ΠΏΡΠΈΡΠΈΠ½Ρ, ΡΠΈΠΌΠΏΡΠΎΠΌΡ, ΠΏΡΠΎΡΠΈΠ»Π°ΠΊΡΠΈΠΊΠ° ΠΈ Π»Π΅ΡΠ΅Π½ΠΈΠ΅ ΠΊΠΈΡΠ»ΠΎΡΠ½ΠΎΠ³ΠΎ Π½Π΅ΠΊΡΠΎΠ·Π°
- ΠΠ»Π°Π²Π½Π°Ρ
- Π‘ΡΠ°ΡΡΠΈ
- ΠΠ½Π°ΡΠΎΠΌΠΈΡ ΠΈ Π€ΠΈΠ·ΠΈΠΎΠ»ΠΎΠ³ΠΈΡ
- ΠΡΠ»ΡΠΏΠ° ΠΡΠ±Π°
- ΠΠΌΠ°Π»Ρ Π·ΡΠ±Π°
- ΠΠ΅Π½ΡΠΈΠ½ Π·ΡΠ±Π°
- ΠΠ΅ΡΠΈΠΎΠ΄ΠΎΠ½Ρ
- Π’ΡΠΎΠΉΠ½ΠΈΡΠ½ΡΠΉ Π½Π΅ΡΠ²
- ΠΡΠΎΡΠ΅Π·ΡΠ²Π°Π½ΠΈΠ΅ Π·ΡΠ±ΠΎΠ²
- ΠΡΠ± ΠΌΡΠ΄ΡΠΎΡΡΠΈ
- ΠΠΎΠ»Π΅Π·Π½ΠΈ ΡΠ·ΡΠΊΠ°
- ΠΠΎΠ»ΠΎΡΠ°ΡΡΠΉ ΡΠ·ΡΠΊ
- ΠΠ΅ΠΎΠ³ΡΠ°ΡΠΈΡΠ΅ΡΠΊΠΈΠΉ ΡΠ·ΡΠΊ
- Π‘ΠΊΠ»Π°Π΄ΡΠ°ΡΡΠΉ ΡΠ·ΡΠΊ
- ΠΠΈΠ³ΠΈΠ΅Π½Π° ΠΏΠΎΠ»ΠΎΡΡΠΈ ΡΡΠ°
- ΠΠ°ΠΊ ΠΏΡΠ°Π²ΠΈΠ»ΡΠ½ΠΎ ΡΠΈΡΡΠΈΡΡ Π·ΡΠ±Ρ
- ΠΠ°ΠΊ ΠΏΡΠ°Π²ΠΈΠ»ΡΠ½ΠΎ ΡΡ Π°ΠΆΠΈΠ²Π°ΡΡ Π·Π° Π·ΡΠ±Π°ΠΌΠΈ ΡΠ΅Π±Π΅Π½ΠΊΠ°?
- ΠΡΡΠΈΠ³Π°ΡΠΎΡ ΠΈ ΡΠ»Π΅ΠΊΡΡΠΈΡΠ΅ΡΠΊΠ°Ρ Π·ΡΠ±Π½Π°Ρ ΡΠ΅ΡΠΊΠ°
- ΠΡΠ±Π½ΠΎΠΉ Π½Π°Π»Π΅Ρ
- ΠΡΠ±Π½ΠΎΠΉ ΠΊΠ°ΠΌΠ΅Π½Ρ
- Π£Π΄Π°Π»Π΅Π½ΠΈΠ΅ Π·ΡΠ±Π½ΠΎΠ³ΠΎ ΠΊΠ°ΠΌΠ½Ρ
- ΠΠ²ΡΠΊΠΎΠ²Π°Ρ ΠΈ ΡΠ»ΡΡΡΠ°Π·Π²ΡΠΊΠΎΠ²Π°Ρ Π·ΡΠ±Π½Π°Ρ ΡΠ΅ΡΠΊΠ°
- LACALUT Π΄Π»Ρ Π΄Π΅ΡΠ΅ΠΉ
- ΠΠ°ΡΠΈΠ΅Ρ Π·ΡΠ±ΠΎΠ²
- ΠΠ°ΡΠΈΠ΅Ρ Π·ΡΠ±ΠΎΠ²
- ΠΠ»Π°ΡΡΠΈΡΠΈΠΊΠ°ΡΠΈΡ ΠΠ°ΡΠΈΠ΅ΡΠ°
- ΠΠ΅ΡΠ΅Π½ΠΈΠ΅ ΠΠ°ΡΠΈΠ΅ΡΠ°
- ΠΡΠΎΡΠΈΠ»Π°ΠΊΡΠΈΠΊΠ° ΠΠ°ΡΠΈΠ΅ΡΠ°
- ΠΡΠ»ΡΠΏΠΈΡΡ
- ΠΡΠ»ΡΠΏΠΈΡ
- ΠΠ»Π°ΡΡΠΈΡΠΈΠΊΠ°ΡΠΈΡ ΠΡΠ»ΡΠΏΠΈΡΠΎΠ²
- ΠΠ΅ΡΠ΅Π½ΠΈΠ΅ ΠΡΠ»ΡΠΏΠΈΡΠ°
- ΠΠ°Π±ΠΎΠ»Π΅Π²Π°Π½ΠΈΡ ΠΏΠ°ΡΠΎΠ΄ΠΎΠ½ΡΠ°
- ΠΠ°ΡΠΎΠ΄ΠΎΠ½ΡΠΈΡ
- ΠΠ΅ΡΠ΅Π½ΠΈΠ΅ ΠΏΠ°ΡΠΎΠ΄ΠΎΠ½ΡΠΈΡΠ°
- ΠΠ°ΡΠΎΠ΄ΠΎΠ½ΡΠΎΠ·
ΠΠΈΠ½Π³ΠΈΠ²ΠΈΡ
- ΠΡΠ±Π΅Π»ΠΈΠ²Π°Π½ΠΈΠ΅ Π·ΡΠ±ΠΎΠ²
- ΠΡΠ±Π΅Π»ΠΈΠ²Π°Π½ΠΈΠ΅ Π·ΡΠ±ΠΎΠ² Π² Π΄ΠΎΠΌΠ°ΡΠ½ΠΈΡ ΡΡΠ»ΠΎΠ²ΠΈΡΡ
- ΠΠ°Π·Π΅ΡΠ½ΠΎΠ΅ ΠΎΡΠ±Π΅Π»ΠΈΠ²Π°Π½ΠΈΠ΅ Π·ΡΠ±ΠΎΠ²
- ΠΡΠ±Π΅Π»ΠΈΠ²Π°Π½ΠΈΠ΅ Π·ΡΠ±ΠΎΠ² Air Flow
- ΠΡΠ±Π΅Π»ΠΈΠ²Π°Π½ΠΈΠ΅ Π·ΡΠ±ΠΎΠ² Opalescence
- ΠΡΠ±Π΅Π»ΠΈΠ²Π°Π½ΠΈΠ΅ Π·ΡΠ±ΠΎΠ² Zoom 3
- ΠΡΠ±Π΅Π»ΠΈΠ²Π°Π½ΠΈΠ΅ Π·ΡΠ±ΠΎΠ² Yotuel
- ΠΡΠ±Π΅Π»ΠΈΠ²Π°Π½ΠΈΠ΅ Π·ΡΠ±ΠΎΠ² Π½Π°ΡΠΎΠ΄Π½ΡΠΌΠΈ ΡΡΠ΅Π΄ΡΡΠ²Π°ΠΌΠΈ
- ΠΡΠ±Π½ΡΠ΅ Π²ΠΈΠ½ΠΈΡΡ — ΠΏΡΡΡ ΠΊ ΠΎΡΠ»Π΅ΠΏΠΈΡΠ΅Π»ΡΠ½ΠΎΠΉ ΡΠ»ΡΠ±ΠΊΠ΅
- ΠΠ΅ΡΠΈΠΎΠ΄ΠΎΠ½ΡΠΈΡΡ
- ΠΠ»Π°ΡΡΠΈΡΠΈΠΊΠ°ΡΠΈΡ ΠΏΠ΅ΡΠΈΠΎΠ΄ΠΎΠ½ΡΠΈΡΠΎΠ²
- ΠΡΡΡΡΠΉ ΠΏΠ΅ΡΠΈΠΎΠ΄ΠΎΠ½ΡΠΈΡ
- Π₯ΡΠΎΠ½ΠΈΡΠ΅ΡΠΊΠΈΠΉ ΠΏΠ΅ΡΠΈΠΎΠ΄ΠΎΠ½ΡΠΈΡ
- Π‘ΡΠΎΠΌΠ°ΡΠΈΡΡ
- Π‘ΡΠΎΠΌΠ°ΡΠΈΡ
- ΠΠ΅ΡΠ΅Π½ΠΈΠ΅ ΡΡΠΎΠΌΠ°ΡΠΈΡΠ°
- Π‘ΡΠΎΠΌΠ°ΡΠΈΡ Ρ Π΄Π΅ΡΠ΅ΠΉ
- ΠΠ°Π½Π΄ΠΈΠ΄ΠΎΠ· ΠΏΠΎΠ»ΠΎΡΡΠΈ ΡΡΠ°: ΠΏΡΠΈΡΠΈΠ½Ρ, ΡΠΈΠΌΠΏΡΠΎΠΌΡ, Π»Π΅ΡΠ΅Π½ΠΈΠ΅
- ΠΠ»Π»Π΅ΡΠ³ΠΈΡΠ΅ΡΠΊΠΈΠ΅ ΡΡΠΎΠΌΠ°ΡΠΈΡΡ
- Π―Π·Π²Π΅Π½Π½ΠΎ-Π½Π΅ΠΊΡΠΎΡΠΈΡΠ΅ΡΠΊΠΈΠΉ ΡΡΠΎΠΌΠ°ΡΠΈΡ ΠΠ΅Π½ΡΠ°Π½Π°
- ΠΠΎΠ»ΠΎΡΠ½ΠΈΡΠ° ΠΏΠΎΠ»ΠΎΡΡΠΈ ΡΡΠ°
- ΠΠ°Π½Π΄ΠΈΠ΄ΠΎΠ·Π½ΡΠΉ ΡΡΠΎΠΌΠ°ΡΠΈΡ
- ΠΡΡΠΎΠ·Π½ΡΠΉ ΡΡΠΎΠΌΠ°ΡΠΈΡ
- ΠΠ½Π΄ΠΎΠ΄ΠΎΠ½ΡΠΈΡ
- ΠΠ°ΡΠ΅ΡΠ°Π»ΡΠ½Π°Ρ ΠΊΠΎΠ½Π΄Π΅Π½ΡΠ°ΡΠΈΡ
- ΠΠ΅ΠΏΠΎΡΠΎΡΠ΅Π·
- ΠΡΠΎΡΠ΅ΠΉΠΏΠ΅ΡΡ
- ΠΠ½Π΄ΠΎΠ΄ΠΎΠ½ΡΠΈΡΠ΅ΡΠΊΠΎΠ΅ Π»Π΅ΡΠ΅Π½ΠΈΠ΅
- Π‘ΡΠ°Π½Π΄Π°ΡΡΡ ISO
- ΠΡΡΡΠ°ΠΏΠ΅ΡΡΠ΅Π²ΡΠ΅ ΡΡΠΈΡΡΡ
- ΠΠ½Π΄ΠΎΠΈΠ½ΡΡΡΡΠΌΠ΅Π½ΡΡ
- ΠΠ΅ΠΊΠ°ΡΠΈΠΎΠ·Π½ΡΠ΅ ΠΏΠΎΡΠ°ΠΆΠ΅Π½ΠΈΡ Π·ΡΠ±ΠΎΠ²
- ΠΠ½Π°ΡΠΎΠΌΠΈΡ ΠΈ Π€ΠΈΠ·ΠΈΠΎΠ»ΠΎΠ³ΠΈΡ
dental-area.com
5.11. ΠΠ΅ΠΊΡΠΎΠ· ΡΠ²Π΅ΡΠ΄ΡΡ ΡΠΊΠ°Π½Π΅ΠΉ Π·ΡΠ±ΠΎΠ²
5.11.1. ΠΡΠΈΡΠ΅Π΅ΡΠ½ΡΠΉ Π½Π΅ΠΊΡΠΎΠ·
ΠΠ΅ΠΊΡΠΎΡΠΈΡΠ΅ΡΠΊΠΈΠ΅ ΠΈΠ·ΠΌΠ΅Π½Π΅Π½ΠΈΡ ΡΠ²Π΅ΡΠ΄ΡΡ ΡΠΊΠ°Π½Π΅ΠΉ Π·ΡΠ±ΠΎΠ² ΠΏΡΠΎΠΈΡΒΡ ΠΎΠ΄ΡΡ Π½Π° ΡΠΎΠ½Π΅ Π½Π°ΡΡΡΠ΅Π½ΠΈΡ ΡΡΠ½ΠΊΡΠΈΠΈ ΠΆΠ΅Π»Π΅Π· Π²Π½ΡΡΡΠ΅Π½Π½Π΅ΠΉ ΡΠ΅ΠΊΒΡΠ΅ΡΠΈΠΈ (ΡΠΈΡΠΎΠ²ΠΈΠ΄Π½ΠΎΠΉ, ΠΏΠΎΠ»ΠΎΠ²ΡΡ ), ΠΏΡΠΈ Π³ΠΎΡΠΌΠΎΠ½Π°Π»ΡΠ½ΠΎΠΉ ΠΏΠ΅ΡΠ΅ΡΡΡΠΎΠΉΠΊΠ΅ Π²ΠΎ Π²ΡΠ΅ΠΌΡ Π±Π΅ΡΠ΅ΠΌΠ΅Π½Π½ΠΎΡΡΠΈ.
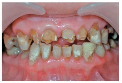
ΠΠ»ΠΈΠ½ΠΈΡΠ΅ΡΠΊΠ°Ρ ΠΊΠ°ΡΡΠΈΠ½Π°. ΠΠ΅ΠΊΡΠΎΠ· ΠΏΡΠΎΡΠ²Π»ΡΠ΅ΡΡΡ ΠΏΠΎΡΠ΅ΡΠ΅ΠΉ Π±Π»Π΅ΡΠΊΠ° ΡΠΌΠ°Π»ΠΈ, Π²ΠΎΠ½ΠΈΠΊΠ½ΠΎΠ²Π΅Π½ΠΈΠ΅ΠΌ ΠΌΠ΅Π»ΠΎΠ²ΠΈΠ΄Π½ΡΡ ΠΏΡΡΠ΅Π½, ΠΊΠΎΡΠΎΡΡΠ΅ ΠΏΠΎΡΡΠ΅ΒΠΏΠ΅Π½Π½ΠΎ ΠΏΡΠΈΠΎΠ±ΡΠ΅ΡΠ°ΡΡ ΡΠ΅ΠΌΠ½ΠΎ-ΠΊΠΎΡΠΈΡΠ½Π΅Π²ΡΠΉ ΡΠ²Π΅Ρ. Π ΡΠ΅Π½ΡΡΠ΅ ΠΎΡΠ°Π³Π° ΠΏΠΎΡΠ°ΠΆΠ΅Π½ΠΈΡ ΡΠΊΠ°Π½ΠΈ ΡΠ°Π·ΠΌΡΠ³ΡΠ°ΡΡΡΡ, ΡΡΠΎ ΡΠΎΠΏΡΠΎΠ²ΠΎΠΆΠ΄Π°Π΅ΡΡΡ ΠΎΠ±ΡΠ°ΒΠ·ΠΎΠ²Π°Π½ΠΈΠ΅ΠΌ Π΄Π΅ΡΠ΅ΠΊΡΠ°. ΠΠΌΠ°Π»Ρ ΡΡΠ°Π½ΠΎΠ²ΠΈΡΡΡ Ρ ΡΡΠΏΠΊΠΎΠΉ ΠΈ Π»Π΅Π³ΠΊΠΎ ΠΎΡΠΊΠ°ΒΠ»ΡΠ²Π°Π΅ΡΡΡ ΡΠΊΡΠΊΠ°Π²Π°ΡΠΎΡΠΎΠΌ. ΠΠ΅Π½ΡΠΈΠ½ ΡΠ΅ΠΌΠ½ΡΠΉ, ΠΏΠΈΠ³ΠΌΠ΅Π½ΡΠΈΡΠΎΠ²Π°Π½Π½ΡΠΉ. Π₯Π°ΡΠ°ΠΊΡΠ΅ΡΠ½ΠΎ ΠΏΠΎΡΠ²Π»Π΅Π½ΠΈΠ΅ ΠΎΡΠ°Π³ΠΎΠ² Π½Π΅ΠΊΡΠΎΠ·Π° Π² ΠΏΡΠΈΡΠ΅Π΅ΡΠ½ΠΎΠΉ ΠΎΠ±Π»Π°ΡΒΡΠΈ ΠΈ ΠΌΠ½ΠΎΠΆΠ΅ΡΡΠ²Π΅Π½Π½ΠΎΠ΅ ΠΏΠΎΡΠ°ΠΆΠ΅Π½ΠΈΠ΅ Π·ΡΠ±ΠΎΠ², ΠΏΡΠΈΡΠ΅ΠΌ ΠΌΠΎΠ»ΡΡΡ ΠΏΠΎΒΡΠ°ΠΆΠ°ΡΡΡΡ ΡΠ΅ΠΆΠ΅ ΡΠ΅Π·ΡΠΎΠ², ΠΊΠ»ΡΠΊΠΎΠ² ΠΈ ΠΏΡΠ΅ΠΌΠΎΠ»ΡΡΠΎΠ². ΠΠ°ΡΠΈΠ΅Π½ΡΡ ΠΆΠ°Π»ΡΡΡΡΡ Π½Π° Π±ΠΎΠ»ΠΈ ΠΎΡ ΡΠ΅ΠΌΠΏΠ΅ΡΠ°ΡΡΡΠ½ΡΡ , ΠΌΠ΅Ρ Π°Π½ΠΈΡΠ΅ΡΠΊΠΈΡ ΠΈ Ρ ΠΈΒΠΌΠΈΡΠ΅ΡΠΊΠΈΡ ΡΠ°Π·Π΄ΡΠ°ΠΆΠΈΡΠ΅Π»Π΅ΠΉ.
ΠΡΠΈ ΠΏΠΎΠ»ΡΡΠΈΠ·Π°ΡΠΈΠΎΠ½Π½ΠΎΠΉ ΠΌΠΈΠΊΡΠΎΡΠΊΠΎΠΏΠΈΠΈ ΠΎΠ±Π½Π°ΡΡΠΆΠΈΠ²Π°ΡΡ Π²ΡΡΠ°ΠΆΠ΅Π½Π½ΡΠ΅ ΠΈΠ·ΠΌΠ΅Π½Π΅Π½ΠΈΡ ΠΏΠΎΠ΄ΠΏΠΎΠ²Π΅ΡΡ Π½ΠΎΡΡΠ½ΠΎΠ³ΠΎ ΡΠ»ΠΎΡ ΡΠΌΠ°Π»ΠΈ ΠΏΡΠΈ ΡΠΎΡ ΡΠ°Π½ΠΈΠ²ΡΠ΅ΠΌΡΡ ΠΏΠΎΠ²Π΅ΡΡ Π½ΠΎΡΡΠ½ΠΎΠΌ. Π₯ΠΎΡΠΎΡΠΎ Π²ΠΈΠ΄Π½Ρ Π»ΠΈΠ½ΠΈΠΈ Π Π΅ΡΡΠΈΡΡΠ°, ΠΎΠΏΡΠ΅Π΄Π΅Π»ΡΠ΅ΡΡΡ ΡΠ΅Π½ΡΡΠ°Π»ΡΠ½Π°Ρ ΡΠ΅ΠΌΠ½Π°Ρ Π·ΠΎΠ½Π° Ρ Π±ΠΎΠ»Π΅Π΅ ΡΠ²Π΅ΡΒΠ»ΡΠΌΠΈ ΡΡΠ°ΡΡΠΊΠ°ΠΌΠΈ ΠΏΠΎ ΠΏΠ΅ΡΠΈΡΠ΅ΡΠΈΠΈ. ΠΡΠΈ ΠΏΡΠΈΠ·Π½Π°ΠΊΠΈ Ρ Π°ΡΠ°ΠΊΡΠ΅ΡΠ½Ρ Π΄Π»Ρ ΠΊΠ°ΡΠΈΠΎΠ·Π½ΠΎΠ³ΠΎ ΠΏΡΠΎΡΠ΅ΡΡΠ°, ΠΏΠΎΡΡΠΎΠΌΡ Π΅ΡΡΡ ΠΎΡΠ½ΠΎΠ²Π°Π½ΠΈΡ ΡΡΠΈΡΠ°ΡΡ, ΡΡΠΎ Π½Π΅ΠΊΡΠΎΠ· ΡΠΌΠ°Π»ΠΈ β ΡΡΠΎ Π±ΡΡΡΡΠΎ ΠΏΡΠΎΠ³ΡΠ΅ΡΡΠΈΡΡΡΡΠΈΠΉ ΠΊΠ°ΡΠΈΠΎΠ·ΒΠ½ΡΠΉ ΠΏΡΠΎΡΠ΅ΡΡ.
ΠΠΈΡΡΠ΅ΡΠ΅Π½ΡΠΈΡΠΎΠ²Π°ΡΡ ΠΏΡΠΈΡΠ΅Π΅ΡΠ½ΡΠΉ Π½Π΅ΠΊΡΠΎΠ· ΡΠΌΠ°Π»ΠΈ Π½Π΅ΠΎΠ±Ρ ΠΎΠ΄ΠΈΠΌΠΎ Ρ ΡΡΠΎΠ·ΠΈΠ΅ΠΉ ΠΈ ΠΊΠ»ΠΈΠ½ΠΎΠ²ΠΈΠ΄Π½ΡΠΌ Π΄Π΅ΡΠ΅ΠΊΡΠΎΠΌ, ΠΎΠ΄Π½Π°ΠΊΠΎ ΠΎΠ±ΡΠΈΠΌ Π΄Π»Ρ Π½ΠΈΡ ΡΠ²Π»ΡΠ΅ΡΡΡ Π»ΠΈΡΡ Π»ΠΎΠΊΠ°Π»ΠΈΠ·Π°ΡΠΈΡ; ΠΊΠ°ΠΆΠ΄ΡΠΉ ΠΈΠ· ΡΡΠΈΡ Π²ΠΈΠ΄ΠΎΠ² ΠΏΠ°ΡΠΎΠ»ΠΎΒΠ³ΠΈΠΈ ΠΈΠΌΠ΅Π΅Ρ ΡΠ²ΠΎΠΈ ΡΡΠΊΠΈΠ΅ ΠΏΡΠΎΡΠ²Π»Π΅Π½ΠΈΡ.
5.11.1. ΠΠΈΡΠ»ΠΎΡΠ½ΡΠΉ Π½Π΅ΠΊΡΠΎΠ·
ΠΠΈΡΠ»ΠΎΡΠ½ΡΠΉ, ΠΈΠ»ΠΈ Ρ ΠΈΠΌΠΈΡΠ΅ΡΠΊΠΈΠΉ, Π½Π΅ΠΊΡΠΎΠ· Π·ΡΠ±ΠΎΠ² ΡΠ²Π»ΡΠ΅ΡΡΡ ΡΠ΅Π·ΡΠ»ΡΒΡΠ°ΡΠΎΠΌ Π²ΠΎΠ·Π΄Π΅ΠΉΡΡΠ²ΠΈΡ ΠΌΠ΅ΡΡΠ½ΡΡ ΡΠ°ΠΊΡΠΎΡΠΎΠ² (ΠΊΠΈΡΠ»ΠΎΡ, ΠΌΠ΅Π΄ΠΈΠΊΠ°ΠΌΠ΅Π½ΡΠΎΠ² ΠΈ Ρ. Π΄.). ΠΡΠΈ ΠΊΠΈΡΠ»ΠΎΡΠ½ΠΎΠΌ Π½Π΅ΠΊΡΠΎΠ·Π΅ ΠΏΡΠΎΠΈΡΡ ΠΎΠ΄ΡΡ ΠΏΠΎΠ²Π΅ΡΡ Π½ΠΎΡΡΠ½Π°Ρ ΡΠ±ΡΠ»Ρ ΠΈ Π΄Π΅ΠΌΠΈΠ½Π΅ΡΠ°Π»ΠΈΠ·Π°ΡΠΈΡ ΡΠΌΠ°Π»ΠΈ. ΠΡΠΎΠ±Π΅Π½Π½ΠΎ ΡΠΈΠ»ΡΠ½ΠΎ ΠΏΠΎΡΠ°ΠΆΠ°ΡΡΒΡΡ ΡΠ΅Π·ΡΡ ΠΈ ΠΊΠ»ΡΠΊΠΈ, ΠΏΡΠΈΡΠ΅ΠΌ ΠΊΠΎΡΠΎΠ½ΠΊΠΈ ΠΏΠΎΡΡΠ΅ΠΏΠ΅Π½Π½ΠΎ ΡΠΊΠ°Π»ΡΠ²Π°ΡΡΡΡ ΠΈ ΡΠ°Π·ΡΡΡΠ°ΡΡΡΡ Π΄ΠΎ ΡΡΠΎΠ²Π½Ρ Π΄Π΅ΡΠ½Π΅Π²ΠΎΠ³ΠΎ ΠΊΡΠ°Ρ.
ΠΠ°ΡΠΈΠ΅Π½ΡΡ ΠΆΠ°Π»ΡΡΡΡΡ Π½Π° ΠΎΡΠΊΠΎΠΌΠΈΠ½Ρ, ΠΏΡΠΈΠ»ΠΈΠΏΠ°Π΅ΠΌΠΎΡΡΡ Π·ΡΠ±ΠΎΠ²-Π°Π½ΡΠ°Π³ΠΎΠ½ΠΈΡΡΠΎΠ² Π΄ΡΡΠ³ ΠΊ Π΄ΡΡΠ³Ρ.
Π’Π°ΠΊΠΎΠ΅ ΠΏΠΎΡΠ°ΠΆΠ΅Π½ΠΈΠ΅ Π²ΠΎΠ·Π½ΠΈΠΊΠ°Π΅Ρ Ρ ΠΏΠ°ΡΠΈΠ΅Π½ΡΠΎΠ², ΡΡΡΠ°Π΄Π°ΡΡΠΈΠΌΠΈ Π°Ρ ΠΈΠ»ΠΈΡΠ΅ΡΠΊΠΈΠΌ Π³Π°ΡΡΡΠΈΡΠΎΠΌ, ΠΏΡΠΈ ΠΏΡΠΈΠ΅ΠΌΠ΅ Π²Π½ΡΡΡΡ 10 % ΡΠ°ΡΡΠ²ΠΎΡΠ° ΡΠΎΠ»ΡΠ½ΠΎΠΉ ΠΊΠΈΡΠ»ΠΎΡΡ. Π§ΡΠΎΠ±Ρ ΠΈΠ·Π±Π΅ΠΆΠ°ΡΡ ΡΡΠΎΠ³ΠΎ, ΡΠ΅ΠΊΠΎΠΌΠ΅Π½Π΄ΠΎΠ²Π°Π½ΠΎ ΠΏΠΎΠ»ΡΠ·ΠΎΠ²Π°ΡΡΡΡ ΠΊΠΎΠΊΡΠ΅ΠΉΠ»ΡΠ½ΠΎΠΉ ΡΡΡΠ±ΠΎΡΠΊΠΎΠΉ, ΠΊΠΎΡΠΎΡΠ°Ρ ΠΏΡΠ΅Π΄ΠΎΡΠ²ΡΠ°ΒΡΠ°Π΅Ρ ΠΊΠΎΠ½ΡΠ°ΠΊΡ ΡΠΎΠ»ΡΠ½ΠΎΠΉ ΠΊΠΈΡΠ»ΠΎΡΡ Ρ ΡΠΊΠ°Π½ΡΠΌΠΈ Π·ΡΠ±Π°.
ΠΠΈΡΡΠ΅ΡΠ΅Π½ΡΠΈΠ°Π»ΡΠ½ΡΠΉ Π΄ΠΈΠ°Π³Π½ΠΎΠ· ΠΏΡΠΎΠ²ΠΎΠ΄ΡΡ Ρ ΡΡΠΎΠ·ΠΈΠ΅ΠΉ ΡΠΌΠ°Π»ΠΈ. ΠΠ»Ρ ΡΡΠΎΠ·ΠΈΠΈ Ρ Π°ΡΠ°ΠΊΡΠ΅ΡΠ½ΠΎ Π½Π°Π»ΠΈΡΠΈΠ΅ ΡΠ²Π΅ΡΠ΄ΠΎΠΉ, Π±Π»Π΅ΡΡΡΡΠ΅ΠΉ ΠΏΠΎΠ²Π΅ΡΡ Π½ΠΎΡΡΠΈ, ΡΠΎΠ³Π΄Π° ΠΊΠ°ΠΊ Π½Π΅ΠΊΡΠΎΠ· ΡΠΎΠΏΡΠΎΠ²ΠΎΠΆΠ΄Π°Π΅ΡΡΡ ΡΠ°Π·ΠΌΡΠ³ΒΡΠ΅Π½ΠΈΠ΅ΠΌ ΡΠΌΠ°Π»ΠΈ.
ΠΠ΅ΡΠ΅Π½ΠΈΠ΅. ΠΠ΅ΡΠ²ΠΎΠΎΡΠ΅ΡΠ΅Π΄Π½ΠΎΠΉ Π·Π°Π΄Π°ΡΠ΅ΠΉ ΡΠ²Π»ΡΠ΅ΡΡΡ ΡΡΡΡΠ°Π½Π΅Π½ΠΈΠ΅ ΡΠ²Π»Π΅Π½ΠΈΠΉ Π³ΠΈΠΏΠ΅ΡΠ΅ΡΡΠ΅Π·ΠΈΠΈ, Π΄Π»Ρ ΡΠ΅Π³ΠΎ ΠΏΡΠΈΠΌΠ΅Π½ΡΡΡ Π°ΠΏΠΏΠ»ΠΈΠΊΠ°ΡΠΈΠΈ 10 % ΡΠ°ΡΡΠ²ΠΎΡΠ° Π³Π»ΡΠΊΠΎΠ½Π°ΡΠ° ΠΊΠ°Π»ΡΡΠΈΡ ΠΈ 0,2β2 % ΡΠ°ΡΡΠ²ΠΎΡΠ° ΡΡΠΎΡΠΈΠ΄Π° Π½Π°ΡΡΠΈΡ. ΠΡΠΈ Π½Π°Π»ΠΈΡΠΈΠΈ ΡΠ°Π·ΠΌΡΠ³ΡΠ΅Π½Π½ΡΡ ΡΠΊΠ°Π½Π΅ΠΉ ΠΏΠΎΠΊΠ°Π·Π°Π½ΠΎ ΠΏΡΠ΅ΠΏΠ°ΒΡΠΈΡΠΎΠ²Π°Π½ΠΈΠ΅ Ρ ΠΏΠΎΡΠ»Π΅Π΄ΡΡΡΠΈΠΌ ΠΏΠ»ΠΎΠΌΠ±ΠΈΡΠΎΠ²Π°Π½ΠΈΠ΅ΠΌ, ΠΏΡΠΈ ΠΎΠ±ΡΠΈΡΠ½ΡΡ ΠΏΠΎΡΠ°ΠΆΠ΅Π½ΠΈΡΡ β ΠΏΡΠΎΡΠ΅Π·ΠΈΡΠΎΠ²Π°Π½ΠΈΠ΅. ΠΠ°ΠΆΠ½ΠΎ ΡΡΡΡΠ°Π½ΠΈΡΡ ΠΊΠ°ΡΠΈΠ΅ΡΠΎΠ³Π΅Π½Π½ΡΡ ΡΠΈΡΡΠ°ΡΠΈΡ: ΠΎΠ³ΡΠ°Π½ΠΈΡΠΈΡΡ ΠΏΡΠΈΠ΅ΠΌ ΡΠ³Π»Π΅Π²ΠΎΠ΄ΠΎΠ² ΠΈ Π½Π°Π»Π°Π΄ΠΈΡΡ ΠΏΡΠ°Π²ΠΈΠ»ΡΠ½ΡΠΉ Π³ΠΈΠ³ΠΈΠ΅Π½ΠΈΡΠ΅ΡΠΊΠΈΠΉ ΡΡ ΠΎΠ΄ Π·Π° ΠΏΠΎΠ»ΠΎΡΡΡΡ ΡΡΠ°.
ΠΡΠΎΡΠΈΠ»Π°ΠΊΡΠΈΠΊΠ° ΠΊΠΈΡΠ»ΠΎΡΠ½ΠΎΠ³ΠΎ Π½Π΅ΠΊΡΠΎΠ·Π° Π·Π°ΠΊΠ»ΡΡΠ°Π΅ΡΡΡ Π² ΡΠΎΒΠ·Π΄Π°Π½ΠΈΠΈ ΠΊΠ°ΡΠ΅ΡΡΠ²Π΅Π½Π½ΠΎΠΉ Π²Π΅Π½ΡΠΈΠ»ΡΡΠΈΠΈ Π² ΡΠ΅Ρ Π°Ρ ; Π½Π΅ΠΎΠ±Ρ ΠΎΠ΄ΠΈΠΌΠΎ ΠΎΠ±Π΅ΡΠΏΠ΅ΡΠΈΡΡ ΡΠ°Π±ΠΎΡΠΈΡ ΡΠ°ΡΡΠ²ΠΎΡΠ°ΠΌΠΈ Π΄Π»Ρ ΠΏΠΎΠ»ΠΎΡΠΊΠ°Π½ΠΈΠΉ ΠΏΠΎΠ»ΠΎΡΡΠΈ ΡΡΠ°, ΠΈΠΌΠ΅ΡΡΠΈΠΌΠΈ ΡΠ΅Π»ΠΎΡΠ½ΡΡ ΡΠ΅Π°ΠΊΡΠΈΡ. ΠΡΠ΅ ΡΠ°Π±ΠΎΡΠΈΠ΅ Ρ ΠΈΠΌΠΈΡΠ΅ΡΒΠΊΠΈΡ ΠΏΡΠΎΠΈΠ·Π²ΠΎΠ΄ΡΡΠ² Π΄ΠΎΠ»ΠΆΠ½Ρ Π½Π°Ρ ΠΎΠ΄ΠΈΡΡΡΡ Π½Π° Π΄ΠΈΡΠΏΠ°Π½ΡΠ΅ΡΠ½ΠΎΠΌ ΡΡΠ΅ΡΠ΅ ΠΈ ΠΏΠΎΠ΄Π²Π΅ΡΠ³Π°ΡΡΡΡ ΠΏΡΠΎΡΠΈΠ»Π°ΠΊΡΠΈΡΠ΅ΡΠΊΠΎΠΉ ΠΎΠ±ΡΠ°Π±ΠΎΡΠΊΠ΅ ΡΠΊΠ°Π½Π΅ΠΉ Π·ΡΠ±ΠΎΠ² ΡΡΠΎΡΠΈΡΡΡΠΌΠΈ ΠΏΡΠ΅ΠΏΠ°ΡΠ°ΡΠ°ΠΌΠΈ ΠΈ ΡΠ΅ΠΌΠΈΠ½Π΅ΡΠ°Π»ΠΈΠ·ΠΈΡΡΡΡΠΈΠΌΠΈ ΡΠ°ΡΡΠ²ΠΎΡΠ°ΠΌΠΈ.
ΠΡΠ΄Π΅Π»ΡΡΡ Π½Π΅ΠΊΡΠΎΠ· ΡΠΌΠ°Π»ΠΈ, ΡΠ²ΡΠ·Π°Π½Π½ΡΠΉ Ρ Π²ΠΎΠ·Π΄Π΅ΠΉΡΡΠ²ΠΈΠ΅ΠΌ Π±ΠΎΠ»ΡΡΠΈΡ Π΄ΠΎΠ· ΠΎΠ±Π»ΡΡΠ΅Π½ΠΈΡ ΠΏΡΠΈ Π»Π΅ΡΠ΅Π½ΠΈΠΈ ΠΎΠ½ΠΊΠΎΠ»ΠΎΠ³ΠΈΡΠ΅ΡΠΊΠΈΡ Π·Π°Π±ΠΎΠ»Π΅Π²Π°Π½ΠΈΠΉ. Π ΡΡΠΎΠΌ ΡΠ»ΡΡΠ°Π΅ Π½Π΅ΠΊΡΠΎΠ· ΡΠΌΠ°Π»ΠΈ Π½Π΅ΠΎΠ±Ρ ΠΎΠ΄ΠΈΠΌΠΎ Π΄ΠΈΡΡΠ΅ΡΠ΅Π½ΡΠΈΡΠΎΠ²Π°ΡΡ Ρ ΠΌΠ½ΠΎΠΆΠ΅ΡΡΠ²Π΅Π½Π½ΡΠΌ ΠΊΠ°ΡΠΈΠ΅ΡΠΎΠΌ, ΠΊΠΎΡΠΎΡΡΠΉ Π²ΠΎΠ·Π½ΠΈΠΊΠ°Π΅Ρ ΠΊΠ°ΠΊ ΡΠ»Π΅Π΄ΡΡΠ²ΠΈΠ΅ ΠΊΡΠ΅ΡΠΎΡΡΠΎΠΌΠΈΠΈ, Π½Π°ΡΡΡΠ΅Π½ΠΈΡ ΡΠ²ΠΎΠΉΡΡΠ² ΡΠ»ΡΠ½Ρ ΠΈ ΡΠ°ΠΌΠΎΠΎΡΠΈΡΠ°Π΅ΠΌΠΎΡΡΠΈ ΠΏΠΎΠ»ΠΎΡΡΠΈ ΡΡΠ°.
studfiles.net
Ρ Π°ΡΠ°ΠΊΡΠ΅ΡΠΈΡΡΠΈΠΊΠ°, ΠΏΡΠΈΡΠΈΠ½Ρ ΠΏΠΎΡΠ²Π»Π΅Π½ΠΈΡ, ΡΡΠ°Π΄ΠΈΠΈ ΠΏΠΎΡΠ°ΠΆΠ΅Π½ΠΈΡ
.Β
ΠΠ΅ΠΊΡΠΎΠ· ΡΠΌΠ°Π»ΠΈ Π·ΡΠ±ΠΎΠ² β ΠΏΠ°ΡΠΎΠ»ΠΎΠ³ΠΈΡ, ΠΏΡΠΈ ΠΊΠΎΡΠΎΡΠΎΠΉ ΠΏΡΠΎΠΈΡΡ ΠΎΠ΄ΠΈΡ ΠΏΠΎΠ²ΡΠ΅ΠΆΠ΄Π΅Π½ΠΈΠ΅ ΠΈ ΡΠ°Π·ΡΡΡΠ΅Π½ΠΈΠ΅ ΡΠ²Π΅ΡΠ΄ΡΡ ΡΠΊΠ°Π½Π΅ΠΉ Π·ΡΠ±ΠΎΠ². ΠΠ° ΠΏΠΎΡΠ²Π»Π΅Π½ΠΈΠ΅ ΠΈ ΡΠ°Π·Π²ΠΈΡΠΈΠ΅ ΠΏΠ°ΡΠΎΠ»ΠΎΠ³ΠΈΡΠ΅ΡΠΊΠΎΠ³ΠΎ ΠΏΡΠΎΡΠ΅ΡΡΠ° ΠΎΠΊΠ°Π·ΡΠ²Π°ΡΡ Π²Π»ΠΈΡΠ½ΠΈΠ΅ Π²Π½Π΅ΡΠ½ΠΈΠ΅ ΠΈ Π²Π½ΡΡΡΠ΅Π½Π½ΠΈΠ΅ ΡΠ°ΠΊΡΠΎΡΡ. ΠΠΈΡΠ»ΠΎΡΠ½ΡΠΉ Π½Π΅ΠΊΡΠΎΠ· Π·ΡΠ±ΠΎΠ² Π² Π½Π°ΡΠ°Π»ΡΠ½ΠΎΠΉ ΡΡΠ°Π΄ΠΈΠΈ ΠΏΡΠΎΡΠ²Π»ΡΠ΅Ρ ΡΠ΅Π±Ρ ΠΌΠ΅Π»ΠΎΠ²ΠΈΠ΄Π½ΡΠΌΠΈ ΠΏΡΡΠ½Π°ΠΌΠΈ, ΠΊΠΎΡΠΎΡΡΠ΅ ΡΠΎ Π²ΡΠ΅ΠΌΠ΅Π½Π΅ΠΌ ΡΡΠ°Π½ΠΎΠ²ΡΡΡΡ ΠΏΠΎΠ»ΠΎΡΡΡΠΌΠΈ Ρ Π½Π΅ΡΠΎΠ²Π½ΡΠΌΠΈ ΠΊΡΠ°ΡΠΌΠΈ. ΠΠΌΠ°Π»Ρ Π·ΡΠ±ΠΎΠ² ΠΏΠΎΡΡΠ΅ΠΏΠ΅Π½Π½ΠΎ ΡΠ°Π·ΡΡΡΠ°Π΅ΡΡΡ, ΠΏΠ°ΡΠΈΠ΅Π½Ρ ΠΎΡΡΡΠ°Π΅Ρ Π±ΠΎΠ»Ρ ΠΎΡ ΡΠ΅ΠΌΠΏΠ΅ΡΠ°ΡΡΡΠ½ΡΡ ΠΈΠ·ΠΌΠ΅Π½Π΅Π½ΠΈΠΉ Π² ΠΏΠΎΠ»ΠΎΡΡΠΈ ΡΡΠ°. Π ΡΠ΅ΡΠ°ΠΏΠ΅Π²ΡΠΈΡΠ΅ΡΠΊΠΎΠΉ ΡΡΠΎΠΌΠ°ΡΠΎΠ»ΠΎΠ³ΠΈΠΈ Π΄Π»Ρ Π΄ΠΈΠ°Π³Π½ΠΎΡΡΠΈΠΊΠΈ Π½Π΅ΠΊΡΠΎΠ·Π° ΡΠ²ΡΡΠ΄ΡΡ ΡΠΊΠ°Π½Π΅ΠΉ Π·ΡΠ±Π° ΠΈΡΠΏΠΎΠ»ΡΠ·ΡΠ΅ΡΡΡ ΠΌΠ΅ΡΠΎΠ΄ ΡΠ΅Π½ΡΠ³Π΅Π½ΠΎΠ³ΡΠ°ΡΠΈΠΈ, Π΄Π°Π½Π½ΡΠ΅ ΠΊΠ»ΠΈΠ½ΠΈΡΠ΅ΡΠΊΠΎΠ³ΠΎ ΠΎΡΠΌΠΎΡΡΠ°.
ΠΠ΅ΡΠ΅Π½ΠΈΠ΅ ΠΏΡΠΈΠΌΠ΅Π½ΡΠ΅ΡΡΡ ΠΊΠ°ΠΊ ΡΠ΅ΡΠ°ΠΏΠ΅Π²ΡΠΈΡΠ΅ΡΠΊΠΎΠ΅, ΡΠ°ΠΊ ΠΈ ΠΎΡΡΠΎΠΏΠ΅Π΄ΠΈΡΠ΅ΡΠΊΠΎΠ΅.

