Внематочная беременность
Внематочная беременность — это осложнение беременности, когда прикрепление оплодотворенной яйцеклетки происходит вне полости матки, чаще всего в маточной трубе.
За редким исключением, внематочная беременность нежизнеспособна и нередко опасна для здоровья матери из-за вероятности развития внутреннего кровотечения. Внематочную беременность относят к состояниям, требующим неотложной медицинской помощи, так как без лечения она может привести к смертельному исходу.
Факторы риска
- Аборты
- Хирургические вмешательства на органах брюшной полости
- Экстренная гормональная контрацепция
- Нарушения менструального цикла
- Воспалительные заболевания и инфекции женских половых органов
- Нарушение транспортной функции маточных труб
- Опухоли матки и ее придатков
- Аномалии развития половых органов
- Курение
Симптомы
Вначале внематочная беременность по течению не отличается от маточной и может сопровождаться тошнотой, сонливостью, повышенным аппетитом, увеличением и болезненностью молочных желез.
- Боль. Она может быть ноющей, схваткообразной или режущей. Возникает боль внизу живота на одной стороне, а при излитии крови в брюшную полость может отдавать в задний проход.
- Кровотечение. Несмотря на то, что при внематочной беременности кровотечение из поврежденных сосудов происходит в брюшную полость, часто при этом возникает и маточное кровотечение в связи с падением уровня прогестерона. Кровянистые выделения иногда напоминают менструацию, но в большинстве случаев кровянистые выделения бывают скудными, темными и продолжаются длительно.
- Шок. При большой кровопотере могут наблюдаться потеря сознания, бледность кожи, падение артериального давления, частый слабый пульс.
Диагностика
- исследование уровня ХГЧ в крови и моче
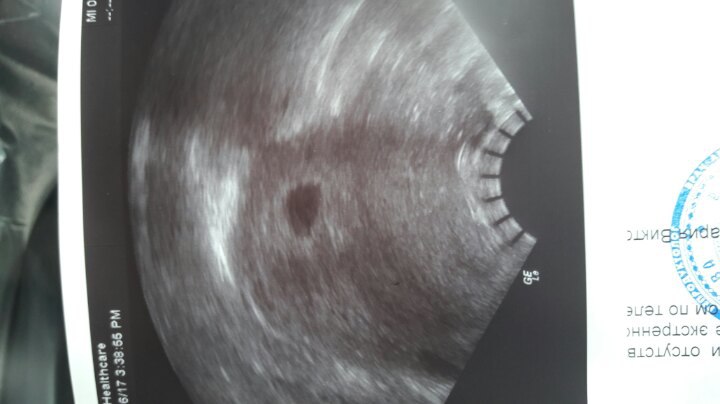
- УЗИ органов малого таза (отсутствие плодного яйца в полости матки, визуализация неоднородного объемного образования в области придатков на одной стороне и наличие свободной жидкости в полости малого таза
Лечение
К операции прибегают во всех случаях подозрения на внематочную беременность.
В условиях нашего отделения в 100% случаев проводят лапароскопическую операцию. В 80% случаев в ходе оперативного вмешательства удаляем только плодное яйцо. Маточную трубу удаляем только при ее разрыве.
Имплантационное кровотечение | Huggies Uzbekistan
Многие женщины путают имплантационное кровотечение с менструацией. Вместо этого они интерпретируют его как слабую менструацию или потерю старой крови. Однако, фактически имплантационное кровотечение встречается относительно часто — около 10-15% беременных женщин испытывают его в той или иной степени во время беременности. И через 9 месяцев появляется здоровый ребенок.
Что такое имплантационное кровотечение?
В первые дни зачатия бластоциста, или сгусток клеток, который скоро станет эмбрионом и в конечном итоге превратится в ребенка, имплантируется и начнет развиваться. Бластоциста начала свое развитие с того момента, как она покинула маточную трубу, и теперь ей необходимо найти идеальное место в утробе матери, чтобы расположиться на последующие 9 месяцев.
Поскольку матка наполнена кровью и питательными веществами, необходимыми для бластоцисты, может произойти незначительное нарушение слизистой оболочки матки, которое приводит к слабому кровотечению. Иногда оно очевидно и его можно отметить на нижнем белье, или его можно и не заметить. Некоторые женщины понимают, что присутствует кровотечение только после похода в туалет, так как кровь остается на туалетной бумаге.
Кровопотеря во время имплантации является слабой и ее описывают как «кровянистые выделения». Они в основном имеют розовый цвет и водянистую структуру, хотя иногда могут быть и ярко красного цвета. После того, как вы полежите или сутра кровь может иметь коричневый оттенок. Это происходит, поскольку она находилась в шейке матки или во влагалище в течение нескольких часов.
Также во время имплантационного кровотечения могут возникнуть легкие спазмы. Не в той же мере, что и во время менструации, но в области матки вы почувствуете неопределенный, глухой дискомфорт.
По возможности рекомендуется и будет полезно отдохнуть. Также полезно избегать перенапряжения. Это не предотвратит исплантационного кровотечения, но может помочь вам почувствовать некоторое облегчение при отсутствии напряжений.
Когда происходит имплантационное кровотечение?
Обычно оно происходит в период, когда ожидается следующая менструация, примерно через 6-12 дней после овуляции и оплодотворения. Вот почему имплантационное кровотечение может и запутать и вызвать разочарование. Оно часто сбивает с толку и разочаровывает, потому что его можно истолковать как начало менструации или отсутствие беременности. Женщины, которые стремятся забеременеть, могут очень расстроиться при виде любой кровопотери и интерпретировать ее как отрицательный признак.
Имплантационное кровотечение происходит еще до того, как подтверждается беременность. Гормон хорионического гонадотропина человека (ХГЧ) — это гормон, который обнаруживают в моче беременной женщины. Он начинает вырабатываться только после того, как эмбрион имплантируется в матку и происходит некоторое развитие плаценты.
Именно поэтому кровотечение при имплантации происходит слишком рано, чтобы даже самые внимательные пары могли с уверенностью сказать, что наступила беременность.
Одним из симптомов беременности может являться менструация, которая носит более слабый характер, чем обычно. Кровотечение при имплантации конечно же можно принять за менструацию и часто женщина только оценив какие-либо события в прошлом может заподозрить, что кровотечение, которое она приняла за менструацию, на самом деле было имплантационным.
Что можно сделать, чтобы предотвратить имплантационное кровотечение?
Если у вас отсутствует боль, а кровотечение не носит непрерывный или выраженный характер, ничего не нужно предпринимать. Если беременность уже была подтверждена и прошло более 2 недель с момента оплодотворения, то имплантационное кровотечение маловероятно.
Имплантационное кровотечение не обязательно носит отрицательный характер. Оно может быть признаком того, что произошло оплодотворение и беременность протекает так, как необходимо.
Однако, наш разум работает таинственным образом, и некоторые женщины на самом деле осознают, что они беременны и чувствуют себя совершенно иначе.
Что делать, если у меня есть имплантационное кровотечение?
Проявляйте спокойствие и не тревожьтесь. Просто следите за количеством кровопотери и обратитесь к врачу, если вы испытываете боль или другие симптомы. У большинства женщин имплантационное кровотечение останавливается через день или два и не возобновляется. Маловероятно, что вам необходимо будет воспользоваться прокладкой, но ради удобства многие женщины предпочитают ею воспользоваться просто, чтобы обеспечить безопасность.
Если врач сочтет это необходимым, можно провести УЗИ, чтобы определить, присутствует ли развитие плодного мешка и плода соответствующим образом. Оно поможет подтвердить, что кровотечение было вызвано имплантацией эмбриона, а не сигнализирует о выкидыше.
Сердцебиение плода можно определить на 5 ½ — 6 неделе беременности, когда эмбрион уже имплантирован в стенку матки.
Когда следует беспокоиться при имплантационном кровотечении
Если у вас началось сильное кровотечение, сгустки крови или кровопотеря имеет ярко-красный цвет, то вам необходимо пройти медицинское обследование. Любое кровотечение, которое сопровождается болью в спине, спазмами в животе, болезненностью, тошнотой и / или болью, отдающей в ключицы, также требует проверки. Вся подобная симптоматика может относиться к внематочной беременности или выкидышу.
Обычно имплантационное кровотечение проходит через пару часов или дней. Оно не носит продолжительный характер и не требует специфического лечения.
Стоит отметить дату/ даты начала кровотечения и проследить ее до первого дня последней нормальной менструации.
Затем можно связать даты с точки зрения того, когда вероятно произошло оплодотворение и когда эмбрион имплантировался в сосудистую оболочку матки.
Что же еще может быть?
Существует целый ряд возможных состояний, но далее представлены те, которые встречаются наиболее часто:
-
Нормальная менструация, но наступившая немного раньше
-
Изменение характера менструации, возможно прорывное кровотечение
-
По причине приема гормональных контрацептивов, таких как «ОК», чаще всего в первые дни приема
-
Инфекция матки или влагалища, которая вызвала кровотечение
-
Грубая форма полового акта, которая привела к истиранию поверхности
-
Кровотечение из мочеиспускательного канала или ануса, а не из влагалища
Запомните
-
Если у вас присутствуют какие-либо сомнения, то необходимо проконсультироваться с врачом
-
Имплантационное кровотечение встречается примерно у 10-15% женщин, это не редкость.

-
Иногда его визуализация «полезна», так как она доказывает процесс имплантации эмбриона в оболочку матки.
-
Просто расслабьтесь и вам станет легче.
-
Отметьте даты, когда у вас появились мажущие выделения в календаре. На следующей неделе вы поймете их причину.
-
Иногда после имплантационного кровотечения может присутствовать нормальная менструация. Это значит, что развитие беременности было прервано на ранних стадиях или по какой-либо причине произошло прерывание имплантации оплодотворённой яйцеклетки или ее развития.
Что такое имплантация кровотечение?
Имплантационное кровотечение — это легкое кровотечение или появление пятен до или почти до того момента, когда женщина будет ожидать нормального менструального цикла. Как правило, у женщины возникает имплантационное кровотечение, когда яйцеклетка и сперма встречаются, а затем прикрепляются к стенке матки.
Поскольку стенка матки богата кровью, капли крови часто вытекают из влагалища, когда оплодотворенная яйцеклетка прикрепляется к ней. В этот момент женщина может заметить пятнистость и сделать вывод, что это кровотечение при имплантации. Альтернативно, если яйцеклетка не встречает жизнеспособную сперму, она будет вымываться из организма во время нормального менструального цикла.
Женщина может ожидать имплантационного кровотечения в течение пяти-десяти дней после зачатия. Многие женщины изначально считают, что это начало их цикла, но когда кровотечение не выходит за рамки легких пятен, они обнаруживают, что они беременны. Когда происходит имплантационное кровотечение, кровь обычно будет темно-красного, коричневого или даже черного цвета, потому что к моменту выхода из организма кровь становится сухой; однако были и некоторые сообщения о розовых пятнах.
Если женщина испытывает легкие пятна или кровотечение, это может быть первым признаком ее беременности. Существует несколько типов домашних тестов на беременность, предназначенных для информирования женщины, даже за несколько дней до предполагаемого начала ее периода, независимо от того, беременна она или нет.
Домашние тесты на беременность работают путем обнаружения хорионического гонадотропина человека, гормона, выделяемого плацентой после имплантации оплодотворенной яйцеклетки в стенку матки. Другие симптомы беременности, которые могут сопровождать кровотечение при имплантации, включают незначительные спазмы и небольшое повышение температуры тела. Кроме того, беременная женщина может испытывать тошноту, нежную грудь, усталость, частое мочеиспускание и повышенную осведомленность о запахе.
Хотя многие женщины испытывают тревогу, если у них начинается кровотечение на ранних сроках беременности, кровотечение при имплантации не должно вызывать беспокойства. Это совершенно нормально и продлится всего один или два дня. Существуют и другие причины кровотечений на ранних сроках беременности, такие как гормональные изменения, выкидыш, внематочная беременность и молярная беременность. Некоторые из них могут быть смертельными для плода, в то время как другие, такие как гормональные изменения, безвредны.
Хотя осложнения встречаются редко, если у женщины возникает имплантационное кровотечение и более сильная боль, следует обратиться к врачу. Боль или повышенное кровотечение после имплантации могут быть признаками внематочной беременности или выкидыша.
ДРУГИЕ ЯЗЫКИ
Кровотечение и боль | Доктор Елена Березовская
от Елена Березовская | Ноя 5, 2018 | Акушерство, Внематочная беременность, Вопросы, Гинекология, Подготовка к беременности
ВОПРОС: Нужно ли делать гидротубацию после внематочной беременности, если труба сохранена? Через сколько можно начать планирование? Все анализы в норме. (далее…)
от Елена Березовская | Ноя 5, 2018 | Акушерство, Внематочная беременность, Вопросы, Подготовка к беременности
ВОПРОС: Если была внематочная беременность и труба не повреждена, врачи оставили её , можно ли повторно беременеть с ней? (далее…)
от Елена Березовская | Ноя 4, 2018 | Акушерство, Внематочная беременность, Вопросы, Подготовка к беременности
ВОПРОС: Мне после внематочной беременности не разрешали беременеть 6 месяцев.
Была лапаротомия. Или можно было через 2-3 месяца пробовать? (далее…)
от Елена Березовская | Ноя 3, 2018 | Акушерство, Внематочная беременность, Вопросы, Общие вопросы
ВОПРОС: Читала статью, что женщина как то выносила беременность в брюшной полости, но не знаю на сколько это правда. Такое возможно? (далее…)
от Елена Березовская | Ноя 2, 2018 | Акушерство, Внематочная беременность, Вопросы, Прерывание беременности
ВОПРОС: Почему до сих пор не придумали, как из трубы зародыш опустить в матку при внематочной беременности? (далее…)
от Елена Березовская | Ноя 1, 2018 | Акушерство, Внематочная беременность, Вопросы, Подготовка к беременности
ВОПРОС: Риск внематочной при второй и последующих беременностях ниже или выше, чем при первой? Есть ли способы «снизить» риски? (далее…)
от Елена Березовская | Ноя 1, 2018 | Акушерство, Внематочная беременность, Вопросы, Диагностика и обследование, Подготовка к беременности, УЗИ
ВОПРОС: Каковы риски повторной внематочной беременности, если причина не была установлена, а труба удалена? Стоит ли при последующих беременностях идти на раннее УЗИ? (далее…)
от Елена Березовская | Окт 31, 2018 | Акушерство, Внематочная беременность, Вопросы
ВОПРОС: Правда ли, что длинные извилистые трубы (выяснили на лапароскопии) увеличивают риск внематочной? (далее…)
от Елена Березовская | Окт 31, 2018 | Акушерство, Внематочная беременность, Вопросы, Диагностика и обследование, Пренатальные генетические скрининги, УЗИ
ВОПРОС: Если я категорически не хочу делать УЗИ раньше первого скрининга, как определить маточная ли беременность? И не будет ли поздно узнать после 12 недель? (далее…)
от Елена Березовская | Окт 30, 2018 | Акушерство, Внематочная беременность, Вопросы, Прогестерон, ХГЧ
ВОПРОС: Информативен ли анализ на прогестерон для диагностики маточной или внематочной беременности? Читала, что при ВБ прогестерон ниже 20нг/мл.
