Папиллярная кистома яичника — причины, симптомы, диагностика и лечение
Папиллярная кистома яичника – разновидность серозной опухоли овариальной ткани, имеющая выраженную капсулу, внутреннюю выстилку, образованную сосочковыми разрастаниями эпителия, и жидкое содержимое. Папиллярная кистома яичника проявляется чувством тяжести и болезненности внизу живота, дизурическими явлениями, менструальными расстройствами, бесплодием, асцитом. Некоторые виды опухолей данного типа могут перерождаться в аденокарциному. Папиллярная кистома яичника диагностируется с помощью влагалищного исследования, УЗИ, МРТ, определения маркера СА-125, лапароскопии. Из соображений онконастороженности наличие папиллярной кистомы яичника требует удаления пораженного яичника или матки с придатками.
Общие сведения
Папиллярная кистома яичника чаще развивается в репродуктивном возрасте, несколько реже – во время климакса и практически не встречается до пубертата.
Частота папиллярных кистом в гинекологии составляет порядка 7% от всех опухолей яичников и почти 34% от опухолей эпителиального типа. Папиллярные кистомы яичника склонны к бластоматозному перерождению в 50-70% случаев, поэтому рассматриваются как предраковое заболевание. Наличие папиллярной кистомы яичника у 40% пациенток сочетается с другими опухолевыми процессами репродуктивных органов – кистой яичника, миомой матки, эндометриозом, раком матки.
Папиллярная кистома яичника
Причины
В вопросе о причинах возникновения папиллярной кистомы яичника современная гинекология имеет несколько гипотез. Согласно одной из теорий, папиллярные кистомы яичника, как и другие опухолевые образования овариальной ткани, развиваются на фоне хронической гиперэстрогении, вызванной гиперактивностью гипоталамо-гипофизарной системы. Другая теория основана на доводах о «постоянной овуляции», обусловленной ранней менархе, поздней менопаузой, малым количеством беременностей, отказом от лактации и т.
д. Согласно теории генетической предрасположенности, в развитии папиллярной кистом яичника имеет значение наличие у членов семьи женского пола опухолей яичников и рака молочной железы.
Предполагается, что кистомы яичника могут развиваться из покровного эпителия, из окружающих яичник рудиментных элементов или участков смещенного маточного или трубного эпителия. Развитие папиллярной кистомы яичника может быть ассоциировано с носительством ВПЧ или герпеса II типа, частыми воспалениями (эндометритом, оофоритом, аднекситом), нарушенным менструальным циклом, многократным прерыванием беременности.
Классификация папиллярных кистом яичников
Морфологически папиллярная кистома яичника характеризуется сосочковыми разрастаниями эпителия на ее внутренней, а иногда и наружной поверхности. По локализации сосочковидных разрастаний папиллярная кистома яичника может быть инвертирующей (30%), эвертирующей (10%) и смешанной (60%). Инвертирующая кистома характеризуется отдельными сосочками или массивными папиллярными разрастаниями, выстилающими только внутреннюю поверхность стенки опухоли.
У эвертирующей кистомы сосочковые разрастания покрывают лишь наружную поверхность стенки. При папиллярной кистоме яичника смешанного типа сосочки располагаются и снаружи, и внутри капсулы.
В плане онконастороженности чрезвычайно важна гистологическая форма папиллярной кистомы яичника. Различают папиллярные кистомы яичника без признаков озлакочествления, пролиферирующие (предрак) и злокачественные (малигнизированные). Папиллярная кистома яичника чаще имеет многокамерную структуру, неправильно округлую форму, выпуклые стенки, короткую ножку. Внутри камер кистомы содержится жидкая среда желтовато-коричневого цвета.
Стенки камер содержат неравномерно располагающиеся сосочковидные разрастания, количество которых может изменяться, а форма напоминать по виду кораллы или цветную капусту. Мелкие и множественные папиллы придают стенке кистомы бархатистый вид. При прорастании эпителиальных сосочков через стенку кистомы происходит обсеменение париетальной брюшины таза, второго яичника, диафрагмы и соседних органов.
Поэтому эвертирующие и смешанные папиллярные кистомы рассматриваются как потенциально злокачественные и более склонные к переходу в рак яичника.
Для папиллярных кистом яичников характерна двусторонняя локализация с разновременным развитием опухолей и интралигаментарный рост. Папиллярные кистомы яичников больших размеров развиваются крайне редко.
Симптомы папиллярной кистомы яичника
На ранней стадии заболевания симптомы не выражены. Клиника папиллярной кистомы яичника манифестирует с появления ощущений тяжести, болезненности внизу живота; боли нередко иррадиируют в нижние конечности и поясницу. Рано отмечается развитие дизурических явлений, нарушения дефекации, общей слабости. У некоторых женщин может наблюдаться нарушение менструального цикла по типу аменореи или меноррагии.
При эвертирующей и смешанной формах кистом развивается асцит серозного характера; геморрагический характер асцитической жидкости указывает на наличие злокачественной кистомы.
Асцит сопровождается увеличением размеров живота. Спаечный процесс в малом тазу нередко приводит к бесплодию.
При перекруте ножки папиллярной кистомы яичника, образованной растянутыми связками, яичниковой артерией, лимфатическими сосудами, нервами, маточной трубой, возникает некроз опухоли, что клинически сопровождается признаками острого живота. Разрыв капсулы кистомы сопровождается развитием внутрибрюшного кровотечения, перитонита.
Диагностика папиллярной кистомы яичника
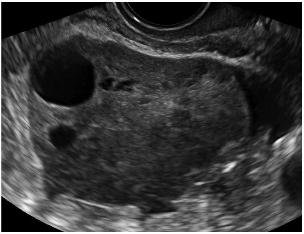
Папиллярная кистома яичника распознается с помощью проведения влагалищного исследования, УЗИ, диагностической лапароскопии, гистологического анализа. При бимануальном гинекологическом исследовании пальпируется одно- или двустороннее безболезненное овоидное образование, оттесняющее матку к лонному сочленению. Консистенция кистомы тугоэластическая, иногда неравномерная. Эвертирующие и смешанные кистомы, покрытые сосочковыми выростами, имеют мелкобугристостую поверхность.
Межсвязочное расположение обусловливает ограниченную подвижность папиллярных кистом яичника.
В процессе гинекологического УЗИ точно устанавливаются размеры кистомы, толщина капсулы, уточняется наличие камер и сосочковидных разрастаний. При пальпации живота, а также с помощью УЗИ брюшной полости может выявляться асцит. Обнаружение опухоли яичника требует исследования онкомаркера СА-125. В ряде случаев для уточнения диагноза целесообразно проведение КТ или МРТ малого таза. Окончательное подтверждение диагноза и выяснение морфологической формы папиллярной кистомы яичника производится в процессе диагностической лапароскопии, интраоперационного гистологического исследования.
Лечение папиллярной кистомы яичника
В отношении папиллярной кистомы яичника показана только хирургическая тактика. При условии отсутствия признаков малигнизации кистомы у пациенток репродуктивного возраста ограничиваются оофорэктомией – удалением яичника на стороне поражения.
При двусторонних кистомах, независимо от возраста, производится тотальная оофорэктомия.
В пременопаузу и менопаузу, а также при пограничных или злокачественных кистомах выполняется надвлагалищная ампутация матки с придатками или пангистерэктомия. Для уточнения морфологической формы кистомы и определения объема вмешательства во время операции опухолевая ткань подвергается срочному гистологическому исследованию.
Интраоперационное обнаружение асцита, диссеминации папилл по поверхности опухоли и брюшине напрямую не указывает на злокачественность кистомы и не может служить поводом для отказа от операции. После удаления папиллярной кистомы яичника очаги диссеминации регрессируют, а асцит не возобновляется.
Прогноз при папиллярной кистоме яичника
Своевременность диагностики и удаления папиллярной кистомы яичника практически исключает возможность их рецидива в виде рака яичников. Тем не менее, для исключения онкологических рисков после операции пациентки подлежат наблюдению гинеколога.
Папиллярная кистома яичника — причины, симптомы, диагностика и лечение
Папиллярная кистома яичника – разновидность серозной опухоли овариальной ткани, имеющая выраженную капсулу, внутреннюю выстилку, образованную сосочковыми разрастаниями эпителия, и жидкое содержимое. Папиллярная кистома яичника проявляется чувством тяжести и болезненности внизу живота, дизурическими явлениями, менструальными расстройствами, бесплодием, асцитом. Некоторые виды опухолей данного типа могут перерождаться в аденокарциному. Папиллярная кистома яичника диагностируется с помощью влагалищного исследования, УЗИ, МРТ, определения маркера СА-125, лапароскопии. Из соображений онконастороженности наличие папиллярной кистомы яичника требует удаления пораженного яичника или матки с придатками.
Общие сведения
Папиллярная кистома яичника чаще развивается в репродуктивном возрасте, несколько реже – во время климакса и практически не встречается до пубертата. Частота папиллярных кистом в гинекологии составляет порядка 7% от всех опухолей яичников и почти 34% от опухолей эпителиального типа. Папиллярные кистомы яичника склонны к бластоматозному перерождению в 50-70% случаев, поэтому рассматриваются как предраковое заболевание. Наличие папиллярной кистомы яичника у 40% пациенток сочетается с другими опухолевыми процессами репродуктивных органов – кистой яичника, миомой матки, эндометриозом, раком матки.
Папиллярная кистома яичника
Причины
В вопросе о причинах возникновения папиллярной кистомы яичника современная гинекология имеет несколько гипотез. Согласно одной из теорий, папиллярные кистомы яичника, как и другие опухолевые образования овариальной ткани, развиваются на фоне хронической гиперэстрогении, вызванной гиперактивностью гипоталамо-гипофизарной системы.
