠΎΡΠ»Π΅ΠΎΠΏΠ΅ΡΠ°ΡΠΈΠΎΠ½Π½ΠΎΠΉ ΠΎΡΠ΅ΡΠ½ΠΎΡΡΠΈ ΡΠΊΠ°Π½Π΅ΠΉ, ΡΠΎ ΡΡΠΎ ΠΏΡΠ΅Ρ ΠΎΠ΄ΡΡΠ΅Π΅ ΡΠ²Π»Π΅Π½ΠΈΠ΅. ΠΠ³ΠΎ ΡΠ²ΡΠ·ΡΠ²Π°ΡΡ ΡΠ°ΠΊΠΆΠ΅ ΠΈ ΡΠΎ ΡΠΊΠΎΠΏΠ»Π΅Π½ΠΈΠ΅ΠΌ Π±ΠΈΠΎΠ»ΠΎΠ³ΠΈΡΠ΅ΡΠΊΠΎΠΉ ΠΆΠΈΠ΄ΠΊΠΎΡΡΠΈ (ΠΊΡΠΎΠ²ΠΈ) Π²ΠΎ Π²Π½ΡΡΡΠ΅Π½Π½ΠΈΡ ΡΠΊΡΡΡΡΡ ΠΏΠΎΠ»ΠΎΡΡΡΡ . ΠΠ± ΠΎΠ½Π΅ΠΌΠ΅Π½ΠΈΠΈ Π»ΡΡΡΠ΅ ΡΠΎΠΎΠ±ΡΠΈΡΡ ΡΠΏΠ΅ΡΠΈΠ°Π»ΠΈΡΡΡ, ΠΊΠΎΡΠΎΡΡΠΉ ΠΏΡΠΎΠ²ΠΎΠ΄ΠΈΠ» ΠΎΠΏΠ΅ΡΠ°ΡΠΈΡ. ΠΠ½ ΠΎΠΏΡΠ΅Π΄Π΅Π»ΠΈΡ ΠΏΡΠΎΠ²ΠΎΡΠΈΡΡΡΡΠΈΠΉ ΡΠ°ΠΊΡΠΎΡ ΠΈ ΡΠ΅ΡΠΈΡ, Π½ΡΠΆΠ½ΠΎ Π»ΠΈ Π²ΠΌΠ΅ΡΠ°ΡΠ΅Π»ΡΡΡΠ²ΠΎ ΠΈΠ»ΠΈ Π½Π΅ΠΎΠ±Ρ ΠΎΠ΄ΠΈΠΌΠΎ Π΄ΠΎΠΆΠ΄Π°ΡΡΡΡ ΡΠ°ΠΌΠΎΠΏΡΠΎΠΈΠ·Π²ΠΎΠ»ΡΠ½ΠΎΠ³ΠΎ ΠΈΠ·Π»Π΅ΡΠ΅Π½ΠΈΡ.
ΠΠ°ΠΊ ΡΠ°Π·ΡΠ°Π±Π°ΡΡΠ²Π°ΡΡ ΠΏΠ°Π»Π΅Ρ ΠΏΠΎΡΠ»Π΅ ΠΏΠ΅ΡΠ΅Π»ΠΎΠΌΠ°
Π’ΡΠ°Π²ΠΌΡ ΠΏΠ°Π»ΡΡΠ΅Π² ΠΊΠΈΡΡΠΈ ΠΏΡΠΎΠ²ΠΎΡΠΈΡΡΡΡ ΡΠ°Π·Π²ΠΈΡΠΈΠ΅ ΡΡΠΎΠΉΠΊΠΎΠ³ΠΎ Π±ΠΎΠ»Π΅Π²ΠΎΠ³ΠΎ ΡΠΈΠ½Π΄ΡΠΎΠΌΠ°, Π½Π°ΡΡΡΠ΅Π½ΠΈΠ΅ ΡΡΠ½ΠΊΡΠΈΠΈ ΠΊΠΈΡΡΠΈ, ΡΠΎΡΠΌΠΈΡΠΎΠ²Π°Π½ΠΈΠ΅ ΠΏΠΎΡΡΡΡΠ°Π²ΠΌΠ°ΡΠΈΡΠ΅ΡΠΊΠΎΠ³ΠΎ Π°ΡΡΡΠΎΠ·Π°. ΠΠΎΡΡΠΎΠΌΡ ΡΠ΅Π°Π±ΠΈΠ»ΠΈΡΠ°ΡΠΈΡ ΠΏΠΎΡΠ»Π΅ ΠΏΠΎΠ²ΡΠ΅ΠΆΠ΄Π΅Π½ΠΈΡ β ΠΎΡΠ΅Π½Ρ Π²Π°ΠΆΠ½ΠΎΠ΅ ΠΌΠ΅ΡΠΎΠΏΡΠΈΡΡΠΈΠ΅. ΠΡΠΈΠΌΠ΅Π½ΡΡΡ ΠΌΠ΅ΡΠΎΠ΄Ρ ΡΠΈΠ·ΠΈΠΎΡΠ΅ΡΠ°ΠΏΠΈΠΈ, Π»Π΅ΡΠ΅Π±Π½ΠΎΠΉ ΡΠΈΠ·ΠΊΡΠ»ΡΡΡΡΡ, ΠΈΡΠΏΠΎΠ»ΡΠ·ΡΡΡ ΠΌΠ΅ΡΡΠ½ΡΠ΅ Π»Π΅ΠΊΠ°ΡΡΡΠ²Π΅Π½Π½ΡΠ΅ ΠΏΡΠ΅ΠΏΠ°ΡΠ°ΡΡ.
ΠΡΠΎΠ±ΠΎΠ΅ Π²Π½ΠΈΠΌΠ°Π½ΠΈΠ΅ ΠΎΠΊΠ°Π·ΡΠ²Π°ΡΡ Π²ΠΎΡΡΡΠ°Π½ΠΎΠ²Π»Π΅Π½ΠΈΡ ΡΡΠ½ΠΊΡΠΈΠΈ I ΠΏΠ°Π»ΡΡΠ° ΠΊΠΈΡΡΠΈ. ΠΠ³ΠΎ Π·Π½Π°ΡΠΈΠΌΠΎΡΡΡ ΠΏΡΠΈΡΠ°Π²Π½ΠΈΠ²Π°Π΅ΡΡΡ ΠΊΠΎ Π²ΡΠ΅ΠΌ ΠΎΡΡΠ°Π»ΡΠ½ΡΠΌ, Π²ΠΌΠ΅ΡΡΠ΅ Π²Π·ΡΡΡΠΌ.
ΠΡΠ½ΠΎΠ²Π½ΡΠ΅ Π²ΠΈΠ΄Ρ ΡΠΈΠ·ΠΈΡΠ΅ΡΠΊΠΎΠ³ΠΎ Π»Π΅ΡΠ΅Π½ΠΈΡ:
ΠΊΠΈΠ½Π΅Π·ΠΎΡΠ΅ΡΠ°ΠΏΠΈΡ;
ΠΏΠΎΠ΄Π²ΠΎΠ΄Π½Π°Ρ Π³ΠΈΠΌΠ½Π°ΡΡΠΈΠΊΠ°;
ΡΠΈΠ½ΠΈΡΠΎΠ²Π°Π½ΠΈΠ΅ Ρ ΠΏΡΠΈΠΌΠ΅Π½Π΅Π½ΠΈΠ΅ΠΌ ΡΠ»Π°ΡΡΠΈΡΠ΅ΡΠΊΠΎΠΉ ΡΡΠ³ΠΈ;
ΡΠ»ΡΡΡΠ°Π·Π²ΡΠΊ;
ΠΏΠ°ΡΠ°ΡΠΈΠ½ΠΎΡΠ΅ΡΠ°ΠΏΠΈΡ;
ΠΈΠΎΠ½ΠΎΡΠΎΡΠ΅Π· Π· Π»ΠΈΠ΄Π°Π·ΠΎΠΉ;
ΠΌΡΠ³ΠΊΠΈΠ΅ ΡΠ΅ΠΏΠ»ΠΎΠ²ΡΠ΅ ΠΏΡΠΎΡΠ΅Π΄ΡΡΡ.