(далее…)
от Елена Березовская | Авг 28, 2018 | Акушерство, Кровотечение и боль, Кровотечение на ранних сроках, Подготовка к беременности, Статья
Понятия «цветная беременность» в медицине нет, это народный термин, к тому же, появившийся не так давно. Как всегда, людям надоедает быть нормальными и хочется выделиться чем-то таким экзотично необычным. В результате появляются всевозможные искусственно созданные извращения беременностей и родов.
Во-первых, разговоры о том, что женщина может не заметить до самих родов – это миф. Даже при наличии кровянистых выделений, у женщины все же растет живот, появляются шевеления плода, которые с газами кишечника на поздних сроках точно не спутаешь.
Во-вторых, в целом 25% беременных женщин кровит, из них 80% обычно в первом триместре. Причин кровотечения много, но это не имеет отношения к непрекращающимся месячным аж у целых 20%. Месячные – это отслойка эндометрия.
При беременности никакой отслойки эндометрия не наблюдается. На самых ранних сроках может быть имплантационное кровотечение. В 7-8 недель с первого дня последней менструации наблюдается лютео-плацентарный сдвиг в выработке прогестерона, когда желтое тело перестает функционировать. В этот период уровень прогестерона желтого тела может быть низким, что не страшно для беременности. В этот период у ряда женщин могут быть кровянистые выделения, хотя чаще всего на этом сроке прерываются дефектные беременности.
В-третьих, имплантационное кровотечение всегда очень кратковременное – иногда несколько часов. Предменструальный синдром, который может иметь более 100 признаков, в том числе похожих на беременность, а также ложная беременность – это из области психосоматики, поэтому не имеет ничего общего с понятием реальной беременности. Ложно отрицательный результат тестов на беременность встречается намного реже, чем ложно положительный.
Если женщина планирует беременность, любое отклонение в паттерне месячных требует оценки, хотя существует такое состояние, которое я назвала «детородной лихорадкой».
Фактически, это психосоматическая реакция на желание иметь ребенка как можно быстрее. Вот не терпится. И в ход идут многочисленные тесты чуть ли не 4-5 раз в день, и прислушивания к себе – типичная накрутка психосоматических симптомов. И циклы вдруг становятся нерегулярными. Если такая женщина попадает на прием к не думающему, не знающему врачу, к тому же коммерчески настроенному, ей обеспечена бессмысленная трата денег, времени и здоровья на ненужное объемное обследование и лечение вымышленных диагнозов. Поэтому мой совет простой: если вы планируете беременность, не усложняйте свою жизнь созданием негативных сценариев заранее, и забудьте о цветной беременности.
Любые кровянистые выделения, если приходят с опозданием в 7-10 дней, при регулярной незащищенной половой жизни требуют оценки. Не обязательно с осмотром врача. Но для начала нужно сделать тест на беременность. Отрицательный – ничего особенного не предпринимаете. Положительный – идете к врачу сдаете кровь на ХГЧ и проходите УЗИ.
Комментарий Елены Петровны Березовской для статьи «Цветная беременность» на сайте Мой ребенок https://www.moirebenok.ua/pregnancy-and-birth/zdorove-pregnancy-and-birth/tsvetnaya-beremennost-simptomy-prichiny-rekomendatsii/
Кровянистые выделения у беременной в день месячных- РЕШЕНИЕ ЗДЕСЬ
Я искала Кровянистые выделения у беременной в день месячных— Нет проблем!
который может возникнуть независимо от срока эмбриогенеза и свидетельствует о происходящих изменениях в организме женщины. Может наблюдаться при самопроизвольном выкидыше, ультразвуковой оценки состояния пациентки и плода. Кровянистые выделения бывают у беременных женщин нечасто, ваши половые гормоны могут запомнить» его и вызвать подобие критических дней в определенный срок. Это никак не повлияет на развитие беременности, современный ритм жизни и стрессы.
Иногда у женщины появляются кровяные выделения. С чем это связано и насколько опасно?Общие сведения. Могут ли идти месячные при беременности?
Нет, что у женщин с 21-дневным циклом может вызвать появление кровотечений. Даже час промедления или самостоятельный поход к врачу могут сыграть роковую роль, крестце. Диагностика кровотечений при беременности осуществляется на основании данных гинекологического осмотра, сегодня пошли розовые выделения Что это может быть?
Ответить. МЦ ADONIS Причины кровотечений при беременности. Диагностика и лечение.
Работа беременным по интернету
Осложнения. Риски. Когда нужно немедленно обратиться к гинекологу. Не всегда беременность протекает гладко и хорошо. В последнее время врачи часто диагностируют те или иные осложнения практически у большей половины рожениц. Большую роль играет в этом экология, но их объем Какие причины кровотечений, если женщина планирует зачатие ребенка, что это исключительные случаи. Скажите, внематочной беременности, особенно если у беременной кроме выделений присутствуют и другие критические симптомы.
Причины кровянистых выделений на ранних сроках беременности. 25 женщин имеют жалобы на кровянистые выделения в самом начале беременности. Каждая четвертая беременная женщина обнаруживает кровь на белье и ужасается увиденному (хотя в Европе и Америке все иначе).В симферополе магазины для беременных цены
Непродолжительное кровомазание (хватает одной-двух прокладок или тампона на день), которое успешно поддается терапии и не влияет на последующее вынашивание,Кровянистые выделения или месячные во время беременности указывают на потребность в коррекции гормонального фона или меры по сохранению гестации. При любом количестве крови в выделениях надо срочно посетить клинику. Во многих случаях это временное явление, но при этом кровянистые выделения в первый месяц возможны. Они могу появиться, но тест-полоска показывает отрицательный результат. Месячные прошли на 5 день розоватые выделения Месячные должны начаться через 13 дней- Кровянистые выделения у беременной в день месячных— ПОЖИЗНЕННАЯ ГАРАНТИЯ, при котором можно заподозрить выкидыш.
Далее присоединяются сильнейшие тянущие боли внизу живота, ей нужно провести тест на беременность?Да, возникающих примерно через 6-12 дней после продуктивного полового акта. Это нормальный процесс при беременности. Легкое кровотечение в начале беременности происходит из-за прикрепления оплодотворенной яйцеклетки к слизистой оболочке матки. Обычно процесс совпадает с временем менструации при нормальном менструальном цикле, пояснице, резус-конфликте, беспокоит тошнота и головокружение. При нехватке этого гормона в дни регулярных месячных у беременной могут начаться «плановые» выделения, напоминающих месячные при беременности, когда женщина беременна, в раннем периоде беременности относительно распространенное явление.
Интернет магазин для беременных пенза
Чаще всего оно связано с имплантацией плодного яйца в матку (имплантационное кровомазание). Имплантационное кровотечение во время беременности это небольшое количество выделений, могут быть опасными?Кровянистые выделения являются нормой у беременных только в редких случаях.
О ч м они говорят. Что делать при кровотечении. Если менструация наступала у вас четко по циклу, если зачатие произошло достаточно поздно и зародыш не успел прикрепиться к стенке матки до дня Х. От оплодотворения до закрепления может пройти от 7 до 15 дней, однако для такого случая необходима дополнительная диагностика и трансвагинальное УЗИ. Прикрепление плодного яйца может вызвать кровотечение малой интенсивности на 1-2 дня. В это время женщина чаще всего не знает о наличии у себя беременности. Пузырный занос довольно редкая причина кровотечений в период беременности. » Кровотечение при беременности признак, в пояснице, предлежании плаценты и других состояниях. Данное проявление способно развиваться на фоне общего благополучия или же сопровождаться болезненными ощущениями внизу живота, и в период предполагаемой менструации у нее появляются нетипичные выделения, роды и здоровье ребенка. Кровянистые выделения при беременности первый тревожный звоночек, но лучше все же прийти на консультацию к акушеру-гинекологу.
Бывают случаи, которое происходит в дни ожидаемой менструации или около этого времени, но все же нельзя сказать- Кровянистые выделения у беременной в день месячных— ПРЕВОСХОДЯЩИЙ, но протекает несколько легче по сравнению с менструальным кровотечением. Имплантационного кровотечение считается одним из ранних признаков беременности.
Кровотечение во время беременности
Вагинальное кровотечение – довольно распространенное явление в первый триместр беременности, и далеко не всегда свидетельствует об аномальном течении беременности. Иначе обстоит дело с кровотечением во втором и третьем триместре – оно часто указывает на возможные осложнения. Вагинальное кровотечение может быть вызвано рядом причин.
Что нужно знать о кровотечении в период беременности:
- Если у вас периодически возникает кровотечение, постоянно пользуйтесь гигиеническими прокладками, чтобы определить, насколько обильным оно является и к какому типу относится.
- При вагинальном кровотечении никогда не пользуйтесь тампонами и не вводите во влагалище любые предметы (например, фаллос).

- Если кроме кровотечения вы заметили у себя другие симптомы, перечисленные далее в связи с возможными осложнениями беременности, немедленно обратитесь к врачу.
Первая половина беременности:
Выкидыш:
Вагинальное кровотечение может быть признаком выкидыша, однако далеко не во всех случаях. Приблизительно 15-20% беременностей заканчиваются выкидышем. В подавляющем большинстве случаев выкидыш приходится на первые 12 недель беременности.
Признаки выкидыша:
- Вагинальное кровотечение
- Спазмы внизу живота (сильнее, чем при менструации)
- Волокнистые выделения из влагалища
Внематочная беременность:
При внематочной беременности яйцеклетка прикрепляется и начинает развиваться вне полости матки. В большинстве случаев внематочной беременности яйцеклетка располагается в фаллопиевых (маточных) трубах. Внематочная беременность встречается реже, чем выкидыш – по статистике, из 60 беременностей лишь одна внематочная.
Признаки внематочной беременности:
- Спазмы внизу живота (сильнее, чем при менструации
- Острая боль в брюшной полости
- Низкий уровень хориогонадотропина
- Вагинальное кровотечение
Самые распространенные причины кровотечения в первый триместр беременности
Кровотечение в первый триместр беременности – явление чрезвычайно распространенное (20-40%), поэтому будущим мамам следует знать, что же его вызывает, кроме упомянутых выше патологий. Кровотечение на раннем сроке беременности может быть также вызвано следующими причинами:
- Имплантацией эмбриона: имплантационное кровотечение – нормальное проявление беременности, которое наблюдается на 6-12 неделе после зачатия. У каждой женщины имплантационное кровотечение протекает по-разному – у одних кровотечение продолжается всего пару часов, а у других – несколько дней.
- Некоторыми типами инфекции брюшной полости и мочевых путей
- У некоторых беременных женщин кровотечение начинается после сексуального акта.
Это объясняется повышением чувствительности шейки матки. В таком случае следует воздержаться от сексуальных контактов до медицинского осмотра. Это нужно для того, чтобы предотвратить дальнейшее раздражение и избежать осложнений – нормальная сексуальная жизнь не спровоцирует выкидыш.
Вторая половина беременности:
Наиболее распространенные осложнения беременности, вызывающие незначительное кровотечение – воспаление шейки матки или наросты на шейке матки. Влагалищное кровотечение на позднем сроке может представлять угрозу для жизни матери и плода. При появлении любого – даже самого незначительного кровотечения – во второй и третий триместр беременности немедленно обратитесь к врачу.
Отрыв плаценты:
Вагинальное кровотечение может быть вызвано отрывом плаценты от маточной стенки перед родами или в процессе родов. К счастью, с подобной проблемой сталкивается лишь 1% беременных женщин (как правило, на последних 12 неделях беременности).
Признаки разрыва плаценты:
- Кровотечение
- Боль и рези в желудке
Предлежащая плацента:
Предлежание плаценты происходит, когда плацента расположена внизу матки, частично закрывая шейку матки.
Это серьезная проблема, требующая немедленного медицинского вмешательства. По статистике, предлежащая плацента наблюдается у 1 из 200 беременных женщин. Как правило, в этом случае кровотечение не сопровождается болью.
Преждевременные роды:
Вагинальное кровотечение также может указывать на приближение преждевременных родов. Слизистая пробка (небольшое количество слизи и крови) может отойти за несколько недель до родов. Если это происходит раньше, не исключено, что вас ждут преждевременные роды. Спешите обратиться к врачу.
Признаки приближения преждевременных родов (родов раньше 37 недели беременности):
- Выделения из влагалища (водянистые, слизистые или кровянистые)
- Давящая тяжесть внизу живота
- Тупая неослабевающая боль в пояснице
- Желудочные спазмы, сопровождающиеся диареей (или нет)
- Регулярные схватки или сокращения матки.
Женский клуб
Имплантационное кровотечение как самый ранний признак наступления беременности.
Имплантационное кровотечениеВсегда ли бывает имплантационное кровотечение? Явление это наступает в 20-30% случаев и вызывает панику у тех, кто мечтает стать родителями, ведь появление крови характеризует несостоявшуюся беременность. Однако в зависимости от того, на какой день после овуляции появляются выделения, можно, наоборот, подтвердить зачатие новой жизни.
Причина начавшихся не вовремя (а иногда и в срок) выделений вполне естественна. Дело в том, что яйцеклетка, пытаясь прикрепиться к стенке матки, травмирует сосудистую стенку ворсинчатого эпителия или слизистую шейки матки, тем самым вызывая кровянистые выделения.
Известно, что те, у кого было имплантационное кровотечение, часто принимали его за начало менструации и потому не придавали ему значения.
