Заместительная гидроцефалия — симптомы, лечение, профилактика

При слове «гидроцефалия», большинство представляет себе маленького ребенка с непропорционально увеличенной черепной коробкой.
Действительно, в раннем возрасте врожденная гидроцефалия приводит к деформации головы из-за резко повышенного внутричерепного давления. Заместительная гидроцефалия, однако, протекает совершенно иначе.
Во-первых, обнаруживают ее обычно у пожилых больных, во-вторых, так как швы черепа взрослого человека окостенели, болезнь не приводит к ее увеличению и деформации.
В-третьих, она может сопровождаться нормальным или даже пониженным внутричерепным давлением. Поэтому очень часто заболевание остается не выявленным на протяжении многих лет или даже десятилетий.
Заместительная гидроцефалия головного мозга: симптомы и лечение — тема данной статьи.
Классификация
Как и любая другая форма гидроцефалии, — заместительная гидроцефалия имеет несколько форм:
- При наружной заместительной гидроцефалии — цереброспинальная жидкость скапливается в субарахноидальной полости, занимая место уменьшившегося в объеме мозга.
- При внутренней заместительной гидроцефалии — ликвор заполняет желудочки мозга.
- Смешанная заместительная гидроцефалия характеризуется скоплением спинномозговой жидкости как внутри мозга, так и снаружи, под его оболочками.
Наружная заместительная гидроцефалия головного мозга у взрослых – наиболее распространенная форма заболевания, именно она обычно протекает умеренно и очень долго не дает никаких симптомов.
Причины патологии
Заместительная гидроцефалия отличается от других типов заболевания в первую очередь тем, что сопровождается атрофией мозговых тканей.
Ликвор при этом занимает их место, отсюда и название — «заместительная».
Чаще всего отмирание клеток мозга вызывают возрастные изменения.
Существуют и другие причины для атрофии мозга: это алкоголизм, инфекционные заболевания, такие, как нейросифилис, герпес, перенесенная краснуха, токсоплазмоз, повышенное внутричерепное давление, которое может быть не только симптомом, но и причиной развития заместительной гидроцефалии, повышенное артериальное давление и атеросклероз, а также последствия черепно-мозговой травмы.
Причина болезни в определенной степени влияет на ее протекание. Связанная с возрастом заместительная гидроцефалия ,чаще долго не дает о себе знать, возникшая из-за травмы или инфекционных поражений мозга – накладывается на основное заболевание и усугубляет его симптомы.
Симптомы
Все формы гидроцефалии склонны со временем прогрессировать, и заместительная – не исключение. Постепенно растущее внутричерепное давление приводит к следующим симптомам:

- головные боли, сопровождающиеся тошнотой и рвотой;
- общее ухудшение самочувствия, повышенная утомляемость;
- нарушения сна;
- ухудшение зрения, двоение в глазах;
- проблемы с контролем мочеиспускания и дефекации;
- снижение интеллекта, ухудшение памяти;
- вялость, апатичность, безынициативность;
- эпилептический синдром;
- перепады артериального давления и аритмия.
Головные боли, вызванные гидроцефалией, часто путают с мигренью, однако они, в отличие от мигрени, обычно не бывают односторонними и захватывают всю голову. Интеллектуальные нарушения в первую очередь затрагивают логическое мышление и способности к счету: больной не может решить несложный пример, забывает свой возраст, теряется во времени.
Из-за того, что болезнь распространена у пациентов пожилого возраста, ее симптомы зачастую путают с проявлениями старческой деменции.
Диагностика
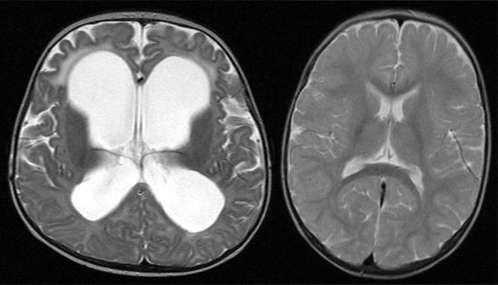
Для постановки точного диагноза недостаточно характерных неврологических симптомов – требуется обследование мозга. Чаще всего достаточно МРТ, на котором обнаруживается атрофия тканей мозга и увеличение объема ликвора. Однако в некоторых случаях необходимы дополнительные обследования.
Это ангиография, УЗИ, рентгенография черепа, при подозрении на инфекционную природу заболевания – анализы на возбудителей герпеса, сифилиса, токсоплазмоза, а также офтальмоскопия.

