Метастазы в печени: продолжительность жизни
Первичный рак печени встречается действительно редко – менее 10%. В 90% случаев рак печени является метастатическим из других органов. Исключением являются африканские страны, где высокая доля первичного печеночного рака обусловлена гепатитом и другими инфекциями. Характерно то, что мужчины заболевают раком печени в 2 раза чаще женщин.
По локализации метастазов из различных органов, печень занимает первое место. Происходит это благодаря обильному кровообращению в органе, большому количеству узких капилляров, где оседают раковые клетки.
Метастазы в печени продолжительность жизни снижают значительно, поэтому есть смысл рассказать о метастазировании в печень подробнее.
Симптомы и первые признаки развития метастаз в печени
Большой проблемой является то, что онкология печени часто обнаруживается на последних стадиях заболевания. В среднем, пациенты обращаются за помощью спустя 3 месяца после появления первых симптомов болезни.
Основные жалобы (75%) следующие:
- слабость, утомляемость, вялость;
- желтуха;
- высокая температура;
- увеличение размеров живота;
- понос;
- тошнота или рвота;
- кровотечения из носа;
- развитие отёков.
Объективным признаком заболевания печени является ее увеличение (гепатомегалия). Нижняя граница печени снижается на 5-10 см, верхняя – повышается до уровня четвертого ребра. При пальпации печень твердая, плотная, по ощущениям как камень, обычно с гладкой поверхностью и острым передним краем. Опухоли нередко придавливают ветви воротной вены, из-за этого развивается портальная гипертензия, увеличивается селезенка, иногда расширяются вены пищевода.
Боль в правом подреберье вызывается быстрым увеличением печени и растяжением глиссоновой капсулы органа, по которой проходит множество нервов. Первое время боль носит периодический характер, она появляется при ходьбе, физических нагрузках. Позже она становится постоянной умеренной интенсивности. В правом подреберье появляется не проходящее чувство тяжести.
Желтуха регистрируется в 50% случаев, но обычно этот симптом не выражается ярко. Причиной механической травмы печени является увеличение опухоли, а так как печеночные балки не могут растягиваться, то они разрываются от напряжения. Однако, желтуха не является критерием оценки состояния органа.
Асцит (брюшная водянка) появляется из-за придавливания воротной вены, увеличившейся в размерах печенью. Из-за повышения давления в брюшных венах, часть плазмы крови просачивается через стенку сосудов в брюшную полость. Кровяные и раковые клетки при этом остаются в сосудистом русле.
Температура поднимается у большинства пациентов, но жалобы на гипертермию предъявляют не всегда. Происходит это из-за незначительного повышения температуры – всего на 0,5-1оC. Температура поднимается из-за нарушения очистительной функции печени и интоксикации организма.
Чем опасно наличие метастазов в печени?
Печень – очистной завод организма, через нее фильтруется кровь, здесь обеззараживается продукт распада белков – аммиак. Печень производит массу витаминов, альбуминов и глобулинов, именно в ней создается глюкоза – главный источник энергии для человека. Наконец, печень производит желчь – важный фермент переваривания пищи. Без печени человек не проживет и нескольких минут.
Главная проблема метастазов сокрыта в том, что хирургический метод лечения и химиотерапия малоэффективны. Химиотерапия не эффективна, так как печень выполняет очистные и обеззараживающие функции.
Хирургические методы лечения дают больший эффект, но операции проводятся только при наличии единичных опухолей. Если поражена вся печень, то целесообразность вмешательства ставится под вопрос.
Все это приводит к тому, что рак печени часто заканчивается летально.
Что нужно обследовать?
Все обследования назначаются на консультации с лечащим врачом. Консультаций придется пройти несколько (с заведующим отделением, терапевтом и пр.).
УЗИ:
Так как пораженная метастазами печень меняет свою консистенцию, то ультразвуковое исследование нужно проводить обязательно. Это не самый информативный метод исследования, но его назначают первым из-за малой травматичности.
Радиоизотопное исследование:
В качестве маркеров используется радиоактивный йод или золото. Радиоактивный элемент переносится эритроцитами. Характер их движения и отклонения от нормы позволяют установить даже не проявившие себя метастазы.
МРТ:
Используется обязательно, так как метод позволяет получить послойное изображение печени. На основе магнитно-резонансной томографии можно составить 3D портрет печени. Для улучшения эффекта человеку могут ввести радиоизотопы.
В сложных случаях проводят лапароскопию с биопсией опухоли или ангиографическое исследование. Если и это не дает точной информации о состоянии печени, то назначают диагностическую лапаротомию.
Какие анализы надо будет сдать?
Больной должен сдать целую серию анализов, которые дадут подробную информацию о состоянии печени:
- общий анализ крови;
- общий анализ мочи;
- реакция Вассермана;
- определение наличия антител к ВИЧ;
- определение австралийского антигена;
- определение репликации вируса гепатита;
- реакция на антитела к гепатитам всех видов;
- исследование мочи по методу Зимницкого;
- биохимический анализ крови на билирубин, белок, А/Г коэффициент, АЛТ, АСТ, калий, натрий, креатинин, мочевину, альфа-амилазу, щелочную фосфатазу;
- исследование крови на сахар;
- биохимическая коагулография;
- гистологическое исследование пункции печени;
- измерение опухолевых маркеров крови.
Помимо этого, определяется группа крови и резус-фактор. Общий анализ крови берется минимум 5 раз – перед, во время, после лечения. Кроме того, общий анализ делается раз в неделю во время химиотерапии. Также 3 раза берется общий анализ мочи (перед, во время, после лечения).
Целесообразность проведения лечения
Несмотря на кажущуюся безнадежность, целесообразность лечения есть. Пятилетняя выживаемость довольно низка – всего около 5-10%, а большинство больных не доживают и до года.
Однако на практике выживаемость имеет вид воронки, первый год проживает 10% мужчин и 15% женщин, но после первого года выживаемость составляет уже 50%. До 5 лет доживают 5% мужчин и 7% женщин.
Если больной к первому году выживает, то его шансы прожить 5 лет после болезни значительно увеличиваются. Разумеется, шансы зависят не только от случайности, но также и от состояния организма, возраста, отношения человека к лечению, а также от его денежных возможностей.

Наиболее оптимальные методы лечения метастаз в печени
Единственным по-настоящему оптимальным способом лечения является операция. Лучевая терапия первичного рака и метастазов не проводится. Химиотерапия в качестве самостоятельного метода лечения не используется, применяется только после хирургического лечения.
Хирургическое вмешательство на печени является сложной процедурой, так как из-за обильного кровоснабжения необходимо очень осторожно проводить гемостаз. С другой стороны, печень обладает огромной регенеративной способностью, что помогает в послеоперационный период.
Для лечения печеночного рака применяются следующие операции:
- атипичная экономная резекция печени;
- резекция сегмента печени;
- бисегментарная резекция;
- сегментэктомия;
- гемигепатэктомия;
- расширенная гемигепатэктомия;
- гепатогастропанкреатодуоденальная резекция;
- пересадка печени.
Какие факторы влияют на продолжительность жизни при метастазах в печени?
На срок жизни влияют следующие факторы:
- стадия рака;
- расположение опухоли;
- величина поражения органа;
- уровень выраженности патологии;
- состояния иммунитета больного;
- своевременное обнаружение патологии;
- методы терапии, их результативность;
- наличие сопутствующих заболеваний;
- эмоциональная устойчивость, психика пациента.
В первую очередь влияние оказывает наличие сопутствующих метастазов. Так как рак печени – метастатическое заболевание, то опухоли могут обнаруживаться в легких, мозге, других органах. Помимо этого, на продолжительность жизни оказывает влияние пол и возраст пациента.
Выживаемость женщин выше, чем у мужчин. До первого года после постановки диагноза доживает лишь 10-13% мужчин и 13-17% женщин. До 3 лет доживает 6-9% мужчин и 10-14% женщин. А до 5 лет – 4,5-7% мужчин и 10-13% женщин.
На 1 стадии годичная выживаемость женщин находится в районе 80%, а пятилетняя – около 50%, на 2 стадии – 20% и 17% соответственно, на 3 стадии – 21% и 13%, на 4 стадии – 18% и 16%. У мужчин выживаемость несколько ниже. На 2 стадии – 15% и 11%, на 3 стадии – 11% и 5%, на 4 стадии – 9% и 5%.
