Срок беременности 2 недели — признаки, симптомы и ощущения
Первые две недели беременности
Первые две недели беременности в акушерской практике еще фактической и наступившей беременностью не считаются. Все потому, что на 2 неделе беременности все еще происходит вызревание фолликула, подготовка к возможному удачному оплодотворению предназначенной для этого яйцеклетки. В будущем при наступлении овуляции и при условии удачного оплодотворения наступит уже фактическая беременность. А пока, в первые 2 недели беременности, все еще решается вопрос о том, произойдет ли беременность реальная, сможет ли женщина на этот раз зачать малыша. Таким образом, первые две недели беременности считаются еще фолликулярной фазой, то есть фактически беременной женщина пока еще не является.
Тест на беременность
Отсутствие беременности показывает и тест на беременность на 2 неделе беременности. Так, пока не произошло оплодотворение, яйцеклетка не трансплантировалась и не закрепилась в матке, тест не способен подтвердить наличие беременности. Сейчас будут актуальными другие тесты – те, которые помогут узнать о свершившейся овуляции. Однако и тут следует учитывать, что овуляция зачатием считаться ни в коем случае не может, являясь только лишь возможностью для удачного оплодотворения.
Месячные и другие выделения
И, тем не менее, месячные на 2 неделе беременности уже заканчиваются, наступает период овуляции – наиболее благоприятное время для удачного зачатия. Косвенными признаками наступления овуляции считаются своеобразные выделения на 2 неделе беременности: в виде характерной слизи, схожей по консистенции с яичным белком. Возможны и выделения на 2 неделе беременности кровянистые, которые в незначительных количествах также могут быть признаком овуляции. Кроме того, незначительное отделение крови может быть свидетельством прикрепления яйцеклетки к стенке матки.
Кровотечение на 2 неделе беременности
А вот обильные кровотечения на 2 неделе беременности в норме отсутствуют. Кровянистые выделения обильные и все еще продолжающиеся нередко становятся признаком различных заболеваний, коими могут быть гиперплазия эндометрия, нарушения нормальной функции яичников. Кровотечения на 2 неделе беременности также могут быть спровоцированы воспалительными процессами. И в этом случае, кровотечения сопровождаются еще и повышением температуры тела, болями в животе, появлением еще и гнойных выделений. При наличии такой ситуации от зачатия лучше на время отказаться, и в обязательном порядке пройти медицинское обследование.
Болит и тянет живот
Также требует обследования появление выраженных и сильных болей в животе на сроке в 2 недели. Хотя в большинстве случаев, успокаивают медики, когда на 2 неделе беременности болит и тянет живот, поводы для беспокойства отсутствуют. Для пущего успокоения можно обратиться за консультацией, однако, велика вероятность, что врач объяснит такую ситуацию периодом овуляции. Так, именно овуляция чаще всего становится тем фактором, по причине которого на 2 неделе беременности болит и тянет живот. Как правило, дискомфорт этот кратковременен, и уже в ближайшем будущем тяжесть и болезненность пройдут самостоятельно.
Признаки и симптомы
Как правило, 2 неделя беременности проходит женщиной даже незамеченной. Ведь какие-либо специфические и заметные признаки и симптомы беременности на 2 неделе беременности отсутствуют: фактически беременность еще не наступила, а значит, о характерных ее проявления пока говорить еще рано. В период овуляции возможно разве что определенное ощущение тяжести внизу живота, которое при наступлении беременности сохраняется еще в течение определенного времени. А пока зачатие не произошло, признаки и симптомы беременности на 2 неделе беременности не проявляются – они дадут о себе знать немного позже, если беременность таки наступит: приблизительно на 5-6 неделе.
Ощущения на 2 неделе беременности
Также отсутствуют и какие-либо отличительные ощущения на 2 неделе беременности: многие женщины, особенно те, которые беременность не планируют, даже не задумываются о том, какие изменения сейчас происходят в их организме. Те же из женщин, кто беременность планируют, задаются вопросом, насколько удачным будет нынешний период овуляции и случиться ли долгожданное оплодотворение. В это время, в связи с овуляцией, для женщины характерно усиление полового влечения, да еще, как упоминалось выше, появление слизистых выделений.
Плод
Говорить о плоде на 2 неделе беременности достаточных оснований пока нет: на этом этапе допускается только лишь его появление при удачном оплодотворении. Плод на второй неделе беременности существует разве что в виде яйцеклетки, помещенной в фолликул, который является для нее вместилищем. Яйцеклетка, будучи самой большой клеткой человеческого организма, «пустится» в путешествие и на поиски «подходящего» сперматозоида, как только фолликул разорвется, и явление это как раз и называется овуляцией. При оплодотворении яйцеклетки, содержащей половину хромосомного набора женщины в количестве 23 хромосом (вторая – мужская половина – добавиться при оплодотворении), и при внедрении ее в матку, уже можно говорить о наступившей беременности, о том, что отныне плод будет развиваться и постепенно расти.
Выкидыш
Если же оплодотворение не свершиться, женщину ожидает выкидыш на 2 неделе беременности. Опять-таки, о выкидыше полноценном говорить не приходиться, скорей речь идет о безуспешной попытке забеременеть. Причин для этого может быть предостаточно, и устранить какие-либо помехи к удачному оплодотворению в следующий раз поможет врач после соответствующей консультации и полноценного обследования.
Анализы
Анализы на 2 неделе беременности обычно проводить бессмысленно – по причине того, что фактическая беременность еще отсутствует, как и закрепившийся в матке эмбрион. Так, например, не наблюдается пока еще увеличения уровня ХГЧ – хорионический гонадотропин величают гормоном беременности. Пока что анализ на ХГЧ будет отрицательным, поскольку вырабатывается гормон этот плацентой плода, а она пока еще не сформировалась. Зато вот увеличение уровня гормона прогестерона анализы на 2 неделе беременности показать способны: на этом этапе организм женщины прогестерон усиленно вырабатывает, ведь гормон этот ответственен за подготовку матки для прикрепления эмбриона и начало формирования плаценты. Увеличение количества прогестерона начинается как раз со 2-ой недели беременности, и длиться вплоть до недели 10-ой – пока не начнет образовываться плацента.
УЗИ
Не требуется обычно и УЗИ на 2 неделе беременности – разве что, при необходимости оценки готовности эндометрия к зачатию. Ультразвуковое исследование позволяет увидеть доминирующий фолликул, но вот яйцеклетку разглядеть пока еще практически невозможно, она пока слишком уж мала. УЗИ на 2 неделе беременности может быть показано женщинам, планирующим беременность, которые в прошлом имели проблемы с зачатием. Так, в редких случаях бывает, что фолликул яйцеклетки не содержит, и тогда оплодотворения не произойдет. Хотя в большинстве своем ситуация такая скорее исключение, нежели закономерность.
Секс на 2 неделе беременности
Зная о том, что беременность требует подготовки и планирования, женщина должна уделить часть внимания и такому вопросу, как секс на 2 неделе беременности. Этот период как нельзя более подходящ для удачного зачатия, поэтому к интимным отношениям нужно подойти также с отдельным вниманием. Так, секс на 2 неделе беременности при наличии у пары желания стать родителями нужен и должен быть. Вот только в интимных отношениях рекомендуется сделать перерыв, хотя бы на три дня – это время нужно для накопления достаточного количества «здоровой» спермы. Конечно же, исключаются и предохранительные меры, и спринцевания. Секс на 2 неделе беременности предпочтителен в коленно-локтевой позиции, причем, сразу после полового контакта желательно полежать, не вставая, 15-20 минут, отказаться от сеанса душа сразу же после интимной близости.
Температура
«Подсказать» о благоприятном моменте для зачатия ребеночка может температура на 2 неделе беременности, если речь идет о температуре базальной. Так, температура на 2 неделе беременности в норме повышенная и составляет около 37 градусов и выше. Связано это с интенсивной выработкой прогестерона, который влияет на температурные показатели и «готовит почву» для удачного внедрения яйцеклетки в матку. Измеряется температура на 2 неделе беременности утром, сразу после пробуждения и до подъема с кровати, градусником в прямой кишке. Если показатель на градуснике составляет около 37,2, есть все основания подозревать наступление 2-ой недели беременности.
