Содержание статьи:
Остеосинтез – это операция на ключицу, а также на другие поврежденные костные структуры с применением фиксирующих элементов. Чаще всего используются спицы, болты, пластины и другие металлические приспособления. Остеосинтез применяется для стабильной фиксации отломков в правильном положении, чтобы они не мешали функционированию осей поврежденного сегмента. Устанавливают металлические детали после перелома для полного сращения костей.
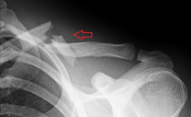
Показания к операции на ключице

Полный перелом ключицы
Остеосинтез используется для лечения нестабильных переломов трубчатых костей. Также он применяется при внутрисуставных переломах, когда нарушается целостность суставной поверхности. Для фиксации при операции используются винты, спицы, пластины и шурупы, а также гвозди и штифты.
Показаниями к проведению остеосинтеза на ключице считаются:
- падение на руку весом тела;
- механическое воздействие при ДТП;

Перелом ключицы можно определить визуально
- травмы плечевой кости с осложнениями;
- спортивные повреждения;
- полный надлом ключицы из-за удара.
Потребность в операции возникает, если пациент ощущает нестерпимую боль в руке и области ключицы. Также к детальному обследованию располагают такие симптомы, как невозможность двигать рукой, сильная припухлость и покраснение в зоне удара, отечность, постоянные боли.
Операции при переломе ключицы со смещением обычно хорошо переносятся пациентами, они быстро и нормально выздоравливают. Усугубляют ситуацию только такие факторы, как возраст и наличие хронических болезней костей.
Возможные противопоказания

Повышенная хрупкость костей является противопоказанием к проведению данной операции
Устанавливать пластины и спицы в ключицу невозможно, если у человека есть некоторые заболевания и нарушения:
- тяжелое состояние пациента после перенесенного инфаркта или инсульта;
- острые воспалительные болезни внутренних органов и систем, например, диабет в стадии декомпенсации, сердечная недостаточность;
- повышенная хрупкость костной ткани в старческом возрасте;
- воспалительные и инфекционные болезни костей, в том числе туберкулез;
- тяжелые формы артрита суставов в зоне проведения операции;
- абсцессы и воспалительные процессы в мягких тканях недалеко от места перелома;
- онкологические патологии крови и суставов;
- другие травмы при несчастных случаях.
Некоторые противопоказания – тяжелое состояние пациента после несчастного случая – не считаются абсолютными. После восстановления человеку можно будет сделать остеосинтез.
Диагностика и подготовка

Рентген выполняется для точного определения количества осколков и положения костей
Выполнять остеосинтез ключицы можно только в том случае, если потребность в операции была подтверждена диагностическим путем. Для этого пациенту обязательно нужно пройти следующие процедуры:
- выполнить рентген для точного определения количества осколков, особенностей перелома, положения костей;
- КТ или МРТ для получения обширной картины повреждения мягких тканей и сосудов;
- сдать анализ крови и мочи, чтобы врачи смогли получить полную картину о состоянии здоровья.
После анализов пациента консультирует хирург или травматолог. В большинстве случаев операцию проводят уже через несколько часов после полного обследования. Никакой специфической подготовки не нужно, так как общая анестезия не требуется.
Перед операцией пациент должен сообщить врачу, какие лекарства и как долго он принимает. Также нужно указать наличие хронических болезней, которые могут повлиять на ход вмешательства.
Разновидности операции и их плюсы

Скрепление поломанной кости ключицы с помощью пластины
Остеосинтез нацелен на восстановление подвижности плечевого сустава за счет строгой фиксации обломков ключицы с помощью металлических спиц и пластин. Для соединения костей используются целые металлоконструкции медицинского характера:
- болты, гвозди и винты;
- пластины и балки;
- спицы и стержни;
- специальные костные штифты.
Изготавливают их из разных материалов, но главное требование при выполнении операции – использование однородных элементов. Нельзя ставить нержавеющую сталь вместе с никелем.
Некоторым пациентам при остеосинтезе устанавливают особые крючковые пластины, которые крепятся к кости. Они предотвращают даже минимальное смещение, поэтому часто используются в сложных ситуациях.
Существует несколько видов операций по сращению ключицы:
- Закрытый остеосинтез. Сначала область освобождают от мягких тканей, делая микроскопические надрезы. Затем через них ставится фиксатор. Операция характеризуется минимальной травматичностью, но применима лишь в случаях, когда перелом несложный, закрытый, а количество осколков минимально. Подобный подход исключает проникновение инфекции и защищает пациента, ускоряя период восстановления после остеосинтеза ключицы.
- Открытый остеосинтез. Для проведения операции мягкие ткани полностью обнажаются, хирург снимает их. После этого устанавливается фиксирующая конструкция, ткани возвращаются на место и накладываются швы.
- Внутреннее крепление пластины или спицы. В этом случае врач устанавливает детали прямо в кость.
- Надкостная установка. Хирург помещает металлическую конструкцию, не вмешиваясь внутрь кости.
- Погружное крепление. Сочетает метод поверхностной и внутренней установки.
Другие виды хирургического вмешательства названы по именам врачей, которые изобрели их: остеосинтез стержней Богданова, спиц Киршнера.
Принимать решение о выборе метода операции должен хирург, исходя из полученных данных анализов и рентгена. Врач учитывает степень тяжести травмы, состояние пациента. От этого во многом зависит процесс восстановления.
Задачи, которые решает остеосинтез

Остеосинтез не требует ношения гипса, так как фиксаторы надежно скрепляют кости
Если специалист выбирает правильную методику остеосинтеза, она на 100% решает главные задачи операции:
- обеспечивает быстрое восстановление двигательной активности;
- позволяет совершать бытовые движения уже на следующий день после операции;
- не требует ношения гипса, так как фиксаторы надежно закрепляют отломанные кости;
- предотвращает разрушение костей, воспаления и боли.
Отзывы людей, которые прошли через остеосинтез, подтверждают, что операция почти на 100% устраняет болезненные ощущения. Даже после отхождения от анестезии симптомы не причиняют невыносимого дискомфорта.
Ход выполнения операции
Стандартный остеосинтез занимает от 30 до 60 минут времени. В тяжелых случаях операция длится до 2-3 часов. Однако техника ее очень проста и не вызывает сложностей у опытного хирурга:
- Врач ставит анестезию с помощью укола.
- Над ключицей делается разрез длиной до 7 см и шириной в 8-10 мм, либо микронадрезы.
- В отломленной части делается отверстие глубиной 6 см.
- Делается отверстие в противоположном канале.
- Происходит фиксация отломленных частей, устанавливается спица, стержень или пластина.
- Мягкие ткани ушиваются, накладываются хирургические швы.
Эта схема используется во всех случаях остеосинтеза ключицы, этапы могут лишь частично отличаться. Если устанавливаются крупные пластины, их обязательно фиксируют винтами.
Варианты крепежа металлических конструкций
Реконструктивную пластину устанавливают по верхней или передней поверхности кости.
Если устанавливается титановый эластичный стержень, его ставят прямо в трубчатую кость.
При использовании крючковидной пластины требуется, чтобы перелом был со смещением кости. Вариантов у такого остеосинтеза множество.
Возможные осложнения

Недостаточная фиксация обломков костей является основной причиной образования ложных суставов
У некоторых пациентов наблюдается стойкое несращение ключицы после операции, что может быть обусловлено дополнительными болезнями, возрастом и некоторыми другими факторами. Также бывают и другие осложнения:
- Нагноение мягких тканей – происходит в случае проникновения инфекции, но причин у этого состояния может быть много. При правильном лечении ликвидируется уже к 3-4 неделе реабилитации и на конечный результат восстановления повлиять не может.
- металлоз – патология, при которой появляются боли из-за коррозии металлов внутри тела, причиной может быть ошибка врача – использование неоднородных металлов в одной конструкции, а также неправильная полировка имплантатов.
- Остеит – воспаление в кортикальном слое костной ткани, часто возникает при недостаточном кровоснабжении.
В большинстве случаев осложнения легко поддаются коррекции удалением некротизировавшихся тканей и поверхностных костных пластин.
Развитие осложнений после остеосинтеза не всегда связано с врачебными ошибками. Во многом скорость восстановления и отсутствие проблем зависит от изначального состояния здоровья пациента.
Восстановительный период после операции

