Ишемия сосудов головного мозга: симптомы, виды, лечение, последствия
Ишемия головного мозга – это заболевание, которое сопровождается недостаточным снабжением кислородом клеток мозга, то есть происходит кислородный голод.
Мозг является тем органом, который больше других нуждается в кислороде. При том что мозг человека составляет всего лишь 2 – 4% от всей массы тела, он способен пропускать через себя около 20% крови, которая циркулирует в организме.
Больше всего к появлению этого заболевания склонны люди, которые:
- страдают от сахарного диабета;
- подвержены заболеваниям связанным с сердцем;
- ведут неправильный образ жизни, злоупотребляют спиртными напитками, курят и неверно питаются;
- люди преклонного возраста.
Сама по себе болезнь не возникает вдруг, а развивается достаточно медленно и чаще всего на протяжении нескольких лет. Это усложняет ее выявление и, соответственно, своевременное лечение ишемии сосудов головного мозга осложнено этим фактом.
Причины ишемии сосудов головного мозга
Причины возникновения этого заболевания могут быть весьма разнообразны, но, как правило, выделяют 2 основные группы:
- основные причины;
- дополнительные факторы, вызывающие ишемию.
К основным причинам относятся:
- атеросклероз,
- появление тромбов, что может привести к закупорке сосудов,
- сердечная недостаточность,
- артериальная гипертензия.
К дополнительным причинам относят следующие факторы:
- заболевание крови;
- сердечно – сосудистые заболевания;
- болезни, связанные с позвоночником;
- васкулиты;
- тахикардия;
- малокровие;
- отравление угарным газом и многое другое.
Острая и хроническая формы болезни
Ишемия головного мозга бывает двух видов: это острая или хроническая ишемия.
Острую ишемию головного мозга можно наблюдать при резком возникновении кислородного голода, а хроническая – развивается постепенно из-за нарушения нормального функционирования кровообращения.
Хроническая ишемия сосудов головного мозга, как правило возникает из острой формы, которую вовремя не вылечили, и вследствие этого болезнь стала прогрессировать и может привести к нежелательным результатам.
Характерные симптомы
Болезнь достаточно легко распознать даже на первой стадии, ведь самый главный симптом ишемия сосудов головного мозга – это быстрое утомление.
На каждой новой стадии к уже имеющимся симптомам добавляются новые, поэтому можно выделить основные, характерные для общей картины симптомы:
- слабость;
- усталость;
- головокружение;
- тошнота;
- сильные головные боли, перерастающие в мигрень;
- обмороки;
- нарушение сна;
- перепады давления;
- раздражительность;
- нарушение речи;
- повышенная возбудимость.
Также выделяют и симптомы, которые характерны для каждой отдельной стадии ишемии головного мозга:
- На первой стадии этого заболевание пациенты жалуются на усталость, раздражительность, наблюдается также и агрессия, ухудшается концентрация, замедляется реакция мозга, падают интеллектуальные способности, нарушается походка. В общем, эта стадия не представляет особой угрозы для человека и окружающих.
- На второй стадии проявляется все больше и больше симптомов, к ним можно отнести и атаксию, нарушение функционирования черепных нервов, а также нарушение контролирования своих эмоций. Эта стадия уже приносит некий дискомфорт и может снижать профессиональную работоспособность человека.
- На третьей, завершающей стадии, появляются проблемы с координацией, нарушается походка, появляется сложность держать равновесие, а также наблюдаются определенные неудобства, связанные с недержанием мочи. Появляются проблемы с речью, с памятью, что негативно сказывается на самочувствии больного. В этот период человек полностью теряет свои квалификационные и профессиональные навыки, что может привести к его дезадаптации в обществе.
Диагностические методики
Диагностика ишемии головного мозга достаточно проблематична, так как на первой стадии этого заболевания больной не может пожаловаться на какие-то конкретные беспокойства, поскольку человек не чувствует, что болезнь начинает развиваться.
Жалобы на здоровье поступают только тогда, когда организму уже был нанесен вред.
Диагностика заключается в том, что лечащий врач тщательно изучает все симптомы больного, его медицинскую карточку, а также наблюдает развитие и общий ход этого заболевания.
Кроме этого существуют и другие виды диагностики, такие как:
- лабораторные исследования, они проводятся для того, чтобы определить уровень сахара, холестерина или других веществ в крови;
- кардиография;
- физикальное обследование, то есть измерение пульсации кровеносных сосудов;
- электроэнцефалография;
- ультразвуковая томография.
- доплеровская томография, которая заключается в измерении скорости движения крови по сосудам.
Сложное заболевание резидуальная энцефалопатия может иметь самые печальные последствия вплоть до полной инвалидизации пациента, если своевременно на начать терапию болезни.
Лечение ишемии сосудов головного мозга
Лечение ишемии головного мозга должно производиться исключительно врачом – неврологом.
Выделяют 2 вида лечения болезни:
- восстановление нормального кровообращения;
- поддержание жизни ткани мозга и ее защита.
Медикаментозное лечение проводится с помощью таких препаратов:
- Сосудорасширяющие, они способствуют расширению сосудов и помогают улучшить кровообращение. К таки препаратам можно отнести пентоксифиллин.
- Препараты, которые помогают предотвращать появление тромбов, например, аспирин.
- Улучшающие мозговую деятельность препараты: цереброзин или пирацетам.
- Препараты, предназначенные для поддержания жизни и циркуляции крови в сосудах мозга: билобил или нимодипин.
В некоторых случаях требуется хирургическое вмешательство, это происходит только на последних стадиях развития болезни, при поражении сосудов или же неэффективности медикаментозного лечения.
Народная медицина
Также в качестве дополнительных средств можно использовать народную медицину. Так при ишемии головного мозга можно применять, такие способы лечения
- отвар из коры дуба;
- свежевыжатый морковный сок;
- отвар из мяты;
- отвар горицвета;
- нужно накладывать компрессы из различных трав.
Последствия и осложнения
При своевременной диагностике ишемии сосудов головного мозга и обращении к врачу можно избежать нежелательных последствий.
Верное лечение приводит к приостановлению прогрессирования ишемии головного мозга. Но при наличии других заболеваний (например, сахарный диабет, аритмия и т.д.) может снижаться трудоспособность пациента или даже формироваться инвалидизация.
В случаях тяжелого протекания болезни или выявления ее на поздних стадиях, могут появляться осложнения, избавиться от которых невозможно. Это приводит к полной потере профессиональных, коммуникативных и социальных навыков.
Профилактический комплекс
К сожалению, но в данный момент не существуют способы, которые гарантировали бы полное выздоравливание и восстановление здоровья при этом заболевании.
Профилактику лучше всего начинать еще с раннего возраста, для того, чтобы обезопасить себя от этого недуга. Поэтому стоит соблюдать такие правила:
- вести здоровый образ жизни;
- ограждать себя от стрессов и расстройств;
- отказаться от вредных привычек;
- держать себя в форме;
- при этом не нужно забывать и о регулярных посещениях врача.
Видео: Ишемия головного мозга — причины болезни
Возникает ишемия головного мозга в результате локального кислородного голодания. Как вовремя выявить болезнь и начать ее терапию.
neurodoc.ru
Хроническая ишемия головного мозга — излечимо ли это?
Ишемия головного мозга – это состояние, которое развивается в ответ на кислородное голодание вследствие недостаточности мозгового кровообращения.
Выделяют острую и хроническую ишемию головного мозга. Острая ишемия возникает при резком развитии кислородного голодания и протекает по типу транзиторной ишемической атаки или ишемического инсульта (инфаркта мозга). Хроническая ишемия формируется постепенно в ответ на длительно существующую недостаточность мозгового кровообращения.
В данной статье мы рассмотрим хроническую ишемию головного мозга.
Хроническая ишемия мозга — особая разновидность сосудистой церебральной патологии, обусловленная медленно прогрессирующим диффузным нарушением кровоснабжения головного мозга с постепенно нарастающими разнообразными дефектами его функционирования. Термин «хроническая ишемия мозга» используется в соответствии с Международной классификацией болезней 10-го пересмотра вместо применявшегося ранее термина «дисциркуляторная энцефалопатия».
Причины развития хронической ишемии головного мозга
Причины развития хронической ишемии мозга тесно связаны с атеросклеротическими стенозами, тромбозами, эмболиями. Определенную роль играют посттравматическое расслоение позвоночных артерий, экстравазальные (внесосудистые) компрессии при патологии позвоночника или мышц шеи, деформация артерий с постоянными или периодическими нарушениями их проходимости, гемореологические изменения крови. Необходимо иметь в виду, что симптоматика, аналогичная той, что имеет место при хронической ишемии, может быть обусловлена не только сосудистыми, но и другими факторами — хронической инфекцией, неврозами, аллергическими состояниями, злокачественными опухолями и прочими причинами, с которыми следует проводить дифференциальный диагноз.
Признаки нарушения мозгового кровотока наблюдаются при таких заболеваниях:
-
гипертонической болезни,
-
атеросклерозе,
-
гипотонии,
-
васкулитах (воспалениях сосудов) аллергической и инфекционной этиологии,
-
облитерирующем тромбангиите,
-
травмах черепа,
-
аномалиях сосудистого русла мозга и аневризмах,
-
нарушениях в сердечной деятельности,
-
болезнях крови,
-
эндокринной патологии,
-
заболеваниях почек и других болезнях.
