Лейкоплакия | Стоматологический центр СТОМАТИКС
Лейкоплакия — это воспалительный процесс, протекающий в слизистой оболочки полости рта, сопровождающийся появлением белого налета и ее ороговением.
В медицинской практике встречаются следующие виды лейкоплакии:
- Плоский тип лейкоплакии наблюдают чаще всего, его определяют при первом же обследовании по явным симптомам. Основной симптоматикой является ощущение сухости и стянутости в ротовой полости. Зачастую поражается поверхность языка, однако при соблюдении гигиены данное заболевание лечится быстро и не вызывает болезненных ощущений.
- Веррукозный тип лейкоплакии является следствием плоской лейкоплакии. При этом виде, поврежденная поверхность ороговевает и деформируется, изменяется ее цветовой оттенок. Кроме этого, появляется белый оттенок пораженного участка с неприятным ощущением во рту, а пораженный участок похож на бородавку. Данный вид может вызывать образование рака.
- Эрозивный вид лейкоплакии появляется из-за угнетающего воздействия на организм предыдущих типов заболевания.

У пациента проявляются эрозии поврежденных участков с неприятным болевым ощущением. - Лейкоплакию Таппейнера опознают по присутствию белого налета и красным точкам. Причиной этого становится курение пациента.
Причины заболевания
Проявлению заболевания наиболее подвержены курящие и не соблюдающие гигиену полости рта пациенты. Кроме того, болезнь может возникнуть при:
- использовании низкокачественных протезов;
- травмировании слизистой оболочки;
- постоянном взаимодействии с бытовой химией;
- неправильной работе ЖКТ;
- СПИДе и других половых инфекциях;
- генетической предрасположенности;
- нехватке витаминов;
- диабете;
- анемиях.
Основные симптомы:
- появление белого налета и ороговение слизистой полости рта;
- болезнь редко вызывает чувство дискомфорта, но иногда возникают специфические ощущения при приеме пищи;
- в некоторых случаях образование может уплотняться и даже лопаться ̶ в этой ситуации нужно срочно обратиться к стоматологу.

Методика лечения
В соответствии с локализацией лейкоплакии и ее первопричинами назначают соответствующую терапию, при этом скорее всего курильщикам нужно будет воздержаться от курения. Некачественные зубные протезы рекомендуется переделать. Если лейкоплакия является следствием других заболеваний, нужно ликвидировать их первоисточник.
Самодиагностика лейкоплакии невозможна, так как диагноз должен быть подтвержден лабораторными исследованиями. Также имеется опасность злокачественного перерождения поврежденных участков слизистой. Потому биопсия является обязательной в обследовании пациента. Эта методика выявляет атипичное состояние клеток, характерное для предракового состояния. При отсутствии недоброкачественного образования назначают консервативное лечение, исключающее операционное вмешательство. С его помощью устраняют причины болезни, и нормализуют обмен веществ в эпителиальных тканях.
В рационе питания пациента не должно быть слишком острой и горячей пищи.
Кроме этого, необходимо провести терапию имеющихся желудочно-кишечных заболеваний. Стоматологические заболевания лечат следующими методами:
- Необходимо отполировать все острые края зубов и запломбировать кариозные полости.
- Также нужно проверить состояние зубных протезов и, при необходимости, заменить их для исключения травм пораженных участков.
- Протезы желательно использовать отполированные и из материалов, не подверженных коррозии и окислению.
- Проводится лечение инфекционных заболеваний полости рта.
- В процессе терапии нужно уделить особое внимание соблюдению гигиены полости рота, а при локальном воздействии использовать масляные средства, необходимо избегать прижиганий поврежденного участка слизистой.
- Рекомендуется прием витамина А, иммуномодуляторов и общеукрепляющих препаратов.
Данное лечение проводится амбулаторно, так как зачастую этого хватает для ликвидации симптоматики обычной лейкоплакии или для ее стабилизации.
Указанными методиками терапии пользуются и при начальных видах веррукозной и эррозивной лейкоплакии. Отсутствующие позитивные сдвиги в терапии свидетельствуют об необходимости операционного вмешательства.
Народные методы и способы лечения лейкоплакии
Для стабилизации иммунитета используют чаи и настои из сбора трав, если на это не имеются противопоказания. Свежевыжатый фруктовый и овощной сок поможет поднять иммунитет, и станет первоисточником витамина А.
Готовый сок нужно разбавить водой, чтобы защитить слизистую от избытка раздражителей. Из-за этого также надо избегать употребления кислой пищи . Локальное лечение предполагает регулярное полоскание полости рта травяными настоями, обладающими антисептическим действием. Днем следует употреблять концентрированный зеленый чай, являющийся природным антиоксидантом.
Для локального применения наряду с другими фармацевтическими препаратами пользуются облепиховым и шиповниковым маслами. Сок каланхоэ применяется при эрозивных формах лейкоплакии.
При обычном виде болезни эти масла могут оказывать поддерживающее действие, а порой заменяют консервативную терапию. Однако стоит помнить, что лейкоплакия является предраковым состоянием, и потому не стоит избегать эффективных современных методов и способов лечения. Народные методики идеальны в сочетании с медицинскими процедурами.
Профилактические меры
Чтобы избежать возникновения заболевания, следует вести здоровый образ жизни, отбросить вредные пристрастия, 2 раза в год проходить обследование в стоматологической клинике и заботиться о своем здоровье и гигиене.
Лейкоплакия шейки матки лечение | KST-Clinic.ru
Появление обильных выделений белого цвета с примесями крови после полового акта — повод для беспокойства. Именно с такими жалобами чаще всего приходят на прием к гинекологу женщины, у которых в процессе обследования обнаруживаются изменения шейки матки. Заболевание получило название лейкоплакия шейки матки. Врачи трактуют такую патологию, как процесс, обусловленный изменением структуры многослойного плоского эпителия, происходящий из-за воздействия на организм различных негативных факторов.
Лейкоплакия шейки матки с точки зрения врачей еще во многом загадочное заболевание. Однозначно и до конца не прояснен вопрос о патогенезе данной патологии шейки матки, рисках перерождения новообразования в злокачественную опухоль.
Факторами-провокаторами лейкоплакии традиционно принято считать:
- инфекционные заболевания, передаваемые во время сексуальных контактов;
- гормональные нарушения, возникающие на фоне возраста, стресса, наследственной природы;
- повреждающее воздействие на шейку матки в процессе рождения ребенка, при медицинских манипуляциях.
О лейкоплакии шейки матки больше принято говорить в разрезе отечественной медицины. Под лейкоплакией понимают образование так называемых белесых участков на слизистой оболочке шейки матки. О частоте встречаемости лейкоплакии ведутся споры. Некоторые исследователи говорят о достаточно высоком уровне выявления данной патологии шейки матки – от 11,7 до 12,5%, другие же отмечают, что на долю лейкоплакии приходится всего 5,2% от заболеваний половых органов.
Прежде всего, патология опасна рисками формирования злокачественной опухоли – более, чем у 30% пациенток вследствие течения лейкоплакии шейки матки наблюдается онкогенная мутация клеток эпителия.
Причины развития лейкоплакии
Хотя исследования еще ведутся, в настоящее время ведущей считается теория гормонального влияния на появление эрозии. Патология развивается из-за функциональных рассогласований в связке мозг-половые органы. Особенно негативное влияние оказывают сбои овуляции. Как итог – формирование дефицита гормона прогестерона, гиперэстрогения, развитие гиперпластических состояний слизистой шейки матки, а также непосредственно самой матки. Очаги формирования лейкоплакии шейки матки могут быть единичными или множественными. Данные статистики говорят о том, что патология шейки встречается при олигоменореи у 35,5% пациенток, а по типу неполноценной лютеиновой фазы цикла развивается у 64,5% женщин, обратившихся к врачу — гинекологу относительно лейкоплакии.
С точки зрения физиологических процессов образование патологического очага представляет собой процессы постепенного ороговения плоского эпителия.
Увеличить вероятность формирования очагов лейкоплакии могут вредные привычки, среди них – курение. Также свою лепту вносит предшествующее заражение вирусом папилломы человека (ВПЧ). Кстати, исследователи отмечают, что очень большой риск развития онкологии на фоне появления лейкоплакии шейки матки связан именно с инфицированием организма женщины двумя генотипами вируса папилломы человека – ВПЧ 16 и ВПЧ 18. Данные типы вируса часто сопутствуют злокачественным опухолям шейки матки, вульвы, влагалища.
Еще один фактор развития лейкоплакии, особо настораживающий врачебное сообщество, связан с некачественным оказанием медицинской помощи, особенно при назначении терапии относительно эктопии шейки.
Таким образом, женщины находятся в группе риска развития лейкоплакии, если:
- менструации приходят нерегулярно. У дам, столкнувшихся с подобной проблемой, риск появления лейкоплакии шейки матки в 5 раз выше, чем среди женщин в целом;
- в анамнезе зафиксированы воспалительные заболевания репродуктивной системы;
- есть рецидивирующие эрозии;
- образ жизни далек от здорового – пристрастия к вредным привычкам.

Выявление лейкоплакии шейки матки требует неотложного лечения, в отличие от эрозии, возникшей не шейке. Своевременное предотвращение прогрессирования лейкоплакии – одна из возможностей профилактики онкологических заболеваний. Однако, всегда нужно тщательно выбирать врача и клинику, чтобы снизить риски медицинских ошибок.
Нужна консультация специалиста?
Оставьте заявку и мы свяжемся с Вами в течение 30 минут.
Спасибо! Мы Вам скоро перезвоним!
Диагностика и лечение данной патологии
Прежде всего, важно отметить необходимость регулярного посещения гинеколога. Именно в этом случае врач сможет своевременно обнаружить лейкоплакию и безотлагательно начать адекватное лечение.
Схема и методы лечения заболевания может включать:
- Своевременную диагностику патологии, в том числе с применением современных приборов, что исключает риски постановки неправильного диагноза или вероятность не распознать маленький очаг лейкоплакии.

- Выявление и излечение инфекционных и вирусных заболеваний гениталий.
- Информирование женщин о рисках инфицирования вирусом папилломы человека, о необходимости своевременной постановки прививки.
- Обоснование необходимости использования контрацепции, прежде всего барьерных методов.
- Своевременное обнаружение причин сбоев менструального цикла.
- Восстановление нормальной работы иммунной системы.
Картина развития лейкоплакии
Выраженных симптомов патология шейки матки, как правило, не имеет. Единственное, что может настораживать женщину – появление обильных белей, а также крови или сукровицы после полового контакта.
Врачи классифицируют лейкоплакию в зависимости от выявления атипичных клеток.
Простая лейкоплакия шейки матки считается фоновым заболеванием. Атипия не выявлена, но при действии неблагоприятных факторов может возникнуть риск онкологии. Характеризуется патология обнаружением на шейке матки тонкой белой корочки, после удаления которой остаются блестящие розоватые участки, сосудистый рисунок на них отсутствует.
Именно данные розовые точки позволяют сделать выводы о масштабах распространении лейкоплакии. Если определяется атипия, то врач бьет тревогу и говорит о наличии предракового состояния. Для точной постановки диагноза назначают комплексное обследование. Оно включает клинические, кольпоскопические, цитологические, по показаниям морфологические, а также бактериоскопические и бактериологические методы. Наиболее информативными являются расширенная кольпоскопия и морфологические исследования.
К важным процедурам можно отнести:
- Стандартный осмотр шейки матки. Важна регулярность проведения процедуры. Для ранней диагностики рака берутся мазки с поверхности эпителия, выстилающего шейку матки.
- Цитологическое исследование – выявляет группы клеток многослойного плоского эпителия с явлениями возникновения, чрезмерного утолщения рогового слоя.
- Расширенная кольпоскопия. Уточняет размеры очага и тип поражения. Оптимально выбирать клинику, где процедуру могут провести при помощи максимально современных аппаратов.
Кольпоскопия показывает очаги поражения тканей, как участки в виде многоугольника, разделенные капиллярами – своеобразное мозаичное панно. При обработке уксусной кислотой рисунок становится еще более отчетливым. Характерный рисунок указывает врачу на правильность заподозренного диагноза. - Главным методом диагностики лейкоплакии выступает исследование биоматериала с шейки. Для взятия образца, который будут исследовать, врач осуществляет биопсию, за выполнением которой следит через кольпоскоп. Одномоментно с этим может быть выполнено выскабливание слизистой оболочки цервикального канала для исключения рисков распространения возможного предракового патологического процесса на окружающие ткани.
При уточнении диагноза проводят дифференциацию с онкологическим заболеванием, с эктопией.
Разнообразие вариантов лечения
Основными стратегиями лечения данной патологии считаются способы малоинвазивного вмешательства. Каждый способ борьбы с болезнью имеет определенные достоинства и противопоказания.
Какой выбрать, решает лечащий врач, при тщательном осмотре пациентки и после получения данных исследований. Врачи – гинекологи могут владеть следующими методиками:
- Диатермоэлектрокоагуляция представляет собой воздействие высокочастотного тока, которое буквально провоцирует расплавление тканей. При этом организм женщины становится частью электрической цепи. Создание теплового эффекта происходит в самой шейке матки. Одним из частых осложнений может стать кровотечение во время манипуляции и в восстановительном периоде.
- Криодеструкция – основана на действии низких температур на пораженные участки. В качестве «заморозки» наиболее часто применяют жидкий азот, также используют закись азота или окись углерода. Достоинствами метода можно считать возможность выполнения процедуры в амбулаторных условиях, отсутствие кровотечения, болевых ощущений во время вмешательства. Чувствительные нервные окончания быстро разрушаются из-за воздействия холода. По данным исследователей и практикующих врачей действенность лечения может составлять от 80 до 90%.
Но велик риск развития рецидивов, связанный с небольшой способностью проникновения в ткани, а также невозможностью точечной обработки поверхности. - Лечение лазером означает применение инфракрасного излучения, сконцентрированного в невидимый луч. Целью его воздействия выступают клетки тканей, в которых высокая концентрация h3О. Наблюдается эффект испарения ткани. Лазерные приборы получают названия, обусловленные средой, в которой они создают излучение. Один из наиболее инновационных и современных приборов — СО2 лазер. Его «коллегами» можно считать гольмиевый, диодный лазеры. Успешно используются системы на основе кристаллов. Врач выбирает метод лазерной вапоризации, в первую очередь, чтобы осуществлять контроль за глубиной воздействия на участок лейкоплакии. В большинстве случаев в ходе выполнения манипуляций купируется развитие кровотечений. Также наблюдается минимальное повреждающее действие на состояние тканей, что может стать профилактикой грубых рубцовых деформаций слизистой.