В период восстановления необходимо выполнять лечебную физкультуру
Срок реабилитации после приема во многом зависит от возраста и степени тяжести повреждения. У детей до 12 лет этот срок равен 1 месяцу, а у взрослого занимает до 90 суток или чуть больше. Тяжелее всего восстанавливаются пожилые пациенты.
В период восстановления после операции каждый пациент должен придерживаться советов врача, носить бандаж, а также выполнять лечебную физкультуру для восстановления подвижности руки со стороны поврежденной ключицы.
Операция для сращения переломанных костей ключицы не считается очень тяжелой и опасной для человека. В большинстве случаев ее даже проводят с местной анестезией, не применяя общий наркоз. Тип используемых аксессуаров зависит от степени повреждения кости. А грамотное прохождение через реабилитационный период гарантирует пациенту полноценное восстановление.
Переломы ключицы – повреждения скелета человека, которые часто возникают у спортсменов, непоседливых детей и людей в возрасте. При переломе со смещением может понадобиться операция с пластиной. Травма может произойти из-за сильного удара, падения с высоты, на фоне остеопороза. Перелом ключичной кости определяют по подвижности в области, где ее обычно нет, крепитации костных обломков, отечности, болезненным ощущениям, деформации плечевой линии, смещению лопатки.
Для диагностики проводят осмотр и рентген. Чтобы избежать дальнейшего смещения костных обломков, при подозрении на перелом ключицы обездвиживают область с помощью повязки. Лечение применяется консервативное или оперативное. В некоторых случаях назначают внутрикостный остеосинтез (по Ключевскому или Спижариому-Кюпчеру). Период реабилитации подразумевает физиопроцедуры, массаж, прохождение ЛФК.
Причины возникновения
Перелом ключицы может случиться в результате:
- резкого приземления на руку,
- мощного удара в область плеча,
- выполнения экстремальных трюков,
- падения с высоты,
- родовой травмы у новорожденных,
- остеопороза,
- аварии.
С таким видом перелома сталкиваются спортсмены, занимающиеся силовыми упражнениями и экстремальным спортом.
При сильном воздействии на область ключицы кость не выдерживает нагрузки и ломается. Иногда сломанные участки смещаются, могут даже образовываться множественные обломки и ранить близлежащие ткани. Поэтому при переломе ключицы со смещением не обойтись без операции.
Клиническая картина

При переломе ключицы со смещением сразу изменяется очертание верхнего плечевого пояса со стороны повреждения. У больного в месте повреждения ключицы наблюдается:
- сильная боль в поврежденной области,
- развитие отека,
- подвижность костей в области травмы,
- признаки кровотечения,
- гематома,
- чувство онемения в кисти,
- ограниченная подвижность конечности,
- деформация плечевой линии,
- наслаивание обломков кости друг на друга,
- смещение лопатки.
В месте повреждения быстро развивается отечность, поскольку образовавшиеся при травме костные осколки очень острые и часто ранят близлежащие ткани и сосуды. Появляется гематома. При смещении костных обломков у больного наблюдается усиление боли.
Повреждение ключичной кости можно заподозрить, лишь взглянув на потерпевшего, поскольку при такой травме:
- пострадавший держит предплечье и локоть с травмированной стороны здоровой рукой, прижимая к туловищу,
- поврежденная конечность висит плетью,
- при прощупывании чувствуется подвижность в тех участках, где ее не должно быть, ощущается крепитация обломков.
При этом смещение кости тоже различно. Оно может быть:
- полное когда образовавшиеся обломки отрываются от надкостницы,
- неполное характерно смещение костных структур, удерживаемых надкостницей.
Диагностика
При переломе ключицы со смещением и планировании операции для подтверждения предварительного диагноза необходимо провести рентгенологическое исследование, иногда в разных проекциях. Снимки четко покажут:
- состояние кости,
- сдвиг сломанных частей,
- наличие и расположение костных обломков.
В случае необходимости дополнительно проводится компьютерная томография. Поставив на основании результатов исследований диагноз, врачи решают вопрос о методах лечения перелома.
Первая помощь

При оказании первой помощи при переломе ключицы важно как можно быстрее провести иммобилизацию конечности, предотвращая тем самым дальнейшее сдвижение сломанных элементов кости. Для этого необходимо согнуть пострадавшему больную руку в локте и зафиксировать ее в таком положении, подвесив широкой повязкой за шею или примотав ее к туловищу. Под мышку пострадавшему необходимо вложить импровизированный валик. После фиксации конечности следует поскорее доставить больного в травмпункт.
Оказывая первую помощь человеку с таким диагнозом, нельзя:
- пытаться вправить торчащие обломки кости,
- стараться выпрямить пострадавшую конечность,
- привязывать ее узкой повязкой,
- тянуть за больную руку.
Госпитализировать такого пострадавшего можно только в положении сидя.
Лечение перелома

Вариантов лечения перелома со смещением всего два:
- консервативное,
- оперативное.
Решение в этом вопросе принимает врач, опираясь на тяжесть перелома, возраст больного и наличие или отсутствие осложнений. Реже всего в травматологической практике встречается перелом стернального конца ключицы, при котором всегда назначается операция.
Консервативное лечение
Консервативная терапия подразумевает лечение перелома ключицы со смещением без операции. Суть такого лечения заключается в максимальном обездвиживании пострадавшей конечности. Больному под местным обезболиванием сопоставляют кость для исключения вариантов ее неправильного срастания. Затем специальной фиксирующей повязкой иммобилизируют руку на срок до 8 недель. Помимо повязки больному назначают:
- обезболивающие средства,
- антибиотики,
- витаминные комплексы,
- препараты кальция,
- физиопроцедуры.
Для ускорения сращения кости рекомендуется употреблять в пищу больше продуктов, содержащих кальций.
Оперативное вмешательство
Если врачи считают бесполезными консервативные методы, применяется хирургическое вмешательство. Хотя некоторые травматологи сходятся во мнении, что операция при переломе ключицы как метод лечения наиболее эффективна.
При оперативном вмешательстве используются медицинские металлоконструкции ими скрепляют и фиксируют кость в нужном положении, а через время удаляют. Фиксируют обломки кости с помощью:
- пластин,
- спиц,

- гвоздей,
- штифтов,
- шурупов.
Все они стерильны и изготавливаются из инертных материалов. Сколько длится ношение металлоконструкций в случае проведения операции решает врач, исходя из состояния поврежденной кости больного, но, в среднем, штифт может находиться в кости от 7 месяцев до 1 года.
При оперативном лечении применяется остеосинтез накостный и внутрикостный.
Внутрикостный остеосинтез
При выборе этого вида операции при переломе ключицы сломанная кость фиксируется с помощью металлических спиц. Использование спицы способствует прочной фиксации отломков кости в физиологическом положении. Существуют такие методы внутрикостного остеосинтеза:
- по Ключевскому используется при наличии небольших обломков в центре ключичной кости,
- по Спижариому-Кюпчеру в случае периферических отломков.
Операция проводится под анестезией.
Восстановление
Поскольку весь период срастания кости рука у больного максимально обездвижена, случается, что мышцы частично атрофируются. Поэтому по мере срастания перелома ключицы со смещением необходима реабилитация, независимо от того, использовалась ли для лечения фиксирующая повязка, или проводилась операция по установке пластины.
Восстановительный период при лечении перелома ключицы со смещением можно поделить на такие этапы:
- период иммобилизации конечности показаны плавные упражнения,
- после снятия повязки или появления костной мозоли специальные упражнения с гимнастической палкой,
- после полного срастания перелома постепенные силовые нагрузки на руку с использованием тренажеров.
На любом из перечисленных этапов показаны физиопроцедуры и массаж.
Подойдя к выполнению упражнений с упорством и настойчивостью, можно быстро разработать поврежденную конечность. Важно регулярно делать упражнения, постепенно увеличивая продолжительность занятий и виды нагрузок.
Физиотерапевтические процедуры
Такие процедуры необходимы на всех этапах периода восстановления при переломе ключицы как с проведением операции, так и без нее. Часто в таких случаях больному назначают курсами:
- электрофорез,
- магнитотерапию,
- УВЧ,
- фонофорез.
Применение физиотерапевтических процедур способствует восстановлению кровотока, улучшению репаративных процессов в кости.
Массаж
Массаж применяют со 2 дня после получения травмы. Больному поглаживают и разминают здоровую часть груди и спины в положении сидя. Используется массаж дважды в день и длится около 10 минут. После снятия повязки щадяще массажируется и поврежденная рука.
Лечебная физкультура
Ее применение позволяет укрепить временно неработающие мышцы, способствует подвижности суставов и восстанавливает кровоток травмированной конечности. При занятиях лечебной физкультурой важно четко соблюдать последовательность нагрузок. Разрабатывать ключицу после перелома начинают в день наложения повязки или с момента, как проведут операцию. Первые занятия сводятся к разработке кисти и со временем постепенно усложняются, вовлекая в процесс выполнения лечебных упражнений руку и верхний плечевой пояс.
Последствия

Поскольку перелом ключицы со смещением серьезная травма, последствия могут быть разнообразными и зависят от характера повреждения, правильно подобранного метода лечения и восстановительных способностей организма.
Своевременно обратившись за оказанием квалифицированной медицинской помощи, можно избежать осложнений.
ход операции и возможные осложнения
Cодержание статьи: classList.toggle()»>развернуть
Ключица представляет собой трубчатую S-образную кость, которая формирует жесткое соединение верхней конечности с туловищем. Возраст пациентов с ее переломом варьируется от 14 до 40-45 лет.
Среди пожилых людей травма встречается реже. Лечение осуществляется амбулаторно. Госпитализация пострадавшего в стационар требуется только при необходимости операции.
Причины и механизм перелома
Перелом ключицы со смещением обычно является следствием сильного механического воздействия. Такие травмы считаются нормальными, физиологическими.
Они возникают, когда сила воздействия превышает уровень эластичности костной ткани. Поражающим фактором может послужить сильный удар (драка, падение с высоты) или сдавливание верхней части туловища между двумя твердыми предметами (ДТП).
Физиологические переломы ключицы могут быть:
- Прямыми (удар наносится непосредственно по ключице), при которых кость разрушается непосредственно на месте удара. Обычно встречаются в зонах боевых действий или после драки;
- Непрямыми (удар приходится на отведенную руку). Сила воздействия поражающего фактора передается на ключицу опосредованно. Кость повреждается в месте наибольшего изгиба.
Патологические переломы возникают при наличии ряда заболеваний , сопровождающихся уменьшением эластичности и прочности костной ткани (ревматический артрит, рак, остеопороз, неправильное развитие скелета). При этом сила удара может быть минимальной. В отдельных случаях кость ломается вовсе без внешнего воздействия: достаточно сильного сокращения мышц.
В случае получения тяжелых травм показан остеосинтез ключицы пластиной. Суть операции состоит в соединении костных фрагментов с помощью фиксирующих металлических элементов. Благодаря надежному закреплению, пациент может вернуться к обычной жизни в течение нескольких недель.
Ключица представляет собой кость, которая соединяет руку с грудной клеткой, т.е. кость предплечья с грудиной. В случае серьезных повреждений при падении или ударе, когда кость может претерпеть полный перелом, показан остеосинтез ключицы пластиной. Это хирургическая операция, которая предполагает соединение частей ключичной кости с помощью специальных металлических конструкций, надежно фиксирующих обломки.
Виды операции, и ее преимущества
Этот вид хирургии упрощенно называют остеосинтезом плеча, поскольку основная цель – восстановление движения в плечевом суставе за счет жесткой фиксации обломков косточки металлическими элементами. Вмешательство проводится не только для человека: подобную операцию делают и домашним животным: собакам, кошкам и другим.