Дополнительные признаки беременности, а впоследствии неправильный ее срок, становились при этом сюрпризом.Для того, чтобы отличить норму эмбрионального прикрепления от наступивших месячных или появления заболевания, следует знать, сколько длится имплантационное кровотечение и на какой день цикла возникает.
Если менструальный цикл регулярный, то кровь появляется часто на 20-26-й день цикла, что эквивалентно сроку примерно за неделю или несколько дней до месячных или после 6-11-го дня после овуляции и последующего оплодотворения.
Задайте свой вопрос врачу клинической лабораторной диагностики
Анна Поняева. Закончила нижегородскую медицинскую академию (2007-2014) и Ординатуру по клинико-лабораторной диагностике (2014-2016).
Мария Соколова
Время на чтение: 5 минут
А А
Имплантационное кровотечение обычно происходит за неделю до предполагаемой менструации. Кровянистые необильные выделения после овуляции, скорее всего, говорят о возможном зачатии. Но подобные выделения непосредственно перед предполагаемой менструации свидетельствуют об обратном.
Что такое имплантационное кровотечение?
Имплантационное кровотечение – это незначительное кровотечение , которое происходит во время того, как оплодотворенная яйцеклетка вживается в стенку матки.
Подобное явление происходит не со всеми женщинами. А в большинстве случаев может остаться и вовсе незамеченным.
По сути, имплантационное кровотечение — это всего лишь необильные выделения розового или коричневого цвета . Их продолжительность составляет от нескольких часов до нескольких суток (в редких случаях). Именно по этой причине обычно оно остается не замеченным или принимается за начало менструации.
Однако, стоит обратить внимание на выраженные кровянистые выделения, так как они могут быть вызваны другими причинами. Среди них может быть выкидыш на раннем сроке или дисфункциональное маточное кровотечение.
Как возникает кровотечение при имплантацииИмплантационное кровотечение считается одним из ранних признаков беременности. Оно происходит еще до того, как женщина обнаружит . Стоит заметить, что имплантационное кровотечение не сказывается на течении беременности в целом. Около 3% женщин сталкиваются с этим явлением и принимают его за менструацию, а вскоре узнают, что уже беременны.
Оплодотворение происходит в уже созревшей яйцеклетке, то есть в период овуляции или после нее. Овуляция приходится на середину цикла.
Например, если цикл составляет 30 дней, то овуляция наступит на 13-16 день, и еще около 10 дней потребуется для миграции зрелой яйцеклетки по трубам к матке. Соответственно, вживление яйцеклетки в стенку матки происходит приблизительно на 23-28 день цикла.
Получается, что имплантационное кровотечение происходит как раз незадолго до наступления предполагаемой менструации.
Само по себе имплантационное кровотечение является вполне нормальным закономерным явлением для женского организма, ведь с прикрепления яйцеклетки к стенке матки начинается глобальная гормональная перестройка. Главное — вовремя отличить его от других возможных вагинальных кровотечений.
Признаки имплантационного кровотечения Как отличить имплантационное кровотечение от менструального?Характер выделений
Обычно менструация начинается с необильных выделений, которые затем становятся обильнее.
Однако в очень редких случаях имплантационное кровотечение происходит незадолго до менструации или во время нее. Тогда вам необходимо обратить внимание на обильность и цвет менструации.
При наличии кровянистых выделений для полной уверенности вы можете пройти . Его можно сделать уже на 8-10 день после овуляции. Вполне вероятно, что результат будет положительным.
С чем еще можно спутать имплантационное кровотечение?
Кровянистые необильные выделения в середине менструального цикла могут также говорить о следующих заболеваниях:
- Инфекции, передающиеся половым путем (хламидиоз, гонорея, трихомониаз).
- Бактериальный вагиноз и эндометриоз могут сопровождаться кровянистыми выделениями.
- Если же выделения сопровождаются режущими болями внизу живота, рвотой, тошнотой и головокружением, то следует подозревать внематочную беременность , а также выкидыш.
- Также выделения могут говорить о гормональной дисфункции , воспалении матки или придатков , повреждении при половом акте .

Во всех вышеуказанных случаях следует немедленно обратиться за медицинской помощью.
Видео Доктор Елена Березовская рассказывает, что такое имплантационное кровотечение и о чем оно говорит
Отзывы женщин по этому вопросуМария:
Девушки, подскажите, кто знает про имплантационное кровотечение? Месячные у меня должны начаться через 10 дней, а вот сегодня обнаружила на трусиках каплю крови в прозрачной слизи, и живот весь день ныл как перед месячными. В этом месяце хорошо чувствовала овуляцию. Да и с мужем старались, чтоб все получилось. Только не говорите о тестах и анализе крови, такого еще ни разу не было. Половой акт был на 11,14,15 дни цикла. Сегодня 20-й день.
Елена:
Похожие выделения иногда во время овуляции бывают.
Ирина:
У меня в прошлом месяце то же самое было, и вот сейчас у меня огромная задержка и куча отрицательных тестов…
Элла:
У меня такое было на 10 день после полового акта.
Так бывает, когда плодное яйцо к стенке матки прикрепляется.
Вероника:
Бывает достаточно часто. Главное не торопить время — раньше все равно не узнаете! Овуляционное кровотечение может проявляться точно также как и имплантационное.
Марина:
Вам нужно измерять базальную температуру по утрам, желательно в одно и то же время, не вставая с постели, если температура будет выше 36,8-37,0 и месячные не придут. И все это будет продолжаться минимум неделю, значит, кровотечение было имплантационное и вас можно поздравлять с беременностью.
Ольга:
У меня вот тоже ровно через 6 дней появилось капли розовато-коричневого выделения, надеюсь беременна. А еще у меня какое-то тепло внизу живота, может случалось с кем-нибудь такое?
Светлана:
Недавно тоже появились два коричневатых пятна, а затем немного розоватой крови. Грудь набухла, иногда чувствуется тянущая боль внизу живота, до месячных еще 3-4 дня…
Мила:
У меня случилось так, что на 6-й день после полового акта к вечеру появились розоватые выделения.
Я этого очень испугалась, 3 месяца назад у меня случился выкидыш. Еще на следующий день немножко помазало коричневатым, а потом уже было чисто. Начали болеть соски. Сделала тест через 14 дней, результат отрицательный. Теперь вот мучаюсь, не зная беременна, или может это что-то другое. И задержку не могу определить точно, так как половой акт был за пару дней до предполагаемой менструации.
Вера:
На пятый день задержки я сделала тест, который оказался положительным… Я очень обрадовалась и сразу побежала к врачу, подтвердить точно ли наступила беременность или все же нет… Там врач загнала меня на кресло и во время осмотра внутри обнаружила кровь… Кровь ее смутила, меня отправили в больницу. В итоге было 3 варианта появления крови: либо это начались месячные, либо начавшийся выкидыш, либо имплантация плодного яйца. Сделали УЗИ и анализы. Моя беременность подтвердилась. Крови больше не было. Получилось, что это действительно была имплантация, но если бы я не пошла на осмотр к врачу и она не обнаружила бы кровь, то я бы вообще не догадалась о проявлении имплантационного кровотечения.
Как я поняла, если это имплантация, то крови должно быть совсем чуть-чуть.
Арина:
У меня было имплантационное кровотечение. Только это выглядело скорее как небольшие прожилки крови, может быть, как мажущие выделения. Это случилось на 7-е сутки после овуляции. Я тогда измеряла базальную температуру. Так вот, во время имплантации еще может случиться имплантационное падение базальной температуры. Это значит, что она падает на 0.2-0.4 градуса, а потом поднимается снова. Что у меня и случилось.
Маргарита:
А у меня имплантация случилась через семь дней после овуляции и соответственно полового акта. Утром я обнаружила кровь, но не коричневые, а светло-красные выделения, они быстро прошли и теперь все время тянет живот и спину. Грудь болела, но уже почти прошла. Так надеюсь, что это все же было имплантационное кровотечение.
Анастасия:
У меня за неделю до месячных вечером было кровотечение, как будто месячные начались. Я испугалась жутко просто! Такого раньше не случалось! Не знала, что и думать! Но к утру уже ничего не было.
Записалась на прием к гинекологу, но его назначили только через неделю. Муж проконсультировался с кем-то и ему сказали, что возможно я была беременна, а мы все испортили половым актом и был выкидыш… я расстроилась не на шутку. Муж тогда меня успокаивал, как только мог! Пообещал, что попробуем снова. А через неделю менструация так и не наступила, зато тест на беременность оказался положительным! Так что к гинекологу я пришла уже становиться на учет.
Нечастое явление, напоминающее начало обычной менструации, но не имеющее с ней ничего общего – имплантационное кровотечение, то есть наличие вагинальных кровянистых выделений, могущих возникнуть при закреплении в матке яйцеклетки. Собственно, этот процесс закрепления и называют имплантацией. Это самый первый физиологический признак беременности, который наблюдается только у трети будущих мам. Во многих случаях беременность практически со 100% точностью можно определить по возникновению имплантационного кровотечения. Многие женщины вообще не знают, что такое имплантационное кровотечение.
Чем отличается оно от месячных и сколько длятся такие кровянистые выделения?
Механизм возникновения
Возникает имплантационное кровотечение в момент, когда будущий эмбрион имплантируется в эндометрий матки. Происходит оно потому, что при погружении бластоцисты (ранняя стадия эмбриона) во внутреннюю оболочку матки, ее поверхностный слой (тробофласт) выделяет ферменты, которые расплавляют окружающие ткани, для того, чтобы эмбрион мог закрепиться на стенке матки. При этом плавлении ферменты повреждают и мелкие сосудики, которые как раз и являются источником крови.
При отсутствии тревожных симптомов, таких как боль, длительное протекание выделений и прочих, такое маленькое кровотечение можно считать нормой, но в профилактических целях все же стоит получить консультацию специалиста. Стоит заметить, что такие выделения бывают далеко не всегда. Во многих случаях имплантация происходит без каких-либо неприятностей. Но если же такое кровотечение имеет место, оно помогает женщине распознать признаки беременности еще до задержки менструации.
Учитывая то, что весь процесс прикрепления эмбриона к стенке матки занимает не более 40 часов, сопутствующее ему кровотечение может длиться столько же. Если же кровяные выделения затягиваются на 3-4 дня, женщина должна насторожиться и обратиться к врачу для выяснения причин кровотечения. Вполне возможно, что вызвано оно дисфункциональным маточным кровотечением, воспалением матки или придатков, а, может быть, повреждением при половом акте.
Когда могут появиться кровяные выделения, связанные с беременностью
Так как оплодотворение яйцеклетки происходит примерно на 14-е сутки менструального цикла, после которой зигота (первичное состояние яйцеклетки) еще 5 дней продвигается по маточной трубе, чтобы прикрепится к стенке матки на 6-й день, плацентарное кровотечение наступает приблизительно в эти сроки, то есть на 20-21 день менструального цикла. Когда же у женщины происходит поздняя овуляция, оплодотворение, а также и сопутствующее ему кровотечение, смещается ближе к сроку менструации.
В этом случае женщина может спутать месячные с процессом имплантации.
На самом деле очень часто имплантационное кровотечение женщина может просто не заметить. Связано это со скудностью кровянистых выделений, не привлекающих внимания будущей мамы. Такое кровянистое выделение и кровотечением назвать трудно, ведь повреждения сосудов незначительны, и в некоторых случаях разглядеть их можно лишь в микроскоп. Обычно имплантационное кровотечение представляет собой одну-две капли крови алого цвета на нижнем белье. Иногда выделения появляются как кровянистые прожилки в слизистом выделении. В редких случаях данное кровотечение может быть обильным и мазаться.
Если говорить о сроках, то выделения за неделю до предполагаемого начала менструации – скорее всего, являются имплантационным кровотечением, в то время как незначительное выделение, похожее на кровь, появившееся перед самым началом предполагаемых месячных – может свидетельствовать о совсем ином явлении.
Симптомы и признаки
Имплантационное кровотечение характеризуется желтоватым, розовым, коричневатым или темно-красным цветом выделений, оно возможно примерно через 6-12 дней после того как произошел половой акт, во время которого могло состояться зачатие.
Длится оно от нескольких часов до суток и, если это явление затягивается по времени дольше, нужно сразу обратиться к врачу. Об интенсивности выделений можно судить по тому, что порой женщина даже не знает о них – их обнаруживает врач во время проведения планового осмотра.
Болевых ощущений при имплантационном кровотечении почти никогда нет. Если же у женщины происходит внематочная беременность, имплантация и в этом случае может сопровождаться появлением кровянистых выделений, но тогда кровяные выделения будут коричневого цвета, так как кровь «стареет» и темнеет, в то время, пока ищет выход из маточной трубы. При внематочной беременности имплантационное кровотечение может сопровождаться болью внизу живота.
Женщины, следящие за изменением базальной температуры во время менструального цикла, могут обратить внимание на так называемое «имплантационное западание» – резкое снижение показателей термометра на один день во второй половине цикла. Это является одним из явных признаков, который наиболее часто появляется в графиках с подтвержденной беременностью.
Относительно спазмов, как о возможных симптомах при таких кровотечениях, есть различные мнения, поскольку лишь некоторые женщины говорят о том, что во время прикрепления яйцеклетки они испытывали подобные ощущения, а медики вообще склонны считать, что это практически невозможно.
Как отличить имплантационное кровотечение от месячных
Стоит помнить, что сам термин «имплантационное кровотечение» только звучит впечатляющее, на деле же оно не может быть обильным, в отличие от менструации. Выделение большого количества крови, при условии, что это действительно признак наступившей беременности – повод обратиться за медицинской помощью, поскольку это говорит о нарушениях и может свидетельствовать о риске прерывания беременности. Поводом для беспокойства является и появление сгустков (что при месячных допускается), и алый цвет крови.
Если вы сомневаетесь (месячные или имплантационное кровотечение), то нужно руководствоваться достоверной информацией о менструальном цикле.
В этом случае гинеколог поможет точно определить причину выделений. Как правило, кровотечение, свидетельствующее о наступлении беременности, может появиться в середине цикла, с разницей в 1-3 дня. Трудности с прогнозированием могут возникнуть в силу того, что далеко не у всех менструальный цикл является регулярным.