При выборе лазерной терапии излечения получается добиться у 97% пациенток и более. Как правило, лазерную процедуру проводят амбулаторно. Зачастую такая терапия не требует проведения процедуры по дополнительному обезболиванию, а это снижает риски негативного воздействия на организм женщины. Чаще всего процедуру назначают в первой половине цикла (на 4 – 7-й день менструации). Чтобы точно понимать размер зоны повреждения, и не затронуть здоровые участки, перед лазерным воздействием поверхность слизистой обрабатывают Люголем, специальным раствором. На фоне явного поражения тканей с распространением очагов заболевания на влагалище часто врачи рекомендуют провести двухэтапное лазерное лечение. Первый шаг состоит в воздействии лазера на пораженную часть шейки. Второй, в рамках следующего менструального цикла, предполагает удаление измененной ткани из влагалища. Выздоровление наблюдается в среднем в течение двух недель — полутора месяцев. Зависит это от размера очага заболевания и локализации повреждений.
- Аргоноплазменная абляция — этот метод основан на энергии высокочастотного тока. Его сила передается на ткани с помощью ионизированного газа аргона. В процессе выполнения манипуляции необходимые места эпителия нагреваются и осуществляется коагуляция пораженного эпителия. Иногда требуется повторная процедура. Недостатком метода можно считать отсутствие возможности для морфологической оценки всего объема удаляемого с поверхности слизистой патологического материала.
- Радиоволновая хирургия —это особая техника, не разрушающая мягкие ткани, но позволяющая сделать их разрез, осуществить коагуляцию. Эффект достигается за счет выделения тепла при сопротивлении тканей в ответ на проникающее действие высокочастотных радиоволн. Энергия собирается на наконечнике электрода и активирует образование энергии внутри клетки, приводя к разрушению ее структуры. Проще говоря, наблюдается испарение клетки. В научном сообществе метод признан малоинвазивным, бескровным, способствующим быстрому обновлению слизистой оболочки органа.
Противопоказания для проведения процедуры выступают воспалительные заболевания женской половой сферы. - Медикаментозный метод представляют собой терапию с помощью назначения средств для химической коагуляции. Часто используются препараты, в составе которых различные кислоты, органического и неорганического происхождения. К примеру, азотная, уксусная, щавелевая кислота. Выпускаются такие лекарства в виде растворов. Они оказывают коагулирующее действие на клетки эпителия, инициируя полное устранение очага патологии благодаря глубокому проникновению в ткани. Использование такой терапии требует частых визитов к врачу для оценки результатов. В некоторых случаях может быть показана повторная обработка поврежденного участка. Метод противопоказан при обнаружении клеточной дисплазии.
Что же касается непосредственно женщины, столкнувшейся с проблемой появления лейкоплакии. В первую очередь важно не паниковать и не акцентировать внимание на возможном негативном прогнозе развития заболевания. Чтобы избавиться от страха перед будущим, нужно найти грамотного гинеколога, который назначит необходимые обследования и выберет оптимальное лечение. Кстати, выполнять лазерные манипуляции имеют право только специалисты, имеющие специальные сертификаты, а значит прошедшие профильное обучение. Да и инновационным оснащением может похвастаться не каждая клиника.
Важно найти идеальный баланс. Выбрать медицинское учреждение с профессиональным коллективом врачей, которому можно доверить самое дорогое – женское здоровье.
Врачи, занимающиеся лечением заболеваний шейки матки:
Стоимость
| Лейкоплакия шейки матки лечение |
- Прием врача-акушера-гинеколога лечебно-диагностический, первичный, амбулаторный1 900
- Прием врача-акушера-гинеколога лечебно-диагностический, повторный, амбулаторный1 700
- Видеокольноскопия2 100
- Пайпель-аспирация содержимого полости матки3 800
- Биопсия шейки матки аппаратом «Сургитрон» петлевая3 200
- Биопсия шейки матки аппаратом «Сургитрон» конизационная5 500
- Лечение эрозии шейки матки аппаратом «Сургитрон», размер менее 1 см5 600
- Лечение эрозии шейки матки аппаратом «Сургитрон», размер более 1 см8 200
- Медикаментозное лечение эрозии шейки матки (без стоимости препарата)1 500
- Лечение доброкачественной патологии шейки матки с использованием СО2 лазера 1 категория сложности (1/4 поверхности)8 500
- Лечение доброкачественной патологии шейки матки с использованием СО2 лазера 2 категория сложности (1/2 поверхности)9 900
- Лечение доброкачественной патологии шейки матки с использованием СО2 лазера 1 категория сложности (вся поверхность)12 500
- Удаление кондилом НПО аппаратом «Сургитрон» до 3-х штук2 200
- Удаление кондилом НПО аппаратом «Сургитрон» от 3-х до 10-ти штук3 900
- Удаление кондилом НПО аппаратом «Сургитрон» множественное (более 10-ти )7 200
- Деструкция очагов эндометриоза шейки матки аппаратом «Сургитрон»2 700
* — Обращаем Ваше Внимание на то, что данный Интернет-ресурс носит исключительно информационный характер и не является публичной офертой! * — Прием специалистами клиники только по предварительной записи!
симптомы, профилактика и основные принципы лечения
Лейкоплакия проявляется в виде плотных белых бляшек на деснах или на внутренней стороне щек. Сама по себе лейкоплакия не опасна, но иногда она свидетельствует о предраковых изменениях, которые могут привести к раку полости рта.
Определение
Лейкоплакия полости рта — это заболевание слизистой оболочки, при котором образуются белые утолщения на деснах, внутренней поверхности щек, на дне рта и иногда на языке. Эти новообразования нелегко удалить.
Причина лейкоплакии неизвестна, но основным фактором ее развития считается употребление табака в любой форме — для курения, жевания и т.д.
Лейкоплакия обычно не опасна, большинство новообразований оказываются доброкачественными. Но, к сожалению, бывают исключения. У небольшого процента пациентов выявляют ранние признаки рака, его разные виды могут развиться рядом с участками лейкоплакии. Если вы заметили необычные, непроходящие новообразования в полости рта, вам необходимо посетить стоматолога.
Симптомы
Лейкоплакия может выглядеть по-разному. Изменения обычно заметны на деснах, внутренней поверхности щек, на дне ротовой полости и иногда на языке. Лейкоплакия может проявляться следующим образом:
- Белые или сероватые очаги, которые невозможно удалить
- Шероховатые или ороговевшие участки слизистой оболочки рта
- Утолщения или уплотнения на слизистой оболочке рта
- Красные бляшки (эритроплакия), с высокой вероятностью злокачественной трансформации
Вид лейкоплакии под названием «волосатая лейкоплакия» чаще всего встречается у тех людей, чья иммунная система ослаблена лекарствами или болезнями, особенно ВИЧ/СПИДом. Волосатая лейкоплакия проявляется в виде возвышений серовато-белого цвета, похожих на складки, по бокам языка. Ее часто путают с кандидозным стоматитом, для которого характерны молочно-белые налеты в полости рта, от задней стенки гортани до верхней части пищевода, и на внутренней поверхности щек. Кандидозный стоматит (молочница) также распространен у людей с ВИЧ/СПИДом.
Когда следует обратиться к врачу
Иногда эрозии и язвы не опасны, даже если вызывают раздражение или болевые ощущения. В других случаях они сигнализируют о более серьезном заболевании. Поэтому следует обратиться к стоматологу, если у вас есть следующие симптомы:
- Белые бляшки или язвы во рту, которые не заживают самостоятельно в течение семи-десяти дней
- Бугорки, белые, красные или темные пятна во рту
- Непроходящие изменения в тканях полости рта
Причины
Причины развития обычной и волосатой лейкоплакии отличаются.
Лейкоплакия
Причина развития лейкоплакии окончательно не установлена. Основным предрасполагающим к ней фактором считается употребление табака, как для курения, так и для жевания. У троих из четырех потребителей табачных изделий развивается лейкоплакия в том месте щеки, которое соприкасается с табаком. Длительное употребление крепкого алкоголя и других раздражающих веществ также может привести к лейкоплакии.
Волосатая лейкоплакия
Волосатую лейкоплакию вызывает вирус Эпштейн-Барра (EBV). После инфицирования этот вирус остается в организме на всю жизнь. Обычно вирус неактивен, но если иммунная система ослаблена болезнью или определенными лекарствами, то вирус может активироваться и вызвать волосатую лейкоплакию.
Особенно склонны к заболеванию волосатой лейкоплакией пациенты с ВИЧ/СПИД. Благодаря антиретровирусным препаратам, количество подобных случаев уменьшилось, однако волосатая лейкоплакия все еще встречается почти у 25 процентов людей с ВИЧ, она является одним из первых признаков ВИЧ-инфекции. Появление волосатой лейкоплакии в полости рта свидетельствует о том, что антиретровирусная терапия неэффективна.
Факторы риска
Употребление табака создает реальную угрозу развития лейкоплакии и рака полости рта. Алкоголь в сочетании с курением еще более повышает риск.
Осложнения
Лейкоплакия обычно не вызывает необратимого повреждения тканей в полости рта. Однако возможно осложнение лейкоплакии — рак полости рта. Рак часто возникает рядом с пораженными участками, и на самих участках могут развиться злокачественные процессы. Даже после удаления бляшек риск рака остается повышенным.
Что касается волосатой лейкоплакии, она не причиняет боль и вряд ли приведет к раку. Но она может указывать на наличие ВИЧ-инфекции или СПИДа.
Подготовка к посещению врача
Сначала посетите стоматолога или терапевта. Возможно, вас направят к хирургу-стоматологу или отоларингологу для диагностики и лечения.
Желательно подготовиться к визиту. Вот некоторая информация, которая поможет вам в подготовке.
Что вы можете сделать
- Запишите все симптомы, включая те, которые кажутся не связанными с основной причиной обращения к врачу.
- Составьте список всех лекарств, а также витаминов или БАДов, которые вы принимаете.
- Запишите вопросы, которые собираетесь задать врачу.
Составление списка вопросов поможет вам максимально эффективно использовать время на приеме у врача. При подозрении на лейкоплакию следует задать следующие вопросы:
- Что может быть причиной моего заболевания?
- Возможны ли другие причины моего заболевания?
- Нужны ли мне специальные анализы?
- Мое заболевание является временным или хроническим?
- Какие процедуры можно применить? Что вы рекомендуете?
- Каковы альтернативные методы лечения, помимо метода, который вы предлагаете?
- Должен ли я соблюдать какие-либо ограничения?
- Есть ли у вас брошюры или другие печатные материалы, которые я мог бы взять с собой домой? Какие сайты вы рекомендуете?
Задайте любые другие вопросы, которые у вас возникнут.
На приеме у врача
Вероятно, врач задаст вам несколько вопросов, в том числе:
- Когда вы впервые заметили эти изменения?
- У вас есть жалобы на боль или кровотечение из пораженного участка?
- Вы курите?
- Вы употребляете жевательный табак?
- Какое количество алкоголя вы употребляете?
Какие меры вы сами можете предпринять
Прекратите употреблять табак в каком-либо виде, это поможет уменьшить или даже полностью устранить лейкоплакию.
Анализы и диагностика
Чаще всего стоматолог ставит диагноз «лейкоплакия» после того, как исследует новообразования во рту и исключит другие возможные причины. Чтобы выявить ранние признаки рака, стоматолог делает следующее:
- Берет образец ткани (биопсию) для анализа. Для этого он иссекает фрагмент пораженной ткани небольшой вращающейся щеточкой (щеточная биопсия) или весь патологический очаг (эксцизионная биопсия).
- Отправляет ткань в лабораторию на анализ. С помощью специальной оптической системы патологоанатом выявляет аномальные клетки, если они есть.
- Если результат положительный, то вас направят на лечение. При положительном результате щеточной биопсии стоматолог может выполнить эксцизионную биопсию, то есть удалит весь слой лейкоплакии, если он мал, или направит вас к хирургу-стоматологу, если пораженный участок большой.
Лечение и медикаменты
Для большинства людей достаточно прекратить употреблять табак или алкоголь, чтобы избавиться от этого заболевания. Если это не помогает или если выявлены ранние признаки рака, то стоматолог направит вас на лечение, которое включает:
- Удаление бляшек лейкоплакии. Их удаляют скальпелем, лазером или охлажденным до очень низкой температуры зондом, который замораживает и разрушает раковые клетки (криодеструкция).
- Визиты с целью последующего наблюдения. Рецидивы возникают довольно часто.
Прогноз более благоприятный, если лейкоплакия обнаружена и вылечена на ранней стадии и пораженный участок небольшой по размеру. Необходимо проходить регулярные осмотры, проверять состояние полости рта на наличие неестественных образований.
Ученые изучили эффективность ретиноидов при лейкоплакии. Ретиноиды — производные витамина А, они используются для лечения угревой сыпи и других проблем кожи. Ретиноиды в некоторой степени помогают держать заболевание под контролем.
Лечение волосатой лейкоплакии
Не во всех случаях волосатой лейкоплакии требуется лечение. Ваш лечащий врач или стоматолог могут прибегнуть к выжидательной тактике. Если лечение необходимо, есть несколько вариантов:
- Медикаменты системного действия. К ним относятся противовирусные препараты, такие как валацикловир (валтрекс) и фамцикловир (фамвир), они предотвращают размножение вируса Эпштейн-Барра, но не удаляют его из организма. Лечение противовирусными препаратами поможет очистить полость рта от лейкоплакических новообразований, но они часто снова возникают после прекращения терапии.
- Препараты местного действия. К ним относятся подофиллин и третиноин (ретиноевая кислота). Эти препараты могут улучшить состояние, но как только лечение прекратится, лейкоплакические новообразования могут снова появиться.
Профилактика
Для профилактики лейкоплакии полости рта наиболее эффективны следующие меры:
- Не употребляйте табачные изделия. Это одна из самых эффективных мер для улучшения общего состояния здоровья, а также один из основных способов профилактики лейкоплакии. Посоветуйтесь с врачом о том, как бросить эту вредную привычку. Если друзья или члены семьи продолжают курить или жевать табак, попросите их проходить частые стоматологические осмотры. Рак полости рта часто протекает бессимптомно до довольно поздней стадии.
- Не употребляйте или ограничьте употребление крепкого алкоголя. Алкоголь является причиной развития и лейкоплакии, и рака полости рта. Сочетание алкоголя и курения способствует проникновению вредных химических веществ из табака в ткани полости рта.