Для выполнения остеосинтеза (дословно «синтеза», т.е. соединения костей) используются различные элементы из высокопрочного пластика и нержавеющей стали:
- винты;
- пластины;
- болты;
- балки;
- спицы;
- стержни;
- пластинки;
- костные штифты.
Выбор материала и особенностей его конструкции зависит от того, какой именно перелом получил пациент, а также от других его особенностей. Наиболее часто выполняют внутрикостную фиксацию с применением металлических скоб или стержней. Они способны блокировать даже малейшее смещение костей относительно друг друга, что позволяет надежно прикрепить ключицу в районе перелома.

В некоторых случаях применяются особые крючковидные пластины. Они соединяются с костью с помощью специальных крючков, что исключает даже малейшее смещение обломков и ускоряет процесс восстановления.
Хирургическое вмешательство по остеосинтезу плечевой кости пластиной классифицируется не только в зависимости от выбранного материала, но и по другим признакам. Например, в зависимости от особенностей проникновения во время процедуры, выделяют:
- Закрытый остеосинтез – поврежденный отдел не освобождается от мягких тканей, хирург делает минимальные надрезы на коже, через которые проникает вглубь и ставит фиксатор. Такой способ наименее травматичен, он используется в случаях, когда перелом не слишком сильный, поэтому можно попасть в поврежденную зону и без больших надрезов.
- Открытый остеосинтез предполагает полное обнажение мягких тканей, для чего их приходится снимать. Затем хирург вставляет фиксаторы и накладывает швы.
В зависимости от конкретного способа крепления пластины на ключицу, выделяют такие виды процедуры:

Отдельные виды вмешательства имеют названия, связанные с фамилиями хирургов, которые впервые провели соответствующие операции, например, остеосинтез по Веберу, остеосинтез с помощью стержней Богданова, спиц Киршнера.
Решение о том, какой именно способ вмешательства выбрать, принимает сам хирург. Оно зависит от степени тяжести перелома и индивидуальных особенностей пациента.
Вне зависимости от конкретного вида процедуры, правильная ф
Остеосинтез ключицы — хирургическая операция, позволяющая соединять деформированные кости и восстанавливать их целостность с помощью металлических конструкций. Лечение сложное, но результативное. Пациенты быстро возвращаются к привычному образу жизни. Оперативное вмешательство показано при наличии травм ключицы. Нервно-сосудистый пучок, расположенный между первым ребром и ключицей, сдавливается, и при сдвигании осколков есть риск повреждения кожных покровов.
В отличие от гипсования остеосинтез позволяет быстро решать проблему сращивания костных тканей. Человеку не нужно длительно носить гипсовую повязку и придерживаться определенного режима дня.
Принцип действия
Хирургическое лечение перелома ключицы направлено на устранение отломков, их надежную фиксацию и скрепление поврежденных костей металлическими конструкциями. Внутрь кости вводят специальную пластину, гвоздь-болт, гибкие штифты, винты и пр. Форма пластинок может быть различной: изогнутой, S-образной, прямой, в виде крючков и пр.
Пациента погружают в глубокий сон, обнажают костные обломки и соединяют их металлическими конструкциями. Наблюдать за тем, как происходит соединение костей позволяют рентгенологические установки. Остеосинтез надежно устраняет переломы, после терапии не нужно соблюдать неподвижность, можно вернуться к активному ритму жизни.
Показания
После свежих травм остеосинтез ключицы проводят, если:
- образовались открытые переломы;
- есть закрытые переломы ключицы, сопровождающиеся разрывами нервно-сосудистых сплетений;
- произошло внедрение (интерпозиция) мягких тканей между костными обломками, затрудняющее составление и сращивание костей;
- существует высокий риск разрыва костными отломками поверхности кожи;
- костные фрагменты расположены вертикально и могут травмировать нервно-сосудистые пучки.
При наличии застарелых травм остеосинтез необходим, если:
- переломы ключицы сращиваются очень медленно;
- есть неправильно сросшиеся кости, что нарушает работу конечности;
- существуют косметические изъяны.
Лечение свежих переломов осуществляют немедленно, застарелые нарушения устраняются в плановом порядке.
Противопоказания
Остеосинтез ключицы невозможен в следующих случаях:
- чрезвычайно тяжелое состояние пациента из-за травм, ранений, хронических заболеваний;
- в период острого инфицирования;
- в зоне надплечья есть гнойники, незаживающие раны, ссадины и пр.
Как выполняется процедура
Операцию проводят под общим наркозом. На операционном столе пациент ложится на спину, специальные валики размещают под лопатки с поврежденной стороны. Травматологи-ортопеды выбирают металлические конструкции с учетом полученных травм. Чаще всего для реконструкции используются титановые пластины, их форма зависит от характера повреждения.
Для обнаружения проблемной зоны над ключицей делается продольный разрез кожи. Травматологи убирают кровяные сгустки, совмещают костные фрагменты, накладывают пластины и фиксируют их винтами. При установке конструкций исключаются повреждения сосудисто-нервного пучка и развитие некрозов. Рана ушивается, закрывается стерильной повязкой, накладывается дренаж. Спустя 8-12 недель установленная конструкция удаляется. В некоторых случаях в этом нет необходимости.
В Москве реконструкция ключицы успешно проводится в КДЦ «Доктор рядом» находится на Симоновском валу
Преимущества метода
- Быстрая и эффективная реконструкция ключицы, кости надежно сращиваются.
- После операции пациент очень скоро возвращается к привычному ритму жизни.
- Восстанавливается двигательная активность и работоспособность ключицы.
- Отсутствуют косметические дефекты.
Подготовка к операции
Специальной подготовки к остеосинтезу ключицы не требуется. Накануне операции рекомендуется воздержаться от приема алкоголя, лекарств, замедляющих свертываемость крови, исключить стрессы и повышенные силовые нагрузки.
Вопросы-ответы
Как выявить перелом ключицы?
Смещение и перелом костей ключицы может быть следствием спортивных травм, падений, аварий и пр. Выявить его несложно: в зоне перелома возникает резкая и сильная боль, кожа в данной области сильно натягивается, бывают нарушения кожных покровов. Нередко возникает хруст при поднятии руки.
При подозрении на повреждение ключицы врач направляет на рентгенографию и другие исследования. Все необходимые обследования можно пройти в КДЦ «Доктор рядом» на Симоновском валу.
Возможны осложнения после остеосинтеза ключицы?
При грамотном лечении и использовании качественных металлических конструкций результаты операции, как правило, отличные. Осложнения встречаются в случаях, когда для соединения костей использовались короткие штифты, были плохо зафиксированы фрагменты кости, неправильно выбран диаметр сверл для рассверливания полостей. В этом случае бывает не сращение ключицы, появляются инфекционные осложнения и косметические дефекты.
При реконструкции ключицы оперативные вмешательства проводятся в области, где отсутствуют крупные сосуды. Нарушение техники оперирования может привести к повреждению сосудов, расположенных прямо под ключицей, что приводит к обильным кровотечениям. Именно поэтому выбор клиники и доктора для проведения операции имеет определяющее значение.
В чем преимущества клиники «Доктор рядом»?
КДЦ «Доктор рядом» находится на Симоновском валу. В клинике установлено передовое оборудование, работают квалифицированные травматологи-ортопеды. Специалисты учитывают особенности травм, грамотно подбирают пластины и штифты для фиксации.
В центре используются современные вариации введения металлоконструкций: без открытого доступа к костным отломкам. Большой выбор качественных и доступных по цене пластин для остеосинтеза ключицы.
После грамотного и профессионального лечения у пациента не остается косметических дефектов, заживление происходит в ускоренном режиме. Сразу же после операции травмированной конечностью можно выполнять несложные действия без существенной нагрузки.
Ключица – это S образная трубчатая кость. Благодаря ей грудная клетка соединяется с лопаткой. Данная кость по своей форме похожа на очень старинный ключ. Из-за этого она и получила такое название. Ключица играет очень важное значение. Она помогает двигаться плечевому суставу. Поэтому если человек травмирует ее, то уже двигать свободно руками он не сможет. Переломы ключицы со смещением – это очень распространенная травма. Обычно травмируют данную область спортсмены, дети, молодые люди в возрасте до 20 лет.

