4.5.5 ΠΠ΅Π»ΠΊΠΎΠΊΠ»Π΅ΡΠΎΡΠ½ΡΠΉ ΡΠ°ΠΊ
Π Π³ΠΈΡΡΠΎΠ»ΠΎΠ³ΠΈΡΠ΅ΡΠΊΠΎΠΉ ΠΊΠ»Π°ΡΡΠΈΡΠΈΠΊΠ°ΡΠΈΠΈ ΠΎΠΏΡΡ ΠΎΠ»Π΅ΠΉ Π»Π΅Π³ΠΊΠΈΡ ΠΠΠ (1981) ΠΌΠ΅Π»ΠΊΠΎΠΊΠ»Π΅ΡΠΎΡΠ½ΡΠΉ ΡΠ°ΠΊ ΠΏΡΠ΅Π΄ΡΡΠ°Π²Π»Π΅Π½ ΡΡΠ΅ΠΌΡ Π²Π°ΡΠΈΠ°Π½ΡΠ°ΠΌΠΈ: ΠΎΠ²ΡΡΠ½ΠΎΠΊΠ»Π΅ΡΠΎΡΠ½ΡΠΉ ΡΠ°ΠΊ, ΡΠ°ΠΊ ΠΈΠ· ΠΊΠ»Π΅ΡΠΎΠΊ ΠΏΡΠΎΠΌΠ΅ΠΆΡΡΠΎΡΠ½ΠΎΠ³ΠΎ ΡΠΈΠΏΠ° ΠΈ ΠΊΠΎΠΌΠ±ΠΈΠ½ΠΈΡΠΎΠ²Π°Π½Π½ΡΠΉ ΠΎΠ²ΡΡΠ½ΠΎΠΊΠ»Π΅ΡΠΎΡΠ½ΡΠΉ ΡΠ°ΠΊ. ΠΠ΅Π»ΠΊΠΎΠΊΠ»Π΅ΡΠΎΡΠ½ΡΠΉ ΡΠΈΠΏ ΡΠΎΡΡΠ°Π²Π»ΡΠ΅Ρ 1-4 % Π²ΡΠ΅Ρ ΡΠΏΠΈΡΠ΅Π»ΠΈΠ°Π»ΡΠ½ΡΡ Π½ΠΎΠ²ΠΎΠΎΠ±ΡΠ°Π·ΠΎΠ²Π°Π½ΠΈΠΉ ΡΡΠ°Ρ Π΅ΠΈ ΠΈ ΡΠ²Π»ΡΠ΅ΡΡΡ Π²ΡΡΠΎΠΊΠΎΠ·Π»ΠΎΠΊΠ°ΡΠ΅ΡΡΠ²Π΅Π½Π½ΠΎΠΉ ΠΎΠΏΡΡ ΠΎΠ»ΡΡ, ΡΠΎΡΡΠΎΡΡΠ΅ΠΉ ΠΈΠ· ΠΌΠ΅Π»ΠΊΠΈΡ Π΄ΠΎΠ²ΠΎΠ»ΡΠ½ΠΎ ΠΎΠ΄Π½ΠΎΡΠΈΠΏΠ½ΡΡ ΠΊΠ»Π΅ΡΠΎΠΊ ΡΠΎ ΡΠΊΡΠ΄Π½ΠΎΠΉ ΡΠΈΡΠΎΠΏΠ»Π°Π·ΠΌΠΎΠΉ ΠΈ Π½Π΅ΠΆΠ½ΡΠΌ Π΄ΠΈΡΡΡΠ·Π½ΠΎ ΡΠ°ΡΠΏΡΠ΅Π΄Π΅Π»Π΅Π½Π½ΡΠΌ ΠΏΠΎ Π²ΡΠ΅ΠΌΡ ΡΠ΄ΡΡ Ρ ΡΠΎΠΌΠ°ΡΠΈΠ½ΠΎΠΌ, ΠΈΠ½ΠΎΠ³Π΄Π° Π²ΡΡΠ²Π»ΡΡΡΡΡ Π³ΠΈΠΏΠ΅ΡΡΡΠΎΡΠΈΡΠΎΠ²Π°Π½Π½ΡΠ΅ ΡΠ΄ΡΡΡΠΊΠΈ.
ΠΠ°ΠΊ ΠΏΡΠ°Π²ΠΈΠ»ΠΎ, ΠΏΡΠΈ ΡΠ²Π΅ΡΠΎΠΎΠΏΡΠΈΡΠ΅ΡΠΊΠΎΠΌ ΠΈΡΡΠ»Π΅Π΄ΠΎΠ²Π°Π½ΠΈΠΈ Π² ΠΎΠΏΡΡ ΠΎΠ»Π΅Π²ΡΡ ΠΊΠ»Π΅ΡΠΊΠ°Ρ Π½Π΅ Π²ΡΡΠ²Π»ΡΡΡΡΡ ΠΊΠ°ΠΊΠΈΠ΅-Π»ΠΈΠ±ΠΎ ΠΏΡΠΈΠ·Π½Π°ΠΊΠΈ Π΄ΠΈΡΡΠ΅ΡΠ΅Π½ΡΠΈΡΠΎΠ²ΠΊΠΈ, Ρ ΠΎΡΡ ΠΏΡΠΈ ΡΠ»Π΅ΠΊΡΡΠΎΠ½Π½ΠΎΠΉ ΠΌΠΈΠΊΡΠΎΡΠΊΠΎΠΏΠΈΠΈ Π² ΠΎΡΠ΄Π΅Π»ΡΠ½ΡΡ ΡΠ»ΡΡΠ°ΡΡ ΠΎΠ±Π½Π°ΡΡΠΆΠΈΠ²Π°ΡΡΡΡ Π΅Π΄ΠΈΠ½ΠΈΡΠ½ΡΠ΅ ΠΈΠ»ΠΈ Π½Π΅Π±ΠΎΠ»ΡΡΠΈΠ΅ Π³ΡΡΠΏΠΏΡ ΠΊΠ»Π΅ΡΠΎΠΊ, ΠΈΠΌΠ΅ΡΡΠΈΡ ΠΏΡΠΈΠ·Π½Π°ΠΊΠΈ ΠΏΠ»ΠΎΡΠΊΠΎΡΠΏΠΈΡΠ΅Π»ΠΈΠ°Π»ΡΠ½ΠΎΠΉ ΠΈΠ»ΠΈ ΠΆΠ΅Π»Π΅Π·ΠΈΡΡΠΎΠΉ Π΄ΠΈΡΡΠ΅ΡΠ΅Π½ΡΠΈΡΠΎΠ²ΠΎΠΊ. ΠΡΠ° Π³ΡΡΠΏΠΏΠ° ΠΎΠΏΡΡ ΠΎΠ»Π΅ΠΉ Ρ Π°ΡΠ°ΠΊΡΠ΅ΡΠΈΠ·ΡΠ΅ΡΡΡ ΡΠ°ΠΊΠΆΠ΅ ΠΏΡΠΎΠ΄ΡΠΊΡΠΈΠ΅ΠΉ ΡΠ°Π·Π»ΠΈΡΠ½ΡΡ Π³ΠΎΡΠΌΠΎΠ½ΠΎΠ², ΡΠ°ΠΊΠΈΡ ΠΊΠ°ΠΊ ΠΠΠ’Π, ΡΠ΅ΡΠΎΡΠΎΠ½ΠΈΠ½, Π°Π½ΡΠΈΠ΄ΠΈΡΡΠ΅ΡΠΈΡΠ΅ΡΠΊΠΈΠΉ Π³ΠΎΡΠΌΠΎΠ½, ΠΊΠ°Π»ΡΡΠΈΡΠΎΠ½ΠΈΠ½, ΡΠΎΠΌΠ°ΡΠΎΡΡΠΎΠΏΠ½ΡΠΉ Π³ΠΎΡΠΌΠΎΠ½, ΠΌΠ΅Π»Π°Π½ΠΎΡΠΈΡΠΎΡΡΠΈΠΌΡΠ»ΠΈΡΡΡΡΠΈΠΉ Π³ΠΎΡΠΌΠΎΠ½, ΡΡΡΡΠΎΠ³Π΅Π½Ρ.
Π ΠΏΠΎΡΠ»Π΅Π΄Π½ΠΈΠ΅ Π³ΠΎΠ΄Ρ Π² Π»ΠΈΡΠ΅ΡΠ°ΡΡΡΠ΅ ΠΎΡΠΎΠ±Π΅Π½Π½ΠΎ ΠΏΠΎΠ΄ΡΠ΅ΡΠΊΠΈΠ²Π°Π΅ΡΡΡ, ΡΡΠΎ Π³ΡΡΠΏΠΏΠ° ΠΌΠ΅Π»ΠΊΠΎΠΊΠ»Π΅ΡΠΎΡΠ½ΠΎΠ³ΠΎ ΡΠ°ΠΊΠ° Π½Π΅ΠΎΠ΄Π½ΠΎΡΠΎΠ΄Π½Π° ΠΈ ΠΏΡΠ΅Π΄ΡΡΠ°Π²Π»Π΅Π½Π° Π²Π°ΡΠΈΠ°Π½ΡΠ°ΠΌΠΈ, ΡΠ°Π·Π»ΠΈΡΠ°ΡΡΠΈΠΌΠΈΡΡ ΠΏΠΎ Ρ Π°ΡΠ°ΠΊΡΠ΅ΡΡ ΡΠΎΡΡΠ°, Π°Π½ΡΠΈΠ³Π΅Π½Π½ΠΎΠΌΡ ΡΠΎΡΡΠ°Π²Ρ, ΠΏΡΠΎΠ΄ΡΠΊΡΠΈΠΈ Π±ΠΈΠΎΠΌΠ°ΡΠΊΠ΅ΡΠΎΠ², ΡΠΈΡΠΎΠ³Π΅Π½Π΅ΡΠΈΡΠ΅ΡΠΊΠΈΠΌΠΈ ΠΏΡΠΈΠ·Π½Π°ΠΊΠ°ΠΌΠΈ, ΡΠΊΡΠΏΡΠ΅ΡΡΠΈΠ΅ΠΉ ΠΈ Π°ΠΌΠΏΠ»ΠΈΡΠΈΠΊΠ°ΡΠΈΠ΅ΠΉ ΠΎΠ½ΠΊΠΎΠ³Π΅Π½ΠΎΠ², ΡΠ°Π·Π»ΠΈΡΠ½ΠΎΠΉ ΡΡΠ²ΡΡΠ²ΠΈΡΠ΅Π»ΡΠ½ΠΎΡΡΡΡ ΠΊ ΠΏΡΠΎΡΠΈΠ²ΠΎΠΎΠΏΡΡ ΠΎΠ»Π΅Π²ΠΎΠΉ ΡΠ΅ΡΠ°ΠΏΠΈΠΈ. ΠΠ°ΠΈΠ±ΠΎΠ»Π΅Π΅ ΠΎΠ±ΡΠΈΠΌ ΠΈ Ρ Π°ΡΠ°ΠΊΡΠ΅ΡΠ½ΡΠΌ Π±ΠΈΠΎΠ»ΠΎΠ³ΠΈΡΠ΅ΡΠΊΠΈΠΌ ΠΏΡΠΈΠ·Π½Π°ΠΊΠΎΠΌ ΡΠ²Π»ΡΠ΅ΡΡΡ ΠΏΡΠΎΠ΄ΡΠΊΡΠΈΡ Π² ΠΊΠ»Π΅ΡΠΊΠ°Ρ 4 ΠΌΠ°ΡΠΊΠ΅ΡΠΎΠ², Π΄Π²Π° ΠΈΠ· ΠΊΠΎΡΠΎΡΡΡ ΡΠ²Π»ΡΡΡΡΡ ΡΠ΅ΡΠΌΠ΅Π½ΡΠ°ΠΌΠΈ APUD-ΡΠΈΡΡΠ΅ΠΌΡ (L-ΠΠΠ€Π-Π΄Π΅ΠΊΠ°ΡΠ±ΠΎΠΊΡΠΈΠ»Π°Π·Π°, Π½Π΅ΠΉΡΠΎΠ½ΡΠΏΠ΅ΡΠΈΡΠΈΡΠ΅ΡΠΊΠ°Ρ Π΅Π½ΠΎΠ»Π°Π·Π°), ΠΎΡΡΠ°Π»ΡΠ½ΡΠ΅ — ΠΏΠ΅ΠΏΡΠΈΠ΄Π½ΡΠΉ Π³ΠΎΡΠΌΠΎΠ½ Π±ΠΎΠΌΠ±Π΅Π·ΠΈΠ½ (Π³Π°ΡΡΡΠΈΠ½-ΡΠΈΠ»ΠΈΠ·ΠΈΠ½Π³ ΠΏΠ΅ΠΏΡΠΈΠ΄) ΠΈ ΠΠ ΠΈΠ·ΠΎΡΠ½Π·ΠΈΠΌ ΠΊΡΠ΅Π°ΡΠΈΠ½-ΠΊΠΈΠ½Π°Π·Ρ.
ΠΠ΅Π»ΠΊΠΎΠΊΠ»Π΅ΡΠΎΡΠ½ΡΠΉ ΡΠ°ΠΊ ΠΎΡΠ»ΠΈΡΠ°Π΅ΡΡΡ Π²ΡΡΠ°ΠΆΠ΅Π½Π½ΠΎΠΉ ΡΠΊΠ»ΠΎΠ½Π½ΠΎΡΡΡΡ ΠΊ ΠΌΠ΅ΡΠ°ΡΡΠ°Π·ΠΈΡΠΎΠ²Π°Π½ΠΈΡ ΡΠΆΠ΅ Π½Π° ΡΠ°Π½Π½ΠΈΡ ΡΡΠ°Π΄ΠΈΡΡ ΡΠ°Π·Π²ΠΈΡΠΈΡ ΠΎΠΏΡΡ ΠΎΠ»ΠΈ, ΠΏΠ»ΠΎΡ ΠΈΠΌ ΠΏΡΠΎΠ³Π½ΠΎΠ·ΠΎΠΌ ΠΈ ΠΌΠ°Π»ΠΎΠΉ ΠΏΡΠΎΠ΄ΠΎΠ»ΠΆΠΈΡΠ΅Π»ΡΠ½ΠΎΡΡΡΡ ΠΆΠΈΠ·Π½ΠΈ Π±ΠΎΠ»ΡΠ½ΡΡ .
Π’Π°ΠΊΠΈΠΌ ΠΎΠ±ΡΠ°Π·ΠΎΠΌ, ΠΌΠ΅Π»ΠΊΠΎΠΊΠ»Π΅ΡΠΎΡΠ½ΡΠΉ ΡΠ°ΠΊ ΡΡΠ°Ρ Π΅ΠΈ Ρ Π°ΡΠ°ΠΊΡΠ΅ΡΠΈΠ·ΡΠ΅ΡΡΡ Π½Π°Π»ΠΈΡΠΈΠ΅ΠΌ ΡΠ»Π΅Π΄ΡΡΡΠΈΡ ΠΎΡΠ½ΠΎΠ²Π½ΡΡ ΠΏΡΠΈΠ·Π½Π°ΠΊΠΎΠ²: ΠΌΠ΅Π»ΠΊΠΈΠ΅ ΡΠ°Π·ΠΌΠ΅ΡΡ ΠΊΠ»Π΅ΡΠΎΠΊ, ΠΎΡΡΡΡΡΡΠ²ΠΈΠ΅ ΡΠ²Π΅ΡΠΎΠΎΠΏΡΠΈΡΠ΅ΡΠΊΠΈΡ ΠΏΡΠΈΠ·Π½Π°ΠΊΠΎΠ² Π΄ΠΈΡΡΠ΅ΡΠ΅Π½ΡΠΈΡΠΎΠ²ΠΊΠΈ, Π±ΡΡΡΡΡΠΉ ΡΠΎΡΡ, ΡΠ°Π½Π½Π΅Π΅ ΠΈ ΠΎΠ±ΡΠΈΡΠ½ΠΎΠ΅ ΠΌΠ΅ΡΠ°ΡΡΠ°Π·ΠΈΡΠΎΠ²Π°Π½ΠΈΠ΅, Π²ΡΡΠΎΠΊΠ°Ρ ΡΡΠ²ΡΡΠ²ΠΈΡΠ΅Π»ΡΠ½ΠΎΡΡΡ ΠΊ ΡΠΏΠ΅ΡΠΈΡΠΈΡΠ΅ΡΠΊΠΎΠΉ ΡΠ΅ΡΠ°ΠΏΠΈΠΈ, Π½Π°Π»ΠΈΡΠΈΠ΅ ΡΠΏΠ΅ΡΠΈΡΠΈΡΠ΅ΡΠΊΠΈΡ Π±ΠΈΠΎΠΌΠ°ΡΠΊΠ΅ΡΠΎΠ², ΠΏΡΠΎΠ΄ΡΠΊΡΠΈΡ ΡΠ°Π·Π»ΠΈΡΠ½ΡΡ Π³ΠΎΡΠΌΠΎΠ½ΠΎΠ². ΠΠ΅ΡΠ²ΡΠ΅ ΠΏΡΡΡ ΠΏΡΠΈΠ·Π½Π°ΠΊΠΎΠ² ΠΎΡΠ»ΠΈΡΠ°ΡΡ ΠΌΠ΅Π»ΠΊΠΎΠΊΠ»Π΅ΡΠΎΡΠ½ΡΠΉ ΡΠ°ΠΊ ΠΎΡ Π³ΠΎΡΠΌΠΎΠ½ΠΏΡΠΎΠ΄ΡΡΠΈΡΡΡΡΠΈΡ Π½Π΅ΠΌΠ΅Π»ΠΊΠΎΠΊΠ»Π΅ΡΠΎΡΠ½ΡΡ ΡΠΈΠΏΠΎΠ² ΡΠ°ΠΊΠ° ΡΡΠ°Ρ Π΅ΠΈ ΠΈ ΠΊΠ°ΡΡΠΈΠ½ΠΎΠΈΠ΄ΠΎΠ².
Π Π½Π°ΡΡΠΎΡΡΠ΅Π΅ Π²ΡΠ΅ΠΌΡ ΡΡΡΠ΅ΡΡΠ²ΡΡΡ Π΄Π²Π΅ ΡΠΎΡΠΊΠΈ Π·ΡΠ΅Π½ΠΈΡ ΠΎΡΠ½ΠΎΡΠΈΡΠ΅Π»ΡΠ½ΠΎ Π³ΠΈΡΡΠΎΠ³Π΅Π½Π΅Π·Π° ΠΌΠ΅Π»ΠΊΠΎΠΊΠ»Π΅ΡΠΎΡΠ½ΠΎΠ³ΠΎ ΡΠ°ΠΊΠ° Π΄ΡΡ Π°ΡΠ΅Π»ΡΠ½ΡΡ ΠΏΡΡΠ΅ΠΉ.
Π‘ΠΎΠ³Π»Π°ΡΠ½ΠΎ ΠΏΠ΅ΡΠ²ΠΎΠΉ Π³ΠΈΠΏΠΎΡΠ΅Π·Π΅ ΠΌΠ΅Π»ΠΊΠΎΠΊΠ»Π΅ΡΠΎΡΠ½ΡΠΉ ΡΠ°ΠΊ ΡΠ°Π·Π²ΠΈΠ²Π°Π΅ΡΡΡ ΠΈΠ· ΠΊΠ»Π΅ΡΠΎΠΊ Π΄ΠΈΡΡΡΠ·Π½ΠΎΠΉ ΡΠ½Π΄ΠΎΠΊΡΠΈΠ½Π½ΠΎΠΉ ΡΠΈΡΡΠ΅ΠΌΡ (APUD-ΡΠΈΡΡΠ΅ΠΌΡ), ΠΊΠΎΡΠΎΡΡΠ΅ Π² ΡΠΌΠ±ΡΠΈΠΎΠ½Π°Π»ΡΠ½ΠΎΠΌ ΠΏΠ΅ΡΠΈΠΎΠ΄Π΅ ΠΌΠΈΠ³ΡΠΈΡΡΡΡ Π² Π»Π΅Π³ΠΊΠΈΠ΅ ΠΈΠ· Π½Π΅Π²ΡΠ°Π»ΡΠ½ΠΎΠ³ΠΎ Π³ΡΠ΅Π±Π΅ΡΠΊΠ°.
ΠΡΠΎΡΠ°Ρ Π³ΠΈΠΏΠΎΡΠ΅Π·Π° ΡΡΠ²Π΅ΡΠΆΠ΄Π°Π΅Ρ, ΡΡΠΎ ΡΡΠ° Π³ΡΡΠΏΠΏΠ° ΠΎΠΏΡΡ ΠΎΠ»Π΅ΠΉ Π²ΠΎΠ·Π½ΠΈΠΊΠ°Π΅Ρ ΠΈΠ· ΠΊΠ»Π΅ΡΠΎΠΊ Π±ΡΠΎΠ½Ρ ΠΈΠ°Π»ΡΠ½ΠΎΠΉ Π²ΡΡΡΠΈΠ»ΠΊΠΈ, ΠΈΠΌΠ΅ΡΡΠΈΡ ΡΠ½ΡΠΎΠ΄Π΅ΡΠΌΠ°Π»ΡΠ½ΠΎΠ΅ ΠΏΡΠΎΠΈΡΡ ΠΎΠΆΠ΄Π΅Π½ΠΈΠ΅ ΠΈ ΠΎΠ±Π»Π°Π΄Π°ΡΡΠΈΡ ΡΠ΅ΠΌΠΈ ΠΆΠ΅ ΠΌΠΎΡΡΠΎΠ»ΠΎΠ³ΠΈΡΠ΅ΡΠΊΠΈΠΌΠΈ ΠΈ Π±ΠΈΠΎΡ ΠΈΠΌΠΈΡΠ΅ΡΠΊΠΈΠΌΠΈ ΠΏΡΠΈΠ·Π½Π°ΠΊΠ°ΠΌΠΈ, ΡΡΠΎ ΠΈ ΠΊΠ»Π΅ΡΠΊΠΈ ΠΌΠ΅Π»ΠΊΠΎΠΊΠ»Π΅ΡΠΎΡΠ½ΠΎΠ³ΠΎ ΡΠ°ΠΊΠ°.
Π‘ΡΠΎΡΠΎΠ½Π½ΠΈΠΊΠΈ ΠΏΠ΅ΡΠ²ΠΎΠΉ ΡΠΎΡΠΊΠΈ Π·ΡΠ΅Π½ΠΈΡ ΠΎΠ±ΠΎΡΠ½ΠΎΠ²ΡΠ²Π°ΡΡ ΡΠ²ΠΎΡ Π³ΠΈΠΏΠΎΡΠ΅Π·Ρ ΡΠ΅ΠΌ, ΡΡΠΎ Π² ΡΠ»Π΅ΠΌΠ΅Π½ΡΠ°Ρ ΠΌΠ΅Π»ΠΊΠΎΠΊΠ»Π΅ΡΠΎΡΠ½ΠΎΠ³ΠΎ ΡΠ°ΠΊΠ° Π΄ΡΡ Π°ΡΠ΅Π»ΡΠ½ΡΡ ΠΏΡΡΠ΅ΠΉ ΠΎΠ±Π½Π°ΡΡΠΆΠΈΠ²Π°ΡΡ ΠΌΠΎΡΡΠΎΠ»ΠΎΠ³ΠΈΡΠ΅ΡΠΊΠΈΠ΅ ΡΡΡΡΠΊΡΡΡΡ (Π½Π΅ΠΉΡΠΎΡΠ½Π΄ΠΎΠΊΡΠΈΠ½Π½ΡΠ΅ Π³ΡΠ°Π½ΡΠ»Ρ ΡΠ°Π·ΠΌΠ΅ΡΠ°ΠΌΠΈ ΠΎΡ 50 Π΄ΠΎ 500 Π½ΠΌ), Π° ΡΠ°ΠΊΠΆΠ΅ Π±ΠΈΠΎΡ ΠΈΠΌΠΈΡΠ΅ΡΠΊΠΈΠ΅ ΠΌΠ°ΡΠΊΠ΅ΡΡ, ΡΠ²ΠΎΠΉΡΡΠ²Π΅Π½Π½ΡΠ΅ ΠΊΠ»Π΅ΡΠΎΡΠ½ΡΠΌ ΡΠ»Π΅ΠΌΠ΅Π½ΡΠ°ΠΌ APUD-ΡΠΈΡΡΠ΅ΠΌΡ, ΠΏΡΠΎΠΈΡΡ ΠΎΠΆΠ΄Π΅Π½ΠΈΠ΅ ΠΊΠΎΡΠΎΡΡΡ ΡΠ²ΡΠ·ΡΠ²Π°ΡΡ Ρ Π½Π΅Π²ΡΠ°Π»ΡΠ½ΡΠΌ Π³ΡΠ΅Π±Π΅ΡΠΊΠΎΠΌ. Π£ ΡΠ΅Π»ΠΎΠ²Π΅ΠΊΠ° Π΄ΠΎΠΊΠ°Π·Π°Π½ΠΎ Π½Π°Π»ΠΈΡΠΈΠ΅ ΡΠ°ΠΊΠΈΡ ΠΊΠ»Π΅ΡΠΎΠΊ Π² Π±ΡΠΎΠ½Ρ ΠΈΠ°Π»ΡΠ½ΡΡ ΠΆΠ΅Π»Π΅Π·Π°Ρ , ΠΊΡΡΠΏΠ½ΡΡ Π±ΡΠΎΠ½Ρ Π°Ρ ΠΈ Π±ΡΠΎΠ½Ρ ΠΈΠΎΠ»Π°Ρ . ΠΡΠΈ Π΄Π°Π½Π½ΡΠ΅ ΠΎΠ±ΡΡΠ»ΠΎΠ²ΠΈΠ»ΠΈ ΡΠΈΡΠΎΠΊΠΎΠ΅ ΡΠ°ΡΠΏΡΠΎΡΡΡΠ°Π½Π΅Π½ΠΈΠ΅ ΠΌΠ½Π΅Π½ΠΈΡ ΠΎ ΡΠΎΠΌ, ΡΡΠΎ ΠΌΠ΅Π»ΠΊΠΎΠΊΠ»Π΅ΡΠΎΡΠ½ΡΠΉ ΡΠ°ΠΊ ΡΡΠ°Ρ Π΅ΠΈ ΠΎΡΠ½ΠΎΡΠΈΡΡΡ ΠΊ ΠΎΠΏΡΡ ΠΎΠ»ΡΠΌ APUD-ΡΠΈΡΡΠ΅ΠΌΡ ΠΈ ΡΠ²Π»ΡΠ΅ΡΡΡ ΠΊΡΠ°ΠΉΠ½Π΅ Π°Π³ΡΠ΅ΡΡΠΈΠ²Π½ΠΎΠΉ ΡΠ°Π·Π½ΠΎΠ²ΠΈΠ΄Π½ΠΎΡΡΡΡ Π·Π»ΠΎΠΊΠ°ΡΠ΅ΡΡΠ²Π΅Π½Π½ΠΎΠ³ΠΎ ΠΊΠ°ΡΡΠΈΠ½ΠΎΠΈΠ΄Π°. ΠΡΠΈ ΡΡΠΎΠΌ ΠΏΠΎΡΡΡΠ»ΠΈΡΡΠ΅ΡΡΡ, ΡΡΠΎ Π½Π΅ΠΉΡΠΎΡΠ½Π΄ΠΎΠΊΡΠΈΠ½Π½Π°Ρ Π΄ΠΈΡΡΠ΅ΡΠ΅Π½ΡΠΈΡΠΎΠ²ΠΊΠ° ΠΏΡΠΈΡΡΡΠ° ΡΠΎΠ»ΡΠΊΠΎ ΠΊΠ»Π΅ΡΠΊΠ°ΠΌ — ΠΏΡΠΎΠΈΠ·Π²ΠΎΠ΄Π½ΡΠΌ Π½Π΅Π²ΡΠ°Π»ΡΠ½ΠΎΠ³ΠΎ Π³ΡΠ΅Π±Π΅ΡΠΊΠ°.
Π‘ΡΠΎΡΠΎΠ½Π½ΠΈΠΊΠΈ Π²ΡΠΎΡΠΎΠΉ Π³ΠΈΠΏΠΎΡΠ΅Π·Ρ ΠΏΠΎΠ»Π°Π³Π°ΡΡ, ΡΡΠΎ ΠΌΠ΅Π»ΠΊΠΎΠΊΠ»Π΅ΡΠΎΡΠ½ΡΠΉ ΡΠ°ΠΊ ΡΡΠ°Ρ Π΅ΠΈ, ΡΠ°ΠΊΠΆΠ΅ ΠΊΠ°ΠΊ ΠΈ Π΄ΡΡΠ³ΠΈΠ΅ Π³ΠΈΡΡΠΎΠ»ΠΎΠ³ΠΈΡΠ΅ΡΠΊΠΈΠ΅ ΡΠΈΠΏΡ, ΡΠ°Π·Π²ΠΈΠ²Π°Π΅ΡΡΡ ΠΈΠ· ΠΊΠ»Π΅ΡΠΎΠΊ ΡΠ½ΡΠΎΠ΄Π΅ΡΠΌΠ°Π»ΡΠ½ΠΎΠ³ΠΎ ΠΏΡΠΎΠΈΡΡ ΠΎΠΆΠ΄Π΅Π½ΠΈΡ. ΠΡΠ° Π³ΠΈΠΏΠΎΡΠ΅Π·Π° ΠΏΠΎΠ΄ΡΠ²Π΅ΡΠΆΠ΄Π°Π΅ΡΡΡ Π½Π°Π»ΠΈΡΠΈΠ΅ΠΌ Π² ΡΠ»Π΅ΠΌΠ΅Π½ΡΠ°Ρ ΠΌΠ΅Π»ΠΊΠΎΠΊΠ»Π΅ΡΠΎΡΠ½ΠΎΠ³ΠΎ ΡΠ°ΠΊΠ° Π΄ΡΡ Π°ΡΠ΅Π»ΡΠ½ΡΡ ΠΏΡΡΠ΅ΠΉΠΎΠ±ΡΠΈΡ ΠΏΡΠΈΠ·Π½Π°ΠΊΠΎΠ², ΡΠ²ΠΎΠΉΡΡΠ²Π΅Π½Π½ΡΡ Π²ΡΠ΅ΠΌ Π³ΠΈΡΡΠΎΠ»ΠΎΠ³ΠΈΡΠ΅ΡΠΊΠΈΠΌ ΡΠΈΠΏΠ°ΠΌ, ΠΎΡΠ»ΠΈΡΠΈΠ΅ΠΌ ΠΌΠ΅Π»ΠΊΠΎΠΊΠ»Π΅ΡΠΎΡΠ½ΠΎΠ³ΠΎ ΡΠ°ΠΊΠ° ΡΡΠ°Ρ Π΅ΠΈ ΠΎΡ Π΄ΡΡΠ³ΠΈΡ Π½Π΅ΠΉΡΠΎΡΠ½Π΄ΠΎΠΊΡΠΈΠ½Π½ΡΡ Π½ΠΎΠ²ΠΎΠΎΠ±ΡΠ°Π·ΠΎΠ²Π°Π½ΠΈΠΉ. ΠΡΠΎΠΌΠ΅ ΡΠΎΠ³ΠΎ, ΡΠΊΡΠΏΠ΅ΡΠΈΠΌΠ΅Π½ΡΠ°Π»ΡΠ½ΡΠ΅ Π΄Π°Π½Π½ΡΠ΅ ΡΠ²ΠΈΠ΄Π΅ΡΠ΅Π»ΡΡΡΠ²ΡΡΡ ΠΎ ΡΠΎΠΌ, ΡΡΠΎ ΠΏΡΠΈΠ·Π½Π°ΠΊΠΈ Π½Π΅ΠΉΡΠΎΡΠ½Π΄ΠΎΠΊΡΠΈΠ½Π½ΠΎΠΉ Π΄ΠΈΡΡΠ΅ΡΠ΅Π½ΡΠΈΡΠΎΠ²ΠΊΠΈ ΠΌΠΎΠ³ΡΡ Π±ΡΡΡ ΠΏΡΠΈΡΡΡΠΈ ΠΈ ΠΊΠ»Π΅ΡΠΎΡΠ½ΡΠΌ ΡΠ»Π΅ΠΌΠ΅Π½ΡΠ°ΠΌ, ΠΈΠΌΠ΅ΡΡΠΈΠΌ ΡΠ½ΡΠΎΠ΄Π΅ΡΠΌΠ°Π»ΡΠ½ΠΎΠ΅ ΠΏΡΠΎΠΈΡΡ ΠΎΠΆΠ΄Π΅Π½ΠΈΠ΅.
Π ΠΏΠΎΡΠ»Π΅Π΄Π½ΠΈΠ΅ Π³ΠΎΠ΄Ρ Π² ΡΡΠ΄Π΅ ΡΠΊΡΠΏΠ΅ΡΠΈΠΌΠ΅Π½ΡΠ°Π»ΡΠ½ΡΡ ΡΠ°Π±ΠΎΡ Π±ΡΠ»ΠΎ ΠΏΠΎΠΊΠ°Π·Π°Π½ΠΎ, ΡΡΠΎ ΡΠ½ΡΠ΅ΡΠΎΡ ΡΠΎΠΌΠ°ΡΡΠΈΠ½Π½ΡΠ΅ ΠΊΠ»Π΅ΡΠΊΠΈ ΠΆΠ΅Π»ΡΠ΄ΠΎΡΠ½ΠΎ-ΠΊΠΈΡΠ΅ΡΠ½ΠΎΠ³ΠΎ ΡΡΠ°ΠΊΡΠ°, ΠΎΡΡΡΠΎΠ²ΠΊΠΎΠ²ΡΠ΅ ΠΊΠ»Π΅ΡΠΊΠΈ ΠΏΠΎΠ΄ΠΆΠ΅Π»ΡΠ΄ΠΎΡΠ½ΠΎΠΉ ΠΆΠ΅Π»Π΅Π·Ρ, ΡΠ°Π½Π΅Π΅ ΡΠ°ΡΡΠΌΠ°ΡΡΠΈΠ²Π°ΡΡΠΈΠ΅ΡΡ ΠΊΠ°ΠΊ ΠΏΡΠΎΠΈΠ·Π²ΠΎΠ΄Π½ΡΠ΅ Π½Π΅ΠΉΡΠΎΡΠΊΡΠΎΠ΄Π΅ΡΠΌΡ, Π½Π° ΡΠ°ΠΌΠΎΠΌ Π΄Π΅Π»Π΅ ΠΈΠΌΠ΅ΡΡ ΡΠ½ΡΠΎΠ΄Π΅ΡΠΌΠ°Π»ΡΠ½ΠΎΠ΅ ΠΏΡΠΎΠΈΡΡ ΠΎΠΆΠ΄Π΅Π½ΠΈΠ΅ — ΠΎΠ±ΡΠ΅Π΅ Ρ Π΄ΡΡΠ³ΠΈΠΌΠΈ ΡΠΏΠΈΡΠ΅Π»ΠΈΠ°Π»ΡΠ½ΡΠΌΠΈ ΡΠ»Π΅ΠΌΠ΅Π½ΡΠ°ΠΌΠΈ ΡΡΠΈΡ ΡΠΈΡΡΠ΅ΠΌ.
Π Π½Π°ΡΡΠΎΡΡΠ΅Π΅ Π²ΡΠ΅ΠΌΡ ΡΡΠΈΡΠ°Π΅ΡΡΡ, ΡΡΠΎ APUD-ΠΊΠ»Π΅ΡΠΊΠΈ ΠΆΠ΅Π»ΡΠ΄ΠΎΡΠ½ΠΎ-ΠΊΠΈΡΠ΅ΡΠ½ΠΎΠ³ΠΎ ΡΡΠ°ΠΊΡΠ° Π½Π΅ ΡΠ²Π»ΡΡΡΡΡ ΠΏΡΠΎΠΈΠ·Π²ΠΎΠ΄Π½ΡΠΌΠΈ Π½Π΅Π²ΡΠ°Π»ΡΠ½ΠΎΠ³ΠΎ Π³ΡΠ΅Π±Π΅ΡΠΊΠ°. ΠΠΎΠΊΠ° ΠΌΡ Π½Π΅ ΡΠ°ΡΠΏΠΎΠ»Π°Π³Π°Π΅ΠΌ ΡΠ±Π΅Π΄ΠΈΡΠ΅Π»ΡΠ½ΡΠΌΠΈ Π΄Π°Π½Π½ΡΠΌΠΈ ΠΎΡΠ½ΠΎΡΠΈΡΠ΅Π»ΡΠ½ΠΎ ΠΌΠΈΠ³ΡΠ°ΡΠΈΠΈ ΠΊΠ»Π΅ΡΠΎΠΊ Π½Π΅Π²ΡΠ°Π»ΡΠ½ΠΎΠ³ΠΎ Π³ΡΠ΅Π±Π΅ΡΠΊΠ° Π² ΡΡΠ°Ρ Π΅Ρ. Π ΡΠΎ ΠΆΠ΅ Π²ΡΠ΅ΠΌΡ Π½Π΅ΠΉΡΠΎΡΠ½Π΄ΠΎΠΊΡΠΈΠ½Π½ΡΠ΅ Π³ΡΠ°Π½ΡΠ»Ρ Π½Π΅ΡΠ΅Π΄ΠΊΠΎ ΠΎΠ±Π½Π°ΡΡΠΆΠΈΠ²Π°ΡΡΡΡ Π² ΡΠ»ΠΈΠ·Π΅ΠΏΡΠΎΠ΄ΡΡΠΈΡΡΡΡΠΈΡ ΠΊΠ»Π΅ΡΠΊΠ°Ρ Π½ΠΎΡΠΌΠ°Π»ΡΠ½ΠΎΠΉ Π±ΡΠΎΠ½Ρ ΠΈΠ°Π»ΡΠ½ΠΎΠΉ Π²ΡΡΡΠΈΠ»ΠΊΠΈ. ΠΠ΄Π½Π°ΠΊΠΎ ΠΏΠΎΠ»Π½ΠΎΡΡΡΡ ΠΎΡΡΠΈΡΠ°ΡΡ Π²ΠΎΠ·ΠΌΠΎΠΆΠ½ΠΎΡΡΡ ΠΌΠΈΠ³ΡΠ°ΡΠΈΠΈ ΡΠ»Π΅ΠΌΠ΅Π½ΡΠΎΠ² Π½Π΅ΠΉΡΠΎΡΠΊΡΠΎΠ΄Π΅ΡΠΌΡ Π² ΡΡΠ°Ρ Π΅Ρ Π½Π΅Π»ΡΠ·Ρ, ΡΠ°ΠΊ ΠΊΠ°ΠΊ Π² ΠΏΠΎΠ»ΡΠ·Ρ ΡΡΠΎΠ³ΠΎ ΡΠ²ΠΈΠ΄Π΅ΡΠ΅Π»ΡΡΡΠ²ΡΠ΅Ρ ΡΠ°Π·Π²ΠΈΡΠΈΠ΅ Π² ΡΡΠ°Ρ Π΅Π΅ ΡΠ°ΠΊΠΎΠΉ ΠΎΠΏΡΡ ΠΎΠ»ΠΈ, ΠΊΠ°ΠΊ ΠΌΠ΅Π»Π°Π½ΠΎΠΌΠ°.
Π ΠΏΠ΅ΡΠ΅ΡΠΈΡΠ»Π΅Π½Π½ΡΠΌ ΡΠ°ΠΊΡΠ°ΠΌ ΡΠ»Π΅Π΄ΡΠ΅Ρ Π΄ΠΎΠ±Π°Π²ΠΈΡΡ, ΡΡΠΎ ΠΌΠ΅Π»ΠΊΠΎΠΊΠ»Π΅ΡΠΎΡΠ½ΡΠΉ ΡΠ°ΠΊ ΡΡΠ°Ρ Π΅ΠΈ ΡΡΡΠ΅ΡΡΠ²Π΅Π½Π½ΠΎ ΠΎΡΠ»ΠΈΡΠ°Π΅ΡΡΡ ΠΎΡ ΠΊΠ°ΡΡΠΈΠ½ΠΎΠΈΠ΄Π° ( Π² ΡΠΎΠΌ ΡΠΈΡΠ»Π΅, ΠΎΡ Π΅Π³ΠΎ Π°ΡΠΈΠΏΠΈΡΠ΅ΡΠΊΠΎΠΉ ΡΠ°Π·Π½ΠΎΠ²ΠΈΠ΄Π½ΠΎΡΡΠΈ) ΡΡΠΈΠΎΠ»ΠΎΠ³ΠΈΡΠ΅ΡΠΊΠΈΠΌΠΈ ΡΠ°ΠΊΡΠΎΡΠ°ΠΌΠΈ ( ΠΊΡΡΠ΅Π½ΠΈΠ΅, Π»ΡΡΠ΅Π²ΠΎΠ΅ Π²ΠΎΠ·Π΄Π΅ΠΉΡΡΠ²ΠΈΠ΅, Π²ΠΎΠ·Π΄Π΅ΠΉΡΡΠ²ΠΈΠ΅ Ρ Π»ΠΎΡ-ΠΌΠ΅ΡΠΈΠ»-ΠΌΠ΅ΡΠΈΠ»ΠΎΠ²ΠΎΠ³ΠΎ ΡΡΠΈΡΠ°). ΠΠ΅ΡΠ΅Π΄ΠΊΠΎ ΠΏΡΠΈ ΠΌΠ΅Π»ΠΊΠΎΠΊΠ»Π΅ΡΠΎΡΠ½ΠΎΠΌ ΡΠ°ΠΊΠ΅ ΡΡΠ°Ρ Π΅ΠΈ ΠΎΠΏΡΡ ΠΎΠ»Π΅Π²ΡΠ΅ ΡΠ»Π΅ΠΌΠ΅Π½ΡΡ Ρ Π½Π΅ΠΉΡΠΎΡΠ½Π΄ΠΎΠΊΡΠΈΠ½Π½ΠΎΠΉ Π΄ΠΈΡΡΠ΅ΡΠ΅Π½ΡΠΈΡΠΎΠ²ΠΊΠΎΠΉ ΡΠΎΡΠ΅ΡΠ°ΡΡΡΡ Ρ Π½Π΅ΡΠ½Π΄ΠΎΠΊΡΠΈΠ½Π½ΡΠΌΠΈ Π·Π»ΠΎΠΊΠ°ΡΠ΅ΡΡΠ²Π΅Π½Π½ΡΠΌΠΈ ΠΊΠ»Π΅ΡΠΊΠ°ΠΌΠΈ Ρ ΠΏΡΠΈΠ·Π½Π°ΠΊΠ°ΠΌΠΈ ΠΏΠ»ΠΎΡΠΊΠΎΡΠΏΠΈΡΠ΅Π»ΠΈΠ°Π»ΡΠ½ΠΎΠΉ ΠΈΠ»ΠΈ ΠΆΠ΅Π»Π΅Π·ΠΈΡΡΠΎΠΉ Π΄ΠΈΡΡΠ΅ΡΠ΅Π½ΡΠΈΡΠΎΠ²ΠΊΠΈ (G.SaccomΠ°no et al.,1974). Π’Π°ΠΊΠ°Ρ Π³Π΅ΡΠ΅ΡΠΎΠ³Π΅Π½Π½ΠΎΡΡΡ ΠΌΠΎΠΆΠ΅Ρ ΡΠ²ΠΈΠ΄Π΅ΡΠ΅Π»ΡΡΡΠ²ΠΎΠ²Π°ΡΡ ΠΎ Π½Π°Π»ΠΈΡΠΈΠΈ Π΄Π»Ρ Π²ΡΠ΅Ρ ΡΠΈΠΏΠΎΠ² ΡΠ°ΠΊΠ° ΡΡΠ°Ρ Π΅ΠΈ Π΅Π΄ΠΈΠ½ΠΎΠΉ ΡΡΠ²ΠΎΠ»ΠΎΠ²ΠΎΠΉ ΠΊΠ»Π΅ΡΠΊΠΈ (A.Gazdar et al.,1985).
Π ΡΠΎ ΠΆΠ΅ Π²ΡΠ΅ΠΌΡ Π΄Π»Ρ ΠΎΠΏΡΡ ΠΎΠ»Π΅ΠΉ APUD-ΡΠΈΡΡΠ΅ΠΌΡ Π³Π΅ΡΠ΅ΡΠΎΠ³Π΅Π½Π½ΠΎΡΡΡ Π½Π΅ Ρ Π°ΡΠ°ΠΊΡΠ΅ΡΠ½Π°. ΠΠ΅Π»ΠΊΠΎΠΊΠ»Π΅ΡΠΎΡΠ½ΡΠΉ ΡΠ°ΠΊ Π΄ΡΡ Π°ΡΠ΅Π»ΡΠ½ΡΡ ΠΏΡΡΠ΅ΠΉ ΠΎΠ±ΡΡΠ½ΠΎ Π½Π΅ Π²ΡΡΡΠ΅ΡΠ°Π΅ΡΡΡ ΠΊΠ°ΠΊ ΠΏΡΠΎΡΠ²Π»Π΅Π½ΠΈΠ΅ ΡΠΈΠ½Π΄ΡΠΎΠΌΠ° ΠΌΠ½ΠΎΠΆΠ΅ΡΡΠ²Π΅Π½Π½ΠΎΠΉ ΡΠ½Π΄ΠΎΠΊΡΠΈΠ½Π½ΠΎΠΉ Π½Π΅ΠΎΠΏΠ»Π°Π·ΠΈΠΈ. Π§ΡΠΎ ΠΊΠ°ΡΠ°Π΅ΡΡΡ ΠΌΠΎΡΡΠΎΠ»ΠΎΠ³ΠΈΡΠ΅ΡΠΊΠΎΠ³ΠΎ ΡΡ ΠΎΠ΄ΡΡΠ²Π° ΠΌΠ΅Π»ΠΊΠΎΠΊΠ»Π΅ΡΠΎΡΠ½ΠΎΠ³ΠΎ ΡΠ°ΠΊΠ° ΡΡΠ°Ρ Π΅ΠΈ Ρ Π΄ΡΡΠ³ΠΈΠΌΠΈ ΠΎΠΏΡΡ ΠΎΠ»ΡΠΌΠΈ APUD-ΡΠΈΡΡΠ΅ΠΌΡ, ΡΠΎ Π½Π΅ΠΉΡΠΎΡΠ½Π΄ΠΎΠΊΡΠΈΠ½Π½ΡΠ΅ Π³ΡΠ°Π½ΡΠ»Ρ Π²ΡΡΠ²Π»ΡΡΡΡΡ ΡΠ°ΠΊΠΆΠ΅ Π² Π½Π΅Π±ΠΎΠ»ΡΡΠΎΠΌ ΠΊΠΎΠ»ΠΈΡΠ΅ΡΡΠ²Π΅ ΠΎΠΏΡΡ ΠΎΠ»Π΅Π²ΡΡ ΠΊΠ»Π΅ΡΠΎΠΊ Π½Π΅ΠΌΠ΅Π»ΠΊΠΎΠΊΠ»Π΅ΡΠΎΡΠ½ΠΎΠ³ΠΎ ΡΠ°ΠΊΠ° Π΄ΡΡ Π°ΡΠ΅Π»ΡΠ½ΡΡ ΠΏΡΡΠ΅ΠΉ, ΠΊΠΎΠ»ΠΈΡΠ΅ΡΡΠ²ΠΎ Π³ΡΠ°Π½ΡΠ» Π² ΠΊΠ»Π΅ΡΠΊΠ°Ρ ΠΌΠ΅Π»ΠΊΠΎΠΊΠ»Π΅ΡΠΎΡΠ½ΠΎΠ³ΠΎ ΡΠΈΠΏΠ° ΠΌΠ΅Π½ΡΡΠ΅ ΠΈ ΠΎΠ½ΠΈ ΠΈΠΌΠ΅ΡΡ Π½Π΅Π±ΠΎΠ»ΡΡΠΈΠ΅ ΡΠ°Π·ΠΌΠ΅ΡΡ. ΠΠ°ΠΆΠ½ΠΎ ΠΏΠΎΠ΄ΡΠ΅ΡΠΊΠ½ΡΡΡ, ΡΡΠΎ ΠΊΠ»Π΅ΡΠΎΡΠ½ΡΠ΅ ΡΠ»Π΅ΠΌΠ΅Π½ΡΡ ΠΌΠ½ΠΎΠ³ΠΈΡ ΠΎΠΏΡΡ ΠΎΠ»Π΅ΠΉ, ΡΠ°ΡΡΠ΅Π½ΠΈΠ²Π°Π΅ΠΌΡΡ ΠΊΠ»ΠΈΠ½ΠΈΡΠ΅ΡΠΊΠΈ ΠΈ ΠΌΠΎΡΡΠΎΠ»ΠΎΠ³ΠΈΡΠ΅ΡΠΊΠΈ ΠΊΠ°ΠΊ ΠΌΠ΅Π»ΠΊΠΎΠΊΠ»Π΅ΡΠΎΡΠ½ΡΠΉ ΡΠ°ΠΊ ΡΡΠ°Ρ Π΅ΠΈ, Π²ΠΎΠΎΠ±ΡΠ΅ Π½Π΅ ΡΠΎΠ΄Π΅ΡΠΆΠ°Ρ Π½Π΅ΠΉΡΠΎΡΠ΅ΠΊΡΠ΅ΡΠΎΡΠ½ΡΡ Π³ΡΠ°Π½ΡΠ», Π° ΠΈΠΌΠ΅ΡΡ Ρ ΠΎΡΠΎΡΠΎ ΡΠ°Π·Π²ΠΈΡΡΠ΅ Π΄Π΅ΡΠΌΠΎΡΠΎΠΌΡ ΠΈ ΡΠΎΠ½ΠΎΡΠΈΠ»Π°ΠΌΠ΅Π½ΡΡ, ΡΠΎ Π΅ΡΡΡ, ΠΏΠΎ ΡΡΡΠΈ Π΄Π΅Π»Π°, ΡΠ²Π»ΡΡΡΡΡ Π½ΠΈΠ·ΠΊΠΎΠ΄ΠΈΡΡΠ΅ΡΠ΅Π½ΡΠΈΡΠΎΠ²Π°Π½Π½ΡΠΌΠΈ ΠΏΠ»ΠΎΡΠΊΠΎΠΊΠ»Π΅ΡΠΎΡΠ½ΡΠΌΠΈ ΡΠΎΡΠΌΠ°ΠΌΠΈ ΡΠ°ΠΊΠ° (Mackay ΠΈ ΡΠΎΠ°Π²Ρ.,1977). ΠΠΎΠΌΠΈΠΌΠΎ ΡΡΠΎΠ³ΠΎ ΠΏΠΎΠΊΠ°Π·Π°Π½ΠΎ, ΡΡΠΎ ΡΠ΅ΠΊΡΠ΅ΡΠΈΡ Π³ΠΎΡΠΌΠΎΠ½ΠΎΠ² ΠΏΡΠΈΡΡΡΠ° Π½Π΅ ΡΠΎΠ»ΡΠΊΠΎ ΠΌΠ΅Π»ΠΊΠΎΠΊΠ»Π΅ΡΠΎΡΠ½ΠΎΠΌΡ, Π½ΠΎ ΠΈ Π΄ΡΡΠ³ΠΈΠΌ ΡΠΈΠΏΠ°ΠΌ ΡΠ°ΠΊΠ° Π΄ΡΡ Π°ΡΠ΅Π»ΡΠ½ΡΡ ΠΏΡΡΠ΅ΠΉ.
Π’Π°ΠΊΠΈΠΌ ΠΎΠ±ΡΠ°Π·ΠΎΠΌ, Π΄ΠΎΡΡΠ°ΡΠΎΡΠ½ΠΎ ΡΠ±Π΅Π΄ΠΈΡΠ΅Π»ΡΠ½ΡΡ Π΄Π°Π½Π½ΡΡ , ΡΠ²ΠΈΠ΄Π΅ΡΠ΅Π»ΡΡΡΠ²ΡΡΡΠΈΡ ΠΎ ΠΏΡΠΈΠΎΡΠΈΡΠ΅ΡΠ΅ ΠΏΠ΅ΡΠ²ΠΎΠΉ ΠΈΠ»ΠΈ Π²ΡΠΎΡΠΎΠΉ Π³ΠΈΠΏΠΎΡΠ΅Π·Ρ, Π² Π½Π°ΡΡΠΎΡΡΠ΅Π΅ Π²ΡΠ΅ΠΌΡ Π½Π΅ ΠΈΠΌΠ΅Π΅ΡΡΡ. Π ΡΠ²ΡΠ·ΠΈ Ρ ΡΡΠΈΠΌ, ΡΠ»Π΅Π΄ΡΠ΅Ρ ΡΠ°ΡΡΠΌΠ°ΡΡΠΈΠ²Π°ΡΡ ΠΌΠ΅Π»ΠΊΠΎΠΊΠ»Π΅ΡΠΎΡΠ½ΡΠΉ ΡΠ°ΠΊ ΡΡΠ°Ρ Π΅ΠΈ ΠΊΠ°ΠΊ ΡΠ°Π·Π½ΠΎΠ²ΠΈΠ΄Π½ΠΎΡΡΡ Π±ΡΠΎΠ½Ρ ΠΎΠ³Π΅Π½Π½ΠΎΠ³ΠΎ ΡΠ°ΠΊΠ°, ΠΏΡΠΎΠΈΡΡ ΠΎΠ΄ΡΡΡΡ ΠΈΠ· Π±ΡΠΎΠ½Ρ ΠΈΠ°Π»ΡΠ½ΠΎΠ³ΠΎ ΡΠΏΠΈΡΠ΅Π»ΠΈΡ, Π½ΠΎ ΠΈΠΌΠ΅ΡΡΡΡ Π±ΠΈΠΎΡ ΠΈΠΌΠΈΡΠ΅ΡΠΊΠΈΠ΅ ΠΈ ΡΠ»ΡΡΡΠ°ΡΡΡΡΠΊΡΡΡΠ½ΡΠ΅ ΠΏΡΠΈΠ·Π½Π°ΠΊΠΈ, ΡΡ ΠΎΠ΄Π½ΡΠ΅ Ρ ΠΎΠΏΡΡ ΠΎΠ»ΡΠΌΠΈ APUD-ΡΠΈΡΡΠ΅ΠΌΡ.
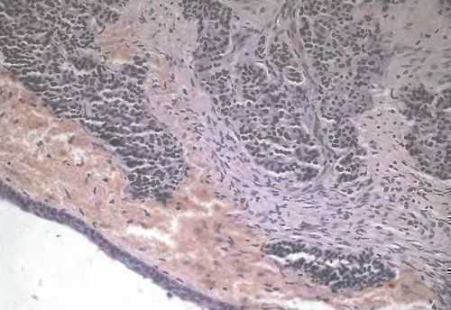
Π¦ΠΈΡΠΎΠ»ΠΎΠ³ΠΈΡΠ΅ΡΠΊΠ°Ρ Ρ Π°ΡΠ°ΠΊΡΠ΅ΡΠΈΡΡΠΈΠΊΠ°. ΠΡΠΈ ΠΈΡΡΠ»Π΅Π΄ΠΎΠ²Π°Π½ΠΈΠΈ ΠΌΠΎΠΊΡΠΎΡΡ Π½Π°ΠΈΠ±ΠΎΠ»Π΅Π΅ Ρ Π°ΡΠ°ΠΊΡΠ΅ΡΠ½ΡΠΌ ΡΠΈΡΠΎΠ»ΠΎΠ³ΠΈΡΠ΅ΡΠΊΠΈΠΌ ΠΏΡΠΈΠ·Π½Π°ΠΊΠΎΠΌ ΠΌΠ΅Π»ΠΊΠΎΠΊΠ»Π΅ΡΠΎΡΠ½ΠΎΠ³ΠΎ ΡΠ°ΠΊΠ° ΡΠ²Π»ΡΠ΅ΡΡΡ Π½Π΅Π±ΠΎΠ»ΡΡΠΎΠΉ ΡΠ°Π·ΠΌΠ΅Ρ ΠΎΠΏΡΡ ΠΎΠ»Π΅Π²ΡΡ ΠΊΠ»Π΅ΡΠΎΠΊ (ΠΏΡΠΈΠΌΠ΅ΡΠ½ΠΎ Π² 1,5-2 ΡΠ°Π·Π° ΠΊΡΡΠΏΠ½Π΅Π΅ Π»ΠΈΠΌΡΠΎΡΠΈΡΠ°), ΡΠ°ΡΠΏΠΎΠ»Π°Π³Π°ΡΡΠΈΡ ΡΡ Π»ΠΈΠ±ΠΎ Π² Π²ΠΈΠ΄Π΅ ΠΌΠ°ΡΡΠΈΠ²Π½ΡΡ ΡΠΊΠΎΠΏΠ»Π΅Π½ΠΈΠΉ, Π»ΠΈΠ±ΠΎ ΡΠ΅ΠΏΠΎΡΠΊΠ°ΠΌΠΈ (βΠ³ΡΡΡΠΊΠΎΠΌβ) ΠΏΠΎ Ρ ΠΎΠ΄Ρ ΡΡΠΆΠ΅ΠΉ ΡΠ»ΠΈΠ·ΠΈ(ΡΠΈΡ18). Π Π±ΡΠΎΠ½Ρ ΠΎΡΠΊΠΎΠΏΠΈΡΠ΅ΡΠΊΠΎΠΌ ΠΌΠ°ΡΠ΅ΡΠΈΠ°Π»Π΅ ΡΠ°ΡΡΠΎ ΠΎΠ±Π½Π°ΡΡΠΆΠΈΠ²Π°ΡΡΡΡ ΡΠ²ΠΎΠ΅ΠΎΠ±ΡΠ°Π·Π½ΡΠ΅ Π³ΡΠΎΠ·Π΄Π΅Π²ΠΈΠ΄Π½ΡΠ΅ ΡΠΊΠΎΠΏΠ»Π΅Π½ΠΈΡ ΠΎΠΏΡΡ ΠΎΠ»Π΅Π²ΡΡ ΠΊΠ»Π΅ΡΠΎΠΊ. Π―Π΄ΡΠ° ΠΊΠ»Π΅ΡΠΎΠΊ ΠΎΠΊΡΡΠ³Π»ΡΠ΅, ΠΎΠ²Π°Π»ΡΠ½ΡΠ΅, ΠΏΠΎΠ»ΡΠ»ΡΠ½Π½ΡΠ΅ ΠΈΠ»ΠΈ Π½Π΅ΠΏΡΠ°Π²ΠΈΠ»ΡΠ½ΠΎΠΉ ΡΡΠ΅ΡΠ³ΠΎΠ»ΡΠ½ΠΎΠΉ ΡΠΎΡΠΌΡ Ρ Π½Π°Π»ΠΈΡΠΈΠ΅ΠΌ ΡΠΏΠ»ΠΎΡΠ΅Π½ΠΈΠΉ ΠΈΠ»ΠΈ Π²Π΄Π°Π²Π»Π΅Π½ΠΈΠΉ Π½Π° ΡΠΎΠΏΡΠΈΠΊΠ°ΡΠ°ΡΡΠΈΡ ΡΡ ΠΏΠΎΠ²Π΅ΡΡ Π½ΠΎΡΡΡΡ ΡΠΎΡΠ΅Π΄Π½ΠΈΡ ΠΊΠ»Π΅ΡΠΎΠΊ, ΠΎΠ±ΠΎΠ·Π½Π°ΡΠ°Π΅ΠΌΡΡ βΡΠ°ΡΠ΅ΡΠΊΠ°ΠΌΠΈβ ΠΈΠ»ΠΈ βΠΊΠΎΠ½Π³ΡΡΡΠ½ΡΠ½ΡΠΌΠΈ ΠΏΠ»ΠΎΡΠ°Π΄ΠΊΠ°ΠΌΠΈβ. ΠΡΠΎΡ ΠΏΡΠΈΠ·Π½Π°ΠΊ ΠΌΠΎΠΆΠ½ΠΎ ΡΡΠΈΡΠ°ΡΡ ΠΏΠ°ΡΠΎΠ³Π½ΠΎΠΌΠΎΠ½ΠΈΡΠ½ΡΠΌ Π΄Π»Ρ ΠΌΠ΅Π»ΠΊΠΎΠΊΠ»Π΅ΡΠΎΡΠ½ΠΎΠ³ΠΎ ΡΠ°ΠΊΠ°.
ΠΠ°ΠΆΠ½ΠΎ ΠΎΡΠΌΠ΅ΡΠΈΡΡ, ΡΡΠΎ ΠΏΡΠΈΠΌΠ΅Π½Π΅Π½ΠΈΠ΅ ΡΠ°Π·Π»ΠΈΡΠ½ΡΡ ΠΊΡΠ°ΡΠΈΡΠ΅Π»Π΅ΠΉ (ΡΠΊΠ°Π½Π΅Π²ΡΡ ΠΈΠ»ΠΈ Π³Π΅ΠΌΠ°ΡΠΎΠ»ΠΎΠ³ΠΈΡΠ΅ΡΠΊΠΈΡ ) Π΄Π°Π΅Ρ ΡΠ°Π·Π»ΠΈΡΠ½ΡΠ΅ ΡΠ΅Π·ΡΠ»ΡΡΠ°ΡΡ ΠΎΠΊΡΠ°ΡΠΊΠΈ ΡΠ΄Π΅ΡΠ½ΠΎΠ³ΠΎ Ρ ΡΠΎΠΌΠ°ΡΠΈΠ½Π°. ΠΡΠΈ ΠΎΠΊΡΠ°ΡΠΊΠ΅ ΠΏΠΎ ΠΌΠ΅ΡΠΎΠ΄Ρ ΠΠ°ΠΏΠ°Π½ΠΈΠΊΠΎΠ»Π°Ρ (ΠΈΠ»ΠΈ Π΅Π³ΠΎ ΠΌΠΎΠ΄ΠΈΡΠΈΠΊΠ°ΡΠΈΠΉ) ΡΠ΄ΡΠ° ΡΠ»Π΅ΠΌΠ΅Π½ΡΠΎΠ² ΠΌΠ΅Π»ΠΊΠΎΠΊΠ»Π΅ΡΠΎΡΠ½ΠΎΠ³ΠΎ ΡΠ°ΠΊΠ° Π³ΠΈΠΏΠ΅ΡΡ ΡΠΎΠΌΠ½ΡΠ΅ Ρ ΡΠ΅ΡΡΠ°ΡΡΠΌ ΠΈΠ»ΠΈ Π³ΡΡΠ±ΠΎΠ·Π΅ΡΠ½ΠΈΡΡΡΠΌ Ρ ΡΠΎΠΌΠ°ΡΠΈΠ½ΠΎΠΌ. ΠΡΠΈ ΠΎΠΊΡΠ°ΡΠΊΠ΅ ΠΏΠΎ ΠΌΠ΅ΡΠΎΠ΄Ρ ΠΠ°ΠΏΠΏΠ΅Π½Π³Π΅ΠΉΠΌΠ° Ρ ΡΠΎΠΌΠ°ΡΠΈΠ½ Π² ΡΠ΄ΡΠ°Ρ ΠΏΡΠ΅Π΄ΡΡΠ°Π²Π»ΡΠ΅ΡΡΡ ΡΠΎΠ½ΠΊΠΎΠ΄ΠΈΡΠΏΠ΅ΡΡΠ½ΡΠΌ,ΡΠ΄ΡΠ° Π±Π»Π΅Π΄Π½ΡΠ΅, ΠΎΠΏΡΠΈΡΠ΅ΡΠΊΠΈ ΠΏΡΡΡΡΠ΅. ΠΠΌΠ΅Π½Π½ΠΎ ΡΡΠΎΡ ΠΏΡΠΈΠ·Π½Π°ΠΊ ΠΏΠΎΠ·Π²ΠΎΠ»ΡΠ΅Ρ Π΄ΠΎΡΡΠΎΠ²Π΅ΡΠ½ΠΎ ΠΎΡΠ»ΠΈΡΠΈΡΡ Π΄Π°Π½Π½ΡΡ ΠΎΠΏΡΡ ΠΎΠ»Ρ ΠΎΡ Π½ΠΈΠ·ΠΊΠΎΠ΄ΠΈΡΡΠ΅ΡΠ΅Π½ΡΠΈΡΠΎΠ²Π°Π½Π½ΠΎΠ³ΠΎ ΠΏΠ»ΠΎΡΠΊΠΎΠΊΠ»Π΅ΡΠΎΡΠ½ΠΎΠ³ΠΎ ΡΠ°ΠΊΠ°. ΠΠ±ΠΎΠ΄ΠΎΠΊ ΡΠΈΡΠΎΠΏΠ»Π°Π·ΠΌΡ ΠΎΡΠ΅Π½Ρ ΡΠ·ΠΊΠΈΠΉ, Π² Π±ΠΎΠ»ΡΡΠΈΠ½ΡΡΠ²Π΅ ΠΎΠΏΡΡ ΠΎΠ»Π΅Π²ΡΡ ΠΊΠ»Π΅ΡΠΎΠΊ ΠΏΡΠ°ΠΊΡΠΈΡΠ΅ΡΠΊΠΈ Π½Π΅ Π²ΡΡΠ²Π»ΡΠ΅ΡΡΡ. ΠΡΠΎΠ±ΡΠ΅ ΡΡΡΠ΄Π½ΠΎΡΡΠΈ Π²ΠΎΠ·Π½ΠΈΠΊΠ°ΡΡ ΠΏΡΠΈ Π΄ΠΈΡΡΠ΅ΡΠ΅Π½ΡΠΈΠ°Π»ΡΠ½ΠΎΠΉ Π΄ΠΈΠ°Π³Π½ΠΎΡΡΠΈΠΊΠ΅ ΡΡΠΎΠΉ ΡΠΎΡΠΌΡ ΡΠ°ΠΊΠ° Ρ Π»ΠΈΠΌΡΠΎΠ±Π»Π°ΡΡΠ½ΡΠΌ Π²Π°ΡΠΈΠ°Π½ΡΠΎΠΌ Π»ΠΈΠΌΡΠΎΡΠ°ΡΠΊΠΎΠΌΡ Π² ΡΠ»ΡΡΠ°ΡΡ , ΠΊΠΎΠ³Π΄Π° ΠΈΠΌΠ΅Π΅Ρ ΠΌΠ΅ΡΡΠΎ ΠΌΠ΅ΡΠ°ΡΡΠ°ΡΠΈΡΠ΅ΡΠΊΠΎΠ΅ ΠΏΠΎΡΠ°ΠΆΠ΅Π½ΠΈΠ΅ Π»ΠΈΠΌΡΠ°ΡΠΈΡΠ΅ΡΠΊΠΈΡ ΡΠ·Π»ΠΎΠ² ΡΡΠ΅Π΄ΠΎΡΡΠ΅Π½ΠΈΡ Π±Π΅Π· Π²ΡΡΠ²Π»Π΅Π½Π½ΠΎΠ³ΠΎ Π² ΡΡΠ°Ρ Π΅Π΅ ΠΏΠ΅ΡΠ²ΠΈΡΠ½ΠΎΠ³ΠΎ ΠΎΡΠ°Π³Π°.
ΠΡΡΠ³ΠΈΠΌ Π²Π°ΡΠΈΠ°Π½ΡΠΎΠΌ ΠΌΠ΅Π»ΠΊΠΎΠΊΠ»Π΅ΡΠΎΡΠ½ΠΎΠ³ΠΎ ΡΠ°ΠΊΠ° ΡΠ²Π»ΡΠ΅ΡΡΡ ΡΠ°ΠΊ ΠΈΠ· ΠΊΠ»Π΅ΡΠΎΠΊ ΠΏΡΠΎΠΌΠ΅ΠΆΡΡΠΎΡΠ½ΠΎΠ³ΠΎ ΡΠΈΠΏΠ°. ΠΡ Π΄ΠΈΠ°Π³Π½ΠΎΡΡΠΈΡΡΠ΅ΠΌ ΡΡΠΎΡ Π²Π°ΡΠΈΠ°Π½Ρ, ΠΊΠΎΠ³Π΄Π° ΠΌΠ°ΡΠ΅ΡΠΈΠ°Π» ΠΏΡΠ΅Π΄ΡΡΠ°Π²Π»Π΅Π½ Π°Π½Π°ΠΏΠ»Π°Π·ΠΈΡΠΎΠ²Π°Π½Π½ΡΠΌΠΈ ΠΎΠΏΡΡ ΠΎΠ»Π΅Π²ΡΠΌΠΈ ΠΊΠ»Π΅ΡΠΊΠ°ΠΌΠΈ, ΡΠ΄ΡΠ° ΠΊΠΎΡΠΎΡΡΡ ΠΏΠΎ ΡΠ°Π·ΠΌΠ΅ΡΡ ΠΏΡΠΈΠ±Π»ΠΈΠ·ΠΈΡΠ΅Π»ΡΠ½ΠΎ ΡΠ°Π²Π½Ρ ΡΠ΄ΡΠ°ΠΌ ΠΎΠ²ΡΡΠ½ΠΎΠΊΠ»Π΅ΡΠΎΡΠ½ΠΎΠ³ΠΎ ΡΠ°ΠΊΠ°, Π½ΠΎ Ρ ΡΠΎΠΌΠ°ΡΠΈΠ½ Π±ΠΎΠ»Π΅Π΅ ΠΊΠΎΠΌΠΏΠ°ΠΊΡΠ½ΡΠΉ, Π³ΡΠ°Π½ΡΠ»ΡΡΠ½ΡΠΉ ΠΈΠ»ΠΈ ΡΡΠΆΠΈΡΡΡΠΉ, Π° ΠΎΠ±ΠΎΠ΄ΠΎΠΊ ΡΠΈΡΠΎΠΏΠ»Π°Π·ΠΌΡ Π΄ΠΎΠ²ΠΎΠ»ΡΠ½ΠΎ ΡΠΈΡΠΎΠΊΠΈΠΉ. Π ΠΊΠ»Π΅ΡΠΊΠ°Ρ ΡΡΠΎΠΉ ΠΎΠΏΡΡ ΠΎΠ»ΠΈ, ΠΊΠ°ΠΊ ΠΏΡΠ°Π²ΠΈΠ»ΠΎ, Π±ΠΎΠ»ΡΡΠΎΠ΅ ΠΊΠΎΠ»ΠΈΡΠ΅ΡΡΠ²ΠΎ ΠΏΠ°ΡΠΎΠ»ΠΎΠ³ΠΈΡΠ΅ΡΠΊΠΈΡ ΠΌΠΈΡΠΎΠ·ΠΎΠ², ΡΡΠΎ ΠΎΡΠ»ΠΈΡΠ°Π΅Ρ Π΅Π΅ ΠΎΡ Π½ΠΈΠ·ΠΊΠΎΠ΄ΠΈΡΡΠ΅ΡΠ΅Π½ΡΠΈΡΠΎΠ²Π°Π½Π½ΠΎΠ³ΠΎ ΠΏΠ»ΠΎΡΠΊΠΎΠΊΠ»Π΅ΡΠΎΡΠ½ΠΎΠ³ΠΎ ΡΠ°ΠΊΠ°. Π‘Π»Π΅Π΄ΡΠ΅Ρ ΠΏΠΎΠ΄ΡΠ΅ΡΠΊΠ½ΡΡΡ, ΡΡΠΎ Π² ΠΌΠ΅ΡΠ°ΡΡΠ°ΡΠΈΡΠ΅ΡΠΊΠΈ ΠΏΠΎΡΠ°ΠΆΠ΅Π½Π½ΡΡ Π»ΠΈΠΌΡΠ°ΡΠΈΡΠ΅ΡΠΊΠΈΡ ΡΠ·Π»Π°Ρ ΡΡΠ΅Π΄ΠΎΡΡΠ΅Π½ΠΈΡ ΠΏΡΠΈ ΠΎΠ²ΡΡΠ½ΠΎΠΊΠ»Π΅ΡΠΎΡΠ½ΠΎΠΌ ΡΠ°ΠΊΠ΅ Π½Π΅ΡΠ΅Π΄ΠΊΠΎ ΠΎΠ±Π½Π°ΡΡΠΆΠΈΠ²Π°ΡΡΡΡ ΡΡΠ°ΡΡΠΊΠΈ ΡΠ°ΠΊΠ°, ΡΠΎΡΡΠΎΡΡΠΈΠ΅ ΠΈΡΠΊΠ»ΡΡΠΈΡΠ΅Π»ΡΠ½ΠΎ ΠΈΠ· ΠΊΠ»Π΅ΡΠΎΠΊ ΠΏΡΠΎΠΌΠ΅ΠΆΡΡΠΎΡΠ½ΠΎΠ³ΠΎ ΡΠΈΠΏΠ°
Π¦ΠΈΡΠΎΠ»ΠΎΠ³ΠΈΡΠ΅ΡΠΊΠ°Ρ Ρ Π°ΡΠ°ΠΊΡΠ΅ΡΠΈΡΡΠΈΠΊΠ° ΠΊΠΎΠΌΠ±ΠΈΠ½ΠΈΡΠΎΠ²Π°Π½Π½ΠΎΠ³ΠΎ ΠΎΠ²ΡΡΠ½ΠΎΠΊΠ»Π΅ΡΠΎΡΠ½ΠΎΠ³ΠΎ ΡΠ°ΠΊΠ° ΠΎΡΠ½ΠΎΠ²ΡΠ²Π°Π΅ΡΡΡ Π½Π° ΠΎΠ΄Π½ΠΎΠ²ΡΠ΅ΠΌΠ΅Π½Π½ΠΎΠΌ ΠΏΡΠΈΡΡΡΡΡΠ²ΠΈΠΈ ΠΏΡΠΈΠ·Π½Π°ΠΊΠΎΠ², Ρ Π°ΡΠ°ΠΊΡΠ΅ΡΠ½ΡΡ Π΄Π»Ρ ΠΎΠ²ΡΡΠ½ΠΎΠΊΠ»Π΅ΡΠΎΡΠ½ΠΎΠ³ΠΎ ΡΠ°ΠΊΠ° ΠΈ ΠΏΠ»ΠΎΡΠΊΠΎΠΊΠ»Π΅ΡΠΎΡΠ½ΠΎΠ³ΠΎ ΡΠ°ΠΊΠ° ΠΈΠ»ΠΈ Π°Π΄Π΅Π½ΠΎΠΊΠ°ΡΡΠΈΠ½ΠΎΠΌΡ.
ΠΠΈΡΡΠΎΠ»ΠΎΠ³ΠΈΡΠ΅ΡΠΊΠ°Ρ Ρ Π°ΡΠ°ΠΊΡΠ΅ΡΠΈΡΡΠΈΠΊΠ°. ΠΠ²ΡΡΠ½ΠΎΠΊΠ»Π΅ΡΠΎΡΠ½ΡΠΉ ΡΠ°ΠΊ ΡΠΎΡΡΠΎΠΈΡ ΠΈΠ· Π΄ΠΎΠ²ΠΎΠ»ΡΠ½ΠΎ ΠΌΠΎΠ½ΠΎΠΌΠΎΡΡΠ½ΡΡ , Π½Π΅Π±ΠΎΠ»ΡΡΠΈΡ ΠΏΠΎ ΡΠ°Π·ΠΌΠ΅ΡΡ ΠΊΠ»Π΅ΡΠΎΠΊ ΠΎΠΊΡΡΠ³Π»ΠΎΠΉ, ΠΏΠΎΠ»ΠΈΠ³ΠΎΠ½Π°Π»ΡΠ½ΠΎΠΉ ΠΈΠ»ΠΈ Π²ΡΡΡΠ½ΡΡΠΎΠΉ ΡΠΎΡΠΌΡ (ΡΠΈΡ.19). ΠΠ΄Π½Π°ΠΊΠΎ ΠΌΠΎΠΆΠ΅Ρ ΠΈΠΌΠ΅ΡΡ ΠΌΠ΅ΡΡΠΎ ΡΠΌΠ΅ΡΠ΅Π½Π½ΡΠΉ ΠΏΠΎΠ»ΠΈΠΌΠΎΡΡΠΈΠ·ΠΌ Π² ΡΠ°Π·ΠΌΠ΅ΡΠ°Ρ ΠΈ ΡΠΎΡΠΌΠ΅ ΠΊΠ»Π΅ΡΠΎΠΊ. ΠΠ°ΠΊ ΠΏΡΠ°Π²ΠΈΠ»ΠΎ, ΠΊΠ»Π΅ΡΠΊΠΈ Π² Π΄Π²Π° ΡΠ°Π·Π° ΠΊΡΡΠΏΠ½Π΅Π΅ Π»ΠΈΠΌΡΠΎΡΠΈΡΠ°, ΡΠΎΠ΄Π΅ΡΠΆΠ°Ρ ΡΠ΅Π½ΡΡΠ°Π»ΡΠ½ΠΎ ΡΠ°ΡΠΏΠΎΠ»ΠΎΠΆΠ΅Π½Π½ΠΎΠ΅ ΡΠ΄ΡΠΎ Ρ ΡΠΎΠ½ΠΊΠΎΠ΄ΠΈΡΠΏΠ΅ΡΡΠ½ΡΠΌ Ρ ΡΠΎΠΌΠ°ΡΠΈΠ½ΠΎΠΌ ΠΈ Π½Π΅ΠΏΠΎΡΡΠΎΡΠ½Π½ΡΠΌΠΈ ΡΠ΄ΡΡΡΠΊΠ°ΠΌΠΈ. ΠΡΠ΄Π΅Π»ΡΠ½ΡΠ΅ ΠΊΠ»Π΅ΡΠΊΠΈ ΠΈΠΌΠ΅ΡΡ Π±ΠΎΠ»Π΅Π΅ ΠΏΠ»ΠΎΡΠ½ΡΠ΅ Π³ΠΈΠΏΠ΅ΡΡ ΡΠΎΠΌΠ½ΡΠ΅ ΡΠ΄ΡΠ°, ΠΎΡΠΎΠ±Π΅Π½Π½ΠΎ Π² ΠΏΠΎΠ»ΡΡ Ρ Π΄Π΅Π³Π΅Π½Π΅ΡΠ°ΡΠΈΠ²Π½ΡΠΌΠΈ ΠΈ Π½Π΅ΠΊΡΠΎΡΠΈΡΠ΅ΡΠΊΠΈΠΌΠΈ ΠΈΠ·ΠΌΠ΅Π½Π΅Π½ΠΈΡΠΌΠΈ. Π¦ΠΈΡΠΎΠΏΠ»Π°Π·ΠΌΠ° ΡΠΊΡΠ΄Π½Π°Ρ, ΠΎΠ±ΡΡΠ½ΠΎ Π±Π°Π·ΠΎΡΠΈΠ»ΡΠ½Π°Ρ. ΠΠ΅ΡΠΌΠΎΡΡΡ Π½Π° Π±ΡΡΡΡΡΠΉ ΡΠΎΡΡ ΠΎΠΏΡΡ ΠΎΠ»ΠΈ, ΠΌΠΈΡΠΎΠ·Ρ Π²ΡΡΠ²Π»ΡΡΡΡΡ ΡΠ΅Π΄ΠΊΠΎ.
