Киста верхнечелюстной пазухи носа у детей.
Киста верхнечелюстной пазухи носа у детей.
Киста пазухи в медицине объясняется патологическим образованием в придаточных пазухах носа со свойственной стенкой и содержимым.
В жизни ребенка киста пазухи носа мешает нормально существовать. И родители в такой ситуации задумываются о лечении и возможной операции. Обязательно ли хирургическое вмешательство в такой момент? Можно ли найти другие способы решения данной проблемы?
Чтобы ответить на все эти вопросы, необходимо знать размеры кисты, а также точный диагноз. В наше время возможно все, даже лечение такого заболевания без оперативного вмешательства.
Причины кисты пазухи носа
Воспалительные процессы, которые возникают в пазухах носа, особенно, если речь идет о хронических заболеваниях, являются причинами образования кисты в пазухи носа. К ним относятся:
- аллергический ринит,
- вазомоторный ринит,
- хронический ринит,
- а так же физиологические особенности относительно строения носа.

Киста образуется именно в пазухах носа, поэтому, к причинам следует отнести и полипы и синуситы.
Очень важно не допускать при ринитах скопление жидкостей в носу. Если говорить по-простому, то в случае ринита (любого вида) нужно «высмаркиваться», чтобы образованная слизь не провоцировала закупорку протоков, которые необходимы для увлажнения носовой полости.
Клиника и диагностика
Киста пазухи у детей может проходить, как бессимптомно (выявляется при случайных обстоятельствах, например, профилактическое обследования в сопровождении с рентгеном носа, МРТ скелета лица и так далее), так и в сопровождении с насморком, головными болями постоянного или периодического характера и затрудненным дыханием. Но по одним симптомам нельзя установить точный диагноз, необходимо профессиональное обследование. Исследование может включать в себя пункцию (прокол) верхнечелюстной пазухи. Чаще всего ее делают при подозрении на гайморит. Если же в результате прокола выявлена янтарная жидкость, то это знак того, что имеется киста.
Лечение кисты пазухи носа
Киста верхнечелюстной пазухи в основном лечится хирургическим способом – операцией — гайморотомией. Но не все кисты пазухи носа нуждаются в оперативном удалении. Операция производится только по решению врача, который опирается на результаты обследования.
Использование эндоскопической техники позволяет удалить кисту более быстрым и щадящим для больного способом.
Врачи используют в качестве анестезии общий наркоз. Плюс ко всему, маленький пациент после этой процедуры быстро приходит в норму и выписывается из стационара.
Существуют и другие способы лечения, цель которых заключается в том, чтобы «растворить» кисту. Но некоторые специалисты считают, что медикаментозное лечение может быть недостаточно результативным, а даже наоборот, спровоцировать рост кисты. Но опять же нельзя сказать, что один способ – «плохой», а другой – «хороший», ведь, тактика лечения зависит от сложности новообразования.
Киста в пазухе сегодня – это проблема многих. Современная медицина достигла новых высот в диагностике и более щадящих и менее травматичных способов устранения кисты в пазухе носа. Если у Вашего ребенка выявили кисту — не затягивайте с визитом к врачу-оториноларингологу!
Заведующий отделением оториноларингологии
Тамбовской областной детской клинической больницы
Иванов Олег Викторович
Гайморотомия и микрогайморотомияв Томске
Гайморотомия и микрогайморотомияв Томске
Гайморотомия – операция по вскрытию гайморовой (верхнечелюстной) пазухи с последующим удалением патологического содержимого.
Таким патологическим содержимым могут быть кисты, полипы, новообразования, инородные тела (пломбировочный материал, фрагмент корня зуба, грибковое поражение), воспаленная слизистая оболочка и т.д.
Чаще всего встречаются кисты верхнечелюстных пазух. Киста – доброкачественное образование, имеющее шаровидную форму с тонкими эластичными стенками, заполненное жидкостным содержимым. Кисты образуются из бокаловидных (железистых) клеток слизистой оболочки околоносовых пазух вследствие нарушения функционирования выводных протоков желез. Размер и расположение кист могут быть самыми различными.
В большинстве случаев (в зависимости от размеров и расположения кисты) жалобы отсутствуют. В некоторых характерны следующие симптомы:
- Периодические или постоянные головные боли
- Дискомфорт в области верхней челюсти
- Периодически возникающие воспалительные процессы в пазухах – синуситы (гаймориты и пр.).
- Слизистое отделяемое из полости носа или стекание слизи по задней стенке глотки.
Описанные жалобы не всегда являются признаком именно кисты, поэтому в большинстве случаев необходимы консультация оториноларинголога и выполнение томографии околоносовых пазух. Наиболее значимыми методами диагностики являются компьютерная или магнитно-резонансная томография придаточных пазух носа, позволяющие с точностью до миллиметра установить размер кисты, ее расположение в пазухе.
Различают классическую (радикальную) и эндоскопическую эндоназальную гайморотомию, микрогайморотомию.
Эндоскопическая гайморотомия отличается низкой травматичностью и поэтому называется малоинвазивной. В ходе операции затрагивается минимальный объем здоровых тканей, доступ к верхнечелюстной пазухи осуществляется через полость носа. При выполнении эндоскопической методики минимизируется риск осложнений, укорачивается период реабилитации.
Эндоскопическая микрогайморотомия — традиционный метод удаления кист, инородных тел. Во время операции выполняется небольшой разрез слизистой оболочки под губой (до 5 мм), после чего троакаром выполняется прокол передней стенки пазухи и через отверстие диаметром 5-6 мм под контролем эндоскопа микрощипцами удаляется содержимое гайморовой пазухи (киста, инородное тело).
Показания для хирургического вмешательства — хронические гаймориты (гнойные, полипозные, гиперпластические) — кисты, инородниые тела верхнечелюстных пазух — остеомелиты верхнечелюстного альвеолярного отростка — различные новообразования, полипы гайморовой пазухи
Гайморотомияв «Первой частной клинике» — это:
- Современные малотравматичные методики – операция выполняется эндоскопическим доступом
- Высококвалифицированные специалисты – операции выполняет: — Сергей Викторович Симонов, стаж 10 лет, кандидат медицинских наук, врач первой квалификационной категории, Сергеем Викторовичем выполнено около 1000 операций
- Самый безопасный на сегодняшний день наркоз — севоран
- Комфортный хирургический стационар
Стоимость операции до 40 000р. В стоимость не входит пребывание в круглосуточном стационаре (1-2 дня), наркоз (севоран)
Коротко о важном:
- Подготовка к операции: перед операцией нужно сдать комплекс анализов и натощак прийти в Клинику в назначенное доктором время
- Что взять с собой в Клинику:
— в Клинике Вам предоставят халат, одноразовые тапочки, полотенце, зубную щетку и пасту, необходимую посуду
— с целью профилактики тромбоэмболии легочной артерии (ТЭЛА) в послеоперационном периоде врач на консультации порекомендует Вам приобрести эластичные бинты (длина 5 м, ширина 8-10см) – 2шт.
- Операция длится около 20-40 минут под общим наркозом.
- Пребывание в Клинике: 1-2 дня
- Дальнейшее лечение и послеоперационное наблюдение: 1-3 недели
- Можно выйти на работу: через 2-4 дня
- Спорт: покой и ограничение физической нагрузки в течении 2 недель, рекомендуется избегать тяжелых физических нагрузок в течение 1 месяца
Кисты и полипы пазух носа. Одонтогенный гайморит. Лечение в клинике «Эхинацея»
Наша клиника уже много лет занимается оториноларингологией. Мы располагаем солидным опытом и оборудованием для диагностики и лечения кист и полипов пазух носа (в т.ч. удаления кисты верхнечелюстной пазухи, кисты носовой пазухи), лечения одонтогенных гайморитов, подготовки гайморовых пазух к проведению имплантации зубов.
Будем рады Вам помочь в диагностике, лечении, удалении кист и полипов пазух носа (в т.ч. удаления кисты гайморовой пазухи, кисты в гайморовой пазухе, кисты носовой пазухи).
При необходимости мы проведем малоинвазивную операцию по удалению кисты гайморовых пазух, полипов в носу и т.д.!
Причины и симптомы одонтогенного гайморита, кист и полипов пазух носа
Кисты и полипы гайморовых пазух (кисты верхнечелюстных пазух). Кисты верхнечелюстных пазух образуются из-за нарушения вентиляции пазухи: жидкостное отделяемое слизистой оболочки не испаряется и не оттекает из пазухи, нарушается работа секреторных клеток слизистой оболочки, слизистая оболочка разрастается и образует кисту, т.е. тонкостенный пузырь, заполненный жидкостью. Это может происходить из-за хронического воспаления в полости носа, поллиноза или воспалительных заболеваний зубов, корни которых находятся в непосредственной близости с пазухами. Полип верхнечелюстной (гайморовой) пазухи представляет собой разрастание слизистой оболочки носа, которое происходит по двум причинам: хроническое воспаление при недолеченных простудных заболеваниях или аллергии.
Одонтогенный гайморит (одотогенная киста верхнечелюстной пазухи) обычно вызван воспалением корней зубов, находящихся близко к гайморовой пазухе и проникновением из них в пазуху инфекции.
Довольно часто одонтогенный гайморит связан со стоматологическими вмешательствами, когда воспаление гайморовых пазух (гайморит) вызвано оставшейся в лунке зуба инфекцией, либо попаданием инфекции через образовавшееся после удаления зуба отверстие (свищ) между полостью рта и верхнечелюстной пазухой. Иногда воспаление вызвано попаданием в придаточные пазухи носа пломбировочного материала.
Симптомы одонтогенного гайморита, кист и полипов носа сходны с симптомами многих заболеваний ЛОР-органов. Во многих случаях одонтогенный гайморит продолжается много лет без каких-либо явных симптомов, или сопровождается только головными болями. При одонтогенном гайморите, кисте или полипе в пазухе носа возможны один или несколько симптомов:
- Неприятный запах из носа и рта, который чаще возникает при одонтогенном гайморите, чем при обычном.
- Головная боль, напоминающая сосудистые нарушения или мигрень.
- Временная или постоянная заложенность носа, отмечается затруднение в дыхании (плохо дышит нос).

- Частые простуды, вызванные распространением инфекции из очага.
- Стекание жидкостного отделяемого по задней стенке глотки (скопление слизи и мокроты в горле).
- Светлые слизистые или мутные гнойные выделения из носа.
- Нарушение обоняния (отсутствие или извращение восприятия запахов).
В нашей клинике работают опытные специалисты, мы предложим самый эффективный для Вас способ лечения.
Лечение и диагностика одонтогенного гайморита, кист и полипов пазух носа. Лечение в клинике «Эхинацея»
Нужна ли операция по удалению кист и полипов в носу?
Далеко не все кисты и полипы пазух носа требуют удаления. Мы не будем настаивать на хирургическом лечении, если его можно избежать. В большинстве случаев гайморит поддается консервативному лечению с помощью правильного подбора и комбинации антибактериальных, противовоспалительных и противоаллергических препаратов.Как распознать одонтогенный гайморит, кисты и полипы пазух носа:
- Рентгенография пазух.
Метод простой, недорогой, но дающий только общую информацию о состоянии пазух носа. - Ортопантомограмма (панорамная рентгенография челюстей) дает информацию о состоянии корней зубов и верхнечелюстных (гайморовых) пазух.
- КТ (компьютерная томография) или дентальная компьютерная томография – один из наиболее информативных способов диагностики состояния придаточных пазух носа и зубов.
- Видеоэндоскопия пазух используется редко, но позволяет увидеть пазуху изнутри. Чаще мы выполняем видеоэндоскопию полости носа и носоглотки.
- МР-томография не столь информативна, как КТ, возможны артефакты от металлоконструкций протезов зубов. Хорошо видны кисты и полипы, гной и жидкость в придаточных пазухах носа.
Эндоскопия полости носа и носоглотки
Эндоскопия полости носа и носоглотки
Санация пазух перед имплантацией зубов. Хронический гайморит может протекать бессимптомно, поэтому мы рекомендуем проверку состояния пазух носа перед имплантацией зубов.
При необходимости мы выполним подготовку придаточных пазух носа к имплантации зубов. Подготовка заключается в пролечивании воспалительных процессов и источников инфекции (при необходимости – удаление кисты гайморовой пазухи (верхнечелюстной пазухи)) . Удаление кисты гайморовых пазух обычно проводится ЛОР-врачом.
ЛЕЧЕНИЕ КИСТЫ ГАЙМОРОВОЙ ПАЗУХИ
ЛОР хирургия ¦ Лечение кисты гайморовой пазухи
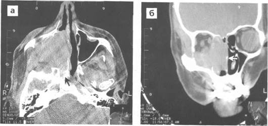
Киста гайморовой (верхнечелюстной) пазухи представляет собой полое, доброкачественное образование, заполненное жидкостью и имеющее двухслойную стенку с внутренней эпителиальной выстилкой, где находятся клетки, продуцирующие скапливающийся здесь секрет (слизь). Такие кисты называют истинными, или ретенционными, они постепенно увеличиваются в своих размерах и никогда самостоятельно не исчезают. По сути, они образуются тогда, когда происходит закупорка слизистых желёз на фоне набухания слизистой оболочки.
Нередко пациент даже и не подозревает о наличии у него данной патологии.
В большинстве случаев кисты гайморовой пазухи становятся как бы случайной находкой, и человек узнаёт о том, что у него есть это образование, например, в ходе обследования по поводу гайморита — при рентгенодиагностике придаточных пазух нос. Также киста этой локализации может быть обнаружена при назначенной врачом-стоматологом компьютерной томографии — на панорамном снимке верхней и нижней челюсти (так называемой ортопантограмме).
Иногда, что бывает довольно редко, кисты гайморовой пазухи сопровождаются такими симптомами, как заложенность носа (постоянная или преходящая), головные боли (тоже либо постоянные, либо периодические), ощущение дискомфорта в области верхней челюсти. При этом у лиц, занимающихся водными видами спорта, жалобы могут появляться или усиливаться при погружении на глубину.
Лечение кисты верхнечелюстной пазухи при наличии показаний к нему осуществляется только хирургическим путём. Никакие консервативные методы: капли, мази, физиотерапевтические процедуры (последние, кстати, в подобной ситуации вовсе противопоказаны) и т.
п. не избавляют от проблемы. В основном, при асимптомном течении указанной патологии больные попросту подлежат динамическому наблюдению. Операция назначается при кистах большого объёма, давящих на стенки верхнечелюстной пазухи, либо при образованиях, сопровождающихся вышеперечисленными клиническими проявлениями.
Сейчас в распоряжении врачей имеются различные методики, начиная от классической достаточно травматичной техники Калдвел-Люка (Caldwell-Luc), и заканчивая микрогайморотомией, которая может проводиться под местной анестезией, а может под наркозом. При эндоскопическом удалении кисты её аккуратно убирают через естественное соустье (дренажное отверстие) гайморовой пазухи, инструменты при этом вводят через нос, ничего дополнительно не разрезая и не прокалывая. Методика, в принципе, не имеет противопоказаний, крайне редко сопровождается какими-либо осложнениями и не требует продолжительной госпитализации больного в стационар — она ограничивается одними, максимум двумя сутками и, как правило, в день операции, спустя несколько часов после неё пациент выписывается домой.
Однако иногда врачам не удаётся устранить кисту полностью вышеописанным способом и тогда они делают троакаром маленькое, четырёхмиллиметровое дополнительное отверстие под верхней губой с соответствующей стороны. В целом, выбор конкретного варианта хирургического вмешательства и его объём зависит от многих факторов, в частности от характеристики самой кисты, наличия/отсутствия эндоскопического оборудования в клинике и опытности докторов.
(495) 506-61-01 — где лучше оперировать заболевания уха, горла и носа
ЗАПРОС в КЛИНИКУ
Лечение синуситов
Хирургическое лечение патологии ЛОР органов
- деформаций костно-хрящевого отдела носа
- нарушений носового дыхания, деформации носовой перегородки, носового клапана
- хронического синусита, кист и инородных тел верхнечелюстной пазухи
- хронического верхнечелюстного синусита с наличием оро-атрального соустья
- храпа и синдрома обструктивного апноэ сна
- хронического тонзиллита
- -нарушения проходимости носослезного канала
- гипертрофического ринита
- хирургическое лечение пациентов с патологией околоносовых пазух перед синус-лифтингом и дентальной имплантацией, лечение воспаления верхнечелюстной пазухи после синус-лифтинга.
Хирургическое лечение осуществляется с использованием малоинвазивной эндоскопической техники, радиоволнового скальпеля, что позволяет минимизировать операционную травму и кровотечение во время операции, уменьшить сроки реабилитации пациента.
Консультации и прием ведет врач-отоларинголог Даминов Роман Оскарович (каб. 2017, ПН, ЧТ 15:00-18:30).