Заместительная гидроцифалия — пустое турецкое седло
Часто заместительную гидроцефалию обнаруживают случайно. При мягком протекании заболевания, необходимо не реже раза в полгода проходить обследование, чтобы на ранних стадиях выявить первые признаки развивающихся нарушений. Если же внутричерепное давление резко повышено, то необходимо немедленно приступить к лечению.
Если во время обследования головного мозга была обнаружена заместительная гидроцефалия, нет смысла надеяться на то, что она со временем пройдет.Как и любые другие формы этого заболевания, она не склонна к самостоятельному регрессу.
Лечение
Тактика терапии наружной заместительная гидроцефалии определяется в зависимости от тяжести симптомов и характера поражения головного мозга. При заместительной гидроцефалии, чаще всего достаточно консервативного лечения, однако тяжелые ее формы могут требовать хирургического вмешательства.
Когда заболевание протекает без ярко выраженных симптомов и не сопровождается повышением внутричерепного давления, достаточно направленной на улучшение мозгового кровообращения и общего состояния организма терапии.
Это массаж воротниковой области и висков, умеренная физическая активность, лечебные ванны, применение ноотропов и средств, улучшающих кровоснабжение мозга, таких, как Фенибут, Глицин, Кавинтон, Циннаризин, Церебролизин.
Если внутричерепное давление повышено, больному назначаются мочегонные средства для выведения из организма излишков жидкости и снижения объема ликвора: Диакарб, Фуросемид, Маннит.
Если есть такая необходимость, диуретики в таблетках можно заменить растительными средствами с аналогичным действием – это почки тополя, кукурузные рыльца, крапива. При регулярном применении мочегонных, обязательно употреблять препараты калия и магния, а также богатые этими микроэлементами продукты питания, такие, как бананы, орехи, бобовые, салат, шпинат и горький шоколад, поскольку они в больших количествах выводятся с мочой.
Оперативное вмешательство при заместительной гидроцефалии требуется крайне редко, однако в тех случаях, когда заболевание резко начинает прогрессировать, приводя к серьезному ухудшению состояния больного в короткие сроки, оно может быть необходимо.
Чаще всего при внутренней гидроцефалии проводится установка шунта, соединяющего полость желудочков с любой другой полостью тела, начиная перикардом и заканчивая одним из мочеточников.
Обычно это брюшная полость. При достижении определенного показателя внутричерепного давления, клапан шунта открывается, и излишек жидкости покидает мозг.
Эта операция снимает все симптомы болезни, но здоровая жизнедеятельность больного с шунтом зависит от состояния устройства, которое время от времени нуждается в замене.
Эндоскопические операции, такие, как эндоскопическая вентрикулостомия, при которой в дне желудочка пробиваются отверстия для оттока ликвора, лишены этого недостатка, но проводятся далеко не во всех клиниках.
Так как каждый случай гидроцефалии индивидуален, универсальной схемы лечения не существует, и для каждого конкретного больного подбираются собственные варианты наиболее эффективной борьбы с заболеванием.
Профилактика
Профилактические меры, предупреждающие развитие заместительной гидроцефалии, не отличаются разнообразием.Следует избегать инфекций, которые в перспективе могут привести к поражению нервной ткани, черепно-мозговых травм, и при симптомах повышенного внутричерепного и артериального давления своевременно принимать меры, а также избегать злоупотребления спиртным и другими нейротоксичными веществами.
Предупредить основную причину развития болезни – возрастные изменения мозга – на данный момент невозможно.
В заключение следует сказать, что заместительная гидроцефалия редко протекает в тяжелой форме и обычно хорошо поддается терапии. Поэтому при постановке этого диагноза не следует отчаиваться и представлять себе самое худшее.
Видео на тему
neuro-logia.ru
Гидроцефалия — 14 ответов врачей на вопрос на сайте СпросиВрача
Добрый день, Клава. Давайте сначала разберемся, что заключение МРТ — это не диагноз, это лишь описание имеющихся изменений в головном мозге. Да, они есть, но они совсем не катастрофичны. Инсульта нет. Более того,очаговой и объемной патологии на МРТ не выявлено, структуры мозга не сдавлены, не смещены, а наружная, открытая, заместительная гидроцефалия — совсем не катастрофа, паниковать не стоит. Ваш невролог, учитывая симптоматику и анмнез правильно Вам выставила предварительный диагноз — ПНМК (преходящее нарушение мозгового крововобращения — это значит, что симптоматика самостоятельно регрессировала за 24 часа без последствий). Это не ОНМК — не инсульт, но, все же, некий тревожный звоночек для организма, который говорит о том, что артериальное давление нужно держать под контролем и не допускать резких скачкообразных подъемов, для этого с кардиологом совместно скорректировать антигипертензивную терапию. Онемение вероятнее всего связано с патологией шейного отдела позвоночника, даже банальный остеохондроз может это давать, поэтому назначение невролога на предмет исследования сосудов головы и шеи (УЗДГ) очень правильное решение, что покажет истинное состояние сосудов, есть ли нарушение кровотока, его причину (атеросклеротическая бляшка, мальформация, перегиб), степень ассиметрии и т.д), что в последующем поможет скорректировать корректную сосудистую терапию. Теперь, головные боли именно в лобной области, напрямую взаимосвязаны с выявленной на МРТ синусопатией, поэтому ЛОР врача также обязательно нужно посетить. Осмотр окулистом глазного дна поможет исключить наличие внутричерепной гипертензии, хотя МРТ ее не описывает. После окулиста и УЗДГ, с результатами МРТ посетить своего невролога для подбора адекватной медикаментозной терапии. Сейчас успокаивайтесь, возьмите себя в руки, ничего катастрофичного и угрожающего жизни МРТ не показало. Выявленные изменения хорошо поддаются медикаментозной коррекции, что никак на повседневную деятельность и качество жизни не повлияет. Крепкого Вам здоровья, всех благ, скорейшего выздоровления.
sprosivracha.com
симптомы и диагностика. Лечение заместительной гидроцефалии в Москве
Наружная заместительная гидроцефалия головного мозга у взрослого развивается вследствие нарушения продукции, всасывания или циркуляции спинномозговой жидкости. Врождённая гидроцефалия формируется во время внутриутробного развития плода. Приобретенная гидроцефалия головного мозга является следствием перенесенных травм и заболеваний. В Юсуповской больнице неврологи проводят комплексное обследование пациентов с гидроцефалией, используя современную аппаратуру ведущих производителей мира. Для лечения пациентов врачи применяют наиболее эффективные препараты, обладающие минимальным спектром побочных эффектов.
В Юсуповской больнице оборудованы комфортные палаты с притяжно-вытяжной вентиляцией и кондиционерами. Пациенты обеспечены индивидуальными средствами личной гигиены и диетическим питанием. Персонал клиники неврологии уважительно относится к пациентам и их родственникам.

