ΠΠ΅ΡΠ΅Π½ΠΈΠ΅ ΠΎΡΡΡΠΎΠ³ΠΎ ΠΏΠΈΠ΅Π»ΠΎΠ½Π΅ΡΡΠΈΡΠ°. ΠΠ½ΡΠΈΠ±ΠΈΠΎΡΠΈΠΊΠΈ, Π½Π°Π·Π½Π°ΡΠ°ΡΡΠΈΠ΅ΡΡ Π±Π΅Π· Π°Π½Π°Π»ΠΈΠ·Π°.
Π ΠΊΠ°ΠΆΠ΄ΠΎΠΉ ΡΡΡΡΡΠ΅ Π²Π·ΡΠΎΡΠ»ΡΡ Π΅ΠΆΠ΅Π³ΠΎΠ΄Π½ΠΎ ΠΎΠ΄ΠΈΠ½ ΡΠ΅Π»ΠΎΠ²Π΅ΠΊ Π±ΠΎΠ»Π΅Π΅Ρ ΠΎΡΡΡΡΠΌ ΠΏΠΈΠ΅Π»ΠΎΠ½Π΅ΡΡΠΈΡΠΎΠΌ, ΡΡΠΈ ΠΈΠ· ΡΠ΅ΡΠ²Π΅ΡΡΡ ΠΏΠ΅ΡΠ΅Π±ΠΎΠ»Π΅Π²ΡΠΈΡ ΠΌΠΎΠ³ΡΡ Π½Π°Π²ΡΠ΅Π³Π΄Π° Π·Π°Π±ΡΡΡ ΠΎ Π±ΠΎΠ»Π΅Π·Π½ΠΈ, Π° ΡΠ΅ΡΠ²Π΅ΡΡΡΠΉ Π±ΠΎΠ»Π΅Π΅Ρ Π²ΡΡ ΠΎΡΡΠ°Π²ΡΡΡΡΡ ΠΆΠΈΠ·Π½Ρ, Π½Π΅ΡΠΊΠ»ΠΎΠ½Π½ΠΎ ΡΡΡΠ΅ΠΌΡΡΡ ΠΊ ΠΏΠΎΡΠ΅ΡΠ½ΠΎΠΉ Π½Π΅Π΄ΠΎΡΡΠ°ΡΠΎΡΠ½ΠΎΡΡΠΈ ΠΈ ΠΏΠ΅ΡΠ΅ΡΠ°Π΄ΠΊΠ΅ ΠΏΠΎΡΠΊΠΈ ΠΏΡΠΈ Π΄Π²ΡΡΡΠΎΡΠΎΠ½Π½Π΅ΠΉ ΠΈΠ½ΡΠ΅ΠΊΡΠΈΠΈ.
ΠΠΎΠ³Π΄Π° ΠΏΠΈΠ΅Π»ΠΎΠ½Π΅ΡΡΠΈΡ Π½Π΅Π»ΡΠ·Ρ Π»Π΅ΡΠΈΡΡ Π΄ΠΎΠΌΠ°?
ΠΠ΅ΡΠ²ΠΈΡΠ½ΠΎΠ΅ Π²ΠΎΡΠΏΠ°Π»Π΅Π½ΠΈΠ΅ ΠΏΠΎΡΠ΅ΠΊ ΠΌΠΎΠΆΠ΅Ρ ΡΠ°Π·Π²ΠΈΡΡΡΡ ΡΠΎΠ²Π΅ΡΡΠ΅Π½Π½ΠΎ Π±Π΅Π· ΠΏΡΠΈΡΠΈΠ½Ρ β Β«Π½Π° Ρ ΠΎΠ»ΠΎΠ΄Π½ΠΎΠΌ ΠΊΠ°ΠΌΠ½Π΅ ΠΏΠΎΡΠΈΠ΄Π΅Π»Β», Π½ΠΎ Π² Π±ΠΎΠ»ΡΡΠΈΠ½ΡΡΠ²Π΅ ΡΠ»ΡΡΠ°Π΅Π² ΠΏΡΠΈΡΠΈΠ½Π° ΠΈΠ½ΡΠ΅ΠΊΡΠΈΠΈ Π·ΠΈΠΆΠ΄Π΅ΡΡΡ Π½Π° Π½Π°ΡΡΡΠ΅Π½ΠΈΠΈ ΠΏΡΠ°Π²ΠΈΠ»ΡΠ½ΠΎΠ³ΠΎ ΡΠΎΠΊΠ° ΠΌΠΎΡΠΈ ΠΈΠ· ΠΏΠΎΡΠ΅ΡΠ½ΠΎΠΉ Π»ΠΎΡ Π°Π½ΠΊΠΈ ΠΏΠΎ ΠΌΠΎΡΠ΅ΡΠΎΡΠ½ΠΈΠΊΡ Π² ΠΏΡΠ·ΡΡΡ ΠΈ Π΄Π°Π»Π΅Π΅.
ΠΡΠ΅Ρ Π±ΠΎΠ»ΡΠ½ΡΡ ΠΎΡΡΡΡΠΌ ΠΏΠΈΠ΅Π»ΠΎΠ½Π΅ΡΡΠΈΡΠΎΠΌ Π³ΠΎΡΠΏΠΈΡΠ°Π»ΠΈΠ·ΠΈΡΡΡΡ Π΄Π»Ρ Π²ΡΡΠ²Π»Π΅Π½ΠΈΡ ΠΏΡΠΎΡΠ΅ΡΡΠ°, ΠΌΠ΅ΡΠ°ΡΡΠ΅Π³ΠΎ ΠΏΠ°ΡΡΠ°ΠΆΡ ΠΌΠΎΡΠΈ. ΠΠΌΠ±ΡΠ»Π°ΡΠΎΡΠ½ΠΎ Π»Π΅ΡΠ°Ρ ΡΠΎΠ»ΡΠΊΠΎ Π² ΡΠ»ΡΡΠ°Π΅ Π½Π΅ΠΎΡΠ»ΠΎΠΆΠ½Π΅Π½Π½ΠΎΠ³ΠΎ Π²ΠΎΡΠΏΠ°Π»Π΅Π½ΠΈΡ ΠΏΠΎΡΠΊΠΈ ΠΏΡΠΈ Π°Π±ΡΠΎΠ»ΡΡΠ½ΠΎΠΉ ΡΠ²Π΅ΡΠ΅Π½Π½ΠΎΡΡΠΈ, ΡΡΠΎ Π½ΠΈΡΠ΅Π³ΠΎ Π½Π΅ ΠΌΠ΅ΡΠ°Π΅Ρ ΠΌΠΎΡΠ΅ ΡΠ΅ΡΡ ΠΏΠΎ ΠΏΡΠΈΡΠΎΠ΄ΠΎΠΉ Π·Π°Π²Π΅Π΄Π΅Π½Π½ΠΎΠΌΡ ΠΏΡΡΠΈ.
ΠΠ±ΡΠΎΠ»ΡΡΠ½ΠΎ ΠΏΠΎΠΊΠ°Π·Π°Π½ΠΎ Π»Π΅ΡΠ΅Π½ΠΈΠ΅ Π² ΡΡΠ°ΡΠΈΠΎΠ½Π°ΡΠ΅:
- ΠΏΡΠΈ Π΅Π΄ΠΈΠ½ΡΡΠ²Π΅Π½Π½ΠΎΠΉ ΠΏΠΎΡΠΊΠ΅ ΠΈΠ»ΠΈ Π½Π°Π»ΠΈΡΠΈΠΈ Π²ΡΠΎΡΠΎΠΉ Π½Π΅Π·Π΄ΠΎΡΠΎΠ²ΠΎΠΉ,
- ΠΊΠ»ΠΈΠ½ΠΈΡΠ΅ΡΠΊΠΈΡ ΠΏΡΠΈΠ·Π½Π°ΠΊΠ°Ρ Π³Π½ΠΎΠΉΠ½ΠΎΠ³ΠΎ Π²ΠΎΡΠΏΠ°Π»Π΅Π½ΠΈΡ ΠΈ ΡΠ΅ΠΏΡΠΈΡΠ΅ΡΠΊΠΎΠΉ ΡΠ΅Π°ΠΊΡΠΈΠΈ,
- ΠΏΡΠΈ ΠΈΠΌΠΌΡΠ½ΠΎΠ΄Π΅ΡΠΈΡΠΈΡΠ΅ ΠΈ ΠΎΡΡΡΡΡΡΠ²ΠΈΠΈ ΡΠ΅Π°ΠΊΡΠΈΠΈ Π½Π° Π»Π΅ΡΠ΅Π½ΠΈΠ΅ Π°Π½ΡΠΈΠ±ΠΈΠΎΡΠΈΠΊΠ°ΠΌΠΈ.
ΠΠ°ΠΊΠΈΠ΅ Π»Π΅ΠΊΠ°ΡΡΡΠ²Π° Π½Π°Π·Π½Π°ΡΠ°ΡΡ ΠΏΡΠΈ ΠΎΡΡΡΠΎΠΌ ΠΏΠΈΠ΅Π»ΠΎΠ½Π΅ΡΡΠΈΡΠ΅?
ΠΠ΅Π· Π°Π½ΡΠΈΠ±ΠΈΠΎΡΠΈΠΊΠΎΠ² ΠΏΡΠΈ Π»ΡΠ±ΠΎΠΌ ΠΏΠΎ ΡΡΠΆΠ΅ΡΡΠΈ Π²ΠΎΡΠΏΠ°Π»Π΅Π½ΠΈΠΈ ΠΏΠΎΡΠΊΠΈ ΠΎΠ±ΠΎΠΉΡΠΈΡΡ Π½Π΅Π²ΠΎΠ·ΠΌΠΎΠΆΠ½ΠΎ. ΠΡΠ°Π²ΠΈΠ»ΡΠ½ΡΠΉ ΠΏΠΎΠ΄Π±ΠΎΡ Π»Π΅ΠΊΠ°ΡΡΡΠ²Π° Π·ΠΈΠΆΠ΄Π΅ΡΡΡ Π½Π° Π²ΡΡΠ²Π»Π΅Π½ΠΈΠΈ Π²ΠΎΠ·Π±ΡΠ΄ΠΈΡΠ΅Π»Ρ ΠΈΠ½ΡΠ΅ΠΊΡΠΈΠΈ Π² ΠΌΠΎΡΠ΅ ΠΈ ΠΎΠΏΡΠ΅Π΄Π΅Π»Π΅Π½ΠΈΠΈ Π΅Π³ΠΎ ΡΡΡΠΎΠΉΡΠΈΠ²ΠΎΡΡΠΈ ΠΈ ΡΡΠ²ΡΡΠ²ΠΈΡΠ΅Π»ΡΠ½ΠΎΡΡΠΈ ΠΊ Π°Π½ΡΠΈΠ±ΠΈΠΎΡΠΈΠΊΠ°ΠΌ. Π Π±ΠΎΠ»ΡΡΠΈΠ½ΡΡΠ²Π΅ ΡΠ»ΡΡΠ°Π΅Π², Π½Π°ΡΠ°Π»ΡΠ½ΡΡ ΡΠ΅ΡΠ°ΠΏΠΈΡ Π½Π°ΡΠΈΠ½Π°ΡΡ Π±Π΅Π· ΡΠ΅Π·ΡΠ»ΡΡΠ°ΡΠΎΠ² Π°Π½Π°Π»ΠΈΠ·ΠΎΠ² β ΡΠΌΠΏΠΈΡΠΈΡΠ΅ΡΠΊΠΈ. ΠΠΎΠ³Π΄Π° Π»Π°Π±ΠΎΡΠ°ΡΠΎΡΠΈΡ ΠΏΠΎΠ΄Π³ΠΎΡΠΎΠ²ΠΈΡ ΠΎΡΠ²Π΅Ρ, ΡΠΎ Π»Π΅ΠΊΠ°ΡΡΡΠ²Π΅Π½Π½ΠΎΠ΅ Π»Π΅ΡΠ΅Π½ΠΈΠ΅ Π±ΡΠ΄Π΅Ρ ΡΠΊΠΎΡΡΠ΅ΠΊΡΠΈΡΠΎΠ²Π°Π½ΠΎ.
Β
Π₯ΡΠΎΠ½ΠΈΡΠ΅ΡΠΊΠΈΠΉ ΠΏΠΈΠ΅Π»ΠΎΠ½Π΅ΡΡΠΈΡ ΠΈΡΠΏΡΠ°Π²Π½ΠΎ Β«ΠΏΠΎΡΡΠ°Π²Π»ΡΠ΅ΡΒ» ΠΏΠ°ΡΠΈΠ΅Π½ΡΠΎΠ² Π΄Π»Ρ Π΄ΠΈΠ°Π»ΠΈΠ·Π° ΠΈ ΡΡΠ°Π½ΡΠΏΠ»Π°Π½ΡΠ°ΡΠΈΠΈ ΠΏΠΎΡΠΊΠΈ. Π‘Π΅Π³ΠΎΠ΄Π½Ρ Π²ΠΎΠ·ΠΌΠΎΠΆΠ½ΠΎΡΡΠΈ ΡΠ΅ΡΠ°ΠΏΠΈΠΈ Π½Π°ΡΡΠΎΠ»ΡΠΊΠΎ Π·Π½Π°ΡΠΈΠΌΡ, ΡΡΠΎ ΠΏΡΠΈ Π½Π΅Π²ΠΎΠ·ΠΌΠΎΠΆΠ½ΠΎΡΡΠΈ ΠΈΠ·Π±Π΅ΠΆΠ°ΡΡ ΠΎΡΡΡΠΎΠ³ΠΎ ΠΈΠ½ΡΠ΅ΠΊΡΠΈΠΈ, Ρ ΡΠΎΠ½ΠΈΡΠ΅ΡΠΊΠ°Ρ ΡΠΎΡΠΌΠ° Π²ΠΎΠΎΠ±ΡΠ΅ Π½Π΅ Π΄ΠΎΠ»ΠΆΠ½Π° ΡΠ°Π·Π²ΠΈΡΡΡΡ. ΠΠΈΠ΅Π»ΠΎΠ½Π΅ΡΡΠΈΡΠΎΠΌ Π±ΠΎΠ»Π΅ΡΡ Π½Π΅ ΡΡΠΎΠ»ΡΠΊΠΎ ΠΈΠ·-Π·Π° ΠΎΠ³ΡΠ°Π½ΠΈΡΠ΅Π½Π½ΠΎΡΡΠΈ ΠΌΠ΅Π΄ΠΈΡΠΈΠ½ΡΠΊΠΎΠΉ ΠΏΠΎΠΌΠΎΡΠΈ, ΡΠΊΠΎΠ»Ρ ΠΈΠ·-Π·Π° Π½Π΅ΡΠΏΠΎΡΠΎΠ±Π½ΠΎΡΡΠΈ Π΄ΠΎΠ²Π΅ΡΡΠΈ Π»Π΅ΡΠ΅Π½ΠΈΠ΅ Π΄ΠΎ Π»ΠΎΠ³ΠΈΡΠ΅ΡΠΊΠΎΠ³ΠΎ ΠΊΠΎΠ½ΡΠ°.Β Β
ΠΠΈΠ°Π³Π½ΠΎΡΡΠΈΠΊΠ° Π²ΠΎΡΠΏΠ°Π»Π΅Π½ΠΈΡ ΠΏΠΎΡΠ΅ΠΊ ΠΏΠΎ Π°Π½Π°Π»ΠΈΠ·Ρ ΠΌΠΎΡΠΈ
ΠΠ΅ΡΠ²ΡΠΉ ΡΠΏΠΎΡΠΎΠ± ΠΏΠΎΠ΄ΡΠ²Π΅ΡΠ΄ΠΈΡΡ ΠΊΠ»ΠΈΠ½ΠΈΡΠ΅ΡΠΊΠΎΠ΅ ΠΏΠΎΠ΄ΠΎΠ·ΡΠ΅Π½ΠΈΠ΅ Π½Π° ΠΈΠ½ΡΠ΅ΠΊΡΠΈΡ β ΡΠ΄Π΅Π»Π°ΡΡ ΠΎΠ±ΡΠΈΠΉ Π°Π½Π°Π»ΠΈΠ· ΠΌΠΎΡΠΈ. Π ΠΌΠΎΡΠ΅ Π±ΡΠ΄Π΅Ρ ΠΌΠ½ΠΎΠ³ΠΎ Π»Π΅ΠΉΠΊΠΎΡΠΈΡΠΎΠ², ΠΏΡΠ΅ΠΈΠΌΡΡΠ΅ΡΡΠ²Π΅Π½Π½ΠΎ Π½Π΅ΠΉΡΡΠΎΡΠΈΠ»ΡΠ½ΡΡ ΠΈ ΠΏΠ°Π»ΠΎΡΠΊΠΎΡΠ΄Π΅ΡΠ½ΡΡ , ΡΠΎΠΏΡΠΎΠ²ΠΎΠΆΠ΄Π°ΡΡΠΈΡ Π»ΡΠ±ΠΎΠ΅ Π²ΠΎΡΠΏΠ°Π»Π΅Π½ΠΈΠ΅. ΠΠ΅ ΠΈΡΠΊΠ»ΡΡΠ΅Π½ΠΎ Π½Π°Π»ΠΈΡΠΈΠ΅ Π±Π΅Π»ΠΊΠ° ΠΈ Π½Π΅ΠΌΠ½ΠΎΠ³ΠΎ ΡΡΠΈΡΡΠΎΡΠΈΡΠΎΠ², ΡΠ΅Π»ΠΎΡΠ½Π°Ρ ΡΠ.Β Π ΠΎΠ±ΡΠ΅ΠΌ, Π²ΠΎΡΠΏΠ°Π»ΠΈΡΠ΅Π»ΡΠ½Π°Ρ ΡΠ΅Π°ΠΊΡΠΈΡ ΠΌΠΎΡΠΈ ΠΏΡΠΈ ΡΠΎΡΠ΅ΡΠ°Π½ΠΈΠΈ Ρ Ρ Π°ΡΠ°ΠΊΡΠ΅ΡΠ½ΡΠΌΠΈ ΡΠΈΠΌΠΏΡΠΎΠΌΠ°ΠΌΠΈ Π·Π°Π±ΠΎΠ»Π΅Π²Π°Π½ΠΈΡ Π²ΠΏΠΎΠ»Π½Π΅ ΡΠΏΠΎΡΠΎΠ±Π½Ρ ΠΏΠΎΠ΄ΡΠ²Π΅ΡΠ΄ΠΈΡΡ Π΄ΠΈΠ°Π³Π½ΠΎΠ·, ΡΠ΅ΠΌ Π½Π΅ ΠΌΠ΅Π½Π΅Π΅, ΡΡΠΎ ΡΠΎΠ²Π΅ΡΡΠ΅Π½Π½ΠΎ Π½Π΅ΡΠΏΠ΅ΡΠΈΡΠΈΡΠ΅ΡΠΊΠΈΠ΅ ΠΈΠ·ΠΌΠ΅Π½Π΅Π½ΠΈΡ ΠΌΠΎΠ³ΡΡ Π±ΡΡΡ ΠΏΡΠΈ ΠΌΠ½ΠΎΠΆΠ΅ΡΡΠ²Π΅ Π±ΠΎΠ»Π΅Π·Π½Π΅ΠΉ.
ΠΡΠΈ ΠΏΠΈΠ΅Π»ΠΎΠ½Π΅ΡΡΠΈΡΠ΅ Π² ΠΌΠΎΡΠ΅Π²ΠΎΠΌ ΠΎΡΠ°Π΄ΠΊΠ΅ Π΄ΠΎΠ»ΠΆΠ½Ρ Π±ΡΡΡ Π±Π°ΠΊΡΠ΅ΡΠΈΠΈ — Π±ΠΎΠ»Π΅Π΅ 10 ΡΡΡΡΡ Π² ΠΌΠΈΠ»Π»ΠΈΠ»ΠΈΡΡΠ΅. ΠΠ½Π°Π»ΠΈΠ· Π½Π° ΠΌΠΈΠΊΡΠΎΡΠ»ΠΎΡΡ β Π±Π°ΠΊΡΠ΅ΡΠΈΠΎΠ»ΠΎΠ³ΠΈΡΠ΅ΡΠΊΠΈΠΉ ΠΏΠΎΠ·Π²ΠΎΠ»ΠΈΡ Π²ΡΡΠ²ΠΈΡΡ Π²ΠΎΠ·Π±ΡΠ΄ΠΈΡΠ΅Π»Ρ ΠΈ ΠΏΠΎΠ΄ΠΎΠ±ΡΠ°ΡΡ ΠΏΡΠΈΡΠ΅Π»ΡΠ½ΡΡ Π°Π½ΡΠΈΠ±Π°ΠΊΡΠ΅ΡΠΈΠ°Π»ΡΠ½ΡΡ ΡΠ΅ΡΠ°ΠΏΠΈΡ.
ΠΡΠΈ ΠΎΡΡΡΠΎΠΉ ΠΈΠ½ΡΠ΅ΠΊΡΠΈΠΈ Π΄ΠΎ ΠΏΠΎΠ»ΡΡΠ΅Π½ΠΈΡ ΡΠ΅Π·ΡΠ»ΡΡΠ°ΡΠΎΠ² ΡΠΆΠ΅ Π΄ΠΎΠ»ΠΆΠ½ΠΎ ΠΏΡΠΎΠ²ΠΎΠ΄ΠΈΡΡΡΡ Π»Π΅ΡΠ΅Π½ΠΈΠ΅ Π»Π΅ΠΊΠ°ΡΡΡΠ²Π°ΠΌΠΈ ΡΠΈΡΠΎΠΊΠΎΠ³ΠΎ ΡΠΏΠ΅ΠΊΡΡΠ°, ΠΏΠΎΠ΄Π°Π²Π»ΡΡΡΠΈΠΌΠΈ Π½Π°ΠΈΠ±ΠΎΠ»Π΅Π΅ ΡΠ°ΡΠΏΡΠΎΡΡΡΠ°Π½ΡΠ½Π½ΡΡ ΠΈΠ½ΡΠ΅ΠΊΡΠΈΠΎΠ½Π½ΡΡ Π°Π³Π΅Π½ΡΠΎΠ². ΠΡΠΈ ΠΏΠΎΠ»ΡΡΠ΅Π½ΠΈΠΈ Π±Π°ΠΊΡΠ΅ΡΠΈΠΎΠ»ΠΎΠ³ΠΈΡΠ΅ΡΠΊΠΈΡ ΡΠ΅Π·ΡΠ»ΡΡΠ°ΡΠΎΠ² ΡΠ΅ΡΠ°ΠΏΠΈΡ ΡΠΊΠΎΡΡΠ΅ΠΊΡΠΈΡΡΡΡ.
ΠΡΠΈ Ρ ΡΠΎΠ½ΠΈΡΠ΅ΡΠΊΠΎΠΌ ΠΏΡΠΎΡΠ΅ΡΡΠ΅ Π»Π΅ΡΠ΅Π½ΠΈΠ΅ Π΄ΠΎΠ»ΠΆΠ½ΠΎ Π½Π°ΡΠΈΠ½Π°ΡΡΡΡ ΡΠΎΠ»ΡΠΊΠΎ ΠΏΠΎΡΠ»Π΅ Π²ΡΡΠ²Π»Π΅Π½ΠΈΡ ΠΊΠΎΠ½ΠΊΡΠ΅ΡΠ½ΠΎΠ³ΠΎ Π²ΠΈΠ½ΠΎΠ²Π½ΠΈΠΊΠ° ΠΏΡΠΎΠ±Π»Π΅ΠΌΡ, ΡΡΠΎ ΠΏΠΎΠ·Π²ΠΎΠ»ΡΠ΅Ρ ΠΏΠΎΠ»ΡΡΠΈΡΡ Π»ΡΡΡΠΈΠΉ ΡΠ΅Π·ΡΠ»ΡΡΠ°Ρ.
ΠΠΈΠ°Π³Π½ΠΎΡΡΠΈΠΊΠ° ΠΏΠΈΠ΅Π»ΠΎΠ½Π΅ΡΡΠΈΡΠ° ΠΏΠΎ Π°Π½Π°Π»ΠΈΠ·Ρ ΠΊΡΠΎΠ²ΠΈ
ΠΠΈΠ°Π³Π½ΠΎΡΡΠΈΠΊΠ° Π²ΠΎΡΠΏΠ°Π»Π΅Π½ΠΈΡ ΠΏΠΎΡΠ΅ΠΊ ΠΏΠΎ ΠΎΠ±ΡΠ΅ΠΌΡ Π°Π½Π°Π»ΠΈΠ·Ρ ΠΊΡΠΎΠ²ΠΈ ΠΏΠΎ ΡΠΏΠ΅ΡΠΈΡΠΈΡΠ½ΠΎΡΡΠΈ ΡΡΡΠ΅ΠΌΠΈΡΡΡ ΠΊ Π½ΡΠ»Ρ. ΠΡΠ΄Π΅Ρ ΠΌΠ½ΠΎΠ³ΠΎ Π»Π΅ΠΉΠΊΠΎΡΠΈΡΠΎΠ², Ρ ΠΏΡΠ΅ΠΈΠΌΡΡΠ΅ΡΡΠ²Π΅Π½Π½ΠΎΠΉ Π΄ΠΎΠ»Π΅ΠΉ Π½Π΅ΠΉΡΡΠΎΡΠΈΠ»ΡΠ½ΡΡ ΡΠΎΡΠΌ, ΠΏΠ°Π»ΠΎΡΠΊΠΎΡΠ΄Π΅ΡΠ½ΡΡ ΠΎΡΠΎΠ±Π΅Π½Π½ΠΎ, ΡΡΠΊΠΎΡΠ΅Π½ΠΈΠ΅ ΡΠ΅Π°ΠΊΡΠΈΠΈ ΠΎΡΠ΅Π΄Π°Π½ΠΈΡ ΡΡΠΈΡΡΠΎΡΠΈΡΠΎΠ² (Π‘ΠΠ). ΠΡΠΎ ΡΠΈΠΏΠΈΡΠ½ΠΎΠ΅ ΡΠΎΡΡΠΎΡΠ½ΠΈΠ΅ ΠΊΡΠΎΠ²ΠΈ ΠΏΡΠΈ Π»ΡΠ±ΠΎΠΉ ΠΈΠ½ΡΠ΅ΠΊΡΠΈΠΈ, Π΄ΠΎΠΊΠ°Π·Π°ΡΠ΅Π»ΡΡΡΠ²ΠΎ ΡΠΎΠ³ΠΎ, ΡΡΠΎ Π² ΠΎΡΠ³Π°Π½ΠΈΠ·ΠΌΠ΅ ΠΈΠ΄Π΅Ρ Π²ΠΎΡΠΏΠ°Π»ΠΈΡΠ΅Π»ΡΠ½ΡΠΉ ΠΏΡΠΎΡΠ΅ΡΡ, Π½ΠΎ Π΄Π»Ρ Π²ΡΡΡΠ°Π²Π»Π΅Π½ΠΈΡ Π΄ΠΈΠ°Π³Π½ΠΎΠ·Π° ΠΏΠΈΠ΅Π»ΠΎΠ½Π΅ΡΡΠΈΡΠ° ΡΡΠΎΠ³ΠΎ Π½Π΅Π΄ΠΎΡΡΠ°ΡΠΎΡΠ½ΠΎ.
ΠΠΈΠΎΡ ΠΈΠΌΠΈΡΠ΅ΡΠΊΠΈΠΉ Π°Π½Π°Π»ΠΈΠ· ΠΏΠΎΠΊΠ°ΠΆΠ΅Ρ ΡΡΠ½ΠΊΡΠΈΠΎΠ½Π°Π»ΡΠ½ΡΠ΅ Π²ΠΎΠ·ΠΌΠΎΠΆΠ½ΠΎΡΡΠΈ ΠΏΠ°ΡΠ½ΠΎΠ³ΠΎ ΠΎΡΠ³Π°Π½Π°, ΡΠΎΠ»ΡΠΊΠΎ Π΅ΡΠ»ΠΈ Π½Π°ΡΡΡΠ΅Π½ΠΈΡ Π·Π½Π°ΡΠΈΡΠ΅Π»ΡΠ½Ρ.
ΠΠ½ΡΡΡΡΠΌΠ΅Π½ΡΠ°Π»ΡΠ½Π°Ρ Π΄ΠΈΠ°Π³Π½ΠΎΡΡΠΈΠΊΠ° ΠΏΠΈΠ΅Π»ΠΎΠ½Π΅ΡΡΠΈΡΠ°
ΠΠΈΠ°Π³Π½ΠΎΡΡΠΈΡΠ΅ΡΠΊΠΎΠ΅ Π£ΠΠ Π±ΠΎΠ»Π΅Π΅ ΡΠΏΠ΅ΡΠΈΡΠΈΡΠ½ΠΎ, Π½ΠΎ ΡΠΎΠ»ΡΠΊΠΎ Π² ΠΊΠΎΠΌΠΏΠ»Π΅ΠΊΡΠ΅ Ρ ΠΊΠ»ΠΈΠ½ΠΈΡΠ΅ΡΠΊΠΈΠΌΠΈ ΡΠΈΠΌΠΏΡΠΎΠΌΠ°ΠΌΠΈ ΠΈ Π±Π°ΠΊΡΠ΅ΡΠΈΡΠΌΠΈ Π² ΠΌΠΎΡΠ΅. Π£ΠΠ Π²ΡΡΠ²Π»ΡΠ΅Ρ ΠΎΡΡΡΠ½ΠΎΡΡΡ ΠΏΠΎΡΠ΅ΡΠ½ΠΎΠΉ ΡΠΊΠ°Π½ΠΈ ΠΈ Π΄Π°ΠΆΠ΅ Π³Π½ΠΎΠΉΠ½ΡΠ΅ ΠΎΡΠ°ΠΆΠΊΠΈ Π² Π½Π΅ΠΉ. ΠΠΎΠΏΠΎΠ»Π½ΠΈΡΠ΅Π»ΡΠ½Π°Ρ Π΄ΠΎΠΏΠΏΠ»Π΅ΡΠΎΠ³ΡΠ°ΡΠΈΡ ΡΠΊΠ°ΠΆΠ΅Ρ Π½Π° ΠΈΠ·ΠΌΠ΅Π½Π΅Π½ΠΈΡ ΠΏΠΎΡΠ΅ΡΠ½ΠΎΠ³ΠΎ ΠΊΡΠΎΠ²ΠΎΡΠΎΠΊΠ°. ΠΡΠ»ΠΈ ΡΠ°ΡΡΠΈΡΠ΅Π½Ρ ΡΠ°ΡΠ΅ΡΠΊΠΈ ΠΈ Π»ΠΎΡ Π°Π½ΠΊΠ°, ΡΠΎ ΠΌΠΎΠΆΠ½ΠΎ ΠΏΡΠ΅Π΄ΠΏΠΎΠ»ΠΎΠΆΠΈΡΡ ΠΏΡΠ΅ΠΏΡΡΡΡΠ²ΠΈΠ΅ Π½ΠΎΡΠΌΠ°Π»ΡΠ½ΠΎΠΌΡ ΠΎΡΡΠΎΠΊΡ ΠΌΠΎΡΠΈ, ΡΡΠΎ ΠΈ ΡΡΠ°Π»ΠΎ ΡΠ°ΠΊΡΠΎΡΠΎΠΌ ΡΠΈΡΠΊΠ° ΠΏΠΈΠ΅Π»ΠΎΠ½Π΅ΡΡΠΈΡΠ°.Β Β
ΠΡΠΈ Ρ ΡΠΎΠ½ΠΈΡΠ΅ΡΠΊΠΎΠΌ Π²ΠΎΡΠΏΠ°Π»Π΅Π½ΠΈΠΈ ΠΏΠΎΡΠ΅ΠΊ Π½Π° Π£ΠΠ Π±ΡΠ΄Π΅Ρ Π²ΡΡΠ²Π»Π΅Π½ΠΎ ΠΈΠ·ΠΌΠ΅Π½Π΅Π½ΠΈΠ΅ ΡΠ°Π·ΠΌΠ΅ΡΠΎΠ² ΠΎΡΠ³Π°Π½Π° ΠΈ Π·Π°ΠΌΠ΅ΡΠ΅Π½ΠΈΠ΅ Π½ΠΎΡΠΌΠ°Π»ΡΠ½ΠΎΠΉ ΡΠΊΠ°Π½ΠΈ ΡΡΠ±ΡΠΎΠ²ΠΎΠΉ β Π½Π΅ΡΡΠΎΡΠΊΠ»Π΅ΡΠΎΠ·.Β
ΠΡΠΎ ΡΡΠ°Π½Π΄Π°ΡΡΠ½Π°Ρ ΠΈ ΠΎΠ±ΡΠ·Π°ΡΠ΅Π»ΡΠ½Π°Ρ Π΄ΠΈΠ°Π³Π½ΠΎΡΡΠΈΠΊΠ° ΠΏΡΠΈ ΠΏΠΈΠ΅Π»ΠΎΠ½Π΅ΡΡΠΈΡΠ΅, Π΄Π°Π»ΡΡΠ΅ ΠΏΡΠΎΠ³ΡΠ°ΠΌΠΌΠ° ΠΎΠ±ΡΠ»Π΅Π΄ΠΎΠ²Π°Π½ΠΈΡ ΠΏΠΎΠ΄Π±ΠΈΡΠ°Π΅ΡΡΡ ΠΊΠ°ΠΆΠ΄ΠΎΠΌΡ ΠΏΠ°ΡΠΈΠ΅Π½ΡΡ ΠΈΠ½Π΄ΠΈΠ²ΠΈΠ΄ΡΠ°Π»ΡΠ½ΠΎ.
Β
Π ΡΠ΅ΠΌ ΡΠ°ΡΡΠΊΠ°ΠΆΡΡ ΠΎΠ±ΡΠ»Π΅Π΄ΠΎΠ²Π°Π½ΠΈΡ?
ΠΠ°Π»ΡΡΠ΅ Π½Π°ΡΠΈΠ½Π°Π΅ΡΡΡ ΠΏΠΎΠΈΡΠΊ ΠΏΠ΅ΡΠ²ΠΎΠΏΡΠΈΡΠΈΠ½Ρ Π·Π°Π±ΠΎΠ»Π΅Π²Π°Π½ΠΈΡ, ΠΌΠ΅ΡΠ°ΡΡΠ΅ΠΉ Π½ΠΎΡΠΌΠ°Π»ΡΠ½ΠΎΠΌΡ ΠΎΡΡΠΎΠΊΡ ΠΌΠΎΡΠΈ ΠΏΠ°ΡΠΎΠ»ΠΎΠ³ΠΈΠΈ.
ΠΠ°Π²Π½ΠΈΠΉ ΠΈ ΡΠ΅ΡΡΠ΅Π·Π½ΠΎ ΠΎΡΠΎΠ²ΡΠ΅ΠΌΠ΅Π½Π΅Π½Π½ΡΠΉ ΠΈΠ½Π½ΠΎΠ²Π°ΡΠΈΡΠΌΠΈ ΠΌΠ΅ΡΠΎΠ΄ — ΠΎΠ±Π·ΠΎΡΠ½Π°Ρ ΡΡΠΎΠ³ΡΠ°ΡΠΈΡ Π½Π°ΠΉΠ΄Π΅Ρ ΠΊΠ°ΠΌΠ½ΠΈ. ΠΡΠΏΠΎΠ»ΡΠ·ΠΎΠ²Π°Π½ΠΈΠ΅ ΠΏΡΠΈ ΡΠ΅Π½ΡΠ³Π΅Π½ΠΎΠ³ΡΠ°ΡΠΈΠΈ ΠΊΠΎΠ½ΡΡΠ°ΡΡΠ½ΠΎΠ³ΠΎ Π²Π΅ΡΠ΅ΡΡΠ²Π°, Π²ΡΠ΄Π΅Π»ΡΠ΅ΠΌΠΎΠ³ΠΎ ΠΏΠΎΡΠΊΠ°ΠΌΠΈ — ΡΠΊΡΠΊΡΠ΅ΡΠΎΡΠ½Π°Ρ ΡΡΠΎΠ³ΡΠ°ΡΠΈΡ Π²ΡΡΠ²ΠΈΡ ΡΠΏΠ΅ΡΠΈΡΠΈΡΠ΅ΡΠΊΠΈΠ΅ ΠΏΡΠΈΠ·Π½Π°ΠΊΠΈ Π²ΠΎΡΠΏΠ°Π»Π΅Π½ΠΈΡ ΠΏΠΎΡΠΊΠΈ ΠΈ ΡΡΠΎΠ²Π΅Π½Ρ Π±Π»ΠΎΠΊΠΈΡΠΎΠ²ΠΊΠΈ ΠΎΡΡΠΎΠΊΠ° ΠΌΠΎΡΠΈ.
ΠΠΈΠ·ΡΠ°Π»ΡΠ½Π°Ρ Π΄ΠΈΠ°Π³Π½ΠΎΡΡΠΈΠΊΠ° — ΠΠ’ ΠΈ ΠΠ Π’ ΡΠ°ΠΊΠΆΠ΅ Π½Π°ΡΠ΅Π»Π΅Π½Ρ Π½Π° ΠΏΠΎΠΈΡΠΊ Π³Π»Π°Π²Π½ΠΎΠΉ ΠΏΡΠΈΡΠΈΠ½Ρ, ΡΠΏΠΎΡΠΎΠ±ΡΡΠ²ΠΎΠ²Π°Π²ΡΠ΅ΠΉ ΡΠ°Π·Π²ΠΈΡΠΈΡ Π²ΠΎΡΠΏΠ°Π»Π΅Π½ΠΈΡ: Π°Π½ΠΎΠΌΠ°Π»ΠΈΠΈ Π²ΡΠ²ΠΎΠ΄ΡΡΠΈΡ
ΠΌΠΎΡΡ ΠΏΡΡΠ΅ΠΉ, ΠΎΠΏΡΡ
ΠΎΠ»ΠΈ ΠΈΠ»ΠΈ ΠΌΠΎΡΠ΅ΠΊΠ°ΠΌΠ΅Π½Π½ΠΎΠΉ Π±ΠΎΠ»Π΅Π·Π½ΠΈ. Π’Π°ΠΊΠ°Ρ Π΄ΠΈΠ°Π³Π½ΠΎΡΡΠΈΠΊΠ° Π½Π΅ΠΎΠ±Ρ
ΠΎΠ΄ΠΈΠΌΠ° ΠΏΡΠΈ ΠΎΡΡΡΡΡΡΠ²ΠΈΠΈ ΠΏΠΎΠ·ΠΈΡΠΈΠ²Π½ΠΎΠΉ ΡΠ΅Π°ΠΊΡΠΈΠΈ Π½Π° 3-Π΄Π½Π΅Π²Π½ΠΎΠ΅ Π»Π΅ΡΠ΅Π½ΠΈΠ΅ ΠΈ ΠΏΡΠΎΠ΄ΠΎΠ»ΠΆΠ°ΡΡΠ΅ΠΉΡΡ Π»ΠΈΡ
ΠΎΡΠ°Π΄ΠΊΠ΅.
ΠΡΠ΄Π΅Π»Π΅Π½ΠΈΠ΅ ΠΏΠΎΡΠΊΠ°ΠΌΠΈ ΡΠ°Π΄ΠΈΠΎΠ°ΠΊΡΠΈΠ²Π½ΡΡ
ΠΈΠ·ΠΎΡΠΎΠΏΠΎΠ² ΠΏΠΎΠ·Π²ΠΎΠ»ΡΠ΅Ρ ΠΎΡΠ΅Π½ΠΈΡΡ ΠΈΡ
ΡΡΠ½ΠΊΡΠΈΡ ΠΈ ΡΠΈΠΌΠΌΠ΅ΡΡΠΈΡΠ½ΠΎΡΡΡ ΠΏΠΎΠ²ΡΠ΅ΠΆΠ΄Π΅Π½ΠΈΠΉ.
Π Π½Π΅ΠΊΠΎΡΠΎΡΡΡ ΡΠ»ΡΡΠ°ΡΡ ΠΏΠΎΡΡΠ΅Π±ΡΠ΅ΡΡΡ Π±ΠΈΠΎΠΏΡΠΈΡ ΠΏΠΎΡΠΊΠΈ, ΡΡΠΎΠ±Ρ ΠΏΡΠΎΠ²Π΅ΡΡΠΈ Π΄ΠΈΡΡΠ΅ΡΠ΅Π½ΡΠΈΠ°Π»ΡΠ½ΡΡ Π΄ΠΈΠ°Π³Π½ΠΎΡΡΠΈΠΊΡ Π² ΡΠΎΠΌΠ½ΠΈΡΠ΅Π»ΡΠ½ΡΡ ΡΠ»ΡΡΠ°ΡΡ , ΠΊΠΎΠ³Π΄Π° Π²ΡΠ΅ ΠΏΡΠ΅Π΄ΡΠ΅ΡΡΠ²ΡΡΡΠΈΠ΅ ΠΈΡΡΠ»Π΅Π΄ΠΎΠ²Π°Π½ΠΈΡ Π½Π΅ Π΄Π°Π»ΠΈ ΠΎΠ΄Π½ΠΎΠ·Π½Π°ΡΠ½ΠΎΠ³ΠΎ ΠΎΡΠ²Π΅ΡΠ°.
ΠΠ°ΠΊΠΈΠ΅ ΠΊΠΎΠ½ΡΡΠ»ΡΡΠ°ΡΠΈΠΈ Π½Π΅ΠΎΠ±Ρ ΠΎΠ΄ΠΈΠΌΡ ΠΏΡΠΈ Π²ΠΎΡΠΏΠ°Π»Π΅Π½ΠΈΠΈ ΠΏΠΎΡΠ΅ΠΊ?
Π ΠΊΠ»ΠΈΠ½ΠΈΠΊΠ΅ ΠΠ΅Π΄ΠΈΡΠΈΠ½Π° 24/7 ΠΏΠ°ΡΠΈΠ΅Π½ΡΠΎΠ² Ρ ΠΏΠΈΠ΅Π»ΠΎΠ½Π΅ΡΡΠΈΡΠΎΠΌ Π½Π°Π±Π»ΡΠ΄Π°Π΅Ρ ΡΡΠΎΠ»ΠΎΠ³ — ΡΠ½ΠΈΠ²Π΅ΡΡΠ°Π»ΡΠ½ΡΠΉ ΡΠΏΠ΅ΡΠΈΠ°Π»ΠΈΡΡ, Π² ΠΎΠ΄Π½ΠΎΠΌ Π»ΠΈΡΠ΅ Π΄ΠΈΠ°Π³Π½ΠΎΡΡ, ΠΊΠ»ΠΈΠ½ΠΈΡΠΈΡΡ ΠΈ Ρ ΠΈΡΡΡΠ³. Π Π±ΠΎΠ»ΡΡΠΈΠ½ΡΡΠ²Π΅ Π³ΠΎΡΡΠ΄Π°ΡΡΡΠ²Π΅Π½Π½ΡΡ ΠΌΠ΅Π΄ΠΈΡΠΈΠ½ΡΠΊΠΈΡ ΡΡΡΠ΅ΠΆΠ΄Π΅Π½ΠΈΠΉ ΠΊΠ°Π΄ΡΠΎΠ²ΡΠΉ Π΄Π΅ΡΠΈΡΠΈΡ ΠΎΡΠ²ΠΎΠ΄ΠΈΡ Π΅ΠΌΡ ΡΠΎΠ»Ρ ΠΊΠΎΠ½ΡΡΠ»ΡΡΠ°Π½ΡΠ°.
ΠΠΎΠΆΠ΅Ρ ΠΏΠΎΡΡΠ΅Π±ΠΎΠ²Π°ΡΡΡΡ ΠΊΠΎΠΌΠΏΠ΅ΡΠ΅Π½ΡΠ½ΠΎΠ΅ ΠΌΠ½Π΅Π½ΠΈΠ΅ Π½Π΅ΡΡΠΎΠ»ΠΎΠ³Π°, ΠΎΡΠΎΠ±Π΅Π½Π½ΠΎ ΠΏΡΠΈ ΡΠΎΠΏΡΡΡΡΠ²ΡΡΡΠ΅ΠΌ ΠΈΠΌΠΌΡΠ½ΠΎΠ΄Π΅ΡΠΈΡΠΈΡΠ΅ ΠΈΠ»ΠΈ ΠΏΡΠΈΠ·Π½Π°ΠΊΠ°Ρ Π½Π΅Π΄ΠΎΡΡΠ°ΡΠΎΡΠ½ΠΎΡΡΠΈ ΠΏΠΎΡΠ΅ΠΊ. ΠΠ°ΡΠΈΠ΅Π½ΡΠ° Ρ ΠΏΠΈΠ΅Π»ΠΎΠ½Π΅ΡΡΠΈΡΠΎΠΌ Π½Π° ΡΠΎΠ½Π΅ ΡΠ°Ρ Π°ΡΠ½ΠΎΠ³ΠΎ Π΄ΠΈΠ°Π±Π΅ΡΠ° ΠΏΠ°ΡΠ°Π»Π»Π΅Π»ΡΠ½ΠΎ Π΄ΠΎΠ»ΠΆΠ΅Π½ Π½Π°Π±Π»ΡΠ΄Π°ΡΡ ΡΠ½Π΄ΠΎΠΊΡΠΈΠ½ΠΎΠ»ΠΎΠ³.
Π ΠΊΠ»ΠΈΠ½ΠΈΠΊΠ΅ ΠΠ΅Π΄ΠΈΡΠΈΠ½Π° 24/7 Π²ΡΠ΅ ΠΏΠ°ΡΠΈΠ΅Π½ΡΡ ΠΏΠΎΠ»ΡΡΠ°ΡΡ ΠΏΠΎΠΌΠΎΡΡ Π²ΡΠ΅Ρ Π½Π΅ΠΎΠ±Ρ ΠΎΠ΄ΠΈΠΌΡΡ ΡΠΏΠ΅ΡΠΈΠ°Π»ΠΈΡΡΠΎΠ² ΠΏΠΎ ΡΡΠ°Π½Π΄Π°ΡΡΡ Ρ ΠΊΠΎΡΡΠ΅ΠΊΡΠΈΡΠΎΠ²ΠΊΠΎΠΉ ΠΏΠΎ ΠΈΠ½Π΄ΠΈΠ²ΠΈΠ΄ΡΠ°Π»ΡΠ½ΠΎΠΉ ΠΏΡΠΎΠ³ΡΠ°ΠΌΠΌΠ΅. ΠΠ±ΡΠ°ΡΠΈΡΠ΅ΡΡ Π·Π° ΠΏΠΎΠΌΠΎΡΡΡ Π² Π¦Π΅Π½ΡΡ ΡΡΠΎΠ»ΠΎΠ³ΠΈΠΈ ΠΏΠΎ ΡΠ΅Π»Π΅ΡΠΎΠ½Ρ:Β +7 (495) 230-00-01
Π ΡΠ°ΠΌΠΎΠΌ Π½Π°ΡΠ°Π»Π΅ ΠΎΡΡΡΡΠΉ ΠΏΠΈΠ΅Π»ΠΎΠ½Π΅ΡΡΠΈΡ, ΡΠ°Π·Π²ΠΈΠ²Π°ΡΡΠΈΠΉΡΡ ΠΏΡΠΈ ΠΎΡΡΡΡΡΡΠ²ΠΈΠΈ Π½Π°ΡΡΡΠ΅Π½ΠΈΠΉ ΠΎΡΡΠΎΠΊΠ° ΠΌΠΎΡΠΈ β ΠΏΠ΅ΡΠ²ΠΈΡΠ½ΡΠΉ ΡΠ°ΡΡΠΎ ΠΏΡΠΈΠ½ΠΈΠΌΠ°Π΅ΡΡΡ Π·Π° Π΄ΡΡΠ³ΠΎΠ΅ Π²ΠΎΡΠΏΠ°Π»ΠΈΡΠ΅Π»ΡΠ½ΠΎΠ΅ Π·Π°Π±ΠΎΠ»Π΅Π²Π°Π½ΠΈΠ΅: ΠΠ ΠΠ, ΠΎΠ±ΠΎΡΡΡΠ΅Π½ΠΈΠ΅ Ρ ΡΠΎΠ½ΠΈΡΠ΅ΡΠΊΠΎΠ³ΠΎ Ρ ΠΎΠ»Π΅ΡΠΈΡΡΠΈΡΠ° ΠΈ Π΄Π°ΠΆΠ΅ Π°ΠΏΠΏΠ΅Π½Π΄ΠΈΡΠΈΡ ΠΈΠ»ΠΈ ΠΈΠ½ΡΠ΅ΠΊΡΠΈΡ, ΠΏΠΎΡΠΎΠΌΡ ΡΡΠΎ Π½Π΅Ρ Π³Π»Π°Π²Π½ΠΎΠ³ΠΎ ΡΠΈΠΌΠΏΡΠΎΠΌΠ° — Π² ΠΌΠΎΡΠ΅ Π½Π΅ ΠΏΠΎΡΠ²ΠΈΠ»ΠΈΡΡ ΠΏΡΠΈΠ·Π½Π°ΠΊΠΈ Π²ΠΎΡΠΏΠ°Π»Π΅Π½ΠΈΡ.
ΠΠ°ΠΊΠΈΠ΅ ΡΠΈΠΌΠΏΡΠΎΠΌΡ Ρ Π°ΡΠ°ΠΊΡΠ΅ΡΠ½Ρ Π΄Π»Ρ ΠΎΡΡΡΠΎΠ³ΠΎ ΠΏΠΈΠ΅Π»ΠΎΠ½Π΅ΡΡΠΈΡΠ°?
ΠΠ»Ρ Π²ΠΎΡΠΏΠ°Π»Π΅Π½ΠΈΡ ΠΏΠΎΡΠΊΠΈ Ρ Π°ΡΠ°ΠΊΡΠ΅ΡΠ½ΠΎ ΡΠΎΡΠ΅ΡΠ°Π½ΠΈΠ΅ ΡΡΠ΅Ρ ΡΠΈΠΌΠΏΡΠΎΠΌΠΎΠ², ΠΈΠΌΠ΅Π½Π½ΠΎ ΡΠΎΡΠ΅ΡΠ°Π½ΠΈΠ΅, Π° Π½Π΅ ΠΏΡΠΈΡΡΡΡΡΠ²ΠΈΠ΅ ΠΎΠ΄Π½ΠΎΠ³ΠΎ-Π΄Π²ΡΡ ΠΈΠ· ΡΡΠΎΠΉΠΊΠΈ. ΠΡΡΠ°ΠΆΠ΅Π½Π½ΠΎΡΡΡ ΠΈΡ Π·Π°Π²ΠΈΡΠΈΡ ΠΎΡ ΠΌΠ½ΠΎΠ³ΠΈΡ ΠΏΡΠΈΡΠΈΠ½: ΡΠ°ΡΠΏΡΠΎΡΡΡΠ°Π½Π΅Π½Π½ΠΎΡΡΠΈ Π²ΠΎΡΠΏΠ°Π»Π΅Π½ΠΈΡ Π²Π½ΡΡΡΠΈ ΠΏΠΎΡΠΊΠΈ, ΡΠΎΡΡΠΎΡΠ½ΠΈΡ ΠΈΠΌΠΌΡΠ½Π½ΠΎΠΉ Π·Π°ΡΠΈΡΡ, ΠΈΠ½Π΄ΠΈΠ²ΠΈΠ΄ΡΠ°Π»ΡΠ½ΠΎΠΉ ΡΡΠ²ΡΡΠ²ΠΈΡΠ΅Π»ΡΠ½ΠΎΡΡΠΈ ΠΏΠ°ΡΠΈΠ΅Π½ΡΠ°.
ΠΠ»Π°ΡΡΠΈΡΠ΅ΡΠΊΠ°Ρ ΡΡΠΈΠ°Π΄Π° ΡΠΈΠΌΠΏΡΠΎΠΌΠΎΠ²:
- ΠΠΎΠ»ΠΈ Π² ΠΏΠΎΡΡΠ½ΠΈΡΠ΅, ΠΏΠΎΠΊΠΎΠ»Π°ΡΠΈΠ²Π°Π½ΠΈΠ΅ ΠΏΠΎ Π½Π΅ΠΉ ΠΎΡΠ·ΡΠ²Π°Π΅ΡΡΡ Π½Π°ΡΠ°ΡΡΠ°Π½ΠΈΠ΅ΠΌ ΠΈΠ½ΡΠ΅Π½ΡΠΈΠ²Π½ΠΎΡΡΠΈ Π±ΠΎΠ»ΠΈ.
- ΠΡΡΠΎΠΊΠ°Ρ ΡΠ΅ΠΌΠΏΠ΅ΡΠ°ΡΡΡΠ° β Π»ΠΈΡ ΠΎΡΠ°Π΄ΠΊΠ°, ΡΠ°ΡΡΠΎ ΠΎΡΠ΅Π½Ρ Π²ΡΡΠ°ΠΆΠ΅Π½Π½Π°Ρ.
- ΠΠ°ΡΠΎΠ»ΠΎΠ³ΠΈΡΠ΅ΡΠΊΠΈΠ΅ ΠΈΠ·ΠΌΠ΅Π½Π΅Π½ΠΈΡ ΠΌΠΎΡΠΈ: Π±ΠΎΠ»ΡΡΠΎΠ΅ ΡΠΈΡΠ»ΠΎ Π»Π΅ΠΉΠΊΠΎΡΠΈΡΠΎΠ² ΠΈ Π±Π°ΠΊΡΠ΅ΡΠΈΠ°Π»ΡΠ½Π°Ρ ΡΠ»ΠΎΡΠ°.
ΠΡΠ»ΠΈ ΠΏΡΠΈΡΠΈΠ½ΠΎΠΉ Π²ΠΎΡΡ ΠΎΠ΄ΡΡΠ΅ΠΉ ΠΈΠ½ΡΠ΅ΠΊΡΠΈΠΈ ΠΌΠΎΡΠ΅Π²ΡΠ²ΠΎΠ΄ΡΡΠΈΡ ΠΏΡΡΠ΅ΠΉ ΡΡΠ°Π» ΡΠΈΡΡΠΈΡ β Π½Π°ΠΈΠ±ΠΎΠ»Π΅Π΅ ΡΠ°ΡΡΠ°Ρ ΠΏΡΠΈΡΠΈΠ½Π° Π·Π°Π±ΠΎΠ»Π΅Π²Π°Π½ΠΈΡ ΠΆΠ΅Π½ΡΠΈΠ½, ΡΠΎ Π²ΠΎΠ·ΠΌΠΎΠΆΠ½ΠΎ ΡΠ°ΡΡΠΎΠ΅ ΠΈ Π±ΠΎΠ»Π΅Π·Π½Π΅Π½Π½ΠΎΠ΅ ΠΌΠΎΡΠ΅ΠΈΡΠΏΡΡΠΊΠ°Π½ΠΈΠ΅ β Π΄ΠΈΠ·ΡΡΠΈΡ. ΠΡΠΎΠ΄ΡΠΊΡΡ Π²ΠΎΡΠΏΠ°Π»Π΅Π½ΠΈΡ ΡΠΏΠΎΡΠΎΠ±Π½Ρ Π²ΡΠ·ΡΠ²Π°ΡΡ ΠΈΠ½ΡΠΎΠΊΡΠΈΠΊΠ°ΡΠΈΡ Π² Π²ΠΈΠ΄Π΅ Π³ΠΎΠ»ΠΎΠ²Π½ΡΡ Π±ΠΎΠ»Π΅ΠΉ, ΡΠ»Π°Π±ΠΎΡΡΠΈ, ΡΠΎΡΠ½ΠΎΡΡ, ΠΆΠ°ΠΆΠ΄Ρ, Π½ΠΎ ΡΡΠΎ Π½Π΅ΡΠΏΠ΅ΡΠΈΡΠΈΡΠ½ΡΠ΅ ΡΠΈΠΌΠΏΡΠΎΠΌΡ, ΡΠΎ Π΅ΡΡΡ ΠΌΠΎΠ³ΡΡ Π±ΡΡΡ ΠΏΡΠΈ ΠΌΠ½ΠΎΠ³ΠΈΡ Π±ΠΎΠ»Π΅Π·Π½ΡΡ .
ΠΡΠΈ ΠΊΠ°ΠΆΡΡΠ΅ΠΉΡΡ ΠΏΡΠΎΡΡΠΎΡΠ΅ Π΄ΠΈΠ°Π³Π½ΠΎΡΡΠΈΡΠ΅ΡΠΊΠΈΠΉ ΡΡΠ°ΠΏ ΠΎΠ΄ΠΈΠ½ ΠΈΠ· ΡΠ°ΠΌΡΡ ΡΠ»ΠΎΠΆΠ½ΡΡ , ΡΠΏΠ΅ΡΠΈΠ°Π»ΠΈΡΡΠ°ΠΌ ΠΊΠ»ΠΈΠ½ΠΈΠΊΠΈ ΠΠ΅Π΄ΠΈΡΠΈΠ½Π° 24/7 ΠΎΠ±Π»Π΅Π³ΡΠ°Π΅Ρ ΠΏΠΎΡΡΠ°Π½ΠΎΠ²ΠΊΡ ΠΏΡΠ°Π²ΠΈΠ»ΡΠ½ΠΎΠ³ΠΎ Π΄ΠΈΠ°Π³Π½ΠΎΠ·Π° ΡΠΎΠ²ΡΠ΅ΠΌΠ΅Π½Π½ΠΎΠ΅ ΠΎΠ±ΠΎΡΡΠ΄ΠΎΠ²Π°Π½ΠΈΠ΅ ΠΈ ΡΠΎΠ±ΡΡΠ²Π΅Π½Π½ΡΠΉ ΠΏΡΠΎΡΠ΅ΡΡΠΈΠΎΠ½Π°Π»ΡΠ½ΡΠΉ ΠΎΠΏΡΡ.Β
medica24.ru
7.1.1. ΠΡΡΡΡΠΉ ΠΏΠΈΠ΅Π»ΠΎΠ½Π΅ΡΡΠΈΡ
Π‘ΠΈΠΌΠΏΡΠΎΠΌΠ°ΡΠΈΠΊΠ° ΠΈ ΠΊΠ»ΠΈΠ½ΠΈΡΠ΅ΡΠΊΠΎΠ΅ ΡΠ΅ΡΠ΅Π½ΠΈΠ΅. ΠΠ°Π»ΠΎΠ±Ρ Π±ΠΎΠ»ΡΠ½ΡΡ ΠΈ ΠΎΡΠΎΠ±Π΅Π½Π½ΠΎΡΡΠΈ ΠΊΠ»ΠΈΠ½ΠΈΡΠ΅ΡΠΊΠΈΡ ΡΠΈΠΌΠΏΡΠΎΠΌΠΎΠ² ΠΏΠΈΠ΅Π»ΠΎΠ½Π΅ΡΡΠΈΡΠ° ΠΎΠΏΡΠ΅Π΄Π΅Π»ΡΡΡΡΡ ΠΏΠ°ΡΠΎΠ³Π΅Π½Π΅Π·ΠΎΠΌ ΠΈ Ρ Π°ΡΠ°ΠΊΡΠ΅ΡΠΎΠΌ ΡΠ΅ΡΠ΅Π½ΠΈΡ Π±ΠΎΠ»Π΅Π·Π½ΠΈ, ΡΡΠΆΠ΅ΡΡΡΡ ΠΌΠΎΡΡΠΎΠ»ΠΎΠ³ΠΈΡΠ΅ΡΠΊΠΈΡ ΠΈΠ·ΠΌΠ΅Π½Π΅Π½ΠΈΠΉ Π² ΠΏΠΎΡΠΊΠ΅, Π²ΠΎΠ·ΡΠ°ΡΡΠΎΠΌ ΠΈ Ρ Π°ΡΠ°ΠΊΡΠ΅ΡΠΈΡΡΠΈΠΊΠΎΠΉ Π·Π°ΡΠΈΡΠ½ΡΡ ΡΠΈΠ» ΠΎΡΠ³Π°Π½ΠΈΠ·ΠΌΠ°.
ΠΠ°ΡΠ°Π»ΡΠ½Π°Ρ ΡΡΠ°Π΄ΠΈΡ Π·Π°Π±ΠΎΠ»Π΅Π²Π°Π½ΠΈΡ — ΠΈΠ½ΡΠ΅ΡΡΡΠΈΡΠΈΠ°Π»ΡΠ½ΡΠΉ ΡΠ΅ΡΠΎΠ·Π½ΡΠΉ ΠΏΠΈΠ΅Π»ΠΎΠ½Π΅ΡΡΠΈΡ, ΠΊΠΎΡΠΎΡΡΠΉ Π½Π΅ ΡΠΎΠΏΡΠΎΠ²ΠΎΠΆΠ΄Π°Π΅ΡΡΡ Π΄Π΅ΡΡΡΡΠΊΡΠΈΠ΅ΠΉ ΠΏΠΎΡΠ΅ΡΠ½ΠΎΠΉ ΡΠΊΠ°Π½ΠΈ. ΠΠΎΡΠΊΠ° ΠΏΡΠΈ ΡΡΠΎΠΉ ΡΡΠ°Π΄ΠΈΠΈ Π·Π°Π±ΠΎΠ»Π΅Π²Π°Π½ΠΈΡ ΠΏΠΎΠ»Π½ΠΎΠΊΡΠΎΠ²Π½Π°, ΡΠ²Π΅Π»ΠΈΡΠ΅Π½Π° Π² ΡΠ°Π·ΠΌΠ΅ΡΠ°Ρ Π·Π° ΡΡΠ΅Ρ Π»ΠΈΠΌΡΠΎΡΡΠ°Π·Π°, Π½Π°ΠΏΡΡΠΆΠ΅Π½Π°. ΠΡΠΈ ΠΏΠ΅ΡΠ΅Ρ ΠΎΠ΄Π΅ ΠΎΡΡΡΠΎΠ³ΠΎ ΡΠ΅ΡΠΎΠ·Π½ΠΎΠ³ΠΎ ΠΏΠΈΠ΅Π»ΠΎΠ½Π΅ΡΡΠΈΡΠ° Π² ΡΡΠ°Π΄ΠΈΡ Π³Π½ΠΎΠΉΠ½ΠΎΠ³ΠΎ Π²ΠΎΡΠΏΠ°Π»Π΅Π½ΠΈΡ Π²ΠΎΠ·Π½ΠΈΠΊΠ°Π΅Ρ Π΄Π΅ΡΡΡΡΠΊΡΠΈΡ ΠΏΠΎΡΠ΅ΡΠ½ΠΎΠΉ ΡΠΊΠ°Π½ΠΈ.
ΠΠ»Ρ ΠΎΡΡΡΠΎΠ³ΠΎ ΠΏΠΈΠ΅Π»ΠΎΠ½Π΅ΡΡΠΈΡΠ° Ρ Π°ΡΠ°ΠΊΡΠ΅ΡΠ½ΠΎ ΡΡΠΆΠ΅Π»ΠΎΠ΅ ΡΠ΅ΡΠ΅Π½ΠΈΠ΅ Π·Π°Π±ΠΎΠ»Π΅Π²Π°Π½ΠΈΡ Ρ Π²ΡΡΠΎΠΊΠΎΠΉ ΡΠ΅ΠΌΠΏΠ΅ΡΠ°ΡΡΡΠΎΠΉ ΡΠ΅Π»Π° ΠΈ ΠΈΠ½ΡΠ΅Π½ΡΠΈΠ²Π½ΠΎΠΉ Π±ΠΎΠ»ΡΡ Π² ΠΏΠΎΡΡΠ½ΠΈΡΠ½ΠΎΠΉ ΠΎΠ±Π»Π°ΡΡΠΈ. Π’Π΅ΠΌΠΏΠ΅ΡΠ°ΡΡΡΠ° Π΄ΠΎΡΡΠΈΠ³Π°Π΅Ρ 39-40Β°Π‘, ΠΌΠΎΠΆΠ΅Ρ Π±ΡΡΡ Π³Π΅ΠΊΡΠΈΡΠ΅ΡΠΊΠΎΠΉ ΠΈ ΡΠΎΠΏΡΠΎΠ²ΠΎΠΆΠ΄Π°ΡΡΡΡ ΠΎΠ·Π½ΠΎΠ±ΠΎΠΌ, ΠΊΠΎΡΠΎΡΡΠΉ ΡΠΌΠ΅Π½ΡΠ΅ΡΡΡ ΠΎΠ±ΠΈΠ»ΡΠ½ΡΠΌ ΠΏΠΎΡΠΎΠΎΡΠ΄Π΅Π»Π΅Π½ΠΈΠ΅ΠΌ. ΠΠ°Π±Π»ΡΠ΄Π°ΡΡΡΡ ΠΏΡΠΈΠ·Π½Π°ΠΊΠΈ ΠΈΠ½ΡΠΎΠΊΡΠΈΠΊΠ°ΡΠΈΠΈ Π² Π²ΠΈΠ΄Π΅ Π³ΠΎΠ»ΠΎΠ²Π½ΠΎΠΉ Π±ΠΎΠ»ΠΈ, ΠΎΠ±ΡΠ΅ΠΉ ΡΠ»Π°Π±ΠΎΡΡΠΈ, ΠΆΠ°ΠΆΠ΄Ρ, ΠΎΡΡΡΡΡΡΠ²ΠΈΡ Π°ΠΏΠΏΠ΅ΡΠΈΡΠ°, ΡΠ°Ρ ΠΈΠΊΠ°ΡΠ΄ΠΈΠΈ. ΠΠΎΠ·ΠΌΠΎΠΆΠ½Ρ ΡΠΎΡΠ½ΠΎΡΠ° ΠΈ ΡΠ²ΠΎΡΠ°. ΠΡΠ΅ ΡΡΠΎ ΠΎΡΠΎΠ±Π΅Π½Π½ΠΎ ΡΡΠΊΠΎ Π²ΡΡΠ°ΠΆΠ΅Π½ΠΎ ΠΏΡΠΈ ΠΎΡΡΡΠΎΠΌ ΠΎΠ±ΡΡΡΡΠΊΡΠΈΠ²Π½ΠΎΠΌ (ΠΎΠ±ΡΡΠ½ΠΎ ΠΊΠ°Π»ΡΠΊΡΠ»Π΅Π·Π½ΠΎΠΌ) ΠΏΠΈΠ΅Π»ΠΎΠ½Π΅ΡΡΠΈΡΠ΅. ΠΠ·-Π·Π° ΠΎΠ±ΠΈΠ»ΡΠ½ΠΎΠ³ΠΎ ΠΏΠΎΡΠΎΠΎΡΠ΄Π΅Π»Π΅Π½ΠΈΡ ΡΠΌΠ΅Π½ΡΡΠ°Π΅ΡΡΡ ΠΊΠΎΠ»ΠΈΡΠ΅ΡΡΠ²ΠΎ ΠΌΠΎΡΠΈ, Π²ΡΠ΄Π΅Π»ΡΠ΅ΠΌΠΎΠΉ Π·Π° ΡΡΡΠΊΠΈ. ΠΠ·-Π·Π° ΠΎΠ±ΠΈΠ»ΠΈΡ Π»Π΅ΠΉΠΊΠΎΡΠΈΡΠΎΠ² ΠΈ Π±Π°ΠΊΡΠ΅ΡΠΈΠΉ ΠΌΠΎΡΠ° ΠΌΡΡΠ½Π°Ρ. ΠΠΎ ΠΏΡΠΈ ΠΏΠΎΠ»Π½ΠΎΠΉ Π±Π»ΠΎΠΊΠ°Π΄Π΅ ΠΌΠΎΡΠ΅ΡΠΎΡΠ½ΠΈΠΊΠ° ΠΏΠ°ΡΠΎΠ»ΠΎΠ³ΠΈΡΠ΅ΡΠΊΠΈΡ ΠΏΡΠΈΠΌΠ΅ΡΠ΅ΠΉ Π² ΠΌΠΎΡΠ΅ ΠΌΠΎΠΆΠ΅Ρ Π½Π΅ Π±ΡΡΡ ΠΈ ΡΠΎΠ³Π΄Π° ΡΠΎΡ ΡΠ°Π½ΡΠ΅ΡΡΡ Π΅Π΅ ΠΏΡΠΎΠ·ΡΠ°ΡΠ½ΠΎΡΡΡ.
ΠΠ»Ρ ΠΎΡΡΡΠΎΠ³ΠΎ ΠΏΠΈΠ΅Π»ΠΎΠ½Π΅ΡΡΠΈΡΠ°, ΡΠ²ΡΠ·Π°Π½Π½ΠΎΠ³ΠΎ Ρ Π½Π°ΡΡΡΠ΅Π½ΠΈΠ΅ΠΌ ΠΎΡΡΠΎΠΊΠ° ΠΌΠΎΡΠΈ ΠΈΠ· ΠΏΠΎΡΠΊΠΈ, ΠΎΠ±ΡΡΠ½ΡΠΌ ΡΠ²Π»ΡΠ΅ΡΡΡ Π±ΡΡΡΡΡΠΉ ΠΏΠ΅ΡΠ΅Ρ ΠΎΠ΄ ΡΠ΅ΡΠΎΠ·Π½ΠΎΠ³ΠΎ Π²ΠΎΡΠΏΠ°Π»Π΅Π½ΠΈΡ Π² Π³Π½ΠΎΠΉΠ½ΠΎΠ΅, ΡΡΠΎ ΠΌΠΎΠΆΠ΅Ρ ΠΏΡΠΎΠΈΠ·ΠΎΠΉΡΠΈ Π·Π° 1-2 ΡΡΡ. Π ΠΏΠΎΠ΄ΠΎΠ±Π½ΡΡ ΡΠ»ΡΡΠ°ΡΡ Π±ΠΎΠ»Ρ Π²Π΅ΡΡΠΌΠ° ΠΈΠ½ΡΠ΅Π½ΡΠΈΠ²Π½Π°, Π½ΠΎΡΠΈΡ ΠΏΠΎΡΡΠΎΡΠ½Π½ΡΠΉ Ρ Π°ΡΠ°ΠΊΡΠ΅Ρ, ΡΡΠΎ ΠΎΡΠ»ΠΈΡΠ°Π΅Ρ Π΅Π΅ ΠΎΡ ΠΏΠΎΡΠ΅ΡΠ½ΠΎΠΉ ΠΊΠΎΠ»ΠΈΠΊΠΈ. ΠΡΠΈ ΠΏΠ°Π»ΡΠΏΠ°ΡΠΈΠΈ ΠΎΠΏΡΠ΅Π΄Π΅Π»ΡΠ΅ΡΡΡ ΡΠΈΠ³ΠΈΠ΄Π½ΠΎΡΡΡ ΠΌΡΡΡ ΠΏΠΎΡΡΠ½ΠΈΡΠ½ΠΎΠΉ ΠΎΠ±Π»Π°ΡΡΠΈ Π½Π° ΡΡΠΎΡΠΎΠ½Π΅ Π±ΠΎΠ»Π΅Π·Π½ΠΈ, ΠΌΠΎΠΆΠ΅Ρ ΠΏΡΠΎΡΡΠΏΡΠ²Π°ΡΡΡΡ ΡΠ²Π΅Π»ΠΈΡΠ΅Π½Π½Π°Ρ, Π±ΠΎΠ»Π΅Π·Π½Π΅Π½Π½Π°Ρ ΠΏΠΎΡΠΊΠ°. ΠΠΎΠ»Π΅Π·Π½Π΅Π½Π½ΠΎΡΡΡ Π² ΠΏΠΎΡΡΠ½ΠΈΡΠ½ΠΎΠΉ ΠΎΠ±Π»Π°ΡΡΠΈ Π±ΡΠ²Π°Π΅Ρ Π²Π΅ΡΡΠΌΠ° Π²ΡΡΠ°ΠΆΠ΅Π½Π½ΠΎΠΉ ΠΈ ΠΏΡΠΎΡΠ²Π»ΡΠ΅ΡΡΡ Π΄Π°ΠΆΠ΅ ΠΏΡΠΈ Π»Π΅Π³ΠΊΠΎΠΌ Π½Π°Π΄Π°Π²Π»ΠΈΠ²Π°Π½ΠΈΠΈ Π² ΡΠ΅Π±Π΅ΡΠ½ΠΎ-ΠΏΠΎΠ·Π²ΠΎΠ½ΠΎΡΠ½ΠΎΠΌ ΡΠ³Π»Ρ, Π² ΡΠΎΠΎΡΠ²Π΅ΡΡΡΠ²ΡΡΡΠ΅ΠΉ ΠΏΠΎΡΡΠ½ΠΈΡΠ½ΠΎΠΉ ΠΎΠ±Π»Π°ΡΡΠΈ.
ΠΡΠΈ ΠΎΠ±ΡΠ°Π·ΠΎΠ²Π°Π½ΠΈΠΈ Π³Π½ΠΎΠΉΠ½ΠΈΡΠΊΠΎΠ² (Π°ΠΏΠΎΡΡΠ΅ΠΌ) ΠΏΡΠ΅ΠΈΠΌΡΡΠ΅ΡΡΠ²Π΅Π½Π½ΠΎ Π² ΠΊΠΎΡΠ΅ ΠΏΠΎΡΠΊΠΈ (Π°ΠΏΠΎΡΡΠ΅ΠΌΠ°ΡΠΎΠ·Π½ΠΎΠΌ ΠΏΠΈΠ΅Π»ΠΎΠ½Π΅ΡΡΠΈΡΠ΅) Π±ΠΎΠ»Π΅Π²ΡΠ΅ ΠΎΡΡΡΠ΅Π½ΠΈΡ ΡΠ½ΠΈΠΆΠ°ΡΡΡΡ, Π½ΠΎ Ρ Π±ΠΎΠ»ΡΠ½ΠΎΠ³ΠΎ Π½Π°Π±Π»ΡΠ΄Π°Π΅ΡΡΡ Π²ΡΡΠΎΠΊΠ°Ρ Π³Π΅ΠΊΡΠΈΡΠ΅ΡΠΊΠ°Ρ ΡΠ΅ΠΌΠΏΠ΅ΡΠ°ΡΡΡΠ° ΡΠ΅Π»Π° Ρ ΠΏΠΎΠ²ΡΠΎΡΡΡΡΠΈΠΌΡΡ Β«ΠΏΠΎΡΡΡΡΠ°ΡΡΠΈΠΌΒ» ΠΎΠ·Π½ΠΎΠ±ΠΎΠΌ ΠΈ ΠΎΠ±ΠΈΠ»ΡΠ½ΡΠΌ ΠΏΠΎΡΠΎΠΎΡΠ΄Π΅Π»Π΅Π½ΠΈΠ΅ΠΌ. Π‘ΠΈΠΌΠΏΡΠΎΠΌΡ ΠΈΠ½ΡΠΎΠΊΡΠΈΠΊΠ°ΡΠΈΠΈ (Π±ΡΡΡΡΠΎ Π½Π°ΡΠ°ΡΡΠ°ΡΡΠ°Ρ ΡΠ»Π°Π±ΠΎΡΡΡ, Π³ΠΎΠ»ΠΎΠ²Π½Π°Ρ Π±ΠΎΠ»Ρ, ΡΠΎΡΠ½ΠΎΡΠ°, Π°Π΄ΠΈΠ½Π°ΠΌΠΈΡ ΠΈ Π΄Ρ.) ΡΠ΅Π·ΠΊΠΎ Π²ΡΡΠ°ΠΆΠ΅Π½Ρ. ΠΠΎΡΠ»Π΅ ΠΎΠ·Π½ΠΎΠ±Π° ΡΠ΅ΠΌΠΏΠ΅ΡΠ°ΡΡΡΠ° ΡΠ΅Π»Π° ΠΎΠ±ΡΡΠ½ΠΎ ΡΠ½ΠΈΠΆΠ°Π΅ΡΡΡ Π΄ΠΎ ΡΡΠ±ΡΠ΅Π±ΡΠΈΠ»ΡΠ½ΠΎΠΉ ΠΈ Π΄Π°ΠΆΠ΅ Π½ΠΎΡΠΌΠ°Π»ΡΠ½ΠΎΠΉ, Π½Π°Π±Π»ΡΠ΄Π°Π΅ΡΡΡ ΠΎΠ±ΠΈΠ»ΡΠ½ΠΎΠ΅ ΠΏΠΎΡΠΎΠΎΡΠ΄Π΅Π»Π΅Π½ΠΈΠ΅.
Π₯Π°ΡΠ°ΠΊΡΠ΅ΡΠ½ΡΡ ΡΠΏΠ΅ΡΠΈΡΠΈΡΠ΅ΡΠΊΠΈΡ ΠΆΠ°Π»ΠΎΠ± ΠΈΠ»ΠΈ ΠΊΠ»ΠΈΠ½ΠΈΡΠ΅ΡΠΊΠΈΡ ΡΠΈΠΌΠΏΡΠΎΠΌΠΎΠ², ΠΊΠΎΡΠΎΡΡΠ΅ ΠΏΠΎΠ·Π²ΠΎΠ»ΠΈΠ»ΠΈ Π±Ρ Ρ ΡΠ²Π΅ΡΠ΅Π½Π½ΠΎΡΡΡΡ ΠΎΡΠ»ΠΈΡΠΈΡΡ ΠΎΡ Π°ΠΏΠΎΡΡΠ΅ΠΌΠ°ΡΠΎΠ·Π½ΠΎΠ³ΠΎ ΠΏΠΈΠ΅Π»ΠΎΠ½Π΅ΡΡΠΈΡΠ° ΠΊΠ°ΡΠ±ΡΠ½ΠΊΡΠ» ΠΈΠ»ΠΈ Π°Π±ΡΡΠ΅ΡΡ ΠΏΠΎΡΠΊΠΈ, Π΄ΠΎ ΠΏΠΎΡΠ»Π΅Π΄Π½Π΅Π³ΠΎ Π²ΡΠ΅ΠΌΠ΅Π½ΠΈ Π½Π΅ ΠΎΠΏΠΈΡΠ°Π½ΠΎ. ΠΠ΄Π½Π°ΠΊΠΎ ΡΠ°Π·Π²ΠΈΡΠΈΠ΅ ΠΊΠ°ΡΠ±ΡΠ½ΠΊΡΠ»Π° ΠΈΠ»ΠΈ Π°Π±ΡΡΠ΅ΡΡΠ° ΠΏΠΎΡΠΊΠΈ ΡΠΎΠΏΡΠΎΠ²ΠΎΠΆΠ΄Π°Π΅ΡΡΡ Π΅ΡΠ΅ Π±ΠΎΠ»Π΅Π΅ Π³Π»ΡΠ±ΠΎΠΊΠΎΠΉ ΠΈΠ½ΡΠΎΠΊΡΠΈΠΊΠ°ΡΠΈΠ΅ΠΉ. ΠΠ½ΠΎΠ³Π΄Π° Π±ΠΎΠ»ΡΠ½ΡΠ΅ Ρ Π°Π±ΡΡΠ΅ΡΡΠΎΠΌ ΠΏΠΎΡΠΊΠΈ ΠΏΡΠΈΠ½ΠΈΠΌΠ°ΡΡ Π²ΡΠ½ΡΠΆΠ΄Π΅Π½Π½ΠΎΠ΅ ΠΏΠΎΠ»ΠΎΠΆΠ΅Π½ΠΈΠ΅ Ρ ΠΏΡΠΈΠ²Π΅Π΄Π΅Π½Π½ΠΎΠΉ ΠΊ ΠΆΠΈΠ²ΠΎΡΡ Π½ΠΎΠ³ΠΎΠΉ Π½Π° ΡΡΠΎΡΠΎΠ½Π΅ Π±ΠΎΠ»Π΅Π·Π½ΠΈ.
ΠΡΠΎΠ±Π΅Π½Π½ΠΎΡΡΡ ΡΠ°Π·Π²ΠΈΡΠΈΡ Π³Π½ΠΎΠΉΠ½ΠΎΠ³ΠΎ ΠΏΠΈΠ΅Π»ΠΎΠ½Π΅ΡΡΠΈΡΠ° Ρ Π»ΠΈΡ ΠΏΠΎΠΆΠΈΠ»ΠΎΠ³ΠΎ ΠΈ ΡΡΠ°ΡΡΠ΅ΡΠΊΠΎΠ³ΠΎ Π²ΠΎΠ·ΡΠ°ΡΡΠ° — ΡΠΎ, ΡΡΠΎ ΠΏΠΎ ΠΌΠ΅ΡΠ΅ ΠΎΡΠ»Π°Π±Π»Π΅Π½ΠΈΡ ΠΈΡ ΠΈΠΌΠΌΡΠ½ΠΎΡΠ΅Π°ΠΊΡΠΈΠ²Π½ΠΎΡΡΠΈ ΡΡΠΈΡΠ°Π΅ΡΡΡ ΡΡΠΊΠΎΡΡΡ ΠΊΠ»ΠΈΠ½ΠΈΡΠ΅ΡΠΊΠΈΡ ΠΏΡΠΎΡΠ²Π»Π΅Π½ΠΈΠΉ Π±ΠΎΠ»Π΅Π·Π½ΠΈ.
ΠΠΈΠ°Π³Π½ΠΎΡΡΠΈΠΊΠ° ΠΈ Π΄ΠΈΡΡΠ΅ΡΠ΅Π½ΡΠΈΠ°Π»ΡΠ½Π°Ρ Π΄ΠΈΠ°Π³Π½ΠΎΡΡΠΈΠΊΠ°. ΠΠ½Π°ΠΌΠ½Π΅Π· ΠΈΠΌΠ΅Π΅Ρ Π±ΠΎΠ»ΡΡΠΎΠ΅ Π·Π½Π°ΡΠ΅Π½ΠΈΠ΅ Π² ΡΠ°ΡΠΏΠΎΠ·Π½Π°Π²Π°Π½ΠΈΠΈ ΠΎΡΡΡΠΎΠ³ΠΎ ΠΏΠΈΠ΅Π»ΠΎΠ½Π΅ΡΡΠΈΡΠ°. ΠΡΠ°Ρ Π΄ΠΎΠ»ΠΆΠ΅Π½ ΡΡΠΎΡΠ½ΠΈΡΡ ΡΠΈΠΌΠΏΡΠΎΠΌΡ Π·Π°Π±ΠΎΠ»Π΅Π²Π°Π½ΠΈΡ (Ρ Π°ΡΠ°ΠΊΡΠ΅Ρ ΡΠ΅ΠΌΠΏΠ΅ΡΠ°ΡΡΡΠ½ΠΎΠΉ ΡΠ΅Π°ΠΊΡΠΈΠΈ, Π½Π°Π»ΠΈΡΠΈΠ΅ ΠΎΠ·Π½ΠΎΠ±Π° ΠΈ Π΄ΡΡΠ³ΠΈΡ ΡΠΈΠΌΠΏΡΠΎΠΌΠΎΠ² Π±ΠΎΠ»Π΅Π·Π½ΠΈ), Π° ΡΠ°ΠΊΠΆΠ΅ ΠΏΠ΅ΡΠ΅Π½Π΅ΡΠ΅Π½Π½ΡΠ΅ ΠΏΠ°ΡΠΈΠ΅Π½ΡΠΎΠΌ Π² ΠΏΠΎΡΠ»Π΅Π΄Π½Π΅Π΅ Π²ΡΠ΅ΠΌΡ Π³Π½ΠΎΠΉΠ½ΡΠ΅ Π·Π°Π±ΠΎΠ»Π΅Π²Π°Π½ΠΈΡ (ΡΡΡΡΠ½ΠΊΡΠ»Π΅Π·, ΡΠΎΠ½Π·ΠΈΠ»Π»ΠΈΡ, ΡΡΠ°Π²ΠΌΡ Ρ Π½Π°Π³Π½ΠΎΠ΅Π½ΠΈΠ΅ΠΌ ΠΈ Π΄Ρ.). ΠΠ΅ΠΎΠ±Ρ ΠΎΠ΄ΠΈΠΌΠΎ Π²ΡΡΡΠ½ΠΈΡΡ Π½Π°Π»ΠΈΡΠΈΠ΅ Π² Π°Π½Π°ΠΌΠ½Π΅Π·Π΅ Π΄ΡΡΠ³ΠΈΡ ΡΡΠΎΠ»ΠΎΠ³ΠΈΡΠ΅ΡΠΊΠΈΡ Π·Π°Π±ΠΎΠ»Π΅Π²Π°Π½ΠΈΠΉ (Π½Π΅ΡΡΠΎΠΏΡΠΎΠ·Π°, ΠΌΠΎΡΠ΅ΠΊΠ°ΠΌΠ΅Π½Π½ΠΎΠΉ Π±ΠΎΠ»Π΅Π·Π½ΠΈ, Π·Π°Π±ΠΎΠ»Π΅Π²Π°Π½ΠΈΠΉ ΠΏΡΠ΅Π΄ΡΡΠ°ΡΠ΅Π»ΡΠ½ΠΎΠΉ ΠΆΠ΅Π»Π΅Π·Ρ ΠΈ Π΄Ρ.) ΠΈ ΠΏΡΠΎΠ²ΠΎΠ΄ΠΈΠΌΡΠ΅ ΡΠ½Π΄ΠΎΡΠΊΠΎΠΏΠΈΡΠ΅ΡΠΊΠΈΠ΅ ΠΈΡΡΠ»Π΅Π΄ΠΎΠ²Π°Π½ΠΈΡ.