Содержание статьи:
Симптоматика травмы
При травмировании ключицы у человека появляются следующие типичные симптомы. У него:
- появляются резкие боли, которые усиливаются при попытке подвигать поврежденной конечностью;
- появляется сильный отек в месте повреждения;
- появляются кровоподтеки. Но обычно они появляются в том случае, если костные отломки нарушили целостность какого-то сосуда;
- меняется положение плеча. Оно может сильно опуститься или выйти вперед;
- сильно свисает, немеет поврежденная рука. Обычно это происходит в том случае, если травма повредила целостность нервного пучка;
- нарушается двигательная активность в поврежденной конечности;
- выступает вперед лопатка, но только именно с травмированной стороны;
- появляется хруст при попытке дотронуться до конечности;
- появляется нехарактерная подвижность в поврежденной руке;
- сильно течет кровь и виднеются костные отломки из раны.
Помните: при сильном смещении поврежденная конечность травмирует купол плевры. При этом пострадавший чувствует сильную боль, у него появляются проблемы с дыханием. А это явление очень опасно и требует незамедлительно обращения к врачу.

Виды переломов
Условно медиками перелом ключицы делится на несколько основных видов. По зоне локализации разъема человек может получить травму:
- Внутренней трети кости. Медики называют это переломом грудинного конца ключицы.
- Средней трети кости или диафизарный перелом.
- Наружной трети кости. Медики его называют переломом акромиального конца ключицы.
Помните: чаще всего пациенты получают именно диафизарный перелом средней трети кости. Помимо этого, он может получить перелом:
- Поперечный, где разлом ломает кость поперек и делит ее на две тупоконечные части.
- Продольный. Здесь разлом идет вдоль всей кости.
- Косой. Пациент получает косой перелом, который делит кость на две остроконечные части.
- Винтообразный или спиралевидный перелом.
- Оскольчатый. При оскольчатом переломе ключицы со смещением кость разделяется на несколько крупных и мелких частей. Причем оскольчатый, т.е. именно оскольчатый перелом ключицы с множеством костных обломков и смещением считается медиками самым сложным.
Также пострадавший может получить:
- Полный перелом, при котором происходит разрыв надкостницы. А если часть надкостницы осталась, и именно она держит части кости, то такой перелом медики называют «неполным».
- Перелом со смещением. При нем нарушается анатомически правильное положение частей кости. Причем такую травму видно даже самому пациенту. А если же сломанные костные отломки не поменяли своего положения, то такую травму называют «переломом без смещения». Причем самостоятельно выявить такую травму достаточно сложно.
А еще переломы ключицы со смещением бывают закрытыми и открытыми. При первой травме целостность кожных покровов не нарушается, а при второй травме нарушается целостность кожного покрова и заметно смещение костных отломков.
К какому врачу обратиться
Человеку, сломавшему ключицу, обязательно нужно показаться травматологу и ортопеду. Он приведет пациенту визуальный осмотр, направит его на инструментальную диагностику.
Диагностика
Во время диагностики пациенту требуется сделать рентген в двух проекциях. По нему можно определить состояние костных отломков, наличие осложнений. К примеру, разрывы в нервах, сосудах, куполе плевры. Дополнительно пострадавшему нужно сделать рентген верхнего отдела грудной клетки. Причем если у него появилась патологическая деформация кости, то ему потребуется сдать общий анализ крови, мочу, венозную кровь, часть тканей ключицы на биопсию.
Первая помощь
Первоначально пострадавшему следует придать такое положение, при котором костные отломки не будут двигаться. Далее родственники должны вызвать врача. Затем им требуется:
- Положить подмышку небольшой кусок ткани или бинт, скрученный валиком.
- Придать поврежденной конечности пострадавшего оптимальное положение. Обычно ее требуется согнуть до 90 градусов.
- Полностью прибинтовать конечность к телу.
- Сделать повязку на шею, вложить в нее руку. Также можно воспользоваться нетугой шиной.
Помните: транспортировать больного можно в сидячем или полусидячем положении. На сторону с поврежденной конечностью ему опираться не стоит. Дома можно дать пострадавшему обезболивающее средство. А также ему можно наложить на конечность холодный компресс, лед. Помните: вправлять кость, сустав, оказывать на него давление, распрямлять сустав нельзя. Перевозить его лежа или стоя также запрещено

Методы лечения
Лечение перелома кости проводится двумя способами. Пациенту назначается:
- Консервативное лечение.
- Хирургическая операция.
Консервативные методы лечения используются в том случае, если пациент получил:
- Безоскольчатый поднадкостничный перелом с небольшим смещением костных отломков;
- Травму без смещения костных отломков.
Хирургическое лечение
Ее проводят только по медицинским показаниям. К примеру, ее делают пациентам с:
- множеством костных отломков;
- большим смещением кости;
- переломом открытого типа.
Во время процедуры врач пациенту с открытым или закрытым переломом ключицы со смещением сопоставляет костные отломки (проводит репозицию), фиксирует их в нужном положении. Последняя процедура называется остеосинтезом. Закрепляются отломки внутрикостным штифтом, внешней пластиной, спицами.
Помните: при переломе ключицы аппарат Илизарова пациенту не ставят. Причем при оскольчатом перелом ключицы со смещением пострадавшему проводят операцию с внедрением штифтов.
Но не забывайте о том, что это достаточно сложная операция, после которой у пациента могут появиться осложнения. Во время процедуры специалист делает канал, вставляет в него металлический штифт. Этот штифт проходит по линии перелома и соединяет два костных отломка между собой. Операция с пластиной пациенту с переломом ключицы со смещением очень простая и менее травматичная. Во время процедуры врач накладывает на место перелома и близлежащие ткани плоскую металлическую пластину с отверстиями. Пластину на месте удерживают костные шурупы. После такой операции у пострадавшего редко появляются осложнения, но соединение между костными отломками не будет таким прочным.
Остеосинтез
Данную процедуру пациенту проводят очень быстро, т.е. до того момента, пока у него не начался процесс заживления ключицы после перелома ее со смещением, не сформировался ложный сустав. Проводят процедуру под общим наркозом. Во время нее врач:
- разрезает кожу;
- совмещает костные отломки, скрепляет их, фиксирует;
- устанавливает дренаж.
Далее рану зашивают. Поврежденную конечность обездвиживают мягкой повязкой. Выделения из дренажей контролируют 2 дня.
Помните: если у пациента нет гноя, крови, то дренажи убирают.
Далее на поврежденную конечность ему накладывают гипсовую повязку грудино-плечевого типа. Если у пациента выделяется гной, то рану вскрывают, очищают, обрабатывают раствором с антибиотиком. Затем ее ушивают второй раз, а лечение больному с переломом ключицы со смещением меняют. Помните: двигать рукой пациенту можно через 3-4 недели. После полного срастания ключицы после перелома ее со смещением, прохождения больным полной реабилитации ему удаляют штифты и пластины, установленные во время операции. Обычно это происходит через полгода после операции. Помните: полноценно двигать рукой и поднимать тяжелые предметы больной сможет только через 8-12 месяцев.

Медикаментозная поддержка лечения
После операции пострадавшему также придется принимать лекарственные препараты. Если пострадавшему проводили остеосинтез, то ему назначают медикаменты, ускоряющие процесс срастания костей. Это «Хондроитин», «Терафлекс», медикаменты с кальцием. В состав препаратов входит строительный материал для костной и хрящевой ткани. Также больным назначают:
- антибактериальные медикаменты, проникающие в кость. Это «Линкомицин», «Тетрациклин», «Вибрамицин»;
- обезболивающие медикаменты. Это «Кеторол», «Анальгин»;
- витамины;
- лекарственные препараты, предотвращающие возникновение тромбозов «Аспирин-кардио», «Кардиомагнил».
Помните: если у больного нет кровотечения, то последнюю группу медикаментов стоит использовать. А если больному после перелома ключицы со смещением проводили консервативное лечение, то ему можно лечиться всеми медикаментами, описанные выше, кроме антибиотиков.

Виды повязок и их использование
Больным, которым были назначены консервативные методы лечения, или проводилась операция, обязательно накладывают гипсовые повязки. Они фиксируют и поддерживают поврежденную конечность, обездвиживают ее, предотвращают смещение костных отломков. Используют:
- Кольца Дельбе. Больному вокруг надплечий делают два кольца из полотенца, тканевой полоски. Данные кольца соединяют веревкой на уровне, при котором у больного пропадают болевые ощущения. Обычно такие кольца используют при транспортировке больного в медицинское учреждение.
- Восьмиобразная повязка. Ее накладывают на спину и надплечье. Спереди она очень похожа на кольца Дельбе, но, в отличие от них, она за спиной образует крест. Также ее используют во время транспортировки больного в медицинское учреждение., т.к. она не поднимает надплечья, а лишь разводит их в сторону.
- Повязка Дезо. Ее делают из эластичного или простого бинта. Она фиксирует поврежденную конечность в горизонтальной или вертикальной плоскости, но предплечья в стороны не разводит. Самостоятельно ее сделать сложно, поэтому накладывает ее только опытный специалист.
- Повязка Вельпо. Здесь поврежденная конечность фиксируется на здоровом надплечье, ладонь смотрит вниз. Конечность при этом сгибают под углом в 45 градусов. Фиксируют повязку вдоль тела в вертикальной и горизонтальной плоскости. Она помогает полностью обездвижить конечность, но предплечья в стороны не отводит.
- Косыночная повязка. Ее делают из квадратного куска ткани. Кусок складывают треугольником, поврежденную конечность укладывают на широкую часть ткани, а длинные концы фиксируют на шее пострадавшего. Сделать такую повязку невероятно просто, но жестко зафиксировать конечность она не сможет.
- Гипсовая повязка. Ее накладывают только в медицинском учреждении, т.к. она фиксирует поврежденную конечность на длительный промежуток времени. Сейчас вместо гипсовых повязок используют повязки, сделанные из композитных материалов. Они также фиксируют поврежденную конечность, но меньше по размеру и легкие в использовании.