Симптомы наружной заместительной гидроцефалии
Причиной врождённой гидроцефалии являются инфекционные заболевания беременной женщины, отягощённая наследственность, родовая травма и инфицирование плода во время прохождения через родовые пути. Приобретенная гидроцефалия развивается у пациентов, страдающих церебральным атеросклерозом, артериальной гипертензией, новообразованиями головного мозга. Заместительная гидроцефалия возникает при уменьшении объёма вещества головного мозга и замещении образовавшегося свободного пространства цереброваскулярной жидкостью.
Наружная заместительная форма гидроцефалии характеризуется задержкой спинномозговой жидкости в полости, которая находится между мягкой и паутинной оболочкой. При внутренней, окклюзионной гидроцефалии ликвор скапливается в желудочковой системе, боковых полостях головного мозга. Смешанная компенсированная и декомпенсированная гидроцефалия головного мозга проявляется ярко выраженными неврологическими признаками. В зависимости от величины внутричерепного давления, гидроцефалия бывает нормотензивной, гипотензивной, гипертензивной.
В течение продолжительного времени заместительная гидроцефалия протекает бессимптомно. Избыток спинномозговой жидкости оказывает давление на внутреннюю часть черепа и вещество головного мозга. Пациентов беспокоит тошнота рвота, мигренеподобная головная боль, головокружения. При развитии хронического патологического процесса возникают расстройства психического здоровья:
- депрессивные состояния;
- апатия;
- галлюцинации;
- эпилептические припадки;
- вспышки гнева и раздражения;
- навязчивые идеи и беспричинные маниакальные мысли.
При сдавлении больших полушарий головного мозга нарушается сознание, снижается активность умственной деятельности, ухудшается запоминание и происходит атрофия зрительных нервов. У пациентов развиваются тахикардия (учащённое сердцебиение), аритмии, судорожный синдром, паралич конечностей.
Особо опасной является острая закрытая гидроцефалия. Резкое ухудшение состояния пациента обусловлено высоким внутричерепным давлением, смещением мозговой ткани. В течение нескольких дней может наступить кома. При хронической форме заболевание состояние пациента ухудшается постоянно. Больные хронической заместительной гидроцефалией отмечают ослабление памяти и внимания. У них отсутствует понятие времени и пространства, появляется шаркающая походка или полностью пропадает двигательная активность. Речь человека становится бессвязной и нелогичной.
Диагностика заместительной гидроцефалии
Неврологи Юсуповской больницы для диагностики наружной заместительной гидроцефалии используют магнитно-резонансную и компьютерную томографию. Точное сканирование с возможностью получения трехмерного изображения сосудов, структурных изменений посттравматического характера, изучения коркового и мозгового вещества, гипофиза позволяет установить форму заболевания и степень повреждения мозговой ткани. Краниография (рентгенография черепа) позволяет определить деформации костей и канала зрительного нерва, наличие новообразований, обнаружить внутричерепную гипертензию.
С помощью эхоэнцефалографии выявляют атрофию мозгового вещества и смещение структур мозга. Лаборанты проводят исследование ликвора, полученного во время спинномозговой пункции. При поражении зрительного и слухового нерва пациентов консультирует офтальмолог и отоларинголог. Для контроля артериального давления проводят суточное холтеровское мониторирование.
Лечение наружной заместительной гидроцефалии головного мозга
Если заместительная гидроцефалия выявлена на начальной стадии заболевания, проявляется не выраженными симптомами, медленно прогрессирует, неврологи Юсуповской больницы назначают медикаментозную терапию:
- диуретики;
- анальгетики;
- нестероидные противовоспалительные средства;
- плазмозамещающие и вазоактивные препараты;
- глюкокортикостероиды.
При церебральной гипертензии назначают диакарб в сочетании с лазиксом. Нормализует венозный кровоток и оказывает ангиопротекторное действие троксевазин. Метипред назначают при отёке или новообразованиях, воспалительных процессах головного мозга. Магния сульфат выводит избыточную жидкость из организма, оказывает успокаивающее, противосудорожное и антиаритмическое действие.
Радикальным методом лечения заместительной гидроцефалии является оперативное вмешательство – вентрикулоперитонеальное и вентрикулоатриальное шунтирование. Отток ликвора осуществляется путём соединения одного из желудочков мозга с брюшной полостью специальной системы, по которой происходит процесс удаления лишней жидкости. Наружное вентрикулярное дренирование выполняют при окклюзионной или обструктивной гидроцефалии, кровоизлиянии. При наличии тромбов в желудочках мозга по шунту вводят лекарственные препараты. Нейрохирурги клиник-партнёров Юсуповской больницы при заместительной гидроцефалии выполняют эндоскопическую операцию вентрикулоцистерностомию III желудочка.
Народное лечение наружной заместительной гидроцефалии может дополнять медикаментозную терапию при лёгкой стадии заболевания. Целители рекомендуют пить трижды в день до еды по 50 мл водный настой горицвета, настой огородной петрушки, ягод можжевельника. Диуретическим эффектом обладает настой василька, настойка и настой аира болотного. Врачи Юсуповской больницы не рекомендуют применять народные средства лечения гидроцефалии без консультации невролога.
Профилактика заместительной гидроцефалии заключается в предупреждении и лечении инфекционных заболеваний, черепно-мозговых травм. Следует избегать злоупотребления спиртными напитками, пpи наличии повышенного артериального и внутричерепного давления принимать лекарственные препараты. Массаж шейно-воротниковой зоны, лечебная физкультура и здоровый образ жизни замедляют прогрессирование симптомов заместительной гидроцефалии.
Звоните по телефону Юсуповской больницы и врачи проведут комплексное обследование, установят вид и степень тяжести гидроцефалии с помощью современных диагностических методов. При наличии показаний пациентов консультирует нейрохирург. Вопрос о необходимости и целесообразности хирургического лечения обсуждается на заседании экспертного совета с участием кандидатов и докторов наук, врачей высшей категории.
Список литературы
- МКБ-10 (Международная классификация болезней)
- Юсуповская больница
- «Диагностика». — Краткая Медицинская Энциклопедия. — М.: Советская Энциклопедия, 1989.
- «Клиническая оценка результатов лабораторных исследований»//Г. И. Назаренко, А. А. Кишкун. г. Москва, 2005 г.
- Клиническая лабораторная аналитика. Основы клинического лабораторного анализа В.В Меньшиков, 2002 .
Наши специалисты