Развитию хронической ишемии мозга способствует ряд причин, которые принято называть факторами риска. Факторы риска делятся на корригируемые и некорригируемые. К некорригируемым факторам относятся пожилой возраст, пол, наследственная предрасположенность. Известно, например, что инсульт или энцефалопатия у родителей увеличивает вероятность сосудистых заболеваний у детей. На эти факторы нельзя повлиять, но они помогают заранее выявить лиц с повышенным риском развития сосудистой патологии и помочь предотвратить развитие болезни. Основными корригируемыми факторами развития хронической ишемии являются атеросклероз и гипертоническая болезнь. Сахарный диабет, курение, алкоголь, ожирение, недостаточная физическая нагрузка, нерациональное питание — причины, приводящие к прогрессированию атеросклероза и ухудшению состояния больного. В этих случаях нарушается свертывающая и противосвертывающая система крови, ускоряется развитие атеросклеротических бляшек. За счет этого просвет артерии уменьшается или полностью закупоривается. При этом особую опасность представляет кризовое течение гипертонической болезни: оно приводит к возрастанию нагрузки на сосуды головного мозга.
Симптомы и стадии развития хронической ишемии головного мозга
Хроническая ишемия ГМ – это прогрессирующее заболевание, которое сопровождается нарастающими нарушениями работы центральной, периферической и вегетативной нервной системы. Первые признаки заболевания часто остаются незамеченными, так как не имеют каких-либо острых проявлений, а выражаются в общем недомогании, головных болях, сонливости, рассеянности, раздражительности. Обычно такое состояние списывается на переутомление либо возрастные изменения, однако, под ним может скрываться дебют ишемии головного мозга. Вовремя обратиться за медицинской помощью очень важно.
Проявления хронической ишемии мозга делятся на три стадии: начальных проявлений, субкомпенсации и декомпенсации.
В 1-й стадии доминируют субъективные расстройства в виде головных болей и ощущения тяжести в голове, общей слабости, повышенной утомляемости, эмоциональной лабильности, головокружения, снижения памяти и внимания, нарушения сна. Эти явления сопровождаются хотя и легкими, но достаточно стойкими объективными расстройствами в виде анизорефлексии (разность симметричных сухожильных рефлексов), дискоординаторных явлений, глазодвигательной недостаточности, симптомов орального автоматизма, снижения памяти и астении. В этой стадии, как правило, еще не происходит формирования отчетливых неврологических синдромов (кроме астенического) и при адекватной терапии возможно уменьшение выраженности или устранение как отдельных симптомов, так и заболевания в целом.
В жалобах больных со 2-й стадией ХИМ чаще отмечаются нарушения памяти, потеря трудоспособности, головокружение, неустойчивость при ходьбе, реже присутствуют проявления астенического симптомокомплекса. При этом более отчетливой становится очаговая симптоматика: оживление рефлексов орального автоматизма, центральной недостаточности лицевого и подъязычного нервов, координаторные и глазодвигательные расстройства, пирамидная недостаточность, амиостатический синдром, усиление мнестико-интеллектуальных нарушений. В этой стадии возможно вычленить определенные доминирующие неврологические синдромы — дискоординаторный, пирамидный, амиостатический, дисмнестический и др., которые могут помочь при назначении симптоматического лечения. На этом этапе уже нарушается социальная и трудовая активность больного, в некоторых случаях даже в повседневных делах уже требуется помощь посторонних людей. Полностью обратить изменения, произошедшие в нервной системе невозможно, но можно нивелировать симптоматику и замедлить прогрессирование заболевания.
При 3-й стадии ХИМ более выраженными оказываются объективные неврологические расстройства в виде дискоординаторного, пирамидного, псевдобульбарного, амиостатического, психоорганического синдромов. Чаще наблюдаются пароксизмальные состояния — падения, обмороки. В стадии декомпенсации возможны нарушения мозгового кровообращения в виде «малых инсультов», или пролонгированного обратимого ишемического неврологического дефицита, длительность очаговых расстройств при котором составляет от 24 ч до 2 нед. При этом клиника диффузной недостаточности кровоснабжения мозга соответствует таковой при энцефалопатии средней степени выраженности. Другим проявлением декомпенсации могут быть прогрессирующий «законченный инсульт» и остаточные явления после него. Этой стадии процесса при диффузном поражении соответствует клиническая картина выраженной энцефалопатии. Очаговая симптоматика нередко сочетается с диффузными проявлениями мозговой недостаточности. Лечение на данной стадии имеет скорее поддерживающий характер, так как большая часть повреждений головного мозга и утраченных вследствие этого функций необратима.
Наряду с прогрессированием неврологической симптоматики, по мере развития патологического процесса в нейронах головного мозга, происходит нарастание когнитивных расстройств. Это касается не только памяти и интеллекта, нарушающихся в 3-й стадии до уровня деменции, но и таких нейропсихологических синдромов, как праксис (способность выполнять последовательные комплексы сознательных произвольных движений и совершать целенаправленные действия по выработанному индивидуальной практикой плану) и гнозис (узнавание объектов (предметов, лиц) при сохранности элементарных форм чувствительности, зрения, слуха. Начальные, по существу субклинические расстройства этих функций наблюдаются уже в 1-й стадии, затем они усиливаются, видоизменяются, становятся отчетливыми. 2-я и особенно 3-я стадии болезни характеризуются яркими нарушениями высших мозговых функций, что резко снижает качество жизни и социальную адаптацию больных.
Независимо от того, в какой стадии обнаруживаются признаки хронической ишемии головного мозга, важно как можно быстрее обратиться к врачу, так как на ранней стадии заболевания изменения ещё обратимы, а на более поздних возможно приостановить прогрессирование болезни и улучшить качество жизни и социальной адаптации.
Диагностика хронической ишемии головного мозга
С подозрениями на хроническую ишемию головного мозга и любые другие нарушения мозгового кровообращения необходимо обратиться к неврологу. В клинике неврологии «Аксимед» опытный специалист во время консультации изучит жалобы больного, уточнит его личный и семейный анамнез, проведёт физикальное обследование и неврологические тесты.
Обязательные обследования, которые назначит врач, следующие:
-
лабораторные исследования крови
-
консультация офтальмолога
-
МРТ головного мозга
-
допплерография сосудов головы и шеи
-
электроэнцефалограмма
-
консультация терапевта
-
рентгенография шейного отдела позвоночника
-
и другие исследования по показаниям
Лечение хронической ишемии головного мозга
В зависимости от стадии заболевания, его причин и состояния больного может быть выбрана различная тактика лечения.
В первую очередь лечебные мероприятия будут направлены на устранение причин ишемии. Для этих целей применяют лекарственные препараты (снижающие артериальное давление, уменьшающие уровень холестерина и вязкость крови, снижающие повышенный уровень глюкозы крови, нейрометаболики, венотоники, улучшающие когнитивные функции и другие. В комплексе лечебных мероприятий успешно используют физиотерапию, лечебные массажи. По показаниям проводят оперативное вмешательство — при наличии опухолей, аневризмах сосудов, тяжёлых сердечных пороках.
При лечении ишемии головного мозга 2 и 3 степени больному необходимы реабилитационные мероприятия, которые замедлят развитие болезни, будут способствовать нивелированию симптоматики, социальной адаптации и улучшению качества жизни. В центре реабилитации «Аксимед» для пациента будет разработана индивидуальная программа восстановления, учитывая текущее состояние больного, степень поражения головного мозга и прогнозы невролога.
Неврологи клиники “Аксимед” напоминают, при своевременном начале лечения хронической ишемии головного мозга прогнозы позитивные, однако, заболевание склонно к прогрессированию и осложнениям, поэтому при наличии данного диагноза необходимо регулярно проходить диспансерное обследование и соблюдать предписания врача относительно лекарственных препаратов, диеты и здорового образа жизни.
aksimed.ua
Массаж при ишемии головного мозга у взрослых
Восстановление после инсульта
Многие годы безуспешно боретесь с ГИПЕРТОНИЕЙ?
Глава Института: «Вы будете поражены, насколько просто можно вылечить гипертонию принимая каждый день…
Читать далее »
Восстановление после инсульта, длительность периода реабилитации, полнота и скорость напрямую зависят от величины и локализации пораженного участка головного мозга. У одних пациентов движения, речь, глотательные рефлексы и зрение восстанавливаются в первые месяцы после болезни, у других реабилитация занимает годы, а у некоторых процесс восстановления практически не продвигается. Очень многое зависит от самого больного, стремления его вернуться к полноценной жизни и, конечно, от близких и родственников пациента. Они должны активно помогать ему в этом. Как восстановиться после инсульта об этом пойдет речь в данной статье.
Когда начинать заниматься восстановлением функций?
Восстановлением утраченных функций следует заниматься сразу, как только больному станет немного лучше и его состояние позволит делать даже малейшие движения в парализованных конечностях. Если процесс запустить или отодвинуть на потом, восстановление будет продвигаться намного труднее.
НАШИ ЧИТАТЕЛИ РЕКОМЕНДУЮТ!
Для лечения гипертонии наши читатели успешно используют ReCardio. Видя, такую популярность этого средства мы решили предложить его и вашему вниманию.
