Мелкоклеточный рак легкого 3-4 стадии
Наиболее часто онкологическому процессу по статистическим данным подвергаются именно легкие. Причиной тому выступают многие факторы: алкоголь, курение, вредные условия проживания и производства, воздействие канцерогенов и др. Больные долгое время самостоятельно назначают себе лекарства, применяют нетрадиционные методы лечения и только потом обращаются к врачу. Больше половины пациентов, больных раком легких, попадают к врачу уже с проявлениями метастазирующего процесса. Достаточно продолжительное время пациенты чувствуют усталость, сонливость, усталость, страдает трудоспособность, ухудшается аппетит и снижается вес, но они не считают нужным обратиться за помощью. И только когда появляются кашель, недомогание, боль и дискомфорт за грудиной, нарастают слабость и усталость они наконец-то записываются на прием.
К сожалению, высокий процент пациентов эти симптомы начинает лечить антибиотиками, противовоспалительными и т.д., которые не только не помогают, а еще и работают во вред. И только спустя какое-то время, пациента подвергают более глубокому обследованию с дальнейшим установлением диагноза.

Классификация рака легких следует из морфологического строения новообразований. Наиболее часто встречающаяся форма – аденокарцинома, затем – плоскоклеточная карцинома и далее –мелкоклеточная карцинома легкого. Но как раз так реже встречающийся мелкоклеточный рак легкого и дает очень высокий риск развития метастазов и быстрый рост.
«Мелкоклеточный нейроэндокринный рак легкого» — так еще можно встретить в литературе, так как содержит в своем строении везикулы с гормонами. Мелкоклеточный рак легкого чаще поражает бронхи первого и второго порядка. Согласно статистическим данным ведущим этиологическим фактором является курение.
Поэтому очень важно — своевременно обратится к хорошему специалисту для как можно ранней диагностики с последующим подбором эффективного лечения для максимально положительного прогноза.
Современное учреждение – Юсуповская больница предоставляет медицинские услуги на наивысшем уровне. Уже не первый год, специалисты работают с онкологическими пациентами и пытаются помочь всем и каждому. Оборудование больницы современное и престижных изготовителей, персонал хорошо обучен и воспитан, палаты обустроены максимально комфортно. Врачи следят за новинками в диагностике и лечении и постоянно повышают квалификацию. В Юсуповской больнице созданы все условия для качественного и эффективного оказания помощи.
Симптомы мелкоклеточного рака легких
Симптомы мелкоклеточного рака легких можно поделить на группы:
- Общие онкологические: слабость, усталость, ухудшение или полное отсутствие аппетита, снижение массы тела и т.п.;
- Симптомы со стороны дыхательной системы: кашель (возможно с выделением мокроты), боль и дискомфорт в грудной клетке, одышка и т.п.;
- Симптомы, вызванные метастазами – зависят от пораженного органа.
Степень выраженности этих симптомов на разных стадиях процесса может меняться. В тоже время отсутствие какого-либо из симптомов не исключает мелкоклеточный рак легких.
Лечение мелкоклеточного рака легких
В отличие от других форм рака в лечении мелкоклеточного рака легких предпочтение отдается лучевой и химиотерапии, хотя некоторые ученые все-таки рекомендуют оперативное лечение на ранних стадиях.
В большинстве случаев химиотерапевтическое лекарство от мелкоклеточного рака легкого принято сочетать с лучевыми методами. Количество курсов и препараты врач подбирает индивидуально в каждом конкретном случае. Например, при мелкоклеточном раке легкого 3 стадии с метастазами понадобится больше курсов химиотерапии, чем при 2 стадии без метастазов и т.п.
Конечно, при мелкоклеточном раке легкого 4 стадии с метастазами хирургическое лечение может понадобиться для облегчения состояния, повышения качества жизни. При онкологической патологии легких есть множество причин для скопления жидкости между плевральных листов, поэтому хирурги применяют торакоцентез или плевродез.
Медикаментозное лечение мелкоклеточного рака легких применяется для купирования или облегчения определенных симптомов.
Больным необходимо оказывать всестороннюю поддержку, подбадривать, настраивать на положительные мысли, ведь от настроя пациента тоже зависит исход.
Прогноз для жизни при мелкоклеточном раке легких
Продолжительность жизни при мелкоклеточном раке легких зависит стадии, наличия метастазов, наличия анорексии, возраста, сопутствующей патологии и др.
Чем раньше диагностировано заболевание и начато лечение – тем положительней исход. При первой и второй стадии онкологического процесса при правильно подобранном лечении пятилетняя выживаемость составляет до семидесяти процентов, а для пятилетней выживаемости прогноз при мелкоклеточном раке легкого 3 стадии без соответствующего лечения составляет меньше десяти процентов. Продолжительность жизни при мелкоклеточном раке легких 4 стадия согласно статистическим данным не превышает один год в связи с высокой вероятностью метастазов, в том числе и в головной мозг.
Онкологи Юсуповской больницы в связи с ростом онкологической заболеваемости в мире ежедневно занимаются диагностикой и лечением новых случаев рака легких. Специалисты подбирают лечение, заботятся о всех аспектах и находят альтернативы. Персонал делает все возможное для быстрого выздоровления. Юсуповская больница работает круглосуточно.
Список литературы
- МКБ-10 (Международная классификация болезней)
- Юсуповская больница
- Черенков В. Г. Клиническая онкология. — 3-е изд. — М.: Медицинская книга, 2010. — 434 с. — ISBN 978-5-91894-002-0.
- Широкорад В. И., Махсон А. Н., Ядыков О. А. Состояние онкоурологической помощи в Москве // Онкоурология. — 2013. — № 4. — С. 10—13.
- Волосянко М. И. Традиционные и естественные методы предупреждения и лечения рака, Аквариум, 1994
- John Niederhuber, James Armitage, James Doroshow, Michael Kastan, Joel Tepper Abeloff’s Clinical Oncology — 5th Edition, eMEDICAL BOOKS, 2013
Наши специалисты

Заведующий онкологическим отделением, врач-онколог, химиотерапевт

Врач-онколог

Врач-онколог, химиотерапевт
Цены на услуги *
*Информация на сайте носит исключительно ознакомительный характер. Все материалы и цены, размещенные на сайте, не являются публичной офертой, определяемой положениями ст. 437 ГК РФ. Для получения точной информации обратитесь к сотрудникам клиники или посетите нашу клинику.
Скачать прайс на услуги
Мы работаем круглосуточно
yusupovs.com
Мелкоклеточный рак легкого: продолжительность жизни и прогноз
Самым смертоносным заболеванием во всём мире до сих пор остаётся мелкоклеточный рак легкого. Его ещё называют – саркома.
Раньше этот тип заболевания считался мужской болезнью, но с загрязнением окружающей среды, участившихся нервных стрессов, случаев курения среди женщин, распространился и на женскую часть населения. Основная группа риска приходится на людей в возрасте 44-67 лет.

Мелкоклеточный рак легких: продолжительность жизни
При диагнозе мелкоклеточный рак лёгких нельзя точно сказать, сколько живут пациенты. Т.к. это определяется несколькими факторами: возраст заболевшего, хороший иммунитет, восприимчивость организма к лекарственным препаратам, своевременность начатой терапии.
Выделяют четыре степени развития болезни:
- Злокачественное образование составляет 3см. Метастазирование в другие области не наблюдается.
- Бластома от 3-х до 6-и см. Заражённые частицы попадают в плевру, защемляют бронхи, существует вероятность ателектаза.
- Новообразование вырастает до 7см. Злокачественные клетки прорастают в близкорасположенные лимфоузлы. Начинается распространение на другие органы.
- Из вредных клеток создаются образования, охватывающие сердце, почки и печень. Малоизлечима.
На первой стадии, характеризующейся небольшой опухолью в лёгком, выздоровление происходит с 75-85% вероятностью.
Но этому должны предшествовать своевременная хирургическая операция, которая вовремя уберёт злокачественное образование, и правильно подобранное медикаментозное лечение.
Если ваш организм справится с этой нелёгкой задачей без осложнений, то возможность рецидива после пяти лет составит 6-9%.
На второй стадии, где кроме опухоли уже есть небольшие образования в лимфатической системе, возможность полной регрессии составляет 50-60%.
Лечение мелкоклеточного рака лёгких на этом периоде заболевания — процесс более сложный. Он включает в себя лучевую, а также интенсивный курс химиотерапии, возможное хирургическое вмешательство.
Из-за вероятности рецидива и ослабления организма процент выживаемости на протяжении 4-6 лет составляет не более 25%.
Однако, преимущественно данный тип злокачественного образования выявляется на 3-ем (приблизительно 65%) или 4-ой стадии по совокупности всех проявившихся к этому времени симптомов. К этому моменту злокачественная опухоль легких прогрессирует и даёт осложнения в другие органы, поэтому период жизни даже при лечении сокращается до 5-7 лет.
Стоит отметить, что если вследствие терапевтических действий опухоль начинает уменьшаться, то врачи расценивают это как признак, повышающий успех выздоровления. При частичной ремиссии шансы составляют около 52%, а при полной 75-90%.
Прогноз при мелкоклеточном раке легкого 3 стадии
3-я стадия раковой опухоли отличается проявлением постоянного кашля с выделением красно-коричневой мокроты из-за попадания метастаз в кровяные сосуды. Становятся постоянными и невыносимыми боли в груди, прежде списываемые на невралгию. Нарушается сердцебиение, затрудняется проходимость пищевода, мучает постоянная одышка, появляются симптомы, характеризующие начальные повреждения других органов.
При диагнозе злокачественная опухоль лёгкого на 3-ей фазе прогнозирование неутешительное. Без лекарственной помощи длительность жизни колеблется от нескольких недель до 4-6 месяцев.