Π₯ΠΎΡΠΎΡΠΈΠΉ ΡΡΡΠ΅ΠΊΡ ΠΏΠΎΡΠ»Π΅ ΠΏΠ΅ΡΠ΅Π»ΠΎΠΌΠ° ΠΈΠΌΠ΅Π΅Ρ ΠΊΡΠΈΠΎΡΠ΅ΡΠ°ΠΏΠΈΡ Π² Π²ΠΈΠ΄Π΅ ΠΌΠ΅ΡΡΠ½ΠΎΠ³ΠΎ ΠΌΠ°ΡΡΠ°ΠΆΠ° ΡΠΎ Π»ΡΠ΄ΠΎΠΌ.
ΠΠ΅ΡΠ΅Π±Π½Π°Ρ Π³ΠΈΠΌΠ½Π°ΡΡΠΈΠΊΠ°
ΠΡΡΡ Π»Π΅ΡΠ΅Π±Π½ΠΎΠΉ Π³ΠΈΠΌΠ½Π°ΡΡΠΈΠΊΠΈ Π΄Π»Ρ ΠΏΠ°Π»ΡΡΠ΅Π² ΠΊΠΈΡΡΠΈ ΠΏΡΠΎΠ²ΠΎΠ΄ΡΡ ΠΏΠ°ΡΠ°Π»Π»Π΅Π»ΡΠ½ΠΎ Ρ ΡΠΈΠ·ΠΈΠΎΡΠ΅ΡΠ°ΠΏΠΈΠ΅ΠΉ. ΠΠ€Π ΡΠ΅ΠΊΠΎΠΌΠ΅Π½Π΄ΡΡΡ Π΄Π»Ρ ΠΏΡΠ΅Π΄ΡΠΏΡΠ΅ΠΆΠ΄Π΅Π½ΠΈΡ ΠΎΡΠ΅ΠΊΠ°, ΡΠ°Π·Π²ΠΈΡΠΈΡ ΠΊΠΎΠ½ΡΡΠ°ΠΊΡΡΡ. ΠΠ°ΠΈΠ»ΡΡΡΠΈΠΌ ΠΏΠ΅ΡΠΈΠΎΠ΄ΠΎΠΌ Π΄Π»Ρ Π½Π°ΡΠ°Π»Π° Π΄ΠΎΠ·ΠΈΡΠΎΠ²Π°Π½Π½ΡΡ Π΄Π²ΠΈΠΆΠ΅Π½ΠΈΠΉ Ρ Π»ΡΠ΄Π΅ΠΉ Ρ Π²Π½ΡΡΡΠΈΡΡΡΡΠ°Π²Π½ΡΠΌΠΈ ΠΏΠ΅ΡΠ΅Π»ΠΎΠΌΠ°ΠΌΠΈ, ΠΏΠ΅ΡΠ΅Π»ΠΎΠΌΠΎ-Π²ΡΠ²ΠΈΡ Π°ΠΌΠΈ ΡΠ°Π»Π°Π½Π³ ΡΡΠΈΡΠ°ΡΡΡΡ 7-10 ΡΡΡΠΊΠΈ ΠΏΠΎΡΠ»Π΅ ΠΎΠΏΠ΅ΡΠ°ΡΠΈΠ²Π½ΠΎΠ³ΠΎ Π»Π΅ΡΠ΅Π½ΠΈΡ. Π¦Π΅Π»Ρ ΡΠΏΡΠ°ΠΆΠ½Π΅Π½ΠΈΠΉ β ΡΠΎΠ½ΠΈΠ·ΠΈΡΡΡΡΠ΅Π΅ Π΄Π΅ΠΉΡΡΠ²ΠΈΠ΅ Π½Π° ΠΎΡΠ³Π°Π½ΠΈΠ·ΠΌ, ΡΠ»ΡΡΡΠ΅Π½ΠΈΠ΅ ΡΡΠΎΡΠΈΠΊΠΈ ΡΠΊΠ°Π½Π΅ΠΉ ΠΈ ΠΊΡΠΎΠ²ΠΎΠΎΠ±ΡΠ°ΡΠ΅Π½ΠΈΡ, ΠΏΡΠ΅Π΄ΡΠΏΡΠ΅ΠΆΠ΄Π΅Π½ΠΈΠ΅ Π°ΡΡΠΎΡΠΈΠΈ ΠΌΡΡΡ.