Хронический синусит, инородное тело пазухи (пломбировочный материал)
эндоскопическая операция на верхнечелюстной пазухе| ДО | ПОСЛЕ |
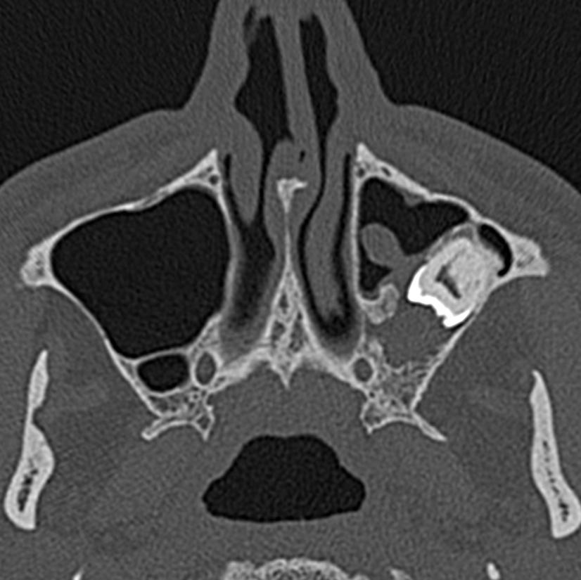
Хронический синусит, киста правой верхнечелюстной пазухи
эндоскопическая синусотомия, удаления кисты| ДО | ПОСЛЕ |
Полипозный риносинусит
эндоскопическая полисинусотомия
| ДО | ПОСЛЕ |
Посттравматическая деформация костно-хрящевого отдела и перегородки носа, нарушение носового дыхания
| ДО | ПОСЛЕ |
| ДО | ПОСЛЕ |
Назад
Верхнечелюстная синусотомия — Клиники Беларуси
Верхнечелюстная синусотомия
Что такое верхнечелюстные пазухи (старое название – гайморовы пазухи)?
Верхнечелюстные пазухи являются одними из четырех парных околоносовых синусов человека.
У маленьких детей верхнечелюстные пазухи не развиты, их полное развитие и формирование происходит к 4-5 годам.
Верхнечелюстные пазухи сообщаются с полостью носа через естественные соустья, через которые в пазухи поступает воздух при дыхании, а также осуществляется выведение слизи из верхнечелюстных пазух. Также они участвуют в формировании тембра голоса. В норме пазухи выстланы слизистой оболочкой, в составе которой имеются специальные бокаловидные клетки. Эти клетки постоянно продуцируют слизь, которая в определенном направлении оттекает в полость носа через естественное соустье.
При нарушении проходимости соустья могут возникать заболевания верхнечелюстных пазух:
- кисты пазухи,
- острый и хронический верхнечелюстной синусит (гайморит по старой классификации) и ряд других.
Жалобы пациентов при заболеваниях верхнечелюстной пазухи могут быть различными: от полного отсутствия симптомов до выраженного нарушения состояния с головной болью, затруднением дыхания и выделениями из носа.
Диагностика заболеваний верхнечелюстных пазух (гайморита)
Для диагностики заболеваний верхнечелюстных пазух производится:
- осмотр,
- эндоскопическое исследование полости носа,
- компьютерная томография, оценка результатов которой позволяет установить точный диагноз и определить необходимый объем операции.
Верхнечелюстная синусотомия – золотой стандарт в лечении заболеваний верхнечелюстных пазух
Для восстановления проходимости соустья и удаления из пазухи патологического содержимого применяются хирургические методы лечения. Одним из золотых стандартов является эндоскопическая верхнечелюстная синусотомия. При данной операции с помощью эндоскопической техники осматривается полость носа, область естественного соустья. С помощью специального тонкого ножа обеспечивается доступ к соустью, которое затем расширяется. Через расширенное соустье пазуха осматривается, удаляется киста, полипы, инородные тела из пазухи.
Все этапы операции выполняются исключительно под контролем эндоскопа и с максимальным сохранением нормальной анатомии носа.
В том случае, когда выполнить верхнечелюстную синусотомию в силу анатомических причин не представляется возможным, прибегают к использованию доступа через переднюю поверхность верхней челюсти. Выполняется маленький разрез слизистой, обязательно в вертикальном направлении, чтобы не повредить веточку нерва, который проходит в этом месте. Затем с помощью бора выполняется маленькое отверстие в передней стенке верхнечелюстной пазухи. Все остальные этапы операции осуществляются только под контролем эндоскопической техники: осматривается пазуха, удаляется все патологическое содержимое, осматривается и, при необходимости, расширяется естественное соустье, после чего рана ушивается.
Видеоэндосокпическая стойка
Видеоэндоскопическая стойка представляет собой современную полифункциональную систему, которая позволяет с помощью камеры и оптики высокого разрешения выполнять хирургические вмешательства в полости носа и околоносовых пазухах.
Хороший обзор операционного поля позволяют выполнить хирургическое вмешательство в необходимом объеме и свести к минимуму риск осложнений.
Возможности видеоэндоскопической стойки позволяют вести видео- и фотоархивирование выполненных вмешательств.
Что происходит после операции?
В послеоперационном периоде может наблюдаться затруднение дыхания через оперированную половину носа, скудные слизистые выделения. В случае доступа через переднюю стенку пазухи может присутствовать умеренный отек мягких тканей щеки.
Длительность пребывания в стационаре зависит от состояния послеоперационной раны и общего состояния пациента и составляет 2-5 дней. В послеоперационном периоде необходимо периодически наблюдаться у оториноларинголога и соблюдать режим щадящей физической активности в течение двух недель.
В Беларуси на высоком профессиональном уровне производится реабилитация пациентов после операций на ЛОР-органах.
Пункция околоносовых пазух | Клиника Семейный доктор
Пункция верхнечелюстной пазухи — процедура, которая может потребоваться при тяжелых формах гайморита.
Согласно статистике, 1 из 10 пациентов отоларинголога обращается к нему именно с этим заболеванием: им страдают люди всех возрастных категорий. Сделать пункцию околоносовых пазух необходимо для быстрого облегчения состояния и обеспечения оттока содержимого.Важно отметить, что эта процедура имеет не только терапевтическое значение. Полученное содержимое может быть отправлено в диагностическую лабораторию. Так врач получит информацию о возбудителе воспаления и его устойчивости к антибиотикам, а значит, сможет корректно подобрать лечение.
Показания и особенности подготовки
Пункция позволяет сразу опорожнить пазухи и вернуть проходимость соустья. Эта процедура проводится при остром и хроническом воспалении гайморовых пазух. Существует несколько показаний к манипуляции:
-
гематосинус — скопление крови в верхнечелюстной пазухе;
-
отсутствие улучшений от консервативного лечения;
-
большой объем жидкости, обнаруженный на снимке;
-
непроходимость естественного соустья;
-
сильные головные боли, выраженные симптомы общей интоксикации у пациента.
Но прежде, чем прибегнуть к пункции, врач обязательно назначит рентгенографию. Она необходима для определения следующих условий:
-
оценка объема содержимого пазух;
-
определение анатомических особенностей пазухи — высоты, структуры стенок и др.;
-
исключение опухолей и кист, разрушения костной ткани и других противопоказаний.
При наличии патологических образований врач подберет другой метод лечения.
Порядок проведения пункции
Пункцию выполняет врач-отоларинголог. Пациент садится на стул или кушетку и запрокидывает голову. Врач обезболивает ткани, обрабатывает слизистую анестетиком и сосудосуживающим препаратом. В носовой ход вводится изогнутая тонкая игла. Содержимое вытекает самостоятельно или извлекается с помощью аспиратора. При густой консистенции может потребоваться введение физраствора, постепенно вымывающего гной.
В ряде случаев используется две иглы: через одну врач вводит раствор, через другую выводится патологическая жидкость.
Пазухи промывают антисептиками, а место прокола закрывается ватным тампоном.
Если носовая перегородка сильно искривлена или имеет место утолщение стенок верхнечелюстных пазух, прокол может быть невозможен. В этом случае проводится хирургическое вмешательство. При тяжелых формах целесообразна установка тонкого катетера, что позволяет выполнять промывание несколько раз.
Исследование полученного содержимого позволяет выявить, какой тип болезнетворных бактерий вызвал воспаление. Определение чувствительности к антибиотикам необходимо для назначения эффективной антибактериальной терапии.
Если вы задаетесь вопросом, где сделать пункцию околоносовых пазух, обратите внимание на оснащение клиники: сегодня широко применяется синус-катетер, который позволяет отказаться от пункции путем создания отрицательного давления.
Метод дает возможность освободить пазухи от содержимого через естественные носовые ходы.
После пункции
Пункция — способ справиться с последствиями гайморита, а не с его причиной. С помощью процедуры можно добиться моментального облегчения состояния, но важно также сочетать ее с медикаментозным воздействием. Врач назначит антибактериальное лечение, физиотерапию и другие способы купирования воспалительного процесса. Для промежуточной оценки состояния выполняются рентгеновские снимки.
Уточнить стоимость пункции околоносовых пазух и пройти комплексное лечение гайморита вы можете в клинике «Семейный доктор». Прием ведут отоларингологи с многолетним опытом работы — уже более 20 лет мы оказываем качественную помощь даже в сложных случаях. Современное оборудование, быстрая и точная рентгенография, анестетики последнего поколения — у нас есть все для проведения качественных и комфортных процедур.Для записи к оториноларингологу на удобное для Вас время, позвоните по телефону единого контакт-центра в Москве +7 (495) 775 75 66, воспользуйтесь сервисом онлайн-записи к врачу или обратитесь в регистратуру клиники.
Стоимость
врач-оториноларинголог
врач-оториноларинголог, к.м.н.
врач-оториноларинголог, ведущий специалист клиники
врач-оториноларинголог
Обзор, Хирургия осложнений синусита, Анестезия
Автор
Тед Л. Тевфик, доктор медицины Профессор отоларингологии-хирургии головы и шеи, профессор детской хирургии медицинского факультета Университета Макгилла; Старший персонал, Детская больница Монреаля, Больница общего профиля Монреаля и Королевская больница Виктории
Тед Л. Тьюфик, доктор медицинских наук, является членом следующих медицинских обществ: Американское общество детской отоларингологии, Канадское общество отоларингологии-хирургии головы и шеи
Раскрытие информации: Нечего раскрывать.
Главный редактор
Арлен Д. Мейерс, доктор медицины, магистр делового администрирования профессор отоларингологии, стоматологии и инженерии Медицинской школы Университета Колорадо
Арлен Д. Мейерс, доктор медицинских наук, магистр делового администрирования, является членом следующих медицинских обществ: Хирургия, Американская академия отоларингологии – Хирургия головы и шеи, Американское общество головы и шеи
Раскрытие информации: Служить директором, сотрудником, партнером, сотрудником, советником, консультантом или доверенным лицом для: Cerescan, Ryte, Neosoma, MI10< br/>Получил доход в сумме, равной или превышающей 250 долларов США, от: , Cliexa;;Neosoma
Получил долю владения от Cerescan за консультации; для: Neosoma, eMedevents, MI10.
Благодарности
Stephen G Batuello, MD Consulting Staff, Colorado ENT Specialists
webmd.com»> Стивен Дж. Батуэлло, доктор медицинских наук, является членом следующих медицинских обществ: Американской академии отоларингологии-хирургии головы и шеи, Американского колледжа врачей-руководителей, Американской медицинской ассоциации и Медицинского общества Колорадо.Раскрытие информации: Нечего раскрывать.
Hassan H Ramadan, MD, MSc Профессор и заместитель заведующего кафедрой отоларингологии-хирургии головы и шеи, профессор кафедры педиатрии Медицинской школы Университета Западной Вирджинии
Хассан Х. Рамадан, доктор медицины, магистр наук, является членом следующих медицинских обществ: Американской академии отоларингической аллергии, Американской академии отоларингологии-хирургии головы и шеи, Американского колледжа хирургов и Американского ринологического общества
. webmd.com»> Раскрытие информации: Нечего раскрывать.Мелвин Д. Шлосс, доктор медицинских наук, FRCSC Директор отделения детской отоларингологии, профессор кафедры отоларингологии медицинского факультета Университета Макгилла, Канада
Мелвин Д. Шлосс, доктор медицинских наук, FRCSC является членом следующих медицинских обществ: Американской академии отоларингологии-хирургии головы и шеи, Американской академии педиатрии, Медицинской ассоциации Квебека и Королевского колледжа врачей и хирургов Канады
.Раскрытие информации: Нечего раскрывать.
Steven E Sobol, MD, FRCSC, MSc, FAAP Доцент, заведующий отделением детской отоларингологии, отделение отоларингологии, хирургии головы и шеи, Медицинский факультет Университета Эмори; Главный отоларинголог, Детское здравоохранение Атланты, Эглстон,
webmd.com»> Steven E Sobol, MD, FRCSC, MSc, FAAP, является членом следующих медицинских обществ: Американская академия отоларингологии — Хирургия головы и шеиРаскрытие информации: Нечего раскрывать.
Франсиско Талавера, PharmD, PhD Адъюнкт-профессор, Фармацевтический колледж Медицинского центра Университета Небраски; Главный редактор Medscape Drug Reference
Раскрытие информации: Заработная плата Medscape
Клиническая оценка костного трансплантата синуса у пациентов с слизистой ретенционной кистой | Челюстно-лицевая пластическая и реконструктивная хирургия
Это исследование было проведено ретроспективно на пациентах с задержкой слизистой оболочки, которые посещали и имели зубные имплантаты с увеличением пазухи и костным трансплантатом латеральным доступом в отделении стоматологии больницы Бунданг Сеульского национального университета с января 2008 г.
по декабрь 2010 г.Средний возраст составил 53,43 года (26–74 года). Исключались больные с патологией верхнечелюстной пазухи и лечившиеся по поводу хронического гайморита у отоларинголога. Пациентами в этом исследовании были 23 человека (мужчины 15, женщины 8), и они были проанализированы с помощью медицинской карты и рентгенограмм. Они были разделены на две группы. В 1-ю ( n = 8) группу сравнения вошли пациенты, имевшие слизистую ретенционную кисту до имплантации, во 2-ю группу ( n = 15) контрольную группу составили пациенты со здоровой верхнечелюстной пазухой.У семи пациентов были системные заболевания, такие как гипертония и сахарный диабет, и они хорошо контролировались (таблица 1).
Диагноз слизистой ретенционной кисты установлен на основании рентгенограммы и аспирации слизи из оболочки верхнечелюстной пазухи во время операции. Клинико-рентгенологический признак в диагностике заболевания следующий [6]:
- 1.

Большинство слизистых ретенционных кист клинически бессимптомны и обнаруживаются при рентгенологическом исследовании случайно.
- 2.
На рентгенограмме они чаще всего наблюдаются в виде куполообразных рентгеноконтрастных образований на дне верхнечелюстной пазухи.
- 3.
Поскольку они возникают снаружи верхнечелюстной кости, край поражения не окружен рентгеноконтрастной линией кортикального слоя кости, в отличие от зубочелюстных кист [7].
Хирургическая техника
Предоперационное полоскание горла 0,2 % раствором хлоргексидина перед местной анестезией. Слизисто-надкостничный лоскут был приподнят после крестального и вертикального послабляющих разрезов на беззубом участке.
Латеральное окно пазухи было сформировано и удалено хирургической дрелью, а мембрана пазухи была приподнята. Аспирация проводилась путем введения иглы 21 калибра в мембрану верхнечелюстной пазухи в случаях слизистых ретенционных кист.После этого мембрану приподняли и сделали костную пластику после аспирации слизи. Если синусовая оболочка была проколота широко, она была покрыта коллагеновой оболочкой. Верхнечелюстную пазуху аугментировали подготовленным костно-трансплантационным материалом, костное окно вернули в исходное положение, рану закрыли (рис. 1, 2, 3, 4 и 5). Аугментин 625 мг в таблетках (GlaxoSmithKline, Великобритания) в качестве антибиотика, Сомалген 370 мг в таблетках (Kunwha Pharmaceutical Co., Республика Корея) в качестве противовоспалительного и обезболивающего препарата и метилон 4 мг в таблетках (Kunwha Pharmaceutical Co., Республика Корея) в качестве стероидного препарата. 0,1 % раствор хлоргексидина 100 мл (Гексамедин, Bukwang Pharm, Ансан, Корея), полоскание горла три раза в день, швы снимают через 10 дней.