ΠΠ»Π΅ΡΠΎΡΠ½ΡΠ΅ ΡΠ»Π΅ΠΌΠ΅Π½ΡΡ ΡΠ°ΡΠΏΠΎΠ»Π°Π³Π°ΡΡΡΡ, ΠΊΠ°ΠΊ ΠΏΡΠ°Π²ΠΈΠ»ΠΎ, ΡΡΡ Π»ΠΎ, ΡΡΡΠΎΠΌΠ° ΡΠΊΡΠ΄Π½Π°Ρ, ΠΎΡΡΡΡΡΡΠ²ΡΠ΅Ρ Π»ΠΈΠΌΡΠΎΡΠΈΡΠ°ΡΠ½Π°Ρ ΠΈΠ»ΠΈ Π΄ΡΡΠ³Π°Ρ Π²ΠΎΡΠΏΠ°Π»ΠΈΡΠ΅Π»ΡΠ½Π°Ρ ΠΈΠ½ΡΠΈΠ»ΡΡΡΠ°ΡΠΈΡ, Π΄Π°ΠΆΠ΅ Π² ΠΎΠ±Π»Π°ΡΡΡΡ Ρ Π½Π΅ΠΊΡΠΎΡΠΈΡΠ΅ΡΠΊΠΈΠΌΠΈ ΠΈΠ·ΠΌΠ΅Π½Π΅Π½ΠΈΡΠΌΠΈ. ΠΠ±ΡΡΠ½ΠΎ ΠΎΠΏΡΡ ΠΎΠ»Ρ ΡΠ°ΡΡΠ΅Ρ Π² Π²ΠΈΠ΄Π΅ ΡΠΈΡΠΎΠΊΠΈΡ ΡΡΠΆΠ΅ΠΉ, Π² ΠΎΡΠ΄Π΅Π»ΡΠ½ΡΡ ΡΡΠ°ΡΡΠΊΠ°Ρ ΠΎΡΠΌΠ΅ΡΠ°Π΅ΡΡΡ Π½Π°Π»ΠΈΡΠΈΠ΅ ΡΡΠ°Π±Π΅ΠΊΡΠ»ΡΡΠ½ΡΡ , Π°Π»ΡΠ²Π΅ΠΎΠ»ΡΡΠ½ΡΡ ΡΡΡΡΠΊΡΡΡ ΠΈΠ»ΠΈ ΠΏΠ°Π»ΠΈΡΠ°Π΄ΠΎΠΎΠ±ΡΠ°Π·Π½ΠΎ ΡΠ°ΡΠΏΠΎΠ»ΠΎΠΆΠ΅Π½Π½ΡΡ ΠΊΠ»Π΅ΡΠΎΠΊ Π²ΠΎΠΊΡΡΠ³ Π½Π΅ΠΆΠ½ΡΡ ΠΊΡΠΎΠ²Π΅Π½ΠΎΡΠ½ΡΡ ΡΠΎΡΡΠ΄ΠΎΠ² — ΠΏΡΠ΅Π²Π΄ΠΎΡΠΎΠ·Π΅ΡΠΊΠΈ. ΠΠ΅ΠΊΡΠΎΡΠΈΡΠ΅ΡΠΊΠΈΠ΅ ΠΈ Π΄Π΅Π³Π΅Π½Π΅ΡΠ°ΡΠΈΠ²Π½ΡΠ΅ ΠΈΠ·ΠΌΠ΅Π½Π΅Π½ΠΈΡ Π² ΠΎΠΏΡΡ ΠΎΠ»ΠΈ ΠΈΠΌΠ΅ΡΡ Ρ Π°ΡΠ°ΠΊΡΠ΅ΡΠ½ΡΠΉ Π²ΠΈΠ΄: Π²Π΄ΠΎΠ»Ρ ΡΡΠ΅Π½ΠΎΠΊ ΡΠΎΡΡΠ΄ΠΎΠ² ΠΈ Π΄ΡΡΠ³ΠΈΡ ΡΠΎΠ΅Π΄ΠΈΠ½ΠΈΡΠ΅Π»ΡΠ½ΠΎΡΠΊΠ°Π½Π½ΡΡ ΡΡΡΡΠΊΡΡΡ ΠΎΡΠΌΠ΅ΡΠ°Π΅ΡΡΡ Π½Π°ΠΊΠΎΠΏΠ»Π΅Π½ΠΈΠ΅ Π±Π°Π·ΠΎΡΠΈΠ»ΡΠ½ΠΎΠ³ΠΎ Π²Π΅ΡΠ΅ΡΡΠ²Π° Π²ΡΠ»Π΅Π΄ΡΡΠ²ΠΈΠ΅ ΠΎΡΠ»ΠΎΠΆΠ΅Π½ΠΈΡ ΡΠ΄Π΅ΡΠ½ΠΎΠ³ΠΎ ΠΌΠ°ΡΠ΅ΡΠΈΠ°Π»Π°, ΡΡΠΎ Π½Π΅ Π²ΡΡΡΠ΅ΡΠ°Π΅ΡΡΡ Π² Π΄ΡΡΠ³ΠΈΡ ΡΠΈΠΏΠ°Ρ ΡΠ°ΠΊΠ° ΠΈ ΠΊΠ°ΡΡΠΈΠ½ΠΎΠΈΠ΄Π°Ρ .
Π Π°ΠΊ ΠΈΠ· ΠΊΠ»Π΅ΡΠΎΠΊ ΠΏΡΠΎΠΌΠ΅ΠΆΡΡΠΎΡΠ½ΠΎΠ³ΠΎ ΡΠΈΠΏΠ° ΠΏΡΠ΅Π΄ΡΡΠ°Π²Π»Π΅Π½ Π΄ΠΎΠ²ΠΎΠ»ΡΠ½ΠΎ ΠΏΠΎΠ»ΠΈΠΌΠΎΡΡΠ½ΡΠΌΠΈ ΠΎΠΏΡΡ ΠΎΠ»Π΅Π²ΡΠΌΠΈ ΡΠ»Π΅ΠΌΠ΅Π½ΡΠ°ΠΌΠΈ ΠΏΠΎΠ»ΠΈΠ³ΠΎΠ½Π°Π»ΡΠ½ΠΎΠΉ ΠΈΠ»ΠΈ Π²Π΅ΡΠ΅ΡΠ΅Π½ΠΎΠΎΠ±ΡΠ°Π·Π½ΠΎΠΉ ΡΠΎΡΠΌΡ, Π±ΠΎΠ»Π΅Π΅ ΠΊΡΡΠΏΠ½ΡΠΌΠΈ, ΡΠ΅ΠΌ ΠΏΡΠΈ ΠΊΠ»Π°ΡΡΠΈΡΠ΅ΡΠΊΠΎΠΌ ΠΌΠ΅Π»ΠΊΠΎΠΊΠ»Π΅ΡΠΎΡΠ½ΠΎΠΌ ΡΠ°ΠΊΠ΅, ΡΠ°Π·ΠΌΠ΅ΡΡ ΠΊΠ»Π΅ΡΠΎΠΊ Π² ΡΡΠΈ ΡΠ°Π·Π° Π±ΠΎΠ»ΡΡΠ΅ Π»ΠΈΠΌΡΠΎΡΠΈΡΠ°. Π―Π΄ΡΠ° ΡΡΠΈΡ ΠΊΠ»Π΅ΡΠΎΠΊ ΡΠΎΠ΄Π΅ΡΠΆΠ°Ρ Π·Π°ΠΌΠ΅ΡΠ½ΠΎΠ΅ ΠΊΠΎΠ»ΠΈΡΠ΅ΡΡΠ²ΠΎ Π³Π»ΡΠ±ΠΎΠΊ Ρ ΡΠΎΠΌΠ°ΡΠΈΠ½Π° ΠΈ Π½Π΅ΠΏΠΎΡΡΠΎΡΠ½Π½ΡΠ΅ ΡΠ΄ΡΡΡΠΊΠΈ. Π§Π°ΡΡΡ ΠΊΠ»Π΅ΡΠΎΠΊ ΠΈΠΌΠ΅Π΅Ρ ΡΠΊΡΠ΄Π½ΡΡ ΡΠΈΡΠΎΠΏΠ»Π°Π·ΠΌΡ, Π² Π΄ΡΡΠ³ΠΈΡ ΠΎΡΠΌΠ΅ΡΠ°Π΅ΡΡΡ Π±ΠΎΠ»Π΅Π΅ Π²ΡΡΠ°ΠΆΠ΅Π½Π½Π°Ρ Π½Π΅ΠΆΠ½ΠΎΠ±Π°Π·ΠΎΡΠΈΠ»ΡΠ½Π°Ρ ΠΈΠ»ΠΈ ΡΠ²Π΅ΡΠΎΠΎΠΏΡΠΈΡΠ΅ΡΠΊΠΈ ΠΏΡΠΎΠ·ΡΠ°ΡΠ½Π°Ρ ΡΠΈΡΠΎΠΏΠ»Π°Π·ΠΌΠ°. Π ΠΊΠ»Π΅ΡΠΊΠ°Ρ ΡΡΠΎΠ³ΠΎ ΡΠΈΠΏΠ° ΠΎΡΠΌΠ΅ΡΠ°Π΅ΡΡΡ Π²ΡΡΠ°ΠΆΠ΅Π½Π½Π°Ρ ΠΌΠΈΡΠΎΡΠΈΡΠ΅ΡΠΊΠ°Ρ Π°ΠΊΡΠΈΠ²Π½ΠΎΡΡΡ.
Π ΠΎΡΠ΄Π΅Π»ΡΠ½ΡΡ Π½ΠΎΠ²ΠΎΠΎΠ±ΡΠ°Π·ΠΎΠ²Π°Π½ΠΈΡΡ , Π½Π°ΡΡΠ΄Ρ Ρ ΠΌΠ΅Π»ΠΊΠΎΠΊΠ»Π΅ΡΠΎΡΠ½ΡΠΌ ΡΠ°ΠΊΠΎΠΌ, ΠΌΠΎΠ³ΡΡ Π²ΡΡΠ²Π»ΡΡΡΡΡ ΡΡΠ°ΡΡΠΊΠΈ, Π³Π΄Π΅ ΠΎΠΏΡΡ ΠΎΠ»Π΅Π²ΡΠ΅ ΡΠ»Π΅ΠΌΠ΅Π½ΡΡ ΠΈΠΌΠ΅ΡΡ ΡΡΡΠΎΠ΅Π½ΠΈΠ΅ ΠΏΠ»ΠΎΡΠΊΠΎΠΊΠ»Π΅ΡΠΎΡΠ½ΠΎΠ³ΠΎ ΠΈΠ»ΠΈ ΠΆΠ΅Π»Π΅Π·ΠΈΡΡΠΎΠ³ΠΎ ΡΠ°ΠΊΠ° ΡΠ°Π·Π»ΠΈΡΠ½ΠΎΠΉ Π΄ΠΈΡΡΠ΅ΡΠ΅Π½ΡΠΈΡΠΎΠ²ΠΊΠΈ — ΠΊΠΎΠΌΠ±ΠΈΠ½ΠΈΡΠΎΠ²Π°Π½Π½ΡΠΉ ΠΎΠ²ΡΡΠ½ΠΎΠΊΠ»Π΅ΡΠΎΡΠ½ΡΠΉ ΡΠ°ΠΊ.
ΠΠ°ΠΈΠ±ΠΎΠ»ΡΡΠΈΠ΅ ΡΡΡΠ΄Π½ΠΎΡΡΠΈ Π² Π΄ΠΈΡΡΠ΅ΡΠ΅Π½ΡΠΈΠ°Π»ΡΠ½ΠΎΠΉ Π΄ΠΈΠ°Π³Π½ΠΎΡΡΠΈΠΊΠ΅ ΠΌΠ΅Π»ΠΊΠΎΠΊΠ»Π΅ΡΠΎΡΠ½ΠΎΠ³ΠΎ ΡΠ°ΠΊΠ° ΡΡΠ°Ρ Π΅ΠΈ Ρ Π΄ΡΡΠ³ΠΈΠΌΠΈ Π³ΠΈΡΡΠΎΠ»ΠΎΠ³ΠΈΡΠ΅ΡΠΊΠΈΠΌΠΈ ΡΠΈΠΏΠ°ΠΌΠΈ Π²ΠΎΠ·Π½ΠΈΠΊΠ°ΡΡ ΠΏΡΠΈ ΠΎΡΠ΅Π½ΠΊΠ΅ ΠΌΠ°ΡΠ΅ΡΠΈΠ°Π»Π° Π±ΡΠΎΠ½Ρ ΠΎΠ±ΠΈΠΎΠΏΡΠΈΠΈ, Π³Π΄Π΅ ΠΎΠΏΡΡ ΠΎΠ»Π΅Π²ΡΠ΅ ΡΠ»Π΅ΠΌΠ΅Π½ΡΡ Π²ΡΠ»Π΅Π΄ΡΡΠ²ΠΈΠ΅ Π±ΠΎΠ»ΡΡΠΎΠΉ ΡΡΠ²ΡΡΠ²ΠΈΡΠ΅Π»ΡΠ½ΠΎΡΡΠΈ ΠΊ ΠΌΠ΅Ρ Π°Π½ΠΈΡΠ΅ΡΠΊΠΎΠΌΡ Π²ΠΎΠ·Π΄Π΅ΠΉΡΡΠ²ΠΈΡ ΠΌΠΎΠ³ΡΡ Π±ΡΡΡ ΡΠΈΠ»ΡΠ½ΠΎ ΡΠ°Π·ΡΡΡΠ΅Π½Ρ ΠΈ Π½Π°ΠΏΠΎΠΌΠΈΠ½Π°ΡΡ Π»ΠΈΠΌΡΠΎΡΠΈΡΠ°ΡΠ½ΡΠ΅ ΡΠΊΠΎΠΏΠ»Π΅Π½ΠΈΡ ΠΈΠ»ΠΈ Π²ΠΎΡΠΏΠ°Π»ΠΈΡΠ΅Π»ΡΠ½ΡΡ ΠΈΠ½ΡΠΈΠ»ΡΡΡΠ°ΡΠΈΡ. ΠΡΠΎΠ±ΡΠ΅ ΡΡΡΠ΄Π½ΠΎΡΡΠΈ Π²ΠΎΠ·Π½ΠΈΠΊΠ°ΡΡ ΠΏΡΠΈ Π΄ΠΈΡΡΠ΅ΡΠ΅Π½ΡΠΈΠ°Π»ΡΠ½ΠΎΠΉ Π΄ΠΈΠ°Π³Π½ΠΎΡΡΠΈΠΊΠ΅ ΠΌΠ΅Π»ΠΊΠΎΠΊΠ»Π΅ΡΠΎΡΠ½ΠΎΠ³ΠΎ ΡΠ°ΠΊΠ° ΡΡΠ°Ρ Π΅ΠΈ Ρ Π°ΡΠΈΠΏΠΈΡΠ΅ΡΠΊΠΈΠΌ ΠΊΠ°ΡΡΠΈΠ½ΠΎΠΈΠ΄ΠΎΠΌ ΠΈ Π΄ΡΡΠ³ΠΈΠΌΠΈ ΠΌΠ°Π»ΠΎΠ΄ΠΈΡΡΠ΅ΡΠ΅Π½ΡΠΈΡΠΎΠ²Π°Π½Π½ΡΠΌΠΈ ΡΠΎΡΠΌΠ°ΠΌΠΈ ΡΠ°ΠΊΠ°.
ΠΠ°ΠΈΠ±ΠΎΠ»Π΅Π΅ ΡΠ°ΡΡΠΎ ΠΌΠ΅Π»ΠΊΠΎΠΊΠ»Π΅ΡΠΎΡΠ½ΡΠΉ ΡΠ°ΠΊ ΠΏΡΠΈΡ ΠΎΠ΄ΠΈΡΡΡ Π΄ΠΈΡΡΠ΅ΡΠ΅Π½ΡΠΈΡΠΎΠ²Π°ΡΡ Ρ Π½ΠΈΠ·ΠΊΠΎΠ΄ΠΈΡΡΠ΅ΡΠ΅Π½ΡΠΈΡΠΎΠ²Π°Π½Π½ΡΠΌ ΠΏΠ»ΠΎΡΠΊΠΎΠΊΠ»Π΅ΡΠΎΡΠ½ΡΠΌ ΡΠ°ΠΊΠΎΠΌ, ΠΊΠ»Π΅ΡΠΊΠΈ ΠΊΠΎΡΠΎΡΠΎΠ³ΠΎ, ΠΊΠ°ΠΊ ΠΏΡΠ°Π²ΠΈΠ»ΠΎ, ΠΈΠΌΠ΅ΡΡ ΠΎΠ±ΠΈΠ»ΡΠ½ΡΡ ΡΠ΅ΡΠΊΠΎ ΠΎΡΠ΅ΡΡΠ΅Π½Π½ΡΡ ΡΠΈΡΠΎΠΏΠ»Π°Π·ΠΌΡ. Π‘ ΠΏΠΎΠΌΠΎΡΡΡ Π·Π΅Π»Π΅Π½ΠΎΠ³ΠΎ ΡΠ²Π΅ΡΠΎΡΠΈΠ»ΡΡΡΠ° Π² ΠΎΡΠ΄Π΅Π»ΡΠ½ΡΡ ΡΡΠ°ΡΡΠΊΠ°Ρ ΠΌΠΎΠΆΠ½ΠΎ Π²ΡΡΠ²ΠΈΡΡ ΠΈ ΠΌΠ΅ΠΆΠΊΠ»Π΅ΡΠΎΡΠ½ΡΠ΅ ΠΌΠΎΡΡΠΈΠΊΠΈ. Π―Π΄ΡΠ° Π±ΠΎΠ»Π΅Π΅ Π³ΠΈΠΏΠ΅ΡΡ ΡΠΎΠΌΠ½ΡΠ΅, Π° ΡΠΈΡΠΎΠΏΠ»Π°Π·ΠΌΠ° ΡΠΎΠ·ΠΈΠ½ΠΎΡΠΈΠ»ΡΠ½Π°Ρ, ΡΡΠΎ ΡΠΊΠ°Π·ΡΠ²Π°Π΅Ρ Π½Π° ΡΠΏΠΈΠ΄Π΅ΡΠΌΠΎΠΈΠ΄Π½ΡΡ Π΄ΠΈΡΡΠ΅ΡΠ΅Π½ΡΠΈΡΠΎΠ²ΠΊΡ. Π ΠΎΡΠ΄Π΅Π»ΡΠ½ΡΡ ΠΆΠ΅ ΡΠ»ΡΡΠ°ΡΡ Π±Π΅Π· ΠΏΡΠΈΠΌΠ΅Π½Π΅Π½ΠΈΡ ΡΠΏΠ΅ΡΠΈΠ°Π»ΡΠ½ΡΡ ΠΌΠ΅ΡΠΎΠ΄ΠΎΠ² ΠΈΡΡΠ»Π΅Π΄ΠΎΠ²Π°Π½ΠΈΡ Π΄ΠΈΡΡΠ΅ΡΠ΅Π½ΡΠΈΠ°Π»ΡΠ½ΡΠΉ Π΄ΠΈΠ°Π³Π½ΠΎΠ· ΠΌΠ΅Π»ΠΊΠΎΠΊΠ»Π΅ΡΠΎΡΠ½ΠΎΠ³ΠΎ ΡΠ°ΠΊΠ° ΡΡΠ°Ρ Π΅ΠΈ Ρ Π΄ΡΡΠ³ΠΈΠΌΠΈ ΠΌΠΈΠΊΡΠΎΡΠΊΠΎΠΏΠΈΡΠ΅ΡΠΊΠΈ ΡΡ ΠΎΠ΄Π½ΡΠΌΠΈ ΠΎΠΏΡΡ ΠΎΠ»ΡΠΌΠΈ ΠΏΡΠ°ΠΊΡΠΈΡΠ΅ΡΠΊΠΈ Π½Π΅Π²ΠΎΠ·ΠΌΠΎΠΆΠ΅Π½.
Π£Π»ΡΡΡΠ°ΡΡΡΡΠΊΡΡΡΠ°. ΠΡΡΠ²Π»ΡΡΡΡΡ ΠΌΠ΅Π»ΠΊΠΈΠ΅ ΠΎΠΊΡΡΠ³Π»ΡΠ΅, ΠΎΠ²Π°Π»ΡΠ½ΡΠ΅ ΠΈΠ»ΠΈ Π²ΡΡΡΠ½ΡΡΡΠ΅ ΠΊΠ»Π΅ΡΠΊΠΈ,Π»Π΅ΠΆΠ°ΡΠΈΠ΅ ΠΎΡΠ΄Π΅Π»ΡΠ½ΠΎ ΠΈΠ»ΠΈ ΠΌΠ΅Π»ΠΊΠΈΠΌΠΈ Π³ΡΡΠΏΠΏΠ°ΠΌΠΈ Π² ΠΊΠΎΠ»Π»Π°Π³Π΅Π½Π²ΠΎΠ»ΠΎΠΊΠ½ΠΈΡΡΠΎΠΉ ΡΡΡΠΎΠΌΠ΅ (ΡΠΈΡ.19). Π―Π΄ΡΠ° Π½Π΅ΠΏΡΠ°Π²ΠΈΠ»ΡΠ½ΠΎΠΉ ΡΠΎΡΠΌΡ Ρ ΠΊΡΡΠΏΠ½ΠΎΠ³Π»ΡΠ±ΡΠ°ΡΡΠΌ Ρ ΡΠΎΠΌΠ°ΡΠΈΠ½ΠΎΠΌ. Π¦ΠΈΡΠΎΠΏΠ»Π°Π·ΠΌΠ° ΡΠΊΡΠ΄Π½Π°Ρ Ρ Π½Π΅Π±ΠΎΠ»ΡΡΠΈΠΌ ΠΊΠΎΠ»ΠΈΡΠ΅ΡΡΠ²ΠΎΠΌ ΠΎΡΠ³Π°Π½Π΅Π»Π» (ΡΠΈΠ±ΠΎΡΠΎΠΌΡ, ΠΏΠΎΠ»ΠΈΡΠΎΠΌΡ, ΠΌΠ΅Π»ΠΊΠΈΠ΅ ΠΌΠΈΡΠΎΡ ΠΎΠ½Π΄ΡΠΈΠΈ,ΠΊΠΎΡΠΎΡΠΊΠΈΠ΅ ΠΏΡΠΎΡΠΈΠ»ΠΈ Π¨ΠΠ ) ΠΈ Π΅Π΄ΠΈΠ½ΠΈΡΠ½ΡΠΌΠΈ ΠΎΠΊΡΡΠ³Π»ΡΠΌΠΈ ΠΈΠ»ΠΈ ΠΏΠΎΠ»ΠΈΠΌΠΎΡΡΠ½ΡΠΌΠΈ Π½Π΅ΠΉΡΠΎΡΠ΅ΠΊΡΠ΅ΡΠΎΡΠ½ΡΠΌΠΈ Π³ΡΠ°Π½ΡΠ»Π°ΠΌΠΈ. ΠΠ΄ΠΈΠ½ΠΈΡΠ½ΡΠ΅ Π½Π΅ΠΉΡΠΎΡΠ΅ΠΊΡΠ΅ΡΠΎΡΠ½ΡΠ΅ Π³ΡΠ°Π½ΡΠ»Ρ ΠΌΠΎΠ³ΡΡ Π²ΡΡΡΠ΅ΡΠ°ΡΡΡΡ Π² Π½Π΅ΠΌΠ΅Π»ΠΊΠΎΠΊΠ»Π΅ΡΠΎΡΠ½ΡΡ ΡΠΈΠΏΠ°Ρ ΡΠ°ΠΊΠ°, ΡΠΎΡΡΠΎΡΡΠ΅Π³ΠΎ ΠΏΡΠ΅ΠΈΠΌΡΡΠ΅ΡΡΠ²Π΅Π½Π½ΠΎ ΠΈΠ· Π±ΠΎΠ»Π΅Π΅ ΠΊΡΡΠΏΠ½ΡΡ Π½Π΅Π΄ΠΈΡΡΠ΅ΡΠ΅Π½ΡΠΈΡΠΎΠ²Π°Π½Π½ΡΡ ΠΊΠ»Π΅ΡΠΎΠΊ ΠΈ ΡΠ»Π΅ΠΌΠ΅Π½ΡΠΎΠ² ΡΠΎ ΡΠ»Π°Π±ΡΠΌΠΈ ΠΏΡΠΈΠ·Π½Π°ΠΊΠ°ΠΌΠΈ ΠΆΠ΅Π»Π΅Π·ΠΈΡΡΠΎΠΉ Π΄ΠΈΡΡΠ΅ΡΠ΅Π½ΡΠΈΡΠΎΠ²ΠΊΠΈ (ΠΌΠΈΠΊΡΠΎΠ²ΠΎΡΡΠΈΠ½ΠΊΠΈ). Π¦ΠΈΡΠΎΠΏΠ»Π°Π·ΠΌΠ° Π² ΡΡΠΈΡ ΠΊΠ»Π΅ΡΠΊΠ°Ρ Π±ΠΎΠ»Π΅Π΅ ΠΎΠ±ΠΈΠ»ΡΠ½Π°Ρ, ΡΠΎΠ΄Π΅ΡΠΆΠΈΡ ΡΠΈΠ±ΠΎΡΠΎΠΌΡ, ΠΏΠΎΠ»ΠΈΡΠΎΠΌΡ,ΠΌΠΈΡΠΎΡ ΠΎΠ½Π΄ΡΠΈΠΈ, ΠΌΠ½ΠΎΠΆΠ΅ΡΡΠ²Π΅Π½Π½ΡΠ΅ ΠΏΡΠΎΡΠΈΠ»ΠΈ ΡΠ΅ΡΠΎΡ ΠΎΠ²Π°ΡΠΎΠ³ΠΎ ΠΈ Π³Π»Π°Π΄ΠΊΠΎΠ³ΠΎ ΡΠ½Π΄ΠΎΠΏΠ»Π°Π·ΠΌΠ°ΡΠΈΡΠ΅ΡΠΊΠΎΠ³ΠΎ ΡΠ΅ΡΠΈΠΊΡΠ»ΡΠΌΠ°.
studfiles.net
ΠΠ΅Π»ΠΊΠΎΠΊΠ»Π΅ΡΠΎΡΠ½ΡΠΉ ΡΠ°ΠΊ Π»Π΅Π³ΠΊΠΎΠ³ΠΎ
ΠΠ£ Π ΠΠΠ¦ ΠΈΠΌ. Π.Π.ΠΠ»ΠΎΡ ΠΈΠ½Π° Π ΠΠΠ, ΠΠΎΡΠΊΠ²Π°
Π.Π. ΠΡΡΠΊΠΎΠ², Π.Π. ΠΠ³Π΅Π±ΡΠ°Π΄Π·Π΅, Π‘.Π. ΠΠΎΠ»ΡΡΠ°ΠΊΠΎΠ²Π°
Π Π½Π°ΡΡΠΎΡΡΠ΅Π΅ Π²ΡΠ΅ΠΌΡ Π²Π΅Π΄ΡΡΡΡ ΠΈΡΡΠ»Π΅Π΄ΠΎΠ²Π°Π½ΠΈΡ Π½ΠΎΠ²ΡΡ ΠΌΠ΅ΡΠΎΠ΄ΠΎΠ² ΡΠ΅ΡΠ°ΠΏΠΈΠΈ ΠΏΡΠΈ ΠΠ Π. Π‘ ΠΎΠ΄Π½ΠΎΠΉ ΡΡΠΎΡΠΎΠ½Ρ, ΡΠ°Π·ΡΠ°Π±Π°ΡΡΠ²Π°ΡΡΡΡ Π½ΠΎΠ²ΡΠ΅ ΡΡ Π΅ΠΌΡ ΠΈ ΠΊΠΎΠΌΠ±ΠΈΠ½Π°ΡΠΈΠΈ Ρ ΠΌΠ΅Π½ΡΡΠΈΠΌ ΡΡΠΎΠ²Π½Π΅ΠΌ ΡΠΎΠΊΡΠΈΡΠ½ΠΎΡΡΠΈ ΠΈ Π±ΠΎΠ»ΡΡΠ΅ΠΉ ΡΡΡΠ΅ΠΊΡΠΈΠ²Π½ΠΎΡΡΡΡ, Ρ Π΄ΡΡΠ³ΠΎΠΉ ΡΡΠΎΡΠΎΠ½Ρ, ΠΈΠ·ΡΡΠ°ΡΡΡΡ Π½ΠΎΠ²ΡΠ΅ ΠΏΡΠ΅ΠΏΠ°ΡΠ°ΡΡ. ΠΡΠ½ΠΎΠ²Π½ΠΎΠΉ ΡΠ΅Π»ΡΡ ΠΏΡΠΎΠ²ΠΎΠ΄ΠΈΠΌΡΡ ΠΈΡΡΠ»Π΅Π΄ΠΎΠ²Π°Π½ΠΈΠΉ ΡΠ²Π»ΡΠ΅ΡΡΡ ΡΠ²Π΅Π»ΠΈΡΠ΅Π½ΠΈΠ΅ Π²ΡΠΆΠΈΠ²Π°Π΅ΠΌΠΎΡΡΠΈ ΠΏΠ°ΡΠΈΠ΅Π½ΡΠΎΠ² ΠΈ ΡΠΌΠ΅Π½ΡΡΠ΅Π½ΠΈΠ΅ ΡΠ°ΡΡΠΎΡΡ ΡΠ΅ΡΠΈΠ΄ΠΈΠ²ΠΎΠ². ΠΠ΅ΠΎΠ±Ρ ΠΎΠ΄ΠΈΠΌΠΎ ΠΏΡΠΎΠ΄ΠΎΠ»ΠΆΠΈΡΡ ΠΈΠ·ΡΡΠ΅Π½ΠΈΠ΅ ΡΡΡΠ΅ΠΊΡΠΈΠ²Π½ΠΎΡΡΠΈ Π½ΠΎΠ²ΡΡ ΠΏΡΠ΅ΠΏΠ°ΡΠ°ΡΠΎΠ² Ρ Π½ΠΎΠ²ΡΠΌ ΠΌΠ΅Ρ Π°Π½ΠΈΠ·ΠΌΠΎΠΌ Π΄Π΅ΠΉΡΡΠ²ΠΈΡ.
Π Π°ΠΊ Π»Π΅Π³ΠΊΠΎΠ³ΠΎ ΡΠ²Π»ΡΠ΅ΡΡΡ ΠΎΠ΄Π½ΠΈΠΌ ΠΈΠ· Π½Π°ΠΈΠ±ΠΎΠ»Π΅Π΅ ΡΠ°ΡΠΏΡΠΎΡΡΡΠ°Π½Π΅Π½Π½ΡΡ ΠΎΠ½ΠΊΠΎΠ»ΠΎΠ³ΠΈΡΠ΅ΡΠΊΠΈΡ Π·Π°Π±ΠΎΠ»Π΅Π²Π°Π½ΠΈΠΉ Π² ΠΌΠΈΡΠ΅. ΠΠ΅ΠΌΠ΅Π»ΠΊΠΎΠΊΠ»Π΅ΡΠΎΡΠ½Π°Ρ (ΠΠΠ Π) ΠΈ ΠΌΠ΅Π»ΠΊΠΎΠΊΠ»Π΅ΡΠΎΡΠ½Π°Ρ (ΠΠ Π) ΡΠΎΡΠΌΡ ΡΠ°ΠΊΠ° Π»Π΅Π³ΠΊΠΎΠ³ΠΎ Π²ΡΡΡΠ΅ΡΠ°ΡΡΡΡ Π² 80-85% ΠΈ 10-15% ΡΠ»ΡΡΠ°Π΅Π², ΡΠΎΠΎΡΠ²Π΅ΡΡΡΠ²Π΅Π½Π½ΠΎ [41]. ΠΠ°ΠΊ ΠΏΡΠ°Π²ΠΈΠ»ΠΎ, ΠΌΠ΅Π»ΠΊΠΎΠΊΠ»Π΅ΡΠΎΡΠ½Π°Ρ Π΅Π³ΠΎ ΡΠΎΡΠΌΠ° ΡΠ°ΡΠ΅ Π²ΡΠ΅Π³ΠΎ Π²ΡΡΡΠ΅ΡΠ°Π΅ΡΡΡ Ρ ΠΊΡΡΡΡΠΈΡ ΠΈ ΠΎΡΠ΅Π½Ρ ΡΠ΅Π΄ΠΊΠΎ Ρ Π½Π΅ΠΊΡΡΡΡΠΈΡ Π±ΠΎΠ»ΡΠ½ΡΡ .
ΠΠ Π ΠΎΡΠ½ΠΎΡΠΈΡΡΡ ΠΊ Π½Π°ΠΈΠ±ΠΎΠ»Π΅Π΅ Π·Π»ΠΎΠΊΠ°ΡΠ΅ΡΡΠ²Π΅Π½Π½ΠΎ ΡΠ΅ΠΊΡΡΠΈΠΌ ΠΎΠΏΡΡ ΠΎΠ»ΡΠΌ ΠΈ Ρ Π°ΡΠ°ΠΊΡΠ΅ΡΠΈΠ·ΡΒΠ΅ΡΡΡ ΠΊΠΎΡΠΎΡΠΊΠΈΠΌ Π°Π½Π°ΠΌΠ½Π΅Π·ΠΎΠΌ, Π±ΡΡΡΡΡΠΌ ΡΠ΅ΡΠ΅Π½ΠΈΠ΅ΠΌ, ΠΈΠΌΠ΅Π΅Ρ ΡΠ΅Π½Π΄Π΅Π½ΡΠΈΡ ΠΊ ΡΠ°Π½Π½Π΅ΠΌΡ ΠΌΠ΅ΡΠ°ΡΡΠ°Π·ΠΈΡΠΎΠ²Π°Π½ΠΈΡ. ΠΠ΅Π»ΠΊΠΎΠΊΠ»Π΅ΡΠΎΡΠ½ΡΠΉ ΡΠ°ΠΊ Π»Π΅Π³ΠΊΠΎΠ³ΠΎ ΡΠ²Π»ΡΠ΅ΡΡΡ ΠΎΠΏΡΡ ΠΎΠ»ΡΡ, Π²ΡΡΠΎΠΊΠΎΡΡΠ²ΡΡΠ²ΠΈΒΡΠ΅Π»ΡΠ½ΠΎΠΉ ΠΊ Ρ ΠΈΠΌΠΈΠΎΡΠ΅ΡΠ°ΠΏΠΈΠΈ, ΠΏΡΠΈ ΡΡΠΎΠΌ Ρ Π±ΠΎΠ»ΡΡΠΈΠ½ΡΡΠ²Π° ΠΏΠ°ΡΠΈΠ΅Π½ΡΠΎΠ² ΠΌΠΎΠΆΠ½ΠΎ ΠΏΠΎΠ»ΡΡΠΈΡΡ ΠΎΠ±ΡΠ΅ΠΊΡΠΈΠ²Π½ΡΠΉ ΡΡΡΠ΅ΠΊΡ. ΠΡΠΈ Π΄ΠΎΡΡΠΈΠΆΠ΅Π½ΠΈΠΈ ΠΏΠΎΠ»Π½ΠΎΠΉ ΡΠ΅Π³ΡΠ΅ΡΡΠΈΠΈ ΠΎΠΏΡΡ ΠΎΠ»ΠΈ ΠΏΡΠΎΠ²ΠΎΠ΄ΠΈΡΡΡ ΠΏΡΠΎΡΠΈΠ»Π°ΠΊΡΠΈΡΠ΅ΡΠΊΠΎΠ΅ ΠΎΠ±Π»ΡΡΠ΅Π½ΠΈΠ΅ Π³ΠΎΠ»ΠΎΠ²Π½ΠΎΠ³ΠΎ ΠΌΠΎΠ·Π³Π°, ΡΡΠΎ ΠΏΠΎΠ·Π²ΠΎΠ»ΡΠ΅Ρ ΡΠΌΠ΅Π½ΡΡΠΈΡΡ ΡΠΈΡΠΊ ΠΎΡΠ΄Π°Π»Π΅Π½Π½ΠΎΠ³ΠΎ ΠΌΠ΅ΡΠ°ΡΡΠ°Π·ΠΈΡΠΎΠ²Π°Π½ΠΈΡ ΠΈ ΡΠ²Π΅Π»ΠΈΡΠΈΡΡ ΡΡΠΎΠ²Π΅Π½Ρ ΠΎΠ±ΡΠ΅ΠΉ Π²ΡΠΆΠΈΠ²Π°Π΅ΠΌΠΎΡΡΠΈ [4].
ΠΡΠΈ Π΄ΠΈΠ°Π³Π½ΠΎΡΡΠΈΠΊΠ΅ ΠΠ Π ΠΎΡΠΎΠ±ΠΎΠ΅ Π·Π½Π°ΡΠ΅Π½ΠΈΠ΅ ΠΈΠΌΠ΅Π΅Ρ ΠΎΡΠ΅Π½ΠΊΠ° ΡΠ°ΡΠΏΡΠΎΡΡΡΠ°Π½Π΅Π½Π½ΠΎΡΡΠΈ ΠΏΡΠΎΒΡΠ΅ΡΡΠ°, ΠΎΠΏΡΠ΅Π΄Π΅Π»ΡΡΡΠ°Ρ Π²ΡΠ±ΠΎΡ ΡΠ΅ΡΠ°ΠΏΠ΅Π²ΡΠΈΡΠ΅ΡΠΊΠΎΠΉ ΡΠ°ΠΊΡΠΈΠΊΠΈ. ΠΠΎΡΠ»Π΅ ΠΌΠΎΡΡΠΎΠ»ΠΎΠ³ΠΈΡΠ΅ΡΠΊΠΎΠ³ΠΎ ΠΏΠΎΠ΄ΡΠ²Π΅ΡΠΆΠ΄Π΅Π½ΠΈΡ Π΄ΠΈΠ°Π³Π½ΠΎΠ·Π° (Π±ΡΠΎΠ½Ρ ΠΎΡΠΊΠΎΠΏΠΈΡ Ρ Π±ΠΈΠΎΠΏΡΠΈΠ΅ΠΉ, ΡΡΠ°Π½ΡΡΠΎΡΠ°ΠΊΠ°Π»ΡΠ½Π°Ρ ΠΏΡΠ½ΠΊΡΠΈΡ, Π±ΠΈΠΎΠΏΡΠΈΡ ΠΌΠ΅ΡΠ°ΡΡΠ°ΡΠΈΡΠ΅ΡΠΊΠΈΡ ΡΠ·Π»ΠΎΠ²) ΠΏΡΠΎΠ²ΠΎΠ΄ΠΈΡΡΡ ΠΊΠΎΠΌΠΏΡΡΡΠ΅ΡΠ½Π°Ρ ΡΠΎΠΌΠΎΠ³ΡΠ°ΡΠΈΡ (ΠΠ’) Π³ΡΡΠ΄ΒΠ½ΠΎΠΉ ΠΊΠ»Π΅ΡΠΊΠΈ ΠΈ Π±ΡΡΡΠ½ΠΎΠΉ ΠΏΠΎΠ»ΠΎΡΡΠΈ, Π° ΡΠ°ΠΊΠΆΠ΅ ΠΠ’ ΠΈΠ»ΠΈ ΠΌΠ°Π³Π½ΠΈΡΠ½ΠΎ-ΡΠ΅Π·ΠΎΠ½Π°Π½ΡΠ½Π°Ρ ΡΠΎΠΌΠΎΠ³ΡΠ°ΒΡΠΈΡ (ΠΠ Π’) Π³ΠΎΠ»ΠΎΠ²Π½ΠΎΠ³ΠΎ ΠΌΠΎΠ·Π³Π° (Ρ ΠΊΠΎΠ½ΡΡΠ°ΡΡΠΈΡΠΎΠ²Π°Π½ΠΈΠ΅ΠΌ) ΠΈ ΡΠΊΠ°Π½ΠΈΡΠΎΠ²Π°Π½ΠΈΠ΅ ΠΊΠΎΡΡΠ΅ΠΉ.
Π ΠΏΠΎΡΠ»Π΅Π΄Π½Π΅Π΅ Π²ΡΠ΅ΠΌΡ ΠΏΠΎΡΠ²ΠΈΠ»ΠΈΡΡ ΡΠΎΠΎΠ±ΡΠ΅Π½ΠΈΡ ΠΎ ΡΠΎΠΌ, ΡΡΠΎ ΠΏΠΎΠ·ΠΈΡΡΠΎΠ½Π½ΠΎ-ΡΠΌΠΈΡΡΠΈΠΎΠ½Π½Π°Ρ ΡΠΎΠΌΠΎΠ³ΡΠ°ΡΠΈΡ ΠΏΠΎΠ·Π²ΠΎΠ»ΡΠ΅Ρ Π΄ΠΎΠΏΠΎΠ»Π½ΠΈΡΠ΅Π»ΡΠ½ΠΎ ΡΡΠΎΡΠ½ΠΈΡΡ ΡΡΠ°Π΄ΠΈΡ ΠΏΡΠΎΡΠ΅ΡΡΠ°.
ΠΡΠΈ ΠΠ Π, ΠΊΠ°ΠΊ ΠΈ ΠΏΡΠΈ Π΄ΡΡΠ³ΠΈΡ ΡΠΎΡΠΌΠ°Ρ ΡΠ°ΠΊΠ° Π»Π΅Π³ΠΊΠΎΠ³ΠΎ, ΠΈΡΠΏΠΎΠ»ΡΠ·ΡΠ΅ΡΡΡ ΡΡΠ°Π΄ΠΈΡΠΎΠ²Π°Π½ΠΈΠ΅ ΠΏΠΎ ΠΌΠ΅ΠΆΠ΄ΡΠ½Π°ΡΠΎΠ΄Π½ΠΎΠΉ ΡΠΈΡΡΠ΅ΠΌΠ΅ TNM, ΠΎΠ΄Π½Π°ΠΊΠΎ Π±ΠΎΠ»ΡΡΠΈΠ½ΡΡΠ²ΠΎ Π±ΠΎΠ»ΡΠ½ΡΡ ΠΠ Π ΡΠΆΠ΅ ΠΈΠΌΠ΅ΡΡ Π½Π° ΠΌΠΎΠΌΠ΅Π½Ρ ΡΡΡΠ°Π½ΠΎΠ²Π»Π΅Π½ΠΈΡ Π΄ΠΈΠ°Π³Π½ΠΎΠ·Π° III-IV ΡΡΠ°Π΄ΠΈΡ Π·Π°Π±ΠΎΠ»Π΅Π²Π°Π½ΠΈΡ, Π² ΡΠ²ΡΠ·ΠΈ Ρ ΡΡΠΈΠΌ Π΄ΠΎ Π½Π°ΡΡΠΎΡΡΠ΅Π³ΠΎ Π²ΡΠ΅ΠΌΠ΅Π½ΠΈ Π½Π΅ ΠΏΠΎΡΠ΅ΡΡΠ»Π° ΡΠ²ΠΎΠ΅ Π·Π½Π°ΡΠ΅Π½ΠΈΠ΅ ΠΊΠ»Π°ΡΡΠΈΡΠΈΠΊΠ°ΡΠΈΡ, ΡΠΎΠ³Π»Π°ΡΠ½ΠΎ ΠΊΠΎΡΠΎΒΡΠΎΠΉ ΡΠ°Π·Π»ΠΈΡΠ°ΡΡ Π»ΠΎΠΊΠ°Π»ΠΈΠ·ΠΎΠ²Π°Π½Π½ΡΡ ΠΈ ΡΠ°ΡΠΏΡΠΎΡΡΡΠ°Π½Π΅Π½Π½ΡΡ ΡΠΎΡΠΌΡ Π·Π°Π±ΠΎΠ»Π΅Π²Π°Π½ΠΈΡ.
ΠΡΠΈ Π»ΠΎΠΊΠ°Π»ΠΈΠ·ΠΎΠ²Π°Π½Π½ΠΎΠΉ ΡΡΠ°Π΄ΠΈΠΈ ΠΠ Π ΠΎΠΏΡΡ ΠΎΠ»Π΅Π²ΠΎΠ΅ ΠΏΠΎΡΠ°ΠΆΠ΅Π½ΠΈΠ΅ ΠΎΠ³ΡΠ°Π½ΠΈΡΠ΅Π½ΠΎ ΠΎΠ΄Π½ΠΈΠΌ Π³Π΅ΠΌΠΈΡΠΎΡΠ°ΠΊΡΠΎΠΌ Ρ Π²ΠΎΠ²Π»Π΅ΡΠ΅Π½ΠΈΠ΅ΠΌ Π² ΠΏΡΠΎΡΠ΅ΡΡ ΡΠ΅Π³ΠΈΠΎΠ½Π°ΡΠ½ΡΡ ΠΈΠΏΡΠΈΠ»Π°ΡΠ΅ΡΠ°Π»ΡΠ½ΡΡ Π»ΠΈΠΌΡΠ°ΒΡΠΈΡΠ΅ΡΠΊΠΈΡ ΡΠ·Π»ΠΎΠ² ΠΊΠΎΡΠ½Ρ ΠΈ ΡΡΠ΅Π΄ΠΎΡΡΠ΅Π½ΠΈΡ, Π° ΡΠ°ΠΊΠΆΠ΅ ΠΈ ΠΈΠΏΡΠΈΠ»Π°ΡΠ΅ΡΠ°Π»ΡΠ½ΡΡ Π½Π°Π΄ΠΊΠ»ΡΡΠΈΡΠ½ΡΡ Π»ΠΈΠΌΡΠ°ΡΠΈΡΠ΅ΡΠΊΠΈΡ ΡΠ·Π»ΠΎΠ², ΠΊΠΎΠ³Π΄Π° ΡΠ΅Ρ Π½ΠΈΡΠ΅ΡΠΊΠΈ ΠΌΠΎΠΆΠ½ΠΎ Π²ΡΠΏΠΎΠ»Π½ΠΈΡΡ ΠΎΠ±Π»ΡΡΠ΅Π½ΠΈΠ΅ Ρ ΠΈΡΠΏΠΎΠ»ΡΒΠ·ΠΎΠ²Π°Π½ΠΈΠ΅ΠΌ ΠΎΠ΄Π½ΠΎΠ³ΠΎ ΠΏΠΎΠ»Ρ.
Π Π°ΡΠΏΡΠΎΡΡΡΠ°Π½Π΅Π½Π½ΠΎΠΉ ΡΡΠ°Π΄ΠΈΠ΅ΠΉ Π·Π°Π±ΠΎΠ»Π΅Π²Π°Π½ΠΈΡ ΡΡΠΈΡΠ°Π΅ΡΡΡ ΠΏΡΠΎΡΠ΅ΡΡ, ΠΊΠΎΠ³Π΄Π° ΠΎΠΏΡΡ ΠΎΠ»Π΅Π²ΠΎΠ΅ ΠΏΠΎΡΠ°ΠΆΠ΅Π½ΠΈΠ΅ Π½Π΅ ΠΎΠ³ΡΠ°Π½ΠΈΡΠ΅Π½ΠΎ ΠΎΠ΄Π½ΠΈΠΌ Π³Π΅ΠΌΠΈΡΠΎΡΠ°ΠΊΡΠΎΠΌ, Ρ Π½Π°Π»ΠΈΡΠΈΠ΅ΠΌ ΠΊΠΎΠ½ΡΡΠ°Π»Π°ΡΠ΅ΡΠ°Π»ΡΠ½ΡΡ Π»ΠΈΠΌΡΠΎΠ³Π΅Π½Π½ΡΡ ΠΌΠ΅ΡΠ°ΡΡΠ°Π·ΠΎΠ² ΠΈΠ»ΠΈ ΠΎΠΏΡΡ ΠΎΠ»Π΅Π²ΠΎΠ³ΠΎ ΠΏΠ»Π΅Π²ΡΠΈΡΠ°.
Π‘ΡΠ°Π΄ΠΈΡ ΠΏΡΠΎΡΠ΅ΡΡΠ°, ΠΎΠΏΡΠ΅Π΄Π΅Π»ΡΡΡΠ°Ρ ΡΠ΅ΡΠ°ΠΏΠ΅Π²ΡΠΈΡΠ΅ΡΠΊΠΈΠ΅ Π²ΠΎΠ·ΠΌΠΎΠΆΠ½ΠΎΡΡΠΈ, ΡΠ²Π»ΡΠ΅ΡΡΡ ΠΎΡΒΠ½ΠΎΠ²Π½ΡΠΌ ΠΏΡΠΎΠ³Π½ΠΎΡΡΠΈΡΠ΅ΡΠΊΠΈΠΌ ΡΠ°ΠΊΡΠΎΡΠΎΠΌ ΠΏΡΠΈ ΠΠ Π [1].
ΠΡΠΎΠ³Π½ΠΎΡΡΠΈΡΠ΅ΡΠΊΠΈΠ΅ ΡΠ°ΠΊΡΠΎΡΡ:
1.Β Π‘ΡΠ΅ΠΏΠ΅Π½Ρ ΡΠ°ΡΠΏΡΠΎΡΡΡΠ°Π½Π΅Π½Π½ΠΎΡΡΠΈ ΠΏΡΠΎΡΠ΅ΡΡΠ°: Ρ Π±ΠΎΠ»ΡΠ½ΡΡ Ρ Π»ΠΎΠΊΠ°Π»ΠΈΠ·ΠΎΠ²Π°Π½Π½ΡΠΌ ΠΏΡΠΎΒΡΠ΅ΡΡΠΎΠΌ (Π½Π΅ Π²ΡΡ ΠΎΠ΄ΡΡΠΈΠΌ Π·Π° ΠΏΡΠ΅Π΄Π΅Π»Ρ Π³ΡΡΠ΄Π½ΠΎΠΉ ΠΊΠ»Π΅ΡΠΊΠΈ) Π΄ΠΎΡΡΠΈΠ³Π°ΡΡΡΡ Π»ΡΡΡΠΈΠ΅ ΡΠ΅Π·ΡΠ»ΡΒΡΠ°ΡΡ ΠΏΡΠΈ Ρ ΠΈΠΌΠΈΠΎΠ»ΡΡΠ΅Π²ΠΎΠΉ ΡΠ΅ΡΠ°ΠΏΠΈΠΈ.
2.Β ΠΠΎΡΡΠΈΠΆΠ΅Π½ΠΈΠ΅ ΠΏΠΎΠ»Π½ΠΎΠΉ ΡΠ΅Π³ΡΠ΅ΡΡΠΈΠΈ ΠΏΠ΅ΡΠ²ΠΈΡΠ½ΠΎΠΉ ΠΎΠΏΡΡ ΠΎΠ»ΠΈ ΠΈ ΠΌΠ΅ΡΠ°ΡΡΠ°Π·ΠΎΠ²: ΠΎΡΠΌΠ΅ΡΠ°Π΅ΡΒΡΡ ΡΡΡΠ΅ΡΡΠ²Π΅Π½Π½ΠΎΠ΅ ΡΠ²Π΅Π»ΠΈΡΠ΅Π½ΠΈΠ΅ Π΄Π»ΠΈΡΠ΅Π»ΡΠ½ΠΎΡΡΠΈ ΠΆΠΈΠ·Π½ΠΈ ΠΈ ΠΈΠΌΠ΅Π΅ΡΡΡ Π²ΠΎΠ·ΠΌΠΎΠΆΠ½ΠΎΡΡΡ ΠΏΠΎΠ»Π½ΠΎΒΠ³ΠΎ Π²ΡΠ·Π΄ΠΎΡΠΎΠ²Π»Π΅Π½ΠΈΡ.
3.Β ΠΠ±ΡΠ΅Π΅ ΡΠΎΡΡΠΎΡΠ½ΠΈΠ΅ Π±ΠΎΠ»ΡΠ½ΠΎΠ³ΠΎ: ΠΏΠ°ΡΠΈΠ΅Π½ΡΡ, Π½Π°ΡΠΈΠ½Π°ΡΡΠΈΠ΅ Π»Π΅ΡΠ΅Π½ΠΈΠ΅ Π² Ρ ΠΎΡΠΎΡΠ΅ΠΌ ΡΠΎΒΡΡΠΎΡΠ½ΠΈΠΈ, ΠΈΠΌΠ΅ΡΡ Π±ΠΎΠ»Π΅Π΅ Π²ΡΡΠΎΠΊΡΡ ΡΡΡΠ΅ΠΊΡΠΈΠ²Π½ΠΎΡΡΡ Π»Π΅ΡΠ΅Π½ΠΈΡ, Π±ΠΎΠ»ΡΡΡΡ Π²ΡΠΆΠΈΠ²Π°Π΅ΠΌΠΎΡΡΡ, ΡΠ΅ΠΌ ΠΏΠ°ΡΠΈΠ΅Π½ΡΡ Π² ΡΡΠΆΠ΅Π»ΠΎΠΌ ΡΠΎΡΡΠΎΡΠ½ΠΈΠΈ, ΠΈΡΡΠΎΡΠ΅Π½Π½ΡΠ΅, Ρ Π²ΡΡΠ°ΠΆΠ΅Π½Π½ΡΠΌΠΈ ΡΠΈΠΌΠΏΡΠΎΠΌΠ°ΠΌΠΈ Π±ΠΎΠ»Π΅Π·Π½ΠΈ, Π³Π΅ΠΌΠ°ΡΠΎΠ»ΠΎΠ³ΠΈΡΠ΅ΡΠΊΠΈΠΌΠΈ ΠΈ Π±ΠΈΠΎΡ ΠΈΠΌΠΈΡΠ΅ΡΠΊΠΈΠΌΠΈ ΠΈΠ·ΠΌΠ΅Π½Π΅Π½ΠΈΡΠΌΠΈ.
ΠΡΠΈΠ½ΡΠΈΠΏΡ ΡΠ΅ΡΠ°ΠΏΠΈΠΈ ΠΌΠ΅Π»ΠΊΠΎΠΊΠ»Π΅ΡΠΎΡΠ½ΠΎΠ³ΠΎ ΡΠ°ΠΊΠ° Π»Π΅Π³ΠΊΠΎΠ³ΠΎ
ΠΠΏΠ΅ΡΠ°ΡΠΈΠ²Π½ΠΎΠ΅ Π»Π΅ΡΠ΅Π½ΠΈΠ΅ ΠΏΠΎΠΊΠ°Π·Π°Π½ΠΎ ΡΠΎΠ»ΡΠΊΠΎ ΠΏΡΠΈ ΡΠ°Π½Π½ΠΈΡ ΡΡΠ°Π΄ΠΈΡΡ ΠΠ Π (T1-2N0β1). ΠΠ½ΠΎ Π΄ΠΎΠ»ΠΆΠ½ΠΎ Π΄ΠΎΠΏΠΎΠ»Π½ΡΡΡΡΡ ΠΏΠΎΡΠ»Π΅ΠΎΠΏΠ΅ΡΠ°ΡΠΈΠΎΠ½Π½ΠΎΠΉ ΠΏΠΎΠ»ΠΈΡ ΠΈΠΌΠΈΠΎΡΠ΅ΡΠ°ΠΏΠΈΠ΅ΠΉ (4 ΠΊΡΡΡΠ°). Π£ Π΄Π°Π½Π½ΠΎΠΉ Π³ΡΡΠΏΠΏΡ Π±ΠΎΠ»ΡΠ½ΡΡ 5-Π»Π΅ΡΠ½ΡΡ Π²ΡΠΆΠΈΠ²Π°Π΅ΠΌΠΎΡΡΡ ΡΠΎΡΡΠ°Π²Π»ΡΠ΅Ρ 39% [33].
ΠΡΡΠ΅Π²Π°Ρ ΡΠ΅ΡΠ°ΠΏΠΈΡ ΠΏΡΠΈΠ²ΠΎΠ΄ΠΈΡ ΠΊ ΡΠ΅Π³ΡΠ΅ΡΡΠΈΠΈ ΠΎΠΏΡΡ ΠΎΠ»ΠΈ Ρ 60Β80% ΠΏΠ°ΡΠΈΠ΅Π½ΡΠΎΠ², ΠΎΠ΄Π½Π°ΠΊΠΎ Π² ΡΠ°ΠΌΠΎΡΡΠΎΡΡΠ΅Π»ΡΠ½ΠΎΠΌ Π²ΠΈΠ΄Π΅ ΠΎΠ½Π° Π½Π΅ ΡΠ²Π΅Π»ΠΈΡΠΈΠ²Π°Π΅Ρ ΠΏΡΠΎΠ΄ΠΎΠ»ΠΆΠΈΡΠ΅Π»ΡΠ½ΠΎΡΡΡ ΠΆΠΈΠ·Π½ΠΈ ΠΈΠ·-Π·Π° ΠΏΠΎΡΠ²Π»Π΅Π½ΠΈΡ ΠΎΡΠ΄Π°Π»Π΅Π½Π½ΡΡ ΠΌΠ΅ΡΠ°ΡΡΠ°Π·ΠΎΠ² [9].
Π₯ΠΈΠΌΠΈΠΎΡΠ΅ΡΠ°ΠΏΠΈΡ ΡΠ²Π»ΡΠ΅ΡΡΡ ΠΊΡΠ°Π΅ΡΠ³ΠΎΠ»ΡΠ½ΡΠΌ ΠΊΠ°ΠΌΠ½Π΅ΠΌ Π»Π΅ΡΠ΅Π½ΠΈΡ ΠΠ Π. Π‘ΡΠ΅Π΄ΠΈ Π°ΠΊΡΠΈΠ²Π½ΡΡ ΠΏΡΠ΅ΠΏΠ°ΡΠ°ΡΠΎΠ² ΡΠ»Π΅Π΄ΡΠ΅Ρ ΠΎΡΠΌΠ΅ΡΠΈΡΡ: ΡΠΈΠΊ- Π»ΠΎΡΠΎΡΡΠ°Π½, Π΄ΠΎΠΊΡΠΎΡΡΠ±ΠΈΡΠΈΠ½, Π²ΠΈΠ½ΠΊΡΠΈΡΡΠΈΠ½, ΡΡΠΎΠΏΠΎΠ·ΠΈΠ΄, ΡΠΎΠΏΠΎΡΠ΅ΠΊΠ°Π½, ΠΈΡΠΈΠ½ΠΎΡΠ΅ΠΊΠ°Π½, ΠΏΠ°ΠΊΠ»ΠΈΡΠ°ΠΊΡΠ΅Π», Π΄ΠΎΡΠ΅ΡΠ°ΠΊΡΠ΅Π», Π³Π΅ΠΌΡΠΈΡΠ°Π±ΠΈΠ½, Π²ΠΈΠ½ΠΎΡΠ΅Π»ΡΠ±ΠΈΠ½. ΠΡ ΡΡΡΠ΅ΠΊΡΠΈΠ²Π½ΠΎΡΡΡ Π² ΠΌΠΎΠ½ΠΎΡΠ΅ΡΠ°ΠΏΠΈΠΈ ΠΊΠΎΠ»Π΅Π±ΒΠ»Π΅ΡΡΡ ΠΎΡ 25 Π΄ΠΎ 50% [23, 35]. Π ΡΠ°Π±Π». 1 ΠΏΡΠ΅Π΄ΡΡΠ°Π²Π»Π΅Π½Ρ ΡΡ Π΅ΠΌΡ ΡΠΎΠ²ΡΠ΅ΠΌΠ΅Π½Π½ΠΎΠΉ ΠΊΠΎΠΌΠ±ΠΈΠ½ΠΈΡΠΎΠ²Π°Π½Π½ΠΎΠΉ Ρ ΠΈΠΌΠΈΠΎΡΠ΅ΡΠ°ΠΏΠΈΠΈ ΠΠ Π.
ΠΠ΅ΡΠ΅Π½ΠΈΠ΅ Π±ΠΎΠ»ΡΠ½ΡΡ Ρ Π»ΠΎΠΊΠ°Π»ΠΈΠ·ΠΎΠ²Π°Π½Π½ΠΎΠΉ ΡΠΎΡΠΌΠΎΠΉ ΠΠ Π
ΠΡΡΠ΅ΠΊΡΠΈΠ²Π½ΠΎΡΡΡ ΡΠΎΠ²ΡΠ΅ΠΌΠ΅Π½Π½ΠΎΠΉ ΡΠ΅ΡΠ°ΠΏΠΈΠΈ Π΄Π°Π½Π½ΠΎΠΉ ΡΠΎΡΠΌΡ ΠΠ Π ΠΊΠΎΠ»Π΅Π±Π»Π΅ΡΡΡ ΠΎΡ 65% Π΄ΠΎ 90%, Ρ ΠΏΠΎΠ»Π½ΠΎΠΉ ΡΠ΅Π³ΡΠ΅ΡΡΠΈΠ΅ΠΉ ΠΎΠΏΡΒΡ ΠΎΠ»ΠΈ Ρ 45-75% Π±ΠΎΠ»ΡΠ½ΡΡ ΠΈ ΠΌΠ΅Π΄ΠΈΠ°Π½ΠΎΠΉ Π²ΡΠΆΠΈΠ²Π°Π΅ΠΌΠΎΡΡΠΈ 18Β24 ΠΌΠ΅Ρ [15, 38]. ΠΠΎΠ»ΡΠ½ΡΠ΅, Π½Π°ΡΠ°Π²ΡΠΈΠ΅ Π»Π΅ΡΠ΅Π½ΠΈΠ΅ Π² Ρ ΠΎΡΠΎΡΠ΅ΠΌ ΠΎΠ±ΡΠ΅ΠΌ ΡΠΎΡΡΠΎΡΠ½ΠΈΠΈ (PS 0-1) ΠΈ ΠΎΡΠ²Π΅ΡΠΈΠ²ΡΠΈΠ΅ Π½Π° ΠΈΠ½Π΄ΡΠΊΡΠΈΠΎΠ½ΒΠ½ΡΡ ΡΠ΅ΡΠ°ΠΏΠΈΡ, ΠΈΠΌΠ΅ΡΡ ΡΠ°Π½ΡΡ Π½Π° 5-Π»Π΅ΡΠ½ΡΡ Π±Π΅Π·ΡΠ΅ΡΠΈΠ΄ΠΈΠ²Π½ΡΡ Π²ΡΠΆΠΈΠ²Π°Π΅ΠΌΠΎΡΡΡ.
ΠΡΠΈ Π»ΠΎΠΊΠ°Π»ΠΈΠ·ΠΎΠ²Π°Π½Π½ΠΎΠΉ ΡΠΎΡΠΌΠ΅ ΠΠ Π ΠΏΡΠΎΠ²ΠΎΠ΄ΠΈΡΡΡ Ρ ΠΈΠΌΠΈΠΎΒΡΠ΅ΡΠ°ΠΏΠΈΡ (Π₯Π’) ΠΏΠΎ ΠΎΠ΄Π½ΠΎΠΉ ΠΈΠ· Π²ΡΡΠ΅ΡΠΊΠ°Π·Π°Π½Π½ΡΡ ΡΡ Π΅ΠΌ (2-4 ΠΊΡΡΒΡΠ°) Π² ΡΠΎΡΠ΅ΡΠ°Π½ΠΈΠΈ Ρ Π»ΡΡΠ΅Π²ΠΎΠΉ ΡΠ΅ΡΠ°ΠΏΠΈΠ΅ΠΉ (ΠΠ’) Π½Π° ΠΎΠ±Π»Π°ΡΡΡ ΠΏΠ΅ΡΒΠ²ΠΈΡΠ½ΠΎΠ³ΠΎ ΠΎΡΠ°Π³Π°, ΠΊΠΎΡΠ½Ρ Π»Π΅Π³ΠΊΠΎΠ³ΠΎ ΠΈ ΡΡΠ΅Π΄ΠΎΡΡΠ΅Π½ΠΈΡ Ρ ΠΏΠΎΠ΄Π²Π΅Π΄Π΅ΒΠ½ΠΈΠ΅ΠΌ ΡΡΠΌΠΌΠ°ΡΠ½ΠΎΠΉ ΠΎΡΠ°Π³ΠΎΠ²ΠΎΠΉ Π΄ΠΎΠ·Ρ 30-45 ΠΡ (50-60 ΠΡ ΠΏΠΎ ΠΈΠ·ΠΎΡΡΡΠ΅ΠΊΡΡ) [6, 7, 37]. ΠΠ°ΡΠ°Π»ΠΎ Π»ΡΡΠ΅Π²ΠΎΠΉ ΡΠ΅ΡΠ°ΠΏΠΈΠΈ Π΄ΠΎΠ»ΠΆΠ½ΠΎ Π±ΡΡΡ ΠΌΠ°ΠΊΡΠΈΠΌΠ°Π»ΡΠ½ΠΎ ΠΏΡΠΈΠ±Π»ΠΈΠΆΠ΅Π½ΠΎ ΠΊ Π½Π°ΡΠ°Π»Ρ Ρ ΠΈΠΌΠΈΠΎΡΠ΅ΡΠ°ΠΏΠΈΠΈ, Ρ.Π΅. Π»ΡΡΡΠ΅ Π²ΡΠ΅Π³ΠΎ ΠΠ’ Π½Π°ΡΠΈΠ½Π°ΡΡ Π»ΠΈΠ±ΠΎ Π½Π° ΡΠΎΠ½Π΅ ΠΏΡΠΎΠ²Π΅Π΄Π΅Π½ΠΈΡ 1-2 ΠΊΡΡΡΠΎΠ² Ρ ΠΈΠΌΠΈΠΎΡΠ΅ΡΠ°ΠΏΠΈΠΈ, Π»ΠΈΠ±ΠΎ ΠΏΠΎΡΠ»Π΅ ΠΏΡΠΎΠ²Π΅Π΄Π΅Π½ΠΈΡ ΠΎΡΠ΅Π½ΒΠΊΠΈ ΡΡΡΠ΅ΠΊΡΠΈΠ²Π½ΠΎΡΡΠΈ Π»Π΅ΡΠ΅Π½ΠΈΡ Π΄Π²ΡΡ ΠΊΡΡΡΠΎΠ² Π₯Π’.
ΠΠΎΠ»ΡΠ½ΡΠΌ, Ρ ΠΊΠΎΡΠΎΡΡΡ Π΄ΠΎΡΡΠΈΠ³Π½ΡΡΠ° ΠΏΠΎΠ»Π½Π°Ρ ΡΠ΅ΠΌΠΈΡΡΠΈΡ, ΡΠ΅ΒΠΊΠΎΠΌΠ΅Π½Π΄ΡΠ΅ΡΡΡ ΠΏΡΠΎΠ²Π΅Π΄Π΅Π½ΠΈΠ΅ ΠΏΡΠΎΡΠΈΠ»Π°ΠΊΡΠΈΡΠ΅ΡΠΊΠΎΠ³ΠΎ ΠΎΠ±Π»ΡΡΠ΅Π½ΠΈΡ Π³ΠΎΠ»ΠΎΠ²Π½ΠΎΠ³ΠΎ ΠΌΠΎΠ·Π³Π° Π² ΡΡΠΌΠΌΠ°ΡΠ½ΠΎΠΉ Π΄ΠΎΠ·Π΅ 30 ΠΡ Π² ΡΠ²ΡΠ·ΠΈ Ρ Π²ΡΡΠΎΠΊΠΈΠΌ ΡΠΈΡΠΊΠΎΠΌ (Π΄ΠΎ 70%) ΠΌΠ΅ΡΠ°ΡΡΠ°Π·ΠΈΡΠΎΠ²Π°Π½ΠΈΡ Π² Π³ΠΎΠ»ΠΎΠ²Π½ΠΎΠΉ ΠΌΠΎΠ·Π³ [4].
ΠΠ΅Π΄ΠΈΠ°Π½Π° Π²ΡΠΆΠΈΠ²Π°Π΅ΠΌΠΎΡΡΠΈ Π±ΠΎΠ»ΡΠ½ΡΡ Ρ Π»ΠΎΠΊΠ°Π»ΠΈΠ·ΠΎΠ²Π°Π½Π½ΠΎΠΉ ΡΠΎΡΠΌΠΎΠΉ ΠΠ Π ΠΏΡΠΈ ΠΈΡΠΏΠΎΠ»ΡΠ·ΠΎΠ²Π°Π½ΠΈΠΈ ΠΊΠΎΠΌΠ±ΠΈΠ½ΠΈΡΠΎΠ²Π°Π½Π½ΠΎΠ³ΠΎ Π»Π΅ΒΡΠ΅Π½ΠΈΡ ΡΠΎΡΡΠ°Π²Π»ΡΠ΅Ρ 16-24 ΠΌΠ΅Ρ, ΠΏΡΠΈ ΡΡΠΎΠΌ 2-Π»Π΅ΡΠ½ΡΡ Π²ΡΠΆΠΈΠ²Π°Π΅ΒΠΌΠΎΡΡΡ ΡΠ°Π²Π½Π° 40-50%, 5-Π»Π΅ΡΠ½ΡΡ — 10%. Π£ Π³ΡΡΠΏΠΏΡ Π±ΠΎΠ»ΡΠ½ΡΡ , Π½Π°ΡΠ°Π²ΡΠΈΡ Π»Π΅ΡΠ΅Π½ΠΈΠ΅ Π² Ρ ΠΎΡΠΎΡΠ΅ΠΌ ΠΎΠ±ΡΠ΅ΠΌ ΡΠΎΡΡΠΎΡΠ½ΠΈΠΈ, Π²ΠΎΠ·ΠΌΠΎΠΆΒΠ½ΠΎΡΡΠΈ Π΄ΠΎΡΡΠΈΠΆΠ΅Π½ΠΈΡ 5-Π»Π΅ΡΠ½Π΅ΠΉ Π²ΡΠΆΠΈΠ²Π°Π΅ΠΌΠΎΡΡΠΈ ΡΠΎΡΡΠ°Π²Π»ΡΡΡ 25% [15, 38].
ΠΠ΅ΡΠ΅Π½ΠΈΠ΅ Π±ΠΎΠ»ΡΠ½ΡΡ Ρ ΡΠ°ΡΠΏΡΠΎΡΡΡΠ°Π½Π΅Π½Π½ΠΎΠΉ ΡΠΎΡΠΌΠΎΠΉ ΠΠ Π
Π£ ΡΠ°ΠΊΠΈΡ Π±ΠΎΠ»ΡΠ½ΡΡ ΠΎΡΠ½ΠΎΠ²Π½ΡΠΌ ΠΌΠ΅ΡΠΎΠ΄ΠΎΠΌ Π»Π΅ΡΠ΅Π½ΠΈΡ ΡΠ²Π»ΡΠ΅ΡΡΡ ΠΊΠΎΠΌΠ±ΠΈΠ½ΠΈΡΠΎΠ²Π°Π½Π½Π°Ρ Ρ ΠΈΠΌΠΈΠΎΡΠ΅ΡΠ°ΠΏΠΈΡ Π² ΡΠ΅Ρ ΠΆΠ΅ ΡΠ΅ΠΆΠΈΠΌΠ°Ρ , Π° ΠΎΠ±Π»ΡΡΠ΅Π½ΠΈΠ΅ ΠΏΡΠΎΠ²ΠΎΠ΄ΠΈΡΡΡ ΡΠΎΠ»ΡΠΊΠΎ ΠΏΠΎ ΡΠΏΠ΅ΡΠΈΠ°Π»ΡΠ½ΡΠΌ ΠΏΠΎΠΊΠ°Π·Π°Π½ΠΈΡΠΌ. ΠΠ±ΡΠ°Ρ ΡΡΡΠ΅ΠΊΡΠΈΠ²Π½ΠΎΡΡΡ Ρ ΠΈΠΌΠΈΠΎΡΠ΅ΡΠ°ΠΏΠΈΠΈ ΡΠΎΡΡΠ°Π²Π»ΡΠ΅Ρ 70%, Π½ΠΎ ΠΏΠΎΠ»Π½Π°Ρ ΡΠ΅Π³ΡΠ΅ΡΡΠΈΡ Π΄ΠΎΡΡΠΈΠ³Π°Π΅ΡΡΡ ΡΠΎΠ»ΡΠΊΠΎ Ρ 20% Π±ΠΎΠ»ΡΠ½ΡΡ [15]. Π ΡΠΎ ΠΆΠ΅ Π²ΡΠ΅ΠΌΡ, Π²ΡΠΆΠΈΠ²Π°Π΅ΠΌΠΎΡΡΡ ΠΏΠ°ΡΠΈΠ΅Π½ΡΠΎΠ² ΠΏΡΠΈ Π΄ΠΎΡΡΠΈΠΆΠ΅Π½ΠΈΠΈ ΠΏΠΎΠ»Π½ΠΎΠΉ ΡΠ΅Π³ΡΠ΅ΡΡΠΈΠΈ ΠΎΠΏΡΡ ΠΎΠ»ΠΈ Π΄ΠΎΡΡΠΎΠ²Π΅ΡΠ½ΠΎ Π²ΡΡΠ΅, ΡΠ΅ΠΌ ΠΏΡΠΈ ΠΏΠΎΠ»ΡΡΠ΅Π½ΠΈΠΈ ΡΠ°ΡΡΠΈΡΠ½ΠΎΠΉ ΡΠ΅Π³ΡΠ΅ΡΡΠΈΠΈ, ΠΈ ΠΏΡΠΈΠ±Π»ΠΈΠΆΠ°Π΅ΡΡΡ ΠΊ Π²ΡΠΆΠΈΠ²Π°Π΅ΠΌΠΎΡΡΠΈ Π±ΠΎΠ»ΡΠ½ΡΡ Ρ Π»ΠΎΠΊΠ°Π»ΠΈΠ·ΠΎΠ²Π°Π½Π½ΠΎΠΉ ΡΠΎΡΠΌΠΎΠΉ ΠΠ Π.