Врач функциональной диагностики, кандидат медицинских наук

Врач-невролог

Заместитель главного врача по клинико-экспертной работе, врач-терапевт, врач-гастроэнтеролог, кандидат медицинских наук
Цены на диагностику гидроцефалии
*Информация на сайте носит исключительно ознакомительный характер. Все материалы и цены, размещенные на сайте, не являются публичной офертой, определяемой положениями ст. 437 ГК РФ. Для получения точной информации обратитесь к сотрудникам клиники или посетите нашу клинику.
Скачать прайс на услуги
Мы работаем круглосуточно
yusupovs.com
Наружная заместительная гидроцефалия – лечение в Москве по доступным ценам
Наружная заместительная гидроцефалия головного мозга, или водянка, поражает людей различных возрастов. При данном заболевании нарушается баланс между продукцией и всасыванием церебральной жидкости, в результате этого постепенное увеличение объема спинномозговой жидкости вызывает ее накопление в пространствах между веществом мозга и его оболочками.
Наружная заместительная гидроцефалия головного мозга возникает вследствие сосудистых изменений у пожилых людей, у новорожденных она вызвана внутриутробной гипоксией, у детей школьного возраста и взрослых причинами заболевания являются интоксикации, инфекции, поражающие нервную систему, и различные травмы головного мозга. В клинике неврологии, входящей в состав Юсуповской больницы, ведущие специалисты выполняют диагностику и лечение наружной заместительной гидроцефалии у пациентов разных возрастов.

