Виды, Симптомы, Диагностика, Методы Лечения
Киста зуба представляет собой полое патологическое опухолеобразное поражение костной ткани. По статистике в 85% клинических случаев кистозного новообразования врачи диагностируют радикулярные кисты, причина образования которых заключается в инфицировании корневых каналов.
Данное заболевание, практически, одинаково поражает мужчин и женщин в возрасте 20-40 лет. Это объясняется тем, в раннем возрастном периоде люди наиболее подвержены кариесу и его осложнениям.

Условное изображение корневой кисты
В стоматологии выделяют следующие виды кистозного поражения.
Радикулярная киста
Корневой кистозный процесс, по сути, считается осложнением воспаления пульпы и периодонтита.
Этиология и патогенез заболевания
Зубная киста, что это? Болезнь формируется по причине прогрессирования хронического воспаления связочного аппарата зуба. Специалисты определили, что у каждого человека на внутренней поверхности периодонтальной щели находится определенное количество эпителиальных клеток.
Раздражающее воздействие бактериальной инфекции в течение длительного периода времени стимулирует активное размножение данных клеток. В результате на верхушке корня образовывается гранулема, а затем киста.

Одонтогенная причина кист
Увеличение размера опухолеподобного формирования сопровождается заполнением полости кистозным содержимым. Зубная корневая киста растет за счет растягивание ее стеной жидкостью, что вызывает атрофию окружающей костной ткани.
Клиническая картина
Выраженных жалоб у пациента отсутствуют, что связано с бессимптомным течением кистозного процесса. В большинстве случаев обнаружение кисты является случайным диагностическим успехом. Это происходит при изучении рентгенограммы зубных рядов во время их лечения.

Рентгенографический снимок кистозного зуба
У некоторых пациентов симптомы сводятся к прогрессирующей деформации костной ткани челюсти и образовании свищевого хода на десне. При этом яркая клиническая картина болезни наблюдается при нагноении патологической полости.
У больного происходит резкое ухудшение общего самочувствия, нарастают признаки интоксикации организма, увеличение температуры тела. Если киста на верхушке корня зуба сдавливает сосудисто-нервный пучок, то у пациента может онеметь область нижней губы (симптом Венсана).

Кистозный свищ на десне
После прорастания патологического новообразования под надкостницу его можно определить по характерному ограниченному выпячиванию слизистой оболочки. При ощупывании данного участка можно ощутить наличие жидкости в ограниченном пространстве (симптом флюктуации).

Воспаление кисты зуба
Некоторое воспаление кисты зуба со временем может спровоцировать деформацию лицевой области. Асимметрия преимущественно развивается при локализации патологии в переднем отделе верхней или нижней челюсти. Иногда прорастание кистозной полости центральных резцов вызывает выбухание слизистой оболочки в начальном отделе носовых ходов (валик Гербера).
Признаки нагноения кисты представлены в галерее ниже:
Диагностика заболевания
Воспаление корня зуба или киста, как определить их помогает план обследования стоматологического больного.
Исследование таких пациентов включает следующие последовательные диагностические мероприятия:
- Сбор анамнеза болезни. Стоматолога интересуют жалобы и история лечения причинного зуба. Врач может также спросить о наличии травм челюстно-лицевой области и болевого синдрома в прошлом.
- Стоматологический осмотр. Визуальное обследование органов ротовой полости, как правило, осуществляется посредством специального зеркала и зонда. При этом врач может заметить переодонтитный зуб, который полностью или частично разрушен. Но, к сожалению, в зубном канале киста, преимущественно развивается в пломбированных зубах.
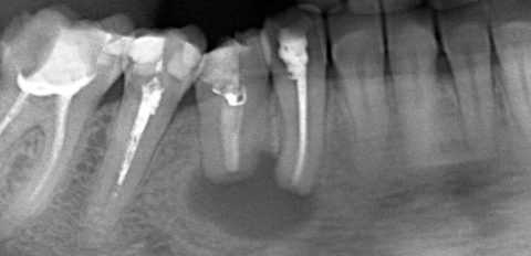
- Рентгенологическое исследование. Рентгенологическая картина заболевания характеризируется однородным участком разжижения костной ткани. Патологический участок, как правило, имеет округлую форму с выраженными краями.