От возраста выживаемость зависит не так сильно. Годовая выживаемость у лиц 40-49 лет составляет 20-25%, у людей 50-69 лет – 10-16%, а у людей старше 70 лет – 13-14%.
Сколько живут такие больные и как продлить жизнь?
Средняя продолжительность жизни с диагнозом составляет 12-18 месяцев. Однако нужно понимать, что средняя статистика для конкретного случая несет мало полезной информации по нескольким причинам:
- Одни люди живут не больше нескольких месяцев или даже недель, а другие после лечения проживают долгие годы.
- Вероятность выживания лишена фактора случайности. Срок жизни целиком зависит от объема поражения, мастерства хирурга, возраста и пола больного, его психологического состояния.
- Так как рак печени обычно имеет метастатическую природу, то очень большое влияния оказывает локализация первичной опухоли.
- Статистические данные собираются за минувший период, иногда после статистики проходит 10-15 лет, что для медицины очень большой срок. Благодаря новым препаратам и медицинскому оборудованию можно прожить дольше.
Без лечения больные проживают в среднем около полугода. Благодаря эффективному лечению, разгрузочным диетам, срок жизни продлевается до года или полутора лет. Например, успешная операция увеличивает пятилетнюю выживаемость до 30-40%.
Хоть химиотерапия непосредственно для лечения метастазов в печени не проводится, но от нее отказываться нельзя, так как необходимо устранить первоначальный очаг распространения раковых клеток. Таким образом, химиотерапия действует на выживаемость, продлевая ее на 1-2 года.
Помимо лечения, на выживаемость влияет особенность метастазирования. Если после проведения лечения первичный очаг раковых клеток удаляется вместе с метастазом в печени, то шансов прожить 5 лет и более у человека много. При развитии рецидива шансы выжить очень малы.
Как продлить жизнь?
Шансы повысят некоторые народные рецепты:
- 25 г болиголова заливаются 500 мл 40% водки. Настаивать нужно в течение 40 дней в лишенном света месте. Периодически настойку нужно встряхивать. После истечения срока средство процеживают и пьют по схеме: первые сутки – капля, потом 2, позже 3 и так по нарастающей до 40 капель. Растворять в 100 граммах воды.
- В термос налить 0,5 литра горячей (не кипящей!) воды. Туда ложится столовая ложка цветов картошки. Настаивать нужно в течение 4-5 часов. Затем нужно процедить и пить по 100 мл 3 раза в день. Хранить настойку нужно не в термосе, а в холодном месте.
- Протрите головку чистотела и залейте 500 мл 70% спирта. Настаивать нужно в течение суток, затем процедить и принимать по 25 мл раз в день неделю, а после – по 50 мл в сутки в течение 20 дней.
Есть несколько рекомендаций по питанию в случае рака печени:
- красные фрукты и овощи, особенно гранат, черника;
- зеленый чай;
- ягоды: малина, клубника, земляника.
Запрещено употреблять такие продукты:
- мясо и жирные блюда;
- грибы;
- фасоль, горох, другие бобовые;
- кондитерские изделия;
- консервы;
- шоколад и какао;
- хлебобулочные продукты;
- квашенные, соленые, маринованные огурцы и капуста;
- жирное молоко;
- жаренные на масле и копченые продукты.
Выводы
Как видно, метастазы в печени продолжительность жизни хоть и уменьшают, но приговором не являются. Есть смысл бороться. Поэтому необходимо, в первую очередь, нормализовать собственное питание, чтобы дать печени «разгрузку». Также, нужно пользоваться всеми возможными современными способами лечения. Если не отчаиваться и сделать все необходимое, то можно прожить еще долгие годы. Удачи вам и будьте здоровы!
orake.info
Метастазы в печень: симптомы, указывающие на проблему
Онкологические заболевания до сих пор занимают одно из самых первых мест в списке болезней, от которых умирают люди. В большинстве случаев это происходит из-за того, что раковые клетки дают метастазы в другие жизненно важные органы. Чаще всего это печень, поджелудочная, легкие. Нередко, человек не замечает особых симптомов рака до того момента, пока он не перейдет на третью стадию и не появятся метастазы. Метастазы в печени проявляются самыми сильными и явными симптомами.
Метастазы в печени

Раковая клетка с метастазами
Раковые клетки имеются свойство перемещаться по всему организму, тем самым находя другое место для своей локализации и размножения. Метастаз – это вторичная опухоль, или как ее еще называют, опухолевый узел, которая распространяется на близлежащий орган. Обычно, метастазы намного опаснее, чем первичная опухоль, так как ни один рентгеновский снимок или результат ультразвукового исследования не может с точностью показать их количество, размер и т.д. Метастазы в печени могут появиться, если у человека обнаружен рак:
- Груди, то есть молочной железы
- Желудка
- Поджелудочной железы
- Легких и пищевода
- Толстой кишки
- Меланома
К тому же, нередко случается так, что если у человека обнаружен рак печени, то и в самой печени, недалеко от основного очага может располагаться и вторичный, то есть метастаза. Иногда, метастазы с печени могут появиться после хирургического вмешательства в органы желудочно-кишечного тракта.
К сожалению, если у человека обнаружены метастазы в печени, то это говорит о серьезности развития рака, так как не всегда получается вырезать их из печени из-за того, что некоторые опухоли оказываются не чувствительными к основным лекарственным препаратам, благодаря которым добивается полное истребление раковых клеток.
Симптомы
В большинстве случаев, раннее распространение метастаз в печень протекает бессимптомно, и именно поэтому в редких случаях их получается обнаружить вовремя, на той стадии, когда все еще можно исправить. Чаще же всего, симптомы начинают проявляться тогда, когда они уже распространились достаточно широко и имеются большие пораженные участки. Итак, к основным симптомам метастаз в печени можно отнести:
- Постоянную усталость, которая не проходит даже того, когда человек хорошо выспался или ведет совсем не активную жизнь, не занимается спортом, не выполняет никаких физических и умственных нагрузок
- Значительное повышение температуры тела. Причем температуру удается сбить лишь ненадолго и очень сильными жаропонижающими препаратами
- Лихорадка
- Значительная потеря веса, которую можно сравнить только с анорексией. Человек начинает буквально «таять» на глазах даже, несмотря на то, что его питание не меняется. Эту потерю веса невозможно контролировать, как бы человек не старался
- Проблемы со стулом, которые у каждого человека проявляются по-разному. Иногда это могут быть постоянные запоры, которые невозможно ничем контролировать и ничто от них неспособно избавить, или же, наоборот, жидкий стул, который также не поддается лечению
- Боли сильного давящего характера. Они обычно появляются в области правого подреберья. И с каждым днем боль может становиться все сильнее и сильнее по мере того, как растет опухоль
- Увеличение размеров самой печени. В основном, это может заметить только доктор во время осмотра, но нередко и сами пациенты замечают ее значительное увеличение, так как могут ее прощупать
- Боль в грудной клетке, которая может быть как очень сильной, так и достаточно терпимой. К тому же, могут возникать непонятные ощущения трения в правом боку, которые и приводят к возникновению этой боли, вернее отдаче ее выше
- Увеличение селезенки. Размеры селезенки в организме человека довольно условны. Конечно, есть определенное значение, но очень часто размеры даже в здоровом организме превышают эти нормы. Отклонением считается тогда, когда селезенку можно прощупать при осмотре
- Желтуха. Кожа человека постепенно окрашивается в желтый цвет. Это происходит из-за того, что уровень билирубина в крови заметно повышается. Помимо главного симптома (изменения цвета кожи), во время желтухи меняется цвет мочи пациента, она становится очень темной. Могут также быть тошнота, рвота, кожный зуд и озноб. Точный диагноз ставиться на основании проведенных анализов и осмотра специалистом
Это основные симптомы метастаз в печени. Конечно же, как было уже сказано выше, все эти симптомы начинают появляться тогда, когда уже поражен значительный участок этого органа. Раньше же заметить их практически невозможно, за исключением случаев, когда проводится постоянная диагностика и сдача всех необходимых анализов.
Диагностика

Метастазы в печень свидетельствуют о прогрессировании онкозаболевания
Диагностика рака занимает не такой уж большой промежуток времени, а особенно когда речь идет о третьей и четвертой стадии, потому что здесь уже есть прямые проявления и симптомы. Именно поэтому, при обнаружении раковых клеток в организме, каждого человека проверяют на наличие метастаз. И в первую очередь смотрят на печень, так как именно в этот орган происходит частое метастазирование.