ΠΠ°ΠΊ ΡΠ°Π·ΡΠ°Π±Π°ΡΡΠ²Π°ΡΡ β ΡΡΠΎ Π²ΠΊΠ»ΡΡΠ°Π΅Ρ Π² ΡΠ΅Π±Ρ Π»Π΅ΡΠ΅Π±Π½Π°Ρ Π³ΠΈΠΌΠ½Π°ΡΡΠΈΠΊΠ° ΠΏΠ΅ΡΠ²ΠΎΠ³ΠΎ ΠΈΠΌΠΌΠΎΠ±ΠΈΠ»ΠΈΠ·Π°ΡΠΈΠΎΠ½Π½ΠΎΠ³ΠΎ ΠΏΠ΅ΡΠΈΠΎΠ΄Π°:
Π°ΠΊΡΠΈΠ²Π½ΡΠ΅ Π΄Π²ΠΈΠΆΠ΅Π½ΠΈΡ ΠΊΠ°ΠΆΠ΄ΠΎΠΉ ΡΠ°Π»Π°Π½Π³ΠΈ Π½Π΅ΠΏΠΎΠ²ΡΠ΅ΠΆΠ΄Π΅Π½Π½ΡΡ ΠΏΠ°Π»ΡΡΠ΅Π²;
ΡΠΏΡΠ°ΠΆΠ½Π΅Π½ΠΈΡ Π΄Π»Ρ Π»ΠΎΠΊΡΠ΅Π²ΠΎΠ³ΠΎ ΠΈ ΠΏΠ»Π΅ΡΠ΅Π²ΠΎΠ³ΠΎ ΡΡΡΡΠ°Π²Π°;
ΠΈΠ·ΠΎΠΌΠ΅ΡΡΠΈΡΠ΅ΡΠΊΠΈΠ΅ Π½Π°ΠΏΡΡΠΆΠ΅Π½ΠΈΡ ΠΏΠ»Π΅ΡΠ° ΠΈ ΠΏΡΠ΅Π΄ΠΏΠ»Π΅ΡΡΡ.
ΠΠΈΠΌΠ½Π°ΡΡΠΈΠΊΠ° Π΄Π»Ρ ΡΡΡΡΠ°Π²ΠΎΠ² ΠΏΡΠ΅Π΄ΡΡΠΌΠ°ΡΡΠΈΠ²Π°Π΅Ρ: ΡΠ³ΠΈΠ±Π°Π½ΠΈΠ΅, ΡΠ°Π·Π³ΠΈΠ±Π°Π½ΠΈΠ΅, Π»ΡΡΠ΅Π²ΡΡ ΠΈ Π»ΠΎΠΊΡΠ΅Π²ΡΡ Π΄Π΅Π²ΠΈΠ°ΡΠΈΡ ΠΊΠΈΡΡΠΈ, Π° ΡΠ°ΠΊΠΆΠ΅ ΡΠΎΡΠ°ΡΠΈΡ ΠΏΡΠ΅Π΄ΠΏΠ»Π΅ΡΡΡ. Π€ΠΈΠ·ΠΈΡΠ΅ΡΠΊΠΈΠ΅ ΡΠΏΡΠ°ΠΆΠ½Π΅Π½ΠΈΡ ΠΏΡΠΎΠ²ΠΎΠ΄ΡΡ Π² ΡΠΎΡΠΌΠ΅ ΠΎΠ±ΡΡΠ°ΡΡΠΈΡ Π·Π°Π½ΡΡΠΈΠΉ Ρ ΠΌΠ΅ΡΠΎΠ΄ΠΈΡΡΠΎΠΌ, ΠΏΠΎΠ·ΠΆΠ΅ β ΡΠ°ΠΌΠΎΡΡΠΎΡΡΠ΅Π»ΡΠ½ΡΡ ΠΈΠ½Π΄ΠΈΠ²ΠΈΠ΄ΡΠ°Π»ΡΠ½ΡΡ Π·Π°Π½ΡΡΠΈΠΉ. Π’Π°ΠΊΠΈΠΌ ΠΎΠ±ΡΠ°Π·ΠΎΠΌ, Π½Π° ΠΏΠ΅ΡΠ²ΠΎΠΌ ΡΡΠ°ΠΏΠ΅ Π±ΠΎΠ»ΡΡΠ°Ρ ΡΠ°ΡΡΡ ΡΠΏΡΠ°ΠΆΠ½Π΅Π½ΠΈΠΉ Π½Π°ΠΏΡΠ°Π²Π»Π΅Π½Π° Π½Π° Π΄ΡΡΠ³ΠΈΠ΅ ΡΠ΅Π³ΠΌΠ΅Π½ΡΡ ΠΎΠΏΠΎΡΠ½ΠΎ-Π΄Π²ΠΈΠ³Π°ΡΠ΅Π»ΡΠ½ΠΎΠ³ΠΎ Π°ΠΏΠΏΠ°ΡΠ°ΡΠ°.
