Киста зуба: что это такое, как лечить, симптомы и удаление кисты зуба
Читайте нас и будьте здоровы! Пользовательское соглашение о портале обратная связь- Врачи
- Болезни
- Кишечные инфекции (5)
- Инфекционные и паразитарные болезни (27)
- Инфекции, передающиеся половым путем (6)
- Вирусные инфекции ЦНС (3)
- Вирусные поражения кожи (12)
- Микозы (10)
- Протозойные болезни (1)
- Гельминтозы (5)
- Злокачественные новообразования (9)
- Доброкачественные новообразования (7)
- Болезни крови и кроветворных органов (9)
- Болезни щитовидной железы (6)
- Болезни эндокринной системы (13)
- Недостаточности питания (1)
- Нарушения обмена веществ (1)
- Психические расстройства (31)
- Воспалительные болезни ЦНС (3)
- Болезни нервной системы (19)
- Двигательные нарушения (5)
- Болезни глаза (20)
- Болезни уха (4)
- Болезни системы кровообращения (10)
- Болезни сердца (11)
- Цереброваскулярные болезни (2)
- Болезни артерий, артериол и капилляров (9)
- Болезни вен, сосудов и лимф. узлов (8)
- Болезни органов дыхания (35)
- Болезни полости рта и челюстей (16)
- Болезни органов пищеварения (29)
- Болезни печени (2)
- Болезни желчного пузыря (8)
- Болезни кожи (32)
- Болезни костно-мышечной системы (49)
- Болезни мочеполовой системы (13)
- Болезни мужских половых органов (8)
- Болезни молочной железы (3)
- Болезни женских половых органов (27)
- Беременность и роды (5)
- Болезни плода и новорожденного (4)
- Симптомы
- Амнезия (потеря памяти)
- Анальный зуд
- Апатия
- Афазия
- Афония
- Ацетон в моче
- Бели (выделения из влагалища)
- Белый налет на языке
- Боль в глазах
- Боль в колене
- Боль в левом подреберье
- Боль в области копчика
- Боль при половом акте
- Вздутие живота
- Волдыри
- Воспаленные гланды
- Выделения из молочных желез
- Выделения с запахом рыбы
- Вялость
- Галлюцинации
- Гнойники на коже (Пустула)
- Головокружение
- Горечь во рту
- Депигментация кожи
- Дизартрия
- Диспепсия (Несварение)
- Дисплазия
- Дисфагия (Нарушение глотания)
- Дисфония
- Дисфория
- Жажда
- Жар
- Желтая кожа
- Желтые выделения у женщин
- …
- ПОЛНЫЙ СПИСОК СИМПТОМОВ>
- Лекарства
- Антибиотики (211)
- Антисептики (123)
- Биологически активные добавки (210)
- Витамины (192)
- Гинекологические (183)
- Гормональные (155)
- Дерматологические (258)
- Диабетические (46)
- Для глаз (124)
- Для крови (77)
- Для нервной системы (385)
- Для печени (69)
- Для повышения потенции (24)
- Для полости рта (68)
- Для похудения (40)
- Для суставов (161)
- Для ушей (15)
- Другие (306)
- Желудочно-кишечные (314)
- Кардиологические (149)
- Контрацептивы (48)
- Мочегонные (32)
- Обезболивающие (280)
- От аллергии (102)
- От кашля (137)
- От насморка (91)
- Пов
medside.ru
последствия и чем она может быть опасна?
Киста зуба – это патологическое образование на деснах в области корней зубов. Большинство людей считают, что это не опасно, живут с этим заболеванием много лет и стараются справиться с ним подручными средствами. Но любое новообразование и воспалительные процессы представляют опасность для всего организма. Если имеется невылеченная киста в зубе, последствия этого часто становятся непредсказуемы.
Содержание статьи:
Что такое киста зуба?
Кисты становятся последствием защитной реакции организма на возникновение инфекций. Если внутрь тканей зуба через каналы попадают болезнетворные бактерии, то возникает воспаление. Клетки, охваченные воспалением, погибают, внутри ткани появляется свободная полость.