Наружная гидроцефалия заместительного характера: основные симптомы
Наружная заместительная гидроцефалия может развиться как у людей преклонного возраста, так и у новорожденных, поэтому каждый человек должен знать симптомы данной болезни, чтобы своевременно обратиться к врачу-неврологу. При данном виде гидроцефалии происходит уменьшение объема мозга и последующее заполнение освобожденного пространства церебральной жидкостью, что вызывает появление различных признаков. Основные признаки наружной заместительной гидроцефалии:
- повышение артериального давления;
- головные боли;
- потемнение в глазах;
- слабость и сонливость;
- ощущение нехватки воздуха;
- нарушение координации движений и ориентации в пространстве;
- онемение различных частей тела, в частности, конечностей.
По отдельности данные проявления могут указывать на различные патологии. Однако в совокупности и при соответствующих факторах они свидетельствуют том, что у больного развивается наружная гидроцефалия заместительного характера. Если у Вас появились какие-либо симптомы данного нарушения, обратитесь в Юсуповскую больницу для прохождения диагностики.
Диагностика наружной заместительной гидроцефалии
Клиника неврологии Юсуповской больницы оснащена современным оборудованием, позволяющим быстро провести обследование пациента, получить точные результаты и выдать лечащему врачу заключение МРТ, картина наружной заместительной гидроцефалии на котором будет предельно ясна опытному специалисту.
Основными методами диагностики наружной заместительной гидроцефалии являются:
- магнитно-резонансная томография;
- компьютерная томография;
- ультразвуковое исследование;
- исследование глазного дна;
- ангиография сосудов головного мозга, сонных и позвоночных артерий;
- анализ крови для обнаружения возбудителей таких заболеваний, как краснуха, герпес, токсоплазмоз, сифилис, являющихся одной из причин патологии.
Обследование пациентов должно проводиться не реже одного раза в 6 месяцев даже при отсутствии жалоб и признаков ухудшения состояния. Внеочередное обследование назначается врачом-неврологом в случае, когда наружная заместительная гидроцефалия начинает прогрессировать и дает симптомы.
В Юсуповской больнице для каждого пациента разрабатывается индивидуальная программа терапии, в которую включены плановые обследования. При обращении для прохождения диагностики в клинику неврологии Юсуповской больницы Вы можете быть уверены в том, что полученные результаты будут достоверными, а врач при постановке диагноза учтет все факторы.
Наружная заместительная гидроцефалия: эффективное лечение в Юсуповской больнице
Юсуповская больница является современным медицинским учреждением, расположенным в Москве. В ее состав входит клиника неврологии, где врачи лечат наружную гидроцефалию заместительного характера. В зависимости от полученных при обследовании результатов врачи-неврологи разрабатывают программу терапии, которая может включать консервативные и хирургические методы.
Эффективное лечение наружной заместительной гидроцефалии обеспечивается за счет устранения первичных причин нарушения, после этого возможно устранение симптомов болезни. Наиболее часто для устранения признаков заболевания пациенту назначаются мочегонные, сосудистые и трофические препараты. Уменьшение внутричерепного давления и отека указывает на положительную динамику лечения, при отсутствии результатов врач корректирует программу лечения. В качестве оперативного метода устранения симптоматики применяется шунтирование мозга.
В Юсуповской больнице пациентам предлагается комплексное лечение, состоящее из приема медикаментов, посещения общеукрепляющих и расслабляющих процедур и других современных методик.
Появление симптомов наружной заместительной гидроцефалии должно насторожить человека и стать серьезной причиной обращения к специалисту, который проведет обследование, при котором будет получена МРТ картина заместительной гидроцефалии и результаты других исследований, после чего поставит диагноз. Записаться на прием к врачу-неврологу Вы можете в удобное время по телефону Юсуповской больницы.
Список литературы
- МКБ-10 (Международная классификация болезней)
- Юсуповская больница
- «Диагностика». — Краткая Медицинская Энциклопедия. — М.: Советская Энциклопедия, 1989.
- «Клиническая оценка результатов лабораторных исследований»//Г. И. Назаренко, А. А. Кишкун. г. Москва, 2005 г.
- Клиническая лабораторная аналитика. Основы клинического лабораторного анализа В.В Меньшиков, 2002 .
Наши специалисты