Прежде всего, человеку назначают анализы, по результатам которых будет виден недостаток или избыток тех или иных компонентов, которые могут говорить о наличии этой проблемы. Но ни один такой анализ не будет полностью достоверным без проведения дополнительных исследований, таких как ультразвуковое исследование, магнитно-резонансная томография, а также компьютерная томография с введением контраста.
Самые точные результаты даст компьютерная томография с контрастом, так как на ней можно увидеть точный очаг и его примерные размеры. После того, как все эти исследования показали положительный результат, должна быть проведена обязательная биопсия печени. Она проводится под полным контролем с помощью ультразвукового аппарата, так как эта процедура довольно опасна. Также делается гистологическое исследование клеток метастаз для того, чтобы определить тип раковых клеток.
Очень часто врачи могут столкнуться с невозможностью точно диагностировать наличие метастаз в печени. Это бывает тогда, когда у пациента диагностирован рак, но не удается распознать, есть ли метастазы или нет. В этом случае, единственное, на что можно опираться, так это на результаты анализов крови, а также на увеличение содержания билирубина в сыворотке.
Также, очень важным моментом в диагностировании метастаз в печени является точное определение расположения первичной опухоли. Это необходимо для того, чтобы начать своевременное лечение и удалять раковые клетки. Удалять метастазы, никак не воздействуя на главный очаг – просто невозможно, так как существует огромная вероятность рецидива.
Симптомы метастаз в печени замечает практически каждый онкологический больной, так как именно в этот орган происходит наиболее частое распространение вторичных узлов. Если вовремя не начать лечение, то это может привести к летальному исходу, причем в самое ближайшее время, так как раковые клетки размножаются очень быстро и наносят непоправимый вред организму.
О лечении рака печени и метастазов в печень на радиохирургической системе Кибер-Нож, расскажет видеоматериал:
Заметили ошибку? Выделите ее и нажмите Ctrl+Enter, чтобы сообщить нам.
Расскажите друзьям! Расскажите об этой статье своим друзьям в любимой социальной сети с помощью социальных кнопок. Спасибо!
Поделиться
Поделиться
Твит
Телеграм
Класс
Вотсап
pishhevarenie.com
Метастазы в печени : причины, симптомы, диагностика, лечение
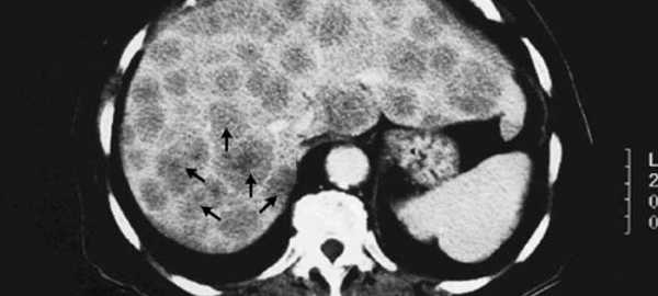
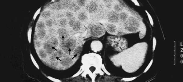
При подозрении на метастазы печени обычно выполняются функциональные печеночные тесты, но они чаще всего не являются специфическими для данной патологии. Характерно раннее повышение щелочной фосфатазы, гаммаглутамилтранспептидазы и иногда — в большей степени, чем других ферментов — ЛДП уровни аминотрансфераз варьируют. Инструментальные исследования достаточно чувствительны и специфичны. УЗИ обычно информативно, но спиральная КТ с контрастированием чаще обеспечивает более точные результаты. МРТ сравнительно точна.
Биопсия печени обеспечивает окончательный диагноз и выполняется в случае недостаточной информативности других исследований или при необходимости гистологической верификации (например, тип клеток метастаза печени) для выбора метода лечения. Предпочтительно выполнение биопсии под контролем УЗИ или КТ.
[63]
Биохимические показатели
Даже при больших размерах печени её функция может сохраниться. Сдавление относительно небольших внутрипеченочных жёлчных протоков может не сопровождаться желтухой. Отток жёлчи при этом может осуществляться через непоражённые протоки. Повышение уровня билирубина в сыворотке выше 2 мг% (34 мкмоль/л) свидетельствует о нарушении проходимости крупных жёлчных протоков в области ворот печени.
К биохимическим критериям поражения печени метастазами относятся повышение активности ЩФ или ЛДГ. Возможно повышение активности сывороточных трансаминаз. Если концентрация билирубина в сыворотке, а также активность ЩФ, ЛДГ и трансаминаз в пределах нормы, вероятность отсутствия метастазов составляет 98%.
Концентрация альбумина в сыворотке нормальная или несколько снижена. Уровень сывороточных глобулинов может повышаться, иногда значительно. Электрофорез может выявить повышение содержания альфа2— или у-глобулинов.
У части больных в сыворотке обнаруживают карциноэмбриональный антиген.
В асцитической жидкости повышено содержание белка, иногда присутствует карци-ноэмбриональный антиген; активность ЛДГ в 3 раза превышает таковую в сыворотке.
[64], [65], [66], [67], [68], [69], [70], [71], [72], [73], [74]
Гематологические изменения
Довольно часто встречается нейтрофильный лейкоцитоз, иногда количество лейкоцитов увеличивается до 40-50•109/л. Возможна лёгкая анемия.
[75], [76], [77], [78], [79], [80]
Пункционная биопсия печени
Диагностическая значимость биопсии печени повышается при выполнении её под визуальным контролем при УЗИ, КТ или перитонеоскопии. Опухолевая ткань имеет характерный белый цвет и рыхлую консистенцию. Если не удаётся получить столбик опухолевой ткани, следует исследовать любой сгусток крови или детрит на наличие опухолевых клеток. Даже если опухолевые клетки не удалось аспирировать, выявление пролиферирующих и патологических жёлчных протоков и нейтрофилов в отёчных портальных трактах, а также очаговой дилатации синусоидов свидетельствует о наличии метастазов в смежных участках.
Гистологическое исследование препаратов не всегда позволяет установить локализацию первичной опухоли, особенно при выраженной анаплазии метастазов. Цитологическое исследование аспирированной жидкости и отпечатков препаратов, полученных при биопсии, может несколько повысить диагностическую ценность метода.
Гистохимическое окрашивание особо важно при цитологическом исследовании и малых размерах полученного образца ткани. Моноклональные антитела, в частности HEPPARI, которые реагируют с гепатоцитами, но не с эпителием жёлчных протоков и непаренхиматозными клетками печени, позволяют отличить первичный рак печени от метастатического.
Вероятность выявления метастазов при пункционной биопсии печени выше при значительной массе опухоли, больших размерах печени и наличии пальпируемых узлов.
[81], [82], [83], [84], [85], [86]
Рентгенологическое исследование
Обзорная рентгенография живота выявляет увеличение размеров печени. Диафрагма может быть приподнята и иметь неровные контуры. Изредка наблюдается кальцификация первичного рака или гемангиомы и метастазов рака толстой кишки, молочной, щитовидной желез и бронхов.
Рентгенография грудной клетки может выявить сопутствующие метастазы в лёгкие.
Рентгеноконтрастное исследование верхних отделов желудочно-кишечного тракта с барием позволяет визуализировать варикозно-расширенные вены пищевода, смещение желудка влево и ригидность малой кривизны. Ирригоскопия выявляем опущение печёночного угла и поперечной ободочной кишки.
Сканирование
Сканирование обычно позволяет выявить очаги поражения диаметром более 2 см. Важно установить размеры опухолевых узлов, их количество и локализацию, что необходимо для оценки возможности резекции печени и осуществления наблюдения за больным.
УЗИ — простой, эффективный метод диагностики, не требующий больших затрат. Метастазы при УЗИ выглядят как эхогенные очаги. Для диагностики метастазов в печень особенно эффективно интраоперационное УЗИ.
При АГ метастазы имеют вид очагов с низким поглощением облучения. Метастазы из толстой кишки обычно имеют крупный бессосудистый центр с накоплением контрастного вещества по периферии в виде кольца. Приблизительно у 29% больных, которым произведена резекция толстой кишки по поводу рака, при КТ обнаруживают скрытые метастазы в печень. Отсроченное накопление контрастного вещества повышает частоту выявления метастазов. Применяют также КТ с контрастированием йодолиполом.