Организм, в виде защиты от проникновения инфекции на соседние участки, образует вокруг этой полости своеобразную капсулу с крепкими стенками. Изнутри полость заполняется жидкостью, представляющей собой остатки мертвых клеток, продуктов разложения, болезнетворных бактерий. Это и есть киста. Она может быть размером 2-3 миллиметра, а иногда – 2-3 сантиметра.
Причинами возникновения кисты становятся:
- инфицирование зубов;
- некачественно проведенное лечение каналов зубов;
- неправильное протезирование;
- аномалии развития зубов;
- травмы;
- инфекционные заболевания носоглотки.
Самые мелкие кисты называются гранулемами, их размер не превышает 5 мм. Маленькие новообразования никаких неприятных ощущений не вызывают. Иммунитет человека в состоянии справиться с небольшим воспалением.
Оксана Шийка
Стоматолог-терапевт
Важно! Чем опасна киста на зубе для человека? Со временем иммунная система перестает справляться с микробами, болезнь приобретает острый характер.
Симптомы заболевания
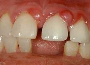
Киста обычно развивается медленно и незаметно, выявляется случайно при рентгеновском обследовании или иногда при визуальном осмотре. На снимках имеет вид пятна овальной формы с четкими границами.
Проходит следующие стадии развития:
- Вначале наблюдается небольшая отек в области корня зуба. Изменяется цвет слизистой десны. Вначале появляется краснота, затем – синюшность.
- Постепенно киста увеличивается, в деснах появляется ощущение заполненности.
- Чуть позднее присоединяются ноющие боли, они усиливаются по ночам.
- Возрастает отечность десны.
- При попадании инфекции в гайморовые пазухи ощущаются головные боли.
При последующем росте кисты в десне зуба последствия проявляются в виде флюса. Десны и щеки опухают, челюсть малоподвижна, процесс жевания и глотания затрудняется, возникают проблемы с речью. Боль усиливается, иногда приобретает пульсирующий характер. Температура повышена, наблюдаются головные боли, воспаление лимфоузлов, насморк.
Оксана Шийка
Стоматолог-терапевт
Главным симптомом разросшейся кисты становится периостит, воспаление надкостницы. Зуб темнеет, начинает разрушаться, появляется повышенная чувствительность зубов.
Классификация разновидностей кисты
Киста десны появляется по разным причинам, ее последствия и способы лечения зависят от правильного определения этих причин. Для этой цели используется классификация, составленная исходя из факторов, вызвавших заболевание, с учетом его локализации:
| Разновидность кисты | Описание | Причины возникновения | Лечение |
| Корневая | Капсулы от 2 мм до 3 см расположены в апикальной (верхушечной) части корня. Протекает бессимптомно. Не смещает зубы, не вызывает опухания костной ткани. | Периапикальное воспаление, как последующий этап некроза пульпы. Развивается из гранулемы. | Эндодонтическое лечение некроза пульпы. При отсутствии эффекта – хирургическая операция. |
| Фолликулярная | Капсула вокруг коронки непрорезавшегося или сверхкомплектного зуба. | Развивается из фолликулярного мешочка вокруг непрорезавшегося зуба при его инфицировании. | |
| Резидуальная | Размер от 2-3 мм до 2-3 см. Быстро растет, смещает зубы, расширяет кортикальную пластинку. | Развивается в гранулеме после сложного удаления зуба или вокруг верхушки корня. | |
| Примордиальная (кератокиста) | Склонна к рецидивам. | Из зубного зачатка при нарушении процесса развития. | Выскабливание и постоянное наблюдение в будущем. |
| Боковая периодонтальная | Пульпа сохраняет свою структуру и целостность. | Причины появления неизвестны. | |
| Киста прорезывания | Фолликулярный мешочек, заполненный кровью. Может спонтанно разрываться. Выраженный отек тканей голубого цвета. | Замедление прорезывания зубов. | Резекция для более быстрого прорезывания зуба. |
| Кальцинирующая одонтогенная | Капсула с различными помутнениями. Развивается на корне. | Хронический периодонтит. | Выскабливание или резекция. |
Оксана Шийка
Стоматолог-терапевт
Важно! Киста обычно развивается в зоне улыбки, зубах, связанных с гайморовой пазухой, зубах мудрости.
Одной из разновидностей кисты является гранулема. Киста отличается плотной оболочкой, четкими границами. Развивается без соприкосновения с соседними тканями. Гранулема имеет очаговый характер, разрастается без четких границ. Иногда киста появляется у новорожденного в виде узлов Бона. Это молочные зубы с гнойными образованиями.
Осложнения заболевания
Воспалительный очаг представляет угрозу для всего организма. Как определить, чем опасна киста зуба, если она долгий период существует бессимптомно? Несмотря на отсутствие очевидных проявлений воспалительный процесс развивается, осложняется, оказывает негативное воздействие на организм.
Если ощущается боль, дискомфорт, челюсть отекает, температура повышается, появились головные боли, это свидетельствует о том, что воспаление зашло далеко. Болезнь вызывает разрушение костной ткани, распространение инфекции усиливает воспаление, которое начинает бурно развиваться.
Чем опасна киста в зубе, если она быстро разрастается? Если размер шишки превышает 2 см, она начинает воздействовать на соседние здоровые ткани:
- поражаются носоглотка и гайморовые пазухи;
- затрудняется прием пищи;
- усиливаются боли;
- появляется флюс.
- ощущается общая слабость, повышение температуры, головные боли;
- инфекция приникает в лимфоузлы и кровь;
- поражаются внутренние органы.
Оксана Шийка
Стоматолог-терапевт
Важно! При усугублении ситуации происходит интоксикация организма, развивается сепсис. Это уже угроза жизни.
Чем опасна киста?
Киста зуба опасна своими последствиями. При отсутствии своевременного и адекватного лечения, инфекция проникает в соседние здоровые ткани. В них также начинается патологический процесс. Особо опасно проникновение патогенной микрофлоры в костную ткань, надкостницу, после чего начинается ее разрушение.
Следует помнить, чем опасна киста на корне зуба, если ее вовремя не лечить. При усугублении ситуации возникает гнойное воспаление. Самыми опасными считаются следующие осложнения:
- развитие остеомиелита, периостита;
- поражение гайморовых пазух, появление хронического гайморита;
- абсцессы десен и челюстей;
- выпадение вовлеченных в патологический процесс зубов;
- истончение костей, которое часто приводит к переломам челюсти;
- региональный лимфаденит;
- флегмоны (острое гнойное воспаление) в области лица и шеи, гнойная инфекция охватывает область щек, подчелюстную зону, вокруг ушной раковины.
Что будет, если не лечить кисту на стадии образования флегмон? Гной распространяется на все соседние ткани: сосуды, нервы, мышцы, кости, глазные яблоки. Патогенные микробы с током крови разносятся по всему организму. При попадании в головной мозг развивается абсцесс мозга. Имеется опасность бактериального эндокардита, очень серьезного заболевания сердца. Часто приводит к летальному исходу.
Что будет, если не лечить кисту зуба? Иногда она перерождается в доброкачественную или злокачественную опухоль. При переохлаждении, стрессовых ситуациях, появлении других заболеваний организма, болезнь может обостриться.
Оксана Шийка
Стоматолог-терапевт
Важно! Это постоянный источник инфекций, которые провоцируют различные патологии внутренних органов.
Прогноз
Чем грозит киста зуба для пациента? На начальном этапе прогноз благоприятный. Обычно лечение заканчивается успешно. Никаких особых осложнений не происходит, если образуется свищ. Через него гной и кровь вытекают из полости. Человек перестает ощущать боль.
Но это имеет обратный эффект, люди затягивают с лечением, ситуация может усугубиться. Нагноение может захватить нерв, это приводит к онемению лица и челюсти. При сильном нагноении прогноз менее благоприятный. Появляется резкая рвущая боль во всей челюсти. Лицо сильно опухает, невозможно есть, воспаление доходит до области глаз. Температура повышена.
Требуется срочное проведение операции. Не простой операции с удалением пары зубов, а сложной, в отделении челюстно-лицевой хирургии или хирургической стоматологии. Требуется спасать жизнь пациента и предотвратить необратимые осложнения. Иногда это даже заканчивается инвалидностью.
Подводя итоги
Эффективность лечения и последствия заболевания определяются своевременно начатым лечением. Поэтому для пациента крайне важно вовремя заметить вдруг появившийся дискомфорт и вовремя обратиться к врачу. Рекомендуется регулярно проверять состояние зубов, даже если никаких признаков заболевания нет. Это даст возможность избежать негативных последствий для здоровья.
zub.dental
КИСТА ЗУБА — причины — виды — методы лечения
Здравствуйте, уважаемые читатели и все, кому небезразлично здоровье зубов и десен! Поговорим мы сегодня обо всех неприятностях, которые может нам доставить появившаяся киста зуба.
Мы подробно рассмотрим возможные причины ее возникновения, виды, как лечить и предотвратить возникновение.
Обратим внимание на действия вашего стоматолога.
Возможно, в случае возникновения такой проблемы, ваша осведомленность позволит контролировать процесс лечения.
Что за зверь такой, киста?
В кости челюсти человека происходит множество процессов, не всегда лицеприятных.
Часто ввиду сложившихся обстоятельств у нас возникает различные новообразования. Они сродни опухолевым, но имеют свои отличия. В большинстве случаев киста зуба формируется и локализуется рядом с корнем зуба. Внешне она похожа на каплю или пузырек в форме овала с плотной оболочкой.
Кистозная полость наполнена жидкостью желто-зелёного цвета с неприятным запахом. Это отмершие клетки и представляют собой они гнойную массу. Стенки кист достаточно плотные и позволяют со временем им разрастаться до больших размеров. Если на начальной стадии речь идет о миллиметрах, то запущенные варианты будут достигать одного, а то и двух сантиметров.
Сами понимаете, что такие новообразования принесут не только дискомфорт, а способны лишить вас зубов, обеспечив множество проблем и длительное, зачастую болезненное, лечение
Виды кист
Итак, их виды:
- Радикулярная
- Фолликулярная
- Кератокиста
- Ретромолярная
- Резидуальная
- Киста прорезывания
Радикулярная киста или корневая встречается в стоматологической практике наиболее часто. Она возникает вследствие воспалительных процессов в тканях периодонта, которые начали носить хронический характер. Периодонт представляет собой особый вид соединительной ткани, которая удерживает наши зубы на своих местах. Сами понимаете возможные последствия, если не лечить.
Фолликулярная киста. Другими словами еще зубосодержащая киста. Так действительно бывает, что зачаток зуба, не сумев прорезаться, воспаляется, образовывается инфекционный очаг и киста. Иногда случается врожденная аномалия, когда в челюсти присутствуют один и более зачатков зубов, которые априори не должны там расти. Такой сверхкомплект так же приводит к заболеванию.
Кератокиста, именуемая первичной, развивается как следствие неправильного развития зуба. Часть тканей, с которых должен формироваться зуб видоизменяются и образуют кисту.
Ретромолярная. Название говорит само за себя. Стоматолог напишет 18, 28, 38 или 48, назовет их третьими молярами. А для нас более привычно: «зубы мудрости». Процесс прорезывания этих зубов всегда сложен и зачастую связан с воспалениями. В ряде случаев, запущенные воспалительные процессы вызывают кисту зуба мудрости. Эта киста чаще поражает ткани нижней челюсти, чем верхней.
Резидуальная киста. Возникает в области корня зуба. Может быть следствием удаления корня, неправильного лечения корневых каналов. В любом случае, процесс сопряжен с проникновением инфекции из вне, как результат неквалифицированной стоматологической помощи.

