что это такое, симптомы и лечение
Мелкоклеточный нейроэндокринный рак легкого является крайне агрессивным новообразованием, которое начинается непосредственно в легком. Данный вид развивается в 25% случаев от всех форм рака легкого.
Чаще всего от этого заболевания страдают мужчины. По причине быстрого метастазирования является неоперабельной формой.
Данная статья расскажет о том, почему возникает этот вид рака легкого, по каким признакам его можно определить на начальной стадии и раскроет основные способы его лечения.
Общая характеристика и типы заболевания
Мелкоклеточный рак легкого является пролиферирующим новообразованием, имеющим высокий агрессивный потенциал. Эта форма болезни характеризуется скоротечностью, коротким анамнезом заболевания, высокой степенью активности, обширным метастазированием. Чаще всего больные попадают в руки врачей уже при запущенной стадии болезни, поскольку этот вид онкологии отличается отсутствием симптоматики на начальной стадии.
Специалисты выявляют взаимосвязь новообразования с пагубной привычкой курения. Чаще всего оно появляется у мужчин возрастной категории от 40 до 60 лет. В последнее время, в связи с увеличением курящих женщин, стремительно растет число болеющих представительниц слабого пола.
Свое начало опухоль берет в центральной части легкого и начинает моментально разрастаться в медиастинальные и бронхопульмональные узлы, после чего с большой скоростью переходит на другие органы: скелет, головной мозг, печень.
Подобный вид онкологического заболевания чаще всего развивается в бронхах крупного порядка. Раковые клетки путем метастазирования переходят в бронхи мелкого порядка и близрасположенные лимфоузлы. Узелковый характер новообразования нередко распределяется на артерии легких, при этом вызывая сильное утолщение стенок кровеносных сосудов.
Мелкоклеточный рак повышает гормональную активность, из-за чего появляется схожесть с таким видом, как карцинома бронхов.
Также данную схожесть подтверждают находящиеся в составе новообразования железистые и опухолевые клетки. Имеется несколько форм мелкоклеточного рака легкого:
- Овсяноклеточный, который состоит из округлых клеток, немного превышающих размер лимфоцитов. Их ядра характеризуются слегка вытянутой овальной формой, окруженными незначительным слоем цитоплазмы, что создает впечатление голого ядра.
Овсяноклеточный комбинированный считается самой редко встречаемой формой, которая имеет особенности плоскоклеточного новообразования. При данной форме достаточно сложно отличить заболевание от карциномы. Отличительной чертой является наличие митозов и некрозов, а также более крупных частиц.- Лимфоцитоподобный вид состоит из структуры желез или розеток. Его клетки расположены слоями с продуктами распада опухоли. Данное новообразование характеризуется крупными ядрами с выраженным ядрышком.
Причины заболевания и стадии
Мелкоклеточный рак имеет следующие причины своего развития:
- Самая главная причина – это курение. На вероятность развития онкологии оказывают влияние такие факторы, как: возраст больного, продолжительность стажа курильщика, сколько сигарет он выкуривает в день. Даже если человек отказался от данной пагубной привычки, то он все равно будет входить в группу риска подобным заболеванием. Статистика утверждает, что курящие люди заболевают данной болезнью чаще в 16 раз, нежели те, кто никогда не курил. У тех, кто начал курить в подростковом возрасте, процент заболевших увеличивается в 32 раза.
Следующая по значимости группа – это наследственный фактор, провоцирующий развитие онкологии. Люди, генетически предрасположенные к раку легких, имеют особый ген, который повышает шанс возникновения мелкоклеточного рака легкого.- Следующая причина – это плохая экология, вызывающая развитие данной патологии. В легкие людей ежедневно попадает большое количество выхлопных газов, промышленных отходов, которые нередко приводят к опухоли легких.
- Люди, занятые на вредном производстве, контактируемые с мышьяком, асбестом, углем, никелем, хромом попадают в группу риска развития рака легкого.
- Хронические заболевания дыхательных путей также оказывают влияние на проявление легочного новообразования.
Мелкоклеточный рак легкого, не смотря на свое стремительное развитие, имеет следующие стадии заболевания:
- Первая стадия характеризуется опухолью, имеющей диаметр до 3 см, которое поразило 1 легкое. На данной стадии отсутствует метастазирование.
- Вторая стадия имеет размер новообразования от 3 до 6 см, происходит бронхиальная блокировка, опухоль врастает в плевру.
- На третей стадии размер опухоли увеличивается до 7 см, она стремительно метастазирует в близрасположенные органы и лимфоузлы. Раковые клетки поражают все легкое.
- Четвертая стадия характеризуется распространением метастаз в дальние органы.

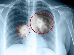
Стадии рака
к оглавлению ↑Симптоматика заболевания
К сожалению, мелкоклеточный рак легкого на начальной стадии себя никак не проявляет, единственным признаком на который необходимо обратить внимание – это затяжной, не проходящий кашель.
Чаще всего у курильщиков кашель наблюдается еще до начала развития новообразования, поэтому на данный симптом мало кто обращает должного внимания.
По мере разрастания опухоли меняется характер кашля. Он становится более сильным, сопровождается болевыми ощущениями и кровяными выделениями. Помимо кашля диагностировать заболевание помогут следующие признаки:
- у больного проявляется отдышка, связанная с затруднительным поступлением через бронхи воздуха, которое нарушает функционирование органа;
при развитии заболевания возникает лихорадочное состояние и внезапное повышение температуры;- болевые ощущения в груди во время глубокого вдоха, при кашле, наклоне;
- кровохарканье, вызванное легочным кровотечением, говорящее о том, что новообразование вросло в сосуды легкого;
- отечность лица, затрудненное глотание, болевые ощущения в плечах, хриплый голос, часто встречающаяся икота.Все эти симптомы говорят о запущенном состоянии, поразившем соседние органы.
К тому же о развитии онкологического заболевания могут говорить следующие общие признаки, при обнаружении которых необходимо срочно обратиться к специалисту для увеличения шансов выздоровления:
- отсутствие аппетита;
- резкая потеря веса;
- усталость, повышенная утомляемость;
- небольшое повышение температуры.
Прогноз выживаемости
В связи с тем, что мелкоклеточный рак, как правило, на начальной стадии не проявляется, данный вид имеет довольно неутешительный прогноз. Если своевременно не обратиться к врачу и не начать противораковое лечение, то срок жизни данных больных не превышает 3 месяцев. На благополучность прогноза влияют следующие факторы:
- распространенность заболевания. Больные, страдающие локализованным видом новообразования, имеют больше шансов на лучшие результаты во время проведения химиотерапии;
значительное увеличение жизни и даже шанс полного выздоровления возникает во время достижения регрессии раковых клеток и их метастаз;также на благоприятность исхода влияет общее состояние больного.
Люди, начавшие лечение в хорошем общем состоянии, имеют больше шансов на благоприятный исход, чем те, кто приступил к лечению при тяжелом самочувствии, с выраженной симптоматикой и биохимическими изменениями крови.
Нейроэндокринный рак, имеет следующий прогноз: обычно при комплексном лечении продолжительность жизни данных б
opnevmonii.ru
Мелкоклеточный нейроэндокринный рак легкого
Рак легкого – это заболевание, которое представляет собой злокачественную опухоль. Она очень стремительно развивается и увеличивается в размерах, а также дает множественные метастазы. Большое количество людей больных раком легкого становятся жертвами быстрого и бессимптомного прогрессирования этой болезни, так как она может стать неизлечимой при отсутствии своевременного оказания помощи специалистами.
Причины возникновения мелкоклеточного рака легких
Причиной развития мелкоклеточного нейроэндокринного рака легкого в большинстве случаев является табакокурение. Степень риска возникновения болезни во многом зависит от стажа курения, количества потребляемых в день сигарет, а также от возраста самого курильщика. Человек с никотиновой зависимостью в 15-20 раз больше подвержен развитию онкологических заболеваний в тканях легкого. Наиболее часто развитию подобного онкологического заболевания подвержены мужчины. Но в последнее время наблюдается рост развития этой болезни у женщин. Возможно, данная тенденция связана с распространением курения среди женского пола.
Конечно, табакокурение не единственная причина возникновения рака легкого. Специалисты выделяют и ряд других факторов:
- Разнообразные патологии легких (туберкулез и т. п.)
- Плохая экология, загрязненный воздух
- Генетическая склонность к онкозаболеваниям
- Работа на производстве с высокой степенью вредности
- Воздействие радиационных излучений.
Симптомы
Симптомы мелкоклеточного рака легкого почти никогда не проявляются на начальных стадиях развития заболевания. Наиболее характерно их появление на стадии активного развития рака. Все симптоматические проявления обуславливаются наличием довольно объемного и крупного злокачественного образования на легочных тканях. Выделяют следующие симптомы:
- Появление сильного кашля, который не поддается медикаментозному лечению
- Дисфония – изменение голоса
- Ухудшение аппетита, сильная потеря веса
- Склонность к различным легочным заболеваниям (бронхит, пневмония и т. п.)
- Частое проявление сильной усталости и высокая утомляемость
- Одышка
- Боли в грудной клетке, усиливающиеся при смехе или кашле
- Боли в костях и позвоночнике
- Сильный подъем температуры
- При кашле может начаться выделение мокроты красного или коричневатого цвета, а также кашель с кровью
- Необычные звуки, возникающие во время дыхания.
При особенно сильном развитии опухоли могут проявляться и многие другие симптомы. Большие размеры образования могут отрицательно сказаться на работе соседних систем. Это может привести к неврологическим проявлениям, создать проблемы с проглатыванием и т. д.
Диагностирование заболевания
Диагностировать рак легкого можно с помощью проведения некоторых процедур:
-

Плевральная пункция
Флюорография
- Лабораторное исследование состава крови
- Бронхоскопия
- Биопсия злокачественного образования
- Плевральная пункция
- Рентгенологическое исследование
- КТ грудной клетки и брюшной полости
- МРТ головного мозга
- ПЭТ диагностирование.
Лечение
Для правильной разработки плана лечения необходимо выяснить тип рака, который развивается у пациента. Опухоли разделяют на локализованные и распространенные.
Локализованными называются те образования, при которых пораженной является только одна половина грудной клетки, а размер и объем самой опухоли не превышает размер одного поля облучения. При локализованном характере заболевания наиболее высока эффективность облучения.
Распространенными считаются те опухоли, которые превышают упоминаемые выше параметры. Такой вид рака распространяется и на вторую половину грудной клетки, а впоследствии и по всему организму больного.
В лечении мелкоклеточного рака легкого основой терапии является химиотерапия. Пациенты, которые отказываются от подобного метода лечения обычно не проживают более 15-18 недель. Химиотерапия иногда применяется совместно с облучением, а также используется как самостоятельный способ лечения. Считается, что мелкоклеточная опухоль особенно чувствительна к химиотерапии и лучевому воздействию.
Если вид раковой опухоли определен как локализованный, то чаще всего специалисты назначают 2-4 курса химиотерапии. Также назначается прием цитостатических препаратов. Например, Винкристин, Этопозид, Циклофосфан, Доксорубицин, Цисплатин и другие.
Химиотерапия
Рекомендуется проводить такое лечение совместно с лучевой терапией. Она направлена на облучение очагов злокачественной опухоли. Выбор в пользу комбинированного лечения заболевания может продлить жизнь пациенту на 2 года.
При распространенном характере мелкоклеточной раковой опухоли назначается в среднем 5-7 курсов химиотерапии. При проникновении метастаз в структуры костей или мозга, применяется лечение облучением.
Цель всего лечения онкозаболеваний – добиться полной ремиссии, которая должна быть подтверждена всеми необходимыми анализами и бронхоскопическими методами. Насколько эффективно проходит лечение заболевания определяется через 7-13 недель после начала терапии.
Продолжительность жизни онкобольных
Мелкоклеточный рак легкого считается наиболее агрессивной формой онкологических заболеваний. Прогноз на продолжительную жизнь больного во многом зависит от качества и своевременности оказанного лечения. При отсутствии необходимой терапии рак неизбежно приведет к летальному исходу.
Если выявить наличие злокачественной опухоли на ранних стадиях, то шансы выживания больного как минимум в течение 5 лет около 22-39%. При обнаружении заболевания в более прогрессирующей и запущенной стадии выживаемость пациентов не превышает 10%.
Если при прохождении терапии у больного обнаруживается постепенное уменьшение опухолей, то это очень хороший показатель. В таком случае у пациента появляются прогнозы на довольно продолжительную жизнь. Если произошло уменьшение опухоли более, чем наполовину от ее размера, который был в начале лечения, а также нет никаких метастазов – это частичная ремиссия. При таком результате выживают около 51% больных. Самые позитивные прогнозы у тех пациентов, которые смогли добиться полной ремиссии онкологического заболевания. Среди них выживаемость составляет 71-91%.
Профилактика мелкоклеточного рака легкого
Главным методом профилактики такого онкологического заболевания является полный отказ от табакокурения. Также нужно избавиться и обезопасить себя и от пассивного курения. Необходимой мерой по предотвращению заболевания является профилактика различных патологий легочных тканей.
Если имеются зависимости от каких-либо наркотических веществ или пагубное пристрастие к алкоголю, то необходимо полностью отказаться от них как можно быстрее. Если профессия предполагает работу на вредном производстве и ежедневный контакт с вредными химическими веществами, то необходимо соблюдать технику безопасности, а также всегда применять всевозможные средства индивидуальной защиты.
Не менее, чем раз в год следует проходить флюорографическое обследование в качестве профилактики. Это нужно для своевременного выявления злокачественных образований, если они есть. Ведь чем раньше будет обнаружено заболевание, тем успешнее будет результат его лечения.
lekhar.ru
особенности и сложности дифференциальной диагностики

Нейроэндокринный рак шейки матки: особенности и сложности дифференциальной диагностики
Должиков Александр Анатольевич – доктор медицинских наук, профессор Белгородского государственного национального исследовательского университета, заведующий отделением Онкоморфологии Белгородского областного патологоанатомического бюро, руководитель научно-образовательного центра Прикладной иммуноморфологии и цитогенетики. (БелГУ, г.Белгород)
Аннотация: В статье приведено описание случая нейроэндокринного мелкоклеточного рака шейки матки, относящегося к редким вариантам опухолей данной локализации. Проанализированы особенности и сложности дифференциальной диагностики, данные литературы по данной проблеме.
Ключевые слова: Нейроэндокринный рак шейки матки, морфологическая диагностика, иммуногистохимическое исследование.
Нейроэндокринные карциномы шейки матки относятся к крайне редким новообразованиям и в связи с этим могут быть незнакомы патоморфологам, явится причиной диагностических ошибок с серьезными последствиями для пациенток из-за неправильного лечения и прогноза. Современная классификация опухолей женской репродуктивной системы предусматривает выделение категорий нейроэндокринных опухолей шейки матки, сходных с таковыми в легких: карциноид, атипичный карциноид, мелкоклеточная нейроэндокринная карцинома, крупноклеточная нейроэндокринная карцинома. Прогноз при мелкоклеточной нейроэндокринной карциноме неблагоприятный. Из всех названных выше категорий она может представлять наибольшие трудности вследствие морфологического сходства с недифференцированным плоскоклеточным раком, лимфомами мелкоклеточного строения. Имеющиеся в литературе публикации касаются единичных наблюдений, либо серий из нескольких десятков наблюдений за несколько десятилетий.
Приводим собственное наблюдение, в котором встретились типичные ошибки дифференциальной диагностики мелкоклеточной нейроэндокринной карциномы шейки матки при первичном стандартном патоморфологическом исследовании.