Однако, данный тип опухоли имеет повышенную чувствительность к лучевой и химиотерапии, поэтому совокупное лечение мелкоклеточного рака при правильной дозировке цитостатических препаратов позволяет увеличить срок жизни до 5-7 лет.
Прогнозы при мелкоклеточном раке легкого 4 стадии
На заключительном этапе злокачественные клетки поражают ткань печени и почек, кости, проникают в головной мозг. Это вызывает тяжёлые боли, с которыми не справляются анальгетики. Абсолютное выздоровление (без рецидивов) в течение описываемого этапа происходит очень редко. Срок жизни онкобольных со злокачественными образованиями, распространившимися на сердце или печень, не больше 2-х месяцев. С диагнозом саркома 4 стадии прогноз не превышает 8-10% длительности жизни людей в течение 4-6 лет.
По общей совокупности факторов прогноз повторного проявления на 4 стадии является положительным. По сравнению с другими видами при поражении такой формой опухоли, продолжительность жизни после операции очень невелика.
samlife.ru
сколько живут в среднем без лечения люди с мелкоклеточными и крупноклеточными новообразованиями, как продлить жизнь
Злокачественный процесс в легких развивается медленно, неспецифические симптомы затрудняют диагностику патологии. Нередко больные обращаются за врачебной помощью, когда онкология перешла в 4 стадию.
Справка! Больше 80% больных раком легких курят на протяжении многих лет и симптомы болезни принимают за кашель курильщика. Как правило, на последней стадии рака наблюдается широкое поражение метастазами, опухоль бесконтрольно распространяется по всему организму.
Метастазы сильно осложняют течение болезни и оказываются более губительными, чем само злокачественное образование.
Процесс метастазирования необратим, лечебные мероприятия направляются на продление жизни с сохранением ее качества.

Особенности онкологии на последней стадии
Рак легких в 4 степени с метастазами сопровождает:
- Невыносимая боль, купировать которую можно только наркотическими препаратами.
- Разрастание опухоли способствует накоплению экссудата, у больного появляется прогрессирующая одышка и прерывистое дыхание. При метастазах в легких наблюдают: инспираторную одышку, при которой трудно сделать вдох; экспираторную – при которой тяжело выдохнуть; смешанную одышку, при которой трудно сделать как вдох, так и выдох.
- Присутствие постоянного кашля, мокроты с кровью и гнойными вкраплениями. Если опухоль распространится на крупные сосуды, возможно развитие острого массивного легочного кровотечения. При легочном периферическом варианте кашель может отсутствовать.
- Сниженная масса тела обусловлена раковой кахексией – истощением из-за опухоли.
- Поражение шейных лимфатических узлов затрудняет речь. Метастазирование может повлиять на голосовые связки из-за чего голос становится глухим и хриплым.
- У больного снижается или полностью пропадает аппетит.
- Замедляются обменные процессы, больной быстро утомляется, становится вялым и много спит.
- Повышенная температура тела.
- На 4 стадии нарушается работа желудочно-кишечного тракта, чаще всего больной мучается запорами.
- Онкология в легких вызывает кислородное голодание, что сказывается на деятельности мозга. Возможно присутствие дезориентации, галлюцинаций, провалы в памяти, зрительное расстройство. Могут возникать судороги и приступы эпилепсии.
- Депрессивное расстройство и моральная подавленность из-за смертельного диагноза.
Первые симптомы рака легких описаны на видео:
Процесс метастазирования способен развить нарушения не имеющие отношение к раку: аритмию, стенокардию, пиелонефрит, нарушение перистальтики.
Метастазы, поражая кости и суставы, деформируют их и вызывают сильный болевой синдром.
Справка! Онкология легких является особенно опасной, потому что нарушение функций дыхательной системы негативно отражается на деятельности всех систем организма.
Продолжительность жизни без лечения
При диагнозе рак в 4 стадии с метастазами врачи дают неутешительные прогнозы на продолжительность жизни.
Важно! Средняя цифра при диагнозе рака легких с метастазами составляет приблизительно 10%.
Существует ряд переменных, влияющих на ожидаемую продолжительность: локализация рака, возраст больного, общее состояние здоровья, реакция на лечение, и возникающие осложнения.

При крупноклеточных новообразованиях шанс продлить жизнь до 3-5 лет, выше, чем при мелкоклеточном раке.
Немаловажное значение имеет личностные качества человека, его психологическая и моральная устойчивость:
- Люди до конца борющиеся за свое здоровье и жизнь, переносят болезнь легче людей, впадающих в депрессию.
- Имея желание отдалить неизбежный конец, человек способен использовать ресурсы организма, чтобы перенести все трудности лечения, и прийти к длительной ремиссии.
Сколько живут люди с диагнозом рак легких 4 степени с метастазами рассказывается на видео:
Как оттянуть кончину?
Несмотря на неизлечимость 4 стадии рака, облегчить состояние и продлить жизнь, является возможным.
Чтобы сделать это, медики стараются приостановить образование новых онкологических очагов, оптимально восстановить угнетенные функции. Оказывается паллиативная помощь, то есть оберегающая и защищающая.
Важно! К факторам риска развития рака легких относятся: курение, контакты с асбестом, мышьяком, радоном. Онкологический процесс может быть спровоцирован хронической пневмонией, бронхитом, туберкулезом.
Лекарственные средства
Методики облегчения состояния больного:
- Проводится лучевая терапия — на опухоль воздействуют жесткими видами излучения.
- На процедурах химиотерапии в кровь вводятся химические соединения, останавливающие рост раковых клеток.
- Радиохирургия использует для борьбы с метастазами высокое рентгеновское излучение, не повреждая при этом здоровые ткани. Метод используется для лечения тяжелобольных пациентов, когда противопоказан наркоз, или лучевое воздействие.
- Если есть возможность, пораженный участок удаляется хирургическим вмешательством. В таких случаях появляется шанс прожить дольше при условии успешной химио- и лучевой терапии.
- При скоплении патологического секрета в легких проводят дренирование плевральной полости–торакоцентез.
- Проводят интенсифицированную внутривенную терапию: плазмоферез, гемосорбцию, переливание крови.
Обязателен прием наркотических и анальгезирующих средств, постоянные боли истощают резервы организма, необходимые для борьбы с онкологией.

Применяется трехступенчатая схема: начинают прием менее сильных препаратов, постепенно переходя к более мощным средствам обезболивания.
В настоящее время существуют разнообразные методы обезболивания, максимально комфортные для больного человека. Болевой синдром купируют с помощью обезболивающего пластыря, спинальной и эпидуральной анестезии.
При необходимости врач назначает прием гормонов и иммуномодуляторов.
Питание и народная медицина
Прием лекарственных средств нужно сочетать с народной медициной и правильным питанием:
- Питание больного требует особого внимания. Пациенты часто отказываются от приема пищи из-за отсутствия аппетита. В таких случаях в рацион следует вводить энтеральное питание – специальные сухие питательные смеси, разводимые водой. Существуют также готовые смеси с пищевыми волокнами в бутылочках. Следует подсчитать необходимое количество калорий, и проследить за тем, чтобы питание содержало белки, жиры и углеводы.
- Для истощенных пациентов необходим прием витаминов группы «В» и «С».
- При проблеме затрудненного дыхания используют кислородоконцентрактор, и небулайзер.
- При желтухе дренируют и восстанавливают желчные протоки.
- В качестве вспомогательных мер используют народную медицину. Применяют лекарственные травы, обладающие противоопухолевым свойством: чистотел, болиголов, аконит.Подорожник и корень дудника облегчает кашель и выводит мокроту. Для повышения защитных сил организма употребляют продукты пчеловодства.
Психоэмоциональное состояние больного оказывает немаловажное влияние на ход болезни, и способно как сократить, так и продлить жизнь человека. Родные и близкие люди должны проявить заботу, поддержку и помочь больному справится со страхами и болью.
Справка! Мужская половина человечества заболевает раком легких в 8-10 раз чаще, чем женщины. Увеличение уровня заболеваемости наблюдается после 60 лет.
Как продлить жизнь при раке легких рассказывается на видео:
Правила, которые надо соблюдать
Больному следует придерживаться следующих правил:
- В первую очередь пациенту необходимо следовать курсу лечения, назначенному врачом онкологом, помогая тем самым своему организму бороться с болезнью.
- Использовать альтернативные методы лечения, согласовывая их с лечащим врачом.
- В настоящее время развивается экспериментальное лечение с исследованиями новых методов и препаратов, с добровольного согласия больного. Это является хорошим шансом, который замедлит прогресс онкологии и окажет симптоматическое лечение.
- Не опускать руки, не замыкаться в себе, при необходимости воспользоваться психологической поддержкой профессионала.
- Изучать свою болезнь, интересоваться последними достижениями в лечении рака.
- Общаться с людьми с подобным диагнозом, вступать в группы и сообщества поддержки в социальных сетях.
- Несмотря ни на что сохранять позитивное мышление, положительный душевный настрой придает силы и повышает иммунитет, который угнетает развитие опухоли.
Абсолютное излечение центрального рака правого или левого легкого, к сожалению, невозможно.

