Какие могут возникнуть последствия перелома ребер

Переломы ребер могут иметь различные последствия.
Травмы грудной клетки чреваты развитием различных сопутствующих патологий. Некоторые из них могут спровоцировать смерть пациента. Рассмотрим основные последствия перелома ребер, способы их устранения и предотвращения.
Содержание статьи
Что происходит при переломе ребер
Переломы ребер и их последствия тесно взаимосвязаны между собой. В момент получения травмы происходит нарушение целостности костной ткани.
Различают такие виды переломов, способных привести к осложнениям:
- полный;
- поднадкостничный;
- закрытый;
- открытый;
- множественный.
Ребра представляют собой плоские парные костные образования. На изгибах они являются наиболее уязвимыми. Эти участки страдают в первую очередь.
Верхняя передняя часть связана с гораздо большими рисками, так как здесь расположены жизненно важные органы. При попадании отломков в мягкие ткани возникает кровотечение, могут нарушиться функции поврежденных органов. Как результат, может развиться острая дыхательная недостаточность.
Факторы-провокаторы осложнений
Некоторые патологии развиваются в связи с воздействием травмирующей силы. Другие же являются следствием неосторожных или неправильных действий при оказании первой помощи, транспортировке и лечении пострадавшего.
Спровоцировать негативные последствия способны такие факторы:
- движения после получения травмы;
- наложение тугой повязки;
- инфицирование;
- употребление алкоголя;
- пожилой возраст;
- множественные повреждения;
- подбор неподходящей позы для сна;
- физические нагрузки;
- подавление кашля;
- невозможность сделать полный вдох;
- неправильная фиксация отломков кости;
- попытка вправить перелом самостоятельно;
- невыполнение рекомендаций относительно дыхательных упражнений.
Возможные последствия
Всегда существует вероятность развития того или иного осложнения после перелома ребра. При сложных сочетанных травмах риски появления негативных последствий возрастают.В таблице представлены самые частые, а также наиболее опасные патологии, возникающие при подобных повреждениях:
| Вид осложнения и фото | Краткое описание |
![]() Остеоидная шишка | Происходит разрастание костной мозоли в мягкие ткани, что вызывает воспаление и появление характерной припухлости. |
![]() Пневмоторакс | Между оболочками плевры образуется скопление воздуха вследствие повреждения легкого. |
![]() Гемоторакс | Повреждение мягких тканей и сосудов приводит к образованию скопления крови в плевральной полости. |
![]() Невралгия | Защемление или повреждение нервных корешков, что провоцирует сильную мышечную боль. |
![]() Плеврит | Воспаление плевральной оболочки, сопровождающееся накоплением в ней жидкости. |
![]() Воспаление легких | В результате застойных процессов происходит воспаление тканей легкого, то есть развивается посттравматическая пневмония. |
![]() Коронарная недостаточность | Повреждения сердца вызывают хроническую коронарную недостаточность, проявляющуюся нарушениями сердечного ритма и кислородным голоданием тканей. |
![]() Внутреннее кровотечение | Нарушение целостности крупных сосудов и внутренних органов приводит к массивному внутреннему кровоизлиянию, что может завершиться летальным исходом. |
Рассмотрим каждую из этих патологий более подробно.
Остеоидная шишка
В норме заживление кости сопровождается образованием остеоидной мозоли в месте сращения. Она состоит из трех частей: внешней, внутренней и промежуточной. Эти разновидности спаек являются нормальными и по мере выздоровления человека уплотняются, а впоследствии – рассасываются и принимают естественную форму кости.
Если образуется крупная шишка на ребре после перелома, которая долгое время не проходит, увеличивается в размерах и проявляется воспалением мягких тканей, речь идет об околокостной мозоли. Это образование является патологическим, но его появлению в определенной степени можно воспрепятствовать с помощью физиопроцедур. Лечение крупных шишек производится хирургическим путем, что не исключает рецидивов в дальнейшем.
Пневмоторакс
Очень частым последствием смещения костных отломков является травма легкого. При переломе ребер происходит нарушение целостности плевральной оболочки и тканей органа. Это нарушает процесс дыхания, воздух начинает скапливаться между наружным и внутренним листками плевры.
Газовое скопление не имеет выхода, что чревато усилением давления на легкое и утруднением его функционирования. Для предотвращения дыхательной недостаточности необходимо обеспечить отвод воздуха посредством пункции.
Гемоторакс
Повреждение легочной или соседних мягких тканей может также сопровождаться такой патологией, как гемоторакс. В этом случае между слоями плевральной оболочки травмированного легкого образуется скопление крови. Оно мешает дыхательной деятельности, способствует развитию застойных процессов и падению альвеолярной активности органа.
Для удаления скопившейся крови врач пользуется методом пункции. Из плеврального пространства откачивается лишняя жидкость, а для ее последующего отвода устанавливается дренажная трубка.
Невралгия
Менее опасным, но очень неприятным последствием является невралгия после перелома ребра. Суть проблемы заключается в повреждении нервных корешков, что провоцирует интенсивные болевые ощущения в межреберных мышцах.
Такое явление с большей долей вероятности может возникнуть при сложных травмах грудной клетки, когда затрагиваются не только реберные кости, но и позвонки. При наличии хронических заболеваний опорно-двигательного аппарата риск проявления межреберной невралгии увеличивается.
Для устранения болей используют анальгетики и новокаиновые блокады. Для полного устранения проблемы нужно освободить от раздражающего воздействия затронутые нервы.
Плеврит
Следствием травмы грудной клетки также может стать воспаление плевральной оболочки легких. При посттравматическом плеврите скапливается жидкость в легких после перелома ребер.
Это опасное состояние, так как возникает дефицит кислорода, нарушение сердечного ритма. При прогрессировании процесса воспаление распространяется на соседние ткани, дыхательная деятельность сильно затрудняется, может развиться отек легкого.