Пациентка А., 31 года обследована в одном из лечебных учреждений белгородской области по поводу кровянистых выделений из половых путей. Выявлено опухолевое образование шейки матки, из которого взята инцизионная биопсия. По результатам первичного гистологического исследования был поставлен диагноз лимфомы шейки матки и пациентка направлена на дальнейшее обследование и лечение в областной онкологический диспансер. Проведена консультация первичных микропрепаратов, по результатам которой поставлен диагноз недифференцированного плоскоклеточного неороговевающего рака. Данных о возможных клинических проявлениях карциноидного синдрома не было. По запросу лечащих врачей проведена повторная консультация материала. В первичных микропрепаратах и в дорезке с блоков обнаружены фрагменты опухоли мелкоклеточного строения, с солидным характером роста, лимфоцитоподобной морфологией опухолевых клеток, крайне высокой митотической активностью (участками более 15 митозов в поле зрения при увеличении х400). Соответственно мелкоклеточной морфологии опухолевого процесса проведена иммуногистохимическая дифференциальная диагностика «первой линии» с использованием цито- и тканеспецифических маркеров: общего лейкоцитарного антигена (CD45), цитокератина АЕ1/АЕ3, HMB45, виментина. Выявлена позитивная реакция во всех клетках на цитокератины в виде парануклеарного пятна («dot-like»), указывающая на высокую вероятность нейроэндокринной дифференцировки клеток карциномы. Соответственно диагноз лимфомы был отвергнут. Проведено повторное иммуногистохимическое исследование, при котором выявлена равномерная позитивная реакция в опухолевых клетках на хромогранин А, реакция на антиген р63 отрицательная, что в совокупности с другими результатами отвергает плоскоклеточный рак шейки матки. Также было выполнено исследование экспрессии белка p16INK4a, которая оказалась ярко выраженной во всех опухолевых клетках, свидетельствуя о высокой вероятности инфекции вирусами папилломы человека высокого онкогенного риска. Был поставлен окончательный диагноз мелкоклеточной нейроэндокринной карциномы шейки матки. Через 2 месяца после неоадьювантной терапии пациентке выполнена экстирпация матки с придатками. Макроскопически в шейке матки выявлены разрастания белесовато-серой рыхлой опухолевой ткани с распространением на цервикальный канал, инвазией в толщу. В околоматочной клетчатке справа выявлен конгломерат плотных белесых лимфоузлов 6х3,5 см. Такая картина свидетельствует о низкой эффективности проведенной предоперационной терапии. По результатам патогистологического исследования диагностирована нейроэндокринная мелкоклеточная карцинома с инвазивным ростом в шейке матки на глубину более 5 мм, многочисленными опухолевыми эмболами в лимфатических сосудах; метастазы рака в околоматочных лимфоузлах с распадом. При иммуногистохимическом исследовании выявлен идентичный первичной биопсии иммунофенотип: позитивные реакции на цитокератин АЕ1/АЕ3 с пятнистым парануклеарным типом реакции, хромогранин А, белок p16INK4a, CD56. В послеоперационном периоде пациентке проводилась лучевая терапия. К середине 2012 года пациентка была жива, находилась под наблюдением.
Обсуждая описанное наблюдение, следует привести данные литературы об особенностях диагностики, прогноза и лечения нейроэндокринных карцином шейки матки, особенно мелкоклеточного варианта. Мелкоклеточная карцинома шейки матки была описана в 1957 году и составляет от 0,5 до 3% всех карцином шейки матки [3, 14]. В обзорной публикации 2001 года [8] приводится информация о 280 случаях мелкоклеточной карциномы шейки матки, описанных к тому времени в мировой литературе. В одной из публикаций 2009 года [13] проведен метаанализ 641 случая, описанного в литературе за 22 года (с 1987 по 2008). По опубликованным данным в США частота мелкоклеточных карцином шейки матки составляет 0,5 на 100 000 населения [9]. Возраст пациенток варьирует от 25 до 75 лет, но большинстов авторов отмечают преобладание пациенток молодого возраста [9, 14], По некоторым данным [6, 9] почти во всех случаях имеется ассоциация с вирусами папилломы человека 18 типа, в отличие от крупноклеточной нейроэндокринной карциномы, которая чаще ассоциирована с вирусами 16 типа [7]. Опухоль склонная к раннему лимфо- и гематогенному метастазированию, отличается плохим прогнозом. Почти 75% пациенток погибают в течение первого года после установления диагноза [9] даже при ранних стадиях заболевания. Неоадьювантная химиотерапия может привести даже к ухудшению прогноза, не дает существенного эффекта и адьювантная терапия [11]. Типичным местом развития данной опухоли является зона трансформации, в связи с чем обсуждаются два возможных источника ее развития: имеющиеся нейроэндокринные клетки и резервные клетки с измененной дифференцировкой в сторону нейроэндокринных [1, 2, 6]. Морфологически мелкоклеточные карциномы шейки матки сходны с аналогичными мелкоклеточными раками легких. Важным для патоморфологической диагностики является то, что в большинстве случаев (более 80%) нейроэндокринные карциномы шейки матки дают позитивные реакции на нейроэндокринные маркеры (синаптофизин, хромогранин А, CD56), более 60% опухолей позитивны на цитокератины широкого профиля, более 80% на эпителиальный мембранный антиген, в 40% они могут давать положительную реакцию на TTF-1 [3, 4]. Клинически нейроэндокринные карциномы шейки матки характеризуются частым наличием проявлений карциноидного синдрома, опухолевые клетки отличаются способностью к секреции широкого спектра гормонов: соматостатин, кальцитонин, серотгнин, гистамин, вазоактивный интестинальный пептид и другие [3, 5].
В серии из 36 наблюдений с 1977 по 2010 год (за 34 года) в клинике университета штата Айова (США) средний возраст пациенток составил 49 лет. К моменту диагностики минимальная стадия заболевания по FIGO была IB1 (39% пациенток), в 34% была III и более высокие стадии. Стадия заболевания оказалась основным прогностическим фактором. Средний срок выживаемости пациенток был всего 20,7 месяцев, общая 5-летняя выживаемость только 23%. При всех способах нехирургического лечения удовлетворительных результатов не получено. Радикальное хирургическое вмешательство оказалось единственным методом, показавшим определенный позитивный эффект [10]. Шотландские авторы [12] на материале 21 случая из двух специализированных центров за 11 лет (1995 – 2005 годы) получили примерно сходные результаты. Трехлетняя общая выживаемость была 45%. Отмечена большая эффективность агрессивного комбинированного лечения (радикальная операция, дополненная химио-лучевой терапией). Китайским исследователями [4] мелкоклеточные нейроэндокринные карциномы выявлены в 25 случаях из общего числа 4075 случаев рака шейки матки (0,6%). Средний возраст также составил 43,7 года. Среднее время выживания было 20,9 месяцев.
При дифференциальной диагностике мелкоклеточных карцином шейки матки с другими сходными опухолями кроме выявляемых гистологических признаков необходимо учитывать эпидемиологические характеристики заболеваний. Первичные лимфомы шейки матки являются еще более редким заболеванием, преимущественно в старших возрастных группах; большинство лимфом половых органов являются крупноклеточными. При недифференцированном плоскоклеточном раке в достаточном объеме материала чаще удается найти более дифференцированные участки с явными плоскоклеточными признаками. В целом же подход к дифференциальной диагностике мелкоклеточных карцином шейки матки должен быть таким же, как и при других опухолях из группы «мелко-круглоклеточных», с использованием иммуногистохимического исследования, на первом этапе с панелью антител гистогенетической направленности.
Список литературы:
1. Кондриков Н.И. Патология матки. – М.: Практическая медицина, 2008. – 334 с.
2. Нейштадт Э.Л., Крулевский В.А. Дифференциальная диагностика опухолей шейки матки. Руководство. СПб: «КультИнформПресс», 2012. – С. 196 – 203.
3. Опухоли шейки матки. Морфологическая диагностика и генетика: Руководство для врачей / Н.В. Данилова, Ю.Ю. Андреева, Л.Э. Завалишина и др./ Под ред. Ю.Ю. Андреевой, Г.А. Франка. – М.: Практическая медицина, 2012. – 116 с.
4. A clinicopathological aspect of primary small-cell carcinoma of the uterine cervix: a single-centre stidy of 25 cases / J.-D. Li, Y. Zhuang, Y.-F. Feng et al. // J. Clin. Pathol. – 2011. – Vol. 64. – P. 1102 – 1107.
5. Carcinoid syndrome caused by an atypical carcinoid of the uterine cervix / C.A. Koch, N. Azumi., M.A. Furlong et al. // The Jornal of Clin. Endocrinol & Metabolism. – 1999. – Vol. 84. — № 11. – P. 4209 – 4213.
6. Color atlas of histopathology of the cervix uteri. Second edition / G. Dallenbach-Hellweg, M. v. Knebel Doeberitz, M.J. Trunk. – Springer, 2006. – P. 165 – 168.
7. Detection of human papillomavirus in large cell neuroendocrine carcinoma of the uterine cervix: a study of 12 cases / W. Grayson, L.F. Tailor, U. Allard et al. – J. Clin. Pathol. – 2002. – Vol. 55. – P. 108 – 114.
8. Eichhorn J.H., Young R.H. Neuroendocrine tumors of the Genital tract // Amer. J. Surg. Pathol. – 2001. – Vol. 115 (Suppl.). – S. 94 – 112.
9. Harman M.L., Cooper K. Cervical Neoplasia / Gynecologic pathology / M.R. Nucci, E. Oliva. – Elsevier Churchill Livingstone, 2009. – P. 141 – 194.
10. High grade neuroendocrine carcinoma of the uterine cevix: Outcomes and the role of chemotherapy / B. Naraev, M.J. Goodheart, T.M. Dorisio et al. // ASCO Meeting Abstracts, May, 2011. – 29. – e15512.
11. Prognostic factors in FIGO stage IB-IIA small cell neuroendocrine carcinoma of the uterine cervix treated surgically: results of a multi-ctnter retrospective Korean study / J.-M. Lee, K.-B. Lee, J.-H. Nam et al. // Annals of Oncology. – 2008. – Vol. 19. № 2. – P. 321 – 326.
12. Small cell neuroendocrine carcinoma of the uterine cervix: The Scottish experience / M. Siva, R. Mahmood, S.Kakumanu et al. //ASCO Meeting Abstracts, Jun, 2006. – 24. – 15026.
13. Small cell neuroendocrine carcinoma with 1-year follow-up: case report and review. – Anticancer Res. – 2009. – Vol. 29. – P. 477 – 484.
14. Textbook of uncommon cancer. Third edition / Editors: D. Raghavan, M.L. Brecher, D.H. Johnson et al. – John Wiley & Sons Ltd, 2006. – P. 510 – 511.
Интересная статья? Поделись ей с другими:
na-journal.ru
Карциномы слюнных желез низкой степени злокачественности
Лимфоэпителиальная карцинома
Лимфоэпителиальная карцинома — недифференцированный рак, сопровождающийся выраженными неопухолевыми лимфоплазмоцитарными инфильтратами. Код — 8082/3.Синонимы: лимфоэпителиоподобный рак, злокачественная лимфоэпителиальная опухоль, недифференцированный рак с лимфоидной стромой, недифференцированный рак, рак из лимфоэпителиальной опухоли.
Как вариант недифференцированного рака, одни считают злокачественным аналогом доброкачественного лимфоэпителиального поражения, другие — как низкодифференцированный плоскоклеточный рак с лимфоидной стромой (Т.А. Белоус, 1993).
Макроскопически опухоль может быть четко отграниченной или иметь выраженные признаки инвазии в окружающую ткань железы и прилежащие к ней мягкие ткани. Узлы опухоли имеют плотную консистенцию и размеры от 1 до 10 см (в среднем 2-3 см).
Гистологически опухоль растет в виде инфильтративных очагов, пучков, островков, разделенных лимфоидной стромой. Опухолевые клетки имеют нечеткие границы, светлую оксифильную цитоплазму и овальное пузырьковидное ядро с хорошо заметным ядрышком. Ядра обычно умеренно варьируют по размерам, хотя в редких случаях бывают совсем мономорфными. Обычно легко обнаруживаются поля некроза и множество митотических фигур. Иногда опухолевые клетки имеют «пухлую» и веретеновидную форму и формируют характерного вида пучки. Иногда встречаются фокусы плоскоклеточной дифференцировки в виде увеличения объема оксифильной цитоплазмы опухолевых клеток и появления нечетко выраженных межклеточных мостиков.
Опухоль густо инфильтрирована лимфоцитами и плазматическими клетками, часто с образованием реактивных лимфоидных фолликулов. Лимфоидный компонент может быть столь выраженным, что маскирует эпителиальную природу опухоли. В некоторых случаях в островках опухоли обнаруживаются в большом количестве гистиоциты, создавая картину так называемого «звездного неба». К другим непостоянным признакам относят: образование «неказеозных» гранулем с наличием или без гигантских многоядерных клеток, отложения амилоида, формирование кист в островках некоторых опухолей, периневральную или лимфоваскулярную инвазию.
Клетки опухоли иммунореактивны в отношении панцитокератина и эпителиального мембранного антигена. Лимфоидные клетки представлены смесью Т- и В-клеток. Электронная микроскопия выявляет признаки плоскоклеточной дифференцировки в виде десмосом и тонофиламентов.
В опухолевых клетках при помощи методов FISH или CISH можно выявить вирусную РНК и ДНК, принадлежащую вирусу Эпштейна—Барр. Иммуногистохимическое определение мембранного протеина 1 вируса Эпштейна—Барр более вариабельно.
Дифференциальный диагноз проводится с метастазом недифференцированного рака, злокачественной лимфомой, лимфоэпителиальным сиалоаденитом, лимфаденомой, а также крупноклеточным недифференцированным раком. При лимфоэпителиальном сиалоадените нет выраженной клеточной атипии, присутствует базальная мембрана, нет десмопластической реакции стромы, нет связи с инфекцией, вызванной вирусом Эпштейна—Барр. Для лимфаденомы характерно более или менее выраженное формирование железистых структур, нет клеточной атипии, нет десмопластической стромы и связи с инфекцией, вызванной вирусом Эпштейна—Барр.
Большинство лимфоэпителиальных карцином растут de novo, но иногда они могут развиваться в лимфоэпителиальном сиалоадените (прежнее название — миоэпителиальный сиалоаденит). Сообщают о семейной предрасположенности к лимфоэпителиальной карциноме слюнной железы (СЖ) при доминантно наследуемой трихоэпителиоме, что, предположительно, связано с общими генами-супрессорами.
Лимфоэпителиальная карцинома СЖ редкая опухоль, составляющая менее 1 % всех опухолей слюнной железы. Имеется расовая предрасположенность к заболеванию: чаще болеют эскимосы в арктических регионах (Гренландия, Канада, Аляска), юго-восточные китайцы и японцы. Эскимосское племя инуитов имеет наивысшую в мире частоту встречаемости по опухолям СЖ большинство из которых представлено лимфоэпителиальной карциномой. Легкое преобладание женщин, частое вовлечение околоушной железы, более частое наблюдение запущенных стадий заболевания и, вероятно, более агрессивное клиническое течение заболевания — все это отмечено у инуитов. Возраст больных лимфоэпителиальной карциномой лежит в широком диапазоне — 10-90 лет, наиболее часто болеют лица 40-50 лет.
Этиологически почти в 100% случаев имеется связь лимфоэпителиальной карциномы СЖ с вирусом Эпштейна— Барр в эндемичных районах, что предполагает важную роль этого вируса в онкогенезе. Серологическое исследование выявляет повышенные титры антител: IgA — к капсидному и/ или IgG — к ядерному антигену вируса Эпштейна—Барр более, чем у 50% пациентов с лимфоэпителиальной карциномой в эндемичных районах У больных из неэндемичных районов вирус Эпштейна—Барр обнаруживается в редких случаях. Эти данные указывают на целый комплекс взаимодействий этнических, географических и вирусных факторов в патогенезе лимфоэпителиальной карциномы слюнной железы.
Локализация лимфоэпителиальной карциномы в 80% наблюдений связана с околоушной СЖ за ней следует поднижнечелюстная СЖ. Изредка лимфоэпителиальная карцинома возникает в малых слюнных железах ротовой полости и ротоглотки.
Клинически лимфоэпителиальная карцинома представляет собой увеличение околоушной и поднижнечелюстной СЖ нередко длительно существующее, но с внезапно быстрым ростом. Боль может отсутствовать. В запущенных стадиях опухоль может быть спаяна с окружающими тканями или кожей. Поражение лицевого нерва встречается не более чем в 20% случаев. Метастазы в лимфатических узлах наблюдаются в 10-40% случаев. Не отмечается ни клинических, ни серологических данных, подтверждающих связь заболевания с синдромом Шегрена.
Поскольку лимфоэпителиальный рак СЖ морфологически не отличим от назофарингеального рака (который встречается гораздо чаще), важно также брать и исследовать биопсию из носоглотки до того, как утверждать первичную природу опухоли в качестве лимфоэпителиальной карциномы слюнной железы.
Лимфоэпителиальная карцинома имеет склонность к метастатическому распространению в регионарные лимфатические узлы. Приблизительно в 20% случаев обнаруживаются отдаленные метастазы, среди локализаций которых чаще встречаются легкие, печень, кости и головной мозг. Характерная лимфоплазмоцитарная инфильтрация, выраженная в первичной опухоли, может быть слабой или вообще отсутствовать в метастазах.