Радикулярная киста в области нижнего моляра и премоляра
Фолликулярная киста
По статистике данный вид кистозного поражения встречается в 9% клинических случаев. Для них характерно развитие у пациентов молодого возраста.

Рентгенограмма фолликулярной кисты нижней челюсти
Этиология заболевания
Фолликулярная киста в десне зуба, преимущественно, развивается из зубного зачатка. Такой патологический процесс может начаться на любой стадии формирования зуба. В связи с этим в центральной части кистозной полости можно обнаружить коронковую часть зубного органа.

Фолликулярная киста зачатка 38 зуба
Клиническая картина
Люди часто спрашивают: «Как проявляется киста на зубе?». Фолликулярное кистозное поражение, преимущественно, протекает бессимптомно. Только во время визуального осмотра полости рта стоматолог обнаруживает отсутствие постоянного зуба или наличие на его месте молочного зубного органа.

Отсутствие постоянных зубов в области роста кисты
При этом гнойная фолликулярная киста считается достаточно редкостным вариантом течения болезни. В большинстве случаев данные полости формируются в виде одиночных очагов хронической инфекции.
Диагностика заболевания
Выявить кистозное новообразование в домашних условиях невозможно. Для установления диагноза пациент должен пройти стандартную процедуру стоматологического исследования. Ключевой методикой определения патологического статуса является рентгенология.

Ортопантомограмма больного с фолликулярной формой кисты нижней челюсти
Многие задаются вопросом: «Как выглядит кистозная полость в области зубного зачатка?». На рентгенологическом снимке данная патология представляет собой округлый очаг потемнения костной ткани. Внутри этой полости находится коронковая часть причинного зуба.
Дифференциальная диагностика заболевания проводится со злокачественными новообразованиями и другими видами кист. Радикулярная форма поражения отличается наличием периодонтитного зуба с очагом хронической инфекции в области верхушки корня. Перерасти в рак фолликулярная патология, как правило, не может. А вот отличить ее от злокачественного новообразования поможет гистологический анализ.
Методы лечения заболевания
В стоматологической практике существует терапевтическое лечение кисты зуба, которое проводится по такой схеме:
- Механическая обработка кариозной полости причинного зуба. На данном этапе задача стоматолога заключается в создании максимально удобного доступа к корневым каналам. В это время пациент, преимущественно, не нуждается в обезболивании, поскольку обработка твердых зубных тканей не вызывает болезненного ощущения.
- Медикаментозная обработка зуба. Врач извлекает остатки пульпы, которые находятся в канале зуба. Затем он расширяет и очищает внутреннее пространство зубной полости.
- Пломбирование каналов временным материалом. Заполнение корня и частично кисты кальцийсодержащей пастой носит временный характер. В таких случаях киста на десне зуба пломбируется на 1-2 недели, после чего стоматолог повторяет процедуру.

Пломбирование корневых каналов кистозного зуба
Консервативное лечение кисты зуба достаточно длительный процесс. Он может занять 6-8 месяцев и требует периодического рентгенологического контроля эффективности терапии.
И все же самым результативным способом устранения данной проблемы считается радикальное вмешательство. Хирургическое лечение выполняется по двух основных типах:
Цистэктомия
Эта операция представляет собой радикальное стоматологическое вмешательство, в ходе которого хирург полностью удаляет все оболочки кисты и зашивает рану глухим швом.
Схематическое изображение процедуры цистэктомии
Несомненно, что оперировать или нет должен определить стоматолог. Но в каждом случае больному следует помнить – народные методы лечения кисты безрезультативны и проводят к потере одного или нескольких зубов.
Преимуществом данной технологии является полное иссечение кистозных оболочек, что приводит к быстрой регенерации костной ткани.
К недостаткам методики относятся:
- высокая травматичность радикального вмешательства;
- вероятность повреждения рядом стоячих здоровых зубов;
- возможное повреждение сосудисто-нервного пучка;
- вскрытие костных стенок, если киста в гайморовой пазухе от зуба;
- наличие кровяного сгустка предусматривает реальную возможность его разложения.
Как вылечить кисту зуба с помощью цистэктомии?.