Простуда
Но это применимо только лишь к базальной температуре, и ни в коей мере не относится к температуре, которой может сопровождаться простуда на 2 неделе беременности. От болезнетворных микроорганизмов, к сожалению, не защищен полностью ни один человек. А значит, и женщину простуда на 2 неделе беременности может настичь. Особо опасным фактором, по причине которого следует отказываться от планируемого зачатия, простуда не является. Даже если заболевание требует применения лекарственных средств: на этом этапе яйцеклетка еще живет «автономно» и влияние потребляемых будущей матерью веществ на нее отсутствует.
Алкоголь
То же применимо и к алкоголю на 2 неделе беременности. По причине того, что прикрепление к матке яйцеклетки еще не произошло, алкоголь даже если и воздействует на нее, то лишь по принципу «двух крайностей». Так, алкоголь на 2 неделе беременности может либо разрушительно сказаться на яйцеклетке, убив зародыш и плодное яйцо и спровоцировав их отторжение; либо вовсе никак не повлиять на яйцеклетку. Употребленный алкоголь на 2 неделе беременности (если не стал причиной отторжения зародыша) не может считаться поводом для беспокойства на счет нарушений дальнейшего развития эмбриона по его закреплении, если оно происходит. Однако это не значит, что и в дальнейшем алкоголь имеет право на присутствие в жизни беременной женщины: узнав об удачном оплодотворении и зарождении новой жизни, от последующего употребления спиртных напитков необходимо полностью отказаться в обязательном порядке.
beremennost.net
2 неделя беременности: признаки, симптомы, ощущения, фото
2 неделя беременности — это первый акушерский месяц. Если взглянуть на календарь беременности по неделям, то с момента зачатия прошло 8-14 дней. Беременность — это важнейший физиологический процесс, он творит в организме женщины настоящее чудо, ведь в большинстве случаев только одной клетке удается закрепиться в полости матки, которая в дальнейшем принимается изо всех сил делиться, порождая новую жизнь. Нас интересует вторая неделя беременности, когда эмбрион становится многоклеточным (образуется так называемая морула). У нее вскоре начнут формироваться наиболее важные системы человеческого организма.Подсчет сроков беременности
Гинекологи считают время наступления подлинной беременности с периода последних полноценных месячных, а многие потенциальные мамы ведут подсчет срока от задержки менструации. В данном случае женщина может не ведать о собственном состоянии. Догадки могут закрасться, когда произойдет задержка менструации. С позиции врачей 2 неделя беременности (эмбриональная) — это период подготовки организма женщины к возможному зачатию, но саму беременность распознать еще трудно.Что происходит в организме женщины на второй неделе беременности
- В начале любого менструального цикла начинают созревание одновременно множество фолликулов, но уже к этому времени формируется главный доминирующий, который пройдет все фазы созревания, а все другие прекратят свое существование.
- В итоге нарастает рыхлый слой эндометрия, готовый в случае имплантации эмбриона предоставить ему для дальнейшего развития абсолютно все необходимые элементы.
- 2 неделя беременности (эмбриональная) – пора весьма ответственная в жизни будущей мамочки, так как в этот срок плодное яйцо укрепляется внутри матки с целью продолжить свое полное дальнейшее формирование.
Процесс овуляции
Возрастающий уровень эстрогена ориентировочно к 14 дню цикла способствует выбросу лютеинизирующего гормона. Как раз под воздействием этого гормона вскоре последует разрыв доминантного фолликула и освобождение готовой к оплодотворению яйцеклетки.
Не всегда овуляция случается исключительно на 14 день, ее дата меняется и подчиняется длительности менструального цикла — чем дольше цикл, тем позднее возникает овуляция. Но после овуляции до конца цикла всегда должно миновать не менее двух недель.
В яичниках под влиянием фолликулостимулирующего гормона (ФСГ) активизируется увеличение фолликула, в нем вырастает единственная яйцеклетка и на 13–14 день менструального цикла приходит к своей максимальной величине.

Фолликул, в свою очередь, производит эстроген, подстегивающий разрастание эндометрия. Таким образом, происходит интенсивная подготовка слизистой оболочки к процессу внедрения плодной яйцеклетки. В это время фолликулярный фазис менструального цикла заменяется овуляторным.
Овуляция характерна выработкой ЛГ (лютеинизирующего гормона), завершающего формирование фолликула. ЛГ, кроме того, помогает выработке простагландинов, важных для разрыва оболочки фолликула и выхода зрелой яйцеклетки.
Яйцеклетка проходит по маточной трубе, к ней стремятся множество сперматозоидов, где впоследствии свершится процесс слияния.
Читайте также: Что такое овуляция. Признаки и симптомы овуляции
Как определить овуляцию
У потенциальных мам еще пока нет больших изменений в самочувствии, но отдельные женщины могут испытывать слабые сокращения мышц живота.
- Наиболее простой метод — определение базальной температуры. В период овуляции этот показатель увеличивается до 37–37,5 градусов, и в случае если женщина забеременела — температура остается на этом уровне. Принимая во внимание день овуляции, можно увеличить шанс удачного зачатия.
- Если тщательно наблюдать за своим самочувствием, можно, обнаружить, что в этот период возникают боли в животе, под влиянием прогестерона возрастает объем слизистых выделений, повышается либидо.
- Приблизительно установить дату овуляции можно по календарному методу. В протекание некоторых менструальных циклов нужно замечать их продолжительность. Освобождение яйцеклетки случается за 14 дней до последующего цикла. То есть, в случае если цикл длится 30 дней, то овуляция происходит, ориентировочно, на шестнадцатый день. Такой метод подсчета подойдет лишь для женщин с четким равномерным циклом.
- Точно установить день овуляции можно при помощи специализированных тестов. Действие теста базируется на установлении насыщенности лютеинизирующего гормона в моче. Для получения надежного результата проводить тест нужно утром, за 17 дней до следующей менструации.
Читайте также: Как определить овуляцию. Тест на овуляцию
Признаки, симптомы и ощущения беременности на второй неделе
2 неделя беременности приносит женщинам следующие ощущения:
- Первые признаки беременности на второй неделе у всех женщин могут быть разными, но общее у всех — это состояние груди. Она увеличивается, соски набухают, становятся болезненными.
Слизистые влагалищные выделения. Они должны содействовать прохождению сперматозоидов в матке к своей цели – яйцеклетке. Если же 2 неделя беременности сопрягается с долгими кровяными выделениями, нужно призадуматься о возможности воспаления, иногда сопровождающиеся гнойными выделениями, высокой температурой, болью в животе или патологией в яичниках. Обнаружив у себя подобные признаки, необходимо сразу обратиться к врачу.- Тяжесть внизу живота вполне вероятна в середине менструального цикла и непосредственно сопряжена с овуляцией. Если 2 неделя беременности сопровождается болью в животе, то такое самочувствие остается уже и целую вторую фазу цикла. При этом запрещен использовать грелку для снятия боли, так как тепло способно инициировать внутреннее кровотечение.
- Также имеются такие симптомы беременности на 2 неделе, как нервозность и эмоциональность. Перед овуляцией в организме женщины доминирует гормон эстроген, он обусловливает изменения в ее поведении и образе действий.
Основные признаки беременности вы можете найти в данной статье: Признаки беременности на ранних сроках — 18 первых симптомов
Выделения на 2 неделе беременности
При имплантации зародыша в эндометрии происходит его внедрение в слизистую и иногда эта слизистая может разрушаться, давая эффект мажущихся кровянистых выделений. Эти выделения не обильные, имеют розовый или коричневый цвет и длятся несколько часов, максимум несколько дней. Такие мажущие выделения называются имплантационным кровотечением. Имплантационное кровотечение является безопасным и не требует никаких медикаментозных назначений.
Способы диагностики на второй неделе беременности (УЗИ, анализ ХГЧ, тесты на беременность)
2 неделя беременности не приносит женщинам беспокойства, в этот период они еще не предполагают, о своем состоянии и ожидают близкую менструацию. Беспокойство начинается только через несколько суток задержки, а те, у кого цикл нестабильный, могут догадаться о своем состоянии лишь на шестой неделе.
- Уровень хорионического гонадотропина человека (ХГЧ), который является одним из важных показателей наличия беременности, на этом сроке доходит до значения, который заметен на тесте.