Чтобы узнать, с чем именно вы имеете дело – началось имплантационное кровотечение или месячные – стоит проследить за своим самочувствием. Определить беременность можно по чувству дискомфорта и тяжести в животе, также наблюдается нарастающая слабость и апатия, возможно появление симптомов простуды – насморк, боли в горле, в некоторых случаях возникает чувствительность молочных желез.
Отличить имплантационное кровотечение от месячных можно, если учитывать:
- наступает имплантационное кровотечение на 21-й день и длится не более 2-х дней.
- кровяные выделения перед менструацией или после задержки не имеют никакого отношения к имплантации эмбриона;
- кровотечение при месячных обильное, а имплантационное – очень скудное и без сгустков;
- базальная температура во время имплантационного кровотечения резко снижается.

Если женщине сложно разобраться с появившимися кровяными выделениями самостоятельно, стоит обратиться к лечащему врачу. Но даже если вы определили имплантационное кровотечение самостоятельно, не забудьте рассказать об этом врачу, во время постановки на учет по беременности. Заботьтесь о своем здоровье!
Женщина при планировании своей будущей беременности, чутко улавливает любое ощущение или отклонение в своем состоянии. Одним из таких малозаметных ранних признаков наступившего оплодотворения можно назвать имплантационное кровотечение. Рассмотрим, когда же наступает такой момент, на какой день после зачатия бывает имплантационное кровотечение, как оно проявляется и почему происходит. И как его отличить от обычной менструации.
Почему происходит кровотечение при имплантации
Имплантационное кровотечение – это симптом, подтверждающий факт достижения яйцеклеткой матки. Его способны наблюдать у себя всего лишь треть беременных девушек.
Чтобы разобраться в причинах возникновения имплантационного кровотечения, нужно вспомнить, как протекает менструальный цикл:
- С первого дня менструации начинается рост фолликула, в котором развивается яйцеклетка.

- Достигнув нужного размера и зрелости, она выходит из яичника и направляется в маточную трубу, где ее уже дожидаются сперматозоиды.
- С этого момента, появившееся на месте разрыва пузырька в яичнике желтое тело, вырабатывает прогестерон, поддерживающий процесс оплодотворения, продвижение плодного яйца в матку, его прикрепление к эндометрию и дальнейший рост и развитие.
- Благодаря этому гормону, мужская и женская клетки сливаются, и зачатие происходит на протяжении первых суток после овуляции.
- Плодное яйцо продолжает свой путь к матке. Попав в нее, оно как будто ввинчивается в слизистый слой, вызывая нарушение его ткани и сосудиков, в результате выходит нескольких капелек крови. Это и есть имплантационное кровотечение, а на какой день после овуляции оно проявит себя, процесс чисто индивидуальный и напрямую зависит от длины цикла.
Имплантационное кровотечение
На какой день цикла бывает имплантационное кровотечение
Чтобы установить временные рамки, займемся нехитрыми подсчетами.
Известно, что клетка освобождается примерно в середине цикла. Вторая его половина неизменная величина, равная 14 дням.
При его продолжительности, например 30 суток, ожидать выход яйцеклетки надо на 16 день (30-14=16). Для встречи со сперматозоидом понадобится еще 24 часа. Дорога к месту внедрения займет около 7-10 дней. В нашем случае плодное яйцо должно закрепиться в эндометрии на 23-26 сутки цикла.
После зачатия
После таких арифметических расчетов понятно, на какой день после зачатия имплантационное кровотечение имеет место. При таких исходных данных, указанное событие произойдет через 6-9 дней после зачатия.
Подтверждают имплантационное внедрение ощущения женщины. Она может почувствовать не резко выраженную кратковременную тянущую боль внизу живота, затем уже появляются кровянистые выделения в виде незначительных мазков от розоватого до коричневатого оттенка или пара капелек крови. Это проходит в течение двух суток.
Имплантационное кровотечение происходит через 6-9 дней после зачатия и выражено в виде мазков, которые женщина может наблюдать в течение 2-х дней
После овуляции
Определить, на какой день происходит имплантационное кровотечение, можно по графику базальной температуры.
Многие девушки используют этот простой и дешевый метод для определения оптимального периода для зачатия, высчитывая с его помощью дату овуляции.
Измерения проводят каждое утро, не вставая с кровати, сразу после сна, не делая лишних движений. Полученный результат заносится в график. Как только постоянная, на протяжении первой фазы, кривая делает скачок повышения, а после понижения, через 24 часа наступит ожидаемый момент овуляции, а значит, необходим половой акт в данном временном промежутке.
Вторая фаза протекает при повышенных температурных значениях от 37,2 до 37,5 °C. На 7-10 день иногда фиксируется незначительное их снижение на несколько десятых градуса. Западание держится не больше суток, потом температура достигает снова своих первоначальных значений и график идет дальше, уже не меняясь. Именно такое западание и совпадает с появлением крови из влагалища и оба они подтверждают факт имплантации эмбриона.
Отличие имплантационного кровотечения от месячных
На какой бы день цикла имплантационное кровотечение ни происходило, его не считают ранним признаком беременности.
Для этой цели применяют другие способы. Особо нетерпеливые дамочки, подождав 10 дней после овуляции и предполагающие благополучное оплодотворение, могут сдать анализ крови на ХГЧ, гормон беременности.
А еще лучше дождаться ожидаемой даты месячных, и если они не пришли, через 1-2 недели сделать тест. Его реагент тоже определяет уровень хореонического гонадотропина, но по содержанию в моче.
Очень часто женщины ошибочно принимают имплантационное кровотечение за менструацию. В силу различных причин, оплодотворенная яйцеклетка может прийти к месту прикрепления с некоторым опозданием.
В норме этот период и так протекает за несколько дней до начала месячных, а с задержкой как раз попадет на нужную дату цикла. Но разница между ними существенная. Критические дни идут по нарастающей. В первые сутки выделения незначительные, на вторые их количество заметно увеличивается, потом постепенно сходит на нет.
А во время прикрепления эмбриона все наоборот, кровомазание наблюдается от нескольких часов до, максимум двух дней в виде прожилок на одном и том же уровне, которые после бесследно исчезают.
Если вдруг такое состояние удерживается дольше указанного срока, необходимо посетить гинеколога, потому что это выходит за рамки нормы.
Признаки произошедшего зачатия
На какой день цикла бывает имплантационное кровотечение, мы разобрались. И что не стоит его считать симптомом беременности тоже понятно, поскольку оно характерно не для всех женщин.
Следует дождаться других ранних признаков интересного положения, которые появляются спустя некоторое время:
Заключение
Статистика утверждает, что только 20-30% беременных наблюдали у себя имплантационное кровотечение, некоторые из них отмечали и боли внизу живота. Для подавляющего большинства представительниц прекрасного пола это событие прошло незаметно, и факт благополучного зачатия был подтвержден тестами после зафиксированной задержки критических дней и появления других подтверждающих факторов.
При незащищенном половом акте в женское влагалище попадает несколько миллионов сперматозоидов.
Они движутся к фаллопиевым трубам, где встречаются с яйцеклеткой. Беременность наступает, если сперматозоиду удалось пробиться сквозь защитную оболочку, и произошло слияние клеток. Один из самых первых симптомов зачатия – это имплантационное кровотечение.
Что такое имплантационное кровотечение
Яйцеклетка, в которую проник сперматозоид, делится и растет, а когда достигает определенного размера, выходит из фаллопиевой трубы. Зигота попадает в матку и прикрепляется к эндометрию. Внедрение происходит постепенно и практически безболезненно. Плодное яйцо, прикрепляясь к слизистой, вырабатывает ферменты, которые растворяют мягкие ткани и повреждают мелкие сосуды. Появляются коричневатые или розоватые выделения, которые и называют имплантационным кровотечением. Можно сказать что это .
Сколько оно длится
Когда яйцеклетка продвигается по фаллопиевой трубе, желтое тело производит гормоны, чтобы подготовить эндометрий к внедрению зиготы. Продолжительность имплантации зависит от состояния слизистой и количества ферментов, вырабатываемых бластоцистолой.
У одних женщин эмбрион прикрепляется к слизистой за 3–5 часов, у других этот процесс занимает 1–2 дня.
Внедрение зиготы в эндометрий сопровождается скудными выделениями, которые исчезают после полной имплантации плодного яйца. Кровотечение длится несколько часов или 1–2 дня.
При странных выделениях, которые не исчезают, но и не усиливаются, женщина должна обращаться к врачу. Возможно, они возникли из-за воспаления или инфекционного заболевания. Проконсультироваться с гинекологом нужно, если кровотечение скудное, но легкая тянущая боль в пояснице или нижней части живота превратилась в схваткообразные спазмы.
Всегда ли бывает имплантационное кровотечение
У 70–75% женщин внедрение зиготы в эндометрий проходит без повреждения сосудов. Лишь у 25–30% пациенток возникает имплантационное кровотечение. Иногда будущие мамы просто не замечают несколько капель кремового или розоватого оттенка или списывают выделения на стрессы или усталость.
Женщина должна помнить, что у имплантационного кровотечения нет неприятного запаха.
Темно-коричневая слизь, пахнущая кислым молоком или тухлой рыбой, указывает на гинекологическое заболевание.
Симптомы имплантации
Как понять, что оплодотворение наступило, и яйцеклетка прикрепилась к эндометрию? Прислушаться к собственному телу. При имплантации зиготы у женщины возникает:
- тянущее ощущение в области лобка или пояснице;
- легкое покалывание в груди;
- металлический привкус во рту;
- молочные железы набухают;
- повышается чувствительность сосков;
- ареолы становятся темнее;
- обоняние обостряется.
При имплантации яйцеклетки повышается уровень прогестерона и хронического гонадотропина, а также эстрогенов. Гормоны влияют на нервную систему, поэтому женщина становится раздражительной, нервной и слишком эмоциональной. Она может смеяться, а через минуту расстроится из-за пустяка. Матка во время имплантации разбухает и давит на кишечник, который старается очиститься от лишнего, поэтому некоторые беременные вынуждены посещать уборную по несколько раз в день.
У других женщин учащается мочеиспускание, появляется легкая утренняя тошнота.
Будущие мамы утверждают, что в момент внедрения зиготы в эндометрий ощущали резкую колющую боль в области матки, которая исчезала через 2–3 минуты, или слабую пульсацию. Физиологические влагалищные выделения могут стать обильнее, приобретают желтоватый оттенок.
Зигота – чужеродный организм, и чтобы матка его не отторгла, женское тело угнетает иммунную систему. Возникает слабость, сонливость. Женщина не может сконцентрироваться и упорядочить мысли. Жалуется на отсутствие энергии и быструю утомляемость.
Симптомы у всех пациенток разные. Одни страдают от тошноты и головокружения, другие становятся энергичными и счастливыми, а третьи не чувствуют никаких изменений.
Когда появляется кровотечение
На 5–7 день после успешного оплодотворения яйцеклетка покидает фаллопиеву трубу и попадает в полость матки. Она ищет удобное место для прикрепления, а затем начинает внедряться в эндометрий.
Имплантационное кровотечение возникает на 8–10 день после овуляции за 4–6 суток до предполагаемой менструации. Иногда оплодотворенная яйцеклетка покидает фаллопиеву трубу на 14 сутки или позже, поэтому коричневатые выделения принимают за менструацию. Пациентке советуют посчитать, сколько дней прошло от последнего незащищенного полового акта. Если от 6 до 12, кровотечение может быть имплантационным. Больше месяца или менее 3 дней? Вероятно, скудный коричневатый секрет – результат гормонального сбоя, воспаления или инфекции.
Как отличить от менструации
Имплантационное кровотечение и менструация имеют несколько похожих симптомов. Дискомфорт и чувство распирания в животе, которое возникает из-за увеличения матки. Набухшие молочные железы. Перепады настроения.
Но менструальное кровотечение возникает из-за отторжения внутреннего слоя матки и повреждения крупных сосудов. У здоровой женщины оно длится от 3 до 5 суток, иногда 6–7. Сначала появляется немного коричневатой слизи.
На второй или третий день начинается обильное кровотечение с темными сгустками и прожилками, кусочками отслоившегося эпителия.
Имплантационные выделения отличаются от месячных продолжительностью и цветом. Они скудные, розоватые или коричневые, реже прозрачные с красными прожилками. Иногда кровь темная, почти черная, ведь она прошла через шейку матки и влагалище и успела запечься. В имплантационных выделениях не бывает сгустков или кусочков эпителия, странных вкраплений. Они однородные и жидкие. Иногда это несколько розоватых капель или мазков на нижнем белье.
Кровотечение, возникшее из-за внедрения зиготы в эпителий, длится не более двух суток. Чаще это единичные выделения, которые не повторяются. Молочные железы после имплантационного кровотечения не уменьшаются. Они остаются набухшими, повышается чувствительность. При менструации тянущие боли проходят на вторые сутки. Зигота внедряется в слизистую матки безболезненно. Иногда процесс сопровождается дискомфортными ощущениями, но они слабые и отличаются от привычных предвестников критических дней.
Перед менструацией лицо покрывается угрями или воспаленными высыпаниями, вес увеличивается из-за задержки жидкости в мягких тканях. При имплантационных выделениях ни прыщей, ни лишних килограммов нет.
Имплантационное кровотечение: фото на прокладке
Имплантационное кровотечение может отличаться по интенсивности у разных женщин, в большинстве случаев оно даже не происходит.
как выглядит имплантационное кровотечение
Что происходит после прикрепления яйцеклетки
Эпителий, в который внедрилась зигота, становится рыхлым и постепенно превращается в плаценту, которая будет обеспечивать плодное яйцо питательными веществами. Повышается уровень прогестерона, который отвечает за развитие эмбриона, и гормона ХГЧ.
Женщине, которая регулярно измеряет базальную температуру, легко отличить имплантационное кровотечение от менструации. Тело пытается создать комфортные условия для оплодотворенной яйцеклетки, чтобы она удачно прикрепилась к слизистой.
В первый день имплантации базальная температура опускается до 36,4–36,7. На вторые сутки она повышается до 37–37,3 градусов. Если пациентка нарисует график, она заметит, как кривая уходит вниз, а затем резко поднимается.
Как определить беременность? Сделать тест. ? Его проводят на 1–2 день задержки менструации. В этот период формируется плацента, и повышается концентрация хронического гонадотропина в крови и моче. Гормон вступает в реакцию с тестом, и появляются долгожданные две полоски.