Подробнее здесь…
В то время, когда больной еще не в состоянии самостоятельно шевелить даже пальцами, его близкие могут делать массаж или пригласить для этого специалиста, а также делать с пациентом пассивную гимнастику. Она заключается в принудительном сгибании и разгибании парализованных конечностей.
Нередко больные после инсульта не желают заниматься зарядкой и противятся каким-то манипуляциям, которые проводят медики или родственники. Такие пациенты находятся в подавленном депрессивном состоянии и лежат сутками без движений. С ними работать трудно. Но нужно понимать, что такое состояние может быть результатом повреждения определенных участков головного мозга. Для таких больных нужен тактичный подход и правильная стимуляция, направленная на преодоление последствий болезни.
Что происходит в процессе восстановления?
Пассивные движения (гимнастика) способствует поступлению двигательных импульсов. Таким образом, процесс подачи сигнала будет налаживаться в обратном направлении от мышц до головного мозга. Сама цепочка «головной мозг – движение в конечности» не разорвется, а начнет восстанавливаться. И что еще немаловажно, мышцы в пострадавшей конечности не атрофируются.
В головном мозге количество нейронов во много раз превышает число тех, которые задействованы в выполнении тех или иных функций. После инсульта происходит налаживание связей между ранее бездействовавшими клетками и в процесс вместо погибших клеток включаются резервные.
Реабилитация после ишемического импульса
Во время ишемического инсульта (или как его еще называют, инфаркта головного мозга) происходит массовая гибель клеток (нейронов) из-за некроза того участка ЦНС. В результате страдают функции за которые отвечал данный отдел.
Небольшие участки поражения мозга, как правило, имеют благоприятный прогноз и поддаются восстановлению. Восстановление после ишемического инсульта обычно протекает достаточно быстро и эффективно. Чего нельзя сказать о геморрагическом поражении.
Реабилитация после геморрагического инсульта
Летальный исход после геморрагического инсульта, к сожалению, не редкость. По разным статистическим данным, смертность в первые месяцы после такого поражения мозга, составляет от 30 до 82% случаев. Это происходит из-за гибели значительного количества нейронов в результате кровоизлияния. Оставшаяся нервная ткань страдает от отека мозга и взаимосвязь между уцелевшими нейронами разрывается. В результате даже годы регулярных занятий не могут привести к желаемому результату. Восстановление после геморрагического инсульта продвигается очень медленно и часто пациент остается инвалидом на всю жизнь.
Восстановление двигательных функций
Нарушение двигательных функций является наиболее распространенной проблемой после такого заболевания, как инсульт. Восстановление движений в руке занимает обычно больше времени, т.к. необходимо привести в порядок мелкую моторику и способность к письму. Эти нарушения проявляются в виде частичного обездвиживания конечности (парез) или полного (паралич). Для этого используют различные методы:
- электростимуляция;
- ЛФК;
- методика обратной связи.
ЛФК – это наиболее распространенный и доступный способ для восстановления движений в конечностях после инсульта. Сначала инструктор ЛФК или родственники выполняют вместе с пациентом пассивную гимнастику. Далее, при помощи небольшого мячика начинают разрабатывать движения пальцами.
При хорошем восстановительном потенциале больные начинают садиться и даже вставать и передвигаться по палате уже на второй неделе после развившегося инсульта. Для опоры можно использовать спинку кровати или стула. Дома для таких больных хорошо бы оборудовать специальными поручнями душ и туалет. Для облегчения передвижений по дому используют специальные ходунки.
Восстановление после инсульта левой стороны происходит тяжелее, т.к. основные движения обычно люди (правши) выполняются правой рукой. Для того чтобы процесс восстановления продвигался быстрее можно на несколько часов в день правую руку зафиксировать, тогда больной вынужден будет все манипуляции проделывать левой рукой.
Восстановление после инсульта правой стороны происходит легче. Но в этом случае часто бывает нарушена речь. Речевой центр находится в левом полушарии головного мозга, именно там находится очаг поражения при обездвиживании правой стороны.
Приведем примеры некоторых упражнений для восстановления после инсульта:
- Разминание каждого пальчика руки в течение 15-20 секунд здоровой рукой.
- В положении сидя положить кисти рук на коленки ладонями вниз и по очереди поднимать каждый палец. Если в парализованной руке такие движения не получаются, все равно стараться их проделывать и мысленно продумывать (вспоминать) как это делается. Со временем все получиться. Если больной не может еще сидеть, то делать такие движения пальцами лежа. В этом случае ладони лежат на груди или животе.
- Исходное положение тоже. Теперь прокрутить каждым пальчиком сначала в одну сторону, затем в другую. Можно одновременно здоровой и больной рукой. Это упражнение может не особо хорошо получаться у некоторых даже здоровой рукой, но именно оно улучшает работу мозга и способствует восстановлению нейронов.
- Как можно сильнее растопырить все пальцы одновременно на обеих руках, затем сильно сжать их в кулак.
- Сложить пальцы обеих рук в замок. Поочередно поднимать одноименные пальцы – от большого до мизинца, затем в обратном порядке.
- Лежа потянуть пальцы ног на себя, потом от себя.
- Полезно складывать кубик Рубика. Это очень эффективно помогает восстановить работу головного мозга.
Электростимуляция тонизирует нерабочие мышцы, улучшая их трофику и повышая сократимость. Особенно это актуально для больных, восстановительный период которых занимает продолжительное время или для лежачих.
Восстановление зрения
Восстановлением зрения после инсульта занимается офтальмолог. В методиках могут быть использованы медикаментозная терапия, специальные упражнения и даже хирургическая операция.
Восстановление речи
Восстановление речи после инсульта – это важный этап для социальной адаптации больного. На этом этапе поможет логопед. В арсенале такого специалиста существует множество методик для восстановления речевой функции. Речь может быть нарушена в результате поражения речевого центра, который у правшей находится в левом полушарии головного мозга. Или невозможность разговаривать пациент испытывает из-за поражения лицевых мышц.
Важная роль здесь ложиться на родственников больного. Даже если пациент ничего не может произнести не стоит его лишать общения. Со временем он сможет произносить отдельные слоги и фразы.
Упражнения для восстановления речи нужно начинать как можно раньше. Эти же упражнения способствуют и восстановлению памяти.
Восстановление памяти
В процессе восстановления памяти после инсульта поможет разгадывание кроссвордов и тот же кубик Рубика. Можно вместе с больными разучивать детские стихи. Это тоже стимулирует работу мозга. Родственники в разговоре с больным могут попросить вспомнить его какие-то события из его жизни или попросить рассказать как прошел день.
Народные средства
Народные средства после инсульта помогут процессу реабилитации. Так, например, если давление не удается стабилизировать, можно употреблять кунжутные семена, смешанные в равных пропорциях с медом. Одна столовая ложка такого средства, съеденные за завтраком, обедом и ужином способствует нормализации кровяного давления.
Стимулировать процесс восстановления поможет хвойный напиток. Для его приготовления одну литровую банку хвои сосновой или еловой заливают тремя литрами кипятка и дают закипеть. После чего добавляют листья черной смородины и переливают в термос. Настаивают ночь. Затем напиток процеживают и пьют в течение дня с медом.
Жизнь после инсульта
Жизнь после инсульта продолжается. Как быстро пройдет процесс реабилитации во многом зависит от самого пациента и его родственников. Полное восстановление после инсульта возможно. Нередко, перенесшие такое заболевание, возвращаются к полноценной жизни. Приступать к методикам по восстановлению нужно как можно раньше тогда процесс реабилитации будет протекать быстрее и эффективнее.
Видео про восстановление после инсульта:
Оказание неотложной помощи при неожиданной остановке сердца
Остановка сердца — одна из самых частых причин смерти. Важно, чтобы рядом был человек, умеющий осуществить оказание неотложной помощи при остановке сердца и дыхания. Главными причинами патологии могут быть аритмия, стенокардия, инфаркт на фоне эмоционального возбуждения или непосильных физических нагрузок. Остановка сердца также бывает при большой кровопотере, травмах, нарушениях со стороны дыхательной системы и шоке.
Методы реанимации
Своевременно проведенная реанимация может способствовать быстрому восстановлению жизненно важных функций организма и приведению человека в сознание. Если же реанимационные мероприятия начаты поздно, то восстановление работы головного мозга не случится и наступит его смерть. Наиболее важным условием возвращения организма к жизни является скорейшее обнаружение неполадок в кровообращении и вывод организма из так называемой клинической смерти.
Первые симптомы, по которым можно распознать остановку сердца, следующие:
- Отсутствует пульс в районе сонной артерии.
- Зрачки не реагируют на свет.
- Полная остановка дыхания.
- Синий или землистый цвет кожного покрова.
Искусственное дыхание
Успешное восстановление функций сердца и дыхания зависит от своевременного обнаружения прекращения кровообращения, а также от того, в какой последовательности будет оказана первая помощь при остановке сердца. В первую очередь необходимо освободить дыхательные пути, удалив инородные тела, далее сделать искусственное дыхание. После этого попытаться завести сердце непрямым массажем.
Для того чтобы сделать непрямой массаж сердца, требуется незамедлительно откинуть голову пострадавшего назад, открыть рот и осмотреть.
При необходимости очистить рот, тем самым обеспечив доступ воздуха к легким. После этого сделать 4-5 быстрых вдуваний кислорода в легкие и ребром ладони резко ударить по грудной клетке в районе сердца. Если на протяжении 5 секунд пульс не пришел в норму, нужно срочно сделать наружный массаж сердца, чередуя его с искусственным дыханием.