- Вторая полоска может проявляться слабо, но чувствительные тесты ее передадут. Если, все же, осталось подозрение о ложноположительных или положительноотрицательных результатах, то вы можете повторить данную процедуру через три дня, когда объем гормона увеличится в два раза. Вы также можете обратиться к специалистам и сдать кровь на анализ ХГЧ, а результат его должен убедить женщину, что у нее может быть 2 неделя беременности, так как результаты обычно достоверны.
- Приближение 2 недели после зачатия, как правило, совпадает с тем временем, когда должна наступить менструация, но по причине такого положения они, безусловно, не начнутся. Тут-то женщины бегут покупать тест на беременность, а он, даже если небольшой срок, делает ошибки чрезвычайно редко.
- Иногда женщины точно знают день зачатия, тем более, если ждут беременность. Вследствие этого отсутствие месячных ими принимается с надеждой и волнением. Но врач не будет осведомляться о дате зачатия, а уточнит только дату последних месячных. Сроки беременности он высчитывает, беря за основу собственно только эту дату. Такой метод подсчета сроков беременности используются всеми гинекологами, и называется акушерским.
- Понять, что произошел выкидыш, если еще 2 неделя беременности почти невозможно. При этом может наблюдаться более долгая и обильная менструация, чем раньше. Иногда вместо нее идут коричневатые выделения. Вследствие чего состояние расценивается, как необычность критических дней или нарушения в работе цикла. Женщина даже не предполагает того, что хотя бы и краткий период, но все же, была беременной.
- С целью определения наступления беременности следует сделать анализ крови на гормон прогестерон. Но лучше переждать еще не менее двух недель для большей достоверности данных.
- Подвергать себя гинекологическому обследованию пока что бесполезно и даже вредно, тем более при повышенном тонусе, а вдобавок из-за риска выкидыша. Прийти к врачу лучше лишь спустя 3–4 недели, то есть, когда сама задержка составляет почти 2 недели.
- Насчет целесообразности УЗИ на ранних сроках беременности, специалисты еще не пришли к единому мнению. А пока, если уж очень не терпится, можно сделать УЗИ матки, оно покажет, есть ли зародыш в желтом теле. К тому же УЗИ поможет покончить с разногласиями, связанными со сроками эмбриональной и акушерской беременности.
- Если женщина хочет родить и у нее приблизительно 2 неделя беременности (по медицинскому раскладу), УЗИ поможет с определением овуляции. Врач-специалист удостоверится, что фолликул готов выработать сформировавшуюся яйцеклетку. Такое исследование в большинстве случаев делается женщинам с трудностями зачатия.
- Через 2 недели после зачатия УЗИ не даст конкретной картины. Оно представит лишь только общую подготовленность матки к вынашиванию беременности.
Читайте также: Тест на беременности, когда и как делать
УЗИ на 2 неделе беременности
Формирование плода на второй неделе беременности
Яйцеклетка, воссоединяясь с одним из миллионов сперматозоидов, создает зиготу. Всю последующую неделю она будет в ней устойчиво укрепляться. Зигота — наиболее внушительная по размеру клетка человеческого организма, которую формирует 2 неделя беременности. Она больше любой другой клетки и заключает генетический материал обоих родителей.
Зигота уже в матке и с успехом вживляется в эпителий. Как раз после окончания этого процесса можно сказать о наступившей беременности, когда в дальнейшем пойдет полноценное развитие ребенка в утробе матери. Но, к сожалению, далеко не любой оплодотворенной клетке, получается, одолеть этот этап. Но прерывание беременности на этом этапе незаметно и протекает как простые месячные, с различием лишь в количестве выделений.
Советы будущей маме на 2 неделе беременности
- Самочувствие будущей мамы на данном этапе беременности очень важно для будущего ребенка, ведь от этого зависит, быть беременности или нет. При этом сроке откажитесь от спринцеваний и иных гигиенических процедур, что смогут преобразовать кислотно-щелочную среду влагалища, так как сперматозоиды очень уязвимы к кислотной среде.
- Если у вас пошла вторая неделя беременности, то всячески избегайте стрессовых ситуаций и в достаточной мере высыпайтесь.
- Не принимайте никаких медицинских препаратов без назначения доктора.
- Проконсультируйтесь со своим гинекологом, чтобы он вам подобрал хороший витаминно-минеральный комплекс.
- Направьте свое внимание на достаточное содержание в рационе фолиевой кислоты. Подтверждено специалистами, что фолиевая кислота сокращает опасность патологии нервной трубки плода.
- Если у вас идет только 2 неделя беременности, величина эмбриона доходит до пары миллиметров, а сам он — лишь сгусток клеток, из которых постепенно начнут создаваться органы и системы. Но процесс пошел, и в недалеком времени этот крошечный комочек имеет все шансы стать самым драгоценным человечком.
2 неделя беременности — Видео
Узнайте больше про следующие недели беременности: 3 неделя беременности, 4 неделя беременности, 5 неделя беременности, 6 неделя беременности, 7 неделя беременности
babyrebenok.ru
2 недели после зачатия — что ощущает беременная
Большинство женщин точно не знают, когда именно начинается беременность – с момента оплодотворения либо после имплантации плодного яйца в маточную полость. Наступление беременности – это достаточно сложный биологический процесс слияния клеточных структур, из которых потом формируется новый организм. Оплодотворение происходит в трубе, после чего клетка направляется в матку, где вживляется в эндометрий. Так начинает развиваться плодное яйцо. Обычно в 2 недели после зачатия женщина еще не подозревает о возникшей беременности, хотя в организме начинают происходить серьезные преобразования.

С момента зачатия в организме будущей мамы наступает глобальная перестройка
Как правильно считать сроки
Не все мамочки знают, как правильно вести подсчет сроков беременности. Некоторые уверены, что сроки надо считать с момента задержки, но это неправильно. В действительности это уже шестая неделя, если считать по акушерским меркам. Обычно вторая неделя беременности для мамочки проходит незаметно, что неудивительно, ведь беременности, как таковой, еще не случилось. Обычно в это время у большинства женщин только наступает овуляторный период, когда готовая клеточка только выходит для оплодотворения из фолликула.
Если в этот период сперматозоид успеет оплодотворить клетку, то начнется развитие зародыша. Фактически женщину в это время уже можно считать беременной. Если же оплодотворения не случится, то и беременности не будет.
Вторая неделя от задержки
Итак, как же правильно считать срок вынашивания?
Многие мамочки по незнанию начинают считать его от начала задержки. Месячные не пришли, значит, начала развиваться беременность. Но это ошибочное мнение. Ведь уже в первый день задержки по акушерским меркам женщина находится на 4 неделе вынашивания, поскольку врачи отсчитывают беременность с начала последних месячных.
Получается, что при наступлении двухнедельного срока с момента задержки у женщины уже 6 неделя вынашивания. Удивительно то, что кроха уже больше месяца активно развивается внутри мамочки, а она еще даже не в курсе своего материнства.
Вторая неделя после зачатия
Положительный результат тестирования
Некоторые считают сроки вынашивания с момента, когда произошло оплодотворение. Если считать сроки по этому принципу, то фактически на 2 неделе беременности от зачатия у мамочки уже 4 акушерская неделя. В этот период уже можно смело говорить о состоявшейся беременности, а при прохождении ультразвуковой диагностики – официально подтвердить ее факт.
В этот период активно развивается плод, а внутриорганические структуры матери перестраиваются под потребности растущего внутри малыша. Кардинально меняется гормональная картина, благодаря чему мамочка может окончательно убедиться в своем новом и необычном пока для нее положении. Любой стрип-тест при беременности на 2 неделе от зачатия уже сможет определить интересное положение девушки.
Симптомы и ощущения на 2 неделе вынашивания
Прежде чем приступать к изучению изменений, происходящих в организме на данном сроке, необходимо уточнить нюансы относительно сроков и окончательно установить истинный возраст беременности. При сроке в 14 дней от зачатия по акушерским меркам прошло уже 4 недели вынашивания. А если считать две недели от задержки, то это уже 6 неделя.
Спустя две недели после зачатия уровень гонадотропного хорионического гормона уже повышается, поэтому и интересное положение мамочки определяется без проблем при проведении домашнего тестирования. На фактическом сроке вынашивания в 2 недели этот гормон уже многократно превысил свои привычные значения и будет продолжать удваиваться через каждые 2 суток еще некоторое время.