Киста и гранулема не одно и то же
Для пациента не всегда имеет значение, как называть проблему. Важно, что она есть, доставляет неприятности и боль, и нужно как-то с ней бороться. Очень часто самые «умные» пациенты, проконсультировавшись у Гугла, начинает немедленные действия по лечению. По факту не разобравшись, что лечить, могут нанести себе непоправимый вред.
Киста зуба и гранулема имеют очень похожие проявления. Они округлой формы, поражают корень. Даже причины и набор провоцирующих факторов – одни и те же.
Вот только, если киста имеет четкие плотные границы, которые изолируют здоровые ткани от пораженных, то гранулема этих границ не имеет. Она представляет собой очаг воспаленной соединительной ткани, которая способна разрастаться, при этом четких границ иметь не будет.
Лечением и постановкой диагноза должен заниматься стоматолог, поэтому не стоит назначать себе сомнительные примочки и полоскания
«Провокаторы» кисты
Как и любое другое заболевание организма, киста зуба не появляется из воздуха. Есть определенные причины возникновения и факторы, которые способствуют ее возникновению. Вот самые популярные:
- Некачественное стоматологическое обслуживание, недобросовестный доктор, нарушающий технику лечения и обработки инструментов, могут с легкостью занести инфекцию в канал зуба.
- ЛОР-заболевания бактериальной природы, поражающие носоглотку, которые перешли в хроническую форму.
- Ослабление защитных сил организма вследствие низкого иммунитета не позволит противостоять инфекции, и она очень быстро распространится. Причин ослабленного иммунитета может быть много – от переохлаждения до ВИЧ-инфекций.
- Пародонтит – заболевание тканей пародонта с явно выраженным воспалительным процессом. Эти ткани прилегают непосредственно к телу зуба, поэтому столь быстро его инфицируют.
- Периодонтит. Аналогично носит воспалительный характер, может вызвать формирование кисты.
- Некачественное протезирование. Зачастую случается в спешке при нарушении элементарных правил и техник. Так, зуб, будучи покрыт коронкой, спрятан от глаз. Его разрушение может длиться долго, открывая путь проникновения инфекции, при этом пациент ничего не заподозрит. Остается на совести врача.
- Даже банальный кариес, при его длительном игнорировании откроет путь инфекции в канал зуба, заражая корень, вызывая не только боль, но и последующую потерю зуба.
- Любая травма кости челюсти или зуба, будь-то ушиб или перелом, может запустить процесс формирования кисты в любой момент.
- «Детские» факторы. В этом случае ввиду физиологических особенностей процесс прорезывания зубов становится атипичным, а любое воспаление может вызвать возникновение кисты. Такой сценарий характерен для кист зубов мудрости.
Самой неприятной и неожиданной кистой зуба, которая может быть – это у маленьких деток. В месте формирования молочных зубов они и образовываются. Говоря медицинским языком, это узлы Бона. Их очень важно распознать на ранних стадиях, чтобы не допустить развития опухолевых заболеваний.

Как распознать кисту?
Как и любое заболевание, киста зуба лечится тем лучше, чем раньше она диагностирована. Но тут не все так просто. Это настоящий подводный камень.
Можно прекрасно себя чувствовать, вести активный образ жизни, ходить на работу и не подозревать, что новообразование растет. В этом случае киста может проявить себя слишком поздно, оставляя все меньше выбора стоматологам, связывая руки в попытках сохранить зуб.
Хуже всего то, что даже визуальный осмотр ротовой полости, даже самый щепетильный не поможет выявить кисту зуба. Безошибочно и наверняка диагностировать это заболевание поможет лишь рентгенолог. Зачастую, делая рентген при лечении, стоматологи и обнаруживают кисты у своих пациентов.
Но не все так плохо и печально. Есть определенный ряд признаков, по которым можно судить о предполагаемом заболевании. Они не дают никакой гарантии, но предупрежден, значит вооружен. Возможно, кто-нибудь из читающих заметит знакомые симптомы и вовремя посетит стоматкабинет. Обращаем особое внимание на:
- Отечность. Киста способна вызывать отеки и припухлость в месте возникновения. Расположившись на верхней челюсти, отек может проявиться по всей верхней части лица. С нижней челюсти отек переходит на щеки, подбородок и даже язык.
- Цвет слизистой. Над кистой слизистая полости рта может воспаляться и становится паталогически красной, чуть позже красноту сменяет синюшность, которая может распространиться и на щеку.
- Периодонтит – порочный круг кисты. С одной стороны это фактор, который приводит к образованию кист, а с другой стороны может быть и ее последствием.
- Следите за изменением цвета эмали. Киста может нарушать питание зуба. Как результат – недостаток минеральных веществ, который приводит к изменению цвета эмали. Увидели, что зуб стал темнеть, приобрел серый оттенок – сходите к стоматологу и обратите его внимание на этот факт.
- Внезапно откололся зуб или треснул. Это еще один повод обратится к врачу и сделать рентген.
- Среди прочих симптомов – повышенная чувствительность к сладким, холодным и горячим продуктам. Повышенная чувствительность даже к холодному воздуху характерна для начальной стадии образования кист.
- С увеличением кисты, она начинает оказывать физическое воздействие на зуб. Появляется ощущения давления изнутри, пережевывая жесткую пищу можно ощущать не только дискомфорт, но и боль.
- Неприятный запах изо рта. Симптом весьма косвенный, но когда вы уверены, что все зубы целы, нет кариеса, проблем с деснами тоже нет, а запах все же присутствует, то стоит насторожиться и посетить стоматолога.

Киста определенно есть!
Мы рассмотрели так называемые «звоночки», которые могут свидетельствовать о возможном и только возможном наличии кисты зуба.
Они могут проявляться на начальной стадии, а могут и отсутствовать. Но приходит время и все становится очевидным.
Это запущенная стадия, когда симптомы уже кричат, что лечиться нужно срочно. И вот эти симптомы:
- Шишка на десне. По мере развития заболевания киста постоянно увеличивается в размере и стремится выйти наружу. В этот момент на десне появляется уплотнение размером и формой похожее на горошину. Вырастать она может до сантиметра и более. Игнорируя этот симптом, если не лечить, пациенты рискуют получить обширное воспаление, так как содержимое кисты выходит наружу и инфицирует окружающие ткани.
- Болевой синдром. Это не просто болит зуб. Болеть будет все: лоб, глаза, горло, затылок, височная часть, подбородок. Как правило, боль не острая, а тупая и ноющая. И скорее всего популярные обезболивающие и противовоспалительные препараты в этой ситуации окажутся малополезными.
- Нарыв с гнойным содержимым. Решать этот вопрос должен специалист. Такой нарыв не пройдет сам по себе и не рассосется. Его нужно вскрывать и проводить дренаж.
- Начала оголяться шейка зуба. Вследствие давления киста расширяет пародонтальный карман, зуб оголяется, становится подвижным.
- Киста зуба, локализуясь на корне, по мере роста уничтожает не только корень, но и костную ткань челюсти. Разрушение кости напрямую отображается на деснах. Они становятся воспаленными и кровоточат при малейшем надавливании.
- В самых крайних случаях, когда киста поражает корневое ложе, страдает связочный аппарат зуба. В этом случае из-за высокой подвижности зуб начинает смещаться, постоянно расшатываясь.
Если вы досиделись до одного или нескольких из вышеперечисленных симптомов, будьте готовы, что температура у вас так же будет повышена. Работоспособность в таком состоянии стремиться к нулю. Ощущается сильная слабость, человек быстро устает. Но соберите всю волю в кулак и доберитесь-таки к стоматологу.

Если кисту не лечить, если кисту запустить…
Живя в современном цивилизованном мире, мы имеем доступ к множеству благ, в том числе и к медицине.
Порой, очень удивительно слушать и говорить о том, что заболевание удалось запустить. Все человеческий фактор.
Одни до чёртиков боятся стоматологов, другие не находят времени посетить стоматологическую клинику, откладывая визит на потом, третьи вообще надеются, что все пройдет само.
Заканчивается это тем… Вот об этом и пойдет сейчас речь.
Последствия запущенной кисты могут вылиться в самые неприятные осложнения. Из-за разрастания капсулы с инфильтратом кость постепенно разрушается, истончается. Чем опасна данная ситуация — может спровоцировать даже перелом челюсти
Киста – это воспалительный процесс, связанный с активным ростом патогенных бактерий. Попадая в здоровые ткани, они легко могут спровоцировать тяжелейшее костное заболевание – остеомиелит. Что это означает? А означает это начало процесса отмирания костной ткани. Нагноения будут искать путь выхода наружу, образовывая свищи. И неизвестно, где он выйдет, в щеке или в десне. Но доставит это немало хлопот и боли заболевшему.
Пациента также могут мучать головные боли, чувство общего недомогания. Пораженные зубы наверняка разрушаться, а значит, их придется удалять. Когда киста из спокойной формы перейдет в острую, невозможно спрогнозировать. Переохлаждение, усталость или стресс может нарушить это шаткое равновесие. Хуже всего, что при наличии воспалительного процесса, бактерии, попав в кровь, могут спровоцировать сепсис. И это уже серьезная угроза жизни.
Казалось бы, куда еще хуже. Но в начале статьи уже шла речь о том, что киста является доброкачественным образованием. И при неудачно сложившихся обстоятельствах, несвоевременном или неправильном лечении она может спровоцировать развитие более тяжелой формы – онкологии. А это для многих уже звучит как приговор.