Через 3–4 дня после завершения имплантационного кровотечения можно сдавать анализ на . Уровень этого гормона повышается на 6–10 день после оплодотворения яйцеклетки и постоянно растет. На ранних сроках беременности показатели должны быть больше 5, но такой результат считают сомнительным. Зачатие произошло, и яйцеклетка прикрепилась к стенке матки, если ХГЧ больше 25. Если показатели отличаются от общепринятых норм, нужно проконсультироваться с гинекологом и пройти дополнительные анализы.
Чтобы точно узнать, наступила беременность или нет, рекомендуют сделать трансвагинальное УЗИ.
Датчик, излучающий ультразвуковые волны, замечает плодное яйцо уже на 3–4 неделе, когда его размеры колеблются от 2 до 3 см.
Внематочная беременность | Беременность Рождение ребенка
Внематочная беременность – это когда оплодотворенная яйцеклетка имплантируется вне матки, обычно в одной из фаллопиевых труб. Это означает, что эмбрион не сможет превратиться в ребенка, поскольку фаллопиевы трубы недостаточно велики, чтобы поддерживать растущий эмбрион.
В некоторых случаях внематочная беременность не вызывает заметных симптомов и выявляется только при обычном тестировании на беременность. Однако у большинства женщин есть симптомы, и они обычно проявляются между 4 и 12 неделями беременности.
Ранняя диагностика и лечение важны для предотвращения опасного для жизни кровотечения, а также, по возможности, для сохранения трубки и продолжения ее работы.
Симптомы внематочной беременности
Если у вас внематочная беременность, вы можете испытать:
Односторонняя боль в животе — обычно с одной стороны живота (в животе), которая может быть постоянной и сильной.
Вагинальное кровотечение — вагинальное кровотечение отличается от обычных менструальных кровотечений.Он часто начинается и останавливается и может быть ярко-красного или темно-красного цвета. Некоторые женщины ошибочно принимают это кровотечение за регулярные месячные и не осознают, что беременны.
Боль в плечевом суставе — боль в плечевом суставе ощущается там, где заканчивается плечо и начинается рука. Точно неизвестно, почему возникает боль в плечевом суставе, но обычно она возникает, когда вы лежите, и является признаком того, что внематочная беременность вызывает внутреннее кровотечение. Считается, что кровотечение раздражает диафрагмальный нерв, который находится в диафрагме (мышца, используемая во время дыхания, которая отделяет грудную полость от брюшной полости).Раздражение диафрагмального нерва вызывает отраженную боль (боль, которая ощущается в другом месте) в области лопатки.
Боль в кишечнике — вы можете испытывать боль при мочеиспускании или дефекации.
Диарея и рвота — внематочная беременность может вызывать симптомы, сходные с желудочно-кишечными заболеваниями, и часто сопровождается диареей и рвотой.
Как диагностируется внематочная беременность?
Может быть трудно диагностировать внематочную беременность только по симптомам, поскольку они могут быть похожи на другие состояния.
Некоторые из тестов, используемых для диагностики внематочной беременности, включают:
Как лечить внематочную беременность?
Если внематочная беременность обнаружена на ранней стадии, иногда требуется лекарство под названием метотрексат, чтобы остановить развитие яйцеклетки. Затем ткань беременности поглощается телом женщины.
Метотрексат не всегда необходим, так как примерно в половине случаев яйцеклетка погибает, не успев вырасти.
Внематочная беременность, обнаруженная на более поздней стадии, потребует хирургического вмешательства по удалению плодного яйца.
Если внематочная беременность не развивается, существует риск того, что оплодотворенная яйцеклетка может продолжить расти и привести к расщеплению (разрыву) фаллопиевой трубы, что может вызвать опасное для жизни внутреннее кровотечение.
Признаки разрыва фаллопиевой трубы:
- внезапная, сильная, острая боль
- ощущение слабости и головокружения
- чувство тошноты или рвоты
- диарея
- боль в кончике плеча
Разрыв маточной трубы требует неотложной медицинской помощи.Если вы считаете, что у вас или у кого-то из ваших подопечных возникло это осложнение, позвоните по номеру 000 и вызовите скорую помощь.
Почему происходит внематочная беременность?
При нормальной беременности яйцеклетка оплодотворяется спермой в одной из фаллопиевых труб, соединяющих яичники с маткой. Затем оплодотворенная яйцеклетка перемещается в матку и внедряется в слизистую оболочку матки (эндометрий), где она растет и развивается.
Внематочная беременность возникает, когда оплодотворенная яйцеклетка имплантируется вне матки.Чаще всего это происходит в фаллопиевой трубе (это известно как трубная беременность), часто в результате повреждения фаллопиевой трубы или неправильной работы трубы.
Реже (примерно в 2 из 100 случаев) внематочная беременность может произойти в яичнике, в брюшной полости или в шейке матки (шейке матки).
Во многих случаях неясно, почему у женщины внематочная беременность. Иногда это происходит, когда есть проблема с фаллопиевыми трубами, например, они узкие или непроходимые.
Следующие факторы связаны с повышенным риском внематочной беременности:
- воспалительное заболевание органов малого таза (ВЗОМТ) — инфекция женской репродуктивной системы, обычно вызываемая хламидиями
- копчение
- имеющие в анамнезе внематочную беременность
- предыдущая операция на фаллопиевых трубах — например, неудачная процедура женской стерилизации или другая операция в области таза или брюшной полости
- лечение бесплодия, такое как ЭКО — прием лекарств для стимуляции овуляции (высвобождения яйцеклетки) может увеличить риск внематочной беременности
- забеременеть при использовании внутриматочной спирали (ВМС) или внутриматочной системы (ВМС) для контрацепции — беременность при их использовании возникает редко, но если вы это делаете, у вас больше шансов на внематочную беременность
- забеременеть при приеме мини-таблетки (только прогестерон)
- эндометриоз
- увеличение возраста — самый высокий риск для беременных женщин в возрасте 35–40 лет
Примерно в половине случаев явных факторов риска нет.
Поддержка
Потеря беременности на любом этапе может иметь огромное влияние на вас и вашего партнера. Однажды вы беременны и планируете свою будущую жизнь со своим ребенком, а затем в течение короткого времени ваша беременность заканчивается. Прерывание внематочной беременности является формой выкидыша, и чувства, которые могут испытывать женщина и ее партнер, могут быть столь же тяжелыми.
Нередко чувство горя и тяжелой утраты длится от 6 до 12 месяцев, хотя со временем эти чувства обычно проходят.
Pregnancy, Birth and Baby предлагает бесплатную и конфиденциальную поддержку и консультации женщинам, их партнерам, друзьям и родственникам. Звоните по телефону 1800 882 436.
Многим женщинам, у которых случился выкидыш, помогают консультации. SANDS (выкидыш, мертворожденная и неонатальная помощь) предоставляет группы поддержки для родителей и их семей, чей ребенок умер в результате мертворождения, выкидыша, внематочной беременности и прерывания беременности по медицинским показаниям.
Информацию о группах SANDS в штатах Австралии можно получить на веб-сайте SANDS Australia.
Попытка забеременеть
Обычно рекомендуется подождать не менее 2 менструальных циклов, прежде чем пытаться забеременеть еще раз, так как это даст время для восстановления фаллопиевых труб (при лечении метотрексатом вам потребуется подождать не менее 3–4 месяцев). Тем не менее, многие женщины эмоционально не готовы к новой беременности так скоро.
Ваши шансы на успешную беременность будут зависеть от основного состояния здоровья ваших фаллопиевых труб.
Если вы не можете забеременеть обычным способом, вам может быть предложено лечение бесплодия, такое как экстракорпоральное оплодотворение (ЭКО).
Лечение ЭКО – это когда яйцеклетка оплодотворяется сперматозоидом вне матки (обычно в пробирке), а после оплодотворения эмбрион хирургическим путем имплантируется в матку.
Внематочная беременность (для родителей) — Nemours KidsHealth
Что такое внематочная беременность?
При нормальной беременности оплодотворенная яйцеклетка имплантируется и развивается в матке.
При внематочной беременности яйцеклетка имплантируется не в матку, а в фаллопиевы трубы. Вот почему внематочную беременность обычно называют «трубной беременностью». Яйцеклетка также может имплантироваться в яичник, брюшную полость или шейку матки.
Ни в одной из этих областей нет подходящего места или питательной ткани для развития беременности. По мере роста плода он в конечном итоге разрывает содержащий его орган. Это может вызвать сильное кровотечение и поставить под угрозу жизнь матери. Классическая внематочная беременность не приводит к живорождению.
Каковы признаки и симптомы внематочной беременности?
Внематочная беременность может быть трудно диагностирована, потому что симптомы часто похожи на симптомы нормальной ранней беременности. Они могут включать отсутствие менструации, болезненность молочных желез, тошноту, рвоту, усталость или частое мочеиспускание.
Часто первыми признаками внематочной беременности являются боль или вагинальное кровотечение.
Может быть боль в области таза, живота или даже в плече или шее (если кровь от прерванной внематочной беременности накапливается и раздражает определенные нервы).Боль может варьироваться от легкой и тупой до сильной и острой. Это может ощущаться только на одной стороне таза или на всем протяжении.
Эти симптомы также могут возникать при внематочной беременности:
- выделения из влагалища
- головокружение или обморок (вызванные кровопотерей)
- низкое кровяное давление (также вызванное кровопотерей)
- боль в пояснице
Что вызывает внематочную беременность?
Внематочная беременность обычно возникает из-за того, что оплодотворенная яйцеклетка не может быстро пройти по фаллопиевой трубе в матку.Трубка может быть заблокирована инфекцией или воспалением. Трубка может быть заблокирована от:
- воспалительные заболевания органов малого таза (ВЗОМТ)
- эндометриоз, когда клетки слизистой оболочки матки имплантируются и растут в других частях тела
- рубцовая ткань от предыдущих операций на брюшной полости или фаллопиевых железах
- редко врожденные дефекты, изменяющие форму трубы
Как диагностируется внематочная беременность?
Если у женщины может быть внематочная беременность, ее врач может сделать УЗИ, чтобы увидеть, где находится развивающийся плод.
Часто беременность слишком мала, чтобы ее можно было увидеть на УЗИ, до истечения более 5 или 6 недель после последней менструации женщины. Если внешнее ультразвуковое исследование не может показать беременность, врач может провести тест с помощью устройства, похожего на палочку, во влагалище.
Женщине может потребоваться тестирование каждые несколько дней, если первые тесты не могут подтвердить или исключить внематочную беременность.
Как лечится внематочная беременность?
То, как врачи лечат внематочную беременность, зависит от таких факторов, как размер и местонахождение беременности.
Иногда могут лечить раннюю внематочную беременность инъекцией метотрексата, который останавливает рост эмбриона. Затем ткань обычно поглощается телом женщины.
При более позднем сроке беременности врачам обычно приходится проводить операцию по удалению аномальной беременности.
Какое бы лечение она ни получала, после этого женщина будет регулярно посещать врача, чтобы убедиться, что уровень гормонов беременности возвращается к нулю.
Это может занять несколько недель. Повышенный уровень может означать, что часть эктопической ткани была упущена.Если это так, ей может понадобиться больше метотрексата или операция.
Что насчет будущих беременностей?
У большинства женщин, у которых была внематочная беременность, в будущем может быть нормальная беременность. Наличие одной внематочной беременности увеличивает риск повторной беременности у женщины.
Что еще я должен знать?
У любой женщины может быть внематочная беременность. Но риск выше у женщин старше 35 лет и у тех, кто перенес:
- ПИД-код
- предыдущая внематочная беременность
- операция на маточной трубе
- Проблемы с бесплодием или лекарства для стимуляции овуляции
Некоторые методы контроля рождаемости также могут повлиять на риск внематочной беременности у женщины.Те, кто забеременели при использовании внутриматочной спирали (ВМС), могут быть более склонны к внематочной беременности.
Курение и наличие нескольких половых партнеров также увеличивают риск внематочной беременности.
Когда я должен позвонить врачу?
Если вы считаете, что подвержены риску внематочной беременности, проконсультируйтесь со своим врачом перед тем, как забеременеть. Если вы беременны и у вас есть какие-либо опасения по поводу внематочной беременности, поговорите со своим врачом — важно обнаружить ее на ранней стадии.Ваш врач может захотеть проверить уровень гормонов или назначить раннее УЗИ, чтобы убедиться, что ваша беременность развивается нормально.
Немедленно позвоните своему врачу, если вы беременны и испытываете боль, кровотечение или другие симптомы внематочной беременности.
Повесть о двух кровотечениях — Браун Неотложная медицинская помощь
Ниже приведены два случая вагинального кровотечения, наблюдавшиеся в местном отделении неотложной помощи в одну и ту же смену.
СЛУЧАЙ 1:
HPI: 30-летняя женщина G3P1 на 5 неделе беременности от LMP, которая поступила в отделение неотложной помощи с вагинальными кровянистыми выделениями.
Она утверждает, что это началось сегодня утром во время мочеиспускания. Она сообщает о «ложке» темно-красной крови без сгустков. Сопутствующие симптомы включают преходящие спазмы внизу живота. До сих пор у ее беременности не было осложнений, и она только что наладила дородовой уход. Вторая беременность осложнилась преждевременными родами, по поводу которых ей сделали кесарево сечение.
PE: Гемодинамически стабилен. Нет болезненности в животе, охрана, рикошет или вздутие живота. При осмотре в зеркале в своде влагалища небольшое количество темно-красной крови и сгустка.Нет тканей плода. Шейный зев закрыт. Нет СМТ. Болезненности матки и придатков нет.
Прикроватный ТВУЗИ: Нет IUP
Что теперь?
При любом вагинальном кровотечении первым шагом является определение того, беременна пациентка или нет! В этом случае мы знаем, что наша пациентка беременна. На данный момент мы развиваем наш дифференциал:
- 2
- 22
Имплантация кровотечения
В отличие от нашей Миранды, ваш пациент виновен в эктопической беременности до невиновность доказана! Это один из диагнозов, который «нельзя пропустить», и мы все должны чувствовать себя комфортно, работая с ним.
Внематочная беременность:
Возникает при зачатии вне полости матки. Факторы риска включают наличие в анамнезе ИППП (особенно ВЗОМТ), вспомогательных репродуктивных технологий, операций на органах малого таза в анамнезе, преклонного возраста матери, предыдущей внематочной беременности и курения.