Чтобы не допустить осложнений, в частности, летального исхода, необходимо откачать жидкость из легких. Дополнительно назначаются противовоспалительные, гипосеснибилизирующие препараты, антибиотики.
Воспаление легких
Частым осложнением переломов ребер с нарушением работы легких является застойная пневмония. Особенно склонны к ее развитию пациенты пожилого возраста. Гипостатическое воспаление возникает при плохой вентиляции легких, дефиците кислорода, застое мокроты и крови в органе.
Инструкция относительно устранения патологии заключается в приеме противовоспалительных, антибактериальных и обезболивающих препаратов, использовании методов искусственной вентиляции легких. Для выведения гнойной мокроты прописываются ингаляции и отхаркивающие сиропы.
Коронарная недостаточность
Хроническая коронарная недостаточность – это серьезная патология, так как она может привести к летальному исходу в любой момент. Повреждение сердца приводит к тому, что в сердце поступает недостаточное количество кислорода из-за нарушения проходимости коронарной артерии.
Необходимо улучшить снабжение миокарда кислородом и максимально улучшить проходимость и тонус сосудов. При хронической форме используют бета-аденоблокаторы, блокаторы кальциевых каналов и нитросоединения.
Внутреннее кровотечение
Если повреждены крупные сосуды, внутренние органы, например, печень, желудок или селезенка, цена может быть слишком высокой. В таком случае возникает массивное внутреннее кровотечение. Признаками являются интенсивные боли, холодный пот, учащение сердцебиения, падение артериального давления, бледность лица.
Необходимо срочное переливание крови и хирургическое вмешательство для устранения разрывов тканей. Если не успеть предоставить помощь пострадавшему, наступает летальный исход.
Лечение и реабилитация
Восстановление ребер после перелома при осложненных травмах должно проходить под врачебным контролем в условиях стационара. Оно обычно включает в себя медикаментозное лечение, физиопроцедуры и хирургические методы (при необходимости). По желанию больного и возможностях медучреждения возможны применение нетрадиционной терапии.
Для лечения используются такие группы препаратов:
- противовоспалительные;
- обезболивающие;
- иммуностимулирующие;
- рассасывающие;
- ранозаживляющие;
- отхаркивающие.
При лечении сложных переломов ребер понадобится хирургическое вмешательство.
При возникновении осложнений реабилитация после перелома ребер занимает гораздо больше времени.
Для улучшения питания тканей, ускорения их регенерации, а также нормального рассасывания костной мозоли назначаются физиотерапевтические процедуры:
- микротоки;
- лекарственный электрофорез;
- магнитотерапия;
- лазерная терапия;
- УВЧ.
Для устранения застойных процессов эффективным методом лечения считается гирудотерапия, а для устранения болевых ощущений и стимуляции защитных сил организма используют иглотерапию.
Профилактика осложнений
Для того чтобы не допустить развития осложнений необходимо придерживаться определенных рекомендаций:
- выполняйте специальные дыхательные упражнения после перелома ребер;
- исключите физические нагрузки в первое время, затем начинайте выполнение легких упражнений с небольшой нагрузкой;
- принимайте необходимые лекарства;
- не употребляйте алкогольных напитков;
- питайтесь сбалансированно;
- принимайте витаминно-минеральные добавки.
К сожалению, некоторые последствия развиваются независимо от человека, поэтому важно своевременно предпринять ответные меры. Больше информации по теме вы можете получить из видео в этой статье.
travm.info
Осложнения перелома ребер: врачи, видео негативных последствий
Травмы ребер без осложнений не представляют опасности, в лечении имеют хороший прогноз. Но возможные последствия переломов опасны для здоровья, часто связаны с риском для жизни человека, требуют срочного оперативного вмешательства.
Причины осложнений
Сильное механическое воздействие на реберный каркас — основная причина как самой травмы, так и возможных осложнений. Множественные и окончатые переломы приводят к появлению отломков с острыми и режущими краями, которые повреждают оболочки соседних органов, сосуды, нервы, мышцы и мягкие ткани.
Другие факторы, приводящие к осложнениям, носят субъективный характер, зависят от обстоятельств:
- несвоевременная помощь пострадавшему;
- неправильно оказанная первая помощь, ошибки иммобилизации, транспортировки;
- невыполнение назначений и рекомендаций врача в процессе лечения и реабилитации.
Таким образом, осложнения появляются не только вследствие тяжелой травмы, но и в результате характера дальнейших событий.
Появление переломов ребер неизменно сопровождается сильной болью и затруднениями в сфере дыхательной деятельности. Легкие не могут работать в полной мере.
Виды и симптомы осложнений

Недостаток питания клеток кислородом и травмы ближних органов могут вызвать следующие тяжелые патологии:
- Пневмоторакс. Воздушное скопление в области плевры проявляется в отрывистом кашле, затруднениях в дыхании, разбухании вен на шее, синюшном оттенке кожи, частом пульсе. Требуется срочное устранение скопления газов посредством пункции в стационаре.
- Гемоторакс. Попадание крови в область плевры диагностируется после рентгеновского обследования. Большое скопление жидкости проявляется в симптомах тахикардии, снижения давления, отсутствия везикулярного дыхания. Явные признаки патологии сигнализируют о необходимости экстренной госпитализации. Откачивание скоплений крови, установка дренажа жизненно важны.
- Подкожная эмфизема. Осложнение проявляется в ярких признаках вздутости кожных покровов от попадания воздуха под кожу. При нажатии слышен характерный скрип. Эмфизема часто самоустраняется, но если при ее наличии нарушается дыхание, ухудшается состояние пострадавшего, то требуется оперативное вмешательство.
- Травмы органов. Опасные состояния, связанные с внутренним кровотечением. Симптомы тяжелых нарушений проявляются в головокружении, спутанном сознании, острой боли. Разрыв селезенки, повреждения почек, печени, легких, сердечной мышцы требуют срочной хирургической помощи.