Прогностически у пациентов с комбинированным лечением (операция с лучевой терапией) 5-летняя выживаемость достигает 75-86%, несмотря на возможность местного рецидива. Главным и самым значимым прогностическим фактором является стадия заболевания. Предпринимались попытки классифицировать «грейд» лимфоэпителиальной карциномы в зависимости от числа митозов и степени клеточного полиморфизма, однако на настоящий момент нет такой системы подразделения лимфоэпителиальной карциномы по степени злокачественности, которая была бы общепринята или хотя бы широко распространена.
Мелкоклеточная карцинома
Мелкоклеточная карцинома — редкая злокачественная эпителиальная опухоль, характеризующаяся пролиферацией мелких анаплазированных клеток со скудной цитоплазмой, нежным ядерным хроматином и незаметными ядрышками. Код — 8041/3.Синонимы: мелкоклеточный недифференцированный рак, мелкоклеточный анапластический рак, овсяно-клеточный рак, нейроэндокринный рак.
Мелкоклеточная карцинома составляет менее 1 % всех опухолей СЖ и приблизительно — 2% злокачественных опухолей СЖ. Возраст большинства пациентов на момент постановки диагноза — старше 50 лет, но, тем не менее, опухоль описана и у молодых лиц. Несколько чаще данное новообразование поражает мужчин.
Локализация опухоли связана с большими и с малыми слюнными железами, а наиболее часто встречается в околоушной СЖ.
Клинически пациенты жалуются на безболезненную, быстро растушую в течение нескольких месяцев опухоль. Увеличение шейных лимфатических узлов и паралич мимических мышц — частые находки. Паранеопластический синдром, связанный с продукцией эктопических гормонов, не характерен.
Макроскопически мелкоклеточная карцинома — плотная опухоль с нечеткими границами, часто с признаками инфильтрации соседней паренхимы СЖ и прилежащих мягких тканей. Опухоль обычно имеет сероватый или белесоватый цвет, как правило, с участками кровоизлияний и некроза.
Гистологически мелкоклеточная карцинома характеризуется пучками, гнездами неправильной формы, состоящими из анапластических клеток и различного количества фиброзной стромы. Гнезда опухолевых клеток могут формировать палисадные структуры по периферии опухоли. Изредка видны розеткоподобные структуры. Опухолевые клетки по размеру обычно в 2-3 раза больше, чем зрелые лимфоциты, и имеют округлое или овальное ядро со скудной цитоплазмой. Иногда встречаются единичные полигональные, а также крупные клетки.
Хроматин в ядрах нежный, а ядрышки незаметны или отсутствуют. Границы клеток определяются плохо, и часто наблюдается «напластование» ядер друг на друга. Обнаруживают множество митотических фигур. Опухоль может иметь мелкие и редкие фокусы протоковой дифференцировки. Также описаны фокусы плоскоклеточной дифференцировки. Частое явление — обширные поля некроза, кровоизлияния, признаки периневральной инвазии.
Иммунопрофиль большинства мелкоклеточных карцином характеризуется тем, что опухоль экспрессирует хотя бы один нейроэндокринный маркер, как то: хромогранин А, синаптофизин, CD57 (Leu-7), CD56 и нейрофиламенты. Тем не менее, иммунореактивность одной лишь нейронспецифической енолазы не достаточно для подтверждения нейроэндокринной дифференцировки опухоли.
Большинство мелкоклеточных карцином позитивны по экспрессии цитокератинов, которые часто характеризуются точечным околоядерным примером реакции. Большинство опухолей также являются позитивными на ЭМА. Мелкоклеточные карциномы слюнной железы так же как и рак из клеток Меркеля, но не так как мелкоклеточный рак легкого, в 3/4 случаев положительны к цито кератину 20. Следует сказать, что мелкоклеточный рак СЖ негативен к белку S-100 и НМВ-45.
Электронная микроскопия демонстрирует нейроэндокринные гранулы, связанные с мембраной, примерно в 1/3 случаев мелкоклеточной карциномы. Опухолевые клетки содержат редкие органеллы, а в разной степени сформированные десмосомы обеспечивают контакты между ними. Присутствие в них микрофиламентов и тонофиламентов свидетельствует о разнонаправленной дифференцировке клеток.
Прогноз при мелкоклеточной карциноме в целом неблагоприятный: местные рецидивы и отдаленные метастазы возникают более чем у 50% пациентов. Метастазирование в регионарные лимфатические узлы шеи наблюдается реже, чем отдаленное метастазирование. Уровень 5-летней выживаемости при мелкоклеточной карциноме колеблется от 13 до 46%, по данным различных авторов. Уровень выживаемости еще ниже у больных первичной опухолью, размерами более 3 см, негативным окрашиванием на цитокератин 20 и сниженной иммунореактивностью к нейроэндокринным маркерам.
Крупноклеточная карцинома
Крупноклеточная карцинома — редкая высокозлокачественная эпителиальная опухоль СЖ, состоящая из плеоморфных клеток с обильной цитоплазмой и отсутствием специфичных признаков опухолей других типов. Код — 801 2/3.Синоним: крупноклеточный недифференцированный рак.
Крупноклеточная карцинома встречается чрезвычайно редко. Мужчины и женщины поражаются с одинаковой частотой, а средний возраст большинства пациентов — старше 60 лет.
Локализуется крупноклеточная карцинома в больших слюнных железах, особенно в околоушной СЖ. Имеется описание нескольких опухолей, возникавших в малых СЖ. Клинически крупноклеточная карцинома у большинства пациентов протекает в виде быстро растущей плотной опухоли, часто с фиксацией к окружающим тканям. Увеличение лимфатических узлов шеи и паралич лицевого нерва — частые явления.
Макроскопически опухоль обычно имеет нечеткие границы, плотную консистенцию с серовато-белесоватой или буроватой поверхностью на разрезе. Можно обнаружить некрозы и кровоизлияния. Нередка инвазия в окружающую жировую клетчатку или прилежащую ткань слюнной железы.
Гистологически опухоль состоит из крупных плеоморфных клеток (> 30 мкм) с обильной эозинофильной или, иногда, светлой цитоплазмой. В некоторых опухолях имеется несвязанная структура, напоминающая лимфому. Ядра опухолевых клеток имеют полигональную или неправильную форму, выделяющиеся ядрышки и грубодисперсный с везикулярными изменениями хроматин. Обычно границы клеток определяются четко. Могут присутствовать уродливые гигантские опухолевые клетки. Легко определяются митотические фигуры.
Структура опухоли состоит из пучков и трабекул с выраженной склонностью к некрозу. В некоторых крупноклеточных карциномах попадаются органоидные, розеткоподобные, периферические палисадные структуры. Также в крупноклеточных карциномах могут присутствовать редкие фокусы протоковой или плоскоклеточной дифференцировки. Инфильтрация лимфоидными элементами обычно очаговая. Видны признаки сосудистой и периневральной инвазии.
Иммунопрофиль крупноклеточной карциномы в некоторых случаях позитивен к одному из эндокринных маркеров, таким как: хромогранин А, синаптофизин, CD57, CD56, PGP9.5. Не было найдено признаков позитивности к цитокератину 20. Индекс мечения Ki-67 высок и часто достигает 50% и выше. В одном из сообщений о двух случаях опухолевые клетки в крупноклеточной карциноме были диффузно позитивны к bcl-2, циклину D1 и эпидермальному фактору роста. Там же отмечалась сниженная экспрессия p21/wafl и p27/kipl. Диффузная ядерная экспрессия TP53 отмечалась в 4 из 5 наблюдений.
Электронная микроскопия при крупноклеточном раке показывает редкие признаки плоскоклеточной или железистой дифференцировки, не заметные на светооптическом уровне. Признаки нейроэндокринной дифференцировки крайне редки, нейросекреторные гранулы описаны всего лишь в 3 случаях. Опухолевые клетки объединены выраженными десмосомоподобными соединениями. Молекулярно-генетические исследования скудны. В 2/3 случаев определяются мутации гена ТР53. Описаны случаи потери гетерозиготности в хромосомах 17р и 9р21.
Прогностически крупноклеточная карцинома — агрессивная опухоль, со склонностью к местным рецидивам, метастазированию в лимфатические узлы шеи и отдаленные органы. По некоторым данным, размер клеток не имеет значимого прогностического значения. Показано, что размер опухоли — хороший индикатор прогноза: все больные с опухолью более 4 см в диаметре умирают от заболевания с отдаленными метастазами.
Сиалобластома
Сиалобластома — чрезвычайно редкая, потенциально агрессивная опухоль околоушной или поднижнечелюстной СЖ, которая обычно существует с рождения и повторяет примитивную закладку СЖ. Код — 8974/1.Синонимы: врожденная базальноклеточная аденома, базальноклеточная аденома, базалоидная аденокарцинома, врожденная опухоль-гибрид базальноклеточной аденомы и аденокистозного рака, эмбриома.
Большинство сиалоаденом диагностируется в момент или в течение короткого периода после рождения. В редких случаях диагноз устанавливается у детей в возрасте 2 лет. На сегодняшний день имеются сообщения не более чем о 25 случаях сиалобластомы. Соотношение по полу М:Ж = 2:1. Локализация опухоли — околоушная или поднижнечелюстная слюнная железа с соотношением между ними приблизительно 3:1.
Клинически у младенцев отмечается появление припухлости в области щеки или поднижнечелюстной области. Некоторые опухоли могут достигать больших размеров, вызывать изъязвление кожи над ними. Опухоль может сочетаться с другими новообразованиями — врожденными невусами, гепатобластомой. Диагноз иногда ставится по данным пренатальной сонографии. Рентгенологически сиалобластома выглядит в виде дольчатой массы с экспансивным ростом. Правильно взятая биопсия может иметь большое значение для дифференциальной диагностики данной опухоли с другой — требующей неоадьювантной химиотерапии, как, например, рабдомиосаркома.
Гистологически сиалобластома состоит из базалоидных эпителиальных клеток с пестрой цитоплазмой, округло-овальными ядрами с одиночным или множественными ядрышками и относительно нежным хроматином. Также можно увидеть более зрелые кубические эпителиальные клетки с розовой цитоплазмой. Эти клетки образуют маленькие протоки, почковидные структуры и солидные органоидные гнезда, и могут иметь палисадный вид по периферии.
Строма опухоли выглядит рыхлой и незрелой. Могут быть видны миоэпителиальные клетки, что подтверждается данными электронной микроскопии. Встречаются и более знакомые типы структуры опухолей СЖ, как, например, криброзный, по типу аденокистозного. Митотическая активность внутри сиалобластомы варьирует в широких пределах, но может возрастать при рецидивах, так же, как и некротические изменения, полиморфизм и индекс мечения Ki-67.
Предполагают, что на основании таких признаков, как наличие или отсутствие периневральной или сосудистой инвазии, степени клеточной атипии и выраженности некроза, эти опухоли можно подразделять на доброкачественные и злокачественные. Иммуногистохимически в сиалобластоме отмечается диффузная экспрессия белка S-100 и виментина; экспрессия цитокератина ограничена протоковыми структурами. Гистогенез сиалобластомы предположительно связан скорее с бластомной стволовой клеткой, чем с базальной клеткой резервного эпителия. Описаны сопутствующие этой опухоли дисэмрионогенетические изменения прилежащей ткани околоушной СЖ и пролиферация терминальных эпителиальных луковиц протоков.
Прогностически сиалобластома склонна давать рецидивы (22% случаев), иногда — регионарные метастазы (9%), а также описан один случай с летальным исходом. Большинство же детей излечивается полностью после первичного хирургического вмешательства.
Опухоли мягких тканей
Истинные мезенхимальные опухоли (исключая опухоли гемопоэтической системы) встречаются крайне редко и составляют примерно 1,9-4,7% всех опухолей слюнных желез, причем доброкачественные опухоли встречаются чаще сарком. Соотношение доброкачественных и злокачественных опухолей СЖ по разным данным, варьирует от 3:1 до 18:1. Свыше 85% мезенхимальных опухолей СЖ возникают в околоушной слюнной железе, а еще более 10% — в поднижнечелюстной СЖ в подъязычной СЖ — описаны лишь редкие случаи.Наиболее часто среди доброкачественных новообразований встречаются сосудистые опухоли слюнной железы они составляют около 40% доброкачественных опухолей СЖ 75-80% опухолей — гемангиомы, обычно, ювенильного или клеточного типа, с наибольшей частотой встречаемости в первые десять лет жизни. Большинство других сосудистых опухолей — лимфангиомы. Еще одна большая группа доброкачественных мягкотканных опухолей СЖ включает в себя нейрогенные опухоли (нейрофиброму или шванному), фибробластические/миофибробластические опухоли (нодулярный фасциит), фиброматоз, фиброму гемангиоперицитому, солитарную фиброзную опухоль) и воспалительную псевдоопухоль (воспалительная миофибробластическая опухоль).
Также встречаются и описаны липомы (в том числе и плеоморфные варианты) и много других новообразований, включающих в себя: гранулярно-клеточную опухоль, ангиому гломангиому, миксому, фиброзную гистиоцитому гигантоклеточную опухоль и остеохондрому. Изредка можно встретить метастаз саркомы в слюнной железе из другого первичного источника. Описано несколько случаев липом, «вмурованных» в ткань СЖ которые стали именовать сиалолипомы, в том числе и врожденные случаи.
Саркомы СЖ возникают у лиц более старшего возраста по сравнению с доброкачественными опухолями слюнной железы. Саркомы — крайне редкие новообразования СЖ они составляют не более 0,3% случаев опухолей данной локализации. Почти любой тип саркомы может возникнуть в СЖ. В больших исследовательских сериях отмечено, что чаще остальных в слюнной железе встречаются гемангиоперицитома, злокачественная шваннома, фибросаркома и злокачественная фиброзная гистиоцитома.
Эти агрессивные опухоли склонны к частым рецидивам — порядка 40-64%, а также к отдаленным метастазам — 38-64%. Примерно в таких же пределах (38-64%) находится и уровень смертности от сарком в течение первых трех лет после постановки диагноза. Наиболее радикальным методом лечения сарком СЖ является максимально широкое оперативное вмешательство с последующей лучевой терапией. Гистологическое строение сарком в СЖ не отличается от такового при этих опухолях других локализаций.
Гемангиома
Гемангиома — образование, характеризующееся пролиферацией эндотелиальных клеток или перицитов. Код — 91 20/0.Синонимы: доброкачественная инфантильная гемангиоэндотелиома, инфантильная гемангиома, клеточная гемангиома, незрелая капиллярная гемангиома, ювенильная гемангиома.
Частота возникновения гемангиомы слюнной железы — около 0,4% от всех опухолей СЖ. Новообразование может встречаться в любом возрасте, но чаще — примерно в 2/3 всех случаев в первые 20 лет жизни. У женщин гемангиома встречается в 2 раза чаще, чем у мужчин.
Локализация гемангиомы СЖ практически исключительно связана с околоушной слюнной железой.
Клинически опухоль бессимптомная или в виде безболезненной мягкой припухлости. Эта припухлость обычно появляется в первые 6 месяцев жизни и постепенно медленно увеличивается в размерах. Большое количество гемангиом, очевидно, подвергается самостоятельной инволюции к 5-6 годам. Синеватый цвет образования может быть виден через кожу, однако сама кожа не поражается заболеванием. Процесс обычно ограничен околоушной СЖ, но в некоторых случаях имеется ангиоматоз, распространяющийся на парафарингеальное пространство, внутреннюю височную ямку или основание черепа.
В диагностике этой опухоли и ее распространения помогают инструментальные методы исследования.
Макроскопически опухоль вызывает диффузное увеличение железы.
Гистологически новообразование состоит из сосудистых щелей и пространств различных размеров и формы. Ювенильный вариант представлен мелкими округлыми плотно упакованными в виде очагов эндотелиальными клетками и перицитами, которые располагаются диффузно по всему протяжению органа, но разделяются на дольки соединительнотканными прослойками железы. Опухолевые клетки замещают ацинарные клетки, увеличивают в размерах дольки, но оставляют непораженными протоки и их просветы.