Операция осуществляется в таком порядке:
- местное обезболивание зоны хирургического вмешательства;
- разрез мягких тканей десны около зуба с патологическим процессом;
- отслоение слизисто-надкостного лоскута тупым инструментом;
- трепанация костной ткани;
- вылущивание кисты на верхушке корня или между зубами;
- местное лечение антибиотиками и антисептическими средствами;
- сглаживание костных краев раны и зашивание.
Регенерация остеоидной ткани происходит посредством прорастания кровяного сгустка соединительной материей, которая в последующем превращается в кость.
Цистотомия
Эта методика оперативного вмешательства предусматривает совместное удаление передней стенки кисты и части наружной пластинки альвеолярного отростка челюсти.
Межкорневая киста иссекается методом цистотомии в следующих случаях:
- кистозные поражения верхнечелюстной пазухи, при которых кистозные полости имеют значительные размеры и распространяются на носовую полость и твердое небо;
- обширные очаги инфицирования костной ткани нижней челюсти;
- старший возраст пациентов и наличие у них тяжелых общесоматических патологий;
- период сменного прикуса, когда существует высокая вероятность хирургического повреждения зачатков постоянных зубов.
Схематическое изображение цистотомии кисты верхней челюсти
В стоматологии специалисты выделяют следующие преимущества цистотомии:
- малотравматичность процедуры, при которой прикорневая киста удаляется без значительного разрушения костной ткани челюсти;
- простота техники выполнения операции;
- отсутствие реальной возможности повреждения близлежащих зубных зачатков, здоровых зубов и сосудисто-нервных пучков.
И все же цистотомия имеет также свои минусы. К недостаткам данной манипуляции можно отнести:
- нерадикальность хирургического вмешательства;
- образование постоперационных добавочных бухт, которые требуют тщательного антисептического ухода;
- возможные посттравматические деформации верхней или нижней челюсти;
- временное ухудшение процессов самоочищения ротовой полости.
Некоторые больные спрашивают: «Может ли киста на зубе рассосаться самостоятельно?». Исключено. Без хирургического вмешательства или консервативной терапии это невозможно.
Процедура цистотомии выглядит таким образом:
- местное обезболивание;
- полуовальное рассечение десны;
- удаление передней стенки кости;
- иссечение наружной части кисты;
- вправление слизисто-надкостного лоскута в образованную полость;
- тампонада раны йодоформной турундой;
Чем полоскать рот при кисте зуба? В послеоперационный период врачи рекомендуют несколько раз в сутки проводить антисептическую обработку ротовой полости. Замена йоформных турунд при этом осуществляется один раз в 2-3 дня.
Окончательная эпителизация костного дефекта наступает через 3-4 недели. В результате под зубом, лечение которого проводилось методикой цитотомии, формируется добавочная бухта.
Различные особенности лечения зубных кист
В стоматологии существуют следующие нюансы хирургического и терапевтического лечения кистозного поражения.
Специфика удаления радикулярных кист
Перед хирургическим удалением кистозного новообразования причинный зуб подвергается пломбированию. Стоматолог должен герметически запечатать корневые каналы.
Процесс пломбирования зубных каналов
Итак, существующая инфекция в корне, последствия которой носят воспалительный характер, может спровоцировать нагноение раневой поверхности костной ткани. А если причинный зуб невозможно пролечить, то стоматолог принимает решение о его удалении.
Особенности лечения фолликулярных кист
Специфика устранения данной патологии заключается в применении исключительно хирургических методик. Фолликулярная киста подлежит только радикальному иссечению.
Прогноз заболевания
Можно ли вылечить кисту зуба без операции?
Да, можно, но не всегда. Консервативному лечению подвергаются только некоторая часть радикулярных кистозных новообразований. Во время очередного пломбирования корневых каналов врач на снимке рентгеновском контролирует эффективность терапии.
Что делать если патологическая полость не уменьшается в размере? В таком случае специалисты рекомендуют проводить оперативное удаление в виде цистотомии или цистэктомии. А вот, хирургическое вмешательство, практически, в 100% пациентов гарантирует позитивный результат.
Чем опасна киста на зубе внутри десны? Постепенное прогрессирование заболевания приводит к значительному истончению костной ткани и потери нескольких зубов, находящихся в зоне кистозного роста.
denta.help
Что такое киста зуба — причины появления, симптомы, классификация

Киста зуба – это серьезное стоматологическое заболевание, в виде капсульного новообразования, внутри которой находятся бактерии и мертвые клетки. Диагностировать кисту на ранней стадии очень сложно, большинство людей замечает ее уже в самом расцвете, именно в этом состоит сложность недуга. Если лечение новообразования запустить, возможны осложнения и болезненное течение.