Состояние матки
В таком сроке маточное тело пока не претерпевает особенных изменений. Яйцеклетки ежемесячно продвигаются по фаллопиевым трубам, поэтому каких-то особенно новых ощущений у женщины в области матки может и не быть. Матка еще не запустила процессы роста, поскольку эмбрион еще только закрепился и начинает обустройство в эндометриальном слое, ведь ему здесь придется провести не так мало времени, расти, питаться и развиваться.
Иногда на этом сроке может немного потягивать в области маточного тела, что врачи считают нормальным явлением. Но, если живот болит незначительно и быстро проходит. При непрекращающейся или усиливающейся болезненности нужно проконсультироваться с гинекологом, поскольку велик риск угрозы прерывания.
Изменения живота
В самом начале не стоит заострять внимание на размере животика
Мамочка ждала беременности, поэтому уже в первый день задержки провела тестирование и убедилась в своем интересном положении. Многие пациентки начинают усиленно вглядываться в свое отражения, выискивая признаки округления и роста животика. Не стоит торопиться, ведь малыш ее настолько крохотный, что никаких внешних изменений с животиком не происходит. Малыш и так плавает внутри, как космонавт, поэтому места ему пока предостаточно.
Изменения в области живота начнутся гораздо позже, а пока можете расслабиться и не думать об этом. Лучше настраивайте себя на лучшее, представляйте внешность своего малыша, каким он будет, на кого похож и какого пола. А животик еще успеет вырасти.
Что происходит внутри
В организме мамочки в 2 недели беременности от зачатия происходит масса изменений, она может испытывать недомогание, у нее становится чувствительней грудь. Но не менее стремительно развивается и сам зародыш.
- Данный срок по акушерским меркам считается точкой отсчета для даты рождения малыша, но пока он еще в виде только что оплодотворенной яйцеклетки готовится к важным изменениям, которые вскоре начнут с ним происходить.
- При второй неделе от зачатия малыш уже выглядит комочком, состоящим из нескольких клеток. Он уже начал потихоньку развиваться: происходит закладка важнейших структур, формируется нервносистемный прообраз.
- На второй неделе после задержки, т. е. на 6 акушерской неделе малыш приобретает человеческие очертания, хотя пока он даже не плод. Он просто эмбрион, но у него уже бьется сердечко. Если на данном сроке пройти ультразвуковую диагностику, то что-то похожее на человечка мама вряд ли увидит, но вод услышать сердцебиение крохи уже вполне реально.
Каждый день с эмбрионом происходят развивающие процессы, он растет, формирует новые органы, системы, части тела и пр.
Ультразвуковое обследование
Обычно подобные диагностические процедуры на таком акушерском сроке беременным не проводятся, если только женщина не находится под наблюдением врачей. К примеру, необходимо точно определить овуляторное время, чтобы наверняка зачать ребенка. Просто по акушерским подсчетам на это время приходится время выхода яйцеклетки из фолликула.
Иногда имеются особенные показания для проведения ультразвуковой диагностики женщине. Например, когда в целом здоровая пациентка не может долго зачать. Но по беременности ультразвуковая диагностика на данном сроке не показана.
Выделения
Весь период вынашивания необходимо находиться под наблюдением врача
Выделения на данном сроке могут быть различными, но нормой считается секрет, напоминающий белок яйца, не имеющий никаких неприятных запахов, посторонних вкраплений и оттенков. Такие выделения сообщают, что с организмом мамочки все в порядке, началась плановая перестройка гормональной сферы.
Если появляется творожисто-белая секреция, а в половых органах ощущается жжение или зуд, то подобные проявления часто указывают на развитие вагинального кандидоза. Надо сдать мазок на микрофлору из влагалища. На 2 акушерской неделе в процессе перехода яйцеклетки в маточное тело может начаться кровотечение, обусловленное имплантацией. Но его сложно назвать полноценным кровотечением, скорее, это незначительная мазня, похожая на заканчивающиеся месячные.
Если же открывается настоящее кровотечение, то это может указывать на то, что яйцеклетке не удалось полноценно закрепиться в эндометрии, она погибла и вышла наружу. Если же говорить о второй неделе после задержки, то на этом сроке кровотечение может указывать на выкидыш.
Влияние негативных факторов
Помимо изменений в груди, женщина может испытывать недомогания, она быстро устает, может пребывать в сонливом состоянии и пр. Важно своевременно заметить подозрительные признаки, чтобы понять, что зачатие произошло. Вторая неделя после зачатия – важный период в процессе вынашивания, поскольку у эмбриона начинается закладка внутриорганических структур.
Если в это время мамочка допустит влияние негативных факторов вроде заболеваний, спиртного и прочих, то у плода могут развиться серьезные нарушения, ведущие к рождению ребенка с врожденными уродствами и др.
Температура
Иногда женщина испытывает незначительные повышения температуры, принимая их за простуду. Но после оплодотворения яйцеклетки базальные показатели повышаются. А когда они повышены – это признак того, что у женщины 2 неделя беременности.
После овуляторного периода начинается повышение прогестерона, поэтому и температура повышается. Незначительная базальная гипертермия до 37,5°С обязательно держится в течение двух суток после зачатия и может сохраняться в первые недели вынашивания.
Поэтому, если женщина ежедневно измеряла базальную температуру, она сможет легко заметить необычное изменение графика и понять, что состоялось зачатие еще до задержки.
Спиртное

Любые спиртные напитки очень опасны для развития плода
Алкоголь противопоказан, об знают все. Но стоит ли бояться серьезный нарушений в развитии плода, если мамочка выпила немного вина, не подозревая о существовании пузожителя? На второй неделе вынашивания по акушерским подсчетам воздействие спиртного на эмбрион минимально, поскольку беременности, как таковой еще нет, есть либо яйцеклетка, готовящаяся к оплодотворению, или уже оплодотворенная и направляющаяся в матку.
А в целом если женщина не предохраняется ожидании беременности, то лучше заранее исключить вероятное воздействие алкоголя на плод, отказавшись от него совсем. Что касается 2 недели после задержки, то здесь спиртное уже серьезно угрожает здоровью будущего малыша и даже способно спровоцировать самопроизвольный аборт.
Простуды
Нежелательны при беременности или при ее планировании и простудные заболевания. Даже незначительные отклонения в состоянии мамочки в первые недели вынашивания могут иметь самые непредсказуемые негативные последствия. Чего уж говорить о высокой температуре и сильном насморке при беременности.
Если подобное произошло, матери нужно максимально осторожно принимать какие-либо медикаментозные препараты, поскольку лекарства могут серьезно навредить эмбриону. На второй неделе после зачатия или задержки это особенно важно. Теперь женщине нужно думать сначала о малыше и о том, как на него повлияет тот или иной препарат.
Половая жизнь
Обычно на второй акушерской неделе секс необходим хотя бы для того, чтобы зачатие свершилось. Этот срок считается самым лучшим для свершения зачатия. Чтобы беременность наступила быстрее, рекомендуется заниматься сексом в миссионерской, классической позиции, а после окончания половой близости рекомендуется поднять ноги на стенку, чтобы сперматозоиды быстрее добрались до матки и дальше. Кроме того, рекомендуется отказаться от подмываний после секса в течение получаса.
Если речь о второй неделе после зачатия или после задержки, то каких-либо существенных ограничений в данные периоды в половой жизни супругов нет. Часто женщины даже не в курсе будущего материнства, поэтому сексуальную близость никак не ограничивают.
Угроза самопроизвольного аборта
Серьезно нужно отнестись к высокой вероятности выкидыша на первых неделях вынашивания. К сожалению, этот период считается самым опасным.
- В 2 недели после зачатия или задержки риск самопроизвольного аборта наиболее высок. Зачастую пациентки даже не знают, что случился выкидыш, поскольку он происходит практически во время очередных месячных, может, чуть позже.
- Поэтому женщинам, желающим и ждущим беременности, необходимо подумать о наступлении зачатия – нельзя допускать нагрузок, а при появлении подозрительных кровянистых выделений необходимо обращаться к гинекологу.
Если беременность нежеланная и женщина не хочет оставлять малыша, то в 2 недели после зачатия или задержки самое оптимальное время для проведения искусственного прерывания беременности. Можно провести мини-аборт (аспирация вакуумным прибором) или фармацевтический аборт, которые считаются наименее опасными и не вызывают столь негативных последствий для репродуктивной системы пациентки.