- Инфицирование органов. Недостаток поступления кислорода после перелома ребер провоцирует развитие пневмонии, бронхита, трахеита. Для предупреждения патологических процессов в лечении назначают препараты пенициллинового ряда.
Профилактика
Осложнения возникают в разные периоды лечения травмы. Поэтому незамедлительное обращение за медицинской помощью и проведение полного обследования необходимо даже после, на первый взгляд, несложных переломов и удовлетворительного самочувствия.
Важным фактором является выполнение всех предписаний врача, соблюдение режима лечения и восстановления. Правильное питание, обогащенное витаминно-минеральными добавками, способствует полному восстановлению организма, предупреждению осложнений.
Ряд нарушений после перелома ребер не имеет выраженной симптоматики, но впоследствии развитие патологии приводит к серьезным последствиям.
Нужно помнить, что профилактические меры защитят организм от тяжелых и необратимых последствий после перелома ребер.
mymedic.clinic
Осложнения при переломе ребер опаснее самой травмы
Несмотря на то что в большинстве своем, перелом ребер не требует особого лечения, эта травма опасна своими осложнениями. Особенно опасны переломы ребер, возникшие при автоаварии, так как в результате такого несчастного случая происходит перелом со смещением, и острые концы костей повреждают внутренние органы и кровеносные сосуды. Около 19% пожилых людей, перенесших перелом ребер в этом году, умерли не от самой травмы, а от ее осложнений.
Пневмоторакс при переломе ребер
Пневмоторакс – серьезнейшее осложнение перелома ребер.
Симптомы пневмоторакса
- Режущая боль в груди, могущая иррадиировать в плечо и спину.
- Сухой отрывистый кашель.
- Затруднение дыхания.
- Разбухание крупных вен в области шеи, при этом кожа вокруг них имеет синюшный оттенок.
- Пульс учащенный.
- Давление низкое.
- Речь затруднена.
Первая помощь при пневмотораксе

Если рядом нет травматолога, первая помощь при пневмотораксе заключается в ослаблении симптомов, обложив травмированного подушками и укрепив их снаружи шинами. Прямо на тело шины накладывать нельзя, потому что это приведет к ухудшению дыхания и еще большему осложнению ситуации.
При пневмотораксе, врачебная помощь должна быть оказана в кратчайшее время, так как смерть может наступить через несколько минут после получения травмы.
Подкожная эмфизема при переломе ребер
Подкожная эмфизема возникает, когда под кожу попадает воздух.
Понять, что возникло данное осложнение можно просто посмотрев на травмированного – он будет выглядеть, как будто его надули. При надавливании на вздутые места отчетливо слышен характерный «скрип».
Чаще всего подкожная эмфизема проходит сама по себе, но иногда, если воздух распространится в средостение, может случиться расстройство дыхания, и состояние больного резко ухудшится. В таком случае, для спасения жизни пострадавшего, проводится хирургическое вмешательство.
Гемоторакс при переломе ребер
При попадании крови в плевральную полость диагностируется пневмоторакс.
Кроме перелома ребер, могут быть и другие причины возникновения гемоторакса, но именно эта травма вызывает его чаще всего.
Диагностика и признаки гемоторакса
В большинстве случаев гемоторакс можно обнаружить только при рентгеновском обследовании.
Однако если имеет место большой гемоторакс, он диагностируется и «на глаз». Следует знать, что это не очень хороший факт, требующий скорейшей госпитализации больного.
Признаками большого гемоторакса является наличие:
- тахикардии;
- пониженного давления;
- перемещения сердечного толчка в неповрежденную сторону;
- нет везикулярного дыхания;
- на поврежденной стороне легочной звук притуплен.
Присутствие симптомов большого гемоторакса должно подвигнуть людей, оказывающих первую помощь пострадавшему, на скорейшее перемещение его в больницу, так как нет никаких вариантов спасения человека без скорейшей операции.
Разрыв селезенки и другие травмы внутренних органов

Разрыв селезенки может вызвать опасное для жизни, внутреннее кровотечение.
В основном это осложнение лечится путем хирургического удаления селезенки, но иногда, когда кровотечение не очень сильное, врачи могут выбрать терапевтические методы лечения.
Симптомы разрыва селезенки и травмы внутренних органов
Симптомами разрыва селезенки и того, что травмированы внутренние органы (печень, почки) являются:
- Болезненные ощущения в левом или правом подреберье.
- Головокружение.
- Спутанное сознание.
Если травмированы внутренние органы (печень, легкие, почки), то лечение проводится только стационарное, по необходимости – хирургическое.
Инфекция органов грудной клетки
Из-за того, что при переломе ребер, человек не в состоянии полноценно дышать, а значит, кровь плохо обогащается кислородом, может произойти инфицирование органов дыхания и развиться пневмония, бронхит или трахеит.
Во избежание этого осложнения, в первые часы после травмы, назначаются антибиотики пенициллинового ряда.
Кроме всего прочего, перелом ребер может сопровождаться компрессионным переломом позвоночника, признаки которого поначалу будут сглажены, но впоследствии приведут к грыже межпозвоночного диска или к другим, более серьезным нарушениям. Чтобы избежать таких последствий, при переломе ребер, даже если человек неплохо себя чувствует, не стоит надеяться на «авось», а нужно сразу же обращаться в больницу.
Оцените статью: Поделитесь с друзьями!Похожие статьи
spina-sustav.ru
Перелом рёбер: признаки, последствия и лечение
Перелом ребра – травма грудной клетки, характеризующаяся наличием целостного повреждения костей, иногда с повреждением костными осколками внутренних органов.
Примерно 80% травм груди сопровождаются переломами рёбер. Чаще всего происходят переломы 4-7 рёбер. Травма 8-го ребра сопровождается повреждением близлежащих органов.