Помните: выбрать фиксирующее устройство может только специалист. Но если пострадавшему с переломом ключицы со смещением после проведенного лечения требуется зафиксировать поврежденную конечность на длительный срок, то используется гипсовая повязка или повязка, сделанная из композитных материалов.
Реабилитация после перелома ключицы со смещением
Период восстановления пациента после перелома ключицы со смещением начинается сразу после операции. Уже во время ношения гипсовой повязки пострадавшему можно ходить на физиотерапию. Обычно подвижность в поврежденной конечности восстанавливается через 8 недель. После снятия гипсовой повязки больной может разрабатывать поврежденную конечность. Нагрузку стоит увеличивать постепенно. При этом ему назначают лечебный массаж. Он:
- улучшает кровообращение в сломанной конечности;
- ускоряет процесс заживления тканей.
Массаж делают 2 раза в сутки по 10 минут. После полного заживления раны больному можно:
- заняться лечебной физкультурой;
- поделать упражнения, рекомендованными врачом.
Обычно вначале занятия проводят со специальными гимнастическими палками. Так к больному возвращается способность отводить и приводить конечность к телу, сгибать, разгибать плечевой сустав. Позже пострадавший может выполнять упражнения с отягощением. Благодаря им к больному после перелома ключицы со смещением вернется прежняя мышечная сила, восстановится прежняя двигательная активность, период восстановления после операции. Но такими занятиями можно заниматься только вместе со специалистом. Он же подробно расскажет о сроках восстановления.
Массаж
Во время реабилитации пациент может походить на сеансы массажа. Причем делают массаж спины и грудной клетки с поврежденной области. К массажу можно приступать на второй день. Делают его по 15 минут. Во время процедуры врач:
- растирает кожу;
- разминает мышцы.
Все это усиливает кровообращение. Помните: боли и дискомфорта у пострадавшего быть не должно.

Лечебная физкультура
Физкультура имеет не последнее место в процессе реабилитации больного. Такая гимнастика:
- укрепляет ослабленные мышцы;
- улучшает подвижность суставов, кровообращение.
Первоначально упражнения пострадавший может выполнять вместе с доктором. Движения должны быть плавными, медленными. Пострадавший может:
- сжимать, разжимать пальцы, растопыривать их в разные стороны;
- соединять подушечки всех пальцев с подушечкой большого пальца;
- напрягать мышцы в согнутых пальцах;
- крутить каждым пальцем, а потом и всей рукой по часовой, а потом против часовой стрелки;
- поднимать, опускать кисть;
- делать щелчки пальцами;
- класть кисти на плечи, локти, по очереди поднимать и опускать. А еще он может выполнять вращения локтями;
- выпрямить руки, поднять их и опустить;
- согнуть локти, руки отвести назад;
- сделать руками упражнение «ножницы», выполнить махи руками.
После таких занятий обычно у пациента быстрее образуется костная мозоль, срастается кость. Помните: если во время занятия пациент почувствовал усталость, то их следует прекратить.
Физиопроцедуры
После снятия гипса больному назначается физиотерапия. Она:
- улучшает кровообращение в поврежденной конечности;
- ускоряет процесс восстановления костных тканей.
Пациенту в период восстановления после перелома ключицы со смещением придется походить на:
- теплые ванночки;
- сеансы с электрофорезом, фонофорезом;
- магнитотерапию.