Π Π°Π·ΡΠ°Π±ΠΎΡΠ°ΡΡ ΠΏΠ°Π»ΡΡΡ Π²ΠΎ Π²ΡΠΎΡΠΎΠΌ Π²ΠΎΡΡΡΠ°Π½ΠΎΠ²ΠΈΡΠ΅Π»ΡΠ½ΠΎΠΌ ΠΏΠ΅ΡΠΈΠΎΠ΄Π΅ ΠΏΠΎΠΌΠΎΠ³Π°ΡΡ Π°ΠΊΡΠΈΠ²Π½ΡΠ΅ Π΄Π²ΠΈΠΆΠ΅Π½ΠΈΡ ΡΡΠ°Π²ΠΌΠΈΡΠΎΠ²Π°Π½Π½ΡΡ ΠΏΠ°Π»ΡΡΠ΅Π². ΠΠ€Π ΠΏΡΠ΅Π΄ΡΡΠΌΠ°ΡΡΠΈΠ²Π°Π΅Ρ ΡΠ³ΠΈΠ±Π°Π½ΠΈΡ ΠΈ ΡΠ°Π·Π³ΠΈΠ±Π°Π½ΠΈΡ Π² ΠΌΠ΅ΠΆΡΠ°Π»Π°Π½Π³ΠΎΠ²ΡΡ ΠΈ ΠΏΡΡΡΠ½ΠΎ-ΡΠ°Π»Π°Π½Π³ΠΎΠ²ΡΡ ΡΡΡΡΠ°Π²Π°Ρ , ΠΎΡΠ²Π΅Π΄Π΅Π½ΠΈΡ ΠΏΠ°Π»ΡΡΠ΅Π² Π² ΡΡΠΎΡΠΎΠ½Ρ. ΠΠΎΠΌΠΏΠ»Π΅ΠΊΡ ΡΠΏΡΠ°ΠΆΠ½Π΅Π½ΠΈΠΉ Π·Π°Π²Π΅ΡΡΠ°Π΅Ρ ΡΠΆΠΈΠΌΠ°Π½ΠΈΠ΅ ΠΏΠΎΠ²ΡΠ΅ΠΆΠ΄Π΅Π½Π½ΠΎΠΉ ΡΡΠΊΠΈ Π² ΠΊΡΠ»Π°ΠΊ.

Π ΡΡΠ΅ΡΡΠ΅ΠΌ ΠΏΠ΅ΡΠΈΠΎΠ΄Π΅ ΠΏΠΎΠΊΠ°Π·Π°Π½Ρ ΡΠΏΡΠ°ΠΆΠ½Π΅Π½ΠΈΡ Π΄Π»Ρ ΡΠΈΠ»Ρ ΠΈ ΡΡΠΎΠΉΠΊΠΎΡΡΠΈ, ΠΊΠΎΠΎΡΠ΄ΠΈΠ½Π°ΡΠΈΠΈ Π΄Π²ΠΈΠΆΠ΅Π½ΠΈΠΉ. ΠΠ»Ρ ΠΏΠΎΠ»Π½ΠΎΠ³ΠΎ Π²ΠΎΡΡΡΠ°Π½ΠΎΠ²Π»Π΅Π½ΠΈΡ ΡΡΠ½ΠΊΡΠΈΠΈ ΠΊΠΈΡΡΠΈ ΡΠ΅ΠΊΠΎΠΌΠ΅Π½Π΄ΡΡΡ Π²ΡΠΏΠΎΠ»Π½ΡΡΡ ΠΏΡΠΎΡΡΡΠ΅ ΠΌΠ°Π½ΠΈΠΏΡΠ»ΡΡΠΈΠΈ β ΡΠ²Π΅ΡΡΡΠ²Π°Π½ΠΈΠ΅ Π²Π°ΡΠ½ΡΡ ΡΠ°ΡΠΈΠΊΠΎΠ², Π²ΡΠ·Π°Π½ΠΈΠ΅, Π° ΡΠ°ΠΊΠΆΠ΅ ΠΎΡΡΠ°Π±Π°ΡΡΠ²Π°ΡΡ ΡΠ°Π·Π½ΡΠ΅ Π²ΠΈΠ΄Ρ Π·Π°Ρ Π²Π°ΡΠ°.
ΠΡΠ»ΠΈ ΠΏΠ°Π»Π΅Ρ Π½Π΅ ΡΠ³ΠΈΠ±Π°Π΅ΡΡΡ
Π Π±ΠΈΠΎΠΌΠ΅Ρ Π°Π½ΠΈΡΠ΅ΡΠΊΠΎΠΌ ΠΏΠ»Π°Π½Π΅ ΠΏΠ°Π»ΡΡΡ ΠΊΠΈΡΡΠΈ ΡΠ²Π»ΡΡΡ ΡΠΎΠ±ΠΎΠΉ ΡΠΈΡΡΠ΅ΠΌΡ ΡΡΡΠ°Π³ΠΎΠ², ΡΠΏΡΠ°Π²Π»ΡΠ΅ΠΌΡΡ ΡΠ³ΠΈΠ±Π°ΡΠ΅Π»ΡΠΌΠΈ ΠΈ ΡΠ°Π·Π³ΠΈΠ±Π°ΡΠ΅Π»ΡΠΌΠΈ. ΠΡΠΈ ΠΌΠ½ΠΎΠ³ΠΎΠΎΡΠΊΠΎΠ»ΡΡΠ°ΡΡΡ ΠΎΡΠΊΡΡΡΡΡ ΠΏΠ΅ΡΠ΅Π»ΠΎΠΌΠ°Ρ , ΡΠ°Π·ΠΌΠΎΠ·ΠΆΠ΅Π½ΠΈΠΈ ΠΈ ΡΠ΄Π°Π²Π»Π΅Π½ΠΈΠΈ ΠΌΡΠ³ΠΊΠΈΡ ΡΠΊΠ°Π½Π΅ΠΉ ΡΡΡ ΠΎΠΆΠΈΠ»ΠΈΡ ΠΊΠΈΡΡΠΈ ΠΌΠΎΠ³ΡΡ ΠΏΠΎΠ²ΡΠ΅ΠΆΠ΄Π°ΡΡΡΡ. Π’ΡΠ°Π²ΠΌΠ° Π³Π»ΡΠ±ΠΎΠΊΠΎΠ³ΠΎ ΡΡΡ ΠΎΠΆΠΈΠ»ΠΈΡ ΡΠ³ΠΈΠ±Π°ΡΠ΅Π»Ρ ΠΏΡΠΈΠ²ΠΎΠ΄ΠΈΡ ΠΊ ΠΏΡΠ΅ΠΊΡΠ°ΡΠ΅Π½ΠΈΡ ΡΠ³ΠΈΠ±Π°Π½ΠΈΡ Π² Π΄ΠΈΡΡΠ°Π»ΡΠ½ΠΎΠΌ ΠΌΠ΅ΠΆΡΠ°Π»Π°Π½Π³ΠΎΠ²ΠΎΠΌ ΡΡΡΡΠ°Π²Π΅.
ΠΡΠ»ΠΈ ΠΏΠ°Π»Π΅Ρ Π½Π΅ ΡΠ³ΠΈΠ±Π°Π΅ΡΡΡ Π² ΠΏΡΠΎΠΊΡΠΈΠΌΠ°Π»ΡΠ½ΠΎΠΌ ΠΌΠ΅ΠΆΡΠ°Π»Π°Π½Π³ΠΎΠ²ΠΎΠΌ ΡΡΡΡΠ°Π²Π΅, ΡΠΎ ΡΡΠΎ ΠΌΠΎΠΆΠ΅Ρ ΡΠ²ΠΈΠ΄Π΅ΡΠ΅Π»ΡΡΡΠ²ΠΎΠ²Π°ΡΡ ΠΎ Π½Π°ΡΡΡΠ΅Π½ΠΈΠΈ ΡΡΡ ΠΎΠΆΠΈΠ»ΠΈΡ ΠΏΠΎΠ²Π΅ΡΡ Π½ΠΎΡΡΠ½ΠΎΠ³ΠΎ ΡΠ³ΠΈΠ±Π°ΡΠ΅Π»Ρ ΠΏΠ°Π»ΡΡΠ΅Π². Π’Π°ΠΊΠΎΠ΅ Π²ΠΎΠ·ΠΌΠΎΠΆΠ½ΠΎ Π½Π° Π»ΡΠ±ΠΎΠΌ ΡΡΠΎΠ²Π½Π΅ ΠΊΡΠΎΠΌΠ΅ Π΄ΠΈΡΡΠ°Π»ΡΠ½ΠΎΠΉ ΡΠ°Π»Π°Π½Π³ΠΈ.
Π’ΡΠ°Π²ΠΌΠΈΡΠΎΠ²Π°Π½Π½ΡΠ΅ Π³Π»ΡΠ±ΠΎΠΊΠΈΠ΅ ΡΠ³ΠΈΠ±Π°ΡΠ΅Π»ΠΈ ΡΡΠΈΠ²Π°ΡΡ Π½Π° ΠΊΠΈΡΡΠΈ, ΠΏΠΎΠ²Π΅ΡΡ Π½ΠΎΡΡΠ½ΡΠ΅ β ΠΈΡΡΠ΅ΠΊΠ°ΡΡΡΡ. ΠΠΎΡΡΡΠ°Π½ΠΎΠ²ΠΈΡΡ ΡΡΠ½ΠΊΡΠΈΡ ΡΡΡ ΠΎΠΆΠΈΠ»ΠΈΠΉ ΠΊΠΈΡΡΠΈ ΠΊΡΠ°ΠΉΠ½Π΅ ΡΠ»ΠΎΠΆΠ½ΠΎ. Π‘ΠΎ 2-ΡΡ ΡΡΡΠΎΠΊ ΠΏΠΎΡΠ»Π΅ Ρ ΠΈΡΡΡΠ³ΠΈΡΠ΅ΡΠΊΠΎΠ³ΠΎ Π²ΠΌΠ΅ΡΠ°ΡΠ΅Π»ΡΡΡΠ²Π° Π½Π° ΠΏΠ°Π»ΡΡΠ΅ Π½Π°Π·Π½Π°ΡΠ°ΡΡ ΠΠ€Π. Π ΡΠ΅ΡΠ΅Π½ΠΈΠ΅ 3 Π½Π΅Π΄ Π²ΡΠΏΠΎΠ»Π½ΡΡΡ ΠΏΠ°ΡΡΠΈΠ²Π½ΡΠ΅ Π΄Π²ΠΈΠΆΠ΅Π½ΠΈΡ, ΠΏΠΎΠ·ΠΆΠ΅ β Π°ΠΊΡΠΈΠ²Π½ΡΠ΅. ΠΠΎΡΠ»Π΅ Π·Π°ΠΆΠΈΠ²Π»Π΅Π½ΠΈΡ ΡΠ°Π½Ρ Π½Π°Π·Π½Π°ΡΠ°ΡΡ ΡΠ»Π΅ΠΊΡΡΠΎΡΠΎΡΠ΅Π· Ρ Π»ΠΈΠ΄Π°Π·ΠΎΠΉ, ΠΈΠΎΠ΄ΠΈΠΎΠΌ ΠΊΠ°Π»ΠΈΡ.