Какая опасность возникает при нарушении целостности ребер
Повреждение близлежащих органов, таких как пищевод, легкие, сердце, печень, плевра, аорта может привести к смерти пациента.
Пожилые люди подвержены особому риску, так как с возрастом кости становятся ломкими в связи с возрастными изменениями, приводящим к нарушениям обмена веществ и снижению количества минеральных веществ в организме.

Причины возникновения переломов
Действие механической силы на здоровую костную ткань:
- Автоаварии.
- Удар тупым предметом по груди.
- Ранение огнестрельным оружием.
- Падение с высоты.
- Компрессия груди.
Переломы, возникающие в результате незначительной механической силы и длительного воздействия заболевания на организм пострадавшего. Разрушающими заболеваниями являются:
- Генетические заболевания.
- Остеомиелит.
- Остеопороз.
- Артриты.
- Опухолевидные новообразования.

Симптоматика
Переломы ребер без нарушения целостности внутренних органов
Появление тупой боли, которая усиливается при кашле или глубоком вдохе. При повреждении ребер на задней части грудной клетки боли менее выражены, чем при повреждении ребер на передней части, это обусловлено тем, что ребра задней части меньше участвуют в акте дыхания и их отломки не смещаются.
Пострадавший принимает вынужденное положение, прижимает поврежденную сторону грудной клетки, у него отмечается поверхностное или прерывистое дыхание. Отмечается наличие отечности поврежденного места, возможно наличие гематом, наличие деформации грудной клетки. При переломе нескольких костей в процессе дыхания можно услышать хруст – крепитация отломков.
Переломы ребер с повреждениями внутренних органов и их осложнения
Отмечаются такие же симптомы, как и при переломе без повреждения органов, к ним присоединяются тахикардия, учащение пульса, мраморность, цианоз или акроцианоз кожи. Наличие какой – либо симптоматики зависит от того, какой орган поврежден:
- Легкое – развитие подкожной эмфиземы, резкое нарушение дыхания и наличие кровохарканья.
- Аорта – обширная кровопотеря и смерть пациента на месте происшествия.
- Сердце – учащение, затем урежение сердцебиения, пульса, дыхания, возможна смерть пациента при транспортировке.
- Печень – все перечисленные симптомы, а также большая потеря крови может привести к смерти.

Диагностика
С целью диагностики перелома ребер, проводится опрос пациента или сопровождающего, осмотр и пальпация области повреждения, определение следующих симптомов:
- Симптом прерванного вдоха – пострадавший не может резко вдохнуть из-за усиливающейся боли.
- Симптом Пайра – пострадавший не способен сделать наклон в здоровую сторону.
- Симптом осевой нагрузки – пострадавший испытывает сильную болезненность со стороны повреждения при незначительном давлении на грудную клетку.
Чтобы исключить наличие других повреждений проводятся:
- Рентгенограмма грудного отдела.
- Компьютерная томография.
- Ультразвуковое исследование.
- Пункция плевральной полости.
- Клинический анализ крови и мочи.

Неотложные мероприятия
- Дать пострадавшему анальгетик.
- Зафиксировать место повреждения тугой повязкой.
- К месту повреждения приложить холод.
- Госпитализировать пострадавшего в лечебное учреждение, в положении полулежа, предварительно подложив под его ноги валик.
Чего не стоит делать ни в коем случае
- Изменять положение пострадавшего.
- Просить пострадавшего кашлять или глубоко дышать.
- Применять силу при прощупывании места травмы.
- Делать репозицию костей.
Лечение
При критическом состоянии пациент подлежит срочной госпитализации, необходимо поддержание жизненно – важных функций организма и проведение оперативного вмешательства.
Лечение в условиях стационара
Соблюдение покоя, адекватное лечение, сбалансированное питание, соблюдение питьевого режима, отказ от вредных привычек, занятия дыхательной и двигательной гимнастикой ускорят процесс лечения и поспособствуют скорейшему восстановлению утраченных функций.
Для устранения боли в поврежденную область вводят анестетик – 10 мл 2 %-го раствора Прокаина + 1 мл 70 % спирта.
Для улучшения отхождения мокроты и ее выведения назначают в таблетированной форме Бромгексин, Пектусин, постановку горчичников на грудь.
Если происходит скопление жидкости в плевральной полости, то устанавливают дренаж.
При наличии травмы сбоку применяют скелетное вытяжение. Остеосинтез применяется для фиксации выпавшей части ребра.

Всем пациентам назначаются дыхательные упражнения, прогревания, УВЧ.
Скорость срастания костной ткани зависит от соблюдения всех назначений и состояния организма человека. Полное восстановление функций в норме происходит через 1,5 – 2 месяца. Если перелом был осложненным, то восстановительный период удлиняется.
Реабилитация в посттравматическом периоде
Следует воздержаться от любых видов нагрузок в первые два месяца. Назначенное долечивание и рекомендованные упражнения выполнять качественно и добросовестно, не превышая и не понижая дозволенных норм. Помимо лечебной гимнастики, необходимо ежедневно проводить дыхательную гимнастику. Пациентам, идущим на поправку увеличить потребление витамина С, нежирного мяса, морепродуктов.
Постель должна иметь жесткую поверхность. Если была повреждена передняя сторона грудной клетки, то пациент должен расположиться на спине, если была повреждена задняя сторона, то лечь необходимо на противоположный от травмы бок.
Последствия
- Повреждение органов грудной клетки
- Накопление крови в грудной клетке
- Скопление воздуха в грудной клетке
- Отделение участка кости от грудного отдела позвоночника
- Подкожная эмфизема
- Заболевания органов дыхания инфекционной природы
- Появление тахикардии, нестабильности АД, сердечной недостаточности
Профилактика
- Увеличить в своем рационе прием продуктов, обогащенных кальцием, фосфором, магнием, цинком, марганцем, витамином Д и медью.
- Отказ от курения, приема наркотических средств и алкоголя.