Методы лечения
Киста зуба является серьезным и коварным заболеванием. Такая себе мина замедленного действия. Но и прогресс не стоит на месте. За последние пару десятилетий отечественная стоматология значительно выросла. Доктора активно изучают успешный опыт зарубежных коллег, появляются новые препараты, совершенствуется инструментарий.
Если раньше хирурги не заморачивались и сразу удаляли зуб, то сейчас уже есть варианты – удалять или лечить. Согласитесь, мало кто останется доволен, если ему удалят зуб в зоне улыбки. К счастью современная стоматология знает, что делать, и дает возможность сохранить зуб, сохранить красивую эстетику улыбки и не вводить пациента в кучу комплексов.
Запомните одно! Стоматолог не должен выбирать тот или иной метод лечения только потому, что он ему нравится. Метод определяется состоянием, размером кисты и стадией заболевания
Все методы делятся на консервативные и хирургические. Кому повезло обнаружить кисту на начальной стадии, тот смело может надеяться на благоприятный исход, прибегая лишь к терапевтическому методу. Если киста зуба не успела вырасти до угрожающих размеров и не превышает 8 мм, то стоматолог терапевт вылечит ее самостоятельно.
Процесс это длительный, но эффективный. Доктору понадобиться получить доступ к каналу и каналам зуба, промыть, вычистить их и через них ввести в кисту медикаменты, которые ее разрушат. Процедура не из приятных, но позволяет сохранить зуб.
После разрушения кисты на ее месте остается полость. Ее необходимо заполнить специальными материалами, восстанавливающими кость. В их состав даже включают антибиотики. Канал заполняется и закрывается пломбой, формируется зуб. Возможно последующее протезирование.
Современная стоматология позволяет произвести ее удаление лазером. На сегодняшний день, в случае возможности применения этого метода достигается высокая степень эффективности, безболезненности и безопасности. Метод не требует хирургического вмешательства. Все манипуляции проделываются интраканально.
Лазер полностью убивает патогенную микрофлору канала зуба и разрушает кисту, поэтому риск занести инфекцию, которая спровоцирует рецидив, минимален. Главный минус этого метода длительное лечение и высокая цена. И об этом мы поговорим позже.

Хирургические методы
В случаях, когда терапевты бессильны, за дело берутся хирурги. Первым в списке методов борьбы с кистой стоит цистэктомия – резекция верхушки корня.
Она проводится лишь после качественного лечения каналов. Через надрез в десне делается пропил в кости челюсти и через него хирург должен максимально осторожно удалить кисту и все ее частички.
Это обязательное условие для избежание повторов заболевания. После извлечения кисты образовавшаяся полость заполняется костным заменителем и десна зашивается. Доктор обязательно назначит антибактериальную и противовоспалительную терапию. Расскажет, как снять боль. Будьте готовы к тому, что боль будет преследовать вас несколько дней, и не злоупотребляйте болеутоляющими – только строго в рекомендованных дозах.
В более сложных и запущенных ситуациях, когда речь идет о масштабном разрастании, приходится удалять корень целиком, иногда с частью коронки зуба. Тогда проводится гемисекция. Операция более серьезная и более травматичная, чем цистэктомия, но позволяющая сохранить зуб
Скорее всего, такой зуб сохранит лишь эстетическую функцию, но выдерживать сильные жевательные нагрузки ему будет не под силу.
Последний аргумент стоматолога – удаление. Но это крайняя мера и решение об удалении должно быть обосновано невозможностью сохранить зуб, а не нежеланием заниматься его спасением. К сожалению, количество не самых добросовестных стоматологов в нашей стране достаточно велико, особенно в государственных «бесплатных» клиниках.
При удалении кисты в основном используется местный наркоз. У современных стоматологов целый арсенал анестетиков (напр. Убистезин), который лишит пациента неприятных ощущений на время операции. В редких случаях используется общий наркоз, когда производится масштабное оперативное вмешательство ввиду больших размеров образования.

Как работают народные методы?
Да простят меня наши многоуважаемые читатели, но лечение кисты в домашних условиях без надлежащей квалифицированной стоматологической помощи недопустимо.
Прежде всего, диагностировать наличие кисты самостоятельно без рентгенологического обследования невозможно.
Но, допустим, вы узнали о существовании кисты и решили обратиться к народным методам… Давайте еще раз вспомним, что киста – это плотная эпителиальная капсула, которая находится под зубом в челюсти. К ней нет прямого доступа. Сколько бы соды, соли, ромашек, шалфея или эфирных масел во рту ни держали, они не проникнут настолько глубоко.
Безусловно, полоскания и примочки помогут снять некоторые симптомы. Они успокоят десна, возможно, снизят их кровоточивость, снимут воспаление на некоторое время и даже боль, но корень зла останется нетронутым. Более того, вы будете тратить драгоценное время. Чувствовать вы себя при этом будете хорошо, но киста будет расти, разрушая зубной корень, костные ткани, нанося непоправимый вред.
По этой причине вы не найдете в сегодняшней статье ни одного рецепта приготовления чудо-отвара. Полоскания лекарственными травами и составами должен назначать стоматолог. А он, скорее всего, так и поступит выбрав терапевтический путь лечения. Вот он и посоветует вам рецепт
Киста зуба и беременность
Ответственные родители, особенно будущие мамы, как правило, планируют свою беременность. И все девушки знают, что пункт номер один в плане должен быть поход к стоматологу. Но правила все мы любим нарушать. Да и ситуации бывают разные. Так что же делать?
Самое главное не паниковать и не переживать. Это очень важно при беременности. Даже, если вы делали рентген на раннем сроке и не знали, что внутри вас развивается новая жизнь, вас должны были снабдить специальным свинцовым фартуком. Будущие мамы, помните, вы не первая и не последняя в сложившейся ситуации. Смело идете к врачу, пусть он думает и составляет грамотное эффективное и безопасное лечение.
Но в области вашей ответственности выбрать хорошую клинику и грамотного специалиста. Почитайте местные форумы, поговорите с подругами. Найдите хорошего доктора, которому сможете доверить не только свое здоровье. Знаете как определить хорошого доктора – сообщите.

Цены
Установить четкие цены на лечение именно кисты будет сложно, так как этот процесс многоэтапный, но мы все же попробуем посчитать усредненные цены.
- Первое, что вам потребуется осмотр и консультация специалиста – от 1 до 10 $
- Рентген (прицельный или панорамный) – 2-7 $
- Чистка корня и пломбирование канала — от 22 $
- Цистэктомия – от 45 $ (расходные материалы и анестезия включены)
- Удаление зуба и кисты – от 13 $
- Удаление кисты лазером – от 180 $
- Ну а к этим цифрам можно смело добавлять реставрацию зубов, протезирование, но это тема другой статьи.
Можно предотвратить, можно не допустить
Киста зуба не является заболеванием одного дня. Она не возникает из ниоткуда. У нее есть свои причины возникновения, о которых мы уже говорили ранее. Снизив влияние этих факторов до минимума можно уменьшить риск возникновения заболевания.
Целиком себя обезопасить от кисты может и не удастся, но вы будете знать, что сделали все от вас зависящее.
- Не игнорируйте походы к стоматологу. Посещайте его пару раз в год, говорите об изменениях в зубах и деснах, не бойтесь рентгена. Его излучение ничтожно мало и безопасно. И это единственный надежный способ определить наличие кисты на раннем этапе. Обращайте внимание на зубы под коронкой.
- Ежедневно уделяйте внимание зубам и деснам. Щеткой и пастой чистите утром и вечером, а в течение дня не забывайте использовать зубную нить. Жевательными резинками не стоит злоупотреблять, лучше прополоскать рот теплой водой после еды и воспользоваться нитью.
- Качественная гигиена не позволит начаться кариесу, который может проникнуть вглубь зуба и вызвать воспалительный процесс, повлекший новообразование.
- Не подвергайте зубы чрезмерной нагрузке, которая может спровоцировать механическое повреждение. И мы говорим не о твердых фруктах и овощах – это полезная нагрузка. А вот вредная – это колоть орехи или пытаться открыть бутылку пива.
- Уделяйте больше внимания себе и своему здоровью. Правильное питание, здоровый образ жизни, умеренная двигательная активность будут держать в тонусе защитные силы организма. Крепкий иммунитет не допустит возникновения очагов инфекций, которые бы переросли в кисту.