Π’Π°Π±Π»ΠΈΡΠ° β1.Β
Π‘Ρ Π΅ΠΌΡ ΡΠΎΠ²ΡΠ΅ΠΌΠ΅Π½Π½ΠΎΠΉ ΠΊΠΎΠΌΠ±ΠΈΠ½ΠΈΡΠΎΠ²Π°Π½Π½ΠΎΠΉ Ρ ΠΈΠΌΠΈΠΎΡΠ΅ΡΠ°ΠΏΠΈΠΈ ΠΠ Π
| ΠΡΠ΅ΠΏΠ°ΡΠ°ΡΡ | Π‘Ρ Π΅ΠΌΠ° Ρ ΠΈΠΌΠΈΠΎΡΠ΅ΡΠ°ΠΏΠΈΠΈ | ΠΠ½ΡΠ΅ΡΠ²Π°Π» ΠΌΠ΅ΠΆΠ΄Ρ ΠΊΡΡΡΠ°ΠΌΠΈ |
| ΠΠ
Π¦ΠΈΡΠΏΠ»Π°ΡΠΈΠ½ ΠΡΠΎΠΏΠΎΠ·ΠΈΠ΄ | 80 ΠΌΠ³/ΠΌ2 Π²Π½ΡΡΡΠΈΠ²Π΅Π½Π½ΠΎ Π² 1-ΠΉ Π΄Π΅Π½Ρ 120 ΠΌΠ³/ΠΌ2 Π²Π½ΡΡΡΠΈΠ²Π΅Π½Π½ΠΎ Π² 1,2,3-ΠΉ Π΄Π½ΠΈ | 1 ΡΠ°Π· Π² 3 Π½Π΅Π΄ |
| CDE
Π¦ΠΈΠΊΠ»ΠΎΡΠΎΡΡΠ°ΠΌΠΈΠ΄ ΠΠΎΠΊΡΠΎΡΡΠ±ΠΈΡΠΈΠ½ ΠΡΠΎΠΏΠΎΠ·ΠΈΠ΄ | 1000 ΠΌΠ³/ΠΌ2 Π²Π½ΡΡΡΠΈΠ²Π΅Π½Π½ΠΎ Π² 1-ΠΉ Π΄Π΅Π½Ρ 45 ΠΌΠ³/ΠΌ2 Π²Π½ΡΡΡΠΈΠ²Π΅Π½Π½ΠΎ Π² 1-ΠΉ Π΄Π΅Π½Ρ 100 ΠΌΠ³/ΠΌ2 Π²Π½ΡΡΡΠΈΠ²Π΅Π½Π½ΠΎ Π² 1,2,3-ΠΉ Π΄Π½ΠΈ ΠΈΠ»ΠΈ 1,3,5-ΠΉ Π΄Π½ΠΈ | 1 ΡΠ°Π· Π² 3 Π½Π΅Π΄ |
| CAV
Π¦ΠΈΠΊΠ»ΠΎΡΠΎΡΡΠ°ΠΌΠΈΠ΄ ΠΠΎΠΊΡΠΎΡΡΠ±ΠΈΡΠΈΠ½ ΠΠΈΠ½ΠΊΡΠΈΡΡΠΈΠ½ | 1000 ΠΌΠ³/ΠΌ2 Π²Π½ΡΡΡΠΈΠ²Π΅Π½Π½ΠΎ Π² 1-ΠΉ Π΄Π΅Π½Ρ 50 ΠΌΠ³/ΠΌ2 Π²Π½ΡΡΡΠΈΠ²Π΅Π½Π½ΠΎ Π² 1-ΠΉ Π΄Π΅Π½Ρ 1,4 ΠΌΠ³/ΠΌ2 Π²Π½ΡΡΡΠΈΠ²Π΅Π½Π½ΠΎ Π² 1-ΠΉ Π΄Π΅Π½Ρ | 1 ΡΠ°Π· Π² 3 Π½Π΅Π΄ |
| AVP
ΠΠΈΠΌΡΡΡΠΈΠ½ (CCNU) ΠΡΠΎΠΏΠΎΠ·ΠΈΠ΄ Π¦ΠΈΡΠΏΠ»Π°ΡΠΈΠ½ | 2-3 ΠΌΠ³/ΠΊΠ³ Π²Π½ΡΡΡΠΈΠ²Π΅Π½Π½ΠΎ Π² 1-ΠΉ Π΄Π΅Π½Ρ 100 ΠΌΠ³/ΠΌ2 Π²Π½ΡΡΡΠΈΠ²Π΅Π½Π½ΠΎ Π² 4,5,6-ΠΉ Π΄Π½ΠΈ 40 ΠΌΠ³/ΠΌ2 Π²Π½ΡΡΡΠΈΠ²Π΅Π½Π½ΠΎ Π² 1,2,3-ΠΉ Π΄Π½ΠΈ | 1 ΡΠ°Π· Π² 4-6 Π½Π΅Π΄ |
| CODE
Π¦ΠΈΡΠΏΠ»Π°ΡΠΈΠ½ ΠΠΈΠ½ΠΊΡΠΈΡΡΠΈΠ½ ΠΠΎΠΊΡΠΎΡΡΠ±ΠΈΡΠΈΠ½ ΠΡΠΎΠΏΠΎΠ·ΠΈΠ΄ | 25 ΠΌΠ³/ΠΌ2 Π²Π½ΡΡΡΠΈΠ²Π΅Π½Π½ΠΎ Π² 1-ΠΉ Π΄Π΅Π½Ρ 1 ΠΌΠ³/ΠΌ2 Π²Π½ΡΡΡΠΈΠ²Π΅Π½Π½ΠΎ Π² 1-ΠΉ Π΄Π΅Π½Ρ 40 ΠΌΠ³/ΠΌ2 Π²Π½ΡΡΡΠΈΠ²Π΅Π½Π½ΠΎ Π² 1-ΠΉ Π΄Π΅Π½Ρ 80 ΠΌΠ³/ΠΌ2 Π²Π½ΡΡΡΠΈΠ²Π΅Π½Π½ΠΎ Π² 1,2,3-ΠΉ Π΄Π½ΠΈ | 1 ΡΠ°Π· Π² Π½Π΅Π΄Π΅Π»Ρ Π² ΡΠ΅ΡΠ΅Π½ΠΈΠ΅ 8 Π½Π΅Π΄ |
| TC
ΠΠ°ΠΊΠ»ΠΈΡΠ°ΠΊΡΠ΅Π» ΠΠ°ΡΠ±ΠΎΠΏΠ»Π°ΡΠΈΠ½ | 135 ΠΌΠ³/ΠΌ2 Π²Π½ΡΡΡΠΈΠ²Π΅Π½Π½ΠΎ Π² 1-ΠΉ Π΄Π΅Π½Ρ AUC 5 ΠΌΠ³/ΠΌ2 Π²Π½ΡΡΡΠΈΠ²Π΅Π½Π½ΠΎ Π² 1-ΠΉ Π΄Π΅Π½Ρ | 1 ΡΠ°Π· Π² 3-4 Π½Π΅Π΄ |
| TP
ΠΠΎΡΠ΅ΡΠ°ΠΊΡΠ΅Π» Π¦ΠΈΡΠΏΠ»Π°ΡΠΈΠ½ | 75 ΠΌΠ³/ΠΌ2 Π²Π½ΡΡΡΠΈΠ²Π΅Π½Π½ΠΎ Π² 1-ΠΉ Π΄Π΅Π½Ρ 75 ΠΌΠ³/ΠΌ2 Π²Π½ΡΡΡΠΈΠ²Π΅Π½Π½ΠΎ Π² 1-ΠΉ Π΄Π΅Π½Ρ | 1 ΡΠ°Π· Π² 3 Π½Π΅Π΄ |
| IP
ΠΡΠΈΠ½ΠΎΡΠ΅ΠΊΠ°Π½ Π¦ΠΈΡΠΏΠ»Π°ΡΠΈΠ½ | 60 ΠΌΠ³/ΠΌ2 Π²Π½ΡΡΡΠΈΠ²Π΅Π½Π½ΠΎ Π² 1,8,15-ΠΉ Π΄Π½ΠΈ 60 ΠΌΠ³/ΠΌ2 Π²Π½ΡΡΡΠΈΠ²Π΅Π½Π½ΠΎ Π² 1-ΠΉ Π΄Π΅Π½Ρ | 1 ΡΠ°Π· Π² 3 Π½Π΅Π΄ |
| GP
ΠΠ΅ΠΌΡΠΈΡΠ°Π±ΠΈΠ½ Π¦ΠΈΡΠΏΠ»Π°ΡΠΈΠ½ | 1000 ΠΌΠ³/ΠΌ2 Π²Π½ΡΡΡΠΈΠ²Π΅Π½Π½ΠΎ Π² 1,8-ΠΉ Π΄Π½ΠΈ 70 ΠΌΠ³/ΠΌ2 Π²Π½ΡΡΡΠΈΠ²Π΅Π½Π½ΠΎ Π² 1-ΠΉ Π΄Π΅Π½Ρ | 1 ΡΠ°Π· Π² 3 Π½Π΅Π΄ |
ΠΡΠΈ ΠΌΠ΅ΡΠ°ΡΡΠ°ΡΠΈΡΠ΅ΡΠΊΠΎΠΌ ΠΏΠΎΡΠ°ΠΆΠ΅Π½ΠΈΠΈ ΠΊΠΎΡΡΠ½ΠΎΠ³ΠΎ ΠΌΠΎΠ·Π³Π°, ΠΎΡΒΠ΄Π°Π»Π΅Π½Π½ΡΡ Π»ΠΈΠΌΡΠ°ΡΠΈΡΠ΅ΡΠΊΠΈΡ ΡΠ·Π»ΠΎΠ², ΠΏΡΠΈ ΠΌΠ΅ΡΠ°ΡΡΠ°ΡΠΈΡΠ΅ΡΠΊΠΎΠΌ ΠΏΠ»Π΅Π²ΡΠΈΡΠ΅ ΠΎΡΠ½ΠΎΠ²Π½ΡΠΌ ΠΌΠ΅ΡΠΎΠ΄ΠΎΠΌ Π»Π΅ΡΠ΅Π½ΠΈΡ ΡΠ²Π»ΡΠ΅ΡΡΡ Ρ ΠΈΠΌΠΈΠΎΡΠ΅ΒΡΠ°ΠΏΠΈΡ. ΠΡΠΈ ΠΌΠ΅ΡΠ°ΡΡΠ°ΡΠΈΡΠ΅ΡΠΊΠΎΠΌ ΠΏΠΎΡΠ°ΠΆΠ΅Π½ΠΈΠΈ Π»ΠΈΠΌΡΠ°ΡΠΈΡΠ΅ΡΠΊΠΈΡ ΡΠ·Π»ΠΎΠ² ΡΡΠ΅Π΄ΠΎΡΡΠ΅Π½ΠΈΡ Ρ ΡΠΈΠ½Π΄ΡΠΎΠΌΠΎΠΌ ΡΠ΄Π°Π²Π»Π΅Π½ΠΈΡ Π²Π΅ΡΡ Π½Π΅ΠΉ ΠΏΠΎΒΠ»ΠΎΠΉ Π²Π΅Π½Ρ ΡΠ΅Π»Π΅ΡΠΎΠΎΠ±ΡΠ°Π·Π½ΠΎ ΠΏΡΠΈΠΌΠ΅Π½ΡΡΡ ΠΊΠΎΠΌΠ±ΠΈΠ½ΠΈΡΠΎΠ²Π°Π½Π½ΠΎΠ΅ Π»Π΅ΡΠ΅Π½ΠΈΠ΅ (Ρ ΠΈΠΌΠΈΠΎΡΠ΅ΡΠ°ΠΏΠΈΡ Π² ΡΠΎΡΠ΅ΡΠ°Π½ΠΈΠΈ Ρ Π»ΡΡΠ΅Π²ΠΎΠΉ). ΠΡΠΈ ΠΌΠ΅ΡΠ°ΡΡΠ°ΡΠΈΡΠ΅ΡΠΊΠΎΠΌ ΠΏΠΎΡΠ°ΠΆΠ΅Π½ΠΈΠΈ ΠΊΠΎΡΡΠ΅ΠΉ, Π³ΠΎΠ»ΠΎΠ²Π½ΠΎΠ³ΠΎ ΠΌΠΎΠ·Π³Π°, Π½Π°Π΄ΠΏΠΎΡΠ΅ΡΠ½ΠΈΠΊΠΎΠ² ΠΌΠ΅ΡΠΎΠ΄ΠΎΠΌ Π²ΡΠ±ΠΎΡΠ° ΡΠ²Π»ΡΠ΅ΡΡΡ Π»ΡΡΠ΅Π²Π°Ρ ΡΠ΅ΡΠ°ΒΠΏΠΈΡ. ΠΡΠΈ ΠΌΠ΅ΡΠ°ΡΡΠ°Π·Π°Ρ Π² Π³ΠΎΠ»ΠΎΠ²Π½ΠΎΠΉ ΠΌΠΎΠ·Π³ Π»ΡΡΠ΅Π²Π°Ρ ΡΠ΅ΡΠ°ΠΏΠΈΡ Π² ΡΡΠΌΠΌΠ°ΡΠ½ΠΎΠΉ ΠΎΡΠ°Π³ΠΎΠ²ΠΎΠΉ Π΄ΠΎΠ·Π΅ (Π‘ΠΠ) 30 ΠΡ ΠΏΠΎΠ·Π²ΠΎΠ»ΡΠ΅Ρ ΠΏΠΎΠ»ΡΒΡΠΈΡΡ ΠΊΠ»ΠΈΠ½ΠΈΡΠ΅ΡΠΊΠΈΠΉ ΡΡΡΠ΅ΠΊΡ Ρ 70% Π±ΠΎΠ»ΡΠ½ΡΡ , ΠΏΡΠΈΡΠ΅ΠΌ, Ρ ΠΏΠΎΒΠ»ΠΎΠ²ΠΈΠ½Ρ ΠΈΠ· Π½ΠΈΡ ΡΠ΅Π³ΠΈΡΡΡΠΈΡΡΠ΅ΡΡΡ ΠΏΠΎΠ»Π½Π°Ρ ΡΠ΅Π³ΡΠ΅ΡΡΠΈΡ ΠΎΠΏΡΡ ΠΎΒΠ»ΠΈ ΠΏΠΎ Π΄Π°Π½Π½ΡΠΌ ΠΠ’ [4]. Π ΠΏΠΎΡΠ»Π΅Π΄Π½Π΅Π΅ Π²ΡΠ΅ΠΌΡ ΠΏΠΎΡΠ²ΠΈΠ»ΠΈΡΡ ΡΠΎΠΎΠ±ΒΡΠ΅Π½ΠΈΡ ΠΎ Π²ΠΎΠ·ΠΌΠΎΠΆΠ½ΠΎΡΡΠΈ ΠΈΡΠΏΠΎΠ»ΡΠ·ΠΎΠ²Π°Π½ΠΈΡ ΡΠΈΡΡΠ΅ΠΌΠ½ΠΎΠΉ Ρ ΠΈΠΌΠΈΠΎΒΡΠ΅ΡΠ°ΠΏΠΈΠΈ ΠΏΡΠΈ ΠΌΠ΅ΡΠ°ΡΡΠ°Π·Π°Ρ Π² Π³ΠΎΠ»ΠΎΠ²Π½ΠΎΠΉ ΠΌΠΎΠ·Π³. Π ΡΠ°Π±Π». 2 ΠΏΡΠ΅Π΄ΒΡΡΠ°Π²Π»Π΅Π½Π° ΡΠΎΠ²ΡΠ΅ΠΌΠ΅Π½Π½Π°Ρ ΡΠ°ΠΊΡΠΈΠΊΠ° Π»Π΅ΡΠ΅Π½ΠΈΡ ΡΠ°Π·Π»ΠΈΡΠ½ΡΡ ΡΠΎΡΠΌ ΠΠ Π.
Π’Π΅ΡΠ°ΠΏΠ΅Π²ΡΠΈΡΠ΅ΡΠΊΠ°Ρ ΡΠ°ΠΊΡΠΈΠΊΠ° ΠΏΡΠΈ ΡΠ΅ΡΠΈΠ΄ΠΈΠ²Π΅ ΠΠ Π
ΠΠ΅ΡΠΌΠΎΡΡΡ Π½Π° Π²ΡΡΠΎΠΊΡΡ ΡΡΠ²ΡΡΠ²ΠΈΡΠ΅Π»ΡΠ½ΠΎΡΡΡ ΠΊ Ρ ΠΈΠΌΠΈΠΎΡΠ΅ΡΠ°ΒΠΏΠΈΠΈ ΠΈ Π»ΡΡΠ΅Π²ΠΎΠΉ ΡΠ΅ΡΠ°ΠΏΠΈΠΈ ΠΠ Π, ΡΡΠΎ Π·Π°Π±ΠΎΠ»Π΅Π²Π°Π½ΠΈΠ΅ ΠΈΠΌΠ΅Π΅Ρ Π²ΡΒΡΠΎΠΊΠΈΠΉ ΡΡΠΎΠ²Π΅Π½Ρ ΡΠ΅ΡΠΈΠ΄ΠΈΠ²ΠΎΠ², Π² ΡΠ°ΠΊΠΎΠΌ ΡΠ»ΡΡΠ°Π΅ Π²ΡΠ±ΠΎΡ ΠΏΡΠ΅ΠΏΠ°ΒΡΠ°ΡΠΎΠ² Π΄Π»Ρ Ρ ΠΈΠΌΠΈΠΎΡΠ΅ΡΠ°ΠΏΠΈΠΈ Π²ΡΠΎΡΠΎΠΉ Π»ΠΈΠ½ΠΈΠΈ Π·Π°Π²ΠΈΡΠΈΡ ΠΎΡ ΡΡΠΎΠ²ΒΠ½Ρ ΠΎΡΠ²Π΅ΡΠ° Π½Π° ΠΏΠ΅ΡΠ²ΡΡ Π»ΠΈΠ½ΠΈΡ Π»Π΅ΡΠ΅Π½ΠΈΡ, Π΄Π»ΠΈΡΠ΅Π»ΡΠ½ΠΎΡΡΠΈ Π±Π΅Π·ΡΠ΅ΡΠΈΠ΄ΠΈΠ²Π½ΠΎΠ³ΠΎ ΠΏΡΠΎΠΌΠ΅ΠΆΡΡΠΊΠ° ΠΈ ΠΎΡ Π»ΠΎΠΊΠ°Π»ΠΈΠ·Π°ΡΠΈΠΈ ΠΌΠ΅ΡΠ°ΡΡΠ°ΡΠΈΒΡΠ΅ΡΠΊΠΈΡ ΠΎΡΠ°Π³ΠΎΠ².
ΠΡΠΈΠ½ΡΡΠΎ ΡΠ°Π·Π»ΠΈΡΠ°ΡΡ Π±ΠΎΠ»ΡΠ½ΡΡ Ρ ΡΡΠ²ΡΡΠ²ΠΈΡΠ΅Π»ΡΠ½ΡΠΌ ΡΠ΅ΡΠΈΒΠ΄ΠΈΠ²ΠΎΠΌ ΠΠ Π, Ρ.Π΅. ΠΈΠΌΠ΅Π²ΡΠΈΡ Π² Π°Π½Π°ΠΌΠ½Π΅Π·Π΅ ΠΏΠΎΠ»Π½ΡΠΉ ΠΈΠ»ΠΈ ΡΠ°ΡΡΠΈΡΒΠ½ΡΠΉ ΡΡΡΠ΅ΠΊΡ ΠΎΡ ΠΏΠ΅ΡΠ²ΠΎΠΉ Π»ΠΈΠ½ΠΈΠΈ Ρ ΠΈΠΌΠΈΠΎΡΠ΅ΡΠ°ΠΏΠΈΠΈ ΠΈ Π½Π°Π»ΠΈΡΠΈΒΠ΅ΠΌ ΠΏΡΠΎΠ³ΡΠ΅ΡΡΠΈΡΠΎΠ²Π°Π½ΠΈΡ Π½Π΅ ΠΌΠ΅Π½Π΅Π΅ ΡΠ΅ΠΌ ΡΠ΅ΡΠ΅Π· 3 ΠΌΠ΅Ρ ΠΏΠΎΡΠ»Π΅ ΠΎΠΊΠΎΠ½ΡΠ°Π½ΠΈΡ ΠΈΠ½Π΄ΡΠΊΡΠΈΠΎΠ½Π½ΠΎΠΉ Ρ ΠΈΠΌΠΈΠΎΡΠ΅ΡΠ°ΠΏΠΈΠΈ. Π ΡΡΠΎΠΌ ΡΠ»ΡΡΠ°Π΅, Π²ΠΎΠ·ΠΌΠΎΠΆΠ½ΠΎ, ΠΏΠΎΠ²ΡΠΎΡΠ½ΠΎ ΠΈΡΠΏΠΎΠ»ΡΠ·ΠΎΠ²Π°ΡΡ ΡΡ Π΅ΠΌΡ Π»Π΅ΡΠ΅Π½ΠΈΡ, Π½Π° ΡΠΎΠ½Π΅ ΠΊΠΎΡΠΎΡΠΎΠΉ Π²ΡΡΠ²Π»Π΅Π½ ΡΡΡΠ΅ΠΊΡ. Π‘ΡΡΠ΅ΡΡΠ²ΡΡΡ ΠΏΠ°ΡΠΈΠ΅Π½ΡΡ Ρ ΡΠ΅ΡΡΠ°ΠΊΡΠ΅ΡΠ½ΡΠΌ ΡΠ΅ΡΠΈΠ΄ΠΈΠ²ΠΎΠΌ, Ρ.Π΅. ΠΊΠΎΠ³Π΄Π° ΠΎΡΠΌΠ΅ΡΠ°Π΅ΡΡΡ ΠΏΡΠΎΠ³ΡΠ΅ΡΒΡΠΈΡΠΎΠ²Π°Π½ΠΈΠ΅ Π·Π°Π±ΠΎΠ»Π΅Π²Π°Π½ΠΈΡ Π² ΠΏΡΠΎΡΠ΅ΡΡΠ΅ ΠΏΠ΅ΡΠ²ΠΎΠΉ Π»ΠΈΠ½ΠΈΠΈ Ρ ΠΈΠΌΠΈΠΎΒΡΠ΅ΡΠ°ΠΏΠΈΠΈ ΠΈΠ»ΠΈ ΠΌΠ΅Π½Π΅Π΅ ΡΠ΅ΠΌ ΡΠ΅ΡΠ΅Π· 3 ΠΌΠ΅Ρ ΠΏΠΎΡΠ»Π΅ Π΅Π΅ ΠΎΠΊΠΎΠ½ΡΠ°Π½ΠΈΡ. ΠΡΠΎΠ³Π½ΠΎΠ· Π·Π°Π±ΠΎΠ»Π΅Π²Π°Π½ΠΈΡ Ρ Π±ΠΎΠ»ΡΠ½ΡΡ ΠΠ Π ΠΎΡΠΎΠ±Π΅Π½Π½ΠΎ Π½Π΅Π±Π»Π°ΒΠ³ΠΎΠΏΡΠΈΡΡΠ΅Π½ Π΄Π»Ρ ΠΏΠ°ΡΠΈΠ΅Π½ΡΠΎΠ² Ρ ΡΠ΅ΡΡΠ°ΠΊΡΠ΅ΡΠ½ΡΠΌ ΡΠ΅ΡΠΈΠ΄ΠΈΠ²ΠΎΠΌ — Π² ΡΡΠΎΠΌ ΡΠ»ΡΡΠ°Π΅ ΠΌΠ΅Π΄ΠΈΠ°Π½Π° Π²ΡΠΆΠΈΠ²Π°Π΅ΠΌΠΎΡΡΠΈ ΠΏΠΎΡΠ»Π΅ Π΄ΠΈΠ°Π³Π½ΠΎΡΡΠΈΒΠΊΠΈ ΡΠ΅ΡΠΈΠ΄ΠΈΠ²Π° Π½Π΅ ΠΏΡΠ΅Π²ΡΡΠ°Π΅Ρ 3-4 ΠΌΠ΅Ρ. ΠΡΠΈ Π½Π°Π»ΠΈΡΠΈΠΈ ΡΠ΅ΡΒΡΠ°ΠΊΡΠ΅ΡΠ½ΠΎΠ³ΠΎ ΡΠ΅ΡΠΈΠ΄ΠΈΠ²Π° ΡΠ΅Π»Π΅ΡΠΎΠΎΠ±ΡΠ°Π·Π½ΠΎ ΠΏΡΠΈΠΌΠ΅Π½Π΅Π½ΠΈΠ΅ ΡΠ°Π½Π΅Π΅ Π½Π΅ ΠΈΡΠΏΠΎΠ»ΡΠ·ΠΎΠ²Π°Π²ΡΠΈΡ ΡΡ ΡΠΈΡΠΎΡΡΠ°ΡΠΈΠΊΠΎΠ² ΠΈ/ΠΈΠ»ΠΈ ΠΈΡ ΠΊΠΎΠΌΠ±ΠΈΠ½Π°ΒΡΠΈΠΉ.
Π ΠΏΠΎΡΠ»Π΅Π΄Π½Π΅Π΅ Π²ΡΠ΅ΠΌΡ ΠΈΠ·ΡΡΠ°ΡΡΡΡ ΠΈ ΡΠΆΠ΅ ΠΈΡΠΏΠΎΠ»ΡΠ·ΡΡΡΡΡ Π½ΠΎΒΠ²ΡΠ΅ ΠΏΡΠ΅ΠΏΠ°ΡΠ°ΡΡ Π² ΡΠ΅ΡΠ°ΠΏΠΈΠΈ ΠΠ Π, ΠΊ Π½ΠΈΠΌ ΠΎΡΠ½ΠΎΡΡΡΡΡ Π³Π΅ΠΌΡΠΈΡΠ°Π±ΠΈΠ½, ΡΠΎΠΏΠΎΡΠ΅ΠΊΠ°Π½, Π²ΠΈΠ½ΠΎΡΠ΅Π»ΡΠ±ΠΈΠ½, ΠΈΡΠΈΠ½ΠΎΡΠ΅ΠΊΠ°Π½, ΡΠ°ΠΊΡΠ°Π½Ρ, Π° ΡΠ°ΠΊΒΠΆΠ΅ ΡΠ°ΡΠ³Π΅ΡΠ½ΡΠ΅ ΠΏΡΠ΅ΠΏΠ°ΡΠ°ΡΡ.
ΠΠ΅ΠΌΡΠΈΡΠ°Π±ΠΈΠ½. ΠΠ΅ΠΌΡΠΈΡΠ°Π±ΠΈΠ½ ΡΠ²Π»ΡΠ΅ΡΡΡ Π°Π½Π°Π»ΠΎΠ³ΠΎΠΌ Π΄Π΅ΠΎΠΊΡΠΈΡΠΈΠ΄ΠΈΠ½Π° ΠΈ ΠΎΡΠ½ΠΎΡΠΈΡΡΡ ΠΊ ΠΏΠΈΡΠΈΠΌΠΈΠ΄ΠΈΠ½ΠΎΠ²ΡΠΌ Π°Π½ΡΠΈΠΌΠ΅ΡΠ°Π±ΠΎΠ»ΠΈΒΡΠ°ΠΌ. ΠΠΎ Π΄Π°Π½Π½ΡΠΌ ΠΈΡΡΠ»Π΅Π΄ΠΎΠ²Π°Π½ΠΈΡ Y. Cornier ΠΈ ΡΠΎΠ°Π²Ρ., Π΅Π³ΠΎ ΡΡΒΡΠ΅ΠΊΡΠΈΠ²Π½ΠΎΡΡΡ Π² ΠΌΠΎΠ½ΠΎΡΠ΅ΡΠ°ΠΏΠΈΠΈ ΡΠΎΡΡΠ°Π²ΠΈΠ»Π° 27%, ΠΏΠΎ ΡΠ΅Π·ΡΠ»ΡΒΡΠ°ΡΠ°ΠΌ Π΄Π°ΡΡΠΊΠΎΠ³ΠΎ ΠΈΡΡΠ»Π΅Π΄ΠΎΠ²Π°Π½ΠΈΡ ΡΡΠΎΠ²Π΅Π½Ρ ΠΎΠ±ΡΠ΅ΠΉ ΡΡΡΠ΅ΠΊΡΠΈΠ²ΒΠ½ΠΎΡΡΠΈ ΡΠΎΡΡΠ°Π²Π»ΡΠ΅Ρ 13% [8]. ΠΠΎΡΡΠΎΠΌΡ ΡΡΠ°Π»ΠΈ ΠΈΠ·ΡΡΠ°ΡΡ ΠΊΠΎΠΌΒΠ±ΠΈΠ½ΠΈΡΠΎΠ²Π°Π½Π½ΡΠ΅ ΡΠ΅ΠΆΠΈΠΌΡ Ρ ΠΈΠΌΠΈΠΎΡΠ΅ΡΠ°ΠΏΠΈΠΈ Ρ Π²ΠΊΠ»ΡΡΠ΅Π½ΠΈΠ΅ΠΌ Π³Π΅ΠΌΡΠΈΡΠ°Π±ΠΈΠ½Π°. Π ΠΈΡΠ°Π»ΡΡΠ½ΡΠΊΠΎΠΌ ΠΈΡΡΠ»Π΅Π΄ΠΎΠ²Π°Π½ΠΈΠΈ ΠΏΡΠΎΠ²ΠΎΠ΄ΠΈΠ»ΠΎΡΡ Π»Π΅ΡΠ΅Π½ΠΈΠ΅ ΠΏΠΎ ΡΡ Π΅ΠΌΠ΅ PEG (Π³Π΅ΠΌΡΠΈΡΠ°Π±ΠΈΠ½, ΡΠΈΡΠΏΠ»Π°ΡΠΈΠ½, ΡΡΠΎΠΏΠΎ- Π·ΠΈΠ΄), ΠΏΡΠΈ ΡΡΠΎΠΌ ΡΡΠΎΠ²Π΅Π½Ρ ΠΎΠ±ΡΠ΅ΠΊΡΠΈΠ²Π½ΠΎΠΉ ΡΡΡΠ΅ΠΊΡΠΈΠ²Π½ΠΎΡΡΠΈ ΡΠΎΡΡΠ°Π²ΠΈΠ» 72%, ΠΎΠ΄Π½Π°ΠΊΠΎ ΠΎΡΠΌΠ΅ΡΠ΅Π½Π° Π²ΡΡΠΎΠΊΠ°Ρ ΡΠΎΠΊΡΠΈΡΠ½ΠΎΡΡΡ [10]. London Lung Group ΠΎΠΏΡΠ±Π»ΠΈΠΊΠΎΠ²Π°Π»ΠΈ Π΄Π°Π½Π½ΡΠ΅ ΡΠ°Π½Π΄ΠΎΒΠΌΠΈΠ·ΠΈΡΠΎΠ²Π°Π½Π½ΠΎΠ³ΠΎ ΠΈΡΡΠ»Π΅Π΄ΠΎΠ²Π°Π½ΠΈΡ III ΡΠ°Π·Ρ ΠΏΠΎ ΠΏΡΡΠΌΠΎΠΌΡ ΡΡΠ°Π²ΒΠ½Π΅Π½ΠΈΡ Π΄Π²ΡΡ ΡΡ Π΅ΠΌ Π»Π΅ΡΠ΅Π½ΠΈΡ GC (Π³Π΅ΠΌΡΠΈΡΠ°Π±ΠΈΠ½ + ΡΠΈΡΠΏΠ»Π°ΒΡΠΈΠ½) ΠΈ Π Π. Π Π°Π·Π»ΠΈΡΠΈΠΉ Π² ΠΌΠ΅Π΄ΠΈΠ°Π½Π°Ρ Π²ΡΠΆΠΈΠ²Π°Π΅ΠΌΠΎΡΡΠΈ Π½Π΅ Π±ΡΠ»ΠΎ ΠΏΠΎΠ»ΡΡΠ΅Π½ΠΎ, Π·Π΄Π΅ΡΡ ΡΠ°ΠΊΠΆΠ΅ ΠΎΡΠΌΠ΅ΡΠ΅Π½ Π²ΡΡΠΎΠΊΠΈΠΉ ΡΡΠΎΠ²Π΅Π½Ρ ΡΠΎΠΊΡΠΈΡΒΠ½ΠΎΡΡΠΈ ΡΡ Π΅ΠΌΡ GC [20].
Π’ΠΎΠΏΠΎΡΠ΅ΠΊΠ°Π½. Π’ΠΎΠΏΠΎΡΠ΅ΠΊΠ°Π½ — ΡΡΠΎ Π²ΠΎΠ΄ΠΎΡΠ°ΡΡΠ²ΠΎΡΠΈΠΌΡΠΉ ΠΏΡΠ΅ΠΏΠ°ΒΡΠ°Ρ, ΡΠ²Π»ΡΡΡΠΈΠΉΡΡ ΠΏΠΎΠ»ΡΡΠΈΠ½ΡΠ΅ΡΠΈΡΠ΅ΡΠΊΠΈΠΌ Π°Π½Π°Π»ΠΎΠ³ΠΎΠΌ ΠΊΠ°ΠΌΠΏΡΠΎΡΠ΅ΡΠΈΠ½Π°, ΠΎΠ½ Π½Π΅ ΠΎΠ±Π»Π°Π΄Π°Π΅Ρ ΠΏΠ΅ΡΠ΅ΠΊΡΠ΅ΡΡΠ½ΠΎΠΉ ΡΠΎΠΊΡΠΈΡΠ½ΠΎΡΡΡΡ Ρ Π΄ΡΡΠ³ΠΈΠΌΠΈ ΡΠΈΡΠΎΡΡΠ°ΡΠΈΠΊΠ°ΠΌΠΈ, ΠΈΡΠΏΠΎΠ»ΡΠ·ΡΡΡΠΈΠΌΠΈΡΡ ΠΏΡΠΈ Π»Π΅ΡΠ΅Π½ΠΈΠΈ ΠΠ Π. Π Π΅Π·ΡΠ»ΡΡΠ°ΡΡ Π½Π΅ΠΊΠΎΡΠΎΡΡΡ ΠΈΡΡΠ»Π΅Π΄ΠΎΠ²Π°Π½ΠΈΠΉ ΠΎΡΠΌΠ΅ΡΠ°ΡΡ Π΅Π³ΠΎ ΡΡΡΠ΅ΠΊΡΠΈΠ²Π½ΠΎΡΡΡ ΠΈ ΠΏΡΠΈ Π½Π°Π»ΠΈΡΠΈΠΈ ΡΠ΅Π·ΠΈΡΡΠ΅Π½ΡΠ½ΡΡ ΡΠΎΡΠΌ Π·Π°ΒΠ±ΠΎΠ»Π΅Π²Π°Π½ΠΈΡ [3, 11, 13, 39, 40]. Π’Π°ΠΊΠΆΠ΅ Π² ΡΡΠΈΡ ΡΠ°Π±ΠΎΡΠ°Ρ Π²ΡΡΠ²Π»Π΅ΒΠ½Π° Ρ ΠΎΡΠΎΡΠ°Ρ ΠΏΠ΅ΡΠ΅Π½ΠΎΡΠΈΠΌΠΎΡΡΡ ΡΠΎΠΏΠΎΡΠ΅ΠΊΠ°Π½Π°, Ρ Π°ΡΠ°ΠΊΡΠ΅ΡΠΈΠ·ΡΡΒΡΠ°ΡΡΡ ΡΠΏΡΠ°Π²Π»ΡΠ΅ΠΌΠΎΠΉ Π½Π΅ΠΊΡΠΌΡΠ»ΡΡΠΈΠ²Π½ΠΎΠΉ ΠΌΠΈΠ΅Π»ΠΎΡΡΠΏΡΠ΅ΡΡΠΈΠ΅ΠΉ, Π½ΠΈΠ·ΠΊΠΈΠΌ ΡΡΠΎΠ²Π½Π΅ΠΌ Π½Π΅Π³Π΅ΠΌΠ°ΡΠΎΠ»ΠΎΠ³ΠΈΡΠ΅ΡΠΊΠΎΠΉ ΡΠΎΠΊΡΠΈΡΠ½ΠΎΡΡΠΈ ΠΈ Π·Π½Π°ΒΡΠΈΡΠ΅Π»ΡΠ½ΡΠΌ ΡΠΌΠ΅Π½ΡΡΠ΅Π½ΠΈΠ΅ΠΌ ΠΊΠ»ΠΈΠ½ΠΈΡΠ΅ΡΠΊΠΈΡ ΠΏΡΠΎΡΠ²Π»Π΅Π½ΠΈΠΉ Π·Π°ΒΠ±ΠΎΠ»Π΅Π²Π°Π½ΠΈΡ [2, 12, 29, 30]. ΠΡΠΏΠΎΠ»ΡΠ·ΠΎΠ²Π°Π½ΠΈΠ΅ ΡΠΎΠΏΠΎΡΠ΅ΠΊΠ°Π½Π° Π²ΠΎ Π²ΡΠΎΡΠΎΠΉ Π»ΠΈΠ½ΠΈΠΈ ΡΠ΅ΡΠ°ΠΏΠΈΠΈ ΠΠ Π ΠΎΠ΄ΠΎΠ±ΡΠ΅Π½ΠΎ ΠΏΡΠΈΠ±Π»ΠΈΠ·ΠΈΡΠ΅Π»ΡΠ½ΠΎ Π² 40 ΡΡΡΠ°Π½Π°Ρ ΠΌΠΈΡΠ°, Π²ΠΊΠ»ΡΡΠ°Ρ Π‘Π¨Π ΠΈ Π¨Π²Π΅ΠΉΡΠ°ΡΠΈΡ.
ΠΠΈΠ½ΠΎΡΠ΅Π»ΡΠ±ΠΈΠ½. ΠΠΈΠ½ΠΎΡΠ΅Π»ΡΠ±ΠΈΠ½ ΡΠ²Π»ΡΠ΅ΡΡΡ ΠΏΠΎΠ»ΡΡΠΈΠ½ΡΠ΅ΡΠΈΡΠ΅ΡΠΊΠΈΠΌ Π²ΠΈΠ½ΠΊΠ°Π°Π»ΠΊΠ°Π»ΠΎΠΈΠ΄ΠΎΠΌ, ΠΊΠΎΡΠΎΡΡΠΉ ΡΡΠ°ΡΡΠ²ΡΠ΅Ρ Π² ΠΏΡΠ΅Π΄ΠΎΡΠ²ΡΠ°ΡΠ΅Π½ΠΈΠΈ ΠΏΡΠΎΡΠ΅ΡΡΠΎΠ² Π΄Π΅ΠΏΠΎΠ»ΠΈΠΌΠ΅ΡΠΈΠ·Π°ΡΠΈΠΈ ΡΡΠ±ΡΠ»ΠΈΠ½Π°. ΠΠΎ Π΄Π°Π½Π½ΡΠΌ Π½Π΅ΠΊΠΎΡΠΎΡΡΡ ΠΈΡΡΠ»Π΅Π΄ΠΎΠ²Π°Π½ΠΈΠΉ, ΡΡΠΎΠ²Π΅Π½Ρ ΠΎΡΠ²Π΅ΡΠ° ΠΏΡΠΈ ΠΌΠΎΠ½ΠΎΡΠ΅ΡΠ°ΠΏΠΈΠΈ Π²ΠΈΠ½ΠΎΡΠ΅Π»ΡΠ±ΠΈΠ½ΠΎΠΌ ΡΠΎΡΡΠ°Π²Π»ΡΠ΅Ρ 17% [16, 21]. ΠΡΠ»ΠΎ ΡΠ°ΠΊΠΆΠ΅ Π²ΡΡΠ²Π»Π΅Π½ΠΎ, ΡΡΠΎ ΠΊΠΎΠΌΠ±ΠΈΠ½Π°ΡΠΈΡ Π²ΠΈΠ½ΠΎΡΠ΅Π»ΡΠ±ΠΈΠ½Π° ΠΈ Π³Π΅ΠΌΡΠΈΡΠ°Π±ΠΈΠ½Π° ΡΠ²Π»ΡΠ΅ΡΡΡ Π΄ΠΎΡΡΠ°ΡΠΎΡΠ½ΠΎ ΡΡΡΠ΅ΠΊΡΠΈΠ²Π½ΠΎΠΉ ΠΈ ΠΎΠ±Π»Π°Π΄Π°Π΅Ρ Π½Π΅Π²ΡΡΠΎΠΊΠΈΠΌ ΡΡΠΎΠ²Π½Π΅ΠΌ ΡΠΎΠΊΡΠΈΡΠ½ΠΎΡΡΠΈ. Π ΡΠ°Π±ΠΎΡΠ΅ J.D. Hainsworth ΠΈ ΡΠΎΠ°Π²Ρ. ΡΡΠΎΠ²Π΅Π½Ρ ΡΠ°ΡΡΠΈΡΠ½ΠΎΠΉ ΡΠ΅Π³ΡΠ΅ΡΡΠΈΠΈ ΡΠΎΡΡΠ°Π²ΠΈΠ» 28% [19]. ΠΠ΅ΡΠΊΠΎΠ»ΡΠΊΠΎ ΠΈΡΡΠ»Π΅Π΄ΠΎΠ²Π°ΡΠ΅Π»ΡΡΠΊΠΈΡ Π³ΡΡΠΏΠΏ ΠΎΡΠ΅Π½ΠΈΠ²Π°Π»ΠΈ ΡΡΡΠ΅ΠΊΡΠΈΠ²Π½ΠΎΡΡΡ ΠΈ ΡΠΎΠΊΡΠΈΡΠ΅ΡΠΊΠΈΠΉ ΠΏΡΠΎΡΠΈΠ»Ρ ΠΊΠΎΠΌΠ±ΠΈΠ½Π°ΡΠΈΠΈ ΠΊΠ°ΡΠ±ΠΎΠΏΠ»Π°ΡΠΈΠ½Π° ΠΈ Π²ΠΈΠ½ΠΎΡΠ΅Π»ΡΠ±ΠΈΠ½Π° [18, 24]. ΠΠΎΠ»ΡΡΠ΅Π½Π½ΡΠ΅ Π΄Π°Π½Π½ΡΠ΅ ΡΠΊΠ°Π·ΡΠ²Π°ΡΡ Π½Π° ΡΠΎ, ΡΡΠΎ ΡΡΠ° ΡΡ Π΅ΠΌΠ° Π°ΠΊΡΠΈΠ²Π½ΠΎ ΡΠ°Π±ΠΎΡΠ°Π΅Ρ ΠΏΡΠΈ ΠΌΠ΅Π»ΠΊΠΎΠΊΠ»Π΅ΡΠΎΡΠ½ΠΎΠΌ ΡΠ°ΠΊΠ΅ Π»Π΅Π³ΠΊΠΎΠ³ΠΎ, ΠΎΠ΄Π½Π°ΠΊΠΎ, ΡΠΎΠΊΡΠΈΡΠ½ΠΎΡΡΡ Π΅Π΅ Π΄ΠΎΠ²ΠΎΠ»ΡΠ½ΠΎ Π²ΡΡΠΎΠΊΠ°, Π² ΡΠ²ΡΠ·ΠΈ Ρ ΡΠ΅ΠΌ, Π½Π΅ΠΎΠ±Ρ ΠΎΠ΄ΠΈΠΌΠΎ ΠΎΠΏΡΠ΅Π΄Π΅Π»ΠΈΡΡ ΠΎΠΏΡΠΈΠΌΠ°Π»ΡΠ½ΡΠ΅ Π΄ΠΎΠ·Ρ Π΄Π»Ρ Π²ΡΡΠ΅ΡΠΊΠ°Π·Π°Π½Π½ΠΎΠΉ ΠΊΠΎΠΌΠ±ΠΈΠ½Π°ΡΠΈΠΈ.
Π’Π°Π±Π»ΠΈΡΠ° β2.Β
Π‘ΠΎΠ²ΡΠ΅ΠΌΠ΅Π½Π½Π°Ρ ΡΠ°ΠΊΡΠΈΠΊΠ° Π»Π΅ΡΠ΅Π½ΠΈΡ ΠΠ Π
| ΠΠΎΠΊΠ°Π»ΠΈΠ·ΠΎΠ²Π°Π½Π½ΡΠΉ ΠΏΡΠΎΡΠ΅ΡΡ | Π Π°ΡΠΏΡΠΎΡΡΡΠ°Π½Π΅Π½Π½ΡΠΉ ΠΏΡΠΎΡΠ΅ΡΡ |
|
1. Π₯ΠΈΠΌΠΈΠΎΡΠ΅ΡΠ°ΠΏΠΈΡ Π‘Ρ Π΅ΠΌΠ° ΠΠ : ΡΡΠΎΠΏΠΎΠ·ΠΈΠ΄ + ΡΠΈΡΠΏΠ»Π°ΡΠΈΠ½ Π‘Ρ Π΅ΠΌΠ° CAV: ΡΠΈΠΊΠ»ΠΎΡΠΎΡΡΠ°ΠΌΠΈΠ΄+ Π΄ΠΎΠΊΡΠΎΡΡΠ±ΠΈΡΠΈΠ½+ Π²ΠΈΠ½ΠΊΡΠΈΡΡΠΈΠ½Β 2. ΠΡΡΠ΅Π²Π°Ρ ΡΠ΅ΡΠ°ΠΏΠΈΡΒ Π Π°Π½Π½ΡΡ ΠΎΠ΄Π½ΠΎΠ²ΡΠ΅ΠΌΠ΅Π½Π½ΠΎ Ρ 1-ΠΌ ΠΈΠ»ΠΈ 2-ΠΌ ΠΊΡΡΡΠΎΠΌ Π₯Π’ ΠΠΎΠ·Π΄Π½ΡΡ — Ρ 3-ΠΌ ΠΊΡΡΡΠΎΠΌ Π₯Π’ Π‘ΡΠΌΠΌΠ°ΡΠ½Π°Ρ Π΄ΠΎΠ·Π° ΠΠ’ — 45 ΠΡΒ 3. ΠΡΠΈ Π½Π°Π»ΠΈΡΠΈΠΈ ΠΏΠΎΠ»Π½ΠΎΠΉ ΡΠ΅Π³ΡΠ΅ΡΡΠΈΠΈΒ ΠΡΠΎΠ²ΠΎΠ΄ΠΈΡΡΡ ΠΏΡΠΎΡΠΈΠ»Π°ΠΊΡΠΈΡΠ΅ΡΠΊΠΎΠ΅ ΠΎΠ±Π»ΡΡΠ΅Π½ΠΈΠ΅ Π³ΠΎΠ»ΠΎΠ²Π½ΠΎΠ³ΠΎ ΠΌΠΎΠ·Π³Π° — Π‘ΠΠ 30 ΠΡ |
1. Π₯ΠΈΠΌΠΈΠΎΡΠ΅ΡΠ°ΠΏΠΈΡ Π‘Ρ Π΅ΠΌΡ EP, CAV ΠΈΠ»ΠΈ CDE (4-6 ΠΊΡΡΡΠΎΠ²) 2. ΠΡΡΠ΅Π²Π°Ρ ΡΠ΅ΡΠ°ΠΏΠΈΡΒ ΠΡΠΎΠ²ΠΎΠ΄ΠΈΡΡΡ Π½Π° ΠΎΡΠ΄Π΅Π»ΡΠ½ΡΠ΅ ΠΎΡΠ°Π³ΠΈ ΠΏΠΎΡΠ°ΠΆΠ΅Π½ΠΈΡ |
ΠΡΠΈΠ½ΠΎΡΠ΅ΠΊΠ°Π½. ΠΡΠ½ΠΎΠ²ΡΠ²Π°ΡΡΡ Π½Π° ΡΠ΅Π·ΡΠ»ΡΡΠ°ΡΠ°Ρ ΠΈΡΡΠ»Π΅Π΄ΠΎΠ²Π°ΒΠ½ΠΈΡ II ΡΠ°Π·Ρ Japan Clinical Oncology Group Π½Π°ΡΠ°Π»ΠΈ ΡΠ°Π½Π΄ΠΎΒΠΌΠΈΠ·ΠΈΡΠΎΠ²Π°Π½Π½ΠΎΠ΅ ΠΈΡΡΠ»Π΅Π΄ΠΎΠ²Π°Π½ΠΈΠ΅ III ΡΠ°Π·Ρ JCOG-9511 ΠΏΠΎ ΠΏΡΡΒΠΌΠΎΠΌΡ ΡΡΠ°Π²Π½Π΅Π½ΠΈΡ Π΄Π²ΡΡ ΡΡ Π΅ΠΌ Ρ ΠΈΠΌΠΈΠΎΡΠ΅ΡΠ°ΠΏΠΈΠΈ ΡΠΈΡΠΏΠ»Π°ΡΠΈΠ½ + ΠΈΡΠΈΠ½ΠΎΡΠ΅ΠΊΠ°Π½ (PI) ΠΈ ΡΠΈΡΠΏΠ»Π°ΡΠΈΠ½ + ΡΡΠΎΠΏΠΎΠ·ΠΈΠ΄ (Π Π) Ρ ΡΠ°Π½Π΅Π΅ Π½Π΅Π»Π΅ΡΠ΅Π½Π½ΡΡ ΠΏΠ°ΡΠΈΠ΅Π½ΡΠΎΠ² Ρ ΠΠ Π [27]. Π ΠΏΠ΅ΡΠ²ΠΎΠΉ ΠΊΠΎΠΌΠ±ΠΈΠ½Π°ΡΠΈΠΈ Π΄ΠΎΠ·Π° ΠΈΡΠΈΠ½ΠΎΡΠ΅ΠΊΠ°Π½Π° ΡΠΎΡΡΠ°Π²ΠΈΠ»Π° 60 ΠΌΠ³/ΠΌ2 Π² 1, 8-ΠΉ ΠΈ 15-ΠΉ Π΄Π½ΠΈ, ΡΠΈΡΠΏΠ»Π°ΡΠΈΠ½Π° — 60 ΠΌΠ³/ΠΌ2 Π² 1-ΠΉ Π΄Π΅Π½Ρ ΠΊΠ°ΠΆΠ΄ΡΠ΅ 4 Π½Π΅Π΄, Π²ΠΎ Π²ΡΠΎΒΡΠΎΠΉ ΠΊΠΎΠΌΠ±ΠΈΠ½Π°ΡΠΈΠΈ ΡΠΈΡΠΏΠ»Π°ΡΠΈΠ½ Π²Π²ΠΎΠ΄ΠΈΠ»ΠΈ Π² Π΄ΠΎΠ·Π΅ 80 ΠΌΠ³/ΠΌ2, ΡΡΠΎΠΏΠΎΠ·ΠΈΠ΄ — 100 ΠΌΠ³/ΠΌ2 Π² 1-3-ΠΉ Π΄Π½ΠΈ, ΠΊΠ°ΠΆΠ΄ΡΠ΅ 3 Π½Π΅Π΄. ΠΡΠ΅Π³ΠΎ Π² ΠΏΠ΅ΡΒΠ²ΠΎΠΉ ΠΈ Π²ΡΠΎΡΠΎΠΉ Π³ΡΡΠΏΠΏΠ΅ Π±ΡΠ»ΠΎ ΠΏΡΠΎΠ²Π΅Π΄Π΅Π½ΠΎ ΠΏΠΎ 4 ΠΊΡΡΡΠ° Ρ ΠΈΠΌΠΈΠΎΒΡΠ΅ΡΠ°ΠΏΠΈΠΈ. Π ΡΠ°Π±ΠΎΡΡ ΠΏΠ»Π°Π½ΠΈΡΠΎΠ²Π°Π»ΠΎΡΡ Π²ΠΊΠ»ΡΡΠΈΡΡ 230 Π±ΠΎΠ»ΡΠ½ΡΡ , ΠΎΠ΄Π½Π°ΠΊΠΎ, Π½Π°Π±ΠΎΡ Π±ΡΠ» ΠΎΡΡΠ°Π½ΠΎΠ²Π»Π΅Π½ ΠΏΠΎΡΠ»Π΅ ΠΏΡΠΎΠ²Π΅Π΄Π΅Π½ΠΈΡ ΠΏΡΠ΅Π΄ΒΠ²Π°ΡΠΈΡΠ΅Π»ΡΠ½ΠΎΠ³ΠΎ Π°Π½Π°Π»ΠΈΠ·Π° ΠΏΠΎΠ»ΡΡΠ΅Π½Π½ΡΡ ΡΠ΅Π·ΡΠ»ΡΡΠ°ΡΠΎΠ² (n=154), ΡΠ°ΠΊ ΠΊΠ°ΠΊ Π²ΡΡΠ²Π»Π΅Π½ΠΎ Π΄ΠΎΡΡΠΎΠ²Π΅ΡΠ½ΠΎΠ΅ ΡΠ²Π΅Π»ΠΈΡΠ΅Π½ΠΈΠ΅ Π²ΡΠΆΠΈΠ²Π°Π΅ΠΌΠΎΡΒΡΠΈ Π² Π³ΡΡΠΏΠΏΠ΅, ΠΏΠΎΠ»ΡΡΠ°ΡΡΠ΅ΠΉ Π»Π΅ΡΠ΅Π½ΠΈΠ΅ ΠΏΠΎ ΡΡ Π΅ΠΌΠ΅ PI (ΠΌΠ΅Π΄ΠΈΠ°Π½Π° Π²ΡΠΆΠΈΠ²Π°Π΅ΠΌΠΎΡΡΠΈ ΡΠ°Π²Π½Π° 12,8 ΠΏΡΠΎΡΠΈΠ² 9,4 ΠΌΠ΅ΡΡΡΠ΅Π², ΡΠΎΠΎΡΠ²Π΅ΡΒΡΡΠ²Π΅Π½Π½ΠΎ). ΠΠ΄Π½Π°ΠΊΠΎ ΡΠ»Π΅Π΄ΡΠ΅Ρ ΠΎΡΠΌΠ΅ΡΠΈΡΡ, ΡΡΠΎ ΡΠΎΠ»ΡΠΊΠΎ 29% Π±ΠΎΠ»ΡΒΠ½ΡΡ , ΡΠ°Π½Π΄ΠΎΠΌΠΈΠ·ΠΈΡΠΎΠ²Π°Π½Π½ΡΡ Π² Π³ΡΡΠΏΠΏΡ PI, ΡΠΌΠΎΠ³Π»ΠΈ ΠΏΠΎΠ»ΡΡΠΈΡΡ Π½Π΅ΠΎΠ±Ρ ΠΎΠ΄ΠΈΠΌΡΡ Π΄ΠΎΠ·Ρ ΠΏΡΠ΅ΠΏΠ°ΡΠ°ΡΠΎΠ². ΠΠΎ Π΄Π°Π½Π½ΡΠΌ ΡΡΠΎΠ³ΠΎ ΠΈΡΡΠ»Π΅ΒΠ΄ΠΎΠ²Π°Π½ΠΈΡ, ΡΡ Π΅ΠΌΠ° PI Π±ΡΠ»Π° ΠΏΡΠΈΠ·Π½Π°Π½Π° Π² Π―ΠΏΠΎΠ½ΠΈΠΈ ΡΡΠ°Π½Π΄Π°ΡΡΠΎΠΌ Π»Π΅ΡΠ΅Π½ΠΈΡ Π»ΠΎΠΊΠ°Π»ΠΈΠ·ΠΎΠ²Π°Π½Π½ΠΎΠΉ ΡΠΎΡΠΌΡ ΠΠ Π. Π ΡΠ²ΡΠ·ΠΈ Ρ Π½Π΅Π±ΠΎΠ»ΡΒΡΠΈΠΌ ΠΊΠΎΠ»ΠΈΡΠ΅ΡΡΠ²ΠΎΠΌ ΠΏΠ°ΡΠΈΠ΅Π½ΡΠΎΠ² Π΄Π°Π½Π½ΡΠ΅ ΡΡΠΎΠΉ ΡΠ°Π±ΠΎΡΡ Π½Π΅ΠΎΠ±ΒΡ ΠΎΠ΄ΠΈΠΌΠΎ Π±ΡΠ»ΠΎ ΠΏΠΎΠ΄ΡΠ²Π΅ΡΠ΄ΠΈΡΡ.
ΠΠΎΡΡΠΎΠΌΡ Π² Π‘Π΅Π²Π΅ΡΠ½ΠΎΠΉ ΠΠΌΠ΅ΡΠΈΠΊΠ΅ Π±ΡΠ»ΠΎ Π½Π°ΡΠ°ΡΠΎ ΠΈΡΡΠ»Π΅Π΄ΠΎΠ²Π°ΒΠ½ΠΈΠ΅ III ΡΠ°Π·Ρ [32]. Π‘ ΡΡΠ΅ΡΠΎΠΌ ΡΠΆΠ΅ ΠΈΠΌΠ΅ΡΡΠΈΡ ΡΡ ΡΠ΅Π·ΡΠ»ΡΡΠ°ΡΠΎΠ² Π΄ΠΎΠ·Ρ ΠΏΡΠ΅ΠΏΠ°ΡΠ°ΡΠΎΠ² Π±ΡΠ»ΠΈ ΡΠ΅Π΄ΡΡΠΈΡΠΎΠ²Π°Π½Ρ. Π ΡΡ Π΅ΠΌΠ΅ PI Π΄ΠΎΠ·Π° ΡΠΈΡΠΏΠ»Π°ΡΠΈΠ½Π° ΡΠΎΡΡΠ°Π²ΠΈΠ»Π° 30 ΠΌΠ³/ΠΌ2 Π² 1-ΠΉ Π΄Π΅Π½Ρ, ΠΈΡΠΈΠ½ΠΎΡΠ΅ΠΊΠ°Π½Π°Β —Β Β Β 65 ΠΌΠ³/ΠΌ2 Π² 1-ΠΉ ΠΈ 8-ΠΉ Π΄Π½ΠΈ 3-Π½Π΅Π΄Π΅Π»ΡΠ½ΠΎΠ³ΠΎ ΡΠΈΠΊΠ»Π°. Π§ΡΠΎ ΠΊΠ°ΡΠ°ΒΠ΅ΡΡΡ ΡΠΎΠΊΡΠΈΡΠ½ΠΎΡΡΠΈ, ΡΠΎ Π΄ΠΈΠ°ΡΠ΅Ρ IV ΡΡΠ΅ΠΏΠ΅Π½ΠΈ Π½Π΅ Π±ΡΠ»Π° Π·Π°ΡΠ΅Π³ΠΈΡΒΡΡΠΈΡΠΎΠ²Π°Π½Π°, ΠΏΡΠ΅Π΄Π²Π°ΡΠΈΡΠ΅Π»ΡΠ½ΡΠ΅ Π΄Π°Π½Π½ΡΠ΅ ΠΏΠΎ ΡΡΡΠ΅ΠΊΡΠΈΠ²Π½ΠΎΡΡΠΈ ΠΎΠΆΠΈΠ΄Π°ΡΡΡΡ.
Π’Π°ΠΊΡΠ°Π½Ρ. Π ΡΠ°Π±ΠΎΡΠ΅ J.E. Smyth ΠΈ ΡΠΎΠ°Π²Ρ. ΠΏΡΠΎΠ²ΠΎΠ΄ΠΈΠ»ΠΎΡΡ ΠΈΠ·ΡΒΡΠ΅Π½ΠΈΠ΅ ΡΡΡΠ΅ΠΊΡΠΈΠ²Π½ΠΎΡΡΠΈ Π΄ΠΎΡΠ΅ΡΠ°ΠΊΡΠ΅Π»Π° 100 ΠΌΠ³/ΠΌ2 Π² ΠΌΠΎΠ½ΠΎΡΠ΅ΒΡΠ°ΠΏΠΈΠΈ Ρ ΡΠ°Π½Π΅Π΅ Π»Π΅ΡΠ΅Π½Π½ΡΡ Π±ΠΎΠ»ΡΠ½ΡΡ (n=28), ΠΎΠ±ΡΠ΅ΠΊΡΠΈΠ²Π½Π°Ρ ΡΡΡΠ΅ΠΊΡΠΈΠ²Π½ΠΎΡΡΡ ΡΠΎΡΡΠ°Π²ΠΈΠ»Π° 25% [32].
Π ΠΈΡΡΠ»Π΅Π΄ΠΎΠ²Π°Π½ΠΈΠ΅ ECOG Π²ΠΊΠ»ΡΡΠ΅Π½ΠΎ 36 ΡΠ°Π½Π΅Π΅ Π½Π΅Π»Π΅ΡΠ΅Π½Π½ΡΡ ΠΏΠ°ΡΠΈΠ΅Π½ΡΠΎΠ² Ρ ΠΠ Π, ΠΊΠΎΡΠΎΡΡΠ΅ ΠΏΠΎΠ»ΡΡΠ°Π»ΠΈ ΠΏΠ°ΠΊΠ»ΠΈΡΠ°ΠΊΡΠ΅Π» 250 ΠΌΠ³/ΠΌ2Π² Π²ΠΈΠ΄Π΅ 24-ΡΠ°ΡΠΎΠ²ΠΎΠΉ ΠΈΠ½ΡΡΠ·ΠΈΠΈ ΠΊΠ°ΠΆΠ΄ΡΠ΅ 3 Π½Π΅Π΄ [14]. ΠΡΠΈ ΡΡΠΎΠΌ ΡΡΠΎΠ²Π΅Π½Ρ ΡΠ°ΡΡΠΈΡΠ½ΠΎΠΉ ΡΠ΅Π³ΡΠ΅ΡΡΠΈΠΈ ΡΠΎΡΡΠ°Π²ΠΈΠ» 30%, Π² 56% ΡΠ»ΡΡΠ°ΒΠ΅Π² Π±ΡΠ»Π° Π·Π°ΡΠ΅Π³ΠΈΡΡΡΠΈΡΠΎΠ²Π°Π½Π° Π»Π΅ΠΉΠΊΠΎΠΏΠ΅Π½ΠΈΡ IV ΡΡΠ΅ΠΏΠ΅Π½ΠΈ. ΠΠ΄Π½Π°ΒΠΊΠΎ ΠΈΠ½ΡΠ΅ΡΠ΅Ρ ΠΊ ΡΡΠΎΠΌΡ ΡΠΈΡΠΎΡΡΠ°ΡΠΈΠΊΡ Π½Π΅ ΠΎΡΠ»Π°Π±Π΅Π²Π°Π», Π² ΡΠ²ΡΠ·ΠΈ Ρ ΡΠ΅ΠΌ, Π² Π‘Π¨Π Π±ΡΠ»ΠΎ Π½Π°ΡΠ°ΡΠΎ Intergroup Study, Π³Π΄Π΅ ΠΈΠ·ΡΡΠ°Π»Π°ΡΡ ΠΊΠΎΠΌΠ±ΠΈΠ½Π°ΡΠΈΡ ΠΏΠ°ΠΊΠ»ΠΈΡΠ°ΠΊΡΠ΅Π»Π° Ρ ΡΡΠΎΠΏΠΎΠ·ΠΈΠ΄ΠΎΠΌ ΠΈ ΡΠΈΡΠΏΠ»Π°ΡΠΈΠ½ΠΎΠΌ (Π’ΠΠ ) ΠΈΠ»ΠΈ ΠΊΠ°ΡΠ±ΠΎΠΏΠ»Π°ΡΠΈΠ½ΠΎΠΌ — (Π’ΠΠ‘) [26]. Π ΠΏΠ΅ΡΠ²ΠΎΠΉ Π³ΡΡΠΏΠΏΠ΅ Ρ ΠΈΠΌΠΈΠΎΡΠ΅ΡΠ°ΠΏΠΈΡ ΠΏΡΠΎΠ²ΠΎΠ΄ΠΈΠ»Π°ΡΡ ΠΏΠΎ ΡΡ Π΅ΠΌΠ΅ Π’ΠΠ (ΠΏΠ°ΠΊΠ»ΠΈΡΠ°ΠΊΡΠ΅Π» 175 ΠΌΠ³/ΠΌ2 Π² 1-ΠΉ Π΄Π΅Π½Ρ, ΡΡΠΎΠΏΠΎΠ·ΠΈΠ΄ 80 ΠΌΠ³/ΠΌ2 Π² 1-3-ΠΉ Π΄Π½ΠΈ ΠΈ ΡΠΈΡΠΏΠ»Π°ΡΠΈΠ½ 80 ΠΌΠ³/ΠΌ2 Π² 1-ΠΉ Π΄Π΅Π½Ρ, ΠΏΡΠΈ ΡΡΠΎΠΌ ΠΎΠ±ΡΠ·Π°ΡΠ΅Π»ΡΠ½ΡΠΌ ΡΡΠ»ΠΎΠ²ΠΈΠ΅ΠΌ Π±ΡΠ»ΠΎ Π²Π²Π΅Π΄Π΅Π½ΠΈΠ΅ ΠΊΠΎΠ»ΠΎΠ½ΠΈΠ΅ΡΡΠΈΠΌΡΠ»ΠΈΡΡΡΡΠΈΡ ΡΠ°ΠΊΡΠΎΒΡΠΎΠ² Ρ 4-Π³ΠΎ ΠΏΠΎ 14-ΠΉ Π΄Π½ΠΈ), Π² ΡΡ Π΅ΠΌΠ΅ Π Π Π΄ΠΎΠ·Ρ ΠΏΡΠ΅ΠΏΠ°ΡΠ°ΡΠΎΠ² Π±ΡΠ»ΠΈ ΠΈΠ΄Π΅Π½ΡΠΈΡΠ½ΡΠΌΠΈ. ΠΠΎΠ»Π΅Π΅ Π²ΡΡΠΎΠΊΠΈΠΉ ΡΡΠΎΠ²Π΅Π½Ρ ΡΠΎΠΊΡΠΈΡΠ½ΠΎΡΡΠΈ Π½Π°ΒΠ±Π»ΡΠ΄Π°Π»ΡΡ Π² Π³ΡΡΠΏΠΏΠ΅ Π’ΠΠ , ΠΊ ΡΠΎΠΆΠ°Π»Π΅Π½ΠΈΡ, ΡΠ°Π·Π»ΠΈΡΠΈΠΉ Π² ΠΌΠ΅Π΄ΠΈΠ°Π½Π΅ Π²ΡΠΆΠΈΠ²Π°Π΅ΠΌΠΎΡΡΠΈ Π½Π΅ Π±ΡΠ»ΠΎ ΠΏΠΎΠ»ΡΡΠ΅Π½ΠΎ (10,4 ΠΏΡΠΎΡΠΈΠ² 9,9 ΠΌΠ΅ΡΡΒΡΠ΅Π²).
M. Reck ΠΈ ΡΠΎΠ°Π²Ρ. ΠΏΡΠ΅Π΄ΡΡΠ°Π²ΠΈΠ»ΠΈ Π΄Π°Π½Π½ΡΠ΅ ΡΠ°Π½Π΄ΠΎΠΌΠΈΠ·ΠΈΡΠΎΠ²Π°Π½ΒΠ½ΠΎΠ³ΠΎ ΠΈΡΡΠ»Π΅Π΄ΠΎΠ²Π°Π½ΠΈΡ III ΡΠ°Π·Ρ, Π² ΠΊΠΎΡΠΎΡΠΎΠΌ Π² ΠΎΠ΄Π½ΠΎΠΉ Π³ΡΡΠΏΠΏΠ΅ ΠΈΠ·ΡΡΠ°Π»Π°ΡΡ ΠΊΠΎΠΌΠ±ΠΈΠ½Π°ΡΠΈΡ Π’ΠΠ‘ (ΠΏΠ°ΠΊΠ»ΠΈΡΠ°ΠΊΡΠ΅Π» 175 ΠΌΠ³/ΠΌ2 Π² 4-ΠΉ Π΄Π΅Π½Ρ, ΡΡΠΎΠΏΠΎΠ·ΠΈΠ΄ Π² 1-3-ΠΉ Π΄Π½ΠΈ Π² Π΄ΠΎΠ·Π΅ 125 ΠΌΠ³/ΠΌ2 ΠΈ 102,2 ΠΌΠ³/ΠΌ2ΠΏΠ°ΡΠΈΠ΅Π½ΡΠ°ΠΌ Ρ I-IIffi ΠΈ IV ΡΡΠ°Π΄ΠΈΠ΅ΠΉ Π·Π°Π±ΠΎΠ»Π΅Π²Π°Π½ΠΈΡ, ΡΠΎΠΎΡΠ²Π΅ΡΒΡΡΠ²Π΅Π½Π½ΠΎ, ΠΈ ΠΊΠ°ΡΠ±ΠΎΠΏΠ»Π°ΡΠΈΠ½ AUC 5 Π² 4-ΠΉ Π΄Π΅Π½Ρ), Π² Π΄ΡΡΠ³ΠΎΠΉ Π³ΡΡΠΏΒΠΏΠ΅ — CEV (Π²ΠΈΠ½ΠΊΡΠΈΡΡΠΈΠ½ 2 ΠΌΠ³ Π² 1-ΠΉ ΠΈ 8-ΠΉ Π΄Π½ΠΈ, ΡΡΠΎΠΏΠΎΠ·ΠΈΠ΄ Ρ 1ΒΠ³ΠΎ ΠΏΠΎ 3-ΠΉ Π΄Π΅Π½Ρ Π² Π΄ΠΎΠ·Π΅ 159 ΠΌΠ³/ΠΌ2 ΠΈ 125 ΠΌΠ³/ΠΌ2 Π±ΠΎΠ»ΡΠ½ΡΠΌ Ρ I- Π¨Π ΠΈ IV ΡΡΠ°Π΄ΠΈΠ΅ΠΉ ΠΈ ΠΊΠ°ΡΠ±ΠΎΠΏΠ»Π°ΡΠΈΠ½ AUC 5 Π² 1-ΠΉ Π΄Π΅Π½Ρ) [28]. ΠΠ΅Π΄ΠΈΠ°Π½Π° ΠΎΠ±ΡΠ΅ΠΉ Π²ΡΠΆΠΈΠ²Π°Π΅ΠΌΠΎΡΡΠΈ ΡΠΎΡΡΠ°Π²ΠΈΠ»Π° 12,7 ΠΏΡΠΎΡΠΈΠ² 10,9 ΠΌΠ΅ΡΡΡΠ΅Π², ΡΠΎΠΎΡΠ²Π΅ΡΡΡΠ²Π΅Π½Π½ΠΎ, ΠΎΠ΄Π½Π°ΠΊΠΎ, ΠΏΠΎΠ»ΡΡΠ΅Π½Π½ΡΠ΅ ΡΠ°Π·Π»ΠΈΡΠΈΡ Π½Π΅Π΄ΠΎΡΡΠΎΠ²Π΅ΡΠ½Ρ (Ρ=0,24). Π£ΡΠΎΠ²Π΅Π½Ρ ΡΠΎΠΊΡΠΈΡΠ΅ΡΠΊΠΈΡ ΡΠ΅Π°ΠΊΡΠΈΠΉ Π±ΡΠ» ΠΏΡΠΈΠ±Π»ΠΈΠ·ΠΈΡΠ΅Π»ΡΠ½ΠΎ ΠΎΠ΄ΠΈΠ½Π°ΠΊΠΎΠ² Π² ΠΎΠ±Π΅ΠΈΡ Π³ΡΡΠΏΠΏΠ°Ρ . ΠΠΎ Π΄Π°Π½ΒΠ½ΡΠΌ Π΄ΡΡΠ³ΠΈΡ ΠΈΡΡΠ»Π΅Π΄ΠΎΠ²Π°Π½ΠΈΠΉ, Π°Π½Π°Π»ΠΎΠ³ΠΈΡΠ½ΡΡ ΡΠ΅Π·ΡΠ»ΡΡΠ°ΡΠΎΠ² Π½Π΅ ΠΏΠΎΠ»ΡΡΠΈΠ»ΠΎΡΡ, ΡΠ°ΠΊ ΡΡΠΎ Π½Π° ΡΠ΅Π³ΠΎΠ΄Π½ΡΡΠ½ΠΈΠΉ Π΄Π΅Π½Ρ ΠΏΡΠ΅ΠΏΠ°ΡΠ°ΡΡ ΡΠ°ΠΊΡΠ°Π½ΠΎΠ²ΠΎΠ³ΠΎ ΡΡΠ΄Π° ΡΠ΅Π΄ΠΊΠΎ ΠΏΡΠΈΠΌΠ΅Π½ΡΡΡΡΡ ΠΏΡΠΈ Π»Π΅ΡΠ΅Π½ΠΈΠΈ ΠΌΠ΅Π»ΠΊΠΎΒΠΊΠ»Π΅ΡΠΎΡΠ½ΠΎΠ³ΠΎ ΡΠ°ΠΊΠ° Π»Π΅Π³ΠΊΠΎΠ³ΠΎ.
Π ΡΠ΅ΡΠ°ΠΏΠΈΠΈ ΠΠ Π ΠΈΡΡΠ»Π΅Π΄ΡΡΡΡΡ Π½ΠΎΠ²ΡΠ΅ Π½Π°ΠΏΡΠ°Π²Π»Π΅Π½ΠΈΡ Π»Π΅ΠΊΠ°ΡΒΡΡΠ²Π΅Π½Π½ΠΎΠ³ΠΎ Π»Π΅ΡΠ΅Π½ΠΈΡ, ΠΈΠΌΠ΅ΡΡΠΈΠ΅ ΡΠ΅Π½Π΄Π΅Π½ΡΠΈΡ ΠΊ ΠΏΠ΅ΡΠ΅Ρ ΠΎΠ΄Ρ ΠΎΡ Π½Π΅ΡΠΏΠ΅ΡΠΈΡΠΈΡΠ΅ΡΠΊΠΈΡ Π»Π΅ΠΊΠ°ΡΡΡΠ²Π΅Π½Π½ΡΡ ΡΡΠ΅Π΄ΡΡΠ² ΠΊ ΡΠ°ΠΊ Π½Π°Π·ΡΠ²Π°Π΅ΒΠΌΠΎΠΉ ΡΠ°ΡΠ³Π΅ΡΠ½ΠΎΠΉ ΡΠ΅ΡΠ°ΠΏΠΈΠΈ, Π½Π°ΠΏΡΠ°Π²Π»Π΅Π½Π½ΠΎΠΉ Π½Π° ΠΎΠΏΡΠ΅Π΄Π΅Π»Π΅Π½Π½ΡΠ΅ Π³Π΅Π½Ρ, ΡΠ΅ΡΠ΅ΠΏΡΠΎΡΡ, ΡΠ΅ΡΠΌΠ΅Π½ΡΡ. Π Π±Π»ΠΈΠΆΠ°ΠΉΡΠΈΠ΅ Π³ΠΎΠ΄Ρ ΠΈΠΌΠ΅Π½Π½ΠΎ Ρ Π°ΡΠ°ΠΊΡΠ΅Ρ ΠΌΠΎΠ»Π΅ΠΊΡΠ»ΡΡΠ½ΠΎ-Π³Π΅Π½Π΅ΡΠΈΡΠ΅ΡΠΊΠΈΡ Π½Π°ΡΡΡΠ΅Π½ΠΈΠΉ Π±ΡΠ΄Π΅Ρ ΠΎΠΏΡΠ΅Π΄Π΅Π»ΡΡΡ Π²ΡΠ±ΠΎΡ Π»Π΅ΠΊΠ°ΡΡΡΠ²Π΅Π½Π½ΡΡ ΡΡ Π΅ΠΌ Π»Π΅ΡΠ΅Π½ΠΈΡ Ρ Π±ΠΎΠ»ΡΒΠ½ΡΡ ΠΠ Π.