МРТ в T1-режиме — лучший метод выявления метастазов рака толстой кишки в печень. Т2-взвешенные изображения выявляют отёк прилежащей к очагам метастазов участков ткани печени.
МРТ с введением оксида железа или гадолиния имеет большую чувствительность. Дуплексное цветное допплеровское УЗИ выявляет менее выраженный застой в воротной вене, чем при циррозе печени и портальной гипертензии.
[87], [88], [89], [90], [91], [92], [93], [94], [95], [96], [97]
Диагностические трудности
У больного с диагностированной первичной опухолью и подозрением на метастазирование в печень подтвердить наличие метастазов на основании клинических данных, как правило, не представляется возможным. На возможное метастатическое поражение печени указывают повышение уровня билирубина в сыворотке, активности сывороточных трансаминаз и щелочной фосфатазы. Для подтверждения диагноза выполняют аспирационную биопсию печени, сканирование и перитонеоскопию.
Другой диагностической проблемой, имеющей, как правило, чисто научный интерес, является неизвестная локализация первичной опухоли при диагностированном метастатическом поражении печени. Первичной опухолью может оказаться рак молочной железы, рак щитовидной железы и рак лёгкого. Положительные результаты исследования кала на скрытую кровь свидетельствуют о локализации опухоли в желудочно-кишечном тракте. Указания в анамнезе на удалённые кожные опухоли и наличие невусов позволяют предполагать меланому. Подозрение на рак тела поджелудочной железы диктует необходимость выполнения эндоскопической ретроградной холангиопанкреатографии. Обычно по результатам пункционной биопсии печени можно установить локализацию первичной опухоли. Однако иногда биопсия позволяет выявить лишь сквамозные, скиррозные, цилиндрические или анаплазированные клетки, но локализация первичного очага остаётся неизвестной.
[98], [99], [100], [101], [102], [103], [104]
ilive.com.ua
Метастазы в печени: симптомы и какой прогноз
На сегодняшний день раковые заболевания, к сожалению, не являются редкостью. Запущенные формы онкологических болезней сопровождаются метастазами. Метастазирование именно в печени встречается очень часто. Все потому, что орган насыщен сосудистой сетью, постоянным богатым кровообращением. Каждую минуту печень пропускает себя до полутора литров крови, которая заражена раковыми клетками. Это и объясняет высокий риск метастазирования печени. Метастазы в печени могут появиться при различных раковых заболеваниях. Это не обязательно должен быть рак печени. Сколько живут с метастазами в печени точно не известно. Врачи делают прогнозы исходя из индивидуальных особенностей организма больного.
Виды печеночных метастаз
Метастазы печени определяются у трети больных онкологическим заболеванием. Если раковая опухоль локализуется в желудке, молочных железах, толстой кишке, легких, метастазы проникают в печень у 50% больных. Немного реже наблюдается метастазирование печени при раке пищевода, поджелудочной железы. В случае опухолей яичников или простаты, метастазы в печени наблюдаются очень редко.
Специалисты утверждают, что именно метастатический рак печени встречается гораздо чаще, нежели первичная опухоль. В медицине есть классификация метастаз печени. Так, первая классификация определяется по месту расположения и проникновения этих метастаз:
- Билобарные. Происходит поражение обеих долей печени.
- Унилобарные. Поражается только одна доля печени (как правило, правая).
Классифицируют метастазирование железы и по количеству печеночных метастаз. Так, в органе могут диагностироваться множественные опухоли и узлы. В этом случае опухолей насчитывается до десяти и более. Если метастазирование одиночное, узлов наблюдается не более 2-3. Это стандартная классификация онкологических образований печени. Также, среди других видов метастаз можно отметить отдаленные (первичный очаг находится далеко от печени).
Имплантационные метастазы в печени возникают из-за переноса раковых клеток в здоровые ткани организма. Лимфогенные метастазы печени появляются в результате поражения органа через лимфу. Наличие любых метастаз является опасным осложнением. Ведь это указывает на наличие опухоли в организме уже длительный период времени.
Причины появления метастаз в печени
Образование метастаз в печени происходит на фоне распространения онкологических клеток общим кровотоком. Если метастазирование печени является отдаленным, значит в организме больного опухоль имеет запущенный характер. Чаще все, имеет место рак 4 степени. В таких случаях выздоровление пациента практически невозможно. Обычно, метастазы в печени появляются при наличии рака других внутренних органов:
- Желудок;
- Молочные железы;
- Поджелудочная железа;
- Желчный пузырь;
- Легкие.
Если опухоль локализуется именно в данный органах, у 50% всех больных раком наблюдается активное метастазирование в печени. Чуть реже метастазы в печени распространяются на фоне рака пищевода, меланом. Отдаленный онкологический процесс редко провоцирует поражение железы.
Опухоль поджелудочной железы
Данный орган является очень важным для всей системы пищеварения. Вместе с печенью, орган вырабатывает необходимую для переваривания пищи желчь. Если наблюдается онкологический процесс железы, метастазы очень быстро поражают не только печень, но и желчный пузырь, легкие. Причиной этому служит близкое анатомическое расположение. В медицине даже определили гепатопанкреатодуоденальную зону. При таком расположении опухоли, метастазирование начинается уже на 4 стадии рака.
Рак прямой и слепой кишки
Данный вид рака называется колоректальным. На начальном этапе развития онкологического процесса, больной может жаловаться на просто расстройство пищеварительной системы. Рак прямой или слепой кишки характеризуется метастазами только в печень. Стоит отметить, что такой вид заболевания излечим. Выживаемость составляет до 35% даже при наличии осложнений в виде метастаз. Но, все зависит от степени поражения тканей онкологическими клетками.
Рак печени 4 стадии
Онкологический процесс в печени достаточно сложно поддается терапии. 4 стадия рака печени считается необратимой. Лечение рака печени 4 стадии невозможно излечить. Все связано с тем, что онкопроцесс бесконтрольно разрастается, поражает ткани органа. Так как печень постоянно перекачивает кровь, клетки рака стремительно распространяются по организму. Смертность в таком случае очень велика. Пораженная раком печень может перестать выполнять свои функции в любой момент. Симптоматика последней стадии рака очень яркая и интенсивная.
Метастазирование без наличия первичного очага
Не редкостью являются метастазы в печени без определения первичной опухоли. Такой вариант метастазирования очень часто возникает из-за онкологии молочных желез. Симптоматика достаточно скудная. Поэтому определить наличие метастаз можно только после компьютерной томографии, ультразвукового исследования.
Такое осложнение может носить и иной характер возникновения. Так, врачи отмечают яркую инфильтрацию стомы больного органа. Стоит отметить, что раковые клетки могут проникать даже через стенки кровеносных сосудов. Множественные количественные метастазы в печени встречаются не так часто. Второе место по метастазированию после печени занимают легкие. Это основные органы-мишени для рака.
Симптомы метастаз в печени
Начальный этап развития заболевания может протекать абсолютно бессимптомно. Сначала отмечаются не специфические проявления. Так, можно отметить вялость, потерю веса, лихорадку, анорексию. Распознать патологию можно как самостоятельно, так и при помощи профессионального исследования организма. При проведении ультразвукового исследования покажет увеличение органа в размерах, некоторые уплотнения в печеночной ткани.
Редко, но все же, встречаются признаки метастазирования печени такие, как шумы брюшной полости, боль в грудной клетке, спленомегалия. Характерными и яркими симптомами метастаз в печени являются следующие признаки:
- Боль с правом подреберье;
- Тошнота, рвота;
- Тяжесть в животе;
- Желтуха;
- Высветление кала, потемнение мочи;
- Повышение температуры тела;
- Зуд кожных покровов;
- Бледность;
- Асцит;
- Кровотечения.
Стоит отметить, что данная симптоматика считается характерной для любого тяжелого заболевания печени. Поэтому, при обнаружении одного их проявлений стоит немедленно обратиться к доктору. Так как при метастазах в печени часто наблюдаются метастазы и в легких, стоит знать и такую симптоматику. Для метастазирования легких характерным можно назвать постоянный сухой кашель, одышку, выделение мокроты и крови во время сильного кашля, высокую температуру тела.