- Ешьте много свежих фруктов и овощей. Они богаты антиоксидантами, такими как бета-каротин. Антиоксиданты снижают риск лейкоплакии путем обезвреживания молекул кислорода до того, как они повредят ткани. Бета-каротином богаты темно-желтые, оранжевые и зеленые фрукты и овощи, в том числе морковь, тыква, кабачок, дыня и шпинат.
Операция по удалению лейкоплакии шейки матки: цена в клинике Даная
Лейкоплакия — это заболевание, связанное с возникновением ороговевших слоев эпителия. Ороговевшие клетки обычно выглядят как белые бляшки, что и дало название заболеванию: с древнегреческого термин переводится как «белая пластинка».
Лейкоплакия считается не самой распространенной болезнью, но достаточно часто женщины обращаются в клинике с данной патологией. Главная опасность заболевания в том, что в прогрессирующей форме лейкоплакия способна перерасти в рак. Именно поэтому важно вовремя выявить инфекцию и начать лечение.
Запись к врачу
Основные причины лейкоплакии
Как правило, причины заражения делят на две большие группы:
- Экзогенные (внешние) причины лейкоплакии. В этом случае ороговение эпителиальных клеток спровоцировало травматическое воздействие на шейку матки. Например: повреждения при половых актах, последствия неправильного лечения эрозии шейки матки, травмы при абортах и родах. Различные болезни и воспалительные процессы матки и придатков также способны спровоцировать развитие лейкоплакии
- Эндогенные (внутренние) факторы развития болезненности. К ним относят имунные нарушения и проблемы с гормональным фоном женщины.
Формы заболевания
Выделяют несколько форм лейкоплакии:
- Простая (плоская). Самая «легкая» из форм заболеваемости: при ней на поверхности шейки матки образуются бляшки из ороговевших клеток. Чаще всего не доставляет женщине неудобств и неожиданно выявляется во время профилактического осмотра.
- Атипичная. При данной форме увеличивается скорость деления клеток и, соответственно, очаги заболевания. Атипичная лейкоплакия считается предраковой болезнью шейки матки, поэтому важно вовремя выявить заболевание.
Диагностика лейкоплакии
Заражение часто проходит бессистемно, но иногда лейкоплакия распознается по следующим симптомам:
- Сбой менструального цикла. Одна из причин возникновения ороговения эпителиальных клеток — гормональный дисбаланс, а сбой цикла — его распространенный симптом. Согласно статистике, лейкоплакия шейки матки встречается у каждой десятой женщины с нарушениями менструации
- Дискомфорт во влагалище (жжение, зуд)
- Нетипичные выделения из влагалища
Симптомы патологии схожи с признаками других гинекологических болезней, поэтому, окончательный диагноз способен поставить только гинеколог. Для верной диагностики лейкоплакии может понадобиться сдать мазок, пройти кольпоскопию или другие процедуры для постановки диагноза.
Этапы лечения лейкоплакии
Как правило после диагностики пациентке назначается процедура по устранению ороговевших тканей. Способов существует несколько: очаги лейкоплакии прижигают, удаляют с помощью радиоволн, холода или лазера.
Врачи клиники «Даная» подберут для вас нужный способ лечения ороговения эпителиальных клеток: подходящий именно для вашего случая, безопасный и максимально комфортный.
Медицинские центры находятся в двух районах: в Выборгском районе у метро «пр. Просвещения», «Озерки» и Кировском районе у метро «Ленинский проспект». Вы можете записаться на прием к гинекологу через форму на нашем сайте. Также возможно попасть на консультацию специалиста без предварительной записи в день обращения. Ждем вас в нашем медицинском центре!
Будьте здоровы!
Задайте ваш вопрос
Прием ведут:
статьи клиники Оксфорд Медикал Киев
Информация в статье предоставлена для ознакомления и не является руководством к самостоятельной диагностике и лечению. При появлении симптомов заболевания следует обратиться к врачу.
Лейкоплакия шейки матки – это доброкачественное заболевание, при развитии которого происходит увеличение толщины и ороговение плоского эпителия. У большинства женщин оно протекает бессимптомно, не вызывая боли или других неприятных ощущений. Поэтому заболевание обнаруживают в основном на профилактических осмотрах. При распространении лейкоплакии у женщины могут появиться обильные белые выделения и боль во время полового акта, но эти симптомы встречаются и при других заболеваниях.
Что такое лейкоплакия шейки матки
Ороговение клеток кожи – это физиологический процесс, который развивается под воздействием окружающей среды. Ороговевшие клетки утолщаются и становятся более упругими. Они защищают нижние слои кожи от повреждений, проникновения инфекций и пересыхания. Чаще всего ороговение клеток происходит на руках и ступнях.
Ороговение клеток слизистых оболочек не является нормальным процессом, в частности лейкоплакия шейки матки – это ороговение эпителиальных клеток ее слизистой оболочки. Ороговевшие клетки утолщаются и меняют свою структуру, и на их месте постепенно появляются роговые чешуйки. В результате на влагалищной стороне шейки матки образуются белесые участки, которые врач может увидеть во время гинекологического осмотра.
По разным данным, лейкоплакия развивается у 1% женщин и занимает чуть больше 5% среди всех патологий шейки матки. В редких случаях она может перерасти в рак. При этом у женщин часто обнаруживают и другие факторы риска развития рака, например, инфицирование вирусом папилломы человека.
Виды заболевания
Лейкоплакию шейки матки разделяют на несколько видов по степени распространенности и характеру изменения структуры клеток.
Лейкоплакия может быть:
точечной (очаговой) – образуется один очаг на шейке матки;
обширной – образуется несколько очагов или поражается вся поверхность шейки матки.
Точечная лейкоплакия – это легкая форма заболевания, при которой происходит поражение только поверхностных тканей небольшого участка. При обширной лейкоплакии у пациентки может быть поражена вся поверхность шейки матки, а также могут присутствовать очаги на стенках влагалища. У некоторых пациенток обширная лейкоплакия сочетается с гипертрофией шейки матки, что увеличивает вероятность развития онкологии.
По морфологическим особенностям лейкоплакия бывает:
Простая – доброкачественная форма, которая не относится к предраковому состоянию из-за отсутствия атипичных клеток. При диагностике обнаруживают плоские очаги белесого цвета.
Чешуйчатая (бородавчатая) – очаги заболевания имеют плотную, неоднородную структуру и поднимаются над здоровым эпителием.
Эрозивная – на патологических очагах появляются трещины и эрозия (изъязвление), из-за чего при прикосновении возникает кровотечение.
При простой лейкоплакии происходит утолщение и ороговение верхних слоев эпителия. При чешуйчатой и эрозивной поражаются все слои. Также на этих стадиях могут образовываться атипичные клетки
Причины лейкоплакии шейки матки
Специалисты выделяют много факторов, которые повышают риск развития данной патологии. Одной из наиболее распространенных причин заболевания считается гормональный дисбаланс, в частности дефицит прогестерона и гиперпродукция эстрогена. Также большую роль играет наследственная предрасположенность, воспалительные заболевания и вирус папилломы человека. Установлено, что некоторые мутации генов могут провоцировать патологические изменения эпителия.
Причинами развития лейкоплакии считаются:
Эндокринные заболевания. Процессы деления и обновления клеток слизистой оболочки шейки матки зависят от гормонального фона, поэтому при его изменении может развиваться лейкоплакия.
Нарушение работы иммунной системы может привести к ослаблению иммунного барьера эпителиальных клеток, что делает их более уязвимыми к повреждениям и повышает риск развития лейкоплакии.
Инфекционные, вирусные и воспалительные (кольпит, вагинит) заболевания половых органов могут неблагоприятно влиять на клетки слизистой оболочки, провоцировать чешуйчатое отслоение и развитие патологических процессов.
Механическое повреждение шейки матки при половой близости, во время родов или аборта, обследований и лечебных процедур.
Основными причинами ороговения эпителиальных клеток являются гормональные нарушения, а также инфекционные и воспалительные болезни репродуктивной системы. Иногда лейкоплакия развивается на фоне дисплазии шейки матки.
Симптомы лейкоплакии шейки матки
У большинства женщин лейкоплакия шейки матки развивается бессимптомно. Заболевание может длительное время прогрессировать, не вызывая ни боли, ни дискомфорта. В таких случаях диагностировать его можно только во время профилактического осмотра у гинеколога. Симптомы появляются только у 30% женщин, как правило, с чешуйчатой и эрозивной формами лейкоплакии.
Симптомами заболевания могут быть:
обильные влагалищные выделения белого цвета;
зуд, дискомфорт в паховой области;
боль во время полового контакта;
контактные кровотечения, возникающие при половом акте и медицинском осмотре.
Эти симптомы могут появляться и при других женских заболеваниях. Основываюсь только на них, поставить правильный диагноз нельзя. Для этого нужно пройти гинекологический осмотр и сдать анализы.
Лейкоплакию обнаруживают в основном при профилактических осмотрах и обращениях женщин по поводу других нарушений, например, задержек менструального цикла. В таких случаях обе проблемы могут быть вызваны гормональным дисбалансом.
Последствия лейкоплакии шейки матки
Многие боятся, что лейкоплакия – это уже рак. На самом деле это доброкачественное заболевание. При лейкоплакии происходит ороговение и разрастание клеток многослойного эпителия. При этом атипичные клетки появляются очень редко. Вероятность развития рака увеличивается только на фоне других факторов риска, например, инфицирования вирусом папилломы человека.
Диагностика заболевания
Для выявления лейкоплакии шейки матки и других заболеваний в гинекологии применяют методы лабораторной и инструментальной диагностики. Во время первой консультации врач проводит гинекологический осмотр, узнает жалобы пациентки и изучает анамнез.
При подозрении на лейкоплакию акушер-гинеколог может назначить:
Кольпоскопию – осмотр шейки матки при многократном увеличении с помощью кольпоскопа. Позволяет оценить состояние эпителия, а также проверить наличие патологических изменений в тканях, сделав пробу с раствором уксуса и йода;
Микробиологическое исследование мазков – анализ на наличие возбудителей инфекционно-воспалительных заболеваний;
Цитологическое исследование – анализ, который позволяет выявить ороговевшие чешуйки, характерные для лейкоплакии;
Тест на ВПЧ – анализ мазка методом ПЦР на вирус папилломы человека;
Биопсию с гистологией – исследование образца ткани, которое позволяет установить точный диагноз, а также в случае выявления лейкоплакии определить ее форму.
Диагностировать лейкоплакию врач может во время осмотра с зеркалами. Для нее характерно образование на шейке матки очагов ороговевших клеток белесого цвета. На ранних стадиях они имеют однородную структуру, а на более поздних могут возвышаться над основной тканью, иметь трещины и язвы, кровоточить при касании.
Другие обследования являются дополнительными. Они помогают определить причину лейкоплакии и выявить сопутствующие заболевания.
Как лечить лейкоплакию шейки матки?
Целью лечения лейкоплакии шейки матки является устранение очагов патологически измененного эпителия. Для этого применяют разные методы малоинвазивной хирургии. Они, как правило, малотравматичны и позволяют сохранить репродуктивную функцию.
Методы лечения лейкоплакии шейки матки:
Консервативная терапия. Применяют препараты для химической коагуляции на основе различных кислот. Если лейкоплакия вызвана гормональными нарушениями, также назначают препараты для коррекции уровня гормонов.
Радиоволновая хирургия – это безболезненный, бескровный метод лечения лейкоплакии шейки матки. Во время процедуры разрушаются только патологически измененные клетки, при этом здоровые ткани не страдают, а форма шейки матки сохраняется. Деструкция происходит в результате воздействия на клетки высокочастотных радиоволн и выделения тепла, возникающего в результате сопротивления обрабатываемых тканей. На конце электрода образуется энергия, которая активирует формирование энергии внутри клетки, что приводит к разрушению ее структуры.
Лечение лазером – также безболезненная и бескровная методика, которая предусматривает воздействие на пораженные клетки инфракрасным излучением, сконцентрированным в невидимом луче. При обширной лейкоплакии ее иногда проводят в два этапа.
Хирургическое лечение – при обнаружении признаков злокачественного перерождения лейкоплакии применяют конизацию и удаление шейки матки. Данные оперативные методы приводят к травматизации мягких тканей, но позволяют сохранить репродуктивную функцию.
Выбор метода лечения зависит от степени лейкоплакии шейки матки, наличия сопутствующих патологий, возраста пациентки и других индивидуальных особенностей. Наиболее часто применяют малоинвазивную хирургию, криодеструкцию и прижигание. Эти методы позволяют провести лечение в амбулаторных условиях, избежать травматизации здоровых тканей и сократить реабилитационный период.
Также врач может назначить медикаментозную терапию. Если лейкоплакия появилась на фоне инфекционного или воспалительного заболевания, сначала нужно будет вылечить его. При эндокринных нарушениях может понадобиться гормональная терапия.
Профилактика лейкоплакии шейки матки
Профилактика лейкоплакии шейки матки основана на предупреждении и устранении причин, повышающих риск развития заболевания.
Специалисты рекомендуют:
регулярно проходить профилактические осмотры у гинеколога;
своевременно лечить все воспалительные и инфекционные заболевания;
использовать контактные методы контрацепции для защиты от инфекционных заболеваний и нежелательной беременности;
проводить вакцинацию от вируса папилломы человека;
контролировать гормональный фон.
Лейкоплакия является достаточно редким заболеванием, но полностью исключить вероятность ее развития нельзя. Поэтому гинекологи советуют регулярно проходить профилактические осмотры.
Реабилитация после лечения лейкоплакии
Хирургическое лечение лейкоплакии шейки матки, как правило, проводят в амбулаторных условиях. Пациентка может покинуть клинику и вернуться домой в день проведения процедуры.
Реабилитационный период составляет около двух месяцев. В это время женщинам рекомендуют придерживаться определенных правил.
В течение месяца после проведения операции пациентке не рекомендуют:
вступать в половые контакты;
принимать горячую ванну, посещать баню;
проводить спринцевание;
использовать тампоны во время менструации;
поднимать тяжелые предметы и проводить изнуряющие тренировки.
Для контроля за состоянием и заживлением эпителия шейки матки нужно регулярно посещать акушер-гинеколога. При необходимости он может назначить дополнительную медикаментозную терапию.