Предоперационная панорамная рентгенограмма мужчины 46 лет. Высота остаточной кости составляет около 2–3 мм, рентгеноконтрастность синуса наблюдается в правой верхней челюсти
Рис. 2Предоперационная КТ PNS. В правой верхнечелюстной пазухе наблюдается куполообразная рентгеноконтрастность
Рис.3Крестальный разрез на правом верхнечелюстном альвеолярном отростке с приподнятым лоскутом. Слизистая жидкость аспирирована путем вскрытия латеральной стенки верхнечелюстной пазухи
Рис. 4Костный трансплантат пазухи выполнен после поднятия мембраны пазухи
Рис. 5 Панорамная рентгенограмма через 3 года и 9 месяцев после костной пластики синуса.
Послеоперационных осложнений не было
Всего был установлен 51 имплантат (группа 1 — 20, группа 2 — 31), в основном со средним временем ожидания 6.22 недели после костной пластики пазухи. Обратите внимание, однако, что имплантаты были установлены сразу после костного трансплантата синуса в 13 случаях (период до установки имплантатов был рассчитан путем подсчета периода заживления как 0 дней в методе прямого размещения). Реставрация была установлена в среднем через 29,41 недели после установки имплантата и после того, как была сделана рентгенограмма. Наблюдалось в среднем 43,29 месяца с интервалом 3~6 месяцев после соединения с реставрацией. Были проанализированы медицинские записи, рентгенограммы, перфорация мембраны пазухи во время операции, послеоперационные осложнения, потеря маргинальной кости после восстановительной функции, показатель успешности имплантации и выживаемость.
Периапикальные проекции были сняты вертикально по длине имплантатов для расчета и сравнения значений потери маргинальной кости.
Было измерено расстояние от платформы имплантата до первого места встречи с крестальной костью, и реальное расстояние было получено путем применения коэффициента увеличения рентгенограмм. Коэффициент увеличения находили по соотношению между реальной длиной имплантата и длиной, показанной на рентгенограмме. После этого анализировали среднее изменение потери мезиальной и дистальной маргинальной кости.
Критерии успеха имплантации были следующими [8]:
- 1.
Отсутствие постоянной или необратимой боли, дискомфорта и/или парестезии
- 2.
Отсутствие рецидивирующего периимплантита с абсцессом
- 3.
Отсутствие подвижности
- 4.

Отсутствие рентгенопрозрачных поражений вокруг имплантата
- 5.
Потеря маргинальной кости менее 1 мм в первый год
Анализ потери маргинальной кости вокруг имплантатов был выполнен с использованием SPSS 17.0 (Статистический пакет для социальных наук; SPSS, Inc., Чикаго, Иллинойс). Тест Манна-Уитни U был выполнен, когда эти предположения не выполнялись. p < .05 считалось статистически значимым.
Варианты лечения по стадиям рака носа и придаточных пазух носа
В большинстве случаев лечение рака полости носа или придаточных пазух носа зависит от того, где он находится, и его стадии (насколько далеко он распространился). Но другие факторы, такие как общее состояние здоровья человека и личные предпочтения, также могут повлиять на варианты лечения.
Поговорите со своим врачом, если у вас есть какие-либо вопросы о плане лечения, который он или она рекомендует.
Стадирование рака полости носа и околоносовых пазух очень сложное. В настоящее время системы стадирования созданы только для наиболее распространенных видов рака – рака верхнечелюстной пазухи и полости носа/решетчатой пазухи. Варианты лечения менее распространенных видов рака полости носа и придаточных пазух подбираются индивидуально для каждого пациента в зависимости от типа опухоли, ее размера, локализации, а также общего состояния здоровья и пожеланий пациента.
Поскольку рак полости носа и придаточных пазух носа встречается редко, его трудно хорошо изучить. Большинство экспертов сходятся во мнении, что лечение в рамках клинических испытаний следует рассматривать для любого типа или стадии рака полости носа и околоносовых пазух. Таким образом, люди могут получить новые изучаемые методы лечения .
Какие существуют варианты лечения рака верхнечелюстной пазухи?
Рак верхнечелюстной пазухи стадии 0, I и II
Первым шагом в лечении большинства случаев рака верхнечелюстной пазухи на стадии 0, I или II является хирургическое вмешательство по удалению рака.
В большинстве случаев выполняется максиллэктомия (удаление кости и слизистой верхнечелюстной пазухи). Лимфатические узлы на шее не удаляются.
Лучевая терапия может потребоваться после хирургического вмешательства людям с раком I и II стадии, если рак имеет признаки, повышающие вероятность его рецидива, такие как положительные края (раковые клетки, обнаруженные на краю удаленной опухоли), или рак, прорастающий в область вокруг нервов (так называемая периневральная инвазия ).
Облучение часто рекомендуется после операции по поводу аденоидно-кистозного рака , даже если края отрицательны и нет периневральной инвазии, потому что есть высокая вероятность рецидива после лечения.
Для некоторых агрессивных типов опухолей верхнечелюстной пазухи, таких как недифференцированный рак или эстезионейробластома , химиотерапия может быть рекомендована вместе с лучевой терапией.
В тех случаях, когда хирургическое вмешательство по удалению рака сопряжено с риском из-за других медицинских проблем, лечение может заключаться только в лучевой терапии или в сочетании с облучением химиотерапией.
Рак верхнечелюстной пазухи III и IV стадии
Стадии III и IVA: Людям с раком верхнечелюстной пазухи стадии III или IVA будет проведена операция по удалению опухоли.Если есть признаки того, что рак распространился на лимфатические узлы шеи, эти лимфатические узлы также удаляются. (Это называется рассечением шеи . )
После операции область, где была удалена опухоль, подвергается лучевой терапии. Иногда лимфатические узлы на шее также лечат лучевой терапией. Это более вероятно, если рак распространился на шейный лимфатический узел или если есть признаки, повышающие вероятность рецидива рака, например положительный край (рак, обнаруженный на краю удаленной опухоли).Химиотерапия может быть назначена вместе с лучевой терапией. Это имеет больше побочных эффектов, чем лечение по отдельности, но может помочь снизить риск рецидива рака после лечения.
Стадия IVB: Некоторые виды рака относятся к стадии IVB, поскольку основная опухоль или лимфатические узлы не могут быть полностью удалены хирургическим путем (неоперабельны).
Людей с этими видами рака можно лечить только лучевой терапией, лучевой терапией вместе с химиотерапией или сначала химиотерапией, а затем лучевой терапией, или сначала химиотерапией, а затем химиотерапией с лучевой терапией.Лучевую терапию также можно проводить с помощью таргетной терапии. Хирургия иногда помогает снять закупорку носовых пазух, но она не предназначена для излечения или полного удаления рака.
Стадия IVB также включает некоторые виды рака, при которых основная опухоль и лимфатические узлы могут быть удалены хирургическим путем (резектабельны). Эти виды рака лечат так же, как и рак стадии IVA – хирургическое удаление опухоли и шейных лимфатических узлов с последующей лучевой терапией и, возможно, химиотерапией.
Стадия IVC: Эти виды рака распространились на органы за пределами головы и шеи, такие как легкие или кости.Цель лечения обычно состоит в том, чтобы как можно дольше остановить или замедлить распространение рака и облегчить любые симптомы, которые он может вызывать.
Лечение на этой стадии зависит от локализации рака, проблем, которые он вызывает, и общего состояния здоровья человека. Химиотерапия (или таргетная терапия) часто является основной формой лечения, если человек может ее переносить, поскольку она воздействует почти на все части тела. Другим вариантом может быть иммунотерапия, либо отдельно, либо вместе с химиотерапией.Лучевая терапия может быть направлена на области рака, которые вызывают проблемы. Поскольку эти виды рака очень редки и трудно поддаются лечению, клинические испытания являются хорошим вариантом.
Какие существуют варианты лечения рака полости носа?
Рак носовой полости стадии 0, I и II
Эти виды рака находятся в полости носа, но не распространяются на лимфатические узлы. Их можно лечить с помощью хирургического вмешательства или облучения, но часто рекомендуется облучение после операции, потому что существует более высокая вероятность того, что рак вернется, если только хирургическое вмешательство или облучение являются единственным методом лечения.
Рак носовой полости III и IV стадии
Эти виды рака можно лечить хирургическим путем, и после операции часто назначают лучевую терапию. Если рак распространился на лимфатические узлы шеи, они также будут удалены (так называемая диссекция шеи).
Другим вариантом является лечение лучевой терапией, иногда в сочетании с химиотерапией или таргетной терапией. Для некоторых агрессивных типов рака носовой полости или тех, которые не могут быть удалены хирургическим путем, вариантом может быть сначала химиотерапия, а затем химиотерапия плюс лучевая терапия.Проводятся дополнительные исследования, чтобы выяснить, полезен ли этот подход.
Для более поздних форм рака (тех, которые распространились на другие части тела) варианты лечения могут включать химиотерапию, таргетную терапию, иммунотерапию или некоторую их комбинацию.
Какие существуют варианты лечения рака решетчатой пазухи?
Поскольку решетчатые пазухи расположены близко к глазницам и основанию черепа, операции по поводу рака в этой области часто сложнее и обширнее, чем операции по поводу рака верхнечелюстной пазухи.
Рак решетчатой пазухи стадии 0, I и II
Эти виды рака часто сначала лечат хирургическим путем по удалению опухоли. За хирургическим вмешательством обычно следует лучевая терапия (иногда с химиотерапией), особенно если опухоль имеет признаки, повышающие вероятность ее рецидива, такие как положительные края (раковые клетки, обнаруженные на краю удаленной ткани) или периневральная инвазия (раковые клетки находится вокруг нерва). Это может помочь снизить вероятность того, что рак вернется позже.
Для некоторых очень небольших раковых образований, распространение которых маловероятно, некоторые врачи могут рекомендовать только хирургическое вмешательство, но не все врачи согласны с этим.
Лучевая терапия вместо хирургического вмешательства также может быть вариантом для людей с небольшими опухолями или людей, которые недостаточно здоровы для хирургического вмешательства.
При некоторых агрессивных типах опухолей решетчатой пазухи, таких как недифференцированный рак, химиотерапия может быть рекомендована вместе с лучевой терапией.
Рак решетчатой пазухи III и IVA стадии
Эти виды рака часто лечат хирургическим путем.Если лимфатические узлы на шее увеличены, они также будут удалены в ходе операции, называемой диссекцией шеи . За операцией обычно следует лучевая терапия, иногда вместе с химиотерапией.
Другим вариантом может быть начало лечения лучевой терапией в сочетании с химиотерапией. За этим может последовать хирургическое вмешательство, если опухоль достаточно уменьшится.
В некоторых случаях сначала может быть назначена химиотерапия, а затем только лучевая терапия или лучевая терапия в сочетании с дополнительной химиотерапией.В других случаях сначала назначают химиотерапию, затем хирургическое вмешательство, а затем лучевую терапию (с химиотерапией или без нее).
Рак решетчатой пазухи стадии IVB и IVC
Стадия IVB : Для опухолей, которые нельзя удалить хирургическим путем (нерезектабельные), или для людей, которые не могут или не хотят хирургического вмешательства, первым лечением обычно является лучевая терапия.
Иногда вместе с лучевой терапией назначают химиотерапию. В некоторых случаях, если человек достаточно здоров, сначала может быть назначена химиотерапия, а затем облучение или химиотерапия с облучением.Если кто-то слишком слаб для этих вариантов лечения, можно попробовать только облучение или один химиотерапевтический препарат.
Стадия IVC : Целью лечения рака, который распространился на отдаленные части тела, такие как легкие или кости, является остановка или замедление роста рака на как можно более длительный срок и облегчение любых симптомов, которые он вызывает. может быть причиной.
Лечение на этой стадии зависит от локализации рака, проблем, которые он вызывает, и общего состояния здоровья человека.Химиотерапия (и/или таргетная терапия) часто является основным методом лечения, если человек может ее переносить, поскольку она воздействует почти на все части тела. Другим вариантом может быть иммунотерапия, либо отдельно, либо вместе с химиотерапией.
Лучевая терапия может быть направлена на области рака, которые вызывают проблемы. Поскольку эти виды рака трудно поддаются лечению, клинические испытания новых методов лечения являются хорошим вариантом для некоторых людей.
Какие существуют варианты лечения рака клиновидной пазухи?
Клиновидные пазухи очень труднодоступны хирургическим путем.Рак в этом месте обычно лечится лучевой терапией. также могут быть использованы химиотерапия, таргетная терапия и/или иммунотерапия.
Какие существуют варианты лечения меланомы полости носа или околоносовых пазух?
Большинство меланом полости носа или придаточных пазух лечат хирургическим путем, чтобы удалить опухоль и ободок нормальной ткани вокруг нее. Лимфатические узлы на шее также могут быть удалены в ходе операции, называемой диссекцией шеи . Лучевую терапию часто назначают после операции.
Для рака, который не может быть удален, может использоваться лучевая терапия, химиотерапия или другие методы лечения (иммунотерапия или таргетная терапия).
Меланома, которая формируется в полости носа или придаточных пазухах носа, во многом отличается от меланомы кожи, но часто лечится одинаково, когда она прогрессирует.
Для получения дополнительной информации о лечении запущенных меланом см. Меланома рака кожи.
Какие существуют варианты лечения саркомы полости носа или околоносовых пазух?
Как и другие виды рака полости носа и околоносовых пазух, хирургическое вмешательство является основным методом лечения большинства видов сарком.В некоторых случаях также может быть использовано облучение и/или химиотерапия.
Рабдомиосаркома — это тип саркомы, который наиболее часто встречается у младенцев и детей младшего возраста. Обычно это лечится комбинацией хирургии, лучевой терапии и химиотерапии. Для получения дополнительной информации о лечении рабдомиосаркомы см. Рабдомиосаркома.
Информацию о других типах сарком см. в разделе Саркома: рак мягких тканей у взрослых.
Какие существуют варианты лечения рецидива рака полости носа или околоносовых пазух?
Рак называется рецидивирующим, если он возвращается после лечения.
Рецидив может быть локальным (в том же или около того же места, где впервые возник рак), регионарным (в близлежащих лимфатических узлах) или отдаленным (распространение на отдаленные органы, такие как легкие). Варианты лечения рецидивов зависят от локализации и типа рака, а также от лечения, примененного в первый раз.
При местном рецидиве, если лучевая терапия была первым методом лечения рака, может быть использовано хирургическое вмешательство. Если первым лечением была операция без лучевой терапии, можно попробовать лучевую терапию. Химиотерапия и/или таргетная терапия могут использоваться вместе с лучевой терапией или могут использоваться сами по себе для лечения рецидивов, которые не контролируются лучевой терапией или хирургическим вмешательством.
При региональном рецидиве рак возвращается в лимфатические узлы шеи. Это часто лечится с помощью операции по удалению многих лимфатических узлов на шее (рассечение шеи), которые находятся на той же стороне, что и рак.
За этим может последовать облучение шеи, иногда в сочетании с химиотерапией и/или таргетной терапией.
Рецидивирующие меланомы или саркомы полости носа или околоносовых пазух по возможности лечат хирургическим путем. В зависимости от точного типа клеток, образующих рак, также могут быть назначены химиотерапия или другие виды лечения.
Когда рак полости носа или околоносовых пазух возвращается в другие органы, его часто лечат химиотерапией, таргетной терапией и/или иммунотерапией, хотя лучевая терапия также может быть вариантом, если она не применялась ранее.
Лечение рецидива рака полости носа или придаточных пазух носа может временно уменьшить рак и облегчить симптомы. Если рекомендуется дальнейшее лечение, важно поговорить с врачом, чтобы понять, какова цель лечения — попытаться вылечить рак или как можно дольше держать его под контролем и облегчить симптомы.Это может помочь вам взвесить риски и преимущества каждого лечения.
Поскольку эти виды рака трудно поддаются лечению, клинические испытания новых методов лечения являются хорошим вариантом для некоторых людей.
Рис. 1. Фото лица больного с исходно симптоматикой — отеком мягких тканей левой щеки и века. | Рис. 4. КТ, 3D-реконструкция – дефект костных структур левой верхней челюсти. | Рис. 5. Гистология ABC, гематоксилин-эозин, 40x, звездочка – кровь, стрелки – гигантские клетки. |
О хирургии полости носа и околоносовых пазух
Это руководство поможет вам подготовиться к операции на полости носа и околоносовых пазухах в центре Memorial Sloan Kettering (MSK). Это также поможет вам понять, чего ожидать во время выздоровления.
Используйте это руководство в качестве источника информации за несколько дней до операции. Берите его с собой каждый раз, когда приходите в центр MSK, в том числе в день операции. Вы и ваша медицинская бригада будете обращаться к нему на протяжении всего лечения.
Back to topО вашей операции
Полость носа и околоносовые пазухи
Полость носа — это большое, заполненное воздухом пространство над носом и позади него, в середине лица. У него есть 2 отверстия, называемые ноздрями, которые согревают и увлажняют воздух, которым вы вдыхаете.