Врач функциональной диагностики, кандидат медицинских наук

Врач-невролог

Заместитель главного врача по клинико-экспертной работе, врач-терапевт, врач-гастроэнтеролог, кандидат медицинских наук
Цены на диагностику наружной заместительной гидроцефалии
*Информация на сайте носит исключительно ознакомительный характер. Все материалы и цены, размещенные на сайте, не являются публичной офертой, определяемой положениями ст. 437 ГК РФ. Для получения точной информации обратитесь к сотрудникам клиники или посетите нашу клинику.
Скачать прайс на услуги
Мы работаем круглосуточно
yusupovs.com
Незначительная наружная заместительная гидроцефалия. Заместительная гидроцефалия: причины, признаки, лечение.
Различные неврологические патологии все чаще встречаются у современных людей. И виной тому, как правило, не только удручающее состояние экологии, но и головокружительный ритм нынешней жизни, частые стрессы и прочие разнообразнейшие и весьма опасные факторы, уже ставшие частью нашей повседневной жизни. Одним из наиболее серьезных и широко распространенных неврологических заболеваний является наружно-заместительная гидроцефалия, больше известная в народе под названием «водянка головного мозга».
Определение и общая характеристика заболевания
Народное наименование очень точно и достаточно полно характеризует суть данной патологии. Но если выражаться языком медицинской терминологии, то наружно-заместительная гидроцефалия представляет собой нозологическую форму разнообразных патологических проявлений в пространстве черепной коробки, характеризуемую значительным расширением желудочковой системы мозга и сильным сужением субарахноидальных полостей вследствие чрезмерного скопления цереброспинальной жидкости, также называемой ликвором, в результате различных нарушений ее циркуляции, абсорбции или секреции. Основная характеристика данного тяжелого заболевания — существенное уменьшение объемов мозгового вещества и заполнение освободившегося пространства ликворной жидкостью.