Киста имеет вид пузырька – очага воспаления костной ткани, размеры которого составляют от нескольких миллиметров до 4-5 сантиметров. Когда киста только образовалась, диагностировать ее возможно лишь при помощи рентгеновского фото. На снимке она будет выглядеть как темное овальное пятнышко.
Причины
Провокатором челюстной кисты, как еще называют кисту зуба, является инфекция, проникающая через каналы корня в костную ткань челюсти. Обычно причиной подобных образований выступает непрофессиональное лечение зубов с последующими осложнениями (например, под неправильно поставленной коронкой или пломбой), какие-либо травмы в области челюсти, различные инфекционные стоматологические и нестоматологические (гайморит) заболевания.
Классификация
Кисты зуба классифицируют по причинам их образования:
- радикулярная (на корне зуба), возникает при хроническом периодонтите;
- фолликулярная, развивается после заражения зубного зачатка;
- первичная (кератокиста), образовывается из зубообразовательной ткани, когда имеют место нарушения в развитии зуба;
- парадентальная (или киста зуба мудрости). Может появиться при прорезывании данного зуба, которое нередко проходит очень сложно, с наличием воспалительного процесса;
- резидуальная, возникает, если после удаления остался корень;
- прорезная, образовывается у детей при прорезывании постоянных зубов.
Симптомы
Симптомами ранней стадии кисты под зубом является общее недомогание, головные боли, может появиться насморк или даже хронический гайморит. При несвоевременном диагностировании заболевания образовывается отек десны и щеки в пораженной области, так называемый «флюс», что чревато тяжелыми последствиями в виде болевых ощущений и сложностями во время еды и разговора.
mydentist.ua
Киста зуба. Цистэктомия.
По данным antiplagiat.ru уникальность текста на 16.10.2018 г. – 99,9%.
Ключевые слова, теги: Рентгеновские снимки, удаление зуба, ортопантомограмма, периодонтит
Киста зуба относится к группе челюстных кист. Челюстная киста – общее понятие, объединяющее множество патологий. Образование кистозной полости в челюсти может быть вызвано воспалительным процессом, в редких случаях — растущей опухолью. Она может находиться в «спящем» состоянии и никак не проявлять себя, или, напротив, быть в активной, острой фазе, болеть, воздействовать на соседние здоровые ткани, вызывать различные заболевания. В любом случае, наличие кист в челюсти и, в частности, наличие кисты зуба, требует внимания и серьезного отношения.
Киста зуба: историческая справка
Слово «киста» имеет греческое происхождение («kystis») и в буквальном переводе означает «пузырь». Киста зуба – полостное опухолеподобное образование. Раньше, когда рентгеновских снимков еще не делали, увидеть такие образования было крайне сложно и, как правило, зубные врачи сталкивались с ними во время удаления зубов у пациентов. Благодаря появлению в конце XIX века (1895г.) рентгенодиагностики появилась возможность планирования лечения зубных кист. И сегодня, если пациент регулярно посещает кабинет стоматолога, мы можем успешно диагностировать и устранять зубные кисты еще на тех стадиях, когда они не представляют опасности.
Киста зуба: анатомия
Киста зуба — это доброкачественное полостное опухолеподобное образование, имеющее оболочку и внутреннюю эпителиальную выстилку, клетки которой вырабатывают жидкость. Современная медицина до сих пор не может с точностью ответить на вопрос, как и откуда зарождающаяся киста берет эпителиальную ткань. Однако большинство ученых склоняется к тому, что она происходит из остатков зубообразовательного эпителия, так называемые, островки Малассе–Астахова. И развивается, вследствие хронического одонтогенного воспаления, когда микробы попадают через канал зуба в челюстную кость. Дальнейшее развитие процесса может идти в двух направлениях, результатом которых являются патологии: обширного деструктивного процесса, не имеющего оболочки — безоболочечное образование (такой процесс не является кистой), или непосредственно кисты зуба — оболочечное.