Полезные советы
С наступлением беременности, а лучше еще при планировании мамочке рекомендуется пить фолиевую кислоту и капсулы токоферола. Эти вещества считаются наиважнейшими для развития плодной ЦНС. Также необходимо избегать стрессов и нездоровых привычек, питаться рационально и достаточно спать, не таскать тяжести, укреплять иммунитет. Также при первых неделях вынашивания необходимо отказаться от банных процедур и горячих ванн. При занятиях сексом внимательней отнеситесь к ощущениям, при дискомфорте от близости придется отказаться. Беременность – не патология, поэтому гуляйте на свежем воздухе, отдыхайте за городом и берегите нервы.
jdembaby.com
признаки, ощущения и развитие плода
Вторая неделя беременности в традиционной гинекологии никак не связывается со временем зачатия. 2 недели беременности всегда отсчитываются с момента начала последней менструации. Понятно, что в этот период фактическое зачатие не может произойти, хотя яйцеклетка готова к приему сперматозоида.

Реальная 2 неделя беременности свидетельствует о благополучном оплодотворении и образовании эмбриона. Главным подтверждением этого является задержка следующей менструации. Именно в фактические первые две недели беременности происходит прикрепление эмбриона к стенке матки, после чего начинается его развитие.
Но явные симптомы при этом практически всегда отсутствуют. Невзирая на это нужно понимать, что именно 2-3 неделя беременности — очень ответственное время для правильного развития плода. В это время начинается формирование многих систем и органов.
Процессы на 2 акушерской неделе
При традиционном гинекологическом подходе определения сроков беременность в 2 недели связана со следующими изменениями в женском организме:
- Фолликул с яйцеклеткой окончательно созревает и происходит его разрыв. Этот процесс приводит к повышению выработки яичниками эстрогена.
- На сроке беременности 2 недели яйцеклетка выходит из фолликула, чтобы соединиться со сперматозоидом. При этом повышенный эстрогенный фон создает соответствующие условия, которые содействуют тому, чтобы оплодотворение было успешным.
- Слияние яйцеклетки со сперматозоидом может произойти на протяжении 1-2 суток после овуляции. Подтверждением образования эмбриона является увеличение базальной температуры.
Также интересно знать, что происходит на 2 акушерской неделе на психоэмоциональном уровне. Прежде всего, в это время у женщины очень часто повышается сексуальное желание, то есть включается инстинкт продолжения рода. УЗИ на 2 неделе беременности может показывать доминантный фолликул, который отличается крупными размерами и располагается рядом с яичником.
Что происходит при отсчете реальных сроков
При отсчете реальной беременности от зачатия важно знать, что происходит на второй неделе беременности с эмбрионом. Следует понимать всю важность данного времени, несмотря на то, что явные признаки беременности на 2-3 неделе практически не проявляются. 2 — 3 недели беременности характеризуются следующими физиологическими изменениями:

- Эмбрион после того как попал в матку, постепенно закрепляется на ее стенке при помощи хориона, который впоследствии трансформируется в плаценту.
- Параллельно в это же время эмбрион продолжает активно развиваться, получая из материнского организма все требуемые питательные вещества.
При беременности на 2 неделе отдельные клетки образовавшегося эмбриона уже имеют различную структуру. Они постепенно начинают разделяться на три слоя, из которых впоследствии будут сформированы важные системы и органы:
- Из наружного слоя формируется нервная система и кожные покровы.
- Из промежуточного слоя формируется сердечнососудистая, костная, мышечная, половая система.
- Из внутреннего слоя формируется пищеварительная, мочевыводящая и дыхательная система.
Совет! Важно помнить, что в это время любые неблагоприятные факторы могут привести к неправильному прикреплению эмбриона. На фоне этого может, к примеру, возникнуть внематочная беременность или другие опасные патологии. Также в это время существует опасность развития различных внутриутробных нарушений.
Признаки на второй неделе
При подходе, который принят в традиционной гинекологии, невозможно определить 2-ю неделю беременности, все признаки которой начинают проявляться позже. Согласно срокам, рассчитываемым гинекологами, в это время происходит процесс овуляции, то есть, только становится возможным реальное зачатие.
Иногда в процессе этого у некоторых женщин болит низ живота. Кроме того, может ощущаться слабость и безразличие к происходящим вокруг событиям. Но после реального зачатия внимательная женщина может заметить первые симптомы беременности.
Когда в конце первой или в начале второй недели эмбрион прикрепляется к стенке детородного органа, то может слегка болеть живот. Иногда у женщин при начальной стадии беременности болит он довольно сильно. При таком симптоме, подозревая беременность, нужно проконсультироваться с гинекологом.

Но при этом не нужно настраиваться на то, что болевые ощущения свидетельствуют о развитии неблагополучной ситуации. Чаще всего боли являются реакцией на то, что организмом зарождение новой жизни воспринимается как посторонний процесс. Обычно третий месяц, когда задержка менструации становится явной, начинается уже без болевых ощущений.
Кроме этого, беременная женщина уже может начинать замечать некоторые изменения в своем организме, связанные с изменением гормонального фона. Прежде всего, происходят более сильные выделения на второй неделе. Также через 2 — 3 недели от зачатия вследствие изменения уровня прогестерона могут наблюдаться следующие неярко выраженные признаки:
- Тяжесть снизу живота.
- Незначительное повышение температуры тела.
- Увеличение молочных желез и повышение ее чувствительности.
- Легкая тошнота.
- Общая слабость, которая приводит к быстрой утомляемости.
При наступлении 2-й недели беременности ощущения могут затрагивать психоэмоциональную сферу. У женщины могут наблюдаться необъяснимые перепады настроения и изменение вкуса на фоне повышения аппетита. Наиболее часто в это время женщина начинает отдавать предпочтение соленым блюдам и досаливать самую разную пищу.
Определение беременности на 2 неделе
Многих интересует вопрос, покажет ли УЗИ беременность на 2 неделе. Ультразвуковое исследование может показать прикрепленный к стенке матки эмбрион. Но при двухнедельной беременности УЗИ должно проводиться трансвагинально с использованием инновационного аппарата повышенной чувствительности.

Это связано с тем, что показанный на экране зародыш отличается размерами приблизительно с горошину и имеет форму диска. При этом весит он около двух грамм.
Совет! УЗИ на первых месяцах беременности назначается только в случае, если существуют определенные риски или подозрения, что что-то пойдет не надлежащим образом. Если нет специальных показаний, то УЗИ в 2 недели не рекомендуется проводить, лучше воспользоваться для этого лабораторным анализом крови на количество гормона ХГЧ.
Считается, что тест на ранних сроках не эффективен, так как в начальный период гормон ХГЧ вырабатывается еще в недостаточном количестве. Но на самом деле это не так. Сегодня можно приобрести в аптеках суперчувствительный тест. Такой тест с большой долей вероятности подтвердит или опровергнет беременность на 2 неделе.
Если произошедший половой акт привел к зачатию, то подтвердить данный факт можно, используя тест в конце второй недели. В это время гормона ХГЧ в моче уже достаточно, чтобы любой современный тест смог его уловить. После этого следующий шаг должен заключаться в посещении гинеколога. После осмотра врач диагностирует беременность и поставит будущую маму на учет.
Важность второй недели
После подтверждения беременности, нужно избегать любых воздействий, которые могут негативно отразиться на формировании систем и органов будущего ребенка. Прежде всего, на происходящий процесс роста и развития эмбриона на второй неделе после зачатия оказывают отрицательное влияние алкоголь и никотин.
Вредными также считаются продукты, содержащие консерванты и красители, а также разные токсичные вещества. Желательно в это время стараться избегать контактов с заболевшими людьми. Любая инфекция на ранних сроках беременности может пагубно отразиться на развитии плода, а также стать причиной выкидыша.
При планировании беременности важно сбалансировать свой рацион. В нем должно быть достаточное количество белков растительного и животного происхождения, полезных жиров и сложных углеводов.

Кроме того, в рацион обязательно необходимо включать сезонные фрукты и овощи. По рекомендации врача можно использовать поливитаминные комплексы. Это позволит поддержать иммунитет, который заметно ослабевает на ранних сроках беременности.
Очень важно нормализовать свой распорядок дня. Нужно найти время, чтобы совершать ежедневные прогулки по свежему воздуху. Необходимо обязательно заниматься умеренной физической активностью.