Внутри носовой полости у вас есть 4 типа околоносовых пазух, обычно называемых пазухами (см. Рисунок 1). Ваши пазухи представляют собой группу полых, заполненных воздухом пространств, окружающих полость носа.К ним относятся:
- Лобные пазухи , находящиеся над глазами.
- Решетчатые пазухи , находящиеся между глазами.
- Клиновидные пазухи , расположенные глубоко в носовой полости позади решетчатых пазух.
- Верхнечелюстные пазухи , расположенные по бокам носа.
Полость носа и пазухи покрыты слоем клеток, которые выделяют слизь и согревают воздух, которым вы дышите. Они также влияют на то, как звучит ваш голос, когда вы говорите.
Рисунок 1. Ваши околоносовые пазухи
Хирургия полости носа и околоносовых пазух
Опухоли полости носа и придаточных пазух обычно лечат хирургическим путем.
Целью операции является удаление всей опухоли и небольшого количества нормальной ткани вокруг нее.
Полость носа и придаточные пазухи — это небольшие области, в которых расположено множество мышц, нервов, кровеносных сосудов и других важных структур. Если какие-либо из этих других структур необходимо удалить во время операции, это может повлиять на ваш внешний вид и выполнение основных функций.Таким образом, еще одна цель операции — помочь вам выглядеть так же и иметь возможность дышать, жевать, говорить и глотать без затруднений после операции.
У вас будет много разных медицинских работников, работающих вместе до, во время и после операции. В зависимости от операции в состав вашей лечебной бригады могут входить:
- Хирург головы и шеи, пластический реконструктивный хирург и нейрохирург
- Онколог-радиолог
- Врач-онколог
- Стоматолог
- Медсестры
- Логопед и глотатель
- Врач-диетолог клинический нутрициолог
- Кейс-менеджеры
- Социальные работники
Ваш лечащий врач обсудит с вами, какая операция вам предстоит.
Тип операции зависит от того, где находятся опухоли, насколько они велики и какие другие структуры вовлечены. Ниже приведены описания различных видов хирургических вмешательств.
Виды хирургии полости носа
- Некоторые опухоли полости носа можно удалить хирургическим путем, называемым широким местным иссечением . Эта операция удаляет опухоль и небольшое количество нормальной ткани вокруг нее.
- Опухоли на носовых раковинах (длинные тонкие кости на внутренних стенках носа) можно удалить с помощью операции, называемой медиальной максиллэктомией .
- Опухоли, поражающие ткани на внешней стороне носа, могут быть удалены путем удаления части носа или всего носа.
Виды хирургии околоносовых пазух
- Небольшие, доброкачественные (не раковые) опухоли, поражающие только решетчатые пазухи, удаляются с помощью операции, которая называется наружной этмоидэктомией .
- Опухоли, проросшие в верхнечелюстную пазуху, могут быть удалены с помощью операции, которая называется максиллэктомия .
Объем операции зависит от того, где находится опухоль и затрагивает ли она близлежащие ткани и структуры.Во время максиллэктомии могут быть частично или полностью удалены следующие вещи:- Кость вокруг верхнечелюстной пазухи
- Кость твердого неба (неба)
- Верхние зубы на одной стороне рта
- Часть или вся орбита (глазница)
- Часть скулы
- Часть костной части верхней части носа
Если у вас удалена часть твердого неба, между носовой полостью и полостью рта (ртом) может быть открытая связь.Ваш хирург-стоматолог снимет слепки (сделает слепок верхней части рта) до и в день операции. Они поставят временный хирургический обтуратор (пластину), чтобы закрыть отверстие в небе во время операции. Это поможет вам говорить и есть после операции.
Вас выпишут из больницы с установленным временным хирургическим обтуратором. Примерно через 2 недели после операции у вас будет назначен визит к хирургу-стоматологу для удаления хирургического обтуратора.
Во время этого визита хирург-стоматолог установит вам во рту съемный обтуратор.Они также дадут вам инструкции по очистке обтуратора и уходу за ним. Вы будете регулярно посещать своего хирурга-стоматолога, чтобы проверить обтуратор и при необходимости отрегулировать его посадку.
- Опухоли в решетчатой, лобной или клиновидной пазухах удаляются хирургическим путем, называемым черепно-лицевой резекцией . Эта операция включает удаление опухоли через надрезы (хирургические надрезы) на лице и черепе. Имея доступ к опухоли с двух сторон, ваши хирурги имеют больше шансов удалить всю опухоль.Это также помогает уменьшить возможное повреждение мозга, нервов и других основных структур. В вашей хирургической бригаде будут работать хирург головы и шеи, пластический хирург и нейрохирург.
Эндоскопическая хирургия
В ходе этой операции используются эндоскопы (тонкие, гибкие трубки с подсветкой), которые вводятся в нос для доступа к носовой полости и пазухам.
Эта операция используется для опухолей, которые являются небольшими и менее связаны с окружающими структурами. Его также можно использовать для лечения заболеваний носовых пазух, которые не являются раком.
Удаление лимфатических узлов
Опухоли полости носа и придаточных пазух иногда распространяются на лимфатические узлы на шее. Лимфатические узлы удаляются хирургическим путем, называемым рассечением шеи. Ваш хирург увидит, нужна ли вам диссекция шеи, на основании медицинского осмотра и компьютерной томографии (КТ) или магнитно-резонансной томографии (МРТ).
Если у вас удалены лимфатические узлы, вам установят дренажную трубку, пока вы находитесь в больнице. Ваши медсестры будут следить за объемом дренажа.Как только объем дренажа составит менее 20–30 миллилитров (около ½ унции) за 24 часа, дренаж будет удален. Обычно это происходит через 3-5 дней после операции.
Back to topПеред операцией
Информация в этом разделе поможет вам подготовиться к операции.
Прочтите этот раздел, когда запланирована операция, и обращайтесь к нему по мере приближения даты операции. В нем содержится важная информация о том, что вам необходимо сделать перед операцией.
Читая этот раздел, записывайте любые вопросы, которые вы хотите задать своему лечащему врачу.
Подготовка к операции
Вы и ваша команда по уходу будете работать вместе, чтобы подготовиться к операции.
Помогите нам обеспечить вашу безопасность во время операции, сообщив нам, относятся ли к вам какие-либо из следующих утверждений, даже если вы не уверены.
- Я принимаю разбавитель крови, такой как:
- Аспирин
- Гепарин
- Варфарин (Jantoven ® или Coumadin ® )
- Клопидогрел (Плавикс ® )
- Эноксапарин (Lovenox ® )
- Дабигатран (Прадакса ® )
- Апиксабан (Эликвис ® )
- Ривароксабан (Ксарелто ® )

- Я принимаю лекарства, отпускаемые по рецепту (лекарства, которые прописывает мой лечащий врач), включая пластыри и кремы.
- Я принимаю лекарства, отпускаемые без рецепта (лекарства, которые я покупаю без рецепта), в том числе пластыри и кремы.
- Я принимаю пищевые добавки, такие как травы, витамины, минералы, натуральные или домашние средства.
- У меня есть кардиостимулятор, автоматический имплантируемый кардиовертер-дефибриллятор (AICD) или другое сердечное устройство.
- У меня апноэ во сне.
- В прошлом у меня были проблемы с анестезией (лекарством, которое заставляет меня спать во время операции).
- У меня аллергия на определенные лекарства или материалы, включая латекс.
- Я не хочу делать переливание крови.
- Я пью алкоголь.
- Я курю или использую электронные устройства для курения (такие как вейп-ручка, электронная сигарета или Juul ® ).
- Я употребляю рекреационные наркотики.

Об употреблении алкоголя
Количество выпитого алкоголя может повлиять на вас во время и после операции.Важно поговорить со своим лечащим врачом о том, сколько алкоголя вы пьете. Это поможет нам спланировать ваше лечение.
- Если вы резко прекратите употреблять алкоголь, это может вызвать судороги, делирий и смерть. Если мы знаем, что вы подвержены риску этих осложнений, мы можем прописать лекарства, чтобы предотвратить их возникновение.
- Если вы регулярно употребляете алкоголь, у вас может возникнуть риск других осложнений во время и после операции. К ним относятся кровотечения, инфекции, проблемы с сердцем и более длительное пребывание в больнице.
Вот что вы можете сделать перед операцией, чтобы избежать проблем:
- Будьте честны со своими поставщиками медицинских услуг в отношении того, сколько алкоголя вы употребляете.
- Постарайтесь бросить пить алкоголь перед операцией. Если у вас появились головная боль, тошнота (ощущение, что вас вот-вот вырвет), повышенная тревожность или вы не можете заснуть после того, как бросили пить, немедленно сообщите об этом своему лечащему врачу.
Это ранние признаки отмены алкоголя, и их можно лечить. - Сообщите своему лечащему врачу, если вы не можете бросить пить.
- Задайте своему лечащему врачу вопросы об употреблении алкоголя и хирургическом вмешательстве. Как всегда, вся ваша медицинская информация будет храниться в тайне.
О курении
Если вы курите, у вас могут возникнуть проблемы с дыханием во время операции. Остановка даже за несколько дней до операции может помочь. Если вы курите, ваш лечащий врач направит вас в нашу программу лечения табакокурения. Вы также можете связаться с программой, позвонив по телефону 212-610-0507.
Об апноэ во сне
Апноэ во сне — это распространенное расстройство дыхания, при котором человек останавливает дыхание на короткие промежутки времени во время сна. Наиболее распространенным типом является обструктивное апноэ сна (СОАС). При СОАС ваши дыхательные пути полностью блокируются во время сна. ОАС может вызвать серьезные проблемы во время и после операции.
Пожалуйста, сообщите нам, страдаете ли вы апноэ во сне или думаете, что оно у вас может быть. Если вы используете дыхательное устройство (например, устройство CPAP) для лечения апноэ во сне, возьмите его с собой в день операции.
Использование MyMSK
MyMSK (my.mskcc.org) — это ваша учетная запись на портале MSK для пациентов. Вы можете использовать MyMSK, чтобы отправлять и получать сообщения от группы медицинского обслуживания, просматривать результаты анализов, даты и время приема и многое другое. Вы также можете предложить своему опекуну создать собственную учетную запись, чтобы он мог видеть информацию о вашем уходе.
Если у вас нет учетной записи MyMSK, вы можете посетить my.mskcc.org, позвонить по телефону 646-227-2593 или позвонить в кабинет своего врача, чтобы получить идентификатор регистрации для регистрации.Вы также можете посмотреть наше видео «Как зарегистрироваться в MyMSK: портал для пациентов Memorial Sloan Kettering». Чтобы получить помощь, обратитесь в службу поддержки MyMSK по электронной почте mymsk@mskcc.
org или по телефону 800-248-0593.
В течение 30 дней после операции
Предоперационное тестирование (PST)
Перед операцией вам назначат предоперационное обследование (PST). Дата, время и место будут напечатаны в напоминании о приеме в кабинете вашего хирурга. Полезно взять с собой на прием по стандартному тихоокеанскому времени следующие вещи:
.- Список всех лекарств, которые вы принимаете, включая рецептурные и безрецептурные лекарства, пластыри и кремы.
- Результаты любых анализов, проведенных за пределами центра MSK, таких как нагрузочный тест сердца, эхокардиограмма или допплерометрия сонных артерий.
- Имя(а) и номер(а) телефона вашего(их) поставщика(ов) медицинских услуг.
Вы можете есть и принимать свои обычные лекарства в день приема.
Во время приема PST вы встретитесь с практикующей медсестрой (NP). Они тесно сотрудничают с анестезиологами (специализированными медицинскими работниками, которые сделают вам анестезию во время операции).
Ваш лечащий врач вместе с вами рассмотрит вашу медицинскую и хирургическую историю. Вам могут назначить такие тесты, как электрокардиограмма (ЭКГ) для проверки сердечного ритма, рентген грудной клетки, анализы крови и любые другие тесты, необходимые для планирования лечения. Ваш NP также может порекомендовать вам обратиться к другим поставщикам медицинских услуг.
Ваш лечащий врач обсудит с вами, какие лекарства вам следует принимать утром в день операции.
Определите своего опекуна
Ваш опекун играет важную роль в уходе за вами.Перед операцией вы и лицо, осуществляющее уход, узнаете о вашей операции от медицинских работников. После операции ваш опекун отвезет вас домой после выписки из больницы. Они также помогут вам позаботиться о себе дома.
Для лиц, осуществляющих уход
Ресурсы и поддержка доступны, чтобы помочь справиться с обязанностями, связанными с уходом за человеком, проходящим лечение от рака. Для получения ресурсов и информации о поддержке посетите веб-сайт www.
mskcc.org/caregivers или прочитайте A Guide for Caregivers.
Заполните форму медицинской доверенности
Если вы еще не заполнили форму Health Care Proxy, мы рекомендуем вам заполнить ее сейчас. Если вы уже выполнили одно задание или у вас есть какие-либо другие предварительные указания, принесите их на следующую встречу.
Медицинская доверенность — это юридический документ, в котором указывается лицо, которое будет говорить от вашего имени, если вы не можете общаться от своего имени. Человек, которого вы идентифицируете, называется вашим представителем по вопросам медицинского обслуживания.
Поговорите со своим поставщиком медицинских услуг, если вы заинтересованы в заполнении медицинской доверенности.Вы также можете ознакомиться с материалами «Предварительное планирование медицинского обслуживания» и «Как стать представителем по вопросам медицинского обслуживания» для получения информации о доверенности на получение медицинских услуг, других предварительных распоряжений и о том, как стать представителем по вопросам медицинского обслуживания.
Делайте дыхательные упражнения и упражнения от кашля
Потренируйтесь глубоко дышать и кашлять перед операцией. Если у вас есть какие-либо вопросы, задайте их медсестре или пульмонологу.
Упражнение
Старайтесь заниматься аэробикой каждый день. Аэробные упражнения — это любые упражнения, которые заставляют ваше сердце биться чаще, например ходьба, плавание или езда на велосипеде.Если на улице холодно, используйте дома лестницу или отправляйтесь в торговый центр или торговый центр. Упражнения помогут вашему телу прийти в наилучшее состояние для операции и сделают ваше выздоровление быстрее и легче.
Соблюдайте здоровую диету
Перед операцией придерживайтесь хорошо сбалансированной здоровой диеты. Если вам нужна помощь с диетой, поговорите со своим лечащим врачом о встрече с клиническим врачом-диетологом.
За 7 дней до операции
Следуйте инструкциям вашего поставщика медицинских услуг по приему аспирина
Если вы принимаете аспирин или лекарство, содержащее аспирин, вам может потребоваться изменить дозу или прекратить прием за 7 дней до операции.
Аспирин может вызвать кровотечение.
Следуйте инструкциям вашего лечащего врача. Не прекращайте принимать аспирин, если вам об этом не скажут. Для получения дополнительной информации ознакомьтесь с материалом Общие лекарства, содержащие аспирин, другие нестероидные противовоспалительные препараты (НПВП) или витамин Е.
Прекратите принимать витамин Е, поливитамины, лечебные травы и другие пищевые добавки
Прекратите прием витамина Е, поливитаминов, лечебных трав и других пищевых добавок за 7 дней до операции.Эти вещи могут вызвать кровотечение. Для получения дополнительной информации ознакомьтесь с материалом Травяные лекарственные средства и лечение рака.
За 2 дня до операции
Прекратить прием нестероидных противовоспалительных препаратов (НПВП)
Прекратите прием НПВП, таких как ибупрофен (Адвил ® и Мотрин ® ) и напроксен (Алив ® ), за 2 дня до операции. Эти лекарства могут вызвать кровотечение.
Для получения дополнительной информации ознакомьтесь с материалом Общие лекарства, содержащие аспирин, другие нестероидные противовоспалительные препараты (НПВП) или витамин Е.
За 1 день до операции
Обратите внимание на время операции
Сотрудник приемного отделения позвонит вам после 14:00 за день до операции. Если ваша операция назначена на понедельник, вам позвонят в предыдущую пятницу. Если вам не позвонят до 19:00, позвоните по номеру 212-639-5014.
Сотрудник сообщит вам, во сколько вам следует прибыть в больницу на операцию. Они также напомнят вам, куда идти.
Это будет одно из следующих мест:
- Предоперационный центр (PSC) на 2 -м -м этаже
1275 York Avenue (между 67--й -й и 68-й -й -й улицами) этаж - Presurgical Center (PSC) на 6 th этаж
1275 York Avenue (между East 67 th и East 68 th Street)
New York, NY 10065
Поднимитесь на лифте B до 8 6 9053
Душ
Вымойтесь водой с мылом накануне операции.
Инструкции по приему пищи перед операцией
Ничего не ешьте после полуночи накануне операции. Сюда входят леденцы и жевательная резинка.
Утро вашей операции
Инструкции по питью перед операцией
Вы можете выпить в общей сложности 12 унций воды между полуночью и за 2 часа до запланированного времени прибытия. Не пейте больше ничего.