Виды зубных кист
Принято различать 2 вида зубных кист — фолликулярную и радикулярную. Фолликулярная киста встречается реже, чем радикулярная. При наличии определенных факторов она вырастает из зубного фолликула — оболочки вокруг растущего зуба. При значительном размере и вовлечении рядом стоящих зубов называется фолликулярная зубосодержащая киста.
Радикулярные (одонтогенные воспалительные) кисты образуются на корнях зубов вследствие патологических процессов, распространяющихся за верхушкой корня. По расположению радикулярные кисты могут быть апикальными (корневыми), латеральными (боковыми), апико-латеральными и межкорневыми.
Механизм образования и роста кисты зуба
Кистозная полость, располагаясь в челюсти, имеет внешнее сопротивление со стороны окружающей ее челюстной кости. Но эпителиальные клетки выстилки начинают производить жидкость, которая постепенно заполняет полость, создавая избыточное давление.
Это давление воздействует на окружающую костную ткань, вызывая ее постепенное периферийное рассасывание, давая кисте возможность вырасти еще больше, усилить секрецию жидкости, а значит, оказывать еще большее давление на стенки. Именно поэтому кисты могут вырастать до очень больших размеров, причем иногда бессимптомно, если не сопровождаются периодическими воспалениями. Это может быть связано с хорошим иммунным статусом пациента, низкой патогенностью микрофлоры в очаге и другими факторами.
Возможные осложнения кисты зуба
В процессе роста киста может «отодвигать» близлежащие анатомические образования, такие как канал нижнеальвеолярного нерва, может нарушать внешние контуры челюстных костей (синдром пластмассовой игрушки), изменяя тем самым контуры лица, то есть обусловливает асимметрию лица. Также может вовлекать и другие соседние ткани в патологический процесс. Так, зачастую, в расположенных рядом с кистой зубах развивается ретроградный периодонтит. А если киста прорастает в гайморовы пазухи, формируется хронический одонтогенный гайморит, который может долгое время протекать бессимптомно, но, тем не менее, оказывать пагубное влияние на здоровье.
Диагностика кисты зуба
Выбор метода лечения кисты зуба основывается на многоплановой диагностике, которая может включать в себя:
— осмотр пациента;
— «прицельный» рентгеновский снимок зуба, который пациент указывает как причинный зуб;
— ортопантомограмма (панорамный снимок челюстных костей), позволяющий увидеть патологии и наиболее вероятные места их развития в верхней и нижней челюстях, в гайморовых пазухах, в каналах нервных стволов;
— в некоторых случаях — компьютерная томограмма, позволяющий увидеть лицевой скелет и кости черепа, суставы, гайморовы пазухи в трёх проекциях (фронтальная, сагитальная и горизонтальная) и в трёхмерном объёмном изображении.
Лечение кисты зуба
Лечение кисты зуба может быть оперативным и неоперативным (консервативным). Не все кисты не всех зубов поддаются консервативному лечению. Но если такая возможность есть, мы всегда используем ее, воздействуя на кисту медикаментозными средствами, доставляемыми через зубной канал. Если такое лечение не помогает, возникает необходимость в операции.
Удаление кисты зуба. Исторически значимые и современные методы операции по удалению зубных кист
Изначально самым распространенным методом лечения кист был метод их удаления. С этой целью применялись 2 принципиально разных метода: цистотомия и цистэктомия.
Цистотомия (или метод PARCH-I) имеет историческое значение в развитии и становлении медицины. Сегодня этот метод практически не используется, но раньше был незаменим при удалении кист больших размеров. Чтобы избежать осложнения и его тяжелых последствий, между полостью кисты и преддверием полости рта создавался широкий канал посредством сшивания краев оболочки кисты со слизистой оболочкой ротовой полости.
Цистэктомии (или метод PARCH-II) заключается в полном иссечение/удалении кисты. Данное оперативное вмешательство зачастую одновременно сопровождается и удалением верхушки корня – источника образования кисты, содержащего инфицированные апикальные дельты. Сегодня этот метод наиболее популярен.