По статистике 8-10 % больных живут до пяти лет при крупноклеточном раке, после поставленного диагноза. И лишь 1-2 % пациентов достигают такой выживаемости при мелкоклеточной онкологии легких.
Однако современная медицина борется за максимальную компенсацию состояния и качественное сохранение жизниибольного.
Сколько и как проживет человек с диагнозом рак легких, во многом зависит от него самого.
dobradom.com
Мелкоклеточный рак легкого 4 стадия прогноз

Прогноз при раке легких 4 стадии
Особенности рака легкого 4 стадии
Заболевание, выраженное сильным ростом опухоли и увеличением злокачественных клеток в легких человека, как правило, подразумевает в себе рак легких 4 стадии и прогноз по нему, к сожалению, неблагоприятный. При раке 4 степени образуются обширные метастазы, которые разрастаются за пределы лёгкого, затрагивают лимфатические узлы, попадают в печень, костную ткань, почки, в головной мозг человека. В результате этого поражаются бронхиальные стенки, разрушается слизистая оболочка и кровеносные сосуды, все чаще появляются в груди боли. Боль, возникающая в таких случаях, очень тесно связана с поражением граничащих с лёгкими тканей — как ни странно, у самой легочной ткани нет рецепторов боли.
Очень ярко выражена картина заболевания: приступообразный, надрывный кашель с наличием кровяных выделений в мокроте. Развивается одышка, стенокардия, нарушается сердечный ритм.
Прогноз при немелкоклеточном раке
Существует несколько разновидностей раков легкого, к ним относятся:
Немелкоклеточный рак легкого — злокачественные образования, образованные из тканей эпителия. У 90% заболевших мужчин и 80% женщин заболевание возникает из-за курения. На данный момент выделяют 3 разновидности немелкоклеточного рака:
- Плоскоклеточная карцинома – самая распространенная, растет в тканях дыхательных путей.
- Аденокарцинома возникает в тканях желез. Часто встречается у людей не курящих сигареты и женщин.
- Крупноклеточным (недифференцированная карцинома) назван рак из-за того, что раковые клетки хорошо просматриваются под микроскопом. Данное заболевание способно поразить разные части органа. Заболевает один человек из десятка.
- кашель;
- затрудненное дыхание, даже без нагрузки;
- мокрота с примесью кровянистых тел;
- хрипота;
- боль в грудине;
- отсутствие аппетита, усталость, бесконтрольно уменьшается вес человека;
- нарушение глотательного рефлекса;
- отечность лицевой части тела.
Прогноз при немелкоклеточном раке легкого 4 стадии неутешителен, так как обычно заболевание уже поражает оба легких и дает метастазы в другие органы. 60 % случаев выявляется очень поздно, срок жизни больных на протяжении 5 лет составляет не более 17%. Плоскоклеточный рак легкого возникает из плоских клеток эпителия бронхов (в норме которых нет).
Как правило, болеют раком курильщики и работники вредных производств.
Кроме того, на возникновение плоскоклеточного рака влияет еще ряд причин:
- Запыленность и загазованность воздуха в больших городах.
- Работа в радиоактивной зоне.
- Частые заболевания пневмонией, бронхитом, туберкулез.
Заболевание чаще всего выявляется у людей 40-50-летнего возраста, причем чаще болеют мужчины.
- Причиной этому является:
- Маргинальный образ жизни.
- Некачественное питание.
- Недостаток витаминов в пище.
- Наследственность.
- Вялость и отсутствие интереса к жизни часть принимаются за другое заболевание.
- Безосновательное, моментальное снижение веса.
- Постоянная невысокая температура.
Прогноз при 4 стадии плоскоклеточного рака легкого неблагоприятный — он неизлечим, так как метастазы проникают практически во все внутренние органы и начинается отравление организма. Органы, необходимые для жизнедеятельности человека, не справляются со своими функциями и человек угасает.
Прогноз при мелкоклеточном раке
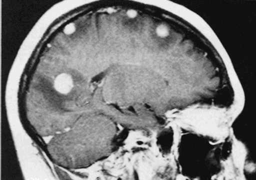
Мелкоклеточный рак легких 4 стадия прогноз: длительность жизни без терапии составляет от 6 до 18 недель. Это опухоль агрессор. Очаг распространяется по всему организму с огромной скоростью. Характерные признаки недуга – такие же, как и при других видах рака, с добавлением нарушения речи и приступов головной боли.
Имеет две формы:
- Мелкоклеточная карцинома – зачастую необратимый процесс, который развивается молниеносно и нападает расширенно.
- Комбинированный мелкоклеточный рак – включает в себя тип аденокарциномы с признаками плоскоклеточного и овсяноклеточного рака.
Похожие статьи
Мелкоклеточный рак легких сколько живут
Биология и медицина
Мелкоклеточный рак легкого: лечение, общие сведения
В лечении мелкоклеточного рака легкого важное место занимает химиотерапия. В отсутствие лечения половина больных умирает через 6-17 нед после постановки диагноза. Полихимиотерапия позволяет увеличить этот показатель до 40-70 нед. Ее используют как в качестве самостоятельного метода, так и в сочетании с операцией или лучевой терапией.
Цель лечения — добиться полной ремиссии, которая должна быть подтверждена бронхоскопическими методами, в том числе биопсией и бронхоальвеолярным лаважем. Эффективность лечения оценивают через 6-12 нед после его начала. По этим результатам уже можно предсказать вероятность излечения и продолжительность жизни больного. Самый благоприятный прогноз у тех больных, у кого за это время удалось достичь полной ремиссии. Все больные, продолжительность жизни которых превышает 3 года, относятся именно к этой группе. Если масса опухоли уменьшилась более чем на 50% и нет метастазов, говорят о частичной ремиссии. Продолжительность жизни таких больных меньше, чем в первой группе. Если опухоль не поддается лечению или прогрессирует, прогноз неблагоприятный.
После того как определена стадия заболевания (ранняя или поздняя, см. Рак легкого: стадии заболевания ), оценивают общее состояние больного, с тем чтобы выяснить, способен ли он перенести индукционную химиотерапию (в том числе в составе комбинированного лечения). Ее проводят только в том случае, если ни лучевая терапия, ни химиотерапия ранее не проводились, если у больного сохранена работоспособность, нет тяжелых сопутствующих заболеваний, сердечной, печеночной и почечной недостаточности, сохранена функция костного мозга, РаО2 при дыхании атмосферным воздухом превышает 50 мм рт. ст. и нет гиперкапнии. Однако даже у таких больных летальность в ходе индукционной химиотерапии достигает 5%, что сопоставимо с летальностью при радикальном хирургическом лечении.
Если состояние больного не отвечает указанным критериям, во избежание тяжелых побочных эффектов дозы противоопухолевых средств снижают.
Индукционную химиотерапию должен проводить специалист-онколог; особое внимание требуется в первые 6. 12 нед. В процессе лечения возможны инфекционные, геморрагические и другие тяжелые осложнения.
Только точное соблюдение всех требований и тщательное наблюдение за больным позволяют вовремя изменить схему лечения и предупредить смертельный исход.
Содержание
Случайный рисунок
Внимание! Информация на сайте
предназначена исключительно для образовательных
и научных целей
При болезни рак легких 4 стадия сколько живут?
- Последняя стадия рака
- Прогноз при раке легкого
- Длительность жизни человека, страдающего раком
- Мелкоклеточный рак
Рак легких 4 стадия: сколько живут люди с таким заболеванием и возможно ли с ним бороться? Данный вопрос интересует большинство людей, пострадавших от онкологии. Рак на 4 стадии представляет собой процесс, который невозможно обратить вспять. Опухоль начинает разрастаться, давая метастазы в соседние органы. Шансов на спасение у человека практически нет.
Последняя стадия рака
К 4 стадии рака относят несколько основных типов злокачественных опухолей. Это могут быть:
- онкологические образования, характеризующиеся быстрым ростом;
- рак костей;
- прогрессирующая опухоль с метастазами, распространяющимися на кости и поджелудочную железу;
- чрезвычайно-фатальные образования.
Первичный очаг онкологического процесса имеет маленькие размеры, они колеблются в пределах 6 мм. Иногда они большие и достигают 30 см. Это характерно для развития опухоли Юинга.
4 стадия рака легкого может быть обнаружена случайно. Причем буквально за пару месяцев до обращения в больницу человек мог чувствовать себя прекрасно и ни на что не жаловаться. На сегодняшний день большинство людей поступают с онкологией на поздних стадиях. Во многих случаях виноваты сами пострадавшие. Они не обращают внимания на негативную симптоматику и не идут за помощью в больницу. Тем временем рак легкого начинает активно прогрессировать.
Многие люди считают, что вылечиться на данной стадии невозможно. Действительно, шанс очень низкий, однако при правильном выборе схемы лечения он сохраняется. Продолжительность жизни человека может увеличиться до 5 лет и более. Многое в этом случае зависит от тяжести поражения жизненно важных органов. Избавиться от онкологии радикальным методом на поздней стадии невозможно, все делается посредством химиотерапии.
Вернуться к оглавлению
Прогноз при раке легкого
Рак легкого представляет собой злокачественный процесс. Ежегодно он поражает все большее количество людей. Преобладает он у мужской части населения ввиду их склонности к пагубным привычкам. Курение является самой распространенной причиной развития онкологии в легких.
Рак легкого — непростой диагноз, и прогноз далеко не утешительный. В большинстве случаев все заканчивается смертельным исходом. Все зависит от стадии заболевания и степени поражения органов.
Онкология на 3-4 стадиях характеризуется крупной опухолью, охватывающей соседнюю долю легкого. Не исключено прорастание в бронхи. Метастазы распространены в лимфатических узлах. Пациенты, у которых был диагностирован рак, но при этом никаких симптомов его наличия не наблюдалось, обладают более высоким шансом на выздоровление.
При наличии основных признаков устранить онкологию у 75% всех обратившихся практически невозможно. Если негативная симптоматика сохраняется на протяжении 9 месяцев, шансов на выздоровление нет. Это еще раз подтверждает тот факт, что многое зависит от самого пациента.
Вернуться к оглавлению
Длительность жизни человека, страдающего раком
Рак легкого — серьезное заболевание, в особенности если оно диагностировано на последних стадиях. Оперативно удалить опухоль не представляется возможным. Однако у людей есть шанс на спасение, и они могут прожить несколько лет с онкологией.
В 25% всех случаев люди живут не более одного года. Редко продолжительность жизни составляет 5 лет и более. Средняя выживаемость равна 40-50%, но это при условии подбора качественного и правильного лечения. Не всегда назначенные методы борьбы помогают справиться с онкологией. Однако такая утешительная цифра касается первой стадии рака. При тяжелом его течении и сильном развитии шансов на выживание практически нет.
Даже комбинированная химиотерапия в несколько этапов не гарантирует человеку выздоровление. В запущенных стадиях правильная схема лечения лишь в 5-8% всех случаев дает шанс на выздоровление. Однако большинство людей погибают в первую пятилетку.
Если поражение ограниченное и при этом человек получил комбинированную химиотерапию, вероятность на выздоровление повышается.
Однако показатель выживаемости колеблется в пределах 10-50%. Если рак распространенный и дал метастазы в соседние органы, шансов на благоприятный прогноз нет.
Вернуться к оглавлению
Мелкоклеточный рак
Данный диагноз ставится в 10-50 % всех случаев. Чаще всего эту онкологию диагностируют у курящих людей, редко в эту категорию попадают некурящие больные. Мелкоклеточный рак можно считать самым агрессивным злокачественным новообразованием. Для него характерен короткий анамнез и быстрое распространение. В этом случае происходит усиленное поражение метастазами. Вся опасность заключается в высокой чувствительности данной онкологии к химиотерапии.