Не пейте ничего за 2 часа до запланированного времени прибытия. Сюда входит вода.
Принимайте лекарства согласно инструкции
Если ваш лечащий врач сказал вам принимать определенные лекарства утром в день операции, принимайте только эти лекарства, запивая глотком воды. В зависимости от того, какие лекарства вы принимаете, это могут быть все, некоторые или ни одно из ваших обычных утренних лекарств.
Что нужно помнить
- Наденьте что-нибудь удобное и свободное.
- Если вы носите контактные линзы, наденьте вместо них очки.
Ношение контактных линз во время операции может повредить глаза. - Не носите никаких металлических предметов. Снимите все украшения, включая пирсинг. Инструменты, используемые во время операции, могут вызвать ожоги, если они соприкоснутся с металлом.
- Не пользуйтесь лосьоном, кремом, дезодорантом, косметикой, пудрой, духами или одеколоном.
- Оставьте ценные вещи дома.
- Если у вас менструация (месячные), используйте гигиеническую прокладку, а не тампон. Вы получите одноразовое нижнее белье, а также прокладку, если это необходимо.
Что взять с собой
- Топ на пуговицах или свободный.
- Ваше дыхательное устройство для лечения апноэ во сне (например, устройство CPAP), если оно у вас есть.
- Форма доверенности на медицинское обслуживание и другие предварительные распоряжения, если вы их заполнили.
- Ваш мобильный телефон и зарядное устройство.
- Только деньги, которые могут понадобиться для мелких покупок (например, газеты).

- Чемодан для ваших личных вещей (например, очков, слуховых аппаратов, зубных протезов, протезов, париков и предметов религиозного назначения), если они у вас есть.
- Это руководство. Ваша медицинская бригада будет использовать его, чтобы научить вас ухаживать за собой после операции.
Где припарковаться
ГаражMSK находится на улице East 66 th между York и First Avenue. Если у вас есть вопросы о ценах, позвоните по телефону 212-639-2338.
Чтобы добраться до гаража, поверните на восточную улицу 66 th от York Avenue. Гараж находится примерно в четверти квартала от Йорк-авеню.Он находится на правой (северной) стороне улицы. Есть туннель, по которому можно пройти, который соединяет гараж с больницей.
Есть и другие гаражи, расположенные по адресу:
- Восток 69 -й Улица между Первой и Второй авеню
- East 67 th Street между York и First Avenue
- Восток 65 -й Улица между Первой и Второй авеню
Когда вы в больнице
Вас попросят несколько раз произнести и произнести по буквам свое имя и дату рождения.
Это для вашей безопасности. Людям с одинаковыми или похожими именами может быть назначена операция в один и тот же день.
Когда придет время переодеваться для операции, вы получите больничный халат, халат и нескользящие носки.
Оденься перед операцией
Когда придет время переодеваться для операции, вы получите больничный халат, халат и нескользящие носки.
Встретиться с медсестрой
Вы встретитесь с медсестрой перед операцией. Сообщите им дозу любых лекарств, которые вы принимали после полуночи (включая рецептурные и безрецептурные лекарства, пластыри и кремы), и время, когда вы их принимали.
Ваша медсестра/медбрат может установить внутривенный катетер (IV) в одну из ваших вен, обычно в вашу руку или кисть. Если ваша медсестра не поставит капельницу, анестезиолог сделает это в операционной.
Встреча с анестезиологом
Вы также встретитесь с анестезиологом перед операцией. Их будет:
- Ознакомьтесь с историей болезни вместе с вами.

- Спросите, были ли у вас проблемы с анестезией в прошлом, включая тошноту или боль.
- Поговорите с вами о вашем комфорте и безопасности во время операции.
- Поговорите с вами о виде анестезии, которую вы получите.
- Ответьте на вопросы об анестезии.
Подготовьтесь к операции
Когда придет время операции, вам нужно будет снять слуховые аппараты, зубные протезы, протезы, парик и религиозные предметы, если они у вас есть.
Либо вы пойдете в операционную, либо сотрудник принесет вам носилки. Сотрудник операционной поможет вам лечь на операционную кровать и наденет компрессионные сапоги на голени.Они мягко надуваются и сдуваются, чтобы улучшить кровоток в ногах.
Когда вы почувствуете себя комфортно, анестезиолог введет вам анестезию через внутривенный катетер, и вы уснете. Вы также будете получать жидкости через капельницу во время и после операции.
Во время операции
После того, как вы полностью заснете, вам через рот в дыхательное горло введут дыхательную трубку, чтобы помочь вам дышать.
Катетер мочи (Фолей) также будет размещен для слива мочи (моче) от вашего мочевого пузыря.
После завершения операции разрез будет закрыт с помощью скоб или швов (швов). Вы также можете накладывать Steri-Strips ™ (тонкие кусочки хирургической ленты) или Dermabond ® (хирургический клей) на разрезы. Ваши разрезы могут быть закрыты повязкой.
Дыхательную трубку обычно удаляют, пока вы еще находитесь в операционной.
Back to topПосле операции
Информация в этом разделе расскажет вам, чего ожидать после операции, как во время пребывания в больнице, так и после выписки из больницы.Вы узнаете, как безопасно восстановиться после операции.
Читая этот раздел, записывайте любые вопросы, которые вы хотите задать своему лечащему врачу.
В отделении посленаркозного ухода (PACU)
Когда вы проснетесь после операции, вы окажетесь в отделении интенсивной терапии. Медсестра будет следить за температурой вашего тела, пульсом, артериальным давлением и уровнем кислорода.
Вы можете получать кислород через тонкую трубку, расположенную под носом, или через маску, закрывающую нос и рот.У вас также будут компрессионные сапоги на голенях.
Обезболивающие
Пока вы находитесь в отделении интенсивной терапии, вам введут внутривенное обезболивающее. Возможно, вы сможете контролировать прием обезболивающего с помощью кнопки, называемой устройством обезболивания, контролируемого пациентом (PCA). Для получения дополнительной информации прочтите Анальгезия, контролируемая пациентом (PCA).
Трубки и дренажи
У вас будет 1 или более из следующего:
- Дренажные трубки возле разрезов. Они помогают отводить жидкость из пораженной области, что способствует заживлению ран.
- Катетер Фолея через уретру в мочевой пузырь. Это истощает мочу (мочу) из мочевого пузыря.
- Маска для лица и увлажнитель воздуха. Это поможет сохранить ваши дыхательные пути влажными.
- Назогастральный (НГ) зонд для питания, если необходимо.
Это трубка, которая проходит через нос в желудок. Он используется для питания. Если вам нужна назогастральная трубка, она будет установлена, пока вы спите во время операции, и удалена, как только вы будете готовы. - Шины в носу (шины Дойла).Они помогают предотвратить образование рубцов на носу. Они будут удалены во время вашего первого визита после операции.
Переезд в вашу больничную палату
В зависимости от типа перенесенной операции вы можете остаться в PACU на несколько часов или на ночь. После вашего пребывания в PACU сотрудник отведет вас в вашу больничную палату.
В вашей больничной палате
Продолжительность вашего пребывания в больнице после операции зависит от вашего выздоровления. Член вашей медицинской бригады расскажет вам, чего ожидать.
Когда вас доставят в палату, вы встретите одну из медсестер, которая будет заботиться о вас, пока вы находитесь в больнице.
Пока вы находитесь в больнице, ваши медсестры научат вас ухаживать за собой, пока вы восстанавливаетесь после операции.
Читать ресурс Звоните! Не падай! чтобы узнать, что вы можете сделать, чтобы оставаться в безопасности и не упасть, пока вы находитесь в больнице.
Как справиться с болью
После операции у вас будут боли.Сначала вам будут вводить обезболивающие через эпидуральный катетер или капельницу. Вы сможете контролировать прием обезболивающего с помощью устройства PCA. Как только вы сможете есть, вы получите пероральное обезболивающее (лекарство, которое вы проглатываете).
Медицинские работники будут часто спрашивать вас о боли и давать лекарства по мере необходимости. Если ваша боль не уменьшилась, сообщите об этом одному из ваших медицинских работников. Важно контролировать свою боль, чтобы вы могли использовать стимулирующий спирометр и двигаться.Контроль боли поможет вам быстрее восстановиться.
Перед выпиской из больницы вам выпишут рецепт на обезболивающие. Поговорите со своим лечащим врачом о возможных побочных эффектах и о том, когда начинать переходить на безрецептурные обезболивающие.
Передвижение и ходьба
Передвижение и ходьба помогут снизить риск образования тромбов и пневмонии (инфекции легких). Это также поможет вам снова начать выделять газы и опорожнять кишечник (испражняться).Ваша медсестра, физиотерапевт или эрготерапевт помогут вам передвигаться, если это необходимо.
Тренировка легких
Важно тренировать легкие, чтобы они полностью расширялись. Это помогает предотвратить пневмонию.
- Используйте стимулирующий спирометр 10 раз каждый час во время бодрствования. Для получения дополнительной информации ознакомьтесь с материалом Как использовать стимулирующий спирометр.
- Делайте упражнения от кашля и глубокого дыхания. Член вашей группы по уходу научит вас, как это сделать.
Еда и питье
В первый прием пищи после операции вам будут давать только прозрачные жидкости. После этого вы постепенно начнете соблюдать пюреобразную диету, а затем механическую мягкую диету.
Для получения дополнительной информации ознакомьтесь с материалом Руководство по питанию для пюреобразных и механических мягких диет.
Если у вас есть вопросы по поводу вашей диеты, обратитесь к клиническому диетологу-нутрициологу.
Уход за трубками и дренажами
Сотрудник позаботится о ваших трубках и дренажах, пока вы находитесь в больнице.Если вы выходите из больницы с трубками или дренажами, они также научат вас ухаживать за ними, чтобы вы могли делать это дома самостоятельно. Может быть полезно, если ваш опекун тоже узнает.
Душ
- Если у вас есть дренажные трубки рядом с разрезом, вы можете принять душ, но не мочите дренажные трубки. Сотрудник поможет вам. Вы можете принимать обычный душ через 24 часа после удаления дренажных трубок.
- Если у вас нет дренажных трубок рядом с разрезом, не принимайте душ в течение первых 48 часов после операции.Вы можете принять ванну с губкой. Сотрудник поможет вам.
Планирование выписки
Медсестра/медбрат научит вас уходу за собой, который вам понадобится, чтобы продолжать ухаживать за собой дома.
Это может включать орошение рта и носа, если это необходимо. Вы также изучите упражнения для предотвращения тризма. Это неспособность открыть челюсть, которая может развиться из-за рубцевания или изменений мышц вокруг челюсти. Для получения дополнительной информации ознакомьтесь с материалом Лечение тризма после лечения рака головы и шеи.
Если вы пробудете в больнице менее 1 недели, вы покинете больницу со скобками или швами на разрезе. Они будут удалены во время последующего визита после операции. Если вы останетесь в больнице более чем на 1 неделю, некоторые или все ваши скобы или швы будут сняты перед выпиской.
Выписка из больницы
К тому времени, когда вы будете готовы покинуть больницу, ваш разрез начнет заживать. Перед выпиской из больницы осмотрите разрез у одного из медицинских работников.Знание того, как выглядит ваш разрез, поможет вам заметить любые изменения позже.
В день выписки планируйте покинуть больницу около 11:00. Перед отъездом ваш поставщик медицинских услуг выпишет вам приказ о выписке и рецепты.
Вы также получите письменные инструкции по выписке. Перед тем, как вы уйдете, один из ваших медицинских работников ознакомится с этими инструкциями вместе с вами.
Если ваш автомобиль не находится в больнице, когда вы готовы к выписке, вы можете подождать в зале ожидания для пациентов.Член вашей медицинской бригады предоставит вам дополнительную информацию.
Дома
Прочитайте материал Что вы можете сделать, чтобы избежать падения, чтобы узнать, что вы можете сделать, чтобы оставаться в безопасности и не упасть дома и во время приема в центре MSK.
Заполнение трекера восстановления
Мы хотим знать, как вы себя чувствуете после выписки из больницы. Чтобы помочь нам продолжать заботиться о вас, мы будем отправлять вопросы в вашу учетную запись MyMSK каждый день в течение 10 дней после выписки из больницы.Эти вопросы известны как ваш трекер восстановления.
Заполняйте свой трекер восстановления каждый день до полуночи (00:00).
На выполнение уходит всего 2-3 минуты. Ваши ответы на эти вопросы помогут нам понять, как вы себя чувствуете и что вам нужно.
На основании ваших ответов мы можем связаться с вами для получения дополнительной информации или попросить вас позвонить в офис вашего хирурга. Вы всегда можете обратиться в офис своего хирурга, если у вас есть какие-либо вопросы. Для получения дополнительной информации ознакомьтесь с материалом About Your Recovery Tracker .
Как справиться с болью
Люди испытывают боль или дискомфорт в течение разного времени. Когда вы вернетесь домой, у вас все еще может быть некоторая боль, и, вероятно, вы будете принимать обезболивающее. У некоторых людей болезненность, скованность или мышечные боли вокруг разреза сохраняются в течение 6 месяцев или дольше. Это не значит, что что-то не так.
Следуйте приведенным ниже рекомендациям, чтобы справиться с болью в домашних условиях.
- Принимайте лекарства в соответствии с указаниями и по мере необходимости.

- Позвоните своему поставщику медицинских услуг, если выписанное вам лекарство не облегчит вашу боль.
- Не садитесь за руль и не пейте алкоголь, пока принимаете обезболивающие. Некоторые отпускаемые по рецепту обезболивающие могут вызывать сонливость. Алкоголь может усилить сонливость.
- По мере заживления разреза у вас будет меньше болей и вам потребуется меньше обезболивающих. Болеутоляющие средства, отпускаемые без рецепта, такие как ацетаминофен (Тайленол ® ) или ибупрофен (Адвил ® или Мотрин ® ), облегчат боль и дискомфорт.
- Следуйте инструкциям вашего поставщика медицинских услуг по прекращению приема рецептурных обезболивающих.
- Не принимайте больше лекарств, чем указано на этикетке или в соответствии с указаниями вашего лечащего врача.
- Читайте этикетки на всех лекарствах, которые вы принимаете, особенно если вы принимаете ацетаминофен. Ацетаминофен входит в состав многих безрецептурных и отпускаемых по рецепту лекарств.
Прием слишком большого количества может нанести вред вашей печени. Не принимайте более одного лекарства, содержащего ацетаминофен, не посоветовавшись с членом вашей медицинской бригады.
- Обезболивающие должны помочь вам вернуться к нормальной деятельности.Принимайте достаточное количество лекарств, чтобы с комфортом заниматься своими делами и упражнениями. Это нормально, когда ваша боль немного усиливается, когда вы начинаете быть более активным.
- Следите за тем, когда вы принимаете обезболивающее. Лучше всего он работает через 30-45 минут после приема. Принимать его, когда вы впервые почувствовали боль, лучше, чем ждать, пока боль усилится.
Профилактика и лечение запоров
Поговорите со своим лечащим врачом о том, как предотвратить запор и справиться с ним.Вы также можете следовать приведенным ниже рекомендациям.
- Ходите в туалет в одно и то же время каждый день. Ваше тело привыкнет к этому времени. Однако, если вы чувствуете, что вам нужно идти, не откладывайте это.

- Попробуйте сходить в туалет через 5-15 минут после еды. После завтрака самое время идти. Именно тогда рефлексы в толстой кишке наиболее сильны.
- Упражняйтесь, если можете. Ходьба — отличная форма упражнений.
- Пейте от 8 до 10 (8 унций) стаканов (2 литра) жидкости в день, если можете.Выбирайте жидкости, такие как вода, соки (например, сок из чернослива), супы и коктейли из мороженого. Избегайте жидкостей с кофеином (таких как кофе и содовая). Кофеин может вытягивать жидкость из вашего тела.
- Медленно увеличивайте количество клетчатки в своем рационе до 25–35 граммов в день. Неочищенные фрукты и овощи, цельное зерно и крупы содержат клетчатку. Если у вас есть стома или вы недавно перенесли операцию на кишечнике, проконсультируйтесь со своим лечащим врачом, прежде чем вносить какие-либо изменения в свой рацион.
- Для лечения запоров доступны как безрецептурные, так и отпускаемые по рецепту лекарства.Проконсультируйтесь со своим лечащим врачом, прежде чем принимать какие-либо лекарства от запоров, особенно если у вас есть стома или вы перенесли операцию на кишечнике.
Следуйте инструкциям на метке или от вашего врача. Примеры препарата препаратов для запоров включают в себя:- Докузат натрия (Colace ® ). Это средство для размягчения стула (лекарство, которое делает вашу дефекацию более мягкой), вызывающее мало побочных эффектов. Вы можете использовать его для предотвращения запоров. Не принимайте его с минеральным маслом.