Последствия и осложнения
Условно медиками все осложнения, которые появляются у пациента с переломом бедра со смещением, разделяют на несколько основных видов. Они бывают:
- ранними;
- поздними.
Ранние осложнения и нетипичные синдромы появляются у пациента именно во время получения травмы или в первые дни после проведенной операции. У пациента:
- открывается сильное кровотечение;
- инфекционные клетки проникают в рану;
- нарушается структура мышц, кожных покровов, нервных окончания. Обычно это происходит из-за травмирования данной области костными отломками.
Поздние осложнения часто появляются у тех пациентов, которым было назначено неверное лечение, или которые просто не лечились. У таких пациентов кость срастается неправильно, подвижность в ней снижена. А еще пациент может полностью потерять способность совершать нормальные движения поврежденной рукой. В особо тяжелых случаях такие осложнения просто делают из пациента инвалида. Помните: если костные отломки отошли друг от друга слишком далеко, то у пациента появляется ложный сустав. Это мягкий участок ткани, который не позволяет надежно поврежденной конечности соединиться с телом.
Подытожим: ломать ключицу не стоит ни одному человеку. Это достаточно серьезная травма, последствия после которой еще долго будут мучать пациента.
Пластина для остеосинтеза переломов ключицы
В случае получения тяжелых травм показан остеосинтез ключицы пластиной. Суть операции состоит в соединении костных фрагментов с помощью фиксирующих металлических элементов. Благодаря надежному закреплению, пациент может вернуться к обычной жизни в течение нескольких недель.
Ключица представляет собой кость, которая соединяет руку с грудной клеткой, т.е. кость предплечья с грудиной. В случае серьезных повреждений при падении или ударе, когда кость может претерпеть полный перелом, показан остеосинтез ключицы пластиной. Это хирургическая операция, которая предполагает соединение частей ключичной кости с помощью специальных металлических конструкций, надежно фиксирующих обломки.
Показания к операции на ключице
Полный перелом ключицы
Остеосинтез используется для лечения нестабильных переломов трубчатых костей. Также он применяется при внутрисуставных переломах, когда нарушается целостность суставной поверхности. Для фиксации при операции используются винты, спицы, пластины и шурупы, а также гвозди и штифты.
Показаниями к проведению остеосинтеза на ключице считаются:
Потребность в операции возникает, если пациент ощущает нестерпимую боль в руке и области ключицы. Также к детальному обследованию располагают такие симптомы, как невозможность двигать рукой, сильная припухлость и покраснение в зоне удара, отечность, постоянные боли.
Операции при переломе ключицы со смещением обычно хорошо переносятся пациентами, они быстро и нормально выздоравливают. Усугубляют ситуацию только такие факторы, как возраст и наличие хронических болезней костей.
Растяжение палочкой
Встаньте прямо, ноги на ширине плеч. Возьмите здоровой рукой палочку за головой, больную руку отведите за спину и возьмите другой конец палочки. Здоровой рукой потяните палочку вверх, тем самым усилив сгибание больной руки. Удерживайте 5 секунд. Повторить 10 раз.
Возможные противопоказания
Повышенная хрупкость костей является противопоказанием к проведению данной операции
Устанавливать пластины и спицы в ключицу невозможно, если у человека есть некоторые заболевания и нарушения:
- тяжелое состояние пациента после перенесенного инфаркта или инсульта;
- острые воспалительные болезни внутренних органов и систем, например, диабет в стадии декомпенсации, сердечная недостаточность;
- повышенная хрупкость костной ткани в старческом возрасте;
- воспалительные и инфекционные болезни костей, в том числе туберкулез;
- тяжелые формы артрита суставов в зоне проведения операции;
- абсцессы и воспалительные процессы в мягких тканях недалеко от места перелома;
- онкологические патологии крови и суставов;
- другие травмы при несчастных случаях.
Некоторые противопоказания – тяжелое состояние пациента после несчастного случая – не считаются абсолютными. После восстановления человеку можно будет сделать остеосинтез.
Массаж
В зависимости от сложности перелома массаж разрешается начинать с 3-10 суток от получения травмы. Эта процедура усиливает кровоснабжение в поврежденном месте, ускоряя обмен веществ и регенерацию тканей, а также возвращает чувствительность кожным покровам в случае нарушения целостности нервных волокон.
В то время, пока плечо находится под повязкой, массировать можно только видимые части: руку, пальцы, грудную клетку, спину. Все движения мягкие, щадящие, выполняются в сидячем положении. Разрешены разминающие, поглаживающие, щипковые приемы. Важно, чтобы массаж делал профессионал, иначе возрастает риск смещения отломков.
Диагностика и подготовка
Рентген выполняется для точного определения количества осколков и положения костей
Выполнять остеосинтез ключицы можно только в том случае, если потребность в операции была подтверждена диагностическим путем. Для этого пациенту обязательно нужно пройти следующие процедуры:
- выполнить рентген для точного определения количества осколков, особенностей перелома, положения костей;
- КТ или МРТ для получения обширной картины повреждения мягких тканей и сосудов;
- сдать анализ крови и мочи, чтобы врачи смогли получить полную картину о состоянии здоровья.
После анализов пациента консультирует хирург или травматолог. В большинстве случаев операцию проводят уже через несколько часов после полного обследования. Никакой специфической подготовки не нужно, так как общая анестезия не требуется.
Перед операцией пациент должен сообщить врачу, какие лекарства и как долго он принимает. Также нужно указать наличие хронических болезней, которые могут повлиять на ход вмешательства.
Вертикальная разводка
Встаньте прямо, ноги на ширине плеч, руки свободно свисают. Отведите руки в стороны (как показано на рисунке) и поднимите максимально вверх. Удерживайте 5 секунд. Вернитесь в исходное положение. Повторить 10 раз.
Разновидности операции и их плюсы
Скрепление поломанной кости ключицы с помощью пластины
Остеосинтез нацелен на восстановление подвижности плечевого сустава за счет строгой фиксации обломков ключицы с помощью металлических спиц и пластин. Для соединения костей используются целые металлоконструкции медицинского характера:
- болты, гвозди и винты;
- пластины и балки;
- спицы и стержни;
- специальные костные штифты.
Изготавливают их из разных материалов, но главное требование при выполнении операции – использование однородных элементов. Нельзя ставить нержавеющую сталь вместе с никелем.
Некоторым пациентам при остеосинтезе устанавливают особые крючковые пластины, которые крепятся к кости. Они предотвращают даже минимальное смещение, поэтому часто используются в сложных ситуациях.
Существует несколько видов операций по сращению ключицы:
- Закрытый остеосинтез. Сначала область освобождают от мягких тканей, делая микроскопические надрезы. Затем через них ставится фиксатор. Операция характеризуется минимальной травматичностью, но применима лишь в случаях, когда перелом несложный, закрытый, а количество осколков минимально. Подобный подход исключает проникновение инфекции и защищает пациента, ускоряя период восстановления после остеосинтеза ключицы.
- Открытый остеосинтез. Для проведения операции мягкие ткани полностью обнажаются, хирург снимает их. После этого устанавливается фиксирующая конструкция, ткани возвращаются на место и накладываются швы.
- Внутреннее крепление пластины или спицы. В этом случае врач устанавливает детали прямо в кость.
- Надкостная установка. Хирург помещает металлическую конструкцию, не вмешиваясь внутрь кости.
- Погружное крепление. Сочетает метод поверхностной и внутренней установки.
Другие виды хирургического вмешательства названы по именам врачей, которые изобрели их: остеосинтез стержней Богданова, спиц Киршнера.
Принимать решение о выборе метода операции должен хирург, исходя из полученных данных анализов и рентгена. Врач учитывает степень тяжести травмы, состояние пациента. От этого во многом зависит процесс восстановления.
Задачи, которые решает остеосинтез
Остеосинтез не требует ношения гипса, так как фиксаторы надежно скрепляют кости
Если специалист выбирает правильную методику остеосинтеза, она на 100% решает главные задачи операции:
- обеспечивает быстрое восстановление двигательной активности;
- позволяет совершать бытовые движения уже на следующий день после операции;
- не требует ношения гипса, так как фиксаторы надежно закрепляют отломанные кости;
- предотвращает разрушение костей, воспаления и боли.
Отзывы людей, которые прошли через остеосинтез, подтверждают, что операция почти на 100% устраняет болезненные ощущения. Даже после отхождения от анестезии симптомы не причиняют невыносимого дискомфорта.
Как протекает восстановление?
Во время носки фиксирующей повязки мышцы конечности атрофируются.
В процессе терапии перелома верхняя конечность пациента неподвижно фиксируется, из-за чего нередко мышечная ткань атрофируется. После снятия гипса многие больные жалуются на сильный болевой синдром и ухудшение двигательной активности. Чтобы разработать руку, требуется комплексный подход, который в обязательном порядке включает следующие методы:
- массаж;
- занятия в бассейне;
- лечебная физическая культура;
- физиотерапия.
Во время того, как пораженная верхняя конечность находится в гипсе, пациенту требуется выполнять пассивные движения кистью. После нарастания костной мозоли повязку снимают и разрешают выполнять различные упражнения с применением специальной палки. Со временем нагрузку увеличивают, включают в тренировки эспандеры, тренажеры.
Ход выполнения операции
Стандартный остеосинтез занимает от 30 до 60 минут времени. В тяжелых случаях операция длится до 2-3 часов. Однако техника ее очень проста и не вызывает сложностей у опытного хирурга:
- Врач ставит анестезию с помощью укола.
- Над ключицей делается разрез длиной до 7 см и шириной в 8-10 мм, либо микронадрезы.
- В отломленной части делается отверстие глубиной 6 см.
- Делается отверстие в противоположном канале.
- Происходит фиксация отломленных частей, устанавливается спица, стержень или пластина.
- Мягкие ткани ушиваются, накладываются хирургические швы.
Эта схема используется во всех случаях остеосинтеза ключицы, этапы могут лишь частично отличаться. Если устанавливаются крупные пластины, их обязательно фиксируют винтами.
Варианты крепежа металлических конструкций
Реконструктивную пластину устанавливают по верхней или передней поверхности кости.
Если устанавливается титановый эластичный стержень, его ставят прямо в трубчатую кость.
При использовании крючковидной пластины требуется, чтобы перелом был со смещением кости. Вариантов у такого остеосинтеза множество.
Разгибание плеча
Встаньте прямо, ноги на ширине плеч. Разогните разрабатываемую руку назад (как показано на рисунке) и удерживайте 5 секунд. Затем вернитесь в исходное положение. Повторить 10 раз.
Возможные осложнения
Недостаточная фиксация обломков костей является основной причиной образования ложных суставов
У некоторых пациентов наблюдается стойкое несращение ключицы после операции, что может быть обусловлено дополнительными болезнями, возрастом и некоторыми другими факторами. Также бывают и другие осложнения:
- Нагноение мягких тканей – происходит в случае проникновения инфекции, но причин у этого состояния может быть много. При правильном лечении ликвидируется уже к 3-4 неделе реабилитации и на конечный результат восстановления повлиять не может.
- металлоз – патология, при которой появляются боли из-за коррозии металлов внутри тела, причиной может быть ошибка врача – использование неоднородных металлов в одной конструкции, а также неправильная полировка имплантатов.
- Остеит – воспаление в кортикальном слое костной ткани, часто возникает при недостаточном кровоснабжении.
В большинстве случаев осложнения легко поддаются коррекции удалением некротизировавшихся тканей и поверхностных костных пластин.
Развитие осложнений после остеосинтеза не всегда связано с врачебными ошибками. Во многом скорость восстановления и отсутствие проблем зависит от изначального состояния здоровья пациента.
Сопротивление сгибанию
Встаньте спиной к двери. Закрепите конец эспандера за дверь на уровне талии, другой конец эспандера возьмите разрабатываемой рукой. Потяните руку вперед, сгибая ее в плече. 2 подхода по 15 повторений.
Восстановительный период после операции
В период восстановления необходимо выполнять лечебную физкультуру
Срок реабилитации после приема во многом зависит от возраста и степени тяжести повреждения. У детей до 12 лет этот срок равен 1 месяцу, а у взрослого занимает до 90 суток или чуть больше. Тяжелее всего восстанавливаются пожилые пациенты.
В период восстановления после операции каждый пациент должен придерживаться советов врача, носить бандаж, а также выполнять лечебную физкультуру для восстановления подвижности руки со стороны поврежденной ключицы.
Операция для сращения переломанных костей ключицы не считается очень тяжелой и опасной для человека. В большинстве случаев ее даже проводят с местной анестезией, не применяя общий наркоз. Тип используемых аксессуаров зависит от степени повреждения кости. А грамотное прохождение через реабилитационный период гарантирует пациенту полноценное восстановление.
Физиотерапевтические процедуры