Другая теория основана на доводах о «постоянной овуляции», обусловленной ранней менархе, поздней менопаузой, малым количеством беременностей, отказом от лактации и т. д. Согласно теории генетической предрасположенности, в развитии папиллярной кистом яичника имеет значение наличие у членов семьи женского пола опухолей яичников и рака молочной железы.
Предполагается, что кистомы яичника могут развиваться из покровного эпителия, из окружающих яичник рудиментных элементов или участков смещенного маточного или трубного эпителия. Развитие папиллярной кистомы яичника может быть ассоциировано с носительством ВПЧ или герпеса II типа, частыми воспалениями (эндометритом, оофоритом, аднекситом), нарушенным менструальным циклом, многократным прерыванием беременности.
Классификация папиллярных кистом яичников
Морфологически папиллярная кистома яичника характеризуется сосочковыми разрастаниями эпителия на ее внутренней, а иногда и наружной поверхности.
По локализации сосочковидных разрастаний папиллярная кистома яичника может быть инвертирующей (30%), эвертирующей (10%) и смешанной (60%). Инвертирующая кистома характеризуется отдельными сосочками или массивными папиллярными разрастаниями, выстилающими только внутреннюю поверхность стенки опухоли. У эвертирующей кистомы сосочковые разрастания покрывают лишь наружную поверхность стенки. При папиллярной кистоме яичника смешанного типа сосочки располагаются и снаружи, и внутри капсулы.
В плане онконастороженности чрезвычайно важна гистологическая форма папиллярной кистомы яичника. Различают папиллярные кистомы яичника без признаков озлакочествления, пролиферирующие (предрак) и злокачественные (малигнизированные). Папиллярная кистома яичника чаще имеет многокамерную структуру, неправильно округлую форму, выпуклые стенки, короткую ножку. Внутри камер кистомы содержится жидкая среда желтовато-коричневого цвета.
Стенки камер содержат неравномерно располагающиеся сосочковидные разрастания, количество которых может изменяться, а форма напоминать по виду кораллы или цветную капусту.
Мелкие и множественные папиллы придают стенке кистомы бархатистый вид. При прорастании эпителиальных сосочков через стенку кистомы происходит обсеменение париетальной брюшины таза, второго яичника, диафрагмы и соседних органов. Поэтому эвертирующие и смешанные папиллярные кистомы рассматриваются как потенциально злокачественные и более склонные к переходу в рак яичника.
Для папиллярных кистом яичников характерна двусторонняя локализация с разновременным развитием опухолей и интралигаментарный рост. Папиллярные кистомы яичников больших размеров развиваются крайне редко.
Симптомы папиллярной кистомы яичника
На ранней стадии заболевания симптомы не выражены. Клиника папиллярной кистомы яичника манифестирует с появления ощущений тяжести, болезненности внизу живота; боли нередко иррадиируют в нижние конечности и поясницу. Рано отмечается развитие дизурических явлений, нарушения дефекации, общей слабости. У некоторых женщин может наблюдаться нарушение менструального цикла по типу аменореи или меноррагии.![]()
При эвертирующей и смешанной формах кистом развивается асцит серозного характера; геморрагический характер асцитической жидкости указывает на наличие злокачественной кистомы. Асцит сопровождается увеличением размеров живота. Спаечный процесс в малом тазу нередко приводит к бесплодию.
При перекруте ножки папиллярной кистомы яичника, образованной растянутыми связками, яичниковой артерией, лимфатическими сосудами, нервами, маточной трубой, возникает некроз опухоли, что клинически сопровождается признаками острого живота. Разрыв капсулы кистомы сопровождается развитием внутрибрюшного кровотечения, перитонита.
Диагностика папиллярной кистомы яичника
Папиллярная кистома яичника распознается с помощью проведения влагалищного исследования, УЗИ, диагностической лапароскопии, гистологического анализа. При бимануальном гинекологическом исследовании пальпируется одно- или двустороннее безболезненное овоидное образование, оттесняющее матку к лонному сочленению.
Консистенция кистомы тугоэластическая, иногда неравномерная. Эвертирующие и смешанные кистомы, покрытые сосочковыми выростами, имеют мелкобугристостую поверхность. Межсвязочное расположение обусловливает ограниченную подвижность папиллярных кистом яичника.
В процессе гинекологического УЗИ точно устанавливаются размеры кистомы, толщина капсулы, уточняется наличие камер и сосочковидных разрастаний. При пальпации живота, а также с помощью УЗИ брюшной полости может выявляться асцит. Обнаружение опухоли яичника требует исследования онкомаркера СА-125. В ряде случаев для уточнения диагноза целесообразно проведение КТ или МРТ малого таза. Окончательное подтверждение диагноза и выяснение морфологической формы папиллярной кистомы яичника производится в процессе диагностической лапароскопии, интраоперационного гистологического исследования.
Лечение папиллярной кистомы яичника
В отношении папиллярной кистомы яичника показана только хирургическая тактика.
При условии отсутствия признаков малигнизации кистомы у пациенток репродуктивного возраста ограничиваются оофорэктомией – удалением яичника на стороне поражения. При двусторонних кистомах, независимо от возраста, производится тотальная оофорэктомия.
В пременопаузу и менопаузу, а также при пограничных или злокачественных кистомах выполняется надвлагалищная ампутация матки с придатками или пангистерэктомия. Для уточнения морфологической формы кистомы и определения объема вмешательства во время операции опухолевая ткань подвергается срочному гистологическому исследованию.
Интраоперационное обнаружение асцита, диссеминации папилл по поверхности опухоли и брюшине напрямую не указывает на злокачественность кистомы и не может служить поводом для отказа от операции. После удаления папиллярной кистомы яичника очаги диссеминации регрессируют, а асцит не возобновляется.
Прогноз при папиллярной кистоме яичника
Своевременность диагностики и удаления папиллярной кистомы яичника практически исключает возможность их рецидива в виде рака яичников.
Тем не менее, для исключения онкологических рисков после операции пациентки подлежат наблюдению гинеколога. При отказе от лечения папиллярная кистома яичника может принимать неблагоприятное течение с развитием асцита, осложнений (перекрута ножки, разрыва капсулы), малигнизацией.
Киста яичника — это… Что такое Киста яичника?
Киста яичника (от греч. κύστις — мешок, пузырь) — это образование в виде пузыря с жидкостью или полужидким содержимым, возникающее в структуре яичника и увеличивающее его объем в несколько раз.
Причины возникновения
Причины возникновения кист яичников окончательно не установлены. В механизме развития кист могут играть роль нарушения гонадотропных гормонов и апоптоза.
Классификация
Папиллярная цистаденома яичникаФункциональные кисты (фолликулярные, лютеиновые) образуются из естественных структур яичника — фолликула и жёлтого тела. Фолликулярные кисты являются следствием непроизошедшей овуляции и продолжающегося роста фолликула.
Лютеиновые кисты (кисты жёлтого тела) являются результатом избыточного накопления жидкости в желтом теле, образующемся после овуляции. Функциональные кисты существуют непродолжительное время (до 2-3 месяцев) и самостоятельно исчезают.
Эндометриоидные кисты (эндометриомы) возникают вследствие эндометриоза яичника. Ежемесячные небольшие кровотечения из очага эндометриоза приводят к образованию в яичнике полости, заполненной кровью, которая со временем сгущается, темнеет и становится похожей по консистенции и цвету на жидкий шоколад. Поэтому такие кисты еще называют «шоколадными».
Кистозные опухоли относятся к истинным опухолям, но имеют внешние признаки кист. Кисты и кистозные опухоли иногда можно различить только после гистологического исследования. К кистозным опухолям относят серозные и муцинозные цистаденомы, а также зрелые тератомы (дермоидные кисты).
Симптомы
Кисты яичников часто протекают бессимптомно, а обнаруживаются при профилактических осмотрах или ультразвуковых исследованиях по другому поводу.
Боли обычно отмечаются внизу живота с одной стороны, носят тянущий или ноющий характер, могут появляться или усиливаться при половых актах. Нередко это просто чувство тяжести. Боли могут становиться интенсивными, сопровождаться тошнотой, рвотой, распространяться по животу и отдавать в прямую кишку при развитии осложнений (перекруте или разрыве кисты). Перекруту чаще подвергаются дермоидные кисты, разрыву — лютеиновые. Разрыв фолликулярной кисты может сопровождаться кратковременной болью, но не представляет опасности для здоровья.
Нарушения менструального цикла могут проявляться в виде задержки менструации или дисфункционального маточного кровотечения.
Увеличение живота встречается только при больших кистозных опухолях.
Диагностика
Объемное образование яичника может быть обнаружено врачом при осмотре, однако диагноз кисты устанавливается при ультразвуковом исследовании. По тем или иным ультразвуковым признакам можно с определенной вероятностью предположить тот или иной тип кисты яичника.
Если киста содержит пристеночные плотные структуры, для исключения рака проводят тест на онкомаркер CA-125.
Лечение
Выжидательная тактика применяется при небольших (до 1 см) кистах, если по УЗИ нет явных признаков опухоли (плотных включений).
Консервативная терапия направлена на уменьшение или предотвращение роста кист за счет приема гормональных контрацептивов.
Хирургическое лечение путем лапароскопии применяют во всех случаях, если выжидание в течение 2-3 менструальных циклов не приводит к исчезновению кисты. При операции удаляют кисту с максимальным сохранением здоровой ткани яичника у женщин репродуктивного возраста.
При кистах, проявляющихся болями, нарушением функции яичников,продолжающих существование более 2 циклов, и не имеющих признаков опухолевого процесса, возможна пункция и аспирация под контролем ультразвукового сканирования[1]. При этом с помощью вагинального ультразвукового датчика и пункционной насадки в полость кисты вводят иглу.