Боль указывает на сложный процесс течения заболевания. Болевой синдром возникает из-за растяжения капсулы больного органа, что говорит о стремительном увеличении печени. Как только больной узнает о наличии рака, лечение нужно проводить незамедлительно. Ведь начальная стадия онкологического процесса излечима. И только запущенные случаи приводят к метастазированию и смерти.
Диагностика
Перед любым лечением необходимо произвести полноценную диагностику всего организма. Так, пациенту нужно сдать ряд анализов, провести некоторые инструментальные исследования. Так, для выявления метастаз печени врачи назначают биохимический анализ крови. Также, необходимо сдать кровь из вены на маркеры онкологического заболевания. Биохимический анализ показывает такие важные показатели:
- Билирубин;
- АЛТ, АСТ;
- Щелочная фосфатаза;
- Тимоловая проба;
- Гаптоглобин;
- С-реактивный протеин;
- Альбумин;
- Мочевина;
- Креатинин.
Так, высокий уровень АЛТ и АСТ указывает на дисфункцию гепатобилиарной системы организма. Высокий билирубин объясняет происхождение желтухи. О наличии опухоли и метастаз в печени говорит отклонение от нормы такого показателя, как гаптоглобин. Печеночная недостаточность определяется по высокому уровню (более пяти) тимоловой пробы.
Среди инструментальных методов исследования врачи используют ультразвуковую диагностику, компьютерную томографию, магниторезонансную томографию. На данных препаратах метастазы в печени выглядят в виде небольших солитарных депозитов. При подозрении на такое распространение опухоли, чаще всего, специалисты проводят компьютерную томографию. Этот метод максимально информационный, безопасный. Снимок покажет печень, как увеличенный узловатый орган.
Если у больного наблюдаются ярко выраженные признаки онкологического процесса в железе, доктора принимают решение о проведении непосредственной пункционной биопсии. Только гистологическое исследование тканевого образца точно определит проблему. Процедура забора образца проводится под местным наркозом, поэтому болевых ощущений больной не испытывает. Иногда, для выявления метастаз в печени проводят лапароскопию. Так, доктор может приступить к проведению операции сразу же после диагностики. Ведь метастазы можно удалять путем резекции и отсечения.
Лечение метастазов печени
Метастазы печени трудно поддаются лечению. Но, терапию нужно проводить обязательно. Терапию против рака стоит начинать незамедлительно, после постановки диагноза. При метастазировании химиотерапия является обязательным условием для лечения пациента. В таких случаях назначаются препараты цитостатики: 5-фторурацил, Циспластин, Циклофсофамид. Выбор конкретного препарата полностью зависит от показателей первичной опухоли. И только доктор устанавливает длительность курса химиотерапии.
Лечение метастазов печени радиотерапией дает хорошие результаты. Доза лучевого облучения, которая подается на пораженный орган, определяется каждому пациенту индивидуально. Химиотерапия и радиотерапия отлично сочетаются друг с другом. Химиотерапия может уменьшить первичную опухоль в размерах, приостановить процесс развития рака. Это и продлит жизнь больному. Радиотерапия утоляет болевой синдром, и другую симптоматику, но не продлевает жизнь. Одиночные метастазы поддаются лечению при помощи резекции.
Вторичные и первичные печеночные опухоли питаются кровью из печеночной артерии. Иногда в питании принимает участие и воротная вена. В связи с этим, нередко доктора вводят препараты цитостатики непосредственно в артерию вены. Наличие метастазирования подразумевает обязательного удаления желчного пузыря. Химиотерапия при первичном раке прямой или толстой кишки дает более позитивные прогнозы. Так, продолжительность жизни больных увеличивается до 26 месяцев. Трансплантацию печени проводят достаточно редко в связи с тем, что найти подходящего донора очень сложно, а ждать нет времени. Во время проведения резекции одиночных метастаз хирург может принять решение и об отсечении части органа.
Прогноз жизни
Прогноз жизни больного зависит от количества метастаз, характера первичной опухоли, своевременности проведения терапии. В среднем, смерть наступает спустя год после выявления метастаз в печени. Опухоль прямой и толстой кишки имеет более положительный прогноз. Так, после резекции кишки пациент может прожить с метастазами еще 12-18 месяцев. Если большая часть печеночной ткани замещена соединительной, узлами, метастазами, прогноз крайне плох. Летальный исход наступает быстро. Ведь метастазы распространяются только на последней стадии рака.
Диетическое питание при метастазировании печени
В комплексе с медикаментозной терапией, больному важно соблюдать диету. Так, рацион должен быть максимально насыщенным витаминами, быть сбалансированным. Пациент обязан ежедневно употреблять в пищу свежие овощи, богатые на клетчатку. При метастазах в печени питание дробится на несколько приемов пищи в день. Все блюда должны быть только отварными, запеченными, или приготовленными на пару. Жареная еда категорически запрещена к употреблению.
Рацион больного должен состоять из таких продуктов:
- Серый хлеб;
- Крупы, каши;
- Макаронные изделия из твердых сортов пшеницы;
- Нежирные супы, бульоны, борщи;
- Свежие ягоды и фрукты;
- Диетические виды мяса;
- Нежирные морепродукты;
- Кисель;
- Чай травяной;
- Молочная продукция.
Из рациона полностью исключается опасная пища. Это любые консервы, специи, приправы, маринады. Также, под запретом находится свежий хлеб, жирное мясо и рыба, бобовые, большое количество соли и сахара, алкоголь, шоколад, жареные куриные яйца. Врачи рекомендуют соблюдать средиземноморскую диету, которая помогает не дает нагрузку на печень, помогает органу бороться с патологией. В большинстве случаев вылечить и избавить больного от метастаз в печени невозможно. Но, при правильной терапии можно немного продлить жизнь пациенту.
vpecheni.ru
Симптомы и признаки метастазов в печени: диагностика и лечение, прогноз

Арина Белова
Здоровье в голове, а не в аптеке!
calendar_today 4 января 2017
visibility 154 просмотра
Метастазы в печени – это распространенное осложнение многих видов карцином. Лидируют в этом списке опухоли молочных желез, органов ЖКТ, легких и поджелудочной железы. Онкопатологии репродуктивных органов – яичников, шейки матки, мужских тестикул – практически не дают метастаз в печени.

Поражение органа злокачественными клетками происходит следующим образом:
- инвазия из пораженных органов;
- с током крови через печеночную артерию;
- лимфатическим путем.
Вторичные опухоли в печени свидетельствуют о 4 стадии первичного рака.
Классификация
Выделяют следующие виды вторичных патогенных новообразований в печени:
- Отдаленный – первичный очаг находится в другом органе.
- Гематогенный – путем передачи мутировавших клеток является кровеносная система.
- Имплантационный – случайный занос клеток опухоли в печень. Возникает при нарушении техники забора материала для гистологического исследования или во время хирургического вмешательства.
- Лимфогенный – злокачественные клетки попали в печень через лимфатические коллекторы.
- Ортоградный – перенос мутировавших клеток из первичного очага в печени. То есть в органе будет несколько новообразований – первичная опухоль и одна или несколько вторичных.
Установить четкие сроки, когда будет метастазировать та или иная карцинома невозможно. Врачи могут лишь сделать предположение, так как предугадать реакцию каждого пациента сложно.
Всего 0,05% патологических клеток вызывают образование вторичной опухоли. Поэтому множественное поражение печени является большой редкостью.

Симптоматика
Начальные стадии онкопатологии протекают без видимых признаков метастаз. Затем начинают проявляться неспецифические симптомы:
- снижение массы тела;
- повышение температуры;
- развитие анорексии;
- увеличение печени.
При развитии процесса симптомы метастазов в печени нарастают. Типичные проявления онкопроцесса:
- болевой синдром в подреберье;
- тошнота, рвота, нарушение дефекации;
- изменение цвета каловых масс и мочи;
- желтуха кожных покровов, глаз;
- бледность кожи;
- увеличение размеров селезенки;
- кожный зуд;
- гипогликемия;
- скопление жидкости в брюшине – асцит.
Эта симптоматика, особенно присоединение болевого синдрома, должна насторожить пациента и стать поводом обращения к врачу, даже если ремиссия длится несколько лет.
Диагностика
Пациенту с подозрением на вторичные опухоли в печени проводят следующее обследование:
- Биохимические анализы крови – определение щелочной фосфатазы, гаммаглутамилтранспептидазы, АЛТ, АСТ, общий анализ крови, общий билирубин, альбумин, раково-эмбриональный антиген.