Лейкоплакия шейки матки и беременность
При обнаружении лейкоплакии специалисты рекомендуют сначала провести лечение и пройти реабилитационный период, а потом уже планировать зачатие. Если же заболевание обнаружили во время беременности, его лечение в большинстве случаев переносят на послеродовой период. Заболевание не может передаться плоду или вызвать серьезные осложнения беременности. Опасность заключается в том, что на фоне изменения гормонального фона повышается риск развития лейкоплакии и перерождения в злокачественную опухоль.
Часто задаваемые вопросы:
1. Опасна ли лейкоплакия шейка матки?
Лейкоплакия шейки матки – это доброкачественное заболевание, при котором происходит ороговение клеток эпителия. Иногда при прогрессировании лейкоплакии могут появляться атипичные клетки. Вероятность развития рака невысокая, но он она увеличивается при инфицировании ВПЧ и наличии других факторов риска.
2. Какой врач занимается лечением лейкоплакии?
Лечение лейкоплакии шейки матки проводит врач акушер-гинеколог. При необходимости проведения оперативного лечения он может перенаправить пациентку к гинекологу-хирургу.
3. Нужна ли операция при лейкоплакии?
При лейкоплакии операция нужна не всегда. Способ лечения зависит от распространенности лейкоплакии и степени изменения клеток. При простой лейкоплакии может быть рекомендовано наблюдение и/или медикаментозная терапия. При необходимости удаления клеток врач может назначить радиоволновое или лазерное лечение, а также конизацию или удаление тканей шейки матки.
4. Как долго лечится лейкоплакия?
Лейкоплакию шейки матки лечат методами малоинвазивной хирургии. Их проводят в амбулаторных условиях. Пациентка покидает клинику в тот же день. Срок реабилитации после проведения операции может достигать 2 месяцев.
Если лейкоплакия развилась на фоне воспалительного, инфекционного заболевания или эндокринных нарушений, их тоже надо пролечить. Время лечения может составлять от нескольких недель до нескольких месяцев.
5. Лейкоплакия шейки матки – это рак?
Лейкоплакия шейки матки – это доброкачественное заболевание, которое не является раком. Вероятность развития рака повышается в редких случаях, если женщина инфицирована ВПЧ и имеет другие факторы риска. При этом основной причиной выступает не лейкоплакия, а другие нарушения.
Сопутствующие услуги:
Консультация гинеколога
Источники:
American Journal of Obstetrics Gynecology
Science Direct
US National Library of Medicine
Лейкоплакия – лечение в Новокузнецке в клинике «Твоя Улыбка»
Лейкоплакия — это воспалительный процесс, который чаще имеет хронический характер и проявляется белыми пятнами на слизистых оболочках с ороговениями эпителия. Заболевание может поражать разные органы полости рта (щеки, язык, губы).Чаще всего пятна образуют налет белого либо серого цвета, который не снимается даже путем поскабливания. В зависимости от места расположения они могут проявляться как бородавчатые ороговевшие бляшки разных оттенков, которые называются лейкокератозом.
Лейкоплакия полости рта
Одним из самых распространенных проявлений данного заболевания является слизистая оболочка ротовой полости. Лейкоплакия полости рта очень серьезная реакция организма, так как она может свидетельствовать о предраковом состоянии организма.
Лейкоплакия Таппейнера это заболевание, которое встречается у людей с никотиновой зависимостью. Его основные очертания это белый налет на слизистой, а на устьях протоков слюнных желез красных вкраплений. Как правило, такое проявление достаточно редко переходит в какое-либо иное заболевания, и требуя лечение зубов, и достаточно курильщику бросить курить, как оно само исчезает.
Стоит заметить, что поражение слизистой оболочки не всегда перерождается в злокачественное новообразование, но если ороговение имеет неравномерный окрас и его основной локализацией является язык, то риск перерождения в злокачественную опухоль существенно увеличивается.
Причины лейкоплакии полости рта
На сегодняшний день полностью не изучена причина возникновения лейкоплакии полости рта. Но ученые сходятся в мысли, что заболевание возникает, как реакция организма на внешние раздражители, а также на эндогенные факторы.
Среди самых частых причин можно выделить патологии желудочно-кишечного тракта и недостаток в организме витамина А. При этих патологиях наблюдается сниженная устойчивость слизистых оболочек к различным раздражителям.
Особенную роль в развитии лейкоплакии играют генетические факторы. Так, например, доказано, что это заболевание достаточно часто встречается у людей с врожденным или наследственным дискератозом.
Воздействие механических, термических и химических раздражителей негативно отражаются на здоровье слизистой оболочки рта, особенно если они действуют одновременно. Нарушение зубного ряда, зубные протезы разных металлов, горячий табачный дым также провоцируют появление лейкоплакии.
Лечение
Исходя из всего вышесказанного, видно, что лейкоплакия — достаточно серьезное заболевание, которое может привести к плачевным результатам. Поэтому при первых его проявлениях нужно обращаться к медикам, а конкретнее к стоматологам, дабы избежать такого заболевания, как плоскоклеточный рак.
В качестве консервативного лечения больным назначают растворы, содержащие рибофлавин, токоферол ацетат, ретинол, а также препараты, стимулирующие иммунитет. Не исключается и хирургическое вмешательство, при таких операциях очаги заболевания удаляются, и в дальнейшем придаются гистологическому исследованию.
Срок и протекание лейкоплакии очень индивидуальный процесс, так у некоторых оно наблюдается годами, без какого-либо перерождения, а у других людей образование плоскоклеточного рака происходит за несколько месяцев.
Лечение и профилактика лейкоплакии шейки матки в Северо-Западном Центре лазерной медицины
Лейкоплакия занимает отдельное место в группе фоновых патологий шейки матки. На ее долю приходится около 7 % всех предопухолевых состояний женских внутренних половых органов.
При этом заболевании нарушается основная функция покрывающего шейку матки плоского эпителия. В нем возникают участки ороговения, которых в норме не должно там быть. Они выглядят как сероватые или белесые пленки или слегка поднимающиеся над поверхностью бляшки (чешуйки).
Иногда ороговевшие участки выходят за пределы шейки: образовываются на цервикальном канале, стенках влагалища, вульве.
Основные причины лейкоплакии
Просто так, ниоткуда лейкоплакия не возникает. Часто ей предшествует какое-то повреждающее воздействие на слизистую оболочку. К примеру, ее травматизация:
- во время процедуры прерывания беременности;
- в процессе диагностического выскабливания, особенно при неоднократном его проведении;
- при прижигании (коагуляции) псевдоэрозии некоторыми способами.
Воспалительные процессы, иммунные и гормональные нарушения также могут стать причиной ороговения клеток эпителия. К фоновым факторам относят наличие в организме:
- Папилломавируса.
- Цитомегаловирусной инфекции.
- Вируса герпеса.
- Других инфекций, которыми заражаются через половые контакты.
Прямая связь между перечисленными причинами и возникновением заболевания не установлена. Но, когда к нам приходят женщины с лейкоплакией, мы часто диагностируем у них эти инфекции, а в процессе сбора анамнеза выясняем, что ранее имело место травматическое воздействие на ткани шейки.
Симптомы лейкоплакии
Как и некоторые другие патологии половой системы, например эрозия шейки матки, лейкоплакия часто протекает незаметно для женщины. Иногда беспокоит жжение или зуд в промежности, появляются необычные выделения, сукровичные пятна на ежедневных прокладках.
Все эти симптомы во многих случаях не связаны с состоянием слизистой шейки матки и могут появляться при иных видах заболеваний половой сферы. Не стоит откладывать обращение к врачу при появлении перечисленных признаков, а также пытаться применять сомнительные народные способы лечения. Позвоните нам и запишитесь на прием к гинекологу. Только так можно предотвратить осложнения, помочь собственному организму восстановить здоровье.
Методы диагностики
При наличии на шейке матки участков ороговевшего эпителия врач может обнаружить их уже во время гинекологического осмотра, проводимого с использованием зеркал. На слизистой просматриваются чередующиеся красные и беловатые участки. В некоторых случаях вокруг зева видна обширная гиперемия с размытыми границами.
Иногда у женщин с лейкоплакией при осмотре шейка выглядит неизмененной. А заболевание, как потом оказывается, присутствует. Поэтому важно периодически делать цитологический анализ соскоба слизистой и кольпоскопию – процедуру осмотра шейки под многократным увеличением. Воздействуя на ее ткани раствором Люголя (так проводится проба Шиллера) врач обнаруживает места поражений – такая кольпоскопия называется расширенной. Участки с лейкоплакией не окрашиваются йодом. У нас есть возможность проведения видеокольпоскопии, во время которой пациентка может сама увидеть, как выглядит ее шейка матки.
Если у специалиста возникает подозрение, что есть вероятность развития злокачественного процесса, он может сделать биопсию: взять на анализ кусочек тканей, чтобы отправить его для гистологического исследования.
Пациентке с возможной лейкоплакией также назначают бактериологическое исследование мазка, проводят ПЦР-диагностику для выявления вируса ВПЧ.
Лечение лейкоплакии
Врач подбирает тактику лечения исходя из клинических признаков и результатов диагностики. Ее цель – в первую очередь устранить патологию, которая предположительно стала причиной появления изменений в структуре плоского эпителия.
Если имеет место более сложная форма заболевания, то применяют хирургические методы лечения лейкоплакии шейки матки. К ним относятся:
- Радиоволновая хирургия. Метод воздействия на лейкоплакию, при котором здоровые клетки травмируются в минимальной степени.
- Лазерное лечение. Один из лучших способов деструкции участков лейкоплакии, который применяем и мы. Воздействие лазером также не сопряжено с образованием рубцов, а восстановительный период проходит быстрее.
Если у нерожавшей женщины выявляется лейкоплакия шейки матки, лечение этими методами позволяет сохранить нормальную эластичность тканей. Поэтому они применяются как до беременности, так и после родов.
Применять при лейкоплакии шейки матки народное лечение недопустимо. Таким образом можно даже нанести немалый вред своему здоровью, так как некоторые растительные средства могут активизировать процессы пролиферации тканей.
Профилактика
Для предупреждения появления лейкоплакии следует применять те же меры профилактики, которые мы рекомендуем и для других гинекологических заболеваний:
- Раннее выявление и лечение воспалений органов половой системы.
- Исключение травмирующих воздействий на шейку матки (в процессе аборта, лечения).
- Соблюдение интимной гигиены.
- Барьерная контрацепция (презерватив).
- Регулярное посещение гинеколога.
Лейкоплакия шейки матки – диагностика и лечение в Санкт-Петербурге
Процесс образования на плоском эпителии ороговевших участков может протекать скрыто, и это основная причина беспокойства гинекологов. Если пролиферативная очаговая лейкоплакия шейки матки длительно остается незамеченной, она может перерасти в рак. Регулярные обследования у гинеколога гарантируют своевременное выявление даже скрыто протекающих патологий, а современные методики лечения позволяют бороться с заболеванием практически без побочных эффектов. Но только тогда, когда все делается вовремя.
Приходите на прием к гинекологу нашего Центра, даже если у вас нет жалоб на патологические симптомы. Возможно, вы услышите от врача, что у вас все в порядке. Но если и обнаружится проблема, помните, что своевременная диагностика многократно повышает шансы на выздоровление.
Причины, симптомы, лечение и лечение
Обзор
Что такое лейкоплакия?
Лейкоплакия — это состояние, при котором во рту образуются одно или несколько белых пятен или пятен (поражений).
Лейкоплакия отличается от других причин появления белых пятен, таких как молочница или красный плоский лишай, тем, что со временем может перерасти в рак полости рта. В течение 15 лет примерно от 3% до 17,5% людей с лейкоплакией разовьется плоскоклеточная карцинома, распространенный тип рака кожи.
Вероятность развития рака из-за лейкоплакии зависит от размера, формы и внешнего вида аномальных клеток.
Какие виды лейкоплакии?
Существует два основных типа лейкоплакии:
- Однородный: В основном белое, равномерно окрашенное тонкое пятно, которое может иметь гладкую, морщинистую или ребристую поверхность, одинаковую на всем протяжении.
- Неоднородный: В основном белое или бело-красное пятно неправильной формы, которое может быть плоским, узловатым (с выступами) или бородавчатым (приподнятым).Также могут быть сделаны дополнительные подклассы, такие как изъязвленные и узловатые (пятнистые), которые могут помочь предсказать вероятность того, что пластырь станет злокачественным.
Неоднородная лейкоплакия в семь раз чаще становится злокачественной, чем гомогенная лейкоплакия.
Пролиферативная веррукозная лейкоплакия (PVL) (также называемая витиеватым папилломатозом) — редкая, но особенно агрессивная форма лейкоплакии полости рта. Исследования показывают, что это тесно связано с присутствием вируса Эпштейна-Барра, типа вируса герпеса.Почти все случаи в конечном итоге становятся злокачественными в разных местах. ПВЛ обычно диагностируется на поздней стадии развития лейкоплакии, так как требуется время, чтобы распространиться на несколько участков. Он также имеет высокую частоту рецидивов.
Существует также состояние, называемое волосатой лейкоплакией полости рта, , которое также возникает в результате наличия вируса Эпштейна-Барра, который остается в вашем организме на протяжении всей жизни. У людей со слабой иммунной системой, таких как люди с ВИЧ / СПИДом, может развиться волосатая лейкоплакия полости рта.Это состояние похоже на свое название — белые пятна волос, часто со складками, поэтому похоже, что волосы растут из складок. Эти пятна чаще всего встречаются на языке, но могут быть обнаружены и в других частях рта. Волосатая лейкоплакия полости рта не становится раком, но если она у вас есть, вы, вероятно, захотите поговорить со своим врачом о проверке на ВИЧ / СПИД.
Симптомы и причины
Каковы причины лейкоплакии?
Лейкоплакия часто ассоциируется со следующими причинами:
- Сильное копчение.
- Употребление жевательного или нюхательного табака
- Жевательный орех арека (также известный как орех бетель), произрастающий в тропиках Азии, Тихого океана и некоторых частях Восточной Африки.
- Чрезмерное употребление алкоголя (хотя не все исследования показывают эту ссылку).
В некоторых случаях лейкоплакия не имеет известной причины (это называется идиопатической лейкоплакией).
Большинство случаев встречается у мужчин в возрасте от 50 до 70 лет. Менее 1% случаев приходится на пациентов в возрасте до 30 лет.
Каковы симптомы лейкоплакии?
Симптомы лейкоплакии — одно или несколько белых пятен на поверхности языка, под языком или на внутренней стороне щек. Патчи нельзя стереть, и их нельзя отследить по какой-либо другой причине. Никаких болей или других симптомов нет.