Непрямой массаж сердца
При выполнении непрямого массажа сердца больного осторожно кладут на твердое ровное место. Спасатель занимает положение сбоку, находит конец грудины и на промежутке двух расположенных поперечно пальцев по направлению вверх к средней линии прижимает свою ладонь. Вторую ладонь необходимо положить на первую крестообразно.
Выпрямив руки, выполняет сильное и резкое надавливание на грудную клетку в сторону позвоночника, после короткой паузы ослабляет давление, не отводя рук от грудной клетки.
Такие движения надо повторять не меньше 60 раз в минуту, так как меньшая интенсивность не сможет обеспечить сердцу необходимого кровообращения. Сжимание грудной клетки нужно выполнять энергично, чтобы создать пульсацию внутри артерии. При выполнении непрямого массажа у взрослых нужно использовать руки и общий вес своего тела. Детям от 5 лет непрямой массаж сердца делают, используя одну руку, грудничкам и недавно родившимся двумя пальцами. Интенсивность надавливания должна быть в пределах 100-110 нажимов в минуту.
О результатах предоставленной экстренной помощи можно судить, если изменился цвет кожи на лице, шее и появилась пульсация на аорте, появилась реакция зрачков. Прекращать непрямой массаж нужно на несколько минут только для того, чтобы удостовериться, что работа сердца восстанавливается.
Практические показатели доказывают, что правильная первая медицинская помощь при остановке сердца быстрее восстанавливает кровообращение в жизненно важных органах. Но эффективность данного вида массажа есть только при использовании искусственного дыхания.
При выполнении наружного массажа сердца важно правильно выбрать место расположения ладони на грудной клетке. Смещение надавливания вверх может закончиться переломом грудной клетки, вниз — привести к разрыву желудка, вниз и слегка вправо — повредить печени, вниз и влево — травмировать селезенку, смещение влево или вправо от грудины закончится переломом ребер.
При оказании помощи двумя людьми проведение массажа сердца и искусственного дыхания должно происходить синхронно, чтобы попадание воздуха в легкие производилось в тот момент, когда грудная клетка расслаблена. Выполняя наружный массаж сердца, нужно следить за общей динамикой признаков жизни. Внимание нужно сосредоточить на пульсации сонной артерии и изменении зрачков больного.
Если массаж сердца произведен вовремя и успешно, у пострадавшего будет гораздо меньше неприятных последствий после остановки сердца.
Основные симптомы ишемии головного мозга
И если при первой — быстрое и эффективное лечение новорожденных без последствий, то со второй и третью степенью — тяжелые последствия для умственного и физического развития ребенка вероятны в большинстве своем. Обязательна помощь и консультация опытного врача в любой из этих ситуации.
Симптомы ишемии головного мозга
Не зависимо от того, какими внутренними или внешними факторами вызвана болезнь, важно своевременное определение симптомов. Многие не обращают внимание на яркие признаки заболевания, списывая на усталость и занятость.
Заметное ухудшение деятельности всего организма — первые и главные симптомы ишемии головного мозга:
НАШИ ЧИТАТЕЛИ РЕКОМЕНДУЮТ!
Для лечения гипертонии наши читатели успешно используют ReCardio. Видя, такую популярность этого средства мы решили предложить его и вашему вниманию.
Подробнее здесь…
- при активной мыслительной деятельности — быстрая утомляемость;
- внезапное и значительное ухудшение памяти и как следствие — забывчивость;
- разнообразные боли головы;
- резкие перепады давления крови;
- сильные головокружения, вплоть до обмороков;
- тошнота, рвота;
- расстройство чувствительности;
- беспричинная раздражительность и нервная перевозбудимость;
- нарушения речевых и зрительных функций;
- нарушение глубокого и спокойного сна;
- общая слабость.
При хронической ишемии головного мозга у человека движения бывают заторможенными и нечеткими, заметное изменение в худшую сторону функции памяти. Такие люди имеют обычно поверхностное и частое дыхание.
Лечение ишемии головного мозга
Современные методы и препараты уже являются достаточно эффективными для излечения заболевания, особенно при скорейшем обращении за врачебной помощью. Два ведущих способа избавления предлагается медиками на нынешнем этапе: медикаментозное лечение и хирургическое вмешательство. В первом случае прописываются стимулирующие кровоток и укрепляющие стенки кровеносных сосудов препараты.
К хирургическим методам излечения от ишемии мозга относят — оперативное вмешательство с целью удаления тромба или атеросклеротической бляшки из закупоренного просвета мозговой артерии. Как следствие — восстанавливается снабжение головного мозга кислородом, кровью и питательными веществами. Аналогичные операции в большей части случаев проводятся под местным наркозом. Результат вмешательства, как правило, положительный. Больному буквально сразу же становится легче. А затем следует реабилитационный период: полное или частичное восстановление утраченных функций организма.
Факторы предупреждающие ишемическую болезнь мозга
Профилактику ишемии мозга следует начинать с раннего возраста.
Ведь это не просто враг здоровья, а с частым летальным исходом болезнь. И простые, и такие знакомые с детства постулаты помогут избежать страшного диагноза — ишемия сосудов головного мозга:
- длительное нахождение на свежем воздухе;
- постоянные физические нагрузки;
- только полезные продукты;
- жизнь без вредных привычек;
- позитивный жизненный настрой.
Вроде все элементарно: не кури и не употребляй спиртного, не переживай по мелочам, контролируй потребляемую пищу, гуляй и занимайся спортом. В общем, живи и радуйся. И места любой болезни в твоей жизни не будет.
miokard.lechenie-gipertoniya.ru
Ишемия сосудов головного мозга
Заболевания сосудов в последние несколько лет приобрели масштабы эпидемии, поскольку диагностируются практически у каждого третьего человека после 40 лет. Среди таких болезней, стоить отметить такую патологию как ишемия сосудов головного мозга, которая может поражать не только взрослых, но и диагностироваться у детей, в том числе новорожденных. В детской неврологии ишемия головного мозга у новорожденного считается одной из наиболее серьезных патологий, поскольку до сегодняшнего дня не существует эффективной лечебной терапии, которая бы могла гарантировать 100% выздоровление. У взрослых, ишемия сосудов головного мозга встречается довольно часто, особенно у тех, в анамнезе которых присутствуют патологии эндокринной и сердечно — сосудистой системы.
Что такое ишемия сосудов головного мозга
Ишемия сосудов головного мозга – патологическое состояние, развивающееся в результате нарушения мозгового кровообращения, что влечет за собой кислородное голодание клеток мозга. В основе эпидемиологии болезни лежит сужение просвета мозговых сосудов или их полная закупорка холестериновыми бляшкам, с последующим образованием тромбов. В медицине такую патологию можно встретить под термином — цереброваскулярная недостаточность, при которой сосуды неспособны в полной мере обеспечивать организм кислородом, что и вызывает развитие болезни и выраженную симптоматику. В некоторых случаях, при отсутствии своевременного и правильного лечения, ишемический инсульт головного мозга может привести к фатальным последствиям, так как при кислородном голодании клетки мозга гибнут и не восстанавливаться, а это значит, что в любой момент может развиться инсульт, паралич и другие нарушения в работе мозга.
Если ишемия головного мозга диагностируется у новорожденного, большая вероятность того, что ребенок будет физически и умственно недоразвит, но если нарушения в сосудах незначительные, а сама болезнь диагностирована на начальных этапах, есть шанс помочь ребенку. Ишемия мозга может иметь острое или хроническое течение, но в любом из случаев, болезнь нужно лечить и не допускать ее прогрессирования.
Причины ишемии мозга у взрослых
Сужение просвета сосудов головного мозга могут вызывать несколько причин, но в основном болезнь развивается при регулярно повышенном артериальном давлении, когда происходит спазм сосудов. Также данное состояние способно проявиться при атеросклеротических изменениях, когда в просвете сосудов присутствуют холестериновые бляшки, появление которых ведет к образованию тромбов и закупорки сосудов. Появление тромбов в сосудах – достаточно опасное состояние, которое может привести к ишемическому инсульту головного мозга. Помимо основных причин болезни, существует несколько предрасполагающих факторов, способствующих привести к развитию ишемии:
- нарушение работы сердечной мышцы;
- болезни сердца;
- болезни эндокринной системы;
- болезнь Альцгеймера;
- системный васкулит.
Ишемия сосудов головного мозга у новорожденных
У детей, церебральная ишемия может иметь врожденное или приобретенное течение, также, как и у взрослых протекать в остром или хроническом виде. При нарушении транспорта кислорода в ткани головного мозга ребенка, происходят структурные изменения, которые могут иметь необратимые последствия. Патология может развиваться внутриутробно, в процессе родов или уже после рождения младенца. Основной причиной болезни у детей считаются:
- внутриутробные пороки в развитии плода;
- вредные привычки будущей матери;
- наследственность;
- родовые травмы;
- обвитие пуповины;
- аномалии плаценты.
Диагностируется церебральная ишемия у детей врачом неврологом или неонатологом.
Клинические признаки данного состояния у детей довольно заметные и могут проявляться излишней возбудимости ребенка или наоборот – заторможенностью, также такие дети часто страдают от судорогов. Несмотря на сложность болезни, ранние стадии болезни подаются лечению, но такие дети требуют периодического наблюдения у врача невропатолога. При 3-й степени болезни, эффективных методик для лечения пока не существует.