ΠΡΠΈ ΠΎΡΠΌΠΎΡΡΠ΅ Π±ΠΎΠ»ΡΠ½ΠΎΠ³ΠΎ ΡΠ»Π΅Π΄ΡΠ΅Ρ ΠΎΠ±ΡΠ°ΡΠ°ΡΡ Π²Π½ΠΈΠΌΠ°Π½ΠΈΠ΅ Π½Π° Π±Π»Π΅Π΄Π½ΠΎΡΡΡ ΠΊΠΎΠΆΠ½ΠΎΠ³ΠΎ ΠΏΠΎΠΊΡΠΎΠ²Π°. ΠΠ΅ΠΎΠ±Ρ ΠΎΠ΄ΠΈΠΌΠΎ ΠΎΠΏΡΠ΅Π΄Π΅Π»ΠΈΡΡ ΡΡΠΎΠ²Π΅Π½Ρ Π°ΡΡΠ΅ΡΠΈΠ°Π»ΡΠ½ΠΎΠ³ΠΎ Π΄Π°Π²Π»Π΅Π½ΠΈΡ, ΠΊΠΎΡΠΎΡΠΎΠ΅ Π² ΡΠ°ΠΌΠΎΠΌ Π½Π°ΡΠ°Π»Π΅ ΠΎΡΡΡΠΎΠ³ΠΎ ΠΏΠΈΠ΅Π»ΠΎΠ½Π΅ΡΡΠΈΡΠ° ΠΌΠΎΠΆΠ΅Ρ Π±ΡΡΡ Π½Π΅Π·Π½Π°ΡΠΈΡΠ΅Π»ΡΠ½ΠΎ ΠΏΠΎΠ²ΡΡΠ΅Π½ΠΎ, Π° ΠΏΡΠΈ Π½Π°ΡΠ°ΡΡΠ°Π½ΠΈΠΈ ΠΈΠ½ΡΠΎΠΊΡΠΈΠΊΠ°ΡΠΈΠΈ ΡΠ½ΠΈΠΆΠ΅Π½ΠΎ. ΠΡΠΈ ΠΎΠ±ΡΠ΅ΠΊΡΠΈΠ²Π½ΠΎΠΌ ΠΎΠ±ΡΠ»Π΅Π΄ΠΎΠ²Π°Π½ΠΈΠΈ ΠΎΠ±ΡΡΠ½ΠΎ ΠΎΠΏΡΠ΅Π΄Π΅Π»ΡΡΡΡΡ Π½Π°ΠΏΡΡΠΆΠ΅Π½ΠΈΠ΅ ΠΌΡΡΡ Π±ΡΡΡΠ½ΠΎΠΉ ΡΡΠ΅Π½ΠΊΠΈ, Π±ΠΎΠ»Π΅Π·Π½Π΅Π½Π½ΠΎΡΡΡ ΠΏΡΠΈ ΠΏΠ°Π»ΡΠΏΠ°ΡΠΈΠΈ Π² ΠΏΠΎΡΡΠ½ΠΈΡΠ½ΠΎΠΉ ΠΎΠ±Π»Π°ΡΡΠΈ ΠΈ ΠΏΠΎΠ»ΠΎΠΆΠΈΡΠ΅Π»ΡΠ½ΡΠΉ ΡΠΈΠΌΠΏΡΠΎΠΌ ΠΏΠΎΠΊΠΎΠ»Π°ΡΠΈΠ²Π°Π½ΠΈΡ (ΡΠΈΠΌΠΏΡΠΎΠΌ ΠΠ°ΡΡΠ΅ΡΠ½Π°ΡΠΊΠΎΠ³ΠΎ).
ΠΠ°Π±ΠΎΡΠ°ΡΠΎΡΠ½ΠΎΠ΅ ΠΈΡΡΠ»Π΅Π΄ΠΎΠ²Π°Π½ΠΈΠ΅ ΠΌΠΎΡΠΈ ΠΏΠΎΠ·Π²ΠΎΠ»ΡΠ΅Ρ Π²ΡΡΠ²ΠΈΡΡ Π»Π΅ΠΉΠΊΠΎΡΠΈΡΡΡΠΈΡ, ΠΎΠ΄Π½Π°ΠΊΠΎ ΠΎΠ½Π° ΠΌΠΎΠΆΠ΅Ρ ΠΎΡΡΡΡΡΡΠ²ΠΎΠ²Π°ΡΡ Π² ΠΏΠ΅ΡΠ²ΡΠ΅ Π΄Π½ΠΈ Ρ Π±ΠΎΠ»ΡΠ½ΡΡ Ρ Π½Π΅ΠΎΠ±ΡΡΡΡΠΊΡΠΈΠ²Π½ΡΠΌ Π³Π΅ΠΌΠ°ΡΠΎΠ³Π΅Π½Π½ΡΠΌ ΠΏΠΈΠ΅Π»ΠΎΠ½Π΅ΡΡΠΈΡΠΎΠΌ, ΠΊΠΎΠ³Π΄Π° Π²ΠΎΡΠΏΠ°Π»ΠΈΡΠ΅Π»ΡΠ½ΡΠΉ ΠΏΡΠΎΡΠ΅ΡΡ Π»ΠΎΠΊΠ°Π»ΠΈΠ·ΡΠ΅ΡΡΡ ΠΏΡΠ΅ΠΈΠΌΡΡΠ΅ΡΡΠ²Π΅Π½Π½ΠΎ Π² ΠΊΠΎΡΠΊΠΎΠ²ΠΎΠΌ ΡΠ»ΠΎΠ΅ ΠΏΠΎΡΠΊΠΈ, Π° ΡΠ°ΠΊΠΆΠ΅ ΠΏΡΠΈ ΠΎΠ±ΡΡΡΡΠΊΡΠΈΠΈ ΠΌΠΎΡΠ΅Π²ΡΠ²ΠΎΠ΄ΡΡΠΈΡ ΠΏΡΡΠ΅ΠΉ.
ΠΡΠΈ Π²ΡΡΠ²Π»Π΅Π½ΠΈΠΈ Π»Π΅ΠΉΠΊΠΎΡΠΈΡΡΡΠΈΠΈ Π½Π΅ΠΎΠ±Ρ ΠΎΠ΄ΠΈΠΌΠΎ ΠΎΠΏΡΠ΅Π΄Π΅Π»ΠΈΡΡ Π΅Π΅ ΡΡΠ΅ΠΏΠ΅Π½Ρ ΠΈ Π½Π°Π»ΠΈΡΠΈΠ΅ Π² ΠΌΠΎΡΠ΅ Π°ΠΊΡΠΈΠ²Π½ΡΡ Π»Π΅ΠΉΠΊΠΎΡΠΈΡΠΎΠ² ΠΈ ΠΊΠ»Π΅ΡΠΎΠΊ Π¨ΡΠ΅ΡΠ½Π³Π΅ΠΉΠΌΠ΅ΡΠ°-ΠΠ°Π»ΡΠ±ΠΈΠ½Π°. ΠΠ±ΡΠ·Π°ΡΠ΅Π»ΡΠ½ΠΎ ΠΎΠΏΡΠ΅Π΄Π΅Π»ΡΡΡ Π½Π°Π»ΠΈΡΠΈΠ΅ Π² ΠΌΠΎΡΠ΅ Π±Π°ΠΊΡΠ΅ΡΠΈΠΉ ΠΈ ΡΡΠ΅ΠΏΠ΅Π½Ρ Π±Π°ΠΊΡΠ΅ΡΠΈΡΡΠΈΠΈ, ΠΏΡΠΈ ΡΡΠΎΠΌ Π²Π°ΠΆΠ½ΠΎ ΡΠΎΡΠ΅ΡΠ°ΡΡ Π±Π°ΠΊΡΠ΅ΡΠΈΠΎΠ»ΠΎΠ³ΠΈΡΠ΅ΡΠΊΠΈΠ΅ ΠΈ Π±Π°ΠΊΡΠ΅ΡΠΈΠΎΡΠΊΠΎΠΏΠΈΡΠ΅ΡΠΊΠΈΠ΅ ΠΌΠ΅ΡΠΎΠ΄Ρ Π²ΡΡΠ²Π»Π΅Π½ΠΈΡ Π±Π°ΠΊΡΠ΅ΡΠΈΡΡΠΈΠΈ. ΠΠ΅ΠΎΠ±Ρ ΠΎΠ΄ΠΈΠΌΠΎ ΠΎΠΏΡΠ΅Π΄Π΅Π»ΠΈΡΡ ΠΈ ΡΡΠ²ΡΡΠ²ΠΈΡΠ΅Π»ΡΠ½ΠΎΡΡΡ Π²ΡΠ΄Π΅Π»Π΅Π½Π½ΡΡ ΠΌΠΈΠΊΡΠΎΠΎΡΠ³Π°Π½ΠΈΠ·ΠΌΠΎΠ² ΠΊ Π°Π½ΡΠΈΠ±Π°ΠΊΡΠ΅ΡΠΈΠ°Π»ΡΠ½ΡΠΌ ΠΏΡΠ΅ΠΏΠ°ΡΠ°ΡΠ°ΠΌ.
ΠΠ½Π°Π»ΠΈΠ· ΠΊΡΠΎΠ²ΠΈ ΠΏΡΠΈ ΠΎΡΡΡΠΎΠΌ ΠΏΠΈΠ΅Π»ΠΎΠ½Π΅ΡΡΠΈΡΠ΅ Π΄Π΅ΠΌΠΎΠ½ΡΡΡΠΈΡΡΠ΅Ρ ΡΠ²Π΅Π»ΠΈΡΠ΅Π½ΠΈΠ΅ Π‘ΠΠ Π΄ΠΎ 40-50 ΠΌΠΌ/Ρ ΠΈ Π²ΡΡΠ΅, Π»Π΅ΠΉΠΊΠΎΡΠΈΡΠΎΠ· Ρ ΡΠ²Π΅Π»ΠΈΡΠ΅Π½ΠΈΠ΅ΠΌ ΡΠΎΠ΄Π΅ΡΠΆΠ°Π½ΠΈΡ ΠΏΠ°Π»ΠΎΡΠΊΠΎΡΠ΄Π΅ΡΠ½ΡΡ ΡΠΎΡΠΌ. Π‘ ΡΠ°Π·Π²ΠΈΡΠΈΠ΅ΠΌ Π³Π½ΠΎΠΉΠ½ΠΎΠ³ΠΎ ΠΏΠΈΠ΅Π»ΠΎΠ½Π΅ΡΡΠΈΡΠ° ΠΏΠΎ ΠΌΠ΅ΡΠ΅ ΡΡΠΈΠ»Π΅Π½ΠΈΡ ΠΈΠ½ΡΠΎΠΊΡΠΈΠΊΠ°ΡΠΈΠΈ ΡΡ ΡΠ΄ΡΠ°ΡΡΡΡ ΠΏΠΎΠΊΠ°Π·Π°ΡΠ΅Π»ΠΈ ΠΊΡΠ°ΡΠ½ΠΎΠΉ ΠΊΡΠΎΠ²ΠΈ, ΡΠ²Π΅Π»ΠΈΡΠΈΠ²Π°Π΅ΡΡΡ ΡΡΠΎΠ²Π΅Π½Ρ ΡΡΠ΅Π΄Π½ΠΈΡ ΠΌΠΎΠ»Π΅ΠΊΡΠ» ΠΈ Ξ±2-ΠΌΠΈΠΊΡΠΎΠ³Π»ΠΎΠ±ΡΠ»ΠΈΠ½Π°. ΠΡΠΈ ΠΏΠΎΠ΄ΠΎΠ·ΡΠ΅Π½ΠΈΠΈ Π½Π° ΡΡΠΎΡΠ΅ΠΏΡΠΈΡ ΠΏΡΠΎΠ²ΠΎΠ΄ΡΡ ΠΏΠΎΡΠ΅Π² ΠΊΡΠΎΠ²ΠΈ Π½Π° ΡΡΠ΅ΡΠΈΠ»ΡΠ½ΠΎΡΡΡ.
ΠΠ±Π·ΠΎΡΠ½Π°Ρ ΠΈ ΡΠΊΡΠΊΡΠ΅ΡΠΎΡΠ½Π°Ρ ΡΡΠΎΠ³ΡΠ°ΡΠΈΡ — ΡΠ°ΠΌΡΠ΅ ΠΏΠΎΠΏΡΠ»ΡΡΠ½ΡΠ΅ ΠΌΠ΅ΡΠΎΠ΄ΠΈΠΊΠΈ Π΄ΠΈΠ°Π³Π½ΠΎΡΡΠΈΠΊΠΈ ΠΎΡΡΡΠΎΠ³ΠΎ ΠΏΠΈΠ΅Π»ΠΎΠ½Π΅ΡΡΠΈΡΠ°, ΠΎΠ΄Π½ΠΎΠ²ΡΠ΅ΠΌΠ΅Π½Π½ΠΎ Π΄Π°ΡΡΠΈΠ΅ ΡΡΠ½ΠΎΠ΅ ΠΏΡΠ΅Π΄ΡΡΠ°Π²Π»Π΅Π½ΠΈΠ΅ ΠΎ ΡΡΠ½ΠΊΡΠΈΠΈ ΠΊΠ°ΠΆΠ΄ΠΎΠΉ ΠΏΠΎΡΠΊΠΈ Π² ΠΎΡΠ΄Π΅Π»ΡΠ½ΠΎΡΡΠΈ ΠΈ ΠΎΠ± ΠΈΠ·ΠΌΠ΅Π½Π΅Π½ΠΈΡΡ ΡΠ°ΡΠ΅ΡΠ½ΠΎ-Π»ΠΎΡ Π°Π½ΠΎΡΠ½ΠΎΠΉ ΡΠΈΡΡΠ΅ΠΌΡ ΠΏΠΎΡΠΊΠΈ, ΠΎΠ±ΡΡΠ»ΠΎΠ²Π»Π΅Π½Π½ΡΡ Π½Π°ΡΡΡΠ΅Π½ΠΈΠ΅ΠΌ ΠΎΡΡΠΎΠΊΠ° ΠΌΠΎΡΠΈ ΠΈΠ»ΠΈ Π³Π½ΠΎΠΉΠ½ΡΠΌ ΠΏΡΠΎΡΠ΅ΡΡΠΎΠΌ.
ΠΠ° ΠΎΠ±Π·ΠΎΡΠ½ΠΎΠΉ ΡΡΠΎΠ³ΡΠ°ΠΌΠΌΠ΅ ΠΏΡΠΈ ΠΎΡΡΡΠΎΠΌ ΠΏΠΈΠ΅Π»ΠΎΠ½Π΅ΡΡΠΈΡΠ΅ ΠΌΠΎΠΆΠ½ΠΎ Π²ΠΈΠ΄Π΅ΡΡ ΡΠΊΠΎΠ»ΠΈΠΎΠ· Π² ΠΏΠΎΡΡΠ½ΠΈΡΠ½ΠΎΠΌ ΠΎΡΠ΄Π΅Π»Π΅ ΠΏΠΎΠ·Π²ΠΎΠ½ΠΎΡΠ½ΠΈΠΊΠ° Π² ΡΡΠΎΡΠΎΠ½Ρ Π±ΠΎΠ»ΡΠ½ΠΎΠΉ ΠΏΠΎΡΠΊΠΈ. ΠΠΎΠ½ΡΡΡ ΠΏΠΎΡΡΠ½ΠΈΡΠ½ΠΎΠΉ ΠΌΡΡΡΡ ΠΏΡΠΈ ΡΡΠΎΠΌ ΠΌΠΎΠΆΠ΅Ρ Π±ΡΡΡ ΡΠ³Π»Π°ΠΆΠ΅Π½, Π° ΡΠ΅Π½Ρ ΠΏΠΎΡΠΊΠΈ ΡΠ²Π΅Π»ΠΈΡΠ΅Π½Π°. ΠΡΠΎΠ±Π΅Π½Π½ΠΎ ΡΡΠΎ Π±ΡΠ²Π°Π΅Ρ Π²ΡΡΠ°ΠΆΠ΅Π½ΠΎ ΠΏΡΠΈ Π³Π½ΠΎΠΉΠ½ΡΡ ΡΠΎΡΠΌΠ°Ρ , Π² ΡΠΎΠΌ ΡΠΈΡΠ»Π΅ ΠΎΠ±ΡΡΠ»ΠΎΠ²Π»Π΅Π½Π½ΡΡ ΠΎΠ±ΡΡΡΡΠΊΡΠΈΠ΅ΠΉ ΠΌΠΎΡΠ΅Π²ΡΡ ΠΏΡΡΠ΅ΠΉ. ΠΠ±Π½Π°ΡΡΠΆΠ΅Π½ΠΈΠ΅ ΠΊΠ°ΠΌΠ½Ρ Π² ΠΏΠΎΡΠΊΠ΅ ΠΈΠ»ΠΈ ΠΌΠΎΡΠ΅ΡΠΎΡΠ½ΠΈΠΊΠ΅ ΠΈΠΌΠ΅Π΅Ρ ΠΈΡΠΊΠ»ΡΡΠΈΡΠ΅Π»ΡΠ½ΠΎΠ΅ Π·Π½Π°ΡΠ΅Π½ΠΈΠ΅ Π΄Π»Ρ ΠΎΠΏΡΠ΅Π΄Π΅Π»Π΅Π½ΠΈΡ Π»Π΅ΡΠ΅Π±Π½ΠΎΠΉ ΡΠ°ΠΊΡΠΈΠΊΠΈ.
Π£ Π±ΠΎΠ»ΡΠ½ΡΡ Ρ ΠΎΡΡΡΡΠΌ ΠΏΠΈΠ΅Π»ΠΎΠ½Π΅ΡΡΠΈΡΠΎΠΌ Π½Π° ΡΠΊΡΠΊΡΠ΅ΡΠΎΡΠ½ΡΡ ΡΡΠΎΠ³ΡΠ°ΠΌΠΌΠ°Ρ , ΡΠ΄Π΅Π»Π°Π½Π½ΡΡ Π½Π° Π²ΡΡΠΎΡΠ΅ Π²Π΄ΠΎΡ Π° ΠΈ Π²ΡΠ΄ΠΎΡ Π°, Π·Π°ΠΌΠ΅ΡΠ½ΠΎ ΠΎΠ³ΡΠ°Π½ΠΈΡΠ΅Π½ΠΈΠ΅ Π΄ΡΡ Π°ΡΠ΅Π»ΡΠ½ΠΎΠΉ ΠΏΠΎΠ΄Π²ΠΈΠΆΠ½ΠΎΡΡΠΈ Π±ΠΎΠ»ΡΠ½ΠΎΠΉ ΠΏΠΎΡΠΊΠΈ. ΠΠΎΠ½ΡΡΠ°ΡΡΠΈΡΠΎΠ²Π°Π½ΠΈΠ΅ Π΅Π΅ ΡΠ°ΡΠ΅ΡΠ½ΠΎ-Π»ΠΎΡ Π°Π½ΠΎΡΠ½ΠΎΠΉ ΡΠΈΡΡΠ΅ΠΌΡ ΠΌΠΎΠΆΠ΅Ρ Π·Π°ΠΏΠ°Π·Π΄ΡΠ²Π°ΡΡ ΠΎΡΠ½ΠΎΡΠΈΡΠ΅Π»ΡΠ½ΠΎ Π·Π΄ΠΎΡΠΎΠ²ΠΎΠΉ, Π° ΠΈΠ·ΠΎΠ±ΡΠ°ΠΆΠ΅Π½ΠΈΠ΅ ΡΠ°ΡΠ΅ΡΠ½ΠΎ-Π»ΠΎΡ Π°Π½ΠΎΡΠ½ΠΎΠΉ ΡΠΈΡΡΠ΅ΠΌΡ ΠΌΠΎΠΆΠ΅Ρ Π±ΡΡΡ ΠΌΠ΅Π½Π΅Π΅ ΡΡΠΊΠΈΠΌ ΠΈ ΡΠ΅ΡΠΊΠΈΠΌ (ΡΠΈΡ. 7.2).

Π ΠΈΡ. 7.2. ΠΠΊΡΠΊΡΠ΅ΡΠΎΡΠ½Π°Ρ ΡΡΠΎΠ³ΡΠ°ΠΌΠΌΠ° ΡΠ΅ΡΠ΅Π· 25 ΠΌΠΈΠ½ ΠΏΠΎΡΠ»Π΅ Π²Π²Π΅Π΄Π΅Π½ΠΈΡ ΡΠ΅Π½ΡΠ³Π΅Π½ΠΎΠΊΠΎΠ½ΡΡΠ°ΡΡΠ½ΠΎΠ³ΠΎ Π²Π΅ΡΠ΅ΡΡΠ²Π°
ΠΡΠ°Π²ΠΎΡΡΠΎΡΠΎΠ½Π½ΠΈΠΉ ΠΏΠΈΠ΅Π»ΠΎΠ½Π΅ΡΡΠΈΡ. ΠΡΠΈ ΡΠ°ΡΡΠΈΡΠ½ΠΎΠΉ ΠΎΠ±ΡΡΡΡΠΊΡΠΈΠΈ ΡΠ΅Π½Ρ Π»ΠΎΡ Π°Π½ΠΊΠΈ ΠΈ ΠΌΠΎΡΠ΅ΡΠΎΡΠ½ΠΈΠΊΠ° Π½Π°Π΄ ΠΏΡΠ΅ΠΏΡΡΡΡΠ²ΠΈΠ΅ΠΌ ΡΠ°ΡΡΠΈΡΠ΅Π½Π°. ΠΡΠΈ ΠΊΠ°ΡΠ±ΡΠ½ΠΊΡΠ»Π΅ ΠΈΠ»ΠΈ Π°Π±ΡΡΠ΅ΡΡΠ΅ ΠΏΠΎΡΠΊΠΈ Π²ΠΎΠ·ΠΌΠΎΠΆΠ½Π° Π΄Π΅ΡΠΎΡΠΌΠ°ΡΠΈΡ ΡΠ°ΡΠ΅ΡΠ½ΠΎ-Π»ΠΎΡ Π°Π½ΠΎΡΠ½ΠΎΠΉ ΡΠΈΡΡΠ΅ΠΌΡ.
ΠΠ΄Π½Π°ΠΊΠΎ ΡΠ»Π΅Π΄ΡΠ΅Ρ ΠΏΠΎΠΌΠ½ΠΈΡΡ, ΡΡΠΎ ΡΠ΅Π½ΡΠ³Π΅Π½ΠΎΠ»ΠΎΠ³ΠΈΡΠ΅ΡΠΊΠ°Ρ ΡΠΈΠΌΠΏΡΠΎΠΌΠ°ΡΠΈΠΊΠ° ΠΏΡΠΈ Π½Π°ΡΠ°Π»ΡΠ½ΠΎΠΉ ΡΡΠ°Π΄ΠΈΠΈ (ΡΠ΅ΡΠΎΠ·Π½ΠΎΠ΅ Π²ΠΎΡΠΏΠ°Π»Π΅Π½ΠΈΠ΅) ΠΎΡΡΡΠΎΠ³ΠΎ Π½Π΅ΠΎΠ±ΡΡΡΡΠΊΡΠΈΠ²Π½ΠΎΠ³ΠΎ ΠΏΠΈΠ΅Π»ΠΎΠ½Π΅ΡΡΠΈΡΠ° Π²ΡΡΠ°ΠΆΠ΅Π½Π° ΡΠ»Π°Π±ΠΎ. Π’ΠΎΠ»ΡΠΊΠΎ ΠΏΡΠΈ ΠΏΠ΅ΡΠ΅Ρ ΠΎΠ΄Π΅ Π²ΠΎΡΠΏΠ°Π»ΠΈΡΠ΅Π»ΡΠ½ΠΎΠ³ΠΎ ΠΏΡΠΎΡΠ΅ΡΡΠ° Π² ΡΡΠ°Π΄ΠΈΡ Π³Π½ΠΎΠΉΠ½ΠΎΠ³ΠΎ Π²ΠΎΡΠΏΠ°Π»Π΅Π½ΠΈΡ ΡΠ΅Π½ΡΠ³Π΅Π½ΠΎΠ»ΠΎΠ³ΠΈΡΠ΅ΡΠΊΠ°Ρ ΡΠΈΠΌΠΏΡΠΎΠΌΠ°ΡΠΈΠΊΠ° ΠΏΡΠΈΠΎΠ±ΡΠ΅ΡΠ°Π΅Ρ Ρ Π°ΡΠ°ΠΊΡΠ΅ΡΠ½ΡΠ΅ ΠΈΠ·ΠΌΠ΅Π½Π΅Π½ΠΈΡ.
Π Π½Π°ΡΡΠΎΡΡΠ΅Π΅ Π²ΡΠ΅ΠΌΡ ΡΡΠ΅Π΄ΠΈ ΠΌΠ΅ΡΠΎΠ΄ΠΎΠ² Π΄ΠΈΠ°Π³Π½ΠΎΡΡΠΈΠΊΠΈ ΠΎΡΡΡΠΎΠ³ΠΎ ΠΏΠΈΠ΅Π»ΠΎΠ½Π΅ΡΡΠΈΡΠ° Π²Π°ΠΆΠ½ΠΎΠ΅ ΠΌΠ΅ΡΡΠΎ Π·Π°Π½ΠΈΠΌΠ°Π΅Ρ ΡΠ»ΡΡΡΠ°Π·Π²ΡΠΊΠΎΠ²ΠΎΠ΅ ΡΠΊΠ°Π½ΠΈΡΠΎΠ²Π°Π½ΠΈΠ΅ ΠΏΠΎΡΠ΅ΠΊ, ΠΎΡΠΎΠ±Π΅Π½Π½ΠΎ ΠΏΡΠΈ II ΡΡΠ°Π΄ΠΈΠΈ ΡΠ°Π·Π²ΠΈΡΠΈΡ Π²ΠΎΡΠΏΠ°Π»ΠΈΡΠ΅Π»ΡΠ½ΠΎΠ³ΠΎ ΠΏΡΠΎΡΠ΅ΡΡΠ°. ΠΠΎ ΠΌΠ΅ΡΠ΅ ΡΠ°Π·Π²ΠΈΡΠΈΡ Π²ΠΎΡΠΏΠ°Π»Π΅Π½ΠΈΡ ΠΈ Π½Π°ΡΠ°ΡΡΠ°Π½ΠΈΡ ΠΎΡΠ΅ΠΊΠ° ΠΏΠΎΡΠ΅ΡΠ½ΠΎΠΉ ΡΠΊΠ°Π½ΠΈ ΡΡ ΠΎΠ³Π΅Π½Π½ΠΎΡΡΡ ΠΏΠ°ΡΠ΅Π½Ρ ΠΈΠΌΡ ΠΏΠΎΡΠΊΠΈ ΡΠ²Π΅Π»ΠΈΡΠΈΠ²Π°Π΅ΡΡΡ ΠΈ Π»ΡΡΡΠ΅ Π΄ΠΈΡΡΠ΅ΡΠ΅Π½ΡΠΈΡΡΠ΅ΡΡΡ Π΅Π΅ ΠΊΠΎΡΠΊΠΎΠ²ΡΠΉ ΡΠ»ΠΎΠΉ ΠΈ ΠΏΠΈΡΠ°ΠΌΠΈΠ΄Ρ, Π° ΡΠ°ΠΊΠΆΠ΅ ΠΎΡΠΌΠ΅ΡΠ°Π΅ΡΡΡ ΠΎΠ³ΡΠ°Π½ΠΈΡΠ΅Π½ΠΈΠ΅ ΠΏΠΎΠ΄Π²ΠΈΠΆΠ½ΠΎΡΡΠΈ ΠΏΠΎΡΠΊΠΈ ΠΏΡΠΈ Π΄ΡΡ Π°Π½ΠΈΠΈ. ΠΠ»Ρ ΠΊΠ°ΡΠ±ΡΠ½ΠΊΡΠ»Π° ΠΏΠΎΡΠΊΠΈ Ρ Π°ΡΠ°ΠΊΡΠ΅ΡΠ½Ρ Π²ΡΠ±ΡΡ Π°Π½ΠΈΠ΅ Π΅Π΅ Π²Π½Π΅ΡΠ½Π΅Π³ΠΎ ΠΊΠΎΠ½ΡΡΡΠ° ΠΈ ΠΎΡΡΡΡΡΡΠ²ΠΈΠ΅ Π΄ΠΈΡΡΠ΅ΡΠ΅Π½ΡΠΈΠ°ΡΠΈΠΈ ΠΌΠ΅ΠΆΠ΄Ρ ΠΊΠΎΡΠΊΠΎΠ²ΡΠΌ ΠΈ ΠΌΠΎΠ·Π³ΠΎΠ²ΡΠΌ ΡΠ»ΠΎΡΠΌΠΈ. ΠΡΠΈ ΡΠΎΡΠΌΠΈΡΠΎΠ²Π°Π½ΠΈΠΈ Π°Π±ΡΡΠ΅ΡΡΠ° Π² Π΅Π³ΠΎ ΡΠ΅Π½ΡΡΠ΅ Π²ΠΈΠ΄Π½Ρ Π³ΠΈΠΏΠΎΡΡ ΠΎΠ³Π΅Π½Π½ΡΠ΅ ΡΡΡΡΠΊΡΡΡΡ (ΡΠΈΡ. 7.3). ΠΡΠΈ Π²ΡΠΎΡΠΈΡΠ½ΠΎΠΌ ΠΎΡΡΡΠΎΠΌ ΠΏΠΈΠ΅Π»ΠΎΠ½Π΅ΡΡΠΈΡΠ΅ ΠΌΠΎΠΆΠ½ΠΎ Π²ΡΡΠ²ΠΈΡΡ ΠΈΠ·ΠΌΠ΅Π½Π΅Π½ΠΈΡ, Ρ Π°ΡΠ°ΠΊΡΠ΅ΡΠ½ΡΠ΅ Π΄Π»Ρ ΠΏΠ΅ΡΠ²ΠΈΡΠ½ΠΎΠ³ΠΎ Π·Π°Π±ΠΎΠ»Π΅Π²Π°Π½ΠΈΡ ΠΏΠΎΡΠΊΠΈ.

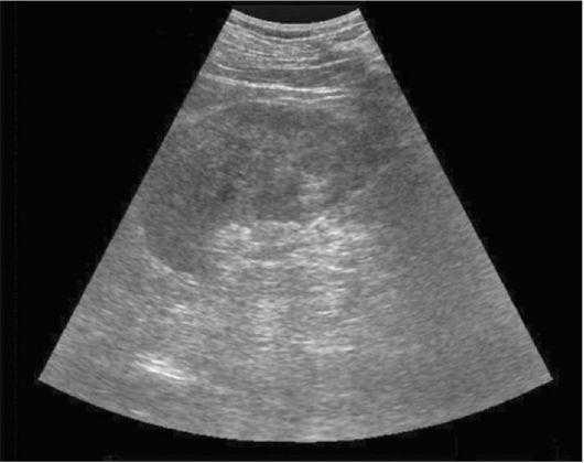
Π ΠΈΡ. 7.3. Π‘ΠΎΠ½ΠΎΠ³ΡΠ°ΠΌΠΌΠ° Π»Π΅Π²ΠΎΠΉ ΠΏΠΎΡΠΊΠΈ. ΠΡΡΡΡΠΉ Π³Π½ΠΎΠΉΠ½ΡΠΉ ΠΏΠΈΠ΅Π»ΠΎΠ½Π΅ΡΡΠΈΡ. Π ΠΏΠ°ΡΠ΅Π½Ρ ΠΈΠΌΠ΅ ΠΏΠΎΡΠΊΠΈ ΠΎΠΏΡΠ΅Π΄Π΅Π»ΡΠ΅ΡΡΡ ΡΡΠ°ΡΡΠΎΠΊ Ρ Π½Π΅ΠΎΠ΄Π½ΠΎΡΠΎΠ΄Π½ΠΎΠΉ ΡΡ ΠΎΡΡΡΡΠΊΡΡΡΠΎΠΉ
Π Π°Π΄ΠΈΠΎΡΠ΅Π½ΠΎΠ³ΡΠ°ΡΠΈΡ, Π½Π΅ ΠΎΡΠ²Π΅ΡΠ°Ρ Π½Π° Π²ΠΎΠΏΡΠΎΡ ΠΎ ΠΏΡΠΈΡΠΈΠ½Π΅ Π±ΠΎΠ»Π΅Π·Π½ΠΈ, ΠΏΠΎΠΊΠ°Π·ΡΠ²Π°Π΅Ρ Π½Π°ΡΡΡΠ΅Π½ΠΈΠ΅ ΡΠ΅ΠΊΡΠ΅ΡΠΎΡΠ½ΠΎΠΉ ΠΈ ΡΠΊΡΠΊΡΠ΅ΡΠΎΡΠ½ΠΎΠΉ ΡΡΠ½ΠΊΡΠΈΠΉ ΠΏΠΎΡΠΊΠΈ. ΠΡΠΈ Π½Π°ΡΡΡΠ΅Π½ΠΈΡ Π±ΡΠ²Π°ΡΡ ΠΎΡΠΎΠ±Π΅Π½Π½ΠΎ Π²ΡΡΠ°ΠΆΠ΅Π½Ρ ΠΏΡΠΈ ΠΎΠ±ΡΡΡΡΠΊΡΠΈΠ²Π½ΠΎΠΌ ΠΏΠΈΠ΅Π»ΠΎΠ½Π΅ΡΡΠΈΡΠ΅.
ΠΠ΅ΡΠ΅ΠΊΡ Π½Π°ΠΊΠΎΠΏΠ»Π΅Π½ΠΈΡ ΡΠ°Π΄ΠΈΠΎΡΠ°ΡΠΌΠΏΡΠ΅ΠΏΠ°ΡΠ°ΡΠ° Π² ΠΏΠ°ΡΠ΅Π½Ρ ΠΈΠΌΠ΅ ΠΏΠΎΡΠΊΠΈ Π½Π° ΡΡΠΈΠ½ΡΠΈΠ³ΡΠ°ΠΌΠΌΠ΅ ΠΏΠΎΠ·Π²ΠΎΠ»ΡΠ΅Ρ Π·Π°ΠΏΠΎΠ΄ΠΎΠ·ΡΠΈΡΡ ΠΊΠ°ΡΠ±ΡΠ½ΠΊΡΠ» ΠΈΠ»ΠΈ Π°Π±ΡΡΠ΅ΡΡ.
ΠΠΈΡΡΠ΅ΡΠ΅Π½ΡΠΈΠ°Π»ΡΠ½ΡΡ Π΄ΠΈΠ°Π³Π½ΠΎΡΡΠΈΠΊΡ ΠΎΡΡΡΠΎΠ³ΠΎ ΠΏΠΈΠ΅Π»ΠΎΠ½Π΅ΡΡΠΈΡΠ° (ΡΡΠΎ ΠΎΡΠΎΠ±Π΅Π½Π½ΠΎ Π°ΠΊΡΡΠ°Π»ΡΠ½ΠΎ ΠΏΡΠΈ Π³Π½ΠΎΠΉΠ½ΡΡ ΡΠΎΡΠΌΠ°Ρ ) ΠΏΡΠΎΠ²ΠΎΠ΄ΡΡ ΠΏΡΠΈ ΠΎΡΡΡΡΡ ΠΈΠ½ΡΠ΅ΠΊΡΠΈΠΎΠ½Π½ΡΡ Π±ΠΎΠ»Π΅Π·Π½ΡΡ (ΡΠΈΡ, ΠΌΠ°Π»ΡΡΠΈΡ, Π³ΡΠΈΠΏΠΏ) ΠΈ ΠΎΡΡΡΡΡ Ρ ΠΈΡΡΡΠ³ΠΈΡΠ΅ΡΠΊΠΈΡ Π±ΠΎΠ»Π΅Π·Π½ΡΡ ΠΆΠΈΠ²ΠΎΡΠ° (Ρ ΠΎΠ»Π΅ΡΠΈΡΡΠΈΡ, ΠΏΠ°Π½ΠΊΡΠ΅Π°ΡΠΈΡ, Π°ΠΏΠΏΠ΅Π½Π΄ΠΈΡΠΈΡ). ΠΠ°ΠΆΠ½ΡΡ ΡΠΎΠ»Ρ Π² ΠΏΡΠΎΠ²Π΅Π΄Π΅Π½ΠΈΠΈ Π΄ΠΈΡΡΠ΅ΡΠ΅Π½ΡΠΈΠ°Π»ΡΠ½ΠΎΠΉ Π΄ΠΈΠ°Π³Π½ΠΎΡΡΠΈΠΊΠΈ ΠΈΠ³ΡΠ°Π΅Ρ ΡΠΏΠΈΡΠ°Π»ΡΠ½Π°Ρ ΠΊΠΎΠΌΠΏΡΡΡΠ΅ΡΠ½Π°Ρ ΡΠΎΠΌΠΎΠ³ΡΠ°ΡΠΈΡ (Π‘ΠΠ’).
ΠΠ΅ΡΠ΅Π½ΠΈΠ΅. Π₯Π°ΡΠ°ΠΊΡΠ΅Ρ Π»Π΅ΡΠ΅Π½ΠΈΡ Π±ΠΎΠ»ΡΠ½ΡΡ Ρ ΠΎΡΡΡΡΠΌ ΠΏΠΈΠ΅Π»ΠΎΠ½Π΅ΡΡΠΈΡΠΎΠΌ ΠΎΠΏΡΠ΅Π΄Π΅Π»ΡΠ΅ΡΡΡ Π΅Π³ΠΎ ΠΏΠ°ΡΠΎΠ³Π΅Π½Π΅Π·ΠΎΠΌ ΠΈ ΠΎΡΠΎΠ±Π΅Π½Π½ΠΎΡΡΡΠΌΠΈ ΠΊΠ»ΠΈΠ½ΠΈΡΠ΅ΡΠΊΠΎΠ³ΠΎ ΡΠ΅ΡΠ΅Π½ΠΈΡ. ΠΡΠΈ ΠΏΠ΅ΡΠ²ΠΈΡΠ½ΠΎΠΌ ΡΠ΅ΡΠΎΠ·Π½ΠΎΠΌ ΠΏΠΈΠ΅Π»ΠΎΠ½Π΅ΡΡΠΈΡΠ΅ ΠΏΠΎΠΊΠ°Π·Π°Π½ΠΎ ΠΊΠΎΠ½ΡΠ΅ΡΠ²Π°ΡΠΈΠ²Π½ΠΎΠ΅ Π»Π΅ΡΠ΅Π½ΠΈΠ΅. ΠΠ΅ΠΉΡΡΠ²ΠΈΠ΅ Π½Π°Π·Π½Π°ΡΠ°Π΅ΠΌΡΡ Π»Π΅ΠΊΠ°ΡΡΡΠ²Π΅Π½Π½ΡΡ ΡΡΠ΅Π΄ΡΡΠ² Π΄ΠΎΠ»ΠΆΠ½ΠΎ Π±ΡΡΡ Π½Π°ΠΏΡΠ°Π²Π»Π΅Π½ΠΎ Π½Π° Π²ΠΎΡΡΡΠ°Π½ΠΎΠ²Π»Π΅Π½ΠΈΠ΅ Π·Π°ΡΠΈΡΠ½ΡΡ ΡΠΈΠ» Π±ΠΎΠ»ΡΠ½ΠΎΠ³ΠΎ, ΠΏΠ°ΡΠΎΠ³Π΅Π½Π΅Π· Π±ΠΎΠ»Π΅Π·Π½ΠΈ ΠΈ ΠΏΠΎΠ΄Π°Π²Π»Π΅Π½ΠΈΠ΅ ΡΠΎΡΡΠ° ΠΈ ΡΠ°Π·ΠΌΠ½ΠΎΠΆΠ΅Π½ΠΈΡ Π²ΡΡΠ²Π»Π΅Π½Π½ΠΎΠΉ ΠΌΠΈΠΊΡΠΎΡΠ»ΠΎΡΡ.
ΠΠΎΠ»ΡΠ½ΠΎΠΌΡ Ρ ΠΎΡΡΡΡΠΌ ΠΏΠΈΠ΅Π»ΠΎΠ½Π΅ΡΡΠΈΡΠΎΠΌ ΠΏΠΎΠΊΠ°Π·Π°Π½Π° ΡΡΠΎΡΠ½Π°Ρ Π³ΠΎΡΠΏΠΈΡΠ°Π»ΠΈΠ·Π°ΡΠΈΡ Π² ΡΡΠΎΠ»ΠΎΠ³ΠΈΡΠ΅ΡΠΊΠΎΠ΅ ΠΎΡΠ΄Π΅Π»Π΅Π½ΠΈΠ΅, Π³Π΄Π΅ Π΅ΠΌΡ Π±ΡΠ΄Π΅Ρ Π²ΡΠΏΠΎΠ»Π½Π΅Π½ Π²Π΅ΡΡ ΠΊΠΎΠΌΠΏΠ»Π΅ΠΊΡ Π΄ΠΈΠ°Π³Π½ΠΎΡΡΠΈΡΠ΅ΡΠΊΠΈΡ ΠΈ Π»Π΅ΡΠ΅Π±Π½ΡΡ ΠΏΡΠΎΡΠ΅Π΄ΡΡ. ΠΠΎΠΊΠ°Π·Π°Π½Ρ ΠΏΠΎΡΡΠ΅Π»ΡΠ½ΡΠΉ ΡΠ΅ΠΆΠΈΠΌ, ΠΎΠ±ΠΈΠ»ΡΠ½ΠΎΠ΅ ΠΏΠΈΡΡΠ΅, ΠΏΠΈΡΠ°, Π±ΠΎΠ³Π°ΡΠ°Ρ ΡΠ³Π»Π΅Π²ΠΎΠ΄Π°ΠΌΠΈ, ΠΊΠΈΡΠ»ΠΎΠΌΠΎΠ»ΠΎΡΠ½ΡΠ΅ ΠΏΡΠΎΠ΄ΡΠΊΡΡ.
ΠΡΠΈΠ½ΡΠΈΠΏΠΈΠ°Π»ΡΠ½ΠΎ Π²Π°ΠΆΠ½ΠΎ, ΡΡΠΎ ΠΏΡΠΈ Π²ΡΠΎΡΠΈΡΠ½ΠΎΠΌ ΠΏΠΈΠ΅Π»ΠΎΠ½Π΅ΡΡΠΈΡΠ΅ Π»Π΅ΡΠ΅Π½ΠΈΠ΅ Π½Π΅ΠΎΠ±Ρ ΠΎΠ΄ΠΈΠΌΠΎ Π½Π°ΡΠΈΠ½Π°ΡΡ Ρ Π²ΠΎΡΡΡΠ°Π½ΠΎΠ²Π»Π΅Π½ΠΈΡ ΠΎΡΡΠΎΠΊΠ° ΠΌΠΎΡΠΈ ΠΈΠ· ΠΏΠΎΡΠΊΠΈ. Π Π·Π°Π²ΠΈΡΠΈΠΌΠΎΡΡΠΈ ΠΎΡ ΠΏΡΠΈΡΠΈΠ½Ρ ΠΎΠΊΠΊΠ»ΡΠ·ΠΈΠΈ ΠΎΡΡΠΎΠΊ ΠΌΠΎΡΠΈ Π²ΠΎΡΡΡΠ°Π½Π°Π²Π»ΠΈΠ²Π°ΡΡ ΡΠ°Π·Π½ΡΠΌΠΈ ΠΌΠ΅ΡΠΎΠ΄Π°ΠΌΠΈ. ΠΡΠΈ ΠΊΠ°ΠΌΠ½Π΅ ΠΌΠΎΡΠ΅ΡΠΎΡΠ½ΠΈΠΊΠ° Π½Π΅Π±ΠΎΠ»ΡΡΠΈΡ ΡΠ°Π·ΠΌΠ΅ΡΠΎΠ² ΠΈ ΡΠΎΠ»ΡΠΊΠΎ Π² ΡΠ°Π½Π½ΠΈΠ΅ ΡΡΠΎΠΊΠΈ ΠΎΡΡΡΠΎΠ³ΠΎ ΠΏΠΈΠ΅Π»ΠΎΠ½Π΅ΡΡΠΈΡΠ° Π΄Π»Ρ Π²ΠΎΡΡΡΠ°Π½ΠΎΠ²Π»Π΅Π½ΠΈΡ ΠΎΡΡΠΎΠΊΠ° ΠΌΠΎΡΠΈ ΠΌΠΎΠΆΠ½ΠΎ ΠΏΡΠ΅Π΄ΠΏΡΠΈΠ½ΡΡΡ ΠΊΠ°ΡΠ΅ΡΠ΅ΡΠΈΠ·Π°ΡΠΈΡ ΠΌΠΎΡΠ΅ΡΠΎΡΠ½ΠΈΠΊΠ°. ΠΡΠ»ΠΈ ΠΊΠ°ΡΠ΅ΡΠ΅ΡΠΈΠ·Π°ΡΠΈΡ ΠΌΠΎΡΠ΅ΡΠΎΡΠ½ΠΈΠΊΠ° Π½Π΅ ΡΠ΄Π°Π»Π°ΡΡ, Π° ΡΠ°ΠΊΠΆΠ΅ ΠΏΡΠΈ ΠΎΡΡΡΠΎΠΌ ΠΏΠΈΠ΅Π»ΠΎΠ½Π΅ΡΡΠΈΡΠ΅, ΠΊΠΎΡΠΎΡΡΠΉ ΠΏΡΠΎΠ΄ΠΎΠ»ΠΆΠ°Π΅ΡΡΡ Π±ΠΎΠ»Π΅Π΅ 3 ΡΡΡΠΎΠΊ, Π²ΡΠΏΠΎΠ»Π½ΡΡΡ ΡΠΊΡΡΡΠ΅Π½Π½ΠΎΠ΅ ΠΎΠΏΠ΅ΡΠ°ΡΠΈΠ²Π½ΠΎΠ΅ Π²ΠΌΠ΅ΡΠ°ΡΠ΅Π»ΡΡΡΠ²ΠΎ — ΡΡΠ΅ΡΠΊΠΎΠΆΠ½ΡΡ ΠΏΡΠ½ΠΊΡΠΈΡ ΠΏΠΎΡΠΊΠΈ ΠΏΠΎΠ΄ ΠΊΠΎΠ½ΡΡΠΎΠ»Π΅ΠΌ ΡΠ»ΡΡΡΠ°Π·Π²ΡΠΊΠ° (ΡΡΠ΅ΡΠΊΠΎΠΆΠ½ΡΡ ΠΏΡΠ½ΠΊΡΠΈΠΎΠ½Π½ΡΡ Π½Π΅ΡΡΠΎΡΡΠΎΠΌΠΈΡ) ΠΈΠ»ΠΈ ΡΡΠ΅ΡΠ΅ΡΠΎΠ»ΠΈΡΠΎΡΠΎΠΌΠΈΡ Ρ Π΄ΡΠ΅Π½ΠΈΡΠΎΠ²Π°Π½ΠΈΠ΅ΠΌ ΡΠ°ΡΠ΅ΡΠ½ΠΎ-Π»ΠΎΡ Π°Π½ΠΎΡΠ½ΠΎΠΉ ΡΠΈΡΡΠ΅ΠΌΡ ΠΏΠΎΡΠΊΠΈ. ΠΠ½ΠΎΠ³Π΄Π° ΠΊΠ°ΡΠ΅ΡΠ΅ΡΠΈΠ·Π°ΡΠΈΡ ΠΏΠΎΡΠΊΠΈ Π²ΡΠΏΠΎΠ»Π½ΡΡΡ Ρ ΠΈΡΠΏΠΎΠ»ΡΠ·ΠΎΠ²Π°Π½ΠΈΠ΅ΠΌ ΡΠ°ΠΌΠΎΡΠ΄Π΅ΡΠΆΠΈΠ²Π°ΡΡΠ΅Π³ΠΎΡΡ ΠΌΠΎΡΠ΅ΡΠΎΡΠ½ΠΈΠΊΠΎΠ²ΠΎΠ³ΠΎ ΠΊΠ°ΡΠ΅ΡΠ΅ΡΠ° (ΡΡΠ΅Π½ΡΠ°), ΡΡΠΎ ΠΏΠΎΠ·Π²ΠΎΠ»ΡΠ΅Ρ ΠΊΡΠΏΠΈΡΠΎΠ²Π°ΡΡ Π°ΡΠ°ΠΊΡ ΠΏΠΈΠ΅Π»ΠΎΠ½Π΅ΡΡΠΈΡΠ°, Π° Π² ΠΏΠΎΡΠ»Π΅Π΄ΡΡΡΠ΅ΠΌ ΠΏΡΠΎΠ²Π΅ΡΡΠΈ Π΄ΠΈΡΡΠ°Π½ΡΠΈΠΎΠ½Π½ΡΡ Π»ΠΈΡΠΎΡΡΠΈΠΏΡΠΈΡ ΠΈΠ»ΠΈ Π΄ΡΡΠ³ΠΈΠ΅ ΠΌΠ΅ΡΠΎΠ΄Ρ Π»Π΅ΡΠ΅Π½ΠΈΡ Π½Π΅ΡΡΠΎΠ»ΠΈΡΠΈΠ°Π·Π° (ΠΈΠ·Π²Π»Π΅ΡΠ΅Π½ΠΈΠ΅ ΠΊΠ°ΠΌΠ½Ρ ΡΠΏΠ΅ΡΠΈΠ°Π»ΡΠ½ΡΠΌ ΠΈΠ½ΡΡΡΡΠΌΠ΅Π½ΡΠΎΠΌ ΠΈ Π΄Ρ.).
ΠΠ»Ρ ΡΡΠΈΠ»Π΅Π½ΠΈΡ ΠΈΠΌΠΌΡΠ½ΠΎΡΠ΅Π·ΠΈΡΡΠ΅Π½ΡΠ½ΠΎΡΡΠΈ ΠΏΠΎΠΊΠ°Π·Π°Π½ΠΎ Π½Π°Π·Π½Π°ΡΠ΅Π½ΠΈΠ΅ Π²ΠΈΡΠ°ΠΌΠΈΠ½ΠΎΠ² Π‘, Π6, Π, Π° ΡΠ°ΠΊΠΆΠ΅ ΠΌΠ΅ΡΠΈΠ»ΡΡΠ°ΡΠΈΠ»Π°. Π ΡΡΠ΅Π΄ΡΡΠ²Π°ΠΌ ΠΏΠ°ΡΠΎΠ³Π΅Π½Π΅ΡΠΈΡΠ΅ΡΠΊΠΎΠ³ΠΎ Π²ΠΎΠ·Π΄Π΅ΠΉΡΡΠ²ΠΈΡ ΠΎΡΠ½ΠΎΡΡΡΡΡ ΡΡΠ΅Π½ΡΠ°Π», Π²Π΅Π½ΠΎΡΡΡΠΎΠ½ ΠΈ Π΄ΡΡΠ³ΠΈΠ΅ ΠΏΠΎΠ΄ΠΎΠ±Π½ΡΠ΅ ΠΈΠΌ ΡΡΠ΅Π΄ΡΡΠ²Π°. Π₯ΠΎΡΠΎΡΠΎ Π·Π°ΡΠ΅ΠΊΠΎΠΌΠ΅Π½Π΄ΠΎΠ²Π°Π» ΡΠ΅Π±Ρ ΠΏΡΠΈ ΠΊΠΎΠΌΠΏΠ»Π΅ΠΊΡΠ½ΠΎΠΌ Π»Π΅ΡΠ΅Π½ΠΈΠΈ Π±ΠΎΠ»ΡΠ½ΡΡ Ρ ΠΏΠΈΠ΅Π»ΠΎΠ½Π΅ΡΡΠΈΡΠΎΠΌ ΠΏΡΠΎΡΡΠ°ΡΠΈΠ»Π΅Π½ — ΠΏΡΠ΅ΠΏΠ°ΡΠ°Ρ, ΠΎΠ±Π»Π°Π΄Π°ΡΡΠΈΠΉ Π²ΡΡΠ°ΠΆΠ΅Π½Π½ΡΠΌΠΈ ΠΈΠΌΠΌΡΠ½ΠΎΠΌΠΎΠ΄ΡΠ»ΠΈΡΡΡΡΠΈΠΌΠΈ ΡΠ²ΠΎΠΉΡΡΠ²Π°ΠΌΠΈ ΠΈ ΡΠΏΠΎΡΠΎΠ±Π½ΠΎΡΡΡΡ Π²ΠΎΡΡΡΠ°Π½Π°Π²Π»ΠΈΠ²Π°ΡΡ ΠΌΠΈΠΊΡΠΎΡΠΈΡΠΊΡΠ»ΡΡΠΈΡ.
ΠΠΎΠ΄Π±ΠΈΡΠ°Ρ Π°Π½ΡΠΈΠ±ΠΈΠΎΡΠΈΠΊΠΈ, ΡΠ»Π΅Π΄ΡΠ΅Ρ ΠΎΡΠ΄Π°Π²Π°ΡΡ ΠΏΡΠ΅Π΄ΠΏΠΎΡΡΠ΅Π½ΠΈΠ΅ ΡΠΎΠ²ΡΠ΅ΠΌΠ΅Π½Π½ΡΠΌ ΠΏΡΠ΅ΠΏΠ°ΡΠ°ΡΠ°ΠΌ ΡΠΈΡΠΎΠΊΠΎΠ³ΠΎ ΡΠΏΠ΅ΠΊΡΡΠ° Π΄Π΅ΠΉΡΡΠ²ΠΈΡ. ΠΠ°ΠΆΠ½ΠΎ, ΡΡΠΎΠ±Ρ ΠΎΠ½ΠΈ Π² Π½Π΅ΠΈΠ·ΠΌΠ΅Π½Π΅Π½Π½ΠΎΠΌ Π²ΠΈΠ΄Π΅ ΠΏΡΠΎΡ ΠΎΠ΄ΠΈΠ»ΠΈ ΡΠ΅ΡΠ΅Π· ΠΏΠΎΡΠΊΠΈ ΠΈ Π½Π΅ Π±ΡΠ»ΠΈ ΡΠΎΠΊΡΠΈΡΠ½Ρ. ΠΡΠΈΠΌ ΡΡΠ΅Π±ΠΎΠ²Π°Π½ΠΈΡΠΌ ΠΎΡΠ²Π΅ΡΠ°ΡΡ, Π² ΡΠ°ΡΡΠ½ΠΎΡΡΠΈ, ΡΠΈΡΡΠ°Π½, ΡΠ΅ΡΠ°Π·ΠΎΠ»ΠΈΠ½, ΡΠΈΠΏΡΠΎΡΠ»ΠΎΠΊΡΠ°ΡΠΈΠ½, Π°ΡΠ³ΠΌΠ΅Π½ΡΠΈΠ½, Π°ΠΌΠΎΠΊΡΠΈΠΊΠ»Π°Π². Π ΠΏΠΎΡΠ»Π΅Π΄Π½ΠΈΠ΅ Π³ΠΎΠ΄Ρ ΠΏΡΠ΅Π΄ΠΏΠΎΡΡΠ΅Π½ΠΈΠ΅ ΠΎΡΠ΄Π°ΡΡ ΠΏΠ°ΡΠ΅Π½ΡΠ΅ΡΠ°Π»ΡΠ½ΡΠΌ ΠΈ ΠΏΠ΅ΡΠΎΡΠ°Π»ΡΠ½ΡΠΌ ΡΡΠΎΡΡ ΠΈΠ½ΠΎΠ»ΠΎΠ½Π°ΠΌ, ΠΊΠΎΡΠΎΡΡΠ΅ ΡΡΡΠ΅ΠΊΡΠΈΠ²Π½Ρ ΠΏΠΎ ΠΎΡΠ½ΠΎΡΠ΅Π½ΠΈΡ ΠΊ Π²ΠΎΠ·Π±ΡΠ΄ΠΈΡΠ΅Π»ΡΠΌ ΠΏΠΈΠ΅Π»ΠΎΠ½Π΅ΡΡΠΈΡΠ°.
ΠΠΌΠ΅ΡΡΠ΅ Ρ Π°Π½ΡΠΈΠ±ΠΈΠΎΡΠΈΠΊΠ°ΠΌΠΈ Ρ ΡΡΠΏΠ΅Ρ ΠΎΠΌ ΠΌΠΎΠ³ΡΡ Π±ΡΡΡ ΠΈΡΠΏΠΎΠ»ΡΠ·ΠΎΠ²Π°Π½Ρ ΠΏΡΠ΅ΠΏΠ°ΡΠ°ΡΡ Π½Π°Π»ΠΈΠ΄ΠΈΠΊΡΠΎΠ²ΠΎΠΉ ΠΊΠΈΡΠ»ΠΎΡΡ (5-ΠΠΠ, Π½ΠΈΡΡΠΎΠΊΡΠΎΠ»ΠΈΠ½), Π½ΠΈΡΡΠΎΡΡΡΠ°Π½Ρ (ΡΡΡΠ°Π³ΠΈΠ½, ΡΡΡΠ°Π΄ΠΎΠ½ΠΈΠ½), ΡΠ°ΡΡΠ²ΠΎΡΠΈΠΌΡΠ΅ ΡΡΠ»ΡΡΠ°Π½ΠΈΠ»Π°ΠΌΠΈΠ΄Ρ (Π±ΠΈΡΠ΅ΠΏΡΠΎΠ» ΠΈ Π΄Ρ.).
ΠΠ΅ΠΊΠ°ΡΡΡΠ²Π΅Π½Π½ΠΎΠ΅ Π»Π΅ΡΠ΅Π½ΠΈΠ΅ Π² ΠΏΠΎΡΠ»Π΅ΠΎΠΏΠ΅ΡΠ°ΡΠΈΠΎΠ½Π½ΠΎΠΌ ΠΏΠ΅ΡΠΈΠΎΠ΄Π΅ Ρ Π±ΠΎΠ»ΡΠ½ΡΡ Ρ ΠΎΡΡΡΡΠΌ Π²ΡΠΎΡΠΈΡΠ½ΡΠΌ ΠΏΠΈΠ΅Π»ΠΎΠ½Π΅ΡΡΠΈΡΠΎΠΌ Π΄ΠΎΠ»ΠΆΠ½ΠΎ ΠΏΡΠΎΠ²ΠΎΠ΄ΠΈΡΡΡΡ ΠΏΠΎ ΡΠ΅ΠΌ ΠΆΠ΅ ΠΏΡΠΈΠ½ΡΠΈΠΏΠ°ΠΌ, ΡΡΠΎ ΠΈ ΠΏΡΠΈ ΠΎΡΡΡΠΎΠΌ ΠΏΠ΅ΡΠ²ΠΈΡΠ½ΠΎΠΌ ΠΏΠΈΠ΅Π»ΠΎΠ½Π΅ΡΡΠΈΡΠ΅. ΠΠ»Ρ ΠΏΡΠ΅Π΄ΡΠΏΡΠ΅ΠΆΠ΄Π΅Π½ΠΈΡ Π²ΠΎΠ·ΠΌΠΎΠΆΠ½ΡΡ ΠΏΠΎΡΠ»Π΅ΠΎΠΏΠ΅ΡΠ°ΡΠΈΠΎΠ½Π½ΡΡ ΠΎΡΠ»ΠΎΠΆΠ½Π΅Π½ΠΈΠΉ ΠΈ ΡΠΎΠΊΡΠ°ΡΠ΅Π½ΠΈΡ ΠΏΡΠΎΠ΄ΠΎΠ»ΠΆΠΈΡΠ΅Π»ΡΠ½ΠΎΡΡΠΈ Π²ΠΎΡΡΡΠ°Π½ΠΎΠ²ΠΈΡΠ΅Π»ΡΠ½ΠΎΠ³ΠΎ ΠΏΠ΅ΡΠΈΠΎΠ΄Π° Π½Π΅ΠΎΠ±Ρ ΠΎΠ΄ΠΈΠΌΠΎ Π½Π°Π·Π½Π°ΡΠ΅Π½ΠΈΠ΅ Π»Π΅ΡΠ΅Π±Π½ΠΎΠ³ΠΎ ΠΌΠ°ΡΡΠ°ΠΆΠ°, Π»Π΅ΡΠ΅Π±Π½ΠΎΠΉ ΡΠΈΠ·ΠΊΡΠ»ΡΡΡΡΡ ΠΈ ΡΠΈΠ·ΠΈΠΎΡΠ΅ΡΠ°ΠΏΠ΅Π²ΡΠΈΡΠ΅ΡΠΊΠΈΡ ΠΏΡΠΎΡΠ΅Π΄ΡΡ.
Π ΡΠ»ΡΡΠ°Π΅ Π²ΡΡΠ²Π»Π΅Π½ΠΈΡ ΠΎΡΡΡΠΎΠ³ΠΎ Π³Π½ΠΎΠΉΠ½ΠΎΠ³ΠΎ ΠΏΠΈΠ΅Π»ΠΎΠ½Π΅ΡΡΠΈΡΠ°, Π²Π½Π΅ Π·Π°Π²ΠΈΡΠΈΠΌΠΎΡΡΠΈ ΠΎΡ ΠΊΠΎΠ½ΠΊΡΠ΅ΡΠ½ΠΎΠΉ ΠΌΠΎΡΡΠΎΠ»ΠΎΠ³ΠΈΡΠ΅ΡΠΊΠΎΠΉ ΡΠΎΡΠΌΡ (Π°ΠΏΠΎΡΡΠ΅ΠΌΠ°ΡΠΎΠ·Π½ΡΠΉ ΠΏΠΈΠ΅Π»ΠΎΠ½Π΅ΡΡΠΈΡ, Π°Π±ΡΡΠ΅ΡΡ ΠΈΠ»ΠΈ ΠΊΠ°ΡΠ±ΡΠ½ΠΊΡΠ»), Π½Π΅ΠΎΠ±Ρ ΠΎΠ΄ΠΈΠΌΠΎ ΡΡΠΎΡΠ½ΠΎΠ΅ ΠΎΠΏΠ΅ΡΠ°ΡΠΈΠ²Π½ΠΎΠ΅ Π»Π΅ΡΠ΅Π½ΠΈΠ΅. ΠΠΈΠ½ΠΈΠΌΠ°Π»ΡΠ½ΡΠΉ ΠΎΠ±ΡΠ΅ΠΌ ΠΎΠΏΠ΅ΡΠ°ΡΠΈΠΈ ΠΏΡΠΈ Π°ΠΏΠΎΡΡΠ΅ΠΌΠ°ΡΠΎΠ·Π½ΠΎΠΌ ΠΏΠΈΠ΅Π»ΠΎΠ½Π΅ΡΡΠΈΡΠ΅ — Π΄Π΅ΠΊΠ°ΠΏΡΡΠ»ΡΡΠΈΡ ΠΏΠΎΡΠΊΠΈ (ΡΠ°ΡΡΠ΅ΡΠ΅Π½ΠΈΠ΅ ΠΈ Π²ΡΠ²ΠΎΡΠ°ΡΠΈΠ²Π°Π½ΠΈΠ΅ ΡΠΈΠ±ΡΠΎΠ·Π½ΠΎΠΉ ΠΊΠ°ΠΏΡΡΠ»Ρ) ΠΈ Π½Π΅ΡΡΠΎΡΡΠΎΠΌΠΈΡ (Π΄ΡΠ΅Π½ΠΈΡΠΎΠ²Π°Π½ΠΈΠ΅ ΠΏΠΎΡΠ΅ΡΠ½ΠΎΠΉ Π»ΠΎΡ Π°Π½ΠΊΠΈ).
ΠΡΠΈ ΠΎΠ±ΡΠ΅ΠΌ ΡΡΠΆΠ΅Π»ΠΎΠΌ ΡΠΎΡΡΠΎΡΠ½ΠΈΠΈ Π±ΠΎΠ»ΡΠ½ΠΎΠ³ΠΎ Π²ΡΠ»Π΅Π΄ΡΡΠ²ΠΈΠ΅ ΡΠΏΠ»ΠΎΡΠ½ΠΎΠ³ΠΎ Π²ΠΎΠ²Π»Π΅ΡΠ΅Π½ΠΈΡ ΠΏΠΎΡΠΊΠΈ Π² Π²ΠΎΡΠΏΠ°Π»ΠΈΡΠ΅Π»ΡΠ½ΡΠΉ ΠΏΡΠΎΡΠ΅ΡΡ ΠΈ ΡΠ°Π·Π²ΠΈΡΠΈΡ ΡΡΠΎΡΠ΅ΠΏΡΠΈΡΠ° ΠΏΠΎΠΊΠ°Π·Π°Π½Π° Π½Π΅ΡΡΡΠΊΡΠΎΠΌΠΈΡ. Π ΠΏΠΎΠ΄ΠΎΠ±Π½ΡΡ ΡΠ»ΡΡΠ°ΡΡ Π½Π΅ΠΎΠ±Ρ ΠΎΠ΄ΠΈΠΌΠΎ ΠΈΠΌΠ΅ΡΡ ΡΡΠ½ΠΎΠ΅ ΠΏΡΠ΅Π΄ΡΡΠ°Π²Π»Π΅Π½ΠΈΠ΅ ΠΎ ΡΡΠ½ΠΊΡΠΈΠΈ ΠΏΡΠΎΡΠΈΠ²ΠΎΠΏΠΎΠ»ΠΎΠΆΠ½ΠΎΠΉ ΠΏΠΎΡΠΊΠΈ.
ΠΡΠΈ ΠΊΠ°ΡΠ±ΡΠ½ΠΊΡΠ»Π΅ ΠΈ Π°Π±ΡΡΠ΅ΡΡΠ΅ ΠΏΠΎΡΠΊΠΈ, Π΅ΡΠ»ΠΈ ΠΏΠΎΠ·Π²ΠΎΠ»ΡΠ΅Ρ ΠΎΠ±ΡΠ΅Π΅ ΡΠΎΡΡΠΎΡΠ½ΠΈΠ΅ Π±ΠΎΠ»ΡΠ½ΠΎΠ³ΠΎ ΠΈ Π΅ΡΡΡ ΠΎΡΠ½ΠΎΠ²Π°Π½ΠΈΡ Π½Π°Π΄Π΅ΡΡΡΡΡ Π½Π° Π²ΠΎΡΡΡΠ°Π½ΠΎΠ²Π»Π΅Π½ΠΈΠ΅ Π΅Π΅ ΡΡΠ½ΠΊΡΠΈΠΈ, ΠΏΠΎΠΊΠ°Π·Π°Π½ΠΎ Π²ΡΠΏΠΎΠ»Π½Π΅Π½ΠΈΠ΅ ΠΎΡΠ³Π°Π½ΠΎΡΠΎΡ ΡΠ°Π½ΡΡΡΠΈΡ ΠΎΠΏΠ΅ΡΠ°ΡΠΈΠΉ. ΠΠ½ΠΈ Π·Π°ΠΊΠ»ΡΡΠ°ΡΡΡΡ Π² Π΄Π΅ΠΊΠ°ΠΏΡΡΠ»ΡΡΠΈΠΈ ΠΏΠΎΡΠΊΠΈ, ΠΊΡΠ΅ΡΡΠΎΠΎΠ±ΡΠ°Π·Π½ΠΎΠΌ ΡΠ°ΡΡΠ΅ΡΠ΅Π½ΠΈΠΈ Π³Π½ΠΎΠΉΠ½ΠΈΠΊΠ°. ΠΠ±ΡΠ·Π°ΡΠ΅Π»ΡΠ½ΠΎ Π΄ΡΠ΅Π½ΠΈΡΠΎΠ²Π°Π½ΠΈΠ΅ Π³Π½ΠΎΠΉΠ½ΠΎΠΉ ΠΏΠΎΠ»ΠΎΡΡΠΈ, Π° ΠΏΡΠΈ Π½Π°ΡΡΡΠ΅Π½Π½ΠΎΠΌ ΠΎΡΡΠΎΠΊΠ΅ ΠΌΠΎΡΠΈ ΠΈΠ· Π»ΠΎΡ Π°Π½ΠΊΠΈ — Π΅Π΅ Π΄ΡΠ΅Π½ΠΈΡΠΎΠ²Π°Π½ΠΈΠ΅.
Π‘ ΡΡΠ΅ΡΠΎΠΌ ΡΡΠΆΠ΅ΡΡΠΈ ΠΎΠ±ΡΠ΅Π³ΠΎ ΡΠΎΡΡΠΎΡΠ½ΠΈΡ Π±ΠΎΠ»ΡΠ½ΡΡ Ρ Π³Π½ΠΎΠΉΠ½ΡΠΌ ΠΏΠΈΠ΅Π»ΠΎΠ½Π΅ΡΡΠΈΡΠΎΠΌ Π² ΠΏΠΎΡΠ»Π΅ΠΎΠΏΠ΅ΡΠ°ΡΠΈΠΎΠ½Π½ΠΎΠΌ ΠΏΠ΅ΡΠΈΠΎΠ΄Π΅ ΠΏΠΎΠΊΠ°Π·Π°Π½ΠΎ Π½Π°Π±Π»ΡΠ΄Π΅Π½ΠΈΠ΅ Π·Π° Π½ΠΈΠΌΠΈ Π² ΠΎΡΠ΄Π΅Π»Π΅Π½ΠΈΠΈ (ΠΏΠ°Π»Π°ΡΠ΅) ΠΈΠ½ΡΠ΅Π½ΡΠΈΠ²Π½ΠΎΠΉ ΡΠ΅ΡΠ°ΠΏΠΈΠΈ. ΠΠ΅ΡΠ΅Π½ΠΈΠ΅ ΡΠ°ΠΊΠΈΡ Π±ΠΎΠ»ΡΠ½ΡΡ Π½Π΅ΠΎΠ±Ρ ΠΎΠ΄ΠΈΠΌΠΎ Π΄ΠΎΠΏΠΎΠ»Π½ΠΈΡΡ Π½Π°Π·Π½Π°ΡΠ΅Π½ΠΈΠ΅ΠΌ ΠΈΠΌΠΌΡΠ½ΠΎΠΌΠΎΠ΄ΡΠ»ΡΡΠΎΡΠΎΠ² ΠΈ ΡΠΏΠ°Π·ΠΌΠΎΠ»ΠΈΡΠΈΠΊΠΎΠ². ΠΠ»Ρ Π΄Π΅Π·ΠΈΠ½ΡΠΎΠΊΡΠΈΠΊΠ°ΡΠΈΠΈ Π²Π½ΡΡΡΠΈΠ²Π΅Π½Π½ΠΎ Π²Π²ΠΎΠ΄ΡΡ ΡΠΎΠ»Π΅Π²ΡΠ΅ ΡΠ°ΡΡΠ²ΠΎΡΡ ΠΈ Π΄ΠΈΡΡΠ΅ΡΠΈΠΊΠΈ ΠΏΠΎΠ΄ ΠΊΠΎΠ½ΡΡΠΎΠ»Π΅ΠΌ Π±Π°Π»Π°Π½ΡΠ° ΡΠ»Π΅ΠΊΡΡΠΎΠ»ΠΈΡΠΎΠ².
ΠΡΠΎΠ³Π½ΠΎΠ·. ΠΡΠΈ ΠΎΡΡΡΠΎΠΌ ΠΏΠ΅ΡΠ²ΠΈΡΠ½ΠΎΠΌ ΠΏΠΈΠ΅Π»ΠΎΠ½Π΅ΡΡΠΈΡΠ΅ ΠΏΡΠΎΠ³Π½ΠΎΠ· Π±Π»Π°Π³ΠΎΠΏΡΠΈΡΡΠ΅Π½, Π½ΠΎ Π΅ΡΠ»ΠΈ Π·Π°Π±ΠΎΠ»Π΅Π²Π°Π½ΠΈΠ΅ ΠΏΠ΅ΡΠ΅Ρ ΠΎΠ΄ΠΈΡ Π² Ρ ΡΠΎΠ½ΠΈΡΠ΅ΡΠΊΡΡ ΡΠΎΡΠΌΡ, ΡΠΎ ΠΏΡΠΈ ΡΠ°Π·Π²ΠΈΡΠΈΠΈ ΠΎΡΠ»ΠΎΠΆΠ½Π΅Π½ΠΈΠΉ (Ρ ΡΠΎΠ½ΠΈΡΠ΅ΡΠΊΠ°Ρ ΠΏΠΎΡΠ΅ΡΠ½Π°Ρ Π½Π΅Π΄ΠΎΡΡΠ°ΡΠΎΡΠ½ΠΎΡΡΡ, Π½Π΅ΡΡΠΎΠ³Π΅Π½Π½Π°Ρ Π°ΡΡΠ΅ΡΠΈΠ°Π»ΡΠ½Π°Ρ Π³ΠΈΠΏΠ΅ΡΡΠ΅Π½Π·ΠΈΡ ΠΈ Π΄Ρ.) ΠΏΡΠΎΠ³Π½ΠΎΠ· ΡΡΠ°Π½ΠΎΠ²ΠΈΡΡΡ Π½Π΅Π±Π»Π°Π³ΠΎΠΏΡΠΈΡΡΠ½ΡΠΌ.
studfiles.net
ΠΡΡΡΡΠΉ ΠΏΠΈΠ΅Π»ΠΎΠ½Π΅ΡΡΠΈΡ
ΠΡΠΈΡΠΈΠ½Ρ, ΡΠΈΠΌΠΏΡΠΎΠΌΡ, ΡΠ°ΠΊΡΠΈΠΊΠ° Π»Π΅ΡΠ΅Π½ΠΈΡ ΠΎΡΡΡΠΎΠ³ΠΎ ΠΏΠΈΠ΅Π»ΠΎΠ½Π΅ΡΡΠΈΡΠ°
ΠΠ± ΠΎΡΡΡΠΎΠΌ ΠΏΠΈΠ΅Π»ΠΎΠ½Π΅ΡΡΠΈΡΠ΅ Π³ΠΎΠ²ΠΎΡΡΡ, ΠΊΠΎΠ³Π΄Π° Π² ΡΠ°ΡΠ΅ΡΠΊΠ°Ρ ΠΈ Π»ΠΎΡ Π°Π½ΠΊΠ°Ρ ΠΏΠΎΡΠ΅ΠΊ ΡΠ°Π·Π²ΠΈΠ²Π°Π΅ΡΡΡ Π³Π½ΠΎΠΉΠ½ΠΎΠ΅ Π²ΠΎΡΠΏΠ°Π»Π΅Π½ΠΈΠ΅. ΠΠΈΠ΅Π»ΠΎΠ½Π΅ΡΡΠΈΡ ΡΠ°ΡΡΠΎ Π΄ΠΈΠ°Π³Π½ΠΎΡΡΠΈΡΡΡΡ Ρ ΠΆΠ΅Π½ΡΠΈΠ½ ΠΈ Ρ ΠΌΡΠΆΡΠΈΠ½ ΡΒ Π°Π΄Π΅Π½ΠΎΠΌΠΎΠΉ ΠΏΡΠΎΡΡΠ°ΡΡ, ΠΊΠΎΠ³Π΄Π° ΠΎΡΡΠΎΠΊ ΠΌΠΎΡΠΈ Π·Π°ΡΡΡΠ΄Π½ΡΠ΅ΡΡΡ, ΡΠ°Π·ΠΌΠ½ΠΎΠΆΠ°Π΅ΡΡΡ Π±ΠΎΠ»ΡΡΠ΅ Π±Π°ΠΊΡΠ΅ΡΠΈΠΉ. ΠΠ± ΠΎΡΠΎΠ±Π΅Π½Π½ΠΎΡΡΡΡ ΠΎΡΡΡΠΎΠ³ΠΎ ΠΏΠΈΠ΅Π»ΠΎΠ½Π΅ΡΡΠΈΡΠ° ΠΏΠΎΠ³ΠΎΠ²ΠΎΡΠΈΠΌ Π² ΡΡΠΎΠΉ ΡΡΠ°ΡΡΠ΅.
ΠΡΠΈΡΠΈΠ½Ρ ΠΎΡΡΡΠΎΠ³ΠΎ ΠΏΠΈΠ΅Π»ΠΎΠ½Π΅ΡΡΠΈΡΠ°
ΠΠΈΠΊΡΠΎΠ±Ρ, ΠΈΠ·-Π·Π° ΠΊΠΎΡΠΎΡΡΡ ΡΠ°Π·Π²ΠΈΠ²Π°Π΅ΡΡΡ ΠΎΡΡΡΡΠΉ ΠΏΠΈΠ΅Π»ΠΎΠ½Π΅ΡΡΠΈΡ, ΠΏΡΠΎΠ½ΠΈΠΊΠ°ΡΡ Π² ΠΏΠΎΡΠΊΠΈ ΡΠ΅ΡΠ΅Π· ΠΊΡΠΎΠ²Ρ ΠΈ ΠΌΠΎΡΠ΅ΡΠΎΡΠ½ΠΈΠΊΠΈ. Π ΠΏΠ΅ΡΠ²ΠΎΠΌ ΡΠ»ΡΡΠ°Π΅ ΠΏΡΠΈΡΠΈΠ½ΠΎΠΉ ΠΌΠΎΠ³ΡΡ Π±ΡΡΡ Π³Π½ΠΎΠΉΠ½ΡΠ΅ ΠΈ ΠΈΠ½ΡΠ΅ΠΊΡΠΈΠΎΠ½Π½ΡΠ΅ Π·Π°Π±ΠΎΠ»Π΅Π²Π°Π½ΠΈΡ: ΡΡΡΡΠ½ΠΊΡΠ»ΡΠ· ΡΒ Ρ ΡΠΎΠ½ΠΈΡΠ΅ΡΠΊΠΈΠΌ ΡΠΎΠ½Π·ΠΈΠ»Π»ΠΈΡΠΎΠΌ, ΠΎΡΡΠ΅ΠΎΠΌΠΈΠ΅Π»ΠΈΡΠΎΠΌ, Π·Π°ΡΡΠΆΠ½ΡΠΌ ΡΠ΅ΠΏΡΠΈΡΠ΅ΡΠΊΠΈΠΌ ΡΠ½Π΄ΠΎΠΊΠ°ΡΠ΄ΠΈΡΠΎΠΌ ΠΈ Π΄Ρ. ΠΠΎ Π²ΡΠΎΡΠΎΠΌ β ΠΊΠΈΡΠ΅ΡΠ½ΡΠ΅ Π±Π°ΠΊΡΠ΅ΡΠΈΠΈ, Π½Π°ΠΏΡΠΈΠΌΠ΅Ρ, ΠΏΠ°Π»ΠΎΡΠΊΠ°. Π ΠΈΡΠΊ ΡΠ°ΡΡΡΡ ΠΏΡΠΈ Π±ΠΎΠ»Π΅Π·Π½ΡΡ ΠΌΠΎΡΠ΅Π²ΡΠ²ΠΎΠ΄ΡΡΠΈΡ ΠΏΡΡΠ΅ΠΉ, ΠΊΠΎΠ³Π΄Π° ΡΡΡΠ΄Π½ΠΎ Ρ ΠΎΠ΄ΠΈΡΡ Π² ΡΡΠ°Π»Π΅Ρ: ΡΠΊΠ°ΠΆΠ΅ΠΌ, Π²ΡΠΎΠΆΠ΄ΡΠ½Π½ΡΠ΅ Π°Π½ΠΎΠΌΠ°Π»ΠΈΠΈ Ρ ΠΊΠ°ΠΌΠ½ΡΠΌΠΈ, ΠΎΠΏΡΡ ΠΎΠ»Π΅Π²ΠΈΠ΄Π½ΡΠΌΠΈ ΠΎΠ±ΡΠ°Π·ΠΎΠ²Π°Π½ΠΈΡΠΌΠΈ Π² ΠΌΠΎΡΠ΅Π²ΡΠ²ΠΎΠ΄ΡΡΠΈΡ ΠΏΡΡΡΡ . Π‘ΡΠ΄Π° ΠΆΠ΅ ΠΎΡΠ½ΠΎΡΠΈΡΡΡ Π±Π΅ΡΠ΅ΠΌΠ΅Π½Π½ΠΎΡΡΡ. ΠΠ΅Π΄Π°Π²Π½ΠΈΠ΅ Π³Π½ΠΎΠΉΠ½ΡΠ΅ ΠΈΠ»ΠΈ ΠΈΠ½ΡΠ΅ΠΊΡΠΈΠΎΠ½Π½ΡΠ΅ Π±ΠΎΠ»Π΅Π·Π½ΠΈ, Π² ΡΠΎΠΌ ΡΠΈΡΠ»Π΅ Π½ΠΈΠΆΠ½ΠΈΡ ΠΌΠΎΡΠ΅Π²ΡΠ²ΠΎΠ΄ΡΡΠΈΡ ΠΏΡΡΠ΅ΠΉ, ΡΠΆΠ΅ ΡΠ»ΡΡΠ°Π²ΡΠΈΠΉΡΡ ΠΏΠΈΠ΅Π»ΠΎΠ½Π΅ΡΡΠΈΡ ΡΠ°ΠΊΠΆΠ΅ Π²Π»ΠΈΡΡΡ.
Π‘ΠΈΠΌΠΏΡΠΎΠΌΡ ΠΎΡΡΡΠΎΠ³ΠΎ ΠΏΠΈΠ΅Π»ΠΎΠ½Π΅ΡΡΠΈΡΠ°
ΠΠΎΡΠΏΠ°Π»Π΅Π½ΠΈΠ΅ ΠΈ Π³Π½ΠΎΠΉ Π·Π°ΡΡΠ°Π³ΠΈΠ²Π°ΡΡ Π²ΡΠ΅ ΠΏΠ°ΡΠ΅Π½Ρ ΠΈΠΌΡ ΠΏΠΎΡΠ°ΠΆΡΠ½Π½ΠΎΠΉ ΠΏΠΎΡΠΊΠΈ. ΠΠΎΠ³Π΄Π° ΡΠ»ΠΈΠ²Π°ΡΡΡΡ ΠΌΠ΅Π»ΠΊΠΈΠ΅ Π³Π½ΠΎΠΉΠ½ΡΠ΅ ΠΎΡΠ°Π³ΠΈ, ΠΎΠ±ΡΠ°Π·ΡΠ΅ΡΡΡ ΠΊΡΡΠΏΠ½ΡΠΉ Π³Π½ΠΎΠΉΠ½ΠΈΠΊ β ΠΊΠ°ΡΠ±ΡΠ½ΠΊΡΠ». ΠΠ½ ΠΈ ΠΌΠ΅Π»ΠΊΠΈΠ΅ Π°Π±ΡΡΠ΅ΡΡΡ ΠΈΠ½ΠΎΠ³Π΄Π° ΠΌΠΎΠ³ΡΡ Π²ΡΠΊΡΡΡΡΡΡ Π² ΡΠ°ΡΠ΅ΡΠΊΡ ΠΈΠ»ΠΈ Π»ΠΎΡ Π°Π½ΠΊΡ, ΠΏΠΎΡΠ²Π»ΡΠ΅ΡΡΡ ΠΏΠΈΡΡΠΈΡ (ΠΊΠΎΠ³Π΄Π° Ρ ΠΌΠΎΡΠΎΠΉ Π²ΡΠ΄Π΅Π»ΡΠ΅ΡΡΡ Π³Π½ΠΎΠΉ), ΠΏΠ°ΡΠ°Π½Π΅ΡΡΠΈΡ (Π²ΠΎΡΠΏΠ°Π»ΡΠ΅ΡΡΡ ΠΎΠΊΠΎΠ»ΠΎΠΏΠΎΡΠ΅ΡΠ½Π°Ρ ΠΊΠ»Π΅ΡΡΠ°ΡΠΊΠ°). ΠΠ°ΠΆΠ΅ Π΅ΡΠ»ΠΈ Π²ΡΠ·Π΄ΠΎΡΠΎΠ²Π΅ΡΡ, ΡΠ°ΠΌ, Π³Π΄Π΅ Π±ΡΠ»ΠΈ Π³Π½ΠΎΠΉΠ½ΡΠ΅ ΠΎΡΠ°Π³ΠΈ, ΠΏΠΎΡΠ²Π»ΡΡΡΡΡ ΡΡΠ±ΡΡ. ΠΡΠΈ ΠΏΠΎΠ²ΡΠΎΡΠ΅Π½ΠΈΠΈ Π²ΠΎΡΠΏΠ°Π»Π΅Π½ΠΈΡ ΠΈΠ»ΠΈ Π΅Π³ΠΎ ΡΠ°ΡΠΏΡΠΎΡΡΡΠ°Π½Π΅Π½Π½ΠΎΡΡΠΈ, ΠΏΠΎΡΠΊΠ° ΡΠΎ Π²ΡΠ΅ΠΌΠ΅Π½Π΅ΠΌ ΡΠΌΠΎΡΡΠΈΠ²Π°Π΅ΡΡΡ. Π‘ΠΏΡΡΠ½ΠΈΠΊΠΈ ΠΏΠΈΠ΅Π»ΠΎΠ½Π΅ΡΡΠΈΡΠ° β ΠΎΠ·Π½ΠΎΠ± Ρ ΠΏΠΎΠ²ΡΡΠ΅Π½Π½ΠΎΠΉ ΡΠ΅ΠΌΠΏΠ΅ΡΠ°ΡΡΡΠΎΠΉ Π΄ΠΎ 39Π‘ ΠΈ Π²ΡΡΠ΅, Π±ΠΎΠ»ΠΈ Π² ΠΏΠΎΡΡΠ½ΠΈΡΠ΅, Π±ΠΎΠ»Π΅Π·Π½Π΅Π½Π½ΠΎΠ΅ ΠΌΠΎΡΠ΅ΠΈΡΠΏΡΡΠΊΠ°Π½ΠΈΠ΅ (ΡΠ°ΡΡΠΎ ΡΠ°ΠΊΠΆΠ΅ ΠΏΡΠΈΠ·Π½Π°ΠΊ Π²ΠΎΡΠΏΠ°Π»Π΅Π½ΠΈΡ ΠΌΠΎΡΠ΅Π²ΠΎΠ³ΠΎ ΠΏΡΠ·ΡΡΡ Ρ ΡΡΠ΅ΡΡΠΎΠΉ), ΠΎΠ±Π΅Π·Π²ΠΎΠΆΠΈΠ²Π°Π½ΠΈΠ΅ ΠΈ ΠΎΡΡΠ°Π²Π»Π΅Π½ΠΈΠ΅ ΠΎΡΠ³Π°Π½ΠΈΠ·ΠΌΠ°, Π³ΠΎΠ»ΠΎΠ²Π½Π°Ρ Π±ΠΎΠ»Ρ Ρ Π½Π°ΡΡΡΠ΅Π½ΠΈΠ΅ΠΌ ΡΠ°Π±ΠΎΡΡ ΠΎΡΠ³Π°Π½ΠΎΠ² ΠΏΠΈΡΠ΅Π²Π°ΡΠ΅Π½ΠΈΡ. ΠΠΎΠΆΠ½ΠΎ ΠΏΠΎΡΡΠ²ΡΡΠ²ΠΎΠ²Π°ΡΡ ΡΡΠΏΡΡ Π±ΠΎΠ»Ρ, ΡΠ°ΠΌ, Π³Π΄Π΅ ΠΏΠΎΡΠΊΠΈ (Π²ΠΎ Π²ΡΠ΅ΠΌΡ ΠΏΠΎΡΡΡΠΊΠΈΠ²Π°Π½ΠΈΡ ΠΏΠΎ ΠΏΠΎΡΡΠ½ΠΈΡΠ΅ ΠΈΠ»ΠΈ ΠΏΡΠΎΠΈΠ·Π²ΠΎΠ»ΡΠ½ΠΎ), ΠΊΠΎΡΠΎΡΠ°Ρ ΡΡΠ°Π½ΠΎΠ²ΠΈΡΡΡ ΡΠΈΠ»ΡΠ½Π΅ΠΉ Π²ΠΎ Π²ΡΠ΅ΠΌΡ Π΄Π²ΠΈΠΆΠ΅Π½ΠΈΡ ΠΈΠ»ΠΈ ΠΎΡΡΠΏΡΠ²Π°Π½ΠΈΡ.