Π’Π°ΡΠ³Π΅ΡΠ½Π°Ρ ΡΠ΅ΡΠ°ΠΏΠΈΡ
Π’Π°ΡΠ³Π΅ΡΠ½Π°Ρ ΡΠ΅ΡΠ°ΠΏΠΈΡ aHmu-CD56. ΠΠ·Π²Π΅ΡΡΠ½ΠΎ, ΡΡΠΎ ΠΊΠ»Π΅ΡΒΠΊΠΈ ΠΌΠ΅Π»ΠΊΠΎΠΊΠ»Π΅ΡΠΎΡΠ½ΠΎΠ³ΠΎ ΡΠ°ΠΊΠ° Π»Π΅Π³ΠΊΠΎΠ³ΠΎ ΡΠΊΡΠΏΡΠ΅ΡΡΠΈΡΡΡΡ CD56 [25]. ΠΠ½ ΡΠΊΡΠΏΡΠ΅ΡΡΠΈΡΡΠ΅ΡΡΡ ΠΏΠ΅ΡΠΈΡΠ΅ΡΠΈΡΠ΅ΡΠΊΠΈΠΌΠΈ Π½Π΅ΡΠ²Π½ΡΠΌΠΈ ΠΎΠΊΠΎΠ½ΡΠ°Π½ΠΈΡΠΌΠΈ, Π½Π΅ΠΉΡΠΎΡΠ½Π΄ΠΎΠΊΡΠΈΠ½Π½ΡΠΌΠΈ ΡΠΊΠ°Π½ΡΠΌΠΈ, ΠΌΠΈΠΎΠΊΠ°ΡΠ΄ΠΎΠΌ. ΠΠ»Ρ ΠΏΠΎΠ΄Π°Π²Π»Π΅Π½ΠΈΡ ΡΠΊΡΠΏΡΠ΅ΡΡΠΈΠΈ CD56 Π±ΡΠ»ΠΈ ΠΏΠΎΠ»ΡΡΠ΅Π½Ρ ΠΊΠΎΠ½ΡΒΡΠ³ΠΈΡΠΎΠ²Π°Π½Π½ΡΠ΅ ΠΌΠΎΠ½ΠΎΠΊΠ»ΠΎΠ½Π°Π»ΡΠ½ΡΠ΅ Π°Π½ΡΠΈΡΠ΅Π»Π° N901-bR. Π I ΡΠ°Π·Π΅ ΠΈΡΡΠ»Π΅Π΄ΠΎΠ²Π°Π½ΠΈΡ ΠΏΡΠΈΠ½ΡΠ»ΠΈ ΡΡΠ°ΡΡΠΈΠ΅ ΠΏΠ°ΡΠΈΠ΅Π½ΡΡ (n=21) Ρ ΡΠ΅ΡΠΈΠ΄ΠΈΠ²ΠΎΠΌ ΠΠ Π, ΠΈΠΌ Π² ΡΠ΅ΡΠ΅Π½ΠΈΠ΅ 7 Π΄Π½Π΅ΠΉ ΠΏΡΠΎΠ²ΠΎΠ΄ΠΈΠ»Π°ΡΡ ΠΈΠ½ΡΡΠ·ΠΈΡ ΠΏΡΠ΅ΠΏΠ°ΡΠ°ΡΠ° [31]. Π ΠΎΠ΄Π½ΠΎΠΌ ΡΠ»ΡΡΠ°Π΅ Π±ΡΠ»Π° Π·Π°ΡΠ΅Π³ΠΈΡΡΡΠΈΡΠΎΠ²Π°ΒΠ½Π° ΡΠ°ΡΡΠΈΡΠ½Π°Ρ ΡΠ΅Π³ΡΠ΅ΡΡΠΈΡ ΠΎΠΏΡΡ ΠΎΠ»ΠΈ, Π΄Π»ΠΈΡΠ΅Π»ΡΠ½ΠΎΡΡΡ ΠΊΠΎΡΠΎΡΠΎΠΉ ΡΠΎΡΡΠ°Π²ΠΈΠ»Π° 3 ΠΌΠ΅Ρ. Π ΡΠ°Π±ΠΎΡΠ΅ British Biotech (I ΡΠ°Π·Π°) ΠΈΠ·ΡΡΠ°Π»ΠΈ ΠΌΠΎΠ½ΠΎΠΊΠ»ΠΎΠ½Π°Π»ΡΠ½ΡΠ΅ Π°Π½ΡΠΈΡΠ΅Π»Π° mAb, ΠΊΠΎΡΠΎΡΡΠ΅ ΠΊΠΎΠ½ΡΡΠ³ΠΈΡΡΡΡΒΡΡ Π² ΡΠΎΠΊΡΠΈΠ½ DM1. DM1 ΠΈΠ½Π³ΠΈΠ±ΠΈΡΡΠ΅Ρ ΠΏΠΎΠ»ΠΈΠΌΠ΅ΡΠΈΠ·Π°ΡΠΈΡ ΡΡΠ±ΡΠ»ΠΈΠ½Π° ΠΈ ΠΌΠΈΠΊΡΠΎΡΡΡΠ±ΠΎΡΠ΅ΠΊ, ΡΡΠΎ ΠΏΡΠΈΠ²ΠΎΠ΄ΠΈΡ ΠΊ ΡΠΌΠ΅ΡΡΠΈ ΠΊΠ»Π΅ΡΠΊΠΈ. ΠΡΡΠ»Π΅Π΄ΠΎΠ²Π°Π½ΠΈΡ Π² ΡΡΠΎΠΉ ΠΎΠ±Π»Π°ΡΡΠΈ ΠΏΡΠΎΠ΄ΠΎΠ»ΠΆΠ°ΡΡΡΡ.
Π’Π°Π»ΠΈΠ΄ΠΎΠΌΠΈΠ΄. ΠΠΌΠ΅Π΅ΡΡΡ ΠΌΠ½Π΅Π½ΠΈΠ΅ ΠΎ ΡΠΎΠΌ, ΡΡΠΎ ΡΠΎΡΡ ΡΠΎΠ»ΠΈΠ΄Π½ΡΡ ΠΎΠΏΡΡ ΠΎΠ»Π΅ΠΉ Π·Π°Π²ΠΈΡΠΈΡ ΠΎΡ ΠΏΡΠΎΡΠ΅ΡΡΠΎΠ² Π½Π΅ΠΎΠ°Π½Π³ΠΈΠΎΠ³Π΅Π½Π΅Π·Π°. Π‘ ΡΡΠ΅ΒΡΠΎΠΌ ΡΠΎΠ»ΠΈ Π½Π΅ΠΎΠ°Π½Π³ΠΈΠΎΠ³Π΅Π½Π΅Π·Π° Π² ΡΠΎΡΡΠ΅ ΠΈ ΡΠ°Π·Π²ΠΈΡΠΈΠΈ ΠΎΠΏΡΡ ΠΎΠ»Π΅ΠΉ ΡΠ°Π·ΡΠ°Π±Π°ΡΡΠ²Π°ΡΡΡΡ ΠΏΡΠ΅ΠΏΠ°ΡΠ°ΡΡ, Π½Π°ΠΏΡΠ°Π²Π»Π΅Π½Π½ΡΠ΅ Π½Π° ΠΏΡΠ΅ΠΊΡΠ°ΡΠ΅ΒΠ½ΠΈΠ΅ ΠΏΡΠΎΡΠ΅ΡΡΠΎΠ² Π°Π½Π³ΠΈΠΎΠ³Π΅Π½Π΅Π·Π°.
ΠΠ°ΠΏΡΠΈΠΌΠ΅Ρ, ΡΠ°Π»ΠΈΠ΄ΠΎΠΌΠΈΠ΄ Π±ΡΠ» ΠΈΠ·Π²Π΅ΡΡΠ΅Π½ ΠΊΠ°ΠΊ Π»Π΅ΠΊΠ°ΡΡΡΠ²Π΅Π½Π½ΠΎΠ΅ ΡΡΠ΅Π΄ΡΡΠ²ΠΎ ΠΏΡΠΎΡΠΈΠ² Π±Π΅ΡΡΠΎΠ½Π½ΠΈΡΡ, ΠΊΠΎΡΠΎΡΡΠΉ Π²ΠΏΠΎΡΠ»Π΅Π΄ΡΡΠ²ΠΈΠΈ ΠΏΠ΅ΒΡΠ΅ΡΡΠ°Π» ΠΏΡΠΈΠΌΠ΅Π½ΡΡΡΡΡ Π² ΡΠ²ΡΠ·ΠΈ Ρ Π½Π°Π»ΠΈΡΠΈΠ΅ΠΌ Ρ Π½Π΅Π³ΠΎ ΡΠ΅ΡΠ°ΡΠΎΠ³Π΅Π½ΒΠ½ΡΡ ΡΠ²ΠΎΠΉΡΡΠ². Π ΡΠΎΠΆΠ°Π»Π΅Π½ΠΈΡ, ΠΌΠ΅Ρ Π°Π½ΠΈΠ·ΠΌ Π΅Π³ΠΎ Π°Π½ΡΠΈΠ°Π½Π³ΠΈΠΎΠ³Π΅Π½Π½ΠΎΠ³ΠΎ Π΄Π΅ΠΉΡΡΠ²ΠΈΡ Π½Π΅ ΠΈΠ·Π²Π΅ΡΡΠ΅Π½, ΠΎΠ΄Π½Π°ΠΊΠΎ, ΡΠ°Π»ΠΈΠ΄ΠΎΠΌΠΈΠ΄ Π±Π»ΠΎΠΊΠΈΡΡΒΠ΅Ρ ΠΏΡΠΎΡΠ΅ΡΡΡ Π²Π°ΡΠΊΡΠ»ΡΡΠΈΠ·Π°ΡΠΈΠΈ, ΠΈΠ½Π΄ΡΡΠΈΡΠΎΠ²Π°Π½Π½ΡΠ΅ ΡΠ°ΠΊΡΠΎΡΠΎΠΌ ΡΠΎΡΡΠ° ΡΠΈΠ±ΡΠΎΠ±Π»Π°ΡΡΠΎΠ² ΠΈ ΡΠ½Π΄ΠΎΡΠ΅Π»ΠΈΠ°Π»ΡΠ½ΡΠΌ ΡΠ°ΠΊΡΠΎΡΠΎΠΌ ΡΠΎΡΡΠ° [5]. ΠΠΎ II ΡΠ°Π·Π΅ ΠΈΡΡΠ»Π΅Π΄ΠΎΠ²Π°Π½ΠΈΡ 26 Π±ΠΎΠ»ΡΠ½ΡΠΌ Ρ ΡΠ°Π½Π΅Π΅ Π½Π΅Π»Π΅ΡΠ΅Π½Π½ΡΠΌ ΠΠ Π Π±ΡΠ»ΠΎ ΠΏΡΠΎΠ²Π΅Π΄Π΅Π½ΠΎ 6 ΠΊΡΡΡΠΎΠ² ΡΡΠ°Π½Π΄Π°ΡΡΠ½ΠΎΠΉ Ρ ΠΈΠΌΠΈΠΎΒΡΠ΅ΡΠ°ΠΏΠΈΠΈ ΠΏΠΎ ΡΡ Π΅ΠΌΠ΅ Π Π, Π° Π·Π°ΡΠ΅ΠΌ Π² ΡΠ΅ΡΠ΅Π½ΠΈΠ΅ 2 Π»Π΅Ρ ΠΎΠ½ΠΈ ΠΏΠΎΠ»ΡΡΠ°ΒΠ»ΠΈ Π»Π΅ΡΠ΅Π½ΠΈΠ΅ ΡΠ°Π»ΠΈΠ΄ΠΎΠΌΠΈΠ΄ΠΎΠΌ (100 ΠΌΠ³ Π² Π΄Π΅Π½Ρ) Ρ ΠΌΠΈΠ½ΠΈΠΌΠ°Π»ΡΠ½ΡΠΌ ΡΡΠΎΠ²Π½Π΅ΠΌ ΡΠΎΠΊΡΠΈΡΠ½ΠΎΡΡΠΈ [22]. Π£ 2 ΠΏΠ°ΡΠΈΠ΅Π½ΡΠΎΠ² Π·Π°ΡΠ΅Π³ΠΈΡΡΡΠΈΡΠΎΒΠ²Π°Π½Π° ΠΠ , Ρ 13 — Π§Π , ΠΌΠ΅Π΄ΠΈΠ°Π½Π° Π²ΡΠΆΠΈΠ²Π°Π΅ΠΌΠΎΡΡΠΈ ΡΠΎΡΡΠ°Π²ΠΈΠ»Π° 10 ΠΌΠ΅Ρ, 1-Π»Π΅ΡΠ½ΡΡ Π²ΡΠΆΠΈΠ²Π°Π΅ΠΌΠΎΡΡΡ — 42%. Π‘ ΡΡΠ΅ΡΠΎΠΌ ΠΏΠΎΠ»ΡΡΠ΅Π½Π½ΡΡ ΠΌΠ½ΠΎΠ³ΠΎΠΎΠ±Π΅ΡΠ°ΡΡΠΈΡ ΡΠ΅Π·ΡΠ»ΡΡΠ°ΡΠΎΠ² ΡΠ΅ΡΠ΅Π½ΠΎ Π½Π°ΡΠ°ΡΡ ΠΈΡΡΠ»Π΅Π΄ΠΎΒΠ²Π°Π½ΠΈΡ III ΡΠ°Π·Ρ ΠΏΠΎ ΠΈΠ·ΡΡΠ΅Π½ΠΈΡ ΡΠ°Π»ΠΈΠ΄ΠΎΠΌΠΈΠ΄Π°.
ΠΠ½Π³ΠΈΠ±ΠΈΡΠΎΡΡ ΠΌΠ°ΡΡΠΈΠΊΡΠ½ΠΎΠΉ ΠΌΠ΅ΡΠ°Π»Π»ΠΎΠΏΡΠΎΡΠ΅ΠΈΠ½Π°Π·Ρ. ΠΠ΅ΡΠ°Π»Π»ΠΎΠΏΡΠΎΡΠ΅ΠΈΠ½Π°Π·Ρ ΡΠ²Π»ΡΡΡΡΡ Π²Π°ΠΆΠ½ΡΠΌΠΈ ΡΠ΅ΡΠΌΠ΅Π½ΡΠ°ΠΌΠΈ, ΡΡΠ°ΒΡΡΠ²ΡΡΡΠΈΠΌΠΈ Π² Π½Π΅ΠΎΠ°Π½Π³ΠΈΠΎΠ³Π΅Π½Π΅Π·Π΅, ΠΎΡΠ½ΠΎΠ²Π½ΠΎΠΉ ΠΈΡ ΡΠΎΠ»ΡΡ ΡΠ²ΒΠ»ΡΠ΅ΡΡΡ ΡΡΠ°ΡΡΠΈΠ΅ Π² ΠΏΡΠΎΡΠ΅ΡΡΠ°Ρ ΡΠ΅ΠΌΠΎΠ΄Π΅Π»ΠΈΡΠΎΠ²Π°Π½ΠΈΡ ΡΠΊΠ°Π½ΠΈ ΠΈ ΠΏΡΠΎΠ΄ΠΎΠ»ΠΆΠ΅Π½Π½ΠΎΠ³ΠΎ ΡΠΎΡΡΠ° ΠΎΠΏΡΡ ΠΎΠ»ΠΈ. ΠΠ°ΠΊ Π²ΡΡΡΠ½ΠΈΠ»ΠΎΡΡ, ΠΈΠ½Π²Π°ΒΠ·ΠΈΡ ΠΎΠΏΡΡ ΠΎΠ»ΠΈ, Π° ΡΠ°ΠΊΠΆΠ΅ Π΅Π΅ ΠΌΠ΅ΡΠ°ΡΡΠ°Π·ΠΈΡΠΎΠ²Π°Π½ΠΈΠ΅ Π·Π°Π²ΠΈΡΡΡ ΠΎΡ ΡΠΈΠ½ΡΠ΅Π·Π° ΠΈ Π²ΡΡΠ²ΠΎΠ±ΠΎΠΆΠ΄Π΅Π½ΠΈΡ ΡΡΠΈΡ ΡΠ΅ΡΠΌΠ΅Π½ΡΠΎΠ² ΠΎΠΏΡΡ ΠΎΠ»Π΅Π²ΡΒΠΌΠΈ ΠΊΠ»Π΅ΡΠΊΠ°ΠΌΠΈ. ΠΠ΅ΠΊΠΎΡΠΎΡΡΠ΅ ΠΈΠ½Π³ΠΈΠ±ΠΈΡΠΎΡΡ ΠΌΠ΅ΡΠ°Π»Π»ΠΎΠΏΡΠΎΡΠ΅ΠΈΠ½Π°Π· ΡΠΆΠ΅ ΡΠΈΠ½ΡΠ΅Π·ΠΈΡΠΎΠ²Π°Π½Ρ ΠΈ ΠΎΠΏΡΠΎΠ±ΠΎΠ²Π°Π½Ρ ΠΏΡΠΈ ΠΌΠ΅Π»ΠΊΠΎΠΊΠ»Π΅ΒΡΠΎΡΠ½ΠΎΠΌ ΡΠ°ΠΊΠ΅ Π»Π΅Π³ΠΊΠΎΠ³ΠΎ, ΠΊΠ°ΠΊ, Π½Π°ΠΏΡΠΈΠΌΠ΅Ρ, ΠΌΠ°ΡΠΈΠΌΠ°ΡΡΠ°Ρ (British Biothech) ΠΈ BAY12-9566 (Bayer).
Π Π±ΠΎΠ»ΡΡΠΎΠΌ ΠΈΡΡΠ»Π΅Π΄ΠΎΠ²Π°Π½ΠΈΠΈ ΠΏΠΎ ΠΈΠ·ΡΡΠ΅Π½ΠΈΡ ΠΌΠ°ΡΠΈΠΌΠ°ΡΡΠ°ΡΠ° ΡΡΠ°ΡΡΠ²ΠΎΠ²Π°Π»ΠΎ Π±ΠΎΠ»Π΅Π΅ 500 Π±ΠΎΠ»ΡΠ½ΡΡ Ρ Π»ΠΎΠΊΠ°Π»ΠΈΠ·ΠΎΠ²Π°Π½Π½ΠΎΠΉ ΠΈ Π΄ΠΈΡΒΡΠ΅ΠΌΠΈΠ½ΠΈΡΠΎΠ²Π°Π½Π½ΠΎΠΉ ΡΠΎΡΠΌΠ°ΠΌΠΈ ΠΌΠ΅Π»ΠΊΠΎΠΊΠ»Π΅ΡΠΎΡΠ½ΠΎΠ³ΠΎ ΡΠ°ΠΊΠ° Π»Π΅Π³ΒΠΊΠΎΠ³ΠΎ, ΠΏΠΎΡΠ»Π΅ ΠΏΡΠΎΠ²Π΅Π΄Π΅Π½ΠΈΡ Ρ ΠΈΠΌΠΈΠΎΡΠ΅ΡΠ°ΠΏΠΈΠΈ ΠΈΠ»ΠΈ Ρ ΠΈΠΌΠΈΠΎΠ»ΡΡΠ΅Π²ΠΎΠ³ΠΎ Π»Π΅ΡΠ΅Π½ΠΈΡ ΠΎΠ΄Π½ΠΎΠΉ Π³ΡΡΠΏΠΏΠ΅ ΠΏΠ°ΡΠΈΠ΅Π½ΡΠΎΠ² Π½Π°Π·Π½Π°ΡΠ°Π»ΠΈ ΠΌΠ°ΡΠΈΠΌΠ°ΡΡΠ°Ρ (10 ΠΌΠ³ 2 ΡΠ°Π·Π° Π² Π΄Π΅Π½Ρ), Π΄ΡΡΠ³ΠΎΠΉ — ΠΏΠ»Π°ΡΠ΅Π±ΠΎ [34]. Π£Π²Π΅ΒΠ»ΠΈΡΠ΅Π½ΠΈΡ Π²ΡΠΆΠΈΠ²Π°Π΅ΠΌΠΎΡΡΠΈ ΠΏΠΎΠ»ΡΡΠΈΡΡ Π½Π΅ ΡΠ΄Π°Π»ΠΎΡΡ. Π ΡΠ°Π±ΠΎΡΠ΅ ΠΏΠΎ ΠΈΠ·ΡΡΠ΅Π½ΠΈΡ BAY12-9566 Π² Π³ΡΡΠΏΠΏΠ΅ ΠΈΠ·ΡΡΠ°Π΅ΠΌΠΎΠ³ΠΎ ΠΏΡΠ΅ΠΏΠ°ΡΠ°ΒΡΠ° Π±ΡΠ»ΠΎ ΠΎΡΠΌΠ΅ΡΠ΅Π½ΠΎ ΡΠΌΠ΅Π½ΡΡΠ΅Π½ΠΈΠ΅ Π²ΡΠΆΠΈΠ²Π°Π΅ΠΌΠΎΡΡΠΈ, ΠΏΠΎΡΡΠΎΠΌΡ ΠΈΡΡΠ»Π΅Π΄ΠΎΠ²Π°Π½ΠΈΡ ΠΈΠ½Π³ΠΈΠ±ΠΈΡΠΎΡΠΎΠ² ΠΌΠ΅ΡΠ°Π»Π»ΠΎΠΏΡΠΎΡΠ΅ΠΈΠ½Π°Π·Ρ ΠΏΡΠΈ ΠΠ Π Π±ΡΠ»ΠΈ ΠΏΡΠ΅ΠΊΡΠ°ΡΠ΅Π½Ρ.
Π’Π°ΠΊΠΆΠ΅ ΠΏΡΠΈ ΠΠ Π ΠΏΡΠΎΠ²ΠΎΠ΄ΠΈΠ»ΠΈ ΠΈΠ·ΡΡΠ΅Π½ΠΈΠ΅ ΠΏΡΠ΅ΠΏΠ°ΡΠ°ΡΠΎΠ², ΠΈΠ½ΒΠ³ΠΈΠ±ΠΈΡΡΡΡΠΈΡ ΡΠ΅ΡΠ΅ΠΏΡΠΎΡΡ ΡΠΈΡΠΎΠ·ΠΈΠ½ΠΊΠΈΠ½Π°Π·Ρ (Π³Π΅ΡΠΈΡΠΈΠ½ΠΈΠ±, ΠΈΠΌΠ°ΡΠΈΠ½ΠΈΠ±) [17]. Π’ΠΎΠ»ΡΠΊΠΎ ΠΏΡΠΈ ΠΈΡΡΠ»Π΅Π΄ΠΎΠ²Π°Π½ΠΈΠΈ ΠΈΠΌΠ°ΡΠΈΠ½ΠΈΠ±Π° (Π³Π»ΠΈΠ²Π΅ΠΊ) Π±ΡΠ»ΠΈ ΠΏΠΎΠ»ΡΡΠ΅Π½Ρ ΠΎΠ±Π΅ΡΠ°ΡΡΠΈΠ΅ ΡΠ΅Π·ΡΠ»ΡΡΠ°ΡΡ, Π² ΡΠ²ΡΒΠ·ΠΈ Ρ ΡΠ΅ΠΌ, ΠΏΡΠΎΠ΄ΠΎΠ»ΠΆΠ°ΡΡΡΡ ΡΠ°Π±ΠΎΡΡ Π² ΡΡΠΎΠΌ Π½Π°ΠΏΡΠ°Π²Π»Π΅Π½ΠΈΠΈ.
Π’Π°ΠΊΠΈΠΌ ΠΎΠ±ΡΠ°Π·ΠΎΠΌ, Π² Π·Π°ΠΊΠ»ΡΡΠ΅Π½ΠΈΠ΅ ΡΠ»Π΅Π΄ΡΠ΅Ρ Π΅ΡΠ΅ ΡΠ°Π· ΠΏΠΎΠ΄ΒΡΠ΅ΡΠΊΠ½ΡΡΡ, ΡΡΠΎ Π² Π½Π°ΡΡΠΎΡΡΠ΅Π΅ Π²ΡΠ΅ΠΌΡ Π²Π΅Π΄ΡΡΡΡ ΠΈΡΡΠ»Π΅Π΄ΠΎΠ²Π°Π½ΠΈΡ Π½ΠΎΠ²ΡΡ ΠΌΠ΅ΡΠΎΠ΄ΠΎΠ² ΡΠ΅ΡΠ°ΠΏΠΈΠΈ ΠΏΡΠΈ ΠΠ Π. Π‘ ΠΎΠ΄Π½ΠΎΠΉ ΡΡΠΎΡΠΎΠ½Ρ, ΡΠ°Π·ΒΡΠ°Π±Π°ΡΡΠ²Π°ΡΡΡΡ Π½ΠΎΠ²ΡΠ΅ ΡΡ Π΅ΠΌΡ ΠΈ ΠΊΠΎΠΌΠ±ΠΈΠ½Π°ΡΠΈΠΈ Ρ ΠΌΠ΅Π½ΡΡΠΈΠΌ ΡΡΠΎΠ²Π½Π΅ΠΌ ΡΠΎΠΊΡΠΈΡΠ½ΠΎΡΡΠΈ ΠΈ Π±ΠΎΠ»ΡΡΠ΅ΠΉ ΡΡΡΠ΅ΠΊΡΠΈΠ²Π½ΠΎΡΡΡΡ, Ρ Π΄ΡΡΠ³ΠΎΠΉ ΡΡΠΎΡΠΎΠ½Ρ, ΠΈΠ·ΡΡΠ°ΡΡΡΡ Π½ΠΎΠ²ΡΠ΅ ΠΏΡΠ΅ΠΏΠ°ΡΠ°ΡΡ. ΠΡΠ½ΠΎΠ²ΒΠ½ΠΎΠΉ ΡΠ΅Π»ΡΡ ΠΏΡΠΎΠ²ΠΎΠ΄ΠΈΠΌΡΡ ΠΈΡΡΠ»Π΅Π΄ΠΎΠ²Π°Π½ΠΈΠΉ ΡΠ²Π»ΡΠ΅ΡΡΡ ΡΠ²Π΅Π»ΠΈΒΡΠ΅Π½ΠΈΠ΅ Π²ΡΠΆΠΈΠ²Π°Π΅ΠΌΠΎΡΡΠΈ ΠΏΠ°ΡΠΈΠ΅Π½ΡΠΎΠ² ΠΈ ΡΠΌΠ΅Π½ΡΡΠ΅Π½ΠΈΠ΅ ΡΠ°ΡΡΠΎΡΡ ΡΠ΅ΡΠΈΠ΄ΠΈΠ²ΠΎΠ². ΠΠ΅ΠΎΠ±Ρ ΠΎΠ΄ΠΈΠΌΠΎ ΠΏΡΠΎΠ΄ΠΎΠ»ΠΆΠΈΡΡ ΠΈΠ·ΡΡΠ΅Π½ΠΈΠ΅ ΡΡΡΠ΅ΠΊΒΡΠΈΠ²Π½ΠΎΡΡΠΈ Π½ΠΎΠ²ΡΡ ΠΏΡΠ΅ΠΏΠ°ΡΠ°ΡΠΎΠ² Ρ Π½ΠΎΠ²ΡΠΌ ΠΌΠ΅Ρ Π°Π½ΠΈΠ·ΠΌΠΎΠΌ Π΄Π΅ΠΉΒΡΡΠ²ΠΈΡ. Π ΡΡΠΎΠΌ ΠΎΠ±Π·ΠΎΡΠ΅ ΠΏΡΠ΅Π΄ΡΡΠ°Π²Π»Π΅Π½Ρ ΡΠ΅Π·ΡΠ»ΡΡΠ°ΡΡ Π½Π΅ΠΊΠΎΡΠΎΒΡΡΡ ΠΈΡΡΠ»Π΅Π΄ΠΎΠ²Π°Π½ΠΈΠΉ, Π² ΠΊΠΎΡΠΎΡΡΡ ΠΎΡΡΠ°ΠΆΠ΅Π½Ρ Π΄Π°Π½Π½ΡΠ΅ Ρ ΠΈΠΌΠΈΠΎΒΡΠ΅ΡΠ°ΠΏΠΈΠΈ ΠΈ ΡΠ°ΡΠ³Π΅ΡΠ½ΠΎΠΉ ΡΠ΅ΡΠ°ΠΏΠΈΠΈ. Π’Π°ΡΠ³Π΅ΡΠ½ΡΠ΅ ΠΏΡΠ΅ΠΏΠ°ΡΠ°ΡΡ ΠΎΠ±Π»Π°Π΄Π°ΡΡ Π½ΠΎΠ²ΡΠΌ ΠΌΠ΅Ρ Π°Π½ΠΈΠ·ΠΌΠΎΠΌ Π΄Π΅ΠΉΡΡΠ²ΠΈΡ, ΡΡΠΎ Π΄Π°Π΅Ρ ΠΎΡΠ½ΠΎΒΠ²Π°Π½ΠΈΠ΅ Π½Π°Π΄Π΅ΡΡΡΡΡ Π½Π° Π²ΠΎΠ·ΠΌΠΎΠΆΠ½ΠΎΡΡΡ Π±ΠΎΠ»Π΅Π΅ ΡΡΠΏΠ΅ΡΠ½ΠΎΠ³ΠΎ Π»Π΅ΒΡΠ΅Π½ΠΈΡ ΡΠ°ΠΊΠΎΠ³ΠΎ Π·Π°Π±ΠΎΠ»Π΅Π²Π°Π½ΠΈΡ, ΠΊΠ°ΠΊ ΠΌΠ΅Π»ΠΊΠΎΠΊΠ»Π΅ΡΠΎΡΠ½ΡΠΉ ΡΠ°ΠΊ Π»Π΅Π³ΒΠΊΠΎΠ³ΠΎ.
ΠΠΈΡΠ΅ΡΠ°ΡΡΡΠ°Β
1. ΠΡΡΠΊΠΎΠ² Π.Π. ΠΠ΅Π»ΠΊΠΎΠΊΠ»Π΅ΡΠΎΡΠ½ΡΠΉ ΡΠ°ΠΊ Π»Π΅Π³ΠΊΠΎΠ³ΠΎ. Π ΡΠΊΠΎΠ²ΠΎΠ΄ΡΡΠ²ΠΎ ΠΏΠΎ Ρ ΠΈΠΌΠΈΠΎΡΠ΅ΡΠ°ΠΏΠΈΠΈ ΠΎΠΏΡΡ ΠΎΠ»Π΅Π²ΡΡ Π·Π°Π±ΠΎΠ»Π΅Π²Π°Π½ΠΈΠΉ / ΠΠΎΠ΄ ΡΠ΅Π΄. Π.Π. ΠΠ΅ΡΠ΅Π²ΠΎΠ΄ΡΠΈΠΊΠΎΠ²ΠΎΠΉ. — Π., 2005. — P. 203-208.
2. Anzai H., Frost P., Abbuzzese J.L. Synergistic cytotoxicity with combined inhibition of topoisomerase (Topo) I and II // Proc. Amer. Assoc. Cancer. Res. — 1992. — Vol. 33. — P. 431.
3. Ardizzoni A., Hansen H, Dombernowsky P. et al. Topotecan, a new active drug in the second-line treatment of small-cell lung cancer: a phase II study in patients with refractory and sensitive disease. The European Organization of Research and Treatment of Cancer Early Clinical Studies Group and New Drug Development Office, and the Lung Cancer Cooperative Group // J. Clin. Oncol. — 1997. — Vol. 15. — P. 2090-2096.
4. Auperin A., Arriagada R., PignonJP. et al. Prophylactic cranial irradiation for patients with non-small cell lung cancer in complete remission. Profilactic Cranial Irradiation Collaborative Group // New Engl. J. Med. — 1999. — Vol. 341. — P. 476-484.
5. Bauer KS, Dixon S.C., Figg W.D. et al. Inhibition of angiogenesis by thalidomide requires metabolic activation, which is species0dependent // Biochem. Pharmacol. — 1998. — Vol. 55. — P. 1827-1834.
6. Bleehen NM, Girling DJ, Machin D. et al. A randomized trial of three or six courses of etoposide cyclophosphamide methotrexate and vincristine or six courses of etoposide and ifosfamide in small cell lung cancer (SCLC). I: survival and prognostic factors. Medical Research Council Lung Cancer Working Party // Brit. J. Cancer. — 1993. — Vol. 68. — P. 1150-1156.
7. Bleehen N.M., Girling D.J., Machin D. et al. A randomized trial of three or six courses of etoposide cyclophosphamide methotrexate and vincristine or six courses of etoposide and ifosfamide in small cell lung cancer (SCLC). II: quality of life. Medical research Council Lung Cancer Working Party // Brit. J. Cancer. — 1993. — Vol. 68. — P. 1157-1166.
8. Cormier Y., EisenhauerE, MuldalA et al. Gemcitabine is an active new agent in previously untreated extensive small cell lung cancer (SCLC). A study of National Cancer Institute of Canada Clinical Trials Group // Ann. Oncol. — 1994. — Vol. 5. — P. 283-285.
9. Cullen M, Morgan D, Gregory W. et al. Maintenance chemotherapy for anaplastic small cell carcinoma of the bronchus: a randomized, controlled trial // Cancer Chemother. Pharmacol. — 1986. — Vol. 17. — P. 157-160.
10. De Marinis F, Migliorino MR, Paoluzzi L. et al. Phase I/II trial of gemcitabine plus cisplatin and etoposide in patients with small-cell lung cancer // Lung Cancer. — 2003. — Vol. 39. — P- 331-338.
11. Depierrie A., von PawelJ., Hans K et al. Evaluation of topotecan (Hycamtin TM) in relapsed small cell lung cancer (SCLC). A multicentre phase Ii study // Lung Cancer. — 1997. — Vol. 18 (Suppl. 1). — P. 35.
12. Dowlati A, Levitan N., Gordon NH. et al. Phase II and pharmacokinetic/pharmacodynamic trial of sequential topoi- somerase I and II inhibition with topotecan and etoposide in advanced non-small-cell lung cancer // Cancer Chemother. Pharmacol. — 2001. — Vol. 47. — P. 141-148.
13. Eckardt J, Gralla R., Pallmer M.C. et al. Topotecan (T) as second-line therapy in patients with small cell lung cancer (SCLC): a phase II study // Ann. Oncol. — 1996. — Vol. 7 (Suppl. 5). — P. 107.
14. Ettinger DS, Finkelstein DM, Sarma RP. et al. Phase Ii study of paclitaxel in patients with extensive-disease small-cell lung cancer: an Eastern Cooperative Oncology Group study // J. Clin. Oncol. — 1995. — Vol. 13. — P. 1430-1435.
15. Evans W.K., Shepherd Fa, Feld R et al. VP-16 and cisplatin as first-line therapy for small-cell lung cancer // J. Clin. Oncol. — 1985. — Vol. 3. — P. 1471-1477.
16. Furuse K., Kubota K., Kawahara M. et al. Phase II study of vinorelbine in heavily previously treated small cell lung cancer. Japan Lung Cancer Vinorelbine Group // Oncology. — 1996. — Vol. 53. — P. 169-172.
17. Gamou S., Hunts J, Harigai H. et al. Molecular evidence for lack of epidermal growth factor receptor gene expression in small cell lung carcinoma cells // Cancer Res. — 1987. — Vol. 47. — P. 2668-2673.
18. Gridelli C., Rossi A., Barletta E. et al. Carboplatin plus vinorelbine plus G-CSF in elderly patients with extensive-stage smallΒ¬cell lung cancer: a poorly tolerated regimen. Results of a multicenter phase II study // Lung Cancer. — 2002. — Vol. 36. — P. 327-332.
19. Hainsworth JD, Burris III HA, ErlandJB. et al. Combination chemotherapy with gemcitabine and vinorelbine in the treatment of patients with relapsed or refractory small cell lung cancer: a phase II trial of the Minnie Pearl Cancer Research Network // Cancer. Invest. — 2003. — Vol. 21. — P. 193-199.
20. James L.E., Rudd R., Gower N. et al. A phase III randomized comparison of gemcitabine/carboplatin (GC) with cisplatin/ etoposide (PE) in patients with poor prognosis small cell lung cancer (SCLC) // Proc. Amer. Clin. Oncol. — 2002. — Vol. 21. — Abstr. 1170.
21. Jassem J., Karnicka-Mlodkowska H., van Pottelsberghe C. et al. Phase II study of vinorelbine (Navelbine) in previously treated small cell lung cancer patients. EORTC Lung Cancer Cooperative Group // Europ. J. Cancer. — 1993. — Vol. 29A. — P. 1720-1722.
22. Lee SM.,JamesLE,Mohmmaed-Ali V. et al. A phase II study of carboplatin/etoposide with thalidomide in small cell lung cancer (SCLC) // Proc. Amer. Soc. Clin. Oncol. — 2002. — Vol. 21. — Abstr. 1251.
23. Lowebraun S., BartolucciA., Smalley RV. et al. The superiority of combination chemotherapy over single agent chemoΒ¬therapy in small cell lung cancinoma // Cancer. — 1979. — Vol. 44. — P. 406-413.
24. Mackay HJ, O’Brien M, Hill S. et al. A phase II study of carboplatin and vinorelbine in patients with poor prognosis small cell lung cancer // Clin. Oncol. — (R. Coll. Radiol.). — 2003. — Vol. 15. — P. 181-185.
25. Moolenaar CE, Muller EJ., Schol DJ. et al. Expression of neural cell adhesion molecule-related sialoglycoprotein in small cell lung cancer and neuroblastoma cell lines H69 and CHP-212 // Cancer. Res. — 1990. — Vol. 50. — P. 1102-1106.
26. Niell H.B., Herndon J.E., Miller AA et al. Final report of a randomized phase III Intergroup trial of etoposide (VP-16) and cisplatin (DDP) with or without paclitaxel (TAX) and G-CSP in patients with extensive stage small cell lung cancer (ED-SCLC) // Lung Cancer. — 2003. — Vol. 41 (Suppl. 2). — S. 81.
27. Noda K., Nishiwaki Y., KawaharaM. et al. Irinitecan plus cisplatin compared with etiposide plus cisplatin for extensive small-cell lung cancer // New Engl. J. Med. — 2003. — Vol. 346. — P. 85-91.
28. Reck M, von Pawel J., Macha HN. et al. Randomized phase III trial of paclitaxel etoposide, and carboplatin versus carboplatin, and vincristine in patients with small-cell lung cancer // J. Natl. Cancer. Inst. — 2003. — Vol. 95. — P. 1118-1127.
29. Rinaldi D., Lorman N., BrierreJ. et al. A phase I-II trial of topotecan and gemcitabine in patients with previously treated, advanced non-small cell lung cancer (LOA-3) // Cancer. Invest. — 2001. — Vol. 19. — P 467-474.
30. Rinaldi D., Lorman N., Brierre J. et al. A phase II trial of topotecan and gemcitabine in patients with previously treated, advanced nonsmall cell lung carcinoma // Cancer. — 2002. — Vol. 95. — P. 1274-1278.
31. Roy D.C., Ouellet S., Le Houillier et al. Elimination of neuroblastoma and small-cell lung cancer cells with an antineural cell adhesion molecule immunotoxin // J. Natl. Cancer. Inst. — 1996. — Vol. 88. — P. 1136-1145.
32. Sandler A, Langer C., BunnJrPA. et al. Interim safety analysis of irinotecan and cisplatin combination chemotherapy for previously untreated extensive small cell lung cancer // Proc. Amer. Soc. Clin. Oncol. — 2003. — Vol. 22. — Abstr. 2537.
33. Seifter EJ, Ihde D.C. Therapy of small cell lung cancer: a prospective on two decades of clinical research // Semin. Oncol. — 1988. — Vol. 15. — P. 278-299.
34. Shepherd FA, Giaccone G, Seymour L. et al. Prospective, randomized, double-blind, placebo-controlled trial of marim- astat after response to first-line chemotherapy in patients with small-cell lung cancer: a trial of national Cancer. Institute of Canada — Clinical Trials Group and European Organization for Research and Treatment of Cancer // J. Clin. Oncol. — 2002. — Vol. 20. — P. 4434-4439.
35. Smith I.E, Evans BD. Carboplatin (JM8) as a single agent in combination in the treatment of small cell lung cancer // Cancer. Treat. Rev. — 1985. — Vol. 12 (Suppl. A). — P. 73-75.
36. Smyth JF, Smith IE, Sessa C. et al. Activity of docetaxel (Taxotere) in small cell lung cancer. The Early Clinical Trials Group of EORTC // Europ. J. Cancer. — 1994. — Vol. 30A. — P. 1058-1060.
37. Spiro S.G., Souhami RL, Geddes D.M. et al. Duration of chemotherapy in small cell lung cancer: a Cancer Research Campaign trial // Brit. J. Cancer. — 1989. — Vol. 59. — P. 578-583.
38. Sundstrom S., Bremenes RM, Kaasa S. et al. Cisplatin and etoposide regimen is superior to cyclophosphamide. Epirubi- cin, and vincristine regimen in small-cell lung cancer: results from randomized phase III trial with 5 yearβfollow-up // J. Clin. Oncol. — 2002. — Vol. 20. — P. 4665-4672.
39. von PawelJ., DepierreA., Hans K. et al. Topotecan (Hycamtin TM) in small cell lung cancer (SCLC) after failure of first line therapy: multicentre phase II study // Europ. J. Cancer. — 1997. — Vol. 33. (Suppl. 8). — P. S229.
40. von Pawel J, Schiller J.H., Shepherd FA et al. Topotecan versus cyclophosphamide, doxorubicin, and vincristine for the treatment of recurrent small-cell lung cancer // J. Clin. Oncol. — 1999. — Vol. 17. — P. 658-667.
41. Wu AH, Henderson B.E., Thomas D.C. et al. Secular trends in histologic types of lung cancer // J. Natl. Cancer. Inst. — 1986. — Vol. 77. — P. 53-56.
ΠΠΎΡΡΡΠΏΠΈΠ»Π° Π² ΡΠ΅Π΄Π°ΠΊΡΠΈΡ 16.11.2005 Π³.
www.molneo.com
ΠΠΏΠΈΠ΄Π΅ΠΌΠΈΠΎΠ»ΠΎΠ³ΠΈΡ ΠΈ Π±ΠΈΠΎΠ»ΠΎΠ³ΠΈΡ Π½Π΅ΠΉΡΠΎΡΠ½Π΄ΠΎΠΊΡΠΈΠ½Π½ΡΡ ΠΎΠΏΡΡ ΠΎΠ»Π΅ΠΉ
ΠΠ£Π ΠΠΠ ΠΎΠ½ΠΊΠΎΠ»ΠΎΠ³ΠΈΠΈ ΠΈΠΌ. ΠΏΡΠΎΡ. Π.Π. ΠΠ΅ΡΡΠΎΠ²Π°, Π‘Π°Π½ΠΊΡ-ΠΠ΅ΡΠ΅ΡΠ±ΡΡΠ³
Π.Π. ΠΠΌΡΠ½ΠΈΡΠΎΠ²
Π’Π΅ΡΠΌΠΈΠ½ Β«Π½Π΅ΠΉΡΠΎΡΠ½Π΄ΠΎΠΊΡΠΈΠ½Π½ΡΠ΅ ΠΎΠΏΡΡ ΠΎΠ»ΠΈΒ» ΠΎΠ±ΡΠ΅Π΄ΠΈΠ½ΡΠ΅Ρ Π³Π΅ΡΠ΅ΡΠΎΠ³Π΅Π½Π½ΡΡ Π³ΡΡΠΏΠΏΡ ΡΠΎΠ²Π΅ΡΡΠ΅Π½Π½ΠΎ ΡΠ°Π·Π½ΡΡ Π½ΠΎΠ²ΠΎΠΎΠ±ΡΠ°Π·ΠΎΠ²Π°Π½ΠΈΠΉ, ΠΏΡΠΎΠΈΡΡ ΠΎΠ΄ΡΡΠΈΡ ΠΈΠ· ΠΊΠ»Π΅ΡΠΎΠΊ Ρ ΠΎΠ΄Π½ΠΎΠΈΠΌΠ΅Π½Π½ΡΠΌ Π½Π°Π·Π²Π°Π½ΠΈΠ΅ΠΌ. ΠΠ΅ΠΉΡΠΎΡΠ½Π΄ΠΎΠΊΡΠΈΠ½Π½ΡΠ΅ ΠΊΠ»Π΅ΡΠΊΠΈ ΠΌΠΎΠ³ΡΡ Π²ΡΠ΄Π΅Π»ΡΡΡ ΡΠ΅ ΠΆΠ΅ Π²Π΅ΡΠ΅ΡΡΠ²Π°, ΡΡΠΎ ΠΈ Π½Π΅ΠΉΡΠΎΠ½Ρ, Π½ΠΎ, Π² ΠΎΡΠ»ΠΈΡΠΈΠ΅ ΠΎΡ ΠΏΠΎΡΠ»Π΅Π΄Π½ΠΈΡ , ΠΎΠ½ΠΈ ΡΡΠ°ΡΡΠ²ΡΡΡ Π½Π΅ Π² ΡΠΎΠΏΠΈΡΠ΅ΡΠΊΠΎΠΉ, Π° Π² ΠΏΠ°ΡΠ°ΠΊΡΠΈΠ½Π½ΠΎΠΉ ΡΠ΅Π³ΡΠ»ΡΡΠΈΠΈ ΠΎΡΠ³Π°Π½ΠΎΠ² ΠΈ ΡΠΊΠ°Π½Π΅ΠΉ.
Π’Π΅ΡΠΌΠΈΠ½ Β«Π½Π΅ΠΉΡΠΎΡΠ½Π΄ΠΎΠΊΡΠΈΠ½Π½ΡΠ΅ ΠΎΠΏΡΡ ΠΎΠ»ΠΈΒ» ΠΎΠ±ΡΠ΅Π΄ΠΈΠ½ΡΠ΅Ρ Π³Π΅ΡΠ΅ΡΠΎΠ³Π΅Π½Π½ΡΡ Π³ΡΡΠΏΠΏΡ ΡΠΎΠ²Π΅ΡΒΡΠ΅Π½Π½ΠΎ ΡΠ°Π·Π½ΡΡ Π½ΠΎΠ²ΠΎΠΎΠ±ΡΠ°Π·ΠΎΠ²Π°Π½ΠΈΠΉ, ΠΏΡΠΎΠΈΡΡ ΠΎΠ΄ΡΡΠΈΡ ΠΈΠ· ΠΊΠ»Π΅ΡΠΎΠΊ Ρ ΠΎΠ΄Π½ΠΎΠΈΠΌΠ΅Π½Π½ΡΠΌ Π½Π°ΒΠ·Π²Π°Π½ΠΈΠ΅ΠΌ. Π‘Π°ΠΌΠΎ ΠΏΠΎΠ½ΡΡΠΈΠ΅ Β«Π½Π΅ΠΉΡΠΎΡΠ½Π΄ΠΎΠΊΡΠΈΠ½Π½Π°Ρ ΠΊΠ»Π΅ΡΠΊΠ°Β» Π½Π΅ΠΎΠ΄Π½ΠΎΠΊΡΠ°ΡΠ½ΠΎ ΠΏΠΎΠ΄Π²Π΅ΡΠ³Π°Π»ΠΎΡΡ ΠΏΠ΅ΡΠ΅ΠΎΡΠ΅Π½ΠΊΠ΅. Π ΡΠ°ΡΡΠ½ΠΎΡΡΠΈ, Π² 1969 Π³. A. Pearse ΠΏΡΠ΅Π΄Π»ΠΎΠΆΠΈΠ» ΠΈΡΠΏΠΎΠ»ΡΠ·ΠΎΠ²Π°ΡΡ Π°Π±Π±ΡΠ΅Π²ΠΈΠ°ΡΡΡΡ APUD (amino precursor uptake and decarboxylation) Π΄Π»Ρ ΠΊΠ»Π΅ΡΠΎΠΊ, ΡΠΏΠΎΡΠΎΠ±Π½ΡΡ ΠΏΡΠΎΠ΄ΡΒΡΠΈΡΠΎΠ²Π°ΡΡ Π½Π΅ΠΉΡΠΎΠ½-ΡΠΏΠ΅ΡΠΈΡΠΈΡΠ΅ΡΠΊΠΈΠ΅ ΠΏΠΎΠ»ΠΈΠΏΠ΅ΠΏΡΠΈΠ΄Π½ΡΠ΅ Π³ΠΎΡΠΌΠΎΠ½Ρ ΠΈ Π±ΠΈΠΎΠ³Π΅Π½Π½ΡΠ΅ Π°ΠΌΠΈΠ½Ρ [11]. Π’Π°ΠΊΠΈΠΌ ΠΎΠ±ΡΠ°Π·ΠΎΠΌ, Π½Π΅ΠΉΡΠΎΡΠ½Π΄ΠΎΠΊΡΠΈΠ½Π½ΡΠ΅ ΠΊΠ»Π΅ΡΠΊΠΈ ΠΌΠΎΠ³ΡΡ Π²ΡΠ΄Π΅Π»ΡΡΡ ΡΠ΅ ΠΆΠ΅ Π²Π΅ΡΠ΅ΡΡΠ²Π°, ΡΡΠΎ ΠΈ Π½Π΅ΠΉΡΠΎΠ½Ρ, Π½ΠΎ, Π² ΠΎΡΠ»ΠΈΡΠΈΠ΅ ΠΎΡ ΠΏΠΎΡΠ»Π΅Π΄Π½ΠΈΡ , ΠΎΠ½ΠΈ ΡΡΠ°ΡΡΠ²ΡΡΡ Π½Π΅ Π² ΡΠΎΠΏΠΈΡΠ΅ΡΠΊΠΎΠΉ, Π° Π² ΠΏΠ°ΡΠ°ΠΊΡΠΈΠ½Π½ΠΎΠΉ ΡΠ΅Π³ΡΠ»ΡΡΠΈΠΈ ΠΎΡΠ³Π°Π½ΠΎΠ² ΠΈ ΡΠΊΠ°Π½Π΅ΠΉ. ΠΠ½ΠΈ ΡΠ°Π·Π±ΡΠΎΡΠ°Π½Ρ ΠΏΠΎ Π²ΡΠ΅ΠΌΡ ΠΎΡΠ³Π°Π½ΠΈΠ·ΠΌΡ ΠΈ ΡΠ²Π»ΡΡΡΡΡ Π²Π°ΠΆΠ½Π΅ΠΉΡΠΈΠΌ ΠΊΠΎΠΌΠΏΠΎΠ½Π΅Π½ΡΠΎΠΌ ΠΏΠΎΠ΄Π΄Π΅ΡΠΆΠ°Π½ΠΈΡ Π³ΠΎΠΌΠ΅ΠΎΡΡΠ°Π·Π°. ΠΠ΅ΠΉΡΠΎΡΠ½Π΄ΠΎΠΊΡΠΈΠ½ΒΠ½ΠΎΠΉ ΠΎΠ±ΡΡΠ½ΠΎ ΡΡΠΈΡΠ°Π΅ΡΡΡ ΠΊΠ»Π΅ΡΠΊΠ°, ΠΎΠ±Π»Π°Π΄Π°ΡΡΠ°Ρ ΡΠ»Π΅Π΄ΡΡΡΠΈΠΌΠΈ Ρ Π°ΡΠ°ΠΊΡΠ΅ΡΠΈΡΡΠΈΠΊΠ°ΠΌΠΈ:
1)Β Β ΠΏΡΠΎΠ΄ΡΠΊΡΠΈΡ Π½Π΅ΠΉΡΠΎΡΡΠ°Π½ΡΠΌΠΈΡΡΠ΅ΡΠΎΠ², Π½Π΅ΠΉΡΠΎΠΌΠΎΠ΄ΡΠ»ΡΡΠΎΡΠΎΠ² ΠΈΠ»ΠΈ Π½Π΅ΠΉΡΠΎΠΏΠ΅ΠΏΡΠΈΠ΄Π½ΡΡ Π³ΠΎΡΠΌΠΎΠ½ΠΎΠ²;
2)Β Π½Π°Π»ΠΈΡΠΈΠ΅ ΡΠΏΠ΅ΡΠΈΡΠΈΡΠ΅ΡΠΊΠΈΡ ΡΠ΅ΠΊΡΠ΅ΡΠΎΡΠ½ΡΡ Π³ΡΠ°Π½ΡΠ», ΠΊΠΎΡΠΎΡΡΠ΅ Π²ΡΡΠ²ΠΎΠ±ΠΎΠΆΠ΄Π°ΡΡ Π±ΠΈΠΎΠ»ΠΎΒΠ³ΠΈΡΠ΅ΡΠΊΠΈ Π°ΠΊΡΠΈΠ²Π½ΡΠ΅ Π²Π΅ΡΠ΅ΡΡΠ²Π° Π² ΠΎΡΠ²Π΅Ρ Π½Π° Π΄Π΅ΠΉΡΡΠ²ΠΈΡ ΠΊΠ°ΠΊΠΈΡ -Π»ΠΈΠ±ΠΎ ΡΠΈΠ³Π½Π°Π»ΠΎΠ²;
3)Β ΠΎΡΡΡΡΡΡΠ²ΠΈΠ΅ Π°ΠΊΡΠΎΠ½ΠΎΠ² ΠΈ ΡΠΈΠ½Π°ΠΏΡΠΎΠ².
Π Π°Π·Π²ΠΈΡΠΈΠ΅ Π½ΠΎΠ²ΡΡ Π»Π°Π±ΠΎΡΠ°ΡΠΎΡΠ½ΡΡ ΡΠ΅Ρ Π½ΠΎΠ»ΠΎΠ³ΠΈΠΉ Π·Π½Π°ΡΠΈΡΠ΅Π»ΡΠ½ΠΎ ΡΠΏΡΠΎΡΡΠΈΠ»ΠΎ ΠΈΠ΄Π΅Π½ΡΠΈΡΠΈΒΠΊΠ°ΡΠΈΡ Π½Π΅ΠΉΡΠΎΡΠ½Π΄ΠΎΠΊΡΠΈΠ½Π½ΡΡ ΠΊΠ»Π΅ΡΠΎΠΊ. ΠΠ΄Π½ΠΈΠΌ ΠΈΠ· Π½Π°ΠΈΠ±ΠΎΠ»Π΅Π΅ Ρ Π°ΡΠ°ΠΊΡΠ΅ΡΠ½ΡΡ ΠΌΠ°ΡΠΊΠ΅ΡΠΎΠ² Π½Π΅ΠΉΡΠΎΡΠ½Π΄ΠΎΠΊΡΠΈΠ½Π½ΡΡ ΠΊΠΎΠΌΠΏΠΎΠ½Π΅Π½ΡΠΎΠ² ΡΠ²Π»ΡΠ΅ΡΡΡ Ρ ΡΠΎΠΌΠΎΠ³ΡΠ°Π½ΠΈΠ½ Π [7, 8, 15]. ΠΡΡΠ³ΠΈΠΌ ΡΠ½ΠΈΒΠ²Π΅ΡΡΠ°Π»ΡΠ½ΡΠΌ Π°Π½ΡΠΈΠ³Π΅Π½ΠΎΠΌ ΠΎΠΏΡΡ ΠΎΠ»Π΅ΠΉ Π΄Π°Π½Π½ΠΎΠΉ Π³ΡΡΠΏΠΏΡ ΡΠ²Π»ΡΠ΅ΡΡΡ ΡΠ΅ΡΠ΅ΠΏΡΠΎΡ CD56; ΠΏΠΎΡΠ»Π΅Π΄ΒΠ½Π΅Π΅ ΡΠ²ΠΎΠΉΡΡΠ²ΠΎ Π»Π΅Π³Π»ΠΎ Π² ΠΎΡΠ½ΠΎΠ²Ρ ΡΠ°Π·ΡΠ°Π±ΠΎΡΠΊΠΈ ΡΠ°ΡΠ³Π΅ΡΠ½ΠΎΠ³ΠΎ ΠΈΠΌΠΌΡΠ½ΠΎΠΊΠΎΠ½ΡΡΠ³Π°ΡΠ° ΠΠ-10901, ΡΠΎΡΡΠΎΡΡΠ΅Π³ΠΎ ΠΈΠ· CD56-ΡΠΏΠ΅ΡΠΈΡΠΈΡΠ΅ΡΠΊΠΎΠ³ΠΎ Π³ΡΠΌΠ°Π½ΠΈΠ·ΠΈΡΠΎΠ²Π°Π½Π½ΠΎΠ³ΠΎ Π°Π½ΡΠΈΡΠ΅Π»Π° huN901 ΠΈ ΠΊΠ»Π΅ΡΠΎΡΠ½ΠΎΠ³ΠΎ ΡΠΎΠΊΡΠΈΠ½Π° DM1 [9].
Π Π·Π°Π²ΠΈΡΠΈΠΌΠΎΡΡΠΈ ΠΎΡ ΠΊΠΎΠ½ΡΠ΅ΠΊΡΡΠ°, ΠΊ Π½Π΅ΠΉΡΠΎΡΠ½Π΄ΠΎΠΊΡΠΈΠ½Π½ΡΠΌ ΠΎΠΏΡΡ ΠΎΠ»ΡΠΌ ΠΎΡΠ½ΠΎΡΡΡ ΡΠΎΠ²Π΅ΡΡΠ΅Π½ΒΠ½ΠΎ ΡΠ°Π·Π½ΡΠ΅ Π³ΡΡΠΏΠΏΡ Π½ΠΎΠ²ΠΎΠΎΠ±ΡΠ°Π·ΠΎΠ²Π°Π½ΠΈΠΉ. ΠΡΠΈ Π½Π°ΠΈΠ±ΠΎΠ»Π΅Π΅ ΡΠ·ΠΊΠΎΠΉ ΡΡΠ°ΠΊΡΠΎΠ²ΠΊΠ΅ ΡΡΠΎΠ³ΠΎ ΡΠ΅ΡΠΌΠΈΠ½Π° Π² ΠΎΡΠ½ΠΎΠ²Π½ΠΎΠΌ ΡΠΏΠΎΠΌΠΈΠ½Π°ΡΡΡΡ ΠΊΠ°ΡΡΠΈΠ½ΠΎΠΈΠ΄Ρ ΠΈ Π½Π΅ΠΉΡΠΎΡΠ½Π΄ΠΎΠΊΡΠΈΠ½Π½ΡΠ΅ ΠΎΠΏΡΡ ΠΎΠ»ΠΈ ΠΆΠ΅Π»ΡΠ΄ΠΎΡΠ½ΠΎΒΠΊΠΈΡΠ΅ΡΠ½ΠΎΠ³ΠΎ ΡΡΠ°ΠΊΡΠ°. ΠΡΠ° ΠΆΠ΅ ΠΊΠ°ΡΠ΅Π³ΠΎΡΠΈΡ Π½Π΅ΠΎΠΏΠ»Π°Π·ΠΈΠΉ ΠΌΠΎΠΆΠ΅Ρ Π²ΠΊΠ»ΡΡΠ°ΡΡ Π½ΠΎΠ²ΠΎΠΎΠ±ΡΠ°Π·ΠΎΠ²Π°Π½ΠΈΡ ΡΠ½Π΄ΠΎΠΊΡΠΈΠ½Π½ΡΡ ΠΊΠ»Π΅ΡΠΎΠΊ ΠΆΠ΅Π»ΡΠ· Π²Π½ΡΡΡΠ΅Π½Π½Π΅ΠΉ ΡΠ΅ΠΊΡΠ΅ΡΠΈΠΈ, Π² ΡΠ°ΡΡΠ½ΠΎΡΡΠΈ ΠΌΠ΅Π΄ΡΠ»Π»ΡΡΠ½ΡΠΉ ΡΠ°ΠΊ ΡΠΈΡΠΎΠ²ΠΈΠ΄Π½ΠΎΠΉ ΠΆΠ΅Π»Π΅Π·Ρ, ΡΠ΅ΠΎΡ ΡΠΎΠΌΠΎΡΠΈΡΠΎΠΌΡ, ΠΎΠΏΡΡ ΠΎΠ»ΠΈ Π³ΠΈΠΏΠΎΡΠΈΠ·Π°. Π Π½Π΅ΠΉΡΠΎΡΠ½Π΄ΠΎΠΊΡΠΈΠ½Π½ΡΠΌ ΠΎΠΏΡΡ ΠΎΠ»ΡΠΌ ΡΠ°ΠΊΠΆΠ΅ ΠΎΡΠ½ΠΎΡΡΡ ΡΠ°ΠΊ Π½Π°Π·ΡΠ²Π°Π΅ΠΌΡΡ ΠΊΠ°ΡΡΠΈΠ½ΠΎΠΌΡ ΠΠ΅ΡΠΊΠ΅Π»Ρ, ΠΏΡΠΎΠΈΡΡ ΠΎΠ΄ΡΡΡΡ ΠΈΠ· ΡΠ΅Ρ ΠΊΠ»Π΅ΡΠΎΠΊ ΠΊΠΎΠΆΠΈ, ΠΊΠΎΡΠΎΡΡΠ΅ ΠΎΠ±Π΅ΡΠΏΠ΅ΡΠΈΠ²Π°ΡΡ ΡΠ°ΠΊΡΠΈΠ»ΡΠ½ΡΡ ΡΡΠ²ΡΡΠ²ΠΈΡΠ΅Π»ΡΠ½ΠΎΡΡΡ. ΠΡΠ΅ ΠΏΠ΅ΡΠ΅ΒΡΠΈΡΠ»Π΅Π½Π½ΡΠ΅ Π²ΡΡΠ΅ Π½Π΅ΠΎΠΏΠ»Π°Π·ΠΌΡ ΠΈΡΠΊΠ»ΡΡΠΈΡΠ΅Π»ΡΠ½ΠΎ ΡΠ΅Π΄ΠΊΠΈ, Π² ΠΎΡΠ»ΠΈΡΠΈΠ΅ ΠΎΡ Π΅ΡΡ ΠΎΠ΄Π½ΠΎΠΉ ΠΎΠΏΡΡ ΠΎΒΠ»ΠΈ Ρ Π½Π΅ΠΉΡΠΎΡΠ½Π΄ΠΎΠΊΡΠΈΠ½Π½ΡΠΌΠΈ ΡΠ²ΠΎΠΉΡΡΠ²Π°ΠΌΠΈ — ΠΌΠ΅Π»ΠΊΠΎΠΊΠ»Π΅ΡΠΎΡΠ½ΠΎΠ³ΠΎ ΡΠ°ΠΊΠ° Π»ΡΠ³ΠΊΠΎΠ³ΠΎ (ΠΠΠ Π). ΠΠ΄Π½Π°ΠΊΠΎ ΠΏΡΠ΅Π΄ΠΏΠΎΠ»ΠΎΠΆΠ΅Π½ΠΈΠ΅ ΠΎ Π½Π΅ΠΉΡΠΎΡΠ½Π΄ΠΎΠΊΡΠΈΠ½Π½ΠΎΠΌ ΠΏΡΠΎΠΈΡΡ ΠΎΠΆΠ΄Π΅Π½ΠΈΠΈ ΠΠΠ Π ΠΏΠΎΡΠ»Π΅Π΄Π½Π΅Π΅ Π²ΡΠ΅ΠΌΡ ΡΡΠ°Π»ΠΎ ΠΏΠΎΠ΄Π²Π΅ΡΠ³Π°ΡΡΡΡ ΠΎΠΆΠ΅ΡΡΠΎΡΡΠ½Π½ΠΎΠΉ ΠΊΡΠΈΡΠΈΠΊΠ΅ [1, 5, 8, 10].
ΠΡΠ½ΠΎΠ²Π½ΡΠ΅ ΡΠ°Π·Π½ΠΎΠ²ΠΈΠ΄Π½ΠΎΡΡΠΈ Π½Π΅ΠΉΡΠΎΡΠ½Π΄ΠΎΠΊΡΠΈΠ½Π½ΡΡ ΠΎΠΏΡΡ ΠΎΠ»Π΅ΠΉ
ΠΠ°ΡΡΠΈΠ½ΠΎΠΈΠ΄Ρ ΠΏΡΠ΅Π΄ΡΡΠ°Π²Π»ΡΡΡ Π½Π°ΠΈΠ±ΠΎΠ»Π΅Π΅ ΡΠ°ΡΡΡΡ Π³ΡΡΠΏΠΏΡ Π½Π΅ΠΉΡΠΎΡΠ½Π΄ΠΎΠΊΡΠΈΠ½Π½ΡΡ Π½ΠΎΠ²ΠΎΒΠΎΠ±ΡΠ°Π·ΠΎΠ²Π°Π½ΠΈΠΉ. ΠΡ Π²ΡΡΡΠ΅ΡΠ°Π΅ΠΌΠΎΡΡΡ ΡΠΎΡΡΠ°Π²Π»ΡΠ΅Ρ 1-2 ΡΠ»ΡΡΠ°Ρ Π½Π° 100 000 ΡΠ΅Π»ΠΎΠ²Π΅ΠΊ. ΠΠ½ΠΈ ΡΠ°Π·Π²ΠΈΠ²Π°ΡΡΡΡ ΠΈΠ· ΡΠ°ΠΊ Π½Π°Π·ΡΠ²Π°Π΅ΠΌΡΡ ΠΊΠ»Π΅ΡΠΎΠΊ ΠΡΠ»ΡΡΠΈΡΠΊΠΎΠ³ΠΎ. Π₯Π°ΡΠ°ΠΊΡΠ΅ΡΠ½ΠΎΠΉ ΠΎΡΠΎΠ±Π΅Π½Π½ΠΎΡΡΡΡ ΠΊΠ°ΡΡΠΈΠ½ΠΎΠΈΠ΄ΠΎΠ² ΡΠ²Π»ΡΠ΅ΡΡΡ ΠΏΡΠΎΠ΄ΡΠΊΡΠΈΡ ΡΠ΅ΡΠΎΡΠΎΠ½ΠΈΠ½Π°. ΠΡΠΈ Π²ΡΡΠΎΠΊΠΎΠΌ ΡΡΠΎΠ²Π½Π΅ ΡΠ΅ΡΠΎΡΠΎΠ½ΠΈΠ½Π° Ρ ΠΏΠ°ΡΠΈΠ΅Π½ΡΠΎΠ² Π½Π°Π±Π»ΡΠ΄Π°Π΅ΡΡΡ ΡΠ°ΠΊ Π½Π°Π·ΡΠ²Π°Π΅ΠΌΡΡ ΠΊΠ°ΡΡΠΈΠ½ΠΎΠΈΠ΄Π½ΡΠΉ ΡΠΈΠ½Π΄ΡΠΎΠΌ, Ρ Π°ΡΠ°ΠΊΡΠ΅ΡΠΈΠ·ΡΡΒΡΠΈΠΉΡΡ ΠΏΠΎΠ²ΡΡΠ΅Π½ΠΈΠ΅ΠΌ Π°ΡΡΠ΅ΡΠΈΠ°Π»ΡΠ½ΠΎΠ³ΠΎ Π΄Π°Π²Π»Π΅Π½ΠΈΡ, Π΄ΠΈΠ°ΡΠ΅Π΅ΠΉ, ΡΠ΅ΡΠ΄Π΅ΡΠ½ΡΠΌΠΈ ΡΠ°ΡΡΡΡΠΎΠΉΡΡΠ²Π°ΒΠΌΠΈ ΠΈ Ρ.Π΄. ΠΠ°ΠΈΠ±ΠΎΠ»Π΅Π΅ ΡΠ°ΡΡΠΎ ΠΊΠ°ΡΡΠΈΠ½ΠΎΠΈΠ΄Ρ ΠΎΠ±Π½Π°ΡΡΠΆΠΈΠ²Π°ΡΡΡΡ Π² Π»ΡΠ³ΠΊΠΈΡ , ΡΠΎΠ½ΠΊΠΎΠΉ ΠΊΠΈΡΠΊΠ΅ ΠΈ ΠΏΡΡΠΌΠΎΠΉ ΠΊΠΈΡΠΊΠ΅. ΠΡΡΡΠ΅ΡΠ°Π΅ΠΌΠΎΡΡΡ ΠΊΠ°ΡΡΠΈΠ½ΠΎΠΈΠ΄ΠΎΠ² Π² Π΄ΡΡΠ³ΠΈΡ ΠΎΡΠ³Π°Π½Π°Ρ , Π² ΡΠ°ΡΡΠ½ΠΎΡΡΠΈ Π² ΡΠΎΠ»ΒΡΡΠΎΠΉ ΠΊΠΈΡΠΊΠ΅, ΠΆΠ΅Π»ΡΠ΄ΠΊΠ΅, Π°ΠΏΠΏΠ΅Π½Π΄ΠΈΠΊΡΠ΅, ΡΠΈΡΠ½ΠΈΠΊΠ°Ρ ΠΈ Ρ.Π΄. Π·Π°ΠΌΠ΅ΡΠ½ΠΎ Π½ΠΈΠΆΠ΅ [1, 6].
Π‘Ρ ΠΎΠ΄Π½ΡΡ Ρ ΠΊΠ°ΡΡΠΈΠ½ΠΎΠΈΠ΄Π°ΠΌΠΈ ΡΠ°ΡΡΠΎΡΡ ΠΎΠ±Π½Π°ΡΡΠΆΠΈΠ²Π°ΡΡ Π½Π΅ΠΉΡΠΎΡΠ½Π΄ΠΎΠΊΡΠΈΠ½Π½ΡΠ΅ ΠΎΠΏΡΡ ΠΎΒΠ»ΠΈ Π³Π°ΡΡΡΠΎΠΏΠ°Π½ΠΊΡΠ΅Π°ΡΠΎΠ΄ΡΠΎΠ΄Π΅Π½Π°Π»ΡΠ½ΠΎΠΉ Π·ΠΎΠ½Ρ [2]. ΠΠΎΠ»ΡΡΠΈΠ½ΡΡΠ²ΠΎ ΠΈΠ· Π½ΠΈΡ ΡΠ°ΡΠΏΠΎΠ»Π°Π³Π°Π΅ΡΡΡ Π½Π΅ΠΏΠΎΡΡΠ΅Π΄ΡΡΠ²Π΅Π½Π½ΠΎ Π² ΠΏΠΎΠ΄ΠΆΠ΅Π»ΡΠ΄ΠΎΡΠ½ΠΎΠΉ ΠΆΠ΅Π»Π΅Π·Π΅, Π² Π½Π΅Π·Π½Π°ΡΠΈΡΠ΅Π»ΡΠ½ΠΎΠΌ ΠΏΡΠΎΡΠ΅Π½ΡΠ΅ ΡΠ»ΡΡΠ°Π΅Π²Β ΠΎΠ±ΡΠ΅ΠΊΡΠΎΠΌ ΠΏΠΎΡΠ°ΠΆΠ΅Π½ΠΈΡ Π²ΡΡΡΡΠΏΠ°Π΅Ρ Π΄Π²Π΅Π½Π°Π΄ΡΠ°ΡΠΈΠΏΠ΅ΡΡΡΠ½Π°Ρ ΠΊΠΈΡΒΠΊΠ°. ΠΡΠΈΠΌΠ΅ΡΠ°ΡΠ΅Π»ΡΠ½ΠΎ, ΡΡΠΎ Π½Π΅ΠΉΡΠΎΡΠ½Π΄ΠΎΠΊΡΠΈΠ½Π½ΡΠ΅ Π½ΠΎΠ²ΠΎΠΎΠ±ΡΠ°Π·ΠΎΒΠ²Π°Π½ΠΈΡ ΠΏΠΎΠ΄ΠΆΠ΅Π»ΡΠ΄ΠΎΡΠ½ΠΎΠΉ ΠΆΠ΅Π»Π΅Π·Ρ Π·Π°ΡΠ°ΡΡΡΡ Ρ Π°ΡΠ°ΠΊΡΠ΅ΡΠΈΠ·ΡΡΡΒΡΡ Π΄ΠΎΠ²ΠΎΠ»ΡΠ½ΠΎ Π²ΡΠ»ΡΠΌ ΡΠ΅ΡΠ΅Π½ΠΈΠ΅ΠΌ ΠΈ ΠΏΠΎΡΡΠΎΠΌΡ Π½Π΅ Π΄ΠΈΠ°Π³Π½ΠΎΡΡΠΈΡΡΒΡΡΡΡ. Π Π΅Π·ΡΠ»ΡΡΠ°ΡΡ Π°ΡΡΠΎΠΏΡΠΈΠΉ ΡΠ²ΠΈΠ΄Π΅ΡΠ΅Π»ΡΡΡΠ²ΡΡΡ, ΡΡΠΎ ΡΠΈΡΠ»ΠΎ Π½ΠΎΡΠΈΡΠ΅Π»Π΅ΠΉ ΠΈΠ½Π΄ΠΎΠ»Π΅Π½ΡΠ½ΡΡ Π½Π΅ΠΉΡΠΎΡΠ½Π΄ΠΎΠΊΡΠΈΠ½Π½ΡΡ ΠΎΠΏΡΡ ΠΎΠ»Π΅ΠΉ ΠΏΠΎΠ΄ΠΆΠ΅Π»ΡΠ΄ΠΎΡΠ½ΠΎΠΉ ΠΆΠ΅Π»Π΅Π·Ρ ΠΌΠΎΠΆΠ΅Ρ Π΄ΠΎΡΡΠΈΠ³Π°ΡΡ 10%. ΠΠ΅ΠΉΡΠΎΡΠ½ΒΠ΄ΠΎΠΊΡΠΈΠ½Π½ΡΠ΅ ΠΏΠ°Π½ΠΊΡΠ΅Π°ΡΠΎΠΊΠ°ΡΡΠΈΠ½ΠΎΠΌΡ ΠΏΡΠΈΠ½ΡΡΠΎ ΠΏΠΎΠ΄ΡΠ°Π·Π΄Π΅Π»ΡΡΡ Π½Π° ΡΡΠ½ΠΊΡΠΈΠΎΠ½ΠΈΡΡΡΡΠΈΠ΅ ΠΈ Π½Π΅ΡΡΠ½ΠΊΡΠΈΠΎΠ½ΠΈΡΡΡΡΠΈΠ΅. Π€ΡΠ½ΠΊΡΠΈΒΠΎΠ½ΠΈΡΡΡΡΠΈΠ΅ ΠΎΠΏΡΡ ΠΎΠ»ΠΈ ΡΠ΅ΠΊΡΠ΅ΡΠΈΡΡΡΡ Π±ΠΈΠΎΠ»ΠΎΠ³ΠΈΡΠ΅ΡΠΊΠΈ Π°ΠΊΡΠΈΠ²ΒΠ½ΡΠ΅ Π²Π΅ΡΠ΅ΡΡΠ²Π°, ΡΡΠΎ Π·Π½Π°ΡΠΈΡΠ΅Π»ΡΠ½ΠΎ ΠΎΠ±Π»Π΅Π³ΡΠ°Π΅Ρ ΠΈΡ Π΄ΠΈΠ°Π³Π½ΠΎΡΡΠΈΒΠΊΡ. ΠΠ°ΠΈΠ±ΠΎΠ»Π΅Π΅ Ρ Π°ΡΠ°ΠΊΡΠ΅ΡΠ½ΠΎΠΉ ΠΎΠΏΡΡ ΠΎΠ»ΡΡ ΡΡΠΎΠ³ΠΎ ΠΊΠ»Π°ΡΡΠ° ΡΠ²Π»ΡΠ΅ΡΒΡΡ ΠΈΠ½ΡΡΠ»ΠΈΠ½ΠΎΠΌΠ°, ΡΠΎΡΡΠ°Π²Π»ΡΡΡΠ°Ρ Π΄ΠΎ 70-75% Π½Π΅ΠΉΡΠΎΡΠ½Π΄ΠΎΠΊΡΠΈΠ½ΒΠ½ΡΡ ΠΎΠΏΡΡ ΠΎΠ»Π΅ΠΉ ΠΏΠΎΠ΄ΠΆΠ΅Π»ΡΠ΄ΠΎΡΠ½ΠΎΠΉ ΠΆΠ΅Π»Π΅Π·Ρ. 20-25% ΠΊΠ°ΡΡΠΈΠ½ΠΎΠΌ ΠΌΠΎΠ³ΡΡ ΠΏΡΠ΅Π΄ΡΡΠ°Π²Π»ΡΡΡ Π³Π°ΡΡΡΠΈΠ½ΠΎΠΌΡ. ΠΡΡΠ°Π»ΡΠ½ΡΠ΅ ΡΠ°Π·Π½ΠΎΠ²ΠΈΠ΄Π½ΠΎΒΡΡΠΈ (VIP-ΠΎΠΌΡ, Π³Π»ΡΠΊΠ°Π³ΠΎΠ½ΠΎΠΌΡ, ΡΠΎΠΌΠ°ΡΠΎΡΡΠ°ΡΠΈΠ½ΠΎΠΌΡ ΠΈ Ρ.Π΄.) Π²ΡΡΡΠ΅ΡΠ°ΡΡΡΡ Π΄ΠΎΡΡΠ°ΡΠΎΡΠ½ΠΎ ΡΠ΅Π΄ΠΊΠΎ. Π‘Π΅ΠΊΡΠ΅ΡΠΈΡ ΡΠΎΠ³ΠΎ ΠΈΠ»ΠΈ ΠΈΠ½ΠΎΒΠ³ΠΎ Π³ΠΎΡΠΌΠΎΠ½Π° Π½Π΅ ΡΠ²Π»ΡΠ΅ΡΡΡ ΡΡΠ°Π±ΠΈΠ»ΡΠ½ΡΠΌ ΠΏΠ°ΡΠ°ΠΌΠ΅ΡΡΠΎΠΌ ΠΎΠΏΡΡ ΠΎΒΠ»ΠΈ: ΠΌΠ½ΠΎΠ³ΠΈΠ΅ Π½Π΅ΠΎΠΏΠ»Π°Π·ΠΌΡ ΠΌΠΎΠ³ΡΡ ΡΠ΅ΠΊΡΠ΅ΡΠΈΡΠΎΠ²Π°ΡΡ Π½Π΅ΡΠΊΠΎΠ»ΡΠΊΠΎ Π±ΠΈΠΎΠ»ΠΎΠ³ΠΈΡΠ΅ΡΠΊΠΈ Π°ΠΊΡΠΈΠ²Π½ΡΡ Π²Π΅ΡΠ΅ΡΡΠ², ΠΏΡΠΈΡΡΠΌ, ΠΏΠΎ ΠΌΠ΅ΡΠ΅ ΠΏΡΠΎΒΠ³ΡΠ΅ΡΡΠΈΡΠΎΠ²Π°Π½ΠΈΡ ΠΎΠΏΡΡ ΠΎΠ»ΠΈ ΡΠΏΠ΅ΠΊΡΡ ΠΏΡΠΎΠ΄ΡΡΠΈΡΡΠ΅ΠΌΡΡ ΠΌΠΎΠ»Π΅ΠΊΡΠ» Π·Π°ΡΠ°ΡΡΡΡ ΠΏΠΎΠ΄Π²Π΅ΡΠ³Π°Π΅ΡΡΡ ΠΈΠ·ΠΌΠ΅Π½Π΅Π½ΠΈΡΠΌ. ΠΠ΅ΡΡΠ½ΠΊΡΠΈΠΎΠ½ΠΈΡΡΡΒΡΠΈΠ΅ Π½Π΅ΠΎΠΏΠ»Π°Π·ΠΌΡ ΠΌΠΎΠ³ΡΡ ΠΎΠ±Π½Π°ΡΡΠΆΠΈΠ²Π°ΡΡΡΡ Π½Π° Π±ΠΎΠ»Π΅Π΅ ΠΏΠΎΠ·Π΄Π½ΠΈΡ ΡΡΠ°Π΄ΠΈΡΡ , ΡΠ΅ΠΌ ΡΡΠ½ΠΊΡΠΈΠΎΠ½ΠΈΡΡΡΡΠΈΠ΅ ΠΈ Ρ Π°ΡΠ°ΠΊΡΠ΅ΡΠΈΠ·ΡΡΡΡΡ ΠΎΡΒΠ½ΠΎΡΠΈΡΠ΅Π»ΡΠ½ΠΎ Π°Π³ΡΠ΅ΡΡΠΈΠ²Π½ΡΠΌ ΡΠ΅ΡΠ΅Π½ΠΈΠ΅ΠΌ [1, 6, 7, 12].
ΠΠΎΠ»Π΅ΠΊΡΠ»ΡΡΠ½Π°Ρ Π³Π΅Π½Π΅ΡΠΈΠΊΠ° ΡΠΏΠΎΡΠ°Π΄ΠΈΡΠ΅ΡΠΊΠΈΡ ΠΈ Π½Π°ΡΠ»Π΅Π΄ΡΡΠ²Π΅Π½Π½ΡΡ Π½Π΅ΠΉΡΠΎΡΠ½Π΄ΠΎΠΊΡΠΈΠ½Π½ΡΡ ΠΎΠΏΡΡ ΠΎΠ»Π΅ΠΉ
ΠΠ°ΡΠΎΠ³Π΅Π½Π΅Π· Π½Π΅ΠΉΡΠΎΡΠ½Π΄ΠΎΠΊΡΠΈΠ½Π½ΡΡ ΠΎΠΏΡΡ ΠΎΠ»Π΅ΠΉ, ΠΊΠ°ΠΊ ΠΈ Π΄ΡΡΠ³ΠΈΡ ΠΊΠ°ΡΡΠΈΠ½ΠΎΠΌ, ΡΠΎΠΏΡΡΠΆΡΠ½ Ρ Π½Π°ΠΊΠΎΠΏΠ»Π΅Π½ΠΈΠ΅ΠΌ ΡΠΎΠΌΠ°ΡΠΈΡΠ΅ΡΠΊΠΈΡ ΠΌΡΡΠ°ΒΡΠΈΠΉ Π² ΠΎΠ½ΠΊΠΎΠ³Π΅Π½Π°Ρ ΠΈ Π°Π½ΡΠΈΠΎΠ½ΠΊΠΎΠ³Π΅Π½Π°Ρ . ΠΠ½ΠΎΠ³ΠΈΠ΅ Ρ Π°ΡΠ°ΠΊΡΠ΅ΡΠ½ΡΠ΅ Π΄Π»Ρ ΠΊΠ°ΡΡΠΈΠ½ΠΎΠΌ Π½Π°ΡΡΡΠ΅Π½ΠΈΡ, Π² ΡΠ°ΡΡΠ½ΠΎΡΡΠΈ Π΄Π΅Π»Π΅ΡΠΈΠΈ ΡΡΠ°ΡΡΠΊΠΎΠ² Ρ ΡΠΎΠΌΠΎΡΠΎΠΌ (Β«ΠΏΠΎΡΠ΅ΡΠΈ Π³Π΅ΡΠ΅ΡΠΎΠ·ΠΈΠ³ΠΎΡΠ½ΠΎΡΡΠΈΒ»), ΠΌΠ΅ΡΠΈΠ»ΠΈΡΠΎΠ²Π°Π½ΠΈΠ΅ ΡΠ΅Π³ΡΠ»ΡΡΠΎΡΠ½ΡΡ ΠΎΠ±Π»Π°ΡΡΠ΅ΠΉ Π³Π΅Π½ΠΎΠΌΠ°, Π°Π½ΠΎΠΌΠ°Π»ΠΈΠΈ ΡΠΊΡΠΏΡΠ΅ΡΡΠΈΠΈ Π³Π΅Π½ΠΎΠ², ΠΎΠ±Π½Π°ΡΡΠΆΠΈΠ²Π°ΡΡΡΡ ΠΈ Π² Π½ΠΎΠ²ΠΎΠΎΠ±ΡΠ°Π·ΠΎΠ²Π°Π½ΠΈΡΡ Π½Π΅ΠΉΡΠΎΡΠ½ΒΠ΄ΠΎΠΊΡΠΈΠ½Π½ΠΎΠ³ΠΎ ΠΏΡΠΎΠΈΡΡ ΠΎΠΆΠ΄Π΅Π½ΠΈΡ, ΠΎΠ΄Π½Π°ΠΊΠΎ, Π² ΠΏΠΎΡΠ»Π΅Π΄Π½Π΅ΠΌ ΡΠ»ΡΡΠ°Π΅ ΠΏΠΎΠ΄Π°Π²Π»ΡΡΡΠ°Ρ ΡΠ°ΡΡΡ ΠΈΠ·Π²Π΅ΡΡΠ½ΡΡ Π½Π° ΡΠ΅Π³ΠΎΠ΄Π½ΡΡΠ½ΠΈΠΉ Π΄Π΅Π½Ρ Π³Π΅ΒΠ½ΠΎΠΌΠ½ΡΡ Π΄Π΅ΡΠ΅ΠΊΡΠΎΠ² Π½Π΅ ΠΏΡΠΎΡΠ²Π»ΡΠ΅Ρ ΠΊΠ°ΠΊΠΎΠΉ-Π»ΠΈΠ±ΠΎ ΡΠΏΠ΅ΡΠΈΡΠΈΡΒΠ½ΠΎΡΡΠΈ [8].
ΠΠ°ΠΈΠ±ΠΎΠ»Π΅Π΅ Π·Π°ΠΌΠ΅ΡΠ½ΡΠΌΠΈ ΡΠ²Π»ΡΡΡΡΡ ΡΡΠΏΠ΅Ρ ΠΈ Π² ΠΎΠ±Π»Π°ΡΡΠΈ ΠΈΠ΄Π΅Π½ΒΡΠΈΡΠΈΠΊΠ°ΡΠΈΠΈ Π³Π΅Π½Π΅ΡΠΈΡΠ΅ΡΠΊΠΈΡ Π΄Π΅ΡΠ΅ΡΠΌΠΈΠ½Π°Π½Ρ ΠΌΠ½ΠΎΠΆΠ΅ΡΡΠ²Π΅Π½Π½ΡΡ ΡΠ½Π΄ΠΎΠΊΡΠΈΠ½Π½ΡΡ Π½Π΅ΠΎΠΏΠ»Π°Π·ΠΈΠΉ Π½Π°ΡΠ»Π΅Π΄ΡΡΠ²Π΅Π½Π½ΠΎΠ³ΠΎ Ρ Π°ΡΠ°ΠΊΡΠ΅ΡΠ°. ΠΡΠΈΠΌΠ΅ΡΠ°ΡΠ΅Π»ΡΠ½ΠΎ, ΡΡΠΎ Π³Π΅Π½Ρ, Π·Π°ΡΠΎΠ΄ΡΡΠ΅Π²ΡΠ΅ ΠΌΡΡΠ°ΡΠΈΠΈ Π² ΠΊΠΎΡΠΎΒΡΡΡ Π±ΡΠ»ΠΈ Π²ΡΡΠ²Π»Π΅Π½Ρ ΠΏΡΠΈ ΠΈΠ·ΡΡΠ΅Π½ΠΈΠΈ ΡΠ΅ΠΌΠ΅ΠΉΠ½ΡΡ ΡΠ°ΠΊΠΎΠ², ΠΈΠ³ΒΡΠ°ΡΡ ΠΊΠ»ΡΡΠ΅Π²ΡΡ ΡΠΎΠ»Ρ ΠΈ Π² ΠΏΠ°ΡΠΎΠ³Π΅Π½Π΅Π·Π΅ ΡΠΏΠΎΡΠ°Π΄ΠΈΡΠ΅ΡΠΊΠΈΡ ΠΎΠΏΡΒΡ ΠΎΠ»Π΅ΠΉ; Π² ΠΏΠΎΡΠ»Π΅Π΄Π½Π΅ΠΌ ΡΠ»ΡΡΠ°Π΅ ΠΌΡΡΠ°ΡΠΈΡ Π½ΠΎΡΠΈΡ Π½Π΅ Π½Π°ΡΠ»Π΅Π΄ΡΡΠ²Π΅Π½ΒΠ½ΡΠΉ, Π° ΡΠΏΠΎΡΠ°Π΄ΠΈΡΠ΅ΡΠΊΠΈΠΉ Ρ Π°ΡΠ°ΠΊΡΠ΅Ρ [8].
ΠΠΎΡΠΈΡΠ΅Π»ΡΡΡΠ²ΠΎ Π³Π΅ΡΠΌΠΈΠ½Π°Π»ΡΠ½ΠΎΠΉ ΠΌΡΡΠ°ΡΠΈΠΈ ΡΠ²Π»ΡΠ΅ΡΡΡ Π΅Π΄ΠΈΠ½ΒΡΡΠ²Π΅Π½Π½ΡΠΌ ΠΈΠ·Π²Π΅ΡΡΠ½ΡΠΌ ΡΠ°ΠΊΡΠΎΡΠΎΠΌ, ΡΠ²Π΅Π»ΠΈΡΠΈΠ²Π°ΡΡΠΈΠΌ ΡΠΈΡΠΊ Π½Π΅ΠΉΡΠΎΡΠ½Π΄ΠΎΠΊΡΠΈΠ½Π½ΠΎΠ³ΠΎ Π½ΠΎΠ²ΠΎΠΎΠ±ΡΠ°Π·ΠΎΠ²Π°Π½ΠΈΡ. ΠΠ½Π΅ΡΠ½ΠΈΠ΅ ΡΠ°ΠΊΒΡΠΎΡΡ, ΡΠ°ΠΊΠΈΠ΅ ΠΊΠ°ΠΊ Π°Π»ΠΊΠΎΠ³ΠΎΠ»Ρ, ΠΊΡΡΠ΅Π½ΠΈΠ΅, ΠΏΡΠΎΠΈΠ·Π²ΠΎΠ΄ΡΡΠ²Π΅Π½Π½ΡΠ΅ Π²ΡΠ΅Π΄Π½ΠΎΡΡΠΈ, Π½Π΅ Π²Π»ΠΈΡΡΡ Π½Π° ΡΠ°Π·Π²ΠΈΡΠΈΠ΅ Π½ΠΎΠ²ΠΎΠΎΠ±ΡΠ°Π·ΠΎΠ²Π°Π½ΠΈΠΉ Π΄Π°Π½Π½ΠΎΠΉ Π³ΡΡΠΏΠΏΡ, Π·Π° ΠΈΡΠΊΠ»ΡΡΠ΅Π½ΠΈΠ΅ΠΌ ΠΌΠ΅Π»ΠΊΠΎΠΊΠ»Π΅ΡΠΎΡΠ½ΠΎΠ³ΠΎ ΡΠ°ΠΊΠ° Π»ΡΠ³ΠΊΠΎΠ³ΠΎ [1].
ΠΠ°ΠΈΠ±ΠΎΠ»ΡΡΡΡ ΠΈΠ·Π²Π΅ΡΡΠ½ΠΎΡΡΡ ΠΏΠΎΠ»ΡΡΠΈΠ»ΠΈ ΠΌΡΡΠ°ΡΠΈΠΈ Π³Π΅Π½Π° MEN-I, Π»Π΅ΠΆΠ°ΡΠΈΠ΅ Π² ΠΎΡΠ½ΠΎΠ²Π΅ ΡΠΈΠ½Π΄ΡΠΎΠΌΠ° ΠΌΠ½ΠΎΠΆΠ΅ΡΡΠ²Π΅Π½Π½ΡΡ ΡΠ½ΒΠ΄ΠΎΠΊΡΠΈΠ½Π½ΡΡ Π½Π΅ΠΎΠΏΠ»Π°Π·ΠΈΠΉ I ΡΠΈΠΏΠ° (MEN-I). ΠΠ°Π½Π½ΡΠΉ ΡΠΈΠ½Π΄ΡΠΎΠΌ Ρ Π°ΡΠ°ΠΊΡΠ΅ΡΠΈΠ·ΡΠ΅ΡΡΡ ΡΠ°Π·Π²ΠΈΡΠΈΠ΅ΠΌ Π°Π΄Π΅Π½ΠΎΠΌ ΡΠΈΡΠΎΠ²ΠΈΠ΄Π½ΠΎΠΉ ΠΆΠ΅Π»Π΅Π·Ρ, Π½Π΅ΠΉΡΠΎΡΠ½Π΄ΠΎΠΊΡΠΈΠ½Π½ΡΡ ΠΊΠ°ΡΡΠΈΠ½ΠΎΠΌ Π³Π°ΡΡΡΠΎΠΏΠ°Π½ΠΊΡΠ΅Π°ΡΠΎΠ΄ΡΠΎΠ΄Π΅Π½Π°Π»ΡΠ½ΠΎΠΉ Π·ΠΎΠ½Ρ, Π° ΡΠ°ΠΊΠΆΠ΅ ΠΎΠΏΡΡ ΠΎΠ»Π΅ΠΉ Π³ΠΈΠΏΠΎΡΠΈΠ·Π°. Π ΡΠ»ΡΡΠ°Π΅ ΠΎΠ±ΒΠ½Π°ΡΡΠΆΠ΅Π½ΠΈΡ ΠΌΡΡΠ°ΡΠΈΠΈ ΠΈΠ½Π΄ΠΈΠ²ΠΈΠ΄ΡΠ°Π»ΡΠ½ΡΠΉ ΡΠΈΡΠΊ ΠΏΠΎΡΠ°ΠΆΠ΅Π½ΠΈΡ ΠΏΠ°ΡΠ°ΡΠΈΡΠΎΠ²ΠΈΠ΄Π½ΡΡ ΠΆΠ΅Π»ΡΠ· ΡΠΎΡΡΠ°Π²Π»ΡΠ΅Ρ ΠΎΠΊΠΎΠ»ΠΎ 90%, Ρ.Π΅. Π² Π΄Π°Π½ΒΠ½ΠΎΠΌ ΡΠ»ΡΡΠ°Π΅ Π½Π°Π±Π»ΡΠ΄Π°Π΅ΡΡΡ ΠΈΡΠΊΠ»ΡΡΠΈΡΠ΅Π»ΡΠ½ΠΎ Π²ΡΡΠΎΠΊΠ°Ρ ΠΏΠ΅Π½Π΅ΡΡΠ°Π½ΡΠ½ΠΎΡΡΡ ΠΌΡΡΠ°Π½ΡΠ½ΠΎΠ³ΠΎ Π³Π΅Π½Π°. Π‘Ρ ΠΎΠ΄Π½Π°Ρ ΠΏΠ΅Π½Π΅ΡΡΠ°Π½ΡΠ½ΠΎΡΡΡ Π½Π°ΒΠ±Π»ΡΠ΄Π°Π΅ΡΡΡ Π΄Π»Ρ ΠΊΠΎΠ»Π»Π°Π³Π΅Π½ΠΎΠΌ ΠΈ Π°Π½Π³ΠΈΠΎΡΠΈΠ±ΡΠΎΠΌ Π»ΠΈΡΠ°. ΠΡΡΠ³ΠΈΠ΅ ΠΎΠΏΡΡ ΠΎΠ»ΠΈ, Π½Π°ΠΏΡΠΈΠΌΠ΅Ρ Π³Π°ΡΡΡΠΈΠ½ΠΎΠΌΡ, ΠΈΠ½ΡΡΠ»ΠΈΠ½ΠΎΠΌΡ, ΠΏΡΠΎΠ»Π°ΠΊΡΠΈΠ½ΠΎΠΌΡ, Π½Π°Π±Π»ΡΠ΄Π°ΡΡΡΡ ΠΌΠ΅Π½Π΅Π΅ ΡΠ΅ΠΌ Ρ ΠΏΠΎΠ»ΠΎΠ²ΠΈΠ½Ρ Π½ΠΎΡΠΈΡΠ΅Π»Π΅ΠΉ Π΄Π΅ΡΠ΅ΠΊΡΠΎΠ² Π³Π΅Π½Π° MEN-I [1].
ΠΠ΅Π½ MEN-I ΠΊΠΎΠ΄ΠΈΡΡΠ΅Ρ Π±Π΅Π»ΠΎΠΊ, ΡΡΠ°ΡΡΠ²ΡΡΡΠΈΠΉ Π² ΡΠ΅Π³ΡΠ»ΡΡΠΈΠΈ ΡΠ΅Π»ΠΎΡΡΠ½ΠΎΡΡΠΈ ΠΊΠ»Π΅ΡΠΎΡΠ½ΠΎΠ³ΠΎ Π³Π΅Π½ΠΎΠΌΠ°. ΠΠΎΠΌΠΈΠΌΠΎ ΡΡΠΎΠ³ΠΎ, ΠΎΠ½ ΠΎΡΡΒΡΠ΅ΡΡΠ²Π»ΡΠ΅Ρ ΠΊΠΎΠΎΡΠ΄ΠΈΠ½Π°ΡΠΈΡ ΡΡΠ°Π½ΡΠΊΡΠΈΠΏΡΠΈΠΈ ΡΡΠ΄Π° Π³Π΅Π½ΠΎΠ². Π‘Π»Π΅ΒΠ΄ΡΠ΅Ρ Π΅ΡΡ ΡΠ°Π· ΠΏΠΎΠ΄ΡΠ΅ΡΠΊΠ½ΡΡΡ, ΡΡΠΎ ΠΌΡΡΠ°ΡΠΈΠΈ Π² Π³Π΅Π½Π΅ MEN-I Π²ΡΒΡΠ²Π»ΡΡΡΡΡ Π½Π΅ ΡΠΎΠ»ΡΠΊΠΎ Π² ΡΠ΅ΠΌΠ΅ΠΉΠ½ΡΡ ΡΠ»ΡΡΠ°ΡΡ Π½Π΅ΠΎΠΏΠ»Π°Π·ΠΈΠΉ, Π½ΠΎ ΠΈ Π² ΠΊΠ°ΡΠ΅ΡΡΠ²Π΅ ΡΠΎΠΌΠ°ΡΠΈΡΠ΅ΡΠΊΠΎΠ³ΠΎ ΡΠΎΠ±ΡΡΠΈΡ Π² ΡΠΏΠΎΡΠ°Π΄ΠΈΡΠ΅ΡΠΊΠΈΡ Π½Π΅ΠΉΒΡΠΎΡΠ½Π΄ΠΎΠΊΡΠΈΠ½Π½ΡΡ ΠΎΠΏΡΡ ΠΎΠ»ΡΡ . ΠΠ΄Π΅Π½ΡΠΈΡΠΈΠΊΠ°ΡΠΈΡ Π½ΠΎΡΠΈΡΠ΅Π»Π΅ΠΉ MEN-I Π½Π΅ΠΎΠ±Ρ ΠΎΠ΄ΠΈΠΌΠ° ΠΈΡΠΊΠ»ΡΡΠΈΡΠ΅Π»ΡΠ½ΠΎ Π΄Π»Ρ ΠΎΡΠ³Π°Π½ΠΈΠ·Π°ΡΠΈΠΈ ΠΌΠ΅Ρ ΠΏΠΎ ΡΠ°Π½Π½Π΅ΠΉ Π΄ΠΈΠ°Π³Π½ΠΎΡΡΠΈΠΊΠ΅ Π½ΠΎΠ²ΠΎΠΎΠ±ΡΠ°Π·ΠΎΠ²Π°Π½ΠΈΠΉ; ΠΏΡΠΎΡΠΈΠ»Π°ΠΊΡΠΈΒΡΠ΅ΡΠΊΠΈΠ΅ ΠΎΠΏΠ΅ΡΠ°ΡΠΈΠΈ ΠΏΡΠΈ ΡΠΈΠ½Π΄ΡΠΎΠΌΠ΅ ΠΌΠ½ΠΎΠΆΠ΅ΡΡΠ²Π΅Π½Π½ΡΡ ΡΠ½Π΄ΠΎΒΠΊΡΠΈΠ½Π½ΡΡ Π½Π΅ΠΎΠΏΠ»Π°Π·ΠΈΠΉ ΠΏΠ΅ΡΠ²ΠΎΠ³ΠΎ ΡΠΈΠΏΠ° Π½Π΅ ΠΏΡΠΎΠ²ΠΎΠ΄ΡΡΡΡ [8].
ΠΡΠΈΡΠΈΠ½ΠΎΠΉ ΡΠΈΠ½Π΄ΡΠΎΠΌΠ° ΠΌΠ½ΠΎΠΆΠ΅ΡΡΠ²Π΅Π½Π½ΡΡ ΡΠ½Π΄ΠΎΠΊΡΠΈΠ½Π½ΡΡ Π½Π΅ΠΎΠΏΠ»Π°Π·ΠΈΠΉ II ΡΠΈΠΏΠ° (MEN-II), ΠΊΠ°ΠΊ ΠΏΡΠ°Π²ΠΈΠ»ΠΎ, ΡΠ²Π»ΡΠ΅ΡΡΡ Π°ΠΊΡΠΈΒΠ²Π°ΡΠΈΡ Π³Π΅Π½Π° RET. ΠΠ΅ΠΎΠ±Ρ ΠΎΠ΄ΠΈΠΌΠΎ Π·Π°ΠΎΡΡΡΠΈΡΡ Π²Π½ΠΈΠΌΠ°Π½ΠΈΠ΅ Π½Π° Π½Π΅ΠΎΒΠ±ΡΡΠ½ΠΎΡΡΠΈ ΠΏΠΎΠ΄ΠΎΠ±Π½ΠΎΠΉ ΡΠΈΡΡΠ°ΡΠΈΠΈ: ΠΊΠ°ΠΊ ΠΏΡΠ°Π²ΠΈΠ»ΠΎ, Π² ΠΎΡΠ½ΠΎΠ²Π΅ ΠΏΠ°ΒΡΠΎΠ³Π΅Π½Π΅Π·Π° Π½Π°ΡΠ»Π΅Π΄ΡΡΠ²Π΅Π½Π½ΡΡ ΠΎΠΏΡΡ ΠΎΠ»Π΅Π²ΡΡ ΡΠΈΠ½Π΄ΡΠΎΠΌΠΎΠ² Π»Π΅ΠΆΠΈΡ Π½Π΅ ΡΡΠΈΠΌΡΠ»ΡΡΠΈΡ ΡΡΠ½ΠΊΡΠΈΠΈ ΠΎΠ½ΠΊΠΎΠ³Π΅Π½Π°, ΠΊΠ°ΠΊ Π² Π΄Π°Π½Π½ΠΎΠΌ ΡΠ»ΡΡΠ°Π΅, Π° ΠΈΠ½Π°ΠΊΡΠΈΠ²ΠΈΡΡΡΡΠ΅Π΅ ΡΠΎΠ±ΡΡΠΈΠ΅, ΠΌΠΈΡΠ΅Π½ΡΡ ΠΊΠΎΡΠΎΡΠΎΠ³ΠΎ ΡΠ²Π»ΡΠ΅ΡΡΡ Π³Π΅Π½-ΡΡΠΏΡΠ΅ΡΡΠΎΡ. ΠΠ°ΠΈΠ±ΠΎΠ»Π΅Π΅ Ρ Π°ΡΠ°ΠΊΡΠ΅ΡΠ½Π°Ρ ΡΠ΅ΡΡΠ° ΡΠΈΠ½Π΄ΡΠΎΠΌΠ° MEN-II — ΡΠ°ΡΡΠ°Ρ Π²ΡΡΡΠ΅ΡΠ°Π΅ΠΌΠΎΡΡΡ ΠΌΠ΅Π΄ΡΠ»Π»ΡΡΠ½ΡΡ ΠΊΠ°ΡΡΠΈΠ½ΠΎΠΌ ΡΠΈΡΠΎΠ²ΠΈΠ΄Π½ΠΎΠΉ ΠΆΠ΅Π»Π΅Π·Ρ. Π’Π°ΠΊ ΠΊΠ°ΠΊ ΠΏΠ΅Π½Π΅ΡΡΠ°Π½ΡΠ½ΠΎΡΡΡ ΠΌΡΡΠ°ΡΠΈΠΉ RET ΠΏΠΎ ΠΎΡΠ½ΠΎΡΠ΅Π½ΠΈΡ ΠΊ ΡΠΈΡΠΎΠ²ΠΈΠ΄Π½ΠΎΠΉ ΠΆΠ΅Π»Π΅Π·Π΅ Π΄ΠΎΡΡΠΈΠ³Π°Π΅Ρ ΠΏΠΎΡΡΠΈ 100%, Ρ Π½ΠΎΡΠΈΡΠ΅Π»Π΅ΠΉ Π΄Π΅ΡΠ΅ΠΊΡΠ½ΠΎΠ³ΠΎ Π²Π°ΡΠΈΠ°Π½ΡΠ° ΡΡΠΎΠ³ΠΎ Π³Π΅Π½Π° ΠΏΡΠ°ΠΊΒΡΠΈΠΊΡΠ΅ΡΡΡ ΠΏΡΠΎΡΠΈΠ»Π°ΠΊΡΠΈΡΠ΅ΡΠΊΠ°Ρ ΡΠΈΡΠ΅ΠΎΠΈΠ΄ΡΠΊΡΠΎΠΌΠΈΡ Π² ΡΠ°Π½Π½Π΅ΠΌ Π΄Π΅ΡΡΠΊΠΎΠΌ Π²ΠΎΠ·ΡΠ°ΡΡΠ΅. ΠΡΡΠ³ΠΎΠΉ Ρ Π°ΡΠ°ΠΊΡΠ΅ΡΠ½ΠΎΠΉ ΠΎΠΏΡΡ ΠΎΠ»ΡΡ Π΄Π»Ρ RET ΡΠ²Π»ΡΠ΅ΡΡΡ ΡΠ΅ΠΎΡ ΡΠΎΠΌΠΎΡΠΈΡΠΎΠΌΠ° [3]. ΠΠΎΠΌΠΈΠΌΠΎ Π³Π΅Π½Π° RET, ΡΠΈΠ½Π΄ΒΡΠΎΠΌ ΠΌΠ½ΠΎΠΆΠ΅ΡΡΠ²Π΅Π½Π½ΡΡ ΡΠ½Π΄ΠΎΠΊΡΠΈΠ½Π½ΡΡ Π½Π΅ΠΎΠΏΠ»Π°Π·ΠΈΠΉ II ΡΠΈΠΏΠ° ΠΌΠΎΠΆΠ΅Ρ ΠΈΠ½ΠΈΡΠΈΠΈΡΠΎΠ²Π°ΡΡΡΡ ΠΌΡΡΠ°ΡΠΈΡΠΌΠΈ Π² Π³Π΅Π½Π°Ρ VHL, SDHD ΠΈ SDHB [1].
ΠΠ΅Π»ΠΊΠΎΠΊΠ»Π΅ΡΠΎΡΠ½ΡΠΉ ΡΠ°ΠΊ Π»ΡΠ³ΠΊΠΎΠ³ΠΎ
ΠΠ΅Π»ΠΊΠΎΠΊΠ»Π΅ΡΠΎΡΠ½ΡΠΉ ΡΠ°ΠΊ Π»ΡΠ³ΠΊΠΎΠ³ΠΎ — Π½Π°ΠΈΠ±ΠΎΠ»Π΅Π΅ Π°Π³ΡΠ΅ΡΡΠΈΠ²Π½Π°Ρ ΡΠΎΡΠΌΠ° Π±ΡΠΎΠ½Ρ ΠΎΠ»Π΅Π³ΠΎΡΠ½ΡΡ ΠΊΠ°ΡΡΠΈΠ½ΠΎΠΌ, ΡΠΎΡΡΠ°Π²Π»ΡΡΡΠ°Ρ ΠΏΡΠΈΒΠΌΠ΅ΡΠ½ΠΎ 20% ΠΎΡ ΠΎΠ½ΠΊΠΎΠ»ΠΎΠ³ΠΈΡΠ΅ΡΠΊΠΈΡ Π·Π°Π±ΠΎΠ»Π΅Π²Π°Π½ΠΈΠΉ ΡΡΠΎΠ³ΠΎ ΠΎΡΠ³Π°ΒΠ½Π°. ΠΠΠ Π Ρ Π°ΡΠ°ΠΊΡΠ΅ΡΠΈΠ·ΡΠ΅ΡΡΡ ΠΈΡΠΊΠ»ΡΡΠΈΡΠ΅Π»ΡΠ½ΠΎ Π·Π»ΠΎΠΊΠ°ΡΠ΅ΡΡΠ²Π΅Π½ΒΠ½ΡΠΌ ΡΠ΅ΡΠ΅Π½ΠΈΠ΅ΠΌ. ΠΠ΅Π½Π΅Π΅ 5% ΠΏΠ°ΡΠΈΠ΅Π½ΡΠΎΠ² Ρ ΠΠΠ Π Π΄ΠΈΠ°Π³Π½ΠΎΡΡΠΈΒΡΡΡΡΡΡ Π½Π° Π΅ΡΡ ΠΎΠΏΠ΅ΡΠ°Π±Π΅Π»ΡΠ½ΠΎΠΉ ΡΡΠ°Π΄ΠΈΠΈ Π·Π°Π±ΠΎΠ»Π΅Π²Π°Π½ΠΈΡ. ΠΠ΅Π»ΒΠΊΠΎΠΊΠ»Π΅ΡΠΎΡΠ½ΡΠΉ ΡΠ°ΠΊ Π»ΡΠ³ΠΊΠΎΠ³ΠΎ Ρ Π°ΡΠ°ΠΊΡΠ΅ΡΠΈΠ·ΡΠ΅ΡΡΡ ΠΎΡΠ½ΠΎΡΠΈΡΠ΅Π»ΡΒΠ½ΠΎΠΉ Ρ ΠΈΠΌΠΈΠΎΡΡΠ²ΡΡΠ²ΠΈΡΠ΅Π»ΡΠ½ΠΎΡΡΡΡ, ΠΎΠ΄Π½Π°ΠΊΠΎ, Π²ΡΠΊΠΎΡΠ΅ ΠΏΠΎΡΠ»Π΅ ΠΎΡΒΠ²Π΅ΡΠ° Π½Π° Π½Π°Π·Π½Π°ΡΠ΅Π½ΠΈΠ΅ ΡΠΈΡΠΎΡΡΠ°ΡΠΈΠΊΠΎΠ² ΠΎΠ±ΡΡΠ½ΠΎ ΡΠ°Π·Π²ΠΈΠ²Π°Π΅ΡΡΡ ΡΠ°ΡΠ°Π»ΡΠ½ΡΠΉ ΡΠ΅ΡΠΈΠ΄ΠΈΠ² [14].
ΠΠ΅Π»ΠΊΠΎΠΊΠ»Π΅ΡΠΎΡΠ½ΡΠΉ ΡΠ°ΠΊ Π»ΡΠ³ΠΊΠΎΠ³ΠΎ Π·Π°ΡΠ°ΡΡΡΡ ΠΏΡΠΎΡΠΈΠ²ΠΎΠΏΠΎΡΡΠ°Π²ΒΠ»ΡΠ»ΡΡ Π½Π΅ΠΌΠ΅Π»ΠΊΠΎΠΊΠ»Π΅ΡΠΎΡΠ½ΡΠΌ Π³ΠΈΡΡΠΎΠ»ΠΎΠ³ΠΈΡΠ΅ΡΠΊΠΈΠΌ ΡΠΈΠΏΠ°ΠΌ ΡΡΠΎΠ³ΠΎ Π·Π°Π±ΠΎΠ»Π΅Π²Π°Π½ΠΈΡ. ΠΠΎΠΌΠΈΠΌΠΎ Π°Π³ΡΠ΅ΡΡΠΈΠ²Π½ΠΎΠ³ΠΎ ΡΠ΅ΡΠ΅Π½ΠΈΡ ΠΈ Ρ ΠΈΠΌΠΈΠΎΡΡΠ²ΒΡΡΠ²ΠΈΡΠ΅Π»ΡΠ½ΠΎΡΡΠΈ, Π΄Π»Ρ ΠΠΠ Π Ρ Π°ΡΠ°ΠΊΡΠ΅ΡΠ½Ρ ΠΌΠ½ΠΎΠ³ΠΈΠ΅ ΡΠ΅ΡΡΡ Π½Π΅ΠΉΒΡΠΎΡΠ½Π΄ΠΎΠΊΡΠΈΠ½Π½ΡΡ ΠΎΠΏΡΡ ΠΎΠ»Π΅ΠΉ, Π² ΡΠ°ΡΡΠ½ΠΎΡΡΠΈ ΡΠ²ΠΎΠ΅ΠΎΠ±ΡΠ°Π·Π½Π°Ρ ΡΠΎΡΠΌΠ° ΠΊΠ»Π΅ΡΠΎΠΊ, Π½Π°ΠΏΠΎΠΌΠΈΠ½Π°ΡΡΠ°Ρ ΡΠ»Π΅ΠΌΠ΅Π½ΡΡ APUD-ΡΠΈΡΡΠ΅ΠΌΡ, Π° ΡΠ°ΠΊΠΆΠ΅ ΡΠΏΠΎΡΠΎΠ±Π½ΠΎΡΡΡ ΡΠ΅ΠΊΡΠ΅ΡΠΈΡΠΎΠ²Π°ΡΡ Π½Π΅ΠΊΠΎΡΠΎΡΡΠ΅ Π±ΠΈΠΎΠ»ΠΎΠ³ΠΈΒΡΠ΅ΡΠΊΠΈ Π°ΠΊΡΠΈΠ²Π½ΡΠ΅ Π²Π΅ΡΠ΅ΡΡΠ²Π°. Π ΠΏΠΎΡΠ»Π΅Π΄Π½Π΅Π΅ Π²ΡΠ΅ΠΌΡ Π³ΠΈΠΏΠΎΡΠ΅Π·Π° ΠΎ Π½Π΅ΠΉΡΠΎΡΠ½Π΄ΠΎΠΊΡΠΈΠ½Π½ΠΎΠΌ ΠΏΡΠΎΠΈΡΡ ΠΎΠΆΠ΄Π΅Π½ΠΈΠΈ ΠΠΠ Π ΡΡΡΠ°ΡΠΈΠ»Π° ΡΠ²ΠΎΡ ΠΏΠΎΠΏΡΠ»ΡΡΠ½ΠΎΡΡΡ. ΠΠ½ΠΎΠ³ΠΈΠ΅ ΡΠΏΠ΅ΡΠΈΠ°Π»ΠΈΡΡΡ ΡΡΠΈΡΠ°ΡΡ, ΡΡΠΎ Π½Π΅ΠΉΡΠΎΒΡΠ½Π΄ΠΎΠΊΡΠΈΠ½Π½ΡΠ΅ ΡΠ΅ΡΡΡ ΠΠΠ Π ΡΠ²Π»ΡΡΡΡΡ Π½Π΅ ΡΠΎΡ ΡΠ°Π½ΡΠ½Π½ΡΠΌΠΈ ΠΏΡΠΈΠ·Π½Π°ΠΊΠ°ΠΌΠΈ ΠΈΡΡ ΠΎΠ΄Π½ΡΡ Π½ΠΎΡΠΌΠ°Π»ΡΠ½ΡΡ ΠΊΠ»Π΅ΡΠΎΠΊ, Π°, Π½Π°ΠΏΡΠΎΡΠΈΠ², ΠΏΡΠ΅Π΄ΡΡΠ°Π²Π»ΡΡΡ ΠΈΠ· ΡΠ΅Π±Ρ ΠΎΡΠΎΠ±Π΅Π½Π½ΠΎΡΡΠΈ, ΠΏΡΠΈΠΎΠ±ΡΠ΅ΡΡΠ½Π½ΡΠ΅ Π² Ρ ΠΎΠ΄Π΅ ΠΎΠΏΡΡ ΠΎΠ»Π΅Π²ΠΎΠΉ ΠΏΡΠΎΠ³ΡΠ΅ΡΡΠΈΠΈ. ΠΠ΅ΡΡΠΌΠ° Π²Π΅ΡΠΎΡΡΠ½ΠΎ, ΡΡΠΎ Π² ΠΎΡΒΠ½ΠΎΠ²Π΅ Π²ΡΠ΅Ρ Π³ΠΈΡΡΠΎΠ»ΠΎΠ³ΠΈΡΠ΅ΡΠΊΠΈΡ ΡΠΈΠΏΠΎΠ² ΡΠ°ΠΊΠ° Π»ΡΠ³ΠΊΠΎΠ³ΠΎ (Π Π) Π»Π΅ΒΠΆΠΈΡ Π΅Π΄ΠΈΠ½ΡΠΉ ΠΏΡΠ΅Π΄ΡΠ΅ΡΡΠ²Π΅Π½Π½ΠΈΠΊ, ΡΠ°ΠΊ Π½Π°Π·ΡΠ²Π°Π΅ΠΌΠ°Ρ ΠΏΠ»ΡΡΠΈΠΏΠΎΡΠ΅Π½ΡΠ½Π°Ρ ΡΡΠ²ΠΎΠ»ΠΎΠ²Π°Ρ ΠΊΠ»Π΅ΡΠΊΠ° ΡΠΏΠΈΡΠ΅Π»ΠΈΡ Π΄ΡΡ Π°ΡΠ΅Π»ΡΠ½ΡΡ ΠΏΡΡΠ΅ΠΉ. ΠΠΎΠ΄ΠΎΠ±Π½Π°Ρ Π³ΠΈΠΏΠΎΡΠ΅Π·Π° Π²ΡΠ·ΡΠ²Π°ΡΡ ΡΠΈΠΌΠΏΠ°ΡΠΈΡ ΠΌΠ½ΠΎΠ³ΠΈΡ ΡΠΏΠ΅ΡΠΈΠ°ΒΠ»ΠΈΡΡΠΎΠ², ΡΠ°ΠΊ ΠΊΠ°ΠΊ Π΄Π΅ΠΉΡΡΠ²ΠΈΡΠ΅Π»ΡΠ½ΠΎ, ΠΌΠ΅Π»ΠΊΠΎΠΊΠ»Π΅ΡΠΎΡΠ½ΡΠ΅ ΠΈ Π½Π΅ΠΌΠ΅Π»ΒΠΊΠΎΠΊΠ»Π΅ΡΠΎΡΠ½ΡΠ΅ ΡΠΎΡΠΌΡ Π»ΡΠ³ΠΎΡΠ½ΡΡ ΠΊΠ°ΡΡΠΈΠ½ΠΎΠΌ Π΄Π΅ΠΌΠΎΠ½ΡΡΡΠΈΡΡΒΡΡ Π½Π°ΠΌΠ½ΠΎΠ³ΠΎ Π±ΠΎΠ»ΡΡΠ΅ ΡΡ ΠΎΠ΄ΡΡΠ²Π°, ΡΠ΅ΠΌ ΡΠ°Π·Π»ΠΈΡΠΈΠΉ [4, 5, 10].
Π ΡΠ°ΡΡΠ½ΠΎΡΡΠΈ, ΡΠΏΠΈΠ΄Π΅ΠΌΠΈΠΎΠ»ΠΎΠ³ΠΈΡ ΠΠΠ Π Π½Π΅ ΠΎΡΠ»ΠΈΡΠ°Π΅ΡΡΡ ΠΎΡ ΡΠ°ΠΊΠΎΠ²ΠΎΠΉ ΠΏΡΠΈ Π΄ΡΡΠ³ΠΈΡ Π³ΠΈΡΡΠΎΠ»ΠΎΠ³ΠΈΡΠ΅ΡΠΊΠΈΡ ΡΠ°Π·Π½ΠΎΠ²ΠΈΠ΄Π½ΠΎΡΡΡΡ Π Π (ΡΠΈΡ. 1). ΠΡΠ½ΠΎΠ²Π½ΡΠΌ ΡΡΠΈΠΎΠ»ΠΎΠ³ΠΈΡΠ΅ΡΠΊΠΈΠΌ ΡΠ°ΠΊΡΠΎΡΠΎΠΌ Π·Π°Π±ΠΎΠ»Π΅Π²Π°ΒΠ½ΠΈΡ ΡΠ²Π»ΡΠ΅ΡΡΡ ΠΊΡΡΠ΅Π½ΠΈΠ΅. ΠΠΎ-Π²ΠΈΠ΄ΠΈΠΌΠΎΠΌΡ, ΡΡΡΠ΅ΡΡΠ²Π΅Π½Π½ΡΠΉ Π²ΠΊΠ»Π°Π΄ Π² ΡΠΎΡΠΌΠΈΡΠΎΠ²Π°Π½ΠΈΠ΅ ΠΎΠ½ΠΊΠΎΠ»ΠΎΠ³ΠΈΡΠ΅ΡΠΊΠΎΠ³ΠΎ ΡΠΈΡΠΊΠ° Π²Π½ΠΎΡΠΈΡ ΡΠ°ΠΊΠΆΠ΅ Π½Π°ΡΠ»Π΅Π΄ΡΡΠ²Π΅Π½Π½ΠΎΡΡΡ [4].
ΠΠ»Ρ ΠΎΠΏΡΡ ΠΎΠ»Π΅ΠΉ Π»ΡΠ³ΠΊΠΎΠ³ΠΎ Ρ Π°ΡΠ°ΠΊΡΠ΅ΡΠ½Π° Π°ΡΡΠΎΠΊΡΠΈΠ½Π½Π°Ρ Π°ΠΊΡΠΈΒΠ²Π°ΡΠΈΡ ΠΌΠ½ΠΎΠΆΠ΅ΡΡΠ²Π΅Π½Π½ΡΡ ΡΠΈΠ³Π½Π°Π»ΡΠ½ΡΡ ΠΊΠ°ΡΠΊΠ°Π΄ΠΎΠ² (ΡΠΈΡ. 2). Π ΡΠ°ΡΡΠ½ΠΎΡΡΠΈ, Π² Π±ΠΎΠ»ΡΡΠΈΠ½ΡΡΠ²Π΅ Π Π Π½Π°Π±Π»ΡΠ΄Π°Π΅ΡΡΡ ΠΈΠ·Π±ΡΡΠΎΡΠ½ΠΎΡΡΡ ΡΠΈΠ³Π½Π°Π»ΠΎΠ², ΠΏΠΎΡΡΠ»Π°Π΅ΠΌΡΡ ΡΠ΅ΡΠ΅ΠΏΡΠΎΡΠ½ΡΠΌΠΈ ΡΠΈΡΠΎΠ·ΠΈΠ½ΠΊΠΈΠ½Π°Π·Π°ΠΌΠΈ. ΠΠ°ΠΏΡΠΈΠΌΠ΅Ρ, Π²ΠΎ ΠΌΠ½ΠΎΠ³ΠΈΡ ΠΠΠ Π ΠΎΡΠΌΠ΅ΡΠ°Π΅ΡΡΡ ΠΏΠΎΠ²ΡΡΠ΅Π½ΠΈΠ΅ ΡΠΊΡΒΠΏΡΠ΅ΡΡΠΈΠΈ ΠΎΠ½ΠΊΠΎΠ³Π΅Π½Π° KIT. ΠΡΠΈ ΡΡΠΎΠΌ KIT ΡΠΎΡ ΡΠ°Π½ΡΠ΅Ρ ΠΈΠ½ΡΠ°ΠΊΡΠ½ΡΡ ΡΡΡΡΠΊΡΡΡΡ Π±Π΅Π»ΠΊΠ°, ΡΡΠΎ ΠΎΠ±ΡΡΡΠ½ΡΠ΅Ρ Π½Π΅ΡΠ΄Π°ΡΠΈ ΠΏΠΎΠΏΡΡΠΎΠΊ Π»Π΅ΡΠ΅Π½ΠΈΡ ΠΠΠ Π ΠΏΡΠΈ ΠΏΠΎΠΌΠΎΡΠΈ ΠΏΡΠ΅ΠΏΠ°ΡΠ°ΡΠ° Π³Π»ΠΈΠ²Π΅ΠΊ. ΠΡΡΠ³ΠΎΠΉ Ρ Π°ΡΠ°ΠΊΡΠ΅ΡΠ½ΠΎΠΉ ΠΎΡΠΎΠ±Π΅Π½Π½ΠΎΡΡΡΡ ΠΠΠ Π ΡΠ²Π»ΡΠ΅ΡΡΡ Π°ΡΡΠΎΠ°ΠΊΡΠΈΠ²Π°ΒΡΠΈΡ ΡΠ΅ΡΠ΅ΠΏΡΠΎΡΠΎΠ², Π°ΡΡΠΎΡΠΈΠΈΡΠΎΠ²Π°Π½Π½ΡΡ Ρ G-Π±Π΅Π»ΠΊΠ°ΠΌΠΈ. ΠΠ°Π½Π½ΡΠ΅ ΡΠ΅ΡΠ΅ΠΏΡΠΎΡΡ ΠΈΠΌΠ΅ΡΡ Π²Π΅ΡΡΠΌΠ° Π½Π΅ΠΎΠ±ΡΡΠ½ΡΡ ΡΡΡΡΠΊΡΡΡΡ: ΠΎΠ½ΠΈ ΠΏΠ΅ΒΡΠ΅ΡΠ΅ΠΊΠ°ΡΡ ΠΊΠ»Π΅ΡΠΎΡΠ½ΡΡ ΠΌΠ΅ΠΌΠ±ΡΠ°Π½Ρ 7 ΡΠ°Π· Π·Π° ΡΡΡΡ Π½Π°Π»ΠΈΡΠΈΡ ΡΠ΅ΠΌΠΈ ΡΡΠ°Π½ΡΠΌΠ΅ΠΌΠ±ΡΠ°Π½Π½ΡΡ Π΄ΠΎΠΌΠ΅Π½ΠΎΠ². ΠΡ ΠΌΠ΅ΠΌΠ±ΡΠ°Π½Π½ΡΡ ΡΠ΅ΡΠ΅ΠΏΡΠΎΡΠΎΠ² ΡΠΈΠ³Π½Π°Π» ΠΏΠ΅ΡΠ΅Π΄Π°ΡΡΡΡ ΠΏΠΎ ΡΠ°ΠΊ Π½Π°Π·ΡΠ²Π°Π΅ΠΌΠΎΠΌΡ RAS/RAF/mEk/ MAPK-ΠΊΠ°ΡΠΊΠ°Π΄Ρ. ΠΡΠΈΠΌΠ΅ΡΠ°ΡΠ΅Π»ΡΠ½ΠΎ, ΡΡΠΎ Π°ΠΊΡΠΈΠ²Π°ΡΠΈΡ ΡΠΏΠΎΠΌΡΠ½ΡΒΡΠΎΠ³ΠΎ ΠΊΠ°ΡΠΊΠ°Π΄Π° ΠΌΠΎΠΆΠ΅Ρ ΠΏΡΠΎΠΈΡΡ ΠΎΠ΄ΠΈΡΡ ΠΈ Π±Π΅Π· Π²ΠΎΠ²Π»Π΅ΡΠ΅Π½ΠΈΡ ΡΠ΅ΒΡΠ΅ΠΏΡΠΎΡΠΎΠ², Π½Π°ΠΏΡΠΈΠΌΠ΅Ρ Π²ΡΠ»Π΅Π΄ΡΡΠ²ΠΈΠ΅ ΠΌΡΡΠ°ΡΠΈΠΈ Π² Π³Π΅Π½Π°Ρ ΡΠ΅ΠΌΠ΅ΠΉΒΡΡΠ²Π° rAs. Π ΡΠ»ΡΡΠ°Π΅ ΠΌΡΡΠ°ΡΠΈΠΈ, Π±Π΅Π»ΠΊΠΈ RAS ΡΠ΅ΡΡΡΡ ΡΠΏΠΎΡΠΎΠ±Π½ΠΎΡΡΡ Π³ΠΈΠ΄ΡΠΎΠ»ΠΈΠ·ΠΎΠ²Π°ΡΡ ΡΠ²ΡΠ·Π°Π½Π½ΡΠΉ Ρ Π½ΠΈΠΌΠΈ ΠΠ’Π€ Π² ΠΠΠ€, ΡΡΠΎ ΡΠΎΠΏΡΠΎΒΠ²ΠΎΠΆΠ΄Π°Π΅ΡΡΡ ΡΡΡΠ°ΡΠΎΠΉ ΠΌΠ΅Ρ Π°Π½ΠΈΠ·ΠΌΠ° Π½Π΅Π³Π°ΡΠΈΠ²Π½ΠΎΠΉ Π°ΡΡΠΎΡΠ΅Π³ΡΠ»ΡΡΠΈΠΈ. ΠΡΠ°ΠΊΡΠΈΡΠ΅ΡΠΊΠΈ Π²ΠΎ Π²ΡΠ΅Ρ Π Π Π½Π°Π±Π»ΡΠ΄Π°Π΅ΡΡΡ ΠΈΠ½Π°ΠΊΡΠΈΠ²Π°ΡΠΈΡ ΡΡΠΏΒΡΠ΅ΡΡΠΎΡΠ½ΡΡ Π±ΠΈΠΎΡ ΠΈΠΌΠΈΡΠ΅ΡΠΊΠΈΡ ΠΊΠ°ΡΠΊΠ°Π΄ΠΎΠ². Π ΡΠ°ΡΡΠ½ΠΎΡΡΠΈ, Π½Π°ΡΡΒΡΠ΅Π½ΠΈΡ Π² ΡΠ°Π±ΠΎΡΠ΅ ΡΠΈΠ³Π½Π°Π»ΡΠ½ΡΡ ΠΏΡΡΠ΅ΠΉ, Π°ΡΡΠΎΡΠΈΠΈΡΠΎΠ²Π°Π½Π½ΡΡ Ρ Π±Π΅Π»ΠΊΠ°ΠΌΠΈ RB1 ΠΈ Ρ53, ΠΏΡΠΈΠ²ΠΎΠ΄ΡΡ ΠΊ Π±Π΅Π·ΠΎΡΡΠ°Π½ΠΎΠ²ΠΎΡΠ½ΠΎΠΌΡ Π΄Π΅Π»Π΅ΒΠ½ΠΈΡ ΠΊΠ»Π΅ΡΠΊΠΈ Π²ΡΠ»Π΅Π΄ΡΡΠ²ΠΈΠ΅ ΠΏΠΎΡΠ΅ΡΠΈ ΠΊΠΎΠ½ΡΡΠΎΠ»Ρ Π½Π°Π΄ ΠΊΠ»Π΅ΡΠΎΡΠ½ΡΠΌ ΡΠΈΠΊΠ»ΠΎΠΌ. Π ΠΠΠ Π ΠΈΠ½Π°ΠΊΡΠΈΠ²Π°ΡΠΈΡ RB1 ΡΠ°ΡΡΠΎ ΠΎΡΡΡΠ΅ΡΡΠ²Π»ΡΠ΅ΡΡΡ Π½Π΅ΠΏΠΎΡΡΠ΅Π΄ΡΡΠ²Π΅Π½Π½ΠΎ Π·Π° ΡΡΡΡ Π΄Π΅Π»Π΅ΡΠΈΠΈ Π³Π΅Π½Π°, ΡΡΠΎ ΠΎΡΠ»ΠΈΡΠ°Π΅Ρ ΠΌΠ΅Π»ΒΠΊΠΎΠΊΠ»Π΅ΡΠΎΡΠ½ΡΠ΅ ΡΠ°ΠΊΠΈ ΠΎΡ Π½Π΅ΠΌΠ΅Π»ΠΊΠΎΠΊΠ»Π΅ΡΠΎΡΠ½ΡΡ ; Π² ΠΏΠΎΡΠ»Π΅Π΄Π½ΠΈΡ ΡΡΡΠ°ΡΠ° ΡΡΠ½ΠΊΡΠΈΠΈ RB1-ΠΊΠ°ΡΠΊΠ°Π΄Π° Π΄ΠΎΡΡΠΈΠ³Π°Π΅ΡΡΡ Π·Π° ΡΡΡΡ ΠΌΡΡΠ°ΡΠΈΒΠΎΠ½Π½ΡΡ ΡΠΎΠ±ΡΡΠΈΠΉ Π² Π±Π΅Π»ΠΊΠ°Ρ -ΡΠ΅Π³ΡΠ»ΡΡΠΎΡΠ°Ρ ΡΠ΅ΡΠΈΠ½ΠΎΠ±Π»Π°ΡΡΠΎΠΌΠ½ΠΎΠ³ΠΎ ΠΏΡΠΎΡΠ΅ΠΈΠ½Π° [4, 9, 13].
ΠΠ»Ρ ΠΌΠ΅Π»ΠΊΠΎΠΊΠ»Π΅ΡΠΎΡΠ½ΡΡ ΠΎΠΏΡΡ ΠΎΠ»Π΅ΠΉ Π»ΡΠ³ΠΊΠΎΠ³ΠΎ Π²Π΅ΡΡΠΌΠ° Ρ Π°ΡΠ°ΠΊΒΡΠ΅ΡΠ½Π° Π°ΠΌΠΏΠ»ΠΈΡΠΈΠΊΠ°ΡΠΈΡ ΠΎΠ½ΠΊΠΎΠ³Π΅Π½ΠΎΠ² ΡΠ΅ΠΌΠ΅ΠΉΡΡΠ²Π° MYC, ΡΡΠΎ ΡΠΎΒΠΏΡΠΎΠ²ΠΎΠΆΠ΄Π°Π΅ΡΡΡ ΡΠ΅Π»ΡΠΌ ΡΠΏΠ΅ΠΊΡΡΠΎΠΌ Π±ΠΈΠΎΠ»ΠΎΠ³ΠΈΡΠ΅ΡΠΊΠΈΡ ΡΡΡΠ΅ΠΊΡΠΎΠ².

Π ΠΈΡ. 1. ΠΡΠΈΠΎΠ»ΠΎΠ³ΠΈΡ ΠΎΠΏΡΡ ΠΎΠ»Π΅ΠΉ Π»ΡΠ³ΠΊΠΎΠ³ΠΎ. ΠΠ΄Π°ΠΏΡΠΈΡΠΎΠ²Π°Π½ΠΎ ΠΈΠ· [4].

Π ΠΈΡ. 2. Π‘ΠΈΠ³Π½Π°Π»ΡΠ½ΡΠ΅ ΠΊΠ°ΡΠΊΠ°Π΄Ρ Π² ΠΎΠΏΡΡ
ΠΎΠ»ΡΡ
Π»ΡΠ³ΠΊΠΎΠ³ΠΎ. ΠΠ΄Π°ΠΏΡΠΈΡΠΎΠ²Π°Π½ΠΎ ΠΈΠ· [4].
ΠΠΠ Π Π°ΠΊΡΠΈΠ²Π½ΠΎ ΠΏΡΠΎΠ΄ΡΡΠΈΡΡΠ΅Ρ ΡΠ°ΠΊΡΠΎΡΡ Π°Π½Π³ΠΈΠΎΠ³Π΅Π½Π΅Π·Π°, ΡΡΠΎ ΠΎΡΠΊΡΡΠ²Π°Π΅Ρ ΠΌΠ½ΠΎΠ³ΠΎΠΎΠ±Π΅ΡΠ°ΡΡΠΈΠ΅ ΠΏΠ΅ΡΡΠΏΠ΅ΠΊΡΠΈΠ²Ρ Π΄Π»Ρ ΡΠΏΠ΅ΡΠΈΡΠΈΒΡΠ΅ΡΠΊΠΎΠΉ Π°Π½ΡΠΈΠ°Π½Π³ΠΈΠΎΠ³Π΅Π½Π½ΠΎΠΉ ΡΠ΅ΡΠ°ΠΏΠΈΠΈ. Π Π±ΠΎΠ»ΡΡΠΈΠ½ΡΡΠ²Π΅ ΠΠΠ Π Π½Π°Π±Π»ΡΠ΄Π°Π΅ΡΡΡ Π°ΠΊΡΠΈΠ²Π°ΡΠΈΡ ΠΎΠ½ΠΊΠΎΠ³Π΅Π½Π° BCL-2, Ρ ΠΊΠΎΡΠΎΡΠΎΠΉ ΡΠ²ΡΒΠ·ΡΠ²Π°ΡΡ ΡΠ³Π½Π΅ΡΠ΅Π½ΠΈΠ΅ ΠΏΡΠΎΡΠ΅ΡΡΠΎΠ² Π°ΠΏΠΎΠΏΡΠΎΠ·Π° Π² ΡΡΠ°Π½ΡΡΠΎΡΠΌΠΈΡΠΎΒΠ²Π°Π½Π½ΡΡ ΠΊΠ»Π΅ΡΠΊΠ°Ρ . ΠΡΠ°ΠΊΡΠΈΡΠ΅ΡΠΊΠΈ Π²ΠΎ Π²ΡΠ΅Ρ ΠΌΠ΅Π»ΠΊΠΎΠΊΠ»Π΅ΡΠΎΡΠ½ΡΡ ΡΠ°ΠΊΠ°Ρ Π»ΡΠ³ΠΊΠΎΠ³ΠΎ Π½Π°Π±Π»ΡΠ΄Π°Π΅ΡΡΡ Π΄Π΅Π»Π΅ΡΠΈΡ ΠΊΠΎΡΠΎΡΠΊΠΎΠ³ΠΎ ΠΏΠ»Π΅ΡΠ° Ρ ΡΠΎΒΠΌΠΎΡΠΎΠΌΡ 3. ΠΠ°ΡΠΎΠ³Π΅Π½Π΅ΡΠΈΡΠ΅ΡΠΊΠΎΠ΅ Π·Π½Π°ΡΠ΅Π½ΠΈΠ΅ ΡΡΠΎΠ³ΠΎ ΡΠΎΠ±ΡΡΠΈΡ ΠΎΡΡΠ°ΡΡΡΡ Π½Π΅ΡΡΠ½ΡΠΌ, ΡΠ°ΠΊ ΠΊΠ°ΠΊ Π² ΡΡΠΎΠΌ ΡΠ΅Π³ΠΌΠ΅Π½ΡΠ΅ Π³Π΅Π½ΠΎΠΌΠ° ΡΠ°ΡΠΏΠΎΒΠ»ΠΎΠΆΠ΅Π½ΠΎ Π½Π΅ΡΠΊΠΎΠ»ΡΠΊΠΎ Π³Π΅Π½ΠΎΠ²-ΡΡΠΏΡΠ΅ΡΡΠΎΡΠΎΠ². Π ΡΠΈΡΠ»Π΅ ΠΊΠ°Π½Π΄ΠΈΠ΄Π°ΡΠ½ΡΡ Π°Π½ΡΠΈΠΎΠ½ΠΊΠΎΠ³Π΅Π½ΠΎΠ² Π½Π°ΠΈΠ±ΠΎΠ»Π΅Π΅ ΡΠ°ΡΡΠΎ Π½Π°Π·ΡΠ²Π°ΡΡ FHIT ΠΈ Π±Π΅ΡΠ°-ΡΠ΅ΡΠ΅ΠΏΡΠΎΡ ΡΠ΅ΡΠΈΠ½ΠΎΠ΅Π²ΠΎΠΉ ΠΊΠΈΡΠ»ΠΎΡΡ [13].
Π, Π½Π°ΠΊΠΎΠ½Π΅Ρ, Π±ΠΎΠ»ΡΡΠΎΠΉ ΠΈΠ½ΡΠ΅ΡΠ΅Ρ Π²ΡΠ·Π²Π°Π»ΠΎ ΠΎΠ±Π½Π°ΡΡΠΆΠ΅Π½ΠΈΠ΅ Π² ΠΎΠΏΡΡ ΠΎΠ»ΡΡ Ρ ΡΠ΅Π»ΠΎΠ²Π΅ΠΊΠ° ΡΠ΅ΡΠΌΠ΅Π½ΡΠ°, Π½Π°Π·ΡΠ²Π°Π΅ΠΌΠΎΠ³ΠΎ ΡΠ΅Π»ΠΎΠΌΠ΅ΡΠ°Π·ΠΎΠΉ. ΠΠ°Π½Π½Π°Ρ ΠΌΠΎΠ»Π΅ΠΊΡΠ»Π° ΠΎΡΠ²Π΅ΡΠ°Π΅Ρ Π·Π° ΡΠ΅Π»ΠΎΡΡΠ½ΠΎΡΡΡ ΡΠ΅ΡΒΠΌΠΈΠ½Π°Π»ΡΠ½ΡΡ ΠΏΠΎΡΠ»Π΅Π΄ΠΎΠ²Π°ΡΠ΅Π»ΡΠ½ΠΎΡΡΠ΅ΠΉ ΠΠΠ. ΠΠ΅Π»ΠΎ Π² ΡΠΎΠΌ, ΡΡΠΎ ΠΏΡΠΈ ΠΊΠ°ΠΆΠ΄ΠΎΠΌ Π΄Π΅Π»Π΅Π½ΠΈΠΈ ΠΊΠ»Π΅ΡΠΊΠΈ ΠΊΠΎΠ½ΡΠ΅Π²ΡΠ΅ ΡΡΠ°ΡΡΠΊΠΈ Ρ ΡΠΎΠΌΠΎΒΡΠΎΠΌ ΡΠΊΠΎΡΠ°ΡΠΈΠ²Π°ΡΡΡΡ, ΡΡΠΎ ΡΠ²ΡΠ·Π°Π½ΠΎ Ρ ΡΠΈΠ·ΠΈΠΊΠΎ-Π±ΠΈΠΎΡ ΠΈΠΌΠΈΡΠ΅ΡΒΠΊΠΈΠΌΠΈ ΠΎΡΠΎΠ±Π΅Π½Π½ΠΎΡΡΡΠΌΠΈ ΠΌΠ΅Ρ Π°Π½ΠΈΠ·ΠΌΠΎΠ² ΡΠ΅ΠΏΠ»ΠΈΠΊΠ°ΡΠΈΠΈ ΠΠΠ. ΠΠ½ΠΎΠ³ΠΈΠ΅ ΠΈΡΡΠ»Π΅Π΄ΠΎΠ²Π°ΡΠ΅Π»ΠΈ ΠΏΠΎΠ»Π°Π³Π°ΡΡ, ΡΡΠΎ ΡΠΊΠΎΡΠΎΡΠ΅Π½ΠΈΠ΅ ΠΠΠ Π»Π΅ΠΆΠΈΡ Π² ΠΎΡΠ½ΠΎΠ²Π΅ ΡΠ°ΠΊ Π½Π°Π·ΡΠ²Π°Π΅ΠΌΠΎΠ³ΠΎ Π»ΠΈΠΌΠΈΡΠ° Π₯ΡΠΉΡΠ»ΠΈΠΊΠ°, Ρ.Π΅. ΠΎΠ³ΡΠ°Π½ΠΈΡΠ΅Π½ΠΈΡ ΡΠ΅ΠΏΠ»ΠΈΠΊΠ°ΡΠΈΠ²Π½ΠΎΠ³ΠΎ ΠΏΠΎΡΠ΅Π½ΡΠΈΠ°Π»Π° ΠΊΠ»Π΅ΡΠΎΠΊ. ΠΡΠΈΒΠΌΠ΅ΡΠ°ΡΠ΅Π»ΡΠ½ΠΎ, ΡΡΠΎ ΡΠ΅ Π½Π΅ΠΌΠ½ΠΎΠ³ΠΈΠ΅ ΠΊΠ»Π΅ΡΠΊΠΈ, ΠΊΠΎΡΠΎΡΡΠ΅ ΠΎΠ±Π»Π°Π΄Π°ΒΡΡ ΡΠΏΠΎΡΠΎΠ±Π½ΠΎΡΡΡΡ ΠΊ Π±Π΅ΡΠΊΠΎΠ½Π΅ΡΠ½ΠΎΠΌΡ Π΄Π΅Π»Π΅Π½ΠΈΡ, ΡΠΊΡΠΏΡΠ΅ΡΒΡΠΈΡΡΡΡ ΡΠ΅Π»ΠΎΠΌΠ΅ΡΠ°Π·Ρ. Π’Π΅Π»ΠΎΠΌΠ΅ΡΠ°Π·Π° ΠΎΠ±Π»Π°Π΄Π°Π΅Ρ ΡΠΏΠΎΡΠΎΠ±Π½ΠΎΡΡΡΡ Π²ΠΎΡΡΡΠ°Π½Π°Π²Π»ΠΈΠ²Π°ΡΡ ΡΡΡΠ°ΡΠ΅Π½Π½ΡΠ΅ ΠΏΡΠΈ Π΄Π΅Π»Π΅Π½ΠΈΠΈ ΡΡΠ°Π³ΠΌΠ΅Π½ΡΡ ΠΠΠ, ΡΡΠΎ ΠΎΠ±Π΅ΡΠΏΠ΅ΡΠΈΠ²Π°Π΅Ρ Π±Π΅ΡΡΠΌΠ΅ΡΡΠΈΠ΅ ΠΊΠ»Π΅ΡΠΎΡΠ½ΠΎΠ³ΠΎ ΠΊΠ»ΠΎΠ½Π°. ΠΡΠΈΠΌΠ΅ΡΠ°ΡΠ΅Π»ΡΠ½ΠΎ, ΡΡΠΎ ΡΠ΅Π»ΠΎΠΌΠ΅ΡΠ°Π·Π° ΠΏΡΠ°ΠΊΡΠΈΡΠ΅ΡΠΊΠΈ Π½Π΅ Π²ΡΡΠ²ΒΠ»ΡΠ΅ΡΡΡ Π² Π½ΠΎΡΠΌΠ°Π»ΡΠ½ΡΡ ΡΠΊΠ°Π½ΡΡ , Π² ΡΠΎ Π²ΡΠ΅ΠΌΡ ΠΊΠ°ΠΊ Π±ΠΎΠ»ΡΡΠΈΠ½ΒΡΡΠ²ΠΎ Π½ΠΎΠ²ΠΎΠΎΠ±ΡΠ°Π·ΠΎΠ²Π°Π½ΠΈΠΉ, Π²ΠΊΠ»ΡΡΠ°Ρ ΠΌΠ΅Π»ΠΊΠΎΠΊΠ»Π΅ΡΠΎΡΠ½ΡΠ΅ ΡΠ°ΠΊΠΈ Π»ΡΠ³ΠΊΠΎΠ³ΠΎ, ΡΠΊΡΠΏΡΠ΅ΡΡΠΈΡΡΡΡ Π·Π°ΠΌΠ΅ΡΠ½ΡΠ΅ ΠΊΠΎΠ»ΠΈΡΠ΅ΡΡΠ²Π° ΡΡΠΎΠ³ΠΎ ΡΠ΅ΡΠΌΠ΅Π½ΡΠ°. ΠΡΠ΅Π΄ΠΏΠΎΠ»Π°Π³Π°Π΅ΡΡΡ, ΡΡΠΎ ΡΠ΅Π»ΠΎΠΌΠ΅ΡΠ°Π·Π° ΠΌΠΎΠΆΠ΅Ρ ΠΎΠΊΠ°ΒΠ·Π°ΡΡΡΡ ΡΠ΄Π°ΡΠ½ΠΎΠΉ ΠΌΠΈΡΠ΅Π½ΡΡ Π΄Π»Ρ ΠΏΡΠΎΡΠΈΠ²ΠΎΠΎΠΏΡΡ ΠΎΠ»Π΅Π²ΠΎΠΉ ΡΠ΅ΒΡΠ°ΠΏΠΈΠΈ [9, 13].
Π Π°Π±ΠΎΡΠ° Π²ΡΠΏΠΎΠ»Π½Π΅Π½Π° ΠΏΡΠΈ ΠΏΠΎΠ΄Π΄Π΅ΡΠΆΠΊΠ΅ Π³ΡΠ°Π½ΡΠ° ΠΡΠ°Π²ΠΈΒΡΠ΅Π»ΡΡΡΠ²Π° ΠΠΎΡΠΊΠ²Ρ (ΠΏΡΠΎΠ΅ΠΊΡ 15/05-ΠΠ΅Π½-Π). ΠΠ²ΡΠΎΡ Π±Π»Π°Π³ΠΎΒΠ΄Π°ΡΠΈΡ ΠΊΠ°Π½Π΄. Π±ΠΈΠΎΠ». Π½Π°ΡΠΊ ΠΠ¨. ΠΡΠ»ΠΈΠ³ΠΈΠ½Ρ Π·Π° ΠΏΠΎΠ΄Π³ΠΎΡΠΎΠ²ΠΊΡ ΡΠΈΒΡΡΠ½ΠΊΠΎΠ² Π΄Π»Ρ ΠΏΡΠ±Π»ΠΈΠΊΠ°ΡΠΈΠΈ.
ΠΠΈΡΠ΅ΡΠ°ΡΡΡΠ°
1. Barakat M.T, Meeran K., Bloom SR. Neuroendocrine tumours // Endocrin. Relat. Cancer. — 2004. — Vol. 11. — P. 1-18.
2 Gore RM, Berlin JW, Mehta U.K. et al. GI carcinoid tumours: appearance of the primary and detecting metastases // Best Pract. Res. Clin. Endocrinol. Metab. — 2005. — Vol. 19. — P. 245-263.
3. IchiharaM.,Murakumo Y, TakahashiM. RET and neuroendocrine tumors // Cancer Lett. — 2004. — Vol. 204. — P. 197-211.
4. Imyanitov EN, Kuligina ESh, Belogubova E.V. et al. Mechanisms of lung cancer // Drug. Discov. Today: Dis. Mech. — 2005. — Vol. 2. — P. 213-223.
5. Junker K., Wiethege T, Muller KM. Pathology of small-cell lung cancer // J. Cancer. Res. Clin. Oncol. — 2000. — Vol. 126. — P. 361-368.
6. Kaltsas G., Rockall A., Papadogias D. Et al. Recent advances in radiological and radionuclide imaging and therapy of neuroendocrine tumours // Europ. J. Endocrinol. — 2004. — Vol. 151. — P. 15-27.
7. Kulke MH. Neuroendocrine tumours: clinical presentation and management of localized disease // Cancer Treat. Rev. — 2003. — Vol. 29. — P. 363-370.
8. Leotlela PD, Jauch A., Holtgreve-Grez H., Thakker RV. Genetics of neuroendocrine and carcinoid tumours // Endocrin. Relat. Cancer. — 2003. — Vol. 10. — P. 437-450.
9. Murray N, Salgia R., Fossella F.V. Targeted molecules in small cell lung cancer // Semin. Oncol. — 2004. — Vol. 31 (Suppl. 1). — P. 106-111.
10. Otto W.R Lung epithelial stem cells // J. Pathol. — 2002. — Vol. 197. — P. 527-535.
11. Pearse AG. The cytochemistry and ultrastructure of polypeptide hormone-producing cells of the APUD series and the embryologic, physiologic and pathologic implications of the concept // J. Histochem. Cytochem. — 1969. — Vol. 17. — P. 303-313.
12. Rindi G, Bordi C. Highlights of the biology of endocrine tumours of the gut and pancreas // Endocrin. Relat. Cancer. — 2003. — Vol. 10. — P. 427-436.
13. SattlerM., Salgia R Molecular and cellular biology of small cell lung cancer // Semin. Oncol. — 2003. — Vol. 30. — P. 57-71.
14. Simon GR, WagnerH. American College of Chest Physicians. Small cell lung cancer // Chest. — 2003. — Vol. 123 (Suppl. 1). — P. 259-271.
15. Taupenot L, Harper K.L., O’Connor D.T. The chromogranin-secretogranin family // New Engl. J. Med. — 2003. — Vol. 348. — P. 1134-1149.
ΠΠΎΡΡΡΠΏΠΈΠ»Π° Π² ΡΠ΅Π΄Π°ΠΊΡΠΈΡ 27.11.2005 Π³.
www.molneo.com
ΠΠΠΠ ΠΠΠΠΠΠΠ ΠΠΠΠ«Π ΠΠΠ£Π₯ΠΠΠ ΠΠΠΠΠΠ₯ — ΠΠ΄ΠΎΡΠΎΠ²ΡΠ΅ ΠΠ½ΡΠΎ
div > .uk-panel’>» data-uk-grid-margin>
ΠΠΠ‘ΠΠΠ
Π¦Π΅Π½ΡΡ ΠΠ½Π½ΠΎΠ²Π°ΡΠΈΠΎΠ½Π½ΡΡ
Π’Π΅Ρ
Π½ΠΎΠ»ΠΎΠ³ΠΈΠΉ Π² ΠΠ½ΠΊΠΎΠ»ΠΎΠ³ΠΈΠΈ,ΠΏΡΠΈ ΠΏΠΎΠ΄Π΄Π΅ΡΠΆΠΊΠ΅ ΠΊΠΎΠΌΠΏΠ°Π½ΠΈΠΉ ΠΠ΅ΡΠΈΠ½Π³Π΅Ρ ΠΠ½Π³Π΅Π»ΡΡ
Π°ΠΉΠΌ ΠΈ Π ΠΎΡ,
Π² ΡΠ°ΠΌΠΊΠ°Ρ
ΠΌΡΠ»ΡΡΠΈΠ΄ΠΈΡΡΠΈΠΏΠ»ΠΈΠ½Π°ΡΠ½ΡΡ
ΠΌΠ΅ΡΠΎΠΏΡΠΈΡΡΠΈΠΉΒ«ΠΠΊΡΡΠ°Π»ΡΠ½ΡΠ΅ Π²ΠΎΠΏΡΠΎΡΡ Π΄ΠΈΠ°Π³Π½ΠΎΡΡΠΈΠΊΠΈ ΠΈ Π»Π΅ΡΠ΅Π½ΠΈΡ ΠΎΠ½ΠΊΠΎΠ»ΠΎΠ³ΠΈΡΠ΅ΡΠΊΠΈΡ
Π·Π°Π±ΠΎΠ»Π΅Π²Π°Π½ΠΈΠΉΠΏΡΠΎΠ²ΠΎΠ΄ΠΈΡ Π½Π°ΡΠ½ΠΎ — ΠΏΡΠ°ΠΊΡΠΈΡΠ΅ΡΠΊΠΈΠΉ ΠΎΠ±ΡΠ°Π·ΠΎΠ²Π°ΡΠ΅Π»ΡΠ½ΡΠΉ ΠΊΡΡΡ
«ΠΠΈΠ°Π³Π½ΠΎΡΡΠΈΠΊΠ° ΠΈ ΠΌΠΎΠ»Π΅ΠΊΡΠ»ΡΡΠ½ΠΎ Π½Π°ΠΏΡΠ°Π²Π»Π΅Π½Π½ΠΎΠ΅ Π»Π΅ΡΠ΅Π½ΠΈΠ΅ ΠΠΠ Π.»
βΊβΊβΊβΊ
div > .uk-panel’>» data-uk-grid-margin>
(ΠΠΠ ΠΠ»Π°ΡΡΠΈΡΠΈΠΊΠ°ΡΠΈΡ ΠΎΠΏΡΡ
ΠΎΠ»Π΅ΠΉ ΡΠ΅ΠΉΠΊΠΈ ΠΌΠ°ΡΠΊΠΈ 2014)
TNM/FIGO classification uterine cervix 2014
ΠΠ°ΡΠ΅ΠΌ ΡΠ΅ΡΡΠΈΡΡΡΡ ΠΎΠΏΡΡ
ΠΎΠ»ΠΈ Π½Π° ΠΌΡΡΠ°ΡΠΈΠΈ? Π§ΠΈΡΠ°ΠΉΡΠ΅ Π½Π° ΡΠΎΡΡΠΌΠ΅.
Π’ΠΎΠ»ΡΠΊΠΎ Π΄Π»Ρ Π·Π°ΡΠ΅Π³ΠΈΡΡΡΠΈΡΠΎΠ²Π°Π½Π½ΡΡ
ΠΏΠΎΠ»ΡΠ·ΠΎΠ²Π°ΡΠ΅Π»Π΅ΠΉ .
Posted in ΠΡΠ±Π»ΠΈΠΊΠ°ΡΠΈΠΈ
Π Π΅ΠΉΡΠΈΠ½Π³: Β 5 Β /Β 5
Π’ΡΠ°Ρ ΡΠ΅Π½Π±Π΅ΡΠ³ Π. Π₯. Π€ΡΠ°Π½ΠΊ Π.Π. ΠΠΈΠΊΠΈΠ½ Π.Π. Π‘ΠΎΠΊΠΎΠ»ΠΎΠ² Π.Π. ΠΠΎΠΉΠΊΠΎ Π.Π. ΠΠΎΠ»Π±Π°Π½ΠΎΠ² Π.Π.
(ΠΠΠΠΠ ΠΈΠΌ. Π.Π. ΠΠ΅ΡΡΠ΅Π½Π°)
Π‘ΡΠ΅Π΄ΠΈ Π½Π΅ΠΉΡΠΎΡΠ½Π΄ΠΎΠΊΡΠΈΠ½Π½ΡΡ ΠΎΠΏΡΡ ΠΎΠ»Π΅ΠΉ ( H ΠΠ) Π»Π΅Π³ΠΊΠΈΡ Π²ΡΠ΄Π΅Π»ΡΡΡ, ΡΠΎΠ³Π»Π°ΡΠ½ΠΎ ΠΠ΅ΠΆΠ΄ΡΠ½Π°ΡΠΎΠ΄Π½ΠΎΠΉ Π³ΠΈΡΡΠΎΠ»ΠΎΠ³ΠΈΡΠ΅ΡΠΊΠΎΠΉ ΠΊΠ»Π°ΡΡΠΈΡΠΈΠΊΠ°ΡΠΈΠΈ*), ΠΊΠ°ΡΡΠΈΠ½ΠΎΠΈΠ΄ (ΡΠΈΠΏΠΈΡΠ½ΡΠΉ ΠΈ Π°ΡΠΈΠΏΠΈΡΠ½ΡΠΉ). Π° ΡΠ°ΠΊΠΆΠ΅ Π½Π΅ΠΉΡΠΎΡΠ½Π΄ΠΎΠΊΡΠΈΠ½Π½ΡΠΉ ΠΊΡΡΠΏΠ½ΠΎΠΊΠ»Π΅ΡΠΎΡΠ½ΡΠΉ ΠΈ ΠΌΠ΅Π»ΠΊΠΎΠΊΠ»Π΅ΡΠΎΡΠ½ΡΠΉ ΡΠ°ΠΊ.
1. ΠΠ°ΡΡΠΈΠ½ΠΎΠΈΠ΄ Π²ΡΡΠ²Π»ΡΠ΅ΡΡΡ Ρ 3-5% ΠΎΠΏΠ΅ΡΠΈΡΠΎΠ²Π°Π½Π½ΡΡ ΠΏΠΎ ΠΏΠΎΠ²ΠΎΠ΄Ρ Π½ΠΎΠ²ΠΎΠΎΠ±ΡΠ°Π·ΠΎΠ²Π°Π½ΠΈΠΉ Π»Π΅Π³ΠΊΠΈΡ . Π ΠΎΡΠ»ΠΈΡΠΈΠ΅ ΠΎΡ ΡΠ°ΠΊΠ° Π»Π΅Π³ΠΊΠΎΠ³ΠΎ ΠΏΡΠΈ ΠΊΠ°ΡΡΠΈΠ½ΠΎΠΈΠ΄Π°Ρ Π½Π΅ Π²ΡΡΠ²Π»Π΅Π½ΠΎ ΡΠ΅ΡΠΊΠΎΠΉ Π²Π·Π°ΠΈΠΌΠΎΡΠ²ΡΠ·ΠΈ Ρ ΠΊΡΡΠ΅Π½ΠΈΠ΅ΠΌ ΠΈ Π²ΠΎΠ·Π΄Π΅ΠΉΡΡΠ²ΠΈΠ΅ΠΌ ΠΊΠ°Π½ΡΠ΅ΡΠΎΠ³Π΅Π½ΠΎΠ² (Ρ ΠΎΡΡ ΠΎΡΠΌΠ΅ΡΠ΅Π½ΠΎ, ΡΡΠΎ Ρ ΠΊΡΡΡΡΠΈΡ ΠΏΠ°ΡΠΈΠ΅Π½ΡΠΎΠ² ΠΏΡΠ΅ΠΎΠ±Π»Π°Π΄Π°Π΅Ρ (64-80%) Π°ΡΠΈΠΏΠΈΡΠ½ΡΠΉ ΡΠΈΠΏ ΠΊΠ°ΡΡΠΈΠ½ΠΎΠΈΠ΄Π°). ΠΠ»Π°Π³ΠΎΠ΄Π°ΡΡ Π²ΡΡΠΎΠΊΠΈΠΌ ΠΏΠΎΠΊΠ°Π·Π°ΡΠ΅Π»ΡΠΌ Π²ΡΠΆΠΈΠ²Π°Π΅ΠΌΠΎΡΡΠΈ ΠΊΠ°ΡΡΠΈΠ½ΠΎΠΈΠ΄Ρ ΡΠ°ΡΡΠΌΠ°ΡΡΠΈΠ²Π°Π»ΠΈΡΡ ΠΊΠ°ΠΊ Π΄ΠΎΠ±ΡΠΎΠΊΠ°ΡΠ΅ΡΡΠ²Π΅Π½Π½ΡΠ΅ Π½ΠΎΠ²ΠΎΠΎΠ±ΡΠ°Π·ΠΎΠ²Π°Π½ΠΈΡ.
Π‘Π²ΠΎΠ΅ΠΎΠ±ΡΠ°Π·ΠΈΠ΅ Π³ΠΈΡΡΠΎΠ»ΠΎΠ³ΠΈΡΠ΅ΡΠΊΠΎΠΉ ΡΡΡΡΠΊΡΡΡΡ (Π½Π°Π»ΠΈΡΠΈΠ΅ ΡΠΏΠ΅ΡΠΈΡΠΈΡΠ΅ΡΠΊΠΈΡ Π½Π΅ΠΉΡΠΎΡΠ΅ΠΊΡΠ΅ΡΠΎΡΠ½ΡΡ Π³ΡΠ°Π½ΡΠ» Π² ΡΠΈΡΠΎΠΏΠ»Π°Π·ΠΌΠ΅ ΠΊΠ»Π΅ΡΠΎΡΠ½ΡΡ ΡΠ»Π΅ΠΌΠ΅Π½ΡΠΎΠ²) ΠΈ ΡΡΠ½ΠΊΡΠΈΠΎΠ½Π°Π»ΡΠ½ΠΎΠΉ Π°ΠΊΡΠΈΠ²Π½ΠΎΡΡΠΈ (Π² 5-7% ΠΊΠ»Π΅ΡΠΊΠΈ ΠΎΠΏΡΡ ΠΎΠ»ΠΈ ΠΌΠΎΠ³ΡΡ ΡΠ΅ΠΊΡΠ΅ΡΠΈΡΠΎΠ²Π°ΡΡ Π³ΠΎΡΠΌΠΎΠ½Π°Π»ΡΠ½ΠΎ-Π°ΠΊΡΠΈΠ²Π½ΡΠ΅ Π²Π΅ΡΠ΅ΡΡΠ²Π° β ΡΠ΅ΡΠΎΡΠΎΠ½ΠΈΠ½, Π°Π΄ΡΠ΅Π½Π°Π»ΠΈΠ½, ΠΠΠ’Π ΠΈ Π΄Ρ.), Π½Π°Π»ΠΈΡΠΈΠ΅ Π»ΠΈΠΌΡΠΎΠ³Π΅Π½Π½ΠΎΠ³ΠΎ ΠΈ Π³Π΅ΠΌΠ°ΡΠΎΠ³Π΅Π½Π½ΠΎΠ³ΠΎ ΠΌΠ΅ΡΠ°ΡΡΠ°Π·ΠΈΡΠΎΠ²Π°Π½ΠΈΡ, Π²ΠΎΠ·ΠΌΠΎΠΆΠ½ΠΎΡΡΡ ΡΠ΅ΡΠΈΠ΄ΠΈΠ²ΠΈΡΠΎΠ²Π°Π½ΠΈΡ ΠΎΠ±ΠΎΡΠ½ΠΎΠ²Π°Π»ΠΈ Π²ΡΠ΄Π΅Π»Π΅Π½ΠΈΠ΅ ΠΊΠ°ΡΡΠΈΠ½ΠΎΠΈΠ΄ΠΎΠ² Π² ΡΠ°ΠΌΠΎΡΡΠΎΡΡΠ΅Π»ΡΠ½ΡΡ Π³ΡΡΠΏΠΏΡ Π·Π»ΠΎΠΊΠ°ΡΠ΅ΡΡΠ²Π΅Π½Π½ΡΡ ΡΠΏΠΈΡΠ΅Π»ΠΈΠ°Π»ΡΠ½ΡΡ ΠΎΠΏΡΡ ΠΎΠ»Π΅ΠΉ Π»Π΅Π³ΠΊΠΎΠ³ΠΎ. ΠΠ°ΡΡΠΈΠ½ΠΎΠΈΠ΄Ρ ΠΏΠΎΠ΄ΡΠ°Π·Π΄Π΅Π»ΡΡΡ Π½Π° ΡΠΈΠΏΠΈΡΠ½ΡΠ΅ ΠΈ Π°ΡΠΈΠΏΠΈΡΠ½ΡΠ΅. ΡΡΠΎ ΠΎΠ±ΡΡΠ»ΠΎΠ²Π»Π΅Π½ΠΎ ΡΠ°Π·Π»ΠΈΡΠ½ΠΎΠΉ ΡΡΠ΅ΠΏΠ΅Π½ΡΡ Π΄ΠΈΡΡΠ΅ΡΠ΅Π½ΡΠΈΡΠΎΠ²ΠΊΠΈ ΠΊΠ»Π΅ΡΠΎΠΊ, ΠΈΡ ΠΏΡΠΎΠ»ΠΈΡΠ΅ΡΠ°ΡΠΈΠ²Π½ΠΎΠΉ Π°ΠΊΡΠΈΠ²Π½ΠΎΡΡΡΡ ΠΈ ΡΠΏΠΎΡΠΎΠ±Π½ΠΎΡΡΡΡ ΠΊ ΠΌΠ΅ΡΠ°ΡΡΠ°Π·ΠΈΡΠΎΠ²Π°Π½ΠΈΡ. ΠΠ° ΠΎΡΠ½ΠΎΠ²Π°Π½ΠΈΠΈ ΠΌΠΎΡΡΠΎΠ»ΠΎΠ³ΠΈΡΠ΅ΡΠΊΠΎΠΉ ΡΡΡΡΠΊΡΡΡΡ, ΡΠ»Π΅ΠΊΡΡΠΎΠ½Π½ΠΎΠΌΠΈΠΊΡΠΎΡΠΊΠΎΠΏΠΈΡΠ΅ΡΠΊΠΎΠΉ Ρ Π°ΡΠ°ΠΊΡΠ΅ΡΠΈΡΡΠΈΠΊΠΈ, Π³ΠΈΡΡΠΎΠΈΠΌΠΌΡΠ½ΠΎΡ ΠΈΠΌΠΈΡΠ΅ΡΠΊΠΈΡ ΡΠ΅Π°ΠΊΡΠΈΠΉ, ΠΊΠ»ΠΈΠ½ΠΈΡΠ΅ΡΠΊΠΎΠ³ΠΎ ΡΠ΅ΡΠ΅Π½ΠΈΡ ΠΈ ΠΏΡΠΎΠ³Π½ΠΎΠ·Π° Π² ΠΠΠΠΠ Π²ΡΠ΄Π΅Π»Π΅Π½Ρ ΡΡΠΈ ΠΏΠΎΠ΄ΡΠΈΠΏΠ° ΠΊΠ°ΡΡΠΈΠ½ΠΎΠΈΠ΄Π°: Π²ΡΡΠΎΠΊΠΎΠ΄ΠΈΡΡΠ΅ΡΠ΅Π½ΡΠΈΡΠΎΠ²Π°Π½Π½ΡΠΉ (ΡΠΈΠΏΠΈΡΠ½ΡΠΉ), ΡΠΌΠ΅ΡΠ΅Π½Π½ΠΎΠ΄ΠΈΡΡΠ΅ΡΠ΅Π½ΡΠΈΡΠΎΠ²Π°Π½Π½ΡΠΉ (Π°ΡΠΈΠΏΠΈΡΠ½ΡΠΉ), Π½ΠΈΠ·ΠΊΠΎΠ΄ΠΈΡΡΠ΅ΡΠ΅Π½ΡΠΈΡΠΎΠ²Π°Π½Π½Π½ΡΠΉ (Π°Π½Π°ΠΏΠ»Π°Π·ΠΈΡΠΎΠ²Π°Π½Π½ΡΠΉ). ΠΠΎΠ΄ΠΎΠ±Π½ΠΎΠ΅ Π΄Π΅Π»Π΅Π½ΠΈΠ΅ Π±ΠΎΠ»Π΅Π΅ ΡΠ΄ΠΎΠ±Π½ΠΎ Ρ ΠΊΠ»ΠΈΠ½ΠΈΡΠ΅ΡΠΊΠΈΡ ΠΏΠΎΠ·ΠΈΡΠΈΠΉ, Ρ.ΠΊ. ΠΊΠ»Π΅ΡΠΊΠΈ ΠΎΡΠ»ΠΈΡΠ°ΡΡΡΡ ΠΌΠ΅ΠΆΠ΄Ρ ΡΠΎΠ±ΠΎΠΉ ΡΠ°Π·Π»ΠΈΡΠ½ΡΠΌ ΠΏΠΎΡΠ΅Π½ΡΠΈΠ°Π»ΠΎΠΌ Π·Π»ΠΎΠΊΠ°ΡΠ΅ΡΡΠ²Π΅Π½Π½ΠΎΡΡΠΈ Π² Π²ΠΈΠ΄Π΅ Π²ΡΡΠ°ΠΆΠ΅Π½Π½ΠΎΡΡΠΈ ΠΈΠ½ΡΠΈΠ»ΡΡΡΠ°ΡΠΈΠ²Π½ΠΎΠ³ΠΎ ΡΠΎΡΡΠ°, ΡΠ΅ΠΌΠΏΠ° ΠΏΡΠΎΠ³ΡΠ΅ΡΡΠΈΠΈ ΠΈ ΡΠΏΠΎΡΠΎΠ±Π½ΠΎΡΡΠΈ ΠΊ ΠΌΠ΅ΡΠ°ΡΡΠ°Π·ΠΈΡΠΎΠ²Π°Π½ΠΈΡ.
ΠΠ°ΡΡΠΈΠ½ΠΎΠΈΠ΄ ΠΌΠΎΠΆΠ΅Ρ Π»ΠΎΠΊΠ°Π»ΠΈΠ·ΠΎΠ²Π°ΡΡΡΡ ΠΈ Π² Π»Π΅Π³ΠΎΡΠ½ΠΎΠΉ ΠΏΠ°ΡΠ΅Π½Ρ ΠΈΠΌΠ΅ ΠΈ Π² Π±ΡΠΎΠ½Ρ Π°Ρ , ΡΡΠΎ, ΠΏΠΎ Π°Π½Π°Π»ΠΎΠ³ΠΈΠΈ Ρ ΡΠ°ΠΊΠΎΠΌ Π»Π΅Π³ΠΊΠΎΠ³ΠΎ, ΠΏΡΠ΅Π΄ΠΎΠΏΡΠ΅Π΄Π΅Π»ΡΠ΅Ρ Π²ΡΠ΄Π΅Π»Π΅Π½ΠΈΠ΅ Π΄Π»Ρ ΡΡΠΎΠΉ ΠΎΠΏΡΡ ΠΎΠ»ΠΈ ΡΠ΅Π½ΡΡΠ°Π»ΡΠ½ΠΎΠΉ ΠΈ ΠΏΠ΅ΡΠΈΡΠ΅ΡΠΈΡΠ΅ΡΠΊΠΎΠΉ ΠΊΠ»ΠΈΠ½ΠΈΠΊΠΎ-Π°Π½Π°ΡΠΎΠΌΠΈΡΠ΅ΡΠΊΠΈΡ ΡΠΎΡΠΌ. ΠΠΎ ΠΎΡΠ½ΠΎΡΠ΅Π½ΠΈΡ ΠΊ ΡΡΠ΅Π½ΠΊΠ΅ Π±ΡΠΎΠ½Ρ Π° ΠΊΠ°ΡΡΠΈΠ½ΠΎΠΈΠ΄ Ρ Π°ΡΠ°ΠΊΡΠ΅ΡΠΈΠ·ΡΠ΅ΡΡΡ ΡΠΊΠ·ΠΎΡΠΈΡΠ½ΡΠΌ, ΡΠ½Π΄ΠΎΡΠΈΡΠ½ΡΠΌ ΠΈ ΡΠΌΠ΅ΡΠ°Π½Π½ΡΠΌ ΡΠΈΠΏΠ°ΠΌΠΈ ΡΠΎΡΡΠ°. ΠΡΠΈ ΡΠ΅Π½ΡΡΠ°Π»ΡΠ½ΠΎΠΉ ΡΠΎΡΠΌΠ΅ ΠΊΠ°ΡΡΠΈΠ½ΠΎΠΈΠ΄Π° ΡΠ΅ΡΠ΅Π½ΠΈΠ΅ Π±ΠΎΠ»Π΅Π·Π½ΠΈ Π±Π΅ΡΡΠΈΠΌΠΏΡΠΎΠΌΠ½ΠΎ Π² ΠΊΠ°ΠΆΠ΄ΠΎΠΌ ΡΠ΅ΡΠ²Π΅ΡΡΠΎΠΌ ΡΠ»ΡΡΠ°Π΅, Π² ΠΊΠ°ΠΆΠ΄ΠΎΠΌ Π²ΡΠΎΡΠΎΠΌ ΠΎΡΠΌΠ΅ΡΠ°Π΅ΡΡΡ ΠΊΡΠΎΠ²ΠΎΡ Π°ΡΠΊΠ°Π½ΡΠ΅, ΡΡΠΎ ΠΎΠ±ΡΡΠ»ΠΎΠ²Π»Π΅Π½ΠΎ Π²ΡΡΠ°ΠΆΠ΅Π½Π½ΠΎΠΉ Π²Π°ΡΠΊΡΠ»ΡΡΠΈΠ·Π°ΡΠΈΠ΅ΠΉ ΠΎΠΏΡΡ ΠΎΠ»ΠΈ. ΠΠ»ΠΈΠ½ΠΈΡΠ΅ΡΠΊΠΈΠ΅ ΠΏΡΠΎΡΠ²Π»Π΅Π½ΠΈΡ ΠΎΠΏΡΠ΅Π΄Π΅Π»ΡΡΡΡΡ ΡΡΠΎΠ²Π½Π΅ΠΌ ΠΏΠΎΡΠ°ΠΆΠ΅Π½ΠΈΡ Π±ΡΠΎΠ½Ρ Π°, ΡΡΠ΅ΠΏΠ΅Π½ΡΡ Π½Π°ΡΡΡΠ΅Π½ΠΈΡ Π»Π΅Π³ΠΎΡΠ½ΠΎΠΉ Π²Π΅Π½ΡΠΈΠ»ΡΡΠΈΠΈ. Π’ΠΈΠΏΠΈΡΠ½ΡΠΉ ΠΊΠ°ΡΡΠΈΠ½ΠΎΠΈΠ΄, ΠΎΠ±Π»Π°Π΄Π°Ρ Π±ΠΎΠ»Π΅Π΅ ΠΌΠ΅Π΄Π»Π΅Π½Π½ΡΠΌ ΡΠ΅ΠΌΠΏΠΎΠΌ ΡΠΎΡΡΠ°, ΠΊΠ°ΠΊ ΠΏΡΠ°Π²ΠΈΠ»ΠΎ, Π½Π΅ ΠΏΡΠΈΠ²ΠΎΠ΄ΠΈΡ ΠΊ ΡΠ΅Π·ΠΊΠΎΠΉ Π΄Π΅ΠΊΠΎΠΌΠΏΠ΅Π½ΡΠ°ΡΠΈΠΈ Π΄ΡΡ Π°Π½ΠΈΡ. Π Π½Π΅ΠΊΠΎΡΠΎΡΡΡ ΡΠ»ΡΡΠ°ΡΡ ΠΆΠ°Π»ΠΎΠ±Ρ Π½Π° ΠΎΠ΄ΡΡΠΊΡ ΡΠΎΠΎΡΠ²Π΅ΡΡΡΠ²ΡΡΡ ΠΏΡΠΈΡΡΡΠΏΠ°ΠΌ Π±ΡΠΎΠ½Ρ ΠΈΠ°Π»ΡΠ½ΠΎΠΉ Π°ΡΡΠΌΡ, ΡΡΠΎ ΠΎΠ±ΡΡΠ»ΠΎΠ²Π»ΠΈΠ²Π°Π΅ΡΡΡ, ΠΏΠΎ Π²ΡΠ΅ΠΉ Π²ΠΈΠ΄ΠΈΠΌΠΎΡΡΠΈ, ΠΊΠ»Π°ΠΏΠ°Π½Π½ΡΠΌ ΠΌΠ΅Ρ Π°Π½ΠΈΠ·ΠΌΠΎΠΌ ΠΎΠ±ΡΡΡΠ°ΡΠΈΠΈ ΠΊΡΡΠΏΠ½ΠΎΠ³ΠΎ Π±ΡΠΎΠ½Ρ Π°.
ΠΠ΅ΡΠΌΠΎΡΡΡ Π½Π° ΡΠ΅ΠΊΡΠ΅ΡΠΈΡ ΠΎΠΏΡΡ ΠΎΠ»ΡΡ Π³ΠΎΡΠΌΠΎΠ½ΠΎΠ² ΠΈ Π±ΠΈΠΎΠ»ΠΎΠ³ΠΈΡΠ΅ΡΠΊΠΈ Π°ΠΊΡΠΈΠ²Π½ΡΡ Π²Π΅ΡΠ΅ΡΡΠ² ΠΊΠ°ΡΡΠΈΠ½ΠΎΠΈΠ΄Π½ΡΠΉ ΡΠΈΠ½Π΄ΡΠΎΠΌ Π½Π°Π±Π»ΡΠ΄Π°Π΅ΡΡΡ Π»ΠΈΡΡ Ρ 1-5% Π±ΠΎΠ»ΡΠ½ΡΡ ΠΈ Ρ Π°ΡΠ°ΠΊΡΠ΅ΡΠΈΠ·ΡΠ΅ΡΡΡ ΠΆΠ°Π»ΠΎΠ±Π°ΠΌΠΈ Π½Π° ΠΏΡΠΈΡΡΡΠΏΡ ΠΆΠ°ΡΠ° ΠΈΠ»ΠΈ ΠΏΡΠΈΠ»ΠΈΠ²ΠΎΠ² ΠΊΡΠΎΠ²ΠΈ ΠΊ Π³ΠΎΠ»ΠΎΠ²Π΅, ΡΠ΅Π΅, ΡΡΠΊΠ°ΠΌ; ΠΏΡΠΎΡΠ²Π»Π΅Π½ΠΈΡΠΌΠΈ Π±ΡΠΎΠ½Ρ ΠΎΡΠΏΠ°Π·ΠΌΠ°, Π΄ΠΈΠ°ΡΠ΅ΠΈ, Π΄Π΅ΡΠΌΠ°ΡΠΎΠ·ΠΎΠ²; Π² Π½Π΅ΠΊΠΎΡΠΎΡΡΡ ΡΠ»ΡΡΠ°ΡΡ β ΡΠ°ΡΡΡΡΠΎΠΉΡΡΠ²Π°ΠΌΠΈ ΡΠΎΠ·Π½Π°Π½ΠΈΡ. Π£ 2% Π±ΠΎΠ»ΡΠ½ΡΡ ΡΠ°ΠΊΠΆΠ΅ Π²ΡΡΠ²Π»ΡΠ΅ΡΡΡ Π°ΠΊΡΠΎΠΌΠ΅Π³Π°Π»ΠΈΡ, ΡΠΈΠ½Π΄ΡΠΎΠΌ ΠΡΠ΅Π½ΠΊΠΎ-ΠΡΡΠΈΠ½Π³Π°.
*) ΠΠ»Π°ΡΡΠΈΡΠΈΠΊΠ°ΡΠΈΡ Π·Π°ΠΌΠ΅Π½ΡΠ΅Ρ ΡΠ΅ΡΠΌΠΈΠ½ Β«ΠΊΠ°ΡΡΠΈΠ½ΠΎΠΈΠ΄Β» Π½Π° ΠΎΠΏΡΠ΅Π΄Π΅Π»Π΅Π½ΠΈΡ Β«ΡΠ½Π΄ΠΎΠΊΡΠΈΠ½Π½Π°Ρ ΠΎΠΏΡΡ ΠΎΠ»ΡΒ» ΠΈ Β«ΡΠ½Π΄ΠΎΠΊΡΠΈΠ½Π½Π°Ρ ΠΊΠ°ΡΡΠΈΠ½ΠΎΠΌΠ°Β», ΠΎΠ΄Π½Π°ΠΊΠΎ Π΄Π»Ρ ΠΠΠ Π»Π΅Π³ΠΊΠΈΡ ΠΈ Π±ΡΠΎΠ½Ρ ΠΎΠ² ΡΠ΅ΡΠΌΠΈΠ½ Β«ΠΊΠ°ΡΡΠΈΠ½ΠΎΠΈΠ΄Β» ΡΠΎΡ ΡΠ°Π½Π΅Π½ ΠΊΠ°ΠΊ ΠΈΡΠΊΠ»ΡΡΠ΅Π½ΠΈΠ΅.
Π‘ΠΌ. ΡΠ°ΠΊΠΆΠ΅ Β«ΠΠ΅ΡΡΠ½ΠΈΠΊ ΠΠ±ΡΠ΅ΡΡΠ²Π°Β» β 10; 2010.β ΠΠ΅ΠΉΡΠΎΡΠ½Π΄ΠΎΠΊΡΠΈΠ½Π½ΡΠ΅ ΠΎΠΏΡΡ ΠΎΠ»ΠΈ. 1) ΠΠΎΡΡΠΎΠ»ΠΎΠ³ΠΈΡΠ΅ΡΠΊΠ°Ρ ΠΈ Π»Π°Π±ΠΎΡΠ°ΡΠΎΡΠ½Π°Ρ Π΄ΠΈΠ°Π³Π½ΠΎΡΡΠΈΠΊΠ°.
ΠΡΠΈ ΡΠ΅Π½ΡΡΠ°Π»ΡΠ½ΠΎΠΌ ΠΊΠ°ΡΡΠΈΠ½ΠΎΠΈΠ΄Π΅ Π½Π° ΡΠΎΠΌΠΎΠ³ΡΠ°ΠΌΠΌΠ°Ρ Π² ΠΊΠ°ΠΆΠ΄ΠΎΠΌ Π²ΡΠΎΡΠΎΠΌ ΡΠ»ΡΡΠ°Π΅ ΠΎΠΏΡΠ΅Π΄Π΅Π»ΡΠ΅ΡΡΡ ΡΠΈΠΏΠΈΡΠ½Π°Ρ ΠΊΠ°ΡΡΠΈΠ½Π° Β«Π°Π΄Π΅Π½ΠΎΠΌΡΒ» Π±ΡΠΎΠ½Ρ Π°; Π² ΠΊΠ°ΠΆΠ΄ΠΎΠΌ ΡΡΠ΅ΡΡΠ΅ΠΌ β Π²ΡΡΠ²Π»ΡΠ΅ΡΡΡ ΠΊΡΠ»ΡΡΡ Π² Π²ΠΈΠ΄Π΅ Β«ΠΎΠ±ΡΡΠ±Π»Π΅Π½Π½ΠΎΠ³ΠΎΒ» Π±ΡΠΎΠ½Ρ Π°, Ρ Π²ΠΎΠ³Π½ΡΡΠΎΠΉ Π»ΠΈΠ½ΠΈΠ΅ΠΉ ΠΎΠ±ΡΡΠ²Π°, Ρ Π²ΡΠΏΡΠΊΠ»ΠΎΡΡΡΡ Π² ΡΡΠΎΡΠΎΠ½Ρ Π³Π»Π°Π²Π½ΠΎΠ³ΠΎ Π±ΡΠΎΠ½Ρ Π°. ΠΡΠΈ ΠΊΠΎΠΌΠΏΡΡΡΠ΅ΡΠ½ΠΎΠΉ ΡΠΎΠΌΠΎΠ³ΡΠ°ΡΠΈΠΈ ΠΎΡΠ³Π°Π½ΠΎΠ² Π³ΡΡΠ΄Π½ΠΎΠΉ ΠΊΠ»Π΅ΡΠΊΠΈ ΠΊΠ°ΡΡΠΈΠ½ΠΎΠΈΠ΄Π½ΡΠ΅ ΠΎΠΏΡΡ ΠΎΠ»ΠΈ ΠΏΡΠΎΡΠ²Π»ΡΡΡΡΡ Π²ΡΡΠΎΠΊΠΎΠΉ ΠΈΠ½ΡΠ΅Π½ΡΠΈΠ²Π½ΠΎΡΡΡΡ ΡΠΈΠ³Π½Π°Π»Π°. ΠΠ»Ρ ΡΠΈΠΏΠΈΡΠ½ΠΎΠ³ΠΎ ΡΠ΅Π½ΡΡΠ°Π»ΡΠ½ΠΎΠ³ΠΎ ΠΊΠ°ΡΡΠΈΠ½ΠΎΠΈΠ΄Π° Ρ Π°ΡΠ°ΠΊΡΠ΅ΡΠ½Ρ ΡΠΎΠ²Π½ΡΠ΅, ΡΠ΅ΡΠΊΠΈΠ΅ ΠΊΠΎΠ½ΡΡΡΡ ΡΠ·Π»Π° Π² ΠΏΡΠΎΡΠ²Π΅ΡΠ΅ Π±ΡΠΎΠ½Ρ Π°, ΡΠ°ΡΠ΅ ΠΏΡΠΈ ΠΎΡΡΡΡΡΡΠ²ΠΈΠΈ ΡΡΠΎΠ»ΡΠ΅Π½ΠΈΡ ΡΡΠ΅Π½ΠΊΠΈ Π±ΡΠΎΠ½Ρ Π° ΠΈ ΠΏΠ΅ΡΠΈΠ±ΡΠΎΠ½Ρ ΠΈΠ°Π»ΡΠ½ΡΡ ΡΠΊΠ°Π½Π΅ΠΉ. ΠΡΠΈ ΠΏΠ΅ΡΠΈΡΠ΅ΡΠΈΡΠ΅ΡΠΊΠΎΠΉ Π»ΠΎΠΊΠ°Π»ΠΈΠ·Π°ΡΠΈΠΈ ΠΊΠ°ΡΡΠΈΠ½ΠΎΠΈΠ΄Π° ΠΎΠΏΡΡ ΠΎΠ»Ρ Π½Π΅Π±ΠΎΠ»ΡΡΠΈΡ ΡΠ°Π·ΠΌΠ΅ΡΠΎΠ² ΠΈΠΌΠ΅Π΅Ρ ΠΊΡΡΠ³Π»ΡΡ ΠΈΠ»ΠΈ ΠΎΠ²ΠΎΠΈΠ΄Π½ΡΡ ΡΠΎΡΠΌΡ Ρ ΡΠΎΠ²Π½ΡΠΌΠΈ ΠΎΡΠ΅ΡΡΠ΅Π½Π½ΡΠΌΠΈ ΠΊΠΎΠ½ΡΡΡΠ°ΠΌΠΈ. ΠΠ΅ΡΠ΅Π΄ΠΊΠΎ Π² ΡΡΡΡΠΊΡΡΡΠ΅ Π½ΠΎΠ²ΠΎΠΎΠ±ΡΠ°Π·ΠΎΠ²Π°Π½ΠΈΡ ΠΎΠΏΡΠ΅Π΄Π΅Π»ΡΡΡΡΡ ΠΎΡΠ°Π³ΠΈ ΠΏΠΎΠ²ΡΡΠ΅Π½Π½ΠΎΠΉ ΠΏΠ»ΠΎΡΠ½ΠΎΡΡΠΈ. ΠΠ°ΡΡΠΈΠ½ΠΎΠΈΠ΄ ΠΌΠΎΠΆΠ΅Ρ Π»ΠΎΠΊΠ°Π»ΠΈΠ·ΠΎΠ²Π°ΡΡΡΡ Π² Π»ΡΠ±ΠΎΠΌ Π±ΡΠΎΠ½Ρ Π΅. ΠΡΠΈ ΡΠΈΠ±ΡΠΎΠ±ΡΠΎΠ½Ρ ΠΎΡΠΊΠΎΠΏΠΈΠΈ ΠΎΠΏΡΠ΅Π΄Π΅Π»ΡΡΡΡΡ ΡΠ΅ΡΠΊΠΈΠ΅, ΡΠΎΠ²Π½ΡΠ΅ ΠΊΠΎΠ½ΡΡΡΡ ΠΎΠΏΡΡ ΠΎΠ»ΠΈ, Π²ΡΡΠ°ΠΆΠ΅Π½Π½Π°Ρ ΡΠΎΡΡΠ΄ΠΈΡΡΠ°Ρ ΡΠ΅ΡΡ, ΡΠΎΠ·ΠΎΠ²ΠΎ-ΠΊΡΠ°ΡΠ½ΠΎΠ²Π°ΡΡΠΉ ΠΈΠ»ΠΈ ΡΠ΅ΠΌΠ½ΠΎ-Π²ΠΈΡΠ½Π΅Π²ΡΠΉ ΡΠ²Π΅Ρ ΠΈ Π³Π»Π°Π΄ΠΊΠ°Ρ ΠΏΠΎΠ²Π΅ΡΡ Π½ΠΎΡΡΡ Π·Π° ΡΡΠ΅Ρ Π½Π΅ΠΏΠΎΠ²ΡΠ΅ΠΆΠ΄Π΅Π½Π½ΠΎΠΉ ΡΠ»ΠΈΠ·ΠΈΡΡΠΎΠΉ. ΠΡΠΈ ΠΈΠ½ΡΡΡΡΠΌΠ΅Π½ΡΠ°Π»ΡΠ½ΠΎΠΉ ΠΏΠ°Π»ΡΠΏΠ°ΡΠΈΠΈ ΠΎΠΏΡΡ ΠΎΠ»Ρ ΡΠ°ΡΠ΅ ΠΌΡΠ³ΠΊΠΎΡΠ»Π°ΡΡΠΈΡΠ½ΠΎΠΉ, ΡΠ΅ΠΆΠ΅ ΠΏΠ»ΠΎΡΠ½ΠΎΠΉ ΠΊΠΎΠ½ΡΠΈΡΡΠ΅Π½ΡΠΈΠΈ, ΠΊΠ°ΠΊ ΠΏΡΠ°Π²ΠΈΠ»ΠΎ, ΠΏΠΎΠ΄Π²ΠΈΠΆΠ½Π°Ρ, Π΅Π΅ ΠΌΠΎΠΆΠ½ΠΎ ΠΎΠ±ΠΎΠΉΡΠΈ ΠΈΠ½ΡΡΡΡΠΌΠ΅Π½ΡΠΎΠΌ. ΠΠΈΠΎΠΏΡΠΈΡ ΡΠΎΠΏΡΡΠΆΠ΅Π½Π° Ρ ΠΏΠΎΠ²ΡΡΠ΅Π½Π½ΡΠΌ ΡΠΈΡΠΊΠΎΠΌ ΠΊΡΠΎΠ²ΠΎΡΠΎΡΠΈΠ²ΠΎΡΡΠΈ.
Π‘ 2000-Ρ Π³Π³. ΠΊΠ°ΠΊ Π΄Π»Ρ Π΄ΠΈΡΡΠ΅ΡΠ΅Π½ΡΠΈΠ°Π»ΡΠ½ΠΎΠΉ Π΄ΠΈΠ°Π³Π½ΠΎΡΡΠΈΠΊΠΈ ΠΊΠ°ΡΡΠΈΠ½ΠΎΠΈΠ΄ΠΎΠ², ΡΠ°ΠΊ ΠΈ Π΄Π»Ρ ΠΊΠΎΠ½ΡΡΠΎΠ»Ρ ΡΡΡΠ΅ΠΊΡΠΈΠ²Π½ΠΎΡΡΠΈ Π»Π΅ΡΠ΅Π½ΠΈΡ Π²ΡΠ΅ ΡΠ°ΡΠ΅ ΠΏΡΠΈΠΌΠ΅Π½ΡΡΡΡΡ ΠΈΡΡΠ»Π΅Π΄ΠΎΠ²Π°Π½ΠΈΡ ΡΠΏΠ΅ΡΠΈΡΠΈΡΠ΅ΡΠΊΠΈΡ ΠΎΠΏΡΡ ΠΎΠ»Π΅Π²ΡΡ ΠΌΠ°ΡΠΊΠ΅ΡΠΎΠ²: Ρ ΡΠΎΠΌΠΎΠ³ΡΠ°Π½ΠΈΠ½Π° Π, Π½Π΅ΠΉΡΠΎΠ½ΡΠΏΠ΅ΡΠΈΡΠΈΡΠ΅ΡΠΊΠΎΠΉ Π΅Π½ΠΎΠ»Π°Π·Ρ, ΡΡΠ°ΠΊΡΠΈΠΈ Π³Π»ΠΈΠΊΠΎΠΏΡΠΎΡΠ΅ΠΈΠ½ΠΎΠ²ΡΡ Π³ΠΎΡΠΌΠΎΠ½ΠΎΠ² ΠΈ Π΄Ρ.
ΠΡΠ½ΠΎΠ²Π½ΡΠΌ ΠΌΠ΅ΡΠΎΠ΄ΠΎΠΌ ΡΠ°Π΄ΠΈΠΊΠ°Π»ΡΠ½ΠΎΠ³ΠΎ Π»Π΅ΡΠ΅Π½ΠΈΡ Π»ΠΎΠΊΠ°Π»ΠΈΠ·ΠΎΠ²Π°Π½Π½ΠΎΠ³ΠΎ ΠΊΠ°ΡΡΠΈΠ½ΠΎΠΈΠ΄Π° ΡΠ²Π»ΡΠ΅ΡΡΡ Ρ ΠΈΡΡΡΠ³ΠΈΡΠ΅ΡΠΊΠΈΠΉ. Π‘ΠΎΠ±ΡΠ°Π΅ΡΡΡ ΠΎ ΡΠ΅Π»Π΅ΡΠΎΠΎΠ±ΡΠ°Π·Π½ΠΎΡΡΠΈ ΠΏΠΎΡΠ»Π΅ΠΎΠΏΠ΅ΡΠ°ΡΠΈΠΎΠ½Π½ΠΎΠΉ Π»ΡΡΠ΅Π²ΠΎΠΉ ΡΠ΅ΡΠ°ΠΏΠΈΠΈ ΠΏΡΠΈ ΠΌΠ΅ΡΠ°ΡΡΠ°Π·Π°Ρ Π²ΠΎ Π²Π½ΡΡΡΠΈΠ³ΡΡΠ΄Π½ΡΡ Π»ΠΈΠΌΡΠΎΡΠ·Π»Π°Ρ , ΠΎΡΠΎΠ±Π΅Π½Π½ΠΎ ΡΡΠ΅Π΄ΠΎΡΡΠ΅Π½Π½ΡΡ . Π₯ΠΈΠΌΠΈΠΎΡΠ΅ΡΠ°ΠΏΠΈΡ ΠΈΠΌΠ΅Π΅Ρ ΠΎΠ³ΡΠ°Π½ΠΈΡΠ΅Π½Π½ΡΠ΅ Π²ΠΎΠ·ΠΌΠΎΠΆΠ½ΠΎΡΡΠΈ ΠΈ ΡΠ΅Π»Π΅ΡΠΎΠΎΠ±ΡΠ°Π·Π½Π° ΡΠΎΠ»ΡΠΊΠΎ ΠΏΡΠΈ Π³Π΅Π½Π΅ΡΠ°Π»ΠΈΠ·ΠΎΠ²Π°Π½Π½ΡΡ ΡΠΎΡΠΌΠ°Ρ Π·Π°Π±ΠΎΠ»Π΅Π²Π°Π½ΠΈΡ. Π ΡΠ»ΡΡΠ°ΡΡ ΠΊΠ»ΠΈΠ½ΠΈΡΠ΅ΡΠΊΠΎΠΉ ΠΊΠ°ΡΡΠΈΠ½Ρ ΠΊΠ°ΡΡΠΈΠ½ΠΎΠΈΠ΄Π½ΠΎΠ³ΠΎ ΡΠΈΠ½Π΄ΡΠΎΠΌΠ° Π½Π°Π·Π½Π°ΡΠ°Π΅ΡΡΡ ΠΎΠΊΡΡΠ΅ΠΎΡΠΈΠ΄ ΠΈ Π΅Π³ΠΎ Π°Π½Π°Π»ΠΎΠ³ΠΈ. Π₯Π°ΡΠ°ΠΊΡΠ΅Ρ ΠΈ ΠΎΠ±ΡΠ΅ΠΌ ΠΎΠΏΠ΅ΡΠ°ΡΠΈΠ²Π½ΠΎΠ³ΠΎ Π²ΠΌΠ΅ΡΠ°ΡΠ΅Π»ΡΡΡΠ²Π° ΠΎΡΠ»ΠΈΡΠ°Π΅ΡΡΡ ΠΎΡ ΡΠ°ΠΊΠΎΠ²ΠΎΠ³ΠΎ ΠΏΡΠΈ ΡΠ°ΠΊΠ΅ Π»Π΅Π³ΠΊΠΎΠ³ΠΎ Π² 3 ΡΠ°Π·Π° Π±ΠΎΠ»Π΅Π΅ ΡΠ΅Π΄ΠΊΠΈΠΌ Π²ΡΠΏΠΎΠ»Π½Π΅Π½ΠΈΠ΅ΠΌ ΠΏΠ½Π΅Π²ΠΌΠΎΠ½ΡΠΊΡΠΎΠΌΠΈΠΉ (7-16%). ΠΠ΅ΠΎΠ±Ρ ΠΎΠ΄ΠΈΠΌΠΎΡΡΡ ΠΏΠ½Π΅Π²ΠΌΠΎΠ½ΡΠΊΡΠΎΠΌΠΈΠΈ ΠΏΡΠΈ ΡΠ΅Π½ΡΡΠ°Π»ΡΠ½ΠΎΠΌ ΠΊΠ°ΡΡΠΈΠ½ΠΎΠΈΠ΄Π΅ ΠΎΠ±ΡΡΠ½ΠΎ ΠΎΠ±ΡΡΠ»ΠΎΠ²Π»Π΅Π½Π° Π²ΡΠΎΡΠΈΡΠ½ΡΠΌΠΈ Π½Π΅ΠΎΠ±ΡΠ°ΡΠΈΠΌΡΠΌΠΈ Π³Π½ΠΎΠΉΠ½ΠΎ-Π²ΠΎΡΠΏΠ°Π»ΠΈΡΠ΅Π»ΡΠ½ΡΠΌΠΈ ΠΈΠ·ΠΌΠ΅Π½Π΅Π½ΠΈΡΠΌΠΈ Π² Π»Π΅Π³ΠΎΡΠ½ΠΎΠΉ ΠΏΠ°ΡΠ΅Π½Ρ ΠΈΠΌΠ΅ Π² ΡΠ΅Π·ΡΠ»ΡΡΠ°ΡΠ΅ Π΄Π»ΠΈΡΠ΅Π»ΡΠ½ΠΎΠΉ ΠΎΠ±ΡΡΡΠ°ΡΠΈΠΈ Π³Π»Π°Π²Π½ΠΎΠ³ΠΎ Π±ΡΠΎΠ½Ρ Π°. ΠΡΠΈ ΠΊΠ°ΡΡΠΈΠ½ΠΎΠΈΠ΄Π°Ρ , Π² ΠΎΡΠ»ΠΈΡΠΈΠ΅ ΠΎΡ ΡΠ°ΠΊΠ° Π»Π΅Π³ΠΊΠΎΠ³ΠΎ, Π»ΠΈΠ½ΠΈΡ ΠΏΠ΅ΡΠ΅ΡΠ΅ΡΠ΅Π½ΠΈΡ Π±ΡΠΎΠ½Ρ Π°, Π±Π΅Π· ΡΡΠ΅ΡΠ±Π° Π΄Π»Ρ ΡΠ°Π΄ΠΈΠΊΠ°Π»ΠΈΠ·ΠΌΠ°, ΠΌΠΎΠΆΠ΅Ρ ΠΎΡΠ΄Π°Π»ΡΡΡΡΡ ΠΎΡ Π²ΠΈΠ΄ΠΈΠΌΠΎΠ³ΠΎ ΠΊΡΠ°Ρ ΠΎΠΏΡΡ ΠΎΠ»ΠΈ Π²ΡΠ΅Π³ΠΎ Π½Π° 5-7 ΠΌΠΌ (ΠΏΡΠΈ ΡΡΠ»ΠΎΠ²ΠΈΠΈ Π½Π΅Π³Π°ΡΠΈΠ²Π½ΠΎΠ³ΠΎ ΡΠ΅Π·ΡΠ»ΡΡΠ°ΡΠ° ΠΈΠ½ΡΡΠ°ΠΎΠΏΠ΅ΡΠ°ΡΠΈΠΎΠ½Π½ΠΎΠ³ΠΎ ΠΌΠΎΡΡΠΎΠ»ΠΎΠ³ΠΈΡΠ΅ΡΠΊΠΎΠ³ΠΎ ΠΈΡΡΠ»Π΅Π΄ΠΎΠ²Π°Π½ΠΈΡ Π»ΠΈΠ½ΠΈΠΈ ΡΠ°Π·ΡΠ΅Π·Π°). ΠΡΠ½ΠΎΠ²Π½ΡΠΌΠΈ ΠΎΠΏΠ΅ΡΠ°ΡΠΈΡΠΌΠΈ ΠΏΡΠΈ ΠΊΠ°ΡΡΠΈΠ½ΠΎΠΈΠ΄Π°Ρ ΡΠ²Π»ΡΡΡΡΡ ΠΎΡΠ³Π°Π½ΠΎΡΠΎΡ ΡΠ°Π½Π½ΡΠ΅ Ρ ΠΈΡΡΡΠ³ΠΈΡΠ΅ΡΠΊΠΈΠ΅ Π²ΠΌΠ΅ΡΠ°ΡΠ΅Π»ΡΡΡΠ²Π° ΡΠΈΠΏΠ° Π»ΠΎΠ±ΡΠΊΡΠΎΠΌΠΈΠΈ; Π½Π΅ΡΠΌΠΎΡΡΡ Π½Π° ΠΌΠ΅Π½ΡΡΡΡ Π² ΡΠ΅Π»ΠΎΠΌ ΡΠ°ΡΡΠΎΡΡ ΡΠ΅Π³ΠΈΠΎΠ½Π°ΡΠ½ΠΎΠ³ΠΎ Π»ΠΈΠΌΡΠΎΠ³Π΅Π½Π½ΠΎΠ³ΠΎ ΠΌΠ΅ΡΠ°ΡΡΠ°Π·ΠΈΡΠΎΠ²Π°Π½ΠΈΡ Ρ Π»Π΅Π΄ΡΠ΅Ρ ΡΠ΄Π°Π»ΡΡΡ ΠΊΠ»Π΅ΡΡΠ°ΡΠΊΡ Ρ Π»ΠΈΠΌΡΠ°ΡΠΈΡΠ΅ΡΠΊΠΈΠΌΠΈ ΡΠ·Π»Π°ΠΌΠΈ ΡΡΠ΅Π΄ΠΎΡΡΠ΅Π½ΠΈΡ, ΡΠΎΠ±Π»ΡΠ΄Π°Ρ ΠΏΡΠΈΠ½ΡΠΈΠΏΡ ΠΎΠ½ΠΊΠΎΠ»ΠΎΠ³ΠΈΡΠ΅ΡΠΊΠΎΠ³ΠΎ ΡΠ°Π΄ΠΈΠΊΠ°Π»ΠΈΠ·ΠΌΠ°.
Π₯ΠΈΡΡΡΠ³ΠΈΡΠ΅ΡΠΊΠΎΠ΅ Π»Π΅ΡΠ΅Π½ΠΈΠ΅ ΠΏΠΎ ΠΏΠΎΠ²ΠΎΠ΄Ρ Π±ΡΠΎΠ½Ρ ΠΎΠ»Π΅Π³ΠΎΡΠ½ΠΎΠ³ΠΎ ΠΊΠ°ΡΡΠΈΠ½ΠΎΠΈΠ΄Π° Π²ΡΠΏΠΎΠ»Π½Π΅Π½ΠΎ 217 ΠΏΠ°ΡΠΈΠ΅Π½ΡΠ°ΠΌ ΠΠΠΠΠ. Π‘ΠΎΠ³Π»Π°ΡΠ½ΠΎ ΠΏΡΠΈΠ½ΡΡΠΎΠΉ Π½Π°ΠΌΠΈ ΡΠΈΡΡΠ΅ΠΌΠ°ΡΠΈΠ·Π°ΡΠΈΠΈ ΠΊΠ°ΡΡΠΈΠ½ΠΎΠΈΠ΄Π½ΡΡ ΠΎΠΏΡΡ ΠΎΠ»Π΅ΠΉ Π»Π΅Π³ΠΊΠΈΡ , Π²ΡΡΠΎΠΊΠΎΠ΄ΠΈΡΡΠ΅ΡΠ΅Π½ΡΠΈΡΠΎΠ²Π°Π½Π½ΡΠΉ ΡΠΈΠΏ (ΡΠΈΠΏΠΈΡΠ½ΡΠΉ ΠΊΠ°ΡΡΠΈΠ½ΠΎΠΈΠ΄) Π΄ΠΈΠ°Π³Π½ΠΎΡΡΠΈΡΠΎΠ²Π°Π½ Ρ 120, ΡΠΌΠ΅ΡΠ΅Π½Π½ΠΎΠ΄ΠΈΡΡΠ΅ΡΠ΅Π½ΡΠΈΡΠΎΠ²Π°Π½Π½ΡΠΉ (Π°ΡΠΈΠΏΠΈΡΠ½ΡΠΉ) β Ρ 45 ΠΈ Π½ΠΈΠ·ΠΊΠΎΠ΄ΠΈΡΡΠ΅ΡΠ΅Π½ΡΠΈΡΠΎΠ²Π°Π½Π½ΡΠΉ (Π°Π½Π°ΠΏΠ»Π°Π·ΠΈΡΠΎΠ²Π°Π½Π½ΡΠΉ) β Ρ 52 Π±ΠΎΠ»ΡΠ½ΡΡ . Π Π΅Π³ΠΈΠΎΠ½Π°ΡΠ½ΡΠ΅ ΠΌΠ΅ΡΠ°ΡΡΠ°Π·Ρ ( N +) Π²ΡΡΠ²Π»Π΅Π½Ρ Π² 3,0% Π½Π°Π±Π»ΡΠ΄Π΅Π½ΠΈΠΉ ΠΏΡΠΈ ΡΠΈΠΏΠΈΡΠ½ΠΎΠΌ, Π² 17,5% β ΠΏΡΠΈ Π°ΡΠΈΠΏΠΈΡΠ½ΠΎΠΌ ΠΈ Π² 74,0% β ΠΏΡΠΈ Π°Π½Π°ΠΏΠ»Π°Π·ΠΈΡΠΎΠ²Π°Π½Π½ΠΎΠΌ ΠΊΠ°ΡΡΠΈΠ½ΠΎΠΈΠ΄Π΅. ΠΡΠ΅ΠΎΠ±Π»Π°Π΄Π°Π»ΠΈ ΠΎΡΠ³Π°Π½ΠΎΡΠΎΡ ΡΠ°Π½Π½ΡΠ΅ ΠΎΠΏΠ΅ΡΠ°ΡΠΈΠΈ: Π»ΠΎΠ±- ΠΈ Π±ΠΈΠ»ΠΎΠ±ΡΠΊΡΠΎΠΌΠΈΠΈ Π²ΡΠΏΠΎΠ»Π½Π΅Π½Ρ Ρ 40,0%, Π»ΠΎΠ±ΡΠΊΡΠΎΠΌΠΈΠΈ Ρ ΡΠ΅Π·Π΅ΠΊΡΠΈΠ΅ΠΉ ΠΈ ΠΏΠ»Π°ΡΡΠΈΠΊΠΎΠΉ Π±ΡΠΎΠ½Ρ ΠΎΠ² β Ρ 30,0%, ΡΠ΅Π³ΠΌΠ΅Π½ΡΡΠΊΡΠΎΠΌΠΈΠΈ β Ρ 4,0% Π±ΠΎΠ»ΡΠ½ΡΡ . ΠΡΠΈ ΡΠ΅Π½ΡΡΠ°Π»ΡΠ½ΠΎΠΌ ΠΊΠ°ΡΡΠΈΠ½ΠΎΠΈΠ΄Π΅ Ρ 14 ΠΏΠ°ΡΠΈΠ΅Π½ΡΠΎΠ² Π²ΡΠΏΠΎΠ»Π½Π΅Π½Π° ΠΈΠ·ΠΎΠ»ΠΈΡΠΎΠ²Π°Π½Π½Π°Ρ ΡΠ΅Π·Π΅ΠΊΡΠΈΡ Π±ΡΠΎΠ½Ρ Π°(ΠΎΠ²) Ρ ΠΌΠΎΠ½ΠΎ- ΠΈΠ»ΠΈ ΠΏΠΎΠ»ΠΈΠ±ΡΠΎΠ½Ρ ΠΈΠ°Π»ΡΠ½ΡΠΌΠΈ Π°Π½Π°ΡΡΠΎΠΌΠΎΠ·Π°ΠΌΠΈ, Ρ.Π΅. ΡΠΎΡ ΡΠ°Π½Π΅Π½ΠΈΠ΅ΠΌ Π½Π΅ΠΏΠΎΡΠ°ΠΆΠ΅Π½Π½ΠΎΠΉ ΠΏΠ°ΡΠ΅Π½Ρ ΠΈΠΌΡ Π»Π΅Π³ΠΊΠΎΠ³ΠΎ.
ΠΡΡΠΈΠ»Π΅ΡΠ½ΡΡ Π²ΡΠΆΠΈΠ²Π°Π΅ΠΌΠΎΡΡΡ ΡΠΎΠΎΡΠ²Π΅ΡΡΡΠ²ΠΎΠ²Π°Π»Π° 81%, ΡΠΎΡΡΠ°Π²ΠΈΠ² ΠΏΡΠΈ ΡΠΈΠΏΠΈΡΠ½ΠΎΠΌ ΠΊΠ°ΡΡΠΈΠ½ΠΎΠΈΠ΄Π΅ β 100, Π°ΡΠΈΠΏΠΈΡΠ½ΠΎΠΌ β 90%. ΠΡΠ΄Π°Π»Π΅Π½Π½ΡΠ΅ ΡΠ΅Π·ΡΠ»ΡΡΠ°ΡΡ ΠΏΡΠΈ Π½ΠΈΠ·ΠΊΠΎΠ΄ΠΈΡΡΠ΅ΡΠ΅Π½ΡΠΈΡΠΎΠ²Π°Π½Π½ΠΎΠΌ (Π°Π½Π°ΠΏΠ»Π°Π·ΠΈΡΠΎΠ²Π°Π½Π½ΠΎΠΌ) ΠΊΠ°ΡΡΠΈΠ½ΠΎΠΈΠ΄Π΅ ΠΌΠ°Π»ΠΎ-ΡΡΠ΅ΡΠΈΡΠ΅Π»ΡΠ½Ρ β Π±ΠΎΠ»Π΅Π΅ 5 Π»Π΅Ρ ΠΆΠΈΠ»ΠΈ Π»ΠΈΡΡ 37% ΠΏΠ°ΡΠΈΠ΅Π½ΡΠΎΠ² (Ρ ΠΊΠΎΡΠΎΡΡΡ Π½Π΅ Π²ΡΡΠ²Π»ΡΠ»ΠΎΡΡ ΠΌΠ΅ΡΠ°ΡΡΠ°Π·ΠΎΠ² Π² Π»ΠΈΠΌΡΠΎΡΠ·Π»Π°Ρ ). Π 1990-Ρ β2000-Ρ Π³Π³. ΠΏΡΠΈ ΡΠΈΠΏΠΈΡΠ½ΠΎΠΌ ΡΠ΅Π½ΡΡΠ°Π»ΡΠ½ΠΎΠΌ ΠΊΠ°ΡΡΠΈΠ½ΠΎΠΈΠ΄Π΅ Π°ΠΊΡΠΈΠ²Π½ΠΎ ΠΏΡΠΈΠΌΠ΅Π½ΡΡΡΡΡ ΡΠ½Π΄ΠΎΠ±ΡΠΎΠ½Ρ ΠΎΡΠΊΠΎΠΏΠΈΡΠ΅ΡΠΊΠΈΠ΅ ΠΎΠΏΠ΅ΡΠ°ΡΠΈΠΈ. ΠΠΎΠΌΠΈΠΌΠΎ Π²ΠΎΡΡΡΠ°Π½ΠΎΠ²Π»Π΅Π½ΠΈΡ ΠΏΡΠΎΡ ΠΎΠ΄ΠΈΠΌΠΎΡΡΠΈ Π΄ΡΡ Π°ΡΠ΅Π»ΡΠ½ΡΡ ΠΏΡΡΠ΅ΠΉ, ΡΡΡΡΠ°Π½Π΅Π½ΠΈΡ Π°ΡΠ΅Π»Π΅ΠΊΡΠ°Π·Π°/ ΠΎΠ±ΡΡΡΠ°ΡΠΈΠΎΠ½Π½ΠΎΠΉ ΠΏΠ½Π΅Π²ΠΌΠΎΠ½ΠΈΠΈ, Π΄Π°Π½Π½ΡΠΉ ΠΌΠ΅ΡΠΎΠ΄ Π»Π΅ΡΠ΅Π½ΠΈΡ ΠΌΠΎΠΆΠ΅Ρ ΡΡΠΈΡΠ°ΡΡΡΡ ΡΠ°Π΄ΠΈΠΊΠ°Π»ΡΠ½ΡΠΌ ΠΏΡΠΈ Π²ΡΡΠΎΠΊΠΎΠ΄ΠΈΡΡΠ΅ΡΠ΅Π½ΡΠΈΡΠΎΠ²Π°Π½Π½ΠΎΠΌ ΠΊΠ°ΡΡΠΈΠ½ΠΎΠΈΠ΄Π΅ Ρ ΡΠΊΠ·ΠΎΡΠΈΡΠ½ΡΠΌ ΡΠΈΠΏΠΎΠΌ ΡΠΎΡΡΠ°, ΠΏΡΠΈ ΠΎΡΡΡΡΡΡΠ²ΠΈΠΈ ΠΏΠ΅ΡΠΈΠ±ΡΠΎΠ½Ρ ΠΈΠ°Π»ΡΠ½ΠΎΠ³ΠΎ ΠΊΠΎΠΌΠΏΠΎΠ½Π΅Π½ΡΠ° ΠΈ ΡΠ²Π΅Π»ΠΈΡΠ΅Π½Π½ΡΡ Π²Π½ΡΡΡΠΈΠ³ΡΡΠ΄Π½ΡΡ Π»ΠΈΠΌΡΠ°ΡΠΈΡΠ΅ΡΠΊΠΈΡ ΡΠ·Π»ΠΎΠ².
ΠΠ½Π΄ΠΎΠ±ΡΠΎΠ½Ρ
ΠΎΡΠΊΠΎΠΏΠΈΡΠ΅ΡΠΊΠΎΠ΅ Π»Π΅ΡΠ΅Π½ΠΈΠ΅ Π½Π°ΠΌΠΈ ΠΏΡΠΎΠ²Π΅Π΄Π΅Π½ΠΎ 32 ΠΏΠ°ΡΠΈΠ΅Π½ΡΠ°ΠΌ ΡΡΠ°Ρ
Π΅ΠΎ-Π±ΡΠΎΠ½Ρ
ΠΈΠ°Π»ΡΠ½ΡΠΌΠΈ ΠΊΠ°ΡΡΠΈΠ½ΠΎΠΈΠ΄Π½ΡΠΌΠΈ ΠΎΠΏΡΡ
ΠΎΠ»ΡΠΌΠΈ β Π²ΡΡΠΎΠΊΠΎΠ΄ΠΈΡΡΠ΅ΡΠ΅Π½ΡΠΈΡΠΎΠ²Π°Π½Π½ΡΠΌΠΈ (21), ΡΠΌΠ΅ΡΠ΅Π½Π½ΠΎΠ΄ΠΈΡΡΠ΅ΡΠ΅Π½ΡΠΈΡΠΎΠ²Π°Π½Π½ΡΠΌΠΈ (9) ΠΈ Π½ΠΈΠ·ΠΊΠΎΠ΄ΠΈΡΡΠ΅ΡΠ΅Π½ΡΠΈΡΠΎΠ²Π°Π½Π½ΡΠΌΠΈ (2). ΠΠΎΡΠ°ΠΆΠ΅Π½ΠΈΠ΅ Π³Π»Π°Π²Π½ΠΎΠ³ΠΎ Π±ΡΠΎΠ½Ρ
Π° Π½Π°Π±Π»ΡΠ΄Π°Π»ΠΎΡΡ Ρ 21 Π±ΠΎΠ»ΡΠ½ΠΎΠ³ΠΎ, Π΄ΠΎΠ»Π΅Π²ΠΎΠ³ΠΎ β Ρ 7, ΡΡΠ°Ρ
Π΅ΠΈ β Ρ 3, Π° Ρ ΠΎΠ΄Π½ΠΎΠ³ΠΎ ΠΏΠ°ΡΠΈΠ΅Π½ΡΠ° ΠΈΠΌΠ΅Π»ΠΈΡΡ ΠΏΠ΅ΡΠ²ΠΈΡΠ½ΠΎ-ΠΌΠ½ΠΎΠΆΠ΅ΡΡΠ²Π΅Π½Π½ΡΠ΅ ΠΊΠ°ΡΡΠΈΠ½ΠΎΠΈΠ΄Π½ΡΠ΅ ΠΎΠΏΡΡ
ΠΎΠ»ΠΈ Ρ Π»ΠΎΠΊΠ°Π»ΠΈΠ·Π°ΡΠΈΠ΅ΠΉ Π² ΡΡΠ°Ρ
Π΅Π΅ ΠΈ Π±ΡΠΎΠ½Ρ
Π°Ρ
. Π Π°Π·ΠΌΠ΅Ρ ΡΠ΄Π°Π»ΡΠ΅ΠΌΠΎΠΉ ΡΠΊΠ·ΠΎΡΠΈΡΠ½ΠΎΠΉ ΡΠ°ΡΡΠΈ ΠΎΠΏΡΡ
ΠΎΠ»ΠΈ ΡΠΎΠΎΡΠ²Π΅ΡΡΡΠ²ΠΎΠ²Π°Π» 0,5-6,0 ΡΠΌ. Π Π°Π΄ΠΈΠΊΠ°Π»ΡΠ½ΠΎΠ΅ ΡΠ½Π΄ΠΎΡΠΊΠΎΠΏΠΈΡΠ΅ΡΠΊΠΎΠ΅ Π»Π΅ΡΠ΅Π½ΠΈΠ΅ ΡΠ΄Π°Π»ΠΎΡΡΡ Π²ΡΠΏΠΎΠ»Π½ΠΈΡΡ 18 (56,2%) Π±ΠΎΠ»ΡΠ½ΡΠΌ. ΠΠ΅ΡΡΠ½ΡΠΉ ΡΠ΅ΡΠΈΠ΄ΠΈΠ² Π²ΠΎΠ·Π½ΠΈΠΊ Ρ ΠΎΠ΄Π½ΠΎΠ³ΠΎ ΠΏΠ°ΡΠΈΠ΅Π½ΡΠ° ΡΠ΅ΡΠ΅Π· 8 Π»Π΅Ρ, Π΅ΠΌΡ ΠΏΠΎΠ²ΡΠΎΡΠ½ΠΎ ΠΏΡΠΎΠ²Π΅Π΄Π΅Π½ΠΎ ΡΠ½Π΄ΠΎΠ±ΡΠΎΠ½Ρ
ΠΎΡΠΊΠΎΠΏΠΈΡΠ΅ΡΠΊΠΎΠ΅ Π»Π΅ΡΠ΅Π½ΠΈΠ΅. ΠΡΡΠ°Π»ΡΠ½ΡΠΌ 14 Π±ΠΎΠ»ΡΠ½ΡΠΌ ΠΏΠΎΡΠ»Π΅ ΡΠ½Π΄ΠΎΡΠΊΠΎΠΏΠΈΡΠ΅ΡΠΊΠΈΡ
Π²ΠΎΠ·Π΄Π΅ΠΉΡΡΠ²ΠΈΠΉ Π²ΡΠΏΠΎΠ»Π½Π΅Π½Ρ ΠΎΡΠ³Π°Π½ΠΎΡΠΎΡ
ΡΠ°Π½Π½ΡΠ΅ ΠΎΠΏΠ΅ΡΠ°ΡΠΈΠΈ ΠΈΠ· ΡΡΠ°Π½ΡΡΠΎΡΠ°ΠΊΠ°Π»ΡΠ½ΠΎΠ³ΠΎ Π΄ΠΎΡΡΡΠΏΠ°.
2. ΠΡΡΠΏΠ½ΠΎΠΊΠ»Π΅ΡΠΎΡΠ½ΡΠΉ Π½Π΅ΠΉΡΠΎΡΠ½Π΄ΠΎΠΊΡΠΈΠ½Π½ΡΠΉ ΡΠ°ΠΊ Π»Π΅Π³ΠΊΠΎΠ³ΠΎ β ΡΡΠΎ ΡΠ΅Π΄ΠΊΠ°Ρ Π²ΡΡΠΎΠΊΠΎΠ·Π»ΠΎΠΊΠ°ΡΠ΅ΡΡΠ²Π΅Π½Π½Π°Ρ ΠΌΠΎΡΡΠΎΠ»ΠΎΠ³ΠΈΡΠ΅ΡΠΊΠ°Ρ ΡΠΎΡΠΌΠ° Π½Π΅ΠΌΠ΅Π»ΠΊΠΎΠΊΠ»Π΅ΡΠΎΡΠ½ΠΎΠ³ΠΎ ΡΠ°ΠΊΠ°. ΠΠ΅ ΡΠ°ΡΡΠΎΡΠ° ΡΠΎΡΡΠ°Π²Π»ΡΠ΅Ρ 3%. ΠΠ½ΠΎΠ³ΠΈΠ΅ Π°ΡΠΏΠ΅ΠΊΡΡ Π΄ΠΈΠ°Π³Π½ΠΎΡΡΠΈΠΊΠΈ ΠΎΡΡΠ°ΡΡΡΡ Π½Π΅ΡΠ΅ΡΠ΅Π½Π½ΡΠΌΠΈ Π²Π²ΠΈΠ΄Ρ Π½Π΅Π΄ΠΎΡΡΠ°ΡΠΎΡΠ½ΠΎΠ³ΠΎ ΡΠΈΡΠ»Π° Π½Π°Π±Π»ΡΠ΄Π΅Π½ΠΈΠΉ. ΠΡΠΎΠ³Π½ΠΎΠ· ΠΏΠΎΡΠ»Π΅ Ρ ΠΈΡΡΡΠ³ΠΈΡΠ΅ΡΠΊΠΎΠ³ΠΎ Π»Π΅ΡΠ΅Π½ΠΈΡ Π½Π΅Π±Π»Π°Π³ΠΎΠΏΡΠΈΡΡΠ½ΡΠΉ β 5-Π»Π΅ΡΠ½ΡΡ Π²ΡΠΆΠΈΠ²Π°Π΅ΠΌΠΎΡΡΡ Π·Π½Π°ΡΠΈΡΠ΅Π»ΡΠ½ΠΎ ΡΡΡΡΠΏΠ°Π΅Ρ ΠΏΡΠΎΠ΄ΠΎΠ»ΠΆΠΈΡΠ΅Π»ΡΠ½ΠΎΡΡΠΈ ΠΆΠΈΠ·Π½ΠΈ ΠΏΡΠΈ Β«ΠΊΠ»Π°ΡΡΠΈΡΠ΅ΡΠΊΠΎΠΌΒ» ΠΊΡΡΠΏΠ½ΠΎΠΊΠ»Π΅ΡΠΎΡΠ½ΠΎΠΌ ΡΠ°ΠΊΠ΅ ΠΈ Π΄ΡΡΠ³ΠΈΡ ΡΠΎΡΠΌΠ°Ρ Π½Π΅ΠΌΠ΅Π»ΠΊΠΎΠΊΠ»Π΅ΡΠΎΡΠ½ΠΎΠ³ΠΎ ΡΠ°ΠΊΠ° Π»Π΅Π³ΠΊΠΎΠ³ΠΎ.
Π‘ΡΠ΅Π΄ΠΈ 178 Π±ΠΎΠ»ΡΠ½ΡΡ ΠΌΠΎΡΡΠΎΠ»ΠΎΠ³ΠΈΡΠ΅ΡΠΊΠΈ Π²Π΅ΡΠΈΡΠΈΡΠΈΡΠΎΠ²Π°Π½Π½ΡΠΌ ΠΊΡΡΠΏΠ½ΠΎΠΊΠ»Π΅ΡΠΎΡΠ½ΡΠΌ ΡΠ°ΠΊΠΎΠΌ Π»Π΅Π³ΠΊΠΎΠ³ΠΎ Π»ΠΈΡΡ Ρ 12 (6,7%), ΠΏΠΎ ΡΠ΅Π·ΡΠ»ΡΡΠ°ΡΠ°ΠΌ Π³ΠΈΡΡΠΎΠΈΠΌΠΌΡΠ½ΠΎΡ ΠΈΠΌΠΈΡΠ΅ΡΠΊΠΎΠ³ΠΎ ΠΈΡΡΠ»Π΅Π΄ΠΎΠ²Π°Π½ΠΈΡ ΠΎΠΏΠ΅ΡΠ°ΡΠΈΠΎΠ½Π½ΠΎΠ³ΠΎ ΠΌΠ°ΡΠ΅ΡΠΈΠ°Π»Π°, Π΄ΠΈΠ°Π³Π½ΠΎΡΡΠΈΡΠΎΠ²Π°Π½ Π½Π΅ΠΉΡΠΎΡΠ½Π΄ΠΎΠΊΡΠΈΠ½Π½ΡΠΉ Π²Π°ΡΠΈΠ°Π½Ρ; 1; 3 ΠΈ 5-Π»Π΅ΡΠ½ΡΡ Π²ΡΠΆΠΈΠ²Π°Π΅ΠΌΠΎΡΡΡ ΠΏΡΠΈ ΡΡΠΎΠΌ ΡΠΎΡΡΠ°Π²ΠΈΠ»Π° 40; 10; ΠΈ 0%.
3. ΠΠ΅Π»ΠΊΠΎΠΊΠ»Π΅ΡΠΎΡΠ½ΡΠΉ ΡΠ°ΠΊ Π»Π΅Π³ΠΊΠΎΠ³ΠΎ β Π½Π°ΠΈΠ±ΠΎΠ»Π΅Π΅ ΡΠ°ΡΡΠ°Ρ Π½Π΅ΠΉΡΠΎΡΠ½Π΄ΠΎΠΊΡΠΈΠ½Π½Π°Ρ ΠΎΠΏΡΡ ΠΎΠ»Ρ Π΄Π°Π½Π½ΠΎΠΉ Π»ΠΎΠΊΠ°Π»ΠΈΠ·Π°ΡΠΈΠΈ. ΠΠ½Π° ΡΠΎΡΡΠ°Π²Π»ΡΠ΅Ρ 20-25% ΠΎΡ Π²ΡΠ΅Ρ Π³ΠΈΡΡΠΎΠ»ΠΎΠ³ΠΈΡΠ΅ΡΠΊΠΈΡ ΡΠΎΡΠΌ ΡΠ°ΠΊΠ° Π»Π΅Π³ΠΊΠΎΠ³ΠΎ. Π Π΅Π΅ Π±ΠΈΠΎΠ»ΠΎΠ³ΠΈΡΠ΅ΡΠΊΠΈΠΌ ΠΎΡΠΎΠ±Π΅Π½Π½ΠΎΡΡΡΠΌ ΠΎΡΠ½ΠΎΡΡΡ Π²ΡΡΠΎΠΊΡΡ ΡΡΠ΅ΠΏΠ΅Π½Ρ Π·Π»ΠΎΠΊΠ°ΡΠ΅ΡΡΠ²Π΅Π½Π½ΠΎΡΡΠΈ, Π±ΡΡΡΡΡΠΉ ΡΠΎΡΡ, ΡΠΊΠ»ΠΎΠ½Π½ΠΎΡΡΡ ΠΊ ΡΠ°Π½Π½Π΅ΠΌΡ Π»ΠΈΠΌΡΠΎΠ³Π΅Π½Π½ΠΎΠΌΡ ΠΈ Π³Π΅ΠΌΠ°ΡΠΎΠ³Π΅Π½Π½ΠΎΠΌΡ ΠΌΠ΅ΡΠ°ΡΡΠ°Π·ΠΈΡΠΎΠ²Π°Π½ΠΈΡ, Π²ΡΡΠΎΠΊΡΡ ΡΡΠ²ΡΡΠ²ΠΈΡΠ΅Π»ΡΠ½ΠΎΡΡΡ ΠΊ Π»Π΅ΠΊΠ°ΡΡΡΠ²Π΅Π½Π½ΠΎΠΌΡ ΠΈ Π»ΡΡΠ΅Π²ΠΎΠΌΡ Π»Π΅ΡΠ΅Π½ΠΈΡ. ΠΠ±ΡΠ΅ΠΏΡΠΈΠ½ΡΡΠ°Ρ ΡΠΈΡΡΠ΅ΠΌΠ°ΡΠΈΠ·Π°ΡΠΈΡ ΠΌΠ΅Π»ΠΊΠΎΠΊΠ»Π΅ΡΠΎΡΠ½ΠΎΠ³ΠΎ ΡΠ°ΠΊΠ° Π½Π° Β«Π»ΠΎΠΊΠ°Π»ΠΈΠ·ΠΎΠ²Π°Π½Π½ΡΠΉΒ» (Π² ΠΏΡΠ΅Π΄Π΅Π»Π°Ρ Π³Π΅ΠΌΠΈΡΠΎΡΠ°ΠΊΡΠ°) ΠΈ Β«ΡΠ°ΡΠΏΡΠΎΡΡΡΠ°Π½Π΅Π½Π½ΡΠΉΒ» ΠΏΡΠ°Π²ΠΎΠΌΠΎΡΠ½ΠΎ Π΄ΠΎΠΏΠΎΠ»Π½ΡΠ΅ΡΡΡ ΠΎΡΠ΅Π½ΠΊΠΎΠΉ ΡΠ°ΡΠΏΡΠΎΡΡΡΠ°Π½Π΅Π½Π½ΠΎΡΡΠΈ (ΡΡΠ°Π΄ΠΈΠΈ) ΠΏΡΠΎΡΠ΅ΡΡΠ° Π² ΡΠΎΠΎΡΠ²Π΅ΡΡΡΠ²ΠΈΠΈ Ρ ΠΊΠ»Π°ΡΡΠΈΡΠΈΠΊΠ°ΡΠΈΠ΅ΠΉ TNM. Π‘ ΡΡΠ΅ΡΠΎΠΌ ΠΎΡΠΎΠ±Π΅Π½Π½ΠΎΡΡΠ΅ΠΉ ΠΊΠ»ΠΈΠ½ΠΈΡΠ΅ΡΠΊΠΎΠ³ΠΎ ΡΠ΅ΡΠ΅Π½ΠΈΡ ΠΊ ΠΎΠ±ΡΠ·Π°ΡΠ΅Π»ΡΠ½ΡΠΌ ΠΌΠ΅ΡΠΎΠ΄Π°ΠΌ ΠΎΠ±ΡΠ»Π΅Π΄ΠΎΠ²Π°Π½ΠΈΡ (ΡΠΈΠ±ΡΠΎΠ±ΡΠΎΠ½Ρ ΠΎΡΠΊΠΎΠΏΠΈΡ, ΠΊΠΎΠΌΠΏΡΡΡΠ΅ΡΠ½Π°Ρ ΡΠΎΠΌΠΎΠ³ΡΠ°ΡΠΈΡ Π»Π΅Π³ΠΊΠΈΡ , ΡΠ»ΡΡΡΠ°Π·Π²ΡΠΊΠΎΠ²ΠΎΠ΅ ΠΈΡΡΠ»Π΅Π΄ΠΎΠ²Π°Π½ΠΈΠ΅ ΡΠ΅Π³ΠΈΠΎΠ½Π°ΡΠ½ΡΡ Π·ΠΎΠ½, Π±ΡΡΡΠ½ΠΎΠΉ ΠΏΠΎΠ»ΠΎΡΡΠΈ ΠΈ Π·Π°Π±ΡΡΡΠΈΠ½Π½ΠΎΠ³ΠΎ ΠΏΡΠΎΡΡΡΠ°Π½ΡΡΠ²Π°) ΠΏΠ°ΡΠΈΠ΅Π½ΡΠΎΠ² Ρ ΠΌΠΎΡΡΠΎΠ»ΠΎΠ³ΠΈΡΠ΅ΡΠΊΠΈ ΠΏΠΎΠ΄ΡΠ²Π΅ΡΠΆΠ΄Π΅Π½Π½ΡΠΌ ΠΌΠ΅Π»ΠΊΠΎΠΊΠ»Π΅ΡΠΎΡΠ½ΡΠΌ ΡΠ°ΠΊΠΎΠΌ Π»Π΅Π³ΠΊΠΎΠ³ΠΎ ΠΎΡΠ½ΠΎΡΡΡ ΡΠ°Π΄ΠΈΠΎΠ½ΡΠΊΠ»ΠΈΠ΄Π½ΡΡ Π΄ΠΈΠ°Π³Π½ΠΎΡΡΠΈΠΊΡ ΠΊΠΎΡΡΠ΅ΠΉ ΡΠΊΠ΅Π»Π΅ΡΠ°, Π»Π°Π±ΠΎΡΠ°ΡΠΎΡΠ½ΠΎΠ΅ ΠΈΡΡΠ»Π΅Π΄ΠΎΠ²Π°Π½ΠΈΠ΅ ΠΊΠΎΡΡΠ½ΠΎΠ³ΠΎ ΠΌΠΎΠ·Π³Π° ΠΈ ΡΠΎΠΌΠΎΠ³ΡΠ°ΡΠΈΡ Π³ΠΎΠ»ΠΎΠ²Π½ΠΎΠ³ΠΎ ΠΌΠΎΠ·Π³Π°. ΠΡΠΈΠΌΠ΅Π½Π΅Π½ΠΈΠ΅ Ρ ΠΈΠΌΠΈΠΎ- ΠΈ Π»ΡΡΠ΅Π²ΠΎΠΉ ΡΠ΅ΡΠ°ΠΏΠΈΠΈ ΠΏΡΠΈ ΠΌΠ΅Π»ΠΊΠΎΠΊΠ»Π΅ΡΠΎΡΠ½ΠΎΠΌ ΡΠ°ΠΊΠ΅ Π»Π΅Π³ΠΊΠΎΠ³ΠΎ ΠΏΠΎΠ»ΡΡΠΈΠ»ΠΎ Π²ΡΠ΅ΠΎΠ±ΡΠΈΠ΅ ΠΏΡΠΈΠ·Π½Π°Π½ΠΈΠ΅. ΠΡΡΠ΅ΠΊΡΠΈΠ²Π½ΠΎΡΡΡ ΡΡΠΈΡ ΠΌΠ΅ΡΠΎΠ΄ΠΎΠ² ΠΏΠΎΠ΄ΡΠ²Π΅ΡΠΆΠ΄Π΅Π½Π° ΠΌΠ½ΠΎΠ³ΠΎΡΠΈΡΠ»Π΅Π½Π½ΡΠΌΠΈ ΠΈΡΡΠ»Π΅Π΄ΠΎΠ²Π°Π½ΠΈΡΠΌΠΈ. Π 2000-Ρ Π³Π³. ΠΏΠΎΡΠ²Π»ΡΠ΅ΡΡΡ Π²ΡΠ΅ Π±ΠΎΠ»ΡΡΠ΅ ΡΠ²Π΅Π΄Π΅Π½ΠΈΠΉ ΠΎ ΠΏΡΠΈΠΌΠ΅Π½Π΅Π½ΠΈΠΈ Ρ ΠΈΡΡΡΠ³ΠΈΡΠ΅ΡΠΊΠΎΠ³ΠΎ ΠΊΠΎΠΌΠΏΠΎΠ½Π΅Π½ΡΠ° ΠΊΠΎΠΌΠ±ΠΈΠ½ΠΈΡΠΎΠ²Π°Π½Π½ΠΎΠ³ΠΎ Π»Π΅ΡΠ΅Π½ΠΈΡ ΠΏΡΠΈ I ΡΡΠ°Π΄ΠΈΠΈ Π·Π°Π±ΠΎΠ»Π΅Π²Π°Π½ΠΈΡ. ΠΡΡΠΈΠ»Π΅ΡΠ½ΡΡ Π²ΡΠΆΠΈΠ²Π°Π΅ΠΌΠΎΡΡΡ ΡΠΎΡΡΠ°Π²Π»ΡΠ΅Ρ 28,0-36,0%, Π»ΡΡΡΠΈΠ΅ ΡΠ΅Π·ΡΠ»ΡΡΠ°ΡΡ Π΄ΠΎΡΡΠΈΠ³Π°ΡΡΡΡ ΠΏΡΠΈ ΠΎΡΡΡΡΡΡΠ²ΠΈΠΈ ΠΌΠ΅ΡΠ°ΡΡΠ°Π·ΠΎΠ² Π² Π»ΠΈΠΌΡΠ°ΡΠΈΡΠ΅ΡΠΊΠΈΡ ΡΠ·Π»Π°Ρ (45,0-49,0%). ΠΠΠΠΠ ΡΠ°ΡΠΏΠΎΠ»Π°Π³Π°Π΅Ρ ΠΎΠΏΡΡΠΎΠΌ Ρ ΠΈΡΡΡΠ³ΠΈΡΠ΅ΡΠΊΠΎΠ³ΠΎ (ΠΊΠΎΠΌΠ±ΠΈΠ½ΠΈΡΠΎΠ²Π°Π½Π½ΠΎΠ³ΠΎ) Π»Π΅ΡΠ΅Π½ΠΈΡ 52 Π±ΠΎΠ»ΡΠ½ΡΡ I ΡΡΠ°Π΄ΠΈΠ΅ΠΉ ΠΌΠ΅Π»ΠΊΠΎΠΊΠ»Π΅ΡΠΎΡΠ½ΠΎΠ³ΠΎ ΡΠ°ΠΊΠ°. ΠΡΠ΅ ΠΎΠΏΠ΅ΡΠ°ΡΠΈΠΈ Π²ΡΠΏΠΎΠ»Π½Π΅Π½Ρ ΠΏΠΎ ΠΏΡΠΈΠ½ΡΠΈΠΏΠ°ΠΌ ΠΎΠ½ΠΊΠΎΠ»ΠΎΠ³ΠΈΡΠ΅ΡΠΊΠΎΠ³ΠΎ ΡΠ°Π΄ΠΈΠΊΠ°Π»ΠΈΠ·ΠΌΠ° Ρ ΠΎΠ±ΡΠ·Π°ΡΠ΅Π»ΡΠ½ΡΠΌ ΡΠ΄Π°Π»Π΅Π½ΠΈΠ΅ΠΌ Π»ΠΈΠΌΡΠ°ΡΠΈΡΠ΅ΡΠΊΠΈΡ ΡΠ·Π»ΠΎΠ² ΡΡΠ΅Π΄ΠΎΡΡΠ΅Π½ΠΈΡ. ΠΠ±ΡΠ°Ρ 5-Π»Π΅ΡΠ½ΡΡ Π²ΡΠΆΠΈΠ²Π°Π΅ΠΌΠΎΡΡΡ ΡΠΎΡΡΠ°Π²ΠΈΠ»Π° 43,2%.
Π’Π°ΠΊΠΈΠΌ ΠΎΠ±ΡΠ°Π·ΠΎΠΌ. ΠΊΠ°ΡΡΠΈΠ½ΠΎΠΈΠ΄Ρ β Π½Π°ΠΈΠ±ΠΎΠ»Π΅Π΅ Π±Π»Π°Π³ΠΎΠΏΡΠΈΡΡΠ½ΠΎ ΠΏΡΠΎΡΠ΅ΠΊΠ°ΡΡΠΈΠ΅ Π·Π»ΠΎΠΊΠ°ΡΠ΅ΡΡΠ²Π΅Π½Π½ΡΠ΅ Π½Π΅ΠΉΡΠΎΡΠ½Π΄ΠΎΠΊΡΠΈΠ½Π½ΡΠ΅ ΠΎΠΏΡΡ ΠΎΠ»ΠΈ Π»Π΅Π³ΠΊΠΎΠ³ΠΎ. ΠΠΎΡΡΠΎΠ»ΠΎΠ³ΠΈΡΠ΅ΡΠΊΠΈΠ΅ ΠΏΠΎΠ΄ΡΠΈΠΏΡ ΠΊΠ°ΡΡΠΈΠ½ΠΎΠΈΠ΄Π° ΠΎΡΠ»ΠΈΡΠ°ΡΡΡΡ ΡΠ°Π·Π½ΡΠΌ ΠΏΠΎΡΠ΅Π½ΡΠΈΠ°Π»ΠΎΠΌ Π·Π»ΠΎΠΊΠ°ΡΠ΅ΡΡΠ²Π΅Π½Π½ΠΎΡΡΠΈ Π² Π²ΠΈΠ΄Π΅ Π²ΡΡΠ°ΠΆΠ΅Π½Π½ΠΎΡΡΠΈ ΠΈΠ½ΡΠΈΠ»ΡΡΡΠ°ΡΠΈΠ²Π½ΠΎΠ³ΠΎ ΡΠΎΡΡΠ°, ΡΠ΅ΠΌΠΏΠ° ΠΏΡΠΎΠ³ΡΠ΅ΡΡΠΈΠΈ ΠΈ ΡΠΏΠΎΡΠΎΠ±Π½ΠΎΡΡΠΈ ΠΊ ΠΌΠ΅ΡΠ°ΡΡΠ°Π·ΠΈΡΠΎΠ²Π°Π½ΠΈΡ. ΠΡΠΈ ΡΠ΅Π½ΡΡΠ°Π»ΡΠ½ΠΎΠΉ ΠΊΠ»ΠΈΠ½ΠΈΠΊΠΎ-Π°Π½Π°ΡΠΎΠΌΠΈΡΠ΅ΠΊΠΎΠΉ ΡΠΎΡΠΌΠ΅ ΠΎΠΏΡΡ ΠΎΠ»ΠΈ ΠΊΠ»ΠΈΠ½ΠΈΡΠ΅ΡΠΊΠΈΠ΅ ΠΏΡΠΎΡΠ²Π»Π΅Π½ΠΈΡ ΠΈ ΡΠ΅Π½ΡΠ³Π΅Π½ΠΎΠ»ΠΎΠ³ΠΈΡΠ΅ΡΠΊΠΈΠ΅ ΠΏΡΠΈΠ·Π½Π°ΠΊΠΈ ΡΠ²ΡΠ·Π°Π½Ρ Ρ Π½Π°ΡΡΡΠ΅Π½ΠΈΠ΅ΠΌ Π±ΡΠΎΠ½Ρ ΠΈΠ°Π»ΡΠ½ΠΎΠΉ ΠΏΡΠΎΡ ΠΎΠ΄ΠΈΠΌΠΎΡΡΠΈ. ΠΡΠ½ΠΎΠ²Π½ΡΠΌ ΠΌΠ΅ΡΠΎΠ΄ΠΎΠΌ Π»Π΅ΡΠ΅Π½ΠΈΡ ΠΏΡΠΈΠ·Π½Π°Π½ Ρ ΠΈΡΡΡΠ³ΠΈΡΠ΅ΡΠΊΠΈΠΉ. ΠΠΎΠ»ΡΡΠΈΠ½ΡΡΠ²Ρ ΠΏΠ°ΡΠΈΠ΅Π½ΡΠΎΠ² ΡΠ΄Π°Π΅ΡΡΡ Π²ΡΠΏΠΎΠ»Π½ΠΈΡΡ ΠΎΡΠ³Π°Π½ΠΎΡΠΎΡ ΡΠ°Π½Π½ΡΠ΅ ΠΎΠΏΠ΅ΡΠ°ΡΠΈΠΈ. ΠΠ½Π°ΡΠΈΡΠ΅Π»ΡΠ½ΠΎΠΌΡ ΡΠΈΡΠ»Ρ Π±ΠΎΠ»ΡΠ½ΡΡ ΡΠ΄Π°Π΅ΡΡΡ ΠΏΡΠΎΠ΄Π»ΠΈΡΡ ΠΆΠΈΠ·Π½Ρ Π½Π° 5 ΠΈ Π±ΠΎΠ»Π΅Π΅ Π»Π΅Ρ. ΠΡΡΠΏΠ½ΠΎΠΊΠ»Π΅ΡΠΎΡΠ½ΡΠΉ Π½Π΅ΠΉΡΠΎΡΠ½Π΄ΠΎΠΊΡΠΈΠ½Π½ΡΠΉ ΡΠ°ΠΊ ΠΏΠΎ ΠΏΡΠΎΠ³Π½ΠΎΠ·Ρ ΡΠΎΠΎΡΠ²Π΅ΡΡΡΠ²ΡΠ΅Ρ ΠΌΠ΅Π»ΠΊΠΎΠΊΠ»Π΅ΡΠΎΡΠ½ΠΎΠΌΡ, Π² ΡΠ²ΡΠ·ΠΈ Ρ ΡΡΠΈΠΌ ΡΠ΅Π»Π΅ΡΠΎΠΎΠ±ΡΠ°Π·Π΅Π½ ΡΠ°ΡΡΠΈΡΠ΅Π½Π½ΡΠΉ Π΄ΠΈΠ°Π³Π½ΠΎΡΡΠΈΡΠ΅ΡΠΊΠΈΠΉ ΠΏΠΎΠΈΡΠΊ ΠΎΡΠ°Π³ΠΎΠ² ΠΎΡΠ΄Π°Π»Π΅Π½Π½ΠΎΠ³ΠΎ ΠΌΠ΅ΡΠ°ΡΡΠ°Π·ΠΈΡΠΎΠ²Π°Π½ΠΈΡ Π½Π° Π΄ΠΎΠΎΠΏΠ΅ΡΠ°ΡΠΈΠΎΠ½Π½ΠΎΠΌ ΡΡΠ°ΠΏΠ΅. ΠΠ΅ΠΎΠ±Ρ ΠΎΠ΄ΠΈΠΌΠΎ ΡΠΎΠ²Π΅ΡΡΠ΅Π½ΡΡΠ²ΠΎΠ²Π°Π½ΠΈΠ΅ Π²Π°ΡΠΈΠ°Π½ΡΠΎΠ² ΠΊΠΎΠΌΠ±ΠΈΠ½ΠΈΡΠΎΠ²Π°Π½Π½ΠΎΠ³ΠΎ Π»Π΅ΡΠ΅Π½ΠΈΡ Ρ ΠΏΡΠΈΠΌΠ΅Π½Π΅Π½ΠΈΠ΅ΠΌ ΡΠΎΠ²ΡΠ΅ΠΌΠ΅Π½Π½ΡΡ Π»Π΅ΠΊΠ°ΡΡΡΠ²Π΅Π½Π½ΡΡ ΠΏΡΠ΅ΠΏΠ°ΡΠ°ΡΠΎΠ². ΠΠ΅Π»ΠΊΠΎΠΊΠ»Π΅ΡΠΎΡΠ½ΡΠΉ ΡΠ°ΠΊ Π»Π΅Π³ΠΊΠΎΠ³ΠΎ, Π½Π΅ΡΠΌΠΎΡΡΡ Π½Π° Π²ΡΡΠΎΠΊΡΡ ΡΡΠ²ΡΡΠ²ΠΈΡΠ΅Π»ΡΠ½ΠΎΡΡΡ ΠΊ ΠΊΠΎΠ½ΡΠ΅ΡΠ²Π°ΡΠΈΠ²Π½ΡΠΌ ΠΌΠ΅ΡΠΎΠ΄Π°ΠΌ Π»Π΅ΡΠ΅Π½ΠΈΡ, ΡΠ²Π»ΡΠ΅ΡΡΡ ΡΠ°ΠΌΡΠΌ ΠΏΡΠΎΠ³Π½ΠΎΡΡΠΈΡΠ΅ΡΠΊΠΈ Π½Π΅Π±Π»Π°Π³ΠΎΠΏΡΠΈΡΡΠ½ΡΠΌ Π½ΠΎΠ²ΠΎΠΎΠ±ΡΠ°Π·ΠΎΠ²Π°Π½ΠΈΠ΅ΠΌ. ΠΠ΄Π½Π°ΠΊΠΎ, Π½Π΅ΡΠΌΠΎΡΡΡ Π½Π° Π·Π»ΠΎΠΊΠ°ΡΠ΅ΡΡΠ²Π΅Π½Π½ΠΎΡΡΡ ΠΊΠ»ΠΈΠ½ΠΈΡΠ΅ΡΠΊΠΎΠ³ΠΎ ΡΠ΅ΡΠ΅Π½ΠΈΡ, Π½Π° Π»ΠΎΠΊΠΎΡΠ΅Π³ΠΈΠΎΠ½Π°ΡΠ½ΠΎΠΉ ΡΡΠ°Π΄ΠΈΠΈ ΡΡΠΈΡ ΠΎΠΏΡΡ ΠΎΠ»Π΅ΠΉ ΠΏΡΠ°Π²ΠΎΠΌΠ΅ΡΠ½Π° ΠΎΠΏΠ΅ΡΠ°ΡΠΈΡ ΠΊΠ°ΠΊ ΠΊΠΎΠΌΠΏΠΎΠ½Π΅Π½Ρ ΠΊΠΎΠΌΠ±ΠΈΠ½ΠΈΡΠΎΠ²Π°Π½Π½ΠΎΠ³ΠΎ Π»Π΅ΡΠ΅Π½ΠΈΡ.
healthyorgans.ru
ΠΠ΅Π»ΠΊΠΎΠΊΠ»Π΅ΡΠΎΡΠ½ΡΠΉ ΡΠ°ΠΊ Π»Π΅Π³ΠΊΠΎΠ³ΠΎ, ΠΏΡΡΠΈ ΠΈΡΡΠ»Π΅Π΄ΠΎΠ²Π°Π½ΠΈΡ, Π΄ΠΈΠ°Π³Π½ΠΎΡΡΠΈΠΊΠΈ ΠΈ Π»Π΅ΡΠ΅Π½ΠΈΡ
Π Π°ΠΊ Π»Π΅Π³ΠΊΠΎΠ³ΠΎ — ΠΎΡΠ½ΠΎΠ²Π½Π°Ρ ΠΏΡΠΈΡΠΈΠ½Π° ΡΠΌΠ΅ΡΡΠ½ΠΎΡΡΠΈ ΠΎΡ Π·Π»ΠΎΠΊΠ°ΡΠ΅ΡΡΠ²Π΅Π½Π½ΡΡ Π½ΠΎΠ²ΠΎΠΎΠ±ΡΠ°Π·ΠΎΠ²Π°Π½ΠΈΠΉ Π² 2011 Π³. Π±ΡΠ»ΠΎ Π²ΡΡΠ²Π»Π΅Π½ΠΎ Π±ΠΎΠ»Π΅Π΅ 172 000 Π½ΠΎΠ²ΡΡ ΡΠ»ΡΡΠ°Π΅Π² ΠΈ Π±ΠΎΠ»Π΅Π΅ 163 000 Π»Π΅ΡΠ°Π»ΡΠ½ΡΡ ΠΈΡΡ ΠΎΠ΄ΠΎΠ². ΠΡΠΈΠ±Π»ΠΈΠ·ΠΈΡΠ΅Π»ΡΠ½ΠΎ 15% ΡΠ»ΡΡΠ°Π΅Π² ΡΠ°ΠΊΠ° Π»Π΅Π³ΠΊΠΎΠ³ΠΎ, Π΄ΠΈΠ°Π³Π½ΠΎΡΡΠΈΡΠΎΠ²Π°Π½Π½ΡΡ Π² 2011 Π³., ΡΠΎΡΡΠ°Π²Π»ΡΠ» ΠΌΠ΅Π»ΠΊΠΎΠΊΠ»Π΅ΡΠΎΡΠ½ΡΠΉ ΡΠ°ΠΊ Π»Π΅Π³ΠΊΠΎΠ³ΠΎ (ΠΠ Π), ΠΎΡΡΠ°Π²ΡΠΈΠ΅ΡΡ ΡΠ»ΡΡΠ°ΠΈ Π±ΡΠ»ΠΈ ΠΏΡΠ΅Π΄ΡΡΠ°Π²Π»Π΅Π½Ρ ΡΠ°Π·Π»ΠΈΡΠ½ΡΠΌΠΈ ΠΏΠΎΠ΄ΡΠΈΠΏΠ°ΠΌΠΈ Π½Π΅ΠΌΠ΅Π»ΠΊΠΎΠΊΠ»Π΅ΡΠΎΡΠ½ΠΎΠ³ΠΎ ΡΠ°ΠΊΠ°, ΡΠ°ΠΊΠΈΠΌΠΈ ΠΊΠ°ΠΊ Π°Π΄Π΅Π½ΠΎΠΊΠ°ΡΡΠΈΠ½ΠΎΠΌΠ°, ΠΏΠ»ΠΎΡΠΊΠΎΠΊΠ»Π΅ΡΠΎΡΠ½ΡΠΉ ΠΈ ΠΊΡΡΠΏΠ½ΠΎΠΊΠ»Π΅ΡΠΎΡΠ½ΡΠΉ ΡΠ°ΠΊ. Π ΡΠ΅ΡΠ΅Π½ΠΈΠ΅ ΠΏΠΎΡΠ»Π΅Π΄Π½ΠΈΡ Π΄Π΅ΡΡΡΠΈΠ»Π΅ΡΠΈΠΉ ΠΎΡΠΌΠ΅ΡΠ°Π΅ΡΡΡ ΡΠΌΠ΅Π½ΡΡΠ΅Π½ΠΈΠ΅ Π·Π°Π±ΠΎΠ»Π΅Π²Π°Π΅ΠΌΠΎΡΡΠΈ. ΠΡΠΈΡΠΈΠ½Ρ ΡΡΠΈΡ ΠΈΠ·ΠΌΠ΅Π½Π΅Π½ΠΈΠΉ Π½Π΅ ΡΡΠ½Ρ, ΠΎΠ΄Π½Π°ΠΊΠΎ ΡΡΠΈΡΠ°Π΅ΡΡΡ, ΡΡΠΎ ΠΎΡΡΠ°ΡΡΠΈ ΠΎΠ½ΠΈ ΠΎΠ±ΡΡΠ»ΠΎΠ²Π»Π΅Π½Ρ ΠΈΠ·ΠΌΠ΅Π½Π΅Π½ΠΈΠ΅ΠΌ ΡΠΎΡΡΠ°Π²Π° ΡΠΈΠ³Π°ΡΠ΅Ρ ΠΈ Π²Π΄ΡΡ Π°Π΅ΠΌΠΎΠ³ΠΎ Π²ΠΎΠ·Π΄ΡΡ Π°. Π Π±ΠΎΠ»ΡΡΠΈΠ½ΡΡΠ²Π΅ ΡΠ»ΡΡΠ°Π΅Π² ΠΎΠΏΡΡ ΠΎΠ»Ρ Π²ΠΎΠ·Π½ΠΈΠΊΠ°Π΅Ρ Π½Π° ΡΠΎΠ½Π΅ ΠΊΡΡΠ΅Π½ΠΈΡ. Π ΠΈΡΠΊ Π²ΠΎΠ·Π½ΠΈΠΊΠ½ΠΎΠ²Π΅Π½ΠΈΡ ΡΠ°ΠΊΠ° Π»Π΅Π³ΠΊΠΈΡ Π½Π°ΠΏΡΡΠΌΡΡ Π·Π°Π²ΠΈΡΠΈΡ ΠΊΠ°ΠΊ ΠΎΡ ΠΏΡΠΎΠ΄ΠΎΠ»ΠΆΠΈΡΠ΅Π»ΡΠ½ΠΎΡΡΠΈ ΠΊΡΡΠ΅Π½ΠΈΡ, ΡΠ°ΠΊ ΠΈ ΠΎΡ ΠΊΠΎΠ»ΠΈΡΠ΅ΡΡΠ²Π° Π²ΡΠΊΡΡΠΈΠ²Π°Π΅ΠΌΡΡ Π² Π΄Π΅Π½Ρ ΡΠΈΠ³Π°ΡΠ΅Ρ. Π£ Π±ΡΠΎΡΠΈΠ²ΡΠΈΡ ΠΊΡΡΠΈΡΡ ΡΠΈΡΠΊ Π·Π½Π°ΡΠΈΡΠ΅Π»ΡΠ½ΠΎ ΡΠ½ΠΈΠΆΠ°Π΅ΡΡΡ, Ρ ΠΎΡΡ ΠΈ Π½Π΅ Π΄ΠΎ ΡΠ΅Ρ ΠΏΠΎΠΊΠ°Π·Π°ΡΠ΅Π»Π΅ΠΉ, ΠΊΠΎΡΠΎΡΡΠ΅ ΠΎΡΠΌΠ΅ΡΠ°ΡΡΡΡ Ρ Π½ΠΈΠΊΠΎΠ³Π΄Π° Π½Π΅ ΠΊΡΡΠΈΠ²ΡΠΈΡ Π»ΡΠ΄Π΅ΠΉ.
ΠΠ°ΡΠΎΠΌΠΎΡΡΠΎΠ»ΠΎΠ³ΠΈΡ ΠΎΡΠ½ΠΎΡΠΈΡ Π΄Π°Π½Π½ΡΠΉ Π΄ΠΈΠ°Π³Π½ΠΎΠ· ΠΊ Π½Π΅ΠΉΡΠΎΡΠ½Π΄ΠΎΠΊΡΠΈΠ½Π½ΡΠΌ ΠΎΠΏΡΡ ΠΎΠ»ΡΠΌ Π²ΡΡΠΎΠΊΠΎΠΉ ΡΡΠ΅ΠΏΠ΅Π½ΠΈ Π·Π»ΠΎΠΊΠ°ΡΠ΅ΡΡΠ²Π΅Π½Π½ΠΎΡΡΠΈ. Π Π³ΡΡΠΏΠΏΡ Π½Π΅ΠΉΡΠΎΡΠ½Π΄ΠΎΠΊΡΠΈΠ½Π½ΡΡ ΠΎΠΏΡΡ ΠΎΠ»Π΅ΠΉ Π»Π΅Π³ΠΊΠΈΡ Π²Ρ ΠΎΠ΄ΡΡ ΡΠ°Π·Π»ΠΈΡΠ½ΡΠ΅ ΠΎΠΏΡΡ ΠΎΠ»ΠΈ, Π·Π½Π°ΡΠΈΡΠ΅Π»ΡΠ½ΠΎ ΠΎΡΠ»ΠΈΡΠ°ΡΡΠΈΠ΅ΡΡ ΠΏΠΎ ΠΏΡΠΎΠ³Π½ΠΎΠ·Ρ, — ΠΎΡ ΡΠΈΠΏΠΈΡΠ½ΠΎΠ³ΠΎ ΠΊΠ°ΡΡΠΈΠ½ΠΎΠΈΠ΄Π° Π½ΠΈΠ·ΠΊΠΎΠΉ ΡΡΠ΅ΠΏΠ΅Π½ΠΈ Π·Π»ΠΎΠΊΠ°ΡΠ΅ΡΡΠ²Π΅Π½Π½ΠΎΡΡΠΈ ΠΈ Π°ΡΠΈΠΏΠΈΡΠ½ΠΎΠ³ΠΎ ΠΊΠ°ΡΡΠΈΠ½ΠΎΠΈΠ΄Π° ΡΠΌΠ΅ΡΠ΅Π½Π½ΠΎΠΉ ΡΡΠ΅ΠΏΠ΅Π½ΠΈ Π·Π»ΠΎΠΊΠ°ΡΠ΅ΡΡΠ²Π΅Π½Π½ΠΎΡΡΠΈ Π΄ΠΎ ΠΎΠΏΡΡ ΠΎΠ»Π΅ΠΉ Π²ΡΡΠΎΠΊΠΎΠΉ ΡΡΠ΅ΠΏΠ΅Π½ΠΈ Π·Π»ΠΎΠΊΠ°ΡΠ΅ΡΡΠ²Π΅Π½Π½ΠΎΡΡΠΈ, ΡΠ°ΠΊΠΈΡ ΠΊΠ°ΠΊ ΠΊΡΡΠΏΠ½ΠΎΠΊΠ»Π΅ΡΠΎΡΠ½ΡΠΉ Π½Π΅ΠΉΡΠΎΡΠ½Π΄ΠΎΠΊΡΠΈΠ½Π½ΡΠΉ ΡΠ°ΠΊ ΠΈ ΠΠ Π. ΠΠ΅Π»ΠΊΠΎΠΊΠ»Π΅ΡΠΎΡΠ½ΡΠΉ ΡΠ°ΠΊ Π»Π΅Π³ΠΊΠΎΠ³ΠΎ ΠΈ ΠΊΡΡΠΏΠ½ΠΎΠΊΠ»Π΅ΡΠΎΡΠ½ΡΠΉ Π½Π΅ΠΉΡΠΎΡΠ½Π΄ΠΎΠΊΡΠΈΠ½Π½ΡΠΉ ΡΠ°ΠΊ Π»Π΅Π³ΠΊΠΎΠ³ΠΎ Ρ Π°ΡΠ°ΠΊΡΠ΅ΡΠΈΠ·ΡΡΡΡΡ ΡΡ ΠΎΠ΄Π½ΡΠΌΠΈ ΡΠ΅ΡΠ΅Π½ΠΈΠ΅ΠΌ ΠΈ ΠΏΡΠΎΠ³Π½ΠΎΠ·ΠΎΠΌ. ΠΡΠΈ ΠΌΠ΅Π»ΠΊΠΎΠΊΠ»Π΅ΡΠΎΡΠ½ΠΎΠΌ ΡΠ°ΠΊΠ΅ Π»Π΅Π³ΠΊΠΎΠ³ΠΎ ΠΏΡΠΎΠΈΡΡ ΠΎΠ΄ΠΈΡ ΠΏΡΠΎΠ»ΠΈΡΠ΅ΡΠ°ΡΠΈΡ ΠΌΠ΅Π»ΠΊΠΈΡ ΠΊΠ»Π΅ΡΠΎΠΊ (ΡΠ°Π·ΡΠ°ΡΡΠ°Π½ΠΈΠ΅ ΡΠΊΠ°Π½ΠΈ Π² ΠΎΡΠ³Π°Π½ΠΈΠ·ΠΌΠ΅ ΡΠ΅ΡΠ΅Π· ΠΎΠ±ΡΠ°Π·ΠΎΠ²Π°Π½ΠΈΡ Π½ΠΎΠ²ΡΡ ΠΊΠ»Π΅ΡΠΎΠΊ), ΠΈΠΌΠ΅ΡΡΠΈΡ Ρ Π°ΡΠ°ΠΊΡΠ΅ΡΠ½ΡΠ΅ ΠΌΠΎΡΡΠΎΠ»ΠΎΠ³ΠΈΡΠ΅ΡΠΊΠΈΠ΅ ΠΏΡΠΈΠ·Π½Π°ΠΊΠΈ: ΡΠΊΡΠ΄Π½Π°Ρ ΡΠΈΡΠΎΠΏΠ»Π°Π·ΠΌΠ°, Π½Π΅ΡΠ΅ΡΠΊΠΈΠ΅ Π³ΡΠ°Π½ΠΈΡΡ, ΠΌΠ΅Π»ΠΊΠΈΠ΅ Π³ΡΠ°Π½ΡΠ»Ρ Ρ ΡΠΎΠΌΠ°ΡΠΈΠ½Π° Ρ ΡΠΈΡΡΠ½ΠΊΠΎΠΌ Β«ΡΠΎΠ»Ρ ΠΈ ΠΏΠ΅ΡΠ΅ΡΒ», ΡΠ΄ΡΡΡΠΊΠΈ ΠΎΡΡΡΡΡΡΠ²ΡΡΡ ΠΈΠ»ΠΈ Π½Π΅ΠΏΡΠΈΠΌΠ΅ΡΠ½Ρ, ΡΠ΄ΡΠ° ΡΠ°ΡΡΠΎ Π³ΠΈΠΏΠ΅ΡΡ ΡΠΎΠΌΠ½ΡΠ΅, Π½Π°Π±Π»ΡΠ΄Π°Π΅ΡΡΡ Π²ΡΡΠΎΠΊΠ°Ρ ΠΌΠΈΡΠΎΡΠΈΡΠ΅ΡΠΊΠ°Ρ Π°ΠΊΡΠΈΠ²Π½ΠΎΡΡΡ. ΠΡΠΈ ΠΈΠΌΠΌΡΠ½ΠΎΠ³ΠΈΡΡΠΎΡ ΠΈΠΌΠΈΡΠ΅ΡΠΊΠΎΠΌ ΠΎΠΊΡΠ°ΡΠΈΠ²Π°Π½ΠΈΠΈ, ΠΊΠ°ΠΊ ΠΏΡΠ°Π²ΠΈΠ»ΠΎ, Π²ΡΡΠ²Π»ΡΡΡΡΡ ΡΠΏΠΈΡΠ΅Π»ΠΈΠ°Π»ΡΠ½ΡΠ΅ ΠΊΠ»Π΅ΡΠΎΡΠ½ΡΠ΅ ΠΌΠ°ΡΠΊΠ΅ΡΡ, ΡΠ°ΠΊΠΈΠ΅ ΠΊΠ°ΠΊ ΠΊΠ΅ΡΠ°ΡΠΈΠ½ ΠΈ ΡΠΏΠΈΡΠ΅Π»ΠΈΠ°Π»ΡΠ½ΡΠΉ ΠΌΠ΅ΠΌΠ±ΡΠ°Π½Π½ΡΠΉ Π°Π½ΡΠΈΠ³Π΅Π½. ΠΡΠΎΠΌΠ΅ ΡΠΎΠ³ΠΎ, Π² Π±ΠΎΠ»ΡΡΠΈΠ½ΡΡΠ²Π΅ ΡΠ»ΡΡΠ°Π΅Π² Π²ΡΡΠ²Π»ΡΡΡΡΡ Π½Π΅ΠΉΡΠΎΡΠ½Π΄ΠΎΠΊΡΠΈΠ½Π½ΡΠ΅ ΠΎΠ½ΠΊΠΎΠΌΠ°ΡΠΊΠ΅ΡΡ, ΡΠ°ΠΊΠΈΠ΅ ΠΊΠ°ΠΊ Ρ ΡΠΎΠΌΠΎΠ³ΡΠ°Π½ΠΈΠ½ Π ΠΈ ΡΠΈΠ½Π°ΠΏΡΠΎΡΠΈΠ·ΠΈΠ½.
ΠΠ΅Π»ΠΊΠΎΠΊΠ»Π΅ΡΠΎΡΠ½ΡΠΉ ΡΠ°ΠΊ Π»Π΅Π³ΠΊΠΎΠ³ΠΎ, ΡΠΈΠΌΠΏΡΠΎΠΌΡ
Π Π±ΠΎΠ»ΡΡΠΈΠ½ΡΡΠ²Π΅ ΡΠ»ΡΡΠ°Π΅Π² ΡΠΈΠΌΠΏΡΠΎΠΌΡ ΠΎΠ±ΡΡΠ»ΠΎΠ²Π»Π΅Π½Ρ Π½Π°Π»ΠΈΡΠΈΠ΅ΠΌ ΠΎΠ±ΡΠ΅ΠΌΠ½ΠΎΠ³ΠΎ ΠΎΠ±ΡΠ°Π·ΠΎΠ²Π°Π½ΠΈΡ Π² Π³ΡΡΠ΄Π½ΠΎΠΉ ΠΊΠ»Π΅ΡΠΊΠ΅ ΠΈΠ»ΠΈ ΠΎΡΠ΄Π°Π»Π΅Π½Π½ΡΠΌΠΈ ΠΌΠ΅ΡΠ°ΡΡΠ°Π·Π°ΠΌΠΈ. ΠΠ°ΠΈΠ±ΠΎΠ»Π΅Π΅ Ρ
Π°ΡΠ°ΠΊΡΠ΅ΡΠ½Ρ ΠΊΠ°ΡΠ΅Π»Ρ, ΠΎΠ΄ΡΡΠΊΠ°, ΡΠ½ΠΈΠΆΠ΅Π½ΠΈΠ΅ ΠΌΠ°ΡΡΡ ΡΠ΅Π»Π° ΠΈ ΠΎΠ±ΡΠ°Ρ ΡΠ»Π°Π±ΠΎΡΡΡ.
Π’Π°ΠΊΠΆΠ΅ ΠΏΡΠΈ ΠΌΠ΅Π»ΠΊΠΎΠΊΠ»Π΅ΡΠΎΡΠ½ΠΎΠΌ ΡΠ°ΠΊΠ΅ Π»Π΅Π³ΠΊΠΎΠ³ΠΎ Π½Π°Π±Π»ΡΠ΄Π°ΡΡΡΡ ΡΠ°Π·Π½ΠΎΠΎΠ±ΡΠ°Π·Π½ΡΠ΅ ΠΏΠ°ΡΠ°Π½Π΅ΠΎΠΏΠ»Π°ΡΡΠΈΡΠ΅ΡΠΊΠΈΠ΅ ΡΠΈΠ½Π΄ΡΠΎΠΌΡ. ΠΠ°ΡΠ°Π½Π΅ΠΎΠΏΠ»Π°ΡΡΠΈΡΠ΅ΡΠΊΠΈΠ΅ ΡΠ½Π΄ΠΎΠΊΡΠΈΠ½Π½ΡΠ΅ Π½Π°ΡΡΡΠ΅Π½ΠΈΡ, ΠΊΠ°ΠΊ ΠΏΡΠ°Π²ΠΈΠ»ΠΎ, ΠΎΠ±ΡΡΠ»ΠΎΠ²Π»Π΅Π½Ρ ΡΠΊΡΠΎΠΏΠΈΡΠ΅ΡΠΊΠΎΠΉ ΠΏΡΠΎΠ΄ΡΠΊΡΠΈΠ΅ΠΉ Π³ΠΎΡΠΌΠΎΠ½ΠΎΠ². Π ΡΠ°ΡΡΠ½ΠΎΡΡΠΈ, ΠΌΠΎΠ³ΡΡ ΠΈΠΌΠ΅ΡΡ ΠΌΠ΅ΡΡΠΎ Π³ΠΈΠΏΠΎΠ½Π°ΡΡΠΈΠ΅ΠΌΠΈΡ (ΠΎΠ±ΡΡΠ»ΠΎΠ²Π»Π΅Π½Π½Π°Ρ ΡΠΊΡΠΎΠΏΠΈΡΠ΅ΡΠΊΠΎΠΉ Π²ΡΡΠ°Π±ΠΎΡΠΊΠΎΠΉ Π°Π½ΡΠΈΠ΄ΠΈΡΡΠ΅ΡΠΈΡΠ΅ΡΠΊΠΎΠ³ΠΎ Π³ΠΎΡΠΌΠΎΠ½Π°), ΡΠΈΠ½Π΄ΡΠΎΠΌ ΠΡΡΠΈΠ½Π³Π° (Π²ΡΠ»Π΅Π΄ΡΡΠ²ΠΈΠ΅ ΡΠΊΡΠΎΠΏΠΈΡΠ΅ΡΠΊΠΎΠΉ Π²ΡΡΠ°Π±ΠΎΡΠΊΠΈ Π°Π΄ΡΠ΅Π½ΠΎΠΊΠΎΡΡΠΈΠΊΠΎΡΡΠΎΠΏΠ½ΠΎΠ³ΠΎ Π³ΠΎΡΠΌΠΎΠ½Π°), Π° ΡΠ°ΠΊΠΆΠ΅ Π°ΠΊΡΠΎΠΌΠ΅Π³Π°Π»ΠΈΡ (Π²ΡΠ»Π΅Π΄ΡΡΠ²ΠΈΠ΅ ΡΠΊΡΠΎΠΏΠΈΡΠ΅ΡΠΊΠΎΠΉ Π²ΡΡΠ°Π±ΠΎΡΠΊΠΈ ΡΠΎΠΌΠ°ΡΠΎΠ»ΠΈΠ±Π΅ΡΠΈΠ½Π°). Π ΠΏΠ°ΡΠ°Π½Π΅ΠΎΠΏΠ»Π°ΡΡΠΈΡΠ΅ΡΠΊΠΈΠΌ Π½Π΅Π²ΡΠΎΠ»ΠΎΠ³ΠΈΡΠ΅ΡΠΊΠΈΠΌ ΡΠΈΠ½Π΄ΡΠΎΠΌΠ°ΠΌ ΠΎΡΠ½ΠΎΡΠΈΡΡΡ ΡΠΈΠ½Π΄ΡΠΎΠΌ ΠΠ°ΠΌΠ±Π΅ΡΡΠ°-ΠΡΠΎΠ½Π°, ΡΠ°Π·Π²ΠΈΠ²Π°ΡΡΠΈΠΉΡΡ Π²ΡΠ»Π΅Π΄ΡΡΠ²ΠΈΠ΅ ΠΏΠΎΠ²ΡΠ΅ΠΆΠ΄Π΅Π½ΠΈΡ Π½Π΅ΡΠ²Π½ΠΎΠΉ ΡΠΈΡΡΠ΅ΠΌΡ Π°ΡΡΠΎΠ°Π½ΡΠΈΡΠ΅Π»Π°ΠΌΠΈ.
ΠΠ»Ρ ΡΠ°Π·ΡΠ°Π±ΠΎΡΠΊΠΈ ΠΏΠ»Π°Π½Π° Π»Π΅ΡΠ΅Π½ΠΈΡ ΠΏΠΎΡΠ»Π΅ Π²Π΅ΡΠΈΡΠΈΠΊΠ°ΡΠΈΠΈ Π΄ΠΈΠ°Π³Π½ΠΎΠ·Π° ΠΎΡΠ΅Π½Ρ Π²Π°ΠΆΠ½ΠΎ ΡΠΎΡΠ½ΠΎ ΠΎΠΏΡΠ΅Π΄Π΅Π»ΠΈΡΡ ΡΡΠ°Π΄ΠΈΡ. Π ΠΎΡΠ»ΠΈΡΠΈΠ΅ ΠΎΡ ΠΠΠ Π, ΠΊΠΎΠ³Π΄Π° ΡΡΠ°Π΄ΠΈΡ ΠΎΠΏΡΠ΅Π΄Π΅Π»ΡΡΡ Ρ ΠΏΠΎΠΌΠΎΡΡΡ ΠΊΠ»Π°ΡΡΠΈΡΠΈΠΊΠ°ΡΠΈΠΈ TNM, ΠΏΡΠΈ ΠΌΠ΅Π»ΠΊΠΎΠΊΠ»Π΅ΡΠΎΡΠ½ΠΎΠΌ ΡΠ°ΠΊΠ΅ Π»Π΅Π³ΠΊΠΎΠ³ΠΎ ΡΡΠ°Π΄ΠΈΡ ΠΎΠΏΡΠ΅Π΄Π΅Π»ΡΡΡ ΠΏΠΎ ΠΊΠ»Π°ΡΡΠΈΡΠΈΠΊΠ°ΡΠΈΠΈ Veteran’s Administration Lung Group, ΡΠΎΠ³Π»Π°ΡΠ½ΠΎ ΠΊΠΎΡΠΎΡΠΎΠΉ Π²ΡΠ΄Π΅Π»ΡΡΡ Π»ΠΎΠΊΠ°Π»ΠΈΠ·ΠΎΠ²Π°Π½Π½ΡΠ΅ ΠΈ ΡΠ°ΡΠΏΡΠΎΡΡΡΠ°Π½Π΅Π½Π½ΡΠ΅ ΠΎΠΏΡΡ ΠΎΠ»ΠΈ. ΠΠΎΠΊΠ°Π»ΠΈΠ·ΠΎΠ²Π°Π½Π½ΡΠΌΠΈ ΡΡΠΈΡΠ°ΡΡΡΡ ΠΎΠΏΡΡ ΠΎΠ»ΠΈ, ΠΏΡΠΈ ΠΊΠΎΡΠΎΡΡΡ ΠΏΠΎΡΠ°ΠΆΠ΅Π½Π° ΠΎΠ΄Π½Π° ΠΏΠΎΠ»ΠΎΠ²ΠΈΠ½Π° Π³ΡΡΠ΄Π½ΠΎΠΉ ΠΊΠ»Π΅ΡΠΊΠΈ ΠΈΠ»ΠΈ ΡΠ°Π·ΠΌΠ΅ΡΡ ΠΎΠΏΡΡ ΠΎΠ»ΠΈ Π½Π΅ ΠΏΡΠ΅Π²ΡΡΠ°ΡΡ ΡΠ°Π·ΠΌΠ΅ΡΡ ΠΎΠ΄Π½ΠΎΠ³ΠΎ ΠΏΠΎΠ»Ρ ΠΎΠ±Π»ΡΡΠ΅Π½ΠΈΡ. Π ΡΠ°ΡΠΏΡΠΎΡΡΡΠ°Π½Π΅Π½Π½ΡΠΌ ΠΎΡΠ½ΠΎΡΡΡ ΠΎΠΏΡΡ ΠΎΠ»ΠΈ, ΠΊΠΎΡΠΎΡΡΠ΅ ΠΏΡΠ΅Π²ΡΡΠ°ΡΡ ΡΠΊΠ°Π·Π°Π½Π½ΡΠ΅ ΠΏΠ°ΡΠ°ΠΌΠ΅ΡΡΡ. Π ΠΏΠΎΠ΄Π°Π²Π»ΡΡΡΠ΅ΠΌ Π±ΠΎΠ»ΡΡΠΈΠ½ΡΡΠ²Π΅ ΡΠ»ΡΡΠ°Π΅Π² Π²ΡΡΠ²Π»ΡΡΡ ΡΠ°ΡΠΏΡΠΎΡΡΡΠ°Π½Π΅Π½Π½ΡΠΉ ΠΌΠ΅Π»ΠΊΠΎΠΊΠ»Π΅ΡΠΎΡΠ½ΡΠΉ ΡΠ°ΠΊ. ΠΡΠΈ ΠΎΠΏΡΠ΅Π΄Π΅Π»Π΅Π½ΠΈΠΈ ΡΡΠ°Π΄ΠΈΠΈ ΡΠ°ΠΊΠ° Π²Π°ΠΆΠ½ΠΎ ΡΡΡΠ°Π½ΠΎΠ²ΠΈΡΡ, ΠΈΠΌΠ΅ΡΡΡΡ Π»ΠΈ Ρ Π±ΠΎΠ»ΡΠ½ΠΎΠ³ΠΎ ΠΌΠ΅ΡΠ°ΡΡΠ°Π·Ρ, ΡΡΠΎ ΡΡΡΠ΅ΡΡΠ²Π΅Π½Π½ΠΎ Π²Π»ΠΈΡΠ΅Ρ ΠΊΠ°ΠΊ Π½Π° ΠΏΡΠΎΠ³Π½ΠΎΠ·, ΡΠ°ΠΊ ΠΈ Π½Π° ΠΏΠ»Π°Π½ Π»Π΅ΡΠ΅Π½ΠΈΡ. ΠΠ±ΡΠ»Π΅Π΄ΠΎΠ²Π°Π½ΠΈΠ΅ Π΄ΠΎΠ»ΠΆΠ½ΠΎ Π²ΠΊΠ»ΡΡΠ°ΡΡ ΠΠ’ Π³ΡΡΠ΄Π½ΠΎΠΉ ΠΊΠ»Π΅ΡΠΊΠΈ ΠΈ Π±ΡΡΡΠ½ΠΎΠΉ ΠΏΠΎΠ»ΠΎΡΡΠΈ, ΡΡΠΎΠ±Ρ ΠΎΡΠ΅Π½ΠΈΡΡ ΡΠΎΡΡΠΎΡΠ½ΠΈΠ΅ ΠΏΠ΅ΡΠ΅Π½ΠΈ ΠΈ Π½Π°Π΄ΠΏΠΎΡΠ΅ΡΠ½ΠΈΠΊΠΎΠ², Π² ΠΊΠΎΡΠΎΡΡΠ΅ ΠΎΠΏΡΡ ΠΎΠ»Ρ ΡΠ°ΡΡΠΎ ΠΌΠ΅ΡΠ°ΡΡΠ°Π·ΠΈΡΡΠ΅Ρ. Π’Π°ΠΊ ΠΊΠ°ΠΊ ΠΏΡΠΈ ΠΠ Π ΡΠ°ΡΡΠΎ Π½Π°Π±Π»ΡΠ΄Π°ΡΡΡΡ ΠΌΠ΅ΡΠ°ΡΡΠ°Π·Ρ Π² Π¦ΠΠ‘, ΠΏΠΎΠΊΠ°Π·Π°Π½ΠΎ ΠΠ’ ΠΈΠ»ΠΈ ΠΠ Π’ Π³ΠΎΠ»ΠΎΠ²Π½ΠΎΠ³ΠΎ ΠΌΠΎΠ·Π³Π°, ΠΎΠ΄Π½Π°ΠΊΠΎ ΠΏΡΠ΅Π΄ΠΏΠΎΡΡΠ΅Π½ΠΈΠ΅ ΡΠ»Π΅Π΄ΡΠ΅Ρ ΠΎΡΠ΄Π°Π²Π°ΡΡ ΠΠ Π’, ΠΏΠΎΡΠΊΠΎΠ»ΡΠΊΡ ΡΡΠΎΡ ΠΌΠ΅ΡΠΎΠ΄ ΠΎΠ±Π»Π°Π΄Π°Π΅Ρ Π±ΠΎΠ»ΡΡΠ΅ΠΉ ΡΡΠ²ΡΡΠ²ΠΈΡΠ΅Π»ΡΠ½ΠΎΡΡΡΡ ΠΏΡΠΈ Π²ΡΡΠ²Π»Π΅Π½ΠΈΠΈ ΠΌΠ΅ΡΠ°ΡΡΠ°Π·ΠΎΠ². ΠΠ»Ρ Π²ΡΡΠ²Π»Π΅Π½ΠΈΡ ΠΌΠ΅ΡΠ°ΡΡΠ°Π·ΠΎΠ² Π² ΠΊΠΎΡΡΠΈ ΠΏΡΠΈΠΌΠ΅Π½ΡΡΡ ΡΡΠΈΠ½ΡΠΈΠ³ΡΠ°ΡΠΈΡ ΠΊΠΎΡΡΠ΅ΠΉ. Π Π½Π°ΡΡΠΎΡΡΠ΅Π΅ Π²ΡΠ΅ΠΌΡ Π²ΡΠ΅ Π±ΠΎΠ»Π΅Π΅ ΡΠΈΡΠΎΠΊΠΎ ΠΏΡΠΈΠΌΠ΅Π½ΡΠ΅ΡΡΡ ΠΠΠ’, ΠΎΠ΄Π½Π°ΠΊΠΎ Π΄ΠΈΠ°Π³Π½ΠΎΡΡΠΈΡΠ΅ΡΠΊΠ°Ρ ΡΠ΅Π½Π½ΠΎΡΡΡ ΡΡΠΎΠ³ΠΎ ΠΌΠ΅ΡΠΎΠ΄Π° Π΅ΡΠ΅ Π½Π΅ ΡΡΡΠ°Π½ΠΎΠ²Π»Π΅Π½Π°.
ΠΠ΅ΡΠΈΠΌ Π»ΠΎΠΊΠ°Π»ΠΈΠ·ΠΎΠ²Π°Π½Π½ΡΠΉ ΠΌΠ΅Π»ΠΊΠΎΠΊΠ»Π΅ΡΠΎΡΠ½ΡΠΉ ΡΠ°ΠΊ
ΠΡΠΈ ΠΈΡΠΏΠΎΠ»ΡΠ·ΠΎΠ²Π°Π½ΠΈΠΈ Ρ ΠΈΠΌΠΈΠΎΡΠ΅ΡΠ°ΠΏΠΈΠΈ Π² ΡΠΎΡΠ΅ΡΠ°Π½ΠΈΠΈ Ρ Π»ΡΡΠ΅Π²ΠΎΠΉ ΡΠ΅ΡΠ°ΠΏΠΈΠ΅ΠΉ ΠΎΡΠΌΠ΅ΡΠ°Π΅ΡΡΡ ΡΠ²Π΅Π»ΠΈΡΠ΅Π½ΠΈΠ΅ Π²ΡΠΆΠΈΠ²Π°Π΅ΠΌΠΎΡΡΠΈ; Π² ΡΠ°ΡΡΠ½ΠΎΡΡΠΈ, Π½Π° 5% ΡΠ²Π΅Π»ΠΈΡΠΈΠ²Π°Π΅ΡΡΡ ΡΠΈΡΠ»ΠΎ Π±ΠΎΠ»ΡΠ½ΡΡ , ΠΏΠ΅ΡΠ΅ΠΆΠΈΠ²ΡΠΈΡ 2- ΠΈ 3-Π»Π΅ΡΠ½ΠΈΠΉ ΡΡΠ±Π΅ΠΆ, ΠΏΠΎ ΡΡΠ°Π²Π½Π΅Π½ΠΈΡ Ρ ΡΠ΅ΠΌΠΈ, ΠΊΡΠΎ ΠΏΠΎΠ»ΡΡΠ°Π» ΡΠΎΠ»ΡΠΊΠΎ Ρ ΠΈΠΌΠΈΠΎΡΠ΅ΡΠ°ΠΏΠΈΡ. ΠΠ°ΠΈΠ»ΡΡΡΠΈΠ΅ ΡΠ΅Π·ΡΠ»ΡΡΠ°ΡΡ ΠΎΡΠΌΠ΅ΡΠ°ΡΡΡΡ ΠΏΡΠΈ ΡΠ°Π½Π½Π΅ΠΌ Π½Π°ΡΠ°Π»Π΅ Π»ΡΡΠ΅Π²ΠΎΠΉ ΡΠ΅ΡΠ°ΠΏΠΈΠΈ. Π§ΡΠΎΠ±Ρ ΠΎΠΏΡΠ΅Π΄Π΅Π»ΠΈΡΡ Π½Π°ΠΈΠ±ΠΎΠ»Π΅Π΅ ΠΎΠΏΡΠΈΠΌΠ°Π»ΡΠ½ΠΎΠ΅ Π²ΡΠ΅ΠΌΡ Π΄Π»Ρ Π½Π°ΡΠ°Π»Π° Π»ΡΡΠ΅Π²ΠΎΠΉ ΡΠ΅ΡΠ°ΠΏΠΈΠΈ, Π±ΡΠ»ΠΎ ΠΏΡΠΎΠ²Π΅Π΄Π΅Π½ΠΎ Π½Π΅ΡΠΊΠΎΠ»ΡΠΊΠΎ ΠΊΠ»ΠΈΠ½ΠΈΡΠ΅ΡΠΊΠΈΡ ΠΈΡΠΏΡΡΠ°Π½ΠΈΠΉ. Π ΠΈΡΠΏΡΡΠ°Π½ΠΈΠΈ, ΠΏΡΠΎΠ²Π΅Π΄Π΅Π½Π½ΠΎΠΌ ΠΠ°ΡΠΈΠΎΠ½Π°Π»ΡΠ½ΡΠΌ ΠΎΠ½ΠΊΠΎΠ»ΠΎΠ³ΠΈΡΠ΅ΡΠΊΠΈΠΌ ΠΈΠ½ΡΡΠΈΡΡΡΠΎΠΌ ΠΠ°Π½Π°Π΄Ρ (the National Cancer Institute of Canada), 308 ΠΏΠ°ΡΠΈΠ΅Π½ΡΠΎΠ², ΠΏΠΎΠ»ΡΡΠ°Π²ΡΠΈΡ Ρ ΠΈΠΌΠΈΠΎΡΠ΅ΡΠ°ΠΏΠΈΡ, Π±ΡΠ»ΠΈ ΡΠ°Π·Π΄Π΅Π»Π΅Π½Ρ Π½Π° Π΄Π²Π΅ Π³ΡΡΠΏΠΏΡ. Π 1-ΠΉ Π³ΡΡΠΏΠΏΠ΅ Π»ΡΡΠ΅Π²ΡΡ ΡΠ΅ΡΠ°ΠΏΠΈΡ Π½Π°ΡΠΈΠ½Π°Π»ΠΈ ΡΠ°Π½ΠΎ (Π²ΠΎ Π²ΡΠ΅ΠΌΡ 2-Π³ΠΎ ΠΊΡΡΡΠ° Ρ ΠΈΠΌΠΈΠΎΡΠ΅ΡΠ°ΠΏΠΈΠΈ), Π° Π²ΠΎ 2-ΠΉ Π³ΡΡΠΏΠΏΠ΅ — Π½Π° Π±ΠΎΠ»Π΅Π΅ ΠΏΠΎΠ·Π΄Π½ΠΈΡ ΡΡΠ°ΠΏΠ°Ρ (Π½Π°ΡΠΈΠ½Π°Ρ Ρ 6-Π³ΠΎ ΠΊΡΡΡΠ° Ρ ΠΈΠΌΠΈΠΎΡΠ΅ΡΠ°ΠΏΠΈΠΈ). ΠΠ΅ΡΠΌΠΎΡΡΡ Π½Π° ΡΠΎ ΡΡΠΎ Π² ΠΎΠ±Π΅ΠΈΡ Π³ΡΡΠΏΠΏΠ°Ρ Π±ΠΎΠ»ΡΠ½ΡΠ΅ ΠΏΠΎΠ»ΡΡΠΈΠ»ΠΈ ΠΎΠ΄ΠΈΠ½Π°ΠΊΠΎΠ²ΡΠ΅ Π΄ΠΎΠ·Ρ Ρ ΠΈΠΌΠΈΠΎΡΠ΅ΡΠ°ΠΏΠΈΠΈ, Π² 1-ΠΉ Π³ΡΡΠΏΠΏΠ΅ (ΡΠ°Π½Π½ΡΡ Π»ΡΡΠ΅Π²Π°Ρ ΡΠ΅ΡΠ°ΠΏΠΈΡ) ΠΏΠΎΠΊΠ°Π·Π°ΡΠ΅Π»ΠΈ ΠΎΠ±ΡΠ΅ΠΉ ΠΈ Π±Π΅Π·ΡΠ΅ΡΠΈΠ΄ΠΈΠ²Π½ΠΎΠΉ Π²ΡΠΆΠΈΠ²Π°Π΅ΠΌΠΎΡΡΠΈ Π±ΡΠ»ΠΈ Π²ΡΡΠ΅. ΠΡΠΈ ΠΏΡΠΎΠ²Π΅Π΄Π΅Π½ΠΈΠΈ ΠΌΠ΅ΡΠ°Π°Π½Π°Π»ΠΈΠ·Π° ΡΠ΅Π·ΡΠ»ΡΡΠ°ΡΠΎΠ² 7 ΠΊΠ»ΠΈΠ½ΠΈΡΠ΅ΡΠΊΠΈΡ ΠΈΡΠΏΡΡΠ°Π½ΠΈΠΉ, ΠΏΠΎΡΠ²ΡΡΠ΅Π½Π½ΡΡ ΡΡΠΎΠΌΡ Π²ΠΎΠΏΡΠΎΡΡ, ΡΠ°ΠΊΠΆΠ΅ Π±ΡΠ»Π° ΠΏΠΎΠ΄ΡΠ²Π΅ΡΠΆΠ΄Π΅Π½Π° Π±ΠΎΠ»ΡΡΠ°Ρ ΡΡΡΠ΅ΠΊΡΠΈΠ²Π½ΠΎΡΡΡ ΡΠ°Π½Π½Π΅ΠΉ Π»ΡΡΠ΅Π²ΠΎΠΉ ΡΠ΅ΡΠ°ΠΏΠΈΠΈ.
ΠΡΠΈΠΌΠ΅Π½Π΅Π½ΠΈΠ΅ ΠΏΡΠΈ Π»ΡΡΠ΅Π²ΠΎΠΉ ΡΠ΅ΡΠ°ΠΏΠΈΠΈ Π³ΠΈΠΏΠ΅ΡΡΡΠ°ΠΊΡΠΈΠΎΠ½ΠΈΡΠΎΠ²Π°Π½ΠΈΡ ΡΠ°ΠΊΠΆΠ΅ ΡΠ»ΡΡΡΠ°Π΅Ρ ΡΠ΅Π·ΡΠ»ΡΡΠ°ΡΡ Π»Π΅ΡΠ΅Π½ΠΈΡ. Π ΠΈΡΡΠ»Π΅Π΄ΠΎΠ²Π°Π½ΠΈΠΈ, ΠΏΡΠΎΠ²Π΅Π΄Π΅Π½Π½ΠΎΠΌ Turrisi ΠΈ ΡΠΎΠ°Π²Ρ., 417 Π±ΠΎΠ»ΡΠ½ΡΡ Ρ Π΄ΠΈΠ°Π³Π½ΠΎΠ·ΠΎΠΌ Π»ΠΎΠΊΠ°Π»ΠΈΠ·ΠΎΠ²Π°Π½Π½ΡΠΉ ΠΌΠ΅Π»ΠΊΠΎΠΊΠ»Π΅ΡΠΎΡΠ½ΡΠΉ ΡΠ°ΠΊ, ΠΏΠΎΠ»ΡΡΠ°Π²ΡΠΈΡ Ρ ΠΈΠΌΠΈΠΎΡΠ΅ΡΠ°ΠΏΠΈΡ ΠΏΠΎ ΡΡ Π΅ΠΌΠ΅ ΡΠΈΡΠΏΠ»Π°ΡΠΈΠ½/ΡΡΠΎΠΏΠΎΠ·ΠΈΠ΄, Π±ΡΠ»ΠΈ ΡΠ°Π·Π΄Π΅Π»Π΅Π½Ρ Π½Π° Π΄Π²Π΅ Π³ΡΡΠΏΠΏΡ. Π 1-ΠΉ Π³ΡΡΠΏΠΏΠ΅ Π»ΡΡΠ΅Π²ΡΡ ΡΠ΅ΡΠ°ΠΏΠΈΡ ΠΏΡΠΎΠ²ΠΎΠ΄ΠΈΠ»ΠΈ 1 ΡΠ°Π· Π² ΡΡΡΠΊΠΈ (ΡΡΠΌΠΌΠ°ΡΠ½Π°Ρ ΠΎΡΠ°Π³ΠΎΠ²Π°Ρ Π΄ΠΎΠ·Π° (Π‘ΠΠ) — 45 ΠΡ, ΡΠ°Π·ΠΎΠ²Π°Ρ -1,8 ΠΡ), Π²ΠΎ 2-ΠΉ — 2 ΡΠ°Π·Π° Π² ΡΡΡΠΊΠΈ (Π‘ΠΠ — 45 ΠΡ, ΡΠ°Π·ΠΎΠ²Π°Ρ — 1,5 ΠΡ). Π£ Π±ΠΎΠ»ΡΠ½ΡΡ , ΠΏΠΎΠ»ΡΡΠ°Π²ΡΠΈΡ Π»ΡΡΠ΅Π²ΡΡ ΡΠ΅ΡΠ°ΠΏΠΈΡ 2 ΡΠ°Π·Π° Π² ΡΡΡΠΊΠΈ, ΠΌΠ΅Π΄ΠΈΠ°Π½Π° Π²ΡΠΆΠΈΠ²Π°Π΅ΠΌΠΎΡΡΠΈ (23 ΠΌΠ΅Ρ. ΠΏΡΠΎΡΠΈΠ² 19 ΠΌΠ΅Ρ.), Π° ΡΠ°ΠΊΠΆΠ΅ 5-Π»Π΅ΡΠ½ΡΡ Π²ΡΠΆΠΈΠ²Π°Π΅ΠΌΠΎΡΡΡ (26% ΠΏΡΠΎΡΠΈΠ² 16%) Π±ΡΠ»ΠΈ Π²ΡΡΠ΅, ΡΠ΅ΠΌ Ρ Π±ΠΎΠ»ΡΠ½ΡΡ , ΠΏΠΎΠ»ΡΡΠ°Π²ΡΠΈΡ Π»ΡΡΠ΅Π²ΡΡ ΡΠ΅ΡΠ°ΠΏΠΈΡ ΡΠ°Π· Π² ΡΡΡΠΊΠΈ. ΠΠ΄Π½Π°ΠΊΠΎ ΠΏΡΠΈ Π³ΠΈΠΏΠ΅ΡΡΡΠ°ΠΊΡΠΈΠΎΠ½ΠΈΡΠΎΠ²Π°Π½ΠΈΠΈ ΡΠ°ΡΠ΅ Π½Π°Π±Π»ΡΠ΄Π°Π»ΠΈΡΡ ΡΡΠΆΠ΅Π»ΡΠ΅ ΠΏΠΎΠ±ΠΎΡΠ½ΡΠ΅ ΡΡΡΠ΅ΠΊΡΡ, Π² ΡΠ°ΡΡΠ½ΠΎΡΡΠΈ ΡΠ·ΠΎΡΠ°Π³ΠΈΡ III ΡΡΠ΅ΠΏΠ΅Π½ΠΈ ΡΡΠΆΠ΅ΡΡΠΈ ΠΏΡΠΈ ΡΠ°ΠΊΠΎΠΌ Π»Π΅ΡΠ΅Π½ΠΈΠΈ ΡΠ°Π·Π²ΠΈΠ»ΡΡ Ρ 27% Π±ΠΎΠ»ΡΠ½ΡΡ , ΡΠΎΠ³Π΄Π° ΠΊΠ°ΠΊ ΠΏΡΠΈ ΠΎΠ±ΡΡΠ½ΠΎΠΌ ΡΠ΅ΠΆΠΈΠΌΠ΅ Π»ΡΡΠ΅Π²ΠΎΠΉ ΡΠ΅ΡΠ°ΠΏΠΈΠΈ — Ρ 11% Π±ΠΎΠ»ΡΠ½ΡΡ . ΠΠ° ΡΠ΅Π³ΠΎΠ΄Π½ΡΡΠ½ΠΈΠΉ Π΄Π΅Π½Ρ Π³ΠΈΠΏΠ΅ΡΡΡΠ°ΠΊΡΠΈΠΎΠ½ΠΈΡΠΎΠ²Π°Π½ΠΈΠ΅ ΠΏΡΠΈΠΌΠ΅Π½ΡΠ΅ΡΡΡ Π½Π΅ Π²ΠΎ Π²ΡΠ΅Ρ ΠΊΠ»ΠΈΠ½ΠΈΠΊΠ°Ρ ; Π²ΠΎΠΏΡΠΎΡ ΠΎ ΡΠΎΠΌ, ΡΡΠΎ Π² Π±ΠΎΠ»ΡΡΠ΅ΠΉ ΠΌΠ΅ΡΠ΅ Π²Π»ΠΈΡΠ΅Ρ Π½Π° ΡΡΡΠ΅ΠΊΡΠΈΠ²Π½ΠΎΡΡΡ Π»Π΅ΡΠ΅Π½ΠΈΡ — Π³ΠΈΠΏΠ΅ΡΡΡΠ°ΠΊΡΠΈΠΎΠ½ΠΈΡΠΎΠ²Π°Π½ΠΈΠ΅ ΠΈΠ»ΠΈ ΡΡΠΌΠΌΠ°ΡΠ½Π°Ρ ΠΎΡΠ°Π³ΠΎΠ²Π°Ρ Π΄ΠΎΠ·Π° — ΠΎΡΡΠ°Π΅ΡΡΡ ΠΏΡΠ΅Π΄ΠΌΠ΅ΡΠΎΠΌ ΠΎΠ±ΡΡΠΆΠ΄Π΅Π½ΠΈΡ. Choi ΠΈ ΡΠΎΠ°Π²Ρ. ΠΈΠ·ΡΡΠ°Π»ΠΈ ΡΡΡΠ΅ΠΊΡΠΈΠ²Π½ΠΎΡΡΡ ΠΏΠΎΠ²ΡΡΠ΅Π½Π½ΡΡ Π΄ΠΎΠ· Π»ΡΡΠ΅Π²ΠΎΠΉ ΡΠ΅ΡΠ°ΠΏΠΈΠΈ Π² ΡΠ΅ΠΆΠΈΠΌΠ°Ρ 1 ΠΈ 2 ΡΠ°Π·Π° Π² ΡΡΡΠΊΠΈ. ΠΡΠΈ ΠΎΠ±Π»ΡΡΠ΅Π½ΠΈΠΈ ΡΠ°Π·Π° Π² ΡΡΡΠΊΠΈ Π‘ΠΠ Π½Π΅ ΠΏΡΠ΅Π²ΡΡΠ°Π»Π° 55 ΠΡ, ΡΠΎΠ³Π΄Π° ΠΊΠ°ΠΊ ΠΏΡΠΈ ΠΎΠ±Π»ΡΡΠ΅Π½ΠΈΠΈ 1 ΡΠ°Π· Π² ΡΡΡΠΊΠΈ Π‘ΠΠ Π±ΡΠ»Π° ΡΠ²Π΅Π»ΠΈΡΠ΅Π½Π° Π΄ΠΎ 70 ΠΡ. ΠΠΎΠ»Π΅Π΅ Π²ΡΡΠΎΠΊΠ°Ρ ΠΌΠ΅Π΄ΠΈΠ°Π½Π° Π²ΡΠΆΠΈΠ²Π°Π΅ΠΌΠΎΡΡΠΈ (24 ΠΌΠ΅Ρ. ΠΏΡΠΎΡΠΈΠ² 29,8 ΠΌΠ΅Ρ.) ΠΈ 5-Π»Π΅ΡΠ½ΡΡ Π²ΡΠΆΠΈΠ²Π°Π΅ΠΌΠΎΡΡΡ (20% ΠΏΡΠΎΡΠΈΠ² 36%) Π±ΡΠ»ΠΈ ΠΎΡΠΌΠ΅ΡΠ΅Π½Ρ Ρ Π±ΠΎΠ»ΡΠ½ΡΡ , ΠΏΠΎΠ»ΡΡΠ°Π²ΡΠΈΡ Π»ΡΡΠ΅Π²ΡΡ ΡΠ΅ΡΠ°ΠΏΠΈΡ 1 ΡΠ°Π· Π² ΡΡΡΠΊΠΈ.
Π‘ΠΎΠ³Π»Π°ΡΠ½ΠΎ ΡΠ΅ΠΊΠΎΠΌΠ΅Π½Π΄Π°ΡΠΈΡΠΌ ΠΠ°ΡΠΈΠΎΠ½Π°Π»ΡΠ½ΠΎΠΉ Π²ΡΠ΅ΠΎΠ±ΡΠ΅ΠΉ ΠΎΠ½ΠΊΠΎΠ»ΠΎΠ³ΠΈΡΠ΅ΡΠΊΠΎΠΉ ΡΠ΅ΡΠΈ Π‘Π¨Π, Π»ΡΡΠ΅Π²ΡΡ ΡΠ΅ΡΠ°ΠΏΠΈΡ ΡΠ»Π΅Π΄ΡΠ΅Ρ Π½Π°ΡΠΈΠ½Π°ΡΡ Π½Π΅ ΠΏΠΎΠ·Π΄Π½Π΅Π΅ ΠΏΠ΅ΡΠ²ΡΡ 2 ΠΊΡΡΡΠΎΠ² Ρ ΠΈΠΌΠΈΠΎΡΠ΅ΡΠ°ΠΏΠΈΠΈ. ΠΡΡΠ΅Π²ΡΡ ΡΠ΅ΡΠ°ΠΏΠΈΡ ΠΌΠΎΠΆΠ½ΠΎ ΠΈΡΠΏΠΎΠ»ΡΠ·ΠΎΠ²Π°ΡΡ ΠΊΠ°ΠΊ 2 ΡΠ°Π·Π° Π² ΡΡΡΠΊΠΈ (Π‘ΠΠ — 45 ΠΡ, ΡΠ°Π·ΠΎΠ²Π°Ρ — 1,5 ΠΡ), ΡΠ°ΠΊ ΠΈ 1 ΡΠ°Π· Π² ΡΡΡΠΊΠΈ (Π‘ΠΠ — 50 ΠΡ, ΡΠ°Π·ΠΎΠ²Π°Ρ-1,8 ΠΡ)
ΠΠ΅ΡΠΈΠΌ ΡΠ°ΡΠΏΡΠΎΡΡΡΠ°Π½Π΅Π½Π½ΡΠΉ ΠΌΠ΅Π»ΠΊΠΎΠΊΠ»Π΅ΡΠΎΡΠ½ΡΠΉ ΡΠ°ΠΊ
Π ΠΎΡΠ½ΠΎΠ²Π½ΠΎΠΌ ΠΌΠ΅Π»ΠΊΠΎΠΊΠ»Π΅ΡΠΎΡΠ½ΡΠΉ ΡΠ°ΠΊ Π»Π΅Π³ΠΊΠΎΠ³ΠΎ Π»Π΅ΡΠ°Ρ Ρ ΠΏΠΎΠΌΠΎΡΡΡ Ρ
ΠΈΠΌΠΈΠΎΡΠ΅ΡΠ°ΠΏΠΈΠΈ. Π’Π°ΠΊ ΠΆΠ΅ ΠΊΠ°ΠΊ ΠΈ ΠΏΡΠΈ Π»ΠΎΠΊΠ°Π»ΠΈΠ·ΠΎΠ²Π°Π½Π½ΠΎΠΌ ΠΠ Π, Π² Π‘Π¨Π Π½Π°ΠΈΠ±ΠΎΠ»Π΅Π΅ ΡΠ°ΡΡΠΎ ΠΏΡΠΈΠΌΠ΅Π½ΡΡΡ ΠΊΠΎΠΌΠ±ΠΈΠ½Π°ΡΠΈΡ ΡΠΈΡΠΏΠ»Π°ΡΠΈΠ½Π° ΠΈ ΡΡΠΎΠΏΠΎΠ·ΠΈΠ΄Π°. Π§Π°ΡΡΠΎΡΠ° ΡΠ΅ΠΌΠΈΡΡΠΈΠΉ Π² ΡΡΠΎΠΌ ΡΠ»ΡΡΠ°Π΅ Π΄ΠΎΡΡΠΈΠ³Π°Π΅Ρ 60-70%, ΠΎΠ΄Π½Π°ΠΊΠΎ ΠΎΠ±ΡΠ°Ρ Π²ΡΠΆΠΈΠ²Π°Π΅ΠΌΠΎΡΡΡ Π½Π΅Π²ΡΡΠΎΠΊΠ°, ΠΌΠ΅Π½Π΅Π΅ 5% Π±ΠΎΠ»ΡΠ½ΡΡ
ΠΏΠ΅ΡΠ΅ΠΆΠΈΠ²Π°ΡΡ 2-Π»Π΅ΡΠ½ΠΈΠΉ ΡΡΠ±Π΅ΠΆ. ΠΠ΅Π΄ΠΈΠ°Π½Π° Π²ΡΠΆΠΈΠ²Π°Π΅ΠΌΠΎΡΡΠΈ ΡΠΎΡΡΠ°Π²Π»ΡΠ΅Ρ 9-11 ΠΌΠ΅Ρ. ΠΠΎΠ»ΡΡΠΎΠΉ ΠΈΠ½ΡΠ΅ΡΠ΅Ρ Π²ΡΠ·Π²Π°Π»ΠΈ ΡΠ΅Π·ΡΠ»ΡΡΠ°ΡΡ III ΡΠ°Π·Ρ ΠΊΠ»ΠΈΠ½ΠΈΡΠ΅ΡΠΊΠΎΠ³ΠΎ ΠΈΡΠΏΡΡΠ°Π½ΠΈΡ, ΠΏΡΠΎΠ²Π΅Π΄Π΅Π½Π½ΠΎΠ³ΠΎ Π² Π―ΠΏΠΎΠ½ΠΈΠΈ, Π² ΠΊΠΎΡΠΎΡΠΎΠΌ Π΄Π»Ρ Π»Π΅ΡΠ΅Π½ΠΈΡ Π±ΠΎΠ»ΡΠ½ΡΡ
Ρ ΡΠ°ΡΠΏΡΠΎΡΡΡΠ°Π½Π΅Π½Π½ΡΠΌ ΠΠ Π ΠΏΡΠΈΠΌΠ΅Π½ΡΠ»ΠΈ ΠΊΠΎΠΌΠ±ΠΈΠ½Π°ΡΠΈΡ ΡΠΈΡΠΏΠ»Π°ΡΠΈΠ½Π° ΠΈ ΠΈΡΠΈΠ½ΠΎΡΠ΅ΠΊΠ°Π½Π°. ΠΡΠ»ΠΎ ΠΎΡΠΌΠ΅ΡΠ΅Π½ΠΎ Π·Π½Π°ΡΠΈΡΠ΅Π»ΡΠ½ΠΎΠ΅ ΡΠ²Π΅Π»ΠΈΡΠ΅Π½ΠΈΠ΅ ΠΏΡΠΎΠ΄ΠΎΠ»ΠΆΠΈΡΠ΅Π»ΡΠ½ΠΎΡΡΠΈ ΠΆΠΈΠ·Π½ΠΈ Π±ΠΎΠ»ΡΠ½ΡΡ
, ΠΏΠΎΠ»ΡΡΠ°Π²ΡΠΈΡ
ΡΠΈΡΠΏΠ»Π°ΡΠΈΠ½ ΠΈ ΠΈΡΠΈΠ½ΠΎΡΠ΅ΠΊΠ°Π½, ΠΏΠΎ ΡΡΠ°Π²Π½Π΅Π½ΠΈΡ Ρ ΡΠ΅ΠΌΠΈ, ΠΊΡΠΎ ΠΏΠΎΠ»ΡΡΠ°Π» ΡΠΈΡΠΏΠ»Π°ΡΠΈΠ½ ΠΈ ΡΡΠΎΠΏΠΎΠ·ΠΈΠ΄ (12,8 ΠΈ 9,4 ΠΌΠ΅Ρ. ΡΠΎΠΎΡΠ²Π΅ΡΡΡΠ²Π΅Π½Π½ΠΎ). ΠΠ΄Π½Π°ΠΊΠΎ Π² ΠΏΠΎΡΠ»Π΅Π΄ΡΡΡΠΈΡ
ΠΈΡΡΠ»Π΅Π΄ΠΎΠ²Π°Π½ΠΈΡΡ
Π·Π½Π°ΡΠΈΡΠ΅Π»ΡΠ½ΠΎΠΉ ΡΠ°Π·Π½ΠΈΡΡ Π² ΡΠ°ΡΡΠΎΡΠ΅ ΡΠ΅ΠΌΠΈΡΡΠΈΠΉ ΠΈ ΠΏΠΎΠΊΠ°Π·Π°ΡΠ΅Π»ΡΡ
Π²ΡΠΆΠΈΠ²Π°Π΅ΠΌΠΎΡΡΠΈ ΠΏΡΠΈ ΠΈΡΠΏΠΎΠ»ΡΠ·ΠΎΠ²Π°Π½ΠΈΠΈ ΡΡΠΈΡ
Π΄Π²ΡΡ
ΡΡ
Π΅ΠΌ Ρ
ΠΈΠΌΠΈΠΎΡΠ΅ΡΠ°ΠΏΠΈΠΈ Π²ΡΡΠ²ΠΈΡΡ Π½Π΅ ΡΠ΄Π°Π»ΠΎΡΡ.
Π Ρ
ΠΎΠ΄Π΅ ΠΌΠ½ΠΎΠ³ΠΎΡΠΈΡΠ»Π΅Π½Π½ΡΡ
ΠΊΠ»ΠΈΠ½ΠΈΡΠ΅ΡΠΊΠΈΡ
ΠΈΡΡΠ»Π΅Π΄ΠΎΠ²Π°Π½ΠΈΠΉ ΠΏΡΠ΅Π΄ΠΏΡΠΈΠ½ΠΈΠΌΠ°Π»ΠΈΡΡ ΠΏΠΎΠΏΡΡΠΊΠΈ ΠΏΡΠΈΠΌΠ΅Π½ΠΈΡΡ Π΄ΡΡΠ³ΠΈΠ΅ ΡΡ
Π΅ΠΌΡ Ρ
ΠΈΠΌΠΈΠΎΡΠ΅ΡΠ°ΠΏΠΈΠΈ ΠΈΠ»ΠΈ Π΄ΠΎΠ±Π°Π²ΠΈΡΡ ΠΊ ΡΡΠ°Π½Π΄Π°ΡΡΠ½ΠΎΠΉ ΡΡ
Π΅ΠΌΠ΅ ΡΡΠ΅ΡΠΈΠΉ ΠΏΡΠ΅ΠΏΠ°ΡΠ°Ρ, ΠΎΠ΄Π½Π°ΠΊΠΎ Π½ΠΈ ΠΎΠ΄Π½Π° ΠΈΠ· ΡΠ΅ΡΡΠΈΡΡΠ΅ΠΌΡΡ
ΡΡ
Π΅ΠΌ Π½Π΅ ΠΏΠΎΠΊΠ°Π·Π°Π»Π° Π±ΠΎΠ»ΡΡΠ΅ΠΉ ΡΡΡΠ΅ΠΊΡΠΈΠ²Π½ΠΎΡΡΠΈ, ΡΠ΅ΠΌ ΡΡ
Π΅ΠΌΠ° ΡΠΈΡΠΏΠ»Π°ΡΠΈΠ½/ΡΡΠΎΠΏΠΎΠ·ΠΈΠ΄. ΠΡΠΎΠΌΠ΅ ΡΠΎΠ³ΠΎ, Π² Ρ
ΠΎΠ΄Π΅ III ΡΠ°Π·Ρ ΠΊΠ»ΠΈΠ½ΠΈΡΠ΅ΡΠΊΠΈΡ
ΠΈΡΡΠ»Π΅Π΄ΠΎΠ²Π°Π½ΠΈΠΉ ΡΠ°ΠΊΠΆΠ΅ Π½Π΅ ΡΠ΄Π°Π»ΠΎΡΡ Π΄ΠΎΠΊΠ°Π·Π°ΡΡ ΡΡΡΠ΅ΠΊΡΠΈΠ²Π½ΠΎΡΡΡ Π²ΡΡΠΎΠΊΠΎΠ΄ΠΎΠ·Π½ΠΎΠΉ Ρ
ΠΈΠΌΠΈΠΎΡΠ΅ΡΠ°ΠΏΠΈΠΈ Π² ΡΠΎΡΠ΅ΡΠ°Π½ΠΈΠΈ Ρ Π°ΡΡΠΎΡΡΠ°Π½ΡΠΏΠ»Π°Π½ΡΠ°ΡΠΈΠ΅ΠΉ ΠΊΠΎΡΡΠ½ΠΎΠ³ΠΎ ΠΌΠΎΠ·Π³Π°. Π’Π°ΠΊΠΈΠΌ ΠΎΠ±ΡΠ°Π·ΠΎΠΌ, ΡΡ
Π΅ΠΌΠ° ΡΠΈΡΠΏΠ»Π°ΡΠΈΠ½/ΡΡΠΎΠΏΠΎΠ·ΠΈΠ΄ ΠΏΡΠΎΠ΄ΠΎΠ»ΠΆΠ°Π΅Ρ ΠΎΡΡΠ°Π²Π°ΡΡΡΡ ΡΡΠ°Π½Π΄Π°ΡΡΠ½ΡΠΌ ΠΌΠ΅ΡΠΎΠ΄ΠΎΠΌ Π»Π΅ΡΠ΅Π½ΠΈΡ ΠΏΠ°ΡΠΎΠ»ΠΎΠ³ΠΈΠΈ. ΠΠ°ΠΊ ΠΏΡΠ°Π²ΠΈΠ»ΠΎ, ΠΏΡΠΈΠΌΠ΅Π½ΡΡΡ ΠΎΡ 4 Π΄ΠΎ 6 ΠΊΡΡΡΠΎΠ² Ρ
ΠΈΠΌΠΈΠΎΡΠ΅ΡΠ°ΠΏΠΈΠΈ, ΠΏΠΎΡΠΊΠΎΠ»ΡΠΊΡ Π΄Π»ΠΈΡΠ΅Π»ΡΠ½Π°Ρ ΠΏΠΎΠ΄Π΄Π΅ΡΠΆΠΈΠ²Π°ΡΡΠ°Ρ ΡΠ΅ΡΠ°ΠΏΠΈΡ Π½Π΅ ΡΠ²Π΅Π»ΠΈΡΠΈΠ²Π°Π΅Ρ Π²ΡΠΆΠΈΠ²Π°Π΅ΠΌΠΎΡΡΡ ΠΈ ΠΏΠΎΠ²ΡΡΠ°Π΅Ρ ΡΠΈΡΠΊ ΡΠ°Π·Π²ΠΈΡΠΈΡ ΠΏΠΎΠ±ΠΎΡΠ½ΡΡ
ΡΡΡΠ΅ΠΊΡΠΎΠ². Π§Π°ΡΡΠΎ Ρ
ΠΈΠΌΠΈΠΎΡΠ΅ΡΠ°ΠΏΠΈΡ ΠΏΡΠΈ ΠΌΠ΅ΡΠ°ΡΡΠ°ΡΠΈΡΠ΅ΡΠΊΠΎΠΌ ΠΌΠ΅Π»ΠΊΠΎΠΊΠ»Π΅ΡΠΎΡΠ½ΠΎΠΌ ΡΠ°ΠΊΠ΅ Π»Π΅Π³ΠΊΠΎΠ³ΠΎ ΠΏΡΠΎΠ²ΠΎΠ΄ΠΈΡΡΡ ΠΏΠ°Π»Π»ΠΈΠ°ΡΠΈΠ²Π½ΠΎ, ΡΠΈΡΠΏΠ»Π°ΡΠΈΠ½ Π·Π°ΠΌΠ΅Π½ΡΡΡ Π½Π° ΠΊΠ°ΡΠ±ΠΎΠΏΠ»Π°ΡΠΈΠ½, ΡΡΠΎΠ±Ρ ΡΠΌΠ΅Π½ΡΡΠΈΡΡ ΡΠ°ΡΡΡ ΠΏΠΎΠ±ΠΎΡΠ½ΡΡ
ΡΡΡΠ΅ΠΊΡΠΎΠ².
ΠΠ΅ΡΠΈΠΌ ΡΠ΅ΡΠΈΠ΄ΠΈΠ²ΠΈΡΡΡΡΠΈΠΉ ΠΌΠ΅Π»ΠΊΠΎΠΊΠ»Π΅ΡΠΎΡΠ½ΡΠΉ ΡΠ°ΠΊ
Π Π΅Π·ΠΈΡΡΠ΅Π½ΡΠ½Π°Ρ ΠΎΠΏΡΡ ΠΎΠ»Ρ ΡΠ°Π·Π²ΠΈΠ²Π°Π΅ΡΡΡ Π² ΡΠ΅ΡΠ΅Π½ΠΈΠ΅ ΡΡΠ΅Ρ ΠΌΠ΅ΡΡΡΠ΅Π² ΠΏΠΎΡΠ»Π΅ Π»Π΅ΡΠ΅Π½ΠΈΡ Ρ ΠΈΠΌΠΈΠΎΡΠ΅ΡΠ°ΠΏΠΈΠ΅ΠΉ, Π° ΡΠ°ΠΊΠΆΠ΅ ΠΏΡΠΈ ΠΎΡΡΠΈΡΠ°ΡΠ΅Π»ΡΠ½ΠΎΠΉ Π΄ΠΈΠ½Π°ΠΌΠΈΠΊΠ΅ Π½Π° ΡΠΎΠ½Π΅ Π»Π΅ΡΠ΅Π½ΠΈΡ. Π ΡΠ»ΡΡΠ°ΡΡ , ΠΊΠΎΠ³Π΄Π° ΡΠ΅ΡΠΈΠ΄ΠΈΠ² Π½Π°ΡΠΈΠ½Π°Π΅ΡΡΡ ΠΏΠΎΡΠ»Π΅ 3 ΠΌΠ΅ΡΡΡΠ΅Π², ΠΎΠΏΡΡ ΠΎΠ»Ρ Π½Π°Π·ΡΠ²Π°ΡΡ ΡΠ΅ΡΠΈΠ΄ΠΈΠ²ΠΈΡΡΡΡΠ΅ΠΉ. ΠΠ΅ΡΠΌΠΎΡΡΡ Π½Π° ΡΠΎ ΡΡΠΎ ΠΏΡΠΈ Π·Π°Π±ΠΎΠ»Π΅Π²Π°Π½ΠΈΠΈ ΡΠ΅ΡΠΈΠ΄ΠΈΠ²ΠΈΡΡΡΡΠΈΠΉ ΠΌΠ΅Π»ΠΊΠΎΠΊΠ»Π΅ΡΠΎΡΠ½ΡΠΉ ΡΠ°ΠΊ ΠΏΡΠΈΠΌΠ΅Π½ΡΡΡ ΠΏΠΎΡ ΠΎΠΆΠΈΠ΅ ΡΡ Π΅ΠΌΡ Ρ ΠΈΠΌΠΈΠΎΡΠ΅ΡΠ°ΠΏΠΈΠΈ Π²ΡΠΎΡΠΎΠΉ Π»ΠΈΠ½ΠΈΠΈ, ΠΏΡΠΎΠ³Π½ΠΎΠ· Π² Π΄Π°Π½Π½ΡΡ Π³ΡΡΠΏΠΏΠ°Ρ Π·Π½Π°ΡΠΈΡΠ΅Π»ΡΠ½ΠΎ ΡΠ°Π·Π»ΠΈΡΠ°Π΅ΡΡΡ: ΠΏΡΠΈ ΡΠ΅ΡΡΠ°ΠΊΡΠ΅ΡΠ½ΡΡ ΠΎΠΏΡΡ ΠΎΠ»ΡΡ ΡΡΡΠ΅ΠΊΡΠΈΠ²Π½ΠΎΡΡΡ Π»Π΅ΡΠ΅Π½ΠΈΡ Π·Π½Π°ΡΠΈΡΠ΅Π»ΡΠ½ΠΎ Π½ΠΈΠΆΠ΅. ΠΠ΅Π΄ΠΈΠ°Π½Π° Π²ΡΠΆΠΈΠ²Π°Π΅ΠΌΠΎΡΡΠΈ ΠΏΠΎΡΠ»Π΅ ΡΠ΅ΡΠΈΠ΄ΠΈΠ²Π° ΠΌΠ΅Π»ΠΊΠΎΠΊΠ»Π΅ΡΠΎΡΠ½ΠΎΠ³ΠΎ ΡΠ°ΠΊΠ° Π»Π΅Π³ΠΊΠΎΠ³ΠΎ ΡΠΎΡΡΠ°Π²Π»ΡΠ΅Ρ ΠΎΡ 2 Π΄ΠΎ 6 ΠΌΠ΅ΡΡΡΠ΅Π². ΠΠΎΡΡΠΎΠΌΡ Ρ Π±ΠΎΠ»ΡΠ½ΡΠΌ ΠΈ ΡΠ»Π΅Π½Π°ΠΌΠΈ Π΅Π³ΠΎ ΡΠ΅ΠΌΡΠΈ ΡΠ»Π΅Π΄ΡΠ΅Ρ ΠΎΠ±ΡΡΠ΄ΠΈΡΡ ΡΠ΅Π»ΠΈ Ρ ΠΈΠΌΠΈΠΎΡΠ΅ΡΠ°ΠΏΠΈΠΈ ΡΠΏΠ°ΡΠ΅Π½ΠΈΡ ΠΈ ΡΠ΄Π΅Π»ΠΈΡΡ ΠΎΡΠ½ΠΎΠ²Π½ΠΎΠ΅ Π²Π½ΠΈΠΌΠ°Π½ΠΈΠ΅ ΠΏΠ°Π»Π»ΠΈΠ°ΡΠΈΠ²Π½ΠΎΠΉ ΡΠ΅ΡΠ°ΠΏΠΈΠΈ.
ΠΡΠΈ Π½Π΅ΡΡΡΠ΅ΠΊΡΠΈΠ²Π½ΠΎΡΡΠΈ ΡΡ Π΅ΠΌΡ ΠΊΠ°ΡΠ±ΠΎΠΏΠ»Π°ΡΠΈΠ½/ΡΡΠΎΠΏΠΎΠ·ΠΈΠ΄, Π° ΡΠ°ΠΊΠΆΠ΅ ΡΠΈΡΠΏΠ»Π°ΡΠΈΠ½/ΡΡΠΎΠΏΠΎΠ·ΠΈΠ΄, Π² ΠΊΠ°ΡΠ΅ΡΡΠ²Π΅ Π²ΡΠΎΡΠΎΠΉ Π»ΠΈΠ½ΠΈΠΈ ΡΠ΅ΡΠ°ΠΏΠΈΠΈ ΠΏΡΠΈΠΌΠ΅Π½ΡΡΡ ΡΠΎΠΏΠΎΡΠ΅ΠΊΠ°Π½. Π Ρ ΠΎΠ΄Π΅ II ΡΠ°Π·Ρ ΠΊΠ»ΠΈΠ½ΠΈΡΠ΅ΡΠΊΠΎΠ³ΠΎ ΠΈΡΠΏΡΡΠ°Π½ΠΈΡ, Π² ΠΊΠΎΡΠΎΡΠΎΠΌ ΠΏΡΠΈΠΌΠ΅Π½ΡΠ»ΠΈ ΠΌΠΎΠ½ΠΎΡΠ΅ΡΠ°ΠΏΠΈΡ ΡΠΎΠΏΠΎΡΠ΅ΠΊΠ°Π½ΠΎΠΌ ΠΏΡΠΈ ΠΏΡΠΎΠ³ΡΠ΅ΡΡΠΈΡΠΎΠ²Π°Π½ΠΈΠΈ Π·Π°Π±ΠΎΠ»Π΅Π²Π°Π½ΠΈΡ ΠΏΠΎΡΠ»Π΅ ΠΏΠ΅ΡΠ²ΠΎΠΉ Π»ΠΈΠ½ΠΈΠΈ Ρ ΠΈΠΌΠΈΠΎΡΠ΅ΡΠ°ΠΏΠΈΠΈ, ΡΠ°ΡΡΠΎΡΠ° ΡΠ΅ΠΌΠΈΡΡΠΈΠΉ ΡΠΎΡΡΠ°Π²ΠΈΠ»Π° 22%. Π£ Π±ΠΎΠ»ΡΠ½ΡΡ Ρ ΡΠ΅ΡΠΈΠ΄ΠΈΠ²ΠΎΠΌ Π·Π°Π±ΠΎΠ»Π΅Π²Π°Π½ΠΈΡ ΡΠ°ΡΡΠΎΡΠ° ΠΏΠΎΠ»Π½ΡΡ ΠΈ ΡΠ°ΡΡΠΈΡΠ½ΡΡ ΡΠ΅ΠΌΠΈΡΡΠΈΠΉ (ΠΏΠΎΠ»Π½ΡΠ΅ ΡΠ΅ΠΌΠΈΡΡΠΈΠΈ — 13%, ΡΠ°ΡΡΠΈΡΠ½ΡΠ΅ — 24%) Π±ΡΠ»Π° Π²ΡΡΠ΅, ΡΠ΅ΠΌ ΠΏΡΠΈ ΡΠ΅ΡΡΠ°ΠΊΡΠ΅ΡΠ½ΡΡ ΠΎΠΏΡΡ ΠΎΠ»ΡΡ (ΠΏΠΎΠ»Π½ΡΠ΅ ΡΠ΅ΠΌΠΈΡΡΠΈΠΈ — 2%, ΡΠ°ΡΡΠΈΡΠ½ΡΠ΅ — 4%). Π ΠΊΠ°ΡΠ΅ΡΡΠ²Π΅ Ρ ΠΈΠΌΠΈΠΎΡΠ΅ΡΠ°ΠΏΠΈΠΈ Π²ΡΠΎΡΠΎΠΉ Π»ΠΈΠ½ΠΈΠΈ ΡΠ°ΠΊΠΆΠ΅ ΡΡΡΠ΅ΠΊΡΠΈΠ²Π½Ρ ΠΈΡΠΈΠ½ΠΎΡΠ΅ΠΊΠ°Π½, ΡΠ°ΠΊΡΠ°Π½Ρ ΠΈ Π³Π΅ΠΌΡΠΈΡΠ°Π±ΠΈΠ½. Π’Π°ΠΊ ΠΊΠ°ΠΊ Π»Π΅ΡΠ΅Π½ΠΈΠ΅ Π² ΡΡΠΎΠΌ ΡΠ»ΡΡΠ°Π΅, ΠΏΠΎ ΡΡΡΠΈ, Π½ΠΎΡΠΈΡ ΠΏΠ°Π»Π»ΠΈΠ°ΡΠΈΠ²Π½ΡΠΉ Ρ Π°ΡΠ°ΠΊΡΠ΅Ρ ΠΈ ΡΠΎΠΊΡΠΈΡΠ½ΠΎΡΡΡ Π΄ΠΎΠ»ΠΆΠ½Π° Π±ΡΡΡ ΠΌΠΈΠ½ΠΈΠΌΠ°Π»ΡΠ½ΠΎΠΉ, ΠΌΠΎΠ½ΠΎΡ ΠΈΠΌΠΈΠΎΡΠ΅ΡΠ°ΠΏΠΈΡ ΠΏΡΠ΅Π΄ΠΏΠΎΡΡΠΈΡΠ΅Π»ΡΠ½Π΅Π΅ ΠΏΠΎΠ»ΠΈΡ ΠΈΠΌΠΈΠΎΡΠ΅ΡΠ°ΠΏΠΈΠΈ. ΠΠΎΡΠΊΠΎΠ»ΡΠΊΡ Π½ΠΈ ΠΎΠ΄Π½Π° ΠΈΠ· ΠΏΠ΅ΡΠ΅ΡΠΈΡΠ»Π΅Π½Π½ΡΡ ΡΡ Π΅ΠΌ Π½Π΅ ΠΏΠΎΠΊΠ°Π·Π°Π»Π° Π²ΡΡΠΎΠΊΠΎΠΉ ΡΡΡΠ΅ΠΊΡΠΈΠ²Π½ΠΎΡΡΠΈ, ΡΡΠ΅Π±ΡΡΡΡΡ Π΄Π°Π»ΡΠ½Π΅ΠΉΡΠΈΠ΅ ΠΊΠ»ΠΈΠ½ΠΈΡΠ΅ΡΠΊΠΈΠ΅ ΠΈΡΠΏΡΡΠ°Π½ΠΈΡ.
www.onkodoktor.ru
ΠΠ΅Π»ΠΊΠΎΠΊΠ»Π΅ΡΠΎΡΠ½Π°Ρ ΠΊΠ°ΡΒΡΠΈΠ½ΠΎΠΌΠ° — ΠΠ½ΠΊΠΎΠ»ΠΎΠ³ΠΈΡ
ΠΠ΅Π»ΠΊΠΎΠΊΠ»Π΅ΡΠΎΡΠ½Π°Ρ ΠΊΠ°ΡΒΡΠΈΠ½ΠΎΠΌΠ° β ΡΠ΅Π΄ΠΊΠ°Ρ Π·Π»ΠΎΠΊΠ°ΡΠ΅ΡΡΠ²Π΅Π½ΒΠ½Π°Ρ ΡΠΏΠΈΡΠ΅Π»ΠΈΠ°Π»ΡΠ½Π°Ρ ΠΎΠΏΡΡ ΠΎΠ»Ρ, Ρ Π°ΡΠ°ΠΊΡΠ΅ΒΡΠΈΠ·ΡΡΡΠ°ΡΡΡ ΠΏΡΠΎΠ»ΠΈΡΠ΅ΡΠ°ΡΠΈΠ΅ΠΉ ΠΌΠ΅Π»ΠΊΠΈΡ Π°Π½Π°ΠΏΠ»Π°Π·ΠΈΡΠΎΠ²Π°Π½Π½ΡΡ ΠΊΠ»Π΅ΡΠΎΠΊ ΡΠΎ ΡΠΊΡΠ΄Π½ΠΎΠΉ ΡΠΈΡΠΎΠΏΠ»Π°Π·ΠΌΠΎΠΉ, Π½Π΅ΠΆΠ½ΡΠΌ ΡΠ΄Π΅ΡΠ½ΡΠΌ Ρ ΡΠΎΒΠΌΠ°ΡΠΈΠ½ΠΎΠΌ ΠΈ Π½Π΅Π·Π°ΠΌΠ΅ΡΠ½ΡΠΌΠΈ ΡΠ΄ΡΡΡΠΊΠ°ΠΌΠΈ.
Π‘ΠΈΠ½ΠΎΠ½ΠΈΠΌΡ: ΠΌΠ΅Π»ΠΊΠΎΠΊΠ»Π΅ΡΠΎΡΠ½ΡΠΉ Π½Π΅ΒΠ΄ΠΈΡΡΠ΅ΡΠ΅Π½ΡΠΈΡΠΎΠ²Π°Π½Π½ΡΠΉ ΡΠ°ΠΊ, ΠΌΠ΅Π»ΠΊΠΎΠΊΠ»Π΅ΒΡΠΎΡΠ½ΡΠΉ Π°Π½Π°ΠΏΠ»Π°ΡΠ³ΠΈΡΠ΅ΡΠΊΠΈΠΉ ΡΠ°ΠΊ, ΠΎΠ²ΡΡΠ½ΠΎΒΠΊΠ»Π΅ΡΠΎΡΠ½ΡΠΉ ΡΠ°ΠΊ, Π½Π΅ΠΉΡΠΎΡΠ½Π΄ΠΎΠΊΡΠΈΠ½Π½ΡΠΉ ΡΠ°ΠΊ.
ΠΠΎΠ·ΡΠ°ΡΡ Π±ΠΎΠ»ΡΡΠΈΠ½ΒΡΡΠ²Π° ΠΏΠ°ΡΠΈΠ΅Π½ΡΠΎΠ² Π½Π° ΠΌΠΎΠΌΠ΅Π½Ρ ΠΏΠΎΡΡΠ°Π½ΠΎΠ²ΠΊΠΈ Π΄ΠΈΠ°Π³Π½ΠΎΠ·Π° β ΡΡΠ°ΡΡΠ΅ 50 Π»Π΅Ρ, Π½ΠΎ, ΡΠ΅ΠΌ Π½Π΅ ΠΌΠ΅Π½Π΅Π΅, ΠΎΠΏΡΡ
ΠΎΠ»Ρ ΠΎΠΏΠΈΡΠ°Π½Π° ΠΈ Ρ ΠΌΠΎΠ»ΠΎΠ΄ΡΡ
Π»ΠΈΡ. ΠΠ΅ΡΠΊΠΎΠ»ΡΠΊΠΎ ΡΠ°ΡΠ΅ Π΄Π°Π½Π½ΠΎΠ΅ Π½ΠΎΠ²ΠΎΠΎΠ±ΒΡΠ°Π·ΠΎΠ²Π°Π½ΠΈΠ΅ ΠΏΠΎΡΠ°ΠΆΠ°Π΅Ρ ΠΌΡΠΆΡΠΈΠ½.
ΠΠ»ΠΈΠ½ΠΈΡΠ΅ΡΠΊΠΈ ΠΏΠ°ΡΠΈΠ΅Π½ΡΡ ΠΆΠ°Π»ΡΡΡΡΡ Π½Π° Π±Π΅Π·Π±ΠΎΠ»Π΅Π·Π½Π΅Π½Π½ΡΡ, Π±ΡΡΡΡΠΎ ΡΠ°ΡΡΡΡΡΡ Π² ΡΠ΅ΡΠ΅Π½ΠΈΠ΅ Π½Π΅ΡΠΊΠΎΠ»ΡΠΊΠΈΡ ΠΌΠ΅ΡΡΡΠ΅Π² ΠΎΠΏΡΡ ΠΎΠ»Ρ. Π£Π²Π΅Π»ΠΈΡΠ΅Π½ΠΈΠ΅ Π»ΠΈΠΌΡΠ°ΡΠΈΡΠ΅ΡΠΊΠΈΡ ΡΠ·Π»ΠΎΠ² ΠΈ ΠΏΠ°ΡΠ°Π»ΠΈΡ ΠΌΡΡΡ β ΡΠ°ΡΡΡΠ΅ Π½Π°Ρ ΠΎΠ΄ΠΊΠΈ. ΠΠ°ΡΠ°Π½Π΅ΠΎΠΏΠ»Π°ΡΡΠΈΡΠ΅ΡΠΊΠΈΠΉ ΡΠΈΠ½Π΄ΡΠΎΠΌ, ΡΠ²ΡΠ·Π°Π½Π½ΡΠΉ Ρ ΠΏΡΠΎΠ΄ΡΠΊΡΠΈΠ΅ΠΉ ΡΠΊΒΡΠΎΠΏΠΈΡΠ΅ΡΠΊΠΈΡ Π³ΠΎΡΠΌΠΎΠ½ΠΎΠ², Π½Π΅ Ρ Π°ΡΠ°ΠΊΡΠ΅ΡΠ΅Π½.
ΠΠ°ΠΊΡΠΎΡΠΊΠΎΠΏΠΈΡΠ΅ΡΠΊΠΈ ΠΌΠ΅Π»ΠΊΠΎΠΊΠ»Π΅ΡΠΎΡΠ½Π°Ρ ΠΊΠ°ΡΡΠΈΠ½ΠΎΠΌΠ° β ΠΏΠ»ΠΎΡΠ½Π°Ρ ΠΎΠΏΡΡ ΠΎΠ»Ρ Ρ Π½Π΅ΒΡΠ΅ΡΠΊΠΈΠΌΠΈ Π³ΡΠ°Π½ΠΈΡΠ°ΠΌΠΈ, ΡΠ°ΡΡΠΎ Ρ ΠΏΡΠΈΠ·Π½Π°ΠΊΠ°ΒΠΌΠΈ ΠΈΠ½ΡΠΈΠ»ΡΡΡΠ°ΡΠΈΠΈ ΡΠΎΡΠ΅Π΄Π½Π΅ΠΉ ΠΏΠ°ΡΠ΅Π½Ρ ΠΈΒΠΌΡ ΠΈ ΠΏΡΠΈΠ»Π΅ΠΆΠ°ΡΠΈΡ ΠΌΡΠ³ΠΊΠΈΡ ΡΠΊΠ°Π½Π΅ΠΉ. ΠΠΏΡΡ ΠΎΠ»Ρ ΠΎΠ±ΡΡΠ½ΠΎ ΠΈΠΌΠ΅Π΅Ρ ΡΠ΅ΡΠΎΠ²Π°ΡΡΠΉ ΠΈΠ»ΠΈ Π±Π΅Π»Π΅ΡΠΎΠ²Π°ΡΡΠΉ ΡΠ²Π΅Ρ, ΠΊΠ°ΠΊ ΠΏΡΠ°Π²ΠΈΠ»ΠΎ, Ρ ΡΡΠ°ΡΡΠΊΠ°ΠΌΠΈ ΠΊΡΠΎΠ²ΠΎΠΈΠ·Π»ΠΈΡΠ½ΠΈΠΉ ΠΈ Π½Π΅ΠΊΡΠΎΠ·Π°.
ΠΠΈΡΡΠΎΠ»ΠΎΠ³ΠΈΡΠ΅ΡΠΊΠΈ ΠΌΠ΅Π»ΠΊΠΎΠΊΠ»Π΅ΡΠΎΡΠ½Π°Ρ ΠΊΠ°ΡΡΠΈΠ½ΠΎΠΌΠ° Ρ Π°ΡΠ°ΠΊΡΠ΅ΡΠΈΠ·ΡΠ΅ΡΡΡ ΠΏΡΡΠΊΠ°ΒΠΌΠΈ, Π³Π½Π΅Π·Π΄Π°ΠΌΠΈ Π½Π΅ΠΏΡΠ°Π²ΠΈΠ»ΡΠ½ΠΎΠΉ ΡΠΎΡΒΠΌΡ, ΡΠΎΡΡΠΎΡΡΠΈΠΌΠΈ ΠΈΠ· Π°Π½Π°ΠΏΠ»Π°ΡΡΠΈΡΠ΅ΡΠΊΠΈΡ ΠΊΠ»Π΅ΡΠΎΠΊ ΠΈ ΡΠ°Π·Π»ΠΈΡΠ½ΠΎΠ³ΠΎ ΠΊΠΎΠ»ΠΈΡΠ΅ΡΡΠ²Π° ΡΠΈΒΠ±ΡΠΎΠ·Π½ΠΎΠΉ ΡΡΡΠΎΠΌΡ. ΠΠ½Π΅Π·Π΄Π° ΠΎΠΏΡΡ ΠΎΠ»Π΅Π²ΡΡ ΠΊΠ»Π΅ΡΠΎΠΊ ΠΌΠΎΠ³ΡΡ ΡΠΎΡΠΌΠΈΡΠΎΠ²Π°ΡΡ ΠΏΠ°Π»ΠΈΡΠ°Π΄ΒΠ½ΡΠ΅ ΡΡΡΡΠΊΡΡΡΡ ΠΏΠΎ ΠΏΠ΅ΡΠΈΡΠ΅ΡΠΈΠΈ ΠΎΠΏΡΡ ΠΎΒΠ»ΠΈ. ΠΠ·ΡΠ΅Π΄ΠΊΠ° Π²ΠΈΠ΄Π½Ρ ΡΠΎΠ·Π΅ΡΠΊΠΎΠΏΠΎΠ΄ΠΎΠ±Π½ΡΠ΅ ΡΡΡΡΠΊΡΡΡΡ. ΠΠΏΡΡ ΠΎΠ»Π΅Π²ΡΠ΅ ΠΊΠ»Π΅ΡΠΊΠΈ ΠΏΠΎ ΡΠ°Π·ΒΠΌΠ΅ΡΡ ΠΎΠ±ΡΡΠ½ΠΎ Π² 2-3 ΡΠ°Π·Π° Π±ΠΎΠ»ΡΡΠ΅, ΡΠ΅ΠΌ Π·ΡΠ΅Π»ΡΠ΅ Π»ΠΈΠΌΡΠΎΡΠΈΡΡ, ΠΈ ΠΈΠΌΠ΅ΡΡ ΠΎΠΊΡΡΠ³Π»ΠΎΠ΅ ΠΈΠ»ΠΈ ΠΎΠ²Π°Π»ΡΠ½ΠΎΠ΅ ΡΠ΄ΡΠΎ ΡΠΎ ΡΠΊΡΠ΄Π½ΠΎΠΉ ΡΠΈΡΠΎΒΠΏΠ»Π°Π·ΠΌΠΎΠΉ.
ΠΠΌΠΌΡΠ½ΠΎΠΏΡΠΎΡΠΈΠ»Ρ Π±ΠΎΠ»ΡΡΠΈΠ½ΡΡΠ²Π° ΠΌΠ΅Π»ΠΊΠΎΠΊΠ»Π΅ΡΠΎΡΠ½ΡΡ ΠΊΠ°ΡΡΠΈΠ½ΠΎΠΌ Ρ Π°ΡΠ°ΠΊΡΠ΅ΒΡΠΈΠ·ΡΠ΅ΡΡΡ ΡΠ΅ΠΌ, ΡΡΠΎ ΠΎΠΏΡΡ ΠΎΠ»Ρ ΡΠΊΡΠΏΡΠ΅ΡΒΡΠΈΡΡΠ΅Ρ Ρ ΠΎΡΡ Π±Ρ ΠΎΠ΄ΠΈΠ½ Π½Π΅ΠΉΡΠΎΡΠ½Π΄ΠΎΠΊΡΠΈΠ½ΒΠ½ΡΠΉ ΠΌΠ°ΡΠΊΠ΅Ρ, ΠΊΠ°ΠΊ ΡΠΎ: Ρ ΡΠΎΠΌΠΎΠ³ΡΠ°Π½ΠΈΠ½ Π, ΡΠΈΠ½Π°ΠΏΡΠΎΡΠΈΠ·ΠΈΠ½, CD57 (Leu-7), CD56 ΠΈ Π½Π΅ΠΉΡΠΎΡΠΈΠ»Π°ΠΌΠ΅Π½ΡΡ. Π’Π΅ΠΌ Π½Π΅ ΠΌΠ΅Π½Π΅Π΅, ΠΈΠΌΠΌΡΠ½ΠΎΡΠ΅Π°ΠΊΡΠΈΠ²Π½ΠΎΡΡΡ ΠΎΠ΄Π½ΠΎΠΉ Π»ΠΈΡΡ Π½Π΅ΠΉΡΠΎΠ½-ΡΠΏΠ΅ΡΠΈΡΠΈΡΠ΅ΡΠΊΠΎΠΉ Π΅Π½ΠΎΠ»Π°Π·Ρ Π½Π΅ Π΄ΠΎΡΡΠ°ΡΠΎΡΠ½ΠΎ Π΄Π»Ρ ΠΏΠΎΠ΄ΡΠ²Π΅ΡΠΆΠ΄Π΅Π½ΠΈΡ Π½Π΅ΠΉΡΠΎΒΡΠ½Π΄ΠΎΠΊΡΠΈΠ½Π½ΠΎΠΉ Π΄ΠΈΡΡΠ΅ΡΠ΅Π½ΡΠΈΡΠΎΠ²ΠΊΠΈ ΠΎΠΏΡΒΡ ΠΎΠ»ΠΈ. ΠΠ΅Π»ΠΊΠΎΠΊΠ»Π΅ΡΠΎΡΠ½ΡΠ΅ ΠΊΠ°ΡΡΠΈΠ½ΠΎΠΌΡ ΡΠ°ΠΊ ΠΆΠ΅ ΠΊΠ°ΠΊ ΠΈ ΡΠ°ΠΊ ΠΈΠ· ΠΊΠ»Π΅ΡΠΎΠΊ ΠΠ΅ΡΠΊΠ΅ΒΠ»Ρ, Π½ΠΎ Π½Π΅ ΡΠ°ΠΊ ΠΊΠ°ΠΊ ΠΌΠ΅Π»ΠΊΠΎΠΊΠ»Π΅ΡΠΎΡΠ½ΡΠΉ ΡΠ°ΠΊ Π»Π΅Π³ΠΊΠΎΠ³ΠΎ, Π² 3/4 ΡΠ»ΡΡΠ°Π΅Π² ΠΏΠΎΠ»ΠΎΠΆΠΈΡΠ΅Π»ΡΠ½Ρ ΠΊ ΡΠΈΡΠΎΠΊΠ΅ΡΠ°ΡΠΈΠ½Ρ 20.
ΠΡΠΎΠ³Π½ΠΎΠ· ΠΏΡΠΈ ΠΌΠ΅Π»ΠΊΠΎΠΊΠ»Π΅ΡΠΎΡΠ½ΠΎΠΉ ΠΊΠ°ΡΒΡΠΈΠ½ΠΎΠΌΠ΅ Π² ΡΠ΅Π»ΠΎΠΌ Π½Π΅Π±Π»Π°Π³ΠΎΠΏΡΠΈΡΡΠ½ΡΠΉ: ΠΌΠ΅ΡΡΠ½ΡΠ΅ ΡΠ΅ΡΠΈΠ΄ΠΈΠ²Ρ ΠΈ ΠΎΡΠ΄Π°Π»Π΅Π½Π½ΡΠ΅ ΠΌΠ΅ΒΡΠ°ΡΡΠ°Π·Ρ Π²ΠΎΠ·Π½ΠΈ ΠΊΠ°ΡΡ Π±ΠΎΠ»Π΅Π΅ ΡΠ΅ΠΌ Ρ 50% ΠΏΠ°ΡΠΈΠ΅Π½ΡΠΎΠ². ΠΠ΅ΡΠ°ΡΡΠ°Π·ΠΈΡΠΎΠ²Π°Π½ΠΈΠ΅ Π² ΡΠ΅Π³ΠΈΠΎΠ½Π°ΡΠ½ΡΠ΅ Π»ΠΈΠΌΡΠ°ΡΠΈΡΠ΅ΡΠΊΠΈΠ΅ ΡΠ·Π»Ρ ΡΠ΅ΠΈ Π½Π°Π±Π»ΡΠ΄Π°Π΅ΡΡΡ ΡΠ΅ΠΆΠ΅, ΡΠ΅ΠΌ ΠΎΡΠ΄Π°Π»Π΅Π½Π½ΠΎΠ΅ ΠΌΠ΅ΡΠ°ΡΡΠ°Π·ΠΈΡΠΎΠ²Π°Π½ΠΈΠ΅. Π£ΡΠΎΠ²Π΅Π½Ρ 5-Π»Π΅ΡΠ½Π΅ΠΉ Π²ΡΠΆΠΈΠ²Π°Π΅ΠΌΠΎΡΡΠΈ ΠΊΠΎΠ»Π΅Π±Π»Π΅ΡΡΡ ΠΎΡ 13 Π΄ΠΎ 46%, ΠΏΠΎ Π΄Π°Π½Π½ΡΠΌ ΡΠ°Π·Π»ΠΈΡΠ½ΡΡ Π°Π²ΡΠΎΡΠΎΠ². Π£ΡΠΎΒΠ²Π΅Π½Ρ Π²ΡΠΆΠΈΠ²Π°Π΅ΠΌΠΎΡΡΠΈ Π΅ΡΠ΅ Π½ΠΈΠΆΠ΅ Ρ Π±ΠΎΠ»ΡΒΠ½ΡΡ ΠΏΠ΅ΡΠ²ΠΈΡΠ½ΠΎΠΉ ΠΎΠΏΡΡ ΠΎΠ»ΡΡ, ΡΠ°Π·ΠΌΠ΅ΡΠ°ΠΌΠΈ Π±ΠΎΠ»Π΅Π΅ 3 ΡΠΌ, Π½Π΅Π³Π°ΡΠΈΠ²Π½ΡΠΌ ΠΎΠΊΡΠ°ΡΠΈΠ²Π°Π½ΠΈΒΠ΅ΠΌ Π½Π° ΡΠΈΡΠΎΠΊΠ΅ΡΠ°ΡΠΈΠ½ 20 ΠΈ ΡΠ½ΠΈΠΆΠ΅Π½Π½ΠΎΠΉ ΠΈΠΌΠΌΡΠ½ΠΎΡΠ΅Π°ΠΊΡΠΈΠ²Π½ΠΎΡΡΡΡ ΠΊ Π½Π΅ΠΉΡΠΎΡΠ½Π΄ΠΎΒΠΊΡΠΈΠ½Π½ΡΠΌ ΠΌΠ°ΡΠΊΠ΅ΡΠ°ΠΌ.
Β
Π‘ΡΠ°ΡΡΡ ΠΏΠΎΠ΄Π³ΠΎΡΠΎΠ²ΠΈΠ» ΠΈ ΠΎΡΡΠ΅Π΄Π°ΠΊΡΠΈΡΠΎΠ²Π°Π»: Π²ΡΠ°Ρ-Ρ ΠΈΡΡΡΠ³ ΠΠΈΠ³ΠΎΠ²ΠΈΡ Π.Π.
ΠΠΈΠ΄Π΅ΠΎ:
ΠΠΎΠ»Π΅Π·Π½ΠΎ:
surgeryzone.net
ΠΠ»Π°ΡΡΠΈΡΠΈΠΊΠ°ΡΠΈΡ ΠΊΠ°ΡΡΠΈΠ½ΠΎΠΈΠ΄Π½ΡΡ ΠΎΠΏΡΡ ΠΎΠ»Π΅ΠΉ Π»Π΅Π³ΠΊΠΎΠ³ΠΎ
ΠΠ°ΡΡΠΈΠ½ΠΎΠΈΠ΄Ρ Π»Π΅Π³ΠΊΠΈΡ Π² ΠΠ΅ΠΆΠ΄ΡΠ½Π°ΡΠΎΠ΄Π½ΠΎΠΉ Π³ΠΈΡΡΠΎΠ»ΠΎΠ³ΠΈΡΠ΅ΡΠΊΠΎΠΉ ΠΊΠ»Π°ΡΡΠΈΡΠΈΠΊΠ°ΡΠΈΠΈ ΠΎΠΏΡΡ ΠΎΠ»Π΅ΠΉ Π»Π΅Π³ΠΊΠΈΡ (ΠΠΠ, 1981, 1999) ΠΎΡΠ½Π΅ΡΠ΅Π½Ρ Π² Π³ΡΡΠΏΠΏΡ Π·Π»ΠΎΠΊΠ°ΡΠ΅ΡΡΠ²Π΅Π½Π½ΡΡ Π½ΠΎΠ²ΠΎΠΎΠ±ΡΠ°Π·ΠΎΠ²Π°Π½ΠΈΠΉ Ρ Π²ΡΠ΄Π΅Π»Π΅Π½ΠΈΠ΅ΠΌ ΠΏΠΎΠ΄Π³ΡΡΠΏΠΏ ΡΠΈΠΏΠΈΡΠ½ΡΡ ΠΈ Π°ΡΠΈΠΏΠΈΡΠ½ΡΡ ΠΊΠ°ΡΡΠΈΠ½ΠΎΠΈΠ΄ΠΎΠ².ΠΠ½ΠΈ ΠΎΡΠ½ΠΎΡΡΡΡΡ ΠΊ ΠΎΠΏΡΡ ΠΎΠ»ΡΠΌ ΡΠ½Π΄ΠΎΠΊΡΠΈΠ½Π½ΠΎΠΉ ΡΠΈΡΡΠ΅ΠΌΡ, Π²ΠΎΠ·Π½ΠΈΠΊΠ°ΡΡΠΈΠΌ ΠΈΠ· ΠΊΠ»Π΅ΡΠΎΡΠ½ΡΡ ΡΠ»Π΅ΠΌΠ΅Π½ΡΠΎΠ² ΡΠΈΠΏΠ° ΠΊΠ»Π΅ΡΠΎΠΊ ΠΡΠ»ΡΡΠΈΡΠΊΠΎΠ³ΠΎ.
ΠΠ΅Π»ΠΊΠΎΠΊΠ»Π΅ΡΠΎΡΠ½ΡΠΉ ΡΠ°ΠΊ β Π½Π°ΠΈΠ±ΠΎΠ»Π΅Π΅ ΠΌΠ½ΠΎΠ³ΠΎΡΠΈΡΠ»Π΅Π½Π½Π°Ρ Π³ΡΡΠΏΠΏΠ° Π½Π΅ΠΉΡΠΎΡΠ½Π΄ΠΎΠΊΡΠΈΠ½Π½ΡΡ ΠΎΠΏΡΡ ΠΎΠ»Π΅ΠΉ Π»Π΅Π³ΠΊΠΈΡ . Π 1991 Π³. W. D. Travis ΠΈ ΡΠΎΠ°Π²Ρ. Π²ΡΠ΄Π΅Π»ΠΈΠ»ΠΈ ΡΠ΅ΡΠ²Π΅ΡΡΡΡ ΠΏΠΎΠ΄Π³ΡΡΠΏΠΏΡ β ΠΊΡΡΠΏΠ½ΠΎΠΊΠ»Π΅ΡΠΎΡΠ½ΡΠΉ ΡΠ°ΠΊ Π½Π΅ΠΉΡΠΎΡΠ½Π΄ΠΎΠΊΡΠΈΠ½Π½ΠΎΠΉ ΡΠΈΡΡΠ΅ΠΌΡ.
Π’Π°ΠΊΠΈΠΌ ΠΎΠ±ΡΠ°Π·ΠΎΠΌ, ΠΏΡΠΈ ΡΠ²Π΅ΡΠΎΠ²ΠΎΠΉ ΠΌΠΈΠΊΡΠΎΡΠΊΠΎΠΏΠΈΠΈ Π²ΡΠ΄Π΅Π»ΡΡΡ ΡΠ΅ΡΡΡΠ΅ ΡΠΈΠΏΠ° ΠΎΠΏΡΡ ΠΎΠ»Π΅ΠΉ ΡΠ½Π΄ΠΎΠΊΡΠΈΠ½Π½ΠΎΠΉ ΡΠΈΡΡΠ΅ΠΌΡ.
ΠΠΏΡΡ ΠΎΠ»ΠΈ Π½Π΅ΠΉΡΠΎΡΠ½Π΄ΠΎΠΊΡΠΈΠ½Π½ΠΎΠΉ ΡΠΈΡΡΠ΅ΠΌΡ ΠΈΠ· ΡΠ»Π΅ΠΌΠ΅Π½ΡΠΎΠ² ΡΠΈΠΏΠ° ΠΊΠ»Π΅ΡΠΎΠΊ ΠΡΠ»ΡΡΠΈΡΠΊΠΎΠ³ΠΎ:
Π. Π’ΠΈΠΏΠΈΡΠ½ΡΠΉ ΠΊΠ°ΡΡΠΈΠ½ΠΎΠΈΠ΄
Π. ΠΡΠΈΠΏΠΈΡΠ½ΡΠΉ ΠΊΠ°ΡΡΠΈΠ½ΠΎΠΈΠ΄
Π. ΠΠ΅Π»ΠΊΠΎΠΊΠ»Π΅ΡΠΎΡΠ½ΡΠΉ ΡΠ°ΠΊ
β’ ΠΠ΅Π»ΠΊΠΎΠΊΠ»Π΅ΡΠΎΡΠ½ΡΠΉ ΡΠ°ΠΊ
β’ Π‘ΠΌΠ΅ΡΠ°Π½Π½ΡΠΉ ΠΌΠ΅Π»ΠΊΠΎΠΊΠ»Π΅ΡΠΎΡΠ½ΡΠΉ ΠΈ ΠΊΡΡΠΏΠ½ΠΎΠΊΠ»Π΅ΡΠΎΡΠ½ΡΠΉ ΡΠ°ΠΊ
β’ ΠΠΎΠΌΠ±ΠΈΠ½ΠΈΡΠΎΠ²Π°Π½Π½ΡΠΉ ΠΌΠ΅Π»ΠΊΠΎΠΊΠ»Π΅ΡΠΎΡΠ½ΡΠΉ ΡΠ°ΠΊ
Π. ΠΡΡΠΏΠ½ΠΎΠΊΠ»Π΅ΡΠΎΡΠ½ΡΠΉ Π½Π΅ΠΉΡΠΎΡΠ½Π΄ΠΎΠΊΡΠΈΠ½Π½ΡΠΉ ΡΠ°ΠΊ (LCNΠC)
ΠΡΡΠΏΠ½ΠΎΠΊΠ»Π΅ΡΠΎΡΠ½ΡΠΉ ΡΠ½Π΄ΠΎΠΊΡΠΈΠ½Π½ΡΠΉ ΡΠ°ΠΊ, ΡΡΡΠ°Π½ΠΎΠ²Π»Π΅Π½Π½ΡΠΉ Ρ ΠΏΠΎΠΌΠΎΡΡΡ ΠΈΠΌΠΌΡΠ½ΠΎΠ³ΠΈΡΡΠΎΡ ΠΈΠΌΠΈΠΈ ΠΈΠ»ΠΈ ΡΠ»Π΅ΠΊΡΡΠΎΠ½Π½ΠΎΠΉ ΠΌΠΈΠΊΡΠΎΡΠΊΠΎΠΏΠΈΠΈ ΠΡΡΠΏΠ½ΠΎΠΊΠ»Π΅ΡΠΎΡΠ½ΡΠΉ ΡΠ°ΠΊ Ρ ΠΌΠΎΡΡΠΎΠ»ΠΎΠ³ΠΈΡΠ΅ΡΠΊΠΈΠΌΠΈ ΠΏΡΠΈΠ·Π½Π°ΠΊΠ°ΠΌΠΈ Π½Π΅ΠΉΡΠΎΡΠ½Π΄ΠΎΠΊΡΠΈΠ½Π½ΠΎΠΉ ΠΎΠΏΡΡ ΠΎΠ»ΠΈ
Π‘Π»Π΅Π΄ΡΠ΅Ρ ΠΏΠΎΠ΄ΡΠ΅ΡΠΊΠ½ΡΡΡ Π½Π΅Π΄ΠΎΡΡΠ°ΡΠΎΡΠ½ΡΡ Π°Π΄Π΅ΠΊΠ²Π°ΡΠ½ΠΎΡΡΡ ΠΊΠ»Π°ΡΡΠΈΡΠΈΠΊΠ°ΡΠΈΠΈ ΠΊΠ°ΡΡΠΈΠ½ΠΎΠΈΠ΄ΠΎΠ² ΠΠΠ ΠΊΠ»ΠΈΠ½ΠΈΡΠ΅ΡΠΊΠΎΠΌΡ ΡΠ΅ΡΠ΅Π½ΠΈΡ ΠΈ ΠΏΡΠΎΠ³Π½ΠΎΠ·Ρ. ΠΠΎΡΡΠΎΠ»ΠΎΠ³ΠΈΡΠ΅ΡΠΊΠ°Ρ ΠΊΠ°ΡΡΠΈΠ½Π° ΡΡΠΈΡ ΠΎΠΏΡΡ ΠΎΠ»Π΅ΠΉ ΠΏΠΎΠ·Π²ΠΎΠ»ΡΠ΅Ρ Π½Π°ΠΌ Π²ΡΠ΄Π΅Π»ΠΈΡΡ ΠΏΠΎ ΡΡΠ΅ΠΏΠ΅Π½ΠΈ ΠΊΠ°ΡΠ°ΠΏΠ»Π°Π·ΠΈΠΈ Π½Π΅ Π΄Π²Π°, Π° ΡΡΠΈ Π²Π°ΡΠΈΠ°Π½ΡΠ°: Π²ΡΡΠΎΠΊΠΎΠ΄ΠΈΡΡΠ΅ΡΠ΅Π½ΡΠΈΡΠΎΠ²Π°Π½Π½ΡΠΉ (ΡΠΈΠΏΠΈΡΠ½ΡΠΉ), ΡΠΌΠ΅ΡΠ΅Π½Π½ΠΎ Π΄ΠΈΡΡΠ΅ΡΠ΅Π½ΡΠΈΡΠΎΠ²Π°Π½Π½ΡΠΉ (Π°ΡΠΈΠΏΠΈΡΠ½ΡΠΉ) ΠΈ Π½ΠΈΠ·ΠΊΠΎΠ΄ΠΈΡΡΠ΅ΡΠ΅Π½ΠΈΠΈΡΠΎΠ½Π°Π½Π½ΡΠΉ (Π°Π½Π°ΠΏΠ»Π°Π·ΠΈΡΠΎΠ²Π°Π½Π½ΡΠΉ ΠΈ ΠΊΠΎΠΌΠ±ΠΈΠ½ΠΈΡΠΎΠ²Π°Π½Π½ΡΠΉ).
Π’Π°ΠΊΠ°Ρ Π³ΡΡΠΏΠΏΠΈΡΠΎΠ²ΠΊΠ° ΠΎΡΠ½ΠΎΠ²Π°Π½Π° Π½Π° ΠΊΠ»Π΅ΡΠΎΡΠ½ΡΡ ΠΈ ΡΡΡΡΠΊΡΡΡΠ½ΡΡ Ρ Π°ΡΠ°ΠΊΡΠ΅ΡΠΈΡΡΠΈΠΊΠ°Ρ Π½ΠΎΠ²ΠΎΠΎΠ±ΡΠ°Π·ΠΎΠ²Π°Π½ΠΈΡ, ΠΈΠΌΠ΅Π΅Ρ Π±ΠΎΠ»ΡΡΡΡ ΠΏΡΠ°ΠΊΡΠΈΡΠ΅ΡΠΊΡΡ Π·Π½Π°ΡΠΈΠΌΠΎΡΡΡ, ΠΏΠΎΡΠΊΠΎΠ»ΡΠΊΡ ΠΎΠΏΡΠ΅Π΄Π΅Π»ΡΠ΅Ρ ΠΊΠ»ΠΈΠ½ΠΈΡΠ΅ΡΠΊΠΎΠ΅ ΡΠ΅ΡΠ΅Π½ΠΈΠ΅ Π·Π°Π±ΠΎΠ»Π΅Π²Π°Π½ΠΈΡ, Π»Π΅ΡΠ΅Π±Π½ΡΡ ΡΠ°ΠΊΡΠΈΠΊΡ ΠΈ ΠΏΡΠΎΠ³Π½ΠΎΠ·.
ΠΡΡΠΎΠΊΠΎΠ΄ΠΈΡΡΠ΅ΡΠ΅Π½ΡΠΈΡΠΎΠ²Π°Π½Π½ΡΠΉ (ΡΠΈΠΏΠΈΡΠ½ΡΠΉ) ΠΊΠ°ΡΡΠΈΠ½ΠΎΠΈΠ΄
ΠΡΡΠΎΠΊΠΎΠ΄ΠΈΡΡΠ΅ΡΠ΅Π½ΡΠΈΡΠΎΠ²Π°Π½Π½ΡΠΉ (ΡΠΈΠΏΠΈΡΠ½ΡΠΉ) ΠΊΠ°ΡΡΠΈΠ½ΠΎΠΈΠ΄ ΠΌΠΈΠΊΡΠΎΡΠΊΠΎΠΏΠΈΡΠ΅ΡΠΊΠΈ ΡΠΎΠΎΡΠ²Π΅ΡΡΡΠ²ΡΠ΅Ρ Π½ΠΎΠ²ΠΎΠΎΠ±ΡΠ°Π·ΠΎΠ²Π°Π½ΠΈΡ ΡΠΎ ΡΡΡΡΠΊΡΡΡΠ°ΠΌΠΈ Π°Π»ΡΠ²Π΅ΠΎΠ»ΡΡΠ½ΠΎΠ³ΠΎ, ΡΡΠ±ΡΠ»ΡΡΠ½ΠΎΠ³ΠΎ, ΡΡΠ°Π±Π΅ΠΊΡΠ»ΡΡΠ½ΠΎΠ³ΠΎ, ΡΠΎΠ»ΠΈΠ΄Π½ΠΎΠ³ΠΎ ΡΡΡΠΎΠ΅Π½ΠΈΡ (ΡΠΈΡ. 2.20).
Π ΠΈΡ. 2.20. ΠΡΡΠΎΠΊΠΎΠ΄ΠΈΡΡΠ΅ΡΠ΅Π½ΡΠΈΡΠΎΠ²Π°Π½Π½ΡΠΉ (ΡΠΈΠΏΠΈΡΠ½ΡΠΉ) ΠΊΠ°ΡΡΠΈΠ½ΠΎΠΈΠ΄ Π°Π»ΡΠ²Π΅ΠΎΠ»ΡΡΠ½ΠΎΠ³ΠΎ ΡΡΡΠΎΠ΅Π½ΠΈΡ. ΠΠΊΡΠ°ΡΠΊΠ° Π³Π΅ΠΌΠ°ΡΠΎΠΊΡΠΈΠ»ΠΈΠ½ΠΎΠΌ ΠΈ ΡΠΎΠ·ΠΈΠ½ΠΎΠΌ. Ρ
200.
ΠΠ»Π΅ΡΠΊΠΈ ΠΎΠΏΡΡ ΠΎΠ»ΠΈ ΠΏΠΎΠ»ΠΈΠ³ΠΎΠ½Π°Π»ΡΠ½ΡΠ΅ Ρ Π·Π΅ΡΠ½ΠΈΡΡΠΎΠΉ ΡΠΎΠ·ΠΈΠ½ΠΎΡΠΈΠ»ΡΠ½ΠΎΠΉ ΠΈΠ»ΠΈ ΡΠ²Π΅ΡΠ»ΠΎΠΉ ΡΠΈΡΠΎΠΏΠ»Π°Π·ΠΌΠΎΠΉ ΠΈ ΠΏΡΠ°Π²ΠΈΠ»ΡΠ½ΡΠΌΠΈ ΠΎΠ²Π°Π»ΡΠ½ΡΠΌΠΈ ΡΠ΄ΡΠ°ΠΌΠΈ. Π―Π΄ΡΡΡΠΊΠΈ ΠΎΠ±ΡΡΠ½ΠΎ Ρ ΠΎΡΠΎΡΠΎ ΡΡΠΎΡΠΌΠΈΡΠΎΠ²Π°Π½Ρ. ΠΠΈΡΠΎΠ·Ρ Π½Π°Π±Π»ΡΠ΄Π°ΡΡΡΡ ΡΠ΅Π΄ΠΊΠΎ. Π Π±ΠΎΠ»ΡΡΠΈΠ½ΡΡΠ²Π΅ ΡΠ»ΡΡΠ°Π΅Π² Π²ΡΡΠ²Π»ΡΠ΅ΡΡΡ ΠΏΠΎΠ»ΠΎΠΆΠΈΡΠ΅Π»ΡΠ½Π°Ρ ΡΠ΅Π°ΠΊΡΠΈΡ ΠΎΠΊΡΠ°ΡΠΈΠ²Π°Π½ΠΈΡ ΡΠ΅ΡΠ΅Π±ΡΠΎΠΌ (ΠΏΡΠΈ ΡΠ΅Π°ΠΊΡΠΈΠΈ ΠΏΠΎ ΠΡΠΈΠΌΡΠ»ΠΈΡΡΡ).
ΠΡΠΈ ΡΠ»Π΅ΠΊΡΡΠΎΠ½Π½ΠΎ-ΠΌΠΈΠΊΡΠΎΡΠΊΠΎΠΏΠΈΡΠ΅ΡΠΊΠΎΠΌ ΠΈΡΡΠ»Π΅Π΄ΠΎΠ²Π°Π½ΠΈΠΈ Π² Π¦ΠΈΡΠΎΠΏΠ»Π°Π·ΠΌΠ΅ Π°ΡΠ³ΠΈΡΠΎΡΠΈΠ»ΡΠ½ΡΠ΅ Π³ΡΠ°Π½ΡΠ»Ρ ΡΠΎΠΎΡΠ²Π΅ΡΡΡΠ²ΡΡΡ ΡΠ»Π΅ΠΊΡΡΠΎΠ½Π½ΠΎ-ΠΏΠ»ΠΎΡΠ½ΡΠΌ, Π½Π΅ΠΉΡΠΎΡΠ΅ΠΊΡΠ΅ΡΠΎΡΠ½ΡΠΌ Π³ΡΠ°Π½ΡΠ»Π°ΠΌ. Π‘ΡΡΠΎΠΌΠ° ΠΎΠΏΡΡ ΠΎΠ»Π΅ΠΉ ΡΠ°ΡΠ΅ ΡΠΊΡΠ΄Π½Π°Ρ, Π²Π°ΡΠΊΡΠ»ΡΡΠΈΠ·ΠΎΠ²Π°Π½Π½Π°Ρ, Π½Π΅ΠΊΡΠΎΠ·Ρ ΠΎΡΠΌΠ΅ΡΠ°ΡΡΡΡ ΡΠ΅Π΄ΠΊΠΎ.
Π£ΠΌΠ΅ΡΠ΅Π½Π½ΠΎ Π΄ΠΈΡΡΠ΅ΡΠ΅Π½ΡΠΈΡΠΎΠ²Π°Π½Π½ΡΠΉ (Π°ΡΠΈΠΏΠΈΡΠ½ΡΠΉ) ΠΊΠ°ΡΡΠΈΠ½ΠΎΠΈΠ΄
Π£ΠΌΠ΅ΡΠ΅Π½Π½ΠΎ Π΄ΠΈΡΡΠ΅ΡΠ΅Π½ΡΠΈΡΠΎΠ²Π°Π½Π½ΡΠΉ (Π°ΡΠΈΠΏΠΈΡΠ½ΡΠΉ) ΠΊΠ°ΡΡΠΈΠ½ΠΎΠΈΠ΄ Π³ΠΈΡΡΠΎΠ»ΠΎΠ³ΠΈΡΠ΅ΡΠΊΠΈ Ρ Π°ΡΠ°ΠΊΡΠ΅ΡΠΈΠ·ΡΠ΅ΡΡΡ Π½Π°ΡΠ°ΡΡΠ°Π½ΠΈΠ΅ΠΌ ΠΊΠ»Π΅ΡΠΎΡΠ½ΠΎΡΡΠΈ, ΠΏΠΎΡΠ²Π»Π΅Π½ΠΈΠ΅ΠΌ ΠΏΠΎΠ»ΠΈΠΌΠΎΡΡΠΈΠ·ΠΌΠ° ΠΊΠ»Π΅ΡΠΎΠΊ ΠΈ ΠΈΡ ΡΠ΄Π΅Ρ, Π½Π°Π»ΠΈΡΠΈΠ΅ΠΌ ΠΌΠΈΡΠΎΠ·ΠΎΠ², ΡΠ²Π΅Π»ΠΈΡΠ΅Π½ΠΈΠ΅ΠΌ ΠΎΠ±ΡΠ΅ΠΌΠ° ΡΠ΄Π΅Ρ ΠΈ ΡΠ²Π΅Π»ΠΈΡΠ΅Π½ΠΈΠ΅ΠΌ ΡΠ΄Π΅ΡΠ½ΠΎΡΠΈΡΠΎΠΏΠ»Π°Π·ΠΌΠ°ΡΠΈΡΠ΅ΡΠΊΠΎΠ³ΠΎ ΡΠΎΠΎΡΠ½ΠΎΡΠ΅Π½ΠΈΡ (ΡΠΈΡ. 2.21).
Π ΠΈΡ. 2.21. Π£ΠΌΠ΅ΡΠ΅Π½Π½ΠΎ Π΄ΠΈΡΡΠ΅ΡΠ΅Π½ΡΠΈΡΠΎΠ²Π°Π½Π½ΡΠΉ (Π°ΡΠΈΠΏΠΈΡΠ½ΡΠΉ) ΠΊΠ°ΡΡΠΈΠ½ΠΎΠΈΠ΄ ΡΡΠ°Π±Π΅ΠΊΡΠ»ΡΡΠ½ΠΎΠ³ΠΎ ΡΡΡΠΎΠ΅Π½ΠΈΡ.
Π° β ΠΌΠ°ΠΊΡΠΎΠΏΡΠ΅ΠΏΠ°ΡΠ°Ρ; Π± β ΠΌΠΈΠΊΡΠΎΡΠΎΡΠΎ. ΠΠΊΡΠ°ΡΠΊΠ° Π³Π΅ΠΌΠ°ΡΠΎΠΊΡΠΈΠ»ΠΈΠ½ΠΎΠΌ ΠΈ ΡΠΎΠ·ΠΈΠ½ΠΎΠΌ. Ρ
200.
ΠΡΡΡΠ΅ΡΠ°ΡΡΡΡ ΠΎΡΠ°Π³ΠΈ Π΄ΠΈΡΠΊΠΎΠΌΠΏΠ»Π΅ΠΊΡΠ°ΡΠΈΠΈ ΡΡΠ°Π±Π΅ΠΊΡΠ»ΡΡΠ½ΡΡ , ΡΡΠ±ΡΠ»ΡΡΠ½ΡΡ , ΡΠΎΠ»ΠΈΠ΄Π½ΡΡ ΡΡΡΡΠΊΡΡΡ. Π‘ΡΡΠΎΠΌΠ°Π»ΡΠ½ΡΠΉ ΠΊΠΎΠΌΠΏΠΎΠ½Π΅Π½Ρ Π°Π½Π°Π»ΠΎΠ³ΠΈΡΠ΅Π½ ΡΠ°ΠΊΠΎΠ²ΠΎΠΌΡ ΠΏΡΠΈ ΡΠΈΠΏΠΈΡΠ½ΠΎΠΌ ΠΊΠ°ΡΡΠΈΠ½ΠΎΠΈΠ΄Π΅. Π‘Π»Π΅Π΄ΠΎΠ²Π°ΡΠ΅Π»ΡΠ½ΠΎ, ΠΏΡΠΈΠ·Π½Π°ΠΊΠΈ ΠΊΠ»Π΅ΡΠΎΡΠ½ΠΎΠΉ ΠΈ ΡΡΡΡΠΊΡΡΡΠ½ΠΎΠΉ Π°ΡΠΈΠΏΠΈΠΈ, Π° ΡΠ°ΠΊΠΆΠ΅ ΠΈΠ½Π²Π°Π·ΠΈΠ²Π½ΡΠΉ ΡΠΎΡΡ ΠΏΡΠΈ ΡΡΠΈΡ ΠΎΠΏΡΡ ΠΎΠ»ΡΡ ΠΎΡΠΌΠ΅ΡΠ°ΡΡΡΡ Π½Π΅ ΡΠΎΠ»ΡΠΊΠΎ ΠΌΠΈΠΊΡΠΎΡΠΊΠΎΠΏΠΈΡΠ΅ΡΠΊΠΈ, Π½ΠΎ ΠΈ ΠΌΠ°ΠΊΡΠΎΡΠΊΠΎΠΏΠΈΡΠ΅ΡΠΊΠΈ.
ΠΠΈΠ·ΠΊΠΎΠ΄ΠΈΡΡΠ΅ΡΠ΅Π½ΡΠΈΡΠΎΠ²Π°Π½Π½ΡΠΉ Π°Π½Π°ΠΏΠ»Π°Π·ΠΈΡΠΎΠ²Π°Π½Π½ΡΠΉ ΠΈ ΠΊΠΎΠΌΠ±ΠΈΠ½ΠΈΡΠΎΠ²Π°Π½Π½ΡΠΉ Π°ΡΡΠΈΠ½ΠΎΠΈΠ΄
ΠΠΈΠ·ΠΊΠΎΠ΄ΠΈΡΡΠ΅ΡΠ΅Π½ΡΠΈΡΠΎΠ²Π°Π½Π½ΡΠΉ Π°Π½Π°ΠΏΠ»Π°Π·ΠΈΡΠΎΠ²Π°Π½Π½ΡΠΉ ΠΈ ΠΊΠΎΠΌΠ±ΠΈΠ½ΠΈΡΠΎΠ²Π°Π½Π½ΡΠΉ Π°ΡΡΠΈΠ½ΠΎΠΈΠ΄ Ρ Π°ΡΠ°ΠΊΡΠ΅ΡΠΈΠ·ΡΠ΅ΡΡΡ Π²ΡΡΠ°ΠΆΠ΅Π½Π½ΠΎΠΉ ΡΡΡΡΠΊΡΡΡΠ½ΠΎΠΉ ΠΈ ΠΊΠ»Π΅ΡΠΎΡΠ½ΠΎΠΉ Π°ΡΠΈΠΏΠΈΠ΅ΠΉ, Π½Π°Π»ΠΈΡΠΈΠ΅ΠΌ ΠΎΡΠ°Π³ΠΎΠ² Π½Π΅ΠΊΡΠΎΠ·Π° ΠΈ ΠΈΠ½ΡΠΈΠ»ΡΡΡΠ°ΡΠΈΠ²Π½ΡΠΌ ΡΠΎΡΡΠΎΠΌ (ΡΠΈΡ. 2.22).
Π ΠΈΡ. 2.22 ΠΠΈΠ·ΠΊΠΎΠ΄ΠΈΡΡΠ΅ΡΠ΅Π½ΡΠΈΡΠΎΠ²Π°Π½Π½ΡΠΉ (Π°Π½Π°ΠΏΠ»Π°Π·ΠΈΡΠΎΠ²Π°Π½Π½ΡΠΉ) ΠΊΠ°ΡΡΠΈΠ½ΠΎΠΈΠ΄. ΠΠΊΡΠ°ΡΠΊΠ° Π³Π΅ΠΌΠ°ΡΠΎΠΊΡΠΈΠ»ΠΈΠ½ΠΎΠΌ ΠΈ ΡΠΎΠ·ΠΈΠ½ΠΎΠΌ. Ρ
400
ΠΡΠΈ ΠΊΠΎΠΌΠ±ΠΈΠ½ΠΈΡΠΎΠ²Π°Π½Π½ΠΎΠΌ ΠΏΠΎΠ΄Π²Π°ΡΠΈΠ°Π½ΡΠ΅ ΡΡΡΡΠΊΡΡΡΡ Π°Π½Π°ΠΏΠ»Π°Π·ΠΈΡΠΎΠ²Π°Π½Π½ΠΎΠ³ΠΎ ΠΊΠ°ΡΡΠΈΠ½ΠΎΠΈΠ΄Π° ΡΠΎΡΠ΅ΡΠ°ΡΡΡΡ ΡΠΎ ΡΡΡΡΠΊΡΡΡΠ°ΠΌΠΈ ΡΠ°ΠΊΠ°, Π² ΡΠΎΠΌ ΡΠΈΡΠ»Π΅ ΠΏΠ»ΠΎΡΠΊΠΎΠΊΠ»Π΅ΡΠΎΡΠ½ΠΎΠ³ΠΎ ΠΈ Π°Π΄Π΅Π½ΠΎΠΊΠ°ΡΡΠΈΠ½ΠΎΠΌΡ. ΠΠ°ΠΊΡΠΎΡΠΊΠΎΠΏΠΈΡΠ΅ΡΠΊΠΈ Π°Π½Π°ΠΏΠ»Π°Π·ΠΈΡΠΎΠ²Π°Π½Π½ΡΠΉ ΠΊΠ°ΡΡΠΈΠ½ΠΎΠΈΠ΄ ΠΎΠ±ΡΡΠ½ΠΎ Π½Π΅ΠΎΡΠ»ΠΈΡΠΈΠΌ ΠΎΡ ΡΠ°ΠΊΠ°.
ΠΠ°ΡΡΠΈΠ½ΠΎΠΈΠ΄Π½ΡΠ΅ ΠΎΠΏΡΡ ΠΎΠ»ΠΈ ΡΠΎΡΡΠ°Π²Π»ΡΡΡ 1-2% Π²ΡΠ΅Ρ Π½ΠΎΠ²ΠΎΠΎΠ±ΡΠ°Π·ΠΎΠ²Π°Π½ΠΈΠΉ Π»Π΅Π³ΠΊΠΈΡ . ΠΠ΅ΡΠ΅ΡΠΈΡΠ»Π΅Π½Π½ΡΠ΅ Π²Π°ΡΠΈΠ°Π½ΡΡ ΡΠ°Π·Π»ΠΈΡΠ°ΡΡΡΡ ΡΠ°Π·Π½ΡΠΌ ΠΏΠΎΡΠ΅Π½ΡΠΈΠ°Π»ΠΎΠΌ Π·Π»ΠΎΠΊΠ°ΡΠ΅ΡΡΠ²Π΅Π½Π½ΠΎΡΡΠΈ Π² Π²ΠΈΠ΄Π΅ Π²ΡΡΠ°ΠΆΠ΅Π½Π½ΠΎΡΡΠΈ ΠΈΠ½ΡΠΈΠ»ΡΡΡΠ°ΡΠΈΠ²Π½ΠΎΠ³ΠΎ ΡΠΎΡΡΠ°, ΡΠ΅ΠΌΠΏΠ° ΠΏΡΠΎΠ³ΡΠ΅ΡΡΠΈΠΈ, ΡΠΏΠΎΡΠΎΠ±Π½ΠΎΡΡΠΈ ΠΊ ΠΌΠ΅ΡΠ°ΡΡΠ°Π·ΠΈΡΠΎΠ²Π°Π½ΠΈΡ. ΠΡΠΎΠ³Π½ΠΎΠ· ΠΊΠΎΡΡΠ΅Π»ΠΈΡΡΠ΅Ρ Ρ Π²Π°ΡΠΈΠ°Π½ΡΠΎΠΌ ΠΊΠ°ΡΡΠΈΠ½ΠΎΠΈΠ΄Π°, ΡΡΠ°Π΄ΠΈΠ΅ΠΉ Π·Π°Π±ΠΎΠ»Π΅Π²Π°Π½ΠΈΡ, ΡΠ°Π·ΠΌΠ΅ΡΠΎΠΌ ΠΎΠΏΡΡ ΠΎΠ»ΠΈ, ΡΠΎΡΡΠΎΡΠ½ΠΈΠ΅ΠΌ Π²Π½ΡΡΡΠΈΠ³ΡΡΠ΄Π½ΡΡ Π»ΠΈΠΌΡΠ°ΡΠΈΡΠ΅ΡΠΊΠΈΡ ΡΠ·Π»ΠΎΠ², ΠΈΠ½Π²Π°Π·ΠΈΠ΅ΠΉ ΡΠΎΡΡΠ΄ΠΎΠ².
ΠΠΎ Π½Π°ΡΠΈΠΌ Π΄Π°Π½Π½ΡΠΌ, ΡΠ΅Π³ΠΈΠΎΠ½Π°ΡΠ½ΡΠ΅ ΠΌΠ΅ΡΠ°ΡΡΠ°Π·Ρ ΠΏΡΠΈ Π²ΡΡΠΎΠΊΠΎΠ΄ΠΈΡΡΠ΅ΡΠ΅Π½ΡΠΈΡΠΎΠ²Π°Π½Π½ΠΎΠΌ ΠΊΠ°ΡΡΠΈΠ½ΠΎΠΈΠ΄Π΅ ΠΎΠ±Π½Π°ΡΡΠΆΠ΅Π½Ρ Ρ 3%, ΡΠΌΠ΅ΡΠ΅Π½Π½ΠΎ Π΄ΠΈΡΡΠ΅ΡΠ΅Π½ΡΠΈΡΠΎΠ²Π°Π½Π½ΠΎΠΌ β Ρ 17,5%, Π½ΠΈΠ·ΠΊΠΎΠ΄ΠΈΡΡΠ΅ΡΠ΅Π½ΡΠΈΡΠΎΠ²Π°Π½Π½ΠΎΠΌ β Ρ 74% Π±ΠΎΠ»ΡΠ½ΡΡ . Π Π°ΡΠΈΠΎΠ½Π°Π»ΡΠ½ΠΎΡΡΡ Π²ΡΠ΄Π΅Π»Π΅Π½Π½ΡΡ Π½Π°ΠΌΠΈ ΡΡΠ΅Ρ ΠΌΠΎΡΡΠΎΠ»ΠΎΠ³ΠΈΡΠ΅ΡΠΊΠΈΡ Π²Π°ΡΠΈΠ°Π½ΡΠΎΠ² ΠΊΠ°ΡΡΠΈΠ½ΠΎΠΈΠ΄ΠΎΠ² ΠΏΠΎΠ΄ΡΠ²Π΅ΡΠΆΠ΄Π°Π΅ΡΡΡ ΡΠ΅Π·ΡΠ»ΡΡΠ°ΡΠ°ΠΌΠΈ ΠΎΡΠ΅Π½ΠΊΠΈ ΠΎΠ±ΡΠ΅ΠΌΠ° ΠΎΠΏΠ΅ΡΠ°ΡΠΈΠΈ ΠΈ ΠΏΡΠΎΠ΄ΠΎΠ»ΠΆΠΈΡΠ΅Π»ΡΠ½ΠΎΡΡΠΈ ΠΆΠΈΠ·Π½ΠΈ Π±ΠΎΠ»ΡΠ½ΡΡ .
Π’ΡΠ°Ρ
ΡΠ΅Π½Π±Π΅ΡΠ³ Π.Π₯., Π§ΠΈΡΡΠΎΠ² Π.Π.
medbe.ru