- Ежедневные занятия дыхательной гимнастикой.
- Использование тугих повязок, эластичных бинтов и средств защиты при занятии спортом.
Похожие материалы:
sustavos.ru
Осложнения и реабилитация после перелома ребер
Природа не зря поместила сердце и легкие в грудную клетку – важнейшие для человека органы должны быть надежно защищены от внешнего воздействия. Поэтому и кости, составляющие клетку, необходимо стараться уберечь от переломов, чтобы не допустить осложнений.
Грудная клетка человека состоит из 12 позвонков, грудины и 12 пар ребер. 10 пар ребер образуют замкнутый круг, соединяясь с позвонками и грудиной, а 11-я и 12-я пары с грудиной не соединяются, они менее стабильны, поэтому ломаются очень редко.
Ребра отличаются небольшой толщиной, поэтому они легко ломаются, по статистике, из общего числа переломов, около 15% приходится на переломы ребер.
Опасность перелома ребра зависит от вида и степени перелома. Небольшая трещина или надлом быстро излечиваются, а переломы со смещением могут повредить и даже разорвать ткани и внутренние органы. Такая травма может привести к летальному исходу, нужно помнить, что от правильного лечения и соблюдения режима зависит жизнь человека.
Переломы ребер бывают закрытыми – в этом случае повреждаются лишь кости и внутренние органы, и открытые – когда происходит разрыв кожи и тканей, выступают острые края сломанных костей.
Причины травмы
Перелом ребер, так же, как и любая другая травма, может произойти по разным причинам:
- После ушиба;
- После падения;
- После сдавливания.
- В результате производственной травмы.
Медики различают два механизма травмирования ребер – прямой и непрямой.
В случае прямого механизма грудная клетка повреждается в одном месте. При этом ребра прогибаются и ломаются. В зависимости от силы воздействия на грудную клетку, одновременно с ребрами могут пострадать и внутренние органы и сосуды.
Количество переломанных ребер так же зависит от силы и локализации удара. В некоторых случаях может образоваться так называемый окончатый, или флотирующий перелом – когда часть ребра отделяется от конструкции грудной клетки.
На вдохе отделившийся фрагмент ребра западает, на выдохе – выделяется, и все это мешает нормальному дыханию. Такое явление опасно для сердца и нормального кровообращения, количество летальных исходов при флотирующем переломе достигает 40%.
Непрямой механизм переломов – это перелом из-за сильного давления. Если грудину сильно надавливают спереди или сзади, ребра могут поломаться по бокам, там, где сгибаются при этом более всего.
Медики называют такой перелом «раздавленная грудь». Такая травма чаще всего бывает при аварии, когда грудная клетка оказывается зажатой между рулем и сиденьем.
Как выявить травму?
Иногда человек падает, или получает сильный удар в грудную клетку, но это еще не означает, что у него перелом ребер. Возможно, это простой ушиб, который легко лечится в течение нескольких дней, или боли проходят без посторонней помощи, тогда как симптомы перелома ребер намного серьезнее:
- при попытке сделать вдох появляется резкая сильная боль, дыхание становится неглубоким и прерывистым;
- боль усиливается при разговоре, смехе, кашле;
- каждое движение тела вызывает дискомфорт и болевые ощущения;
- в месте перелома грудная клетка меньше двигается при дыхании;
- при прощупывании пальцами ребро и его обломки хрустят;
- при переломе ребер в нескольких местах, состояние человека ухудшается, кожа становится бледной, синеет, дыхание становится прерывистым, появляются отеки и кровоподтеки.
И все-таки более полную и ясную картину перелома дает рентгенография, и если есть возможность, ее обязательно назначают, чтобы выяснить степень и вид повреждения костей.
Лечение дома и в больнице
Если человек травмирован, и есть подозрение на перелом ребер, поместите его в лежачее или полу лежачее положение. После этого пострадавший не должен двигаться.
Сделайте на грудную клетку тугую повязку из широкого бинта, или куска ткани. При необходимости дайте пострадавшему обезболивающие средства в таблетках, или сделайте внутримышечный укол с анальгетиками.
При легком повреждении ребер лечение может быть амбулаторным, если же перелом достаточно серьезный, без госпитализации не обойтись.
В больнице пострадавшему делают спиртово-прокаиновую блокаду. В место повреждения вводят 10 мл двухпроцентного прокаина, после чего, через ту же иглу доливают 1 мл 70-процентного спирта. Эти меры успокаивают боль и облегчают дыхание.
Кроме того, при переломе ребер назначают метамизол натрия в таблетках, микстуру для откашливания – бромгексин или туссин. На грудную клетку ставят горчичники, чтобы легче отходили жидкость и слизь, накапливающиеся в легких при такой травме, все это предотвращает развитие пневмонии.
Для восстановления правильного дыхания пострадавший должен выполнять специальные упражнения, делать прогревание УВЧ. Если боли через 2-3 дня не утихают, блокаду повторяют. А немного позже на место перелома накладывают электрофорез кальция хлорида и прокаина.
Обычно за месяц кости срастаются, но если этого не происходит, больному делают операцию или назначают специальное лечение. Одним из методов лечения является накладывание пластмассовой шины – пластмассу нагревают в горячей воде и накладывают на грудную клетку размягченной. Так она повторяет форму грудной клетки. Шину фиксируют хирургической иглой, носить ее приходится 3 недели, после чего ее снимают.
При переломе сбоку применяют скелетное вытягивание – пострадавшему делают укол обезболивающего, и специальной иглой вокруг грудины вводят проволоку. Удаляют проволоку через 2-3 недели.
В случае окончатого, или флотирующего перелома, чтобы установить выпавшую часть ребра на место, необходимо провести остеосинтез с использованием специального аппарата. Остеосинтез позволяет надежно зафиксировать поврежденное ребро и ускорить его восстановление.