Подведем итоги
Если разобраться, то киста не так страшна, как кажется на первый взгляд. Положитесь на опытного стоматолога и пусть лечит.
Не забывайте, что задача стоматолога не только сверлить зубы и причинять боль. Он располагает целым набором физиотерапевтических процедур, которые действительно помогают.
Но подобная техника доступна далеко не в каждом кабинете. Что говорить? Пройдитесь по городу и сами увидите, что стоматологи работают не то что без аппаратной терапии, но и без рентгена. Нужно ли идти в такие кабинеты? Категорически нет!
Возвращаясь к электролечению. Такие методики как ТНЧ (токи низкой частоты), ТВЧ (токи высокой частоты), импульсные электромагнитные поля, электрофорез, ультразвук позитивно влияют на ткани организма.
Одни стимулируют кровообращение, другие снимают воспалительные процессы. Благодаря физиопроцедурам нормализуется снабжение тканей органическими веществами, активизируются восстановительные процессы. Так что не стесняйтесь спросить у доктора о возможности получения процедур в физкабинете.
При длительном лечении каналов лекарства очень удобно вводить вглубь корня, воздействуя на него постоянным током. Это заметно улучшает проницаемость и эффективность самого лекарства.
Отнеситесь с полной ответственностью к выбору личного стоматолога. Информация о них доступна на многих сайтах. Читайте, ознакамливайтесь, обязательно перепроверяйте. Под каждым отзывом должен быть контакт, который бы подтвердил верность изложенного. Цены на стоматологические услуги не могут быть низкими, но помните: вы приходите в кабинет не за комфортом, а за здоровыми зубами и красивой улыбкой.
Всем хорошего настроения, ярких улыбок и здоровых зубов. Читайте нас, делитесь с друзьями. Рассказывайте о своем опыте в комментариях после статьи.
www.uadent.com
Киста зуба — что это такое? Киста на корне зуба: удаление
Большинство людей не любят посещать стоматологов и идут к врачу, только если возникает сильная боль. Но есть заболевания полости рта, которые протекают почти бессимптомно, однако могут привести к опасным последствиям. И неслучайно стоматологи рекомендуют проводить профилактический осмотр каждые полгода. Только так можно выявить некоторые заболевания на ранней стадии и вылечить их без удаления зубов. Поэтому и нужно посещать врача даже при малейшем дискомфорте в полости рта. Одной из наиболее часто встречающихся проблем является киста зуба. Что это такое знают немногие. Но, несмотря на то, что на начальных стадиях она не доставляет никаких неприятных ощущений, это новообразование очень опасно, если его не лечить.
В переводе с греческого языка это слово означает «пузырь». Такое название не случайно, ведь киста представляет собой небольшое плотное образование, заполненное жидкостью.
Стенки этой опухоли состоят из нескольких слоев соединительной ткани и изнутри выстланы эпителием. Наполнена полость отмершими клетками, бактериями или гноем. Чаще всего образуется киста на корне зуба, плотно прикрепляясь к нему. Поэтому раньше такое заболевание лечили только с помощью операции. На сегодняшний день существуют способы избавиться от кисты, сохранив зуб. Но лечение следует проводить на ранней стадии, когда заболевание протекает почти бессимптомно, а само образование является еще небольшим. Киста десны зуба может иметь разные размеры: от 5 миллиметров до 5 сантиметров. На ранней стадии она называется гранулемой, при ее увеличении происходит разрушение костной ткани. Но растет она очень медленно, поэтому есть возможность не допустить потери зубов.Как распознать кисту на ранней стадии
Это образование появляется на месте проникновения в организм бактерий и защищает костную ткань от их распространения.

В большинстве случаев на ранней стадии киста на корне зуба обнаруживается только в ходе рентгеновского обследования. На снимке видна темная полость овальной формы. А симптомы заболевания очень слабые и часто не замечаются пациентом. Это может быть небольшое смещение зуба, несильная боль при надавливании или попадании горячей пищи. Но со временем, когда организм уже не может бороться с бактериями, киста под зубом начинает расти, и могут проявиться такие симптомы, как:
- сильная боль в зубе, отек и покраснение десны;
- признаки гнойного воспаления: слабость, температура и увеличение лимфатических узлов;
- киста может проявиться в виде «свища» или «флюса».
Причины появления заболевания
Итак, почему же может возникнуть киста десны зуба?
- почти 70% случаев появления кисты случаются из-за неправильного лечения. Если канал запломбирован не до конца, в образовавшейся полости скапливаются бактерии;
- полость может образоваться после травмы: драки с ударами в лицо, падения и даже при разгрызании орехов;
- бактерии к корню зуба могут попасть с кровотоком во время инфекционных заболеваний, например, гайморита;
- при неправильно установленной коронке под нее может попадать пища, и это становится источником размножения бактерий;
- если не лечить периодонтит, то инфекция проникает к корням, и развивается воспаление;
- иногда во время прорезывания зубов мудрости в десне образуется карман, в котором скапливаются бактерии.
Какие бывают кисты
1. По месту образования различают такие ее виды:
- киста корня зуба, появляющаяся в результате неправильного лечения;
- киста зубов мудрости;
- новообразования могут появиться в гайморовых пазухах, в таких случаях они вызывают сильные головные боли;
- киста может образоваться также на десне, под коронкой или между зубами.
2. По причине возникновения кисты бывают нескольких видов:
- кератокиста — образуется из остатков зубообразовательной ткани на этапе формирования организма;
- киста зуба после удаления, появляющаяся в случае, если были совершены ошибки или занесена инфекция, называется резидуальной;
- фолликулярная или киста прорезывания возникает в том случае, если что-то мешает прорезыванию зуба в течение длительного времени, и он остается внутри десны;
- из-за несвоевременного лечения или неполного пломбирования каналов возникает радикулярная киста зуба (фото этого новообразования можно посмотреть в нашей статье).
Чем опасна киста
Большинству людей становится страшно, когда им ставят диагноз «киста зуба». Что это такое врачи объясняют очень редко. На самом деле это доброкачественное образование, которое защищает ткани полости рта от распространения инфекции. Но киста не может выполнять эту функцию долго. Со временем она растет, зубы рядом с ней начинают разрушаться, и может даже случиться ее разрыв и заражение крови. Удаление кисты на зубе в этом случае возможно только вместе с ним самим. Опасно это заболевание тем, что на начальных стадиях ничем себя не проявляет и его можно обнаружить только на рентгеновском снимке. А в запущенной стадии могут возникнуть серьезные осложнения. Быстрый рост кисты и развитие воспаления чаще всего бывают спровоцированы ослаблением иммунитета, инфекционными заболеваниями или даже простым переохлаждением организма. Чтобы избежать потери зубов, нужно пройти длительный курс лечения.
Какие осложнения может вызвать киста
- разрушение костной ткани, которое может привести не только к потере зубов, но и к деформации челюсти и даже к ее самопроизвольному перелому;
- при длительном течении воспалительного процесса возможно образование абсцесса, остеомиелита или флегмоны мягких тканей;
- киста, возникшая в гайморовых пазухах, может спровоцировать развитие гайморита;
- если это доброкачественное образование не лечить, опухоль может перерасти в злокачественную;
- в запущенных случаях возможно развитие общего заражения крови.
Киста зуба: как лечить
Раньше существовал только один способ избавиться от этого образования — хирургический. После удаления зуба хирург прочищал лунку от остатков кисты. Сейчас же к этому методу прибегают лишь в запущенных случаях, или если не помогает другое лечение. Легче всего избавиться от кисты на ранних стадиях ее развития, когда она была обнаружена при рентгеновском обследовании. В это время обычно она не доставляет пациенту неприятных ощущений, и нет сильного воспаления. Лечится киста двумя способами: хирургическим или терапевтическим. В большинстве случаев это длительный и болезненный процесс, поэтому нужно вовремя посещать врача и не допускать развития воспаления.
Когда не удается избежать потери зуба
Сейчас стоматологи стараются лечить кисту, не удаляя пораженный зуб. Но в некоторых случаях этого избежать не удается. Когда же нужно обязательно удалять зуб?

- причиной инфекции является запущенный пародонтоз;
- на корне зуба или на нем самом образовалась вертикальная трещина;
- корневые каналы оказываются непроходимыми, что делает лечение невозможным;
- зуб сильно разрушен и восстановить его слишком сложно;
- удалять зуб нужно и в том случае, если он полностью находится в полости кисты и сильно шатается.
Терапевтическое лечение заболевания
Это самый предпочтительный для пациента метод избавления от кисты. Возможен он в том случае, если образование обнаружено на ранней стадии, имеет размер не более сантиметра и связано с корнем зуба. В этом случае стоматолог-терапевт может вылечить кисту, не удаляя зуб и не прибегая к хирургическому вмешательству. Это лечение длительное и состоит из нескольких этапов:
- больной зуб рассверливается до основания;
- хорошо прочищаются и расширяются все каналы;
- полость обрабатывается антисептическим средством;
- через каналы проводится лечение самой кисты. Делать это можно двумя способами:
- В полость кисты вводится специальное лекарство, препятствующее распространению инфекции. Делается это несколько раз под контролем рентгенографического обследования.
- Новый, более сложный метод лечения кисты, — депофорез. В каналы вводится двуокись меди-кальция. Потом под воздействием слабого электрического тока этот состав проникает в самые труднодоступные места и удаляет инфекцию. Необходимо провести не менее трех процедур.
5. после удаления источника воспаления на зуб ставится временная пломба. Через полгода проводится контрольное рентгенографическое обследование, и если киста исчезла, ставится постоянная пломба.

Хирургическое лечение заболевания
Но, к сожалению, нередко слишком поздно обнаруживается киста зуба. Как лечить ее в этом случае? Только хирургическим путем. Причем сделать это можно и без удаления зуба, хотя и не во всех случаях. Обычно к такому методу прибегают, когда появились боли, признаки воспаления, и уже большие размеры имеет киста зуба. Операция показана также, если на пораженном зубе стоит штифт или коронка. Существует несколько способов хирургического лечения заболевания:
1. Чаще всего удаление кисты на зубе происходит с помощью цистэктомии. Это довольно сложная операция, в ходе которой через надрез в десне вырезается не только новообразование, но и пораженная верхушка корня. Процедура проходит под наркозом, но после нее еще долго могут ощущаться боли и наблюдаться отек. Для полного излечения назначается курс антибиотиков.
2. Менее щадящая для зуба операция — гемисекция. Она проводится на зубе с несколькими корнями, когда какой-то из них нет возможности сохранить. При этом киста удаляется вместе с корнем и пораженным участком зуба. После этого на него нужно поставить коронку.
3. Иногда используется цистотомия. Эта операция заключается в том, что удаляют только переднюю стенку кисты и производят ее лечение. Делается она в том случае, если необходимо сохранить зуб полностью, например, у детей.

Народные методы лечения
Иногда боль и воспаление пациенты пытаются снять различными полосканиями или примочками. И только после удаления выясняют, что у них была киста зуба. Фото таких пораженных воспалением тканей показывает, что лечить их можно только полным удалением источника инфекции. И в большинстве случаев даже сильные антибиотики с этим не справляются, а народные средства могут использоваться только в качестве вспомогательного средства для снятия боли и уменьшения воспаления. Нельзя прикладывать к кисте горячие компрессы и использовать горячие полоскания. Помочь могут следующие средства:
- частые полоскания концентрированным отваром антисептических трав: ромашки, шалфея, календулы или тысячелистника;
- полоскание солевым раствором;
- боль можно уменьшить, если подержать во рту чайную ложку кунжутного масла;
- можно полоскать область больного зуба водкой или спиртовым настоем хрена;
- натирать десну чесноком или прикладывать дольку к больному зубу;
- полоскать рот клюквенным или лимонным соком;
- для полосканий и компрессов хорошо использовать эфирные масла: чайного дерева, миндаля, мяты или бергамота.
Профилактика заболевания
Довольно часто встречается у пациентов киста зуба. Что это такое им не пришлось бы узнать, если бы они соблюдали следующие методы профилактики:
- регулярно нужно посещать стоматолога, лучше всего выбрать одного врача, у которого лечиться постоянно;
- ежегодно проводить рентгенографическое обследование полости рта;
- вовремя необходимо лечить все заболевания зубов и носоглотки;
- нужно правильно чистить зубы и пользоваться антисептическими растворами для полости рта;
- избегать травмирования челюсти и зубов;
- повышать иммунитет и вести здоровый образ жизни.
fb.ru
что такое и причины, чем опасна и как лечить
Во рту, как и в других частях организма, могут так же возникать воспаления или новообразования. Киста на зубе – новообразование, которое стоматологи считают очень опасным явлением. Почему кисту зуба называют вредной для здоровья, какова угроза, что делать, если киста уже появилась? Какие действия нужно предпринимать чтобы предотвратить еще большие проблемы? Что такое киста зуба – это образование у верхушки корня, которое прикрепляется к самому корню плотной соединительной тканью. Как правило, киста зуба на рентгеновском снимке видна как округлое тёмное пятно. На деле это — полость в кости, заполненная гнойной массой и ограниченная оболочкой, способной расти по мере расширения кисты.
Как распознать кисту зуба, почему она возникает
Зубная киста способна долго не давать о себе знать. Со временем могут появиться такие симптомы кисты зуба: болевые ощущения при надавливании на десну, либо боль при жевании или накусывании. В случае снижения иммунитета, например, сезонных простуд, повышается образование гноя. В этом случае боли обостряются, появление распухания десен, киста под зубом увеличивается и может лопнуть при неблагоприятном развитии событий. Какова киста зуба — симптомы и ее последствия, необходимо это знать, чтобы вовремя обращаться к доктору. В карточке можно иногда увидеть латинское название диагноза — «cystis». Другой перевод этого слова — пузырь.
Часто случается, что гнойный пузырь обнаруживают на рентгеновском снимке случайно. Когда полость с гноем небольшая, она не беспокоит, как правило. Как выглядит киста зуба в своих клинических проявлениях? Но в результате ее роста могут наблюдаться:
- Болезненность при надавливании
- Десна опухшая и отёчная
- Может развиться головная боль
- Общее состояние может ухудшаться
- Повышение температуры тела
- Лимфоузлы на шее, как и другие, могут быть воспалены
Откуда берется полость в кости и сгусток гноя в ней? Это инфекция, которая размножается по причине:
- Не долеченного коренного канала
- Повреждения ротовой полости
- Инфекционного заболевания рта
- Инфекционного поражения носоглотки
- Неправильного развитие челюсти
Если замечено, что кусать больно, моляр «не так сидит» – это могут быть признаки кисты. Но не обязательно, если что-либо болит, то это болит киста зуба. Лучшее решение – отправиться на обследование.
Виды гнойных образований
Полости в кости, заполненные гноем, бывают различных типов. Это зависит во многом от локации их, а также причин, по которым они появились. Лучшим методом осмотра этом случае есть рентгенография.
- Кератокиста — она образуется из соединительной ткани, когда формирование элементов челюсти было нарушено по определенным причинам.
- Кистозная полость прорезывания — это проблема, возникшая при росте новых зубов у ребенка.
- Резидуальная — это вид гнойного образования, что встречается наиболее часто. Ее другое название — одонтогенная. Ее провоцируют комплексные факторы развития патологии, которые легко затягиваются при несвоевременном обращении к врачу.
Так уж безопасна кистозная полость?
Чем опасна киста зуба? Запущенные случаи могут быть опасны рядом осложнений. Гнойный очаг может стать началом воспаления кости. В результате деформации кости полостью, могут возникнуть перелом челюсти. В области нарастающего гнойного пузыря резцы, клыки, моляры теряют прочность и выпадают. Огромная опасность в том, что весь гнойный процесс может перекинуться на лицо и шею, это заболевание называется флегмона. Гной, попавший в кровяное русло может спровоцировать заражение крови.
Внимание! Специалисты-пародонтологи утверждают, что вялотекущие гнойные процессы склонны перерождаться в раковые опухоли.
Чтобы этих неприятностей можно было избежать, лечение гнойных и воспалительных заболеваний рта необходимо начать сразу же, как только ее обнаружат.
Тонкости расположения кисты зубов
Жевательная система у человека разнообразна в строении. Каждый вид тканей имеет лишь одни свои функции. Поэтому и заболевания, возникшие в разных участках челюсти, имеют свои особенности.
Киста переднего зуба имеет свои особенности развития. Передние резцы устроены так, что имеют всего один корень. Несмотря на это, они крепче моляров. Но тканей, удерживающих их, гораздо меньше, а это означает, что и место для развития «cystis» тоже меньше. Особенно, если это верхний резец. Появившееся новообразование под резцами быстрее дорастёт до своих критических размеров, а значит ее легче и быстрее можно обнаружить.
Свищ, образовавшийся от прорыва оболочки гнойного пузыря на резцах, может выйти только через десну. В это время, киста зуба мудрости, моляра, премоляра или клыка имеет все шансы прорвать через щеку, внутрь черепа, даже шею. При образовании гнойной полости в кости у резцов, одним из вероятных осложнений может быть обострение гайморита. Связка между резцом и костью гораздо меньше, чем у задних. Увеличивающийся пузырь с оболочкой легко повреждает ее. В итоге, зуб может быть потерян, а инфекция, может спровоцировать целый набор обострений.
Если на корне переднего зуба образовалась киста, лечить ее, нужно особыми методами. Виной тому всё то же строение жевательного аппарата человека.
Как лечить кисту зуба
В немедленной необходимости лечения «cystis» уже убедились, теперь о том, какими методами лечат кисту. Есть терапевтические и более радикальные методы хирургического вмешательства. Что выбрать — это покажет снимок и осмотр врача.
- Гнойное новообразование удаляют вместе с частью десны, а из открывшейся полости выкачивают гной. Затем открывшуюся полость обрабатывают антисептиками. Заживление после такой процедуры идет долго и сложно. Операция носит название – цистотомия.
- Другой метод лечения «cystis» производится сквозь коренной канал. Канал открывают, если зуб живой, то удаляют нерв — чистят, затем откачивают образовавшийся гной из полости. После этого туда закачивают специальную жидкость, которая приводится в активность под действием электричества. Она хаотично движется, заполняя все самые труднодоступные места гнойной полости, вычищая их так. Процедуру стоит повторить несколько раз.
- После вскрытия пузыря, эту область прижигают лазером. Сразу «убивается два зайца» — уничтожается вредная микрофлора, прижигается полость, заживление ее проходит легче и быстрее. Такая рана будет и меньше болеть в процессе заживления.
- Цистэктомия – это следующий вид операции, с помощью которой избавляют от подобных образований во рту. При этом удаляют не только сам гнойный очаг, но и часть верхушки корня. На функциональности зуба потеря части корня не сказывается, но эффект от такой операции будет хорошим. Гарантия выздоровления высока.
- Гемисекция предполагает удаление части моляра или премоляра вместе с одним из корней, к которому прикреплен очаг образования гнойной полости.
- Более радикальным способом удаления проблемы — есть удаление ее вместе с зубом, о сохранении которого в такой ситуации, говорить, конечно, не приходится. Но этот метод выбирают в том случае, если хирург-стоматолог приходит к выводу, что зуб не спасти, например, он чрезмерно шатается, либо совсем испорчен или сломан. Тогда его удаляют, как правило, он удаляется вместе с кистой.
- Терапевтические методы лечения используются, если полость с гноем не превысила сантиметр в диаметре. В этом случае, открывают лишь канал, через который делают промывание и вводят лекарственные вещества.
Недетская болезнь – киста зуба у детей
Как ни удивительно, этот неприятный диагноз, при том, внезапно возникающий, можно получить и в кабинете у детского врача-стоматолога. Причины образования «cystis» у малышей те же, что и у взрослых. Киста на молочных зубках у детей опасна тем, что может перейти на зачатки постоянных, а это значит, что малыш придет во взрослую жизнь с огромными проблемами, вплоть до отсутствия их. Новые будут появляться уже «мертвыми».
Существует так называемая, киста прорезывания. Она может образоваться тогда, когда зуб уже начал прорастать сквозь мягкие ткани челюсти. Вспоминая об этом виде гнойной полости, стоит помнить, что не все случаи заболевания получают развитие. Доктор видит уже клинически развившийся случай. Часть случаев исчезает самостоятельно. Гнойный пузырь может возникать как при росте молочных, так и при росте коренных зубок у детей. Но наиболее частый возраст, где можно столкнуться с этой проблемой – от 5 до 9 лет. Именно тогда начинают активно прорезываться новые зубки. От чего появляется гной и возникает воспаление у детей – всё та же инфекция, на фоне снижения защитных сил организма чада.
Интересно! Киста зубов поражает больше правую сторону, чем левую. У мужчин киста зуба встречается чаще, чем у женщин.
Гнойная область под корнем у ребенка появляется чаще у премоляров и клыков, чем у моляров. Киста зуба у ребенка – один вид из возможных аномалий развития зуба. При прорезывании зубов кисты могут быть спровоцированы самим процессом прорезывания и могут иметь совершенно разный вид.
Киста зуба и последствия ее у детей проходят ничуть не легче, чем у взрослых. Добавить к этой ситуации склонность детей бояться человека в белом халате, особенно с пугающими жужжащими или острыми инструментами – озадаченным родителям порой непонятно, что делать. Дети сложно поддаются уговорам и вряд ли могут спокойно терпеть манипуляции, поэтому, тщательно осматривайте состояние детских зубов, не игнорируйте и школьного стоматолога. При подозрении на описанную проблему, сделать рентгеновский отпечаток и показаться доктору.
Потрудитесь деликатно объяснить малышу, что у него в десне есть маленькая проблема, которая может стать серьёзной, поэтому доктор должен ее вылечить. Говорите с ребенком, чтобы он доверял вам, не обманывайте его, подрывая свой авторитет в его глазах. Научите малыша понимать, что врач — это помощник, а не враг. А родителям важно знать: о кисте на зубе и что это такое, не менее важно понимать причины возникновения, чтобы избежать неприятности у себя и своего чада
vseokiste.ru
что это такое и как лечить воспалительный процесс