ΠΠΈΡΠ»ΠΎΡΠ½ΡΠΉ Π½Π΅ΠΊΡΠΎΠ· Π·ΡΠ±ΠΎΠ² β ΠΏΠΎΠ»Π½ΠΎΠ΅ ΡΠ°Π·ΡΡΡΠ΅Π½ΠΈΠ΅ ΡΠΊΠ°Π½Π΅ΠΉ
Π₯Π°ΡΠ°ΠΊΡΠ΅ΡΠΈΡΡΠΈΠΊΠ° ΠΊΠΈΡΠ»ΠΎΡΠ½ΠΎΠ³ΠΎ Π½Π΅ΠΊΡΠΎΠ·Π° Π·ΡΠ±ΠΎΠ². ΠΡΠΈΡΠΈΠ½Ρ ΠΏΠΎΡΠ²Π»Π΅Π½ΠΈΡ, ΡΠΈΠΌΠΏΡΠΎΠΌΡ. Π‘ΡΠ°Π΄ΠΈΠΈ ΠΏΠΎΡΠ°ΠΆΠ΅Π½ΠΈΡ
ΠΠ΅ΠΊΡΠΎΠ· ΡΠ²Π΅ΡΠ΄ΡΡ ΡΠΊΠ°Π½Π΅ΠΉ Π·ΡΠ±ΠΎΠ² β ΠΏΠΎΠ²ΡΠ΅ΠΆΠ΄Π΅Π½ΠΈΠ΅ Π·ΡΠ±ΠΎΠ² ΠΌΠ½ΠΎΠΆΠ΅ΡΡΠ²Π΅Π½Π½ΠΎΠ³ΠΎ Ρ Π°ΡΠ°ΠΊΡΠ΅ΡΠ°, ΠΏΡΠΈΠ²ΠΎΠ΄ΡΡΠ΅Π΅ ΠΊ ΠΏΠΎΡΠ²Π»Π΅Π½ΠΈΡ Π΄Π΅ΡΠ΅ΠΊΡΠ½ΡΡ ΡΡΠ°ΡΡΠΊΠΎΠ² Π½Π° Π³Π»Π°Π΄ΠΊΠΎΠΉ ΠΏΠΎΠ²Π΅ΡΡ Π½ΠΎΡΡΠΈ ΡΠΌΠ°Π»ΠΈ ΠΈ ΠΏΠΎΠ΄ Π½Π΅ΠΉ (ΡΠ»ΠΎΠΉ Π΄Π΅Π½ΡΠΈΠ½Π°). Π Π°Π·ΡΡΡΠ΅Π½ΠΈΠ΅ Π·ΡΠ±Π½ΠΎΠΉ ΡΠΌΠ°Π»ΠΈ ΠΏΡΠΎΠΈΡΡ ΠΎΠ΄ΠΈΡ ΠΏΠΎΠ΄ Π²Π»ΠΈΡΠ½ΠΈΠ΅ΠΌ Π²ΡΠ΅Π΄Π½ΡΡ ΡΠ°ΠΊΡΠΎΡΠΎΠ², Π½ΠΎΡΠΈΡ Π½Π΅ΠΊΠ°ΡΠΈΠΎΠ·Π½ΡΠΉ Ρ Π°ΡΠ°ΠΊΡΠ΅Ρ. ΠΠ°ΡΠΎΠ»ΠΎΠ³ΠΈΡ Π² ΡΠ°Π²Π½ΠΎΠΉ ΡΡΠ΅ΠΏΠ΅Π½ΠΈ ΠΎΡΠΌΠ΅ΡΠ°Π΅ΡΡΡ Ρ ΠΌΡΠΆΡΠΈΠ½ ΠΈ ΠΆΠ΅Π½ΡΠΈΠ½.
ΠΡΠ΄ΠΈ, Π½Π°Ρ ΠΎΠ΄ΡΡΠΈΠ΅ΡΡ Π² Π·ΠΎΠ½Π΅ ΠΏΠΎΠ²ΡΡΠ΅Π½Π½ΠΎΠ³ΠΎ ΡΠΈΡΠΊΠ° ΠΎΠ±ΡΠ°Π·ΠΎΠ²Π°Π½ΠΈΡ Π½Π΅ΠΊΡΠΎΡΠΈΡΠ΅ΡΠΊΠΈΡ ΠΏΠΎΡΠ°ΠΆΠ΅Π½ΠΈΠΉ ΡΠΎΡΠΎΠ²ΠΎΠΉ ΠΏΠΎΠ»ΠΎΡΡΠΈ:
- Π Π°Π±ΠΎΡΠ½ΠΈΠΊΠΈ Π²ΡΠ΅Π΄Π½ΡΡ Ρ ΠΈΠΌΠΈΡΠ΅ΡΠΊΠΈΡ ΠΏΡΠΎΠΈΠ·Π²ΠΎΠ΄ΡΡΠ².
- ΠΠ½ΠΊΠΎΠ»ΠΎΠ³ΠΈΡΠ΅ΡΠΊΠΈΠ΅ Π±ΠΎΠ»ΡΠ½ΡΠ΅.
- Π‘ΡΡΠ°Π΄Π°ΡΡΠΈΠ΅ ΠΎΡ Π½Π°ΡΡΡΠ΅Π½ΠΈΠΉ Π² Π³ΠΎΡΠΌΠΎΠ½Π°Π»ΡΠ½ΠΎΠΌ ΡΠΎΠ½Π΅.
- Π‘ Π½Π°ΡΡΡΠ΅Π½ΠΈΡΠΌΠΈ ΠΏΠΈΡΠ΅Π²Π°ΡΠΈΡΠ΅Π»ΡΠ½ΠΎΠ³ΠΎ ΡΡΠ°ΠΊΡΠ°.
ΠΡΠΈ ΠΎΡΡΡΡΡΡΠ²ΠΈΠΈ Π»Π΅ΡΠ΅Π½ΠΈΡ, Π·Π°Π±ΠΎΠ»Π΅Π²Π°Π½ΠΈΠ΅ ΠΏΡΠΈΠ²ΠΎΠ΄ΠΈΡ ΠΊ ΠΏΠΎΡΠ΅ΡΠ΅ ΠΆΠ΅Π²Π°ΡΠ΅Π»ΡΠ½ΠΎΠΉ ΡΡΠ½ΠΊΡΠΈΠΈ ΠΈ ΠΏΠΎΠ»Π½ΠΎΠΌΡ ΡΠ°Π·ΡΡΡΠ΅Π½ΠΈΡ Π·ΡΠ±ΠΎΠ². Π§Π΅ΠΌ ΡΠ°Π½ΡΡΠ΅ Π²ΡΠ°Ρ Π΄ΠΈΠ°Π³Π½ΠΎΡΡΠΈΡΡΠ΅Ρ Π·Π°Π±ΠΎΠ»Π΅Π²Π°Π½ΠΈΠ΅ ΠΈ Π²ΡΡΠ²ΠΈΡ ΠΏΡΠΈΡΠΈΠ½Ρ, ΡΠ΅ΠΌ Π»ΡΡΡΠ΅ Π΄Π»Ρ ΠΏΠ°ΡΠΈΠ΅Π½ΡΠ°.

ΠΠ°ΡΠ°Π»ΡΠ½ΡΠΉ Π½Π΅ΠΊΡΠΎΠ· ΡΠΊΠ°Π½Π΅ΠΉ Π·ΡΠ±ΠΎΠ²
ΠΡΠΈΡΠΈΠ½Ρ ΠΏΠΎΡΠ²Π»Π΅Π½ΠΈΡ
ΠΡΠΈΡΠΈΠ½Ρ Π΄Π»Ρ ΠΎΠ±ΡΠ°Π·ΠΎΠ²Π°Π½ΠΈΡ Π½Π΅ΠΊΡΠΎΠ·Π° ΡΠΌΠ°Π»ΠΈ Π΄Π΅Π»ΡΡ Π½Π°:
- ΠΠ½ΡΡΡΠ΅Π½Π½ΠΈΠ΅ ΠΏΡΠΎΡΠ΅ΡΡΡ ΠΎΡΠ³Π°Π½ΠΈΠ·ΠΌΠ° (ΡΠ½Π΄ΠΎΠ³Π΅Π½Π½ΡΠ΅).
- ΠΠΊΠ·ΠΎΠ³Π΅Π½Π½ΡΠ΅ (Π²ΠΎΠ·Π΄Π΅ΠΉΡΡΠ²ΡΡΡΠΈΠ΅ ΠΈΠ·Π²Π½Π΅).
ΠΠ½ΡΡΡΠ΅Π½Π½ΠΈΠ΅ ΡΠ°ΠΊΡΠΎΡΡ, ΡΠΏΠΎΡΠΎΠ±ΡΡΠ²ΡΡΡΠΈΠ΅ ΡΠ°Π·ΡΡΡΠ΅Π½ΠΈΡ ΡΠΌΠ°Π»ΠΈ, ΠΎΡΠ½ΠΎΠ²Π°Π½Ρ Π½Π° ΠΈΠ·ΠΌΠ΅Π½Π΅Π½ΠΈΠΈ Π³ΠΎΡΠΌΠΎΠ½Π°Π»ΡΠ½ΠΎΠ³ΠΎ ΡΠΎΠ½Π°. ΠΡΠΈ ΡΠ½Π΄ΠΎΠΊΡΠΈΠ½Π½ΡΡ Π½Π°ΡΡΡΠ΅Π½ΠΈΡΡ ΠΏΡΠΎΠΈΡΡ ΠΎΠ΄ΠΈΡ ΠΊΠ°ΡΠ΅ΡΡΠ²Π΅Π½Π½ΠΎΠ΅ ΠΈΠ·ΠΌΠ΅Π½Π΅Π½ΠΈΠ΅ ΡΠΎΡΡΠ°Π²Π° ΡΠΌΠ°Π»ΠΈ, ΠΎΠ½Π° ΡΡΠ°Π½ΠΎΠ²ΠΈΡΡΡ ΡΠΎΠ½ΡΡΠ΅. Π ΠΏΡΠΈ Π½Π°ΡΡΡΠ΅Π½Π½ΠΎΠΉ ΡΠ°Π±ΠΎΡΠ΅ ΠΆΠ΅Π»ΡΠ΄ΠΎΡΠ½ΠΎ-ΠΊΠΈΡΠ΅ΡΠ½ΠΎΠ³ΠΎ ΡΡΠ°ΠΊΡΠ°, Π·ΡΠ±Π½Π°Ρ ΡΠΌΠ°Π»Ρ ΡΠ°Π·ΡΡΡΠ°Π΅ΡΡΡ ΠΈΠ·-Π·Π° Π²ΡΠ±ΡΠΎΡΠ° ΡΠΎΠ»ΡΠ½ΠΎΠΉ ΠΊΠΈΡΠ»ΠΎΡΡ Π² ΠΏΠΈΡΠ΅Π²ΠΎΠ΄ ΠΈ ΠΏΠΎΠ»ΠΎΡΡΡ ΡΡΠ°.

ΠΠ»ΠΈΠ½ΠΎΠ²ΠΈΠ΄Π½ΡΠΉ Π½Π΅ΠΊΡΠΎΠ· Π½Π° Π·ΡΠ±Π°Ρ ΠΈΠΌΠ΅Π΅Ρ ΡΠ°Π·Π½ΡΡ ΠΏΡΠΈΡΠΎΠ΄Ρ
ΠΠ½Π΅ΡΠ½ΠΈΠ΅ ΡΠ°ΠΊΡΠΎΡΡ, ΡΠΏΠΎΡΠΎΠ±ΡΡΠ²ΡΡΡΠΈΠ΅ Π½Π΅ΠΊΡΠΎΠ·Ρ, ΠΎΡΠ½ΠΎΠ²ΡΠ²Π°ΡΡΡΡ Π½Π° ΠΏΡΠΈΠΌΠ΅Π½Π΅Π½ΠΈΠΈ ΡΠΎΠΊΡΠΈΡΠ΅ΡΠΊΠΈΡ Π΄Π»Ρ ΡΠΌΠ°Π»ΠΈ Π»Π΅ΠΊΠ°ΡΡΡΠ²Π΅Π½Π½ΡΡ ΠΏΡΠ΅ΠΏΠ°ΡΠ°ΡΠΎΠ², ΠΈΠ»ΠΈ Π½Π° Π²Π΄ΡΡ Π°Π½ΠΈΠΈ ΡΠ΄ΠΎΠ²ΠΈΡΡΡ ΠΏΠ°ΡΠΎΠ² ΠΈΠ· Π²ΠΎΠ·Π΄ΡΡ Π°. ΠΡΠΈ Π²ΠΎΠ·Π΄Π΅ΠΉΡΡΠ²ΠΈΠΈ ΡΠΊΠ·ΠΎΠ³Π΅Π½Π½ΡΡ ΡΠ°ΠΊΡΠΎΡΠΎΠ² ΡΠ°ΡΡΠΎ ΡΠ°Π·ΡΡΡΠ°ΡΡΡΡ ΡΠ΅Π½ΡΡΠ°Π»ΡΠ½ΡΠ΅ Π·ΡΠ±Ρ ΠΈ ΠΊΠ»ΡΠΊΠΈ.
ΠΡΠΈ ΠΏΠΎΠΏΠ°Π΄Π°Π½ΠΈΠΈ ΡΠ΄ΠΎΠ²ΠΈΡΡΡ Ρ ΠΈΠΌΠΈΡΠ΅ΡΠΊΠΈΡ Π²Π΅ΡΠ΅ΡΡΠ² Π² ΠΏΠΎΠ»ΠΎΡΡΡ ΡΡΠ°, Π½Π°ΡΡΡΠ°Π΅ΡΡΡ ΠΊΠ°ΡΠ΅ΡΡΠ²Π΅Π½Π½ΡΠΉ ΡΠΎΡΡΠ°Π² ΡΠ»ΡΠ½Ρ, ΡΠ½ΠΈΠΆΠ°Π΅ΡΡΡ ΡΡΠΎΡΠΈΠΊΠ° Π² ΡΠΎΡΡΠ΄ΠΈΡΡΠΎ-Π½Π΅ΡΠ²Π½ΠΎΠΌ Π°ΠΏΠΏΠ°ΡΠ°ΡΠ΅ Π·ΡΠ±ΠΎΠ². ΠΠΈΡΠ°Π½ΠΈΠ΅ ΡΠ²ΡΡΠ΄ΡΡ ΡΠΊΠ°Π½Π΅ΠΉ ΠΏΠΈΡΠ°ΡΠ΅Π»ΡΠ½ΡΠΌΠΈ Π²Π΅ΡΠ΅ΡΡΠ²Π°ΠΌΠΈ ΡΠ½ΠΈΠΆΠ°Π΅ΡΡΡ, ΠΏΡΠΎΠΈΡΡ ΠΎΠ΄ΠΈΡ Π΄Π΅ΠΌΠΈΠ½Π΅ΡΠ°Π»ΠΈΠ·Π°ΡΠΈΡ ΡΠΌΠ°Π»ΠΈ, ΡΠΊΠ°Π½ΠΈ Π·ΡΠ±ΠΎΠ² ΠΈΡΡΠΎΠ½ΡΠ°ΡΡΡΡ.
ΠΠ»Π°ΡΡΠΈΡΠΈΠΊΠ°ΡΠΈΡ ΡΡΠ°Π΄ΠΈΠΉ ΡΠ°Π·ΡΡΡΠ΅Π½ΠΈΡ
ΠΡΠ°ΡΠΈ ΡΠ°Π·Π΄Π΅Π»ΡΡΡ ΡΡΠ°Π΄ΠΈΠΈ Π½Π΅ΠΊΡΠΎΠ·Π° ΡΠΎΠ³Π»Π°ΡΠ½ΠΎ ΠΈΠ·ΠΌΠ΅Π½Π΅Π½ΠΈΡΠΌ, ΠΏΡΠΎΠΈΡΡ ΠΎΠ΄ΡΡΠΈΠΌ Π² ΡΠ²ΡΡΠ΄ΡΡ ΡΠΊΠ°Π½ΡΡ . ΠΠ»Ρ Π½Π΅ΠΊΡΠΎΠ·Π° Ρ Π°ΡΠ°ΠΊΡΠ΅ΡΠ½Ρ ΡΠ»Π΅Π΄ΡΡΡΠΈΠ΅ ΡΡΠ°Π΄ΠΈΠΈ:
- ΠΠ°ΡΠ°Π»ΡΠ½Π°Ρ. ΠΠΎΠ΄ Π²ΠΎΠ·Π΄Π΅ΠΉΡΡΠ²ΠΈΠ΅ΠΌ Π½Π΅Π³Π°ΡΠΈΠ²Π½ΡΡ ΡΠ°ΠΊΡΠΎΡΠΎΠ² ΠΏΡΠΎΠΈΡΡ ΠΎΠ΄ΠΈΡ Π΄Π΅ΠΌΠΈΠ½Π΅ΡΠ°Π»ΠΈΠ·Π°ΡΠΈΡ ΡΡΠ°ΡΡΠΊΠΎΠ² Π·ΡΠ±ΠΎΠ², Π² ΠΏΡΠΈΡΠ΅Π΅ΡΠ½ΠΎΠΉ ΡΠ°ΡΡΠΈ ΠΎΠ±ΡΠ°Π·ΡΠ΅ΡΡΡ ΠΌΠ΅Π»ΠΎΠ²ΠΈΠ΄Π½ΠΎΠ΅ ΠΏΡΡΠ½ΠΎ.
- ΠΠ΅ΠΌΠΈΠ½Π΅ΡΠ°Π»ΠΈΠ·ΠΎΠ²Π°Π½Π½ΡΠ΅ ΡΡΠ°ΡΡΠΊΠΈ ΠΎΠ±Π½Π°ΠΆΠ°ΡΡ ΡΠ²Π΅ΡΠ»ΡΠΉ Π΄Π΅Π½ΡΠΈΠ½.
- Π ΠΏΡΠΈΡΠ΅Π΅ΡΠ½ΠΎΠΉ Π·ΠΎΠ½Π΅, Π½Π° ΠΌΠ΅ΡΡΠ΅ ΠΎΠ±Π½Π°ΠΆΡΠ½Π½ΠΎΠ³ΠΎ Π΄Π΅Π½ΡΠΈΠ½Π° ΠΏΠΎΡΠ²Π»ΡΠ΅ΡΡΡ ΠΏΠΈΠ³ΠΌΠ΅Π½ΡΠΈΡΠΎΠ²Π°Π½Π½Π°Ρ Π²ΠΎΡΠΎΠ½ΠΊΠ°. Π Π²ΠΎΡΠΎΠ½ΠΊΠ΅ ΡΠ°Π·ΠΌΠ½ΠΎΠΆΠ°ΡΡΡΡ ΠΊΠ°ΡΠΈΠ΅ΡΠΎΠ³Π΅Π½Π½ΡΠ΅ ΠΌΠΈΠΊΡΠΎΠΎΡΠ³Π°Π½ΠΈΠ·ΠΌΡ.
- Π£ ΠΏΠ°ΡΠΈΠ΅Π½ΡΠ° ΠΎΡΠΌΠ΅ΡΠ°ΡΡΡΡ ΠΈΠ½Π΄ΠΈΠ²ΠΈΠ΄ΡΠ°Π»ΡΠ½ΠΎ ΠΌΠ½ΠΎΠΆΠ΅ΡΡΠ²Π΅Π½Π½ΡΠ΅ ΠΏΠΎΡΠ°ΠΆΠ΅Π½ΠΈΡ ΠΊΠΎΡΠΎΠ½ΠΎΠΊ Π·ΡΠ±ΠΎΠ² Π½Π° ΡΠ°Π·Π½ΡΡ ΡΡΠ°Π΄ΠΈΡΡ , ΠΈΠ»ΠΈ Π΅Π΄ΠΈΠ½ΠΈΡΠ½ΡΠ΅ Π½Π΅ΠΊΡΠΎΡΠΈΡΠ΅ΡΠΊΠΈΠ΅ ΠΏΠ°ΡΠΎΠ»ΠΎΠ³ΠΈΡΠ΅ΡΠΊΠΈΠ΅ ΠΏΡΠΎΡΠ΅ΡΡΡ.

ΠΠ½ΠΎΠΆΠ΅ΡΡΠ²Π΅Π½Π½ΡΠ΅ ΠΏΠΎΡΠ°ΠΆΠ΅Π½ΠΈΡ ΠΊΠΎΡΠΎΠ½ΠΎΠΊ Π·ΡΠ±ΠΎΠ² ΠΏΡΠΈ ΠΊΠΈΡΠ»ΠΎΡΠ½ΠΎΠΌ Π½Π΅ΠΊΡΠΎΠ·Π΅
ΠΠ΅ΠΊΡΠΎΡΠΈΡΠ΅ΡΠΊΠΈΠ΅ ΠΏΠΎΡΠ°ΠΆΠ΅Π½ΠΈΡ ΡΠ²ΡΡΠ΄ΡΡ ΡΠΊΠ°Π½Π΅ΠΉ Π·ΡΠ±ΠΎΠ² ΡΠΎΠΏΡΠΎΠ²ΠΎΠΆΠ΄Π°ΡΡΡΡ ΠΏΡΠΎΠ³ΡΠ΅ΡΡΠΈΡΠΎΠ²Π°Π½ΠΈΠ΅ΠΌ ΠΊΠ°ΡΠΈΠ΅ΡΠ°, ΡΡΠΎ Π²Π΅Π΄ΡΡ ΠΊ Π±ΡΡΡΡΠΎΠΌΡ ΡΠ°Π·ΡΡΡΠ΅Π½ΠΈΡ Π³Π»ΡΠ±ΠΎΠΊΠΈΡ ΡΠ»ΠΎΡΠ² ΠΊΠΎΡΠΎΠ½ΠΎΠΊ.
Π‘ΠΈΠΌΠΏΡΠΎΠΌΡ Π·Π°Π±ΠΎΠ»Π΅Π²Π°Π½ΠΈΡ
ΠΠΎΠ»ΡΡΠΈΠ½ΡΡΠ²ΠΎ ΠΏΠ°ΡΠΈΠ΅Π½ΡΠΎΠ² Ρ Π½Π΅ΠΊΡΠΎΡΠΈΡΠ΅ΡΠΊΠΈΠΌΠΈ ΠΏΠΎΡΠ°ΠΆΠ΅Π½ΠΈΡΠΌΠΈ Π·ΡΠ±Π½ΡΡ ΠΊΠΎΡΠΎΠ½ΠΎΠΊ ΠΎΡΠΌΠ΅ΡΠ°ΡΡ ΡΠΈΠ»ΡΠ½ΡΡ ΠΏΠΈΠ³ΠΌΠ΅Π½ΡΠ°ΡΠΈΡ Π·ΡΠ±Π½ΠΎΠΉ ΡΠΌΠ°Π»ΠΈ. ΠΡΠΈ Π²ΠΎΠ·Π΄Π΅ΠΉΡΡΠ²ΠΈΠΈ ΡΠ°Π·Π»ΠΈΡΠ½ΡΡ ΠΊΠΈΡΠ»ΠΎΡ, ΡΠ²Π΅Ρ Π·ΡΠ±Π½ΡΡ ΠΊΠΎΡΠΎΠ½ΠΎΠΊ ΠΎΡΠ»ΠΈΡΠ°Π΅ΡΡΡ ΠΎΡ ΠΈΡΡ ΠΎΠ΄Π½ΠΎΠ³ΠΎ. Π‘ΠΎΠ»ΡΠ½Π°Ρ ΠΊΠΈΡΠ»ΠΎΡΠ° ΠΎΠΊΡΠ°ΡΠΈΠ²Π°Π΅Ρ ΠΊΠΎΡΠΎΠ½ΠΊΠΈ Π² ΠΆΡΠ»ΡΡΠΉ ΡΠ²Π΅Ρ, Π° ΡΠ΅ΡΠ½Π°Ρ Π² ΡΡΡΠ½ΡΠΉ. ΠΡΠΈ Π²Π΄ΡΡ Π°Π½ΠΈΠΈ Π°Π·ΠΎΡΠ½ΠΎΠΉ ΠΊΠΈΡΠ»ΠΎΡΡ, Π΄Π΅Π½ΡΠΈΠ½ ΠΎΠΊΡΠ°ΡΠΈΠ²Π°Π΅ΡΡΡ Π² Π½Π΅Π΅ΡΡΠ΅ΡΡΠ²Π΅Π½Π½ΡΠΉ Π±Π΅Π»ΡΠΉ ΡΠ²Π΅Ρ. ΠΠΎΠ΄ Π΄Π΅ΠΉΡΡΠ²ΠΈΠ΅ΠΌ ΠΊΠΈΡΠ»ΠΎΡ ΠΊΠΎΡΠΎΠ½ΠΊΠΈ ΡΠ΅ΡΡΡΡ ΠΏΡΠΈΡΠΎΠ΄Π½ΡΠΉ Π±Π»Π΅ΡΠΊ, ΠΈΡ ΠΏΠΎΠ²Π΅ΡΡ Π½ΠΎΡΡΡ ΡΡΠ°Π½ΠΎΠ²ΠΈΡΡΡ ΡΠ΅ΡΠΎΡ ΠΎΠ²Π°ΡΠΎΠΉ, ΠΏΡΠΈΠΎΠ±ΡΠ΅ΡΠ°Π΅Ρ ΠΌΠ°ΡΠΎΠ²ΠΎΡΡΡ.
ΠΠΎΡΠ»Π΅ Π°Π³ΡΠ΅ΡΡΠΈΠ²Π½ΠΎΠ³ΠΎ Π²ΠΎΠ·Π΄Π΅ΠΉΡΡΠ²ΠΈΡ Π½Π° ΠΊΠΎΡΠΎΠ½ΠΊΠ°Ρ Π²ΠΈΠ΄Π½Ρ ΠΌΠ΅Π»ΠΎΠ²ΠΈΠ΄Π½ΡΠ΅ ΠΏΡΡΠ½Π°. ΠΠ½ΠΎΠ³Π΄Π° Π½Π° ΠΈΡ ΠΌΠ΅ΡΡΠ΅ ΠΎΠ±ΡΠ°Π·ΡΠ΅ΡΡΡ Π·Π°ΠΌΠ΅ΡΡΠΈΡΠ΅Π»ΡΠ½ΡΠΉ Π΄Π΅Π½ΡΠΈΠ½, Ρ ΠΏΠ°ΡΠΈΠ΅Π½ΡΠ° ΠΎΡΠΌΠ΅ΡΠ°Π΅ΡΡΡ Π΄ΠΈΡΠΊΠΎΠΌΡΠΎΡΡ ΠΏΡΠΈ ΡΠΌΡΠΊΠ°Π½ΠΈΠΈ ΡΠ΅Π»ΡΡΡΠΈ. ΠΡΠΎΠ³ΡΠ΅ΡΡΠΈΡΠΎΠ²Π°Π½ΠΈΠ΅ Π½Π΅ΠΊΡΠΎΠ·Π° Π²ΡΠ·ΡΠ²Π°Π΅Ρ Π±ΠΎΠ»Π΅Π²ΠΎΠΉ ΡΠΈΠ½Π΄ΡΠΎΠΌ. Π‘Π»Π°Π±Π°Ρ ΡΠΌΠ°Π»Ρ ΡΠ΅Π°Π³ΠΈΡΡΠ΅Ρ Π½Π° ΡΠ΅ΠΌΠΏΠ΅ΡΠ°ΡΡΡΠ½ΡΠ΅ ΠΈΠ·ΠΌΠ΅Π½Π΅Π½ΠΈΡ Π±ΠΎΠ»Π΅Π·Π½Π΅Π½Π½ΡΠΌΠΈ ΠΎΡΡΡΠ΅Π½ΠΈΡΠΌΠΈ. Π§Π°ΡΡΠΎ Π±ΠΎΠ»Π΅Π²ΠΎΠΉ ΡΠΈΠ½Π΄ΡΠΎΠΌ ΠΏΡΠΈΡΡΡΡΡΠ²ΡΠ΅Ρ ΠΏΡΠΈ ΠΏΠΎΠΏΠ°Π΄Π°Π½ΠΈΠΈ Π² ΡΠΎΡΠΎΠ²ΡΡ ΠΏΠΎΠ»ΠΎΡΡΡ ΠΎΡΠ³Π°Π½ΠΈΡΠ΅ΡΠΊΠΈΡ ΠΊΠΈΡΠ»ΠΎΡ (Π»ΠΈΠΌΠΎΠ½Π°, ΠΊΠ»ΡΠ±Π½ΠΈΠΊΠΈ, ΡΠ»Π°Π΄ΠΊΠΎΠΉ ΠΈΠ»ΠΈ Π»ΠΈΠΏΠΊΠΎΠΉ ΠΏΠΈΡΠΈ).