ΠΡΠΎΠ±Π΅Π½Π½ΠΎΡΡΠΈ Π΄ΠΈΠ°Π³Π½ΠΎΡΡΠΈΠΊΠΈ ΠΎΡΡΡΠΎΠ³ΠΎ ΠΏΠΈΠ΅Π»ΠΎΠ½Π΅ΡΡΠΈΡΠ°
ΠΠ±ΡΠ»Π΅Π΄ΠΎΠ²Π°Π½ΠΈΠ΅ ΠΏΡΠΎΠ²ΠΎΠ΄ΠΈΡΡΡ ΡΠΏΠ΅ΡΠΈΠ°Π»ΠΈΡΡΠ°ΠΌΠΈ: ΠΊΡΠΎΠΌΠ΅ ΠΎΠ±ΡΠ΅Π³ΠΎ ΠΎΡΠΌΠΎΡΡΠ° ΠΎΠΏΡΠ΅Π΄Π΅Π»ΡΠ΅ΡΡΡ ΠΊΠΎΠ»ΠΈΡΠ΅ΡΡΠ²ΠΎ Π±Π°ΠΊΡΠ΅ΡΠΈΠΉ, Π»Π΅ΠΉΠΊΠΎΡΠΈΡΠΎΠ², Π±Π΅Π»ΠΊΠ° Π² ΠΌΠΎΡΠ΅. ΠΡΠ»ΠΈ Π² ΠΎΠ΄Π½ΠΎΠΌ ΠΌΠΈΠ»Π»ΠΈΠ»ΠΈΡΡΠ΅ ΠΌΠΎΡΠΈ ΠΎΠ±Π½Π°ΡΡΠΆΠ΅Π½ΠΎ 50000 β 100000 ΠΈ Π±ΠΎΠ»ΡΡΠ΅ ΠΌΠΈΠΊΡΠΎΠ±ΠΎΠ² β ΡΡΠΎ Π³ΠΎΠ²ΠΎΡΠΈΡ ΠΎ ΠΏΠΈΠ΅Π»ΠΎΠ½Π΅ΡΡΠΈΡΠ΅.
ΠΡΡΡΡΠΉ ΠΏΠΈΠ΅Π»ΠΎΠ½Π΅ΡΡΠΈΡ Π²ΡΡΠ°ΠΆΠ°Π΅ΡΡΡ Π² ΡΠ°Π·Π½ΡΡ ΡΠΎΡΠΌΠ°Ρ . ΠΠ°ΠΏΡΠΈΠΌΠ΅Ρ, Π²ΠΎ Π²ΡΠ΅ΠΌΡ ΠΎΡΡΡΠ΅ΠΉΡΠ΅ΠΉ ΡΠΎΡΠΌΡ ΠΎΠ±ΡΠ΅Π΅ ΠΎΡΡΡΠ΅Π½ΠΈΠ΅ ΡΡΠ³ΠΎΡΡΠ½ΠΎ, Π΅ΡΡΡ ΡΠ΅ΠΌΠΏΠ΅ΡΠ°ΡΡΡΠ° Ρ ΠΎΠ·Π½ΠΎΠ±ΠΎΠΌ ΠΈ ΡΠΊΡΠ΄Π½ΡΠΌΠΈ ΠΏΡΠΎΡΠ²Π»Π΅Π½ΠΈΡΠΌΠΈ Π±ΠΎΠ»Π΅Π·Π½ΠΈ. ΠΡΠΎΡΠ°Ρ ΡΠΎΡΠΌΠ° β ΠΎΡΠ³Π°Π½ΠΈΠ·ΠΌ ΠΎΠ±Π΅Π·Π²ΠΎΠΆΠ΅Π½, ΡΠΌΠ΅ΡΠ΅Π½Π½ΠΎ ΠΎΡΡΠ°Π²Π»Π΅Π½, Π²ΡΡΠ°ΠΆΠ΅Π½Ρ ΠΌΠ΅ΡΡΠ½ΡΠ΅ ΡΠΈΠΌΠΏΡΠΎΠΌΡ. Π ΠΏΠΎΠ΄ΠΎΡΡΡΠΎΠΉ ΡΠΎΡΠΌΠ΅ ΠΏΡΠΎΡΠ²Π»ΡΡΡΡΡ ΠΌΠ΅ΡΡΠ½ΡΠ΅ ΡΠΈΠΌΠΏΡΠΎΠΌΡ, Π° Π² Π»Π°ΡΠ΅Π½ΡΠ½ΠΎΠΉ β Π½Π΅Ρ Π½ΠΈΠΊΠ°ΠΊΠΎΠΉ ΡΠ³ΡΠΎΠ·Ρ, ΠΎΠ΄Π½Π°ΠΊΠΎ ΡΠ΅ΡΠΈΠ΄ΠΈΠ²Ρ ΠΏΡΠΈΠ²ΠΎΠ΄ΡΡ ΠΊ ΡΠΌΠΎΡΡΠΈΠ²Π°Π½ΠΈΡ ΠΏΠΎΡΠΊΠΈ.
Π’Π°ΠΊΡΠΈΠΊΠ° Π»Π΅ΡΠ΅Π½ΠΈΡ ΠΎΡΡΡΠΎΠ³ΠΎ ΠΏΠΈΠ΅Π»ΠΎΠ½Π΅ΡΡΠΈΡΠ°
ΠΠΎΡΡΠ΅Π»ΡΠ½ΡΠΉ ΡΠ΅ΠΆΠΈΠΌ ΡΠ΅ΠΊΠΎΠΌΠ΅Π½Π΄ΡΠ΅ΡΡΡ Π² ΠΎΡΡΡΡΠΉ ΠΏΠ΅ΡΠΈΠΎΠ΄, Π° ΡΠ°ΠΊΠΆΠ΅ ΠΏΡΠΈ ΡΡΠΊΠΈΡ ΡΠΈΠΌΠΏΡΠΎΠΌΠ°Ρ , ΠΎΡΡΠ°Π²Π»Π΅Π½ΠΈΠΈ. ΠΡΠΆΠ½Π° Π΄ΠΈΠ΅ΡΠ° β7, Π² ΠΊΠΎΡΠΎΡΠΎΠΉ 4-5 ΡΠ°Π·ΠΎΠ²ΠΎΠ΅ ΠΏΠΈΡΠ°Π½ΠΈΠ΅, ΠΈΡΠΊΠ»ΡΡΠ°Ρ ΠΎΡΡΡΡΠ΅ ΠΏΡΠΈΠΏΡΠ°Π²Ρ, Ρ ΡΠ΅Π½ Ρ ΡΠ΅Π΄ΠΈΡΠΎΠΌ, Π»ΡΠΊΠΎΠΌ, ΡΠΊΡΠΎΠΏΠΎΠΌ, ΠΊΠΎΡΠ΅. ΠΠΈΡΡ Π½ΡΠΆΠ½ΠΎ ΠΏΠΎ Π΄Π²Π°-ΡΡΠΈ Π»ΠΈΡΡΠ° ΠΆΠΈΠ΄ΠΊΠΎΡΡΠΈ Π² Π΄Π΅Π½Ρ Π² Π²ΠΈΠ΄Π΅ ΠΌΠΎΠ»ΠΎΡΠ½ΡΡ Π½Π°ΠΏΠΈΡΠΊΠΎΠ², ΠΊΠΎΠΌΠΏΠΎΡΠΎΠ², ΠΊΠΈΡΠ΅Π»Π΅ΠΉ, ΡΡΡΠΊΡΠΎΠ²ΡΡ ΡΠΎΠΊΠΎΠ², ΠΌΠΈΠ½Π΅ΡΠ°Π»ΡΠ½ΡΡ Π²ΠΎΠ΄ ΠΈ Ρ.Π΄, Π΅ΡΠ»ΠΈ Π½Π΅Ρ ΠΎΡΡΠΊΠΎΠ², ΠΌΠΎΡΠ° Π½Π΅ Π·Π°Π΄Π΅ΡΠΆΠΈΠ²Π°Π΅ΡΡΡ Π² ΠΎΡΠ³Π°Π½ΠΈΠ·ΠΌΠ΅. ΠΠΎΠ³Π΄Π° ΡΠ΅ΠΌΠΏΠ΅ΡΠ°ΡΡΡΠ° Ρ Π°Π½Π°Π»ΠΈΠ·Π°ΠΌΠΈ ΠΌΠΎΡΠΈ ΠΏΡΠΈΠ΄ΡΡ Π² Π½ΠΎΡΠΌΡ, ΡΠΎ Π΅ΡΡΡ ΠΏΡΠΎΠΉΠ΄ΡΡ ΠΎΡΡΡΡΠΉ ΠΏΠ΅ΡΠΈΠΎΠ΄, ΠΌΠΎΠΆΠ½ΠΎ ΠΏΠΈΡΠ°ΡΡΡΡ ΠΊΠ°ΠΊ ΠΎΠ±ΡΡΠ½ΠΎ, ΡΠΎΠ»ΡΠΊΠΎ Π±Π΅Π· ΠΎΡΡΡΡΡ Π±Π»ΡΠ΄.
ΠΠ΅ΡΠΈΡΡΡ ΠΎΡΡΡΡΠΉ ΠΏΠΈΠ΅Π»ΠΎΠ½Π΅ΡΡΠΈΡ Ρ ΠΏΠΎΠΌΠΎΡΡΡ Π°Π½ΡΠΈΠ±Π°ΠΊΡΠ΅ΡΠΈΠ°Π»ΡΠ½ΠΎΠΉ ΡΠ΅ΡΠ°ΠΏΠΈΠΈ. ΠΠ°ΠΏΡΠΈΠΌΠ΅Ρ, ΡΡΡΠ°Π³ΠΈΠ½ 0,05 ΠΏΠΎ 2 ΡΠ°Π±Π»Π΅ΡΠΊΠΈ ΡΡΠΈ ΡΠ°Π·Π° Π² Π΄Π΅Π½Ρ Ρ Π½Π΅Π²ΠΈΠ³ΡΠ°ΠΌΠΎΠ½ΠΎΠΌ ΠΏΠΎ Π½Π΅ΡΠΊΠΎΠ»ΡΠΊΠΎ ΠΊΠ°ΠΏΡΡΠ» ΡΠ΅ΡΡΡΠ΅ ΡΠ°Π·Π° Π² Π΄Π΅Π½Ρ, 5-ΠΠΠ-ΠΎΠΌ ΠΏΠΎ Π΄Π²Π° Π΄ΡΠ°ΠΆΠ΅ Π΄ΠΎ ΡΠ΅ΡΡΡΡΡ ΡΠ°Π· Π² ΡΠ΅ΡΠ΅Π½ΠΈΠ΅ Π΄Π½Ρ, ΡΡΠΈΡΡΠΎΠΌΠΈΡΠΈΠ½ΠΎΠΌ ΠΏΠΎ 0,25 Π³, ΡΡΠ»ΡΡΠ°Π½ΠΈΠ»Π°ΠΌΠΈΠ΄Π°ΠΌΠΈ (ΡΡΠ°Π·ΠΎΠ» ΠΏΠΎ ΠΎΠ΄Π½ΠΎΠΌΡ Π³ΡΠ°ΠΌΠΌΡ ΡΠ°Π· Π² Π΄Π΅Π½Ρ, ΡΡΠ»ΡΡΠ°Π΄ΠΈΠΌΠ΅ΡΠΎΠΊΡΠΈΠ½ ΠΏΠΎ 0,5 Π³ Π½Π΅ΡΠΊΠΎΠ»ΡΠΊΠΎ ΡΠ°Π· Π² Π΄Π΅Π½Ρ). ΠΠ°Π·Π½Π°ΡΠ°Π΅ΡΡΡ ΡΠ°ΠΊΠΆΠ΅ Π±ΠΈΡΠ΅ΠΏΡΠΎΠ» β Π΄Π²Π΅ ΡΠ°Π±Π»Π΅ΡΠΊΠΈ 2 ΡΠ°Π·Π° Π² Π΄Π΅Π½Ρ. ΠΠ½ΡΠΈΠ±Π°ΠΊΡΠ΅ΡΠΈΠ°Π»ΡΠ½ΡΠΉ ΡΡΡΠ΅ΠΊΡ Π΄Π°ΡΡ ΡΠ°ΡΡΠ²ΠΎΡΡ ΠΌΠ΅ΡΠΈΠ»Π΅Π½ΠΎΠ²ΠΎΠ³ΠΎ ΡΠΈΠ½Π΅Π³ΠΎ Ρ ΠΊΠ»ΡΠΊΠ²Π΅Π½Π½ΡΠΌ ΡΠΊΡΡΡΠ°ΠΊΡΠΎΠΌ, ΠΎΡΠ²Π°ΡΠΎΠΌ ΠΌΠ΅Π΄Π²Π΅ΠΆΡΠΈΡ ΡΡΠ΅ΠΊ ΠΈ Π΄Ρ. ΠΠΎΠ³Π΄Π° Π±ΠΎΠ»Π΅Π·Π½Ρ ΠΏΡΠΎΡΠ²Π»ΡΠ΅ΡΡΡ ΠΎΡΡΡΠΎ, Π½ΡΠΆΠ΅Π½ ΠΏΠ°ΠΏΠ°Π²Π΅ΡΠΈΠ½ ΠΏΠΎ 0,04 Π³ ΡΡΠΈ ΡΠ°Π·Π° Π² Π΄Π΅Π½Ρ Ρ ΡΠΈΡΡΠ΅Π½Π°Π»ΠΎΠΌ ΠΏΠΎ 3-4 ΠΊΠ°ΠΏΠ»ΠΈ ΡΡΠΎΠ»ΡΠΊΠΎ ΠΆΠ΅ ΡΠ°Π· Π² Π΄Π΅Π½Ρ, Π΄ΠΈΠΌΠ΅Π΄ΡΠΎΠ»ΠΎΠΌ ΠΏΠΎ 0,05 Π³ Π΄ΠΎ Π΄Π²ΡΡ ΡΠ°Π· Π² Π΄Π΅Π½Ρ. ΠΠ½ΡΠΈΠ±ΠΈΠΎΡΠΈΠΊΠΈ ΡΡΠΎΠΈΡ ΠΏΠΈΡΡ ΠΏΡΠΈΠΌΠ΅ΡΠ½ΠΎ 4-6 Π½Π΅Π΄Π΅Π»Ρ, ΡΠ΅ΡΠ΅Π΄ΡΡ ΠΈΡ ΠΊΠ°ΠΆΠ΄ΡΠ΅ ΡΠ΅ΠΌΡ-Π΄Π΅ΡΡΡΡ Π΄Π½Π΅ΠΉ. ΠΠΎΠ³Π΄Π° ΡΠ°ΠΊΠΎΠ΅ Π»Π΅ΡΠ΅Π½ΠΈΠ΅ Π½Π΅ ΠΏΠΎΠΌΠΎΠ³Π°Π΅Ρ, Π΄Π΅Π»Π°ΡΡ ΠΎΠΏΠ΅ΡΠ°ΡΠΈΡ, ΡΡΠΎΠ±Ρ ΠΎΡΠΈΡΡΠΈΡΡ Π±ΠΎΠ»ΡΠ½ΡΡ ΠΏΠΎΡΠΊΡ ΠΎΡ Π³Π½ΠΎΡ, ΡΠ½ΡΡΡ Π²ΠΎΡΠΏΠ°Π»Π΅Π½ΠΈΠ΅ ΠΈ Π½Π΅ Π΄ΠΎΠΏΡΡΡΠΈΡΡ Π·Π°ΡΠ°ΠΆΠ΅Π½ΠΈΡ Π·Π΄ΠΎΡΠΎΠ²ΠΎΠΉ ΠΏΠΎΡΠΊΠΈ.
ΠΠ· ΡΡΠ°Π² ΠΌΠΎΠΆΠ½ΠΎ Π²ΡΠ΄Π΅Π»ΠΈΡΡ ΡΠΎΠ»ΠΎΠΊΠ½ΡΠ½ΠΊΡ, ΡΠΎ Π·Π²Π΅ΡΠΎΠ±ΠΎΠ΅ΠΌ, Π±Π΅ΡΡΠ·ΠΎΠ²ΡΠΌΠΈ ΠΏΠΎΡΠΊΠ°ΠΌΠΈ, ΠΌΠΎΡΠ΅Π³ΠΎΠ½Π½ΡΠΌ ΡΠ°Π΅ΠΌ, ΠΏΠΎΠ»Π΅Π²ΡΠΌ Ρ Π²ΠΎΡΠΎΠΌ, ΡΠΈΠΏΠΎΠ²Π½ΠΈΠΊΠΎΠΌ, ΡΠΎΠΌΠ°ΡΠΊΠΎΠΉ. Π’Π°ΠΊΠΈΠ΅ ΠΌΠΎΡΠ΅Π³ΠΎΠ½Π½ΡΠ΅ ΠΎΡΠ²Π°ΡΡ ΠΈ Π½Π°ΡΡΠΎΠΈ ΡΠΎΠ²Π΅ΡΡΡΡ ΠΏΡΠΈΠ½ΠΈΠΌΠ°ΡΡ ΠΏΠΎ ΡΡΠΎΠ»ΠΎΠ²ΠΎΠΉ Π»ΠΎΠΆΠΊΠ΅ ΡΡΠΈ-ΡΠ΅ΡΡΡΠ΅ ΡΠ°Π·Π° Π² Π΄Π΅Π½Ρ ΠΎΠ΄ΠΈΠ½-ΡΡΠΈ ΠΌΠ΅ΡΡΡΠ° ΠΈΠ»ΠΈ Π΄ΠΎΠ»ΡΡΠ΅. ΠΠΎΡΠ»Π΅ Π²ΡΠ·Π΄ΠΎΡΠΎΠ²Π»Π΅Π½ΠΈΡ Π²Π°ΠΌ Π½ΡΠΆΠ½ΠΎ Π½Π°Π±Π»ΡΠ΄Π°ΡΡΡΡ, ΡΡΠΎΠ±Ρ Π²ΠΎ Π²ΡΠ΅ΠΌΡ ΠΎΡΠ»Π°Π±Π»Π΅Π½ΠΈΡ ΠΈΠΌΠΌΡΠ½ΠΈΡΠ΅ΡΠ°, ΠΈΠ½ΡΠ΅ΠΊΡΠΈΠΉ ΠΈ ΠΏΠ΅ΡΠ΅ΡΡΠΎΠΌΠ»Π΅Π½ΠΈΡ ΡΠ½ΠΎΠ²Π° Π½Π΅ ΡΠ°Π·Π²ΠΈΠ»ΡΡ ΠΏΠΈΠ΅Π»ΠΎΠ½Π΅ΡΡΠΈΡ.
doorinworld.ru
7.1.1. ΠΡΡΡΡΠΉ ΠΏΠΈΠ΅Π»ΠΎΠ½Π΅ΡΡΠΈΡ
Π‘ΠΈΠΌΠΏΡΠΎΠΌΠ°ΡΠΈΠΊΠ° ΠΈ ΠΊΠ»ΠΈΠ½ΠΈΡΠ΅ΡΠΊΠΎΠ΅ ΡΠ΅ΡΠ΅Π½ΠΈΠ΅. ΠΠ°Π»ΠΎΠ±Ρ Π±ΠΎΠ»ΡΠ½ΡΡ ΠΈ ΠΎΡΠΎΠ±Π΅Π½Π½ΠΎΡΡΠΈ ΠΊΠ»ΠΈΠ½ΠΈΡΠ΅ΡΠΊΠΈΡ ΡΠΈΠΌΠΏΡΠΎΠΌΠΎΠ² ΠΏΠΈΠ΅Π»ΠΎΠ½Π΅ΡΡΠΈΡΠ° ΠΎΠΏΡΠ΅Π΄Π΅Π»ΡΡΡΡΡ ΠΏΠ°ΡΠΎΠ³Π΅Π½Π΅Π·ΠΎΠΌ ΠΈ Ρ Π°ΡΠ°ΠΊΡΠ΅ΡΠΎΠΌ ΡΠ΅ΡΠ΅Π½ΠΈΡ Π±ΠΎΠ»Π΅Π·Π½ΠΈ, ΡΡΠΆΠ΅ΡΡΡΡ ΠΌΠΎΡΡΠΎΠ»ΠΎΠ³ΠΈΡΠ΅ΡΠΊΠΈΡ ΠΈΠ·ΠΌΠ΅Π½Π΅Π½ΠΈΠΉ Π² ΠΏΠΎΡΠΊΠ΅, Π²ΠΎΠ·ΡΠ°ΡΡΠΎΠΌ ΠΈ Ρ Π°ΡΠ°ΠΊΡΠ΅ΡΠΈΡΡΠΈΠΊΠΎΠΉ Π·Π°ΡΠΈΡΠ½ΡΡ ΡΠΈΠ» ΠΎΡΠ³Π°Π½ΠΈΠ·ΠΌΠ°.
ΠΠ°ΡΠ°Π»ΡΠ½Π°Ρ ΡΡΠ°Π΄ΠΈΡ Π·Π°Π±ΠΎΠ»Π΅Π²Π°Π½ΠΈΡ — ΠΈΠ½ΡΠ΅ΡΡΡΠΈΡΠΈΠ°Π»ΡΠ½ΡΠΉ ΡΠ΅ΡΠΎΠ·Π½ΡΠΉ ΠΏΠΈΠ΅Π»ΠΎΠ½Π΅ΡΡΠΈΡ, ΠΊΠΎΡΠΎΡΡΠΉ Π½Π΅ ΡΠΎΠΏΡΠΎΠ²ΠΎΠΆΠ΄Π°Π΅ΡΡΡ Π΄Π΅ΡΡΡΡΠΊΡΠΈΠ΅ΠΉ ΠΏΠΎΡΠ΅ΡΠ½ΠΎΠΉ ΡΠΊΠ°Π½ΠΈ. ΠΠΎΡΠΊΠ° ΠΏΡΠΈ ΡΡΠΎΠΉ ΡΡΠ°Π΄ΠΈΠΈ Π·Π°Π±ΠΎΠ»Π΅Π²Π°Π½ΠΈΡ ΠΏΠΎΠ»Π½ΠΎΠΊΡΠΎΠ²Π½Π°, ΡΠ²Π΅Π»ΠΈΡΠ΅Π½Π° Π² ΡΠ°Π·ΠΌΠ΅ΡΠ°Ρ Π·Π° ΡΡΠ΅Ρ Π»ΠΈΠΌΡΠΎΡΡΠ°Π·Π°, Π½Π°ΠΏΡΡΠΆΠ΅Π½Π°. ΠΡΠΈ ΠΏΠ΅ΡΠ΅Ρ ΠΎΠ΄Π΅ ΠΎΡΡΡΠΎΠ³ΠΎ ΡΠ΅ΡΠΎΠ·Π½ΠΎΠ³ΠΎ ΠΏΠΈΠ΅Π»ΠΎΠ½Π΅ΡΡΠΈΡΠ° Π² ΡΡΠ°Π΄ΠΈΡ Π³Π½ΠΎΠΉΠ½ΠΎΠ³ΠΎ Π²ΠΎΡΠΏΠ°Π»Π΅Π½ΠΈΡ Π²ΠΎΠ·Π½ΠΈΠΊΠ°Π΅Ρ Π΄Π΅ΡΡΡΡΠΊΡΠΈΡ ΠΏΠΎΡΠ΅ΡΠ½ΠΎΠΉ ΡΠΊΠ°Π½ΠΈ.
ΠΠ»Ρ ΠΎΡΡΡΠΎΠ³ΠΎ ΠΏΠΈΠ΅Π»ΠΎΠ½Π΅ΡΡΠΈΡΠ° Ρ Π°ΡΠ°ΠΊΡΠ΅ΡΠ½ΠΎ ΡΡΠΆΠ΅Π»ΠΎΠ΅ ΡΠ΅ΡΠ΅Π½ΠΈΠ΅ Π·Π°Π±ΠΎΠ»Π΅Π²Π°Π½ΠΈΡ Ρ Π²ΡΡΠΎΠΊΠΎΠΉ ΡΠ΅ΠΌΠΏΠ΅ΡΠ°ΡΡΡΠΎΠΉ ΡΠ΅Π»Π° ΠΈ ΠΈΠ½ΡΠ΅Π½ΡΠΈΠ²Π½ΠΎΠΉ Π±ΠΎΠ»ΡΡ Π² ΠΏΠΎΡΡΠ½ΠΈΡΠ½ΠΎΠΉ ΠΎΠ±Π»Π°ΡΡΠΈ. Π’Π΅ΠΌΠΏΠ΅ΡΠ°ΡΡΡΠ° Π΄ΠΎΡΡΠΈΠ³Π°Π΅Ρ 39-40Β°Π‘, ΠΌΠΎΠΆΠ΅Ρ Π±ΡΡΡ Π³Π΅ΠΊΡΠΈΡΠ΅ΡΠΊΠΎΠΉ ΠΈ ΡΠΎΠΏΡΠΎΠ²ΠΎΠΆΠ΄Π°ΡΡΡΡ ΠΎΠ·Π½ΠΎΠ±ΠΎΠΌ, ΠΊΠΎΡΠΎΡΡΠΉ ΡΠΌΠ΅Π½ΡΠ΅ΡΡΡ ΠΎΠ±ΠΈΠ»ΡΠ½ΡΠΌ ΠΏΠΎΡΠΎΠΎΡΠ΄Π΅Π»Π΅Π½ΠΈΠ΅ΠΌ. ΠΠ°Π±Π»ΡΠ΄Π°ΡΡΡΡ ΠΏΡΠΈΠ·Π½Π°ΠΊΠΈ ΠΈΠ½ΡΠΎΠΊΡΠΈΠΊΠ°ΡΠΈΠΈ Π² Π²ΠΈΠ΄Π΅ Π³ΠΎΠ»ΠΎΠ²Π½ΠΎΠΉ Π±ΠΎΠ»ΠΈ, ΠΎΠ±ΡΠ΅ΠΉ ΡΠ»Π°Π±ΠΎΡΡΠΈ, ΠΆΠ°ΠΆΠ΄Ρ, ΠΎΡΡΡΡΡΡΠ²ΠΈΡ Π°ΠΏΠΏΠ΅ΡΠΈΡΠ°, ΡΠ°Ρ ΠΈΠΊΠ°ΡΠ΄ΠΈΠΈ. ΠΠΎΠ·ΠΌΠΎΠΆΠ½Ρ ΡΠΎΡΠ½ΠΎΡΠ° ΠΈ ΡΠ²ΠΎΡΠ°. ΠΡΠ΅ ΡΡΠΎ ΠΎΡΠΎΠ±Π΅Π½Π½ΠΎ ΡΡΠΊΠΎ Π²ΡΡΠ°ΠΆΠ΅Π½ΠΎ ΠΏΡΠΈ ΠΎΡΡΡΠΎΠΌ ΠΎΠ±ΡΡΡΡΠΊΡΠΈΠ²Π½ΠΎΠΌ (ΠΎΠ±ΡΡΠ½ΠΎ ΠΊΠ°Π»ΡΠΊΡΠ»Π΅Π·Π½ΠΎΠΌ) ΠΏΠΈΠ΅Π»ΠΎΠ½Π΅ΡΡΠΈΡΠ΅. ΠΠ·-Π·Π° ΠΎΠ±ΠΈΠ»ΡΠ½ΠΎΠ³ΠΎ ΠΏΠΎΡΠΎΠΎΡΠ΄Π΅Π»Π΅Π½ΠΈΡ ΡΠΌΠ΅Π½ΡΡΠ°Π΅ΡΡΡ ΠΊΠΎΠ»ΠΈΡΠ΅ΡΡΠ²ΠΎ ΠΌΠΎΡΠΈ, Π²ΡΠ΄Π΅Π»ΡΠ΅ΠΌΠΎΠΉ Π·Π° ΡΡΡΠΊΠΈ. ΠΠ·-Π·Π° ΠΎΠ±ΠΈΠ»ΠΈΡ Π»Π΅ΠΉΠΊΠΎΡΠΈΡΠΎΠ² ΠΈ Π±Π°ΠΊΡΠ΅ΡΠΈΠΉ ΠΌΠΎΡΠ° ΠΌΡΡΠ½Π°Ρ. ΠΠΎ ΠΏΡΠΈ ΠΏΠΎΠ»Π½ΠΎΠΉ Π±Π»ΠΎΠΊΠ°Π΄Π΅ ΠΌΠΎΡΠ΅ΡΠΎΡΠ½ΠΈΠΊΠ° ΠΏΠ°ΡΠΎΠ»ΠΎΠ³ΠΈΡΠ΅ΡΠΊΠΈΡ ΠΏΡΠΈΠΌΠ΅ΡΠ΅ΠΉ Π² ΠΌΠΎΡΠ΅ ΠΌΠΎΠΆΠ΅Ρ Π½Π΅ Π±ΡΡΡ ΠΈ ΡΠΎΠ³Π΄Π° ΡΠΎΡ ΡΠ°Π½ΡΠ΅ΡΡΡ Π΅Π΅ ΠΏΡΠΎΠ·ΡΠ°ΡΠ½ΠΎΡΡΡ.
ΠΠ»Ρ ΠΎΡΡΡΠΎΠ³ΠΎ ΠΏΠΈΠ΅Π»ΠΎΠ½Π΅ΡΡΠΈΡΠ°, ΡΠ²ΡΠ·Π°Π½Π½ΠΎΠ³ΠΎ Ρ Π½Π°ΡΡΡΠ΅Π½ΠΈΠ΅ΠΌ ΠΎΡΡΠΎΠΊΠ° ΠΌΠΎΡΠΈ ΠΈΠ· ΠΏΠΎΡΠΊΠΈ, ΠΎΠ±ΡΡΠ½ΡΠΌ ΡΠ²Π»ΡΠ΅ΡΡΡ Π±ΡΡΡΡΡΠΉ ΠΏΠ΅ΡΠ΅Ρ ΠΎΠ΄ ΡΠ΅ΡΠΎΠ·Π½ΠΎΠ³ΠΎ Π²ΠΎΡΠΏΠ°Π»Π΅Π½ΠΈΡ Π² Π³Π½ΠΎΠΉΠ½ΠΎΠ΅, ΡΡΠΎ ΠΌΠΎΠΆΠ΅Ρ ΠΏΡΠΎΠΈΠ·ΠΎΠΉΡΠΈ Π·Π° 1-2 ΡΡΡ. Π ΠΏΠΎΠ΄ΠΎΠ±Π½ΡΡ ΡΠ»ΡΡΠ°ΡΡ Π±ΠΎΠ»Ρ Π²Π΅ΡΡΠΌΠ° ΠΈΠ½ΡΠ΅Π½ΡΠΈΠ²Π½Π°, Π½ΠΎΡΠΈΡ ΠΏΠΎΡΡΠΎΡΠ½Π½ΡΠΉ Ρ Π°ΡΠ°ΠΊΡΠ΅Ρ, ΡΡΠΎ ΠΎΡΠ»ΠΈΡΠ°Π΅Ρ Π΅Π΅ ΠΎΡ ΠΏΠΎΡΠ΅ΡΠ½ΠΎΠΉ ΠΊΠΎΠ»ΠΈΠΊΠΈ. ΠΡΠΈ ΠΏΠ°Π»ΡΠΏΠ°ΡΠΈΠΈ ΠΎΠΏΡΠ΅Π΄Π΅Π»ΡΠ΅ΡΡΡ ΡΠΈΠ³ΠΈΠ΄Π½ΠΎΡΡΡ ΠΌΡΡΡ ΠΏΠΎΡΡΠ½ΠΈΡΠ½ΠΎΠΉ ΠΎΠ±Π»Π°ΡΡΠΈ Π½Π° ΡΡΠΎΡΠΎΠ½Π΅ Π±ΠΎΠ»Π΅Π·Π½ΠΈ, ΠΌΠΎΠΆΠ΅Ρ ΠΏΡΠΎΡΡΠΏΡΠ²Π°ΡΡΡΡ ΡΠ²Π΅Π»ΠΈΡΠ΅Π½Π½Π°Ρ, Π±ΠΎΠ»Π΅Π·Π½Π΅Π½Π½Π°Ρ ΠΏΠΎΡΠΊΠ°. ΠΠΎΠ»Π΅Π·Π½Π΅Π½Π½ΠΎΡΡΡ Π² ΠΏΠΎΡΡΠ½ΠΈΡΠ½ΠΎΠΉ ΠΎΠ±Π»Π°ΡΡΠΈ Π±ΡΠ²Π°Π΅Ρ Π²Π΅ΡΡΠΌΠ° Π²ΡΡΠ°ΠΆΠ΅Π½Π½ΠΎΠΉ ΠΈ ΠΏΡΠΎΡΠ²Π»ΡΠ΅ΡΡΡ Π΄Π°ΠΆΠ΅ ΠΏΡΠΈ Π»Π΅Π³ΠΊΠΎΠΌ Π½Π°Π΄Π°Π²Π»ΠΈΠ²Π°Π½ΠΈΠΈ Π² ΡΠ΅Π±Π΅ΡΠ½ΠΎ-ΠΏΠΎΠ·Π²ΠΎΠ½ΠΎΡΠ½ΠΎΠΌ ΡΠ³Π»Ρ, Π² ΡΠΎΠΎΡΠ²Π΅ΡΡΡΠ²ΡΡΡΠ΅ΠΉ ΠΏΠΎΡΡΠ½ΠΈΡΠ½ΠΎΠΉ ΠΎΠ±Π»Π°ΡΡΠΈ.
ΠΡΠΈ ΠΎΠ±ΡΠ°Π·ΠΎΠ²Π°Π½ΠΈΠΈ Π³Π½ΠΎΠΉΠ½ΠΈΡΠΊΠΎΠ² (Π°ΠΏΠΎΡΡΠ΅ΠΌ) ΠΏΡΠ΅ΠΈΠΌΡΡΠ΅ΡΡΠ²Π΅Π½Π½ΠΎ Π² ΠΊΠΎΡΠ΅ ΠΏΠΎΡΠΊΠΈ (Π°ΠΏΠΎΡΡΠ΅ΠΌΠ°ΡΠΎΠ·Π½ΠΎΠΌ ΠΏΠΈΠ΅Π»ΠΎΠ½Π΅ΡΡΠΈΡΠ΅) Π±ΠΎΠ»Π΅Π²ΡΠ΅ ΠΎΡΡΡΠ΅Π½ΠΈΡ ΡΠ½ΠΈΠΆΠ°ΡΡΡΡ, Π½ΠΎ Ρ Π±ΠΎΠ»ΡΠ½ΠΎΠ³ΠΎ Π½Π°Π±Π»ΡΠ΄Π°Π΅ΡΡΡ Π²ΡΡΠΎΠΊΠ°Ρ Π³Π΅ΠΊΡΠΈΡΠ΅ΡΠΊΠ°Ρ ΡΠ΅ΠΌΠΏΠ΅ΡΠ°ΡΡΡΠ° ΡΠ΅Π»Π° Ρ ΠΏΠΎΠ²ΡΠΎΡΡΡΡΠΈΠΌΡΡ Β«ΠΏΠΎΡΡΡΡΠ°ΡΡΠΈΠΌΒ» ΠΎΠ·Π½ΠΎΠ±ΠΎΠΌ ΠΈ ΠΎΠ±ΠΈΠ»ΡΠ½ΡΠΌ ΠΏΠΎΡΠΎΠΎΡΠ΄Π΅Π»Π΅Π½ΠΈΠ΅ΠΌ. Π‘ΠΈΠΌΠΏΡΠΎΠΌΡ ΠΈΠ½ΡΠΎΠΊΡΠΈΠΊΠ°ΡΠΈΠΈ (Π±ΡΡΡΡΠΎ Π½Π°ΡΠ°ΡΡΠ°ΡΡΠ°Ρ ΡΠ»Π°Π±ΠΎΡΡΡ, Π³ΠΎΠ»ΠΎΠ²Π½Π°Ρ Π±ΠΎΠ»Ρ, ΡΠΎΡΠ½ΠΎΡΠ°, Π°Π΄ΠΈΠ½Π°ΠΌΠΈΡ ΠΈ Π΄Ρ.) ΡΠ΅Π·ΠΊΠΎ Π²ΡΡΠ°ΠΆΠ΅Π½Ρ. ΠΠΎΡΠ»Π΅ ΠΎΠ·Π½ΠΎΠ±Π° ΡΠ΅ΠΌΠΏΠ΅ΡΠ°ΡΡΡΠ° ΡΠ΅Π»Π° ΠΎΠ±ΡΡΠ½ΠΎ ΡΠ½ΠΈΠΆΠ°Π΅ΡΡΡ Π΄ΠΎ ΡΡΠ±ΡΠ΅Π±ΡΠΈΠ»ΡΠ½ΠΎΠΉ ΠΈ Π΄Π°ΠΆΠ΅ Π½ΠΎΡΠΌΠ°Π»ΡΠ½ΠΎΠΉ, Π½Π°Π±Π»ΡΠ΄Π°Π΅ΡΡΡ ΠΎΠ±ΠΈΠ»ΡΠ½ΠΎΠ΅ ΠΏΠΎΡΠΎΠΎΡΠ΄Π΅Π»Π΅Π½ΠΈΠ΅.
Π₯Π°ΡΠ°ΠΊΡΠ΅ΡΠ½ΡΡ ΡΠΏΠ΅ΡΠΈΡΠΈΡΠ΅ΡΠΊΠΈΡ ΠΆΠ°Π»ΠΎΠ± ΠΈΠ»ΠΈ ΠΊΠ»ΠΈΠ½ΠΈΡΠ΅ΡΠΊΠΈΡ ΡΠΈΠΌΠΏΡΠΎΠΌΠΎΠ², ΠΊΠΎΡΠΎΡΡΠ΅ ΠΏΠΎΠ·Π²ΠΎΠ»ΠΈΠ»ΠΈ Π±Ρ Ρ ΡΠ²Π΅ΡΠ΅Π½Π½ΠΎΡΡΡΡ ΠΎΡΠ»ΠΈΡΠΈΡΡ ΠΎΡ Π°ΠΏΠΎΡΡΠ΅ΠΌΠ°ΡΠΎΠ·Π½ΠΎΠ³ΠΎ ΠΏΠΈΠ΅Π»ΠΎΠ½Π΅ΡΡΠΈΡΠ° ΠΊΠ°ΡΠ±ΡΠ½ΠΊΡΠ» ΠΈΠ»ΠΈ Π°Π±ΡΡΠ΅ΡΡ ΠΏΠΎΡΠΊΠΈ, Π΄ΠΎ ΠΏΠΎΡΠ»Π΅Π΄Π½Π΅Π³ΠΎ Π²ΡΠ΅ΠΌΠ΅Π½ΠΈ Π½Π΅ ΠΎΠΏΠΈΡΠ°Π½ΠΎ. ΠΠ΄Π½Π°ΠΊΠΎ ΡΠ°Π·Π²ΠΈΡΠΈΠ΅ ΠΊΠ°ΡΠ±ΡΠ½ΠΊΡΠ»Π° ΠΈΠ»ΠΈ Π°Π±ΡΡΠ΅ΡΡΠ° ΠΏΠΎΡΠΊΠΈ ΡΠΎΠΏΡΠΎΠ²ΠΎΠΆΠ΄Π°Π΅ΡΡΡ Π΅ΡΠ΅ Π±ΠΎΠ»Π΅Π΅ Π³Π»ΡΠ±ΠΎΠΊΠΎΠΉ ΠΈΠ½ΡΠΎΠΊΡΠΈΠΊΠ°ΡΠΈΠ΅ΠΉ. ΠΠ½ΠΎΠ³Π΄Π° Π±ΠΎΠ»ΡΠ½ΡΠ΅ Ρ Π°Π±ΡΡΠ΅ΡΡΠΎΠΌ ΠΏΠΎΡΠΊΠΈ ΠΏΡΠΈΠ½ΠΈΠΌΠ°ΡΡ Π²ΡΠ½ΡΠΆΠ΄Π΅Π½Π½ΠΎΠ΅ ΠΏΠΎΠ»ΠΎΠΆΠ΅Π½ΠΈΠ΅ Ρ ΠΏΡΠΈΠ²Π΅Π΄Π΅Π½Π½ΠΎΠΉ ΠΊ ΠΆΠΈΠ²ΠΎΡΡ Π½ΠΎΠ³ΠΎΠΉ Π½Π° ΡΡΠΎΡΠΎΠ½Π΅ Π±ΠΎΠ»Π΅Π·Π½ΠΈ.
ΠΡΠΎΠ±Π΅Π½Π½ΠΎΡΡΡ ΡΠ°Π·Π²ΠΈΡΠΈΡ Π³Π½ΠΎΠΉΠ½ΠΎΠ³ΠΎ ΠΏΠΈΠ΅Π»ΠΎΠ½Π΅ΡΡΠΈΡΠ° Ρ Π»ΠΈΡ ΠΏΠΎΠΆΠΈΠ»ΠΎΠ³ΠΎ ΠΈ ΡΡΠ°ΡΡΠ΅ΡΠΊΠΎΠ³ΠΎ Π²ΠΎΠ·ΡΠ°ΡΡΠ° — ΡΠΎ, ΡΡΠΎ ΠΏΠΎ ΠΌΠ΅ΡΠ΅ ΠΎΡΠ»Π°Π±Π»Π΅Π½ΠΈΡ ΠΈΡ ΠΈΠΌΠΌΡΠ½ΠΎΡΠ΅Π°ΠΊΡΠΈΠ²Π½ΠΎΡΡΠΈ ΡΡΠΈΡΠ°Π΅ΡΡΡ ΡΡΠΊΠΎΡΡΡ ΠΊΠ»ΠΈΠ½ΠΈΡΠ΅ΡΠΊΠΈΡ ΠΏΡΠΎΡΠ²Π»Π΅Π½ΠΈΠΉ Π±ΠΎΠ»Π΅Π·Π½ΠΈ.
ΠΠΈΠ°Π³Π½ΠΎΡΡΠΈΠΊΠ° ΠΈ Π΄ΠΈΡΡΠ΅ΡΠ΅Π½ΡΠΈΠ°Π»ΡΠ½Π°Ρ Π΄ΠΈΠ°Π³Π½ΠΎΡΡΠΈΠΊΠ°. ΠΠ½Π°ΠΌΠ½Π΅Π· ΠΈΠΌΠ΅Π΅Ρ Π±ΠΎΠ»ΡΡΠΎΠ΅ Π·Π½Π°ΡΠ΅Π½ΠΈΠ΅ Π² ΡΠ°ΡΠΏΠΎΠ·Π½Π°Π²Π°Π½ΠΈΠΈ ΠΎΡΡΡΠΎΠ³ΠΎ ΠΏΠΈΠ΅Π»ΠΎΠ½Π΅ΡΡΠΈΡΠ°. ΠΡΠ°Ρ Π΄ΠΎΠ»ΠΆΠ΅Π½ ΡΡΠΎΡΠ½ΠΈΡΡ ΡΠΈΠΌΠΏΡΠΎΠΌΡ Π·Π°Π±ΠΎΠ»Π΅Π²Π°Π½ΠΈΡ (Ρ Π°ΡΠ°ΠΊΡΠ΅Ρ ΡΠ΅ΠΌΠΏΠ΅ΡΠ°ΡΡΡΠ½ΠΎΠΉ ΡΠ΅Π°ΠΊΡΠΈΠΈ, Π½Π°Π»ΠΈΡΠΈΠ΅ ΠΎΠ·Π½ΠΎΠ±Π° ΠΈ Π΄ΡΡΠ³ΠΈΡ ΡΠΈΠΌΠΏΡΠΎΠΌΠΎΠ² Π±ΠΎΠ»Π΅Π·Π½ΠΈ), Π° ΡΠ°ΠΊΠΆΠ΅ ΠΏΠ΅ΡΠ΅Π½Π΅ΡΠ΅Π½Π½ΡΠ΅ ΠΏΠ°ΡΠΈΠ΅Π½ΡΠΎΠΌ Π² ΠΏΠΎΡΠ»Π΅Π΄Π½Π΅Π΅ Π²ΡΠ΅ΠΌΡ Π³Π½ΠΎΠΉΠ½ΡΠ΅ Π·Π°Π±ΠΎΠ»Π΅Π²Π°Π½ΠΈΡ (ΡΡΡΡΠ½ΠΊΡΠ»Π΅Π·, ΡΠΎΠ½Π·ΠΈΠ»Π»ΠΈΡ, ΡΡΠ°Π²ΠΌΡ Ρ Π½Π°Π³Π½ΠΎΠ΅Π½ΠΈΠ΅ΠΌ ΠΈ Π΄Ρ.). ΠΠ΅ΠΎΠ±Ρ ΠΎΠ΄ΠΈΠΌΠΎ Π²ΡΡΡΠ½ΠΈΡΡ Π½Π°Π»ΠΈΡΠΈΠ΅ Π² Π°Π½Π°ΠΌΠ½Π΅Π·Π΅ Π΄ΡΡΠ³ΠΈΡ ΡΡΠΎΠ»ΠΎΠ³ΠΈΡΠ΅ΡΠΊΠΈΡ Π·Π°Π±ΠΎΠ»Π΅Π²Π°Π½ΠΈΠΉ (Π½Π΅ΡΡΠΎΠΏΡΠΎΠ·Π°, ΠΌΠΎΡΠ΅ΠΊΠ°ΠΌΠ΅Π½Π½ΠΎΠΉ Π±ΠΎΠ»Π΅Π·Π½ΠΈ, Π·Π°Π±ΠΎΠ»Π΅Π²Π°Π½ΠΈΠΉ ΠΏΡΠ΅Π΄ΡΡΠ°ΡΠ΅Π»ΡΠ½ΠΎΠΉ ΠΆΠ΅Π»Π΅Π·Ρ ΠΈ Π΄Ρ.) ΠΈ ΠΏΡΠΎΠ²ΠΎΠ΄ΠΈΠΌΡΠ΅ ΡΠ½Π΄ΠΎΡΠΊΠΎΠΏΠΈΡΠ΅ΡΠΊΠΈΠ΅ ΠΈΡΡΠ»Π΅Π΄ΠΎΠ²Π°Π½ΠΈΡ.
ΠΡΠΈ ΠΎΡΠΌΠΎΡΡΠ΅ Π±ΠΎΠ»ΡΠ½ΠΎΠ³ΠΎ ΡΠ»Π΅Π΄ΡΠ΅Ρ ΠΎΠ±ΡΠ°ΡΠ°ΡΡ Π²Π½ΠΈΠΌΠ°Π½ΠΈΠ΅ Π½Π° Π±Π»Π΅Π΄Π½ΠΎΡΡΡ ΠΊΠΎΠΆΠ½ΠΎΠ³ΠΎ ΠΏΠΎΠΊΡΠΎΠ²Π°. ΠΠ΅ΠΎΠ±Ρ ΠΎΠ΄ΠΈΠΌΠΎ ΠΎΠΏΡΠ΅Π΄Π΅Π»ΠΈΡΡ ΡΡΠΎΠ²Π΅Π½Ρ Π°ΡΡΠ΅ΡΠΈΠ°Π»ΡΠ½ΠΎΠ³ΠΎ Π΄Π°Π²Π»Π΅Π½ΠΈΡ, ΠΊΠΎΡΠΎΡΠΎΠ΅ Π² ΡΠ°ΠΌΠΎΠΌ Π½Π°ΡΠ°Π»Π΅ ΠΎΡΡΡΠΎΠ³ΠΎ ΠΏΠΈΠ΅Π»ΠΎΠ½Π΅ΡΡΠΈΡΠ° ΠΌΠΎΠΆΠ΅Ρ Π±ΡΡΡ Π½Π΅Π·Π½Π°ΡΠΈΡΠ΅Π»ΡΠ½ΠΎ ΠΏΠΎΠ²ΡΡΠ΅Π½ΠΎ, Π° ΠΏΡΠΈ Π½Π°ΡΠ°ΡΡΠ°Π½ΠΈΠΈ ΠΈΠ½ΡΠΎΠΊΡΠΈΠΊΠ°ΡΠΈΠΈ ΡΠ½ΠΈΠΆΠ΅Π½ΠΎ. ΠΡΠΈ ΠΎΠ±ΡΠ΅ΠΊΡΠΈΠ²Π½ΠΎΠΌ ΠΎΠ±ΡΠ»Π΅Π΄ΠΎΠ²Π°Π½ΠΈΠΈ ΠΎΠ±ΡΡΠ½ΠΎ ΠΎΠΏΡΠ΅Π΄Π΅Π»ΡΡΡΡΡ Π½Π°ΠΏΡΡΠΆΠ΅Π½ΠΈΠ΅ ΠΌΡΡΡ Π±ΡΡΡΠ½ΠΎΠΉ ΡΡΠ΅Π½ΠΊΠΈ, Π±ΠΎΠ»Π΅Π·Π½Π΅Π½Π½ΠΎΡΡΡ ΠΏΡΠΈ ΠΏΠ°Π»ΡΠΏΠ°ΡΠΈΠΈ Π² ΠΏΠΎΡΡΠ½ΠΈΡΠ½ΠΎΠΉ ΠΎΠ±Π»Π°ΡΡΠΈ ΠΈ ΠΏΠΎΠ»ΠΎΠΆΠΈΡΠ΅Π»ΡΠ½ΡΠΉ ΡΠΈΠΌΠΏΡΠΎΠΌ ΠΏΠΎΠΊΠΎΠ»Π°ΡΠΈΠ²Π°Π½ΠΈΡ (ΡΠΈΠΌΠΏΡΠΎΠΌ ΠΠ°ΡΡΠ΅ΡΠ½Π°ΡΠΊΠΎΠ³ΠΎ).
ΠΠ°Π±ΠΎΡΠ°ΡΠΎΡΠ½ΠΎΠ΅ ΠΈΡΡΠ»Π΅Π΄ΠΎΠ²Π°Π½ΠΈΠ΅ ΠΌΠΎΡΠΈ ΠΏΠΎΠ·Π²ΠΎΠ»ΡΠ΅Ρ Π²ΡΡΠ²ΠΈΡΡ Π»Π΅ΠΉΠΊΠΎΡΠΈΡΡΡΠΈΡ, ΠΎΠ΄Π½Π°ΠΊΠΎ ΠΎΠ½Π° ΠΌΠΎΠΆΠ΅Ρ ΠΎΡΡΡΡΡΡΠ²ΠΎΠ²Π°ΡΡ Π² ΠΏΠ΅ΡΠ²ΡΠ΅ Π΄Π½ΠΈ Ρ Π±ΠΎΠ»ΡΠ½ΡΡ Ρ Π½Π΅ΠΎΠ±ΡΡΡΡΠΊΡΠΈΠ²Π½ΡΠΌ Π³Π΅ΠΌΠ°ΡΠΎΠ³Π΅Π½Π½ΡΠΌ ΠΏΠΈΠ΅Π»ΠΎΠ½Π΅ΡΡΠΈΡΠΎΠΌ, ΠΊΠΎΠ³Π΄Π° Π²ΠΎΡΠΏΠ°Π»ΠΈΡΠ΅Π»ΡΠ½ΡΠΉ ΠΏΡΠΎΡΠ΅ΡΡ Π»ΠΎΠΊΠ°Π»ΠΈΠ·ΡΠ΅ΡΡΡ ΠΏΡΠ΅ΠΈΠΌΡΡΠ΅ΡΡΠ²Π΅Π½Π½ΠΎ Π² ΠΊΠΎΡΠΊΠΎΠ²ΠΎΠΌ ΡΠ»ΠΎΠ΅ ΠΏΠΎΡΠΊΠΈ, Π° ΡΠ°ΠΊΠΆΠ΅ ΠΏΡΠΈ ΠΎΠ±ΡΡΡΡΠΊΡΠΈΠΈ ΠΌΠΎΡΠ΅Π²ΡΠ²ΠΎΠ΄ΡΡΠΈΡ ΠΏΡΡΠ΅ΠΉ.
ΠΡΠΈ Π²ΡΡΠ²Π»Π΅Π½ΠΈΠΈ Π»Π΅ΠΉΠΊΠΎΡΠΈΡΡΡΠΈΠΈ Π½Π΅ΠΎΠ±Ρ ΠΎΠ΄ΠΈΠΌΠΎ ΠΎΠΏΡΠ΅Π΄Π΅Π»ΠΈΡΡ Π΅Π΅ ΡΡΠ΅ΠΏΠ΅Π½Ρ ΠΈ Π½Π°Π»ΠΈΡΠΈΠ΅ Π² ΠΌΠΎΡΠ΅ Π°ΠΊΡΠΈΠ²Π½ΡΡ Π»Π΅ΠΉΠΊΠΎΡΠΈΡΠΎΠ² ΠΈ ΠΊΠ»Π΅ΡΠΎΠΊ Π¨ΡΠ΅ΡΠ½Π³Π΅ΠΉΠΌΠ΅ΡΠ°-ΠΠ°Π»ΡΠ±ΠΈΠ½Π°. ΠΠ±ΡΠ·Π°ΡΠ΅Π»ΡΠ½ΠΎ ΠΎΠΏΡΠ΅Π΄Π΅Π»ΡΡΡ Π½Π°Π»ΠΈΡΠΈΠ΅ Π² ΠΌΠΎΡΠ΅ Π±Π°ΠΊΡΠ΅ΡΠΈΠΉ ΠΈ ΡΡΠ΅ΠΏΠ΅Π½Ρ Π±Π°ΠΊΡΠ΅ΡΠΈΡΡΠΈΠΈ, ΠΏΡΠΈ ΡΡΠΎΠΌ Π²Π°ΠΆΠ½ΠΎ ΡΠΎΡΠ΅ΡΠ°ΡΡ Π±Π°ΠΊΡΠ΅ΡΠΈΠΎΠ»ΠΎΠ³ΠΈΡΠ΅ΡΠΊΠΈΠ΅ ΠΈ Π±Π°ΠΊΡΠ΅ΡΠΈΠΎΡΠΊΠΎΠΏΠΈΡΠ΅ΡΠΊΠΈΠ΅ ΠΌΠ΅ΡΠΎΠ΄Ρ Π²ΡΡΠ²Π»Π΅Π½ΠΈΡ Π±Π°ΠΊΡΠ΅ΡΠΈΡΡΠΈΠΈ. ΠΠ΅ΠΎΠ±Ρ ΠΎΠ΄ΠΈΠΌΠΎ ΠΎΠΏΡΠ΅Π΄Π΅Π»ΠΈΡΡ ΠΈ ΡΡΠ²ΡΡΠ²ΠΈΡΠ΅Π»ΡΠ½ΠΎΡΡΡ Π²ΡΠ΄Π΅Π»Π΅Π½Π½ΡΡ ΠΌΠΈΠΊΡΠΎΠΎΡΠ³Π°Π½ΠΈΠ·ΠΌΠΎΠ² ΠΊ Π°Π½ΡΠΈΠ±Π°ΠΊΡΠ΅ΡΠΈΠ°Π»ΡΠ½ΡΠΌ ΠΏΡΠ΅ΠΏΠ°ΡΠ°ΡΠ°ΠΌ.
ΠΠ½Π°Π»ΠΈΠ· ΠΊΡΠΎΠ²ΠΈ ΠΏΡΠΈ ΠΎΡΡΡΠΎΠΌ ΠΏΠΈΠ΅Π»ΠΎΠ½Π΅ΡΡΠΈΡΠ΅ Π΄Π΅ΠΌΠΎΠ½ΡΡΡΠΈΡΡΠ΅Ρ ΡΠ²Π΅Π»ΠΈΡΠ΅Π½ΠΈΠ΅ Π‘ΠΠ Π΄ΠΎ 40-50 ΠΌΠΌ/Ρ ΠΈ Π²ΡΡΠ΅, Π»Π΅ΠΉΠΊΠΎΡΠΈΡΠΎΠ· Ρ ΡΠ²Π΅Π»ΠΈΡΠ΅Π½ΠΈΠ΅ΠΌ ΡΠΎΠ΄Π΅ΡΠΆΠ°Π½ΠΈΡ ΠΏΠ°Π»ΠΎΡΠΊΠΎΡΠ΄Π΅ΡΠ½ΡΡ ΡΠΎΡΠΌ. Π‘ ΡΠ°Π·Π²ΠΈΡΠΈΠ΅ΠΌ Π³Π½ΠΎΠΉΠ½ΠΎΠ³ΠΎ ΠΏΠΈΠ΅Π»ΠΎΠ½Π΅ΡΡΠΈΡΠ° ΠΏΠΎ ΠΌΠ΅ΡΠ΅ ΡΡΠΈΠ»Π΅Π½ΠΈΡ ΠΈΠ½ΡΠΎΠΊΡΠΈΠΊΠ°ΡΠΈΠΈ ΡΡ ΡΠ΄ΡΠ°ΡΡΡΡ ΠΏΠΎΠΊΠ°Π·Π°ΡΠ΅Π»ΠΈ ΠΊΡΠ°ΡΠ½ΠΎΠΉ ΠΊΡΠΎΠ²ΠΈ, ΡΠ²Π΅Π»ΠΈΡΠΈΠ²Π°Π΅ΡΡΡ ΡΡΠΎΠ²Π΅Π½Ρ ΡΡΠ΅Π΄Π½ΠΈΡ ΠΌΠΎΠ»Π΅ΠΊΡΠ» ΠΈ Ξ±2-ΠΌΠΈΠΊΡΠΎΠ³Π»ΠΎΠ±ΡΠ»ΠΈΠ½Π°. ΠΡΠΈ ΠΏΠΎΠ΄ΠΎΠ·ΡΠ΅Π½ΠΈΠΈ Π½Π° ΡΡΠΎΡΠ΅ΠΏΡΠΈΡ ΠΏΡΠΎΠ²ΠΎΠ΄ΡΡ ΠΏΠΎΡΠ΅Π² ΠΊΡΠΎΠ²ΠΈ Π½Π° ΡΡΠ΅ΡΠΈΠ»ΡΠ½ΠΎΡΡΡ.
ΠΠ±Π·ΠΎΡΠ½Π°Ρ ΠΈ ΡΠΊΡΠΊΡΠ΅ΡΠΎΡΠ½Π°Ρ ΡΡΠΎΠ³ΡΠ°ΡΠΈΡ — ΡΠ°ΠΌΡΠ΅ ΠΏΠΎΠΏΡΠ»ΡΡΠ½ΡΠ΅ ΠΌΠ΅ΡΠΎΠ΄ΠΈΠΊΠΈ Π΄ΠΈΠ°Π³Π½ΠΎΡΡΠΈΠΊΠΈ ΠΎΡΡΡΠΎΠ³ΠΎ ΠΏΠΈΠ΅Π»ΠΎΠ½Π΅ΡΡΠΈΡΠ°, ΠΎΠ΄Π½ΠΎΠ²ΡΠ΅ΠΌΠ΅Π½Π½ΠΎ Π΄Π°ΡΡΠΈΠ΅ ΡΡΠ½ΠΎΠ΅ ΠΏΡΠ΅Π΄ΡΡΠ°Π²Π»Π΅Π½ΠΈΠ΅ ΠΎ ΡΡΠ½ΠΊΡΠΈΠΈ ΠΊΠ°ΠΆΠ΄ΠΎΠΉ ΠΏΠΎΡΠΊΠΈ Π² ΠΎΡΠ΄Π΅Π»ΡΠ½ΠΎΡΡΠΈ ΠΈ ΠΎΠ± ΠΈΠ·ΠΌΠ΅Π½Π΅Π½ΠΈΡΡ ΡΠ°ΡΠ΅ΡΠ½ΠΎ-Π»ΠΎΡ Π°Π½ΠΎΡΠ½ΠΎΠΉ ΡΠΈΡΡΠ΅ΠΌΡ ΠΏΠΎΡΠΊΠΈ, ΠΎΠ±ΡΡΠ»ΠΎΠ²Π»Π΅Π½Π½ΡΡ Π½Π°ΡΡΡΠ΅Π½ΠΈΠ΅ΠΌ ΠΎΡΡΠΎΠΊΠ° ΠΌΠΎΡΠΈ ΠΈΠ»ΠΈ Π³Π½ΠΎΠΉΠ½ΡΠΌ ΠΏΡΠΎΡΠ΅ΡΡΠΎΠΌ.
ΠΠ° ΠΎΠ±Π·ΠΎΡΠ½ΠΎΠΉ ΡΡΠΎΠ³ΡΠ°ΠΌΠΌΠ΅ ΠΏΡΠΈ ΠΎΡΡΡΠΎΠΌ ΠΏΠΈΠ΅Π»ΠΎΠ½Π΅ΡΡΠΈΡΠ΅ ΠΌΠΎΠΆΠ½ΠΎ Π²ΠΈΠ΄Π΅ΡΡ ΡΠΊΠΎΠ»ΠΈΠΎΠ· Π² ΠΏΠΎΡΡΠ½ΠΈΡΠ½ΠΎΠΌ ΠΎΡΠ΄Π΅Π»Π΅ ΠΏΠΎΠ·Π²ΠΎΠ½ΠΎΡΠ½ΠΈΠΊΠ° Π² ΡΡΠΎΡΠΎΠ½Ρ Π±ΠΎΠ»ΡΠ½ΠΎΠΉ ΠΏΠΎΡΠΊΠΈ. ΠΠΎΠ½ΡΡΡ ΠΏΠΎΡΡΠ½ΠΈΡΠ½ΠΎΠΉ ΠΌΡΡΡΡ ΠΏΡΠΈ ΡΡΠΎΠΌ ΠΌΠΎΠΆΠ΅Ρ Π±ΡΡΡ ΡΠ³Π»Π°ΠΆΠ΅Π½, Π° ΡΠ΅Π½Ρ ΠΏΠΎΡΠΊΠΈ ΡΠ²Π΅Π»ΠΈΡΠ΅Π½Π°. ΠΡΠΎΠ±Π΅Π½Π½ΠΎ ΡΡΠΎ Π±ΡΠ²Π°Π΅Ρ Π²ΡΡΠ°ΠΆΠ΅Π½ΠΎ ΠΏΡΠΈ Π³Π½ΠΎΠΉΠ½ΡΡ ΡΠΎΡΠΌΠ°Ρ , Π² ΡΠΎΠΌ ΡΠΈΡΠ»Π΅ ΠΎΠ±ΡΡΠ»ΠΎΠ²Π»Π΅Π½Π½ΡΡ ΠΎΠ±ΡΡΡΡΠΊΡΠΈΠ΅ΠΉ ΠΌΠΎΡΠ΅Π²ΡΡ ΠΏΡΡΠ΅ΠΉ. ΠΠ±Π½Π°ΡΡΠΆΠ΅Π½ΠΈΠ΅ ΠΊΠ°ΠΌΠ½Ρ Π² ΠΏΠΎΡΠΊΠ΅ ΠΈΠ»ΠΈ ΠΌΠΎΡΠ΅ΡΠΎΡΠ½ΠΈΠΊΠ΅ ΠΈΠΌΠ΅Π΅Ρ ΠΈΡΠΊΠ»ΡΡΠΈΡΠ΅Π»ΡΠ½ΠΎΠ΅ Π·Π½Π°ΡΠ΅Π½ΠΈΠ΅ Π΄Π»Ρ ΠΎΠΏΡΠ΅Π΄Π΅Π»Π΅Π½ΠΈΡ Π»Π΅ΡΠ΅Π±Π½ΠΎΠΉ ΡΠ°ΠΊΡΠΈΠΊΠΈ.
Π£ Π±ΠΎΠ»ΡΠ½ΡΡ Ρ ΠΎΡΡΡΡΠΌ ΠΏΠΈΠ΅Π»ΠΎΠ½Π΅ΡΡΠΈΡΠΎΠΌ Π½Π° ΡΠΊΡΠΊΡΠ΅ΡΠΎΡΠ½ΡΡ ΡΡΠΎΠ³ΡΠ°ΠΌΠΌΠ°Ρ , ΡΠ΄Π΅Π»Π°Π½Π½ΡΡ Π½Π° Π²ΡΡΠΎΡΠ΅ Π²Π΄ΠΎΡ Π° ΠΈ Π²ΡΠ΄ΠΎΡ Π°, Π·Π°ΠΌΠ΅ΡΠ½ΠΎ ΠΎΠ³ΡΠ°Π½ΠΈΡΠ΅Π½ΠΈΠ΅ Π΄ΡΡ Π°ΡΠ΅Π»ΡΠ½ΠΎΠΉ ΠΏΠΎΠ΄Π²ΠΈΠΆΠ½ΠΎΡΡΠΈ Π±ΠΎΠ»ΡΠ½ΠΎΠΉ ΠΏΠΎΡΠΊΠΈ. ΠΠΎΠ½ΡΡΠ°ΡΡΠΈΡΠΎΠ²Π°Π½ΠΈΠ΅ Π΅Π΅ ΡΠ°ΡΠ΅ΡΠ½ΠΎ-Π»ΠΎΡ Π°Π½ΠΎΡΠ½ΠΎΠΉ ΡΠΈΡΡΠ΅ΠΌΡ ΠΌΠΎΠΆΠ΅Ρ Π·Π°ΠΏΠ°Π·Π΄ΡΠ²Π°ΡΡ ΠΎΡΠ½ΠΎΡΠΈΡΠ΅Π»ΡΠ½ΠΎ Π·Π΄ΠΎΡΠΎΠ²ΠΎΠΉ, Π° ΠΈΠ·ΠΎΠ±ΡΠ°ΠΆΠ΅Π½ΠΈΠ΅ ΡΠ°ΡΠ΅ΡΠ½ΠΎ-Π»ΠΎΡ Π°Π½ΠΎΡΠ½ΠΎΠΉ ΡΠΈΡΡΠ΅ΠΌΡ ΠΌΠΎΠΆΠ΅Ρ Π±ΡΡΡ ΠΌΠ΅Π½Π΅Π΅ ΡΡΠΊΠΈΠΌ ΠΈ ΡΠ΅ΡΠΊΠΈΠΌ (ΡΠΈΡ. 7.2).

Π ΠΈΡ. 7.2. ΠΠΊΡΠΊΡΠ΅ΡΠΎΡΠ½Π°Ρ ΡΡΠΎΠ³ΡΠ°ΠΌΠΌΠ° ΡΠ΅ΡΠ΅Π· 25 ΠΌΠΈΠ½ ΠΏΠΎΡΠ»Π΅ Π²Π²Π΅Π΄Π΅Π½ΠΈΡ ΡΠ΅Π½ΡΠ³Π΅Π½ΠΎΠΊΠΎΠ½ΡΡΠ°ΡΡΠ½ΠΎΠ³ΠΎ Π²Π΅ΡΠ΅ΡΡΠ²Π°
ΠΡΠ°Π²ΠΎΡΡΠΎΡΠΎΠ½Π½ΠΈΠΉ ΠΏΠΈΠ΅Π»ΠΎΠ½Π΅ΡΡΠΈΡ. ΠΡΠΈ ΡΠ°ΡΡΠΈΡΠ½ΠΎΠΉ ΠΎΠ±ΡΡΡΡΠΊΡΠΈΠΈ ΡΠ΅Π½Ρ Π»ΠΎΡ Π°Π½ΠΊΠΈ ΠΈ ΠΌΠΎΡΠ΅ΡΠΎΡΠ½ΠΈΠΊΠ° Π½Π°Π΄ ΠΏΡΠ΅ΠΏΡΡΡΡΠ²ΠΈΠ΅ΠΌ ΡΠ°ΡΡΠΈΡΠ΅Π½Π°. ΠΡΠΈ ΠΊΠ°ΡΠ±ΡΠ½ΠΊΡΠ»Π΅ ΠΈΠ»ΠΈ Π°Π±ΡΡΠ΅ΡΡΠ΅ ΠΏΠΎΡΠΊΠΈ Π²ΠΎΠ·ΠΌΠΎΠΆΠ½Π° Π΄Π΅ΡΠΎΡΠΌΠ°ΡΠΈΡ ΡΠ°ΡΠ΅ΡΠ½ΠΎ-Π»ΠΎΡ Π°Π½ΠΎΡΠ½ΠΎΠΉ ΡΠΈΡΡΠ΅ΠΌΡ.
ΠΠ΄Π½Π°ΠΊΠΎ ΡΠ»Π΅Π΄ΡΠ΅Ρ ΠΏΠΎΠΌΠ½ΠΈΡΡ, ΡΡΠΎ ΡΠ΅Π½ΡΠ³Π΅Π½ΠΎΠ»ΠΎΠ³ΠΈΡΠ΅ΡΠΊΠ°Ρ ΡΠΈΠΌΠΏΡΠΎΠΌΠ°ΡΠΈΠΊΠ° ΠΏΡΠΈ Π½Π°ΡΠ°Π»ΡΠ½ΠΎΠΉ ΡΡΠ°Π΄ΠΈΠΈ (ΡΠ΅ΡΠΎΠ·Π½ΠΎΠ΅ Π²ΠΎΡΠΏΠ°Π»Π΅Π½ΠΈΠ΅) ΠΎΡΡΡΠΎΠ³ΠΎ Π½Π΅ΠΎΠ±ΡΡΡΡΠΊΡΠΈΠ²Π½ΠΎΠ³ΠΎ ΠΏΠΈΠ΅Π»ΠΎΠ½Π΅ΡΡΠΈΡΠ° Π²ΡΡΠ°ΠΆΠ΅Π½Π° ΡΠ»Π°Π±ΠΎ. Π’ΠΎΠ»ΡΠΊΠΎ ΠΏΡΠΈ ΠΏΠ΅ΡΠ΅Ρ ΠΎΠ΄Π΅ Π²ΠΎΡΠΏΠ°Π»ΠΈΡΠ΅Π»ΡΠ½ΠΎΠ³ΠΎ ΠΏΡΠΎΡΠ΅ΡΡΠ° Π² ΡΡΠ°Π΄ΠΈΡ Π³Π½ΠΎΠΉΠ½ΠΎΠ³ΠΎ Π²ΠΎΡΠΏΠ°Π»Π΅Π½ΠΈΡ ΡΠ΅Π½ΡΠ³Π΅Π½ΠΎΠ»ΠΎΠ³ΠΈΡΠ΅ΡΠΊΠ°Ρ ΡΠΈΠΌΠΏΡΠΎΠΌΠ°ΡΠΈΠΊΠ° ΠΏΡΠΈΠΎΠ±ΡΠ΅ΡΠ°Π΅Ρ Ρ Π°ΡΠ°ΠΊΡΠ΅ΡΠ½ΡΠ΅ ΠΈΠ·ΠΌΠ΅Π½Π΅Π½ΠΈΡ.
Π Π½Π°ΡΡΠΎΡΡΠ΅Π΅ Π²ΡΠ΅ΠΌΡ ΡΡΠ΅Π΄ΠΈ ΠΌΠ΅ΡΠΎΠ΄ΠΎΠ² Π΄ΠΈΠ°Π³Π½ΠΎΡΡΠΈΠΊΠΈ ΠΎΡΡΡΠΎΠ³ΠΎ ΠΏΠΈΠ΅Π»ΠΎΠ½Π΅ΡΡΠΈΡΠ° Π²Π°ΠΆΠ½ΠΎΠ΅ ΠΌΠ΅ΡΡΠΎ Π·Π°Π½ΠΈΠΌΠ°Π΅Ρ ΡΠ»ΡΡΡΠ°Π·Π²ΡΠΊΠΎΠ²ΠΎΠ΅ ΡΠΊΠ°Π½ΠΈΡΠΎΠ²Π°Π½ΠΈΠ΅ ΠΏΠΎΡΠ΅ΠΊ, ΠΎΡΠΎΠ±Π΅Π½Π½ΠΎ ΠΏΡΠΈ II ΡΡΠ°Π΄ΠΈΠΈ ΡΠ°Π·Π²ΠΈΡΠΈΡ Π²ΠΎΡΠΏΠ°Π»ΠΈΡΠ΅Π»ΡΠ½ΠΎΠ³ΠΎ ΠΏΡΠΎΡΠ΅ΡΡΠ°. ΠΠΎ ΠΌΠ΅ΡΠ΅ ΡΠ°Π·Π²ΠΈΡΠΈΡ Π²ΠΎΡΠΏΠ°Π»Π΅Π½ΠΈΡ ΠΈ Π½Π°ΡΠ°ΡΡΠ°Π½ΠΈΡ ΠΎΡΠ΅ΠΊΠ° ΠΏΠΎΡΠ΅ΡΠ½ΠΎΠΉ ΡΠΊΠ°Π½ΠΈ ΡΡ ΠΎΠ³Π΅Π½Π½ΠΎΡΡΡ ΠΏΠ°ΡΠ΅Π½Ρ ΠΈΠΌΡ ΠΏΠΎΡΠΊΠΈ ΡΠ²Π΅Π»ΠΈΡΠΈΠ²Π°Π΅ΡΡΡ ΠΈ Π»ΡΡΡΠ΅ Π΄ΠΈΡΡΠ΅ΡΠ΅Π½ΡΠΈΡΡΠ΅ΡΡΡ Π΅Π΅ ΠΊΠΎΡΠΊΠΎΠ²ΡΠΉ ΡΠ»ΠΎΠΉ ΠΈ ΠΏΠΈΡΠ°ΠΌΠΈΠ΄Ρ, Π° ΡΠ°ΠΊΠΆΠ΅ ΠΎΡΠΌΠ΅ΡΠ°Π΅ΡΡΡ ΠΎΠ³ΡΠ°Π½ΠΈΡΠ΅Π½ΠΈΠ΅ ΠΏΠΎΠ΄Π²ΠΈΠΆΠ½ΠΎΡΡΠΈ ΠΏΠΎΡΠΊΠΈ ΠΏΡΠΈ Π΄ΡΡ Π°Π½ΠΈΠΈ. ΠΠ»Ρ ΠΊΠ°ΡΠ±ΡΠ½ΠΊΡΠ»Π° ΠΏΠΎΡΠΊΠΈ Ρ Π°ΡΠ°ΠΊΡΠ΅ΡΠ½Ρ Π²ΡΠ±ΡΡ Π°Π½ΠΈΠ΅ Π΅Π΅ Π²Π½Π΅ΡΠ½Π΅Π³ΠΎ ΠΊΠΎΠ½ΡΡΡΠ° ΠΈ ΠΎΡΡΡΡΡΡΠ²ΠΈΠ΅ Π΄ΠΈΡΡΠ΅ΡΠ΅Π½ΡΠΈΠ°ΡΠΈΠΈ ΠΌΠ΅ΠΆΠ΄Ρ ΠΊΠΎΡΠΊΠΎΠ²ΡΠΌ ΠΈ ΠΌΠΎΠ·Π³ΠΎΠ²ΡΠΌ ΡΠ»ΠΎΡΠΌΠΈ. ΠΡΠΈ ΡΠΎΡΠΌΠΈΡΠΎΠ²Π°Π½ΠΈΠΈ Π°Π±ΡΡΠ΅ΡΡΠ° Π² Π΅Π³ΠΎ ΡΠ΅Π½ΡΡΠ΅ Π²ΠΈΠ΄Π½Ρ Π³ΠΈΠΏΠΎΡΡ ΠΎΠ³Π΅Π½Π½ΡΠ΅ ΡΡΡΡΠΊΡΡΡΡ (ΡΠΈΡ. 7.3). ΠΡΠΈ Π²ΡΠΎΡΠΈΡΠ½ΠΎΠΌ ΠΎΡΡΡΠΎΠΌ ΠΏΠΈΠ΅Π»ΠΎΠ½Π΅ΡΡΠΈΡΠ΅ ΠΌΠΎΠΆΠ½ΠΎ Π²ΡΡΠ²ΠΈΡΡ ΠΈΠ·ΠΌΠ΅Π½Π΅Π½ΠΈΡ, Ρ Π°ΡΠ°ΠΊΡΠ΅ΡΠ½ΡΠ΅ Π΄Π»Ρ ΠΏΠ΅ΡΠ²ΠΈΡΠ½ΠΎΠ³ΠΎ Π·Π°Π±ΠΎΠ»Π΅Π²Π°Π½ΠΈΡ ΠΏΠΎΡΠΊΠΈ.

Π ΠΈΡ. 7.3. Π‘ΠΎΠ½ΠΎΠ³ΡΠ°ΠΌΠΌΠ° Π»Π΅Π²ΠΎΠΉ ΠΏΠΎΡΠΊΠΈ. ΠΡΡΡΡΠΉ Π³Π½ΠΎΠΉΠ½ΡΠΉ ΠΏΠΈΠ΅Π»ΠΎΠ½Π΅ΡΡΠΈΡ. Π ΠΏΠ°ΡΠ΅Π½Ρ ΠΈΠΌΠ΅ ΠΏΠΎΡΠΊΠΈ ΠΎΠΏΡΠ΅Π΄Π΅Π»ΡΠ΅ΡΡΡ ΡΡΠ°ΡΡΠΎΠΊ Ρ Π½Π΅ΠΎΠ΄Π½ΠΎΡΠΎΠ΄Π½ΠΎΠΉ ΡΡ ΠΎΡΡΡΡΠΊΡΡΡΠΎΠΉ
Π Π°Π΄ΠΈΠΎΡΠ΅Π½ΠΎΠ³ΡΠ°ΡΠΈΡ, Π½Π΅ ΠΎΡΠ²Π΅ΡΠ°Ρ Π½Π° Π²ΠΎΠΏΡΠΎΡ ΠΎ ΠΏΡΠΈΡΠΈΠ½Π΅ Π±ΠΎΠ»Π΅Π·Π½ΠΈ, ΠΏΠΎΠΊΠ°Π·ΡΠ²Π°Π΅Ρ Π½Π°ΡΡΡΠ΅Π½ΠΈΠ΅ ΡΠ΅ΠΊΡΠ΅ΡΠΎΡΠ½ΠΎΠΉ ΠΈ ΡΠΊΡΠΊΡΠ΅ΡΠΎΡΠ½ΠΎΠΉ ΡΡΠ½ΠΊΡΠΈΠΉ ΠΏΠΎΡΠΊΠΈ. ΠΡΠΈ Π½Π°ΡΡΡΠ΅Π½ΠΈΡ Π±ΡΠ²Π°ΡΡ ΠΎΡΠΎΠ±Π΅Π½Π½ΠΎ Π²ΡΡΠ°ΠΆΠ΅Π½Ρ ΠΏΡΠΈ ΠΎΠ±ΡΡΡΡΠΊΡΠΈΠ²Π½ΠΎΠΌ ΠΏΠΈΠ΅Π»ΠΎΠ½Π΅ΡΡΠΈΡΠ΅.
ΠΠ΅ΡΠ΅ΠΊΡ Π½Π°ΠΊΠΎΠΏΠ»Π΅Π½ΠΈΡ ΡΠ°Π΄ΠΈΠΎΡΠ°ΡΠΌΠΏΡΠ΅ΠΏΠ°ΡΠ°ΡΠ° Π² ΠΏΠ°ΡΠ΅Π½Ρ ΠΈΠΌΠ΅ ΠΏΠΎΡΠΊΠΈ Π½Π° ΡΡΠΈΠ½ΡΠΈΠ³ΡΠ°ΠΌΠΌΠ΅ ΠΏΠΎΠ·Π²ΠΎΠ»ΡΠ΅Ρ Π·Π°ΠΏΠΎΠ΄ΠΎΠ·ΡΠΈΡΡ ΠΊΠ°ΡΠ±ΡΠ½ΠΊΡΠ» ΠΈΠ»ΠΈ Π°Π±ΡΡΠ΅ΡΡ.
ΠΠΈΡΡΠ΅ΡΠ΅Π½ΡΠΈΠ°Π»ΡΠ½ΡΡ Π΄ΠΈΠ°Π³Π½ΠΎΡΡΠΈΠΊΡ ΠΎΡΡΡΠΎΠ³ΠΎ ΠΏΠΈΠ΅Π»ΠΎΠ½Π΅ΡΡΠΈΡΠ° (ΡΡΠΎ ΠΎΡΠΎΠ±Π΅Π½Π½ΠΎ Π°ΠΊΡΡΠ°Π»ΡΠ½ΠΎ ΠΏΡΠΈ Π³Π½ΠΎΠΉΠ½ΡΡ ΡΠΎΡΠΌΠ°Ρ ) ΠΏΡΠΎΠ²ΠΎΠ΄ΡΡ ΠΏΡΠΈ ΠΎΡΡΡΡΡ ΠΈΠ½ΡΠ΅ΠΊΡΠΈΠΎΠ½Π½ΡΡ Π±ΠΎΠ»Π΅Π·Π½ΡΡ (ΡΠΈΡ, ΠΌΠ°Π»ΡΡΠΈΡ, Π³ΡΠΈΠΏΠΏ) ΠΈ ΠΎΡΡΡΡΡ Ρ ΠΈΡΡΡΠ³ΠΈΡΠ΅ΡΠΊΠΈΡ Π±ΠΎΠ»Π΅Π·Π½ΡΡ ΠΆΠΈΠ²ΠΎΡΠ° (Ρ ΠΎΠ»Π΅ΡΠΈΡΡΠΈΡ, ΠΏΠ°Π½ΠΊΡΠ΅Π°ΡΠΈΡ, Π°ΠΏΠΏΠ΅Π½Π΄ΠΈΡΠΈΡ). ΠΠ°ΠΆΠ½ΡΡ ΡΠΎΠ»Ρ Π² ΠΏΡΠΎΠ²Π΅Π΄Π΅Π½ΠΈΠΈ Π΄ΠΈΡΡΠ΅ΡΠ΅Π½ΡΠΈΠ°Π»ΡΠ½ΠΎΠΉ Π΄ΠΈΠ°Π³Π½ΠΎΡΡΠΈΠΊΠΈ ΠΈΠ³ΡΠ°Π΅Ρ ΡΠΏΠΈΡΠ°Π»ΡΠ½Π°Ρ ΠΊΠΎΠΌΠΏΡΡΡΠ΅ΡΠ½Π°Ρ ΡΠΎΠΌΠΎΠ³ΡΠ°ΡΠΈΡ (Π‘ΠΠ’).
ΠΠ΅ΡΠ΅Π½ΠΈΠ΅. Π₯Π°ΡΠ°ΠΊΡΠ΅Ρ Π»Π΅ΡΠ΅Π½ΠΈΡ Π±ΠΎΠ»ΡΠ½ΡΡ Ρ ΠΎΡΡΡΡΠΌ ΠΏΠΈΠ΅Π»ΠΎΠ½Π΅ΡΡΠΈΡΠΎΠΌ ΠΎΠΏΡΠ΅Π΄Π΅Π»ΡΠ΅ΡΡΡ Π΅Π³ΠΎ ΠΏΠ°ΡΠΎΠ³Π΅Π½Π΅Π·ΠΎΠΌ ΠΈ ΠΎΡΠΎΠ±Π΅Π½Π½ΠΎΡΡΡΠΌΠΈ ΠΊΠ»ΠΈΠ½ΠΈΡΠ΅ΡΠΊΠΎΠ³ΠΎ ΡΠ΅ΡΠ΅Π½ΠΈΡ. ΠΡΠΈ ΠΏΠ΅ΡΠ²ΠΈΡΠ½ΠΎΠΌ ΡΠ΅ΡΠΎΠ·Π½ΠΎΠΌ ΠΏΠΈΠ΅Π»ΠΎΠ½Π΅ΡΡΠΈΡΠ΅ ΠΏΠΎΠΊΠ°Π·Π°Π½ΠΎ ΠΊΠΎΠ½ΡΠ΅ΡΠ²Π°ΡΠΈΠ²Π½ΠΎΠ΅ Π»Π΅ΡΠ΅Π½ΠΈΠ΅. ΠΠ΅ΠΉΡΡΠ²ΠΈΠ΅ Π½Π°Π·Π½Π°ΡΠ°Π΅ΠΌΡΡ Π»Π΅ΠΊΠ°ΡΡΡΠ²Π΅Π½Π½ΡΡ ΡΡΠ΅Π΄ΡΡΠ² Π΄ΠΎΠ»ΠΆΠ½ΠΎ Π±ΡΡΡ Π½Π°ΠΏΡΠ°Π²Π»Π΅Π½ΠΎ Π½Π° Π²ΠΎΡΡΡΠ°Π½ΠΎΠ²Π»Π΅Π½ΠΈΠ΅ Π·Π°ΡΠΈΡΠ½ΡΡ ΡΠΈΠ» Π±ΠΎΠ»ΡΠ½ΠΎΠ³ΠΎ, ΠΏΠ°ΡΠΎΠ³Π΅Π½Π΅Π· Π±ΠΎΠ»Π΅Π·Π½ΠΈ ΠΈ ΠΏΠΎΠ΄Π°Π²Π»Π΅Π½ΠΈΠ΅ ΡΠΎΡΡΠ° ΠΈ ΡΠ°Π·ΠΌΠ½ΠΎΠΆΠ΅Π½ΠΈΡ Π²ΡΡΠ²Π»Π΅Π½Π½ΠΎΠΉ ΠΌΠΈΠΊΡΠΎΡΠ»ΠΎΡΡ.
ΠΠΎΠ»ΡΠ½ΠΎΠΌΡ Ρ ΠΎΡΡΡΡΠΌ ΠΏΠΈΠ΅Π»ΠΎΠ½Π΅ΡΡΠΈΡΠΎΠΌ ΠΏΠΎΠΊΠ°Π·Π°Π½Π° ΡΡΠΎΡΠ½Π°Ρ Π³ΠΎΡΠΏΠΈΡΠ°Π»ΠΈΠ·Π°ΡΠΈΡ Π² ΡΡΠΎΠ»ΠΎΠ³ΠΈΡΠ΅ΡΠΊΠΎΠ΅ ΠΎΡΠ΄Π΅Π»Π΅Π½ΠΈΠ΅, Π³Π΄Π΅ Π΅ΠΌΡ Π±ΡΠ΄Π΅Ρ Π²ΡΠΏΠΎΠ»Π½Π΅Π½ Π²Π΅ΡΡ ΠΊΠΎΠΌΠΏΠ»Π΅ΠΊΡ Π΄ΠΈΠ°Π³Π½ΠΎΡΡΠΈΡΠ΅ΡΠΊΠΈΡ ΠΈ Π»Π΅ΡΠ΅Π±Π½ΡΡ ΠΏΡΠΎΡΠ΅Π΄ΡΡ. ΠΠΎΠΊΠ°Π·Π°Π½Ρ ΠΏΠΎΡΡΠ΅Π»ΡΠ½ΡΠΉ ΡΠ΅ΠΆΠΈΠΌ, ΠΎΠ±ΠΈΠ»ΡΠ½ΠΎΠ΅ ΠΏΠΈΡΡΠ΅, ΠΏΠΈΡΠ°, Π±ΠΎΠ³Π°ΡΠ°Ρ ΡΠ³Π»Π΅Π²ΠΎΠ΄Π°ΠΌΠΈ, ΠΊΠΈΡΠ»ΠΎΠΌΠΎΠ»ΠΎΡΠ½ΡΠ΅ ΠΏΡΠΎΠ΄ΡΠΊΡΡ.