Митозы немногочисленны или умеренны при ювенильной форме. На начальных стадиях заболевания сосудистые пространства с просветами отсутствуют, но по мере развития процесса развиваются и становятся доминирующим признаком. Зрелые опухоли — типичные капиллярные гемангиомы с тонкой эндотелиальной выстилкой и без признаков атипии. Тромбы и флеболиты также могут обнаруживаться в гемангиоме, как и очаги сохранившейся нормальной ткани СЖ, они могут быть видны в зрелом новообразовании.
Прогноз при гемангиоме в целом благоприятный. Прогрессирующий рост отмечается лишь в редких случаях.
Опухоли лимфогемопоэтической системы
Лимфома Ходжкина
Вовлечение в опухолевый процесс слюнной железы при лимфоме Ходжкина наблюдается очень редко. Среди первичных лимфом СЖ лимфома Ходжкина составляет не более 4%. Могут встречаться, согласно данным литературы, два варианта, поражающих только СЖ классический вариант лимфомы Ходжкина и нодулярный вариант с лимфоидным преобладанием. В некоторых из этих случаев опухоль возникает в лимфатическом узле, располагающемся внутри околоушной слюнной железы. Это ставит под сомнение экстранодальную природу лимфомы СЖ. Редко лимфома Ходжкина может расти из опухоли Уортина. Более подробное описание клиники и морфологии лимфомы Ходжкина дано в соответствующих руководствах, посвященных опухолям гемопоэтической системы.Неходжкинские лимфомы
Первичные неходжкинские лимфомы СЖ — явление нечастое, они составляют около 5% всех экстранодальных лимфом и около 2% всех опухолей слюнной железы. Для того чтобы уверенно говорить о первичной лимфоме СЖ, необходимы поражение паренхимы железы и клинические проявления болезни в данной локализации (со стороны СЖ). Главной проблемой здесь является наличие лимфатических узлов внутри паренхимы околоушной слюнной железы. Случаи поражения неходжкинскими лимфомами этих узлов без вовлечения паренхимы СЖ должны расцениваться как нодальные лимфомы. Тем не менее, не всегда легко можно это определить, потому что в случаях значительного вовлечения в процесс паренхимы и лимфатического узла нельзя исключить последний в качестве первичного источника.Наиболее часто из больших желез поражается околоушная СЖ (до 75%), за ней следует — поднижнечелюстная слюнная железа (порядка 20%). Большинство пациентов — в возрасте 60 лет и старше, билатеральное поражение отмечается примерно в 10% случаев. У больных обнаруживается пальпируемое образование, боль и повышенная чувствительность отмечается в меньшей части наблюдений.
Гистологические типы неходжкинских лимфом, наблюдаемые в СЖ, в большинстве своем относятся к В-клеточным лимфомам. Ранее отмечалось, что наиболее частый тип — фолликулярная лимфома, составлявшая до 50% случаев. Однако в настоящее время считается, что многие из тех опухолей, по-видимому, были нодальными, так как они возникали из лимфатического узла внутри железы с последующей инфильтрацией паренхимы СЖ или представляли собой экстранодальную В-клеточную лимфому маргинальной зоны MALT-типа с выраженной фолликулярной колонизацией.
Эстранодальная В-клеточная лимфома маргинальной зоны MALT-типа — вероятнее всего, наиболее частый тип лимфомы истинного происхождения из слюнной железы. Она часто ассоциирована с синдромом Шегрена. Лимфома зоны мантии также может вовлекать в процесс ткань СЖ, но пациенты часто обращаются к врачу уже на далеко зашедшей стадии заболевания, когда имеются поражения других органов и локализаций. Очень важно не спутать лимфому зоны мантии с экстранодальной В-клеточной лимфомой маргинальной зоны, так как первая имеет намного худший прогноз, чем вторая.
Диффузная крупноклеточная В-клеточная лимфома составляет до 15% всех неходжкинских лимфом СЖ. Опухоль обладает инфильтративным ростом с разрушением железистой паренхимы слюнной железы и интерстициальной инфильтрацией среди остатков ацинусов СЖ. Опухоль состоит из крупных лимфоидных клеток, которые могут напоминать центробласты или иммунобласты, а также экспрессировать В-клеточные иммуногистохимические маркеры. Некоторые случаи пердставляют собой трансформацию из экстранодальной В-клеточной лимфомы маргинальной зоны MALT-типа.
Анапластическая крупноклеточная лимфома, периферическая Т-клеточная лимфома и экстранодальная лимфома из NK/T-клеток назального типа изредка также могут поражать СЖ.
Редкие случаи неходжкинских лимфом могут возникать из лимфоидной стромы опухоли Уортина, чаще других — фолликулярная лимфома. Кроме того, необходимо помнить, что лимфома, обнаруженная в опухоли Уортина, может быть проявлением генерализованного процесса.
Дифференциальная диагностика необходима с некоторыми доброкачественными состояниями, которые могут имитировать лимфому. Лимфоэпителиальный сиалоаденит — состояние, связанное с синдромом Шегрена, является заболеванием, предшествующим экстранодальной В-клеточной лимфоме маргинальной зоны MALT-типа.
Болезнь Кимура
Болезнь Кимура (Kimura) — доброкачественное заболевание неизвестной этиологии, обычно поражающее мягкие ткани области головы и шеи, чаще у взрослых лиц молодого возраста. Имеется предрасположенность к заболеванию в популяции азиатской расы. Часто поражаются большие слюнные железы. Болезнь характеризуется реактивными лимфоидными фолликулами, васкуляризацией центров размножения, выраженной эозинофильной инфильтрацией, пролиферацией венул и выраженным склерозом.Хронический склерозирующий сиалоаденит
Хронический склерозирующий сиалоаденит (опухоль Кюттнера — Kuettner) — хроническое воспалительное заболевание, поражающее поднижнечелюстную СЖ. Процесс может быть двусторонним. Поскольку железа увеличена в размерах и имеет плотную консистенцию, клинически всегда возникает подозрение на злокачественную опухоль. Гистологически отмечается густая диффузная лимфоидная инфильтрация, сопровождаемая образованием реактивных лимфоидных фолликулов, атрофией секреторных ацинусов СЖ, перидуктальным фиброзом и междольковым склерозом.На ранних стадиях заболевания выраженный лимфоидный инфильтрат может привести к ошибочному диагнозу: лимфома. В противоположность лимфоме, фолликулы выглядят реактивными, междуфолликулярные лимфоидные клетки лишены атипии, нет признаков инфильтративного роста, имеется смесь В- и Т-клеток, а В-клетки обладают поликлональным характером.
Болезнь Rosai-Dorfman (синоним: синусный гистиоцитоз с массивной лимфоаденопатией) может также поражать большие слюнные железы.
Прогноз при лимфоме СЖ зависит от ее типа и клинической стадии заболевания. Т-клеточные и экстранодальные NК/Т-клеточные лимфомы, в общем, связаны с худшим прогнозом. Считается, что в случаях нодального происхождения лимфомы прогноз хуже, чем при экстранодально-паренхиматозном.
Вторичные опухоли
По определению ВОЗ, под вторичной опухолью подразумевают отдаленную метастатическую опухоль любой первичной локализации, поражающую СЖ. Вторичное поражение слюнной железы составляет в среднем 5% всех злокачественных опухолей СЖ. Пик частоты встречаемости метастатического поражения СЖ приходится на возраст 70-80 лет. Почти 70% метастатических опухолей слюнной железы обнаруживаются у пациентов мужского пола. По частоте в большинстве наблюдений встречаются плоскоклеточный рак и меланома.Подавляющее большинство метастазов локализуется в околоушной СЖ, затем в — поднижнечелюстной СЖ. Метастазы встречаются в интерстициальной ткани и интра- или перигландулярных лимфатических узлах с небольшим преобладанием экстранодальных инфильтратов. Клинически в 80% случаев в слюнной железе метастазируют опухоли из области головы и шеи. С другой стороны, в 85% случаев опухоли отдаленных локализаций метастазируют в поднижнечелюстную СЖ.
Первичный очаг — чаще верхняя и средняя часть области лица, в том числе и кожа, слизистые оболочки, глубокие мягкие ткани, а также глаза и уши. Из отдаленных локализаций чаще других в СЖ метастазируют раки легкого, (особенно мелкоклеточный рак), почки и молочной железы. Тем не менее, почти в 10% случаев метастатических поражений первичный источник остается невыявленным. Гистологически метастазы повторяют в целом тип структуры и клеточные характеристики соответствующей первичной опухоли.
А.И. Пачес, Т.Д. Таболиновская
medbe.ru
Нейроэндокринные опухоли легких — PDF
ПЭТ и ПЭТ/КТ в диагностике рака легкого
Военно-медицинская академия им. С.М. Кирова КАФЕДРА РЕНТГЕНОЛОГИИ И РАДИОЛОГИИ (С КУРСОМ УЛЬТРАЗВУКОВОЙ ДИАГНОСТИКИ) ПЭТ и ПЭТ/КТ в диагностике рака легкого Бойков И.В. Санкт-Петербург 2016 Показания к
ПодробнееВопросы по предмету «Онкология»
Вопросы по предмету «Онкология» 1. Предмет «онкология», задачи онкологии, как науки. 2. Выдающиеся отечественные и зарубежные онкологи (П.А.Герцен, Н.Н.Петров, А.И.Савицкий, Н.Н.Блохин, В.И.Чиссов и другие).
ПодробнееВопросы к квалификационному экзамену
Вопросы к квалификационному экзамену 1. Терминология определение понятий «опухоль», «рак», «саркома». Свойства опухолей. 2. Виды и этапы метастазирования. 3. Классификация TNM, основные и специальные символы,
ПодробнееЯблонский П.К., Аветисян А.О., Кудряшов Г.Г., Васильев И.В., Тлостанова М.С., Овчинникова Н.В., Давидьянц Е.В., Русанов А.А., Казаков Н.В.
Федеральное государственное бюджетное учреждение «Санкт-Петербургский научно-исследовательский институт фтизиопульмонологии» Министерства здравоохранения РФ Яблонский П.К., Аветисян А.О., Кудряшов Г.Г.,
ПодробнееДиагноз: МЭН I типа :
З., 17 лет Диагноз: МЭН I типа : 1.Рецидивная инсулинома хвоста поджелудочной железы (состояние после удаления опухоли в 2006 году, рецидив опухоли в 2008 году, повторное удаление опухоли). 2.Аденома гипофиза.
ПодробнееРедкие формы рака легких
Существует несколько различных видов рака легких, часто называемых подтипами рака легких. Некоторые из них возникают более часто, чем другие. В данном информационном листке мы специально рассматриваем
ПодробнееЗЛОКАЧЕСТВЕННАЯ ЛИМФОМА ШЕЙКИ МАТКИ
ЗЛОКАЧЕСТВЕННАЯ ЛИМФОМА ШЕЙКИ МАТКИ АНАЛИЗ КЛИНИЧЕСКОГО СЛУЧАЯ Надежда Теврюкова Александра Асатурова 28 октября 2017 г. НЕХОДЖКИНСКАЯ ЛИМФОМА Неходжкинская лимфома составляет 2,7 % от всех злокачественных
ПодробнееБилеты итогового зачета Билет 1
Билеты итогового зачета Билет 1 1. Этиология и патогенез СД 1 типа. 2. Диагностика и лечение аутоиммунного тиреоидита. У больного при осмотре врачом обнаружено потемнение ладонных складок, локтях, низкое
ПодробнееФОНДЫ ОЦЕНОЧНЫХ СРЕДСТВ
ФОНДЫ ОЦЕНОЧНЫХ СРЕДСТВ БАЛЛЬНО-РЕЙТИНГОВАЯ СИСТЕМА ОЦЕНКИ ЗНАНИЙ ОРДИНАТОРОВ ПО ДИСЦИПЛИНЕ онкология Дисциплина онкология Работа в семестре Максимальное число баллов, набранных в семестре 100 Вид задания
ПодробнееИНТЕРНАТУРА ПО СПЕЦИАЛЬНОСТИ «ОНКОЛОГИЯ»
Министерство здравоохранения Российской Федерации Государственное бюджетное образовательное учреждение высшего профессионального образования «ИРКУТСКИЙ ГОСУДАРСТВЕННЫЙ МЕДИЦИНСКИЙ УНИВЕРСИТЕТ» (ГБОУ ВПО
ПодробнееПрименение ОФЭКТ-КТ в онкологии
Применение ОФЭКТ-КТ в онкологии С.В. Ширяев Лаборатория радиоизотопной диагностики НИИ Клинической и экспериментальной радиологии РОНЦ им. Н.Н. Блохина Радионуклидная диагностика Радиометрия Однофотонные
ПодробнееНейроэндокринные опухоли
Кондрацкий Юрий Николаевич Руководитель отделения опухолей грудной полости Национальный институт рака Нейроэндокринные опухоли возникают из клеток так называемой диффузной эндокринной системы (ДЭС). До
ПодробнееКЛИНИКИ ЧАЙКА Онко check-up
Онко check-up Онко check-up Онко check-up это программа, направленная на выявление ранних стадий и скрытых форм некоторых видов рака для людей, у которых ранее не было диагностировано онкологических заболеваний
ПодробнееВОПРОСЫ ДЛЯ ИГА 1. Правовые основы медицинской деятельности (УК-1, УК-2, УК-3, ПК-1, ПК-2) 2. Основы медицинского страхования (УК-1, УК-2, УК-3,
ВОПРОСЫ ДЛЯ ИГА 1. Правовые основы медицинской деятельности (УК-1, УК-2, УК-3, ПК-1, ПК-2) 2. Основы медицинского страхования (УК-1, УК-2, УК-3, ПК-1, ПК-2) 3. Национальный проект «Здоровье» (УК-1, УК-2,
Подробнееdocplayer.ru
Карциномы слюнных желез низкой степени злокачественности
Лимфоэпителиальная карцинома
Лимфоэпителиальная карцинома — недифференцированный рак, сопровождающийся выраженными неопухолевыми лимфоплазмоцитарными инфильтратами. Код — 8082/3.Синонимы: лимфоэпителиоподобный рак, злокачественная лимфоэпителиальная опухоль, недифференцированный рак с лимфоидной стромой, недифференцированный рак, рак из лимфоэпителиальной опухоли.
Как вариант недифференцированного рака, одни считают злокачественным аналогом доброкачественного лимфоэпителиального поражения, другие — как низкодифференцированный плоскоклеточный рак с лимфоидной стромой (Т.А. Белоус, 1993).
Макроскопически опухоль может быть четко отграниченной или иметь выраженные признаки инвазии в окружающую ткань железы и прилежащие к ней мягкие ткани. Узлы опухоли имеют плотную консистенцию и размеры от 1 до 10 см (в среднем 2-3 см).
Гистологически опухоль растет в виде инфильтративных очагов, пучков, островков, разделенных лимфоидной стромой. Опухолевые клетки имеют нечеткие границы, светлую оксифильную цитоплазму и овальное пузырьковидное ядро с хорошо заметным ядрышком. Ядра обычно умеренно варьируют по размерам, хотя в редких случаях бывают совсем мономорфными. Обычно легко обнаруживаются поля некроза и множество митотических фигур. Иногда опухолевые клетки имеют «пухлую» и веретеновидную форму и формируют характерного вида пучки. Иногда встречаются фокусы плоскоклеточной дифференцировки в виде увеличения объема оксифильной цитоплазмы опухолевых клеток и появления нечетко выраженных межклеточных мостиков.
Опухоль густо инфильтрирована лимфоцитами и плазматическими клетками, часто с образованием реактивных лимфоидных фолликулов. Лимфоидный компонент может быть столь выраженным, что маскирует эпителиальную природу опухоли. В некоторых случаях в островках опухоли обнаруживаются в большом количестве гистиоциты, создавая картину так называемого «звездного неба». К другим непостоянным признакам относят: образование «неказеозных» гранулем с наличием или без гигантских многоядерных клеток, отложения амилоида, формирование кист в островках некоторых опухолей, периневральную или лимфоваскулярную инвазию.
Клетки опухоли иммунореактивны в отношении панцитокератина и эпителиального мембранного антигена. Лимфоидные клетки представлены смесью Т- и В-клеток. Электронная микроскопия выявляет признаки плоскоклеточной дифференцировки в виде десмосом и тонофиламентов.
В опухолевых клетках при помощи методов FISH или CISH можно выявить вирусную РНК и ДНК, принадлежащую вирусу Эпштейна—Барр. Иммуногистохимическое определение мембранного протеина 1 вируса Эпштейна—Барр более вариабельно.