Если при ранних сроках чувствуется сильная усталость, которую трудно объяснить объективными причинами, то обязательно рекомендуется взять по возможности отпуск для полноценного отдыха. И, конечно же, нужно стремиться все время находиться в позитивном настроении и как можно больше времени проводить в кругу семьи.
На первых неделях беременности нужно продолжать заниматься сексом. Это не окажет негативного влияния на развитие плода. При этом нужно помнить, что нельзя применять при половой жизни каких-либо сторонних предметов, к примеру, контрацептивов или специальной смазки.
Сегодня не сложно определить беременность на второй неделе. Это позволит женщине отслеживать свое состояние и снизить риски выкидыша на первых месяцах. Правильный образ жизни и сбалансированное питание дает гарантии, нормальному развитию эмбриона и исключает появление каких-либо патологий.
jmiss.ru
2 неделя беременности. Что происходит когда беременность 2 недели. Симптомы, признаки и ощущения на второй неделе беременности после зачатия с фото и видео
2 недели беременности от зачатия что происходит?
Пошла вторая неделя. Чем занимаешься? Говорят, что самое время подготовить свое тело к рождению ребенка. Зарядочка или быстрая ходьба. Если хочешь – можно освоить какой-нибудь комплекс йоги, вместо привычной зарядки.Если есть возможность, запишись в бассейн. Потом, когда твой животик будет больше, плавание поможет тебе избавиться и от болей в спине. Купить абонемент для будущей мамочки можно поручить будущему папе. Он тоже должен чувствовать себя причастным.
Ты куришь? Может, пора задуматься о том, что твоему ребенку не понравится жить в газовой камере. Сможешь бросить? А мужа уговори из солидарности. Здоровый ребенок нужен вам обоим, а не только тебе.
Помнишь про фолиевую кислоту? Без нее тебе просто не обойтись. А если честно, эта кислота необходима обоим будущим родителям задолго до зачатия. Кстати, много фолиевой кислоты в зеленых овощах и оранжевых соках.
Вторая неделя беременности признаки и ощущения
Вторая неделя беременности, как правило, завершается овуляцией. Возможно, тебе интересно, что именно происходит в это время в твоем организме. Сначала в яичниках созрел фолликул размером с лесной орех или чуть больше.Под воздействием гормонов, которые вырабатывает гипофиз, фолликул лопнул, и из него вышла яйцеклетка. Это и была овуляция. Как правило, срок беременности рассчитывают, отталкиваясь от даты овуляции. И если цикл нерегулярный, такой подсчет не вполне точен.
Признаки беременности на 2 неделе
Пока особых ощущений, связанных с твоей беременностью, еще нет. Но постепенно, как раньше во время овуляции, грудь станет более чувствительной. Возможно, сейчас ты немного более раздражительна, чем обычно. Твой муж привычно пошутит: «Это ПМС». А совсем скоро вы поймете, что причина совсем в другом. Ты предположила, что ждешь ребенка?2 неделя беременности: твои ощущения
Ваши отношения словно парусом надуло, вы снова не можете оторваться друг от друга. Ты чувствуешь себя настоящей женщиной. Возможно, потому что в это время половое влечение усиливается. И если ты беременна, то это благоприятно отразиться на ней. Но все же иногда ты чувствуешь легкую боль внизу живота, хочется поджать колени и лежать в позе зародыша или согреть живот. Но тепло сейчас может вызвать кровотечение.Лучше, если ты побережешь себя, а тяжелые сумки и перестановки поручи мужчине. Да, увы, придется на время отказаться от горячих ванн и сауны.
Беременность 2 недели симптомы
Симптомы беременности на второй неделе отличаться своими характерными симптомами:
- В большинстве случаев давление понижается
- Появляются позывы к мочеиспусканию очень часто
- Вкусовые привычки могут измениться, и появится пристрастие к другим продуктам
Все эти симптомы объясняются просто, ведь у будущей мамочки в организме начинаются глобальные изменения. Они-то и вносят в повседневную жизнь перемены.
2 неделя беременности: выделения – хорошо или плохо?
На ближайшие девять месяцев о менструациях можешь забыть. Со второй недели беременности их уже не будет. Если же твоя беременность подтвердилась, но ты заметила кровотечение, срочно беги к врачу. Очевидно, возникли какие-то нарушения. Это может быть расстройство функции яичников или воспаление. Особенно, если у тебя повысилась температура тела и болит живот.2 неделя беременности: питание женщины
Успокойся: да, ты беременна. Но это не означает, что нужно не переставая есть. Конечно, полноценное питание крайне необходимо. И если ты себя хорошо чувствуешь, вовсе не обязательно придерживаться какой-то особой диеты. Единственное, о чем пока стоит забыть – об изнуряющих диетах. Позволь себе быть собой. Единственное, что стоит знать: забудь дорогу в фаст-фуд. Ты должна есть все только самое вкусное и свежее. Без ГМО, как пишут на упаковках. Тортики и обилие конфет вряд ли назовешь самой полезной едой. Если очень хочется, можешь себя порадовать. Но когда ты станешь чаще есть овощи и фрукты, поймешь, как же это вкусно!
Подробное видео о 2 неделе беременности
empiremam.com
2 неделя беременности – ощущения, развитие плода, фото, узи, видео
Беременность 2 недели – развитие плода и ощущения женщины
Автор статьи
Мария Соколова
Время на чтение: 20 минут
АА
Вторая неделя – этот срок часто пугает женщин. Для акушера-гинеколога это — срок, в котором беременности фактически еще нет, но организм женщины уже подготавливается к зачатию. А вот для будущей мамы слова «2-я неделя» означают срок от зачатия и до предполагаемой менструации, которая не наступила.
В результате этого часто возникает ситуация когда между врачом и пациентом идет разговор о разных строках.
Оглавление:
Что значит — срок 2 недели?
Так в чем же разница между 2-й акушерской неделей и 2-й неделей после зачатия?
В понимании акушера-гинеколога 1-2 недели — это период когда заканчивается менструальный цикл и происходит овуляция. Последующие 2-3 недели задержки еще нет, и о беременности еще ничего неизвестно, но процесс в организме уже начался, только протекает скрыто. Именно на этом сроке происходит зачатие.
Если вы думаете, что зачатие произошло две недели назад — значит вы считаете, что уже беременны, и знаете дату зачатия. Иногда женщины знают точную дату, потому что регулярно измеряют базальную температуру или в середине цикла делают УЗИ.
На 2-й неделе после зачатия наступает предположительный срок начала менструации. Именно в это время многие из женщин начинают догадываться о своем интересном положении и покупают тесты на беременность. На этом строке тест очень редко показывает отрицательно, ведь современные тесты способны определить беременность еще до задержки.
В это время (2 недели) будущий малыш только имплантировался в стенку матки, и являет собой маленький комочек клеток. На второй неделе довольно часто случаются самопроизвольные выкидыши, о которые не учитываются, потому что очень часто о них даже не знают.
Небольшая задержка менструации, мазня и необычные коричневые кровянистые выделения, очень обильные или продолжительные месячные – эти признаки женщина часто принимает за обычные месячные, даже не подозревая о том, что, может быть, она была беременной.
Многие женщины считают недели от задержки. При таком подсчете, вторая неделя является шестой акушерской неделей. В это время малыш уже сформировался и его сердечко бьется. По большому счету, этот строк называть 2-й неделей неверно, но многие женщины его так воспринимают.
Признаки беременности на 2-ой неделе
На второй акушерской недели никаких признаков зарождения новой жизни нет, поскольку фактически беременность еще не наступила.
На 1-2-й неделе после задержки признаки выражены очень слабо, но чаще всего будущая мама уже догадывается, а иногда и знает. Боясь спугнуть свое счастье или наоборот узнать, что это случилось так не вовремя, многие женины отлаживают поход в аптеку. Они мучаются в догадках и стараются найти первые признаки.
На 2-й неделе от задержки признаки обусловлены довольно высоким уровнем гормонов, которые сохраняют плод.
В этот период женщину может беспокоить:
• Признаки раннего токсикоза;
• Нагрубание груди и чувствительность сосков;
• Иногда могут возникать ощущение легкой простуды и заложенности носа;
• Тяжесть и небольшой дискомфорт внизу живота;
• Может незначительно увеличится аппетит;
• Женщина становится раздражительной и вспыльчивой;
• Тест на беременность в этот период чаще всего оказывается положительным.