Некоторые исследования показали, что пятна на дне рта и на нижней или боковых сторонах языка с большей вероятностью могут быть злокачественными. Однако не все исследования согласны с тем, что местоположение является важным фактором.Размер пластыря не влияет на то, может ли он стать злокачественным.
Факторы, которые являются сильными индикаторами трансформации лейкоплакии в рак, включают появление:
- Узелки.
- Белые или красные образования с камешками.
- Изъязвление.
- Повышенная твердость.
- Кровотечение.
Диагностика и тесты
Как диагностируется лейкоплакия?
Поскольку белые пятна лейкоплакии не вызывают симптомов, медицинские работники часто впервые замечают их во время обычного осмотра.
Прежде чем поставить диагноз лейкоплакия, исследуются другие возможные причины появления белых пятен. Это может быть трение во рту (вызванное чем-то вроде зубных протезов), частым укусом щеки, грибковой инфекцией или красным плоским лишаем,
Если причина не обнаружена и белые пятна не исчезли через две-четыре недели, берется биопсия (образец ткани) и отправляется в лабораторию для исследования.
Если биопсия по-прежнему не показывает четкого диагноза, белое пятно может быть подтверждено как лейкоплакия, что означает, что оно может стать злокачественным.(Если раковые клетки действительно обнаружены, это означает диагноз рака, а не лейкоплакии.)
Ведение и лечение
Как лечится лейкоплакия?
Основная цель лечения лейкоплакии — предотвратить ее перерастание в рак. Однако лечение — это сложная задача, и результаты часто бывают неоднозначными. Лечение может удалить поражения, но многие из них возвращаются.
Медицинское управление:
- Прекратить употребление табака и алкоголя.
- Придерживайтесь диеты, богатой фруктами и овощами.
- Ретиноиды (препараты на основе витамина А, используемые для лечения акне и псориаза), принимаемые внутрь, могут помочь уменьшить поражения, но рецидивы и побочные эффекты являются обычным явлением.
- Пероральный (внутрь) Добавки с витамином А и бета-каротином могут помочь очистить белые пятна, но они снова появятся, когда человек перестанет принимать добавки.
- Было обнаружено, что добавки изотретиноина более эффективны, чем бета-каротин, в предотвращении раковых изменений.
Хирургическое управление:
- Удаление высыпаний хирургическим путем. Тем не менее, по-прежнему существует вероятность от 10% до 20%, что поражения вернутся, и от 3% до 12% вероятность развития рака в обработанных областях.
- Удаление высыпаний лазером.
- Фотодинамическая терапия (использование светоактивных противораковых препаратов).
- Криотерапия (замораживание для удаления высыпаний).
- Электрокаутеризация (использование иглы с электрическим нагревом или другого инструмента для удаления поражений).
Перспективы / Прогноз
Каков прогноз (перспективы) для пациентов с лейкоплакией?
Любой, у кого лейкоплакия, должен посещать врача каждые три-шесть месяцев, при необходимости делать биопсию, чтобы следить за возможными изменениями в состоянии.
Даже если пятна удаляются хирургическим путем, рекомендуется проводить осмотр каждые 6–12 месяцев, поскольку лейкоплакия часто возвращается. Участки лечения, которые остаются свободными от аномалий в течение трех лет, возможно, больше не нуждаются в наблюдении.
Если лейкоплакия возвращается после лечения, вам следует продолжать проходить контрольные обследования столько, сколько рекомендует ваш лечащий врач.
Лейкоплакия полости рта — StatPearls — Книжная полка NCBI
Программа повышения квалификации
Лейкоплакия полости рта — это белое пятно или налет, развивающийся в полости рта. Состояние потенциально злокачественное и тесно связано с употреблением табака. В этом упражнении описывается оценка и лечение лейкоплакии полости рта, а также роль межпрофессиональной группы в предотвращении, распознавании и ведении пациентов с этим заболеванием.
Целей:
Опишите патофизиологию лейкоплакии полости рта.
Изучите факторы риска лейкоплакии полости рта.
Обобщите лечение лейкоплакии полости рта.
Объясните важность улучшения координации оказания помощи межпрофессиональной командой для улучшения оказания помощи пациентам с лейкоплакией полости рта.
Введение
Предраковое заболевание полости рта рассматривается как промежуточная стадия. Он подразделяется на две широкие линии: предраковые поражения и предраковые состояния. Предраковое поражение определяется как «морфологически преобразованная ткань, в которой рак ротовой полости более вероятен, чем в его, казалось бы, нормальном аналоге». Пример — лейкоплакия. Предраковое состояние определяется как «генерализованное состояние, связанное со значительно повышенным риском рака». Пример — подслизистый фиброз полости рта.Недавно Всемирная организация здравоохранения (ВОЗ) рассмотрела предраковые поражения и состояния в рамках одной группы заболеваний, известных как потенциально злокачественные заболевания. Лейкоплакия полости рта — потенциально злокачественное заболевание, поражающее слизистую оболочку полости рта. Это определяется как «по существу белое поражение слизистой оболочки полости рта, которое нельзя рассматривать как любое другое определяемое поражение». Оральная лейкоплакия — это белое пятно или налет, которое развивается в полости рта и тесно связано с курением. Факторы риска включают все формы употребления табака, включая сигары, сигареты, беди и трубку.Другие синергические факторы риска включают употребление алкоголя, хроническое раздражение, грибковые инфекции, такие как кандидоз, гальванизм полости рта из-за реставраций, бактериальные инфекции, поражения, передаваемые половым путем, такие как сифилис, комбинированный дефицит питательных микроэлементов, вирусные инфекции, гормональные нарушения и воздействие ультрафиолета.
Этиология
Этиология лейкоплакии полости рта многофакторна, и многие причины являются идиопатическими [1]. Наиболее частым фактором риска является употребление табака в курительном или бездымном виде.[2] Кроме того, употребление препаратов из орехов арека (бетель) во многих частях мира (Южная и Юго-Восточная Азия) представляет значительный риск, равно как и употребление нюхательного табака и других форм бездымного табака. [3] Роль хронического кандидоза была связана с развитием лейкоплакии, в частности негомогенной лейкоплакии. [4] Эта роль, возможно, связана с высоким потенциалом нитрозирования некоторых кандидозных форм, что предполагает выработку эндогенного нитрозамина. В некоторых культурах [5] (дым от горящего конца сигареты или подобного устройства остается во рту) может вызывать широкий спектр поражений слизистой оболочки полости рта, включая лейкоплакию.В этих популяциях такие лейкоплакии имеют 19-кратное увеличение риска злокачественной трансформации по сравнению с теми культурами, где табак используется в других формах. [6]
Эпидемиология
Лейкоплакия — наиболее известное потенциально злокачественное заболевание полости рта, эпидемиология которого хорошо задокументирована. Распространенность лейкоплакии варьируется в зависимости от различных научных исследований. Он имеет комплексную глобальную точку обзора с распространенностью 2,6% и коэффициентом конверсии злокачественных новообразований от 0.От 1% до 17,5%. [7] Статистический анализ нескольких исследований, проведенных на Индийском субконтиненте в целом и в Индии, в частности, показал, что распространенность лейкоплакии колеблется от 0,2% до 5,2%, а злокачественная трансформация — от 0,13% до 10%. [7] Это тревожное увеличение распространенности лейкоплакии в Индии могло быть в основном связано с ее культурными, этническими и географическими факторами. Даунер и Петти обнаружили ежегодную заболеваемость множеством лейкоплакий злокачественными новообразованиями от 6,2 до 29.1 случай на 100 000 человек. [8]
В исследовании Martorell-Calatayud et al. определили распространенность лейкоплакии в диапазоне от 0,4% до 0,7%, тогда как Feller et al. оценил распространенность в сторону более высокого диапазона от 0,5% до 3,46%. Кроме того, в том же исследовании сделан вывод о том, что уровень злокачественной трансформации лейкоплакии колеблется от 0,7% до 2,9% [9].
В еще одном исследовании Brouns et al. показали распространенность и ежегодный уровень злокачественной трансформации примерно 2% и 1% соответственно.[10] Среди недавних исследований лейкоплакия была очевидна в 1,59% исследуемой выборки. [11]
Лейкоплакия чаще встречается у мужчин среднего и пожилого возраста, чем в других групповых исследованиях. Распространенность увеличивается с возрастом.
Патофизиология
Когда тканевая клетка подвергается действию любого типа канцерогена , , она, вероятно, пытается адаптироваться к нему. Увеличение пролиферации клеток, уменьшение цитозольной емкости и связанной с ними нагрузки на органеллы может быть усилием адаптации.[12] В структуре орального эпителия фаза ускоренного роста, представленная увеличением компартмента-предшественника (гиперплазия), является более ранними последствиями. Когда раздражитель сохраняется и дальше, эпителий демонстрирует признаки клеточной дегенерации, хорошо охарактеризованный признак адаптации (атрофии) . Когда стадия адаптации и обратимого клеточного повреждения заканчивается, клетки постепенно достигают стадии безвозвратного клеточного повреждения, проявляющегося либо в апоптозе, либо в злокачественной трансформации.В качестве адаптивного ответа ускоренный темп клеточного деления, отмеченный на более ранних стадиях трансформации, способствует дальнейшему генетическому повреждению, тем самым сильно подталкивая клетки дальше по пути злокачественной трансформации. [13]
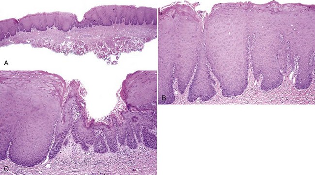
Гистопатология
Гистологически лейкоплакии полости рта проявляются как гиперкератоз, легкая дисплазия, умеренная дисплазия, тяжелая дисплазия или карцинома in situ. Дисплазия включает изменения архитектурных особенностей, а также цитологических особенностей ткани.Архитектурные особенности дисплазии включают асимметричное расслоение эпителия, повышенное количество митотических фигур в эпителии, дискератоз, каплевидные сетчатые стержни и кератиновые жемчужины внутри этих сетчатых стержней, потерю полярности базальных клеток и гиперплазию базальных клеток или анаплазию. В то время как цитологические особенности включают ядерный плеоморфизм, клеточный плеоморфизм, увеличение ядерно-цитоплазматического соотношения, заметные ядрышки и гиперхромазию. [14] Классификация легкой, средней и тяжелой дисплазии применяется, когда эта архитектурная и цитологическая атипия затрагивает менее одной трети, от одной трети до двух третей и более двух третей эпителия, соответственно.Карцинома in-situ — это термин, используемый, когда задействована вся толщина эпителия, при котором дисплазия распространяется от базального слоя до вышележащей слизистой оболочки, не вторгаясь в подлежащую соединительную ткань [15].
История и физика
До того, как на международном уровне были предприняты попытки определить и уточнить определение лейкоплакии полости рта Всемирной организацией здравоохранения, практикующие врачи использовали множество синонимов, таких как лейкома, пластырь курильщика, лейкокератоз и ихтиоз. Paget (1860) обнаружил связь между белым кератотическим поражением ротовой полости и карциномой языка.[16] Бутлин (1885) связал эти поражения с курением и считал, что пластырь курильщика является ранней стадией более развитого белого выпуклого поражения, которое он назвал лейкомой. Крамер (1978) признал злокачественный потенциал лейкокератоза и пятна курильщика и его связь с курением трубки. Он предложил термин лейкоплакия и описал это как белое возвышенное поражение слизистой оболочки полости рта. [17]
Первая международная конференция по лейкоплакии полости рта (1984) в Мальмё, Швеция, описала лейкоплакию как «белое пятно или бляшку, которые нельзя описать клинически или патологически как любое другое заболевание и которые не связаны с каким-либо физическим или химическим возбудителем, за исключением употребление табака.[18]
В 1994 году во время международного симпозиума, проведенного в Упсале, шведские специалисты установили это определение как «преимущественно белое поражение слизистой оболочки полости рта, которое не может быть клинически или патологически охарактеризовано как другое специфическое образование». [19]
Axéll (1996) определил лейкоплакию как белое пятно размером 5 мм или более, которое нельзя соскоблить и которое нельзя отнести к какому-либо другому диагностическому заболеванию. [19]
Всемирная организация здравоохранения (1997) описала лейкоплакию как «преимущественно белое поражение слизистой оболочки полости рта, которое не может быть отнесено к какой-либо другой определяемой патологии.[20] Согласно Warnakulasuriya et al. (2007), термин лейкоплакия следует использовать для распознавания белых бляшек с сомнительным риском, исключая другие известные заболевания или расстройства, которые не несут повышенного риска злокачественных новообразований. [21] ВОЗ окончательно определила это поражение как «белый налет с растущим спорным риском рака полости рта после исключения других известных заболеваний и нарушений, которые не увеличивают риск». [22]
В 2007 году на семинаре, координированном Всемирным здравоохранением. Группа экспертов, сотрудничающая с центром рака полости рта и предрака в Соединенном Королевстве, обсудила вопросы, связанные с терминологией, определениями и классификацией предрака полости рта.Согласно единодушному мнению рабочей группы, термин «потенциально злокачественные расстройства» рекомендовался для обозначения предрака, поскольку он выражает то, что не все расстройства, обозначенные этим термином, могут трансмутироваться в злокачественные новообразования. [21] Аналитически оценив все определения, рекомендованные до сих пор для лейкоплакии полости рта, рабочая группа решила, что слово «лейкоплакия» следует использовать для обозначения «белых бляшек сомнительного риска, исключая другие известные заболевания или нарушения, которые не несут повышенного риска злокачественных новообразований.»[22] Специалисты рекомендовали схему диагностики лейкоплакии полости рта, которая позволила бы избежать ошибочной классификации других заболеваний ротовой полости как лейкоплакии.
Существует два основных типа лейкоплакии полости рта: гомогенная лейкоплакия и негомогенная лейкоплакия. Гомогенная лейкоплакия состоит из однородной лейкоплакии. бляшки, которые обычно бессимптомны. Они имеют более низкую вероятность превращения в злокачественные новообразования. В то время как негомогенная лейкоплакия имеет нерегулярную, плоскую, узловую или экзофитную природу и напоминает смешанные красные и белые неоднородные пятна и имеет большая вероятность перехода в злокачественное новообразование.[23]
Другой, более редкий вариант лейкоплакии, известный как «пролиферативная веррукозная лейкоплакия», характерен более широко и поражает различные части ротовой полости. Это чаще встречается у пожилых женщин. У него самый высокий шанс превратиться в злокачественное новообразование. [23]
Оценка
Текущие разработки в области исследований рака полости рта привели к разработке и расширению потенциально ценных диагностических инструментов на клиническом и микромолекулярном уровнях для своевременного выявления лейкоплакии.Золотым стандартом диагностики лейкоплакии всегда является биопсия с места поражения, но для этой процедуры требуется квалифицированный врач, и она считается инвазивной, болезненной, дорогой и трудоемкой. В случае небольших поражений показана эксцизионная биопсия, а при больших поражениях послеоперационная биопсия, включая прилегающую здоровую ткань, удаляется для гистопатологического исследования.