Дифференциальный диагноз проводится с метастазом недифференцированного рака, злокачественной лимфомой, лимфоэпителиальным сиалоаденитом, лимфаденомой, а также крупноклеточным недифференцированным раком. При лимфоэпителиальном сиалоадените нет выраженной клеточной атипии, присутствует базальная мембрана, нет десмопластической реакции стромы, нет связи с инфекцией, вызванной вирусом Эпштейна—Барр. Для лимфаденомы характерно более или менее выраженное формирование железистых структур, нет клеточной атипии, нет десмопластической стромы и связи с инфекцией, вызванной вирусом Эпштейна—Барр.
Большинство лимфоэпителиальных карцином растут de novo, но иногда они могут развиваться в лимфоэпителиальном сиалоадените (прежнее название — миоэпителиальный сиалоаденит). Сообщают о семейной предрасположенности к лимфоэпителиальной карциноме слюнной железы (СЖ) при доминантно наследуемой трихоэпителиоме, что, предположительно, связано с общими генами-супрессорами.
Лимфоэпителиальная карцинома СЖ редкая опухоль, составляющая менее 1 % всех опухолей слюнной железы. Имеется расовая предрасположенность к заболеванию: чаще болеют эскимосы в арктических регионах (Гренландия, Канада, Аляска), юго-восточные китайцы и японцы. Эскимосское племя инуитов имеет наивысшую в мире частоту встречаемости по опухолям СЖ большинство из которых представлено лимфоэпителиальной карциномой. Легкое преобладание женщин, частое вовлечение околоушной железы, более частое наблюдение запущенных стадий заболевания и, вероятно, более агрессивное клиническое течение заболевания — все это отмечено у инуитов. Возраст больных лимфоэпителиальной карциномой лежит в широком диапазоне — 10-90 лет, наиболее часто болеют лица 40-50 лет.
Этиологически почти в 100% случаев имеется связь лимфоэпителиальной карциномы СЖ с вирусом Эпштейна— Барр в эндемичных районах, что предполагает важную роль этого вируса в онкогенезе. Серологическое исследование выявляет повышенные титры антител: IgA — к капсидному и/ или IgG — к ядерному антигену вируса Эпштейна—Барр более, чем у 50% пациентов с лимфоэпителиальной карциномой в эндемичных районах У больных из неэндемичных районов вирус Эпштейна—Барр обнаруживается в редких случаях. Эти данные указывают на целый комплекс взаимодействий этнических, географических и вирусных факторов в патогенезе лимфоэпителиальной карциномы слюнной железы.
Локализация лимфоэпителиальной карциномы в 80% наблюдений связана с околоушной СЖ за ней следует поднижнечелюстная СЖ. Изредка лимфоэпителиальная карцинома возникает в малых слюнных железах ротовой полости и ротоглотки.
Клинически лимфоэпителиальная карцинома представляет собой увеличение околоушной и поднижнечелюстной СЖ нередко длительно существующее, но с внезапно быстрым ростом. Боль может отсутствовать. В запущенных стадиях опухоль может быть спаяна с окружающими тканями или кожей. Поражение лицевого нерва встречается не более чем в 20% случаев. Метастазы в лимфатических узлах наблюдаются в 10-40% случаев. Не отмечается ни клинических, ни серологических данных, подтверждающих связь заболевания с синдромом Шегрена.
Поскольку лимфоэпителиальный рак СЖ морфологически не отличим от назофарингеального рака (который встречается гораздо чаще), важно также брать и исследовать биопсию из носоглотки до того, как утверждать первичную природу опухоли в качестве лимфоэпителиальной карциномы слюнной железы.
Лимфоэпителиальная карцинома имеет склонность к метастатическому распространению в регионарные лимфатические узлы. Приблизительно в 20% случаев обнаруживаются отдаленные метастазы, среди локализаций которых чаще встречаются легкие, печень, кости и головной мозг. Характерная лимфоплазмоцитарная инфильтрация, выраженная в первичной опухоли, может быть слабой или вообще отсутствовать в метастазах.
Прогностически у пациентов с комбинированным лечением (операция с лучевой терапией) 5-летняя выживаемость достигает 75-86%, несмотря на возможность местного рецидива. Главным и самым значимым прогностическим фактором является стадия заболевания. Предпринимались попытки классифицировать «грейд» лимфоэпителиальной карциномы в зависимости от числа митозов и степени клеточного полиморфизма, однако на настоящий момент нет такой системы подразделения лимфоэпителиальной карциномы по степени злокачественности, которая была бы общепринята или хотя бы широко распространена.
Мелкоклеточная карцинома
Мелкоклеточная карцинома — редкая злокачественная эпителиальная опухоль, характеризующаяся пролиферацией мелких анаплазированных клеток со скудной цитоплазмой, нежным ядерным хроматином и незаметными ядрышками. Код — 8041/3.Синонимы: мелкоклеточный недифференцированный рак, мелкоклеточный анапластический рак, овсяно-клеточный рак, нейроэндокринный рак.
Мелкоклеточная карцинома составляет менее 1 % всех опухолей СЖ и приблизительно — 2% злокачественных опухолей СЖ. Возраст большинства пациентов на момент постановки диагноза — старше 50 лет, но, тем не менее, опухоль описана и у молодых лиц. Несколько чаще данное новообразование поражает мужчин.
Локализация опухоли связана с большими и с малыми слюнными железами, а наиболее часто встречается в околоушной СЖ.
Клинически пациенты жалуются на безболезненную, быстро растушую в течение нескольких месяцев опухоль. Увеличение шейных лимфатических узлов и паралич мимических мышц — частые находки. Паранеопластический синдром, связанный с продукцией эктопических гормонов, не характерен.
Макроскопически мелкоклеточная карцинома — плотная опухоль с нечеткими границами, часто с признаками инфильтрации соседней паренхимы СЖ и прилежащих мягких тканей. Опухоль обычно имеет сероватый или белесоватый цвет, как правило, с участками кровоизлияний и некроза.
Гистологически мелкоклеточная карцинома характеризуется пучками, гнездами неправильной формы, состоящими из анапластических клеток и различного количества фиброзной стромы. Гнезда опухолевых клеток могут формировать палисадные структуры по периферии опухоли. Изредка видны розеткоподобные структуры. Опухолевые клетки по размеру обычно в 2-3 раза больше, чем зрелые лимфоциты, и имеют округлое или овальное ядро со скудной цитоплазмой. Иногда встречаются единичные полигональные, а также крупные клетки.
Хроматин в ядрах нежный, а ядрышки незаметны или отсутствуют. Границы клеток определяются плохо, и часто наблюдается «напластование» ядер друг на друга. Обнаруживают множество митотических фигур. Опухоль может иметь мелкие и редкие фокусы протоковой дифференцировки. Также описаны фокусы плоскоклеточной дифференцировки. Частое явление — обширные поля некроза, кровоизлияния, признаки периневральной инвазии.
Иммунопрофиль большинства мелкоклеточных карцином характеризуется тем, что опухоль экспрессирует хотя бы один нейроэндокринный маркер, как то: хромогранин А, синаптофизин, CD57 (Leu-7), CD56 и нейрофиламенты. Тем не менее, иммунореактивность одной лишь нейронспецифической енолазы не достаточно для подтверждения нейроэндокринной дифференцировки опухоли.
Большинство мелкоклеточных карцином позитивны по экспрессии цитокератинов, которые часто характеризуются точечным околоядерным примером реакции. Большинство опухолей также являются позитивными на ЭМА. Мелкоклеточные карциномы слюнной железы так же как и рак из клеток Меркеля, но не так как мелкоклеточный рак легкого, в 3/4 случаев положительны к цито кератину 20. Следует сказать, что мелкоклеточный рак СЖ негативен к белку S-100 и НМВ-45.
Электронная микроскопия демонстрирует нейроэндокринные гранулы, связанные с мембраной, примерно в 1/3 случаев мелкоклеточной карциномы. Опухолевые клетки содержат редкие органеллы, а в разной степени сформированные десмосомы обеспечивают контакты между ними. Присутствие в них микрофиламентов и тонофиламентов свидетельствует о разнонаправленной дифференцировке клеток.
Прогноз при мелкоклеточной карциноме в целом неблагоприятный: местные рецидивы и отдаленные метастазы возникают более чем у 50% пациентов. Метастазирование в регионарные лимфатические узлы шеи наблюдается реже, чем отдаленное метастазирование. Уровень 5-летней выживаемости при мелкоклеточной карциноме колеблется от 13 до 46%, по данным различных авторов. Уровень выживаемости еще ниже у больных первичной опухолью, размерами более 3 см, негативным окрашиванием на цитокератин 20 и сниженной иммунореактивностью к нейроэндокринным маркерам.
Крупноклеточная карцинома
Крупноклеточная карцинома — редкая высокозлокачественная эпителиальная опухоль СЖ, состоящая из плеоморфных клеток с обильной цитоплазмой и отсутствием специфичных признаков опухолей других типов. Код — 801 2/3.Синоним: крупноклеточный недифференцированный рак.
Крупноклеточная карцинома встречается чрезвычайно редко. Мужчины и женщины поражаются с одинаковой частотой, а средний возраст большинства пациентов — старше 60 лет.
Локализуется крупноклеточная карцинома в больших слюнных железах, особенно в околоушной СЖ. Имеется описание нескольких опухолей, возникавших в малых СЖ. Клинически крупноклеточная карцинома у большинства пациентов протекает в виде быстро растущей плотной опухоли, часто с фиксацией к окружающим тканям. Увеличение лимфатических узлов шеи и паралич лицевого нерва — частые явления.
Макроскопически опухоль обычно имеет нечеткие границы, плотную консистенцию с серовато-белесоватой или буроватой поверхностью на разрезе. Можно обнаружить некрозы и кровоизлияния. Нередка инвазия в окружающую жировую клетчатку или прилежащую ткань слюнной железы.
Гистологически опухоль состоит из крупных плеоморфных клеток (> 30 мкм) с обильной эозинофильной или, иногда, светлой цитоплазмой. В некоторых опухолях имеется несвязанная структура, напоминающая лимфому. Ядра опухолевых клеток имеют полигональную или неправильную форму, выделяющиеся ядрышки и грубодисперсный с везикулярными изменениями хроматин. Обычно границы клеток определяются четко. Могут присутствовать уродливые гигантские опухолевые клетки. Легко определяются митотические фигуры.
Структура опухоли состоит из пучков и трабекул с выраженной склонностью к некрозу. В некоторых крупноклеточных карциномах попадаются органоидные, розеткоподобные, периферические палисадные структуры. Также в крупноклеточных карциномах могут присутствовать редкие фокусы протоковой или плоскоклеточной дифференцировки. Инфильтрация лимфоидными элементами обычно очаговая. Видны признаки сосудистой и периневральной инвазии.
Иммунопрофиль крупноклеточной карциномы в некоторых случаях позитивен к одному из эндокринных маркеров, таким как: хромогранин А, синаптофизин, CD57, CD56, PGP9.5. Не было найдено признаков позитивности к цитокератину 20. Индекс мечения Ki-67 высок и часто достигает 50% и выше. В одном из сообщений о двух случаях опухолевые клетки в крупноклеточной карциноме были диффузно позитивны к bcl-2, циклину D1 и эпидермальному фактору роста. Там же отмечалась сниженная экспрессия p21/wafl и p27/kipl. Диффузная ядерная экспрессия TP53 отмечалась в 4 из 5 наблюдений.
Электронная микроскопия при крупноклеточном раке показывает редкие признаки плоскоклеточной или железистой дифференцировки, не заметные на светооптическом уровне. Признаки нейроэндокринной дифференцировки крайне редки, нейросекреторные гранулы описаны всего лишь в 3 случаях. Опухолевые клетки объединены выраженными десмосомоподобными соединениями. Молекулярно-генетические исследования скудны. В 2/3 случаев определяются мутации гена ТР53. Описаны случаи потери гетерозиготности в хромосомах 17р и 9р21.
Прогностически крупноклеточная карцинома — агрессивная опухоль, со склонностью к местным рецидивам, метастазированию в лимфатические узлы шеи и отдаленные органы. По некоторым данным, размер клеток не имеет значимого прогностического значения. Показано, что размер опухоли — хороший индикатор прогноза: все больные с опухолью более 4 см в диаметре умирают от заболевания с отдаленными метастазами.
Сиалобластома
Сиалобластома — чрезвычайно редкая, потенциально агрессивная опухоль околоушной или поднижнечелюстной СЖ, которая обычно существует с рождения и повторяет примитивную закладку СЖ. Код — 8974/1.Синонимы: врожденная базальноклеточная аденома, базальноклеточная аденома, базалоидная аденокарцинома, врожденная опухоль-гибрид базальноклеточной аденомы и аденокистозного рака, эмбриома.
Большинство сиалоаденом диагностируется в момент или в течение короткого периода после рождения. В редких случаях диагноз устанавливается у детей в возрасте 2 лет. На сегодняшний день имеются сообщения не более чем о 25 случаях сиалобластомы. Соотношение по полу М:Ж = 2:1. Локализация опухоли — околоушная или поднижнечелюстная слюнная железа с соотношением между ними приблизительно 3:1.
Клинически у младенцев отмечается появление припухлости в области щеки или поднижнечелюстной области. Некоторые опухоли могут достигать больших размеров, вызывать изъязвление кожи над ними. Опухоль может сочетаться с другими новообразованиями — врожденными невусами, гепатобластомой. Диагноз иногда ставится по данным пренатальной сонографии. Рентгенологически сиалобластома выглядит в виде дольчатой массы с экспансивным ростом. Правильно взятая биопсия может иметь большое значение для дифференциальной диагностики данной опухоли с другой — требующей неоадьювантной химиотерапии, как, например, рабдомиосаркома.
Гистологически сиалобластома состоит из базалоидных эпителиальных клеток с пестрой цитоплазмой, округло-овальными ядрами с одиночным или множественными ядрышками и относительно нежным хроматином. Также можно увидеть более зрелые кубические эпителиальные клетки с розовой цитоплазмой. Эти клетки образуют маленькие протоки, почковидные структуры и солидные органоидные гнезда, и могут иметь палисадный вид по периферии.
Строма опухоли выглядит рыхлой и незрелой. Могут быть видны миоэпителиальные клетки, что подтверждается данными электронной микроскопии. Встречаются и более знакомые типы структуры опухолей СЖ, как, например, криброзный, по типу аденокистозного. Митотическая активность внутри сиалобластомы варьирует в широких пределах, но может возрастать при рецидивах, так же, как и некротические изменения, полиморфизм и индекс мечения Ki-67.
Предполагают, что на основании таких признаков, как наличие или отсутствие периневральной или сосудистой инвазии, степени клеточной атипии и выраженности некроза, эти опухоли можно подразделять на доброкачественные и злокачественные. Иммуногистохимически в сиалобластоме отмечается диффузная экспрессия белка S-100 и виментина; экспрессия цитокератина ограничена протоковыми структурами. Гистогенез сиалобластомы предположительно связан скорее с бластомной стволовой клеткой, чем с базальной клеткой резервного эпителия. Описаны сопутствующие этой опухоли дисэмрионогенетические изменения прилежащей ткани околоушной СЖ и пролиферация терминальных эпителиальных луковиц протоков.
Прогностически сиалобластома склонна давать рецидивы (22% случаев), иногда — регионарные метастазы (9%), а также описан один случай с летальным исходом. Большинство же детей излечивается полностью после первичного хирургического вмешательства.
Опухоли мягких тканей
Истинные мезенхимальные опухоли (исключая опухоли гемопоэтической системы) встречаются крайне редко и составляют примерно 1,9-4,7% всех опухолей слюнных желез, причем доброкачественные опухоли встречаются чаще сарком. Соотношение доброкачественных и злокачественных опухолей СЖ по разным данным, варьирует от 3:1 до 18:1. Свыше 85% мезенхимальных опухолей СЖ возникают в околоушной слюнной железе, а еще более 10% — в поднижнечелюстной СЖ в подъязычной СЖ — описаны лишь редкие случаи.Наиболее часто среди доброкачественных новообразований встречаются сосудистые опухоли слюнной железы они составляют около 40% доброкачественных опухолей СЖ 75-80% опухолей — гемангиомы, обычно, ювенильного или клеточного типа, с наибольшей частотой встречаемости в первые десять лет жизни. Большинство других сосудистых опухолей — лимфангиомы. Еще одна большая группа доброкачественных мягкотканных опухолей СЖ включает в себя нейрогенные опухоли (нейрофиброму или шванному), фибробластические/миофибробластические опухоли (нодулярный фасциит), фиброматоз, фиброму гемангиоперицитому, солитарную фиброзную опухоль) и воспалительную псевдоопухоль (воспалительная миофибробластическая опухоль).