- УЗИ печени позволяет визуализировать новообразования.
- КТ с использованием контраста для определения размеров новообразования и его локации.
- МРТ – по желанию пациента, дополнительной информативностью не отличается.
- Биопсия тканей печени под контролем УЗИ для определения типа мутировавших клеток и дальнейшей тактики ведения пациента.
- Рентген – покажет увеличение размеров печени и наличие или отсутствие метастаз в легких и прочих органах грудины.

Как выглядит метастаз в печени? Это новообразование белого цвета с четкими контурами. Встречается размягчение центральной части опухоли, отмирание злокачественной ткани из-за недостаточного кровоснабжения органа.
Лечебная тактика
Хотя опухоли в печени и свидетельствуют о 4 стадии онкопатологии, лечить метастазы в печени следует в обязательном порядке. Это улучшит качество и увеличит срок жизни пациента.
Лечение при метастазах в печени комплексное. Показано хирургическое вмешательство, радиотерапия, использование препаратов химиотерапии, иммунологическое лечение.
Пациенту могут предложить следующую лечебную тактику:
- радиохирургия;
- радиочастотная абляция;
- химиоэмболизация;
- таргетная терапия;
- радиоэмболизация.
Как лечить пациента решает врач, опираясь на первичный диагноз, количество новообразований и общее состояние больного.
Радиоэмболизация
Это не классическое облучение. Через сосуды в бедре вводится катетер и достигает печеной артерии. По сосудистой сетке оборудование проводят к новообразованию, затем вводится микросфера с радиоизотопом. Таким образом решается 2 задачи – и облучение мутировавших тканей, и закупорка сосудов, питающих опухоль.
Химиотерапия и химиоэмболизация
Препараты химиотерапии показано вводить непосредственно в сосуды, питающие новообразование.
Введение только лекарственных средств связано с множественными побочными эффектами. Поэтому применяется метод химиоэмболизации. То есть в просвет кровеносного сосуда вводится эмбол с лекарственным препаратом. Он перекрывает ток крови к новообразованию и оказывает медикаментозное воздействие на метастаз.
Метод электрорезекции
В настоящее время разработана новейшая методика «нано-нож». Лечение метастазов в печени производится при помощи токов высокой частоты. При этом соседние ткани не повреждаются. Такое вмешательство можно проводить при локации новообразования вблизи крупных сосудов питающих орган.
Трансплантация
Вылечить метастазы в печени возможно при пересадке печени от здорового донора. Показания к проведению трансплантации:
- размеры очага – единичный до 7 мм, 2–4 метастаза до 3 мм;
- опухоли не затрагивает кровеносные сосуды;
- отсутствует возможность использовать другие методы лечения.
При удачно проведенной операции вероятность рецидива стремится к нулю, и новая печень выполняет все необходимые функции.

Таргетная терапия
Это лечение новообразований целенаправленно специализированными препаратами. Кроме этого показано использование иммуностимуляторов, медикаментозных средств, способствующих восстановлению здоровых клеток печени.
Прогнозы выживаемости
Длительность жизни после постановки диагноза зависит от ряда факторов:
- первичный диагноз;
- стадия заболевания;
- локация вторичной опухоли;
- наличие или отсутствие патогенных очагов в других органах.
При должном лечении пятилетняя выживаемость составляет 35%. Срок жизни без лечения значительно меньше – от 5 до 6 месяцев с паллиативной помощью.
Реабилитационный период
Общие рекомендации сводятся к соблюдению принципов правильного питания. Кушать следует 5 раз в день небольшими порциями. Рацион должен включать в себя овощи, фрукты, растительные масла, кисломолочные продукты.
Показаны нежирные сорта рыбы и мяса. Не рекомендуется употреблять острые блюда, агрессивные специи, спиртное.
Можно ли вылечить онкологическое заболевание с метастазами в печени? Все зависит от первичного диагноза, состояния пациента и его психологического настроя. Если не выполнять назначения врача, не бороться за собственную жизнь, то итог будет тяжелым и печальным.
Не ищите в интернете симптомы метастазов в печени перед смертью. Если у вас диагностирована карцинома в остром периоде или она находится в стадии ремиссии, то вы знаете, что при малейшей настораживающей симптоматике следует срочно обратиться к онкологу.
rusmeds.com
Каковы симптомы и признаки наличия метастазов в печени?

Предлагаем ознакомится со статьей на тему: «Каковы симптомы и признаки наличия метастазов в печени?» на нашем сайте, посвященному лечению печени.
Оглавление [Показать]Оглавление:
- Почему образуются метастазы в печени?
- Симптомы появления метастазов в органе
- Диагностика недуга
- Способы лечения недуга
В случае длительного течения рака могут наблюдаться симптомы метастазы в печени, проявляющиеся слишком поздно. При быстром их развитии происходит поражение одного или нескольких частей этого органа. Причиной является быстрое перемещение онкоклеток от пораженных участков к здоровым (через кровь или лимфу).

Почему образуются метастазы в печени?
Раковые опухоли носят довольно агрессивный характер. Пораженные раковые клетки быстро перемещаются к непораженным органам человека через лимфатическую жидкость или кровь. Благодаря быстрому увеличению их количества они способны к выработке факторов роста, за счет которых происходит более быстрое размножение.
Метастазы способны поражать сразу несколько участков в органе за счет их быстрого развития. Рак может лечиться разными методами, а при наличии метастазы — только химиотерапией. Метастазы в печени, поразившие много участков, могут образоваться в случае метастазирования таких опухолей, как:
- рак груди;
- рак легких;
- рак прямой кишки;
- рак желудка и пищевода;
- рак поджелудочной железы;
- меланома.
Опухоль печени тоже влияет на появление и развитие метастазов в ней, которые находятся достаточно близко к первичной опухоли. В процессе движения крови орган привлекает к себе раковые клетки. Он отвечает за важную функцию, а именно очищение организма от токсических веществ. Поэтому через печень проходит большое количество крови. В среднем в течение каждой минуты через нее проходит примерно 1,5 л крови. В синусоидах движение кровяного потока становится медленнее. Это приводит к оседанию в них опухолевых клеток и их развитию.
Вернуться к оглавлению
Симптомы появления метастазов в органе
Во многих случаях на ранних сроках метастаз в печени развивается без особых симптомов. Благодаря этому данное заболевание редко можно выявить своевременно и приостановить его развитие. В большинстве случаев симптомы начинают проявляться тогда, когда они разрушили большие участки органа. К симптомам метастазов в печени относятся:
- частая тошнота и рвота;
- печень увеличивается в размерах;
- наличие множества сосудистых звездочек на лице;
- зуд на коже;
- пожелтевший цвет кожи лица, спровоцированный больной печенью;
- болевые ощущения при вдохе и выдохе;
- боль и тяжесть под правым ребром, они усиливаются при росте опухоли;
- повышение температуры тела;
- неправильная работа кишечника;
- тахикардия;
- кровотечения;
- желтуха.
При наличии данных симптомов больной может спутать данное заболевание печени с признаками желчнокаменной болезни или холециститом. Из-за того, что признаки болезни проявляются слишком поздно, прогноз, поставленный людям с больной печенью, неблагоприятен.
Наличие метастазов в органе создает огромную опасность для жизни человека. Функции печени отличаются своим многообразием. Она способна обеспечивать организм человека глюкозой, перерабатывать и сохранять жирорастворимые витамины. Помимо этого, ею образовываются белковые молекулы, ферменты и др.
Вернуться к оглавлению
Диагностика недуга
Для точного установления данного диагноза больному необходимо пройти множество медицинских исследований. Их результаты помогут выявить, на какой стадии находится данное заболевание, каковы прогнозы его лечения. К этим исследованиям относятся:
- Ультразвуковая диагностика органов брюшной полости. Данное исследование позволяет выявить не только единичное, но и множественное наличие метастазов и их величин.
- Спирально-компьютерная томография (СКТ) и магнитно-резонансная томография (МРТ). При проведении данной диагностики можно получить точные результаты исследования и определить, насколько поражена печень.
- Пункция.
- Анализ мочи и крови, взятой из вены и пальца.
Проводить данные исследования стоит только по согласованию с лечащим врачом.