Физиолечение ускоряет реабилитацию больного: стимулирует формирование костной мозоли, предотвращает осложнения, уменьшает болевой синдром, восстанавливает сосуды и нервы. Некоторые процедуры (например, магнитотерапию) назначают еще в периоде иммобилизации. Наиболее эффективными считаются следующие терапевтические методики:
- Магнитотерапия;
- Электрофорез и фонофорез;
- УВЧ-терапия;
- Ультрафиолетовое облучение;
- Парафиновые аппликации;
- Грязелечение.
Одновременно рекомендуется делать только одну физиопроцедуру, однако ее следует сочетать с ЛФК и массажем.
Суть извлечения
Демонтаж пластин необходим даже в случае, если речь идет не о классическом переломе, а о вывихе ключицы. В таком случае продуктивнее всего воспользоваться стратегией наложения на акромиально-ключичное сочленение крючковидной пластинки.
Если вовремя потом ее не убрать, то тогда пострадавшему грозит не самый прекрасный сценарий:
- развитие артроза в суставной области;
- образование костных разрастаний, которые называют остеофитами;
- повреждение мышечных волокон костными наростами.
Все перечисленное провоцирует ярко выраженный болевой синдром. Купировать его анальгетиками без нивелирования первоисточника проблемы – малоэффективное решение. Боли будут возвращаться, и усиливаться со временем.
Особенное внимание хирурги уделяют пациентам, чья профессиональная деятельность тесно связана со спортивными достижениями. Такие люди являются представителями группы повышенного риска получения в том же месте рецидива. Чтобы снизить процентную вероятность повтора идентичного повреждения, медики настаивают на необходимости снимать металлоконструкцию сразу же после подтверждения успешного срастания. Если оставить все, как есть, то тогда при повторном переломе наличие металлического фиксатора на кости или внутри нее существенно усложнит последующее оказание помощи. Не говоря уже о замедлении нового заживления после хирургического вмешательства.
Часто неизвлеченные по истечении запланированного срока металлофиксаторы становятся причиной для отказа человеку в допуске для прохождения армейской службы. Те же импланты могут оказаться противопоказанием к ведению ряда других вариантов профессиональной деятельности. Для решения поставленной задачи придется удалить ранее вмонтированные детали, даже если они имеют незначительные габариты.
Еще несколько десятков лет показанием для повторной операции становилось обнаружение обломка спицы или сверла, который локализируется в очаге поражения.
Происходило это из-за неаккуратно проведенного вмешательства, а также использования самодельных приспособлений. Они часто не были адаптированы для указанных целей, будучи изготовленными из совершенно некрепких сплавов, которые для высоких нагрузок не приспособлены по умолчанию. При их деформации мелкие частицы попадали между костями, которые должны были срастись, ранили окружающие мягкие ткани, мышечные волокна и даже кровеносные сосуды. Повреждение последних грозит обширным внутренним кровотечением, диагностировать которое довольно сложно невооруженным глазом.
Не стоит терпеть боль тем пациентам, которым вроде бы успешно была произведена операция по установке ключичных пластин, но через время выяснилось, что инородное тело причиняет весомые болевые ощущения. Дискомфорт зачастую вызван тем, что шляпка винта или скобы тесно взаимодействует с сухожилиями.
Как только сухожилия приходят в движения даже при небольшом действии, мышца начинает тереться о выступающую часть поддерживающего механизма. Чаще всего с подобными неудобствами приходится сталкиваться людям с худым телосложением.
Также всем дамам, которые планируют беременность, и успешно уже перенесли сращение благодаря пластинкам, их стоит удалить до зачатия. Это позволит избежать латентных негативных вариантов влияния на плод.
операция с пластиной и период восстановления
03.08.2009, 15:10
Здравствуйте! 3 недели назад я упала и сломала правую ключицу, наложили гипс, но репозиции не достигли и через 2 недели прооперировали — положили пластину. после операции появились сильные боли в месте операции ближе к шее, там постоянно ноет, когда сажусь или хожу — через 5-15 минут возникает резкая тягостная боль, надо обязательно лечь, в момент когда ложусь — боль усиливается, а потом проходит. прошла неделя, врач говорит — в его практике это впервые… и кажется не верит мне, вот завтра может позовет невролога. хочу задать вопрос — а можте это быть связано с тем что шурупы повредили нервы? или пластина слишком большая? ведь до операции этого не было.. расскажите что это за осложнение и как вылечить его? спасибо большое!
10.10.2009, 05:58
здравствуйте! прошу дать консультацию дополнительно. прилагаю снимок до операции — правда он не очень хороший, и после операции. прошло уже 2 с лишним месяца после опреации а я практически не двигаю рукой — после движений возникает болезненный спазм мышц в плече и не проходит, движения в плече значительно ограничены, не могу поднимать руку выше горизонтального уровня. Ответьте пожалуйста, такие спазмы могут быть связаны с наличием пластины?. в какие минимальные сроки ее можно удалить и не придется ли потом ходить в гипсе? подскажите как разрабатывают руку в таких ситуациях? спасиюо заранее!
10.10.2009, 06:01
и вот снимок после операции
10.10.2009, 06:07
не получалось загрузить снимки..
10.10.2009, 22:39
я практически не двигаю рукой […] такие спазмы могут быть связаны с наличием пластины?
Пластина как таковая ни при чем. Была травма, операция, в связи с этим болело первые дни. Через неделю-полторы после операции надо уже разрабатывать движения. С помощью второй руки поднимать в направлении за голову. Лучше лежа на спине, чтобы лопатка была фиксирована. Если два месяца не двигать, то и здоровая будет плохо двигаться.
11.10.2009, 06:20
Пластина врядли даёт Вам ограничение движений. Думаю есть смысл приглядеться к плечевому суставу. Сделать рентгенограмму в боковой проекции или томограмму.
11.10.2009, 22:27
Скажу прямо.У меня складывается предубеждение к этой крючковидной пластине.
В вертикальном положении,за счет веса верхней конечности,возникает рычаговое действие ее.В этом вижу проблему.В крайних случаях увидим такое,как в этой теме:
[Ссылки могут видеть только зарегистрированные и активированные пользователи] %FB
Поэтому пациентке могу посоветовать только серьезную косыночную повязку,то ест
Перелом ключицы — один из наиболее распространенных переломов, на который приходится около 4% всех переломов. Переломы среднего вала составляют примерно 80%. Традиционно считается, что переломы среднего вала имеют хороший прогноз даже при значительном смещении, и большинство из них лечили безоперационно с помощью строп или бинтов в виде восьмерки. Ранние исследования, проведенные Neer и Rowe в 60-х годах, продемонстрировали очень низкий процент не состоящих в профсоюзе случаев, при этом распространенность составила 4 в серии из 566 пациентов и 3 случая в 2235 году у другого.Исходя из этого, общее мнение заключалось в том, что подавляющее большинство даже сильно смещенных переломов среднего вала заживали без осложнений, с очень низкой частотой несращений и хорошим функциональным результатом. С другой стороны, результаты операции сообщают о плохих результатах, особенно в отношении риска заражения. Недавние исследования, однако, заключают по-другому и предполагают, что результаты смещенных переломов могут быть не такими благоприятными, как считалось ранее. В серии из 52 полностью смещенных переломов ключицы Хилл показал, что 15% (8 из 52 пациентов) и 31% (16 из 52) пациентов не были удовлетворены конечным результатом.Это коррелировало с укорочением более 2 см. В проспективном исследовании 222 пациентов, проведенном Новаком, было установлено, что у 42% (93 из 222) сохраняются симптомы после 6 месяцев, а у 15% — несращивание. Эти симптомы, по-видимому, сохраняются даже после 9 — 10 лет, сообщая, что у 29% из 208 пациентов наблюдается боль во время активности и 9% — в состоянии покоя. 46% не считают себя полностью выздоровевшими.
Аналогичный результат был найден в системном обзоре 2144 переломов. 15,1% (24 из 159) неоперативно обработанных вывихов переломов приводили к несращению, тогда как 2,2% (10 из 460) и 2% (5 из 152) несращений были обнаружены при переломах, обработанных либо пластинчатыми, либо интрамедуллярными штифтами.Исходя из этого, становится все более очевидным, что консервативное лечение дает значительно худшие результаты по сравнению с ранее опубликованными результатами.
Оперативный подход к переломам ключицы традиционно заключался в остеосинтезе пластин или интрамедуллярных гвоздях. Poigenfürst в 1992 году показал у 122 пациентов низкую частоту несращений и хорошие функциональные результаты после посева. Аналогичным образом, интрамедуллярный гвоздь был описан как альтернативный метод с хорошими результатами. Кеттлер продемонстрировал в группе из 87 пациентов хорошие функциональные результаты в 97,7% (85 из 87) и отсутствие инфекций.Аналогичные результаты были получены Rehm в 2004 году: один из 136 переломов был обработан, а через год после удаления имплантата — постоянный балл 97.
Оперативное лечение смещенного перелома ключицы, таким образом, показывает надежные хорошие результаты по сравнению с ранее сообщенными результатами. В 2007 году Канадское общество ортопедических травм опубликовало проспективное рандомизированное контролируемое исследование 132 пациентов, рандомизированное для консервативного лечения с использованием слинга или фиксации на пластине. Оперативная группа показала явное превосходство по показателям «Константа» и «DASH», снижение риска развития не состоящих в профсоюзе, более раннее возвращение к работе.С интрамедуллярным гвоздем, используя технику ESIN, Smekal и др. Продемонстрировали превосходные результаты в оперативной группе в проспективном рандомизированном контролируемом исследовании 60 пациентов. 30 пациентов были оперированы эластичным стабильным интрамедуллярным гвоздем, а 30 пациентов были рандомизированы на консервативное лечение с помощью слинга. Оперативная группа имела меньше осложнений, меньше времени на объединение и лучший функциональный результат.
Из вышесказанного следует, что целесообразно предложить оперативное лечение активным взрослым с переломами средней трети ключицы со смещением из-за риска развития симптоматического несостоятельности или несостоятельности.Как фиксация пластин, так и интрамедуллярная фиксация смещенных переломов описаны как безопасные методы оперативного лечения. Насколько нам известно, никогда не проводилось проспективное рандомизированное контролируемое исследование, в котором сравнивались бы различные формы ранее упомянутых оперативных альтернатив.
На этой основе мы планируем провести проспективное рандомизированное контролируемое исследование, сравнивающее оперативную фиксацию пластин и интрамедуллярное забивание гвоздями с TEN.Описание продукта
фиксирующая пластина дистальной ключицы, имплантаты для остеосинтеза
Сертификация: CE. ISO
Материал: нержавеющая сталь / титановый сплав
Процесс: Обрабатывающий центр с ЧПУ HAAS
1. Отверстия: 3-8 отверстий
2. Длина: 55-119 мм
3.Выберите винты HC2.9, HC3.5, HA3.5.
Youbetter будет вашим надежным поставщиком ортопедических имплантатов в Китае
Обратная связь: быстрая реакция в течение 24 часов Сертификат: CE & ISO Технологии и оборудование: импортировано из Италии Персонал: способен.умный, специализированный, у нас сильная команда идея «инновации, качество и сервис», и уделять большое внимание разработке новых продуктов, повышению качества продукции и достижению безупречного обслуживания. Наши товары продаются в Латвии, Таиланде, на Филиппинах, в Турции, Аргентине, Малайзии и во многих странах Азии и Америки.Если у вас есть какие-либо вопросы, не стесняйтесь связаться с нами. Мы с нетерпением ждем сотрудничества с вами! Мы принимаем OEM & Customerization . Более выгодная политика Есть интерес? Пожалуйста, свяжитесь со мной для получения более подробной информации Дэвид Чен Whatsapp & MOB: +86 15358425594
необходимо связаться со мной для получения более подробной информации
, Ортопедия Подробнее » Подробнее » Подробнее » Подробнее » Подробнее » Подробнее » Подробнее » Подробнее » Подробнее » Подробнее » Подробнее » Подробнее » Подробнее » Подробнее » Подробнее » Подробнее » Подробнее » Подробнее » Подробнее » Подробнее » Подробнее » Подробнее » Подробнее » Подробнее » Подробнее » Подробнее » Подробнее » Подробнее » Подробнее » Подробнее » Подробнее » Подробнее » Подробнее » Подробнее » Подробнее » Набор колец Königsee состоит из угловых и стабильных угловых пластин с изменяемым углом и стабильных углов. Подробнее » Подробнее » Подробнее » Для лечения переломов плечевой кости мы предлагаем различные пластины для остеосинтеза. Подробнее » Подробнее » Подробнее » Подробнее » Подробнее » Подробнее » Подробнее » Подробнее » Подробнее » Подробнее » Подробнее » Подробнее » Подробнее » Подробнее » Подробнее » Подробнее » Подробнее » Подробнее » Подробнее » Подробнее » Подробнее » Подробнее » Подробнее » Подробнее » Подробнее » Подробнее » Подробнее » Подробнее » Подробнее » Подробнее » Подробнее » Подробнее » Подробнее » Подробнее » Подробнее » Подробнее » Подробнее » Подробнее » Подробнее » Подробнее » Подробнее » Подробнее » Подробнее » Подробнее » Подробнее » Подробнее » Инновационный принцип для фиксации переломов головы-шеи на тазобедренном конце тазобедренного сустава. Подробнее » Подробнее » Подробнее » Подробнее » Подробнее » Подробнее » Подробнее » Подробнее » Подробнее » Подробнее » Подробнее » Подробнее » Подробнее » Подробнее » Подробнее »