Главная цель цистэктомии – полное санирование полости кисты, что без резекции верхушки корня не представляется возможным. Дело в том, что корневая пульпа в своей верхушечной трети имеет апикальную дельту с нечеткой структурой и очень тонким разветвлением каналов даже в однокорневых зубах. Если при лечении зуба такие каналы можно прочистить, то в процессе перелечивания это практически невозможно, особенно учитывая узость боковых дельт. Удаление верхушки корня, кроме того, позволяет максимально эффективно прочистить полость кисты за корнем. Это особенно актуально для 12 и 22 зубов, которые отличаются более загнутой корневой системой. Операция проводится следующим образом: с помощью небольшого разреза на десне хирург очень аккуратно доходит до поверхности кости, находящейся над кистозной полостью, трепаном или бором убирает стенку, следя за тем, чтобы не пострадали соседние зубы, и затем извлекает оболочку кисты, проводит резекцию верхушки корня. Далее проводится санация кистозной полости и последующая её ревизия на предмет остаточных частиц кисты. После этого в некоторых случаях осуществляется ретроградное пломбирование. Итоговым мероприятием в проведении операции по удалению кистозных образований является заполнение образовавшейся полости костнопластическим материалом и ушивание раны.
В случае образования кисты большого размера может быть произведена ампутация верхушки корня зуба, либо удаление половины зуба и поврежденного корня (гемесекция), а в случае межкорневой кисты – это короно-радикулярная сепарация.
Критерии качества удаления кисты зуба
Несмотря на то, что цистэктомия — это оперативное вмешательство, основным показателем качества лечения будет санация корневых каналов, в том числе и ретроградное пломбирование. В настоящее время помимо устранения самой оболочки кисты негласным правилом стало заполнение ее полости теми или иными костно-пластическими материалами, т.к. это полностью исключает вероятность нагноения кровяного сгустка, способствует быстрому зарастанию костного дефекта и улучшает механическую устойчивость зуба.
Остаточные (резидуальные) кисты и их удаление
Иногда после удаления зуба с кистой, оболочку которой не удалили, остаются резидуальные (остаточные) кисты, которые могут начать расти, как обычные кисты. Рентгенодиагностика помогает обнаружить их, после чего решается вопрос об их удалении с помощью одного из вышеперечисленных методов.
Противопоказания к удалению кисты зуба
— активная фаза ОРВИ, гриппа, других инфекционных заболеваний;
— наличие злокачественных новообразований;
— сердечно-сосудистые заболевания в стадии обострения;
— психоневрологические заболевания в стадии обострения.
Показания к удалению зуба с кистой
Как правило, консервативное лечение, проведенное вовремя, или операция по удалению кисты позволяют сохранить зуб. Но это не всегда возможно. Зуб необходимо удалить в следующих случаях:
— наличие сильного болевого симптома при неэффективности медикаментозного лечения;
— гнойный воспалительный процесс при невозможности его дренирования;
— перелом коронковой части зуба, без возможности восстановления анкерными штифтами и/или культевыми вкладками;
— непроходимость корневых каналов;
— наличие множественных повреждений на корнях зуба или повреждений большого размера; зуб практически полностью разрушен и ортопедическое восстановление невозможно;
— отсутствие необходимости в лечении зуба в связи с наличием согласованного между доктором и пациентом плана протезирования.
Возрастные ограничения к лечению кисты зуба
Жестких возрастных ограничений по лечению кисты зуба нет. Но в каждом клиническом случае необходим индивидуальный внимательный подход к проблеме.
Стоимость
Стоимость услуги по лечению или удалению кисты зуба складывается, как и многие другие оперативные вмешательства, из ряда факторов. Комплекс проводимых диагностических манипуляций, виды и методики лечения, консервативная подготовка каналов, проведение предоперационной подготовки, непосредственно сама операция, используемые костно-пластические материалы, послеоперационное наблюдение всё это влияет на итоговую стоимость лечения в данных клинических ситуациях.
Киста зуба – серьезная патология. Во всех случаях, даже в случаях полного отсутствия какой-либо симптоматики, она представляет опасность для здоровья. При регулярном посещении стоматолога вы можете быть уверены: киста зуба, если она есть, будет вовремя обнаружена, а последующее лечение позволит бесследно устранить её, сохранив здоровье зуба.
По данным antiplagiat.ru уникальность текста на 16.10.2018 г. – 99,9%.