Как проявляется болезнь
В неврологии ишемию головного мозга разделяют на острую и хроническую форму. Острая, проявляется на фоне резкого кислородного голодания тканей мозга, а хроническая – развивается в результате медленного нарушения кровоснабжения. Хроническая ишемия мозга всегда диагностируется после острой формы болезни, когда лечебная терапия отсутствовала или проводилась неправильно.
Ишемия головного мозга – симптомы напрямую зависят от стадии болезни, поскольку каждая новая стадия, имеет характерные признаки. Прежде чем рассмотреть каждую стадию болезни отдельно, рассмотрим основные признаки ишемии мозга, которые могут стать первым звоночком для того, чтоб обратиться к специалистам:
- повышенная слабость;
- хроническая усталость;
- головокружение;
- частые и сильные головные боли;
- обмороки;
- резкие перепады давления;
- нарушение речи;
- тремор рук или ног;
- тахикардия;
- повышенная возбудимость.
На начальных этапах развития ишемии, некоторые из вышеперечисленных симптомов могут отсутствовать, но в любом случаи, не стоить ждать пока болезнь зайдет слишком далеко. Чем раньше человек обратиться к специалистам, тем больше шансов на успешное выздоровление.
Стадии ишемии головного мозга
В неврологии ишемию головного мозга разделяют на 3 стадии, каждая из которых имеет характерные симптомы и сопровождается патологическими изменениями в сосудах головного мозга:
1 стадия. На данном этапе ишемии состояние человека удовлетворительное. Изредка появляется озноб, головокружение, заметны изменения в походке. Ишемия 1 степени часто вызывает панические атаки, может спровоцировать развитие депрессии или беспричинную раздражительность. Если наблюдать за таким человеком, можно заметить его рассеянность и забывчивость. Таким большим сложно сосредоточиться или сконцентрировать внимание на чем – то одном.
2 стадия. Болезнь на 2 стадии активно прогрессирует, симптомы более выраженные. Человек страдает от головных болей, частого головокружения, тошноты. Значительно заметны изменения в поведении. Хроническая ишемия мозга 2 степени сопровождается провалами в памяти, меняется речь и походка, снижается самооценка, исчезает интерес к жизни. Нередко такие больные испытывают постоянную тревогу, им сложно планировать и контролировать свои действия.
3 стадия. К развитию 3-й стадии болезни ведет полное отсутствие лечебной терапии или неправильное лечение. На данном этапе болезни происходит поражение всех неврологических функций, проявляется синдром Паркинсона, полностью нарушается мышление и двигательная активность верхних и нижних конечностей. Больные теряют ориентацию в пространстве, неспособны оценивать ситуацию. Также данный недуг приводит к нарушению или полной потери речи, памяти, отмечаются расстройства психики, появляться галлюцинации. Третья степень ишемии мозга сложно подается лечению и вернуть человека к полноценной жизни практически невозможно.
Методы диагностики ишемии мозга
Диагностика включает сбор анамнеза больного, также врач изучает историю болезни пациента, назначает ряд обследований, среди которых:
- кардиография;
- лабораторные анализы;
- физикальное обследование;
- УЗИ сосудов;
- МРТ или КТ;
- доплеровская томография.
Результаты обследований позволят врачу получить более четкую картину болезни, выявить стадию, определить патологические изменения в просвете сосудов головного мозга.
Лечение ишемии сосудов головного мозга
Основным в лечении ишемии сосудов головного мозга считается восстановление кровообращения в сосудах, нормализация артериального давления. Проводить лечение можно как консервативным, так и хирургическим способом. При легкой и средней стадии ишемии, врач назначает ряд лекарственных препаратов, среди которых:
- Ангиопротекторные лекарства – улучшают мозговое кровообращение: Билобил, Нимодипин;
- Ноотропные препараты — стимулируют деятельность мозга, улучшают память, нормализуют кровообращение: Цереброзин, Ноотропил, Пирацетам;
- Антиагреганты – не допускают тромбообразования в кровеносном русле: Дипиридамол, Аспирин 325.
Помимо приема лекарственных препаратов, больным назначается лечебная физкультура, физиопроцедуры (электрофарез, магнитофарез). В случаях, когда лечение медикаментами не приносит нужного результата или болезнь диагностирована слишком поздно, больным назначается операция, в ходе которой в сосуде, где произошла закупорка, удаляется тромб. Таким образом удается восстановить снабжение мозга кислородом и кровью. Если у больного диагностируется ишемический инсульт головного мозга – прогноз предугадать сложно, поскольку при развитии данного состояния часть клеток головного мозга отмирает и не подаются восстановлению.
Профилактика
В основе профилактики болезни лежат достаточно простые правила:
- Больше времени проводить на свежем воздухе.
- Активный и здоровый образ жизни.
- Правильное и сбалансированное питание.
- Отказ от приема алкоголя.
- Отказ от курения.
- Отсутствие стрессов, депрессий.
- Своевременное лечение сопутствующих заболеваний.
Соблюдая элементарные правила, можно не только снизить риск развития ишемии, но и уберечь себя от многих других заболеваний. Лечить данную патологию должен только квалифицированный врач в области неврологии. Самолечение или бесконтрольный прием лекарственных препаратов не только не даст положительных результатов, но и усугубит течение болезни, может привести к необратимым последствиям.
antirodinka.ru
описание и методы лечения острой и хронической форм патологии

Кровь выполняет важную функцию в организме, снабжая каждую клеточку кислородом и питательными веществами. В системе кровоснабжения могут возникать различные нарушения, при которых кровь недостаточно поступает в органы и питает их. Если это возникает в аорте, ведущей к шее и голове, то говорят об ишемии головного мозга. Ишемия в переводе с греческого языка в буквальном смысле означает задерживать кровь.
Клетки головного мозга более других нуждаются в бесперебойной работе кровеносной системы. Для их жизни и полноценного функционирования расходуется более пятой части кислорода и приблизительно семьдесят процентов глюкозы, поступающих в организм.
Недостаточное снабжение мозга кровью вызывает нарушение работы различных отделов этого важного органа, и даже массовое отмирание клеток.
Ишемия головного мозга относится к цереброваскулярным болезням и включена в МКБ 10, где всем вариантам сосудистых патологий присвоены свои коды.
Чтобы понять какие дисфункции возникают из-за недостаточного питания мозговых клеток, следует определить, за что отвечает мозг.
Одной из важнейших функций мозга является мышление. Вот почему при хроническом кислородном голодании нарушается умственная функция органа, вызывая снижение интеллекта.
Нарушения таких функций как обработка информации, поступающей из органов чувств, и координация движений тела возникает вследствие голодания соответствующих отделов мозга. Онемение конечностей, временная слепота и другие симптомы, при которых сенсорная информация обрабатывается неверно, характеризуют ишемию головного мозга.
Недостаточное кровоснабжение органа влияет на такие функции мозга, как контроль внимания, генерация речи, создание настроения, эмоционального фона и память, вызывая соответствующие нарушения и симптомы.
Ишемия головного мозга, в зависимости от проявления недуга, различается по формам: острая и хроническая. Последняя форма, в свою очередь, делится на три степени развития.
Острая форма возникает в результате резкого прекращения подачи кислорода в мозг. Протекает по типу ишемического инсульта.
Хроническая форма развивается постепенно, в результате снижения кровотока в мозг.
Ее развитие проходит по стадиям:
- Начальная характеризуется такими симптомами, как общая слабость, головокружение, бессонница.
- Компенсированная отличается нарушением социальной адаптации, снижением профессиональных навыков.
- Декомпенсированная заключается в потере дееспособности и невозможности себя обслуживать.
Чаще всего ишемия головного мозга, особенно хроническая форма недуга, возникает вследствие развития церебрального атеросклероза. Патология вызвана сужением просвета в кровеносных сосудах, в результате чего поток крови снижается. Аналогией такого процесса является засор в водопроводных трубах, когда на их стенках накапливается известковый налет, вода начинает течь тонкой струйкой. В венах роль налета играют жировые отложения, иначе — холестерин.
Факторы, провоцирующие развитие атеросклероза и ишемии мозга:
- сахарный диабет;
- возрастные изменения;
- частое употребление продуктов, содержащих холестерин: мяса, рыбы, животных жиров;
- нарушение липидного и углеводного обмена;
- малоподвижный образ жизни;
- повышенная свертываемость крови;
- курение;
- частые стрессы.
Ишемия головного мозга вызвана атеросклерозом сосудов, которые снабжают мозг. Отсюда и название церебральный, что в переводе с латинского языка означает мозг. Отложения в сосудах возникают в виде атероматозных бляшек. Эти образования, разрастаясь, деформируют стенки сосудов и приводят к сильному сужению просвета, вплоть до закупорки. Остановка кровоснабжения органа вызывает острую форму недуга, при которой возможно возникновение ишемического инсульта мозга.
Помимо церебрального атеросклероза, закупорка сосудов мозга может произойти из-за тромба. Он образуется непосредственно в мозге или является «путешествующим», который по-научному называют эмболом. Сгусток крови или холестериновая бляшка, передвигающиеся по сосудам, достигают узкого просвета в артерии и застревают там, перекрывая поток крови.