,
. Человеческие имплантаты | Königsee Implantate GmbH
ключицы
ключицы передней части
WiKo Передняя ключичная пластинка 3.5, медиальная и боковая, титан Пластина вала ключицы
Вариабельная угловая пластина вала ключицы 3,5, титан
Угловая пластина вала ключицы 3.5, титан Ключица боковая
Переменная устойчивая к углу боковая пластина ключицы 2.7; титан
Переменная устойчивая к углу боковая пластина ключицы 3,5, титан
Угловая боковая пластина ключицы 3.5, титан Пластина с крючковыми крючками
Вариабельная угловая пластина ACJ 3,5, титан
Угловая стабильная крюковая пластина ACJ 3.5, титан
Угловая пластина крючка ключицы 3.5, титан
Крюковая пластина ключицы 3.5, прямой, стандартный, титан
Крюковая пластина ключицы 3.5, прямая, стандартная, из нержавеющей стали
Крюковая пластина ключицы 3.5, стандарт, титан
Крюковая пластина ключицы 3,5, стандарт, нержавеющая сталь
Balzer plate 3.5, стандарт, титан
Balzer plate 3.5, стандарт, нержавеющая сталь Диафиз бедренной кости
Königsee Проволочный остеосинтез — CPL-System
Königsee Набор для сервизов, тарелки
Königsee Cerclage-система с кабелями 1,0 мм
Königsee Cerclage-система с кабелями диаметром 1.5 мм
Угловые прямые LC-плиты, LFI
Угловые прямые прямые плиты LC, широкие, LFI
KFN — длинный Диафиз малоберцовой кости
Угловые пластины реконструкции, SFI
Небольшой фрагмент-модуль Прямые пластины Diaphysis humerus
Угловые пластины
Угловая стабильная CPL-система для Humerus, LFI
Угловой модуль малых фрагментов — прямые пластины, SFI
Скользящие гвозди Радиус диафиза
Угловой стабильный модуль с маленьким фрагментом Прямые пластины
Угловые устойчивые пластины с одной третью, SFI
Скользящие ногти, SFI Diaphysis ulna
Переменная стабильная угол Реконструкция пластины для винтов D 2.7 мм
Скользящие гвозди SFI Дистальная бедренная кость
Königsee Femur-Systems
Угловая пластина дистальной части бедренной кости для винтов Ø4,5 мм — Ø6,0 мм, толщина пластины 4,5 мм
Угловая устойчивая дистальная пластина бедренной кости для винтов Ø4,5 мм — Ø6,0 мм, толщина пластины 6,0 мм Пластина VaWiKo® EPI
OP set Пластина VaWiKo® EPI
Пластина VaWiKo® EPI 4.0 для гемипифизеодеза Дистальная плечевая кость
Königsee Ellbow-Set, SFI
Локоть
Угловые стабильные дистальные плечевые пластины с удлинителем, SFI
Переменная стабильная угловая дистальная плечевая кость, локтевая / медиальная, SFI Угловые пластины
Угловая стабильная дистальная плечевая пластина, SFI-LFI Пластина VaWiKo® EPI
OP комплект VaWiKo® EPI пластина
VaWiKo® EPI пластина 4.0 для гемипифизеодезии Дистальный радиус
Дистальный радиус пластины — диаметр 2,0 мм
Угловая дистальная ладонная пластина Radiusplate 2.0
Пластина дистального радиуса 2.0 / 3,5 как спинной Пластины дистального радиуса — диаметр 2,4 мм
Пластина дистального радиуса 2,4 узкая
Пластина дистального радиуса 2,4, широкая Пластины дистального радиуса — диаметр 2,7 мм
Пластина дистального радиуса 2.7 как узкая
Пластина дистального радиуса шириной 2,7
Пластина дистального радиуса 2.7 узких
Пластина дистального радиуса 2,7 шир. Пластины дистального радиуса — диаметр 3,5 мм
Пластина дистального радиуса Twin 3.5 as
Пластина дистального радиуса 3.5 Classic as
Пластина дистального радиуса 3.5 Minor as
Пластина дистального радиуса 3.5 Quadro as
Пластина дистального радиуса 3.5 варио как
Пластина дистального радиуса 3.5 Classic vas
Пластина дистального радиуса 3.5 Minor vas
Пластина дистального радиуса 3,5 с коррекцией как Пластина VaWiKo® EPI
VaWiKo® EPI пластинка 4.0 для гемиэпифизодезии Дистальная малоберцовая кость
Königsee Fibula-Set
Фибула устойчивая с изменяемым углом наклона
Стабилизированный дистальный фибулаплат с изменяемым углом
Набор VaWiKo® Боковая дистальная пластинка фибулы 3.5
VaWiKo® Боковая дистальная пластинка малоберцовой кости 3.5 Дистальная большеберцовая кость
Стабилизированная дистальная пластина большеберцовой кости с изменяемым углом — SFI
Угловая дистальная пластина большеберцовой кости — SFI VaWiKo® EPI пластина
OP комплект VaWiKo® EPI пластина
VaWiKo® EPI plate 4.0 для гемипифизеодеза Задние лапы
Стабилизированные задние стопы с изменяемым углом Шейный отдел позвоночника
Винт сжатия перелома 3.0 / 4.0 st sd can; для завинчивания ДЭНСа
KI-CVA пластина 4.5 / 5.2 Фаланги
Угловой набор мини-пластин, минифрагмент Мини-тарелки в комплекте
Угловые устойчивые мини-пластины (стандарт в мини-наборе для рук) Другие мини-ручки
Угловая мини-перемычка, 4 отверстия, диаметр 2.0 мм
Угловая корректирующая пластина, 6 отверстий, диаметр 2,0 мм
Угловая мини-Т-образная пластина, 3/4 отверстия, диаметр 2,0 мм
Угловая двухмостовая пластина, 7 отверстий, диаметр 2,0 мм
Перкутанная компрессионная проволока для фиксации переломов фаланга Olecranon
Стабилизированный пластинчатый пластик с переменным углом Вариабельная угловая пластина локтевого отростка
Variabel winkelstabiles Ellenbogenset
Переменная угловая пластина со стабильным углом — SFI Ossa carpi
Комплекты для операций
Op Set Variabel Угловые кольцевые пластины
Набор пластин для артродезирования с переменным углом наклона кисти Переменные, устойчивые к углу пластины
Переменная стабильная угол Кольцевая пластина Ø 2.0 мм
Переменная устойчивая к диаметру кольцевая пластина диаметр 2,7 мм
Переменная устойчивая под углом пластина для рук-суставов проксимальный отдел бедренной кости
RoSA — поворотный анкер-шуруп
RoSA — Имплантаты
RoSA — Инструменты
RoSA — Implantatentfernung Königsee Femoral Nail
Königsee Femoral Nail (KFN)
Königsee Femoral Nail (KFN)
Königsee Femoral Nail (KFN) длинный Пластина VaWiKo® EPI
OP комплект VaWiKo® EPI пластина
VaWiKo® EPI плита 4.0 для гемипифизеодеза Проксимальный радиус
Проксимальный радиус Пластина 2.0 как Проксимальная большеберцовая кость
Угловая латеральная боковая пластина L-большеберцовой кости
Стабильная угловая боковая пластина T-tibia
Стабилизированная под углом средняя пластина голени
Угловая пластина Königsee HTO VaWiKo® EPI пластина
OP set Пластина VaWiKo® EPI
Пластина VaWiKo® EPI 4.0 для гемипифизеодеза