Если процесс не вышел за пределы грудной клетки, прогноз считается оптимистичным. При достижении регрессии наблюдается увеличение срока жизни человека. Есть шанс на полное его выздоровление. При раке легкого 4 стадии продолжительность жизни значительно увеличивается, если начать лечение в то время, когда у человека еще хорошее самочувствие. Однако цифра не выходит за пределы 5 лет. Чем лучше состояние человека, тем выше шанс на полное выздоровление.
В любом случае опускать руки нельзя. В медицинской практике встречались случаи, когда безнадежные больные становились абсолютно здоровыми. Рак легкого излечим, к этому процессу нужно приступать с полной уверенностью на выздоровление.
Сколько можно прожить с диагнозом рак легких?
- Какие факторы имеют влияние на жизнеспособность пациента?
- Подведение итогов
При диагнозе рак легких сколько можно прожить? Все зависит от индивидуальных особенностей организма пациента и тяжести поражения болезни, своевременности оказания ему врачебной помощи и психологического настроя больного. Этот человек должен отказаться от всех вредных привычек (алкоголь, курение) и строго следовать рекомендациям лечащего врача, вести здоровый образ жизни. Еще лучше, если пациент делал это до постановки ему диагноза. Это может облегчить течение и лечение такой болезни, как рак легкого.
По статистике через 2-3 года после того, как диагностирована опухоль, большая часть заболевших таким опасным недугом, как рак легких, погибают. Но если недуг выявлен вовремя и проведено успешное лечение, то выживаемость при раке легких увеличивается, и человек может жить достаточно долго.
Какие факторы имеют влияние на жизнеспособность пациента?
Большую роль имеет вид раковой опухоли, которой поражен больной. В основном легкие поражаются двумя видами опухоли:
- Мелкоклеточный рак — развивается быстро, дает множество метастазов. Особенно агрессивно ведет себя в организме злостного курильщика, где быстро увеличивается в размерах и поражает основные органы человека. У людей, которые не принимают алкоголь и не курят, этот вид заболевания встречается реже.
- Чаще всего люди страдают немелкоклеточной разновидностью рака легких. Этот тип опухолей прогрессирует сравнительно медленно и более податлив для лечения хирургическими методами или методами химиотерапии.
Еще одним из важных факторов, которые влияют на то, сколько живут с раком легких, является стадия заболевания во время постановки диагноза. Очень редко болезнь обнаруживается и диагностируется на первом этапе развития, когда размеры опухоли сравнительно малы (от трех до пяти сантиметров) и она еще не поразила лимфатические узлы. Связано это с тем, что на ранней стадии симптомы заболевания практически отсутствуют. По статистике, на этом этапе выживают в течение первых 3-5 лет до 70-82% пациентов с немелкоклеточной формой болезни и до 27% — с мелкоклеточным раком.
Если развитие недуга дошло до второй стадии, то существует два вида поражения. Новообразование имеет габариты от пяти до семи сантиметров, хотя и не затрагивает лимфатические узлы. В таком случае выживаемость людей с мелкоклеточной разновидностью болезни достигает 25%, а с обычной формой рака — 38%. Такие же данные получены для больных, у которых опухоль имеет размер до пяти сантиметров и она уже распространилась на лимфатические узлы, расположенные рядом с ней.
При диагностировании третьей степени обнаруживаются новообразования, которые имеют размеры более семи сантиметров и поразили лимфатические узлы, а также проникли в диафрагму. На этом этапе опухоль может состоять из нескольких отдельных очагов. Если при этом рак легких у пациента мелкоклеточный, то в течение первых 3-5 лет выживают около 9-10% таких больных. При немелкоклеточном типе заболевания количество выживших людей в таком случае может составить до 18%.
На последней стадии недуга происходит прорастание метастазов в другие органы. В этом случае рак легкого прогноз дает неутешительный. В течение первого года после постановки такого диагноза погибают 96% заболевших, а на протяжении 5 лет умирают до 98%. Особую роль в гибели людей играет развитие и рост метастазов. Они дают рецидивы заболевания даже после успешно проведенной хирургической операции и последующего курса терапии. Часто это происходит при мелкоклеточном типе опухоли, когда рецидивы появляются через 2-3 года после первоначальной диагностики болезни и ее лечения.
Большое значение имеет и своевременное и качественное лечение. Если при этом больной не впадает в панику и выполняет все рекомендации врачей после хирургической операции, то у него есть большой шанс попасть в ряды выживших. При этом важна регулярная диагностика (раз в каждые полгода) для выявления возможных рецидивов заболевания.
Чтобы долго прожить, имея рак легких, надо изменить свой образ жизни. Риск возобновления болезни можно значительно уменьшить, если бросить курение и перестать употреблять спиртные напитки. Большую роль могут сыграть занятия физическими упражнениями. Диету не назначают.
Вернуться к оглавлению
Источники: http://medbiol.ru/medbiol/har/0036752d.htm, http://pulmonologdoma.ru/rak/rak-legkix-4-stadiya-skolko-zhivut.html, http://onkoved.ru/vidy/rak-legkix-skolko-mozhno-prozhit.html
Комментариев пока нет!
Лечение рака за границей!
Мелкоклеточный рак легкого 4 стадии: прогноз продолжительности жизни
Рак легкого – злокачественная опухоль, занявшая первое место по онкологическим заболеваниям среди мужчин. Большая проблема данной патологии – практически невозможно диагностировать её на ранней стадии из-за бессимптомного протекания или маскировки под другие заболевания.
Особенности развития патологии
По строению раковых клеток заболевание делится на два вида.
- Мелкоклеточный рак легкого – агрессивный тип опухоли, которая ширится очень быстро и пускает метастазы в соседние органы уже на начальных этапах. Занимает около 20% проявлений патологии. По прогнозу, без оперативного и действенного лечения средняя продолжительность жизни на нераспространённой стадии 1,5 года и всего полгода на распространённой.
- Немелкоклеточный рак легкого более распространён и развивается намного медленнее. Делится на три типа:
- плоскоклеточный: медленный рост злокачественных плоских пластинчатых клеток, низкий процент появления ранних метастаз. Выживаемость в 15% случаев;
- аденокарцинома разносится по крови, поскольку образовывается из железистых клеток. Выживаемость 20%, при операционном вмешательстве – 80%;
- крупноклеточный может быть нескольких видов. Средний процент выживания – 15%. В зависимости от размера опухоли, её распространённости, наличию метастаз выделяют четыре стадии прогрессирования патологии.
Чаще всего симптомы заболевания не проявляются на начальных этапах. Позже они могут выражаться через потерю массы тела, аппетита, снижение работоспособности, усталость, перепады температуры. Существуют специфические признаки, указывающие на прогрессирование патологии:
- кашель без причины, который может учащаться при физических нагрузках, пребывании на холоде, в горизонтальном положении тела. Опухоль растёт в зоне бронхиального древа и раздражает слизистую;
- кашель с прожилками крови может быть признаком туберкулёза. Зачастую именно такое проявление заставляет больных обращаться к врачу;
- одышка возникает, поскольку воспалено легкое, возникает закупорка бронха;
- болевые ощущения в области грудной клетки. Этот симптом указывает на запущенность болезни – опухоль проросла в серозную ткань, кость.
Продолжительность жизни и выживаемость
Мелкоклеточный рак легкого на первичной стадии имеет положительный прогноз. Особенно это касается бессимптомного периода развития опухоли. С проявлением симптомов вылечить патологию полностью не получится, пациенту необходимо постоянно проходить лечение и находиться под присмотром врача. Прогноз более благоприятный, когда симптоматика патологии проявляется меньше трёх месяцев.
Мелкоклеточный рак легких является очень опасным заболеванием, людей интересует, сколько живут с таким диагнозом. Цифровой коэффициент не очень утешителен: 25% больных живут один год, 8% ‒ более пяти лет.
Важно! Проценты – это неточные данные. Организм каждого человека индивидуален. При данном диагнозе главное ‒ соблюдать всё предписания врача, придерживаться диеты и не терять позитивного настроя.
Прогноз при немелкоклеточном раке легкого составляет около 50% выживания на первой стадии и 25% ‒ на второй.
При более поздних формах развития патологии операция невозможна, применяют химио- или лучевую терапию. Такое лечение позволяет получить пятилетнюю выживаемость 4‒8% пациентов. Рак легких мелкоклеточный очень опасен из-за своего быстрого протекания и склонности к раннему метастазированию. Прогноз данного типа зависит также от стадии прогрессирования опухоли:
- самые высокие и позитивные показатели, когда злокачественный процесс не вышел за пределы груди;
- если удалось добиться полной регрессии новообразования и предотвратить метастазирование, то продолжительность жизни значительно увеличивается;
- лечение более действенно, когда состояние здоровья пациента нормальное, без выраженных клинических симптомов, гематологических и биохимических изменений.
Статистика выживания на разных стадиях
На начальной стадии рак определяют крайне редко. Клинических проявлений патологии практически нет. Незначительные проблемы со здоровьем часто приписывают к другим патологиям. Первая стадия рака поддаётся основным методам терапии и пациента возможно вылечить. Опухоль до пяти сантиметров сосредоточена в определённом сегменте лёгкого/ области бронха и не имеет признаков метастазирования.
Различают две формы рака первой степени:
- 1А – выживаемость с данным диагнозом около сорока процентов;
- 1В – опухоль имеет немного больший размер, процент выживаемости – 25%. Проблема усугубляется тем, что диагностируется болезнь только у 15% больных.
Потому стоит уделять должное внимание своевременным медицинским обследованиям, особенно если человек находиться в группе риска.
При второй стадии могут проявиться симптомы, схожие с простудными заболеваниями: кашель, повышенная температура тела, одышка. Позднее появляются боли в области груди. На что стоит обращать внимание:
- затянувшийся кашель, который не лечится медикаментозным способом;
- боль в груди, особенно при глубоком вдохе;
- хрипы и одышка;
- понижение массы тела, пропадает аппетит;
- наличие затяжных лёгочных болезней, которые повторяются периодически;
- лимфатические узлы увеличиваются в размере;
- желтеет кожа.
Мелкоклеточный рак легкого 2 стадии имеет прогноз выживания в 18‒46%.
Третья стадия патологии осложняется возможными рецидивами. Раковые клетки распространяются очень быстро, размер опухоли более семи сантиметров. Прогноз при мелкоклеточном раке легкого 3 стадии зависит от формы особенностей патологии:
- на первой стадии опухоль затрагивает соседние лимфатические узлы и органы: диафрагму, трахею, бронхи. Пятилетняя выживаемость – 14%;
- на второй степени опухоль поражает противоположную сторону грудины, может перейти на сердечные оболочки. Процент выживания в данном случае меньше 9%.
Четвертая стадия болезни является самой тяжёлой: метастазы проникли в смежные органы. Продолжительность жизни будет напрямую зависеть от типа новообразования. Симптомы на этом этапе очень яркие:
- тяжёлый кашель с прожилками крови;
- мучительные боли в области грудины;
- трудности с дыханием, одышка, сбой сердечного ритма;
- проблемы с пищеварением.
Самым эффективным считается метод хирургического вмешательства, часто его комбинируют с лучевой и химиотерапией. Мелкоклеточный рак легкого 4 стадия имеет крайне неутешительный прогноз. Образование практически не поддаётся лечению. Но современная медицина продолжает исследования и с каждым годом появляются препараты, которые облегчают состояние и самочувствие больных.
Е** ********ва
(Нижний Новгород, Россия)
«Добрый день! Вам еще раз огромное спасибо за все, что Вы делали для меня и мужа, и что согласились проконсультировать коллегу. Вы для меня врач не просто с большой буквы, а врач от Бога. Мои наилучшие. «