ΠΡΠΈΠ½ΡΠΈΠΏΠΈΠ°Π»ΡΠ½ΠΎ Π²Π°ΠΆΠ½ΠΎ, ΡΡΠΎ ΠΏΡΠΈ Π²ΡΠΎΡΠΈΡΠ½ΠΎΠΌ ΠΏΠΈΠ΅Π»ΠΎΠ½Π΅ΡΡΠΈΡΠ΅ Π»Π΅ΡΠ΅Π½ΠΈΠ΅ Π½Π΅ΠΎΠ±Ρ ΠΎΠ΄ΠΈΠΌΠΎ Π½Π°ΡΠΈΠ½Π°ΡΡ Ρ Π²ΠΎΡΡΡΠ°Π½ΠΎΠ²Π»Π΅Π½ΠΈΡ ΠΎΡΡΠΎΠΊΠ° ΠΌΠΎΡΠΈ ΠΈΠ· ΠΏΠΎΡΠΊΠΈ. Π Π·Π°Π²ΠΈΡΠΈΠΌΠΎΡΡΠΈ ΠΎΡ ΠΏΡΠΈΡΠΈΠ½Ρ ΠΎΠΊΠΊΠ»ΡΠ·ΠΈΠΈ ΠΎΡΡΠΎΠΊ ΠΌΠΎΡΠΈ Π²ΠΎΡΡΡΠ°Π½Π°Π²Π»ΠΈΠ²Π°ΡΡ ΡΠ°Π·Π½ΡΠΌΠΈ ΠΌΠ΅ΡΠΎΠ΄Π°ΠΌΠΈ. ΠΡΠΈ ΠΊΠ°ΠΌΠ½Π΅ ΠΌΠΎΡΠ΅ΡΠΎΡΠ½ΠΈΠΊΠ° Π½Π΅Π±ΠΎΠ»ΡΡΠΈΡ ΡΠ°Π·ΠΌΠ΅ΡΠΎΠ² ΠΈ ΡΠΎΠ»ΡΠΊΠΎ Π² ΡΠ°Π½Π½ΠΈΠ΅ ΡΡΠΎΠΊΠΈ ΠΎΡΡΡΠΎΠ³ΠΎ ΠΏΠΈΠ΅Π»ΠΎΠ½Π΅ΡΡΠΈΡΠ° Π΄Π»Ρ Π²ΠΎΡΡΡΠ°Π½ΠΎΠ²Π»Π΅Π½ΠΈΡ ΠΎΡΡΠΎΠΊΠ° ΠΌΠΎΡΠΈ ΠΌΠΎΠΆΠ½ΠΎ ΠΏΡΠ΅Π΄ΠΏΡΠΈΠ½ΡΡΡ ΠΊΠ°ΡΠ΅ΡΠ΅ΡΠΈΠ·Π°ΡΠΈΡ ΠΌΠΎΡΠ΅ΡΠΎΡΠ½ΠΈΠΊΠ°. ΠΡΠ»ΠΈ ΠΊΠ°ΡΠ΅ΡΠ΅ΡΠΈΠ·Π°ΡΠΈΡ ΠΌΠΎΡΠ΅ΡΠΎΡΠ½ΠΈΠΊΠ° Π½Π΅ ΡΠ΄Π°Π»Π°ΡΡ, Π° ΡΠ°ΠΊΠΆΠ΅ ΠΏΡΠΈ ΠΎΡΡΡΠΎΠΌ ΠΏΠΈΠ΅Π»ΠΎΠ½Π΅ΡΡΠΈΡΠ΅, ΠΊΠΎΡΠΎΡΡΠΉ ΠΏΡΠΎΠ΄ΠΎΠ»ΠΆΠ°Π΅ΡΡΡ Π±ΠΎΠ»Π΅Π΅ 3 ΡΡΡΠΎΠΊ, Π²ΡΠΏΠΎΠ»Π½ΡΡΡ ΡΠΊΡΡΡΠ΅Π½Π½ΠΎΠ΅ ΠΎΠΏΠ΅ΡΠ°ΡΠΈΠ²Π½ΠΎΠ΅ Π²ΠΌΠ΅ΡΠ°ΡΠ΅Π»ΡΡΡΠ²ΠΎ — ΡΡΠ΅ΡΠΊΠΎΠΆΠ½ΡΡ ΠΏΡΠ½ΠΊΡΠΈΡ ΠΏΠΎΡΠΊΠΈ ΠΏΠΎΠ΄ ΠΊΠΎΠ½ΡΡΠΎΠ»Π΅ΠΌ ΡΠ»ΡΡΡΠ°Π·Π²ΡΠΊΠ° (ΡΡΠ΅ΡΠΊΠΎΠΆΠ½ΡΡ ΠΏΡΠ½ΠΊΡΠΈΠΎΠ½Π½ΡΡ Π½Π΅ΡΡΠΎΡΡΠΎΠΌΠΈΡ) ΠΈΠ»ΠΈ ΡΡΠ΅ΡΠ΅ΡΠΎΠ»ΠΈΡΠΎΡΠΎΠΌΠΈΡ Ρ Π΄ΡΠ΅Π½ΠΈΡΠΎΠ²Π°Π½ΠΈΠ΅ΠΌ ΡΠ°ΡΠ΅ΡΠ½ΠΎ-Π»ΠΎΡ Π°Π½ΠΎΡΠ½ΠΎΠΉ ΡΠΈΡΡΠ΅ΠΌΡ ΠΏΠΎΡΠΊΠΈ. ΠΠ½ΠΎΠ³Π΄Π° ΠΊΠ°ΡΠ΅ΡΠ΅ΡΠΈΠ·Π°ΡΠΈΡ ΠΏΠΎΡΠΊΠΈ Π²ΡΠΏΠΎΠ»Π½ΡΡΡ Ρ ΠΈΡΠΏΠΎΠ»ΡΠ·ΠΎΠ²Π°Π½ΠΈΠ΅ΠΌ ΡΠ°ΠΌΠΎΡΠ΄Π΅ΡΠΆΠΈΠ²Π°ΡΡΠ΅Π³ΠΎΡΡ ΠΌΠΎΡΠ΅ΡΠΎΡΠ½ΠΈΠΊΠΎΠ²ΠΎΠ³ΠΎ ΠΊΠ°ΡΠ΅ΡΠ΅ΡΠ° (ΡΡΠ΅Π½ΡΠ°), ΡΡΠΎ ΠΏΠΎΠ·Π²ΠΎΠ»ΡΠ΅Ρ ΠΊΡΠΏΠΈΡΠΎΠ²Π°ΡΡ Π°ΡΠ°ΠΊΡ ΠΏΠΈΠ΅Π»ΠΎΠ½Π΅ΡΡΠΈΡΠ°, Π° Π² ΠΏΠΎΡΠ»Π΅Π΄ΡΡΡΠ΅ΠΌ ΠΏΡΠΎΠ²Π΅ΡΡΠΈ Π΄ΠΈΡΡΠ°Π½ΡΠΈΠΎΠ½Π½ΡΡ Π»ΠΈΡΠΎΡΡΠΈΠΏΡΠΈΡ ΠΈΠ»ΠΈ Π΄ΡΡΠ³ΠΈΠ΅ ΠΌΠ΅ΡΠΎΠ΄Ρ Π»Π΅ΡΠ΅Π½ΠΈΡ Π½Π΅ΡΡΠΎΠ»ΠΈΡΠΈΠ°Π·Π° (ΠΈΠ·Π²Π»Π΅ΡΠ΅Π½ΠΈΠ΅ ΠΊΠ°ΠΌΠ½Ρ ΡΠΏΠ΅ΡΠΈΠ°Π»ΡΠ½ΡΠΌ ΠΈΠ½ΡΡΡΡΠΌΠ΅Π½ΡΠΎΠΌ ΠΈ Π΄Ρ.).
ΠΠ»Ρ ΡΡΠΈΠ»Π΅Π½ΠΈΡ ΠΈΠΌΠΌΡΠ½ΠΎΡΠ΅Π·ΠΈΡΡΠ΅Π½ΡΠ½ΠΎΡΡΠΈ ΠΏΠΎΠΊΠ°Π·Π°Π½ΠΎ Π½Π°Π·Π½Π°ΡΠ΅Π½ΠΈΠ΅ Π²ΠΈΡΠ°ΠΌΠΈΠ½ΠΎΠ² Π‘, Π6, Π, Π° ΡΠ°ΠΊΠΆΠ΅ ΠΌΠ΅ΡΠΈΠ»ΡΡΠ°ΡΠΈΠ»Π°. Π ΡΡΠ΅Π΄ΡΡΠ²Π°ΠΌ ΠΏΠ°ΡΠΎΠ³Π΅Π½Π΅ΡΠΈΡΠ΅ΡΠΊΠΎΠ³ΠΎ Π²ΠΎΠ·Π΄Π΅ΠΉΡΡΠ²ΠΈΡ ΠΎΡΠ½ΠΎΡΡΡΡΡ ΡΡΠ΅Π½ΡΠ°Π», Π²Π΅Π½ΠΎΡΡΡΠΎΠ½ ΠΈ Π΄ΡΡΠ³ΠΈΠ΅ ΠΏΠΎΠ΄ΠΎΠ±Π½ΡΠ΅ ΠΈΠΌ ΡΡΠ΅Π΄ΡΡΠ²Π°. Π₯ΠΎΡΠΎΡΠΎ Π·Π°ΡΠ΅ΠΊΠΎΠΌΠ΅Π½Π΄ΠΎΠ²Π°Π» ΡΠ΅Π±Ρ ΠΏΡΠΈ ΠΊΠΎΠΌΠΏΠ»Π΅ΠΊΡΠ½ΠΎΠΌ Π»Π΅ΡΠ΅Π½ΠΈΠΈ Π±ΠΎΠ»ΡΠ½ΡΡ Ρ ΠΏΠΈΠ΅Π»ΠΎΠ½Π΅ΡΡΠΈΡΠΎΠΌ ΠΏΡΠΎΡΡΠ°ΡΠΈΠ»Π΅Π½ — ΠΏΡΠ΅ΠΏΠ°ΡΠ°Ρ, ΠΎΠ±Π»Π°Π΄Π°ΡΡΠΈΠΉ Π²ΡΡΠ°ΠΆΠ΅Π½Π½ΡΠΌΠΈ ΠΈΠΌΠΌΡΠ½ΠΎΠΌΠΎΠ΄ΡΠ»ΠΈΡΡΡΡΠΈΠΌΠΈ ΡΠ²ΠΎΠΉΡΡΠ²Π°ΠΌΠΈ ΠΈ ΡΠΏΠΎΡΠΎΠ±Π½ΠΎΡΡΡΡ Π²ΠΎΡΡΡΠ°Π½Π°Π²Π»ΠΈΠ²Π°ΡΡ ΠΌΠΈΠΊΡΠΎΡΠΈΡΠΊΡΠ»ΡΡΠΈΡ.
ΠΠΎΠ΄Π±ΠΈΡΠ°Ρ Π°Π½ΡΠΈΠ±ΠΈΠΎΡΠΈΠΊΠΈ, ΡΠ»Π΅Π΄ΡΠ΅Ρ ΠΎΡΠ΄Π°Π²Π°ΡΡ ΠΏΡΠ΅Π΄ΠΏΠΎΡΡΠ΅Π½ΠΈΠ΅ ΡΠΎΠ²ΡΠ΅ΠΌΠ΅Π½Π½ΡΠΌ ΠΏΡΠ΅ΠΏΠ°ΡΠ°ΡΠ°ΠΌ ΡΠΈΡΠΎΠΊΠΎΠ³ΠΎ ΡΠΏΠ΅ΠΊΡΡΠ° Π΄Π΅ΠΉΡΡΠ²ΠΈΡ. ΠΠ°ΠΆΠ½ΠΎ, ΡΡΠΎΠ±Ρ ΠΎΠ½ΠΈ Π² Π½Π΅ΠΈΠ·ΠΌΠ΅Π½Π΅Π½Π½ΠΎΠΌ Π²ΠΈΠ΄Π΅ ΠΏΡΠΎΡ ΠΎΠ΄ΠΈΠ»ΠΈ ΡΠ΅ΡΠ΅Π· ΠΏΠΎΡΠΊΠΈ ΠΈ Π½Π΅ Π±ΡΠ»ΠΈ ΡΠΎΠΊΡΠΈΡΠ½Ρ. ΠΡΠΈΠΌ ΡΡΠ΅Π±ΠΎΠ²Π°Π½ΠΈΡΠΌ ΠΎΡΠ²Π΅ΡΠ°ΡΡ, Π² ΡΠ°ΡΡΠ½ΠΎΡΡΠΈ, ΡΠΈΡΡΠ°Π½, ΡΠ΅ΡΠ°Π·ΠΎΠ»ΠΈΠ½, ΡΠΈΠΏΡΠΎΡΠ»ΠΎΠΊΡΠ°ΡΠΈΠ½, Π°ΡΠ³ΠΌΠ΅Π½ΡΠΈΠ½, Π°ΠΌΠΎΠΊΡΠΈΠΊΠ»Π°Π². Π ΠΏΠΎΡΠ»Π΅Π΄Π½ΠΈΠ΅ Π³ΠΎΠ΄Ρ ΠΏΡΠ΅Π΄ΠΏΠΎΡΡΠ΅Π½ΠΈΠ΅ ΠΎΡΠ΄Π°ΡΡ ΠΏΠ°ΡΠ΅Π½ΡΠ΅ΡΠ°Π»ΡΠ½ΡΠΌ ΠΈ ΠΏΠ΅ΡΠΎΡΠ°Π»ΡΠ½ΡΠΌ ΡΡΠΎΡΡ ΠΈΠ½ΠΎΠ»ΠΎΠ½Π°ΠΌ, ΠΊΠΎΡΠΎΡΡΠ΅ ΡΡΡΠ΅ΠΊΡΠΈΠ²Π½Ρ ΠΏΠΎ ΠΎΡΠ½ΠΎΡΠ΅Π½ΠΈΡ ΠΊ Π²ΠΎΠ·Π±ΡΠ΄ΠΈΡΠ΅Π»ΡΠΌ ΠΏΠΈΠ΅Π»ΠΎΠ½Π΅ΡΡΠΈΡΠ°.
ΠΠΌΠ΅ΡΡΠ΅ Ρ Π°Π½ΡΠΈΠ±ΠΈΠΎΡΠΈΠΊΠ°ΠΌΠΈ Ρ ΡΡΠΏΠ΅Ρ ΠΎΠΌ ΠΌΠΎΠ³ΡΡ Π±ΡΡΡ ΠΈΡΠΏΠΎΠ»ΡΠ·ΠΎΠ²Π°Π½Ρ ΠΏΡΠ΅ΠΏΠ°ΡΠ°ΡΡ Π½Π°Π»ΠΈΠ΄ΠΈΠΊΡΠΎΠ²ΠΎΠΉ ΠΊΠΈΡΠ»ΠΎΡΡ (5-ΠΠΠ, Π½ΠΈΡΡΠΎΠΊΡΠΎΠ»ΠΈΠ½), Π½ΠΈΡΡΠΎΡΡΡΠ°Π½Ρ (ΡΡΡΠ°Π³ΠΈΠ½, ΡΡΡΠ°Π΄ΠΎΠ½ΠΈΠ½), ΡΠ°ΡΡΠ²ΠΎΡΠΈΠΌΡΠ΅ ΡΡΠ»ΡΡΠ°Π½ΠΈΠ»Π°ΠΌΠΈΠ΄Ρ (Π±ΠΈΡΠ΅ΠΏΡΠΎΠ» ΠΈ Π΄Ρ.).
ΠΠ΅ΠΊΠ°ΡΡΡΠ²Π΅Π½Π½ΠΎΠ΅ Π»Π΅ΡΠ΅Π½ΠΈΠ΅ Π² ΠΏΠΎΡΠ»Π΅ΠΎΠΏΠ΅ΡΠ°ΡΠΈΠΎΠ½Π½ΠΎΠΌ ΠΏΠ΅ΡΠΈΠΎΠ΄Π΅ Ρ Π±ΠΎΠ»ΡΠ½ΡΡ Ρ ΠΎΡΡΡΡΠΌ Π²ΡΠΎΡΠΈΡΠ½ΡΠΌ ΠΏΠΈΠ΅Π»ΠΎΠ½Π΅ΡΡΠΈΡΠΎΠΌ Π΄ΠΎΠ»ΠΆΠ½ΠΎ ΠΏΡΠΎΠ²ΠΎΠ΄ΠΈΡΡΡΡ ΠΏΠΎ ΡΠ΅ΠΌ ΠΆΠ΅ ΠΏΡΠΈΠ½ΡΠΈΠΏΠ°ΠΌ, ΡΡΠΎ ΠΈ ΠΏΡΠΈ ΠΎΡΡΡΠΎΠΌ ΠΏΠ΅ΡΠ²ΠΈΡΠ½ΠΎΠΌ ΠΏΠΈΠ΅Π»ΠΎΠ½Π΅ΡΡΠΈΡΠ΅. ΠΠ»Ρ ΠΏΡΠ΅Π΄ΡΠΏΡΠ΅ΠΆΠ΄Π΅Π½ΠΈΡ Π²ΠΎΠ·ΠΌΠΎΠΆΠ½ΡΡ ΠΏΠΎΡΠ»Π΅ΠΎΠΏΠ΅ΡΠ°ΡΠΈΠΎΠ½Π½ΡΡ ΠΎΡΠ»ΠΎΠΆΠ½Π΅Π½ΠΈΠΉ ΠΈ ΡΠΎΠΊΡΠ°ΡΠ΅Π½ΠΈΡ ΠΏΡΠΎΠ΄ΠΎΠ»ΠΆΠΈΡΠ΅Π»ΡΠ½ΠΎΡΡΠΈ Π²ΠΎΡΡΡΠ°Π½ΠΎΠ²ΠΈΡΠ΅Π»ΡΠ½ΠΎΠ³ΠΎ ΠΏΠ΅ΡΠΈΠΎΠ΄Π° Π½Π΅ΠΎΠ±Ρ ΠΎΠ΄ΠΈΠΌΠΎ Π½Π°Π·Π½Π°ΡΠ΅Π½ΠΈΠ΅ Π»Π΅ΡΠ΅Π±Π½ΠΎΠ³ΠΎ ΠΌΠ°ΡΡΠ°ΠΆΠ°, Π»Π΅ΡΠ΅Π±Π½ΠΎΠΉ ΡΠΈΠ·ΠΊΡΠ»ΡΡΡΡΡ ΠΈ ΡΠΈΠ·ΠΈΠΎΡΠ΅ΡΠ°ΠΏΠ΅Π²ΡΠΈΡΠ΅ΡΠΊΠΈΡ ΠΏΡΠΎΡΠ΅Π΄ΡΡ.
Π ΡΠ»ΡΡΠ°Π΅ Π²ΡΡΠ²Π»Π΅Π½ΠΈΡ ΠΎΡΡΡΠΎΠ³ΠΎ Π³Π½ΠΎΠΉΠ½ΠΎΠ³ΠΎ ΠΏΠΈΠ΅Π»ΠΎΠ½Π΅ΡΡΠΈΡΠ°, Π²Π½Π΅ Π·Π°Π²ΠΈΡΠΈΠΌΠΎΡΡΠΈ ΠΎΡ ΠΊΠΎΠ½ΠΊΡΠ΅ΡΠ½ΠΎΠΉ ΠΌΠΎΡΡΠΎΠ»ΠΎΠ³ΠΈΡΠ΅ΡΠΊΠΎΠΉ ΡΠΎΡΠΌΡ (Π°ΠΏΠΎΡΡΠ΅ΠΌΠ°ΡΠΎΠ·Π½ΡΠΉ ΠΏΠΈΠ΅Π»ΠΎΠ½Π΅ΡΡΠΈΡ, Π°Π±ΡΡΠ΅ΡΡ ΠΈΠ»ΠΈ ΠΊΠ°ΡΠ±ΡΠ½ΠΊΡΠ»), Π½Π΅ΠΎΠ±Ρ ΠΎΠ΄ΠΈΠΌΠΎ ΡΡΠΎΡΠ½ΠΎΠ΅ ΠΎΠΏΠ΅ΡΠ°ΡΠΈΠ²Π½ΠΎΠ΅ Π»Π΅ΡΠ΅Π½ΠΈΠ΅. ΠΠΈΠ½ΠΈΠΌΠ°Π»ΡΠ½ΡΠΉ ΠΎΠ±ΡΠ΅ΠΌ ΠΎΠΏΠ΅ΡΠ°ΡΠΈΠΈ ΠΏΡΠΈ Π°ΠΏΠΎΡΡΠ΅ΠΌΠ°ΡΠΎΠ·Π½ΠΎΠΌ ΠΏΠΈΠ΅Π»ΠΎΠ½Π΅ΡΡΠΈΡΠ΅ — Π΄Π΅ΠΊΠ°ΠΏΡΡΠ»ΡΡΠΈΡ ΠΏΠΎΡΠΊΠΈ (ΡΠ°ΡΡΠ΅ΡΠ΅Π½ΠΈΠ΅ ΠΈ Π²ΡΠ²ΠΎΡΠ°ΡΠΈΠ²Π°Π½ΠΈΠ΅ ΡΠΈΠ±ΡΠΎΠ·Π½ΠΎΠΉ ΠΊΠ°ΠΏΡΡΠ»Ρ) ΠΈ Π½Π΅ΡΡΠΎΡΡΠΎΠΌΠΈΡ (Π΄ΡΠ΅Π½ΠΈΡΠΎΠ²Π°Π½ΠΈΠ΅ ΠΏΠΎΡΠ΅ΡΠ½ΠΎΠΉ Π»ΠΎΡ Π°Π½ΠΊΠΈ).
ΠΡΠΈ ΠΎΠ±ΡΠ΅ΠΌ ΡΡΠΆΠ΅Π»ΠΎΠΌ ΡΠΎΡΡΠΎΡΠ½ΠΈΠΈ Π±ΠΎΠ»ΡΠ½ΠΎΠ³ΠΎ Π²ΡΠ»Π΅Π΄ΡΡΠ²ΠΈΠ΅ ΡΠΏΠ»ΠΎΡΠ½ΠΎΠ³ΠΎ Π²ΠΎΠ²Π»Π΅ΡΠ΅Π½ΠΈΡ ΠΏΠΎΡΠΊΠΈ Π² Π²ΠΎΡΠΏΠ°Π»ΠΈΡΠ΅Π»ΡΠ½ΡΠΉ ΠΏΡΠΎΡΠ΅ΡΡ ΠΈ ΡΠ°Π·Π²ΠΈΡΠΈΡ ΡΡΠΎΡΠ΅ΠΏΡΠΈΡΠ° ΠΏΠΎΠΊΠ°Π·Π°Π½Π° Π½Π΅ΡΡΡΠΊΡΠΎΠΌΠΈΡ. Π ΠΏΠΎΠ΄ΠΎΠ±Π½ΡΡ ΡΠ»ΡΡΠ°ΡΡ Π½Π΅ΠΎΠ±Ρ ΠΎΠ΄ΠΈΠΌΠΎ ΠΈΠΌΠ΅ΡΡ ΡΡΠ½ΠΎΠ΅ ΠΏΡΠ΅Π΄ΡΡΠ°Π²Π»Π΅Π½ΠΈΠ΅ ΠΎ ΡΡΠ½ΠΊΡΠΈΠΈ ΠΏΡΠΎΡΠΈΠ²ΠΎΠΏΠΎΠ»ΠΎΠΆΠ½ΠΎΠΉ ΠΏΠΎΡΠΊΠΈ.
ΠΡΠΈ ΠΊΠ°ΡΠ±ΡΠ½ΠΊΡΠ»Π΅ ΠΈ Π°Π±ΡΡΠ΅ΡΡΠ΅ ΠΏΠΎΡΠΊΠΈ, Π΅ΡΠ»ΠΈ ΠΏΠΎΠ·Π²ΠΎΠ»ΡΠ΅Ρ ΠΎΠ±ΡΠ΅Π΅ ΡΠΎΡΡΠΎΡΠ½ΠΈΠ΅ Π±ΠΎΠ»ΡΠ½ΠΎΠ³ΠΎ ΠΈ Π΅ΡΡΡ ΠΎΡΠ½ΠΎΠ²Π°Π½ΠΈΡ Π½Π°Π΄Π΅ΡΡΡΡΡ Π½Π° Π²ΠΎΡΡΡΠ°Π½ΠΎΠ²Π»Π΅Π½ΠΈΠ΅ Π΅Π΅ ΡΡΠ½ΠΊΡΠΈΠΈ, ΠΏΠΎΠΊΠ°Π·Π°Π½ΠΎ Π²ΡΠΏΠΎΠ»Π½Π΅Π½ΠΈΠ΅ ΠΎΡΠ³Π°Π½ΠΎΡΠΎΡ ΡΠ°Π½ΡΡΡΠΈΡ ΠΎΠΏΠ΅ΡΠ°ΡΠΈΠΉ. ΠΠ½ΠΈ Π·Π°ΠΊΠ»ΡΡΠ°ΡΡΡΡ Π² Π΄Π΅ΠΊΠ°ΠΏΡΡΠ»ΡΡΠΈΠΈ ΠΏΠΎΡΠΊΠΈ, ΠΊΡΠ΅ΡΡΠΎΠΎΠ±ΡΠ°Π·Π½ΠΎΠΌ ΡΠ°ΡΡΠ΅ΡΠ΅Π½ΠΈΠΈ Π³Π½ΠΎΠΉΠ½ΠΈΠΊΠ°. ΠΠ±ΡΠ·Π°ΡΠ΅Π»ΡΠ½ΠΎ Π΄ΡΠ΅Π½ΠΈΡΠΎΠ²Π°Π½ΠΈΠ΅ Π³Π½ΠΎΠΉΠ½ΠΎΠΉ ΠΏΠΎΠ»ΠΎΡΡΠΈ, Π° ΠΏΡΠΈ Π½Π°ΡΡΡΠ΅Π½Π½ΠΎΠΌ ΠΎΡΡΠΎΠΊΠ΅ ΠΌΠΎΡΠΈ ΠΈΠ· Π»ΠΎΡ Π°Π½ΠΊΠΈ — Π΅Π΅ Π΄ΡΠ΅Π½ΠΈΡΠΎΠ²Π°Π½ΠΈΠ΅.
Π‘ ΡΡΠ΅ΡΠΎΠΌ ΡΡΠΆΠ΅ΡΡΠΈ ΠΎΠ±ΡΠ΅Π³ΠΎ ΡΠΎΡΡΠΎΡΠ½ΠΈΡ Π±ΠΎΠ»ΡΠ½ΡΡ Ρ Π³Π½ΠΎΠΉΠ½ΡΠΌ ΠΏΠΈΠ΅Π»ΠΎΠ½Π΅ΡΡΠΈΡΠΎΠΌ Π² ΠΏΠΎΡΠ»Π΅ΠΎΠΏΠ΅ΡΠ°ΡΠΈΠΎΠ½Π½ΠΎΠΌ ΠΏΠ΅ΡΠΈΠΎΠ΄Π΅ ΠΏΠΎΠΊΠ°Π·Π°Π½ΠΎ Π½Π°Π±Π»ΡΠ΄Π΅Π½ΠΈΠ΅ Π·Π° Π½ΠΈΠΌΠΈ Π² ΠΎΡΠ΄Π΅Π»Π΅Π½ΠΈΠΈ (ΠΏΠ°Π»Π°ΡΠ΅) ΠΈΠ½ΡΠ΅Π½ΡΠΈΠ²Π½ΠΎΠΉ ΡΠ΅ΡΠ°ΠΏΠΈΠΈ. ΠΠ΅ΡΠ΅Π½ΠΈΠ΅ ΡΠ°ΠΊΠΈΡ Π±ΠΎΠ»ΡΠ½ΡΡ Π½Π΅ΠΎΠ±Ρ ΠΎΠ΄ΠΈΠΌΠΎ Π΄ΠΎΠΏΠΎΠ»Π½ΠΈΡΡ Π½Π°Π·Π½Π°ΡΠ΅Π½ΠΈΠ΅ΠΌ ΠΈΠΌΠΌΡΠ½ΠΎΠΌΠΎΠ΄ΡΠ»ΡΡΠΎΡΠΎΠ² ΠΈ ΡΠΏΠ°Π·ΠΌΠΎΠ»ΠΈΡΠΈΠΊΠΎΠ². ΠΠ»Ρ Π΄Π΅Π·ΠΈΠ½ΡΠΎΠΊΡΠΈΠΊΠ°ΡΠΈΠΈ Π²Π½ΡΡΡΠΈΠ²Π΅Π½Π½ΠΎ Π²Π²ΠΎΠ΄ΡΡ ΡΠΎΠ»Π΅Π²ΡΠ΅ ΡΠ°ΡΡΠ²ΠΎΡΡ ΠΈ Π΄ΠΈΡΡΠ΅ΡΠΈΠΊΠΈ ΠΏΠΎΠ΄ ΠΊΠΎΠ½ΡΡΠΎΠ»Π΅ΠΌ Π±Π°Π»Π°Π½ΡΠ° ΡΠ»Π΅ΠΊΡΡΠΎΠ»ΠΈΡΠΎΠ².
ΠΡΠΎΠ³Π½ΠΎΠ·. ΠΡΠΈ ΠΎΡΡΡΠΎΠΌ ΠΏΠ΅ΡΠ²ΠΈΡΠ½ΠΎΠΌ ΠΏΠΈΠ΅Π»ΠΎΠ½Π΅ΡΡΠΈΡΠ΅ ΠΏΡΠΎΠ³Π½ΠΎΠ· Π±Π»Π°Π³ΠΎΠΏΡΠΈΡΡΠ΅Π½, Π½ΠΎ Π΅ΡΠ»ΠΈ Π·Π°Π±ΠΎΠ»Π΅Π²Π°Π½ΠΈΠ΅ ΠΏΠ΅ΡΠ΅Ρ ΠΎΠ΄ΠΈΡ Π² Ρ ΡΠΎΠ½ΠΈΡΠ΅ΡΠΊΡΡ ΡΠΎΡΠΌΡ, ΡΠΎ ΠΏΡΠΈ ΡΠ°Π·Π²ΠΈΡΠΈΠΈ ΠΎΡΠ»ΠΎΠΆΠ½Π΅Π½ΠΈΠΉ (Ρ ΡΠΎΠ½ΠΈΡΠ΅ΡΠΊΠ°Ρ ΠΏΠΎΡΠ΅ΡΠ½Π°Ρ Π½Π΅Π΄ΠΎΡΡΠ°ΡΠΎΡΠ½ΠΎΡΡΡ, Π½Π΅ΡΡΠΎΠ³Π΅Π½Π½Π°Ρ Π°ΡΡΠ΅ΡΠΈΠ°Π»ΡΠ½Π°Ρ Π³ΠΈΠΏΠ΅ΡΡΠ΅Π½Π·ΠΈΡ ΠΈ Π΄Ρ.) ΠΏΡΠΎΠ³Π½ΠΎΠ· ΡΡΠ°Π½ΠΎΠ²ΠΈΡΡΡ Π½Π΅Π±Π»Π°Π³ΠΎΠΏΡΠΈΡΡΠ½ΡΠΌ.
studfiles.net
ΠΠ°ΠΊ ΠΏΡΠΎΡΠ΅ΠΊΠ°Π΅Ρ ΠΎΡΡΡΡΠΉ ΠΏΠΈΠ΅Π»ΠΎΠ½Π΅ΡΡΠΈΡ: Π΄ΠΈΠ°Π³Π½ΠΎΡΡΠΈΠΊΠ° ΠΈ Π»Π΅ΡΠ΅Π½ΠΈΠ΅
ΠΠ³Π»Π°Π²Π»Π΅Π½ΠΈΠ΅: [ΡΠΊΡΡΡΡ]
- Π‘ΠΈΠΌΠΏΡΠΎΠΌΠ°ΡΠΈΠΊΠ° Π·Π°Π±ΠΎΠ»Π΅Π²Π°Π½ΠΈΡ
- ΠΡΠΈΡΠΈΠ½Ρ ΡΠ°Π·Π²ΠΈΡΠΈΡ Π½Π΅Π΄ΡΠ³Π°
- ΠΠΈΠ°Π³Π½ΠΎΡΡΠΈΠΊΠ° ΠΏΠΈΠ΅Π»ΠΎΠ½Π΅ΡΡΠΈΡΠ°
- ΠΠ΅Π΄ΠΈΠΊΠ°ΠΌΠ΅Π½ΡΠΎΠ·Π½Π°Ρ ΡΠ΅ΡΠ°ΠΏΠΈΡ
- ΠΡΠΎΠ³Π½ΠΎΠ·Ρ Π»Π΅ΡΠ΅Π½ΠΈΡ
ΠΡΡΡΡΠΉ ΠΏΠΈΠ΅Π»ΠΎΠ½Π΅ΡΡΠΈΡ ΠΏΡΠ΅Π΄ΡΡΠ°Π²Π»ΡΠ΅Ρ ΡΠΎΠ±ΠΎΠΉ ΡΡΠΎΠ»ΠΎΠ³ΠΈΡΠ΅ΡΠΊΠΎΠ΅ Π·Π°Π±ΠΎΠ»Π΅Π²Π°Π½ΠΈΠ΅ ΠΏΠΎΡΠ΅ΠΊ, ΠΊΠΎΡΠΎΡΠΎΠ΅ ΡΠ°ΡΠ΅ Π²ΡΠ΅Π³ΠΎ Π΄ΠΈΠ°Π³Π½ΠΎΡΡΠΈΡΡΠ΅ΡΡΡ Π² Π΄Π΅ΡΡΠΊΠΎΠΌ Π²ΠΎΠ·ΡΠ°ΡΡΠ΅. ΠΠΎΠ·Π½ΠΈΠΊΠ°Π΅Ρ ΠΎΠ½ΠΎ Π² ΡΠΎΠΌ ΡΠ»ΡΡΠ°Π΅, ΠΊΠΎΠ³Π΄Π° Π½Π° ΠΏΠΎΡΠΊΠΈ ΠΎΠΊΠ°Π·ΡΠ²Π°Π΅ΡΡΡ Π±ΠΎΠ»ΡΡΠ°Ρ Π½Π°Π³ΡΡΠ·ΠΊΠ° Π½Π° ΡΠΎΠ½Π΅ Π½Π΅Π΄ΠΎΡΡΠ°ΡΠΎΡΠ½ΠΎΠ³ΠΎ ΠΌΠΎΡΡΠΎ-ΡΡΠ½ΠΊΡΠΈΠΎΠ½Π°Π»ΡΠ½ΠΎΠ³ΠΎ ΡΠ°Π·Π²ΠΈΡΠΈΡ ΠΎΡΠ³Π°Π½Π°. ΠΡΡΡΡΠΉ ΠΏΠΈΠ΅Π»ΠΎΠ½Π΅ΡΡΠΈΡ Ρ Π²Π·ΡΠΎΡΠ»ΡΡ ΡΠ°ΠΊΠΆΠ΅ ΠΌΠΎΠΆΠ΅Ρ Π΄ΠΈΠ°Π³Π½ΠΎΡΡΠΈΡΠΎΠ²Π°ΡΡΡΡ, Π½ΠΎ ΠΎΠ±ΡΡΠ½ΠΎ ΠΎΠ½ ΠΎΠ±Π½Π°ΡΡΠΆΠΈΠ²Π°Π΅ΡΡΡ Ρ ΠΆΠ΅Π½ΡΠΈΠ½ Π΄ΠΎ 40 Π»Π΅Ρ. Π£ ΠΌΡΠΆΡΠΈΠ½ ΠΎΡΡΡΡΠΉ ΠΎΠ±ΡΡΡΡΠΊΡΠΈΠ²Π½ΡΠΉ ΠΏΠΈΠ΅Π»ΠΎΠ½Π΅ΡΡΠΈΡ Π΄ΠΈΠ°Π³Π½ΠΎΡΡΠΈΡΡΠ΅ΡΡΡ ΡΡΠ΅Π·Π²ΡΡΠ°ΠΉΠ½ΠΎ ΡΠ΅Π΄ΠΊΠΎ.

ΠΡΡΡΡΠΉ ΠΏΠΈΠ΅Π»ΠΎΠ½Π΅ΡΡΠΈΡ ΠΏΡΠΎΡΠ΅ΠΊΠ°Π΅Ρ 2-Ρ ΡΠΎΡΠΌΠ°Ρ :
- ΠΠ΅ΠΎΠ±ΡΡΡΡΠΊΡΠΈΠ²Π½ΡΠΉ ΠΏΠ΅ΡΠ²ΠΈΡΠ½ΡΠΉ, ΠΊΠΎΡΠΎΡΡΠΉ Π½Π°Π±Π»ΡΠ΄Π°Π΅ΡΡΡ ΠΏΡΠΈ Π½ΠΎΡΠΌΠ°Π»ΡΠ½ΠΎΠΌ ΠΎΡΡΠΎΠΊΠ΅ ΠΌΠΎΡΠΈ.
- ΠΡΠΎΡΠΈΡΠ½ΡΠΉ ΠΎΠ±ΡΡΡΡΠΊΡΠΈΠ²Π½ΡΠΉ ΠΏΠΈΠ΅Π»ΠΎΠ½Π΅ΡΡΠΈΡ, ΠΊΠΎΡΠΎΡΡΠΉ Π²ΠΎΠ·Π½ΠΈΠΊΠ°Π΅Ρ ΠΏΡΠΈ Π±ΠΎΠ»Π΅Π΅ ΡΠ»ΠΎΠΆΠ½ΠΎΠΌ ΡΠ΅ΡΠ΅Π½ΠΈΠΈ Π±ΠΎΠ»Π΅Π·Π½ΠΈ. ΠΡΠΎΡ ΠΎΠ΄ΠΈΠΌΠΎΡΡΡ Π²Π½Π΅ΡΠ½ΠΈΡ ΠΌΠΎΡΠ΅Π²ΡΡ ΠΏΡΡΠ΅ΠΉ Π·Π°ΡΡΡΠ΄Π½Π΅Π½Π° ΠΈΠ·-Π·Π° ΠΎΠ±ΡΡΡΡΠΊΡΠΈΠΈ ΠΈΠ»ΠΈ ΡΠ΄Π°Π²Π»ΠΈΠ²Π°Π½ΠΈΡ Ρ Π²Π½Π΅ΡΠ½Π΅ΠΉ ΡΡΠΎΡΠΎΠ½Ρ.
ΠΡΡΡΡΠΉ ΠΏΠΈΠ΅Π»ΠΎΠ½Π΅ΡΡΠΈΡ ΠΌΠΎΠΆΠ΅Ρ ΠΏΡΠΎΡΠ΅ΠΊΠ°ΡΡ ΠΏΠΎ-ΡΠ°Π·Π½ΠΎΠΌΡ, ΡΠΈΠΌΠΏΡΠΎΠΌΡ Ρ ΠΊΠ°ΠΆΠ΄ΠΎΠ³ΠΎ ΠΏΠ°ΡΠΈΠ΅Π½ΡΠ° ΠΌΠΎΠ³ΡΡ ΡΡΡΠ΅ΡΡΠ²Π΅Π½Π½ΠΎ ΠΎΡΠ»ΠΈΡΠ°ΡΡΡΡ. ΠΡΠΎ ΠΌΠΎΠΆΠ΅Ρ Π±ΡΡΡ ΡΠ΅ΡΠΎΠ·Π½Π°Ρ ΡΠΎΡΠΌΠ° Π»ΠΈΠ±ΠΎ Π³Π½ΠΎΠΉΠ½ΠΎ-Π΄Π΅ΡΡΡΡΠΊΡΠΈΠ²Π½Π°Ρ, Ρ. Π΅. ΠΊΠ°ΡΠ±ΡΠ½ΠΊΡΠ» ΠΏΠΎΡΠΊΠΈ (Π·Π°Π±ΠΎΠ»Π΅Π²Π°Π½ΠΈΠ΅ Π΅ΡΠ΅ Π½Π°Π·ΡΠ²Π°ΡΡ Π°ΠΏΠΎΡΡΠ΅ΠΌΠ°ΡΠΎΠ·Π½ΡΠΉ ΠΏΠΈΠ΅Π»ΠΎΠ½Π΅ΡΡΠΈΡ). ΠΡΠ»ΠΈ ΡΠ΅ΡΠ΅Π½ΠΈΠ΅ Π±ΠΎΠ»Π΅Π·Π½ΠΈ ΡΡΠΆΠ΅Π»ΠΎΠ΅, ΡΠΎ ΡΠΎΡΡΠΎΡΠ½ΠΈΠ΅ ΠΌΠΎΠΆΠ΅Ρ Π±ΡΡΡ ΡΡΡΠ³ΡΠ±Π»Π΅Π½ΠΎ ΡΠΎΡΠΎΡΠΊΠΎΠ²ΡΠΌ Π½Π΅ΠΊΡΠΎΠ·ΠΎΠΌ, Ρ. Π΅. ΡΠ°ΠΊ Π½Π°Π·ΡΠ²Π°Π΅ΠΌΡΠΌ Π½Π΅ΠΊΡΠΎΡΠΈΡΠ΅ΡΠΊΠΈΠΌ ΠΏΠ°ΠΏΠΈΠ»Π»ΠΈΡΠΎΠΌ. ΠΠΎΠ³Π΄Π° Π΄ΠΈΠ°Π³Π½ΠΎΡΡΠΈΡΠΎΠ²Π°Π½ Π°ΠΏΠΎΡΡΠ΅ΠΌΠ°ΡΠΎΠ·Π½ΡΠΉ ΠΏΠΈΠ΅Π»ΠΎΠ½Π΅ΡΡΠΈΡ, Π²ΡΠ°Ρ ΡΡΡΠ°Π½Π°Π²Π»ΠΈΠ²Π°Π΅Ρ, ΠΏΠΎΡΠ°ΠΆΠ΅Π½Ρ ΠΎΠ±Π΅ ΠΏΠΎΡΠΊΠΈ ΠΈΠ»ΠΈ ΡΠΎΠ»ΡΠΊΠΎ ΠΎΠ΄Π½Π°, Π·Π°ΡΠ΅ΠΌ Π½Π°Π·Π½Π°ΡΠ°Π΅Ρ ΡΠΎΠΎΡΠ²Π΅ΡΡΡΠ²ΡΡΡΠ΅Π΅ Π»Π΅ΡΠ΅Π½ΠΈΠ΅.
Π‘ΠΈΠΌΠΏΡΠΎΠΌΠ°ΡΠΈΠΊΠ° Π·Π°Π±ΠΎΠ»Π΅Π²Π°Π½ΠΈΡ
ΠΡΠΈ ΠΏΡΠΎΡΠ΅ΠΊΠ°Π½ΠΈΠΈ ΠΎΡΡΡΠΎΠ³ΠΎ ΠΏΠΈΠ΅Π»ΠΎΠ½Π΅ΡΡΠΈΡΠ° ΡΠΈΠΌΠΏΡΠΎΠΌΡ Π±ΡΠ΄ΡΡ ΡΠ»Π΅Π΄ΡΡΡΠΈΠΌΠΈ:

- ΡΠΈΠ»ΡΠ½ΡΠΉ ΠΎΠ·Π½ΠΎΠ±;
- Π²ΡΡΠΎΠΊΠ°Ρ ΠΏΠ΅ΡΠ΅ΠΌΠ΅ΠΆΠ°ΡΡΠ°Ρ Π»ΠΈΡ ΠΎΡΠ°Π΄ΠΊΠ°;
- Π΄ΠΈΠ°ΡΠ΅Ρ, ΡΠ²ΠΎΡΠ°, ΠΏΠΎΡΠ΅ΡΡ Π°ΠΏΠΏΠ΅ΡΠΈΡΠ°, ΡΠΎΡΠ½ΠΎΡΠ°, ΡΠΈΠ»ΡΠ½Π΅ΠΉΡΠΈΠ΅ Π±ΠΎΠ»Π΅Π²ΡΠ΅ ΠΎΡΡΡΠ΅Π½ΠΈΡ Π² ΠΎΠ±Π»Π°ΡΡΠΈ ΠΆΠΈΠ²ΠΎΡΠ°;
- ΠΏΠΎΡΠ»ΠΈΠ²ΠΎΡΡΡ;
- Π³ΠΎΠ»ΠΎΠ²Π½Π°Ρ Π±ΠΎΠ»Ρ, ΡΠΈΠ»ΡΠ½Π°Ρ ΡΡΠΎΠΌΠ»ΡΠ΅ΠΌΠΎΡΡΡ, ΠΏΠΎΡΡΠΎΡΠ½Π½ΡΠ΅ Π½Π΅Π΄ΠΎΠΌΠΎΠ³Π°Π½ΠΈΡ;
- ΠΆΠ°ΠΆΠ΄Π° (ΡΠΎ Π΅ΡΡΡ ΠΎΠ±Π΅Π·Π²ΠΎΠΆΠΈΠ²Π°Π½ΠΈΠ΅).
Π ΠΌΠ΅ΡΡΠ½ΡΠΌ ΡΠΈΠΌΠΏΡΠΎΠΌΠ°ΠΌ ΠΌΠΎΠΆΠ½ΠΎ ΠΎΡΠ½Π΅ΡΡΠΈ:
- Π‘ΠΈΠΌΠΏΡΠΎΠΌ ΠΠ°ΡΡΠ΅ΡΠ½Π°ΡΠΊΠΎΠ³ΠΎ ΠΏΠΎΠ»ΠΎΠΆΠΈΡΠ΅Π»ΡΠ½ΡΠΉ, Ρ. Π΅. ΠΏΡΠΈ ΠΏΠΎΠΊΠΎΠ»Π°ΡΠΈΠ²Π°Π½ΠΈΠΈ Π² ΠΎΠ±Π»Π°ΡΡΠΈ ΠΏΠΎΡΡΠ½ΠΈΡΡ Π½Π°Π±Π»ΡΠ΄Π°Π΅ΡΡΡ Π±ΠΎΠ»Ρ.
- ΠΠ° ΡΡΠΎΡΠΎΠ½Π΅ ΠΏΠΎΡΠ°ΠΆΠ΅Π½ΠΈΡ ΠΏΠΎΡΠ΅ΠΊ ΡΠΏΠ΅ΡΠΈΠ°Π»ΠΈΡΡ ΠΌΠΎΠΆΠ΅Ρ ΠΎΠ±Π½Π°ΡΡΠΆΠΈΡΡ Π½Π°ΠΏΡΡΠΆΠ΅Π½ΠΈΠ΅ ΠΌΡΡΡ, Π±ΠΎΠ»Π΅Π·Π½Π΅Π½Π½ΡΠΉ ΠΈΠ½ΡΠΈΠ»ΡΡΡΠ°Ρ Π² ΠΏΠ΅ΡΠ²ΡΠ΅ 3-5 Π΄Π½Π΅ΠΉ ΠΎΡ Π½Π°ΡΠ°Π»Π° Π·Π°Π±ΠΎΠ»Π΅Π²Π°Π½ΠΈΡ.
- ΠΠΎΡΡΠΎΡΠ½Π½ΡΠ΅ ΡΡΠΏΡΠ΅ Π±ΠΎΠ»ΠΈ Π² ΠΏΠΎΡΡΠ½ΠΈΡΠ½ΠΎΠΉ ΠΎΠ±Π»Π°ΡΡΠΈ ΠΏΠΎ ΡΠΎΠΉ ΡΡΠΎΡΠΎΠ½Π΅, Π³Π΄Π΅ Π½Π°Π±Π»ΡΠ΄Π°Π΅ΡΡΡ ΠΏΠΎΡΠ°ΠΆΠ΅Π½Π½ΡΠΉ ΠΎΡΠ³Π°Π½. ΠΡΠΈ ΠΏΠ°Π»ΡΠΏΠ°ΡΠΈΠΈ Π±ΠΎΠ»ΠΈ ΡΡΠΈΠ»ΠΈΠ²Π°ΡΡΡΡ.
ΠΠΈΠ΅Π»ΠΎΠ½Π΅ΡΡΠΈΡ ΠΌΠΎΠΆΠ΅Ρ ΠΏΡΠΈΠ½ΠΈΠΌΠ°ΡΡ ΡΠ°ΠΊΠΈΠ΅ ΡΠΎΡΠΌΡ:

- ΠΡΡΡΠ΅ΠΉΡΠ°Ρ ΡΠΎΡΠΌΠ°, ΡΠΎΡΡΠΎΡΠ½ΠΈΠ΅ ΡΡΠΆΠ΅Π»ΠΎΠ΅, ΠΏΠΎΡΡΠΎΡΠ½Π½ΡΠΉ ΠΎΠ·Π½ΠΎΠ±, Π²ΡΡΠΎΠΊΠ°Ρ ΡΠ΅ΠΌΠΏΠ΅ΡΠ°ΡΡΡΠ°, Π½Π°Π±Π»ΡΠ΄Π°Π΅ΡΡΡ ΡΠ΅ΠΏΡΠΈΡ.
- ΠΡΡΡΠ°Ρ ΡΠΎΡΠΌΠ° ΠΏΡΠΎΡΠ΅ΠΊΠ°Π΅Ρ Ρ ΠΈΠ½ΡΠΎΠΊΡΠΈΠΊΠ°ΡΠΈΠ΅ΠΉ, ΠΎΠ±Π΅Π·Π²ΠΎΠΆΠΈΠ²Π°Π½ΠΈΠ΅ΠΌ, Π΅ΡΡΡ ΠΌΠ΅ΡΡΠ½ΡΠ΅ ΡΠΈΠΌΠΏΡΠΎΠΌΡ, Π»Π΅Π³ΠΊΠΈΠΉ ΠΎΠ·Π½ΠΎΠ±.
- ΠΠΎΠ΄ΠΎΡΡΡΠ°Ρ ΡΠΎΡΠΌΠ°.
- ΠΠ°ΡΠ΅Π½ΡΠ½Π°Ρ ΡΠΎΡΠΌΠ° ΡΠΎ ΡΠ»Π°Π±ΠΎ Π²ΡΡΠ°ΠΆΠ΅Π½Π½ΡΠΌΠΈ ΡΠΈΠΌΠΏΡΠΎΠΌΠ°ΠΌΠΈ. ΠΡΠΈΠ·Π½Π°ΠΊΠΈ ΠΏΠΎΡΠ°ΠΆΠ΅Π½ΠΈΡ ΠΏΠΎΡΠ΅ΠΊ ΠΌΠΎΠ³ΡΡ ΠΎΡΡΡΡΡΡΠ²ΠΎΠ²Π°ΡΡ. Π§Π°ΡΡΠΎ ΠΈΠΌΠ΅Π½Π½ΠΎ ΡΠ°ΠΊΠ°Ρ ΡΠΎΡΠΌΠ° ΠΏΠ΅ΡΠ΅ΡΠ΅ΠΊΠ°Π΅Ρ Π² Ρ ΡΠΎΠ½ΠΈΡΠ΅ΡΠΊΡΡ, ΡΠ°ΠΊ ΠΊΠ°ΠΊ Π²Π½Π΅ΡΠ½ΠΈΡ ΠΏΡΠΎΡΠ²Π»Π΅Π½ΠΈΠΉ ΠΏΠΎΡΡΠΈ Π½Π΅Ρ, Π±ΠΎΠ»ΡΠ½ΠΎΠΉ Π½Π΅ ΠΎΠ±ΡΠ°ΡΠ°Π΅ΡΡΡ Π² Π±ΠΎΠ»ΡΠ½ΠΈΡΡ Π΄Π»Ρ ΠΏΡΠΎΠ²Π΅Π΄Π΅Π½ΠΈΡ ΠΎΠ±ΡΠ»Π΅Π΄ΠΎΠ²Π°Π½ΠΈΡ.
ΠΠ΅ΡΠ½ΡΡΡΡΡ ΠΊ ΠΎΠ³Π»Π°Π²Π»Π΅Π½ΠΈΡ
ΠΡΠΈΡΠΈΠ½Ρ ΡΠ°Π·Π²ΠΈΡΠΈΡ Π½Π΅Π΄ΡΠ³Π°
ΠΡΠΈΡΠΈΠ½Ρ ΡΠ°ΠΊΠΎΠ³ΠΎ Π·Π°Π±ΠΎΠ»Π΅Π²Π°Π½ΠΈΡ ΠΌΠΎΠ³ΡΡ Π±ΡΡΡ ΡΠ°ΠΌΡΠ΅ ΡΠ°Π·Π»ΠΈΡΠ½ΡΠ΅. Π§Π°ΡΠ΅ Π²ΡΠ΅Π³ΠΎ ΠΎΡΡΡΡΠΉ ΠΏΠΈΠ΅Π»ΠΎΠ½Π΅ΡΡΠΈΡ ΡΠ°Π·Π²ΠΈΠ²Π°Π΅ΡΡΡ ΠΏΡΠΈ ΡΠΊΠ·ΠΎΠ³Π΅Π½Π½ΠΎΠΌ ΠΏΡΠΎΠ½ΠΈΠΊΠ½ΠΎΠ²Π΅Π½ΠΈΠΈ Π² ΠΎΠ±Π»Π°ΡΡΡ ΠΏΠΎΡΠΊΠΈ Π²ΡΠ΅Π΄ΠΎΠ½ΠΎΡΠ½ΡΡ
ΠΌΠΈΠΊΡΠΎΠΎΡΠ³Π°Π½ΠΈΠ·ΠΌΠΎΠ². Π§Π°ΡΠ΅ Π²ΡΠ΅Π³ΠΎ Π²ΠΎΠ·Π±ΡΠ΄ΠΈΡΠ΅Π»ΡΠΌΠΈ Π±ΠΎΠ»Π΅Π·Π½ΠΈ ΡΡΠΈΡΠ°ΡΡ ΠΊΠΈΡΠ΅ΡΠ½ΡΡ ΠΈ ΡΠΈΠ½Π΅Π³Π½ΠΎΠΉΠ½ΡΡ ΠΏΠ°Π»ΠΎΡΠΊΡ, ΡΡΡΠ΅ΠΏΡΠΎΠΊΠΎΠΊΠΊΠΈ, ΡΡΠ°ΡΠΈΠ»ΠΎΠΊΠΎΠΊΠΊΠΈ, ΠΏΡΠΎΡΠ΅ΠΉ. ΠΠ΅ΡΠ²ΠΈΡΠ½ΡΠΉ ΠΎΡΡΡΡΠΉ ΠΏΠΈΠ΅Π»ΠΎΠ½Π΅ΡΡΠΈΡ ΠΌΠΎΠΆΠ΅Ρ Π±ΡΡΡ Π²ΡΠ·Π²Π°Π½ Π³Π΅ΠΌΠ°ΡΠΎΠ³Π΅Π½Π½ΡΠΌΠΈ ΠΏΡΡΡΠΌΠΈ ΠΏΡΠΎΠ½ΠΈΠΊΠ½ΠΎΠ²Π΅Π½ΠΈΡ ΠΈΠ½ΡΠ΅ΠΊΡΠΈΠΈ, ΠΎΠ½ Π²ΠΎΠ·Π½ΠΈΠΊΠ°Π΅Ρ Π½Π° ΡΠΎΠ½Π΅ ΠΏΡΠΎΡΡΠ°ΡΠΈΡΠ°, ΡΠΈΡΡΠΈΡΠ°, Π°Π΄Π½Π΅ΠΊΡΠΈΡΠ°, Π±ΡΠΎΠ½Ρ
ΠΈΡΠ°, ΡΠΎΠ½Π·ΠΈΠ»Π»ΠΈΡΠ°, Ρ
ΠΎΠ»Π΅ΡΠΈΡΡΠΈΡΠ° ΠΈ ΠΏΡΠΎΡΠΈΡ
Π·Π°Π±ΠΎΠ»Π΅Π²Π°Π½ΠΈΠΉ. ΠΡΠΎΡΠΈΡΠ½ΡΠΉ ΠΎΡΡΡΡΠΉ ΠΏΠΈΠ΅Π»ΠΎΠ½Π΅ΡΡΠΈΡ ΠΌΠΎΠΆΠ΅Ρ Π±ΡΡΡ ΠΎΠ±Π½Π°ΡΡΠΆΠ΅Π½ ΠΏΡΠΈ ΡΠΈΠΌΠΎΠ·Π΅, Π°Π΄Π΅Π½ΠΎΠΌΠ΅ ΠΏΡΠ΅Π΄ΡΡΠ°ΡΠ΅Π»ΡΠ½ΠΎΠΉ ΠΆΠ΅Π»Π΅Π·Ρ, ΠΏΡΠΈ Π½Π΅ΠΉΡΠΎΠ³Π΅Π½Π½ΠΎΠΌ ΠΌΠΎΡΠ΅Π²ΠΎΠΌ ΠΏΡΠ·ΡΡΠ΅, ΠΏΡΠΈ ΠΎΠ±ΡΡΡΡΠΊΡΠΈΠΈ ΠΊΠ»Π°ΠΏΠ°Π½ΠΎΠ², ΡΡΡΠΈΠΊΡΡΡ ΡΡΠ΅ΡΡΡ.
ΠΡΠΈΡΠΈΠ½Π°ΠΌΠΈ Π·Π°Π±ΠΎΠ»Π΅Π²Π°Π½ΠΈΡ ΡΠ°ΡΡΠΎ ΡΠ²Π»ΡΡΡΡΡ ΠΎΠ±Π΅Π·Π²ΠΎΠΆΠΈΠ²Π°Π½ΠΈΠ΅ ΠΎΡΠ³Π°Π½ΠΈΠ·ΠΌΠ°, ΡΠΈΠ»ΡΠ½ΠΎΠ΅ ΠΈ ΡΠ΅Π·ΠΊΠΎΠ΅ ΠΏΠ΅ΡΠ΅ΠΎΡ Π»Π°ΠΆΠ΄Π΅Π½ΠΈΠ΅, ΡΠ΅ΡΠΏΠΈΡΠ°ΡΠΎΡΠ½ΡΠ΅ ΠΈΠ½ΡΠ΅ΠΊΡΠΈΠΈ, ΡΠ°Ρ Π°ΡΠ½ΡΠΉ Π΄ΠΈΠ°Π±Π΅Ρ, Π³ΠΈΠΏΠΎΠ²ΠΈΡΠ°ΠΌΠΈΠ½ΠΎΠ·. Π£ ΠΆΠ΅Π½ΡΠΈΠ½ Π±ΠΎΠ»Π΅Π·Π½Ρ ΠΌΠΎΠΆΠ΅Ρ ΡΡΠ°ΡΡ ΡΠ»Π΅Π΄ΡΡΠ²ΠΈΠ΅ΠΌ Π±Π΅ΡΠ΅ΠΌΠ΅Π½Π½ΠΎΡΡΠΈ, ΠΊΠΎΠ³Π΄Π° ΠΏΡΠ΅Π΄Π²Π°ΡΠΈΡΠ΅Π»ΡΠ½ΠΎ Π½Π΅ ΡΠΎΠ±Π»ΡΠ΄Π°Π»ΠΈΡΡ ΡΠ΅ΠΊΠΎΠΌΠ΅Π½Π΄Π°ΡΠΈΠΈ Π²ΡΠ°ΡΠ° ΠΏΠΎ ΠΏΡΠΎΡΠΈΠ»Π°ΠΊΡΠΈΠΊΠ΅. ΠΠΎΡΠΏΠ°Π»ΠΈΡΠ΅Π»ΡΠ½ΡΠΉ ΠΎΡΡΡΡΠΉ ΠΏΡΠΎΡΠ΅ΡΡ Π½Π° ΡΠΎΠ½Π΅ Π·Π°Π±ΠΎΠ»Π΅Π²Π°Π½ΠΈΡ Π²ΡΠ·ΡΠ²Π°Π΅ΡΡΡ ΠΎΠ±ΡΠ°ΡΠ½ΡΠΌ ΠΎΡΡΠΎΠΊΠΎΠΌ ΠΌΠΎΡΠΈ, Π²ΠΎΡΠΏΠ°Π»ΠΈΡΠ΅Π»ΡΠ½ΡΠΌΠΈ ΠΏΡΠΎΡΠ΅ΡΡΠ°ΠΌΠΈ Π»ΠΎΡ Π°Π½ΠΎΠΊ ΠΏΠΎΡΠ΅ΠΊ, Π½Π°Π»ΠΈΡΠΈΠ΅ΠΌ ΡΠ·Π². Π Π»ΡΠ±ΠΎΠΌ ΡΠ»ΡΡΠ°Π΅ Π²ΠΎ Π²ΡΠ΅ΠΌΡ Π΄ΠΈΠ°Π³Π½ΠΎΡΡΠΈΠΊΠΈ Π½Π΅ΠΎΠ±Ρ ΠΎΠ΄ΠΈΠΌΠΎ ΠΏΡΠΎΠΉΡΠΈ ΠΏΠΎΠ»Π½ΠΎΠ΅ ΠΎΠ±ΡΠ»Π΅Π΄ΠΎΠ²Π°Π½ΠΈΠ΅, ΡΡΠΎΠ±Ρ ΠΏΡΠΈ Π½Π΅ΠΎΠ±Ρ ΠΎΠ΄ΠΈΠΌΠΎΡΡΠΈ ΠΌΠΎΠΆΠ½ΠΎ Π±ΡΠ»ΠΎ ΡΡΠ°Π·Ρ ΡΠ±ΡΠ°ΡΡ ΠΏΠ΅ΡΠ²ΠΎΠΏΡΠΈΡΠΈΠ½Ρ Π·Π°Π±ΠΎΠ»Π΅Π²Π°Π½ΠΈΡ, Π° ΠΏΠΎΡΠΎΠΌ ΡΠΆΠ΅ Π½Π°Π·Π½Π°ΡΠ°ΡΡ ΠΏΡΠ°Π²ΠΈΠ»ΡΠ½ΠΎΠ΅ Π»Π΅ΡΠ΅Π½ΠΈΠ΅.
ΠΠ΅ΡΠ½ΡΡΡΡΡ ΠΊ ΠΎΠ³Π»Π°Π²Π»Π΅Π½ΠΈΡ
ΠΠΈΠ°Π³Π½ΠΎΡΡΠΈΠΊΠ° ΠΏΠΈΠ΅Π»ΠΎΠ½Π΅ΡΡΠΈΡΠ°
ΠΠ»Π°ΡΡΠΈΡΠΈΠΊΠ°ΡΠΈΡ Π΄ΠΈΠ°Π³Π½ΠΎΡΡΠΈΡΠ΅ΡΠΊΠΈΡ ΠΌΠ΅Ρ ΠΏΠΎ ΠΎΠ±Π½Π°ΡΡΠΆΠ΅Π½ΠΈΡ ΠΎΡΡΡΠΎΠ³ΠΎ ΠΏΠΈΠ΅Π»ΠΎΠ½Π΅ΡΡΠΈΡΠ°:
- Π»Π°Π±ΠΎΡΠ°ΡΠΎΡΠ½Π°Ρ Π΄ΠΈΠ°Π³Π½ΠΎΡΡΠΈΠΊΠ°;
- ΠΈΠ½ΡΡΡΡΠΌΠ΅Π½ΡΠ°Π»ΡΠ½Π°Ρ Π΄ΠΈΠ°Π³Π½ΠΎΡΡΠΈΠΊΠ°.
Π ΠΏΠ΅ΡΠ²ΠΎΠΌ ΡΠ»ΡΡΠ°Π΅ Π½Π° ΠΎΠ±ΡΠ»Π΅Π΄ΠΎΠ²Π°Π½ΠΈΠ΅ Π±Π΅ΡΡΡΡΡ:
- ΠΠΎΡΠ΅Π²Ρ ΠΌΠΎΡΠΈ Π² ΡΠΏΠ΅ΡΠΈΠ°Π»ΡΠ½ΡΠ΅ ΠΏΠΈΡΠ°ΡΠ΅Π»ΡΠ½ΡΠ΅ ΡΡΠ΅Π΄Ρ, ΡΡΠΎ ΠΏΠΎΠ·Π²ΠΎΠ»ΡΠ΅Ρ Π½Π΅ ΡΠΎΠ»ΡΠΊΠΎ ΡΡΠΎΡΠ½ΠΈΡΡ ΡΠΈΠΏ Π²ΡΠ΅Π΄ΠΎΠ½ΠΎΡΠ½ΡΡ Π±Π°ΠΊΡΠ΅ΡΠΈΠΉ, Π½ΠΎ ΠΈ ΡΠ·Π½Π°ΡΡ ΡΡΠΎΠ²Π΅Π½Ρ ΡΡΠ²ΡΡΠ²ΠΈΡΠ΅Π»ΡΠ½ΠΎΡΡΠΈ ΠΊ ΡΠ°Π·Π»ΠΈΡΠ½ΡΠΌ Π²ΠΈΠ΄Π°ΠΌ Π°Π½ΡΠΈΠ±ΠΈΠΎΡΠΈΠΊΠΎΠ².
- ΠΡΠΎΠ²Π΅Π΄Π΅Π½ΠΈΠ΅ ΠΎΠ±ΡΠ΅Π³ΠΎ Π°Π½Π°Π»ΠΈΠ·Π° ΠΌΠΎΡΠΈ, ΠΎΠΏΡΠ΅Π΄Π΅Π»ΡΠ΅ΡΡΡ ΠΏΠΎΠ²ΡΡΠ΅Π½ΠΈΠ΅ ΡΡΠΎΠ²Π½Ρ Π‘ΠΠ, Π»Π΅ΠΉΠΊΠΎΡΠΈΡΠΎΠ·.
- ΠΠ½Π°Π»ΠΈΠ· ΠΌΠΎΡΠΈ Π±ΠΎΠ»ΡΠ½ΠΎΠ³ΠΎ ΠΏΠΎ ΠΠ΄Π΄ΠΈΡΡ-ΠΠ°ΠΊΠΎΠ²ΡΠΊΠΎΠΌΡ, ΠΠΌΠ±ΡΡΠΆΠ΅, ΠΠ΅ΡΠΈΠΏΠΎΡΠ΅Π½ΠΊΠΎ, ΠΏΠΎΠ·Π²ΠΎΠ»ΡΡΡΠΈΠΉ Π²ΡΡΠ²ΠΈΡΡ ΠΎΡΠ°Π΄ΠΎΠΊ, Π΅Π³ΠΎ ΡΠΈΠΏ, Π½Π°Π»ΠΈΡΠΈΠ΅ Π±Π°ΠΊΡΠ΅ΡΠΈΠΉ. ΠΡΡΡΡΠΉ ΠΏΠΈΠ΅Π»ΠΎΠ½Π΅ΡΡΠΈΡ Π΄ΠΈΠ°Π³Π½ΠΎΡΡΠΈΡΡΠ΅ΡΡΡ, Π΅ΡΠ»ΠΈ ΠΊΠΎΠ»ΠΈΡΠ΅ΡΡΠ²ΠΎ ΠΌΠΈΠΊΡΠΎΠ±Π½ΡΡ ΡΠ΅Π» ΠΏΡΠ΅Π²ΡΡΠ°Π΅Ρ 50-100 ΡΡΡ. Π½Π° 1 ΠΌΠ».
Π§ΡΠΎΠ±Ρ ΠΏΠΎΡΡΠ°Π²ΠΈΡΡ Π΄ΠΈΠ°Π³Π½ΠΎΠ·, Π½Π΅ΠΎΠ±Ρ ΠΎΠ΄ΠΈΠΌΠΎ ΠΏΡΠΎΠ²Π΅ΡΡΠΈ Π΄ΠΎΠΏΠΎΠ»Π½ΠΈΡΠ΅Π»ΡΠ½ΡΠ΅ ΠΈΡΡΠ»Π΅Π΄ΠΎΠ²Π°Π½ΠΈΡ:
- ΡΠ»ΡΡΡΠ°Π·Π²ΡΠΊΠΎΠ²ΠΎΠ΅ ΠΈΡΡΠ»Π΅Π΄ΠΎΠ²Π°Π½ΠΈΠ΅ ΠΎΠ±Π»Π°ΡΡΠΈ ΠΏΠΎΡΠ΅ΠΊ;
- ΠΊΠΎΠΌΠΏΡΡΡΠ΅ΡΠ½Π°Ρ ΡΠΎΠΌΠΎΠ³ΡΠ°ΡΠΈΡ;
- ΡΡΠΎΠ³ΡΠ°ΡΠΈΡ, ΡΡΠΈΠ½ΡΠΈΠ³ΡΠ°ΡΠΈΡ Π΄Π»Ρ ΠΎΠΏΡΠ΅Π΄Π΅Π»Π΅Π½ΠΈΡ ΡΠΎΡ ΡΠ°Π½Π½ΠΎΡΡΠΈ Π²ΡΠ΅Ρ ΡΡΠ½ΠΊΡΠΈΠΉ;
- Π³ΠΈΡΡΠΎΠ»ΠΎΠ³ΠΈΡ Π½Π°Π·Π½Π°ΡΠ°Π΅ΡΡΡ Π² ΡΠΎΠΌ ΡΠ»ΡΡΠ°Π΅, ΠΊΠΎΠ³Π΄Π° ΠΏΠΈΠ΅Π»ΠΎΠ½Π΅ΡΡΠΈΡ ΠΈΠΌΠ΅Π΅Ρ Π½Π΅ΠΊΡΠΎΡΠΈΡΠ΅ΡΠΊΠΈΠ΅ ΠΏΡΠΈΠ·Π½Π°ΠΊΠΈ.
ΠΠ΅ΡΠ½ΡΡΡΡΡ ΠΊ ΠΎΠ³Π»Π°Π²Π»Π΅Π½ΠΈΡ
ΠΠ΅Π΄ΠΈΠΊΠ°ΠΌΠ΅Π½ΡΠΎΠ·Π½Π°Ρ ΡΠ΅ΡΠ°ΠΏΠΈΡ
ΠΠ΅ΡΠ΅Π½ΠΈΠ΅ ΠΏΠΈΠ΅Π»ΠΎΠ½Π΅ΡΡΠΈΡΠ° Ρ Π²Π·ΡΠΎΡΠ»ΡΡ
Π»ΠΈΠ±ΠΎ Π΄Π΅ΡΠ΅ΠΉ ΠΏΡΠΎΠ²ΠΎΠ΄ΠΈΡΡΡ Π² ΡΡΠ»ΠΎΠ²ΠΈΡΡ
ΡΡΠ°ΡΠΈΠΎΠ½Π°ΡΠ°, ΠΎΠ±ΡΠ·Π°ΡΠ΅Π»ΡΠ½ΠΎ ΡΠΎΡΡΠ°Π²Π»ΡΠ΅ΡΡΡ ΠΈΡΡΠΎΡΠΈΡ Π±ΠΎΠ»Π΅Π·Π½ΠΈ. ΠΠ΅Π»ΡΠ·Ρ ΡΠ°ΠΊΠΈΠΌ Π·Π°Π±ΠΎΠ»Π΅Π²Π°Π½ΠΈΠ΅ΠΌ ΠΏΡΠ΅Π½Π΅Π±ΡΠ΅Π³Π°ΡΡ, ΡΠ°ΠΊ ΠΊΠ°ΠΊ ΡΡΠΎ ΡΠΎΡΡΠΎΡΠ½ΠΈΠ΅ ΠΌΠΎΠΆΠ΅Ρ ΡΡΠ°ΡΡ ΠΏΡΠΈΡΠΈΠ½ΠΎΠΉ ΠΌΠ½ΠΎΠ³ΠΈΡ
ΠΎΡΠ»ΠΎΠΆΠ½Π΅Π½ΠΈΠΉ. ΠΠ΅ΡΠ΅Π½ΠΈΠ΅ ΡΡΠ΅Π±ΡΠ΅ΡΡΡ ΠΏΡΠΎΠ²ΠΎΠ΄ΠΈΡΡ Π² ΡΠΎΡΠ½ΠΎΡΡΠΈ ΠΏΠΎ Π½Π°Π·Π½Π°ΡΠ΅Π½ΠΈΡ ΡΠΏΠ΅ΡΠΈΠ°Π»ΠΈΡΡΠ°, Π² ΠΏΡΠΎΡΠΈΠ²Π½ΠΎΠΌ ΡΠ»ΡΡΠ°Π΅ ΠΎΡΡΡΡΠΉ ΠΏΠΈΠ΅Π»ΠΎΠ½Π΅ΡΡΠΈΡ ΠΏΡΠΈΠΎΠ±ΡΠ΅ΡΠ΅Ρ Ρ
ΡΠΎΠ½ΠΈΡΠ΅ΡΠΊΡΡ ΡΠΎΡΠΌΡ, ΠΈ Π²ΡΠ»Π΅ΡΠΈΡΡ Π΅Π³ΠΎ Π±ΡΠ΄Π΅Ρ ΠΏΡΠΎΠ±Π»Π΅ΠΌΠ°ΡΠΈΡΠ½ΠΎ.
ΠΠΎ Π²ΡΠ΅ΠΌΡ Π»Π΅ΡΠ΅Π½ΠΈΡ Π½Π°Π·Π½Π°ΡΠ°Π΅ΡΡΡ ΠΏΠΎΡΡΠ΅Π»ΡΠ½ΡΠΉ ΡΡΡΠΎΠ³ΠΈΠΉ ΡΠ΅ΠΆΠΈΠΌ, ΠΏΠΎΠΊΠ° Π½Π΅ Π·Π°ΠΊΠΎΠ½ΡΠΈΡΡΡ Π»ΠΈΡ ΠΎΡΠ°Π΄ΠΊΠ°, Π·Π°ΡΠ΅ΠΌ ΡΠ΅ΠΆΠΈΠΌ Π½Π΅ΠΌΠ½ΠΎΠ³ΠΎ ΡΠΌΡΠ³ΡΠ°Π΅ΡΡΡ. ΠΠ±ΡΠ·Π°ΡΠ΅Π»ΡΠ½ΠΎ ΠΏΡΠΎΠ²ΠΎΠ΄ΠΈΡΡΡ ΠΌΠ΅Π΄ΠΈΠΊΠ°ΠΌΠ΅Π½ΡΠΎΠ·Π½Π°Ρ ΡΠ΅ΡΠ°ΠΏΠΈΡ, Π½Π°Π·Π½Π°ΡΠ°Π΅ΡΡΡ ΡΠ°Π΄ΡΡΠ°Ρ Π΄ΠΈΠ΅ΡΠ°. Π Π°ΡΠΈΠΎΠ½ Π±ΠΎΠ»ΡΠ½ΠΎΠ³ΠΎ Π΄ΠΎΠ»ΠΆΠ΅Π½ ΡΠΎΡΡΠΎΡΡΡ ΠΈΠ· Π»Π΅Π³ΠΊΠΎΡΡΠ²ΠΎΡΠ΅ΠΌΠΎΠΉ ΠΏΠΈΡΠΈ, ΠΎΡΡΡΡΠ΅ ΠΏΡΠΎΠ΄ΡΠΊΡΡ Π·Π°ΠΏΡΠ΅ΡΠ΅Π½Ρ, Π½Π΅Π»ΡΠ·Ρ ΡΠΏΠΎΡΡΠ΅Π±Π»ΡΡΡ ΡΠΊΡΠΎΠΏ, ΡΠ΅ΡΠ½ΠΎΠΊ, Π»ΡΠΊ ΠΈ ΠΏΠΎΠ΄ΠΎΠ±Π½ΡΠ΅ ΠΈΠΌ. ΠΡΠ»ΠΈ ΠΎΡΡΠΎΠΊ ΠΌΠΎΡΠΈ Π½ΠΎΡΠΌΠ°Π»ΠΈΠ·ΡΠ΅ΡΡΡ, ΡΠΎ Π·Π° ΡΡΡΠΊΠΈ Π±ΠΎΠ»ΡΠ½ΠΎΠΉ Π΄ΠΎΠ»ΠΆΠ΅Π½ Π²ΡΠΏΠΈΠ²Π°ΡΡ ΠΏΡΠΈΠΌΠ΅ΡΠ½ΠΎ 2-3 Π» ΠΆΠΈΠ΄ΠΊΠΎΡΡΠΈ.
ΠΠ΅Π²ΠΎΡΡΠΎΡΠΎΠ½Π½ΠΈΠΉ ΠΈ ΠΏΡΠ°Π²ΠΎΡΡΠΎΡΠΎΠ½Π½ΠΈΠΉ ΠΏΠΈΠ΅Π»ΠΎΠ½Π΅ΡΡΠΈΡ ΡΡΠ΅Π±ΡΠ΅Ρ ΠΏΡΠΈΠ΅ΠΌΠ° Π°Π½ΡΠΈΠ±Π°ΠΊΡΠ΅ΡΠΈΠ°Π»ΡΠ½ΡΡ ΡΠΏΠ΅ΡΠΈΠ°Π»ΡΠ½ΡΡ ΠΏΡΠ΅ΠΏΠ°ΡΠ°ΡΠΎΠ², ΠΎΠ±Π»Π°Π΄Π°ΡΡΠΈΡ ΡΠΈΡΠΎΠΊΠΈΠΌ ΡΠΏΠ΅ΠΊΡΡΠΎΠΌ Π΄Π΅ΠΉΡΡΠ²ΠΈΡ. ΠΠ΅ΠΎΠ±Ρ ΠΎΠ΄ΠΈΠΌΠΎ ΡΡΠΈΡΡΠ²Π°ΡΡ ΡΡΠ²ΡΡΠ²ΠΈΡΠ΅Π»ΡΠ½ΠΎΡΡΡ ΠΎΡΠ³Π°Π½ΠΈΠ·ΠΌΠ° ΠΊ ΡΠ΅ΠΌ Π±Π°ΠΊΡΠ΅ΡΠΈΡΠΌ, ΠΊΠΎΡΠΎΡΡΠ΅ ΠΈ Π²ΡΠ·ΡΠ²Π°ΡΡ Π·Π°Π±ΠΎΠ»Π΅Π²Π°Π½ΠΈΠ΅. ΠΡΠ°Ρ ΠΎΡΠ΄Π°Π΅Ρ ΠΏΡΠ΅Π΄ΠΏΠΎΡΡΠ΅Π½ΠΈΠ΅ ΡΠ΅ΠΌ ΠΏΡΠ΅ΠΏΠ°ΡΠ°ΡΠ°ΠΌ, ΠΊΠΎΡΠΎΡΡΠ΅ ΠΎΡΠ»ΠΈΡΠ½ΠΎ Π²ΡΠ²ΠΎΠ΄ΡΡΡΡ Π²ΠΌΠ΅ΡΡΠ΅ Ρ ΠΌΠΎΡΠΎΠΉ Π² Π΄ΠΎΡΡΠ°ΡΠΎΡΠ½ΠΎΠΉ ΠΊΠΎΠ½ΡΠ΅Π½ΡΡΠ°ΡΠΈΠΈ. ΠΠ΅ΡΠ΅Π½ΠΈΠ΅ ΠΎΡΡΡΠΎΠ³ΠΎ ΠΏΠΈΠ΅Π»ΠΎΠ½Π΅ΡΡΠΈΡΠ° Π²ΠΊΠ»ΡΡΠ°Π΅Ρ Π² ΡΠ΅Π±Ρ ΠΊΠΎΠΌΠ±ΠΈΠ½Π°ΡΠΈΡ ΡΡΠΎΡΠ΅ΠΏΡΠΈΠΊΠΎΠ², Π°Π½ΡΠΈΠ±ΠΈΠΎΡΠΈΠΊΠΎΠ² ΠΏΠΎΡΠ»Π΅ ΠΏΡΠΎΠ²Π΅Π΄Π΅Π½Π½ΡΡ ΠΏΡΠΎΠ± Π½Π° ΡΡΠ²ΡΡΠ²ΠΈΡΠ΅Π»ΡΠ½ΠΎΡΡΡ. ΠΡΠ΅ Π½Π°Π·Π½Π°ΡΠ΅Π½ΠΈΡ Π²ΡΠ°ΡΠ° Π½Π°Π΄ΠΎ ΠΎΠ±ΡΠ·Π°ΡΠ΅Π»ΡΠ½ΠΎ ΡΠΎΠ±Π»ΡΠ΄Π°ΡΡ.
ΠΡΠΈ ΠΎΡΡΡΠΎΠΌ ΠΏΠΈΠ΅Π»ΠΎΠ½Π΅ΡΡΠΈΡΠ΅ Π»Π΅ΡΠ΅Π½ΠΈΠ΅ Π² ΠΊΡΠ°ΠΉΠ½Π΅ ΡΠ΅Π΄ΠΊΠΈΡ ΡΠ»ΡΡΠ°ΡΡ Π½Π΅ ΠΎΠ±Ρ ΠΎΠ΄ΠΈΡΡΡ Π±Π΅Π· Π³Π΅ΠΌΠΎΠ΄ΠΈΠ°Π»ΠΈΠ·Π°, Π²ΠΎΠ·ΠΌΠΎΠΆΠ½ΠΎ, ΠΏΠΎΡΡΠ΅Π±ΡΠ΅ΡΡΡ ΠΏΠ»Π°Π·ΠΌΠΎΡΠΎΡΠ΅Π· ΠΈΠ»ΠΈ ΠΈΠ½ΡΠ΅ ΡΡΠ΅Π΄ΡΡΠ²Π° Π΄Π»Ρ ΡΠ»ΡΡΡΠ΅Π½ΠΈΡ ΠΎΠ±ΡΠ΅Π³ΠΎ ΡΠΎΡΡΠΎΡΠ½ΠΈΡ ΠΏΠ°ΡΠΈΠ΅Π½ΡΠ°. ΠΠ½ΠΎΠΉΠ½ΡΠΉ Π°ΠΏΠΎΡΡΠ΅ΠΌΠ°ΡΠΎΠ·Π½ΡΠΉ ΠΏΠΈΠ΅Π»ΠΎΠ½Π΅ΡΡΠΈΡ, ΡΠΈΠ»ΡΠ½ΡΠ΅ Π½Π°ΡΡΡΠ΅Π½ΠΈΡ ΠΎΡΡΠΎΠΊΠ° ΠΌΠΎΡΠΈ ΡΡΠ΅Π±ΡΡΡ Ρ ΠΈΡΡΡΠ³ΠΈΡΠ΅ΡΠΊΠΎΠ³ΠΎ Π²ΠΌΠ΅ΡΠ°ΡΠ΅Π»ΡΡΡΠ²Π°. ΠΠΎΡΠ»Π΅ ΡΠΎΠ³ΠΎ ΠΊΠ°ΠΊ ΠΎΡΡΡΡΠΉ ΠΏΡΠΎΡΠ΅ΡΡ ΡΡΠΈΡ Π½Π΅Ρ, Π΄ΠΎΠ±Π°Π²Π»ΡΠ΅ΡΡΡ ΡΠΈΡΠΎΡΠ΅ΡΠ°ΠΏΠΈΡ, Π²ΠΊΠ»ΡΡΠ°ΡΡΠ°Ρ ΡΠ°Π·Π»ΠΈΡΠ½ΡΠ΅ ΡΡΠ°Π²ΡΠ½ΡΠ΅ ΠΎΡΠ²Π°ΡΡ, Π½Π°ΡΡΠΎΠΉΠΊΠΈ. ΠΡΠΈΠ½ΠΈΠΌΠ°ΡΡ ΠΈΡ ΠΏΡΠΎΡΡΠΎ ΡΠ°ΠΊ Π½Π΅ ΡΠ΅ΠΊΠΎΠΌΠ΅Π½Π΄ΡΠ΅ΡΡΡ, ΡΠ°ΠΌΠΎΠ»Π΅ΡΠ΅Π½ΠΈΠ΅ ΠΏΡΠΈ ΡΠ°ΠΊΠΎΠΌ Π·Π°Π±ΠΎΠ»Π΅Π²Π°Π½ΠΈΠΈ ΠΌΠΎΠΆΠ΅Ρ ΠΏΡΠΈΠ²Π΅ΡΡΠΈ ΠΊ ΡΡ ΡΠ΄ΡΠ΅Π½ΠΈΡ ΡΠΎΡΡΠΎΡΠ½ΠΈΡ.
ΠΡΠ°Π²ΠΈΠ»ΡΠ½ΠΎΠ΅ Π»Π΅ΡΠ΅Π½ΠΈΠ΅ ΠΎΡΡΡΠΎΠ³ΠΎ ΠΏΠΈΠ΅Π»ΠΎΠ½Π΅ΡΡΠΈΡΠ° Π΄ΠΎΠ»ΠΆΠ½ΠΎ ΠΎΠ±ΡΠ·Π°ΡΠ΅Π»ΡΠ½ΠΎ Π²ΠΊΠ»ΡΡΠ°ΡΡ ΠΈΠΌΠΌΡΠ½ΠΎΠΊΠΎΡΡΠ΅Π³ΠΈΡΡΡΡΠΈΠ΅ ΠΏΡΠ΅ΠΏΠ°ΡΠ°ΡΡ, Π²ΠΈΡΠ°ΠΌΠΈΠ½Ρ. ΠΡΠ»ΠΈ ΡΠΎΡΡΠΎΡΠ½ΠΈΠ΅ ΡΡΠΆΠ΅Π»ΠΎΠ΅, ΡΠΎ Π½Π΅ΠΎΠ±Ρ ΠΎΠ΄ΠΈΠΌΠΎ ΠΏΡΠΎΠ²Π΅ΡΡΠΈ ΡΠΏΠ΅ΡΠΈΠ°Π»ΡΠ½ΡΡ Π΄Π΅Π·ΠΈΠ½ΡΠΎΠΊΡΠΈΠΊΠ°ΡΠΈΡ, ΠΏΠΎΠ»ΠΈΠΈΠΎΠ½Π½ΡΠ΅ ΡΠ°ΡΡΠ²ΠΎΡΡ Π²Π²ΠΎΠ΄ΠΈΡΡ Π²Π½ΡΡΡΠΈΠ²Π΅Π½Π½ΠΎ ΠΏΠΎ Π½Π°Π·Π½Π°ΡΠ΅Π½Π½ΠΎΠΉ ΡΡ Π΅ΠΌΠ΅. ΠΠΏΠΎΡΡΠ΅ΠΌΠ°ΡΠΎΠ·Π½ΡΠΉ ΠΏΠΈΠ΅Π»ΠΎΠ½Π΅ΡΡΠΈΡ ΠΌΠΎΠΆΠ΅Ρ ΠΏΠΎΡΡΠ΅Π±ΠΎΠ²Π°ΡΡ ΠΈΡΠΏΠΎΠ»ΡΠ·ΠΎΠ²Π°Π½ΠΈΡ Π΄ΠΈΡΡΠ΅ΡΠΈΠΊΠΎΠ² ΠΈ ΠΈΠ½ΡΡ ΠΏΡΠ΅ΠΏΠ°ΡΠ°ΡΠΎΠ².