Также встречаются и описаны липомы (в том числе и плеоморфные варианты) и много других новообразований, включающих в себя: гранулярно-клеточную опухоль, ангиому гломангиому, миксому, фиброзную гистиоцитому гигантоклеточную опухоль и остеохондрому. Изредка можно встретить метастаз саркомы в слюнной железе из другого первичного источника. Описано несколько случаев липом, «вмурованных» в ткань СЖ которые стали именовать сиалолипомы, в том числе и врожденные случаи.
Саркомы СЖ возникают у лиц более старшего возраста по сравнению с доброкачественными опухолями слюнной железы. Саркомы — крайне редкие новообразования СЖ они составляют не более 0,3% случаев опухолей данной локализации. Почти любой тип саркомы может возникнуть в СЖ. В больших исследовательских сериях отмечено, что чаще остальных в слюнной железе встречаются гемангиоперицитома, злокачественная шваннома, фибросаркома и злокачественная фиброзная гистиоцитома.
Эти агрессивные опухоли склонны к частым рецидивам — порядка 40-64%, а также к отдаленным метастазам — 38-64%. Примерно в таких же пределах (38-64%) находится и уровень смертности от сарком в течение первых трех лет после постановки диагноза. Наиболее радикальным методом лечения сарком СЖ является максимально широкое оперативное вмешательство с последующей лучевой терапией. Гистологическое строение сарком в СЖ не отличается от такового при этих опухолях других локализаций.
Гемангиома
Гемангиома — образование, характеризующееся пролиферацией эндотелиальных клеток или перицитов. Код — 91 20/0.Синонимы: доброкачественная инфантильная гемангиоэндотелиома, инфантильная гемангиома, клеточная гемангиома, незрелая капиллярная гемангиома, ювенильная гемангиома.
Частота возникновения гемангиомы слюнной железы — около 0,4% от всех опухолей СЖ. Новообразование может встречаться в любом возрасте, но чаще — примерно в 2/3 всех случаев в первые 20 лет жизни. У женщин гемангиома встречается в 2 раза чаще, чем у мужчин.
Локализация гемангиомы СЖ практически исключительно связана с околоушной слюнной железой.
Клинически опухоль бессимптомная или в виде безболезненной мягкой припухлости. Эта припухлость обычно появляется в первые 6 месяцев жизни и постепенно медленно увеличивается в размерах. Большое количество гемангиом, очевидно, подвергается самостоятельной инволюции к 5-6 годам. Синеватый цвет образования может быть виден через кожу, однако сама кожа не поражается заболеванием. Процесс обычно ограничен околоушной СЖ, но в некоторых случаях имеется ангиоматоз, распространяющийся на парафарингеальное пространство, внутреннюю височную ямку или основание черепа.
В диагностике этой опухоли и ее распространения помогают инструментальные методы исследования.
Макроскопически опухоль вызывает диффузное увеличение железы.
Гистологически новообразование состоит из сосудистых щелей и пространств различных размеров и формы. Ювенильный вариант представлен мелкими округлыми плотно упакованными в виде очагов эндотелиальными клетками и перицитами, которые располагаются диффузно по всему протяжению органа, но разделяются на дольки соединительнотканными прослойками железы. Опухолевые клетки замещают ацинарные клетки, увеличивают в размерах дольки, но оставляют непораженными протоки и их просветы.
Митозы немногочисленны или умеренны при ювенильной форме. На начальных стадиях заболевания сосудистые пространства с просветами отсутствуют, но по мере развития процесса развиваются и становятся доминирующим признаком. Зрелые опухоли — типичные капиллярные гемангиомы с тонкой эндотелиальной выстилкой и без признаков атипии. Тромбы и флеболиты также могут обнаруживаться в гемангиоме, как и очаги сохранившейся нормальной ткани СЖ, они могут быть видны в зрелом новообразовании.
Прогноз при гемангиоме в целом благоприятный. Прогрессирующий рост отмечается лишь в редких случаях.
Опухоли лимфогемопоэтической системы
Лимфома Ходжкина
Вовлечение в опухолевый процесс слюнной железы при лимфоме Ходжкина наблюдается очень редко. Среди первичных лимфом СЖ лимфома Ходжкина составляет не более 4%. Могут встречаться, согласно данным литературы, два варианта, поражающих только СЖ классический вариант лимфомы Ходжкина и нодулярный вариант с лимфоидным преобладанием. В некоторых из этих случаев опухоль возникает в лимфатическом узле, располагающемся внутри околоушной слюнной железы. Это ставит под сомнение экстранодальную природу лимфомы СЖ. Редко лимфома Ходжкина может расти из опухоли Уортина. Более подробное описание клиники и морфологии лимфомы Ходжкина дано в соответствующих руководствах, посвященных опухолям гемопоэтической системы.Неходжкинские лимфомы
Первичные неходжкинские лимфомы СЖ — явление нечастое, они составляют около 5% всех экстранодальных лимфом и около 2% всех опухолей слюнной железы. Для того чтобы уверенно говорить о первичной лимфоме СЖ, необходимы поражение паренхимы железы и клинические проявления болезни в данной локализации (со стороны СЖ). Главной проблемой здесь является наличие лимфатических узлов внутри паренхимы околоушной слюнной железы. Случаи поражения неходжкинскими лимфомами этих узлов без вовлечения паренхимы СЖ должны расцениваться как нодальные лимфомы. Тем не менее, не всегда легко можно это определить, потому что в случаях значительного вовлечения в процесс паренхимы и лимфатического узла нельзя исключить последний в качестве первичного источника.Наиболее часто из больших желез поражается околоушная СЖ (до 75%), за ней следует — поднижнечелюстная слюнная железа (порядка 20%). Большинство пациентов — в возрасте 60 лет и старше, билатеральное поражение отмечается примерно в 10% случаев. У больных обнаруживается пальпируемое образование, боль и повышенная чувствительность отмечается в меньшей части наблюдений.
Гистологические типы неходжкинских лимфом, наблюдаемые в СЖ, в большинстве своем относятся к В-клеточным лимфомам. Ранее отмечалось, что наиболее частый тип — фолликулярная лимфома, составлявшая до 50% случаев. Однако в настоящее время считается, что многие из тех опухолей, по-видимому, были нодальными, так как они возникали из лимфатического узла внутри железы с последующей инфильтрацией паренхимы СЖ или представляли собой экстранодальную В-клеточную лимфому маргинальной зоны MALT-типа с выраженной фолликулярной колонизацией.
Эстранодальная В-клеточная лимфома маргинальной зоны MALT-типа — вероятнее всего, наиболее частый тип лимфомы истинного происхождения из слюнной железы. Она часто ассоциирована с синдромом Шегрена. Лимфома зоны мантии также может вовлекать в процесс ткань СЖ, но пациенты часто обращаются к врачу уже на далеко зашедшей стадии заболевания, когда имеются поражения других органов и локализаций. Очень важно не спутать лимфому зоны мантии с экстранодальной В-клеточной лимфомой маргинальной зоны, так как первая имеет намного худший прогноз, чем вторая.
Диффузная крупноклеточная В-клеточная лимфома составляет до 15% всех неходжкинских лимфом СЖ. Опухоль обладает инфильтративным ростом с разрушением железистой паренхимы слюнной железы и интерстициальной инфильтрацией среди остатков ацинусов СЖ. Опухоль состоит из крупных лимфоидных клеток, которые могут напоминать центробласты или иммунобласты, а также экспрессировать В-клеточные иммуногистохимические маркеры. Некоторые случаи пердставляют собой трансформацию из экстранодальной В-клеточной лимфомы маргинальной зоны MALT-типа.
Анапластическая крупноклеточная лимфома, периферическая Т-клеточная лимфома и экстранодальная лимфома из NK/T-клеток назального типа изредка также могут поражать СЖ.
Редкие случаи неходжкинских лимфом могут возникать из лимфоидной стромы опухоли Уортина, чаще других — фолликулярная лимфома. Кроме того, необходимо помнить, что лимфома, обнаруженная в опухоли Уортина, может быть проявлением генерализованного процесса.
Дифференциальная диагностика необходима с некоторыми доброкачественными состояниями, которые могут имитировать лимфому. Лимфоэпителиальный сиалоаденит — состояние, связанное с синдромом Шегрена, является заболеванием, предшествующим экстранодальной В-клеточной лимфоме маргинальной зоны MALT-типа.
Болезнь Кимура
Болезнь Кимура (Kimura) — доброкачественное заболевание неизвестной этиологии, обычно поражающее мягкие ткани области головы и шеи, чаще у взрослых лиц молодого возраста. Имеется предрасположенность к заболеванию в популяции азиатской расы. Часто поражаются большие слюнные железы. Болезнь характеризуется реактивными лимфоидными фолликулами, васкуляризацией центров размножения, выраженной эозинофильной инфильтрацией, пролиферацией венул и выраженным склерозом.Хронический склерозирующий сиалоаденит
Хронический склерозирующий сиалоаденит (опухоль Кюттнера — Kuettner) — хроническое воспалительное заболевание, поражающее поднижнечелюстную СЖ. Процесс может быть двусторонним. Поскольку железа увеличена в размерах и имеет плотную консистенцию, клинически всегда возникает подозрение на злокачественную опухоль. Гистологически отмечается густая диффузная лимфоидная инфильтрация, сопровождаемая образованием реактивных лимфоидных фолликулов, атрофией секреторных ацинусов СЖ, перидуктальным фиброзом и междольковым склерозом.На ранних стадиях заболевания выраженный лимфоидный инфильтрат может привести к ошибочному диагнозу: лимфома. В противоположность лимфоме, фолликулы выглядят реактивными, междуфолликулярные лимфоидные клетки лишены атипии, нет признаков инфильтративного роста, имеется смесь В- и Т-клеток, а В-клетки обладают поликлональным характером.
Болезнь Rosai-Dorfman (синоним: синусный гистиоцитоз с массивной лимфоаденопатией) может также поражать большие слюнные железы.
Прогноз при лимфоме СЖ зависит от ее типа и клинической стадии заболевания. Т-клеточные и экстранодальные NК/Т-клеточные лимфомы, в общем, связаны с худшим прогнозом. Считается, что в случаях нодального происхождения лимфомы прогноз хуже, чем при экстранодально-паренхиматозном.
Вторичные опухоли
По определению ВОЗ, под вторичной опухолью подразумевают отдаленную метастатическую опухоль любой первичной локализации, поражающую СЖ. Вторичное поражение слюнной железы составляет в среднем 5% всех злокачественных опухолей СЖ. Пик частоты встречаемости метастатического поражения СЖ приходится на возраст 70-80 лет. Почти 70% метастатических опухолей слюнной железы обнаруживаются у пациентов мужского пола. По частоте в большинстве наблюдений встречаются плоскоклеточный рак и меланома.Подавляющее большинство метастазов локализуется в околоушной СЖ, затем в — поднижнечелюстной СЖ. Метастазы встречаются в интерстициальной ткани и интра- или перигландулярных лимфатических узлах с небольшим преобладанием экстранодальных инфильтратов. Клинически в 80% случаев в слюнной железе метастазируют опухоли из области головы и шеи. С другой стороны, в 85% случаев опухоли отдаленных локализаций метастазируют в поднижнечелюстную СЖ.
Первичный очаг — чаще верхняя и средняя часть области лица, в том числе и кожа, слизистые оболочки, глубокие мягкие ткани, а также глаза и уши. Из отдаленных локализаций чаще других в СЖ метастазируют раки легкого, (особенно мелкоклеточный рак), почки и молочной железы. Тем не менее, почти в 10% случаев метастатических поражений первичный источник остается невыявленным. Гистологически метастазы повторяют в целом тип структуры и клеточные характеристики соответствующей первичной опухоли.
А.И. Пачес, Т.Д. Таболиновская
medbe.ru
Карциноидные опухоли торакальной локализации — современное состояние проблемы
ПРАКТИЧЕСКАЯ ОНКОЛОГИЯ • Т.6, № 4 – 2005
ГУ РОНЦ им. Н.Н.Блохина РАМН, Москва
М.Д. Тер-Ованесов, Б.Е. Полоцкий
Карциноидные опухоли бронхолегочной локализации — это медленнорастущие опухоли, характеризующиеся достаточно хорошим прогнозом, даже в случае наличия регионарных лимфогенных метастазов, при условии адекватного хирургического лечения.
Адекватный характер хирургического лечения при условии хорошего локального контроля способен максимально улучшить прогноз течения заболевания и удлинить ремиссию. В то же время, наиболее злокачественная форма нейроэндокринной опухоли легкого — мелкоклеточный рак a priori определяет неблагоприятный прогноз течения заболевания.
Карциноидные опухоли были впервые описаны более 100 лет назад O.Lubarsch [24] , который на секционном материале обнаружил в дистальном отделе тощей кишки множественные подслизистые образования. Впервые термин «karzinoide» был предложен СОберндорфом [29] в 1907 г для описания сходных между собой опухолей, морфологически напоминающих аденокарциному, но характеризующихся более торпидным течением. Карциноидные опухоли могут возникать в различных органах, однако, наиболее часто встречаются в органах ЖКТ, легких и бронхах.
В соответствии с Международной гистологической классификацией ВОЗ карциноиды относят к эндокриноклеточным опухолям (АПУДомам — Amine Precursors Uptake and Decarboxilation).
Биологические особенности карциноидных опухолей
Карциноидные опухоли происходят из клеток диффузной нейроэндокринной системы, возникающей из клеток нервного гребешка в период эмбриогенеза и мигрирующих в различные органы. Клетки этого типа опухолей характеризуются положительной окраской серебром, а также при использовании специфических иммуногистохимических методов окраски на специфические маркеры нейроэндокринной дифференцировки — нейронспецифическую энолазу [НСЭ], синаптофизин, хромогранин, бомбезин и другие. При исследовании с использованием электронной микроскопии клетки карциноидной опухоли содержат специфические нейросекреторные гранулы, содержащие широкий спектр гормонов и биогенных аминов различной тканевой принадлежности. Наиболее частым и значимым гормоном, секретируемым клетками карциноидов, является серотонин [5-гидроксит- риптамин] — производное 5-гидрокситриптофана путем декарбоксилирования последнего [21]. Впоследствии серотонин метаболизируется с участием фермента моноаминоксидазы с образованием 5-гидроксииндолуксусной кислоты, выделяемой с мочой (определяемый маркер серотониновых кризов). Помимо серотонина, карциноидные опухоли синтезируют широкий спектр гормонов — АКТГ, гистамин, допамин, субстанция Р, нейротензин, простагландины и калликреин [6].
Одним из основных патогномоничных признаков развития карциноидной опухоли является появление развернутой клинической картины карциноидного синдрома — состояния, обусловленного выбросом в кровоток серотонина и других вазоактивных субстанций с развитием характерной клинической картины: приливы с последовательным изменением цвета кожи от красного до лилового с проливным потоотделением, бронхоспазмом по типу астматического, диареей и возможным развитием сердечной недостаточности по правому типу [37].
Классификация
С учетом предложения E.D.Williams и M.Sanders [46], карциноидные опухоли традиционно различаются по отделу первичной кишки, из которой возникла неоплазия. Проксимальный тип опухолей относится к карциноиду легкого, бронхов, желудка, поджелудочной железы. Особенностью этого типа карциноидов является отсутствие или низкая секреторная активность, не сопровождающаяся развернутой картиной карциноидного синдрома. Медио-кишечный тип локализуется в области тонкой и проксимальных отделов толстой кишки, включая аппендикс. Дистальнокишечный тип характеризуется локализацией в дистальных отделах сигмовидной кишки и в прямой кишке. В пределах подгрупп опухоли характеризуются достаточно различным течением, что связано с их гистогенезом и определяет тактику лечения в целом.
С учетом особенностей течения карциноидных опухолей различных локализаций в последнее десятилетие произошел пересмотр традиционной классификации [5, 20]. Так, типичный карциноид классифицируется как высокодифференцированная нейроэндокринная опухоль. Эти опухоли на ультраструктурном уровне характеризуются мелкими клетками с выраженным ядром, секреторными гранулами. Опухоли этого типа разделяются на пять подтипов: инсулярный, трабекулярный, железистый, недифференцированный и смешанный. Опухоли с более выраженной клеточной атипией, высокой митотической активностью и очагами некрозов рассматриваются либо как атипичный карциноид, либо как анапластический карциноид. В последнее время эти опухоли чаще классифицируются как низкодифференцированный нейроэндокринный рак.