Основные наблюдаемые гистопатологические изменения: [24]
Кератинизация эпителия (гиперорто-кератинизация или гиперпаракератинизация)
Увеличение толщины эпителия
Acanthosis
Basement- мембрана становится тонкой
Воспалительный компонент в соединительной ткани
Изменение клеточного слоя
Повышенное ядерно-цитоплазматическое соотношение
Гиперхроматические ядра
Ядерная гиперплазия
Митотические цифры
Повышенный митоз
Плеоморфные ядра
Базилярная гиперплазия
Каплевидные сетчатые штифты
Потеря полярности
Другие стандартные инструменты клинической диагностики для своевременной диагностики Лечение лейкоплакии включает краситель толуидиновый синий, наборы для щеточной биопсии полости рта, диагностику слюны и системы оптической визуализации.В последние годы стоматологам было предложено несколько новых простых в использовании источников света и диагностических инструментов у кресла.
Лечение / менеджмент
Устраните все способствующие факторы. В случае поражений с дисплазией от умеренной до тяжелой, хирургическое иссечение или лазерная операция должны быть лечением выбора, особенно когда поражение находится на вентральной и боковой границах языка, мягкого неба, дна рта и ротоглотки. Тщательное наблюдение и последующее наблюдение должны быть обязательными для поражений на других анатомических участках.Хирургическое удаление является методом выбора при эритролейкоплакии и пролиферативной веррукозной лейкоплакии [25].
Прогноз
В любом месте от 1% до 9% пациентов с лейкоплакией полости рта разовьется инвазивный рак в поражении или явное злокачественное новообразование. Несмотря на удаление инвазивных поражений, рецидивы не редкость. Лейкоплакия полости рта может спонтанно регрессировать, и, следовательно, ее результаты трудно отслеживать с помощью лечения. В целом, как только наблюдаются диспластические изменения, результаты остаются надежными.
Жемчуг и другие проблемы
Следующие факторы повышают риск злокачественной трансформации лейкоплакии: [26]
Женский пол
Длительная продолжительность лейкоплакии
Лейкоплакия идиопатия у некурящих ( )
Расположение на языке и / или дне рта
Размер более 200 мм
Неоднородный тип
Наличие Candida albicans
Наличие дисплазии эпителия
Улучшение результатов команды здравоохранения
Оральная лейкоплакия — обычное проявление в клиниках, и заболевание лучше всего лечится межпрофессиональной командой, в которую входят отоларинголог, стоматолог, поставщик первичной медицинской помощи, практикующая медсестра и патологоанатом.Ключ в том, чтобы обучить пациента и устранить все способствующие факторы. Пациента необходимо убедить бросить курить. Фармацевт должен рассказать пациенту о средствах, которые могут помочь в отказе от табака. Кроме того, пациенту следует прекратить употребление любых раздражающих веществ, таких как орехи бетеля. Медсестра отоларингологии должна подчеркнуть пациенту, что поражения могут повторяться и злокачественная трансформация возможна.
В случае поражений с дисплазией от умеренной до тяжелой, хирургическое удаление или лазерная операция должны быть лечением выбора, особенно когда поражение находится на вентральной и боковой границах языка, мягкого неба, дна рта и ротоглотки. .Тщательное наблюдение и последующее наблюдение должны быть обязательными для поражений на других анатомических участках. Хирургическое удаление является методом выбора при эритролейкоплакии и пролиферативной веррукозной лейкоплакии [25].
Для людей, которые продолжают курить, рецидивы являются обычным явлением. Единственный способ снизить заболеваемость и улучшить результаты у пациентов с лейкоплакией полости рта — это открытое общение между членами команды, которые продолжают обучать пациента.
Рисунок
Лейкоплакия полости рта. Изображение предоставлено О.Чайгасаме
Список литературы
- 1.
- Нараян Т.В., Шилпашри С. Мета-анализ клинико-патологических факторов риска злокачественных лейкоплакий. J Oral Maxillofac Pathol. 2016 сентябрь-декабрь; 20 (3): 354-361. [Бесплатная статья PMC: PMC5051280] [PubMed: 27721597]
- 2.
- Шах С., Дэйв Б., Шах Р., Мехта Т.Р., Дейв Р. Социально-экономическое и культурное влияние табака в Индии. J Family Med Prim Care. 2018 ноябрь-декабрь; 7 (6): 1173-1176. [Бесплатная статья PMC: PMC6293949] [PubMed: 30613493]
- 3.
- Bose SC, Singh M, Vyas P, Singh M. Антиоксидантные витамины с цинком в плазме, уровни глутатиона и общая антиоксидантная активность при лейкоплакии полости рта. Dent Res J (Исфахан). 2012 Март; 9 (2): 158-61. [Бесплатная статья PMC: PMC3353691] [PubMed: 22623931]
- 4.
- Field EA, Field JK, Мартин М.В. У Candida есть роль в неоплазии эпителия полости рта? J Med Vet Mycol. 1989; 27 (5): 277-94. [PubMed: 2689621]
- 5.
- Стойкевич А.А., ДеБрувер Р., Курран Дж. Б.. Обратное курение и его влияние на твердое небо: клинический случай.J Can Dent Assoc. 1992 Март; 58 (3): 215-6. [PubMed: 1555124]
- 6.
- Chuang SL, Wang CP, Chen MK, Su WW, Su CW, Chen SL, Chiu SY, Fann JC, Yen AM. Злокачественное преобразование в рак полости рта по подтипу потенциально злокачественного заболевания полости рта: проспективное когортное исследование тайваньской общенациональной программы скрининга рака полости рта. Oral Oncol. 2018 декабрь; 87: 58-63. [PubMed: 30527244]
- 7.
- Кумар Шривастава В. Изучить распространенность предраковых заболеваний у подростков, имеющих бетель, гутху, хайни, жевание табака, курение беди и гянджу, а также их связь с социальным классом и образовательным статусом.Int J Clin Pediatr Dent. 2014 Май; 7 (2): 86-92. [Бесплатная статья PMC: PMC4212163] [PubMed: 25356006]
- 8.
- Downer MC, Petti S. Оценка распространенности лейкоплакии ниже ожидаемой. Доказанная вмятина. 2005; 6 (1): 12; ответ автора 13-4. [PubMed: 15789044]
- 9.
- Марторелл-Калатаюд А., Ботелла-Эстрада Р., Баган-Себастьян СП, Санмартин-Хименес О., Гийен-Барона К. [Оральная лейкоплакия: клинические, гистопатологические и молекулярные особенности ]. Actas Dermosifiliogr.2009 Октябрь; 100 (8): 669-84. [PubMed: 19775545]
- 10.
- Браунс Э., Баарт Дж., Карагозоглу Х., Аартман И., Блумена Э., Ван дер Ваал И. Злокачественная трансформация лейкоплакии полости рта в четко определенной когорте из 144 пациентов. Oral Dis. 2014 Апрель; 20 (3): e19-24. [PubMed: 23521625]
- 11.
- Мэтью А.Л., Пай К.М., Шолапуркар А.А., Венгал М. Распространенность поражений слизистой оболочки полости рта у пациентов, посещающих стоматологическую школу в Южной Индии. Индийский J Dent Res. 2008 апрель-июнь; 19 (2): 99-103.[PubMed: 18445924]
- 12.
- Метгуд Р., Гупта К., Прасад Ю., Гупта Дж. Цитоморфометрический анализ подслизистого фиброза полости рта и лейкоплакии с использованием метил-зеленого-пиронина Y, окрашивания по Фельгену и эксфолиативной кистевой цитологии. Biotech Histochem. 2015 Янв; 90 (1): 8-13. [PubMed: 24867495]
- 13.
- Бастос Д. Б., Сарафим-Сильва БАМ, Сундефельд МЛММ, Рибейро А.А., Брандао ДжДП, Биасоли Эр, Мияхара Г.И., Касарини Д.Е., Бернабе Д.Г. Циркулирующие катехоламины связаны с биоповеденческими факторами и симптомами тревоги у пациентов с раком головы и шеи.PLoS One. 2018; 13 (8): e0202515. [Бесплатная статья PMC: PMC6101398] [PubMed: 30125310]
- 14.
- Варнакуласурия С. Клинические особенности и проявления потенциально злокачественных заболеваний полости рта. Oral Surg Oral Med Oral Pathol Oral Radiol. 2018 июн; 125 (6): 582-590. [PubMed: 29673799]
- 15.
- Рено-Вильмер С., Кавелье-Баллой Б. [Предраковые поражения буккального эпителия]. Ann Dermatol Venereol. 2017 Февраль; 144 (2): 100-108. [PubMed: 27939087]
- 16.
- Хюн К.Х., Накай М., Кавамура К., Мори М.Гистохимические исследования паттернов связывания лектина в ороговевших поражениях, включая злокачественные новообразования. Арка Вирхова Патол Анат Гистопатол. 1984; 402 (4): 337-51. [PubMed: 6326379]
- 17.
- Kramer IR, Lucas RB, Pindborg JJ, Sobin LH. Определение лейкоплакии и родственных поражений: помощь в исследованиях предрака полости рта. Oral Surg Oral Med Oral Pathol. 1978 Октябрь; 46 (4): 518-39. [PubMed: 280847]
- 18.
- Zhu YX. [О диагностических проблемах при лейкоплакии полости рта]. Чжунхуа Коу Цян Кэ За Чжи.1984 декабрь; 19 (4): 203-6. [PubMed: 6599278]
- 19.
- Axéll T, Pindborg JJ, Smith CJ, van der Waal I. Оральные белые поражения с особым акцентом на предраковые и связанные с курением поражения: выводы международного симпозиума, проведенного в Упсале, Швеция, 18-21 мая 1994 г. Международная совместная группа по поражениям белого рта. J Oral Pathol Med. 1996 Февраль; 25 (2): 49-54. [PubMed: 8667255]
- 20.
- Дагли Р.Дж., Кумар С., Матур А., Баласубриманьям Г., Дурайсвами П., Кулкарни С.Распространенность лейкоплакии, подслизистого фиброза полости рта, папилломы и ее связь со стрессом среди рабочих шахты зеленого мрамора, Индия. Med Oral Patol Oral Cir Bucal. 01 ноября 2008 г .; 13 (11): E687-92. [PubMed: 18978707]
- 21.
- Варнакуласурия С., Джонсон Н.В., Ван дер Ваал И. Номенклатура и классификация потенциально злокачественных заболеваний слизистой оболочки полости рта. J Oral Pathol Med. 2007 ноябрь; 36 (10): 575-80. [PubMed: 17944749]
- 22.
- Mohammed F, Fairozekhan AT. StatPearls [Интернет].StatPearls Publishing; Остров сокровищ (Флорида): 25 августа 2020 г. Оральная лейкоплакия. [PubMed: 28723042]
- 23.
- Холмструп П., Ведтофте П., Рейбель Дж., Штольце К. Предраковые поражения полости рта: надежна ли биопсия? J Oral Pathol Med. 2007 Май; 36 (5): 262-6. [PubMed: 17448135]
- 24.
- ван дер Ваал И. Оральная лейкоплакия: диагностическая проблема для клиницистов и патологов. Oral Dis. 2019 Янв; 25 (1): 348-349. [PubMed: 30203899]
- 25.
- Надо С., Керр АР.Оценка и лечение потенциально злокачественных заболеваний полости рта. Dent Clin North Am. 2018 Янв; 62 (1): 1-27. [PubMed: 29126487]
- 26.
- Speight PM, Khurram SA, Kujan O. Потенциально злокачественные заболевания полости рта: риск прогрессирования до злокачественного новообразования. Oral Surg Oral Med Oral Pathol Oral Radiol. 2018 июн; 125 (6): 612-627. [PubMed: 29396319]
Что такое лейкоплакия: симптомы, причины и способы лечения
Заметили ли вы белые пятна или пятна на языке или на внутренней стороне щек? Это может быть лейкоплакия, состояние, при котором белые пятна образуются во рту.Что такое лейкоплакия, что ее вызывает и как ее лечить? Вот ответы на эти и другие вопросы.
Что такое лейкоплакия?
Лейкоплакия — это состояние, при котором во рту образуются толстые белые пятна, например, под языком, на внутренней стороне щек или даже на губах. Он отличается от других причин появления белых пятен, таких как молочница, поскольку обычно вызывается курением.
Хотя легкая лейкоплакия может пройти сама по себе, в некоторых случаях может развиться рак.По данным клиники Кливленда, в течение 15 лет от 3% до 17% людей с лейкоплакией разовьются плоскоклеточный рак, тип рака кожи.
Какие типы лейкоплакии
Существует два типа лейкоплакии: гомогенная и негомогенная.
Гомогенная лейкоплакия может вызывать в основном белые, равномерно окрашенные тонкие пятна с гладкой, морщинистой или ребристой поверхностью.
В случае негомогенной лейкоплакии пятна могут иметь неправильную форму или красные пятна.Они могут быть плоскими, узловатыми или приподнятыми. Вероятность перерастания в рак негомогенной лейкоплакии в семь раз выше.
Что вызывает лейкоплакию?
Курение — основная причина лейкоплакии. Жевательный табак также может вызвать это состояние. Другая возможная причина лейкоплакии может включать:
- Зубья неровные;
- Травма изнутри рта, например, укус;
- Неправильно подогнанные протезы;
- Чрезмерное употребление алкоголя (хотя не все исследования установили эту связь.)
Мужчины в возрасте от 50 до 70 лет склонны к развитию лейкоплакии. Менее одного процента случаев заболевания происходит у людей в возрасте до 30 лет.
Каковы симптомы лейкоплакии
Наиболее частыми симптомами лейкоплакии являются толстые белые пятна во рту, которые нельзя связать ни с какой другой причиной. Они не вызывают боли или дискомфорта, но некоторые из них могут перерасти в рак.
Немедленно обратитесь к врачу, если вы также заметили белые пятна с красными пятнами.