ΠΠ΅ΡΠ½ΡΡΡΡΡ ΠΊ ΠΎΠ³Π»Π°Π²Π»Π΅Π½ΠΈΡ
ΠΡΠΎΠ³Π½ΠΎΠ·Ρ Π»Π΅ΡΠ΅Π½ΠΈΡ
ΠΡΠ»ΠΈ Π»Π΅ΡΠ΅Π½ΠΈΠ΅ ΠΏΡΠΎΠ²ΠΎΠ΄ΠΈΡΡΡ ΠΏΡΠ°Π²ΠΈΠ»ΡΠ½ΠΎ, ΡΠΎ ΠΎΡΡΡΡΠΉ ΠΏΠΈΠ΅Π»ΠΎΠ½Π΅ΡΡΠΈΡ ΠΌΠΎΠΆΠ΅Ρ Π±ΡΡΡ ΠΊΡΠΏΠΈΡΠΎΠ²Π°Π½ Π±ΡΠΊΠ²Π°Π»ΡΠ½ΠΎ Π·Π° ΠΏΠ°ΡΡ Π΄Π½Π΅ΠΉ, ΠΏΠΎΡΠ»Π΅ ΡΡΠΎΠ³ΠΎ Π½Π°Π·Π½Π°ΡΠ°ΡΡΡΡ Π΄ΠΎΠΏΠΎΠ»Π½ΠΈΡΠ΅Π»ΡΠ½ΡΠ΅ ΠΏΡΠΎΡΠΈΠ»Π°ΠΊΡΠΈΡΠ΅ΡΠΊΠΈΠ΅ ΠΌΠ΅ΡΡ. Π’Π΅ΠΌΠΏΠ΅ΡΠ°ΡΡΡΠ° Π²ΠΎΠ·Π²ΡΠ°ΡΠ°Π΅ΡΡΡ Π² Π½ΠΎΡΠΌΡ, ΠΎΠ±ΡΠ΅Π΅ ΡΠ°ΠΌΠΎΡΡΠ²ΡΡΠ²ΠΈΠ΅ Π±ΠΎΠ»ΡΠ½ΠΎΠ³ΠΎ ΡΡΠ°Π½ΠΎΠ²ΠΈΡΡΡ Π»ΡΡΡΠ΅. ΠΠ΄Π½Π°ΠΊΠΎ Π΄Π°ΠΆΠ΅ Π² ΡΠ°ΠΊΠΎΠΌ ΡΠ»ΡΡΠ°Π΅ Π»Π΅ΡΠ΅Π½ΠΈΠ΅ ΠΏΡΠΎΠ΄ΠΎΠ»ΠΆΠ°ΡΡ Π½Π΅ΠΎΠ±Ρ ΠΎΠ΄ΠΈΠΌΠΎ, Π΄Π»Ρ ΡΠ΅Π³ΠΎ Π² ΡΠ΅ΡΠ΅Π½ΠΈΠ΅ 4-6 Π½Π΅Π΄Π΅Π»Ρ Π±ΠΎΠ»ΡΠ½ΠΎΠΉ Π΄ΠΎΠ»ΠΆΠ΅Π½ ΠΏΡΠΈΠ½ΠΈΠΌΠ°ΡΡ Π°Π½ΡΠΈΠ±ΠΈΠΎΡΠΈΠΊΠΈ, Π΄ΡΡΠ³ΠΈΠ΅ ΠΌΠ΅Π΄ΠΈΠΊΠ°ΠΌΠ΅Π½ΡΠΎΠ·Π½ΡΠ΅ ΡΡΠ΅Π΄ΡΡΠ²Π°, ΠΊΠΎΡΠΎΡΡΠ΅ Π½Π°Π·Π½Π°ΡΠ°ΡΡΡΡ Π²ΡΠ°ΡΠΎΠΌ.
ΠΡΠ»ΠΈ Π½Π°ΡΠ°ΡΡ Π»Π΅ΡΠ΅Π½ΠΈΠ΅ ΡΡΠ°Π·Ρ, ΡΠΎ ΠΏΡΠΎΠ³Π½ΠΎΠ· Π² ΡΠ΅Π»ΠΎΠΌ Π±Π»Π°Π³ΠΎΠΏΡΠΈΡΡΠ½ΡΠΉ, ΠΎΡΠ»ΠΎΠΆΠ½Π΅Π½ΠΈΠΉ Π½Π΅ Π½Π°Π±Π»ΡΠ΄Π°Π΅ΡΡΡ.
ΠΡΠΎΡΠΈΠ»Π°ΠΊΡΠΈΠΊΠ° Ρ Π΄Π΅ΡΠ΅ΠΉ ΠΏΠΎΡΠ»Π΅ ΡΠ°ΠΊΠΎΠ³ΠΎ Π·Π°Π±ΠΎΠ»Π΅Π²Π°Π½ΠΈΡ ΡΠ²Π»ΡΠ΅ΡΡΡ ΠΎΠ±ΡΠ·Π°ΡΠ΅Π»ΡΠ½ΠΎΠΉ, Π½Π΅ΠΎΠ±Ρ ΠΎΠ΄ΠΈΠΌΠΎ Π²ΡΠΏΠΎΠ»Π½ΡΡΡ Π²ΡΠ΅ ΠΏΡΠ΅Π΄ΠΏΠΈΡΠ°Π½ΠΈΡ Π½Π°Π±Π»ΡΠ΄Π°ΡΡΠ΅Π³ΠΎ Π²ΡΠ°ΡΠ°.
ΠΠΎΠ²ΡΠ΅ΠΌΡ Π½Π°Π·Π½Π°ΡΠ΅Π½Π½Π°Ρ ΡΠ΅ΡΠ°ΠΏΠΈΡ ΠΏΠΎΠ·Π²ΠΎΠ»ΡΠ΅Ρ ΠΏΠΎΠ»Π½ΠΎΡΡΡΡ ΠΈΠ·Π±Π°Π²ΠΈΡΡΡΡ ΠΎΡ Π·Π°Π±ΠΎΠ»Π΅Π²Π°Π½ΠΈΡ, Π΅Π³ΠΎ ΠΏΠΎΡΠ»Π΅Π΄ΡΡΠ²ΠΈΠΉ. ΠΡΡΡΡΠΉ ΠΈ Ρ ΡΠΎΠ½ΠΈΡΠ΅ΡΠΊΠΈΠΉ ΠΏΠΈΠ΅Π»ΠΎΠ½Π΅ΡΡΠΈΡ Π½Π΅ΠΎΠ±Ρ ΠΎΠ΄ΠΈΠΌΠΎ ΠΎΠ±ΡΠ·Π°ΡΠ΅Π»ΡΠ½ΠΎ Π»Π΅ΡΠΈΡΡ Π² ΡΡΠ°ΡΠΈΠΎΠ½Π°ΡΠ΅, Π½Π° ΠΏΡΠΎΡΠ΅Π΄ΡΡΡ ΡΡΠ΅Π±ΡΠ΅ΡΡΡ ΠΏΡΠΈΠΌΠ΅ΡΠ½ΠΎ 2-3 Π½Π΅Π΄Π΅Π»ΠΈ. ΠΠ°ΠΆΠ΅ ΠΏΡΠΈ ΡΠΎΠΎΡΠ²Π΅ΡΡΡΠ²ΡΡΡΠ΅ΠΉ ΡΠ΅ΡΠ°ΠΏΠΈΠΈ Π΅ΡΡΡ Π²Π΅ΡΠΎΡΡΠ½ΠΎΡΡΡ, ΡΡΠΎ ΠΏΡΠΈΠΌΠ΅ΡΠ½ΠΎ 1/3 ΡΠ»ΡΡΠ°Π΅Π² Π²ΡΠ΅ ΠΆΠ΅ ΠΏΠ΅ΡΠ΅ΠΉΠ΄Π΅Ρ Π² Ρ ΡΠΎΠ½ΠΈΡΠ΅ΡΠΊΡΡ ΡΠΎΡΠΌΡ. ΠΠ· ΠΏΠΎΡΠ»Π΅Π΄ΡΡΠ²ΠΈΠΉ ΠΌΠΎΠΆΠ½ΠΎ ΠΎΡΠΌΠ΅ΡΠΈΡΡ ΡΠΊΠ»Π΅ΡΠΎΠ·ΠΈΡΠΎΠ²Π°Π½ΠΈΠ΅ ΠΏΠΎΡΠ΅ΠΊ, ΡΠ°Π·Π²ΠΈΡΠΈΠ΅ ΡΠ°ΠΊΠΎΠ³ΠΎ Π·Π°Π±ΠΎΠ»Π΅Π²Π°Π½ΠΈΡ, ΠΊΠ°ΠΊ Π°ΡΡΠ΅ΡΠΈΠ°Π»ΡΠ½Π°Ρ Π½Π΅ΡΡΠΎΠ³Π΅Π½Π½Π°Ρ Π³ΠΈΠΏΠ΅ΡΡΠ΅Π½Π·ΠΈΡ. ΠΠΎΡΡ ΠΎΠ΄ΡΡΠΈΠΉ ΠΏΠΈΠ΅Π»ΠΎΠ½Π΅ΡΡΠΈΡ ΠΈ Π΄ΡΡΠ³ΠΈΠ΅ ΡΠΎΡΠΌΡ Π·Π°Π±ΠΎΠ»Π΅Π²Π°Π½ΠΈΡ ΠΌΠΎΠ³ΡΡ ΠΏΡΠΈΠ²Π΅ΡΡΠΈ ΠΊ ΠΎΡΠ»ΠΎΠΆΠ½Π΅Π½ΠΈΡΠΌ β ΡΡΠΎ ΡΡΠΎΡΠ΅ΠΏΡΠΈΡ, ΠΏΠ°ΡΠ°Π½Π΅ΡΡΠΈΡ, ΠΏΠΎΡΠ΅ΡΠ½Π°Ρ Π½Π΅Π΄ΠΎΡΡΠ°ΡΠΎΡΠ½ΠΎΡΡΡ, ΡΠ΅ΡΡΠΎΠΏΠ΅ΡΠΈΡΠΎΠ½ΠΈΡ, ΠΌΠ΅Π½ΠΈΠ½Π³ΠΈΡ ΠΈ ΠΌΠ½ΠΎΠ³ΠΈΠ΅ Π΄ΡΡΠ³ΠΈΠ΅. ΠΡΠ»ΠΎΠΆΠ½Π΅Π½ΠΈΠΉ ΠΎΡΡΡΠΎΠ³ΠΎ ΠΏΠΈΠ΅Π»ΠΎΠ½Π΅ΡΡΠΈΡΠ° ΠΌΠ½ΠΎΠ³ΠΎ, ΠΈ ΠΎΠ½ΠΈ ΠΊΡΠ°ΠΉΠ½Π΅ ΠΎΠΏΠ°ΡΠ½Ρ, ΡΠ»ΠΎΠΆΠ½ΠΎ ΠΏΠΎΠ΄Π΄Π°ΡΡΡΡ Π»Π΅ΡΠ΅Π½ΠΈΡ, ΠΏΡΠΎΠ³Π½ΠΎΠ· ΡΡ ΡΠ΄ΡΠ°Π΅ΡΡΡ. ΠΠ΅ΠΊΠΎΡΠΎΡΡΠ΅ ΠΎΡΠ»ΠΎΠΆΠ½Π΅Π½ΠΈΡ ΠΌΠΎΠ³ΡΡ ΡΡΠ°ΡΡ ΠΏΡΠΈΡΠΈΠ½ΠΎΠΉ ΡΠΌΠ΅ΡΡΠΈ.
Π§ΡΠΎΠ±Ρ ΠΎΡΡΡΡΠΉ Π½Π΅ΠΎΠ±ΡΡΡΡΠΊΡΠΈΠ²Π½ΡΠΉ ΠΏΠΈΠ΅Π»ΠΎΠ½Π΅ΡΡΠΈΡ ΠΈ Π΄ΡΡΠ³ΠΈΠ΅ ΡΠΎΡΠΌΡ Π½Π΅ ΡΡΠ°Π»ΠΈ ΠΏΡΠΈΡΠΈΠ½ΠΎΠΉ ΡΡ ΡΠ΄ΡΠ΅Π½ΠΈΡ ΡΠΎΡΡΠΎΡΠ½ΠΈΡ, ΠΊΡΠΎΠΌΠ΅ Π»Π΅ΡΠ΅Π½ΠΈΡ ΡΡΠ΅Π±ΡΠ΅ΡΡΡ ΡΠΎΠ±Π»ΡΠ΄Π΅Π½ΠΈΠ΅ ΠΏΡΠΎΡΠΈΠ»Π°ΠΊΡΠΈΡΠ΅ΡΠΊΠΈΡ ΠΌΠ΅Ρ. Π’Π°ΠΊΠΈΠΌΠΈ ΠΌΠ΅ΡΠ°ΠΌΠΈ ΡΠ²Π»ΡΠ΅ΡΡΡ ΡΠ°Π½Π°ΡΠΈΡ Π²ΡΠ΅Ρ ΠΎΡΠ°Π³ΠΎΠ² Π²ΠΎΠ·ΠΌΠΎΠΆΠ½ΠΎΠ³ΠΎ Ρ ΡΠΎΠ½ΠΈΡΠ΅ΡΠΊΠΎΠ³ΠΎ Π²ΠΎΡΠΏΠ°Π»Π΅Π½ΠΈΡ, ΡΡΡΡΠ°Π½Π΅Π½ΠΈΠ΅ ΠΏΡΡΠ΅ΠΉ Π΄Π»Ρ ΠΎΠ±ΡΡΡΡΠΊΡΠΈΠΈ ΠΌΠΎΡΠ΅Π²ΡΡ ΠΏΡΡΠ΅ΠΉ, Π΄Π°Π»ΡΠ½Π΅ΠΉΡΠ΅Π³ΠΎ ΡΠ°ΡΠΏΡΠΎΡΡΡΠ°Π½Π΅Π½ΠΈΡ ΠΈΠ½ΡΠ΅ΠΊΡΠΈΠΈ. ΠΠ±ΡΠ·Π°ΡΠ΅Π»ΡΠ½ΠΎ ΡΠΎΠ±Π»ΡΠ΄Π΅Π½ΠΈΠ΅ Π²ΡΠ΅Ρ ΡΡΠ»ΠΎΠ²ΠΈΠΉ Π°Π½ΡΠΈΡΠ΅ΠΏΡΠΈΠΊΠΈ, ΠΊΠΎΠ³Π΄Π° ΠΏΡΠΎΠ²ΠΎΠ΄ΡΡΡΡ ΡΠ°Π·Π»ΠΈΡΠ½ΡΠ΅ ΡΡΠΎΠ»ΠΎΠ³ΠΈΡΠ΅ΡΠΊΠΈΠ΅ ΠΌΠ°Π½ΠΈΠΏΡΠ»ΡΡΠΈΠΈ.
popochkam.ru
ΠΡΡΡΡΠΉ ΠΏΠΈΠ΅Π»ΠΎΠ½Π΅ΡΡΠΈΡ. ΠΠΈΠ°Π³Π½ΠΎΡΡΠΈΠΊΠ° ΠΈ Π»Π΅ΡΠ΅Π½ΠΈΠ΅ ΠΎΡΡΡΠΎΠ³ΠΎ ΠΏΠΈΠ΅Π»ΠΎΠ½Π΅ΡΡΠΈΡΠ°
ΠΡΡΡΡΠΉ ΠΏΠΈΠ΅Π»ΠΎΠ½Π΅ΡΡΠΈΡ β ΡΡΠΎ ΠΎΡΡΡΠΎΠ΅ ΠΈΠ½ΡΠ΅ΠΊΡΠΈΠΎΠ½Π½ΠΎ-Π²ΠΎΡΠΏΠ°Π»ΠΈΡΠ΅Π»ΡΠ½ΠΎΠ΅ Π·Π°Π±ΠΎΠ»Π΅Π²Π°Π½ΠΈΠ΅ ΡΠΊΠ°Π½ΠΈ ΠΏΠΎΡΠ΅ΠΊ ΠΈ ΡΠ°ΡΠ΅ΡΠ½ΠΎ-Π»ΠΎΡ Π°Π½ΠΎΡΠ½ΠΎΠΉ ΡΠΈΡΡΠ΅ΠΌΡ ΠΈ ΠΏΠ°ΡΠ΅Π½Ρ ΠΈΠΌΡ ΠΏΠΎΡΠ΅ΠΊ. ΠΠ½ ΠΌΠΎΠΆΠ΅Ρ Π±ΡΡΡ ΠΏΠ΅ΡΠ²ΠΈΡΠ½ΡΠΌ ΠΈΠ»ΠΈ ΡΠ°Π·Π²ΠΈΠ²Π°ΡΡΡΡ Π½Π° ΡΠΎΠ½Π΅ ΡΠΆΠ΅ ΡΡΡΠ΅ΡΡΠ²ΡΡΡΠ΅Π³ΠΎ Π΄ΡΡΠ³ΠΎΠ³ΠΎ Π·Π°Π±ΠΎΠ»Π΅Π²Π°Π½ΠΈΡ ΠΏΠΎΡΠ΅ΠΊ.
Π§Π°ΡΡΠΎΡΠ° ΡΠ°Π·Π²ΠΈΡΠΈΡ ΠΎΡΡΡΠΎΠ³ΠΎ ΠΏΠΈΠ΅Π»ΠΎΠ½Π΅ΡΡΠΈΡΠ° Π² Π ΠΎΡΡΠΈΠΈ ΡΠΎΡΡΠ°Π²Π»ΡΠ΅Ρ 0,9-1,3 ΠΌΠ»Π½ ΡΠ»ΡΡΠ°Π΅Π² Π² Π³ΠΎΠ΄. Π Π²ΠΎΠ·ΡΠ°ΡΡΠ΅ ΠΎΡ 2-Ρ Π΄ΠΎ 15 Π»Π΅Ρ Π΄Π΅Π²ΠΎΡΠΊΠΈ Π±ΠΎΠ»Π΅ΡΡ ΠΎΡΡΡΡΠΌ ΠΏΠΈΠ΅Π»ΠΎΠ½Π΅ΡΡΠΈΡΠΎΠΌ Π² 6 ΡΠ°Π· ΡΠ°ΡΠ΅,ΡΠ΅ΠΌ ΠΌΠ°Π»ΡΡΠΈΠΊΠΈ, ΡΠ°ΠΊΠΎΠ΅ ΠΆΠ΅ ΡΠΎΠΎΡΠ½ΠΎΡΠ΅Π½ΠΈΠ΅ Π² ΠΌΠΎΠ»ΠΎΠ΄ΠΎΠΌ Π²ΠΎΠ·ΡΠ°ΡΡΠ΅; Π² ΠΏΠΎΠΆΠΈΠ»ΠΎΠΌ Π²ΠΎΠ·ΡΠ°ΡΡΠ΅ ΡΡΠΎ Π·Π°Π±ΠΎΠ»Π΅Π²Π°Π½ΠΈΠ΅ Π½Π΅ΡΠ΅Π΄ΠΊΠΎ ΡΠ°Π·Π²ΠΈΠ²Π°Π΅ΡΡΡ ΠΈ Ρ ΠΌΡΠΆΡΠΈΠ½.
ΠΡΠΈΠΎΠ»ΠΎΠ³ΠΈΡ ΠΈ ΠΏΠ°ΡΠΎΠ³Π΅Π½Π΅Π·. Π‘ΡΡΠ΅ΡΡΠ²ΡΠ΅Ρ Π΄Π²Π° ΠΏΡΡΠΈ ΠΏΡΠΎΠ½ΠΈΠΊΠ½ΠΎΠ²Π΅Π½ΠΈΡ ΠΈΠ½ΡΠ΅ΠΊΡΠΈΠΈ.
ΠΠΎΡΡ ΠΎΠ΄ΡΡΠΈΠΉ ΠΏΡΡΡ ΠΏΠΎ ΠΌΠΎΡΠ΅Π²ΡΠ²ΠΎΠ΄ΡΡΠΈΠΌ ΠΏΡΡΡΠΌ ΡΠ²Π»ΡΠ΅ΡΡΡ Π½Π°ΠΈΠ±ΠΎΠ»Π΅Π΅ ΡΠ°ΡΠΏΡΠΎΡΡΡΠ°Π½Π΅Π½Π½ΡΠΌ. ΠΡΠΈ ΡΡΠΎΠΌ Π±Π°ΠΊΡΠ΅ΡΠΈΠΈ ΡΠ΅ΡΡΠΎΠ³ΡΠ°Π΄Π½ΠΎ ΠΏΠΎΠΏΠ°Π΄Π°ΡΡ ΠΈΠ· ΠΌΠΎΡΠ΅Π²ΠΎΠ³ΠΎ ΠΏΡΠ·ΡΡΡ ΡΠ΅ΡΠ΅Π· ΠΌΠΎΡΠ΅ΡΠΎΡΠ½ΠΈΠΊ Π² ΠΏΠΎΡΠ΅ΡΠ½ΡΡ Π»ΠΎΡ Π°Π½ΠΊΡ ΠΈ ΠΏΠ°ΡΠ΅Π½Ρ ΠΈΠΌΡ. ΠΠΎΠ»ΠΎΠ½ΠΈΠ·Π°ΡΠΈΡ ΠΏΡΠΎΠΌΠ΅ΠΆΠ½ΠΎΡΡΠΈ ΠΊΠΈΡΠ΅ΡΠ½ΡΠΌΠΈ ΡΠ½ΡΠ΅ΡΠΎΠ±Π°ΠΊΡΠ΅ΡΠΈΡΠΌΠΈ ΠΏΡΠ΅Π΄ΡΠ΅ΡΡΠ²ΡΠ΅Ρ ΡΠΏΠΈΠ·ΠΎΠ΄Ρ ΡΠ°Π·Π²ΠΈΡΠΈΡ ΠΎΡΡΡΠΎΠ³ΠΎ ΠΏΠΈΠ΅Π»ΠΎΠ½Π΅ΡΡΠΈΡΠ°.
ΠΡΠΎΡΠΎΠΉ ΠΏΡΡΡ ΠΏΡΠΎΠ½ΠΈΠΊΠ½ΠΎΠ²Π΅Π½ΠΈΡ ΠΈΠ½ΡΠ΅ΠΊΡΠΈΠΈ β ΡΡΠΎ Π³Π΅ΠΌΠ°ΡΠΎΠ³Π΅Π½Π½ΠΎΠ΅ ΡΠ°ΡΠΏΡΠΎΡΡΡΠ°Π½Π΅Π½ΠΈΠ΅, ΠΎΠ½ΠΎ Π²ΡΡΡΠ΅ΡΠ°Π΅ΡΡΡ ΡΠ΅ΠΆΠ΅. ΠΠ±ΡΡΠ½ΠΎ ΠΏΡΠΈ ΡΡΠΎΠΌ ΠΈΠΌΠ΅Π΅ΡΡΡ Π΄ΡΡΠ³ΠΎΠΉ ΡΠΊΡΡΡΠ°ΡΠ΅Π½Π°Π»ΡΠ½ΡΠΉ ΠΎΡΠ°Π³ ΠΈΠ½ΡΠ΅ΠΊΡΠΈΠΈ, Π½Π°ΠΏΡΠΈΠΌΠ΅Ρ, ΡΡΠ±Π΅ΡΠΊΡΠ»Π΅Π· ΠΈ ΡΡΠ°ΡΠΈΠ»ΠΎΠΊΠΎΠΊΠΊΠΎΠ²Π°Ρ ΡΠ΅ΠΏΡΠΈΡΠ΅ΠΌΠΈΡ. Π€Π°ΠΊΡΠΎΡΡ, ΡΠΏΠΎΡΠΎΠ±ΡΡΠ²ΡΡΡΠΈΠ΅ ΡΠ°Π·Π²ΠΈΡΠΈΡ ΠΎΡΡΡΠΎΠ³ΠΎ ΠΏΠΈΠ΅Π»ΠΎΠ½Π΅ΡΡΠΈΡΠ°: ΠΎΠ±ΡΡΡΡΠΊΡΠΈΡ ΠΌΠΎΡΠ΅Π²ΡΠ²ΠΎΠ΄ΡΡΠΈΡ ΠΏΡΡΠ΅ΠΉ, ΠΏΡΠ·ΡΡΠ½ΠΎ-ΠΌΠΎΡΠ΅ΡΠΎΡΠ½ΠΈΠΊΠΎΠ²ΡΠΉ ΡΠ΅ΡΠ»ΡΠΊΡ, ΠΊΠ°ΠΌΠ΅Π½Ρ ΠΏΠΎΡΠΊΠΈ, Π½Π΅ΠΉΡΠΎΠ³Π΅Π½Π½ΡΠΉ ΠΌΠΎΡΠ΅Π²ΠΎΠΉ ΠΏΡΠ·ΡΡΡ, ΡΠ°Ρ Π°ΡΠ½ΡΠΉ Π΄ΠΈΠ°Π±Π΅Ρ, Π½Π°ΡΡΡΠ΅Π½ΠΈΠ΅ ΠΎΠ±ΡΠ΅ΠΉ ΡΠΎΠΏΡΠΎΡΠΈΠ²Π»ΡΠ΅ΠΌΠΎΡΡΠΈ ΠΎΡΠ³Π°Π½ΠΈΠ·ΠΌΠ° (ΠΈΠΌΠΌΡΠ½ΠΎΡΡΠΏΡΠ΅ΡΡΠΈΡ), Π²ΡΠΎΠΆΠ΄Π΅Π½Π½ΡΠ΅ Π°Π½ΠΎΠΌΠ°Π»ΠΈΠΈ, Π±Π΅ΡΠ΅ΠΌΠ΅Π½Π½ΠΎΡΡΡ, Π΄Π»ΠΈΡΠ΅Π»ΡΠ½ΠΎΠ΅ Π΄ΡΠ΅Π½ΠΈΡΠΎΠ²Π°Π½ΠΈΠ΅ ΠΊΠ°ΡΠ΅ΡΠ΅ΡΠΎΠΌ.
Π§Π°ΡΠ΅ ΠΎΡΡΡΡΠΉ ΠΏΠΈΠ΅Π»ΠΎΠ½Π΅ΡΡΠΈΡ ΡΠ²Π»ΡΠ΅ΡΡΡ ΡΠ»Π΅Π΄ΡΡΠ²ΠΈΠ΅ΠΌ Π²ΠΎΡΡ ΠΎΠ΄ΡΡΠ΅ΠΉ ΠΈΠ½ΡΠ΅ΠΊΡΠΈΠΈ ΠΈΠ· ΠΎΡΠ°Π³ΠΎΠ² Ρ ΡΠΎΠ½ΠΈΡΠ΅ΡΠΊΠΎΠ³ΠΎ Π²ΠΎΡΠΏΠ°Π»Π΅Π½ΠΈΡ Π² ΠΆΠ΅Π½ΡΠΊΠΈΡ ΠΏΠΎΠ»ΠΎΠ²ΡΡ ΠΎΡΠ³Π°Π½Π°Ρ , Π½ΠΈΠΆΠ½ΠΈΡ ΠΌΠΎΡΠ΅Π²ΡΡ ΠΏΡΡΡΡ , ΡΠ΅ΠΆΠ΅ β Π² ΡΠΎΠ»ΡΡΠΎΠΌ ΠΊΠΈΡΠ΅ΡΠ½ΠΈΠΊΠ΅; Π²ΡΠ·ΡΠ²Π°Π΅ΡΡΡ Escherichia, E. Coli (Π² Π±ΠΎΠ»ΡΡΠΈΠ½ΡΡΠ²Π΅ ΡΠ»ΡΡΠ°Π΅Π²), Klebsiella, Proteus, Pseudomonas. ΠΠ΅ΠΌΠ°ΡΠΎΠ³Π΅Π½Π½ΡΠΉ ΠΏΡΡΡ ΡΠ°Π·Π²ΠΈΡΠΈΡ ΠΎΡΡΡΠΎΠ³ΠΎ ΠΏΠΈΠ΅Π»ΠΎΠ½Π΅ΡΡΠΈΡΠ° Π²ΡΡΡΠ΅ΡΠ°Π΅ΡΡΡ ΡΠ΅ΠΆΠ΅, ΡΠ΅ΠΌ Π²ΠΎΡΡ ΠΎΠ΄ΡΡΠΈΠΉ; Π΅Π³ΠΎ ΠΈΡΡΠΎΡΠ½ΠΈΠΊ β ΠΎΡΡΡΡΠΉ ΠΈΠ»ΠΈ ΠΏΠΎΠ΄ΠΎΡΡΡΡΠΉ Π²ΠΎΡΠΏΠ°Π»ΠΈΡΠ΅Π»ΡΠ½ΡΠΉ ΠΏΡΠΎΡΠ΅ΡΡ Π²Π½Π΅ ΠΌΠΎΡΠ΅Π²ΡΡ ΠΏΡΡΠ΅ΠΉ: ΠΌΠ°ΡΡΠΈΡ, ΡΡΡΡΠ½ΠΊΡΠ», ΠΊΠ°ΡΠ±ΡΠ½ΠΊΡΠ».
ΠΠ»Ρ ΡΠ°Π·Π²ΠΈΡΠΈΡ ΠΏΠΈΠ΅Π»ΠΎΠ½Π΅ΡΡΠΈΡΠ° Π½Π΅ΠΎΠ±Ρ ΠΎΠ΄ΠΈΠΌΡ ΠΏΡΠ΅Π΄ΡΠ°ΡΠΏΠΎΠ»Π°Π³Π°ΡΡΠΈΠ΅ ΡΠ°ΠΊΡΠΎΡΡ β Π½Π°ΡΡΡΠ΅Π½ΠΈΠ΅ Π³Π΅ΠΌΠΎΠ΄ΠΈΠ½Π°ΠΌΠΈΠΊΠΈ ΠΈΠ»ΠΈ ΡΡΠΎΠ΄ΠΈΠ½Π°ΠΌΠΈΠΊΠΈ Π² ΠΏΠΎΡΠΊΠ΅ ΠΈΠ»ΠΈ Π²Π΅ΡΡ Π½ΠΈΡ ΠΌΠΎΡΠ΅Π²ΡΡ ΠΏΡΡΡΡ .
ΠΠ»ΠΈΠ½ΠΈΠΊΠ° ΠΎΡΡΡΠΎΠ³ΠΎ ΠΏΠΈΠ΅Π»ΠΎΠ½Π΅ΡΡΠΈΡΠ°. ΠΠ»ΠΈΠ½ΠΈΡΠ΅ΡΠΊΠ°Ρ ΠΊΠ°ΡΡΠΈΠ½Π° ΠΎΡΡΡΠΎΠ³ΠΎ ΠΏΠΈΠ΅Π»ΠΎΠ½Π΅ΡΡΠΈΡΠ° ΠΎΠΏΡΠ΅Π΄Π΅Π»ΡΠ΅ΡΡΡ ΡΡΠ°Π΄ΠΈΠ΅ΠΉ Π·Π°Π±ΠΎΠ»Π΅Π²Π°Π½ΠΈΡ, Π½Π°Π»ΠΈΡΠΈΠ΅ΠΌ ΠΈΠ»ΠΈ ΠΎΡΡΡΡΡΡΠ²ΠΈΠ΅ΠΌ ΠΎΡΠ»ΠΎΠΆΠ½Π΅Π½ΠΈΠΉ ΠΈ ΡΠΎΡΠ΅ΡΠ°Π½ΠΈΠ΅ΠΌ ΠΎΠ±ΡΠΈΡ ΠΏΡΠΈΠ·Π½Π°ΠΊΠΎΠ² ΡΡΠΆΠ΅Π»ΠΎΠ³ΠΎ ΠΈΠ½ΡΠ΅ΠΊΡΠΈΠΎΠ½Π½ΠΎΠ³ΠΎ ΠΏΡΠΎΡΠ΅ΡΡΠ° ΠΈ ΠΌΠ΅ΡΡΠ½ΡΡ ΡΠΈΠΌΠΏΡΠΎΠΌΠΎΠ².
Π‘ΡΠ°Π΄ΠΈΠΈ ΠΏΠΈΠ΅Π»ΠΎΠ½Π΅ΡΡΠΈΡΠ° ΡΠΎΠΎΡΠ²Π΅ΡΡΡΠ²ΡΡΡ ΠΌΠΎΡΡΠΎΠ»ΠΎΠ³ΠΈΡΠ΅ΡΠΊΠΈΠΌ ΠΈΠ·ΠΌΠ΅Π½Π΅Π½ΠΈΡΠΌ Π² ΠΏΠΎΡΠΊΠ΅.
ΠΠ°ΡΠ°Π»ΡΠ½Π°Ρ ΡΡΠ°Π΄ΠΈΡ Π·Π°Π±ΠΎΠ»Π΅Π²Π°Π½ΠΈΡ β ΡΠ΅ΡΠΎΠ·Π½ΡΠΉ ΠΏΠΈΠ΅Π»ΠΎΠ½Π΅ΡΡΠΈΡ, Π΄Π»ΠΈΡΠ΅Π»ΡΠ½ΠΎΡΡΡ ΠΊΠΎΡΠΎΡΠΎΠ³ΠΎ Π²Π°ΡΡΠΈΡΡΠ΅Ρ ΠΎΡ 6 Π΄ΠΎ 36 Ρ. ΠΠΎΡΠ»Π΅Π΄ΡΡΡΠΈΠ΅ ΡΡΠ°Π΄ΠΈΠΈ Π·Π°Π±ΠΎΠ»Π΅Π²Π°Π½ΠΈΡ Ρ Π°ΡΠ°ΠΊΡΠ΅ΡΠΈΠ·ΡΡΡΡΡ Π³Π½ΠΎΠΉΠ½ΡΠΌΠΈ, Π΄Π΅ΡΡΡΡΠΊΡΠΈΠ²Π½ΡΠΌΠΈ ΠΈΠ·ΠΌΠ΅Π½Π΅Π½ΠΈΡΠΌΠΈ, ΠΊΠΎΡΠΎΡΡΠ΅ ΡΠ°Π·Π²ΠΈΠ²Π°ΡΡΡΡ Π² ΡΠ»Π΅Π΄ΡΡΡΠ΅ΠΉ ΠΏΠΎΡΠ»Π΅Π΄ΠΎΠ²Π°ΡΠ΅Π»ΡΠ½ΠΎΡΡΠΈ: Π°ΠΏΠΎΡΡΠ΅ΠΌΠ°ΡΠΎΠ·Π½ΡΠΉ ΠΏΠΈΠ΅Π»ΠΎΠ½Π΅ΡΡΠΈΡ, ΠΊΠ°ΡΠ±ΡΠ½ΠΊΡΠ» ΠΏΠΎΡΠΊΠΈ, Π°Π±ΡΡΠ΅ΡΡ ΠΏΠΎΡΠΊΠΈ, Π³Π½ΠΎΠΉΠ½ΡΠΉ ΠΏΠ°ΡΠ°Π½Π΅ΡΡΠΈΡ.
ΠΠΏΠΎΡΡΠ΅ΠΌΠ°ΡΠΎΠ·Π½ΡΠΉ ΠΏΠΈΠ΅Π»ΠΎΠ½Π΅ΡΡΠΈΡ Ρ Π°ΡΠ°ΠΊΡΠ΅ΡΠΈΠ·ΡΠ΅ΡΡΡ ΠΏΠΎΡΠ²Π»Π΅Π½ΠΈΠ΅ΠΌ ΠΌΠ΅Π»ΠΊΠΈΡ (1-2 ΠΌΠΌ) ΠΌΠ½ΠΎΠΆΠ΅ΡΡΠ²Π΅Π½Π½ΡΡ Π³Π½ΠΎΠΉΠ½ΠΈΡΠΊΠΎΠ² Π² ΠΊΠΎΡΠΊΠΎΠ²ΠΎΠΌ Π²Π΅ΡΠ΅ΡΡΠ²Π΅ ΠΏΠΎΡΠΊΠΈ ΠΈ Π½Π° Π΅Π΅ ΠΏΠΎΠ²Π΅ΡΡ Π½ΠΎΡΡΠΈ.
ΠΠ°ΡΠ±ΡΠ½ΠΊΡΠ» ΠΏΠΎΡΠΊΠΈ ΡΠ°Π·Π²ΠΈΠ²Π°Π΅ΡΡΡ Π² ΠΊΠΎΡΠΊΠΎΠ²ΠΎΠΌ Π²Π΅ΡΠ΅ΡΡΠ²Π΅ Π²ΡΠ»Π΅Π΄ΡΡΠ²ΠΈΠ΅ ΡΠ»ΠΈΡΠ½ΠΈΡ Π³Π½ΠΎΠΉΠ½ΠΈΡΠΊΠΎΠ² ΠΏΡΠΈ Π°ΠΏΠΎΡΡΠ΅ΠΌΠ°ΡΠΎΠ·Π½ΠΎΠΌ ΠΏΠΈΠ΅Π»ΠΎΠ½Π΅ΡΡΠΈΡΠ΅ Π»ΠΈΠ±ΠΎ Π² ΡΠ΅Π·ΡΠ»ΡΡΠ°ΡΠ΅ ΠΏΠΎΠΏΠ°Π΄Π°Π½ΠΈΡ ΠΌΠΈΠΊΡΠΎΠ±Π½ΠΎΠ³ΠΎ ΡΠΌΠ±ΠΎΠ»Π° Π² ΠΊΠΎΠ½Π΅ΡΠ½ΡΠΉ Π°ΡΡΠ΅ΡΠΈΠ°Π»ΡΠ½ΡΠΉ ΡΠΎΡΡΠ΄ ΠΏΠΎΡΠΊΠΈ, ΡΡΠΎ ΠΏΡΠΎΡΠ²Π»ΡΠ΅ΡΡΡ ΡΠΎΡΠ΅ΡΠ°Π½ΠΈΠ΅ΠΌ ΠΈΡΠ΅ΠΌΠΈΡΠ΅ΡΠΊΠΎΠ³ΠΎ, Π½Π΅ΠΊΡΠΎΡΠΈΡΠ΅ΡΠΊΠΎΠ³ΠΎ ΠΈ Π³Π½ΠΎΠΉΠ½ΠΎ-Π²ΠΎΡΠΏΠ°Π»ΠΈΡΠ΅Π»ΡΠ½ΠΎΠ³ΠΎ ΠΏΡΠΎΡΠ΅ΡΡΠΎΠ².
ΠΠ±ΡΡΠ΅ΡΡ ΠΏΠΎΡΠΊΠΈ ΡΠ²Π»ΡΠ΅ΡΡΡ ΡΠ΅Π·ΡΠ»ΡΡΠ°ΡΠΎΠΌ Π³Π½ΠΎΠΉΠ½ΠΎΠ³ΠΎ ΡΠ°ΡΠΏΠ»Π°Π²Π»Π΅Π½ΠΈΡ ΠΏΠ°ΡΠ΅Π½Ρ ΠΈΠΌΡ Π² ΠΎΡΠ°Π³Π΅ ΡΠ»ΠΈΡΠ½ΠΈΡ Π°ΠΏΠΎΡΡΠ΅ΠΌ ΠΈΠ»ΠΈ ΠΊΠ°ΡΠ±ΡΠ½ΠΊΡΠ»Π° ΠΏΠΎΡΠΊΠΈ. Π‘ΡΠΎΡΠΌΠΈΡΠΎΠ²Π°Π²ΡΠΈΠΉΡΡ Π³Π½ΠΎΠΉΠ½ΠΈΠΊ ΠΌΠΎΠΆΠ΅Ρ ΠΎΠΏΠΎΡΠΎΠΆΠ½ΠΈΡΡΡΡ Π² ΠΎΠΊΠΎΠ»ΠΎΠΏΠΎΡΠ΅ΡΠ½ΡΡ ΠΊΠ»Π΅ΡΡΠ°ΡΠΊΡ Π² ΡΠ΅Π·ΡΠ»ΡΡΠ°ΡΠ΅ Π³Π½ΠΎΠΉΠ½ΠΎΠ³ΠΎ ΡΠ°ΡΠΏΠ»Π°Π²Π»Π΅Π½ΠΈΡ ΡΠΈΠ±ΡΠΎΠ·Π½ΠΎΠΉ ΠΊΠ°ΠΏΡΡΠ»Ρ ΠΏΠΎΡΠΊΠΈ Ρ ΠΏΠΎΡΠ»Π΅Π΄ΡΡΡΠΈΠΌ ΡΠ°Π·Π²ΠΈΡΠΈΠ΅ΠΌ Π³Π½ΠΎΠΉΠ½ΠΎΠ³ΠΎ ΠΏΠ°ΡΠ°Π½Π΅ΡΡΠΈΡΠ° ΠΈ Π΄Π°ΠΆΠ΅ ΡΠ»Π΅Π³ΠΌΠΎΠ½Ρ Π·Π°Π±ΡΡΡΠΈΠ½Π½ΠΎΠ³ΠΎ ΠΏΡΠΎΡΡΡΠ°Π½ΡΡΠ²Π°.
ΠΠ½ΠΎΠΉΠ½ΡΠ΅ ΡΠΎΡΠΌΡ ΠΏΠΈΠ΅Π»ΠΎΠ½Π΅ΡΡΠΈΡΠ° ΠΎΡΠΎΠ±Π΅Π½Π½ΠΎ ΡΠ°ΡΡΠΎ ΡΠ°Π·Π²ΠΈΠ²Π°ΡΡΡΡ Π² ΡΠ΅Π·ΡΠ»ΡΡΠ°ΡΠ΅ ΠΎΠ±ΡΡΡΡΠΊΡΠΈΠΈ Π²Π΅ΡΡ Π½ΠΈΡ ΠΌΠΎΡΠ΅Π²ΡΡ ΠΏΡΡΠ΅ΠΉ.
ΠΠ»ΠΈΠ½ΠΈΡΠ΅ΡΠΊΠ°Ρ ΠΊΠ°ΡΡΠΈΠ½Π° ΠΎΡΡΡΠΎΠ³ΠΎ Π²ΡΠΎΡΠΈΡΠ½ΠΎΠ³ΠΎ ΠΏΠΈΠ΅Π»ΠΎΠ½Π΅ΡΡΠΈΡΠ° ΠΎΡΠ»ΠΈΡΠ°Π΅ΡΡΡ ΠΎΡ ΡΠ°ΠΊΠΎΠ²ΠΎΠΉ ΠΏΡΠΈ ΠΏΠ΅ΡΠ²ΠΈΡΠ½ΠΎΠΌ ΠΏΠΈΠ΅Π»ΠΎΠ½Π΅ΡΡΠΈΡΠ΅ Π±ΠΎΠ»ΡΡΠ΅ΠΉ Π²ΡΡΠ°ΠΆΠ΅Π½Π½ΠΎΡΡΡΡ ΠΌΠ΅ΡΡΠ½ΡΡ ΡΠΈΠΌΠΏΡΠΎΠΌΠΎΠ². ΠΡΠΈ ΠΏΠ΅ΡΠ²ΠΈΡΠ½ΠΎΠΌ (Π½Π΅ΠΎΠ±ΡΡΡΡΠΊΡΠΈΠ²Π½ΠΎΠΌ) ΠΏΠΈΠ΅Π»ΠΎΠ½Π΅ΡΡΠΈΡΠ΅ Π½Π° ΠΏΠ΅ΡΠ²ΠΎΠ΅ ΠΌΠ΅ΡΡΠΎ Π²ΡΡΡΡΠΏΠ°ΡΡ ΠΎΠ±ΡΠΈΠ΅ ΠΏΡΠΈΠ·Π½Π°ΠΊΠΈ ΠΈΠ½ΡΠ΅ΠΊΡΠΈΠΎΠ½Π½ΠΎΠ³ΠΎ Π·Π°Π±ΠΎΠ»Π΅Π²Π°Π½ΠΈΡ, Π° ΠΌΠ΅ΡΡΠ½ΡΠ΅ ΡΠΈΠΌΠΏΡΠΎΠΌΡ Π² Π½Π°ΡΠ°Π»Π΅ Π±ΠΎΠ»Π΅Π·Π½ΠΈ ΠΌΠΎΠ³ΡΡ Π²ΠΎΠΎΠ±ΡΠ΅ ΠΎΡΡΡΡΡΡΠ²ΠΎΠ²Π°ΡΡ, ΡΡΠΎ Π½Π΅ΡΠ΅Π΄ΠΊΠΎ ΠΏΡΠΈΠ²ΠΎΠ΄ΠΈΡ ΠΊ Π΄ΠΈΠ°Π³Π½ΠΎΡΡΠΈΡΠ΅ΡΠΊΠΈΠΌ ΠΎΡΠΈΠ±ΠΊΠ°ΠΌ. Π‘ΠΈΠΌΠΏΡΠΎΠΌΡ Π±ΠΎΠ»Π΅Π·Π½ΠΈ ΡΠ°Π·Π²ΠΈΠ²Π°ΡΡΡΡ Π² ΡΠ΅ΡΠ΅Π½ΠΈΠ΅ Π½Π΅ΡΠΊΠΎΠ»ΡΠΊΠΈΡ ΡΠ°ΡΠΎΠ² ΠΈΠ»ΠΈ ΠΎΠ΄Π½ΠΈΡ ΡΡΡΠΎΠΊ. Π£ Π±ΠΎΠ»ΡΠ½ΠΎΠ³ΠΎ Π½Π° ΡΠΎΠ½Π΅ ΠΎΠ±ΡΠ΅ΠΉ ΡΠ»Π°Π±ΠΎΡΡΠΈ ΠΈ Π½Π΅Π΄ΠΎΠΌΠΎΠ³Π°Π½ΠΈΡ Π²ΠΎΠ·Π½ΠΈΠΊΠ°ΡΡ ΠΏΠΎΡΡΡΡΠ°ΡΡΠΈΠΉ ΠΎΠ·Π½ΠΎΠ± Ρ ΠΏΠΎΡΠ»Π΅Π΄ΡΡΡΠΈΠΌ ΠΏΠΎΠ²ΡΡΠ΅Π½ΠΈΠ΅ΠΌ ΡΠ΅ΠΌΠΏΠ΅ΡΠ°ΡΡΡΡ ΡΠ΅Π»Π° Π΄ΠΎ 39-41 Β°Π‘, ΠΏΡΠΎΠ»ΠΈΠ²Π½ΠΎΠΉ ΠΏΠΎΡ, Π³ΠΎΠ»ΠΎΠ²Π½Π°Ρ Π±ΠΎΠ»Ρ (ΠΏΡΠ΅ΠΈΠΌΡΡΠ΅ΡΡΠ²Π΅Π½Π½ΠΎ Π² Π»ΠΎΠ±Π½ΠΎΠΉ ΠΎΠ±Π»Π°ΡΡΠΈ), ΡΠΎΡΠ½ΠΎΡΠ°, Π½Π΅ΡΠ΅Π΄ΠΊΠΎ ΡΠ²ΠΎΡΠ°. ΠΠΎΡΠ²Π»ΡΠ΅ΡΡΡ Π΄ΠΈΡΡΡΠ·Π½Π°Ρ ΠΌΡΡΠ΅ΡΠ½Π°Ρ ΠΈ ΡΡΡΡΠ°Π²Π½Π°Ρ Π±ΠΎΠ»Ρ Π²ΠΎ Π²ΡΠ΅ΠΌ ΡΠ΅Π»Π΅, ΠΈΠ½ΠΎΠ³Π΄Π° β ΠΏΠΎΠ½ΠΎΡ. Π―Π·ΡΠΊ ΡΡΡ ΠΎΠΉ, ΠΎΡΠΌΠ΅ΡΠ°Π΅ΡΡΡ ΡΠ°Ρ ΠΈΠΊΠ°ΡΠ΄ΠΈΡ.
ΠΡΠΈ Π²ΡΠΎΡΠΈΡΠ½ΠΎΠΌ (ΠΎΠ±ΡΡΡΡΠΊΡΠΈΠ²Π½ΠΎΠΌ) ΠΏΠΈΠ΅Π»ΠΎΠ½Π΅ΡΡΠΈΡΠ΅ ΡΠ°Π·Π²ΠΈΡΠΈΡ Π²ΠΎΡΠΏΠ°Π»ΠΈΡΠ΅Π»ΡΠ½ΠΎΠ³ΠΎ ΠΏΡΠΎΡΠ΅ΡΡΠ°, ΠΊΠ°ΠΊ ΠΏΡΠ°Π²ΠΈΠ»ΠΎ, ΠΏΡΠ΅Π΄ΡΠ΅ΡΡΠ²ΡΠ΅Ρ ΠΏΠΎΡΠ΅ΡΠ½Π°Ρ ΠΊΠΎΠ»ΠΈΠΊΠ°. ΠΡΠ»Π΅Π΄ Π·Π° Π½Π΅ΠΉ ΠΈΠ»ΠΈ Π½Π° Π²ΡΡΠΎΡΠ΅ ΠΏΠΎΡΠ΅ΡΠ½ΠΎΠΉ ΠΊΠΎΠ»ΠΈΠΊΠΈ Π²ΠΎΠ·Π½ΠΈΠΊΠ°Π΅Ρ ΠΏΠΎΡΡΡΡΠ°ΡΡΠΈΠΉ ΠΎΠ·Π½ΠΎΠ±, ΠΊΠΎΡΠΎΡΡΠΉ ΡΠΌΠ΅Π½ΡΠ΅ΡΡΡ ΡΠΈΠ»ΡΠ½ΡΠΌ ΠΆΠ°ΡΠΎΠΌ ΠΈ ΡΠ΅Π·ΠΊΠΈΠΌ ΠΏΠΎΠ²ΡΡΠ΅Π½ΠΈΠ΅ΠΌ ΡΠ΅ΠΌΠΏΠ΅ΡΠ°ΡΡΡΡ ΡΠ΅Π»Π° Π΄ΠΎ 39-41 Β°Π‘, ΡΡΠΎ ΠΌΠΎΠΆΠ΅Ρ ΡΠΎΠΏΡΠΎΠ²ΠΎΠΆΠ΄Π°ΡΡΡΡ Π³ΠΎΠ»ΠΎΠ²Π½ΠΎΠΉ Π±ΠΎΠ»ΡΡ, ΡΠΎΡΠ½ΠΎΡΠΎΠΉ, ΡΠ²ΠΎΡΠΎΠΉ, Π±ΠΎΠ»ΡΡ Π² ΠΌΡΡΡΠ°Ρ , ΠΊΠΎΡΡΡΡ ΠΈ ΡΡΡΡΠ°Π²Π°Ρ . ΠΡΠ»Π΅Π΄ Π·Π° ΠΏΠΎΠ΄ΡΠ΅ΠΌΠΎΠΌ ΡΠ΅ΠΌΠΏΠ΅ΡΠ°ΡΡΡΡ Π±ΠΎΠ»ΡΠ½ΠΎΠΉ ΠΎΠ±ΠΈΠ»ΡΠ½ΠΎ ΠΏΠΎΡΠ΅Π΅Ρ, ΡΠ΅ΠΌΠΏΠ΅ΡΠ°ΡΡΡΠ° Π½Π°ΡΠΈΠ½Π°Π΅Ρ ΠΊΡΠΈΡΠΈΡΠ΅ΡΠΊΠΈ ΡΠ½ΠΈΠΆΠ°ΡΡΡΡ Π΄ΠΎ Π½ΠΎΡΠΌΠ°Π»ΡΠ½ΡΡ ΠΈΠ»ΠΈ ΡΡΠ±Π½ΠΎΡΠΌΠ°Π»ΡΠ½ΡΡ ΡΠΈΡΡ, ΡΡΠΎ ΠΎΠ±ΡΡΠ½ΠΎ ΡΠΎΠΏΡΠΎΠ²ΠΎΠΆΠ΄Π°Π΅ΡΡΡ Π½Π΅ΠΊΠΎΡΠΎΡΡΠΌ ΡΠ»ΡΡΡΠ΅Π½ΠΈΠ΅ΠΌ ΡΠ°ΠΌΠΎΡΡΠ²ΡΡΠ²ΠΈΡ ΠΈ ΡΠΌΠ΅Π½ΡΡΠ΅Π½ΠΈΠ΅ΠΌ Π±ΠΎΠ»ΠΈ Π² ΠΏΠΎΡΡΠ½ΠΈΡΠ΅. ΠΡΠΎ ΠΌΠ½ΠΈΠΌΠΎΠ΅ ΡΠ»ΡΡΡΠ΅Π½ΠΈΠ΅ ΡΠΎΡΡΠΎΡΠ½ΠΈΡ Π±ΠΎΠ»ΡΠ½ΠΎΠ³ΠΎ Π½Π΅ Π΄ΠΎΠ»ΠΆΠ½ΠΎ ΡΠ°ΡΡΠ΅Π½ΠΈΠ²Π°ΡΡΡΡ Π²ΡΠ°ΡΠΎΠΌ ΠΊΠ°ΠΊ Π½Π°ΡΠΈΠ½Π°ΡΡΠ΅Π΅ΡΡ ΠΈΠ·Π»Π΅ΡΠ΅Π½ΠΈΠ΅. ΠΡΠ»ΠΈ Π½Π΅ Π»ΠΈΠΊΠ²ΠΈΠ΄ΠΈΡΠΎΠ²Π°Π½ ΡΠ°ΠΊΡΠΎΡ ΠΎΠ±ΡΡΡΡΠΊΡΠΈΠΈ Π²Π΅ΡΡ Π½ΠΈΡ ΠΌΠΎΡΠ΅Π²ΡΡ ΠΏΡΡΠ΅ΠΉ, ΡΠΏΡΡΡΡ Π½Π΅ΡΠΊΠΎΠ»ΡΠΊΠΎ ΡΠ°ΡΠΎΠ² Π²Π½ΠΎΠ²Ρ ΡΡΠΈΠ»ΠΈΠ²Π°Π΅ΡΡΡ Π±ΠΎΠ»Ρ Π² ΠΏΠΎΡΡΠ½ΠΈΡΠ½ΠΎΠΉ ΠΎΠ±Π»Π°ΡΡΠΈ, ΡΠ΅ΠΌΠΏΠ΅ΡΠ°ΡΡΡΠ° ΡΠ΅Π»Π° ΠΏΠΎΠ²ΡΡΠ°Π΅ΡΡΡ, ΠΏΠΎΠ²ΡΠΎΡΡΡΡΡΡ ΠΏΠΎΡΡΡΡΠ°ΡΡΠΈΠ΅ ΠΎΠ·Π½ΠΎΠ±Ρ.
ΠΡΠΈ ΡΠ°Π·Π²ΠΈΡΠΈΠΈ Π³Π½ΠΎΠΉΠ½ΡΡ ΡΠΎΡΠΌ ΠΏΠΈΠ΅Π»ΠΎΠ½Π΅ΡΡΠΈΡΠ° ΠΊΠ»ΠΈΠ½ΠΈΡΠ΅ΡΠΊΠ°Ρ ΠΊΠ°ΡΡΠΈΠ½Π° ΡΡΡΠ³ΡΠ±Π»ΡΠ΅ΡΡΡ. ΠΠΎΠ»Ρ Π² ΠΏΠΎΡΡΠ½ΠΈΡΠ΅, Π±ΡΠ²ΡΠ°Ρ ΠΏΡΠΈΡΡΡΠΏΠΎΠΎΠ±ΡΠ°Π·Π½ΠΎΠΉ, ΡΡΠ°Π½ΠΎΠ²ΠΈΡΡΡ ΠΏΠΎΡΡΠΎΡΠ½Π½ΠΎΠΉ ΠΈ Π½Π΅ΠΈΡΡΠ°Π΄ΠΈΠΈΡΡΡΡΠ΅ΠΉ, ΡΠΎΠΏΡΠΎΠ²ΠΎΠΆΠ΄Π°Π΅ΡΡΡ Π³Π΅ΠΊΡΠΈΡΠ΅ΡΠΊΠΎΠΉ Π»ΠΈΡ ΠΎΡΠ°Π΄ΠΊΠΎΠΉ ΠΈ ΠΏΠΎΡΡΡΡΠ°ΡΡΠΈΠΌΠΈ ΠΎΠ·Π½ΠΎΠ±Π°ΠΌΠΈ. ΠΡΠΌΠ΅ΡΠ°Π΅ΡΡΡ Π½Π°ΠΏΡΡΠΆΠ΅Π½ΠΈΠ΅ ΠΌΡΡΡ ΠΏΠΎΡΡΠ½ΠΈΡΠ½ΠΎΠΉ ΠΎΠ±Π»Π°ΡΡΠΈ ΠΈ ΠΌΡΡΡ ΠΏΠ΅ΡΠ΅Π΄Π½Π΅ΠΉ Π±ΡΡΡΠ½ΠΎΠΉ ΡΡΠ΅Π½ΠΊΠΈ Π½Π° ΡΡΠΎΡΠΎΠ½Π΅ ΠΏΠΎΡΠ°ΠΆΠ΅Π½ΠΈΡ. ΠΠ°Π»ΡΠΏΠΈΡΡΠ΅ΡΡΡ ΡΠ²Π΅Π»ΠΈΡΠ΅Π½Π½Π°Ρ Π±ΠΎΠ»Π΅Π·Π½Π΅Π½Π½Π°Ρ ΠΏΠΎΡΠΊΠ°. ΠΡΠ»Π΅Π΄ΡΡΠ²ΠΈΠ΅ Π±ΡΡΠ½ΠΎ Π½Π°ΡΠ°ΡΡΠ°ΡΡΠ΅ΠΉ ΠΈΠ½ΡΠΎΠΊΡΠΈΠΊΠ°ΡΠΈΠΈ ΡΠΎΡΡΠΎΡΠ½ΠΈΠ΅ Π±ΠΎΠ»ΡΠ½ΡΡ Π±ΡΡΡΡΠΎ ΡΡ ΡΠ΄ΡΠ°Π΅ΡΡΡ. ΠΠΎΠ·Π½ΠΈΠΊΠ°Π΅Ρ ΠΎΠ±Π΅Π·Π²ΠΎΠΆΠΈΠ²Π°Π½ΠΈΠ΅, ΡΡΠΎ ΠΌΠ΅Π½ΡΠ΅Ρ ΠΎΠ±Π»ΠΈΠΊ ΠΏΠ°ΡΠΈΠ΅Π½ΡΠ°, ΠΏΠΎΡΠ²Π»ΡΡΡΡΡ Π·Π°ΠΎΡΡΡΠ΅Π½Π½ΡΠ΅ ΡΠ΅ΡΡΡ Π»ΠΈΡΠ°. Π‘ΡΠΎΠ»Ρ ΡΡΠΆΠ΅Π»ΠΎΠ΅ ΡΠΎΡΡΠΎΡΠ½ΠΈΠ΅ ΠΌΠΎΠΆΠ΅Ρ ΡΠΎΠΏΡΠΎΠ²ΠΎΠΆΠ΄Π°ΡΡΡΡ ΡΠΉΡΠΎΡΠΈΠ΅ΠΉ. ΠΠ΅ Π²ΡΠ΅Π³Π΄Π° ΡΡΡΠ΅ΡΡΠ²ΡΠ΅Ρ ΠΏΠ°ΡΠ°Π»Π»Π΅Π»ΠΈΠ·ΠΌ ΠΌΠ΅ΠΆΠ΄Ρ ΡΠΎΡΡΠΎΡΠ½ΠΈΠ΅ΠΌ Π±ΠΎΠ»ΡΠ½ΠΎΠ³ΠΎ, Π²ΡΡΠ°ΠΆΠ΅Π½Π½ΠΎΡΡΡΡ ΠΊΠ»ΠΈΠ½ΠΈΡΠ΅ΡΠΊΠΈΡ ΡΠΈΠΌΠΏΡΠΎΠΌΠΎΠ² ΠΈ ΡΡΠ΅ΠΏΠ΅Π½ΡΡ Π³Π½ΠΎΠΉΠ½ΠΎ-Π΄Π΅ΡΡΡΡΠΊΡΠΈΠ²Π½ΡΡ ΠΈΠ·ΠΌΠ΅Π½Π΅Π½ΠΈΠΉ Π² ΠΏΠΎΡΠΊΠ΅. Π£ ΠΎΡΠ»Π°Π±Π»Π΅Π½Π½ΡΡ Π±ΠΎΠ»ΡΠ½ΡΡ , ΠΏΠΎΠΆΠΈΠ»ΡΡ Π»ΡΠ΄Π΅ΠΉ ΠΊΠ»ΠΈΠ½ΠΈΡΠ΅ΡΠΊΠΈΠ΅ ΠΏΡΠΎΡΠ²Π»Π΅Π½ΠΈΡ Π·Π°Π±ΠΎΠ»Π΅Π²Π°Π½ΠΈΡ ΠΌΠΎΠ³ΡΡ Π±ΡΡΡ Π²Π΅ΡΡΠΌΠ° ΡΠΊΡΠ΄Π½ΡΠΌΠΈ ΠΈΠ»ΠΈ ΠΈΠ·Π²ΡΠ°ΡΠ΅Π½Π½ΡΠΌΠΈ.
ΠΠ»Ρ ΠΎΡΡΡΠΎΠ³ΠΎ ΠΏΠΈΠ΅Π»ΠΎΠ½Π΅ΡΡΠΈΡΠ° Ρ Π°ΡΠ°ΠΊΡΠ΅ΡΠ½Π° Π²ΡΡΠΎΠΊΠ°Ρ ΡΠ΅ΠΌΠΏΠ΅ΡΠ°ΡΡΡΠ° ΡΠ΅Π»Π°, Π±ΠΎΠ»Ρ Π² ΠΏΠΎΡΡΠ½ΠΈΡΠ½ΠΎΠΉ ΠΎΠ±Π»Π°ΡΡΠΈ ΠΈ ΠΈΠ·ΠΌΠ΅Π½Π΅Π½ΠΈΡ Π² Π°Π½Π°Π»ΠΈΠ·Π΅ ΠΌΠΎΡΠΈ. Π‘Π½Π°ΡΠ°Π»Π° ΠΌΠΎΠΆΠ΅Ρ ΠΏΠΎΡΠ²ΠΈΡΡΡΡ ΠΎΠ·Π½ΠΎΠ±, ΠΎΠ±ΠΈΠ»ΡΠ½ΠΎΠ΅ ΠΏΠΎΡΠΎΠΎΡΠ΄Π΅Π»Π΅Π½ΠΈΠ΅, Π²ΡΡΠΎΠΊΠ°Ρ ΡΠ΅ΠΌΠΏΠ΅ΡΠ°ΡΡΡΠ° ΡΠ΅Π»Π°, Π³ΠΎΠ»ΠΎΠ²Π½Π°Ρ Π±ΠΎΠ»Ρ, Π±ΠΎΠ»Ρ Π² ΡΡΡΡΠ°Π²Π°Ρ . ΠΠΎΡΠ²Π»ΡΠ΅ΡΡΡ Π±ΠΎΠ»Ρ Π² ΠΏΠΎΡΡΠ½ΠΈΡΠ΅, ΠΎΠ±Π»Π°ΡΡΠΈ ΠΏΠΎΡΠ΅ΠΊ, ΠΏΠΎΠ΄ΡΠ΅Π±Π΅ΡΡΠ΅.
ΠΠ»ΠΈΠ½ΠΈΠΊΠ° ΠΎΡΡΡΠΎΠ³ΠΎ ΠΏΠΈΠ΅Π»ΠΎΠ½Π΅ΡΡΠΈΡΠ° Π·Π°Π²ΠΈΡΠΈΡ ΠΎΡ ΠΎΠ±ΡΡΡΡΠΊΡΠΈΠΈ Π² ΠΌΠΎΡΠ΅Π²ΡΠ²ΠΎΠ΄ΡΡΠΈΡ ΠΏΡΡΡΡ .
ΠΡΠΈ Π½Π΅ΠΎΠ±ΡΡΡΡΠΊΡΠΈΠ²Π½ΠΎΠΌ ΠΏΡΠΎΡΠ΅ΡΡΠ΅ Π·Π°Π±ΠΎΠ»Π΅Π²Π°Π½ΠΈΠ΅ Π½Π°ΡΠΈΠ½Π°Π΅ΡΡΡ Ρ Π΄ΠΈΠ·ΡΡΠΈΠΈ Ρ Π±ΡΡΡΡΡΠΌ ΠΏΠΎΠ²ΡΡΠ΅Π½ΠΈΠ΅ΠΌ ΡΠ΅ΠΌΠΏΠ΅ΡΠ°ΡΡΡΡ ΡΠ΅Π»Π° Π΄ΠΎ Π²ΡΡΠΎΠΊΠΈΡ ΡΠΈΡΡ. Π ΡΠ΅ΠΌΠΏΠ΅ΡΠ°ΡΡΡΠ΅ ΡΠ΅Π»Π° ΠΏΡΠΈΡΠΎΠ΅Π΄ΠΈΠ½ΡΡΡΡΡ ΠΎΠ·Π½ΠΎΠ±, Π±ΠΎΠ»ΠΈ ΡΠΎ ΡΡΠΎΡΠΎΠ½Ρ ΠΏΠΎΡΠ°ΠΆΠ΅Π½Π½ΠΎΠΉ ΠΏΠΎΡΠΊΠΈ; ΠΎΠ·Π½ΠΎΠ± ΡΠΌΠ΅Π½ΡΠ΅ΡΡΡ ΠΏΡΠΎΠ»ΠΈΠ²Π½ΡΠΌ ΠΏΠΎΡΠΎΠΌ Ρ ΠΊΡΠ°ΡΠΊΠΎΠ²ΡΠ΅ΠΌΠ΅Π½Π½ΡΠΌ ΡΠ½ΠΈΠΆΠ΅Π½ΠΈΠ΅ΠΌ ΡΠ΅ΠΌΠΏΠ΅ΡΠ°ΡΡΡΡ ΡΠ΅Π»Π°; Π±ΠΎΠ»Ρ Π² ΠΏΠΎΡΡΠ½ΠΈΡΠ½ΠΎΠΉ ΠΎΠ±Π»Π°ΡΡΠΈ ΠΌΠΎΠΆΠ΅Ρ ΠΏΠΎΡΠ²Π»ΡΡΡΡΡ Π²ΠΎ Π²ΡΠ΅ΠΌΡ ΠΌΠΎΡΠ΅ΠΈΡΠΏΡΡΠΊΠ°Π½ΠΈΡ ΠΈ Π² ΡΠ°ΠΊΠΎΠΌ ΡΠ»ΡΡΠ°Π΅ ΠΏΡΠΎΡΠ²ΠΈΡΡΡΡ Π΄ΠΎ ΠΎΠ·Π½ΠΎΠ±Π° ΠΈ Π³ΠΈΠΏΠ΅ΡΠ΅ΠΌΠΈΠΈ (ΠΏΡΠ·ΡΡΠ½ΠΎ-ΠΌΠΎΡΠ΅ΡΠΎΡΠ½ΠΈΠΊΠΎΠ²ΡΠΉ ΡΠ΅ΡΠ»ΡΠΊΡ). ΠΡΠ»ΠΈ ΠΏΠΎΡΠ»Π΅ Π½ΠΈΡ Π±ΠΎΠ»Ρ Π±ΠΎΠ»ΡΡΠ΅ Π½Π΅ ΠΏΠΎΠ²ΡΠΎΡΡΠ΅ΡΡΡ (ΡΠ°Π·ΡΡΠ² ΡΠΎΡΠ½ΠΈΠΊΡΠ° ΠΎΠ΄Π½ΠΎΠΉ ΠΈΠ»ΠΈ Π½Π΅ΡΠΊΠΎΠ»ΡΠΊΠΈΡ ΡΠ°ΡΠ΅ΡΠ΅ΠΊ ΠΈ ΡΠ΅Π·ΠΎΡΠ±ΡΠΈΡ ΠΌΠΎΡΠΈ) β ΡΠΎΡΠ½ΠΈΠΊΠ°Π»ΡΠ½ΡΠΉ ΡΠ΅ΡΠ»ΡΠΊΡ.
ΠΡΠΈ ΠΎΠ±ΡΡΡΡΠΊΡΠΈΠ²Π½ΠΎΠΌ ΠΎΡΡΡΠΎΠΌ ΠΏΠΈΠ΅Π»ΠΎΠ½Π΅ΡΡΠΈΡΠ΅ (ΠΎΠΊΠΊΠ»ΡΠ·ΠΈΡ ΠΌΠΎΡΠ΅ΡΠΎΡΠ½ΠΈΠΊΠ° ΠΊΠ°ΠΌΠ½Π΅ΠΌ, ΠΏΡΠΎΠ΄ΡΠΊΡΠ°ΠΌΠΈ Ρ ΡΠΎΠ½ΠΈΡΠ΅ΡΠΊΠΎΠ³ΠΎ Π²ΠΎΡΠΏΠ°Π»Π΅Π½ΠΈΡ ΠΏΠΎΡΠΊΠΈ, Π²Π½Π΅ΡΠ½Π΅Π΅ ΡΠ΄Π°Π²Π»Π΅Π½ΠΈΠ΅ β ΡΠ΅ΡΡΠΎΠΏΠ΅ΡΠΈΡΠΎΠ½Π΅Π°Π»ΡΠ½ΡΠΉ ΡΠΈΠ±ΡΠΎΠ·, ΡΠ°ΠΊ Π²Π½ΡΡΡΠ΅Π½Π½ΠΈΡ ΠΏΠΎΠ»ΠΎΠ²ΡΡ ΠΎΡΠ³Π°Π½ΠΎΠ² Ρ ΠΌΡΠΆΡΠΈΠ½ ΠΈ ΠΆΠ΅Π½ΡΠΈΠ½, ΡΠ²Π΅Π»ΠΈΡΠ΅Π½Π½ΡΠ΅ Π»ΠΈΠΌΡΠΎΡΠ·Π»Ρ) Π·Π°Π±ΠΎΠ»Π΅Π²Π°Π½ΠΈΠ΅ Π½Π°ΡΠΈΠ½Π°Π΅ΡΡΡ Ρ ΠΏΠΎΡΡΠ΅ΠΏΠ΅Π½Π½ΠΎ Π½Π°ΡΠ°ΡΡΠ°ΡΡΠ΅ΠΉ ΠΈΠ»ΠΈ ΠΎΡΡΡΠΎ ΡΠ°Π·Π²ΠΈΠ²ΡΠ΅ΠΉΡΡ Π±ΠΎΠ»ΠΈ Π² ΠΏΠΎΡΡΠ½ΠΈΡΠ΅ ΡΠΎ ΡΡΠΎΡΠΎΠ½Ρ ΠΏΠΎΡΠ°ΠΆΠ΅Π½ΠΈΡ Ρ ΠΏΠΎΡΠ»Π΅Π΄ΡΡΡΠΈΠΌ ΡΠ°Π·Π²ΠΈΡΠΈΠ΅ΠΌ ΠΎΠ·Π½ΠΎΠ±Π° ΠΈ ΠΏΠΎΠ²ΡΡΠ΅Π½ΠΈΠ΅ΠΌ ΡΠ΅ΠΌΠΏΠ΅ΡΠ°ΡΡΡΡ ΡΠ΅Π»Π°. ΠΠΏΡΠ΅Π΄Π΅Π»ΡΡΡΡΡ ΡΠ°ΠΊΠΆΠ΅ Π±Π»Π΅ΡΡΡΡΠΈΠ΅ Π³Π»Π°Π·Π°, ΡΡΠΌΡΠ½Π΅Ρ Π½Π° ΡΠ΅ΠΊΠ°Ρ , ΡΠΈΡΡΡΠΉ ΡΠ·ΡΠΊ, Π±ΠΎΠ»Ρ ΠΏΡΠΈ ΠΏΠ°Π»ΡΠΏΠ°ΡΠΈΠΈ ΠΆΠΈΠ²ΠΎΡΠ° Π² ΠΏΠΎΠ΄ΡΠ΅Π±Π΅ΡΡΠ΅ ΠΈ ΠΏΠΎΠ»ΠΎΠΆΠΈΡΠ΅Π»ΡΠ½ΡΠΉ ΡΠΈΠΌΠΏΡΠΎΠΌ ΠΏΠΎΠΊΠΎΠ»Π°ΡΠΈΠ²Π°Π½ΠΈΡ ΠΏΠΎ ΠΏΠΎΡΡΠ½ΠΈΡΠ΅ (ΡΠΈΠΌΠΏΡΠΎΠΌ ΠΠ°ΡΡΠ΅ΡΠ½Π°ΡΠΊΠΎΠ³ΠΎ) ΡΠΎ ΡΡΠΎΡΠΎΠ½Ρ ΠΏΠΎΡΠ°ΠΆΠ΅Π½Π½ΠΎΠΉ ΠΏΠΎΡΠΊΠΈ.
ΠΠΈΠ°Π³Π½ΠΎΡΡΠΈΠΊΠ°. ΠΡΠΈ ΠΎΡΠΌΠΎΡΡΠ΅ ΠΏΠ°ΡΠΈΠ΅Π½ΡΠ° ΠΎΠ±ΡΠ°ΡΠ°ΡΡ Π²Π½ΠΈΠΌΠ°Π½ΠΈΠ΅ Π½Π° Π±Π»Π΅Π΄Π½ΠΎΡΡΡ ΠΈ Π²Π»Π°ΠΆΠ½ΠΎΡΡΡ ΠΊΠΎΠΆΠ½ΡΡ ΠΏΠΎΠΊΡΠΎΠ²ΠΎΠ², ΡΡΡ ΠΎΠΉ, Π²ΠΎΠ·ΠΌΠΎΠΆΠ½ΠΎ, ΠΎΠ±Π»ΠΎΠΆΠ΅Π½Π½ΡΠΉ ΡΠ·ΡΠΊ, ΡΠ°Ρ ΠΈΠΊΠ°ΡΠ΄ΠΈΡ, Π³ΠΈΠΏΠΎΡΠΎΠ½ΠΈΡ (!) β ΠΏΡΠΈΠ·Π½Π°ΠΊ Π³ΡΠΎΠ·Π½ΠΎΠ³ΠΎ ΠΎΡΠ»ΠΎΠΆΠ½Π΅Π½ΠΈΡ β Π±Π°ΠΊΡΠ΅ΡΠΈΠΎΡΠΎΠΊΡΠΈΡΠ΅ΡΠΊΠΎΠ³ΠΎ ΡΠΎΠΊΠ°. ΠΡΠΈ ΠΏΠ°Π»ΡΠΏΠ°ΡΠΈΠΈ ΠΏΠΎΡΠ°ΠΆΠ΅Π½Π½Π°Ρ ΠΏΠΎΡΠΊΠ° ΡΠ°ΡΠ΅ Π²ΡΠ΅Π³ΠΎ ΡΠ²Π΅Π»ΠΈΡΠ΅Π½Π° Π² ΡΠ°Π·ΠΌΠ΅ΡΠ΅, Π±ΠΎΠ»Π΅Π·Π½Π΅Π½Π½Π°. ΠΠ»Ρ Π³Π½ΠΎΠΉΠ½ΡΡ ΡΠΎΡΠΌ ΠΏΠΈΠ΅Π»ΠΎΠ½Π΅ΡΡΠΈΡΠ° Ρ Π°ΡΠ°ΠΊΡΠ΅ΡΠ½ΠΎ ΠΏΠΎΡΠ²Π»Π΅Π½ΠΈΠ΅ Π·Π°ΡΠΈΡΠ½ΠΎΠ³ΠΎ Π½Π°ΠΏΡΡΠΆΠ΅Π½ΠΈΡ ΠΌΡΡΡ ΠΏΠ΅ΡΠ΅Π΄Π½Π΅ΠΉ Π±ΡΡΡΠ½ΠΎΠΉ ΡΡΠ΅Π½ΠΊΠΈ ΠΈ ΠΏΠΎΡΡΠ½ΠΈΡΡ Π½Π° ΡΡΠΎΡΠΎΠ½Π΅ ΠΏΠΎΡΠ°ΠΆΠ΅Π½ΠΈΡ ΠΏΡΠΈ ΠΏΠ°Π»ΡΠΏΠ°ΡΠΈΠΈ ΠΏΠΎΡΠΊΠΈ. ΠΠ° ΡΡΠΎΡΠΎΠ½Π΅ ΠΏΠΎΡΠ°ΠΆΠ΅Π½ΠΈΡ Π±ΠΈΠΌΠ°Π½ΡΠ°Π»ΡΠ½Π°Ρ ΠΏΠ°Π»ΡΠΏΠ°ΡΠΈΡ Π²ΡΡΠ°ΠΆΠ΅Π½Π° Π±ΠΎΠ»Π΅Π·Π½Π΅Π½Π½ΠΎ; ΡΠΈΠΌΠΏΡΠΎΠΌ ΠΠ°ΡΡΠ΅ΡΠ½Π°ΡΠΊΠΎΠ³ΠΎ ΠΏΠΎΠ»ΠΎΠΆΠΈΡΠ΅Π»ΡΠ½ΡΠΉ. ΠΠ°Π±ΠΎΡΠ°ΡΠΎΡΠ½ΠΎ ΠΎΡΠΌΠ΅ΡΠ°Π΅ΡΡΡ Π»Π΅ΠΉΠΊΠΎΡΠΈΡΠΎΠ·, ΠΊΠ°ΠΊ ΠΏΡΠ°Π²ΠΈΠ»ΠΎ, ΡΠΎ ΡΠ΄Π²ΠΈΠ³ΠΎΠΌ Π»Π΅ΠΉΠΊΠΎΡΠΈΡΠ°ΡΠ½ΠΎΠΉ ΡΠΎΡΠΌΡΠ»Ρ Π²Π»Π΅Π²ΠΎ, ΡΡΠΊΠΎΡΠ΅Π½ΠΈΠ΅ Π‘ΠΠ. ΠΡΠΈ Π³Π½ΠΎΠΉΠ½ΡΡ ΡΠΎΡΠΌΠ°Ρ Π±ΠΎΠ»Π΅Π·Π½ΠΈ Π²ΠΎΠ·ΠΌΠΎΠΆΠ½Ρ Π°Π½Π΅ΠΌΠΈΡ, Π΄ΠΈΡΠΏΡΠΎΡΠ΅ΠΈΠ½Π΅ΠΌΠΈΡ, ΠΏΠΎΠ²ΡΡΠ΅Π½ΠΈΠ΅ ΡΡΠΎΠ²Π½Ρ ΠΌΠΎΡΠ΅Π²ΠΈΠ½Ρ ΠΈ ΠΊΡΠ΅Π°ΡΠΈΠ½ΠΈΠ½Π° ΡΡΠ²ΠΎΡΠΎΡΠΊΠΈ ΠΊΡΠΎΠ²ΠΈ. ΠΠ»Ρ ΠΎΡΡΡΠΎΠ³ΠΎ ΠΏΠΈΠ΅Π»ΠΎΠ½Π΅ΡΡΠΈΡΠ° Ρ Π°ΡΠ°ΠΊΡΠ΅ΡΠ½Π° ΡΠΎΡΠ°Π»ΡΠ½Π°Ρ ΠΏΠΈΡΡΠΈΡ. ΠΡΠΈ ΡΡΠΎΠΌ ΠΎΠ±ΡΡΠ½ΠΎ Π½Π°Π±Π»ΡΠ΄Π°Π΅ΡΡΡ Π»ΠΎΠΆΠ½Π°Ρ ΠΏΡΠΎΡΠ΅ΠΈΠ½ΡΡΠΈΡ.
ΠΡΡΠ»Π΅Π΄ΠΎΠ²Π°Π½ΠΈΡ ΠΌΠΎΡΠΈ Ρ Π±ΠΎΠ»ΡΠ½ΠΎΠ³ΠΎ ΠΏΠΈΠ΅Π»ΠΎΠ½Π΅ΡΡΠΈΡΠΎΠΌ Π΄ΠΎΠ»ΠΆΠ½Ρ Π²ΠΊΠ»ΡΡΠ°ΡΡ ΠΎΠΏΡΠ΅Π΄Π΅Π»Π΅Π½ΠΈΠ΅ Π±Π°ΠΊΡΠ΅ΡΠΈΡΡΠΈΠΈ ΠΈ Π΅Π΅ ΡΡΠ΅ΠΏΠ΅Π½ΠΈ, Π±Π°ΠΊΡΠ΅ΡΠΈΠΎΠ»ΠΎΠ³ΠΈΡΠ΅ΡΠΊΠΎΠ΅ ΠΈΡΡΠ»Π΅Π΄ΠΎΠ²Π°Π½ΠΈΠ΅ Ρ ΠΎΠΏΡΠ΅Π΄Π΅Π»Π΅Π½ΠΈΠ΅ΠΌ ΡΡΠ²ΡΡΠ²ΠΈΡΠ΅Π»ΡΠ½ΠΎΡΡΠΈ ΠΌΠΈΠΊΡΠΎΠΎΡΠ³Π°Π½ΠΈΠ·ΠΌΠΎΠ² ΠΊ Π°Π½ΡΠΈΠ±Π°ΠΊΡΠ΅ΡΠΈΠ°Π»ΡΠ½ΡΠΌ ΠΏΡΠ΅ΠΏΠ°ΡΠ°ΡΠ°ΠΌ. Π Π΄ΠΈΠ°Π³Π½ΠΎΡΡΠΈΠΊΠ΅ ΠΎΡΡΡΠΎΠ³ΠΎ ΠΏΠΈΠ΅Π»ΠΎΠ½Π΅ΡΡΠΈΡΠ° Π±ΠΎΠ»ΡΡΠΎΠ΅ Π·Π½Π°ΡΠ΅Π½ΠΈΠ΅ ΠΈΠΌΠ΅ΡΡ Π»Π°Π±ΠΎΡΠ°ΡΠΎΡΠ½ΡΠ΅ ΠΌΠ΅ΡΠΎΠ΄Ρ: ΠΎΠ±ΡΠΈΠΉ Π°Π½Π°Π»ΠΈΠ· ΠΌΠΎΡΠΈ, ΠΊΡΠΎΠ²ΠΈ, ΠΈΡΡΠ»Π΅Π΄ΠΎΠ²Π°Π½ΠΈΠ΅ ΠΌΠΎΡΠΈ Π½Π° Π½Π°Π»ΠΈΡΠΈΠ΅ ΠΌΠΈΠΊΡΠΎΠΎΡΠ³Π°Π½ΠΈΠ·ΠΌΠΎΠ² ΠΈ ΠΎΠΏΡΠ΅Π΄Π΅Π»Π΅Π½ΠΈΠ΅ ΡΡΠ²ΡΡΠ²ΠΈΡΠ΅Π»ΡΠ½ΠΎΡΡΠΈ ΠΌΠΈΠΊΡΠΎΠΎΡΠ³Π°Π½ΠΈΠ·ΠΌΠΎΠ² ΠΊ Π°Π½ΡΠΈΠ±ΠΈΠΎΡΠΈΠΊΠ°ΠΌ.
ΠΠ»Ρ ΡΡΠΎΡΠ½Π΅Π½ΠΈΡ ΡΠΎΡΡΠΎΡΠ½ΠΈΡ ΠΌΠΎΡΠ΅Π²ΡΠ²ΠΎΠ΄ΡΡΠΈΡ ΠΏΡΡΠ΅ΠΉ ΠΏΡΠΎΠ²ΠΎΠ΄ΡΡ ΡΠ»ΡΡΡΠ°Π·Π²ΡΠΊΠΎΠ²ΠΎΠ΅ ΠΈΡΡΠ»Π΅Π΄ΠΎΠ²Π°Π½ΠΈΠ΅ ΠΏΠΎΡΠ΅ΠΊ. ΠΠ°Π±ΠΎΡΠ°ΡΠΎΡΠ½ΠΎ ΠΎΠΏΡΠ΅Π΄Π΅Π»ΡΡΡΡΡ ΠΏΠΈΡΡΠΈΡ, Π±Π°ΠΊΡΠ΅ΡΠΈΡΡΠΈΡ. Π£Π»ΡΡΡΠ°Π·Π²ΡΠΊΠΎΠ²ΠΎΠ΅ ΠΈΡΡΠ»Π΅Π΄ΠΎΠ²Π°Π½ΠΈΠ΅, ΠΊΠΎΠΌΠΏΡΡΡΠ΅ΡΠ½Π°Ρ ΡΠΎΠΌΠΎΠ³ΡΠ°ΡΠΈΡ ΠΈΡΠΊΠ»ΡΡΠ°ΡΡ Π°Π½Π°ΡΠΎΠΌΠΈΡΠ΅ΡΠΊΠΈΠ΅ ΠΈ ΡΡΠ½ΠΊΡΠΈΠΎΠ½Π°Π»ΡΠ½ΡΠ΅ Π°Π½ΠΎΠΌΠ°Π»ΠΈΠΈ ΠΌΠΎΡΠ΅Π²ΡΠ²ΠΎΠ΄ΡΡΠΈΡ ΠΏΡΡΠ΅ΠΉ. ΠΠΎΠΌΠΏΡΡΡΠ΅ΡΠ½Π°Ρ ΡΠΎΠΌΠΎΠ³ΡΠ°ΡΠΈΡ ΠΈ ΠΌΠ°Π³Π½ΠΈΡΠ½ΠΎ-ΡΠ΅Π·ΠΎΠ½Π°Π½ΡΠ½Π°Ρ ΡΠΎΠΌΠΎΠ³ΡΠ°ΡΠΈΡ ΠΏΠΎΠ·Π²ΠΎΠ»ΡΡΡ ΠΏΠΎΠ»ΡΡΠΈΡΡ ΠΈΠ½ΡΠΎΡΠΌΠ°ΡΠΈΡ ΠΎ ΡΠΎΡΡΠΎΡΠ½ΠΈΠΈ ΠΏΠΎΡΠ°ΠΆΠ΅Π½Π½ΠΎΠΉ ΠΏΠΎΡΠΊΠΈ ΠΈ ΠΎΠΊΡΡΠΆΠ°ΡΡΠΈΡ ΡΠΊΠ°Π½Π΅ΠΉ, ΡΡΠΎ ΠΎΡΠΎΠ±Π΅Π½Π½ΠΎ Π²Π°ΠΆΠ½ΠΎ ΠΏΡΠΈ Π³Π½ΠΎΠΉΠ½ΠΎ-Π΄Π΅ΡΡΡΡΠΊΡΠΈΠ²Π½ΠΎΠΌ ΠΏΡΠΎΡΠ΅ΡΡΠ΅.
ΠΠ· Π΄ΠΎΠΏΠΎΠ»Π½ΠΈΡΠ΅Π»ΡΠ½ΡΡ Π΄ΠΈΠ°Π³Π½ΠΎΡΡΠΈΡΠ΅ΡΠΊΠΈΡ ΠΌΠ΅ΡΠΎΠ΄ΠΎΠ² Π² ΠΏΠ΅ΡΠ²ΡΡ ΠΎΡΠ΅ΡΠ΅Π΄Ρ Π΄ΠΎΠ»ΠΆΠ½ΠΎ Π²ΡΠΏΠΎΠ»Π½ΡΡΡΡΡ Π£ΠΠ ΠΏΠΎΡΠ΅ΠΊ. Π’ΠΎΡΠ½ΠΎΠ΅ Π²ΡΡΠ²Π»Π΅Π½ΠΈΠ΅ Π΄Π΅ΡΡΡΡΠΊΡΠΈΠ²Π½ΡΡ ΡΠΎΡΠΌ ΠΏΠΈΠ΅Π»ΠΎΠ½Π΅ΡΡΠΈΡΠ° Π²ΠΎΠ·ΠΌΠΎΠΆΠ½ΠΎ ΠΏΡΠΈ ΠΏΠΎΠΌΠΎΡΠΈ ΠΠ’ ΠΈΠ»ΠΈ ΠΠ Π’. ΠΠ³ΡΠ°Π½ΠΈΡΠ΅Π½ΠΈΠ΅ ΠΏΠΎΠ΄Π²ΠΈΠΆΠ½ΠΎΡΡΠΈ ΠΏΠΎΡΠ°ΠΆΠ΅Π½Π½ΠΎΠΉ ΠΏΠΎΡΠΊΠΈ ΠΏΡΠΈ Π£ΠΠ ΡΠ²Π»ΡΠ΅ΡΡΡ Π΄ΠΎΠΏΠΎΠ»Π½ΠΈΡΠ΅Π»ΡΠ½ΡΠΌ Π΄ΠΈΠ°Π³Π½ΠΎΡΡΠΈΡΠ΅ΡΠΊΠΈΠΌ ΠΊΡΠΈΡΠ΅ΡΠΈΠ΅ΠΌ ΠΎΡΡΡΠΎΠ³ΠΎ ΠΏΠΈΠ΅Π»ΠΎΠ½Π΅ΡΡΠΈΡΠ°.