Ощущения женщин на 2-ой неделе
На второй акушерской неделе ожидания малыша гормональный фон женщины изменяется. В нем выражено преобладает эстрогенный компонент. В момент овуляции происходят изменения не только в половых органах, но также изменяется и половое поведение. В период перед овуляцией сильно увеличивается половое влечение, что способствует зачатию.
Приблизительно на 14 день менструального цикла наступает овуляция. У некоторых женщин в этот период в низу живота возникают болевые ощущения. Что бы уменьшить боль, они прикладывают грелку, чего делать категорически нельзя, ведь под воздействием тепла кровеносные сосуды расширяются, и это может стать причиной внутреннего кровотечения.
В этот период врачи не рекомендуют посещать бани, поднимать тяжести, выполнять тяжелые физические работы.
Отзывы женщин с форумов:
Лена:
Напряжен низ живота, как будто под прессом. А также появилось отвращение к запаху стирального порошка.
Анна:
Я думаю, что у меня 2-3 недели, задержка уже 6 дней, но к врачу еще не ходила… Тест показал две полоски. Внизу живота стало немного побаливать и тянуть. До этого сильно болели бока. А вот с аппетитом возникли проблемы, раньше был отменным, а теперь совсем есть не хочется.
Марина:
А у меня тоже несколько дней была температура повышена 37,3 и в низу живота тянуло. Врач мне объяснила, что матка начинает увеличиваться в размерах.
Инна:
У меня тоже сильно тянет низ живота. Просто кошмар. Цикл у меня не постоянный потому задержка или неделя, или всего 4 дня. Еще до задержки тесты были положительными, но со временем полоски ярче не становятся. Завтра иду на УЗИ.
Наташа:
У меня, то тянет, как при месячных, то исчезает.
Мила:
Стресс и усталость. Постоянно спать хочется.
Что происходит в организме женщины?
Вторая акушерская неделя проходит на фолликулярной фазе менструального цикла. В конце этой недели происходит овуляция – выход зрелой яйцеклетки.
В яичнике фолликула продолжает созревать и выделяется эстроген. Когда фолликул созреет полностью, он в диаметре будет иметь размер около 2 см. Внутри него увеличивается давление жидкости, под влиянием лютеинизирующего гормона пузырек лопается и зрелая гамета выходит наружу.
В течение суток после этого момента, пока яйцеклетка живая, может осуществиться оплодотворение и наступит беременность.
В менструальном цикле женщины, который составляет 28 дней, фолликулярная фаза длится приблизительно две недели. Поэтому фактическое наступление беременности можно посчитать приблизительно от предполагаемой даты начала овуляции.
Развитие плода на 2-ой акушерской неделе
Со 2-й акушерской недели начинается эмбриональный период. Зародышевый пузырек очень маленький, но состоит из очень большого количества клеток. Хотя клеточки еще очень маленькие, они прекрасно знают, что им делать дальше.
Совсем скоро они начнут разделяться на три слоя:
• Наружный слой – с него формируется нервная система, кожа и слизистая оболочка;
• Промежуточный слой – с него начнут развиваться сердечно-сосудистая система, кости, мышцы, половая система;
• Внутренний слой – формирует пищеварительную, мочевыводящую и дыхательную системы.
Также в этот период начинает формироваться спинной мозг.
На 2-й неделе от задержки (шестая акушерская неделя) плод еще называют эмбрионом. Его размер, как у горошины, не больше 2-3 мм. А весит он около двух грамм. Но, несмотря на это, уже началось активное формирование нервных связей в его нервной системе, начинает формировать головной мозг.
Уже можно различить, где у эмбриона голова, начинают формироваться конечности. На его груди бугорком выступает сердечко, которое уже бьется.
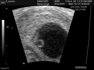
УЗИ на 2-ой неделе, фото плода
На 2-й неделе от задержки УЗИ назначают для подтверждения диагноза, а также тогда, когда есть риск, что что-то пойдет не так. На фотографиях вы можете посмотреть, как выглядит ваш будущий малыш в этом периоде развития.

УЗИ, беременность 2-3 недели
УЗИ, 2-3 недели
Фото будущего ребенка на 2-ой акушерской неделе

Развитие плода — 2 недели
Видео: Что происходит на 2-ой неделе?
Видео: Как происходит зачатие? Первые 2 недели ожидания малыша
Рекомендации и советы для будущей мамы
1. На 2-ой акушерской неделе многие врачи перед зачатием рекомендуют несколько дней воздержаться от половой жизни, это позволит накопить мужчине необходимое количество сперматозоидов.
2. Если вы планируете зачатие, то перед половым актом не проводите туалет половых органов косметическими средствами, которые могут изменить кислотную среду влагалища. Это касается спринцевание. Вполне достаточно будет провести обычные гигиенические процедуры.
3. Самой благоприятной позицией для зачатия является «миссионерская» и колено-локтевая, когда мужчина располагается сзади.
4. Что бы увеличить вероятность зачатия, женщина должна находиться в положении лежа еще около 20-30 мин. после семяизвержения.
Самый подробный календарь беременности по неделямА Вы помните свои ощущения на 2-ой неделе? Дайте свои советы будущим мамам!
Автор статьи
Мария Соколова
Эксперт по беременности журнала Colady. Мама троих детей, акушер по образованию, писатель по призванию.
Поделитесь с друзьями и оцените статью:www.colady.ru
2 неделя беременности: признаки, симптомы, ощущения

На второй неделе беременности женщина может не знать о своем положении, но уже на этом этапе в ее организме происходят существенные изменения. Догадаться о беременности можно по наличию симптомом, но все они проявляются не у каждой девушки. Подтвердить факт беременности на сроке в 2 неделе поможет экспресс тест. Дело в том, что гормон ХГЧ активно продуцируется в это время. Женщина может отметить проявление перепадов настроения и постоянную сонливость – так проявляется изменение гормонального фона.
Содержание статьи:
Как считают срок врачи
В настоящее время достаточно сложно определить оптимальную методику подсчета срока беременности. Врачи вносят в документацию акушерский срок, который превышает истинный на 2 недели. На первом приеме гинеколог не только провидит инструментальный осмотр, но и собирает анамнез девушки. Основные вопросы будут касаться срока последней менструации. Данная дата является крайне информативной, и именно отталкиваясь от нее, специалист будет рассчитывать предполагаемый срок беременности, сопоставляя его с фазами цикла.
Расчет предположительного срока беременности достаточно прост и каждая девушка может высчитать его самостоятельно, но важно помнить о погрешности. Предположительная дата родов переноситься на две недели, связано это с погрешностями в расчете. Тем не менее, более точная дата родов будет определена в ходе скринингового обследования – УЗИ и биохимическое обследование позволяет получить четкую картину.
Что происходит с зародышем
Со второй акушерской недели начинается эмбриональный этап развития плода. Формируется зародышевый пузырь – оболочка, которая будет обеспечивать защиту эмбриона. Такая оболочка имеет небольшие размеры, но состоит из большого количества клеток. Подобные элементы малы, но они будут развиваться по мере увеличения срока гестации.
Клетки будут делиться на несколько слоев:
- наружный слой – обеспечивает формирование нервной системы, кожи и слизистых оболочек;
- промежуточный слой – создает сердечнососудистую систему, кости, мышечные ткани, половую систему;
- внутренний слой – обеспечивает создание пищеварительной, мышечной и дыхательной системы.
В этот момент плод считают эмбрионом. Размер его – не более горошины диаметром 2-3 мм, а вес – 3 грамма. Не смотря на небольшой размер – это живой организм, в груди которого бьется сердце, на теле формируются конечности.
Что происходит в женском организме
Часто именно на второй неделе беременности женщина начинает подозревать о своем положении. Недельная задержка менструального цикла заставляет задуматься и приобрести экспресс тест или отправиться на осмотр к гинекологу.
Внимание! На второй неделе беременности формируется спинной мозг. Вторая акушерская неделя – шестая неделя с момента овуляции.
Внимание! Сами акушеры не рекомендуют проходить осмотр на второй неделе беременности. Инструментальное исследование вряд ли даст результат потому как плод имеет крайне незначительные размеры. Оптимальный вариант определения беременности на таком сроке – анализ ХГЧ. Вероятность погрешности при исследовании ничтожно мала.