- Полиэтиленгликоль (MiraLAX ® ). Это слабительное (лекарство, вызывающее дефекацию), которое вызывает мало побочных эффектов. Возьмите его с 8 унциями (1 стаканом) жидкости. Принимайте его только в том случае, если у вас уже запор.
- Сенна (Senokot ® ). Это стимулирующее слабительное, которое может вызвать спазмы. Лучше всего принимать его перед сном. Принимайте его только в том случае, если у вас уже запор.
Уход за разрезом
Перед выпиской из больницы ваш лечащий врач даст вам письменные инструкции о том, как ухаживать за разрезами.
Онемение кожи под разрезом — это нормально. Это происходит потому, что некоторые из ваших нервов были перерезаны во время операции. Онемение пройдет со временем.
Позвоните в офис своего поставщика медицинских услуг, если:
- Кожа вокруг разреза очень красная.
- Кожа вокруг разреза становится более красной.
- Вы видите отделяемое, похожее на гной (густое и мутное).
- Ваш разрез плохо пахнет.
Если вы вернетесь домой со скобками или швами на разрезе, ваш лечащий врач снимет их во время вашего первого визита после операции. Это нормально, чтобы намочить их.
Если перед операцией вам была проведена лучевая терапия шеи, ваш лечащий врач снимет скобы или швы через 2–3 недели после операции.
Еда и питье
Ваша медицинская бригада сообщит вам, нужно ли вам соблюдать особую диету дома. Если у вас есть вопросы по поводу вашей диеты, попросите обратиться к клиническому диетологу-нутрициологу.
Изменения носа после операции на околоносовых пазухах
Если вам сделали операцию на носовых пазухах, у вас будет застой (заложенность) и выделения. Это может прийти и уйти. Ваш лечащий врач поможет вам справиться с ними во время визитов после операции.
В течение некоторого времени после операции у вас может быть ослаблено обоняние.Это также может повлиять на ваше чувство вкуса. Эти вещи вернутся, когда вы исцелитесь.
Назальные меры предосторожности после операции на носовых пазухах
Если у вас была операция на околоносовых пазухах, соблюдайте приведенные ниже меры предосторожности в течение первых 4–6 недель после операции.
- Не засовывайте ничего в нос.
- Не пейте через соломинку.
- Не опускайте голову ниже плеч.
- Чихать с открытым ртом.
- Кашель с открытым ртом.
Ваш лечащий врач сообщит вам, относится ли это к вам.
Физическая активность и упражнения
Когда вы покинете больницу, ваш разрез будет выглядеть так, как будто он зажил снаружи, но не заживет внутри.
В течение первых 4-6 недель после операции:
- Не поднимайте ничего тяжелее 10 фунтов (около 4,5 кг).
- Не делайте никаких физических нагрузок (например, бег трусцой и теннис).
- Не занимайтесь контактными видами спорта (например, футболом).
Аэробные упражнения, такие как ходьба и подъем по лестнице, помогут вам набраться сил и почувствовать себя лучше. Ходите не менее 2–3 раз в день по 20–30 минут. Вы можете прогуляться на улице или в помещении в местном торговом центре или торговом центре.
Если после операции у вас меньше энергии, чем обычно, это нормально. Время восстановления индивидуально для каждого человека. Увеличивайте свою активность каждый день настолько, насколько это возможно. Всегда балансируйте периоды активности с периодами отдыха. Отдых является важной частью вашего выздоровления.
Вождение
Спросите у своего поставщика медицинских услуг, когда вы сможете водить машину. Большинство людей могут снова сесть за руль через 1 неделю после операции.
Не садитесь за руль, пока вы принимаете обезболивающие, которые могут вызвать сонливость.
Вы можете ехать в машине в качестве пассажира в любое время после выписки из больницы.
Возвращаюсь к работе
Поговорите со своим лечащим врачом о своей работе и о том, когда вам будет безопасно снова приступить к работе. Если ваша работа связана с большим количеством движений или поднятием тяжестей, возможно, вам придется не выходить на улицу немного дольше, чем если бы вы сидели за столом.
Путешествие
Если у вас была операция на носовых пазухах или на основании черепа, не летайте на самолете в течение 6 недель после операции. Ваша медицинская бригада сообщит вам, относится ли это к вам.
Получение результатов теста
Ткань, удаленная во время операции, будет исследована патологоанатомом после операции. Результаты теста обычно готовы через 1 неделю, но это может занять больше времени в зависимости от проведенных тестов.
Ваш лечащий врач обсудит с вами результаты во время вашего первого последующего визита после операции.
Последующие встречи
Ваш поставщик медицинских услуг обсудит с вами долгосрочное последующее лечение. Ваш первый прием после операции состоится примерно через 7–10 дней после выписки из больницы. Во время этого визита медсестра/медбрат научит вас, как ухаживать за носом и пазухами в домашних условиях, если это необходимо.
Если вам сделали операцию на носовых пазухах, вы будете регулярно посещать врача в течение первого месяца после операции. Они помогут очистить ваш нос и носовые пазухи, что поможет вам выздороветь и чувствовать себя комфортно.
Вы будете регулярные встречи с вашей стоматологической командой в течение нескольких месяцев после операции. Если у вас есть обтуратор, они отрегулируют его по мере необходимости, чтобы помочь вам быть в состоянии жевать, проглотить и говорить. При необходимости будет предпринят протез лица, чтобы помочь вам выглядеть так же, как и до вашей операции.
При необходимости с вами будет работать логопед Центра речи и слуха. Логопед лечит:
- Потеря голоса
- Расстройства глотания
- Нарушение речи
Ваш речевой патолог поможет вам вернуть как можно большее из своей речи и глотания.
Если у вас есть какие-либо вопросы или опасения, вы можете обратиться в офис своего поставщика медицинских услуг в любое время после выписки из больницы.
Управление своими чувствами
После операции по поводу серьезного заболевания у вас могут возникнуть новые и неприятные чувства. Многие люди говорят, что в тот или иной момент они чувствовали себя плачущими, грустными, обеспокоенными, нервными, раздражительными и злыми. Вы можете обнаружить, что не можете контролировать некоторые из этих чувств. Если это произойдет, рекомендуется обратиться за эмоциональной поддержкой.Ваш лечащий врач может направить вас в Консультационный центр MSK. Вы также можете связаться с ними, позвонив по телефону 646-888-0200.
Первый шаг к преодолению трудностей — рассказать о том, что вы чувствуете. Семья и друзья могут помочь. Ваши поставщики медицинских услуг могут успокоить, поддержать и направить вас. Всегда полезно сообщить нам, как вы, ваша семья и ваши друзья чувствуете себя эмоционально. Многие ресурсы доступны для вас и вашей семьи. Находитесь ли вы в больнице или дома, мы здесь, чтобы помочь вам, вашей семье и друзьям справиться с эмоциональными аспектами вашей болезни.
Ваше лечение может изменить вашу внешность. Это может особенно огорчить. Существует множество ресурсов, которые помогут вам и вашей семье во время выздоровления. Некоторые из них находятся здесь, в MSK, а другие — в вашем сообществе. Спросите своего врача, медсестру или социального работника о возможных вариантах. Вы также можете поговорить с человеком, перенесшим рак головы и шеи. Это можно организовать в рамках нашей Программы поддержки пациентов и лиц, осуществляющих уход. Большинство людей находят очень обнадеживающим видеть кого-то, кто прошел через что-то похожее на то, с чем они столкнулись.![]()
Программа «Ресурсы для жизни после рака» (RLAC) предоставляет поддержку и обучение людям, завершившим лечение. Чтобы узнать больше о программах, которые они предлагают, позвоните по телефону 646-888-8106 или посетите веб-сайт www.mskcc.org/experience/living-beyond-cancer/services-survivors
.Депрессия может возникнуть в любое время, когда у вас диагностирован рак. Важно распознать симптомы. Помощь доступна для лечения и управления им. Признаки депрессии:
- Чувства беспомощности и печали длятся дольше, чем обычно
- Неспособность или трудности с концентрацией внимания, выполнением обычных действий или и то, и другое
- Изменение настроения
- Изменение режима сна
- Изменение аппетита
Если у вас есть какие-либо из этих симптомов и они длятся более 2 недель, сообщите об этом своему лечащему врачу.
Когда обращаться к поставщику медицинских услуг
Обратитесь к поставщику медицинских услуг, если:
- У вас температура 100,5 °F (38 °C) или выше.

- У вас озноб.
- У вас проблемы с дыханием.
- Кожа вокруг разреза теплее, чем обычно.
- Кожа вокруг разреза становится краснее.
- Область вокруг разреза начинает опухать.
- Область вокруг разреза становится все более опухшей.
- Из места разреза вытекают выделения или жидкость.
- У вас есть вопросы или опасения.
С понедельника по пятницу с 9:00 до 17:00, обращайтесь в офис вашего поставщика медицинских услуг. После 17:00, в выходные и праздничные дни звоните по телефону 212-639-2000 и попросите соединить вас с дежурным врачом.
Back to topСлужбы поддержки
В этом разделе приведен список служб поддержки, которые могут помочь вам подготовиться к операции и безопасно восстановиться.
Читая этот раздел, записывайте любые вопросы, которые вы хотите задать своему лечащему врачу.
Служба поддержки MSK
Для получения дополнительной информации в Интернете посетите раздел «Типы рака» на сайте www.
mskcc.org.
Приемное отделение
212-639-7606
Звоните, если у вас есть вопросы о госпитализации, в том числе запрос на отдельную палату.
Анестезия
212-639-6840
Звоните, если у вас есть вопросы об анестезии.
Кабинет доноров крови
212-639-7643
Если вы хотите сдать кровь или тромбоциты, позвоните для получения информации.
Международный центр Bobst
888-675-7722
MSK принимает пациентов со всего мира. Если вы являетесь иностранным пациентом, позвоните, чтобы вам помогли организовать лечение.
Консультационный центр
646-888-0200
Многие люди считают, что консультации помогают им. Мы предоставляем консультации для отдельных лиц, пар, семей и групп, а также лекарства, которые помогут, если вы чувствуете тревогу или депрессию.Чтобы записаться на прием, попросите направление у своего поставщика медицинских услуг или позвоните по номеру, указанному выше.
Программа женской сексуальной медицины и женского здоровья
646-888-5076
Рак и лечение рака могут повлиять на ваше сексуальное здоровье. Наша программа «Женская сексуальная медицина и женское здоровье» может помочь, если вы имеете дело с проблемами сексуального здоровья, связанными с раком, такими как преждевременная менопауза или проблемы с фертильностью. Позвоните, чтобы получить дополнительную информацию или записаться на прием. Мы можем помочь вам принять меры и решить проблемы с сексуальным здоровьем до, во время или после вашего лечения.
Программа Food Pantry
646-888-8055
Программа Food Pantry предоставляет еду нуждающимся людям во время лечения рака. Для получения дополнительной информации поговорите со своим поставщиком медицинских услуг или позвоните по указанному выше номеру.
Служба интегративной медицины
646-888-0800
Служба интегративной медицины предлагает множество услуг, дополняющих (совместно с) традиционное медицинское обслуживание, включая музыкальную терапию, терапию разума и тела, танцевальную и двигательную терапию, йогу и тактильную терапию.
Программа мужской сексуальной и репродуктивной медицины
646-888-6024
Рак и лечение рака могут повлиять на ваше сексуальное здоровье. Наша программа мужской сексуальной и репродуктивной медицины может помочь, если вы имеете дело с проблемами сексуального здоровья, связанными с раком, такими как эректильная дисфункция (ЭД). Позвоните, чтобы получить информацию или записаться на прием. Мы можем помочь вам принять меры и решить проблемы с сексуальным здоровьем до, во время или после вашего лечения.
МСК Библиотека
Библиотека.mskcc.org
212-639-7439
Вы можете посетить веб-сайт нашей библиотеки или поговорить со справочным персоналом библиотеки, чтобы получить дополнительную информацию о вашем конкретном типе рака. Вы также можете посетить LibGuides на веб-сайте библиотеки MSK по адресу libguides.mskcc.org
Обучение пациентов и лиц, осуществляющих уход
www.mskcc.org/pe
Посетите веб-сайт обучения пациентов и лиц, осуществляющих уход, для поиска в нашей виртуальной библиотеке. Там вы можете найти письменные образовательные ресурсы, видео и онлайн-программы.
Программа поддержки пациентов и опекунов
212-639-5007
Вам может быть приятно поговорить с кем-то, кто прошел через подобное лечение.Вы можете поговорить с бывшим пациентом центра MSK или лицом, осуществляющим уход, в рамках нашей Программы поддержки пациентов и лиц, осуществляющих уход. Эти разговоры конфиденциальны. Они могут проходить лично или по телефону.
пациента счета пациента
646-227-3378
Вызов Если у вас есть вопросы о преавторе с вашей страховой компанией. Это также называется предварительным одобрением.
Представительство пациентов
212-639-7202
Звоните, если у вас есть вопросы по форме Health Care Proxy или если у вас есть опасения по поводу вашего лечения.
Медсестра, ответственная за периоперационный период
212-639-5935
Звоните, если у вас есть вопросы о раскрытии MSK какой-либо информации во время операции.
Частная медсестра
212-639-6892
Вы можете запросить частных сиделок или сопровождающих. Позвоните для получения дополнительной информации.
Программа Resources for Life After Cancer (RLAC)
646-888-8106
В центре MSK уход не заканчивается после активного лечения. Программа RLAC предназначена для пациентов и их семей, завершивших лечение.Эта программа предлагает множество услуг, включая семинары, мастер-классы, группы поддержки, консультации по вопросам жизни после лечения, а также помощь в вопросах страхования и трудоустройства.
Social Work
212-639-7020
Социальные работники помогают пациентам, членам их семей и друзьям решать проблемы, характерные для больных раком. Они предоставляют индивидуальные консультации и группы поддержки на протяжении всего курса лечения и могут помочь вам общаться с детьми и другими членами семьи. Наши социальные работники также могут помочь вам направить вас в общественные организации и программы, а также предоставить финансовые ресурсы, если вы имеете на это право.
Духовная помощь
212-639-5982
Наши капелланы (духовные советники) готовы выслушать, помочь поддержать членов семьи, помолиться, связаться с местным духовенством или религиозными группами или просто быть утешительным товарищем и духовным присутствием. Запросить духовную поддержку может любой желающий, независимо от формальной религиозной принадлежности. Межконфессиональная часовня центра MSK расположена недалеко от главного вестибюля Мемориальной больницы. Он открыт 24 часа в сутки. Если у вас экстренная ситуация, звоните по номеру 212-639-2000. Попросите капеллана по вызову.
Tobacco Treatment Program
212-610-0507
Если вы хотите бросить курить, в центре MSK есть специалисты, которые могут вам помочь. Звоните для информации.
Виртуальные программы
www.mskcc.org/vp
Виртуальные программы центра MSK предлагают онлайн-обучение и поддержку пациентов и лиц, осуществляющих уход, даже если вы не можете прийти в центр MSK лично. Благодаря интерактивным сеансам в режиме реального времени вы можете узнать о своем диагнозе, о том, чего ожидать во время лечения, и о том, как подготовиться к различным этапам лечения рака.Сеансы конфиденциальны, бесплатны и проводятся опытным клиническим персоналом. Если вы хотите присоединиться к виртуальной программе, посетите наш веб-сайт по адресу www.mskcc.org/vp для получения дополнительной информации.
Услуги внешней поддержки
Access-A-Ride
web.mta.info/nyct/paratran/guide.htm
877-337-2017
В Нью-Йорке MTA предлагает совместные поездки от двери до двери для людей с инвалиды, которые не могут пользоваться общественным автобусом или метро.
Air Charity Network
www.aircharitynetwork.org
877-621-7177
Предоставляет проезд в лечебные центры.
Американское онкологическое общество (ACS)
www.cancer.org
800-ACS-2345 (800-227-2345)
Предлагает разнообразную информацию и услуги, включая Hope Lodge, бесплатное место для проживания пациентов и лиц, осуществляющих уход во время лечения рака.
Cancer and Careers
www.cancerandcareers.org
Ресурс для обучения, инструментов и мероприятий для сотрудников, больных раком.
рак Уход
www.cancercare.org
800-813-4673 900-813-4673
275 седьмой авеню (между западом 25 Th и 26 Th улиц)
Нью-Йорк, NY 10001
обеспечивает консультирование, группы поддержки, образовательные семинары, публикации и финансовая помощь.
Сообщество поддержки рака
www.cancersupportcommunity.org
Предоставляет поддержку и обучение людям, страдающим раком.
Caregiver Action Network
www.caregiveraction.org
800-896-3650
Предоставляет образование и поддержку людям, ухаживающим за близкими людьми с хроническими заболеваниями или инвалидностью.