Эпидемиологические данные
Общемировая статистика свидетельствует, что частота встречаемости карциноидов в мире колеблется от 1 до 6 человек на 100 тысяч населения. С учетом торпидности течения можно предположить, что истинная частота несколько выше, однако в связи с отсутствием клинических проявлений опухоли не диагностируются, либо диагностируются на поздних стадиях, что с учетом сложностей морфологической диагностики не позволяет правильно поставить диагноз.
США, по данным канцер-регистра, было отмечено, что среди карциноидных опухолей превалирует карциноид аппендикса, с последующим снижением частоты в порядке убывания: прямая кишка, тонкая кишка, легкие, бронхиальное дерево, желудок и тд. Данные последнего эпидемиологического исследования по программе «Скрининг, Эпидемиология и Заключительные результаты (SEER) Национального Онкологического института» (1973-1991 гг) показали, что отмечается рост частоты карциноидных опухолей легких и желудка на фоне снижения частоты локализации опухолей в аппендиксе и тонкой кишке [табл. 1].
Карциноидные опухоли легких
Первичный карциноид легкого составляет приблизительно 2% от всех первичных опухолей легкого [18, 40]. Источником опухолевого роста являются нейроэндокринные клетки Кульчицкого, локализованные в слизистой оболочке бронхиального дерева [16, 30]. Эти клетки не имеют ворсинок, характеризуются эозинофильной окраской и имеют цитоплазматические выросты — по современным представлениям они относятся к диффузной нейроэндокринной системе [15]. Однако до сих пор нет четких морфологических доказательств происхождения нейроэндокринных опухолей из клеток Кульчицкого, что позволяет предположить возможное их происхождение из плюрипотентных примитивных стволовых клеток слизистой оболочки бронхиального дерева.
Спектр нейроэндокринных опухолей бронхиального дерева и легких крайне широк (табл.2). Если этот спектр разделить на составляющие по степени злокачественности, то в начале будет доброкачественный типичный карциноид, характеризующийся торпидным течением с образованием локализованных опухолевых узлов, переходящий далее в атипичный карциноид (АК) — инфильтративную опухоль с наличием 1 -2 митозов на поле зрение (при сильном увеличении), плеоморфизм и гиперхромное состояние ядер, дезорганизацию архитектоники ткани опухоли с появлением очагов некроза. Впервые этот тип карциноидной опухоли легкого был описан еще в 1972 г. M.G.Arrigoni и соавт. [3], которые выделили 4 основные особенности этих опухолей. Далее по степени злокачественности следует крупноклеточный нейроэндокринный рак — опухоль, состоящая из крупных, плеоморфных клеток. Крайнее положение в спектре злокачественности занимает мелкоклеточный рак легкого (МКРЛ) [9].
Таблица №1.
Динамика частоты выявления различных типов карциноидных опухолей в США в период 1950–1991 гг.
| Локализация | Статистический регистр | Третий Национальный Онкологический Скрининг | Программа «Эпидемиология, Скрининг и Отдаленные результаты» НПИ |
| Легкие, бронхиальное дерево | 10,2 | 14,1 | 32,7 |
| Желудок | 2,2 | 2,0 | 3,8 |
| Двенадцатиперстная кишка | 1,8 | 2,3 | 2,1 |
| Тонкая кишка | 10,8 | 13,8 | 17,6 |
| Аппендикс | 43,9 | 35,5 | 7,6 |
| Толстая кишка | 4,7 | 3,9 | 6,3 |
| Прямая кишка | 15,4 | 12,3 | 10,1 |
Таблица №2.
Типы карциноидных опухолей легких
| Тип карциноидной опухоли легких | Происхождение опухоли | Гистологические характеристики | Клинические характеристики |
| Высоко-дифференцированная нейроэндокринная опухоль (типичный карциноид) | Эпителиальные эндокринные клетки | Минимальная клеточная атипия, редкие митозы | Торпидно текущие, секретирующие АКТГ, редко серотонин |
| Дифференцированный нейроэндокринный рак (атипичный карциноид) | Эпителиальные эндокринные клетки | Выраженная клеточная атипия, частые митозы, поля некрозов | Агрессивное течение, часто с лимфогенными метастазами |
Другой попыткой классификации нейроэндокринных опухолей легких является предложение J.R.Benfield и соавт. [11, 30] о разделении опухолей по степени злокачественности на карциномы из клеток Кульчицкого I степени — типичный карциноид (КСС 1), II степени — атипичный карциноид (КСС 2) и III степени — МКРЛ (КСС 3). По мнению авторов, такое разделение более четко стратифицирует опухоли по степени злокачественности и прогнозирует течение некоторых типов карциноидных опухолей [39].
Клиническое течение карциноидных опухолей
Карциноидные опухоли встречаются у пациентов в достаточно широком диапазоне возрастов — от 10 до 83 лет (в среднем 45-55 лет). Согласно данным метаанализа литературных источников, включавших наблюдение за 1874 пациентами, более половины (52%) составляют женщины, причем, отсутствует связь заболевания с известными факторами развития рака легкого и в первую очередь с курением. Более 60% опухолей имеют центральную локализацию (доступны при бронхоскопии), тогда как менее 30% локализуется в паренхиме легких [22].
Эпидемиологически пациенты с типичным карциноидом легких наиболее часто встречаются на 5-м десятке жизни [38]. В большинстве случаев опухоль имеет центральную локализацию, располагаясь в области корня легкого. Зачастую это обусловливает характер манифестации заболевания с развитием рецидивирующей пневмонии, непродуктивного кашля, кровохарканья, боли в грудной клетке. Другим манифестным проявлением опухоли является эктопированный тип какого-либо нейроэндокринного синдрома. Наиболее частым паранеопластическим проявлением болезни является синдром Кушинга, составляющий около 1% от всех видов этого заболевания [23]. Карциноидный синдром в различных проявлениях встречается с частотой около 5% [8, 27, 31]. Этот тип опухоли характеризуется крайне торпидным течением, с низкой частотой выявления метастазов, не превышающей 10-15% [34]. Наиболее частыми зонами локализации вторичных опухолей являются медиастинальные лимфатические узлы, печень, кости, а иногда и мягкие ткани. Наличие регионарных лимфогенных метастазов в сочетании с паранеопластическим синдромом является стигмой плохого прогноза [18]. Однако в целом 5-летняя выживаемость в группе типичного карциноида составляет порядка 90%, а по данным РОНЦ РАМН — 100% [1, 2, 21, 35].
Приблизительно одна треть карциноидных опухолей легких имеет атипичное гистологическое строение, поэтому в англоязычной литературе более часто классифицируется как высокодифференцированный нейроэндокринный рак легкого — термин, введенный в 1983 г. W.H.Warren и V.E. Gould [42]. Это сделано с целью создания единой номенклатуры с выделением атипичных карциноидов, характеризующихся агрессивным злокачественным течением, в отдельную группу, терминологически отличную от типичных карциноидов. Эти опухоли наиболее часто встречаются в более старшей возрастной группе — после 60 лет. В отличие от типичного карциноида, атипичные карциноидные опухоли характеризуются большим размером и чаще локализуются в периферических отделах легочного поля. Эти опухоли отличает крайне агрессивное течение, раннее метастазирование в медиастинальные лимфатические узлы, частота которых составляет от 40 до 50% [26]. Такое клиническое течение определяет малоудовлетворительные результаты 5-летней выживаемости — от 40 до 60%, и еще более низкие показатели 10 летней выживаемости — менее 40% [8, 10,21, 28]. Согласно данным РОНЦ РАМН, показатель выживаемости в этой группе составляют 43,7% [1].
Симптомы заболевания, как правило, появляются за много лет до диагностики опухоли, причем, у более 30% пациентов протекают бессимптомно, а заболевание выявляется случайно при профилактическом обследовании. При центральной локализации поражения симптомы могут напоминать бронхообструктивный синдром и даже бронхиальную астму. Часто встречается сухой непродуктивный кашель, однако нарастание бронхообструкции может сопровождаться развитием рецидивирующих пневмоний, ателектаза доли или легкого и даже кровохарканьем.
Паранеопластические синдромы встречаются достаточно редко. Карциноидный синдром (приливы, этапное изменение окраски кожных покровов, бронхоспазм, диарея, схваткообразные боли, карциноидные сердечные пороки и т.д.) встречается приблизительно в 2% случаев. Причем, появление этих симптомов может свидетельствовать о появлении отдаленных метастазов опухоли (наиболее часто в печень), либо сопровождать пункционную биопсию опухоли или индукционный наркоз перед хирургическим вмешательством.
Синдром Кушинга также встречается приблизительно в 2% случаев при карциноиде легкого, причем, в случае криптогенного эктопированного синдрома последующее выявление бронхолегочного карциноида составляет около 1% [23].
Лечение карциноидных опухолей легкого
Методом выбора в лечении карциноидных опухолей легких является хирургический. Для типичных карциноидных опухолей операцией выбора является анатомическая резекция в объеме сегментэктомии или лобэктомии с сохранением незаинтересованной паренхимы легкого [12]. Вмешательства такого объема сопровождаются крайне низкой частотой локального рецидива в сочетании с хорошими отдаленными результатами. При центральной локализации опухоли в главном или долевом бронхе возможно выполнение резекции бронха (бронхопластическая лобэктомия) с формированием межбронхиального анастомоза. В некоторых случаях, особенно в случае типичного карциноида при условии центральной локализации, возможно выполнение бронхотомии с резекцией основания опухоли в пределах здоровых тканей. Такая тактика определяется низкой частотой локального рецидива опухоли, даже в случаях оставления клеток по линии резекции. Так, по данным AJ.M.Schreurs и соавт. [34] у 4 пациентов с микроскопической резидуальной опухолью по линии резекции отмечено длительное безрецидивное выживание — 1, 11, 23 и 24 лет.
На основании опыта торакоабдоминального отделения РОНЦ РАМН можно отметить, что с учетом онкологической радикальности операцией выбора является лобэктомия с возможным выполнением бронхопластики и формированием межбронхиального анастомоза. Учитывая, что часто опухоль обтурирует сегментарный или долевой бронх с ателектазом доли легкого в плевральной полости бывает выраженный спаечный процесс. В этой ситуации операции должны выполняться острым путем с предварительной сосудистой и лимфатической изоляцией, т.е. лимфодиссекция является гармоничным элементом мобилизации комплекса, а не отдельным этапом операции [1]. Таким образом, хирургическое лечение бронхолегочного карциноида основано на трех основных принципах:
— полное удаление опухоли в пределах здоровых тканей;
— максимальное сохранение не вовлеченной паренхимы легкого;
— выполнение ипсилатеральной медиастинальной лимфодиссекции.
В случаях атипичного карциноида легких многие авторы не считают целесообразным выполнение органосохранных операций. Однако эта точка зрения также не может быть окончательной, учитывая низкую частоту локального рецидива заболевания, в случае адекватного выполнения вмешательства, на фоне высокой частоты системного прогрессирования болезни в виде рецидива в медиастинальных лимфатических узлах и отдаленных метастазах (преимущественно при поражении печени) [45].
Обязательным элементом радикального вмешательства при карциноиде легких является выполнение ипсилатеральной медиастинальной лимфодиссекции. Это определяется частотой выявления лимфогенных метастазов, которые даже при типичном карциноиде составляют от 10 до 15%, возрастая в случаях атипичного карциноида до 30- 50% [35, 36]. Учитывая низкую чувствительность опухоли к химио- и лучевой терапии, а также их сочетанию, обязательным условием вмешательства является выполнение радикальной операции без оставления резидуальной опухоли. Рецидив в регионарных лимфатических узлах средостения может быть диагностирован даже спустя годы после первичного лечения [31].
По данным РОНЦ РАМН [1], также отмечена прогностическая значимость состояния внутригрудных лимфатических узлов. При отсутствии метастазов 5-летняя выживаемость пациентов составила 54,5%, тогда как при поражении лимфатических узлов — лишь 20%. Полученные результаты свидетельствуют о необходимости соблюдения принципов онкологического радикализма с обязательным моноблочным удалением медиастинальной клетчатки с регионарными лимфатическими узлами.
Вышеизложенные данные позволяют отметить, что наиболее частым вмешательством при легочном карциноиде является лоб- или билобэктомия. Пневмонэктомия выполняется в связи с техническими особенностями — при центральной локализации атипичного карциноида в сочетании с инвазивным ростом и при поражении бронхопульмональных или медиастинальных лимфатических узлов. Атипичные резекции легкого обычно выполняются при периферической локализации типичного карциноида малого размера (до 2 см) в плащевой зоне паренхимы легкого.
Эндоскопические резекции или фотоабляцию следует рассматривать как симптоматические операции, направленные лишь на купирование местных появлений заболевания и не отвечающих требованиям радикализма. Это определяется наличием перибронхиального компонента опухоли (феномен айсберга), и, как следствие, крайне высокую частоту локо-регионарного рецидива болезни [15, 40]. Эндоскопическую резекцию эндобронхиального компонента некоторые авторы предлагают выполнять при наличии центрального ателектаза в предоперационном периоде для восстановления вентиляции выключенных отделов легкого перед радикальным лечением [34]. Таким образом, как самостоятельный метод лечения эндобронхиальные резекции используются с паллиативной и симптоматической целью у ослабленных пациентов с небольшим сроком прогнозируемой жизни, либо при наличии системной диссеминации процесса.
При наличии клинически значимых появлений карциноидных опухолей, что в случае бронхолегочной локализации бывает крайне редко, проводят лекарственную коррекцию с хорошим симптоматическим эффектом. В случае диареи проводят терапию лоперамидом, препаратами кодеина или вытяжками из опия. В случае развития бронхоспазмов или симптоматической бронхиальной астмы используют бронхолитики, предпочтительно ингаляторы с p-адреномиметиками.
При развитии развернутой картины карциноидного синдрома (серотониновые кризы) с некоторым эффектом могут применяться антагонисты — парахлорфенилаланин, кетансерин, ципрогептадин, ондансетрон [17]. Однако наиболее эффективным препаратом является аналог соматостатина — октреотид (сандостатин). Этот препарат с высокой эффективностью контролирует симптомы в виде приливов, диареи и астматических приступов, а также при карциноидных опухолях, сопровождающихся синдромом Кушинга [17]. Октреотид может использоваться с профилактической целью при хирургических вмешательствах по поводу карциноидных опухолей. В сочетании с интерфероном-а октреотид может использоваться для лечения диссеминированных карциноидных опухолей — описана стабилизация и даже регрессия опухолевых очагов при проведении комбинированной терапии [41].
Прогноз пациентов с типичным карциноидом легких достаточно благоприятный, так как 5- и 10-летняя выживаемость, по данным различных авторов, превышает 90%, а причиной смерти являются, как правило, интеркуррентные заболевания (табл.3). Наличие лимфогенных метастазов, как и при другой онкопатологии, является неблагоприятным прогностическим фактором, однако все же превышает таковую при атипичном карциноиде, при соответствующей распространенности. Так, по данным N. Martini и соавт. [25], у наблюдавшихся пациентов с типичным карциноидом и метастазами в регионарные лимфатические узлы 5- и 10-летняя выживаемость составили соответственно 92% и 76%.
Пациенты с атипичным карциноидом характеризуются более высокой частотой лимфогенных метастазов на момент хирургического лечения, если оно возможно, а выживаемость достоверно ниже, чем при типичном карциноиде. Так, по данным исследования N. Martini и соавт. [24] , 5- и 10-летняя выживаемость при наличии лимфогенных метастазов составляет соответственно 60% и 24%.
Таким образом, при проведении многофакторного анализа основными факторами благоприятного прогноза у пациентов с карциноидными опухолями бронхолегочной локализации является типичный характер карциноидной опухоли в сочетании с отсутствием лимфогенных метастазов на момент хирургического лечения. В то же время, размер опухоли более 3 см является отрицательным прогностическим фактором [14, 18, 19].
К другим отрицательным прогностическим факторам относится наличие повышенного уровня РЭА на момент лечения [4].
Наличие других форм нейроэндокринных опухолей легких — крупноклеточного нейроэндокринного рака [ККНР] и МКРЛ — является синонимом неблагоприятного прогноза. Так, по данным различных исследований, в группе хирургического лечения ККНР отмечены лишь единичные наблюдения даже 2-летней выживаемости, что соответствует таковой при МКРЛ [12, 39]. Согласно наблюдением за 29 пациентами с ККНР в Институте патологии Вооруженных Сил, актуариальная 5- и 10-летняя выживаемость составила соответственно 33% и 11% — достаточно очевиднее признаки неблагоприятного прогноза течения заболевания [9].
Карциноидные опухоли тимуса
Карциноидные опухоли тимуса впервые были выделены из группы тимом лишь в 1992 г. T. Rosai и E. Higa. [33]. Это достаточно редкая локализация карциноидных опухолей, причем, наиболее часто — более 90% случаев, встречается у молодых мужчин [43]. Как и в случае с карциноидными опухолями легкого, они имеют нейроэндокринное происхождение из проксимальных отделов первичной кишки, поэтому практически не сопровождаются развитием карциноидного синдрома, столь характерного для опухолей из медиальных отделов первичной кишки.
В дифференциальной диагностике карциноида тимуса от истинных тимом обязательным является окраска на нейрон-специфическую энолазу (NSE). Также необходимо выполнить электронную микроскопию, позволяющую выявить крайне специфическую нейросекреторную зернистость. Причем, по мнению Н.Т. Райхлина и соавт. [2], электронная микроскопия подчас более информативна и имеет большее прогностическое значение, чем стандартная световая микроскопия, позволяя выявить ультраструктурные особенности опухоли.
Карциноидные опухоли тимуса наиболее часто выявляются при профилактическом обследовании. В случаях симптомного течения наиболее часто клиницист сталкивается с неспецифическими проявлениями: болью в грудной клетке, отдышкой и болью в надплечьях Часто присоединяются неспецифические симптомы воспаления: слабость, лихорадка, ночные и профузные поты. Иногда у пациентов встречаются специфические эндокринологические симптомы, в первую очередь синдром Кушинга.
С учетом течения карциноидных опухолей тимуса на основании наибольшего обобщенного опыта крупной клиники Mayo W.R. Wick и соавт. [44] выделили три типа течения:
1) течение заболевания с повышением уровня АКТГ и развитием синдрома Кушинга;
2) течение заболевания с проявлениями синдрома множественной эндокринной неоплазии I типа (МЭН-I — синдром Вермера), сочетающегося с гиперпаратиреоидизмом и опухолью поджелудочной железы;
3) асимптоматическое течение.
На момент диагностики все опухоли характеризовались выраженной местной распространенностью и наличием лимфогенных метастазов в 73% наблюдений. С учетом отдаленных результатов лечения первая группа пациентов с наличием синдрома Кушинга характеризуется наихудшим прогнозом течения заболевания [12]. Схожие данные были опубликованы на основании 38-летнего периода наблюдения в Henry Ford Hospital (Detroit) [13]. Также карциноидные опухоли тимуса могут встречаться в структуре синдрома множественной эндокринной неоплазии II типа (МЭН-II) либо сочетаться с несахарным диабетом.
Таблица №3.
Прогноз выживаемости пациентов с карциноидом легких
| Опухоль | 5-летняя выживаемость (%) | Чувствительность |
| Карциноид | ||
| Типичный | 90-100 | 85-100 |
| Атипичный | 40-76 | 18-60 |
| Поражение лимфатических узлов | ||
| Нет | 90-100 | 85-100 |
| Есть | 38-74 | 24-76 |
Методом выбора в лечении карциноидных опухолей тимуса является хирургический. Как и при других локализациях опухоли, прогностическую значимость имеет радикальность выполненного вмешательства в сочетании с распространенностью процесса на момент лечения и характеристиками самой опухоли. Лучевая и химиотерапия самостоятельного значения в лечении заболевания не имеют и используются либо с адъювантной или дополнительной целью либо для симптоматического воздействия на неудалимую или рецидивную опухоль в случае противопоказаний к хирургическому лечению [47].
В крайне редких случаях в ткани вилочковой железы может возникать мелкоклеточный (овсяноклеточный) рак внелегочной локализации [32]. Эти опухоли также имеют нейроэндокринную дифференцировку и относятся к АПУД-омам. В этом случае прогноз заболевания характеризуется лишь распространенностью опухоли на момент диагностики.
Заключение
Карциноидные опухоли бронхолегочной локализации — это медленнорастущие опухоли, характеризующиеся достаточно хорошим прогнозом, даже в случае наличия регионарных лимфогенных метастазов, при условии адекватного хирургического лечения. Адекватный характер хирургического лечения при условии хорошего локального контроля способен максимально улучшить прогноз течения заболевания и удлинить ремиссию. В то же время, наиболее злокачественная форма нейроэндокринной опухоли легкого — мелкоклеточный рак a priori определяет неблагоприятный прогноз течения заболевания.
Методом выбора в лечении опухолей нейроэндокринного происхождения является по большей части хирургический, однако, в случае системой распространенности заболевания повышается роль консервативного лечения с применением широкого спектра препаратов, в том числе а-интерферона и октреотида, как с лечебной, так и с симптоматической целью.
Отдельную группу представляют карциноидные опухоли тимуса, характеризующиеся неблагоприятным прогнозом течения заболевания, даже в случае хирургического лечения.
Литература
1. Бебезов Б.Х., Карциноидные опухоли легкого (клиника, диагностика, хирургическое лечение и прогноз): Дисс… канд. мед. наук. — Москва, 1998. — C . 67-82.
2. Райхлин Н.Т., Смирнова ЕА, Бебезов БХ. и др. Эндокрино-клеточные опухоли легкого: ультраструктурные особенности и клиническое течение // Вест. РОНЦ РАМН. — 2000. — № 2. — С. 13-22.
3. Arrigoni M.G., Woolner LB., Bernatz PE. Atypical carcinoid tumors of the lung // J. Thorac. Cardiovasc. Surg. — 1972. — Vol. 64. — P. 413.
4. Bishopric GA, Ordonez N.G. Carcinoembryonic antigen in primary carcinoid tumors of the lung // Cancer. — 1986. — Vol. 58. — E 1316.
5. Capella C., Heitz P.U, Hofler H. et al. Revised classification of neuroendocrine tumours of the lung, pancreas and gut // Virchows Arch. — 1995. — Vol. 425. — P. 547.
6. Caplin M.E., BuscombeJR., Hilson AJ. et al. Carcinoid tumour // Lancet. — 1998. — Vol. 352. — P. 799.
7. Cheung NW., Boyages S.C. Failure of somatostatin analogue to control Cushing’s syndrome in two cases of ACTH-produc- ing carcinoid tumors // Clin. Endocrinol. (Oxford). — 1992. — Vol. 36. — P. 361.
8. Chughtai T.S, Morin J.E., Sheiner NM. et al. Bronchial carcinoid — twenty years’ experience defines a selective surgical approach // Surgery. — 1997. — Vol. 122. — P. 801-808.
9. Colby T.V, Koss MN, Travis WD. Carcinoid and other neuroendocrine tumors. In Tumors of the Lower Respiratory Tract. Atlas of Tumor Pathology (3rd series). — Bethesda: Armed Forces Institute of Pathology. — 1994. — P. 235-257, 287-317.
10. Davila D.G, Dunn WF, Tazelaar HD, Pairolero PC. Bronchial carcinoid tumors // Mayo Clin. Proc. — 1993. — Vol. 68. — P. 795.
11. DeCaro LF, Paladugu R., Benfield JR. et al. Typical and atypical carcinoids within the pulmonary APUD tumor spectrum // J. Thorac. Cardiovasc. Surg. — 1983. — Vol. 86. — P. 528.
12. DusmetME, McKneally MF. Pulmonary and thymic carcinoid tumors // World J. Surg. — 1996. — Vol. 20. — P. 189-195.
13. Economopoulos G.C., LewisJW. Jr., Lee M.W., Silverman NA Carcinoid Tumours of the Thymus // Ann. Thorac. Surg. — 1990. — Vol. 50. — P. 58.
14. El-Naggar A.K., Ballance W., Karim FWA. et al. Typical and atypical bronchopulmonary carcinoids: a clinicopathological and flow cytometric study // Amer. J. Clin. Pathol. — 1991. — Vol. 95. — P. 828.
15. Fraser RG, Pare JAP, Pare PD. et al. Neoplastic diseases of the lungs (neoplasms of pulmonary neuroendocrine cells) / / Diagnosis of Diseases of the Chest (3rd ed.). — Philadelphia: Saunders, 1989. — P. 1476-1494.
16. Gould V.E, Linnoila R.I, Memoli VA, Warren WH. Neuroendocrine components of the bronchopulmonary tract: hyperplasias, dysplasias, and neoplasms // Lab. Invest. — 1983. — Vol. 49. — P. 519-537.
17. Gregor M. Therapeutic principles in the management of metastasizing carcinoid tumors: drugs for symptomatic treatment. Digestion — 1994. — Vol. 55 (Suppl. 3).- P. 60.
18. Harpole D.H. Jr., Feldman JM, Buchanan S. et al. Bronchial carcinoid tumors: a retrospective analysis of 126 patients // Ann. Thorac. Surg. — 1992. — Vol. 54. — P. 50-55.
19. Jensen RT, Norton JA. Carcinoid tumors and the carcinoid syndrome // Cancer: principles and practice of oncology, 4 th ed. DeVita V.T. Jr., Hellman S., Rosenberg S.A., eds. — Philadelphia: Lippincott Raven, 1997. — P. 1704.
20. Kloppel G, Heitz P.U. Classification of normal and neoplastic neuroendocrine cells // Ann. N.Y. Acad. Sci. — 1994. — Vol. 733. — P. 18.
21. Kulke MH, Mayer RJ. Carcinoid tumors // New Engl. J. Med. — 1999. — Vol.340. — P.858.
22. Langley K. The neuroendocrine concept today // Ann. N. Y. Acad. Sci. — 1994. — Vol. 733. — P. 1.
23. Limper AH, CarpenterP.C., ScheithauerB, StaatsBA The Cushing syndrome induced by bronchial carcinoid tumors // Ann. Intern. Med. — 1992. — Vol. 117. — P. 209-214.
24. Lubarsch O. Ueber den primgren Krebs des Ileum, nebst Bemerkungen ber das gleichzeitige Vorkommen von Krebs und Tuberkolose // Virchows Arch. — 1888. — Vol.111. — P. 280-317.
25. Martini N, Zaman MB, Bains M.S. et al. Treatment and prognosis in bronchial carcinoids involving regional lymph nodes // J. Thorac. Cardiovasc. Surg. — 1994. — Vol. 107. — P. 1.
26. Marty-Ane CH., Costes V, PujolJ.L. et al. Carcinoid tumors of the lung: do atypical features require aggressive management? // Ann. Thorac. Surg. — 1995. — Vol. 59. — P- 78-83.
27. McCaughan B.C., MartiniN, BainsM.S. Bronchial carcinoids: review of 124 cases // J. Thorac. Cardiovasc. Surg. — 1985. — Vol. 89. — P. 8-17.
28. Moertel C.G., Kvols LK, O’Connell MJ, Rubin J. Treatment on neuroendocrine carcinomas with combined etoposide and cisplatin: evidence of major therapeutic activity in the anaplastic variants of these neoplasms // Cancer. — 1991. — Vol. 68. — P. 227.
29. Oberndorfer S. Karzinoide Tumoren des Dunndarms // Frankf. Z. Pathol. — 1907. — Vol. 1. — P. 425-429.
30. Paladugu RR, BenfieldJ.R., Pak H.Y. et al. Bronchopulmonary Kulchitzky cell carcinomas: a new classification scheme for typical and atypical carcinoids // Cancer. — 1985. — Vol. 55. — P. 1303-1311.
31. Rea F, Binda R., Spreafico G. et al. Bronchial carcinoids: a review of 60 patients // Ann. Thorac. Surg. — 1989. — Vol. 47. — P. 412-414.
32. Remick S.C, Hafez R, Carbone PP. Extrapulmonary small-cell carcinoma // Medicine . — 1987. — Vol. 66. — P. 457-471.
33. Rosai T, Higa E. Mediastinal endocrine neoplasm of probably thymic origin, related to carcinoid tumours: clinicopatho- logic study of 8 cases // Cancer. — 1992. — Vol. 29. — P. 1061-1074.
34. Schreurs AJ, Westermann C.J, Bosch JM. et al. A twenty-five-year follow-up of ninety-three resected typical carcinoid tumors of the lung // J. Thorac. Cardiovasc. Surg. — 1992. — Vol. 104. — P. 1470-1475.
35. Smolle-Juttner FM, Popper H, Klemen H. et al. Clinical features and therapy of «typical» and «atypical» bronchial carcinoid tumors (grade 1 and grade 2 neuroendocrine carcinoma) // Europ. J. Cardiothorac. Surg. — 1993. — Vol. 7. — P. 121-125.
36. Stamatis G, Freitag L., Greschuchna D. Limited and radical resection for tracheal and bronchopulmonary carcinoid tumor; report on 227 cases // Europ. J. Cardiothorac. Surg. — 1990. — Vol. 4. — P. 527.
37. Thorson Е, Biorck G, Bjorkman G, Waldenstrom J. Malignant carcinoid of the small intestine with metastases to the liver, valvular disease of the right side of the heart (pulmonary stenosis and tricuspid regurgitation without septal defects), peripheral vasomotor symptoms, bronchoconstriction, and an unusual type of cyanosis: a clinical and pathological syndrome // Amer. Heart. J. — 1954. — Vol. 47. — P. 795-817.
38. Torre M, Barberis M, Barbieri B. et al. Typical and atypical bronchial carcinoids // Respir. Med. — 1989. — Vol. 83. — P 305-308.
39. Travis W.D, Linnoila RJ, Tsokos M.G. et al. Neuroendocrine tumors of the lung with proposed criteria for large-cell neuroendocrine carcinoma: an ultrastructural, immunohistochemical, and flowcytometric study of 35 cases // Amer. J. Surg. Pathol. — 1991. — Vol. 15. — P. 529.
40. Vadesz P., Palffy G, Egervary M, Schaff Z. Diagnosis and treatment of bronchial carcinoid tumors: clinical and pathological review of 120 operated patients // Europ. J. Cardiothorac. Surg. — 1993. — Vol. 7. — P. 8.
41. Veenhof CHN, de Witt R, Taal B.G. et al. A dose-escalation study of recombinant interferon-alpha in patients with a metastatic carcinoid tumor // Europ. J. Cancer. — 1992. — Vol. 28. — P. 75.
42. Warren WH, Gould VE, Faber L.P. et al. Neuroendocrine neoplasms of the bronchopulmonary tract: a classification of the spectrum of carcinoid to small cell carcinoma and intervening variants // J. Thorac. Cardiovasc. Surg. — 1985. — Vol. 89. — P. 819.
43. Wick MR, Carney JA, Bernatz PE, Brown L.R Primary mediastinal carcinoid tumors // Amer. J. Surg. Pathol. — 1982. — Vol. 6. — P. 195.
44. Wick MR, Scott RE., Li CY. et al. Carcinoid tumours of the thymus: a clinicopathologic report of seven cases with a review of the literature // Mayo Clinic. Prot. — 1980. — Vol. 55. — P. 246-254.
45. Wilkins EW., Grillo H.C., Moncure A.C, Scannell J.G. Changing times in surgical management of bronchopulmonary carcinoid tumor // Ann. Thorac. Surg. — 1984. — Vol. 38. — P. 339.
46. Williams ED, Sandes M. The classification of carcinoid tumours // Lancet. — 1963.
47. Zeiger MA , Swartz SE, Macgillivray B.C. et al. Thymic carcinoid in associatuion with MEN syndromes // Amer. Surgeon. — 1994. — Vol. 58. — P. 430-434.
Поступила в редакцию 17.11.2005 г.
www.molneo.com
Овсяноклеточный комбинированный считается самой редко встречаемой формой, которая имеет особенности плоскоклеточного новообразования. При данной форме достаточно сложно отличить заболевание от карциномы. Отличительной чертой является наличие митозов и некрозов, а также более крупных частиц.
Следующая по значимости группа – это наследственный фактор, провоцирующий развитие онкологии. Люди, генетически предрасположенные к раку легких, имеют особый ген, который повышает шанс возникновения мелкоклеточного рака легкого.
при развитии заболевания возникает лихорадочное состояние и внезапное повышение температуры;
значительное увеличение жизни и даже шанс полного выздоровления возникает во время достижения регрессии раковых клеток и их метастаз;