Киста зуба – патологическое образование, заполненное серозным или гнойным содержимым. Кистозное заболевание зубов в начальной стадии протекает без заметных симптомов, что приводит к запущенным случаям, серьёзным осложнениям.
Не думайте, что киста появляется лишь у тех, кто не следит за гигиеной полости рта. Коварное образование стоматологи диагностируют с завидной регулярностью. Как распознать кисту? Можно ли предотвратить опасное заболевание? Ниже вы найдёте ответы на эти и другие вопросы, связанные с кистозными образованиями.
Киста зуба: что это

Образование, напоминающее шар с довольно плотной оболочкой, прорастает на конце корня зуба. Второе название – одонтогенная киста.
Особенности:
- внутри образования находится эпителиальный слой, снаружи – оболочка из соединительной ткани;
- в полости шара находится жидкое содержимое, состоящее из погибших лейкоцитов и отмерших клеток;
- размер опухоли – от 1–2 мм до сантиметра и более;
- при отсутствии лечения образование быстро увеличивается, мешает разговаривать, улыбаться, затрудняет приём пищи;
- при больших размерах появляются ноющие боли, инфекция распространяется на соседние области;
- при отсутствии лечения заболевание приводит к потере зубов, провоцирует тяжёлый воспалительный процесс.
Знаете ли вы, как быстро избавиться от зубной боли в домашних условиях? Узнайте проверенные методы.
О разновидностях и этапах имплантации зубов прочтите по этому адресу.
Причины возникновения
Любая киста развивается под действием инфекции, проникшей в периодонтальные ткани. С течением времени развивается воспаление, периодонтит превращается в гранулёму, затем – в кисту.
Инфекционный агент проникает вглубь тканей различными путями. В одних случаях виноват пациент, в других – недобросовестный врач.
Иногда киста появляется во время прорезывания зубов. При нормальном течении процесса шаровидное образование постепенно растворяется, негативных последствий не оставляет.
Основные причины и провоцирующие факторы:
- проникновение болезнетворных бактерий с током крови при инфекционном заболевании;
- появление шаровидного образования при длительном воспалительном процессе под коронкой;
- травма зуба после падения или удара;
- последствия тяжёлой формы гайморита;
- как побочный эффект во время прорезывания зуба мудрости.
Обратите внимание! Иногда инфицирование развивается после визита к стоматологу, при несоблюдении врачом правил лечения, использовании плохо обеззараженных инструментов. Вывод: найдите хорошего врача, посещайте стоматолога, которому доверяете.
Классификация