Ключевые слова, теги: Рентгеновские снимки, удаление зуба, ортопантомограмма, периодонтит
edranov.ru
симптомы, лечение и профилактика » Быть может лучший сайт о лечении зубов
В довольно редких случаях может развиваться специфическое заболевание, а именно киста на корне зуба. С заболеваниями зубов наверняка сталкивался каждый. Кого-то беспокоит зубная боль, у кого-то появляются неприятные ощущения во время приема еды. Что же представляет собой это заболевание, каковы причины его возникновения?
Киста на корне зуба
Кистой зуба обычно называют образование шаровидной формы, расположенное на корне. Причин ее возникновения может быть довольно много:
- Радикулярная киста. Развивается на корне зуба у пациентов, которые длительное время лечились от пародонтита, однако полностью он вылечен не был.
- Первичная киста. Заболевание, связанное с некоторым генетическим сбоем, в результате чего на корне зуба осталась его ткань-предшественница, которая и развилась в кисту. Такая киста обычно называется истинной.
- Зубосодержащая киста. Данный тип кисты развивается на месте зубного зачатка, где в норме должен был развиться нормальный зуб.
- Ретромолярная киста. Развивается на месте должного прорезывания зуба мудрости.
- Резидуальная киста. Появляется на месте удаленного зуба в зубной ячейке.
Кроме вышеперечисленных форм, может встречаться зубная гранулема. Для нее, как и для кисты, характерно наличие округлой формы. Главным различием ее и кисты является то, что киста представляет собой полость, чаще всего заполненную жидкостью или гнойным экссудатом. Гранулема же является разрастанием соединительной ткани и представляет собой цельное образование.
Симптомы заболевания
Длительное время киста корня зуба никак себя не проявляет. Единственным симптомом, указывающим на развитие данного заболевания, является легкая болезненность при надкусывании или нажатии на придесневую область.
Клиника заболевания появляется тогда, когда происходит нагноение кисты или ее разрыв. В данном случае главным симптомом будет резкая боль в зубах, постоянно нарастающая.
Так как имеет место воспалительный процесс, то обязательным симптомом его развития будет повышение температуры тела.
При развитии кисты в области верхней челюсти возможен ее прорыв в гайморову пазуху с развитием гайморита. Попутно с его развитием наблюдаются появление и усиление головной боли.
Обязательным симптомом воспаления кисты является развитие отека десны в области пораженного корня.
При прорыве кисты возможен выход ее содержимого в ротовую полость с образованием свища в десне.
Заболевание обычно развивается в результате проникновения микроорганизмов в прикорневую область с развитием местного воспалительного процесса. При снижении системного иммунитета возможны активация микроорганизмов и развитие гнойной полости.
Развитию кисты могут способствовать и воспалительные заболевания тканей зуба. Наиболее частыми причинами являются травма зуба, пульпит, пародонтит, кариес и периодонтит. Сопутствующими заболеваниями чаще всего бывают гайморит, тонзиллит, снижение системного иммунитета.
Сама по себе киста неопасна. Гораздо большую опасность представляют собой осложнения кисты. К основным осложнениям относятся гнойное воспаление содержимого кисты и расплавление гнойными массами челюстной ткани. Менее опасными состояниями являются развитие хронического гайморита или тонзиллита, увеличение подчелюстных лимфоузлов.
Наиболее опасным осложнением является сепсис. Для его развития необходимо достаточно много времени, поэтому встречается он нечасто. При этом если значительно запустить гнойное воспаление, то спасти пациента с системным заражением крови крайне сложно.
Киста корня зуба: лечение
Лечение кисты можно проводить несколькими путями: терапевтическим, лазерным и хирургическим.
Если беспокоит киста зуба, лечение терапевтическое возможно тогда, когда она небольших размеров, а на зубе, под которым она расположена, не проводилось его лечение с последующим пломбированием.
Данная методика предполагает собой проведение тщательной чистки ротовой полости с использованием антисептиков, устранение микроорганизмов и последующую опломбировку зуба. Как вариант, возможно использовать введение в прикорневой канал медно-кальциевой суспензии и провести в нее электрический разряд.
Методика хороша тем, что не проводится значительное вмешательство челюсти, процедура практически безболезненна.
Однако рецидивы кисты при терапевтическом лечении встречаются намного чаще, чем после хирургического вмешательства.
Лазерное лечение применяется так же часто, как и терапевтическое лечение с использованием антибиотиков. Использование лазера предусматривает следующие этапы:
- вскрытие зубного канала и расширение его вплоть до кисты;
- введение источника лазерного излучения в полость зуба и обработка им поверхности кисты.