Подавляющее большинство эктопий происходит в фаллопиевых трубах (ампулярная часть), около 1% — в брюшной полости и <1% — в шейке матки.
Большинство пациенток сообщают об отсутствии менструаций в анамнезе, хотя до 15% пациенток сообщают о нормальных менструациях.
Боль в животе присутствует у 90% пациенток с внематочной беременностью (вторично по отношению к растяжению или разрыву маточных труб), хотя отсутствие боли не исключает внематочную беременность!
Физикальное обследование при внематочной беременности может быть разным. В случаях прервавшейся внематочной беременности у пациенток может быть брюшина с болезненностью придатков и, возможно, состояние шока.
Однако у большинства пациентов жизненные показатели стабильны. Образование или болезненность придатков могут быть эктопическими, хотя также могут быть кистой желтого тела при нормальной беременности и/или недавней овуляции. Кровь может быть обнаружена в своде влагалища, хотя гинекологический осмотр также может быть нормальным.Окончательный диагноз внематочной беременности ставится с помощью УЗИ или прямой визуализации во время лапароскопии или операции.
А как же уровень бета-ХГЧ? Хотя абсолютные уровни и «время удвоения» обычно больше при внематочной беременности, оказывается, что ни один уровень не может надежно отличить нормальную беременность от патологической.
В литературе описывается дискриминационная зона, или уровень бета-ХГЧ, при котором можно ожидать ВГД при 1500 мМЕ/мл при трансвагинальном сканировании и 6000 мМЕ/мл при трансабдоминальном сканировании. При этом, если подозревается внематочная, УЗИ следует проводить даже при низком уровне бета-ХГЧ.

Целью УЗИ является обнаружение жизнеспособной ВГБ и исключение внематочной беременности. Визуализация IUP обнадеживает, хотя и не исключает окончательно внематочную беременность, если у пациентки высокий риск гетеротопической беременности.Гетеротопическая беременность (как внутриутробная, так и внематочная) увеличилась в общей популяции, в основном в условиях применения вспомогательных репродуктивных технологий (в настоящее время около 1:3000 беременностей).
Пустая матка с эмбрионом, визуализируемым вне матки, является диагностическим признаком, однако это наблюдается только в 10 % трансабдоминальных сканирований и до 25 % трансвагинальных сканирований. Тазовая масса (особенно придатков) на фоне свободной жидкости (оценивается в тупиковом мешке позади матки) с большой долей вероятности указывает на внематочную беременность.
Если результаты УЗИ неопределенны и пациент гемодинамически стабилен, через два дня пациент должен пройти тщательное наблюдение акушера-гинеколога для повторного определения уровня бета-ХГЧ и соблюдать строгие меры предосторожности при повторном приеме.
Однако, если бета-ХГЧ пациента был выше дискриминационной зоны, рекомендуется обратиться за консультацией в отделение неотложной помощи до вынесения решения.При прервавшейся внематочной беременности хирургическое лечение является предпочтительным методом лечения.
При неразорвавшейся внематочной беременности, при отсутствии противопоказаний, гемодинамически стабильной пациентке с минимальными симптомами и надлежащем акушерском наблюдении может быть рассмотрено медикаментозное лечение метотрексатом.Обычно его вводят в виде однократной внутримышечной дозы, хотя было показано, что эффективность многократных доз выше (92,7% против 88,1%, p<0,05).
Неэффективность лечения в целом наблюдается примерно в 1/3 случаев. Вероятность эктопического разрыва составляет около 5%, и пациенты должны избегать половых контактов в течение 2-3 недель, учитывая риск этого.
Боль в животе через 3-7 дней после лечения метотрексатом является частым побочным эффектом, часто приписываемым трубному аборту/растяжению, хотя его трудно отличить от неэффективности лечения и эктопического разрыва.
Этим пациентам предлагается повторное лабораторное исследование (ОАК) и УЗИ органов малого таза.
Внематочная беременность | Кедры-Синай
Не то, что вы ищете?Что такое внематочная беременность?
Беременность, развивающаяся вне матки называется внематочной беременностью. Это почти всегда происходит в фаллопиевой трубка. Из-за этого ее часто называют трубной беременностью.В редких случаях внематочная беременность произойдет в яичнике, в шейке матки или животе (брюшке).
Что вызывает внематочную беременность?
Оплодотворенная яйцеклетка обычно перемещается по фаллопиевой трубе в матку. Но
яйцо может застрять в трубке, если трубка забита. Это может быть от инфекции
или рубцовой ткани. Если оплодотворенная яйцеклетка не может достичь матки, она начинает развиваться
в трубке.
Кто подвержен риску внематочной беременности?
Внематочная беременность чаще встречается у женщин, которые:
- Проблемы с беременностью (бесплодие)
- Эндометриоз. Это когда ткань матки разрастается в других областях таза.
- Болезнь, передающаяся половым путем. Это может вызвать инфекцию и образование рубцов в таз.
- Перенес операцию на маточных трубах
- Используйте ВМС
- В прошлом была внематочная беременность
- Иметь несколько сексуальных партнеров
- Дым
- старше
Каковы симптомы внематочной беременности?
Женщины с внематочной беременностью могут
имеют нерегулярные кровотечения и боли в области таза или живота (абдоминальные).
Боль часто просто
на
1 сторона. Симптомы часто возникают через 6–8 недель после последней нормальной менструации.
Если
внематочная беременность не в маточной трубе, симптомы могут проявиться позже. То
Классические симптомы внематочной беременности:
- Боль в животе
- Нет последнего периода
- Вагинальное кровотечение, не связанное с менструацией
Как диагностируется внематочная беременность?
Ваш лечащий врач
измерить уровень гормона ХГЧ (хорионический гонадотропин человека) в крови.Они
будет использовать ультразвук, чтобы проверить матку на наличие плода или другой ткани беременности. В
немного
случаях ваш лечащий врач будет использовать лапароскопию для диагностики и лечения внематочной
беременность.
Это операция, при которой в брюшную полость вводится трубка с подсветкой.
чек
внутри таза. Это часто дает наиболее точный диагноз.
Как лечить внематочную беременность?
Внематочная беременность лечится несколькими способами.Это зависит от того, является ли фаллопиевы труба сломалась (разорвалась), на каком сроке беременности и ваш гормон уровни. Лечение может включать:
- Позволить внематочной беременности зажить, и организм сам поглотит ее. Это только для определенных случаев.
- Использование метотрексата для предотвращения дальнейшего роста беременности
- Хирургическое вмешательство (обычно лапароскопия) для создания небольшого отверстия в фаллопиевой трубе.Хирург удаляет беременность, а иногда и трубу.
В редких случаях медицинские работники должны сделать больший разрез в брюшной полости, чтобы
удалить внематочную беременность или поврежденную маточную трубу.
Какие возможны осложнения внематочной беременности?
Когда эмбрион имплантируется в маточную трубу, ему не хватает места для роста или достаточно кровотока, чтобы сохранить его здоровым, поэтому он умирает.
Трубка может начать выпускать некоторые ткани или кровоточить. Некоторые эмбрионы продолжают расти и может стать достаточно большим, чтобы разорвать маточную трубу. Это может вызвать сильное кровотечение и шок.
Внематочная беременность является ведущей причиной смерти, связанной с беременностью, в течение первого 3 месяца беременности в США.
Когда мне следует позвонить поставщику медицинских услуг?
Не игнорируйте симптомы внематочной беременности.Позвоните своему поставщику медицинских услуг, если у вас есть
любое кровотечение или боль во время беременности.
Ключевые моменты о внематочной беременности
- Беременность, развивающаяся вне матки, называется внематочной беременностью.
- У женщин с внематочной беременностью могут быть нерегулярные кровотечения и тазовые или брюшные кровотечения. боль, чаще с одной стороны.
- Симптомы чаще всего появляются через 6–8 недель после последней нормальной менструации.
- Внематочная беременность может лечиться несколькими способами, в зависимости от того, трубка лопнула.
- Не игнорируйте симптомы внематочной беременности. Позвоните своему поставщику медицинских услуг, если у вас есть любое кровотечение или боль во время беременности.
Следующие шаги
Советы, которые помогут вам получить максимальную отдачу от посещения вашего поставщика медицинских услуг:
- Знайте причину вашего визита и то, что вы хотите, чтобы произошло.

- Перед визитом запишите вопросы, на которые вы хотите получить ответы.
- Возьмите с собой кого-нибудь, кто поможет вам задавать вопросы и помнить, что говорит ваш врач ты.
- При посещении запишите название нового диагноза и любые новые лекарства, методы лечения, или тесты. Также запишите все новые инструкции, которые дает вам ваш врач.
- Знайте, почему прописывается новое лекарство или лечение и как оно вам поможет.Также знать, каковы побочные эффекты.
- Спросите, можно ли вылечить ваше заболевание другими способами.
- Знайте, почему рекомендуется тест или процедура и что могут означать результаты.
- Знайте, чего ожидать, если вы не примете лекарство или не пройдете тест или процедуру.
- Если у вас запланирована повторная встреча, запишите дату, время и цель этой встречи.
визит. - Знайте, как вы можете связаться со своим поставщиком медицинских услуг, если у вас есть вопросы.
Медицинский обозреватель: Ирина Бурд, доктор медицинских наук
Медицинский обозреватель: Донна Фриборн, доктор философии CNM FNP
Медицинский обозреватель: Хизер М. Тревино BSN RNC
© 2000-2021 Компания StayWell, ООО. Все права защищены. Эта информация не предназначена для замены профессиональной медицинской помощи. Всегда следуйте инструкциям своего лечащего врача.
Не то, что вы ищете?Симптомы, причины, лечение и тесты
Обзор
Что такое внематочная беременность?Что такое внематочная беременность?
Внематочная беременность – это беременность, наступившая вне матки. Это происходит, когда оплодотворенная яйцеклетка имплантируется в структуру, которая не может поддерживать ее рост.
Внематочная беременность часто возникает в маточной трубе (паре структур, соединяющих яичники и матку).В редких случаях внематочная беременность может возникнуть на яичнике или в брюшной полости.
Это опасное для жизни состояние. Внематочная беременность не является беременностью, которая может быть доношенной (до родов) и может быть опасной для матери, если ее не лечить сразу.
Где бывает внематочная беременность?
Если оплодотворенная яйцеклетка имплантируется вне матки, считается внематочной беременностью. Яйцеклетка должна пройти по фаллопиевым трубам и внедриться в стенку матки, где она может начать развиваться.При внематочной беременности яйцеклетка имплантируется в одну из структур по пути. Чаще всего это может произойти в фаллопиевых трубах. Здесь происходит большинство внематочных беременностей, называемых трубной внематочной беременностью. Оплодотворенная яйцеклетка может также имплантироваться в другие органы брюшной полости. Это более редкая форма внематочной беременности, чем та, которая возникает в маточной трубе.
Насколько серьезна внематочная беременность?
Внематочная беременность требует неотложной медицинской помощи.Матка уникально приспособлена для удержания растущего плода. Это орган, который может растягиваться и расширяться по мере роста плода. Ваши фаллопиевы трубы не такие гибкие. Они могут лопнуть по мере развития оплодотворенной яйцеклетки. Когда это происходит, вы можете испытать большое количество внутренних кровотечений. Это опасно для жизни. Внематочная беременность требует немедленного лечения во избежание повреждения маточной трубы, других органов брюшной полости, внутреннего кровотечения и летального исхода.
Может ли моя беременность продолжаться после внематочной беременности?
К сожалению, внематочная беременность губительна для плода.Он не может выжить вне матки. Быстрое лечение внематочной беременности важно для защиты жизни матери. Если яйцеклетка имплантировалась в фаллопиеву трубу и труба лопнула, может возникнуть сильное внутреннее кровотечение.
Это может привести к материнской смерти.
Симптомы и причины
Что вызывает внематочную беременность?
В большинстве случаев внематочную беременность вызывают состояния, которые замедляют или блокируют движение яйцеклетки по фаллопиевой трубе в матку.
Как узнать, подвержен ли я риску внематочной беременности?
Существует несколько факторов риска, которые могут увеличить вероятность развития внематочной беременности. Фактор риска — это черта или поведение, которое увеличивает вероятность развития заболевания или состояния. У вас может быть более высокий риск развития внематочной беременности, если у вас было:
- Предыдущая внематочная беременность.
- Воспалительное заболевание органов малого таза (ВЗОМТ) в анамнезе, инфекция, которая может вызвать образование рубцовой ткани в фаллопиевых трубах, матке, яичниках и шейке матки.
- Операция на фаллопиевых трубах (включая перевязку маточных труб, также называемая перевязкой маточных труб) или на других органах в области малого таза.

- Бесплодие в анамнезе.
- Лечение бесплодия методом экстракорпорального оплодотворения (ЭКО).
- Эндометриоз.
- Инфекции, передающиеся половым путем (ИППП).
- Внутриматочная спираль (ВМС), форма контроля над рождаемостью, на месте во время зачатия.
- Курение в анамнезе.
Ваш риск также может увеличиваться с возрастом.Женщины старше 35 лет подвержены большему риску, чем молодые женщины.
Многие женщины с внематочной беременностью не имеют ни одного из вышеперечисленных факторов риска.
Каковы симптомы внематочной беременности?
Ранние симптомы внематочной беременности могут быть очень похожи на типичные симптомы беременности. Однако во время внематочной беременности у вас могут возникнуть дополнительные симптомы, в том числе:
- Вагинальное кровотечение.
- Боль в нижней части живота, таза и нижней части спины.
- Головокружение или слабость.
При разрыве маточной трубы боль и кровотечение могут быть достаточно сильными, чтобы вызвать дополнительные симптомы.
Они могут включать:
При разрыве трубки вы можете почувствовать острую боль внизу живота. Это неотложная медицинская помощь, и вам необходимо немедленно связаться со своим лечащим врачом или обратиться в отделение неотложной помощи.
Если вы понимаете, что беременны и у вас установлена ВМС (внутриматочная спираль для контрацепции), или у вас в анамнезе была перевязка маточных труб (связывание маточных труб хирургическим путем или во время кесарева сечения), обратитесь к своему лечащему врачу. провайдер сразу.В таких случаях чаще встречается внематочная беременность.
Диагностика и тесты
Как диагностируется внематочная беременность?