Диагностика и лечение
Лейкоплакию часто путают с молочницей полости рта. Но, в отличие от пятен, созданных молочницей, пятна лейкоплакии невозможно стереть. Ваш врач проведет стоматологический осмотр для диагностики лейкоплакии. Им могут потребоваться дополнительные тесты или даже биопсия, если пятна выглядят подозрительно.
В большинстве случаев лейкоплакия проходит сама по себе и не требует лечения. Просто избегайте любых триггеров, таких как курение.Если результаты биопсии дали положительный результат на рак полости рта, врачи немедленно удалят пластыри, чтобы предотвратить распространение рака.
Если у вас есть вопросы или опасения по поводу лейкоплакии или рака полости рта, свяжитесь с OMSNashville, чтобы назначить консультацию.
Информация и содержимое нашего веб-сайта не должны использоваться вместо лечения или совета вашего врача.
Волосатая лейкоплакия полости рта | Johns Hopkins Medicine
Что такое волосатая лейкоплакия полости рта?
Волосатая лейкоплакия полости рта — это заболевание, вызванное вирусом Эпштейна-Барра (ВЭБ).На языке появляются белые пятна. Иногда пятна появляются в других частях рта. Пятна могут выглядеть волосатыми. Отсюда и название. Волосатая лейкоплакия полости рта чаще всего встречается у людей со слабой иммунной системой. ВИЧ (вирус иммунодефицита человека) часто вызывает это состояние.Что вызывает волосатую лейкоплакию полости рта?
Волосатая лейкоплакия полости рта вызывается состояниями, ослабляющими иммунную систему. Это включает вирус Эпштейна-Барра и ВИЧ.Кто подвержен риску развития волосистой лейкоплакии полости рта?
Волосатая лейкоплакия полости рта чаще всего встречается у людей с ВИЧ.Это может быть предупреждением о том, что ваш ВИЧ ухудшился. Это признак слабой иммунной системы. Если у вас ВИЧ и вы подвержены ВЭБ, вы сильно рискуете получить волосатую лейкоплакию полости рта. Курящие люди с ВИЧ также подвергаются большему риску заразиться им.Каковы симптомы волосистой лейкоплакии полости рта?
Белые пятна — главный симптом волосистой лейкоплакии полости рта. Это:
- Белые и «гофрированные» или складчатые на вид
- Волосатые, похожие на волосы наросты появляются из складок на участках
- Постоянно, вы не можете удалить пятна зубной щеткой или другой инструмент для ухода за полостью рта
Иногда пятна вызывают дискомфорт и изменения вкуса.
Симптомы волосистой лейкоплакии полости рта могут быть похожи на другие заболевания или проблемы. Всегда консультируйтесь со своим врачом для постановки диагноза.
Как диагностируется волосатая лейкоплакия полости рта?
Волосатые пятна лейкоплакии в полости рта легко идентифицировать. Медицинские работники часто могут диагностировать это только на основе медицинского осмотра. Кандидоз полости рта или молочница может быть похожим по внешнему виду. Однако ваш лечащий врач часто может удалить молочницу на языке. Это поможет вашему врачу отличить эти два состояния.
Биопсия одного из участков может подтвердить диагноз. Но этот тест обычно не проводят, если пятна не выглядят необычно, или если они подозревают рак или другое редкое заболевание.
Как лечится волосатая лейкоплакия полости рта?
Ваш лечащий врач подберет наилучшее лечение на основе:
- Сколько вам лет
- Общее состояние вашего здоровья и история болезни
- Насколько вы больны
- Насколько хорошо вы справляетесь с конкретными лекарствами, процедурами или терапией
- Как долго продлится состояние
- Ваше мнение или предпочтение
Волосатая лейкоплакия полости рта сама по себе обычно не требует лечения.Других симптомов нет. Но это может означать, что ваш лечащий врач должен более внимательно изучить ваше лечение от ВИЧ, чтобы повысить ваш иммунитет.
В некоторых случаях ваш лечащий врач может назначить противовирусный препарат. Редко, в более тяжелых случаях ваш лечащий врач может удалить язву хирургическим путем.
Каковы осложнения волосатой лейкоплакии полости рта?
Поскольку волосатая лейкоплакия полости рта обычно связана с ВИЧ-инфекцией, осложнения связаны с ВИЧ.К ним можно отнести низкий иммунитет и даже смерть. Волосатая лейкоплакия полости рта часто означает, что вам необходимо лечение от ВИЧ или ваш лечащий врач должен изменить ваше текущее лечение.Можно ли предотвратить волосатую лейкоплакию полости рта?
Профилактика волосистой лейкоплакии полости рта начинается со здоровой иммунной системы. Придерживайтесь назначенного вам плана лечения от ВИЧ и режима гигиены полости рта. Также примите меры для поддержания здорового образа жизни. Практикуйте безопасный секс, регулярно занимайтесь спортом и соблюдайте здоровую диету. Не курить.Обратитесь к своему врачу, если у вас есть вопросы или новые симптомы.Когда мне следует позвонить своему врачу?
Волосатая лейкоплакия полости рта, хотя и безболезненная, может быть предупреждающим признаком ВИЧ или серьезной проблемы с иммунной системой. Немедленно обратитесь к своему врачу.Основные сведения о волосатой лейкоплакии полости рта
- Волосатая лейкоплакия полости рта — это состояние, которое может вызвать вирус Эпштейна-Барра.
- Чаще всего встречается у людей с очень слабой иммунной системой и чаще всего встречается у людей с ВИЧ.
- Состояние вызывает появление белых пятен или пятен на языке.
- Лечение направлено на лечение основной иммунной проблемы, такой как ВИЧ.
- Волосатая лейкоплакия полости рта может быть предупреждающим признаком ВИЧ или серьезного ослабления иммунной системы.
Следующие шаги
Советы, которые помогут вам получить максимальную пользу от посещения вашего поставщика медицинских услуг:- Знайте причину вашего визита и то, что вы хотите.
- Перед визитом запишите вопросы, на которые хотите получить ответы.
- Возьмите с собой кого-нибудь, кто поможет вам задать вопросы и запомнить, что вам говорит поставщик.
- Во время посещения запишите название нового диагноза и любые новые лекарства, методы лечения или тесты. Также запишите все новые инструкции, которые дает вам ваш провайдер.
- Узнайте, почему прописано новое лекарство или лечение и как они вам помогут. Также знайте, какие бывают побочные эффекты.
- Спросите, можно ли вылечить ваше состояние другими способами.
- Знайте, почему рекомендуется тест или процедура и что могут означать результаты.
- Знайте, чего ожидать, если вы не примете лекарство, не пройдете тест или процедуру.
- Если у вас назначена повторная встреча, запишите дату, время и цель этого визита.
- Узнайте, как связаться с вашим поставщиком услуг, если у вас возникнут вопросы.
Лейкоплакия: признаки и лечение | Colgate® Уход за полостью рта
Лейкоплакия проявляется в виде толстых белых пятен на деснах или на внутренней стороне щек. Хотя лейкоплакия сама по себе не опасна, иногда в ней обнаруживаются предраковые изменения, которые могут привести к раку рта .
Определение
Лейкоплакия (loo-ko-PLAY-key-uh) — это состояние, при котором на деснах, внутренней стороне щек, нижней части рта и иногда на языке образуются утолщенные белые пятна. Эти пятна нелегко соскоблить.
Причина лейкоплакии неизвестна, но табак , копченый, окунутый или жевательный, считается основным виновником ее развития.
Лейкоплакия обычно не опасна, но иногда может быть серьезной.Хотя большинство пятен лейкоплакии являются доброкачественными, у небольшого их количества обнаруживаются ранние признаки рака, и многие виды рака ротовой полости возникают рядом с областями лейкоплакии. По этой причине лучше обратиться к стоматологу, если у вас есть необычные, стойкие изменения во рту.
Симптомы
Лейкоплакия может проявляться по-разному. Обычно изменения происходят на деснах, на внутренней стороне щек, на дне рта, а иногда и на языке. Лейкоплакия может иметь следующий вид:
- Белые или сероватые пятна, которые невозможно стереть
- Неровные участки или участки с плоской текстурой
- Утолщенные или упрочненные участки
- Выступающие красные высыпания (эритроплакия), которые с большей вероятностью демонстрируют предраковые изменения
Тип лейкоплакии, называемый волосатой лейкоплакией, в первую очередь поражает людей, чья иммунная система была ослаблена лекарствами или болезнью, особенно ВИЧ / СПИДом.Волосатая лейкоплакия вызывает появление нечетких белых пятен, которые напоминают складки или гребни по бокам языка. Его часто принимают за молочницу полости рта — инфекцию, отмеченную кремово-белыми пятнами на участке, который простирается от задней стенки глотки до верхней части пищевода (глотки) и внутренней стороны щек. Оральный кандидоз также часто встречается у людей с ВИЧ / СПИДом.
Когда обращаться к врачу
Иногда язвы во рту могут раздражать или вызывать боль, но при этом не причинять вреда. Но в других случаях проблемы со ртом могут указывать на более серьезное состояние.По этой причине обратитесь к стоматологу, если у вас есть что-либо из следующего:
- Белые бляшки или язвы во рту, которые не заживают сами по себе в течение 7-10 дней
- Комки или белые, красные или темные пятна во рту
- Стойкие изменения тканей рта
Причины
Причина лейкоплакии зависит от того, какая у вас разновидность: стандартная или волосатая.
Leukoplakia
Хотя причина лейкоплакии неизвестна, употребление табака, включая курение и жевание, по-видимому, является причиной большинства случаев.У 3 из 4 постоянных потребителей бездымных табачных изделий в конечном итоге развивается лейкоплакия, когда они прижимают табак к щекам. Длительное употребление алкоголя и других хронических раздражителей также может способствовать лейкоплакии.
Волосатая лейкоплакия
Волосатая лейкоплакия, иногда называемая волосатой лейкоплакией полости рта, возникает в результате инфицирования вирусом Эпштейна-Барра (ВЭБ). После заражения EBV вирус остается в вашем теле на всю жизнь. Обычно вирус находится в спящем состоянии, но если ваша иммунная система ослаблена из-за болезни или приема некоторых лекарств, вирус может реактивироваться, что приводит к таким состояниям, как волосатая лейкоплакия.
Волосатая лейкоплакия особенно высока у людей, живущих с ВИЧ / СПИДом. Хотя использование антиретровирусных препаратов снизило количество случаев заболевания, волосатая лейкоплакия по-прежнему поражает до 25 процентов ВИЧ-положительных людей и может быть одним из первых признаков ВИЧ-инфекции. Появление волосистой лейкоплакии полости рта также может быть признаком того, что антиретровирусная терапия неэффективна.
Факторы риска
Употребление табака повышает риск лейкоплакии и рака полости рта.Употребление алкоголя в сочетании с курением еще больше увеличивает риск.
Осложнения
Лейкоплакия обычно не вызывает необратимого повреждения тканей во рту. Однако рак ротовой полости — потенциально серьезное осложнение лейкоплакии. Рак полости рта часто формируется около пятен лейкоплакии, и сами пятна могут показывать раковые изменения. Даже после удаления пятен лейкоплакии риск рака полости рта остается повышенным.
Волосатая лейкоплакия, напротив, безболезненна и вряд ли приведет к раку.Но это может указывать на ВИЧ-инфекцию или СПИД.
Подготовка к приему
Скорее всего, вы начнете с посещения стоматолога или терапевта. Однако вас также могут направить к хирургу-стоматологу или отоларингологу для диагностики и лечения.
Хорошо подготовиться к встрече. Вот некоторая информация, которая поможет вам подготовиться.
Что вы можете сделать
- Запишите все симптомы, которые у вас есть, даже те, которые кажутся не связанными с причиной вашего визита.
- Составьте список всех лекарств, а также всех витаминов и добавок, которые вы принимаете.
- Запишите вопросы, которые вы хотите задать своему врачу.
- Подготовка списка вопросов поможет вам максимально эффективно проводить время с врачом. При лейкоплакии вам нужно задать врачу следующие основные вопросы:
- Что, вероятно, вызывает мое состояние?
- Есть ли другие возможные причины моего состояния?
- Нужны ли мне специальные тесты?
- Является ли мое состояние временным или хроническим?
- Какие методы лечения доступны? Что вы рекомендуете?
- Какие альтернативы основному подходу вы предлагаете?
- Есть ли какие-то ограничения, которым я должен следовать?
- Есть ли какие-нибудь брошюры или другие печатные материалы, которые я могу взять с собой домой? Какие сайты вы рекомендуете?
- Также задавайте любые другие вопросы.
Чего ожидать от врача
Ваш врач может задать вам ряд вопросов, в том числе:
- Когда вы впервые заметили эти изменения?
- Есть ли у вас боль или кровотечение из проблемной зоны?
- Вы курите?
- Вы употребляете жевательный табак?
- Сколько алкоголя вы пьете?
Что вы можете сделать за это время
Отказ от употребления табака в любом виде может уменьшить или устранить лейкоплакию.
Анализы и диагностика
Чаще всего стоматолог диагностирует лейкоплакию, исследуя пятна во рту и исключая другие возможные причины. Чтобы проверить наличие ранних признаков рака, ваш стоматолог может:
Заберите образец ткани (биопсия) для анализа. Это включает удаление части поражения маленькой вращающейся щеткой (биопсия ротовой щетки) или всего поражения (эксцизионная биопсия).
Отправьте ткань на лабораторный анализ. Узкоспециализированная система визуализации позволяет патологу обнаруживать аномальные клетки.
Отправим вас на лечение, если отчет положительный. Если результаты вашей биопсии щеткой для полости рта положительны, ваш стоматолог может выполнить эксцизионную биопсию, при которой удаляется весь пласт лейкоплакии, если он маленький, или направляет вас к хирургу-стоматологу, если он большой.
Лечение и лекарства
Для большинства людей прекращение употребления табака или алкоголя помогает избавиться от этого состояния.Если это неэффективно или если на поражении появляются первые признаки рака, стоматолог может направить вас на лечение, которое включает:
- Удаление лейкоплакических пятен. Пластыри можно удалить с помощью скальпеля, лазера или очень холодного зонда, который замораживает и разрушает раковые клетки (криозонд).
- Контрольные визиты. Рецидивы обычны.
Поскольку ваш прогноз лучше, если лейкоплакия обнаружена и лечится на ранней стадии, когда лейкоплакия небольшая, важны регулярные осмотры, равно как и регулярный осмотр ротовой полости на предмет областей, которые не выглядят нормально.
Исследователи изучили влияние ретиноидов — производных витамина А, которые используются для лечения тяжелых угрей и других кожных заболеваний — на лейкоплакию. Похоже, что они имеют ограниченный эффект в борьбе с лейкоплакией.