Причины гидроцефальной патологии

Формы гидроцефального синдрома и его симптомы
По характеру своего протекания заместительная гидроцефалия подразделяется на активную форму и пассивную. Первая характеризуется значительным расширением ликворосодержащих полостей и что требует безотлагательного лечения. При пассивной (латентной) форме гидроцефалии наблюдается расширение ликворосодержащих пространств вследствие первичного разрушения структурных тканей коры головного мозга различными патологическими процессами. Что же касается симптоматики данной патологии, то она обычно проявляется тошнотой, рвотой и (на более поздней стадии) дисфункцией вестибулярного аппарата — расстройством координации движений.
Диагностика
Ведущими методами диагностики, позволяющими вовремя обнаружить скрытые гидроцефальные процессы, являются компьютерная и магниторезонансная томографии, изотопная энцефалография, которая достаточно эффективна для своевременного выявления деструктивных изменений, протекающих в черепно-мозговых полостях. В качестве вспомогательных средств для уточнения диагноза часто применяют рентгенографию, ультразвуковое исследование, ангиографию.
Лечение
Наружная заместительная гидроцефалия, лечение которой требует от врача особенно ответственного подхода и профессионализма, а со стороны пациента — терпения, понимания и осознания сложности данного клинического случая, зачастую предусматривает хирургическое вмешательство. Так как достичь значительного клинического эффекта медикаментозными методами не представляется возможным. А посредством шунтирующей операции в 80% случаев удается в полном объеме вывести избыточное количество ликвора и тем самым вернуть пациента к здоровой жизни. Из медикаментозных способов можно выделить применение препарата «Диакарб» — мощного диуретика, который восстанавливает функции ЦНС и контролирует отток цереброспинальной жидкости.
Такое заболевание как наружная гидроцефалия головного мозга характеризуется накоплением избыточного количества цереброспинальной жидкости в желудочках и в пространствах под оболочкой головного мозга, что способствует их расширению и атрофии мозга. Причинами возникновения данного заболевания служат черепно-мозговые травмы, воспалительные заболевания мозга и его оболочек, асфиксия, патологические изменения сосудов в головном мозге, пороки развития ЦНС. То есть наличие любых патологических процессов, которые способны вызвать нарушения продукции или циркуляции цереброспинальной жидкости.Заболевание может проходить как в открытой форме, так и в закрытой. Жалобы пациентов соответственно будут различны в зависимости от типа гидроцефалии.
Одной из форм гидроцефалии является наружная заместительная гидроцефалия головного мозга – заболевание головного мозга, при которой по различным причинам его объем уменьшается, а его место становится заполненным цереброспинальной жидкостью. Причинами являются гипертоническая болезнь, атеросклероз, сотрясения мозга и функциональные нарушения шейных позвонков. У таких пациентов уменьшены интенсивность движения крови из-за торможения всех основных функций мозга и также уменьшаются показатели внутричерепного давления. Данная форма гидроцефалии может не проявлять себя годами вследствие того, что объем головного мозга скомпенсирован цереброспинальной жидкостью. Вследствие чего отсутствует картина повышения артериального давления, и наличия головных болей.
Основным методом для установления диагноза наружная заместительная гидроцефалия головного мозга служит магниторезонансная томография черепа, которую, при обнаружении данного заболевания, в дальнейшем рекомендовано делать 2 раза в год.
Наружная заместительная гидроцефалия может носить прогрессирующий или постоянный характер. Если не происходит увеличение замещаемой площади и, соответственно, уменьшение объема головного мозга, а также пациента ничего не беспокоит, лечение можно не производить. Достаточными мерами будут периодические наблюдения и обследования у лечащего врача. Но если обследование МРТ показало, что болезнь прогрессирует, то начинать лечение следует незамедлительно. Любое промедление будет угрожать жизни пациента.
Также для установления диагноза проводятся следующие исследования:
- Компьютерная томография;
- Ангиография;
- Рентгенография;
- Исследования на наличие вирусов герпеса, краснухи, ЦМВ, сифилис и токсоплазмоз.
Лечится наружная гидроцефалия головного мозга несколькими методами. Тип лечения болезни зависит от вида заболевания и от возраста пациента. Чаще всего назначаются сосудорасширяющие и мочегонные препараты. Например, такой диуретик как диакарб, нормализующий работу ЦНС и контролирующий отток цереброспинальной жидкости. К тому же отсутствуют возрастные противопоказания для его назначения. Проведение нескольких курсов подобной терапии позволяют полностью избавиться от заболевания или снять периоды обострения.
Весьма частым поводом обращения к врачу неврологу являются такие жалобы, как: головные боли различной локализации и интенсивности, отеки век, нарушение зрения, тошнота, рвота, перепады давления, головокружение. Появляться эти симптомы могут резко, а могут нарастать постепенно с течением времени, снижая при этом социальную адаптацию, профессиональные умения, навыки самообслуживания и др. Люди старшего и среднего возраста опасаются, что это состояние может в дальнейшем прогрессировать в деменцию (слабоумие). К сожалению, в ряде случаев эти опасения небеспочвенны. Однако именно данные симптомы к деменции приводят редко. Наиболее частой причиной такого состояния является наружная заместительная гидроцефалия головного мозга. В просторечии данное заболевание также называется водянкой. Существует врожденна
www.artremstroi.ru
Наружная заместительная гидроцефалия — Неврология
анонимно, Женщина, 73 года лет
Здравствуйте, доктор. Моей маме, Александре Ивановне, 73 года, живёт отдельно от нас, занимается огородом, любит разгадывать кроссворды и читать прессу. Пенсионерка, работала маляром-штукатуром, на здоровье никогда не жаловалась. Температура тела всегда была понижена, давление то-же — 90 на 60, последнее время немного повысилось — 120 на 75. Последние 3-4 года шум в голове и дрожь в руках, ухудшение слуха. Дрожь в руках усиливается, появилась шаткость при ходьбе. С такими жалобами обратились к неврологу. Первичный осмотр невролога: Диагноз первичный: эссенциальный тремор. Назначения: 1. МРТ гм по м/ж, 2. УЗТС БЦА. 1. МРТ проведена в филиале Медицинского института имени Березина Сергея. На серии МР томограмм взвешенных по Т1 и Т2 в трёх проекциях визуализированы суб- и супратенториальные структуры. Боковые желудочки мозга обычных размеров и конфигурации, с умеренно выраженным глиозом по периферии. 3-й и 4-й желудочки, базальные цистерны не изменены. Хиазмальная область без особенностей, ткань гипофиза имеет обычный сигнал. Субарахноидальные конвекситальные пространства и борозды расширены, преимущественно в области лобных, теменных долей и Сильвиевых щелей. Срединные структуры не смещены. Миндалины мозжечка расположены обычно. В белом веществе лобных и теменных долей, субкортикально и перивентрикулярно, определяются единичные мелкие очаги повышенного МР сигнала по Т 2 ВИ и FLAIR ИП, размерами до 0,2см, без признаков перифокальной реакции, дисциркуляторного характера. Умеренно диффузно расширены периваскулярные пространства Вирхова-Робена. Заключение : МР картина наружной заместительной гидроцефалии. Единичные мелкоочаговые изменения вещества мозга дисциркуляторного характера. 2. Экстракраниальное триплексное исследование артериальной системы головного мозга. Описание : КИМ уплотнен, утолщен до 0,8мм, дифференцировка на слои нарушена, неоднородной стуктуры. В области бифуркации ОСА справа гиперэхогенная, кальцинированная АСБ, стеноз до 15%. Волнообразный ход ВСА с двух сторон. Непрямолинейность хода обеих позвоночных артерий, кровоток сохранен. По подключичным артериям кровоток магистрального типа с двух сторон. Мы очень боялись, что это болезнь Паркинсона, но МРТ показало наружную гидроцефалию — нужно-ли срочно делать операцию по выкачке жидкости , не теряем-ли мы время… Или нужно проводить дополнительные обследования? И какие именно? Подскажите пожалуйста! С уважением, Виталий.
health.mail.ru
Что такое наружная заместительная гидроцефалия головного мозга?