Corporate Angel Network
www.corpangelnetwork.org
866-328-1313
Предлагает бесплатные поездки на лечение по стране с использованием свободных мест на корпоративных самолетах.
Gilda’s Club
www.gildasclubnyc.org
212-647-9700
Место, где больные раком мужчины, женщины и дети находят социальную и эмоциональную поддержку посредством общения, семинаров, лекций и общественных мероприятий.
Good Days
www.mygooddays.org
877-968-7233
Предлагает финансовую помощь для оплаты доплат во время лечения. Пациенты должны иметь медицинскую страховку, соответствовать критериям дохода и получать прописанные лекарства, входящие в фармакологический справочник Good Days.
Healthwell Foundation
www.healthwellfoundation.org
800-675-8416
Предоставляет финансовую помощь для покрытия доплат, медицинских страховых взносов и вычетов за определенные лекарства и методы лечения.
Joe’s House
www.joeshouse.org
877-563-7468
Содержит список мест, где можно остановиться рядом с лечебными центрами для больных раком и их семей.
LGBT Cancer Project
http://lgbtcancer.com/
Обеспечивает поддержку и защиту ЛГБТ-сообщества, включая онлайн-группы поддержки и базу данных клинических испытаний, ориентированных на ЛГБТ.
LIVESTRONG Fertility
www.livestrong.org/we-can-help/fertility-services
855-744-7777
Предоставляет репродуктивную информацию и поддержку онкологическим больным и выжившим, лечение которых связано с риском бесплодия.
Look Good Feel Better Program
www.lookgoodfeelbetter.org
800-395-LOOK (800-395-5665)
Эта программа предлагает семинары, на которых вы узнаете, что вы можете сделать, чтобы улучшить свое самочувствие. Чтобы получить дополнительную информацию или записаться на семинар, позвоните по номеру, указанному выше, или посетите веб-сайт программы.
Национальный институт рака
www.cancer.gov
800-4-CANCER (800-422-6237)
Национальная сеть юридических услуг по борьбе с раком
www.nclsn.org
Бесплатная юридическая программа защиты от рака.
Национальная онкологическая сеть ЛГБТ
www.cancer-network.org
Предоставляет образование, обучение и защиту для ЛГБТ, переживших рак, и тех, кто находится в группе риска.
Needy Meds
www.needymeds.org
Список программ помощи пациентам для брендовых и непатентованных лекарств.
NYRx
www.nyrxplan.com
Предоставляет отпускаемые по рецепту пособия правомочным работникам и пенсионерам работодателей государственного сектора в штате Нью-Йорк.
Партнерство по оказанию помощи по рецептам
www.pparx.org
888-477-2669
Помогает соответствующим критериям пациентам без покрытия рецептурных препаратов получать бесплатные или недорогие лекарства.
Patient Access Network Foundation
www.panfoundation.org
866-316-7263
Предоставляет помощь с доплатами для пациентов со страховкой.
Patient Advocate Foundation
www.patientadvocate.org
800-532-5274
Предоставляет доступ к медицинскому обслуживанию, финансовой помощи, страховой помощи, помощи в сохранении работы и доступ к национальному каталогу ресурсов для недостаточно застрахованных.
RxHope
www.rxhope.com
877-267-0517
Предоставляет помощь людям в приобретении лекарств, которые они не могут себе позволить.
Образовательные ресурсы
В этом разделе находятся образовательные ресурсы, упомянутые в этом руководстве. Эти ресурсы помогут вам подготовиться к операции и безопасно восстановиться после операции.
Читая эти ресурсы, записывайте любые вопросы, которые вы хотите задать своему поставщику медицинских услуг.
Back to topВерхнечелюстной синусит | Симптомы | Причины
Что такое верхнечелюстная пазуха?
Верхнечелюстная пазуха, также известная как antrum Highmorianum, была впервые описана Натаниэлем Хаймором (1613–1685), британским врачом и анатомом, который подробно исследовал ее анатомию.
Развитие — Синус присутствует при рождении и полностью развивается до 14 лет.
Анатомия — Верхнечелюстная пазуха, самая большая из всех придаточных пазух носа, объемом около 10 мл, занимает центральное место.Околоносовые пазухи лица называются в соответствии с костями, в которых они лежат. Описывается как пирамидный синус.
Границы — Бока полостью носа (слизистая оболочка носа). Его крыша или вершина является основанием глазничной части (дном глазницы или глазницы). Дно пазухи находится на более низком уровне, чем дно носовых полостей.
Пневмонизация — Как и другие околоносовые пазухи, верхнечелюстная пазуха может различаться по размеру.В это пространство могут выступать даже корни верхних моляров, особенно при больших размерах верхнечелюстной пазухи. Рост пазухи происходит в результате процесса, называемого «пневмонизацией», при котором корни верхних или верхних зубов часто выступают в воздушные полости пазухи. Мелкие артерии и вены лица прободают костные стенки верхнечелюстной пазухи.
Лимфодренаж — Лимфодренаж пазухи осуществляется в поднижнечелюстную группу лимфатических узлов шеи.
Каковы функции верхнечелюстной пазухи?
Синус – это заполненное воздухом полое пространство, расположенное позади лицевых костей.
Они вносят свой вклад, являясь защитной зоной для лица и головного мозга в травматических случаях (травмы лица и головного мозга).
Он играет важную роль в снижении веса лицевого скелета.
Придает резонанс голосовому ящику.
Синус имеет слизистую оболочку или слой, похожий на носовой ход. Влажная слизистая оболочка задерживает пыль и грязь.
Что такое гайморит?
Когда полое пространство или слизистая оболочка воспаляются или инфицируются, это называется синуситом.
В случае верхнечелюстного синусита инфекция или воспаление верхнечелюстной пазухи приписываются либо бактериальному, либо вирусному происхождению, но чаще всего вирусному.Симптомы синусита обычно возникают в течение одной недели после инфекции верхних дыхательных путей, часто острой по своей природе.
Хронический синусит часто может остаться незамеченным, поскольку у пациента очень редко возникают лицевые боли, за исключением случаев острого обострения воспаления пазух.
Каковы признаки и симптомы гайморита?
Как упоминалось ранее, острый синусит встречается гораздо чаще из-за его начала после инфекции верхних дыхательных путей или иногда даже после острой простуды.Вот некоторые из симптомов и признаков, на которые следует обратить внимание и проконсультироваться со своим хирургом-стоматологом:
Лицевая боль.
Головная боль.
Заложенность носа или ощущение заложенности носа.
Слизистые выделения из носа с неприятным запахом (гнойные выделения из носа).
Также могут присутствовать лихорадка и общая усталость тела.
Тупая и сильная пульсирующая боль в верхних зубах или щеках.
Повышенная чувствительность зубов к горячим, сладким или холодным раздражителям.
Зубная боль, усиливающаяся при накусывании без видимой стоматологической причины.
Боль усиливается, когда вы наклоняете голову вниз.
Болезненность щеки, особенно ниже глазницы и в области клыков.
Генерализованная болезненность зубов при любом жевании или надавливании.
В редких случаях возможны отек и воспаление щечной области.
Эти признаки и симптомы могут варьироваться от человека к человеку. Самое главное, это зависит от причины воспаления носовых пазух.
Каковы причины синусита?
Причинами воспаления верхнечелюстной пазухи являются:
Что такое одонтогенный синусит?
Одонтогенный синусит — это воспаление пазух, вторичное по отношению к стоматологическим инфекциям, процедурам и стоматологическим заболеваниям.Как в ротовой полости, так и в верхних дыхательных путях преобладают два вида бактерий, а именно:
Более 75% инфекций пазух, связанных с зубами, связаны с:
Этот вид гайморита вследствие стоматологической инфекции составляет от 5 до 70% всех случаев гайморита. Когда инфицированные верхние зубы распространяют инфекцию через корни на дно верхнечелюстной пазухи, это вызывает перфорацию и воспаление слизистой оболочки или дна пазухи. В случае верхнечелюстного синусита серьезной проблемой являются стоматологические инфекции, которые вызывают, а также усугубляют симптомы.Разрушенный зуб, который не лечили без заболеваний корневых каналов или десен, а также некоторых кист, также может спровоцировать воспаление пазухи, поскольку инфекция распространяется по дентальному происхождению. Хотя это и не редкость, это возможно, когда стоматологические инфекции также возникают в результате определенных процедур, таких как:
Синус-лифтинг.
Реакции на инородное тело.
Некоторые пломбы и реставрации.
Сообщение, установленное после травматического удаления зуба (ороантральный свищ – это противоестественное отверстие между полостью рта и верхнечелюстной пазухой).
Следовательно, при обнаружении любых признаков и симптомов, упомянутых ранее, всегда рекомендуется посетить своего хирурга-стоматолога и подтвердить диагноз.
Как стоматолог-хирург лечит гайморит?
Ваш хирург-стоматолог прежде всего порекомендует:
1) Антибиотикопрофилактика.
2) Противозастойные капли для носа.
3) Вдыхание паров.
4) Анальгетики.
В качестве альтернативы они рекомендуются для облегчения агрессивных симптомов.
5) Рентгеновское изображение (отслеживает источник одонтогенных или стоматологических инфекций, ведущих к синуситу), например:
Хирургическое управление:
Верхнечелюстная антростомия — — одна из хирургических процедур, при которой расширяется отверстие (костная кость) верхнечелюстной пазухи для дренирования инфекции. Многие практикующие врачи и хирурги почти следуют этой технике с середины 1980-х годов. Он показан, когда синусит носит хронический характер и не поддается лечению какими-либо лекарствами или методами лечения.В редких случаях даже процедура верхнечелюстной антростомии не может полностью удалить инфекцию верхнечелюстной пазухи. В таких случаях хирургу необходимо создать новый дренажный канал между верхнечелюстной пазухой и носом (процедура Колдуэлла-Люка).
Вывод:
Синусит представляет собой такую же угрозу, как и тяжелые стоматологические инфекции. Своевременное посещение стоматолога или терапевта без игнорирования признаков и симптомов приведет к своевременной диагностике и профилактическому вмешательству.Если необходимо хирургическое лечение, ваш лечащий врач может помочь вам справиться с этим состоянием с помощью послеоперационного ухода.
Часто задаваемые вопросыРак полости носа и околоносовых пазух: виды лечения
НА ЭТОЙ СТРАНИЦЕ: Вы узнаете о различных видах лечения, которые врачи используют для людей с раком полости носа и околоносовых пазух.Используйте меню для просмотра других страниц.
В этом разделе описаны виды лечения, являющиеся стандартом лечения рака полости носа и околоносовых пазух. «Стандарт лечения» означает лучшие из известных методов лечения. При принятии решения о плане лечения вам рекомендуется рассмотреть возможность проведения клинических испытаний. Клиническое испытание — это научное исследование, в ходе которого проверяется новый подход к лечению. Врачи хотят узнать, является ли новое лечение безопасным, эффективным и, возможно, лучшим, чем стандартное лечение.Клинические испытания могут тестировать новое лекарство, новую комбинацию стандартных методов лечения или новые дозы стандартных лекарств или других методов лечения. Клинические испытания — это вариант лечения и ухода за всеми стадиями рака. Ваш врач может помочь вам рассмотреть все возможные варианты лечения. Подробнее о клинических испытаниях читайте в разделах «О клинических испытаниях» и «Последних исследованиях» этого руководства.
Обзор лечения
При лечении рака разные врачи часто работают вместе, чтобы создать общий план лечения пациента, который сочетает в себе различные виды лечения.Это называется многопрофильной командой.
При раке полости носа или околоносовых пазух команда может включать:
Онколог: Врач, лечащий рак с помощью химиотерапии или других лекарств, например таргетной терапии.
Онколог-радиолог: Врач, специализирующийся на лечении рака с помощью лучевой терапии.
Хирург-онколог: Врач, лечащий рак хирургическим путем.
Нейрохирург: Врач, специализирующийся на хирургии головного и спинного мозга. Если необходимо удалить опухоль в области черепа или лица, нейрохирург также должен быть частью этой команды.
Отоларинголог: Врач, лечащий заболевания ушей, носа и горла.
Стоматолог: Врач, специализирующийся на профилактике и лечении состояний и заболеваний рта и полости рта.
Челюстно-лицевой ортопед: Специалист, выполняющий восстановительные операции в области головы и шеи.
Физиотерапевт: Медицинский работник, помогающий пациентам улучшить физическую силу и способность двигаться.
Логопед (SLP): Этот специалист специализируется на нарушениях общения и глотания. SLP помогает пациентам восстановить навыки речи, глотания и оральной моторики после лечения рака, поражающего голову, рот и шею.
Психолог/психиатр: Эти специалисты в области психического здоровья удовлетворяют эмоциональные, психологические и поведенческие потребности больных раком и членов их семей.
В бригады онкологической помощи входят различные другие специалисты в области здравоохранения, такие как помощники врачей, практикующие медсестры, медсестры онкологических отделений, социальные работники, фармацевты, консультанты, диетологи и другие.
Рак полости носа и околоносовых пазух часто можно вылечить, особенно если он обнаружен на ранней стадии.Хотя излечение рака является основной целью лечения, сохранение функции близлежащих нервов, органов и тканей также очень важно. Когда врачи планируют лечение, они учитывают, как лечение может повлиять на качество жизни человека, например на то, как он себя чувствует, выглядит, разговаривает, ест, видит и дышит.
Ниже приведены описания распространенных видов лечения рака полости носа и околоносовых пазух. Ваш план лечения может также включать лечение симптомов и побочных эффектов, что является важной частью лечения рака.
Варианты лечения и рекомендации зависят от нескольких факторов, включая тип и стадию рака, возможные побочные эффекты, предпочтения пациента и общее состояние здоровья. 3 основных варианта лечения: хирургическое вмешательство, лучевая терапия и химиотерапия. Ваш план лечения может включать 1 из этих процедур или их комбинацию.
Найдите время, чтобы узнать обо всех вариантах лечения, и обязательно задавайте вопросы о вещах, которые неясны. Поговорите со своим врачом о целях каждого лечения и о том, что вы можете ожидать во время лечения.Такие переговоры называются «совместным принятием решений». Совместное принятие решений — это когда вы и ваши врачи вместе выбираете лечение, соответствующее целям вашего лечения. Совместное принятие решений особенно важно при раке полости носа и околоносовых пазух, поскольку существуют различные варианты лечения. Узнайте больше о принятии решений о лечении.
Хирургия
Хирургия часто используется для удаления опухоли околоносовых пазух или полости носа. Во время операции хирург-онколог удалит опухоль и некоторые окружающие здоровые ткани, называемые маржей.
Цель операции — удалить всю опухоль и не оставить следов рака в здоровой ткани, также называемой отрицательным краем. Однако, как правило, полностью удалить опухоль во время операции невозможно, поэтому может потребоваться дополнительное лечение. Это может включать более 1 операции по удалению рака и восстановлению внешнего вида и функции пораженных тканей.
Обычные виды операций при раке полости носа и околоносовых пазух включают:
Иссечение. Во время иссечения врач выполняет операцию по удалению раковой опухоли и части здоровой ткани вокруг нее, называемой маржей.
Максиллэктомия. Это операция, при которой удаляется часть или все твердое небо, которое представляет собой костную ткань нёба. Искусственные устройства, называемые протезами или, в последнее время, лоскуты мягких тканей с костью и без нее, могут быть помещены для заполнения пробелов после этой операции. Максиллэктомия иногда рекомендуется для лечения рака придаточных пазух носа.Иногда удается сохранить глаз на стороне рака.
Черепно-лицевая резекция/хирургия основания черепа. Это обширная операция, которую часто рекомендуют при раке придаточных пазух носа. Во время этой операции хирург удаляет больше ткани, чем при максиллэктомии. Это требует тесного сотрудничества медицинской бригады, особенно сотрудничества между нейрохирургом и хирургом головы и шеи.
Эндоскопическая хирургия околоносовых пазух. Этот относительно новый подход менее разрушительен для здоровых тканей, чем традиционные операции. Иногда его можно использовать при опухоли полости носа и околоносовых пазух, особенно если она доброкачественная. Хирург делает небольшой разрез для удаления опухоли с помощью тонкой телескопической трубки, вводимой в носовую полость или пазуху. Как упоминалось в разделе «Диагностика», эндоскопическая хирургия носовых пазух часто используется для лечения хронического синусита, и во время такой операции может быть обнаружен рак.
Рассечение шеи. Это хирургическое удаление лимфатических узлов в области шеи. Если врач подозревает, что рак распространился, может быть выполнена диссекция шеи, часто одновременно с другой операцией. Рассечение шеи может вызвать онемение уха, слабость при поднятии руки над головой и слабость нижней губы. Побочные эффекты вызваны повреждением нервов в этой области. В зависимости от типа расслоения шеи слабость нижней губы и руки может исчезнуть через несколько месяцев. Слабость будет постоянной, если нерв удаляется как часть диссекции.