Одонтогенные кисты различают по месту расположения:
- зубов мудрости;
- передних зубов;
- кистозные образования, достающие до гайморовой пазухи.
В зависимости от причин, вызвавших воспалительный процесс, выделяют несколько разновидностей кист:
- фолликулярная развивается в непрорезавшемся зубном зачатке;
- радикулярная находится на кончике корня. Появляется при осложнённом хроническом воспалении тканей периодонта;
- киста зуба мудрости образуется при сложном прорезывании зубного зачатка под действием хронического воспалительного процесса;
- кератокиста формируется при нарушении процесса развития зубов. Материал – остатки клеток зубообразовательной ткани.
Признаки и симптомы
Опасность заболевания в том, что человека на ранних стадиях почти ничего не беспокоит. При вялом течении воспалительного процесса неприятные ощущения отмечены редко.
На поздних стадиях характерные симптомы более выражены, но пациенты не всегда спешат к врачу, надеясь излечиться самостоятельно. Не питайте надежд на то, что опухоль сама рассосётся. Запущенные случаи вызывают воспаление обширных областей, нередко затрагивают гайморовы пазухи, требуют удаления поражённых участков.
Обратите внимание на симптомы кисты зуба и неприятные проявления, свидетельствующие о развитии опасного заболевания:
- слабая боль при пережёвывании твёрдой пищи;
- покраснение десны, припухлость над проекцией больного корня;
- постепенное выпячивание десны, усиление болевых ощущений во время еды, разговора;
- образование свища над поражённым корнем;
- ноющая боль, но не такая сильная, как при пульпите или кариесе;
- при надавливании на выпуклость вытекает гнойная или серозная жидкость с неприятным привкусом и запахом;
- головные боли при отсутствии признаков воспаления в ротовой полости. Нередко причиной сильных головных болей становится киста, проросшая в полость гайморовой пазухи.
У многих пациентов киста небольшого размера была обнаружена лишь при плановом профосмотре. Дважды в год наносите визит стоматологу, самостоятельно контролируйте состояние зубной эмали и дёсен. При малейших отклонениях от нормы запишитесь на приём к хорошему стоматологу. Промедление обойдётся дороже не только в плане здоровья, но и увеличит финансовые затраты на лечение.
Как развивается заболевание

Особенности:
- чаще всего воспалительный процесс активизируется при некачественном лечении периодонтита;
- инфекция проникает внутрь десны или зубного канала, воспаляется связочный аппарат зубной ткани;
- постепенно воспаление распространяется на соседние ткани;
- в полости появляется жидкость, инфицирующая соседнее пространство;
- постепенно периодонтит переходит в новую форму – развивается кистозное образование;
- при размерах до 5 мм опухоль называется кистогранулёмой;
- при отсутствии терапии гранулёма превращается в полноценную кисту;
- невнимание к проблеме провоцирует дальнейший рост опухоли, поражение корней соседних зубов.
Важно! Не леченные образования с сильным нагноением, большой площадью поражения иногда принимают злокачественную форму. Своевременное лечение предотвратит переход доброкачественной опухоли в онкозаболевание.
Методы и правила лечения
Методы терапии зависит от возраста пациента, стадии заболевания, состоянии полости рта. Чем старше человек, тем хуже качество зубной ткани и дёсен. Проще всего лечить опухоли в молодом возрасте при минимальных размерах образования.
Решение о схеме лечения кисты зуба принимает стоматолог. Перед началом терапии обязательна рентгенограмма: при подтверждении диагноза на снимке заметен округлый участок с чёткими контурами, слабовыраженным костным рисунком. При помощи рентгеновского изображения врач определит, киста поразила только один зуб или соседние области также входят в структуру шаровидного образования.
Терапевтический метод
Лечение без операции даёт хорошие результаты на ранних стадиях при борьбе с кистой небольшого размера. Перед началом терапии важно устранить основную причину патологии. В большинстве случаев, это кариес.
Лазерное лечение кистозных образований – современная технология, показывающая отличные результаты. Многие специалисты хороших стоматологических клиник предпочитают этот метод.

Особенности:
- прямого контакта инструментов и поражённой поверхности нет;
- отсутствует риск повторного инфицирования;
- во время лечебного сеанса пациент не чувствует боли;
- процедура безопасна, процент осложнений минимальный;
- реабилитационный период короткий, малоинвазивная процедура переносится хорошо.
Суть:
- стоматолог чистит зубную полость;
- при необходимости врач удаляет остатки пломбировочного материала, открывает корневые каналы;
- далее лазерный луч воздействует на опухоль небольшого размера;
- после прижигания на месте обработки поверхность быстро заживает, предотвращается распространение инфицирования на новые участки.
Хирургический способ
Оперативное лечение проводится в тяжёлых, запущенных случаях. Послеоперационный период более длительный, болезненность выше, нередко развиваются осложнения.
Показания:
- сильные боли, напухла большая площадь, развилось нагноение, держится температура выше 37,5 градусов;
- размер кистозного образования более 1 см;
- коронка на зубе, под которым на корне появилась опухоль..
Узнайте самые эффективные методы лечения стоматита у детей в домашних условиях.
О симптомах и причинах возникновения зубного камня написано на этой странице.
По адресу http://u-zubnogo.com/bolezni/polosti-rta/parodontoz.html прочтите о правилах лечения и профилактике пародонтоза.
Виды оперативного вмешательства:
- цистэктомия или удаление кисты без удаления зуба. Сложный, болезненный, но самый надёжный способ удаления крупной кисты. Образование вырезается вместе с прилегающей тканью. Хирург надрезает десну, удаляет шар, заполненный жидкостью и поражённый участок, зашивает надрез. Нередко производится резекция зуба. После операции обязательны сильные антибиотики, обезболивающие препараты. Цистэктомия проводится в стационаре;
- удаление зуба и кистозного образования на корне. Метод надёжный, менее болезненный, чем цистэктомия, но пациент теряет зуб, который, возможно, удалось бы сохранить. Ткани зарастают быстрее, при грамотном удалении осложнения возникают нечасто.
После операции:
- полощите рот антисептическими растворами, отваром ромашки, календулы, шалфея;
- принимайте антибиотики положенное количество дней;
- уменьшит риск кровотечения отказ от препаратов, разжижающих кровь – Аспирина, Варфарина;
- употребляйте протёртые блюда, избегайте холодной и горячей пищи;
- откажитесь от тяжёлой физической нагрузки.
Важно! Лечите кисту при первых признаках заболевания, не доводите дело до удаления зуба или цистэктомии. После оперативного вмешательства придётся несколько дней пить обезболивающие препараты, переживать, не понадобится ли повторная операция в случае осложнений.
Народные средства и рецепты

Доброкачественные образования у корней эффективно лечатся домашними средствами только на ранних стадиях. Сформировавшуюся кисту излечить отварами, примочками или масляными смесями невозможно.
Вас часто беспокоят неприятные ощущения в области дёсен? Вы заметили небольшую припухлость около зуба? Используйте один из рецептов народной медицины. Если за неделю улучшений нет, обратитесь к стоматологу. Возможно, воспаление слишком серьёзное, чтобы исчезнуть под действием натуральных составов.
Проверенные рецепты для лечения кисты зуба в домашних условиях:
- травяной отвар против воспаления. Ромашка + шалфей + календула (по столовой ложке), кипяток – пол-литра. Смешайте компоненты, подержите ёмкость на огне 3 минуты, отставьте. Процедите целебный состав через 30 минут. Полощите рот 5-6 раз в день;
- сок каланхоэ. Сорвите несколько листьев, измельчите, выдавите сок. Обрабатывайте поражённые участки утром, днём и вечером в течение недели;
- кунжутное масло. Натуральный продукт эффективен на ранних этапах воспалительных процессов. Ежедневно смазывайте маслянистой жидкостью припухшие зоны.
Не рискуйте здоровьем, не обрабатывайте дёсна и зубы сомнительными составами. Мёд, смешанный с налётом, соскобленным с ржавого гвоздя – пример опасного рецепта, предложенного «горе-целителями».
Профилактические рекомендации
Правила простые:
- следите за состоянием ротовой полости;
- регулярно посещайте кабинет стоматолога;
- найдите профессионала, «своего» врача, выполняйте его рекомендации.
При первых признаках воспаления дёсен используйте народные рецепты. Если за неделю ничего не изменилось, припухлость, боль усилилась, срочно идите к стоматологу. Возможно, на корне развивается киста. Чем раньше начато лечение опасного заболевания, тем выше шанс сохранить зуб, избежать сильной болезненности и осложнений.
Видео. Врач — стоматолог о причинах появления и методах лечения кисты зуба:
u-zubnogo.com