ΠΡΠ»ΠΈ Π£ΠΠ ΠΏΠΎΡΠ΅ΠΊ Π½Π΅ ΠΌΠΎΠΆΠ΅Ρ Π±ΡΡΡ Π²ΡΠΏΠΎΠ»Π½Π΅Π½ΠΎ ΠΏΠΎ ΠΊΠ°ΠΊΠΈΠΌ-Π»ΠΈΠ±ΠΎ ΠΏΡΠΈΡΠΈΠ½Π°ΠΌ, ΡΠΎ Π΄ΠΈΡΡΠ΅ΡΠ΅Π½ΡΠΈΠ°Π»ΡΠ½ΡΡ Π΄ΠΈΠ°Π³Π½ΠΎΡΡΠΈΠΊΡ ΠΏΠ΅ΡΠ²ΠΈΡΠ½ΠΎΠ³ΠΎ ΠΈ Π²ΡΠΎΡΠΈΡΠ½ΠΎΠ³ΠΎ ΠΏΠΈΠ΅Π»ΠΎΠ½Π΅ΡΡΠΈΡΠ° ΠΏΡΠΎΠ²ΠΎΠ΄ΡΡ Π½Π° ΠΎΡΠ½ΠΎΠ²Π°Π½ΠΈΠΈ Ρ ΡΠΎΠΌΠΎΡΠΈΡΡΠΎΡΠΊΠΎΠΏΠΈΠΈ ΠΈ/ΠΈΠ»ΠΈ ΡΠΊΡΠΊΡΠ΅ΡΠΎΡΠ½ΠΎΠΉ ΡΡΠΎΠ³ΡΠ°ΡΠΈΠΈ. ΠΡΠΈ ΡΠΊΡΠΊΡΠ΅ΡΠΎΡΠ½ΠΎΠΉ ΡΡΠΎΠ³ΡΠ°ΡΠΈΠΈ Π²ΡΠΏΠΎΠ»Π½Π΅Π½ΠΈΠ΅ ΡΠ½ΠΈΠΌΠΊΠΎΠ² Π½Π° Π²Π΄ΠΎΡ Π΅ ΠΈ Π²ΡΠ΄ΠΎΡ Π΅ Π½Π° ΠΎΠ΄Π½ΠΎΠΉ ΡΠ΅Π½ΡΠ³Π΅Π½ΠΎΠ²ΡΠΊΠΎΠΉ ΠΏΠ»Π΅Π½ΠΊΠ΅ ΠΏΠΎΠ·Π²ΠΎΠ»ΡΠ΅Ρ ΡΠ°ΠΊ ΠΆΠ΅, ΠΊΠ°ΠΊ ΠΈ ΠΏΡΠΈ Π£ΠΠ, ΠΎΡΠ΅Π½ΠΈΡΡ ΠΏΠΎΠ΄Π²ΠΈΠΆΠ½ΠΎΡΡΡ ΠΏΠΎΡΠ΅ΠΊ. ΠΡΡΡΡΡΡΠ²ΠΈΠ΅ ΠΈΠ»ΠΈ ΠΎΠ³ΡΠ°Π½ΠΈΡΠ΅Π½ΠΈΠ΅ Π΄ΡΡ Π°ΡΠ΅Π»ΡΠ½ΠΎΠΉ ΡΠΊΡΠΊΡΡΡΠΈΠΈ ΠΏΠΎΡΠ°ΠΆΠ΅Π½Π½ΠΎΠΉ ΠΏΠΎΡΠΊΠΈ ΡΠ²Π»ΡΠ΅ΡΡΡ ΡΠΈΠΌΠΏΡΠΎΠΌΠΎΠΌ ΠΎΡΡΡΠΎΠ³ΠΎ ΠΏΠΈΠ΅Π»ΠΎΠ½Π΅ΡΡΠΈΡΠ°.
ΠΠ°ΠΈΠ±ΠΎΠ»Π΅Π΅ ΡΠΎΠ²ΡΠ΅ΠΌΠ΅Π½Π½ΡΠΌ Π΄ΠΈΠ°Π³Π½ΠΎΡΡΠΈΡΠ΅ΡΠΊΠΈΠΌ ΠΌΠ΅ΡΠΎΠ΄ΠΎΠΌ ΡΠ²Π»ΡΠ΅ΡΡΡ ΠΠ‘ΠΠ’, ΠΏΠΎΠ·Π²ΠΎΠ»ΡΡΡΠ°Ρ ΡΡΡΠ°Π½ΠΎΠ²ΠΈΡΡ ΠΏΡΠΈΡΠΈΠ½Ρ ΠΈ ΡΡΠΎΠ²Π΅Π½Ρ Π²ΠΎΠ·ΠΌΠΎΠΆΠ½ΠΎΠΉ ΠΎΠ±ΡΡΡΡΠΊΡΠΈΠΈ ΠΌΠΎΡΠ΅ΡΠΎΡΠ½ΠΈΠΊΠ°, Π° ΡΠ°ΠΊΠΆΠ΅ Π²ΡΡΠ²ΠΈΡΡ Π·ΠΎΠ½Ρ Π½Π°ΡΡΡΠ΅Π½Π½ΠΎΠ³ΠΎ ΠΊΡΠΎΠ²ΠΎΠΎΠ±ΡΠ°ΡΠ΅Π½ΠΈΡ ΠΈΠ»ΠΈ ΠΎΡΠ°Π³ΠΈ Π³Π½ΠΎΠΉΠ½ΠΎΠΉ Π΄Π΅ΡΡΡΡΠΊΡΠΈΠΈ Π² ΠΏΠ°ΡΠ΅Π½Ρ ΠΈΠΌΠ΅ ΠΏΠΎΡΠ°ΠΆΠ΅Π½Π½ΠΎΠΉ ΠΏΠΎΡΠΊΠΈ.
ΠΠΈΡΡΠ΅ΡΠ΅Π½ΡΠΈΠ°Π»ΡΠ½ΡΡ Π΄ΠΈΠ°Π³Π½ΠΎΡΡΠΈΠΊΡ ΠΎΡΡΡΠΎΠ³ΠΎ ΠΏΠΈΠ΅Π»ΠΎΠ½Π΅ΡΡΠΈΡΠ° ΡΠ»Π΅Π΄ΡΠ΅Ρ ΠΏΡΠΎΠ²ΠΎΠ΄ΠΈΡΡ Ρ ΠΈΠ½ΡΠ΅ΠΊΡΠΈΠΎΠ½Π½ΡΠΌΠΈ Π·Π°Π±ΠΎΠ»Π΅Π²Π°Π½ΠΈΡΠΌΠΈ, ΠΎΡΡΡΡΠΌΠΈ Π·Π°Π±ΠΎΠ»Π΅Π²Π°Π½ΠΈΡΠΌΠΈ ΠΎΡΠ³Π°Π½ΠΎΠ² Π±ΡΡΡΠ½ΠΎΠΉ ΠΏΠΎΠ»ΠΎΡΡΠΈ ΠΈ Π³Π΅Π½ΠΈΡΠ°Π»ΠΈΠΉ (Π°ΠΏΠΏΠ΅Π½Π΄ΠΈΡΠΈΡ, Ρ
ΠΎΠ»Π΅ΡΠΈΡΡΠΈΡ, Π°Π΄Π½Π΅ΠΊΡΠΈΡ ΠΈ Π΄Ρ.).
ΠΠ΅ΡΠ΅Π½ΠΈΠ΅. ΠΠ΅ΡΠ΅Π½ΠΈΠ΅ ΠΎΡΡΡΠΎΠ³ΠΎ ΠΏΠΈΠ΅Π»ΠΎΠ½Π΅ΡΡΠΈΡΠ° ΠΌΠ΅Π΄ΠΈΠΊΠ°ΠΌΠ΅Π½ΡΠΎΠ·Π½ΠΎΠ΅. ΠΠ°ΡΠΈΠ΅Π½ΡΠ° ΠΎΠ±ΡΡΠ½ΠΎ Π³ΠΎΡΠΏΠΈΡΠ°Π»ΠΈΠ·ΠΈΡΡΡΡ. Π Π΅ΠΊΠΎΠΌΠ΅Π½Π΄ΡΠ΅ΡΡΡ ΠΏΠΎΡΡΠ΅Π»ΡΠ½ΡΠΉ ΡΠ΅ΠΆΠΈΠΌ, Π΄ΠΈΠ΅ΡΠ°, ΠΎΠ±ΠΈΠ»ΡΠ½ΠΎΠ΅ ΠΏΠΈΡΡΠ΅. ΠΠ±ΡΠ·Π°ΡΠ΅Π»ΡΠ½ΠΎ Π½Π°Π·Π½Π°ΡΠ°ΡΡ Π°Π½ΡΠΈΠ±ΠΈΠΎΡΠΈΠΊΠΈ ΠΈΠ»ΠΈ Π΄ΡΡΠ³ΠΈΠ΅ Ρ
ΠΈΠΌΠΈΡΠ΅ΡΠΊΠΈΠ΅ Π°Π½ΡΠΈΠ±Π°ΠΊΡΠ΅ΡΠΈΠ°Π»ΡΠ½ΡΠ΅ ΠΏΡΠ΅ΠΏΠ°ΡΠ°ΡΡ. ΠΡΠΈ Π½Π°Π·Π½Π°ΡΠ΅Π½ΠΈΠΈ Π»Π΅ΡΠ΅Π½ΠΈΡ ΠΎΡΠΈΠ΅Π½ΡΠΈΡΡΡΡΡΡ Π½Π° ΡΠ΅Π·ΡΠ»ΡΡΠ°ΡΡ Π°Π½Π°Π»ΠΈΠ·Π° ΡΡΠ²ΡΡΠ²ΠΈΡΠ΅Π»ΡΠ½ΠΎΡΡΠΈ ΠΌΠΈΠΊΡΠΎΠΎΡΠ³Π°Π½ΠΈΠ·ΠΌΠΎΠ², ΠΎΠ±Π½Π°ΡΡΠΆΠ΅Π½Π½ΡΡ
Π² ΠΌΠΎΡΠ΅, ΠΊ Π°Π½ΡΠΈΠ±ΠΈΠΎΡΠΈΠΊΠ°ΠΌ. ΠΠ΅ΡΠ΅Π½ΠΈΠ΅ Π½Π°ΡΠΈΠ½Π°ΡΡ Ρ Π½Π°ΠΈΠ±ΠΎΠ»Π΅Π΅ ΡΡΡΠ΅ΠΊΡΠΈΠ²Π½ΠΎΠ³ΠΎ ΠΏΡΠ΅ΠΏΠ°ΡΠ°ΡΠ°.
ΠΠ»Ρ Π»Π΅ΡΠ΅Π½ΠΈΡ ΠΏΠΈΠ΅Π»ΠΎΠ½Π΅ΡΡΠΈΡΠ° ΠΈΡΠΏΠΎΠ»ΡΠ·ΡΡΡΡΡ Π°Π½ΡΠΈΠ±ΠΈΠΎΡΠΈΠΊΠΈ ΡΠ°Π·Π»ΠΈΡΠ½ΡΡ Π³ΡΡΠΏΠΏ (Π½Π°ΠΈΠ±ΠΎΠ»Π΅Π΅ ΡΡΡΠ΅ΠΊΡΠΈΠ²Π½ΡΠ΅ β ΡΡΠΎΡΡ ΠΈΠ½ΠΎΠ»ΠΎΠ½ΠΎΠ²ΡΠ΅: Π½ΠΎΡΡΠ»ΠΎΠΊΡΠ°ΡΠΈΠ½, ΠΎΡΠ»ΠΎΠΊΡΠ°ΡΠΈΠ½, ΡΠΈΠΏΡΠΎΡΠ»ΠΎΠΊΡΠ°ΡΠΈΠ½), Π½ΠΈΡΡΠΎΡΡΡΠ°Π½ΠΎΠ²ΡΠ΅ ΠΏΡΠ΅ΠΏΠ°ΡΠ°ΡΡ (ΡΡΡΠ°Π³ΠΈΠ½, ΡΡΡΠ°Π΄ΠΎΠ½ΠΈΠ½), Π½ΠΈΡΡΠΎΠΊΡΠΎΠ»ΠΈΠ½ΠΎΠ²ΡΡ ΠΊΠΈΡΠ»ΠΎΡΡ. ΠΠ»Ρ ΡΠΎΠ³ΠΎ ΡΡΠΎΠ±Ρ ΠΏΡΠ΅Π΄ΡΠΏΡΠ΅Π΄ΠΈΡΡ ΠΏΠ΅ΡΠ΅Ρ ΠΎΠ΄ ΠΎΡΡΡΠΎΠ³ΠΎ ΠΏΠΈΠ΅Π»ΠΎΠ½Π΅ΡΡΠΈΡΠ° Π² Ρ ΡΠΎΠ½ΠΈΡΠ΅ΡΠΊΠΈΠΉ, Π°Π½ΡΠΈΠ±Π°ΠΊΡΠ΅ΡΠΈΠ°Π»ΡΠ½ΡΡ ΡΠ΅ΡΠ°ΠΏΠΈΡ Π½Π°Π·Π½Π°ΡΠ°ΡΡ Π΄ΠΎ 6 Π½Π΅Π΄Π΅Π»Ρ. ΠΡΠΎΠΌΠ΅ ΡΡΠΎΠ³ΠΎ, ΠΏΡΠΈΠΌΠ΅Π½ΡΡΡ ΠΈΠΌΠΌΡΠ½ΠΎΡΡΠΈΠΌΡΠ»ΡΡΠΎΡΡ (Π΄Π΅ΠΊΠ°ΡΠΈΡ, ΠΏΡΠΎΠ΄ΠΈΠ³ΠΈΠΎΠ·Π°Π½). ΠΠ±ΡΡΠ½ΠΎ ΡΠ΅Π·ΡΠ»ΡΡΠ°ΡΡ Π»Π΅ΡΠ΅Π½ΠΈΡ Ρ ΠΎΡΠΎΡΠΈΠ΅. Π§Π΅ΡΠ΅Π· Π½Π΅Π΄Π΅Π»Ρ ΠΏΡΠΈ ΡΠ²ΠΎΠ΅Π²ΡΠ΅ΠΌΠ΅Π½Π½ΠΎΠΌ Π»Π΅ΡΠ΅Π½ΠΈΠΈ ΡΠΎΡΡΠΎΡΠ½ΠΈΠ΅ Π±ΠΎΠ»ΡΠ½ΠΎΠ³ΠΎ ΡΠ»ΡΡΡΠ°Π΅ΡΡΡ, Π° ΠΊ ΡΠ΅ΡΠ²Π΅ΡΡΠΎΠΉ Π½Π΅Π΄Π΅Π»Π΅ Π½Π°ΡΡΡΠΏΠ°Π΅Ρ Π²ΡΠ·Π΄ΠΎΡΠΎΠ²Π»Π΅Π½ΠΈΠ΅, Π½ΠΎ Π°Π½ΡΠΈΠ±Π°ΠΊΡΠ΅ΡΠΈΠ°Π»ΡΠ½ΡΠ΅ ΠΏΡΠ΅ΠΏΠ°ΡΠ°ΡΡ Π±ΠΎΠ»ΡΠ½ΠΎΠΉ Π΄ΠΎΠ»ΠΆΠ΅Π½ ΠΏΡΠΈΠ½ΠΈΠΌΠ°ΡΡ Π΄ΠΎ 6 Π½Π΅Π΄Π΅Π»Ρ.
ΠΡΠ»ΠΈ ΠΎΡΡΡΡΠΉ ΠΏΠΈΠ΅Π»ΠΎΠ½Π΅ΡΡΠΈΡ Π±ΡΠ» Π²ΡΠΎΡΠΈΡΠ½ΡΠΌ, Ρ.Π΅. Π²ΠΎΠ·Π½ΠΈΠΊ Π½Π° ΡΠΎΠ½Π΅ Π΄ΡΡΠ³ΠΎΠ³ΠΎ Π·Π°Π±ΠΎΠ»Π΅Π²Π°Π½ΠΈΡ ΠΏΠΎΡΠ΅ΠΊ, ΠΎΠ±ΡΠ·Π°ΡΠ΅Π»ΡΠ½ΠΎ Π½Π°Π·Π½Π°ΡΠ°Π΅ΡΡΡ Π»Π΅ΡΠ΅Π½ΠΈΠ΅ ΠΎΡΠ½ΠΎΠ²Π½ΠΎΠ³ΠΎ Π·Π°Π±ΠΎΠ»Π΅Π²Π°Π½ΠΈΡ. ΠΡΠ»ΠΈ ΠΏΡΠΈ ΡΡΠΎΠΌ Π±ΡΠ²Π°Π΅Ρ Π½Π°ΡΡΡΠ΅Π½ ΠΎΡΡΠΎΠΊ ΠΌΠΎΡΠΈ, Π·Π°Π±ΠΎΠ»Π΅Π²Π°Π½ΠΈΠ΅ ΠΌΠΎΠΆΠ΅Ρ Π·Π°ΡΡΠ³ΠΈΠ²Π°ΡΡΡΡ, ΠΈΠ½ΠΎΠ³Π΄Π° Π²ΠΎΠ·Π½ΠΈΠΊΠ°ΡΡ Π³Π½ΠΎΠΉΠ½ΡΠ΅ ΠΏΡΠΎΡΠ΅ΡΡΡ Π² ΠΏΠΎΡΠΊΠ΅ ΠΈΠ»ΠΈ Π² ΠΌΠΎΡΠ΅Π²ΡΡ ΠΏΡΡΡΡ Π½Π°Ρ ΠΎΠ΄ΠΈΡΡΡ ΠΊΠ°ΠΌΠ΅Π½Ρ ΠΏΡΠΈ ΠΌΠΎΡΠ΅ΠΊΠ°ΠΌΠ΅Π½Π½ΠΎΠΉ Π±ΠΎΠ»Π΅Π·Π½ΠΈ. Π ΡΡΠΎΠΌ ΡΠ»ΡΡΠ°Π΅ ΠΌΠΎΠΆΠ΅Ρ ΠΏΠΎΠ½Π°Π΄ΠΎΠ±ΠΈΡΡΡΡ ΠΎΠΏΠ΅ΡΠ°ΡΠΈΠ²Π½ΠΎΠ΅ Π»Π΅ΡΠ΅Π½ΠΈΠ΅. ΠΠΎΠ»ΡΠ½ΡΠ΅ Π΄ΠΎΠ»ΠΆΠ½Ρ Π±ΡΡΡ ΡΠΊΡΡΡΠ΅Π½Π½ΠΎ Π³ΠΎΡΠΏΠΈΡΠ°Π»ΠΈΠ·ΠΈΡΠΎΠ²Π°Π½Ρ Π² ΡΡΠΎΠ»ΠΎΠ³ΠΈΡΠ΅ΡΠΊΠΈΠΉ ΡΡΠ°ΡΠΈΠΎΠ½Π°Ρ ΠΏΡΠΈ ΠΎΠ±ΡΡΡΡΠΊΡΠΈΠ²Π½ΠΎΠΌ Π·Π°Π±ΠΎΠ»Π΅Π²Π°Π½ΠΈΠΈ, ΡΠ°ΠΊ ΠΊΠ°ΠΊ Π½Π΅ΠΎΠ±Ρ ΠΎΠ΄ΠΈΠΌΠΎ Π²ΠΎΡΡΡΠ°Π½ΠΎΠ²ΠΈΡΡ ΠΏΠ°ΡΡΠ°ΠΆ ΠΌΠΎΡΠΈ. ΠΠ΅ΠΎΠ±Ρ ΠΎΠ΄ΠΈΠΌΠΎ ΡΠ°Π½Π½Π΅Π΅ Π½Π°Π·Π½Π°ΡΠ΅Π½ΠΈΠ΅ Π°Π½ΡΠΈΠ±Π°ΠΊΡΠ΅ΡΠΈΠ°Π»ΡΠ½ΠΎΠΉ ΡΠ΅ΡΠ°ΠΏΠΈΠΈ Π΄Π»Ρ ΠΏΡΠ΅Π΄ΠΎΡΠ²ΡΠ°ΡΠ΅Π½ΠΈΡ ΡΠ°Π·Π²ΠΈΡΠΈΡ ΡΡΠΎΡΠ΅ΠΏΡΠΈΡΠ°.
ΠΠΌΠΏΠΈΡΠΈΡΠ΅ΡΠΊΠΎΠ΅ Π°Π½ΡΠΈΠΌΠΈΠΊΡΠΎΠ±Π½ΠΎΠ΅ Π»Π΅ΡΠ΅Π½ΠΈΠ΅ ΠΎΡΠ½ΠΎΠ²ΡΠ²Π°Π΅ΡΡΡ Π½Π° Π΄Π°Π½Π½ΡΡ Π°Π½Π°ΠΌΠ½Π΅Π·Π°, ΠΏΡΠ΅Π΄ΠΏΠΎΠ»Π°Π³Π°Π΅ΠΌΠΎΠΉ ΡΡΠΈΠΎΠ»ΠΎΠ³ΠΈΠΈ ΠΈ ΡΠ΅Π³ΠΈΠΎΠ½Π°Π»ΡΠ½ΠΎΠΉ ΡΠ΅Π·ΠΈΡΡΠ΅Π½ΡΠ½ΠΎΡΡΠΈ ΠΎΡΠ½ΠΎΠ²Π½ΡΡ Π²ΠΎΠ·Π±ΡΠ΄ΠΈΡΠ΅Π»Π΅ΠΉ. ΠΡΠ»ΠΈ ΠΏΠ΅ΡΠ²ΠΎΠ½Π°ΡΠ°Π»ΡΠ½ΠΎ Π±ΡΠ»Π° Π½Π°Π·Π½Π°ΡΠ΅Π½Π° ΠΏΠ°ΡΠ΅Π½ΡΠ΅ΡΠ°Π»ΡΠ½Π°Ρ Π°Π½ΡΠΈΠ±Π°ΠΊΡΠ΅ΡΠΈΠ°Π»ΡΠ½Π°Ρ ΡΠ΅ΡΠ°ΠΏΠΈΡ, ΡΠΎ ΡΠ΅ΡΠ΅Π·Β 1-2 ΡΡΡΠΎΠΊ Π΅Π΅ ΠΌΠΎΠΆΠ½ΠΎ Π·Π°ΠΌΠ΅Π½ΠΈΡΡ ΠΏΠ΅ΡΠΎΡΠ°Π»ΡΠ½ΡΠΌ ΡΠ΅ΠΆΠΈΠΌΠΎΠΌ ΠΏΡΠΈΠ΅ΠΌΠ° ΠΏΡΠ΅ΠΏΠ°ΡΠ°ΡΠ°. ΠΠ±ΡΡΠ½Π°Ρ ΡΠ΅ΡΠ°ΠΏΠΈΡ ΠΏΡΠΎΠ΄ΠΎΠ»ΠΆΠ°Π΅ΡΡΡ 10-14 Π΄Π½Π΅ΠΉ. ΠΠΎΠ²ΡΡΠ΅Π½Π½Π°Ρ ΠΊΠΎΠ½ΡΠ΅Π½ΡΡΠ°ΡΠΈΡ Π‘-ΡΠ΅Π°ΠΊΡΠΈΠ²Π½ΠΎΠ³ΠΎ Π±Π΅Π»ΠΊΠ° ΠΌΠΎΠΆΠ΅Ρ ΡΠ°ΡΡΠΌΠ°ΡΡΠΈΠ²Π°ΡΡΡΡ ΠΊΠ°ΠΊ ΠΎΡΠ½ΠΎΠ²Π°Π½ΠΈΠ΅ Π΄Π»Ρ ΠΏΡΠΎΠ΄ΠΎΠ»ΠΆΠ΅Π½ΠΈΡ Π°Π½ΡΠΈΠ±Π°ΠΊΡΠ΅ΡΠΈΠ°Π»ΡΠ½ΠΎΠΉ ΡΠ΅ΡΠ°ΠΏΠΈΠΈ;Β Π΅ΡΠ»ΠΈ ΠΏΡΠΈ ΠΊΠΎΠΌΠΏΡΡΡΠ΅ΡΠ½ΠΎΠΉ ΡΠΎΠΌΠΎΠ³ΡΠ°ΡΠΈΠΈ, ΠΌΠ°Π³Π½ΠΈΡΠ½ΠΎ-ΡΠ΅Π·ΠΎΠ½Π°Π½ΡΠ½ΠΎΠΉ ΡΠΎΠΌΠΎΠ³ΡΠ°ΡΠΈΠΈ ΠΈΠ»ΠΈ ΡΡΠΈΠ½ΡΠΈΠ³ΡΠ°ΡΠΈΠΈ Π²ΡΡΠ²Π»ΡΡΡΡΡ ΡΠΎΠΊΡΡΡ Π²ΠΎΡΠΏΠ°Π»Π΅Π½ΠΈΡ ΠΈΠ»ΠΈ Π°Π±ΡΡΠ΅ΡΡΡ, ΡΠΎ Π½Π΅ΠΎΠ±Ρ ΠΎΠ΄ΠΈΠΌΠΎ ΠΏΡΠΎΠ΄Π»ΠΈΡΡ ΡΠ΅ΡΠ°ΠΏΠΈΡ Π΄ΠΎ 4-8 Π½Π΅Π΄Π΅Π»Ρ. Π ΠΏΡΠΎΡΠΈΠ²Π½ΠΎΠΌ ΡΠ»ΡΡΠ°Π΅ Π²ΠΎΠ·ΠΌΠΎΠΆΠ½Ρ ΡΠ°ΡΡΡΠ΅ ΡΠ΅ΡΠΈΠ΄ΠΈΠ²Ρ ΠΠΠ Ρ Π½Π΅ΠΏΡΠΎΠ΄ΠΎΠ»ΠΆΠΈΡΠ΅Π»ΡΠ½ΡΠΌΠΈ ΠΏΠ΅ΡΠΈΠΎΠ΄Π°ΠΌΠΈ ΡΠ΅ΠΌΠΈΡΡΠΈΠΈ.
ΠΠ½ΡΠΈΠΌΠΈΠΊΡΠΎΠ±Π½ΡΠΉ ΡΠΏΠ΅ΠΊΡΡ Π°Π½ΡΠΈΠ±Π°ΠΊΡΠ΅ΡΠΈΠ°Π»ΡΠ½ΡΡ ΠΏΡΠ΅ΠΏΠ°ΡΠ°ΡΠΎΠ² Π΄Π»Ρ ΡΠΌΠΏΠΈΡΠΈΡΠ΅ΡΠΊΠΎΠΉ ΡΠ΅ΡΠ°ΠΏΠΈΠΈ Π΄ΠΎΠ»ΠΆΠ΅Π½ Π±ΡΡΡ ΠΌΠ°ΠΊΡΠΈΠΌΠ°Π»ΡΠ½ΠΎ Π°Π΄Π°ΠΏΡΠΈΡΠΎΠ²Π°Π½ ΠΊ ΠΏΠ΅ΡΠ΅ΡΠ½Ρ ΠΎΡΠ½ΠΎΠ²Π½ΡΡ Π²ΠΎΠ·Π±ΡΠ΄ΠΈΡΠ΅Π»Π΅ΠΉ.Β Π Π»Π΅ΡΠ΅Π½ΠΈΠΈ ΠΎΡΡΡΠΎΠ³ΠΎ ΠΏΠΈΠ΅Π»ΠΎΠ½Π΅ΡΡΠΈΡΠ° Π½Π°ΠΈΠ±ΠΎΠ»Π΅Π΅ ΡΠ°ΡΡΠΎ ΠΈΡΠΏΠΎΠ»ΡΠ·ΡΡΡ ΡΠ΅ΡΠ°Π»ΠΎΡΠΏΠΎΡΠΈΠ½Ρ II-III ΠΏΠΎΠΊΠΎΠ»Π΅Π½ΠΈΡ, ΡΡΠΎΡΡ ΠΈΠ½ΠΎΠ»ΠΎΠ½Ρ, ΠΈΠ½Π³ΠΈΠ±ΠΈΡΠΎΡΠ·Π°ΡΠΈΡΠ΅Π½Π½ΡΠ΅ Π°ΠΌΠΈΠ½ΠΎΠΏΠ΅Π½ΠΈΡΠΈΠ»Π»ΠΈΠ½Ρ ΠΈ Π°ΠΌΠΈΠ½ΠΎΠ³Π»ΠΈΠΊΠΎΠ·ΠΈΠ΄Ρ. ΠΠ·-Π·Π° ΡΠ΅Π·ΠΈΡΡΠ΅Π½ΡΠ½ΠΎΡΡΠΈ ΠΌΠ½ΠΎΠ³ΠΈΡ ΡΡΠΎΠΏΠ°ΡΠΎΠ³Π΅Π½ΠΎΠ² ΠΊ Π½Π°ΠΈΠ±ΠΎΠ»Π΅Π΅ ΡΠ°ΡΡΠΎ ΠΈΡΠΏΠΎΠ»ΡΠ·ΡΠ΅ΠΌΡΠΌ Π°Π½ΡΠΈΠ±ΠΈΠΎΡΠΈΠΊΠ°ΠΌ Π²ΠΎΠ·Π½ΠΈΠΊΠ°Π΅Ρ Π½Π΅ΠΎΠ±Ρ ΠΎΠ΄ΠΈΠΌΠΎΡΡΡ Π² Π½Π°Π·Π½Π°ΡΠ΅Π½ΠΈΠΈ ΡΡΠΎΡΡ ΠΈΠ½ΠΎΠ»ΠΎΠ½ΠΎΠ². ΠΡΠ΅ΠΏΠ°ΡΠ°ΡΡ ΠΈΠ· ΡΡΠΎΠΉ Π³ΡΡΠΏΠΏΡ, ΠΎΠ±ΡΠ΅Π΄ΠΈΠ½Π΅Π½Π½ΡΠ΅ ΠΎΠ±ΡΠΈΠΌ ΠΌΠ΅Ρ Π°Π½ΠΈΠ·ΠΌΠΎΠΌ Π΄Π΅ΠΉΡΡΠ²ΠΈΡ (ΠΈΠ½Π³ΠΈΠ±ΠΈΡΡΡΡ ΡΠΈΠ½ΡΠ΅Π· ΠΊΠ»ΡΡΠ΅Π²ΠΎΠ³ΠΎ ΡΠ΅ΡΠΌΠ΅Π½ΡΠ° Π±Π°ΠΊΡΠ΅ΡΠΈΠ°Π»ΡΠ½ΠΎΠΉ ΠΊΠ»Π΅ΡΠΊΠΈ β ΠΠΠ-Π³ΠΈΡΠ°Π·Ρ), Ρ Π°ΡΠ°ΠΊΡΠ΅ΡΠΈΠ·ΡΡΡΡΡ ΡΠΈΡΠΎΠΊΠΈΠΌ ΡΠΏΠ΅ΠΊΡΡΠΎΠΌ Π°Π½ΡΠΈΠΌΠΈΠΊΡΠΎΠ±Π½ΠΎΠΉ Π°ΠΊΡΠΈΠ²Π½ΠΎΡΡΠΈ ΠΈ Π±Π»Π°Π³ΠΎΠΏΡΠΈΡΡΠ½ΡΠΌΠΈ ΡΠ°ΡΠΌΠ°ΠΊΠΎΠΊΠΈΠ½Π΅ΡΠΈΡΠ΅ΡΠΊΠΈΠΌΠΈ ΡΠ²ΠΎΠΉΡΡΠ²Π°ΠΌΠΈ, ΡΠΊΡΠΊΡΠ΅ΡΠΈΡ ΠΈΡ ΠΏΡΠ΅ΠΈΠΌΡΡΠ΅ΡΡΠ²Π΅Π½Π½ΠΎ ΠΏΠΎΡΠ΅ΡΠ½Π°Ρ: Π»Π΅Π²ΠΎΡΠ»ΠΎΠΊΡΠ°ΡΠΈΠ½ (ΡΠ°Π²Π°Π½ΠΈΠΊ) (500 ΠΌΠ³ 1 ΡΠ°Π· Π² ΡΡΡΠΊΠΈ ΠΏΡΠΈ ΡΡΠΆΠ΅Π»ΠΎΠΉ ΠΈΠ½ΡΠ΅ΠΊΡΠΈΠΈ), Π³Π°ΡΠΈΡΠ»ΠΎΠΊΡΠ°ΡΠΈΠ½ (400 ΠΌΠ³), ΠΌΠΎΠΊΡΠΈΡΠ»ΠΎΠΊΡΠ°ΡΠΈΠ½ (400 ΠΌΠ³), ΡΡΠΎΠ²Π°ΡΠ»ΠΎΠΊΡΠ°ΡΠΈΠ½ (200 ΠΌΠ³) Π² ΡΠ΅ΡΠ΅Π½ΠΈΠ΅ 7-10 Π΄Π½Π΅ΠΉ. ΠΠΎΠ»Π½Π°Ρ ΠΌΠΈΠΊΡΠΎΠ±Π½Π°Ρ ΡΡΠ°Π΄ΠΈΠ°ΡΠΈΡ Π²ΠΎΠ·Π±ΡΠ΄ΠΈΡΠ΅Π»Ρ Π΄ΠΎΡΡΠΈΠ³Π°Π΅ΡΡΡ Π² 95,5% ΡΠ»ΡΡΠ°Π΅Π².
Π‘ΡΠ°ΡΡΠΎΠ²Π°Ρ Π°Π½ΡΠΈΠΌΠΈΠΊΡΠΎΠ±Π½Π°Ρ ΡΠ΅ΡΠ°ΠΏΠΈΡ Π»Π΅Π²ΠΎΡΠ»ΠΎΠΊΡΠ°ΡΠΈΠ½ΠΎΠΌ ΠΎΠΏΡΠ°Π²Π΄Π°Π½Π° Π² ΡΠ°ΠΊΠΈΡ
ΡΠ»ΡΡΠ°ΡΡ
, ΠΊΠ°ΠΊ:
β Π½Π°Π»ΠΈΡΠΈΠ΅ Π² Π°Π½Π°ΠΌΠ½Π΅Π·Π΅ Π½Π΅ΠΎΠ΄Π½ΠΎΠΊΡΠ°ΡΠ½ΡΡ
ΡΠΏΠΈΠ·ΠΎΠ΄ΠΎΠ² ΠΠΠ Π² ΡΠ΅ΡΠ΅Π½ΠΈΠ΅ ΠΏΠΎΡΠ»Π΅Π΄Π½ΠΈΡ
6 ΠΌΠ΅ΡΡΡΠ΅Π²;
β Ρ Π±ΠΎΠ»ΡΠ½ΡΡ
ΡΠ°Ρ
Π°ΡΠ½ΡΠΌ Π΄ΠΈΠ°Π±Π΅ΡΠΎΠΌ;
β Π½Π°Π»ΠΈΡΠΈΠ΅ ΠΊΠ»ΠΈΠ½ΠΈΡΠ΅ΡΠΊΠΈΡ
ΠΏΡΠΎΡΠ²Π»Π΅Π½ΠΈΠΉ Π·Π°Π±ΠΎΠ»Π΅Π²Π°Π½ΠΈΡ Π±ΠΎΠ»Π΅Π΅ 2 ΡΡΡΠΎΠΊ;
β ΠΎΡΡΡΡΡΡΠ²ΠΈΠ΅ ΡΡΡΠ΅ΠΊΡΠ° Π² ΡΠ΅ΡΠ΅Π½ΠΈΠ΅ 2 ΡΡΡΠΎΠΊ ΠΎΡ Π½Π°ΡΠ°Π»Π° Π°Π½ΡΠΈΠΌΠΈΠΊΡΠΎΠ±Π½ΠΎΠΉ ΡΠ΅ΡΠ°ΠΏΠΈΠΈ Π΄ΡΡΠ³ΠΈΠΌΠΈ ΠΏΡΠ΅ΠΏΠ°ΡΠ°ΡΠ°ΠΌΠΈ.
ΠΠ½ΡΠΈΠ±ΠΈΠΎΡΠΈΠΊΠΈ ΡΠΎΡΠ΅ΡΠ°ΡΡ Ρ Ρ ΠΈΠΌΠΈΠΎΠΏΡΠ΅ΠΏΠ°ΡΠ°ΡΠ°ΠΌΠΈ, ΠΎΠ΄Π½ΠΎΠ²ΡΠ΅ΠΌΠ΅Π½Π½ΠΎ Π΄Π°ΡΡ ΠΎΠ±ΠΈΠ»ΡΠ½ΠΎΠ΅ ΠΏΠΈΡΡΠ΅ (ΠΊΠ»ΡΠΊΠ²Π΅Π½Π½ΡΠΉ ΠΌΠΎΡΡ), ΠΏΡΠΎΠ²ΠΎΠ΄ΡΡ Π΄Π΅Π·ΠΈΠ½ΡΠΎΠΊΡΠΈΠΊΠ°ΠΌΠ΅Π½ΡΠΎΠ·Π½ΡΡ ΡΠ΅ΡΠ°ΠΏΠΈΡ. ΠΡΠΈ Π±ΠΎΠ»ΡΡ Π² ΠΎΠ±Π»Π°ΡΡΠΈ ΠΏΠΎΡΠ°ΠΆΠ΅Π½Π½ΠΎΠΉ ΠΏΠΎΡΠΊΠΈ ΠΏΠΎΠΊΠ°Π·Π°Π½Ρ ΡΠ΅ΠΏΠ»ΠΎΠ²ΡΠ΅ ΠΏΡΠΎΡΠ΅Π΄ΡΡΡ (Π³ΡΠ΅Π»ΠΊΠΈ, ΡΠΎΠ³ΡΠ΅Π²Π°ΡΡΠΈΠ΅ ΠΊΠΎΠΌΠΏΡΠ΅ΡΡΡ,Β Π΄ΠΈΠ°ΡΠ΅ΡΠΌΠΈΡ), Π±ΠΎΠ»Π΅ΡΡΠΎΠ»ΡΡΡΠΈΠ΅ ΡΡΠ΅Π΄ΡΡΠ²Π°. ΠΠΈΡΠ°Π½ΠΈΠ΅ Π΄ΠΎΠ»ΠΆΠ½ΠΎ Π±ΡΡΡ Π΄ΠΎΡΡΠ°ΡΠΎΡΠ½ΠΎ ΠΊΠ°Π»ΠΎΡΠΈΠΉΠ½ΡΠΌ (Π΄ΠΎ 2000 ΠΊΠΊΠ°Π» Π² Π΄Π΅Π½Ρ), Π½Π΅ΠΎΠ±ΠΈΠ»ΡΠ½ΡΠΌ,Π±Π΅Π· ΠΎΠ³ΡΠ°Π½ΠΈΡΠ΅Π½ΠΈΡ ΠΏΡΠΈΠ΅ΠΌΠ° ΠΏΠΎΠ²Π°ΡΠ΅Π½Π½ΠΎΠΉ ΡΠΎΠ»ΠΈ.
ΠΡΠΎΡΠΈΠ»Π°ΠΊΡΠΈΠΊΠ°. ΠΠ±ΡΠ΅ΡΠΊΡΠ΅ΠΏΠ»ΡΡΡΠΈΠ΅ ΠΌΠ΅ΡΠΎΠΏΡΠΈΡΡΠΈΡ, ΠΏΠΎΠ²ΡΡΠ°ΡΡΠΈΠ΅ ΡΠ΅Π·ΠΈΡΡΠ΅Π½ΡΠ½ΠΎΡΡΡ ΠΎΡΠ³Π°Π½ΠΈΠ·ΠΌΠ°, Π±ΠΎΡΡΠ±Π° Ρ ΠΎΠ±ΡΠΈΠΌΠΈ ΠΈΠ½ΡΠ΅ΠΊΡΠΈΡΠΌΠΈ, Π»ΠΈΠΊΠ²ΠΈΠ΄Π°ΡΠΈΡ Π°ΡΠ΅ΠΏΡΠΈΡΠ΅ΡΠΊΠΎΠΉ Π±Π°ΠΊΡΠ΅ΡΠΈΡΡΠΈΠΈ (ΠΎΡΠΎΠ±Π΅Π½Π½ΠΎ Π² Π³ΡΡΠΏΠΏΠ°Ρ ΠΏΠΎΠ²ΡΡΠ΅Π½Π½ΠΎΠ³ΠΎ ΡΠΈΡΠΊΠ° β ΡΡΠ΅Π΄ΠΈ Π΄Π΅ΡΠ΅ΠΉ Π΄ΠΎΡΠΊΠΎΠ»ΡΠ½ΠΎΠ³ΠΎ ΠΈ ΡΠΊΠΎΠ»ΡΠ½ΠΎΠ³ΠΎ Π²ΠΎΠ·ΡΠ°ΡΡΠ°, Π±Π΅ΡΠ΅ΠΌΠ΅Π½Π½ΡΡ ΠΆΠ΅Π½ΡΠΈΠ½, Π³ΠΈΠ½Π΅ΠΊΠΎΠ»ΠΎΠ³ΠΈΡΠ΅ΡΠΊΠΈΡ Π±ΠΎΠ»ΡΠ½ΡΡ (ΠΏΡΠΎΡΠΈΠ»Π°ΠΊΡΠΈΡΠ΅ΡΠΊΠΎΠ΅ ΠΎΠ±ΡΠ»Π΅Π΄ΠΎΠ²Π°Π½ΠΈΠ΅ ΠΆΠ΅Π½ΡΠΈΠ½ Π³ΠΈΠ½Π΅ΠΊΠΎΠ»ΠΎΠ³ΠΎΠΌ, ΡΠ°Π½Π°ΡΠΈΡ Π²Π»Π°Π³Π°Π»ΠΈΡΠ°, Π²ΡΠΏΠΎΠ»Π½Π΅Π½ΠΈΠ΅ Π³ΠΈΠ³ΠΈΠ΅Π½ΠΈΡΠ΅ΡΠΊΠΈΡ ΠΏΡΠ°Π²ΠΈΠ»)), ΠΎΠ±ΡΠ·Π°ΡΠ΅Π»ΡΠ½ΠΎΠ΅ Π»Π΅ΡΠ΅Π½ΠΈΠ΅ ΡΠΈΡΡΠΈΡΠ° ΡΡΠΎΠ»ΠΎΠ³ΠΎΠΌ.
ΠΡΠΎΠ³Π½ΠΎΠ·. ΠΡΠ·Π΄ΠΎΡΠΎΠ²Π»Π΅Π½ΠΈΠ΅ ΠΏΡΠΈ ΡΠ²ΠΎΠ΅Π²ΡΠ΅ΠΌΠ΅Π½Π½ΠΎΠΉ Π΄ΠΈΠ°Π³Π½ΠΎΡΡΠΈΠΊΠ΅ ΠΈ ΡΠ°Π½ΠΎ Π½Π°ΡΠ°ΡΠΎΠΌ Π»Π΅ΡΠ΅Π½ΠΈΠΈ ΠΎΡΡΡΠΎΠ³ΠΎ ΠΏΠΈΠ΅Π»ΠΎΠ½Π΅ΡΡΠΈΡΠ°. Π ΡΠ»ΡΡΠ°ΡΡ ΠΏΠΎΠ·Π΄Π½Π΅Π³ΠΎ ΡΠ°ΡΠΏΠΎΠ·Π½Π°Π²Π°Π½ΠΈΡ, ΡΠ°Π·Π²ΠΈΡΠΈΡ Π±Π°ΠΊΡΠ΅ΡΠΈΠ°Π»ΡΠ½ΠΎΠ³ΠΎ ΡΠΎΠΊΠ° ΠΈΠ»ΠΈ ΡΡΠΎΡΠ΅ΠΏΡΠΈΡΠ° ΠΏΡΠΎΠ³Π½ΠΎΠ· Π½Π΅Π±Π»Π°Π³ΠΎΠΏΡΠΈΡΡΠ½ΡΠΉ.
ΠΠ΅ΡΠ²ΠΎΠ΅Π²ΡΠ΅ΠΌΠ΅Π½Π½ΠΎΠ΅ ΠΈ Π½Π΅ΡΠ°ΡΠΈΠΎΠ½Π°Π»ΡΠ½ΠΎΠ΅Β Π»Π΅ΡΠ΅Π½ΠΈΠ΅ ΠΏΠΈΠ΅Π»ΠΎΠ½Π΅ΡΡΠΈΡΠ° ΠΏΡΠΈΠ²ΠΎΠ΄ΠΈΡ ΠΊ Ρ ΡΠΎΠ½ΠΈΡΠ΅ΡΠΊΠΎΠΌΡ ΠΏΠΈΠ΅Π»ΠΎΠ½Π΅ΡΡΠΈΡΡ.
ΠΠΎΠ»ΡΠ½ΡΠ΅, ΠΏΠ΅ΡΠ΅Π½Π΅ΡΡΠΈΠ΅ ΠΎΡΡΡΡΠΉ ΠΏΠΈΠ΅Π»ΠΎΠ½Π΅ΡΡΠΈΡ, ΠΏΠΎΠ΄Π»Π΅ΠΆΠ°Ρ Π΄ΠΈΡΠΏΠ°Π½ΡΠ΅ΡΠ½ΠΎΠΌΡ Π½Π°Π±Π»ΡΠ΄Π΅Π½ΠΈΡ Π½Π° ΠΏΡΠΎΡΡΠΆΠ΅Π½ΠΈΠΈ Π³ΠΎΠ΄Π°. Π Π±Π»ΠΈΠΆΠ°ΠΉΡΠΈΠ΅ ΠΌΠ΅ΡΡΡΡ ΠΏΠΎΡΠ»Π΅ Π²ΡΠ·Π΄ΠΎΡΠΎΠ²Π»Π΅Π½ΠΈΡ ΠΏΡΠΎΡΠΈΠ²ΠΎΠΏΠΎΠΊΠ°Π·Π°Π½ ΡΡΠΆΠ΅Π»ΡΠΉ ΡΠΈΠ·ΠΈΡΠ΅ΡΠΊΠΈΠΉ ΡΡΡΠ΄, ΡΠ°Π±ΠΎΡΠ°, ΡΠ²ΡΠ·Π°Π½Π½Π°Ρ Ρ ΠΎΡ Π»Π°ΠΆΠ΄Π΅Π½ΠΈΠ΅ΠΌ, ΡΡΡΠΎΡΡΡΡ, Π½Π΅ΡΡΠΎΡΠΎΠΊΡΠΈΡΠ΅ΡΠΊΠΈΠΌΠΈ Π²Π΅ΡΠ΅ΡΡΠ²Π°ΠΌΠΈ.
urolog.ua
ΠΡΡΡΡΠΉ ΠΏΠΈΠ΅Π»ΠΎΠ½Π΅ΡΡΠΈΡ — ΠΎΠΏΠΈΡΠ°Π½ΠΈΠ΅ Π±ΠΎΠ»Π΅Π·Π½ΠΈ
ΠΡΡΡΡΠΉ ΠΏΠΈΠ΅Π»ΠΎΠ½Π΅ΡΡΠΈΡ ΠΌΠΎΠΆΠ΅Ρ Π±ΡΡΡ ΠΏΠ΅ΡΠ²ΠΈΡΠ½ΡΠΌ (ΡΠ΅ΠΆΠ΅) ΠΈ Π²ΡΠΎΡΠΈΡΡΠ½ΡΠΌ (Π·Π½Π°ΡΠΈΡΠ΅Π»ΡΠ½ΠΎ ΡΠ°ΡΠ΅). Π ΠΏΠΎΠ΄Π°Π²Π»ΡΡΡΠ΅ΠΌ Π±ΠΎΠ»ΡΡΠΈΠ½ΡΡΠ²Π΅ ΠΏΠΎΡΠ°ΠΆΠ°Π΅ΡΡΡ ΠΎΠ΄Π½Π° ΠΏΠΎΡΠΊΠ°. ΠΠ²ΡΡΡΠΎΡΠΎΠ½Π½ΠΈΠΉ ΠΎΡΡΡΡΠΉ ΠΏΠΈΠ΅Π»ΠΎΠ½Π΅ΡΡΠΈΡ Π²ΡΡΡΠ΅ΡΠ°Π΅ΡΡΡ Π½Π°ΠΌΠ½ΠΎΠ³ΠΎ ΡΠ΅ΠΆΠ΅ ΠΎΠ΄Π½ΠΎΡΡΠΎΡΠΎΠ½Π½Π΅Π³ΠΎ.
Π’Π΅ΡΠ΅Π½ΠΈΠ΅ Π±ΠΎΠ»Π΅Π·Π½ΠΈ ΠΡΡΡΡΠΉ ΠΏΠΈΠ΅Π»ΠΎΠ½Π΅ΡΡΠΈΡ
ΠΠΎΡΡΠΎΠ»ΠΎΠ³ΠΈΡΠ΅ΡΠΊΠΈ ΠΊΠ°ΠΊ ΠΏΠ΅ΡΠ²ΠΈΡΠ½ΡΠΉ, ΡΠ°ΠΊ ΠΈ Π²ΡΠΎΡΠΈΡΠ½ΡΠΉ ΠΎΡΡΡΡΠΉ ΠΏΠΈΠ΅Π»ΠΎΠ½Π΅ΡΡΠΈΡ ΠΌΠΎΠΆΠ΅Ρ ΠΏΡΠΎΡΠ΅ΠΊΠ°ΡΡ Π² Π²ΠΈΠ΄Π΅ ΡΠ΅ΡΠΎΠ·Π½ΠΎΠ³ΠΎ (ΡΠ°ΡΠ΅) ΠΈ Π³ΠΉΠΎΠΉΠ½ΠΎΠ³ΠΎ (ΡΠ΅ΠΆΠ΅) Π²ΠΎΡΠΏΠ°Π»ΠΈΡΠ΅Π»ΡΠ½ΠΎΠ³ΠΎ ΠΏΡΠΎΡΠ΅ΡΡΠ° Ρ ΠΏΡΠ΅ΠΈΠΌΡΡΠ΅ΡΡΠ²Π΅Π½Π½ΠΎΠΉ Π΅Π³ΠΎ Π»ΠΎΠΊΠ°Π»ΠΈΠ·Π°ΡΠΈΠ΅ΠΉ Π² ΠΈΠ½ΡΠ΅ΡΡΡΠΈΡΠΈΠ°Π»ΡΠ½ΠΎΠΉ ΡΠΊΠ°Π½ΠΈ.
ΠΡΠΈ ΠΎΡΡΡΠΎΠΌ ΡΠ΅ΡΠΎΠ·Π½ΠΎΠΌ ΠΏΠΈΠ΅Π»ΠΎΠ½Π΅ΡΡΠΈΡΠ΅ ΠΏΠΎΡΠΊΠ° ΡΠ²Π΅Π»ΠΈΡΠ΅Π½Π°, ΡΠ΅ΠΌΠ½ΠΎ-ΠΊΡΠ°ΡΠ½Π°Ρ. ΠΡΠ»Π΅Π΄ΡΡΠ²ΠΈΠ΅ ΠΏΠΎΠ²ΡΡΠ΅Π½ΠΈΡ Π²Π½ΡΡΡΠΈΠΏΠΎΡΠ΅ΡΠ½ΠΎΠ³ΠΎ Π΄Π°Π²Π»Π΅Π½ΠΈΡ ΠΏΡΠΈ ΡΠ°ΡΡΠ΅ΡΠ΅Π½ΠΈΠΈ ΡΠΈΠ±ΡΠΎΠ·Π½ΠΎΠΉ ΠΊΠ°ΠΏΡΡΠ»Ρ ΡΠΊΠ°Π½Ρ ΠΏΠΎΡΠΊΠΈ Π²ΡΠΏΡΡΠΈΠ²Π°Π΅ΡΡΡ (ΠΏΡΠΎΠ»Π°Π±ΠΈΡΡΠ΅Ρ). ΠΠΈΡΡΠΎΠ»ΠΎΠ³ΠΈΡΠ΅ΡΠΊΠΈ Π² ΠΈΠ½ΡΠ΅ΡΡΡΠΈΡΠΈΠ°Π»ΡΠ½ΠΎΠΉ ΡΠΊΠ°Π½ΠΈ ΠΎΠ±Π½Π°ΡΡΠΆΠΈΠ²Π°ΡΡΡΡ ΠΌΠ½ΠΎΠ³ΠΎΡΠΈΡΠ»Π΅Π½Π½ΡΠ΅ ΠΏΠ΅ΡΠΈΠ²Π°ΡΠΊΡΠ»ΡΡΠ½ΡΠ΅ ΠΈΠ½ΡΠΈΠ»ΡΡΡΠ°ΡΡ.
ΠΠ»Ρ ΡΠ΅ΡΠΎΠ·Π½ΠΎΠ³ΠΎ ΠΏΠΈΠ΅Π»ΠΎΠ½Π΅ΡΡΠΈΡΠ° Ρ Π°ΡΠ°ΠΊΡΠ΅ΡΠ½Ρ ΠΎΡΠ°Π³ΠΎΠ²ΠΎΡΡΡ ΠΈ ΠΏΠΎΠ»ΠΈΠΌΠΎΡΡΠ½ΠΎΡΡΡ ΠΏΠΎΡΠ°ΠΆΠ΅Π½ΠΈΡ: ΠΎΡΠ°Π³ΠΈ Π²ΠΎΡΠΏΠ°Π»ΠΈΡΠ΅Π»ΡΠ½ΠΎΠΉ ΠΈΠ½ΡΠΈΠ»ΡΡΡΠ°ΡΠΈΠΈ ΡΠ΅ΡΠ΅Π΄ΡΡΡΡΡ Ρ ΡΡΠ°ΡΡΠΊΠ°ΠΌΠΈ Π½Π΅ΠΈΠ·ΠΌΠ΅Π½Π΅Π½Π½ΠΎΠΉ (Π·Π΄ΠΎΡΠΎΠ²ΠΎΠΉ) ΠΏΠΎΡΠ΅ΡΠ½ΠΎΠΉ ΡΠΊΠ°Π½ΠΈ. ΠΡΠΌΠ΅ΡΠ°Π΅ΡΡΡ ΡΠ°ΠΊΠΆΠ΅ ΠΎΡΠ΅ΠΊ ΠΈΠ½ΡΠ΅ΡΡΡΠΈΡΠΈΠ°Π»ΡΠ½ΠΎΠΉ ΡΠΊΠ°Π½ΠΈ ΡΠΎ ΡΠ΄Π°Π²Π»Π΅Π½ΠΈΠ΅ΠΌ ΠΏΠΎΡΠ΅ΡΠ½ΡΡ ΠΊΠ°Π½Π°Π»ΡΡΠ΅Π². Π Π±ΠΎΠ»ΡΡΠΈΠ½ΡΡΠ²Π΅ ΡΠ»ΡΡΠ°Π΅Π² Π½Π°Π±Π»ΡΠ΄Π°ΡΡΡΡ ΡΠ²Π»Π΅Π½ΠΈΡ ΠΏΠ°ΡΠ°Π½Π΅ΡΡΠΈΡΠ°, ΠΎΡΠ΅ΠΊ ΠΎΠΊΠΎΠ»ΠΎΠΏΠΎΡΠ΅ΡΠ½ΠΎΠΉ ΠΊΠ»Π΅ΡΡΠ°ΡΠΊΠΈ. ΠΡΠΈ ΡΠ²ΠΎΠ΅Π²ΡΠ΅ΠΌΠ΅Π½Π½ΠΎ Π½Π°ΡΠ°ΡΠΎΠΌ Π°ΠΊΡΠΈΠ²Π½ΠΎΠΌ Π»Π΅ΡΠ΅Π½ΠΈΠΈ ΠΈ Π±Π»Π°Π³ΠΎΠΏΡΠΈΡΡΠ½ΠΎΠΌ ΡΠ΅ΡΠ΅Π½ΠΈΠΈ Π·Π°Π±ΠΎΠ»Π΅Π²Π°Π½ΠΈΡ ΠΌΠΎΠΆΠ½ΠΎ Π΄ΠΎΠ±ΠΈΡΡΡΡ ΠΎΠ±ΡΠ°ΡΠ½ΠΎΠ³ΠΎ ΡΠ°Π·Π²ΠΈΡΠΈΡ Π²ΠΎΡΠΏΠ°Π»ΠΈΡΠ΅Π»ΡΠ½ΠΎΠ³ΠΎ ΠΏΡΠΎΡΠ΅ΡΡΠ°. Π Π΄ΡΡΠ³ΠΈΡ ΡΠ»ΡΡΠ°ΡΡ ΡΠ΅ΡΠΎΠ·Π½ΡΠΉ ΠΏΠΈΠ΅Π»ΠΎΠ½Π΅ΡΡΠΈΡ ΠΏΠ΅ΡΠ΅Ρ ΠΎΠ΄ΠΈΡ Π² Π³Π½ΠΎΠΉΠ½ΡΠΉ Ρ Π±ΠΎΠ»Π΅Π΅ ΡΡΠΆΠ΅Π»ΡΠΌΠΈ ΠΊΠ»ΠΈΠ½ΠΈΡΠ΅ΡΠΊΠΎΠΉ ΠΊΠ°ΡΡΠΈΠ½ΠΎΠΉ ΠΈ ΡΠ΅ΡΠ΅Π½ΠΈΠ΅ΠΌ.
ΠΡΡΡΡΠΉ Π³Π½ΠΎΠΉΠ½ΡΠΉ ΠΏΠΈΠ΅Π»ΠΎΠ½Π΅ΡΡΠΈΡ ΠΌΠΎΡΡΠΎΠ»ΠΎΠ³ΠΈΡΠ΅ΡΠΊΠΈ ΠΏΡΠΎΡΠ²Π»ΡΠ΅ΡΡΡ Π² Π²ΠΈΠ΄Π΅ Π³Π½ΠΎΠΉΠ½ΠΈΡΠΊΠΎΠ²ΠΎΠ³ΠΎ (Π°ΠΏΠΎΡΡΠ΅ΠΌΠ°ΡΠΎΠ·Π½ΠΎΠ³ΠΎ) Π½Π΅ΡΡΠΈΡΠ°, ΡΠΎΠ»ΠΈΡΠ°ΡΠ½ΠΎΠ³ΠΎ Π°Π±ΡΡΠ΅ΡΡΠ° ΠΈ ΠΊΠ°ΡΠ±ΡΠ½ΠΊΡΠ»Π° ΠΏΠΎΡΠΊΠΈ. Π ΡΠ»ΡΡΠ°Π΅ ΠΏΡΠΎΠ½ΠΈΠΊΠ½ΠΎΠ²Π΅Π½ΠΈΡ ΠΈΠ½ΡΠ΅ΠΊΡΠΈΠΈ ΡΡΠΎΠ³Π΅Π½Π½ΡΠΌ ΠΏΡΡΠ΅ΠΌ Π½Π°Π±Π»ΡΠ΄Π°ΡΡΡΡ Π·Π½Π°ΡΠΈΡΠ΅Π»ΡΠ½ΡΠ΅ ΠΈΠ·ΠΌΠ΅Π½Π΅Π½ΠΈΡ Π² Π»ΠΎΡ Π°Π½ΠΊΠ΅ ΠΈ ΡΠ°ΡΠΊΠ°Ρ : ΡΠ»ΠΈΠ·ΠΈΡΡΠ°Ρ ΠΎΠ±ΠΎΠ»ΠΎΡΠΊΠ° ΠΈΡ Π³ΠΈΠΏΠ΅ΡΠ΅ΠΌΠΈΡΠΎΠ²Π°Π½Π°, ΠΏΠΎΠ»ΠΎΡΡΠΈ ΡΠ°ΡΡΠΈΡΠ΅Π½Ρ, Π² ΠΏΡΠΎΡΠ²Π΅ΡΠ΅ ΡΠΎΠ΄Π΅ΡΠΆΠΈΡΡΡ Π³Π½ΠΎΠΉ. ΠΠ΅ΡΠ΅Π΄ΠΊΠΎ ΠΈΠΌΠ΅ΡΡ ΠΌΠ΅ΡΡΠΎ Π½Π΅ΠΊΡΠΎΠ·Ρ ΡΠΎΡΠΎΡΠΊΠΎΠ² ΠΏΠΈΡΠ°ΠΌΠΈΠ΄. ΠΡΠ°Π³ΠΈ Π³Π½ΠΎΠΉΠ½ΠΎΠ³ΠΎ Π²ΠΎΡΠΏΠ°Π»Π΅Π½ΠΈΡ ΠΌΠΎΠ³ΡΡ ΡΠ»ΠΈΠ²Π°ΡΡΡΡ ΠΌΠ΅ΠΆΠ΄Ρ ΡΠΎΠ±ΠΎΠΉ ΠΈ Π²Π΅ΡΡΠΈ ΠΊ ΡΠ°Π·ΡΡΡΠ΅Π½ΠΈΡ ΠΏΠΈΡΠ°ΠΌΠΈΠ΄. Π Π΄Π°Π»ΡΠ½Π΅ΠΉΡΠ΅ΠΌ Π² ΠΏΠ°ΡΠΎΠ»ΠΎΠ³ΠΈΡΠ΅ΡΠΊΠΈΠΉ ΠΏΡΠΎΡΠ΅ΡΡ Π²ΠΎΠ²Π»Π΅ΠΊΠ°Π΅ΡΡΡ ΠΈ ΠΊΠΎΡΠΊΠΎΠ²ΠΎΠ΅ Π²Π΅ΡΠ΅ΡΡΠ²ΠΎ ΠΏΠΎΡΠΊΠΈ Ρ ΡΠ°Π·Π²ΠΈΡΠΈΠ΅ΠΌ Π² Π½Π΅ΠΌ ΠΌΠ΅Π»ΠΊΠΈΡ Π°Π±ΡΡΠ΅ΡΡΠΎΠ² (Π³Π½ΠΎΠΉΠ½ΠΈΡΠΊΠΎΠ²) — Π°ΠΏΠΎΡΡΠ΅ΠΌΠ°ΡΠΎΠ·Π½ΠΎΠ³ΠΎ Π½Π΅ΡΡΠΈΡΠ°.
ΠΡΠΈ Π³Π΅ΠΌΠ°ΡΠΎΠ³Π΅Π½Π½ΠΎΠΌ ΠΏΡΡΠΈ ΡΠ°ΡΠΏΡΠΎΡΡΡΠ°Π½Π΅Π½ΠΈΡ ΠΈΠ½ΡΠ΅ΠΊΡΠΈΠΈ ΠΌΠ½ΠΎΠΆΠ΅ΡΡΠ²Π΅Π½Π½ΡΠ΅ Π³Π½ΠΎΠΉΠ½ΠΈΡΠΊΠΈ Π²Π΅Π»ΠΈΡΠΈΠ½ΠΎΠΉ ΠΎΡ Π±ΡΠ»Π°Π²ΠΎΡΠ½ΠΎΠΉ Π³ΠΎΠ»ΠΎΠ²ΠΊΠΈ Π΄ΠΎ Π³ΠΎΡΠΎΡΠΈΠ½Ρ ΡΠΏΠ΅ΡΠ²Π° ΠΎΠ±ΡΠ°Π·ΡΡΡΡΡ Π² ΠΊΠΎΡΠΊΠΎΠ²ΠΎΠΌ, Π° Π·Π°ΡΠ΅ΠΌ Π² ΠΌΠΎΠ·Π³ΠΎΠ²ΠΎΠΌ Π²Π΅ΡΠ΅ΡΡΠ²Π΅ ΠΏΠΎΡΠΊΠΈ. ΠΠ½Π°ΡΠ°Π»Π΅ ΠΎΠ½ΠΈ Π½Π°Ρ ΠΎΠ΄ΡΡΡΡ Π² ΠΈΠ½ΡΠ΅ΡΡΡΠΈΡΠΈΠΈ, Π·Π°ΡΠ΅ΠΌ ΠΏΠΎΡΠ°ΠΆΠ°ΡΡ ΠΊΠ°Π½Π°Π»ΡΡΡ ΠΈ Π½Π°ΠΊΠΎΠ½Π΅Ρ — ΠΊΠ»ΡΠ±ΠΎΡΠΊΠΈ. ΠΠ½ΠΎΠΉΠ½ΠΈΡΠΊΠΈ ΠΌΠΎΠ³ΡΡ ΡΠ°ΡΠΏΠΎΠ»Π°Π³Π°ΡΡΡΡ Π² Π²ΠΈΠ΄Π΅ ΠΎΠ΄ΠΈΠ½ΠΎΡΠ½ΡΡ ΠΌΠ΅Π»ΠΊΠΈΡ Π°Π±ΡΡΠ΅ΡΡΠΎΠ² Π»ΠΈΠ±ΠΎ Π³ΡΡΠΏΠΏΠ°ΠΌΠΈ. ΠΡΠΈ ΡΠ½ΡΡΠΈΠΈ ΡΠΈΠ±ΡΠΎΠ·Π½ΠΎΠΉ ΠΊΠ°ΠΏΡΡΠ»Ρ ΠΏΠΎΠ²Π΅ΡΡ Π½ΠΎΡΡΠ½ΠΎ ΡΠ°ΡΠΏΠΎΠ»ΠΎΠΆΠ΅Π½Π½ΡΠ΅ Π³Π½ΠΎΠΉΠ½ΠΈΡΠΊΠΈ Π²ΡΠΊΡΡΠ²Π°ΡΡΡΡ. ΠΠ° ΡΠ°Π·ΡΠ΅Π·Π΅ ΠΎΠ½ΠΈ Π²ΠΈΠ΄Π½Ρ ΠΈ Π² ΠΊΠΎΡΠΊΠΎΠ²ΠΎΠΌ ΠΈ Π² ΠΌΠΎΠ·Π³ΠΎΠ²ΠΎΠΌ Π²Π΅ΡΠ΅ΡΡΠ²Π΅. ΠΠΎΡΠΊΠ° ΡΠ²Π΅Π»ΠΈΡΠ΅Π½Π°, ΡΠ΅ΠΌΠ½ΠΎ-Π²ΠΈΡΠ½Π΅Π²ΠΎΠ³ΠΎ ΡΠ²Π΅ΡΠ°, ΠΎΠΊΠΎΠ»ΠΎΠΏΠΎΡΠ΅ΡΠ½Π°Ρ ΠΊΠ»Π΅ΡΡΠ°ΡΠΊΠ° ΡΠ΅Π·ΠΊΠΎ ΠΎΡΠ΅ΡΠ½Π°. ΠΠ·ΠΌΠ΅Π½Π΅Π½ΠΈΡ Π² Π»ΠΎΡ Π°Π½ΠΊΠ΅ ΠΈ ΡΠ°ΡΠΊΠ°Ρ ΠΎΠ±ΡΡΠ½ΠΎ ΠΌΠ΅Π½Π΅Π΅ Π²ΡΡΠ°ΠΆΠ΅Π½Ρ, ΡΠ΅ΠΌ ΠΏΡΠΈ ΡΡΠΎΠ³Π΅Π½Π½ΠΎΠΌ Π³Π½ΠΎΠΉΠ½ΠΎΠΌ ΠΏΠΈΠ΅Π»ΠΎΠ½Π΅ΡΡΠΈΡΠ΅. Π‘Π»ΠΈΠ²Π°ΡΡΡ ΠΌΠ΅ΠΆΠ΄Ρ ΡΠΎΠ±ΠΎΠΉ, ΠΌΠ΅Π»ΠΊΠΈΠ΅ Π³Π½ΠΎΠΉΠ½ΠΈΡΠΊΠΈ ΠΎΠ±ΡΠ°Π·ΡΡΡ Π±ΠΎΠ»Π΅Π΅ ΠΊΡΡΠΏΠ½ΡΠΉ Π³Π½ΠΎΠΉΠ½ΠΈΠΊ — ΡΠΎΠ»ΠΈΡΠ°ΡΠ½ΡΠΉ Π°Π±ΡΡΠ΅ΡΡ.
ΠΠ°ΡΠ±ΡΠ½ΠΊΡΠ» ΠΏΠΎΡΠΊΠΈ ΠΏΡΠ΅Π΄ΡΡΠ°Π²Π»ΡΠ΅Ρ ΡΠΎΠ±ΠΎΠΉ ΠΊΡΡΠΏΠ½ΡΠΉ Π³Π½ΠΎΠΉΠ½ΠΈΠΊ (ΠΎΡ ΡΠ΅ΡΠ΅Π²ΠΈΡΠ½ΠΎΠ³ΠΎ Π·Π΅ΡΠ½Π° Π΄ΠΎ ΡΠ°Π·ΠΌΠ΅ΡΠΎΠ² ΠΊΡΡΠΈΠ½ΠΎΠ³ΠΎ ΡΠΉΡΠ°), ΡΠΎΡΡΠΎΡΡΠΈΠΉ Π½Π° ΡΠ°Π·ΡΠ΅Π·Π΅ ΠΈΠ· Π½Π΅ΡΠΊΠΎΠ»ΡΠΊΠΈΡ ΠΈΠ»ΠΈ ΠΌΠ½ΠΎΠ³ΠΈΡ ΡΠ»ΠΈΠ²Π°ΡΡΠΈΡ ΡΡ ΠΌΠ΅ΠΆΠ΄Ρ ΡΠΎΠ±ΠΎΠΉ ΠΌΠ΅Π»ΠΊΠΈΡ Π³Π½ΠΎΠΉΠ½ΠΈΡΠΊΠΎΠ². ΠΠ½Π΅ΡΠ½Π΅ ΠΎΠ½ Π½Π°ΠΏΠΎΠΌΠΈΠ½Π°Π΅Ρ ΠΊΠ°ΡΠ±ΡΠ½ΠΊΡΠ» ΠΊΠΎΠΆΠΈ, ΠΏΠΎ Π°Π½Π°Π»ΠΎΠ³ΠΈΠΈ Ρ ΠΊΠΎΡΠΎΡΡΠΌ ΠΈ ΠΏΠΎΠ»ΡΡΠΈΠ» ΡΠ²ΠΎΠ΅ Π½Π°Π·Π²Π°Π½ΠΈΠ΅. ΠΠ½ΠΎΠ³Π΄Π° ΠΌΠΎΠΆΠ΅Ρ ΡΠΎΡΠ΅ΡΠ°ΡΡΡΡ Ρ Π°ΠΏΠΎΡΡΠ΅ΠΌΠ°ΡΠΎΠ·Π½ΡΠΌ Π½Π΅ΡΡΠΈΡΠΎΠΌ; ΡΠ°ΡΠ΅ Π±ΡΠ²Π°Π΅Ρ ΠΎΠ΄Π½ΠΎΡΡΠΎΡΠΎΠ½Π½ΠΈΠΌ ΠΈ ΠΎΠ΄ΠΈΠ½ΠΎΡΠ½ΡΠΌ. ΠΠ΄Π½ΠΎΠ²ΡΠ΅ΠΌΠ΅Π½Π½ΠΎΠ΅ ΡΠ°Π·Π²ΠΈΡΠΈΠ΅ ΠΊΠ°ΡΠ±ΡΠ½ΠΊΡΠ»ΠΎΠ² Π² ΠΎΠ±Π΅ΠΈΡ ΠΏΠΎΡΠΊΠ°Ρ Π²ΡΡΡΠ΅ΡΠ°Π΅ΡΡΡ ΡΠ΅Π΄ΠΊΠΎ (ΠΏΡΠΈΠΌΠ΅ΡΠ½ΠΎ Π² 5 % ΡΠ»ΡΡΠ°Π΅Π²). ΠΠ°ΠΊ ΠΈ ΠΏΡΠΈ Π΄ΡΡΠ³ΠΈΡ ΡΠΎΡΠΌΠ°Ρ ΠΎΡΡΡΠΎΠ³ΠΎ Π³Π½ΠΎΠΉΠ½ΠΎΠ³ΠΎ ΠΏΠΈΠ΅Π»ΠΎΠ½Π΅ΡΡΠΈΡΠ°, Π²ΠΎΠ·ΠΌΠΎΠΆΠ½ΠΎ ΡΠ°Π·Π²ΠΈΡΠΈΠ΅ Π³Π½ΠΎΠΉΠ½ΠΎΠ³ΠΎ ΠΏΠ°ΡΠ°Π½Π΅ΡΡΠΈΡΠ°.
Π Π°ΡΡΠΌΠΎΡΡΠ΅Π½Π½ΡΠ΅ Π²Π°ΡΠΈΠ°Π½ΡΡ ΠΎΡΡΡΠΎΠ³ΠΎ Π³Π½ΠΎΠΉΠ½ΠΎΠ³ΠΎ ΠΏΠΈΠ΅Π»ΠΎΠ½Π΅ΡΡΠΈΡΠ° ΠΏΡΠ΅Π΄ΡΡΠ°Π²Π»ΡΡΡ ΡΠΎΠ±ΠΎΠΉ ΡΠ°Π·Π»ΠΈΡΠ½ΡΠ΅ ΡΡΠ°Π΄ΠΈΠΈ ΠΎΠ΄Π½ΠΎΠ³ΠΎ ΠΈ ΡΠΎΠ³ΠΎ ΠΆΠ΅ Π³Π½ΠΎΠΉΠ½ΠΎ-Π²ΠΎΡΠΏΠ°Π»ΠΈΡΠ΅Π»ΡΠ½ΠΎΠ³ΠΎ ΠΏΡΠΎΡΠ΅ΡΡΠ°. ΠΡΠΎΠΌΠ΅ ΡΠΎΠ³ΠΎ, ΠΌΠΈΠΊΡΠΎΡΠΊΠΎΠΏΠΈΡΠ΅ΡΠΊΠΈ ΠΎΠ±Π½Π°ΡΡΠΆΠΈΠ²Π°ΡΡΡΡ ΡΠ°ΡΡΠΈΡΠ΅Π½ΠΈΠ΅ ΠΊΠ°Π½Π°Π»ΡΡΠ΅Π² ΠΈ ΡΠΎΠ±ΠΈΡΠ°ΡΠ΅Π»ΡΠ½ΡΡ ΡΡΡΠ±ΠΎΡΠ΅ΠΊ, Π² ΠΈΠ½ΡΠ΅ΡΡΡΠΈΡΠΈΠ°Π»ΡΠ½ΠΎΠΉ ΡΠΊΠ°Π½ΠΈ — Π»Π΅ΠΉΠΊΠΎΡΠΈΡΠ°ΡΠ½ΡΠ΅ (ΠΈΠ½ΠΎΠ³Π΄Π° ΠΌΠ°ΡΡΠΈΠ²Π½ΡΠ΅) ΠΈΠ½ΡΠΈΠ»ΡΡΡΠ°ΡΡ, Π½Π° ΠΌΠ΅ΡΡΠ΅ ΠΊΠΎΡΠΎΡΡΡ ΠΏΡΠΈ Π±Π»Π°Π³ΠΎΠΏΡΠΈΡΡΠ½ΠΎΠΌ ΡΠ΅ΡΠ΅Π½ΠΈΠΈ Π·Π°Π±ΠΎΠ»Π΅Π²Π°Π½ΠΈΡ ΡΠ°Π·Π²ΠΈΠ²Π°Π΅ΡΡΡ ΡΡΠ±ΡΠΎΠ²Π°Ρ ΡΠΊΠ°Π½Ρ. ΠΡΠΈ Π²ΡΠ·Π΄ΠΎΡΠΎΠ²Π»Π΅Π½ΠΈΠΈ ΠΎΡ ΠΎΡΡΡΠΎΠ³ΠΎ ΠΏΠΈΠ΅Π»ΠΎΠ½Π΅ΡΡΠΈΡΠ° ΡΠΌΠΎΡΡΠΈΠ²Π°Π½ΠΈΡ ΠΏΠΎΡΠΊΠΈ Π½Π΅ ΠΏΡΠΎΠΈΡΡ ΠΎΠ΄ΠΈΡ, ΠΏΠΎΡΠΊΠΎΠ»ΡΠΊΡ ΡΠ°Π·Π²ΠΈΡΠΈΠ΅ ΡΡΠ±ΡΠΎΠ²ΡΡ ΠΈΠ·ΠΌΠ΅Π½Π΅Π½ΠΈΠΉ Π²ΡΠ»Π΅Π΄ΡΡΠ²ΠΈΠ΅ Π³ΠΈΠ±Π΅Π»ΠΈ ΠΏΠΎΡΠ΅ΡΠ½ΠΎΠΉ ΡΠΊΠ°Π½ΠΈ Π½ΠΎΡΠΈΡ Π½Π΅ Π΄ΠΈΡΡΡΠ·Π½ΡΠΉ, Π° ΠΎΡΠ°Π³ΠΎΠ²ΡΠΉ Ρ Π°ΡΠ°ΠΊΡΠ΅Ρ.
Π‘ΠΈΠΌΠΏΡΠΎΠΌΡ Π±ΠΎΠ»Π΅Π·Π½ΠΈ ΠΡΡΡΡΠΉ ΠΏΠΈΠ΅Π»ΠΎΠ½Π΅ΡΡΠΈΡ
ΠΠ°ΡΠ°Π»ΡΠ½ΡΠ΅ ΠΊΠ»ΠΈΠ½ΠΈΡΠ΅ΡΠΊΠΈΠ΅ ΠΏΡΠΎΡΠ²Π»Π΅Π½ΠΈΡ ΠΏΠ΅ΡΠ²ΠΈΡΠ½ΠΎΠ³ΠΎ ΠΎΡΡΡΠΎΠ³ΠΎ ΠΏΠΈΠ΅Π»ΠΎΠ½Π΅ΡΡΠΈΡΠ° ΠΎΠ±ΡΡΠ½ΠΎ Π²ΠΎΠ·Π½ΠΈΠΊΠ°ΡΡ ΡΠ΅ΡΠ΅Π· Π½Π΅ΡΠΊΠΎΠ»ΡΠΊΠΎ Π΄Π½Π΅ΠΉ ΠΈΠ»ΠΈ Π½Π΅Π΄Π΅Π»Ρ (Π² ΡΡΠ΅Π΄Π½Π΅ΠΌ ΡΠΏΡΡΡΡ 2-4 Π½Π΅Π΄Π΅Π»ΠΈ) ΠΏΠΎΡΠ»Π΅ Π·Π°ΡΡΡ Π°Π½ΠΈΡ ΠΎΡΠ°Π³ΠΎΠ²ΠΎΠΉ ΠΈΠ½ΡΠ΅ΠΊΡΠΈΠΈ (Π°Π½Π³ΠΈΠ½Ρ, ΠΎΠ±ΠΎΡΡΡΠ΅Π½ΠΈΡ Ρ ΡΠΎΠ½ΠΈΡΠ΅ΡΠΊΠΎΠ³ΠΎ ΡΠΎΠ½Π·ΠΈΠ»Π»ΠΈΡΠ°, ΠΌΠ°ΡΡΠΈΡΠ°, ΠΎΡΡΠ΅ΠΎΠΌΠΈΠ΅Π»ΠΈΡΠ°, ΡΡΡΡΠ½ΠΊΡΠ»Π΅Π·Π° ΠΈ Π΄Ρ.).
ΠΠ°Π±ΠΎΠ»Π΅Π²Π°Π½ΠΈΠ΅ Ρ Π°ΡΠ°ΠΊΡΠ΅ΡΠΈΠ·ΡΠ΅ΡΡΡ ΠΎΠ±ΡΠΈΠΌΠΈ ΠΈ ΠΌΠ΅ΡΡΠ½ΡΠΌΠΈ ΡΠΈΠΌΠΏΡΠΎΠΌΠ°ΠΌΠΈ. ΠΡΠΈ ΠΏΠ΅ΡΠ²ΠΈΡΠ½ΠΎΠΌ Π³Π½ΠΎΠΉΠ½ΠΎΠΌ ΠΏΠΈΠ΅Π»ΠΎΠ½Π΅ΡΡΠΈΡΠ΅ ΠΈ Π³Π΅ΠΌΠ°ΡΠΎΠ³Π΅Π½Π½ΠΎΠΌ ΠΏΡΡΠΈ ΠΏΡΠΎΠ½ΠΈΠΊΠ½ΠΎΠ²Π΅Π½ΠΈΡ ΠΈΠ½ΡΠ΅ΠΊΡΠΈΠΈ Π±ΠΎΠ»Π΅Π΅ Π²ΡΡΠ°ΠΆΠ΅Π½Ρ ΠΎΠ±ΡΠΈΠ΅ ΡΠΈΠΌΠΏΡΠΎΠΌΡ Π·Π°Π±ΠΎΠ»Π΅Π²Π°Π½ΠΈΡ, Π° ΠΏΡΠΈ Π²ΡΠΎΡΠΈΡΠ½ΠΎΠΌ ΠΏΠΈΠ΅Π»ΠΎΠ½Π΅ΡΡΠΈΡΠ΅ ΠΈ ΡΡΠΎΠ³Π΅Π½Π½ΠΎΠΌ ΠΏΡΡΠΈ ΡΠ°ΡΠΏΡΠΎΡΡΡΠ°Π½Π΅Π½ΠΈΡ ΠΈΠ½ΡΠ΅ΠΊΡΠΈΠΈ Π½Π° ΠΏΠ΅ΡΠ²ΡΠΉ ΠΏΠ»Π°Π½ Π²ΡΡΡΡΠΏΠ°ΡΡ ΠΌΠ΅ΡΡΠ½ΡΠ΅ ΡΠΈΠΌΠΏΡΠΎΠΌΡ. Π ΡΠΈΠΏΠΈΡΠ½ΡΡ ΡΠ»ΡΡΠ°ΡΡ Ρ Π°ΡΠ°ΠΊΡΠ΅ΡΠ½Π° ΡΡΠΈΠ°Π΄Π° ΡΠΈΠΌΠΏΡΠΎΠΌΠΎΠ²: ΠΎΠ·Π½ΠΎΠ± Ρ ΠΏΠΎΡΠ»Π΅Π΄ΡΡΡΠΈΠΌ ΠΏΠΎΠ²ΡΡΠ΅Π½ΠΈΠ΅ΠΌ ΡΠ΅ΠΌΠΏΠ΅ΡΠ°ΡΡΡΡ, Π΄ΠΈΠ·ΡΡΠΈΡΠ΅ΡΠΊΠΈΠ΅ ΡΠ²Π»Π΅Π½ΠΈΡ ΠΈ Π±ΠΎΠ»ΠΈ Π² ΠΎΠ±Π»Π°ΡΡΠΈ ΠΏΠΎΡΡΠ½ΠΈΡΡ (Ρ ΠΎΠ±Π΅ΠΈΡ ΡΡΠΎΡΠΎΠ½ — ΠΏΡΠΈ Π΄Π²ΡΡΡΠΎΡΠΎΠ½Π½Π΅ΠΌ ΠΈ Ρ ΠΎΠ΄Π½ΠΎΠΉ — ΠΏΡΠΈ ΠΎΠ΄Π½ΠΎΡΡΠΎΡΠΎΠ½Π½Π΅ΠΌ ΠΏΠΈΠ΅Π»ΠΎΠ½Π΅ΡΡΠΈΡΠ΅).
ΠΡΡΡΡΠΉ ΠΏΠΈΠ΅Π»ΠΎΠ½Π΅ΡΡΠΈΡ ΡΠ°ΡΠ΅ Π½Π°ΡΠΈΠ½Π°Π΅ΡΡΡ Ρ ΠΎΠ±ΡΠΈΡ ΡΠΈΠΌΠΏΡΠΎΠΌΠΎΠ², ΠΎΠ±ΡΡΠ»ΠΎΠ²Π»Π΅Π½Π½ΡΡ ΠΈΠ½ΡΠΎΠΊΡΠΈΠΊΠ°ΡΠΈΠ΅ΠΉ: Π³ΠΎΠ»ΠΎΠ²Π½Π°Ρ Π±ΠΎΠ»Ρ, ΡΠ»Π°Π±ΠΎΡΡΡ, ΠΎΠ±ΡΠ΅Π΅ Π½Π΅Π΄ΠΎΠΌΠΎΠ³Π°Π½ΠΈΠ΅, Π±ΠΎΠ»ΠΈ Π² ΠΌΡΡΡΠ°Ρ , ΡΡΡΡΠ°Π²Π°Ρ , ΠΎΠ·Π½ΠΎΠ±Ρ Ρ ΠΏΠΎΠ²ΡΡΠ΅Π½ΠΈΠ΅ΠΌ ΡΠ΅ΠΌΠΏΠ΅ΡΠ°ΡΡΡΡ ΠΈ ΠΏΠΎΡΠ»Π΅Π΄ΡΡΡΠΈΠΌ ΠΎΠ±ΠΈΠ»ΡΠ½ΡΠΌ ΠΏΠΎΡΠΎΠΎΡΠ΄Π΅Π»Π΅Π½ΠΈΠ΅ΠΌ. Π‘ΡΠ΅ΠΏΠ΅Π½Ρ Π²ΡΡΠ°ΠΆΠ΅Π½Π½ΠΎΡΡΠΈ ΡΡΠΈΡ ΠΊΠ»ΠΈΠ½ΠΈΡΠ΅ΡΠΊΠΈΡ ΠΏΡΠΎΡΠ²Π»Π΅Π½ΠΈΠΉ ΡΠ°Π·Π»ΠΈΡΠ½Π°.
ΠΠ½ΠΎΠΉΠ½ΡΠΉ ΠΏΠΈΠ΅Π»ΠΎΠ½Π΅ΡΡΠΈΡ ΠΏΡΠΎΡΠ΅ΠΊΠ°Π΅Ρ Π·Π½Π°ΡΠΈΡΠ΅Π»ΡΠ½ΠΎ ΡΡΠΆΠ΅Π»Π΅Π΅ ΡΠ΅ΡΠΎΠ·Π½ΠΎΠ³ΠΎ, ΠΈΠ½ΠΎΠ³Π΄Π° Π² Π²ΠΈΠ΄Π΅ ΡΡΠΎΡΠ΅ΠΏΡΠΈΡΠ° ΠΈ Π±Π°ΠΊΡΠ΅ΡΠΈΠ΅ΠΌΠΈΡΠ΅ΡΠΊΠΎΠ³ΠΎ ΡΠΎΠΊΠ°. ΠΠ·Π½ΠΎΠ±Ρ Π±ΡΠ²Π°ΡΡ ΠΏΠΎΡΡΡΡΠ°ΡΡΠΈΠΌΠΈ Ρ ΠΏΠΎΡΠ»Π΅Π΄ΡΡΡΠΈΠΌ ΠΏΠΎΠ²ΡΡΠ΅Π½ΠΈΠ΅ΠΌ ΡΠ΅ΠΌΠΏΠ΅ΡΠ°ΡΡΡΡ Π΄ΠΎ 39-40 Β°Π‘, ΠΈΠ½ΠΎΠ³Π΄Π° ΠΊ Π΄ΠΎ 41 Β°Π‘. Π‘ΠΏΡΡΡΡ 1-2 ΡΠ°ΡΠ° ΠΏΠΎΡΠ²Π»ΡΠ΅ΡΡΡ ΠΏΡΠΎΡΡΠ·Π½ΡΠΉ ΠΏΠΎΡ ΠΈ ΡΠ΅ΠΌΠΏΠ΅ΡΠ°ΡΡΡΠ° Π½Π° ΠΊΠΎΡΠΎΡΠΊΠΈΠΉ ΡΡΠΎΠΊ ΡΠ½ΠΈΠΆΠ°Π΅ΡΡΡ. ΠΠ·Π½ΠΎΠ±Ρ Ρ ΡΠ΅Π·ΠΊΠΈΠΌ ΠΏΠΎΠ²ΡΡΠ΅Π½ΠΈΠ΅ΠΌ ΡΠ΅ΠΌΠΏΠ΅ΡΠ°ΡΡΡΡ ΠΈ ΠΎΠ±ΠΈΠ»ΡΠ½ΡΠΌ ΠΏΠΎΡΠΎΠΎΡΠ΄Π΅Π»Π΅Π½ΠΈΠ΅ΠΌ ΠΏΠΎΠ²ΡΠΎΡΡΡΡΡΡ Π΅ΠΆΠ΅Π΄Π½Π΅Π²Π½ΠΎ, Π½Π΅ΡΠΊΠΎΠ»ΡΠΊΠΎ ΡΠ°Π· Π² ΡΡΡΠΊΠΈ. ΠΠ»Ρ Π³Π½ΠΎΠΉΠ½ΠΎΠ³ΠΎ ΠΏΠΈΠ΅Π»ΠΎΠ½Π΅ΡΡΠΈΡΠ° Ρ Π°ΡΠ°ΠΊΡΠ΅ΡΠ½Π° ΡΠ΅ΠΌΠΏΠ΅ΡΠ°ΡΡΡΠ° Π³Π΅ΠΊΡΠΈΡΠ΅ΡΠΊΠΎΠ³ΠΎ ΡΠΈΠΏΠ° Ρ ΡΡΡΠΎΡΠ½ΡΠΌΠΈ ΠΊΠΎΠ»Π΅Π±Π°Π½ΠΈΡΠΌΠΈ Π΄ΠΎ 1-2Β° ΠΈ Π±ΠΎΠ»Π΅Π΅, ΠΎΠ΄Π½Π°ΠΊΠΎ ΠΎΠ½Π° ΠΌΠΎΠΆΠ΅Ρ ΠΎΡΡΠ°Π²Π°ΡΡΡΡ ΠΈ ΡΡΠΎΠΉΠΊΠΎ ΠΏΠΎΠ²ΡΡΠ΅Π½Π½ΠΎΠΉ. ΠΠΎΠ²ΡΠΎΡΠ½ΠΎΠ΅ Π³Π΅ΠΊΡΠΈΡΠ΅ΡΠΊΠΎΠ΅ ΠΏΠΎΠ²ΡΡΠ΅Π½ΠΈΠ΅ ΡΠ΅ΠΌΠΏΠ΅ΡΠ°ΡΡΡΡ ΡΠ΅ΡΠ΅Π· ΠΎΠΏΡΠ΅Π΄Π΅Π»Π΅Π½Π½ΡΠ΅ ΠΏΡΠΎΠΌΠ΅ΠΆΡΡΠΊΠΈ Π²ΡΠ΅ΠΌΠ΅Π½ΠΈ ΠΎΠ±ΡΡΠ»ΠΎΠ²Π»Π΅Π½ΠΎ ΠΏΠΎΡΠ²Π»Π΅Π½ΠΈΠ΅ΠΌ Π½ΠΎΠ²ΡΡ Π³Π½ΠΎΠΉΠ½ΠΈΡΠΊΠΎΠ² (Ρ Π±ΠΎΠ»ΡΠ½ΡΡ Π°ΠΏΠΎΡΡΠ΅ΠΌΠ°ΡΠΎΠ·Π½ΡΠΌ ΠΏΠΈΠ΅Π»ΠΎΠ½Π΅ΡΡΠΈΡΠΎΠΌ) ΠΈΠ»ΠΈ ΠΎΠ±ΡΠ°Π·ΠΎΠ²Π°Π½ΠΈΠ΅ΠΌ Π½ΠΎΠ²ΠΎΠ³ΠΎ ΡΠΎΠ»ΠΈΡΠ°ΡΠ½ΠΎΠ³ΠΎ Π°Π±ΡΡΠ΅ΡΡΠ°.
Π ΠΊΡΠΎΠ²ΠΈ ΠΎΡΠΌΠ΅ΡΠ°Π΅ΡΡΡ Π²ΡΡΠ°ΠΆΠ΅Π½Π½ΡΠΉ Π»Π΅ΠΉΠΊΠΎΡΠΈΡΠΎΠ· (Π΄ΠΎ 30-40 ΡΡΡ. ΠΈ Π±ΠΎΠ»Π΅Π΅) Ρ Π½Π΅ΠΉΡΡΠΎΡΠΈΠ»ΡΠ½ΡΠΌ ΡΠ΄Π²ΠΈΠ³ΠΎΠΌ Π»Π΅ΠΉΠΊΠΎΡΠΈΡΠ°ΡΠ½ΠΎΠΉ ΡΠΎΡΠΌΡΠ»Ρ Π²Π»Π΅Π²ΠΎ, ΡΠ²Π΅Π»ΠΈΡΠ΅Π½ΠΈΠ΅ Π‘ΠΠ Π΄ΠΎ 40-80 ΠΌΠΌ/Ρ ΠΈ Π±ΠΎΠ»Π΅Π΅. ΠΠ΄Π½Π°ΠΊΠΎ ΡΠ΅ΡΠΊΠ°Ρ Π·Π°Π²ΠΈΡΠΈΠΌΠΎΡΡΡ ΠΈΠ·ΠΌΠ΅Π½Π΅Π½ΠΈΠΉ ΡΠΎ ΡΡΠΎΡΠΎΠ½Ρ ΠΏΠ΅ΡΠΈΡΠ΅ΡΠΈΡΠ΅ΡΠΊΠΎΠΉ ΠΊΡΠΎΠ²ΠΈ ΠΎΡ Π²ΡΡΠ°ΠΆΠ΅Π½Π½ΠΎΡΡΠΈ ΠΊΠ»ΠΈΠ½ΠΈΡΠ΅ΡΠΊΠΈΡ ΠΏΡΠΎΡΠ²Π»Π΅Π½ΠΈΠΉ Π½Π°Π±Π»ΡΠ΄Π°Π΅ΡΡΡ Π½Π΅ Π²ΡΠ΅Π³Π΄Π°: ΠΏΡΠΈ ΡΡΠΆΠ΅Π»ΠΎΠΌ ΡΠ΅ΡΠ΅Π½ΠΈΠΈ Π·Π°Π±ΠΎΠ»Π΅Π²Π°Π½ΠΈΡ, Π° ΡΠ°ΠΊΠΆΠ΅ Ρ ΠΎΡΠ»Π°Π±Π»Π΅Π½Π½ΡΡ Π±ΠΎΠ»ΡΠ½ΡΡ Π»Π΅ΠΉΠΊΠΎΡΠΈΡΠΎΠ· ΠΌΠΎΠΆΠ΅Ρ Π±ΡΡΡ ΡΠΌΠ΅ΡΠ΅Π½Π½ΡΠΌ, Π½Π΅Π·Π½Π°ΡΠΈΡΠ΅Π»ΡΠ½ΡΠΌ Π»ΠΈΠ±ΠΎ ΠΎΡΡΡΡΡΡΠ²ΠΎΠ²Π°ΡΡ, Π° ΠΈΠ½ΠΎΠ³Π΄Π° Π΄Π°ΠΆΠ΅ ΠΎΡΠΌΠ΅ΡΠ°Π΅ΡΡΡ Π»Π΅ΠΉΠΊΠΎΠΏΠ΅Π½ΠΈΡ.
ΠΠ΅ΡΡΠ½ΡΠ΅ ΡΠΈΠΌΠΏΡΠΎΠΌΡ ΠΎΡΡΡΠΎΠ³ΠΎ ΠΏΠΈΠ΅Π»ΠΎΠ½Π΅ΡΡΠΈΡΠ° (Π±ΠΎΠ»ΠΈ Π² ΠΏΠΎΡΡΠ½ΠΈΡΠ½ΠΎΠΉ ΠΎΠ±Π»Π°ΡΡΠΈ, Π΄ΠΈΠ·ΡΡΠΈΡΠ΅ΡΠΊΠΈΠ΅ ΡΠ²Π»Π΅Π½ΠΈΡ, ΠΈΠ·ΠΌΠ΅Π½Π΅Π½ΠΈΡ Π² ΠΌΠΎΡΠ΅) Π½Π΅ Π²ΡΠ΅Π³Π΄Π° Π²ΠΎΠ·Π½ΠΈΠΊΠ°ΡΡ Π² Π½Π°ΡΠ°Π»Π΅ Π·Π°Π±ΠΎΠ»Π΅Π²Π°Π½ΠΈΡ ΠΈ ΠΌΠΎΠ³ΡΡ ΠΈΠΌΠ΅ΡΡ ΡΠ°Π·Π»ΠΈΡΠ½ΡΡ ΡΡΠ΅ΠΏΠ΅Π½Ρ Π²ΡΡΠ°ΠΆΠ΅Π½Π½ΠΎΡΡΠΈ.
Π Π½Π°ΡΠ°Π»Π΅ Π·Π°Π±ΠΎΠ»Π΅Π²Π°Π½ΠΈΡ Π±ΠΎΠ»ΠΈ Π² ΠΏΠΎΡΡΠ½ΠΈΡΠ½ΠΎΠΉ ΠΎΠ±Π»Π°ΡΡΠΈ ΠΈΠ»ΠΈ Π² Π²Π΅ΡΡ Π½Π΅ΠΉ ΠΏΠΎΠ»ΠΎΠ²ΠΈΠ½Π΅ ΠΆΠΈΠ²ΠΎΡΠ° ΠΈΠΌΠ΅ΡΡ Π½Π΅ΠΎΠΏΡΠ΅Π΄Π΅Π»Π΅Π½Π½ΡΠ΅ Ρ Π°ΡΠ°ΠΊΡΠ΅Ρ ΠΈ Π»ΠΎΠΊΠ°Π»ΠΈΠ·Π°ΡΠΈΡ. ΠΠΈΡΡ ΡΠΏΡΡΡΡ 2-3 Π΄Π½Ρ ΠΎΠ½ΠΈ ΠΏΡΠΈΠ½ΠΈΠΌΠ°ΡΡ ΡΠ΅ΡΠΊΡΡ Π»ΠΎΠΊΠ°Π»ΠΈΠ·Π°ΡΠΈΡ Π² ΠΎΠ±Π»Π°ΡΡΠΈ ΠΏΡΠ°Π²ΠΎΠΉ ΠΈΠ»ΠΈ Π»Π΅Π²ΠΎΠΉ ΠΏΠΎΡΠΊΠΈ, ΡΠ°ΡΡΠΎ Ρ ΠΈΡΡΠ°Π΄ΠΈΠ°ΡΠΈΠ΅ΠΉ Π² ΠΏΡΠ°Π²ΠΎΠ΅ ΠΈΠ»ΠΈ Π»Π΅Π²ΠΎΠ΅ ΠΏΠΎΠ΄ΡΠ΅Π±Π΅ΡΡΠ΅, Π² ΠΏΠ°Ρ ΠΎΠ²ΡΡ ΠΎΠ±Π»Π°ΡΡΡ, Π² ΠΏΠΎΠ»ΠΎΠ²ΡΠ΅ ΠΎΡΠ³Π°Π½Ρ; ΡΡΠΈΠ»ΠΈΠ²Π°ΡΡΡΡ ΠΏΠΎ Π½ΠΎΡΠ°ΠΌ, ΠΏΡΠΈ ΠΊΠ°ΡΠ»Π΅, Π΄Π²ΠΈΠΆΠ΅Π½ΠΈΠΈ ΡΠΎΠΎΡΠ²Π΅ΡΡΡΠ²ΡΡΡΠ΅ΠΉ Π½ΠΎΠ³ΠΎΠΉ. Π£ ΡΠ°ΡΡΠΈ Π±ΠΎΠ»ΡΠ½ΡΡ Π² ΠΏΠ΅ΡΠ²ΡΠ΅ Π΄Π½ΠΈ Π·Π°Π±ΠΎΠ»Π΅Π²Π°Π½ΠΈΡ Π±ΠΎΠ»ΠΈ ΠΌΠΎΠ³ΡΡ Π²ΠΎΠΎΠ±ΡΠ΅ ΠΎΡΡΡΡΡΡΠ²ΠΎΠ²Π°ΡΡ ΠΈ ΠΏΠΎΡΠ²Π»ΡΡΡΡΡ Π»ΠΈΡΡ ΡΠ΅ΡΠ΅Π· 3-5 Π΄Π½Π΅ΠΉ, Π° ΠΈΠ½ΠΎΠ³Π΄Π° ΡΠ΅ΡΠ΅Π· 10-14 Π΄Π½Π΅ΠΉ. ΠΡΠΌΠ΅ΡΠ°Π΅ΡΡΡ, Ρ ΠΎΡΡ ΠΈ Π½Π΅ Π²ΡΠ΅Π³Π΄Π°, ΠΏΠΎΠ»ΠΎΠΆΠΈΡΠ΅Π»ΡΠ½ΡΠΉ ΡΠΈΠΌΠΏΡΠΎΠΌ ΠΠ°ΡΡΠ΅ΡΠ½Π°ΡΠΊΠΎΠ³ΠΎ, Π° ΡΠ°ΠΊΠΆΠ΅ Π±ΠΎΠ»Π΅Π·Π½Π΅Π½Π½ΠΎΡΡΡ ΠΈ Π·Π°ΡΠΈΡΠ½ΠΎΠ΅ Π½Π°ΠΏΡΡΠΆΠ΅Π½ΠΈΠ΅ ΠΌΡΡΡ ΠΆΠΈΠ²ΠΎΡΠ° Π½Π° ΡΡΠΎΡΠΎΠ½Π΅ ΠΏΠΎΡΠ°ΠΆΠ΅Π½Π½ΠΎΠΉ ΠΏΠΎΡΠΊΠΈ.
ΠΡΠ»ΠΈ Π³Π½ΠΎΠΉΠ½ΠΈΠΊ Π»ΠΎΠΊΠ°Π»ΠΈΠ·ΡΠ΅ΡΡΡ Π½Π° ΠΏΠ΅ΡΠ΅Π΄Π½Π΅ΠΉ ΠΏΠΎΠ²Π΅ΡΡ Π½ΠΎΡΡΠΈ ΠΏΠΎΡΠΊΠΈ, Π²ΠΎΠ·ΠΌΠΎΠΆΠ½ΠΎ Π²ΠΎΠ²Π»Π΅ΡΠ΅Π½ΠΈΠ΅ Π² Π²ΠΎΡΠΏΠ°Π»ΠΈΡΠ΅Π»ΡΠ½ΡΠΉ ΠΏΡΠΎΡΠ΅ΡΡ Π±ΡΡΡΠΈΠ½Ρ Ρ ΡΠ°Π·Π²ΠΈΡΠΈΠ΅ΠΌ ΠΏΠ΅ΡΠΈΡΠΎΠ½Π΅Π°Π»ΡΠ½ΡΡ ΡΠΈΠΌΠΏΡΠΎΠΌΠΎΠ². Π ΡΠ°ΠΊΠΈΡ ΡΠ»ΡΡΠ°ΡΡ ΡΠΈΠ»ΡΠ½ΡΠ΅ Π±ΠΎΠ»ΠΈ Π² ΡΠΎΡΠ΅ΡΠ°Π½ΠΈΠΈ Ρ ΡΠΈΠΌΠΏΡΠΎΠΌΠ°ΠΌΠΈ ΡΠ°Π·Π΄ΡΠ°ΠΆΠ΅Π½ΠΈΡ Π±ΡΡΡΠΈΠ½Ρ Π½Π΅ΡΠ΅Π΄ΠΊΠΎ ΠΏΡΠΈΠ²ΠΎΠ΄ΡΡ ΠΊ ΠΎΡΠΈΠ±ΠΎΡΠ½ΠΎΠΌΡ Π΄ΠΈΠ°Π³Π½ΠΎΠ·Ρ Π°ΠΏΠΏΠ΅Π½Π΄ΠΈΡΠΈΡΠ°, ΠΎΡΡΡΠΎΠ³ΠΎ Ρ ΠΎΠ»Π΅ΡΠΈΡΡΠΈΡΠ°, ΠΏΠ°Π½ΠΊΡΠ΅Π°ΡΠΈΡΠ°, ΠΏΡΠΎΠ±ΠΎΠ΄Π½ΠΎΠΉ ΡΠ·Π²Ρ ΠΆΠ΅Π»ΡΠ΄ΠΊΠ° ΠΈ Π΄ΡΡΠ³ΠΈΡ Π·Π°Π±ΠΎΠ»Π΅Π²Π°Π½ΠΈΠΉ, ΠΎΡΠΎΠ±Π΅Π½Π½ΠΎ Π΅ΡΠ»ΠΈ Π΄ΠΈΠ·ΡΡΠΈΡΠ΅ΡΠΊΠΈΠ΅ ΡΠ²Π»Π΅Π½ΠΈΡ ΠΈ ΠΏΠ°ΡΠΎΠ»ΠΎΠ³ΠΈΡΠ΅ΡΠΊΠΈΠ΅ ΠΈΠ·ΠΌΠ΅Π½Π΅Π½ΠΈΡ Π² ΠΌΠΎΡΠ΅ ΠΎΡΡΡΡΡΡΠ²ΡΡΡ, ΠΊΠ°ΠΊ ΡΡΠΎ Π½Π΅ΡΠ΅Π΄ΠΊΠΎ Π±ΡΠ²Π°Π΅Ρ Π² ΠΏΠ΅ΡΠ²ΡΠ΅ Π΄Π½ΠΈ Π·Π°Π±ΠΎΠ»Π΅Π²Π°Π½ΠΈΡ. ΠΡΠΈ ΡΡΠ°ΡΠ΅Π½Π½ΠΎΠΌ ΠΈ Π±ΠΎΠ»Π΅Π·Π½Π΅Π½Π½ΠΎΠΌ ΠΌΠΎΡΠ΅ΠΈΡΠΏΡΡΠΊΠ°Π½ΠΈΠΈ Π΄ΠΈΠ°Π³Π½ΠΎΡΡΠΈΠΊΠ° ΠΏΠΈΠ΅Π»ΠΎΠ½Π΅ΡΡΠΈΡΠ° ΡΠΏΡΠΎΡΠ°Π΅ΡΡΡ.
ΠΠ°ΠΈΠ±ΠΎΠ»Π΅Π΅ Π²Π°ΠΆΠ½ΡΠ΅ Π»Π°Π±ΠΎΡΠ°ΡΠΎΡΠ½ΡΠ΅ ΠΏΡΠΈΠ·Π½Π°ΠΊΠΈ ΠΎΡΡΡΠΎΠ³ΠΎ ΠΏΠΈΠ΅Π»ΠΎΠ½Π΅ΡΡΠΈΡΠ° — ΠΏΡΠΎΡΠ΅ΠΈΠ½ΡΡΠΈΡ, Π»Π΅ΠΉΠΊΠΎΡΠΈΡΡΡΠΈΡ ΠΈ Π·Π½Π°ΡΠΈΠΌΠ°Ρ (ΠΈΡΡΠΈΠ½Π½Π°Ρ) Π±Π°ΠΊΡΠ΅ΡΠΈΡΡΠΈΡ, ΠΎΡΠΎΠ±Π΅Π½Π½ΠΎ Π΅ΡΠ»ΠΈ ΠΎΠ½ΠΈ ΠΎΠ±Π½Π°ΡΡΠΆΠΈΠ²Π°ΡΡΡΡ ΠΎΠ΄Π½ΠΎΠ²ΡΠ΅ΠΌΠ΅Π½Π½ΠΎ. ΠΡΠΎΡΠ΅ΠΈΠ½ΡΡΠΈΡ Π² ΠΏΠΎΠ΄Π°Π²Π»ΡΡΡΠ΅ΠΌ Π±ΠΎΠ»ΡΡΠΈΠ½ΡΡΠ²Π΅ ΡΠ»ΡΡΠ°Π΅Π² Π½Π΅ ΠΏΡΠ΅Π²ΡΡΠ°Π΅Ρ 1,0 Π³/Π» (ΠΎΡ ΡΠ»Π΅Π΄ΠΎΠ² Π΄ΠΎ 0,033-0,099-1,0 Π³/Π») ΠΈ ΠΏΡΠ΅Π΄ΡΡΠ°Π²Π»Π΅Π½Π° ΠΏΡΠ΅ΠΈΠΌΡΡΠ΅ΡΡΠ²Π΅Π½Π½ΠΎ Π°Π»ΡΠ±ΡΠΌΠΈΠ½Π°ΠΌΠΈ, ΡΠ΅ΠΆΠ΅ — Ρ-Π³Π»ΠΎΠ±ΡΠ»ΠΈΠ½Π°ΠΌΠΈ. ΠΠ½ΠΎΠ³Π΄Π° ΠΎΠ½Π° Π΄ΠΎΡΡΠΈΠ³Π°Π΅Ρ 2-3 Π³/Π», Π½ΠΎ ΠΌΠΎΠΆΠ΅Ρ ΠΈ ΠΎΡΡΡΡΡΡΠ²ΠΎΠ²Π°ΡΡ. ΠΠ΅ΠΉΠΊΠΎΡΠΈΡΡΡΠΈΡ (ΠΏΠΈΡΡΠΈΡ) — Π½Π°ΠΈΠ±ΠΎΠ»Π΅Π΅ Ρ Π°ΡΠ°ΠΊΡΠ΅ΡΠ½ΡΠΉ ΠΏΡΠΈΠ·Π½Π°ΠΊ ΠΏΠΈΠ΅Π»ΠΎΠ½Π΅ΡΡΠΈΡΠ°; ΠΎΠ½Π° ΡΠ°ΡΡΠΎ Π΄ΠΎΡΡΠΈΠ³Π°Π΅Ρ Π·Π½Π°ΡΠΈΡΠ΅Π»ΡΠ½ΠΎΠΉ Π²ΡΡΠ°ΠΆΠ΅Π½Π½ΠΎΡΡΠΈ (Π»Π΅ΠΉΠΊΠΎΡΠΈΡΡ ΠΏΠΎΠΊΡΡΠ²Π°ΡΡ Π²ΡΠ΅ ΠΏΠΎΠ»Ρ Π·ΡΠ΅Π½ΠΈΡ Π»ΠΈΠ±ΠΎ ΠΎΠ±Π½Π°ΡΡΠΆΠΈΠ²Π°ΡΡΡΡ ΡΠΊΠΎΠΏΠ»Π΅Π½ΠΈΡΠΌΠΈ) ΠΈ ΠΌΠΎΠΆΠ΅Ρ ΠΎΡΡΡΡΡΡΠ²ΠΎΠ²Π°ΡΡ Π»ΠΈΡΡ ΠΏΡΠΈ Π»ΠΎΠΊΠ°Π»ΠΈΠ·Π°ΡΠΈΠΈ Π²ΠΎΡΠΏΠ°Π»ΠΈΡΠ΅Π»ΡΠ½ΠΎΠ³ΠΎ ΠΏΡΠΎΡΠ΅ΡΡΠ° ΡΠΎΠ»ΡΠΊΠΎ Π² ΠΊΠΎΡΠΊΠΎΠ²ΠΎΠΌ Π²Π΅ΡΠ΅ΡΡΠ²Π΅ ΠΏΠΎΡΠΊΠΈ ΠΈΠ»ΠΈ ΠΏΡΠΈ ΠΎΠ±ΡΡΡΠ°ΡΠΈΠΈ ΠΌΠΎΡΠ΅ΡΠΎΡΠ½ΠΈΠΊΠ° (Π·Π°ΠΊΡΠΏΠΎΡΠΊΠ° ΠΊΠ°ΠΌΠ½Π΅ΠΌ) Π² ΡΠ»ΡΡΠ°Π΅ ΠΎΠ΄Π½ΠΎΡΡΠΎΡΠΎΠ½Π½Π΅Π³ΠΎ ΠΏΠΎΡΠ°ΠΆΠ΅Π½ΠΈΡ. ΠΠ½ΠΎΠ³Π΄Π° Π±ΡΠ²Π°Π΅Ρ ΠΏΡΠ΅Ρ ΠΎΠ΄ΡΡΠ΅ΠΉ. ΠΠ΅ΡΠ΅Π΄ΠΊΠΎ Π²ΡΡΡΠ΅ΡΠ°Π΅ΡΡΡ ΡΡΠΈΡΡΠΎΡΠΈΡΡΡΠΈΡ, ΠΏΡΠ΅ΠΈΠΌΡΡΠ΅ΡΡΠ²Π΅Π½Π½ΠΎ Π² Π²ΠΈΠ΄Π΅ ΠΌΠΈΠΊΡΠΎΠ³Π΅ΠΌΠ°ΡΡΡΠΈΠΈ, ΡΠ΅ΠΆΠ΅ — ΠΌΠ°ΠΊΡΠΎΠ³Π΅ΠΌΠ°ΡΡΡΠΈΠΈ (ΠΏΡΠΈ Π½Π΅ΠΊΡΠΎΠ·Π΅ ΠΏΠΎΡΠ΅ΡΠ½ΡΡ ΡΠΎΡΠΎΡΠΊΠΎΠ², ΠΊΠ°Π»ΡΠΊΡΠ»Π΅Π·Π½ΠΎΠΌ ΠΏΠΈΠ΅Π»ΠΎΠ½Π΅ΡΡΠΈΡΠ΅). Π’ΡΠΆΠ΅Π»ΠΎΠ΅ ΡΠ΅ΡΠ΅Π½ΠΈΠ΅ Π·Π°Π±ΠΎΠ»Π΅Π²Π°Π½ΠΈΡ ΡΠΎΠΏΡΠΎΠ²ΠΎΠΆΠ΄Π°Π΅ΡΡΡ ΠΈ ΡΠΈΠ»ΠΈΠ½Π΄ΡΡΡΠΈΠ΅ΠΉ (Π·Π΅ΡΠ½ΠΈΡΡΡΠ΅ ΠΈ Π²ΠΎΡΠΊΠΎΠ²ΠΈΠ΄Π½ΡΠ΅ ΡΠΈΠ»ΠΈΠ½Π΄ΡΡ).
ΠΠ°ΠΊΡΠ΅ΡΠΈΡΡΠΈΡ ΠΎΠ±Π½Π°ΡΡΠΆΠΈΠ²Π°Π΅ΡΡΡ Π² Π±ΠΎΠ»ΡΡΠΈΠ½ΡΡΠ²Π΅ ΡΠ»ΡΡΠ°Π΅Π², ΠΎΠ΄Π½Π°ΠΊΠΎ Ρ ΠΊΠ°ΠΊ ΠΈ Π»Π΅ΠΉΠΊΠΎΡΠΈΡΡΡΠΈΡ, Π½ΠΎΡΠΈΡ ΠΈΠ½ΡΠ΅ΡΠΌΠΈΡΡΠΈΡΡΡΡΠΈΠΉ Ρ Π°ΡΠ°ΠΊΡΠ΅Ρ, ΠΏΠΎΡΡΠΎΠΌΡ Π²Π°ΠΆΠ½Ρ ΠΏΠΎΠ²ΡΠΎΡΠ½ΡΠ΅ ΠΈΡΡΠ»Π΅Π΄ΠΎΠ²Π°Π½ΠΈΡ ΠΌΠΎΡΠΈ Π½Π° ΠΌΠΈΠΊΡΠΎΡΠ»ΠΎΡΡ. ΠΠ»Ρ ΠΏΠΎΠ΄ΡΠ²Π΅ΡΠΆΠ΄Π΅Π½ΠΈΡ ΠΏΠΈΠ΅Π»ΠΎΠ½Π΅ΡΡΠΈΡΠ° ΠΈΠΌΠ΅Π΅Ρ Π·Π½Π°ΡΠ΅Π½ΠΈΠ΅ Π»ΠΈΡΡ Π½Π°Π»ΠΈΡΠΈΠ΅ ΠΈΡΡΠΈΠ½Π½ΠΎΠΉ Π±Π°ΠΊΡΠ΅ΡΠΈΡΡΠΈΠΈ, Ρ. Π΅. Π½Π΅ ΠΌΠ΅Π½Π΅Π΅ 50-100 ΡΡΡ. ΠΌΠΈΠΊΡΠΎΠ±Π½ΡΡ ΡΠ΅Π» Π² 1 ΠΌΠ» ΠΌΠΎΡΠΈ.
ΠΠ°ΡΡΡΠ΅Π½ΠΈΠ΅ ΡΡΠ½ΠΊΡΠΈΠΈ ΠΏΠΎΡΠ΅ΠΊ Ρ ΠΏΠΎΠ²ΡΡΠ΅Π½ΠΈΠ΅ΠΌ ΡΠΎΠ΄Π΅ΡΠΆΠ°Π½ΠΈΡ Π² ΠΊΡΠΎΠ²ΠΈ ΠΌΠΎΡΠ΅Π²ΠΈΠ½Ρ, ΠΊΡΠ΅Π°ΡΠΈΠ½ΠΈΠ½Π°, ΠΈΠ½ΠΎΠ³Π΄Π° Π² Π·Π½Π°ΡΠΈΡΠ΅Π»ΡΠ½ΠΎΠΉ ΡΡΠ΅ΠΏΠ΅Π½ΠΈ, Π²ΠΎΠ·ΠΌΠΎΠΆΠ½ΠΎ (ΠΏΡΠΈΠΌΠ΅ΡΠ½ΠΎ Ρ 1/3 Π±ΠΎΠ»ΡΠ½ΡΡ ) ΠΏΡΠΈ ΡΡΠΆΠ΅Π»ΠΎΠΌ Π΄Π²ΡΡΡΠΎΡΠΎΠ½Π½Π΅ΠΌ ΠΏΠΎΡΠ°ΠΆΠ΅Π½ΠΈΠΈ ΠΏΠΎΡΠ΅ΠΊ, Π² ΡΠ΅Π΄ΠΊΠΈΡ ΡΠ»ΡΡΠ°ΡΡ ΠΈ Π² Π½Π΅Π·Π½Π°ΡΠΈΡΠ΅Π»ΡΠ½ΠΎΠΉ ΡΡΠ΅ΠΏΠ΅Π½ΠΈ — Ρ Π±ΠΎΠ»ΡΠ½ΡΡ Ρ ΠΎΠ΄Π½ΠΎΡΡΠΎΡΠΎΠ½Π½ΠΈΠΌ ΠΏΠΈΠ΅Π»ΠΎΠ½Π΅ΡΡΠΈΡΠΎΠΌ.
Π’ΡΠΆΠ΅Π»ΡΠ΅ ΡΠΎΡΠΌΡ ΠΏΠΈΠ΅Π»ΠΎΠ½Π΅ΡΡΠΈΡΠ°, ΠΎΡΠΎΠ±Π΅Π½Π½ΠΎ Π΄Π²ΡΡΡΠΎΡΠΎΠ½Π½Π΅Π³ΠΎ, ΠΏΡΠΈΠ²ΠΎΠ΄ΡΡ ΠΊ ΠΏΠΎΡΠ°ΠΆΠ΅Π½ΠΈΡ ΠΏΠ΅ΡΠ΅Π½ΠΈ ΠΈ ΡΠ°Π·Π²ΠΈΡΠΈΡ Π³Π΅ΠΏΠ°ΡΠΎΡΠ΅Π½Π°Π»ΡΠ½ΠΎΠ³ΠΎ ΡΠΈΠ½Π΄ΡΠΎΠΌΠ° Ρ Π½Π°ΡΡΡΠ΅Π½ΠΈΠ΅ΠΌ Π±Π΅Π»ΠΊΠΎΠ²ΠΎΠΎΠ±ΡΠ°Π·ΠΎΠ²Π°ΡΠ΅Π»ΡΠ½ΠΎΠΉ, ΠΎΠ±Π΅Π·Π²ΡΠ΅ΠΆΠΈΠ²Π°ΡΡΠ΅ΠΉ, ΠΏΠΈΠ³ΠΌΠ΅Π½ΡΠ½ΠΎΠΉ (Ρ ΡΠ°Π·Π²ΠΈΡΠΈΠ΅ΠΌ ΠΆΠ΅Π»ΡΡΡ ΠΈ), ΠΏΡΠΎΡΡΠΎΠΌΠ±ΠΈΠ½ΠΎΠΎΠ±ΡΠ°Π·ΠΎΠ²Π°ΡΠ΅Π»ΡΠ½ΠΎΠΉ ΠΈ Π΄ΡΡΠ³ΠΈΡ Π΅Π΅ ΡΡΠ½ΠΊΡΠΈΠΉ.
Π’Π΅ΡΠ΅Π½ΠΈΠ΅ ΠΎΡΡΡΠΎΠ³ΠΎ ΠΏΠΈΠ΅Π»ΠΎΠ½Π΅ΡΡΠΈΡΠ° ΠΈΠΌΠ΅Π΅Ρ Π½Π΅ΠΊΠΎΡΠΎΡΡΠ΅ ΠΎΡΠΎΠ±Π΅Π½Π½ΠΎΡΡΠΈ Π² Π·Π°Π²ΠΈΡΠΈΠΌΠΎΡΡΠΈ ΠΎΡ Π²ΠΎΠ·ΡΠ°ΡΡΠ° Π±ΠΎΠ»ΡΠ½ΠΎΠ³ΠΎ (Ρ Π΄Π΅ΡΠ΅ΠΉ, Π²Π·ΡΠΎΡΠ»ΡΡ , ΠΏΠΎΠΆΠΈΠ»ΡΡ ΠΈ Π»ΠΈΡ. ΠΏΡΠ΅ΠΊΠ»ΠΎΠ½Π½ΠΎΠ³ΠΎ Π²ΠΎΠ·ΡΠ°ΡΡΠ°). ΠΠ°Π±ΠΎΠ»Π΅Π²Π°Π½ΠΈΠ΅ ΠΏΡΠΎΡΠ΅ΠΊΠ°Π΅Ρ ΠΎΡΠΎΠ±Π΅Π½Π½ΠΎ ΡΡΠΆΠ΅Π»ΠΎ Ρ Π±ΠΎΠ»ΡΠ½ΡΡ , ΠΎΡΠ»Π°Π±Π»Π΅Π½Π½ΡΡ ΠΏΡΠ΅Π΄ΡΠ΅ΡΡΠ²ΡΡΡΠΈΠΌΠΈ Ρ ΡΠΎΠ½ΠΈΡΠ΅ΡΠΊΠΈΠΌΠΈ Π·Π°Π±ΠΎΠ»Π΅Π²Π°Π½ΠΈΡΠΌΠΈ, Π² ΡΠ°ΡΡΠ½ΠΎΡΡΠΈ ΡΠ°Ρ Π°ΡΠ½ΡΠΌ Π΄ΠΈΠ°Π±Π΅ΡΠΎΠΌ.
ΠΡΡΡΡΠΉ ΠΏΠΈΠ΅Π»ΠΎΠ½Π΅ΡΡΠΈΡ ΠΌΠΎΠΆΠ΅Ρ ΠΎΡΠ»ΠΎΠΆΠ½ΡΡΡΡΡ ΠΏΠ°ΡΠ°Π½Π΅ΡΡΠΈΡΠΎΠΌ, ΠΏΠΎΠ΄Π΄ΠΈΠ°ΡΡΠ°Π³ΠΌΠ°Π»ΡΠ½ΡΠΌ Π°Π±ΡΡΠ΅ΡΡΠΎΠΌ, Π½Π΅ΠΊΡΠΎΠ·ΠΎΠΌ ΡΠΎΡΠΎΡΠΊΠΎΠ² ΠΏΠΎΡΠ΅ΠΊ Ρ ΡΠ°Π·Π²ΠΈΡΠΈΠ΅ΠΌ ΠΎΡΡΡΠΎΠΉ ΠΏΠΎΡΠ΅ΡΠ½ΠΎΠΉ Π½Π΅Π΄ΠΎΡΡΠ°ΡΠΎΡΠ½ΠΎΡΡΠΈ, Π±Π°ΠΊΡΠ΅ΡΠΈΠ΅ΠΌΠΈΡΠ΅ΡΠΊΠΈΠΌ ΡΠΎΠΊΠΎΠΌ, Π³Π΅ΠΏΠ°ΡΠΎΡΠ΅Π½Π°Π»ΡΠ½ΡΠΌ ΡΠΈΠ½Π΄ΡΠΎΠΌΠΎΠΌ, ΡΠ΅ΠΆΠ΅ — ΠΏΠ΅ΡΠΈΡΠΎΠ½ΠΈΡΠΎΠΌ ΠΈ Π°ΡΡΠ΅ΡΠΈΠ°Π»ΡΠ½ΠΎΠΉ Π³ΠΈΠΏΠ΅ΡΡΠ΅Π½Π·ΠΈΠ΅ΠΉ.
ΠΡΠΈ ΡΠ°Π½Π½Π΅ΠΌ ΡΠ°ΡΠΏΠΎΠ·Π½Π°Π²Π°Π½ΠΈΠΈ, ΡΠ²ΠΎΠ΅Π²ΡΠ΅ΠΌΠ΅Π½Π½ΠΎΠΌ ΠΈ Π°ΠΊΡΠΈΠ²Π½ΠΎΠΌ Π»Π΅ΡΠ΅Π½ΠΈΠΈ ΠΎΡΡΡΡΠΉ ΠΏΠΈΠ΅Π»ΠΎΠ½Π΅ΡΡΠΈΡ ΠΏΡΠΈΠΌΠ΅ΡΠ½ΠΎ Π² 60 % ΡΠ»ΡΡΠ°Π΅Π² Π·Π°ΠΊΠ°Π½ΡΠΈΠ²Π°Π΅ΡΡΡ Π²ΡΠ·Π΄ΠΎΡΠΎΠ²Π»Π΅Π½ΠΈΠ΅ΠΌ. Π Π΄ΡΡΠ³ΠΈΡ ΡΠ»ΡΡΠ°ΡΡ ΠΎΠ½ ΠΏΡΠΈΠΎΠ±ΡΠ΅ΡΠ°Π΅Ρ Ρ ΡΠΎΠ½ΠΈΡΠ΅ΡΠΊΠΎΠ΅ ΡΠ΅ΡΠ΅Π½ΠΈΠ΅ Ρ ΡΠ°Π·Π²ΠΈΡΠΈΠ΅ΠΌ Ρ ΡΠΎΠ½ΠΈΡΠ΅ΡΠΊΠΎΠΉ ΠΏΠΎΡΠ΅ΡΠ½ΠΎΠΉ Π½Π΅Π΄ΠΎΡΡΠ°ΡΠΎΡΠ½ΠΎΡΡΠΈ. ΠΡΠ΅ΠΏΡΡΡΡΠ²ΡΡΡ ΠΎΠΊΠΎΠ½ΡΠ°ΡΠ΅Π»ΡΠ½ΠΎΠΌΡ Π²ΡΠ·Π΄ΠΎΡΠΎΠ²Π»Π΅Π½ΠΈΡ ΠΈ ΡΠΏΠΎΡΠΎΠ±ΡΡΠ²ΡΡΡ ΠΏΠ΅ΡΠ΅Ρ ΠΎΠ΄Ρ ΠΎΡΡΡΠΎΠ³ΠΎ ΠΏΠΈΠ΅Π»ΠΎΠ½Π΅ΡΡΠΈΡΠ° Π² Ρ ΡΠΎΠ½ΠΈΡΠ΅ΡΠΊΠΈΠΉ ΠΏΠΎΠ·Π΄Π½ΠΎ Π½Π°ΡΠ°ΡΠΎΠ΅, Π½Π΅Π΄ΠΎΡΡΠ°ΡΠΎΡΠ½ΠΎ Π°ΠΊΡΠΈΠ²Π½ΠΎΠ΅ ΠΈ ΡΠ°Π½ΠΎ ΠΎΠΊΠΎΠ½ΡΠ΅Π½Π½ΠΎΠ΅ Π»Π΅ΡΠ΅Π½ΠΈΠ΅; ΡΡΡΠΎΠΉΡΠΈΠ²ΠΎΡΡΡ ΠΌΠΈΠΊΡΠΎΡΠ»ΠΎΡΡ ΠΊ ΠΏΡΠΎΡΠΈΠ²ΠΎΠΌΠΈΠΊΡΠΎΠ±Π½ΡΠΌ ΡΡΠ΅Π΄ΡΡΠ²Π°ΠΌ; Π½Π°Π»ΠΈΡΠΈΠ΅ Π°Π½ΠΎΠΌΠ°Π»ΠΈΠΉ ΡΠ°Π·Π²ΠΈΡΠΈΡ ΠΌΠΎΡΠ΅Π²ΡΡ ΠΏΡΡΠ΅ΠΉ ΠΈ ΠΏΠΎΡΠ΅ΠΊ, Π° ΡΠ°ΠΊΠΆΠ΅ ΠΊΠΎΠ½ΠΊΡΠ΅ΠΌΠ΅Π½ΡΠΎΠ² ΠΈ Π΄ΡΡΠ³ΠΈΡ ΠΏΡΠΈΡΠΈΠ½, Π½Π°ΡΡΡΠ°ΡΡΠΈΡ ΠΏΠ°ΡΡΠ°ΠΆ ΠΌΠΎΡΠΈ; ΡΠΎΠΏΡΡΡΡΠ²ΡΡΡΠΈΠ΅ ΠΈΠ½ΡΠ΅ΡΠΊΡΡΡΠ΅Π½ΡΠ½ΡΠ΅ Π·Π°Π±ΠΎΠ»Π΅Π²Π°Π½ΠΈΡ, ΡΠ°ΡΠ΅ Ρ ΡΠΎΠ½ΠΈΡΠ΅ΡΠΊΠΈΠ΅, ΠΎΡΠ»Π°Π±Π»ΡΡΡΠΈΠ΅ Π·Π°ΡΠΈΡΠ½ΡΠ΅ ΡΠΈΠ»Ρ ΠΎΡΠ³Π°Π½ΠΈΠ·ΠΌΠ°, ΠΈ Π½Π΅ΠΊΠΎΡΠΎΡΡΠ΅ Π΄ΡΡΠ³ΠΈΠ΅ ΡΠ°ΠΊΡΠΎΡΡ.
ΠΠΈΠ°Π³Π½ΠΎΡΡΠΈΠΊΠ° Π±ΠΎΠ»Π΅Π·Π½ΠΈ ΠΡΡΡΡΠΉ ΠΏΠΈΠ΅Π»ΠΎΠ½Π΅ΡΡΠΈΡ
Π‘ΡΡΠ΅ΡΡΠ²Π΅Π½Π½ΠΎΠ΅ Π·Π½Π°ΡΠ΅Π½ΠΈΠ΅ Π² Π΄ΠΈΠ°Π³Π½ΠΎΡΡΠΈΠΊΠ΅ ΠΎΡΡΡΠΎΠ³ΠΎ ΠΏΠΈΠ΅Π»ΠΎΠ½Π΅ΡΡΠΈΡΠ° ΠΈΠΌΠ΅ΡΡ ΡΠ»ΡΡΡΠ°Π·Π²ΡΠΊΠΎΠ²ΡΠ΅, ΡΠ΅Π½ΡΠ³Π΅Π½ΠΎΡΡΠΎΠ»ΠΎΠ³ΠΈΡΠ΅ΡΠΊΠΈΠ΅, ΡΠ°Π΄ΠΈΠΎΠΈΠ·ΠΎΡΠΎΠΏΠ½ΡΠ΅, ΡΠ½Π΄ΠΎΡΠΊΠΎΠΏΠΈΡΠ΅ΡΠΊΠΈΠ΅ ΠΈΡΡΠ»Π΅Π΄ΠΎΠ²Π°Π½ΠΈΡ, Π² ΠΎΡΠ΄Π΅Π»ΡΠ½ΡΡ ΡΠ»ΡΡΠ°ΡΡ — ΠΈ ΠΏΠΎΡΠ΅ΡΠ½Π°Ρ Π°Π½Π³ΠΈΠΎΠ³ΡΠ°ΡΠΈΡ, ΠΊΠΎΠΌΠΏΡΡΡΠ΅ΡΠ½Π°Ρ ΡΠΎΠΌΠΎΠ³ΡΠ°ΡΠΈΡ. Π’Π°ΠΊ, ΠΏΡΠΈ ΠΏΠΎΠΌΠΎΡΠΈ Π£ΠΠ ΠΈ ΠΎΠ±Π·ΠΎΡΠ½ΠΎΠΉ ΡΠ΅Π½ΡΠ³Π΅Π½ΠΎΡΡΠΎΠ³ΡΠ°ΡΠΈΠΈ ΠΌΠΎΠΆΠ½ΠΎ ΡΡΡΠ°Π½ΠΎΠ²ΠΈΡΡ ΡΠ°ΡΠΏΠΎΠ»ΠΎΠΆΠ΅Π½ΠΈΠ΅, ΡΠ°Π·ΠΌΠ΅ΡΡ, ΡΠΎΡΠΌΡ ΠΏΠΎΡΠ΅ΠΊ, Π½Π°Π»ΠΈΡΠΈΠ΅ ΠΊΠΎΠ½ΠΊΡΠ΅ΠΌΠ΅Π½ΡΠΎΠ² ΠΈ ΠΈΡ Π»ΠΎΠΊΠ°Π»ΠΈΠ·Π°ΡΠΈΡ. ΠΠΎΠ»Π΅Π΅ ΡΠ΅Π½Π½ΡΡ ΠΈΠ½ΡΠΎΡΠΌΠ°ΡΠΈΡ ΠΎ ΡΠΎΡΡΠΎΡΠ½ΠΈΠΈ ΡΡΡΡΠΊΡΡΡΡ ΠΈ ΡΡΠ½ΠΊΡΠΈΠΈ ΠΏΠΎΡΠ΅ΠΊ Π΄Π°Π΅Ρ ΡΠΊΡΠΊΡΠ΅ΡΠΎΡΠ½Π°Ρ ΡΡΠΎΠ³ΡΠ°ΡΠΈΡ. ΠΡΠΈ Π½Π°ΡΡΡΠ΅Π½ΠΈΠΈ ΡΠΊΡΠΊΡΠ΅ΡΠΎΡΠ½ΠΎΠΉ ΡΡΠ½ΠΊΡΠΈΠΈ Π±ΠΎΠ»ΡΠ½ΠΎΠΉ ΠΏΠΎΡΠΊΠΈ Π»ΠΎΡ Π°Π½ΠΊΠ° ΠΈ ΠΌΠΎΡΠ΅ΡΠΎΡΠ½ΠΈΠΊΠΈ Ρ ΡΡΠΎΠΉ ΡΡΠΎΡΠΎΠ½Ρ Π·Π°ΠΏΠΎΠ»Π½ΡΡΡΡΡ ΠΊΠΎΠ½ΡΡΠ°ΡΡΠ½ΡΠΌ Π²Π΅ΡΠ΅ΡΡΠ²ΠΎΠΌ ΠΌΠ΅Π½Π΅Π΅ ΠΈΠ½ΡΠ΅Π½ΡΠΈΠ²Π½ΠΎ Π»ΠΈΠ±ΠΎ ΠΊΠΎΠ½ΡΡΠ°ΡΡΠΈΡΠΎΠ²Π°Π½ΠΈΠ΅ ΠΈΡ Π½Π°ΡΡΡΠΏΠ°Π΅Ρ Ρ Π·Π°ΠΏΠΎΠ·Π΄Π°Π½ΠΈΠ΅ΠΌ, Π° Π΅ΡΠ»ΠΈ ΠΏΠΎΡΠΊΠ° Π½Π΅ ΡΡΠ½ΠΊΡΠΈΠΎΠ½ΠΈΡΡΠ΅Ρ, ΡΠΎ ΠΎΠ½ΠΈ Π²ΠΎΠΎΠ±ΡΠ΅ Π½Π΅ Π²ΡΡΠ²Π»ΡΡΡΡΡ (ΡΠΈΠΌΠΏΡΠΎΠΌ «Π½Π΅ΠΌΠΎΠΉ ΠΏΠΎΡΠΊΠΈ»). ΠΠΊΡΠΊΡΠ΅ΡΠΎΡΠ½Π°Ρ ΡΡΠΎΠ³ΡΠ°ΡΠΈΡ ΠΏΠΎΠ·Π²ΠΎΠ»ΡΠ΅Ρ ΠΎΠ±Π½Π°ΡΡΠΆΠΈΡΡ ΠΈ ΠΊΠΎΠ½ΠΊΡΠ΅ΠΌΠ΅Π½ΡΡ, ΠΊΠΎΡΠΎΡΡΠ΅ Π½Π° ΠΎΠ±Π·ΠΎΡΠ½ΠΎΠΉ ΡΡΠΎΠ³ΡΠ°ΠΌΠΌΠ΅ Π½Π΅ Π²ΠΈΠ΄Π½Ρ, Π° ΡΠ°ΠΊΠΆΠ΅ ΡΠ°Π·Π»ΠΈΡΠ½ΡΠ΅ Π°Π½ΠΎΠΌΠ°Π»ΠΈΠΈ ΡΠ°Π·Π²ΠΈΡΠΈΡ ΠΏΠΎΡΠ΅ΠΊ ΠΈ ΠΌΠΎΡΠ΅Π²ΡΡ ΠΏΡΡΠ΅ΠΉ, ΠΏΠΈΠ΅Π»ΠΎΡΠΊΡΠ°Π·ΠΈΡ, ΠΏΡΠΈΠ·Π½Π°ΠΊΠΈ Π΄ΠΈΡΠΊΠΈΠ½Π΅Π·ΠΈΠΈ ΡΠ°ΡΠ΅ΠΊ ΠΈ ΠΌΠΎΡΠ΅ΡΠΎΡΠ½ΠΈΠΊΠΎΠ², ΡΡΠ΄ΠΈΡΡ ΠΎ ΡΡΠ΅ΠΏΠ΅Π½ΠΈ ΠΏΡΠΎΡ ΠΎΠ΄ΠΈΠΌΠΎΡΡΠΈ ΠΏΠΎΡΠ»Π΅Π΄Π½ΠΈΡ . ΠΡΠΈ ΠΊΠ°ΡΠ±ΡΠ½ΠΊΡΠ»Π΅ ΠΏΠΎΡΠΊΠΈ ΠΈΠ»ΠΈ Π²ΡΡΠ°ΠΆΠ΅Π½Π½ΠΎΠΉ Π²ΠΎΡΠΏΠ°Π»ΠΈΡΠ΅Π»ΡΠ½ΠΎΠΉ ΠΈΠ½ΡΠΈΠ»ΡΡΡΠ°ΡΠΈΠΈ ΠΈΠ½ΡΠ΅ΡΡΡΠΈΡΠΈΠ°Π»ΡΠ½ΠΎΠΉ ΡΠΊΠ°Π½ΠΈ ΠΎΠΏΡΠ΅Π΄Π΅Π»ΡΠ΅ΡΡΡ Π΄Π΅ΡΠΎΡΠΌΠ°ΡΠΈΡ Π»ΠΎΡ Π°Π½ΠΊΠΈ, ΡΡΠΆΠ΅Π½ΠΈΠ΅, ΠΈΠ½ΠΎΠ³Π΄Π° Π°ΠΌΠΏΡΡΠ°ΡΠΈΡ ΠΎΠ΄Π½ΠΎΠΉ ΠΈΠ»ΠΈ Π½Π΅ΡΠΊΠΎΠ»ΡΠΊΠΈΡ ΡΠ°ΡΠ΅ΠΊ.
ΠΠΎΡΡ ΠΎΠ΄ΡΡΠ°Ρ ΠΏΠΈΠ΅Π»ΠΎΠ³ΡΠ°ΡΠΈΡ ΠΏΡΠΈΠΌΠ΅Π½ΡΠ΅ΡΡΡ Π² ΠΊΡΠ°ΠΉΠ½ΠΈΡ ΡΠ»ΡΡΠ°ΡΡ , Π΅ΡΠ»ΠΈ Π΄ΡΡΠ³ΠΈΠ΅ ΠΌΠ΅ΡΠΎΠ΄Ρ Π½Π΅ ΠΏΠΎΠ·Π²ΠΎΠ»ΡΡΡ ΡΡΠΎΡΠ½ΠΈΡΡ Ρ Π°ΡΠ°ΠΊΡΠ΅Ρ ΠΈ ΡΡΠ΅ΠΏΠ΅Π½Ρ ΡΡΡΡΠΊΡΡΡΠ½ΡΡ ΠΈ ΡΡΠ½ΠΊΡΠΈΠΎΠ½Π°Π»ΡΠ½ΡΡ Π½Π°ΡΡΡΠ΅Π½ΠΈΠΉ ΠΏΠΎΡΠ°ΠΆΠ΅Π½Π½ΠΎΠΉ ΠΏΠΎΡΠΊΠΈ ΠΈ ΡΠ΅ΡΠΈΡΡ Π²ΠΎΠΏΡΠΎΡ ΠΎ Π½Π΅ΠΎΠ±Ρ ΠΎΠ΄ΠΈΠΌΠΎΡΡΠΈ ΠΎΠΏΠ΅ΡΠ°ΡΠΈΠ²Π½ΠΎΠ³ΠΎ Π²ΠΌΠ΅ΡΠ°ΡΠ΅Π»ΡΡΡΠ²Π°.
Π Π°Π΄ΠΈΠΎΠΈΠ·ΠΎΡΠΎΠΏΠ½Π°Ρ ΡΠ΅Π½ΠΎΠ³ΡΠ°ΡΠΈΡ Π΄Π°Π΅Ρ ΡΠ΅Π½Π½ΡΠ΅ ΡΠ²Π΅Π΄Π΅Π½ΠΈΡ ΠΎΠ± ΠΎΠ΄Π½ΠΎΡΡΠΎΡΠΎΠ½Π½Π΅ΠΌ ΠΈΠ»ΠΈ Π΄Π²ΡΡΡΠΎΡΠΎΠ½Π½Π΅ΠΌ ΠΏΠΎΡΠ°ΠΆΠ΅Π½ΠΈΠΈ, ΠΎ ΡΠ΅ΠΌ ΡΡΠ΄ΡΡ ΠΏΠΎ ΡΠΎΡΡΠΎΡΠ½ΠΈΡ ΡΡΠ½ΠΊΡΠΈΠΈ Π»Π΅Π²ΠΎΠΉ ΠΈΠ»ΠΈ ΠΏΡΠ°Π²ΠΎΠΉ ΠΏΠΎΡΠΊΠΈ, ΠΎΠΏΡΠ΅Π΄Π΅Π»ΡΠ΅ΠΌΠΎΠΉ Π² ΡΠ²ΠΎΡ ΠΎΡΠ΅ΡΠ΅Π΄Ρ ΠΏΠΎ Ρ Π°ΡΠ°ΠΊΡΠ΅ΡΡ ΠΈ Π²ΡΡΠ°ΠΆΠ΅Π½Π½ΠΎΡΡΠΈ ΡΠ΅Π³ΠΌΠ΅Π½ΡΠΎΠ² ΡΠ΅Π½ΠΎΠ³ΡΠ°ΠΌΠΌΡ (ΡΠΏΠ»ΠΎΡΠ΅Π½ΠΈΠ΅ ΠΊΡΠΈΠ²ΠΎΠΉ, ΡΠ½ΠΈΠΆΠ΅Π½ΠΈΠ΅ ΡΠ΅ΠΊΡΠ΅ΡΠΎΡΠ½ΠΎΠ³ΠΎ ΠΈ ΡΠΊΡΠΊΡΠ΅ΡΠΎΡΠ½ΠΎΠ³ΠΎ ΡΠ΅Π³ΠΌΠ΅Π½ΡΠΎΠ²). ΠΡΠΈ ΠΎΡΡΡΠΎΠΌ ΠΏΠΈΠ΅Π»ΠΎΠ½Π΅ΡΡΠΈΡΠ΅, Π²ΠΎΠ·Π½ΠΈΠΊΡΠ΅ΠΌ Π²ΠΏΠ΅ΡΠ²ΡΠ΅, ΡΡΠΈ ΠΈΠ·ΠΌΠ΅Π½Π΅Π½ΠΈΡ Π²ΡΡΠ°ΠΆΠ΅Π½Ρ Π² Π½Π΅Π·Π½Π°ΡΠΈΡΠ΅Π»ΡΠ½ΠΎΠΉ ΠΈΠ»ΠΈ ΡΠΌΠ΅ΡΠ΅Π½Π½ΠΎΠΉ ΡΡΠ΅ΠΏΠ΅Π½ΠΈ.
Π‘ΠΊΠ°Π½ΠΎΠ³ΡΠ°ΠΌΠΌΠ° ΠΏΠΎΡΠ΅ΠΊ ΡΠ°ΠΊΠΆΠ΅ ΠΏΠΎΠΌΠΎΠ³Π°Π΅Ρ ΠΎΠΏΡΠ΅Π΄Π΅Π»ΠΈΡΡ ΡΡΡΡΠΊΡΡΡΠ½ΡΠ΅ ΠΈ ΡΡΠ½ΠΊΡΠΈΠΎΠ½Π°Π»ΡΠ½ΡΠ΅ Π½Π°ΡΡΡΠ΅Π½ΠΈΡ ΠΏΠΎΡΠ΅ΠΊ, ΠΏΠΎΡΠΊΠΎΠ»ΡΠΊΡ Π½Π΅ΠΎΠ³ΠΈΠ΄ΡΠΈΠ½ Ρ ΠΎΡΠΎΡΠΎ ΠΏΠΎΠ³Π»ΠΎΡΠ°Π΅ΡΡΡ Π»ΠΈΡΡ ΡΡΠ½ΠΊΡΠΈΠΎΠ½ΠΈΡΡΡΡΠ΅ΠΉ ΡΠΊΠ°Π½ΡΡ. ΠΠ΄Π½Π°ΠΊΠΎ ΡΠ°Π΄ΠΈΠΎΠΈΠ·ΠΎΡΠΎΠΏΠ½ΡΠ΅ ΠΌΠ΅ΡΠΎΠ΄Ρ Π΄ΠΈΠ°Π³Π½ΠΎΡΡΠΈΠΊΠΈ ΠΈΠΌΠ΅ΡΡ Π»ΠΈΡΡ Π²ΡΠΏΠΎΠΌΠΎΠ³Π°ΡΠ΅Π»ΡΠ½ΠΎΠ΅ Π·Π½Π°ΡΠ΅Π½ΠΈΠ΅, ΠΏΠΎΡΠΊΠΎΠ»ΡΠΊΡ ΠΎΠ±Π½Π°ΡΡΠΆΠΈΠ²Π°Π΅ΠΌΡΠ΅ ΠΈΠ·ΠΌΠ΅Π½Π΅Π½ΠΈΡ ΡΡΡΡΠΊΡΡΡΡ ΠΈ ΡΡΠ½ΠΊΡΠΈΠΈ ΠΏΠΎΡΠ΅ΠΊ Π½Π΅ ΡΠ²Π»ΡΡΡΡΡ ΡΡΡΠΎΠ³ΠΎ ΡΠΏΠ΅ΡΠΈΡΠΈΡΠ½ΡΠΌΠΈ Π΄Π»Ρ ΠΎΡΡΡΠΎΠ³ΠΎ ΠΏΠΈΠ΅Π»ΠΎΠ½Π΅ΡΡΠΈΡΠ°. ΠΡΠΈ ΠΌΠ΅ΡΠΎΠ΄Ρ ΠΌΠΎΠΆΠ½ΠΎ ΡΠ°ΡΡΠΌΠ°ΡΡΠΈΠ²Π°ΡΡ ΠΊΠ°ΠΊ ΡΠ΅Π½Π½ΠΎΠ΅ Π΄ΠΎΠΏΠΎΠ»Π½Π΅Π½ΠΈΠ΅ ΠΊ ΡΠ΅Π½ΡΠ³Π΅Π½ΠΎΠ»ΠΎΠ³ΠΈΡΠ΅ΡΠΊΠΈΠΌ, Π² ΡΠ°ΡΡΠ½ΠΎΡΡΠΈ ΠΊ ΡΠΊΡΠΊΡΠ΅ΡΠΎΡΠ½ΠΎΠΉ ΡΡΠΎΠ³ΡΠ°ΡΠΈΠΈ.
ΠΠ½Π΄ΠΎΡΠΊΠΎΠΏΠΈΡΠ΅ΡΠΊΠΈΠ΅ ΠΌΠ΅ΡΠΎΠ΄Ρ ΠΈΠ½ΡΡΡΡΠΌΠ΅Π½ΡΠ°Π»ΡΠ½ΠΎΠ³ΠΎ ΠΈΡΡΠ»Π΅Π΄ΠΎΠ²Π°Π½ΠΈΡ (ΡΠΈΡΡΠΎΡΠΊΠΎΠΏΠΈΡ, Ρ ΡΠΎΠΌΠΎΡΠΈΡΡΠΎΡΠΊΠΎΠΏΠΈΡ) ΡΠ°ΠΊ ΠΆΠ΅, ΠΊΠ°ΠΊ ΠΈ ΡΠ΅ΡΡΠΎΠ³ΡΠ°Π΄Π½Π°Ρ (Π²ΠΎΡΡ ΠΎΠ΄ΡΡΠ°Ρ) ΠΏΠΈΠ΅Π»ΠΎΠ³ΡΠ°ΡΠΈΡ, Π² ΠΎΡΡΡΡΠΉ ΠΏΠ΅ΡΠΈΠΎΠ΄ Π·Π°Π±ΠΎΠ»Π΅Π²Π°Π½ΠΈΡ ΠΏΡΠΎΠ²ΠΎΠ΄ΡΡΡΡ Π² ΠΈΡΠΊΠ»ΡΡΠΈΡΠ΅Π»ΡΠ½ΡΡ ΡΠ»ΡΡΠ°ΡΡ , ΠΏΠΎΡΠΊΠΎΠ»ΡΠΊΡ Π΄Π°ΠΆΠ΅ ΠΏΡΠΈ ΡΠ°ΠΌΠΎΠΌ ΡΡΠ°ΡΠ΅Π»ΡΠ½ΠΎΠΌ ΡΠΎΠ±Π»ΡΠ΄Π΅Π½ΠΈΠΈ ΠΏΡΠ°Π²ΠΈΠ» Π°ΡΠ΅ΠΏΡΠΈΠΊΠΈ Π²ΠΎΠ·ΠΌΠΎΠΆΠ½ΠΎ ΠΎΠ±ΠΎΡΡΡΠ΅Π½ΠΈΠ΅ Π²ΠΎΡΠΏΠ°Π»ΠΈΡΠ΅Π»ΡΠ½ΠΎΠ³ΠΎ ΠΏΡΠΎΡΠ΅ΡΡΠ°. Π Π½ΠΈΠΌ ΠΏΡΠΈΠ±Π΅Π³Π°ΡΡ ΡΠΎΠ³Π΄Π°, ΠΊΠΎΠ³Π΄Π° Π΄ΡΡΠ³ΠΈΡ ΠΌΠ΅ΡΠΎΠ΄ΠΎΠ² ΠΎΠΊΠ°Π·ΡΠ²Π°Π΅ΡΡΡ Π½Π΅Π΄ΠΎΡΡΠ°ΡΠΎΡΠ½ΠΎ Π΄Π»Ρ ΡΡΠΎΡΠ½Π΅Π½ΠΈΡ Π΄ΠΈΠ°Π³Π½ΠΎΠ·Π° ΠΈΠ»ΠΈ ΠΊΠΎΠ³Π΄Π° ΠΊΠ°ΡΠ΅ΡΠ΅ΡΠΈΠ·Π°ΡΠΈΡ ΠΌΠΎΡΠ΅ΡΠΎΡΠ½ΠΈΠΊΠ° Π½Π΅ΠΎΠ±Ρ ΠΎΠ΄ΠΈΠΌΠ° ΠΊΠ°ΠΊ Π»Π΅ΡΠ΅Π±Π½ΠΎΠ΅ ΠΌΠ΅ΡΠΎΠΏΡΠΈΡΡΠΈΠ΅ (Π΄Π»Ρ Π²ΠΎΡΡΡΠ°Π½ΠΎΠ²Π»Π΅Π½ΠΈΡ Π΅Π³ΠΎ ΠΏΡΠΎΡ ΠΎΠ΄ΠΈΠΌΠΎΡΡΠΈ Π² ΡΠ»ΡΡΠ°Π΅ ΠΎΠ±ΡΡΡΠ°ΡΠΈΠΈ ΠΊΠΎΠ½ΠΊΡΠ΅ΠΌΠ΅Π½ΡΠ°ΠΌΠΈ, ΡΠ»ΠΈΠ·ΡΡ ΠΈ Ρ. ΠΏ.), Π° ΡΠ°ΠΊΠΆΠ΅ ΠΊΠΎΠ³Π΄Π° ΡΠ΅ΡΠ°Π΅ΡΡΡ Π²ΠΎΠΏΡΠΎΡ ΠΎ Ρ ΠΈΡΡΡΠ³ΠΈΡΠ΅ΡΠΊΠΎΠΌ Π²ΠΌΠ΅ΡΠ°ΡΠ΅Π»ΡΡΡΠ²Π΅ ΠΏΡΠΈ ΠΎΡΡΡΡΡΡΠ²ΠΈΠΈ ΡΡΡΠ΅ΠΊΡΠ° ΠΎΡ ΠΊΠΎΠ½ΡΠ΅ΡΠ²Π°ΡΠΈΠ²Π½ΠΎΠ³ΠΎ Π»Π΅ΡΠ΅Π½ΠΈΡ.
Π₯ΡΠΎΠΌΠΎΡΠΈΡΡΠΎΡΠΊΠΎΠΏΠΈΡ ΠΏΠΎΠ·Π²ΠΎΠ»ΡΠ΅Ρ Π²ΡΡΠ²ΠΈΡΡ ΡΠ½ΠΈΠΆΠ΅Π½ΠΈΠ΅ ΠΈΠ»ΠΈ ΠΎΡΡΡΡΡΡΠ²ΠΈΠ΅ ΡΡΠ½ΠΊΡΠΈΠΈ ΠΏΠΎΡΠ°ΠΆΠ΅Π½Π½ΠΎΠΉ Π²ΠΎΡΠΏΠ°Π»ΠΈΡΠ΅Π»ΡΠ½ΡΠΌ ΠΏΡΠΎΡΠ΅ΡΡΠΎΠΌ ΠΏΠΎΡΠΊΠΈ, ΡΡΠΎ ΠΎΠΏΡΠ΅Π΄Π΅Π»ΡΠ΅ΡΡΡ ΠΏΠΎ Π²ΡΠ΅ΠΌΠ΅Π½ΠΈ ΠΏΠΎΡΠ²Π»Π΅Π½ΠΈΡ ΠΊΡΠ°ΡΠΊΠΈ ΠΈΠ· ΡΡΡΡΠ΅Π² ΠΌΠΎΡΠ΅ΡΠΎΡΠ½ΠΈΠΊΠΎΠ², ΠΈΠ½ΡΠ΅Π½ΡΠΈΠ²Π½ΠΎΡΡΠΈ ΡΡΡΡΠΈ ΠΈ ΠΎΠΊΡΠ°ΡΠΊΠΈ ΠΌΠΎΡΠΈ Π»ΠΈΠ±ΠΎ ΠΏΠΎ ΠΎΡΡΡΡΡΡΠ²ΠΈΡ Π²ΡΠ΄Π΅Π»Π΅Π½ΠΈΡ ΠΌΠΎΡΠΈ ΠΈΠ· ΡΡΡΡΡ ΠΎΠ΄Π½ΠΎΠ³ΠΎ ΠΈΠ· ΠΌΠΎΡΠ΅ΡΠΎΡΠ½ΠΈΠΊΠΎΠ². ΠΡΠΎΠΌΠ΅ ΡΠΎΠ³ΠΎ, ΠΊΠ°ΡΠ΅ΡΠ΅ΡΠΈΠ·Π°ΡΠΈΡ ΠΌΠΎΡΠ΅ΡΠΎΡΠ½ΠΈΠΊΠΎΠ² Π΄Π°Π΅Ρ Π²ΠΎΠ·ΠΌΠΎΠΆΠ½ΠΎΡΡΡ ΠΏΠΎΠ»ΡΡΠΈΡΡ ΡΠ°Π·Π΄Π΅Π»ΡΠ½ΠΎ ΠΌΠΎΡΡ ΠΈΠ· ΠΎΠ±Π΅ΠΈΡ ΠΏΠΎΡΠ΅ΠΊ ΠΈ ΠΏΡΠΎΠ²Π΅ΡΡΠΈ Π΅Π΅ ΠΈΡΡΠ»Π΅Π΄ΠΎΠ²Π°Π½ΠΈΠ΅. ΠΡΡΠ²Π»Π΅Π½ΠΈΠ΅ ΠΈ ΡΡΡΡΠ°Π½Π΅Π½ΠΈΠ΅ ΠΏΡΠΈΡΠΈΠ½Ρ, ΠΏΡΠ΅ΠΏΡΡΡΡΠ²ΡΡΡΠ΅ΠΉ Π½ΠΎΡΠΌΠ°Π»ΡΠ½ΠΎΠΌΡ ΠΏΠ°ΡΡΠ°ΠΆΡ ΠΌΠΎΡΠΈ, ΡΠΏΠΎΡΠΎΠ±ΡΡΠ²ΡΠ΅Ρ ΠΏΠΎΠ²ΡΡΠ΅Π½ΠΈΡ ΡΡΡΠ΅ΠΊΡΠΈΠ²Π½ΠΎΡΡΠΈ Π°Π½ΡΠΈΠ±Π°ΠΊΡΠ΅ΡΠΈΠ°Π»ΡΠ½ΠΎΠΉ ΡΠ΅ΡΠ°ΠΏΠΈΠΈ ΠΏΠΈΠ΅Π»ΠΎΠ½Π΅ΡΡΠΈΡΠ°.
ΡΡΡΡΠΉ ΠΏΠΈΠ΅Π»ΠΎΠ½Π΅ΡΡΠΈΡ Π½Π΅ΠΎΠ±Ρ ΠΎΠ΄ΠΈΠΌΠΎ Π΄ΠΈΡΡΠ΅ΡΠ΅Π½ΡΠΈΡΠΎΠ²Π°ΡΡ Ρ Π·Π°Π±ΠΎΠ»Π΅Π²Π°Π½ΠΈΡΠΌΠΈ, ΠΏΡΠΎΡΠ΅ΠΊΠ°ΡΡΠΈΠΌΠΈ ΡΠ°ΠΊ ΠΆΠ΅, ΠΊΠ°ΠΊ ΠΈ ΠΏΠΈΠ΅Π»ΠΎΠ½Π΅ΡΡΠΈΡ, Ρ ΡΠΈΠΌΠΏΡΠΎΠΌΠ°ΠΌΠΈ ΠΎΠ±ΡΠ΅ΠΉ ΠΈΠ½ΡΠΎΠΊΡΠΈΠΊΠ°ΡΠΈΠΈ, Π²ΡΡΠΎΠΊΠΎΠΉ ΡΠ΅ΠΌΠΏΠ΅ΡΠ°ΡΡΡΠΎΠΉ, ΡΡΠΆΠ΅Π»ΡΠΌ ΠΎΠ±ΡΠΈΠΌ ΡΠΎΡΡΠΎΡΠ½ΠΈΠ΅ΠΌ. ΠΡΠ»ΠΈ ΠΎΡΡΡΡΠΉ ΠΏΠΈΠ΅Π»ΠΎΠ½Π΅ΡΡΠΈΡ Ρ ΡΠ°ΠΊΠΎΠΉ ΠΊΠ»ΠΈΠ½ΠΈΡΠ΅ΡΠΊΠΎΠΉ ΠΊΠ°ΡΡΠΈΠ½ΠΎΠΉ ΡΠΎΠΏΡΠΎΠ²ΠΎΠΆΠ΄Π°Π΅ΡΡΡ ΡΠΈΠ»ΡΠ½ΠΎΠΉ Π³ΠΎΠ»ΠΎΠ²Π½ΠΎΠΉ Π±ΠΎΠ»ΡΡ ΠΈ ΠΌΠ΅Π½ΠΈΠ½Π³Π΅Π°Π»ΡΠ½ΡΠΌΠΈ ΡΠΈΠΌΠΏΡΠΎΠΌΠ°ΠΌΠΈ, ΠΎΠ½ ΠΎΡΠΈΠ±ΠΎΡΠ½ΠΎ ΡΠ°ΡΡΠ΅Π½ΠΈΠ²Π°Π΅ΡΡΡ, ΠΎΡΠΎΠ±Π΅Π½Π½ΠΎ ΠΏΡΠΈ ΠΎΡΡΡΡΡΡΠ²ΠΈΠΈ ΠΌΠ΅ΡΡΠ½ΡΡ ΡΠΈΠΌΠΏΡΠΎΠΌΠΎΠ², ΠΊΠ°ΠΊ ΠΎΡΡΡΠΎΠ΅ ΠΈΠ½ΡΠ΅ΠΊΡΠΈΠΎΠ½Π½ΠΎΠ΅ Π·Π°Π±ΠΎΠ»Π΅Π²Π°Π½ΠΈΠ΅ (ΡΡΠΏΠ½ΠΎΠΉ ΠΈ Π±ΡΡΡΠ½ΠΎΠΉ ΡΠΈΡ, ΠΏΠ°ΡΠ°ΡΠΈΡΡ, ΠΌΠ΅Π½ΠΈΠ½Π³ΠΎΠΊΠΎΠΊΠΊΠΎΠ²Π°Ρ ΠΈΠ½ΡΠ΅ΠΊΡΠΈΡ ΠΈ Π΄Ρ.), ΡΡΠΎ Π΄Π°Π΅Ρ ΠΏΠΎΠ²ΠΎΠ΄ ΠΊ ΠΎΡΠΈΠ±ΠΎΡΠ½ΠΎΠΉ Π³ΠΎΡΠΏΠΈΡΠ°Π»ΠΈΠ·Π°ΡΠΈΠΈ ΡΠ°ΠΊΠΈΡ Π±ΠΎΠ»ΡΠ½ΡΡ Π² ΠΈΠ½ΡΠ΅ΠΊΡΠΈΠΎΠ½Π½ΡΡ Π±ΠΎΠ»ΡΠ½ΠΈΡΡ. ΠΠΎΠ»ΡΡΠΈΠ΅ ΡΡΡΠ΄Π½ΠΎΡΡΠΈ Π²ΠΎΠ·Π½ΠΈΠΊΠ°ΡΡ ΠΏΡΠΈ Π΄ΠΈΡΡΠ΅ΡΠ΅Π½ΡΠΈΠ°Π»ΡΠ½ΠΎΠΌ Π΄ΠΈΠ°Π³Π½ΠΎΠ·Π΅ ΠΌΠ΅ΠΆΠ΄Ρ ΠΎΡΡΡΡΠΌ ΠΏΠΈΠ΅Π»ΠΎΠ½Π΅ΡΡΠΈΡΠΎΠΌ ΠΈ ΡΠ΅ΠΏΡΠΈΡΠΎΠΌ, ΠΏΠΎΡΠΊΠΎΠ»ΡΠΊΡ ΠΏΠΎΡΠ°ΠΆΠ΅Π½ΠΈΠ΅ ΠΏΠΎΡΠ΅ΠΊ ΠΌΠΎΠΆΠ΅Ρ Π±ΡΡΡ ΠΎΠ΄Π½ΠΈΠΌ ΠΈΠ· ΠΌΠ΅ΡΡΠ½ΡΡ ΠΏΡΠΎΡΠ²Π»Π΅Π½ΠΈΠΉ ΡΠ΅ΠΏΡΠΈΡΠ°. Π ΡΠΎ ΠΆΠ΅ Π²ΡΠ΅ΠΌΡ ΠΈ ΠΎΡΡΡΡΠΉ Π³Π½ΠΎΠΉΠ½ΡΠΉ ΠΏΠΈΠ΅Π»ΠΎΠ½Π΅ΡΡΠΈΡ ΡΠ°ΠΌ ΠΌΠΎΠΆΠ΅Ρ ΡΠ»ΡΠΆΠΈΡΡ ΠΈΡΡΠΎΡΠ½ΠΈΠΊΠΎΠΌ ΠΈΠ½ΡΠ΅ΠΊΡΠΈΠΈ ΠΈ ΠΏΡΠΈΡΠΈΠ½ΠΎΠΉ ΡΠ΅ΠΏΡΠΈΡΠ°. ΠΠΎΡΡΠΎΠΌΡ ΠΏΡΠΈ ΠΎΡΡΡΡΡΡΠ²ΠΈΠΈ Π΄ΡΡΠ³ΠΈΡ ΠΎΡΠ°Π³ΠΎΠ² ΠΈΠ½ΡΠ΅ΠΊΡΠΈΠΈ ΡΠ»Π΅Π΄ΡΠ΅Ρ Π΄ΡΠΌΠ°ΡΡ, ΡΡΠΎ ΠΊΠ»ΠΈΠ½ΠΈΠΊΠ° ΡΠ΅ΠΏΡΠΈΡΠ° ΠΎΠ±ΡΡΠ»ΠΎΠ²Π»Π΅Π½Π° ΠΎΡΡΡΡΠΌ ΠΏΠΈΠ΅Π»ΠΎΠ½Π΅ΡΡΠΈΡΠΎΠΌ.
ΠΠ½ΠΎΠ³Π΄Π° ΠΎΡΡΡΡΠΉ ΠΏΠΈΠ΅Π»ΠΎΠ½Π΅ΡΡΠΈΡ ΠΌΠΎΠΆΠ΅Ρ ΠΏΡΠΎΡΠ΅ΠΊΠ°ΡΡ Ρ ΠΊΠ°ΡΡΠΈΠ½ΠΎΠΉ ΠΎΡΡΡΠΎΠ³ΠΎ ΠΆΠΈΠ²ΠΎΡΠ°, ΠΏΠ΅ΡΠΈΡΠΎΠ½Π΅Π°Π»ΡΠ½ΡΠΌΠΈ ΡΠΈΠΌΠΏΡΠΎΠΌΠ°ΠΌΠΈ, Π»ΠΎΠΊΠ°Π»ΡΠ½ΡΠΌΠΈ Π±ΠΎΠ»ΡΠΌΠΈ, ΡΠΈΠΌΡΠ»ΠΈΡΡΡΡΠΈΠΌΠΈ ΠΎΡΡΡΡΠΉ Ρ ΠΎΠ»Π΅ΡΠΈΡΡΠΈΡ, ΠΏΠ°Π½ΠΊΡΠ΅Π°ΡΠΈΡ, Π°ΠΏΠΏΠ΅Π½Π΄ΠΈΡΠΈΡ, ΠΏΡΠΎΠ±ΠΎΠ΄Π½ΡΡ ΡΠ·Π²Ρ ΠΆΠ΅Π»ΡΠ΄ΠΊΠ° ΠΈ Π΄Π²Π΅Π½Π°Π΄ΡΠ°ΡΠΈΠΏΠ΅ΡΡΡΠ½ΠΎΠΉ ΠΊΠΈΡΠΊΠΈ ΠΈ Π΄ΡΡΠ³ΠΈΠ΅ ΠΎΡΡΡΡΠ΅ Π·Π°Π±ΠΎΠ»Π΅Π²Π°Π½ΠΈΡ ΠΎΡΠ³Π°Π½ΠΎΠ² Π±ΡΡΡΠ½ΠΎΠΉ ΠΏΠΎΠ»ΠΎΡΡΠΈ, ΡΡΠΎ Π½Π΅ΡΠ΅Π΄ΠΊΠΎ ΡΠ»ΡΠΆΠΈΡ ΠΏΠΎΠ²ΠΎΠ΄ΠΎΠΌ Π΄Π»Ρ Π½Π°ΠΏΡΠ°Π²Π»Π΅Π½ΠΈΡ ΡΠ°ΠΊΠΈΡ Π±ΠΎΠ»ΡΠ½ΡΡ Π² Ρ ΠΈΡΡΡΠ³ΠΈΡΠ΅ΡΠΊΠΈΠ΅ ΠΎΡΠ΄Π΅Π»Π΅Π½ΠΈΡ ΠΈ ΠΏΡΠΎΠ²Π΅Π΄Π΅Π½ΠΈΡ Π½Π΅Π½ΡΠΆΠ½ΡΡ ΠΎΠΏΠ΅ΡΠ°ΡΠΈΠ²Π½ΡΡ Π²ΠΌΠ΅ΡΠ°ΡΠ΅Π»ΡΡΡΠ².
ΠΡΠΈ Π»Π°ΡΠ΅Π½ΡΠ½ΠΎΠΌ ΡΠ΅ΡΠ΅Π½ΠΈΠΈ ΠΎΡΡΡΠΎΠ³ΠΎ ΠΏΠΈΠ΅Π»ΠΎΠ½Π΅ΡΡΠΈΡΠ° Π²ΠΎΠ·Π½ΠΈΠΊΠ°ΡΡ ΡΡΡΠ΄Π½ΠΎΡΡΠΈ Π² Π΄ΠΈΡΡΠ΅ΡΠ΅Π½ΡΠΈΠ°Π»ΡΠ½ΠΎΠΉ Π΄ΠΈΠ°Π³Π½ΠΎΡΡΠΈΠΊΠ΅ Ρ ΠΎΡΡΡΡΠΌ ΠΈΠ»ΠΈ Ρ
ΡΠΎΠ½ΠΈΡΠ΅ΡΠΊΠΈΠΌ Π³Π»ΠΎΠΌΠ΅ΡΡΠ»ΠΎΠ½Π΅ΡΡΠΈΡΠΎΠΌ (ΡΠΌ. Π³Π»ΠΎΠΌΠ΅ΡΡΠ»ΠΎΠ½Π΅ΡΡΠΈΡ), ΠΏΡΠΎΡΠ²Π»ΡΡΡΠΈΠΌΡΡ ΡΠΎΠ»ΡΠΊΠΎ ΠΈΠ·ΠΎΠ»ΠΈΡΠΎΠ²Π°Π½Π½ΡΠΌ ΠΌΠΎΡΠ΅Π²ΡΠΌ ΡΠΈΠ½Π΄ΡΠΎΠΌΠΎΠΌ. ΠΡΠ°Π²ΠΈΠ»ΡΠ½ΡΠΉ Π΄ΠΈΠ°Π³Π½ΠΎΠ· ΠΎΡΡΡΠΎΠ³ΠΎ ΠΏΠΈΠ΅Π»ΠΎΠ½Π΅ΡΡΠΈΡΠ° Π²ΠΎΠ·ΠΌΠΎΠΆΠ΅Π½ Π»ΠΈΡΡ ΠΏΠΎΡΠ»Π΅ ΠΈΡΠΊΠ»ΡΡΠ΅Π½ΠΈΡ Π½Π°Π·Π²Π°Π½Π½ΡΡ
Π·Π°Π±ΠΎΠ»Π΅Π²Π°Π½ΠΈΠΉ, Π΄Π»Ρ ΡΠ΅Π³ΠΎ Π½Π΅ΠΎΠ±Ρ
ΠΎΠ΄ΠΈΠΌΠΎ Ρ
ΠΎΡΠΎΡΠΎ Π·Π½Π°ΡΡ ΠΊΠ»ΠΈΠ½ΠΈΡΠ΅ΡΠΊΡΡ ΡΠΈΠΌΠΏΡΠΎΠΌΠ°ΡΠΈΠΊΡ ΠΈ Π΄ΠΈΠ°Π³Π½ΠΎΡΡΠΈΠΊΡ ΠΏΠΎΡΠ»Π΅Π΄Π½ΠΈΡ
.
ΠΠ΅ΡΠ΅Π½ΠΈΠ΅ Π±ΠΎΠ»Π΅Π·Π½ΠΈ ΠΡΡΡΡΠΉ ΠΏΠΈΠ΅Π»ΠΎΠ½Π΅ΡΡΠΈΡ
ΠΠΎΠ»ΡΠ½ΡΠΌ ΠΏΠΈΠ΅Π»ΠΎΠ½Π΅ΡΡΠΈΡΠΎΠΌ Π½Π°Π·Π½Π°ΡΠ°ΡΡ ΠΊΠΎΠΌΠΏΠ»Π΅ΠΊΡΠ½ΠΎΠ΅ Π»Π΅ΡΠ΅Π½ΠΈΠ΅, ΠΊΠΎΡΠΎΡΠΎΠ΅ Π²ΠΊΠ»ΡΡΠ°Π΅Ρ ΡΠ΅ΠΆΠΈΠΌ, Π΄ΠΈΠ΅ΡΡ, Π°Π½ΡΠΈΠ±Π°ΠΊΡΠ΅ΡΠΈΠ°Π»ΡΠ½ΡΠ΅, ΠΎΠ±ΡΠ΅ΡΠΊΡΠ΅ΠΏΠ»ΡΡΡΠΈΠ΅ ΠΈ Π΄Π΅Π·ΠΈΠ½ΡΠΎΠΊΡΠΈΠΊΠ°ΡΠΈΠΎΠ½Π½ΡΠ΅ ΡΡΠ΅Π΄ΡΡΠ²Π°, Π° ΡΠ°ΠΊΠΆΠ΅ ΠΌΠ΅ΡΠΎΠΏΡΠΈΡΡΠΈΡ, Π½Π°ΠΏΡΠ°Π²Π»Π΅Π½Π½ΡΠ΅ Π½Π° ΡΡΡΡΠ°Π½Π΅Π½ΠΈΠ΅ ΠΏΡΠΈΡΠΈΠ½, ΠΏΡΠ΅ΠΏΡΡΡΡΠ²ΡΡΡΠΈΡ Π½ΠΎΡΠΌΠ°Π»ΡΠ½ΠΎΠΌΡ ΠΏΠ°ΡΡΠ°ΠΆΡ ΠΌΠΎΡΠΈ.
ΠΠΎΠ»ΡΠ½ΡΠ΅ ΠΎΡΡΡΡΠΌ ΠΏΠΈΠ΅Π»ΠΎΠ½Π΅ΡΡΠΈΡΠΎΠΌ Π½ΡΠΆΠ΄Π°ΡΡΡΡ Π² ΠΎΠ±ΡΠ·Π°ΡΠ΅Π»ΡΠ½ΠΎΠΉ Π³ΠΎΡΠΏΠΈΡΠ°Π»ΠΈΠ·Π°ΡΠΈΠΈ: Π² ΡΡΠΎΠ»ΠΎΠ³ΠΈΡΠ΅ΡΠΊΠΈΠ΅ ΠΎΡΠ΄Π΅Π»Π΅Π½ΠΈΡ — ΠΏΡΠΈ Π²ΡΠΎΡΠΈΡΠ½ΠΎΠΌ, ΠΎΡΠΎΠ±Π΅Π½Π½ΠΎ Π³Π½ΠΎΠΉΠ½ΠΎΠΌ, ΠΈ Π² Π½Π΅ΡΡΠΎΠ»ΠΎΠ³ΠΈΡΠ΅ΡΠΊΠΈΠ΅ (ΡΠ΅ΡΠ°ΠΏΠ΅Π²ΡΠΈΡΠ΅ΡΠΊΠΈΠ΅) — ΠΏΡΠΈ ΠΏΠ΅ΡΠ²ΠΈΡΠ½ΠΎΠΌ ΡΠ΅ΡΠΎΠ·Π½ΠΎΠΌ ΠΏΠΈΠ΅Π»ΠΎΠ½Π΅ΡΡΠΈΡΠ΅. Π‘ΡΠΎΠΊΠΈ Π½Π°Π·Π½Π°ΡΠ°Π΅ΠΌΠΎΠ³ΠΎ Π² ΡΡΠ°ΡΠΈΠΎΠ½Π°ΡΠ΅ ΠΏΠΎΡΡΠ΅Π»ΡΠ½ΠΎΠ³ΠΎ ΡΠ΅ΠΆΠΈΠΌΠ° Π·Π°Π²ΠΈΡΡΡ ΠΎΡ ΡΡΠΆΠ΅ΡΡΠΈ ΠΊΠ»ΠΈΠ½ΠΈΡΠ΅ΡΠΊΠΈΡ ΠΏΡΠΎΡΠ²Π»Π΅Π½ΠΈΠΉ ΠΈ ΠΎΡΠΎΠ±Π΅Π½Π½ΠΎΡΡΠ΅ΠΉ ΡΠ΅ΡΠ΅Π½ΠΈΡ Π·Π°Π±ΠΎΠ»Π΅Π²Π°Π½ΠΈΡ.
ΠΠΈΠ΅ΡΠ° Π΄ΠΎΠ»ΠΆΠ½Π° Π±ΡΡΡ ΡΠ°Π·Π½ΠΎΠΎΠ±ΡΠ°Π·Π½ΠΎΠΉ Ρ Π΄ΠΎΡΡΠ°ΡΠΎΡΠ½ΡΠΌ ΡΠΎΠ΄Π΅ΡΠΆΠ°Π½ΠΈΠ΅ΠΌ Π±Π΅Π»ΠΊΠΎΠ², ΠΆΠΈΡΠΎΠ² ΠΈ ΡΠ³Π»Π΅Π²ΠΎΠ΄ΠΎΠ², Π²ΡΡΠΎΠΊΠΎ Π²ΠΈΡΠ°ΠΌΠΈΠ½ΠΈΠ·ΠΈΡΠΎΠ²Π°Π½Π½ΠΎΠΉ, Ρ ΠΎΠ±ΡΠ΅ΠΉ ΡΡΡΠΎΡΠ½ΠΎΠΉ ΠΊΠ°Π»ΠΎΡΠΈΠΉΠ½ΠΎΡΡΡΡ Π² ΡΡΠ΅Π΄Π½Π΅ΠΌ Π΄ΠΎ 2000-2500 ΠΊΠΊΠ°Π». Π Π΅ΠΊΠΎΠΌΠ΅Π½Π΄ΡΠ΅ΡΡΡ Π»Π΅Π³ΠΊΠΎΡΡΠ²ΠΎΡΠ΅ΠΌΠ°Ρ ΠΏΠΈΡΠ° — ΠΌΠΎΠ»ΠΎΠΊΠΎ ΠΈ ΠΌΠΎΠ»ΠΎΡΠ½ΡΠ΅ ΠΏΡΠΎΠ΄ΡΠΊΡΡ, ΠΊΠ°ΡΠΈ, ΠΎΠ²ΠΎΡΠ½ΡΠ΅ ΠΈ ΡΡΡΠΊΡΠΎΠ²ΡΠ΅ ΠΏΡΡΠ΅, Π±Π΅Π»ΡΠΉ Ρ Π»Π΅Π±.
ΠΠΎΡΠΊΠΎΠ»ΡΠΊΡ Π² ΠΎΡΠ»ΠΈΡΠΈΠ΅ ΠΎΡ Π³Π»ΠΎΠΌΠ΅ΡΡΠ»ΠΎΠ½Π΅ΡΡΠΈΡΠ° ΠΏΡΠΈ ΠΎΡΡΡΠΎΠΌ ΠΏΠΈΠ΅Π»ΠΎΠ½Π΅ΡΡΠΈΡΠ΅ ΠΎΠ±ΡΡΠ½ΠΎ Π½Π΅ ΠΏΡΠΎΠΈΡΡ ΠΎΠ΄ΠΈΡ Π·Π°Π΄Π΅ΡΠΆΠΊΠΈ ΠΆΠΈΠ΄ΠΊΠΎΡΡΠΈ Π² ΠΎΡΠ³Π°Π½ΠΈΠ·ΠΌΠ΅ ΠΈ ΠΎΡΡΡΡΡΡΠ²ΡΡΡ ΠΎΡΠ΅ΠΊΠΈ, ΡΠΎ ΡΡΡΠ΅ΡΡΠ²Π΅Π½Π½ΡΡ ΠΎΠ³ΡΠ°Π½ΠΈΡΠ΅Π½ΠΈΠΉ Π² ΡΠΏΠΎΡΡΠ΅Π±Π»Π΅Π½ΠΈΠΈ ΠΆΠΈΠ΄ΠΊΠΎΡΡΠΈ ΠΈ ΡΠΎΠ»ΠΈ Π½Π΅ ΡΡΠ΅Π±ΡΠ΅ΡΡΡ. ΠΠ°ΠΏΡΠΎΡΠΈΠ², Π² ΡΠ΅Π»ΡΡ Π΄Π΅Π·ΠΈΠ½ΡΠΎΠΊΡΠΈΠΊΠ°ΡΠΈΠΈ ΠΏΡΠΈ Π²ΡΡΠΎΠΊΠΎΠΉ ΡΠ΅ΠΌΠΏΠ΅ΡΠ°ΡΡΡΠ΅ ΠΈ ΡΡΠΆΠ΅Π»ΠΎΠΌ ΠΎΠ±ΡΠ΅ΠΌ ΡΠΎΡΡΠΎΡΠ½ΠΈΠΈ ΡΠ΅ΠΊΠΎΠΌΠ΅Π½Π΄ΡΠ΅ΡΡΡ Π΄ΠΎΠΏΠΎΠ»Π½ΠΈΡΠ΅Π»ΡΠ½ΠΎΠ΅ Π²Π²Π΅Π΄Π΅Π½ΠΈΠ΅ ΠΆΠΈΠ΄ΠΊΠΎΡΡΠΈ, Π² ΡΠΎΠΌ ΡΠΈΡΠ»Π΅ ΠΈ ΠΏΠ°ΡΠ΅Π½ΡΠ΅ΡΠ°Π»ΡΠ½ΠΎ Π² Π²ΠΈΠ΄Π΅ ΡΠ°Π·Π»ΠΈΡΠ½ΡΡ ΡΠ°ΡΡΠ²ΠΎΡΠΎΠ² (Π²Π½ΡΡΡΠΈΠ²Π΅Π½Π½ΠΎ ΠΊΠ°ΠΏΠ΅Π»ΡΠ½ΠΎ Π³Π΅ΠΌΠΎΠ΄Π΅Π·, Π½Π΅ΠΎΠΊΠΎΠΌΠΏΠ΅Π½ΡΠ°Π½, ΡΠ΅ΠΎΠΏΠΎΠ»ΠΈΠ³Π»ΡΠΊΠΈΠ½, ΠΏΠΎΠ»ΠΈΠ³Π»ΡΠΊΠΈΠ½, Π³Π»ΡΠΊΠΎΠ·Π°, ΠΈΠ·ΠΎΡΠΎΠ½ΠΈΡΠ΅ΡΠΊΠΈΠΉ ΡΠ°ΡΡΠ²ΠΎΡ Π½Π°ΡΡΠΈΡ Ρ Π»ΠΎΡΠΈΠ΄Π° ΠΈ Ρ. ΠΏ.). Π ΡΡΠ΅Π΄Π½Π΅ΠΌ ΠΎΠ±ΡΠ΅Π΅ ΠΊΠΎΠ»ΠΈΡΠ΅ΡΡΠ²ΠΎ Π²Π²ΠΎΠ΄ΠΈΠΌΠΎΠΉ ΠΏΠ°ΡΠ΅Π½ΡΠ΅ΡΠ°Π»ΡΠ½ΠΎ ΠΈΠ»ΠΈ (ΠΈ) ΠΏΡΠΈΠ½ΡΡΠΎΠΉ Π²Π½ΡΡΡΡ ΠΆΠΈΠ΄ΠΊΠΎΡΡΠΈ Π² ΡΠ΅ΡΠ΅Π½ΠΈΠ΅ ΡΡΡΠΎΠΊ ΠΌΠΎΠΆΠ΅Ρ ΡΠΎΡΡΠ°Π²Π»ΡΡΡ Π΄ΠΎ 2,5- 3,0 Π», ΠΆΠ΅Π»Π°ΡΠ΅Π»ΡΠ½ΠΎ Π² Π²ΠΈΠ΄Π΅ ΡΠ°Π·Π»ΠΈΡΠ½ΡΡ ΡΠ²Π΅ΠΆΠΈΡ Π½Π°ΡΡΡΠ°Π»ΡΠ½ΡΡ ΡΠΎΠΊΠΎΠ², ΠΊΠΎΠΌΠΏΠΎΡΠΎΠ², ΠΊΠΈΡΠ΅Π»Π΅ΠΉ, ΠΎΡΠ²Π°ΡΠ° ΡΠΈΠΏΠΎΠ²Π½ΠΈΠΊΠ°, ΡΠ°Ρ, ΠΌΠΈΠ½Π΅ΡΠ°Π»ΡΠ½ΡΡ Π²ΠΎΠ΄ (Π΅ΡΡΠ΅Π½ΡΡΠΊΠΈ, Π±ΠΎΡΠΆΠΎΠΌΠΈ, Π±Π΅ΡΠ΅Π·ΠΎΠ²ΡΠΊΠ°Ρ ΠΈ Π΄Ρ.). ΠΠ΅ΠΊΠΎΡΠΎΡΡΠ΅ ΠΊΠ»ΠΈΠ½ΠΈΡΠΈΡΡΡ (Π. Π―.. ΠΡΡΠ΅Π»Ρ, 1972, 1977) ΡΡΠΈΡΠ°ΡΡ ΡΠ΅Π»Π΅ΡΠΎΠΎΠ±ΡΠ°Π·Π½ΡΠΌ Π½Π°Π·Π½Π°ΡΠ°ΡΡ Π±ΠΎΠ»ΡΠ½ΡΠΌ, ΠΎΡΠΎΠ±Π΅Π½Π½ΠΎ Π»ΠΈΡ ΠΎΡΠ°Π΄ΡΡΠΈΠΌ, ΠΊΠ»ΡΠΊΠ²Π΅Π½Π½ΡΠΉ ΠΌΠΎΡΡ, Π² ΠΊΠΎΡΠΎΡΠΎΠΌ ΡΠΎΠ΄Π΅ΡΠΆΠΈΡΡΡ Π±ΠΎΠ»ΡΡΠΎΠ΅ ΠΊΠΎΠ»ΠΈΡΠ΅ΡΡΠ²ΠΎ Π±Π΅Π½Π·ΠΎΠΉΠ½ΠΎΠΊΠΈΡΠ»ΠΎΠ³ΠΎ Π½Π°ΡΡΠΈΡ, ΠΏΡΠ΅Π²ΡΠ°ΡΠ°ΡΡΠ΅Π³ΠΎΡΡ Π² ΠΏΠ΅ΡΠ΅Π½ΠΈ ΠΏΠΎΠ΄ Π²Π»ΠΈΡΠ½ΠΈΠ΅ΠΌ Π³Π»ΠΈΡΠΈΠ½Π° Π² Π³ΠΈΠΏΠΏΡΡΠΎΠ²ΡΡ ΠΊΠΈΡΠ»ΠΎΡΡ. ΠΠΎΡΠ»Π΅Π΄Π½ΡΡ, Π²ΡΠ΄Π΅Π»ΡΡΡΡ ΠΏΠΎΡΠΊΠ°ΠΌΠΈ, ΠΎΠΊΠ°Π·ΡΠ²Π°Π΅Ρ Π±Π°ΠΊΡΠ΅ΡΠΈΡΠΈΠ΄Π½ΠΎΠ΅ Π²Π»ΠΈΡΠ½ΠΈΠ΅ Π½Π° ΠΌΠΈΠΊΡΠΎΡΠ»ΠΎΡΡ ΠΏΠΎΡΠ΅ΠΊ ΠΈ ΠΌΠΎΡΠ΅Π²ΡΡ ΠΏΡΡΠ΅ΠΉ, ΡΡΠΈΠ»ΠΈΠ²Π°Ρ ΡΠ°ΠΊΠΈΠΌ ΠΎΠ±ΡΠ°Π·ΠΎΠΌ Π΄Π΅ΠΉΡΡΠ²ΠΈΠ΅ Π°Π½ΡΠΈΠ±ΠΈΠΎΡΠΈΠΊΠΎΠ² ΠΈ Π΄ΡΡΠ³ΠΈΡ ΠΏΡΠΎΡΠΈΠ²ΠΎΠΌΠΈΠΊΡΠΎΠ±Π½ΡΡ ΡΡΠ΅Π΄ΡΡΠ². Π‘ΡΡΠΎΡΠ½ΠΎΠ΅ ΠΊΠΎΠ»ΠΈΡΠ΅ΡΡΠ²ΠΎ ΠΏΠΎΠ²Π°ΡΠ΅Π½Π½ΠΎΠΉ ΡΠΎΠ»ΠΈ ΡΠΎΡΡΠ°Π²Π»ΡΠ΅Ρ 6-10 Π³.
ΠΠ· ΠΏΠΈΡΠ΅Π²ΠΎΠ³ΠΎ ΡΠ°ΡΠΈΠΎΠ½Π° Π½Π΅ΠΎΠ±Ρ ΠΎΠ΄ΠΈΠΌΠΎ ΠΈΡΠΊΠ»ΡΡΠΈΡΡ ΠΎΡΡΡΡΠ΅ Π±Π»ΡΠ΄Π°, ΠΌΡΡΠ½ΡΠ΅ Π½Π°Π²Π°ΡΡ, ΠΊΠΎΠ½ΡΠ΅ΡΠ²Ρ, ΠΊΠΎΡΠ΅, Π°Π»ΠΊΠΎΠ³ΠΎΠ»ΡΠ½ΡΠ΅ Π½Π°ΠΏΠΈΡΠΊΠΈ, ΡΠ°Π·Π»ΠΈΡΠ½ΡΠ΅ Π²ΠΊΡΡΠΎΠ²ΡΠ΅ ΠΏΡΠΈΠΏΡΠ°Π²Ρ (ΠΏΠ΅ΡΠ΅Ρ, Π³ΠΎΡΡΠΈΡΠ°, Π»ΡΠΊ, Ρ ΡΠ΅Π½ ΠΈ Π΄Ρ.), ΡΠ°Π·Π΄ΡΠ°ΠΆΠ°ΡΡΠΈΠ΅ ΠΌΠΎΡΠ΅Π²ΡΠ΅ ΠΏΡΡΠΈ ΠΈ ΠΏΠΎΡΠΊΠΈ.
Π Π΅ΡΠ°ΡΡΠ΅Π΅ Π·Π½Π°ΡΠ΅Π½ΠΈΠ΅ Π² Π»Π΅ΡΠ΅Π½ΠΈΠΈ ΠΎΡΡΡΠΎΠ³ΠΎ ΠΏΠΈΠ΅Π»ΠΎΠ½Π΅ΡΡΠΈΡΠ° ΠΏΡΠΈΠ½Π°Π΄Π»Π΅ΠΆΠΈΡ ΠΏΡΠΎΡΠΈΠ²ΠΎΠΌΠΈΠΊΡΠΎΠ±Π½ΡΠΌ ΡΡΠ΅Π΄ΡΡΠ²Π°ΠΌ. ΠΡΠ½ΠΎΠ²Π½ΠΎΠ΅ ΠΏΡΠ°Π²ΠΈΠ»ΠΎ Π°Π½ΡΠΈΠ±Π°ΠΊΡΠ΅ΡΠΈΠ°Π»ΡΠ½ΠΎΠΉ ΡΠ΅ΡΠ°ΠΏΠΈΠΈ — Π½Π°Π·Π½Π°ΡΠ΅Π½ΠΈΠ΅ ΠΎΠΏΡΠΈΠΌΠ°Π»ΡΠ½ΡΡ (Π»ΠΈΠ±ΠΎ ΠΌΠ°ΠΊΡΠΈΠΌΠ°Π»ΡΠ½ΡΡ ) Π΄ΠΎΠ·, ΡΠ°Π½Π½Π΅Π΅ Π½Π°ΡΠ°Π»ΠΎ ΠΈ Π΄ΠΎΡΡΠ°ΡΠΎΡΠ½Π°Ρ Π΅Π΅ ΠΏΡΠΎΠ΄ΠΎΠ»ΠΆΠΈΡΠ΅Π»ΡΠ½ΠΎΡΡΡ, ΡΠΎΠΎΡΠ²Π΅ΡΡΡΠ²ΠΈΠ΅ Π°Π½ΡΠΈΠ±ΠΈΠΎΡΠΈΠΊΠ° ΠΈ ΡΡΠ²ΡΡΠ²ΠΈΡΠ΅Π»ΡΠ½ΠΎΡΡΠΈ ΠΊ Π½Π΅ΠΌΡ ΠΌΠΈΠΊΡΠΎΡΠ»ΠΎΡΡ ΠΌΠΎΡΠΈ. ΠΡΠ»ΠΈ ΡΡΠ²ΡΡΠ²ΠΈΡΠ΅Π»ΡΠ½ΠΎΡΡΡ ΠΌΠΈΠΊΡΠΎΡΠ»ΠΎΡΡ ΠΎΠΏΡΠ΅Π΄Π΅Π»ΠΈΡΡ Π½Π΅Π²ΠΎΠ·ΠΌΠΎΠΆΠ½ΠΎ, Π»Π΅ΡΠ΅Π½ΠΈΠ΅ ΠΏΡΠΎΠ²ΠΎΠ΄ΡΡ Π°Π½ΡΠΈΠ±ΠΈΠΎΡΠΈΠΊΠ°ΠΌΠΈ, ΠΎΠ±Π»Π°Π΄Π°ΡΡΠΈΠΌΠΈ ΡΠΈΡΠΎΠΊΠΈΠΌ ΡΠΏΠ΅ΠΊΡΡΠΎΠΌ ΠΏΡΠΎΡΠΈΠ²ΠΎΠΌΠΈΠΊΡΠΎΠ±Π½ΠΎΠ³ΠΎ Π΄Π΅ΠΉΡΡΠ²ΠΈΡ. ΠΠΎΠ·Π° Π°Π½ΡΠΈΠ±ΠΈΠΎΡΠΈΠΊΠ° Π΄ΠΎΠ»ΠΆΠ½Π° ΡΠΎΠΎΡΠ²Π΅ΡΡΡΠ²ΠΎΠ²Π°ΡΡ ΡΡΠΆΠ΅ΡΡΠΈ ΠΊΠ»ΠΈΠ½ΠΈΡΠ΅ΡΠΊΠΈΡ ΠΏΡΠΎΡΠ²Π»Π΅Π½ΠΈΠΉ Π·Π°Π±ΠΎΠ»Π΅Π²Π°Π½ΠΈΡ ΠΈ Π΅Π³ΠΎ ΡΠ΅ΡΠ΅Π½ΠΈΡ. ΠΡΠΈ ΡΡΠΆΠ΅Π»ΡΡ ΡΠΎΡΠΌΠ°Ρ ΠΏΠΈΠ΅Π»ΠΎΠ½Π΅ΡΡΠΈΡΠ° Π½Π°Π·Π½Π°ΡΠ°ΡΡ ΠΌΠ°ΠΊΡΠΈΠΌΠ°Π»ΡΠ½ΡΠ΅ Π΄ΠΎΠ·Ρ Π°Π½ΡΠΈΠ±ΠΈΠΎΡΠΈΠΊΠΎΠ², ΡΠ°ΡΡΠΎ Π² ΡΠΎΡΠ΅ΡΠ°Π½ΠΈΠΈ Ρ ΡΡΠ»ΡΡΠ°Π½ΠΈΠ»Π°ΠΌΠΈΠ΄Π°ΠΌΠΈ ΠΈΠ»ΠΈ ΠΏΡΠ΅ΠΏΠ°ΡΠ°ΡΠ°ΠΌΠΈ Π½ΠΈΡΡΠΎΡΡΡΠ°Π½ΠΎΠ²ΠΎΠ³ΠΎ ΡΡΠ΄Π°. ΠΡΠΈ Π²ΡΠ±ΠΎΡΠ΅ Π°Π½ΡΠΈΠ±ΠΈΠΎΡΠΈΠΊΠ° Π½Π΅ΠΎΠ±Ρ ΠΎΠ΄ΠΈΠΌΠΎ ΡΡΠΈΡΡΠ²Π°ΡΡ ΡΠ°ΠΊΠΆΠ΅ Π²ΠΎΠ·ΠΌΠΎΠΆΠ½ΠΎΡΡΡ Π΅Π³ΠΎ Π½Π΅ΡΡΠΎΡΠΎΠΊΡΠΈΡΠ½ΠΎΠ³ΠΎ Π΄Π΅ΠΉΡΡΠ²ΠΈΡ ΠΈ ΠΈΠ½Π΄ΠΈΠ²ΠΈΠ΄ΡΠ°Π»ΡΠ½ΡΡ ΡΡΠ²ΡΡΠ²ΠΈΡΠ΅Π»ΡΠ½ΠΎΡΡΡ ΠΊ Π½Π΅ΠΌΡ ΠΎΡΠ³Π°Π½ΠΈΠ·ΠΌΠ° Π±ΠΎΠ»ΡΠ½ΠΎΠ³ΠΎ. ΠΠΎΡΠΊΠΎΠ»ΡΠΊΡ Π² ΠΏΡΠΎΡΠ΅ΡΡΠ΅ Π»Π΅ΡΠ΅Π½ΠΈΡ ΠΌΠΎΠΆΠ΅Ρ ΠΏΡΠΎΠΈΡΡ ΠΎΠ΄ΠΈΡΡ ΡΠΌΠ΅Π½Π° ΠΌΠΈΠΊΡΠΎΡΠ»ΠΎΡΡ Π»ΠΈΠ±ΠΎ ΡΠ°Π·Π²ΠΈΠ²Π°Π΅ΡΡΡ ΡΡΡΠΎΠΉΡΠΈΠ²ΠΎΡΡΡ Π΅Π΅ ΠΊ Π½Π°Π·Π½Π°ΡΠ΅Π½Π½ΠΎΠΌΡ Π°Π½ΡΠΈΠ±ΠΈΠΎΡΠΈΠΊΡ, ΡΠΎ Π½Π΅ΠΎΠ±Ρ ΠΎΠ΄ΠΈΠΌΠΎ ΠΏΡΠΎΠ²ΠΎΠ΄ΠΈΡΡ ΠΏΠΎΠ²ΡΠΎΡΠ½ΡΠ΅ ΠΏΠΎΡΠ΅Π²Ρ ΠΌΠΎΡΠΈ (ΡΠ°Π· Π² 10-14 Π΄Π½Π΅ΠΉ) Π½Π° ΠΌΠΈΠΊΡΠΎΡΠ»ΠΎΡΡ ΠΈ ΠΎΠΏΡΠ΅Π΄Π΅Π»ΡΡΡ Π΅Π΅ ΡΡΠ²ΡΡΠ²ΠΈΡΠ΅Π»ΡΠ½ΠΎΡΡΡ ΠΊ Π°Π½ΡΠΈΠ±ΠΈΠΎΡΠΈΠΊΠ°ΠΌ.
ΠΠ½ΡΠΈΠ±Π°ΠΊΡΠ΅ΡΠΈΠ°Π»ΡΠ½Π°Ρ ΡΠ΅ΡΠ°ΠΏΠΈΡ Π΄ΠΎΠ»ΠΆΠ½Π° ΠΏΡΠΎΠ²ΠΎΠ΄ΠΈΡΡΡΡ Π½Π΅ ΠΌΠ΅Π½Π΅Π΅ 2 Π½Π΅Π΄Π΅Π»Ρ, Π° ΡΠ°ΡΠ΅ 4-6 Π½Π΅Π΄Π΅Π»Ρ ΠΈ Π±ΠΎΠ»Π΅Π΅: Π΄ΠΎ ΠΏΠΎΠ»Π½ΠΎΠΉ Π½ΠΎΡΠΌΠ°Π»ΠΈΠ·Π°ΡΠΈΠΈ ΡΠ΅ΠΌΠΏΠ΅ΡΠ°ΡΡΡΡ ΡΠ΅Π»Π°, ΠΏΠ΅ΡΠΈΡΠ΅ΡΠΈΡΠ΅ΡΠΊΠΎΠΉ ΠΊΡΠΎΠ²ΠΈ, ΡΡΠΎΠΉΠΊΠΎΠ³ΠΎ ΠΈΡΡΠ΅Π·Π½ΠΎΠ²Π΅Π½ΠΈΡ ΠΏΡΠΎΡΠ΅ΠΈΠ½ΡΡΠΈΠΈ, Π»Π΅ΠΉΠΊΠΎΡΠΈΡΡΡΠΈΠΈ ΠΈ Π±Π°ΠΊΡΠ΅ΡΠΈΡΡΠΈΠΈ) ΠΎΠΏΡΠ΅Π΄Π΅Π»ΡΠ΅ΠΌΡΡ ΠΏΡΠΈ ΠΏΠΎΠ²ΡΠΎΡΠ½ΡΡ ΠΌΠ½ΠΎΠ³ΠΎΠΊΡΠ°ΡΠ½ΡΡ ΠΈΡΡΠ»Π΅Π΄ΠΎΠ²Π°Π½ΠΈΡΡ ΠΌΠΎΡΠΈ. Π¨ΠΈΡΠΎΠΊΠΎ ΠΈΡΠΏΠΎΠ»ΡΠ·ΡΡΡΡΡ ΠΏΠ΅Π½ΠΈΡΠΈΠ»Π»ΠΈΠ½ Π² ΡΡΡΠΎΡΠ½ΠΎΠΉ Π΄ΠΎΠ·Π΅ 4-6 ΠΌΠ»Π½ ΠΠ (Π² ΡΡΠΆΠ΅Π»ΡΡ ΡΠ»ΡΡΠ°ΡΡ — Π΄ΠΎ 8-12 ΠΌΠ»Π½ ΠΠ ΠΈ Π±ΠΎΠ»Π΅Π΅), ΠΏΠΎΠ»ΡΡΠΈΠ½ΡΠ΅ΡΠΈΡΠ΅ΡΠΊΠΈΠ΅ ΠΏΡΠ΅ΠΏΠ°ΡΠ°ΡΡ ΠΏΠ΅Π½ΠΈΡΠΈΠ»Π»ΠΈΠ½ΠΎΠ²ΠΎΠ³ΠΎ ΡΡΠ΄Π° — ΠΎΠΊΡΠ°ΡΠΈΠ»Π»ΠΈΠ½, Π°ΠΌΠΏΠΈΡΠΈΠ»Π»ΠΈΠ½, ΠΌΠ΅ΡΠΈΡΠΈΠ»Π»ΠΈΠ½, Π°ΠΌΠΏΠΈΠΎΠΊΡ ΠΈ Π΄Ρ. ΠΡΠΈ ΠΊΠΎΠ»ΠΈΠ±Π°ΡΠΈΠ»Π»ΡΡΠ½ΠΎΠΉ ΠΈΠ½ΡΠ΅ΠΊΡΠΈΠΈ ΡΡΡΠ΅ΠΊΡΠΈΠ²Π½Ρ Π»Π΅Π²ΠΎΠΌΠΈΡΠ΅ΡΠΈΠ½Π° ΡΡΠΊΡΠΈΠ½Π°Ρ (ΠΏΠΎ 0,5 Π³ 3 ΡΠ°Π·Π° Π² ΡΡΡΠΊΠΈ Π²Π½ΡΡΡΠΈΠΌΡΡΠ΅ΡΠ½ΠΎ ΠΈΠ»ΠΈ Π²Π½ΡΡΡΠΈΠ²Π΅Π½Π½ΠΎ), Π³Π΅Π½ΡΠ°ΠΌΠΈΡΠΈΠ½ ΠΈΠ»ΠΈ Π³Π°ΡΠ°ΠΌΠΈΡΠΈΠ½ (ΠΏΠΎ 40-80 ΠΌΠ³ 3 ΡΠ°Π·Π° Π² ΡΡΡΠΊΠΈ ΠΏΠ°ΡΠ΅Π½ΡΠ΅ΡΠ°Π»ΡΠ½ΠΎ). ΠΡΠΈ ΡΠΌΠ΅ΡΠ°Π½Π½ΠΎΠΉ ΠΈ ΡΡΡΠΎΠΉΡΠΈΠ²ΠΎΠΉ ΠΊ Π°Π½ΡΠΈΠ±ΠΈΠΎΡΠΈΠΊΠ°ΠΌ ΠΌΠΈΠΊΡΠΎΡΠ»ΠΎΡΠ΅ Π½Π°Π·Π½Π°ΡΠ°ΡΡ Π² ΠΎΠΏΡΠΈΠΌΠ°Π»ΡΠ½ΡΡ Π΄ΠΎΠ·Π°Ρ ΡΡΠΈΡΡΠΎΠΌΠΈΡΠΈΠ½, ΡΠ΅ΠΏΠΎΡΠΈΠ½, ΠΊΠ΅ΡΠ·ΠΎΠ», ΡΠΈΠΏΡΠΎΠ±Π°ΠΉ, ΡΠ°ΡΠΈΠ²ΠΈΠ΄, Π»ΠΈΠ½ΠΊΠΎΠΌΠΈΡΠΈΠ½, ΡΠΈΡΡΠΎΠΌΠΈΡΠΈΠ½, ΡΠΎΠ½Π΄ΠΎΠΌΠΈΡΠΈΠ½, Π²ΠΈΠ±ΡΠ°ΠΌΠΈΡΠΈΠ½ ΠΈ Π΄ΡΡΠ³ΠΈΠ΅ Π°Π½ΡΠΈΠ±Π°ΠΊΡΠ΅ΡΠΈΠ°Π»ΡΠ½ΡΠ΅ ΠΏΡΠ΅ΠΏΠ°ΡΠ°ΡΡ, ΠΎΠ±Π»Π°Π΄Π°ΡΡΠΈΠ΅ ΡΠΈΡΠΎΠΊΠΈΠΌ ΡΠΏΠ΅ΠΊΡΡΠΎΠΌ ΠΏΡΠΎΡΠΈΠ²ΠΎΠΌΠΈΠΊΡΠΎΠ±Π½ΠΎΠ³ΠΎ Π΄Π΅ΠΉΡΡΠ²ΠΈΡ. Π ΡΡΠΆΠ΅Π»ΡΡ ΡΠ»ΡΡΠ°ΡΡ ΠΏΡΠΈΠ±Π΅Π³Π°ΡΡ ΠΊ Π²Π½ΡΡΡΠΈΠ²Π΅Π½Π½ΠΎΠΌΡ Π²Π²Π΅Π΄Π΅Π½ΠΈΡ Π°Π½ΡΠΈΠ±ΠΈΠΎΡΠΈΠΊΠΎΠ² Π² ΠΎΠΏΡΠΈΠΌΠ°Π»ΡΠ½ΡΡ , Π° ΠΏΡΠΈ ΠΎΡΡΡΡΡΡΠ²ΠΈΠΈ ΡΡΡΠ΅ΠΊΡΠ° — Π² ΠΌΠ°ΠΊΡΠΈΠΌΠ°Π»ΡΠ½ΡΡ Π΄ΠΎΠ·Π°Ρ . ΠΡΠΈ ΡΡΠΎΠΌ Π½Π΅ΠΎΠ±Ρ ΠΎΠ΄ΠΈΠΌΠΎ ΡΡΠΈΡΡΠ²Π°ΡΡ Π²ΠΎΠ·ΠΌΠΎΠΆΠ½ΠΎΡΡΡ Π½Π΅ΡΡΠΎΡΠΎΠΊΡΠΈΡΠ½ΠΎΠ³ΠΎ ΠΈ ΠΎΡΠΎΡΠΎΠΊΡΠΈΡΠ½ΠΎΠ³ΠΎ Π΄Π΅ΠΉΡΡΠ²ΠΈΡ Π½Π΅ΠΊΠΎΡΠΎΡΡΡ Π°Π½ΡΠΈΠ±ΠΈΠΎΡΠΈΠΊΠΎΠ², ΠΎΡΠΎΠ±Π΅Π½Π½ΠΎ Π°ΠΌΠΈΠ½ΠΎΠ³Π»ΠΈΠΊΠΎΠ·ΠΈΠ΄ΠΎΠ². Π ΡΠ²ΡΠ·ΠΈ Ρ Π²ΠΎΠ·ΠΌΠΎΠΆΠ½ΠΎΡΡΡΡ ΡΠ΅Π·ΠΈΡΡΠ΅Π½ΡΠ½ΠΎΡΡΠΈ ΠΌΠΈΠΊΡΠΎΠ±ΠΎΠ² ΠΊ Π°Π½ΡΠΈΠ±ΠΈΠΎΡΠΈΠΊΠ°ΠΌ ΡΠ΅Π»Π΅ΡΠΎΠΎΠ±ΡΠ°Π·Π½Π° ΠΈΡ ΡΠΌΠ΅Π½Π° ΡΠ΅ΡΠ΅Π· 10-14 Π΄Π½Π΅ΠΉ, ΡΡΠΎ ΠΎΡΠΎΠ±Π΅Π½Π½ΠΎ Π²Π°ΠΆΠ½ΠΎ ΠΏΡΠΈ ΠΎΡΡΡΡΡΡΠ²ΠΈΠΈ ΡΡΠ»ΠΎΠ²ΠΈΠΉ Π΄Π»Ρ ΠΈΡΡΠ»Π΅Π΄ΠΎΠ²Π°Π½ΠΈΡ ΠΌΠΎΡΠΈ Π½Π° ΠΌΠΈΠΊΡΠΎΡΠ»ΠΎΡΡ ΠΈ Π΅Π΅ ΡΡΠ²ΡΡΠ²ΠΈΡΠ΅Π»ΡΠ½ΠΎΡΡΡ ΠΊ Π°Π½ΡΠΈΠ±ΠΈΠΎΡΠΈΠΊΠ°ΠΌ.
ΠΡΠΈ Π΄Π»ΠΈΡΠ΅Π»ΡΠ½ΠΎΠΌ Π»Π΅ΡΠ΅Π½ΠΈΠΈ Π°Π½ΡΠΈΠ±ΠΈΠΎΡΠΈΠΊΠ°ΠΌΠΈ Π½Π΅ΠΎΠ±Ρ ΠΎΠ΄ΠΈΠΌΠΎ Π½Π°Π·Π½Π°ΡΠ°ΡΡ ΠΏΡΠΎΡΠΈΠ²ΠΎΠ³ΡΠΈΠ±ΠΊΠΎΠ²ΡΠ΅ ΠΏΡΠ΅ΠΏΠ°ΡΠ°ΡΡ — Π½ΠΈΡΡΠ°ΡΠΈΠ½, Π»Π΅Π²ΠΎΡΠΈΠ½, Π° ΡΠ°ΠΊΠΆΠ΅ Π²ΠΈΡΠ°ΠΌΠΈΠ½Ρ (B1, B6, B12, Π‘, Π , Π Π ΠΈ Π΄Ρ.) ΠΈ Π°Π½ΡΠΈΠ³ΠΈΡΡΠ°ΠΌΠΈΠ½Π½ΡΠ΅ ΠΏΡΠ΅ΠΏΠ°ΡΠ°ΡΡ (Π΄ΠΈΠΌΠ΅Π΄ΡΠΎΠ», ΠΏΠΈΠΏΠΎΠ»ΡΡΠ΅Π½, ΡΡΠΏΡΠ°ΡΡΠΈΠ½, ΡΠ°Π²Π΅Π³ΠΈΠ» ΠΈ Π΄Ρ.). Π Π»Π΅Π³ΠΊΠΈΡ ΡΠ»ΡΡΠ°ΡΡ Π·Π°Π±ΠΎΠ»Π΅Π²Π°Π½ΠΈΡ, Π° ΡΠ°ΠΊΠΆΠ΅ Π΅ΡΠ»ΠΈ Π½Π΅Π²ΠΎΠ·ΠΌΠΎΠΆΠ½ΠΎ ΠΏΡΠΎΠ²ΠΎΠ΄ΠΈΡΡ ΠΈΠ»ΠΈ ΠΏΡΠΎΠ΄ΠΎΠ»ΠΆΠ°ΡΡ Π»Π΅ΡΠ΅Π½ΠΈΠ΅ Π°Π½ΡΠΈΠ±ΠΈΠΎΡΠΈΠΊΠ°ΠΌΠΈ (Π²ΡΠ»Π΅Π΄ΡΡΠ²ΠΈΠ΅ Π½Π΅ΠΏΠ΅ΡΠ΅Π½ΠΎΡΠΈΠΌΠΎΡΡΠΈ ΠΈΡ ΠΈΠ»ΠΈ Π³ΡΠΈΠ±ΠΊΠΎΠ²ΡΡ ΠΎΡΠ»ΠΎΠΆΠ½Π΅Π½ΠΈΠΉ) ΠΏΠΎΠΊΠ°Π·Π°Π½Ρ ΡΡΠ»ΡΡΠ°Π½ΠΈΠ»Π°ΠΌΠΈΠ΄Ρ — ΡΡΠ°Π·ΠΎΠ», ΡΡΠΎΡΡΠ»ΡΡΠ°Π½, ΡΡΠ»ΡΡΠ°Π΄ΠΈΠΌΠ΅ΡΠΎΠΊΡΠΈΠ½, Π±ΠΈΡΠ΅ΠΏΡΠΎΠ», Π±Π°ΠΊΡΡΠΈΠΌ ΠΈ Π΄ΡΡΠ³ΠΈΠ΅ Π² ΠΎΠ±ΡΡΠ½ΡΡ Π΄ΠΎΠ·Π°Ρ . ΠΠΎ ΠΈΠΌΠ΅ΡΡΠΈΠΌΡΡ Π΄Π°Π½Π½ΡΠΌ, ΡΡΠΎΡΡΠ»ΡΡΠ°Π½ Π½Π°ΠΈΠ±ΠΎΠ»Π΅Π΅ Π°ΠΊΡΠΈΠ²Π΅Π½ ΠΏΡΠΈ ΡΡΠ°ΡΠΈΠ»ΠΎΠΊΠΎΠΊΠΊΠΎΠ²ΠΎΠΉ ΠΈ ΠΊΠΎΠ»ΠΈΠ±Π°ΡΠΈΠ»Π»ΡΡΠ½ΠΎΠΉ, Π° ΡΡΠ°Π·ΠΎΠ» — ΠΏΡΠΈ ΡΡΡΠ΅ΠΏΡΠΎΠΊΠΎΠΊΠΊΠΎΠ²ΠΎΠΉ ΠΈΠ½ΡΠ΅ΠΊΡΠΈΠΈ. ΠΡΠΎΡΠΈΠ²ΠΎΠΏΠΎΠΊΠ°Π·Π°Π½ΠΈΠ΅ ΠΊ Π½Π°Π·Π½Π°ΡΠ΅Π½ΠΈΡ ΡΡΠΈΡ ΠΏΡΠ΅ΠΏΠ°ΡΠ°ΡΠΎΠ² — Π½Π°Π»ΠΈΡΠΈΠ΅ ΡΠΈΠΌΠΏΡΠΎΠΌΠΎΠ² ΠΏΠΎΡΠ΅ΡΠ½ΠΎΠΉ ΠΈ ΠΏΠ΅ΡΠ΅Π½ΠΎΡΠ½ΠΎΠΉ Π½Π΅Π΄ΠΎΡΡΠ°ΡΠΎΡΠ½ΠΎΡΡΠΈ. Π ΡΠΎΡΠ΅ΡΠ°Π½ΠΈΠΈ Ρ Π°Π½ΡΠΈΠ±ΠΈΠΎΡΠΈΠΊΠ°ΠΌΠΈ ΠΎΠ½ΠΈ Π·Π°ΠΌΠ΅ΡΠ½ΠΎ ΠΏΠΎΠ²ΡΡΠ°ΡΡ ΡΠ΅ΡΠ°ΠΏΠ΅Π²ΡΠΈΡΠ΅ΡΠΊΠΈΠΉ ΡΡΡΠ΅ΠΊΡ.
Π¨ΠΈΡΠΎΠΊΠΈΠΌ ΡΠΏΠ΅ΠΊΡΡΠΎΠΌ ΠΏΡΠΎΡΠΈΠ²ΠΎΠΌΠΈΠΊΡΠΎΠ±Π½ΠΎΠ³ΠΎ Π΄Π΅ΠΉΡΡΠ²ΠΈΡ ΠΎΠ±Π»Π°Π΄Π°ΡΡ ΠΈ ΠΏΡΠΎΠΈΠ·Π²ΠΎΠ΄Π½ΡΠ΅ Π½ΠΈΡΡΠΎΡΡΡΠ°Π½ΠΎΠ² — ΡΡΡΠ°Π³ΠΈΠ½, ΡΡΡΠ°Π΄ΠΎΠ½ΠΈΠ½, ΡΡΡΠ°Π·ΠΎΠ»ΠΈΠ΄ΠΎΠ½ ΠΈ Π΄Ρ. ΠΠ΅ΡΡΠΌΠ° Π²Π°ΠΆΠ½ΠΎ, ΡΡΠΎ ΠΊ Π½ΠΈΠΌ ΡΡΠ²ΡΡΠ²ΠΈΡΠ΅Π»ΡΠ½Π° ΠΊΠ°ΠΊ Π³ΡΠ°ΠΌΠΎΡΡΠΈΡΠ°ΡΠ΅ΡΡΠ½Π°Ρ, ΡΠ°ΠΊ ΠΈ Π³ΡΠ°ΠΌΠΏΠΎΠ»ΠΎΠΆΠΈΡΠ΅Π»ΡΠ½Π°Ρ ΠΌΠΈΠΊΡΠΎΡΠ»ΠΎΡΠ°, Π° ΡΡΡΠΎΠΉΡΠΈΠ²ΠΎΡΡΡ ΠΌΠΈΠΊΡΠΎΠ±ΠΎΠ² ΠΊ Π½ΠΈΠΌ ΠΏΠΎ ΡΡΠ°Π²Π½Π΅Π½ΠΈΡ Ρ Π°Π½ΡΠΈΠ±ΠΈΠΎΡΠΈΠΊΠ°ΠΌΠΈ Π²ΡΡΠ°ΠΆΠ΅Π½Π° Π² ΠΌΠ΅Π½ΡΡΠ΅ΠΉ ΡΡΠ΅ΠΏΠ΅Π½ΠΈ ΠΈ ΡΠ°Π·Π²ΠΈΠ²Π°Π΅ΡΡΡ ΡΠ΅Π΄ΠΊΠΎ. ΠΠ°Π·Π½Π°ΡΠ°ΡΡ ΠΈΡ Π²Π½ΡΡΡΡ ΠΏΠΎ 0,1-0,15 Π³ 3-4 ΡΠ°Π·Π° Π² ΡΡΡΠΊΠΈ Π² ΡΠ΅ΡΠ΅Π½ΠΈΠ΅ 8-10 Π΄Π½Π΅ΠΉ, Π° Π΅ΡΠ»ΠΈ Π½Π΅ΠΎΠ±Ρ ΠΎΠ΄ΠΈΠΌΠΎ ΡΡΠΈΠ»ΠΈΡΡ ΡΠ΅ΡΠ°ΠΏΠ΅Π²ΡΠΈΡΠ΅ΡΠΊΠΈΠΉ ΡΡΡΠ΅ΠΊΡ, ΠΈ Π²Π½ΡΡΡΠΈΠ²Π΅Π½Π½ΠΎ. Π ΡΠ΅Π»ΡΡ ΠΏΡΠ΅Π΄ΡΠΏΡΠ΅ΠΆΠ΄Π΅Π½ΠΈΡ Π΄ΠΈΡΠΏΠ΅ΠΏΡΠΈΡΠ΅ΡΠΊΠΈΡ ΡΠ²Π»Π΅Π½ΠΈΠΉ ΡΡΠΈ ΠΏΡΠ΅ΠΏΠ°ΡΠ°ΡΡ, ΠΊΠ°ΠΊ ΠΈ Π½Π΅ΠΊΠΎΡΠΎΡΡΠ΅ Π°Π½ΡΠΈΠ±ΠΈΠΎΡΠΈΠΊΠΈ (Π½Π°ΠΏΡΠΈΠΌΠ΅Ρ, Π»Π΅Π²ΠΎΠΌΠΈΡΠ΅ΡΠΈΠ½), ΠΌΠΎΠΆΠ½ΠΎ Π²Π²ΠΎΠ΄ΠΈΡΡ Π² ΡΠ²Π΅ΡΠ°Ρ . ΠΠ°ΠΈΠ±ΠΎΠ»Π΅Π΅ ΡΡΡΠ΅ΠΊΡΠΈΠ²Π½Ρ ΠΎΠ½ΠΈ Π² ΡΠΎΡΠ΅ΡΠ°Π½ΠΈΠΈ Ρ Π°Π½ΡΠΈΠ±ΠΈΠΎΡΠΈΠΊΠ°ΠΌΠΈ, ΠΎΡΠΎΠ±Π΅Π½Π½ΠΎ Π² Π½Π°ΡΠ°Π»ΡΠ½ΠΎΠΉ ΡΡΠ°Π΄ΠΈΠΈ ΠΎΡΡΡΠΎΠ³ΠΎ ΠΏΠΈΠ΅Π»ΠΎΠ½Π΅ΡΡΠΈΡΠ°.
Π Π»Π΅ΡΠ΅Π½ΠΈΠΈ ΠΎΡΡΡΠΎΠ³ΠΎ ΠΏΠΈΠ΅Π»ΠΎΠ½Π΅ΡΡΠΈΡΠ° ΠΈΡΠΏΠΎΠ»ΡΠ·ΡΡΡΡΡ ΠΈ ΠΏΡΠ΅ΠΏΠ°ΡΠ°ΡΡ Π½Π°Π»ΠΈΠ΄ΠΈΠΊΡΠΎΠ²ΠΎΠΉ ΠΊΠΈΡΠ»ΠΎΡΡ (Π½Π΅Π³ΡΠ°ΠΌ, Π½Π΅Π²ΠΈΠ³ΡΠ°ΠΌΠΎΠ½) Π² Π΄ΠΎΠ·Π΅ 0,1-1,0 Π³ 4 ΡΠ°Π·Π° Π² ΡΡΡΠΊΠΈ Π΄Π»ΠΈΡΠ΅Π»ΡΠ½ΠΎΡΡΡΡ Π΄ΠΎ 10-14 Π΄Π½Π΅ΠΉ, ΠΊ Π΄Π΅ΠΉΡΡΠ²ΠΈΡ ΠΊΠΎΡΠΎΡΡΡ ΡΡΠ²ΡΡΠ²ΠΈΡΠ΅Π»ΡΠ½Π° ΠΎΠ±ΡΡΠ½ΠΎ Π³ΡΠ°ΠΌΠΎΡΡΠΈΡΠ°ΡΠ΅Π»ΡΠ½Π°Ρ ΠΌΠΈΠΊΡΠΎΡΠ»ΠΎΡΠ°, Π² ΡΠ°ΡΡΠ½ΠΎΡΡΠΈ ΠΊΠΈΡΠ΅ΡΠ½Π°Ρ ΠΏΠ°Π»ΠΎΡΠΊΠ°. ΠΠΎΠ»Π΅Π΅ ΡΡΡΠ΅ΠΊΡΠΈΠ²Π½ΠΎ ΡΠΎΡΠ΅ΡΠ°Π½ΠΈΠ΅ Π½Π΅Π²ΠΈΠ³ΡΠ°ΠΌΠΎΠ½Π° Ρ Π°Π½ΡΠΈΠ±ΠΈΠΎΡΠΈΠΊΠ°ΠΌΠΈ. ΠΠ΄Π½Π°ΠΊΠΎ ΠΏΡΠ΅ΠΏΠ°ΡΠ°ΡΡ ΡΡΠΎΠΉ Π³ΡΡΠΏΠΏΡ ΡΠ°ΡΠ΅ ΠΈΡΠΏΠΎΠ»ΡΠ·ΡΡΡΡΡ Π² ΠΊΠ°ΡΠ΅ΡΡΠ²Π΅ ΠΏΠΎΠ΄Π΄Π΅ΡΠΆΠΈΠ²Π°ΡΡΠ΅ΠΉ ΡΠ΅ΡΠ°ΠΏΠΈΠΈ ΠΏΠΎΡΠ»Π΅ Π»ΠΈΠΊΠ²ΠΈΠ΄Π°ΡΠΈΠΈ ΠΎΡΠ½ΠΎΠ²Π½ΡΡ ΠΏΡΠΎΡΠ²Π»Π΅Π½ΠΈΠΉ Π·Π°Π±ΠΎΠ»Π΅Π²Π°Π½ΠΈΡ.
Π¨ΠΈΡΠΎΠΊΠΎ ΠΏΡΠΈΠΌΠ΅Π½ΡΠ΅ΡΡΡ, ΠΎΡΠΎΠ±Π΅Π½Π½ΠΎ ΠΏΡΠΈ Π·Π°ΡΡΠΆΠ½ΠΎΠΌ ΠΏΠΈΠ΅Π»ΠΎΠ½Π΅ΡΡΠΈΡΠ΅, 5-ΠΠΠ (Π½ΠΈΡΡΠΎΠΊΡΠΎΠ»ΠΈΠ½), ΠΎΠ±Π»Π°Π΄Π°ΡΡΠΈΠΉ ΡΠΈΡΠΎΠΊΠΈΠΌ ΡΠΏΠ΅ΠΊΡΡΠΎΠΌ Π΄Π΅ΠΉΡΡΠ²ΠΈΡ ΠΈ Π²ΡΡΠΎΠΊΠΎΠΉ ΠΏΡΠΎΡΠΈΠ²ΠΎΠΌΠΈΠΊΡΠΎΠ±Π½ΠΎΠΉ Π°ΠΊΡΠΈΠ²Π½ΠΎΡΡΡΡ. Π Π½Π΅ΠΌΡ ΡΡΠ²ΡΡΠ²ΠΈΡΠ΅Π»ΡΠ½Ρ ΠΏΡΠ°ΠΊΡΠΈΡΠ΅ΡΠΊΠΈ Π²ΡΠ΅ Π±Π°ΠΊΡΠ΅ΡΠΈΠΈ, ΠΊΠΎΡΠΎΡΡΠ΅ ΠΌΠΎΠ³ΡΡ Π±ΡΡΡ ΠΏΡΠΈΡΠΈΠ½ΠΎΠΉ ΠΏΠΈΠ΅Π»ΠΎΠ½Π΅ΡΡΠΈΡΠ°.
ΠΡΠ΅ΠΏΠ°ΡΠ°Ρ Ρ ΠΎΡΠΎΡΠΎ Π²ΡΠ°ΡΡΠ²Π°Π΅ΡΡΡ ΠΏΡΠΈ ΠΏΡΠΈΠ΅ΠΌΠ΅ Π²Π½ΡΡΡΡ (Π² Π΄ΠΎΠ·Π΅ 0,1 Π³ 4 ΡΠ°Π·Π° Π² ΡΡΡΠΊΠΈ), ΡΡΠ°Π²Π½ΠΈΡΠ΅Π»ΡΠ½ΠΎ Π±ΡΡΡΡΠΎ ΠΏΠΎΡΡΡΠΏΠ°Π΅Ρ Π² ΠΊΡΠΎΠ²Ρ, Π²ΡΠ²ΠΎΠ΄ΠΈΡΡΡ ΠΈΠ· ΠΎΡΠ³Π°Π½ΠΈΠ·ΠΌΠ° ΡΠΎΠ»ΡΠΊΠΎ ΠΏΠΎΡΠΊΠ°ΠΌΠΈ, ΠΏΠΎΡΡΠΎΠΌΡ Π±ΡΡΡΡΠΎ ΡΠΎΠ·Π΄Π°Π΅ΡΡΡ Π²ΡΡΠΎΠΊΠ°Ρ ΠΊΠΎΠ½ΡΠ΅Π½ΡΡΠ°ΡΠΈΡ Π΅Π³ΠΎ Π² ΠΌΠΎΡΠ΅. ΠΡΠΎΠΌΠ΅ ΡΠΎΠ³ΠΎ, ΠΎΠ±ΡΡΠ½ΠΎ ΠΎΠ½ Π½Π΅ Π΄Π°Π΅Ρ ΡΠ΅ΡΡΠ΅Π·Π½ΡΡ ΠΏΠΎΠ±ΠΎΡΠ½ΡΡ ΡΠ²Π»Π΅Π½ΠΈΠΉ (Π³ΠΎΠ»ΠΎΠ²Π½Π°Ρ Π±ΠΎΠ»Ρ, ΡΠ΅Π΄ΠΊΠΎ — ΠΊΠΎΠΆΠ½ΡΠ΅ Π°Π»Π»Π΅ΡΠ³ΠΈΡΠ΅ΡΠΊΠΈΠ΅ Π²ΡΡΡΠΏΠ°Π½ΠΈΡ) ΠΈ Ρ ΠΎΡΠΎΡΠΎ ΠΏΠ΅ΡΠ΅Π½ΠΎΡΠΈΡΡΡ Π±ΠΎΠ»ΡΠ½ΡΠΌΠΈ Π½Π° ΠΏΡΠΎΡΡΠΆΠ΅Π½ΠΈΠΈ Π²ΡΠ΅Π³ΠΎ ΠΊΡΡΡΠ° Π»Π΅ΡΠ΅Π½ΠΈΡ (2-4 Π½Π΅Π΄Π΅Π»ΠΈ).
ΠΡΠΈ ΠΈΠ½Π΄ΠΈΠ²ΠΈΠ΄ΡΠ°Π»ΡΠ½ΠΎΠΉ Π½Π΅ΠΏΠ΅ΡΠ΅Π½ΠΎΡΠΈΠΌΠΎΡΡΠΈ Π°Π½ΡΠΈΠ±ΠΈΠΎΡΠΈΠΊΠΎΠ², ΡΡΠ»ΡΡΠ°Π½ΠΈΠ»Π°ΠΌΠΈΠ΄Π½ΡΡ ΠΈ Π΄ΡΡΠ³ΠΈΡ ΠΏΡΠ΅ΠΏΠ°ΡΠ°ΡΠΎΠ² ΠΈΠ»ΠΈ ΡΠ΅Π·ΠΈΡΡΠ΅Π½ΡΠ½ΠΎΡΡΠΈ ΠΊ Π½ΠΈΠΌ ΠΌΠΎΠΆΠ½ΠΎ ΠΈΡΠΏΠΎΠ»ΡΠ·ΠΎΠ²Π°ΡΡ ΡΠ°Π»ΠΎΠ» ΠΈ ΡΡΠΎΡΡΠΎΠΏΠΈΠ½ (40 % ΡΠ°ΡΡΠ²ΠΎΡ ΠΏΠΎ 5-10 ΠΌΠ» Π²Π½ΡΡΡΠΈΠ²Π΅Π½Π½ΠΎ).
ΠΠ΄Π½Π°ΠΊΠΎ Π² Π½Π΅ΠΊΠΎΡΠΎΡΡΡ ΡΠ»ΡΡΠ°ΡΡ ΠΏΡΠΈ Π²ΡΠΎΡΠΈΡΠ½ΠΎΠΌ ΠΏΠΈΠ΅Π»ΠΎΠ½Π΅ΡΡΠΈΡΠ΅ Π΄Π°ΠΆΠ΅ ΡΠ°Π½ΠΎ Π½Π°ΡΠ°ΡΠ°Ρ ΠΈ Π°ΠΊΡΠΈΠ²Π½ΠΎ ΠΏΡΠΎΠ²ΠΎΠ΄ΠΈΠΌΠ°Ρ ΡΠ΅ΡΠ°ΠΏΠΈΡ Π°Π½ΡΠΈΠ±ΠΈΠΎΡΠΈΠΊΠ°ΠΌΠΈ, Π° ΡΠ°ΠΊΠΆΠ΅ ΡΠΎΡΠ΅ΡΠ°Π½ΠΈΠ΅ΠΌ Π°Π½ΡΠΈΠ±ΠΈΠΎΡΠΈΠΊΠΎΠ² Ρ Π΄ΡΡΠ³ΠΈΠΌΠΈ ΠΏΡΠ΅ΠΏΠ°ΡΠ°ΡΠ°ΠΌΠΈ (Π½ΠΈΡΡΠΎΡΡΡΠ°Π½Π°ΠΌΠΈ, ΡΡΠ»ΡΡΠ°Π½ΠΈΠ»Π°ΠΌΠΈΠ΄Π°ΠΌΠΈ, 5-ΠΠΠ) Π±ΡΠ²Π°Π΅Ρ Π½Π΅ΡΡΡΠ΅ΠΊΡΠΈΠ²Π½ΠΎΠΉ Π»ΠΈΠ±ΠΎ Π½Π΅Π΄ΠΎΡΡΠ°ΡΠΎΡΠ½ΠΎ ΡΡΡΠ΅ΠΊΡΠΈΠ²Π½ΠΎΠΉ, Π΅ΡΠ»ΠΈ Π½Π΅ ΡΡΡΡΠ°Π½Π΅Π½Ρ ΠΏΡΠΈΡΠΈΠ½Ρ, Π½Π°ΡΡΡΠ°ΡΡΠΈΠ΅ Π½ΠΎΡΠΌΠ°Π»ΡΠ½ΡΠΉ ΠΏΠ°ΡΡΠ°ΠΆ ΠΌΠΎΡΠΈ. Π ΠΏΠΎΠ΄ΠΎΠ±Π½ΡΡ ΡΠ»ΡΡΠ°ΡΡ ΡΡΡΡΠ°Π½Π΅Π½ΠΈΠ΅ ΠΏΡΠ΅ΠΏΡΡΡΡΠ²ΠΈΠΉ Π΄Π²ΠΈΠΆΠ΅Π½ΠΈΡ ΠΌΠΎΡΠΈ ΠΏΡΠΈΠΎΠ±ΡΠ΅ΡΠ°Π΅Ρ ΠΏΠ΅ΡΠ²ΠΎΡΡΠ΅ΠΏΠ΅Π½Π½ΠΎΠ΅ Π·Π½Π°ΡΠ΅Π½ΠΈΠ΅ Π² ΠΊΠΎΠΌΠΏΠ»Π΅ΠΊΡΠ½ΠΎΠΉ ΡΠ΅ΡΠ°ΠΏΠΈΠΈ ΠΎΡΡΡΠΎΠ³ΠΎ ΠΏΠΈΠ΅Π»ΠΎΠ½Π΅ΡΡΠΈΡΠ°. ΠΡΠΈ ΠΎΠ±ΡΡΡΠ°ΡΠΈΠΈ Π²Π΅ΡΡ Π½ΠΈΡ ΠΌΠΎΡΠ΅Π²ΡΡ ΠΏΡΡΠ΅ΠΉ ΠΌΠΎΠΆΠ΅Ρ Π±ΡΡΡ ΡΡΡΠ΅ΠΊΡΠΈΠ²Π½Π° ΠΊΠ°ΡΠ΅ΡΠ΅ΡΠΈΠ·Π°ΡΠΈΡ ΠΌΠΎΡΠ΅ΡΠΎΡΠ½ΠΈΠΊΠΎΠ², Ρ ΠΏΠΎΠΌΠΎΡΡΡ ΠΊΠΎΡΠΎΡΠΎΠΉ ΡΠ΄Π°Π΅ΡΡΡ ΠΈΠ½ΠΎΠ³Π΄Π° ΡΡΡΡΠ°Π½ΠΈΡΡ ΠΏΡΠ΅ΠΏΡΡΡΡΠ²ΠΈΠ΅ ΡΠΎΠΊΡ ΠΌΠΎΡΠΈ (ΠΊΠΎΠ½ΠΊΡΠ΅ΠΌΠ΅Π½Ρ, ΡΠ³ΡΡΡΠΊΠΈ ΡΠ»ΠΈΠ·ΠΈ ΠΈ Ρ. ΠΏ.). ΠΡΠ»ΠΈ Π½Π΅ ΡΠ΄Π°Π΅ΡΡΡ Π²ΠΎΡΡΡΠ°Π½ΠΎΠ²ΠΈΡΡ ΡΡΠΎΠ΄ΠΈΠ½Π°ΠΌΠΈΠΊΡ, Π° ΡΠΎΡΡΠΎΡΠ½ΠΈΠ΅ Π±ΠΎΠ»ΡΠ½ΠΎΠ³ΠΎ ΠΎΡΡΠ°Π΅ΡΡΡ ΡΡΠΆΠ΅Π»ΡΠΌ, ΡΡΠΏΠ΅Ρ Π»Π΅ΡΠ΅Π½ΠΈΡ ΠΌΠΎΠΆΠ΅Ρ ΠΎΠ±Π΅ΡΠΏΠ΅ΡΠΈΡΡ ΡΠΎΠ»ΡΠΊΠΎ Π½Π΅ΠΎΡΠ»ΠΎΠΆΠ½ΠΎΠ΅ ΠΎΠΏΠ΅ΡΠ°ΡΠΈΠ²Π½ΠΎΠ΅ Π²ΠΌΠ΅ΡΠ°ΡΠ΅Π»ΡΡΡΠ²ΠΎ. Π ΠΎΠΏΠ΅ΡΠ°ΡΠΈΠΈ Π½Π΅ΡΠ΅Π΄ΠΊΠΎ ΠΏΡΠΈΠ±Π΅Π³Π°ΡΡ ΠΈ ΠΏΡΠΈ ΡΠΎΠ»ΠΈΡΠ°ΡΠ½ΠΎΠΌ Π°Π±ΡΡΠ΅ΡΡΠ΅, ΠΊΠ°ΡΠ±ΡΠ½ΠΊΡΠ»Π΅ ΠΏΠΎΡΠΊΠΈ, Π°ΠΏΠΎΡΡΠ΅ΠΌΠ°ΡΠΎΠ·Π½ΠΎΠΌ Π½Π΅ΡΡΠΈΡΠ΅ (ΠΏΠΈΠ΅Π»ΠΎΡΡΠΎΠΌΠΈΡ, Π΄Π΅ΠΊΠ°ΠΏΡΡΠ»ΡΡΠΈΡ, Π²ΡΠΊΡΡΡΠΈΠ΅ Π³Π½ΠΎΠΉΠ½ΠΈΡΠΊΠΎΠ², ΡΠ°ΡΡΠ΅ΡΠ΅Π½ΠΈΠ΅ ΠΊΠ°ΡΠ±ΡΠ½ΠΊΡΠ»Π° ΠΈ ΠΏΠΎ ΡΡΡΠΎΠ³ΠΈΠΌ ΠΏΠΎΠΊΠ°Π·Π°Π½ΠΈΡΠΌ — Π½Π΅ΡΡΡΠΊΡΠΎΠΌΠΈΡ).
ΠΡΠΎΡΠΈΠ»Π°ΠΊΡΠΈΠΊΠ° Π±ΠΎΠ»Π΅Π·Π½ΠΈ ΠΡΡΡΡΠΉ ΠΏΠΈΠ΅Π»ΠΎΠ½Π΅ΡΡΠΈΡ
Π ΠΏΡΠ΅Π΄ΡΠΏΡΠ΅ΠΆΠ΄Π΅Π½ΠΈΠΈ Π²ΠΎΠ·Π½ΠΈΠΊΠ½ΠΎΠ²Π΅Π½ΠΈΡ ΠΎΡΡΡΠΎΠ³ΠΎ ΠΏΠΈΠ΅Π»ΠΎΠ½Π΅ΡΡΠΈΡΠ°, ΠΊΠ°ΠΊ ΠΈ ΠΎΡΡΡΠΎΠ³ΠΎ Π³Π»ΠΎΠΌΠ΅ΡΡΠ»ΠΎΠ½Π΅ΡΡΠΈΡΠ°, Π±ΠΎΠ»ΡΡΠΎΠ΅ Π·Π½Π°ΡΠ΅Π½ΠΈΠ΅ ΠΈΠΌΠ΅Π΅Ρ ΠΊΠΎΠ½ΡΠ΅ΡΠ²Π°ΡΠΈΠ²Π½Π°Ρ Π»ΠΈΠ±ΠΎ Ρ ΠΈΡΡΡΠ³ΠΈΡΠ΅ΡΠΊΠ°Ρ ΡΠ°Π½Π°ΡΠΈΡ ΠΎΡΠ°Π³ΠΎΠ² ‘ΡΡΡΠ΅ΠΏΡΠΎΠΊΠΎΠΊΠΊΠΎΠ²ΠΎΠΉ ΠΈΠ½ΡΠ΅ΠΊΡΠΈΠΈ, Π° ΡΠ°ΠΊΠΆΠ΅ Π»Π΅ΡΠ΅Π½ΠΈΠ΅ ΠΈΠ½ΡΠ΅ΠΊΡΠΈΠΉ ΠΌΠΎΡΠ΅Π²ΠΎΠ³ΠΎ ΠΏΡΠ·ΡΡΡ ΠΈ ΠΌΠΎΡΠ΅Π²ΡΡ ΠΏΡΡΠ΅ΠΉ.
ΠΠ΅ΠΎΠ±Ρ ΠΎΠ΄ΠΈΠΌΠΎ ΡΠΈΡΡΠ΅ΠΌΠ°ΡΠΈΡΠ΅ΡΠΊΠΎΠ΅ Π½Π°Π±Π»ΡΠ΄Π΅Π½ΠΈΠ΅ ΠΈ ΠΎΠ±ΡΠ»Π΅Π΄ΠΎΠ²Π°Π½ΠΈΠ΅ Π±Π΅ΡΠ΅ΠΌΠ΅Π½Π½ΡΡ Π² ΠΆΠ΅Π½ΡΠΊΠΎΠΉ ΠΊΠΎΠ½ΡΡΠ»ΡΡΠ°ΡΠΈΠΈ Π΄Π»Ρ ΡΠ²ΠΎΠ΅Π²ΡΠ΅ΠΌΠ΅Π½Π½ΠΎΠ³ΠΎ Π²ΡΡΠ²Π»Π΅Π½ΠΈΡ Π²ΠΎΠ·Π½ΠΈΠΊΡΠ΅ΠΉ ΠΏΠ°ΡΠΎΠ»ΠΎΠ³ΠΈΠΈ Π² ΠΏΠΎΡΠΊΠ°Ρ ΠΈ ΠΏΡΠΈΠ½ΡΡΠΈΡ ΡΡΠΎΡΠ½ΡΡ ΠΌΠ΅Ρ ΠΏΠΎ Π΅Π΅ Π»ΠΈΠΊΠ²ΠΈΠ΄Π°ΡΠΈΠΈ. ΠΠΎΡΡ ΡΠ΅ΠΊΠΎΠΌΠ΅Π½Π΄ΡΠ΅ΡΡΡ ΠΈΡΡΠ»Π΅Π΄ΠΎΠ²Π°ΡΡ Π½Π΅ ΡΠΎΠ»ΡΠΊΠΎ Π²ΠΎ Π²ΡΠ΅ΠΌΡ Π±Π΅ΡΠ΅ΠΌΠ΅Π½Π½ΠΎΡΡΠΈ, Π½ΠΎ ΠΈ ΠΏΠΎΡΠ»Π΅ ΡΠΎΠ΄ΠΎΠ², ΡΠ°ΠΊ ΠΊΠ°ΠΊ Π½Π°ΡΠ°Π²ΡΠ΅Π΅ΡΡ Π²ΠΎ Π²ΡΠ΅ΠΌΡ Π±Π΅ΡΠ΅ΠΌΠ΅Π½Π½ΠΎΡΡΠΈ Π·Π°Π±ΠΎΠ»Π΅Π²Π°Π½ΠΈΠ΅ ΠΏΠΎΡΠ΅ΠΊ ΠΌΠΎΠΆΠ΅Ρ ΠΏΡΠΎΡΠ΅ΠΊΠ°ΡΡ ΡΠΊΡΡΡΠΎ, Π±Π΅Π· ΠΊΠ»ΠΈΠ½ΠΈΡΠ΅ΡΠΊΠΈΡ ΠΏΡΠΎΡΠ²Π»Π΅Π½ΠΈΠΉ, Π° Π·Π°ΡΠ΅ΠΌ ΡΠΏΡΡΡΡ Π½Π΅ΡΠΊΠΎΠ»ΡΠΊΠΎ Π»Π΅Ρ ΠΏΡΠΈΠ²Π΅ΡΡΠΈ ΠΊ ΡΠ°Π·Π²ΠΈΡΠΈΡ Ρ ΡΠΎΠ½ΠΈΡΠ΅ΡΠΊΠΎΠΉ ΠΏΠΎΡΠ΅ΡΠ½ΠΎΠΉ Π½Π΅Π΄ΠΎΡΡΠ°ΡΠΎΡΠ½ΠΎΡΡΠΈ.
Π ΡΠ²ΡΠ·ΠΈ Ρ Π±ΠΎΠ»ΡΡΠΎΠΉ ΡΠ°ΡΡΠΎΡΠΎΠΉ ΡΠ΅ΡΠΈΠ΄ΠΈΠ²ΠΎΠ² ΠΎΡΡΡΠΎΠ³ΠΎ ΠΏΠΈΠ΅Π»ΠΎΠ½Π΅ΡΡΠΈΡΠ° ΠΈ Π² ΡΠ΅Π»ΡΡ ΠΏΡΠ΅Π΄ΡΠΏΡΠ΅ΠΆΠ΄Π΅Π½ΠΈΡ ΠΏΠ΅ΡΠ΅Ρ ΠΎΠ΄Π° Π΅Π³ΠΎ Π² Ρ ΡΠΎΠ½ΠΈΡΠ΅ΡΠΊΠΈΠΉ Π½Π΅ΠΎΠ±Ρ ΠΎΠ΄ΠΈΠΌΠΎ ΠΏΡΠΎΠ²ΠΎΠ΄ΠΈΡΡ ΠΏΠΎΠ²ΡΠΎΡΠ½ΡΠ΅ ΠΊΡΡΡΡ ΠΏΡΠΎΡΠΈΠ²ΠΎΠΌΠΈΠΊΡΠΎΠ±Π½ΠΎΠΉ ΡΠ΅ΡΠ°ΠΏΠΈΠΈ Π² ΡΡΠ»ΠΎΠ²ΠΈΡΡ ΡΡΠ°ΡΠΈΠΎΠ½Π°ΡΠ° Π»ΠΈΠ±ΠΎ Π΄Π»ΠΈΡΠ΅Π»ΡΠ½ΠΎ Π°ΠΌΠ±ΡΠ»Π°ΡΠΎΡΠ½ΠΎ (Π½Π΅ ΠΌΠ΅Π½Π΅Π΅ 6 ΠΌΠ΅ΡΡΡΠ΅Π²). ΠΡΠΈ ΡΡΠΎΠΌ ΡΠ΅ΠΊΠΎΠΌΠ΅Π½Π΄ΡΠ΅ΡΡΡ ΡΠ΅ΡΠ΅Π΄ΠΎΠ²Π°ΡΡ Π°Π½ΡΠΈΠ±ΠΈΠΎΡΠΈΠΊΠΈ Ρ ΡΡΠ»ΡΡΠ°Π½ΠΈΠ»Π°ΠΌΠΈΠ΄Π°ΠΌΠΈ, Π² ΡΠΎΠΌ ΡΠΈΡΠ»Π΅ ΠΏΡΠΎΠ»ΠΎΠ½Π³ΠΈΡΠΎΠ²Π°Π½Π½ΠΎΠ³ΠΎ Π΄Π΅ΠΉΡΡΠ²ΠΈΡ, Π½ΠΈΡΡΠΎΡΡΡΠ°Π½Π°ΠΌΠΈ, ΠΏΡΠ΅ΠΏΠ°ΡΠ°ΡΠ°ΠΌΠΈ Π½Π°Π»ΠΈΠ΄ΠΈΠΊΡΠΎΠ²ΠΎΠΉ ΠΊΠΈΡΠ»ΠΎΡΡ, 5-ΠΠΠ ΠΈ Π΄Ρ.
ΠΠ΄Π½Π° ΠΈΠ· ΠΏΡΠ΅Π΄Π»ΠΎΠΆΠ΅Π½Π½ΡΡ ΡΡ Π΅ΠΌ ΠΏΡΠΎΠ»ΠΎΠ½Π³ΠΈΡΠΎΠ²Π°Π½Π½ΠΎΠ³ΠΎ Π»Π΅ΡΠ΅Π½ΠΈΡ ΠΎΡΡΡΠΎΠ³ΠΎ ΠΏΠΈΠ΅Π»ΠΎΠ½Π΅ΡΡΠΈΡΠ° Π·Π°ΠΊΠ»ΡΡΠ°Π΅ΡΡΡ Π² ΡΠ»Π΅Π΄ΡΡΡΠ΅ΠΌ (Π. ΠΠ°ΠΆΠ΄ΡΠ°ΠΊΠΎΠ², 1980). ΠΠ½Π°ΡΠ°Π»Π΅ Π½Π°Π·Π½Π°ΡΠ°ΡΡ Π»Π΅Π²ΠΎΠΌΠΈΡΠ΅ΡΠΈΠ½ ΠΏΠΎ 2,0 Π³ Π² ΡΡΡΠΊΠΈ Π² ΡΠ΅ΡΠ΅Π½ΠΈΠ΅ 7-10 Π΄Π½Π΅ΠΉ, Π·Π°ΡΠ΅ΠΌ ΡΡΠ»ΡΡΠ°Π½ΠΈΠ»Π°ΠΌΠΈΠ΄Π½ΡΠ΅ ΠΏΡΠ΅ΠΏΠ°ΡΠ°ΡΡ (ΡΡΠΎΡΡΠ»ΡΡΠ°Π½, ΡΡΠ°Π·ΠΎΠ», ΡΡΠ»ΡΡΠ°Π΄ΠΈΠΌΠ΅ΡΠΎΠΊΡΠΈΠ½, Π±ΠΈΡΠ΅ΠΏΡΠΎΠ», Π±Π°ΠΊΡΡΠΈΠΌ ΠΈ Π΄Ρ.) Π² ΠΎΠ±ΡΡΠ½ΡΡ Π΄ΠΎΠ·Π°Ρ Π² ΡΠ΅ΡΠ΅Π½ΠΈΠ΅ 10-12 Π΄Π½Π΅ΠΉ, Π΄Π°Π»Π΅Π΅ ΠΏΡΠ΅ΠΏΠ°ΡΠ°ΡΡ Π½Π°Π»ΠΈΠ΄ΠΈΠΊΡΠΎΠ²ΠΎΠΉ ΠΊΠΈΡΠ»ΠΎΡΡ (Π½Π΅Π³ΡΠ°ΠΌ, Π½Π΅Π²ΠΈΠ³ΡΠ°ΠΌΠΎΠ½) ΠΏΠΎ 1 ΡΠ°Π±Π»Π΅ΡΠΊΠ΅ 4 ΡΠ°Π·Π° Π² Π΄Π΅Π½Ρ ΡΡΠΎΠΊΠΎΠΌ 10-14 Π΄Π½Π΅ΠΉ ΠΈ Π½ΠΈΡΡΠΎΡΡΡΠ°Π½Ρ (ΡΡΡΠ°Π΄ΠΎΠ½ΠΈΠ½, ΡΡΡΠ°Π΄Π°Π½ΡΠΈΠ½, ΡΡΡΠ°Π³ΠΈΠ½ ΠΈ Π΄Ρ.) ΠΏΠΎ 0,1 Π³ 3 ΡΠ°Π·Π° Π² Π΄Π΅Π½Ρ Π² ΡΠ΅ΡΠ΅Π½ΠΈΠ΅ 8-10 Π΄Π½Π΅ΠΉ ΠΈ Π½Π°ΠΊΠΎΠ½Π΅Ρ 5-ΠΠΠ ΠΏΠΎ 1 ΡΠ°Π±Π»Π΅ΡΠΊΠ΅ 4 ΡΠ°Π·Π° Π² ΡΠ΅ΡΠ΅Π½ΠΈΠ΅ 10-14 Π΄Π½Π΅ΠΉ. ΠΠΎΡΠ»Π΅ ΠΏΡΠΎΠ²Π΅Π΄Π΅Π½Π½ΠΎΠ³ΠΎ ΠΊΡΡΡΠ° ΡΠ΅ΡΠ°ΠΏΠΈΠΈ ΠΈΡΡΠ»Π΅Π΄ΡΡΡ ΠΌΠΎΡΡ Π½Π° ΡΡΠ΅ΠΏΠ΅Π½Ρ Π±Π°ΠΊΡΠ΅ΡΠΈΡΡΠΈΠΈ, Π»Π΅ΠΉΠΊΠΎΡΠΈΡΡΡΠΈΠΈ, ΠΏΡΠΎΡΠ΅ΠΈΠ½ΡΡΠΈΠΈ. ΠΡΠΈ ΡΠΎΡ ΡΠ°Π½Π΅Π½ΠΈΠΈ Π±Π°ΠΊΡΠ΅ΡΠΈΡΡΠΈΠΈ (Π±ΠΎΠ»Π΅Π΅ 50-100 ΡΡΡ. ΠΌΠΈΠΊΡΠΎΠ±Π½ΡΡ ΡΠ΅Π» Π² 1 ΠΌΠ» ΠΌΠΎΡΠΈ), Π»Π΅ΠΉΠΊΠΎΡΠΈΡΡΡΠΈΠΈ ΠΈ ΠΏΡΠΎΡΠ΅ΠΈΠ½ΡΡΠΈΠΈ Π°Π½Π°Π»ΠΎΠ³ΠΈΡΠ½ΡΠΉ ΠΊΡΡΡ Π»Π΅ΡΠ΅Π½ΠΈΡ ΠΏΠΎΠ²ΡΠΎΡΡΡΡ, Π½ΠΎ ΡΠΎΠ»ΡΠΊΠΎ 10-14 Π΄Π½Π΅ΠΉ ΠΊΠ°ΠΆΠ΄ΠΎΠ³ΠΎ ΠΌΠ΅ΡΡΡΠ° Π² ΡΠ΅ΡΠ΅Π½ΠΈΠ΅ 6-12 ΠΌΠ΅ΡΡΡΠ΅Π². ΠΡΠΈ Π²ΠΎΠ·ΠΌΠΎΠΆΠ½ΠΎΡΡΠΈ Π½Π΅ΠΎΠ±Ρ ΠΎΠ΄ΠΈΠΌΠΎ ΠΎΠΏΡΠ΅Π΄Π΅Π»ΡΡΡ ΠΌΠΈΠΊΡΠΎΡΠ»ΠΎΡΡ ΠΌΠΎΡΠΈ ΠΈ Π΅Π΅ ΡΡΠ²ΡΡΠ²ΠΈΡΠ΅Π»ΡΠ½ΠΎΡΡΡ ΠΊ ΡΠΎΠΉ ΠΈΠ»ΠΈ ΠΈΠ½ΠΎΠΉ Π³ΡΡΠΏΠΏΠ΅ ΠΏΡΠ΅ΠΏΠ°ΡΠ°ΡΠΎΠ² (Π°Π½ΡΠΈΠ±ΠΈΠΎΡΠΈΠΊΠ°ΠΌ, Π½ΠΈΡΡΠΎΡΡΡΠ°Π½Π°ΠΌ ΠΈ Ρ. Π΄.) ΠΈ Π² Π·Π°Π²ΠΈΡΠΈΠΌΠΎΡΡΠΈ ΠΎΡ ΡΡΠΎΠ³ΠΎ Π½Π°Π·Π½Π°ΡΠ°ΡΡ ΡΠΎΠΎΡΠ²Π΅ΡΡΡΠ²ΡΡΡΠΈΠΉ ΠΏΡΠ΅ΠΏΠ°ΡΠ°Ρ. ΠΡΠΈ ΠΏΡΠΎΠ²Π΅Π΄Π΅Π½ΠΈΠΈ ΡΠ°ΠΊΠΈΡ Π΄Π»ΠΈΡΠ΅Π»ΡΠ½ΡΡ , ΠΏΠΎΠ²ΡΠΎΡΠ½ΡΡ ΠΊΡΡΡΠΎΠ² Π»Π΅ΡΠ΅Π½ΠΈΡ ΡΠ»Π΅Π΄ΡΠ΅Ρ ΡΡΠΈΡΡΠ²Π°ΡΡ ΠΈΠ½Π΄ΠΈΠ²ΠΈΠ΄ΡΠ°Π»ΡΠ½ΡΡ ΡΡΠ²ΡΡΠ²ΠΈΡΠ΅Π»ΡΠ½ΠΎΡΡΡ ΠΊΠ°ΠΆΠ΄ΠΎΠ³ΠΎ Π±ΠΎΠ»ΡΠ½ΠΎΠ³ΠΎ ΠΊ Π½Π°Π·Π½Π°ΡΠ΅Π½Π½ΡΠΌ ΠΌΠ΅Π΄ΠΈΠΊΠ°ΠΌΠ΅Π½ΡΠ°ΠΌ ΠΈ Π²ΠΎΠ·ΠΌΠΎΠΆΠ½ΠΎΡΡΡ ΡΠ°Π·Π²ΠΈΡΠΈΡ Π°Π»Π»Π΅ΡΠ³ΠΈΡΠ΅ΡΠΊΠΈΡ ΡΠ΅Π°ΠΊΡΠΈΠΉ ΠΈΠ»ΠΈ ΠΏΠ°ΡΠΎΠ»ΠΎΠ³ΠΈΡΠ΅ΡΠΊΠΈΡ ΠΈΠ·ΠΌΠ΅Π½Π΅Π½ΠΈΠΉ Π² ΠΏΠ΅ΡΠΈΡΠ΅ΡΠΈΡΠ΅ΡΠΊΠΎΠΉ ΠΊΡΠΎΠ²ΠΈ (Π»Π΅ΠΉΠΊΠΎΠΏΠ΅Π½ΠΈΡ, Π°Π³ΡΠ°Π½ΡΠ»ΠΎΡΠΈΡΠΎΠ· ΠΈ Ρ. ΠΏ.).
Π Π΅ΠΊΠΎΠΌΠ΅Π½Π΄ΡΠ΅ΡΡΡ Π΄ΠΈΠ΅ΡΠ° Ρ ΡΠΌΠ΅ΡΠ΅Π½Π½ΡΠΌ ΠΎΠ³ΡΠ°Π½ΠΈΡΠ΅Π½ΠΈΠ΅ΠΌ ΠΏΠΎΠ²Π°ΡΠ΅Π½Π½ΠΎΠΉ: ΡΠΎΠ»ΠΈ, Ρ ΠΈΡΠΊΠ»ΡΡΠ΅Π½ΠΈΠ΅ΠΌ ΠΎΡΡΡΡΡ ΠΏΡΠΈΠΏΡΠ°Π² ΠΈ ΡΠΏΠ΅ΡΠΈΠΉ, ΠΊΠΎΡΠ΅, ΡΠΏΠΈΡΡΠ½ΡΡ Π½Π°ΠΏΠΈΡΠΊΠΎΠ², ΠΌΡΡΠ½ΡΡ ΡΠΊΡΡΡΠ°ΠΊΡΠΎΠ² (Π½Π°Π²Π°ΡΠΎΠ²). ΠΠΈΡΠ° Π΄ΠΎΠ»ΠΆΠ½Π° Π±ΡΡΡ ΠΏΡΠ΅ΠΈΠΌΡΡΠ΅ΡΡΠ²Π΅Π½Π½ΠΎ ΠΌΠΎΠ»ΠΎΡΠ½ΠΎ-ΡΠ°ΡΡΠΈΡΠ΅Π»ΡΠ½ΠΎΠΉ, Ρ Π΄ΠΎΡΡΠ°ΡΠΎΡΠ½ΡΠΌ ΡΠΎΠ΄Π΅ΡΠΆΠ°Π½ΠΈΠ΅ΠΌ Π²ΠΈΡΠ°ΠΌΠΈΠ½ΠΎΠ². ΠΠΎΠ»ΡΠ½ΡΠΌ ΡΠ΅ΠΊΠΎΠΌΠ΅Π½Π΄ΡΡΡ ΠΎΠ±ΠΈΠ»ΡΠ½ΠΎΠ΅ ΠΏΠΈΡΡΠ΅ (Π΄ΠΎ 2-3 Π» Π² ΡΡΡΠΊΠΈ), ΠΎΡΠΎΠ±Π΅Π½Π½ΠΎ Π²ΠΎ Π²ΡΠ΅ΠΌΡ ΠΏΡΠΈΠ΅ΠΌΠ° ΡΡΠ»ΡΡΠ°Π½ΠΈΠ»Π°ΠΌΠΈΠ΄ΠΎΠ², ΠΆΠ΅Π»Π°ΡΠ΅Π»ΡΠ½ΠΎ Π² Π²ΠΈΠ΄Π΅ ΡΠΎΠΊΠΎΠ², ΠΌΠΎΡΡΠΎΠ² (ΠΎΡΠΎΠ±Π΅Π½Π½ΠΎ ΠΊΠ»ΡΠΊΠ²Π΅Π½Π½ΠΎΠ³ΠΎ), ΠΊΠΎΠΌΠΏΠΎΡΠΎΠ², ΠΊΠΈΡΠ΅Π»Π΅ΠΉ, ΠΌΠΈΠ½Π΅ΡΠ°Π»ΡΠ½ΠΎΠΉ Π²ΠΎΠ΄Ρ (ΠΏΠΎΠ΄ ΠΊΠΎΠ½ΡΡΠΎΠ»Π΅ΠΌ Π²ΠΎΠ΄Π½ΠΎΠ³ΠΎ Π±Π°Π»Π°Π½ΡΠ°).
znaniemed.ru