Преимущество данного лечения заключается в том, что лечение полностью безболезненное. Исключается риск занесения контактной инфекции, так как источник излучения лазера стерилен и не контактирует с тканями зуба.
Кроме того, использование лазера позволяет полностью обеззаразить поверхность зуба и сохранить его.
Единственным минусом лазерного излучения является то, что аппаратура для него является довольно дорогой и не каждая стоматологическая клиника может себе позволить такую технику.
Оперативное вмешательство является тактикой, к которой прибегают только тогда, когда другие методы уже не оказывают должного эффекта либо же существует угроза для жизни пациента.
Основными показаниями к проведению операции являются наличие в зубе штифта или коронки, диагностированные размеры кисты более 8 мм, интенсивный воспалительный и болевой процессы.
Киста зуба: лечение с помощью цистэктомии
В настоящее время удаление кисты вместе с зубом проводят крайне редко. Чаще всего делается локальное удаление кисты (цистэктомия).
Операция проводится под местным наркозом. Проводится вскрытие десны, и через десневую рану удаляется киста вместе с частью корня. После этого рана ушивается, а пациент длительное время (около 2 месяцев) принимает антибиотики и антисептические растворы для полоскания полости рта. Если киста развилась на однокоренном зубе, то его пломбируют, а двухкоренной — удаляют.
Более тяжелым вмешательством является цистотомия. Его проводят обычно, когда киста сообщается с ротовой полостью своей стенкой. Проводят вскрытие кисты и ее дренирование с последующим промыванием. Основным недостатком операции является то, что образуется длительно незаживающая раневая поверхность, которая доставляет пациенту значительные неудобства и является воротами для проникновения инфекции.
Данная операция проводится при массивных размерах кисты либо при локализации ее в верхней челюсти с разрушением костей неба.
После проведенной операции пациенту запрещается некоторое время принимать пищу и горячие напитки, так как они могут спровоцировать повторное инфицирование раны.
Природа людей такова, что они до последнего не будут обращаться к врачу за помощью, стараясь излечить заболевание домашними средствами. Народная медицина хоть не устраняет причину заболевания, но в качестве симптоматической терапии, направленной на облегчение состояния пациента, может успешно использоваться.
Чаще всего используются растворы и настойки таких трав, как шалфей, тысячелистник, ромашка. В некоторых случаях можно использовать разведенное эвкалиптовое масло. При полоскании данными растворами ротовой полости удается добиться снижения интенсивности боли, уменьшить воспаление.
В качестве природного антисептика часто используется чеснок. Прикладывая измельченные зубчики чеснока, можно несколько снять воспаление и улучшить отток гноя.
Ни в коем случае не стоит класть согревающие компрессы на область раны ротовой полости. Они провоцируют интенсивное размножение бактерий в области раны, что часто является причиной рецидива гнойного процесса.
Киста корня зуба: профилактика
На врожденные кисты повлиять нельзя никоим образом. Такие кисты нужно только своевременно диагностировать и удалять, чтобы предотвратить их последующее нагноение.
Обязательно следует посещать стоматолога хотя бы 2-3 раза в год для комплексной диагностики состояния ротовой полости, включая проведение рентгенографии.
Своевременное лечение сопутствующих заболеваний ротовой полости не менее важно. Именно устранив данные заболевания, можно практически на 50% снизить риск развития кисты или ее осложнений.
Обязательно следить за состоянием своих зубов. Не стоит пренебрегать ежедневной чисткой зубов и гигиеной полости рта (использование зубных нитей, жевательных резинок, полоскание рта после еды водой или антисептиками).
Не менее важно и состояние иммунитета, ведь активация кисты и развитие более тяжелых состояний происходят на фоне иммунодефицита. Профилактика снижения иммунитета является важным аспектом профилактики развития кист.
При тщательном контроле за собственным здоровьем, в частности, за ротовой полостью, можно предотвратить осложнения кисты. Своевременное ее удаление позволит навсегда забыть о ее существовании. При появлении первых симптомов заболевания, начиная с болезненности, не стоит пренебрегать такими признаками. Следует сразу же обратиться к стоматологу, который сможет поставить правильный диагноз и назначить соответствующее лечение.
dentozub.ru