Реконструктивная (пластическая) хирургия. Если операция требует удаления больших или определенных участков ткани, может быть рекомендована реконструктивная хирургия. Если глаз удален, специалист, называемый стоматологом-ортопедом, может предоставить искусственную замену, называемую протезом. Когда верхняя челюсть, называемая верхней челюстью, удалена, стоматолог-ортопед может сыграть большую роль в реабилитационном процессе.
Операция по поводу рака полости носа и околоносовых пазух сопряжена с риском, поскольку глаза, рот, головной мозг и важные нервы и кровеносные сосуды обычно располагаются вблизи опухоли.Операция часто вызывает отек лица, рта и горла, что затрудняет дыхание. Иногда может потребоваться отверстие в трахее, называемое трахеостомой, для облегчения дыхания после операции. Если лимфатические узлы были удалены, из-за скопления лимфатической жидкости может возникнуть отек, называемый лимфедемой. Перед операцией важно обсудить со своим хирургом (-ами) побочные эффекты, а также план восстановления. Это обсуждение должно включать как физические, так и эмоциональные побочные эффекты.Узнайте больше об основах хирургии рака.
Лучевая терапия
Лучевая терапия — это использование высокоэнергетических рентгеновских лучей или других частиц для уничтожения раковых клеток.
При раке полости носа и околоносовых пазух лучевую терапию чаще всего применяют в сочетании с хирургическим вмешательством. Его назначают до или после операции. Лучевую терапию также можно назначать вместе с химиотерапией (см. ниже). При некоторых видах опухолей полости носа или околоносовых пазух лучевая терапия может быть основным методом лечения.Это также может быть вариантом, если человек не может сделать операцию или решает не делать операцию.
Дистанционная лучевая терапия
Наиболее распространенный тип лучевой терапии называется дистанционной лучевой терапией. Внешняя лучевая терапия — это облучение аппаратом вне тела. Схема или график внешней лучевой терапии обычно состоит из определенного количества процедур, проводимых в течение установленного периода времени. Конкретные виды внешней лучевой терапии включают:
Лучевая терапия с модуляцией интенсивности (IMRT). IMRT позволяет проводить эффективные дозы лучевой терапии, уменьшая повреждение здоровых клеток.
Протонная терапия. Протонная терапия — это вид лучевой терапии, в котором используются протоны, а не рентгеновские лучи. При высокой энергии протоны могут разрушать раковые клетки. Протонная терапия может применяться при раке полости носа или околоносовых пазух, когда опухоль расположена близко к глазу или центральной нервной системе, включающей головной и спинной мозг.
Внутренняя лучевая терапия
Когда лучевая терапия проводится с использованием имплантатов, она называется внутренней лучевой терапией или брахитерапией.Внутренняя лучевая терапия включает крошечные гранулы или стержни, содержащие радиоактивные материалы, которые хирургическим путем имплантируются в опухоль или рядом с ней. Имплантат оставляют на несколько дней, пока человек находится в больнице.
Побочные эффекты лучевой терапии
Перед началом любого типа лучевой терапии люди должны пройти тщательное обследование у стоматолога, имеющего опыт лечения людей с раком головы и шеи. Поскольку лучевая терапия может вызвать кариес, может потребоваться удаление поврежденных зубов.Часто кариес можно предотвратить с помощью надлежащего лечения у стоматолога до начала лечения рака. После лучевой терапии рака полости носа или околоносовых пазух уход за зубами должен продолжаться, чтобы предотвратить дальнейшие проблемы с зубами. Люди могут получать лечение фтором для предотвращения кариеса, также называемого кариесом. Узнайте больше о здоровье зубов и полости рта.
Лучевая терапия головы и шеи также может вызывать покраснение или раздражение кожи в области лечения, сухость во рту или сгущение слюны из-за повреждения слюнных желез, боль в костях, тошноту, усталость, язвы во рту и боль в горле.Другие побочные эффекты могут включать боль или затрудненное глотание, потерю аппетита из-за изменения вкусовых ощущений, потерю слуха из-за скопления жидкости в среднем ухе и накопление ушной серы.
Кроме того, лучевая терапия может вызвать состояние, называемое гипотиреозом, при котором щитовидная железа, расположенная в области шеи, замедляет работу. Это заставляет людей чувствовать усталость и вялость. Каждый пациент, получающий лучевую терапию в области шеи, должен регулярно проверять свою щитовидную железу. Исследователи проводят множество исследований, чтобы найти способы уменьшить или лучше облегчить побочные эффекты лучевой терапии.
Узнайте больше об основах лучевой терапии.
Химиотерапия
Системная терапия — это использование лекарств для уничтожения раковых клеток. Этот тип лекарств вводится через кровоток для достижения раковых клеток по всему телу.
Обычные способы системной терапии включают внутривенную (IV) трубку, помещаемую в вену с помощью иглы, или в таблетках или капсулах, которые проглатываются (перорально).
Химиотерапия – это системная терапия рака полости носа и околоносовых пазух.Химиотерапия — это использование лекарств для уничтожения раковых клеток, обычно путем предотвращения роста, деления и образования новых клеток.
Режим или график химиотерапии обычно состоит из определенного количества циклов, проводимых в течение установленного периода времени. Пациент может получать 1 лекарство за раз или комбинацию разных лекарств одновременно.
Врачи часто рекомендуют химиотерапию до или после операции и/или лучевую терапию при раке полости носа и околоносовых пазух.Химиотерапия также может использоваться в сочетании с лучевой терапией. Это называется одновременной химиолучевой терапией. Химиолучевая терапия все еще исследуется и должна проводиться в рамках клинических испытаний. Химиотерапия может также использоваться для лечения распространенного рака или для лечения симптомов. В клинических испытаниях доступна некоторая химиотерапия, которая может лечить рак на более ранней стадии.
Побочные эффекты химиотерапии зависят от индивидуальных особенностей и применяемой дозы, но могут включать утомляемость, риск инфицирования, тошноту и рвоту, выпадение волос, потерю аппетита и диарею.Эти побочные эффекты обычно исчезают после окончания лечения.
Узнайте больше об основах химиотерапии.
Лекарства, используемые для лечения рака, постоянно оцениваются. Разговор с врачом часто является лучшим способом узнать о лекарствах, назначенных вам, их назначении и их возможных побочных эффектах или взаимодействии с другими лекарствами. Также важно сообщить своему врачу, если вы принимаете какие-либо другие рецептурные или безрецептурные лекарства или добавки.Травы, добавки и другие лекарства могут взаимодействовать с лекарствами от рака. Узнайте больше о своих рецептах, используя базы данных лекарств с возможностью поиска.
Физические, эмоциональные и социальные последствия рака
Рак и его лечение вызывают физические симптомы и побочные эффекты, а также эмоциональные, социальные и финансовые последствия. Управление всеми этими эффектами называется паллиативной или поддерживающей терапией. Это важная часть вашего ухода, которая включена в лечение, направленное на замедление, остановку или устранение рака.
Паллиативная помощь направлена на улучшение вашего самочувствия во время лечения за счет управления симптомами и поддержки пациентов и их семей с другими, немедицинскими потребностями. Любой человек, независимо от возраста, типа и стадии рака, может получить этот вид помощи. И часто она работает лучше всего, когда ее начинают сразу после постановки диагноза рака. Люди, получающие паллиативную помощь одновременно с лечением рака, часто имеют менее тяжелые симптомы, лучшее качество жизни и сообщают, что они более удовлетворены лечением.
Паллиативное лечение широко варьируется и часто включает медикаментозное лечение, изменение питания, методы релаксации, эмоциональную и духовную поддержку и другие методы лечения. Вы также можете получить паллиативное лечение, аналогичное тому, которое предназначено для избавления от рака, например, химиотерапию, хирургическое вмешательство или лучевую терапию.
Перед началом лечения поговорите со своим врачом о целях каждого лечения в плане лечения. Вам также следует рассказать о возможных побочных эффектах конкретного плана лечения и вариантов паллиативной помощи.
Во время лечения ваша медицинская бригада может попросить вас ответить на вопросы о ваших симптомах и побочных эффектах, а также описать каждую проблему. Обязательно сообщите медицинскому персоналу, если у вас возникла проблема. Это помогает медицинскому персоналу лечить любые симптомы и побочные эффекты как можно быстрее. Это также может помочь предотвратить более серьезные проблемы в будущем.
Узнайте больше о важности отслеживания побочных эффектов в другой части этого руководства. Узнайте больше о паллиативной помощи в отдельном разделе этого сайта.
Метастатический рак полости носа и околоносовых пазух
Если рак распространяется в другую часть тела из того места, где он начался, врачи называют это метастатическим раком. Если это произойдет, рекомендуется поговорить с врачами, имеющими опыт лечения этого заболевания. У врачей могут быть разные мнения о наилучшем стандартном плане лечения. Клинические испытания также могут быть вариантом. Узнайте больше о получении второго мнения перед началом лечения, чтобы вам было комфортно с выбранным планом лечения.
Ваш план лечения может включать химиотерапию или комбинацию хирургического вмешательства, лучевой терапии и химиотерапии. Паллиативная помощь также будет важна для облегчения симптомов и побочных эффектов.
Для большинства людей диагностика метастатического рака вызывает сильный стресс и трудности. Вам и вашей семье предлагается обсудить свои чувства с врачами, медсестрами, социальными работниками или другими членами медицинского персонала. Также может быть полезно поговорить с другими пациентами, в том числе через группу поддержки.
Ремиссия и вероятность рецидива
Ремиссия – это когда рак не может быть обнаружен в организме и отсутствуют симптомы. Это также можно назвать отсутствием признаков болезни или НЭД.
Ремиссия может быть временной или постоянной. Эта неопределенность заставляет многих людей беспокоиться о том, что рак вернется. Хотя многие ремиссии являются постоянными, важно поговорить с врачом о возможности возвращения рака. Понимание вашего риска рецидива и вариантов лечения может помочь вам чувствовать себя более подготовленным, если рак вернется.Узнайте больше о том, как справиться со страхом повторения.
Если рак возвращается после первоначального лечения, это называется рецидивом рака. Он может вернуться в том же месте (так называемый местный рецидив), поблизости (региональный рецидив) или в другом месте (отдаленный рецидив).
Когда это произойдет, снова начнется новый цикл тестирования, чтобы узнать как можно больше о повторении. После того, как это тестирование будет сделано, вы и ваш врач обсудите варианты лечения. Часто план лечения будет включать описанные выше методы лечения, такие как хирургическое вмешательство, химиотерапия и лучевая терапия, но они могут использоваться в другой комбинации или вводить в другом темпе.Ваш врач может предложить клинические испытания, в которых изучаются новые способы лечения этого типа рецидивирующего рака. Какой бы план лечения вы ни выбрали, паллиативная помощь будет иметь важное значение для облегчения симптомов и побочных эффектов.
Люди с рецидивирующим раком часто испытывают такие эмоции, как неверие или страх. Вам рекомендуется поговорить с медицинским персоналом об этих чувствах и спросить о службах поддержки, которые помогут вам справиться с ними. Узнайте больше о борьбе с рецидивом рака.
Если лечение не помогает
Излечение от рака не всегда возможно.Если рак нельзя вылечить или контролировать, болезнь можно назвать запущенной или неизлечимой.
Этот диагноз вызывает стресс, и для многих людей трудно обсуждать распространенный рак. Тем не менее, важно вести открытый и честный разговор с лечащим врачом, чтобы выразить свои чувства, предпочтения и опасения. Медицинская команда обладает специальными навыками, опытом и знаниями для поддержки пациентов и их семей и всегда готова помочь. Чрезвычайно важно убедиться, что человеку комфортно физически, он свободен от боли и получает эмоциональную поддержку.
Люди с раком на поздних стадиях, которым осталось жить менее 6 месяцев, могут рассмотреть вопрос об уходе в хоспис. Хосписная помощь предназначена для обеспечения наилучшего качества жизни людей, находящихся на грани смерти. Вам и вашей семье рекомендуется обсудить с медицинским персоналом варианты хосписной помощи, которые включают хосписную помощь на дому, специальный хосписный центр или другие медицинские учреждения. Сестринский уход и специальное оборудование могут сделать пребывание дома реальной альтернативой для многих семей.Узнайте больше о расширенном планировании лечения рака.
После смерти близкого человека многим нужна поддержка, которая поможет справиться с утратой. Узнайте больше о горе и утрате.
Следующий раздел в этом руководстве — «О клинических испытаниях» . В нем содержится дополнительная информация об исследованиях, направленных на поиск лучших способов ухода за больными раком. Используйте меню, чтобы выбрать другой раздел для чтения в этом руководстве.
.



Лучевая терапия применялась при поражениях, признанных неоперабельными [8]. Артериальная эмболизация использовалась перед операцией для уменьшения интраоперационной кровопотери, а также в качестве самостоятельного лечения нерезектабельных поражений [9]. Однако использование адъювантов, хотя и снижает частоту рецидивов, не лишено осложнений. Наиболее частыми осложнениями являются: кожные свищи, абсцессы, флегмоны, оститы, гипопигментация, гемолиз и некроз и, конечно же, косметический дефект.Кришна и др. описывают свой особый метод биопсии, называемый куропсией [10]. Это ограниченное чрескожное выскабливание, которое используется для получения материала для гистологического исследования. После куропсии пациенты находятся под клиническим и рентгенологическим наблюдением. Только если поражение или симптомы прогрессируют, пациенты проходят дополнительное лечение, в основном с кюретажем без адъювантов.
org/10.1080/23772484.2020.1838907
3 и 4).
При гистологическом исследовании был установлен диагноз аневризматической костной кисты (рис. 5). После подтверждения диагноза больному выполнено выскабливание левой верхнечелюстной пазухи из эндоскопического эндоназального доступа. Заживление шло без осложнений, но через 2 мес заболевание рецидивировало, поэтому мы перешли на наружный доступ.
Заживление вновь протекало без осложнений, к сожалению, через 2 мес заболевание снова рецидивировало. Мы повторно осмотрели из наружного доступа, было видно почти тотальное разрушение передней стенки верхнечелюстной полости, полость была настолько широко раскрыта, что удавалось удалить кисту целиком, а часть верхней стенки верхнечелюстной полости была удалена. уничтожен. Мы также удалили часть нижней и верхней носовых раковин и создали широкое сообщение с носом. В конце операции повторно промывали полости раствором антибиотика и устанавливали тампонаду.Заживление прошло без осложнений. Пациент находится под регулярным наблюдением, отеки лица и век постепенно исчезли, субъективно больной без проблем, контрольное МРТ-обследование показало, что заболевание не рецидивирует (рис. 6).
Однако эта теория не подтверждается.
3 и 4). МРТ в основном используется для длительного наблюдения за пациентами, поскольку при этом пациент не подвергается лучевой нагрузке, что особенно важно для детей.В нашем случае рентгенологом описаны следующие признаки: левая верхнечелюстная пазуха экспансивно увеличена, заполнена патологическим содержимым уровнями, с полушаровидным выгибанием в полость носа слева, краниально и медиально с распространением на решетчатую кость, разрушают основание орбиты с распространением на подвисочную ямку размер составил 44 × 40 мм. Также был очевиден отек левого лица и века.
Основной метод лечения – кюретаж, в нашем случае он оказался успешным, хотя его пришлось делать трижды.Однако хирургическое лечение в зависимости от размера и положения поражения могло варьироваться от простого выскабливания до расширенной резекции [10–12]. ABC имеют высокую частоту рецидивов после резекции и выскабливания, колеблющуюся соответственно от 11% до 70% [13], что имело место у нашего пациента. Некоторые авторы пришли к выводу, что этот результат был результатом неадекватного доступа и неполного удаления, и мы можем это подтвердить.
Для длительного наблюдения за пациентами наилучшим выбором является МРТ, поскольку пациент не подвергается лучевой нагрузке, что особенно важно для детей.
Объем операции зависит от того, где находится опухоль и затрагивает ли она близлежащие ткани и структуры.Во время максиллэктомии могут быть частично или полностью удалены следующие вещи:

Это ранние признаки отмены алкоголя, и их можно лечить.
Ношение контактных линз во время операции может повредить глаза.

Это трубка, которая проходит через нос в желудок. Он используется для питания. Если вам нужна назогастральная трубка, она будет установлена, пока вы спите во время операции, и удалена, как только вы будете готовы.
Прием слишком большого количества может нанести вред вашей печени. Не принимайте более одного лекарства, содержащего ацетаминофен, не посоветовавшись с членом вашей медицинской бригады.
Следуйте инструкциям на метке или от вашего врача. Примеры препарата препаратов для запоров включают в себя: