Лечение периодонтита зубов | Alexandria
Периодонтит
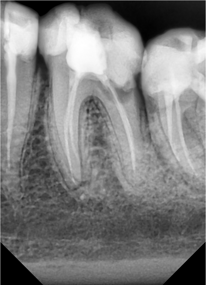
Причиной периодонтита могут быть инфекция, травма, действие токсичных веществ. Чаще периодонтит является исходом кариеса или пульпита, при котором пульпа (нерв) уже не может служить барьером для токсичных продуктов и они проникают за верхушку зуба. Периодонтит как и пульпит в большинстве случаев развивается на начальных стадиях практически незаметно, зачастую после острого воспаления пульпы и при отсутствии соответствующего лечения.
При длительном течении процесса околоверхушечная костная ткань постепенно разрушается, образующийся дефект замещается грануляционной тканью.
В одних случаях у больного вокруг грануляционной ткани образуется плотная фиброзная капсула — зубная гранулема, которая со временем может превратиться в кисту, заполненную гноем и продуктами воспаления.
В других, возникает очаг, постоянно генерирующий гной, что приводит к формированию на десне в области проекции корня больного зуба длительно функционирующего свища.
Хронический периодонтит представляет собой бомбу замедленного действия, поскольку очаг инфекции, запертый в гранулёме или в кисте, под действием внешних неблагоприятных факторов (к примеру, переохлаждение, стресс и т.д.) может дать толчок к возникновению гнойных воспалительных процессов, таких, как флегмона или сепсис. Половина пациентов в отделениях челюстно-лицевой хирургии попадает туда именно с последствиями нелеченного периодонтита.
Что касается характера боли при остром периодонтите, то она несколько отличается по ощущениям от боли при пульпите. Появляется, так называемое, «чувство выросшего зуба» из-за резкого повышения тканевого давления в периодонте. При развитии острого периодонтита болезненные ощущения начинают иметь рвущий характер. При этом зуб становится настолько уязвимым, что к нему будет больно прикоснуться.
Как лечить периодонтит?
Забегая вперёд, сразу скажем, что «домашнее» лечение периодонтита возможно лишь на начальных стадиях. Дальнейшее лечение может предоставить лишь опытный и квалифицированный стоматолог.
Медицинское лечение острого (обострённого хронического) периодонтита имеет несколько этапов:
на 1-ом этапе стоматолог должен удалить из корневого канала продукты воспаления мягких тканей зуба или старый пломбировочный материал.
Это сможет обеспечить выход гноя из гранулёмы (или кисты) и из корневого канала. Нередки случаи, когда необходимо расширить корневой канал. Чтобы это сделать, врачи-стоматологи используют специальные свёрла, а иногда делают микроразрез в десне; второй этап включает комплекс мер по чистке и промывании каналов антисептиками, контролю переносимости пробы на герметичность. Приёму восстановительных препаратов; на заключительном этапе врачу-стоматологу остаётся запломбировать корневой канал и кариозную полость. Пломбирование осуществляется только после того, как острые воспалительные ощущения стихнут, а само воспаление спадёт.
Последствия лечения острого или хронического периодонтита схожи с последствиями лечения пульпита. В течении 3-5 дней могут возникать болезненные ощущения при накусывании на больной зуб. В некоторых случаях происходит обострение, требующее повторного курса терапии и даже небольшого надреза на десне . Вообще, строго говоря, полноценное лечение периодонтита требует терпения.
От чего же зависит успех лечения хронического и острого периодонтита?
Всего от трёх факторов:
- степени проходимости корневых каналов;
- степени запущенности заболевания;
- стадии периодонтита.
Если по какой-то причине нет возможности провести лечение, то зуб необходимо удалить, поскольку оставлять подобное положение вещей, когда хронический очаг инфекции развивается в организме, крайне опасно (а в случае, если периодонтитом болеет беременная женщина, то под угрозой оказывается ещё и здоровье будущего ребёнка).
В большинстве случаев периодонтит требует длительного курса лечения, а также строгого выполнения рекомендаций врача-стоматолога . Если следовать всем рекомендациям врача, то лечение не покажется таким уж страшным.
Заключение
Периодонтит представляет серьёзную опасность для организма человека.
Что нужно делать, чтобы никогда не сталкиваться с подобного рода заболеваниями, избежать многочисленных похождений к врачу-стоматологу и по ночам наслаждаться спокойным сном? Ответ лежит на поверхности, и это не реклама модной зубной пасты.
При первых признаках кариеса необходимо сразу же обратиться к стоматологу. Ведь именно кариес является первопричиной неприятного пульпита и болезненного периодонтита. Поэтому лучшее лечение заболевание – отсутствие самого заболевания, т.е. профилактика. Как бы банально это не звучало, но чистите зубы после каждого приёма пищи, пользуйтесь зубной нитью и зубными ёршиками и не злоупотребляйте сладким, холодным (например, соками) и горьким (кофе). Не забывайте посещать врача-стоматолога не менее 2 раз в год. Берегите свои зубы!
Врач-стоматолог терапевт, Коржова Виктория Андреевна.
Здесь вы можете записаться на прием. При записи на прием с сайта скидка 10%
Почему болит зуб после лечения пульпита или периодонтита? | Мегастом
Но, практика показывает, бывает не всегда так.
Есть много причин, зависящих и от анатомии зуба и виртуозности врача.
Кто работает с микроскопом, тот видел сколько бывает устьев в полости зуба и дополнительных разветвлений в корневом канале. И подчас, мы врачи не всегда можем их качественно обработать и обтурировать (пломбировать). Оставляем мумифицирующие жидкости, промываем сильными антисептиками с ультразвуком, проводим временное пломбирование. Делаем со своей стороны всё, чтобы не оставалось инфекции в корневом канале. И процент успешного лечения все-таки больше, чем неудач.
От нашей виртуозности и соблюдения правил техники обработки корневых каналов и их обтурации так же зависит успех лечения. Врачу необходимо обязательно соблюдать следующие правила:
- Работа с коффердамом (специальной изолирующей салфеткой).
- Рекомендуется работать с микроскопом или в бинокулярной оптике.
- Делать снимок с инструментом, не выводя его за верхушку корня и только потом на выверенной длине начинать очищать корневой канал.
Эндодонтические инструменты должны использоваться не более 5-6 раз в канале и утилизироваться. - Постоянно промывать корневой канал во время его обработки специальным средством – Паркан 3% и после обработки тщательно промывать другими антисептиками с применением ультразвука.
- Проводить временное пломбирование корневых каналов с постановкой герметичной пломбы.
- При обтурации следует снова промыть корневые каналы антисептиками с применением ультразвука. Стараться не выводить материал за верхушку корня.
- Делать контрольные снимки и окончательный результат.
- Завершающей ступенью лечения является постановка герметичной пломбы.
Соблюдение этих правил, дает нам шанс сохранить зуб и избавить пациента от болей после лечения.
Я не стану останавливаться на ошибках врачей при эндодонтическом лечении, они могут быть у всех. Главное не скрывать их, учиться на своих ошибках и научить других. А пациента направить к специалисту более опытному.
Наше кредо: Не навреди!Лечение периодонтита — Доктор Костин г. Печора
Периодонтит является следующей стадией развития пульпита.
Воспаление периодонта возникает от многих причин: в результате осложнения пульпита или его непрофессионального лечения, поражения, в результате травмы или длительного воздействия препаратов, содержащих мышьяк, на зубную полость.
Основными симптомами периодонтита в острой стадии является резкая, локализованная боль в области конкретного зуба, усиливающаяся от горячего и от накусывания на него, синдром «увеличившегося зуба» и его подвижность, неприятный запах изо рта и отечность десны с возможным образованием свищей. При хроническом периодонтите боль и другие симптомы не настолько выражены или отсутствуют совсем, и диагностируются только при стоматологическом и рентгенологическом обследовании.
Главной целью лечения периодонтита является устранение воспаления периодонта, предупреждение развития его деструктивных форм, а также восстановление анатомической формы и функции зуба. В большинстве случаев лечение периодонтита ограничивается терапевтическими методами, позволяющими сохранить зуб.
При остром периодонтите и обострении хронического периодонтита, когда в каналах скапливается значительное количество экссудата (скопление жидкости), полость зуба оставляют открытой для естественного оттока жидкости из воспаленных тканей и после стихания процесса приступают к основным лечебным мероприятиям. В каналы зуба на несколько дней закладывается противовоспалительное и противомикробное лекарство, и если во время повторных посещений стоматолога наблюдается явное улучшение, то зуб закрывается постоянной пломбой. Лечение периодонтита может оказаться и довольно продолжительным, когда придется посещать стоматолога несколько раз для того, чтобы каждый раз закладывать в зуб лекарство.
После пломбирования каналов возможны болевые ощущения, но если они не усиливаются и постепенно затихают, то повода для беспокойства нет.
В случае если периодонтит развивается в околокорневых тканях зуба, и непроходимые каналы невозможно пройти, необходимо хирургическое вмешательство, то есть резекция верхушки корня, в процессе которой удаляется верхняя часть корня зуба и тем самым устраняется сам очаг воспаления.
Во всех случаях, при любом разрушении коронки зуба, наши специалисты стараются сохранить периодонтитный зуб. Для восстановления коронки зуба мы применяем стекло-волоконные штифты и композитные материалы.
Если коронка зуба сильно разрушена, то рекомендуем нашим пациентам закрыть этот зуб керамической коронкой, что в результате позволяет сохранить зуб практически до конца жизни, при условии правильной гигиены полости рта.
При возникновении вопросов вы можете связаться с нами через рубрику «Онлайн-консультация».
ВАША УЛЫБКА — НАША РАБОТА!
Что такое периодонтит: симптомы и виды, лечение и профилактика
Периодонтит — это опасное заболевание представляет собой воспаление корневой части зуба и прилегающих к ней мягких тканей.
Широко распространена как у взрослых, так и детей, и способна привести к потере зуба. Диагностика усложнена тем, что он способен принимать различные формы, протекающие практически бессимптомно. Самостоятельно определить наличие заболевания по нескольким признакам достаточно сложно.
Болезнь чаще возникает при длительно протекающем кариесе, либо после его лечения, если в ходе процедуры стоматолог не полностью устранил очаг инфекции. Эту форму называют апикальной или верхушечной. Маргинальным или краевый периодонтит способен развиваться из-за травматического повреждения десны и внесения инфекции.
Содержание статьи:
Симптомы периодонтита
Развитие периодонтита нередко протекает без симптомов, в следствии чего пациенты попадают в кабинет доктора когда болезнь находится на запущенной стадии, и требует сложной процедуры удаления. Если вы замечаете, что:
- Зубы периодически болят при смыкании челюстей.
- Визуально зубы стали казаться больше.

- Ночью десна начинает ныть, а температура тела – повышаться.
Вышеупомянутые симптомы характерны для начальной стадии. Запущенный периодонтит можно определить по таким симптомам:
- Появление подвижности зубов.
- Отек в области десны, а порой щеки.
- Острые боли при приеме пищи.
Повеление этих признаков говорит о том, что вокруг зубного корня скопилось значительное количество гноя, оказывающего давление на мягкие десенные ткани. Отсутствие врачебного вмешательства на начальном этапе приведет к выходу этих масс и последующему распространению микробов.
Но не каждая разновидность периодонтита имеет такие серьезные последствия, ввиду чего стоит уделить повышенное внимание классификации недуга.
Виды периодонтита
Стоматологи классифицируют периодонтит по нескольким параметрам — степени развития заболевания и места заражения. По месту протекания воспалительного процесса периодонтит разделяется на:
- Апикальный, поражающий участок возле края корня зуба.
- Краевой, развивающийся в мягких тканях десны.
Появление апикальной формы болезни является следствием неправильного или несвоевременного лечения пульпита, тогда краевой развивается из-за травмы мягких дёсенных тканей.
Стоматологи разделяют острый и хронический виды периодонтита. Острая форма является начальной стадией, и появляется в появлении болей во время надавливания, а также отекания десен. Острый периодонтит имеет две стадии формирования:
- Серозную, в ходе которой боль появляется эпизодически, а зуб прочно стоит на своем законном месте.

- Гнойную, при ней неприятные ощущения становятся частыми, а зуб начинает расшатываться, выпуская гнойные выделения.
Если не лечить на острой стадии, она перейдет в хроническую, которая имеет три различные вариации:
- Фиброзная форма хронического периодонтита является начальной и практически незаметна — боли носят несистематический характер, или полностью отсутствуют, и определить наличие воспалительного процесса можно только при помощи рентгеновского снимка.
- Гранулирующая самая распространенная форма в стоматологической практике. Ее протекание сопряжено с постоянными болями, сильными отеками и выделением гноя из десны.
- Гранулематозная — серьезней всех остальных. При эволюции заболевания до этой стадии в мягких тканях образуются гранулемы — дёсенные пустоты, которые заполнены гноем, представляющим собой идеальную среду для жизни микробов. Они фактически представляют собой мину замедленного действия, и удаляются только хирургическим путем.

Обилие разновидностей предполагает разноплановое лечение, и комплекс мероприятий, направленных на устранение болезни.
Лечение
Лечение в острой форме подразумевает избавление от сильных болей, причиняющих дискомфорт. Процедура начинается с очистки корневых каналов от остатков пульпы, что позволяет экссудату свободно вытекать, снижая давление гнойных масс внутри десны. В осложненных ситуациях, когда данной меры недостаточно, специалист может прибегнуть к разрезанию мягких тканей в районе верхушки корня и установке дренажа. Для предотвращения распространения инфекции, выделяющейся вместе с гноем, пациенту назначается пероральный прием антибиотиков.
При верхушечном периодонтите врач производит инструментальную обработку корневых каналов, удаляя пораженные участки тканей. Затем осуществляется введение лекарственных препаратов, и пломбирование.
Лечение краевого периодонтита подразумевает собой устранение травматического фактора, приведшего к его появлению.
Далее поверхность десны обрабатывается антисептиками и лекарственными средствами, предотвращающими последующий рост бактерий.
При хронической форме лечение производится по тому же алгоритму, что и в случае с острой формой, но дополнительно производится очистка от накопившегося гноя пародонтального кармана.
На некоторых стадиях лечение может ограничиваться применением лекарственных средств на основе гидрата окиси кальция, проникающих в очаг воспалительного процесса через очищенный механическим путем корневой канал.
Этапы лечения
Лечение периодонтита состоит из ряда отдельных этапов, количество и последовательность которых непосредственно зависит от стадии. Терапия острой стадии требует как минимум трех посещений кабинета зубного врача. На первой — доктором производится расширение корневого канала механическим способом: прочистка и удаление остатков пораженных участков и полная антисептическая обработка. Оставшийся гной свободно выходит через образовавшуюся полость в зубе, а обработанный участок защищается от попадания пищи при помощи специальной пародонтальной повязки.
Дополнительно больному выписывают антибиотики, что снижает вероятность инфицирования других органов.
Спустя несколько дней стоматолог приводит осмотр каналов, и, при условии полного выхода загноения и отсутствии кровотечений, заполняет их пломбировочным материалом. В отдельных ситуациях дополнительно прописывается курс специализированной терапии, предотвращающей развитие микроорганизмов.
По истечении нескольких месяцев врач делает рентгеновский снимок. Если периодонтит вылечен, убирает временную пломбу, заполняя корневой канал постоянным материалом, восстанавливая первоначальный внешний вид коронковой части.
Лечение хронического периодонтита представляется трудоемкой процедурой, ввиду чего настоятельно не рекомендуется запускать болезнь до этой стадии. Комплекс задач, стоящих перед специалистом, похож на реализуемый при лечении острой формы. Отличается лечение лишь используемыми материалами и продолжительностью каждого из этапов. Если фиброзный отличается только отсутствием необходимости расширения корневого отверстия, то гранулирующая и гранулематозная форма подразумевают установку временной пломбы на срок до одного года.
В течение этого временного интервала пациент проходит курс терапии, регулярно посещая кабинет специалиста для рентгеновского обследования, позволяющего контролировать состояние зуба.
Если в ходе обследования обнаруживается, что болезнь находится в слишком запущенной стадии, то лечение предполагает собой полное удаление поврежденного зуба. Связано это с тем, что при сильном периодонтите невозможно полностью исключить очаги инфекции, в результате чего недуг будет возвращаться.
Профилактика
Профилактика периодонтита мало чем отличается от профилактики кариеса. Для предотвращения развития заболевания требуется уделять повышенное внимание следующим факторам:
- Правильной чистке зубов. Соблюдение гигиены ротовой полости способствует предотвращению появления зубного налета, являющегося оптимальной средой для развития и роста микроорганизмов, вызывающих повреждения эмали и твердых тканей.
- Регулярному посещению стоматологической клиники. Своевременно обнаружив периодонтит, можно вылечить его с минимальным хирургическим вмешательством.
В ходе профилактических осмотров доктор произведет профессиональную чистку зубов, удалив твердые отложения в виде зубного камня, что снизит риск развития болезни. - Собственному рациону питания. Сладкая пища, богатая углеводами, способствует росту микроорганизмов, отвечающих за появление зубного налета, который и провоцирует появление периодонтоза. Прекрасным профилактическим средством станет включение в рацион большого количества овощей, фруктов, продуктов с высоким содержанием кальция, укрепляющих зубную эмаль.
Следование данным рекомендациям не подразумевает серьезных расходов, но дает возможность избежать серьезных проблем в будущем.
Периодонтит у детей
Периодонтит — заболевание, от которого страдают не только взрослые, но и дети. У ребенка обычно поражает моляры молочных зубов. Из-за того, что иммунная система ребенка развита достаточно слабо, у детей он протекает быстрее, чем у взрослых, сопровождаясь многочисленными осложнениями:
- Сильный отек десны.

- Резкое ухудшение самочувствия малыша.
- Образованием абсцессов.
Воспалительный процесс в молочных зубах из-за слабого иммунитета развивается быстро, не имея каких-либо ограничений, в следствии чего периодонтит способен проникнуть в область будущего постоянного зуба, препятствуя его нормальному формированию. Для предотвращения этого требуется незамедлительно приступать к лечению, которое не отличается от процедуры, характерной для взрослых.
У терапии периодонтита молочных зубов имеются и противопоказания. Врачебное вмешательство не производится в ситуациях, когда:
- Инфекция начинает распространяться в зубе, корни которого уже рассосались.
- До выпадения молочных зубов остается меньше двенадцати месяцев.
- Воспалительный процесс оказывает серьезное влияние на зачатки будущего зуба.
- Текущее состояние больного ухудшается, несмотря на проводимое врачом лечение.
Наличие этих противопоказаний делает лечение нецелесообразным, и в подобных ситуациях стоматологи обычно прибегают к удалению, что позволяет избавиться от очага распространения инфекции.
Решение о целесообразности использования того или иного метода делается лечащим врачом на основе результатов обследования юного пациента.
Рекомендуем к ознакомлению
Что делать, когда шатается зубы
Красивая здоровая улыбка — это всегда хорошо и приятно при общении с людьми. Однако крепкие белоснежные зубы нужны человеку не только для того, чтобы красиво улыбаться. Зубы предназначены прежде всего для пережевывания пищи, без которой человеку не прожить. Поэтому если они начинают шататься и грозят выпасть, это не может не беспокоить — под угрозой здоровье всего организма. Далее поговорим о том, почему зубы расшатываются и как решить эту проблему.
Самолечение не поможет
Шатающийся зуб — однозначный повод посетить стоматолога в самое ближайшее время. Не обращать на такой зуб внимания неправильно, даже если он не беспокоит. Дело в том, что он может выпасть уже очень скоро и спасать будет нечего. Доктор назначит рентген, выявит характер и степень поражения тканей, установит диагноз и назначит адекватное лечение.
Зубы могут начать шататься в любом возрасте. Причинами этого являются как собственно стоматологические заболевания, так и патологии других органов и систем организма. Посещайте стоматолога регулярно, соблюдайте элементарные правила профилактики, и ваши зубы останутся на своих местах до глубокой старости.
Почему зубы становятся подвижными
-
Травмы
Ткани десен повреждаются из-за ударов или ушибов, в результате зуб становится подвижным.
-
Заболевания пародонта
Зубы расшатываются и выпадают на поздних стадиях пародонтита и пародонтоза.
-
Системные заболевания
Артриты, диабет, другие эндокринные и аутоиммунные болезни негативно сказываются на здоровье полости рта и всей костной ткани.
-
Осложнения после болезней
Стоматологические проблемы часто становятся следствием перенесенных острых вирусных инфекций.

-
Пищевые нарушения
Дефицит витаминов и минералов неизбежно отражается на здоровье зубов и десен.
-
Наследственные факторы
Их влияние можно снизить своевременной профилактикой.
-
Вредные привычки
Курящие люди чаще страдают от болезней десен, теряют зубы раньше, чем некурящие.
Можно ли спасти шатающийся зуб
Уверенно ответить на этот вопрос способен только квалифицированный стоматолог. Ключевое значение имеют результаты компьютерной томографии. Это объемное исследование позволяет выявить степень развития воспалительного процесса и определить перспективы лечения.
Если доктор посчитает возможным сохранить зуб, в любом случае лечение будет длительным. Оно включает хирургические, ортопедические меры, лекарственную терапию, а также специальную диету.
Такая диета предписывает исключить из рациона жесткую, слишком горячую, холодную пищу. Пациентам рекомендуются:
- Кисломолочные продукты — источник кальция, которые необходим для зубов и костей.
- Зелень, богатая витаминами, помогает в укреплении иммунитета, удаляет зубной налет.
- Мед. Обладает бактерицидными свойствами, оказывает общеукрепляющее действие, содержит массу полезных веществ.
- Печеный картофель, помидоры. Источники витамина K — одного из основных средств профилактики кровоточивости десен.
Шинирование зубов
Остановить расшатывание зубов при пародонтите, сохранить их на своих местах помогает шинирование. При помощи специальных шин шатающиеся зубы фиксируются к соседним здоровым. Шина из стекловолокна накладывается в специально подготовленную бороздку на зубах и закрывается под пломбировочный материал. После проведения процедуры подвижность прекращается.
Ухаживайте за зубами и деснами регулярно
Профессиональная гигиена полости рта освобождает зубы от налета, предотвращает его попадание под ткани десен.
- Чистите зубы пастой не реже 2 раз в сутки.
- Проходите профосмотр у стоматолога каждые 6 месяцев.
- Применяйте дополнительные средства ухода: ополаскиватели, зубную нить, ирригатор.
- Полощите полость рта специальными травяными настоями.
- Используйте пасты с противовоспалительными компонентами.
Помните прописную истину: потери зубов можно избежать, если своевременно приступить к их лечению. Обращайтесь в нашу клинику, доверьтесь профессиональным стоматологам и следуйте их рекомендациям.
Зубная фея приходит со сверлом – Коммерсантъ Санкт-Петербург
Дети — это то, на чем родители готовы экономить в последнюю очередь, несмотря на все кризисы на свете. Это относится к развлекательным и развивающим мероприятиям, к продуктам питания, нон-фуд-ритейлу и, наконец, к медицине. Одним из наиболее устойчивых сегментов в ней, отмечают эксперты, является детская стоматология.
Участники рынка констатируют, что в Петербурге остро стоит проблема нехватки врачей этого направления, которые в силу специфики должны совмещать в себе не только знания стоматолога, но и навыки позитивного психолога-экстраверта.
Юлия Чаюн
Клиники, которые специализируются только на детской стоматологии, можно пересчитать по пальцам одной руки. Подавляющее большинство предоставляют услуги детской стоматологии наравне со взрослой, также существует пять-десять клиник, которые имеют специализированные детские отделения.
По данным рейтинга «Топ-60 стоматологических клиник, работающих на рынке детской стоматологии дольше трех лет», который составил специализированный журнал Startsmile, абсолютное их большинство расположено в Москве. Из Петербурга же в топ попали лишь восемь клиник — «Вероника», «Дункан», Perfect Smile, «Здоровье», «Охта Дентал», «ГрандМед», «ТариДент» и «Лиана».
Рынок детской стоматологии сложен, имеет множество особенностей, однако эксперты уверяют, что это направление ждет бурное развитие.
Эмиль Агаджанян, директор сети «Клиника доброго стоматолога», замечает, что при узком рынке специализированных детских стоматологий детей становится все больше. «Кроме того, мы, наконец, стали осознавать, что профилактическая медицина куда дешевле, проще, легче и грамотнее, чем борьба с осложнениями. И профилактика должна начинаться еще до того, как у ребенка появились первые зубы. Это уже понимают не только врачи, но и многие родители. Глупости в стиле «молочные зубы все равно выпадут, а потому лечить их не нужно» уже давно не в моде. Так что потребность в квалифицированных детских врачах, которые с детства будут следить за стоматологическим здоровьем маленьких пациентов, будет только расти, и никакой кризис этому не сможет помешать», — уверен господин Агаджанян.
К детским стоматологам намного сложнее записаться, чем к врачам, ведущим взрослый прием. Елена Верлина, заместитель генерального директора, руководитель центра стоматологии «Евразийской клиники» (EA Clinic), согласна: «Родители все же делают максимальный акцент на профилактику, стараясь предотвратить развитие стоматологических заболеваний.
Поэтому можно делать вывод о том, что спрос на детскую стоматологию имеется, с каждым годом он только увеличивается, а в ближайшей перспективе данное направление будет прогрессивно развиваться».
Правда, полагает детский стоматолог, старший врач детской стоматологии клиники «Вероника» на 7-й линии В.О. Елена Грицай, рынок будет развиваться не качественно, а количественно. «Вследствие снижения платежеспособности населения многие маленькие клиники будут экономить на квалифицированном персонале и качественных материалах, что может повлиять на имидж негосударственной детской стоматологии в целом», — обеспокоена госпожа Грицай.
Несмотря на оптимизм экспертов, статистика говорит о том, что российское общество недостаточно внемлет пропаганде о профилактике и своевременном лечении. К примеру, в Европе дети с двухлетнего возраста каждые три-четыре месяца посещают дантистов с целью осмотра, что позволяет снизить распространенность кариеса до 30-40%, в то время как в России эта цифра близка к 100%.
На страже молочных зубов
Помимо менталитета, в России деятельность такого направления, как детская стоматология, осложняют законодательные особенности и нюансы рабочего процесса.
Закон предполагает наличие отдельной лицензии, сертификата по детской стоматологии у врачей, отдельного входа, отдельных часов приема и так далее. Особенности работы представляются более сложными. «В детской стоматологии есть физические и психологические особенности, — говорит господин Агаджанян. — Физические — это молочные зубы, под которыми есть зачатки постоянных, и от врача требуется знание подхода к лечению молочных зубов в разном возрасте, знание особенностей протекания воспалительных процессов у детей. Перечислять можно еще долго. Ну а психологические особенности построены на том, что ребенок не всегда может объяснить, что и где у него болит, далеко не всегда дает даже осмотреть себя, не то что полечить. Да и родители некоторых детей — люди особенные».
Само собой, большинство родителей любит своих детей, но часто именно из-за этого происходит недопонимание с врачами.
Зачастую родители считают, что гораздо лучше любого врача знают своего ребенка и то, как его нужно лечить. «Некоторые родители полагают, что молочные зубы все равно выпадут, а потому если доктор предлагает лечить их, значит, просто хочет денег. Иногда общение с родителями представляется гораздо более сложной задачей, чем лечение зубов», — горько констатирует Эмиль Агаджанян.
Детская стоматология подразумевает моментальную реакцию и быстрое лечение, дополняет Елена Грицай. «Дело в том, что все болезненные процессы протекают в молочных зубах очень быстро. Другими словами, утром ребенка зуб может не беспокоить, а вечером появляется температура и возникают осложнения в виде флюса или свища. Опытный специалист должен уметь срочно принимать меры, поскольку с каждым днем и даже часом ситуация может только ухудшаться. Очень важно, чтобы первое знакомство ребенка с детским стоматологом прошло на дружеской ноте без какого-либо дискомфорта, потому что большинство взрослых людей боятся посещать стоматолога из-за детского страха», — поясняет госпожа Грицай.
На дуде игрец
Если рассуждать в целом, то главный базисный элемент успешных манипуляций в детской стоматологии — это врач, который, судя по описанию специалистов, должен выступать в роли массовика-затейника, психолога и супермена.
Без возникновения полного доверия между ребенком и врачом лечение в принципе не может состояться, и в этом главное отличие от взрослой стоматологии, объясняет генеральный директор ЗАО «Меди» Марина Касумова. «Принимая на работу новых детских врачей-стоматологов, мы, кроме выявления специальных знаний и опыта, обращаем внимание и на психологические данные. Детский врач — это экстраверт: открытый, легкий в общении, искренне любящий детей и умеющий мягко объяснить все, что происходит на приеме, подобрать нужные слова, которые ребенка успокоят. И, конечно, умеющий импровизировать. Дети полны сюрпризов, и нет готовых алгоритмов при общении с ними. Кроме того, важно учитывать возрастные особенности: то, что интересно трехлетнему малышу, вряд ли подойдет подростку», — делится госпожа Касумова.
Именно поэтому на рынке труда наблюдается дефицит детских стоматологов: не все доктора хотят и могут работать по этому направлению ввиду ярко выраженной специфики и узкой специализации.
Востребованные специалисты не бродят по рынку труда, говорят руководители клиник, они всегда хорошо устроены и имеют запись надолго вперед. Хорошие профессионалы и во взрослой, и в детской стоматологии постоянно учатся. По словам экспертов, если врач ни разу за год не был на курсах, семинарах или конференции, то это характеризует его не с лучшей стороны. Те, кто выбрал детскую стоматологию, стараются улучшить свои навыки. «Специалисты детской стоматологии постоянно переучиваются, ищут новые возможности сделать прием маленьких пациентов более комфортным и максимально результативным, усовершенствуя данное направление. Все чаще используются наркоз и седация в лечении маленьких пациентов. С детьми иногда, конечно, бывает сложно. Но те, кто выбирают специализацию «детство», получают удовольствие от своей работы.
Здесь врач больше психолог и друг. По окончании лечения ребенка, как правило, чувствуешь огромное удовлетворение — ты помог, не расстроил, может, даже чем-то порадовал», — описывает Елена Верлина.
Спасительный мультфильм
Как правило, все оборудование в детских кабинетах такое же, как и во взрослых, так как установки спроектированы таким образом, чтобы в них было удобно людям любого роста, веса и возраста. В материалах и инструментах есть лишь небольшие отличия от «взрослых» стоматологий. «Например, турбинки маленького размера, чтобы поместились даже в самый маленький ротик, материалы, которые не так критичны к попаданию влаги, но в целом отличий от взрослой стоматологии очень мало», — говорит Эмиль Агаджанян.
Хорошо, когда в арсенале имеется монитор телевизора над установкой, чтобы в нужный момент включить спасительный мультфильм. «Также это очень удобно для демонстрации родителям проблемы в полости рта ребенка. Неплохо иметь в клинике игровую комнату для маленьких пациентов, чтобы уже с момента ожидания у них появлялись положительные эмоции», — рассказывает Елена Верлина.
Иногда в специализированных клиниках ставят установки со специальными сиденьями, либо разрисованные животными, динозаврами и так далее. «У нас в детском отделении и стены, и потолки, и кресло и даже жалюзи сделаны в ярких и красивых тонах. Это чисто внешний антураж, который расслабляет ребенка, может заинтересовать его, успокоить, отвлечь, но никак не влияет на сам процесс лечения. Качество лечения зависит прежде всего от рук конкретного врача, — уверен господин Агаджанян. — Процедуры проводятся все те же самые, так же лечат и кариес, и пульпит, и периодонтит. Этим и обусловлена цена лечения детей, которая ничем не отличается от стоимости лечения взрослых, а иногда даже и превышает ее. Родители очень удивляются, что маленькому ребенку за маленький, да еще и молочный зуб выставляют такой же счет, как им за их большие постоянные зубы».
Помимо лечения перечисленных выше болезней, идентичных зубным заболеваниям у взрослых, стоматологические клиники имеют возможность поставить коронки на молочные зубы при разрушениях зуба более 50% или для эстетики.
Диагностическое оборудование дает возможность делать двух- и трехмерные снимки детям с четырехлетнего возраста, не давая лучевой нагрузки организму. Стоит также отметить, что в последнее время наблюдается рост аномалии развития челюстно-лицевой области, поэтому посещение врача-ортодонта для консультации является сейчас обязательным.
Ставка на родительские чувства
В целом услуги детской стоматологии устойчивы в условиях кризиса и пользуются большим спросом. Никто из родителей не будет экономить на своем ребенке, тем более, если это касается его здоровья, утверждает Елена Верлина. «Поэтому спад на услуги детских стоматологов если и есть, то минимальный и носит исключительно сезонный характер», — говорит она.
В «Меди» и вовсе отмечают увеличение спроса: в 2015 году объем детских стоматологических услуг вырос на 37% по сравнению с 2014 годом.
Однако с формулой «родители не экономят на детях» согласны не всего эксперты. «Часто, когда врач предлагает дорогостоящие методы лечения, родители просят выбрать что-то подешевле.
Если есть выбор между дорогими современными брекет-системами, родители могут попросить использовать старые добрые металлические. Если можно вылечить сразу несколько зубов под общей анестезией, то родители предпочитают полечить только то, что болит в данный момент, а за остальным лечением обещают зайти позже. Так что кризис влияет практически на все сферы стоматологии одинаково. Острая боль заставит побежать к стоматологу хоть ночью, но то, что не болит, откладывается до лучших времен. И это плохо, так как отложенный сегодня кариес завтра станет пульпитом, а пульпитный или периодонтитный зуб будет либо вовсе утерян, либо может еще и повредить лежащий под ним зачаток постоянного зуба», — подчеркивает Эмиль Агаджанян.
Госпожа Грицай также говорит, что экономия выражается в отказе родителей от лечения нескольких зубов (выбирают только один или два зуба, «а лучше удалите, доктор»), откладывают важные профилактические процедуры или ортодонтическое исправление прикуса. «К сожалению, это мнимая экономия, так как отложенное лечение превращается в осложнение и отражается на здоровье ребенка, а итоговая стоимость увеличивается в разы.
Конечно, родители обращают внимание на цену услуг, но качественная детская стоматология не может быть дешевой, ведь там используются дорогостоящие современные материалы, работают лицензированные специалисты, администраторы и другой квалифицированный персонал, грамотно и эффективно взаимодействующий с маленькими пациентами», — заключает она.
Почему зуб болит под коронкой?
К стоматологам нередко обращаются пациенты с жалобами на боль в зубе, на который поставлена коронка. Такое возможно в двух случаях:
— Коронку поставили на живой зуб, но впоследствии нерв из-за чего-то погиб.
— Нерв удалили перед тем, как установить коронку.
Почему такое происходит?
Первый случай: коронка стоит на живом зубе.
Сегодня в стоматологии при протезировании зубов такое практикуется очень редко.
Если и делается, то тогда, когда объем тканей зубов достаточный для того, чтобы их можно было обточить, а здоровый дентин надежно защищал пульповую камеру. При такой процедуре препарирование должно быть максимально щадящим и обязательно при водяном охлаждении. Иначе из-за перегрева тканей нерв может погибнуть, даже если не вскрывалась пульповая камера.
Но если такое случится, и на этот зуб будет установлена коронка, то через некоторое время в зубе могут возникнуть болезненные ощущения. То есть в зубе возникнет пульпит, а значит, начнутся самопроизвольные ночные пульпитные боли.
Кроме этой причины гибели нерва зуба с коронкой, могут быть и другие. Например, разрушение зуба при кариозном процессе под коронкой или при кариесе корня. Поэтому важно провести лечение кариеса перед тем, как ставить коронки.
Второй случай: коронка поставлена после удаления нерва.
В такой ситуации боль иная, чаще всего болезненные ощущения возникают в определенном зубе, когда на него накусывают.
Такие боли носят периодонтитный характер и появляются из-за воспалительных очагов, образовавшихся в костных тканях вокруг корня.
Каковы причины возникновения этих воспалительных очагов?
Во время депульпирования из полости зуба удаляют нерв, т.е. сосудисто-нервный пучок. Затем полость дезинфицируют с помощью специальных средств и плотно пломбируют гуттаперчей (корневой пломбой). На одном из этих этапов, чаще всего по вине лечащего стоматолога, возможен сбой: некачественное дезинфицирование полости, неполное удаление органической составляющей, то есть пульпы, или пломбирование полости выполнено не до самой верхушки корня.
Пустоты в зубе заполняют микроорганизмы, вызывающие вокруг зуба воспалительные процессы в костной ткани. Иными словами, возникают кисты и гранулемы, увеличивающиеся со временем в размерах, и в определённый момент зуб под коронкой начинает болеть при жевании.
В двух данных случаях необходимо снять коронки, провести первичное или повторное лечение зубов, изготовить новую ортопедическую коронку.
Это если вообще целесообразно сохранить такие зубы. Если же воспалительный очаг достиг таких размеров, что убыль костной ткани достаточно большая, без удаления зубов не обойтись.
Пародонтит — Диагностика и лечение
Диагностика
Чтобы определить, есть ли у вас пародонтит и насколько он серьезен, ваш стоматолог может:
- Просмотрите свою историю болезни , чтобы определить любые факторы, которые могут способствовать возникновению ваших симптомов, например, курение или прием определенных лекарств, вызывающих сухость во рту.
- Осмотрите рот на наличие зубного налета и зубного камня, а также легкого кровотечения.
- Измерьте глубину кармана борозды между десной и зубами, поместив стоматологический зонд рядом с зубом под линией десны, обычно в нескольких местах во рту. В здоровом рту глубина кармана обычно составляет от 1 до 3 миллиметров (мм).
Карманы глубже 4 мм могут указывать на пародонтит. Карманы глубже 5 мм плохо очищаются. - Сделайте стоматологический рентгеновский снимок , чтобы проверить потерю костной массы в областях, где стоматолог заметил более глубокие карманы.
Ваш стоматолог может определить стадию и степень пародонтита в зависимости от тяжести заболевания, сложности лечения, ваших факторов риска и состояния вашего здоровья.
Лечение
Лечение может проводить пародонтолог, стоматолог или стоматолог-гигиенист. Целью лечения пародонтита является тщательная очистка карманов вокруг зубов и предотвращение повреждения окружающей кости. У вас есть наилучшие шансы на успешное лечение, если вы также соблюдаете ежедневный режим правильного ухода за полостью рта, лечите состояния здоровья, которые могут повлиять на здоровье зубов, и прекращаете употребление табака.
Нехирургическое лечение
Если пародонтит не прогрессирует, лечение может включать менее инвазивные процедуры, в том числе:
- Масштабирование.
Скейлинг удаляет зубной камень и бактерии с поверхности зубов и под деснами. Это может быть выполнено с использованием инструментов, лазера или ультразвукового устройства. - Подпиливание корней. Обработка корней сглаживает поверхности корней, препятствуя дальнейшему накоплению зубного камня и бактерий, а также удаляет побочные продукты бактерий, которые способствуют воспалению и замедляют заживление или повторное прикрепление десны к поверхности зуба.
- Антибиотики. Местные или пероральные антибиотики могут помочь контролировать бактериальную инфекцию. Местные антибиотики могут включать полоскания рта с антибиотиками или введение гелей, содержащих антибиотики, в пространство между зубами и деснами или в карманы после глубокой чистки. Однако пероральные антибиотики могут быть необходимы для полного уничтожения бактерий, вызывающих инфекцию.
Хирургическое лечение
Если у вас прогрессирующий пародонтит, для лечения может потребоваться стоматологическая хирургия, например:
- Лоскутная хирургия (операция по уменьшению кармана).
Ваш пародонтолог делает крошечные надрезы в десне, чтобы часть ткани десны можно было приподнять, обнажая корни для более эффективного удаления зубного камня и выравнивания корней. Поскольку периодонтит часто вызывает потерю костной массы, подлежащая кость может быть реконструирована до того, как ткань десны будет сшита на место. После заживления легче очищать эти области и поддерживать здоровую ткань десны. - Трансплантаты мягких тканей. Когда вы теряете ткань десны, линия десны опускается. Возможно, вам потребуется укрепить часть поврежденных мягких тканей.Обычно это делается путем удаления небольшого количества ткани с нёба (неба) или использования ткани из другого донорского источника и прикрепления ее к пораженному участку. Это может помочь уменьшить дальнейшую рецессию десны, скрыть открытые корни и придать вашим зубам более приятный вид.
- Костная пластика. Эта процедура выполняется, когда пародонтит разрушил кость, окружающую корень зуба.
Трансплантат может состоять из небольших фрагментов собственной кости, либо кость может быть синтетической или донорской.Костный трансплантат помогает предотвратить потерю зубов, удерживая зуб на месте. Он также служит платформой для восстановления естественной кости. - Направленная регенерация тканей. Позволяет отрастить кость, разрушенную бактериями. В одном подходе ваш стоматолог помещает специальный кусок биосовместимой ткани между существующей костью и вашим зубом. Материал предотвращает попадание нежелательных тканей в зону заживления, позволяя вместо этого отрастать кости.
- Тканестимулирующие белки. Еще одна методика заключается в нанесении на больной корень зуба специального геля. Этот гель содержит те же белки, что и в развивающейся зубной эмали, и стимулирует рост здоровых костей и тканей.
Образ жизни и домашние средства
Попробуйте эти меры, чтобы уменьшить или предотвратить периодонтит:
- Чистите зубы два раза в день или, что еще лучше, после каждого приема пищи или перекуса.

- Используйте мягкую зубную щетку и меняйте ее не реже одного раза в три месяца.
- Рассмотрите возможность использования электрической зубной щетки, которая может более эффективно удалять зубной налет и зубной камень.
- Зубная нить ежедневно.
- Используйте ополаскиватель для полости рта, чтобы уменьшить налет между зубами, если это рекомендовано вашим стоматологом.
- Дополняйте чистку зубов щеткой и зубной нитью с помощью средства для очистки межзубных промежутков, такого как зубочистка, межзубная щетка или зубная палочка, специально предназначенная для очистки межзубных промежутков.
- Регулярно проходите профессиональную чистку зубов по графику, рекомендованному вашим стоматологом.
- Не курите и не жуйте табак.
Подготовка к приему
Вы можете начать с посещения стоматолога. В зависимости от степени вашего пародонтита ваш стоматолог может направить вас к специалисту по лечению заболеваний пародонта (пародонтологу).
Вот некоторая информация, которая поможет вам подготовиться к приему, и что вы можете сделать для подготовки.
Что вы можете сделать
Чтобы подготовиться к встрече, составьте список:
- Любые симптомы, которые вы испытываете, включая любые, которые могут показаться не связанными с причиной вашего приема.
- Ключевая личная информация, например, любые медицинские показания, которые у вас могут быть.
- Все лекарства, которые вы принимаете, включая лекарства, отпускаемые без рецепта, витамины, травы или другие добавки, а также дозировки.
- Вопросы, которые следует задать своему стоматологу , чтобы максимально использовать время, проведенное вместе.
Вопросы, которые следует задать стоматологу, могут включать:
- Что, вероятно, вызывает мои симптомы?
- Какие виды анализов мне нужны?
- Как лучше поступить?
- Покроет ли моя стоматологическая страховка лечение, которое вы рекомендуете?
- Каковы альтернативы подходу, который вы предлагаете?
- Есть ли ограничения, которым я должен следовать?
- Какие шаги я могу предпринять дома, чтобы сохранить здоровье десен и зубов?
- Могу ли я получить брошюры или другие печатные материалы?
- Какие сайты вы рекомендуете?
Не стесняйтесь задавать другие вопросы во время приема.
Что ожидать от вашего стоматолога
Ваш стоматолог может задать вам вопросы о ваших симптомах, например:
- Когда у вас впервые появились симптомы?
- Ваши симптомы были постоянными или случайными?
- Как часто вы чистите зубы?
- Вы пользуетесь зубной нитью? Как часто?
- Как часто вы посещаете стоматолога?
- Какие у вас заболевания?
- Какие лекарства вы принимаете?
- Употребляете ли вы табачные изделия?
Подготовка и предвосхищение вопросов помогут вам максимально эффективно использовать время, проведенное у стоматолога.
14 февраля 2020 г.
Показать ссылки- Обзор заболеваний пародонта. Профессиональная версия руководства Merck. https://www.merckmanuals.com/professional/dental-disorders/periodontal-disorders/overview-of-periodontal-disease. По состоянию на 26 сентября 2019 г.

- Воспаление десен: причины, симптомы и лечение. Национальный институт стоматологических и черепно-лицевых исследований. https://www.nidcr.nih.gov/health-info/gum-disease/more-info#.По состоянию на 26 сентября 2019 г.
- Катон Дж. Г. и др. Новая схема классификации заболеваний и состояний пародонта и периимплантационных заболеваний. Введение и основные изменения по сравнению с классификацией 1999 года. Журнал клинической пародонтологии. 2018; doi:10.1111/jcpe.12935.
- Болезни пародонта (десен). Национальный институт стоматологических и черепно-лицевых исследований. https://catalog.nidcr.nih.gov/OrderPublications/#10. По состоянию на 26 сентября 2019 г.
- Болезни пародонта. Центры по контролю и профилактике заболеваний.https://www.cdc.gov/oralhealth/conditions/periodontal-disease.html. По состоянию на 26 сентября 2019 г.
- СпроситеМайоЭксперт. Парадантоз. Клиника Майо; 2019.
- Смайлик CJ и др. Основанное на фактических данных клиническое руководство по нехирургическому лечению хронического пародонтита путем удаления зубного камня и полировки корня с дополнительными средствами или без них.
Журнал Американской стоматологической ассоциации. 2015 г.; doi:10.1016/j.adaj.2015.01.026. - Папапану П.Н. и др. Пародонтит: согласованный отчет рабочей группы 2 Всемирного семинара 2017 г. по классификации пародонтальных и периимплантационных заболеваний и состояний.Журнал пародонтологии. 2018; doi: 10.1002/JPER.17-0721.
- Слотов Дж. Пародонтит: Факты, заблуждения и будущее. Пародонтология 2000. 2017; doi:10.1111/prd.12221.
- Назир М.А. Распространенность заболеваний пародонта, их связь с системными заболеваниями и профилактика. Международный журнал медицинских наук. 2017; https://www.ncbi.nlm.nih.gov/pmc/articles/PMC5426403/. По состоянию на 30 сентября 2019 г.
- Грациани Ф. и др. Консервативное и хирургическое лечение пародонтита: сколько вариантов для одного заболевания? Пародонтология 2000.2017; doi:10.1111/prd.12201.
- Салинас Т.Ж. (экспертное заключение). Клиника Майо. 14 января 2020 г.
- Рамоа С.
П. и др. Растущая популярность курения кальяна и использования электронных сигарет: последствия для ухода за полостью рта. Журнал пародонтологических исследований. 2017; дои: 10.1111/jre.12458. - Гу З. и др. Каннабиноиды, полученные из марихуаны, запускают CB2/PI3K ось подавления врожденного ответа на пероральные патогены. Границы в иммунологии. 2019; дои: 10.3389 / фимму.2019.02288.
- Исик Андрикопулос Г. и др. Электронные системы доставки никотина (ЭСДН) и их значение для гигиены полости рта. Токсики. 2019; doi: 10.3390/toxics7040061.
Связанные
Товары и услуги
Показать больше продуктов и услуг Mayo ClinicБолезни пародонта | Состояние полости рта | Отделение гигиены полости рта
Что такое пародонтоз?
Заболевания пародонта в основном являются результатом инфекций и воспалений десен и костей, которые окружают и поддерживают зубы.
На ранней стадии, называемой гингивитом, десны могут опухать, краснеть и кровоточить. В более серьезной форме, называемой пародонтитом, десна может отрываться от зуба, кость может теряться, а зубы могут расшатываться или даже выпадать. Заболевания пародонта в основном наблюдаются у взрослых. Заболевания пародонта и кариес являются двумя самыми большими угрозами для здоровья зубов.
В недавнем отчете CDC 1 приводятся следующие данные о распространенности периодонтита в США:
- 47.2% взрослых в возрасте 30 лет и старше имеют ту или иную форму заболеваний пародонта.
- Заболевания пародонта увеличиваются с возрастом, 70,1% взрослых в возрасте 65 лет и старше имеют заболевания пародонта.
Это состояние чаще встречается у мужчин, чем у женщин (56,4% против 38,4%), у тех, кто живет ниже федерального уровня бедности (65,4%), у тех, у кого образование ниже среднего (66,9%), и у курильщиков (64,2%). )
Причины
Бактерии во рту заражают ткани, окружающие зуб, вызывая воспаление вокруг зуба, ведущее к заболеванию пародонта.
Когда бактерии остаются на зубах достаточно долго, они образуют пленку, называемую зубным налетом, которая со временем затвердевает до зубного камня, также называемого зубным камнем. Зубной камень может распространяться ниже линии десен, что затрудняет чистку зубов. Тогда только стоматолог может удалить зубной камень и остановить процесс заболевания пародонта.
Предупреждающие знаки
Следующие предупреждающие признаки пародонтоза:
- Неприятный запах изо рта или неприятный привкус, которые не исчезнут
- Красные или опухшие десны
- Нежные или кровоточащие десны
- Болезненное жевание
- Шатающиеся зубы
- Чувствительные зубы
- Десны, отслоившиеся от зубов
- Любое изменение в смыкании зубов при укусе
- Любые изменения в посадке частичных съемных протезов
Факторы риска
Определенные факторы повышают риск заболеваний пародонта:
- Курение
- Диабет
- Плохая гигиена полости рта
- Стресс
- Наследственность
- Кривые зубы
- Основные иммунодефициты — e.
г., СПИД - Дефектные пломбы
- Прием лекарств, вызывающих сухость во рту
- Мосты, которые больше не подходят должным образом
- Женские гормональные изменения, например, при беременности или использовании оральных контрацептивов
Профилактика и лечение
Гингивит можно контролировать и лечить с помощью хорошей гигиены полости рта и регулярной профессиональной чистки. Более тяжелые формы заболеваний пародонта также можно успешно лечить, но может потребоваться более обширное лечение.Такое лечение может включать в себя глубокую очистку поверхности корня зуба под десной, назначение лекарств для приема внутрь или непосредственно под десну, а иногда и корректирующую операцию.
Чтобы помочь предотвратить или контролировать заболевания пародонта, важно:
- Ежедневно чистите зубы щеткой и пользуйтесь зубной нитью для удаления бактерий, вызывающих заболевания десен.
- Посещайте стоматолога не реже одного раза в год для осмотра или чаще, если у вас есть какие-либо предупреждающие признаки или факторы риска, упомянутые выше.

Если вы не можете позволить себе стоматологические услуги, вы можете получить помощь в следующих источниках:
Что делает CDC в отношении заболеваний пародонта?
В настоящее время CDC работает с ключевыми партнерскими организациями, такими как Американская академия пародонтологии и Американская ассоциация стоматологов, над улучшением и поддержанием эпиднадзора за заболеваниями пародонта среди взрослого населения США. Усилия CDC включают (1) разработку мер для использования в эпиднадзоре за заболеваниями пародонта на государственном и местном уровнях, (2) повышение достоверности оценок распространенности, полученных из NHANES (Национальное обследование состояния здоровья и питания) путем повышения точности протоколов клинического осмотра, использованных в этом национальном исследовании, и (3) разработка простых мер для скрининга заболеваний пародонта в клинических условиях.
Для получения дополнительной информации, связанной с деятельностью CDC, нажмите на указанные ссылки:
Эке П.
И., Торнтон-Эванс Г., Дай Б.А., Дженко Р. Достижения в области эпиднадзора за пародонтитом: проект Центров по контролю и профилактике заболеваний по эпиднадзору за заболеваниями пародонта. J Periodontol 11 февраля 2012 г.: 1–9. Просмотр полного текставнешняя иконка.
Eke PI, Page PC, Wei L, Thornton-Evans G, Genco RJ. Обновление определений случаев для популяционного эпиднадзора за пародонтитом. J Пародонтол 16 марта 2012 г.: 1–9. Просмотр полного текставнешняя иконка.
Эке П.И., Торнтон-Эванс Г., Вей Л., Боргнакке В.С., Краситель Б.А. Точность протоколов исследования пародонта NHANES. J Dent Res 2010;89(11): 1208–1213. Посмотреть абстрактный внешний значок.
Подкасты о заболеваниях пародонта и диабете
Прослушайте сводку: Подкаст о заболеваниях пародонта и диабете. Содержит ценную информацию о влиянии заболеваний пародонта и их связи с диабетом (продолжительность 1:36).Посмотреть расшифровку.
Слушайте подкаст о заболеваниях пародонта и диабете.
Информативное интервью двух стоматологов о заболеваниях пародонта, осложнениях диабета и влиянии плохого состояния полости рта на контроль уровня глюкозы в крови (продолжительность 5:33). Посмотреть расшифровку.
Дополнительные ресурсы
Заболевания пародонта (десны): причины, симптомы и лечение. [PDF–1.26 M]внешний значок. Брошюра для потребителей Национального института стоматологических и черепно-лицевых исследований. Бетесда, Мэриленд.Перепечатано в январе 2006 г.
Американская академия пародонтологиивнешний значок
Журнальные статьи о заболеваниях пародонта
Ссылка
1 Eke PI, Dye B, Wei L, Thornton-Evans G, Genco R. Распространенность пародонтита у взрослых в США: 2009 и 2010 гг. J Dent Res . Опубликовано в Интернете 30 августа 2012 г .: 1–7. Просмотр полного текставнешняя иконка.
В начало страницы
Заболевания десен (гингивит и пародонтит): симптомы, причины, лечение
Пародонтит, также обычно называемый заболеванием десен или пародонтозом, начинается с роста бактерий во рту и может закончиться, если не будет проведено надлежащее лечение, потерей зубов из-за разрушение тканей, окружающих зубы.
В чем разница между гингивитом и пародонтитом?
Гингивит (воспаление десен) обычно предшествует пародонтиту (заболеванию десен). Но не всякий гингивит приводит к пародонтиту. Большинство людей в какой-то момент своей жизни заболевают гингивитом, и его легкие симптомы позволяют легко их игнорировать. Но без лечения это может превратиться в более серьезные проблемы для вашего рта. Хорошей новостью является то, что вы можете предотвратить или даже обратить его вспять, просто почистив зубы, пользуясь зубной нитью и проводя регулярные чистки зубов и осмотры.
На ранней стадии гингивита бактерии накапливаются в зубном налете, вызывая воспаление десен и легкое кровотечение во время чистки зубов. Хотя десны могут быть раздражены, зубы все еще прочно сидят в лунках. На данном этапе не произошло необратимого повреждения костей или других тканей.
Когда вы забываете чистить зубы щеткой, пользоваться зубной нитью и полоскать рот жидкостью для полоскания рта, вокруг ваших зубов образуется липкая пленка из бактерий и пищи, которая называется зубным налетом.
Грязь выделяет кислоты, которые воздействуют на внешнюю оболочку ваших зубов, называемую эмалью, и вызывают кариес.Через 72 часа налет затвердевает и превращается в зубной камень, который образуется вдоль линии десен и затрудняет полную чистку зубов и десен. Со временем это накопление раздражает и воспаляет десны, вызывая гингивит.
У человека с пародонтитом внутренний слой десны и кости отслаиваются от зубов и образуют карманы. Эти небольшие промежутки между зубами и деснами собирают мусор и могут инфицироваться. Иммунная система организма борется с бактериями по мере того, как зубной налет распространяется и растет ниже линии десен.
Токсины или яды, вырабатываемые бактериями зубного налета, а также «хорошими» ферментами организма, участвующими в борьбе с инфекциями, начинают разрушать кость и соединительную ткань, которые удерживают зубы на месте. По мере прогрессирования заболевания карманы углубляются, разрушается больше ткани десны и кости. Когда это происходит, зубы больше не фиксируются на месте, они расшатываются, и происходит потеря зубов.
Заболевания десен являются основной причиной потери зубов у взрослых.
Что вызывает заболевание десен?
Зубной налет является основной причиной заболеваний десен.Однако другие факторы могут способствовать заболеванию пародонта. К ним относятся:
- Гормональные изменения, например, происходящие во время беременности, полового созревания, менопаузы и ежемесячных менструаций, делают десны более чувствительными, что облегчает развитие гингивита.
- Болезни могут повлиять на состояние ваших десен. Сюда входят такие заболевания, как рак или ВИЧ, которые влияют на иммунную систему. Поскольку диабет влияет на способность организма использовать сахар в крови, пациенты с этим заболеванием подвержены более высокому риску развития инфекций, включая заболевания пародонта и кариес.
- Лекарства могут повлиять на здоровье полости рта, поскольку некоторые из них уменьшают выделение слюны, что оказывает защитное действие на зубы и десны. Некоторые препараты, такие как противосудорожный препарат Дилантин и препараты против стенокардии Прокардия и Адалат, могут вызывать аномальный рост ткани десны.

- Вредные привычки , такие как курение, затрудняют самовосстановление тканей десен.
- Неправильные привычки гигиены полости рта , такие как отказ от ежедневной чистки зубов щеткой и зубной нитью, способствуют развитию гингивита.
- Семейный анамнез стоматологических заболеваний может быть фактором, способствующим развитию гингивита.
Каковы симптомы заболевания десен?
Заболевание десен может прогрессировать безболезненно, проявляя мало явных признаков даже на поздних стадиях заболевания. Хотя симптомы заболевания пародонта часто малозаметны, это состояние не совсем без настораживающих признаков. Некоторые симптомы могут указывать на ту или иную форму заболевания. Симптомы заболевания десен включают:
- Десны, кровоточащие во время и после чистки зубов
- Красные, опухшие десны.Здоровые десны должны быть розовыми и твердыми.
- Постоянный неприятный запах изо рта или неприятный привкус во рту
- Опущение десен
- Образование глубоких карманов между зубами и деснами
- Подвижные или смещающиеся зубы зубные протезы
Даже если вы не замечаете никаких симптомов, у вас может быть некоторая степень заболевания десен.
У некоторых людей заболевание десен может поражать только определенные зубы, например, моляры.Только стоматолог или пародонтолог может распознать и определить прогрессирование заболевания десен.
Как стоматолог диагностирует заболевание десен?
Во время стоматологического осмотра стоматолог обычно проверяет следующее:
- Кровоточивость десен, отек, плотность и глубину кармана (пространство между десной и зубом; чем больше и глубже карман, тем тяжелее заболевание)
- Подвижность и чувствительность зубов и правильное положение зубов
- Ваша челюстная кость, чтобы помочь обнаружить разрушение кости вокруг зубов
Как лечится заболевание десен?
Целями лечения заболеваний десен являются восстановление прикрепления здоровых десен к зубам; уменьшить отек, глубину карманов и риск инфицирования; и остановить прогрессирование болезни.Варианты лечения зависят от стадии заболевания, того, как вы могли отреагировать на более раннее лечение, и от вашего общего состояния здоровья.
Варианты варьируются от нехирургических методов лечения, которые контролируют рост бактерий, до хирургического вмешательства для восстановления поддерживающих тканей. Полное описание различных вариантов лечения приведено в разделе Лечение заболеваний десен.
Как предотвратить заболевание десен?
Гингивит можно вылечить, а заболевание десен можно предотвратить усугублением почти во всех случаях, когда практикуется надлежащий контроль зубного налета.Надлежащий контроль зубного налета заключается в профессиональной чистке не реже двух раз в год и ежедневной чистке зубов щеткой и зубной нитью.
Чистите зубы два раза в день. Используйте щетку с мягкой щетиной и зубную пасту с фтором. Меняйте зубную щетку каждые 3 месяца или чаще, если щетинки изнашиваются. Старые, изношенные тоже не чистят зубы. Чистка щеткой избавляет от налета на доступных поверхностях зубов.
Зубная нить удаляет частицы пищи и зубной налет между зубами и под линией десен.Флосс каждый день.
Не ждите, пока что-то не застрянет между зубами. Ежедневная чистка зубной нитью удаляет налет из мест, недоступных для зубной щетки. Вы также можете попробовать очистители межзубных промежутков, зубочистки или маленькие щетки, которые помещаются между зубами. Спросите своего стоматолога, как их использовать, чтобы не повредить десны.
Прополощите рот. Антибактериальная жидкость для полоскания рта не только предотвращает гингивит, но и борется с неприятным запахом изо рта и зубным налетом. По данным Американской стоматологической ассоциации, антибактериальные ополаскиватели могут уменьшить количество бактерий, вызывающих зубной налет и заболевания десен.Спросите своего стоматолога, какая жидкость для полоскания рта подойдет вам лучше всего.
Другие изменения в здоровье и образе жизни могут снизить риск заболевания десен, уменьшить его серьезность и замедлить его развитие. Они включают:
- Бросить курить. Курение вредно не только для сердца и легких, но и для зубов и десен.
Курильщики в семь раз чаще заболевают деснами, чем некурящие, а курение может снизить шансы на успех некоторых видов лечения. - Уменьшить стресс. Стресс может затруднить борьбу иммунной системы организма с инфекцией.
- Сбалансированное питание. Бактерии во рту питаются сахаром и крахмалом из пищи, заставляя их выделять кислоты, разрушающие зубную эмаль. Нездоровая пища и конфеты содержат много дополнительного сахара и крахмала. Избегайте их, чтобы сохранить зубы и десны здоровыми. Правильное питание помогает иммунной системе бороться с инфекцией. Употребление в пищу продуктов с антиоксидантами, например продуктов, содержащих витамин Е (растительные масла, орехи, зеленые листовые овощи) и витамин С (цитрусовые, брокколи, картофель), может помочь вашему телу восстановить поврежденные ткани.
- Не сжимайте и не скрипите зубами. Эти действия могут оказывать избыточное воздействие на поддерживающие ткани зубов и увеличивать скорость разрушения этих тканей.

Несмотря на соблюдение правил гигиены полости рта и выбор другого здорового образа жизни, Американская академия пародонтологии сообщает, что до 30% американцев более склонны к заболеваниям десен из-за своих генов. А те, кто генетически предрасположен, могут иметь в шесть раз больше шансов заболеть той или иной формой заболевания десен.Если у кого-то в вашей семье есть заболевание десен, это может означать, что вы также подвержены большему риску. Если у вас больше шансов заболеть деснами, ваш стоматолог или пародонтолог может порекомендовать более частые осмотры, чистку и лечение, чтобы лучше справляться с этим заболеванием.
Если с момента последнего посещения стоматолога прошло 6 месяцев, запланируйте чистку зубов, чтобы удалить зубной камень и налет. Спросите своего стоматолога о том, как правильно чистить зубы. Слишком сильное надавливание или отсутствие пятен может привести к гингивиту.После чистки ваши десны должны стать лучше в течение недели или около того, если вы будете чистить зубы два раза в день, а также использовать зубную нить и полоскать рот один раз в день.
Связано ли заболевание десен с другими проблемами со здоровьем?
По данным CDC, исследователи обнаружили потенциальную связь между заболеванием десен и другими серьезными заболеваниями. У людей со здоровой иммунной системой бактерии во рту, попадающие в кровоток, обычно безвредны. Но при определенных обстоятельствах эти микроорганизмы связаны с такими проблемами со здоровьем, как инсульт и болезни сердца.Диабет является не только фактором риска заболевания десен, но и может усугубить течение диабета.
Болезни пародонта (десны) | Национальный институт стоматологических и черепно-лицевых исследований
Back to topОбзор
Информация о профилактике и лечении заболеваний пародонта (десен) и соответствующих исследованиях NIDCR.
Пародонтит (болезнь десен) — это инфекция тканей, удерживающих зубы на месте.Обычно это вызвано плохой привычкой чистить зубы щеткой и зубной нитью, что позволяет налету — липкой пленке бактерий — накапливаться на зубах и затвердевать. На поздних стадиях заболевание пародонта может привести к воспалению и кровоточивости десен; болезненные жевательные проблемы; и даже выпадение зубов.
Back to topПричины
Наши рты полны бактерий. Эти бактерии вместе со слизью и другими частицами постоянно образуют на зубах липкий бесцветный «налет». Чистка щеткой и зубная нить помогают избавиться от налета.Зубной налет, который не удаляется, может затвердеть и образовать «зубной камень», который невозможно очистить щеткой. Только профессиональная чистка у стоматолога или стоматолога-гигиениста может удалить зубной камень.
Существует ряд факторов риска заболеваний десен, но наиболее важным из них является курение.
Курение также может сделать лечение заболеваний десен менее эффективным. Другие факторы риска включают диабет; гормональные изменения у девушек и женщин; сахарный диабет; лекарства, уменьшающие слюноотделение; некоторые болезни, такие как СПИД, и лекарства от них; и генетическая предрасположенность.
Симптомы
Симптомы заболевания десен включают:
- Неприятный запах изо рта, который не проходит.
- Красные или опухшие десны.
- Нежные или кровоточащие десны.
- Болезненное жевание.
- Шатающиеся зубы.
- Чувствительные зубы.
- Опущение десен или удлинение зубов.
Диагностика
При посещении стоматолога стоматолог или стоматолог-гигиенист:
- Осмотрите десны и отметьте любые признаки воспаления.
- Используйте маленькую линейку, называемую «зонд», чтобы проверить наличие карманов вокруг зубов и измерить их. В здоровом рту глубина этих карманов обычно составляет от 1 до 3 миллиметров.
Этот тест на глубину кармана обычно безболезненный. - Узнайте о своей истории болезни, чтобы определить состояния или факторы риска (например, курение или диабет), которые могут способствовать заболеванию десен.
Стоматолог может также:
- Сделайте рентген, чтобы увидеть, есть ли потеря костной массы.
- Направление к пародонтологу. Пародонтологи являются экспертами в диагностике и лечении заболеваний десен и могут предоставить вам варианты лечения, которые не предлагает ваш стоматолог.
Лечение
Основной целью лечения является борьба с инфекцией. Количество и виды лечения будут варьироваться в зависимости от степени заболевания десен. Любой вид лечения требует, чтобы пациент поддерживал ежедневный домашний уход. Стоматолог также может предложить изменить определенные привычки, например, бросить курить, чтобы улучшить результаты лечения.
Back to topПолезные советы
Вы можете сохранить здоровье десен и зубов с помощью:
- Чистка зубов два раза в день фторсодержащей зубной пастой.

- Регулярно пользуйтесь зубной нитью для удаления налета из межзубных промежутков. Или вы можете использовать приспособление, такое как специальная щетка, деревянная или пластиковая палочка или «ирригатор», рекомендованный стоматологом.
- Регулярное посещение стоматолога для осмотра и профессиональной чистки.
- Отказ от курения.
Дополнительные ресурсы
- Заболевания пародонта
Информация Центров по контролю и профилактике заболеваний о причинах заболеваний пародонта, их настораживающих признаках, факторах риска, профилактике и лечении. - MedlinePlus: Заболевания десен
Национальная медицинская библиотека Национального института здоровья США (NIH) Собрание ссылок на правительственные, профессиональные и некоммерческие/добровольные организации с информацией о заболеваниях пародонта и гингивите.
- Как бросить куритьИнформация Центров по контролю и профилактике заболеваний (CDC) об отказе от курения.

Обложка
Пожилые люди и здоровье полости рта
Кузов
Информационный бюллетень о сохранении здоровья полости рта на всю жизнь.
Back to topРазличные стадии пародонтоза | Пародонтология и зубные имплантаты
Заболеваниями пародонта страдают 50% всех американцев в возрасте 30 лет и старше.Это может привести к потере зубов, необходимости протезирования и множеству дополнительных проблем со здоровьем. Из-за его потенциальной серьезности важно, чтобы к нему относились серьезно, несмотря на то, насколько распространено это заболевание. Он не дискриминирует и может затронуть любого человека любого возраста и пола.
Что такое заболевание пародонта?
Заболевание пародонта — это инфекция десен, которая продолжается. Он поражает не только десны, но и челюстную кость и может привести к потере зубов, а также к общим системным проблемам.
Как правило, в результате неправильной чистки зубов и использования зубной нити заболевание пародонта возникает после того, как зубной налет накопился и затвердел. Всего выделяют четыре стадии заболевания пародонта, из которых только одна является обратимой.
Причины заболеваний пародонта
Все причины заболеваний пародонта сводятся к бактериям. Если зубной налет и зубной камень не удаляются регулярно (используя ежедневную чистку зубов зубной нитью и щеткой, а также регулярную профессиональную чистку зубов), может возникнуть заболевание пародонта.Курение является наиболее значительным фактором риска и может сделать лечение заболеваний пародонта менее эффективным. Другие факторы, повышающие риск заболеваний пародонта, включают диабет, лекарства, уменьшающие естественный поток слюны, генетику, гормональные изменения и некоторые заболевания, такие как СПИД.
Стадии пародонтоза
Заболевание пародонта подразделяется на четыре отдельные стадии: гингивит, пародонтоз легкой степени, пародонтит средней тяжести и запущенный пародонтоз.
Гингивит
Гингивит является единственной обратимой стадией заболевания пародонта, поскольку он еще не успел поразить кости. Это результат накопления зубного налета вокруг зубов. На этой стадии есть только несколько признаков, и большинство из них безболезненны. Это то, что делает пародонтоз таким распространенным и вызывающим беспокойство. Он молчит, пока его нет. Заболевания пародонта обычно не нарушают своего «молчания» до четвертой и последней стадии. Первые признаки, на которые следует обратить внимание, включают неприятный запах изо рта, отек и покраснение десен, а также кровоточивость при чистке зубов щеткой или зубной нитью.Хорошая общая гигиена полости рта и регулярные осмотры могут вылечить и обратить вспять гингивит.
Легкое заболевание пародонта
Легкая пародонтит – вторая стадия пародонтоза. Это необратимо, но управляемо. Как только пациент достигает второй стадии, инфекция распространяется на кость и начинается процесс ее разрушения. Бактерии развиваются и становятся более агрессивными, что вызывает дополнительную потерю костной массы.
Простая гигиена полости рта больше не поможет.Признаки включают повышенный отек или покраснение десен, неприятный запах изо рта, кровотечение во время чистки зубов щеткой или зубной нитью, а также глубину зондирования от четырех до пяти миллиметров.
Заболевание пародонта средней тяжести
Как и легкая пародонтит, третья стадия пародонтоза необратима. На третьей стадии возникают те же симптомы, что и на второй, но глубина зондирования больше на шесть-семь миллиметров, что позволяет еще большему количеству бактерий атаковать не только ваши кости, но и
. ваш кровоток и иммунная система.Лечение пародонтита второй и третьей стадий состоит из удаления зубного камня и полировки корней. Масштабирование и полировка корней — это формы глубокой очистки, которые удаляют отложения бактерий, которые глубоко укоренились в ваших деснах. Если не лечить, эти стадии могут привести к потере костей и зубов, повышенной чувствительности десен, повышенной кровоточивости и смещению зубов.
Заболевание пародонта на поздних стадиях
Заключительная стадия заболевания пародонта наступает, когда инфекция еще больше углубляется и бактерии снова превращаются в болезнетворные бактерии.Теперь у вас 50-90% риска потери костной массы. В дополнение к потере костной массы запущенное заболевание пародонта вызывает покраснение, опухание десен с выделением гноя, чувствительность к холоду, дальнейшее расшатывание зубов, болезненное жевание и сильный неприятный запах изо рта. На этом этапе требуется пародонтальная хирургия или пародонтальная лазерная терапия, чтобы очистить образовавшиеся глубокие карманы, заполненные бактериями. Если не лечить, пародонтоз четвертой стадии приводит к промежуткам или промежуткам между зубами, рецессии десен, пациентам, нуждающимся в зубных протезах, и другим общим проблемам со здоровьем, которые могут быть серьезными.
Быстрое лечение заболеваний пародонта имеет первостепенное значение. Планирование регулярных осмотров и чисток, а также соблюдение правил ежедневной гигиены полости рта могут уберечь человека от болезней пародонта и/или остановить прогрессирование заболеваний пародонта.
Обслуживание пародонта: можно ли вылечить заболевание десен?
Заболевание десен, также известное как заболевание пародонта, возникает при инфицировании десен. Своевременное правильное лечение поможет компенсировать ущерб и предотвратить прогрессирование заболевания.Если у вас заболевание десен, важно принять быстрые меры, чтобы оно не прогрессировало.
Общие сведения о заболеваниях десенПародонтоз — это инфекция мягких тканей полости рта, десен. Это вызвано зубным налетом, формой бактерий, которые накапливаются на зубах из-за отсутствия хорошей гигиены полости рта. Когда зубной налет накапливается и затвердевает, образуется зубной камень. Как только он достигнет этого уровня, вам придется обратиться за стоматологической помощью, так как чистка зубов щеткой и зубной нитью в домашних условиях не удалит зубной камень, как налет.
СимптомыПо данным Национального института стоматологических и черепно-лицевых исследований, наиболее распространенными симптомами заболеваний десен являются:
- Плохой запах изо рта, который не проходит
- Красная и опухшая десна
- Нежные и кровоточащие десны
- Болезненное жевание
- Шатающиеся зубы
- Чувствительные зубы
- Опущение десен
Заболевание десен диагностируется вашим стоматологом, который будет искать ряд различных признаков, чтобы увидеть, насколько далеко зашло ваше заболевание.
Во-первых, стоматолог попросит вашу историю болезни, чтобы узнать, есть ли определенные условия или факторы, которые могут повысить риск заболевания десен. Определенные состояния, такие как ВИЧ/СПИД, некоторые виды лекарств, курение и гормоны — все это может быть причиной заболевания десен.
Затем ваш стоматолог осмотрит ваш рот, чтобы найти очевидные признаки, как мы упоминали выше. Красные, кровоточащие десны часто являются признаком того, что у пациента заболевание десен. Стоматолог также будет искать вещи, которые людям трудно увидеть самостоятельно, например, чрезмерный налет и образование зубного камня.Во время осмотра ваш стоматолог измерит глубину кармана, используя стоматологическую проблему, чтобы проверить наличие глубоких карманов, что также может сигнализировать о заболевании десен. Если в карманах есть значительная глубина, ваш стоматолог может сделать рентген, чтобы лучше изучить тяжесть пародонтита.
Лечение заболеваний десен Для лечения заболеваний десен вам необходимо обратиться к стоматологу.
Все пациенты разные, и уровень заболевания, с которым вы сейчас сталкиваетесь, будет определять наилучший курс действий.Если вы находитесь на ранней или средней стадии заболевания десен, ваш стоматолог может предложить нехирургическое лечение. Клиника Майо объясняет эти методы лечения как:
- Скейлинг: удаляет зубной камень и бактерии с зубов и ниже линии десен.
- Полировка корней: сглаживает поверхности корней, что препятствует дальнейшему накоплению или размножению бактерий, а также удаляет накопления, способствующие воспалению.
- Антибиотики: местные или пероральные антибиотики помогут контролировать инфекцию.
Однако они упоминают, что иногда хирургическое лечение является лучшим методом лечения в запущенных случаях. Среди них:
- Лоскутная хирургия: в деснах делаются крошечные надрезы, чтобы часть ткани десны можно было приподнять. Это обнажит корни, чтобы можно было выполнить более обширное масштабирование и строгание.
После того, как вы заживете, вам будет легче чистить эти области и поддерживать здоровье десен. - Трансплантаты мягких тканей: линия десны будет отступать по мере потери ткани десны, поэтому удаление ткани, например, с нёба, и ее прикрепление к пораженному участку может помочь уменьшить дальнейшую рецессию десны.
- Костная пластика: если заболевание десен проникло в кость, окружающую корень зуба, вам может понадобиться трансплантат, чтобы предотвратить потерю зуба и сохранить его на месте.
- Направленная регенерация тканей: позволяет восстановить рост кости, разрушенной бактериями. Материал, который они используют, предотвратит попадание нежелательных тканей в область заживления, что позволит вместо этого отрасти кости.
- Белки, стимулирующие ткани: нанесение геля на пораженный корень зуба.Этот гель содержит те же белки, что и в развивающейся зубной эмали, и может стимулировать рост здоровых костей и тканей.
Раннюю стадию заболевания десен, также известную как гингивит, легче всего вылечить.
Ваш стоматолог может помочь обнаружить ранние признаки гингивита во время регулярных чисток и осмотров. В большинстве случаев на этой стадии можно вылечить десну. Однако по мере того, как болезнь прогрессирует и доходит до пародонтита, ее уже не вылечить, а только лечить.Если вы подозреваете, что у вас пародонтит, как можно скорее обратитесь за помощью к стоматологу. Когда вы обратитесь к стоматологу, вы сможете приступить к составлению плана лечения, который поможет восстановить здоровье полости рта и избавит вас от боли.
Если вы подозреваете заболевание десен или другие проблемы с зубами, позвоните в нашу семейную стоматологию Найлса. Расположенный в Нивоте, мы хотим быть вашим семейным стоматологом. Сосредоточив внимание на уходе за пациентами с использованием самых современных стоматологических технологий в теплой, дружеской атмосфере, мы гордимся тем, что можем служить вам и вашей семье.Запишитесь на прием прямо сейчас: (720)-744-0001.
Зубные имплантаты и заболевания пародонта
Из всех способов, которыми современная стоматология может заменить отсутствующие зубы, зубные имплантаты, безусловно, являются лучшими. Не существует варианта замены зубов, который даст вам более длительный результат. Имплантаты также помогают сохранить поддерживающую зуб кость, которая естественным образом разрушается при потере зуба. Потеря кости является одним из основных скрытых последствий потери зубов.
Зубной имплантат чаще всего представляет собой небольшой винтообразный титановый штифт, который заменяет корневую часть отсутствующего зуба. Хирургическая процедура, используемая для установки имплантата, на самом деле довольно незначительна и рутинна, и в большинстве случаев требует только местной анестезии. После периода заживления имплантат увенчан реалистичной коронкой, изготовленной на заказ в соответствии с вашими существующими естественными зубами. Имплантаты имеют задокументированный показатель успеха более 95%, что значительно выше, чем у любого другого варианта замены зубов.
Как работают имплантаты
Во время малой хирургической операции ваш зубной имплантат вставляется непосредственно в челюстную кость в пространство, освобожденное отсутствующим зубом. Затем он будет оставлен для заживления в течение нескольких месяцев, прежде чем будет прикреплена окончательная коронка. Во время этого периода заживления имплантат фактически срастается с окружающей его костью.
Варианты замены зубов с использованием зубных имплантатов
Имплантатымогут заменить отсутствующие зубы различными способами. Их можно использовать для:
Замена одного зуба — при отсутствии одного зуба в кость вставляется один имплантат для замены корневой части этого зуба; Затем сверху надевается коронка, имитирующая настоящий зуб.Этот вариант лечения имеет самый высокий показатель успеха, что делает его лучшим долгосрочным вложением для замены одного отсутствующего зуба. Даже если первоначальная стоимость немного выше, чем у других вариантов, это наиболее рентабельное решение с течением времени.
Имплантат никогда не распадется и не потребует лечения корневых каналов, и ощущается точно так же, как зуб, который был там.
Замена нескольких зубов — Если у вас отсутствует более одного зуба, имплантаты обеспечивают идеальный механизм замены.Вам даже не нужен один имплантат на каждый отсутствующий зуб. Вместо этого зубы имплантата могут выступать в качестве опор для несъемного мостовидного протеза. Например, если у вас отсутствуют три зуба подряд, мы можем установить два имплантата, по одному с каждой стороны промежутка, а между ними установить коронку, под которой нет имплантата. Таким образом, вам не нужно будет использовать какие-либо из оставшихся естественных зубов в качестве опор для мостовидного протеза, что может ослабить их и сделать более восприимчивыми к кариесу.
Заменить все зубы навсегда — Имплантаты могут поддерживать всю дугу верхних или нижних сменных зубов, которые фиксируются во рту и никогда не удаляются.
Иногда новые зубы могут поддерживаться всего 4 имплантатами. Это сравнимо со структурой стола, которому нужно всего 4 ножки, чтобы его удерживать. В случаях, когда плотность и объем челюстной кости ухудшились, может потребоваться 5 или 6 имплантатов для поддержки ряда из 10-12 зубов. Сменные зубы на имплантатах защищают вашу челюстную кость, не соскальзывают и должны служить всю жизнь.
Опорные съемные протезы — Имплантаты могут даже сделать съемные протезы более удобными, эффективными и безопасными для здоровья.Традиционные зубные протезы опираются на десны и оказывают давление на подлежащую кость. Это ускоряет потерю костной массы, так что челюсть сжимается и протезы соскальзывают, особенно в нижней части. Но сегодня стоматологи могут прикреплять съемный протез к имплантатам, передавая это давление на структуру кости, а не на поверхность кости. Это предотвратит скольжение протезов, когда вы едите и говорите, и сохранит кость непосредственно под ними.
Уход за имплантатами и техническое обслуживание
Имплантат может потерять связь с костью и выйти из строя после успешного срастания только двумя способами: плохая гигиена полости рта или чрезмерное усилие прикусывания.Плохая гигиена полости рта и/или отсутствие регулярных чисток может привести к разрушительной бактериальной инфекции, называемой периимплантитом. Ежедневная чистка зубов зубной нитью и регулярная профессиональная чистка могут предотвратить это. Чрезмерное усилие прикуса может быть вызвано либо привычкой сжимать или скрежетать зубами, либо недостаточным количеством имплантатов, чтобы справиться с усилием, создаваемым прикусом. Вы должны получить правильное количество имплантатов, чтобы этого не произошло. А если у вас есть привычка скрежетать или сжимать зубы, для защиты ваших имплантатов будет рекомендована ночная защита.В конце концов, имплантаты — это долгосрочная инвестиция в вашу улыбку, ваше здоровье и ваше благополучие, поэтому лучше защитить свои инвестиции.
Хотя вы можете подумать, что некоторая потеря зубов с возрастом неизбежна, на самом деле все ваши зубы могут остаться на всю жизнь. Один из способов достижения этой цели — избежать заболеваний пародонта («пери» — вокруг; «одонт» — зуб), вызываемых бактериями, поражающими ткани вокруг зубов. К сожалению, вы можете даже не осознавать, что у вас заболевание десен, поскольку признаки и симптомы не всегда так очевидны для вас, как для стоматолога.
Почти у всех людей, которые не соблюдают надлежащую ежедневную гигиену полости рта, развивается гингивит. Если не лечить, эта бактериальная инфекция десен может прогрессировать от гингивита («десна» — десна; «ит» — воспаление) до пародонтита, что приводит к потере костной массы вокруг зубов. По мере того, как костная ткань теряется, ткани десен отделяются от зубов и образуют маленькие карманы, которые обеспечивают еще лучшее место для жизни бактерий, куда не могут добраться ни щетка, ни нить. По мере прогрессирования заболевания пародонта, приводящего к большей потере костной массы, может произойти потеря зубов.
Частично это связано с генетикой, так как заболевание пародонта имеет тенденцию передаваться по наследству. Хорошая новость заключается в том, что заболевание пародонта можно контролировать даже на более поздних стадиях.
Признаки и симптомы заболеваний пародонта
Важно понимать, что у вас может быть заболевание пародонта без явных симптомов, особенно если вы курите (никотин снижает кровоснабжение, предотвращая кровотечение и отек тканей десны). Тем не менее, есть несколько важных вещей, на которые стоит обратить внимание:
- Кровоточивость десен — Некоторые люди думают, что кровоточивость десен означает, что они слишком усердно чистят зубы.Хотя чистка слишком сильно вредна для десен, она не должна вызывать кровотечения. Любое кровоточивость десен следует рассматривать как предупреждающий признак заболевания десен.
- Неприятный запах изо рта — Зубной налет очень легко собирается в промежутках между зубами, создавая идеальные условия для жизни бактерий, которые производят пахучие серосодержащие соединения, вызывающие неприятный запах изо рта.