Сроки заживления
Сроки заживления и срастания ребер зависят от степени и вида травмы, как правило, кости срастаются за 4-6 недель. Но для того, чтобы уложиться в эти сроки, больному необходимо обеспечить правильное лечение, покой и специальные гимнастические упражнения. Работоспособность после перелома ребер полностью восстанавливается за 6-8 недель.
Если травма была множественной и тяжелой, время на лечение и восстановление работоспособности может понадобиться намного больше – здесь все индивидуально, и во многом зависит от организма человека. Окончатые переломы срастаются несколько месяцев.
Чтобы ускорить процесс срастания, необходимо создать пострадавшему специальные условия – покой, отсутствие серьезной физической нагрузки, хорошее питание. Спать нужно на твердой поверхности, на спине, или на неповрежденном боку.
Перелом ребра это всегда травма и для сердца и легких, поэтому для поддержания их нормальной деятельности необходимо употреблять витамины и минералы, молочные продукты, свежие овощи и фрукты.
Выполняйте все советы и рекомендации врача, в том числе и по физпроцедурам.
Последствия
Перелом ребра – достаточно серьезная травма, и без осложнений обходится редко. Не зря медики утверждают, что не так опасен перелом ребра, как последствия и осложнения травмы. Особенно опасен перелом ребра для пожилых людей с большим весом – среди них процент летальных исходов после перелома ребер особенно высок.
После перелома ребер возникают такие осложнения, как повреждения легких, сердца, селезенки и даже желудка, внутреннее кровотечение. Без специального обследования и лечения в этом случае не обойтись.
Сразу же после травмы необходимо обратиться к врачу. Поводом для незамедлительной госпитализации может стать сильное снижение артериального давления, учащенное сердцебиение, посттравматический шок.
Серьезным осложнением является гемоторакс – когда кровь из поврежденных мягких тканей накапливается в грудной полости. Как результат – одышка, слабый пульс, бледность кожи.
Еще один вид осложнения – пневмоторакс – скопление в грудной полости воздуха, который проникает в нее через поврежденную легочную ткань. Особенно серьезным осложнением является клапанный пневмоторакс, при котором воздух со вздохом попадает в плевральную полость, но при выдохе не может из нее выйти из-за того, что клапан поврежденных тканей закрыт. Такое осложнение может привести к сжатию легкого, плевропульмональному шоку и летальному исходу.
Дыхание и ритмы сердца нарушаются даже при легкой травме ребер, в таком случае может начать развиваться пневмония. Если дыхание остается сильно ограниченным длительное время, развивается застойная пневмония, вылечить которую намного сложнее, чем обычную.
Кроме того, после перелома у пострадавшего может развиться тахикардия, сердечная недостаточность, появятся проблемы с артериальным давлением – эти осложнения так же придется лечить дополнительно. Хотя в некоторых случаях они проходят самостоятельно после срастания костей, и нормализации работы сердца и легких.
Еще одним осложнением перелома ребер являются инфекционные заболевания, когда микробы извне попадают в организм человека не естественным путем, и начинают усиленно размножаться, пользуясь тем, что иммунная система ослаблена.
Иногда при переломе ребер возникает подкожная эмфизема – это под кожу попал воздух. При этом пострадавший выглядит как надутый шарик. При пальпации вздутых мест, будет слышно поскрипывание или легкий хруст.
Эмфизема может пройти рассосаться без последствий, но если воздух попадет в средостение, произойдет расстройство дыхания, состояние человека сильно ухудшится. В этом случае больному показано срочное хирургическое вмешательство.
Как видите, все осложнения, возникающие после перелома ребер достаточно серьезные, и без врачебной помощи здесь не обойтись. В некоторых случаях единственной возможностью спасти человека является срочная госпитализация с проведением операции.
travmhelp.ru
Перелом ребер — симптомы, лечение, осложнения и последствия
Перелом ребер – одна из самых распространенных травм грудной клетки. На нее приходится 15-16% всех повреждений среди фиксируемых переломов. Опасность представляет собой не только сам перелом, но и повреждения органов, которые могут быть вызваны осколками кости.
В ряде случаев перелом даже одного ребра становится причиной летального исхода, поэтому при подозрении на этот вид травмы необходима консультация врача-травматолога или хирурга, которые смогут подобрать правильное лечение.
Содержание статьи:
Как происходит травма ребер
Переломы ребер обычно возникают в результате механического воздействия, будь то удар, сдавление грудной клетки, сотрясение при падении. Чаше всего ребро ломается в своей наиболее уязвимой точке – месте наибольшего перегиба. Наибольший перегиб приходится на боковые поверхности грудной клетки.
Переломы можно разделить на:
Перелом ребер со смещением- Перелом ребра со смещением отломков. Это чаще всего переломы нескольких ребер. Отломки кости в таком случае могут повреждать близлежащие органы и ткани. Переломы ребер со смешением особенно опасны тем, что могут повреждать плевру и ткань легкого, а так же сосуды, идущие между ребер. Из-за повреждения плевры или легкого развиваются такие угрожающие состояния, как гемоторакс и пневмоторакс.
Гемоторакс – это скопление крови между листками плевры. Пневмоторакс – скопление воздуха в грудной клетке без возможности выхода. Оба этих процесса приводят к тому, что легкое поджимается, происходит слипание легочных структур – альвеол, и в итоге прекращается акт дыхания.
В результате повреждения легкого может развиваться также подкожная эмфизема, которая характеризуется попаданием воздуха в подкожно-жировую клетчатку.
Повреждение реберными осколками сосудов приводит к кровотечениям. - Перелом ребра без смещения. Такой вид перелома чаще всего происходит, когда ломается 1-2 ребра. Он менее опасен по сравнению с первым, но все равно требует обращения к специалисту, так как необходимо правильное лечение, чтобы ребра срослись, как положено и не доставляли неудобств.