Иван
(Россия, Новосибирск)
«Добрый вечер! Хочется поблагодарить вас за своевременную помощь. Назначенный курс химиотерапии дает положительный результат, отец чувствует себя великолепно. Я бы хотел узнать, когда нужно прилететь н. «

Антон Пислегин
(Россия, Уфа)
«Выражаю свою благодарность всем врачам и сотрудникам, которые принимали участие в моём лечении. Особенную благодарность выражаю Др. Ирине Стефанской и Профессору Рону Гринбергу. С Уважением, Антон Пис. «

Кристина
(Россия, Красноярск)
«Здравствуйте, миленькие мои. Вы не представляете как я рада, что попала именно к вам. Спасибо Вам за помощь, за теплое отношение. В мае увидимся, уже собираю чемоданы. «
Жанна
(Россия, Омск)
«Здравствуйте, др. Евгений! Низкий Вам поклон и огромная благодарность за поддержку, Вы для меня делаете больше, чем 10 наших психологов вместе взятых. Стало легче после разговора с Вами, потому что б. «
Елена
(Россия, Сургут)
«Хочу поблагодарить за то, что вы дали нам вновь надежду и силы на борьбу. Онкология – это страшный диагноз, но с вместе с вами – это перестало быть для нас смертным приговором. Желаем всем врачам Гер. «
Оксана
(Москва, Россия)
«Низкий поклон от меня и моей мамы Ирины Михайловны. Благодарим каждого врача и специалиста, которые учувствовали в лечении Ирины Михайловны. Когда мы столкнулись с безысходностью и безразличием к её. «
Ольга
(Россия, Сургут)
«Доброго времени суток! Уважаемые и горячо любимые Доктора, хотелось бы поздравить Вас с праздником Хануки! Желаю добра, света, исполнения желаний и конечно Здоровья! С наилучшими пожеланиями из Си. «
Павел
(Минск. Республика Беларусь)
«Хочу выразить Вам свою признательность и сказать огромное СПАСИБО за оказанную помощь и консультации. Не знаем, как без Вас мы бы смогли пройти весь этот путь. Саша себя чувствует хорошо. Об пройден. «