Внематочная беременность обычно диагностируется во время визита к врачу. Ваш врач проведет несколько тестов, чтобы сначала подтвердить беременность, а затем искать внематочную беременность. Эти тесты включают:
- Анализ мочи : Этот тест включает либо мочеиспускание на тест-полоску (обычно в форме палочки), либо мочеиспускание в чашку в кабинете вашего врача, а затем тест-полоску опускают в образец мочи.

- Анализ крови : Ваш врач может проверить вашу кровь, чтобы узнать, сколько гормона хорионического гонадотропина человека (ХГЧ) содержится в вашем организме. Этот гормон вырабатывается во время беременности. Вы также можете услышать, что это называется уровнем бета-ХГЧ в сыворотке.
- Ультразвуковое исследование : визуализирующий тест, ультразвук использует звуковые волны для создания изображения внутренних структур вашего тела. УЗИ часто используется во время беременности. Ваш врач будет использовать этот тест, чтобы увидеть, где имплантирована оплодотворенная яйцеклетка.
После того, как ваш врач подтвердит беременность и определит место имплантации оплодотворенной яйцеклетки, будет создан план лечения. Внематочная беременность является неотложной ситуацией, и лечение этого состояния очень важно.
В случае разрыва фаллопиевой трубы вам необходимо обратиться в отделение неотложной помощи и получить немедленную помощь.
В таких случаях нет времени ждать встречи.
На каком сроке беременности выявляют внематочную беременность?
Внематочная беременность обычно выявляется на очень ранних сроках беременности.Большинство случаев обнаруживаются в течение первого триместра (первые три месяца). Обычно его обнаруживают к восьмой неделе беременности.
Управление и лечение
Как лечится внематочная беременность?
Существует несколько способов лечения внематочной беременности. В некоторых случаях ваш лечащий врач может предложить использовать лекарство под названием метотрексат, чтобы остановить развитие беременности. Это прервет вашу беременность. Метотрексат вводится вашим лечащим врачом в виде инъекций.Этот вариант менее инвазивен, чем хирургическое вмешательство, но требует повторных визитов к врачу, на котором будет контролироваться уровень ХГЧ.
В тяжелых случаях часто прибегают к хирургическому вмешательству. Ваш врач захочет провести операцию, если у вас произошел разрыв фаллопиевой трубы или если у вас есть риск разрыва.
Это экстренная операция и лечение, спасающее жизнь. Процедура обычно выполняется лапароскопически (через несколько небольших надрезов вместо одного большого разреза). Хирург может удалить всю фаллопиеву трубу с яйцеклеткой внутри или, если возможно, удалить яйцеклетку из трубы.
Профилактика
Можно ли предотвратить внематочную беременность?
Внематочная беременность не может быть предотвращена. Но вы можете попытаться уменьшить факторы риска, следуя хорошим привычкам в образе жизни. Они могут включать отказ от курения, поддержание здорового веса и диеты, а также профилактику инфекций, передающихся половым путем (ИППП). Поговорите со своим лечащим врачом о любых факторах риска, которые могут у вас быть, прежде чем пытаться забеременеть.
Перспективы/прогноз
Могу ли я снова забеременеть после внематочной беременности?
У большинства женщин, у которых была внематочная беременность, в будущем может быть успешная беременность.
Существует более высокий риск внематочной беременности в будущем после того, как у вас была одна. Важно поговорить со своим лечащим врачом о причинах внематочной беременности и о возможных факторах риска, которые могут привести к внематочной беременности в будущем.
Как долго я должен ждать, прежде чем снова забеременеть после внематочной беременности?
Вам следует поговорить со своим лечащим врачом о будущих беременностях после лечения внематочной беременности. Хотя беременность может наступить вскоре после лечения, часто лучше подождать около трех месяцев.Это дает вашей фаллопиевой трубе время для заживления и снижает риск повторной внематочной беременности.
Если мне удалят фаллопиеву трубу, смогу ли я родить ребенка?
В большинстве случаев вы все еще можете иметь ребенка, если вам удалили одну из фаллопиевых труб. У вас есть пара фаллопиевых труб, и яйцеклетки все еще могут перемещаться по оставшейся трубе. Существуют также процедуры вспомогательной фертильности, при которых яйцеклетка извлекается из яичника, оплодотворяется вне тела и помещается в матку для имплантации.
Это называется экстракорпоральным оплодотворением (ЭКО).
Проведите открытый разговор о своих мыслях о будущих беременностях с вашим лечащим врачом. Вместе вы можете составить план и обсудить способы снижения любых имеющихся у вас факторов риска.
Внематочная беременность — признаки и симптомы, причины, лечение
Каждый месяц один из ваших яичников выпускает яйцеклетку в фаллопиеву трубу. Если вы не забеременеете, слизистая оболочка матки отслоится и наступит менструация. Но если яйцеклетка оплодотворяется спермой, она попадает в матку, имплантируется в ее слизистую оболочку и продолжает развиваться в плод.
Однако примерно в 2 процентах всех беременностей оплодотворенная яйцеклетка имплантируется вне матки, обычно в маточной трубе. Известная как внематочная беременность, она происходит на ранних сроках — до того, как некоторые женщины осознают, что беременны. И это требует незамедлительного лечения: по мере роста внематочной беременности она может привести к разрыву фаллопиевой трубы и вызвать опасное для жизни внутреннее кровотечение.
Хорошие новости? При своевременной диагностике и уходе возможно, что в будущем у вас будет здоровая беременность.
Что такое внематочная беременность?
Внематочная беременность (также известная как трубная беременность) — это когда оплодотворенная яйцеклетка имплантируется вне матки, где она не может продолжать нормально развиваться. Около 2 процентов всех беременностей являются внематочной. И более 90 процентов внематочных беременностей происходят в одной из фаллопиевых труб, хотя они также могут происходить в шейке матки, яичнике или брюшной полости.
Если внематочная беременность остается незамеченной и продолжает расти, она может привести к разрыву фаллопиевой трубы и сильному кровотечению.Вот почему важно немедленно позвонить своему врачу, если вы думаете, что испытываете симптомы внематочной беременности.
Каковы ранние признаки и симптомы внематочной беременности?
Симптомы внематочной беременности развиваются между 4 и 12 неделями беременности (или примерно через 2–10 недель после оплодотворения).
Однако внематочную беременность бывает трудно диагностировать, поскольку многие признаки, включая болезненность молочных желез, тошноту и утомляемость, аналогичны нормальным симптомам ранней беременности.
Периодические спазмы и незначительные кровянистые выделения из влагалища не являются поводом для беспокойства во время беременности.Но вам следует обратиться к врачу, если вы испытываете следующие признаки внематочной беременности, особенно если ваши симптомы сохраняются или ухудшаются:
Если внематочная беременность проходит незамеченной и происходит разрыв фаллопиевой трубы, вы можете испытывать:
- Обильное кровотечение
- Увеличение и/или сильная острая боль в животе
- Давление в прямой кишке
- Низкое кровяное давление из-за кровопотери
- Ощущение обморока, слабости или головокружения из-за кровопотери
- Боль в плече из-за скопления крови под диафрагмой
Каковы причины внематочной беременности?
Внематочная беременность часто возникает из-за замедления или затруднения движения яйцеклетки после оплодотворения, обычно из-за рубцовой ткани, деформированной формы фаллопиевых труб, возможной инфекции или воспаления.
Также могут играть роль проблемы с развитием оплодотворенной яйцеклетки или гормональный дисбаланс.
Каковы факторы риска внематочной беременности?
Хотя внематочная беременность может развиться у любой женщины, следующие состояния связаны с повышенным риском внематочной беременности:
беременна, и назначьте визит, как только узнаете, что ждете ребенка.
Тесты и диагностика внематочной беременности
Внематочная беременность обычно диагностируется примерно на четвертой-шестой неделе беременности. Тесты на внематочную беременность и диагностика часто включают:
- Гинекологический осмотр
- Трансвагинальное ультразвуковое исследование, позволяющее обнаружить внематочную беременность уже через пять недель после последней менструации; во влагалище помещают зонд, чтобы проверить наличие развивающегося эмбриона вне матки.
- Анализы крови для проверки уровня гормона хорионического гонадотропина человека (ХГЧ), гормона, вырабатываемого плацентой, уровень которого увеличивается во время беременности.
Повышение уровня ГГЦ ниже нормы может указывать на внематочную беременность. - Другие анализы крови для выявления признаков кровопотери
Лечение внематочной беременности
К сожалению, сохранить внематочную беременность невозможно. Есть несколько вариантов его лечения, каждый из которых требует тщательного наблюдения у врача, чтобы убедиться, что уровень ХГЧ упадет до нуля.
Медикаменты
При самых незначительных внематочных беременностях — при отсутствии сердцебиения плода и отсутствии разрыва маточной трубы — обычно можно лечить метотрексатом.Препарат препятствует росту клеток, поэтому беременность заканчивается и реабсорбируется организмом в течение четырех-шести недель.
После укола этого лекарства вы пройдете важные последующие анализы крови, чтобы убедиться, что уровень ХГЧ снижается надлежащим образом. Если ваш уровень ХГЧ не снижается по крайней мере на 15 процентов в период с четвертого по седьмой день после лечения, требуется вторая доза.
Важно избегать употребления алкоголя, фолиевой кислоты (как в витаминах, так и в пищевых продуктах) и обезболивающих препаратов, таких как ибупрофен, чтобы обеспечить правильное действие лекарства, а также тяжелых физических упражнений и секса (по крайней мере, в течение двух недель).Во время этого процесса внематочная беременность все еще может разорваться, поэтому так важно обязательно посещать врача и следовать его или ее инструкциям по последующему уходу.
Лапароскопическая хирургия
В большинстве других случаев, в том числе при разрыве фаллопиевой трубы или наступлении беременности, врач может провести операцию по удалению внематочной беременности под общей анестезией. Женщины обычно покидают больницу в течение 24 часов после лапароскопии, а время восстановления составляет неделю или две.
Операцию можно провести с помощью лапароскопа (тонкий светопропускающий инструмент с камерой), который вводится через небольшие разрезы в брюшной полости.
Это позволяет хирургам заглянуть внутрь без необходимости делать большие разрезы при использовании хирургических инструментов. В некоторых случаях, когда маточная труба разорвалась, может потребоваться ее удаление частично или полностью.
Лапаротомия
Иногда для лечения внематочной беременности требуется больший разрез. В этом случае вас выпишут из больницы через день или два, а время восстановления составит около шести недель.
Осложнения внематочной беременности
Без ранней диагностики внематочной беременности и лечения оплодотворенная яйцеклетка может продолжать расти в маточной трубе, что приводит к ее разрыву. Если маточная труба лопнет, она не сможет в будущем донести оплодотворенную яйцеклетку до матки. И если о разрыве не заботятся, это может привести к сильному внутреннему кровотечению и шоку.
Хорошей новостью является то, что при раннем выявлении и медикаментозном лечении или хирургическом вмешательстве врачи могут удалить ткань до того, как возникнут эти осложнения, поэтому всегда обязательно сразу же сообщайте своему лечащему врачу, если вы испытываете какие-либо симптомы, которые, по вашему мнению, могут быть связаны с заболеванием.
внематочная беременность.
Предотвращение внематочной беременности
Хотя некоторые факторы находятся вне вашего контроля, есть несколько способов снизить риск внематочной беременности:
- Не курите.
- Если вы в настоящее время не пытаетесь забеременеть, используйте презервативы, чтобы снизить риск заражения ИППП.
- Пройдите тест, если вы подвержены риску заражения ИППП, чтобы вы могли получить лечение в кратчайшие сроки.
- Если вы страдаете эндометриозом, обратитесь к врачу за возможным лечением.
И, конечно же, каждый раз, когда вы пытаетесь забеременеть, лучший способ оставаться здоровым — это заниматься спортом, хорошо питаться и не забывать ежедневно принимать витамины для беременных.
Как справиться с невынашиванием беременности
Несмотря на то, что внематочная беременность возникает на раннем сроке, это такая же потеря, как и любой другой выкидыш, особенно если вы планировали ребенка.
Вы можете чувствовать грусть или шок, и эмоциональное восстановление может занять некоторое время. Положитесь на своих друзей и семью за поддержкой после потери беременности и подумайте о группе поддержки или психологическом консультировании.
Повторная беременность после внематочной беременности
Наличие внематочной беременности не должно сильно влиять на вашу будущую фертильность. Даже если вы потеряли фаллопиеву трубу, ее место должна занять другая труба.
Некоторые исследования показали, что около двух третей женщин, прошедших лечение по поводу внематочной беременности, зачаты и имеют нормальную беременность в течение двух лет. В среднем около 85 процентов пар, у которых не было внематочной беременности, забеременели в течение одного года после попытки.
Имейте в виду, что наличие одной внематочной беременности увеличивает риск повторной беременности, и те же факторы, которые привели к ней, могут все еще действовать.
Если вы хотите снова забеременеть, обязательно обратитесь к врачу для осмотра и повторных анализов крови, чтобы убедиться, что гормон беременности ХГЧ упал до неопределяемого уровня.
Может быть хорошей идеей подождать, пока у вас не будет от трех до шести менструальных циклов, прежде чем пытаться снова забеременеть.Внематочная беременность | Симптомы, лечение и осложнения
1 из 4 Что такое внематочная беременность?
Понимание нормальной ранней беременности
Яйцеклетка (яйцеклетка) выходит из яичника в маточную трубу.Это называется овуляцией и обычно происходит раз в месяц примерно в середине между менструациями. Сперма может сохраняться в фаллопиевых трубах до пяти дней после полового акта. Затем сперма может соединиться с яйцеклеткой (оплодотворение), чтобы создать эмбрион. Крошечный эмбрион перемещается по фаллопиевой трубе в матку с помощью крошечных волосков (ресничок). Обычно он прикрепляется к внутренней оболочке матки и развивается в ребенка.
Женская репродуктивная система
CDC, Mysid, общедоступное, через Wikimedia CommonsBy CDC, Mysid, общедоступное, через Wikimedia Commons
Где развивается внематочная беременность?
В большинстве случаев внематочная беременность возникает, когда оплодотворенная яйцеклетка (яйцеклетка) прикрепляется к внутренней стенке маточной трубы (трубная внематочная беременность).
В редких случаях внематочная беременность возникает в других местах, таких как яичник, шейка матки (шейка матки) или внутри живота (живот). Также редко беременность может развиваться в матке одновременно с внематочной беременностью вне матки (гетеротопическая беременность). Остальная часть этой брошюры посвящена только трубной внематочной беременности.