ΠΡΠ΅Π½Ρ ΡΠ°ΡΡΠΎ ΠΌΠ½Π΅Π½ΠΈΠ΅, ΡΡΠΎ Ρ ΠΏΠ΅ΡΠ΅Π»ΠΎΠΌΠΎΠΌ ΠΏΠ°Π»ΡΡΠ° Π½Π΅ ΠΎΠ±ΡΠ·Π°ΡΠ΅Π»ΡΠ½ΠΎ ΠΎΠ±ΡΠ°ΡΠ°ΡΡΡΡ ΠΊ Π²ΡΠ°ΡΡ, ΠΏΡΠΈΠ²ΠΎΠ΄ΠΈΡ ΠΊ Π½Π΅ΠΏΡΠΈΡΡΠ½ΡΠΌ ΠΏΠΎΡΠ»Π΅Π΄ΡΡΠ²ΠΈΡΠΌ. ΠΠ΅ΡΠ΅Π»ΠΎΠΌ ΡΠ°Π»Π°Π½Π³ΠΈ Π±ΠΎΠ»ΡΡΠΎΠ³ΠΎ ΠΏΠ°Π»ΡΡΠ° ΠΏΡΡΠ°ΡΡ Ρ Π²ΡΠ²ΠΈΡ ΠΎΠΌ ΠΈΠ»ΠΈ ΡΡΠΈΠ±ΠΎΠΌ. Π’Π°ΠΊ ΠΊΠ°ΠΊ ΠΎΠΏΡΠ΅Π΄Π΅Π»ΠΈΡΡ Ρ Π°ΡΠ°ΠΊΡΠ΅Ρ ΠΏΠΎΠ²ΡΠ΅ΠΆΠ΄Π΅Π½ΠΈΡ ΠΌΠΎΠΆΠ΅Ρ ΡΠΎΠ»ΡΠΊΠΎ ΡΡΠ°Π²ΠΌΠ°ΡΠΎΠ»ΠΎΠ³, Π΅Π³ΠΎ ΠΊΠΎΠ½ΡΡΠ»ΡΡΠ°ΡΠΈΡ ΡΡΠΈΡΠ°Π΅ΡΡΡ ΠΎΠ±ΡΠ·Π°ΡΠ΅Π»ΡΠ½ΠΎΠΉ. Π‘Π»ΠΎΠΆΠ½ΡΠ΅ ΠΏΠ΅ΡΠ΅Π»ΠΎΠΌΡ ΡΠΎ ΡΠΌΠ΅ΡΠ΅Π½ΠΈΠ΅ΠΌ ΠΎΡΠ»ΠΎΠΌΠΊΠΎΠ², Π΄Π΅ΡΠΎΡΠΌΠ°ΡΠΈΠ΅ΠΉ ΠΏΠ°Π»ΡΡΠ°, ΡΠ°Π·ΡΡΡΠ΅Π½Π½ΡΠΌΠΈ ΡΡΡΡΠ°Π²Π½ΡΠΌΠΈ ΠΏΠΎΠ²Π΅ΡΡ Π½ΠΎΡΡΡΠΌΠΈ ΡΡΠ΅Π±ΡΡΡ Ρ ΠΈΡΡΡΠ³ΠΈΡΠ΅ΡΠΊΠΎΠΉ ΠΊΠΎΡΡΠ΅ΠΊΡΠΈΠΈ Π΄Π»Ρ Π²ΠΎΡΡΡΠ°Π½ΠΎΠ²Π»Π΅Π½ΠΈΡ ΡΡΡΠΎΠ΅Π½ΠΈΡ ΠΊΠΈΡΡΠΈ ΠΈ ΡΠΎΡ ΡΠ°Π½Π΅Π½ΠΈΡ Π΅Π΅ ΡΡΠ½ΠΊΡΠΈΠΈ. Π£ΡΠΏΠ΅Ρ Π»Π΅ΡΠ΅Π½ΠΈΡ Π²ΠΎΠ·ΠΌΠΎΠΆΠ΅Π½ ΠΏΡΠΈ ΡΡΠ»ΠΎΠ²ΠΈΠΈ ΡΠΎΠ²ΠΌΠ΅ΡΡΠ½ΡΡ ΡΡΠΈΠ»ΠΈΠΉ Π²ΡΠ°ΡΠ° ΠΈ ΠΏΠ°ΡΠΈΠ΅Π½ΡΠ°.
plannt.ru