«Я приехала в Израиль из Казахстана! Две недели назад мне была сделана операция по удалению опухали в мочевом пузыре. Хотя на Родине – в Казахстане врачи предлагали пройти облучение. Сейчас чувствую се. «
Анна
(Россия, Ижевск)
«Добрый вечер! Мы вернулись в Россию. Поездкой в Тель-Авив очень довольны. Общение с врачами оказалось своевременным. Хотели поблагодарить Вас за содействие — большое спасибо! Возможно, что придется по. «
Анна и Михаил Шариповы
(Россия, Казань)
«Здравствуйте, или как у Вас говорят Шалом. Мы хотим ещё раз выразить Вам свою благодарность и сказать Вам огромное СПАСИБО. Спасибо всему коллективу, а вернее, всей команде, кто остаётся небезразл. «

Лариса Тришинова
(Россия, Нижний Новгород)
«Дорогие Врачи! Все родные и близкие Сергея выражают Вам всем глубокую благодарность за чуткое отношение к больному. Мы будем помнить долго, о том, как Вы помогали нам своими добрыми словами и делом по. «

Людмила
(Россия, Самара)
«Многоуважаемые врачи и младший медицинский персонал «Международной Информационной онкологической службы». Пишет Вам Людмила *********. Вот и подошло наше пребывание в Израиле к окончанию. Уже завтра в. «

Подписаться на рассылку:
Если вы хотите оперативно узнавать о новых услугах в области медицинского туризма в Израиль или в Германию, то подпишитесь на рассылку новостей с нашего сайта
© 2013 Международная информационная онкологическая служба
Копирование материала возможно только с согласия администрации сайта. Вся информация, опубликованная на этом сайте, носит исключительно информационный характер. Использование любой медицинской информации в личных целях требует дополнительной консультации врача.
Источники: http://vlegkih.ru/rak/prognoz-pri-rake-legkix-4-stadii.html, http://semejnyj-doktor.ru/kak-pravilno/melkokletochnyj-rak-legkih-skolko-zhivut.html, http://worldmed.info/encyclopedia/melkokletochnyy-rak-legkogo-4-stadii/
onkologmed.ru
Мелкоклеточный рак легкого: развитие и особенности патологии

Рак легкого – злокачественная опухоль, занявшая первое место по онкологическим заболеваниям среди мужчин. Большая проблема данной патологии – практически невозможно диагностировать её на ранней стадии из-за бессимптомного протекания или маскировки под другие заболевания.
Особенности развития патологии
По строению раковых клеток заболевание делится на два вида.
- Мелкоклеточный рак легкого – агрессивный тип опухоли, которая ширится очень быстро и пускает метастазы в соседние органы уже на начальных этапах. Занимает около 20% проявлений патологии. По прогнозу, без оперативного и действенного лечения средняя продолжительность жизни на нераспространённой стадии 1,5 года и всего полгода на распространённой.
- Немелкоклеточный рак легкого более распространён и развивается намного медленнее. Делится на три типа:
- плоскоклеточный: медленный рост злокачественных плоских пластинчатых клеток, низкий процент появления ранних метастаз. Выживаемость в 15% случаев;
- аденокарцинома разносится по крови, поскольку образовывается из железистых клеток. Выживаемость 20%, при операционном вмешательстве – 80%;
- крупноклеточный может быть нескольких видов. Средний процент выживания – 15%. В зависимости от размера опухоли, её распространённости, наличию метастаз выделяют четыре стадии прогрессирования патологии.
Чаще всего симптомы заболевания не проявляются на начальных этапах. Позже они могут выражаться через потерю массы тела, аппетита, снижение работоспособности, усталость, перепады температуры. Существуют специфические признаки, указывающие на прогрессирование патологии:
- кашель без причины, который может учащаться при физических нагрузках, пребывании на холоде, в горизонтальном положении тела. Опухоль растёт в зоне бронхиального древа и раздражает слизистую;
- кашель с прожилками крови может быть признаком туберкулёза. Зачастую именно такое проявление заставляет больных обращаться к врачу;
- одышка возникает, поскольку воспалено легкое, возникает закупорка бронха;
- болевые ощущения в области грудной клетки. Этот симптом указывает на запущенность болезни – опухоль проросла в серозную ткань, кость.
Продолжительность жизни и выживаемость
Мелкоклеточный рак легкого на первичной стадии имеет положительный прогноз. Особенно это касается бессимптомного периода развития опухоли. С проявлением симптомов вылечить патологию полностью не получится, пациенту необходимо постоянно проходить лечение и находиться под присмотром врача. Прогноз более благоприятный, когда симптоматика патологии проявляется меньше трёх месяцев.
Мелкоклеточный рак легких является очень опасным заболеванием, людей интересует, сколько живут с таким диагнозом. Цифровой коэффициент не очень утешителен: 25% больных живут один год, 8% ‒ более пяти лет.
Важно! Проценты – это неточные данные. Организм каждого человека индивидуален. При данном диагнозе главное ‒ соблюдать всё предписания врача, придерживаться диеты и не терять позитивного настроя.
Прогноз при немелкоклеточном раке легкого составляет около 50% выживания на первой стадии и 25% ‒ на второй.
При более поздних формах развития патологии операция невозможна, применяют химио- или лучевую терапию. Такое лечение позволяет получить пятилетнюю выживаемость 4‒8% пациентов. Рак легких мелкоклеточный очень опасен из-за своего быстрого протекания и склонности к раннему метастазированию. Прогноз данного типа зависит также от стадии прогрессирования опухоли:
- самые высокие и позитивные показатели, когда злокачественный процесс не вышел за пределы груди;
- если удалось добиться полной регрессии новообразования и предотвратить метастазирование, то продолжительность жизни значительно увеличивается;
- лечение более действенно, когда состояние здоровья пациента нормальное, без выраженных клинических симптомов, гематологических и биохимических изменений.
Статистика выживания на разных стадиях
На начальной стадии рак определяют крайне редко. Клинических проявлений патологии практически нет. Незначительные проблемы со здоровьем часто приписывают к другим патологиям. Первая стадия рака поддаётся основным методам терапии и пациента возможно вылечить. Опухоль до пяти сантиметров сосредоточена в определённом сегменте лёгкого/ области бронха и не имеет признаков метастазирования.
Различают две формы рака первой степени:
- 1А – выживаемость с данным диагнозом около сорока процентов;
- 1В – опухоль имеет немного больший размер, процент выживаемости – 25%. Проблема усугубляется тем, что диагностируется болезнь только у 15% больных.
Потому стоит уделять должное внимание своевременным медицинским обследованиям, особенно если человек находиться в группе риска.
При второй стадии могут проявиться симптомы, схожие с простудными заболеваниями: кашель, повышенная температура тела, одышка. Позднее появляются боли в области груди. На что стоит обращать внимание:
- затянувшийся кашель, который не лечится медикаментозным способом;
- боль в груди, особенно при глубоком вдохе;
- хрипы и одышка;
- понижение массы тела, пропадает аппетит;
- наличие затяжных лёгочных болезней, которые повторяются периодически;
- лимфатические узлы увеличиваются в размере;
- желтеет кожа.
Мелкоклеточный рак легкого 2 стадии имеет прогноз выживания в 18‒46%.
Третья стадия патологии осложняется возможными рецидивами. Раковые клетки распространяются очень быстро, размер опухоли более семи сантиметров. Прогноз при мелкоклеточном раке легкого 3 стадии зависит от формы особенностей патологии:
- на первой стадии опухоль затрагивает соседние лимфатические узлы и органы: диафрагму, трахею, бронхи. Пятилетняя выживаемость – 14%;
- на второй степени опухоль поражает противоположную сторону грудины, может перейти на сердечные оболочки. Процент выживания в данном случае меньше 9%.
Четвертая стадия болезни является самой тяжёлой: метастазы проникли в смежные органы. Продолжительность жизни будет напрямую зависеть от типа новообразования. Симптомы на этом этапе очень яркие:
- тяжёлый кашель с прожилками крови;
- мучительные боли в области грудины;
- трудности с дыханием, одышка, сбой сердечного ритма;
- проблемы с пищеварением.
Самым эффективным считается метод хирургического вмешательства, часто его комбинируют с лучевой и химиотерапией. Мелкоклеточный рак легкого 4 стадия имеет крайне неутешительный прогноз. Образование практически не поддаётся лечению. Но современная медицина продолжает исследования и с каждым годом появляются препараты, которые облегчают состояние и самочувствие больных.
hospndoc.ru
Рак легкого 4 стадии – прогноз жизни
Oncolib
+7 (495) 162 57 10
Москва
Рак легкого 4 стадии еще называют запущенным, метастатическим. Это злокачественная опухоль, которая распространилась на оба легких, в соседние органы или дала отдаленные метастазы. С таким раком сложно бороться. В большинстве случаев радикальное лечение невозможно, то есть врач не может полностью удалить опухолевую ткань из организма пациента. Проводится паллиативная терапия, направленная на продление жизни и купирование симптомов.
Рак легкого 4 стадии — что это означает?
Стадия характеризует степень распространения злокачественной опухоли в организме. Четвертая стадия рака легких делится на две подстадии: 4A и 4B.Врач диагностирует стадию 4A, если выполняется одно из следующих условий:
- Во время обследования обнаружены опухоли в обоих легких.
- Опухоль проросла в плевру (оболочка из соединительной ткани, которая покрывает легкие и выстилает изнутри грудную клетку) или в перикард (оболочку сердца).
- Вокруг легких или вокруг сердца скопилась жидкость, в которой обнаружены опухолевые клетки. Такие состояния соответственно называются экссудативными плевритами и перикардитами.
- Обнаружен один отдаленный метастаз. Как правило, он находится в костях или в печени.
При стадии 4B рака легкого обнаруживается несколько отдаленных метастазов.Лечение рака легкого 4 стадии:
Распространено заблуждение о том, что при раке 4 стадии пациенту уже ничем нельзя помочь. Многие больные отчаиваются, отказываются от помощи врачей, отправляются домой «доживать». На самом деле существуют эффективные методы лечения. Если невозможно добиться ремиссии, то злокачественную опухоль можно лечить как временно хроническое заболевание. Паллиативная терапия помогает увеличить продолжительность жизни, избавиться от мучительных симптомов, дает больному дополнительное время, которое он может потратить на общение с родными, завершить важные дела.Говоря о лечении, в первую очередь нужно понимать, о каком гистологическом типе опухоли идет речь. В зависимости от внешнего вида опухолевых клеток под микроскопом, выделяют два типа рака легкого:
- Чаще всего — примерно в 85% случаев — встречается немелкоклеточный рак.
- Менее распространены мелкоклеточные опухоли.
Лечение немелкоклеточного рака легкого
Как мы уже рассмотрели выше, четвертая стадия рака легкого бывает разной. Лечение зависит от того, куда распространились опухолевые клетки, поражена ли плевра, перикард, есть ли отдаленные метастазы, сколько их, и в каких органах они находятся.При немелкоклеточном раке легкого прибегают к хирургическим вмешательствам, назначают лучевую терапию, химиотерапию, таргетную терапию, иммунотерапию. Иногда для борьбы с симптомами прибегают к лечению лазером и фотодинамической терапии.
В редких случаях обнаруживается лишь один метастаз, который можно удалить хирургически или с помощью лучевой терапии. Например, при поражении головного мозга может быть показана процедура на аппарате «гамма-нож». Иногда при метастазах в печени возможна ее резекция, в других случаях — химиоэмболизация, радиочастотная аблация.
Первичные опухоли в легких лечат с помощью лучевой терапии, противоопухолевых препаратов.
У большинства пациентов с 4 стадией рака легкого обнаруживаются множественные отдаленные метастазы. В таких случаях основу лечения составляют противоопухолевые препараты. Врачам-онкологам очень помогают молекулярно-генетические анализы.
Изучив изменения в генах и белки злокачественных опухолей, можно понять, какие препараты будут наиболее эффективны для конкретного пациента:- При мутации в гене ALK назначают таргетный препарат алектиниб (Alecensa), кризотиниб (Xalkori) или церитиниб (Zykadia). Если они плохо переносятся, или опухоль становится устойчивой к ним, назначают другой ингибитор ALK — бригатиниб (Alunbrig).
- При изменениях в гене ROS1 также эффективны ингибиторы ALK, в частности, кризотиниб.
- При мутациях в гене EGFR лечение начинают с таргетных препаратов: афатиниб (Gilotrif), гефитиниб (Iressa), эрлотиниб (Tarceva).
- При мутациях в гене BRAF некоторым пациентам помогает комбинация двух препаратов: траметиниба (mekinist) и дабрафениба (Tafinlar).
- При высоком уровне белка PD-L1 эффективны иммунопрепараты из группы ингибиторов контрольных точек, например, пембролизумаб (Keytruda).
- Если в опухоли не выявлено ни одной из перечисленных мутаций, основу лечения будут составлять химиопрепараты. Иногда их применяют в сочетании с таргетными препаратами.
Молекулярно-генетические анализы опухолей стали проводить относительно недавно. Но такая услуга уже доступна для российских пациентов. Например, в Европейской Клинике, которая сотрудничает с американской лабораторией CARIS.
Зачастую при раке легкого 4 стадии развивается экссудативный плеврит: между листками плевры, вокруг легких, скапливается жидкость. Из-за этого ухудшается состояние пациента, он хуже переносит противоопухолевое лечение. Борьба с экссудативным плевритом, вызванным раком, должна проводиться в условиях специализированной клиники. Обычно, если в плевральной полости находится очень много жидкости, лечение начинают с плевроцентеза. С помощью специальной иглы врач делает прокол в стенке грудной клетки пациента и выводит экссудат. Часть его отправляют на цитологических анализ — чтобы подтвердить наличие в нем раковых клеток. После плевроцентеза в плевральной полости может быть оставлен дренаж для постоянного оттока жидкости.
Некоторым пациентам показан плевродез. В плевральную полость вводят препараты, которые вызывают склеивание листков плевры, за счет чего предотвращается дальнейшее накопление жидкости. Для плевродеза применяются разные препараты. В настоящее время врачи чаще всего применяют иммунопрепараты. Они не только склеивают листки плевры, но и уничтожают опухолевые клетки.При нарушении проходимости дыхательных путей из-за опухоли проводят стентирование. В дыхательные пути устанавливают стент — трубку с сетчатой стенкой из полимера или металла. За счет высокой жесткости она расширяет просвет и обеспечивает свободное прохождение воздуха.
Лечение мелкоклеточного рака легкого
При мелкоклеточном раке легкого 4 стадии прогноз менее благоприятный, но и для таких пациентов существуют эффективные методы лечения. Если состояние больного позволяет, назначают химиопрепараты: этопозид в сочетании с цисплатином или карбоплатином. В некоторых случаях это помогает добиться того, опухолевые очаги перестают выявляться с помощью неинвазивных методов диагностики. Но, как правило, даже в таких ситуациях через некоторое время рак возвращается.Если пациент успешно перенес курс химиотерапии, назначают лучевую терапию грудной клетки. Затем врач назначает профилактическое облучение головного мозга, так как при мелкоклеточном раке очень высок риск метастазирования.

Если на фоне химиотерапии или в течение 6 месяцев с момента ее завершения рак начал снова прогрессировать, это говорит о том, что назначенные препараты неэффективны. Их нужно заменить на другие. Если рецидив произошел более чем через 6 месяцев, можно продолжить лечение прежними препаратами.
Если опухоль прогрессирует после двух или более курсов химиотерапии, врач может назначить иммунопрепарат — ниволумаб (Opdivo).
Если ни один вид лечения не помогает, у некоторых пациентов все еще остается небольшой шанс — они могут принять участие в клинических испытаниях. О том, какие клинические испытания проходят на данный момент, и как предложить свою кандидатуру, можно узнать у лечащего врача или на специальных сайтах.
Прогноз выживаемости при раке легкого 4 стадии
При 4A стадии немелкоклеточного рака легких пятилетняя выживаемость составляет 10%, при 4B — 1%. При мелкоклеточном раке 4 стадии спустя 5 лет остаются в живых 2% пациентов. Такие низкие цифры — не повод опускать руки. Как мы убедились выше, для таких пациентов существует много разных видов лечения. У врачей появляется все больше возможностей помочь больному. Даже если по прогнозам жизнь удастся продлить совсем немного — ради этого стоит бороться.oncolib.euroonco.ru
сколько живут, симптомы рака легких 4 стадии, рак легкого 4 степени с метастазами
В ходе обследования пациента, который страдает раком легкого или любым другим онкологическим заболеванием, для врача очень важно выяснить стадию опухоли. Это поможет подобрать наилучшее лечение и дать прогноз относительно шансов на ремиссию, продолжительности жизни.
При онкологических заболеваниях выделяют 5 основных стадий — 0, I, II, II и IV. Таким образом, четвертая стадия — последняя. Такой рак еще иногда называют распространенным, метастатическим (так как одна из самых частых и основных характеристик 4 степени рака легких — появление отдаленных метастазов в разных органах).
При раке легких выделяют стадии IVA и IVB.
При стадии IVA:
- Опухолевые очаги обнаружены в обоих легких.
- Рак распространился в плевру (пленку из соединительной ткани, которая покрывает легкие и выстилает изнутри грудную клетку) или перикард (околосердечную сумку).
- Есть один отдаленный метастаз в лимфоузлах, печени, кости или другом органе.
При стадии IVB есть несколько отдаленных метастазов, несколько очагов в одном или в разных органах.
Как часто встречается четвертая стадия рака легких?
Так как на ранних стадиях симптомы отсутствуют, нередко на момент постановки диагноза рак легкого уже успевает достичь четвертой стадии. К сожалению, такая картина встречается довольно часто.

Диагностировать заболевание на ранних стадиях помогают регулярные скрининговые обследования. Наиболее эффективный метод — компьютерная томография. Согласно рекомендациям экспертов из Американского Онкологического Сообщества (American Cancer Society), регулярно нужно проверяться людям, которые входят в группу повышенного риска: в возрасте 55–74 года, которые курили в течение 30 лет, курят последние 15 лет.
Симптомы рака легкого 4 стадии
На четвертой стадии симптомы рака легкого могут появиться впервые. Беспокоит хронический кашель, но курильщики обычно не придают этому значения. Во время кашля может отходить мокрота с примесью крови. Нередко беспокоит одышка, боли в грудной клетке. Боли в костях говорят о том, что, скорее всего, в них присутствуют метастазы.
Другие возможные проявления заболевания на IV стадии: снижение аппетита, повышенная утомляемость, затруднение во время глотания, охриплость голоса, снижение массы тела.
Все эти признаки могут возникать и при других патологиях. Чаще всего это не рак. Окончательный диагноз можно установить после обследования.
Осложнение рака легкого 4 стадии: плеврит
При онкологии легкого 4 стадии может возникать экссудативный плеврит — состояние, при котором возникает воспаление в плевре, и между ее листками скапливается жидкость. Причины плеврита у онкологических больных:
- Метастазы в плевру, в результате чего повышается проницаемость капилляров, и жидкость из них поступает в плевральную полость.
- Метастазы в лимфатические узлы грудной клетки, в результате чего нарушается отток лимфы, жидкость скапливается в тканях и в плевральной полости.
При плеврите больной не может глубоко вдохнуть, его мучает упорный сухой кашель из-за раздражения нервных окончаний в плевре, он постоянно плохо себя чувствует, испытывает слабость. Со временем нарастает одышка, человек становится бледным, лежит на больной стороне, чтобы здоровое легкое могло во время дыхания лучше расправляться.
Жидкость в плевральной полости обнаруживают с помощью рентгенографии, компьютерной томографии, иногда УЗИ. Проводят диагностическую плевральную пункцию, а если ситуация остается неясной — видеоторакоскопию.
Лечение рака легкого 4 стадии
Вероятность того, что рак легкого IV стадии будет вылечен, низкая. Лечение по большей части носит паллиативный характер: оно помогает облегчить симптомы, замедлить рост опухоли и сократить ее размеры, продлить жизнь больного.
Наиболее благоприятна ситуация, когда есть один очаг в легком и один отдаленный метастаз. К сожалению, такие случаи встречаются редко. При этом можно прибегнуть к хирургическому лечению в сочетании с химиотерапией и лучевой терапией. После лечения может наступить стойкая ремиссия.
Чаще встречается ситуация, когда метастазов много в разных органах, и многие из них настолько малы, что их нельзя обнаружить. Естественно, вылечить такой рак хирургическим путем невозможно.
Таргетная терапия при раке легкого 4 стадии
Для того чтобы правильно назначить лечение, в первую очередь стоит провести молекулярно-генетическое исследование клеток опухоли, разобраться, какие мутации в них присутствуют, какие вещества необходимы для их роста и выживания. Эти вещества можно заблокировать при помощи таргетных препаратов, тем самым остановив рост опухоли и уменьшив ее размеры:
- При мутации в гене ALK применяют кризотиниб (обычно препарат первой линии), церитиниб, алектиниб, бригатиниб (препараты второй линии, которые, как правило, назначают, если кризотиниб больше не действует).
- При мутации в гене EGFR применяют эрлотиниб, гефитиниб, афатиниб.
- При мутации в гене ROS1 назначают кризотиниб.
- При мутации в гене BRAF назначают сочетание дабрафениба и траметиниба.
Молекулярно-генетический анализ, который позволяет подобрать персонализированное лечение при раке — относительно новый метод диагностики. К сожалению, далеко не в любой клинике есть возможность его выполнить.
Иммунотерапия при раке легкого 4 стадии
Одна из главных причин быстрого роста раковых клеток состоит в том, что они умеют защищаться, маскироваться от иммунной системы.

Иммунопрепараты помогают иммунитету восстановить способность распознавать и атаковать раковые клетки. Если в клетках рака легкого высока концентрация белка PD-L1, могут помочь иммунопрепараты из класса моноклональных антител, в частности, пембролизумаб.
Химиотерапия при раке легкого 4 стадии
Если в раковых клетках не обнаружены перечисленные выше мутации, назначают курсы химиотерапии. Химиопрепараты могут сочетаться с пембролизумабом, бевацизумабом, нецитумумабом.
Назначая лечение, врач-химиотерапевт обязательно учитывает возможные побочные эффекты химиопрепаратов и состояние здоровья пациента.
Лечение экссудативного плеврита при раке легкого 4 стадии
Если в плевральной полости обнаружена жидкость, ее эвакуируют при помощи специальной иглы и шприца. Такая процедура называется плевроцентезом. После него в плевральной полости оставляют трубку, соединенную с мешком, в который впоследствии оттекает жидкость.
Более чем у половины пациентов с плевритом удается справиться с помощью химиотерапии, которая уничтожает метастазы в плевре. Но этот метод лечения эффективен лишь в том случае, если раковые клетки чувствительны к химиопрепаратам.
Если химиотерапия не помогает, прибегают к плевродезу: в плевральную полость вводят препарат, который склеивает листки плевры, после чего между ними уже больше не может накапливаться жидкость.
Как продлить жизнь при раке легкого 4 стадии?
Собственно, на это главным образом и направлено все лечение, которое было описано выше. На IV стадии онкологического заболевания добиться полного излечения очень сложно (хотя такие случаи и бывают). Основные задачи паллиативного лечения:
- Уменьшить размеры опухоли.
- Замедлить, рост, прогрессирование рака.
- Продлить жизнь пациента, постараться сделать так, чтобы он не испытывал мучительных симптомов, мог жить как можно более полноценной жизнью.
На какой срок можно продлить жизнь? Это зависит от разных факторов. Показатели выживаемости представлены ниже, в описании прогноза.
Как облегчить симптомы при раке легкого 4 стадии?
К симптомам рака легкого на IV стадии могут присоединиться осложнения, побочные эффекты химиотерапии, лучевой терапии. Облегчение симптомов включает следующие основные направления:
- Борьба с болью, для которой зачастую приходится использовать наркотические анальгетики.
- Лечение экссудативного плеврита.
- Поддерживающая терапия, которая помогает комфортно переносить курс химиотерапии.
- Дезинтоксикационная, противорвотная терапия.
- Общеукрепляющее лечение.
- Поддержка работы легких, сердца, печени.
Если пациенту требуется длительное введение химиопрепаратов, врач может установить имплантируемую порт-систему. Она представляет собой небольшой резервуар, который подшивают под кожу и соединяют катетером с веной. После этого, для того, чтобы ввести препарат в вену, достаточно проколоть иглой кожу и мембрану резервуара.
Прогнозы и сколько живут при раке легкого 4 стадии?
При четвертой стадии немелкоклеточного рака легких — наиболее распространенной формы заболевания — пятилетняя выживаемость составляет 1%. Это означает, что через 5 лет в живых останется лишь один из ста больных. При мелкоклеточном раке легких, который встречается реже и в основном у курильщиков, пятилетняя выживаемость на 4 стадии составляет 2%.
Несмотря на такие прогнозы, отчаиваться не стоит. Во-первых, существуют эффективные методы лечения, которые помогают если и не вылечить болезнь, то хотя бы продлить жизнь, избавиться от мучительных симптомов. Во-вторых, статистика основана на данных людей, у которых болезнь была диагностирована 5 лет назад. В настоящее время появляются новые препараты, эффективность лечения повышается. А значит, повышаются и шансы пациентов.
Запись на консультацию круглосуточно
www.euroonco.ru