На второй неделе беременности женщина может впервые столкнуться с токсикозом. Проявления могут быть маловыраженными. Также в организме женщины могут происходить следующие изменения:
- проявление головных болей и ощущение постоянной усталости;
- изменение вкусовых предпочтений;
- неприязнь к определенным ароматам;
- боли в нижней части живота.
Гормон ХГЧ – отвечает за процесс сохранения и развития беременности. Он начинает выделяться в организме именно на второй неделе. Лаборант в ходе исследования замечает существенное повышение концентрации компонента, и этот факт позволяет подтвердить наступление беременности.
Что показывает тест
Особенные изменения в организме женщины на раннем этапе планирования беременности не происходят. Выявить наличие особенных изменений могут только девушки, давно планирующие зачатие. Единственным симптомом заставляющим задуматься о наличии беременности является отсутствие менструации. Тем не менее, уже на этом этапе в организме матери изменяется гормональный фон, незначительно повышается концентрация гормона ХГЧ.
Внимание! На второй неделе беременности покажет беременность только сверхчувствительная тест полоска. Связано это с тем, что концентрация ХГЧ в этот момент незначительна.
Следует помнить и о том, что тест имеет некоторую погрешность – он может показать ложноположительный или ложноотрицательный результат. С точностью заявлять, что на сроке в две недели тест покажет действительный результат нельзя, концентрация ХГЧ в такой период, конечно же, возросла, но незначительно.
На этом сроке беременности лучше сдать анализ на концентрацию гормона беременности в лаборатории. Если показатели возросли до 156 мЕд – оплодотворение произошло с высокой долей вероятности. Безусловно, следует исключить возможность проявления гормональных сбоев в организме.
Что может чувствовать беременная
В организме женщины на второй акушерской неделе беременности происходят следующие изменения:
- менструальное кровотечение не наступает;
- молочные железы грубеют;
- проявляются плавающие боли в нижней части живота;
- соски становятся более чувствительными;
- женщина становиться вспыльчивой, пребывает в состоянии постоянного напряжения;
- усиливается аппетит, изменяются вкусовые предпочтения, проявляются первые симптомы токсикоза;
- снижается артериальное давление женщины; происходит учащение мочеиспусканий.
Все перечисленные ощущения являются преимущественно относительными. Женщина может не сталкиваться с их проявлением на второй неделе беременности. Вероятность их проявления 50/50%, все зависит от индивидуальных особенностей организма девушки.
Предполагать о наличии беременности по проявлению перечисленных симптомов – не следует. Все они являются относительными и проявляются не всегда. Гинеколог в ходе осмотра также не всегда сможет подтвердить факт наличия беременности, оптимальный способ – сверхчувствительный тест.
Физиологические изменения
В организме будущей мамы на второй неделе беременности происходят следующие изменения:
- после попадания в полость матки эмбрион прикрепляется к ее стенке при помощи хориона;
- эмбрион активно развивается и получает из организма матери все необходимые питательные вещества и компоненты;
- происходить формирование различных органов и системы зародыша.
Важно учитывать, что психоэмоциональное состояние женщины играет немаловажную роль в обеспечении физиологических процессов.
При выраженном контакте с неблагоприятными факторами могут проявиться различные аномалии как, например внематочная беременность. Такое состояние требует врачебного вмешательства. Именно поэтому при наличии подозрений на зачатие следует минимизировать влияние патологических факторов, сбалансировать рацион следует уже на этапе планирования беременности. Некоторые ограничения позволят существенно уменьшить вероятность проявления отрицательных последствий.
Состояние груди
Молочные железы на второй акушерской неделе беременности реагируют на гормон прогестерон. Железистые ткани груди существенно увеличиваются в размерах и грудь набухает. Соединительные ткани при этом сохраняют свои размеры, нарушается процесс кровоснабжения. В этот момент будущая мать может ощущать дискомфорт.
Внимание! Подобное проявление часто путают с симптомом овуляции. Если зачатие состоялось дискомфорт, в молочной железе сохранится в течение нескольких недель.
Женская грудь состоит из 15-20 долей, все элементы состоят из отдельных долек. Под воздействием гормонов после оплодотворения молочные протоки расширяются. Сама грудь уже на второй неделе беременности может существенно увеличиться.
Следует помнить и о том, что болезненные ощущения в области молочных желез могут быть не связаны с наступлением беременности. В таких случаях не исключено наличие патологии, лучше посетить врача маммолога. Врач проведет осмотр и порекомендует женщине пройти дополнительное обследование, включающее:
- УЗИ;
- МРТ;
- анализ крови на концентрацию гормонов.
Своевременная диагностика часто является наилучшим способом предотвращения развития серьезных патологий.
Изменения живота
Увеличение размеров живота при беременности связано с ростом матки. Момент увеличения размера является индивидуальным показателем для каждой беременной. Если беременность первая, живот заметен начиная с 4-5 месяца, при второй или многоплодной беременности округлости появляются раньше. Связано это с тем, что мышцы брюшного пресса ослабевают под влиянием нагрузок.
Факт! Живот на второй неделе беременности не может быть заметен. Как правило, интересное положение женщины становится заметным для окружающих только лишь во втором триместре.
Нужно обратить внимание на то, что на животе после беременности могут проявиться растяжки. Для того что бы предотвратить их образование следует соблюдать несколько правил:
- водные процедуры, если нет противопоказаний плаванье в бассейне;
- регулярное использование безопасных косметических средств для профилактики проявления растяжек;
- легкие физически нагрузки;
- сохранение физической активности.
В целом можно сделать вывод о том, что живот на 2 неделе беременности не изменяется.
Отделяемое из влагалища
Выделения из влагалища в период беременности представляют собой естественное явление. Тем не менее, их проявление на раннем этапе беременности может существенно взволновать мать, ведь некоторые нарушения могут свидетельствовать о развитии серьезных проблем со здоровьем.
В норме некоторые выделения должны присутствовать с первых дней с момента зачатия. Выделения могут становиться более обильными. Проявляются они на фоне изменения гормонального фона женщины и усилении кровоснабжения матки.
Внимание! Для того чтобы выделения не доставляли существенного дискомфорта следует пользоваться ежедневными прокладками, содержать зону половых органов в чистоте, носить белье из натуральной ткани.
Не все выделения являются естественными. Обратиться к специалисту следует при проявлении вкраплений крови. Такой симптом может являться предвестником выкидыша. Если слизистое отделяемое имеет кислый запах и зеленоватый цвет – вероятно присоединение грибковой флоры.
Что показывает УЗИ
Вторая неделя беременности представляет собой наиболее ранний срок проведения подобной диагностики. Тем не менее, подтвердить факт беременности на этом этапе способно только сверхчувствительное оборудование. Исследование проводится трансвагинально.
Для проведения обследования женщина должна получить направление у гинеколога. Методика подразумевает введение во влагалище женщины тонкого датчика в презервативе.
Вопрос, вредно ли УЗИ на ранних сроках беременности волнует всех мам. С уверенностью можно заявить о том, что обследование никак ни влияет на развитие плода и протекание беременности, тем не менее, сонологи рекомендуют проходить УЗИ не раньше 6-8 недели. На 2 неделе беременности специалист сможет только подтвердить факт зарождения новой жизни, оценить какие-либо показатели невозможно.
Общие рекомендации
Особенные рекомендации относительно образа жизни беременной на 2 неделе гестации отсутствуют. Все советы сводятся к оптимизации жизненного ритма:
- Избавление от вредных привычек – этот шаг следует предпринять на этапе планирования беременности.
- Здоровый сон и полноценный отдых.
- Рациональное питание – уже на второй неделе проявляются признаки токсикоза, минимизировать интенсивность которых поможет правильно составленный рацион.
- Отказ от работы на вредных предприятиях – если женщина работает во вредных условиях труда, она должна обратиться к руководству со справкой о беременности и просьбой перевести ее на легкий труд.
- Спокойное психоэмоциональное состояние.
Вторая неделя беременности – на этом этапе девушка может не подозревать о зарождении новой жизни в своем организме, тем не менее, характерные симптомы подскажут ей об этом. Важно не игнорировать правила и соблюдать рекомендуемый режим тогда вся беременность пройдет успешно.
zdorrov.com