Другие причины развития ишемии головного мозга:
- отравление угарными газами;
- ишемия почек;
- патология вен и сосудов;
- болезни крови;
- заболевания сердца, в результате которых нарушается гемодинамика, например тахикардия, брадикардия;
- гипертония;
- кессонная болезнь.
Чем опасна ишемия головного мозга
Опасность ишемии мозга заключается в гипоксии органа, ведущей к отмиранию клеток. Патология может вызвать серьезные ограничения жизнедеятельности человека и даже привести к летальному исходу. На фоне кислородного голодания развиваются инфаркт мозга, снижение умственной деятельности, эпилепсия, слепота и другие серьезные дисфункции.
В результате патологии возникает органическое повреждение головного мозга (энцефалопатия). Вследствие разрушения нейронов могут возникнуть паралич той части тела, которая противоположна очагу поражения.
Парестезия так же характеризуется зеркальностью. Например, пациент с пораженным левым полушарием имеет ясное сознание, но его речь нарушена, либо он совсем не может говорить.
Для новорожденных ишемия головного мозга опасна умственной отсталостью. Ребенку будет трудно общаться и учиться.
В отличие от острой формы, при которой те или иные недуги проявляются сразу, хроническая форма болезни приводит к медленному развитию патологических состояний. Несвоевременная диагностика патологии опасна тем, что болезнь труднее поддается лечению.
Ишемическая болезнь мозга: симптомы острой формы недуга
Ишемия сосудов головного мозга проявляется разными симптомами, от легкого головокружения до потери сознания. Симптоматика заболевания определяется формой и степенью развития недуга. На том, как проявляется ишемия сосудов головного мозга в острой форме, остановимся подробнее.
Острая форма ишемии развивается мгновенно, в результате острого нарушения кровоснабжения органа. К ней относят транзиторную ишемическую атаку (ТИА) и ишемический инсульт. Причиной острой ишемии сосудов головного мозга становится запущенная форма недуга или закупорка сосуда эмболом. Тромб опасен тем, что помимо развития основной патологии может стать причиной воспалительных процессов.
Транзиторная ишемия мозга возникает вследствие микроскопического (мелкоочагового) повреждения клеток того или иного участка головного мозга, поэтому иногда ее называют микроинсультом. При ТИА кровоснабжение органа приостанавливается лишь на 1-2 минуты, чего недостаточно для гибели нейронов. Симптомы ишемической болезни мозга в острой форме чаще характеризуются как неврологические. Общемозговые симптомы проявляются реже и обычно проходят без последствий в течение суток.
Симптомы ишемической атаки:
- онемение, побеление конечностей;
- пульсация в голове;
- покраснение лица;
- расстройство речи;
- нарушение зрения;
- слабость в руках и ногах;
- нарушение координации;
- потеря сознания;
- боль в проекции сердца;
- паралич участка или половины тела.
Симптомы обычно варьируются. Одни из них проявляются, а другие нет. Это зависит от того, какой участок мозга был поврежден. ТИА, симптоматика которой хоть и проявляется ярко, является обратимой. Сам приступ обычно длится несколько минут и после восстановления кровотока, нейроны возобновляют свою деятельность, а симптомы прекращаются. Все функции после проявления острой ишемии сосудов головного мозга восстанавливаются самостоятельно в течение недели.
Если по истечению 24 часов симптомы ишемической болезни мозга не прошли, а, наоборот, нарастают, то это говорит о том, что повреждения мозга более значительны. В этом случае врач диагностирует ишемический инсульт.
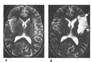
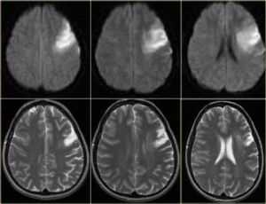
Для ишемического инсульта характерно длительное острое нарушение кровоснабжения участка мозга. Это приводит к некрозу мозговой ткани и необратимым последствиям. Отсутствие кислорода более шести минут ведет к гибели нейронов, которые не восстанавливаются. Вследствие этого процесса, возникает неврологический дефицит, который сопровождают различные дисфункции.
Важно помнить о том, что острая форма недуга нуждается в диагностике и наблюдении врача. Ишемическая болезнь мозга, симптомы которой выражаются в потере сознания, чувствительности на любом участке тела, нарушении речи и зрения, параличе лица или тела, проблемах с дыханием и резком скачке вверх артериального давления могут быть причиной ишемического инсульта. При проявлении одного из них необходима экстренная медицинская помощь. Любое промедление может стоить человеку жизни.
Хроническая ишемия головного мозга: стадии развития и методы диагностики
В отличие от строй формы, хроническая ишемия мозга развивается медленно. Разделяют три темпа прогрессирования болезни: менее двух лет, до пяти лет и 6 лет и более. Эти временные промежутки соответствует стадиям болезни. Для успешного лечения важно вовремя диагностировать болезнь. На первой, компенсированной стадии, она является обратимой. На второй и третьей стадиях изменения плохо поддаются лечению, а в некоторых случаях терапия оказывается бессильна. Поэтому важно понимать, что такое хроническая ишемия головного мозга, и как она проявляется.
Стадии хронической формы ишемии мозга и особенности проявления недуга:
- Компенсированная. Симптомы проявляются непостоянно и отличаются слабой выраженностью. У человека быстро меняется настроение, возникает депрессия, его беспокоит бессонница, головокружения, он быстро утомляется, испытывает общую слабость. На этой стадии проявляются мигрени, шум в ушах, рефлексы орального автоматизма, меняется походка (шарканье). Расстройство когнитивных функций выражается в снижении любознательности, внимания, памяти и заторможенности мышления.
- Субкомпенсированная. На этой стадии хронической ишемии мозга симптомы продолжают прогрессировать. Помимо них появляются более тяжелые дисфункции: потеря интереса к внешнему миру, социуму, расстройства личности, нарушение координации, экстрапирамидные расстройства. У новорожденных малышей субкомпенсированная стадия характеризуется внутричерепной гипертензией. На этом этапе развития недуга возможность самообслуживания сохраняется, но больной страдает серьезными психическими расстройствами.
- Декомпенсированная. Хроническая ишемия головного мозга последней стадии возникает, когда все возможности органа уже исчерпаны. Больной не способен самостоятельно передвигаться, развивается слабоумие, возникает неадекватное поведение, нарушается процесс глотания. У человека часто случаются обмороки, непроизвольное мочеиспускание, в головном мозге происходят множественные инфаркты.
При декомпенсированной стадии развивается паркинсонизм, характеризующийся тремором рук, эпилептическими припадками, неспособностью удержать равновесие, замедленностью движения.
Диагностика хронической ишемии мозга
Диагностировать хроническую ишемию головного мозга непросто. Проявления этой болезни схожи с другими патологиями: болезнью Паркинсона, атаксией, супратенториальной опухолью головного мозга, мультисистемной атрофией и другими. Легче всего заподозрить патологию, если присутствуют такие заболевания, как стенокардия, ишемия почек, инфаркт миокарда, диабет.
Диагностика ишемической болезни мозга начинается со сбора анамнеза: опроса и осмотра пациента. При осмотре пациента врач обращает внимание на мышечный тонус, ясность сознания, симметрию лица, чувствительность участков тела, четкость речи, реакцию зрачков на свет и т.д.
При подозрении на патологию, невропатолог назначает лабораторные, инструментальные и физиакальные исследования.
Лабораторные исследования включают в себя анализы крови и мочи. При этом особенное внимание уделяется таким показателям, как уровень сахара и холестерина.
Инструментальные исследования хронической ишемии головного мозга включают в себя следующие методы:
- ультразвуковая допплерография УЗДГ;
- энцефалография;
- ультразвуковая томография;
- электроэнцефалография;
- ангиография МР;
- флюорография;
- электрокардиограмма.
Какие исследования проводить решает врач. По итогам обследования, доктор может направить пациента к другим специалистам. Физиакальные исследования заключаются в измерении пульсации в кровеносных сосудах конечностей и головы.
Как лечить хроническую ишемию головного мозга
Хроническая ишемия головного мозга лечится преимущественно консервативными методами. Цель лечения — устранение проблем с кровоснабжением мозга. Для этого используют медикаменты, состоящие из трех групп, которые в совокупности работают по принципу: сосуды-нейроны-метаболизм.
Группы медикаментов:
- Сосуды защищают сосудорасширяющие лекарственные средства, антикоагулянты и препараты, разжижающие кровь.
- С целью защиты нейронов назначают нейропротекторы или церебропротекторы.
- Корректируют липидный обмен гиполипидемическими препаратами.
Если у пациента наблюдается повышенное артериальное давление, то в программу терапии включаются гипотензивные средства. То же относится и к другим патологиям, способствующим развитию церебрального атеросклероза. Кроме медикаментозной терапии возможно лечение стволовыми клетками и хирургическое вмешательство.
Как лечить ишемию головного мозга у пожилых: методы терапии, хирургическое вмешательство и народные средства
Лечение ишемии сосудов головного мозга должен назначать врач после обследования. От того, какая стадия развития патологии наблюдается, зависит, как лечить болезнь. У пожилых лечение ишемии головного мозга обычно начинается, когда недуг развивается до второй или третьей стадии. Это связано с тем, что при старении организма общее самочувствие человека ухудшается, и первые признаки патологии остаются незамеченными.
Медикаменты. Лечение медикаментами разных возрастных групп практически не отличается. Однако у пожилых людей ишемия головного мозга часто сопровождается другими патологиями, поэтому лечение должно быть направлено на причину, вызывающую нарушение кровоснабжения органа: заболевания сердца, гипертензию, артериит, гипотензию и другие болезни.
Невропатологи часто назначают препараты комплексного действия: Оксибрал или Кавинтон форте. Такие медикаменты эффективно воздействуют на разные проявления ишемии головного мозга.
Физиотерапия. Для восстановления двигательной активности назначаются массаж, лечебная физкультура, электрофорез и другие физиотерапевтические процедуры.
Хирургическое вмешательство. На форумах в сети интернет люди часто интересуются вопросом о том, как лечить ишемию головного мозга у пожилых, если лекарства не помогают. Действительно, если у молодого человека лечение дает хорошие результаты, то с возрастом прогноз менее благоприятен. В некоторых случаях пациентам делают хирургическую операцию. Такое решение принимается лишь тогда, когда все терапевтические методы использованы, а ситуация не улучшается или пациенту грозит ишемический инсульт, который может закончиться фатально.
Суть операции сводится к освобождению мозговых артерий от бляшек или тромбов. Хирургическое вмешательство на мозге чрезвычайно ответственно, так как это может привести к необратимым последствиям, поэтому к такому методу прибегают крайне редко.
Стволовые клетки. Для лечения ишемии головного мозга используют стволовые клетки. С помощью этого биоматериала запускается механизм естественной регенерации тканей. Новые клетки, попадая в кровоток, доставляются к пораженным участкам мозга и начинают размножаться, заполняя собой поврежденную ткань.
Стволовые клетки вводятся внутривенно. Процедура длиться около часа.
Народные методы. Использование рецептов народной медицины при лечении ишемии головного мозга оправданы лишь в случае, когда их используют совместно с терапией, назначенной врачом. Категорически нельзя лечиться исключительно народными средствами, так как это может закончиться смертельным исходом.
В лечении ишемии сосудов мозга используют средства, разжижающие кровь, снижающие артериальное давление и улучшающие обмен веществ. В популярных рецептах встречаются такие растения, как чеснок, укроп, листья грецких орехов.
Профилактика. Одним из важнейших профилактических мероприятий ишемии головного мозга считается организация правильного питания. Существует множество диет, призванных уменьшить влияние холестерина на сосуды.
Суть всех диет сводится к следующему:
- животные жиры потреблять как можно реже, выбирая постное мясо;
- восполнять в организме углеводы за счет сладких фруктов;
- уменьшить потребление соли;
- уменьшить количество пищи, принимаемой за один раз.
После сорока лет рекомендуется проходить ежегодные профилактические осмотры, которые помогут выявить болезнь на ранней стадии. Важно вовремя лечить заболевания, способствующие развитию ишемии головного мозга.
Если человек входит в группу риска, то рекомендуется проходить профилактическую терапию, например, лечение пиявками. Следует бросить курить и начать заниматься спортом или просто чаще гулять на свежем воздухе.
Ишемическое поражение головного мозга у новорожденных детей
У новорожденных так же можно встретить такое заболевание, как ишемия головного мозга. Она развивается во внутриутробном периоде по причине нарушения плацентарного кровообращения, которое приводит к гипоксии плода. В результате кислородного голодания у плода может произойти отмирание участка мозга.
Диагностируют заболевание, как правило, после рождения ребенка. Выделяют три стадии тяжести заболевания, как и у взрослых. К сожалению, у таких маленьких детей ишемическое поражение головного мозга третьей степени в лечении имеет неблагоприятный прогноз: ребенок либо погибает, либо становится инвалидом.
По каким признакам диагностируется патология:
- увеличена голова, расширен родничок — свойственны проявлению гидроцефального синдрома;
- нет координирующей функции, ребенок находится в бессознательном состоянии — относится к коматозному синдрому;
- тремор конечностей, вздрагивание, беспокойство во сне, частый плач — нервно-рефлекторная возбудимость;
- непроизвольные сокращения мышц всего тела — судорожный синдром;
- слабо выраженные рефлексы, перекос лица, косоглазие — выражены синдромом угнетения центральной нервной системы.
Своевременное диагностирование и лечение ишемического поражения головного мозга позволяет сохранить новорожденному не только жизнь, но и здоровье.
Автор: Татьяна Егороваmed88.ru
Препараты для лечения ишемии головного мозга: какие принимать?
DlyaSerdca → Заболевания сердца → Ишемия → Ишемия головного мозга и лекарственная терапия
Ишемия – это тяжелое хроническое заболевание сосудистой системы, причиной которого становится недостаточное снабжение клеток головного мозга кислородом.
Морфо-физиологические особенности
Ишемия связана с образованием холестериновых бляшек на стенках кровеносных сосудов.
Клетки головного мозга недостаточно снабжаются кислородом, развивается атеросклероз.
Факторы, способствующие развитию ишемии
- Сахарный диабет, атеросклероз;
- курение, возраст.
Клиника ишемии
При ишемической болезни головного мозга пациенты жалуются на головные боли, постоянные головокружения, ухудшение памяти, неустойчивое артериальное давление, тошноту, рвоту, снижение работоспособности, повышенную усталость.
к оглавлению ↑Принципы терапии заболевания
Назначаются антикоагуляционные препараты, сосудорасширяющие, адреноблокаторы, лекарственные формы для восстановления кровообращения, лечебная физкультура, массаж. При тяжелом течении болезни показано хирургическое вмешательство, удаление бляшек, тромбов.
к оглавлению ↑Антитромбоцитарные лекарственные средства
Препараты уменьшают вязкость крови, блокируют агрегацию (склеивание) тромбоцитов, препятствуют образованию тромбов в сосудах головного мозга.
Препараты содержат ацетилсалициловую кислоту. Лекарственные средства для лечения нарушения кровообращения мозга относятся к препаратам рецептурного отпуска.
Лекарственные средства для лечения ишемии головного мозга назначаются только врачом.
Название, форма выпуска | Применение | Противопоказания | ||
---|---|---|---|---|
дети | взрос- лые | бере- менные | ||
Клопидогрел (таблетки) | — | + | — | Повышенная чувствительность, беременность, лактация, поражения печени. |
Варфприн (таблетки) | — | + | — | Предрасположенность к кровотечениям. Цереброваскулярная геморрагия. Перикардит. Аневризма. Тяжелые поражения печени, почек. Злокачественная артериальная гипертензия. |
Дипиридамол (таблетки, раствор для инъекций) | — | + | +/-+/- (учет соотношения пользы и риска) | Гиперчувствительность, нестабильная стенокардия, острый инфаркт миокарда, артериальная гипотензия, тяжелая артериальная гипертензия, хроническая почечная недостаточность. |
Индобруфен (таблетки) | — | + | +/- +/- (учет соотношения пользы и риска) | Стенозирующий атеросклероз, декомпенсированная хроническая сердечная недостаточность, язвенная болезнь), хроническая почечная и печеночная недостаточность. |
Бета-адреноблокираторы
Уменьшают частоту сокращений миокарда, обеспечивают его снабжение кислородом, назначаются для лечения ишемии мозга.
Название, форма выпуска | Применение | Противопоказания | ||
---|---|---|---|---|
дети | взрос- лые | бере- менные | ||
Метапролол (таблетки) | — | + | +/- (учет соотношения пользы и риска) | AV, SA -блокада II-III степени, выраженная брадикардия; артериальная гипертензия, кормление ребенка грудью, депрессия, псориаз, астма, пожилой возраст. |
Карведилол (таблетки) | — | + | — | Сердечная недостаточность, артериальная гипотензия, бронхиальная астма, болезни легких, поражения печени. |
Бисопролол (таблетки) | — | + | — | Чувствительность к препарату, сердечная недостаточность, гипотензия, брадикардия, астма, болезни легких, поражения печени. |
Станины и фибраторы
Снижают уровень холестерина в крови. Входят в комплексную терапию для лечения ишемии головного мозга.
Название, форма выпуска | Применение | Противопоказания | ||
---|---|---|---|---|
дети | взрос- лые | бере- менные | ||
Ловастатин (таблетки) | — | + | — | Острые заболевания печени, лактация, гиперчувствительность к препарату. |
Фенофиба (таблетки) | — | + | — | Период лактации, почечные, печеночные патологии |
Аторвастинин (таблетки) | — | + | — | Повышенная чувствительность, гипотензия, сепсис |
Азотосодержащие органические препараты
Купируют приступстенокардии. Расширяют кровеносные сосуды головного мозга, дают быстрый положительный эффект. Нельзя принимать при гипотонии. Могут вызывать головные боли, снижают артериальное давление.
Название, форма выпуска | Применение | Противопоказания | ||
---|---|---|---|---|
дети | взрос- лые | бере- менные | ||
Нитроглицерин (таблетки, капсулы, спрей, раствор для инъекций) | — | + | +/- (учет соотношения пользы и риска) | Шок, гипотензия, внутричерепное давление, инсульт, высокое внутриглазное давление. |
Изосорбит мононитрат (таблетки) | — | + | — | Инфаркт миокарда, глаукома, анемия, тиреотоксикоз, почечная и печеночная недостаточность, лактация. |
Антикоагулянты
Обеспечивают облегченный кровоток в сосудах головного мозга. Назначаются для лечения тромбозов при ишемии головного мозга. Препарат вводится внутривенно или подкожно в область живота.