- Покраснение или отек десен — Воспаление десен обычно является первым видимым признаком пародонтита.
- Отступающие десны — Если вы заметили, что ваши зубы выглядят длиннее, чем раньше, возможно, ткань десны отступила (от эмали), обнажив некоторые корни зубов.
- Чувствительность — При рецессии десны открытые корни могут стать чувствительными к горячему или холодному.
- Пародонтальный абсцесс — Бактерии могут попасть в пародонтальный карман, и эта область наполнится гноем, станет опухшей и болезненной.
- Подвижные зубы — Когда заболевание пародонта приводит к потере костной массы, зубы могут расшатываться или мигрировать.Потеря зубов может произойти и может ускориться, если вы прикладываете чрезмерные силы прикусывания из-за сжимания или скрежета зубов.
Варианты обработки
Любая пародонтологическая терапия начинается с оценки ваших методов гигиены полости рта и инструкций по их улучшению, после чего следует механическое удаление зубного налета и любых кальцифицированных отложений (зубной камень или зубной камень), которые присутствуют на поверхности корней.
Это достигается с помощью техники очистки, известной как скейлинг, полировка корней или санация с использованием ручных инструментов и/или ультразвуковых (высокочастотных вибрационных) инструментов.Местно применяемые антимикробные продукты или антибиотики также могут быть рекомендованы во время различных этапов лечения пародонта, чтобы помочь в заживлении и уменьшении глубины кармана, что, как мы надеемся, устраняет необходимость пародонтальной хирургии. Иногда могут потребоваться хирургические процедуры для удаления глубоких карманов, которые образуются между воспаленной тканью десны и зубами. Существует множество различных видов хирургии для решения различных проблем. И часто комбинации процедур используются, чтобы попытаться уменьшить количество операций, а также стоимость лечения.
Заболевания пародонта и общее состояние здоровья
Заболевание пародонта начинается во рту, но на самом деле оно связано с более серьезными заболеваниями, такими как сердечно-сосудистые заболевания (ССЗ), диабет и преждевременные роды.
Исследования выявили два вероятных механизма взаимосвязи заболевания десен и других серьезных медицинских проблем: заболевание пародонта средней и тяжелой степени увеличивает уровень системного (телесного) воспаления — характеристику всех хронических воспалительных заболеваний.Кроме того, те же бактериальные штаммы, которые обычно обнаруживаются в пародонтальных карманах, окружающих больные зубы, были обнаружены в бляшках кровеносных сосудов у людей с сердечно-сосудистыми заболеваниями. Поэтому может быть полезно уменьшить воспаление пародонта, чтобы уменьшить системное воспаление.
Превентивные стратегии
Лучший способ предотвратить заболевание пародонта – это эффективно чистить зубы и пользоваться зубной нитью каждый день. Регулярные стоматологические осмотры и профессиональные чистки каждые 3, 4 или 6 месяцев также являются важной частью поддержания здоровья пародонта; инструменты и методы, используемые в этих чистках, могут достигать областей, недоступных для вашей зубной щетки и зубной нити.
Эндодонтические инструменты должны использоваться не более 5-6 раз в канале и утилизироваться.


В ходе профилактических осмотров доктор произведет профессиональную чистку зубов, удалив твердые отложения в виде зубного камня, что снизит риск развития болезни.

Карманы глубже 4 мм могут указывать на пародонтит. Карманы глубже 5 мм плохо очищаются.
Ваш пародонтолог делает крошечные надрезы в десне, чтобы часть ткани десны можно было приподнять, обнажая корни для более эффективного удаления зубного камня и выравнивания корней. Поскольку периодонтит часто вызывает потерю костной массы, подлежащая кость может быть реконструирована до того, как ткань десны будет сшита на место. После заживления легче очищать эти области и поддерживать здоровую ткань десны.
Трансплантат может состоять из небольших фрагментов собственной кости, либо кость может быть синтетической или донорской.Костный трансплантат помогает предотвратить потерю зубов, удерживая зуб на месте. Он также служит платформой для восстановления естественной кости.

Журнал Американской стоматологической ассоциации. 2015 г.; doi:10.1016/j.adaj.2015.01.026.
П. и др. Растущая популярность курения кальяна и использования электронных сигарет: последствия для ухода за полостью рта. Журнал пародонтологических исследований. 2017; дои: 10.1111/jre.12458.
г., СПИД

Курильщики в семь раз чаще заболевают деснами, чем некурящие, а курение может снизить шансы на успех некоторых видов лечения.
Этот тест на глубину кармана обычно безболезненный.

После того, как вы заживете, вам будет легче чистить эти области и поддерживать здоровье десен.