Лечение волосатой лейкоплакии
Не все случаи волосатой лейкоплакии нуждаются в лечении, и ваш врач или стоматолог могут подождать и понаблюдать. Если вам необходимо лечение, доступны несколько вариантов:
- Системные препараты. К ним относятся противовирусные препараты, такие как валацикловир (Валтрекс) и фамцикловир (Фамвир), которые предотвращают репликацию вируса Эпштейна-Барра, но не выводят его из организма. Лечение противовирусными препаратами может устранить лейкоплакические пятна, но лейкоплакические пятна часто возвращаются после прекращения терапии.
- Лекарства для местного применения. К ним относятся раствор смолы подофилла и третиноин (ретиноевая кислота). При местном применении эти методы лечения могут улучшить внешний вид лейкоплакических пятен, но после прекращения приема лекарств они могут вернуться.
Профилактика
Чаще всего лейкоплакию можно предотвратить с помощью:
- Отказ от табачных изделий. Это один из лучших шагов, которые вы можете предпринять для улучшения общего состояния здоровья, а также один из основных способов предотвращения лейкоплакии. Поговорите со своим врачом о методах, которые помогут вам бросить курить. Если друзья или члены семьи продолжают курить или жевать табак, посоветуйте им часто посещать стоматолога. Рак полости рта обычно безболезнен, пока он не достигнет значительной степени.
- Избегание или ограничение употребления алкоголя. Алкоголь является фактором лейкоплакии и рака полости рта. Сочетание алкоголя и курения может облегчить проникновение вредных химических веществ, содержащихся в табаке, в ткани вашего рта.
- Есть много свежих фруктов и овощей. Они богаты антиоксидантами, такими как бета-каротин, которые снижают риск лейкоплакии за счет деактивации вредных молекул кислорода до того, как они могут повредить ткани. Продукты, богатые бета-каротином, включают темно-желтые, оранжевые и зеленые фрукты и овощи, в том числе морковь, тыкву, кабачки, дыню и шпинат.
Симптомы, причины, диагностика и лечение
Лейкоплакия — это заболевание ротовой полости, включающее утолщенные белые пятна на слизистых оболочках (слизистой оболочке) рта, десен или языка. Чаще всего это вызвано курением или другими видами употребления табака (например, употреблением жевательного табака). Некоторые источники сообщают, что 80% больных лейкоплакией — курильщики. Фактически, несколько исследований показали, что «распространенность курения среди пациентов с лейкоплакией достигает 82–100%.Однако другие типы раздражителей также могут вызывать лейкоплакию.
Если лейкоплакия легкая, она часто проходит без какого-либо вмешательства. Но лейкоплакия считается предраковым заболеванием, поэтому к ней нельзя относиться легкомысленно. Рак полости рта может образовываться возле пятен лейкоплакии, а сами очаги лейкоплакии могут показывать признаки раковых изменений.
Веривелл / JR BeeЛейкоплакия и рак
В большинстве случаев белые пятна от лейкоплакии не считаются злокачественными и поэтому считаются доброкачественными.Однако в некоторых случаях было обнаружено, что лейкоплакия является ранним признаком рака ротовой полости. Фактически, согласно Библиотеке здоровья Кливлендской клиники, «со временем он может перерасти в рак ротовой полости. В течение 15 лет от 3 до 17,5 процентов людей с лейкоплакией разовьются плоскоклеточный рак, распространенный тип рака кожи ».
Раковые образования на дне рта иногда появляются рядом с лейкоплакией в состоянии, называемом «пятнистая лейкоплакия», которое включает белые и красные области во рту.Крапчатая лейкоплакия может быть признаком того, что у человека есть шанс заболеть раком.
Из-за риска рака ротовой полости, связанного с лейкоплакией, всем с необычными или продолжающимися изменениями во рту любого типа рекомендуется пройти обследование у своего лечащего врача.
Волосатая лейкоплакия полости рта
DermNet / CC BY-NC-NDОдин из видов лейкоплакии называется волосатой лейкоплакией. Название произошло от нечетких белых пятен, которые выглядят как складки или гребни, которые часто встречаются по бокам языка.Волосатую лейкоплакию полости рта часто принимают за молочницу полости рта (грибковая инфекция полости рта и десен). В отличие от лейкоплакии, молочница вызывает появление кремово-белых пятен, которые можно стереть и вылечить противогрибковыми препаратами.
Волосатая лейкоплакия часто встречается у людей с сильно ослабленной иммунной системой, например у людей с вирусом Эпштейна-Барра (ВЭБ) или ВИЧ / СПИДом, а также у людей с ослабленным иммунитетом.
Еще одно важное различие между волосатой лейкоплакией и обычной лейкоплакией заключается в том, что волосатая лейкоплакия не связана с риском развития рака.Волосатая лейкоплакия может быть одним из первых признаков ВИЧ.
Симптомы
Белые пятна лейкоплакии обычно находятся на деснах, внутри щек, под языком или на самом языке. Поначалу их можно не заметить. Другие симптомы лейкоплакии могут включать:
- Пятна сероватого цвета, которые невозможно стереть
- Пятна неправильной или плоской текстуры во рту
- Затвердевшие или утолщенные участки во рту
- Выступающие красные высыпания (эритроплакия)
- Красные пятна вместе с белыми пятнами (эритролейкоплакия)
Когда идти к врачу
Хотя лейкоплакия обычно не вызывает боли, важно знать, когда следует посетить врача, поскольку это может быть признаком чего-то более серьезного.Обращение к врачу важно в следующих случаях:
- Белые пятна во рту не проходят сами по себе за две недели
- Во рту замечены красные или темные пятна
- Вы наблюдаете любые продолжающиеся изменения во рту
- У вас болит ухо при глотании
- Неспособность правильно открыть рот (состояние ухудшается)
Причины
Длительное употребление табака (курение или жевание) или других раздражителей является наиболее частой причиной лейкоплакии, другие причины могут включать:
- Неправильные протезы (или сломанные протезы)
- Травма, возникшая на внутренней стороне щеки (например, в результате случайного укуса щеки)
- Сломанные или неровные зубы
- Длительное употребление алкоголя
- Особые типы состояний организма, вызывающие воспаление
- Долгосрочное употребление жевательного табака (от прижатия жевательного табака к щекам)
Диагностика
Диагноз лейкоплакии обычно включает:
- Осмотр полости рта у врача
- Попытка стереть белые пятна (если их можно стереть, это скорее всего не лейкоплакия)
- Подробный анамнез для выявления определенных факторов риска (таких как курение или жевание табака)
- Исключение других возможных причин появления белых пятен (например, молочницы)
- Обследование на ранние признаки рака
Биопсия включает в себя удаление ткани из организма, чтобы исследовать ее на наличие такого заболевания, как рак.Обследование на рак для людей с лейкоплакией может включать:
- Биопсия оральной щетки: Это удаление клеток (подлежащих проверке на рак) с внешней поверхности поражений с помощью маленькой вращающейся щетки.
- Эксцизионная биопсия: Это хирургическое удаление ткани из пятна лейкоплакии (или, в некоторых случаях, всей бляшки) для проверки на наличие раковых клеток. Эксцизионная биопсия является более решающим методом диагностики рака полости рта, чем щеточная биопсия полости рта.
После эксцизионной биопсии, если есть положительный результат, поставщик медицинских услуг может направить к специалисту (хирургу-стоматологу или специалисту по уху / носу / горлу) для лечения рака полости рта. Если очаг лейкоплакии был очень маленьким и был полностью удален с помощью эксцизионной биопсии, дальнейшее лечение может не потребоваться, кроме постоянного наблюдения.
Лечение
Лечение лейкоплакии наиболее эффективно после ранней диагностики. Регулярные контрольные визиты к врачу имеют жизненно важное значение, как и научиться тщательно и регулярно проводить самопроверку ротовой полости.
Обычно устранения источника раздражения (курения, жевания табака или чрезмерного употребления алкоголя) достаточно, чтобы вылечить заболевание.
Однако при положительном результате биопсии необходимо дальнейшее лечение. Это может включать один (или несколько) из нескольких вариантов.
- Если лейкоплакия вызвана стоматологической проблемой, будет направлено направление к стоматологу для исправления неподходящих протезов, неровностей зуба или другой основной причины.
- Ваш врач потребует немедленного удаления всей лейкоплакии, чтобы остановить распространение рака, с помощью лазера, скальпеля или метода холодного замораживания с датчиком (называемым криозондом).
- Вам потребуются регулярные контрольные визиты для проверки повторяющихся симптомов лейкоплакии (которые встречаются часто).
- Вам могут назначить противовирусный препарат, если диагноз — волосатая лейкоплакия.
Имейте в виду, что даже после удаления пятен лейкоплакии риск рака полости рта все равно повышается.
Слово от Verywell
Хотя при лейкоплакии важно не паниковать по поводу надвигающегося риска рака полости рта, необходимо как можно скорее устранить факторы риска, такие как отказ от курения, жевания табака, употребления алкоголя или воздействия других раздражителей (например, электронных сигарет).Это состояние, которое некоторые люди могут легко игнорировать, возможно, как нечто столь же распространенное, как язвенная болезнь. Однако это не всегда безвредно. Лейкоплакия часто является предупреждающим знаком, сигнализирующим о том, что человеку следует внести некоторые изменения в свой образ жизни. В худшем случае это серьезное заболевание, требующее немедленного лечения.
Лейкоплакия * предраковое поражение внутри щеки * Тампа Флорида ЛОР * ЛОР-специалисты
Лейкоплакия — это предраковое поражение, которое развивается на языке или внутренней стороне щеки в ответ на хроническое раздражение.Иногда пятна лейкоплакии развиваются на женских наружных половых органах.
Причины
Лейкоплакия — это в первую очередь заболевание слизистых оболочек рта. Это вызвано раздражением. Поражения обычно появляются на языке, но могут появляться и на внутренней стороне щеки.
Раздражение может быть результатом грубых зубов или неровностей на зубных протезах, пломбах и коронках. Это также может быть результатом курения или другого употребления табака (кератоз курильщика).Люди, которые курят трубки, подвергаются высокому риску развития этого состояния, как и те, кто держит во рту жевательный табак или нюхательный табак в течение длительного периода времени.
Пятна лейкоплакии могут развиваться на наружных половых органах женщины, но причина неизвестна.
Как и другие язвы во рту, лейкоплакия может перерасти в злокачественную.
Заболевание чаще всего встречается у пожилых людей.
«Волосатая» лейкоплакия полости рта — необычная форма лейкоплакии, которая чаще всего встречается у ВИЧ-инфицированных.Это может быть одним из первых признаков ВИЧ-инфекции. Он также может появиться у других людей, когда их иммунная система не работает должным образом, например, после трансплантации костного мозга. Это может быть вызвано вирусом Эпштейна-Барра.
Белые пятна обычно появляются на языке, а иногда и в других местах во рту. Состояние может выглядеть как молочница — тип кандидозной инфекции, которая также ассоциируется с ВИЧ и СПИДом у взрослых.
Симптомы
Основным признаком лейкоплакии является поражение кожи со следующими характеристиками:
- Расположение
- Обычно на язычке
- Может быть на внутренней стороне щек
- У женщин, иногда на гениталиях
- Обычно на язычке
- Цвет
- Обычно белый или серый
- Может быть красным (эритроплакия)
- Обычно белый или серый
- Текстура
- Толстая
- Слегка приподнятый
- Закаленная поверхность
- Толстая
Симптомы волосатой лейкоплакии — безболезненные, нечеткие белые пятна на языке.
Экзамены и тесты
Типичное белое пятно лейкоплакии развивается медленно, от недель до месяцев. Повреждение может в конечном итоге стать грубым по текстуре и стать чувствительным к прикосновению, теплу, острой пище или другому раздражению.
Биопсия новообразования подтверждает диагноз. Исследование биоптата может выявить изменения, указывающие на рак полости рта.
Лечение
Целью лечения является устранение поражения.Удаление источника раздражения важно и может привести к исчезновению поражения.
- Стоматологические причины, такие как шершавые зубы, неровная поверхность протеза или пломбы, следует лечить как можно скорее.
- Курение или употребление других табака следует прекратить.
Может потребоваться хирургическое удаление новообразования. Поражение обычно удаляется в офисе вашего лечащего врача с использованием местной анестезии.
Некоторые исследования показали, что витамин А или витамин Е могут уменьшать очаги поражения, но это следует принимать только под тщательным наблюдением врача.
Лечение лейкоплакии вульвы такое же, как и лечение поражений полости рта.
Перспективы (Прогноз)
Лейкоплакия обычно безвредна, и поражения обычно проходят через несколько недель или месяцев после устранения источника раздражения. Примерно в 3% случаев лейкоплакии развиваются раковые изменения.
Волосатая лейкоплакия часто является признаком ВИЧ-инфекции и повышенной вероятности развития СПИДа.
Возможные осложнения
- Хронический дискомфорт
- Заражение очага
- Рак полости рта
Когда обращаться к медицинскому работнику
Позвоните на прием к своему врачу, если у вас есть какие-либо поражения, напоминающие лейкоплакию или волосатую лейкоплакию.
Профилактика
Свести к минимуму или прекратить курение или употребление других табака. Незамедлительно лечите шершавые зубы и ремонтируйте зубные протезы.




Но велик риск развития рецидивов, связанный с небольшой способностью проникновения в ткани, а также невозможностью точечной обработки поверхности.
При выборе лазерной терапии излечения получается добиться у 97% пациенток и более. Как правило, лазерную процедуру проводят амбулаторно. Зачастую такая терапия не требует проведения процедуры по дополнительному обезболиванию, а это снижает риски негативного воздействия на организм женщины. Чаще всего процедуру назначают в первой половине цикла (на 4 – 7-й день менструации). Чтобы точно понимать размер зоны повреждения, и не затронуть здоровые участки, перед лазерным воздействием поверхность слизистой обрабатывают Люголем, специальным раствором. На фоне явного поражения тканей с распространением очагов заболевания на влагалище часто врачи рекомендуют провести двухэтапное лазерное лечение. Первый шаг состоит в воздействии лазера на пораженную часть шейки. Второй, в рамках следующего менструального цикла, предполагает удаление измененной ткани из влагалища. Выздоровление наблюдается в среднем в течение двух недель — полутора месяцев. Зависит это от размера очага заболевания и локализации повреждений.
Противопоказания для проведения процедуры выступают воспалительные заболевания женской половой сферы.