Симптомы перелома ребра
Симптомы перелома ребер чаще всего весьма очевидны и не составляют труда для диагностики врачу.
При осмотре больного с подозрением на перелом ребер важную роль играет анамнез. Если человек жалуется на недавнюю травму грудной клетки – это повод внимательнее провести обследование, чтобы исключить перелом.
Перелом ребра характеризуется обычно жалобами пациента на острую боль и могут при этом довольно точно указать место локализации боли. Боль имеет свойство усиливаться в ответ на дыхание и движение, а стихать в покое. Лучше всего болевые ощущения ослабляет принятие сидячего положения.
Дыхание больного с переломом ребер поверхностное, медленное и осторожное, а с пораженной стороны может вовсе отсутствовать.
Прощупывание предполагаемого места перелома способно выявить участок наибольшей болезненности. В некоторых случаях можно слышать костную крепитацию, которая вызвана смещением отломков относительно друг друга. Прощупывание, особенно при подозрении на множественный перелом ребер, должно проводиться исключительно врачом, так как неопытный человек может сместить осколки и нанести еще больше повреждений.
Переломы ребер при прощупывании характеризуют такие явные признаки, как нахождение ступенькообразных деформаций в том месте, где болезненные ощущения выражены сильнее всего.
Врачи отмечают, что особенно тяжело переносятся переломы передних и боковых областей ребер.
Именно боковые и передние области ребер чаще всего сопровождаются серьезным нарушением дыхания. Если перелом произошел в задней части ребра, то он переносится в разы легче.
Если речь идет о множественном переломе ребер, то он всегда сопровождается нарушением дыхания, особенно явный показатель – его учащение, увеличением пульса. Человек стремительно бледнеет, а затем его кожа приобретает синеватый оттенок, что объясняется недостатком кислорода и развитием дыхательной недостаточности.
Больные со сломанными ребрами стремятся уединиться и занять такое место в помещении, чтобы их тревожили как можно меньше. Они стараются избегать лишних движений, замирая с максимальной неподвижностью.
При визуальном исследовании грудной клетки в месте перелома выявляется характерная отечность тканей и явные следы кровоподтеков. Если к перелому присоединилась эмфизема, прощупывание позволит врачу услышать звук крепитации воздуха, который напоминает едва слышное поскрипывание.
Симптом «оборванного дыхания» — еще один характерный признак перелома ребер. Он проявляется, как попытка больного медленно втянуть в себя воздух, резко оборванная где-то на середине вдоха из-за болевых ощущений. Этот симптом позволяет проводить дифференциальную диагностику между ушибом грудной клетки и переломом ребер. Иногда при помощи фонендоскопа становится слышным характерный щелчок на вдохе, указывающий на перелом.
Если перелом произошел в задней части грудной клетки – симптомы, перечисленные выше, не выражаются столь явно. Связано это с тем, что задние части ребер принимают меньшее участие в акте дыхания и, следовательно, менее подвижны. Характерный признак перелома задней части ребра – утихание боли в положении больного лежа на спине. Объясняется это тем, что при таком положении поврежденное ребро обездвиживается еще более явно.
Еще один основополагающий принцип диагностики перелома ребер – симптом осевой нагрузки. Его выраженность не зависит от того, в какой именно части ребра расположен перелом. Методика определения симптома проста. Проделывают поочередное передне-заднее и боковое сжатие грудной клетки ладонями. Если перелом есть – болевые ощущения в месте перелома усилятся.
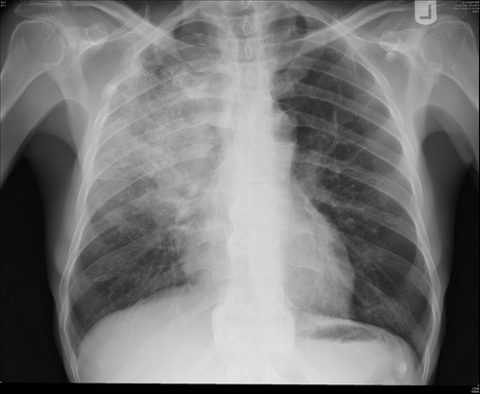
При подозрении на закрытый перелом ребер также обязательно назначается рентгенографическое исследование, помогающее не только подтвердить факт перелома, но и исключить возможность повреждения внутренних органов. Если необходимо исключить осложнения, врач назначает анализы на кровь и мочу.
Осложнения при переломе
Пневмоторакс — осложнение, признак нарастание отдышки.Еще одно опасное осложнение – пневмония посттравматического характера. К ней особенно склонный люди пожилого возраста. Пневмония имеет свойство развиваться, спустя несколько дней с момента перенесенной травмы.
Пневмония определяется по таким симптомам, как интоксикация, о развитии которой свидетельствует скачек температуры, а также затруднение дыхания. Лечение перелома ребер у пожилых пациентов часто сопровождается пневмонией, но отсутствием температуры. Этим же отличаются пациенты с переломом 1-2 ребер от пациентов с тяжелыми сочетанными травмами. Пневмония может характеризоваться только ухудшением общего состояния.
Ухудшение состояния больного
Самостоятельное лечение перелома ребер довольно часто приводит к тому, что симптоматика ухудшается. Люди, не обладающие медицинским образованием склонны считать, что достаточно тугой повязки на грудь, чтобы ребра срослись правильно.
Это неверное лечение. В случае перебинтовывания грудной клетки наступает еще большее ограничение дыхания, что приводит к появлению в легких явлений, носящих застойный характер. В результате развивается такое осложнение, как застойная пневмония.
На самом деле перелом ребер часто не требует ограничения их подвижности при помощи повязок. Исключение тут составляют только множественные переломы, но их лечение при помощь самоназначений должно быть категорически исключено!
Лечение перелома ребер
Переломы ребер не должны лечиться самостоятельно, так как могут быть опасны для жизни, а также вызывают серьезные осложнения.