Название, форма выпуска | Применение | Противопоказания | ||
---|---|---|---|---|
дети | взрос- лые | бере- менные | ||
Гепарин (раствор для инъекций) | + | Лактация, кровотечения, повышенная чувствительность. |
Диуретики
Препараты выводят избыток жидкости из организма, снижают нагрузку на сердечную мышцу. Используются для лечения в комплексе.
Название, форма выпуска | Применение | Противопоказания | ||
---|---|---|---|---|
дети | взрос- лые | бере- менные | ||
Гипотиазид (таблетки) | -/+ | + | — | Анурия, сахарный диабет, почечная и печеночная недостаточность, возраст детей до 3 лет |
Фуросемид (таблетки) | -/+ | + | — | Гломерулонефрит; нарушение водно-солевого обмена; первая половина беременности, анурия, подагра, инфарктмиокарда, возраст детей до 3 лет. |
Верошпирон (таблетки) | -/+ | + | — | Гиперкалиемия; гипонатриемия, лактация. Детям трехлетнего возраста. |
Ноотропные лекарственные формы
Препараты оказывают омолаживающее действие, улучшают работу клеток мозга. Оказывают положительное влияние на память и умственную деятельность.
Название, форма выпуска | Применение | Противопоказания | ||
---|---|---|---|---|
дети | взрос- лые | бере- менные | ||
Церебролизин (раствор для инъекций) | + | + | — | Почечная недостаточность, беременность |
Ноотропил (таблетки) | + | + | — | Повышенная чувствительность, хорея, инсульт, лактация |
Антиоксиданты
Химические вещества, связывающие свободные радикалы в клетке. Замедляют окислительные процессы. К антиоксидантам относятся витамины, биофлавоноиды, ферменты, минеральные вещества, содержащие кальций, селен, марганец. Самыми сильными антиоксидантами являются витамины А, В, С, Е.
Название, форма выпуска | Применение | Противопоказания | ||
---|---|---|---|---|
дети | взрос- лые | бере- менные | ||
Вазопро (капсулы, раствор для инъекций) | + | — | Повышенное внутричерепное давление, опухоли головного мозга, черепномозговые травмы | |
Мексидол (таблетки) | + | + | — | Беременность, кормление грудью, нарушения функции почек и печени |
Патология у новорожденных
Кислородное голодание головного мозга может развиваться у новорожденных детей при кислородном голодании плода. Лечебные препараты назначаются для восстановления кислородного снабжения головного мозга.
Показано назначение антиоксидантов.
При легком течении заболевания специфическое лечение не назначается.
Достаточно проведение кислородной терапии и массажей.
При тяжелом течении назначается комплекс противоишемических препаратов.
Подводя итоги, нужно отметить, что при комплексном лечении показано назначение антибактериальной терапии.
Показано хирургическое лечение с целью удаления тромба, стентирование сонных артерий. Возможно лечение стволовыми клетками.
Лечение проводится по назначению и при тщательном контроле врача-кардиолога.
Понравилась статья?
Дайте нам об этом знать —
поставьте оценку
Мой мир
Вконтакте
Одноклассники

Почитайте лучше, что говорит Ольга Маркович, по этому поводу. Несколько лет мучилась от атеросклероза, ИБС, тахикардии и стенокардии – боли и неприятные ощущения в сердце, сбои сердечного ритма, повышенное давление, одышка даже при малейшей физической нагрузке. Бесконечные анализы, походы к врачам, таблетки не решали мои проблемы. НО благодаря простому рецепту, постоянные боли и покалывания в сердце, высокое давление, одышка — все это в прошлом. Чувствую себя замечательно!!! Теперь мой лечащий врач удивляется как это так. Вот ссылка на статью.
dlyaserdca.ru
Ишемия мозга лечение — Helfine Medical
Ишемия мозга возникает по причине того, что сосуды в голове пережимаются или закупориваются. Кровь перестает поступать к мозгу, что приводит к дисфункции и поражению органа. Это заболевание является причиной инвалидностей и смертей. Оно нарушает работу головного мозга и меняет жизнь человека – он навсегда остается «привязан» к больницам и медицинским препаратам.
Факторы, в результате которых развивается заболевание
Основная причина заболевания головного мозга – непопадание в него кислорода и главных питательных веществ через сосуды, которые поступают через кровь. Клетки не могут правильно и полноценно функционировать и начинают отмирать.
Факторы, влияющие на развитие болезни:
- изменение формы сосудов, аномалии в их развитии, приводящие к тромбам, поражениям, длительным спазмам, врожденные нарушения;
- изменение свойств крови, например, повышенная свертываемость, склонность к образованию тромбов, а также изменение составляющих крови при перенесенных заболеваниях;
- повреждение церебральной гемодинамики – разные стадии сердечно-сосудистых заболеваний, анемии, поражение токсинами;
- возрастные изменения, индивидуальные реакции метаболизма на взаимодействие с мозговым кровотоком.
Ишемический симптом развивается довольно медленно. Мозг постепенно подает человеку сигналы о проблеме, начиная с обычной болезни головы. При этом части мозга постепенно перестают выполнять свои обязанности по причине образования тромбов в сосудах.
Симптомы и виды ишемических болезней головного мозга
Результатом заболевания, независимо от причины его возникновения, является появление очага фокальной ишемии. Это ишемический инсульт, который возникает вследствие недостачи поступления крови на протяжении длительного периода и дисфункции нервных клеток.
Симптомы заболевания головного мозга:
- постоянные боли в голове, усиливающиеся к вечеру;
- частые приступы головокружения, сопровождающиеся шумом в ушах;
- онемение, слабость руки или ноги;
- одностороннее нарушение зрения, иногда до полной слепоты;
- сложность выговорить слово, правильно его употребить, сформулировать предложение, собраться с мыслями;
- ухудшение памяти, частичная амнезия;
- дезориентация в пространстве.
Такие признаки являются гарантированными показателями того, что в голове произошли нарушения кровеносных сосудов головного мозга. При их обнаружении человек подлежит немедленной госпитализации, полного осмотра, дальнейшего постоянного присмотра врачей и терапии.
3 вида ишемии головного мозга:
- Переходящая – боль в глазах, головокружение, рвота. Иногда человек может терять сознания, конечности может хватать судорога, изменяется речь и координация. При такой форме все признаки могут полностью исчезнуть в какой-то момент. Но ничего не происходит просто так: последствия затрагивают мозжечок. Поэтому обращение к врачу и терапия неизбежна.
- Острая – инсульт. Нарушение зрения, дыхания, речи, движений, апатия, сознание туманное, память постоянно дает сбой. Человеку не под силу обычные телодвижения – взять щетку и почистить зубы, завязать шнурки, поесть. Необходима срочная госпитализация и длительная реабилитация.
- Хроническая – постепенно появляются все новые признаки, при том, что старые никуда не деваются. Состояние больного ухудшается. Если длительное время не обращаться к врачу, то ишемия головного мозга перерастает в почти неизлечимую патологию, которую только можно поддерживать в нормальном состоянии и не допускать осложнений.
От вида ишемии зависят сроки выздоровления, потраченные средства и последствия. Чтобы хроническое заболевание не имела осложнений, нужно все время проходить профилактическое лечение головных сосудов и принимать специальные лекарства.
Ишемия головного мозга: причины и признаки
Самой распространенной причиной появления ишемии является сочетание артериальной гипертензии и атеросклероза головных сосудов. Бляшки холестерина, которые длительное время просто «гуляют» в организме вместе с кровью, закупоривают артерию. Это приводит к отмиранию клеток головного или спинного мозга по причине недостаточного количества поступающего кислорода.
В случае если гипертоническое заболевание не обнаружено, то распространенными причинами патологии для молодых людей являются:
- наследственность;
- курение и чрезмерное употребление алкоголя;
- ангиопатия;
- постоянные мигрени;
- нарушения работы сердца;
- артериосклероз.
Для пожилых людей причиной патологии может стать сахарный диабет, ишемия сердца и различные сердечные нарушения, злокачественные образования в организме. Это заболевание требует полной своевременной диагностики и лечения сосудов. Не тратьте своего времени сидя на форумах, не читайте советы о лечении в домашних условиях от псевдо-докторов и не покупайте препараты без предварительного обследования. Обращайтесь сразу к опытным специалистам, которые помогут вовремя остановить развитие заболевания, предотвратить возникновение инсульта.
Возможные осложнения ишемии головного мозга
Тяжелой формой протекание ишемии является поражение ствола головного мозга. Тут сосредоточены все центы, отвечающие за жизнедеятельность человека – дыхание, движение, регуляцию температуры.
Если ствол будет как-то поврежден, то появляется паралич дыхательных органов или опорно-двигательного аппарата, а также неожиданная реакция терморегуляторной функции. Для лечения такого осложнения, нужно полностью восстанавливать кровообращение и постепенно подавлять центр воспаления.
Ишемия головного мозга: три стадии патологии
Ишемию можно начать лечить на разных стадиях. От этого зависит потраченное время, средства, а также болевые ощущения и последствия. Так как заболевание развивается постепенно, ее прогрессирование зависит от выраженно нарушения определенного участка головного мозга, количества спазмов, частоты головокружений.
3 стадии ишемии головного мозга:
www.helfine.ru