См. также
Примечание
Ссылки
Проблема злокачественных опухолей яичников остается актуальной и одной из самых сложных в онкологии
%PDF-1.5 % 2 0 obj > /Metadata 5 0 R /StructTreeRoot 6 0 R >> endobj 5 0 obj > stream 2014-02-25T13:31:04+03:002014-02-25T13:31:35+03:00Microsoft® Word 2010Microsoft® Word 2010application/pdf
причины, симптомы, диагностика, лечение, профилактика
Представляет собой разновидность серозной опухоли овариальной ткани, которая имеет выраженную капсулу, внутреннюю выстилку, образованную сосочковыми разрастаниями эпителия, и жидкое содержимое.
На сегодняшний день разработано несколько гипотез возникновения папиллярной кистомы яичника. Согласно одной из теорий, патология, как и другие опухолевые образования овариальной ткани, возникает на фоне хронической гиперэстрогении, спровоцированной гиперактивностью гипоталамо-гипофизарной системы. В соответствии с другой теорией патология возникает на фоне «постоянной овуляции», обусловленной ранней менархе, поздней менопаузой, малым количеством беременностей, отказом от лактации. В соответствии с теорией генетической предрасположенности, в развитии папиллярной кистомы яичника имеет значение наличие у членов семьи женского пола опухолей яичников и рака молочной железы.
Предполагается, что кистомы яичника могут развиваться из покровного эпителия, из окружающих яичник рудиментных элементов или участков смещенного маточного или трубного эпителия. Развитие папиллярной кистомы яичника может быть ассоциировано с носительством вируса папилломы человека или герпеса II типа, частыми воспалениями, нарушенным менструальным циклом, случаями многократного прерывания беременности.
В начале заболевания симптомы не выражены или вовсе отсутствуют. Клинические признаки папиллярной кистомы яичника манифестируют с появления ощущений тяжести и болезненности внизу живота. Боли часто иррадиируют в нижние конечности и поясницу. Рано отмечается развитие дизурических явлений, нарушение дефекации, появление общей слабости. У некоторых женщин возможно нарушение менструального цикла по типу аменореи или меноррагии.
При эвертирующей и смешанной формах кистом может возникать асцит серозного характера, геморрагический характер асцитической жидкости указывает на наличие злокачественной кистомы. Асцит проявляется увеличением размеров живота. Формирование спаечных процессов в малом тазу часто становится причиной бесплодия.
В случае возникновения перекрута ножки папиллярной кистомы яичника, образованной растянутыми связками, яичниковой артерией, лимфатическими сосудами, нервами, маточной трубой, возникает некроз опухоли, что клинически проявляется развитием симптомов острого живота.
При разрыве капсулы кистомы возникает развитие внутрибрюшного кровотечения, а в тяжелых случаях – перитонита.
При подозрении на наличие у женщины папиллярной кистомы яичника рекомендовано проведение влагалищного исследования, ультразвукового исследования, диагностической лапароскопии, гистологического анализа. При бимануальном гинекологическом исследовании пальпируется одно- или двустороннее безболезненное овоидное образование, оттесняющее матку к лонному сочленению. В большинстве случаев киста имеет тугоэластическую консистенцию и иногда неравномерную поверхность.
Для подтверждения диагноза может потребоваться проведение магниторезонансной или компьютерной томографии.
ЛечениеЛечение папиллярной кистомы яичника производится хирургическими методами. При условии отсутствия признаков малигнизации кистомы у пациенток репродуктивного возраста ограничиваются оофорэктомией, обусловленной удалением яичника на стороне поражения.
При двусторонних кистомах, независимо от возраста, производится тотальная оофорэктомия.
В пременопаузу и менопаузу, а также при пограничных или злокачественных кистомах производится надвлагалищная ампутация матки с придатками или пангистерэктомия. Для уточнения морфологического типа кистомы и определения объема вмешательства во время операции ткани опухоли подвергается срочному гистологическому исследованию.
ПрофилактикаНа данный момент методы профилактики папиллярной кистомы яичника не разработаны.
Киста яичника | Коржуев Сергей Игоревич
Вам поставили диагноз: киста яичника?
Давайте разберемся, что это такое.
Kystis, греч. – пузырь.
Киста яичника представляет собой «пузырь», заполненный жидкостью. Чаще всего эта жидкость вырабатывается стенкой (капсулой) образования. И в зависимости от строения стенки и содержимого носит различные названия (фолликулярная, эндометриоидная, дермоидная, муцинозная и др.
). По количеству камер внутри кисты они разделяются на однокамерные и многокамерные (2 и более) кисты.
Есть две большие группы кист яичника, которые отличаются механизмом возникновения и лечебной тактикой. Это функциональные кисты и истинные.
Истинные кисты яичников
Наиболее часто встречающиеся истинные кисты яичников это:
Эндометриоидная киста яичника (эндометриома)Данная патология относится к наружному генитальному эндометриозу. Обычно это образования 1-10 см в диаметре, заполненные темно-коричневым содержимым, напоминающим горячий шоколад («шоколадная» киста). Встречается она чаще всего в молодом возрасте (30-35 лет).
Дермоидная киста
Дермоидная киста – это однокамерное образование размером 1-15 см, заполненное густой массой содержащей жировую ткань, волосы, хрящи и даже костные фрагменты. Она встречается в любом возрасте (даже у детей).
Серозная цистаденома
Наиболее часто встречающаяся киста яичника.
Размеры ее варьируют от 5 до 15 см. Серозная цистаденома заполнена прозрачной жидкостью. Иногда на внутренней поверхности капсулы могут появляться разрастания, напоминающие по виду цветную капусту. Такая киста носит название папиллярная цистаденома, и является опасной в плане развития онкологии.
Муцинозная цистаденома
Муцинозная цистаденома- это многокамерная киста, достигающая порой внушительных размеров (30-50 см), с желеобразным прозрачным содержимым.
Функциональная киста яичника
К функциональным кистам яичника относятся:
Прежде чем приступить к освещению данной проблемы, хотелось бы напомнить последовательность изменений, происходящих в яичниках женщины на протяжении менструального цикла:
После менструации в одном из яичников начинает созревать фолликул — пузырек заполненный жидкостью, внутри которого имеется яйцеклетка. В течение двух недель он увеличивается в размере, достигая 2-2,5 см в середине цикла (накануне овуляции).
Овуляция – это разрыв фолликула, во время которого яйцеклетка покидает яичник. На месте лопнувшего фолликула образуется «желтое тело» — это структура, вырабатывающая гормон (прогестерон), подготавливающий матку к беременности и поддерживающий развитие этой беременности в первые недели. Если же беременность не наступает, желтое тело постепенно рассасывается и начинается очередная менструация.
Ряд гормональных нарушений в организме женщины могут приводить к тому, что овуляция не наступает. В этой ситуации фолликул может продолжить свой рост, и происходит образование фолликулярной кисты.
При нарушении процессов рассасывания желтого тела, внутри его начинает скапливаться жидкость, что приводит к возникновению одноименной кисты (киста желтого тела).
Отличительной особенностью функциональных кист яичника является то, что они могут самостоятельно рассасываться. Обычно это происходит в первые 2-3 менструальных цикла. При длительном существовании или значительных размерах образования вероятность подобного исхода сокращается, т.
к. исчезает слой функциональных клеток, способных к рассасыванию. Фолликулярная киста обычно имеет размер 3-8 см и заполнена прозрачной жидкостью. До операции ее бывает трудно отличить от серозной цистаденомы.
Содержимое старой кисты желтого тела может быть прозрачным, а может быть и темно-коричневым («шоколадным»), что делает ее трудно-отличимой от истинных кист.
Симптомы неосложненной кисты яичникаСпецифических проявлений, к сожалению, данная патология не имеет, и большинство кист яичника длительное время существуют бессимптомно. Периодически могут появляться тупые, ноющие боли внизу живота (реже в области поясницы). При эндометриоидной кисте эти боли могут появляться (усиливаться) накануне или во время менструации. Иногда возникают неприятные болевые ощущения при половых контактах. При значительных размерах киста может вызывать чувство наличия инородного тела в брюшной полости. Нередко киста яичника (особенно эндометриоидная) является причиной отсутствия беременности.
Поскольку длительное время киста яичника может себя никак не проявлять, важно регулярно проводить профилактические осмотры у гинеколога. Диагноз кисты яичника довольно легко выставить при гинекологическом осмотре и ультразвуковом исследовании (УЗИ) органов малого таза. УЗИ позволяет не только обнаружить сам факт наличия кисты яичника, но и рассмотреть ее строение (количество камер, характер содержимого, пристеночные включения и разрастания).
Довольно информативным (но и более дорогостоящим) является компьютерная томография (КТ) или магнитно-резонансная томография (МРТ). Эти методики позволяют уточнить расположение кисты, размеры, структуру, контуры, содержимое, взаимоотношение с предлежащими органами, выявить признаки злокачественного роста.
Для исключения злокачественности процесса необходимо исследование крови на онкомаркеры СА-125 и СА 19-9. Повышенное их содержание, особенно в старшей возрастной группе, может указывать на высокий риск развития онкологии.
Лечение кисты яичника.
Наиболее распространенной практикой при выявлении кисты яичника является наблюдение за ней в течение 2-3 менструальных циклов. Функциональные кисты за этот период, как правило, рассасываются или существенно уменьшаются. Для ускорения этого процесса желательно назначение гормональных контрацептивов.
Если за указанный промежуток времени существенных изменений нет, показано оперативное лечение. Объем операции зависит от возраста пациентки, структуры кисты, ее размеров. В молодом возрасте, при отсутствии признаков злокачественного роста производится лапароскопия и удаление кисты с сохранением здоровой ткани яичника. В период менопаузы целесообразно полное удаление яичника.
Операции на яичнике требует от хирурга большой выдержки и терпения.
Размер здорового яичника не превышает 3-х см. При этом ткани яичника очень чувствительны к внешним воздействиям (в том числе к операции). Для того, чтобы яичник после удаления кисты нормально функционировал, хирург должен очень бережно проводить операцию, без использования грубых (но ускоряющих операцию) методик.
Осложнения кисты яичника
К острым осложнениям кисты яичника, требующим неотложной медицинской помощи относятся:
- перекрут яичника
- разрыв кисты (апоплексия).
В обоих случаях появляются интенсивные острые боли внизу живота. При перекруте яичника нарушается его адекватное кровоснабжение (ишемия), что ведет к появлению болей.
При апоплексии боль связана с раздражающим действием содержимого кисты и крови на брюшину. Отсутствие кровотечения при апоплексии яичника дает возможность консервативного лечения и наблюдения за пациенткой. Для того, что бы выяснить это проводится пункция заднего свода влагалища.
Это прокол стенки влагалища для сбора имеющейся в малом тазу жидкости (кровь, содержимое кисты, воспалительная жидкость). При возникновении признаков скопления крови в брюшной полости показана экстренная лапароскопия с целью остановки кровотечения.
При подозрении на перекрут кисты также необходима экстренная операция. Длительное отсутствие кровотока к тканях яичника, может привести к некротическим изменениям в них (отмирание тканей). При отсутствии признаков некроза производится «раскручивание» придатков матки с последующим удалением кисты.
В чём опасность кисты яичника
Главная опасность кисты яичника заключается в том, что она поражает самый главный женский орган!
Что такое яичник? Это привлекательность, сексуальность, естественная красота и хорошее настроение. Гормоны, вырабатываемые яичниками, создают женский образ и поддерживают его всю жизнь. Они защищают вас от многих болезней и недугов. Наконец, яичники дарят женщине самую большую радость в жизни — счастье материнства.
Важная особенность яичников это то, что закладываются они еще внутриутробно. Яичники даются женщине один раз и на всю жизнь! Поэтому так важно сохранить их нормальную работу.
Киста (и её неправильное лечение) может нанести яичнику непоправимый вред! Это требует от вас только правильных и обдуманных действий в борьбе с кистой яичника. Ведь ставка на кону слишком высокая.
Другая, более редкая, но гораздо более серьезная опасность кисты яичника — это злокачественный рост опухоли.
Всё вышеперечисленное требует от Вас и Вашего врача только правильных и обдуманных действий.
Записаться на операцию
Если Вам не всё-равно, кто и каким способом будет проводить удаление кисты Вашего яичника, то Вы всегда можете воспользоваться моими услугами. Не смотря на большое количество работы, качество операции остаётся для меня приоритетом.
Поэтому каждой пациентке я уделяю столько времени и сил, сколько необходимо для эффективного решения её проблемы.
классификация, факторы риска, диагностика и лечение
Обычно женщины сталкиваются с таким заключением после УЗИ органов малого таза. И многих оно заставляет нервничать. Однако кисты яичников бывают разные и не всегда, вопреки распространенному мнению, их надо удалять хирургическим способом.
Разберемся, что такое киста. Слово «kystis» в переводе с греческого означает «пузырь». Именно «пузырем» киста яичника и является — кистообразованием в яичнике, полость которого может быть заполнена жидкостью, кровью, слизью и различными тканями.
Классификация
У женщин в детородном возрасте кисты яичников встречаются часто, при этом большинство из них являются доброкачественными новообразованиями, среди которых преобладают функциональные, эндометриоидные кисты, дермоидные кисты (зрелые тератомы) и серозные цистаденомы.
Функциональные кисты (фолликулярная киста, киста жёлтого тела) образуются из естественных структур яичника — фолликула и жёлтого тела. Фолликулярные кисты являются следствием того, что по различным причинам, не происходит овуляция, нелопнувший фолликул остается на некоторое время в яичнике и может даже увеличиваться в размере. Кисты жёлтого тела являются результатом избыточного накопления жидкости в жёлтом теле, образующемся после овуляции. Функциональные кисты существуют непродолжительное время (до 2-3 месяцев), чаще всего исчезают самостоятельно и не требуют никакого лечения. При этом женщине рекомендуются половой покой, ограничение физических нагрузок и воздействия высоких температур (бани, сауны и тд). С целью контроля за состоянием кисты яичника выполняется УЗИ органов малого таза на 2-5 день менструального цикла.
Эндометриоидные кисты (эндометриомы) возникают вследствие эндометриоза яичника. Ежемесячные небольшие кровотечения из очага эндометриоза приводят к образованию в яичнике полости, заполненной кровью, которая со временем сгущается, темнеет и становится похожей по консистенции и цвету на жидкий шоколад.
Поэтому такие кисты еще называют «шоколадными». В 0,8% случаев эндометриомы малигнизируются (перерождаются в недоброкачественные). Тактика лечения эндометриоидных кист определяется индивидуально в зависимости от её размера, возраста женщины, репродуктивных планов и тд. Терапия может быть ограничена назначением гормональных препаратов, но чаще подобные кисты удаляются хирургическим путем.
Дермоидные кисты яичника появляются вследствие нарушения течения эмбрионального периода, когда в яичник будущего ребенка попадают клетки покровного эпителия. Поэтому такие кисты содержат жировую ткань, зубы, волосы, кости. Дермоидная киста обычно не достигает больших размеров, растет медленно, около 2% перерождаются в рак. Лечение таких кист оперативное.
Серозные цистаденомы представляют собой новообразования доброкачественной природы, с эластичными плотными стенками, содержащие прозрачную серозную жидкость. Стенки кисты плотные, внутренняя поверхность капсулы — гладкая.
Новообразование безболезненно и достаточно подвижно, по внешним признакам напоминает фолликулярную кисту. Встречаются также папиллярные серозные цистаденомы, которые характеризуются наличием папиллярных разрастаний на внутренней поверхности капсулы. Такие кисты могут быть пограничными и в большинстве случаев перерождающимися в злокачественные опухоли, поэтому серозные цистаденомы всегда удаляются хирургически.
Факторы, способствующие образованию кист яичников
-
гормональные нарушения;
-
искусственные прерывания беременности;
-
воспаление женских половых органов;
-
инфекции, передающиеся половым путем;
-
преждевременное половое созревание;
-
операции на органах малого таза в прошлом;
-
наследственность.
Диагностика кист яичников
-
Жалобы на нарушение менструального цикла, боли внизу живота. При этом достаточно часто киста яичников протекает бессимптомно.
-
Во время гинекологического осмотра выявляется болезненность внизу живота и увеличение яичников.
-
Ультразвуковое исследование органов малого таза — самый информативный метод, так как позволяет не только определить наличие кисты, но и наблюдать за ее развитием, оценить ее размеры и структуру.
-
С помощью анализа крови на онкомаркеры (биологические вещества, вырабатываемые раковыми клетками): Са-125, НЕ4 с подсчетом индекса RMI и индекса ROMA можно заподозрить недоброкачественную опухоль яичника (рак).
-
С помощью магнитно-резонансной томографии органов малого таза с контрастированием уточняют расположение, размер и структуру кисты.
Лечение кист яичников
Как было указано выше, выбор лечения кисты зависит от вида кисты и определяется врачом.
С целью определения является ли киста функциональной или нет, женщине рекомендуется проведение УЗИ органов малого таза в динамике на 2-5 день менструального цикла в течение 1-3 месяцев. При необходимости в период наблюдения назначаются гормональные препараты. Положительная динамика (исчезновение образования в яичнике или уменьшение его в размерах) свидетельствует об отсутствии опухоли в яичнике.
Хирургическое лечение проводится, как правило, с помощью лапароскопии, что позволяет минимально повреждать здоровые ткани, свести к нулю осложнения от операции и минимизировать сроки госпитализации до 1-2 дней.
Произошла ошибка при настройке вашего пользовательского файла cookie
Произошла ошибка при настройке вашего пользовательского файла cookie Этот сайт использует файлы cookie для повышения производительности.
Если ваш браузер не принимает файлы cookie, вы не можете просматривать этот сайт.
Настройка вашего браузера для приема файлов cookie
Существует множество причин, по которым cookie не может быть установлен правильно. Ниже приведены наиболее частые причины:
- В вашем браузере отключены файлы cookie.Вам необходимо сбросить настройки своего браузера, чтобы он принимал файлы cookie, или чтобы спросить вас, хотите ли вы принимать файлы cookie.
- Ваш браузер спрашивает вас, хотите ли вы принимать файлы cookie, и вы отказались. Чтобы принять файлы cookie с этого сайта, нажмите кнопку «Назад» и примите файлы cookie.
- Ваш браузер не поддерживает файлы cookie. Если вы подозреваете это, попробуйте другой браузер.
- Дата на вашем компьютере в прошлом. Если часы вашего компьютера показывают дату до 1 января 1970 г.,
браузер автоматически забудет файл cookie.
Чтобы исправить это, установите правильное время и дату на своем компьютере. - Вы установили приложение, которое отслеживает или блокирует установку файлов cookie. Вы должны отключить приложение при входе в систему или проконсультироваться с системным администратором.
Почему этому сайту требуются файлы cookie?
Этот сайт использует файлы cookie для повышения производительности, запоминая, что вы вошли в систему, когда переходите со страницы на страницу.Чтобы предоставить доступ без файлов cookie потребует, чтобы сайт создавал новый сеанс для каждой посещаемой страницы, что замедляет работу системы до неприемлемого уровня.
Что сохраняется в файле cookie?
Этот сайт не хранит ничего, кроме автоматически сгенерированного идентификатора сеанса в cookie; никакая другая информация не фиксируется.
Как правило, в файлах cookie может храниться только информация, которую вы предоставляете, или выбор, который вы делаете при посещении веб-сайта.
Например, сайт
не может определить ваше имя электронной почты, пока вы не введете его. Разрешение веб-сайту создавать файлы cookie не дает этому или любому другому сайту доступа к
остальной части вашего компьютера, и только сайт, который создал файл cookie, может его прочитать.
Образования яичников с сосочковыми выступами, диагностированные и удаленные во время беременности: ультразвуковые исследования и гистологическая диагностика
Задача: Выявить особенности ультразвукового исследования, позволяющие различать доброкачественные и злокачественные кисты яичников с сосочковыми выступами, но без других твердых компонентов у беременных.
Методы: Тридцать четыре женщины с ультразвуковым диагнозом кисты яичника с сосочковыми выступами, но без других твердых компонентов, которые были удалены хирургическим путем во время беременности, были идентифицированы из баз данных четырех ультразвуковых отделений.
Некоторая клиническая и ультразвуковая информация была собрана проспективно. Недостающая информация была получена ретроспективно из ультразвуковых изображений, отчетов ультразвукового исследования и историй болезни пациентов.Используя проспективно и ретроспективно собранные данные, ультразвуковой вид опухолей был описан с использованием терминов и определений группы Международного анализа опухолей яичников. Ультразвуковые характеристики сравнивали с гистологическим диагнозом.
Полученные результаты: Из 34 включенных случаев 19 (56%) поражений были доброкачественными (16 децидуализированных эндометриом, одна цистаденофиброма, одна простая киста, один зоб яичников), 12 (35%) были пограничными опухолями и три (9%) были первично инвазивными опухолями ( две незрелые тератомы, одна эндометриоидная цистаденокарцинома).Контур сосочков кисты был гладким в 79% (15/19) доброкачественных опухолях против 27% (4/15) злокачественных опухолей (P = 0,002).
Кистозное содержимое показало эхогенность матового стекла в 74% (14/19) доброкачественных опухолей по сравнению с 13% (2/15) злокачественных опухолей (P = 0,0006). Все образования яичников с гладкими папилляциями и матовым стеклом (n = 12) были децидуализированными эндометриомами. Сосочковые выступы были васкуляризированы, а цветовая шкала составляла 3 или 4 в 88% (14/16) децидуализированных эндометриом по сравнению с 42% (5/12) пограничных опухолей (P = 0.013).
Выводы: У беременных кисты яичников с эхогенностью матового стекла и папилляции с гладким контуром на УЗИ чаще всего являются децидуализированными эндометриомами. Кисты с анэхогенной или низкой эхогенностью и папилляции с неправильным контуром предполагают пограничное злокачественное новообразование. Авторские права © 2016 ISUOG. Опубликовано John Wiley & Sons Ltd.
Ключевые слова: кисты яичников; новообразование яичников; беременность; ультразвуковое исследование.
Папиллярные опухоли яичников: 1. Доброкачественные опухоли, серозные и муцинозные цистаденокарциномы
Клинико-патологическое исследование было проведено из 923 случаев первичной папиллярной опухоли яичников, окончательно пролеченных в клинике Майо за 20-летний период, закончившийся в 1954 году. Опухоли состояли из: (1) доброкачественная папиллярная опухоль яичников — 270 случаев; (2) папиллярная серозная цистаденокарцинома — 401 случай; (3) папиллярная муцинозная цистаденокарцинома — 157 случаев; (4) эндометриоподобный (эндометриоидный) рак яичника — 56 случаев; и (5) мезонефрома яичников, 39 случаев.Это исследование охватывает результаты по первым трем категориям.
Обзор 270 доброкачественных папиллярных опухолей яичников позволяет предположить, что цистаденофиброматозный тип не является редкой опухолью. Настоящее исследование показывает, что существует целый спектр папиллярных опухолей яичников. Хотя сложная папиллярная цистаденофиброма кажется потенциально злокачественной, она находится немного на доброкачественной стороне спектра, который имеет простую папиллярную фиброму на одном конце и очень злокачественную солидную карциному на другом.
Гистерэктомия с двусторонней сальпингоофорэктомией, по-видимому, является методом выбора у пожилых пациентов; но если сохранение яичников требует молодой женщины, оставшуюся ткань яичника следует тщательно исследовать на предмет аналогичной двусторонней опухоли.
Серозные и муцинозные цистаденокарциномы — два наиболее распространенных типа первичных папиллярных опухолей яичников. По-видимому, они происходят из зародышевого эпителия путем метаплазии. Развитие этих опухолей коварно и не вызывает характерных симптомов.
Обнаружение двусторонних серозных или муцинозных поражений при лапаротомии сопровождается худшим окончательным прогнозом, но разрыв опухоли до или во время лапаротомии не оказывает плохого влияния на прогноз. Обнаружение асцита при лапаротомии ухудшило прогноз только в серозной группе. Миксома брюшины, редкое осложнение предоперационного разрыва муцинозной злокачественной кисты, часто является фатальным осложнением, хотя иногда и длительно отсроченным. Прогноз можно оценить довольно точно, исходя из стадии и степени злокачественности яичников.
Все папиллярные муцинозные опухоли являются злокачественными, но необходимо строгое применение гистологических критериев, чтобы разделить папиллярные серозные опухоли на доброкачественные и злокачественные группы. Применение этих критериев к многочисленным разделам должно исключить «пограничный» диагноз.
Лечение злокачественных новообразований яичников — это полная абдоминальная гистерэктомия и двусторонняя сальпингоофорэктомия с удалением как можно большего количества опухолевой ткани, насколько это технически возможно и безопасно для пациента.Рекомендуется послеоперационное внешнее облучение, особенно при не полностью удаленных очагах поражения, поскольку метастатические разрастания брюшины не исчезают только из-за экстирпации яичников. Радикальное лечение иногда можно смягчить при низкозлокачественной серозной опухоли яичников на ранней стадии, но это не рекомендуется при любых муцинозных поражениях яичников.
Как лечить сложную кисту яичника — O&G Magazine
Гинекологи часто сталкиваются с затруднениями при получении отчета об УЗИ, в котором говорится, что существует «сложная киста яичника», особенно если УЗИ не проводился специалистом с сертификатом акушерско-гинекологического УЗИ (COGU).
Сложный — это очень расплывчатый термин, который не может служить адекватным ориентиром для дальнейшего лечения. Вопросы, которые направляющий гинеколог хочет получить с помощью УЗИ, можно в общих чертах описать как:
- Может ли киста рассосаться сама по себе?
- Могу ли я удалить кисту лапароскопическим способом?
- Достаточно ли высок риск рака, чтобы я мог направить пациентку к онкологу-гинекологу для проведения операции?
До недавнего времени было трудно получить ответы на эти вопросы, так как большая часть данных об ультразвуковом появлении различных типов кист была эмпирической и в значительной степени основывалась на мнениях экспертов.Международная группа анализа опухолей яичников (IOTA) за последние два десятилетия предложила стандартизированные определения поражений придатков и провела множество ретроспективных и проспективных исследований с обширным хирургическим и патологическим последующим наблюдением. Методология IOTA также была проспективно оценена другими центрами с хорошей корреляцией.
Это позволило IOTA предложить правила (простые правила IOTA) и компьютерную модель (ADNEX) для более точного определения риска злокачественного новообразования придатков.Группа IOTA — это многонациональное сотрудничество, членство можно получить, посетив семинар, а затем успешно сдав экзамен. Проверить, сдал ли выбранный вами специалист по УЗИ это обследование, можно на сайте www.iotagroup.org/certified-members.
В нескольких исследованиях было показано, что модели IOTA намного лучше работают при обнаружении злокачественных новообразований, чем более старые алгоритмы индекса риска злокачественных новообразований (RMI) или OVA1.
Многие национальные органы рекомендовали использовать модели IOTA, в том числе Королевский колледж акушеров и гинекологов, Американский колледж акушеров и гинекологов и, совсем недавно, Американский колледж радиологии в рамках своей системы отчетов и данных ультразвуковой стратификации риска для яичников и системы данных. система (O-RADS).
Классические поражения яичников
Методика оценки массы яичников IOTA начинается с выявления нескольких классических поражений яичников, называемых «простыми дескрипторами».
Это:
- Простая киста: однокамерная, без внутреннего материала (безэховая), тонкостенная и бессосудистая.
- Corpus luteum: однокамерный с периферической васкуляризацией («огненное кольцо»), вторая половина цикла и связанный с секреторным эндометрием (если нет Mirena insitu).Они часто выглядят геморрагическими.
- Геморрагическая киста: одноглазная сетчатая структура из тонких пересекающихся линий (нитей фибрина).
- Эндометриома: однородные внутренние эхосигналы низкого уровня «матовое стекло», минимальная васкуляризация, гладкие стенки. Часто двухглазный, чаще двусторонний.
- Дермоид / тератома: бессосудистая, обычно одноглазная, но с изменчивой внутренней структурой из-за дифференцирующихся типов клеток, чаще всего волос (мелкие линейные точки и штрихи) и уровней жидкости (из-за разных типов жидкости).Классически дермоиды имеют затененные эхогенные участки из-за кальцификации.
- Инвазивное злокачественное новообразование: большая нерегулярная твердая масса, сильно сосудистая, обычно не остается видимой нормальной ткани яичника, асцит (определяемый IOTA как жидкость выше уровня дна матки для дифференциации от физиологической жидкости таза, обычно наблюдаемой после овуляции).

Эти классические поражения обычно не вызывают большой неопределенности в отношении путей лечения после того, как они были правильно идентифицированы на УЗИ.
Геморрагические кисты часто разрешаются спонтанно. Повторное ультразвуковое исследование через два-три месяца может быть рассмотрено для разрешения кисты. В идеале это УЗИ следует проводить сразу после периода, чтобы не спутать его с новым желтым телом. Эндометриомы и дермоиды, если они не удалены, должны проходить ежегодное наблюдение, поскольку существует риск злокачественной трансформации, особенно в постменопаузе.
К сожалению, существует множество поражений яичников, которые не соответствуют этим классическим описаниям.Для этих менее простых поражений IOTA предлагает использовать простые правила или алгоритм ADNEX для руководства дальнейшим лечением.
Простые правила IOTA
Методика простых правил выделяет пять признаков, которые больше всего связаны с доброкачественным поражением, и пять признаков, наиболее связанных со злокачественным поражением (Таблица 1).
Правила заключаются в том, что если поражение имеет только доброкачественные признаки, оно может считаться доброкачественным, а если поражение имеет только злокачественные признаки, оно может считаться злокачественным.Если не видно ни одного из 10 доброкачественных или злокачественных признаков или если присутствуют как доброкачественные, так и злокачественные признаки, то поражение не поддается классификации. После исключения «классических поражений» (дермоид, эндометриома, простая киста и т. Д.) Около 75% поражений могут быть классифицированы в проспективных исследованиях с 95% чувствительностью и 91% специфичностью. 25% неклассифицируемых поражений можно отправить на второе мнение эксперта (например, COGU) или применить модель ADNEX. Этот метод был проспективно подтвержден специалистами по визуализации без определенного гинекологического опыта с аналогичной точностью.
Таблица 1. Функции IOTA, используемые для простых правил.
| Доброкачественные особенности | Злокачественные признаки |
| Однокулярная киста | Неровное твердое поражение |
| Твердые компоненты присутствуют, но <7 мм | Асцит (жидкость над верхушкой матки) |
| Акустические тени | Не менее 4 папиллярных структур |
| Гладкое многоточечное образование с наибольшим диаметром <100 мм | Нерегулярная многоячеистая солидная опухоль с наибольшим диаметром ≥ 100 мм |
| Нет кровотока | Обильный кровоток |
Оценка IOTA различных новообразований придатков (ADNEX)
Алгоритм ADNEX доступен в Интернете или через приложение для телефона.
Вводя указанные параметры ультразвука, специалист по визуализации может определить процентный риск злокачественного новообразования. IOTA предложила, что если процент риска превышает 10%, дальнейшее лечение должен проводить гинеколог-онколог. Предполагается, что модель ADNEX имеет точность 92–95% при частоте ложных срабатываний 10%. CA 125 также может быть включен в модель ADNEX и в основном используется, чтобы помочь отличить рак яичников 1 стадии от стадии 2–4, пограничного или метастатического рака яичника.CA 125 имеет лишь минимальный вклад в определение того, является ли поражение доброкачественным или злокачественным, поскольку он часто находится в пределах нормы при раке яичников 1 стадии. Это подчеркивает, что CA 125 в отдельности не является хорошим скрининговым тестом для выявления рака яичников 1 стадии.
Другие аспекты оценки поражений яичников
Трансвагинальное УЗИ обычно дает гораздо более точную оценку поражения, чем трансабдоминальное, особенно при поиске кровотока.
Однако есть случаи, когда трансвагинальное УЗИ невозможно, например, девственная жизнь или отказ пациента.Существуют также обстоятельства, при которых трансвагинальная точность снижается, например, повышенный ИМТ и значительно увеличенная миома матки (которая часто поднимает яичники высоко в брюшную полость).
Большинство простых кист репродуктивного возраста функциональны и разрешаются в течение двух-трех циклов. Простые кисты размером менее 3 см следует рассматривать как физиологические (фолликул) и сообщать о них без необходимости наблюдения. Кисты диаметром более 10 см сложнее полностью оценить с помощью ультразвука; в частности, кровоток и небольшие выступы могут быть не видны в глубокой части большой кисты, что приводит к ошибочной классификации.Повторить УЗИ через три месяца, МРТ органов малого таза или хирургическое удаление могут быть допустимыми вариантами лечения.
Многие простые кисты размером более 2 см у пациенток в постменопаузе представляют собой небольшие цистаденомы, и их следует рассмотреть.
Точный интервал еще не определен, но можно рассмотреть возможность пересмотра через три месяца и, если нет изменений, через шесть месяцев, а затем ежегодно, если киста остается стабильной.
Перегородки часто встречаются при доброкачественных цистаденомах, но также и в злокачественных опухолях, при этом пограничные опухоли часто имеют более 10 перегородок.
Папиллярные выступы — это выступы на стенках высотой не менее 3 мм, перпендикулярные стене. Четыре или более выступов или выступов, охватывающих более 50% внутренней стенки кисты, являются подозрительными признаками для злокачественной опухоли. Чем больше выступ или сплошная область по сравнению с общим размером кисты, тем выше риск злокачественного образования.
Васкуляризация, продемонстрированная в твердой области, сосочковой проекции или в перегородке, вызывает беспокойство. Васкулярность измеряется с помощью цветного или энергетического допплера.Исторически использовался индекс резистентности (RI) с уровнем ниже 0,4, который считался высоким риском злокачественных новообразований, но больше не рекомендуется из-за очень низкой чувствительности и специфичности.
RI все еще иногда используется для демонстрации того, что кровоток является артериальным, а не ультразвуковым артефактом.
Твердые образования без кровеносных сосудов, особенно с нерегулярными кальцификациями, часто представляют собой фибромы, которые почти всегда доброкачественные. Солидные образования с повышенной васкуляризацией почти всегда являются злокачественными, иногда вторичными опухолями яичника (опухоли Крукенберга).
Вторичные метастазы в яичники всегда сосудистые и часто, но не всегда, двусторонние. Чаще всего они исходят из желудка, но также из других участков кишечника и желчных путей, а также из груди. Это могут быть солидные опухоли (желудка, груди, лимфомы), но также могут быть большие многоячеистые с твердыми участками (толстая, прямая, поджелудочная железа / желчные пути). Дополнительные исследования, чтобы рассмотреть, есть ли подозрение на вторичную опухоль яичника (чтобы найти возможную первичную), могут включать ПЭТ-КТ, МРТ-диффузию всего тела, гастроскопию, колоноскопию и рентгеновскую маммографию.
Опухолевые маркеры, которые могут быть полезны, включают СА 125, но, как уже говорилось ранее, низкий уровень СА 125 не исключает рак яичников 1 стадии. CA 125 также имеет много ложноположительных результатов, включая, помимо прочего, аденомиоз, эндометриоз и дивертикулярную болезнь. CA 19-9 может быть повышен в муцинозных опухолях, включая цистаденокарциному, пограничные опухоли и вторичные опухоли из кишечника. Опухоли зародышевых клеток могут иметь повышенный αFP или βHCG.
Заключение
При оценке поражения яичников важно, чтобы ультразвуковое исследование проводилось и сообщалось клиницистами, способными правильно оценить и описать поражение.Некоторые поражения являются классическими и легко описываются (например, эндометриомы и дермоиды), но многие менее достоверны. Использование простых правил IOTA и / или модели ADNEX показало хорошую ценность для определения риска злокачественного новообразования, и обе они более точны, чем RMI. CA 125 полезен для выявления запущенного рака, но играет ограниченную роль в обнаружении рака яичников 1 стадии из-за значительного количества ложноположительных и ложноотрицательных результатов.
(PDF) Характеристика папиллярных выступов при доброкачественных и пограничных и злокачественных образованиях яичников с помощью обычного и цветного допплеровского УЗИ
AJR: 196, 20 июня, 11 1449
Ультразвук опухолей яичников
были обнаружены только в четырех из 22 доброкачественных опухолей.
смерти и ни разу в пограничных и злокачественных опухолях
смерти в нашей серии.Хотя чувствительность
этого открытия была низкой (18%), его специфичность была
высокой (100%) для прогнозирования доброкачественного поражения.
Хотя папиллярные выступы в доброкачественных опухолях
имеют рыхлое фиброматозное ядро стромы
, злокачественные опухоли имеют сложные папиллярные выступы
гортани с центральным фиброваскулярным ядром
[1]. Из-за наличия или отсутствия
ангиогенеза размер и количество сосудов
значительно чаще встречаются в злокачественных
, чем в пограничных или доброкачественных опухолях [5].Размер структуры
также является важным фактором
, который может влиять на обнаружение доплеровского потока
[15]. Это исследование и предыдущее исследование [5]
показывают отсутствие цветового потока во всех папиллярных проекциях
<10 мм и во всех доброкачественных папиллярных проекциях
, даже в этих папиллярных проекциях ≥ 10 мм.
Напротив, цветность присутствовала во всех лигнантах и пограничных папиллярных проекциях
≥ 10 мм, за исключением одной пограничной опухоли в
этой стадии.
Ассоциация морфологических находок и
цветных допплеровских находок кажется лучшим методом
для характеристики типа папиллярных проекций
. При размере проекции сосочков
≥ 10 мм PPV для злокачественности
составляет 77,5%. Если, кроме того, цветовой доплеровский поток
обнаружен или присутствует диссеминация ≥ 50%,
, то PPV составляет 100%. Если размер папиллярного выступа
≥ 10 мм, но ни поток, ни диссеминация Doppler
≥ 50% отсутствуют, неровная поверхность
значительно увеличивает вероятность злокачественного образования
.
Когда размер сосочкового выступа
<10 мм, соответствующий NPV составляет
68,4% независимо от других детерминант
злокачественности, определенных в нашем методе, т. Е.
неравномерно утолщенной перегородки или стенки и
неправильный твердый компонент. Исключая субъектов
с такими детерминантами злокачественности, NPV
составляет 86,7%. Стоит отметить, что среди
пациентов с папиллярными выступами <10 мм всегда отсутствовало
диссеминация ≥ 50%.В
эта группа, неправильная поверхность или тупой угол —
неопределенный угол благоприятствовал злокачественности,
, хотя ассоциация не была статистически значимой из-за небольшого размера выборки.
У нашего исследования есть ограничения. Исследование является ретроспективным и чисто описательным. Использование
неподвижных изображений может ограничить описательную точность некоторых результатов, таких как ракурс и расстояние
, но это сдерживается использованием
смежных изображений, полученных экспериментальным путем. рентгенолог осознает важность
этих функций.Большое проспективное исследование, включающее
, объединяющее различные морфологические и сосудистые
данные, определенные как предполагающие доброкачественную
по сравнению со злокачественной опухолью, необходимо для обеспечения
более подробных статистических результатов в диаграмме
актеризации папиллярных проекций.
В эту серию включены только опухоли, подтвержденные хирургическим путем.
. Таким образом, были исключены все функциональные геморрагические кисты
, исчезнувшие на фоне
, что ограничивает ложноположительный диагноз папиллярных выступов
из-за тромбов, которые могут возникнуть на практике.
Экзоцистозные папиллярные отростки присутствуют в 70% случаев [3, 4] при бор-
дерлине серозных опухолях. Однако эти pap-
иллярные проекции, которые присутствовали в шести пограничных серозных опухолях
из нашей серии, были пропущены на УЗИ.
В заключение, это исследование показывает, что определенное количество морфологических и допплеровских результатов
может убедительно предположить диагноз
доброкачественных и злокачественных папиллярных отростков, хотя существует совпадение, особенно
с
. пограничные опухоли.Большой размер, острый,
-й угол, неровная поверхность и диссеминированный паттерн
-крачка предполагают злокачественную опухоль, тогда как кальцификация
указывает на доброкачественность. Ab-
Ощущение цветового потока в сосочковом выступе ≥
10 мм свидетельствует о доброкачественности. Эти результаты помогут хирургу определиться с типом операции
и хирургическим подходом.
Ссылки
1. Кригман Х., Бентли Р., Роббой С.Дж. Патология
эпителиальных опухолей яичников.Clin Obstet Gynecol
1994; 37: 475–491
2. Outwater EK, Huang AB, Du nton CJ, Talerman
A, Capuzzi DM. Папиллярные выросты в яичниках
Новообразования: вид на МРТ. J Magn Reson
Imaging 1997; 7: 689–695
3. Скалли Р., Янг Р., Клемент П. Опухоли яичника
, недоразвитые гонады, фаллопиевые бугорки и широкая связка
, 3-е изд. Вашингтон, округ Колумбия: Вооружен
Институт патологии вооруженных сил, 1998: 51–168
4.Сейдман Дж., Рассел П., Курман Р. Поверхностный эпитет
лиальных опухолей яичника. В кн .: Курман Р.Ж., под ред.
Патология Блаустейна женских половых органов.
Нью-Йорк, Нью-Йорк: Springer-Verlag, 2002: 791–904
5. Купить JN, Ghossa in MA, Hugol D, et al. Характеристика
Изучение придаточных масс: комбинация цвета
Допплерография и обычная сонография по сравнению
только со спектральным допплеровским анализом и только с обычной
сонографией.AJR 1996; 166: 385–393
6. Саини А., Дина Р., МакИндоу Г.А., Суттер В.П., Гиш-
en P, деСуза Н.М. Характеристика образований придатка
с помощью МРТ. AJR 2005; 184: 1004–1009
7. Герриеро С., Алькасар Дж. Л., Кочча М. Е. и др. Com-
сплетение массы таза как цель оценки сосудов
Распределение с помощью цветной допплеровской сонографии для диагностики
злокачественных новообразований надпочечников: результаты многоцентрового европейского исследования
.J Ultrasound Med
20 02; 21: 1105–1111
8. Тиммерман Д., Теста А.С., Борн Т. и др. Простые
правила диагностики рака яичников
на основе ультразвука. Ультразвуковой акушерский гинеколь 20 08; 31:
681–69 0
9. Buy JN, Ghossai n MA, Sciot C, et al. Эпителиальные опухоли
яичника: результаты КТ и корреляция
с УЗИ. Радиология 19 91; 178: 811–818
10. Ekerhovd E, Wiener roith H, Staudach A, Gran-
berg S.Предоперационная оценка кисты u nilocula r ad-
nexal с помощью трансвагинального ультразвукового исследования:
сравнение между ультразвуковой морфологической визуализацией
логической визуализацией и гистопатологической диагностикой. Am
J Obstet Gynecol 2001; 184: 48–54
11. Laing FC. УЗИ аднексальных образований: искусство
постановки правильного диагноза. Радиология 1994;
191: 21–22
12. Амей Л., Валентин Л., Теста А.С. и др. Система оценки
для дифференциации злокачественных опухолей от
доброкачественных новообразований в подгруппах
иопухолей придатков, основанных на ультразвуковом исследовании.Ультразвуковой акушерский гинеколь 2009;
33: 92–101
13. Валентин Л., Амей Л., Юркович Д. и др. Какие
образований в наружном тазу
правильно классифицировать как доброкачественные или злокачественные на основании
результатов ультразвукового исследования и есть ли способ поставить
правильный диагноз? Ультразвуковая акушерская гинекология-
col 2006; 27: 438–444
14. Thurnher SA. МРТ образований малого таза у
женщин: контрастное изображение d против неулучшенного изображения —
es.AJR 1992; 159: 12 43–12 50
15. Рамос И., Фернандес Л.А., Морс С.С., Fortune
К.Л., Тейлор К.Дж. Обнаружение иона неоваскулярных сигналов —
nals в 3-дневной карциноме крысы Walker 256 с помощью
CW допплеровского ультразвука. Ультразвук Med B iol
1988; 14: 123 –126
Самая крупная папиллярная карцинома щитовидной железы, возникшая в яичниковом зобе и метастазирующая в противоположный яичник: клинический случай и обзор литературы | Исследование щитовидной железы
Дунцендорфер Т., деЛас Моренас А., Калир Т., Левин Р.М.Зоб яичников и гипертиреоз. Щитовидная железа. 1999; 9: 499.
Артикул PubMed CAS Google ученый
Конди-Пафити А., Мавригианнаки П., Григориадис С. и др. Монодермальные тератомы (яичниковый зоб). Клинико-патологическая характеристика 11 случаев и обзор литературы. Eur J Gynaecol Oncol. 2011; 32: 657.
PubMed CAS Google ученый
Ясса Л., Садоу П., Маркиз Э.Злокачественный зоб яичников. Nat Clin Pract Endocrinol Metab. 2008; 4: 469.
Артикул PubMed Google ученый
Ю С.К., Чанг К.Х., Лю МО, Чанг С.Дж., Рю Х.С., Ким ХС. Клиническая характеристика зоба яичников. J Gynecol Oncol. 2008; 19: 135–8.
Артикул PubMed PubMed Central Google ученый
Kraemer B, Grischke EM, Staebler A, et al.Лапароскопическое удаление злокачественного зоба яичников и наблюдение через 1 год без дальнейшего лечения. Fertil Steril. 2011; 95 (6): 2124.e9–12.
Артикул Google ученый
DeSimone CP, Lele SM, Modesitt SC. Злокачественный зоб яичников: описание случая и анализ случаев, описанных в литературе, с акцентом на выживаемость и терапию I131. Gynecol Oncol. 2003. 89: 543–8.
Артикул PubMed Google ученый
МакГилл Дж. Ф., Осетр С., Ангелос П. Метастатический зоб яичников, подвергнутый тотальной тиреоидэктомии и абляции радиоактивным йодом. Endocr Pract. 2009. 15 (2): 167–73.
Артикул PubMed Google ученый
Гоффредо П., Савка А.М., Пура Дж., Адам М.А., Роман С.А., Соса Дж.А. Злокачественный зоб яичников: популяционный анализ большой серии из 68 пациентов. Щитовидная железа. 2015; 25 (2): 211–5.
Артикул PubMed Google ученый
Салман В., Сингх М., Твайдж З. Случай папиллярной карциномы щитовидной железы в яичниковом зобе и обзор литературы. Патолог Res Int. 2010; 2010: 352476.
PubMed PubMed Central CAS Google ученый
Томи Дж. Ф., ван дер Хейден П. Ф., ван ден Хаут Дж. Х., Бринкхейс М., Венеман Т. Ф. Папиллярная карцинома яичникового зоба: необычная картина. Neth J Med. 2008. 66 (6): 248–51.
PubMed CAS Google ученый
Sussman SK, Kho SA, Cersosimo E, Heimann A. Сосуществование злокачественного зоба яичников и болезни Грейвса. Endocr Pract. 2002. 8 (5): 378–80.
Артикул PubMed Google ученый
Teale E, Gouldesbrough DR, Peacey SR. Болезнь Грейвса и сосуществующий зоб яичников: экспрессия рецепторов тиреотропина в зобе и наличие антител, стимулирующих рецепторы тиреотропина. Щитовидная железа. 2006. 16 (8): 791–3.
Артикул PubMed CAS Google ученый
Талерман А. Зародышевые опухоли яичника. В: Курман Р.Ж., редактор. Патология Блаустейна женских половых путей. 3-е изд. Нью-Йорк: Springer Verlag; 2001. с. 967–1033.
Google ученый
Рот Л.М., Талерман А. Загадка яичникового зоба. Патология. 2007. 39 (1): 139–46.
Артикул PubMed Google ученый
Макани С., Ким В., Габа АР.Зоб яичников с очагом папиллярного рака щитовидной железы: описание случая и обзор литературы. Gynecol Oncol. 2004; 94: 835.
Артикул PubMed Google ученый
Залел Ю., Зейдман Д.С., Орен М. и др. Сонографические и клинические характеристики зоба яичников. J Ultrasound Med. 2000; 19: 857.
Артикул PubMed CAS Google ученый
Savelli L, Testa AC, Timmerman D, Paladini D, Ljungberg O, Valentin L. Визуализация гинекологического заболевания (4): клинические и ультразвуковые характеристики зоба яичников. Ультразвуковой акушерский гинекол. 2008. 32: 210–9.
Артикул PubMed CAS Google ученый
Роббой С.Дж., Шако-Леви Р., Пенг Р.Й., Снайдер М.Дж., Донахью Дж., Бентли Р.С., Бин С., Кригман Х.Р., Рот Л.М., Янг Р.Х. Злокачественный зоб яичников: анализ 88 случаев, в том числе 27 с экстраовариальным распространением.Int J Gynecol Pathol. 2009. 28 (5): 405–22.
Артикул PubMed Google ученый
Налбанский А., Пеневская М., Налбанский Б. Стромальный яичник у девочки 14 лет. Акуш Гинеколь (София). 2007. 46 (6): 44–6. Болгарский
Google ученый
Марти Дж. Л., Кларк В. Э., Харпер Х., Чиенг, округ Колумбия, Соса Дж. А., Роман С. А.. Оптимальное хирургическое лечение высокодифференцированного рака щитовидной железы, возникающего при Struma ovarii: серия из 4 пациентов и обзор 53 зарегистрированных случаев.Щитовидная железа. 2012; 22: 400–6.
Артикул PubMed Google ученый
Schmidt J, Derr V, Heinrich MC, Crum CP, Fletcher JA, Corless CL, Nose ́ V. BRAF при папиллярной карциноме щитовидной железы яичника (struma ovarii). Am J Surg Pathol. 2007; 31: 1337–43.
Артикул PubMed Google ученый
Гарг К., Сослоу Р.А., Ривера М., Таттл М.Р., Госсейн Р.А. Гистологически мягкие «чрезвычайно хорошо дифференцированные» карциномы щитовидной железы, возникающие в яичниковом зобе, могут рецидивировать и метастазировать.Int J Gynecol Pathol. 2009. 28 (3): 222–30.
Артикул PubMed Google ученый
Бойд Дж. К., Уильямс Б. А., Ригби М. Х., Кизер К., Оффман С., Ширсат Н., Тритес Дж. Р. Б., Тейлор С. М., Харт Р. Д.. Злокачественный зоб яичников у нерожавшего 30-летнего пациента. Thyroid Res. 2017; 30 (10): 3.
Артикул Google ученый
Barrera JR, Manalo LA, Ang FL. Папиллярный рак щитовидной железы, возникающий из-за зоба яичников.BMJ Case Rep. 2012 11; 2012.
Sibio S, Borrini F, Sammartino P, Accarpio F, Biacchi D, Caprio G, Iafrate F, Baccheschi AM, Cornali T, Di Giorgio A. Преобладающая опухоль Бреннера в сочетании с зобом яичников, содержащим папиллярную микрокарциному ассоциированный с доброкачественным перитонеальным струмозом: отчет о случае и гистологические особенности. Endocr Pathol. 2010. 21 (3): 199–203.
Артикул PubMed Google ученый
Tanaka H, Sakakura Y, Kobayashi T., Yoshida K, Asakura T., Taniguchi H. Случай папиллярной карциномы тироидного типа, полученный из зрелой кистозной тератомы яичника, удаленной лапароскопической операцией. Азиатский J Endosc Surg. 2011; 4 (2): 86–9.
Артикул PubMed CAS Google ученый
Кумар СС, Рема П., Р. АК, Варгезе БТ. Папиллярный рак щитовидной железы, возникающий при зрелой тератоме. Индийский J Surg Oncol. 2014; 5 (3): 168–70.
Артикул PubMed PubMed Central Google ученый
Жан С., Таньи Дж. Л., Монтоне К. и др. Папиллярный рак щитовидной железы, возникающий при зобе яичников. J Obstet Gynaecol. 2012; 32: 222.
Артикул PubMed CAS Google ученый
Middelbeek RJW, O’Neill BT, Nishino M, Pallotta JA. Сопутствующий рак щитовидной железы при яичниковом зобе: отчет о болезни и обзор литературы.J Endocr Soc 2017 23; 1 (5): 396–400.
Pineyro MM, Pereda J, Schou P, de Los Santos K, de la Peña S, Caserta B, Pisabarro R. Папиллярная микрокарцинома щитовидной железы, возникающая в зрелой тератоме яичников: описание случая и обзор литературы. Clin Med Insights Endocrinol Diabetes. 2017; 10 https://doi.org/10.1177/1179551417712521.
Leite I, Cunha TM, Figueiredo JP, Félix A. Папиллярная карцинома, возникающая при зобе яичников, по сравнению с метастазами в яичники из первичной карциномы щитовидной железы: отчет о клиническом случае и обзор литературы.J Radiol Case Rep. Октябрь 2013; 7 (10): 24–33.
PubMed PubMed Central Google ученый
Станоевич Б., Дзодич Р., Саенко В., Милованович З., Крстевски В., Радлович П., Бута М., Рулич Б., Тодорович Л., Димитриевич Б., Ямашита С. Односторонний фолликулярный вариант папиллярной карциномы щитовидной железы RAS с уникальной мутацией KRAS. in struma ovarii при двусторонней тератоме яичника: сообщение о редком случае. BMC Рак. 2012; 8 (12): 224.
Артикул CAS Google ученый
О’Нил Дж. П., Бернс П., Кинселла Дж. Папиллярная карцинома щитовидной железы при зобе яичников. Ir J Med Sci. 2012. 181 (1): 115–7.
Артикул PubMed CAS Google ученый
Рот Л.М., Карселадзе А.И. Высокодифференцированная фолликулярная карцинома, возникающая из-за зоба яичников: отчет о 3 случаях, обзор литературы и повторная оценка так называемого перитонеального струмоза. Int J Gynecol Pathol. 2008. 27 (2): 213–22.
PubMed Google ученый
Фернандес Каталина П., Рего Ираэта А., Лоренцо Солар М., Санчес Собрино П. Синкронный злокачественный зоб яичников и папиллярная карцинома щитовидной железы. Endocrinol Nutr. 2016; 63 (7): 366–7.
Артикул PubMed Google ученый
Койн С., Никифоров Ю.Е. RAS-мутационный фолликулярный вариант папиллярной карциномы щитовидной железы, возникающий при зобе яичников. Endocr Pathol. 2010. 21 (2): 144–7.
Артикул PubMed Google ученый
Salvatori M, Dambra DP, D’Angelo G, Conte LL, Locantore P, Zannoni G, Campo V, Campo S. Случай с метастатическим зобом яичников, леченный терапией 131I: акцент на сохранении фертильности и избранный обзор литературы. Гинекол Эндокринол. 2008. 24 (6): 312–9.
Артикул PubMed Google ученый
Zhu Y, Wang C, Zhang GN, Shi Y, Xu SQ, Jia SJ, He R. Папиллярный рак щитовидной железы, расположенный в злокачественном зобе яичников с метастазами в сальник: описание случая и обзор литературы.Мир J Surg Oncol. 2016; 20 (14): 1–17.
CAS Google ученый
Шримали Р.К., Шейх Г., Рид Н.С. Злокачественный зоб яичников: опыт запада Шотландии и обзор литературы с упором на послеоперационное ведение. J Med Imaging Radiat Oncol. 2012; 56: 478–82.
Артикул PubMed Google ученый
Leong A, Roche PJ, Paliouras M, Rochon L, Trifiro M, Tamilia M.Сосуществование злокачественного зоба яичников и папиллярной карциномы шейки матки. J Clin Endocrinol Metab. 2013; 98: 4599–605.
Артикул PubMed CAS Google ученый
Matysiak-Grzes M, Fischbach J, Gut P, Klimowicz A, Gryczynska M, Wasko R, Ruchala M. Struma ovarii maligna. Neuro Endocrinol. 2013; 34: 97–101.
Google ученый
Чжан Х, Аксиотис К.Карцинома яичникового зоба по типу щитовидной железы. Arch Pathol Lab Med. 2010; 34: 786–91.
Google ученый
Янзен Е.В., ван Дорн Х.С., Юинг П.С., де Криджгер Р.Р., де Вильт Дж. Х., Кам Б.Л. и др. Злокачественный зоб яичников: хороший результат после тиреоидэктомии и абляционной терапии I. Clin Med Oncol. 2008; 2: 147–52.
PubMed PubMed Central Google ученый
Wei S, Baloch ZW, LiVolsi VA.Патология яичникового зоба: сообщение о 96 случаях. Endocr Pathol. 2015; 26 (4): 342–8.
Артикул PubMed Google ученый
Монти Э, Мортара Л., Зупо С., Доно М., Минуто Ф, Труини М., Насери М., Джусти М. Папиллярный рак щитовидной железы при зобе яичников: сообщение о редком случае. Гормоны (Афины). 2015; 14 (1): 154–9.
Google ученый
Марди К., Гупта Н.Высококлеточный вариант папиллярной карциномы, возникающей при зобовариях: сообщение о редком случае. J Cancer Res Ther. 2013. 9 (1): 119–21.
Артикул PubMed Google ученый
Меринголо Д., Бьянки Д., Капула С., Костанте Г. Папиллярная микрокарцинома щитовидной железы при яичниковом зобе. Эндокринная. 2012. 41 (1): 164–5.
Артикул PubMed CAS Google ученый
Шако-Леви Р., Бин С.М., Бентли Р.С., Роббой С.Дж.Естественная история биологически злокачественного зоба яичников: анализ 27 случаев экстраовариального распространения. Int J Gynecol Pathol. 2010. 29 (3): 212–27.
Артикул PubMed Google ученый
Клинически подозреваемая масса придатков, без острых симптомов
% PDF-1.4 % 1 0 объект > эндобдж 2 0 obj > поток