Гидроцефалия головного мозга, или как называют в простонародье эту болезнь — водянка, представляет собой избыточное накопление спинномозговой жидкости (ликвора) в подоболочечном пространстве головного мозга и в его желудочках. В результате чего происходит расширение и атрофия мозга. Причиной данного заболевания могут стать патологические процессы, приводящие к нарушению оттока и циркуляции ликвора. Такие процессы возникают как следствие воспалительных заболеваний головного мозга, черепно-мозговых травм, асфиксий, пороков развития центральной нервной системы, опухоли головного мозга, заболеваний сосудов головного мозга, паразитарных заболеваний.
Водянкой могут заболеть как младенцы, так и люди преклонного возраста.
Основные проявления водянки:
- головные боли,
- судороги,
- раздражительность и нервозность,
- рвота,
- паралич.
У новорожденных основным признаком заболевания является быстрый рост черепной коробки. Но в целом симптоматика болезни зависит от ее формы и типа.
Наиболее часто встречается такая форма водянки, как наружная заместительная гидроцефалия головного мозга. В данном случае, по ряду причин происходит уменьшение объема головного мозга, место которого заполняет спинномозговая жидкость.
Причинами возникновения болезни могут стать: гипертония, атеросклероз, сотрясение головного мозга, нарушения функций шейных позвонков.
Основные признаки наружной заместительной гидроцефалии это — онемение различных частей тела (чаще всего конечностей), нехватка воздуха, бледность, потемнение в глазах и нарушение координации. Но больной человек может не замечать ее проявлений из-за компенсации объема головного мозга ликвором.
Диагностика и лечение заместительной гидроцефалии головного мозга

Наружная гидроцефалия заместительного характера диагностируется методом компьютерной томографии (КТ) и магнитно-резонансной томографии (МРТ), а также взятием люмбальной пункции и исследованием глазного дна. Если в результате обследования пациент получает заключение МР картина наружной заместительной гидроцефалии, то ему назначается лечение. Кроме этого проводят такие исследования, как: УЗИ, рентгенография, ангиография, лабораторная диагностика на наличие вирусов краснухи, герпеса, сифилиса, токсоплазмоза и цитомегаловируса.
Наружная заместительная гидроцефалия головного мозга может иметь как прогрессирующий, так и постоянный характер течения. При постоянном течении не уменьшение объема головного мозга не прогрессирует и, соответственно, не происходит увеличение объема спинномозговой жидкости. И если у больного удовлетворительное состояние, то лечение обычно не назначают, ограничиваясь регулярным обследованием и наблюдением у специалистов.
Прогрессирующий характер течения болезни может привести к слабоумию, нарушению походки, сильнейшим головным болям, недержанию мочи и даже к смерти. Поэтому требуется незамедлительное лечение.
Удовлетворительным результатом лечения заместительной гидроцефалии головного мозга является снижение и стабилизация внутричерепного давления.
Если характер течения болезни постоянный, то проводят амбулаторное лечение. Обычно в комплекс назначений входят: общеукрепляющая терапия, соляно-хвойные ванны, мочегонная, противовоспалительная и десенсибилизирующая терапия.
На длительный период назначается диакарб (диуретик) и препараты, содержащие калий (для поддержания электролитного баланса). Если отечность не удается снять, то проводят пункцию спинномозговой жидкости.
При прогрессирующем характере течения наружной заместительной гидроцефалии головного мозга, прибегают к хирургическим методам лечения.
Хирургические методы лечения

Наиболее распространенным методом хирургического вмешательства с пятидесятых годов двадцатого века стала операция шунтирования, восстанавливающая циркуляцию ликвора. Это очень эффективная операция, но имеет много осложнений. После операции, в течение всей жизни пациенту приходится нередко переносить хирургические вмешательства из-за ревизии шунта.
В наши дни приоритетным методом в нейрохирургии считается эндоскопическое лечение гидроцефалии. Эндоскопия имеет ряд преимуществ по сравнению с шунтированием. Это:
- восстановление физиологической циркуляции спинномозговой жидкости,
- не применяется имплантация шунтирующей системы, что снижает риск развития осложнений,
- меньше хирургического вмешательства и травм,
- экономичнее,
- в послеоперационный период качество жизни пациента лучше.
Хирургический метод лечения наружной заместительной гидроцефалии является единственным методом борьбы с этой болезнью. Медикаментозное лечение может только приостановить развитие заболевания.
При своевременном лечении наружной гидроцефалии заместительного характера у ребенка раннего возраста в большинстве случаев происходит стабилизация патологических процессов, что способствует его нормальному развитию. А своевременное лечение детей старшего возраста и взрослых приводит к их полному выздоровлению.
tvoelechenie.ru