Результаты проведенного исследования позволят выявить общее состояние больного и выработать оптимальный алгоритм лечения метастатического поражения печени.
Вернуться к оглавлению
Способы лечения недуга
Такая форма недуга дает отрицательный прогноз лечения в случаях быстрого развития. Множество людей с такой патологией уходит из жизни примерно через год при обнаруженных метастазах. В недавнее время пациентам с таким диагнозом отказывали в терапии, так как считали лечение нерезультативным.
Сегодня медицина имеет ряд методов лечения при обнаруженных метастазах в печени. Среди них выделяют:
- химиотерапию;
- лучевую терапию;
- хирургическую операцию.
При использовании любого метода лечения медицинской практикой доказано, что, несмотря на положительный итог хирургических операций совместно с комплексом терапий, метастазы сильно сокращают продолжительность жизни больного.
Оцените статью:
При подозрении на метастазы печени обычно выполняются функциональные печеночные тесты, но они чаще всего не являются специфическими для данной патологии. Характерно раннее повышение щелочной фосфатазы, гаммаглутамилтранспептидазы и иногда – в большей степени, чем других ферментов – ЛДП уровни аминотрансфераз варьируют. Инструментальные исследования достаточно чувствительны и специфичны. УЗИ обычно информативно, но спиральная КТ с контрастированием чаще обеспечивает более точные результаты. МРТ сравнительно точна.
Биопсия печени обеспечивает окончательный диагноз и выполняется в случае недостаточной информативности других исследований или при необходимости гистологической верификации (например, тип клеток метастаза печени) для выбора метода лечения. Предпочтительно выполнение биопсии под контролем УЗИ или КТ.
Биохимические показатели
Даже при больших размерах печени её функция может сохраниться. Сдавление относительно небольших внутрипеченочных жёлчных протоков может не сопровождаться желтухой. Отток жёлчи при этом может осуществляться через непоражённые протоки. Повышение уровня билирубина в сыворотке выше 2 мг% (34 мкмоль/л) свидетельствует о нарушении проходимости крупных жёлчных протоков в области ворот печени.
К биохимическим критериям поражения печени метастазами относятся повышение активности ЩФ или ЛДГ. Возможно повышение активности сывороточных трансаминаз. Если концентрация билирубина в сыворотке, а также активность ЩФ, ЛДГ и трансаминаз в пределах нормы, вероятность отсутствия метастазов составляет 98%.
Концентрация альбумина в сыворотке нормальная или несколько снижена. Уровень сывороточных глобулинов может повышаться, иногда значительно. Электрофорез может выявить повышение содержания альфа2- или у-глобулинов.
У части больных в сыворотке обнаруживают карциноэмбриональный антиген.
В асцитической жидкости повышено содержание белка, иногда присутствует карци-ноэмбриональный антиген; активность ЛДГ в 3 раза превышает таковую в сыворотке.
Гематологические изменения
Довольно часто встречается нейтрофильный лейкоцитоз, иногда количество лейкоцитов увеличивается до 40-50•109/л. Возможна лёгкая анемия.
Пункционная биопсия печени
Диагностическая значимость биопсии печени повышается при выполнении её под визуальным контролем при УЗИ, КТ или перитонеоскопии. Опухолевая ткань имеет характерный белый цвет и рыхлую консистенцию. Если не удаётся получить столбик опухолевой ткани, следует исследовать любой сгусток крови или детрит на наличие опухолевых клеток. Даже если опухолевые клетки не удалось аспирировать, выявление пролиферирующих и патологических жёлчных протоков и нейтрофилов в отёчных портальных трактах, а также очаговой дилатации синусоидов свидетельствует о наличии метастазов в смежных участках.
Гистологическое исследование препаратов не всегда позволяет установить локализацию первичной опухоли, особенно при выраженной анаплазии метастазов. Цитологическое исследование аспирированной жидкости и отпечатков препаратов, полученных при биопсии, может несколько повысить диагностическую ценность метода.
Гистохимическое окрашивание особо важно при цитологическом исследовании и малых размерах полученного образца ткани. Моноклональные антитела, в частности HEPPARI, которые реагируют с гепатоцитами, но не с эпителием жёлчных протоков и непаренхиматозными клетками печени, позволяют отличить первичный рак печени от метастатического.
Вероятность выявления метастазов при пункционной биопсии печени выше при значительной массе опухоли, больших размерах печени и наличии пальпируемых узлов.
Рентгенологическое исследование
Обзорная рентгенография живота выявляет увеличение размеров печени. Диафрагма может быть приподнята и иметь неровные контуры. Изредка наблюдается кальцификация первичного рака или гемангиомы и метастазов рака толстой кишки, молочной, щитовидной желез и бронхов.
Рентгенография грудной клетки может выявить сопутствующие метастазы в лёгкие.
Рентгеноконтрастное исследование верхних отделов желудочно-кишечного тракта с барием позволяет визуализировать варикозно-расширенные вены пищевода, смещение желудка влево и ригидность малой кривизны. Ирригоскопия выявляем опущение печёночного угла и поперечной ободочной кишки.
Сканирование
Сканирование обычно позволяет выявить очаги поражения диаметром более 2 см. Важно установить размеры опухолевых узлов, их количество и локализацию, что необходимо для оценки возможности резекции печени и осуществления наблюдения за больным.
УЗИ – простой, эффективный метод диагностики, не требующий больших затрат. Метастазы при УЗИ выглядят как эхогенные очаги. Для диагностики метастазов в печень особенно эффективно интраоперационное УЗИ.
При АГ метастазы имеют вид очагов с низким поглощением облучения. Метастазы из толстой кишки обычно имеют крупный бессосудистый центр с накоплением контрастного вещества по периферии в виде кольца. Приблизительно у 29% больных, которым произведена резекция толстой кишки по поводу рака, при КТ обнаруживают скрытые метастазы в печень. Отсроченное накопление контрастного вещества повышает частоту выявления метастазов. Применяют также КТ с контрастированием йодолиполом.
МРТ в T1-режиме – лучший метод выявления метастазов рака толстой кишки в печень. Т2-взвешенные изображения выявляют отёк прилежащей к очагам метастазов участков ткани печени.
МРТ с введением оксида железа или гадолиния имеет большую чувствительность. Дуплексное цветное допплеровское УЗИ выявляет менее выраженный застой в воротной вене, чем при циррозе печени и портальной гипертензии.
Диагностические трудности
У больного с диагностированной первичной опухолью и подозрением на метастазирование в печень подтвердить наличие метастазов на основании клинических данных, как правило, не представляется возможным. На возможное метастатическое поражение печени указывают повышение уровня билирубина в сыворотке, активности сывороточных трансаминаз и щелочной фосфатазы. Для подтверждения диагноза выполняют аспирационную биопсию печени, сканирование и перитонеоскопию.
Другой диагностической проблемой, имеющей, как правило, чисто научный интерес, является неизвестная локализация первичной опухоли при диагностированном метастатическом поражении печени. Первичной опухолью может оказаться рак молочной железы, рак щитовидной железы и рак лёгкого. Положительные результаты исследования кала на скрытую кровь свидетельствуют о локализации опухоли в желудочно-кишечном тракте. Указания в анамнезе на удалённые кожные опухоли и наличие невусов позволяют предполагать меланому. Подозрение на рак тела поджелудочной железы диктует необходимость выполнения эндоскопической ретроградной холангиопанкреатографии. Обычно по результатам пункционной биопсии печени можно установить локализацию первичной опухоли. Однако иногда биопсия позволяет выявить лишь сквамозные, скиррозные, цилиндрические или анаплазированные клетки, но локализация первичного очага остаётся неизвестной.
Статья носит информационный характер. Необходима консультация специалиста.
Метастазы печени относятся к вторичному виду рака. Возникают они при поражении злокачественной опухолью кишечного тракта, легких, молочных желез, предстательной железы и других органов. Симптомы метастаз в печени идентичны с признаками рака печени.
Факты о метастазах в печени
1. Опасные метастазы в печени превышают по своему размеру 10 сантиметров.
2. Метастазы провоцируют возникновение печеночной недостойности, а также сильнейшей интоксикации организма по причине того, что печень перестает выполнять свои функции.
3. Чаще всего возникновение метастаз в печени провоцируют злокачественные опухоли кишечника.
4. Метастазы в печени обнаруживаются у 1/3 всех людей, страдающих от онкологических заболеваний.