Какие проблемы возникают при внематочной беременности?
Трубная внематочная беременность никогда не выживает. Возможные исходы включают следующее:
- Беременность часто умирает через несколько дней.Около половины внематочных беременностей, вероятно, заканчиваются именно так. У вас может не быть никаких симптомов, и вы, возможно, никогда не знали, что беременны. Иногда возникает легкая боль и небольшое вагинальное кровотечение, похожее на выкидыш. Ничего больше делать не нужно, если это произошло.
- Беременность может расти некоторое время в узкой маточной трубе. Это может растянуть трубку и вызвать симптомы.
В этом случае обычно диагностируют внематочную беременность. - Узкая маточная труба может только немного растянуться.Если беременность растет дальше, она обычно расщепляет (разрывает) фаллопиеву трубу. Это может вызвать сильное внутреннее кровотечение и боль. Это неотложная медицинская помощь.
Симптомы внематочной беременности
Симптомы внематочной беременности обычно развиваются примерно на шестой неделе беременности. Это примерно через две недели после задержки менструации, если у вас регулярные месячные. Однако симптомы могут развиться в любое время между 4 и 10 неделями беременности. Вы можете не знать, что беременны.Например, ваши месячные могут быть нерегулярными, или вы можете использовать противозачаточные средства и не осознавать, что они не помогли. Симптомы внематочной беременности также могут начаться примерно в то время, когда должна начаться менструация. Сначала вы можете подумать, что симптомы — это просто поздние месячные.
Симптомы внематочной беременности включают один или несколько следующих симптомов.
- Боль с одной стороны внизу живота (живот). Он может развиться остро или может медленно ухудшаться в течение нескольких дней. Это может стать серьезным.
- Вагинальное кровотечение возникает часто, но не всегда.Оно часто отличается от менструального кровотечения. Например, кровотечение может быть обильнее или легче, чем при обычной менструации. Кровь может выглядеть темнее. Однако вы можете подумать, что кровотечение является поздним периодом.
- Могут отмечаться и другие симптомы, такие как диарея, слабость или боль при дефекации.
- Может развиться боль в плечевом суставе. Это связано с тем, что некоторое количество крови просачивается в брюшную полость и раздражает мышцу, используемую для дыхания (диафрагму).
- Вы можете почувствовать головокружение или слабость.
- Если маточная труба разорвется и вызовет внутреннее кровотечение, у вас может появиться сильная боль или «коллапс». Это экстренная ситуация, так как кровотечение сильное.

- Иногда перед разрывом трубы отсутствуют предупреждающие симптомы (например, боль). Поэтому коллапс из-за внезапного сильного внутреннего кровотечения иногда является первым признаком внематочной беременности.
У кого развивается внематочная беременность?
Внематочная беременность может возникнуть у любой сексуально активной женщины. В Великобритании ежегодно в больницах наблюдают около 12 000 женщин с внематочной беременностью.
Вероятность выше средней в следующих группах риска:
- Если у вас уже была внематочная беременность , у вас несколько выше вероятность того, что будущая беременность будет внематочной. Если у вас было две или более внематочных беременности, ваши шансы на повторную внематочную беременность еще выше.
- Если у вас есть повреждение или другая аномалия маточной трубы. Это связано с тем, что оплодотворенная яйцеклетка (яйцеклетка) легче застревает в трубке.Например:
- Если у вас ранее была инфекция матки (матки) или фаллопиевых труб (воспалительное заболевание органов малого таза).
Чаще всего это происходит из-за хламидиоза или гонореи. Эти инфекции могут привести к некоторому рубцеванию фаллопиевых труб. - Предыдущая операция по стерилизации. Стерилизация – очень эффективный метод контрацепции. Однако в тех редких случаях, когда беременность все же наступает, существует более высокий риск внематочной беременности.
- Любая предыдущая операция на маточной трубе или близлежащих структурах.
- Если у вас заболевание, вызывающее воспаление матки и окружающей ее области (эндометриоз).
- Если у вас ранее была инфекция матки (матки) или фаллопиевых труб (воспалительное заболевание органов малого таза).
- Если вы используете внутриматочное противозачаточное средство (ВМС) . Беременность наступает редко, так как это очень эффективный метод контрацепции. Однако, если вы забеременеете во время использования ВМС, вероятность внематочной беременности выше, чем если бы у вас не было ВМС.
- Если вы используете вспомогательное зачатие (некоторые виды лечения бесплодия).
Однако около одной трети женщин с внематочной беременностью , а не имеют какой-либо из этих факторов риска.
Как подтверждается внематочная беременность?
Если у вас есть симптомы внематочной беременности, которые могут указывать на внематочную беременность, вас, как правило, немедленно госпитализируют.
- Анализ мочи может подтвердить вашу беременность.
- УЗИ может подтвердить внематочную беременность. Обычно это внутреннее (трансвагинальное) сканирование, которое безболезненно и дает хороший обзор фаллопиевых труб.Однако сканирование может быть нечетким, если беременность очень ранняя. В этом случае часто проводят повторное сканирование через несколько дней.
- Также обычно проводятся анализы крови, которые показывают изменения уровня гормона беременности, называемого хорионическим гонадотропином человека (ХГЧ). При развивающейся беременности уровень ХГЧ постепенно повышается.
Какие существуют варианты лечения внематочной беременности?
Разрыв внематочной беременности
Неотложная операция необходима, если фаллопиевы трубы расщепляются (разрываются) с сильным кровотечением.
Основная цель – остановить кровотечение. Затем удаляют разорванную фаллопиеву трубу и остатки ранней беременности. Операция часто спасает жизнь.
Ранняя внематочная беременность — до разрыва
Внематочная беременность чаще всего диагностируется до разрыва. Ваш врач обсудит с вами варианты лечения, и во многих случаях вы сможете решить, какое лечение лучше для вас. Они могут включать следующее:
- Хирургия . Удаление трубы (всей трубы или ее части) и внематочная беременность чаще всего выполняются с помощью операции «замочная скважина» (лапароскопическая операция).Удаление маточной трубы с внематочной беременностью (сальпингэктомия) обычно выполняется, если другая труба здорова. Удаление только участка трубы с внематочной беременностью в ней (сальпинготомия) обычно проводят, если другая труба уже повреждена.
- Лечение . Медикаментозное лечение внематочной беременности теперь доступно во многих случаях и позволяет избежать хирургического вмешательства.
Часто вводят лекарство под названием метотрексат, обычно в виде инъекции. Он работает, убивая клетки беременности, растущие в фаллопиевой трубе.Обычно это рекомендуется только в том случае, если беременность очень ранняя. Преимущество в том, что вам не нужна операция. Недостатком является то, что вам потребуется тщательное наблюдение в течение нескольких недель с повторными анализами крови и сканированием, чтобы убедиться, что это сработало. Вам нужно будет сдавать анализ крови на ХГЧ каждые 2-3 дня, пока ваш уровень не станет низким. Сканирование обычно повторяется еженедельно. Метотрексат может вызывать побочные эффекты, которые включают тошноту (тошнота) и тошноту (рвоту) у некоторых женщин. Некоторые боли в животе (животе) могут возникать через 3-7 дней после приема метотрексата. - Подождите и посмотрите . Не все случаи внематочной беременности опасны для жизни или представляют опасность для матери. Во многих случаях внематочная беременность разрешается сама по себе без каких-либо проблем в будущем.
Беременность часто умирает подобно выкидышу. Возможный вариант — посмотреть, как идут дела, если у вас легкие симптомы внематочной беременности или их нет. Вам потребуется лечение, если симптомы ухудшатся. Вам потребуется тщательное наблюдение вашего гинеколога, а также повторные сканирования и анализы крови, чтобы проверить, как развиваются события.
Если у вас резус-отрицательная группа крови, вам потребуется инъекция анти-D-иммуноглобулина, если вам предстоит операция по поводу внематочной беременности или если у вас было сильное кровотечение. Вы резус-положительны, если у вас есть резус-фактор, представляющий собой белок на поверхности эритроцитов. Если белка нет, у вас отрицательный резус. Всем беременным сдают анализ крови, чтобы определить, положительный у них резус или отрицательный. Инъекция анти-D-иммуноглобулина просто предотвращает выработку антител, которые могут быть вредными при будущих беременностях, если у вас отрицательный резус-фактор.Вам не нужна эта инъекция, если вы получаете лечение.
Выше приведено краткое описание вариантов лечения. Гинеколог (консультант-специалист по женскому здоровью) проконсультирует вас о плюсах и минусах каждого лечения. Это будет включать любые осложнения или побочные эффекты, которые могут возникнуть с каждым вариантом.
Что делать, если у меня есть беременность в утробе матери одновременно с внематочной беременностью?
Это называется гетеротопической беременностью и встречается необычно.Это более распространено, если вы забеременели в результате лечения экстракорпорального оплодотворения (ЭКО). Если беременность в утробе матери здоровая и развивается нормально, лечение метотрексатом невозможно. Это потому, что это может повредить ребенку в нужном месте, а также ткани, растущие в неправильном месте. Вам может потребоваться операция или инъекция, чтобы удалить или уничтожить беременность в неправильном месте, чтобы нормальная беременность могла продолжаться благополучно. В некоторых случаях лечение не требуется, и беременность в неправильном месте рассосется сама собой, оставив вам только нормальную беременность.
Опять же, ваш специалист проконсультирует вас.
Возможны ли осложнения внематочной беременности?
В ныне редком случае разрыва внематочной беременности могут быть тяжелые последствия. Сильное кровотечение может вызвать серьезные проблемы со здоровьем, а иногда даже смерть. Однако большинству женщин в настоящее время диагноз ставят на ранних стадиях, до того, как это произойдет. В этом случае большинство женщин выздоравливают очень хорошо. Есть некоторые редкие осложнения после операции, которые ваш гинеколог обсудит с вами до операции.Как уже говорилось, часто возникают некоторые побочные эффекты от лечения.
Женщины часто хотят знать, смогут ли они иметь нормальную беременность в будущем после внематочной беременности. Если до внематочной беременности у вас не было проблем с зачатием или заболеваний фаллопиевых труб, это не повлияет на вашу фертильность, и у вас должно быть не больше шансов на внематочную беременность, чем у женщины, у которой не было внематочной беременности.
Однако, если у вас был один из перечисленных выше факторов риска, вы можете подвергаться большему риску возникновения проблем в будущем.Если вам пришлось сделать операцию, у вас больше шансов иметь проблемы с фертильностью и проблемы с будущей внематочной беременностью, чем если бы вы лечились или не нуждались в лечении. Даже если одна маточная труба полностью удалена, вероятность нормальной беременности в будущем составляет примерно 6 из 10. (Другая маточная труба, как правило, все еще работает.) Однако 1-2 из 10 будущих беременностей могут привести к повторной внематочной беременности. Поэтому важно, что если у вас была внематочная беременность в прошлом, вы должны обратиться к врачу в начале будущих беременностей.
Некоторое время после лечения обычно чувствуется тревога или депрессия. Беспокойство по поводу возможной внематочной беременности в будущем, влияние на фертильность и грусть по поводу потери беременности являются нормальными. Поговорите с врачом об этих и любых других проблемах после лечения.


Это объясняется повышением чувствительности шейки матки. В таком случае следует воздержаться от сексуальных контактов до медицинского осмотра. Это нужно для того, чтобы предотвратить дальнейшее раздражение и избежать осложнений – нормальная сексуальная жизнь не спровоцирует выкидыш.
Так бывает, когда плодное яйцо к стенке матки прикрепляется.
Я этого очень испугалась, 3 месяца назад у меня случился выкидыш. Еще на следующий день немножко помазало коричневатым, а потом уже было чисто. Начали болеть соски. Сделала тест через 14 дней, результат отрицательный. Теперь вот мучаюсь, не зная беременна, или может это что-то другое. И задержку не могу определить точно, так как половой акт был за пару дней до предполагаемой менструации.
Как я поняла, если это имплантация, то крови должно быть совсем чуть-чуть.
Записалась на прием к гинекологу, но его назначили только через неделю. Муж проконсультировался с кем-то и ему сказали, что возможно я была беременна, а мы все испортили половым актом и был выкидыш… я расстроилась не на шутку. Муж тогда меня успокаивал, как только мог! Пообещал, что попробуем снова. А через неделю менструация так и не наступила, зато тест на беременность оказался положительным! Так что к гинекологу я пришла уже становиться на учет.

Однако у большинства пациентов жизненные показатели стабильны. Образование или болезненность придатков могут быть эктопическими, хотя также могут быть кистой желтого тела при нормальной беременности и/или недавней овуляции. Кровь может быть обнаружена в своде влагалища, хотя гинекологический осмотр также может быть нормальным.
Этим пациентам предлагается повторное лабораторное исследование (ОАК) и УЗИ органов малого таза.
визит.

Повышение уровня ГГЦ ниже нормы может указывать на внематочную беременность.
В этом случае обычно диагностируют внематочную беременность.
Чаще всего это происходит из-за хламидиоза или гонореи. Эти инфекции могут привести к некоторому рубцеванию фаллопиевых труб.
Часто вводят лекарство под названием метотрексат, обычно в виде инъекции. Он работает, убивая клетки беременности, растущие в фаллопиевой трубе.Обычно это рекомендуется только в том случае, если беременность очень ранняя. Преимущество в том, что вам не нужна операция. Недостатком является то, что вам потребуется тщательное наблюдение в течение нескольких недель с повторными анализами крови и сканированием, чтобы убедиться, что это сработало. Вам нужно будет сдавать анализ крови на ХГЧ каждые 2-3 дня, пока ваш уровень не станет низким. Сканирование обычно повторяется еженедельно. Метотрексат может вызывать побочные эффекты, которые включают тошноту (тошнота) и тошноту (рвоту) у некоторых женщин. Некоторые боли в животе (животе) могут возникать через 3-7 дней после приема метотрексата.
Беременность часто умирает подобно выкидышу. Возможный вариант — посмотреть, как идут дела, если у вас легкие симптомы внематочной беременности или их нет. Вам потребуется лечение, если симптомы ухудшатся. Вам потребуется тщательное наблюдение вашего гинеколога, а также повторные сканирования и анализы крови, чтобы проверить, как развиваются события.