Лечение перелома 1-2 ребер без смещения обычно проводится амбулаторно. Если сломано большее количество ребер – больного необходимо госпитализировать.
Лечение перелома ребер необходимо доверить врачуЛечение перелома без осложнений заключается в том, что производят под местной анестезией блокаду по Вишневскому, после чего назначают препараты с анальгезирующими свойствами, отхаркивающие препараты, физиотерапию и лечебную гимнастику. Последние процедуры обеспечивают хорошую легочную вентиляцию и предотвращают развитие пневмонии.
Если у больного развивается гемоторакс или пневмоторакс (это не всегда происходит сразу после травмы), то врачи назначают повторную рентгеноскопию.
Если между листами плевры скапливается малое количество крови, то вмешательств не производят – кровь рассосется самостоятельно. Если же врач определяет большое количество жидкости в плевре, то производится пункция. Иногда требуется несколько процедур.
При пневмотораксе чаще всего достаточно пункции, цель которой – убрать воздух из грудной клетки. Если пневмоторакс напряженный – производят срочное дренирование.
Развитие посттравматической или застойной пневмонии требует дополнительного назначения антибиотикотерапии. Также применяют гимнастику и физиотерапию, чтобы улучшить циркуляцию воздуха в легких.
Спать при переломе ребер рекомендуется на жесткой поверхности, желательно на спине, если нет повреждений тыльной стороны ребра, или же на том боку, где ребра здоровы.
Сроки лечения
Срок, который уходит на процесс заращивания переломов, определяется индивидуально. Если лечение было проведено сразу, а осложнения отсутствуют, то на полное восстановление потребуется 4-5 недель, то есть около месяца.
На скорость выздоровления влияет не только время начала лечения, но и образ жизни, который ведет пострадавший. Если человек в период реабилитации соблюдает врачебные назначения, постельный режим и избегает травмоопасных физических нагрузок, то залечивание перелома происходит намного быстрее.
Если вовремя не начать лечение перелома ребер, то развивающиеся в результате травмы осложнения могут представлять смертельную опасность для жизни. Если есть подозрение на перелом ребер или признаки развивающихся осложнений, а также тогда, когда необходимо устранить уже проявившиеся проблемы, стоит обратиться к врачу, а не заниматься самолечением!
Перелом ребер видео
perelompro.ru
причины, симптомы, диагностика, лечение, профилактика
Перелом ребра – это нарушение целостности костной либо хрящевой части одного либо нескольких ребер. Данная травма считается самой распространенной среди остальных повреждений грудной клетки.
Причины
Чаще всего, перелом ребер возникает при падении, прямом ударе в ребра либо сдавлении грудной клетки. Перелом ребра возникает, как правило, в области его наибольшего изгиба – боковых поверхностей грудной клетки. Смещение уламков кости при переломе одного ребра возникает очень редко.
При множественных переломах ребер довольно часто наблюдается смещение их отломков. Основанная опасность переломов ребер со смещении в том, что их уламки могут ранить своими острыми краями межреберные сосуды, легкие или плевру, что может сопровождаться развитием интенсивного кровотечения и скоплении крови полости плевры, а также проникновением воздуха в полость плевры. При гемотораксе скопление крови наблюдается между внутренним и наружным листами плевры. Главная опастность гемо- и пневмоторакса в том, что они вызывают сдавление легкого, в результате чего наблюдается спадание альвеол, вследствие чего они больше не могут участвовать в акте дыхания.
Кроме этого, перелом ребер, сопровождающийся повреждением легкого, может стать причиной развития подкожной экземы. Повреждение межреберных сосудов может сопровождаться обильным кровотечением, которое может создать угрозу для жизни больного.
Симптомы
При переломе ребер больные ощущают интенсивную боль в зоне повреждения, которая усиливается при дыхании, кашле, разговоре, движении и может уменьшаться в состоянии покоя. У таких больных наблюдается развитие поверхностного дыхания, при пальпации в области повреждения сломанного ребра определяется боль, также в этой зоне может появляться отек, хруст костных уламков. Если перелом локализируется в задней части отделов ребер, то возможно нарушение легочной вентиляции будет не так выражено. Боковые и передние переломы доставляют больным выраженные страдания, сопровождающиеся нарушением дыхания. При множественном переломе ребер состояние больного может быть крайне тяжелым. У пациента может отмечаться учащение пульса, бледность, а в особо тяжелых случаях синюшность кожных покровов. Даже самые незначительные движения могут вызывать резкую боль, а при повреждении легкого может возникать кровохарканье.
На возникновение осложнений указывают такие симптомы, как нарастающая одышка, гипертермия и ухудшение состояния.
Диагностика
Диагностирование перелома осуществляется на фоне клинической симптоматики, а также анамнеза, физикального осмотра больного и пальпации поврежденной области. Таким больным в обязательном порядке проводят регненографию в двух проекциях, при необходимости может быть назначено ультразвуковое исследование плевральной полости или магниторезонансная томография.
Лечение
Как правило, неосложненные переломы 1 либо 2 ребер лечатся амбулаторно. В случае повреждения трех и более ребер пациент нуждается в неотложной госпитализации. При неосложненном переломе пациенту показана местная анестезия или ваго-симпатическая блокада по Вишневскому. К средствам лечения относятся прием анальгетиков и отхаркивающих препаратов, физиотерапевтические процедуры, лечебная гимнастика.
При лечении осложненных переломов ребер потребуется назначения антибиотиков и лечебных процедур, таких как дренирование либо пункция плевральной полости. При множественных нестабильных переломах ребер, проводится фиксация переломов. При открытой травме, разрыве бронхов, нарастающем гемопневмотораксе, показано срочное хирургическое вмешательство.
Профилактика
Не всегда удается избежать перелома ребра, но при занятиях спортом необходимости соблюдать правила личной безопасности, что поможет избежать возникновения таких травм.
www.obozrevatel.com