5. Реже всего метастазы в печени возникают у больных раком предстательной железы и яичника.
Симптомы метастаз
Признаки метастаз в печени могут быть следующими:
— лихорадка;
— сильная непроводящая усталость;
— проблемы со стулом;
— боль давящего характера, появляющаяся в районе правого подреберья. Она становится сильнее с ростом злокачественной опухоли;
— снижение веса;
— потеря аппетита;
— пожелтение слизистых и кожных покровов;
— кожный зуд;
— повышение температуры тела до 39 градусов Цельсия.
Из-за того, что симптомы метастаз в печени очень похожи на признаки таких заболеваний как холангит, желчнокаменная болезнь, холецистит метастазы обнаруживаются достаточно поздно. Прогноз в данном случае крайне неблагоприятный.
Диагностика метастаз в печени
Чтобы поставить диагноз метастазы в печени врач назначает пациенту прохождение большого количества исследований:
— УЗИ брюшной полости. Благодаря этому исследованию определяются единичные, а также множественные метастазы в печени и их размер;
— СКТ или ЯМРТ. Диагностика в данном случае отличается высокой точностью;
— пункция;
— анализ мочи;
— анализ крови из вены и из пальца.
Лечение метастаз
То, по какому методу будет проводиться лечение, зависит от количества очагов опухоли и от вида рака. Для лечения метастаз в печени применяется:
— химиотерапия. С ее помощью можно сделать опухоли по размеру меньше и на некоторое время продлить жизнь пациента;
— лучевая терапия. Ее основная функция заключается не в уменьшении размера опухолей, а в снятии болевого синдрома;
— оперативное лечение. К нему прибегают только в том случае, если метастазы носят одиночный характер;
— резекция печени. Она проводится как при одиночных, так и при множественных метастазах;
— чрезкожная чрезпеченочная радиочастотная абляция.
Прогноз
Прогноз для пациентов, имеющих метастазы в печени, следующий:
1. При наличии в печени одного злокачественного узла выживает 52% заболевших в течение последующих пяти лет после проведения назначенного лечения.
2. При двух узлах в печени выживают только 38% пациентов.
3. Множественные злокачественные узлы в печени оставляют шанс на выживание только 18% больным.
Читайте еще:
Печень — самый большой фильтр в организме человека, через нее проходит вся кровь, она связана со всеми органами желудочно-кишечного тракта (но, тем не менее, не забывайте про очищение самой печени). В ней активно проходят обменные процессы. Именно поэтому при наличии ракового заболевания внутренних органов печень поражается метастазами. При раке молочной железы, толстой кишки, легких, желудках метастазы в печени наблюдаются в 50% случаев. При раке поджелудочной и пищевода, печень поражается метастазами реже. Если больны раком яичники или простата, то метастазы в печени встречаются очень редко.
Рак печени (первичный) встречается гораздо реже, чем метастазы. Иногда только по их наличию в печени удается обнаружить заболевание в организме. Заселяются они зачастую через воротную вену, которая соединяет желудок, поджелудочную железу, кишечник и селезенку с печенью. Именно через нее от этих органов поступает кровь в печень.
Степень заселения метастазами печени может быть очень различной: от нескольких микроскопических пятнышек и до большой площади поражения. Зачастую метастазы заселяются возле воротной вены, а также возле лимфатических узлов и сосудов. Артерии редко поражаются тромбами из метастаз, а вот в воротной они могут быть.
Симптомы наличия метастаз в печени
Метастазы очень хорошо видны на поверхности печени, так как имеют хорошо видные границы, отличаются от печени по цвету и консистенции. Они имеют белый цвет, выпуклую форму. Когда метастаза увеличивается, то по центру ее начинается отмирание клеток из-за плохого кровоснабжения. Из-за этого на поверхности печени образуется как бы втягивание.
Определить метастазы иногда можно при помощи гистологического обследования, потому что очень часто они имеют схожую с первичным новообразованием природу.
Точно определить есть ли метастазы в печени симптомы могут и не помочь, потому что они похожи на многие другие заболевания печени. Но хотя бы натолкнуть на более тщательное обследование могут. Также симптомы при метастазах похожи на симптомы первичной опухоли. Больной жалуется на слабость, быструю утомляемость, боль в верхней части правого подреберья. Боль возникает вследствие увеличения печени. Иногда печень может увеличиваться до пяти килограмм. Известен единичный случай, когда вес больной печени достиг 21,5кг. Если человек не толстый, то могут даже через кожу просматриваться контуры верхней части печени. Иногда может возникать резкая боль, похожая на колики в желчном пузыре. Может увеличиться селезенка (спленомегалия). Желтуха может проявляться, а, может, и нет. Если закупориваются желчевыводящие протоки, то появляется желтуха. Это чаще бывает при первичном раке молочной железы или толстой кишки, а также при одном из видов опухоли в легком (называется мелкоклеточной).
Могут наблюдаться отеки нижних конечностей, а также увеличение вен на передней стенке живота. Это значит, что полая вена сдавливается увеличенной печенью. Также может накапливаться жидкость в легких или в брюшной полости, в зависимости от того, куда распространились метастазы или где находится первичное новообразование.
При поражении печени метастазами может развиться гипогликемия, когда уровень сахара в крови опускается до 3,5 ммоль/л. Об этом свидетельствует бледность, слабость, тошнота, рвота, тахикардия, тремор, чувство страха и тревоги без видимых причин. При метастазах в печени, симптомы которых могут быть разные, происходит резкое снижение веса, при этом живот увеличивается. Вид человека при таком снижении веса измученный, уставший. В любом случае, при появлении любых этих симптомов и вообще при плохом самочувствии сразу нужно обращаться к специалистам, а не предпринимать попытки самолечения. Ведь, чем раньше выявлена болезнь, тем больше шансов ее победить.
tvoyapechenka.ru
Метастаз в печени симптомы
Вконтакте
Одноклассники
Метастазы в печени — лечение химиотерапией и диета. Сколько живут с метастазами в печени
Печень является мощным детоксикатором организма. Ее питает кровь и система воротной вены. Это важнейшая система, вбирающая в себя венозную кровь, которая поступает от органов пищеварения и доносит её до печени. Именно в связи с этим наблюдается тесная взаимосвязь печёночных функций и пищеварения. Если поражается один орган в этой сложной системе, то неизбежно страдают и соседние. В зависимости от стадии развития рака, общего состояния здоровья больного и состояния его печени можно определить дальнейший прогноз при метастазах в печени.
Большая сложность ранней диагностики раковых заболеваний заключается в том, что данные процессы могут длительно никак не проявляться. Зачастую онкологию удаётся обнаружить в 70 % случаев только в тот момент, когда раковые клетки уже поразили большую часть органа и задели кровеносные сосуды. Только в очень редких случаях врачам удаётся обнаружить заболевание, остановить, или даже обратить процесс при помощи современных методик. Но даже в таких случаях последствия могут иметь некоторые осложнения.
Как правило, метастатический рак является первым чётким признаком онкологического процесса в пищеварительной системе. Количество метастаз зависит от стадии поражения органа в месте локализации рака и развития самой болезни. Удаление всех множественных метастаз одновременно не представляется возможным, так как в этом случае человек полностью потеряет печень. В связи с этим операции проводятся в несколько этапов и крайне осторожно. Степень поражения органа и количество метастаз в нём напрямую влияет на продолжительность жизни больного. Так, например, пациент живёт не больше года в случае обнаружения онкологии в поджелудочной железе или желудке, а при метастазировании толстой кишки больной проживёт до 2-х лет.
Симптомы метастазов
Зачастую симптомы метастазов в печени проявляются слишком поздно из-за высоких восстановительных свойств печени. До определённого момента признаки развивающегося заболевания являются неясными и носят неоднозначный характер, что, как правило, мешает точной диагностике.
Первоначально появляются симптомы нарушения в работе пищеварительной системы, несварения и тошноты, что редко наводит на мысль о метастазах при раке.
На ранних стадиях иногда проявляются симптомы асцита, но не в полном объёме. Оттенок кожи может не поменяться, но больного могут беспокоить боли в правом или левом подреберье в зависимости от размера печени и очага образования рака.
Со временем у больного ухудшается общее состояние здоровья, появляется недомогание, повышенная утомляемость, апатия, резкое снижение аппетита и массы тела. В с
successmed.ru