Π₯ΠΈΠΌΠΈΡΠ΅ΡΠΊΠΈΠΉ Π½Π΅ΠΊΡΠΎΠ· ΡΠΊΠ°Π½Π΅ΠΉ Π·ΡΠ±ΠΎΠ²
ΠΠ»ΠΈΠ½ΠΈΡΠ΅ΡΠΊΠΎΠ΅ ΠΏΡΠΎΡΠ²Π»Π΅Π½ΠΈΠ΅ Π·Π°Π±ΠΎΠ»Π΅Π²Π°Π½ΠΈΡ Π½ΠΎΡΠΈΡ ΠΌΠ½ΠΎΠΆΠ΅ΡΡΠ²Π΅Π½Π½ΡΠΉ Ρ Π°ΡΠ°ΠΊΡΠ΅Ρ, Π½Π°Π±Π»ΡΠ΄Π°Π΅ΡΡΡ Π±ΡΡΡΡΠΎΠ΅ ΡΠ°Π·Π²ΠΈΡΠΈΠ΅ Π½Π΅ΠΊΡΠΎΡΠΈΡΠ΅ΡΠΊΠΈΡ ΠΏΡΠΎΡΠ΅ΡΡΠΎΠ². ΠΠ΅ΠΊΠ°ΡΠΈΠΎΠ·Π½ΠΎΠ΅ ΠΏΡΠΈΡΠ΅Π΅ΡΠ½ΠΎΠ΅ ΠΏΠΎΡΠ°ΠΆΠ΅Π½ΠΈΠ΅ ΠΈΠΌΠ΅Π΅Ρ Π½Π΅ΡΠΎΠ²Π½ΡΠΉ ΠΊΡΠ°ΠΉ, ΠΏΡΠΈ Π·ΠΎΠ½Π΄ΠΈΡΠΎΠ²Π°Π½ΠΈΠΈ Π½Π΅ ΠΎΡΠΌΠ΅ΡΠ°Π΅ΡΡΡ Π±ΠΎΠ»Π΅Π²ΠΎΠΉ ΡΠΈΠ½Π΄ΡΠΎΠΌ. ΠΠ΅Π²Π°ΡΠ΅Π»ΡΠ½Π°Ρ ΡΡΡΠ΅ΠΊΡΠΈΠ²Π½ΠΎΡΡΡ Π·ΡΠ±ΠΎΠ² ΡΠ½ΠΈΠΆΠ°Π΅ΡΡΡ, ΠΎΡΠΌΠ΅ΡΠ°Π΅ΡΡΡ Π³ΠΎΡΠΈΠ·ΠΎΠ½ΡΠ°Π»ΡΠ½ΠΎΠ΅ ΠΈΡΡΠΈΡΠ°Π½ΠΈΠ΅ ΡΠΌΠ°Π»ΠΈ.
ΠΠΈΠ°Π³Π½ΠΎΡΡΠΈΠΊΠ° Π·Π°Π±ΠΎΠ»Π΅Π²Π°Π½ΠΈΡ ΠΈ ΠΌΠ΅ΡΠΎΠ΄Ρ Π»Π΅ΡΠ΅Π½ΠΈΡ
ΠΠΈΠ°Π³Π½ΠΎΡΡΠΈΡΠ΅ΡΠΊΠΈΠ΅ ΠΌΠ΅ΡΠΎΠΏΡΠΈΡΡΠΈΡ Π·Π°ΠΊΠ»ΡΡΠ°ΡΡΡΡ Π² ΠΊΠ»ΠΈΠ½ΠΈΡΠ΅ΡΠΊΠΎΠΌ ΠΎΡΠΌΠΎΡΡΠ΅ ΡΠΎΡΠΎΠ²ΠΎΠΉ ΠΏΠΎΠ»ΠΎΡΡΠΈ ΠΈ ΡΠ±ΠΎΡΠ΅ Π°Π½Π°ΠΌΠ½Π΅Π·Π°. ΠΠΈΡΡΠ΅ΡΠ΅Π½ΡΠΈΠ°Π»ΡΠ½Π°Ρ Π΄ΠΈΠ°Π³Π½ΠΎΡΡΠΈΠΊΠ° Π·Π°ΠΊΠ»ΡΡΠ°Π΅ΡΡΡ Π² ΡΠ°Π·Π³ΡΠ°Π½ΠΈΡΠ΅Π½ΠΈΠΈ ΠΊΠ»ΠΈΠ½ΠΎΠ²ΠΈΠ΄Π½ΠΎΠ³ΠΎ ΡΡΡΠ΅ΠΊΡΠ°, ΡΡΠΎΠ·ΠΈΠΈ ΡΠΌΠ°Π»ΠΈ ΠΈ Π½Π΅ΠΊΡΠΎΠ·Π°. ΠΠΈΡΡΠ΅ΡΠ΅Π½ΡΠΈΠ°Π»ΡΠ½ΠΎΠ΅ ΡΠ°Π·Π»ΠΈΡΠΈΠ΅ Π·Π°ΠΊΠ»ΡΡΠ°Π΅ΡΡΡ Π² ΠΎΡΡΡΡΡΡΠ²ΠΈΠΈ Π΅ΡΡΠ΅ΡΡΠ²Π΅Π½Π½ΠΎΠ³ΠΎ Π±Π»Π΅ΡΠΊΠ° ΡΠΌΠ°Π»ΠΈ ΠΈ ΠΎΠΏΡΠ΅Π΄Π΅Π»Π΅Π½ΠΈΠΈ ΠΈΠ½ΠΎΠΉ ΡΠΎΡΠΌΡ ΠΎΡΠ°Π³Π°.
Π§ΡΠΎΠ±Ρ ΠΈΡΠΊΠ»ΡΡΠΈΡΡ ΠΏΠΎΡΠ°ΠΆΠ΅Π½ΠΈΠ΅ Π²Π΅ΡΡ Π½ΠΈΡ ΡΠ»ΠΎΡΠ² ΠΊΠΎΡΠ½Ρ Π·ΡΠ±Π°, Π²ΡΠ°ΡΠΈ ΠΈΡΠΏΠΎΠ»ΡΠ·ΡΡΡ ΠΌΠ΅ΡΠΎΠ΄ ΡΠ΅Π½ΡΠ³Π΅Π½ΠΎΠ³ΡΠ°ΡΠΈΠΈ (ΠΎΡΡΠΎΠΏΠ°Π½ΡΠΎΠΌΠΎΠ³ΡΠ°ΠΌΠΌΠ°). Π Π΄Π»Ρ ΠΏΠΎΠΈΡΠΊΠ° ΠΎΡΠ½ΠΎΠ²Π½ΠΎΠΉ ΠΏΡΠΈΡΠΈΠ½Ρ Π½Π΅ΠΊΡΠΎΡΠΈΡΠ΅ΡΠΊΠΈΡ ΠΈΠ·ΠΌΠ΅Π½Π΅Π½ΠΈΠΉ Π² ΡΠΎΡΠΎΠ²ΠΎΠΉ ΠΏΠΎΠ»ΠΎΡΡΠΈ, ΠΏΠ°ΡΠΈΠ΅Π½ΡΡ Π½Π°Π·Π½Π°ΡΠ°Π΅ΡΡΡ ΠΈΡΡΠ»Π΅Π΄ΠΎΠ²Π°Π½ΠΈΠ΅ Ρ Π³Π°ΡΡΡΠΎΡΠ½ΡΠ΅ΡΠΎΠ»ΠΎΠ³Π° ΠΈ ΡΠ½Π΄ΠΎΠΊΡΠΈΠ½ΠΎΠ»ΠΎΠ³Π°.
ΠΠ΅ΡΠ΅Π½ΠΈΠ΅ ΠΊΠΈΡΠ»ΠΎΡΠ½ΠΎΠ³ΠΎ Π½Π΅ΠΊΡΠΎΠ·Π° Π·ΡΠ±ΠΎΠ²
Π¦Π΅Π»Ρ Π»Π΅ΡΠ΅Π½ΠΈΡ Π½Π΅ΠΊΡΠΎΡΠΈΡΠ΅ΡΠΊΠΈΡ ΠΈΠ·ΠΌΠ΅Π½Π΅Π½ΠΈΠΉ ΡΠΌΠ°Π»ΠΈ Π·ΡΠ±ΠΎΠ² Π½Π°ΠΏΡΠ°Π²Π»Π΅Π½Π° Π½Π° Π²ΠΎΡΡΡΠ°Π½ΠΎΠ²Π»Π΅Π½ΠΈΠ΅ ΡΠ΅Π»ΠΎΡΡΠ½ΠΎΡΡΠΈ ΡΠ²ΡΡΠ΄ΡΡ ΡΠΊΠ°Π½Π΅ΠΉ Π·ΡΠ±Π° ΠΈ ΠΏΠΎΠ²ΡΡΠ΅Π½ΠΈΠ΅ ΠΈΡ ΠΏΠ»ΠΎΡΠ½ΠΎΡΡΠΈ. ΠΠ΅ΡΠ²ΠΎΠ½Π°ΡΠ°Π»ΡΠ½ΠΎΠ΅ Π»Π΅ΡΠ΅Π½ΠΈΠ΅ Π½Π°ΠΏΡΠ°Π²Π»Π΅Π½ΠΎ Π½Π° ΡΡΡΡΠ°Π½Π΅Π½ΠΈΠ΅ ΠΏΠ°ΡΠΎΠ»ΠΎΠ³ΠΈΡΠ΅ΡΠΊΠΈΡ ΠΏΡΠΎΡΠ΅ΡΡΠΎΠ² Π² ΠΎΡΠ³Π°Π½ΠΈΠ·ΠΌΠ΅, ΡΠΏΡΠΎΠ²ΠΎΡΠΈΡΠΎΠ²Π°Π²ΡΠΈΡ Π½Π΅ΠΊΡΠΎΠ·. ΠΠΎΡΠ»Π΅ ΡΡΡΡΠ°Π½Π΅Π½ΠΈΡ ΠΏΡΠΈΡΠΈΠ½Ρ Π½Π΅ΠΊΡΠΎΡΠΈΡΠ΅ΡΠΊΠΈΡ ΠΈΠ·ΠΌΠ΅Π½Π΅Π½ΠΈΠΉ ΠΈ Π½Π°Π·Π½Π°ΡΠ΅Π½ΠΈΡ ΡΡ Π΅ΠΌΡ Π»Π΅ΡΠ΅Π½ΠΈΡ, Π²ΡΠ°Ρ ΠΏΡΠΎΠ²ΠΎΠ΄ΠΈΡ ΠΎΠ±ΡΠ°Π±ΠΎΡΠΊΡ ΠΊΠΎΡΠΎΠ½ΠΎΠΊ ΠΌΠΈΠ½Π΅ΡΠ°Π»ΡΠ½ΡΠΌΠΈ Π²Π΅ΡΠ΅ΡΡΠ²Π°ΠΌΠΈ. ΠΠΎΠ΄ΠΎΠ±Π½Π°Ρ ΠΎΠ±ΡΠ°Π±ΠΎΡΠΊΠ° ΠΏΠΎΠ·Π²ΠΎΠ»ΡΠ΅Ρ Π½Π°ΡΡΡΠΈΡΡ Π΄Π΅Π½ΡΠ°Π»ΡΠ½ΡΠ΅ ΡΠΊΠ°Π½ΠΈ ΠΏΠΈΡΠ°ΡΠ΅Π»ΡΠ½ΡΠΌΠΈ Π²Π΅ΡΠ΅ΡΡΠ²Π°ΠΌΠΈ ΠΈ Π²ΠΎΡΡΡΠ°Π½ΠΎΠ²ΠΈΡΡ ΡΡΠΎΡΠΈΠΊΡ.
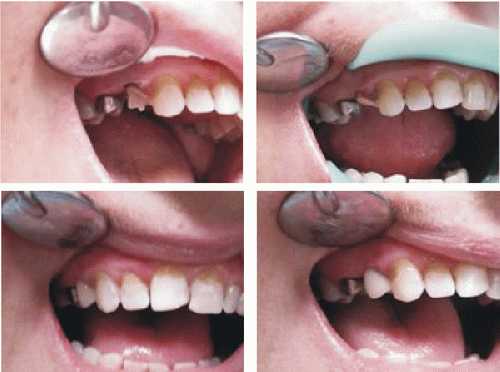
ΠΡΠΈ Π±ΠΎΠ»Π΅Π΅ Π·Π°ΠΏΡΡΠ΅Π½Π½ΡΡ ΡΡΠ°Π΄ΠΈΡ ΠΏΡΠΈΠΌΠ΅Π½ΡΠ΅ΡΡΡ ΠΏΡΠΎΡΠ΅Π·ΠΈΡΠΎΠ²Π°Π½ΠΈΠ΅ ΠΈΠ»ΠΈ ΡΠ΅ΡΡΠ°Π²ΡΠ°ΡΠΈΡ ΠΊΠΎΡΠΎΠ½ΠΊΠΈ ΠΏΠΎΠ»ΠΈΠΌΠ΅ΡΠ½ΡΠΌΠΈ ΠΌΠ°ΡΠ΅ΡΠΈΠ°Π»Π°ΠΌΠΈ.
Π‘Ρ Π΅ΠΌΠ° Π»Π΅ΡΠ΅Π½ΠΈΡ
ΠΡΡΠ΅ΠΊΡΠΈΠ²Π½Π°Ρ ΡΡ Π΅ΠΌΠ° Π»Π΅ΡΠ΅Π½ΠΈΡ Π½Π°Π·Π½Π°ΡΠ°Π΅ΡΡΡ ΡΡΠΎΠΌΠ°ΡΠΎΠ»ΠΎΠ³ΠΎΠΌ-ΡΠ΅ΡΠ°ΠΏΠ΅Π²ΡΠΎΠΌ ΠΈ Π²ΠΊΠ»ΡΡΠ°Π΅Ρ Π² ΡΠ΅Π±Ρ:
- ΠΡΠΈΠΌΠ΅Π½Π΅Π½ΠΈΠ΅ ΠΏΠ΅ΡΠΎΡΠ°Π»ΡΠ½ΠΎ Π³Π»ΠΈΡΠ΅ΡΠΎΡΠΎΡΡΠ°ΡΠ° ΠΊΠ°Π»ΡΡΠΈΡ. ΠΠΎΠ·Π° Π»Π΅ΠΊΠ°ΡΡΡΠ²Π΅Π½Π½ΠΎΠ³ΠΎ ΠΏΡΠ΅ΠΏΠ°ΡΠ°ΡΠ° ΡΠ°ΡΡΡΠΈΡΡΠ²Π°Π΅ΡΡΡ ΠΈΠ½Π΄ΠΈΠ²ΠΈΠ΄ΡΠ°Π»ΡΠ½ΠΎ.
- ΠΠΎΠΏΠΎΠ»Π½Π΅Π½ΠΈΠ΅ ΡΠ°ΡΠΈΠΎΠ½Π° ΠΏΠΎΠ»ΠΈΠ²ΠΈΡΠ°ΠΌΠΈΠ½Π½ΡΠΌΠΈ ΠΊΠΎΠΌΠΏΠ»Π΅ΠΊΡΠ°ΠΌΠΈ. ΠΡΡΡ ΡΠ°ΡΡΡΠΈΡΡΠ²Π°Π΅ΡΡΡ ΠΈΠ½Π΄ΠΈΠ²ΠΈΠ΄ΡΠ°Π»ΡΠ½ΠΎ.
- ΠΡΠ΅ΠΏΠ°ΡΠ°Ρ ΠΊΠ»Π°ΠΌΠΈΠ½. ΠΠΎΠ·ΠΈΡΠΎΠ²ΠΊΠ° ΡΠ°ΡΡΡΠΈΡΡΠ²Π°Π΅ΡΡΡ ΠΈΠ½Π΄ΠΈΠ²ΠΈΠ΄ΡΠ°Π»ΡΠ½ΠΎ.
- ΠΠΆΠ΅Π΄Π½Π΅Π²Π½ΠΎΠ΅ ΠΏΡΠΈΠΌΠ΅Π½Π΅Π½ΠΈΠ΅ Π°ΠΏΠΏΠ»ΠΈΠΊΠ°ΡΠΈΠΉ Π½Π° ΠΎΡΠ½ΠΎΠ²Π΅ ΡΡΠΎΡΠΈΡΠΎΠ²Π°Π½Π½ΡΡ ΠΏΠ°ΡΡ.
- ΠΡΠΏΠΎΠ»ΡΠ·ΠΎΠ²Π°Π½ΠΈΠ΅ ΠΏΡΠ΅ΠΏΠ°ΡΠ°ΡΠ° ΡΠΈΡΠΎΠ½ΠΎΠ» Π΄Π»Ρ ΠΏΠ΅ΡΠΎΡΠ°Π»ΡΠ½ΠΎΠ³ΠΎ ΠΏΡΠΈΡΠΌΠ°.

ΠΡΠ΅ΠΏΠ°ΡΠ°Ρ ΠΠ»Π°ΠΌΠΈΠ½ Π΄Π»Ρ ΠΎΡΡΠ°Π½ΠΎΠ²ΠΊΠΈ ΡΡΠΎΠ·ΠΈΠΈ Π·ΡΠ±ΠΎΠ²
ΠΠΎΠ΄ΠΎΠ±Π½Π°Ρ ΡΡ Π΅ΠΌΠ° ΡΠ½ΠΈΠ²Π΅ΡΡΠ°Π»ΡΠ½Π° Π΄Π»Ρ Π²Π·ΡΠΎΡΠ»ΡΡ ΠΏΠ°ΡΠΈΠ΅Π½ΡΠΎΠ², Π²ΡΠ°Ρ Π²Π½ΠΎΡΠΈΡ ΠΈΠ½Π΄ΠΈΠ²ΠΈΠ΄ΡΠ°Π»ΡΠ½ΡΠ΅ ΠΈΠ·ΠΌΠ΅Π½Π΅Π½ΠΈΡ Π½Π° ΠΎΡΠ½ΠΎΠ²Π°Π½ΠΈΠΈ Π΄ΠΈΠ°Π³Π½ΠΎΡΡΠΈΠΊΠΈ. Π‘Ρ Π΅ΠΌΠ° Π½ΠΎΡΠΈΡ ΡΠΈΠΊΠ»ΠΈΡΠ΅ΡΠΊΠΈΠΉ Ρ Π°ΡΠ°ΠΊΡΠ΅Ρ Π΄ΠΎ ΠΏΠΎΠ»Π½ΠΎΠ³ΠΎ ΠΈΡΡΠ΅Π·Π½ΠΎΠ²Π΅Π½ΠΈΡ ΡΠΈΠΌΠΏΡΠΎΠΌΠ°ΡΠΈΠΊΠΈ Π½Π΅ΠΊΡΠΎΡΠΈΡΠ΅ΡΠΊΠΈΡ ΠΈΠ·ΠΌΠ΅Π½Π΅Π½ΠΈΠΉ ΠΊΠΎΡΠΎΠ½ΠΎΠΊ.
zubnoimir.ru
ΠΠ°ΠΊ Π»Π΅ΡΠ°Ρ Π½Π΅ΠΊΡΠΎΠ· Π·ΡΠ±ΠΎΠ² ΡΠ΅Π³ΠΎΠ΄Π½Ρ
Π Π½Π°ΡΡΠΎΡΡΠ΅Π΅ Π²ΡΠ΅ΠΌΡ Ρ ΡΠ΅Π»ΡΡ Π»ΠΈΠΊΠ²ΠΈΠ΄Π°ΡΠΈΠΈ ΠΏΡΠΎΡΠ²Π»Π΅Π½ΠΈΠΉ Π½Π΅ΠΊΡΠΎΠ·Π° Π·ΡΠ±ΠΎΠ² ΡΠΈΡΠΎΠΊΠΎ ΠΈΡΠΏΠΎΠ»ΡΠ·ΡΠ΅ΡΡΡ ΡΠ΅ΠΌΠΈΠ½Π΅ΡΠ°Π»ΠΈΠ·Π°ΡΠΈΡ. ΠΠΎΡΡΠ΅Π΄ΡΡΠ²ΠΎΠΌ ΡΡΠΎΠΉ ΠΏΡΠΎΡΠ΅Π΄ΡΡΡ ΠΏΡΠΈΡΡΠΏΠ»ΡΠ΅ΡΡΡ ΡΠ΅Π°ΠΊΡΠΈΡ Π·ΡΠ±ΠΎΠ² Π½Π° Π²Π½Π΅ΡΠ½ΠΈΠ΅ ΡΠ°Π·Π΄ΡΠ°ΠΆΠΈΡΠ΅Π»ΠΈ, ΡΠ»ΡΡΡΠ°Π΅ΡΡΡ ΡΠΎΡΡΠΎΡΠ½ΠΈΠ΅ Π·ΡΠ±Π½ΠΎΠΉ ΡΠΌΠ°Π»ΠΈ.
ΠΡΠΈ Π±ΠΎΠ»Π΅Π΅ Π·Π°ΠΏΡΡΠ΅Π½Π½ΡΡ ΡΠΎΡΡΠΎΡΠ½ΠΈΡΡ ΠΎΡΡΡΠ΅ΡΡΠ²Π»ΡΡΡ ΡΠ΄Π°Π»Π΅Π½ΠΈΠ΅ Π΄Π΅ΡΠ΅ΠΊΡΠ½ΡΡ ΡΠΊΠ°Π½Π΅ΠΉ Ρ Π΄Π°Π»ΡΠ½Π΅ΠΉΡΠΈΠΌ ΡΡΡΠ°Π½ΠΎΠ²Π»Π΅Π½ΠΈΠ΅ΠΌ ΠΏΠ»ΠΎΠΌΠ± (Π²ΡΠ΅ΠΌΠ΅Π½Π½ΡΡ ΠΈΠ»ΠΈ ΠΏΠΎΡΡΠΎΡΠ½Π½ΡΡ ).
Π‘ΠΎΠ΄Π΅ΡΠΆΠ°Π½ΠΈΠ΅ ΡΡΠ°ΡΡΠΈ:ΠΡΠΎΡΠΈΠ»Π°ΠΊΡΠΈΠΊΠ° ΠΈ Π»Π΅ΡΠ΅Π½ΠΈΠ΅ ΠΊΠΎΠΌΠΏΡΡΡΠ΅ΡΠ½ΠΎΠ³ΠΎ Π½Π΅ΠΊΡΠΎΠ·Π° β ΠΊΠ°ΠΊ Π·Π°ΡΠΈΡΠΈΡΡ Π·ΡΠ±Ρ ΠΏΡΠΈ ΠΏΠΎΡΡΠΎΡΠ½Π½ΠΎΠΉ ΡΠ°Π±ΠΎΡΠ΅ Π·Π° ΠΊΠΎΠΌΠΏΡΡΡΠ΅ΡΠΎΠΌ?
Π Π°ΡΡΠΌΠ°ΡΡΠΈΠ²Π°Π΅ΠΌΡΠΉ Π²ΠΈΠ΄ Π½Π΅ΠΊΡΠΎΠ·Π° Π·ΡΠ±ΠΎΠ² β ΡΡΠ°Π²Π½ΠΈΡΠ΅Π»ΡΠ½ΠΎ ΠΌΠΎΠ»ΠΎΠ΄ΠΎΠΉ Π½Π΅Π΄ΡΠ³, ΠΊΠΎΡΠΎΡΡΠΉ Π²ΠΎΠ·Π½ΠΈΠΊΠ°Π΅Ρ Π½Π° ΡΠΎΠ½Π΅ Π³ΡΡΠ±ΡΡ Π½Π°ΡΡΡΠ΅Π½ΠΈΠΉ ΡΠ°Π½ΠΈΡΠ°ΡΠ½ΡΡ Π½ΠΎΡΠΌ ΠΏΡΠΈ ΡΠ°Π±ΠΎΡΠ΅ Ρ ΠΊΠΎΠΌΠΏΡΡΡΠ΅ΡΠΎΠΌ.
Π§ΡΠΎΠ±Ρ ΠΌΠΈΠ½ΠΈΠΌΠΈΠ·ΠΈΡΠΎΠ²Π°ΡΡ ΡΠΈΡΠΊ ΡΠ°Π·Π²ΠΈΡΠΈΡ ΠΊΠΎΠΌΠΏΡΡΡΠ΅ΡΠ½ΠΎΠ³ΠΎ Π½Π΅ΠΊΡΠΎΠ·Π°, ΠΏΠΎΠ»ΡΠ·ΠΎΠ²Π°ΡΠ΅Π»ΡΠΌ ΠΠ ΡΠ»Π΅Π΄ΡΠ΅Ρ ΠΏΠΎΠΌΠ½ΠΈΡΡ ΠΎ ΡΠ»Π΅Π΄ΡΡΡΠΈΡ ΠΏΡΠ°Π²ΠΈΠ»Π°Ρ :
- Π Π°Π±ΠΎΡΠ΅Π΅ ΠΏΠΎΠΌΠ΅ΡΠ΅Π½ΠΈΠ΅, Π² ΠΊΠΎΡΠΎΡΠΎΠΌ ΡΠ°Π·ΠΌΠ΅ΡΠ΅Π½ ΠΊΠΎΠΌΠΏΡΡΡΠ΅Ρ, Π΄ΠΎΠ»ΠΆΠ½ΠΎ ΠΈΠΌΠ΅ΡΡ ΠΏΠ»ΠΎΡΠ°Π΄Ρ Π½Π΅ ΠΌΠ΅Π½Π΅Π΅ 20 ΠΌ2. ΠΠ»ΠΎΡΠ°Π΄Ρ ΡΠ°Π±ΠΎΡΠ΅Π³ΠΎ ΠΌΠ΅ΡΡΠ° ΠΏΡΠΈ ΡΠ°ΠΊΠΈΡ ΠΏΠ°ΡΠ°ΠΌΠ΅ΡΡΠ°Ρ Π΄ΠΎΠ»ΠΆΠ½Π° ΡΠΎΡΡΠ°Π²Π»ΡΡΡ 5-6 ΠΌ2.
- ΠΠΈΠ½ΠΈΠΌΠ°Π»ΡΠ½ΠΎΠ΅ ΡΠ°ΡΡΡΠΎΡΠ½ΠΈΠ΅ ΠΎΡ ΡΠΊΡΠ°Π½Π° ΠΌΠΎΠ½ΠΈΡΠΎΡΠ° Π΄ΠΎ ΡΠ°Π±ΠΎΡΠ½ΠΈΠΊΠ° β 60 ΡΠΌ.
- ΠΠ΅ΡΠΊΠΎΠ»ΡΠΊΠΎ ΠΌΠΎΠ½ΠΈΡΠΎΡΠΎΠ² Π² ΠΎΠ΄Π½ΠΎΠΌ ΠΏΠΎΠΌΠ΅ΡΠ΅Π½ΠΈΠΈ Π΄ΠΎΠ»ΠΆΠ½Ρ Π½Π°Ρ ΠΎΠ΄ΠΈΡΡΡΡ Π½Π° ΡΠ°ΡΡΡΠΎΡΠ½ΠΈΠΈ ΠΎΡ 2 ΠΌ. ΠΠΊΡΠ°Π½Ρ Π½Π΅Π»ΡΠ·Ρ ΡΠ°ΡΠΏΠΎΠ»Π°Π³Π°ΡΡ Π΄ΡΡΠ³ Π½Π°ΠΏΡΠΎΡΠΈΠ² Π΄ΡΡΠ³Π°.
- ΠΠ±ΡΠ°Ρ ΠΏΡΠΎΠ΄ΠΎΠ»ΠΆΠΈΡΠ΅Π»ΡΠ½ΠΎΡΡΡ ΡΠ°Π±ΠΎΡΡ Π·Π° ΠΠ Ρ Π²Π·ΡΠΎΡΠ»ΡΡ Π½Π΅ ΠΌΠΎΠΆΠ΅Ρ ΠΏΡΠ΅Π²ΡΡΠ°ΡΡ 6 ΡΠ°ΡΠΎΠ². ΠΠ΅ΡΠΈ ΠΈ ΠΏΠΎΠ΄ΡΠΎΡΡΠΊΠΈ ΠΌΠΎΠ³ΡΡ ΠΏΡΠΎΠ²ΠΎΠ΄ΠΈΡΡ Π²ΠΎΠ·Π»Π΅ ΠΌΠΎΠ½ΠΈΡΠΎΡΠ° Π½Π΅ Π±ΠΎΠ»Π΅Π΅ 4 ΡΠ°ΡΠΎΠ² Π² ΡΡΡΠΊΠΈ.
- ΠΡΡΠΎΡΠ½ΠΈΠΊ ΡΠ²Π΅ΡΠ° Π΄ΠΎΠ»ΠΆΠ΅Π½ Π½Π°Ρ ΠΎΠ΄ΠΈΡΡΡΡ ΡΠ»Π΅Π²Π° ΠΎΡ ΡΠΊΡΠ°Π½Π°.
- ΠΠ°ΠΆΠ΄ΡΠ΅ 2 ΡΠ°ΡΠ° Π½Π΅ΠΎΠ±Ρ ΠΎΠ΄ΠΈΠΌΠΎ Π΄Π΅Π»Π°ΡΡ Π½Π΅Π±ΠΎΠ»ΡΡΡΡ ΠΏΠ°ΡΠ·Ρ (10 ΠΌΠΈΠ½ΡΡ). ΠΠΎΠΌΠ΅ΡΠ΅Π½ΠΈΠ΅ Π² ΡΡΠΎ Π²ΡΠ΅ΠΌΡ ΡΠ»Π΅Π΄ΡΠ΅Ρ ΠΏΡΠΎΠ²Π΅ΡΡΠΈΠ²Π°ΡΡ.
- ΠΠ΅ΡΠ΅ΠΌΠ΅Π½Π½ΡΠΌ, ΠΊΠΎΡΠΌΡΡΠΈΠΌ ΠΌΠ°ΠΌΠ°ΠΌ ΡΠΈΠ΄Π΅ΡΡ Π·Π° ΠΊΠΎΠΌΠΏΡΡΡΠ΅ΡΠΎΠΌ Π½Π΅ ΡΠ΅ΠΊΠΎΠΌΠ΅Π½Π΄ΡΠ΅ΡΡΡ.
Π‘ ΡΠ΅Π»ΡΡ ΠΏΡΠΎΡΠΈΠ»Π°ΠΊΡΠΈΠΊΠΈ ΠΊΠΎΠΌΠΏΡΡΡΠ΅ΡΠ½ΠΎΠ³ΠΎ Π½Π΅ΠΊΡΠΎΠ·Π° ΠΏΠΎΠ»Π΅Π·Π½ΡΠΌ Π±ΡΠ΄Π΅Ρ ΠΏΡΠΈΠ΅ΠΌ ΡΠ»Π΅Π΄ΡΡΡΠΈΡ ΠΏΡΠ΅ΠΏΠ°ΡΠ°ΡΠΎΠ²:
- ΠΠΎΠ»ΠΈΠ²ΠΈΡΠ°ΠΌΠΈΠ½ΠΎΠ²: 2 ΡΠ°Π·Π° Π² Π³ΠΎΠ΄.
- Π€ΠΈΡΠΎΠ»ΠΎΠ½Π°: ΡΠ΅ΡΠ΅Π· Π΄Π΅Π½Ρ, ΠΏΠΎΡΠ»Π΅ Π·Π°Π²Π΅ΡΡΠ΅Π½ΠΈΡ ΡΡΠ°ΠΏΠ΅Π·Ρ.
- ΠΠ»ΠΈΡΠ΅ΡΠΎΡΡΠ°ΡΠ° ΠΊΠ°Π»ΡΡΠΈΡ: ΠΊΠ°ΠΆΠ΄ΡΠΉ ΠΊΠ²Π°ΡΡΠ°Π». ΠΠΈΠ½ΠΈΠΌΠ°Π»ΡΠ½ΡΠΉ ΠΊΡΡΡ 2 Π½Π΅Π΄Π΅Π»ΠΈ.
ΠΠ»Ρ ΠΏΡΠ°Π²ΠΈΠ»ΡΠ½ΠΎΠ³ΠΎ ΡΡ
ΠΎΠ΄Π° Π·Π° Π·ΡΠ±Π°ΠΌΠΈ Π½Π΅ΠΎΠ±Ρ
ΠΎΠ΄ΠΈΠΌΠΎ ΠΏΡΠΈΠΌΠ΅Π½ΡΡΡ ΠΏΠ°ΡΡΡ, ΡΡΠΎ ΡΠΎΠ΄Π΅ΡΠΆΠ°Ρ ΡΠΎΡΡΠ°ΡΡ. ΠΠΊΡΠΈΠ²Π½ΡΠΌ ΠΊΠΎΠΌΠΏΡΡΡΠ΅ΡΡΠΈΠΊΠ°ΠΌ ΠΈΠ· ΡΠ°ΠΊΠΈΡ
ΠΏΠ°ΡΡ ΡΠ»Π΅Π΄ΡΠ΅Ρ Π΄Π΅Π»Π°ΡΡ Π°ΠΏΠΏΠ»ΠΈΠΊΠ°ΡΠΈΠΈ: 3 ΡΠ°Π·Π° Π² Π½Π΅Π΄Π΅Π»Ρ Π½Π° 10-15 ΠΌΠΈΠ½ΡΡ.
ΠΠ΅ΡΠΈΡΡ ΡΠ°ΡΡΠΌΠ°ΡΡΠΈΠ²Π°Π΅ΠΌΡΡ ΠΏΠ°ΡΠΎΠ»ΠΎΠ³ΠΈΡ Π·ΡΠ±ΠΎΠ² Π½Π΅Π»Π΅Π³ΠΊΠΎ, ΡΡΠΎ ΡΠ²ΡΠ·Π°Π½ΠΎ Ρ Π½Π΅ΡΠΊΠΎΠ»ΡΠΊΠΈΠΌΠΈ ΠΏΡΠΈΡΠΈΠ½Π°ΠΌΠΈ:
- Π’ΠΊΠ°Π½Ρ Π·ΡΠ±Π° Π½Π΅ΡΠΏΠΎΡΠΎΠ±Π½Π° ΡΠΎΡ ΡΠ°Π½ΠΈΡΡ ΡΠ²ΠΎΡ ΡΠ΅Π»ΠΎΡΡΠ½ΠΎΡΡΡ Π² ΠΏΡΠΎΡΠ΅ΡΡΠ΅ Π΄Π°ΠΆΠ΅ Π½Π΅Π·Π½Π°ΡΠΈΡΠ΅Π»ΡΠ½ΠΎΠΉ ΠΌΠ΅Ρ Π°Π½ΠΈΡΠ΅ΡΠΊΠΎΠΉ ΠΎΠ±ΡΠ°Π±ΠΎΡΠΊΠΈ.
- ΠΠΎΠ΄Π΄Π΅ΡΠΆΠΈΠ²Π°ΡΡ ΠΆΠΈΠ·Π½Π΅Π΄Π΅ΡΡΠ΅Π»ΡΠ½ΠΎΡΡΡ ΠΏΡΠ»ΡΠΏΡ ΠΏΡΠ°ΠΊΡΠΈΡΠ΅ΡΠΊΠΈ Π½Π΅Π²ΠΎΠ·ΠΌΠΎΠΆΠ½ΠΎ. ΠΡΠΎ ΠΎΡΠ½ΠΎΡΠΈΡΡΡ ΡΠ°ΠΊΠΆΠ΅ ΠΊ ΠΏΠ°ΡΠΎΠ»ΠΎΠ³ΠΈΡΠΌ ΡΠΎ ΡΡΠ΅Π΄Π½ΠΈΠΌ ΡΡΠΎΠ²Π½Π΅ΠΌ ΡΡΠΆΠ΅ΡΡΠΈ.
- ΠΡΠ±Ρ ΡΡΡΠ°ΡΠΈΠ²Π°ΡΡ ΡΡΠ²ΡΡΠ²ΠΈΡΠ΅Π»ΡΠ½ΠΎΡΡΡ ΠΊ Π²Π½Π΅ΡΠ½ΠΈΠΌ Π°Π³Π΅Π½ΡΠ°ΠΌ. ΠΡΠΎ ΠΌΠΎΠΆΠ΅Ρ ΡΠΏΡΠΎΠ²ΠΎΡΠΈΡΠΎΠ²Π°ΡΡ Π½Π°ΡΡΡΠ΅Π½ΠΈΠ΅ ΠΈΡ ΡΠ΅Π»ΠΎΡΡΠ½ΠΎΡΡΠΈ, ΠΏΡΠΎΠ½ΠΈΠΊΠ½ΠΎΠ²Π΅Π½ΠΈΠ΅ Π² ΠΏΠΎΠ»ΠΎΡΡΡ.
- ΠΠ΅ΡΠ΅Π½ΠΈΠ΅ Π΄Π°Π½Π½ΠΎΠ³ΠΎ Π²ΠΈΠ΄Π° Π½Π΅ΠΊΡΠΎΠ·Π° Π·ΡΠ±ΠΎΠ² ΠΎΡΠ½ΠΈΠΌΠ°Π΅Ρ ΠΌΠ½ΠΎΠ³ΠΎ Π²ΡΠ΅ΠΌΠ΅Π½ΠΈ ΠΈ ΡΡΠΈΠ»ΠΈΠΉ. ΠΠ½ΠΎ Π±ΡΠ²Π°Π΅Ρ Π½Π΅ΡΠΊΠΎΠ»ΡΠΊΠΈΡ Π²ΠΈΠ΄ΠΎΠ²: ΠΌΠ΅ΡΡΠ½ΠΎΠ΅, ΠΎΠ±ΡΠ΅Π΅, Π²ΡΠ±ΠΎΡΠΎΡΠ½ΠΎΠ΅.
ΠΡΠΈ ΠΎΠ±ΡΠ΅ΠΌ Π»Π΅ΡΠ΅Π½ΠΈΠΈ ΠΊΠΎΠΌΠΏΡΡΡΠ΅ΡΠ½ΠΎΠ³ΠΎ Π½Π΅ΠΊΡΠΎΠ·Π° Π·Π°ΡΠ°ΡΡΡΡ Π² ΡΠ°ΡΡ ΠΎΠ΄ ΠΈΠ΄ΡΡ ΡΠ΅ ΠΆΠ΅ ΠΌΠ΅Π΄ΠΈΠΊΠ°ΠΌΠ΅Π½ΡΡ, ΡΡΠΎ Π°ΠΊΡΡΠ°Π»ΡΠ½Ρ ΠΏΡΠΈ ΠΏΡΠΎΡΠΈΠ»Π°ΠΊΡΠΈΠΊΠ΅ Π΄Π°Π½Π½ΠΎΠΉ ΠΏΠ°ΡΠΎΠ»ΠΎΠ³ΠΈΠΈ (Π²ΠΈΡΠ°ΠΌΠΈΠ½Ρ, Π³Π»ΠΈΡΠ΅ΡΠΎΡΠΎΡΡΠ°Ρ ΠΊΠ°Π»ΡΡΠΈΡ ΠΈ Ρ.Π΄.).
ΠΠΎΠ·ΠΈΡΠΎΠ²ΠΊΠ° ΠΈ ΠΏΡΠΎΠ΄ΠΎΠ»ΠΆΠΈΡΠ΅Π»ΡΠ½ΠΎΡΡΡ ΡΠ΅ΡΠ°ΠΏΠΈΠΈ ΠΎΠΏΡΠ΅Π΄Π΅Π»ΡΡΡΡΡ ΡΠΏΠ΅ΡΠΈΠ°Π»ΠΈΡΡΠΎΠΌ.
ΠΠ΅ΡΡΠ½ΠΎΠ΅ Π»Π΅ΡΠ΅Π½ΠΈΠ΅ Π²ΠΊΠ»ΡΡΠ°Π΅Ρ Π½Π΅ΡΠΊΠΎΠ»ΡΠΊΠΎ ΡΡΠ°ΠΏΠΎΠ²: ΠΡΠ±ΠΎΡΠΎΡΠ½ΠΎΠ΅ Π»Π΅ΡΠ΅Π½ΠΈΠ΅ Π½Π΅ΠΎΠ±Ρ
ΠΎΠ΄ΠΈΠΌΠΎ ΠΏΡΠΎΠ²ΠΎΠ΄ΠΈΡΡ ΡΠ΅ΡΠ΅Π· ΠΏΠ°ΡΡ ΠΌΠ΅ΡΡΡΠ΅Π² ΠΏΠΎΡΠ»Π΅ ΠΌΠ΅ΡΡΠ½ΠΎΠΉ ΡΠ΅ΡΠ°ΠΏΠΈΠΈ ΠΊΠΎΠΌΠΏΡΡΡΠ΅ΡΠ½ΠΎΠ³ΠΎ Π½Π΅ΠΊΡΠΎΠ·Π°. ΠΠ½ΠΎ Π·Π°ΠΊΠ»ΡΡΠ°Π΅ΡΡΡ Π² ΠΏΠ»ΠΎΠΌΠ±ΠΈΡΠΎΠ²Π°Π½ΠΈΠΈ ΡΠΈΠ»ΡΠ½ΠΎ ΠΏΠΎΠ²ΡΠ΅ΠΆΠ΄Π΅Π½Π½ΡΡ
Π·ΡΠ±ΠΎΠ². ΠΠ»ΠΎΠΌΠ±Ρ ΠΈΡΠΏΠΎΠ»ΡΠ·ΡΡΡ ΡΠ½Π°ΡΠ°Π»Π° Π²ΡΠ΅ΠΌΠ΅Π½Π½ΡΠ΅ (Ρ ΠΏΠ»Π°ΡΡΠΈΠ½ΠΊΠ°ΠΌΠΈ, ΡΡΠΎ ΡΠΎΠ΄Π΅ΡΠΆΠ°Ρ ΠΊΠ°Π»ΡΡΠΈΠΉ), ΠΏΠΎΡΠΎΠΌ ΠΏΠΎΡΡΠΎΡΠ½Π½ΡΠ΅ (ΠΈΠ· ΡΡΠ΅ΠΊΠ»ΠΎΠΈΠΎΠ½ΠΎΠΌΠ΅ΡΠ½ΡΡ
ΡΠ΅ΠΌΠ΅Π½ΡΠΎΠ²). ΠΡΠΎΡΠΈΠ»Π°ΠΊΡΠΈΡΠ΅ΡΠΊΠΈΠ΅ ΠΌΠ΅ΡΡ ΠΏΡΠΈ ΠΊΠΈΡΠ»ΠΎΡΠ½ΠΎΠΌ Π½Π΅ΠΊΡΠΎΠ·Π΅ Π±ΡΠ΄ΡΡ ΠΎΠΏΡΠ΅Π΄Π΅Π»ΡΡΡΡΡ Π΅Π³ΠΎ Π²ΠΈΠ΄ΠΎΠΌ. ΠΠ»Ρ ΠΏΡΠ΅Π΄ΠΎΡΠ²ΡΠ°ΡΠ΅Π½ΠΈΡ ΡΠ°Π·Π²ΠΈΡΠΈΡ ΠΏΡΠΎΠΈΠ·Π²ΠΎΠ΄ΡΡΠ²Π΅Π½Π½ΠΎΠ³ΠΎ ΠΊΠΈΡΠ»ΠΎΡΠ½ΠΎΠ³ΠΎ Π½Π΅ΠΊΡΠΎΠ·Π° ΡΠ»Π΅Π΄ΡΠ΅Ρ ΠΏΡΠΎΠ²Π΅ΡΡΠΈ ΡΠ»Π΅Π΄ΡΡΡΠΈΠ΅ ΠΌΠ΅ΡΠΎΠΏΡΠΈΡΡΠΈΡ: ΠΡΠΈ Π±ΡΡΠΎΠ²ΠΎΠΌ ΠΊΠΈΡΠ»ΠΎΡΠ½ΠΎΠΌ Π½Π΅ΠΊΡΠΎΠ·Π΅ Π½ΡΠΆΠ½Ρ ΡΠ»Π΅Π΄ΡΡΡΠΈΠ΅ ΠΏΡΠΎΡΠΈΠ»Π°ΠΊΡΠΈΡΠ΅ΡΠΊΠΈΠ΅ ΠΌΠ΅ΡΡ: ΠΡΠΈ Π΄ΠΈΠ°Π³Π½ΠΎΡΡΠΈΡΠΎΠ²Π°Π½ΠΈΠΈ ΡΠ°ΡΡΠΌΠ°ΡΡΠΈΠ²Π°Π΅ΠΌΠΎΠ³ΠΎ Π½Π΅Π΄ΡΠ³Π° ΠΏΠ°ΡΠΈΠ΅Π½Ρ Π΄ΠΎΠ»ΠΆΠ΅Π½, Π² ΠΏΠ΅ΡΠ²ΡΡ ΠΎΡΠ΅ΡΠ΅Π΄Ρ, ΠΌΠ°ΠΊΡΠΈΠΌΠ°Π»ΡΠ½ΠΎ ΠΎΠ³ΡΠ°Π΄ΠΈΡΡΡΡ ΠΎΡ Π²ΠΎΠ·Π΄Π΅ΠΉΡΡΠ²ΠΈΡ Π°Π³Π΅Π½ΡΠΎΠ², ΠΊΠΎΡΠΎΡΡΠ΅ ΡΠΏΡΠΎΠ²ΠΎΡΠΈΡΠΎΠ²Π°Π»ΠΈ Π½Π΅Π΄ΡΠ³. ΠΠ»Π³ΠΎΡΠΈΡΠΌ Π»Π΅ΡΠ΅Π½ΠΈΡ ΠΏΡΠΎΠΈΠ·Π²ΠΎΠ΄ΡΡΠ²Π΅Π½Π½ΠΎΠ³ΠΎ, Π±ΡΡΠΎΠ²ΠΎΠ³ΠΎ Π½Π΅ΠΊΡΠΎΠ·Π° Π·ΡΠ±ΠΎΠ² ΠΎΠ΄ΠΈΠ½Π°ΠΊΠΎΠ²ΡΠΉ, ΠΈ Π·Π°Π²ΠΈΡΠΈΡ ΠΎΡ ΡΡΠ΅ΠΏΠ΅Π½ΠΈ ΠΏΡΠΎΡΠ²Π»Π΅Π½ΠΈΡ ΠΏΠ°ΡΠΎΠ»ΠΎΠ³ΠΈΠΈ: ΠΡΠΎΡΠΈΠ»Π°ΠΊΡΠΈΠΊΠ° Π΄Π°Π½Π½ΠΎΠ³ΠΎ Π²ΠΈΠ΄Π° Π½Π΅ΠΊΡΠΎΠ·Π° Π·ΡΠ±ΠΎΠ² Π·Π°ΠΊΠ»ΡΡΠ°Π΅ΡΡΡ Π² ΡΠ»Π΅Π΄ΡΡΡΠ΅ΠΌ: ΠΠ΅ΡΠ΅Π½ΠΈΠ΅ ΡΠ°ΡΡΠΌΠ°ΡΡΠΈΠ²Π°Π΅ΠΌΠΎΠ³ΠΎ Π²ΠΈΠ΄Π° ΠΏΠ°ΡΠΎΠ»ΠΎΠ³ΠΈΠΈ Π·ΡΠ±ΠΎΠ² ΠΌΠΎΠΆΠ΅Ρ ΠΎΡΠ½ΡΡΡ ΠΌΠ½ΠΎΠ³ΠΎ Π²ΡΠ΅ΠΌΠ΅Π½ΠΈ ΠΈ ΡΡΠΈΠ»ΠΈΠΉ. ΠΠ°ΠΆΠ½ΡΠΌ Π·Π΄Π΅ΡΡ ΡΠ²Π»ΡΠ΅ΡΡΡ ΠΏΡΠ°Π²ΠΈΠ»ΡΠ½ΡΠΉ Π²ΡΠ±ΠΎΡ ΡΠΏΠ΅ΡΠΈΠ°Π»ΠΈΡΡΠ°, ΠΊΠΎΡΠΎΡΡΠΉ Π±Ρ ΠΊΠΎΠ½ΡΡΠΎΠ»ΠΈΡΠΎΠ²Π°Π» ΠΏΡΠΎΡΠ΅ΡΡ Π²ΠΎΡΡΡΠ°Π½ΠΎΠ²Π»Π΅Π½ΠΈΡ ΠΏΠΎΠ²ΡΠ΅ΠΆΠ΄Π΅Π½Π½ΡΡ
ΡΠΊΠ°Π½Π΅ΠΉ. ΠΡΠ»ΠΈ ΠΏΡΠΎΡΠΈΠ»Π°ΠΊΡΠΈΡΠ΅ΡΠΊΠΈΠ΅ ΠΌΠ΅ΡΡ Π½Π΅ ΠΏΡΠ΅Π΄ΠΏΡΠΈΠ½ΠΈΠΌΠ°Π»ΠΈΡΡ Π²ΠΎΠ²ΡΠ΅ΠΌΡ, Π½Π° Π²ΠΎΡΡΡΠ°Π½ΠΎΠ²Π»Π΅Π½ΠΈΠ΅ ΠΌΠΎΠΆΠ΅Ρ ΡΠΉΡΠΈ ΠΎΠΊΠΎΠ»ΠΎ 6 ΠΌΠ΅ΡΡΡΠ΅Π². ΠΡΠΈ ΡΠ²ΠΎΠ΅Π²ΡΠ΅ΠΌΠ΅Π½Π½ΠΎΠΉ ΠΏΡΠΎΡΠΈΠ»Π°ΠΊΡΠΈΠΊΠ΅ Π² Π΄Π°Π»ΡΠ½Π΅ΠΉΡΠ΅ΠΌ ΠΌΠΎΠ³ΡΡ ΠΏΠΎΡΡΠ΅Π±ΠΎΠ²Π°ΡΡΡΡ ΡΠ»Π΅Π΄ΡΡΡΠΈΠ΅ ΠΌΠ°Π½ΠΈΠΏΡΠ»ΡΡΠΈΠΈ: ΠΠΎ Π·Π°Π²Π΅ΡΡΠ΅Π½ΠΈΡ Π»Π΅ΡΠ΅Π½ΠΈΡ ΠΏΠ°ΡΠΈΠ΅Π½ΡΠ°ΠΌ Π½Π΅ΠΎΠ±Ρ
ΠΎΠ΄ΠΈΠΌΠΎ ΠΏΡΠΎΡ
ΠΎΠ΄ΠΈΡΡ ΠΏΡΠΎΡΠΈΠ»Π°ΠΊΡΠΈΡΠ΅ΡΠΊΠΎΠ΅ ΠΎΠ±ΡΠ»Π΅Π΄ΠΎΠ²Π°Π½ΠΈΠ΅ Π·ΡΠ±ΠΎΠ² Ρ ΡΠΎΠΎΡΠ²Π΅ΡΡΡΠ²ΡΡΡΠ΅Π³ΠΎ ΡΠΏΠ΅ΡΠΈΠ°Π»ΠΈΡΡΠ° 2 ΡΠ°Π·Π° Π² Π³ΠΎΠ΄. ΠΠΎΠ»ΠΈΠ²ΠΈΡΠ°ΠΌΠΈΠ½Ρ, ΠΊΠ»Π°ΠΌΠΈΠ½/ΡΠΈΡΠΎΠ»ΠΈΠ½, Π³Π»ΠΈΡΠ΅ΡΠΎΡΠΎΡΡΠ°Ρ ΠΊΠ°Π»ΡΡΠΈΡ ΡΠ»Π΅Π΄ΡΠ΅Ρ ΠΏΡΠΎΠΏΠΈΠ²Π°ΡΡ ΠΊΡΡΡΠ°ΠΌΠΈ ΠΌΠΈΠ½ΠΈΠΌΡΠΌ 1 ΡΠ°Π· Π² Π³ΠΎΠ΄. ΠΠ΅ ΡΡΠΎΠΈΡ Π·Π°Π±ΡΠ²Π°ΡΡ ΠΎΠ± Π°ΠΏΠΏΠ»ΠΈΠΊΠ°ΡΠΈΡΡ
: Π΅ΠΆΠ΅ΠΌΠ΅ΡΡΡΠ½ΠΎΠ΅ Π½Π°ΠΊΠ»Π°Π΄ΡΠ²Π°Π½ΠΈΠ΅ ΡΠΎΡΡΠ°ΡΡΠΎΠ΄Π΅ΡΠΆΠ°ΡΠΈΡ
ΠΏΠ°ΡΡ Π½Π° Π·ΡΠ±Ρ ΠΏΠΎΠ»ΠΎΠΆΠΈΡΠ΅Π»ΡΠ½ΠΎ ΠΏΠΎΠ²Π»ΠΈΡΠ΅Ρ Π½Π° ΠΈΡ
ΡΡΡΡΠΊΡΡΡΡ. ΠΡΠΈ Π΄ΠΈΠ°Π³Π½ΠΎΡΡΠΈΡΠΎΠ²Π°Π½ΠΈΠΈ Π΄Π°Π½Π½ΠΎΠΉ ΠΏΠ°ΡΠΎΠ»ΠΎΠ³ΠΈΠΈ Π±ΠΎΠ»ΡΠ½ΠΎΠΌΡ ΡΠ»Π΅Π΄ΡΠ΅Ρ Π½Π°Π²Π΅ΡΡΠΈΡΡ ΡΠ½Π΄ΠΎΠΊΡΠΈΠ½ΠΎΠ»ΠΎΠ³Π°, Ρ ΡΠ΅Π»ΡΡ ΡΡΡΡΠ°Π½Π΅Π½ΠΈΡ/ΠΌΠΈΠ½ΠΈΠΌΠΈΠ·Π°ΡΠΈΠΈ ΠΏΡΠΎΡΠ²Π»Π΅Π½ΠΈΠΉ ΠΎΡΠ½ΠΎΠ²Π½ΠΎΠ³ΠΎ Π·Π°Π±ΠΎΠ»Π΅Π²Π°Π½ΠΈΡ. ΠΡΠΎΡΠΈΠ»Π°ΠΊΡΠΈΠΊΠ° Π½Π΅ΠΊΡΠΎΠ·Π°, Π²ΡΠ·Π²Π°Π½Π½ΠΎΠ³ΠΎ ΡΠ½Π΄ΠΎΠ³Π΅Π½Π½ΡΠΌΠΈ ΡΠ°ΠΊΡΠΎΡΠ°ΠΌΠΈ, Π·Π°ΠΊΠ»ΡΡΠ°Π΅ΡΡΡ Π² ΡΠ»Π΅Π΄ΡΡΡΠ΅ΠΌ: ΠΠ΅ΡΠ΅Π½ΠΈΠ΅ Π΄Π°Π½Π½ΠΎΠ³ΠΎ Π²ΠΈΠ΄Π° Π½Π΅ΠΊΡΠΎΠ·Π° Π·ΡΠ±ΠΎΠ² Π±ΡΠ΄Π΅Ρ Π·Π°Π²ΠΈΡΠ΅ΡΡ ΠΎΡ ΡΡΠ°Π΄ΠΈΠΈ Π΅Π³ΠΎ ΡΠ°Π·Π²ΠΈΡΠΈΡ:ΠΠ΅ΡΠ΅Π½ΠΈΠ΅ ΠΊΠΈΡΠ»ΠΎΡΠ½ΠΎΠ³ΠΎ Π½Π΅ΠΊΡΠΎΠ·Π° ΠΈ ΠΌΠ΅ΡΡ Π΅Π³ΠΎ ΠΏΡΠΎΡΠΈΠ»Π°ΠΊΡΠΈΠΊΠΈ β Π² ΡΠΎΠΌ ΡΠΈΡΠ»Π΅, ΠΊΠΈΡΠ»ΠΎΡΠ½ΠΎΠ³ΠΎ Π½Π΅ΠΊΡΠΎΠ·Π° Π·ΡΠ±ΠΎΠ² Ρ Π»ΡΠ΄Π΅ΠΉ, ΡΠ°Π±ΠΎΡΠ°ΡΡΠΈΡ
Ρ ΠΊΠΈΡΠ»ΠΎΡΠ°ΠΌΠΈ
ΠΠ΅ΡΡ ΠΏΡΠΎΡΠΈΠ»Π°ΠΊΡΠΈΠΊΠΈ ΠΈ Π»Π΅ΡΠ΅Π½ΠΈΡ ΡΠ°Π΄ΠΈΠ°ΡΠΈΠΎΠ½Π½ΠΎΠ³ΠΎ Π½Π΅ΠΊΡΠΎΠ·Π° Π·ΡΠ±ΠΎΠ² β ΠΊΠ°ΠΊ Π·Π°ΡΠΈΡΠΈΡΡ Π·ΡΠ±Ρ ΠΏΡΠΈ Π»ΡΡΠ΅Π²ΠΎΠΉ ΡΠ΅ΡΠ°ΠΏΠΈΠΈ?
ΠΠ΅ΡΠ΅Π½ΠΈΠ΅ ΠΈ ΠΏΡΠΎΡΠΈΠ»Π°ΠΊΡΠΈΠΊΠ° Π·ΡΠ±Π½ΠΎΠ³ΠΎ Π½Π΅ΠΊΡΠΎΠ·Π°, Π²ΡΠ·Π²Π°Π½Π½ΠΎΠ³ΠΎ ΡΠ½Π΄ΠΎΠ³Π΅Π½Π½ΡΠΌΠΈ ΡΠ°ΠΊΡΠΎΡΠ°ΠΌΠΈ
www.operabelno.ru
ΠΠ΅ΠΊΡΠΎΠ· ΡΠ²Π΅ΡΠ΄ΡΡ ΡΠΊΠ°Π½Π΅ΠΉ Π·ΡΠ±ΠΎΠ²: ΡΠΈΠΌΠΏΡΠΎΠΌΡ, ΠΏΡΠΈΠ·Π½Π°ΠΊΠΈ, Π΄ΠΈΠ°Π³Π½ΠΎΡΡΠΈΠΊΠ° ΠΈ Π»Π΅ΡΠ΅Π½ΠΈΠ΅
ΠΠΏΠΈΡΠ°Π½ΠΈΠ΅
ΠΡΠΈΠ½ΡΡΠΎ ΡΡΠΈΡΠ°ΡΡ, ΡΡΠΎ Π½Π΅ΠΊΡΠΎΡΠΈΡΠ΅ΡΠΊΠΎΠ΅ ΠΏΠΎΡΠ°ΠΆΠ΅Π½ΠΈΠ΅ (ΠΠ΅ΠΊΡΠΎΠ·) ΡΠ²Π΅ΡΠ΄ΡΡ ΡΠΊΠ°Π½Π΅ΠΉ Π·ΡΠ±ΠΎΠ² β Π΄ΠΎΡΡΠ°ΡΠΎΡΠ½ΠΎ ΡΡΠΆΠ΅Π»ΠΎΠ΅ Π·Π°Π±ΠΎΠ»Π΅Π²Π°Π½ΠΈΠ΅, Π² Π·Π°ΠΏΡΡΠ΅Π½Π½ΡΡ ΡΡΠ°Π΄ΠΈΡΡ ΠΏΡΠΈΠ²ΠΎΠ΄ΡΡΠ΅Π΅ ΠΊ Π·Π½Π°ΡΠΈΡΠ΅Π»ΡΠ½ΠΎΠΌΡ (ΡΡΠΎΡΠΊΠΈ Π·ΡΠ΅Π½ΠΈΡ ΡΠΈΠ·ΠΈΠΎΠ»ΠΎΠ³ΠΈΠΈ) ΡΡ ΡΠ΄ΡΠ΅Π½ΠΈΡ ΠΏΡΠΈΠ²ΡΡΠ½ΠΎΠΉ ΠΆΠ΅Π²Π°ΡΠ΅Π»ΡΠ½ΠΎΠΉ ΡΡΠ½ΠΊΡΠΈΠΈ. ΠΠ°ΠΊ Π½ΠΈ ΠΏΡΠΈΡΠΊΠΎΡΠ±Π½ΠΎ ΡΡΠΎ ΠΎΡΠΎΠ·Π½Π°Π²Π°ΡΡ, Π½ΠΎ Ρ ΠΊΠ°ΠΆΠ΄ΡΠΌ Π½ΠΎΠ²ΡΠΌ Π³ΠΎΠ΄ΠΎΠΌ,ΠΎΠ±ΡΠΈΠΉ ΡΡΠΎΠ²Π΅Π½Ρ Π·Π°Π±ΠΎΠ»Π΅Π²Π°Π΅ΠΌΠΎΡΡΠΈ Π΄Π°Π½Π½ΡΠΌ Π½Π΅Π΄ΡΠ³ΠΎΠΌ(Π½Π΅ΠΊΡΠΎΡΠΈΡΠ΅ΡΠΊΠΈΠΌ ΠΏΠΎΡΠ°ΠΆΠ΅Π½ΠΈΠ΅ΠΌ ΡΠ²Π΅ΡΠ΄ΡΡ Π·ΡΠ±Π½ΡΡ ΡΠΊΠ°Π½Π΅ΠΉ) Π·Π°ΠΌΠ΅ΡΠ½ΠΎ ΡΠ²Π΅Π»ΠΈΡΠΈΠ²Π°Π΅ΡΡΡ.

Π‘ΡΠ°ΡΠΈΡΡΠΈΠΊΠ° Π³Π»Π°ΡΠΈΡ ΡΡΠΎ Π½Π° ΡΠ΅Π³ΠΎΠ΄Π½ΡΡΠ½ΠΈΠΉ ΠΏΠ΅ΡΠΈΠΎΠ΄ Π²ΡΠ΅ΠΌΠ΅Π½ΠΈ, ΠΎΠ±ΡΠ΅Π΅ ΠΊΠΎΠ»ΠΈΡΠ΅ΡΡΠ²ΠΎ Π·Π°Π±ΠΎΠ»Π΅Π²ΡΠΈΡ Π½Π΅ΠΊΡΠΎΡΠΈΡΠ΅ΡΠΊΠΈΠΌ ΠΏΠΎΡΠ°ΠΆΠ΅Π½ΠΈΠ΅ΠΌ ΡΠ²Π΅ΡΠ΄ΡΡ ΡΠΊΠ°Π½Π΅ΠΉ Π·ΡΠ±ΠΎΠ² ΡΡΠ°Π½ΠΎΠ²ΠΈΡΡΡ Π·Π½Π°ΡΠΈΡΠ΅Π»ΡΠ½ΠΎ Π±ΠΎΠ»ΡΡΠ΅, Π½Π΅ΠΆΠ΅Π»ΠΈ ΡΡΠΎ ΡΠΈΠΊΡΠΈΡΠΎΠ²Π°Π»ΠΎΡΡ 10 ΠΈΠ»ΠΈ 15 Π»Π΅Ρ ΡΠΎΠΌΡ Π½Π°Π·Π°Π΄. ΠΠΎΠΌΠΈΠΌΠΎ ΡΠΎΠ³ΠΎ, ΡΠ΅Π³ΠΎΠ΄Π½Ρ ΠΌΠ΅Π΄ΠΈΠΊΠΈ ΡΡΠ°Π»ΠΊΠΈΠ²Π°ΡΡΡΡ Ρ Π²ΠΎΠ·Π½ΠΈΠΊΠ½ΠΎΠ²Π΅Π½ΠΈΠ΅ΠΌ Π²ΡΠ΅ Π½ΠΎΠ²ΡΡ (Π½Π΅ ΠΈΠ·Π²Π΅ΡΡΠ½ΡΡ Π΄Π΅ΡΡΡΡ Π»Π΅Ρ Π½Π°Π·Π°Π΄) ΡΠΎΡΠΌ Π½Π΅ΠΊΡΠΎΡΠΈΡΠ΅ΡΠΊΠΎΠ³ΠΎ ΠΏΠΎΡΠ°ΠΆΠ΅Π½ΠΈΡ Π·ΡΠ±ΠΎΠ², ΡΡΠΎ ΡΠΎΠ·Π΄Π°Π΅Ρ Π²ΠΏΠΎΠ»Π½Π΅ ΠΎΠΏΡΠ΅Π΄Π΅Π»Π΅Π½Π½ΡΠ΅ ΠΏΡΠ°ΠΊΡΠΈΡΠ΅ΡΠΊΠΈΠ΅ ΡΡΡΠ΄Π½ΠΎΡΡΠΈ ΠΏΡΠΈ Π»Π΅ΡΠ΅Π½ΠΈΠΈ ΠΏΠΎΠ΄ΠΎΠ±Π½ΡΡ Π·Π°Π±ΠΎΠ»Π΅Π²Π°Π½ΠΈΠΉ.
ΠΡΠΈΡΠΈΠ½Π°ΠΌΠΈ ΡΠ°Π·Π²ΠΈΡΠΈΡ Π½Π΅ΠΊΡΠΎΡΠΈΡΠ΅ΡΠΊΠΎΠ³ΠΎ ΠΏΠΎΡΠ°ΠΆΠ΅Π½ΠΈΡ (ΠΠ΅ΠΊΡΠΎΠ·Π°) ΡΠ²Π΅ΡΠ΄ΡΡ ΡΠΊΠ°Π½Π΅ΠΉ Π·ΡΠ±ΠΎΠ² ΠΌΠΎΠ³ΡΡ Π±ΡΡΡ ΡΠ°ΠΌΡΠ΅ ΡΠ°Π·Π»ΠΈΡΠ½ΡΠ΅ ΡΠ°ΠΊΡΠΎΡΡ. ΠΡΠΈΡΠ΅ΠΌ ΠΏΡΠΈΡΠΈΠ½Ρ ΡΠ°Π·Π²ΠΈΡΠΈΡ ΡΡΠΎΠΉ Π±ΠΎΠ»Π΅Π·Π½ΠΈ ΠΌΠΎΠ³ΡΡ ΠΎΡΠ½ΠΎΡΠΈΡΡΡΡ ΠΊΠ°ΠΊ Π²Π½Π΅ΡΠ½ΠΈΠΌ, ΡΠ°ΠΊ ΠΈ ΠΊ Π²Π½ΡΡΡΠ΅Π½Π½ΠΈΠΌ Π²ΠΎΠ·Π΄Π΅ΠΉΡΡΠ²ΠΈΡΠΌ.
ΠΡΠ»ΠΈ Π³ΠΎΠ²ΠΎΡΠΈΡΡ ΠΎ Π²Π½Π΅ΡΠ½ΠΈΡ ΡΠ°ΠΊΡΠΎΡΠ°Ρ ΡΠ°Π·Π²ΠΈΡΠΈΡ ΠΏΡΠΎΠ±Π»Π΅ΠΌΡ, ΡΠΎ ΠΏΡΠΈΡΠΈΠ½ΠΎΠΉ Π½Π΅ΠΊΠΎΡΠΎΡΠΎΠ³ΠΎ Π½Π°ΡΡΡΠ΅Π½ΠΈΡ ΡΠΈΠ·ΠΈΠΎΠ»ΠΎΠ³ΠΈΡΠ΅ΡΠΊΠΈ Π½ΠΎΡΠΌΠ°Π»ΡΠ½ΠΎΠΉ ΡΠ΅Π»ΠΎΡΡΠ½ΠΎΡΡΠΈ ΠΏΠ»ΠΎΡΠ½ΠΎΠΉ Π·ΡΠ±Π½ΠΎΠΉ ΡΠΌΠ°Π»ΠΈΠΌΠΎΠΆΠ΅Ρ ΡΡΠ°Π½ΠΎΠ²ΠΈΡΡΡΡ ΡΡΠ΅Π·ΠΌΠ΅ΡΠ½ΠΎ ΡΠ°ΡΡΠΎΠ΅ Π²ΠΎΠ·Π΄Π΅ΠΉΡΡΠ²ΠΈΠ΅ Π½Π° Π·ΡΠ±Ρ ΡΠ°Π·Π»ΠΈΡΠ½ΡΡ ΠΏΠΈΡΠ΅Π²ΡΡ ΠΊΠΈΡΠ»ΠΎΡ. ΠΠ΅Π΄ΠΈΠΊΠΈ Π² ΡΠ°ΠΊΠΈΡ ΡΠ»ΡΡΠ°ΡΡ ΠΊΠΎΠ½ΡΡΠ°ΡΠΈΡΡΡΡ Π΄ΠΈΠ°Π³Π½ΠΎΠ· ΡΠ°ΠΊ Π½Π°Π·ΡΠ²Π°Π΅ΠΌΠΎΠ΅, ΠΊΠΈΡΠ»ΠΎΡΠ½ΠΎΠ΅ Π½Π΅ΠΊΡΠΎΡΠΈΡΠ΅ΡΠΊΠΎΠ΅ ΠΏΠΎΡΠ°ΠΆΠ΅Π½ΠΈΠ΅ (ΠΠ΅ΠΊΡΠΎΠ·) ΡΠ²Π΅ΡΠ΄ΡΡ ΡΠΊΠ°Π½Π΅ΠΉ Π·ΡΠ±ΠΎΠ². Π§Π°ΡΡΠ΅Π½ΡΠΊΠΎ Π΄Π°Π½Π½Π°Ρ ΠΏΠ°ΡΠΎΠ»ΠΎΠ³ΠΈΡ ΠΌΠΎΠΆΠ΅Ρ ΡΠ°Π·Π²ΠΈΠ²Π°ΡΡΡΡ Ρ Π»ΠΈΡ, ΠΊΠΎΡΠΎΡΡΠ΅ Π΄Π»ΠΈΡΠ΅Π»ΡΠ½ΠΎ ΡΠ°Π±ΠΎΡΠ°ΡΡ Π½Π° ΠΊΡΡΠΏΠ½ΡΡ ΠΏΡΠΎΠΌΡΡΠ»Π΅Π½Π½ΡΡ ΠΏΡΠ΅Π΄ΠΏΡΠΈΡΡΠΈΡΡ , ΡΡΡ ΡΠ°Π±ΠΎΡΠ° Π½Π΅ΠΏΠΎΡΡΠ΅Π΄ΡΡΠ²Π΅Π½Π½ΠΎ ΡΠ²ΡΠ·Π°Π½Π° Ρ ΠΈΡΠΏΠΎΠ»ΡΠ·ΠΎΠ²Π°Π½ΠΈΠ΅ΠΌ Π½Π΅ΠΊΠΈΡ Π°Π³ΡΠ΅ΡΡΠΈΠ²Π½ΡΡ ΠΊΠΈΡΠ»ΠΎΡ ΠΈ ΠΏΡ.
ΠΡΠ΅ΡΠ΅Π΄Π½ΡΠΌ ΡΠ°ΠΊΡΠΎΡΠΎΠΌ, ΠΎΡΠ΅Π²ΠΈΠ΄Π½ΠΎ ΡΠΏΠΎΡΠΎΠ±ΡΡΠ²ΡΡΡΠΈΠΌ ΡΠ°ΡΡΠΈΡΠ½ΠΎΠΌΡ ΠΈΠ»ΠΈ ΠΏΠΎΠ»Π½ΠΎΠΌΡ ΡΠ°Π·ΡΡΡΠ΅Π½ΠΈΡ ΡΠΌΠ°Π»ΠΈ, ΠΌΠΎΠΆΠ΅Ρ ΡΠ²Π»ΡΡΡΡΡ ΠΌΠΎΡΠ½ΠΎΠ΅ ΡΠ°Π΄ΠΈΠΎΠ°ΠΊΡΠΈΠ²Π½ΠΎΠ΅ ΠΈΠ·Π»ΡΡΠ΅Π½ΠΈΠ΅, ΠΊ ΠΏΡΠΈΠΌΠ΅ΡΡ ΡΠ΅ΡΡ ΠΈΠ΄Π΅Ρ ΠΎ ΠΏΡΠΎΡ ΠΎΠΆΠ΄Π΅Π½ΠΈΠΈ Π»Π΅ΡΠ΅Π±Π½ΡΡ ΠΊΡΡΡΠΎΠ² ΠΌΠΎΡΠ½ΠΎΠΉ Π»ΡΡΠ΅Π²ΠΎΠΉ ΡΠ΅ΡΠ°ΠΏΠΈΠΈ. ΠΡΠΎΠΌΠ΅ ΡΡΠΎΠ³ΠΎ ΠΌΠ΅Π΄ΠΈΠΊΠΈ Π²ΡΠ΄Π΅Π»ΡΡΡ Π΅ΡΠ΅ ΠΎΠ΄Π½Ρ ΡΠΎΠ²Π΅ΡΡΠ΅Π½Π½ΠΎ ΠΎΡΠΎΠ±Π΅Π½Π½ΡΡ ΡΠΎΡΠΌΡ ΡΠ°ΠΊ Π½Π°Π·ΡΠ²Π°Π΅ΠΌΠΎΠ³ΠΎ ΠΊΠΎΠΌΠΏΡΡΡΠ΅ΡΠ½ΠΎΠ³ΠΎ Π½Π΅ΠΊΡΠΎΠ·Π°. ΠΡΠΎ ΡΠΎΡΡΠΎΡΠ½ΠΈΠ΅ ΠΊΠΎΠ³Π΄Π° ΠΏΡΠΎΠ±Π»Π΅ΠΌΠ° ΡΠ°Π·Π²ΠΈΠ²Π°Π΅ΡΡΡ Π² ΠΏΠ΅ΡΠ²ΡΡ ΠΎΡΠ΅ΡΠ΅Π΄Ρ ΠΈΠ·-Π·Π° Π½Π΅Π³Π°ΡΠΈΠ²Π½ΠΎΠ³ΠΎ Π²ΠΎΠ·Π΄Π΅ΠΉΡΡΠ²ΠΈΡ ΠΌΠΎΡΠ½ΠΎΠ³ΠΎ ΡΠ»Π΅ΠΊΡΡΠΎΠΌΠ°Π³Π½ΠΈΡΠ½ΠΎΠ³ΠΎ ΠΈΠ·Π»ΡΡΠ΅Π½ΠΈΡ ΠΎΡ ΠΊΠΎΠΌΠΏΡΡΡΠ΅ΡΠ½ΡΡ ΠΌΠΎΠ½ΠΈΡΠΎΡΠΎΠ² Π½Π΅ΠΏΠΎΡΡΠ΅Π΄ΡΡΠ²Π΅Π½Π½ΠΎ Π½Π° ΡΠΌΠ°Π»Ρ Π½Π°ΡΠΈΡ Π·ΡΠ±ΠΎΠ².
Π Π²ΠΎΡ Π΄ΠΎΠΏΡΡΡΠΈΠΌ, ΠΊ ΡΠ½Π΄ΠΎΠ³Π΅Π½Π½ΡΠΌ (Π»ΠΈΠ±ΠΎ ΠΆΠ΅ ΠΊ Π²Π½ΡΡΡΠ΅Π½Π½ΠΈΠΌ) ΡΠ°ΠΊΡΠΎΡΠ°ΠΌ Π°ΠΊΡΠΈΠ²Π½ΠΎΠ³ΠΎ ΡΠ°Π·Π²ΠΈΡΠΈΡ Π½Π΅ΠΊΡΠΎΠ·Π° ΠΎΡΠ½ΠΎΡΡΡ ΡΠ΅ ΠΈΠ»ΠΈ ΠΈΠ½ΡΠ΅ Π½Π°ΡΡΡΠ΅Π½ΠΈΡ ΠΏΠΎΠ»Π½ΠΎΡΠ΅Π½Π½ΠΎΠ³ΠΎ ΡΡΠ½ΠΊΡΠΈΠΎΠ½ΠΈΡΠΎΠ²Π°Π½ΠΈΡ ΠΆΠ΅Π»Π΅Π· Π²Π½ΡΡΡΠ΅Π½Π½Π΅ΠΉ ΡΠ΅ΠΊΡΠ΅ΡΠΈΠΈ, ΠΌΠ½ΠΎΠ³ΠΎΡΠΈΡΠ»Π΅Π½Π½ΡΠ΅ Π·Π°Π±ΠΎΠ»Π΅Π²Π°Π½ΠΈΡ ΡΠ΅Π½ΡΡΠ°Π»ΡΠ½ΠΎΠΉ Π½Π΅ΡΠ²Π½ΠΎΠΉ ΡΠΈΡΡΠ΅ΠΌΡ (Π¦ΠΠ‘). Π‘ΠΏΠΎΡΠΎΠ±ΡΡΠ²ΠΎΠ²Π°ΡΡ ΡΠ°Π·Π²ΠΈΡΠΈΡ Π½Π΅ΠΊΡΠΎΠ·Π° ΠΌΠΎΠΆΠ΅Ρ Ρ ΡΠΎΠ½ΠΈΡΠ΅ΡΠΊΠ°Ρ ΠΈΠ½ΡΠΎΠΊΡΠΈΠΊΠ°ΡΠΈΡ ΠΎΡΠ³Π°Π½ΠΈΠ·ΠΌΠ°, ΡΠ΅ΠΌΠΈ ΠΈΠ»ΠΈ ΠΈΠ½ΡΠΌΠΈ Π²Π΅ΡΠ΅ΡΡΠ²Π°ΠΌΠΈ, ΠΎΠ±ΡΡΠ½Π°Ρ Π±Π΅ΡΠ΅ΠΌΠ΅Π½Π½ΠΎΡΡΡ, ΠΈ Π΄Π°ΠΆΠ΅ ΠΏΡΠΎΡΡΠΎ Π½Π°ΡΠ»Π΅Π΄ΡΡΠ²Π΅Π½Π½ΠΎΡΡΡ.

ΠΠΎΠ²ΠΎΠ»ΡΠ½ΠΎ ΡΠ°ΡΡΠΎ ΠΏΡΠΈ ΡΠ½ΠΈΠΆΠ΅Π½ΠΈΠΈ ΡΡΠ½ΠΊΡΠΈΠΎΠ½Π°Π»ΡΠ½ΠΎΡΡΠΈ ΡΠΈΡΠΎΠ²ΠΈΠ΄Π½ΠΎΠΉ ΠΆΠ΅Π»Π΅Π·Ρ (ΠΏΡΠΈ ΡΠ°ΠΊΠΎΠΉ Π±ΠΎΠ»Π΅Π·Π½ΠΈ ΠΊΠ°ΠΊ Π³ΠΈΠΏΠΎΡΠΈΡΠ΅ΠΎΠ·) ΠΌΠΎΠΆΠ΅Ρ ΡΠ°Π·Π²ΠΈΠ²Π°ΡΡΡΡ ΠΏΡΠΈΡΠ΅Π΅ΡΠ½Π°Ρ ΡΠΎΡΠΌΠ° Π½Π΅ΠΊΡΠΎΡΠΈΡΠ΅ΡΠΊΠΎΠ³ΠΎ ΠΏΠΎΡΠ°ΠΆΠ΅Π½ΠΈΡ ΡΠ²Π΅ΡΠ΄ΡΡ Π·ΡΠ±Π½ΡΡ ΡΠΊΠ°Π½Π΅ΠΉ. ΠΠ΅ ΠΌΠ΅Π½Π΅Π΅ ΡΠ°ΡΡΠΎ ΠΏΡΠΈΡΠ΅Π΅ΡΠ½ΡΠΉ Π½Π΅ΠΊΡΠΎΠ· ΠΌΠΎΠΆΠ΅Ρ Π²ΡΡΡΠ΅ΡΠ°ΡΡΡΡ ΠΈ Ρ Π²ΡΠ½Π°ΡΠΈΠ²Π°ΡΡΠΈΡ ΠΌΠ°Π»ΡΡΠ° ΠΆΠ΅Π½ΡΠΈΠ½.
ΠΠ΅Π»ΡΠ·Ρ Π½Π΅ ΡΠΊΠ°Π·Π°ΡΡ, ΡΡΠΎ Π½Π΅ΠΊΡΠΎΡΠΈΡΠ΅ΡΠΊΠΎΠ΅ ΠΏΠΎΡΠ°ΠΆΠ΅Π½ΠΈΠ΅ ΡΠ²Π΅ΡΠ΄ΡΡ Π·ΡΠ±Π½ΡΡ ΡΠΊΠ°Π½Π΅ΠΉ ΠΌΠΎΠΆΠ΅Ρ Π±ΡΡΡ ΡΠ°Π·Π»ΠΈΡΠ½ΠΎ ΠΏΠΎ ΡΠ²ΠΎΠΈΠΌ ΡΠ°Π·Π½ΠΎΠ²ΠΈΠ΄Π½ΠΎΡΡΡΠΌ. ΠΡΠΎ ΠΌΠΎΠΆΠ΅Ρ Π±ΡΡΡ ΠΊ ΠΏΡΠΈΠΌΠ΅ΡΡ ΠΏΡΠΈΡΠ΅Π΅ΡΠ½ΡΠΉ Π½Π΅ΠΊΡΠΎΠ·, ΠΊΠΎΡΠΎΡΡΠΉ Ρ Π°ΡΠ°ΠΊΡΠ΅ΡΠΈΠ·ΡΠ΅ΡΡΡ ΠΎΠ±ΡΠ°Π·ΠΎΠ²Π°Π½ΠΈΠ΅ΠΌ Π½Π΅ΠΊΠΎΡΠΎΡΡΡ Π½Π΅ΠΊΡΠΎΡΠΈΡΠ΅ΡΠΊΠΈΡ ΠΎΡΠ°Π³ΠΎΠ² Π½Π΅ΠΏΠΎΡΡΠ΅Π΄ΡΡΠ²Π΅Π½Π½ΠΎ Π² ΠΎΠ±Π»Π°ΡΡΠΈ ΡΠ΅Π΅ΠΊ ΡΠ΅Ρ ΠΈΠ»ΠΈ ΠΈΠ½ΡΡ Π·ΡΠ±ΠΎΠ² β ΡΠ΅Π·ΡΠΎΠ², ΠΏΡΠ΅ΠΌΠΎΠ»ΡΡΠΎΠ² Π»ΠΈΠ±ΠΎ ΠΆΠ΅ ΠΊΠ»ΡΠΊΠΎΠ². ΠΡΠΌΠ΅ΡΠΈΠΌ ΡΡΠΎ Π² ΠΊΡΠ°ΠΉΠ½Π΅ ΡΠ΅Π΄ΠΊΠΈΡ ΡΠ»ΡΡΠ°ΡΡ Π½Π΅ΠΊΡΠΎΡΠΈΡΠ΅ΡΠΊΠΎΠ΅ ΠΏΠΎΡΠ°ΠΆΠ΅Π½ΠΈΠ΅ ΠΌΠΎΠΆΠ΅Ρ ΠΎΠ±ΡΠ°Π·ΠΎΠ²ΡΠ²Π°ΡΡΡΡ Π½Π° ΡΠ΅ΠΉΠΊΠ°Ρ ΠΌΠΎΠ»ΡΡΠΎΠ².
ΠΠ°Π½Π½ΠΎΠ΅ Π·Π°Π±ΠΎΠ»Π΅Π²Π°Π½ΠΈΠ΅ΡΡΠ°Π½Π΄Π°ΡΡΠ½ΠΎ Π΄Π΅Π±ΡΡΠΈΡΡΠ΅Ρ Ρ ΠΏΠ΅ΡΠ²ΠΈΡΠ½ΠΎΠ³ΠΎ ΠΎΠ±ΡΠ°Π·ΠΎΠ²Π°Π½ΠΈΡ ΡΠΎΠ²ΡΠ΅ΠΌ Π½Π΅Π±ΠΎΠ»ΡΡΠΈΡ ΠΏΠΎ ΡΠ°Π·ΠΌΠ΅ΡΡ ΠΌΠ΅Π»ΠΎΠ²ΠΈΠ΄Π½ΡΡ ΠΏΡΡΠ΅Π½, ΠΊΠΎΡΠΎΡΡΠ΅ ΠΎΡΠ»ΠΈΡΠ°ΡΡΡΡ ΠΎΡ ΠΈΠ½ΡΡ ΠΏΡΠΎΠ±Π»Π΅ΠΌ ΡΠ²ΠΎΠ΅ΠΉ Π±Π»Π΅ΡΡΡΡΠ΅ΠΉ ΠΏΠΎΠ²Π΅ΡΡ Π½ΠΎΡΡΡΡ. ΠΠΎΡΡΠ°ΡΠΎΡΠ½ΠΎ Π±ΡΡΡΡΠΎ Ρ ΡΠ΅ΡΠ΅Π½ΠΈΠ΅ΠΌ ΠΊΠΎΡΠΎΡΠΊΠΎΠ³ΠΎ ΠΏΡΠΎΠΌΠ΅ΠΆΡΡΠΊΠ° Π²ΡΠ΅ΠΌΠ΅Π½ΠΈ ΠΏΠ»ΠΎΡΠ°Π΄Ρ ΡΠ°ΠΊΠΈΡ Π±Π΅Π»Π΅ΡΡΡ ΠΏΠΎΡΠ°ΠΆΠ΅Π½ΠΈΠΉ ΡΠ²Π΅Π»ΠΈΡΠΈΠ²Π°Π΅ΡΡΡ ΠΡΠ΅ ΡΠ΅ΡΠ΅Π· Π²ΡΠ΅ΠΌΡ Π½Π° ΠΏΡΡΠ½Π°Ρ ΡΠ΅ΡΡΠ΅ΡΡΡ Π±Π»Π΅ΡΠΊ, Π° Π²Π·Π°ΠΌΠ΅Π½ ΠΏΠΎΡΠ²Π»ΡΠ΅ΡΡΡ,Π½Π°ΠΎΠ±ΠΎΡΠΎΡ, Π½Π΅ΠΊΠ°Ρ ΡΠ΅ΡΠΎΡ ΠΎΠ²Π°ΡΠΎΡΡΡ.
ΠΡΠ΅ Π½Π΅ΠΌΠ½ΠΎΠ³ΠΎ ΠΏΠΎΠ·ΠΆΠ΅ ΡΠΌΠ°Π»Ρ ΠΏΡΠΈ Π΄Π°Π½Π½ΠΎΠΌ Π½Π΅Π΄ΡΠ³Π΅ ΡΡΠ°Π½ΠΎΠ²ΠΈΡΡΡ ΠΌΠ°ΡΠΎΠ²ΠΎΠΉ ΠΈ ΠΈΠ·ΠΌΠ΅Π½ΡΠ΅Ρ ΡΠ²ΠΎΠΉ ΡΠ²Π΅Ρ Π½Π° Π±ΠΎΠ»Π΅Π΅ ΡΠ΅ΠΌΠ½ΡΠ΅ ΠΎΡΡΠ΅Π½ΠΊΠΈ. Π Π΄Π°Π»ΡΠ½Π΅ΠΉΡΠ΅ΠΌ Π½Π΅ΠΏΠΎΡΡΠ΅Π΄ΡΡΠ²Π΅Π½Π½ΠΎ Π½Π° ΡΠ°Π½Π΅Π΅ ΠΏΠΎΡΠ°ΠΆΠ΅Π½Π½ΡΡ ΠΏΡΡΠ½Π°ΠΌΠΈ ΡΡΠ°ΡΡΠΊΠ°Ρ Π·ΡΠ±Π½Π°Ρ ΡΠΌΠ°Π»Ρ ΠΏΠΎΠΏΡΠΎΡΡΡ ΠΈΡΡΠ΅Π·Π°Π΅Ρ ΠΈ ΠΏΡΠ°ΠΊΡΠΈΡΠ΅ΡΠΊΠΈ ΠΏΠΎΠ»Π½ΠΎΡΡΡΡ ΠΎΠ±Π½Π°ΠΆΠ°Π΅ΡΡΡ Π΄Π΅Π½ΡΠΈΠ½. ΠΠ°Π»Π΅Π΅ Π΅ΡΠ»ΠΈ Π·Π°Π±ΠΎΠ»Π΅Π²Π°Π½ΠΈΠ΅ Π±ΡΠ΄Π΅Ρ ΠΏΡΠΎΠ³ΡΠ΅ΡΡΠΈΡΠΎΠ²Π°ΡΡ Π³ΡΠ°Π½ΠΈΡΡ ΡΠ°ΠΊΠΈΡ ΠΏΠΎΡΠ°ΠΆΠ΅Π½ΠΈΠΉ Π·ΡΠ±ΠΎΠ² Ρ ΡΠ΅ΡΠ΅Π½ΠΈΠ΅ΠΌ Π²ΡΠ΅ΠΌΠ΅Π½ΠΈ ΡΠΎΠ»ΡΠΊΠΎ Π·Π°ΠΌΠ΅ΡΠ½ΠΎ ΡΠ²Π΅Π»ΠΈΡΠΈΠ²Π°ΡΡΡΡ.
ΠΠ° Π½Π°ΠΈΠ±ΠΎΠ»Π΅Π΅ Π·Π°ΠΏΡΡΠ΅Π½Π½ΡΡ ΡΡΠ°Π΄ΠΈΡΡ ΡΠΌΠ°Π»Ρ ΠΏΠΎΡΠ°ΠΆΠ΅Π½Π½ΡΡ Π½Π΅ΠΊΡΠΎΠ·ΠΎΠΌ Π·ΡΠ±ΠΎΠ² ΡΡΠ°Π½ΠΎΠ²ΠΈΡΡΡ Π½Π°ΡΡΠΎΠ»ΡΠΊΠΎ ΡΠ»Π°Π±ΠΎΠΉ ΠΈ ΡΡΡ Π»ΠΎΠΉ, ΡΡΠΎ ΡΡΠ°Π½ΠΎΠ²ΠΈΡΡΡ Π²ΠΎΠ·ΠΌΠΎΠΆΠ½ΡΠΌ Π΅Π΅ Π±Π°Π½Π°Π»ΡΠ½ΠΎΠ΅ ΡΠΎΡΠΊΠ°Π±Π»ΠΈΠ²Π°Π½ΠΈΠ΅ ΡΠ°ΠΌΡΠΌΠΈ ΠΏΡΠΎΡΡΡΠΌΠΈ ΡΡΠΎΠΌΠ°ΡΠΎΠ»ΠΎΠ³ΠΈΡΠ΅ΡΠΊΠΈΠΌΠΈ ΠΈΠ½ΡΡΡΡΠΌΠ΅Π½ΡΠ°ΠΌΠΈ. ΠΡΠΎΠΌΠ΅ ΡΠΎΠ³ΠΎ Ρ ΠΏΠ°ΡΠΈΠ΅Π½ΡΠΎΠ² ΡΡΡΠ°Π΄Π°ΡΡΠΈΡ ΠΎΡ ΠΏΡΠΈΡΠ΅Π΅ΡΠ½ΠΎΠ³ΠΎ Π½Π΅ΠΊΡΠΎΠ·Π°, ΠΊΠ°ΠΊ ΠΏΡΠ°Π²ΠΈΠ»ΠΎ, ΡΡΠ°Π½ΠΎΠ²ΡΡΡΡ ΠΌΠ°ΠΊΡΠΈΠΌΠ°Π»ΡΠ½ΠΎ ΡΡΠ²ΡΡΠ²ΠΈΡΠ΅Π»ΡΠ½ΡΠΌΠΈ Π²ΡΠ΅.
ΠΡΠΈΡΠ΅ΠΌ ΠΏΠΎΠ²ΡΡΠ΅Π½Π½Π°Ρ ΡΡΠ²ΡΡΠ²ΠΈΡΠ΅Π»ΡΠ½ΠΎΡΡΡ ΡΠ°ΡΠΏΡΠΎΡΡΡΠ°Π½ΡΠ΅ΡΡΡ Π±ΡΠΊΠ²Π°Π»ΡΠ½ΠΎΠ½Π° Π²ΡΠ΅ ΠΈΠ· Π²ΠΈΠ΄ΠΎΠ² ΡΡΡΠ΅ΡΡΠ²ΡΡΡΠΈΡ ΡΠ°Π·Π΄ΡΠ°ΠΆΠΈΡΠ΅Π»Π΅ΠΉ: ΡΡΠΎ ΠΌΠΎΠΆΠ΅Ρ Π±ΡΡΡ Ρ ΠΎΠ»ΠΎΠ΄Π½Π°Ρ, ΡΠ»ΠΈΡΠΊΠΎΠΌ Π³ΠΎΡΡΡΠ°Ρ, ΡΠΎΠ»Π΅Π½Π°Ρ ΠΈΠ»ΠΈ ΡΡΠ΅Π·ΠΌΠ΅ΡΠ½ΠΎ ΠΊΠΈΡΠ»Π°Ρ ΠΏΠΈΡΠ°. Π‘ΡΠΈΡΠ°Π΅ΡΡΡ ΡΡΠΎ ΠΏΡΠΈ ΡΠ²ΠΎΠ΅Π²ΡΠ΅ΠΌΠ΅Π½Π½ΠΎΠΌ (ΡΠ°ΡΠ΅ ΡΡΠΎΡΠ½ΠΎΠΌ) ΠΎΠ±ΡΠ°ΡΠ΅Π½ΠΈΠΈ ΠΊ ΠΎΠΏΡΡΠ½ΠΎΠΌΡ ΡΡΠΎΠΌΠ°ΡΠΎΠ»ΠΎΠ³Ρ Π½Π΅ΠΊΡΠΎΡΠΈΡΠ΅ΡΠΊΠΈΠ΅ ΠΎΡΠ°Π³ΠΈ ΠΏΠΎΡΠ°ΠΆΠ΅Π½ΠΈΡ Π·ΡΠ±Π½ΠΎΠΉ ΡΠΌΠ°Π»ΠΈ ΡΠ΄Π°Π΅ΡΡΡ Π»ΠΈΠΊΠ²ΠΈΠ΄ΠΈΡΠΎΠ²Π°ΡΡ, ΡΠ΅ΠΌ ΡΠ°ΠΌΡΠΌ ΡΡΡΠ΅ΡΡΠ²Π΅Π½Π½ΠΎ ΡΠΎΡΠΌΠΎΠ·Ρ Π΄Π°Π»ΡΠ½Π΅ΠΉΡΠΈΠΉ ΠΏΡΠΎΠ³ΡΠ΅ΡΡ ΡΡΠΎΠ»Ρ Π½Π΅ΠΏΡΠΈΡΡΠ½ΠΎΠ³ΠΎ ΠΈ ΠΎΠΏΠ°ΡΠ½ΠΎΠ³ΠΎ Π·Π°Π±ΠΎΠ»Π΅Π²Π°Π½ΠΈΡ.

ΠΠΎ-Π²ΡΠΎΡΡΡ ΡΡΠΎ ΠΊΠΎΠ½Π΅ΡΠ½ΠΎ ΠΆΠ΅ ΠΌΠΎΠΆΠ΅Ρ Π±ΡΡΡ ΠΊΠΈΡΠ»ΠΎΡΠ½ΡΠΉ Π½Π΅ΠΊΡΠΎΠ·. Π’Π°ΠΊΠΎΠ΅ ΠΏΠΎΡΠ°ΠΆΠ΅Π½ΠΈΠ΅ ΡΠ²Π΅ΡΠ΄ΡΡ ΡΠΊΠ°Π½Π΅ΠΉ ΠΎΠΏΡΠ΅Π΄Π΅Π»Π΅Π½Π½ΡΡ Π·ΡΠ±ΠΎΠ² ΠΌΠΎΠΆΠ΅Ρ Π²ΠΎΠ·Π½ΠΈΠΊΠ°ΡΡ ΠΊΠ°ΠΊ ΡΠ΅Π·ΡΠ»ΡΡΠ°Ρ Π½Π΅ΠΊΠΎΠ³ΠΎΠΊΡΠ°ΠΉΠ½Π΅ Π°Π³ΡΠ΅ΡΡΠΈΠ²Π½ΠΎΠ³ΠΎ Π²ΠΎΠ·Π΄Π΅ΠΉΡΡΠ²ΠΈΡ Π½Π° Π·ΡΠ±Π½ΡΡ ΡΠΌΠ°Π»Ρ ΡΠ΅Ρ ΠΈΠ»ΠΈ ΠΈΠ½ΡΡ ΠΊΠΈΡΠ»ΠΎΡ Π° ΠΈΠ½ΠΎΠ³Π΄Π° ΠΈ ΡΠ΅Π»ΠΎΡΠ΅ΠΉ. ΠΡΠΈΠ½ΡΡΠΎ ΡΡΠΈΡΠ°ΡΡ, ΡΡΠΎ Π½Π° ΠΎΠΏΡΠ΅Π΄Π΅Π»Π΅Π½Π½ΡΡ ΠΏΡΠ΅Π΄ΠΏΡΠΈΡΡΠΈΡΡ ΡΠ²ΡΠ·Π°Π½Π½ΡΡ Ρ ΠΏΡΠΎΠΈΠ·Π²ΠΎΠ΄ΡΡΠ²ΠΎΠΌ ΠΊΠΈΡΠ»ΠΎΡ (Π»ΠΈΠ±ΠΎ ΠΆΠ΅ Π² ΠΈΠ½ΡΡ ΠΌΠ΅ΡΡΠ°Ρ , Π³Π΄Π΅ Π΅ΠΆΠ΅Π΄Π½Π΅Π²Π½ΠΎ ΠΈΡΠΏΠΎΠ»ΡΠ·ΡΡΡΡΡ ΡΠ΅ ΠΈΠ»ΠΈ ΠΈΠ½ΡΠ΅ ΠΊΠΈΡΠ»ΠΎΡΡ Π² ΠΊΡΡΠΏΠ½ΡΡ ΠΏΡΠΎΠΌΡΡΠ»Π΅Π½Π½ΡΡ ΠΌΠ°ΡΡΡΠ°Π±Π°Ρ ) Π½Π΅ΠΏΠΎΡΡΠ΅Π΄ΡΡΠ²Π΅Π½Π½ΠΎ Π² Π²ΠΎΠ·Π΄ΡΡ Π΅ ΠΌΠΎΠΆΠ΅Ρ ΡΠΊΠ°ΠΏΠ»ΠΈΠ²Π°ΡΡΡΡ ΠΎΠ³ΡΠΎΠΌΠ½ΠΎΠ΅ ΠΊΠΎΠ»ΠΈΡΠ΅ΡΡΠ²ΠΎ ΡΠ°ΠΊ Π½Π°Π·ΡΠ²Π°Π΅ΠΌΡΡ ΠΊΠΈΡΠ»ΠΎΡΠ½ΡΡ ΠΏΠ°ΡΠΎΠ².
Π‘ΠΎΠ±ΡΡΠ²Π΅Π½Π½ΠΎ ΡΠ°ΠΊΠΈΠ΅ Π²ΠΎΡ ΠΏΠ°ΡΡ ΡΠΏΠΎΡΠΎΠ±Π½Ρ Π΄ΠΎΠ²ΠΎΠ»ΡΠ½ΠΎ Π»Π΅Π³ΠΊΠΎ ΠΏΡΠΎΠ½ΠΈΠΊΠ°ΡΡ Π² ΡΠΎΡΠΎΠ²ΡΡ ΠΏΠΎΠ»ΠΎΡΡΡ, Π»ΡΠ±ΠΎΠ³ΠΎ ΡΠ΅Π»ΠΎΠ²Π΅ΠΊΠ°, Π΅ΠΆΠ΅Π΄Π½Π΅Π²Π½ΠΎ ΡΠ°Π±ΠΎΡΠ°ΡΡΠ΅Π³ΠΎ Π½Π° ΠΏΠΎΠ΄ΠΎΠ±Π½ΠΎΠΌ ΠΏΡΠ΅Π΄ΠΏΡΠΈΡΡΠΈΠΈ. ΠΠ°Π»Π΅Π΅ ΠΏΠΎΡΠ»Π΅ ΠΏΠ΅ΡΠ²ΠΈΡΠ½ΠΎΠ³ΠΎ ΠΏΠΎΠΏΠ°Π΄Π°Π½ΠΈΡ Π² ΠΏΠΎΠ»ΠΎΡΡΡ ΡΡΠ° ΠΊΠΈΡΠ»ΠΎΡΠ½ΡΠ΅ ΠΏΠ°ΡΡ ΡΠΌΠ΅ΡΠΈΠ²Π°ΡΡΡΡ (ΠΏΡΠΈΡΠ΅ΠΌ Π΄ΠΎΠ²ΠΎΠ»ΡΠ½ΠΎ Π»Π΅Π³ΠΊΠΎ) ΡΠΎ ΡΠ»ΡΠ½ΠΎΠΉ, ΡΠ΅ΠΌ ΡΠ°ΠΌΡΠΌ Π΄Π΅Π»Π°Ρ Π΅Π΅ ΠΎΡΡΡΠΎ ΠΊΠΈΡΠ»ΠΎΠΉ. ΠΠ°ΠΊ ΡΠ΅Π·ΡΠ»ΡΡΠ°Ρ ΠΊΠΈΡΠ»ΠΎΡΠ½Π°Ρ ΡΠ»ΡΠ½Π° ΠΏΠΎΡΡΠ΅ΠΏΠ΅Π½Π½ΠΎ Π½Π°ΡΠΈΠ½Π°Π΅Ρ ΡΠ°Π·ΡΡΡΠ°ΡΡ ΡΠΌΠ°Π»Ρ Π·ΡΠ±ΠΎΠ², Π΅ΠΆΠ΅Π΄Π½Π΅Π²Π½ΠΎ Π²ΡΠΌΡΠ²Π°Ρ ΠΈΠ· ΡΠ°ΠΊΠΎΠ²ΡΡ ΠΊΠ°Π»ΡΡΠΈΠΉ.
ΠΠ°ΠΈΠ±ΠΎΠ»Π΅Π΅ ΠΎΠΏΠ°ΡΠ½ΡΠΌΠΈ Π΄Π»Ρ Π·ΡΠ±Π½ΠΎΠΉ ΡΠΌΠ°Π»ΠΈ ΠΏΡΠΈΠ½ΡΡΠΎ ΡΡΠΈΡΠ°ΡΡ Π°Π·ΠΎΡΠ½ΡΡ, ΡΠ΅ΡΠ½ΡΡ, Π° ΡΠ°ΠΊ ΠΆΠ΅ ΡΠΊΡΡΡΠ½ΡΡ, ΠΌΠΎΠ»ΠΎΡΠ½ΡΡ ΠΈ ΠΊΠΎΠ½Π΅ΡΠ½ΠΎ ΠΎΡΡΠΎΡΠΎΡΡΠΎΡΠ½ΡΡ ΠΊΠΈΡΠ»ΠΎΡΡ. ΠΠ΅ ΠΌΠ΅Π½Π΅Π΅ ΠΎΠΏΠ°ΡΠ½ΡΠΌΠΈ Π² ΡΡΠΎΠΌ ΡΠΌΡΡΠ»Π΅, ΠΌΠΎΠ³ΡΡ ΠΎΠΊΠ°Π·ΡΠ²Π°ΡΡΡΡ ΠΈ Π½Π΅ΠΊΠΎΡΠΎΡΡΠ΅ ΡΠ΅Π»ΠΎΡΠΈ.
Π§Π°ΡΠ΅ Π²ΡΠ΅Π³ΠΎ ΠΊΠΈΡΠ»ΠΎΡΠ½ΡΠΉ Π²Π°ΡΠΈΠ°Π½Ρ Π·Π°Π±ΠΎΠ»Π΅Π²Π°Π½ΠΈΡ Ρ Π°ΡΠ°ΠΊΡΠ΅ΡΠΈΠ·ΡΠ΅ΡΡΡ ΠΆΠ°Π»ΠΎΠ±Π°ΠΌΠΈ Π±ΠΎΠ»ΡΠ½ΡΡ Π½Π° ΡΡΠ΅Π·ΠΌΠ΅ΡΠ½ΠΎ ΠΏΠΎΠ²ΡΡΠ΅Π½Π½ΡΡ ΡΡΠ²ΡΡΠ²ΠΈΡΠ΅Π»ΡΠ½ΠΎΡΡΡ ΡΠΌΠ°Π»ΠΈ Π·ΡΠ±ΠΎΠ². ΠΠ° Π½Π΅ΡΡΠ΅ΡΠΏΠΈΠΌΡΡ Π±ΠΎΠ»Ρ ΠΏΡΠΈ Π²ΠΎΠ·Π΄Π΅ΠΉΡΡΠ²ΠΈΠΈΠ΄Π°ΠΆΠ΅ ΠΌΠΈΠ½ΠΈΠΌΠ°Π»ΡΠ½ΡΡ ΡΠ΅ΠΌΠΏΠ΅ΡΠ°ΡΡΡΠ½ΡΡ Π»ΠΈΠ±ΠΎ ΠΆΠ΅ ΠΌΠ΅Ρ Π°Π½ΠΈΡΠ΅ΡΠΊΠΈΡ Π²Π½Π΅ΡΠ½ΠΈΡ ΡΠ°Π·Π΄ΡΠ°ΠΆΠΈΡΠ΅Π»Π΅ΠΉ. Π Π½Π΅ΠΊΠΎΡΠΎΡΡΡ ΡΠ»ΡΡΠ°ΡΡ Π·Π°Π±ΠΎΠ»Π΅Π²Π°Π½ΠΈΠ΅ ΡΠΎΠΏΡΠΎΠ²ΠΎΠΆΠ΄Π°Π΅ΡΡΡ Π²ΠΎΠ·Π½ΠΈΠΊΠ½ΠΎΠ²Π΅Π½ΠΈΠ΅ΠΌ ΡΡΠ²ΡΡΠ²Π° ΡΠ»ΠΈΠΏΠ°Π½ΠΈΡ ΡΠ°ΠΌΠΈΡ Π·ΡΠ±ΠΎΠ² Π½Π΅ΠΏΠΎΡΡΠ΅Π΄ΡΡΠ²Π΅Π½Π½ΠΎ ΠΏΡΠΈ ΠΈΡ ΠΏΡΠΈΠ²ΡΡΠ½ΠΎΠΌ ΡΠΌΡΠΊΠ°Π½ΠΈΠΈ.
Π§Π°ΡΡΠΎ ΠΏΡΠΈ ΠΏΡΠΎΠ³ΡΠ΅ΡΡΠΈΡΠΎΠ²Π°Π½ΠΈΠΈ Π΄Π°Π½Π½ΠΎΠ³ΠΎ Π·Π°Π±ΠΎΠ»Π΅Π²Π°Π½ΠΈΡ ΡΠΌΠ°Π»Ρ ΠΌΠΎΠΆΠ΅Ρ ΡΡΠ°Π½ΠΎΠ²ΠΈΡΡΡΡ ΠΎΡΠΊΡΠΎΠ²Π΅Π½Π½ΠΎ ΡΠ΅ΡΠΎΡ ΠΎΠ²Π°ΡΠΎΠΉ ΠΎΠ½Π° Π² ΠΎΡΠ΄Π΅Π»ΡΠ½ΡΡ ΡΠ»ΡΡΠ°ΡΡ ΠΌΠΎΠΆΠ΅Ρ ΠΏΡΠΈΠΎΠ±ΡΠ΅ΡΠ°ΡΡ Π½Π΅ΠΏΡΠΈΡΡΠ½ΡΠΉ ΡΠ΅ΡΠΎΠ²Π°ΡΡΠΉ ΠΎΡΡΠ΅Π½ΠΎΠΊ. ΠΠ°ΠΊ ΠΏΡΠ°Π²ΠΈΠ»ΠΎ Π² Π΄Π°Π»ΡΠ½Π΅ΠΉΡΠ΅ΠΌ ΠΌΠΎΠΆΠ΅Ρ ΠΏΡΠΎΠΈΡΡ ΠΎΠ΄ΠΈΡΡ Π΄ΠΎΠ²ΠΎΠ»ΡΠ½ΠΎ Π±ΡΡΡΡΠΎΠ΅ΡΡΠΈΡΠ°Π½ΠΈΠ΅ ΡΠ°ΠΌΠΎΠΉΠΏΠΎΠ²Π΅ΡΡ Π½ΠΎΡΡΠΈ Π·ΡΠ±ΠΎΠ². ΠΠΎΡΠ»Π΅ ΡΠ΅Π³ΠΎ Π½Π°Π±Π»ΡΠ΄Π°Π΅ΡΡΡ Π½Π΅ΠΊΠΎΡΠΎΡΠΎΠ΅ ΡΠΊΠΎΡΠΎΡΠ΅Π½ΠΈΠ΅ ΠΈ Π΄Π°ΠΆΠ΅ ΡΠ°Π·ΡΡΡΠ΅Π½ΠΈΠ΅Π·ΡΠ±Π½ΡΡ ΠΊΠΎΡΠΎΠ½ΠΎΠΊ ΠΏΡΠΈΡΠ΅ΠΌ ΡΠ°Π·ΡΡΡΠ΅Π½ΠΈΠ΅ ΠΌΠΎΠΆΠ΅Ρ Π±ΡΡΡ Π²ΠΏΠ»ΠΎΡΡ Π΄ΠΎ Π±Π»ΠΈΠΆΠ°ΠΉΡΠ΅Π³ΠΎ Π΄Π΅ΡΠ΅Π½Π½ΠΎΠ³ΠΎ ΠΊΡΠ°Ρ.
Π‘ΠΈΠΌΠΏΡΠΎΠΌΡ
ΠΠ»ΠΈΠ½ΠΈΡΠ΅ΡΠΊΠΈ ΠΏΡΠΎΡΠ²Π»Π΅Π½ΠΈΠ΅ Π½Π΅ΠΊΡΠΎΡΠΈΡΠ΅ΡΠΊΠΎΠ³ΠΎ ΠΏΠΎΡΠ°ΠΆΠ΅Π½ΠΈΡ Π·ΡΠ±Π½ΡΡ ΡΠΊΠ°Π½Π΅ΠΉΠΌΠΎΠΆΠ΅Ρ Π½Π°ΡΠΈΠ½Π°ΡΡΡΡ Ρ ΠΏΡΠΎΡΡΠΎΠΉ ΠΏΠΎΡΠ΅ΡΠΈ Π±Π»Π΅ΡΠΊΠ° ΠΈ Π³Π»Π°Π΄ΠΊΠΎΡΡΠΈ ΡΠΌΠ°Π»ΠΈ. ΠΠ΅ΡΠ²ΠΈΡΠ½ΡΠΌ ΡΠΈΠΌΠΏΡΠΎΠΌΠΎΠΌ Π½Π΅ΠΊΡΠΎΠ·Π° ΠΌΠΎΠΆΠ½ΠΎ Π½Π°Π·Π²Π°ΡΡ ΠΎΠ±ΡΠ°Π·ΠΎΠ²Π°Π½ΠΈΠ΅ Π½Π° Π·ΡΠ±Π°Ρ Π½Π΅Π±ΠΎΠ»ΡΡΠΈΡ ΠΌΠ΅Π»ΠΎΠ²ΠΈΠ΄Π½ΡΡ ΠΏΡΡΠ΅Π½, Ρ ΡΠ΅ΡΠ΅Π½ΠΈΠ΅ΠΌ Π²ΡΠ΅ΠΌΠ΅Π½ΠΈ ΡΠ°ΠΊΠΈΠ΅ ΠΏΡΡΠ½Π° ΠΎΠ±ΡΡΠ½ΠΎ ΠΌΠ΅Π½ΡΡΡ ΡΠ²Π΅Ρ ΠΎΠ½ΠΈ ΠΌΠΎΠ³ΡΡ ΡΡΠ°Π½ΠΎΠ²ΠΈΡΡΡΡ Π΄Π°ΠΆΠ΅ ΡΠ΅ΠΌΠ½ΠΎ-ΠΊΠΎΡΠΈΡΠ½Π΅Π²ΡΠΌΠΈ.
ΠΠ°ΠΊ ΠΏΡΠ°Π²ΠΈΠ»ΠΎ Π² ΡΠ΅Π½ΡΡΠ΅ ΠΏΠ°ΡΠΎΠ»ΠΎΠ³ΠΈΡΠ΅ΡΠΊΠΎΠ³ΠΎ ΠΎΡΠ°Π³Π° ΠΏΠΎΡΠ°ΠΆΠ΅Π½ΠΈΡ ΠΌΠΎΠΆΠ΅Ρ Π½Π°Π±Π»ΡΠ΄Π°ΡΡΡΡ Π½Π΅ΠΊΠΎΡΠΎΡΠΎΠ΅ ΡΠ°Π·ΠΌΡΠ³ΡΠ΅Π½ΠΈΠ΅ ΡΠΊΠ°Π½Π΅ΠΉ Π·ΡΠ±Π° ΠΈ ΠΎΠ±ΡΠ°Π·ΠΎΠ²Π°Π½ΠΈΠ΅ ΡΠΎΠ³ΠΎ ΠΈΠ»ΠΈ ΠΈΠ½ΠΎΠ³ΠΎ Π΄Π΅ΡΠ΅ΠΊΡΠ°. ΠΡΠΌΠ΅ΡΠΈΠΌ ΡΡΠΎ ΠΏΡΠΈ ΡΡΠΎΠΌ ΡΠ°ΠΌΠ° ΡΠΌΠ°Π»Ρ ΠΌΠΎΠΆΠ΅Ρ ΡΡΠ°Π½ΠΎΠ²ΠΈΡΡΡΡ ΡΡΠ΅Π·Π²ΡΡΠ°ΠΉΠ½ΠΎ Ρ ΡΡΠΏΠΊΠΎΠΉ, ΠΈ Π΄Π°ΠΆΠ΅ Π»Π΅Π³ΠΊΠΎ ΠΎΡΠΊΠ°Π»ΡΠ²Π°Π΅ΡΡΡ ΠΏΡΠΈ ΠΏΠΎΠΌΠΎΡΠΈ ΡΡΠΎΠΌΠ°ΡΠΎΠ»ΠΎΠ³ΠΈΡΠ΅ΡΠΊΠΎΠ³ΠΎ ΡΠΊΡΠΊΠ°Π²Π°ΡΠΎΡΠΎΠΌ. Π§Π°ΡΡΠΎ ΠΏΡΠΈ Π½Π΅ΠΊΡΠΎΠ·Π΅ Π΄Π΅Π½ΡΠΈΠ½ ΡΠ°ΠΊΠΆΠ΅ ΡΠΈΠ»ΡΠ½ΠΎ ΠΏΠΈΠ³ΠΌΠ΅Π½ΡΠΈΡΡΠ΅ΡΡΡ.

ΠΠ°Π΄ΠΎ ΡΠΊΠ°Π·Π°ΡΡ ΡΡΠΎ ΠΎΠ±ΡΡΠ½ΠΎ Π½Π΅ΠΊΡΠΎΠ·ΠΎΠΌ ΠΌΠΎΠΆΠ΅Ρ ΠΏΠΎΡΠ°ΠΆΠ°ΡΡΡΡ Π΄ΠΎΠ²ΠΎΠ»ΡΠ½ΠΎ ΠΌΠ½ΠΎΠ³ΠΎ Π·ΡΠ±ΠΎΠ². ΠΡΠΈ ΡΠ°ΠΊΠΎΠΌ ΠΏΠΎΡΠ°ΠΆΠ΅Π½ΠΈΠΈ Π±ΠΎΠ»ΡΠ½ΡΠ΅ Π²ΡΠ΅Π³Π΄Π° ΠΆΠ°Π»ΡΡΡΡΡ Π½Π° ΡΡΡΠ΅ΡΡΠ²Π΅Π½Π½ΡΠ΅ Π±ΠΎΠ»ΠΈ, ΠΊΠΎΡΠΎΡΡΠ΅ Π²ΠΎΠ·Π½ΠΈΠΊΠ°ΡΡ ΠΏΡΠΈ ΠΌΠ°Π»Π΅ΠΉΡΠ΅ΠΌ Π²ΠΎΠ·Π΄Π΅ΠΉΡΡΠ²ΠΈΠΈ Π½Π° Π·ΡΠ± ΡΠ΅ΠΌΠΏΠ΅ΡΠ°ΡΡΡΠ½ΡΡ , ΡΠ»Π΅ΠΌΠ΅Π½ΡΠ°ΡΠ½ΡΡ ΠΌΠ΅Ρ Π°Π½ΠΈΡΠ΅ΡΠΊΠΈΡ ΠΈΠ»ΠΈ ΠΆΠ΅ Ρ ΠΈΠΌΠΈΡΠ΅ΡΠΊΠΈΡ Π²Π½Π΅ΡΠ½ΠΈΡ ΡΠ°Π·Π΄ΡΠ°ΠΆΠΈΡΠ΅Π»Π΅ΠΉ. Π’Π°ΠΊΠΈΠ΅ Π±ΠΎΠ»ΠΈ ΡΠ°ΡΡΠΎ ΠΎΡΠ΅Π½Ρ Π±ΡΡΡΡΠΎ ΠΏΡΠΎΡ ΠΎΠ΄ΠΈΡΡ Π±ΡΠΊΠ²Π°Π»ΡΠ½ΠΎ ΡΡΠ°Π·Ρ ΠΆΠ΅ ΠΏΠΎΡΠ»Π΅ ΡΡΡΡΠ°Π½Π΅Π½ΠΈΡ ΡΠ°ΠΌΠΎΠ³ΠΎ ΡΠ°Π·Π΄ΡΠ°ΠΆΠΈΡΠ΅Π»Ρ.
ΠΡΠΈΠ½ΡΡΠΎ ΡΡΠΈΡΠ°ΡΡ, ΡΡΠΎ ΠΏΠΎΠ΄ΠΎΠ±Π½ΡΠ΅ Π½Π΅Π³Π°ΡΠΈΠ²Π½ΡΠ΅ ΠΏΡΠΎΡΠ²Π»Π΅Π½ΠΈΡ ΠΌΠΎΠ³ΡΡ Π²ΠΎΠ·Π½ΠΈΠΊΠ°ΡΡ Π½Π° ΡΠΎΠ½Π΅ ΡΠ΅Ρ ΠΈΠ»ΠΈ ΠΈΠ½ΡΡ Π½Π°ΡΡΡΠ΅Π½ΠΈΠΉ ΠΈΠ»ΠΈ ΠΏΠ΅ΡΠ΅ΡΡΡΠΎΠ΅ΠΊ ΡΡΠ°Π½Π΄Π°ΡΡΠ½ΡΡ ΡΡΠ½ΠΊΡΠΈΠΉ Π½Π°ΡΠΈΡ ΠΆΠ΅Π»Π΅Π· Π²Π½ΡΡΡΠ΅Π½Π½Π΅ΠΉ ΡΠ΅ΠΊΡΠ΅ΡΠΈΠΈ (ΡΠ΅ΡΡ ΠΏΡΠ΅ΠΆΠ΄Π΅ Π²ΡΠ΅Π³ΠΎ ΠΎ ΡΠ°Π±ΠΎΡΠ΅ ΡΠΈΡΠΎΠ²ΠΈΠ΄Π½ΠΎΠΉ ΠΆΠ΅Π»Π΅Π·Ρ, ΠΈ ΠΏΠΎΠ»ΠΎΠ²ΡΡ ΠΆΠ΅Π»Π΅Π·). Π§Π°ΡΡΠΎ Π½Π΅ΠΊΡΠΎΠ· Π²ΠΎΠ·Π½ΠΈΠΊΠ°Π΅Ρ Π² ΠΏΠ΅ΡΠΈΠΎΠ΄ Π½Π°ΡΡΡΠΏΠΈΠ²ΡΠ΅ΠΉ Π±Π΅ΡΠ΅ΠΌΠ΅Π½Π½ΠΎΡΡΠΈ, Π² ΠΏΠ΅ΡΠΈΠΎΠ΄ ΠΏΠΎΠ»ΠΎΠ²ΠΎΠ³ΠΎ ΡΠΎΠ·ΡΠ΅Π²Π°Π½ΠΈΡ ΠΈ ΠΏΡ.
ΠΠ»Ρ Π΄Π°Π½Π½ΠΎΠ³ΠΎ Π·Π°Π±ΠΎΠ»Π΅Π²Π°Π½ΠΈΡ Ρ Π°ΡΠ°ΠΊΡΠ΅ΡΠ½ΠΎ ΠΎΠ±ΡΠ°Π·ΠΎΠ²Π°Π½ΠΈΠ΅ ΠΎΠ³ΡΠ°Π½ΠΈΡΠ΅Π½Π½ΡΡ ΠΎΡΠ°Π³ΠΎΠ² Π½Π΅ΠΊΡΠΎΠ·Π° Π·ΡΠ±Π½ΠΎΠΉ ΡΠΊΠ°Π½ΠΈ Π½Π΅ΠΏΠΎΡΡΠ΅Π΄ΡΡΠ²Π΅Π½Π½ΠΎ Π½Π° Π²Π΅ΡΡΠΈΠ±ΡΠ»ΡΡΠ½ΠΎΠΉ ΠΏΠΎΠ²Π΅ΡΡ Π½ΠΎΡΡΠΈ, Π° ΡΠ°ΠΊ ΠΆΠ΅ Π² ΠΎΠ±Π»Π°ΡΡΠΈ ΡΠ΅Π΅ΠΊ Π·ΡΠ±ΠΎΠ² (ΡΠ°ΡΠ΅ ΡΠ΅Π·ΡΠΎΠ², ΠΊΠ»ΡΠΊΠΎΠ², Π»ΠΈΠ±ΠΎ ΠΆΠ΅ ΠΌΠ°Π»ΡΡ ΠΊΠΎΡΠ΅Π½Π½ΡΡ Π·ΡΠ±ΠΎΠ²). ΠΡΠΌΠ΅ΡΠΈΠΌ ΡΡΠΎ Π½Π΅ΠΊΡΠΎΠ· Π±ΠΎΠ»ΡΡΠΈΡ ΠΊΠΎΡΠ΅Π½Π½ΡΡ Π·ΡΠ±ΠΎΠ² ΠΌΠΎΠΆΠ΅Ρ Π²ΡΡΡΠ΅ΡΠ°ΡΡΡΡ Π½ΠΎ Π²ΡΠ΅ ΠΆΠ΅ Π·Π½Π°ΡΠΈΡΠ΅Π»ΡΠ½ΠΎ ΡΠ΅ΠΆΠ΅.

ΠΠ°ΠΊ ΠΏΡΠ°Π²ΠΈΠ»ΠΎ Π΄Π»Ρ ΠΏΡΠΈΡΠ΅Π΅ΡΠ½ΠΎΠ³ΠΎ Π½Π΅ΠΊΡΠΎΠ·Π° Π±ΡΠ΄Π΅Ρ Ρ Π°ΡΠ°ΠΊΡΠ΅ΡΠ½ΠΎ Π΄ΠΎΠ²ΠΎΠ»ΡΠ½ΠΎ Π±ΡΡΡΡΠΎΠ΅ ΠΏΠΎΡΠ²Π»Π΅Π½ΠΈΠ΅ ΠΎΡΠ΅Π½Ρ ΡΠΏΠ΅ΡΠΈΡΠΈΡΠ΅ΡΠΊΠΈΡ (ΡΠΈΠΏΠΈΡΠ½ΡΡ ) Π·ΠΎΠ½ ΡΠ°ΠΊ Π½Π°Π·ΡΠ²Π°Π΅ΠΌΠΎΠΉ ΠΏΠΎΠ²Π΅ΡΡ Π½ΠΎΡΡΠ½ΠΎΠΉ Π΄Π΅ΠΌΠΈΠ½Π΅ΡΠ°Π»ΠΈΠ·Π°ΡΠΈΠΈ. ΠΠ΄Π½Π°ΠΊΠΎ ΠΆΠ΅ ΠΏΡΠΈ ΠΈΠ·ΡΡΠ΅Π½ΠΈΠΈ ΠΊΠΎΠ½ΠΊΡΠ΅ΡΠ½ΡΡ ΡΠ»ΠΈΡΠΎΠ² Π·ΡΠ±ΠΎΠ²,ΠΈΠΌΠ΅ΡΡΠΈΡ Π±Π΅Π»Π΅ΡΡΠ΅ ΠΏΡΡΠ½Π°, ΠΏΡΠΈ ΠΈΡ ΠΏΠΎΠ»ΡΡΠΈΠ·Π°ΡΠΈΠΎΠ½Π½ΠΎΠΉ ΠΌΠΈΠΊΡΠΎΡΠΊΠΎΠΏΠΈΠΈ ΠΌΠ΅Π΄ΠΈΠΊΠΈ ΠΎΠ±ΡΡΠ½ΠΎ Π½Π°Ρ ΠΎΠ΄ΡΡ ΡΡΠΊΠΎ Π²ΡΡΠ°ΠΆΠ΅Π½Π½ΡΠ΅ ΠΏΠΎΠ΄ΠΏΠΎΠ²Π΅ΡΡ Π½ΠΎΡΡΠ½ΡΠ΅ ΠΈΠ·ΠΌΠ΅Π½Π΅Π½ΠΈΡ Π½Π΅ ΡΠΌΠΎΡΡΡ Π½Π° ΡΠΎ ΡΡΠΎ Π½Π°ΡΡΠΆΠ½ΡΠΉ ΡΠ»ΠΎΠΉ ΡΠΌΠ°Π»ΠΈ, ΠΎΡΡΠ°Π΅ΡΡΡ ΠΏΡΠ΅ΠΊΡΠ°ΡΠ½ΠΎ ΡΠΎΡ ΡΠ°Π½ΠΈΠ²ΡΠΈΠΌΡΡ.
Π ΡΠ°ΠΊΠΈΡ ΡΠ»ΡΡΠ°ΡΡ Π²ΡΠ°ΡΠ°ΠΌ ΠΏΡΠ΅ΠΊΡΠ°ΡΠ½ΠΎ Π²ΠΈΠ΄Π½Ρ ΡΠ°ΠΊ Π½Π°Π·ΡΠ²Π°Π΅ΠΌΡΠ΅ Π»ΠΈΠ½ΠΈΠΈ Π Π΅ΡΡΠΈΡΡΠ°, ΠΌΠΎΠΆΠ΅Ρ Π»Π΅Π³ΠΊΠΎ ΠΎΠΏΡΠ΅Π΄Π΅Π»ΡΡΡΡΡ ΡΠ΅Π½ΡΡΠ°Π»ΡΠ½Π°Ρ Π·Π°ΡΠ΅ΠΌΠ½Π΅Π½Π½Π°Ρ Π·ΠΎΠ½Π° ΠΈΠΌΠ΅ΡΡΠ°Ρ Π±ΠΎΠ»Π΅Π΅ ΡΠ²Π΅ΡΠ»ΡΠ΅ ΡΡΠ°ΡΡΠΊΠΈ ΠΏΠΎ ΠΏΠ΅ΡΠΈΡΠ΅ΡΠΈΠΈ. ΠΠ΅ΠΊΠΎΡΠΎΡΡΠ΅ Π°Π²ΡΠΎΡΡ ΡΡΠ²Π΅ΡΠΆΠ΄Π°ΡΡ, ΡΡΠΎ ΡΡΠΎ ΡΠΎΠ±ΡΡΠ²Π΅Π½Π½ΠΎ ΠΈ Π΅ΡΡΡ ΠΎΡΠ½ΠΎΠ²Π½ΡΠ΅ Ρ Π°ΡΠ°ΠΊΡΠ΅ΡΠ½ΡΠ΅ ΡΠΈΠΌΠΏΡΠΎΠΌΡ ΠΈ ΠΏΡΠΈΠ·Π½Π°ΠΊΠΈ Π΄Π»Ρ Π»ΡΠ±ΠΎΠ³ΠΎ ΠΊΠ°ΡΠΈΠΎΠ·Π½ΠΎΠ³ΠΎ ΠΏΠΎΡΠ°ΠΆΠ΅Π½ΠΈΡ. Π Π½Π° ΡΠ°ΠΊΠΎΠΌ ΠΎΡΠ½ΠΎΠ²Π°Π½ΠΈΠΈ ΡΡΠΈΡΠ°ΡΡ, ΡΡΠΎ Π½Π΅ΠΊΡΠΎΡΠΈΡΠ΅ΡΠΊΠΎΠ΅ ΠΏΠΎΡΠ°ΠΆΠ΅Π½ΠΈΠ΅ ΡΠΌΠ°Π»ΠΈ ΡΠ²Π»ΡΠ΅ΡΡΡ Π½Π΅ ΡΠ΅ΠΌ ΠΈΠ½ΡΠΌ, ΠΊΠ°ΠΊ Π½Π΅Π²Π΅ΡΠΎΡΡΠ½ΠΎ Π±ΡΡΡΡΠΎ ΠΏΡΠΎΠ³ΡΠ΅ΡΡΠΈΡΡΡΡΠΈΠΌ ΠΊΠ°ΡΠΈΠΎΠ·Π½ΡΠΌ ΠΏΡΠΎΡΠ΅ΡΡΠΎΠΌ.
ΠΠΈΠ°Π³Π½ΠΎΡΡΠΈΠΊΠ°
ΠΠΈΠ°Π³Π½ΠΎΡΡΠΈΡΠΎΠ²Π°ΡΡ Π΄Π°Π½Π½ΠΎΠ΅ Π·Π°Π±ΠΎΠ»Π΅Π²Π°Π½ΠΈΠ΅ Π±ΡΠ²Π°Π΅Ρ Π½Π΅ ΡΠ»ΠΎΠΆΠ½ΠΎ. ΠΡΠΈΡΠ΅ΠΌ ΠΏΡΠΎΠΈΡΡ ΠΎΠ΄ΠΈΡ ΡΠ°ΠΊΠ°Ρ Π΄ΠΈΠ°Π³Π½ΠΎΡΡΠΈΠΊΠ° ΠΊΠ°ΠΊ ΠΏΡΠ°Π²ΠΈΠ»ΠΎ Π² ΠΎΠ±ΡΡΠ½ΠΎΠΌ ΠΊΡΠ΅ΡΠ»Π΅ ΡΡΠΎΠΌΠ°ΡΠΎΠ»ΠΎΠ³Π°.
Π’Π΅ΠΌ Π½Π΅ ΠΌΠ΅Π½Π΅Π΅ ΡΠ΅Π·Π²ΠΈΠ²ΡΠΈΠΉΡΡ, ΠΏΡΠΈΡΠ΅Π΅ΡΠ½ΠΎΠ³ΠΎ ΡΠΈΠΏΠ°, Π½Π΅ΠΊΡΠΎΠ·Π·ΡΠ±Π½ΠΎΠΉ ΡΠΌΠ°Π»ΠΈ Π²ΡΠ΅Π³Π΄Π° ΡΠ»Π΅Π΄ΡΠ΅Ρ ΡΠ΅ΡΠΊΠΎ Π΄ΠΈΡΡΠ΅ΡΠ΅Π½ΡΠΈΡΠΎΠ²Π°ΡΡ ΠΎΡ Π½Π°ΠΈΠ±ΠΎΠ»Π΅Π΅ Π²ΡΡΠ°ΠΆΠ΅Π½Π½ΡΡ (ΠΈΠ»ΠΈ Π·Π°ΠΏΡΡΠ΅Π½Π½ΡΡ ) ΡΡΠ°Π΄ΠΈΠΉ ΡΠ°ΠΊ Π½Π°Π·ΡΠ²Π°Π΅ΠΌΠΎΠ³ΠΎ ΠΊΠ»ΠΈΠ½ΠΎΠ²ΠΈΠ΄Π½ΠΎΠ³ΠΎ Π΄Π΅ΡΠ΅ΠΊΡΠ°,Π° ΠΊΡΠΎΠΌΠ΅ ΡΠΎΠ³ΠΎ ΠΎΡ Π·Π°ΠΏΡΡΠ΅Π½Π½ΡΡ Π·ΡΠ±Π½ΡΡ ΡΡΠΎΠ·ΠΈΠΉ.

Π‘Π»Π΅Π΄ΡΠ΅Ρ ΡΠΊΠ°Π·Π°ΡΡ, ΡΡΠΎ Π΄Π°Π½Π½ΡΠ΅ Π·Π°Π±ΠΎΠ»Π΅Π²Π°Π½ΠΈΡ ΡΠ°ΡΠ΅ Π²ΡΠ΅Π³ΠΎ ΠΈΠΌΠ΅ΡΡ ΡΠ΅Π°Π»ΡΠ½ΠΎΠ΅ ΡΡ ΠΎΠ΄ΡΡΠ²ΠΎ ΠΈΡΠΊΠ»ΡΡΠΈΡΠ΅Π»ΡΠ½ΠΎ Π² ΡΠ²ΠΎΠ΅ΠΉ Π»ΠΎΠΊΠ°Π»ΠΈΠ·Π°ΡΠΈΠΈ ΠΎΡΠ΄Π΅Π»ΡΠ½ΡΡ ΡΠ»Π΅ΠΌΠ΅Π½ΡΠΎΠ² ΠΏΠΎΡΠ°ΠΆΠ΅Π½ΠΈΡ. Π ΠΈΠΌΠ΅Π½Π½ΠΎ Π»ΠΎΠΊΠ°Π»ΠΈΠ·Π°ΡΠΈΡ Π½Π° ΡΠ΅ΠΉΠΊΠ΅ ΠΊΠΎΠ½ΠΊΡΠ΅ΡΠ½ΠΎΠ³ΠΎ Π·ΡΠ±Π° ΠΈΠ»ΠΈ ΠΆΠ΅ ΠΏΡΠΎΡΡΠΎ Π²Π±Π»ΠΈΠ·ΠΈ Π½Π΅Π΅. ΠΡΠΈ ΡΡΠΎΠΌ Π²Π½Π΅ΡΠ½ΠΈΠΉ Π²ΠΈΠ΄ ΠΊΠΎΠ½ΠΊΡΠ΅ΡΠ½ΡΡ ΠΎΡΠ°Π³ΠΎΠ² ΠΏΠ°ΡΠΎΠ»ΠΎΠ³ΠΈΡΠ΅ΡΠΊΠΎΠ³ΠΎ ΠΏΠΎΡΠ°ΠΆΠ΅Π½ΠΈΡ, ΠΈΠΌΠ΅Π΅ΡΡΡ Π² Π²ΠΈΠ΄Ρ, ΠΏΡΠΈ ΡΡΠ΅Ρ ΠΎΠΏΠΈΡΠ°Π½Π½ΡΡ Π²ΠΈΠ΄Π°Ρ ΠΏΠ°ΡΠΎΠ»ΠΎΠ³ΠΈΠΈ ΠΎΠ±ΡΠ·Π°ΡΠ΅Π»ΡΠ½ΠΎ Π±ΡΠ΄Π΅Ρ ΠΈΠΌΠ΅ΡΡ ΡΡΡΠ΅ΡΡΠ²Π΅Π½Π½ΡΠ΅ ΠΈ ΡΡΡΠΎΠ³ΠΎ Ρ Π°ΡΠ°ΠΊΡΠ΅ΡΠ½ΡΠ΅ ΡΠΎΠΌΡ ΠΈΠ»ΠΈ ΠΈΠ½ΠΎΠΌΡ Π·Π°Π±ΠΎΠ»Π΅Π²Π°Π½ΠΈΡ ΠΎΡΠΎΠ±Π΅Π½Π½ΠΎΡΡΠΈ.
ΠΡΠΎΡΠΈΠ»Π°ΠΊΡΠΈΠΊΠ°
Π‘ΡΠΈΡΠ°Π΅ΡΡΡ, ΡΡΠΎ ΠΌΠ΅ΡΡ ΠΏΡΠΎΡΠΈΠ»Π°ΠΊΡΠΈΠΊΠΈ ΡΠ°Π·Π»ΠΈΡΠ½ΡΡ ΡΠΎΡΠΌ Π½Π΅ΠΊΡΠΎΡΠΈΡΠ΅ΡΠΊΠΎΠ³ΠΎ ΠΏΠΎΡΠ°ΠΆΠ΅Π½ΠΈΡ (ΠΠ΅ΠΊΡΠΎΠ·Π°) ΡΠ²Π΅ΡΠ΄ΡΡ ΡΠΊΠ°Π½Π΅ΠΉ Π·ΡΠ±ΠΎΠ² ΠΌΠΎΠ³ΡΡ Π±ΡΡΡ Π½Π΅ΡΠΊΠΎΠ»ΡΠΊΠΎ ΡΠ°Π·Π»ΠΈΡΠ½ΡΠΌΠΈ ΠΈ Π·Π°Π²ΠΈΡΠ΅ΡΡ ΠΎΡ ΡΠΎΠ³ΠΎ ΠΊΠ°ΠΊΠ°Ρ ΠΈΠ· ΡΠΎΡΠΌ Π½Π΅Π΄ΡΠ³Π° ΠΌΠΎΠΆΠ΅Ρ ΡΠ°Π·Π²ΠΈΡΡΡΡ Ρ ΠΊΠΎΠ½ΠΊΡΠ΅ΡΠ½ΠΎΠ³ΠΎ ΠΏΠ°ΡΠΈΠ΅Π½ΡΠ°. Π ΠΏΡΠΈΠΌΠ΅ΡΡ Π΄Π»Ρ ΡΠΌΠ΅Π½ΡΡΠ΅Π½ΠΈΡΠΌΠΎΡΠ½ΠΎΠ³ΠΎ ΠΏΡΡΠΌΠΎΠ³ΠΎ Π²ΠΎΠ·Π΄Π΅ΠΉΡΡΠ²ΠΈΡ ΡΠ°Π΄ΠΈΠ°ΡΠΈΠΎΠ½Π½ΠΎΠ³ΠΎ ΠΈΠ·Π»ΡΡΠ΅Π½ΠΈΡ Π½Π° Π·ΡΠ±Ρ (ΠΊΠΎΡΠΎΡΠΎΠ΅ ΠΌΠΎΠΆΠ΅Ρ Π²Π΅ΡΡΠΈ ΠΊ ΡΠ°Π·Π²ΠΈΡΠΈΡ ΡΠΏΠ΅ΡΠΈΡΠΈΡΠ΅ΡΠΊΠΈΡ ΡΠΎΡΠΌ Π½Π΅ΠΊΡΠΎΠ·Π°) ΠΌΠ΅Π΄ΠΈΠΊΠΈ ΠΌΠΎΠ³ΡΡ ΠΈΠ·Π³ΠΎΡΠ°Π²Π»ΠΈΠ²Π°ΡΡ ΠΈΠ½Π΄ΠΈΠ²ΠΈΠ΄ΡΠ°Π»ΡΠ½ΡΠ΅ ΡΠ²ΠΈΠ½ΡΠΎΠ²ΡΠ΅ ΠΊΠ°ΠΏΠΏΡ. ΠΡΠΎ ΠΏΡΠΈΡΠΏΠΎΡΠΎΠ±Π»Π΅Π½ΠΈΡ ΠΊΠΎΡΠΎΡΡΠ΅ ΠΏΠ°ΡΠΈΠ΅Π½ΡΡ Π½Π°Π΄Π΅Π²Π°ΡΡ Π½Π΅ΠΏΠΎΡΡΠ΅Π΄ΡΡΠ²Π΅Π½Π½ΠΎ ΠΏΠ΅ΡΠ΅Π΄ ΠΊΠ°ΠΆΠ΄ΠΎΠΉ ΠΈΠ· Π½Π°Π·Π½Π°ΡΠ΅Π½Π½ΡΡ ΠΏΡΠΎΡΠ΅Π΄ΡΡ Π»ΡΡΠ΅Π²ΠΎΠΉ ΡΠ΅ΡΠ°ΠΏΠΈΠΈ.
Π’Π°ΠΊ ΠΆΠ΅ ΠΌΠ΅Π΄ΠΈΠΊΠΈ Π³ΠΎΠ²ΠΎΡΡΡ ΠΎ Π½Π΅ΠΎΠ±Ρ ΠΎΠ΄ΠΈΠΌΠΎΡΡΠΈ ΡΠΌΠ΅Π½ΡΡΠ°ΡΡ ΠΈ ΠΎΠΏΠΎΡΡΠ΅Π΄ΠΎΠ²Π°Π½Π½ΠΎΠ΅ Π²ΠΎΠ·Π΄Π΅ΠΉΡΡΠ²ΠΈΠ΅ ΡΠ°ΠΊ Π½Π°Π·ΡΠ²Π°Π΅ΠΌΠΎΠΉ ΠΏΡΠΎΠ½ΠΈΠΊΠ°ΡΡΠ΅ΠΉ ΡΠ°Π΄ΠΈΠ°ΡΠΈΠΈ ΠΏΠΎΡΡΠ΅Π΄ΡΡΠ²ΠΎΠΌΠΏΡΠΎΠ²Π΅Π΄Π΅Π½ΠΈΡΠΏΡΠ΅Π΄Π²Π°ΡΠΈΡΠ΅Π»ΡΠ½ΠΎΠ³ΠΎ (ΠΈΡΠΏΠΎΠ»ΡΠ·ΡΠ΅ΠΌΠΎΠ³ΠΎ ΠΎΠΏΡΡΡ ΠΆΠ΅, ΠΏΠ΅ΡΠ΅Π΄ ΠΊΠ°ΠΆΠ΄ΠΎΠΉ ΠΏΡΠΎΡΠ΅Π΄ΡΡΠΎΠΉ ΠΎΠ±Π»ΡΡΠ΅Π½ΠΈΡ) ΠΏΠΎΠ»Π½ΠΎΡΠ΅Π½Π½ΠΎΠ³ΠΎ (ΡΠ°ΡΠ΅ Π²ΡΠ΅Π³ΠΎ ΠΌΠ΅ΡΡΡΠ½ΠΎΠ³ΠΎ) ΠΊΡΡΡΠ° ΠΊΠ°ΠΊ ΠΎΠ±ΡΠ΅ΠΉ ΡΠ°ΠΊ ΠΈ ΠΌΠ΅ΡΡΠ½ΠΎΠΉ ΡΠ΅ΡΠ°ΠΏΠΈΠΈ ΡΠ΅ΠΌΠΈΠ½Π΅ΡΠ°Π»ΠΈΠ·Π°ΡΠΈΠΈ. ΠΡΠΈΡΠ΅ΠΌ ΠΆΠ΅Π»Π°ΡΠ΅Π»ΡΠ½ΠΎ ΡΡΠΎΠ±Ρ Π΄Π°Π½Π½Π°Ρ ΠΏΡΠΎΡΠ΅Π΄ΡΡΠ° ΠΏΡΠΎΠ²ΠΎΠ΄ΠΈΠ»Π°ΡΡ Π² ΡΠΎΡΠ΅ΡΠ°Π½ΠΈΠΈ Ρ Π½Π°Π·Π½Π°ΡΠ΅Π½ΠΈΠ΅ΠΌ ΠΊΠΎΠΌΠΏΠ»Π΅ΠΊΡΠ° Π°Π½ΡΠΈΠΎΠΊΡΠΈΠ΄Π°Π½ΡΠΎΠ².

Π Π²ΠΎΡ Π΄ΠΎΠΏΡΡΡΠΈΠΌ ΠΏΡΠΎΡΠΈΠ»Π°ΠΊΡΠΈΠΊΡ ΠΊΠΈΡΠ»ΠΎΡΠ½ΡΡ ΡΠΎΡΠΌ Π½Π΅ΠΊΡΠΎΠ·Π° ΡΠΊΠ°Π½Π΅ΠΉ Π·ΡΠ±ΠΎΠ² ΠΊΠ°ΠΊ ΠΏΡΠ°Π²ΠΈΠ»ΠΎ ΡΡΠ°ΡΠ°ΡΡΡΡ ΠΎΡΡΡΠ΅ΡΡΠ²Π»ΡΡΡΠ³Π»ΠΎΠ±Π°Π»ΡΠ½ΡΠΌΠΈ ΠΏΡΡΡΠΌΠΈ. Π§Π°ΡΠ΅ ΡΡΠΎ Π΄Π΅Π»Π°Π΅ΡΡΡ ΠΏΠΎΡΡΠ΅Π΄ΡΡΠ²ΠΎΠΌ ΠΊΠΎΠ½ΡΡΡΡΠΈΡΠΎΠ²Π°Π½ΠΈΡ Π½Π° ΠΊΠΈΡΠ»ΠΎΡΠ½ΡΡ ΠΏΡΠΎΠΈΠ·Π²ΠΎΠ΄ΡΡΠ²Π°Ρ , ΡΠ°ΠΊ Π½Π°Π·ΡΠ²Π°Π΅ΠΌΠΎΠΉ ΠΏΡΠΈΡΠΎΡΠ½ΠΎ-Π²ΡΡΡΠΆΠ½ΠΎΠΉ ΠΌΠΎΡΠ½ΠΎΠΉ Π²Π΅Π½ΡΠΈΠ»ΡΡΠΈΠΈ. Π’Π°ΠΊΠ°Ρ Π²Π΅Π½ΡΠΈΠ»ΡΡΠΈΡ ΠΎΠ±ΡΡΠ½ΠΎ ΡΡΡΠ°Π½Π°Π²Π»ΠΈΠ²Π°Π΅ΡΡΡ Π΄Π»Ρ ΠΏΡΠΎΡΠΈΠ»Π°ΠΊΡΠΈΠΊΠΈ Π½Π΅ΠΊΡΠΎΠ·Π°, Π½Π΅ΠΏΠΎΡΡΠ΅Π΄ΡΡΠ²Π΅Π½Π½ΠΎ Π² ΠΏΡΠΎΠΈΠ·Π²ΠΎΠ΄ΡΡΠ²Π΅Π½Π½ΡΡ ΡΠ΅Ρ Π°Ρ .
ΠΡΡΠ°ΡΠΈ ΡΠΊΠ°Π·Π°ΡΡ Π² ΡΠ°ΠΊΠΈΡ ΡΠ΅Ρ Π°Ρ Π΄ΠΎΠΏΠΎΠ»Π½ΠΈΡΠ΅Π»ΡΠ½ΠΎ ΠΌΠΎΠ³ΡΡ ΡΡΡΠ°Π½Π°Π²Π»ΠΈΠ²Π°ΡΡΡΡ Π΅ΡΠ΅ ΠΈ ΠΊΠΎΠ»ΠΎΠ½ΠΊΠΈ Π½Π°ΠΏΠΎΠ»Π½Π΅Π½Π½ΡΠ΅ ΡΠ΅Π»ΠΎΡΠ½ΠΎΠΉ Π²ΠΎΠ΄ΠΎΠΉ. Π‘ΠΎΠ±ΡΡΠ²Π΅Π½Π½ΠΎ ΡΠ°ΠΊΠΎΠΉ Π²ΠΎΠ΄ΠΎΠΉ Π½Π΅ΠΎΠ±Ρ ΠΎΠ΄ΠΈΠΌΠΎ ΠΏΠΎΠ»ΠΎΡΠΊΠ°ΡΡ ΠΏΠΎΠ»ΠΎΡΡΡ ΡΡΠ° Π² ΡΠ΅ΡΠ΅Π½ΠΈΠ΅ Π΄Π½Ρ Π΄Π»Ρ ΠΏΡΠΎΡΠΈΠ»Π°ΠΊΡΠΈΠΊΠΈ ΠΊΠΈΡΠ»ΠΎΡΠ½ΡΡ ΡΠΎΡΠΌ Π½Π΅ΠΊΡΠΎΠ·Π°. Π‘ΠΎΠ³Π»Π°ΡΠ½ΠΎ ΠΏΠΎΡΠ»Π΅Π΄Π½ΠΈΡ Π½Π°Π±Π»ΡΠ΄Π΅Π½ΠΈΠΉ, ΡΠ°Π±ΠΎΡΠΈΠ΅ Π½Π° ΠΏΠΎΠ΄ΠΎΠ±Π½ΡΡ ΠΏΡΠΎΠΈΠ·Π²ΠΎΠ΄ΡΡΠ²Π°Ρ Π΄ΠΎΠ»ΠΆΠ½Ρ ΠΎΡΡΡΠ΅ΡΡΠ²Π»ΡΡΡ ΠΏΡΠΎΡΠ΅Π΄ΡΡΡ ΡΠ΅Π»ΠΎΡΠ½ΡΡ ΠΏΠΎΠ»ΠΎΡΠΊΠ°Π½ΠΈΠΉ Π½Π΅ ΡΠ΅ΠΆΠ΅ ΡΠ΅ΠΌ ΡΠ΅ΡΠ΅Π· ΠΊΠ°ΠΆΠ΄ΡΠ΅ Π΄Π²Π° ΡΠ°ΡΠ°.
ΠΡΠΎΠΌΠ΅ ΡΠΎΠ³ΠΎ Π΄Π»Ρ ΠΏΡΠΎΡΠΈΠ»Π°ΠΊΡΠΈΠΊΠΈ ΡΠ°Π·Π²ΠΈΡΠΈΡ Π΄Π°Π½Π½ΠΎΠ³ΠΎ Π½Π΅Π΄ΡΠ³Π° Π±ΡΠΊΠ²Π°Π»ΡΠ½ΠΎ Π²ΡΠ΅ ΡΠ°Π±ΠΎΡΠΈΠ΅ ΠΊΡΡΠΏΠ½ΡΡ Ρ ΠΈΠΌΠΈΡΠ΅ΡΠΊΠΈΡ ΠΏΡΠΎΠΈΠ·Π²ΠΎΠ΄ΡΡΠ² ΠΎΠ±ΡΠ·Π°Π½Ρ Π½Π°Ρ ΠΎΠ΄ΠΈΡΡΡΡ Π½Π° ΡΠΏΠ΅ΡΠΈΠ°Π»ΡΠ½ΠΎΠΌ Π΄ΠΈΡΠΏΠ°Π½ΡΠ΅ΡΠ½ΠΎΠΌ ΡΡΠ΅ΡΠ΅ ΠΈ ΠΏΠ΅ΡΠΈΠΎΠ΄ΠΈΡΠ΅ΡΠΊΠΈ ΠΏΡΠΎΡ ΠΎΠ΄ΠΈΡΡ ΠΏΡΠΎΡΠΈΠ»Π°ΠΊΡΠΈΡΠ΅ΡΠΊΠΈΠ΅ ΠΎΡΠΌΠΎΡΡΡ Ρ ΡΡΠΎΠΌΠ°ΡΠΎΠ»ΠΎΠ³Π°. ΠΡΠΈ ΡΡΠΎΠΌ ΠΏΡΠΎΡΠΈΠ»Π°ΠΊΡΠΈΡΠ΅ΡΠΊΠΈΠ΅ ΠΎΠ±ΡΠ°Π±ΠΎΡΠΊΠΈ Π·ΡΠ±ΠΎΠ² ΡΠΏΠ΅ΡΠΈΠ°Π»ΠΈΠ·ΠΈΡΠΎΠ²Π°Π½Π½ΡΠΌΠΈ ΡΡΠΎΡΠΈΡΡΡΠΌΠΈ ΠΏΡΠ΅ΠΏΠ°ΡΠ°ΡΠ°ΠΌΠΈ Π»ΠΈΠ±ΠΎ ΠΆΠ΅ ΡΠΎΠ²ΡΠ΅ΠΌΠ΅Π½Π½ΡΠΌΠΈ ΡΠ΅ΠΌΠΈΠ½Π΅ΡΠ°Π»ΠΈΠ·ΡΡΡΠΈΠΌΠΈ ΡΠ°ΡΡΠ²ΠΎΡΠ°ΠΌΠΈ ΠΌΠ΅Π΄ΠΈΠΊΠΈ ΡΡΠ°ΡΠ°ΡΡΡΡ ΠΏΡΠΎΠ²ΠΎΠ΄ΠΈΡΡ Π½Π΅ΠΏΠΎΡΡΠ΅Π΄ΡΡΠ²Π΅Π½Π½ΠΎ Π² ΠΏΡΠΎΡΠ΅ΡΡΠ΅ ΡΠ°ΠΊΠΎΠΉ Π΄ΠΈΡΠΏΠ°Π½ΡΠ΅ΡΠΈΠ·Π°ΡΠΈΠΈ.
ΠΠ΅ΡΠ΅Π½ΠΈΠ΅
ΠΡΠ°ΠΊΡΠΈΡΠ΅ΡΠΊΠΈ Π²ΡΠ΅Π³Π΄Π° ΠΏΠΈ Π²ΠΎΠ·Π½ΠΈΠΊΠ½ΠΎΠ²Π΅Π½ΠΈΠΈ Π½Π΅ΠΊΡΠΎΡΠΈΡΠ΅ΡΠΊΠΈΡ ΠΏΠΎΡΠ°ΠΆΠ΅Π½ΠΈΠΉ Π·ΡΠ±Π½ΠΎΠΉ ΡΠΌΠ°Π»ΠΈ ΠΌΠ΅Π΄ΠΈΠΊΠΈ ΡΡΠ°ΡΠ°ΡΡΡΡ ΠΏΡΠΈΠ½ΠΈΠΌΠ°ΡΡ Π²ΡΠ΅ ΠΌΠ΅ΡΡ, ΡΠΏΠΎΡΠΎΠ±Π½ΡΠ΅ ΠΏΠΎΡΠΏΠΎΡΠΎΠ±ΡΡΠ²ΠΎΠ²Π°ΡΡ ΡΡΡΡΠ°Π½Π΅Π½ΠΈΡ ΡΠΈΠ»ΡΠ½Π΅ΠΉΡΠ΅ΠΉ Π³ΠΈΠΏΠ΅ΡΠ΅ΡΡΠ΅Π·ΠΈΠΈ (ΡΡΠ²ΡΡΠ²ΠΈΡΠ΅Π»ΡΠ½ΠΎΡΡΠΈ), ΠΈ ΠΊΠΎΠ½Π΅ΡΠ½ΠΎ ΠΆΠ΅ ΡΠΊΡΠ΅ΠΏΠ»Π΅Π½ΠΈΡ ΡΠΊΠ°Π½Π΅ΠΉ ΡΠ°ΠΌΠΈΡ Π·ΡΠ±ΠΎΠ². Π ΡΠΎΠΆΠ°Π»Π΅Π½ΠΈΡ ΠΏΡΠΈ ΡΠ»ΠΈΡΠΊΠΎΠΌ Π·Π½Π°ΡΠΈΡΠ΅Π»ΡΠ½ΠΎΠΌ ΡΠ°Π·ΡΡΡΠ΅Π½ΠΈΠΈ ΡΠ°ΠΊΠΈΡ Π·ΡΠ±ΠΎΠ² ΠΌΠΎΠΆΠ΅Ρ Π±ΡΡΡ ΠΏΠΎΠΊΠ°Π·Π°Π½ΠΎ ΡΠΎΠ»ΡΠΊΠΎ ΠΏΠΎΠ»Π½ΠΎΡΠ΅Π½Π½ΠΎΠ΅ ΠΎΡΡΠΎΠΏΠ΅Π΄ΠΈΡΠ΅ΡΠΊΠΎΠ΅ Π»Π΅ΡΠ΅Π½ΠΈΠ΅.
ΠΠ³ΡΠΎΠΌΠ½ΠΎΠ΅ Π²Π½ΠΈΠΌΠ°Π½ΠΈΠ΅ ΠΏΡΠΈ Π»Π΅ΡΠ΅Π½ΠΈΠΈ Π½Π΅ΠΊΡΠΎΡΠΈΡΠ΅ΡΠΊΠΈΡ ΠΏΠΎΡΠ°ΠΆΠ΅Π½ΠΈΠΉ Π·ΡΠ±ΠΎΠ² ΡΠ΄Π΅Π»ΡΠ΅ΡΡΡ ΡΡΡΡΠ°Π½Π΅Π½ΠΈΡ ΡΡΠ΅Π·ΠΌΠ΅ΡΠ½ΠΎΠΉ ΡΡΠ²ΡΡΠ²ΠΈΡΠ΅Π»ΡΠ½ΠΎΡΡΠΈ Π·ΡΠ±ΠΎΠ² ΠΏΡΠΈ ΠΏΡΠΈΠΌΠ΅Π½Π΅Π½ΠΈΠΈ Π²Π½Π΅ΡΠ½ΠΈΡ ΡΠ°Π·Π΄ΡΠ°ΠΆΠΈΡΠ΅Π»Π΅ΠΉ. Π Π·Π΄Π΅ΡΡ Π²ΡΠ΅ Π±ΡΠ΄Π΅Ρ Π·Π°Π²ΠΈΡΠ΅ΡΡ Π½Π΅ ΡΠΎΠ»ΡΠΊΠΎ ΠΎΡΠΎΠΏΡΡΠ° ΠΈ Π²ΡΡΠΎΠΊΠΎΠΉ ΠΊΠ²Π°Π»ΠΈΡΠΈΠΊΠ°ΡΠΈΠΈ Π²Π°ΡΠ΅Π³ΠΎ Π»Π΅ΡΠ°ΡΠ΅Π³ΠΎ Π²ΡΠ°ΡΠ°, Π° ΡΠ°ΠΊ ΠΆΠ΅ ΠΈ ΠΎΡ ΠΊΠΎΠ½ΠΊΡΠ΅ΡΠ½ΠΎΠ³ΠΎ ΠΏΠ°ΡΠΈΠ΅Π½ΡΠ°, ΠΏΠΎΡΠΊΠΎΠ»ΡΠΊΡ ΠΏΡΠΎΠ±Π»Π΅ΠΌΠ° ΡΡΠ° β Π²Π΅ΡΡΠΌΠ° ΡΠ»ΠΎΠΆΠ½Π°Ρ.

ΠΠΎ Π²ΡΠ΅Ρ Π±Π΅Π· ΠΈΡΠΊΠ»ΡΡΠ΅Π½ΠΈΡ ΡΠ»ΡΡΠ°ΡΡ Π»Π΅ΡΠ°ΡΠΈΠΉ Π½Π΅ΠΊΡΠΎΠ· ΡΡΠΎΠΌΠ°ΡΠΎΠ»ΠΎΠ³ Π΄ΠΎΠ»ΠΆΠ΅Π½ ΠΏΠΎΠ΄ΠΎΠ±ΡΠ°ΡΡ Π΄Π»Ρ ΠΏΠ°ΡΠΈΠ΅Π½ΡΠ° ΠΏΡΠΎΡΠ΅Π΄ΡΡΡ ΡΠΎΠ»ΡΠΊΠΎ ΠΈΠ½Π΄ΠΈΠ²ΠΈΠ΄ΡΠ°Π»ΡΠ½ΠΎ. ΠΠΎΠΊΡΠΎΡ Π΄ΠΎΠ»ΠΆΠ΅Π½ Π²ΡΠ±ΡΠ°ΡΡ ΠΏΡΠ°Π²ΠΈΠ»ΡΠ½ΡΠ΅ ΡΡΠ΅Π΄ΡΡΠ²Π° Π΄Π»Ρ ΠΏΠΎΠ²ΡΠ΅Π΄Π½Π΅Π²Π½ΠΎΠ³ΠΎ Π³ΠΈΠ³ΠΈΠ΅Π½ΠΈΡΠ΅ΡΠΊΠΎΠ³ΠΎ ΡΡ ΠΎΠ΄Π° Π½Π΅ΠΏΠΎΡΡΠ΅Π΄ΡΡΠ²Π΅Π½Π½ΠΎ Π·Π° Π²ΡΠ΅ΠΉ ΠΏΠΎΠ»ΠΎΡΡΡΡ ΡΡΠ°. ΠΠ°ΡΡΠΈΡΡ ΠΏΡΠ°Π²ΠΈΠ»ΡΠ½ΠΎ ΠΎΡΠΈΡΠ°ΡΡ ΠΏΠΎΡΠ°ΠΆΠ΅Π½Π½ΡΠ΅ Π·ΡΠ±Ρ ΠΈ ΠΏΡ.
ΠΠ΅ ΠΌΠ΅Π½Π΅Π΅ Π²Π°ΠΆΠ½ΠΎΠ΅ Π·Π½Π°ΡΠ΅Π½ΠΈΠ΅ Π±ΡΠ΄Π΅Ρ ΠΈΠΌΠ΅ΡΡ ΠΈ Π±Π΅ΡΠΏΡΠ΅ΠΊΠΎΡΠ»ΠΎΠ²Π½ΠΎΠ΅ ΡΠΎΠ±Π»ΡΠ΄Π΅Π½ΠΈΠ΅ ΠΎΡΠ½ΠΎΠ²Π½ΡΡ Π²ΡΠ°ΡΠ΅Π±Π½ΡΡ ΡΠ΅ΠΊΠΎΠΌΠ΅Π½Π΄Π°ΡΠΈΠΉ. ΠΠ΅Π΄Ρ ΡΠΎΠ»ΡΠΊΠΎ Π±Π»Π°Π³ΠΎΠ΄Π°ΡΡ ΡΠΎΡΠ½ΡΠΌ ΡΠ΅Π»Π΅Π½Π°ΠΏΡΠ°Π²Π»Π΅Π½Π½ΡΠΌ ΠΈ Π³Π»Π°Π²Π½ΠΎΠ΅ ΡΠΈΡΡΠ΅ΠΌΠ°ΡΠΈΡΠ΅ΡΠΊΠΈΠΌ Π»Π΅ΡΠ΅Π±Π½ΡΠΌ Π΄Π΅ΠΉΡΡΠ²ΠΈΡΠΌ Ρ ΠΏΠ°ΡΠΈΠ΅Π½ΡΠ° ΠΌΠΎΠΆΠ΅Ρ ΠΏΠΎΠ»ΡΡΠΈΡΡΡΡ Π΄ΠΎΠ±ΠΈΡΡΡΡ ΠΏΠΎΠ»Π½ΠΎΠ³ΠΎ ΡΡΡΡΠ°Π½Π΅Π½ΠΈΡ ΡΡΠΎΠ»Ρ Π½Π΅ΠΏΡΠΈΡΡΠ½ΠΎΠΉ ΡΡΠΎΠΌΠ°ΡΠΎΠ»ΠΎΠ³ΠΈΡΠ΅ΡΠΊΠΎΠΉ ΠΏΡΠΎΠ±Π»Π΅ΠΌΡ.
Π’Π°ΠΊ ΠΆΠ΅ Π½Π΅ΠΎΠ±Ρ ΠΎΠ΄ΠΈΠΌΠΎ ΡΡΠΎΠ±Ρ Π²ΡΠ°Ρ ΠΏΠ΅ΡΠ²ΠΈΡΠ½ΠΎ ΠΏΠΎΡΡΠ°ΡΠ°Π»ΡΡ Π½Π°ΠΉΡΠΈ ΠΎΡΠ½ΠΎΠ²Π½ΡΠ΅ ΠΌΠ΅ΡΡΠ½ΡΠ΅ ΠΏΡΠΈΡΠΈΠ½Ρ ΡΠ°Π·Π²ΠΈΡΠΈΡ Π΄Π°Π½Π½ΠΎΠ³ΠΎ Π·Π°Π±ΠΎΠ»Π΅Π²Π°Π½ΠΈΡ, Π° ΠΏΠ°ΡΠΈΠ΅Π½Ρ Π²ΡΠΎΡΠΈΡΠ½ΠΎ ΠΏΠΎΡΡΠ°ΡΠ°Π»ΡΡ ΠΈΡ ΡΡΡΡΠ°Π½ΠΈΡΡ. ΠΡΠΈ ΡΠΌΠ΅ΡΠ΅Π½Π½ΠΎΠΉ ΠΏΠ°ΡΠΎΠ»ΠΎΠ³ΠΈΠΈ ΡΠΌΠ°Π»ΠΈ ΠΊΠΎΠ³Π΄Π° ΠΏΡΠΎΠΈΡΡ ΠΎΠ΄ΠΈΡ Π½Π΅Π±ΠΎΠ»ΡΡΠΎΠ΅ ΠΎΠ±Π½Π°ΠΆΠ΅Π½ΠΈΠ΅ΠΌ ΡΠ΅ΠΉΠΊΠΈ Π·ΡΠ±Π° ΠΌΠΎΠ³ΡΡ ΠΏΡΠΈΠΌΠ΅Π½ΡΡΡΡΡ ΡΠ°Π·Π»ΠΈΡΠ½ΡΠ΅ Π»Π°ΠΊΠΈ Π»ΠΈΠ±ΠΎ ΠΆΠ΅ ΡΠ°ΡΡΠ²ΠΎΡΡ, Π½Π΅ΡΠΊΠΎΠ»ΡΠΊΠΎ ΡΠ½ΠΈΠΆΠ°ΡΡΠΈΠ΅ Π±ΠΎΠ»Π΅Π²ΡΠ΅ ΠΎΡΡΡΠ΅Π½ΠΈΡ.
ΠΠΎ Π²ΡΠ΅ ΠΆΠ΅ ΠΈΠ½ΠΎΠ³Π΄Π° ΡΡΡΡΠ°Π½ΠΈΡΡ ΠΏΡΠΈΡΠΈΠ½Ρ ΡΠ°Π·Π²ΠΈΡΠΈΡ Π½Π΅ΠΊΡΠΎΠ·Π° ΠΏΡΠΎΡΡΠΎ Π½Π΅Π²ΠΎΠ·ΠΌΠΎΠΆΠ½ΠΎ Π ΠΏΡΠΈΠΌΠ΅ΡΡ Π½Π΅Π²ΠΎΠ·ΠΌΠΎΠΆΠ½ΠΎ ΠΎΡΠΌΠ΅Π½ΠΈΡΡ ΠΌΠΎΡΠ½ΡΡ Π»ΡΡΠ΅Π²ΡΡ ΡΠ΅ΡΠ°ΠΏΠΈΡ, Ρ ΡΠ°ΠΊΠΎΠ²ΠΎΠ³ΠΎ Π±ΠΎΠ»ΡΠ½ΠΎΠ³ΠΎ ΡΡΠΎ Π±Ρ ΡΠΏΠ°ΡΡΠΈ Π΅Π³ΠΎ Π·ΡΠ±Ρ ΠΈΠ»ΠΈ ΠΏΡ. Π Π² ΡΠ°ΠΊΠΎΠΌ ΡΠ»ΡΡΠ°Π΅ ΡΡΠΎΠΌΠ°ΡΠΎΠ»ΠΎΠ³ΠΈ ΡΠ΅ΠΊΠΎΠΌΠ΅Π½Π΄ΡΡΡ ΠΏΡΠΎΠ²Π΅Π΄Π΅Π½ΠΈΠ΅ ΠΊΡΡΡΠΎΠ² Π²ΠΎΡΡΡΠ°Π½ΠΎΠ²Π»Π΅Π½ΠΈΡ ΡΠ°ΠΌΠΎΠΉ ΡΠ΅Π»ΠΎΡΡΠ½ΠΎΡΡΠΈ ΡΠΌΠ°Π»ΠΈ. Π§Π°ΡΠ΅ Π²ΡΠ΅Π³ΠΎ ΡΡΠ²ΡΡΠ²ΠΈΡΠ΅Π»ΡΠ½ΠΎΡΡΠΈ Π²ΠΎΡΡΡΠ°Π½ΠΎΠ²Π»Π΅Π½Π½ΡΡ Π·ΡΠ±ΠΎΠ² ΠΏΡΠΈΡ ΠΎΠ΄ΠΈΡ Π² Π½ΠΎΡΠΌΡ ΠΏΠΎΡΠ»Π΅ ΡΠΆΠ΅ ΠΏΠΎΡΡΠ΅ΠΏΠ΅Π½Π½ΠΎ.
nebolet.com
ΠΠΈΡΠ»ΠΎΡΠ½ΡΠΉ Π½Π΅ΠΊΡΠΎΠ· ΡΠ²Π΅ΡΠ΄ΡΡ ΡΠΊΠ°Π½Π΅ΠΉ Π·ΡΠ±ΠΎΠ²
ΠΠ³Π»Π°Π²Π»Π΅Π½ΠΈΠ΅ [ΠΠΎΠΊΠ°Π·Π°ΡΡ].Β
ΠΠ΅ΠΊΡΠΎΠ· ΡΠΌΠ°Π»ΠΈ Π·ΡΠ±ΠΎΠ² β ΠΏΠ°ΡΠΎΠ»ΠΎΠ³ΠΈΡ, ΠΏΡΠΈ ΠΊΠΎΡΠΎΡΠΎΠΉ ΠΏΡΠΎΠΈΡΡ ΠΎΠ΄ΠΈΡ ΠΏΠΎΠ²ΡΠ΅ΠΆΠ΄Π΅Π½ΠΈΠ΅ ΠΈ ΡΠ°Π·ΡΡΡΠ΅Π½ΠΈΠ΅ ΡΠ²Π΅ΡΠ΄ΡΡ ΡΠΊΠ°Π½Π΅ΠΉ Π·ΡΠ±ΠΎΠ². ΠΠ° ΠΏΠΎΡΠ²Π»Π΅Π½ΠΈΠ΅ ΠΈ ΡΠ°Π·Π²ΠΈΡΠΈΠ΅ ΠΏΠ°ΡΠΎΠ»ΠΎΠ³ΠΈΡΠ΅ΡΠΊΠΎΠ³ΠΎ ΠΏΡΠΎΡΠ΅ΡΡΠ° ΠΎΠΊΠ°Π·ΡΠ²Π°ΡΡ Π²Π»ΠΈΡΠ½ΠΈΠ΅ Π²Π½Π΅ΡΠ½ΠΈΠ΅ ΠΈ Π²Π½ΡΡΡΠ΅Π½Π½ΠΈΠ΅ ΡΠ°ΠΊΡΠΎΡΡ. ΠΠΈΡΠ»ΠΎΡΠ½ΡΠΉ Π½Π΅ΠΊΡΠΎΠ· Π·ΡΠ±ΠΎΠ² Π² Π½Π°ΡΠ°Π»ΡΠ½ΠΎΠΉ ΡΡΠ°Π΄ΠΈΠΈ ΠΏΡΠΎΡΠ²Π»ΡΠ΅Ρ ΡΠ΅Π±Ρ ΠΌΠ΅Π»ΠΎΠ²ΠΈΠ΄Π½ΡΠΌΠΈ ΠΏΡΡΠ½Π°ΠΌΠΈ, ΠΊΠΎΡΠΎΡΡΠ΅ ΡΠΎ Π²ΡΠ΅ΠΌΠ΅Π½Π΅ΠΌ ΡΡΠ°Π½ΠΎΠ²ΡΡΡΡ ΠΏΠΎΠ»ΠΎΡΡΡΠΌΠΈ Ρ Π½Π΅ΡΠΎΠ²Π½ΡΠΌΠΈ ΠΊΡΠ°ΡΠΌΠΈ. ΠΠΌΠ°Π»Ρ Π·ΡΠ±ΠΎΠ² ΠΏΠΎΡΡΠ΅ΠΏΠ΅Π½Π½ΠΎ ΡΠ°Π·ΡΡΡΠ°Π΅ΡΡΡ, ΠΏΠ°ΡΠΈΠ΅Π½Ρ ΠΎΡΡΡΠ°Π΅Ρ Π±ΠΎΠ»Ρ ΠΎΡ ΡΠ΅ΠΌΠΏΠ΅ΡΠ°ΡΡΡΠ½ΡΡ ΠΈΠ·ΠΌΠ΅Π½Π΅Π½ΠΈΠΉ Π² ΠΏΠΎΠ»ΠΎΡΡΠΈ ΡΡΠ°. Π ΡΠ΅ΡΠ°ΠΏΠ΅Π²ΡΠΈΡΠ΅ΡΠΊΠΎΠΉ ΡΡΠΎΠΌΠ°ΡΠΎΠ»ΠΎΠ³ΠΈΠΈ Π΄Π»Ρ Π΄ΠΈΠ°Π³Π½ΠΎΡΡΠΈΠΊΠΈ Π½Π΅ΠΊΡΠΎΠ·Π° ΡΠ²ΡΡΠ΄ΡΡ ΡΠΊΠ°Π½Π΅ΠΉ Π·ΡΠ±Π° ΠΈΡΠΏΠΎΠ»ΡΠ·ΡΠ΅ΡΡΡ ΠΌΠ΅ΡΠΎΠ΄ ΡΠ΅Π½ΡΠ³Π΅Π½ΠΎΠ³ΡΠ°ΡΠΈΠΈ, Π΄Π°Π½Π½ΡΠ΅ ΠΊΠ»ΠΈΠ½ΠΈΡΠ΅ΡΠΊΠΎΠ³ΠΎ ΠΎΡΠΌΠΎΡΡΠ°.
ΠΠ΅ΡΠ΅Π½ΠΈΠ΅ ΠΏΡΠΈΠΌΠ΅Π½ΡΠ΅ΡΡΡ ΠΊΠ°ΠΊ ΡΠ΅ΡΠ°ΠΏΠ΅Π²ΡΠΈΡΠ΅ΡΠΊΠΎΠ΅, ΡΠ°ΠΊ ΠΈ ΠΎΡΡΠΎΠΏΠ΅Π΄ΠΈΡΠ΅ΡΠΊΠΎΠ΅.

ΠΠΈΡΠ»ΠΎΡΠ½ΡΠΉ Π½Π΅ΠΊΡΠΎΠ· Π·ΡΠ±ΠΎΠ² β ΠΏΠΎΠ»Π½ΠΎΠ΅ ΡΠ°Π·ΡΡΡΠ΅Π½ΠΈΠ΅ ΡΠΊΠ°Π½Π΅ΠΉ
Π₯Π°ΡΠ°ΠΊΡΠ΅ΡΠΈΡΡΠΈΠΊΠ° ΠΊΠΈΡΠ»ΠΎΡΠ½ΠΎΠ³ΠΎ Π½Π΅ΠΊΡΠΎΠ·Π° Π·ΡΠ±ΠΎΠ². ΠΡΠΈΡΠΈΠ½Ρ ΠΏΠΎΡΠ²Π»Π΅Π½ΠΈΡ, ΡΠΈΠΌΠΏΡΠΎΠΌΡ.Β Π‘ΡΠ°Π΄ΠΈΠΈ ΠΏΠΎΡΠ°ΠΆΠ΅Π½ΠΈΡ
ΠΠ΅ΠΊΡΠΎΠ· ΡΠ²Π΅ΡΠ΄ΡΡ ΡΠΊΠ°Π½Π΅ΠΉ Π·ΡΠ±ΠΎΠ² β ΠΏΠΎΠ²ΡΠ΅ΠΆΠ΄Π΅Π½ΠΈΠ΅ Π·ΡΠ±ΠΎΠ² ΠΌΠ½ΠΎΠΆΠ΅ΡΡΠ²Π΅Π½Π½ΠΎΠ³ΠΎ Ρ Π°ΡΠ°ΠΊΡΠ΅ΡΠ°, ΠΏΡΠΈΠ²ΠΎΠ΄ΡΡΠ΅Π΅ ΠΊ ΠΏΠΎΡΠ²Π»Π΅Π½ΠΈΡ Π΄Π΅ΡΠ΅ΠΊΡΠ½ΡΡ ΡΡΠ°ΡΡΠΊΠΎΠ² Π½Π° Π³Π»Π°Π΄ΠΊΠΎΠΉ ΠΏΠΎΠ²Π΅ΡΡ Π½ΠΎΡΡΠΈ ΡΠΌΠ°Π»ΠΈ ΠΈ ΠΏΠΎΠ΄ Π½Π΅ΠΉ (ΡΠ»ΠΎΠΉ Π΄Π΅Π½ΡΠΈΠ½Π°). Π Π°Π·ΡΡΡΠ΅Π½ΠΈΠ΅ Π·ΡΠ±Π½ΠΎΠΉ ΡΠΌΠ°Π»ΠΈ ΠΏΡΠΎΠΈΡΡ ΠΎΠ΄ΠΈΡ ΠΏΠΎΠ΄ Π²Π»ΠΈΡΠ½ΠΈΠ΅ΠΌ Π²ΡΠ΅Π΄Π½ΡΡ ΡΠ°ΠΊΡΠΎΡΠΎΠ², Π½ΠΎΡΠΈΡ Π½Π΅ΠΊΠ°ΡΠΈΠΎΠ·Π½ΡΠΉ Ρ Π°ΡΠ°ΠΊΡΠ΅Ρ. ΠΠ°ΡΠΎΠ»ΠΎΠ³ΠΈΡ Π² ΡΠ°Π²Π½ΠΎΠΉ ΡΡΠ΅ΠΏΠ΅Π½ΠΈ ΠΎΡΠΌΠ΅ΡΠ°Π΅ΡΡΡ Ρ ΠΌΡΠΆΡΠΈΠ½ ΠΈ ΠΆΠ΅Π½ΡΠΈΠ½.
ΠΡΠ΄ΠΈ, Π½Π°Ρ ΠΎΠ΄ΡΡΠΈΠ΅ΡΡΒ Π² Π·ΠΎΠ½Π΅ ΠΏΠΎΠ²ΡΡΠ΅Π½Π½ΠΎΠ³ΠΎ ΡΠΈΡΠΊΠ° ΠΎΠ±ΡΠ°Π·ΠΎΠ²Π°Π½ΠΈΡ Π½Π΅ΠΊΡΠΎΡΠΈΡΠ΅ΡΠΊΠΈΡ ΠΏΠΎΡΠ°ΠΆΠ΅Π½ΠΈΠΉ ΡΠΎΡΠΎΠ²ΠΎΠΉ ΠΏΠΎΠ»ΠΎΡΡΠΈ:
- Π Π°Π±ΠΎΡΠ½ΠΈΠΊΠΈ Π²ΡΠ΅Π΄Π½ΡΡ Ρ ΠΈΠΌΠΈΡΠ΅ΡΠΊΠΈΡ ΠΏΡΠΎΠΈΠ·Π²ΠΎΠ΄ΡΡΠ².
- ΠΠ½ΠΊΠΎΠ»ΠΎΠ³ΠΈΡΠ΅ΡΠΊΠΈΠ΅ Π±ΠΎΠ»ΡΠ½ΡΠ΅.
- Π‘ΡΡΠ°Π΄Π°ΡΡΠΈΠ΅ ΠΎΡ Π½Π°ΡΡΡΠ΅Π½ΠΈΠΉ Π² Π³ΠΎΡΠΌΠΎΠ½Π°Π»ΡΠ½ΠΎΠΌ ΡΠΎΠ½Π΅.
- Π‘ Π½Π°ΡΡΡΠ΅Π½ΠΈΡΠΌΠΈ ΠΏΠΈΡΠ΅Π²Π°ΡΠΈΡΠ΅Π»ΡΠ½ΠΎΠ³ΠΎ ΡΡΠ°ΠΊΡΠ°.
ΠΡΠΈ ΠΎΡΡΡΡΡΡΠ²ΠΈΠΈ Π»Π΅ΡΠ΅Π½ΠΈΡ, Π·Π°Π±ΠΎΠ»Π΅Π²Π°Π½ΠΈΠ΅ ΠΏΡΠΈΠ²ΠΎΠ΄ΠΈΡ ΠΊ ΠΏΠΎΡΠ΅ΡΠ΅ ΠΆΠ΅Π²Π°ΡΠ΅Π»ΡΠ½ΠΎΠΉ ΡΡΠ½ΠΊΡΠΈΠΈ ΠΈΒ ΠΏΠΎΠ»Π½ΠΎΠΌΡ ΡΠ°Π·ΡΡΡΠ΅Π½ΠΈΡ Π·ΡΠ±ΠΎΠ².Β Π§Π΅ΠΌ ΡΠ°Π½ΡΡΠ΅ Π²ΡΠ°Ρ Π΄ΠΈΠ°Π³Π½ΠΎΡΡΠΈΡΡΠ΅Ρ Π·Π°Π±ΠΎΠ»Π΅Π²Π°Π½ΠΈΠ΅ ΠΈ Π²ΡΡΠ²ΠΈΡ ΠΏΡΠΈΡΠΈΠ½Ρ, ΡΠ΅ΠΌ Π»ΡΡΡΠ΅ Π΄Π»Ρ ΠΏΠ°ΡΠΈΠ΅Π½ΡΠ°.

ΠΠ°ΡΠ°Π»ΡΠ½ΡΠΉ Π½Π΅ΠΊΡΠΎΠ· ΡΠΊΠ°Π½Π΅ΠΉ Π·ΡΠ±ΠΎΠ²
ΠΡΠΈΡΠΈΠ½Ρ ΠΏΠΎΡΠ²Π»Π΅Π½ΠΈΡ
ΠΡΠΈΡΠΈΠ½Ρ Π΄Π»Ρ ΠΎΠ±ΡΠ°Π·ΠΎΠ²Π°Π½ΠΈΡ Π½Π΅ΠΊΡΠΎΠ·Π° ΡΠΌΠ°Π»ΠΈΒ Π΄Π΅Π»ΡΡ Π½Π°:
- ΠΠ½ΡΡΡΠ΅Π½Π½ΠΈΠ΅ ΠΏΡΠΎΡΠ΅ΡΡΡ ΠΎΡΠ³Π°Π½ΠΈΠ·ΠΌΠ° (ΡΠ½Π΄ΠΎΠ³Π΅Π½Π½ΡΠ΅).
- ΠΠΊΠ·ΠΎΠ³Π΅Π½Π½ΡΠ΅ (Π²ΠΎΠ·Π΄Π΅ΠΉΡΡΠ²ΡΡΡΠΈΠ΅ ΠΈΠ·Π²Π½Π΅).
ΠΠ½ΡΡΡΠ΅Π½Π½ΠΈΠ΅ ΡΠ°ΠΊΡΠΎΡΡ, ΡΠΏΠΎΡΠΎΠ±ΡΡΠ²ΡΡΡΠΈΠ΅ ΡΠ°Π·ΡΡΡΠ΅Π½ΠΈΡ ΡΠΌΠ°Π»ΠΈ, ΠΎΡΠ½ΠΎΠ²Π°Π½Ρ Π½Π° ΠΈΠ·ΠΌΠ΅Π½Π΅Π½ΠΈΠΈ Π³ΠΎΡΠΌΠΎΠ½Π°Π»ΡΠ½ΠΎΠ³ΠΎ ΡΠΎΠ½Π°. ΠΡΠΈ ΡΠ½Π΄ΠΎΠΊΡΠΈΠ½Π½ΡΡ Π½Π°ΡΡΡΠ΅Π½ΠΈΡΡ ΠΏΡΠΎΠΈΡΡ ΠΎΠ΄ΠΈΡ ΠΊΠ°ΡΠ΅ΡΡΠ²Π΅Π½Π½ΠΎΠ΅ ΠΈΠ·ΠΌΠ΅Π½Π΅Π½ΠΈΠ΅ ΡΠΎΡΡΠ°Π²Π° ΡΠΌΠ°Π»ΠΈ, ΠΎΠ½Π° ΡΡΠ°Π½ΠΎΠ²ΠΈΡΡΡ ΡΠΎΠ½ΡΡΠ΅. Π ΠΏΡΠΈ Π½Π°ΡΡΡΠ΅Π½Π½ΠΎΠΉ ΡΠ°Π±ΠΎΡΠ΅ ΠΆΠ΅Π»ΡΠ΄ΠΎΡΠ½ΠΎ-ΠΊΠΈΡΠ΅ΡΠ½ΠΎΠ³ΠΎ ΡΡΠ°ΠΊΡΠ°, Π·ΡΠ±Π½Π°Ρ ΡΠΌΠ°Π»Ρ ΡΠ°Π·ΡΡΡΠ°Π΅ΡΡΡ ΠΈΠ·-Π·Π° Π²ΡΠ±ΡΠΎΡΠ° ΡΠΎΠ»ΡΠ½ΠΎΠΉ ΠΊΠΈΡΠ»ΠΎΡΡ Π² ΠΏΠΈΡΠ΅Π²ΠΎΠ΄ ΠΈ ΠΏΠΎΠ»ΠΎΡΡΡ ΡΡΠ°.

ΠΠ»ΠΈΠ½ΠΎΠ²ΠΈΠ΄Π½ΡΠΉ Π½Π΅ΠΊΡΠΎΠ· Π½Π° Π·ΡΠ±Π°Ρ ΠΈΠΌΠ΅Π΅Ρ ΡΠ°Π·Π½ΡΡ ΠΏΡΠΈΡΠΎΠ΄Ρ
ΠΠ½Π΅ΡΠ½ΠΈΠ΅ ΡΠ°ΠΊΡΠΎΡΡ, ΡΠΏΠΎΡΠΎΠ±ΡΡΠ²ΡΡΡΠΈΠ΅ Π½Π΅ΠΊΡΠΎΠ·Ρ, ΠΎΡΠ½ΠΎΠ²ΡΠ²Π°ΡΡΡΡ Π½Π° ΠΏΡΠΈΠΌΠ΅Π½Π΅Π½ΠΈΠΈ ΡΠΎΠΊΡΠΈΡΠ΅ΡΠΊΠΈΡ Π΄Π»Ρ ΡΠΌΠ°Π»ΠΈ Π»Π΅ΠΊΠ°ΡΡΡΠ²Π΅Π½Π½ΡΡ ΠΏΡΠ΅ΠΏΠ°ΡΠ°ΡΠΎΠ², ΠΈΠ»ΠΈ Π½Π° Π²Π΄ΡΡ Π°Π½ΠΈΠΈ ΡΠ΄ΠΎΠ²ΠΈΡΡΡ ΠΏΠ°ΡΠΎΠ² ΠΈΠ· Π²ΠΎΠ·Π΄ΡΡ Π°. ΠΡΠΈ Π²ΠΎΠ·Π΄Π΅ΠΉΡΡΠ²ΠΈΠΈ ΡΠΊΠ·ΠΎΠ³Π΅Π½Π½ΡΡ ΡΠ°ΠΊΡΠΎΡΠΎΠ² ΡΠ°ΡΡΠΎ ΡΠ°Π·ΡΡΡΠ°ΡΡΡΡ ΡΠ΅Π½ΡΡΠ°Π»ΡΠ½ΡΠ΅ Π·ΡΠ±Ρ ΠΈ ΠΊΠ»ΡΠΊΠΈ.
ΠΡΠΈ ΠΏΠΎΠΏΠ°Π΄Π°Π½ΠΈΠΈ ΡΠ΄ΠΎΠ²ΠΈΡΡΡ Ρ ΠΈΠΌΠΈΡΠ΅ΡΠΊΠΈΡ Π²Π΅ΡΠ΅ΡΡΠ² Π² ΠΏΠΎΠ»ΠΎΡΡΡ ΡΡΠ°, Π½Π°ΡΡΡΠ°Π΅ΡΡΡ ΠΊΠ°ΡΠ΅ΡΡΠ²Π΅Π½Π½ΡΠΉ ΡΠΎΡΡΠ°Π² ΡΠ»ΡΠ½Ρ, ΡΠ½ΠΈΠΆΠ°Π΅ΡΡΡ ΡΡΠΎΡΠΈΠΊΠ° Π² ΡΠΎΡΡΠ΄ΠΈΡΡΠΎ-Π½Π΅ΡΠ²Π½ΠΎΠΌ Π°ΠΏΠΏΠ°ΡΠ°ΡΠ΅ Π·ΡΠ±ΠΎΠ². ΠΠΈΡΠ°Π½ΠΈΠ΅ ΡΠ²ΡΡΠ΄ΡΡ ΡΠΊΠ°Π½Π΅ΠΉ ΠΏΠΈΡΠ°ΡΠ΅Π»ΡΠ½ΡΠΌΠΈ Π²Π΅ΡΠ΅ΡΡΠ²Π°ΠΌΠΈ ΡΠ½ΠΈΠΆΠ°Π΅ΡΡΡ, ΠΏΡΠΎΠΈΡΡ ΠΎΠ΄ΠΈΡ Π΄Π΅ΠΌΠΈΠ½Π΅ΡΠ°Π»ΠΈΠ·Π°ΡΠΈΡ ΡΠΌΠ°Π»ΠΈ, ΡΠΊΠ°Π½ΠΈ Π·ΡΠ±ΠΎΠ² ΠΈΡΡΠΎΠ½ΡΠ°ΡΡΡΡ.
ΠΠ»Π°ΡΡΠΈΡΠΈΠΊΠ°ΡΠΈΡ ΡΡΠ°Π΄ΠΈΠΉ Ρ
teeth-health.ru
Π‘ΠΈΠΌΠΏΡΠΎΠΌΡ Π½Π΅ΠΊΡΠΎΠ·Π° Π·ΡΠ±ΠΎΠ² — Π²ΠΈΠ΄Ρ Π½Π΅ΠΊΡΠΎΡΠΈΡΠ΅ΡΠΊΠΈΡ Π·ΡΠ±Π½ΡΡ ΠΏΠΎΡΠ°ΠΆΠ΅Π½ΠΈΠΉ ΠΈ ΠΏΡΠΈΡΠΈΠ½Ρ Π·Π°Π±ΠΎΠ»Π΅Π²Π°Π½ΠΈΡ
Π ΠΏΠΎΡΠ»Π΅Π΄Π½ΠΈΠ΅ Π΄Π΅ΡΡΡΠΈΠ»Π΅ΡΠΈΡ ΠΎΡΠΌΠ΅ΡΠ°Π΅ΡΡΡ Π½Π΅ ΡΠΎΠ»ΡΠΊΠΎ ΡΠ²Π΅Π»ΠΈΡΠ΅Π½ΠΈΠ΅ ΡΠΈΡΠ»Π΅Π½Π½ΠΎΡΡΠΈ Π»ΡΠ΄Π΅ΠΉ, ΡΡΡΠ°Π΄Π°ΡΡΠΈΡ Π½Π΅ΠΊΡΠΎΡΠΈΡΠ΅ΡΠΊΠΈΠΌ ΠΏΠΎΡΠ°ΠΆΠ΅Π½ΠΈΠ΅ΠΌ ΡΠ²Π΅ΡΠ΄ΡΡ Π·ΡΠ±Π½ΡΡ ΡΠΊΠ°Π½Π΅ΠΉ, Π½ΠΎ ΠΈ Π·Π½Π°ΡΠΈΡΠ΅Π»ΡΠ½ΠΎΠ΅ Β«ΠΎΠΌΠΎΠ»ΠΎΠΆΠ΅Π½ΠΈΠ΅Β» Π·Π°Π±ΠΎΠ»Π΅Π²Π°Π½ΠΈΡ β ΠΎΠ½ΠΎ ΠΌΠΎΠΆΠ΅Ρ Π΄ΠΈΠ°Π³Π½ΠΎΡΡΠΈΡΠΎΠ²Π°ΡΡΡΡ Π² Π»ΡΠ±ΠΎΠΌ Π²ΠΎΠ·ΡΠ°ΡΡΠ΅, ΠΈ Π²ΡΡ ΡΠ°ΡΠ΅ β Ρ ΠΌΠΎΠ»ΠΎΠ΄ΡΡ Π»ΡΠ΄Π΅ΠΉ ΠΈ ΠΏΠΎΠ΄ΡΠΎΡΡΠΊΠΎΠ².
Π‘ΠΎΠ΄Π΅ΡΠΆΠ°Π½ΠΈΠ΅ ΡΡΠ°ΡΡΠΈ:Π§ΡΠΎ ΡΠ°ΠΊΠΎΠ΅ Π½Π΅ΠΊΡΠΎΠ· Π·ΡΠ±ΠΎΠ²?
ΠΠ΅ΠΊΡΠΎΠ· Π·ΡΠ±ΠΎΠ² β ΠΈΠ»ΠΈ, Π²Π΅ΡΠ½Π΅Π΅, ΠΈΡ ΡΠ²Π΅ΡΠ΄ΡΡ ΡΠΊΠ°Π½Π΅ΠΉ β ΠΎΡΠ΅Π½Ρ ΡΡΠΆΠ΅Π»ΠΎΠ΅ Π·Π°Π±ΠΎΠ»Π΅Π²Π°Π½ΠΈΠ΅, ΠΏΠ»ΠΎΡ ΠΎ ΠΏΠΎΠ΄Π΄Π°ΡΡΠ΅Π΅ΡΡ Π»Π΅ΡΠ΅Π½ΠΈΡ ΠΈ ΠΏΡΠΈΠ²ΠΎΠ΄ΡΡΠ΅Π΅ ΠΊ ΠΏΠΎΡΠ΅ΡΠ΅ Π·ΡΠ±ΠΎΠ².
ΠΡΠΈ Π΄Π°Π½Π½ΠΎΠΉ ΠΏΠ°ΡΠΎΠ»ΠΎΠ³ΠΈΠΈ ΡΡΡΠ΅ΡΡΠ²Π΅Π½Π½ΠΎ Π½Π°ΡΡΡΠ°Π΅ΡΡΡ ΠΆΠ΅Π²Π°ΡΠ΅Π»ΡΠ½Π°Ρ ΡΡΠ½ΠΊΡΠΈΡ ΡΠ΅Π»ΠΎΠ²Π΅ΠΊΠ° β Π°, ΡΠ»Π΅Π΄ΠΎΠ²Π°ΡΠ΅Π»ΡΠ½ΠΎ, ΠΏΡΠΎΠ³ΡΠ΅ΡΡΠΈΡΡΡΡ ΠΈΒ ΠΏΡΠΎΠ±Π»Π΅ΠΌΡ Π² ΡΠ°Π±ΠΎΡΠ΅ Π²ΡΠ΅ΠΉ ΠΏΠΈΡΠ΅Π²Π°ΡΠΈΡΠ΅Π»ΡΠ½ΠΎΠΉ ΡΠΈΡΡΠ΅ΠΌΡ.
ΠΡΠ΅Π½Ρ Π²Π°ΠΆΠ½ΠΎΠ΅ Π·Π½Π°ΡΠ΅Π½ΠΈΠ΅ ΠΈΠΌΠ΅Π΅Ρ ΠΏΡΠ°Π²ΠΈΠ»ΡΠ½Π°Ρ Π΄ΠΈΠ°Π³Π½ΠΎΡΡΠΈΠΊΠ° ΠΈ Π²ΠΎΠ²ΡΠ΅ΠΌΡ Π½Π°ΡΠ°ΡΠΎΠ΅ Π»Π΅ΡΠ΅Π½ΠΈΠ΅.
Π€Π°ΠΊΡΠΎΡΠΎΠ², ΠΊΠΎΡΠΎΡΡΠ΅ ΠΌΠΎΠ³ΡΡ ΡΡΠ°ΡΡ ΠΏΡΠΈΡΠΈΠ½ΠΎΠΉ Π½Π΅ΠΊΡΠΎΠ·Π° Π·ΡΠ±ΠΎΠ², Π²Π΅Π»ΠΈΠΊΠΎΠ΅ ΠΌΠ½ΠΎΠΆΠ΅ΡΡΠ²ΠΎ β ΡΡΠΎ ΠΈ Π²Π½ΡΡΡΠ΅Π½Π½ΠΈΠ΅ Π½Π°ΡΡΡΠ΅Π½ΠΈΡ Π² ΠΎΡΠ³Π°Π½ΠΈΠ·ΠΌΠ΅ ΡΠ΅Π»ΠΎΠ²Π΅ΠΊΠ° (ΡΠ½Π΄ΠΎΠ³Π΅Π½Π½ΡΠ΅ ΡΠ°ΠΊΡΠΎΡΡ), ΠΈ Π²Π½Π΅ΡΠ½ΠΈΠ΅ Π²Π»ΠΈΡΠ½ΠΈΡ (ΡΠΊΠ·ΠΎΠ³Π΅Π½Π½ΡΠ΅ ΡΠ°ΠΊΡΠΎΡΡ).
ΠΡΠΈΠ·Π½Π°ΠΊΠΈ ΠΈ ΡΠΈΠΌΠΏΡΠΎΠΌΡ ΠΊΠΈΡΠ»ΠΎΡΠ½ΠΎΠ³ΠΎ Π½Π΅ΠΊΡΠΎΡΠΈΡΠ΅ΡΠΊΠΎΠ³ΠΎ ΠΏΠΎΡΠ°ΠΆΠ΅Π½ΠΈΡ ΡΠ²Π΅ΡΠ΄ΡΡ ΡΠΊΠ°Π½Π΅ΠΉ Π·ΡΠ±ΠΎΠ² β ΠΏΡΠΈΡΠΈΠ½Ρ ΠΊΠΈΡΠ»ΠΎΡΠ½ΠΎΠ³ΠΎ Π½Π΅ΠΊΡΠΎΠ·Π° Π·ΡΠ±ΠΎΠ²
ΠΠ»ΠΈΡΠ½ΠΈΠ΅ ΡΠ°Π·Π»ΠΈΡΠ½ΡΡ ΠΊΠΈΡΠ»ΠΎΡ Π½Π° Π·ΡΠ±Ρ ΠΌΠΎΠΆΠ΅Ρ ΠΏΡΠΈΠ²Π΅ΡΡΠΈ ΠΊ Π½Π΅ΠΊΡΠΎΠ·Ρ:
- Π§ΡΠ΅Π·ΠΌΠ΅ΡΠ½ΠΎΠ΅ ΡΠΏΠΎΡΡΠ΅Π±Π»Π΅Π½ΠΈΠ΅ ΡΠ°Π·Π½ΡΡ ΠΊΠΈΡΠ»ΡΡ ΠΏΡΠΎΠ΄ΡΠΊΡΠΎΠ² ΠΈ ΡΡΡΠΊΡΠΎΠ² ΠΌΠΎΠΆΠ΅Ρ ΡΡΠ°ΡΡ ΠΏΡΠΈΡΠΈΠ½ΠΎΠΉ ΡΡΠΎΠΉ ΠΏΠ°ΡΠΎΠ»ΠΎΠ³ΠΈΠΈ.
- ΠΠΈΡΠ»ΠΎΡΠ½ΡΠ΅ Π½Π΅ΠΊΡΠΎΠ·Ρ Π·ΡΠ±Π½ΡΡ ΡΠΊΠ°Π½Π΅ΠΉ ΡΠ°ΡΡΠΎ Π½Π°Π±Π»ΡΠ΄Π°Π΅ΡΡΡ, ΠΊΠ°ΠΊ ΠΏΡΠΎΡΠ΅ΡΡΠΈΠΎΠ½Π°Π»ΡΠ½ΠΎΠ΅ Π·Π°Π±ΠΎΠ»Π΅Π²Π°Π½ΠΈΠ΅, Ρ ΡΠ°Π±ΠΎΡΠ½ΠΈΠΊΠΎΠ² ΠΏΡΠΎΠΌΡΡΠ»Π΅Π½Π½ΡΡ ΠΏΡΠ΅Π΄ΠΏΡΠΈΡΡΠΈΠΉ, Π² ΠΏΡΠΎΠΈΠ·Π²ΠΎΠ΄ΡΡΠ²Π΅ ΠΊΠΎΡΠΎΡΡΡ ΠΈΡΠΏΠΎΠ»ΡΠ·ΡΡΡΡΡ ΡΠ°Π·Π»ΠΈΡΠ½ΡΠ΅ ΠΊΠΈΡΠ»ΠΎΡΡ. ΠΠΈΡΠ»ΠΎΡΡ Π²ΠΎΠ·Π΄Π΅ΠΉΡΡΠ²ΡΡΡ Π½Π° Π·ΡΠ±Ρ ΡΠ΅ΡΠ΅Π· ΠΏΠ°ΡΡ.
- ΠΡΠΈΡΠΈΠ½Π°ΠΌΠΈ ΠΊΠΈΡΠ»ΠΎΡΠ½ΠΎΠ³ΠΎ Π½Π΅ΠΊΡΠΎΠ·Π° ΠΌΠΎΠ³ΡΡ ΡΡΠ°ΡΡ ΡΠ°ΠΊΠΆΠ΅ ΡΠ·ΠΎΡΠ°Π³ΠΈΡ β Π·Π°Π±ΡΠΎΡ ΡΠΎΠ΄Π΅ΡΠΆΠΈΠΌΠΎΠ³ΠΎ ΠΆΠ΅Π»ΡΠ΄ΠΊΠ° Π² ΠΏΠΈΡΠ΅Π²ΠΎΠ΄ ΠΈ ΡΠΎΡΠΎΠ²ΡΡ ΠΏΠΎΠ»ΠΎΡΡΡ, Π° ΡΠ°ΠΊΠΆΠ΅ ΡΠ°ΡΡΠ°Ρ ΡΠ²ΠΎΡΠ° ΠΊΠΈΡΠ»ΡΠΌ ΡΠΎΠ΄Π΅ΡΠΆΠΈΠΌΡΠΌ ΠΆΠ΅Π»ΡΠ΄ΠΊΠ° (Π½Π°ΠΏΡΠΈΠΌΠ΅Ρ, ΠΏΡΠΈ ΡΠ·Π²Π΅Π½Π½ΠΎΠΉ Π±ΠΎΠ»Π΅Π·Π½ΠΈ ΠΆΠ΅Π»ΡΠ΄ΠΊΠ°), Π³Π°ΡΡΡΠΈΡΠ΅ Ρ ΠΏΠΎΠ²ΡΡΠ΅Π½Π½ΡΠΌ ΡΡΠΎΠ²Π½Π΅ΠΌ ΠΆΠ΅Π»ΡΠ΄ΠΎΡΠ½ΠΎΠΉ ΠΊΠΈΡΠ»ΠΎΡΡ.
- ΠΠ»ΠΈΡΠ΅Π»ΡΠ½ΡΠΉ ΠΏΡΠΈΠ΅ΠΌ Π½Π΅ΠΊΠΎΡΠΎΡΡΡ ΠΌΠ΅Π΄ΠΈΠΊΠ°ΠΌΠ΅Π½ΡΠΎΠ² β Π½Π°ΠΏΡΠΈΠΌΠ΅Ρ, ΡΠΎΠ»ΡΠ½ΠΎΠΉ ΠΊΠΈΡΠ»ΠΎΡΡ.
Π‘Π°ΠΌΡΠ΅ Π°Π³ΡΠ΅ΡΡΠΈΠ²Π½ΡΠ΅ ΠΊΠΈΡΠ»ΠΎΡΡ Π΄Π»Ρ Π·ΡΠ±ΠΎΠ² β Π°Π·ΠΎΡΠ½Π°Ρ, ΡΠ΅ΡΠ½Π°Ρ, ΡΠΊΡΡΡΠ½Π°Ρ, ΠΌΠΎΠ»ΠΎΡΠ½Π°Ρ, ΠΎΡΡΠΎΡΠΎΡΡΠΎΡΠ½Π°Ρ, ΡΠΎΠ»ΡΠ½Π°Ρ.
ΠΠΈΡΠ»ΠΎΡΠ½ΡΠΉ Π½Π΅ΠΊΡΠΎΠ· ΡΠ²Π΅ΡΠ΄ΡΡ ΡΠΊΠ°Π½Π΅ΠΉ Π½Π°ΠΈΠ±ΠΎΠ»Π΅Π΅ ΡΠ°ΡΡΠΎ ΠΏΠΎΡΠ°ΠΆΠ°Π΅Ρ ΡΠ΅Π·ΡΡ ΠΈ ΠΊΠ»ΡΠΊΠΈ. ΠΡΠΎ Π·Π°Π±ΠΎΠ»Π΅Π²Π°Π½ΠΈΠ΅ ΠΌΠΎΠΆΠ½ΠΎ Π½Π°Π·Π²Π°ΡΡ Β«ΡΠ°ΡΡΠ²ΠΎΡΠ΅Π½ΠΈΠ΅ΠΌΒ» Π·ΡΠ±ΠΎΠ² β ΠΎΠ½ΠΈ ΠΏΠΎΡΡΠ΅ΠΏΠ΅Π½Π½ΠΎ Π»ΠΈΡΠ°ΡΡΡΡ Π·Π°ΡΠΈΡΠ½ΠΎΠΉ ΡΠ²Π΅ΡΠ΄ΠΎΠΉ ΡΠΌΠ°Π»ΠΈ, ΠΈ Π²ΠΏΠΎΡΠ»Π΅Π΄ΡΡΠ²ΠΈΠΈ ΠΌΠΎΠΆΠ΅Ρ Π½Π°Π±Π»ΡΠ΄Π°ΡΡΡΡ Π΄Π°ΠΆΠ΅ ΠΏΠΎΠ»Π½ΠΎΠ΅ ΠΈΡΡΠ΅Π·Π½ΠΎΠ²Π΅Π½ΠΈΠ΅ ΠΊΠΎΡΠΎΠ½ΠΎΠΊ Π·ΡΠ±ΠΎΠ².
Π Π°Π·Π²ΠΈΠ²Π°Π΅ΡΡΡ ΠΊΠΈΡΠ»ΠΎΡΠ½ΡΠΉ Π½Π΅ΠΊΡΠΎΠ· Π΄ΠΎΠ²ΠΎΠ»ΡΠ½ΠΎ ΠΌΠ΅Π΄Π»Π΅Π½Π½ΠΎ, ΠΏΡΠΎΡΠ²Π»ΡΡΡΡ ΡΠ»Π΅Π΄ΡΡΡΠΈΠΌΠΈ ΡΠΈΠΌΠΏΡΠΎΠΌΠ°ΠΌΠΈ: Π Π°Π΄ΠΈΠ°ΡΠΈΠΎΠ½Π½ΠΎΠ΅ (ΠΏΠΎΡΡΠ»ΡΡΠ΅Π²ΠΎΠ΅) Π½Π΅ΠΊΡΠΎΡΠΈΡΠ΅ΡΠΊΠΎΠ΅ ΠΏΠΎΡΠ°ΠΆΠ΅Π½ΠΈΠ΅ Π²ΠΎΠ·Π½ΠΈΠΊΠ°Π΅Ρ Ρ Π»ΡΠ΄Π΅ΠΉ, ΠΏΠΎΠ΄Π²Π΅ΡΠ³ΡΠΈΡ
ΡΡ Π²Π»ΠΈΡΠ½ΠΈΡ ΠΈΠΎΠ½ΠΈΠ·ΠΈΡΡΡΡΠ΅Π³ΠΎ ΠΈΠ·Π»ΡΡΠ΅Π½ΠΈΡ. Π‘ΠΈΠΌΠΏΡΠΎΠΌΡ ΡΠ°Π΄ΠΈΠ°ΡΠΈΠΎΠ½Π½ΠΎΠ³ΠΎ Π½Π΅ΠΊΡΠΎΠ·Π° Π·ΡΠ±ΠΎΠ²: Π§Π΅ΡΠ΅Π· Π³ΠΎΠ΄-Π΄Π²Π° ΠΏΠΎΡΠ°ΠΆΠ΅Π½Π½ΡΠΌΠΈ ΠΌΠΎΠ³ΡΡ ΠΎΠΊΠ°Π·Π°ΡΡΡΡ Π²ΡΠ΅ Π·ΡΠ±Ρ. ΠΠΎΠΌΠΏΡΡΡΠ΅ΡΠ½ΡΠΉ Π½Π΅ΠΊΡΠΎΠ· Π² Π½Π΅ΠΊΠΎΡΠΎΡΠΎΠΉ ΡΡΠ΅ΠΏΠ΅Π½ΠΈ ΠΌΠΎΠΆΠ½ΠΎ ΠΎΡΠ½Π΅ΡΡΠΈ Π² ΡΠ°Π·Π΄Π΅Π» ΡΠ°Π΄ΠΈΠ°ΡΠΈΠΎΠ½Π½ΡΡ
Π½Π΅ΠΊΡΠΎΠ·ΠΎΠ², Π½ΠΎ ΡΡΠ° ΠΏΠ°ΡΠΎΠ»ΠΎΠ³ΠΈΡ ΠΏΡΠΎΡΠ²Π»ΡΠ΅ΡΡΡ ΠΈ ΠΏΡΠΎΡΠ΅ΠΊΠ°Π΅Ρ Π½Π΅ΡΠΊΠΎΠ»ΡΠΊΠΎ ΠΏΠΎ-ΠΈΠ½ΠΎΠΌΡ, ΡΠ΅ΠΌ ΡΠ°Π΄ΠΈΠ°ΡΠΈΠΎΠ½Π½ΡΠ΅ Π½Π΅ΠΊΡΠΎΠ·Ρ. ΠΠ΅ Π΄Π°Π»Π΅Π΅, ΡΠ΅ΠΌ Π΄Π΅ΡΡΡΠΈΠ»Π΅ΡΠΈΠ΅ Π½Π°Π·Π°Π΄ ΡΡΠΎΠΌΠ°ΡΠΎΠ»ΠΎΠ³ΠΈ ΡΡΠΎΠ»ΠΊΠ½ΡΠ»ΠΈΡΡ Ρ ΠΏΠΎΠ²ΡΠ΅ΠΌΠ΅ΡΡΠ½ΠΎ Π²ΡΡΡΠ΅ΡΠ°ΡΡΠΈΠΌΡΡ, Π½ΠΎ ΡΠ°Π½Π΅Π΅ Π½Π΅Π·Π½Π°ΠΊΠΎΠΌΡΠΌ Π·Π°Π±ΠΎΠ»Π΅Π²Π°Π½ΠΈΠ΅ΠΌ, ΠΊΠΎΠ³Π΄Π° Ρ ΠΏΠ°ΡΠΈΠ΅Π½ΡΠ° ΠΏΠΎΡΠ°ΠΆΠ°Π»ΠΈΡΡ ΠΏΡΠ΅ΠΈΠΌΡΡΠ΅ΡΡΠ²Π΅Π½Π½ΠΎ ΡΠ΅Π·ΡΡ ΠΈ ΠΊΠ»ΡΠΊΠΈ. Π‘Π°ΠΌΠΎΠ΅ ΠΏΡΠΈΠΌΠ΅ΡΠ°ΡΠ΅Π»ΡΠ½ΠΎΠ΅, ΡΡΠΎ ΡΡΠΎ Π·Π°Π±ΠΎΠ»Π΅Π²Π°Π½ΠΈΠ΅ ΠΎΡΠΌΠ΅ΡΠ°Π»ΠΎΡΡ ΡΠΎΠ»ΡΠΊΠΎ Ρ Π»ΡΠ΄Π΅ΠΉ, ΡΡΡ Π΄Π΅ΡΡΠ΅Π»ΡΠ½ΠΎΡΡΡ ΡΠ²ΡΠ·Π°Π½Π° Ρ ΡΠ°Π±ΠΎΡΠΎΠΉ Π½Π° ΠΊΠΎΠΌΠΏΡΡΡΠ΅ΡΠ΅. Π’Π°ΠΊ Π½Π°Π·ΡΠ²Π°Π΅ΠΌΡΠΉ ΠΊΠΎΠΌΠΏΡΡΡΠ΅ΡΠ½ΡΠΉ Π½Π΅ΠΊΡΠΎΠ· Π·ΡΠ±ΠΎΠ² Π²ΠΎΠ·Π½ΠΈΠΊΠ°Π΅Ρ ΠΏΠΎ ΠΏΡΠΈΡΠΈΠ½Π΅ Π΄Π»ΠΈΡΠ΅Π»ΡΠ½ΠΎΠ³ΠΎ Π²ΠΎΠ·Π΄Π΅ΠΉΡΡΠ²ΠΈΡ Π½Π° Π½ΠΈΡ
ΠΈΠΎΠ½ΠΈΠ·ΠΈΡΡΡΡΠ΅Π³ΠΎ ΠΈΠ·Π»ΡΡΠ΅Π½ΠΈΠ΅ ΠΈ ΡΠ»Π΅ΠΊΡΡΠΎΠΌΠ°Π³Π½ΠΈΡΠ½ΠΎΠ³ΠΎ ΠΏΠΎΠ»Ρ, ΡΠΎΠ·Π΄Π°Π²Π°Π΅ΠΌΠΎΠ³ΠΎ ΠΌΠΎΠ½ΠΈΡΠΎΡΠΎΠΌ ΠΊΠΎΠΌΠΏΡΡΡΠ΅ΡΠ°. ΠΠΌΠ΅Π½Π½ΠΎ ΠΏΠΎΡΡΠΎΠΌΡ ΠΈ ΡΡΡΠ°Π΄Π°ΡΡ ΡΠ°ΡΠ΅ Π²ΡΠ΅Π³ΠΎ ΠΏΠ΅ΡΠ΅Π΄Π½ΠΈΠ΅ Π·ΡΠ±Ρ, ΠΊΠΎΡΠΎΡΡΠ΅ Π±ΠΎΠ»ΡΡΠ΅ ΠΎΠ±ΡΠ°ΡΠ΅Π½Ρ ΠΊ ΠΌΠΎΠ½ΠΈΡΠΎΡΡ. Π£ΡΠΈΡΡΠ²Π°Ρ ΠΏΡΠΈΡΠΈΠ½Ρ ΠΏΠ°ΡΠΎΠ»ΠΎΠ³ΠΈΠΈ, Π·Π°Π±ΠΎΠ»Π΅Π²Π°ΡΡ ΠΊΠΎΠΌΠΏΡΡΡΠ΅ΡΠ½ΡΠΌ Π½Π΅ΠΊΡΠΎΠ·ΠΎΠΌ Π·ΡΠ±ΠΎΠ², Π² ΠΏΠΎΠ΄Π°Π²Π»ΡΡΡΠ΅ΠΌ Π±ΠΎΠ»ΡΡΠΈΠ½ΡΡΠ²Π΅,Β ΠΌΠΎΠ»ΠΎΠ΄ΡΠ΅ Π»ΡΠ΄ΠΈ Π² Π²ΠΎΠ·ΡΠ°ΡΡΠ΅ 25-30 Π»Π΅Ρ. ΠΠΎ ΠΊΠΎΠΌΠΏΡΡΡΠ΅Ρ, Π½ΠΎΡΡΠ±ΡΠΊ ΠΈΠ»ΠΈ ΡΠ΅Π»Π΅Π²ΠΈΠ·ΠΎΡ β Π²ΡΡ ΠΆΠ΅ Π½Π΅ ΠΏΠ΅ΡΠ²ΠΎΠΏΡΠΈΡΠΈΠ½Π° ΠΏΠΎΡΠ²Π»Π΅Π½ΠΈΡ Π½Π΅ΠΊΡΠΎΠ·Π° Π·ΡΠ±Π½ΡΡ
ΡΠΊΠ°Π½Π΅ΠΉ. ΠΡΠΈΡΠΈΠ½Π° ΠΊΡΠΎΠ΅ΡΡΡ Π²ΡΡ-ΡΠ°ΠΊΠΈ Π² ΠΏΡΠ΅Π²ΡΡΠ΅Π½ΠΈΠΈ Π½ΠΎΡΠΌ ΡΠΈΠ΄Π΅Π½ΠΈΡ Ρ ΡΠ΅Ρ
Π½ΠΈΠΊΠΈ, Π½Π΅Π±ΠΎΠ»ΡΡΠ°Ρ ΠΎΡΠ΄Π°Π»Π΅Π½Π½ΠΎΡΡΡ ΠΎΡ ΠΌΠΎΠ½ΠΈΡΠΎΡΠΎΠ² ΠΊΠΎΠΌΠΏΡΡΡΠ΅ΡΠ° ΠΈΠ»ΠΈ ΡΠ΅Π»Π΅Π²ΠΈΠ·ΠΎΡΠ°, ΠΏΠ»ΡΡ β Π²ΡΠ΅Π΄Π½ΡΠ΅ ΠΏΡΠΈΠ²ΡΡΠΊΠΈ, Π½Π΅ΠΏΡΠ°Π²ΠΈΠ»ΡΠ½ΠΎΠ΅ ΠΏΠΈΡΠ°Π½ΠΈΠ΅ ΠΈ ΠΎΠ±ΡΠ°Π· ΠΆΠΈΠ·Π½ΠΈ, ΠΊΠΎΡΠΎΡΡΠΉ Π½Π΅Π»ΡΠ·Ρ Π½Π°Π·Π²Π°ΡΡ Π·Π΄ΠΎΡΠΎΠ²ΡΠΌ. ΠΡΠΈΠ·Π½Π°ΠΊΠΈ ΠΊΠΎΠΌΠΏΡΡΡΠ΅ΡΠ½ΠΎΠ³ΠΎ Π½Π΅ΠΊΡΠΎΠ·Π° Π·ΡΠ±ΠΎΠ² β ΠΊΠ°ΠΊ ΠΎΠ±Π½Π°ΡΡΠΆΠΈΡΡ Π²ΠΎΠ²ΡΠ΅ΠΌΡ? ΠΠ½ΡΡΡΠ΅Π½Π½ΠΈΠ΅ ΠΏΠ°ΡΠΎΠ»ΠΎΠ³ΠΈΡΠ΅ΡΠΊΠΈΠ΅ ΡΠ°ΠΊΡΠΎΡΡ ΠΌΠΎΠ³ΡΡ ΠΏΡΠΈΠ²Π΅ΡΡΠΈ ΠΊ Π²ΠΎΠ·Π½ΠΈΠΊΠ½ΠΎΠ²Π΅Π½ΠΈΡ Π½Π΅ΠΊΡΠΎΠ·Π° Π·ΡΠ±ΠΎΠ² ΡΠΎΡΠ½ΠΎ ΡΠ°ΠΊ ΠΆΠ΅, ΠΊΠ°ΠΊ Π²ΡΡΠ΅ΠΏΠ΅ΡΠ΅ΡΠΈΡΠ»Π΅Π½Π½ΡΠ΅. Π Π²Π½ΡΡΡΠ΅Π½Π½ΠΈΠΌ, ΠΈΠ»ΠΈ ΡΠ½Π΄ΠΎΠ³Π΅Π½Π½ΡΠΌ ΡΠ°ΠΊΡΠΎΡΠ°ΠΌ ΠΌΠΎΠΆΠ½ΠΎ ΠΎΡΠ½Π΅ΡΡΠΈ: ΠΠ°ΠΊ ΠΏΡΠ°Π²ΠΈΠ»ΠΎ, Π½Π΅ΠΊΡΠΎΠ· Π·ΡΠ±ΠΎΠ², Π²ΠΎΠ·Π½ΠΈΠΊΠ°ΡΡΠΈΠΉ, ΠΊΠ°ΠΊ ΠΎΡΠ»ΠΎΠΆΠ½Π΅Π½ΠΈΠ΅ ΠΊΠ°ΠΊΠΈΡ
-Π»ΠΈΠ±ΠΎ Π²Π½ΡΡΡΠ΅Π½Π½ΠΈΡ
Π·Π°Π±ΠΎΠ»Π΅Π²Π°Π½ΠΈΠΉ ΠΈΠ»ΠΈ Π½Π°ΡΡΡΠ΅Π½ΠΈΠΉ Π² ΠΎΡΠ³Π°Π½ΠΈΠ·ΠΌΠ΅, ΠΈΠΌΠ΅Π΅Ρ ΠΏΡΠΈΡΠ΅Π΅ΡΠ½ΡΡ ΡΠΎΡΠΌΡ, ΠΏΡΠ΅ΠΆΠ΄Π΅ Π²ΡΠ΅Π³ΠΎ ΠΏΠΎΡΠ°ΠΆΠ°Ρ ΠΏΡΠΈΡΠ΅Π΅ΡΠ½ΡΠ΅ Π·ΠΎΠ½Ρ Π·ΡΠ±ΠΎΠ². ΠΠ΅ΠΊΡΠΎΠ· Π·ΡΠ±ΠΎΠ² Π½Π΅ΡΠ»ΠΎΠΆΠ΅Π½ Π² Π΄ΠΈΠ°Π³Π½ΠΎΡΡΠΈΠΊΠ΅ β ΡΡΠΎΠΌΠ°ΡΠΎΠ»ΠΎΠ³ Π±Π΅Π· ΡΡΡΠ΄Π° ΠΎΠΏΡΠ΅Π΄Π΅Π»ΠΈΡ Ρ
Π°ΡΠ°ΠΊΡΠ΅ΡΠ½ΡΠ΅ Π΄Π»Ρ ΡΡΠΎΠΉ ΠΏΠ°ΡΠΎΠ»ΠΎΠ³ΠΈΠΈ ΠΏΡΠΈΠ·Π½Π°ΠΊΠΈ. ΠΠΈΡΡΠ΅ΡΠ΅Π½ΡΠΈΠ°Π»ΡΠ½Π°Ρ Π΄ΠΈΠ°Π³Π½ΠΎΡΡΠΈΠΊΠ° ΠΏΠ°ΡΠΎΠ»ΠΎΠ³ΠΈΠΈ Π²ΡΠΏΠΎΠ»Π½ΡΠ΅ΡΡΡ Π² ΠΎΡΠ½ΠΎΡΠ΅Π½ΠΈΠΈ ΠΊΠ»ΠΈΠ½ΠΎΠ²ΠΈΠ΄Π½ΠΎΠ³ΠΎ Π΄Π΅ΡΠ΅ΠΊΡΠ°, ΠΊΠ°ΡΠΈΠ΅ΡΠ°, ΡΡΠΎΠ·ΠΈΠΈ Π·ΡΠ±Π½ΠΎΠΉ ΡΠΌΠ°Π»ΠΈ. ΠΠ½ΠΎΠ³Π΄Π° Π΄Π»Ρ ΡΠΎΡΠ½ΠΎΠΉ Π΄ΠΈΠ°Π³Π½ΠΎΡΡΠΈΠΊΠΈ Π½Π΅ΠΊΡΠΎΠ·Π° Π·ΡΠ±ΠΎΠ² ΡΡΠ΅Π±ΡΠ΅ΡΡΡ Π²ΡΠΏΠΎΠ»Π½Π΅Π½ΠΈΠ΅ ΡΠ΅Π½ΡΠ³Π΅Π½ΠΎΠ³ΡΠ°ΠΌΠΌΡ.Β ΠΠ° ΡΠ΅Π½ΡΠ³Π΅Π½ΠΎΠ²ΡΠΊΠΎΠΌ ΡΠ½ΠΈΠΌΠΊΠ΅ Π·ΡΠ±Ρ Ρ Π½Π΅ΠΊΡΠΎΡΠΈΡΠ΅ΡΠΊΠΈΠΌ ΠΏΠΎΡΠ°ΠΆΠ΅Π½ΠΈΠ΅ΠΌ ΠΈΠΌΠ΅ΡΡ Π½Π΅ΡΠ΅ΡΠΊΠΈΠ΅ ΠΊΠΎΠ½ΡΡΡΡ ΡΠΌΠ°Π»ΠΈ, ΡΡΠΎ ΡΠΊΠ°Π·ΡΠ²Π°Π΅Ρ Π½Π° Π΄Π΅ΠΌΠΈΠ½Π΅ΡΠ°Π»ΠΈΠ·Π°ΡΠΈΡ ΡΠΊΠ°Π½Π΅ΠΉ. ΠΠΎΠ³Π΄Π° ΠΏΠ°ΡΠΎΠ»ΠΎΠ³ΠΈΡ ΡΠΎΡΠ½ΠΎ Π΄ΠΈΠ°Π³Π½ΠΎΡΡΠΈΡΠΎΠ²Π°Π½Π° β Π½Π΅ΠΎΠ±Ρ
ΠΎΠ΄ΠΈΠΌΠΎ Π½Π°ΡΠ°ΡΡ Π½Π΅Π·Π°ΠΌΠ΅Π΄Π»ΠΈΡΠ΅Π»ΡΠ½ΠΎΠ΅ Π»Π΅ΡΠ΅Π½ΠΈΠ΅ Π½Π΅ΠΊΡΠΎΠ·Π° Π·ΡΠ±ΠΎΠ².Π‘ΠΈΠΌΠΏΡΠΎΠΌΡ ΡΠ°Π΄ΠΈΠ°ΡΠΈΠΎΠ½Π½ΠΎΠ³ΠΎ Π½Π΅ΠΊΡΠΎΠ·Π° Π·ΡΠ±Π½ΡΡ
ΡΠΊΠ°Π½Π΅ΠΉ
ΠΠΎΠ»Π΅Π·Π½Ρ 21 Π²Π΅ΠΊΠ° β ΠΊΠΎΠΌΠΏΡΡΡΠ΅ΡΠ½ΠΎΠ΅ Π½Π΅ΠΊΡΠΎΡΠΈΡΠ΅ΡΠΊΠΎΠ΅ ΠΏΠΎΡΠ°ΠΆΠ΅Π½ΠΈΠ΅ ΡΠ²Π΅ΡΠ΄ΡΡ
ΡΠΊΠ°Π½Π΅ΠΉ Π·ΡΠ±ΠΎΠ²
ΠΠ΅ΠΊΡΠΎΡΠΈΡΠ΅ΡΠΊΠΈΠ΅ ΠΏΠΎΡΠ°ΠΆΠ΅Π½ΠΈΡ ΡΠ²Π΅ΡΠ΄ΡΡ
ΡΠΊΠ°Π½Π΅ΠΉ Π·ΡΠ±ΠΎΠ² ΡΠ½Π΄ΠΎΠ³Π΅Π½Π½ΠΎΠ³ΠΎ Ρ
Π°ΡΠ°ΠΊΡΠ΅ΡΠ°
ΠΠΈΠ°Π³Π½ΠΎΡΡΠΈΠΊΠ° Π½Π΅ΠΊΡΠΎΡΠΈΡΠ΅ΡΠΊΠΈΡ
ΠΏΠΎΡΠ°ΠΆΠ΅Π½ΠΈΠΉ ΡΠ²Π΅ΡΠ΄ΡΡ
ΡΠΊΠ°Π½Π΅ΠΉ Π·ΡΠ±ΠΎΠ²
www.operabelno.ru